Desk Encyclopedia Of Microbiology, Second Edition Microbiology
User Manual: Desk-Encyclopedia-of-Microbiology
Open the PDF directly: View PDF
.
Page Count: 1277 [warning: Documents this large are best viewed by clicking the View PDF Link!]
- Title Page
- Copyright Page
- Preface
- Editor-in-Chief
- List of Contributors
- Contents
- Actinobacteria
- Adhesion, Microbial
- Glossary
- Abbreviations
- Defining Statement
- Introduction
- Biological Significance of Microbial Adhesion
- Mechanisms of Microbial Adhesion
- Selected Survey of Specific Adhesion Strategies
- Consequences of Microbial Adhesion in Human Disease
- Targeting Adhesion to Inhibit Bacterial Virulence
- Acknowledgments
- Further Reading
- Agrobacterium and Plant Cell Transformation
- Glossary
- Abbreviations
- Defining Statement
- Introduction
- Overview of Infection Process
- Ti Plasmid
- Chromosomally Encoded Virulence Genes
- T-DNA Processing
- VirB/D4 System, a Member of the Type IV Secretion Family
- Substrate Transfer Through the Plant Cell
- Agrobacterium Host Range and Genetic Engineering
- Conclusions
- Further Reading
- Amino Acid Production
- Antibiotic Resistance
- Antifungal Agents
- Glossary
- Abbreviations
- Defining Statement
- Introduction
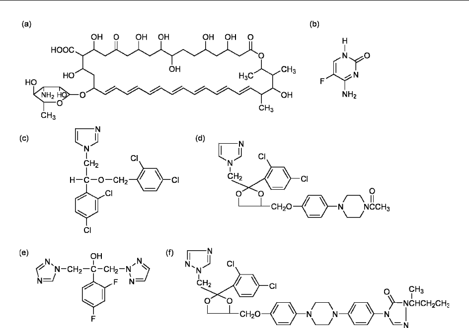
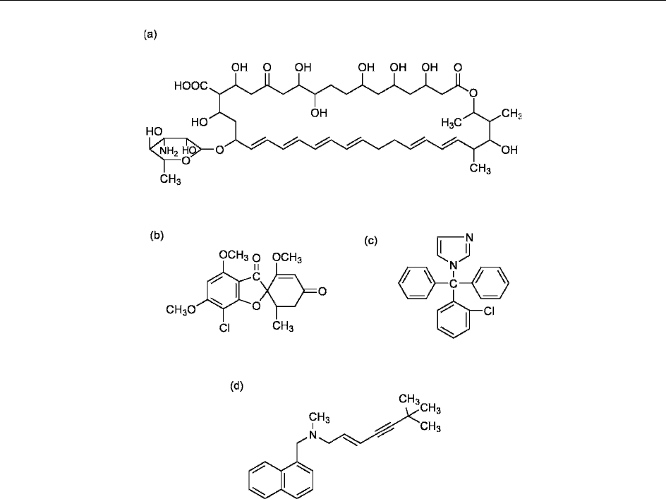
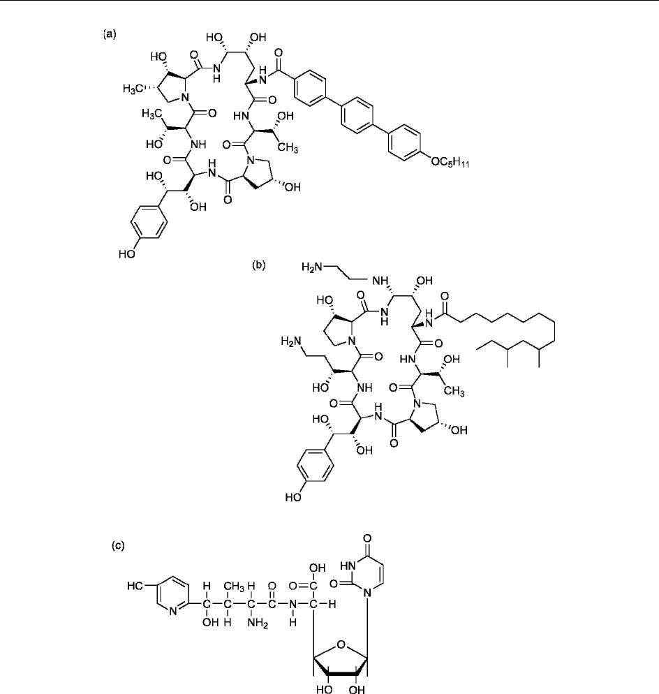
- The Polyenes
- Griseofulvin
- Cycloheximide
- Pyrrolnitrin, Fenpiclonil, and Fludioxonil
- The Synthetic Pyrimidines
- The Azoles
- The Allylamines
- The Benzylamines, Thiocarbamates, and Dithiocarbamates
- The Benzimidazoles and Methylbenzimidazole Carbamates
- The Morpholines
- The Pyridines
- The Echinocandins, Pneumocandins, and Papulocandins
- The Pradimicins and Benanomycins
- The Polyoxins and Nikkomycins
- The Sordarins
- Dimethomorph and Fluazinam
- The Phthalimides
- Other Antifungal Approaches
- Further Reading
- Antiviral Agents
- Archaea (overview)
- Autotrophic CO2 Metabolism
- Bacillus Subtilis
- Bacteriophage (overview)
- Biofilms, Microbial
- Biological Warfare
- Bioluminescence, Microbial
- Glossary
- Abbreviations
- Defining Statement
- Introduction
- Biochemistry of Bacterial Light Production
- Species and Systematics of Luminous Bacteria
- Habitats and Ecology of Luminous Bacteria
- Regulation of Bacterial Luminescence
- Functions of Luminescence in Bacteria
- Evolution of the Bacterial Luminescence System
- Isolation, Storage, and Identification of Luminous Bacteria
- Conclusions
- Further Reading
- Bioreactors
- Caulobacter
- Cell Cycles and Division, Bacterial
- Cell Membrane, Prokaryotic
- Cell Structure, Organization, Bacteria and Archaea
- Chromosome, Bacterial
- Conjugation, Bacterial
- Continuous Cultures (Chemostats)
- Glossary
- Abbreviations
- Defining Statement
- Introduction
- Theory of Continuous Culture
- Physiological and Functional Genomic Studies with the Chemostat
- Simultaneous Use of Mixed Substrates in Continuous Culture
- Ecological Studies in the Chemostat
- Industrial Applications of Continuous Culture
- Competition and Selection of Mutants in the Chemostat
- Essential Equipment in Continuous Culturing
- Important Aspects of Continuous Culture
- Acknowledgments
- Further Reading
- Cyanobacteria
- Deep-Sea Hydrothermal Vents
- Glossary
- Abbreviations
- Defining Statement
- Mid-Ocean Ridge Hydrothermal Vents
- The Chemosynthetic Basis of Life at Hydrothermal Vents
- Chemolithoautotrophic Bacteria
- Heterotrophic Vent Bacteria
- Hyperthermophilic Archaea
- Comparison to Terrestrial Hot Springs
- Unusual Hydrothermal Vents: Loihi, Guaymas, Lost City
- Further Reading
- DNA Restriction and Modification
- DNA Sequencing and Genomics
- Emerging Infections
- Endosymbionts and Intracellular Parasites
- Enteropathogenic Infections
- Escherichia Coli
- Ethanol
- Evolution, Theory and Experiments with Microorganisms
- Glossary
- Abbreviations
- Defining Statement
- Review of Evolutionary Theory
- Experimental Tests of Fundamental Principles
- Genetic and Physiological Bases of Fitness
- Genetic Variation within Populations
- Coevolution of Interacting Genomes and Species
- Evolution of New Metabolic Functions
- Evolution of Genetic Systems
- Further Reading
- Exotoxins
- Extremophiles: Acidic Environments
- Extremophiles: Cold Environments
- Extremophiles: Hot Environments
- Fermentation
- Flagella, Prokaryotic
- Forensic Microbiology
- Gastrointestinal Microbiology in the Normal Host
- Genome Sequence Databases: Genomic, Construction of Libraries
- Glossary
- Abbreviations
- Defining Statement
- Vectors Used in Genomic Library Construction
- Genomic DNA Preparation
- Agarose Gel Electrophoresis Used in Genomic Library Construction
- Quantifying DNA and Determining Quality
- Ligation Reactions
- Transformation of Library DNA into Bacterial Host Strains
- Increasing the Number of Transformants
- Determining the Number of Transformants Needed for Coverage of an Entire Genome
- Current Strategies to Enhance Genomic Library Production
- Sample Protocol to Construct a 4 kb Pseudomonas aeruginosa PAO1 Library with Vector PBTB-1 Within an E. coli Host Strain
- Further Reading
- Relevant Websites
- Gram-Negative Cocci, Pathogenic
- Helicobacter Pylori
- Hepatitis Viruses
- Herpesviruses
- HIV/AIDS
- Glossary
- Abbreviations
- Defining Statement
- Introduction
- Discovery of the AIDS Virus
- The HIV Virion: Structure and Genomic Organization
- HIV Genetic Diversity
- HIV Transmission
- Detection Assays for HIV
- HIV Infection and Replication
- Effect of HIV on Cells and the Immune System
- Host Immune Responses to HIV
- Features of HIV Pathogenesis
- Future Directions
- Further Reading
- Relevant Websites
- Horizontal Gene Transfer: Uptake of Extracellular DNA by Bacteria
- Glossary
- Abbreviations
- Defining Statement
- Process of Natural Uptake of Extracellular DNA in Bacteria
- Uptake of Extracellular DNA by Bacteria Present in Various Environments
- Some Limitations of the DNA Uptake Model Systems Used
- Factors Affecting the Stable Uptake of DNA in Single Bacterial Cells
- Considerations of the Long-Term Persistence of Horizontally Acquired DNA in Bacterial Populations
- Predictors of DNA Uptake in Bacteria and Implications for the Release of Genetically Modified Microbes
- Further Reading
- Influenza
- Legionella, Bartonella, Haemophilus
- Lipopolysaccharides (Endotoxins)
- Marine Habitats
- Glossary
- Abbreviations
- Defining Statement
- Introduction
- Nature of Marine Microbial Life
- Structure and Classification of Marine Macrohabitats
- Marine Microbial Inhabitants and Their Growth Requirements
- Distribution, Abundance, and Biogeography of Marine Microbes
- Sunlight, Nutrients, Turbulence, and the Biological Pump
- Time Variability of Marine Habitats and Climate Change
- Summary and Prospectus
- Acknowledgments
- Further Reading
- Relevant Websites
- Metabolism, Central (Intermediary)
- Metagenomics
- Metal Extraction and Biomining
- Glossary
- Abbreviations
- Defining Statement
- Microbial Transformations of Metals
- Microorganisms that Solubilize Metals
- Microbial Extraction of Metals from Ores and Biomining
- Acidiophilic Microorganism-Mineral Interaction
- Mechanisms Involved in Metal Solubilization by Acidophiles
- Biomining in the Postgenomic Era
- Environmental Effects of Metals Solubilization and Bioremediation
- Conclusions
- Further Reading
- Relevant Website
- Mycoplasma and Spiroplasma
- Nutrition, Microbial
- Glossary
- Abbreviations
- Defining Statement
- Classification of Microorganisms and Nutrients
- Elemental Composition of Biomass
- Requirements and Physiological Functions of Principal Elements
- Feast and Famine: Unrestricted versus Nutrient-Limited Growth
- Design and Analysis of Defined Minimal Growth Media
- Further Reading
- Gram-Negative Opportunistic Anaerobes: Friends and Foes
- Outer Membrane, Gram-Negative Bacteria
- Peptidoglycan (Murein)
- Photosynthesis: Microbial
- Glossary
- Abbreviations
- Defining Statement
- Introduction
- Historical Perspective
- Classification of Photosynthetic Organisms
- The Constituent Processes of Photosynthesis
- Absorption and Transfer of Light Energy
- The Water-Splitting Complex
- Transmembrane Electron Transfer
- Calvin-Benson-Bassham Cycle
- Anoxygenic Photosynthesis
- The Evolution of Photosynthesis
- Future Research Directions
- Acknowledgments
- Further Reading
- Pili, Fimbriae
- Glossary
- Abbreviations
- Defining Statement
- Historical Perspective and Classification of Pili
- Chaperone/Usher Pathway
- Alternate Chaperone Pathway
- Type II Secretion Pathway for Type IV Pilus Assembly
- Conjugative Pilus Assembly Pathway
- Extracellular Nucleation/Precipitation Pathway
- Type III Secretion Pathway
- Pili in Gram-Positive Bacteria
- Regulation of Pilus Biogenesis
- Role of Pili in Disease Processes
- Further Reading
- Plant Pathogens and Disease: General Introduction
- Plasmids, Bacterial
- Posttranscriptional Regulation
- Prions
- Pseudomonas
- Quorum-Sensing in Bacteria
- Glossary
- Abbreviations
- Defining Statement
- Introduction
- Quorum Signaling in Gram-Positive Bacteria
- Acylhomoserine Lactone (AHL) Quorum Signals in Gram-Negative Bacteria
- The Study of AHL-Dependent Signal Pathways Demonstrated the Presence of Another Quorum Signal AI-2
- Other Types of Quorum Signals
- Extracellular Effectors of Quorum Signaling Systems
- Quorum Signal Interaction with the Host
- Diffusion Sensing, Efficiency Sensing, and the Future of Quorum Signaling Systems
- What's Next for Quorum Signaling?
- Further Reading
- Sensory Transduction in Bacteria
- Spirochetes
- Staphylococcus
- Strain Improvement
- Streptococcus Pneumoniae
- Abbreviations
- Defining Statement
- Guides to the S. pneumoniae Literature
- Pneumococcus as a Pathogen and as a Model Microbe for Molecular Biology
- Burden of Pneumococcal Disease
- The Natural Reservoir of S. pneumoniae
- Stages in Pneumococcal Pathogenesis: Virulence Factors and Host Defense
- Human Intervention
- Impact of the Seven-Valent Pneumococcal Conjugate Vaccine on Pneumococcal Disease and Carriage
- Day Care Center Studies
- Genetic Exchange In Vivo
- Genome Sequencing
- Pneumococcal Cell Wall: Composition, Structure and Mechanisms of Replication during Cell Division
- PostScript
- Acknowledgments
- Further Reading
- Relevant Website
- Stress, Bacterial: General and Specific
- Transcriptional Regulation
- Transduction: Host DNA Transfer by Bacteriophages
- Transport, Solute
- Transposable Elements
- Tuberculosis: Molecular Basis of Pathogenesis
- Vaccines, Viral
- Viroids/Virusoids
- Yeasts
- Subject Index


DESK ENCYCLOPEDIA OF
MICROBIOLOGY
SECOND EDITION
This page intentionally left blank

DESK ENCYCLOPEDIA OF
MICROBIOLOGY
SECOND EDITION
EDITOR-IN-CHIEF
MOSELIO SCHAECHTER
San Diego State University
San Diego, CA, USA
AMSTERDAM BOSTON HEIDELBERG LONDON NEW YORK OXFORD
PARIS SAN DIEGO SAN FRANCISCO SINGAPORE SYDNEY TOKYO
Academic Press is an imprint of Elsevier

Academic Press is an imprint of Elsevier
The Boulevard, Langford Lane, Kidlington, Oxford OX5 1GB, UK
525 B Street, Suite 1900, San Diego, CA 92101-4495, USA
Copyright 2009 Elsevier Inc. All rights reserved
The following article is a US Government work in the public domain and not subject to copyright:
Forensic Microbiology
No part of this publication may be reproduced, stored in a retrieval system or transmitted in any form or by
any means electronic, mechanical, photocopying, recording or otherwise without the prior written
permission of the publisher
Permissions may be sought directly from Elsevier’s Science & Technology Rights Department in Oxford,
UK: phone (+44) (0) 1865 843830; fax (+44) (0) 1865 853333; email: permissions@elsevier.com. Alternatively
you can submit your request online by visiting the Elsevier web site at http://elsevier.com/locate/permissions,
and selecting Obtaining permission to use Elsevier material
Notice
No responsibility is assumed by the publisher for any injury and/or damage to persons or property as a
matter of products liability, negligence or otherwise, or from any use or operation of any methods, products,
instructions or ideas contained in the material herein, Because of rapid advances in the medical sciences,
in particular, independent verification of diagnoses and drug dosages should be made
British Library Cataloguing in Publication Data
A catalogue record for this book is available from the British Library
Library of Congress Cataloging in Publication Data
A catalog record for this book is available from the Library of Congress
ISBN: 978-0-12-374980-2
For information on all Elsevier publications
visit our website at books.elsevier.com
070809101110987654321
Working together to grow
libraries in developing countries
www.elsevier.com | www.bookaid.org | www.sabre.org

PREFACE
The field of Microbiology encompasses highly diverse life forms – bacteria, archaea, fungi, protists, and viruses. Their
influence on this planet is profound: they play an essential role in the cycles of matter in nature, affect all biological
environments, interact in countless ways with other living beings, and play a crucial role in agriculture and industry.
The field of Microbiology is so broadly encompassing that, of necessity, literature associated with it tends to be
specialized and focused. For that reason, it is difficult to find sources that provide a broad perspective on a wide
range of microbiological topics. This is the aim of The Desk Encyclopedia of Microbiology.
The purpose of this venture is to provide a single reference volume with appeal to microbiologists on all levels and
fields, including those working in industry, health-related institutions, academia, and government. We believe that this
book will be especially helpful for accessing material in areas in which the reader is not a specialist. It is intended to
facilitate preparing lectures, grant applications and reports, and to satisfy curiosity regarding microbiological topics.
The Desk Encyclopedia of Microbiology is principally a synthesis from the comprehensive multi-volume Encyclopedia of
Microbiology. Our intention is to provide affordable and ready access to a large variety of topics within one set of covers.
To this end, we have chosen subjects that, in our opinion, will be of greatest interest to the largest number of readers.
Included are the most general chapters from the Encyclopedia of Microbiology.
The result is a volume where coverage is extensive but not overly long in specific details. We believe this will be a
most appropriate reference for anyone with an interest in the intriguing field of Microbiology.
Moselio Schaechter, 2009
v
This page intentionally left blank

EDITOR-IN-CHIEF
Professor Schaechter did his graduate work at the University of Kansas and the University of Pennsylvania. He worked
on the biology of rickettsiae at Walter Reed Army Institute of Research, and was a postdoctoral fellow for two years in
Copenhagen, in the laboratory of Ole Maaløe. Professor Schaechter’s research interest concerned various aspects of the
regulation of bacterial growth. He discovered the existence of polyribosomes in bacteria and was among the first to
elucidate aspects of polyribosome metabolism and the role of the cell membrane in DNA synthesis and chromosome
segregation.
Professor Schaechter spent most of his career at Tufts University in Boston, MA, where he chaired the department of
Molecular Biology and Microbiology for 23 years. Since 1995 he has resided in San Diego, California, where he teaches
and continues to write books and a blog, ‘‘Small Things Considered.’’ He has written nine books, including several
textbooks and reference works, and he has served as president of the American Society of Microbiology and in many
advisory capacities to agencies and organizations.
vii
This page intentionally left blank

LIST OF CONTRIBUTORS
S T Abedon
The Ohio State University, Mansfield, OH, USA
G N Agrios
University of Florida, Gainesville, FL, USA
S-I Aizawa
Prefectural University of Hiroshima, Hiroshima, Japan
B E Alber
Ohio State University, Columbus, OH, USA
O Amster-Choder
The Hebrew University Medical School, Jerusalem, Israel
A M Arvin
Stanford University School of Medicine, Stanford, CA,
USA
F K Bahrani-Mougeot
Carolinas Medical Center, Charlotte, NC, USA
J T Barbieri
Medical College of Wisconsin, Milwaukee, WI, USA
N G Barnaby
Federal Bureau of Investigation, Laboratory Division,
Quantico, VA, USA
A J Bendich
University of Washington, Seattle, WA
G W Blakely
University of Edinburgh, Institute of Cell Biology,
Edinburgh, UK
M J Blaser
New York University School of Medicine and VA Medical
Center, New York, NY, USA
ABo
¨ck
University of Munich, Munich, Germany
W Bodemer
Deutsches Primatenzentrum GmbH (DPZ), Leibniz-
Institut fu
¨r Primatenforschung, Goettingen, Germany
J M Bower
University of Utah, Salt Lake City, UT, USA
P J Brennan
Colorado State University, Fort Collins, CO, USA
B Budowle
Federal Bureau of Investigation, Laboratory Division,
Quantico, VA, USA
L Cegelski
Washington University, School of Medicine, St. Louis,
MO, USA
Yung-Chi Cheng
Yale University School of Medicine, New Haven, CT, USA
S F Chen
Stanford University School of Medicine, Stanford, CA,
USA
P J Christie
University of Texas Medical School at Houston, Houston,
TX, USA
S Chugani
University of Washington, Seattle, WA, USA
J A Coker
University of Maryland Biotechnology Institute, Baltimore,
MD, USA
J W Costerton
University of Southern California, Los Angeles, CA, USA
P Courvalin
Institut Pasteur, Paris, France
P DasSarma
University of Maryland Biotechnology Institute, Baltimore,
MD, USA
S DasSarma
University of Maryland Biotechnology Institute, Baltimore,
MD, USA
ix

M A de Pedro
CBM ‘Severo Ochoa’ CSIC-UAM, Madrid, Spain
J W Deming
University of Washington, Seattle, WA, USA
B K Dhakal
University of Utah, Salt Lake City, UT, USA
B Ding
Ohio State University, Columbus, OH, USA
A E Douglas
University of York, York, UK
K Drlica
University of Medicine and Dentistry of New Jersey,
Newark, NJ, USA
P V Dunlap
University of Michigan, Ann Arbor, MI, USA
L Eggeling
Institute of Biotechnology, Research Center Ju
¨lich, Ju
¨lich,
Germany
T Egli
Swiss Federal Institute for Aquatic Science and
Technology, Du
¨bendorf, Switzerland
H Eilers
Georg-August-University Go
¨ttingen, Go
¨ttingen, Germany
N C Engleberg
University of Michigan Medical School, Ann Arbor, MI,
USA
L E Erickson
Kansas State University, Manhattan, KS, USA
A Espinel-Ingroff
Virginia Commonwealth University Medical Center, VA,
USA
M Filutowicz
University of Wisconsin-Madison, Madison, WI, USA
S M Finegold
VA Medical Center West Los Angeles and UCLA School
of Medicine, Los Angeles, CA, USA
P C Fineran
University of Cambridge, Cambridge, UK
L S Frost
University of Alberta, Edmonton, AB, Canada
M Y Galperin
National Institutes of Health, Bethesda, MD, USA
A Garcı
´a-Sastre
Mount Sinai School of Medicine, New York, NY, USA
F Garcia-Pichel
Arizona State University, Tempe, AZ, USA
A F Gillaspy
University of Oklahoma Health Sciences Center,
Oklahoma City, OK, USA
R T Gill
University of Colorado, Boulder, CO, USA
J H Golbeck
The Pennsylvania State University, University Park, PA,
USA
E C Gotschlich
The Rockefeller University, New York, NY, USA
D A Haake
University of California at Los Angeles, Los Angeles, CA,
USA
J Handelsman
University of Wisconsin-Madison, Madison, WI, USA
P Handke
University of Colorado, Boulder, CO, USA
T M Henkin
The Ohio State University, Columbus, OH, USA
D L Heymann
World Health Organization, Geneva, Switzerland
J F Holden
University of Massachusetts, Amherst, MA, USA
S J Hultgren
Washington University, School of Medicine, St. Louis,
MO, USA
S Y Hunt
Federal Bureau of Investigation, Laboratory Division,
Quantico, VA, USA
P Hyman
Medcentral College of Nursing, Mansfield, OH, USA
J J Iandolo
University of Oklahoma Health Sciences Center,
Oklahoma City, OK, USA
L O Ingram
University of Florida, Gainesville, FL, USA
B Jagannathan
The Pennsylvania State University, University Park, PA,
USA
xList of Contributors

L R Jarboe
University of Florida, Gainesville, FL, USA and Iowa State
University, Ames, IA, USA
C A Jerez
University of Chile and ICDB Millennium Institute,
Santiago, Chile
P J Johnsen
University of Tromsø, Tromsø, Norway
D B Johnson
Bangor University, Bangor, UK
O J Johnson
University of Southern California, Los Angeles, CA, USA
D M Karl
University of Hawaii, Honolulu, HI, USA
S Kaushik
University of California, San Francisco, CA, USA
D M Knipe
Harvard Medical School, Boston, MA, USA
A K Korgaonkar
The University of Texas at Austin, Austin, TX, USA
J G Kuenen
Delft University of Technology, Department of
Biotechnology, The Netherlands
J H Leamon
RainDance Technologies, Guilford, CT, USA
R E Lenski
Michigan State University, East Lansing, MI, USA
R Letelier
Oregon State University, Corvallis, OR, USA
J A Levy
University of California, San Francisco, CA, USA
P Martin
University of Miami Miller School of Medicine, Miami, FL,
USA
A Matin
Stanford University School of Medicine, Stanford, CA,
USA
L A Miller
GlaxoSmithKline Collegeville, PA, USA
S Morse
Centers for Disease Control and Prevention, Atlanta, GA,
USA
M A Mulvey
University of Utah, Salt Lake City, UT, USA
N E Murray
University of Edinburgh, Institute of Cell Biology,
Edinburgh, UK
N Nanninga
Universiteit van Amsterdam, Amsterdam, The
Netherlands
K M Nielsen
University of Tromsø, Tromsø, Norway
H Nikaido
University of California, Berkeley, CA, USA
E Paintsil
Yale University School of Medicine, New Haven, CT, USA
S Parekh
Dow AgroSciences, Indianopolis, IN, USA
I T Paulsen
Macquarie University, Sydney, NSW, Australia
BPe
´richon
Institut Pasteur, Paris, France
N K Petty
University of Cambridge, Cambridge, UK
P J Piggot
Temple University School of Medicine, Philadelphia, PA,
USA
J S Poindexter
Barnard College, Columbia University, NY, USA
J A Poupard
Pharma Institute of Philadelphia, Inc., Philadelphia, PA,
USA
M M Ramsey
The University of Texas at Austin, Austin, TX, USA
J L Ray
University of Tromsø, Tromsø, Norway
Q Ren
J. Craig Venter Institute, Rockville, MD, USA
W S Reznikoff
Marine Biological Laboratory, Woods Hole, MA, USA
M R Rondon
University of Wisconsin-Madison, Madison, WI, USA
List of Contributors xi

J M Rothberg
The Rothberg Institute for Childhood Diseases, Guilford,
CT, USA
RSa
´-Le˜
ao
Universidade de Lisboa, Lisboa, Portugal and
Universidade Nova de Lisboa, Oeiras, Portugal
Z L Sabree
University of Wisconsin-Madison, Madison, WI, USA
H Sahm
Institute of Biotechnology, Research Center Ju
¨lich, Ju
¨lich,
Germany
M H Saier Jr.
University of California, San Diego, CA, USA
G P C Salmond
University of Cambridge, Cambridge, UK
A A Salyers
University of Illinois, Urbana, IL, USA
P J Sansonetti
Institut Pasteur, Paris, France
M Schaechter
San Diego State University, San Diego, CA, USA
S R Schmidl
Georg-August-University Go
¨ttingen, Go
¨ttingen, Germany
M W Scobey
Carolinas Medical Center, Charlotte, NC, USA
K T Shanmugam
University of Florida, Gainesville, FL, USA
N B Shoemaker
University of Illinois, Urbana, IL, USA
C L Smith
Washington University, School of Medicine, St. Louis,
MO, USA
M P Spector
University of South Alabama Mobile, AL, USA
J M Struble
University of Colorado, Boulder, CO, USA
J Stu
¨lke
Georg-August-University Go
¨ttingen, Go
¨ttingen, Germany
S Suerbaum
Hannover Medical School, Hannover, Germany
A Teske
University of North Carolina at Chapel Hill, Chapel Hill,
NC, USA
A Tomasz
The Rockefeller University, New York, NY, USA
A X Tran
University of Guelph, Guelph, ON, Canada
A Ul-Hassan
University of Warwick, Coventry, England, UK
A J Uriel
Mount Sinai School of Medicine, New York, NY, USA
A L van Lint
Harvard Medical School, Boston, MA, USA
G M Walker
University of Abertay Dundee, Dundee, Scotland
E M Wellington
University of Warwick, Coventry, England, UK
M Whiteley
The University of Texas at Austin, Austin, TX, USA
C Whitfield
University of Guelph, Guelph, ON, Canada
M J Wiser
Michigan State University, East Lansing, MI, USA
A Zago
Northwestern University, Chicago, IL, USA
X Zhong
Ohio State University, Columbus, OH, USA
xii List of Contributors

CONTENTS
ACTINOBACTERIA A Ul-Hassan and E M Wellington 1
ADHESION, MICROBIAL L Cegelski, C L Smith and S J Hultgren 20
AGROBACTERIUM AND PLANT CELL TRANSFORMATION P J Christie 29
AMINO ACID PRODUCTION L Eggeling and H Sahm 44
ANTIBIOTIC RESISTANCE BPe
´richon and P Courvalin 53
ANTIFUNGAL AGENTS A Espinel-Ingroff 65
ANTIVIRAL AGENTS E Paintsil and Yung-Chi Cheng 83
ARCHAEA (OVERVIEW) S DasSarma, J A Coker and P DasSarma 118
AUTOTROPHIC CO
2
METABOLISM B E Alber 140
BACILLUS SUBTILIS P J Piggot 154
BACTERIOPHAGE (OVERVIEW) P Hyman and S T Abedon 166
BIOFILMS, MICROBIAL J W Costerton 183
BIOLOGICAL WARFARE J A Poupard and L A Miller 189
BIOLUMINESCENCE, MICROBIAL P V Dunlap 202
BIOREACTORS L E Erickson 219
CAULOBACTER J S Poindexter 225
CELL CYCLES AND DIVISION, BACTERIAL N Nanninga 242
CELL MEMBRANE, PROKARYOTIC M H Saier Jr. 251
CELL STRUCTURE, ORGANIZATION, BACTERIA AND ARCHAEA N Nanninga 266
CHROMOSOME, BACTERIAL K Drlica and A J Bendich 284
CONJUGATION, BACTERIAL L S Frost 294
CONTINUOUS CULTURES (CHEMOSTATS) J G Kuenen and O J Johnson 309
CYANOBACTERIA F Garcia-Pichel 327
DEEP-SEA HYDROTHERMAL VENTS A Teske 346
DNA RESTRICTION AND MODIFICATION G W Blakely and N E Murray 357
DNA SEQUENCING AND GENOMICS J H Leamon and J M Rothberg 369
EMERGING INFECTIONS D L Heymann 383
ENDOSYMBIONTS AND INTRACELLULAR PARASITES A E Douglas 391
ENTEROPATHOGENIC INFECTIONS F K Bahrani-Mougeot, M W Scobey and P J Sansonetti 405
ESCHERICHIA COLI M Schaechter 420
ETHANOL L R Jarboe, K T Shanmugam and L O Ingram 428
EVOLUTION, THEORY AND EXPERIMENTS WITH MICROORGANISMS R E Lenski and M J Wiser 438
xiii

EXOTOXINS J T Barbieri 453
EXTREMOPHILES: ACIDIC ENVIRONMENTS D B Johnson 463
EXTREMOPHILES: COLD ENVIRONMENTS J W Deming 483
EXTREMOPHILES: HOT ENVIRONMENTS J F Holden 495
FERMENTATION ABo¨ck 515
FLAGELLA, PROKARYOTIC S-I Aizawa 528
FORENSIC MICROBIOLOGY S Y Hunt, N G Barnaby, B Budowle and S Morse 539
GASTROINTESTINAL MICROBIOLOGY IN THE NORMAL HOST S M Finegold 552
GENOME SEQUENCE DATABASES: GENOMIC, CONSTRUCTION OF LIBRARIES J M Struble, P Handke and R T Gill 574
GRAM-NEGATIVE COCCI, PATHOGENIC E C Gotschlich 585
HELICOBACTER PYLORI S Suerbaum and M J Blaser 597
HEPATITIS VIRUSES A J Uriel and P Martin 603
HERPESVIRUSES A L van Lint and D M Knipe 625
HIV/AIDS S Kaushik and J A Levy 640
HORIZONTAL GENE TRANSFER: UPTAKE OF EXTRACELLULAR DNA BY BACTERIA K M Nielsen, J L Ray and
P J Johnsen 663
INFLUENZA A Garcı´a-Sastre 673
LEGIONELLA, BARTONELLA, HAEMOPHILUS N C Engleberg 680
LIPOPOLYSACCHARIDES (ENDOTOXINS) A X Tran and C Whitfield 692
MARINE HABITATS D M Karl and R Letelier 708
METABOLISM, CENTRAL (INTERMEDIARY) M P Spector 728
METAGENOMICS Z L Sabree, M R Rondon and J Handelsman 751
METAL EXTRACTION AND BIOMINING C A Jerez 762
MYCOPLASMA AND SPIROPLASMA J Stu¨ lke, H Eilers and S R Schmidl 776
NUTRITION, MICROBIAL T Egli 788
GRAM-NEGATIVE OPPORTUNISTIC ANAEROBES: FRIENDS AND FOES A A Salyers and N B Shoemaker 805
OUTER MEMBRANE, GRAM-NEGATIVE BACTERIA H Nikaido 813
PEPTIDOGLYCAN (MUREIN) M A de Pedro 827
PHOTOSYNTHESIS: MICROBIAL B Jagannathan and J H Golbeck 844
PILI, FIMBRIAE B K Dhakal, J M Bower and M A Mulvey 861
PLANT PATHOGENS AND DISEASE: GENERAL INTRODUCTION G N Agrios 881
PLASMIDS, BACTERIAL M Filutowicz 915
POSTTRANSCRIPTIONAL REGULATION T M Henkin 937
PRIONS W Bodemer 952
PSEUDOMONAS A Zago and S Chugani 971
QUORUM-SENSING IN BACTERIA M M Ramsey, A K Korgaonkar and M Whiteley 987
SENSORY TRANSDUCTION IN BACTERIA M Y Galperin 1005
SPIROCHETES D A Haake 1022
STAPHYLOCOCCUS A F Gillaspy and J J Iandolo 1037
xiv Contents

STRAIN IMPROVEMENT S Parekh 1048
STREPTOCOCCUS PNEUMONIAE R Sa´ -Lea
˜o and A Tomasz 1061
STRESS, BACTERIAL: GENERAL AND SPECIFIC A Matin 1075
TRANSCRIPTIONAL REGULATION O Amster-Choder 1091
TRANSDUCTION: HOST DNA TRANSFER BY BACTERIOPHAGES P C Fineran, N K Petty and G P C Salmond 1107
TRANSPORT, SOLUTE Q Ren and I T Paulsen 1121
TRANSPOSABLE ELEMENTS W S Reznikoff 1137
TUBERCULOSIS: MOLECULAR BASIS OF PATHOGENESIS P J Brennan 1147
VACCINES, VIRAL A M Arvin and S F Chen 1154
VIROIDS/VIRUSOIDS B Ding and X Zhong 1163
YEASTS G M Walker 1174
INDEX 1189
Contents xv
This page intentionally left blank

Actinobacteria
A Ul-Hassan and E M Wellington, University of Warwick, Coventry, England, UK
ª2009 Elsevier Inc. All rights reserved.
Defining Statement
Introduction
Systematics of Actinobacteria
Phylogeny of Actinobacteria
Genome Structure and Evolution
Industrially Important Phenotypes of Actinobacteria
Concluding Remarks
Further Reading
Glossary
co-metabolism The metabolic transformation of a
substance by one organism to a second substance,
which serves as a primary source of carbon for another
organism.
mycelium The mass of hyphae that forms the
vegetative and aerial parts of the streptomycete colony
before sporulation.
phylogeny Evolutionary history of a group of
organisms.
pseudogene A gene that has lost its protein-coding
ability.
taxonomy Science of classification.
Abbreviations
ARDRA Amplified ribosomal DNA Restriction
analysis
CGH comparative genomic hybridization
DF dibenzofuran
DR direct repeat
FAME fatty acid methyl ester analysis
GITs gastrointestinal tracts
HGT horizontal gene transfer
hsp heat shock protein
IS insertion sequence
ISP International Streptomyces Project
LFRFA Low-frequency restriction fragment
analysis
MLST multilocus sequence typing
PAHs polycyclic aromatic hydrocarbons
PCDOs Polychlorinated dibenzo-p-dioxins
PCR-RAPD PCR-randomly Amplified Polymorphic
DNA
PFGE pulse-field gel electrophoresis
PyMS pyrolysis mass spectrometry
RFLP restriction fragment length
polymorphism
rRNA ribosomal RNA
TEs transposable elements
VNTRs variable number tandem repeats
Defining Statement
The Actinobacteria form a distinct clade of Gram-positive
bacteria which contains a large number of genera. This
diverse and important group encompasses key antibiotic-
producers, many soil bacteria critical for decomposition
and resilient species capable of growing in hostile, pol-
luted environments. A few are medically important
pathogens including the causal agent of TB.
Introduction
Some of the earliest descriptions of Actinobacteria were
those of Streptothrix foersteri in 1875 by Ferdinand Cohn
and Actinomyces bovis in 1877 by Carl Otto Harz. Harz
described A. bovis, causing a disease of cattle called
‘lumpy jaw’, as having thin filaments that ended in club-
shaped bodies that he considered to be ‘gonidia’ resem-
bling those of fungi, hence the name Actinomyces (Latin for
ray fungus). In hindsight, though, the ‘gonidia’ were
almost certainly host cells and so the resemblance to
typical fungi was false. A number of other microorganisms
were isolated, which had some of the same properties and
were thought to belong to the same group as those men-
tioned above, including the causative agents of leprosy
and tuberculosis. This group of organisms was officially
recognized as Actinomycetales in 1916 and it became appar-
ent that they comprised a large heterogeneous group,
which vary greatly in their physiological and biochemical
1

properties, though their phylogenetic position as true
bacteria was not established until the 1960s. The
Actinobacteria are now considered to be one of the largest
phyla of the bacterial kingdom. The GC content of these
organisms ranges from 54% in some corynebacteria to
more than 70% in streptomycetes. Tropheryma whipplei,
the causative agent of Whipple’s disease, has a GC con-
tent of 46.3%, which is the lowest so far reported for
Actinobacteria.
The Actinobacteria are morphologically diverse and can
range from coccoids (Micrococcus) and rods (Mycobacterium)
to branching mycelium (Streptomyces), many of which can
also form spores. Actinobacterial species are ubiquitous in
the environment and can be isolated from both aquatic and
terrestrial habitats. New species of Actinobacteria have been
recovered from a diverse range of environments, including
medieval wall paintings, desert soil, butter, marine
sponges, and radon-containing hot springs. The ability of
Actinobacteria to inhabit varied environments is due to their
ability to produce a variety of extracellular hydrolytic
enzymes, particularly in the soil, where they are responsi-
ble for the breakdown of dead plant, animal and fungal
material, thus making them central organisms in carbon
recycling. Some species can break down more complex,
recalcitrant compounds, of which Rhodococcus species are a
good example; they can degrade nitro-, di-nitrophenol,
pyridine, and nitroaromatic compounds.
Actinobacteria are well-known for their ability to produce
secondary metabolites, many of which have antibacterial
and antifungal properties. Of all the antibiotics produced
by Actinobacteria, Streptomyces species are responsible for
80%, with smaller contributions by Micromonospora,
Saccharopolyspora, Amycolatopsis, Actinoplanes,andNocardia.A
number of species have developed complex symbiotic rela-
tionships with plants and insects. A unique relationship has
been reported between the European bee-wolf wasp, in
which the female wasps carry Streptomyces species in
their antennae and apply them to the brood cells. The
bacteria are taken up by the larva and colonize the walls of
the cocoon, where they protect it from fungal infestation.
Streptomyces species also share beneficial relationships with
plants, with S. lydicus being found to enhance pea root
nodulation by Rhizobium species. The best-studied example
of a Streptomyces-eukaryotic relationship is between patho-
genic strains such as Streptomyces scabies that cause scab in
potatoes, carrots, beets, and other plants. Strains of Frankia
can fix nitrogen and are responsible for the nodulation of
many dicotyledonous plants. Some members of the
Actinobacteria are important human and animal plant
pathogens. These include Mycobacterium leprae (leprosy),
Mycobacterium tuberculosis (tuberculosis in humans), Myco-
bacterium bovis (tuberculosis in cattle), Corynebacterium
diphtheriae (diphtheria), Propionibacterium acnes (acne), and
Streptomyces somaliensis,andActinomadura and Nocardia species
(actinomycetomas).
Systematics of Actinobacteria
Traditional Phenotypic Analysis
The best-studied members of the Actinobacteria class
belong to the genus Streptomyces, which was proposed by
Waksman and Henrici in 1943. Members of this genus
have high GC content DNA, being highly oxidative and
forming extensive branching substrate and aerial hyphae.
They also produce a variety of pigments responsible for
the color of the substrate and aerial hyphae (Bergey’s
Manual of Systematic Bacteriology). Streptomyces species are
prolific producers of antibiotics, and since the discovery
of actinomycin and streptomycin produced by S. antibio-
ticus and S. griseus respectively during the early 1940s, the
interest in streptomycetes grew very rapidly. The discov-
ery of Streptomyces species as rich sources of commercially
important antibiotics led to new techniques for the culti-
vation of these organisms. However, due to the lack of
standards for the classification and identification of new
species, the new strains were described based on only
small differences in morphological and pigmentation
properties. This, along with the belief that one strain
produced only one antibiotic, led to overspeciation of
the genus, resulting in over 3000 species being described
by the late 1970s. A number of methods were developed
to overcome this problem, with the earliest being based
on only a few subjectively chosen characters focusing
largely on morphological and pigmentation properties
that were rarely tested under standardized conditions.
Subsequently, biochemical, nutritional, and physiological
characters were included, but as these were only
applied to selected species they did not necessarily reflect
the phylogeny of streptomycetes. The International
Streptomyces Project (ISP) was established in 1964 with an
aim to describe and classify extant type strains of
Streptomyces using traditional tests under standardized
conditions. This study resulted in more than 450 species
being redescribed, but an attempt to delineate the genera
was futile.
The data collected by the ISP project were used by
several researchers to develop computer-assisted identifi-
cation systems. In 1962, Silvestri was the first to apply
numerical taxonomy to the genus Streptomyces, where
nearly 200 strains were tested for 100 unit characters.
This study highlighted the fact that many of the characters
used to describe Streptomyces species are highly variable
and can be erroneously interpreted. Williams and collea-
gues carried out a more comprehensive study of the
streptomycetes. The majority of the strains studied were
from the ISP project, along with soil isolates and repre-
sentative strains from 14 other Actinobacterial genera.
Each strain was tested for 139 unit characters, including
spore chain morphology, spore chain ornamentation, color
of aerial mycelium, color of substrate and extracellular
2Actinobacteria

pigments, production of extracellular enzymes, carbon and
nitrogen source utilization, and resistance and sensitivity
to certain antibiotics. Strains were clustered according to
the observed similarities and this resulted in 19 major, 40
minor, and 18 single-strain clusters being identified, where
the single-strain clusters were considered as species and
the major clusters were referred to as species groups. The
largest species group is cluster 1 S. albidoflavus, containing
70 strains. This cluster is divided into three subclusters.
Subcluster 1A contains strains like S. albidoflavus, S. limosus,
and S. fellus, which form hooked or straight chains of
smooth, yellow, or white spores and are melanin-negative.
Subcluster 1B strains are similar in morphology and pig-
mentation to those in subcluster 1A and comprise strains
such as S. griseus, S. anulatus, and S. ornatus. Strains in
subcluster 1C produce gray, smooth spores and are
melanin-negative; S. olivaceus, S. griseolus, and S. halstedii
represent this group.
As in streptomycete taxonomy, early attempts to differ-
entiate mycobacterial species were based on phenotypic
properties such as growth rate and pigmentation. With the
discovery of new species and the fact that pigment production
can be temperature-dependent and that not all strains of a
species share pigment-producing abilities, classification of
mycobacterial species became less reliable. An alternative
scheme was based on the pathogenic potential of a species,
although this too was constantly changing as pathogenicity
was being discovered in more species of Mycobacterium.
The International Working Group on Mycobacterial taxon-
omy was set up in 1967 with an aim to standardize techniques
used for the classification of these strains. This led to a
numerical taxonomic approach to study mycobacterial strains.
Closely related strains of Corynebacterium, Rhodococcus,and
Nocardia were also included in these studies, which revealed
that strains belonging to these four genera form distinct clades
significantly separate from each other, with many strains
being reclassified. Strains identified as Corynebacterium equi
and C. hoagii were found to belong to Rhodococcus, and further
chemical and genetic analysis confirmed the reclassification as
they conformed to the original description of the genus.
Bacterionema matruchotti was included in this study as its generic
position was unresolved, being originally classified as a mem-
ber of the Actinomycetaceae family. This strain was found to
have all the characteristics of true corynebacteria and was
renamed Corynebacterium matruchotti.
Attempts were made to resolve the confusion sur-
rounding the classification of Nocardia asteroides and its
relationship to N. farcinica. One hundred and forty-nine
randomly selected Nocardia strains from various sources
were analyzed. This study recovered seven major, nine
minor, and twelve single-strain clusters. Two apparently
identical strains of N. farcinica (NTCC 4524 and ATCC
3318) were found to group in two separate clusters.
Strain NTCC 4524 clustered with Mycobacterium species,
whereas 3318 grouped with N. asteroides. Numerical
taxonomic studies have enabled the description of each
species to be made and facilitated the development of new
methods that would allow closely related species to be
distinguished.
Characterization Based on Chemical
Constituents
One of the drawbacks of numerical taxonomy is that it
measures phenotypic similarities and differences and these
do not always correlate with the genotype and thus only
provide an estimate of relatedness between strains.
Numerical taxonomy has largely been superseded by
chemo- and molecular taxonomy. Chemotaxonomic meth-
ods have long been used to determine the relatedness
between organisms. Goodfellow and colleagues used com-
parisons of fatty acid methyl ester analysis (FAME) between
bacterial genera. Members of the Streptomycetaceae family
have been described as having major amounts of either
LL-diaminopimelic acid (LL-A
2
pm) (Streptacidiphilus and
Streptomyces)ormeso-diaminopimelic acid (meso-A
2
pm)
(Kitasatospora) in their substrate mycelium and LL-A
2
pm as
the major diamino acid in aerial or submerged spores.
Analysis of whole-cell sugar patterns revealed galactose or
galactose and rhamnose (Kitasatospora and Streptacidiphilus).
ThepresenceofLL-A
2
pm and glycine, with the absence of
characteristic sugars, is typical of the Streptomyces cell wall
type, which is characterized as Type I. These members also
contain saturated iso- and anteiso- fatty acids with either
seven or eight hydrogenated menaquinones with nine iso-
prene units as the predominate isoprenologues. They
lack mycolic acids but contain the lipids phosphatidylgly-
cerol, phosphatidylethanolamine, phophatidylinositol, and
phosphatidylinositol mannosides. Chemotaxonomic charac-
teristics of other families of the Actinobacteria class are
summarized in Table 1.
Curie-point pyrolysis mass spectrometry (PyMS) has
been applied for typing Actinobacteria. This method pro-
vides a fingerprint of the organisms, which can be used
quantitatively to analyze differences between strains.
Both FAME and PyMS require stringent standardization
as changes in culture media and incubation can affect
the results. Many examples exist in the literature where
chemotaxonomy has been used successfully for the rapid
characterization of new species as well as confirming the
integrity of existing taxonomic clusters.
Genotypic Approaches to Determining
Relatedness
DNA–DNA hybridization
Streptomyces coelicolor A3(2) and S. lividans 66 are members
of the cluster 21 Streptomyces violaceoruber species group as
defined by Williams and colleagues, which represents one
of the well-defined species groups of the genus. Cluster 21
Actinobacteria 3

Table 1 Chemotaxonomic characteristics of selected families belonging to the class Actinobacteria
Family
Phospholipid
pattern Fatty acids Menaquinone Diamino acid Interpeptide bridge Cell wall sugars
Dermatophilaceae PG, DPG, PI,
PE, PC
C
16:0
,C
15:0
,C
14:0
,
C
17:0
C
17:1
C
18:1
MK-8(H
4
)meso-A
2
pm None
Dermacoccaceae PG, DPG, PI,
PE, PC
C
17:0
,C
18:0
,C
18:1
,
i-C
17:0
i-C
17:1
, ai-C
17:0
MK-8(H
4
), MK-8(H
2
), MK-8MK-9,
MK-10
L-lysine L-Ser
1-2
-D-Glu/ L-Ser
1-2
-L-Ala-D-
Glu,D-Glu
2
,L-Ser-D-Asp
Cellulomonadaceae PG, DPG, PI ai-C
15:0
,C
16:0
MK-9(H
4
)L-lysine/ornithine L-Thr D-Asp/L-Thr D-Glu,D-
Asp, D-Glu
Rhamnose
Micrococcaceae CL, PG, DPG,
PI, PL
i-C
15:0
, ai-C
15:0
,ai-
C
17:0
i-C
16:0
MK-7(H
2
), MK-8(H
2
), MK-9(H
2
)MK-
8, MK-9, MK-10
meso-A
2
pm,
Lysine LL-A
2
pm,
ornithine
L-lysine, L-alanine Galactosamine,
glucosamine
Corynebacteriaceae DPG, PG, PI,
PIM, PG
C
16:0
,C
18:1
,C
18:0
MK-8(H
2
), MK-9(H
2
)meso-A
2
pm Arabinose/
galactose
Micromonosporaceae PC, PE i-C
15:0
, i-C
15:1
,C
17:1
MK-9(H
4
), MK-10(H
4
), MK-10(H
6
)
MK-12(H
4
), MK-12(H
6
), MK-
12(H
8
)
meso-orLL-A
2
pm L-glycine Xylose/arabinose
Streptosporangiaceae PG, PI, PE i-C
16:0
,C
17:0
, i-C
18:0
MK9(H
4
), MK-10(H
4
)meso-A
2
pm Madurose,
glucose, ribose,
mannose
Nocardioidaceae PG, DPG, PE,
PC PI, PIM
i-C
16:0
,C
16:0
,C
18:0
,
C
18:1
ai-C
15:0
, i-C
14:0
,
C
18:1
MK-8(H
4
), MK-9(H
4
), MK-9(H
6
)
MK-9(H
8
), MK-10(H
4
)
LL-A
2
pm L-glycine Glucose, ribose,
mannose,
galactose
Intersporangiaceae PI, PIM, PG,
DPG, PE
i-C
15:0
, ai-C
15:0
, i-C
14:0
,
i-C
16:0
,C
17:0
MK-8, MK-8(H
4
)LL-A
2
pm or meso-
A
2
pm
L-glycine Glucose
DPG, diphosphatidylglycerol; PG, phosphatidylglycerol; PI, phosphatidylinositol; PIM, phosphatidylinositol mannosides; PE, phosphatidylethanolamine; PC, phosphatidylcholine; CL, cardiolipin; PL, unknown
phospholipids; MK, menaquinone; meso-A
2
pm, meso-diaminopimelic acid; LL-A
2
pm, LL-diaminopimelic acid. Taken from Dworkin et al., 2006.

strains produce smooth gray spores and diffusible pig-
ments, which are blue or red depending on the pH
of the medium. S. coelicolor A3(2) and S. lividans 66 are
model representatives of this cluster as they have been
genetically, biochemically, and physiologically character-
ized. However, both strains have had a long and confused
taxonomic history.
In 1908, Muller isolated an actinomycete as a contami-
nant that produced a soluble blue pigment and named it
Streptothrix coelicolor. In 1916, Waksman and Curtis inde-
pendently isolated an actinomycete culture from the
soil, which also produced a red and blue pigment and
was named Actinomyces violaceoruber. For a long time
the two strains were considered to be synonyms and
when the Streptomyces genus was established both were
named S. coelicolor (Muller) Waksman and Henrici in the
fourth edition of Bergey’s Manual of Systematic Bacteriology.
Subsequently isolated strains that produced blue pigments
were either considered to be S. coelicolor (Muller) Waksman
and Henrici or as different species altogether. Kutzner and
Waksman reexamined all the strains that produced a blue,
red, and purple pigment and clarified that the strains iso-
lated by Muller in 1906 (S. coelicolor (Muller)) and
Waksman and Curtis in 1916 (S. violaceoruber) are distinctly
different species. Analysis of the blue pigments produced
by these strains showed that they are chemically very
different. S. coelicolor (Muller) is a member of cluster 1 strep-
tomycetes, showing similarity to S. griseus and is not a
member of the S. violaceoruber clade. Monson and colleagues
(1969) confirmed the results of Kutzner and Waksman by
DNA–DNA hybridization between S. violaceoruber and
S. coelicolor (Muller).
DNA–DNA hybridization experiments are an acknowl-
edged approach in determining the integrity of taxonomic
clusters defined by numerical taxonomy, and the study of
Monson and colleagues (1969) was one of the first to use
this technique. Research based on numerical phenetic and
DNA–DNA hybridization data has revealed high levels of
congruence as the same taxonomic groups are recovered.
The cluster 18 S. cyaneus species group is highly hetero-
geneous, with 9 out of 18 type strains being assigned to two
DNA relatedness groups defined at or above the 70%
relatedness level. The use of DNA–DNA hybridization
experiments also demonstrated that the cluster 32 S. viola-
ceusniger species group encompasses several genomic
species when type strains are examined. The DNA related-
ness groups were defined at similarity levels >70%, seven
of which consisted of single members. The multimembered
clusters were equated with S. hygroscopicus and S. violaceus-
niger. The latter two species were redescribed and a number
of strains carrying different specific names reduced to syno-
nyms of the newly redescribed taxa. A high degree of
heterogeneity in the Streptomyces lavendulae (cluster 61) clus-
ter was reported by Labeda and Labeda and Lyons.
A number of strains were related at the species level as
they shared high DNA relatedness values (>80%). S. colom-
biensis was reduced to a synonym of S. lavendulae as it
showed 83% DNA homology to S. lavendulae type strain.
A number of strains showed <45% relatedness and were
therefore considered to belong to a different species group.
The DNA relatedness studies discussed above outline the
importance of evaluating numerical taxonomic clusters
using taxonomic criteria. This is particularly important in
thecaseoftheActinobacteria that comprise many species. In
situations such as this there is a risk of grouping unrelated
or partially related strains together in clusters using insuffi-
cient properties.
Members of the M. tuberculosis complex include the
strains M. tuberculosis, M. bovis, M. africanum, M. canettii,
M. microti,M. caprae,andM. pinnipedii. DNA–DNA hybri-
dization analysis reveals that this complex comprises a
single species. Subsequent analysis of the genomes has
revealed little sequence variation among the members.
DNA–DNA hybridization has been used to study Nocardia
species and this allowed the differentiation between species
of N. asteroides and other members of the genus.
Stackebrandt and Fiedler studied 16 strains of Arthrobacter
and two strains of Brevibacterium. The DNA of these strains
was hybridized to the Arthrobacter type strain A. globiformis.
This analysis indicates that Arthrobacter species share little
homology between themselves, with values ranging
from 11 to 55%. However, Brevibacterium sulfureum and
Brevibacterium protophormiae showed relatively high homol-
ogy to the Arthrobacter strains. Based on these results it was
recommended that the two Brevibacterium strains be reclas-
sified as Arthrobacter strains. DNA–DNA hybridization is
routinely used to aid the characterization of novel species
of Actinobacteria with many examples in the literature.
Comparative genomic analysis
The availability of whole genome sequences has allowed
the development of microarrays, which have revolutio-
nized functional and genomic analysis of organisms.
Microarrays have been extensively used to analyze gene
expression and regulation and have application in a num-
ber of disciplines, including immunology, oncology,
forensic science, pharmacogenomics, and drug discovery.
More recently, microarrays have been used to investigate
the genome-wide analysis between closely related strains,
in particular those of pathogens, with an aim to identify
pathogenicity determinants. This comparative genomic
hybridization (CGH) microarray analysis has been
used to investigate a number of bacterial pathogenic spe-
cies in relation to pathogenesis and host specificity. To
date, there are 115 actinobacterial genomes that are
either completed or at various stages of completion
(www.genomesonline.org). This has led to the develop-
ment of microarrays for some sequenced genomes,
including those for S. coelicolor, and Mycobacterium and
Corynebacterium species. To date, many of the microarray
Actinobacteria 5

studies have focused on expression analysis of RNA, par-
ticularly with the pathogenic strains of Mycobacterium and
Corynebacterium. Microarrays can also be used for DNA–
DNA comparative genomic analysis between closely
related strains, as was done for members of the cluster 21
S. violaceoruber strains. Using PCR-based microarrays
Weaver and colleagues were able to identify 1-Mb ampli-
fication of the terminal regions of a number of laboratory
strains of S. coelicolor A3(2) compared to the sequenced
strain M145. The comparison of the cluster 21 streptomy-
cetes also revealed 14 regions that were present in
S. coelicolor M145 but absent in the other members. These
regions encoded genes for biosynthesis of secondary meta-
bolites and heavy metal resistance. All 14 regions were
associated with transposon and insertion sequence (IS)
elements and the fact they showed a much lower GC
content than the rest of the Streptomyces chromosome
strongly suggests these regions to have been acquired by
horizontal gene transfer (HGT) by S. coelicolor M145.
Ward and Goodfellow have reported a core set of genes
from the comparative analysis of the Cluster 21 strains.
These genes included those already identified as house-
keeping genes and also those for some secondary
metabolites; for example, genes for biosynthesis of acti-
norhodin were found to be conserved among the cluster 21
strains. Ul-Hassan (2006) used oligo-based microarrays for
the comparative genomic analysis of soil strains identified
as S. violaceoruber. The results revealed the strains to have
undergone extensive deletions that could be correlated
with their observed phenotypes. CGH microarray has
been used to investigate the molecular taxonomy of a
number of organisms, including Saccharomyces and
Yersinia species and Clostridia. As more actinobacterial
genomes are becoming available there is the potential to
develop CGH microarray as a taxonomic tool to study
environmentally and clinically important Actinobacteria.
Restriction digestion analysis of total
chromosomal DNA
Restriction digestion analysis of total chromosomal DNA
provides a fingerprint of the organisms being analyzed.
Low-frequency restriction fragment analysis (LFRFA),
restriction fragment length polymorphism (RFLP), and
pulse-field gel electrophoresis (PFGE) have all been used
to provide an indication of relatedness between strains.
However, the results of these methods can be misleading
if the strains have undergone large chromosomal
deletions or amplifications. Amplified ribosomal DNA
restriction analysis (ARDRA) requires the amplification
of parts of the rRNA operon, including part of the 16S
rRNA, the 16S–23S rRNA spacer region, and part of the
23S rDNA. The amplified PCR products are subjected to
restriction enzyme digestion and electrophoresis, provid-
ing specific banding patterns for the strains being
analyzed. ARDRA has been used to differentiate strains
of Arthrobacter and Microbacterium. With the use of
ARDRA in conjunction with PFGE, strain-specific
restriction patterns for Arthrobacter and Microbacterium
have been obtained. RFLP of the rRNA gene has been
developed as a tool for identification of corynebacterial
strains. The strains could be grouped based on the band-
ing patterns and generally strains belonging to the same
species clustered together. PCR-restriction enzyme
pattern analysis (PRA) of Hsp65 (a heat shock protein)
has been developed as a tool for differentiating
between Nocardia species. However, when PRA analysis
was applied to Nocardia species, the same banding patterns
were recovered, demonstrating this technique not to be as
useful for identification or differentiation of these species.
Sequence analysis of the Hsp65 gene displays sufficient
polymorphic sites to allow identification. For methods
which generate banding patterns that are subsequently
used for identification, it is important to stress that a
different banding pattern does not necessarily represent
a new species. The differences may be attributed to gen-
ome rearrangements such as amplifications or deletions,
which occur frequently.
PCR-randomly amplified polymorphic DNA (PCR-
RAPD) involves PCR of the genome with an arbitrary set
of primers to generate a characteristic fingerprint profile.
The advantage of this method is that prior knowledge of
the chromosomal sequence is not necessary, although
stringent standardization is required. The drawback of
this technique is that it is highly sensitive and variability
in banding patterns may be observed depending on the
type of reaction mixture, primers, and concentration of
target DNA. This was used to analyze the relationship
between S. lavendulae and Streptomyces virginiae, which
were reported by Williams and colleagues to be syno-
nyms. Although consistent results were obtained when
comparing to DNA–DNA hybridization, LFRFA, and
biochemical properties, the interspecific relationship of
S. lavendulae and S. virginiae remained unresolved.
Analysis of the genomes of members of the M. tubercu-
losis complex demonstrates a number of repeat sequences,
of which the best studied is the direct repeat (DR) region.
This region consists of DR sequences (36 bp) interspersed
with spacer sequences (34–41 bp), collectively termed
direct variable repeat sequences. Spoligotyping was devel-
oped as a tool for analyzing the structure of the DR region.
Spoligotyping patterns are produced by hybridization of
sample DNA to oligonucleotides based on the specific
sequences in the DR region. An international spoligotype
database was set up and now consists of 39 000 entries
from research groups worldwide. The spoligotype pat-
terns can be aligned, enabling researchers to group
isolates based on these alignments into clades or strain
families. Filliol and colleagues and Molhuizen and collea-
gues (1998) were able to identify distinct spoligotype
patterns for nearly all of the defined M. tuberculosis
6Actinobacteria

complex strains. However it could only provide limited
discrimination of M. bovis strains. Analysis of multiple
genomic regions that contain variable number tandem
repeats (VNTRs) of different families of genetic elements
has been proposed as an alternative tool to examine
M. bovis strains. The studies of Roring and colleagues
and Allix and colleagues have shown VNTR to be more
discriminatory than both spoligotyping and RFLP for
M. bovis.
Phylogeny of Actinobacteria
Molecular Analysis of 16S rRNA Sequences
Molecular methods are now used together with numer-
ical and chemotaxonomic techniques to improve the
understanding of species relatedness. Woese and Fox
used molecular systematic analysis of ribosomal RNA
(rRNA) molecules to provide an evolutionary classifica-
tion of organisms. All 16S rRNAs have conserved
primary structures, which allowed Edwards and collea-
gues, to design universal primers to amplify the entire
16S rRNA gene. Analysis of the 16S rRNA gene
revealed regions that are genus-specific and more vari-
able regions that can be used to infer relationships at a
lower taxonomic order. Stackebrandt and colleagues
identified three regions within the 16S rRNA gene that
show variation: -region (nt 982–998) (S. ambofaciens
nomenclature) and -region (nt 1102–1122), which can
be used to resolve species to the genus level. The most
variable region is the -region (nt 150–200), which is
species-specific. Inferred relationships based on gene
sequences are subject to a number of assumptions with
the major condition being that the gene analyzed must
not be subject to gene transfer. It is well-known that
bacteria contain multiple copies of the 16S rRNA gene
but transfer of 16S rRNA has not been determined
definitively. It has been suggested that high levels of
similarity can facilitate recombination between closely
related species, resulting in strains containing chimeric
molecules of 16S rRNA. Phylogenetic analysis using 16S
rRNA genes can pose problem due to intraspecific var-
iation and intragenomic heterogeneity. Another problem
with using 16S rRNA genes is that it is a slowly evolving
gene, making it more difficult to resolve the relationships
between strains to the species level. Katakoa and collea-
gues was able to examine the -region of a number of
streptomycete strains and, although being too variable
for determining generic relationships, the inter- and
intraspecies relationships were resolved. When Hain
and colleagues investigated the S. albidoflavus group it
was apparent that use of the 16S rDNA sequences were
useful for species delimitation but not strain differentia-
tion. The 16S–23S intergenic region was better in
determining intraspecific relationships. Based on the
similarities of the 16S rRNA gene, Wellington and col-
leagues included Kitosatospora into the Streptomyces genus.
This was contested by Zhang and colleagues, who
demonstrated that strains of Kitosatospora always form a
stable monophyletic clade away from the streptomycetes
when the entire 16S rDNA sequences were used.
Streptomycete-specific primers have also been designed
for the 23S and 5S rRNA gene. Sequence analysis of the
5S rDNA gene sequences were used to confirm that
Chainia, Elytrosporangium, Kitasatoa, Microellobosporia, and
Streptoverticillium as members of the Streptomyces genus.
Stackebrandt and colleagues proposed a new hierarchic
system of classification for Actinobacteria, which was based
exclusively on 16S rRNA-rDNA sequences.
A comprehensive study on the relationships of members
of the Actinobacteria class has not been done prior to this
work. 16S rDNA sequences from representative strains from
each genus of Actinobacteria were used to construct a phylo-
genetic tree (Figure 1). It is important to note that, as an up-
to-date authoritative list of validly described Actinobacteria is
not available (e.g., Bergey’s Manual of Systematic Bacteriology),
orders, families, and genera that have been identified were
taken from those available in the public database. Four
subclasses were recognized: Actinobacteridae, Acidimicrobidae,
Coriobacteridae,andRubrobacteridae,withActinobacteridae
being the largest, consisting of 11 suborders and 43 families
(Table 2). When generating the tree, care was taken to use
sequences of good quality and the cutoff for the length of the
sequence was 1400 bp. Any sequences below this were not
included in the phylogenetic analysis. Sequences containing
ambiguous bases were also excluded from the study. The
phylogenetic tree was constructed with PHYLIP, the neigh-
bor-joining method using the kimura-2-parameter model of
sequence evolution. Bootstrap was used to calculate the
confidence in the groupings of strains and the significant
bootstrap values (>80) are indicated on the nodes
(Figure 1).
The phylogenetic tree shows clear, distinct groupings
of strains of particular genera in their respective families
that were expected; however, some irregularities can be
observed. The genus Amycolatopsis was proposed by
Lechevalier and colleagues and, based on phylogenetic
and chemotaxonomic properties, this genus is placed
within the family Pseudonocardiaceae. The genus cur-
rently contains ten validated species that include
A. fastidiosa. However, Figure 1 clearly demonstrated
A. fastidiosa to group with Actinokineospora diospyrosa,
which belongs to the family Actinosynnemataceae, with
a significant bootstrap value. In previous phylogenetic
studies of the Amycolatopsis genus, A. fastidiosa consistently
grouped outside other members of Amycolatopsis. In these
studies only Amycolatopsis strains have been used occasion-
ally alongside Pseudonocardia, but members of the closely
related family Actinosynnemataceae were excluded. It is
recommended that further work be done to establish to
Actinobacteria 7

Family
Bifidobacteriaceae
Acidimicrobiaceae
Coriobacteriaceae
Conexibacteraceae, Patulibacteraceae
Robrobacteraceae, Solirubrobacteraceae,
Thermoleophilaceae
Actinospicaceae,
Catenulisporaceae
Corynebacteriaceae
Dietziaceae
Tsukamurellaceae
Williamsiaceae, Gordoniaceae
Mycobacteriaceae
Nocardiaceae
Segnilisporaceae
Actinosynnemataceae
Pseudonocardiaceae
Arthrobacter viscosus
Bacillus subtilis
Rubrobacter radiotolerans
Thermoleophilum minutum
Patulibacter minatonensis
Conexibacter woesei
Solirubrobacter pauli
Olsenella profusa
Atopobium fossor
Atopobium rimae
Collinsella intestinalis
Coriobacterium glomerans
Slackia faecicanis
Cryptobacterium curtum
Eggerthella hongkongensis
Denitrobacterium detoxificans
Acidimicrobium ferrooxidans
Bifidobacterium bifidum
Bifidobacterium breve
Bifidobacterium longum
Bifidobacterium gallinarum
Bifidobacterium coryneforme
Bifidobacterium aerophilum
Metascardovia tsurumii
Gardnerella vaginalis
Alloscardovia omnicolens
Parascardovia denticolens
Scardovia inopinata
Catenulispora acidiphila
Actinospica acidiphila
Actinospica robiniae
Corynebacterium glutamicum
Corynebacterium mastitidis
Corynebacterium diphtheriae
Corynebacterium ulcerans
Dietzia cinnamea
Dietzia daqingensis (smooth)
Dietzia daqingensis (rough)
Dietzia kunjamensis
Dietzia maris
Tsukamurella tyrosinosolvens
Tsukamurella pseudospumae
Tsukamurella poriferae
Tsukamurella spp
Tsukamurella pulmonis
Williamsia muralis
Gordonia westfalica
Gordonia hydrophobica
Gordonia sihwensis
Gordonia otitidis
Gordonia rhizosphera
Williamsia serinedens
Williamsia deligens
Williamsia maris
Millisia brevis
Skermania piniformis
Mycobacterium paratuberculosis
Mycobacterium leprae
Mycobacterium tuberculosis
Mycobacterium bovis
Mycobacterium africanum
Mycobacterium microti
Mycobacterium fortuitum
Mycobacterium smegmatis
Nocardia africana
Nocardia beijingensis
Nocardia asteroides
Nocardia flavorosea
Rhodococcus kunmingensis
Rhodococcus equi
Rhodococcus jostii
Rhodococcus corynebacterioides
Rhodococcus phenolicus
Segniliparus rotundus
Segniliparus rugosus
Actinokineospora diospyrosa
Amycolatopsis fastidiosa
Saccharothrix longispora
Actinosynnema mirum
Lechevalieria flava
Lentzea albida
Kibdelosporangium albatum
Kutzneria kofuensis
Streptoalloteichus hindustanus
Crossiella cryophila
Goodfellowia coeruleoviolacea
Actinoalloteichus alkalophilus
Actinoalloteichus cyanogriseus
Saccharopolyspora flava
Actinostreptospora chiangmaiensis
Pseudonocardia alni
Pseudonocardia sulfidoxydans
Thermocrispum municipale
Amycolatopsis orientalis
Amycolatopsis sacchari
Prauserella alba
Saccharomonospora azurea
Actinopolyspora halophila
Actinopolyspora salina
82 100 85
98
100
86
100
100
96
100
100
100
100
99
96
100
100
100
93
83
100
100
93
100
100
83
100
100
100
99
94
97
98 100
97
83
100
100
96
98
99
90
80
Figure 1 (Continued)
8Actinobacteria

Jiangella gansuensis
Streptosporangiaceae
Nocardiopsaceae
Glycomycetaceae
Micromonosporaceae
Nocardioidaceae
Propionibacteriaceae
Streptomycetaceae
Acidothermaceae, Frankiaceae
Sporichthyaceae
Kineosporiaceae
Geodermatophilaceae
Nakamurellaceae
Actinocorallia glomerata
Spirillospora albida
Parvopolyspora pallida
Actinomadura citrea
Actinomadura livida
Thermomonospora chromogena
Thermobispora bispora
Thermopolyspora flexuosa
Microtetraspora fusca
Microbispora corallina
Planotetraspora mira
Herbidospora cretacea
Acrocarpospora corrugata
Astrosporangium hypotensionis
Sphaerosporangium melleus
Clavisporangium rectum
Nonomuraea rubra
Planobispora longispora
Planomonospora alba
Streptosporangium violaceochromogenes
Streptosporangium brasiliensis
Streptosporangium longisporum
Thermobifida fusca
Haloactinomyces albus
Prauseria hordei
Nocardiopsis tropica
Nocardiopsis trehalosi
Nocardiopsis chromatogenes
Streptomonospora alba
Actinocatenispora sera Glycomyces harbinensis
Glycomyces illinoisensis
Glycomyces algeriensis
Glycomyces lechevalierae
Glycomyces rutgersenis
Glycomyces arizonensis
Glycomyces tenuis
Stakebrandtia flavoalba
Stakebrandtia nassauensis
Longispora albida
Pilimelia anulata
Actinoplanes cyaneus
Actinoplanes lobatus
Catenuloplanes caeruleus
Catenuloplanes crispus
Actinoplanes violaceus
Couchioplanes caeruleus
Krasilnikovia cinnamoneum
Asanoa ferruginea
Asanoa iriomotensis
Spirilliplanes yamanashiensis
Polymorphospora ruber
Verrucosispora gifhornensis
Verrucosispora shenzhensis
Micromonospora echinospora
Micromonospora globosa
Micromonospora fulvopurpurea
Micromonospora aquatica
Salinispora pacifica
Salinispora arenicola
Dactylosporangium fulvum
Dactylosporangium roseum
Virgisporangium aurantiacum
Virgisporangium ochraceum
Catellatospora citrea
Catellatospora coxensis
Luedemannella flava
Luedemannella helvata
Actinopolymorpha singaporensis
Kribbella lupini
Aeromicrobioides flava
Aeromicrobium fastidiosum
Marmoricola aurantiacus
Nocardioides oleivorans
Nocardioides simplex
Nocardioides albus
Nocardioides luteus
Friedmanniella capsulata
Microlunatus phosphovorus
Micropruina glycogenica
Propionicicella superfundia
Propionicimonas paludicola
Propioniferax innocua
Propionibacterium acnes
Tessaracoccus bendigoensis
Brooklawnia cerclae
Propionimicrobium lymphophilum
Aestuariimicrobium kwangyangensis
Luteococcus japonicus
Parastreptomyces abscessus
Streptacidiphilus carbonis
Kitasatosporia azatica
Streptomyces aureofaciens
Streptomyces roseus
Streptomyces avermitilis
Streptoallomorpha polyantibiotica
Streptomyces fradiae
Streptomyces platensis
Streptomyces rimosus
Streptomyces lavendulae
Streptomyces coelicolor
Streptomyces albidoflavus
Streptomyces griseus
Streptomyces glaucescens
Streptomyces albus
Streptomyces cyaneus
Streptomyces violaceoruber
Acidothermus cellulolyticus
Frankia spp. 49136
Frankia spp. 2215
Frankia alni
Sporichthya brevicatena
Sporichthya polymorpha
Cryptosporangium arvum
Cryptosporangium minutisporangium
Cryptosporangium aurantiacum
Cryptosporangium japonicum
Actinotelluria brasiliensis
Geodermatophilus obscurus
Blastococcus saxobsidens
Blastococcus aggregatus
Blastococcus jejuensis
Modestobacter multiseptatus
Modestobacter versicolor
Modestobacter spp. CNJ793
Modestobacter spp. Ellin164
Nakamurella multipartita
Solicoccus flavidus
Thermomonosporaceae
92
89
100
100 100
100 100
100
100
100 82 81
88
80
87
96
100
97
92
93
100
100
100
100
100
90
97
94 94 94 100
90
81
95 83 83
83
100
94
82
100
91
93 96
100
100
99
91
86
83
99 99
93
100
83
Figure 1 (Continued)
Actinobacteria 9

which family A. fastidiosa belongs, and in future studies of
Amycolatopsis strains members of Actinosynnemataceae
should be included. The genus Parvopolyspora was
described by Liu and Lian; however, since Parvopolyspora
pallida has not been described efficiently according to the
rules of Bacterial Nomenclature, it is not considered to be
a valid genus/species. Using chemotaxonomic, morpho-
logical, physiological, and DNA–DNA hybridization
methods, Itoh and colleagues and Miyadoh and collea-
gues showed P. pallida to be closely related to Actinomadura
with the latter study proposing P. pallida to be transferred
to the genus Actinomadura. Using 16S rRNA gene
Kineosporiaceae
Bogoriellaceae
Intersporangiaceae
Dermatophilaceae
Dermacoccaceae
Intersporangiaceae
Dermacoccaceae
Cellulomonadaceae
Rarobacteriaceae
Sanguibacteraceae
Micrococcaceae
Yaniaceae
Micrococcaceae
Dermabacteraceae
Promicromonosporace
a
Kineococcus aurantiacus
Kineosporia rhamnosa
Kineosporia rhizophila
Kineosporia succinea
Kineosporia aurantiaca
Quadrisphaera granulorum
Kineococcus marinus
Brevibacterium albus
Brevibacterium samyangensis
Bravibacterium lutescens
Brevibacterium aureum
Brevibacterium epidermidis
Dermatophilus chelonae
Dermabacter spp.
Arsenicicoccus bolidensis
Ornithinicoccus hortensis
Oryzihumus leptocrescens
Terrabacter aerolatum
Terrabacter terrae
Terrabacter tumescens
Teracoccus luteus
Intersporangium calvum
Janibacter anophelis
Janibacter limosus
Janibacter terrae
Janibacter marinus
Janibacter melonis
Knoellia sinensis
Knoellia subterranea
Nostocoida limicola
Tetrasphaera jenkinsii
Tetrasphaera australiensis
Tetrasphaera nostocoidensis
Tetrasphaera japonica
Tetrasphaera elongata
Lochheadia duodecas
Nostocoida aromativora
Phycicoccus jejuensis
Kribbia dieselivorans
Dermatophilus spp.
Dermatophilus congolensis
Dermacoccus nishinomiyaensis
Demetria terragena
Dermacoccus spp.
Serinicoccus marinus
Ornithinimicrobium caseinolyticus
Kytococcus schroeteri
Kytococcus sedentarius
Isoptericola variabilis
Isoptericola dokdonensis
Xylanibacterium ulmi
Xylanimicrobium pachnodae
Xylanimonas cellulosilytica
Myceligenerans xiligouense
Promicromonospora citrea
Promicromonospora sukumoe
Cellulosimicrobium terreum
Cellulosimicrobium cellulans
Cellulosimicrobium funkei
Cellulomonas fermentans
Cellulomonas uda
Cellulomonas biazotea
Cellulomonas chitinilytica
Cellulomonas parahominis
Oerskovia enterophila
Oerskovia turbata
Oerskovia paurometabola
Oerskovia jenensis
Rarobacter faecitabidus
Rarobacter incanus
Sanguibacter suarezii
Sanguibacter keddieii
Arthrobacter casei
Citricoccus alkalitolerans
Citricoccus muralis
Micrococcus lylae
Micrococcus antarcticus
Micrococcus luteus
Micrococcus indicus
Liuella qinghaiensis
Arthrobacter globiformis
Arhtrobacter ramosus
Arthrobacter agilis
Acariicomes phytoseiuli
Arthrobacter cumminsii
Nesterenkonia halobia
Nesterenkonia lutea
Nesterenkonia halotolerans
Nesterenkonia sandarakina
Yania flava
Yania halotolerans
Kocuria marina
Kocuria polaris
Kocuria rosea
Kocuria halotolerans
Rothia amarae
Rothia nasimurium
Rothia dentocariosa
Rothia mucilaginosa
Dermabacter hominis
Brachybacterium rhamnosum
Brachybacterium muris
Brachybacterium arcticum
Brachybacterium alimentarium
Brachybacterium sacelli
Brachybacterium conglomeratum
Brachybacterium faecium
93
83
100 100
100 86 99 100
100
82 99
81
85 84
100
99
80
80
99
100
86
90
100
95
85 89 97
98
93
100
100
100
100
100
100
100
100
100 93
99
88
100
100
100
100 97
100
100
100
85
83
Figure 1 (Continued)
10 Actinobacteria

sequences, Tamura and Hatano confirmed previous work
that favored the transfer to Actinomadura. In the current
study, P. pallida groups with Actinomadura strains, further
confirming earlier work on P. pallida, and calls for an
emended description of the genus Actinomadura to be
made to accommodate P. pallida as Actinomadura pallida.
Actinomycetaceae
Jonesiaceae
Microbacteriaceae
Beutenbergiaceae
Actinobaculum spp.
0.1
Actinobaculum massiliae
Actinobaculum suis
Actinobaculum schaalii
Actinobaculum urinale
Arcanobacterium bonasi
Arcanobacterium hippocoleae
Arcanobacterium haemolyticum
Actinomyces nasicola
Actinomyces bowdenii
Actinomyces denticolens
Actinomyces ruminocola
Varibaculum cambriense
Mobiluncus mulieris
Mobiluncus curtisii
Mobiluncus holmesii
Jonesia denitrificans
Jonesia quinghaiensis
Zimmermannella alba
Pseudoclavibacter helvolus
Zimmermannella faecalis
Gulosibacter molinativorax
Brevibacterium equis
Zimmermannella bifida
Tropheryma whipplei Twist
Tropheryma whipplei TW08/27
Leucobacter alluvii
Leucobacter komagatae
Leucobacter albus
Leucobacter aridicollis
Leucobacter solipictus
Leucobacter luti
Agromyces rhizospherae
Agromyces albus
Agromyces fucosus
Agromyces subbeticus
Agromyces luteolus
Agromyces bracchium
Agromyces ulmi
Agromyces neolithicus
Agromyces terreus
Agromyces allium
Agromyces lapidis
Frigoribacterium faeni
Subtercola frigoramans
Subtercola boreus
Agreia bicolorata
Agreia pratensis
Leifsonia aurea
Leifsonia rubra
Rhodoglobus vestalii
Leifsonia poae
Leifsonia shinshuensis
Leifsonia xyli
Leifsonia aquatica
Leifsonia naganoensis
Agrococcus casei
Agrococcus lahaulensis
Agrococcus baldri
Agrococcus citreus
Agrococcus jenensis
Cryobacterium psychrophilum
Cryocola antiquus
Labedella kawkjii
Parkia alkaliphila
Salinibacterium aquaticus
Microcella alkaliphila
Microcella putealis
Clavibacter insidiosus
Clavibacter sepedonicus
Clavibacter nebraskensis
Clavibacter michiganensis
Clavibacter tessellarius
Crustibacterium reblochoni
Okibacterium fritillariae
Curtobacterium fangii
Plantibacter elymi
Plantibacter flavus
Plantibacter cousiniae
Plantibacter auratus
Plantibacter agrosticola
Mycetocola tolaasinivorans
Mycetocola lacteus
Mycetocola saprophilus
Microbacterium indica
Microbacterium halotolerans
Microbacterium aurum
Microbacterium aerolatum
Microbacterium liquefaciens
Microbacterium oxydans
Microbacterium chocolatum
Microbacterium thalassium
Microbacterium flavescens
Rathayibacter toxicus
Rathayibacter tritici
Rathayibacter rathayi
Rathayibacter festucae
Rathayibacter caricis
Curtobacterium albidum
Curtobacterium citreum
Curtobacterium ammoniigenes
Curtobacterium herbarum
Curtobacterium luteum
Curtobacterium pusillum
Bogoriella caseolytica
Georgenia muralis
Georgenia ruanii
Beutenbergia cavernosa
Beutenbergia spp.
Salana multivorans
100
100
91
100
95
91 100
83
90
100
100
100
100
100
100
80
86
96 100
100
84
100
97
99
100 97
80 100
100
83
100
100
83
99
82 100
96
100
95
82 98
100
96 100 100
99
92
95
87
Bogoriellaceae
Figure 1 Phylogenetic analysis of species belonging to the class Actinobacteria using the near entire 16S rDNA gene sequences. The
phylogenetic tree was construced using the neighbour-joining method and Kimura-2-parameter of sequence evolution. Numbers on the
branches indicate the percentage bootstrap value of 100 replicates. The scale bar indicates 10% nucleotide dissimilarity (10%
nucleotide substitutions per 100 nucleotides).
Actinobacteria 11

Microbispora bispora is currently recognized as a
member of the Pseudonocardiaceae family, yet in Figure 1
M. bispora is next to Thermopolyspora flexuosa within the
family Streptosporangiaceae, distinctly separate from
Pseudonocardiaceae. Grouping outside both M.bispora and
T. flexuosa is Thermomonospora chromogena, which belongs to
the family Thermomonosporaceae. These three strains
form a separate group from the Pseudonocardiaceae,
Thermomonosporaceae, and Streptosporangiaceae families,
being closer to the last. The three strains also share many
chemotaxonomic traits, so re-examination of these strains is
advised to determine their exact positions within the three
Table 2 Members comprising the class Actinobacteria
Class Subclass Order Suborder Family
Actinobacteria Acidimicrobidae Acidimicrobiales Acidimicrobineae Acidimicrobiaceae (1)
Actinobacteridae Actinomycetales Actinomycineae Actinomyceaceae (5)
Catenulisporineae Actinospicaceae (1)
Catenulisporaceae (1)
Corynebacterineae Corynebacteriaceae (1)
Dieziaceae (1)
Gordoniaceae (3)
Mycobacteriaceae (1)
Nocardiaceae (3)
Segniliparaceae (1)
Tsukamurellaceae (1)
Williamsiaceae (1)
Frankineae Acidothermaceae (1)
Frankiaceae (1)
Geodermatophilaceae (4)
Kineosporiaceae (3)
Nakamurellaceae (1)
Sporichthyaceae (1)
Glycomycineae Glycomycetaceae (2)
Micrococcineae Beutenbergiaceae (3)
Bogoriellaceae (1)
Brevibacteriaceae (1)
Cellulomonadaceae (3)
Dermabacteraceae (2)
Dermacoccaceae (3)
Dermatophilaceae (2)
Intrasporangiaceae (14)
Jonesiaceae (1)
Microbacteriaceae (24)
Micrococcaceae (10)
Promicromonosporaceae (7)
Rarobacteraceae (1)
Sanguibacteraceae (1)
Yaniaceae (1)
Micromonosporineae Micromonosporaceae (18)
Propionibacterineae Nocardioidaceae (11)
Propionibacteriaceae (8)
Pseudonocardineae Actinosynnemaaceae (6)
Pseudonocardiaceae (17)
Streptomycineae Streptomycetaceae (8)
Streptosporangineae Nocardiopsaceae (4)
Streptosporangiaceae (13)
Thermomonosporaceae (4)
Bifidobacteriales Bifidobacteriaceae (3)
Coriobacteridae Coriobacteriales Coriobacterineae Coriobacteriaceae (8)
Rubrobacteridae Rubrobacterales Rubrobacterineae Conexibacteraceae (1)
Paulibacteraceae (1)
Rubrobacteraceae (1)
Solirubrobacteraceae (1)
Thermoleophilaceae (1)
Reproduced from sequences available from NCBI. Numbers in parenthesis indicate the number of genera in each family.
12 Actinobacteria

families. Prauseria hordei is also recognized as a member of
Pseudonocardiaceae, though this strain has not been validly
described in the literature. Analysis of its 16S rRNA gene has
placed it among the Nocardiopsaceae to a strain of
Nocardiopsis with a bootstrap value of 100, with the 16S
rDNA sequences of the two strains showing 99% sequence
similarity.
The phylogenetic position of T. whipplei has been under
some considerable debate. This has largely been due to the
lack of chemotaxonomic studies as this organism has been
difficult to culture. Initially, T. whipplei wasplacedasa
deep-branching strain of the Cellulomonadaceae family.
Only recently, La Scola and colleagues gave a detailed
description of the Whipple’s disease bacillus with regard to
its cultivation and morphology. The new genus and species
name of T. whipplei was based solely on the 16S rRNA gene
sequence data as it was not possible to study any chemotaxo-
nomic traits. In a phylogenetic tree presented in The
Practical Streptomyces Handbook,T. whipplei grouped closer to
Microbacteriaceae, although not placed within it. Chater and
Chandra constructed a phylogenetic tree using the 16S
rRNA genes of sequenced Actinobacterial genomes, which
included two strains of T. whipplei.Inthisstudy,T. whipplei
grouped with Leifsonia and also showed a close relationship to
Streptomyces strains. Figure 1 demonstrates that T. whipplei is a
member of the Microbacteriaceae family, as indicated by
Chater and Chandra, but is not as close to the Streptomyces
genusasshownintheirtree.
Attention is also drawn to the families Dermabactera-
ceae, Intrasporangiaceae, Dermacoccaceae, and Dermato-
philaceae. The last accommodates two genera, Dermatophilus
and Kineosphaera.ThegeneraDermacoccus, Kytococcus,and
Demetria make up the family Dermacoccaceae and 14 gen-
era have been described for Intrasporangiaceae with
Dermabacteraceae containing two genera, Brachybacterium
and Dermabacter. It is evident from Figure 1 that some
strains from these families have been misclassified. For
example, a Dermabacter species groups with a member of
Intrasporangiaceae, Arsenicicoccus bolidensis,withahighboot-
strap value. The classification of members of these families,
in particular Dermatophilaceae and Dermacoccaceae,
needs to be studied again to clarify their taxonomic
positions.
Speciation of Genera Using Protein-Coding
Genes
A number of studies have made use of other housekeeping
genes to support the phylogeny derived from the 16S
rRNA gene. The genes chosen for phylogenetic analysis
must fulfill certain criteria in that they must be essential
and distributed among the genera, therefore reducing the
possibility of HGT. They must also have an evolutionary
rate higher than the 16S rRNA gene, thus providing better
resolution of closely related strains. Examples of the
housekeeping genes that have been used in conjunction
with the 16S rRNA gene include recA, gyrB, trpB, rpoB, secA1,
hsp65, sodA, and trpB. In many of these studies, the use of
alternative genes resolved the relationships between clo-
sely related species. Ul-Hassan examined the
S. violaceoruber cluster and phylogenetic analysis was
done using 16S rRNA, gyrB, recA, and trpB genes. The
strains formed a tight monophyletic cluster in the partial
16S rRNA gene tree. The results of the gyrB, recA, and trpB
analysis correlated with the 16S rRNA analysis as the
topology of the trees and grouping of the strains were
identical. Phylogenetic histories for the housekeeping
genes were generated and the relative separation in phy-
logenetic tree space was examined using the Robinson–
Foulds distance metric. This confirmed that the
genes gyrB, trpB, and recA show a faster evolutionary rate
than 16S rRNA, and therefore being good choices for
use alongside the 16S rRNA gene. Analysis of the
S. violaceoruber strains with recA, gyrB, and trpB showed no
further resolution of the intrageneric relationships
between the closely related species. These results were
in agreement with those of Duangmal and colleagues, who
used the entire 16S rRNA sequence to study type mem-
bers of the S. violaceoruber cluster, as well as soil isolates,
and showed that members of the S. violaceoruber cluster are
highly homogeneous.
The study of Ul-Hassan was similar to a multilocus
sequence typing (MLST) approach. MLST is a method
for the genotypic characterization between closely related
species using the allelic mismatch of a number of house-
keeping genes (usually seven). This is a powerful tool
which has been used in molecular epidemiology for phy-
logenetic analysis of bacterial pathogens. Bifidobacterium
strains have been shown to have high levels of sequence
similarity of the 16S rDNA gene ranging from 87.7 to
99.5%, with some strains possessing identical sequences,
thus making it difficult to identify and characterize
strains. Ventura and colleagues developed MLST to
study strains of the Bifidobacteria genus. Analysis using
the 16S rRNA sequences allowed the discrimination of
most species within the genus, but it was more difficult to
do so between subspecies. For MLST analysis the genes
clpC, dnaB, dnaG, dnaJi, purF, rpoC, and xlp were used. The
phylogenetic tree generated from the concatenated
sequences showed a significant increase in the discrimi-
natory power between the strains.
Genome Structure and Evolution
The linearity of the streptomycete chromosome was first
determined in S. lividans and has subsequently been seen
in other members of the genera. Redenbach and collea-
gues set out to analyze whether large linear chromosomes
were a distinct feature of Streptomyces species. Linearity of
Actinobacteria 13

the chromosomes was determined by PFGE. The results
of this study concluded that members of the genera which
undergo a complex cycle of morphological differentiation
(e.g., Streptomyces, Micromonospora, Actinoplanes, and
Nocardia) possess large linear chromosomes, whereas acti-
nobacterial strains with simpler life cycle (Mycobacterium,
Corynebacterium, and Rhodococcus) have smaller, circular
chromosomes. Genomes of 19 medically and industrially
important Actinobacteria have been completely sequenced
and annotated. Analyses of whole genome sequences have
provided an insight into how different Actinobacteria have
become adapted to their particular ecological niches.
The Streptomyces Genome
Of the streptomycetes, complete genomes of S. coelicolor
A3(2) and S. avermitilis are available. S. coelicolor A3(2) is
genetically the best-known representative of the genus as
nearly all major achievements in streptomycete genetics
and physiology have been done in this model organism.
S. avermitilis is an important organism in the pharmaceu-
tical industry as it is a major producer of avermectins,
which are antiparasitic agents used in human and veter-
inary medicine. Both S. coelicolor A3(2) and S. avermitilis
have linear chromosomes of 8.7 and 9 Mb respectively.
Streptomyces species are the predominant Actinobacteria in
soil, which is a highly heterogeneous matrix composed of
organic, inorganic, and gaseous material. Organisms
must withstand extremes of temperature and moisture,
particularly in the upper layers of the soil profile.
Streptomycetes have a saprophytic lifestyle and their
ability to successfully colonize the soil is due to
the production of a variety of extracellular hydrolytic
enzymes. These include nucleases, lipases, amylases,
xylanases, proteinases, and chitinases, thus making strep-
tomycetes central organisms in decomposition.
Analysis of the types and location of the genes in
the S. coelicolor A3(2) chromosome suggests that it com-
prises a central core region and a pair of chromosomal
arms. Genes with an essential function such as in DNA
replication, transcription, and translation are located in
the core region whereas those with a nonessential func-
tion (e.g., secondary metabolism) are located in the arm
regions. Significant synteny between the core of the
S. coelicolor A3(2) genome and the whole genomes of
M. tuberculosis and C. diphtheriae was observed, suggest-
ing these to have a common ancestor, whereas the arms
of the S. coelicolor A3(2) chromosome consisted of
acquired DNA.
Genetic instability of the Streptomyces genome
The extreme variability of Actinobacteria is a well-known
phenomenon first demonstrated by the work of Lieske,
and is clearly evident when examining culture plates. In
nearly all cases, genetic instability has a pleiotropic effect
and can result in the loss of antibiotic biosynthesis and
resistance, pigment production, and aerial mycelium for-
mation. Genes can be lost in various frequencies from
10
4
to 10
2
per spore; these deletions can remove up
to 25% of the genome. For a chromosome of 8 Mb this can
be up to 2 Mb, which exceeds the size of a small bacterial
genome. Initially, genetic instability was considered to be
a consequence of the linear structure of the chromosome.
However artificially circularized, chromosomes were
found to be more unstable than the parent chromosome
and it was only after the deletion of the terminal regions
that the circular chromosomes became stable structures.
Lin and Chen (1997) proposed the high numbers of
transposable elements (TEs) in the terminal regions to
be responsible for genetic instability. Approximately 40%
of TEs are located in the terminal regions of the
S. coelicolor A3(2) genome, with a similar pattern being
seen in S. avermitilis. TEs can be found in multiple copies
in the genome and this can often lead to DNA rearrange-
ments in the form of transpositions, insertions, deletions,
and gene transfer events. The structure of the Streptomyces
chromosome and the distribution of the essential and
nonessential genes and TEs provides some benefit to the
organism in that it allows a certain amount of plasticity to
the genome. As the terminal regions contain only a few
essential genes they are more tolerant to DNA rearrange-
ments and acquisitions. Using DNA microarrays, 14
regions were identified in the S. coelicolor A3(2) genome
that were absent in its close relatives and of these regions,
11 were located in the arms of the chromosome. Prior
to sequencing of the S. coelicolor A3(2) genome, gene
clusters for actinorhodin, undecylprodigiosin, calcium-
dependent antibiotic, and the whiE cluster had been ana-
lyzed. Sequencing of the chromosome revealed 20 more
clusters encoding putative secondary metabolites. These
include clusters for coelichelin, coelibactin, geosmins,
desferrioxamines, and hopanoids (Table 3).
Reductive Genomes
The ability to easily acquire and lose DNA without causing
detrimental effects to the organisms plays a major role in
the evolution of these free-living saprophytic bacteria. In
contrast to this, obligate intracellular pathogens occupy a
stable environmental niche, so gene transfer does not play
such a crucial role in the evolution and adaptation of these
organisms. A process of reductive evolution is seen to occur
in these pathogens where a number of gene functions
become redundant as the host will supply these needs.
The presence of pseudogenes in a genome gives an estima-
tion of gene decay. A gene for a particular function will be
made redundant when the functional constraint is relaxed,
thus making it prone to inactivating mutations. When these
mutations become fixed in a population the gene becomes a
14 Actinobacteria

pseudogene. These genes will either remain in the genome
and be subjected to further mutations to such an extent that
they are no longer recognizable or are completely removed.
M. leprae
Thebestdocumentedexampleofreductiveevolutionis
seen in M. leprae. The complete genomes of M. leprae and
M. tuberculosis have been sequenced and are much smaller
than the streptomycete genomes: 3.2 Mb (M. leprae)and
4.4 Mb (M. tuberculosis). When the two mycobacterial strains
are compared they show a large difference in GC content
with M. leprae having an average GC of 57.8% while that of
M. tuberculosis is 65.6%. The most striking feature of the
M. leprae genome is that it contains 49.5% protein-coding
genes (1604 genes) compared to 90.8% (3959) protein-
coding genes in M. tuberculosis. The number of pseudogenes
in M. leprae is 1116, with only six being found in
M. tuberculosis, indicating massive gene decay in M. leprae.
It is now proposed that M. leprae has evolved to have the
natural minimal gene set for Mycobacteria and, unlike
M. tuberculosis, has a limited metabolic repertoire and host
range. Reduction in the genome size is also connected with
the observation that intracellular pathogens make exten-
sive use of host cellular processes.
T. whipplei
The genome of T. whipplei is the most extreme example of
an Actinobacterium that has undergone genome reduc-
tion. T. whipplei is the causative agent of Whipples disease,
which is characterized by malabsorption and is a systemic
infection affecting any part of the body. Like M. leprae,
T. whipplei was also difficult to culture and it was only in
2000 that it was grown in human fibroblasts and exhibits a
slow doubling time of 17 days comparable to 14 days for
M. leprae. The genome sequence of the T. whipplei Twist
strain has recently become available and shows it to have
a small circular chromosome of only 0.92 Mb. The aver-
age GC content of the genome is 46%, which is
considerably lower than that of streptomycetes and myco-
bacterial strains and is in contrast to the reduced M. leprae.
Analysis of the genome has shown that enzymes involved
in information processing (DNA/RNA polymerases and
gyrases) are present. In M. leprae, genes for biosynthesis of
amino acids were present, suggesting that these are limit-
ing in their environment, but in T. whipplei it became
apparent that complete and partial losses of some amino
acid biosynthesis gene clusters have occurred. This
implies that amino acids are obtained from the host. At
least two amino acids and peptide ABC transport systems
were identified in the genome of T. whipplei. An interest-
ing observation from the genome included the
identification of whiA and whiB, which in S. coelicolor are
involved in sporulation. Spores have not been reported in
T. whipplei under laboratory conditions, although they
may perhaps arise in the environment. The genome
shows little evidence of gene acquisition, which is a com-
mon property of reduced genomes. In other examples of
reduced genomes like those of M. leprae and Rickettsia
prowazekii, high numbers of pseudogenes are present,
suggesting that these genomes are still in the process of
downsizing. In contrast, the T. whipplei genome contains a
few pseudogenes, indicating that no further genome
decay is occurring.
P. acnes
P. acnes is a commensal bacterium found on human skin with
preference to sebaceous follicles, but it can be an opportu-
nistic pathogen and can cause acne. P. acnes contains a single
circular chromosome of 2.5 Mb encoding 2333 genes.
Putative functions were assigned to 68% of the genes with
20% sharing no significant similarity to any database entries.
The presence of 35 pseudogenes containing frameshift
mutations or premature stop codons leads the author to
Table 3 Secondary metabolites produced by S. coelicolor A3(2)
Secondary metabolites
Location on
chromosome
Known structures
Antibiotics
Actinorhodin SCO5071-SCO5092
Calcium dependant
antibiotic SCO3210-SCO3249
Prodiginines SCO5877-SCO5898
Methylenomycin SCP1 plasmid
Siderophores
Coelibactin SCO7681-SCO7691
Coelichelin SCO0489-SCO0499
Desferrioxamines SCO2782-SCO2785
Pigments
Isorenieratene SCO0185-SCO0191
Tetrahydroxynaphthalene SCO1206-SCO1208
TW95a (whiE) spore
pigment SCO5314-SCO5320
Lipids
Eicosapentaenoic acid SCO0124-SCO0129
Hopanoids SCO6759-SCO6771
Other molecules
Butyrolactones SCO6266
Geosmin SCO6073
Unknown structure
Chalcone synthases SCO7669-SCO7671,
SCO7222
Deoxysugar synthases/
glycosyl transferases SCO0381-SCO0401
Nonribosomal peptide
synthetases SCO6429-SCO6438
Sesquiterpene cyclase SCO5222-SCO5223
Siderophore synthetase SCO5799-SCOSCO5801
Type I polyketide
synthases
SCO6273-SCO6288,
SCO6826-SCO6827
Type II fatty acid synthase SCO1265-SCO1273
Taken from Bentley et al. (2002) and Challis and Hopwood (2003).
Actinobacteria 15

suggest this gene decay to be a recent event. Analysis of the
whole genome led to ten regions being identified as possibly
being of foreign origin, one of which contained genes for the
biosynthesis of lanthionine. Other genes identified were
involved in substrate uptake and pathogenicity. With regard
to the physiology of P. acnes, all genes of the Embden–
Meyerhof and pentose-phosphate pathway are present.
P. acnes can grow anaerobically on a number of substrates,
and enzymes required for this have been identified.
Prior to the genome being sequenced, GehA was
recognized as an extracellular triacylglycerol lipase,
which degrades skin tissue components. The ability of
lipases to degrade human skin lipids results in the pro-
duction of fatty acids that assist in bacterial adhesion and
colonization of the follicles. Many other lipases and
esterases have been identified, including endoglycocera-
midase that breaks down glycosphingolipids, which exist
in the cell membranes of all vertebrates. Three putative
sialidase enzymes have been identified, along with sialic
acid transport proteins, suggesting that P. acnes cleaves
sialoglycoconjugants to obtain sialic acid as a source of
carbon and energy. Homologs of CAMP factors have also
been recognized in P. acnes and these had only previously
been detected in streptococcal species. CAMP factors
are secreted proteins that are known as pathogenic deter-
minants and have lethal effects when given to mice and
rabbits. CAMP factors have been suggested to act as pore-
forming toxins. Three enzymes with putative hemolytic
activities show some resemblance to hemolysin III of
Bacillus cereus. Many surface proteins that can act as anti-
gens have been identified and can trigger an inflammatory
response that is seen during acne.
An interesting feature of some of the genes is the
presence of continuous stretches of 12–16 guanine or
cytosine residues, either in the promoter region or at the
59end. The length of this poly(C)/(G) tract is variable and
is generated during replication by slipped-strand mispair-
ing. These tracts are involved in phase variation, which
serves as an adaptation mechanism whereby the organism
can change its phenotype to evade immune responses or
rapidly adapt to environmental changes.
Bifidobacteria longum
Members of the Bifidobacterium genus comprise 3–6% of
the adult fecal flora and the presence of these organisms is
thought to provide health benefits. This has led to the
increase in the use of Bifidobacterium species in health-
promoting foods. Bifidobacterium species are obligate anae-
robes and the majority of strains have been isolated from
mammalian gastrointestinal tracts (GITs). They are among
the first to colonize GITs of newborn babies until weaning,
when Bacteroides take over. This system of successive colo-
nization is thought to play a major role in the build-up of
immune system tolerance. Thus a complex balance
of microflora is needed for a normal and healthy digestive
system. This becomes evident after antimicrobial therapy,
where the incidence of GIT disorders greatly increases.
However, little is known about the physiology and genetics
of the organisms and the mechanism of host-microbe inter-
action. Sequencing the genome of B. longum has provided
important clues into the adaptation of Bifidobacterium to
GITs of humans. The genome of B. longum is 2.3 Mb and
it is estimated that 86% of the genome is protein coding.
No aerobic or anaerobic respiratory components were
identified, confirming B. longum to be a strict fermentative
anaerobe. Homologs of the enzymes needed for the fer-
mentation of glucose, including the fructose-6-phosphate
shunt and a partial Embden–Meyerhof pathway, are pre-
sent. Enzymes that are needed to feed many sugars into the
fructose-6-phosphate are present, further confirming the
ability of B. longum to ferment a large variety of sugars.
B. longum is able to ferment amino acids through the use
of 2-hydroxyacid and other predicted deaminases and
dehydratases. More than 20 putative peptidases have
been predicted and these enable B. longum to obtain
amino acids from proteinaceous material in the GIT
where carbohydrates are less abundant. Bifidobacterium spe-
cies colonize the lower GIT, which tends to be poor in
mono- and disaccharides as they are taken up by the host
and the microflora in the upper GIT. As a result, more that
8.5% of the predicted proteins are dedicated to carbohy-
drate transport and metabolism. Many glycosyl hydrolases
have been predicted in the genome and these cover a wide
range of substrates including di-, tri-, and higher order
oligosaccharides. Oligosaccharide transporters have also
been identified, which may aid B. longum to compete for
the uptake of structurally diverse oligosaccharides. Unlike
most bacteria, B. longum makes great use of negative tran-
scriptional control to regulate gene expression, with nearly
70% of its transcriptional regulators being repressors.
Negative repressors are thought to allow for a more precise
response to changes in the environment, which is consis-
tent with the need of B. longum to adapt to the constantly
changing conditions of the GIT.
Industrially Important Phenotypes of
Actinobacteria
The best-studied example of an important industrial
application of Actinobacteria is the production of antibiotics
by streptomycete strains. As mentioned previously, the
discovery of actinomycin and streptomycin in the early
1940s led many large pharmaceutical companies in dif-
ferent parts of the world to initiate large screening
programs in a hope of finding novel antibiotic com-
pounds. This resulted in a rapid increase in the rate at
the discovery of new compounds between the 1940s and
the 1960s. These years are now considered to be the
Golden Age of antibiotic discovery, as after 1960s the
16 Actinobacteria

rate at which new compounds were discovered decreased
sharply. Initial methods used in isolating new compounds
were based on simple plating procedures where the soil
samples were mixed with water and subsequent filtering
to remove large soil particles. The extract was then plated
on nutrient medium. Representative colonies were iso-
lated and studied further for antibiotic production. It is
now well known that antibiotic production is part of
secondary metabolism and occurs only under certain
nutritional conditions. One method of discovering new
compounds is by isolating new organisms, and Takahashi
and
Omura provide an excellent review on different iso-
lation methods that have been developed based on this
rationale.
Considerable interest has been applied in screening
marine organisms for the discovery of novel compounds.
The study of Okazaki and colleagues and subsequent
research by the group has reported the isolation of an
actinobacterial strain from the Sagami bay area producing
a novel bioactive compound. This isolate would only
produce this compound in selective sea water containing
Japanese seaweed. This study highlighted the fact that
normal culture media are not sufficient for these organ-
isms as they have adapted to producing bioactive
compounds under marine-specific nutritional conditions.
It is therefore important to study and understand the
physiology of marine Actinobacteria to develop effective
techniques for their isolation. Actinobacteria-specific bac-
teriophage have been successfully used for isolation and
identification of novel or rare actinobacterial strains from
terrestrial environments and to determine the relatedness
of actinobacterial strains. Kurtboke (2005) developed an
improved method for detecting marine Actinobacteria. This
method uses the actinophage to reduce the number of
common marine organisms that tend to outgrow any rare
Actinobacteria, increasing the likelihood of isolating new
actinobacterial strains that potentially produce novel
bioactive compounds. Actinophage can be used for host
identification at the genus and the species level. In gen-
eral, streptomycetes phage are genus-specific, although
some cross-reactivity has also been detected with other
genera, including Nocardia, Streptosporangium, and
Mycobacterium.
Sequencing of mycobacterial strains is done mainly
because they are important human and animal pathogens,
but the genomes of two nonpathogenic mycobacterial
strains have been sequenced. Mycobacterium sp. KMS was
isolated from soil sites that had been polluted by creosols,
pentachlorophenol, and polycyclic aromatic hydrocar-
bons (PAHs), which contain up to four aromatic rings.
Another strain of Mycobacterium vanbaalenii PYR-1 was
found to possess the remarkable ability to degrade
PAHs, including alkyl- and nitro-substituted PAHs such
as naphthalene. Both these mycobacterial species use
dioxygenases and monooxygenases for the oxidation of
the ring component of these compounds. PAH com-
pounds are toxic and have carcinogenic properties, and
microbial degradation of these compounds is the most
effective method of remediation of the contaminated
soil. Vinyl chloride is a potential carcinogen and tends
to accumulate as an end-product of dechlorination of
solvents such as perchloroethylene and trichloroethene.
A strain of Nocardioides sp. JS614 was isolated from an
industrial soil site that was contaminated with vinyl chlor-
ide and 1,2-dichloroethane. Higher growth yields were
obtained when Nocardioides sp. JS614 was grown on media
containing vinyl chloride than without; the strain is
unusually sensitive to vinyl chloride starvation. This
strain possess a 300-kb plasmid carrying genes encoding
monooxygenases and epoxyalkane: coenzyme M transfer-
ase, thought to be involved in degradation of vinyl
chloride. Nocardioides species are known to degrade other
aromatic compounds, including 2,4,6-trinitrophenol,
phenanthrene, and dibenzofuran (DF). Carbazole is an
N-heterocyclic aromatic compound derived from creo-
sote and crude and shade oil and is known to be both toxic
and mutagenic. It is widely used as a raw material for the
production of dyes, medicines, and plastics. Nocardioides
aromaticivorans IC177 is able to degrade carbazole. Inoue
and colleagues were able to clone and partially sequence
the car genes responsible for carbazole degradation.
The sequences showed similarities to genes found in
Pseudomonas and Sphingamonas strains.
Arsenic is a highly toxic metal and its presence in the
environment is largely from a geochemical source (rocks
and minerals), although anthropogenic action has led to
its increase. Many organisms have been documented to be
able to transform arsenic, through either reduction or
oxidation reactions; these include Cenibacterium arsenoxi-
dans, Alcaligenes faecalis, Agrobacterium tumefaciens, Bacillus,
and Shewanella. An arsenic-defence mechanism is present
in all organisms studied for arsenic degradation. Members
of the genus Corynebacterium are of great biotechnological
importance, especially for the large-scale production of
amino acids such as L-glutamate and L-lysine. Members of
the coryneform bacteria (C. glutamicum and C. lactofermen-
tum) are resistant to arsenic and genes involved in this
process are contained in two operons, ars1 and ars2.
Research of Mateos and colleagues aims to make use of
genetically engineered strains of C. glutamicum for biore-
mediation of arsenic from heavily contaminated water
sites.
Members of the genus Gordonia belong to the same
family as Corynebacteria (Corynebacteriaceae). A strain
was isolated from polluted water taken from the inside of
a deteriorated rubber tyre. By using chemotaxonomy,
DNA–DNA hybridization and 16S sequence analysis this
strain was found to represent a new species within the genus
Gordonia and was given the name Gordonia westfalica.Itcould
utilize natural and synthetic components of rubber,
Actinobacteria 17

including cis-1,4-polyisoprene. Janibacter terrae strain XJ-1
was found to have the ability to degrade DF.
Polychlorinated dibenzo-p-dioxins (PCDOs) and polycho-
lorinated DF (PCDFs) are common pollutants in the
environment and are released as contaminants in pesticides
and herbicides. These are highly toxic compounds and tend
to accumulate in the body fat of animals. A DF-degrading
strain of J. terrae, which can use DF as a sole source of
carbon and energy, was also isolated. J. terrae contains the
dbdA (DF dioxygenase) gene cluster and sequence analysis
demonstrated it to be nearly identical to the cluster found
on a large plasmid of Terrabacter sp. YK3, which utilizes DF
in a similar manner.
Among the Actinobacteria, Rhodococcus species are well-
known for their ability to biodegrade and transform a
wide range of complex organic compounds. It is for this
reason they have been referred to as ‘masters of catabolic
versatility’ by Larkin and colleagues. Many of the genes
required for degradation of xenobiotic compounds are
encoded on plasmids, including those for polychlorinated
biphenyls, isopropylbenzene, and indene. Genes asso-
ciated with virulence in pathogenic strains (R. equis) are
also encoded on plasmids. Readers are recommended the
articles by Larkin and colleagues, Sekine and colleagues,
and Gurtler and colleagues for the detailed analysis of
the overall metabolic diversity and genetics of these
organisms. Pesticides are composed of compounds with
varying chemical structures, including organochlorides,
s-trazines, triazinones, organophosphates, and sulfonylur-
eas. Members of Actinobacteria play a major role in
biotransformation and biodegradation of these chemicals,
where a single strain can degrade more than one com-
pound though co metabolism. De Schrijver and De Mot
provide a comprehensive review on the degradation of
pesticides by Actinobacteria.
It is clear from the examples discussed above that
members of the Actinobacteria play a major role in bior-
emediation and biodegradation of complex xenobiotic
compounds in the environment. They have the genetic
capabilities to either utilize these compounds as sources
of energy or break them down to simpler forms, which in
turn can be used by other organisms (cometabolism).
Actinobacteria also have an enormous biotechnological
potential. As mentioned before members of the
Actinobacteria, in particular the genus Streptomyces, are
major producers of medically important antibiotics.
Examples of other uses of Actinobacteria are listed in
Table 4.
Table 4 Uses of actinobacterial strains in biotechnology
Organism Biotechnological uses
Mycobacterium(nonmedical
strains) Biotransformation of steroids
Removal of vinyl chloride from industrial waste
Production of optically active epoxides which are subsequently used for chemical synthesis of
optically active pharmaceutical compounds
Corynebacterium
(nonmedical strains) C. glutamicum used for the large-scale production of L-glutamic acid and L-lysine. These strains can
also be modified to produce threonine, isoleucine, tylosine, phenylalanine, and tryptophan
Fermentative production of nucleotides which are used as flavor enhancers in foods
Microbispora rosea Produces D-xylose isomerase, which converts glucose into fructose, which is subsequently used to
produce high-fructose syrup
Micrococcus species Used for processing of fermented meats to improve color, aroma, flavor and keeping quality
Synthesis of long-chain aliphatic hydrocarbons that have the potential to be processed into
lubricating oils or other petroleum substitutes
Rhodococcus species Rhodococcal nitrile converting enzymes used to convert nitriles into their corresponding higher value
acids and amides, which can be used as polymers in dispersants, flocculants, and
superabsorbents
Commercial production of biosurfactants.
Capacity to degrade a diverse range of hydrocarbons, including halogenated and long chain as well
as aromatic compounds
Biopurification of coal and crude oil by removing contaminating organosulfur compounds
Frankia Along with other actinorhizal organisms are used where it is necessary to rapidly establish a plant
cover
Cellulomonas species Used for single-cell protein production from a variety of waste products
Mixed cultures can be used to convert xylan into methane via hydrolysis, acidogensis, and
methanogensis
Photoevolution of molecular hydrogen using cellulose as sole carbon source
Micromonospora Commercial scale production of amylases and cellulases
Vitamin B
12
production
Brevibacterium Used for cheese ripening
Nocardioides Used for their ability to perform chemical and enzymatic modifications of complex compounds and
production of industrially important enzymes
18 Actinobacteria

Concluding Remarks
The application of chemotaxonomy, numerical taxonomy,
and DNA–DNA hybridization methods have provided a
basis for studying the taxonomy of Actinobacteria. New
advances in DNA technology have contributed consider-
ably to bacterial taxonomy, in particular sequence analysis
of small subunit rRNA. Sequence analysis of the 16S rRNA
is routinely used in conjunction with analysis of chemo-
taxonomic traits to identify and describe existing and
newly isolated strains. Phylogenetic analyses of families
comprising the Actinobacteria class have been studied in
great detail with regard to the genera they accommodate;
however, in many of these studies members of other closely
related families are not included. The aim of this chapter
was to examine the phylogenetic relationships of all the
genera that have been described as Actinobacteria using the
entire 16S rDNA gene sequences available in the public
database. The results of this study correlated well with
previous analyses, and clusters that have already been
defined by numerical taxonomy were retained. This
study also highlights the importance of using a combination
of traditional methods along with newer molecular based
techniques for taxonomic purposes. Also when generating
the phylogeny of strains, the analysis of more strains from
closely related families is essential to allow a more accurate
discrimination between strains.
Bacterial genomes are under constant selection pressure
whether they are in the environment in the presence of toxic
chemicals, living a saprophytic lifestyle in the soil, or as
obligate intracellular pathogens. Actinobacteria represent a
heterogeneous group of organisms that have the ability to
adapt to their particular ecological niches. Free-living species
such as Streptomyces have made use of HGT, tolerating acqui-
sition and loss of genes, thus allowing them to acclimatize to
their fluctuating environment more rapidly. In contrast,
pathogenic bacteria (Mycobacterium and Tropheryma)have
chosen the path of reductive evolution where nearly all
genes not essential for growth are lost. Actinobacteria represent
an important group of organisms for the bioremediation of
water and soil sites that have been polluted with toxic recal-
citrant compounds. The increasing availability of whole
genome sequences of actinobacterial strains and their
ongoing analysis has revealed the enormous genetic capabil-
ities of this important group of bacteria.
Further Reading
Chater KF and Chandra G (2006) The evolution of development in
Streptomyces analysed by genome comparisons. FEMS
Microbiology Reviews. 30: 651–672.
De Schrijver A and De Mot R (1999). Degradation of pesticides by
Actinomycetes. Critical Reviews Microbiology. 25: 85–119.
Dworkin M, Falkow S, Rosenberg E, Schleifer K, and Stackebrandt E
(eds.) (2006) The Prokaryotes, 3rd edn., vol. 3, Archaea, Bacteria:
Firmicutes, Actinomycetes. New York: Springer.
Goodfellow M, Ferguson EV, and Sanglier JJ (1992) Numerical
classification and identification of Streptomyces species – a review.
Gene. 115: 225–233.
Hopwood DA (2007) Streptomyces in nature and medicine: The
Antibiotic Makers New York. Oxford University Press, Inc.
Larkin MJ, Kulakov LA, and Allen CC (2005) Biodegradation and
Rhodococcus – masters of catabolic versatility. Current Opinion
Biotechnology 16: 282–290.
Lechevalier MP and Lechevalier H (1970) Chemical composition as a
criterion in the classification of aerobic Actinomycetes. International
Journal of Systematic Bacteriology 20: 435–443.
Lin YS and Chen CW (1997) Instability of artificially circularized
chromosomes of Streptomyces lividans.Molecular Microbiology
26: 709–719.
Loria R, Kers J, and Joshi M (2006) Evolution of plant pathogenicity in
Streptomyces.Annual Reviews Phytopathology 44: 469–487.
Stackebrandt E, Rainey FA, and Ward-Rainey NL (1997) Proposal for a
new hierarchic classification system. Actinobacteria classis nov.
Journal of Systematic Bacteriology 47: 479–491.
Takahashi Y and Omura S (2003) Isolation of new actinomycete strains
for the screening of new bioactive compounds. Journal of General
and Applied Microbiology 49: 141–154.
Ward AC and Bora N (2006) Diversity and biogeography of marine
Actinobacteria.Current Opinion Microbiology. 9: 279–286.
Wellington EM and Toth IK (1996) Studying the ecology of
actinomycetes in the soil rhizosphere. In: Hall GS (ed.) Methods for
Examination of Organismal Diversity in Soils and Sediments
pp. 23–41. CAB International, UNESCO and IUB.
Williams ST, Goodfellow M, and Alderson G (1989) Genus
Streptomyces Waksman and Henrici 1943, 339
AL
. In: Williams ST,
Sharpe ME, and Holt JG (eds.) Bergey’s Manual of Systematic
Bacteriology, vol. 4, pp. 2452–2492. Baltimore: Williams and
Wilkins.
Williams ST, Goodfellow M, Alderson G, et al. (1983) Numerical
classification of Streptomyces and related genera. Journal of General
Microbiology. 129: 1743–1813.
Relevant Website
http://www.genomesonline.org – GOLD Genomes OnLine
Database v 2.0
Actinobacteria 19

Adhesion, Microbial
L Cegelski, C L Smith, and S J Hultgren, Washington University, School of Medicine, St. Louis, MO, USA
ª2009 Elsevier Inc. All rights reserved.
Defining Statement
Introduction
Biological Significance of Microbial Adhesion
Mechanisms of Microbial Adhesion
Selected Survey of Specific Adhesion Strategies
Consequences of Microbial Adhesion in Human
Disease
Targeting Adhesion to Inhibit Bacterial Virulence
Further Reading
Glossary
biofilm A community of microorganisms associated
with a surface.
microbial ecology The study of interactions and
relationships between microorganisms and their
environment.
planktonic cells Cells grown predominantly in
suspension as individual cells in a liquid medium.
teichoic acids A class of negatively charged polymers
expressed on the cell surface of Gram-positive bacteria
that are either linked covalently to the peptidoglycan
(wall teichoic acids) or linked to lipids in the cytoplasmic
membrane (lipoteichoic acids).
Abbreviations
CF cystic fibrosis
DAF decay-accelerating factor
ECM extracellular matrix
GbO4 globotetraosylceramide
IBCs intracellular bacterial communities
UPEC uropathogenic E. coli
UTI urinary tract infection
Tafi thin aggregative fimbriae
Defining Statement
Microbial adhesion is crucial to the survival and lifestyle
of many microorganisms. Both beneficial and pathogenic
relationships forged between microbe and host depend on
adhesive events and colonization. This article highlights
the highly evolved microbial adhesion mechanisms and
discusses the prevalence and implications of adhesion in
diverse ecosystems.
Introduction
From the center of the earth and deep-sea vents to plant
roots and the human intestine, microorganisms occupy
remarkably diverse niches on our planet. These microbes
include bacteria, archaea, fungi, and protista, and are
found attached to rocks and soil particles, corals, and
ocean sponges. Bacteria, for example, symbiotically colo-
nize plants and humans as well as fish and squid, resulting
in mutual benefit to both microbe and host. Pathogenic
and unwelcome bacteria can egress from their native
niche and adhere to and infect other sites and host tissues,
leading to cellular injury and disease. Microbes also
adhere to the hulls of ships and to machinery in food-
processing factories, resulting in contamination and
adverse circumstances. Specific adhesion strategies have
evolved in order to facilitate microbial attachment to
diverse substrata in both symbiotic and pathogenic asso-
ciations. Understanding the molecular mechanisms and
functional implications of microbial adhesion is crucial
for generating complete descriptions of our ecosystems,
understanding and predicting ecosystem stability due to
globalization and climate change, and attempting to con-
trol and prevent the unfortunate and often devastating
consequences of infectious diseases. Thus, microbial
adhesion is a fundamental component of the field of
microbial ecology. This article will focus on the adhesive
strategies employed specifically by bacteria, though many
parallels can be found in the arsenal of adhesive strategies
harbored by the other classes of microbes. We will high-
light several exciting and up-to-date scientific discoveries
as a platform to illustrate the biological significance and
implications of microbial adhesion.
20

Biological Significance of Microbial
Adhesion
The propensity for bacteria to associate with surfaces (liv-
ing or abiotic) in nearly all ecosystems far exceeds the
tendency to persist in suspension, living freely in a plank-
tonic state. Attachment to surfaces allows bacteria to persist
in advantageous locations where there may be high nutrient
concentrations or to provide protection from hostile envir-
onments. In numerous instances, bacteria form biofilms –
structurally complex and dynamic bacterial communities.
The metabolic labor of acquiring nutrients is divided, some-
times according to spatial coordinates in the community,
and distribution is promoted through an organized archi-
tecture of community members. Protection from harsh
environmental conditions is a major benefit of life in a
biofilm and the first line of defense is provided by members
residing at the edges of the community. Under certain
conditions, bacteria disperse from the biofilm, to seek a
new environment and potentially readhere and colonize
new niches. Adhesion events are crucial to biofilm forma-
tion, growth, and development. We set the stage for
discussing the mechanisms of microbial adhesion by first
illustrating a few examples across a broad landscape in
which bacterial adhesion (often followed by biofilm forma-
tion) takes place.
Adhesion in the Water
The coral reefs are home to an enormous diversity of
marine life, including beautiful fish, mollusks and urchins,
and the significantly smaller microorganisms with which
they cohabit. Bacteria are, in fact, an integral constituent
of the microbiota of healthy corals. They colonize distinct
sites in coral tissue including the surface mucous layer
and porous components in the coral skeleton where they
fix nitrogen, decompose chitin, and provide organic
compounds. The molecular mechanisms of adhesion and
the sustained interactions between bacteria and their
coral hosts are currently not well understood but are
key questions being addressed in the emerging field of
coral microbiology. Understanding the microbial interac-
tions that promote health versus those that cause disease
is important in efforts to preserve and prevent further
destruction of coral reefs worldwide.
Adhesion of bacteria in many water environments
inevitably has detrimental consequences. Bacterial adhe-
sion and biofilm formation on the hulls of ships creates
resistance to water flow, increases drag, and thus
decreases the efficiency of movement through the water.
Microbial fouling is an economic and environmental bur-
den in this way and in several industrial settings including
drinking water pipes and oil pipelines, where the prolif-
eration of sulfide-producing bacteria leads to the
deterioration and corrosion of the steel surfaces.
Understanding the mechanisms of adhesion is key to
developing strategies to control and prevent these adverse
and costly consequences.
Adhesion to Plants
Rhizobia are Gram-negative soil bacteria that adhere to
and colonize the root cells of leguminous plants, including
soybeans and alfalfa. Upon entry into a root hair, rhizobia
traverse a distance to the center of the root hair cell and
together with proliferating plant cells form a nodule.
Here, rhizobia fix nitrogen, converting molecular nitro-
gen (N
2
) from the air into ammonia, nitrates, and other
nitrogenous compounds to support plant metabolism.
Rhizobia are particularly important to plants in nitro-
gen-deficient soils. In return, rhizobia receive carbon-
rich organic compounds, important for their own energy
production, from the plant.
Other beneficial symbionts include Bacillus thuringiensis.
This bacterium is an important Gram-positive pathogen
whose insecticidal properties have gained attention in the
development of crops genetically modified to express the
bacterium’s potent toxin, now referred to as Bt transgenic
crops. In the wild, B. thuringiensis colonizes the surface of
some plants and exists naturally in some caterpillars. The
bacterium produces a unique kind of endotoxin, a protei-
naceous crystal that is lethal to several pests, including
flies, mosquitoes, and beetles, upon ingestion. This sym-
biosis with plants is dependent on initial host–microbe
adhesion events.
The attractive chemical signals and ultimate adhesive
interactions of Agrobacterium tumefaciens with wounded
plants leads to the unfortunate development of tumors
on the lower stems and main roots, the hallmark of Crown
Gall diseases. Attachment is the first step in the patho-
genic cascade and takes place in the soil around the roots –
the rhizosphere. In a two-step adhesive process, initial
weak binding interactions are followed by the bacterial
expression of multiple gene products to synthesize cellu-
lose and anchor the microbe to the host tissue, while
enhancing adhesive interactions between bacteria in the
microcolony. Adhesive plant proteins called vitronectins
are also implicated in the adhesion process. Subsequent
DNA transfer and integration of a specific fragment of
DNA (the transfer DNA) from the bacterium to a plant
cell results in the expression of several oncogenic genes
and the formation of tumors.
Adhesion in the Human Host
The normal and healthy human body is composed of
approximately ten times more bacterial cells than
human cells. These bacteria comprise our microbiota
and are colonized in distinct sites throughout the body,
Adhesion, Microbial 21

including the skin and mouth, and the small intestine and
colon. In the mouth and small intestine, bacterial adhesion
is critical to maintenance of microbial populations, where
either salivary flow or movement of contents eliminates
the nonadherent bacteria. Our microbiota is, in general,
beneficial. Bacteria in the gut, for example, attach to
undigested by-products and degrade some polysacchar-
ides into carbon and energy sources, for example. Recent
results indicate that the balance of bacterial populations in
the gut influence caloric intake through complex inter-
bacterial metabolic networks and further study may help
to understand and potentially control (decrease or
increase) caloric uptake. Indeed, the microbiota is
dynamic and shifts in balance that alter the sizes of dif-
ferent bacterial populations can also lead to proliferation
of disease-causing opportunistic pathogens. In addition,
the inoculation of the human host with bacteria from the
environment is a common source of infectious disease,
particularly in the hospital setting. The consequences of
bacterial adhesion in human infectious diseases are
numerous and will be addressed in more detail after the
description of specific adherence mechanisms.
Mechanisms of Microbial Adhesion
General Physicochemical Factors Affecting
Adhesion
Mechanisms of microbial attachment are incredibly
diverse and can be generally classified as either general
nonspecific interactions or specific molecular-recognition
binding events that involve the presentation of specific
adhesive proteins on the bacterial cell surface. Of course,
multiple mechanisms can act cooperatively to promote
adhesion. A successful adhesive event depends on proper-
ties of both the bacterium and the substratum.
Nonspecific interactions are the primary form of attach-
ment to abiotic surfaces in aquatic and soil environments.
Van der Waals interactions are attractive, usually weak,
noncovalent forces that can operate at large separation
distances (>50 nm) between the bacterium and the sur-
face. At smaller distances (10–20 nm), electrostatic
interactions participate and compete as attractive and
repulsive forces. The net surface charge of most bacteria
is negative due to cell wall and cell membrane compo-
nents including negatively charged phosphate groups,
carboxyls, and other acidic groups, in addition to sur-
face-exposed proteins. Thus, bacteria like to adhere to
positively charged surfaces. Typical binding surfaces,
however, have a net negative surface charge, creating
electrostatic repulsion that must be overcome by other
physicochemical factors. The entire binding process is
akin to a tug-of-war. The ionic strength of the surround-
ing medium affects the electrostatic interactions, and the
aforementioned repulsion is eliminated, for example, in
most aquatic environments due to high ionic strength
resulting from high salt concentration. In the range of
near contact (0.5–2 nm), hydrophobic interactions are
important for bacterial adhesion. Energetically, the asso-
ciation of nonpolar groups on a bacterial surface with
hydrophobic surfaces compensates for the unfavorable
displacement of water molecules at that surface. When
separated by less than 1 nm, stronger interactions includ-
ing hydrogen bonding and the formation of salt bridges
contribute to surface adhesion.
Specific Adhesin–Receptor Mechanisms
On many biotic surfaces, the adhesive forces and interac-
tions described above promote the formation of an initial
interface, but require concomitant or subsequent specific
adhesive interactions to enable firm adhesion. Adhesin is
the term ascribed to the surface-exposed bacterial mole-
cule that mediates specific binding to a receptor or ligand
on a target cell. It is not unusual for bacteria to harbor
several types of specific adhesive machinery to provide
adhesive capacity to multiple receptor molecules or to
permit adhesion under changing environmental condi-
tions such as temperature, pH, or nutrient status, where
one adhesive strategy may be more effective than another.
Bacteria can produce a diverse array of adhesins with
varying specificities for a wide range of host receptor
molecules. Adhesion mechanisms can be classified
according to the type of adhesin–receptor pair. Many
bacterial adhesins function as lectins and the interactions
between bacterial lectins and host cell carbohydrates are
among the best-characterized attachment processes.
Hallmark examples of carbohydrate recognition include
Pseudomonas aeruginosa,Haemophilus influenzae, and
Streptococcus pneumoniae adhesion in the respiratory tract,
Escherichia coli adhesion in the urinary tract and intestine,
and Helicobacter pylori adhesion in the stomach. Other
adhesins recognize specific amino acid-recognition motifs
in proteins expressed on host cell surfaces. Extracellular
matrix (ECM) proteins that are not directly integrated
into the host cell also serve as attractive binding platforms
for many bacteria, and numerous adhesins bind to these
components in order to indirectly hijack the host signal-
ing pathways, often to enable host cell internalization.
Another general category of adhesins includes nonprotei-
naceous molecules such as lipopolysaccharides and
teichoic acids, synthesized by Gram-negative and
Gram-positive bacteria, respectively.
Most adhesins are incorporated into heteropolymeric
extracellular fibers called pili or fimbriae. Bacteria invest
enormous cellular resources to assemble fimbriae in order
to present adhesins at the right time and the right place to
initiate attachment when conditions are favorable and to
permit detachment when necessary. Indeed, hundreds of
such fibers have been described in Gram-negative
22 Adhesion, Microbial

organisms, and although they have diverse functions, many
appear critical to binding, invasion, and survival of patho-
genic microorganisms in the human host. Four distinct
assembly mechanisms have emerged as the most well stu-
died and include the chaperone–usher pathway, the general
secretion pathway, the extracellular nucleation–precipita-
tion pathway, and the alternate chaperone pathway. Gram-
positive pathogens also produce adhesive pili. Unlike their
Gram-negative counterparts, Gram-positive pili are formed
by covalent polymerization of pilin subunits. A representa-
tive set of fimbrial adhesins is provided in Table 1.
Some bacteria present afimbrial adhesins on their sur-
face. These are expressed as monomeric proteins or
protein complexes that assemble at the cell surface and
recognize host cell surface elements. Adhesins of the Dr
family are expressed by E. coli strains and mediate recog-
nition of decay-accelerating factor (DAF). DAF is found
in the respiratory, urinary, genital, and digestive tracts,
and Dr-mediated adhesion is important for binding in the
intestine and urinary tract. Adhesive autotransporters
represent a class of afimbrial adhesins expressed by a
variety of unrelated microorganisms, including species
of Rickettsia,Bordetella,Neisseria,Helicobacter, and many
members of the family Enterobacteriaceae. H. influenzae,
a causative agent of sinusitis, bronchitis, otitis media, and
pneumonia, expresses an adhesive autotransporter termed
Hap. Hap mediates binding to laminin, fibronectin, and
collagen, all components of the ECM.
The most comprehensive descriptions of bacterial
adhesion have emerged from studies of pathogenic bac-
teria involved in infectious diseases. Examples of these
host–microbe interactions as well as some involved in the
attachment of bacteria to plants, either as symbionts or as
pathogens, are described in more detail below to highlight
the remarkable diversity, specificity, and complexity
among microbial adhesive strategies.
Selected Survey of Specific Adhesion
Strategies
Pilus-Mediated Adhesion to Carbohydrates
in the Urinary Tract
Uropathogenic E. coli (UPEC) colonize the gut as well as
the genitourinary tract and produce numerous important
adhesins and adhesive organelles to mediate adhesion in
these niches. For example, FimH and PapG adhesins are
presented at the tips of type 1 and P pili, respectively.
FimH-presenting type 1 pili are required for E. coli to
cause cystitis, or infection of the bladder, and PapG-
presenting P pili are associated with pyelonephritis, infec-
tion of the kidney. Type 1 and P pili are composite
heteropolymeric structures, with a distal tip fibrillum
joined to a thicker rigid helical rod and both are
assembled by the chaperone–usher system. More than
100 chaperone–usher systems have been identified
through comparative genome analyses and many are
Table 1 Representative fimbrial adhesins and disease association
Organism(s) Adhesin Assembly proteins Associated fiber
Associated
disease(s)
Escherichia coli FimH FimC/FimD Type 1 pili Cystitis
PapG PapD/PapC P pili Cystitis/
pyelonephritis
PrsG PrsD/PrsC Prs pili Cystitis
SfaS SfaE/SfaF S pili UTI, newborn
meningitis
CooD CooB/CooC CS1 pili Diarrhea
CsgA CsgB (nucleator), CsgE/CsgF (assembly),
CsgG (secretion)
Curli Sepsis
Salmonella typhimurium PefD/PefC Pef pili Gastroenteritis
LpfB/LpfC Long polar fimbriae Gastroenteritis
Salmonella enteritidis AgfA AgfB (nucleator) Sef17 (thin aggregative
fimbriae)
Klebsiella pneumoniae MrkD MrkB/MrkC MR/K (type 3) pili Pneumonia
Bordetella pertussis FimD FimB/FimC Type 2 and 3 pili Whooping cough
Yersinia enterocolitica MyfB/MyfC Myf fimbriae Enterocolitis
Neisseria gonorrhoea PilC General secretion apparatus Type 4 pili Gonorrhea
Pseudomonas aeruginosa,
Vibrio cholerae,
Mycobacterium bovis
Pilin
protein
Cholera
Haemophilus influenzae HifB/HifC Hif pilus Otitis media,
meningitis
Adhesion, Microbial 23

well studied and required for the assembly of extracellu-
lar adhesive organelles in pathogens including Salmonella,
Haemophilus,Klebsiella, and Yersinia. In each chaperone–
usher system, pilus assembly requires a unique protein
pair (a chaperone and a usher) to facilitate the folding,
transport, and ordered assembly of pilus subunits at the
cell surface. This process begins in the periplasm, after
subunit expression and translocation by the general secre-
tory pathway into the periplasm. Periplasmic pilus
chaperones consist of two immunoglobulin (Ig)-like
domains and bind to folded subunits to keep their inter-
active surface capped and prevent nonproductive subunit
aggregation. Pilin subunits also have an Ig-like fold, but
they lack the seventh strand, thus exposing the hydro-
phobic core. In a process termed donor strand
complementation, the chaperone’s G
1
strand serves as
the pilin’s seventh strand, catalyzing the folding of the
subunit. Chaperone–subunit complexes are targeted to an
outer membrane usher to facilitate chaperone uncapping,
translocation of subunits across the outer membrane, and
pilus assembly. This occurs via a process termed donor
strand exchange, in which the G
1
strand of the chaper-
one is replaced by an N-terminal extension of the next
pilus subunit. Thus in the mature pilus, each subunit
incorporates its neighbor’s N-terminal extension as part
of its own Ig fold. Subunits have distinct specificity for
other interactive subunits, such as the adhesin, and this
confers distinct roles in pilus adhesion, initiation, elonga-
tion, termination and regulation.
The FimH adhesin, incorporated at the tip of the type
1 pilus, consists of a pilin subunit and the receptor-
binding domain (Figure 1). The primary carbohydrate
specificity of FimH is mannose. Interestingly, different
E. coli isolates present FimH variants (specific allelic var-
iations in protein sequence and structure) that exhibit
varying specificities for monomannose and trimannose
binding. FimH expressed by most commensal isolates of
the intestine exhibit a higher specificity for trimannose-
presenting glycoprotein receptors, whereas urinary tract
isolates encode for a FimH variant with higher affinity for
monomannose. In the latter, FimH mediates adhesion to
the monomannose-containing glycoprotein uroplakin Ia
that is expressed on the surface of superficial facet cells –
the epithelial cells that line the lumen bladder (Figure 1).
Presented at the tips of P pili, the PapG adhesin
mediates binding to a different carbohydrate receptor, the
-D-galactopyranosyl-(1–4)--D-galactopyranoside moiety
of glycolipids presented by cells predominantly in the kid-
ney. PapG variants (G-I, G-II, and G-III) exhibit altered
specificities for three Gal(1–4)Gal-containing iso-
receptors: globotriaosylceramide, globotetraosylceramide
(GbO4), and globopentaosylceramide (the Forssman anti-
gen). The demonstrated allelic variation in PapG and
FimH binding specificities supports the notion that,
D-mannose
Lectin-binding
domain
FimH
(b) (d)
(c)
(a)
Pilin
domain
Asn135
Glu133
Asp146
Asp54
Asn46
Asn47
Phe1
Phe142
Tyr137
Asp140
Phe142
E. coli
Type1
pilus
Bladder
epithelial
cell
Phe1
Tyr48
lle13
lle52
Figure 1 The FimH adhesin and type 1 pili-mediated adhesion of E.coli. (a) The ribbon representation of FimH (from the crystal structure
of the FimCH complex). D-mannose is located at the top of the molecule. (b) Molecular surface representation in which the electrostatic
potential surface with positively charged residues is shown in blue, negatively charged residues in red, and neutral and hydrophobic
residues in white. Residues defining the hydrophobic ridge around the mannose-binding pocket are labeled. (c) The mannose-binding site
with FimH residues. Mannose residues are shown with carbon atoms in yellow, oxygen atoms in red, and nitrogen atoms in blue. (d) Type 1
pili-mediated attachment of uropathogenic E. coli (UPEC) to the luminal surface of the bladder epithelium. (Top) High-resolution, freeze-
fracture, deep-etch electron micrograph is from Mulvey MA, Lopez-Boado YS, Wilson CL, et al. (1998) Induction and evasion of host
defenses by type 1-piliated uropathogenic E. coli.Science 282: 1494–1497. Reprinted with permission from AAAS. (Bottom) Scanning
electron micrograph of a bacterium entering the membrane of bladder epithelial cells is reprinted from Soto GE and Hultgren SJ (1999)
Bacterial adhesins: Common themes and variations in architecture and assembly. Journal of Bacteriology 181: 1059–1071.
24 Adhesion, Microbial

through bacterial evolution, pathoadaptive mutations are
selected for increasing the fitness of pathogenic organisms
in distinct niches in the host.
Adhesion to ECM Components
The ECM contains a diverse array of oligosaccharides,
proteoglycans, and proteins and functions to provide struc-
tural support and adhesive interactions among cells.
Prevalent components include collagen, fibronectin, lami-
nin, and vitronectin, as well as molecules such as heparan
sulfate and chondroitin sulfate. Fibronectin is present in
most tissues and fluids of the body and helps to create a
cross-linked network between cells by presenting binding
sites for other ECM components, a process that pathogenic
organisms exploit to gain a foothold in host tissue. The
ability to adhere to ECM components is a primary adhesion
mechanism that contributes to the virulence of many patho-
genic microorganisms. Staphylococcus aureus is a significant
cause of nosocomial and often persistent infections. Among
other ECM-binding proteins, S. aureus expresses the fibro-
nectin-binding proteins FnBP-A and FnBP-B that permit
adherence to fibronectin that are bridged to cellular integ-
rins. This crucial binding event leads to host cell
cytoskeletal rearrangements and invasion. Streptococcus pyo-
genes is armed with more than 12 fibronectin- and collagen-
binding proteins. Like the FnBP-A adhesin in S. aureus,the
major S. pyogenes adhesin, SfbI, and the Yersinia adhesin,
YadA, bind to fibronectin and bridge the bacteria to integ-
rins, leading to integrin clustering and eventual
internalization. Invasin is a Yersinia adhesin that bypasses
the ECM and binds directly to integrin transmembrane
receptors. Other less-ubiquitous ECM components also
serve as binding receptors for bacterial adhesins and their
sites of expression often relate to the tissue tropism of a
particular bacterial pathogen.
Curli-Mediated Multipurpose Adhesion
Curli are a unique class of adhesive extracellular amyloid
fibers produced by Gram-negative bacteria, including
E. coli. The highly homologous fibers produced by
Salmonella species are called Tafi (thin aggregative fim-
briae). The fibers mediate biofilm formation and
attachment to host proteins including fibronectin, lami-
nin, and plasminogen, and have been implicated in human
sepsis. When expressed together with cellulose, curli and
Tafi contribute to a remarkable aggregative phenotype
characterized by a patterned assembly of cells radiating
from the center when grown on a surface such as agar.
Curli are assembled by the nucleation–precipitation path-
way, and assembly requires specific molecular machinery
encoded by the csgBA and csgDEFG operons (Figure 2).
The major subunit protein (CsgA) and the nucleator
(a)
A
A
Inner membrane
Outer membrane
GFED BA
Curli (–)
(b)
(c)
Curli (+)
Sec
A
EGF
B
A
A
B
A
A
A
A
A
A
A
G
B
B
Figure 2 Curli biogenesis and biology. (a) Current model of curli biogenesis. Curli assemble through the nucleation–precipitation
pathway. Polymerization of the major curli subunit protein, CsgA into -sheet-rich amyloid fibers depends on the nucleating activity of
the minor subunit, CsgB. Proteins CsgE, CsgF, and CsgG are assembly factors required for the stabilization and transport of CsgA and
CsgB to the cell surface. (b) Congo red-binding phenotype. Curli are amyloid fibers and bind the hallmark amyloid dyes Congo red and
thioflavin T. Curliated E. coli grown on Congo red-containing agar medium take up the dye and stain red. Noncurliated cells do not. (c)
High-resolution deep-etch electron micrographs of curliated E. coli. From Chapman MR, Robinson LS, Pinkner JS, et al. (2002) Role of
Escherichia coli curli operons in directing amyloid fiber formation. Science 295: 851–855. Reprinted with permission from AAAS.
Adhesion, Microbial 25

protein (CsgB) are secreted to the cell surface in a CsgG-
dependent fashion. CsgE and CsgF are assembly factors
required for the stabilization and transport of CsgA and
CsgB. Transcriptional regulation of the curli operons is
complex and responds to many environmental cues
including temperature, pH, and osmolarity. The adhesive
functionality is attributed to the main fiber subunit, CsgA.
Curli are also implicated in the binding of E. coli strains
to plant surfaces and are expressed by many strains asso-
ciated with food-borne illness, including the prototype
strain E. coli O157:H7, which has caused several food-
borne outbreaks in the United States and around the
world. Although the exact nature of binding is still under
investigation, curli production is sufficient to permit
laboratory strains of E. coli to bind plant tissues, such as
alfalfa. However, among pathogenic strains such as E. coli
O157:H7, there appear to be redundant adhesion systems,
and under the conditions tested, curli are not required for
adhesion. Indeed, external conditions in the environment
and in the host may differ as a function of time, and bacteria
may depend more on one adhesive system than another in
certain circumstances.
The curli bacterial adhesive fiber machinery has gained
considerable attention since the discovery of curli as
amyloid fibers in 2002. The sticky nature of curli amyloid
fibers is like that of amyloid aggregates and plaques asso-
ciated with eukaryotic amyloid disorders such as
Alzheimer’s and Parkinson’s diseases. Thus, ongoing curli
research that aims to elucidate structural features of curli
assembly and the functional implications of curli-mediated
adhesion may also provide valuable information to the
exciting field of amyloid fiber biogenesis and aggregation.
Consequences of Microbial Adhesion
in Human Disease
The critical first step in most infectious diseases requires
physical contact between a bacterium and host cell.
Bacterial adhesins mediate this binding event through
the sophisticated adhesion mechanisms described
above and allow the pathogen to gain a foothold in the
host, initiating complex signaling cascades in both the
pathogen and the host. Binding events can lead to
extracellular colonization and invasion into underlying
host cells. Adhesion is the first step that promotes
the cascading sequelae of infectious diseases, particularly
important in the pathogenesis of chronic infections includ-
ing urinary tract infection (UTI), chronic otitis media
(middle ear infection), and chronic lung infections.
E. coli and UTI
UPEC engage in an incredibly coordinated and regulated
genetic and molecular cascade to assemble type 1 pili, as
described above. UTIs are among the most common
bacterial infections and nearly 50% of women will be
afflicted by at least one UTI in their lifetime, with many
experiencing recurrent UTIs. Virtually all clinical UPEC
isolates express type 1 pili, enabling them to bind the
mannose-containing host receptors, which results in inva-
sion of host bladder epithelial cells. Inside urothelial cells,
bacteria form large, densely packed, biofilm-like intracel-
lular bacterial communities (IBCs) of morphologically
coccoid bacteria, comprising up to 10
5
bacteria per super-
ficial facet cell. In this intracellular niche, the pathogens
are protected from antibodies, the flow of urine, and other
host defenses. Yet, this is only the beginning of a some-
times life-long cycle of interactions between pathogen
and host. IBC formation is not an end point or dead end
for E. coli. Upon entry into superficial facet cells, UPEC
activate a complex developmental cascade; UPEC even-
tually detach and disperse, or flux, from the IBC to
initiate another round of IBC formation in other urothe-
lial cells (Figure 3). Some fluxing bacteria form filaments,
which are resistant to neutrophil phagocytosis.
Filamentation facilitates survival of the bacteria and
allows them to invade other epithelial cells. Even after
acute infection is resolved and the urothelium is
Binding
Spread to
new cells
Biofilm dispersion
and cell exit
Biofilm
formation
Invasion
and
replication
Figure 3 Pathogenic cascade of uropathogenic E. coli (UPEC).
UPEC coordinate highly organized temporal and spatial events to
colonize the urinary tract. UPEC bind to and invade the
superficial umbrella cells that line the bladder lumen, where they
rapidly replicate to form a biofilm-like intracellular bacterial
community (IBC). In the IBC, bacteria find a safe haven, are
resistant to antibiotics, and subvert clearance by innate host
responses. UPEC can persist for months in a quiescent bladder
reservoir following acute infection, and challenge current
antimicrobial therapies. Quiescent bacteria can reemerge as
pathogens from their protected intracellular niche and can be a
source of recurrent urinary tract infections (UTIs).
26 Adhesion, Microbial

seemingly intact, bacteria can remain within the bladder
for many days to weeks regardless of standard antibiotic
treatments. Thus, the ability of UPEC to adhere to and
invade bladder cells appears to facilitate long-term bac-
terial persistence within the urinary tract.
P. aeruginosa and CF
P. aeruginosa has emerged as an opportunistic pathogen in
several clinical settings, causing nosocomial infections such
as pneumonia, UTIs, and bacteremia. P. aeruginosa adheres
to the respiratory epithelium, leading to chronic lung infec-
tions in cystic fibrosis (CF) patients, responsible for the
eventual pulmonary failure of most CF patients, typically
by 37 years of age. Pilus-mediated adherence is important in
the adhesion and early stages of epithelial colonization, and
additional virulence factors contribute to the subsequent
persistence in the lung. Alginate, for example, is a mucoid
exopolysaccharide produced by P. aeruginosa that forms a
matrix of ‘slime’ to surround a forming biofilm and anchors
the cells to each other and to their host. Surrounded by
alginate, the bacteria are protected from the host defenses
and are often resistant to treatment with antibiotics.
Targeting Adhesion to Inhibit Bacterial
Virulence
The ability to impair bacterial adhesion represents an
ideal strategy to combat bacterial pathogenesis because
of its importance early in the infectious process. In addi-
tion, adhesion is essential to the long-term persistence of
bacteria in the pathogenic cascade of several infectious
diseases. Moreover, the adhesion process can be targeted
without placing life or death pressure on the bacterium,
per se. Targeting bacterial virulence in this way is an
alternative approach to the development of new thera-
peutics to disarm pathogens in the host that may offer
reduced selection pressure for drug-resistant mutations.
In addition, virulence-specific therapeutics could avoid
the undesirable dramatic alterations of the host micro-
biota. Indeed, standard antibiotic treatment regimens may
lead to the loss of symbiotic benefits and the proliferation
of disease-causing opportunistic pathogens.
As emphasized earlier, pathogens are capable of pre-
senting multiple adhesins that can be expressed
differentially to permit binding in specific sites and at
specific times over the course of a complex infectious
cycle. Thus, it may be difficult to develop a universal
class of antiadherence drugs. Nevertheless, several specific
pathogenic adhesive strategies have emerged as hallmark
requirements for virulence in certain infectious diseases,
and represent amenable targets for drug discovery and
development. Adhesion is sometimes just the first step of
many in pathogenic cycles, yet targeting adhesion holds
value even after an infection has been established. In
biofilm-associated infections, for example, drug develop-
ment strategies include attempts to induce the dispersal of
bacteria from the biofilm and to inhibit the chemical
signaling necessary to encourage new biofilm formation.
In UTI, the fluxing bacteria are capable of readhering to
new host cells, gaining a foothold and potentially invading
a new cell to remain undetected until drug pressure sub-
sides and conditions encourage replication and new
intracellular biofilm formation. Thus, strategies to prevent
microbial adhesion are being considered in combination
therapies to both prevent and treat infectious diseases.
Carbohydrate derivatives of host ligands have demon-
strated efficacy in blocking the adhesive properties of
E. coli expressing type 1 and also P pili in biophysical
and hemagglutination assays. This approach of using
soluble carbohydrates or mimics recognized by the bac-
terial lectin can be readily extended to other adherent
organisms by tailoring the antiadhesive compounds to
their receptor specificities.
‘Pilicides’ are a class of pilus inhibitors that target cha-
perone function. A new class of pilicides, based on a bicyclic
2-pyridone scaffold, inhibit the assembly of both type 1 and
PpiliinE. coli (Figure 4). The potent molecules inhibit an
essential protein–protein interaction between chaperone
and usher, required for pilus biogenesis. Chaperone–usher
systems are highly conserved among various bacteria
including Salmonella,Haemophilus,Klebsiella,andYersinia
and it is possible, although not yet demonstrated, that pili-
cides may exert broad-spectrum activity and be effective
against several Gram-negative pathogens.
No compound Plus pilicide
Pilicide
CO2Li
S
N
O
O
N
Figure 4 Targeting microbial adhesion. Rationally designed ‘pilicides’ inhibit pilus biogenesis by disrupting chaperone–usher protein
interactions and reduce piliation levels dramatically. Electron micrographs reproduced from Pinkner JS, Remaut H, Buelens F, et al.
(2006) Rationally designed small compounds inhibit pilus biogenesis in uropathogenic bacteria. Proceedings of the National Academy of
Sciences of the United States of America 103: 17897–17902. Copyright (2006) National Academy of Sciences, U.S.A.
Adhesion, Microbial 27

Compounds have been identified that target the
two-component signaling system, AlgR2/AlgR1, that
controls the synthesis of alginate by P. aeruginosa.
Alginate is a key component of the protective exopoly-
saccharide coat, critical to P. aeruginosa adherence,
biofilm formation, and CF pathogenesis. The inhibitors
of alginate synthesis could be therapeutically employed
to render the pathogen more susceptible to host defenses
or to standard antibiotics currently in use, and thus could
be effective also in combination therapy. The ability to
inhibit microbial adhesion and thus prevent subsequent
pathogenic processes holds enormous therapeutic
potential and promises to improve the treatment of
numerous infectious diseases.
Acknowledgments
L Cegelski is the recipient of a Burroughs Wellcome
Fund Career Award at the Scientific Interface.
S J Hultgren acknowledges funding from the National
Institutes of Health (Scor P50 DK64540/ORWH,
R01AI029549, R01AI048689, and R01DK51406).
Further Reading
Barnhart MM and Chapman MR (2006) Curli biogenesis and function.
Annual Review of Microbiology 60: 131–147.
Cegelski L, Marshall GR, Eldridge GR, and Hultgren SJ (2008) The
biology and future prospects of anti-virulence therapies. Nature
Reviews Microbiology 6: 17–27.
Ofek I, Doyle RJ, and Hasty DL (2003) Bacterial Adhesion to Animal Cells
and Tissues. Washington, DC: ASM Press.
Ofek I, Sharon NS, and Abraham SN (2006) Bacterial adhesion.
Prokaryotes 2: 16–31.
Pizarro-Cerda J and Cossart P (2006) Bacterial adhesion and entry into
host cells. Cell 124: 715–727.
Rosenberg E, Koren O, Reshef L, Efrony R, and Zilber-Rosenberg I
(2007) The role of microorganisms in coral health, disease and
evolution. Nature Reviews Microbiology 5: 355–362.
Wright KJ and Hultgren SJ (2006) Sticky fibers and uropathogenesis:
Bacterial adhesins in the urinary tract. Future Microbiology
1: 75–87.
28 Adhesion, Microbial

Agrobacterium and Plant Cell Transformation
P J Christie, University of Texas Medical School at Houston, Houston, TX, USA
ª2009 Elsevier Inc. All rights reserved.
Defining Statement
Introduction
Overview of Infection Process
Ti Plasmid
Chromosomally Encoded Virulence Genes
T-DNA Processing
VirB/D4 System, a Member of the Type IV Secretion
Family
Substrate Transfer Through the Plant Cell
Agrobacterium Host Range and Genetic Engineering
Conclusions
Further Reading
Glossary
autoinducer An acylhomoserine lactone secreted from
bacteria, which, under conditions of high cell density,
passively diffuses across the bacterial envelope and
activates transcription.
border sequences 25-bp direct, imperfect repeats that
delineate the boundaries of T-DNA.
conjugation Transfer of DNA between bacteria by a
process requiring cell-to-cell contact.
conjugative pilus An extracellular filament encoded by
a conjugative plasmid involved in establishing contact
between plasmid-carrying donor cells and recipient
cells.
mobilizable plasmid Conjugal plasmid that carries an
origin of transfer (oriT) but lacks genes coding for its own
transfer across the bacterial envelope.
T-DNA Segment of the Agrobacterium genome
transferred to plant cells.
transconjugant A cell that has received a plasmid from
another cell as a result of conjugation.
transfer intermediate A nucleoprotein particle
composed of a single-strand of the DNA destined for
export and one or more proteins that facilitate DNA
delivery to recipient cells.
type IV secretion system A conserved family of
macromolecular translocation systems evolutionarily
related to conjugation systems for translocating DNA or
protein effector molecules between prokaryotic cells or
to eukaryotic hosts.
Abbreviations
AAI autoinducer
ABC ATP-binding cassette
AHL acylhomoserine lactone
CP coupling protein
Dtr DNA transfer and replication
GFP green fluorescent protein
GGI gonococcal genetic island
IM inner-membrane
Mpf mating pair formation
NLS nuclear localization sequences
OD overdrive
OM outer membrane
SR substrate receptor
T-DNA transferred DNA
Ti tumor-inducing
TMS transmembrane segments
TrIP transfer DNA immunoprecipitation
T4S type IV secretion
VBTs VirB2-interacting proteins
Defining Statement
Agrobacterium tumefaciens transfersoncogenicDNA(T-
DNA) to susceptible plant cells, causing formation of
tumors called Crown galls. This is a multistage
infection process involving sensory recognition of
specific plant signals, attachment to the plant host,
induction of a virulence regulon, and T-DNA pro-
cessing, transfer, and integration into the plant
genome.
29

Introduction
Agrobacterium tumefaciens is a Gram-negative soil bacterium
with the ability to infect plants through a process that
involves delivery of a specific segment of its genome to
the nuclei of susceptible plant cells. The transferred DNA
(T-DNA) is a discrete region of the bacterial genome
delimited by 23 base pair (bp) direct repeats carried by the
tumor-inducing (Ti) plasmid. The T-DNA is important for
infection because it codes for genes that, when expressed in
the plant cell, disrupt plant cell growth and division events.
However, this oncogenic DNA can be excised from the
transferred DNA and replaced by virtually any gene of
interest for A. tumefaciens-mediated engineering of a wide
array of plant species. The discovery that A. tumefaciens is a
natural and efficient DNA delivery vector spawned an entire
new industry of plant genetic engineering, which today has
many diverse goals ranging from crop improvement to the
use of plants as ‘pharmaceutical factories’ for high-level
production of biomedically important proteins. Because of
thedualimportanceofAgrobacterium as a plant pathogen and
as a DNA delivery system, an extensive literature has
emerged describing numerous aspects of the infection pro-
cess and the myriad of ways this organism has been
exploited for plant genetic engineering. Here, I will sum-
marize recent findings pertaining to the mechanistic details
of vir gene induction, T-DNA processing and transfer, and
T-DNA movement and integration in the plant host.
Overview of Infection Process
Agrobacterium species are commonly found in a variety of
environments including cultivated and nonagricultural
soils, plant roots, and even plant vascular systems.
Despite the ubiquity of Agrobacterium species in soil and
plant environments, only a small percentage of isolates
are pathogenic. Two species are known to infect plants by
delivering DNA to susceptible plant cells. A. tumefaciens is
the causative agent of crown gall disease, a neoplastic
disease characterized by uncontrolled cell proliferation
and formation of unorganized tumors. Agrobacterium
rhizogenes induces formation of hypertrophies with a
hairy-root appearance referred to as ‘hairy-root’ disease.
The pathogenic strains of both the species possess large
plasmids Ti and Ri, respectively, that encode most of the
genetic information required for DNA transfer to suscep-
tible plant cells. The basic infection process is similar for
both the species, although the gene composition of the
transferred DNA differs, and, therefore, the outcome of
the infection. Agrobacterium has been widely viewed as the
only bacterial genus capable of transferring genes to
plants, but in fact other members of the alphaproteobac-
teria can transform plants when carrying an Agrobacterium
Ti plasmid. The plant symbionts Rhizobium sp. NGR234,
Sinorhizobium meliloti and Mesorhizobium loti, were found to
transfer T-DNA, albeit inefficiently, into the chromo-
somes of tobacco, Arabidopsis, and rice plants. This
discovery highlights the importance of the Ti-plasmid-
encoded virulence (vir) genes and certain conserved
chromosomal loci among these alphaproteobacteria for
infection. Here, I will focus on Agrobacterium-mediated
transformation as a model for understanding the require-
ments for interkingdom DNA transfer.
Agrobacterium-mediated transformation can be depicted
as a multistage process involving (1) sensory perception of
plant signals and induction of virulence genes, (2) establish-
ment of physical contact between A. tumefaciens and the
plant host, (3) processing of T-DNA and protein effectors
for translocation, (4) translocation across the bacterial
envelope via a dedicated secretion channel, (5) movement
of substrates through the plant cell cytoplasm to the
nucleus, (6) integration of T-DNA into the plant genome,
and (7) expression of T-DNA genes (see Figure 1). With
the exception of attachment, early stages of infection are
mediated by genes encoded by the Ti plasmid.
Ti Plasmid
Ti plasmids range in size from 180 to as many as 800
kilobases (kb). Two regions of the Ti plasmid contribute to
infection (Figure 2). The first is the T-DNA, typically a
segment of 20–35 kb delimited by 25-bp directly repeated
border sequences. The T-DNA harbors genes that are
expressed exclusively in the plant cell. Transcription of
T-DNA in the plant cell produces 39polyadenylated
RNA typical of eukaryotic RNA message that is translated
in the cytoplasm. The second region of the Ti plasmid
involved in infection harbors the genes responsible for
sensory recognition of plant signals, T-DNA processing
for transfer, and substrate transfer across the bacterial envel-
ope. Two additional regions of the Ti plasmid code for
functions that are not essential for the T-DNA transfer
process per se, but are nevertheless intimately associated
with the overall infection process. One of these regions
harbors genes involved in catabolism of novel amino acid
derivatives termed opines that A. tumefaciens induces plants
to synthesize as a result of T-DNA transfer. The other
encodes Ti plasmid transfer functions for distributing
copies of the Ti plasmid and its associated virulence factors
to other A. tumefaciens cells by a process termed as conjuga-
tion. Intriguingly, a novel regulatory cascade involving
chemical signals released both from the transformed plant
cells and the infecting bacterium serves to activate conju-
gative transfer of the Ti plasmid among A. tumefaciens cells
residing in the vicinity of the plant tumor.
30 Agrobacterium and Plant Cell Transformation

T-DNA
The T-DNA is delimited by DNA repeats termed as
border sequences (Figure 2). Flanking one border is a
sequence termed as overdrive that functions to stimulate
the T-DNA-processing reaction. All DNA between the
border sequences can be excised and replaced with genes
of interest, and A. tumefaciens will still efficiently transfer
Ti plasmid
processing
Opine uptake
& degradation
Ti plasmid
conjugation
Ti plasmid
replication
Sensor kinase virA
Translocation virB
vir activator virG
T-DNA processing & recruitment virC
T-DNA processing/transport virD
T-DNA movement virE
Auxins
cytokinins
opines
T-DNA
Tra
Opine
catabolism
Trb
Rep
Vir region
Plant:
RBOD
LB
Ti
Figure 2 Regions of the Ti plasmid that contribute to infection (vir region and T-DNA), cell survival in the tumor environment (opine
catabolism), and conjugal transfer of the Ti plasmid to recipient agrobacteria (tra and trb). The various contributions of the vir gene
products to T-DNA transfer are listed. T-DNA, delimited by 25-bp border sequences (blue boxes; RB, right border; LB, left border)
codes for biosynthesis of auxins, cytokinins, and opines in the plant. OD, overdrive sequence (red box) that enhances VirD2-dependent
processing at the T-DNA border sequences.
Nucleus
Translocation-competent
nucleoprotein
Vir
regulon
T-DNA
5′
3′
5′
3′
pTi
VirD1
VirD2
VirE2
T-DNA processing
Agrobacterium tumefaciens
Plant cell
VirD2
VirA
VirG
VirB/D4
T4S System
Phenolics,
Sugars, acidic pH
Signal recognition
Activation of vir genes Wound
T-DNA integration
VirD2
T-strand
Cell-cell
attachment
Contact-dependent
translocation
VirE2, VirF,
VirD5, VirE3
VirF, VirD5, VirE3
Figure 1 Overview of Agrobacterium tumefaciens infection process. Upon activation of the VirA/VirG two-component signal
transduction system by signals released from wounded plant cells, a single-strand transferred DNA (T-DNA) is processed from the Ti
plasmid and delivered as a nucleoprotein complex (T-complex) to plant nuclei. Expression of T-DNA genes in the plant results in loss of
cell growth control and tumor formation (see text for details).
Agrobacterium and Plant Cell Transformation 31

the engineered T-DNA to plant cells. This shows that the
border sequences are the only cis elements required for
T-DNA transfer to plant cells. Additionally, genes
encoded on the T-DNA play no role in the movement
of T-DNA to plant cells. The T-DNA genes instead code
for synthesis of enzymes within transformed plant cells.
Oncogenes synthesize enzymes involved in the synthesis
of two plant growth regulators, auxins and cytokinins.
Production of these plant hormones results in a stimula-
tion in cell division and a loss of cell growth control
leading to the formation of characteristic crown gall
tumors. Other enzymes catalyze the synthesis of novel
amino acid derivatives termed as opines. The pTiA6
plasmid, for example, carries two T-DNA’s that code for
genes involved in synthesis of octopines – a reductive
condensation product of pyruvate and arginine. Other
Ti plasmids carry T-DNAs that code for nopalines,
derived from -ketoglutarate and arginine, and still
others code for different classes of opines.
Plants cannot metabolize opines. However, the Ti
plasmid carries opine catabolism genes that are responsi-
ble for the active transport of opines and their
degradation, thus providing a source of carbon and nitro-
gen for the bacterium. The ‘opine concept’ was developed
to rationalize the finding that A. tumefaciens evolved as a
pathogen by acquiring the ability to transfer DNA to
plant cells. According to this concept, A. tumefaciens
adapted a DNA conjugation system for interkingdom
DNA transport to incite opine synthesis in its plant host.
The cotransfer of oncogenes ensures that transformed
plant cells proliferate, resulting in enhanced opine synth-
esis. The tumor, therefore, is a rich chemical environment
favorable for growth and propagation of the infecting
A. tumefaciens. Of further interest, a given A. tumefaciens
strain generally catabolizes only those opines that it
incites plant cells to synthesize. This ensures a selective
advantage of the infecting bacterium over other
A. tumefaciens strains that are present in the vicinity of
the tumor.
Opine Catabolism
The regions of Ti plasmids involved in opine catabolism
code for three functions related to opine catabolism. The
first is a regulatory function controlling expression of
opine transport and catabolism genes. For the octopine
catabolism region of plasmid pTiA6, the regulatory
protein is OccR, a member of the family of LysR tran-
scription factors. OccR positively regulates expression of
the occ genes involved in octopine uptake and catabolism
by inducing a bend in the DNA at the OccR-binding
site. Octopine modulates OccR regulatory activity by
altering both the affinity of OccR for its target site and
the angle of the DNA bend. The regulatory protein for
the nopaline catabolism region of plasmid pTiC58 is
AccR. In contrast to OccR, AccR functions as a negative
regulator of acc genes involved in nopaline catabolism.
Several other genes transcribed from a single promoter
specify functions for opine transport and catabolism. At
the proximal end of the operon are transport genes med-
iating opine-specific binding and uptake. Typically, one
or more of these genes encode proteins homologous to
energy-coupling proteins found associated with the so-
called ATP-binding cassette (ABC) superfamily of trans-
porters. The ABC transporters are ubiquitous among
bacterial and eukaryotic cells, and provide a wide variety
of transport functions utilizing the energy of ATP hydro-
lysis to drive the transport reaction. At the distal end of
the operon are genes whose products cleave opines to
their parent compounds for use as carbon and nitrogen
sources for the bacterium.
Ti Plasmid Conjugation
The Ti plasmid transfer (tra and trb) functions direct the
conjugative transfer of the Ti plasmid to bacterial recipi-
ent cells (Figure 2). The transfer genes of conjugative
plasmids code for DNA-processing factors and a translo-
cation system. The Ti plasmid transfer system is related
in sequence and function to other plasmid transfer sys-
tems, as well as dedicated protein translocation systems.
These systems are now classified as type IV secretion
(T4S) systems (see below).
A regulatory cascade activates Ti plasmid transfer
under conditions of high cell density (Figure 3). This
regulatory cascade initiates when A. tumefaciens imports
opines released from plant cells. For the octopine pTiA6
plasmid, OccR acts in conjunction with octopine to acti-
vate transcription of the occ operon. Although the majority
of the occ operon codes for octopine transport and cata-
bolism functions, the distal end of the occR operon encodes
a gene for a transcriptional activator termed TraR. TraR
is related to LuxR, an activator shown nearly 20 years ago
to regulate synthesis of an acylhomoserine lactone (AML)
termed as autoinducer. Cells that synthesize autoinducer
molecules secrete these molecules into the environment.
At low cell densities, autoinducer is in low concentration,
whereas at high cell densities this substance accumulates
in the surrounding environment and passively diffuses
back into the bacterial cell to activate transcription of a
defined set of genes. In the case of A. tumefaciens, the
autoinducer is an N-3-(oxo-octonoyl)-L-homoserine lac-
tone termed Agrobacterium autoinducer (AAI). AAI acts in
conjunction with TraR to activate transcription of the Ti
plasmid tra genes as well as traI whose product mediates
synthesis of AAI. Therefore, synthesis of TraR under
conditions of high cell density creates a positive-feedback
loop whereby a TraR–AAI complex induces transcription
of TraI, which, in turn, results in enhanced synthesis
of more AAI. This regulatory cascade, involving
32 Agrobacterium and Plant Cell Transformation

opine-mediated expression of traR and TraR-AAI
mediated expression of Ti plasmid transfer genes under
conditions of high cell density, has the net effect of
enhancing Ti plasmid transfer in the environment of the
plant tumor. This complex regulatory system likely
evolved to maximize the number of Ti-plasmid-carrying
bacterial cells in the vicinity of the plant wound site.
AAI-mediated activation of Ti plasmid transfer is also
negatively controlled. For example, TraR activity is
antagonized by two proteins, TraM and TrlR. TraM
interacts with the C-terminus of TraR, which inactivates
TraR and disrupts TraR–DNA complexes. TrlR is a
truncated form of TraR that suppresses TraR activity
through formation of inactive heterodimers. In addition,
an AAI signal turnover system is composed of attJ,a
regulatory gene, and attM whose product is an
N-acylhomoserine lactone-lactonase that hydrolyzes the
lactone ring of AAI. Lactonase production suppresses
AAI-dependent expression of conjugation genes as a
means of fine-tuning plasmid transfer in response to
changes in cell growth and density.
vir Genes
The Ti plasmid carries a 35-kb region harboring a
number of operons involved in T-DNA transfer
(Figure 1). Some operons have a single open reading
frame, while others code for up to 11 open reading frames.
The products of the vir region direct events within the
bacterium that must precede export of a copy of the
T-DNA to plant cells: (1) a VirA/VirG two-component
regulatory system induces expression of the vir genes in
response to perception of plant-derived signals, (2) VirC
and VirD proteins process T-DNA into a nucleoprotein
particle for delivery to plant nuclei, and (3) a T4S system
composed of VirB proteins and VirD4 translocates the
T-DNA transfer intermediate and effector proteins across
the bacterial envelope (Figure 2).
Infection is initiated when bacteria sense and respond to
an array of signals, including specific classes of plant phe-
nolic compounds, aldose monosaccharides, low PO
4
,and
an acidic pH that are present at a plant wound site
(Figure 1). The VirA/VirG signal transduction system
together with ChvE, a periplasmic sugar-binding protein,
mediates recognition of plant phenolics and sugars. VirA
was one of the first described of what now is recognized as a
very large family of sensor kinases identified in bacteria
and more recently in eukaryotic cells. The members of this
protein family are typically integral membrane proteins
with an N-terminal extracytoplasmic domain. Upon sen-
sory perception, the kinase autophosphorylates at a
conserved histidine residue, then transferring the phos-
phate group to a conserved aspartate residue on the
second component of this transduction pathway, the
response regulator. The phosphorylated response regulator
coordinately activates transcription of several operons
whose products mediate a specific response to the inducing
environmental signal. For the A. tumefaciens vir system, the
response regulator is VirG, and phosphorylated VirG acti-
vates transcription of six essential vir operons as well as a
number of other Ti plasmid and chromosomally encoded
operons whose products are probably important for
VirA
VirG
Vir gene induction
Transformed
plant cell
Agrobacterium
Ti
T-DNA
Nucleus
T-DNA
Auxins
cytokinins Uncontrolled
cell
proliferation
Phenolics
Sugars
low pH
Tumors
Opines
Opine
catabolism
Cell growth/division
OccR + Opine
T-DNA
transfer
Autoinducer
(AAI)
TraR
+
AAI AAI
Trb
Tra
Ti plasmid
transfer
TraR
+
Tral
Figure 3 A schematic of chemical signaling events between Agrobacterium and the transformed plant cell. Signals released from
wounded plant cells initiate the infection process leading to tumor formation. Opines released from wounded plant cells activate opine
catabolism functions for growth of infecting bacteria. Opines also activate synthesis of TraR for autoinducer (AAI) synthesis. TraR and
AAI at a critical concentration activate the Ti plasmid conjugation functions (see text for details).
Agrobacterium and Plant Cell Transformation 33

infection of certain plant species or under certain environ-
mental conditions. The VirA/VirG two-component
system also activates expression of the repABC genes
responsible for replication of the Ti plasmid. Plant signals
thus enhance Ti plasmid copy number and, consequently,
virulence potential upon perception of environmental con-
ditions favorable for interkingdom DNA transfer.
VirA senses most of the plant-derived signals listed
above. The most important signal molecules are phenols
that carry an o-methoxy group. The type of substitution at
the para position distinguishes strong inducers such as
acetosyringone from weaker inducers such as ferulic
acid and acetovanillone. A variety of aldose monosacchar-
ides, including glucose, galactose, arabinose, and the
acidic sugars D-galacturonic acid and D-glucuronic acid,
strongly enhance vir gene induction. The inducing phe-
nolic compounds as well as the monosaccharides are
secreted intermediates of biosynthetic pathways involved
in cell wall repair. As such, the presence of these com-
pounds is a general feature of most plant wounds and
likely contributes to the extremely broad host range of
A. tumefaciens. VirA functions as a homodimer, and a
model that VirA interacts directly with inducing mole-
cules that diffuse across the outer membrane (OM) into
the periplasm is supported by genetic experiments though
direct evidence for signal binding is lacking. Sugar-
mediated inducing activity occurs via an interaction
between sugars and the periplasmic sugar-binding protein
ChvE. In turn, ChvE sugar interacts with the periplasmic
domain of VirA to induce a conformational change that
increases the sensitivity of VirA to phenolic inducer
molecules. A periplasmic domain of VirA is also impli-
cated in recognition of acidic pH, though the physical
mechanism of pH perception is unknown.
On the basis of recent crystallographic analysis of CheY,
a homologue of VirG, phosphorylation of this family of
response regulators is thought to induce a conformational
change. Phospho-VirG activates transcription of the vir
genes by interacting with a cis- acting regulatory sequence
(TNCAATTGAAAPy) called the vir box located upstream
of each of the vir promoters. Interestingly, both nonpho-
sphorylated and phosphorylated VirG bind to the vir box,
indicating that a phosphorylation-dependent conformation
is necessary for a productive interaction with components
of the transcription machinery.
Chromosomally Encoded Virulence Genes
Most studies of the A. tumefaciens infection process have
focused on the roles of Ti plasmid genes in T-DNA
transfer, but several essential and ancillary chromoso-
mal genes also contribute to A. tumefaciens virulence.
Although mutations in these genes are often pleiotro-
pic, they generally function to regulate vir gene
expression or mediate attachment to plant cells. This
latter activity will be described in the section titled
‘Attachment to plant cells’.
Regulators of vir Gene Expression
At least three groups of chromosomal genes activate or
repress vir gene expression. As described above, the
periplasmic sugar-binding protein ChvE complexed
with any of a wide variety of monosaccharides induces
conformational changes in VirA allowing it to interact
with phenolic inducers. chvE mutants are severely com-
promised for T-DNA transfer, but they also show
defects in chemotaxis toward sugars. ChvE thus appears
to play a dual role in the infection process, by promot-
ing bacterial chemotaxis toward nutrients and by
enhancing the efficiency of opine-encoding T-DNA to
plant cells.
A second locus codes for Ros, a novel prokaryotic
zinc finger protein that transcriptionally represses cer-
tain vir operons. As described below, the VirC and
VirD operons contribute to the T-DNA processing
reaction. Although the promoters for these operons are
subject to positive regulation by the VirA/VirG trans-
duction system, they are also negatively regulated by
the Ros repressor. Ros binds to a 9-bp inverted repeat,
the ros box residing upstream of these promoters. In the
presence of plant signals, Ros repression is counteracted
by the VirA/VirG induction system, but in the absence
of plant signals, Ros binding to the virC and virD
promoters prevents the T-DNA-processing reaction. In
addition to repressing expression of T-DNA processing
genes in the absence of a suitable plant host, Ros pre-
vents premature expression of the T-DNA oncogenes
in the bacterium.
Finally, a two-component regulatory system, distinct
from the VirA/VirG system, senses environmental signals
and mounts a behavioral response by modulating gene
expression. ChvG is the sensor kinase and ChvI is the
response regulator. Null mutations in genes for these
proteins block vir gene induction or growth of cells at
an acidic pH of 5.5. The molecular basis underlying the
effect of the ChvG and ChvI proteins on vir gene expres-
sion is presently unknown.
T-DNA Processing
One of the early events following attachment to plant
cells and activation of vir gene expression in response to
plant signals involves the processing of T-DNA into a
form that is competent for transfer across the bacterial cell
envelope and translocation through the plant plasma
34 Agrobacterium and Plant Cell Transformation

membrane, cytosol, and nuclear membrane. The prevail-
ing view strongly supported by molecular and genetic
data is that T-DNA is transferred as a nucleoprotein
particle composed of a single-stranded DNA molecule
(T-strand) covalently attached to a nicking enzyme (see
below).
Roles of VirD2 Relaxase in T-DNA Processing
and Transfer
It is now widely accepted that DNA-processing reactions
associated with T-DNA transfer are equivalent to those
mediating bacterial conjugation. In the generalized reac-
tion, a set of proteins termed as the DNA transfer and
replication (Dtr) proteins assemble at an origin-of-transfer
(oriT) sequence to generate a nucleoprotein complex
termed as the relaxosome. One component of the relaxo-
some, the relaxase, cleaves and remains covalently
associated with the 59end of the DNA strand destined
for transfer (T-strand). The T-strand is unwound from its
template by a strand displacement reaction, generating
the translocation-competent relaxase-T-strand substrate.
In A. tumefaciens, the VirD2 relaxase generates nicks at
oriT-like sequences located in the T-DNA border
repeats. VirD2 remains covalently bound to the 59phos-
phoryl end of the nicked T-DNA via conserved tyrosine
residue Tyr-29. Purified VirD2 catalyzes cleavage of
oligonucleotides bearing a T-DNA nick site. However,
an ancillary protein, VirD1, is essential for nicking in vitro
when the nick site is present on a supercoiled, double-
stranded plasmid.
In addition to oriT nicking, the relaxase component of
the conjugative transfer intermediate is thought to parti-
cipate in translocation of substrate DNA by supplying a
signal motif recognizable by the transport machinery.
VirD2 and other relaxases carry a motif at their extreme
C termini that is devoid of secondary structure and rich in
positively charged amino acids, particularly arginines.
This motif is also present at the C-termini of protein
substrates of the VirB/D4 T4S system and, as expected,
mutations in the signal motif of one such substrate, VirF,
block translocation. The charged motif likely confers
recognition of the substrate by the secretion channel, as
suggested by evidence that the VirD2-T-strand complex,
as well as another protein substrate, VirE2, interact with
the VirD4 substrate receptor (SR). Moreover, when the
C-terminal fragment of VirE2 is fused to the green fluor-
escent protein (GFP), it mediates binding of the reporter
protein to VirD4 in living cells. Early studies supplied
evidence for 59-39unidirectional transfer of the T-strand,
which is also compatible with the notion that the relaxase
serves to pilot the attached T-strand through the secre-
tion channel.
Roles of Ancillary Processing Factors in T-DNA
Processing and Transfer
Although VirD2 catalyzes nicking of T-DNA substrates
in vitro, border cleavage in vivo requires accessory pro-
teins including VirD1, VirC1, and VirC2 proteins. Early
studies showed that VirC1 binds the overdrive sequence
located next to the right border repeat sequences of
octopine-type Ti plasmids. A recent quantitative analysis
established that both VirC1 and VirC2 are required
for synthesis of as many as 50 copies of the T-DNA
transfer intermediate per cell within a 24-h induction
period. A mutation in an invariant Lys residue in the
Walker A nucleotide triphosphate binding motif of
VirC1 (VirC1K15Q) abolished the stimulatory effect of
VirC1 on T-strand production, suggesting that VirC1’s
activity is regulated by ATP binding or hydrolysis.
VirC1 is related to the ParA/MinD family of ATPases,
which mediate partitioning of chromosomes and plasmids
during cell division. Very interestingly, VirC1 localizes at
cell poles, which is also the site of VirB/D4 machine
assembly (see below). Besides stimulating the conjugative
processing reaction, polar-localized VirC1 supplies
another important function to stimulate substrate translo-
cation. It recruits the VirD2-T-strand nucleoprotein
particle to the VirB/D4 transfer machine. Such stimula-
tory functions associated with conjugation have not been
described previously for other ParA/MinD homologues,
but note that many mobile elements – both integrated and
extrachromosomal – encode ParA/MinD homologues.
In future studies, it will be interesting to determine
whether these proteins provide VirC1-like functions to
couple processed DNA substrates with their cognate
transfer machines.
VirB/D4 System, a Member of the Type IV
Secretion Family
A. tumefaciens translocates the T-complex as well as effector
proteins through a dedicated secretion channel assembled
from 11 VirB subunits and VirD4. The VirB proteins are
termed as the mating pair formation (Mpf) proteins, and
VirD4 the SR, also termed as the coupling protein (T4CP).
As discussed above for the Dtr-processing factors, the VirB
and VirD4 proteins are related in sequence and function to
subunits of conjugation systems, further underscoring the
notion that A. tumefaciens adapted an ancestral conjugation
system to deliver effector macromolecules to plants during
infection.
The VirB/D4 system and other conjugation machines
of Gram-negative and -positive bacteria are members of a
large family of translocation systems termed as T4S sys-
tems (Figure 4). In addition to the conjugation machines,
the T4S family encompasses two other subfamilies. One,
Agrobacterium and Plant Cell Transformation 35

termed as the ‘DNA uptake and release’ systems, function
independently of contact with a target cell to take up
DNA from the extracellular milieu, as exemplified by
the Helicobacter pylori ComB competence system, or to
release DNA to the milieu, as exemplified by a chromo-
somally encoded F-like transfer system carried on the
gonococcal genetic island (GGI) of Neisseria gonorrhoeae.
As with the conjugation machines, these systems
promote genetic exchange and, therefore, also represent
potential mechanisms for transfer of survival traits during
infection.
The third subfamily, the ‘effector translocator’ sys-
tems, play indispensable roles in the infection processes
of many prominent pathogens of plants and mammals.
These machines can be viewed as ‘injectisomes’, reminis-
cent of the needle complexes elaborated by type III
secretion (T3S) machines, because they deliver their sub-
strates through direct contact with the eukaryotic target
cell. The list of pathogens dependent on effector translo-
cators for disease progression includes at least two
phytopathogens, A. tumefaciens and Burkholderia cepacia,
plant symbionts such as S. meliloti, and several pathogens
of mammals including H. pylori, Legionella pneumophila, and
Brucella and Bartonella species. Bordetella pertussis uses an
effector translocator as well, but this system functions as a
true exporter to deliver its toxin substrate to the extra-
cellular milieu. Related systems of several additional
pathogens are also implicated in the trafficking of sub-
strates to eukaryotic cells, and thus the list of T4S effector
translocators continues to grow.
The T4S systems are classified on the basis of exten-
sive sequence similarities with subunits of conjugation
machines (Figure 4). Although these systems are func-
tionally versatile in terms of the substrates and target cells
to which substrates are delivered, they share a number of
common structural and functional features that distin-
guish them from other known bacterial translocation
systems.
VirB/D4 Type IV System: Machine Architecture
The VirB/D4 system is composed of two surface structures –
a secretion channel and a conjugative pilus (Figure 5). At this
time, there is no high-resolution structure for either struc-
ture. Nevertheless, fairly comprehensive architectural
models of the T4S system can be generated through
topological, structural, and interaction studies of machine
subunits. These studies have supplied evidence for at least
three stable subassemblies of VirB/D4 components.
Energy subcomplex – VirD4, VirB4, VirB11
VirD4, VirB11, and VirB4 are the three energetic compo-
nents of the VirB/D4 T4SS. Each of these subunits
possesses a characteristic nucleoside triphosphate binding
site (Walker A) motif required for substrate translocation.
Mutations in the Walker A motifs invariably abolish sub-
strate translocation, strongly indicating that ATP binding
drives machine assembly or function.
Structures of soluble domains of two VirD4-like pro-
teins have now been solved by X-ray crystallography, one
T-DNA VirB
D4B8 B9 B10 B11
RP4αIncP
R388 IncW
F
R. prowazekii
Cag
H. pylori
Ptl
B. pertussis
Brucella spp. VirB
Conjugation
ComH. pylori
N.
g
onorrhoeae
DNA uptake/release
Effector translocation
IVA
IVA
IVA
B1 B4 B5
B3B2
B6
B7
B8
IncF
Figure 4 Alignment of genes encoding related components of the T4S systems. Of the 11 VirB proteins, those encoded by virB2
through virB11 and virD4 are essential for T-complex transport to plant cells. Ancestrally related conjugation systems mediate
interbacterial transfer of DNA. Effector translocation systems function to secrete proteins to eukaryotic cells during the course of
infection by many medically important bacterial pathogens. A third subfamily of T4S systems, designated as the DNA uptake/release
systems, take up DNA from the extracellular milieu or release DNA to the environment.
36 Agrobacterium and Plant Cell Transformation

of TrwC encoded by plasmid R388 and one of Escherichi
coli FtsK. TrwC presents as six equivalent protomers
assembled as a spherical particle of overall dimensions
110 A
˚in diameter and 90 A
˚in height. The overall struc-
ture bears a striking resemblance to the F1-ATPase 33
heterohexamer, whereas the structure of the soluble
domain closely resembles DNA ring helicases and other
proteins such as FtsK that translocate along ss- or dsDNA.
The FtsK structure is slightly larger with an outer dia-
meter of 120 A
˚and a central annulus of 30 A
˚. The
predicted structure is a dodecamer composed of two
hexamers stacked in a head-to-head arrangement. As
shown by electron microscopy imaging, dsDNA runs
through the FtsK annulus, providing a structural view of
a previously described ATP-dependent translocase activ-
ity. VirD4, therefore, functions as a receptor for the
T-DNA and protein substrates of the VirB/D4 T4S sys-
tem, and it might also function as an inner-membrane
(IM) translocase, though this needs to be explored.
VirB11 is a member of a large family of ATPases
associated with systems dedicated to secretion of macro-
molecules. Purified homologues TrbB, TrwC, H. pylori
HP0525, and Brucella suis VirB11 assemble as homohexa-
meric rings discernible by electron microscopy, and the
last two also by X-ray crystallography. These structures
present as double-stacked rings formed by the N- and
C-terminal halves and a central cavity of 50 A
˚in dia-
meter. VirB11 associates peripherally but tightly with the
IM of A. tumefaciens, and there is some evidence for ATP
regulation of membrane binding. The role of VirB11 in
T4S is still fundamentally unknown.
VirB4 subunits are large IM proteins with consensus
Walker A and B nucleoside triphosphate-binding domains.
A combination of experimental studies and computer mod-
eling has yielded a topology model depicting VirB4 as
predominantly cytoplasmic with possible periplasmic
loops, one near the N-terminus and a second just N-
terminal to the Walker A motif. As with VirB11, the con-
tribution VirB4 to machine assembly and function is
unknown.
Core subcomplex – VirB6, VirB7, VirB8, VirB9,
VirB10
Five VirB proteins are implicated as forming a ‘core’
transenvelope structure on the basis of phylogenetic rela-
tionships, and cell localization and protein–protein
interaction data. VirB6 is highly hydrophobic with five
predicted transmembrane segments (TMS) and a cyto-
plasmic C-terminus. A large central periplasmic loop,
designated loop P2, is now known to play an important
VirB4
VirB7
VirB6
VirB9
VirB10
VirB2
VirB11
VirB1
VirB8
VirB5
VirD4
VirB2 VirB5
VirB3
ATP ATP
ATP
Substrate
receptor
Core complex
B10
B10
B7
P
B1
OM
B5
B4
B3
B9
B8
B6
B11
D4
CM
B5
B2
Figure 5 Topologies, structures, and cellular localizations of the VirB/D4 T4S subunits. The Agrobacterium tumefaciens VirB/D4 T4S
system localizes at the cell poles and is postulated to assemble as a transenvelope complex through which substrates pass to the cell
surface. The three ATPases energize machine assembly and substrate transfer and a stable ‘core’ complex nucleates machine
assembly. All of the VirB proteins are required to build the T pilus; the VirB proteins plus VirD4 are required for substrate secretion.
The T pilus is sloughed from the cell surface and is not essential for DNA or protein translocation.
Agrobacterium and Plant Cell Transformation 37

role in substrate translocation (see below). VirB6 interacts
with two OM proteins, VirB7 lipoprotein and VirB9, and
probably also with the other VirB ‘core’ subunits. VirB6
exerts stabilizing effects on other VirB subunits, and it
colocalizes with VirD4 and the T pilus at the cell poles of
A. tumefaciens. The available data are consistent with a
proposal that VirB6 assembles as a central component of
the secretion channel mediating substrate transfer across
the IM. The VirB7 lipoprotein forms a disulfide bridge
with VirB9, and the heterodimer sorts to the OM where it
exerts stabilizing effects on other machine subunits. VirB8
and VirB10 are bitopic IM subunits. Recently, structures
of periplasmic fragments of both the subunits were solved
by X-ray crystallography. Over its length, VirB10 shares
several structural features with TonB, including a small
N-terminal cytoplasmic domain, a single TMS, a Pro-
rich region, and a region of sequence conservation at the
C-terminal end. For TonB, the Pro-rich motif contributes
to a rigid, extended structure in the periplasm that might
permit simultaneous contacts with partner subunits at
the IMs and OMs. Similarly, A. tumefaciens VirB10 inter-
acts with the IM subunits VirB8, VirD4, and VirB4,
and with the OM-associated VirB7–VirB9 heterodimer.
Intriguingly, VirB10 also functionally resembles TonB by
linking energy at the IM to the assembly or gating of the
T4S channel for substrate translocation (see below).
T pilus subcomplex – VirB2, VirB5, VirB7
The T4S systems involved in conjugation elaborate pili for
establishing contact between plasmid-bearing donor cells
and recipient cells. Electron microscopy studies have
demonstrated the presence of long filaments approxi-
mately 10 nm in diameter on the surfaces of A. tumefaciens
cells induced for expression of the virB genes. These fila-
ments are absent from the surfaces of mutant strains
defective in expression of one or more of the virB genes.
Furthermore, the interesting observation was made that
cells grown at room temperature rarely possess pili,
whereas cells grown at 19 C possess these structures in
abundance. This finding correlates nicely with previous
findings that low temperature stimulates the virB-dependent
transfer of substrates to plants.
All of the VirB proteins, but not VirD4, are required
for the assembly of the T pilus, which is composed of the
VirB2 pilin protein. VirB2 bears both sequence and struc-
tural similarity to the TraA pilin subunit of the F plasmid
and to the TrbB subunit of plasmid RP4. VirB2, like TraA
and RP4, is processed from a 12-kDa propilin to a 7.2-
kDa mature protein. Furthermore, both VirB2 and TrbB
undergo an unusual head-to-tail cyclization reaction,
resulting in a cyclic polypeptide that accumulates in the
IM. VirB2 polymerizes as the T pilus, and VirB7 lipopro-
tein and VirB5 associate at unspecified locations along the
T pilus.
Dynamics of T4S System Machine Assembly
and Function
Recent studies have begun to describe dynamic proper-
ties of T4S systems. These studies have exploited a
combination of cytological and biochemical approaches
to understand how secretion substrates are recruited to
the T4S machine and the route of substrate translocation.
Recruitment of secretion substrates to the
VirB/D4 T4S machine
As noted above, ParA/MinD-like VirC1 functions to recruit
the processed T-complex to the polar-localized VirD4 SR.
Independent of VirC1, however, VirD4 can recruit a protein
effector, VirE2, to the cell pole. Whether other protein
substrates can also interact directly with VirD4 or require
a mediator or coupling factor is not known.
Definition of the T-DNA translocation pathway
by TrIP
An assay termed transfer DNA immunoprecipitation
(TrIP) was developed to trace the path of a DNA sub-
strate through the T4S channel. TrIP, adapted from the
chromatin immuoprecipitation assay, involves formalde-
hyde treatment of intact cells to cross-link channel
subunits to the T-DNA substrate as it exits the cell,
disruption of the cells, solubilization of membranes, and
immunoprecipitation to recover channel subunits. The
presence of T-DNA substrate in the immunoprecipitates
is then detected by PCR amplification. With the TrIP
assay, it was shown that the substrate forms close contacts
with 6 of the 12 VirB/D4 components, VirD4, VirB11,
polytopic VirB6, bitopic VirB8, VirB2 pilin, and VirB9.
Analyses of various T4S mutants with the TrIP assay
enabled formulation of a sequentially and spatially
ordered translocation pathway for the T-DNA substrate.
This pathway provides the first glimpse of how the T4S
channel might be configured across the cell envelope
(Figure 5). The steps in the pathway are as follows:
•Substrate recruitment. The T-DNA substrate binds
VirD4 and it does so independently of other VirB
proteins, establishing that VirD4 is the T-DNA recep-
tor. A VirD4 Walker A mutant also retains T-DNA as
well as protein substrate receptor activity, suggesting
that binding of both types of substrates occurs inde-
pendently of ATP energy.
•Transfer to the VirB11 hexameric ATPase. Next, VirD4
transfers the T-DNA substrate to the VirB11 ATPase.
This early transfer step also proceeds independently of
ATP energy, as deduced by the finding that VirD4 or
VirB11 Walker A mutations support substrate transfer.
However, VirD4 cannot transfer the substrate to VirB11
in the absence of certain ‘core’ VirB proteins, suggesting
that these core components are important for productive
communication between VirD4 and VirB11.
38 Agrobacterium and Plant Cell Transformation

•Transfer to the integral IM proteins VirB6 and VirB8.
VirB11 delivers the T-DNA substrate to the polytopic
VirB6 and bitopic VirB8 proteins. VirB6 mutational
studies identified a central periplasmic loop, termed
P2, which is important for VirB6 binding to the DNA
substrate. Other domains were implicated in regulating
subsequent substrate translocation steps. Substrate
transfer from VirB11 to VirB6 and VirB8 also require
additional ‘core’ subunits, possibly important for
VirB11 binding to these latter channel subunits, as
well as the energetic contributions of VirB4, a third
ATPase of this secretion system.
•Transfer to the periplasmic and OM-associated proteins
VirB2 and VirB9. VirB2 and VirB9 comprise the distal
end of the T-DNA translocation pathway. As noted
above, VirB2 polymerizes as the T pilus. Although it is
formally possible that the T-DNA substrate moves
through the lumen of the pilus to the plant cell, this
probably is not the case because certain mutations
block pilus production without affecting substrate
translocation. In strains producing the ‘uncoupling’
mutant proteins, the cellular form of VirB2 is still
required for substrate transfer. Thus, VirB2 might be
a component of the secretion channel extending
through the periplasm and, possibly, the OM. Several
T4S subunits, including VirB3, VirB5, and VirB10, are
required for this step of substrate transfer, but they do
not form detectable interactions with the T-DNA.
Therefore, VirB3, VirB5, and VirB10 are probably
not channel subunits per se, but rather contribute to
the structural integrity of the channel.
Energetics of DNA translocation: VirB10,
a TonB-like ATP energy sensor subunit
Assembly and function of the conjugation machines
requires both proton motive force and ATP energy. In
A. tumefaciens, the bitopic protein VirB10 interacts with
VirD4 and was shown to undergo a structural transition in
response to ATP utilization by VirD4 and VirB11. VirB10
also interacts with the OM-associated VirB7–VirB9 het-
erodimer or multimer by a mechanism requiring ATP
energy use by VirD4 and VirB11. Accompanying forma-
tion of the transenvelope VirD4–VirB10–VirB7–VirB9
complex, the T-DNA substrate translocates from the IM
portion of the secretion channel composed of VirB6 and
VirB8 to that in the periplasm composed of VirB2 and
VirB9. These findings suggest that VirB10 supplies a
function similar to that described for the TonB energy
transducer proteins. While TonB senses an IM electro-
chemical gradient, VirB10 senses IM ATP energy. In both
the cases, however, IM energy is converted into a
mechanical force required for a latter stage of machine
biogenesis. VirB10 might transduce IM energy to mediate
formation or opening of a VirB7–VirB9 channel complex
to allow passage of the DNA substrate to the cell surface.
Spatial Positioning of the VirB/D4 T4S System
A. tumefaciens cells have been shown to via their cell poles
to abiotic and biotic surfaces. As noted above, the VirB/
D4 T4S system also localizes at cell poles. In recent
studies, six VirB proteins – VirB1, VirB5–VirB7, VirB9,
and VirB10 – were shown to depend on production of
VirB8 for polar localization, whereas VirB3, VirB4, and
VirB11 were found to localize at cell poles independently
of VirB8. The VirB4 and VirB11 ATPases are not
required for polar targeting of other VirB proteins, and
VirB4 and VirB11 Walker A mutants display WT locali-
zation patterns, suggesting that nucleation of the VirB
proteins at the cell pole does not require ATP energy.
At this time, therefore, at least three protein complexes
have been shown to localize at cell poles independently of
each other: (1) the relaxosome bound at T-DNA border
sequences that consists of VirD1, VirD2, VirC1, and
VirC2; (2) the VirD4 SR; and (3) the VirB channel com-
plex. Adding to this picture, the Ti plasmid itself localizes
at or near the cell poles of A. tumefaciens vegetative cells. It
will be interesting in future work to identify the under-
lying molecular basis for polar targeting of these various
protein complexes, and also to understand how these
machine complexes coordinate their activities in space
and time to mediate translocation of T-DNA and protein
substrates to target cells.
Substrate Transfer Through the Plant Cell
The delivery of T-DNA and protein substrates to plant
cells requires productive contact between A. tumefaciens
and a susceptible plant cell. A. tumefaciens commonly
infects plants at wound sites, giving rise to a widely held
view that wounding establishes important preconditions
for infection. During wounding, plants release cell wall
constituents and such molecules are potent vir gene indu-
cer molecules. Wounding potentially also creates portals
of entry through damaged cell walls, and stimulates cell
replication and division reactions considered to be impor-
tant for T-DNA integration. However, it is now known
that A. tumefaciens can deliver T-DNA to unwounded
plant tissues, dispelling the notion that wounding is an
essential prerequisite for transformation. The most visible
manifestation of A. tumefaciens transformation is the pro-
duction of plant tumors, yet transformation of
unwounded tissues typically does not incite tumor for-
mation. Many transformation events, therefore, might be
phenotypically silent, raising the intriguing possibility
that A. tumefaciens actually has a much broader host
Agrobacterium and Plant Cell Transformation 39

range and can infect different plant cell types than
reported previously.
Attachment to Plant Cells
A. tumefaciens must bind plant cells to deliver T-DNA
across the plant plasma membrane. Recent evidence indi-
cates that there are at least two binding events that may
act sequentially or in tandem. The first is encoded by
chromosomal loci and occurs even in the absence of the
Ti plasmid genes. This binding event directs bacterial
binding to many plant cells independently of whether or
not the bacterium is competent for exporting T-DNA or
the given plant cell is competent for the receipt of
T-DNA. The second binding event is mediated by the
virB-encoded T pilus.
Binding via the chromosomally encoded attachment
loci is a two-step process in which bacteria first attach
loosely and nonspecifically to the plant cell surface. This
is a nonsaturable and aggregation-like mode of interac-
tion reversible by washing with a buffered salt solution.
Next, the bacteria attach more specifically in a tight and
saturable interaction that is resistant to washing. A series
of genes designated attachment (att) genes were impli-
cated in mediating the latter mode of attachment, though
this has been questioned because the att genes reside on a
542 kb plasmid, pAtC58, which has been shown to be
dispensable for virulence. Another set of genes designated
as cel direct the synthesis of cellulose fibrils that emanate
from the bacterial cell surface. These fibrils are impli-
cated in attachment of A. tumefaciens to specific sites on the
plant cell surface. Binding is saturable, suggestive of a
limited number of attachment sites on the plant cell, and
binding of virulent strains can also be prevented by the
attachment of avirulent strains.
Efficient attachment of bacteria to plant cells also
requires the products of three chromosomal loci, chvA,
chvB, and exoC (pscA). All three loci are involved in synth-
esis of transport of a cyclic -1,2 glucan molecule.
Mutations in these genes are pleiotropic, suggesting that
-1,2 glucan synthesis is important for the overall phy-
siology of A. tumefaciens. Periplasmic -1,2 glucan plays a
role in equalizing the osmotic pressure between the inside
and outside of the cell. It has been proposed that loss of
this form of glucan may indirectly disrupt virulence by
reducing the activity or function of cell surface proteins.
Interestingly, chv mutants accumulate low levels of
VirB10, one of the proposed components of the T-
complex transport system (see ‘The VirB/D4 System, a
Member of the Type IV Secretion Family’), suggesting
that -1,2 glucan might influence T-DNA export across
the bacterial envelope by contributing to transporter
assembly.
Recent genomic studies have begun to identify possi-
ble plant proteins involved in attachment. A collection of
mutations in Arabidopsis thaliana were generated that
render the host plant recalcitrant to Agrobacterium trans-
formation (rat mutants). Some of these mutations disrupt
attachment of Agrobacterium and thus might map to surface
receptors. One such mutation is in the promoter of a gene
encoding arabinogalactan, a probable cell wall constitu-
ent. Another candidate receptor is a vitronectin-like
protein found in detergent extracts of plant cell walls.
Attachment-proficient A. tumefaciens cells bind radioactive
vitronection, whereas attachment-deficient cells do not
bind this molecule. Intriguingly, human vitronectin and
antivitronectin antibodies both inhibit the binding of
A. tumefaciens to plant cells. Yet other candidate receptors
identified to date include a rhicadhesin-binding protein, a
cellulose synthase-like protein, and several proteins
shown to bind the VirB2 pilin protein. These proteins,
designated VirB2-interacting proteins (VBTs), might
mediate binding of the T pilus to the plant cell surface.
Substrate Movement Through the Plant Cytosol
and Integration into the Host Genome
The VirD2–T-strand complex is only one of several sub-
strates delivered to plant cells through the VirB/D4 T4S
system. The others identified to date include the VirE2,
VirE3, VirF, and VirD5 proteins. VirE2 is a single-stranded
DNA-binding protein required for transformation, whereas
the other translocated substrates function to enhance the
efficiency of transformation. VirE2 is exported separately
from the VirD2–T-strand particle, but upon transfer to the
plant VirE2 binds cooperatively to the T-strand, forming a
VirD2–T-strand–VirE2 particle termed the T-complex.
TheT-complex,composedofa20-kb T-strand capped
at its 59end with a 60-kDa endonuclease and an estimated
600 molecules of VirE2 along its length, is a large nucleo-
protein complex of an estimated size of 50 106 Da.
Evidence exists that VirD2 and VirE2 protect the T-strand
from plant nucleases and also facilitate T-complex move-
ment along a microtubule network. VIP1, a protein shown to
interact with VirE2, is postulated to function as a molecular
link between the T-complex and microtubule track system.
VirD2 also has been shown to interact with several members
of a family of proteins termed cyclophilins. The postulated
role for cyclophilins in this interaction is to supply a chaper-
one function at some stage during T-complex trafficking to
the nucleus. A. tumefaciens has been demonstrated to trans-
port DNA to representatives of prokaryotes, yeasts, and
plants. Cyclophilins are ubiquitous proteins found in all of
these cell types and, therefore, may be of general impor-
tance for A. tumefaciens-mediated DNA transfer.
Additionally, both VirD2 and VirE2 carry nuclear loca-
lization sequences (NLS) that contribute to delivery of the
T-complex to the nuclear pore. VirD2 was shown to interact
with AtKAPa, a member of a conserved family of importin/
karyopherin proteins that are known to bind NLS and
40 Agrobacterium and Plant Cell Transformation

mediate nuclear import. Correspondingly, VIP1 is postu-
lated to mediate nuclear import of VirE2. These different
plant proteins, thus, might act synergistically or redundantly
to mediate movement of the T-complex through the plant
cytoplasm and nuclear pore. Interestingly, VirE3, another
translocated substrate, mimics the function of VIP1 in med-
iating VirE2 nuclear import, possibly explaining how
A. tumefaciens can transform nonplant species such as yeast
and human cells that lack VIP1.
Once inside the nucleus, the T-complex must be deliv-
ered to its site of integration in the host chromatin. Plant
proteins, including CAK2M and TATA box-binding pro-
teins that bind VirD2, VIP1 that binds VirE2, and core
histones that bind VIP2, may be important for chromatin
targeting of the T-complex. T-DNA integrates into the
plant nuclear genome by a process termed ‘illegitimate’
recombination. According to a current model, T-DNA
invades at nicks or gaps in the plant genome possibly
generated as a consequence of active DNA replication.
The invading ends of the single-stranded T-DNA are pro-
posed to anneal via short regions of homology to the
unnicked strand of the plant DNA. Once the ends of
T-DNA are ligated to the target ends of plant DNA, the
second strand of the T-DNA is replicated and annealed to
the opposite strand of the plant DNA. Both VirD2 and
VirE2 have been implicated in contributing to the T-
DNA integration step, but the molecular details of this
reaction are not known. However, another translocated
substrate, VirF, has been shown to possess an F-box domain
and interact with several members of the ASK protein
family, which are plant homologues of yeast Skp1 proteins.
F-box and Skp1 are conserved components of E2 ubiquitin
ligases that mediate protein destabilization. VirF was shown
to destabilize a VIP1–VirE2 complex and thus might play
a role in uncoating the T-DNA prior to or during
integration into the host genome. Clearly, movement of
T-complexes and integration of T-DNA into the plant
genome is a complex multistep process involving specific
binding of plant factors with bacterial effector proteins.
However, note that all characterized effectors identified to
date participate in some way to the movement of T-DNA
through the plant cell or its integration into the plant
genome. Whether the armament of translocated effectors
includes proteins whose functions are unrelated to T-DNA
movement and instead involved in disruption of plant phy-
siological processes to promote the overall infection process
is an interesting question for further study.
Agrobacterium Host Range and Genetic
Engineering
One of the most appealing features of the A. tumefaciens
DNA transfer system for genetic engineering is its extre-
mely broad host range. Agrobacterium has long been
known to transform a wide range of gymnosperms and
dicotyledonous plant species of agricultural importance.
Additionally, during the past two decades protocols have
been developed for transformation of monocotyledonous
plant species including rice, wheat, and maize. So far, most
of the effort in developing these transformation protocols
has been directed toward improvement of crop traits.
Increasingly, however, the A. tumefaciens gene delivery sys-
tem is being used to (1) isolate and characterize novel plant
genes through T-DNA tagging, (2) deliver foreign DNA to
specific sites in the plant genome, and (3) genetically
engineer nonplant organisms. Intriguingly, Agrobacterium is
now known to transform many nonplant species including
other prokaryotes, yeast, and many other fungi, and human
cells. And now, with the discovery that other alphaproteo-
bacterial species including Rhizobium sp. NGR234,
S. meliloti,andM. loti also deliver DNA substrates to plant
target cells, the potential exists that the host range of
eukaryotic cell types transformable by bacteria can be
broadened even further.
Nuts and Bolts of Genetic Engineering
A. tumefaciens is readily manipulated such that plasmids
carrying foreign genes of interest are easily introduced
into appropriate bacterial strains for delivery to plants.
Typically, strains used for gene delivery are ‘disarmed’,
that is, deleted of oncogenic T-DNA, but still harboring
intact Ti plasmid and chromosomal vir genes. Foreign
genes destined for delivery to plants are generally cloned
onto a plasmid that carries a single T-DNA border
sequence or two T-DNA border sequences that flank
various restriction sites for cloning as well as an antibiotic
resistance gene to select for transformed plant cells. If the
plasmid carries a single border sequence, the entire plas-
mid is delivered to plants, and surprisingly A. tumefaciens is
capable of delivering in excess of 180-kb of DNA to
plants. If the plasmid carries two border sequences, only
the DNA bounded by T-DNA borders is delivered to
plants. The frequency of stable transformation is often
very high, well-exceeding frequencies achieved by other
gene delivery methods. For example, cocultivation of
A. tumefaciens with regenerating protoplasts of certain
plant species can result in transformation of up to one
half of the protoplasts.
However, with protoplast transformation there is often
a significant reduction in the number of transgenic, fertile
plants recovered during selective regeneration of trans-
formed protoplasts. For certain species, protoplasts can be
transformed but are recalcitrant to regeneration into
intact plants. Consequently, other transformation meth-
ods have relied on transformation of plant tissues such as
excised leaves or root sections. In the case of monocot
species such as maize, immature embryos are the pre-
ferred starting material for A. tumefaciens-mediated DNA
Agrobacterium and Plant Cell Transformation 41

transfer. For rice, success has been achieved with callus
tissue induced from immature embryos. Additional fac-
tors such as plant genotype, the type and age of plant
tissue, the kinds of vectors and bacterial strains, and the
types of selectable genes delivered to plant cells all influ-
ence the transformation efficiencies. For rice and corn,
most of these parameters have been optimized so that now
the delivery of foreign DNA to these crop plants is a
routine technique.
In addition to the need to identify transformable and
regenerable plant tissues, a number of varieties of a
given species often need to be screened to identify the
susceptible varieties. A large variation in transformation
efficiencies is often observed depending on which cell
line is being tested. This underscores the notion that
interkingdom DNA transfer is a complex process
dependent on a genetic interplay between A. tumefaciens
and host cells. Fortunately, many of the agronomically
important species are readily transformable, but
further efforts are needed to overcome present obstacles
impeding efficient transformation of other species of
interest.
T-DNA Tagging
A. tumefaciens is increasingly used to characterize and
isolate novel plant genes by an approach termed
T-DNA tagging. Several variations to this methodology
exist depending on the desired goals. For example,
because insertions are generally randomly distributed
throughout the plant genome, T-DNA is widely used
today as a mutagen for isolating plant genes with novel
phenotypes. If the mutagenic T-DNA carries a bacterial
origin of replication, the mutated gene of interest can
easily be recovered in bacteria by suitable molecular
techniques. Further, if the T-DNA is engineered to
carry a selectable or scorable gene near one of its ends,
insertion downstream of a plant promoter will permit
characterization of promoter activity. Conversely, if the
T-DNA is engineered to carry on outward reading pro-
moter, insertion can result in a modulation of gene
expression with potentially interesting phenotypic con-
sequences. Finally, the discovery that A. tumefaciens can
transform fungal species of interest means that all
approaches developed for plants now can be applied to
the characterization of fungi.
Homologous or Site-Specific Recombination
Although random T-DNA insertion is a boon to investi-
gators interested in characterizing plant or fungal genes, it
is an undesired event for plant genetic engineering. In
addition to the potential result that T-DNA will insert
into an essential gene, insertion is often accompanied by
rearrangements of flanking sequences, which further
enhances the chances that the insertion will have unde-
sired consequences. Ideally, T-DNA could be delivered
to a restricted number of sites in the plant genome. Recent
progress toward this goal has involved the use of the
bacteriophage P1 Cre/lox system for site-specific inte-
gration in the plant genome. The Cre site-specific
recombinase catalyzes strand exchange between two lox
sites, which, for P1, results in circularization of the P1
genome upon infection of bacterial cells. For directed
T-DNA insertion, both the plant and the T-DNA are
engineered to carry lox sequences and the plant is also
engineered to express the Cre protein. Upon entry of
T-DNA into the plant cell, Cre was shown to catalyze
the site-specific integration of T-DNA at the plant lox
site. The frequency of directed insertion events is low
compared to random insertion events, but further manip-
ulation of this system should enhance its general
applicability.
Gene Transfer to Yeast and Fungi
The successful transfer of DNA to yeast depends on the
presence of stabilizing sequences such as a yeast origin of
replication sequence or a telomere, or regions of homol-
ogy between the transferred DNA and the yeast genome
for integration by homologous recombination. When the
T-DNA lacks any extensive regions of homology with the
Saccharomyces cerevisiae genome, it integrates at random
positions by illegitimate recombination reminiscent of
T-DNA integration in plants. The transformation of fila-
mentous fungi with A. tumefaciens is an exciting
advancement. A. tumefaciens was shown to efficiently deli-
ver DNA to fungal protoplasts as well as fungal conidia
and hyphal tissue. This discovery extends well beyond
academic interest because the simplicity and high effi-
ciency make this gene delivery system an extremely
useful tool for the genetic manipulation and characteriza-
tion of fungi. This DNA transfer system is especially
valuable for species such as the mushroom Agaricus
bisporus that are recalcitrant to transformation by other
methods. It is also of interest to consider that both
A. tumefaciens and many fungal species exist in the same
soil environment, raising the possibility that A. tumefaciens-
mediated gene transfer to fungi may not be restricted
solely to the laboratory bench.
Conclusions
The early discovery that the oncogenes can be excised
from T-DNA and replaced with genes of interest paved
the way for the fast-growing industry of plant genetic
engineering. Today, a large amount of information has
been assembled about the A. tumefaciens infection process.
This information has been used to successfully
42 Agrobacterium and Plant Cell Transformation

manipulate the T-DNA transfer system both to enhance
its efficiency and to broaden the range of transformable
plants and other organisms. Furthermore, this information
has often established a conceptual framework for initiat-
ing or extending studies of other pathogenic and
symbiotic relationships. The discovery that secreted che-
mical signals comprise the words for a dynamic dialog
between A. tumefaciens and plant cells as well as other
A. tumefaciens cells has stimulated a global effort to identify
extracellular signals and characterize the cognate signal
transduction systems in many bacterial systems. The dis-
covery of T-DNA transport itself supplied a mechanistic
explanation for how horizontal gene transfer impacts the
evolution of genomes of higher organisms. This discovery
also established a precedent for interkingdom transport of
virulence factors by bacterial pathogens. Indeed, just in
the last decade, studies have revealed that numerous
pathogens employ interkingdom transport to deliver a
wide array of effector proteins to plant and animal hosts.
Interkingdom macromolecular translocation is mediated
either by the T4S systems, which are ancestrally related
to conjugation systems, or by the T3S systems, ancestrally
related to flagellar systems. Both T3S and T4S systems
translocate substrates via processes dependent on cell-to-
cell contact and, in some cases, elaboration of an extra-
cellular filament or pilus. For the future, it is clear that
studies of all the various aspects of the A. tumefaciens
infection process will continue to spawn new applications
for this novel DNA transfer system and yield new insights
about the evolution and function of pathogenic mechan-
isms that are broadly distributed in nature.
Further Reading
Broothaerts W, Michell HJ, Weir B, et al. (2005) Gene transfer to plants
by diverse species of bacteria. Nature 433: 629–633.
Cascales E and Christie PJ (2003) The versatile bacterial type IV
secretion systems. Nature Reviews Microbiology 1: 137–150.
Cascales E and Christie PJ (2004) Definition of the type IV secretion
pathway for a DNA substrate. Science 304: 1170–1173.
Christie PJ (2004) Type IV secretion: The Agrobacterium VirB/D4 and
related conjugation systems. Biochimica et Biophysica ACTA
1694: 219–234.
Christie PJ, Atmakuri K, Krishnamoorthy V, Jakubowski S, and
Cascales E (2005) Biogenesis, architecture, and function of bacterial
type IV secretion systems. Annual Review of Microbiology
59: 451–485.
Citovsky V, Kozlovsky SV, Lacroix B, et al. (2007) Biological systems of
the host cell involved in Agrobacterium infection. Cellular
Microbiology 9: 9–20.
Fuqua WC, Winans SC, and Greenberg EP (1996) Census and
consensus in bacterial ecosystems: The LuxR-LuxI family of
quorum-sensing transcriptional regulators. Annual Review of
Microbiology 50: 727–751.
Gelvin SB (2003) Agrobacterium-mediated plant transformation: The
biology behind the ‘‘gene-jockeying’’ tool. Microbiology and
Molecular Biology Reviews 67: 16–37.
McCullen CA and Binns AN (2006) Agrobacterium and plant cell
interactions and activities required for interkingdom macromolecular
transfer. Annual Review of Cell and Developmental Biology
22: 101–127.
Tzvira R and Citovsky V (2006) Agrobacterium-mediated genetic
transformation of plants: Biology and biotechnology. Current Opinion
in Biotechnology 17: 147–154.
White CE and Winans SC (2007) Cell-cell communication in the plant
pathogen Agrobacterium tumefaciens.Philosophical Transactions of
the Royal Society of London. Series B, Biological Sciences
362: 1135–1148.
Yeo HY and Waksman G (2004) Unveiling molecular scaffolds of the
type IV secretion system. Journal of Bacteriology
186: 1919–1926.
Zhu J, Oger PM, Schrammeijer B, Hooykaas PJJ, Farrand SK, and
Winans SC (2000) The bases of crown gall tumorigenesis. Journal of
Bacteriology 182: 3885–3895.
Agrobacterium and Plant Cell Transformation 43

Amino Acid Production
L Eggeling, Institute of Biotechnology, Research Center Ju¨ lich, Ju¨ lich, Germany
H Sahm, Institute of Biotechnology, Research Center Ju¨ lich, Ju¨ lich, Germany
ª2009 Elsevier Inc. All rights reserved.
Introduction
Microbial Production
Enzymatic Production
Future Prospects
Further Reading
Glossary
carriers/transporters Membrane proteins that
function to transport substances into or out of the cell
through the cytoplasmic membrane.
fermenter A large growth vessel used to culture
microorganisms on a large scale for the production of
commercially valuable products.
immobilized cell A cell attached to a solid support over
which substrate is passed and is converted into
product.
metabolic engineering The improvement of cellular
activities by manipulation of enzymatic, transport, and
regulatory functions of the cell with the application of
recombinant DNA technology.
regulation Processes that control the activities or
synthesis of enzymes.
selection Placing organisms under conditions where
the growth of those with a particular genotype is
favored.
Abbreviations
AEC analogue aminoethyl-L-cysteine
CSL corn steep liquor
DO dissolved oxygen
GA glutaraldehyde
HA hexamethylene diamine
MSG monosodium glutamate
OUR oxygen uptake rate
PGDH 3P-glycerate dehydrogenase
SHMT serine hydroxymethyltransferase
THF tetrahydrofolate derivative
Introduction
Amino acids are simple organic compounds that contain
one or more amino groups and one or more carboxyl
groups. They are the building blocks of peptides, proteins,
and components of other complex polymers like the cell
wall. There are 20 protein-forming amino acids, all of
which, except glycine, are optically active and occur as
L-enantiomers. Eight of these protein-forming L-amino
acids are essential for mammals. There are large demands
for amino acids in the areas of food and feed additives and
drug manufacturing. In medicine, amino acids are used for
infusions and as therapeutic agents. Amino acid deriva-
tives are also used in the chemical industry, such as in
synthetic leathers, surface-active agents, fungicides, and
pesticides. It is estimated that in 2004, a volume of 56% of
the total amino acid market was occupied by the so-called
feed amino acids L-lysine, DL-methionine, L-threonine,
and L-tryptophan. At 34%, the share of the food sector is
also substantial and is essentially determined by three
amino acids L-glutamate, in the form of the flavor enhan-
cer monosodium glutamate (MSG), and L-aspartate and
L-phenylalanine, the latter two used as starting materials
for the peptide sweetener L-aspartyl L-phenylalanyl
methyl ester (aspartame). The total amino acids manufac-
tured represent a value of roughly US$5000 million, and
thus trail behind antibiotics made with microorganisms.
The market is growing steadily by about 5–10% per year.
The production methods to date are (1) microbial produc-
tion, (2) protein hydrolysis, (3) chemical synthesis, and (4)
enzymatic synthesis. Whereas chemical synthesis produces a
racemic mixture, which may require additional resolution,
the other procedures give rise to optically pure L-amino
acids.
44

Microbial Production
Development of Amino Acid-Overproducing
Strains
Many bacteria are capable of growing on a simple mineral
salt medium containing ammonium, phosphate, further salts,
and glucose as the carbon and energy source. These bacteria
are able to synthesize all the compounds necessary for the
living cell from these simple nutrients. The dry matter of the
bacterial cell consists of about 60% protein, 20% nucleic
acids, 10% carbohydrates, and 10% fat. Therefore, the cell
must be able to synthesize amino acids rapidly and effi-
ciently. However, as a rule, only as much of the various
amino acids as required for growth are synthesized in the
bacterial cell, that is, normally, the bacteria do not over-
produceandexcreteaminoacidsintotheculturemedium.
The reason is that bacteria have a number of sophisticated
regulatory mechanisms, like repression and feedback inhibi-
tion through end products, that economically control the
overproduction of metabolites.
Thus, classical mutagenesis has been applied to obtain
mutants that are able to overproduce a specific amino acid in
large amounts. Regulatory strains were obtained by select-
ing mutants that are resistant to amino acid analogues. Some
of the commonly used amino acid analogues – lysine, threo-
nine, and tryptophan – are given in Table 1. Amino acid
analogue resistance may be because of derepression of the
enzymes involved in the biosynthesis of amino acids or the
elimination of the allosteric control of biosynthetic key
enzymes. Furthermore, the amount of amino acids synthe-
sized via a branched pathway can be significantly increased
by selecting strains auxothrophic for the competing branch.
Mutagenesis and selection is one of the most important
techniques for the development of amino acid-overprodu-
cing microorganisms, and such mutants are used in
developing superior production strains.
The current repertoire of strain development includes
the following:
1. Identification of mutations in classical strains and their
introduction via recombinant DNA techniques into a
wild type, thus rebuilding the producer. (Because of
undirected mutagenesis, mutations that are disadvan-
tageous might have accumulated, thus reducing
growth or speed of sugar conversion.)
2. Combination of beneficial mutations of different
strains.
3. Gene overexpression to overcome limiting steps.
4. Identification of genes by global microarray DNA
analysis whose expression correlates with favorable
producer strains or fermentations, and the subsequent
controlled expression of such genes by genetic means.
5. Application of intracellular flux quantifications using
13
C-labeled substrate and
13
C-NMR.
6. Manipulation of export activity to increase the export
of amino acids.
The improvement in cellular activities by directing the
enzymatic, transport, and regulatory functions of the cell
by the use of recombinant DNA technology is now a
standard method for obtaining highly productive amino
acid-producing strains, often based on strains derived by
undirected mutagenesis.
L-Glutamic Acid
Following the increasing demand for MSG as a flavoring
agent in the mid-1950s, a bacterium that excreted
large quantities of the amino acid L-glutamic acid into
the culture medium was isolated in Japan. This
bacterium, Corynebacterium glutamicum, is a short, aerobic,
Gram-positive rod capable of growing on a simple mineral
salt medium with glucose, provided that biotin is also
added. A recent monograph collected a great number of
the existing features of C. glutamicum, leading to amino acid
production. The production of L-glutamic acid by
C. glutamicum is maximal at a critical biotin concentration
of 0.5 mgg
1
of dry cells, which is suboptimal for growth.
Despite being effectively produced for over 50 years in
amounts of 1.8 million tons per year, the molecular features
resulting in L-glutamate excretion are still poorly under-
stood. However, besides biotin limitation, a surprisingly
large variety of other treatments also result in
L-glutamate excretion, for example, addition of selected
Table 1 Analogues of amino acids used for the selection of L-lysine-, L-threonine-, or L-tryptophan-overproducing strains
Lysine Threonine Tryptophan
S-(2-aminoethyl)-L-cysteine (AEC) -Amino--hydroxyvaleric acid 5-Methyltryptophan
4-Oxalysine -Hydroxyleucine 4-Methyltryptophan
L-lysine hydroxamate Norleucine 6-Methyltryptophan
2,6-Diamino-4-hexenoic acid Aminohydroxyvaleric acid 5-Fluorotryptophan
2,6-Diamino-4-hexenoic acid N-Lauryl leucine 6-Fluorotryptophan
"-C-Methoylysine (2,6-diamino-heptanoic acid) Norvaline DL-7-Azatryptophan
-Hydroxylysine N-2-Thienoylmethionine 2-Azatryptophan
-Chlorocaprolactam 2-Amino-3-methylthiobutyric acid 3-Inolacrylic acid
Trans-4,5-dehydrolysine 2-Amino-3-hydroxyhexanoic acid Indolmycin
Amino Acid Production 45

detergents like Tween-40, addition of penicillin, use of
fatty acid auxotrophic strains, or addition of ethambutol-
inhibiting arabinogalactan synthesis. Interestingly, all these
conditions have more or less in common to target the cell
wall or cell membrane. Moreover, it is known that under
L-glutamate-producing conditions ketoglutarate dehydro-
genase activity is low. Only recently an exciting discovery
was made giving at a blow an idea how all these different
characteristics might be linked. It was found that C. gluta-
micum possesses a regulatory OdhI protein, together with a
eukaryotic-type serine/threonine protein kinase (PknG)
and a phosphatase (Ppp), the latter two controlling the
phosphorylation status of OdhI. Unphosphorylated OdhI
inhibits ketoglutarate dehydrogenase activity and the OdhI
protein was shown to be necessary for high L-glutamate
production. Importantly, Ppp is apparently membrane
bound, as is a second serine/threonine protein kinase likely
to additionally control the phosphorylation status of OdhI.
Also, the genes controlling the phosphorylation status are
adjacent to genes of cell wall synthesis and cell division.
Thus, a disordered cell wall or cell membrane might be
sensed by the system and might inhibit ketoglutarate dehy-
drogenase activity. As a consequence, -oxoglutarate is not
further metabolized in the citric acid cycle, but instead is
converted into L-glutamic acid, by reductive amination
catalyzed by the NADP-dependent glutamate dehydro-
genase present in C. glutamicum.
In C. glutamicum, glucose is mainly metabolized via the
glycolytic pathway into C
3
and C
2
fragments. Oxaloacetate
is formed via the phosphoenolpyruvate carboxylase and
the pyruvate carboxylase (Figure 1). Thus, C. glutamicum
has two anaplerotic reactions for the conversion of the C
3
intermediates into oxaloacetate. These reactions are
important to always have sufficient oxalaoacetate available
for condensation with acetyl-CoA and conversion of citrate
to -oxoglutarate. The overall reaction for L-glutamic acid
production from D-glucose is as follows:
C6H12O6þNH3þ3NADþ!C5H9O4N
þ3NADH þ3HþþCO2
Thus, the theoretical maximal yield is 1 mol l
1
of
L-glutamic acid per mole of glucose metabolized. This
represents a 100% molar conversion or 81.7% weight
conversion of D-glucose to L-glutamic acid.
The L-glutamic acid production is carried out in stirred
fermenters up to the size of 500 m
3
. Provisions for cooling,
dissolved oxygen measurement, pH measurement, and
control (usually with ammonium) are required. A tempera-
ture between 30 C and 35 C and a pH between 7.0 and
8.0 are optimal. The oxygen transfer rate is fairly critical: a
deficiency leads to poor glutamate yields, with lactic
and succinic acid being formed instead, while an excess
causes accumulation of -oxoglutaric acid. The yield of
L-glutamic acid obtained after 2–3 days of incubation is in
the order of 60–70% (by weight) of the sugar supplied, and
the final concentration is approximately 150 g l
1
.
L-Lysine
L-lysine, an amino acid essential for human and animal
nutrition, is mainly used as a feed supplement as it is
present in most plant proteins only in low concentrations.
At present, approximately 700 000 tons per year of L-lysine
is produced using mutant strains of C. glutamicum. The wild
type does not secrete L-lysine into the culture medium.
However, excellent high-yield production strains were
developed by mutation and by selection for antimetabolite
resistance together with modern recombinant DNA
techniques.
The pathway for the biosynthesis of L-lysine in
C. glutamicum is illustrated in Figure 2. A remarkable fea-
ture of C. glutamicum is its split pathway for the synthesis of
L-lysine. At the level of L-2,3,4,5-tetrahydrodipicolinate
there are two pathways for the conversion of this precursor
into DL-2,6-diaminopimelate. The first enzyme in L-lysine
biosynthesis, aspartokinase, is regulated by concerted
Glucose
Glucose-6P Ribulose
Ribose
Fructose-6P
Glycerolaldehyde-P
Phosphoenol
pyruvate Pyruvate
AcetylCoA
Oxaloacetate
Citrate
Ketoglutarate
L-Glutamate
Glutamate
dehydrogenas
e
Ketoglutarate
dehydrogenase
Malate
Succinate CO2
CO2
CO2CO2
CO2
CO2
Figure 1 Biosynthesis of L-glutamic acid in Corynebacterium
glutamicum using glucose as the carbon source.
46 Amino Acid Production

feedback inhibition by L-threonine and L-lysine. Hence, a
homoserine auxotroph or a threonine and methionine
double auxotroph of C. glutamicum diminishes the intracel-
lular pool of threonine, reduces its marked feedback
inhibitory effect on aspartokinase, and promotes lysine
overproduction (15–30 g l
1
). Another effective technique
for obtaining L-lysine-producing strains is the selection of
regulatory mutants. Growth of C. glutamicum is inhibited by
the L-lysine analogue aminoethyl-L-cysteine (AEC). This
inhibition is markedly enhanced by L-threonine, but
reversed by L-lysine. This implies that AEC behaves as a
false feedback inhibitor of aspartokinase. Some mutants,
which are capable of growing in the presence of both
AEC and L-threonine, contain an aspartokinase that is
insensitive to the concerted feedback inhibition; therefore,
L-lysine is overproduced (30–35 g l
1
). L-Aspartate as the
precursor of L-lysine synthesis is formed from oxaloacetate
by the anaplerotic reaction of phosphoenolpyruvate and
pyruvate carboxylation (Figure 1). By combined overex-
pression of aspartokinase and dihydrodipicolinate synthase,
L-lysine production can be further increased by 10%. Also,
the ample supply of NADPH is important, which is
achieved by an increased flux via the pentose phosphate
shunt.
In addition to all the steps considered so far, the active
export of L-lysine into the culture medium is important.
Export is mediated by the specific exporter LysE, a small
membrane protein of 25.4 kDa, with five transmembrane
spanning helices (Figure 3). Expression of this exporter is
controlled by the LysR-type transcriptional regulator
LysG. At elevated intracellular L-lysine concentrations
of 35 mmol l
1
, LysG binds L-lysine and drives expression
of the exporter gene to result in an about 20-fold
increased induction. As a consequence, effective export
L-aspartate
L-methionine
L-2,3-dihydrodipicolinate
L-2,3,4,5-tetrahydrodipicolinate
L-2-succinamido-6-oxopimelate
L,L-diaminopimelate
DL-2,6-diaminopimelate Cell wall
L-lysine
L-l
y
sine
Diaminopimelate
epimerase
5.1.1.7
N-succinyldiaminopimelate
desuccinylase
3.5.1.18
N-succinyldiaminopimelate
aminotransferase
2.6.1.17
Tetrahydrodipicolinate
N-succinyltransgerase
2.3.1.-
Diaminopimelate
dehydrogenase
1.4.1.16
Dihydrodipicolinate
reductase
1.3.1.26
Dihydrodipicolinate
synthase
4.2.1.52
Aspartatesemialdehyde
dehydrogenase
1.2.1.11
Aspartate kinase
2.7.2.4
Diaminopimelate
decarboxylase
4.1.1.20
Permease
N-succinyl-L,L-2,6 diaminopimelate
L-threonine
L-isoleucine
asd
lysC
dapA
dapB
dapD
dapC
dapE
dapF
lysA
ddh
4-phospho-L-aspartate
L-4-aspartatesemialdehyde
Figure 2 The split pathway of L-lysine biosynthesis and its regulation in Corynebacterium glutamicum; thick arrows ¼feedback
inhibition.
Amino Acid Production 47

occurs, enabling high export rates of up to 7 nmol min
1
mg(dry weight)
1
. The components driving L-lysine
export are the electrochemical proton potential and the
chemical concentration gradient of L-lysine. A formal
description of the energetic steps during translocation
involves symport of the positively charged L-lysine with
two OH
(Figure 3). For the substrate translocation step
the pH gradient and the L-lysine gradient are important,
whereas reorientation of the carrier involves the mem-
brane potential. This transporter is a genetic and
biochemical system, well designed for excretion purposes:
•It is only induced at eleveated intracellular L-lysine
concentrations of about 40 mmol l
1
.
•It has a high K
m
value for L-lysine (20 mmol l
1
)atthe
internal (cytoplasmic) side, thus preventing efflux under
low internal lysine concentration.
In fed-batch culture, L-lysine production strains are able
to reach, under the optimized culture conditions, final
concentration of at least 170 g l
1
L-lysine, and the con-
version rate relative to sugar used is about 50%. A typical
L-lysine production curve is shown in Figure 4; together
with sugar ammonium also has to be fed. The convential
route of lysine downstream processing is characterized by:
•removal of the bacterial cells from the fermentation
broth by separation or ultrafiltration,
•absorbtion and then collection of lysine in an ion
exchange step, and
•crystallization or spray drying as L-lysine hydrochloride.
An alternative process consists of biomass separation,
concentration of the fermentation solution, and filtration
of precipitated salts. The liquid product contains up to
50% of a L-lysine base that is stable enough to be
marketed.
Recently, a new concept for lysine production was
introduced, in which the entire L-lysine-containing fer-
mentation broth is spray dried and granulated to yield a
feed-grade product that contains L-lysine sulfate corre-
sponding to at least 60% of L-lysine hydrochloride. Waste
products usually present in conventional L-lysine hydro-
chloride manufacture are thus avoided in this process.
In 2005, the price for L-lysine HCl feed-grade was
approximately US$2 per kg. With the benefits provided
by modern techniques, such as genetic engineering, and
with the potential of fermentation technology, additional
improvements in the L-lysine process should be realized.
L-lysine will continue to be the most attractive feed
additive produced by fermentation.
L-Threonine
Until 1986, L-threonine was used mainly for medical pur-
poses, in amino acid infusion solutions, and in nutrients. It
was manufactured by extraction of protein hydrolyzates or
by fermentation using mutants of coryneform bacteria in
amounts of some hundred tons per year, worldwide. The
production strains were developed by empirical classical
breeding, introduction of auxotrophies, and resistance
to threonine analogues such as -amino--hydroxy-vale-
rate, and reached product concentrations up to 20 g l
1
.
Although the pathway of L-threonine biosynthesis in
Escherichia coli is much more regulated compared to that
in C. glutamicum,E. coli strains have proved to be superior to
C. glutamicum.ThereasonisthatE. coli has much more
effective excretion systems for L-threonine and related
amino acids, which are not present in C. glutamicum.E. coli
strains with excellent threonine yield and productivity are
now available.
In E. coli, the regulation of the L-aspartate-derived amino
acids involves several isoenzymes. As shown in Figure 5,the
phosphorylation of L-aspartate, the first reaction in the
biosynthetic pathway of L-threonine, is catalyzed by three
different aspartokinases. One of these isoenzymes is inhib-
ited by L-threonine and its synthesis is repressed by
L-threonine and L-isoleucine. The second aspartokinase
Lysine
+
Lysine
+
C
+
C
+
NH2 Inside
–
+
ΔΨ
Outside
COOH
20H
–
20H
–
C
+
Lys
+
OH
–
OH
–
C
+
Lys
+
OH
–
OH
–
0
0
Figure 3 Structure of the L-lysine exporter and the putative
mechanism of L-lysine excretion in Corynebacterium
glutamicum.
Lysine
Glucose
Biomass
Start glucose feeding
Time
Figure 4 Production of L-lysine with a mutant strain of
Corynebacterium glutamicum; glucose is fed together with
ammonium.
48 Amino Acid Production

isoenzyme is repressed by L-methionine, and the third one is
inhibited and repressed by L-lysine. Threonine biosynthesis
occurs by the conversion of aspartate--semialdehyde in
three enzymatic steps that are encoded in E. coli by the
thrABC operon. The thrA gene encodes a bifunctional
enzyme with aspartokinase and homoserine dehydrogenase
activities. The thr operon is under the control of a single
promoter, which is bivalently repressed by L-threonine plus
L-isoleucine. Additionally, L-threonine synthesis is regulated
by feedback inhibition of the homoserine dehydrogenase
and homoserine kinase. L-threonine ranks third in produc-
tion volume among the biotechnologically produced amino
acids behind L-lysine and L-glutamic acid.
Based on the synthesis pathway, there is a clear focus on
two major targets for the design of L-threonine-overprodu-
cing strains, that is, the prevention of L-isoleucine formation
and stable high-level expression of thrABC operon.
Therefore, in one of the initial steps of strain development,
chromosomal mutations were introduced to result in an
isoleucine leaky strain, which requires L-isoleucine only at
low L-threonine concentrations; however, at high L-threo-
nine concentrations, growth is independent of the addition
of L-isoleucine. This mutation has several advantageous
consequences: first, it prevents an excess formation of the
undesired by-product L-isoleucine; second, it prevents the
L-isoleucine-dependent premature termination of the
thrABC transcription. Furthermore, the isoleucine leaky
mutation has a positive selection effect on all the cells
containing the plasmid with the threonine operon. To
obtain very high activities of the thrABC-encoding
enzymes, this operon was cloned from a strain in which
the aspartokinase and homoserine dehydrogenase activ-
ities are resistant to L-threonine inhibition and was
overexpressed. To prevent the degradation of L-threonine
the gene tdh, which encodes threonine dehydrogenase,
was inactivated.
By continuous sugar feeding of such an E. coli strain
L-threonine concentrations of more than 80 g l
1
are
obtained with a conversion yield of about 60%. The
recovery of feed-grade L-threonine is rather simple:
after the cell mass has been removed from the culture
broth by ultrafiltration, the filtrate is concentrated and
the amino acid is isolated by crystallization. Currently,
L-threonine has been successfully marketed as a feed
additive with a worldwide demand of more than 70 000
tons per year, with a price of approximately US$3 per kg.
L-Serine
The engineering of an efficient L-serine-producing bacter-
ium is a rather recent example where a combination of
cellular analyses and engineering methods resulted in a
breakthrough in microbial L-serine production. L-serine is
used in infusion solutions, as are all the other proteinogenic
amino acids, but has no other major application. The market
is therefore smaller, but the price per kg is higher than for
feed additive amino acids. The current price is approxi-
mately US$40 per kg. The microbial production of L-serine
originally occurred with methanol-utilizing organisms
taking advantage of the serine hydroxymethyltransferase
(SHMT) reaction. In the biosynthesis reaction, the SHMT
catalyzes the glycine condensation with the C1-unit
activated by a tetrahydrofolate derivative (THF) to form
L-serine. However, this method faced a setback because of
the external addition of glycine and low conversion yields. As
will be seen below, the SHMT reaction plays a key role in
microbial L-serine production. It catalyzes the interconver-
sion of 5,10-methylenetetrahydrofolate þglycine þH
2
O
to tetrahydrofolate þL-serine, with the interconversion
and dissociation of reactants within the same order of
magnitude.
Using sugars like glucose as a carbon source, L-serine
derives directly from glycolysis in just three enzymatic
steps (Figure 6). A systematic study revealed that removing
bottlenecks in synthesis and preventing L-serine degradation
are major issues in the manufacture of L-serine. Indeed,
L-serine has a key position in central metabolism since as
much as 8% of the glucose carbon flux is via L-serine. The
reason is that L-serine, besides being incorporated into pro-
tein, is required for a number of purposes, like synthesis of
phospholipids, L-tryptophan, and L-cysteine. Moreover, the
biodegradative reaction catalyzed by SHMT provides gly-
cine required for purine, protein, and heme synthesis, and,
more importantly, provides the activated C-1 compound
5,10-methylene-THF, which in turn can be further
Feedbac
k
inhibition
Repression
Homoserine
dehydro-
genase
Homoserine
kinase
Threonine
synthase
Lys
Met
lle
Aspartate
Aspartyl
phosphate
Aspartate
semialdehyde
Homoserine
Homoserine
phosphate
Threonine
thrA
thrB
thrC
Aspartate
kinase
Figure 5 Regulation of L-threonine biosynthesis in Escherichia
coli. Only the regulation by L-threonine and L-isoleucine is shown.
Amino Acid Production 49

converted into 5,10-methenyl-THF, and other activated C-
1 units like 10-formyl-THF, 5-formyl-THF, and 5-methyl-
THF to serve different demands in metabolism, like
5-methyl-THF for L-methionine synthesis, 5,10-methenyl-
THF for D-pantothenate synthesis, or 10-formyl-THF for
N-formylmethionyl-tRNA and purine synthesis. It is
obvious that only because of the requirement for purine
synthesis and the provision of tRNAfMet for translation
initiation, a high L-serine degradative flux via the SHMT
reaction occurs.
To derive from the ‘workhorse’ of amino acid produc-
tion, C. glutamicum,anL-serine producer, a number of
steps were undertaken. These were as follows: At first
the feedback control of the 3P-glycerate dehydrogenase
(PGDH) was removed, which is allosterically controlled
by L-serine. Sequence comparisons revealed that the
C-term of the serA-encoded PGDH represents the
domain involved in allosteric control. Therefore, a com-
prehensive set of truncated serA versions was made, with
the most prominent mutation being serA197, where as
much as 197 amino acyl residues from the C-term were
deleted and which resulted in an activity almost insensi-
tive to L-serine inhibition but with catalytic activity
largely retained (Figure 6). However, overexpression of
the mutant allele serA197 in C. glutamicum either alone or
in combinations with serC and serB overexpressed did not
result in significant L-serine accumulation, indicating an
intracellur conversion of L-serine.
Therefore, in the second step, the intracellular fate of
L-serine was studied using
13
C-labeled L-serine. Tracing of
the label revealed that L-serine as an entity is converted to
pyruvate and a genomic screen revealed furthermore
that an sdaA-encoded serine dehydratase is present in
C. glutamicum, likely to be responsible for degradation. The
serine dehydratase contains an [4Fe-4S] cluster involved in
the pyridoxal-59-phosphate-independent deamination of
L-serine to pyruvate. When the enzyme was deleted and
then the serA197, serC,andserB genes overexpressed, a
slight transient L-serine accumulation was observed.
The study with
13
C-labeled L-serine also showed that
glycine was formed from the L-serine added, and this was
not surprising considering that there is no preference of the
SHMT for the forward or backward reaction. As men-
tioned, L-serine conversion catalyzed by SHMT serves to
provide activated C-1 units and this cellular demand can-
not entirely be bypassed by external metabolite addition.
Therefore SHMT is essential. However, the metabolic
engineers used a trick to deplete SHMT activity. As men-
tioned, SHMT requires THF for functioning. Therefore,
the pabAB and pabC genes were deleted, encoding the
aminodeoxychorismate synthase and aminodeoxychoris-
mate lyase catalyzing two steps of THF synthesis. SHMT
activity and growth of the resulting strain were dependent
on THF, or its intermediate p-aminobenzoate.
Thus the strain eventually selected was C. glutamicum
13032sdaApabABC pserACB. This is derived from the
type strain ATCC13032, deleted of serine dehydratase
(sdaA) and of the folate synthesis genes (pabABC), and
overexpressing the three genes of the L-serine synthesis
pathway (pserACB) with the serA gene carrying the dele-
tion at its C-term. Under industrially relevant conditions
the performance of this strain was demonstrated in a 20l
reactor based on corn steep liquor (CSL) medium. CSL
provides some folate to enable restricted growth and
reduced SHMT activity of the strain. The medium con-
tained 35 g l
1
solid CSL plus initially 15 g l
1
glucose,
Figure 6 On the left is shown L-serine synthesis as derived from 3-phosphoglycerate from glycolysis. On the right is shown a series of
plasmid constructs and their resulting 3-phosphoglycerate dehydrogenase activity in the presence of L-serine.
50 Amino Acid Production

15 g l
1
fructose, and salts. The minimum dissolved oxy-
gen concentration was set to 50% saturation to ensure no
oxygen limitation. As can be seen in Figure 7, inoculation
of the reactor with cells enabled growth up to a maximum
specific growth rate of 0.25 h
1
, which is about 60% that
of the wild type. L-serine formation occurred from the
beginning, suggesting a suitable folate supply in the cul-
ture due to CSL, which can be assumed to contain at least
traces of this vitamin. The maximum oxygen uptake rate,
OUR
max
, was about 110 mol l
1
h
1
, which was present at
the end of the logarithmic growth of the culture. The
maximal specific productivity was 1.45 mmol g
1
h
1
, and
the volumetric productivity about 1.4 g l
1
h
1
. In this
experiment a final concentration of 345 mmol L-serine
was reached, but significantly higher concentrations can
be obtained, and further derivatives of this basic strain
have been developed.
Enzymatic Production
L-Aspartic Acid
L-aspartic acid is industrially produced by an enzymatic
process in which aspartase (L-aspartate ammonia lyase EC
4.3.1.1) is used. This enzyme catalyzes the reversible
interconversion between L-aspartate and fumarate plus
ammonia. The equilibrium constant of the deamination
reaction catalyzed by the enzyme is 20 mmol l
1
at 39 C
and 10 mmol l
1
at 20 C; thus the amination reaction is
favored. Aspartase purified from E. coli is a tetramer with a
molecular weight of 196 kDa and it has a strong require-
ment for divalent metal ions. As the isolated enzyme is
very unstable in solution, an immobilized cell system
based on E. coli cells entrapped in a polyacrylamide gel
matrix was developed. Using this system, the half-life of
the aspartase activity could be increased to 120 days.
Immobilization of the cells in -carrageenan resulted in
remarkably increased operational stability; thus, a bioca-
talyst with a half-life of approximately 2 years was
obtained (Table 2). In addition, recombinant DNA tech-
niques helped to improve aspartase-containing strains.
A plasmid with the aspA gene elevated aspartase forma-
tion in E. coli approximately 30-fold.
The production of L-aspartate by means of immobi-
lized cells has been industrialized by using a fixed-bed
reactor system. A continuous process enables automation
and efficient control to achieve high conversion rates and
yields. A column packed with the -carrageenan-immo-
bilized cells produces 200 mmol l
1
L-aspartate per hour
per gram of cells; thus, in a 1 m
3
column about 100 tons of
L-aspartate can be produced in 1 month. Compared to
microbial amino acid production, the advantages of this
enzymatic production method are higher product
concentration and productivity. Furthermore, less by-
products are formed; thus, L-aspartic acid can be easily
separated from the reaction mixture by crystallization. In
recent years the market for L-aspartic acid has increased
to approximately 30 000 tons per year due to the fact that
125
100
75
50
25
0
025
Time (hrs)
Serine (mM)
Growth (OD)
OUR (mmol/l*h)
DO (% saturation)
50
0
50
100
150
200
250
300
350
400
Figure 7 Performance of an L-serine producer strain in a fermenter showing growth (&), the L-serine concentration in the medium (N),
the dissolved oxygen, DO (&), and the oxygen uptake rate, OUR (^).
Table 2 Half-life of aspartase in Escherichia coli cells
immobilized using various methods
Immobilization
method
Aspartase
activity (U/g
cells)
Half-life
(days)
Relative
productivity
(%)
a
Polyacrylamide 18 850 120 100
Carrageenan 56 340 70 174
Carrageenan
(GA)
b
37 460 240 397
Carrageenan
(GA þHA)
b
49 400 680 1498
a
Considers the initial activity, decay constant, and operation period.
b
GA ¼glutaraldehyde, HA ¼hexamethylene diamine.
Amino Acid Production 51

this amino acid is a precursor for the production of the
dipeptide sweetener aspartame (methyl ester of aspartyl-
L-phenylalanine).
Future Prospects
For the synthesis of proteinogenic amino acids, microbial
fermentation plays a key role among the production
methods in the amino acid industry. Because of modern
techniques such as metabolic engineering combined with
new analytical methods offered by the -omics techniques,
like DNA chip technology, proteomics, and metabolo-
mics, further improvements in microbial processes are
constantly being achieved. Bottlenecks in L-amino acid
synthesis can be removed by amplification of genes cod-
ing for the limiting enzymatic steps. The recent discovery
of the L-lysine secretion carrier opens up an entirely
new field for increasing the overproduction of various
L-amino acids. Furthermore, a thorough understanding
of the various elements and mechanisms controlling the
biosynthesis of an amino acid should make it possible to
further influence its production rate in a predictable way.
Further Reading
Bellmann A, Vrljic M, Patek M, Sahm H, Kramer R, and Eggeling L (2001)
Expression control and specificity of the basic amino acid exporter
LysE of Corynebacterium glutamicum.Microbiology
147: 1765–1774.
Dassler T, Maier T, Winterhalter C, and Boeck A (2000) Identification of a
major facilitator protein from Escherichia coli involved in efflux of
metabolites of the cysteine pathway. Molecular Microbiology
36: 1101–1112.
Eggeling L (2005) Export of amino acids and other solutes. In: Eggeling L
and Bott M (eds.) Handbook of Corynebacterium glutamicum,,
pp. 187–214. Boca Raton, London, New York: CRC Press, Taylor
Francis Group.
Eggeling L (2007) L-serine and glycine. In: Wendisch VF (ed.) Amino Acid
Biosynthesis –Pathways, Regulation and Metabolic Engineering,
Microbiology Monographs,, pp. 259–272. Berlin, Heidelberg,
New York: Springer Verlag.
Leuchtenberger W, Huthmacher K, and Drauz K (2005)
Biotechnological production of amino acids and derivatives: Current
status and prospects. Applied Microbiology and Biotechnology
69: 1–8.
Niebisch A, Kabus A, Schultz C, Weil B, and Bott M (2006)
Corynebacterial protein kinase G controls 2-oxoglutarate
dehydrogenase activity via the phosphorylation status of the OdhI
protein. The Journal of Biological Chemistry 281: 12300.
Wittmann C and de Graaf AA (2005) Metabolic flux analysis in
Corynebacterium glutamicum. In: Eggeling L and Bott M (eds.)
Handbook of Corynebacterium glutamicum, pp. 277–304. Boca
Raton, London, New York: CRC Press, Taylor Francis Group.
52 Amino Acid Production

Antibiotic Resistance
BPe
´richon and P Courvalin, Institut Pasteur, Paris, France
ª2009 Elsevier Inc. All rights reserved.
Defining Statement
Introduction
Antibiotic Classes
Antibiotic Resistance
Mechanisms of Resistance
Acquisition of Resistance
Biochemistry of Resistance
Genetics of Resistance
Antibiotics Can Act as Pheromones
Biological Cost of Antibiotic Resistance
Conclusion
Further Reading
Glossary
antibiotic Molecule of microbial origin able to inhibit
the growth or to kill other microorganisms.
antimicrobial agent Substance active against
microorganisms but not obligatory of microbial origin. It
could be synthetic, semisynthetic, or originate from
plants or mammals.
chromosome DNA molecule that contains all the
genetic information necessary for the life of the
bacterium. Most often double-stranded, covalently
closed, circular, and self-replicating.
conjugation Unidirectional transfer of genetic
information (in this article, a plasmid) involving direct
cellular contact between a donor (male) and a recipient
(female).
integron DNA element that acquires open-reading
frames embedded in gene cassette units and converts
them into functional genes by ensuring their correct
expression.
mutation Any inheritable alteration of DNA.
operon Adjacent genes coordinately expressed.
plasmid Minichromosome encoding accessory genetic
information, such as antibiotic resistance.
replicon DNA molecule that can replicate
autonomously (chromosome or plasmid)
resistance When a strain can grow in the presence of
higher concentrations of the antibiotic compared to
other strains of the same species.
transposon (transposable genetic element) DNA
segment able to migrate from replicon to replicon
(plasmid or chromosome) while retaining its physical
integrity. A transposon can insert itself into
nonhomologous DNA, exit, and relocate independently
of the general recombination function of the host.
Abbreviations
A site aminocyl receptor site
AAC aminoglycoside acetyltransferases
ABC ATP-binding cassette
ANT aminoglycoside
nucleotidyltransferases
APH aminoglycoside phosphotransferases
CSP competence-stimulating peptide
DHFR dihydrofolate reductase
EF-G elongation factor G
LPS Lipopolysaccharide
MATE multidrug and toxic compound
extrusion
MDR multidrug resistance
MFS major facilitator superfamily
MIC minimal inhibitory concentration
MRSA methicillin-resistant S. aureus strains
OM outer membrane
Omp OM proteins
P site peptidyl donor site
PBPs penicillin-binding proteins
qnr quinolone resistance
QRDR quinolone resistance determining
region
RND resistance-nodule-cell division
SMR small multidrug resistance
VISA strains vancomycin-intermediate S. aureus
strains
53

Defining Statement
Resistance of bacteria to antibiotics can be intrinsic or
acquired. Acquired resistance results from mutation in a
gene located in the host chromosome or from horizontal
acquisition of a new genetic information by conjugation
or transformation. These mechanisms can be associated in
the emergence and more efficient spread of resistance.
Introduction
Resistance of bacteria to antibiotics, in particular multiple
resistance, has become a major health problem worldwide.
Antibiotics are defined as secondary metabolites pro-
duced by microorganisms in the environment (generally
the soil) active against other microorganisms because of
their interaction with, and inhibition of, a specific target.
In this article, the term ‘antibiotic’ is used to designate
natural, but also semisynthetic (e.g., certain aminoglyco-
sides) or entirely synthetic (e.g., quinolones), molecules
with antibacterial activity.
Antibiotic Classes
Antibiotics are grouped in classes (or families) on the basis
of their chemical structure, for example, ß-lactams
(penicillins and cephalosporins), aminoglycosides (strep-
tomycin, kanamycin, and gentamicin), and tetracyclines.
As a consequence, members of a given class are closely
related and generally share the same target in the cell and
are thus substrates for the same mechanism of resistance.
As will be discussed below, this implies that the reasoning
in terms of resistance should be in classes rather than in
individualized antibiotics.
The main classes of antibiotics act on four different
targets (Table 1).
Inhibition of Cell Wall Biosynthesis
The cell wall protects prokaryotes from the environment
and from osmolysis. The bacterial cell wall is
characterized by the presence of a peptidoglycan located
outside the cytoplasmic membrane that is responsible for
the rigidity of the bacterial cell wall and for the determi-
nation of cell shape. Synthesis of the cell wall requires
several steps in the cytoplasm, such as synthesis of the
muramyl pentapeptide, which is then translocated to the
external face of the cell membrane by a carrier. Cross-
linking by transglycosylases and transpeptidases is
responsible for the complete synthesis of the peptidogly-
can outside of the cell.
The -lactam antibiotics, such as penicillins and
cephalosporins, block the transpeptidation events by
binding to the transpeptidases, also named penicillin-
binding proteins (PBPs).
Glycopeptides act by binding, in a noncovalent fash-
ion, to the C-terminal of D-alanine-D-alanine dipeptide of
the peptidoglycan precursors, preventing their incorpora-
tion into the growing wall.
Fosfomycin inhibits the activity of MurA, an enzyme
implicated in the conversion of the nucleotide diphospho-
sugar UDP-N-acetylglucosamine into UDP-muramyl
pentapeptide, by binding to its active site cysteine and
thus blocking the formation of muramyl pentapeptide.
Inhibition of Protein Biosynthesis
Bacterial ribosomes, which translate the mRNA in amino
acid sequences, are constituted of two subunit nucleopro-
tein particles, named 50S and 30S. The large 50S subunit
contains proteins and two rRNA, 23S and 5S, whereas the
small 30S subunit is composed of proteins and the 16S
rRNA. The translation events start with the binding of
mRNA to the 30S subunit. A formylmethionyl-tRNA is
then attached to the peptidyl (P) donor site face of the
AUG initiator codon. The 50S subunit is then added, and
the adequate aminoacyl-tRNA enters the aminocyl recep-
tor (A) site, which is adjacent to the peptidyl donor site
(P site). A specific peptidyl transferase mediates a peptide
bond between the N-formylmethionine and the adjacent
amino acid.
Macrolides, such as erythromycin, bind to the 23S
rRNA, near the peptidyl transferase center, block the
Table 1 Targets of the main classes of antimicrobial drugs
Cell wall synthesis Protein synthesis DNA replication Membrane
Bacitracin Aminoglycosides Coumarines Polymixins
-Lactams Chloramphenicol Quinolones
Glycopeptides Fusidic acid Rifampin
Fosfomycin Ketolides Sulfonamides
Lincosamides Trimethoprim
Macrolides
Oxazolidinones
Streptogramins
Tetracyclines
54 Antibiotic Resistance

entrance of the ribosomal tunnel, and thus stop the elon-
gation of the peptide chain.
Tetracyclines bind in the vicinity of the A site of the 30S
subunit and block the moving of the tRNA along the ribo-
some, which impedes the formation of the first peptide bond.
Chloramphenicol binds to the A site and prevents
binding by tRNA.
Lincosamides (lincomycin and clindamycin), by inter-
acting with both the A site and the P site inhibit peptide
bond formation.
The ribosome is also the specific target of aminoglyco-
sides that act by causing translational errors and by
inhibiting translocation.
Inhibition of DNA Replication
Topoisomerases are essential for cell viability. DNA
gyrase is implicated in the control of DNA topology, in
DNA replication, recombination, and transcription.
Topoisomerase IV is involved in DNA replication and
decatenation of the chromosome. Interaction of quino-
lones with enzyme-bound DNA complexes is responsible
for conformational changes and accumulation of com-
plexes that could block the replication fork.
Rifampin is an RNA polymerase inhibitor that hinders
protein transcription of DNA into mRNA.
Other Targets
Folic acid is an essential precursor in nucleic acid synth-
esis. Trimethoprim–sulfamethoxazole inhibits the folic
acid metabolism pathway: the first molecule blocks the
dihydrofolate reductase (DHFR), an essential enzyme for
DNA synthesis, whereas the second blocks the dihydrop-
teroate synthase.
Polymixins increase the permeability of the cell
membrane.
Antibiotic Resistance
There are two major types of resistance to antibiotics:
intrinsic and acquired.
Intrinsic Resistance
Intrinsic (or natural) resistance is present in all the bac-
teria of a given species or genus and could thus be better
considered as insensitivity. It delineates the spectrum of
activity of an antibiotic. This type of resistance could be
the result of the physiological characteristics of the bac-
terial species or of the presence of a structural gene.
Natural resistance is often due to (1) inaccessibility of
the target by antibiotics, (2) low affinity of the antibiotics
for the target, or (3) absence of the target. For example,
presence of an external membrane in Gram-negative
bacilli (such as Escherichia coli) leads to resistance to
various drug classes (glycopeptides, macrolides, lincosa-
mides, streptogramins, etc.) due to impermeability.
Pseudomonas aeruginosa is a typical organism that exhi-
bits a high broad substrate range intrinsic resistance
resulting from a particularly low permeability of its outer
membrane (OM) associated with a number of endoge-
neous multidrug efflux systems (such as MexAB-OprM
and MexXY-OprM) and a chromosomally encoded -
lactamase (AmpC).
Enterococcus faecium produces an intrinsic low affinity
PBP 5 responsible for high level resistance to cephalospor-
ins, oxacillin, and monobactams and for an increase in
resistance to the penicillins and carbapenems. Enterococcus
spp. are also intrinsically resistant to low levels of amino-
glycosides, due to inefficient uptake of this class of
antibiotics. As already mentioned, glycopeptides, vanco-
mycin and teicoplanin, inhibit cell wall synthesis in
Gram-positive bacteria by binding to the C-terminal
D-alanyl-D-alanine (D-Ala-D-Ala) residues of late penta-
peptide peptidoglycan precursors. Enterococcus gallinarum
and Enterococcus casseliflavus and Enterococcus flavescens are
intrinsically resistant to low levels of glycopeptides by
synthesis of modified peptidoglycan precursors ending in
D-alanine-D-serine (D-Ala-D-Ser), for which glycopeptides
have a low affinity, and by elimination of the D-Ala-D-Ala
ending precursors. These two concomitant events are due
to a chromosomally encoded vanC gene cluster.
Resistance to both -lactams and cyclines in
Mycobacteria is due to the combination of reduced per-
meability of the bacterial cell wall, presence of modifying
enzymes, and low affinity for the target (such as PBP and
DNA gyrase).
Acquired Antibiotic Resistance
Acquired resistance is present only in some strains of the
same species or genus. In certain instances, it can be
highly prevalent, such as penicillinase production in
staphylococci is present in more than 90% of the strains.
Intrinsic and acquired resistances do not differ in their
mechanisms; both can employ the four major pathways
depicted in Figure 1.
Mechanisms of Resistance
On a biochemical point of view, bacteria have developed
four major mechanisms of resistance (Figure 1): (1) mod-
ification of the target, which leads to loss or decrease in
affinity of the drug for its target or synthesis of a new
target; (2) production of an enzyme that will inactivate or
modify the drug; (3) impermeability, in particular by loss
of a porin (pore in the external membrane) or by
Antibiotic Resistance 55

diminution of its diameter in Gram-negative bacteria; and
(4) efflux of antibiotics outside of the cells by energy-
dependent pumps. The common motif of these various
mechanisms is to impede interaction of the antibiotic with
its target.
Alteration or Synthesis of a New Target
A mechanism frequently used by bacteria to prevent the
action of antimicrobial agents is the alteration of specific
targets that have a necessary role in microbial growth.
Enzymes involved in several steps of peptidoglycan
synthesis, such as PBPs, or assembly represent targets of
choice for antibiotics. Alteration of PBPs, resulting in low
affinity for -lactams, or acquisition of new PBPs is
responsible for -lactam resistance. As an example, resis-
tance to this antibiotic class in Streptococcus pneumoniae is
mainly due to alteration of PBPs. S. pneumoniae has six
PBPs (1a, 1b, 2a, 2b, 2x, and 3) in which point mutations
could be responsible for -lactam resistance in mutants
obtained in vitro. In clinical isolates, resistance is due to
low-affinity variants of PBPs 2b, 2x, and 1a that are
encoded by mosaic genes that result from DNA acquisi-
tion by transformation from related species of streptococci
that are intrinsically less susceptible to -lactams fol-
lowed by homologous recombination. Genesis of these
mosaic PBP genes is facilitated by the fact that S. pneumo-
niae is naturally transformable. Competence, which is the
ability to take up DNA from the environment, in S.
pneumoniae is due to a specific protein, the competence-
stimulating peptide (CSP), which acts as a pheromone. In
response to a certain population density, the production
of CSP is increased by the upregulation of the comC or
comA gene. A typical example of a mosaic PBP-mediated
resistance is the mosaic PBP 2x, which is the result of the
replacement of a portion of PBP 2x of S. pneumoniae by the
corresponding portion of the gene from Streptococcus oralis
or Streptococcus mitis. This mosaic PBP 2x is more resistant
to cefotaxime, despite the fact that the donor strain and
the recipient S. pneumoniae were cefotaxime susceptible.
Other mosaic structures responsible for synthesis of low
affinity PBP variants have been described (PBP 1a, 1b, 2a,
and 2b). Alteration of three or more PBPs is found in
highly resistant isolates.
High level resistance to methicillin and all other
-lactams in Staphylococcus aureus (methicillin-resistant
S. aureus strains (MRSA)) is due to acquisition of a gene,
mecA, responsible for synthesis of a new PBP, PBP 2a, with
reduced affinity for -lactams. In the absence of mecA, low
level resistance could be due to overproduction of PBP 4
or due to modification of PBP 2.
Acquired resistance to glycopeptides in E. faecium and
Enterococcus faecalis detected in 1986 is due to acquisition
of operons encode enzymes producing modified peptido-
glycan precursors terminating in D-Ala-D-lactate (D-Ala-D-
Lac) (VanA, VanB, and VanD-type resistance) or in
D-Ala-D-Ser (VanE, and VanG-type). Interestingly, the
base composition mol% GC of the genes in the van
operons suggests that these clusters are composed of
genes from various sources (Figure 2). The first clinical
isolates of MRSA that have acquired a vanA gene cluster
were detected in 2002. Vancomycin resistance in vanco-
mycin-intermediate S. aureus (VISA strains) is not due to
acquisition of a van gene cluster but due to synthesis of a
thicker cell wall that traps vancomycin, leading to a
reduced number of molecules that reach the transglyco-
sylase targets located in the cytoplasmic membrane.
The macrolide, lincosamide, and streptogramin B anti-
biotics act by binding to the 50S ribosomal subunit and thus
prevent protein synthesis. Resistance to these molecules is
due to the methylation of an adenine residue (A2058 in E.
coli) in 23S rRNA by a methyltransferase specified by an
erm (erythromycin ribosome methylation) gene. Addition
of a methyl group reduces the affinity of the rRNA for
these three groups of antibiotics that have very different
structures. Enzymatic methylation of 16S rRNA by other
methylases of the Rmt family (RmtA, B, C, and D) or
ArmA confers high level resistance to aminoglycosides.
Alteration of the targets of fluoroquinolones type II
topoisomerases, DNA gyrase and topoisomerase IV, con-
stitutes the main mechanism of resistance to these
antimicrobial agents. These two enzymes, implicated in
bacterial DNA synthesis, are composed of two subunits
(GyrA and GyrB for DNA gyrase and ParC and ParE for
topoisomerase IV). Mutations in a specific region of these
subunits, the QRDR (quinolone resistance determining
region), prevent the fixation of the quinolones on the
DNA–enzyme complex. The levels of resistance conferred
by mutations in the subunits of DNA gyrase or
Enzyme
Figure 1 Major mechanisms of resistance to antibiotics. From
top, counterclockwise, alteration of the target; production of an
enzyme inactivating the drug; impermeability by mutation in a
porin channel; impermeability by active efflux of the drug.
56 Antibiotic Resistance

topoisomerase IV depend on both the bacterial species and
the quinolone. The primary target is the DNA gyrase in
Gram-negative bacteria and topoisomerase IV in Gram-
positive bacteria. Mutations in the GyrA or ParC subunits
are more common than mutations in GyrB or ParE.
Another resistance mechanism to fluoroquinolones is
mediated by the plasmid-borne qnr (quinolone resistance)
gene. The Qnr gene product, which belongs to the penta-
peptide repeat family, protects gyrase and topoisomerase
IV from quinolone inhibition by binding these enzymes
directly. To date, three types of qnr genes have been
described, qnrA,qnrB,andqnrS. Within each type, several
variants have been reported.
Antibiotics of the rifamycin family, such as rifampin,
interact with the subunit of RNA polymerase, which is
encoded by the rpoB gene, and block transcription initia-
tion. Mutations, including point mutations, insertions, and
deletions, responsible for rifampin resistance are located
in highly conserved regions, notably between the residues
507 and 534. Mutations in rpoB have been detected in
Mycobacteria, S. pneumoniae,S. aureus, and Neisseria
meningitidis.
Mutations in the dhfr gene, encoding a DHFR, are
responsible for trimethoprim resistance in
staphylococci.
Alteration of other targets, such as iso-leucyl-tRNA
synthetase, elongation factor G (EF-G), and NADH-enoyl-
ACP-reductase/-ketoacyl-ACP-synthase, is responsible
for resistance to mupirocin, fusidic acid, and isoniazid,
respectively.
vanC
vanC vanXY
C
vanR
C
vanS
C
vanT
vanE vanXY
E
4553
vanR
E
vanS
E
60
vanT
E
47
vanG
% aa identity
with vanC
vanE
vanR
G
regulator
vanS
G
vanG
vanW
G
vanT
G
% aa identity
vanD
vanR
D
vanY
D
vanD
vanH
D
vanX
D
vanR vanS vanYvanAvanH vanX
vanA
vanZ
vanR
B
vanY
B
vanB
vanH
B
vanX
B
vanB
vanW
vanU
G
Transcriptional
regulator
P
R
P
RD
P
E
P
YG
Histidine
kinase
Unknown Serine
racemase
Ligase
D,D-
Carboxypeptidase
D,D-
Carboxypeptidase
D,D-dipeptidase
% aa identity
with vanA 2334 30 7667 71
% aa identity
with vanA 4258 13 686959
41
with vanD
with vanC
16
55
40
29
31
73
62
55
56
23
NA
NA
NA
NA
41
39
46
44
42
41
NA
NA
37
37
with vanE
NA
NA
NA
49
with vanB
8171 65 81
% aa identity
with vanC2 91
P
H
P
YB
P
RB
vanS
B
P
YD
vanS
D
P
UG
vanY
G
vanXY
G
P
C
Figure 2 Comparison of the van gene cluster. Open arrows represent coding sequences and indicate the direction of transcription.
NA, not applicable.
Antibiotic Resistance 57

Enzymatic Modification
This is a major mechanism of resistance to antibiotics
such as -lactams, macrolides, aminoglycosides, and
chloramphenicol.
-Lactamases hydrolyze the four-membered -lactam
ring in penicillins, cephalosporins, carbapenems, and
monobactams. The enzymes can be classified in a number
of ways, such as by their amino acid sequences or by their
enzymatic activity spectrum. In the latter classification,
four groups have been defined: group 1, cephalospori-
nases on which the -lactamase inhibitor clavulanic acid
has a weak activity; group 2, penicillinases sensitive to
clavulanic acid and extended spectrum -lactamases;
group 3, metallo--lactamases; and group 4, other
-lactamases weakly sensitive to clavulanic acid.
The macrolide esterases, such as EreA and EreB, inac-
tivate macrolides by cleaving the macrocycle ester.
The transferase group (phospho-, nucleotidyl-, acetyl-,
thiol-, ADP-ribosyl-, and glycosyltransferases) constitutes a
large family of modifying enzymes. The phosphotrans-
ferases catalyze the transfer of a phosphate group
(generally from ATP) to a substrate. The aminoglycoside
phosphotransferases (APH) confer a higher level of resis-
tance than aminoglycoside acetyltransferases (AAC) or
aminoglycoside nucleotidyltransferases (ANT). Depending
on the aminoglycoside modification, more than 50 antibio-
tic-inactivating enzymes have been reported. Furthermore,
various aminoglycoside-inactivating enzymes can be present
in the same host. A remarkable example of this coexistence is
the bifunctional enzyme AAC(69)-APH(20), which is the
fusion product of two genes and possesses an acetyl and a
kinase activity in the same protein. This enzyme is respon-
sible for high level resistance in Gram-positive bacteria to all
the aminoglycosides, except streptomycin and spectinomy-
cin. Resistance to chloramphenicol is due to a large variety
of chloramphenicol acetyltransferases, which are widely dis-
tributed among bacterial pathogens of all genera.
Fosfomycin is modified by thiol transferases such as FosA,
FosB,orFosX.FosA,foundinGram-negativebacteria,is
present on the chromosome of P. aeruginosa whereas FosB is
found in Gram-positive bacteria and, notably, on the chro-
mosome of Bacillus subtilis.Threegenes,mph(A),mph(B),and
mph(D), encoding macrolide 29-phosphotransferases have
been reported in E. coli and Pseudomonas.
Reduced Uptake of Antibiotics
Gram-negative bacteria possess an OM external to the
peptidoglycan and composed of lipopolysaccharide (LPS)
and phospholipids. This OM functions as an effective
barrier, the LPS being responsible for impermeability of
the OM to many molecules. Thus, some OM proteins
(Omp), also called porins and acting as aqueous channels,
are used by several antibiotics, such as -lactams,
chloramphenicol, or fluoroquinolones, to permeate the
OM. Resistance to these families of antibiotics could be
due to the diminution of the porin copy number or
reduction in the size of the pore.
The OM of P. aeruginosa has a very low permeability to
small hydrophilic molecules, allowing resistance of this
organism to fluoroquinolones. Resistance to imipenem in
P. aeruginosa is caused by a loss of the OprD porin in
response to exposure to this antibiotic. Other antibiotic
resistances associated with loss of a porin have been
documented in Serratia marcescens,E. coli,Enterobacter aero-
genes,Enterobacter cloacae,Klebsiella pneumoniae.
Increased Efflux of Antibiotics
The widespread active export or efflux of antibiotics out-
side bacteria limits intracellular accumulation of toxic
compounds such as antibiotics. This mechanism is
mediated of membrane-based efflux proteins acting as
pumps. Efflux pumps have a narrow (such as tetracycline
pumps) or a broad specificity, the latter conferring a
multidrug resistance (MDR) phenotype to chemically
and structurally unrelated compounds. Generally, drug-
specific efflux pumps are encoded by mobile genetic
elements, whereas MDR efflux pumps are specified by
the chromosome. To date, five families of efflux systems
have been described: the major facilitator superfamily
(MFS), the ATP-binding cassette (ABC), the resistance-
nodule-cell division (RND), the small multidrug resis-
tance (SMR), and the multidrug and toxic compound
extrusion (MATE) (Table 2).
Drug efflux systems act in an energy-dependent man-
ner by using ATP hydrolysis (ABC) or an ion antiport
mechanism (MFS, RND, SMR, and MATE). The expres-
sion of multidrug transporters is commonly controlled by
specific regulatory proteins. Antibiotic resistance in an
efflux mutant is due to overexpression of an endogeneous
pump or due to a mutation in a protein pump that
enhance the potential of export of this protein.
As opposed to ABC transporter that usually mediates
the export of specific antimicrobial classes, the MFS,
RND, SMR, and MATE pumps, also designed as second-
ary drug transporters, are generally responsible for
resistance to multiple antimicrobial agents.
Efflux pump specific for one substrate
Tetracyclines inhibit protein synthesis by preventing the
attachment of aminoacyl-tRNA to the ribosomal acceptor
site. Tetracycline-specific efflux pumps, which are mem-
bers of the MFS family, are found in both pathogenic
Gram-negative and Gram-positive bacteria. The tet efflux
genes code for membrane-associated proteins that reduce
the intracellular drug concentration and thus protect the
58 Antibiotic Resistance

ribosome. Most of the tet determinants are found on
mobile elements.
Macrolides also inhibit bacterial growth by binding to ribo-
somes. Efflux is also implicated in macrolide resistance. The mef
genes, initially described in S. pneumoniae and Streptococcus pyo-
genes, are implicated in the specific efflux of 14- and 15-
membered macrolides. The msr(A)/msr(B) and msr(C) genes,
detected in Staphylococcus spp. and E. faecium, respectively, are
responsible for macrolide/streptogramin efflux.
The cmlA genes, which are also widespread among
Gram-negative bacteria, encode exporters of the MFS
family that confer chloramphenicol resistance.
EffluxpumpassociatedwithMDR
Major facilitator superfamily
Overproduction of NorA, a chromosomally encoded pro-
tein of the MFS family, is responsible for quinolone
resistance in S. aureus. NorA is homologous to Bmr of
B. subtilis and PmrA of S. pneumoniae, the latter being respon-
sible for an increase of the norfloxacin minimal inhibitory
concentration (MIC). A fluoroquinolone efflux gene, named
qepA and located on a plasmid detected in E. coli,specifiesan
MFS transporter that confers low level of resistance to the
hydrophilic quinolones norfloxacin and ciprofloxacin.
An efflux pump, Tap, conferring resistance to amino-
glycosides and the tetracyclines, has been detected in
Mycobacteria, such as Mycobacterium fortuitum and
Mycobacterium tuberculosis.
The chromosomally-encoded efflux pump EmrAB
confers in E. coli resistance to nalidixic acid and to other
toxic compounds. A homologous pump, VceAB, was found
in Vibrio cholerae, a Gram-negative enteric pathogen.
An endogenous gene of Listeria monocytogenes,lde,
encodes a protein of the MFS family and is responsible
for fluoroquinolone resistance.
Resistance-nodule-cell division
The RND family constitutes the most important multidrug
efflux systems for clinically important antimicrobials. This
family can accommodate a broad range of structurally unre-
lated molecules.
In addition to intrinsic resistance by impermeability,
P. aeruginosa also expresses efflux systems of the RND family.
As already mentioned, some of them (such as MexAB-OprM
or MexXY-OprM) participate in the intrinsic resistance.
MexAB-OprM contributes to resistance to quinolones,
chloramphenicol, -lactams, novobiocin, trimethoprim,
macrolides, tetracycline, and the biocide triclosan. The
MexCD-OprJ system is implicated in fluoroquinolone resis-
tance but also accommodates -lactams, chloramphenicol,
macrolides, tetracycline, and trimethoprim.
In E. coli, the AcrAB-TolC system is homologous to
MexAB-OprM. Substrates of AcrAB-TolC include
macrolides, chloramphenicol, fluoroquinolones, tetracy-
cline, rifampin, lipophilic -lactams, fusidic acid,
ethidium bromide, and triclosan. AcrD and AcrEF also
encode efflux pumps. AcrA, B, D, and F are also present in
the Salmonella enterica genome.
In Acinetobacter baumannii, overexpression of AdeABC,
an RND tripartite efflux pump, is responsible for resis-
tance to aminoglycosides and decreased susceptibility to
chloramphenicol, fluoroquinolones, erythromycin, tetra-
cycline, trimethoprim, meropenem, and the dye ethidium
bromide. Expression of the adeABC operon is regulated by
a two-component regulatory system, adeRS. Mutations in
adeR or adeS are responsible for the constitutive expres-
sion of the AdeABC pump, which is otherwise cryptic in
wild-type A. baumannii.
Multidrug and toxic compound extrusion
Two homologous pumps, NorM (Vibrio parahaemolyticus)
and YdhE (E. coli), are implicated in fluoroquinolone and
aminoglycoside resistance.
Small multidrug resistance
Substrates of these SMR pumps, detected in S. aureus
(Smr) and E. coli (EmrE), include disinfectants and anti-
septics. Genes coding for QacE and QacE1, responsible
Table 2 Typical substrates of the five classes of antibiotic efflux pumps
MFS RND SMR MATE ABC
Aminoglycosides Aminoglycosides Aminoglycosides Aminoglycosides Aminoglycosides
Chloramphenicol -lactams Chloramphenicol Fluoroquinolones Chloramphenicol
Erythromycin Chloramphenicol Erythromycin -lactams
Fluoroquinolones Erythromycin Tetracyclines Erythromycin
Lincosamides Fluoroquinolones Fluoroquinolones
Novobiocin Novobiocin Lincosamides
Rifampin Rifampin Macrolides
Tetracyclines Tetracyclines Novobiocin
Trimethoprim Tetracyclines
ABC, ATP-binding cassette; MATE, multidrug and toxic compound extrusion; MFS, major facilitator superfamily; RND, resistance-nodule-cell division;
SMR, small multidrug resistance.
Antibiotic Resistance 59

for quaternary ammonium compounds resistance, are
found in Gram-negative and in both Gram-negative and
Gram-positive bacteria, respectively, and are located in
integrons.
ATP-binding cassette
Most bacterial ABC drug transporters are implicated in the
export of specific antibiotics and have been described in
various species. Expression of lmrA from Lactococcus lactis in
E. coli is responsible for resistance to aminoglycosides,
lincosamides, macrolides, quinolones, streptogramins, tet-
racyclines, and chloramphenicol. Similarly, the E. faecalis
efrAB gene is responsible for norfloxacin and ciprofloxacin
resistance; expression of vcaM of V. cholerae renders bacteria
resistant to tetracycline, norfloxacin, and ciprofloxacin.
Acquisition of Resistance
On a genetic point of view, resistance can be acquired by two
totally distinct events: Either occurrence of a mutation in the
genome leading to vertical inheritance of resistance to the
progeny of the bacterium or acquisition of foreign genetic
information, from other bacteria, by horizontal transfer.
There is a multiplicity of definitions of resistance and
we have already considered the intrinsic and acquired
types. Genetic resistance is when the daughter cell differs
from the parental cell by a genetic event (following a
mutation or horizontal acquisition of genetic informa-
tion). Biochemical, in bacteria that differ by the presence
or the absence of a resistance mechanism. Microbiologic,
when a strain can tolerate a significantly higher concen-
tration of antibiotic (generally expressed as MIC in
mg l
1
). Clinical, which is based on the clinical outcome:
success or failure of antibiotic therapy in a patient suffer-
ing from a bacterial infection. For the sake of clarity, only
the genetic dimension of resistance is considered; in other
words, the resistant bacterium (daughter cell) has suffered
a genetic alteration relative to its parent (mother cell).
Biochemistry of Resistance
Cross-Resistance
Cross-resistance corresponds to resistance to all the anti-
biotics belonging to the same class due to a single
mechanism. As we have seen above, drugs assigned to a
same class are chemically related, have thus the same
target of action in the cell, and are therefore subject to
cross-resistance: bacteria that are resistant to one member
of the class are generally resistant to the other members.
However, there are degrees in cross-resistance: the more
active the drug, the lower the level of resistance. In gen-
eral, drugs recently developed are more active than old
molecules of the same class. For example, among
quinolones, ciprofloxacin is much more active than nali-
dixic acid. As a result, Gram-negative bacteria that have
suffered a mutational event in the target of quinolones,
the type II topoisomerases (DNA gyrase and topoisome-
rase IV) become much more resistant to nalidixic acid
(that has high MICs) than to ciprofloxacin (that retains
lower MICs). This observation stresses that a resistance
mechanism has no absolute value. The level of resistance
also depends on the degree of susceptibility of the host
bacterium. Resistance by a given mechanism will be much
higher if the bacterial species is poorly susceptible. For
example, the same mechanism will confer to P. aeruginosa,
a species naturally poorly susceptible to antibiotics, which
has a resistance level much higher than N. meningitidis,a
species exquisitely susceptible to drugs. Importantly,
cross-resistance implies cross-selection: use of a given
antibiotic can select resistance to other members of the
class but not to drugs belonging to other classes.
Co-resistance
In co-resistance, various mechanisms are associated in the
same bacterial host, sometimes stabilized by integration
into the genome. Each confers (by cross-resistance) resis-
tance to a class of antibiotics which, in fine, can result in a
broad spectrum of resistance (MDR). Again, the conse-
quence of co-resistance is co-selection. Use of a member
of a drug class can co-select resistance to another class of
antibiotics with a totally distinct mode of action. This is,
for example, the case for S. pneumoniae (Table 3).
In France in 1999, among clinical isolates of pneumo-
cocci, 46% of the strains were susceptible to penicillin G
whereas 54% were resistant to this antibiotic. If one
compares the rates of resistance of these two groups of
bacteria to other drug classes (first two rows, Table 3), it
is apparent that the strains resistant to penicillin G are
much more often resistant to the other classes of antibio-
tics. If now one considers exclusively the penicillin
G-resistant strains (considered as 100%, column 2 in
Table 3), one realizes that resistance to other classes of
antibiotics is extremely high. For example, administration
of the trimethroprim–sulfamethoxazole combination
(Bactrim, the antibiotic most prescribed worldwide) has
88% chances to co-select a pneumococcus strain resistant
to penicillin G, although these two drugs have totally
different structures and targets of action.
Integrons are the most efficient way to achieve co-
resistance (Figure 3). These elements represent a very
elegant genetic system for capture and expression of resis-
tance genes. Integrons, which can be located either in the
chromosome or in plasmids, are composed of genes that
have been acquired by site-specific recombination. They
possess the machinery necessary to capture exogeneous
genes: an integrase (intI) that allows recombination of cir-
cularized DNA (gene cassettes), a recombination site (attI),
60 Antibiotic Resistance

and a promoter (P
ant
) that directs transcription of the
captured genes. The resistance gene cassettes inserted
into the integron contain a single gene and, downstream
from it, a specific attC site, which is an imperfect inverted
repeat. In presence of the integron-encoded integrase, a
gene cassette containing attC inserts by site-specific recom-
bination at the attI site and the gene is transcribed from the
P
ant
promoter. After integration of a gene cassette, another
one can be inserted at the attI site. This integrative process
is reversible. There is a clear relationship between the
position of a cassette in the integron and the level of
resistance: the closer of P
ant
, the higher level of expression
of the resistance gene. To date, five classes of integrons
implicated in the dissemination of antibiotic resistance
genes have been reported. Class 1 integrons, in which
most of the antibiotic resistance gene cassettes can be
found, have been detected in many Gram-negative and,
less frequently, in Gram-positive bacteria. Gene cassettes
in class 1 integrons confer resistance to -lactams, amino-
glycosides, erythromycin, chloramphenicol, trimethoprim,
fosfomycin, lincomycin, and antiseptics of the quaternary
ammonium compound family. The resistance determi-
nants are tightly linked, because they are not only
adjacent, but co-expressed from the same promoter.
Since the genetic organization of integrons results in
co-expression of the genes that have been integrated,
use of any antibiotic that is substrate for one of the
resistance mechanisms will co-select for resistance to all
the others. The emergence of new gene cassettes in class 1
integrons, such as qnr implicated in resistance to fluoro-
quinolones, is of concern.
Extended Cross-Resistance
This type of resistance is due to a single mechanism
(therefore cross-resistance is dealt) that can confer resis-
tance to various drug classes and is thus designated as
‘extended’ cross-resistance. As in co-resistance, but with
differences in genetic and biochemical organization, a
class of antibiotics can select for resistance to other drug
classes. A typical example is the methylation of a specific
adenine residue in 50S rRNA that confers high level
resistance to macrolides, lincosamides, and streptogra-
mins B although these three classes have different
chemical structure.
Another example of this type of resistance is over-
expression of efflux pumps that can have very broad
substrate ranges. The pumps that are grouped in super-
families use energy provided by the protonmotive force
or hydrolysis of ATP. In Gram-negative bacteria, the
RND pumps can export a large array of antibiotic mole-
cules, with very different structures, and also biocides
such as triclosan. This accounts for the fact that deter-
gents, that are increasingly used in household products,
can select multiresistant bacteria. The pumps should be
considered as the kidneys of the bacteria since they export
molecules that are toxic, in particular, products of the
cellular catabolism. The chromosomal structural genes
for the pumps are positively or negatively regulated and
are generally expressed at low level. A mutation in one of
the genes involved in regulation (activator, repressor, or
intI1
attI
sul1
Integrase 3′-conserved segment
Pant
qacEΔ1
intI1 sul1
qacEΔ1
R1
R2
R2 Gene cassette
R1 Gene cassette
Int attC
intI1 sul1
qacEΔ1
R1
Site-specific recombination
Pant
Pant
Figure 3 Model for site-specific gene cassette integration-
excision in an integron. attI, attachment site of the integron; attC,
attachment site of the cassette; intI1, gene for the integrase; Int,
integrase; P
ant
, outward-oriented promoter for the cassettes.
Horizontal arrows indicate sense of transcription.
Table 3 Antibiotic resistance in Streptococcus pneumoniae
Resistant to (%)
S. pneumoniae (%) PenG Em Cm Tc Tp-Su
Pen
S
(46%) 0 20 14 15 10
Pen
R
(54%) 100 80 38 51 66
Em
R
82 100
Cm
R
77 100
Tc
R
80 100
Tp-Su
R
88 100
Cm, chloramphenicol; Em, erythromycin; PenG, penicillin G; R, resistant; S, susceptible; Su, sulfonamides; Tc, tetracycline; Tp–Su, trimethoprim–
sulfamethoxazol (Bactrim).
Antibiotic Resistance 61

two-component regulatory system) or in the operator will
result in overexpression of the pump and leads to resis-
tance to its various substrates. Thus, the smallest genetic
event, a point mutation, can lead in one step to resistance
to a large set of antibiotics, the so-called MDR.
Genetics of Resistance
The genome of bacteria is constituted of the chromosome
and accessory mobile genetic elements such as plasmids
and transposons (Figure 4). The chromosome contains all
the genetic information required for the life cycle of the
bacteria. In general, the chromosome is not self-
transferable horizontally to other bacteria. Chromosomal
resistance genes and mutated genes involved in drug
resistance are inherited vertically by the next generation
of bacteria. Plasmids and transposons encode functions
that are not strictly required for bacterial life but that
can provide advantages to the host. Antibiotic resistance
genes are only transiently useful to bacteria and it thus
makes sense that they are often transferable and part of
mobile genetic elements. In fact, any gene can be part of a
volatile structure as long as it provides intermittent selec-
tive advantage to the host and that adequate selective
pressure exerts. These mobile genetic elements can be
inherited horizontally and vertically.
Plasmids
Plasmids are extrachromosomal elements that can be trans-
ferred laterally by conjugation or by mobilization. They
may carry resistance to several antibiotics. Conjugative
plasmids are self-transferable from cell to cell by conjuga-
tion, a mechanism that requires physical contact between
the donor and the recipient bacterium (Figure 5).
Mobilizable plasmids can be transferred with the help of a
conjugative plasmid coresident in the same cell. A plasmid
can carry multiple, easily up to seven, resistance determi-
nants. Because of this physical linkage, selection for
resistance to any of them will lead to co-transfer of the
others. Thus, in a single genetic event, conjugation, a bac-
terium can acquire ‘en bloc’ a multiplicity of resistances.
Transposons
Transposons are DNA fragments that can migrate from one
replicon to another while retaining their structural integrity
(Figure 6). Transposons encode a transposase that allows
site-specific insertion and excision. They can transfer
actively, in the case of conjugative transposons of Gram-
positive cocci, or passively when they are borne by a
transferable plasmid. Integrons, as described above, are
found frequently as part of transposons, and transposons
are frequently carried on plasmids. Numerous plasmids and
transposons carry antibiotic resistance genes, often several
of them. Furthermore, mobile genetic elements carrying
antibiotic resistance genes often encode resistance to
heavy metals and detergents. Thus, selection pressure
exerted by biocides may select for antibiotic resistance.
Plasmid
Transposon
Figure 4 Schematic representation of the bacterial genome.
Figure 5 Schematic representation of plasmid conjugation.
Bottom right, donor bacterium; bottom left, recipient bacterium.
The chromosomes are represented in a condensed state. After a
single nick on one of the two complementary DNA strands of the
plasmid, one strand is transferred from the donor to the recipient.
During this process, the complementary strand of the remaining
DNA strand in the donor is synthesized while the complementary
strand of the incoming DNA is synthesized in the recipient. After
transfer, each bacterium contains a copy of the plasmid (top) and
can therefore act, in turn, as a donor.
62 Antibiotic Resistance

As already mentioned, there are two major pathways to
antibiotic resistance: mutational events in the chromo-
some and acquisition of foreign genes. Mutations can
occur not only in a structural gene for the target of an
antibiotic (as discussed for quinolones) but also in regu-
latory regions of genes (e.g., efflux pumps).
Resistance to an antibiotic is often inducible by the
antibiotic itself. In this case, the drug should be considered
as having two types of activities: induction of resistance
and killing of the bacteria that act on distinct targets.
Acquired resistance to vancomycin is a typical example
of inducibility. Expression of the resistance genes of the
van operon is controlled by a two-component regulatory
system VanS/VanR, in which VanS acts as a sensor and
VanR as a transcriptional regulator (Figure 2). In the
presence of vancomycin in the environment, the signal is
transduced from the sensor domain to the catalytic domain
of VanS, leading to autophosphorylation of VanS followed
by transfer of the phosphoryl group to the VanR response
regulator. The phosphorylated regulator binds to the
promoter regions resulting in transcriptional activation of
the regulatory (vanR/vanS) and of the resistance genes,
allowing expression of the resistance pathway (synthesis of
modified peptidoglycan precursors) and elimination of the
normal precursors ending in D-Ala-D-Ala. Under nonin-
ducing conditions, that is, in the absence of vancomycin,
VanS acts as a phosphatase, dephosphorylates VanR
resulting in arrest of expression of the resistance genes.
Since antibiotic resistance usually corresponds to a gain of
function, there is an associated biological cost resulting in
the loss of fitness of the bacterial host. It therefore appears
that modulation of gene expression probably reflects a
good compromise between energy saving and adaptation
to a rapidly changing environment.
Antibiotics Can Act as Pheromones
Antibiotics provide selective pressure for resistant bacteria
to maintain and disseminate but they can also induce trans-
fer of resistance genes. For example, it has been reported
that (1) use of subinhibitory concentrations of penicillins
increase the conjugal transfer of plasmid DNA from E. coli
to S. aureus and L. monocytogenes, (2) oxacillin increased the
frequency of in vitro transfer of Tn916,anenterococcal
conjugative transposon, from E. faecalis to Bacillus anthracis,
(3) transfer frequency of conjugative transposons belonging
to the Tn916/Tn1545 family, which contain a tetracycline
resistance determinant, is increased 10- to 100-fold in vitro
and in vivo in the presence of low concentrations of tetra-
cycline, and (4) tetracycline also increases the transfer of a
Bacteroides conjugative transposon.
Thus, several antibiotics can behave like pheromones:
they are synthesized by specific cells (such as the
Actinomycetes producers) and they act on another cell, at
low concentrations, on very specific targets to promote
DNA exchange.
Biological Cost of Antibiotic Resistance
The frequency of appearance of resistant strains in a bac-
terial population depends on several factors such as the
volume of antibiotic used, the biological cost of resistance,
and the ability of bacteria to compensate for the fitness cost.
Acquisition of antibiotic resistance is often associated with a
biological cost because (1) bacteria acquire a new gene or
setofgenesresponsiblefornewfunctions,(2)theresistance
mutations occur in genes with essential functions, or (3) of
the replication and maintenance of extrachromosomal ele-
ments that bear the resistance genes. The biological cost
allows determination of the stability and the potential
reversibility of resistance. The fitness cost of antibiotic
resistance could be assessed by measuring, in isogenic (sus-
ceptible and resistant) strains, the growth rate in vitro or in
Figure 6 Replicative transposition. The donor replicon (lower
right) contains a copy of the transposon (close bar; the direction
of replication is indicated by an arrow) whereas the acceptor
replicon (lower left) does not. Selective replication of the
transposon and replicon fusion generate a bireplicon that
contains two copies of the element, in the same orientation, at
the borders of the replicons (middle). Following recombination
between the two copies of the element, after completion of
transposition, each replicon contains a copy of the element (top)
and can thus, in turn, act as a donor.
Antibiotic Resistance 63

animals. A compensatory evolution could occur to reduce
the biological cost, allowing the stabilization of the resistant
bacteria in a natural population. This stabilization may
allow resistant strains to compete with susceptible strains
in an antibiotic-free environment. The compensatory evo-
lution could be the result of (1) a true reversion of the
resistance mutation or loss of the resistant element or (2)
an acquisition of a second mutation (reverse mutation)
located in the same (intragenic) or in another (extragenic)
gene. Reversion mutations are more common than rever-
sion to the susceptible phenotype. Once the resistant and
compensated mutants are fixed in the bacterial population,
a reversion to susceptibility is unlikely. Chances of reversi-
bility of the resistance are also reduced in case of co-
resistance to several antibiotics.
It was observed by competition experiments in
Helicobacter pylori that clarythromicin resistance confers a
biological cost in mice. Reduction of this cost, which was
observed in clinical isolates, suggests that compensation is
a clinically relevant phenomenon.
The biological fitness was also partially or totally
restored in fusidic acid-resistant mutants of S. aureus and
Salmonella typhimurium and in rifampin-resistant mutants of
E. coli. Similar results were obtained in S. enterica that were
resistant to a deformylase inhibitor, an antibiotic that
targets peptide deformylase. Resistance mutations that
occur in the fmt or folD gene confer a fitness cost in the
absence of antibiotics. Intragenic mutations in the fmt/folD
genes or extragenic mutations (such as amplification of
genes encoding tRNAi) partially reduce the fitness cost.
Some resistant bacteria may have a normal growth
suggesting that they have acquired a no-cost resistance
mutation. A specific substitution in the rpsL gene (which
encodes ribosomal protein S12), responsible for strepto-
mycin resistance in several enteric bacteria, is a typical
example of a no-cost high level resistance mutation.
Finally, the fitness cost of resistance depends on several
factors such as the environmental conditions, the bacterial
species, the specific resistance mutation, or the growth
conditions. The methods used to determine the fitness
cost are also crucial: one study demonstrates that no fitness
cost was associated with vancomycin resistance in enter-
ococci whereas another group found that vancomycin-
susceptible enterococcal strains were more fit than their
resistant counterparts.
Conclusion
Intrinsic or acquired resistance to antimicrobial drugs
could be the result of different mechanisms. Resistance
may (1) be limited to one class of antibiotics or
(2) involve several classes by extended cross-resistance
or co-resistance. Resistance determinants that are chro-
mosomally located are vertically inherited whereas those
that are part of mobile genetic elements can be vertically
and horizontally acquired. There are three levels of expo-
nential dissemination of antibiotic resistance: epidemics of
resistant bacteria among mammals, resistance-plasmid
epidemics due to the broad host range of conjugation,
and gene epidemics among bacteria (transposons and inte-
grons). Thus, resistance genes can easily disseminate
under natural conditions. The biological cost associated
with resistance, when it exists, is frequently reduced by a
compensatory evolution that allows the stabilization of the
resistant bacteria in the population. It is thus necessary to
develop (1) strategies to reduce resistance dissemination
(such as prudent use of antibiotics and increase of surveil-
lance resistance) and (2) new antibiotics addressing novel
targets and thus escaping from cross-resistance with
already developed drugs. However, many in vitro and in
vivo studies indicate that several pathways will confer,
soon or later, resistance to every new antibiotic.
Further Reading
Aarestrup FM (ed.) (2006) Antimicrobial Resistance in Bacteria of Animal
Origin. Washington, DC: American Society for Microbiology.
Bonomo RA and Tolmasky M (eds.) (2007) Enzyme-Mediated
Resistance to Antibiotics – Mechanisms, Dissemination, and
Prospects for Inhibition. Washington, DC: American Society for
Microbiology.
Bryskier A (ed.) (2005) Antimicrobial Agents. Washington, DC: ASM
Press.
Depardieu F, Podglajen I, Leclercq R, Collatz E, and Courvalin P (2007)
Modes and modulations of antibiotic resistance gene expression.
Clinical Microbiological Reviews 20: 79–114.
Gale EF, Cundliffe E, Reynolds PE, Richmond MH, and Waring MJ (eds.)
(1972) The Molecular Basis of Antibiotic Action. London, New York,
Sydney, Toronto: John Wiley & Sons.
Hughes D and Andersson DI (eds.) (2001) Antibiotic Development and
Resistance. London, New York: Taylor & Francis.
Kumar A (2005) Bacterial resistance to antibiotics: Active efflux and
reduced uptake. Advanced Drug Delivery Reviews 57: 1486–1513.
Lambert PA (2005) Bacterial resistance to antibiotics: Modified target
sites. Advanced Drug Delivery Reviews 57: 1471–1485.
Levy SB (ed.) (1992) The Antibiotic Paradox: How Miracle Drugs are
Destroying the Miracle. New York, London: Plenum press.
Lewis K, Salyers AA, Taber HW, and Wax RG (eds.) (2002) Bacterial
Resistance to Antimicrobials. New York, Basel: Marcel Decker, Inc.
Lorian V (ed.) (2005) Antibiotics in Laboratory Medicine, 5th edn.
Baltimore, Maryland: Lippincott Williams & Wilkins.
Murray PR, Baron EJ, Jorgensen JH, Pfaller MA, and Yolken RH (eds.)
(2004) Manual of Clinical Microbiology, 8th edn., vol.1 & 2.
Washington, DC: American Society for Microbiology.
Piddock LJV (2006) Clinically relevant chromosomally encoded
multidrug resistance efflux pumps in bacteria. Clinical Microbiological
Reviews 19: 382–402.
White DG, Alekshun MN, and McDermott PF (eds.) (2005) Frontiers in
Antimicrobial Resistance, A Tribute to Stuart B. Levy. Washington,
DC: American Society for Microbiology.
Wright GD (2005) Bacterial resistance to antibiotics: Enzymatic
degradation and modification. Advanced Drug Delivery Reviews
57: 1451–1470.
64 Antibiotic Resistance

Antifungal Agents
A Espinel-Ingroff, Virginia Commonwealth University Medical Center, VA, USA
ª2009 Elsevier Inc. All rights reserved.
Defining Statement
Introduction
The Polyenes
Griseofulvin
Cycloheximide
Pyrrolnitrin, Fenpiclonil, and Fludioxonil
The Synthetic Pyrimidines
The Azoles
The Allylamines
The Benzylamines, Thiocarbamates,
and Dithiocarbamates
The Benzimidazoles and Methylbenzimidazole
Carbamates
The Morpholines
The Pyridines
The Echinocandins, Pneumocandins,
and Papulocandins
The Pradimicins and Benanomycins
The Polyoxins and Nikkomycins
The Sordarins
Dimethomorph and Fluazinam
The Phthalimides
Other Antifungal Approaches
Further Reading
Glossary
emerging fungal infections Fungal infections caused
by new or uncommon fungi.
granulocytopenia/neutropenia Acquired or
chemically induced immunosuppression caused by low
white blood cell counts.
immunocompromised Having a defect in the immune
system.
in vitro and in vivo Describing or referring to studies
carried out in the test tube and in animals, respectively.
mycoses and mycotic infections Diseases caused by
yeasts or molds.
nephrotoxicity Damage to the kidney cells.
opportunistic infections Infections caused by
saprophytic fungi or not true parasites.
Abbreviations
AMB amphotericin B
CSF cerebrospinal fluid
DMPC dimyristoyl phosphatidylcholine
DMPG dimyristoyl phosphatidylglycerol
GVHD graft-versus-host disease
HSCT hematopoietic stem cell transplant
MIC mum inhibitory concentration
NYS nystatin
OPC oropharyngeal candidiasis
Defining Statement
Antifungal agents are naturally occurring or synthetically
produced compounds that have in vitro or in vivo activity
against yeasts, molds, or both. Fungi and mammalian cells
are eukaryotes, and antifungal agents that inhibit synth-
esis of proteins, RNA, and DNA are potentially toxic to
mammalian cells.
Introduction
Fungi can be unicellular (yeasts) and multicellular or
filamentous (molds) microorganisms. Some medically
important fungi can exist in each of these morphologic
forms and are called dimorphic fungi. Of the estimated
250 000 fungal species described, fewer than 150 are
known to be etiologic agents of disease in humans. Most
fungi associated with disease are considered opportunistic
pathogens (especially the yeasts) because they live as normal
flora in humans, lower animals and plants, and rarely cause
disease in otherwise healthy individuals. Many fungi, on the
contrary, are important plant and lower animal parasites and
can cause damage to crops (wheat rust, corn smut, etc.) and
to fruit (banana wilt), forest (Dutch elm disease), and orna-
mental trees and other plants. Historically, the potato
famine, which was the reason for the great migration from
Ireland to the Americas, was caused by a fungal infection
65

(potato blight). At the same time, fungi and their products
play an important economic role in the production of alco-
hol, certain acids, steroids, antibiotics, and so on.
Because, the number of fungal diseases caused by both
yeasts and molds has significantly increased during the
past twenty years, especially among immunocompro-
mised patients at high risk for life-threatening mycoses,
14 antifungal agents are currently licensed for the treat-
ment and prevention of systemic fungal infections: the
polyene amphotericin B and its three lipid formulations,
the pyrimidine synthesis inhibitor 5-fluorocytosine (flu-
cytosine), the imidazoles miconazole and ketoconazole,
the triazoles fluconazole, itraconazole, voriconazole and
posaconazole, and the echinocandins caspofungin, mica-
fungin, and anidulafungin. However, the number of
fungal diseases caused by both yeasts and molds has sig-
nificantly increased during the past years, especially
among the increased number of immunocompromised
patients, who are at high risk for life-threatening mycoses.
There are more agents for topical treatment as well as
agriculture and veterinary use, and several agents are
under investigation for the management of severe and
refractory fungal infections in humans (Table 1).
This article summarizes the most relevant facts
regarding the chemical structure, mechanisms of action
and resistance, pharmacokinetics, safety, adverse interac-
tions with other drugs and applications of the established
systemic and topical antifungal agents currently licensed
for clinical, veterinary, or agricultural uses. A shorter
description is provided for antifungal compounds that
are in the last phases of clinical development, under
clinical trials in humans, or that have been discontinued
from additional clinical evaluation. The former com-
pounds have potential use as therapeutic agents. More
detailed data regarding these agents are found in the
references.
The Polyenes
The polyenes are macrolide molecules that target mem-
branes containing ergosterol, which is an important sterol
in the fungal cell membranes. Traces of ergosterol are also
involved in the overall cell cycle of fungi.
Amphotericin B
Amphotericin B is the most important of the 200 polyenes.
Amphotericin B replaced 2-hydroxystilbamidine in the
treatment of blastomycosis in the mid-1960s. Two ampho-
tericins (A and B) were isolated in the 1950s from
Streptomyces nodosus, an aerobic bacterium, from a soil sam-
ple from Venezuela’s Orinoco River Valley. Amphotericin
B (the most active molecule) has seven conjugated double
bonds, an internal ester, a free carboxyl group, and a
glycoside side chain with a primary amino group
(Figure 1(a)). It is unstable to heat, light, and acid pH.
The fungistatic (inhibition of fungal growth) and fungicidal
(lethal) activity of amphotericin B is due to its ability to
combine with ergosterol in the cell membranes of suscep-
tible fungi. Pores or channels are formed causing osmotic
instability and loss of membrane integrity. This effect is not
specific; and extends to mammalian cells. The drug binds
to cholesterol, creating the high toxicity associated with all
conventional polyene agents. A second mechanism of anti-
fungal action has been proposed for amphotericin B, which
is oxidation-dependent. Amphotericin B is highly protein
bound (91–95%). Peak serum of 1–3 mgml
1
and trough
concentrations of 0.5–1.1 mgml
1
are usually measured
after the intravenous (i.v.) administration of 0.6 mg kg
1
doses. Its half-life of elimination is 24–48 h, with a long
terminal half-life of up to 15 days.
Although resistance to amphotericin is rare, quantita-
tive and qualitative changes in the cell membrane sterols
have been associated with the development of microbio-
logical resistance both in vitro and in vivo. Clinically,
resistance to amphotericin B has become an important
problem, particularly with certain yeast and mold species,
such as Candida lusitaniae,Aspergillus terreus,Fusarium spp.,
Malassezia furfur,Pseudallescheria boydii (Scedosporium apios-
permum), Scedosporium prolificans,Trichosporon beigelii, and
other emerging fungal pathogens.
The in vitro spectrum of activity of amphotericin B
includes yeasts, dimorphic fungi, and most of the opportu-
nistic molds. Clinically, amphotericin B has been
considered as the gold standard antifungal agent for the
management of most systemic and disseminated fungal
infections and opportunistic mycoses. Although it pene-
trates poorly into the cerebrospinal fluid (CSF),
amphotericin B is effective in the treatment of both
Candida and Cryptococcus meningitis alone and/or in com-
bination with 5-fluorocytosine. Toxicity is the limiting
factor during amphotericin B therapy and has been classi-
fied as acute or delayed (Table 2). Nephrotoxicity is the
most significant delayed adverse effect. Therefore, close
monitoring of renal function tests, bicarbonate, electrolytes
including magnesium, diuresis, and hydration status is
recommended during amphotericin B therapy. Current
recommendations regarding daily dosage, total dosage,
duration, and its use in combination with other antifungal
agents are based on the type of infection and the status of
thehost.Becauseseverefungalinfectionsinthegranulo-
cytopenic host are difficult to diagnose and cause much
mortality, empirical antifungal therapy with amphotericin
B and other agents has improved patient care. Systemic
prophylaxis for patients at high risk for invasive mycoses
has also evolved. Amphotericin B adverse drug interactions
can occur with the administration of electrolytes and other
concomitant drugs. This drug is also used for the treatment
of systemic infections in small animals, especially
66 Antifungal Agents

Table 1 Antifungal agents, mechanisms of action, and their use
Antifungal class Antifungal target of action Agent Use
Polyenes Membranes containing ergosterol Amphotericin B (AMB) Systemic mycoses
a,b
Nystatin (NYS) Superficial mycoses
a,b
AMB lipid complex Systemic mycoses intolerant or refractory to AMB
AMB colloidal dispersion
Liposomal AMB
Liposomal NYS Under investigation
Pimaricin Topical keratitis
a
Phenolic cyclohexane Microtubule aggregation and DNA
inhibition
Griseofulvin Dermatophytic infections
a
Natural glutarimide Protein synthesis inhibition Cycloheximide Laboratory and agriculture
Phenylpyrroles Unknown Fenpiclonil Agriculture
Fludioxonil
Synthetic pyrimidines Fungal cytosine permease and
deaminase
Flucytosine Systemic (yeasts) in combination with AMB
a
Ergosterol inhibition Triarimol Agriculture
Fenarimol
Anilinopyrimidines Enzyme secretion Pyrimethanil
Cyprodinil
Azoles Ergosterol biosynthesis inhibition Imidazoles
Clotrimazole Topical, oral troche
a,b
Econazole
Isoconazole
Oxiconazole
Tioconazole
Miconazole Topical and veterinary
b
Ketoconazole Second-line drug for nonmeningeal systemic mycoses
and veterinary
a,b
Enilconazole Veterinary
Epoxiconazole Agriculture
(Continued )

Table 1 (Continued)
Antifungal class Antifungal target of action Agent Use
Fluquinconazole
Triticonazole
Prochoraz
Triazoles
Fluconazole Candidiasis, cryptoccosis, coccidioimycosis, prophylaxis
b
Itraconazole Candidiasis, aspergillosis, endemic mycoses, superficial
diseases, long-term prophylaxis
a
Posaconazole Prophylaxis (invasive Aspergillus and Candida infections), oropharyngeal
candidiasis (OPC)
Terconazole Intravaginal
Voriconazole Aspergillus and Candida infections, salvage therapy
(S. apiospermum and Fusarium infections)
a
Ravuconazole
(BMS-207147, ER-30346) Under investigation (phases II and III)
Albaconazole (UR-9825) Under investigation (phases I and II)
Allylamines Terbinafine Superficial infections
Naftifine Topical
Benzylamines Butenafine Topical
Thiocarbamates Tolnaftate Topical
Tolciclate
Piritetrade
Dithiocarbamates Nonspecific Mancozeb Agriculture
Thiram
Benzimidazoles and
methylbenzimidazole carbamates
Nuclear division Carbendazim Agriculture
Benomyl
Thiophanate
Morpholines Ergosterol biosynthesis inhibition Amorolfine Topical
Fenpropimorph Agriculture
Tridemorph
Pyridines Buthiobate Agriculture
Pyrifenox

Echinocandins Fungal (1,3)-glucan synthetase
inhibition
Papulocandins None
Echinocandin B
derivative
Pneumocandin
derivatives
Anidulafungin Invasive Candida infections, including candidemia
a
Caspofungin Invasive Candida infections, including candidemia;
empirical therapy (febrile neutropenic patients unresponsive to antibacterial
therapy); salvage therapy (aspergillosis)
a
Micafungin Invasive Candida infections, including candidemia
Prophylaxis for HSCT patients and liver transplantation
a
Pradimicins Fungal saccharide
(mannoproteins)
Pradamicin FA-2 (BMY
28864)
None
Benanomycins Benanomycin A Under investigation
Polyoxins Fungal chitin synthase Polyoxin D None
Nikkomycins Nikkomycin Z Under investigation
Sordarins Protein synthesis inhibition GM 222712 Under investigation
GM 237354
Cinnamic acid Cell wall Dimethomorph Agriculture
Oomycete fungicide Oxidative phosphorylation Fluazynam Agriculture
Phthalimides Nonspecific Captan Agriculture, horses (dermatophytic infections)
Cationic peptides Lipid bilayer of
biologimemberanes
Cecropin
Indolicidin
None
Synthetic peptides Under investigation
Amino acid analogs Amino acid synthesis interference RI 331
Azoxybacillins
Cispentacin
Under investigation
Candida isoleucyl-tRNA synthase
inhibitor
Icofungipen Phase II trials
a
Clinical and veterinary use; other applications for use in humans only.
b
A human product used in veterinary.
Only licensed, commonly used, and antifungals under clinical investigation are listed; see text for other antifungals.

blastomycosis in dogs, but it is not effective against asper-
gillosis. Side effects (especially in cats) and drug
interactions are similar to those in humans.
Nystatin
Nystatin was the first of the polyenes to be discovered
when it was isolated from Streptomyces noursei in the early
1950s. It is an amphoteric tetrane macrolide that has a
similar structure (Figure 2(a)) and identical mechanism of
action to those of conventional amphotericin B. Although it
has an in vitro spectrum of activity similar to that of ampho-
tericin B, this antifungal is used mostly for the therapy of
gastrointestinal (orally) and mucocutaneous candidiasis
(topically). This is not only due to its toxicity after parent-
eral administration to humans and lower animals but also to
its lack of effectiveness when given i.v. to experimental
animals. It is used for candidiasis in small animals and
birdsandforotitiscausedbyMicrosporum canis.
Lipid Formulations
Amphotericin B lipid formulations
In an attempt to decrease the toxicity and increase the
efficacy of amphotericin B in patients with deep-seated
fungal infections, several lipid formulations of this antifun-
gal have been developed since the 1980s. These
preparations have selective toxicity or affinity for fungal
cell membranes and theoretically promote the delivery of
the drug to the site of infection while avoiding the toxicity
of supramaximal doses of conventional amphotericin B.
The result is a reduction of human erythrocytes lysis and
higher doses of amphotericin B can be safely used. Three
lipid formulations of amphotericin B have been evaluated
in clinical trials: an amphotercin B lipid complex, an
amphotericin B colloidal dispersion, and a liposomal
amphotericin B. However, despite evidence of nephrotoxi-
city reduction, a significant improvement in their efficacy
compared to conventional amphotericin B has not been
demonstrated clearly. Although these three formulations
have been approved for the treatment of invasive fungal
infections that have failed conventional amphotericin B
therapy, not enough information is available regarding
their pharmacokinetics, drug interactions, long-term toxi-
cities, and the differences in both efficacy and tolerance
among the three formulations. Also, the most cost-effective
clinical role of these agents as first-line therapies has not
been elucidated.
Figure 1 Chemical structures of some systemic licensed antifungal agents: (a) amphotericin B, (b) 5-fluorocytosine, (c) miconazole,
(d) ketoconazole, (e) fluconazole, and (f) itraconazole.
70 Antifungal Agents

Liposomal amphotericin B
In the only commercially available liposomal formulation
(ambisome), amphotericin B is incorporated into small
unilamellar, spherical vesicles (60–70-nm liposomes).
These liposomes contain hydrogenated soy phospatidyl-
choline and disteaoryl phosphatidylglycerol stabilized by
cholesterol and amphotericin B in a 2:0.8:1:0.4 molar ratio.
In the first liposomes, amphotericin B was incorporated
into large, multilamellar liposomes that contained two
phospholipids, dimyristoyl phosphatidylcholine (DMPC)
and dimyristoyl phosphatidylglycerol (DMPG), in a 7:3
molar ratio (5–10% mole ratio of amphotericin B to
lipid). This formulation is not commercially available, but
it led to the development of commercial formulations.
Amphotericin B lipid complex
Amphotericin B lipid complex contains a DMPC/DMPG
lipid formulation in a 7:3 ratio and a 50% molar ratio of
amphotericin B to lipid complexes that form ribbon-like
structures.
Amphotericin B colloidal dispersion
Amphotericin B colloidal dispersion contains cholesteryl
sulfate and amphotericin B in a 1:1 molar ratio. This
formulation is a stable complex of disk-like structures
(122 nm in diameter and 4 nm thickness).
Liposomal nystatin
To protect human erythrocytes from nystatin toxicity,
nystatin has been incorporated into stable, multilamellar
liposomes, which contain DMPC and DMPG in a 7:3 ratio.
Although it has been demonstrated that the efficacy of
liposomal nystatin is significantly superior to that of con-
ventional nystatin and is well tolerated in experimental
murine models of systemic candidiasis and aspergillosis
(fungal infections caused by Candida spp. and Apergillus
spp.), evaluations in human subjects are limited.
Candicidin
Candicidin is a conjugated heptaene complex produced by
Streptomyces griseus that is selectively and highly active in vitro
against yeasts. It is more toxic for mammalian cells than either
amphotericin B or nystatin; therefore, its use was restricted to
topical applications for the treatment of vaginal candidiasis
(infections by Candida albicans and other Candida spp.).
Table 2 Adverse side effects of the licensed systemic antifungal agents
Side effect Drug
Fever, chills A, K, V, Fl, An
Rash FC, K, I, FL, C, V, P
Nausea, vomiting A, FC, K, I, FL, V, P, An
Abdominal pain FC, K, V
Anorexia A, K
Diarrhea FC, V, M
Elevation of transaminases FC, K, I, V, C, An (rare)
Hepatitis (rare) FC, K, I, FL
Anemia A, FC
Leukopenia, thrombocytopenia FC, Fl, An (rare)
Decreased renal function (azotemia, acidosis, hypokalemia, etc.) A, CV
Decreased testosterone synthesis K (I, rare)
Adrenal insufficiency, menstrual irregularities, female alopecia K
Syndrome of mineralocorticoid excess, pedal edema I
Headache A, FC, K, I, FL, V, An
Photophobia K, V
Transient vision disturbances V (30%)
Dizziness I, V
Seizures FL
Confusion FC, V
Arthralgia, myalgia, thrombophlebitis A
Ventricular tachycardia C, V
Alopecia (rare) Fl
Hypokalemia Fl, C, V, An
Dyspnea and hypotension (rare) An
Reproduced from Groll AH, Piscitelli SC, and Walsh TJ (1998) Clinical pharmacology of systematic antifungal agents: A comprehensive review of
agents in clinical use, current investigational compounds, and putative targets for antifungal drug development. Advances in Pharmacology 44:
343–500 and Arikan S and Rex JH (2007) Antifungal agents. In: Murray, PR et al. (eds.) Manual of Clinical Microbiology, 9th ed. Washington, DC: ASM
Press for more detailed information. A, amphotericin B; An, Anidulafungin; C, caspofungin; FC, flucytosine; K, ketoconazole; M, micafungin; Fl,
fluconazole; I, itraconazole; V, voriconazole.
Antifungal Agents 71

Pimaricin
Pimaricin is a tetraene polyene produced by Streptomyces
natalensis. It has a higher binding specificity for choles-
terol than for ergosterol and, therefore, it is highly toxic
for mammalian cells. The therapeutic use of pimaricin is
limited to the topical treatment of keratitis (eye infec-
tions; also in horses) caused by the molds Fusarium spp.,
Acremonium spp., and other species.
Griseofulvin
Griseofulvin is a phenolic, benzyfuran cyclohexane agent
(Figure 2(b)) that binds to RNA. It is a product of
Penicillium janczewski and was the first antifungal agent
to be developed as a systemic plant protectant. It acts as a
potent inhibitor of thymidylate synthetase and interferes
with the synthesis of DNA. It also inhibits microtubule
formation and the synthesis of apical hyphal cell wall
material. With the advent of terbinafine and itraconazole,
the clinical use of griseofulvin as an oral agent for treat-
ment of dermatophytic infections has become limited.
However, it is frequently used for these infections in
small animals, horses, and calves (skin only) as well as
for equine sporotrichosis. Abdominal adverse side effects
have been noted, especially in cats.
Cycloheximide
This is a glutaramide agent produced by S. griseus. This
agent was among the three antifungals that were reported
between 1944 and 1947. Although cycloheximide had
clinical use in the past, it is currently used as a plant
fungicide and in the preparation of laboratory media.
Pyrrolnitrin, Fenpiclonil, and Fludioxonil
Pyrrolnitrin is the fermentation product of Pseudomonas
spp. It was used in the past as a topical agent. Fenpiclonil
and fludioxonil (related to pyrrolnitrin) were the first
of the phenylpyrrols to be introduced as fungicide for
cereal seed.
Figure 2 Chemical structures of the most commonly used topical antifungal agents: (a) nystatin, (b) griseofulvin, (c) clotrimazole,
and (d) terbinafine.
72 Antifungal Agents

The Synthetic Pyrimidines
5-Fluorocytosine (Flucytosine)
The synthetic 5-fluorocytosine is an antifungal metabolite
that was first developed as an antitumor agent, but it is not
effective against tumors. It is an oral, low-molecular-weight,
fluorinated pyrimidine related to 5-fluorouracil and floxur-
idine (Figure 1(b)). It acts as a competitive antimetabolite
for uracil in the synthesis of yeast RNA; it also interferes
with thymidylate synthetase. Several enzymes are involved
in the mode of action of 5-fluorocytosine. The first step is
initiated by the uptake of the drug by a cell membrane-
bound permease. Inside the cell, the drug is deaminated to
5-fluorouracil, which is the main active form of the drug.
These activities can be antagonized in vitro by a variety of
purines and pyrimidine bases and nucleosides. At least
two metabolic sites are responsible for resistance to this
compound. One involves the enzyme cytosine permease,
which is responsible for the uptake of the drug into the
fungal cell, and the other involves the enzyme cytosine
deaminase, which is responsible for the deamination of
the drug to 5-fluorouracil. Alterations of the genetic
regions encoding these enzymes may result in fungal
resistance to this drug by either decreasing the cell wall
permeability or synthesizing molecules that compete with
the drug or its metabolites.
5-Fluorocytosine has fungistatic but not fungicidal activ-
ity mostly against yeasts; its activity against molds is
inoculum-dependent. Clinically, the major therapeutic
role of 5-fluorocytosine is its use in combination with
amphotericin B in the treatment of meningitis caused by
the yeast Cryptococcus neoformans. The synergistic antifungal
activity of these two agents has been demonstrated in
clinical trials in non-HIV-infected and AIDS patients.
5-Fluorocytosine should not be used alone for the
treatment of any fungal infections. The most serious toxi-
city associated with 5-fluorocytosine therapy is bone
marrow suppression (6% of patients), which leads to neu-
tropenia, thrombocytopenia, or pancytopenia (Table 2).
Therefore, monitoring of the drug concentration in the
patient’s serum (serial 2-h levels post-oral administration)
is highly recommended to adjust dosage and maintain
serum levels between 40 and 60 g ml
1
.Becausethedrug
is administered in combination with amphotericin B, a
decrease in glomerular filtration rate, a side effect of the
latter compound, can induce increased toxicity to 5-fluor-
ocytosine. Adverse drug interactions can occur with other
antimicrobial and anticancer drugs, cyclosporine, and other
therapeutic agents. Because of its toxic potential, 5-fluoro-
cytosine should not be administered to pregnant women or
animals. This drug has been used in combination with
ketoconazole for cryptococcosis in small animals (very
toxic for cats) and also for respiratory apergillosis and
severe candidiasis in birds.
Triarimol, Fenarimol, Pyrimethanil,
and Cyprodinil
Triarimol and fenarimol are pyrimidines with a different
mechanism of action than that of 5-fluorocytosine. They
inhibit lanosterol demethylase, an enzyme involved in the
synthesis of ergosterol, which leads to the inhibition of
this biosynthetic pathway. Triarimol and fenarimol are
not used in medicine but are used extensively as antifun-
gal agents in agriculture.
The anilinopyrimidines, pyrimethanil, and cyprodinil,
inhibit the secretion of the fungal enzymes that cause plant
cell lysis. Pyrimethanil has activity (without cross-
resistance) against Botrytis cinerea (vines, fruits, vegetables,
and ornamental plants) and Venturia spp. (apples and pears),
whereas cyprodinil has systemic activity against Botrytis
spp. but only a preventive effect against Venturia spp.
The Azoles
The azoles are the largest single source of synthetic anti-
fungal agents; the first azole was discovered in 1944. As a
group, they are broad spectrum in nature and mostly
fungistatic. The broad spectrum of activity involves
fungi (yeasts and molds), bacteria, and parasites. This
group includes fused ring and N-substituted imidazoles
and the N-substituted triazoles. The mode of action of
these compounds is the inhibition of lanosterol demethy-
lase, a cytochrome P450 enzyme.
Fused-Ring Imidazoles
The basic imidazole structure is a cyclic five-member
ring containing three carbon and two nitrogen molecules.
In the fused-ring imidazoles, two carbon molecules are
shared in common with a fused benzene ring. Most of
these compounds have parasitic activity (anthelmintic)
and two have limited antifungal activity: 1-chlorobenzyl-
2-methylbenzimidazole and thiabendazole.
1-Chlorobenzyl-2-methylbenzimidazole
The azole 1-chlorobenzyl-2-methylbenzimidazole was
developed specifically as an anti-Candida agent. It has
been used in the past in the treatment of superficial
yeast and dermatophyte infections.
Thiabendazole
Thiabendazole was developed as an anthelmintic agent
and has a limited activity against dermatophytes. It was
also used in the past in the treatment of superficial yeast
and dermatophytic infections. Thiabendazole has been
used for aspergillosis and penicillosis in dogs.
Antifungal Agents 73

N-Substituted (Mono) Imidazoles
In this group, the imidazole ring is intact and substitutions
are made at one of the two nitrogen molecules. At least
three series of such compounds have emerged for clinical
and agricultural use. In the triphenylmethane series, sub-
stitutions are made at the nonsymmetrical carbon atom
attached to one nitrogen molecule of the imidazole ring.
In the second series, the substitutions are made at a
phenethyl configuration attached to the nitrogen mole-
cule. The dioxolane series is based on a 1,3-dioxolane
molecule rather than on the 1-phenethyl molecule.
These series vary in spectrum, specific level of antifungal
activity, routes of administration, and potential uses.
Clotrimazole
Clotrimazole is the first member of the triphenylmethane
series of clinical importance (Figure 2(c)). It has good
in vitro activity at very low concentrations against a large
variety of fungi (yeasts and molds). However, hepatic
enzymatic inactivation of this compound, after systemic
administration, has limited its use to topical applications
(1% cream, lotion, solution, tincture, and vaginal cream)
for superficial mycoses (nail, scalp, and skin infections)
caused by the dermatophytes and M. furfur, for initial
and/or mild oropharyngeal candidiasis (OPC; 10-mg oral
troche), and for the intravaginal therapy (single application
of 500-mg intravaginal tablet) of vulvovaginal candidiasis.
Other intravaginal drugs require 3 to 7-day applications.
This drug is also used for candidal stomatitis, dermatophy-
tic infections, and nasal aspergillosis (infused through
tubes) in dogs.
Bifonazole
Bifonazole is a halogen-free biphenylphenyl methane
derivative. Bifonazole is seldom utilized as a topical
agent for superficial infections, despite its broad spectrum
of activity. Its limited use is the result of its toxic side
effects for mammalian cells. Bifonazole is retained in the
dermis for a longer time than clotrimazole.
Econazole, isoconazole, oxiconazole,
and tioconazole
Other frequently used topical imidazoles include econa-
zole (1% cream), isoconazole (1% cream), oxiconazole
(1% cream and lotion), and tioconazole (6.5% vaginal
ointment) (Table 1). As with clotrimazole, a single appli-
cation of tioconazole is effective in the management of
vulvovaginal candidiasis and as a nail lacquer for fungal
onychomycosis (nail infections). Mild to moderate vulvo-
vaginal burning has been associated with intravaginal
therapy. Oxiconazole and econazole are less effective
than terbinafine and itraconazole in the treatment of ony-
chomycosis and other infections caused by the
dermatophytes. Although topical agents do not cure
onychomycosis as oral drugs do, they may slow down the
spread of this infection. However, the recommended drugs
for the treatment of onychomycosis are terbinafine (by
dermatophytes) and itraconazole.
Miconazole
Miconazole (Figure 1(c)) was the first azole derivative to
be administered intravenously for the therapy of systemic
fungal infections. Clinically is only used as a topical agent
for dermatophytic infections in humans and other large
animals, fungal keratitis and pneumonia in horses, in
birds, and aspergillosis in raptors. However, safety and
efficacy data are not available (veterinary use).
Ketoconazole
Ketoconazole was the first representative of the dioxolane
series (Figure 1(d)) to be introduced into clinical use and
was the first orally active azole. Ketoconazole requires a
normal intragastric pH for absorption. Its bioavailability is
highly dependent on the pH of the gastric contents; an
increase in pH will decrease its absorption, for example, in
patients with gastric achlorhydria or treated with antacids
or H
2
-receptor antagonists (Table 3). This drug should be
taken with either orange juice or a carbonated beverage.
Ketoconazole pharmocokinetics corresponds to a dual
model with an initial half-life of 1–4 h and a terminal
half-life of 6–10 h, depending on the dose. This drug highly
binds to plasma proteins and penetrates poorly into the
CSF, urine, and saliva. Peak plasma concentrations of
approximately 2, 8, and 20 mgml
1
are measured 1–4 h
after corresponding oral doses of 200, 400, and 800 mg.
The most common and dose-dependent adverse effects of
nausea, anorexia, and vomiting (Table 2). They occur in
10% of the patients receiving a 400 mg dose and in
approximately 50% of the patients taking 800 mg or higher
doses. Another limiting factor of ketoconazole therapy is its
numerous and significant adverse interactions with other
concomitant drugs (Table 3).
In vitro, ketoconazole has a broad spectrum of activity
compared to that of other azoles. However, due to its
adverse side effects, its adverse interactions with other
drugs, and the high rate of relapses, ketoconazole has been
replaced by itraconazole and other triazoles. In noncancer
patients, this drug can be effective in the treatment of super-
ficial Candida and dermatophyte infections when the latter
are refractory to griseofulvin therapy. Therapeutic failure
with ketoconazole has been associated with low serum
levels; monitoring of these levels is recommended in such
failures. Ketoconazole also has been used for a variety of
systemic and superficial fungal infections in cats and dogs.
Enilconazole
This is the azole most widely used in veterinary practice
for the intranasal treatment of aspergillosis and
74 Antifungal Agents

penicillosis as well as for dermatophytic infections. The
side effects are few.
Epoxiconazole, fluquinconazole, triticonazole,
and prochloraz
Epoxiconazole, fluquinconazole, and triticonazole are
important agricultural fungicides, which have a wider
spectrum of activity than that of the earlier triazoles, tria-
dimefon, and propiconazole, and the imidazole, prochloraz,
as systemic cereal fungicides. However, development of
resistance to these compounds has been documented.
The Triazoles
The triazoles are characterized by a more specific binding
to fungal cell cytochromes than to mammalian cells due
to the substitution of the imidazole ring by the triazole
ring. Other beneficial effects of this substitution are (1) an
improved resistance to metabolic degradation, (2) an
increased potency, and (3) a superior antifungal activity.
Several triazoles are currently licensed for antifungal
systemic therapy and other triazoles are at different levels
of clinical evaluation (Table 1).
Fluconazole
Fluconazole is a relatively small molecule (Figure 1(e))
that is partially water soluble, minimally protein bound,
and excreted largely as an active drug in the urine. It
penetrates well into the CSF and parenchyma of the brain
and the eye, and it has a prolonged half-life (up to 25 h in
humans). Its pharmacokinetics are linear and independent
on the route of administration and the drug formulation.
Fluconazole is well absorbed orally (its total bioavailabil-
ity exceeds 90%), and its absorption is not affected by
food or gastric pH. Plasma concentrations of 2–7 mgml
1
are usually measured in healthy subjects after single doses
of 100 and 400 mg. After multiple doses, the peak plasma
levels are 2.5 times higher than those of single doses. The
CSF to serum fluconazole concentrations are between 0.5
and 0.9% in both healthy human subjects and laboratory
animals.
Fluconazole does not have in vitro or in vivo activity
against most molds. Both oral and i.v. formulations of
fluconazole are available for the treatment of candidemia
in nonneutropenic and other nonimmunosuppressed
patients, mucosal candidiasis (oral, vaginal, and esopha-
geal), and chronic mucocutaneous candidiasis in patients
of all ages. Fluconazole is the current drug of choice for
maintenance therapy of AIDS-associated cryptococcal and
coccidioidal meningitis. However, since resistance to this
drug can develop during therapy, fluconazole prophylaxis
should be reserved for HIV-infected individuals or AIDS
patients, or for patients with prolonged (2 weeks) and
profound neutropenia (500 cells). Although the recom-
mended dosage of fluconazole for adults is 100–400 mg
each day (q.d.) higher doses (800 mg q.d.) are required for
Table 3 Adverse interactions of the licensed systemic azoles with other drugs during concomitant therapy
Azole Concomitant drug Adverse side effect of interaction
K, FL, I Nonsedating antihistamines, cisapride, terfenadine, astemizole Fetal arrhythmia
K, Fl, I, V, C Rifampin, isoniazid, phenobarbital, rifabutin, carbamazepine,
and phenyton
Reduces azole or C plasma concentrations
K, Fl, I, V Phenytoin, benzodiazepines, rifampin Induces the potential toxicity levels of
co-compounds
K, I Antacids, H
2
antagonists, omeprazole, sucralfate, didanosine Reduces azole absorption
K, Fl, I Lovastin, simvastatin Rhabdomyolysis
l Indinavir, vincristine, quinidine, dicyclosporine, tacrolimus,
methylprednisolone, and ritonavir
Induces potential toxicity co-comgoxin,
compounds
Fl, I, V Warfarin, rifabutin, sulfonylurea Induces potential toxicity of co-compound
K Saquinavir, chlordiazepoxide, methylprednisone Induces potential toxicity of these
compounds
K Protein-binding drugs Increases the release of fractions of free
drug
K, C, V Cyclosporine A Nephrotoxicity
C, V Tacrolimus Tacrolimus can be decreased
C Efavirenz, nevirapine, phenytoin, dexamethasone C can be reduced (70 mg of C should be
considered)
V Omeprazole Reduces omeprazole dose to one half
P Phenytoin, cimetidine Reduces P exposure
P Cyclosporine A, tacrolimus Increases concomitant drug exposure
P Midazolam
P Rifabutin Two-way interactions
Reproduced from Groll AH, Piscitelli SC, and Walsh TJ (1998) Clinical pharmacology of systematic antifungal agents: A comprehensive review of
agents in clinical use, current investigational compounds, and putative targets for antifungal drug development. Advances in Pharmacology 44:
345–500 for more detailed information. K, ketoconazole; Fl, fluconazole; I, itraconazole; P, posaconazole; V, voriconazole; C, caspofungin.
Antifungal Agents 75

the treatment of severe invasive infections and for infec-
tions caused by a Candida spp. that exhibit a minimum
inhibitory concentration (MIC) of 8 mgml
1
. Due to flu-
conazole resistance among Candida krusei (intrinsically
resistant) and Candida glabrata (15% resistant) isolates,
fluconazole use for the treatment of such infections is
precluded. In contrast to the imidazoles and itraconazole,
fluconazole does not exhibit major toxicity side effects
(2.8–16%). However, when the dosage is increased above
1200 mg, adverse side effects are more frequent (Table 2).
Fluconazole interactions with other concomitant drugs are
similar to those reported with other azoles, but they are less
frequent than those exhibited by ketoconazole and itraco-
nazole (Table 3). Fluconazole has been used to treat nasal
aspergillosis and penicillosis in small animals and birds
when topical enilconazole is not feasible.
Itraconazole
Oral and i.v. itraconazole are commercially available for
the treatment of certain systemic mycoses. In contrast to
fluconazole, itraconazole is insoluble in aqueous fluids; it
penetrates poorly into the CSF and urine but well into
skin and soft tissues; and it is highly protein bound (90%).
Its structure is closely related to that of ketoconazole
(Figure 1(f )), but itraconazole has a broader spectrum of
in vitro and in vivo antifungal activity. Similar to ketocona-
zole, itraconazole is soluble only at low pH and is better
absorbed when the patient is not fasting. Absorption is
erratic in cancer patients or when the patient is taking
concomitant H
2
-receptor antagonists, omeprazole, or anta-
cids. Therefore, this drug should be taken with food and/or
acidic fluids. Plasma peak (1.5–4 h) and trough concentra-
tions between 1 and 2.2 mgml
1
and 0.4 and 1.8 mgml
1
,
respectively, are usually obtained after 200-mg dosages
(capsule) as either single daily dosages (per orally (p.o.)
or twice daily (b.i.d.)) or after i.v. administration (b.i.d.) for
2 days and q.d. for more days; these concentrations are also
obtained in cancer patients receiving 5 mg kg
1
divided
into two oral solution dosages.
Clinically, itraconazole (200–400 mg/day) supplanted
ketoconazole as therapy for endemic, non-life-threatening
mycoses including unresponsive cases to other azoles. For
more severe mycoses, higher doses are recommended and
clinical resistance may emerge. The oral solution is better
absorbed than the tablet and has become useful for the
treatment of HIV-associated oral and esophageal candi-
diasis. However, monitoring of itraconazole plasma
concentrations is recommended during treatment of both
superficial and invasive diseases: Drug concentration
0.5 mgml
1
by high performance liquid chromatography
and 2 mgml
1
by bioassay appear to be critical for favor-
able clinical response. Treatment with itraconazole has
been associated with less adverse and mostly transient
side effects (10%) than that with ketoconazole (Table 2),
and these effects are usually observed when the patient
takes up to 400 mg during several periods of time. In
animals, itraconazole has been used for the treatment of
aspergillosis, crytococcosis, blastomycosis (especially in
dogs), equine sporotrichosis, and osteomyelitis (caused
by Coccidiodis immitis in large animals), but its use is
minimal. No data are available regarding its side effects
or drug interactions in animals.
Voriconazole (UK-109496)
Voroconazole is a triazole related to fluconazole obtained
by replacement of one triazole moiety by fluoropyrimi-
dine and -methylation groups (Figure 3(a)); it is
insoluble in aqueous fluids. As do the other azoles, vor-
iconazole acts by inhibiting fungal cytochrome P450-
dependent, 14--sterol demethylasemediated synthesis
of ergosterol. Voriconazole pharmacokinetics in humans
are nonlinear and dosedependent. Following single oral
doses, peak plasma concentrations were achieved after 2 h
and multiple doses resulted in a higher (8 times) accumu-
lation. The mean half-life of elimination is about 6 h.
Voriconazole binds to proteins (65%), is extensively
metabolized in the liver (80%), and is found in the urine
(78–88%) practically unchanged after a single dose.
Voriconazole has good oral bioavility, distributes widely
into tissues including those of the central nervous system.
Voriconazole has an improved in vitro fungistatic activity
and an increased potency against most fungi compared to
those of fluconazole. It is fungicidal against some fungi,
especially Aspergillus spp. It does not have activity against
the Zygomycetes, certain isolates of Candida rugosa,
Sporothrix schenckii and a significant number of
Rhodotorula strains, especially R. muciloginosa. Clinically, it
has been approved for the primary treatment of invasive
aspegillosis, salvage therapy for other mould infections
caused by S. apiospermum and Fusarium spp., candidemia
and other infections caused by Candida spp. The drug is
generally well tolerated with only few side effects, for
example, hepatic (10–15%), transient visual (10–15%)
and skin rash (1–5%; see Table 2). For reported drug
interactions see Table 3.
Posaconazole (SCH 56592)
Posaconazole is the product of a modification of the n-alkyl
side chain of SCH 51048, which included a variety of chiral
substituents (Figure 3(b)). Posaconazole absorption from
the intestinal tract is slow and peak serum concentrations
are achieved 11–24 h after the actual dose. Posaconazole
exhibits dose-proportional absorption up to 800 mg; divid-
ing the dose and food or liquid supplements increase
exposure. It has a large volume distribution (1774 l) and it
is highly protein bound (>98%). Posaconazole has a pro-
longed elimination half-life (20–66 h); it is not extensively
metabolized (approximately 14%) and is eliminated
unchanged in the feces (66%). The in vitro fungistatic and
76 Antifungal Agents

fungicidal activities of posaconazole are similar to those of
voriconazole and amphotericin B against yeasts, the
dimorphic fungi, most opportunistic molds including the
Zygomycetes, certain phaeoid fungi, and the
dermatophytes.
Oral posaconazole has been approved for prophylaxis of
invasive Aspergillus and Candida infections in patients at high
risk due to being severely immunocompromised hemato-
poietic stem cell transplant (HSCT) recipients with graft-
versus-host disease (GVHD) or those with hematologic
malignancies with prolonged neutropenia from chemother-
apy. It also has been approved for the treatment of OPC.
Inducers of the UDP glucuronidation pathway may
affect posaconazole plasma concentrations (Table 3).
Posaconazole is generally well tolerated and serious
adverse effects (most common, altered drug level,
increased hepatic enzymes, nausea, rash, and vomiting)
have occurred in 8% of patients (Table 2).
Terconazole
Terconazole was the first triazole marketed for the topical
treatment of vaginal candidiasis and superficial dermato-
phyte infections. Currently, it is only used for
vulvovaginal candidiasis (0.4 and 0.8% vaginal creams
and 80 mg vaginal suppositories).
Investigational Triazoles
Other triazoles are currently under clinical investigation
and are at earlier stages of development (Table 1).
Triazoles such as saperconazole (R 66905), BAY R 8783,
SCH 39304, SCH 51048, BAY 3783, and SDZ 89-485
were discontinued from further development due a vari-
ety of adverse side effects.
Ravuconazole (BMS-207147; ER-30346)
BMS-207147 is a novel oral thiazole-containing triazole
(Figure 3(c)) with a broad spectrum of activity against the
majority of opportunistic pathogenic fungi. Ravuconazole
has a similar or superior in vitro activity compared to those
of the agents against most pathogenic yeasts, with the
exceptions of Candida tropicalis and C. glabrata.Italsohas
good in vivo antifungal activity in murine models for the
treatment of invasive aspergillosis, candidiasis, and crypto-
coccosis. Ravuconazole shows good pharmacokinetics in
animals that is similar to that of itraconazole. This indicates
that it is absorbed at levels comparable to those of itraco-
nazole. However, the half-life ravuconazole (4 h) is longer
than that of itraconazole (1.4 h) and similar to that of
fluconazole. The potential use of ravuconazole has yet
to be determined in clinical trials in humans (phases
II–III trials).
Figure 3 Chemical structures of three triazoles: (a) voriconazole, (b) posaconazole, and (c) ravuconazole (BMS-207147; ER-30346).
Antifungal Agents 77

D 0870
Although more in vitro and in vivo studies were con-
ducted with D 0870 than with SDZ-89-485, and D 0870
showed good antifungal activity, this drug was also dis-
continued by its original developers. The in vitro activity
of D 0870 is lower than that of itraconazole against
Aspergillus spp., but higher for the common Candida spp.
Therefore, evaluation of this compound has been con-
tinued by another pharmaceutical company for the
treatment of OPC in HIV-infected individuals. It has
also shown activity against the parasite Trypanosoma
cruzi.
T-8581
T-8581 is a water-soluble 2-fluorobutanamide triazole
derivative. High peak concentrations (7.14–12 mgml
1
)
of T-8581 were determined in the sera of laboratory
animals following the administration of single oral doses
of 10 mg kg
1
and the drug was detected in the animals
sera after 24 h. The halflife of T-8581 varies in the differ-
ent animal models from 3.2 h in mice to 9.9 h in dogs.
Animal studies suggest that the absorption of this com-
pound is almost complete after p.o. dosages. The
maximum solubility of T-8581 is superior (41.8 mg ml
1
)
to that of fluconazole (2.6 mg ml
1
), which suggests the
potential use of this compound as an alternative to fluco-
nazole for high-dose therapy.
T-8581 has shown potent in vitro antifungal activity
against Candida spp., C. neoformans, and Aspergillus fumiga-
tus. The activity of T-8581 is similar to that of fluconazole
for the treatment of murine systemic candidiasis and
superior to itraconazole for aspergillosis in rabbits. The
safety of T-8581 is under evaluation.
UR-9746, UR-9751, and albaconazole (UR-9825)
UR-9746, UR-9751, and albaconazole are similar fluori-
dated triazoles that contain an N-morpholine ring. The
pharmacokinetics of these compounds in laboratory ani-
mals has demonstrated peak concentrations (biological
activity) of 184 (UR-9746) and 34 mgml
1
(UR-9751)
after 8 and 8–24 h, respectively. In vitro and in vivo activity
has been demonstrated with these compounds against
Candida spp., C. neoformans,Aspergillus spp., and other
molds. These antifungals lacked detectable toxicity in
experimental animal infections. Albaconazole is currently
in phases I–II trials.
TAK 187, SSY 726, and KP-103
Some in vitro and very little in vivo data are available for
these new triazoles.
The Allylamines
The allylamines act by inhibiting squalene epoxidase,
which results in a decrease in the ergosterol content and
an accumulation of squalene.
Terbinafine and Naftifine
Terbinafine (Figure 2(d)) is the most active derivative of
this class of antifungals. It has an excellent in vitro activity
against the dermatophytes and other filamentous fungi,
but its in vitro activity against the yeasts is controversial. It
follows linear pharmacokinetics over a dose range of
125–750 mg; drug concentrations of 0.5–2.7 mgml
1
are
detected 1 or 2 h after a single oral dose. Terbinafine has
replaced griseofulvin and ketoconazole for the treatment
of onychomycosis and other infections caused by derma-
tophytes (oral and topical). It is also effective for the
treatment of vulvovaginal candidiasis. It is usually well
tolerated at oral doses of 250 and 500 mg per day and the
side effects (10%) are gastrointestinal and cutaneous. The
metabolism of terbinafine may be decreased by cimeti-
dine and increased by rifampin.
Naftifine
Pharmacokinetics and poor activity have limited the use of
naftifine to topical treatment of dermatophytic infections.
The Benzylamines, Thiocarbamates,
and Dithiocarbamates
The benzylamine, butenafine, and the thiocarbamates,
tolnaftate, tolciclate, and piritetrade, also inhibit the
synthesis of ergosterol at the level of squalene. Their
clinical use is limited to the topical treatment of super-
ficial dermatophytic infections. The Bordeaux mixture
(reaction product of copper sulfate and lime) was the
only fungicide used until the discovery of the dithiocar-
bamate fungicides in the mid-1930s. Of those, mancozeb
and thiram are widely used in agriculture, but because
they are only surface-acting materials frequent spray
applications are required. Ferbam, maneb, and zineb are
not used as much.
The Benzimidazoles and
Methylbenzimidazole Carbamates
A great impact on crop protection was evident with the
introduction of the benzimidazoles and other systemic
(penetrate the plant) fungicides. These compounds
increased spray intervals to 14 days or more. The
78 Antifungal Agents

methylbenzimidazole carbamates (MBCs; carbendazim,
benomyl, and thiophanate) inhibit nuclear division and are
also systemic agricultural fungicides. However, since MBC-
resistant strains of B. cinerea and Penicillium expansum have
beenisolated,thesecompoundsshouldbeusedincombina-
tion with N-phenylcarbamate or agents that have a different
mode of action.
The Morpholines
The morpholines interfere with 14 reductase and 7,8
isomerase enzymes in the ergosterol biosynthetic path-
way, which leads to an increase in toxic sterols and an
increase in the ergosterol content of the fungal cell.
Amorolfine
Amorolfine, a derivative of fenpropimorph, is the only
morpholine that has a clinical application for the topical
treatment of dermatophytic infections and candidal
vaginitis.
Fenpropimorph, Tridemorph, and Other
Morpholines
Protein binding and side effects have precluded the clin-
ical use of these morpholines, but they are important
agricultural fungicides.
The Pyridines
The pyridines are another class of antifungal agents that
inhibit lanosterol demethylase.
Buthiobate and Pyrifenox
These agents are important agricultural fungicides.
The Echinocandins, Pneumocandins,
and Papulocandins
The echinocandins and papulocandins are naturally
occuring metabolites of Aspergillus nidulans var. echinulate
(echinocandin B), A. aculeatus (aculeacin A), and Papularia
sphaerosperma (papulocandin). They act specifically by
inhibiting the synthesis of fungal (1,3)-glucan synthetase,
which results in the depletion of glucan, an essential
component of the fungal cell wall.
The Papulocandins
The papulocandins A–D, L687781, BU4794F, and chae-
tiacandin have in vitro activity only against Candida spp.
but poor in vivo activity, which precluded clinical
development.
The Echinocandins and Pneumocandins
The echinocandins include echinocandins, pneumocan-
dins, aculeacins, mulundo- and deoxymulundocandin,
sporiofungin, vWF 11899 A–C, and FR 901379. The
echinocandins have better in vitro and in vivo antifungal
activity than the papulocandins. Pharmaceutical develop-
ment has resulted in several semisynthetic echinocandins
with an improved antifungal activity compared to those of
the naturally occurring molecules described previously.
The pneumocandins have similar structures to those of
the echinocandins, but they possess a hexapeptide core
with a -hydroxyglutamine instead of the threonine resi-
due, a branched-chain
14
C fatty acid acyl group at the
N-terminus, and variable substituents at the C-terminal
proline residue. The pneumocandins are fermentation
products of the mold Zalerion arboricola. Of the three
naturally occurring pneumocandins (A–C), only A and
B have certain antifungal activity in vitro and in vivo
against Candida spp. and Pneumocystis carinii (in rodents),
but they are nonwater-soluble.
Cilofungin (LY121019)
Cilofungin is a biosemisynthetic analog of the naturally occur-
ring and toxic (erythrocyteslysis) 4-n-octyloxybenzoyl-
echinocandin B. Although it showed good in vitro activity
against Candida spp., this drug was discontinued owing to the
incidence of metabolic acidosis associated with its i.v. carrier,
polyethylene glycol.
Anidulafungin (VER-002; LY303366,
V-echinocandin)
This is another semisynthetic cyclic lipopeptide which
resulted from an increase of aromatic groups in the cilo-
fungin sidechain (Figure 4(a)). It has high potency and
oral and parental bioavailability. In laboratory animals,
peak levels in plasma (5 or 6 h) of 0.5–2.9 mgml
1
have
been measured after single doses of 50–250 mg kg
1
.In
humans, peak levels of 105–1624 ng ml
1
are measured
after oral administrations of 100–1000 mg kg
1
. Its phar-
macokinetics are linear and is characterized by a short
distribution half-life (0.5–1 h) and a volume distribution
of 30–50 l. The terminal elimination half-life is about
40–50 h and its clearance about 1 l/hr. Tissue concentra-
tions are usually higher than those in plasma in animals.
Systemic exposures of anidulafungin (post i.v. doses) are
dose proportional. Anidulafungin is moderately protein
bound in humans (84%).
Antifungal Agents 79

Anidulafungin has good in vitro activity against a variety
of yeasts, including isolates resistant to itraconazole and
fluconazole, and molds. This compound is not active
against C. neoformans and T. beigelii; its MICs for certain
molds are higher than those of the azoles, but its fungicidal
activity against some species of Candida is superior to those
agents. Anidulafungin has shown oral efficacy in animal
models of systemic candidiasis and pneumocystis pneumo-
nia. Anidulafungin has been approved for the treatment of
candidemia (200 mg loading dose on first day followed by
100 mg daily dose) and other candidal infections (100 mg
loading dose on first day followed by 50 mg daily dose).
Laboratory abnormalities in liver functions have been
observed, but no clinically relevant drug–drug interactions
have been observed with drugs likely to be coadministered
with anidulafungin.
L693989, L733560, L705589, and L731373
Modification of the original pneumocandin B by phos-
phorylation of the free phenolic hydroxyl group led to the
Figure 4 Chemical structures of anidulafungin (VER-002; V-echinocandin LY303366), caspofungin (L 743872 or MK-0991),
and nikkomycin Z.
80 Antifungal Agents

improved, water-soluble pneumocandin B phosphate
(L693989). Further modifications of pneumocandin B
led to the water-soluble semisynthetic molecules
L733560, L705589, and L731373. Although studies were
conduced in laboratory animals, these molecules were not
evaluated in humans.
Caspofungin (MK-0991 or L743872)
Caspofungin (Figure 4(b)) is the product of a modifica-
tion of L733560 and was selected for evaluation in clinical
trials in humans. Caspofungin is water soluble. As are the
other semisynthetic pneumocandins. Caspofungin is
highly protein bound (97%) with a half-life that ranges
from 5 to 7.5 h and drug concentrations are usually higher
in tissue than in plasma. As for anidulafungin and mica-
fungin, caspofungin exhibits favorable dosedependent
linear pharmacokinetics and only i.v. formulations are
available. Caspofungin has fungistatic and fungicidal
activities similar to those of anidulafungin against most
Candida spp. and lower activity against the dimorphic
fungi. It also has fungistatic in vitro activity against some
of the other molds, especially Aspergillus spp. The drug is
not effective for the treatment of disseminated experi-
mental infections caused by C. neoformans. In laboratory
animals, the drug is mostly well tolerated, but histamine
release, mild hepatotoxicity, fever, nausea, vomiting, and
rash have been reported (Table 2). In humans, caspofun-
gin (50 mg) has been approved for the treatment of
systemic candidiasis and other Candida infections, refrac-
tory invasive aspergillosis or for patients intolerant to
other agents and for empiric therapy for febrile neutro-
penic patients unresponsive to antibacterial therapy.
Micafungin (FK 463)
Micafungin is a semisynthetic derivative of a naturally
occurring lipoprotein that was synthesized by a chemical
modification from a product of the mould Coleophora
impedir. As the other echinocandins, it has in vitro activity
against Candida and Aspergillus species, but is inactive
against C. neoformas,T. beigelii, and Fusarium spp. The
drug is well tolerated (Table 2). It is protein binding
(99%) and plasma concentrations attain a steady state by
day 4 with repeated doses. Micafungin has recently been
approved for the treatment of patients with esophageal
invasive (including candidemia) candidiasis and the pro-
phylaxis of Candida infections in patients undergoing
HSCT.
The Pradimicins and Benanomycins
The pradimicins and benanomycins are fungicidal meta-
bolites of the Actinomycetes, but several semi-synthetic
molecules have also been produced. They act by disrupt-
ing the cell membrane through a calcium-dependent
binding with the saccharide component of mannopro-
teins, which results in disruption of the plasma
membrane and leakage.
Pradimicin A (BMY 28567) and FA-2 (BMY 28864)
The poor solubility of pradimicin A led to the develop-
ment of BMY 28864, which is a water-soluble derivative
of pradimicin FA-2. BMY 28864 appears to have good
in vitro and in vivo activity against most common yeasts
and A. fumigatus. Clinical trials in humans have not been
conducted.
BMS 181184
This compound is either a semisynthetic or biosynthetic
derivative of BMY 28864. Although it was selected for
further clinical evaluation due its promising in vitro and
in vivo data, elevation of liver transaminases in humans
led to the discontinuation of this drug.
Benanomycin A
This compound has shown the best antifungal activity
among the various benanomycins. Its great advantage
compared to other new antifungals is its good in vivo
activity in animals against P. carinii.
The Polyoxins and Nikkomycins
The polyoxins are produced by Streptomyces cacao and the
nikkomycins by Streptomyces tendae. The former com-
pounds were discovered during a search for new
agricultural fungicides and pesticides. Both polyoxins
and nikkomycins are pyrimidine nucleosides that inhibit
the enzyme chitin synthase, which leads to the depletion
of chitin in the fungal cell wall. These molecules are
transported into the cell via peptide permeases.
Polyoxin D
Although this compound has in vitro antifungal activity
against C. immitis (parasitic phase), C. albicans,and
C. neoformans, it was not effective in the treatment of sys-
tematic candidiasis in mice.
Nikkomycin Z
This compound (Figure 4(c)) appears to have both
in vitro and in vivo activity against C. immitis,Blastomyces
dermatitidis, and Histoplasma capsulatum as well as in vitro
activity against C. albicans and C. neoformans. Clinical trials
are pending.
Antifungal Agents 81

The Sordarins
The natural sordarin GR 135402 is an antifungal fermenta-
tion product of Graphium putredinis.Thecompounds
GM 193663, GM 211676, GM 222712, and GM 237354
are synthetic derivatives of GR 135402. In vitro,GM
222712 and GM 237354 have shown broad-spectrum anti-
fungal activity for a variety of yeasts and molds. Clinical
trials are pending.
Dimethomorph and Fluazinam
Dimethomorph is a cinnamic acid derivative for use
against Plasmopara viticola on vines and Phytophthora infes-
tans on tomatoes and potatoes; it is not cross-resistant to
phenylamides (systemic controllers of Phycomycetes plant
infections). Fluazinam is used in vines and potatoes but
also acts against B. cinera as an uncoupler of oxidative
phosphorylation.
The Phthalimides
The discovery of captan in 1952 and later of the related
captafol and folpet initiated the proper protection of crops
by the application of specific fungicides. Captan is also
used to treat dermatophytic infections in horses and cat-
tle, but it causes skin sensitization in horses.
Other Antifungal Approaches
Natural and Synthetic Cationic Peptides
Cationic peptides provide a novel approach to antifungal
therapy that warrants further investigation.
Cecropin
Cecropin is a natural lytic peptide that is not lethal to
mammalian cells and binds to ergosterol. Its antifungal
activity varies according to the fungal species being
challenged.
Indolicidin
Indolicidin is a tridecapeptide that has good in vitro anti-
fungal activity and when incorporated into liposomes has
activity against experimental aspergillosis in animals.
Synthetic peptides
Synthetic peptides have been derived from the natural
bactericidal-permeability increasing factor. They appear
to have in vitro activity against C. albicans,C. neoformans,
and A. fumigatus and also show synergistic activity with
fluconazole in vitro.
Amino Acid Analogs
RI 331, the azoxybacillins, and cispentacin are amino acid
analogs with good in vitro antifungal activity against
Aspergillus spp. and the dermatophytes (RI 331 and azox-
ybacillins) and also good in vivo activity (cispentacin). RI
331 and the azoxybacillins inhibit homoserine dehydro-
genase and the biosynthesis of sulfur-containing amino
acids, respectively.
Icofungipen (BAY 10-8888 and PLD-118)
It is a Candida isoleucyl-tRNA synthase inhibitor that is
currently in phase II trials.
Further Reading
Allen DG, Pringle JK, Smith DA, Conlon PD, and Burgmann PM (1993)
Handbook of Veterinary Drugs. Philadelphia: Lippincott.
Arikan S and Rex JH (2007) Antifungal agents. In: Murray PR, et al. (eds.)
Manual of Clinical Microbiology, 9th ed. Washington, DC: ASM
Press.
Clemons KV and Stevens DA (1997) Efficacies of two novel azole
derivatives each containing a morpholine ring, UR-9746 and
UR-9751 against systemic murine coccidioidomycosis. Antimicrobial
Agents and Chemotherapy 41: 200–203.
Espinel-Ingroff A (1996) History of medical mycology in the United
States. Clinical Microbiology Reviews 9: 235–272.
Espinel-Ingroff A (1998) Comparison of in vitro activity of the new triazole
SCH 56592 and the echinocandins MK-0991 (L-743,872) and
LY303366 against opportunistic filamentous and dimorphic fungi.
Journal of Clinical Microbiology 36: 2950–2956.
Espinel-Ingroff A and Shadomy S (1989) In vitro and in vivo evaluation of
antifungal agents. European Journal of Clinical Microbiology &
Infectious Diseases 8: 352–361.
Groll AH, Piscitelli SC, and Walsh TJ (1998) Clinical pharmacology of
systemic antifungal agents: A comprehensive review of agents in
clinical use, current investigational compounds, and putative targets
for antifungal drug development. Advances in Pharmacology
44: 343–500.
Russell PE, Milling RJ, and Wright K (1995) Control of fungi pathogenic
to plants. In: Hunter PA, Darby GK, and Russell NJ (eds.) Fifty Years
of Antimicrobials: Past Perspectives and Future Trends. New York:
Cambridge University Press.
Sheehan DJ, Hitchcock CA, and Sibley CM (1999) Current and
emerging azole antifungal agents. Clinical Microbiology Reviews
12: 40–79.
82 Antifungal Agents

Antiviral Agents
E Paintsil and Yung-Chi Cheng, Yale University School of Medicine, New Haven, CT, USA
ª2009 Elsevier Inc. All rights reserved.
Defining Statement
Introduction
Therapeutics for Herpesvirus Infections
Therapeutics for Respiratory Virus Infections
Therapeutics for Hepatitis
Therapeutics for Papillomavirus
Therapeutics for Enteroviral Infections
Anti-HIV Agents
Further Reading
Glossary
alanine aminotransferase An enzyme found in the
liver and blood serum, the concentration of which is
often elevated in cases of liver damage.
antiretroviral agent Any drug used in treating patients
with human immunodeficiency virus (HIV) infection.
antiviral resistance The developed resistance of a
virus to a specific drug.
bilirubin A greenish compound formed in the liver from
the degradation of the hemoglobin from degraded red
blood cells.
bioavailability The property of a drug to be absorbed
and distributed within the body in a way that preserves
its useful characteristics; for example, it is not broken
down, inactivated, or made insoluble.
chemoprophylaxis Preventive treatment with chemical
agents such as drugs.
codon A triplet of three consecutive nucleotide
components in the linear genetic code in DNA or
messenger RNA, which designates a specific amino
acid in the linear sequence of a protein molecule.
creatinine An end product of energy metabolism found
in the blood in uniform concentration, which is excreted
by the kidney at a constant rate. Alterations of this rate
are considered an indication of kidney malfunction.
cytokine One of a variety of proteins which has a
regulatory effect on a cell.
drug resistance Decreased susceptibility to antiviral
usually due to changes in the amino acid residues of
target enzyme. For example, a substitution of valine for
methionine at residue 184 of the reverse transcriptase
enzyme of HIV confers resistance to lamivudine (M184V
mutation, see Table 1 for letter codes of amino acids).
EC
50
Concentration of a drug that produces a 50%
effect, for example, in virus yield.
hemagglutinin Specific glycoprotein molecules on the
surface of some viruses, which have the property of
binding to the surface of the red blood cells of some
animal species. Because there are multiple binding
sites, one virus can bind to two red cells causing them to
clump (agglutinate).
hepatotoxicity Liver toxicity.
interferon Any group of glycoproteins with antiviral
activity.
lipoatrophy Redistribution/accumulation of body fat
including central obesity, dorsocervical fat enlargement
(buffalo hump), peripheral wasting, facial wasting,
breast enlargement, and ‘cushingoid appearance’
observed in some patients receiving antiviral agents for
HIV treatment.
maintenance therapy Drug treatment given for a long
time to maintain its effect after the condition has been
controlled or to prevent recurrence.
monotherapy Treatment with a single drug, contrasted
with combination therapies with more than one drug at
the same time.
mutations Changes to the base pair sequence of the
genetic material of an organism.
nephrolithiasis The presence of kidney stones.
nephrotoxicity Kidney toxicity.
neuraminidase An enzyme, present on the surface of
some viruses, which catalyzes the cleavage of a sugar
derivative called neuraminic acid.
peptidomimetic A molecule having properties similar
to those of a peptide or short protein.
pharmacokinetic Refers to the rates and efficiency of
uptake, distribution, and disposition of a drug in the
body.
phase III The final stage in testing of a new drug, after
determination of its safety and effectiveness, in which it
is tested on a broad range, and large population of
patients for comparison to existing treatments and to
test for rare complications.
placebo An agent used as a ‘control’ in tests of
drugs. The placebo is an agent without the specific
effects of the drug under test and is used to
determine to what extent any observed effects of the
drug are due to psychological effects or
expectations. It is usually given to some patients
while the test drug is given to others, but neither
group knows which agent it is receiving (the so-called
‘blind’ design).
83

prodrug A drug that is given in a form that is inactive
and must be metabolized in the body to the active form.
prophylaxis Prevention.
protease An enzyme that catalyzes the cleavage of
proteins. In the case of HIV, a virus-specific protease is
needed to cleave some of the virus coat proteins into
their final, active form.
protease inhibitor A substance that inhibits the action
of protease enzyme.
replication cycle The series of steps that a virus or cell
goes through to multiply.
shingles Eruptive rash, usually in a girdle (L. cingulus;
hence ‘shingles’) distribution on the trunk, resulting from
infection with varicella zoster virus.
T
1/2
The time for reduction of some observed quantity,
for example, the blood concentration of a drug, by 50%.
teratogenesis Production of fetal abnormalities by
some agent.
therapeutic index The numerical ratio of the
concentration needed to achieve a desired effect in
50% of the patients and the concentration that
produces unacceptable toxicity in 50% of the patients.
thymidine kinase An enzyme that catalyzes the
transfer of a phosphoryl group from a donor such as
adenosine triphosphate to the sugar (deoxyribose)
component of the thymidine molecule, a building block
of DNA.
viremia The presence of virus in the bloodstream.
virion A complete virus, including the coat and nucleic
acid core.
Abbreviations
ALT alanine aminotransferase
CMV cytomegalovirus
CNS central nervous system disease
CoV coronavirus
CPK creatinine phosphokinase
CSF cerebrospinal fluid
CYP cytochrome P450
dATP deoxyadenosine triphosphate
dGTP deoxyguanosine triphosphate
EBV Epstein–Barr virus
FDA Food and Drug Administration
FEV1 reduced forced expiratory volume
HAART highly active antiretroviral therapy
HBeAg hepatitis B e antigen
HBV hepatitis B virus
HCV hepatitis C virus
HHV-6 human herpes virus-6
HHV-7 human herpes virus-7
HHV-8 human herpes virus-8
HIV human immunodeficiency virus
HPMPC (S)-1-(3-hydroxy-2-phosphonylmethoxypro-
pyl) cytosine
HPV human papillomavirus
HSE herpes simplex encephalitis
HSV herpes simplex virus
IFNs interferons
MNR multinucleoside resistance
NA neuraminidase
NAMs nucleoside-analog-associated mutations
NK natural killer
PEG polyethylene glycol
Pgp P-glycoprotein
RSV respiratory syncytial virus
SARS severe acute respiratory syndrome
SEM skin, eye, or mouth
SPAG small-particle aerosol generator
TAMs thymidine analog resistance mutations
TK thymidine kinases
UGT UDP-glucuronosyl transferase
VZV varicella zoster virus
Defining Statement
Antiviral agents are drugs approved by Food and Drug
Administration (FDA) for the treatment or control of viral
infections. They target stages in the viral life cycle. An
ideal antiviral agent should be effective against both
actively replicating and latent viruses; however, most of
the available antiviral agents are effective against only
replicating viruses.
Introduction
Antiviral agents are drugs approved by the Food and
Drug Administration (FDA) for the treatment or control
of viral infections. The development of antiviral agents is
not trivial as viral replication is intricately linked with the
host cell that any antiviral drug that interferes even to a
lesser extent with host cell factors may be toxic to the host
depending on the duration and dosage used. Available
84 Antiviral Agents

antiviral agents mainly target stages in the viral life cycle.
The target stages in the viral life cycle are; viral attach-
ment to host cell, uncoating, synthesis of viral mRNA,
translation of mRNA, replication of viral RNA and DNA,
maturation of new viral proteins, budding, release of
newly synthesized virus, and free virus in body fluids.
Antiviral agents used to treat viral diseases are currently
limited, and at least half of the available agents are for the
treatment of human immunodeficiency virus (HIV) infec-
tions. The others are used for the management of herpes
simplex virus (HSV), varicella zoster virus (VZV), cyto-
megalovirus (CMV), hepatitis B virus (HBV), hepatitis C
virus (HCV), respiratory syncytial virus (RSV), human
papillomavirus (HPV), and influenza virus-related
diseases.
Viruses could stay in the cells as episomal form, or are
incorporated into host chromosomal DNA without
engaging in active viral replication (i.e., viral latency
state). An ideal antiviral agent should be effective against
both actively replicating and latent viruses; however,
most of the available antiviral agents are effective against
only replicating viruses. The goals for treating acute viral
infections in immunocompetent patients are to reduce
the severity of the illness and its complications and to
decrease the rate of transmission of the virus. The ther-
apeutic index, or ratio of efficacy to toxicity, must be
extremely high in order for the therapy to be acceptable.
For chronic viral infections, the goal is to prevent viral
damage to visceral organs, and therefore efficacy
becomes paramount. Antiviral agents can be used for
prophylaxis, suppression, preemptive therapy, or treat-
ment of overt disease. Two important factors that can
limit the utility of antiviral drugs are toxicity and the
development of resistance to the antiviral agent by the
virus. In addition, host phenotypic behaviors toward anti-
viral drugs because of either genomic or epigenetic
factors could limit the efficacy of an antiviral agent in
an individual. This article summarizes the most relevant
pharmacologic and clinical properties of the available
antiviral agents.
Therapeutics for Herpesvirus Infections
There are eight members of the human herpesviridae
family: HSV-1, HSV-2, VZV, Epstein–Barr virus (EBV),
CMV, human herpes virus-6 (HHV-6), human herpes
virus-7 (HHV-7), and human herpes virus-8 (HHV-8).
The hallmark of the herpesviruses is their ability to
establish latency within the neuronal ganglia of the ner-
vous system or cells of the immune system and
reactivate during periods of stress, trauma, or immune
suppression.
Acyclovir
Acyclovir
N
NN
N
H
2
N
O
O
OH
Chemistry, mechanism of action, and antiviral
activity
Acyclovir [9-(2-hydroxyethoxymethyl) guanine] is a syn-
thetic acyclic purine nucleoside analogue that lacks the
39-hydroxyl group of nucleosides. Acyclovir is phosphory-
lated to the active triphosphate metabolite that inhibits
viral DNA synthesis (Figure 1). Viral encoded thymidine
kinases (TK), present in only herpesvirus-infected cells,
catalyze the phophorylation to acyclovir monophosphate.
Host cell TK or other kinases cannot phosphorylate
acyclovir to its monophosphate metabolite efficiently.
Acyclovir is highly selective for cells engaged in active
viral replication and does not affect noninfected cells.
The monophosphate is subsequently phosphorylated to
the di-, and triphosphate by cellular kinases, resulting
in acyclovir triphosphate concentrations much higher in
HSV-infected than in uninfected cells. Acyclovir tripho-
sphate inhibits viral DNA synthesis by competing with
deoxyguanosine triphosphate (dGTP) as a substrate for
viral DNA polymerase, as illustrated in Figure 1.Since
acyclovir triphosphate lacks the 39-hydroxyl group
required for DNA chain elongation, the growing chain of
DNA is terminated. In addition, the incorporated acyclovir
can trap viral DNA polymerase and prevent it from initiat-
ing other viral DNA replication. The viral polymerase has
a greater affinity for acyclovir triphosphate than cellular
DNA polymerase, resulting in little incorporation of acy-
clovir into cellular DNA. In vitro, acyclovir is most active
against HSV-1 (average EC
50
¼0.04 mgml
1
), HSV-2
(0.10 mgml
1
), and VZV (0.50 mgml
1
). Varicella virus is
much less susceptible to acyclovir than is HSV, and hence,
higher doses of acyclovir are required in the treatment of
VZV infections. EBV TK has poor efficiency to utilize
acyclovir as substrate, therefore, higher acyclovir concen-
trations are required for EBV inhibition. CMV, which lacks
a virus-specific TK, is relatively resistant.
The bioavailability of oral formulations of acyclovir is
15–30%. Peak concentrations of approximately 0.57 and
1.57 mgml
1
are attained after multidose oral administra-
tion of 200 or 800 mg of acyclovir, respectively. Higher
plasma acyclovir levels are achieved with intravenous
administration. The plasma half-life is 2–3 h in older chil-
dren and adults with normal renal function and 2.5–5 h in
neonates with normal creatinine clearance. The elimination
Antiviral Agents 85

of acyclovir is prolonged in individuals with renal dysfunc-
tion, with a half-life of approximately 20 h in persons with
end-stage renal disease. Acyclovir is minimally metabolized
and approximately 85% is excreted unchanged in the urine
via renal tubular secretion and glomerular filtration.
Clinical indications
For most of the clinical indications of acyclovir, valacyclo-
vir and famciclovir are as effective, safe, and convenient
alternatives. The clinical applications of valacyclovir and
famciclovir are detailed in section ‘Clinical indications’
under ‘Valacyclovir’ and in section Clinical indications
under ‘Penciclovir and Famciclovir’, respectively.
Genital herpes
Initial and recurrent episodes of genital HSV infection
can be treated with acyclovir, and recurrent episodes can
be suppressed with acyclovir. Topical acyclovir is not an
effective treatment for genital HSV. Intravenous acyclo-
vir (15 mg kg
1
day
1
in three divided doses for 5–7 days)
is the most effective treatment for a first episode of genital
herpes and results in a significant reduction in the median
duration of viral shedding, pain, and time to complete
healing (8 vs. 14 days) but is reserved for patients with
systemic complications. Oral therapy (200 mg five times
daily) is the standard treatment.
Recurrent genital herpes is less severe and resolves
more rapidly than primary infection. Orally administered
acyclovir (200 mg five times daily or 400 mg three times
daily) for 7–10 days shortens the duration of signs and
symptoms, virus shedding, and time to healing by 2, 7, and
4 days, respectively, when initiated within 24 h of onset of
symptoms.
NNHerpes TK
Deoxynucleoside triphosphate pool
Cell kinases
(a)
(b)
H2N
NH2
NH2
H2N
NH2
N
Cytosine
Adenine
Adenine
Acyclovir
(guanine)
Chain
termination
Sugar-phosphate
backbone
DNApol compex
O
O
O
OO
O
OOO
O
O
O
O
ON
N
N
N
N
N
N
N
NN
N
N
N
H2N
N
O
NNN
N
N
O
O
O
HO P
H2NNN
N
N
O
O
P
P
P
P
P
PP
Figure 1 The mechanism of action of acyclovir: (a) activation; (b) inhibition of DNA synthesis and chain termination.
86 Antiviral Agents

Oral acyclovir administration effectively suppresses
recurrent genital herpes. Daily administration of acyclo-
vir reduces the frequency of recurrences by up to 80%,
and 25–30% of patients have no further recurrences while
taking the drug.
Herpes labialis
Topical therapy for HSV-1 mouth or lip infections is of
no clinical benefit. Orally administered acyclovir (200 or
400 mg five times daily for 5 days) reduces the time to loss
of crust by approximately 1 day (7 vs. 8 days) but does not
alter the duration of pain or time to complete healing.
Immunocompromised host
Immunocompromised individuals, such as those infected
with HIV or transplant recipients, are afflicted with fre-
quent and severe HSV infections. Clinical benefit from
intravenous or oral acyclovir therapy is documented as
evidenced by a significantly shorter duration of viral
shedding and accelerated lesion healing. Oral acyclovir
therapy in high doses in immunocompromised patients
with herpes zoster is effective but valaciclovir is superior.
Herpes simplex encephalitis
HSV infection of the brain is the most common cause of
sporadic fatal encephalitis in the United States. HSV-1 is
predominantly the causative agent of herpes simplex
encephalitis (HSE). Acyclovir at a dose of 10 mg kg
1
every 8 h (30 mg kg
1
day
1
) for 10–14 days is the ther-
apy of choice and reduces mortality from 70 to 19%.
Furthermore, 38% of acyclovir recipients returned to
normal neurologic function.
Neonatal HSV infection
Neonatal HSV infection is divided into three clinical cate-
gories: skin, eye, or mouth (SEM) disease, central nervous
system (CNS) disease, and disseminated (if there is evidence
of visceral involvement) HSV disease. The recommended
treatment for neonatal herpes infection is 20 mg kg
1
every
8 h of parenteral acyclovir with duration dictated by the
extent of disease; 14 days for SEM disease, 21 days for
CNS and disseminated disease. For babies with SEM dis-
ease, 98% of acyclovir recipients developed normally 2
years after infection. For babies surviving encephalitis and
disseminated disease, 43 and 57% of acyclovir recipients,
respectively, developed normally.
Varicella
Varicella or chicken pox, is a common, highly contagious
illness caused by VZV. It is primarily a disease of early
childhood with 90% of cases occurring in children
1–14 years of age. Chicken pox is generally self-limiting
in young children and is manifested by fever, mild
constitutional symptoms, and an itchy, vesicular rash.
The disease is more severe in neonates, adults, and
immunocompromised individuals. Oral acyclovir therapy
when initiated within 24 h of the onset of the rash reduces
the duration of fever, and the number of maximum lesions
in immunocompetent children. At present, the clinical
importance of acyclovir treatment in otherwise healthy
children, in whom chicken pox is self-limiting and results
in few complications, remains uncertain. Furthermore,
the widely use of the varicella vaccine to protect against
VZV will make the use of acyclovir for immunocompe-
tent children with chickenpox obsolete.
Acyclovir therapy of chicken pox in immunocompro-
mised host substantially reduces morbidity and mortality.
Intravenous acyclovir treatment (500 mg m
2
of body
surface area or 10–12 mg kg
1
every 8 h for 7–10 days)
improved the outcome, as evidenced by a reduction of
VZV pneumonitis from 45 to <5%. Oral acyclovir ther-
apy is not indicated for immunocompromised host with
chicken pox. The bioavailability of valacyclovir makes it
an attractive alternative.
Herpes zoster
Herpes zoster or singles is caused by the reactivation of
VZV, which resides in a latent state in the sensory ganglia
following primary varicella (chicken pox) infection. Acute
herpes zoster is a painful, debilitating condition, especially
in older adults. The risk of zoster-associated pain persist-
ing after the healing of the rash correlates with increasing
age. Intravenous acyclovir therapy of herpes zoster in the
normal host produces some acceleration of the healing of
the rash, and resolution of pain (both acute neuritis and
zoster-associated pain). Oral acyclovir (800 mg five times a
day) administration results in accelerated healing of the
rash and reduction in the severity of acute neuritis. Oral
acyclovir treatment of zoster ophthalmicus reduces the
incidence of serious ocular complications such as keratitis
and uveitis. Intravenous acyclovir therapy significantly
reduces the frequency of cutaneous dissemination and
visceral complications of herpes zoster in immunocom-
promised adults. Acyclovir is the standard therapy at a
dose of 10 mg kg
1
(body weight) or 500 mg m
2
(body
surface area) every 8 h for 7–10 days.
Resistance
The most common mechanism for conferring acyclovir
resistance is mutations in the HSV genome resulting in a
deficiency or alteration in viral TK activity. Occasionally,
HSV strains are TK altered and maintain the ability to
phosphorylate the natural substrate, thymidine, but selec-
tively lose the ability to phosphorylate acyclovir. Mutation
of the viral DNA polymerase gene resulting in failure to
incorporate the acyclovir triphosphate in progeny DNA
molecules is an alternate, but infrequent, mechanism that
may result in HSV resistance to acyclovir.
Resistance to acyclovir is uncommon, with prevalence
of 0.1–0.4% and 5–6% in immunocompetent and
Antiviral Agents 87

immunocompromised patients, respectively. Acyclovir-
resistant isolates of VZV have been identified much less
frequently than acyclovir-resistant HSV but have been
recovered from marrow transplant recipients and AIDS
patients. The acyclovir-resistant VZV isolates all had
altered or absent viral TK function but remained suscep-
tible to vidarabine and foscarnet, which do not require
viral TK for their activity.
Adverse effect
Acyclovir therapy is associated with few adverse effects. The
most common complaints associated with acyclovir therapy
include nausea, diarrhea, and headache. Rapid infusions of
intravenous acyclovir can result in reversible crystalline
nephropathy. A few reports have linked intravenous
acyclovir use with CNS disturbances, including agitation,
hallucinations, disorientation, tremors, and myoclonus.
Data on outcomes from pregnant mothers exposed to
acyclovir during pregnancy showed that the rate of birth
defects did not exceed that expected in the general popu-
lation and the pattern of defects did not differ from those
in untreated women.
Valacyclovir
Valacyclovir
N
NN
N
H
2
N
O
O
O
O
CH
3
NH
2
CH
3
Chemistry, mechanism of action, and antiviral
activity
Valacyclovir, is a prodrug of acyclovir (the L-valyl ester of
acyclovir). Valacyclovir is rapidly metabolized into acy-
clovir and valine by the enzyme valacyclovir hydrolase
(esterase) found in the brush border of the gastrointestinal
tract, and the liver. Valacyclovir provides a high bioavail-
ability of acyclovir, threefold to fivefold higher than that
obtained with oral acyclovir, and is equivalent to plasma
levels achieved with doses of intravenous acyclovir. The
mechanism of action and antiviral activity spectrum of
valacyclovir are similar to that as described for acyclovir.
Clinical indications
The antiviral spectrum of valacyclovir encompasses HSV-1,
HSV-2, VZV, and CMV. It is effective for treatment of
HSV-1 and HSV-2 infections in immunocompetent indivi-
duals; initial episode of genital herpes (1 g, twice daily for 10
days); episodic therapy for recurrent herpes labialis (2 g,
twice a day for 1 day) and recurrent genital herpes (1 g or
500 mg, twice a day for 3–5 days); and suppression of recur-
rent genital herpes (1 g or 500 mg, once a day).
For immunocompromised patients, valacyclovir is effec-
tive for episodic therapy (1 g, twice a day for >5 days) and
suppression of recurrent genital herpes (500 mg, twice a
day, or 1 g, once a day). Valacyclovir (1 g, three times
daily for 7–10 days) is superior to acyclovir for the reduc-
tion of pain associated with shingles.
Resistance
The mechanism of resistance to valacyclovir is similar to
that of acyclovir.
Adverse effects
Valacyclovir has similar side effect profile as acyclovir;
however, no crystalline nephropathy has been reported
with its use.
Cidofovir
Cidofovir
N
N
O
NH2
P
O
OH
HO
O
OH
Chemistry, mechanism of action, and antiviral
activity
Cidofovir, (S)-1-(3-hydroxy-2-phosphonylmethoxypropyl)
cytosine (HPMPC), is an acyclic phosphonate nucleotide
analogue of deoxycytidine monophosphate. Cidofovir has a
single phosphate group attached therefore it does not require
viral enzymes for conversion to the monophosphate, cellular
kinases sequentially phosphorylate the monophosphate to its
active triphosphate metabolite. The triphosphate metabolite
then serves as a competitive inhibitor of DNA polymerase.
The active form of the drug exhibits a 25- to 50-fold greater
affinity for the viral DNA polymerase, compared with the
cellular DNA polymerase, thereby selectively inhibiting
viral replication. Owing to its unique phosphorylation
requirements for activation, cidofovir usually maintains
activity against acyclovir- and foscarnet-resistant HSV iso-
lates, as well as ganciclovir- and foscarnet-resistant CMV
mutants.Cidofovirislesspotentthanacyclovirin vitro;
however, cidofovir persists in cells for prolonged periods,
increasing drug activity. In addition, cidofovir produces
active metabolites with long half-lives (17–48 h), permitting
once weekly dosing. Cidofovir has in vitro activity against
88 Antiviral Agents

VZV, EBV, HHV-6, HHV-8, HPV, polyomaviruses,
orthopoxviruses, and adenovirus. Unfortunately, cidofovir
concentrates in kidney cells 100 times greater than in other
tissues and produces severe proximal convoluted tubule
nephrotoxicity when administered systemically. Cidofovir
has limited and variable oral bioavailability (2–26%), there-
fore, it is administered intravenously.
Clinical indication
Cidofovir is licensed for treatment of CMV retinitis and has
been used to treat acyclovir-resistant HSV infection. The
dosing regimen is 5 mg kg
1
per week during the first
2weeks,then5mgkg
1
every other week, with sufficient
hydration and coadministration of oral probenecid to prevent
nephrotoxicity. There are anecdotal reports that dividing the
5mgkg
1
weekly dose into three doses given alternate days
in a week may reduce renal toxicity substantially.
Resistance
The development of resistance with clinical use is
uncommon; however, mutations in CMV DNA polymer-
ase can mediate altered susceptibility.
Adverse effects
Nephrotoxicity is the principal adverse event associated
with systemic administration of cidofovir, occurs in
30–50% of recipients. Other reported side effects include
neutropenia, fever, diarrhea, nausea, headache, rash, ante-
rior uveitis, and ocular hypotonia.
Foscarnet
Foscarnet
CP
O
O–
–O
O
O–
3 Na+
Chemistry, mechanism of action, and antiviral
activity
Foscarnet, is an inorganic pyrophosphate analogue of phos-
phonoacetic acid that inhibits all HHVs, including most
ganciclovir-resistant CMV isolate and acyclovir-resistant
HSV and VZV strains. It inhibits DNA polymerase by
blocking the pyrophosphate-binding site and preventing
cleavage of pyrophosphate from deoxynucleotide tripho-
sphates. Unlike acyclovir, which requires activation by a
virus-specific TK, foscarnet acts directly on the virus DNA
polymerase. Thus, TK-deficient, acyclovir-resistant her-
pesviruses remain sensitive to foscarnet.
The oral bioavailability of foscarnet is about 20%.
The cerebrospinal fluid (CSF) concentration of foscarnet is
approximately two-thirds of the plasma level. Renal excre-
tion is the primary route of clearance of foscarnet with
>80% of the dose appearing in the urine. Bone sequestration
also occurs, resulting in complex plasma elimination.
Clinical indications
The principal indications are CMV retinitis in AIDS
patients, and mucocutaneous acyclovir-resistant (viral TK-
deficient) or penciclovir-resistant HSV and VZV infections
in immunocompromised patients.
Mucocutaneous HSV infections and those caused by
VZV in immunocompromised host can be treated with
foscarnet at dosages lower than that for the management
of CMV retinitis.
Resistance
Isolates of HSV, CMV, and VZV resistant to foscarnet
develop both in the laboratory and in the clinical setting.
These isolates are all DNA polymerase mutants.
Adverse effects
Foscarnet toxicity includes mainly nephrotoxicity (acute
tubular necrosis and interstitial nephritis), metabolic and
hematologic abnormalities, and CNS side effects. Patients
may develop isolated or combined hypomagnesemia, hypo-
calcemia, hypokalemia, and hypophosphatemia. CNS side
effects include headache, seizures, irritability, tremor, and
hallucination. Other reported side effects include fever, rash,
painful genital ulcerations, diarrhea, nausea, and vomiting.
Ganciclovir and Valganciclovir
Ganciclovir
N
NN
N
H2N
O
O
OH
H
HO
Valganciclovir
O
CH3
CH3
NH2
N
NN
N
H2N
O
O
O
H
HO
Antiviral Agents 89

Chemistry, mechanism of action, and antiviral
activity
Ganciclovir [9-(1,3-dihydroxy-2-propoxymethyl) gua-
nine] is a nucleoside analogue that differs from acyclovir
by having a hydroxymethyl group at the 39position of the
acyclic side chain. It has 8–20 times greater in vitro activ-
ity against CMV, and as active as acyclovir against HSV-1
and HSV-2 and almost as active against VZV. Like acy-
clovir, the first step of phosphorylation to ganciclovir
monophosphate in herpesvirus-infected cells depends on
virus-encoded enzymes. In cells infected by HSV-1 or
HSV-2, TK catalyzes the phosphorylation of ganciclovir
to ganciclovir monophosphate. Because CMV lacks the
gene for TK, the enzyme that catalyzes the initial
phosphorylation of ganciclovir in CMV-infected cells is
the phosphotransferase encoded by UL97 gene. The
final phosphorylation steps to the di- and triphosphate
is by cellular kinases. Ganciclovir triphosphate serves
as a competitive inhibitor of herpes viral DNA poly-
merase and inhibits the incorporation of guanosine
triphosphate into viral DNA. Incorporation of ganciclovir
triphosphate into the growing viral chain results in slow-
ing and subsequent cessation of DNA chain elongation.
Intracellular ganciclovir triphosphate concentrations are
at least tenfold higher in CMV-infected cells than unin-
fected cells.
The oral bioavailability of ganciclovir is poor (5–7%).
Concentrations of ganciclovir in biologic fluids, including
aqueous humor and CSF, are less than plasma levels.
The plasma elimination half-life is 2–4 h for individuals
with normal renal function. The kidney is the major
route of clearance of ganciclovir, and therefore, impaired
renal function requires adjustment of dosage. The phar-
macokinetics of ganciclovir in neonates is similar to that
in adults.
Valganciclovir, L-valine ester of ganciclovir, serves as
oral prodrug of ganciclovir. Valganciclovir is orally
bioavailable (approximately 60%) and is rapidly con-
verted to ganciclovir after absorption. Its mechanism of
action and spectrum of activity are similar to that of
ganciclovir. Oral valganciclovir can be given in doses
that result in serum levels that approximate ganciclovir
serum levels achieved with intravenous ganciclovir. Oral
valganciclovir is convenient to use and may replace
intravenous ganciclovir for initial and maintenance
treatment.
Clinical indications
Ganciclovir is approved for treatment and chronic
suppression of CMV retinitis in AIDS or other immuno-
compromised patients, and prophylaxis or preemptive
treatment of CMV infection in high-risk transplant
recipients. It is also effective for CMV syndromes,
including CMV pneumonia, CMV colitis, and gastroin-
testinal infection in AIDS and transplant patients. In
immunocompromised patients, therapy with ganciclovir
requires an induction and maintenance phases.
The induction dose is 10 mg kg
1
day
1
in two divided
doses given for 14–21 days, and a maintenance dose of
5mgkg
1
day
1
given once daily for 5–7 days per week.
Oral valganciclovir dosage is 900 mg twice a day, and
900 mg once a day for induction and maintenance ther-
apy, respectively.
Gancoclovir has been evaluated in the treatment of
neonates congenitally infected with CMV. In a phase III
randomized controlled trial, ganciclovir therapy (6 mg kg
1
per dose administered twice a day for 6 weeks) protected
infants from hearing deterioration beyond one year of life.
However, because of the potential toxicity of long-term
ganciclovir therapy, additional studies are necessary before
a recommendation can be made in the use of ganciclovir for
congenital CMV infection.
Resistance
In immunocompromised patients receiving prolong
therapy, the prevalence of resistance exceeds 8%. There
are two mechanisms of resistance by CMV to ganciclovir:
(1) The alteration of the CMV phosphonotransferase
(coded by CMV UL97 gene) reduces intracellular
phosphorylation of ganciclovir, and (2) mutations in the
CMV DNA polymerase (coded by CMV UL54 gene).
Resistance is associated with decreased sensitivity up to
20-fold. Occasionally, strains of HSV that are resistant to
acyclovir because of TK deficiency are also much less
sensitive to ganciclovir.
Adverse effects
The most important side effects of ganciclovir therapy are
the development of neutropenia, and thrombocytopenia.
Neutropenia occurs in approximately 24–38% of patients.
The neutropenia is usually reversible with dosage
adjustment of ganciclovir, or withholding of treatment.
Thrombocytopenia occurs in 6–19% of patients.
Ganciclovir has gonadal toxicity in animal models,
most notably as a potent inhibitor of spermatogenesis. It
causes an increased incidence of tumors in the preputial
gland of male mice, a finding of unknown significance. As
an agent affecting DNA synthesis, ganciclovir has carci-
nogenic potential.
90 Antiviral Agents

Penciclovir and Famciclovir
Penciclovir
N
NN
N
H2N
O
OH
OH
Famciclovir
N
NN
N
H
2
N
O
O
O
O
Chemistry, mechanism of action, and antiviral
activity
Penciclovir [9-(4-hydroxy-3-hydroxymethylbut-1-yl)]
a guanine nucleoside analogue is structurally similar to
ganciclovir, differing only be the substitution of a
methylene bridge for the ether oxygen in the acyclic
ribose part of the molecule. Its metabolism and mechan-
ism of action are similar to those of acyclovir, except that
it is not an obligate DNA-chain terminator. The in vitro
inhibitory effects of penciclovir on HSV-1, HSV-2, and
VZV are similar to those of acyclovir. The oral bioavail-
ability of penciclovir is poor (<5%). Famciclovir, a
prodrug of penciclovir with improved bioavailability
(approximately 77%), is the diacetyl ester of 6-deoxy
penciclovir [9-(4-hydroxy-3-hydroxymethylbut-1-yl)-
6-deoxyguanine]. It is well absorbed after oral adminis-
tration and is rapidly metabolized to penciclovir by
deacetylation in the gastrointestinal tract, and liver,
after which it is oxidized by the liver at the position 6
of the purine ring. Penciclovir is phosphorylated more
efficiently than acyclovir in HSV- and VZV-infected
cells. Host cell kinases phosphorylate both penciclovir
and acyclovir to a small but comparable extent. The
preferential metabolism in HSV- and VZV-infected
cells is the major determinant of its antiviral activity.
Penciclovir triphosphate has, on average, a tenfold
longer intracellular half-life than acyclovir triphosphate
in HSV-1-, HSV-2-, and VZV-infected cells after drug
removal. Because penciclovir is more stable, it has longer
antiviral activity, allowing for less frequent dosing. Both
compounds have good activity against HSV-1, HSV-2,
and VZV. Penciclovir, like acyclovir, is relatively inac-
tive against CMV and EBV. Penciclovir is active against
hepatitis B.
Penciclovir is eliminated rapidly and almost unchanged
by active tubular secretion and glomerular filtration by the
kidneys. The elimination T
1/2
in healthy subjects is
approximately 2 h.
Clinical indications
Famciclovir is available in an oral preparation for treat-
ment of HSV-1, HSV-2, and VZV infections. It is used in
the treatment of the following conditions: initial episodes
of genital herpes (250 mg, three times a day for 10 days),
episodic treatment of recurrent genital herpes (125 mg,
twice a day for 5 days), suppression of recurrent genital
herpes (250 mg, twice a day), and for shingles (500 mg,
every 8 h for 7 days). For immunocompromised patients,
famciclovir is efficacious for episodic treatment of recur-
rent genital herpes (500 mg, twice a day for 7 days).
Compared with acyclovir, famciclovir is as effective,
safe, and well tolerated in the treatment of HSV infections
in HIV-infected individuals. Famciclovir is also at least as
effective as acyclovir for ophthalmic zoster and for
shingles and acute zoster pain in immunocompromised
patients. Compared with valacyclovir, famciclovir is as
effective, safe, and convenient in the treatment of zoster.
Penciclovir is available as a 1% cream for topical
therapy of mucocutaneous HSV infections, particularly
recurrent herpes labialis (cold sores). Topical penciclovir
1% is approved for episodic therapy of herpes labialis and
applied every 2 h during waking hours for 4 days. It
accelerates lesion healing and resolution of pain by
about 1 day. It is available over-the-counter in many
countries.
Resistance
HSV and VZV isolates resistant to penciclovir have been
identified in the laboratory. Resistance is attributed to
alterations or deficiencies of TK and DNA polymerase.
Adverse effects
Therapy with oral famciclovir is well tolerated, being asso-
ciated only with headache, diarrhea, and nausea. Preclinical
studies of famciclovir indicated that chronic administration
was tumorigenic (murine mammary tumors) and causes
testicular toxicity in other rodents.
Antiviral Agents 91

Idoxuridine and Trifluorothymidine
Idoxuridine
N
NH
O
O
I
O
HO
HO
Trifluorothymidine
N
NH
O
O
F3C
O
HO
HO
Chemistry, mechanism of action, and antiviral
activity
Idoxuridine (5-iodo-29-deoxyuridine), and trifluorothymi-
dine (5-trifluoromethyl-29-deoxyuridine) are thymidine
analogue. When administered systemically, these nucleo-
sides are phosphorylated by both viral and cellular kinases
to active triphosphate derivatives, which inhibit both viral
and cellular DNA synthesis. Parenteral administration
results in potent antiviral activity but also sufficient host
cytotoxicity to prevent the systemic use of these drugs. The
toxicity of these compounds is not significant when applied
topically to the eye in the treatment of HSV keratitis.
Both idoxuridine and trifluorothymidine are effective and
licensed for treatment of HSV keratitis. Topically applied
idoxuridine or trifluorothymidine will penetrate cells of the
cornea. Low levels of drugs can be detected in the aqueous
humor.
Clinical indications
Trifluorothymidine is the most efficacious of these com-
pounds, and the treatment of choice for HSV keratitis
(1 drop of 1% ophthalmic solution instilled in each eye,
up to nine times a day). Idoxuridine was the first antiviral
compound to receive FDA approval in 1963 for treatment
of HSV keratitis.
Resistance
Trifluorothymidine-resistant HSV strains with altered
TK substrate specificity have been selected for in vitro.
However, clinical significant resistance has not been
established.
Adverse effects
The ophthalmic preparation of idoxuridine and tri-
fluorothymidine causes local discomfort, irritation,
photophobia, edema of the eyelids, and less commonly,
hypersensitivity reactions as well as superficial punctate
or epithelial keratopathy.
Vidarabine
Vidarabine
N
NN
N
NH2
O
HO
HO
OH
Chemistry, mechanism of action, and antiviral
activity
Vidarabine (vira-A, adenine arabinoside, and 9-D-arabi-
nofuranosyl adenine) is active against HSV, VZV, and
CMV. Vidarabine is a purine nucleoside analogue that is
phosphorylated intracellularly to its mono-, di-, and tri-
phosphate derivatives. Thus, unlike acyclovir, conversion
of vidarabine to its active intracellular derivative does not
require viral enzymes at any of the phosphorylation steps.
The triphosphate derivative competitively inhibits DNA
dependent DNA polymerases of some DNA viruses
approximately 40 times more than those of host cells. In
addition, vira-A is incorporated into terminal positions of
both cellular and viral DNA, thus inhibiting elongation.
Viral DNA synthesis is blocked at lower doses of drug
than is host cell DNA synthesis, resulting in a relatively
selective antiviral effect. However, large doses of vira-A
are cytotoxic to dividing host cells.
The use of vidarabine was replaced by acyclovir
because of poor solubility and toxicity. It is no longer
available as an intravenous formulation. However, vidar-
abine should be recognized historically as the first
antiviral agent licensed in 1977 for systemic treatment.
92 Antiviral Agents

Clinical indications
Although trifluorothymidine is the antiviral agent of
choice for the topical treatment of HSV keratitis, in
patients in whom trifluorothymidine cannot be used
vidarabine is a suitable alternative. Topical vidarabine is
superior to idoxuridine in the treatment of HSV ocular
infections.
Resistance
Resistance to vidarabine is conferred by mutations in the
viral DNA polymerase gene. The degree of maximal
resistance to vidarabine is fourfold, much lower than the
100-fold resistance to acyclovir with similar DNA poly-
merase resistant mutations. Acyclovir-resistant clinical
HSV isolates are always susceptible in vitro to vidarabine.
Adverse effects
Ocular toxicity consists of occasional hyperemia and
increased tearing, both of low incidence.
Fomivirsen
Chemistry, mechanism of action, and antiviral
activity
Fomivirsen is a 21-nucleotide phosphorothioate oligonu-
cleotide that inhibits CMV replication through an
antisense mechanism. Its oligonucleotide sequence (59-
GCG TTT GCT CTT CTT CTT GCG-39) is com-
plementary to a sequence in mRNA transcripts of the
major immediate early region 2 (IE2) of CMV, which
encodes for several proteins responsible for the viral
gene expression that are essential for the production of
infectious viral particles. Binding of fomivirsen to the
target mRNA results in inhibition of IE2 protein synth-
esis, with subsequent inhibition of viral replication.
In vitro, fomivirsen inhibits CMV replication in a dose-
dependent manner, with a mean IC
50
of between 0.03 and
0.2 mmol l
1
. Pharmacokinetic assessment of fomivirsen in
humans after intraocular administration is limited. In a
rabbit model, intraocular administration revealed first-
order kinetics with half-life of 62 h. Fomivirsen is cleared
from the vitreous in rabbits during the course of 7–10 days
by a combination of tissue distribution and metabolism.
No systemic absorption has been observed after intravi-
treal administration in humans.
Clinical indications
Fomivirsen is indicated for use in HIV patients with
CMV retinitis who are intolerant of or have contraindica-
tion to other treatment for CMV retinitis or in whom the
disease is recalcitrant to ganciclovir or cidofovir treat-
ment. It has activity against cidofovir- and ganciclovir-
resistant strains of CMV.
Resistance
CMV strains with tenfold decreased susceptibility have
been selected in vitro. However, no resistant clinical iso-
lates have been reported.
Adverse effects
Adverse events of fomivirsen are uveitis, including iritis
and vitritis, occurring in approximately 25% of patients.
These reactions are usually transient or reversible with
topical corticosteroids treatment.
New Prospects for Therapy of Herpesvirus
Infections
While several classes of compounds are being investi-
gated for the treatment of herpesvirus infections. Some
of the compounds that have been the focus of drug dis-
covery in the last decade have been targets of viral
encoded enzymes, including inhibitors of ribonucleotide
reductase, TK, protease, and DNA polymerase.
Recently, a new compound class of helicase–primase
inhibitors, for example, BAY 57-1293, with preclinical phar-
macological profile that outperforms the current standard
HSV treatment represented by acyclovir, valacyclovir and
famciclovir in standard animal models with respect to all
parameters of efficacy, has been discovered. This class of
compounds bind to two viral targets simultaneously, namely
thehelicaseandprimasesubunitofthehelicase–primase
enzyme complex. The helicase–primase complex is essential
for the HSV DNA replication process. These compounds
have no demonstrable activity against either VZV or CMV.
Therapeutics for Respiratory Virus
Infections
Amantadine and Rimantadine
Amantadine
NH2
Rimantadine
NH2
Antiviral Agents 93

Chemistry, mechanism of action, and antiviral
activity
Amantadine (1-adamantanamine hydrochloride) and riman-
tadine (-methyl-1-adamantanemethylamine hydrochloride)
are symmetric tricyclic amines with narrow spectrum of
activity, being useful only against influenza A infections.
Rimantadine is fourfold to tenfold more active than
amantadine. The mechanism of action of these drugs
relates to the influenza A virus M2 protein, an integral
transmembrane protein that functions as an ion channel
for this virus and is activated by pH. The drop in pH
accompanying the hydrogen flux facilitates the dissocia-
tion of the M2 protein from the ribonucleoprotein
complexes so that the ribonucleoprotein can enter the
cell nucleus and initiate replication. By interfering with
the function of the M2 protein, amantadine and riman-
tadine inhibit the acid-mediated dissociation of the
matrix protein from the ribonuclear protein complex
within endosomes. This event occurs early in the viral
replication cycle. The consequences of these drugs are
the potentiation of acidic pH-induced conformational
changes in the viral hemagglutinin during its intracellu-
lar transport.
Absorption of rimantadine is slower compared with
that of amantadine. Amantadine is excreted unchanged
in the urine by glomerular filtration and, likely, tubular
secretion. The plasma elimination T
1/2
is approximately
12–18 h in individuals with normal renal function.
However, the elimination T
1/2
increases in the elderly
with impaired creatinine clearance. Rimantadine is exten-
sively metabolized following oral administration, with an
elimination T
1/2
of 24–36 h. Approximately 15% of the
dose is excreted unchanged in the urine.
Clinical indications
Amantadine and rimantadine are licensed both for the
chemoprophylaxis and treatment of influenza A infections.
Prophylaxis with either drug prevents approximately
50–60% of infections and 70–90% of clinical illnesses
caused by type A influenza virus. This degree of prophy-
lactic effectiveness approximates that of inactivated
influenza vaccine. Because of a lower incidence of side
effects associated with rimantadine, it is used preferentially.
Rimantadine can be given to any unimmunized member of
the general population who wishes to avoid influenza A,
but prophylaxis is especially recommended for control of
presumed influenza outbreaks in institutions housing
high-risk persons. High-risk individuals include adults
and children with chronic disorders of the cardiovascular
or pulmonary systems. Prophylaxis also is indicated if the
vaccine may be ineffective because the epidemic strain
differs substantially from the vaccine strain of influenza
A, and for the 2 weeks after vaccination if influenza A
already is active in the community.
Amantadine and rimantadine also have been shown to
be effective in treatment of influenza A infections in
adults and children if treatment is initiated within 48 h
of the onset of symptoms. Drug therapy results in reduc-
tion in the duration of viral excretion, fever, and other
systemic complaints, as well as earlier resumption of
normal activities, in comparison with placebo. On aver-
age, the duration of illness is shortened by about 1 day.
Amantadine and rimantadine are given orally at 200, and
300 mg day
1
, respectively.
Resistance
Resistance to amantadine and rimantadine results from
point mutations in the RNA sequence encoding for the
M2 protein transmembrane domain. Resistance typically
appears in the treated subjects within 2–3 days of initiat-
ing therapy. About 25–35% of treated patients shed
resistant strains by the 5th day of treatment. The clinical
significance of isolating resistant strains from the treated
subject is not clear; infection and illness in immunocom-
petent people infected with a drug-resistant virus are
similar to those in patients infected with drug-sensitive
virus.
Adverse effects
Although the spectrum of adverse events associated with
amantadine and rimantadine are qualitatively similar,
they are less frequent and less severe with rimantadine.
Amantadine is reported to cause side effects in 5–10% of
healthy young adults taking the standard adult dose of
200 mg day
1
. These side effects are usually mild and
cease soon after amantadine is discontinued, although
they often disappear with continued use of the drug.
CNS side effects, which occur in 5–33% of patients,
are most common and include difficulty in thinking,
confusion, lightheadedness, hallucinations, anxiety, and
insomnia. More severe adverse effects (e.g., mental
depression and psychosis) are usually associated with
doses exceeding 200 mg daily. About 5% of patients
complain of nausea, vomiting, or anorexia. CNS adverse
effects associated with rimantadine administration are
significantly less; however, rimantadine has been asso-
ciated with exacerbations of underlying seizure
disorders.
94 Antiviral Agents

Zanamivir and Oseltamivir
Zanamivir
O
HO OH
H
H
N
HO
HN
COOH
O
HN
NH2
Oseltamivir
O
H2N
HN
O
O
O
Chemistry, mechanism of action, and antiviral
activity
Zanamivir (4-guanidino-2,3-dideoxy-2,3-didehydro-N-
acetylneuraminic acid), and oseltamivir [ethyl ester of
(3R,4R,5S)-4-scetamido-5-amino-3-(1-ethylpropoxyl)-1-
cyclohexane-1-carboxylic acid] are sialic acid analogue
that competitively inhibit influenza virus neuraminidase
(NA). Influenza virus NA is located on the surface of the
virus and is responsible for cleaving terminal sialic acid
residues, which are essential for the release of the virus
from infected cells, viral aggregation, and spread within
the respiratory tract. Influenza NA also decreases viral
inactivation by respiratory mucous. The lipophilic side
chain of zanamivir and oseltamivir binds to the influenza
virus NA, blocking its ability to cleave sialic acid residues.
Zanamivir and oseltamivir are effective against both
influenza A and influenza B.
Zanamivir has poor oral bioavailability and therefore it is
administered by oral inhalation. More than 75% of an orally
inhaled dose of zanamivir is deposited in the oropharynx,
approximately 13% of this is distributed to the airways and
lungs. Local respiratory mucosal concentrations of zanami-
vir exceeds 1000 ng ml
1
in sputum for 6 h after inhalation
(i.e., over and above the concentration required to inhibit
influenza A and B viruses). Approximately 10% of inhaled
dose is absorbed systemically; peak serum concentrations
range from 17 to 142 ng ml
1
within 2 h of administration
of a 10 mg dose. The plasma T
1/2
is between 2.5 and 5 h.
Systemically absorbed zanamivir is excreted unchanged in
the urine. Although serum concentrations of zanamivir
increase with decreasing creatinine clearance, no adjustment
in dosing is necessary for renal insufficiency because of the
limited amount of systemically absorbed drug.
Oseltamivir is an ethyl ester prodrug that, following
hydrolysis by hepatic esterases, is converted to the active
compound, oseltamivir carboxylate. Approximately 75% of
orally administered oseltamivir reaches the systemic circu-
lation in the form of oseltamivir carboxylate. Oseltamivir
carboxylate is eliminated unchanged by renal excretion
through glomerular filtration and tubular secretion. The
elimination T
1/2
of oseltamivir carboxylate is 6–10 h.
Serum concentrations of the drug increase in the presence
of declining renal function, and dose adjustment is recom-
mended in patients with renal insufficiency.
Clinical indications
Zanamivirandoseltamivirareusedfortreatmentandpre-
vention of influenza A and B infections. Treatment of
otherwise healthy adults and children with zanamivir and
oseltamivir reduces the duration of symptoms by 0.4 and 1
days, and provides 29–43% relative reduction in the odds of
complications when given within 48 h of onset of symptoms.
These drugs also significantly diminish viral replication in
respiratory secretions. Zanamivir is available as dry powder
for inhalation using a breath-activated Diskhaler delivery
system. The recommended dose of zanamivir in patients
>7 years is 10 mg twice daily for 5 days, while oseltamivir is
given at 75 mg twice a day for 5 days.
Inhaled zanamivir, 10 mg once daily given for 4 weeks
as seasonal prophylaxis, reduces the likelihood of labora-
tory confirmed influenza (with or without symptoms) by
34%, influenza disease by 67%, and influenza disease
with fever by 84%. Oseltamivir administered for
6 weeks during the peak of influenza season significantly
reduces the risk of contracting influenza. The protective
efficacy of oseltamivir in preventing culture-proven
influenza is about 90%.
Resistance
Viruses resistant to zanamivir and oseltamivir have been
generated after in vitro passage in cell culture. Clinical
influenza virus isolates with reduced susceptibility to
both NA inhibitors have been reported. There are two
mechanisms of resistance: mutations in the hemagglutin
receptor-binding site, and mutations in the conserved
portions of the NA enzyme active site. In general, resis-
tant viruses with mutations in the NA enzyme are thought
to have decreased infectivity and fitness and therefore less
likely to be transmitted.
Antiviral Agents 95

Adverse effects
Both NA inhibitors are generally well tolerated. Adverse
events following administration of oseltamivir have pri-
marily been gastrointestinal with nausea and vomiting
occurring in some patients. Inhalation of zanamivir has
resulted in bronchospasm and reduced forced expiratory
volume (FEV1). Zanamivir should be used with caution
in individuals with reactive airway diseases or chronic
obstructive pulmonary diseases.
Ribavirin
Ribavirin
N
N
N
O
HO
OH
HO
NH2
O
Chemistry, mechanism of action, and antiviral
activity
Ribavirin (-methyl-1-adamantane methylamine hydro-
chloride) has antiviral activity against a variety of RNA
and DNA viruses. Ribavirin is a nucleoside analogue
whose mechanisms of action are poorly understood and
probably not the same for all viruses; however, its ability to
alter nucleotide pools and the packaging of mRNA appears
important. This process is not virus specific, but there is a
certain selectivity, in that infected cells produce more
mRNA than noninfected cells. A major action is the
inhibition by ribavirin-59-monophosphate of inosine
monophosphate dehydrogenase, an enzyme essential for
DNA synthesis. This inhibition may have direct effects
on the intracellular level of GMP and other nucleotide
levels may be altered. The 59-triphosphate of ribavirin
inhibits the formation of the 59-guanylation capping on
the mRNA of vaccinia and Venezuelan equine encephalitis
viruses. In addition, the triphosphate is a potent inhibitor of
viral mRNA (guanine-7) methyltransferase of vaccinia
virus. The capacity of viral mRNA to support protein
synthesis is markedly reduced by ribavirin. Ribavirin may
inhibit influenza A RNA-dependent RNA polymerase.
Ribavirin can be administered orally (bioavailability of
approximately 40–45%) or intravenously. Aerosol admin-
istration has become standard for the treatment of RSV
infections in children. Oral doses of 600 and 1200 mg result
in peak plasma concentrations of 1.3 and 2.5 mgml
1
,
respectively. Intravenous dosages of 500 and 1000 mg
result in 17 and 24 mgml
1
plasma concentrations, respec-
tively. Aerosol administration of ribavirin results in plasma
levels that are a function of the duration of exposure.
Although respiratory secretions will contain milligram
quantities of drug, only microgram quantities (0.5–3.5 mg
ml
1
) can be detected in the plasma.
The kidney is the major route of clearance of drug,
accounting for approximately 40%. Hepatic metabolism
also contributes to the clearance of ribavirin. Notably,
ribavirin triphosphate concentrates in erythrocytes and
persists for a month or longer. Likely, the persistence of
ribavirin in erythrocytes contributes to its hematopoietic
toxicity.
Clinical indications
Respiratory syncytial virus
Ribavirin is licensed for the treatment of carefully
selected, hospitalized infants and young children with
severe lower respiratory tract infections caused by RSV.
Use of aerosolized ribavirin in adults and children with
RSV infections reduced the severity of illness and virus
shedding. However, placebo controlled trials have failed
to demonstrate a consistent decrease in need for mechan-
ical ventilation, duration of stay in intensive care unit, or
duration of hospitalization among ribavirin recipients.
The use of ribavirin for the treatment of RSV infections
is controversial and remains discretionary. The most
common adverse events following aerosol administration
of ribavirin include bronchospasm and malfunction of
ventilator delivery systems. The usual dosage of aeroso-
lized ribavirin is 20 mg ml
1
of drug instilled in a small-
particle aerosol generator (SPAG) and administered for
12–22 h day
1
for 3–6 days. To avoid potential exposure
of health care workers to ribavirin, special containment
delivery system in an isolation room with negative pres-
sure is used.
Hepatitis C
Oral ribavirin in combination with interferon-(IFN-)
is recommended for hepatitis C infection.
Lassa fever and hemorrhagic fever
Systemic ribavirin has demonstrated efficacy in the man-
agement of life-threatening infections caused by Lassa
fever and hemorrhagic fever with renal syndrome. Oral
ribavirin is recommended for prophylaxis against Lassa
fever in exposed contacts.
Resistance
Treatment failures with ribavirin occur in some patients;
however, resistance to ribavirin has not been identified as
a clinical problem.
96 Antiviral Agents

Adverse effects
Adverse effects attributable to aerosol therapy with ribavirin
of infants with RSV include bronchospasm, pneumothorax
in ventilated patients, apnea, cardiac arrest, hypotension,
and concomitant digitalis toxicity. Pulmonary function test
changes after ribavirin therapy in adults with chronic
obstructive pulmonary disease have been noted.
Reticulocytosis, rash, and conjunctivitis have been asso-
ciated with the use of ribavirin aerosol. When given orally
or intravenously, transient elevations of serum bilirubin and
the occurrence of mild anemia have been reported.
Ribavirin has been found to be teratogenic and mutagenic
in preclinical testing. Its use is contraindicated in women
who are or may become pregnant during exposure to the
drug. Concern has been expressed about the risk to
persons in the room of infants being treated with ribavirin
aerosol, particularly females of childbearing age. Although
this risk seems to be minimal with limited exposure, aware-
ness and caution are warranted and, therefore, the
establishment of stringent precautions for administration of
ribavirin.
New Prospects for Therapy of Respiratory
Viruses
While influenza pandemics have long posed a threat to
humankind, a threat realized to varying extents in 1918,
1957, and 1968, particular concern has mounted of late due
to continued sporadic human cases of H5N1 avian influ-
enza in Southeast Asia, Eastern Europe, and Africa.
Amantadine and rimantadine are not recommended for
seasonal or avian influenza because circulating influenza
A viruses as well as the H5N1 strains affecting humans in
Southeast Asia are resistant to these medications. Zanamivir
and oseltamivir are the only available options. To expand
the antiviral drug arsenal against influenza, researchers
have been testing a number of investigational agents,
including peramivir and T-705. Although peramivir is a
NA inhibitor administered intramuscularly. Preclinical stu-
dies in mice and ferrets revealed that the drug could protect
80% or more of animals exposed to pathogenic H5N1
influenza virus compared with 36% of untreated animals.
T-705 is a viral RNA polymerase inhibitor in the preclini-
cal testing stage.
The outbreak in 2003 of a novel coronavirus infection,
which causes severe acute respiratory syndrome (SARS),
underscores the need for antiviral drugs for the control of
future SARS outbreaks. New insights into the field of
SARS pathogenesis and SARS-coronavirus (CoV) gen-
ome structure have revealed novel potential therapeutic
targets for antiviral therapy.
Therapeutics for Hepatitis
Interferons
Chemistry, mechanism of action, and antiviral
activity
IFNs are glycoprotein cytokines (intercellular messen-
gers) with a complex array of immunomodulating,
antineoplastic, and antiviral properties. IFNs are cur-
rently classified as ,,or, the natural sources of
which, in general, are leukocytes, fibroblasts, and lym-
phocytes, respectively. Each type of IFN can be produced
through recombinant DNA technology. The binding of
IFN to the intact cell membrane is the first step in estab-
lishing an antiviral effect. IFN binds to the cellular
receptors and activates secondary messengers to initiate
production of multiple proteins, which are pivotal for the
defense of the cell against viruses. The mechanism of
action is rather complex. The antiviral effects of IFN
include degradation of viral mRNA, inhibition of viral
protein synthesis, and prevention of the viral infection of
cells. The immunomodulating effects of IFN include
enhancement of antigen presentation by HLA I and II to
the immune system, activation of natural killer (NK) cells
and other immune cells, and increased cytokine produc-
tion. IFNs are active against a wide spectrum of viruses
with RNA viruses being more sensitive than DNA
viruses.
IFNs are not orally bioavailable and are administered
intramuscularly or subcutaneously (including into a
lesion). There appears to be some variability in absorption
between each of the three classes of IFN and, importantly,
resultant plasma levels. Absorption of IFN-is more
than 80% complete after intramuscular or subcutaneous
injection. Plasma levels are dose dependent, peaking
4–8 h after administration and returning to baseline
between 18 and 36 h. However, the antiviral activity
peaks at 24 h and then slowly decreases to baseline over
about 6 days. IFN is eliminated by inactivation in
various body fluids and metabolism in a number of
organs. Negligible amounts are excreted in the urine
unchanged.
IFN-molecule covalently bonded to polyethylene
glycol (PEG) improves the pharmacokinetic profile of
IFN markedly. The pegylated forms of IFN-(Peg-
IFN-) offer a more convenient once weekly instead of
daily administration, are licensed for the treatment of
hepatitis B and C.
Clinical indications
Hepatitis B
The major goals of therapy for hepatitis B are to prevent
progression of the disease to cirrhosis, end stage liver
disease or hepatocellular carcinoma. Three generally
Antiviral Agents 97

accepted indications for treatment are: (1) positive test for
HBV DNA, (2) positive hepatitis B e antigen (HBeAg),
and (3) alanine aminotransferase (ALT) level greater than
two times normal. Treatment end points differ in HBeAg
positive, and HBeAg negative disease. However, suppres-
sion of HBV replication to levels less than 110
4
copies
per ml (2000 IU ml
1
) is regarded as a surrogate of treat-
ment success with a resultant improvement in serum ALT
and hepatic necroinflammatory disease.
Hepatitis B DNA polymerase level, a marker of repli-
cation, is reduced with standard IFN therapy. Clearance
of serum HBeAg and HBV DNA polymerase occurs with
treatment (30–40%). The use of pegylated forms of IFN
has become common with the convenience of weekly
dosing. Genotype and other baseline factors affect the
response to PEG-IFN-2a in HBeAg-positive chronic
hepatitis B. Patients with genotypes A and B have a
better response in comparison with genotypes C and D
patients.
Hepatitis C
The aim of therapy for chronic HCV infection is to
decrease and ultimately prevent progressive liver damage
leading to cirrhosis, liver failure, or hepatocellular carci-
noma. Therapy for chronic HCV infection is indicated in
patients with detectable HCV RNA viral load and persis-
tently elevated ALT. Findings of cirrhosis, fibrosis, or even
moderate inflammation on liver biopsy support the choice
of therapeutic intervention; however, biopsy is not manda-
tory prior to treatment initiation. Standard IFN, either as
monotherapy or in combination with ribavirin, has been
used extensively for HCV infections. Combination therapy
for 40 weeks resulted in sustained responses in more than
60% of patients. The standard treatment of HCV infection
is either PEG-IFN-2a or PEG-IFN-2b given alone or
in combination with ribavirin. Genotypes 1 and 4 infec-
tions are associated with lower sustained virologic response
than other HCV genotypes.
Resistance
Resistance to administered IFN has not been documented
although neutralizing antibodies to recombinant IFNs
have been reported. The clinical importance of this latter
observation is unknown.
Adverse effects
Side effects are frequent with IFN (both standard and
pegylated) administration and are usually dose limiting.
Influenza-like symptoms (i.e., fever, chills, headache, and
malaise) commonly occur, but these symptoms usually
become less severe with repeated treatments. Leukopenia
is the most common hematologic abnormality, occurring in
up to 26% of treated patients. Leukopenia is usually
modest, not clinically relevant, and reversible upon discon-
tinuation of therapy. Increased ALT levels may also occur
as well as nausea, vomiting, and diarrhea. At higher doses of
IFN, neurotoxicity is encountered, as manifested by per-
sonality changes, confusion, attention deficits,
disorientation, and paranoid ideation.
Lamivudine
Lamivudine
N
N
NH2
O
S
O
OH
Chemistry, mechanism of action, and antiviral
activity
Lamivudine is the (–) enantiomer of a cytidine analogue
with sulfur substituted for the 39carbon atom in the furanose
ring [(–) 29,39-dideoxy, 39-thiacytidine]. It has significant
activity in vitro against both HIV-1 and HIV-2 as well as
HBV. Lamivudine is phosphorylated to the triphosphate
metabolite by cellular kinases. The triphosphate derivative
is a competitive inhibitor of the viral reverse transcriptase.
The oral bioavailability in adults is >80% for doses
between 0.25 and 8.0 mg kg
1
. Peak serum concentrations
of 1.5 mgml
1
are achieved in 1–1.5 h and the plasma T
1/2
is approximately 2–4 h. Lamivudine is eliminated by the
kidneys unchanged by both glomerular filtration and
tubular excretion, and dosages should be adapted to crea-
tinine clearance.
Clinical indications
Lamivudine is effective as monotherapy for the treatment
of chronic HBV infection and in combination with other
antiretroviral drugs for treatment of HIV infection. It is
the first line drug for the treatment of HBeAg and anti-
HBe positive disease. Elevated serum ALT levels have
been shown to predict a higher likelihood of HBeAg loss
in patients with chronic hepatitis B treated with lamivu-
dine. Lamivudine is administered orally at 100 mg day
1
in the treatment of HBV infections, though the ideal dose
could be higher.
Resistance
Resistance to lamivudine monotherapy develops within 6
months of therapy. The incidence of lamivudine resis-
tance is 15–20% per year, with 70% patients becoming
98 Antiviral Agents

resistant after 5 years of treatment. It will be curious to
know if lamivudine at higher doses will affect the inci-
dence of resistance. Lamivudine resistance to HBV is
conferred through HBV strains with mutations in the
viral polymerase, within the catalytic domain (C domain),
which includes the YMDD motif (e.g., M204V or
M204I), and within the B domain (e.g., L180M or
V173L). These mutants have a reduced replication capa-
city compared with the wild type HBV virus. Lamivudine
resistance is managed by sequential treatment with either
adefovir or entecavir. However, the advantage of sequen-
tial treatment compared to de novo combination therapy is
questionable.
Adverse effects
Lamivudine has an extremely favorable toxicity profile.
This may be partly because lamivudine does not affect
mitochondrial DNA synthesis and its poor inhibition of
human DNA polymerases. At the highest doses of 20 mg
kg
1
day
1
, neutropenia is encountered but at a low
frequency.
Adefovir Dipivoxil
Adefovir dipivoxil
N
NN
N
NH2
OP
O
O
OO
O
O
O
Chemistry, mechanism of action, and antiviral
activity
Adefovir dipivoxil, bis(pivaloyloxymethyl)ester of 9-(2-
phosphonylmethoxyethyl) adenine, is an orally bioavail-
able prodrug of adefovir, a phosphonate acyclic nucleotide
analogue of adenosine monophosphate. Adefovir is mono-
phosphorylated and is not dependent on initial
phosphorylation by viral nucleoside kinases to exert its
antiviral effect. The phosphorylation to the di- and tripho-
sphate metabolites is by cellular kinases. The triphosphate
competes with endogenous deoxyadenosine triphosphate
(dATP) in incorporation to the nascent viral DNA result-
ing in premature termination of viral DNA synthesis due
to the lack of a 39hydroxyl group. It has activity against
HIV, hepadnaviruses and herpesviruses. The bioavailabil-
ity of adefovir dipivoxil in humans is about 40%. It has a
long intracellular half-life of 18 h allowing for a once-daily
dose. Clearance of adefovir is by renal excretion. Its phar-
macokinetics is substantially altered in subjects with
moderate and severe renal impairment.
Clinical indications
The efficacy of adefovir has been assessed in patients with
HBeAg positive and negative disease and other settings in
the spectrum of chronic hepatitis B infection. At the
recommended dose of 10 mg once a day, adefovir resulted
in significant improvement when compared with placebo:
improvement in liver histology (53% vs. 25%), reduction
in HBV DNA (3.52 vs. 0.55 log copies ml
1
), normaliza-
tion of ALT (48% vs. 16%), and HBeAg seroconversion
(12% vs. 6%). It is also useful for the treatment of lami-
vudine-resistant HBV infection.
Resistance
Adefovir resistance occurs in approximately 6% of
patients 3 years after adefovir monotherapy. Mutations
in the HBV polymerase B domain (A181V/T) and the D
domain (N236T) confer resistance to adefovir.
Adverse effects
Nephrotoxicity is the major side effect of higher doses of
adefovir. It causes a proximal convoluted tubule lesion
characterized by a rise in urea and creatinine. Other
dose-related clinical adverse events have been gastroin-
testinal events, including nausea, anorexia and diarrhea.
These are usually mild, intermittent and self-limited
without the need for concomitant medications or dose
interruption.
Entecavir
Entecavir
N
N
H
N
N
H2N
O
HO HO
Chemistry, mechanism of action, and antiviral
activity
Entecavir (2-amino-1,9-dihydro-9-[(1S,3R,4S)-4-hydroxy-
3-(hydroxymethyl)-2-methylenecyclopentyl]-6H-purin-6-
one), monhydrate is a guanosine nucleoside analogue.
Antiviral Agents 99

Entecavir is efficiently phosphorylated by cellular kinases
to the active triphosphate metabolite. It affects three-steps
in the replication of HBV: (1) prevent the priming of the
HBV reverse transcriptase, (2) prevent reverse transcribing
of the HBV pregenomic mRNA, and (3) inhibits DNA-
dependent DNA synthesis (i.e., terminating viral DNA
synthesis). The HBV polymerase binds preferentially to
entecavir triphosphate, and entecavir triphosphate does
not affect human mitochondrial DNA synthesis. The effect
of entecavir on human cellular polymerase is minimal.
Studies prior to approval of entecavir for HBV treatment
suggested that entecavir did not have anti-HIV activity at
clinical relevant concentrations. However, recent studies
have suggested an anti-HIV activity of entecavir at drug
concentrations in the low nanomolar range.
Entecavir is well absorbed after oral administration
achieving peak plasma concentrations between 0.6–1.5 h.
Entecavir is not a substrate of the cytochrome P450
(CYP) enzyme system. It is eliminated primarily in the
urine through glomerular filtration and tubular secretion.
The mean elimination T
1/2
of entecavir varies from 77 to
149 h in patients with normal function. The intracellular
half-life of the triphosphate metabolite in vitro studies is
about 15 h.
Clinical indications
Entecavir was approved in March 2005, for the manage-
ment of adult patients with chronic HBV infection who
have active viral replication and/or elevation in liver
transaminases or signs of active disease on histological
examination. In phase III trials, responses achieved with
entecavir surpassed previously published response rates
for IFN--2b, lamivudine, and adefovir dipivoxil. With
recent reports of an anti-HIV activity of entecavir, ente-
cavir monotherapy probably should not be used in
individuals with HIV–HBV coinfection who need HBV
but not HIV treatment.
Resistance
The prevalence rate of resistance to entecavir in HBV-
treatment naive is about 1.2%. However, virologic rebound
and resistance have been reported in 43% of lamivudine-
resistant patients after 4 year of switching treatment to
entecavir. Entecavir resistance requires the following
amino acid sequence changes in the reverse transcriptase
domain of HBV; M204V/I þL184G, S202I, or M250V.
Adverse effects
Most adverse events in the phase III studies were mild
and comprised of headache, upper respiratory tract infec-
tions, cough, fatigue, pharyngitis, abdominal pain, and
gastrointestinal upset. The most common laboratory
abnormality was ALT level greater than five times the
upper limit of normal. Monitoring for long-term toxicity
is needed.
Telbivudine
Telbivudine
HN
N
O
O
O
OH
CH3
OH
Chemistry, mechanism of action, and antiviral
activity
Telbivudine (-L-29-deoxythymidine) is an L-configured
nucleoside with potent and specific activities against HBV
and other hepadnaviruses. Telbivudine is a competitive
inhibitor of both HBV viral reverse transcriptase and
DNA polymerase. Telbivudine is phosphorylated by cellu-
lar kinases to the triphosphate metabolite, which competes
with naturally occurring thymidine triphosphate for viral
DNA elongation. The incorporation of telbivudine into the
viral DNA terminates viral DNA chain elongation. In
contrast to other nucleoside analogue, such as lamivudine,
telbivudine preferentially inhibits anticomplement or
second-strand DNA, whereas lamivudine triphosphate pre-
ferentially inhibits the complement DNA synthesis.
Preliminary studies have shown a potent inhibition of
HBV replication with a safe profile and no effect on mito-
chondrial metabolism. Telbivudine triphosphate does not
inhibit human cellular polymerase ,,or. In addition,
telbivudine triphosphate is not a substrate for human DNA
polymerase and thus will not induce genotoxicity.
Telbivudine is rapidly absorbed after oral dosing with
peak plasma concentration achieved within 1–3 h, the abso-
lute oral bioavailability of telbivudine is not known. Over an
8-h period, telbivudine exhibits an apparent single-phase
decline, with T
1/2
of 2.5–5 h. However, a presence of a
second, slower elimination phase was observed with inten-
sive sampling in healthy volunteers up to 168 h post-dosing.
The second phase starts approximately 16–24 h after dosing,
with a long observed terminal-phase T
1/2
of approximately
40 h. The long plasma T
1/2
of telbivudine is consistent with
the long intracellular T
1/2
(14 h) of its triphosphate in vitro
studies. The elimination T
1/2
of telbivudine increases with
renal dysfunction, therefore, dosage reduction of telbivudine
is recommended in individuals with renal dysfunction.
Clinical indications
Telbivudine was approved in October 2006 by the FDA
for treatment of chronic HBV infection. In clinical trails
100 Antiviral Agents

with primary end point of therapeutic response (a com-
posite of suppression of HBV DNA and either loss of
serum HBeAg or ALT normalization) after one year, in
HBeAg-positive patients a therapeutic response occurred
in 75% of patients treated with telbivudine and 67% of
those treated with lamivudine. In HBeAg-negative
patients, the response was 75 and 77% for telbivudine
and lamivudine, respectively. In the second year of the
study, telbivudine was found to be superior to lamivudine.
Using the two drugs in combination was no more effective
than telbivudine monotherapy.
Resistance
HBeAg-positive, 21.6%, and HBeAg-negative, 8.6%,
recipients of telbivudine had HBV DNA rebound that
was associated with resistance mutations. Lamivudine-
resistance HBV strains have a high level of cross resis-
tance to telbivudine. The mutations in the RT domain of
HBV associated with telbivudine resistance are M204I or
M204I þL180I/V.
Adverse effects
Most of the adverse effects of telbivudine reported in
clinical studies were mild to moderate. The most com-
mon were elevated creatinine phosphokinase (CPK), an
enzyme present in muscle tissue and a marker for the
breakdown of muscle tissue, upper respiratory tract infec-
tion, fatigue, headache, abdominal pain, and cough.
Clevudine
Clevudine
HN
N
O
O
O
OH
CH3
F
OH
Clevudine was recently approved in South Korea for the
treatment of hepatitis B after demonstration of potent anti-
hepatitis B activity in phase II and III clinical trials. It is likely
to be licensed for hepatitis B treatment in other countries.
Chemistry, mechanism of action, and antiviral
activity
Clevudine [1-(2-deoxy-2-fluoro--L-arabinofuranosyl)
thymidine] is a nucleoside analogue of the unnatural
-Lconfiguration with potent activity against HBV and
some activity against EBV. Clevudine is efficiently
phosphorylated by cellular kinases to clevudine-tripho-
sphate in target cells. The mechanism of action is mainly
inhibition of viral plus-strand DNA synthesis. Preclinical
studies revealed that human cellular DNA polymerases ,
,, and could not utilize the 59-triphosphate of clevu-
dine as a substrate and, hence, the lack of cytotoxicity.
The EC
50
of clevudine for HBV inhibition values ranges
from 0.02 to 0.84 mmol l
1
. Clevudine is well absorbed
after oral administration with estimated long half-life of
44–60 h.
Clinical indications
Clevudine is approved for treatment of chronic hepatitis
B infection in South Korea. In a randomized, placebo-
controlled phase III study in South Korea, chronic
HBeAg-positive patients who received 30 mg of clevu-
dine once daily for 24 weeks maintained a 3.73 log
10
and
2.02 log
10
viral suppression at 34 and 48 weeks, respec-
tively. A unique characteristic of clevudine is the slow
rebound of viremia after cessation of treatment.
Resistance
In vitro studies suggest that there may be cross-resistance
with lamivudine-resistant HBV mutants. In animal studies
resistance occurred in the B domain of the polymerase
gene, within 12 months of treatment.
Adverse effects
In clinical trials, clevudine was well tolerated without any
serious adverse events reported. Long-term toxicity has
to be closely monitored.
Future Prospects
Current antiviral agents either inhibit hepatitis B repli-
cation, or invoke an immune response, which may be
necessary but not sufficient to effect viral control.
Moreover, antiviral resistance remains a concern with
long-term therapy, the search for novel agents, and
treatment strategies with minimal or no resistance and
good long-term safety profile are the focus of ongoing
research. Tenofovir, and emtricitabine, licensed for the
treatment of HIV infections, also have activity against
HBV, but are not yet FDA-approved for this indication.
There are a number of new nucleoside and nucleotide
analogue in the pipeline; elvucitabine, valtorcitabine,
amdoxovir, racivir, MIV 210, -L-FddC, alamifovir
and hepavir B may soon be part of the armamentarium
for hepatitis B treatment.
Another challenge is the management of hepatitis B in
individuals with HIV coinfection. Appropriate combina-
tion regimens for individuals with coinfections are
expected in the near future; target treatment of HBV to
alter the outcome and take into account the impact of
HBV treatment on HIV.
Antiviral Agents 101

Therapeutics for Papillomavirus
HPVs are small DNA viruses with strict epithelial trop-
ism. HPV infection induces the hyperproliferation of
epithelial cells, leading to a broad spectrum of human
diseases, ranging from benign warts (self-limiting) to
malignant neoplasms. In general, there is no virus-specific
effective systemic therapy available. Furthermore, treat-
ment of disease with current therapies has not been shown
to reduce the rates of transmission.
The recently FDA-approved quadrivalent prophylac-
tic vaccine (HPV6/11/16/18) has been shown in clinical
trials to be effective in preventing high-grade vulval and
vaginal lesion associated with HPV 16 and 18. With time,
this prophylactic vaccine is expected to reduce the inci-
dence of HPV infections, particularly, infections due to
the vaccine types (HPV6, 11, 16, and 18).
Interferon
IFNs have antiproliferative, antiviral, and immunomodula-
tory properties. IFNs have been administered (mostly IFN-
) topically, systemically, and intralesionally with variable
results.Theyaremoreeffectiveifusedincombinationwith
either local surgery or podophyllotoxin. Several large con-
trolled trials have demonstrated inconsistent clinical benefits
of the use of standard IFN-therapy of condyloma
acuminatum (caused by HPV) that was refractory to cyto-
destructive therapies. Intralesional therapy is painful,
systemic therapy is associated with influenza-like symptoms
such as fever and myalgia. Furthermore, IFN treatment is
expensive and there is limited efficacy.
Imiquimod
This is an immunomodulator approved by the FDA for
topical treatment of external and perianal genital warts. It
acts as a ligand for Toll-like receptor 7 and activates
macrophage and dendritic cells to release IFN and
other proinflammatory cytokines. With imiquimod appli-
cation, gradual clearance of warts occurs in about 50% of
patients over an average of 8–10 weeks. The adverse
effects are; application site reactions (irritation, pruritus,
flaking, and erosion), and systemic effects including fati-
gue and influenza-like illness.
Podophyllotoxin
Podophyllotoxin is the main cytotoxic ingredient of
podophyllin, a resin used for many years for topical
treatment of warts. The exact mechanism of action is
unknown. Podophyllotoxin 0.5% solution or gel is similar
in effectiveness to imiquimod but may have more adverse
effects. Adverse effects include irritation of the adjacent
skin, local erosion, ulceration and scarring.
Trichloroacetic acid, podophyllotoxin, and cryother-
apy (with liquid nitrogen or a cryprobe) remain the most
widely used treatments for external genital warts, but
response rate is only 60–70%, and at least 20–30% of
responders will have recurrence.
Future Prospects
The current therapies are not targeted antiviral therapies.
They result in the physical removal of the lesion or the
induction of nonspecific inflammation, thereby inducing a
bystander immune response. There is urgent need to
develop specific and effective antiviral agents for HPV
infections.
Therapeutics for Enteroviral Infections
The enteroviruses include nearly 70 serotypes of closely
related pathogens that cause a wide spectrum of human
illness, from mild nonspecific fever to common upper
respiratory infections, aseptic meningitis, severe myocar-
ditis, encephalitis, and paralytic poliomyelitis. Certain
patients, including antibody-deficient individuals, bone
marrow recipients, and neonates, may develop potentially
life-threatening enterovirus infections for which thera-
peutic options have been limited. There are case series
of the use of immune serum globulin and pleconaril
for serious enteroviral infections. Pleconaril failed to
secure FDA approval because of its induction of CYP
3A enzyme activity, and the potential for drug
interactions, particularly the interference with oral
contraceptives.
Pleconaril
Pleconaril
NO
N
N
O
F
F
F
O
Chemistry, mechanism of action, and antiviral
activity
Pleconaril (3-{3,5-dimethyl-4-[[3-methyl-5-isoxazolyl}-
propyl]phenyl]-5[trifluoromethyl]-1,2,4-oxadiazole) exerts
its antiviral effect by integrating into a hydrophobic pocket
102 Antiviral Agents

inside the virion, and prevents viral replication by inhibiting
viral uncoating and blocking viral attachment to host cell
receptors, thus interrupting the infection cycle. The viral
capsid structure, which is the target of pleconaril, is rela-
tively conserved among the picornaviruses. Pleconaril has
broad spectrum and potent activity against enteroviruses
and rhinoviruses.
Pleconaril is 70% bioavailability when given orally. This
high level of bioavailability was achieved by the substitution
of trifluoromethyl on the oxadiazole ring that reduces its
degradation in the liver by enzymes involved in oxidative
processes. The metabolic stabilization is reflected in the
drug’s long serum half-life (about 6.5 h) after oral dosing.
Pleconaril also readily penetrates the blood-brain barrier.
Clinical indications
Common cold
In a phase I trial of pleconaril for treatment of common cold,
there was a significant reduction in rhinorrhea of about
1.5daysinthoseon400mgthreetimesdaily,andareduction
in a severity score as compared to the placebo. Subsequent
trials confirmed a modest reduction in length of symptoms
forcommoncoldinpatientstreatedwithpleconaril.
Immunocompromised host
Patients with compromised humoral immunity, such as
those with agammaglobulinemia, who contract enteroviral
infections may develop chronic meningitis and menin-
goencephalitis, often with a fatal outcome. There are case
reports of the efficacy of pleconaril in these patients.
Enteroviral meningitis
For treatment of enteroviral meningitis, two large studies
showed a marginal statistical improvement in a clinical
score in the pleconaril-treated groups. A subsequent small
study of 21 infants with proven enteroviral meningitis in
the United States did not have enough power to show
unequivocal benefit with pleconaril.
Resistance
Resistance to pleconaril has been reported in some ser-
otypes of enteroviruses, however, the mechanism is not
well understood.
Adverse effects
Pleconaril is generally well tolerated. The most common
adverse events are headache, diarrhea, and nausea. Long-
term use of pleconaril is associated with an increase in
menstrual irregularities in women.
Future Prospects
Pleconaril has not been licensed for treatment of enter-
oviral infections; there is an urgent need to identify
alternative drugs that might be effective. There are
several investigational compounds; however, none has
reached phase I clinical trial. Combinations of drugs are
likely to offer the best chance of cure and protection from
enterovirus infections in the future.
Anti-HIV Agents
The combination of three or more anti-HIV agents into
multidrug regimens, often termed highly active antiretro-
viral therapy (HAART), can efficiently inhibit HIV viral
replication to achieve low or undetectable circulatory HIV-
1 levels. This is the start-of-the-art treatment of AIDS or
HIV-infected individuals. Drug combinations are, in princi-
ple, aimed at obtaining synergism between the compounds,
while reducing the likelihood of the development of drug
resistance virus, and minimizing toxicity. The available anti-
HIV drugs are categorized according the step they target
within the HIV viral life cycle (Figure 2); (1) binding
inhibitors, for example, coreceptor antagonist (maraviroc);
(2) fusion inhibitors (enfuvirtide); (3) reverse transcriptase
inhibitors (nucleoside/nucleotide (zidovudine, didanosine,
zalcitabine, stavudine, lamivudine, abacavir, emtricitabine,
and tenofovir), and non-nucleoside (nevirapine, delavirdine,
and efavirenz) analogue); (4) integrase inhibitors (raltegra-
vir); and (5) protease inhibitors (saquinavir, indinavir,
ritonavir, nelfinavir, amprenavir, fosamprenavir, lopinavir,
atazanavir, tipranavir, and darunavir).
Fixed-dose combinations and once-daily dosage forms
of many anti-HIV agents are available. There are fixed-
dose combinations for zidovudine/lamivudine, zidovudine/
lamivudine/abacavir, abacavir/lamivudine, tenofovir/
emtricitabine, and tenofovir/emtricitabine/efavirenz.
Coreceptor Antagonist
Maraviroc
Maraviroc
N
N
N
N
NH
F
F
O
Antiviral Agents 103

Chemistry, mechanism of action, and antiviral activity
Maraviroc (4,4-difluoro-N-{(1S)-3-[exo-3-(3-isopropyl-5-
methyl-4H-1,2,4 triazol-4-yl)-8-azabicyclo(3,2,1]oct-8-yl]-
1-phenylpropyl}cyclohexanecarboxamide) is the first of
the class of CCR5 coreceptor antagonists licensed (August
2007) for HIV treatment. Maraviroc selectively binds to the
human chemokine receptor CCR5 present on the cell
membrane, preventing the interaction of HIV-1 gp120
and CCR5 necessary for CCR5-tropic HIV-1 to enter
cells. It inhibits the replication of CCR5-tropic laboratory
strains and primary isolates of HIV-1 in vitro.Themean
EC
50
for maraviroc against various strains of HIV-1 ranges
from 0.1 to 1.25 nmol l
1
(0.05 to 0.64 ng ml
1
)incellcul-
ture. Maraviroc was not active against CXCR4-tropic and
dual-tropic viruses (EC50 value >10 mmol l
1
). The anti-
viral activity of maraviroc against HIV-2 has not been
evaluated.
The absolute bioavailability for 100 and 300 mg doses
are 23 and 33%, respectively. Peak plasma concentrations
of maraviroc are attained at 0.5–4 h following single oral
dose of 1200 mg administered to uninfected volunteers.
Maraviroc is bound (approximately 76%) to human
plasma proteins. It is principally metabolized by the cyto-
chrome P450 system to metabolites that are essentially
inactive against HIV-1. Maraviroc is a substrate of CYP3A
and the efflux transporter P-glycoprotein (Pgp), and there-
fore,itspharmacokineticsarelikelytobemodulatedby
inhibitors and inducers of these enzymes/transporters. The
terminal half-life in healthy subjects is 14–18 h.
Clinical indications
Maraviroc is approved for use in combination with other
anti-HIV agents for the treatment of adults with CCR5-
tropic HIV-1, who are treatment-experienced with evi-
dence of viral replication and HIV-1 strains resistant to
multiple antiretroviral agents.
Resistance
The resistance profile in treatment-naive and treatment-
experienced subjects has not been fully characterized. HIV-
1 variants with reduced susceptibility to maraviroc have
been selected in cell culture, following serial passage of two
CCR5-tropic viruses (CC1/85 and RU570). The maraviroc
resistant viruses remained CCR5-tropic with no evidence
Binding inhibitors
Fusion inhibitors
Integrase inhibitors
Protease inhibitors
Reverse transcriptase
inhibitors:
1. Nucleoside/nucleotide
analogs
2. Non-nucleoside
analogs
++
Figure 2 HIV life cycle showing the stages of intervention of available anti-HIV agents.
104 Antiviral Agents

of a change from a CCR5-tropic virus to a CXCR4-using
virus. Two amino acid residue substitutions (Table 1,letter
codes of amino acids) in the V3-loop region of the HIV-1
envelope glycoprotein (gp160), A316T and I323V were
shown to be necessary for the maraviroc-resistant pheno-
type in the HIV-1 isolate CC1/85. In the RU570 isolate, a 3-
amino acid residue deletion in the V3 loop, QAI (HXB2
positions 315–317), was associated with maraviroc resis-
tance. The clinical relevance of these mutations is not
known.
Adverse effects
The most common adverse events reported with mara-
viroc were cough, fever, upper respiratory tract infections,
rash, musculoskeletal symptoms, abdominal pain, and diz-
ziness. The product label includes a warning about liver
toxicity (hepatoxicity) and a statement about the possibi-
lity of heart attacks.
Fusion Inhibitors
Enfuvirtide
Chemistry, mechanism of action, and antiviral activity
Enfuvirtide, a linear 36-amino acid synthetic peptide with
the N-terminus acetylated and the C-terminus is a carbox-
amide, is the first licensed agent in the class of fusion
inhibitors. Enfuvirtide interferes with the entry of HIV-1
into cells by inhibiting fusion of viral and cellular mem-
branes (Figure 2). Enfuvirtide binds to the first heptad-
repeat (HR1) in the gp41 subunit of the viral envelope
glycoprotein and prevents the conformational changes
required for the fusion of viral and cellular membranes.
The IC
50
of enfuvirtide for baseline clinical isolates ranged
from 0.089 to 107 nmol l
1
(0.4 to 480 ng ml
1
). Enfuvirtide
is active against R5, X4, and dual tropic viruses, but has no
activity against HIV-2.
Enfuvirtide is administered twice daily by subcutaneous
injection. Single-dose vials contain 108 mg of enfuvirtide
for the delivery of approximately 90 mg ml
1
when recon-
stituted. The absolute bioavailability is 84.3 15.5%.
Following 90 mg bid dosing of enfuvirtide subcutaneously
in combination with other antiretroviral agents in HIV-1
infected subjects, the median T
max
was 4 h (ranged from 4
to 8 h). Enfuvirtide is catabolized by proteolytic enzymes. It
is not metabolized by hepatic CYP450 isoenzyme systems.
There are no known clinically significant interactions
between enfuvirtide and other medications.
Clinical indications
Enfuvirtide was approved by the FDA in March 2003 for
use in adults, and in children aged 6 and older, with
advanced HIV infection. Enfuvirtide is used with other
anti-HIV agents to treat HIV-1 infection in patients who
are treatment-experienced and have detectable viral loads
even though they are taking anti-HIV agents.
Resistance
HIV-1 isolates with reduced susceptibility to enfuvirtide
have been selected in vitro. Genotypic analysis of these
resistant isolates showed mutations that resulted in amino
acid substitutions at the enfuvirtide binding HR1 domain
positions 36–38 of the HIV-1 envelope glycoprotein gp41.
In clinical trials, HIV-1 isolates with reduced susceptibil-
ity to enfuvirtide have been recovered from subjects
failing enfuvirtide-containing regimen. Most of the iso-
lates with decreased in susceptibility to enfuvirtide of
greater than fourfold exhibited genotypic changes in the
codons encoding gp41 HR1 domain amino acids 36–45.
HIV-1 clinical isolates resistant to nucleoside analogue
reverse transcriptase inhibitors, non-nucleoside analogue
reverse transcriptase inhibitors, and protease inhibitors
are susceptible to enfuvirtide in cell culture.
Adverse effects
The most common adverse effects of enfuvirtide are
injection site reactions. Other symptomatic side effects
may include insomnia, headache, dizziness, and nausea.
Several cases of hypersensitivity have been described. In
phase III studies, bacterial pneumonia was seen at a
higher rate in patients who received enfuvirtide than in
those who did not receive enfuvirtide. Eosinophilia is
the primary laboratory abnormality seen with enfuvirtide
administration.
Table 1 The three-letter and one-letter codes for amino acid
residues
Amino acid Three-letter code One-letter code
Alanine Ala A
Arginine Arg R
Asparagine Asn N
Aspartic acid Asp D
Cysteine Cys C
Glutamic acid Glu E
Glutamine Gln Q
Glycine Gly G
Histidine His H
Isoleucine Ile I
Leucine Leu L
Lysine Lys K
Methionine Met M
Phenylalanine Phe F
Proline Pro P
Serine Ser S
Threonine Thr T
Tryptophan Trp W
Tyrosine Tyr Y
Valine Val V
Antiviral Agents 105

Reverse Transcriptase Inhibitors
Nucleoside/nucleotide reverse transcriptase
inhibitors
Zidovudine
Zidovudine
HN
N
O
O
O
HO
CH3
N3
Chemistry, mechanism of action, and antiviral
activity Zidovudine (39-azido-29,39-dideoxythymidine) is
a pyrimidine analogue with an azido group substituting for
the 39hydroxyl group on the ribose ring. Zidovudine
is initially phosphorylated by cellular TK and then to
its diphosphate by cellular thymidylate kinase. The
triphosphate derivative competitively inhibits HIV reverse
transcriptase, and functions as a chain terminator.
Zidovudine inhibits HIV-1 at concentrations of approxi-
mately 0.013 mgml
1
. In addition, it inhibits a variety of
other retroviruses. Synergy has been demonstrated against
HIV-1 when zidovudine is combined with didanosine,
zalcitabine, lamivudine, nevirapine, delavirdine, saquinavir,
indinavir, ritonavir, and other compounds. It was the first
drug to be licensed for the treatment of HIV infection, and
still is used in combination with other drugs as initial therapy
for some patients.
Zidovudine is available in capsule, syrup, and intrave-
nous formulations. Oral bioavailability is approximately
65%. Peak plasma levels are achieved approximately
0.5–1.5 h after treatment. Zidovudine penetrates cerebrosp-
inal fluid, saliva, semen, and breast milk and it crosses the
placenta. Drug is predominately metabolized by the liver
through the enzyme uridine diphosphoglucuronosyltrans-
ferase to its major inactive metabolite 39-azido-39-deoxy-
59-O--D-glucopyranuronosylthymidine. The elimination
T
1/2
is approximately 1 h; however, it is extended in indi-
viduals who have altered hepatic function.
Clinical indications Zidovudine is used in combination
with other anti-HIV agents. It is administered orally at
600 mg day
1
(300 mg tablet, twice a day). The single
most important usage of zidovudine in the last decade
has been the peripartum three-part zidovudine regimen,
which has decreased the incidence of transmission of HIV
infection from pregnant women to their infants.
Adverse effects The predominant adverse effect of
zidovudine is myelosuppression, as evidenced by
neutropenia and anemia, occurring in 16 and 24% of the
patients, respectively. Zidovudine has been associated
with skeletal and cardiac muscle toxicity, including
polymyositis. Nausea, headache, malaise, insomnia, and
fatigue are common side effects.
Didanosine
Didanosine
HN
NN
N
O
O
HO
Chemistry, mechanism of action, and antiviral activity
Didanosine (29,39-dideoxyinosine) is a purine nucleoside
with inhibitory activity against both HIV-1 and HIV-2.
Didanosine is activated by intracellular phosphorylation.
It is first converted to 29,39-dideoxyinsine-59-monopho-
sphate by 59nucleotidase and inosine 59-monophosphate
phosphotransferase and subsequently to 29,39-dideoxyade-
nosine-59-monophosphate by adenylsuccinate synthetase
and lyase. It is then converted to diphosphate by adenylate
kinase and subsequently by creatine kinase or phos-
phoribosyl pyrophosphate synthetase to the triphosphate.
The triphosphate metabolite is a competitive inhibitor of
HIV reverse transcriptase and a chain terminator. The
spectrum of activity of didanosine is enhanced by syner-
gism with zidovudine and stavudine as well as the protease
inhibitors.
Didanosine is acid labile and has poor solubility. A
buffered tablet results in 20–25% bioavailability. A 300 mg
oral dose achieves peak plasma concentrations of 0.5–2.6 mg
ml
1
with a T
1/2
of approximately 1.5 h. It is metabolized to
hypoxanthine and is cleared primarily by the kidneys.
Clinical indications Didanosine is used in combination
with other anti-HIV agents as part of HAART. It is given
as two 100 mg tablets (buffered tablets) twice a day or as
one 400 mg capsule (delayed-release capsule) once a day.
106 Antiviral Agents

Adverse effects The most significant adverse effect
associated with didanosine therapy is the development
of peripheral neuropathy (30%) and pancreatitis (10%).
Lipoatrophy, lactic acidosis and diabetes have been
observed in patients on antiretroviral regimens
containing didanosine.
Zalcitabine
Zalcitabine
N
N
NH2
O
O
HO
Chemistry, mechanism of action, and antiviral
activity Zalcitabine (29,39-dideoxycytidine) is a
pyrimidine analogue, which is activated by cellular enzymes
to its triphosphate derivative. The enzymes responsible for
activation of zalcitabine are cell cycle independent, and
therefore this offers a theoretical advantage for nondividing
cells, specifically dendritic and monocyte/macrophage cells.
Zalcitabine inhibits both HIV-1 and HIV-2 at concentrations
of approximately 0.03 mmol l
1
.
The oral bioavailability following zalcitabine adminis-
tration is more than 80%. The peak plasma concentrations
following an oral dose of 0.03 mg kg
1
range from 0.1 to
0.2 mmol l
1
and the T
1/2
is approximately 20 min. The
drug is cleared mainly by the kidneys, and therefore, the
presence of renal insufficiency leads to a prolong plasma
T
1/2
.
Clinical indications Zalcitabine is used as part of
HAART regimen for HIV-1 infections. It is administered
orally at 2.25 mg day
1
(one 0.75 mg tablet every 8 h).
Adverse effects Peripheral neuropathy is the major toxic-
ity associated with zalcitabine administration, occurring
in approximately 35% of individuals. Pancreatitis can
occur, but does so infrequently. Thrombocytopenia and
neutropenia are uncommon (5% and 10%, respectively).
Other zalcitabine-related side effects include nausea,
vomiting, headache, hepatotoxicity, and cardiomyopathy.
Stavudine
Stavudine
HN
N
O
O
CH3
O
HO
Chemistry, mechanism of action, and antiviral activity
Stavudine (29,39-didehydro, 39-deoxythymidine) is a thymi-
dine analogue with significant activity against HIV-1, having
inhibitory concentrations, which range from 0.01 to 4.1 mmol
l
1
. Its mechanism of action is similar to that of zidovudine.
The oral bioavailability of stavudine is more than 85%.
Peak plasma concentrations of approximately 1.2 mgml
1
are reached within 1 h of dosing at 0.67 mg kg
1
per dose.
Stavudine penetrates CSF and breast milk. It is excreted by
the kidneys unchanged and, in part, by renal tubular
secretion.
Clinical indications Stavudine is used for HIV infection
in combination with other anti-HIV agents. Stavudine is a
highly potent inhibitor of HIV-1 replication in vitro.However,
its use has been limited by delayed toxicity, notably peripheral
neuropathy and myopathy caused by mitochondrial damage.
It is administered orally at 80 mg day
1
(one 40 mg capsule
every 12 h).
Adverse effects The principal adverse effect of
stavudine therapy is the development of peripheral
neuropathy. The development of this complication is
related to both dose and duration of therapy. Inhibition of
mitochondrial DNA synthesis is proposed to induce
depletion of cellular mitochondrial DNA and it is
ultimately responsible for the delayed toxicity observed
with the use of stavudine and other nucleoside reverse
transcriptase inhibitors (NRTIs). Neuropathy tends to
appear after 3 months of therapy and resolves slowly with
medication discontinuation. Other side effects are
uncommon. Fatal and nonfatal pancreatitis have occurred
during therapy when stavudine was part of a combination
regimen that included didanosine. Redistribution and
accumulation of body fat (lipoatrophy) have been
observed in patients receiving stavudine as part of their
antiretroviral regimen.
Antiviral Agents 107

Lamivudine
Chemistry, mechanism of action, and antiviral
activity The chemistry and mechanism of action of
lamivudine have been described previously in section
‘Lamivudine’ under ‘Therapeutics for Hepatitis’.
Lamivudine has significant activity in vitro against both
HIV-1 and HIV-2, as well as HBV. Lamivudine is a
competitive inhibitor of the viral reverse transcriptase.
Clinical indications Lamivudine is used in
combination with other anti-HIV agents. Lamivudine is
given orally at 300 mg day
1
(one 150 mg tablet twice a
day, or one 300 mg tablet once a day). It is also formulated
in combination with zidovudine, or with zidovudine and
abacavir as fixed-dose combination tablet.
Adverse effects Lamivudine has an extremely favorable
toxicity profile. This may largely be attributed to the low
affinity of lamivudine for human DNA polymerases, and
the lack of active lamivudine metabolites in the
mitochondrial compartment of cells. At the highest doses
of 20 mg kg
1
day
1
, neutropenia is encountered but at a
low frequency. In pediatric studies, pancreatitis and
peripheral neuropathies have been reported.
Abacavir
Abacavir
HN
NN
N
HN
H2N
OH
Chemistry, mechanism of action, and antiviral
activity Abacavir sulfate, (1S,4R)-4-[2-amino-6-
(cyclopropylamino)-9H-purin-9-yl]-2-cyclopentene-1-
methanol, is a structural analogue of the purine guanine.
The phosphorylation pathway of abacavir differs from
that of all other nucleoside analogues. The first step in
the conversion of abacavir to its active metabolite,
carbovir triphosphate, is phosphorylation to abacavir
monophosphate by adenosine phosphotransferase. This
step is followed by deamination by a cytosolic enzyme
to form carbovir monophosphate, which undergoes two
subsequent phosphorylations, to the diphosphate by
guanylate kinase and to the triphosphate by nucleoside
diphosphate kinase and other enzymes. Carbovir
triphosphate competes with endogenous 29-dGTP for
incorporation into the nucleic acid chain, and after
incorporation, terminates DNA chain elongation.
Abacavir exhibits potent in vitro antiviral activity against
wild-type HIV-1 (IC
50
4.0 mmol l
1
), but this activity is
lower than the activity of zidovudine (IC
50
0.040 mmol l
1
). However, there is no significant
difference between the levels of activity of abacavir
(IC
50
0.26 mmol l
1
) and AZT (IC
50
0.23 mmol l
1
)
against clinical isolates of HIV-1.
Abacavir is well absorbed after oral administration
with a bioavailability between 76 and 96%. After single
or multiple doses, C
max
is attained after a mean of
0.7–1.7 h, and the mean half-life is 0.8–1.5 h. However,
atadoseof300mgtwicedailyaspartofacombination
regimen, levels of intracellular carbovir triphosphate ran-
ged from <20 to 374 fmol per 10
6
cells. The intracellular
carbovir triphosphate was measurable throughout the
24-h study period, with the highest levels found between
6 and 8 h. This finding suggests a long half-life for
carbovir triphosphate within cells. The main route of
excretion is renal.
Clinical indications Abacavir is used in combination
with other anti-HIV agents. It is given as a 300 mg tablet
twice a day, or two 300 mg tablets once a day. A fixed-
dose combination with lamivudine is available (600 mg
abacavir, plus 300 mg lamivudine).
Adverse effects The abacavir hypersensitivity reaction
is a potentially fatal syndrome occurring in approximately
5% of HIV-infected patients exposed to this nucleoside
analogue after a median of 11 days (range: 1–318 days).
Systemic manifestations can include fever, rash,
fatigue, and gastrointestinal or respiratory symptoms.
Rechallenge with abacavir in individuals presumed to
have abacavir hypersensitivity reaction is avoided due to
reports of fatal reactions caused by repeated
administration of abacavir following a hypersensitivity
reaction. The presence of HLA-B5701 has been
associated with elevated odds of developing abacavir
hypersensitivity reaction.
108 Antiviral Agents

Emtricitabine
Emtricitabine
N
N
NH2
O
S
O
OH
F
Chemistry, mechanism of action, and antiviral
activity Emtricitabine, 5-fluoro-1-(2R,5S)-[2-(hydroxy-
methyl)-1,3-oxathiolan 5-yl]cytosine, is a fluorinated
nucleoside analogue of cytosine. Emtricitabine, similar in
many ways to lamivudine, has in vitro activity against HIV-
1 that is similar to or approximately fourfold to tenfold more
potent than that of lamivudine. The EC
50
for emtricitabine is
in the range of 0.0013–0.64 mmol l
1
(0.0003–0.158 mgml
1
)
for laboratory and clinical isolates of HIV-1 in cell culture.
Against HIV-2, the EC
50
ranges from 0.007 to 1.5 mmol l
1
.
The cellular enzymes involved in the phosphorylation of
emtricitabine are similar to that of lamivudine. The active
triphosphate competitively inhibits reverse transcriptase by
being incorporated into the viral genome, and causing
termination in DNA chain elongation.
The bioavailability of the capsules and oral solution
are 93 and 75%, respectively. Emtricitabine is rapidly and
extensively absorbed following oral administration with
peak plasma concentrations occurring at 1–2 h post dose.
The mean plasma elimination half-life of emtricitabine
after a single dose is about 8–10 h in HIV-infected patients.
However, after multiple doses of the drug at a dose of
200 mg daily, the intracellular half-life is approximately
39 h. The high intracellular levels of emtricitabine tripho-
sphate achieved are associated with better suppression of
plasma HIV RNA. Emtricitabine is not an inhibitor of
human CYP450 enzymes. Emtricitabine is eliminated by a
combination of glomerular filtration and active tubular
secretion.
Clinical indications Emtricitabine is used with other
anti-HIV agents. It is administered orally at a once-daily
200 mg capsule. Emtricitabine is a component of Truvada
(a fixed-dose combination of emtricitabine and tenofovir
disoproxil fumarate), and Atripla (a fixed-dose
combination of efavirenz, emtricitabine, and tenofovir
disoproxil fumarate).
Adverse effects The most common adverse events are
headache, diarrhea, nausea, and rash, which are generally
of mild to moderate severity. Approximately 1% of
patients discontinued participation in clinical trials due
to these events.
Tenofovir disoproxil fumarate
Tenofovir disoproxil fumarate
N
NN
N
NH
2
OP
H
3
C
OOO
OOO
O
OO
•
HO
2
C
HCO
2
H
H
Chemistry, mechanism of action, and antiviral activity
Tenofovir disoproxil fumarate is (a prodrug of tenofovir), 9-
[(R)-2-[[bis[[(isopropoxycarbonyl)oxy]methoxy]phosphi-
nyl]methoxy]propyl]adenine fumarate (1:1), converted to
tenofovir, an acyclic nucleoside phosphonate (nucleotide)
analogue of adenosine 59-monophosphate. Tenofovir dis-
oproxil fumarate requires initial diester hydrolysis for
conversion to tenofovir and subsequent phosphorylations
by cellular enzymes to form tenofovir triphosphate.
Tenofovir triphosphate inhibits the activity of HIV-1
reverse transcriptase by competing with the natural sub-
strate deoxyadenosine 59-triphosphate and, after
incorporation into DNA, by DNA chain termination.
Tenofovir triphosphate is a weak inhibitor of mammalian
DNA polymerases ,, and mitochondrial DNA poly-
merase . Tenofovir has antiviral activity in vitro against
HIV-1 with IC
50
values ranging from 0.5 to 2.2 mmol l
1
.
The IC
50
values of tenofovir against HIV-2 range from 1.6
to 4.9 mmol l
1
.
The oral bioavailability of tenofovir in fasting patients
is approximately 25%. Following oral administration of a
single dose of 300 mg to HIV-1 infected patients, max-
imum serum concentrations are achieved in 1.0 0.4 h.
C
max
and AUC values are 296 90 ng ml
1
and
2287 685 ng h ml
1
, respectively. The oral bioavailabil-
ity increases when tenofovir is administered after a high-
fat meal (40–50% fat). In vitro studies indicate that neither
tenofovir disoproxil nor tenofovir are substrates of
CYP450 enzymes. Tenofovir is primarily excreted by
the kidneys by a combination of glomerular filtration
and active tubular secretion. The pharmacokinetics of
tenofovir is altered in patients with renal impairment.
Antiviral Agents 109

Clinical indications Tenofovir is used in combination
with other anti-HIV agents for the treatment of HIV-1
infection. It is administered orally once daily, 300 mg
tablet.
Adverse effects The most common adverse reactions
seen in a double-blind comparative controlled study were
mild to moderate gastrointestinal events and dizziness.
However, the following adverse events have been
identified during post-approval use of tenofovir; allergic
reaction, hypophosphatemia, lactic acidosis, dyspnea,
abdominal pain, increased amylase, pancreatitis, increased
liver enzymes, hepatitis, renal insufficiency, renal failure,
fanconi syndrome, proximal tubulopathy, proteinuria,
increased creatinine, acute tubular necrosis, and
nephrogenic diabetes insipidus.
Resistance to nucleoside/nucleotide analogue
Nucleoside analogue-associated mutations (NAMs)
develop by at least three pathways: (1) accumulation of
zidovudine or thymidine analogue resistance mutations
(TAMs), (e.g., 41L, 67N, 70R, 210W, 215Y/F, and
219Q/E); (2) selection of the key 151M mutation, fol-
lowed by the mutations 62V, 75I, 77L, and 116Y,
referred to as the 151 complex; and (3) the 69 insertion
complex, consisting of a mutation at codon 69 (typically
Ser), followed by an insertion of two or more amino acids
(e.g., Ser-Ser, Ser-Arg, or Ser-Gly) and generally accom-
panied by other NAMs. In clinical isolates, two TAM
pathways have been observed: 41L, 210W, 215Y/F and
67N, 70R, 219Q/E/N/R; of these, the 41–210–215 com-
bination is the most prevalent. The cytidine analogue
select for the M184V mutation (lamivudine, and emtrici-
tabine), while the K65R is seen with tenofovir selection
pressure.
Resistance patterns with earlier nucleoside
analogue combinations (zidovudine or stavudine with
lamivudine) The resistance profiles seen with earlier
nucleoside analogue combinations are well characterized.
With thymidine-based NRTIs (lamivudine/zidovudine
or stavudine/lamivudine), the M184V mutation emerges
rapidly, whereas TAMs are slower to arise. The use of
emtricitabine in place of lamivudine would presumably
yield similar results, although clinical data are limited.
The M184V mutation has been shown to increase
zidovudine susceptibility in the absence or presence of
zidovudine resistance mutations and without regard to
which TAM combination is present. The M184V
mutation may increase sensitivity to tenofovir.
The most commonly observed mutations with zidovu-
dine/didanosine or stavudine/didanosine are TAMs.
TAMs and multinucleoside resistance (MNR) mutations
(Q151M, T69 insert) are more prevalent in didanosine-
containing regimens than in lamivudine-containing
regimens.
Resistance patterns with new nucleoside/nucleotide
analogue combinations With abacavir/lamivudine as
backbone, the most common mutation selected for is
M184V/I followed by the L74V mutation at treatment
failure. The K65R is the major mutation selected in vitro
by tenofovir alone or in combination with abacavir or
lamivudine while abacavir appears to favor L74V and
K65R.
In triple-nucleoside/nucleotide regimens (tenofovir/
lamivudine/didanosine or tenofovir/lamivudine/abaca-
vir) that lack a thymidine analogue, early treatment
failure has been associated with a high frequency of
M184V. In addition, 50% of the patients with M184V
also harbor the K65R.
Non-nucleoside reverse transcriptase inhibitors
Nevirapine
Nevirapine
N
N
O
N
N
H
Chemistry, mechanism of action, and antiviral
activity Nevirapine (11-cyclopropyl-5,11-dihydro-4-
methyl-6H-dipyrido[3,2-b:29,39-e]; [1,4]diazepin-6-one)
is a reverse transcriptase inhibitor of HIV-1. However,
its mechanism of action is different from nucleoside
analogue. It binds to a hydrophobic pocket adjacent to
the active site of the reverse transcriptase and causes
conformational changes that affect replication.
Nevirapine has a bioavailability of approximately 65%.
Peak serum concentration of 3.4 mgml
1
is achieved
approximately 4 h after a 400 mg oral dose. Nevirapine
is metabolized by liver microsomes to hydroxymethyl-
nevirapine.
Clinical indications Nevirapine is used in combination
with other anti-HIV agents. It is administered orally at
200 mg day
1
for the first 14 days (one 200 mg tablet per
day), then 400 mg day
1
(two daily 200 mg tablets).
Single-dose nevirapine is used widely in resource-limited
110 Antiviral Agents

settings to prevent mother-to-child transmission of HIV
infection.
Adverse effects The most common adverse effects
include the development of a nonpruritic rash in as
many as 50% of patients who received 400 mg day
1
.
In addition, fever, myalgias, headache, nausea, vomiting,
fatigue, and diarrhea have also been associated with
administration of drug.
Resistance Changes in two sets of amino acid residues
(100–110 and 180–190) in the reverse transcriptase gene
confer resistance to nevirapine. Nevirapine monotherapy
is associated with resistance most frequently appearing at
codon 181.
Delavirdine
Delavirdine
N
H
N
NN
HN
O
HN
SO
O
Chemistry, mechanism of action, and antiviral
activity Delavirdine (1-[5-methanesulfonamido-1H-
indol-2-yl-carbonyl]-4-[3-(1-methylethylamino) pyridinyl]
piperazine) is a second-generation bis (heteroaryl)
piperazine licensed for the treatment of HIV infection. Its
mechanism of action is similar to that of nevirapine. It is
absorbed rapidly when given orally with bioavailabilty of
>60%. Delavirdine is metabolized by the liver with an
elimination T
1/2
of approximately 1.4 h. It has an
inhibitory concentration against HIV-1 of approximately
0.25 mmol l
1
. Inhibitory concentrations for human DNA
polymerases are significantly higher.
Clinical indications Delavirdine is used in combination
with other anti-HIV agents. It is administered at 1200 mg
day
1
(two 200 mg tablets three times a day).
Adverse effects Delavirdine administration is
associated with a maculopapular rash. Other side effects
are less common.
Resistance Delavirdine resistance can be generated
rapidly both in vitro and in vivo with the codon change
identified at 236, resulting in an increase and susceptibility
to >60 mmol l
1
. Delavirdine resistance can be conferred by
mutations at codons 181 and 188, as seen with other non-
nucleoside analogue.
Efavirenz
Efavirenz
N
H
O
O
F
F
F
Cl
Chemistry, mechanism of action, and antiviral
activity Efavirenz [(S)-6-chloro-4-(cyclopropylethynyl)-
1,4-dihydro-4 (trifluoromethyl)-2H-3,1-benzoxazin-
2-one] is a non-NRTI that can be administered once
daily. Activity is mediated predominately by
noncompetitive inhibition of HIV-1 reverse
transcriptase. HIV-2 reverse transcriptase, and human
cellular DNA polymerases ,,, and are not
inhibited by efavirenz. The 90–95% inhibitory
concentration of efavirenz is approximately 1.7–
25 nmol l
1
.
Clinical indications Efavirenz is used in combination
with other antiretroviral agents for the treatment of HIV-1
infection. Combination therapy has resulted in a 150-fold
or greater decrease in HIV-1 RNA levels.
Adverse effects The most common adverse events are
skin rash (25%), which is associated with blistering, moist
desquamation, or ulceration (1%). In addition, delusions
and inappropriate behavior have been reported in 1 or 2
patients per 1000.
Resistance Resistance to efavirenz is caused by
mutation in the reverse transcriptase gene as with other
non-nucleoside analogue, and appears rapidly.
Antiviral Agents 111

Integrase Inhibitors
Raltegravir
Raltegravir
N
N
H
O
O
OH F
H
N
O
NN
ON
Chemistry, mechanism of action, and antiviral activity
Raltegravir, a structural analogue of a class of compounds
with a distinct diketo acid moiety, is a novel HIV-1
integrase inhibitor with potent in vitro activity against
HIV-1 (IC
95
of 33 nmol l
1
) in the presence of 50%
human serum. It is active against a wide range of wild-
type and multidrug-resistant HIV-1 clinical isolates and
has potent activity against viruses that use CCR5 and/or
CXCR4 coreceptors for entry.
Raltegravir is absorbed rapidly, with median T
max
values in the fasting state of about 1 h; plasma concentra-
tions decrease from C
max
in a biphasic manner, with a
half-life of approximately 1 h for the initial () phase and
an apparent half-life of approximately 7–12 h for the
terminal () phase. The pharmacokinetic data for ralte-
gravir are supportive of twice daily administration. It is
metabolized by hepatic glucuronidation and has no effect
on CYP3A4. Approximately 7–14% of the raltegravir
dose is excreted unchanged in urine.
Clinical indications
Raltegravir received priority approval from the FDA
(October 2007) for treatment of HIV-1 infection in com-
bination with other antiretroviral agents in treatment-
experienced patients with evidence of HIV-1 replication
despite ongoing antiretroviral therapy. The dosage of
raltegravir is 400 mg administered orally, twice daily
with or without food.
Adverse effects
Side effects (mostly mild to moderate) were seen with similar
frequency in the raltegravir and placebo arms; the rate of
serious adverse events was less than 3% across arms. No lipid
abnormalities have been reported so far with raltegravir.
Resistance
In 9 of 41 patients failing raltegravir, no mutations were
detected; while in 32 of 41 patients, three mutational
patterns were described (N155H, Q148K/R/H, and,
rarely, Y143R/C). The clinical implications of these find-
ings are unknown.
Protease Inhibitors
Protease inhibitors are used in combination with other
anti-HIV agents for treatment of HIV infection. They are
a potent component of HAART regimens. Protease inhi-
bitors are used in combination with ritonavir as the
boosting protease inhibitor. The concept of boosting
involves pharmacokinetic drug interactions; currently
available protease inhibitors are metabolized in the liver
by the cytochrome P450 3A4 (CYP3A4) enzyme system.
Ritonavir is the most powerful enzyme inhibitor in the
protease inhibitor class. The combination with ritonavir
allows the boosted protease inhibitor to maintain pro-
longed blood levels. This allows for decreased dosage,
and reduces a three times a day schedule to a twice
daily or even a once daily regimen.
Long-term HAART containing protease inhibitors has
been most strongly associated with syndromes cha-
racterized by dyslipidemia, peripheral lipodystrophy,
and insulin resistance.
Saquinavir
Saquinavir
N
H
NN
H
O
O
O
H
2
N
N
OH H
H
ONH
Chemistry, mechanism of action, and antiviral activity
Saquinavir (cis-N-tert-butyl-decahydro-2[2(R)-hydroxy-
4-phenyl-3-(S)-([N-(2 quinolycarbonyl)-Lasparginyl]
amino butyl)-4aS,8aS]-isoquinoline-3[S]-carboxyamide
methanesulfonate) is a hydroxyethylamine-derived pep-
tidomimetic HIV protease inhibitor. Saquinavir inhibits
HIV-1 and HIV-2 at concentrations of 10 nmol l
1
and is
synergistic with other nucleoside analogue as well as
selected protease inhibitors.
Oral bioavailability is approximately 30% with exten-
sive hepatic metabolism. Peak plasma concentrations of
35 mg ml
1
are obtained following a 600 mg dose.
The clinical efficacy of saquinavir is limited by poor
oral bioavailability but improved formulation (soft-gel
capsule) enhances efficacy. Saquinavir is boosted with
100 mg twice a day of ritonavir to improve its
112 Antiviral Agents

bioavailabilty and efficacy even against saquinavir-resis-
tant HIV strains.
Adverse effects
Adverse effects are minimal with no dose-limiting toxi-
cities. Abdominal discomfort, including diarrhea and
nausea, has been reported infrequently.
Resistance
Mutations at codon sites 90 and 48 of the protease gene
result in approximately a 30-fold decrease in susceptibil-
ity to saquinavir.
Indinavir
Indinavir
N
N
N
OH
H
N
O
ON
H
OH
Chemistry, mechanism of action, and antiviral activity
Indinavir {N-[2(R)-hydroxy-1(S)-indanyl]-5-[2(S)-(1,1-
dimethylethlaminocarbonyl)-4-(pyridin-3-yl) methylpipera-
zin-1-yl]-4[S]-hydroxy-2[R]-phenylmethyl pentanamide} is
a peptidomimetic HIV-1 and HIV-2 protease inhibitor. At
concentrations of 100 nmol l
1
, indinavir inhibits 90% of
HIV isolates. Indinavir is rapidly absorbed with a bioavail-
ability of 60% and achieves peak plasma concentrations of
12 mmol l
1
after a 800 mg oral dose.
Adverse effects
Although indinavir is well tolerated, commonly encoun-
tered adverse effects include indirect hyperbilirubinemia
(10%) and nephrolithiasis (5%).
Resistance
Indinavir resistance develops rapidly with monotherapy
and occurs at multiple sites. The extent of resistance is
directly related to the number of codon changes in the
HIV protease gene. Codon 82 is a common mutation in
indinavir-resistant HIV isolates.
Ritonavir
Ritonavir
NN
H
H
NN
H
O
O
O
O
N
S
OH
N
S
Chemistry, mechanism of action, and antiviral activity
Ritonavir (10-hydroxy-2-methyl-5[1-methylethyl]-1[2-(1-
methylethyl)-4-thiazo lyl]-3,6,dioxo-8,11-bis[phenylmethyl]-
2,4,7,12-tetra azatridecan-13-oic-acid, 5 thiazolylmethylester,
[5S-(5R, 8R,10R, 11R)]) is an HIV protease inhibitor
with activity in vitro against HIV-1 laboratory strains
(0.02–0.15 mmol l
1
). It is synergistic when administered with
nucleoside analogue. Oral bioavailability is approximately
80%, with peak plasma levels of approximately 1.8 mmol l
1
after 400 mg administered every 12 h. The plasma half-life is
approximately 3 h.
Adverse effects
Adverse effects include nausea, diarrhea, and headache,
but all occur at a low frequency.
Resistance
Ritonavir has cross-resistance to indinavir. Mutations at
codon 82 are the most common.
Nelfinavir
Nelfinavir
N
H
N
HO
S
H
N
O
OH
O
Antiviral Agents 113

Chemistry, mechanism of action, and antiviral activity
Nelfinavir [3S-(3R,4aR,8aR,229S,39S)]-2-[20-hydroxy-
39-phenylthiomethyl-49-aza-59-ox-o-59-(20methyl-39-
hydroxyphenyl)pentyl]-decahydroiso-quinoline-3-N-
(tert-butyl-carboxamide methanesulfonic acid salt) is
another peptidomimetic HIV protease inhibitor.
Inhibitory concentrations of HIV-1 are in the range of
20–50 nmol l
1
. It has anti-HIV-2 activity. Nelfinavir is
orally bioavailable at approximately 40%, achieving
peak plasma concentrations of 2 or 3 mg following a
800 mg dose every 24 h. The drug is metabolized by
hepatic microsomes.
Adverse effects
Nelfinavir is well tolerated with mild gastrointestinal
complication reported.
Resistance
Cross-resistance to other protease inhibitors, particularly
saquinavir, indinavir, or ritonavir, is not common. The
most frequently demonstrated site of mutation is at
codon 30.
Amprenavir
Amprenavir
S
O
O
N
N
H
O
O
OH NH2
O
Chemistry, mechanism of action, and antiviral activity
Amprenavir is a hydroxyethylamine sulfonamide peptidomi-
metric with a structure identified as (3S)-tetrahydro-3-furyl
N-(1S,2R)-3-(4-amino-Nisobutylbenzenesulfonamido)-1-
benzyl-2-hydroxypropylcarbamate. It is active at a concen-
tration of 10–20 nmol l
1
. The oral bioavailability is >70%
and peak plasma concentrations of 6.2–10 mgml
1
are
achieved after dosages of 600–1200 mg. The plasma half-
life is 7–10 h. CSF concentrations are significant.
Amprenavir is metabolized in the liver by the cytochrome
P450 3A4 (CYP3A4) enzyme system.
Adverse effects
The most common adverse events are gastrointestinal
events (nausea, vomiting, diarrhea, and abdominal
pain/discomfort), which are mild to moderate in severity.
Also, skin rash can occur in patients on amprenavir.
Resistance
Genotypic analysis of isolates from treatment-naive
patients failing amprenavir-containing regimens showed
mutations in the HIV-1 protease gene resulting in amino
acid substitutions primarily at positions V32I, M46I/L,
I47V, I50V, I54L/M, and I84V, as well as mutations in the
p7/p1 and p1/p6 Gag and Gag-Pol polyprotein cleavage
sites.
Fosamprenavir
Fosamprenavir
S
O
O
N
N
H
O
O
O
NH2
O
P
HO OH
O
Chemistry, mechanism of action, and antiviral activity
Fosamprenavir, a prodrug of amprenavir [(3S)-tetrahydro-
furan-3-yl (1S,2R)-3-[[(4-aminophenyl) sulfonyl](isobutyl)
amino]-1 benzyl-2-(phosphonooxy) propylcarbamate mono-
calcium salt], is an inhibitor of human HIV protease.
Fosamprenavir is rapidly hydrolyzed to amprenavir by
enzymes in the gut epithelium. After administration of a
single dose of fosamprenavir to HIV-1-infected patients,
the peak concentration occurs between 1.5 and 4 h (median
2.5 h). Amprenavir is metabolized in the liver by the
cytochrome P450 3A4 (CYP3A4) enzyme system. The
plasma elimination half-life of amprenavir is approximately
7.7 h.
Adverse effects
Side effects profile is similar to that of amprenavir.
Resistance
Fosamprenavir selects for amprenavir-associated muta-
tions on treatment failure, though, at a much lower
incidence.
114 Antiviral Agents

Lopinavir
Lopinavir
HN N
O
H
N
OH
N
H
O
OO
Chemistry, mechanism of action, and antiviral activity
Lopinavir [N-(4(S)-(2-(2,6-dimethylphenoxy)-acetyla-
mino)-3(S)-hydroxy-5-phenyl-1(S)-benzylpentyl)-3-
methyl-2(S)-(2-oxo(1,3-diazaperhydroinyl)butanamin)]
is an inhibitor of the HIV protease, prevents cleavage
of the Gag-Pol polyprotein, resulting in the production
of immature, noninfectious viral particles. It is coformu-
lated with ritonavir at 4:1 ratio (Kaletra). In the presence
of 50% human serum, the mean EC
50
values of lopinavir
against HIV-1 laboratory strains ranges from 65 to
289 nmol l
1
(0.04–0.18 mgml
1
). It has some activity
against HIV-2 strains. Lopinavir peak plasma concentra-
tion occurs approximately 4 h after administration.
Lopinavir is metabolized by CYP3A, and ritonavir inhi-
bits the metabolism of lopinavir, thereby increasing the
plasma levels of lopinavir.
Adverse effects
Most common adverse events are nausea, diarrhea, increased
cholesterol and triglycerides, and lipodystrophy.
Resistance
Virologic response to lopinavir/ritonavir has been shown to
be affected by the presence of three or more of the following
amino acid substitutions in protease at baseline: L10F/I/R/
V, K20M/N/R, L24I, L33F, M36I, I47V,G48V, I54L/T/V,
V82A/C/F/S/T, and I84V.
Atazanavir
Atazanavir
ON
HO
H
NN
H
N
O
H
NO
OOH
N
O
Chemistry, mechanism of action, and antiviral activity
Atazanavir [(3S,8S,9S,12S)-3,12-Bis(1,1-dimethylethyl)-
8-hydroxy-4,11-dioxo-9 (phenylmethyl)-6-[[4-(2-pyridi-
nyl)phenyl]methyl]-2,5,6,10,13-pentaazatetradecanedioic
acid dimethyl ester, sulfate (1:1)] is an azapeptide inhibi-
tor of HIV-1 protease. Atazanavir exhibits anti-HIV-1
activity with an EC
50
in the absence of human serum of
2–5 nmol l
1
against a variety of laboratory and clinical
HIV-1 isolates in vitro.
Atazanavir is rapidly absorbed with a T
max
of approxi-
mately 2.5 h. Atazanavir is metabolized in the liver by the
cytochrome P450 3A4 (CYP3A4) enzyme system. The
mean elimination half-life of atazanavir in healthy volun-
teers and HIV-infected adult patients is approximately 7 h.
Adverse effects
The most common adverse event in patients is the asymp-
tomatic elevations in indirect (unconjugated) bilirubin
related to inhibition of UDP-glucuronosyl transferase
(UGT). The hyperbilirubinemia is reversible upon discon-
tinuation of atazanavir. Atazanavir may cause abnormal
electrocardiogram findings, increased serum glucose, and
lipodystrophy in some patients.
Resistance
HIV-1 isolates with a decreased susceptibility to atazana-
vir have been selected in vitro and obtained from patients
treated with atazanavir or atazanavir/ritonavir. The muta-
tions associated with resistance to atazanavir are I50L,
N88S, I84V, A71V, and M46I. Atazanavir-resistant clinical
isolates from treatment-naive harbored the I50L mutation
(after an average of 50 weeks of atazanavir therapy), often,
in combination with an A71V mutation. However, the
viral isolates with the I50L mutation are phenotypically
resistant to atazanavir but show in vitro susceptibility to
other protease inhibitors (amprenavir, indinavir, lopinavir,
nelfinavir, ritonavir, and saquinavir).
Tipranavir
Tipranavir
O
OH
S
H
N
ON
F
F
F
OO
Chemistry, mechanism of action, and antiviral activity
Tipranavir [2-Pyridinesulfonamide, N-[3-[(1R)-1-[(6R)-
5,6-dihydro-4-hydroxy-2-oxo-6-(2-phenylethyl)-6-pro-
pyl-2H-pyran-3-yl]propyl]phenyl]-5-(trifluoromethyl)]
is a nonpeptidic HIV protease inhibitor belonging to the
class of 4-hydroxy-5,6-dihydro-2-pyrone sulfonamides.
Antiviral Agents 115

Tipranavir inhibits the replication of laboratory strains of
HIV-1 and clinical isolates in vitro, with EC
50
ranging
from 0.03 to 0.07 mmol l
1
(18–42 ng ml
1
).
The effective mean elimination half-life of tipranavir/
ritonavir in healthy volunteers and HIV-infected adult
patients is approximately 4.8 and 6.0 h, respectively, at
steady state following a dose of 500/200 mg twice daily
with a light meal. Tipranavir is predominantly metabo-
lized by the CYP 3A4 enzyme system.
Tipranavir, coadministered with 200 mg of ritonavir, is
used in combination with other anti-HIV agents for the
treatment of HIV-1 infected adult who are highly treat-
ment-experienced with evidence of viral replication, or
have HIV-1 strains resistant to multiple protease inhibitors.
Response rates are reduced if five or more protease inhibitor-
associated mutations are present at baseline and patients are
not given concomitant enfuvirtide with tipranavir/ritonavir.
Adverse effects
Adverse events include rash, increased cholesterol,
increased triglycerides, lipodystrophy, and hepatitis.
There have been reports of both fatal and nonfatal intra-
cranial hemorrhage with the use of tipranavir/ritonavir.
Tipranavir/ritonavir should be used with caution in
patients who may be at risk of increased bleeding from
trauma, surgery or other medical conditions, or who are
receiving medications known to increase the risk of
bleeding such as antiplatelet agents or anticoagulants.
Resistance
HIV-1 isolates that were 87-fold resistant to tipranavir
were selected in vitro by 9 months and contained 10
protease mutations that developed in the following
order: L33F, I84V, K45I, I13V, V32I, V82L, M36I,
A71V, L10F, and I54V/T. In clinical trials tipranavir
had less than fourfold decreased susceptibility against
90% of HIV-1 isolates resistant to amprenavir, atazanavir,
indinavir, lopinavir, nelfinavir, ritonavir, or saquinavir.
Tipranavir-resistant viruses selected for in vitro have
decreased susceptibility to the protease inhibitors ampre-
navir, atazanavir, indinavir, lopinavir, nelfinavir, and
ritonavir but remain sensitive to saquinavir.
Darunavir
Darunavir
OO
H
HHON
H
OH
N
S
O
O
NH
2
HOH
•
C
2
H
5
OH
Chemistry, mechanism of action, and antiviral activity
Darunavir, in the form of darunavir ethanolate, has
the following chemical name: [(1S,2R)-3-[[(4-aminophenyl)-
sulfonyl](2-methylpropyl)amino]-2-hydroxy-1-(phenyl-
methyl) propyl]-carbamic acid (3R,3aS,6aR)-hexahydro-
furo[2,3-b]furan-3-yl ester monoethanolate. It is an
inhibitor of the HIV protease. Darunavir exhibits activity
against laboratory strains and clinical isolates of HIV-1
and laboratory strains of HIV-2 with median EC
50
values
ranging from 1.2 to 8.5 nmol l
1
(0.7–5.0 ng ml
1
).
Darunavir, coadministered with 100 mg ritonavir twice
daily, was absorbed following oral administration with a
T
max
of approximately 2.5–4 h. The absolute oral bioa-
vailability of a single 600 mg dose of darunavir alone and
after coadministration with 100 mg ritonavir twice daily
was 37 and 82%, respectively. Darunavir is primarily
metabolized by CYP3A. Ritonavir inhibits CYP3A,
thereby increasing the plasma concentrations of daruna-
vir when given in combination.
Darunavir, coadministered with 100 mg ritonavir, and
with other anti-HIV agents, is indicated for the treatment
of HIV infection in antiretroviral treatment-experienced
adult patients, such as those with HIV-1 strains resistant
to more than one protease inhibitor.
Adverse effects
The most common treatment-emergent adverse events
(>10%) reported in the de novo subjects, regardless of
causality or frequency, were diarrhea, nausea, headache,
and nasopharyngitis. Other side effects are increased tri-
glycerides, increased cholesterol, lipodystrophy,
increased glucose, and increased liver enzyme levels.
Resistance
Darunavir-resistant virus derived in cell culture from
wild-type HIV had 6- to 21-fold decreased susceptibility
to darunavir and harbored three to six of the following
amino acid substitutions S37N/D, R41E/S/T, K55Q,
K70E, A71T, T74S, V77I, or I85V in the protease. In
phase IIb trial, the amino acid substitution V32I devel-
oped on darunavir/ritonavir (600/100 mg twice a day) in
greater than 30% of virologic failure isolates and substi-
tutions at amino acid position I54 developed in greater
than 20% of virologic failure isolates. Other substitutions
that developed in 10–20% of darunavir/ritonavir virolo-
gic failure isolates occurred at amino acid positions I15,
L33, I47, G73, and L89.
Future Prospects in HIV Therapeutics
The simplification of HAART regimens has been a high
priority for many years. As the number of effective drugs
increases, so does the number of possible effective
116 Antiviral Agents

regimens. The trend toward fixed-dose combinations and
once-daily dosage forms of many antiretroviral drugs has
provided welcome relief to patients. Not only is their
medication burden simplified, but as a consequence of
improved adherence to therapy, they should experience
better control of HIV and thus reduced morbidity.
New drug discovery strategies attempt at circumvent-
ing the current drug resistant problem by focusing on
either novel targets or new compounds capable of sup-
pressing HIV strains that are resistant to current
inhibitors. There are several nucleoside analogues in pre-
clinical and clinical studies. Notably are the novel 49-
substituted thymidine analogues with potent antiviral
activity and less cytotoxic. An example is the recently
discovered 29,39-didehydro-39-deoxy-49-ethynylthymi-
dine, structurally related to stavudine, is a more potent
inhibitor of HIV-1 replication and is much less inhibitory
to mitochondrial DNA synthesis and cell growth in cell
cultures than its progenitor stavudine. The triphosphate
metabolite accumulates in cells much longer than stavu-
dine, and exerts persistent antiviral activity even after
removal of drug from culture. It also has a unique
resistance profile when compared to other thymidine
analogues and maintains activity against multidrug resis-
tant HIV strains. It is currently in preclinical studies with
phase I and II clinical trials anticipated in 2008. Other
new NRTIs in phase II clinical trials are MIV-310,
SPD754, and L-d4FC. A new non-nucleoside analogue
in phase II trials is TMC125, it appears to have potent
antiviral activity in treatment-experienced patients with
resistance mutations to this drug class or in patients who
are treatment naive. There is increasing number of
compounds discovered as anti-HIV agents targeted at
virtually any step in the replicative cycle of the virus
and novel targets in development.
Summary
It is anticipated that new and effective treatments for viral
infections will be available with the advent of modern and
improved technology, based on molecular biology,
combinatorial chemistry, and computer-aided design of
compounds with greater specificity targeting on viral life
cycle.
Acknowledgments
Work performed and reported by the authors was supported
by Public Health Service grant AI-38204 from NIAID.
Portion of the current article were reproduced from
the previous edition, written by Richard Whitley.
Further Reading
Arvin AM (2002) Antiviral therapy for varicella and herpes zoster.
Seminars in Pediatric Infectious Diseases 13(1): 12–21.
Balfour HH, Jr. (1999) Antivirals (non-AIDS). The New England Journal of
Medicine 340: 1255–1268.
Cheng YC, Ying CX, Leung CH, and Li Y (2005) New targets and
inhibitors of HBV replication to combat drug resistance. Journal of
Clinical Virology 34(S1): S147–S150.
De Clercq E (2004) Antiviral drugs in current clinical use. Journal of
Clinical Virology 30: 115–133.
Desmond RA, Accortt NA, Talley L, Villano SA, Soong SJ, and
Whitley RJ (2006) Enteroviral meningitis: Natural history and outcome
of pleconaril therapy. Antimicrobial Agents and Chemotherapy
50(7): 2409–2414.
Dusheiko G and Antonakopoulos N (2008) Current treatment of hepatitis
B. Gut 57(1): 105–124.
Dworkin RH, Johnson RW, Breuer J, et al. (2007) Recommendations for the
management of herpes zoster. Clinical Infectious Diseases 44: S1–S26.
Jefferson TO, Demicheli V, Di Pietrantonj C, Jones M, and Rivetti D
(2006) Neuraminidase inhibitors for preventing and treating influenza
in healthy adults. Cochrane Database of Systematic Reviews, Issue
3, Art. No.: CD001265.
Kleymann G, Fischer R, Betz UAK, et al. (2002) New helicase-primase
inhibitor as drug candidates for the treatment of herpes simplex
disease. Nature Medicine 8(4): 392–398.
McMahon MA, Jilek BS, Brennan TP, et al. (2007) The HBV drug
entecavir – effects on HIV-1 replication and resistance. The New
England Journal of Medicine 356: 2614–2621.
Paintsil E, Dutschman GE, Rong H, et al. (2007) Intracellular metabolism
and persistence of the anti-human immunodeficiency virus activity of
29,39-didehydro-39-deoxy-49-ethynylthymidine, a novel thymidine
analog. Antimicrobial Agents and Chemotherapy 51(11): 3870–3879.
Tanaka H, Haraguchii K, Kumamoto H, Baba M, and Cheng YC (2005)
49-Ethynylstavudine (49-Ed4t) has potent anti-HIV-1 activity with
reduced toxicity and shows a unique activity profile against drug-
resistant mutants. Antiviral Chemistry & Chemotherapy
16(4): 217–221.
Whitley RJ (2000) Antiviral agents. In: Lederberg J, et al. (eds.)
Encyclopedia of Microbiology, 2nd edn., vol. 2. San Diego:
Academic Press.
Whitley RJ and Kimberlin DW (2005) Herpes simplex: Encephalisits
children and adolescents. Seminars in Pediatric Infectious Diseases
16(1): 17–23.
Wu JJ, Pang KR, and Huang DB (2005) Advances in antiviral therapy.
Dermatologic Clinics 23: 313–322.
Antiviral Agents 117

Archaea (overview)
S DasSarma, J A Coker, and P DasSarma, University of Maryland Biotechnology Institute, Baltimore, MD, USA
ª2009 Elsevier Inc. All rights reserved.
Defining Statement
Introduction
Historical Recognition
Archaeal Ecology and Environmental Biology
Novel Molecular and Genetic Characteristics of Archaea
Archaeal Genomics
Biotechnological Applications of Archaea
Conclusion
Further Reading
Glossary
Archaea One of three phylogenetic groups, or
domains, of life (along with the Bacteria and Eucarya) at
the highest level, above kingdom (or phylum). Archaeal
cells are morphologically prokaryotic cells and lack
nuclei.
Bacteria One of three phylogenetic groups, or
domains, at the highest level. Bacterial cells are
prokaryotic and lack nuclei, like the Archaea, and in
contrast to Eucarya.
chaperones Molecular machines that assist and
control the process of protein folding and turnover in the
cell.
crenarchaeota A phylogenetic group, or kingdom, of
the Archaea characterized by many hyperthermophilic
isolates.
DNA replication Process of copying parental strands
of DNA to daughter strands, using DNA polymerases
and other accessory proteins that initiate, prime,
elongate, and terminate the process.
Eucarya One of three phylogenetic groups, or
domains, of life at the highest level that possesses cells
with nuclei and includes all eukaryotes (plants, animals,
fungi, and protozoa).
euryarchaeota A phylogenetic group, or kingdom, of
the Archaea characterized by all halophiles and
methanogens, and some thermophiles and
hyperthermophiles.
extremophiles Microorganisms that grow and flourish
in environments inhospitable for the growth of most
other organisms. Includes many but not all Archaea.
genomics An approach to studying organisms by
determining the complete sequence of a genome
followed by computational and functional analysis of the
encoded genes.
haloarchaea Halophilic microorganisms belonging to
the archaeal domain.
halophiles Salt-loving organisms, which grow in
highly saline environments, usually containing
salt concentrations in excess of sea salinity up to
saturation.
mesophiles Organisms that grow optimally in the
middle temperature range, usually defined by the
ambient temperature on Earth’s surface (20–42 C).
metagenomics Large-scale sequencing of DNA
isolated or cloned from microbial communities in the
environment, which may be analyzed for genes and
genomes using computational analysis.
methanogens Anaerobic microorganisms that use
simple organic and inorganic materials, such as acetate,
hydrogen, and carbon dioxide for their metabolism, and
generate methane as the primary end product.
orthologues Genes or proteins with identical or very
similar functions in different organisms inferred from
phylogenetic or experimental studies.
phylogeny Inference of evolutionary relationships
among microorganisms based on the extent of
nucleotide or amino acid sequence differences among
orthologues.
prokaryotes Microorganisms that do not possess a
membrane-bounded nucleus, including all members of
both the Archaea and Bacteria.
psychrophiles Cold-loving organisms that grow
optimally at low temperatures, usually with an optimum
between 0 and 20 C.
thermophiles Heat-loving organisms that grow
optimally at elevated temperatures, usually with
temperature optima above 50 C; hyperthermophiles
grow optimally above 80 C.
transcription The process of synthesizing messenger
RNA from DNA using RNA polymerase and other
accessory proteins such as initiation and termination
factors.
118

translation The process of decoding messenger RNA
into proteins using the protein synthesis machinery,
including ribosomes, aminoacyl–tRNA synthetases, and
other factors.
Abbreviations
ANME anaerobic methane-oxidizing Archaea
GINS Go, Ichi, Nii, and San
MCM minichromosome maintenance
PCNA proliferating cell nuclear antigen
PCR polymerase chain reaction
rRNA ribosomal RNA
TBP TATA-binding protein
TFB transcription factor IIB
tRNA transfer RNA
Defining Statement
Archaea are prokaryotic microorganisms that are members
of the third domain of life, distinct from Bacteria and
Eucarya. Archaea dominate many extreme environments
and are widespread in many common environments, includ-
ing the mammalian gastrointestinal tract. Their information
transfer systems (DNA replication, transcription, and trans-
lation) are simplified versions of their eucaryal counterparts.
Introduction
Archaea are prokaryotic microorganisms that are mem-
bers of the third branch (or domain) of life, distinct from
the other two domains – Bacteria and Eucarya. Archaea
were recognized as a coherent group in the tree of life
using small ribosomal RNA (rRNA) sequence compari-
sons by C. R. Woese and coworkers in 1977. Archaea have
been detected in nearly all environments examined using
culture-independent molecular techniques, including 16S
rRNA sequencing. However, most well-characterized
Archaea have been cultured from extreme environments
that are very salty, acidic, alkaline, hot, cold, or anaerobic
where they are sometimes dominant. Methanogenic
Archaea have been detected in the mammalian gastroin-
testinal tract, but no archaeal species causing disease has
been identified thus far. Many Archaea are chemoauto-
trophs and can grow on simple inorganic chemicals,
others are heterotrophs and grow on complex organic
materials, and a few have phototrophic capabilities and
can use light energy for growth. Although Archaea are
prokaryotic in their morphology, consisting of cells
bounded by a single lipid membrane and lacking a
nucleus, some of their molecular characteristics are simi-
lar to nucleated eucaryal cells. Archaeal genomes are
0.5–5.75 Mbp circles and include genes for information
transfer machineries (DNA replication, transcription, and
translation) that are simplified versions of their eucaryal
counterparts. They also have unique features, like their
membrane lipids, which contain branched chain isopre-
noid units in fatty chains linked to a glycerol-1-phosphate
head group via ether linkages. Archaea have many useful
qualities that have been translated into applications in
biotechnology, including thermostable DNA polymerases
for polymerase chain reaction (PCR).
Historical Recognition
Many microorganisms studied by early microbiologists
were Archaea, but their fundamental distinction from
common Bacteria escaped notice until the pioneering
phylogenetic work of C. R. Woese and coworkers in the
latter third of the twentieth century (Figure 1). The
metabolic activities of microorganisms that would later
be called Archaea were evident well before the invention
of the microscope, with anaerobic methanogenic species
giving rise to marsh gas (combustible air), described as
early as the time of the Roman empire, and salt-loving
archaeal halophiles producing red and pink hues in
hypersaline ponds used to harvest salt from the sea,
described in ancient texts. By contrast, hyperthermophilic
archaeal species, some of which grow optimally above
100 C, near hydrothermal marine vents located in
trenches kilometers below the ocean surface, were not
discovered until the late twentieth century.
After the advent of microscopes in the fifteenth cen-
tury, prokaryotic microorganisms became collectively
known as ‘bacteria’, a scientific term originally introduced
by C. G. Ehrenberg in 1838. A role for microbes in
methanogenesis was first described by A. Be
´champ in
1868, but their classification as Archaea required an addi-
tional century. The isolation of pure species of
methanogens from complex microbial communities was
finally accomplished in the mid-twentieth century
through the work of microbiologists, H. A. Barker,
K. Schnellen, and T. C. Stadtman and followed the devel-
opment of specialized anaerobic microbiological
methodology. Some of the earliest named methanogenic
species were Methanobacterium formicicum,Methanococcus
vannielii, and Methanosarcina barkeri.
A second major group of Archaea, the halophilic
Archaea (or haloarchaea), were identified as agents of food
Archaea (overview) 119

spoilage, when salting was widely used for preserving fish
and meats before the advent of refrigeration. In the early
twentieth century, haloarchaeal isolates were named
Bacillus halobius ruber and Bacterium halobium by H. Klebahn
and H. F. M. Petter, respectively, and subsequent isolates
were named Halobacterium halobium (Halobacterium salinar-
ium), Halobacterium cutirubrum,andHalobacterium salinarum.
Taxonomy of these halophilic Archaea continues to be
controversial, especially since the order, family, and certain
genera include the term bacterium rather than archaeum. In
1968, W. Stoeckenius discovered that these Halobacterium
species contain a light-driven proton pump in a specialized
region of the membrane, termed purple membrane. Many
have the ability to produce buoyant gas vesicles for flota-
tion, the combination of which gives these microorganisms
the ability to grow phototrophically.
Studies of membrane lipids in the 1960s by M. Kates
and coworkers showed that those present in many halo-
philes and methanogens were of unusual composition.
They found glycerol-1-phosphate as the head group and
ether bonds linking hydrocarbon side chains with methyl-
branched isoprenoids (Figure 2), as opposed to the
glycerol-3-phosphate head group and typical ester bond
linkages to straight-chain acyl group fatty acids found in
most other organisms. Subsequently, it became clear that
these unusual characteristics of membrane lipids were
also shared with some thermophilic species, suggesting a
common relationship between these metabolically
diverse microorganisms. However, the surprising discov-
eries of lipid chemistry, though widely employed at
present, were not originally used for taxonomic or phy-
logenetic grouping, or to propose novel evolutionary
relationships among microorganisms.
With the advent of molecular biology in the 1970s, it
became possible to recognize Archaea as a distinct phy-
logenetic group. Woese and his students intensively
studied small rRNAs, molecules that form the catalytic
center of the protein synthesis machinery, carrying out a
process common to all known free-living organisms.
Woese reasoned that since all known organisms contain
Mitochondria
Bacteria Archaea Eukarya
Crenarchaeota
Euryarchaeota
Animals
Slime
molds
Fungi
Plants
Ciliates
Flagellates
Trichomonads
Microsporidia
Diplomonads
Methanosarcina
Halobacterium
Thermoplasma
Methanopyrus
Methanococcus
Thermococcus
Marine
Crenarchaeota Pyro-
lobus
Thermoproteus
Pyrodictium
Green
nonsulfur
Gram-
positive
Protreobacteria
Cyanobacteria
Flavobacteria
Thermophiles
Chloroplast
Figure 1 An evolutionary tree, emphasizing the three-domain view of life. Within domain Archaea, two kingdoms (Euryarchaeota and
Crenarchaeota) and representative genera are shown.
(b)
P
O
C
H2
CH
C
H2
O
O
O–
O–
O
OH
C
H2
CH
C
H2
O
O
P
O
C
H2
CH
C
H2
O
O
O–
O–
O
(a)
P
P
Figure 2 Characteristic archaeal lipids. (a) Typical diphytanyl glycerol diether phospholipid without a head group. (b) Dibiphytanyl
glycerol tetraether lipid common to thermophiles. In both panels, the red portions highlight the glycerol-1-phosphate backbone
(stereoisomer used in Bacteria and Eucarya), the blue portions highlight the ether bonds, and the green portions highlight the isoprenoid
hydrocarbon chains.
120 Archaea (overview)

small rRNAs (either 16S or 18S), and as their central
functions are evolving slowly, they would serve as the
ideal molecular chronometer to infer deep evolutionary
relationships. Using RNA fingerprinting (catalogs of
RNA oligonucleotides generated with sequence-specific
nucleases), a deep division was discovered among prokar-
yotic species, with the common bacterial species grouping
together on the one hand (dubbed ‘eubacteria’ or true
bacteria) and uncommon species inhabiting diverse envir-
onments (named ‘archaebacteria’ or ancient bacteria) on the
other. This classification was confirmed by sequence ana-
lysis of rRNAs and their genes, and in 1990 Woese,
O. Kandler, and M. Wheelis proposed the new names –
domain Archaea, Bacteria, and Eucarya – to emphasize
the existence of three fundamentally different types of
organisms in the tree of life (Figure 1).
The last two decades of the twentieth century brought
about exciting developments in archaeal research. Many
new thermophilic species were identified by W. Zillig,
K. O. Stetter, and others, especially after the discovery by
H. Jannasch and M. J. Mottl of microbial communities
near deep-sea hydrothermal vents (Figure 3). While
the original thermophilic Archaea available for molecular
phylogenetic analysis included only species of Thermoplasma
and Sulfolobus, growing in the 55–80 C temperature range,
hyperthermophilic species (growing best above 80 Cor
in cases of high-pressure environments, even above
100 C) became known through both culture-dependent
and culture-independent techniques. For example,
Methanocaldococcus (formerly Methanococcus)jannaschii and a
handful of other microorganisms became the first free-living
organisms to have their genomes completely sequenced,
(a)
(c)
(e) (f)
(d)
(b)
Figure 3 Archaeal habitats. (a) Bloom of haloarchaea, including Halobacterium sp., in the north arm of Great Salt Lake, Utah is visible
as red brine. Photo courtesy of S DasSarma. (b) Antarctic lakes, for example, Deep Lake, in the Vestfold Hills where the psychrophile,
Halorubrum lacusprofundi, was isolated. Photo courtesy of Australian Antarctic Data Centre. (c) Wetlands and marshes, where
methanogens are found and studied. Photo courtesy of W Whitman. (d) Thermophilic mats radiating from Grand Prismatic Spring,
Yellowstone National Park. Photo courtesy of Yellowstone National Park. (e) Hydrothermal vents called ‘black smokers’ in deep-sea
marine trenches, like the Godzilla Vent in the Mid-Atlantic Ridge, are a rich source of hyperthermophiles. Photo courtesy of D Kelley.
(f) Archaeal acidophilic biofilms seen at the Richmond Mine at Iron Mountain, California. Photo courtesy of J Banfield.
Archaea (overview) 121

helping to confirm the three-domain view of life. At about
the same time, several Pyrococcus species yielded novel ther-
mostable polymerases that improved the PCR method,
increasing the value of Archaea for biotechnology.
A combination of genome sequencing together with
environmental and metagenomic studies has greatly
increased our current knowledge of the archaeal domain.
As a result, the evolutionary unity of the Archaea and their
distinction from the Bacteria and Eucarya are now firmly
established, as is the subdivision of Archaea into the king-
doms Crenarchaeota and Euryarchaeota (Figure 1). Many
studies using orthologous proteins and genes (e.g., collec-
tions of all ribosomal proteins) as well as comprehensive sets
of predicted proteins from complete genome sequencing
have largely confirmed the results of 16S rRNA-based
phylogenetic analysis. Relationships between individual
species do vary, but they generally reflect differing evolu-
tionary rates and uncertain gene histories, including lateral
or horizontal gene transfers. The great diversity of
sequences has recently led to the proposal of many new
phyla, including two additional kingdoms of Archaea,
Korarchaeota, and Nanoarchaeota. However, some of
these branches are poorly resolved (Figure 4), indicating
that further detailed studies are necessary to shed light on
the true diversity of existent archaeal phyla and taxa.
A great deal of interest has recently focused on the nature
of the earliest evolutionary events giving rise to the three
domains of life. Most phylogenetic studies are consistent
with Bacteria branching earliest from the ancestral cell or
progenote near the root of the tree of life, with a common
ancestor to both Archaea and Eucarya diverging later to
form these two domains (Figure 1). However, this hypoth-
esis is not universally accepted, and many different scenarios
have been proposed to account for these groups. Some
investigators have even proposed that the more complex
Eucarya, which have nuclei surrounded by membrane and
DHVE6
Group III
MarBenth GpE
WHCA
Group II
VADIN
SAGMA-S/T
SAGMA1 DHVE1
Thermoplasmata
Methanobacteriales
Methanomicrobiales
Methanosaetaceae
Methanococcoides
B
Nanoarchaeum equitans
pOWA133
Thermoproteales
Korarchaeota
AAG
Desulfurococcales
Sulfolobales
Crenarchaeota
Group I.1B
Group I.1A
THSC1
Group I.2
MarBenthGpC
MarBenthGpB/DHVC1
YNPFFA
Group I.1C
FFS
SAGMCG-1
Methanosarcina
Methanolobus/ Methanohalophylus
ANME-3/
Halobacteriales
Euryarchaeota
Methanococcales
Thermococcales Methanopyrus
Archaeoglobales
DHVE4
SA1
Rice
cluster1
PENDANT-33
DHVE3
ANME-1B
ANME-1A
ANME-2A/B
ANME-2C
ARC1
ANME-1-AT
ANME-1-GBa
Figure 4 An unrooted tree of the Archaea emphasizing 16S rRNA sequences obtained from culture-independent methods. The major
phyla are bolded, with Euryarchaeota in blue and Crenarchaeota in orange. ‘B’ indicates the position of bacterial outgroups. Named
phyla and dark triangles refer to the cultured and acronyms refer to the many noncultured Archaea. Dotted lines refer to uncertainties in
phylogenetic positions. Modified from Schleper C, Jurgens G, and Jonuscheit M (2005) Genomic studies of uncultivated archaea.
Nature Reviews Microbiology 3: 479–488.
122 Archaea (overview)

many genes interrupted by introns, are the more ancient
group, evolving from a protocellular ‘RNA world’. Both
branches of prokaryotes are hypothesized to have evolved
subsequently by loss of the nuclear membrane and introns,
and additional simplification of their genomes. Therefore, a
degree of uncertainty still exists with respect to how the last
universal common ancestor of all life on Earth diverged to
form the three separate primary lineages. Predicted charac-
teristics of the common ancestor as a cellular organism with
a cytoplasmic membrane and a sophisticated translation
apparatus are however generally accepted today.
Archaeal Ecology and Environmental
Biology
Traditionally, the Archaea have been recognized as micro-
organisms that thrive in extreme habitats (Figure 3) because
nearly all of the originally cultivated archaeal microorgan-
isms were found to be extremophilic (halophilic,
methanogenic, or thermophilic). However, over the past 30
years a combination of culture-dependent and culture-
independent techniques has shown that archaeal microorgan-
isms are widespread, and can be detected in most common
and nonextreme environments as well. In fact, detection of
archaeal 16S rRNA gene sequences through sequencing of
environmental samples and probing archaeal cells using
fluorescent-labeled probes (fluorescent in situ hybridization)
have led to the realization that a much greater diversity of
Archaea exists than was previously known (Figure 4).
Global Distribution of Archaea
Although Archaea were originally discovered inhabiting
extreme environments using culture-dependent techni-
ques, their global distribution has been shown primarily
through recent studies using culture-independent techni-
ques. With over 8000 archaeal 16S rRNA gene sequences
deposited in databases, it has become clear that the major-
ity of known groups of Archaea are still not available as
pure cultures, making an in-depth study of these organ-
isms quite challenging. However, with few exceptions
(i.e., Korarchaeota and Nanoarchaeota), the uncultured
Archaea have all been shown to be members of the two
kingdoms Crenarchaeota or Euryarchaeota (Figure 4).
Novel archaeal 16S rRNA sequences have been identified
from a variety of microbial habitats, including fresh and salt
water, hydrothermal vents and thermal springs, and diverse
soil types. The importance of these Archaea has been
explored through the use of 16S rRNA gene libraries and
other culture-independent methods. Although these
approaches are not precise tools showing a full representation
of the microbial community in an environment, they can be
used as a good approximation. Such studies have shown that
Archaea account for up to 60% of prokaryotic cells in certain
pelagic marine environments and up to 80% in some marine
sediments. As a whole, it has been estimated that the Earth’s
oceans sustain 10
28
archaeal cells. Examples of uncultured
marine Archaea include members of group I.1A, group II, and
marine groups I–III (see Figure 4). It has also been shown
that certain Euryarchaeota, predominately anaerobic
methane-oxidizing Archaea (ANME), comprise up to 50%
of microbial mats of cold methane seeps found in the world’s
oceans. Archaeal cells or their 16S rRNA genes have also
been detected in freshwater environments and comprise up
to 5% of the prokaryotic population.
A few archaeal strains have been cultivated from hydro-
thermal vent communities. However, through culture-
independent techniques, numerous novel strains have been
identified, for example in the plethora of microenvironments
that dominate vent communities. Estimates of microbial
diversity are made more difficult to obtain in these environ-
ments due to their remoteness. However, scientists have
predicted that Archaea do comprise a majority of cells in
hydrothermal microenvironments. Typical Archaea found
in these environments include marine group I, the marine
benthic groups, ANME, and novel genera of Thermococcales,
Archaeoglobales,andNanoarchaeota. Thermal springs have also
been a rich source for novel Archaea, most of which have
resisted laboratory cultivation. Estimates of archaeal diver-
sity in thermal spring environments vary in number;
however, archaeal cells commonly make up a substantial
fraction of the prokaryotic cell population. Novel 16S
rRNA genes of terrestrial hot spring Crenarchaeota includes
group 1, Sulfolobales, and Korarchaeota (Figure 4).
Culture-independent methods have estimated that up to
5%ofthemicrobialcommunityinsoilsareArchaea,with
the Crenarchaeota alone accounting for up to 3% in some
niches. Soil environments are the Earth’s most diverse
ecosystems and harbor a species richness that is 20-fold
higher than that of the ocean. Archaea commonly found
in soils include members of the group I.1B and ANME.
Attempts to bring novel noncultured archaeal microor-
ganisms into axenic, symbiotic, or whole community culture
are vigorous and ongoing. Besides using growth on traditional
media, some investigators have used geological sampling data
from the environment in which the organism was obtained, to
try and recreate the environment in laboratory media. Others
have used semipermeable chambers in which nutrients flow
through but cells remain sequestered to stimulate growth.
This method results in cell exposure to nearly natural nutri-
ent environments and has been successful for the enrichment
of some previously nonculturable species. A most interesting
case is for the population of Cenarchaeum symbiosum cells in
symbiotic association with the marine sponge, Axinella mex-
icana. Sufficient quantities of the DNA of this psychrophilic
species were obtained for the reconstruction of a representa-
tive complete genome by metagenomic sequencing. The
assembled genome sequence suggested that C. symbiosum
may have ammonia oxidizing capability.
Archaea (overview) 123

With the advent of extremely high-throughput
metagenomic sequencing and single-cell genome-
sequencing methodologies, it may be possible to per-
form complete genome sequencing of many more
archaeal organisms and model their roles in ecology.
Sampling the surrounding environment for possible
primary sources of energy can help corroborate their
ecological roles. This is often carried out by measuring
the concentrations of molecules that are already known
to serve as primary energy sources (various carbon and
nitrogen compounds, hydrogen, etc.).
Halophilic Archaea
All salt-loving halophilic Archaea (also called haloarch-
aea) belong to the kingdom Euryarchaeota and have
been classified into a single order (Halobacteriales) and
family (Halobacteriaceae); however, a diverse and
increasing number of genera (28 at present) have been
described (Table 1). Haloarchaea have been isolated
from numerous environments of varying salinity and gen-
erally dominate over Bacteria and a few Eucarya at the
highest salinity extremes. Haloarchaea predominate in
Table 1 Taxonomy of Archaea
Euryarchaeota
a
Archaeoglobales Archaeoglobaceae Archaeoglobus
Ferroglobus
Geoglobus
Halobacteriales Halobacteriaceae Haladaptatus
Halalkalicoccus
Haloalcalophilium
Haloarcula
Halobacterium
Halobaculum
Halobiforma
Halococcus
Haloferax
Halogeometricum
Halomicrobium
Halopiger
Haloplanus
Haloquadratum
Halorhabdus
Halorubrum
Halosarcina
Halosimplex
Halostagnicola
Haloterrigena
Halovivax
Natrialba
Natrinema
Natronobacterium
Natronococcus
Natronolimnobius
Natronomonas
Natronorubrum
Methanobacteriales Methanobacteriaceae Methanobacterium
Methanobrevibacter
Methanosphaera
Methanothermobacter
Methanothermaceae Methanothermus
Methanococcales Methanocaldococcaceae Methanocaldococcus
Methanotorris
Methanococcaceae Methanococcus
Methanothermococcus
Methanomicrobiales Methanocorpusculaceae Methanocorpusculum
Methanomicrobiaceae Methanoculleus
Methanofollis
Methanogenium
Methanolacinia
Methanomicrobium
Methanoplanus
(Continued )
124 Archaea (overview)

Table 1 (Continued)
Methanospirillaceae Methanospirillum
Unclassified Methanoregula
Methanocalculus
Methanolinea
Methanopyrales Methanopyraceae Methanopyrus
Methanosarcinales Methanosaetaceae Methanosaeta
Methanotrix
Methanosarcinaceae Methanimicrococcus
Methanococcoides
Methanohalobium
Methanohalophilus
Methanolobus
Methanomethylovorans
Methanosalsum
Methanosarcina
Thermococcales Thermococcaceae Palaeococcus
Pyrococcus
Thermococcus
Thermoplasmatales Ferroplasmaceae Ferroplasma
Picrophilaceae Picrophilus
Thermoplasmataceae Thermoplasma
Unclassified Thermogymnomonas
Unclassified Aciduliprofundum
Methanosphaerula
Crenarchaeota
a
Caldisphaerales Caldisphaeraceae Caldisphaera
Cenarchaeales Cenarchaeaceae Cenarchaeum
Desulfurococcales Desulfurococcaceae Acidilobus
Acidococcus
Aeropyrum
Desulfurococcus
Fervidococcus
Ignicoccus
Staphylothermus
Stetteria
Sulfophobococcus
Thermodiscus
Thermofermentum
Thermosphaera
Pyrodictiaceae Geogemma
Hyperthermus
Pyrodictium
Pyrolobus
Unclassified Caldococcus
Ignisphaera
Nitrosopumilales Nitrosopumilaceae Nitrosopumilus
Sulfolobales Sulfolobaceae Acidianus
Metallosphaera
Stygiolobus
Sulfolobus
Sulfurisphaera
Sulfurococcus
Thermoproteales Thermofilaceae Thermofilum
Thermoproteaceae Caldivirga
Pyrobaculum
Thermocladium
Thermoproteus
Vulcanisaeta
Nanoarchaeota
a
Nanoarchaeum
Korarchaeota
a
Korarchaeum
a
Major phyla (kingdoms) are listed in bold, with subphyla following. First column contains
orders; second column, families; and third column, genera.
Archaea (overview) 125

environments such as artificial crystallizer ponds, shallow
ponds for isolating salts from the sea, as well as natural
solar salterns, where isolates of Halobacterium,Halorubrum,
Haloarcula,Halogeometricum, and Haloquadratum (including
a square-shaped species) are typically detected. The
microbial composition of the Dead Sea, which contains
an unusually high concentration of magnesium, and
ancient salt deposits, some as old as 200 million years
(from the Permian period), have yielded haloarchaeal
isolates, such as Haloarcula,Halobacterium,Halococcus,
Haloferax, and Halorubrum. The true age of isolates from
ancient salt deposits is quite controversial, since some
metabolic activity occurring in the entrapped state cannot
be strictly ruled out. Another typical environmental niche
for haloarchaea are other neutral and alkaline hypersaline
lakes, for example, the north arm of Great Salt Lake in the
western United States (separated from the south arm by a
railroad causeway), Lake Assal in Djibouti, and Lake
Magadi in the Rift Valley of Africa, where species
of Haloarcula,Natronococcus, and Natronomonas have
been isolated. Species of Halobiforma,Halomicrobium,
Halogeometricum, and Haloterrigena have been isolated
from less salty environments such as coastal oceans,
marshes, and soils. Traditionally, halophilic Archaea,
such as Halobacterium, were isolated from salted protein
sources such as fish sauces and animal hides.
Haloarchaea are able to perform aerobic and anaerobic
respiration; however, most are facultative aerobes
(Figure 5). All genera of haloarchaea are able to use
amino or organic acids as a carbon source. Other carbon
sources utilized by haloarchaea include sugars, glycerol,
and hydrocarbons. Since their natural environments often
have low oxygen concentrations (oxygen solubility is
reduced by high salinity), many haloarchaea are able to
grow anaerobically. Terminal electron acceptors during
anaerobic growth include dimethylsulfoxide, trimethyla-
mine, fumarate, nitrogen oxide, and in some cases nitrate.
Certain species of haloarchaea are able to grow anaerobi-
cally via the fermentation of arginine.
Some haloarchaea, for example, Haloarcula,
Halobacterium, and Halorubrum, produce a light-driven pro-
ton pump, bacteriorhodopsin, in their cell membrane
(Figure 5). In some strains, high levels of bacteriorhodop-
sin produced in response to limiting oxygen and high
light intensity form a two-dimensional crystalline lattice
called the purple membrane. The purple color is due to
light absorption by the chromophore retinal that is che-
mically linked to the protein bacterio-opsin, which is
similar to the photopigment in the visual systems of
higher Eucarya. Under conditions with sufficiently high
levels of bacteriorhodopsin and light intensity, cells may
use the proton-motive force generated to grow phototro-
phically for a period of time. Retinal proteins similar to
bacteriorhodopsin in Halobacterium, known as sensory rho-
dopsins, can also mediate phototactic responses,
swimming toward beneficial green light and away from
damaging blue and UV light. A third class of retinal
protein, halorhodopsin, in Halobacterium acts as a light-
driven chloride pump (Figure 5).
Haloarchaea have been shown to resist the denaturing
effects of high salt concentrations through a process of
selective uptake of salts known as ‘salting in’, which is
used by few nonarchaeal organisms. The accumulation of
salts internally, mainly KCl, reduces osmotic stress to the
ATP
H+
H+
Na+
Na+AA
H+
H+
H+
CO2 + NH4+
O2DMSO, TMAO
Carbamoyl
phosphate
Citrulline
Ornithine
Arginine
Substrate-level phosphorylation
Photophosphorylation Oxidative phosphorylation
(aerobic and anaerobic)
Cl–
ADP + Pi
Figure 5 Physiology of haloarchaea. Haloarchaea have the capability to grow by aerobic or anaerobic respiration (oxidative
phosphorylation), anaerobic fermentation (substrate-level phosphorylation), and/or photophosphorylation (using light-driven pumps in
the membrane and lemon-shaped gas vesicles for flotation). The membrane potential and proton-motive force are also used to drive
many metabolic processes, such as sodium ion extrusion, amino acid uptake, and flagellar (extracellular line) rotation.
126 Archaea (overview)

cell membrane but creates an intracellular milieu that is
harsh and challenging for biological macromolecules. The
internal salt concentration of most halophilic species, like
Halobacterium, has been measured to be as high as the
natural environment, up to 5 M salts, which would result
in desolvation, aggregation, denaturation, and precipita-
tion (via salting out) of most nonhaloarchaeal proteins.
Some DNA sequences, for example, alternating GC
sequences, morph into a left-handed form, called
Z-DNA. Haloarchaeal cells maintain high internal KCl
concentration and relatively low NaCl concentration, via
both membrane potential and ATP-driven potassium
uptake systems and sodium–proton antiporters
(Figure 5). The sodium-motive force is important for
metabolic activities, like the uptake of amino acids,
which generally are present in high concentrations during
periods of increased salinity due to evaporation and
resulting decline and decomposition of less halophilic
species. Genomic analysis has also shown that the proteins
of haloarchaea are highly acidic, and structural studies
have revealed that surface negative charges facilitate the
formation of a hydration shell, increasing their solubility
and decreasing aggregation and precipitation. The high
solar illumination of many hypersaline environments has
also resulted in development of tolerance to radiation for
haloarchaea via active DNA repair mechanisms, includ-
ing both light repair (photolyase) and dark repair
(nucleotide excision repair) systems. In fact, the
most radiation-resistant strain as well as the most space
condition-tolerant vegetative cells to have been found
thus far are both haloarchaea.
Methanogenic Archaea
Methanogenic Archaea are microorganisms that are cap-
able of producing methane gas, a potential fuel source as
well as a greenhouse gas that has been implicated
in global warming. Taxonomically, all methanogens are
members of the kingdom Euryarchaeota, like the
haloarchaea, but they form a broad group comprising 5
orders (Methanobacteriales, Methanococcales, Methano-
microbiales, Methanopyrales, and Methanosarcinales), 10
families (Methanobacteriaceae, Methanocaldococcaceae,
Methanococcaceae, Methanocorpusculaceae, Methano-
microbiaceae, Methanopyraceae, Methanosaetaceae,
Methanosarcinaceae, Methanospirillaceae, and Metha-
nothermaceae) and 31 genera (Table 1). These organisms
are extremely sensitive to oxygen and therefore selec-
tively inhabit strictly anoxic environments. Methanogens
serve an important role in the global carbon cycle, com-
pleting the conversion of organic carbon into methane
gas. This process is syntropic, meaning that the products
of metabolic activities of other microorganisms are used
as the substrates for methanogenesis.
The substrates used to generate methane can be
arranged into three groups: methyl or other one-carbon
type (methylotrophic), carbon dioxide type (hydrogeno-
trophic), and acetoclastic (Figure 6), and methanogens
have been found in three main types of ecosystems. The
most common methanogenic environments are fresh-
water sediments, swamps, peat bogs, rice fields, and
sewage digesters, where typical methanogens include spe-
cies of Methanobacterium,Methanosarcina, and Methanosaeta.
In these environments, communities of resident bacteria
degrade biopolymers into alcohols and fatty acids, and the
fatty acids subsequently into acetate and carbon dioxide.
Some bacteria in these communities also produce hydro-
gen as a metabolic end product. Methanogens then utilize
these products to generate methane. The most widely
used substrate for methanogenesis is acetate, which
accounts for two-thirds of the methane generated in
these environments.
Another type of methanogenic environment exists
inside multicellular organisms (i.e., rumen fluid and
digestive tracts) where species of Methanobacterium,
Methanobrevibacter, and Methanimicrococcus are common.
Unlike the external environments, the digestive systems
of animals actively absorb intermediates from the break-
down of complex organics produced by bacteria and
therefore these nutrients are available only for a relatively
short time. As a result, the hydrogenotrophic methano-
gens grow faster and predominate over those that utilize
acetate in these environments.
In the third type of environment, the substrates for
methanogenesis are not of biological but geological
origin. In these environments, geothermal gases
(e.g., carbon dioxide and hydrogen gas) are the sub-
strates used by methanogens. These environments are
often also hot (e.g., geysers, solfataras, and hot springs)
and species of Methanothermus,Methanothermobacter,and
many other diverse species have been isolated
(Table 1).
The main adaptive strategy for methanogens in the
environment is to exist as part of syntropic communities
or consortia with Bacteria. Due to the extreme sensitiv-
ity of methanogens to oxygen, they inhabit the
most reducing zones within the various habitats, for
example, the strictly anaerobic zone of microbial mats
in sediment. Within the anoxic zones, methanogens
may dominate or compete with other anaerobic
Bacteria, such as sulfate-reducing Bacteria for hydrogen.
Hydrogenotrophic methanogens are usually less compe-
titive in sulfate-rich marine environments since sulfate
reducers are able to outcompete them for hydrogen.
However, even in these environments, methanogens
may still utilize one-carbon substrates, such as methanol,
methylamines, and methionine, which are not used by
the sulfate-reducing Bacteria.
Archaea (overview) 127

Thermophilic Archaea
The most diverse group of cultured Archaea are thermo-
philic, members of which occupy both the Euryarchaeota
and Crenarchaeota kingdoms. Isolates of the former king-
dom consist of 3 orders (Archaeoglobales, Thermococcales,
and Thermoplasmatales), 5 families (Archaeoglobaceae,
Ferroplasmaceae, Picophilaceae, Thermococcaceae, and
Thermoplasmataceae), and 10 genera (Table 1), while
those of the latter kingdom consist of 5 orders
(Caldisphaerales, Cenachaeales, Desulfurococcales,
Sulfolobales, and Thermoproteales), 7 families
(Caldisphaeraceae, Cenachaeaceae, Desulfurococcaceae,
Pyrodictiaceae, Sulfolobaceae, Thermofilaceae, and
Thermoproteaceae), and 32 genera (Table 1). These
microorganisms have been isolated from solfataras, hot
springs, and hydrothermal vents. Archaeoglobus,
Desulfurococcus,Pyrobaculum,Sulfolobus,Thermofilum,and
Thermoproteus have been found in solfataric fields and hot
springs from sites in Iceland, Italy, Japan, New Zealand,
Russia, and the United States. Hydrothermal vent commu-
nities can be divided into two groups: shallow and deep.
Shallow vents are sites of hydrothermal activity within a
few 100 m below the ocean surface. In these sites, genera
such as Palaeococcus,Pyrobaculum,Pyrococcus,Pyrodictium,and
Stetteria have been isolated. Deep vent communities are
found near subsurface volcanoes and at the boundary
between seawater and magma, usually kilometers beneath
the ocean surface. These communities often contain
Archaeoglobus,Geoglobus,Ignicoccus,andNanoarchaeum,the
last of which has been proposed to constitute a new archaeal
kingdom.
Although many species of thermophiles and
hyperthermophiles have been isolated, data about their
metabolic capabilities and habitats are still accumulating
(Table 2). These organisms are capable of using a wide
diversity of molecules as electron donors (sulfur, iron (II),
hydrogen gas, and lactate) and acceptors (sulfate, nitrate,
iron (III), and oxygen). However, most thermophilic
One carbon compounds CO2Acetate
Formyl-methanofuran
Formyl-
tetrahydrosarcinapterin
Methenyl-
tetrahydrosarcinapterin
Methylene-
tetrahydrosarcinapterin
Methyl-
tetrahydrosarcinapterin
Methyl-
Coenzyme M
CH4
Acetate-Pi
Acetate-CoA
Methylene-
tetrahydrosarcinapterin
Methyl-
tetrahydrosarcinapterin
Methyl-CoM
Methylotrophic Hydrogenotrophic Acetoclastic
Methyl-CoM
6e–
ATP
2e–
2e–
2e–
2e–
2e–
2e–
2e–
Figure 6 Pathways of methanogenesis. Overview of the three pathways responsible for the biogenesis of methane. The red arrow
indicates the ability of some Archaea to reverse the hydrogenotrophic pathway to produce CO
2
, which can then move in the forward
direction to produce methane. The blue arrow indicates that CO, which is later converted into CO
2
, is a by-product of the acetoclastic
pathway.
128 Archaea (overview)

environments have very low concentrations of oxygen,
and hyperthermophilic habitats (found at depths of sev-
eral kilometers) are completely devoid of sunlight. Not
surprisingly, a large majority of thermophilic isolates are
anaerobes and all hyperthermophiles and many thermo-
philes are chemoautotrophic. The upper limit for
hyperthermophilic life has been extended in recent
years to increasingly higher temperatures (current max-
imum 121 C) under high pressures (>120 MPa).
The extreme temperatures at which thermophilic and
especially hyperthermophilic Archaea thrive require the
adaptation of proteins, lipids, DNA, and other cellular
components to prevent denaturation and degradation.
These microorganisms have incorporated subtle changes
in amino acid sequences that are important for stabilizing
thermophilic proteins. They have a greater content of
charged residues and intrahelical charge pairs forming
salt bridges than mesophiles. Thermophilic proteins also
appear to be smaller, and in some cases more basic, which
may also result in increased stability. However, it is pos-
sible that these differences may reflect evolutionary
relationships rather than stability factors. Another method
used to improve the stability of proteins of thermophiles
is through the action of chaperones, which help to refold
denatured proteins. Thermophilic Archaea contain three
families of heat shock proteins, Hsp70, Hsp60 (or thermo-
some family), and small heat shock proteins (sHsp). They
also contain prefoldin, which assists in refolding by deli-
vering unfolded proteins to chaperones.
Thermophiles have improved membrane lipid stability
by increasing the number of saturated fatty acids in their
bilayer. Hyperthermophiles also use novel dibiphytanyl
glycerol tetraether components, which results in the for-
mation of a lipid monolayer (Figure 2). As temperatures
increase to levels experienced by hyperthermophiles, lipid
bilayers may become unstable, but monolayer membranes
retain stability. In order to increase the stability of DNA,
hyperthermophilic microorganisms possess a novel
enzyme, reverse gyrase, which introduces positive DNA
supercoils and protects it against thermal denaturation.
Another means of stabilizing DNA is the employment of
DNA-binding proteins and compaction of the genome
into chromatin. Some thermophiles have a high internal
concentration of potassium ions, like haloarchaea, which
may help prevent chemical damage that can occur at high
temperatures.
Other Extremophilic Archaea
Psychrophilic Archaea
Over 80% of the Earth’s biosphere is at or below 4 Cand
harbors a wide variety of species, bacterial, archaeal, and
eucaryal, capable of growth at low temperatures. Relatively
little is known about most psychrophilic organisms that
grow and thrive in these environments, and compared to
the thermophilic Archaea, there are very few well-
characterized psychrophilic Archaea. Only three cultured
species of psychrophilic Archaea – Methanococcoides burtonii,
Methanogenium frigidum,andHalorubrum lacusprofundi –have
been studied in detail, all of which were isolated from
Antarctic lakes (Figure 3). In addition, C. symbiosum, though
not yet axenically cultured, has been maintained in the
Table 2 Thermophilic metabolic reactions
Metabolic reaction Organism
Organic compounds þO
2
!H
2
OþCO
2
Sulfolobus,Aeropyrum
H
2
þ½O
2
!H
2
OSulfolobus,Pyrobaculum,Acidianus,Metallosphaera,Pyrolobus
Organic compounds þH
2
SO
4
!H
2
SþCO
2
Archaeoglobus
Organic compounds þS
0
!H
2
SþCO
2
Thermoproteus,Thermococcus,Desulfurococcus,Thermofilum,Pyrococcus
Organic compounds !CO
2
þfatty acids Staphylothermus,Thermoplasma
Organic compounds !CO
2
þH
2
Pyrococcus
Aromatic compound þFe(III) !HCO
3
þFe(II) þH
2
OþH
þ
Ferroglobus
H
2
þS
0
!H
2
SPyrodictium,Thermoproteus,Pyrobaculum,Acidianus,Stygiolobus,
Desulfurococcus,Ignicoccus,Stetteria,Sulfurisphaera,Thermodiscus,
Thermofilum
4H
2
þSO
4
2
!H
2
Sþ4H
2
OArchaeoglobus
H
2
þHNO
3
!HNO
2
þH
2
OPyrobaculum,Pyrolobus,Ferroglobus
4H
2
þHNO
3
!NH
4
OH þ2H
2
OPyrolobus
4H
2
þCO
2
!CH
4
þ2H
2
OMethanopyrus,Methanothermus,Methanococcus,Methanocaldococcus
6H
2
OþNO–
3þ2FeCO
3
!NO
2–
þH
2
Oþ2
Fe(OH)
3
þHCO
3
Ferroglobus
2S
0
þ3O
2
!H
2
SþCO
2
Sulfolobus,Acidianus
2S
0
þ3O
2
þH
2
O!2H
2
SO
4
Acidianus,Metallosphaera,Sulfolobus
2FeS
2
þ7O
2
þ2H
2
O!2FeSO
4
þ2H
2
SO
4
Acidianus,Metallosphaera,Sulfolobus
Acetate þ8Fe(III) þ4H
2
O!2HCO
3
þ8Fe(II) þ9H
þ
Ferroglobus,Geoglobus
H
2
þ6FeO(OH) !2Fe
3
O
4
þ5H
2
OPyrobaculum
Arsenate þH
2
!arsenite þH
2
OPyrobaculum
Archaea (overview) 129

laboratory and studied through cocultivation with its mar-
ine sponge host.
Like thermophiles, psychrophilic Archaea have also
adapted their proteins, lipids, and other biomolecules for
activity at an extreme temperature (i.e., low temperature).
There is still uncertainty on the precise mechanisms of
adaptation of psychrophilic proteins, although the present
view is that multiple subtle changes in overall protein
structure are responsible for cold activity. Psychrophiles
also employ ‘antifreeze’ proteins that inhibit formation of
ice crystals within the cell to mitigate their damaging
effects. Lipids of psychrophiles also incorporate more
unsaturation allowing them to remain fluid at lower
temperatures.
Acidophilic and alkaliphilic Archaea
Acidophilic and alkaliphilic microorganisms, which
include diverse species representing all three domains of
life, thrive at the extremes of pH. Acidic environments
have been studied all around the world and consist of
natural (solfataras, acidic springs) as well as man-made
sites (acid mine drainage, bioleaching reactors). Typical
genera of the acidophilic Archaea include Sulfolobus,
Ferroplasma, and Thermoplasma. Alkaline environments
also consist of natural (e.g., soda lakes) and man-made
sites. Soda lakes have stable pH values at or above 10. The
evaporitic conditions at these lakes lead to high concen-
trations of sodium carbonate and usually other salts, such
as sodium chloride. Therefore, haloarchaea, such as
Haloarcula,Natronococcus, and Natronomonas are typical
microorganisms in these environments. It was thought
that alkaliphiles could not survive at elevated tempera-
tures. However, recently several alkaliphilic thermophile
species (e.g., Thermococcus) have been isolated, such as on
Vulcano Island, Italy. Methanogenic alkaliphiles (e.g.,
Methanosalsum) have also been isolated.
How acidophilic and alkaliphilic Archaea are able to
thrive in pH extremes while keeping an internal pH close
to neutral is not well understood. Studies have shown that
the membrane of some acidophiles have an extremely low
proton permeability at acidic pH (<4.0), while at neutral
pH they are unable to assemble into liposomal structures.
This suggests that loss of membrane integrity may be the
reason why these organisms are able to grow preferen-
tially at low pH. For alkaliphiles, modifications to their
membrane and cell wall are also important. These organ-
isms have developed two levels of defense from the
external high-pH environment. The first is to have acidic
polymers in their cell wall. It has been suggested that the
negative charges in the cell wall repel hydroxide ions in
the external alkaline environment. The second defense is
by the combined action of the sodium/proton antiporter
system, potassium uptake, and ATPase-driven proton
expulsion, which help to maintain physiological pH
internally.
Archaeal Viruses
Since the initial discovery of archaeal viruses with head–
tail phenotype, many new archaeal viruses with novel and
unique shapes (fusiform, bottle-shaped, droplet-shaped,
linear, and spherical) have been found. The number and
diversity of these novel forms indicate that they predo-
minate in the environment. The genes of sequenced
archaeal viruses, except for the head–tail variety, do not
show significant homology to nonarchaeal varieties or to
proteins of recognizable function. All cultured archaeal
viruses have double-stranded DNA; however, few genes
are shared between archaeal gene families though there is
some evidence of sharing within families. Studies of
archaeal viruses have also led to a hypothesis that DNA
replication may have evolved independently in multiple
domains.
Novel Molecular and Genetic
Characteristics of Archaea
The process of information transfer (known as the central
dogma of molecular biology, with information flowing
from DNA !RNA !protein) is the same in all the
three domains; however, in Archaea these processes are
more closely related to those of Eucarya than they are to
those of Bacteria. These findings led to comparative ana-
lysis of many of the highly conserved macromolecular
species involved in DNA replication, transcription, and
translation. In addition, bacterial aspects of the molecular
biology of Archaea were also noted, including the absence
of a nuclear membrane and coupling of transcription and
translation. Interestingly, the translation apparatus of
some methanogenic species were also found to be capable
of incorporating nonstandard amino acids (e.g., selenocys-
teine and pyrrolysine), and the proteins of halophiles and
some thermophiles were found to be highly charged with
an abundance of acidic and basic amino acids,
respectively.
Much of the current knowledge of archaeal molecular
biology is based on genome sequencing and bioinformatic
approaches. In addition, a few systems have been studied
in depth using genetic and biochemical analysis. For
example, biochemical studies of transcription and DNA
replication have been conducted in detail in certain metha-
nogenic and thermophilic Archaea (e.g., Methanococcus
thermolithotrophicus,Pyrococcus furiosus,andSulfolobus shiba-
tae). Other methanogens, haloarchaea, and thermophiles
(e.g., Methanococcus maripaludis and Methanosarcina acetivor-
ans,Halobacterium sp. NRC-1 and Haloferax volcanii,and
Sulfolobus solfataricus and Thermococcus kodakarensis)have
also provided genetic systems for the study of fundamental
processes through gene knockout and replacement systems.
In many cases, specialized cloning and expression vectors
130 Archaea (overview)

and novel selectable markers (e.g., mevinolin, simvastatin,
puromycin, and neomycin-resistance) were developed to
aid in analysis.
Genomic Architecture
The genomes of Archaea are similar in size and structure
to those in Bacteria, with circular chromosomes
0.5–5.75 Mbp in size requiring significant (1000-fold)
compaction for packaging into the small prokaryotic
cells. Thermophilic and especially hyperthermophilic
species also require the genome to be protected from
thermal denaturation. Archaea have evolved chromatin
proteins to maintain reversible compaction, which is
essential for genomic function in DNA replication and
transcription. The archaeal chromatin proteins are of two
main types, histones similar to the ubiquitous eucaryal
proteins, and Alba proteins, which are uniquely archaeal.
In addition, several other families of chromatin proteins
have been found in Archaea, but are more specific to
certain phyla.
Histone proteins are mainly found in the Euryarchaeota
and in a few early branching Crenarchaeota (e.g., C. symbio-
sum). These organisms encode 1–6 histone proteins in their
genomes, which dimerize for stability, and form tetramers
and sometimes hexamers in the presence of DNA. This is in
contrast to the well-conserved four histone proteins in
Eucarya that form octomers and nucleosomes in association
with DNA. The difference between archaeal and eucaryal
histones may reflect the need for prokaryotic archaeal cells
to access many regions of their genome simultaneously as
opposed to differentiated eucaryal cells that require access
to more limited regions of their genomes. Alba proteins are
abundant in Crenarchaeota and some thermophilic and
hyperthermophilic Euryarchaeota, and the corresponding
genes are present in one or two copies within most thermo-
philic archaeal genomes. Alba dimerizes for stability and
binds to DNA and possibly RNA. Alba is subject to acetyla-
tion, which decreases its affinity for DNA binding.
Among hyperthermophilic Archaea (as well as
hyperthermophilic Bacteria), the thermal denaturation
of genomic DNA is inhibited by the introduction of
positive supercoils using the reverse gyrase enzyme.
Reverse gyrase is a multidomain protein, with an
N-terminal portion containing a helicase domain and a
C-terminal portion consisting of a type IA topoisomerase
domain. It adds positive supercoils by a combination of
actions of the two domains. This novel topoisomerase
increases the rigidity of DNA and stabilizes double-
stranded DNA at high temperatures. Reverse gyrase has
also been shown to bind to internal nicks as well as the
ends of DNA, stabilizing them by reducing the rate of
strand breakage.
DNA Replication
DNA replication in Archaea contains elements of both the
bacterial and eucaryal systems, with eucarya-like replica-
tion proteins acting to replicate a bacteria-like genome.
Archaea initiate replication at one (e.g., Pyrococcus abyssi)
or multiple sites (S. solfataricus) in their circular chromo-
some. These sites – found in intergenic regions – contain
large sequence repeats, which are typically inverted, and
an AT-rich region called the duplex unwinding element.
These chromosomal DNA replication origins (origin
binding or ORB) are usually but not always near an
Orc/Cdc6 gene and serve as a binding site for the result-
ing protein. Through recently solved cocrystal structure
analysis, the eucarya-like Aeropyrum pernix and S. solfatar-
icus Orc/Cdc6 proteins were found to bind the DNA
replication site via their winged helix domain, inserting
the recognition helix into the major groove and wing into
the minor groove (Figure 7). The AAA
þ
domain also
contacts the minor groove, which results in unwinding
and kinking, by up to 35, of the DNA. This local opening
of the DNA helix leads to recruitment of the minichro-
mosome maintenance (MCM) complex, as in Eucarya.
The MCM complex continues the unwinding of DNA
and interacts with another protein complex, GINS (Go,
Ichi, Nii, and San; five, one, two, and three in Japanese),
which links MCM with the archaeal primase. Once the
RNA primers are created, the sliding clamp loader replica-
tion factor complex opens and then loads the sliding clamp,
or, proliferating cell nuclear antigen (PCNA), onto the
DNA. PCNA tethers the DNA polymerase to DNA and
increases the length of DNA chains produced. PCNA has
also been shown to interact with the flap endonuclease –
both of which are eucarya-type proteins – as well as DNA
ligase I and uracil DNA glycosylase, all of which are
involved in DNA replication and/or repair in Archaea.
While most studies of DNA replication have been con-
ducted using biochemical approaches using both
Crenarchaeota and Euryarchaeota, the essential nature of
the genes for most of these replication factors have been
demonstrated using the genetic system of the halophilic
Euryarchaeote, Halobacterium sp. NRC-1.
There are two classes of DNA polymerase involved in
DNA replication in Archaea: PolB, similar to the eucaryal
PolB family enzymes, and PolD, a Euryarchaeota-specific
PolD family enzyme. The Crenarchaeota possess only
PolB-type DNA polymerases, while the Euryarchaeota
contain essential PolB and PolD family polymerases.
However, the crenarchaeote, C. symbiosum, is an exception
to this rule. The PolB polymerases are DNA primer-
directed DNA polymerases that do not require PCNA
for efficient synthesis but do require it for strand displa-
cement. The PolD polymerases prefer a primed template
for DNA binding and extension, and while they do not
require PCNA for strand displacement, they do require it
Archaea (overview) 131

for efficient DNA synthesis. It has been hypothesized that
in the Euryarchaeota, PolB acts as the leading strand
DNA polymerase, while PolD acts as the lagging strand
DNA polymerase. In the Crenarchaeota, PolB family
polymerases may act on either side of the replication
fork (leading or lagging strand). The RNA primers
synthesized by the archaeal primase are usually removed
by a type II RNaseH; however, some diverse Archaea,
such as Halobacterium sp. NRC-1, Sulfolobus tokodaii, and
Pyrobaculum aerophilum, encode a type I RNaseH as well. In
such organisms, the type II RNaseH and flap endonu-
clease act cooperatively to process Okazaki fragments on
the lagging strand, while type I RNaseH removes the last
ribonucleotide of the RNA primer of the Okazaki frag-
ment. Once the primers are removed, eucarya-type
single-strand binding (replication protein A) proteins
bind the DNA and DNA ligases (either ATP- or
NAD
þ
-dependent), and seal nicks in the DNA.
DNA Repair
Archaea have DNA repair proteins (like their replication
counterparts) that are usually more similar to their
eucaryal equivalents. An important property of archaeal
replicative B family DNA polymerases (PolB family) is a
‘read ahead’ function for uracil, which stalls the polymer-
ase when the nucleotide is encountered in the template
DNA. This type of repair is most important for the
thermophilic Archaea since uracil resulting from cytosine
deamination is more frequent at high temperatures.
Archaeal mismatch repair machinery differs from the
common bacterial MutS/MutL pathway, although the
low mutation frequency in some species suggests the
existence of an efficient mechanism. For repair of remain-
ing unrepaired DNA lesions, some Archaea encode a
lesion bypass DNA polymerase, for example, Dpo4 in
S. solfataricus. Dpo4 (a DinB homologue in Bacteria) is a
member of the Y family of error-prone polymerases, and
can bypass UV photoproducts, such as cyclobutane pyr-
imidine dimers and abasic sites. The distribution of
translesion bypass polymerases in Archaea indicates that
they are generally found in organisms exposed to UV
radiation such as the Sulfolobales and Halobacteriales.
Many species with Y family polymerases also contain
the UV photoproduct repair enzyme photolyase.
Methanosarcinales also contain these enzymes, suggesting
that these strictly anaerobic Archaea are also exposed to
UV radiation under some circumstances. Deep-sea spe-
cies have no exposure to UV or visible light, and therefore
lack these enzymes.
The bacterial excision repair machinery (UvrABC) is
present in certain mesophilic Euryarchaeota, and has been
shown to be genetically responsible for nucleotide exci-
sion repair in at least one species, Halobacterium sp. NRC-1.
Thermophilic Archaea likely use a different pathway for
nucleotide excision repair, possibly homologues of the
eucaryal enzymes, XPF-ERCC1 and Fen-1
(a homologue of XPG) nucleases, and XPB and XPD
helicases. However, not all Archaea contain all of these
repair proteins and others, such as the damage recognition
proteins XPA and XPC found in Eucarya, are absent
altogether. Moreover, some of these enzymes are involved
in other cellular processes, for example, Fen1 is involved
in Okazaki fragment processing in DNA replication, and
XPB and XPD are involved in transcription initiation.
(a) (b)
DNA
Winged-helix
domain
AAA+
domain TBP
TFB
ORC/CDC6
protein
DNA
Figure 7 Structure of DNA replication and transcription initiation proteins bound to DNA. (a) Model structure of an Orc/Cdc6 protein
bound to an origin DNA. DNA strands are green. Cdc/Orc6 protein is colored according to secondary structure (-helices are orange
and -sheets yellow). ADP and Mg
2þ
in the structure are colored pink respectively. (b) Model structure of the TBP–TFB–DNA complex.
Green strands correspond to the transcriptional promoter DNA.
132 Archaea (overview)

Transcription
The transcriptional machinery in Archaea also has dis-
tinctly eucaryal features, although their genes are
frequently organized into transcription units or operons,
as found in Bacteria. Transcription in Archaea is carried
out using a simplified version of the eucaryal RNA poly-
merase II-like system, enzymes with 11 or 12 subunits,
compared to only 4 subunits in the single bacteria-type
RNA polymerase. The RNA polymerase of Pyrococcus
and the Crenarchaeota have 11 subunits
(RpoBA9A99DE9FLHNKP), while methanogens and
haloarchaea have 12 subunits, with the B subunit split
into B9and B0. Crystal structures of RNA polymerase
from both Bacteria and Eucarya (Escherichia coli and
Saccharomyces cerevisiae, respectively) have been compared
to the subunits of the P. furiosus enzyme to identify com-
mon structural motifs.
The promoter structure and transcription initiation fac-
tors of Archaea are also eucaryal in nature. Archaeal
promoters have an AT-rich region (TATA box) located
about 25 bp upstream of the transcription start point, like
most eucaryal RNA polymerase II promoters. This is dis-
tinct from the bipartite bacterial promoter, which possesses
10 and 35 recognition elements. Archaea also use the
eucarya-like TATA-binding protein (TBP) and transcrip-
tion factor IIB (TFB) (Figure 7), although not the host of
other eucaryal transcription initiation factors, or factors,
found in Bacteria. TBP binds to the TATA box upstream
of the transcriptional start site, while the TFB protein
binds a B-recognition element immediately upstream of
the TATA box. Interestingly, both the TBP and TFB
proteins contain two imperfectly repeated sequences from
internal gene duplications. The genomes of most archaeal
species sequenced to date have shown just one or two
copies of the corresponding genes. However, multiplicity
of transcription factor genes is common in some Archaea,
for example, the haloarchaea, where up to six TBP genes
andnineTFBgeneshavebeenfoundinthegenome.
Genetic analysis in haloarchaea showed that although a
fraction of these genes may be deleted, multiple transcrip-
tion factor genes are essential. Since no TATA-interacting
proteins have been found in the Archaea, haloarchaea
likely contain a novel regulatory system involving recogni-
tion of different promoters by specific TBP–TFB
combinations (e.g., for their response to heat shock).
Consistent with this hypothesis, mutagenesis studies have
shown that while some genes have the requirement of a
canonical TATA box, others use promoters that deviate
from the consensus.
Once the TBP and TFB transcription factors are
bound to the promoter, transcription is started by recruit-
ment of RNA polymerase. However, relatively little is
known about the processes of transcript elongation and
termination in Archaea. Archaeal RNA polymerase is
known to transcribe through DNA-binding proteins with-
out the aid of elongation factors, similar to the eucaryal
Pol III enzyme, and lacks most Pol II elongation factors,
with the exception of TFS. Similarly with termination,
there are no known archaeal homologues of eucaryal Pol
II termination factors. Instead, archaeal transcription
termination suggests sequence-directed intrinsic termina-
tion as well as factor-mediated termination.
Translation
The translation system of Archaea has hybrid eucaryal
and bacterial character, but all of its ribosomal proteins
have eucaryal homologues. The ribosomal protein genes
of Archaea are organized into multigene clusters that
resemble operons of Bacteria, and they generally contain
fewer copies of the three rRNA genes – 16S, 23S, and 5S –
likely reflecting their relatively slow growth rate com-
pared to well-characterized Bacteria. Some Archaea (e.g.,
Haloarcula marismortui) contain multiple rRNA operons
that differ by 3% or more in sequence, consistent with
recent acquisition or divergent functions (e.g., activity at
different temperatures). Archaea contain a full comple-
ment of tRNA (transfer RNA), a fraction of which may
contain introns, and aminoacyl–tRNA synthetase genes in
their genomes for use of the standard genetic code; how-
ever, incorporation of glutamine and asparagine proceeds
by modification of the amino acids on the charged tRNAs
using GatABC amidotransferase.
Two unusual amino acids present in methanogenic
Archaea are selenocysteine and pyrrolysine, although
neither appears to be uniquely archaeal. Selenocysteine
is inserted at certain opal (UGA) stop codons through a
context-dependent suppressor tRNA (Sec-tRNA
Sec
) and
directed by a selenocysteine insertion sequence. Studies
of M. jannaschii and M. maripaludis showed that the inser-
tion sequence was located 39to the UGA codon, and the
decoding event is more similar to Eucarya.
Selenocysteine has been found in proteins including
those involved in reduction of carbon dioxide to methane
and subunits of hydrogenase catalyzing the utilization of
hydrogen. Recent studies of M. barkeri showed the pre-
sence of the amino acid, pyrrolysine, in the methylamine
methyltransferase enzyme. The position of pyrrolysine is
at an amber (UAG) codon, and it may be inserted cotran-
slationally using a specialized amber suppression tRNA.
The existence of a coupled transcription/translation
mechanism as commonly observed in bacterial species
has been observed in at least one archaeal species,
T. kodakarensis. Archaeal transcripts are not thought to be
modified with 59-end caps, although primary transcripts,
like those of the haloarchaeal bacterio-opsin gene, may
be capped in vitro using the viral capping enzyme. Some
transcripts have also been shown to contain polyadenine
tails at their 39ends, as found in eucaryal transcripts.
Archaea (overview) 133

Further, a wide range of posttranslational modifications
have been found in archaeal proteins. These include
acetylation, amino acid modification, such as hypusina-
tion and thiolation, disulfide bond formation,
glycosylation, including both N- and O-linked modifica-
tion, lipid modification, methylation, phosphorylation,
and proteolytic processing. Many of these modifications
are shared among the three domains of life; however,
some, such as the methylation of methyl-coenzyme M
reductase and the unique lipid moieties of haloarchaeal
proteins, are distinctly archaeal. For protein secretion, the
archaeal general secretory (Sec) machinery is a hybrid of
eucaryal and bacterial systems. In addition, the twin-
arginine (Tat) protein export is also extensively used in
some Archaea, especially among haloarchaea, and in con-
trast to Bacteria, where it is mainly used for secretion of
redox proteins.
Archaeal Genomics
Dozens of archaeal genome sequences have been completed
and are available in public databases (Table 3). Nearly
three-quarters of the genomes are from Euryarchaeota,
with one-quarter being from Crenarchaeota, and a few
from thus far unclassified organisms. Sizes of the sequenced
archaeal genomes ranges from less than 0.5 Mbp for the
smallest, Nanoarchaeum equitans, to over 5.75 Mbp for
Table 3 Table of Archaea with completely sequenced genomes
Organism Size GC Shape Motility Oxygen req. Temp. range
Salinity
req.
Aeropyrum pernix K1 1.7 56.3 Coccus Yes Aerobic Hyperthermophilic
Archaeoglobus fulgidus DSM
4304
2.2 48.6 Irregular
coccus
Yes Anaerobic Hyperthermophilic
Cenarchaeum symbiosum A 2.0 57.7 Rod No Facultative Psychrophilic
Caldivirga maquilingensis IC-167 2.1 43.1 Rod No Microaerophilic Hyperthermophilic
Ferroplasma acidarmanus fer1 1.9 36.5 Rod No Anaerobic Mesophilic
Haloarcula marismortui ATCC
43049
4.3 61.1 Pleomorphic,
disks
Yes Aerobic Mesophilic Extreme
Halobacterium sp. NRC-1 2.6 65.9 Rod Yes Facultative Mesophilic Extreme
Haloferax volcanii DS2 4.0 65.5 Pleomorphic,
disks
Yes Aerobic Mesophilic Moderate
Haloquadratum walsbyi DSM
16790
3.2 47.9 Square Yes Facultative Mesophilic Extreme
Hyperthermus butylicus DSM
5456
1.7 53.7 Irregular
coccus
Yes Anaerobic Hyperthermophilic Moderate
Ignicoccus hospitalis KIN4/I 1.3 56.5 Coccus Yes Anaerobic Hyperthermophilic
Korarchaeum cryptofilum 1.6 49.0 Ultrathin
filament
No Anaerobic Thermophile
Metallosphaera sedula DSM 5348 2.2 46.1 Coccus No Aerobic Thermophilic
Methanobrevibacter smithii ATCC
35061
1.9 31.0 Rod No Anaerobic Mesophilic
Methanocaldococcus jannaschii
DSM 2661
1.7 31.3 Irregular
coccus
Yes Anaerobic Hyperthermophilic Moderate
Methanococcoides burtonii DSM
6242
2.6 40.8 Irregular
coccus
Yes Anaerobic Psychrophilic Moderate
Methanococcus aeolicus
Nankai-3
1.6 30.0 Irregular
coccus
Yes Anaerobic Mesophilic
Methanococcus maripaludis C5 1.8 33.0 Irregular
coccus
Yes Anaerobic Mesophilic
M. maripaludis C6 1.7 33.2 Irregular
coccus
Yes Anaerobic Mesophilic
M. maripaludis C7 1.8 33.3 Irregular
coccus
Yes Anaerobic Mesophilic
M. maripaludis S2 1.7 33.1 Irregular
coccus
Yes Anaerobic Mesophilic
Methanococcus vannielii SB 1.7 31.3 Irregular
coccus
Yes Anaerobic Mesophilic
Methanocorpusculum
labreanum Z
1.8 50.0 Coccus No Anaerobic Mesophilic
Methanoculleus marisnigri JR1 2.5 62.1 Coccus Yes Anaerobic Mesophilic
Methanopyrus kandleri AV19 1.7 62.1 Rod Yes Anaerobic Hyperthermophilic Moderate
(Continued)
134 Archaea (overview)

M. acetivorans. Thermophiles represent the largest group of
Archaea with completely sequenced genomes, including a
number of hydrothermal vent species and high-temperature
methanogens, while mesophilic methanogens and halophiles
constitute the next largest groups. Relatively few acidophi-
lic, alkaliphilic, and psychrophilic Archaea are represented
so far.
Among the first archaeal genomes to be sequenced
were M. (originally Methanococcus)jannaschii, an auto-
trophic hyperthermophilic methanogen from a deep-sea
trench; Methanothermobacter thermoautotrophicus (originally
Methanobacterium thermoautotrophicum), an autotrophic
thermophilic methanogen from an anaerobic sewage
sludge digester; Archaeoglobus fulgidus, a sulfur-metabolizing
thermophile; Pyrococcus horikoshii, a hyperthermophile
from a hydrothermal vent; A. pernix, an aerobic hyperther-
mophile; Thermoplasma acidophilum, an acidophilic and
slightly thermophilic heterotroph from a coal refuse
pile; Halobacterium sp. NRC-1, an aerobic halophilic
archaeon probably isolated from salt used in food preser-
vation; and S. solfataricus, which metabolizes sulfur and
grows at high temperature and under acidic conditions.
These initial genome sequences reinforced the validity of
the three-domain view of life and also revealed complex-
ity in gene histories as a result of lateral gene transfers and
unequal evolutionary rates.
Table 3 (Continued)
Organism Size GC Shape Motility Oxygen req. Temp. range
Salinity
req.
Methanoregula boonei 6A8 2.5 54.5 Rod No Anaerobic Mesophilic
Methanosaeta thermophila PT 1.9 53.6 Coccus No Anaerobic Thermophilic
Methanosarcina acetivorans C2A 5.7 42.7 Irregular
coccus
No Anaerobic Mesophilic
Methanosarcina barkeri Fusaro 4.9 39.2 Coccus No Anaerobic Mesophilic
Methanosarcina mazei Go1 4.1 41.5 Irregular
coccus
No Anaerobic Mesophilic
Methanosphaera stadtmanae
DSM 3091
1.8 27.6 Sphere No Anaerobic Mesophilic
Methanospirillum hungatei JF-1 3.5 45.2 Curved Yes Anaerobic Mesophilic
Methanothermobacter
thermautotrophicus H
1.8 49.5 Cylinder,
irregular rod
No Anaerobic Thermophilic
Nanoarchaeum equitans Kin4-M 0.5 31.6 Sphere No Anaerobic Hyperthermophilic
Natronomonas pharaonis DSM
2160
2.7 63.1 Rod Yes Aerobic Mesophile Moderate
Nitrosopumilus maritimus SCM1 1.6 34.2 Rod No Aerobic Mesophilic
Picrophilus torridus DSM 9790 1.5 36.0 Coccus No Aerobic Thermophilic
Pyrobaculum aerophilum IM2 2.2 51.4 Rod Yes Facultative Hyperthermophilic
Pyrobaculum arsenaticum DSM
13514
2.1 55.1 Rod Yes Anaerobic Hyperthermophilic
Pyrobaculum calidifontis JCM
11548
2.0 57.2 Rod Yes Facultative Hyperthermophilic
Pyrobaculum islandicum DSM
4184
1.8 49.6 Rod Yes Anaerobic Thermophilic
Pyrococcus abyssi GE5 1.8 44.7 Irregular
coccus
Yes Anaerobic Hyperthermophilic
Pyrococcus furiosus DSM 3638 1.9 40.8 Coccus Yes Anaerobic Hyperthermophilic
Pyrococcus horikoshii OT3 1.7 41.9 Irregular
coccus
Yes Anaerobic Hyperthermophilic
Staphylothermus marinus F1 1.6 35.7 Coccus No Anaerobic Hyperthermophilic
Sulfolobus acidocaldarius DSM
639
2.2 36.7 Coccus No Aerobic Thermophilic
Sulfolobus solfataricus P2 3.0 35.8 Irregular
coccus
No Aerobic Hyperthermophilic
Sulfolobus tokodaii 7 2.7 32.8 Coccus No Aerobic Hyperthermophilic
Thermococcus kodakarensis
KOD1
2.1 52.0 Irregular
coccus
Yes Anaerobic Hyperthermophilic
Thermofilum pendens Hrk 5 1.8 57.6 Rod No Anaerobic Hyperthermophilic
Thermoplasma acidophilum DSM
1728
1.6 46.0 Pleomorphic Yes Facultative Thermophilic
Thermoplasma volcanium GSS1 1.6 39.9 Pleomorphic Yes Facultative Thermophilic
Noncultured methanogenic
archaeon RC-I
3.2 54.6 Mesophilic
Archaea (overview) 135

Methanocaldococcus jannaschii
The first archaeal genome, for M. jannaschii DSM2661
(originally Methanococcus jannaschii), an autotrophic
archaeon, produced a complete 1.66 Mbp circular chro-
mosome sequence and two (58 and 16 kb)
extrachromosomal circles by whole-genome random
shotgun sequencing and assembly. It was only the fourth
microbial genome of any kind to be determined (only
Haemophilus influenzae,Mycoplasma genitalium, and
Synechocystis sp. were reported earlier). The genome con-
tained 1738 predicted protein-coding sequences, which
were identified as likely genes by statistical analysis. At
the time of publication, only 38% of its genes could be
assigned a cellular role with high confidence. Most of the
genes of M. jannaschii involved in transcription, transla-
tion, and replication were more similar to those found in
Eucarya than in Bacteria, confirming the special evolu-
tionary position of Archaea in the evolutionary tree.
However, the majority of genes coding for energy pro-
duction, cell division, and metabolism were more similar
to those found in Bacteria. The genome also encoded 14
proteins containing 18 inteins, which are insertions within
proteins that are removed autocatalytically with conco-
mitant religation of flanking sequences.
Methanothermobacter thermautotrophicus
The second archaeon to have a complete genome
sequence was for M. thermautotrophicus H, a thermophilic
methanogen (named M. thermoautotrophicum at the time of
sequencing). The 1.75 Mbp circular chromosome was
sequenced using a novel ‘multiplex’ whole-genome shot-
gun sequencing approach involving hybridization to yield
multiple sequence ladders in a single experiment, one of
the few accomplished in this manner. Of the 1855 open
reading frames present, about 46% of the predicted pro-
teins could be assigned putative functions based on
similarities to previously sequenced genomes, 28% were
related to sequences with unknown functions, and 27%
were entirely new. About 54% were most similar to other
Archaea, but only 19% had significant matches to
M. jannaschii, indicating that there was a low degree of
conservation among orthologous genes in the two
sequenced methanogens. As in the case of M. jannaschii,
most DNA metabolism, transcription, and translation
proteins for M. thermautotrophicus were also found to be
more similar to eucaryal sequences. Four interrupted
genes were identified, three tRNA genes with introns,
and one protein gene with an intein.
Archaeoglobus fulgidus
The first sulfur-metabolizing organism to have its gen-
ome sequence determined, A. fulgidus DSM 4304, yielded
a 2.18 Mbp circular genome containing 2436 predicted
genes. Like the two methanogenic Archaea sequenced
before, the information processing systems were found
to be clearly eucaryal and several of the biosynthetic
pathways for nucleotides, amino acids, and cofactors
were similar to orthologues in the M. jannaschii genome.
However, the genomes displayed the expected differ-
ences, with A. fulgidus lacking methanogenic pathways,
and coding for environmental sensors, regulatory and
transport functions required for sulfur metabolism.
About a quarter of the genes encoded functionally
uncharacterized yet conserved proteins, two-thirds of
which were shared with M. jannaschii. Archaeal diversity
was however supported by the finding of about 25% new
proteins encoded in the genome. None of the A. fulgidus
genes contained inteins, although five tRNA genes with
introns were found.
Pyrococcus horikoshii
The complete genome sequence of the first of three closely
related hyperthermophilic Pyrococcus species, P. horikoshii
OT3, was found to be a circle of 1.74 Mbp. The genome
sequence was assembled using a physical map and verified
by long PCR products amplified from the genomic DNA.
A total of 2061 putative genes were found, with 20%
related to functional genes and 22% to conserved
sequences with unknown function. The majority of genes,
almost 60%, were found to be new. The average protein
was found to be basic, with a pI of about 8, indicating a
possible means of adaptation of hyperthermophilic proteins
to high temperature. A number of postgenomic studies
have addressed the high radiation resistance of Pyrococcus
species and a genetic system has been reported for the
related P. furiosus species. Eleven genes contained inteins
and two tRNA genes contained introns.
Aeropyrum pernix
The first strictly aerobic hyperthermophile to have a
completed genome sequence, A. pernix K1, a member of
the Crenarchaeota isolated from a coastal solfataric ther-
mal vent, was found to have a 1.67 Mbp circular genome.
The structure of this genome was verified by restriction
mapping along the entire length of the genome using
PCR amplification from genomic DNA. A total of 2694
predicted genes were identified, 25% of which were
related to genes with putative function and about 20%
related to the sequences with unknown function. The
remaining gene products were novel and did not show
any significant similarity to known sequences in the data-
bases when reported. As expected for an aerobic
organism, all but one of the genes for the tricarboxylic
acid cycle were present. The single exception,
-ketoglutarate dehydrogenase, was functionally
136 Archaea (overview)

replaced by a 2-oxoacid:ferredoxin oxidoreductase.
Fourteen introns were also discovered in its tRNA genes.
Thermoplasma acidophilum
The genome of an acidophile that is also a slightly ther-
mophilic member of the Euryachaeota, T. acidophilum
DSM 1728 (growing best at 59 C and pH 2), was
sequenced and yielded a 1.56 Mbp circular chromosome.
The lack of a rigid cell wall and the presence of eucarya-
type proteases and chaperones have been of interest in
this archaeon. Analysis of the 1509 predicted genes
showed typical archaeal characteristics as well as a rela-
tively large fraction of bacterial genes (about 10%) likely
acquired through lateral gene transfers. A substantial
number of genes similar to the phylogenetically distant
Crencharchaeote, S. solfataricus, which coinhabits the
same environments, were identified, also indicating can-
didates for laterally transferred genes.
Halobacterium sp. NRC-1
The first complete genome sequence of an extreme halo-
phile was that of Halobacterium sp. NRC-1 (ATCC
700922), harboring a dynamic 2.57 Mbp genome with a
2.01 Mbp circular chromosome and two related large
extrachromosomal DNA circles, pNRC100, 191 kb, and
pNRC200, 365 kb. The genome was found to be GC-rich
(65.9%) and contained 91 transposable IS elements,
representing 12 families. The Halobacterium NRC-1 gen-
ome coded 2630 predicted proteins, 36% of which were
unrelated to any previously reported. Analysis of the
genome sequence showed the presence of pathways for
uptake and utilization of amino acids, active sodium–
proton antiporter and potassium uptake systems, and
sophisticated photosensory and signal transduction path-
ways. Its DNA replication, transcription, and translation
systems resembled more complex eucaryal organisms.
Phylogenetic studies showed that a substantial fraction
(up to 15%) of genes coded for proteins with similarity to
a variety of Bacteria, indicating that it contains a high
fraction of laterally transferred genes. Methods have been
developed for facile cultivation and genetic manipulation
of this aerobic mesophile, including construction of gene
knockouts and replacements. As a result of its ease of
laboratory culturing and study, it has become a popular
model among haloarchaea and for classroom teaching.
Sulfolobus solfataricus
The aerobic crenarchaeote S. solfataricus P2 was found to
contain a 2.99 Mbp genome on a single chromosome and
encode 2977 predicted proteins, 40% of which appear to
be archaea-specific, and 12 and 2.3% shared exclusively
with Bacteria and Eucarya, respectively. The genome
appears to be highly plastic, with over 200 diverse trans-
posable IS elements present, as well as evidence of
integrase-mediated insertion events. As in other
Archaea, the DNA replication, DNA repair and recombi-
nation, cell cycle, and transcription systems were found to
be similar to Eucarya and multiple replication origins
were also present, some of which may represent inte-
grated plasmids. A genetic system has been developed
for Sulfolobus species and used as model systems, especially
for DNA replication and cell cycling studies.
Nanoarchaeum equitans
The genome of the hyperthermophilic obligate symbiont,
N. equitans Kin4-M, that grows in coculture with a cre-
narchaeote, Ignicoccus, is the smallest sequenced to date, a
circle of only 0.49 Mbp. Phylogenetic analysis has indi-
cated that N. equitans may be a very early branching
archaeal lineage, representing an entirely new archaeal
kingdom (Nanoarchaeota). However, some researchers
have reported contradictory results, suggesting that it
may be a member of the Euryarchaeota. In either case,
N. equitans has one of the most compact genomes, with
95% of its genome coding and specifying 550 putative
proteins, including those for DNA replication and repair,
transcription, and translation. However, genes for many
core cellular functions, including lipid, amino acid, and
nucleotide biosyntheses, are lacking, suggesting that it
obtains many of its biomolecules from Ignicoccus.
Methanopyrus kandleri
The genome of M. kandleri AV19, which was thought to
be a deeply branching archaeon close to the root of the
tree of life, was sequenced employing a novel method
where genomic DNA served as template and 29-modified
oligonucleotides were used for priming. The genome was
found to be a GC-rich (61%) 1.69 Mbp circle coding 1692
predicted proteins. Like those of halophiles, M. kandleri
proteins show an unusually high content of negatively
charged amino acids, an adaptation to its relatively high
intracellular salinity. Although phylogenetic analysis
using 16S rRNA suggested that it belonged to a very
deep branch, genome comparisons indicated that M. kan-
dleri consistently groups with other archaeal
methanogens. In addition, M. kandleri was found to share
organization of genes involved in methanogenesis with M.
jannaschii and M. thermautotrophicus, indicating that
archaeal methanogens may be monophyletic. M. kandleri
was found to lack many proteins involved in signaling and
regulation of gene expression, and appears to have rela-
tively few genes acquired via lateral transfer.
Archaea (overview) 137

Methanobrevibacter smithii
The genome of the human gut methanogen, M. smithii
ATCC 35061, has been completely sequenced and
yielded a 1.85 Mbp circular genome. Comparative and
functional genomics of this strain indicates that it persists
in the gut by (1) production of surface glycans resembling
those found in the gut mucosa, (2) regulated expression of
adhesin-like proteins, (3) consumption of a variety of
fermentation products produced by saccharolytic bac-
teria, and (4) competition for nitrogenous nutrient pools.
The presence of M. smithii affects digestion of dietary
polysaccharides, and may influence both the efficiency
of caloric uptake and nutritional health of the host.
Similar organisms have also been identified in human
dental caries.
Thermococcus kodakaraensis
T. kodakaraensis KOD1 is a sulfur-reducing hyperthermo-
philic Euryarchaeote that cohabits environments with
Pyrococcus. Annotation of the 2.09 Mbp T. kodakaraensis
genome revealed 2306 putative genes, half of which
could be annotated. The presence of transposable genetic
elements similar to Pyrococcus species suggested transfer of
genes between the two related genera. However, a sub-
stantial number of genes (about 30%) were absent from
Pyrococcus and unique to T. kodakaraensis. A facile gene
knockout system has been developed for postgenomic
analysis of this hyperthermophile and it has become a
popular model for postgenomic studies among
thermophiles.
Methanococcus maripaludis
A popular genetic model among methanogens M. maripa-
ludis is a mesophilic, hydrogenotrophic methanogen with
a 1.66 Mbp circular genome. Of the 1722 predicted
protein-coding genes, 44% could be assigned a function,
48% were conserved but had unknown functions, and
7.5% were unique. Complete pathways for methanogen-
esis were identified, including hydrogenases and eight
selenocysteine-containing proteins. No Orc gene homo-
logue could be identified, implying an unusual replication
initiation mechanism, and the inteins present in M. jan-
naschii homologues were absent. A facile genetic system
has been developed for this organism.
Korarchaeum cryptofilum
K. cryptofilum OPF8 is a member of a large group of deep-
branching unclassified Archaea that may represent an
entirely new archaeal kingdom (Korarchaeota).
However, the K. cryptofilum genome appears to be a hybrid
of crenarchaeal and euryarchaeal genes and it is unclear if
this is the result of horizontal gene transfer or evidence of
a common ancestor. Its genome consists of a single
1.59 Mbp chromosome containing 1617 protein-encoding
genes and 45 tRNA genes. Based on genome analysis, the
organism is expected to be an obligate anaerobe and grow
heterotrophically using peptide and amino acid degrada-
tion pathways. The genome lacks complete pathways for
de novo synthesis of several cofactors, which the organism
probably scavenges from its environment.
Biotechnological Applications of Archaea
Biotechnology has long been one of the most important
driving forces behind studies of archaeal microorganisms.
Since Archaea are often found in extreme environments
and are evolutionarily distinct from Bacteria and Eucarya,
they serve as an excellent source of novel enzymes and
biomolecules. Although the term ‘extremozymes’ is used
for enzymes from both archaeal and bacterial extremo-
philes, archaeal extremozymes have played an important
role in biotechnology. The development of PCR in the
1980s using DNA polymerase from the thermophilic bac-
terium Thermus aquaticus was followed by enhancement of
the process using archaeal enzymes. PCR enzymes are
only one of a group of extremozymes from Archaea that
have contributed to the development of chemical, medi-
cal, and genomic biotechnology.
Extremozymes
The need for more PCR thermostable enzymes, with
higher fidelity (proofreading exonuclease activity) and pro-
ducing larger products (greater processivity), led to the
identification of archaeal extremozymes such as Pwo
(from Pyrococcus woesei), Pfu (from P. furiosus), and Vent
(from Thermococcus litoralis). Other useful enzymes for mole-
cular biology applications include a thermostable DNA
ligase from Thermococcus, and restriction–modification
enzymes identified in methanogens and thermophiles,
including M. thermautotrophicus and M. jannaschii.Agroup
BDNAtopoisomeraseVfromM. kandleri, an enzyme that
relaxes both negatively and positively supercoiled DNA, is
also in use for facilitating strand separation in DNA
sequencing.
Industrial and Agriculture Applications
In industrial settings, archaeal lipases are used both in
dairy (e.g., cheese production) and in detergent applica-
tions. Thermophile and psychrophile enzymes fill a
variety of different needs, the latter being useful for
laundry washing at lower temperatures, an energy-saving
method. Archaeal proteases are also in use for baking,
138 Archaea (overview)

brewing, meat tenderizing, paper manufacturing, and in
contact lens cleaning solutions.
Haloarchaea (along with halophilic Bacteria) have
long been used in the fermentation processes involved
in the production of fermented foods, for example, Thai
fish sauce (Nam Pla). Their enzymes have biodegradative
capabilities as well as synthetic potential as well.
Thermophile enzymes that are useful include amylases
and -glucosidases for use as flavoring agents, baking, and
brewing, while trehaloses may be used in food prepara-
tion and as preservatives.
Applications of the photopigments of haloarchaea, for
example, bacteriorhodopsin in purple membrane, include
holography and light- and color-sensitive photoelectric
devices. If predictions are correct, it may permit the
development of optical storage devices with the ability
to store 50 TB of information on a single disk in future.
Fuels and the Environment
With the limited availability of fossil fuels, several
Archaea have been identified as candidates for production
of alternative fuels. Potentially, archaeal species will be
able to produce hydrogen for hydrogen fuel cells using
seawater as a basal culture medium. Extremozymes from
other organisms have been tested for improving efficiency
of oil and gas production by breaking down guar gum
around sand grains at high temperatures, thereby increas-
ing flow. Methanogens naturally produce methane and
researchers are attempting to harness this ability to pro-
duce biogas through biodegradation of agricultural,
domestic, and industrial waste, as well as biomass.
Several designs that have been used are a rotating biolo-
gical contactor, anaerobic baffle reactors, as well as an
upflow anaerobic sludge blanket reactor in which waste-
water flows from the bottom upward through a blanket
and methane is extracted at the top. Thermophilic alcohol
dehydrogenases may be harnessed to produce ethanol at
high temperatures and under acidic conditions.
Medical Applications
Archaea have been used to develop novel biomedical
applications such as the use of polyhydroalkanoates that
can make up to 60% of Haloferax mediterranei biomass, for
fabricating medical plastics. Patents have been issued for
the use of archaeal liposomes and genetically modified
gas vesicles from Halobacterium sp. NRC-1 in vaccine
development. Thermophilic chaperones are being devel-
oped for improving the stability of vaccines. The
structure of archaeal ribosomes is being used for under-
standing the basis of antibiotic action and computer-aided
design of a new generation of antibiotics.
Conclusion
Although Archaea are the most recently described group of
microorganisms from a modern molecular phylogenetic
perspective, their activities were noted long ago. The find-
ing of their extremophilic lifestyles coupled with their
useful properties for biotechnology have led to the blossom-
ing of archaeal research since their recognition as a separate
evolutionary and taxonomic branch in 1977 by C. R. Woese
and coworkers. Since then, many diverse Archaea have
been isolated, and extensive studies have clarified their
importance to ecological processes. Recently, culture-inde-
pendent techniques have extended our appreciation of the
widespread occurrence of archaeal species worldwide in
many common environments. However, no archaeal patho-
gens have been confirmed to date, in spite of their
association with the human gastrointestinal tract.
Investigations have also rapidly expanded our knowledge
and understanding of their molecular biology, biochemistry,
physiology, and genetics, including the similarity of their
information transfer systems to those in higher organisms.
Finally, the study of Archaea has provided the foundation
for conceptualizing early cellular evolution on planet Earth.
Further Reading
Blum P (ed.) (2008) Archaea: New Models for Prokaryotic Biology.
Norwich, UK: Caister Academic Press.
Boucher Y, Douady CJ, Papke RT, et al. (2003) Lateral gene transfer
and the origins of prokaryotic groups. Annual Review of Genetics
37: 283–328.
Cavicchioli R (ed.) (2007) Archaea: Molecular and Cellular Biology.
Washington, DC: ASM Press.
Fraser CM, Read T, and Nelson KE (eds.) (2004) Microbial Genomes.
Totowa, NJ: Humana Press Inc.
Garrett R and Klenk H-P (eds.) (2006) Archaea: Evolution, Physiology
and Molecular Biology. Oxford UK: Blackwell Publishing.
Garrity GM, Boone DR, and Castenholz RW (eds.) (2001) Bergey’s Manual
of Systematic Bacteriology 1: The Archaea and the Deeply Branching
and Phototrophic Bacteria, 2nd edn. New York: Springer-Verlag.
Howland JL (2000) The Surprising Archaea: Discovering Another
Domain of Life. New York, NY: Oxford University Press.
Jannasch HW and Mottl MJ (1985) Geomicrobiology of deep-sea
hydrothermal vents. Science 229: 717–725.
Koga Y and Morii H (2007) Biosynthesis of ether-type polar lipids in
Archaea and evolutionary considerations. Microbiology and
Molecular Biology Reviews 71: 97–120.
Poole AM, Jeffares DC, and Penny D (1998) The path from the RNA
world. Journal of Molecular Evolution 46: 1–17.
Robb FT, Sowers KR, DasSarma S, Place AR, Schreier HJ, and
Fleischmann EM (eds.) (1995) Archaea: A Laboratory Manual. Cold
Spring Harbor, NY: Cold Spring Harbor Laboratory Press.
Schleper C, Jurgens G, and Jonuscheit M (2005) Genomic studies of
uncultivated Archaea. Nature Reviews Microbiology 3: 479–488.
Woese CR (2000) Interpreting the universal phylogenetic tree.
Proceedings of the National Academy of Sciences of the United
States of America 97: 8392–8396.
Woese CR and Fox GE (1977) Phylogenetic structure of the prokaryotic
domain: The primary kingdoms. Proceedings of the National Academy
of Sciences of the United States of America 74: 5088–5090.
Woese CR, Kandler O, and Wheelis ML (1990) Towards a natural
system of organisms: Proposal for the domains Archaea, Bacteria,
and Eucarya. Proceedings of the National Academy of Sciences of
the United States of America 87: 4576–4579.
Archaea (overview) 139

Autotrophic CO
2
Metabolism
B E Alber, Ohio State University, Columbus, OH, USA
ª2009 Elsevier Inc. All rights reserved.
Defining Statement
Autotrophic Modes of Life
Conversion of Inorganic Carbon to Cell Carbon
Mechanisms for CO
2
Assimilation
Assessment of Distribution of the Different Pathways
Regulation
Further Reading
Glossary
autotrophy Self-feeding; autotrophy is the ability of an
organism to synthesize all cell carbon constituents
exclusively from inorganic carbon. Therefore, if an
autotrophic organism was to be grown in the presence
of labeled CO
2
, every single carbon in the cell would
become labeled (except the ones derived from essential
growth factors added to the medium).
carboxylation Is the addition of CO
2
or bicarbonate to
another carbon-containing molecule, resulting in a
carbon–carbon bond.
CO
2
assimilation Describes the biosynthesis of cell
carbon constituents (biomass) starting from carbon
dioxide or bicarbonate.
CO
2
fixation Describes the conversion of CO
2
(a gas) to
an organic compound containing carbon–carbon bonds
as well as the assimilation of this CO
2
fixation product.
heterotrophy Organic compounds are utilized as
carbon sources.
inorganic carbon species Used in autotrophy are
carbon dioxide (CO
2
), bicarbonate (HCO
3
), but also
carbon monoxide (CO) or cyanide (CN
).
primary production Is the formation of organic
compounds from inorganic carbon species using light or
chemically derived energy.
Abbreviations
CbbR Calvin–Benson–Bassham cycle regulator
CFI carboxylating factor for isocitrate
dehydrogenase
NMR nuclear magnetic resonance
PEP phosphoenolpyruvate
RuBisCO Ribulose-1,5-bisphosphate carboxylase/
oxygenase
Defining Statement
Heterotrophic organisms (and this includes humans) gen-
erally oxidize their carbon sources completely to carbon
dioxide (CO
2
). Autotrophy is the ability of an organism to
synthesize all cell carbon from CO
2
alone. Therefore,
autotrophic organisms are essential for life and autotrophy
represents quantitatively the most important biosynthetic
process in the overall carbon cycle.
Autotrophic Modes of Life
The biosynthesis of organic carbon starting from inorganic
carbon species by autotrophic organisms is a prerequisite to
sustain life. The complete oxidation of organic carbon
compounds to CO
2
by heterotrophic organisms allows
the maximum gain of reducing equivalents, which can be
transferred to a terminal electron acceptor such as oxygen
(or also to nitrate, sulfate, etc. in microorganisms) for
energy conservation. CO
2
fixation by autotrophic organ-
isms refills the organic carbon pool. When CO
2
assimilation is viewed as the reversal of carbon oxidation
to CO
2
this process then requires: reducing equivalents and
input of energy. Because CO
2
is the sole source of carbon
for autotrophic organisms, reducing equivalents and
energy cannot be obtained by oxidation of an organic
carbon substrate (formate and methanol oxidation and
reassimilation of carbon dioxide by some aerobes can be
viewed as an exception of autotrophy). Instead, the source
of reducing power is provided by inorganic compounds
such as water, hydrogen, reduced sulfur compounds or
ammonium. Likewise, energy is provided by photosynth-
esis or by reduction of oxidized inorganic compounds such
as oxygen, nitrate, or sulfate. Primary production (using
light or chemical energy), therefore, occurs in aerobic as
140

well as in anaerobic environments. Members of all three
domains of life, Bacteria, Archaea, and Eukarya, are able to
thrive autotrophically. It is important to remember, how-
ever, that CO
2
assimilation in Eukarya (quantitatively most
important in green plants) is of microbial origin, as the
chloroplasts from such organisms are thought to have
arisen from a cyanobacterial endosymbiont.
Conversion of Inorganic Carbon to Cell
Carbon
Overall Equation
The general equation for cell carbon biosynthesis from
CO
2
is the same for any given organism, because the
average oxidation level of any cell is close to zero (equal
to oxidation state of formaldehyde, CH
2
O). However, the
amount of ATP required is dependent on the mechanism
used for CO
2
assimilation (see below). Therefore, auto-
trophic CO
2
fixation follows the general reaction scheme:
CO2þ4H þnATP
!CH2O½þH2OþnADP þnPi
Synthesis of Central Precursor Metabolites
When considering the biosynthesis of all carbon compounds
from CO
2
, it is sufficient to understand the synthesis of
central precursor metabolites. These are intermediates of
central carbon metabolism from which building blocks for
polymers are made and include acetyl-CoA, oxaloacetate, 2-
oxoglutarate, pyruvate, or 3-phosphoglycerate. Five CO
2
assimilation sequences are known presently: the reductive
pentose phosphate cycle (Calvin–Bassham–Benson cycle),
the reductive acetyl-CoA pathway (Wood–Ljungdahl path-
way), the reductive citric acid cycle (Arnon–Buchanan
cycle), the 3-hydroxypropionate/malyl-CoA cycle, and the
3-hydroxypropionate/4-hydroxybutyrate cycle. These
autotrophic pathways account for the net synthesis of
acetyl-CoA (reductive acetyl-CoA pathway, reductive citric
acid cycle, and the 3-hydroxypropionate/4-hydroxybuty-
rate cycle), pyruvate (3-hydroxypropionate/malyl-CoA
cycle), or 3-phosphoglycerate (reductive pentose phosphate
cycle) from either CO
2
or bicarbonate. The further conver-
sion of acetyl-CoA to C
3
-orC
4
-compounds is not discussed
in detail in this chapter, but in each case the reductive
carboxylation of acetyl-CoA to pyruvate, catalyzed by pyr-
uvate synthase (pyruvate:ferredoxin oxidoreductase), has
been proposed. The conversion of pyruvate to the C
4
-com-
pound oxaloacetate proceeds either by direct carboxylation
(pyruvate carboxylase) or via carboxylation of phosphoe-
nolpyruvate (PEP) catalyzed by either PEP carboxylase or
PEP carboxykinase. The C
5
-compound 2-oxoglutarate is
formed from acetyl-CoA and oxaloacetate by enzymes of
the oxidative citric acid cycle or via a (complete or incom-
plete) reductive citric acid cycle.
CO
2
Concentrating Mechanisms
The concentration of dissolved CO
2
at pH7 under an air
atmosphere is only about 10 mmol l
1
. Ribulose-1,5-bispho-
sphate carboxylase/oxygenase (RuBisCO), the major CO
2
fixation enzyme, has K
m
values for CO
2
that range from 10 to
300 mmol l
1
. In addition, RuBisCO has a rather slow turn-
over even at saturating levels of CO
2
; this enzyme also
catalyses an apparent wasteful competing oxygenation reac-
tion in the presence of oxygen. Carboxysomes provide a
microenvironment for RuBisCO with locally elevated CO
2
(and most likely decreased oxygen) concentrations. The
function of these protein microcompartments were first
suggested for Halothiobacillus neapolitanus (formerly:
Thiobacillus neapolitanus), an aerobic thiosulfate oxidizer and
obligate autotroph. Similar cellular inclusions were found in
oxygenic phototrophic cyanobacteria. Carboxysomes con-
sist of several different proteins, among them specific shell
proteins, carbonic anhydrase (catalyzing the interconversion
of bicarbonate and CO
2
), and the majority of the cellular
RuBisCO enzyme. The reader is referred to ‘Intracellular
structures of prokaryotes: Inclusions, compartments and
assemblages’, which covers the structural and functional
aspects of the carboxysome in more detail. In addition to
carboxysomes, there are various CO
2
/bicarbonate transpor-
ters involved in the CO
2
concentration mechanism that
deliver bicarbonate into the cell. The rather recently recog-
nized protein-facilitated transport of CO
2
and/or
bicarbonate across membranes adds a fascinating aspect to
autotrophic CO
2
metabolism. Currently, there are at least
five such systems known in cyanobacteria. Independent of
the CO
2
assimilation mechanism used by a given organism,
CO
2
or bicarbonate has to first enter the cell. Furthermore,
the different carboxylating enzymes are specific for either
CO
2
or bicarbonate. The rapid interconversion of bicarbo-
nate and CO
2
catalyzed by carbonic anhydrases is at issue as
long as carbon flux rates are high enough to make the
uncatalyzed interconversion of CO2=HCO3–rate-limiting.
These aspects of CO
2
metabolism have not been addressed
in most autotrophs.
Evolutionary Aspect
The question as to whether autotrophy is a primitive trait
has been controversial. That is, did heterotrophic life
processes evolve after the establishment of autotrophy
or did heterotrophic life forms capable of metabolism of
low-molecular compounds present in the ‘primeval soup’
precede autotrophy? The speculations, hypotheses, and
presentations of the various controversial views on this
subject will not be part of this overview.
Autotrophic CO
2
Metabolism 141

Mechanisms for CO
2
Assimilation
The assimilation of CO
2
cannot mechanistically be sim-
ply a reversal of the oxidation of central metabolic
intermediates to CO
2
, because (nearly) irreversible steps
are usually involved in these oxidative routes. Presently
five different pathways for CO
2
assimilation are known.
The pathways are listed and described in the order of
their discovery. For the figures, each pathway is divided
into carboxylation (red), reduction (green), and regenera-
tion (blue) steps. The reductive acetyl-CoA pathway is
the only linear, noncyclic route and, therefore, does not
include a regeneration step.
The Reductive Pentose Phosphate Pathway
(Calvin–Bassham–Benson Cycle)
In terms of overall CO
2
assimilated, this pathway for CO
2
fixation is the most important. This is based on the fact that
oxygenic phototrophs, such as cyanobacteria, algae, and
plants, use the reductive pentose phosphate pathway and
such organisms generate the majority of the biomass on
earth. The primary carboxylating enzyme, RuBisCO, can
comprise up to 50% of the soluble cellular protein in organ-
isms using this cycle and is therefore considered the most
abundant protein on earth. The reason for the high abun-
dance of RuBisCO in the cell is its rather slow turnover
number of three to five molecules per second (for compar-
ison: carbonic anhydrase, albeit one of the fastest enzymes
known, turns over one million molecules per second).
In addition, various important mechanistic considerations
must be accounted for. During catalysis, an enediol of ribu-
lose-1,5-bisphosphate is formed. This intermediate can not
only react with CO
2
but also with oxygen. Carboxylation and
subsequent hydrolysis of the C
6
carboxylation intermediate
produces two molecules of 3-phosphoglycerate whereas in
the case of oxygenation, one molecule of 3-phosphoglycerate
and one molecule of 2-phosphoglycolate are formed. Two
molecules of the C
2
compound 2-phosphoglycolate generate
onemoleculeof3-phosphoglyceratebutonemoleculeof
CO
2
is lost. This process is called photorespiration and
requires additional CO
2
to be fixed by RuBisCO to com-
pensate for the loss of CO
2
during photorespiration. The
ability to discriminate between CO
2
and O
2
as substrates is
a characteristic feature of individual RuBisCO enzymes.
The so-called specificity factor, which describes the
ratio of the efficiency of carboxylation and oxygenation
of ribulose-1,5-bisphosphate, varies significantly between
RuBisCO enzymes from different sources. There has been
great effort in understanding how the two substrates, CO
2
and O
2
, are discriminated by RuBisCO with the hope to
engineer an enzyme which is more efficient toward the
carboxylation reaction.
For every three rounds of the reductive pentose
phosphate cycle, one molecule of 3-phosphoglycerate is
generated from three molecules of CO
2
(Figure 1). The
cycle starts by carboxylation of three molecules of the
C
5
compound ribulose-1,5-bisphosphate catalyzed by
RuBisCO. Besides one molecule of 3-phosphoglycerate,
which is taken out of the cycle as the primary CO
2
Ribulose-1,5-bisphosphate
carboxylase/oxygenase (RuBisCO)
Phos
p
horibulokinase
3 × CO2
Carboxylation
6 ×
5×
3 ×
3 ×
Ribulose-5-
phosphate Ribose-5-
phosphate Xylulose-5-
phosphate
Sedoheptulose-
7-phosphate
Erythrose-
4-phosphate
3 × 2 ×
HO
C6
O
O
O Dihydroxy-
acetone- P
OH
OH
O O
O
P
Glyceralde-
hyde-3-
O
P P
3-phosphoglycerate
(PGA)
O–
P
PGA
10 [H]
Reduction
Regeneration
P
O
OH
HO
Ribulose-1,5-bishosphate (RuBP)
O
P
Figure 1 The reductive pentose phosphate cycle (Calvin–Bassham–Benson cycle). The C
6
compound formed from the condensation
of dihydroxyacetone phosphate and glyceraldehyde-3-phosphate is fructose-1,6-bisphosphate. The primary fixation product of the
reductive pentose phosphate cycle is 3-phosphoglycerate (PGA).
142 Autotrophic CO
2
Metabolism

fixation product, five more molecules of 3-phosphoglyce-
rate are formed. These five C
3
compounds are used
to regenerate three C
5
acceptor molecules in form of
ribulose-1,5-bisphosphate.
Regeneration starts by the activation of the second
carboxyl group of 3-phosphoglycerate to its phosphate-
ester, followed by reduction to the level of the aldehyde
catalyzed by glyceraldehyde-3-phosphate dehydrogenase.
Triosephosphate isomerase catalyzes the equilibrium
between glyceraldehyde-3-phosphate and dihydroxyacetone
phosphate. The transformation of these five C
3
molecules to
two molecules of xylulose-5-phosphate and one molecule of
ribose-5-phosphate involves transaldolases and transketo-
lases, which catalyze the transfer of C
3
-andC
2
-fragments
between various activated C
4
- (erythrose-4-phosphate), C
5
-
(xylulose-5-phosphate, ribose-5-phosphate), C
6
-(fructose-
1,6-bisphosphate), and C
7
- (sedoheptulose-7-phosphate)
sugar molecules. Ribose-5-phosphate and xylulose-5-
phosphate are converted to ribulose-5-phosphate.
Phosphoribulokinase, aside from RuBisCO the second unique
enzyme of the reductive pentose phosphate cycle, finally
activates ribulose-5-phosphate to the CO
2
acceptor molecule
ribulose-1,5-bisphosphate and the cycle is closed.
Four forms of RuBisCO enzymes have been recognized.
Members of form I, II, III, or IV RuBisCOs have sequence
identities of greater than 35% to members of the same class,
but less than 30% sequence identity to members of the other
classes. Only form I and form II RuBisCO enzymes are
involved in autotrophic CO
2
fixation. Form IV RuBisCOs
are also referred to as RuBisCO-like proteins, because these
enzymes are unable to catalyze carboxylation of ribulose-
1,5-bisphosphate and their physiological role is still under
investigation. Form III enzymes are bonafide RuBisCOs but
occur only in some Archaea; again the physiological role of
theformIIIenzymesisnotinautotrophicCO
2
fixation.
Form I RuBisCO consists of eight small and eight large
subunits and it is the form exclusively present in plants,
most algae, and cyanobacteria. In the case of other auto-
trophic bacteria, which use the reductive pentose phosphate
cycle for autotrophic CO
2
fixation, form I, form II, or both
forms I and II of RuBisCO are present. Form II RuBisCO
consists of only one type of subunit that is similar to the
large subunit of form I enzymes.
The Reductive Citric Acid Cycle (Arnon–
Buchanan Cycle)
As the name implies, this pathway for autotrophic CO
2
fixation is the reversal of the oxidative pathway (Krebs
cycle, tricarboxylic acid cycle) for conversion of acetyl-
CoA to two molecules of CO
2
. The reductive citric acid
cycle has been discovered and initially studied for the
green sulfur bacterium Chlorobium. More recently, the ther-
mophilic hydrogen-oxidizing bacterium Hydrogenobacter
thermophilus has become a focus for studying the enzymol-
ogy of the reductive citric acid cycle. Steps considered
essentially irreversible have to be catalyzed by enzymes
different from those of the oxidative citric acid cycle. An
outline of the pathway is shown in Figure 2.
ATP-dependent
citrate cleavage
carboxylation
CO2 CO2
O
O
O
COO–
COO–
COO–
COO–
COO–
COO–
COO–
COO–
OH
OH
Citrate
O
acetyl-CoA
CoA-S
H3C
COO–
–OOC
–OOC
–OOC
–OOC
–OOC
–OOC
Fumarate
Succinyl-CoA
Succinate
2-Oxo
g
lutarate
Isocitrate
CoA-S
Oxaloacetate
Reduction
2 [H]
2 [H]
2 [H] 2 [H]
Reductive
R
egenerat
i
on
Figure 2 The reductive citric acid cycle (Arnon–Buchanan cycle). The free intermediates of the pathway for members of the
Aquificaceae, citryl-CoA, and oxalosuccinate, are not shown.
Autotrophic CO
2
Metabolism 143

The redox potential of NADH is not sufficient for the
reductive carboxylation of succinyl-CoA to 2-oxoglutarate.
2-Oxoglutarate dehydrogenase is, therefore, replaced by
2-oxoglutarate synthase (2-oxoglutarte:ferredoxin oxidore-
ductase). In addition to using ferredoxin with a more
negative redox potential than NADH/NAD
þ
(which
makes the reaction reversible), 2-oxoglutarte synthase is
also unrelated to the 2-oxoglutarate dehydrogenase enzyme
complex.Thesameistrueforpyruvatesynthase(involved
in the further assimilation of acetyl-CoA via reductive car-
boxylation of acetyl-CoA to pyruvate) and pyruvate
dehydrogenase complex. 2-Oxoacid dehydrogenases and 2-
oxoacid synthases also use different mechanisms. Whereas
the 2-oxoacid dehydrogenase complex catalyses one oxida-
tion step with two electrons transferred, 2-oxoacid synthase
catalysis involves two electron transfer steps with a radical
intermediate. The later enzyme contains iron–sulfur clus-
ters, which can accept one electron at a time and the enzyme
is, therefore, oxygen sensitive. However, the enzyme is
found and is functional in some aerobic organisms.
The second (nearly) irreversible step in the oxidative
citric acid cycle is the condensation of acetyl-CoA and
oxaloacetate to form citrate. The reaction catalyzed by
citrate synthase is exergonic, because the activation of the
carboxyl group from acetyl-CoA is lost and free CoA
released. The ATP- and CoA-dependent cleavage of citrate
to acetyl-CoA and oxaloacetate during autotrophic CO
2
fixation by the reductive citric acid cycle, consists of two
enzymatic activities: first citrate is activated to citryl-CoA
(citryl-phosphate as an intermediate is also involved),
which – in a second step – is cleaved into acetyl-CoA and
oxaloacetate. For the thermophilic hydrogen-oxidizing bac-
terium H.thermophilus these two activities are confined to
separate enzymes: citryl-CoA synthetase that consists of
two different subunits, catalyzes the first step in the citrate
cleavage reaction and is related to succinyl-CoA synthetase
(it requires ATP for CoA transfer and releases ADP and
inorganic phosphate). A second enzyme, citryl-CoA lyase,
cleaves citryl-CoA and forms acetyl-CoA and oxaloacetate.
Citryl-CoA lyase is related to citrate synthase. For the
green sulfur bacterium Chlorobium limicola and Chlorobium
tepidum both steps are catalyzed by a single enzyme. ATP
citrate lyase consists of two different subunits; however,
these subunits do not correspond directly to the two sepa-
rate enzymes of H. thermophilus. The large subunit of ATP
citrate lyase of Chlorobium contains the citrate synthase-
related citryl-CoA lyase domain as well as an N-terminal
part corresponding to the small subunit of the citryl-CoA
synthetase enzyme. The second subunit represents the large
subunit of citryl-CoA synthetase. Both subunits of the
C. tepidum enzymecontributetotheactivesiteofATP
citrate lyase. A fusion protein combining the citrate-activat-
ing and citryl-CoA-cleaving domains on a single subunit is
found in animals, where ATP citrate lyase plays an impor-
tant role in fatty acid biosynthesis in the cytosol.
The reversibility of the isocitrate dehydrogenase
catalyzing the oxidative decarboxylation of isocitrate to
2-oxoglutarate has been demonstrated for the enzyme
from C. limicola, even though the equilibrium of the reac-
tion lies on the side of 2-oxoglutartate. In the case of
H. thermophilus an additional enzyme is required to cata-
lyze the reductive carboxylation of 2-oxoglutarate during
CO
2
fixation: 2-oxoglutarate carboxylase is a biotin-con-
taining two-subunit enzyme requiring ATP to form
oxalosuccinate (and ADP þP
i
) from 2-oxoglutarate and
CO
2
(or more likely: bicarbonate). 2-Oxoglutarate car-
boxylase (formerly named: carboxylating factor for
isocitrate dehydrogenase or CFI) is related to pyruvate
carboxylase, the enzyme which allows conversion of the
C
3
-compound pyruvate to the C
4
-compound oxaloace-
tate for the replenishment of the citric acid cycle. A
second protein from H. thermophilus with almost 50%
sequence identity to isocitrate dehydrogenase from
Escherichia coli has been named oxalosuccinate reductase
to indicate its specific role in autotrophic CO
2
fixation.
The reductive carboxylation of 2-oxoglutarate to isoci-
trate by H. thermophilus is therefore catalyzed by two
enzymes: 2-oxoglutarate carboxylase and oxalosuccinate
reductase.
The membrane-bound succinate dehydrogenase com-
plex is replaced by soluble fumarate reductase in the
reductive citric acid cycle. Even though, depending on
the redox potential of the electron donor, the reduction of
fumarate to succinate could be used in energy conserva-
tion (fumarate respiration is coupled to the generation
of an electrochemical gradient), this has not been
observed for autotrophic organisms. An exception may
be Desulfobacter hydrogenophilus; this sulfate reducer uses
the cycle in both directions and fumarate reductase
appears to be membrane-bound.
In summary, succinate is formed from the reduction of
oxaloacetate and activated to its CoA-ester (Figure 2).
Two, mechanistically completely different, reductive car-
boxylation steps follow and isocitrate is formed from
succinyl-CoA and two molecules of CO
2
. Oxaloacetate is
regenerated and acetyl-CoA released as the primary CO
2
fixation product. The last step is brought about by an
ATP-dependent citrate cleavage system, which is viewed
as the key reaction (sequence) in the reductive citric acid
cycle.
The Reductive Acetyl-CoA Pathway
(Wood–Ljungdahl Pathway)
The reductive acetyl-CoA pathway is the only linear
(noncyclic) pathway for CO
2
fixation. The pathway is
linear because acetyl-CoA, the primary CO
2
fixation
product, is formed from the direct but independent
reduction of two CO
2
molecules: one to the level of a
carbonyl group, the other to the level of a methyl group
144 Autotrophic CO
2
Metabolism

(Figure 3). Therefore regeneration of a primary CO
2
acceptor molecule is not required.
One molecule of CO
2
is reduced to an enzyme-bound
carbonyl group. This one-step reduction is catalyzed by an
enzyme formerly named carbon monoxide dehydrogenase
due to this initially observed activity. The same enzyme,
however, also impressively catalyzes carbon–carbon bond
formation between this enzyme-bound carbonyl group and
an enzyme-bound methyl group, and the carbon–sulfur
ester bond formation by addition of coenzyme A and was,
therefore, renamed acetyl-CoA synthase.
The methyl group is derived from an independent
three-step reduction of a second molecule of CO
2
. After
the first reduction step, catalyzed by formate dehydrogen-
ase, formate is generated as a free intermediate. The
subsequent transfer of the formyl group to a C
1
carrier
requires the input of energy. Once bound to the C
1
carrier,
water is released and the methenyl group reduced in two
steps to the methyl group (which corresponds to the oxida-
tion level of methanol). A methyltransferase passes the
methyl group from the C
1
carrier on to the corrinoid
cofactor of acetyl-CoA synthase, where it will become
the methyl group of acetyl-CoA. The nature of the C
1
carriers as well as the electron donors for the reduction
steps differ in various organisms using the reductive acetyl-
CoA pathway.
Acetogens are eubacteria which form acetate as the main
or only product of metabolism. They use the reductive
acetyl-CoA pathway for (1) acetyl-CoA synthesis for car-
bon assimilation from C
1
compounds (including CO
2
,
carbon monoxide, and formate) as well as for (2) acetate
synthesis and energy conservation from a variety of sub-
strates. Autotrophic growth of acetogens is possible, which
means that acetyl-CoA synthesis from CO
2
(with hydrogen
as electron donor) requires less than 1 ATP, because only 1
ATPisgainedbyconversionofacetyl-CoAtoacetate.The
pathway was discovered for acetogens during heterotrophic
growth with glucose, where CO
2
is formed and then used as
an electron acceptor (see scheme below). All aspects of
acetogenesis are covered in detail in ‘Acetogenesis’. In the
case of acetogens the C
1
carrier is tetrahydrofolate.
C6H12O6þ2H2O!2CH3COOH þ2CO2þ8Hþþ8e –
2CO2þ8Hþþ8e–!CH3COOH þ2H2O
C6H12O6!3CH3COOH
Methanogens are archaea which form methane as a
metabolic product. Many of them also use CO
2
as a carbon
source as well as an electron acceptor. For methanogens,
reduction of CO
2
results in the formation of methane
instead of acetate as for acetogens. The reductive
acetyl-CoA pathway is also required for nonautotrophic
methanogenic growth with methylated compounds
(methanol, methylamines, etc.) for cell carbon biosynthesis.
During methanogenic growth on acetate, acetyl-CoA
synthase functions in reverse for acetyl-CoA cleavage,
the methyl group is reduced to methane, whereas the
carbon group is oxidized to CO
2
. For archaeal methano-
gens, different pterin-based C
1
carriers have been
described (e.g., methanopterin, sarcinopterin). In addition,
formate is not a free intermediate of the pathway, but
instead reduction of CO
2
in the methyl branch of the
pathway leads to formyl-methanofuran. The formyl
group is subsequently transferred to the pterin-based C
1
carrier and further reduced to the methyl group.
Some sulfate reducers also use the reductive acetyl-
CoA pathway for CO
2
assimilation. The same pathway is
used in reverse during growth on acetate; acetate is oxi-
dized completely to CO
2
and the electrons are transferred
to sulfate (and hydrogen sulfide is formed).
The 3-Hydroxypropionate/Malyl-CoA Cycle
A general outline for the 3-hydroxypropionate cycle is
shown in Figure 4(a), indicating the reaction sequences
that are shared by two (otherwise distinct) CO
2
assimilation
pathways: the 3-hydroxypropionate/malyl-CoA cycle (stu-
died for the green nonsulfur bacterium Chloroflexus
aurantiacus) and the 3-hydroxypropionate/4-hydroxybuty-
rate cycle (studied for the thermophilic archaeum
Metallosphaera sedula). Surprisingly, several enzymes
involved in these common steps of both pathways, catalyz-
ing equivalent reactions, are nonhomologous, that is,
unrelated. This then suggests an independent origin for
the two pathways. Therefore, they are discussed as separate
entities.
The primary carboxylating enzymes of the 3-hydroxy-
propionate/malyl-CoA cycle are acetyl-CoA and
Acetyl-CoA synthase
(carbon monoxide dehydrogenase)
Co(lll)–E
Ni–Fe–E
CO2
CO2
HCOO– formate
HCO–
CH–
CH2–
CH3–COSCoA
Acetyl-CoA
CH3–CH
3–
CO–
2 [H]
2 [H]
2 [H]
2 [H]
Figure 3 The reductive acetyl-CoA pathway (Wood–Ljungdahl
pathway). Because of its metal centers, the key enzyme of the
pathway, acetyl-CoA synthase/carbon monoxide dehydrogenase,
is extremely oxygen sensitive. ^represents a C
1
carrier.
Autotrophic CO
2
Metabolism 145

propionyl-CoA carboxylase. These biotin-dependent
enzymes require ATP for catalysis (forming ADP and inor-
ganic phosphate) and use bicarbonate as the inorganic
carbon species instead of CO
2
.
Carboxylation of acetyl-CoA forms malonyl-CoA. The
activated carboxyl group of malonyl-CoA is reduced
completely to form the methyl group of propionyl-CoA.
This conversion formally requires five enzymatic
reactions: reduction of malonyl-CoA to malonate
semialdehyde, reduction of malonate semialdehyde to
3-hydroxypropionate, activation of 3-hydroxypropionate
to its CoA-ester, dehydration of 3-hydroxypropionyl-CoA
Malonyi-CoA
reductase
malyi-CoA lyase
4-Hydroxybutyryl-CoA
dehydratase
Carboxylation
Carboxylation
HCO3–
HCO3–
CoA-S
(a)
(b) (c)
CoA-S
COO–
COO–
COO–
glyoxylate
COO–COO–
COO–
Succin
y
l-CoA Succinyl-CoA
4-Hydroxybutyrate
COO–
H
CoA-S
CoA-S CoA-S
CoA-S
CoA-S
CH3
O
O
CH3
HO
CoA-S
O
O
O
OO
OH L-malyl-CoA
Acetyl-CoA Acetyl-CoA
Acetyl-CoA
CH3
COO–COO–
S-CoA
S-CoA
CoA-S
O
O
O
H3C
CH3
O
Acetyl-CoA
Primary fixation product
H3C
O
HO
Propionyl-CoA Methylmalonyl-CoA
Succinyl-CoA
Malonyl-CoA
Reduction
2 [H]
2 [H]
2 [H]
2 [H]
2 [H]
2 [H]
2 [H] Regeneration
Regeneration
(Metallosphaera sedula)
Regeneration
(Chloroflexus aurantiacus)
3-Hydroxypropionate
Figure 4 The 3 hydoxypropionate/malyl-CoA cycle and the 3-hydroxypropionate/4-hydroxybutyrate cycle. (a) General outline of
the 3-hydroxypropionate cycle. Note that even though the reactions shown are common for both pathways, most of the enzymes
involved in the reductive conversion of malonyl-CoA to propionyl-CoA are unrelated for Chloroflexus aurantiacus and Metallosphaera
sedula. The two-step reduction of malonyl-CoA to 3-hydroxypropionate is catalyzed by one (bifunctional) enzyme and the further
reductive conversion to propionyl-CoA involves the trifunctional propionyl-CoA synthase in the case of C. aurantiacus. (b) The
3-hydroxypropionate/malyl-CoA lyase cycle as studied in the green phototrophic nonsulfur bacterium C. aurantiacus. (c) The
3-hydroxypropionate/4-hydroxybutyrate cycle as studied in the microaerophilic and thermophilic crenarchaeota M. sedula.
146 Autotrophic CO
2
Metabolism

to acrylyl-CoA, and finally reduction of acrylyl-CoA to
propionyl-CoA. Amazingly, for C. aurantiacus these steps
are catalyzed by only two proteins. Malonyl-CoA reductase
is an unusual protein with only limited sequence identity
(and only over a short stretch of the protein) to short-chain
alcohol dehydrogenases related to FabG (3-ketoacyl-(acyl-
carrier-protein) reductase). Malonyl-CoA reductase cata-
lyzes the two-step reductive conversion of malonyl-CoA
to 3-hydroxypropionate using NADPH as the source for
reducing equivalents. Propionyl-CoA synthase is a fusion
protein containing three functional domains: an acyl-CoA
synthetase domain responsible for the activation of 3-hydro-
xypropionate to its CoA-ester, an enoyl-CoA reductase
domain eliminating water from 3-hydroxypropionyl-CoA
thereby forming acrylyl-CoA, and an enoyl-CoA reductase
domain reducing acrylyl-CoA to propionyl-CoA using
NADPH as the source for reducing equivalents.
Carboxylation of propionyl-CoA forms (S)-methylma-
lonyl-CoA. Carbon skeleton rearrangement involves
methylmalonyl-CoA epimerase and (R)-methylmalonyl-
CoA mutase and yields succinyl-CoA. In the 3-hydroxy-
propionate/malyl-CoA cycle, succinyl-CoA is oxidatively
converted to L-malyl-CoA (therefore the name of the path-
way) involving enzymes of the citric acid cycle as well as
succinyl-CoA:malate CoA transferase (Figure 4(b)). L-
Malyl-CoA lyase, a key enzyme of this pathway, regener-
ates acetyl-CoA and yields glyoxylate as the primary CO
2
fixation product. Glyoxylate has to be converted to central
biosynthetic intermediate for further assimilation. The
assimilation of glyoxylate for C. aurantiacus requires a sec-
ond cycle. Propionyl-CoA is formed by carboxylation of
acetyl-CoA and reductive conversion of malonyl-CoA
via 3-hydroxypropionate as described (Figure 4(a)).
Glyoxylate then condenses with propionyl-CoA to form
erythro--methylmalonyl-CoA, a step which is catalyzed
by L-malyl-CoA lyase, the final enzyme of the first cycle.
-Methylmalonyl-CoA is dehydrated to mesaconyl-CoA
(2-methylfumaryl-CoA) and a CoA transferase transfers
the CoA moiety from one end of mesaconyl-CoA to the
other side of the molecule, forming 3-methylfumaryl-CoA
(G. Fuchs, personal communication). Hydration of
3-methylfumaryl-CoA yields (S)-citramalyl-CoA, which
is cleaved into acetyl-CoA and pyruvate. Therefore, in
the second cycle, propionyl-CoA and glyoxylate have
been converted to acetyl-CoA (from which propionyl-
CoA is formed) and the secondary CO
2
fixation product
pyruvate, a central intermediate from which cell carbon
biosynthesis can proceed by conventional reactions.
The 3-Hydroxypropionate/4-Hydroxypropionate
Cycle
As mentioned earlier, this CO
2
assimilation pathway shares
intermediates with the 3-hydroxypropionate/malyl-CoA
cycle – most notably: 3-hydroxypropionate (Figure 4(a)).
The enzymes involved in the transformation of these com-
mon intermediates, however, are different for the two
pathways. In the case of M. sedula,usingthe3-hydroxypro-
pionate/4-hydroxybutyrate cycle, probably five individual
enzymes are required for the reductive conversion of mal-
onyl-CoA to propionyl-CoA (Figure 4(a))comparedtoonly
two (fusion) proteins for C. aurantiacus.Furthermore,
NADPH-dependent malonyl-CoA reductase of M. sedula
(catalyzing only a one-step reduction of malonyl-CoA to
malonate semialdehyde) is unrelated to the enzyme from
C. aurantiacus (catalyzing a two-step reduction of malonyl-
CoA to 3-hydroxypropionate). Instead, malonyl-CoA reduc-
tase from M. sedula is homologous to aspartate semialdehyde
dehydrogenases. Likewise, acrylyl-CoA reductase of M. sedula
shares very limited sequence identity (centered around a
conserved NADPH-binding site) with the enoyl-CoA reduc-
tase domain of the trifunctional propionyl-CoA synthase from
C. aurantiacus catalyzing the same reaction (unpublished
results). Carboxylation of propionyl-CoA is catalyzed by a
biotin/ATP-dependent and bifunctional acetyl-CoA/pro-
pionyl-CoA carboxylase. Succinyl-CoA is formed by carbon
skeleton rearrangement of methylmalonyl-CoA.
From here on out the 3-hydroxypropionate/4-hydroxy-
butyrate cycle differs completely from the 3-hydroxy-
propionate/malyl-CoA cycle. The reductive conversion of
succinyl-CoA to two molecules of acetyl-CoA regenerates
the primary CO
2
fixation acceptor molecule, acetyl-CoA;
the second acetyl-CoA molecule represents the primary
CO
2
fixation product (Figure 4(c)). This reaction sequence
involves several interesting reactions: succinyl-CoA is
reduced with NADPH to succinate semialdehyde, a reaction
catalyzed by the same enzyme that reduces malonyl-CoA to
malonate semialdehyde earlier in the pathway. Succinate
semialdehyde is further reduced to the characteristic inter-
mediate 4-hydroxybutyrate (therefore the name of the
pathway) which is activated to its CoA-ester. The 3-hydro-
xypropionate/4-hydroxybutyrate cycle was discovered after
detection of 4-hydroxybutyryl-CoA dehydratase activity in
cell extracts of autotrophically grown M. sedula.Theenzyme
catalyzes the challenging elimination of water from an acti-
vated 4-hydroxyacid by a ketyl radical mechanism and had
been discovered and previously only been described during
fermentation by certain clostridia. 4-Hydroxybutyryl-CoA
dehydratase yields crotonyl-CoA. The oxidative conversion
of crotonyl-CoA to two molecules of acetyl-CoA via 3-
hydroxybutyrate and acetoacetyl-CoA involves reactions
known from other common metabolic routes.
Other CO
2
Assimilation Pathways
It is very likely that other mechanisms for CO
2
fixation will be described, for example, for extremophiles
which will be discovered in the future. So far a consider-
able number of extremophiles have turn out to be
autotrophs using chemical energy (mainly anaerobic
Autotrophic CO
2
Metabolism 147

respiration) for growth. The description of the 3-hydro-
xypropionate/4-hydroxybutyrate cycle also shows that
parts of one CO
2
fixation pathway may be combined
with other reaction sequences to create a new cycle.
There are already some reports in the literature of
organisms for which all of the earlier described mechan-
isms can be ruled out and the question remains how these
autotrophs assimilate CO
2
. For the obligate autotrophic
anaerobic archaeum Ignicoccus hospitalis acetyl-CoA was
proposed as the initial CO
2
acceptor, but until now it was
not clear how acetyl-CoA is (re)generated. However, very
recent data indicate that acetyl-CoA is formed by reduc-
tive conversion of succinyl-CoA as described for the
second part of the 3-hydroxypropionate/4-hydroxy-
butyrtae cycle involving 4-hydroxybutyryl-CoA hydra-
tase (H. Huber and G. Fuchs, personal communication).
Other examples are members of the Pyrodictiaceae for
which the mechanism of CO
2
fixation is still unknown.
Assessment of Distribution of the
Different Pathways
Key Enzymes
Key enzymes of pathways catalyze reactions yielding or
utilizing unique intermediates in metabolism that are
characteristic for that particular pathway. Key enzymes
can, therefore, be used as markers and their detection
provide an excellent indication for the presence of an
entire reaction sequence involving other enzymes that
are shared with more common pathways of central carbon
metabolism.
The key enzymes of the reductive pentose phosphate
cycle are phosphoribulokinase and RuBisCO (Figure 1).
Phosphoribokinase catalyzes the ATP-dependent activa-
tion of ribulose-5-phosphate to ribulose-1,5-bisphosphate,
which is the primary CO
2
acceptor molecule of the reduc-
tive pentose phosphate cycle. RuBisCO, of course, is the
carboxylating enzyme that uses ribulose-1,5-bisphospate as
its substrate, forming two molecules of 3-phosphoglycerate.
The key reaction sequence of the reductive citric acid
cycle is the ATP-dependent conversion of citrate to
acetyl-CoA and oxaloacetate (Figure 2). This reaction
is catalyzed by ATP citrate lyase or two enzymes: citryl-
CoA lyase and citryl-CoA synthetase, depending on the
organism. Enzymes of both ATP-dependent citrate clea-
vage systems are related. In addition, pyruvate and
2-oxoglutarate synthase are required for the reductive
carboxylation of acetyl-CoA and succinyl-CoA.
The key enzyme of the reductive acetyl-CoA pathway
is acetyl-CoA synthase/carbon monoxide dehydrogenase,
which catalyzes the reduction of CO
2
to an enzyme-bond
CO intermediate (Figure 3). The enzyme also catalyzes
formation of acetyl-CoA from the enzyme-bound carbo-
nyl group, an enzyme-bound methyl group, and
coenzyme A. In addition, pyruvate synthase is required
for the functioning of the reductive acetyl-CoA pathway
for further assimilation of the primary CO
2
fixation pro-
duct acetyl-CoA.
There are several reaction sequences which appear to
be unique but also common to the 3-hydroxypropionate/
malyl-CoA and 3-hydroxypropionate/4-hydroxypropio-
nate cycles (Figure 4(a)). Therefore, the enzymes
involved in these reactions can all be referred to as key
enzymes. The two-step reduction of malonyl-CoA leads to
the formation of 3-hydroxypropionate. This characteristic
intermediate is further reduced to propionyl-CoA via acry-
lyl-CoA. Specifically for the 3-hydroxypropionate/malyl-
CoA cycle, L-malyl-CoA lyase is the key enzyme, whereas
4-hydroxybutyryl-CoA dehydratase is characteristic for
the 3-hydroxypropionate/4-hydroxybutyrate cycle.
Detection of Key Enzymes
The detection of key enzymatic activities in cell extracts
of autotrophically grown cells of a particular organism is a
prerequisite to assign a particular CO
2
fixation pathway
used by a certain species. The specific activity of the key
enzyme must be high enough to account for the doubling
time of the organism during autotrophic growth. It is
likely that the activity is downregulated during growth
on an organic substrate (heterotrophic growth) instead of
CO
2
(autotrophic growth). Regulation of an activity in
facultative autotrophs in response to growth substrate is
an excellent indication of the enzyme’s proposed role in a
particular pathway. In some instances it is also possible to
follow an entire reaction sequence using cell extracts.
Similarly, short-term labeling studies with
14
CO
2
or
other
14
C-labeled (suspected) intermediates and cell
extracts or cell suspensions have been found to be extre-
mely helpful. As confirmation of a particular CO
2
fixation
mechanism used by a given organism, activities of key
enzymes of alternate CO
2
assimilation pathways are
expected to be absent.
Withtheadventofcompletegenomesequencesthereis
the temptation to assign a specific mechanism for CO
2
fixation of an autotrophic organism based on genomic ana-
lysis alone. Furthermore, one may even wish to uncover the
prevailing CO
2
fixation pathway in a particular habitat,
analyzing sequences derived from entire communities
(metagenomics). The assignment of the gene encoding for
the key enzyme of a pathway is not sufficient. Candidates for
all genes involved in the pathway must be assigned. It is not
uncommon to find several enzymes of a pathway encoded
by genes that are clustered on the genome. To confirm the
proposed role of an assigned gene, it is usually cloned,
heterologously expressed, and the recombinant enzyme
analyzed for its predicted activity. In some cases, enzymes
catalyzing subsequent reactions in a pathway are even fused;
for example, propionyl-CoA synthase from C. aurantiacus of
148 Autotrophic CO
2
Metabolism

the 3-hydroxypropionate cycle consists of three domains
corresponding to enzymes catalyzing the activation of 3-
hydroxypropionate to its CoA ester, dehydration of 3-
hydroxypropionyl-CoA, and reduction of acrylyl-CoA to
propionyl-CoA. For Roseiflexus species the gene encoding
propionyl-CoA synthase is found clustered with genes
encoding malonyl-CoA reductase and the subunits of
acetyl-CoA/propionyl-CoA carboxylase; other genes
encoding for enzymes required for the 3-hydroxypropionate
cycle are found elsewhere on the genome. It is clear that the
Roseiflexus species use the 3-hydroxypropionate cycle for
CO
2
assimilation. This, however, was surprising because
isolates of Roseiflexus species, which are filamentous anoxy-
genic phototrophic bacteria related to C. aurantiacus (83%
sequence identity on the 16S rRNA level), had not been
shown to grow autotrophically. It is possible that Roseiflexus
species might use the 3-hydroxypropionate cycle to fix CO
2
,
while coassimilating organic carbon compounds at the same
time (mixotrophic growth).
More often than not, the assignment of a particular
CO
2
assimilation mechanism or the prediction of the
capability of a given organism to grow autotrophically,
based on genomic data alone, is not straightforward. The
following situations are often encountered:
1. Specific genes can be assigned but are not involved in
autotrophic growth. A good example is the presence of a
gene encoding RuBisCO in many methanogenic
archaea. The enzyme represents a form III RuBisCO
and is not involved in autotrophic CO
2
assimilation.
These organisms use the reductive acetyl-CoA pathway
for CO
2
fixation. ATP citrate lyases are present in a
variety of organisms including mammals and play a role
in fatty acid biosynthesis. Genes for 2-oxoacid synthases
(2-oxoacid: ferredoxin oxidoreductase) are found in many
genomes, particularly in genomes of strict anaerobic –
and at the same time strict heterotrophic – bacteria.
The reductive acetyl-CoA pathway and the reductive
citric acid cycle can be used exclusively in reverse by
some organisms for acetyl-CoA oxidation during hetero-
trophic growth. 4-Hydroxybutyryl-CoA hydratase, one
of the key enzymes of the 3-hydroxypropionate/4-hydro-
xybutyrate cycle, was first discovered in Clostridium
aminobutyricum where it is involved in fermentation.
2. Not all (required) genes of a CO
2
assimilation pathway
can be assigned. Although ATP citrate lyase activity
(albeit low) was detected in cell extracts of Thermoproteus
tenax and Magnetococcus sp. MC-1 and additional evidence
was presented for the functioning of the reductive citric
acid cycle in these bacteria, a corresponding gene for ATP
citrate lyase is absent in the completed genome sequences.
It is not clear, whether another CO
2
assimilation pathway
is operating in these organisms or whether the enzyme
catalyzing the cleavage of citrate is unrelated to ATP
citrate lyase or citryl-CoA lyase. An alternate mechanism
for citrate conversion to acetyl-CoA and oxaloacetate has
been proposed but experimental evidence is missing. In
case of the 3-hydroxypropionate/malyl-CoA cycle, the
conversion of malonyl-CoA to propionyl-CoA involves
different and in some instances completely unrelated
enzymes compared to the 3-hydroxypropionate/4-
hydroxybutyrate cycle. Catalysis of identical reactions
by unrelated enzymes (convergent evolution) is not unex-
pected, particularly with members of general enzyme
classes, such as dehydrogenases, hydratases, and acyl-
CoA synthetases.
3. Genes specific for several pathways appear to be
present. The genome of Archaeoglobus fulgidus harbors
genes encoding proteins related to RuBisCO (form
III), acetyl-CoA synthase/carbon monoxide dehydro-
genase, and 4-hydroxybutyryl-CoA hydratase. The
reductive acetyl-CoA pathway is thought to function
as the autotrophic CO
2
assimilation pathway.
Confirmation (or refutation) of a proposed pathway for
CO
2
assimilation is possible by long-term
13
C-labeling
studies as discussed in the following text. This, however,
requires rather robust growth of an isolated organism. In
case of bacteria and archaea not amenable for mass culti-
vation, additional evidence might be obtained by studying
13
C isotope contents in habitats or microbial consortia
which might be indicative of the presence of a specific
CO
2
assimilation pathway.
Qualitative Assessment (
13
C Isotopic Depletion)
Differences in stable
13
C isotope content (relative to
12
C)
between inorganic carbon and organic matter synthesized
from CO
2
by autotrophs may be used to suggest a specific
mechanism for CO
2
fixation. For example, the depletion of
13
C in organic matter relative to CO
2
from which the carbon
was derived via the reductive pentose phosphate pathway is
due to the preference of RuBisCO for
12
CO
2
relative to
13
CO
2
. An isotopic signature of sedimentary organic matter
of –20‰to –30‰is typical for CO
2
assimilation via the
reductive pentose phosphate pathway. In contrast, CO
2
fixation via the reductive citric acid cycle only leads to a
depletion of –2‰to –12‰. For the 3-hydroxypropionate/
malyl-CoA cycle a depletion value of –14‰has been
reported. The depletion of
13
Ccarbonoforganicmatter
formed by the reductive acetyl-CoA pathway relative to the
13
CO
2
assimilated is greater than –30‰.
The analysis of stable carbon isotopes can provide
insights into carbon fixation mechanisms used (and the
type of organisms involved) in a given habitat. This con-
cept has been applied to microbial mats present in the
effluent of sulfur-containing hot springs. The
13
C isotope
content of organic matter of mats close to the source pool
was diagnostic for the 3-hydroxypropionate cycle, con-
sistent with the fact that those mats were constructed
Autotrophic CO
2
Metabolism 149

mainly by Chloroflexus species. Mats further downstream
formed by both cyanobacteria and Chloroflexus had a more
typical reductive pentose phosphate cycle signature.
However, compound-specific isotope analysis of unique
lipids of Chloroflexus pointed mainly to CO
2
assimilation
(via the 3-hydroxypropionate cycle) in addition to some
cross-feeding of photosynthetic products from cyanobac-
teria by Chloroflexus.
Qualitative Assessment (Long-Term In Vivo
13
C-Tracer Labeling Studies)
A very elegant method has been introduced for analyzing
the specific fate of fixed CO
2
into specific positions of
central precursor metabolites, reflecting the mechanism of
CO
2
assimilation in a given autotrophic organism. Limited
amounts of differentially
13
C-labeled intermediates of the
proposed CO
2
fixation pathway are added as tracers to
cultures growing autotrophically. After several generation
times, the cells are harvested and major cell constituents are
isolated. The
13
C-labeling patterns of several building
blocks (such as sugars, amino acids, and nucleotides) are
determined by quantitative nuclear magnetic resonance
(NMR) spectroscopy. Based on known biosynthetic path-
ways,
13
C-labeling patterns of central metabolic metabolites
are retraced. It is important to note that the labeling pattern
of a particular central metabolite is determined multiple
times, because all the different building blocks are derived
from one or several of these central metabolites. Therefore,
variations in specific biosynthetic pathways in a particular
organism can be accounted for. These results are compared
with predicted labeling patterns based on the proposed CO
2
assimilation pathway which either leads to the confirmation
or falsification of the suggested pathway.
Distribution and Physiological Restrains
There is no clear distribution of the different autotrophic
CO
2
fixation pathways according to phylogenetic groups
(Table 1). However, Archaea as well as strict anaerobic
bacteria appear to use a mechanism for CO
2
fixation
distinct from the reductive pentose phosphate cycle.
The 3-hydroxypropionate cycle does not seem to be
used by strict anaerobes.
The diversity of different pathways for the assimilation
of inorganic carbon is at first unexpected. However, an
alternate way to fix CO
2
, other than the very energy-
demanding reductive pentose phosphate pathway, was
expected for organisms that are only able to gain rather
limited energy through their metabolism (e.g., strict anae-
robic microorganisms). At the same time, an anaerobic
version for CO
2
fixation would not be feasible for aerobic
organisms, because some of the enzyme involved in the
reductive citric acid cycle and particularly the reductive
acetyl-CoA pathway are oxygen-sensitive. (The reduc-
tive citric acid cycle, however, is also used by some
microaerophilic and even aerobic bacteria with high O
2
respirations rates). In addition to theses two ‘anaerobic’
versions (reductive acetyl-CoA pathway/reductive citric
acid cycle), two versions of high-energy-demanding CO
2
assimilation pathways are now known: the reductive pen-
tose phosphate cycle and the 3-hydroxypropionate cycle.
The 3-hydroxypropionate/4-hydroxybutyrate cycle uses
4-hydroxybutyryl-CoA dehydratase, an enzyme containing
oxygen labile iron–sulfur clusters and so far the pathway
Table 1 Distribution of the different pathways for CO
2
fixation among various phylogenetic and physiological relevant groups
CO
2
assimilation
pathway Phylogenetic groups Physiological groups Examples
Reductive pentose
phosphate pathway
(Calvin–Bassham–
Benson cycle)
Chloroplasts cyanobacteria
purple nonsulfur bacteria,
purple sulfur bacteria,
-/-proteobacteria, etc.
Oxygenic phototrophs,
anoxygenic phototrophs,
hydrogen-/sulfur-/
ammonium-oxidizers nitrate
reducers
Plants, algae, Synechococus sp.,
Rhodobacter sphaeroides,
Rhodospirillum rubrum,Ralstonia
eutropha,Xanthobacter autorophicus,
Thiomicrospira crunogena
Reductive citric acid
cycle (Arnon–
Buchanan cycle)
Green sulfur bacteria,
-/"-proteobacteria,
Desulfobacteriaceae,
Aquificaceae, etc.
Anoxygenic phototrophs,
hydrogen-/sulfur oxidizers,
sulfur reducers, sulfate
reducers
Chlorobium tepidum,Hydrogenobacter
thermophilus,Desulfobacter
hydrogenophilus,Suflurimonas
denitrificans
Reductive acetyl-
CoA pathway
(Wood–Ljungdahl
pathway)
Desulfobacteriaceae,
Methanobacteria, etc.
Homoacetogens,
methanogens, sulfate
reducers
Moorella thermoacetica,
Methanothermobacter
thermoautotrophicus,
Desulfobacterium autotrophicum,
Ferroglobus placidus
3-Hydroxy-
propionate cycle
Green nonsulfur, bacteria,
Crenarchaeota
(Sulfobaceae), etc.
Anoxygenic phototrophs,
thermophilic hydrogen-/
sulfur-oxidizers
Chloroflexus aurantiacus,
Metallosphaera sedula
Unknown Ignicoccus,Pyrodictium
150 Autotrophic CO
2
Metabolism

has been described for microaerophiles and may also occur
in strict anaerobes. Clearly, the presence of oxygen
demands adaptation of the CO
2
mechanism used; this is
mainly due to the fact that the use of reducing equivalents
with low redox potentials makes assimilation of CO
2
more
energy efficient, reversible, but at the same time prevents
their use in the presence of high oxygen tensions.
So why do even related organisms, for example, dif-
ferent species of sulfur-reducers of the Desulfobacterales,
use one ‘anaerobic’ version for CO
2
fixation over the
other (Table 1)? Why is the 3-hydroxypropionate cycle
generally used by anoxygenic phototrophic green non-
sulfur bacteria and the reductive pentose phosphate cycle
by phototrophic purple nonsulfur bacteria capable of
anaerobic CO
2
fixation? Clearly, there appear to be addi-
tional constraints for a particular microorganism to use
one pathway rather than another, which are not under-
stood at this point.
The differences between the five (and there might be
more) CO
2
assimilation pathways extend beyond the
energy requirements and type of electron carriers used.
As a matter of fact, those two variables can even differ for
the same CO
2
fixation mechanism; for example, the reduc-
tive citric acid cycle requires up to two more ATPs to
synthesize one molecule of acetyl-CoA from two mole-
cules of CO
2
in the case of H. thermophilus compared to
D. hydrogenophilus. In addition, different electron carriers
for the reductive acetyl-CoA pathway are used by metha-
nogens and acetogens. Additional differences between the
various CO
2
assimilation pathways are: (1) the require-
ment for specific cofactors and metals, (2) the type of
inorganic carbon species (CO
2
or bicarbonate) assimilated,
and (3) and perhaps most importantly, the type of meta-
bolic intermediates through which the carbon passes.
It has been speculated that the 3-hydroxypropionate
cycle allows for the simultaneous assimilation of fermenta-
tive products, such as acetate or propionate. Likewise, the
reductive acetyl-CoA pathway can be used for (co)assimi-
lation of C
1
-compounds (carbon monoxide, formaldehyde,
formate, methanol, and methyl groups of methylamines).
The latter pathway is also reversible and is used for acetate
fermentation by methanogens or even some acetogens,
provided that the hydrogen partial pressure is kept low.
The assimilation of organic compounds and inorganic car-
bon by parts of the same pathway then would allow for
metabolic flexibility such that some of the same enzymes
may be used for autotrophic, heterotrophic, or mixotrophic
growth. It would be very exciting then, if there were
examples of organisms capable of using different CO
2
fixation pathways depending on overall carbon availability.
Even for purple nonsulfur bacteria (which use the reduc-
tive pentose phosphate cycle) in which autotrophic and
heterotrophic growth appeared to be clearly separated at
first, RuBisCO has been shown to act in redox-balancing
using CO
2
as an electron sink during photoheterotrophic
growth on various organic carbon compounds. The unique
integration of a particular CO
2
assimilation pathway into
the overall carbon metabolism of an organism is therefore
an exciting field for further study.
Quantitative Assessment
In terms of total biomass generated, the reductive pentose
phosphate pathway is the most important CO
2
assimila-
tion pathway, because it is used by land plants, algae, and
cyanobacteria, which are also responsible for maintaining
the oxygen level in the atmosphere. With regard to bac-
terial CO
2
fixation, the contribution of the individual
pathways appears to be much more difficult to assess.
However, considering the ubiquitous occurrence of cya-
nobacteria, again there is no doubt that the reductive
pentose phosphate pathway contributes the most. Even
more importantly, oxygenic photosynthesis allows the
synthesis of extensive biomass from CO
2
.
In specific habitats, for example, anaerobic or hypother-
mal, one particular pathway – other than the reductive
pentose phosphate cycle – might become dominant.
Recent studies, for example, point to the prevalence of
the reductive citric acid cycle as the main CO
2
assimilation
pathway at hypothermal vents. This pathway is used by
proteobacteria of the "-group, such as Sulfurimonas denitrifi-
cans or an epibiont of the marine worm Alvinella pompejana,
contributing significantly to primary production at such
sites. Also, it has been suggested that the sulfide-oxidizing
uncultured endosymbiont belonging to the -proteobac-
teria, which supplies the deep-sea tube worm Riftia
pachyptila with fixed carbon, uses the reductive citric acid
cycle for CO
2
assimilation, although RuBisCo is also pre-
sent in the organism and might be used under conditions in
which the energy supply is plentiful.
Regulation
Facultative autotrophic organisms are able to also use
organic substrates as their carbon source, if these are avail-
able. Organic carbon compounds usually become the
preferred carbon source over CO
2
, because less energy
and no exogenous electrons are required for their assimila-
tion. Therefore, the enzymes needed for autotrophic CO
2
fixation are under tight regulation in these facultative auto-
trophs. Even during mixotrophic growth, for example, when
CO
2
and organic carbon are assimilated simultaneously,
flow through the CO
2
fixation pathway must be controlled
and this is depended on the availability of energy and
reducing equivalents.
It is clear that the type of regulation depends on the
organism studied as well as the CO
2
fixation mechanism
used. The reductive citric acid cycle and the reductive
acetyl-CoA pathways may be used in reverse for the
Autotrophic CO
2
Metabolism 151

oxidation of acetate by some bacteria (sulfate reducers,
acetogenic/methanogenic consortia) and even the same
enzymes might be involved. Such a scenario would then
make posttranslational regulation most likely under those
conditions. However, this has not been established at
this time.
Limitations to study regulation of the 3-hydroxypro-
pionate cycle at present revolve around the lack of genetic
tools for organisms using this pathway for CO
2
assimila-
tion. The activities of key enzymes of this pathway are
upregulated during autotrophic versus heterotrophic
growth. Of particular interest is the branch point at the
level of malonyl-CoA; this C
3
compound is either used for
fatty acid synthesis or reduced to 3-hydroxypropionate for
further conversion to other central precursor metabolites.
The pathway is considered irreversible, making acrylyl-
CoA reduction to propionyl-CoA the committed step of
the pathway.
Regulation of the reductive pentose phosphate cycle is,
therefore, the only CO
2
assimilation pathway studied in
some detail. Here the current state of knowledge on the
regulation of CO
2
fixation by purple nonsulfur bacteria is
briefly discussed. Purple nonsulfur bacteria represent an
excellent group of organisms to study carbon metabolism
and the molecular basis for its regulation: their enormous
metabolic versatility allows them to grow under a variety of
different growth modes (anaerobically in the light, aerobi-
cally in the dark, and even fermentatively, that is,
anaerobically in the dark) using many organic substrates as
their carbon source as well as CO
2
. In addition, the complete
genome sequences of several purple nonsulfur bacteria
(Rhodobacter sphaeroides,Rhodobacter capsulatus,Rhodospirillum
rubrum,andRhodopseudomonas palustris) have been deter-
mined over the past years and genetic tools are in place.
RuBisCO catalyzes the irreversible carboxylation step in
the reductive pentose phosphate cycle and is regulated
during autotrophic versus heterotrophic growth. A regulator
protein, called CbbR (for Calvin–Benson–Bassham cycle
regulator), controls the transcription of genes encoding
RuBisCO enzymes in all purple nonsulfur bacteria studied
and also other bacteria, including nonphototrophic bacteria.
As mentioned before, some purple nonsulfur bacteria pro-
duce two forms of RuBisCO (e.g., Rb. sphaeroides)andthe
genes encoding both forms I and II are regulated by CbbR.
The genes for either form are found in different gene
clusters or operons located on distinct chromosomal loci
where they are cotranscribed (and coregulated) with addi-
tional genes, particularly those that encode enzymes
required for the regeneration of ribulose-1,5-bisphosphate,
the substrate of RuBisCO. CbbR is a transcriptional regu-
lator that belongs to a class of DNA-binding proteins (LysR-
type regulators) that often require the binding of small
molecules effectors or coinducers to be active in controlling
transcription. It is likely that CbbR binds a metabolite which
is present under conditions where CO
2
fixation is desirable
but the nature of various positive and negative effector
molecules might be different for different bacteria. For Rp.
palustris, an additional level of regulatory control is added: a
three-protein two-component system that is thought to
influence the activity of CbbR, the details of this are only
beginning to be understood. Oxygen is also sensed and the
signal transmitted through the two component RegAB (also
called PrrAB) system in Rhodobacter. Furthermore, there is
differential regulation of the form I and II enzymes and their
cognate operons, suggesting additional signals or regulatory
elements. Finally, there is also indication of posttranslational
regulation and modulation of activity of RuBisCO by cer-
tain metabolites, among them the substrate ribulose-1,5-
bisphosphate, which is thought to bind tightly to the active
site of form I enzymes. Studies on the overall regulation of
RuBisCO have already revealed the need for CO
2
fixation
by RuBisCO, not only during autotrophic CO
2
assimilation,
but also for balancing the redox state of the cell during
photoheterotrophic growth.
Further Reading
Aoshima M (2007) Novel enzyme reactions related to the
tricarboxylic acid cycle: Phylogenetic/functional implications and
biotechnological applications. Applied Microbiology and
Biotechnology 75: 249–255.
Berg IA, Kockelkorn D, Buckel W, and Fuchs G (2007) A 3-
hydroxypropionate/4-hydroxybutyrate autotrophic carbon dioxide
assimilation pathway in Archaea.Science 318: 1782–1786.
Calvin M (1962) The path of carbon in photosynthesis. The carbon cycle
is a tool for exploring chemical biodynamics and the mechanism of
quantum conversion. Science 135: 879–889.
Dubbs JM and Tabita FR (2004) Regulators of nonsulfur purple
phototrophic bacteria and the interactive control of CO
2
assimilation,
nitrogen fixation, hydrogen metabolism and energy generation.
FEMS Microbiology Review 28: 353–376.
Evans MCW, Buchanan BB, and Arnon DI (1966) A new ferredoxin-
dependent carbon reduction cycle in a photosynthetic bacterium.
Proceedings of the National Academy of Sciences of the United
States of America 55: 928–934.
Fuchs G (1989) Alternative pathways for autotrophic CO
2
fixation.
In: Schlegel HG and Bowien B (eds.) Autotrophic Bacteria,
pp. 365–382. Madison: Science Tech Publisher.
Herter S, Bush A, and Fuchs G (2002) L-Malyl-coenzyme A lyase/ß-
methylmalyl-coenzyme A lyase from Chloroflexus aurantiacus,a
bifunctional enzyme involved in autotrophic CO
2
fixation. Journal of
Bacteriology 184: 5999–6006.
Hu¨ gler M, Wirsen CO, Fuchs G, Taylor CD, and Sievert SM (2005)
Evidence for autotrophic CO
2
fixation via the reductive citric acid
cycle by members of the epsilon subdivision of proteobacteria.
Journal of Bacteriology 187: 3020–3027.
Klatt CG, Bryant DA, and Ward DM (2007) Comparative genomics
provides evidence for the 3-hydroxypropionate autotrophic
pathway in filamentous anoxygenic phototrophic bacteria and in
hot spring microbial mats. Environmental Microbiology
9: 2067–2078.
Ljungdahl LG (1986) The autotrophic pathway of acetate synthesis in
acetogenic bacteria. Annual Reviews in Microbiology
40: 415–450.
Ragsdale SW (1991) Enzymology of the acetyl-CoA pathway of CO
2
fixation. Critical Review in Biochemistry Molecular Biology 26: 261–300.
Strauss G and Fuchs G (1993) Enzymes of a novel autotrophic CO
2
fixation pathway in the phototrophic bacterium Chloroflexus
152 Autotrophic CO
2
Metabolism

aurantiacus, the 3-hydroxypropionate cycle. European Journal of
Biochemistry 215: 633–643.
Tabita FR (1999) Microbial ribulose 1,5-bisphosphate carboxylase/
oxygenase: A different perspective. Photosynthesis Research 60: 1–28.
Tabita FR, Hanson TE, Li H, Satagopan S, Singh J, and Chan S (2007)
Function, structure, and evolution of the RubisCO-like proteins and
their RubisCO homologs. Microbiology and Molecular Biology
Review 71: 576–599.
van der Meer MTJ, Schouten S, Dongan BE, et al. (2001) Biosynthetic
controls on the
13
C contents of organic components in the
photoautotrophic bacterium Chloroflexus aurantiacus.Journal of
Biological Chemistry 276: 10971–10976.
Autotrophic CO
2
Metabolism 153

Bacillus Subtilis
P J Piggot, Temple University School of Medicine, Philadelphia, PA, USA
ª2009 Elsevier Inc. All rights reserved.
Defining Statement
Genetic Analysis
Nutrients
Regulation
Growth and Division
The Transition State
Spore Formation
Germination and Outgrowth
Stress Responses
Summary
Further Reading
Glossary
competence Development of the ability to bind and
take up DNA from the medium.
engulfment The process by which the developing
prespore is completely surrounded by the mother cell.
integrative plasmid A plasmid that cannot replicate
autonomously in the host bacterium. It can be
maintained by the host bacterium provided it can
integrate into the chromosome by homologous
recombination.
mother cell One of the two cells formed by the
sporulation division. It is required for spore formation but
ultimately lyses. It is sometimes called the sporangium.
peptidoglycan The main structural component of the
cell wall. It consists of a backbone chain of alternating
N-acetyl muramic acid and N-acetyl glucosamine
residues. The muramic acid residues usually have a
short peptide side chain; many of these side chains are
cross-linked.
phosphotransferase system The PTS catalyzes the
coordinated transport and phosphorylation of sugars
and related compounds. Phosphoenolpyruvate is the
source of the energy and the phosphate for the
transport. There are three protein components – HPr,
enzyme I, and enzyme II; only enzyme II is specific to the
sugar. The different domains of enzyme II are often
separate proteins.
prespore One of the two cells formed by the
sporulation division. It develops into the spore. It is
sometimes called the forespore.
sigma factor A protein that binds to RNA polymerase
core enzyme to form RNA polymerase holoenzyme. The
sigma factor determines the specificity of the binding of
the holoenzyme to promoter sequences in the DNA as a
prelude to the initiation of transcription.
SOS response The response to DNA damage. It is also
activated during competence development.
spore Dormant, resistant form of a bacterium.
transduction The transfer of genetic material from
donor to recipient bacterium mediated by a
bacteriophage (a bacterial virus). The DNA is carried
within the bacteriophage, replacing some or all of the
bacteriophage DNA.
transformation The transfer of genetic material from
donor to recipient bacterium in which DNA from the
donor is taken up by a competent recipient.
vegetative cell A bacterial cell that is growing actively.
Abbreviations
ABC ATP-binding cassette
CcpA catabolite control protein A
FBP fructose-1,6-bisphosphate
PTS phosphotransferase system
SASP small, acid-soluble proteins
TPP thiamine pyrophosphate
Defining Statement
Bacillus subtilis is a Gram-positive, rod-shaped bacterium
that forms heat-resistant, dormant spores. It is not patho-
genic. It produces important commercial products. The
sequenced genome contains 4 214 630 base pairs. Its
genome is easily manipulated genetically. It serves as a
model organism for studies of sporulation and of the
behavior of low GC Gram-positive bacteria.
Bacillus subtilis is a Gram-positive, rod-shaped bacter-
ium that forms heat-resistant spores. It is commonly
found in the soil. It is nonpathogenic. It received its
154

name in 1872 from Ferdinand Cohn, who also demon-
strated its ability to form spores that were heat-resistant.
It produces several commercially important products,
most notably proteases and amylases. In part because of
its commercial importance, and more because of the ease
of its genetic manipulation, B. subtilis has been intensively
studied. It has a single circular genome (chromosome).
The sequenced genome contains 4 214 630 base pairs (bp)
with a 43.5% GC content; it encodes about 4100 proteins.
B. subtilis is the best characterized of the low GC Gram-
positive bacterial species. As is typical of Gram-positive
species, it has a cytoplasmic membrane and a thick cell
wall, but no outer membrane. This structure contrasts
with Gram-negative species, which have a cytoplasmic
membrane, a thin cell wall, and an outer membrane.
Genetic Analysis
Genetic analysis of B. subtilis was jump-started almost 50
years ago through the discovery of DNA-mediated
transformation by Spizizen. In appropriate conditions,
B. subtilis becomes competent to take DNA from its sur-
roundings (so-called natural competence). If the incoming
(donor) DNA shares extensive homology with the reci-
pient chromosome (e.g., if it is derived from another strain
of B. subtilis), then it can recombine with that chromo-
some. The net result is genetic exchange between the
donor and the recipient strains. Typically, perhaps
1–2% of the donor chromosome ends up in the resultant
recombinant strain.
Not all the donor DNA need share homology with the
recipient chromosome. Typically, efficient transforma-
tion occurs provided the donor DNA has one or two
regions of homology of about 500 bp or more. This prop-
erty makes it possible to introduce foreign DNA into the
B. subtilis chromosome, for example, genes for antibiotic
resistance determinants. It forms the basis of the use of so-
called integrative plasmids, which are very widely
employed for genetic analysis of B. subtilis. Such plasmids
replicate in Escherichia coli (or some other species), but not
in B. subtilis. When used to transform B. subtilis, they
integrate into the chromosome provided they contain
DNA that is homologous with the chromosome. When
there is a single region of homology between the plasmid
and the chromosome, the entire circular plasmid inte-
grates into the chromosome by a single crossover
(Figure 1). If there are two regions of homology between
plasmid and chromosome, it is also possible for a portion
of the plasmid to integrate into the chromosome as the
result of a double crossover (Figure 2).
B. subtilis is also transformable with autonomously
replicating plasmids. This can be achieved by natural
competence or by transforming protoplasts. The kinetics
of transformation by natural competence are unusual, as
plasmid trimers are needed to obtain transformants unless
the plasmid contains DNA that is homologous to the
chromosome; typically, trimers are present as a very
minor and variable portion of plasmid preparations.
Generalized transduction was also often used in early
studies of B. subtilis. The most widely used bacteriophage,
PBS1, can carry about 7% of the chromosome from donor
to recipient, which is substantially more than the number
transferred by transformation. However, the availability
of the complete genome sequence has lessened the need
for the transfer of large fragments. Most experimenters
favor transformation over transduction because of the
idiosyncrasies of the transducing phage.
Transposon mutagenesis has proved to be a very effec-
tive tool in studies of B. subtilis. The most commonly used
transposons are derivatives of Tn10 because of their wide
range of sites of insertion, and of Tn917. Effective tech-
niques are available to identify DNA sequences adjacent
to the sites of transposon insertion, and hence to identify
the disrupted gene. Transposon derivatives have been
Figure 1 Integration of a plasmid into the chromosome of
Bacillus subtilis by homologous recombination. Regions of
homology on the plasmid and the chromosome are indicated as
filled black arrows. The blue arrow indicates a selectable marker,
such as an antibiotic resistance determinant, on the plasmid. A
single crossover between the regions of homology results in
integration of the entire plasmid so that the homologous region is
duplicated.
Figure 2 Integration of foreign DNA from a plasmid into the
chromosome of Bacillus subtilis as the result of double crossover
recombination between homologous regions (black and stippled
arrows) that flank the foreign DNA (blue arrow). Plasmid (red) and
recipient DNA (green) are not present in the recombinant. The
blue arrow indicates a selectable marker, such as an antibiotic
resistance determinant, on the plasmid.
Bacillus Subtilis 155

developed with promoter-less reporter genes for use in
searches of promoters that respond to particular signals.
Integrative plasmids with promoter-less reporters have
provided a very effective alternative to transposons.
However, both the methods of promoter search are
being superseded by microarray analysis.
Nutrients
B. subtilis is able to grow in a minimal medium containing
only essential salts, and carbon, nitrogen, and phosphorus
sources. A range of mono-, di-, oligo-, and polysaccharides
and sugar-derived alcohols can serve as carbon sources, as
can amino acids, peptides, and 2-, 3-, and 4-carbon com-
pounds. Nitrate, ammonium ions, urea, amino acids,
peptides, and nucleosides can serve as nitrogen sources.
Phosphate is the usual phosphorus source in laboratory
media, but B. subtilis can also use phosphate esters.
B. subtilis is a typical Gram-positive organism with a
single lipid bilayer membrane, which acts as a permeability
barrier, surrounded by a thick cell wall. Nutrients are taken
up from the medium by a variety of transport systems.
There are estimated to be at least 15 phosphotransferase
systems (PTS) for uptake of different sugars. They are the
dominant uptake systems for sugars such as glucose,
sucrose, and fructose. Based on the annotated genome
sequence, there are perhaps 67 adenosine triphosphate
(ATP)-binding cassette permeases, some known to take
up sugars, amino acids, or short peptides, but many with
unknown substrates. There are maybe 185 transporters that
use chemiosmotic energy to drive transport, many with
their substrates unknown, several for pumping out rather
than in, but a number likely to pump in amino acids, sugars,
and other carbon compounds, as well as a variety of ions.
Once inside the cell, carbohydrates are converted to
intermediates that are metabolized by the Embden–
Meyerhof–Parnas glycolytic pathway, the pentose–
phosphate shunt, and/or the tricarboxylic acid (Krebs)
cycle. B. subtilis respires under aerobic conditions using
oxygen as terminal electron acceptor. The respiratory
chains that lead to the reduction of oxygen to water
involve at least three membrane-located terminal oxi-
dases: cytochrome aa3, which is a menaquinone oxidase;
cytochrome caa3, which is a cytochrome coxidase; and
cytochrome bd, which also reacts with menaquinone. The
terminal oxidases are linked to carbon metabolic path-
ways by menaquinone reductases coupled to succinate,
NADH, and glycerol-3-P. B. subtilis was long thought of as
a strict aerobe. However, recent studies have shown that it
can also grow anaerobically either by fermentation or by
respiration with nitrate (or nitrite) as terminal electron
acceptor.
Regulation
In nature, B. subtilis may face a multiplicity of choices of
carbon, nitrogen, and phosphorus sources. It uses a range
of regulatory mechanisms to control expression of the
genes involved in both catabolic and anabolic pathways.
Repressors and activators of transcription predominate
among the regulators listed in the annotated genome
sequence. The CodY, GlnR, and TnrA proteins are well-
studied examples of the many activators and repressors
that act in B. subtilis. All have more than one regulatory
target, and many more in the case of CodY. GlnR and
TnrA are regulated by nitrogen availability, while CodY
responds to the availability of GTP and branched-chain
amino acids. Among their targets, all three regulate the
operon for urea utilization – it is repressed by GlnR and
CodY, and activated by TnrA. Multiple regulators acting
on a particular gene or operon is a common, though not
universal, finding with B. subtilis.
Two-component signal transduction systems are
major mechanisms by which most bacterial species
respond to environmental signals. The two components
are a sensor kinase and a response regulator. Typically,
the kinase has a sensor domain that senses an environ-
mental signal and a catalytic domain containing an
autophosphorylatable histidine residue. The response
regulator typically has a domain that is phosphorylated
on an aspartyl residue by transfer of the phosphate from
its associated kinase and an output domain that is often a
transcription regulator. They are well represented in
B. subtilis with over 30 kinases and response regulators.
Targets of regulation include chemotaxis, autolysis,
competence, degradative enzyme formation, citrate trans-
port, aerobic and anaerobic respiration, and alkaline
phosphatase formation. There are variations in the two-
component theme, of which the most notable is the phos-
phorelay associated with Spo0A activation and spore
formation (discussed later).
An important regulatory system controls catabolite
repression. It differs radically from that in E. coli but appears
to be present in many Gram-positive species. It also serves
to give a hint at the complexities of transcription regulation
in B. subtilis. Catabolite repression is a global regulatory
system in which the presence of a good carbon source, such
as glucose, represses expression of the genes for utilization
of poor carbon sources even though those carbon sources
are present. In B. subtilis, the catabolite control protein A
(CcpA) represses expression of a number of genes for
utilization of poor carbon sources by binding to sites near
their promoters. Efficient binding of CcpA, and hence
repression, also require a corepressor, the protein HPr.
Hpr only fulfills this role when it is phosphorylated on
serine residue 46. The kinase that phosphorylates Ser 46
is activated by fructose-1,6-bisphosphate (FBP) – an
156 Bacillus Subtilis

intermediate of glycolysis. When the glucose concentration
is high, the concentration of FBP is high, and HPr becomes
phosphorylated and acts as corepressor. When the FBP
concentration is low (as with no glucose), HPr is not
phosphorylated and does not function as corepressor;
hence, catabolite repression is relieved. HPr is a component
of the PTS, and the activity of the PTS, reflecting available
carbon sources, provides a second control of the ability of
HPr to function as a corepressor for catabolite repression.
To transcribe DNA into RNA, RNA polymerase must
first bind to particular DNA sequences called promoters.
It recognizes particular promoters because of the sigma
factor associated with the RNA polymerase. The predo-
minant sigma factor during exponential growth is
A
.It
has what is generally called a housekeeping function, and
all the regulators discussed above by and large regulate
the action of RNA polymerase containing
A
. There are a
number of other sigma factors that can be considered
transcription regulators. They replace
A
in the RNA
polymerase and direct it toward different promoters.
They are associated with different regulatory responses.
The most studied are as follows:
B
, associated with the
general stress response;
D
, associated with motility and
cell separation;
H
, associated with the transition state;
and
F
,
E
,
G
, and
K
, associated with spore formation.
Less-well-known mechanisms also serve important reg-
ulatory roles in B. subtilis. For example, the gene for levan
sucrase, sacB, is regulated by an antitermination mechan-
ism, as are several other genes. Transcription termination is
determined by the structure of recently synthesized RNA,
and there is a potential transcription terminator structure
between its promoter and the sacB structural gene. SacY
binds to this RNA region and prevents formation of the
termination structure, thus permitting transcription of the
structural gene, sacB.IntheabsenceofSacYbinding,tran-
scription terminates upstream of sacB.TheabilityofSacY
to bind is regulated by its phosphorylation state, which
responds to sucrose availability through the PTS.
With the structural genes for many tRNA synthetases,
it is the cognate tRNA that determines whether transcrip-
tion does or does not terminate in the region immediately
upstream of the structural gene. If the tRNA is uncharged,
it binds to this upstream RNA region, preventing
formation of the terminator structure and permitting
transcription of the structural gene. However, if the
tRNA is charged, it can no longer perform this role,
transcription terminates, and the structural gene is not tran-
scribed. This same tRNA-mediated regulatory mechanism
also operates on a number of genes for amino acid biosynth-
esis and amino acid transport.
Metabolite-sensing riboswitches have recently been
characterized. In these switches, the metabolite interacts
directly (no protein is involved) with mRNA located 59to
structural genes for the synthesis or transport of the
metabolite. The binding changes the structure of this 59
untranslated region. In different systems, it can cause
premature termination of transcription and/or it can
sequester the ribosome-binding site and so impair trans-
lation. For example, thiamine pyrophosphate (TPP)
interacts with the 59untranslated region upstream of the
genes for thiamine synthesis and phosphorylation, causing
termination of transcription 59to the structural genes;
when TPP is not present, the structural genes are tran-
scribed and translated and TPP is synthesized.
Growth and Division
B. subtilis grows at temperatures ranging from 10 to 55 C,
with fastest growth rates at about 42 C. It forms spores at
temperatures up to about 44 C, depending on strain and
medium, but does not become competent for trans-
formation above 37 C. Most studies use 37 C. At that
temperature, B. subtilis grows with a doubling time of
about 30 min in a rich medium.
B. subtilis has a single circular chromosome. Chromosome
replication is bidirectional. It starts at a fixed origin (0on
the conventional, circular chromosome map) and terminates
within a region located at approximately 172.Complete
replication takes about 50 min at 37 Csothatatfastgrowth
rates, chromosome replication is dichotomous; that is to say,
a second round of replication starts before the first round
finishes.
Recent studies primarily using fluorescence micro-
scopy and a variety of fluorescent tags have made it
possible to visualize the behavior of the chromosome
during the cell cycle. The process is more readily studied
at slow growth rates, where chromosome replication is
monochotomous. The chromosome replication machin-
ery, commonly called the replisome, is located at or near
midcell. Soon after they are replicated, the two chromo-
somal origin regions move apart to regions about one
quarter of the cell length from each cell end, where they
remain for most of the cell cycle. The terminus region
remains near midcell. Separation of two terminus regions
is thought to be coordinated with completion of division.
The rod-shaped B. subtilis cells grow by elongation in
their long axis. Peptidoglycan surrounds the cell, defines
its shape, and provides the mechanical strength to resist
the osmotic pressure caused by the high ion concentra-
tions within the cell (turgor pressure). It constitutes
50–70% of the cell wall. The thick cell wall contains
10–20 layers of peptidoglycan. This contrasts with
Gram-negative cell walls that are only 1–2 layers thick.
Peptidoglycan is a polymer of N-acetyl glucosamine
linked to N-acetyl muramic acid; the muramic acid has
peptide side chains, which are cross-linked to each other.
The subunits of the peptidoglycan are assembled in the
cytoplasm. At the final stages of assembly (N-acetyl glu-
cosamine)–(N-acetyl muramic acid)–pentapeptide units
Bacillus Subtilis 157

are transported across the membrane by a lipid carrier
and added to the existing peptidoglycan polymer. The
peptidoglycan of the growing cell is a dynamic structure;
it is synthesized, modified, and degraded in such a way
that the thick cell wall elongates without losing its
mechanical strength. Recent results indicate that actin-
like proteins form a helix around the cell periphery,
which appears to serve as a cytoskeleton. This cytoskele-
ton, which is probably associated with the inside of the
cell membrane, may provide the framework on which
peptidoglycan synthesis occurs.
The cell wall also contains anionic polymers, namely
phosphate-containing teichoic acids, and under phos-
phate-limiting conditions, teichuronic acids that do not
contain phosphate. The predominant teichoic acids
are polymers of either glycerol-phosphate or ribitol-
phosphate (depending on strain). They constitute
30–50% of the dry weight of the wall. The teichoic
acids appear to be essential for B. subtilis and may be
involved in cation chelation and/or helping rigidify the
wall structure. However, no role has yet been firmly
established. In addition to the wall-associated teichoic
acids, there is also lipoteichoic acid. The lipoteichoic
acid is anchored in the membrane and extends into the
wall. This acid is thought to regulate autolysis of the cell
wall, which is critical to growth and cell separation after
division; however, its role remains poorly understood.
Cell division generally occurs after cells have doubled
in length. Division happens precisely at midcell. The
length at division depends on growth rate, and fast-
growing cells are longer than slow-growing cells. Prior
to division, the tubulin-like FtsZ protein polymerizes as
an annulus around the cell at the site of division. A series
of proteins then assemble at that site, and there is annular
growth inward of the cytoplasmic membrane and the cell
wall. This inward growth continues until the annulus
closes, resulting in two daughter cells. B. subtilis has a
tendency to grow in chains of cells, depending on medium
and strain, and the two daughter cells may only detach
from each other sometime after they are formed.
Two mechanisms are known to contribute to the loca-
tion of the division septum near midcell: nucleiod
occlusion and the Min system. The MinC, MinD, and
DivIVA proteins are localized at the cell poles and pre-
vent division near those poles. Nucleoid occlusion, as its
name suggests, prevents the division septum from bisect-
ing the nucleoid. It remains unclear how the septum is
placed so accurately at midcell.
The Transition State
When exponentially growing B. subtilis encounters nutri-
ent limitation, it can undergo a series of responses that
may help it survive in the changed environment. These
responses include secretion of degradative enzymes,
synthesis of antibiotics, development of motility, devel-
opment of competence, and biofilm formation. This
period of postexponential activity is often called the tran-
sition state. Additionally, B. subtilis may go on to form
heat-resistant, dormant spores, a defining characteristic of
the genus Bacillus. Each of the transition-state responses
requires major changes in the pattern of gene expression.
Several transcription regulators are actively involved in
the changes and are known as transition-state regulators.
These include AbrB, CodY, ComK, ComP, DegU, SinR,
and Spo0A. Typically, these proteins directly or indir-
ectly regulate the expression of a large number of genes.
There is considerable overlap between them in the genes
they regulate, thus creating a complex pattern that is only
partly understood. For example, Spo0A is the master
regulator for the entry into spore formation, but it also
controls competence development, biofilm formation,
antibiotic production, and protease synthesis (though
not the synthesis of another extracellular degradative
enzyme, amylase). Spo0A directly regulates the transcrip-
tion of about 120 genes, of which about 80 are repressed
and 40 activated. Some 25 genes regulated by Spo0A
encode other transcription regulators (including AbrB,
CodY, and SinR), and as a consequence, Spo0A indirectly
regulates expression of perhaps 500 genes – more than
10% of the B. subtilis genome.
Competence
Competence is the physiological state in which bacteria are
able to bind and take up transforming DNA. It develops at
high cell density and nutritional limitation. The initial
stage of the development of competence is the activation
of a two-component signal transduction system, ComA and
ComP, by quorum sensing. The accumulation of a peptide
present in the medium, which is derived from ComX, acts
as an indicator of cell density and serves to activate the
sensor kinase ComP. ComP then activates ComA by phos-
phorylation. Activated ComA directs transcription of an
operon that includes the gene comS. The ComS protein is
critical to the stability of ComK, which is the master
regulator of competence development. ComK activates
transcription of the genes for the 16 or more proteins
required for DNA uptake, as well as about 100 other
genes. This description gives a bare-bones framework:
ComX !ComP !ComA !ComS !ComK !DNA
uptake. This framework is subject to complex regulation by
a multiplicity of factors including transcription regulators,
AbrB, CodY, DegU, and SinR, acting on the various genes
involved, as well as by modulators of ComK proteolysis.
The DNA that is taken up is single-stranded, and it then
typically undergoes homologous recombination with the
resident chromosome to yield the transformants.
158 Bacillus Subtilis

A striking feature of the development of competence is
that it exhibits bistability in which one part of the popula-
tion (maximally 10–20%) becomes competent and the
other part does not. There is no genetic difference
between these two populations. However, the two popu-
lations differ in many ways and they can be fractionated
by density-gradient centrifugation. The critical determi-
nant of the bistability is ComK. During competence
development, much of the population expresses comS.
However, only 10–20% of the population expresses a
high level of ComK. Two factors are thought to help
establish this bifurcation. First, ComK activates transcrip-
tion of its own structural gene, comK, and this sets up a
positive-feedback loop. Second, as competence is devel-
oping, there is fluctuation within the population of factors
controlling the level of ComK so that only a portion of the
population ever reaches a threshold level of ComK that is
needed to establish this positive-feedback loop, which
leads to accumulation of a high level of ComK and
hence the development of competence. Artificial manip-
ulation of the regulators of comK transcription or of ComK
stability can alter the relative abundance of the two
populations. The evolutionary significance of bistability
is attracting considerable interest.
Motility, Chemotaxis, and Biofilm Formation
B. subtilis can swim. In this, as in many other ways (notably
pathogenesis), it differs from its distant spore-forming
relative Bacillus anthracis. B. subtilis has 10 or more flagella
anchored at various sites around the cell (i.e., peritrichous
flagella). The flagella can rotate counterclockwise in
which case they act in concert to give smooth swimming,
or they can rotate clockwise in which case the bacteria
tumble. In chemotaxis, the distribution between these two
motions is altered such that there is net movement toward
attractants or away from repellants.
Particularly during exponential growth in rich media,
B. subtilis tends to form chains of cell, which lack flagella
and so are immotile. These chains break and the bacteria
become motile toward the end of exponential growth.
Motile bacteria are somewhat more prevalent during
exponential growth in minimal media. Expression of
genes for flagella biosynthesis depends on a minor RNA
polymerase sigma factor,
D
. This sigma factor also con-
trols genes for autolysins that help break up the bacterial
chains: when it is not active, B. subtilis forms long chains of
cells, which are immotile; when it is active, B. subtilis
consists primarily of single cells or doublets, which are
motile. These two states can coexist, giving another
example of bistability.
In standing liquid cultures, wild strains of B. subtilis can
form a pellicle or biofilm at the liquid–air interface (this
ability has been lost by many laboratory strains). In the
biofilm, large numbers of bacteria are held together in
an extracellular matrix of polysaccharide and protein.
Formation of biofilms is repressed by the catabolite
repressor CcpA and by the transition-state regulators
AbrB and SinR. Intriguingly, SinR activates genes for
motility, suggesting that SinR serves as a switch between
motility and biofilm formation. SinR is specifically inhib-
ited by another protein, SinI; it is not clear how these
various transcription regulators respond to environmental
changes.
Antibiotics and Extracellular Enzymes
Formation of antibiotics and extracellular enzymes begins
during the transition state. Accumulation of amylase and
proteases and of antibiotics in the medium is one of the
most characteristic features of the transition state. These
disparate entities are often grouped together for that
reason. Further, members of both the groups are either
of considerable commercial importance or closely related
to substances that are of considerable commercial impor-
tance. A range of more than 20 antibiotics is produced by
different strains of B. subtilis, though usually only two or
three by any one strain. They are predominantly peptides
or modified peptides. They fall into two broad categories:
those synthesized by large multienzyme complexes, and
those synthesized by ribosomes and then modified after
translation.
The ribosomally synthesized antibiotics are lantibio-
tics. These contain a lanthionine unit formed by
the posttranslational reaction of a serine or threonine
residue with a cysteine residue, which yields an interre-
sidue thioether linkage. Typically, the lantibiotics kill
Gram-positive bacteria by forming voltage-dependent
pores in the cytoplasmic membrane. As an example, sub-
tilin is a 32-residue lantibiotic with five lanthionine
thioether bridges. The genes for subtilin formation are
activated by a two-component system that responds to a
quorum-sensing signal; they are repressed by AbrB and
require the transition-state sigma factor
H
. These three
mechanisms ensure that induction of antibiotic produc-
tion occurs during the transition from exponential growth
to stationary phase. Antibiotic production requires an
immunity mechanism to protect the producing organism
from the antibiotic. In the case of subtilin, it is an ATP-
binding cassette exporter and a lipoprotein that impairs
pore formation.
An example of a nonribosomally synthesized antibiotic
is surfactin. It is a lipoheptapeptide and is the most active
biosurfactant known. It has a detergent-like action on
biological membranes, and antiviral and antimycoplasma
activities. It is synthesized by a complex of multidomain
enzymes. The corresponding structural genes, srfA,srfB,
and srfC, are three of the largest genes in the B. subtilis
genome, being 10.7, 10.7, and 3.8 kb, respectively.
Although it contains these genes encoding the synthetases,
Bacillus Subtilis 159

the standard laboratory strain of B. subtilis does not pro-
duce active surfactin, because it contains a mutation in
another gene, sfp, whose product is required for activation
of the surfactin synthetases by phosphopantetheinylation.
Resistance to surfactin is provided for the producing
organism by an efflux pump. The induction of transcrip-
tion of srfA,srfB, and srfC is associated with the
development of competence. It is activated by the
ComA/ComP two-component system responding to
accumulation of the ComX peptide (quorum-sensing).
Intriguingly, the gene comS, whose expression is required
for the continued development of competence, is
embedded within srfB and is transcribed from the srfA
promoter; it is out of frame with srfB.
The two major proteases secreted by B. subtilis are a
neutral metalloprotease and an alkaline serine protease,
known as subtilisin. Subtilisin is of great commercial
importance. Uses range from enzyme detergents to stu-
dies of protein structure in research laboratories. There
are different versions of subtilisin, and these are produced
by different strains of B. subtilis and its close relatives
Bacillus licheniformis and Bacillus amyloliquefaciens. Note
that the favored industrial strains are not the favored
laboratory strain, that is, B. subtilis 168. Expression of
aprE, the structural gene for subtilisin, is repressed by
AbrB and SinR. These controls link it firmly to the
transition state and start of spore formation.
Amylases produced by B. subtilis and the same close
relatives are also of major commercial importance, nota-
bly in the manufacturing of bread and beer. The B. subtilis
amyE gene encodes an -amylase. Like the genes for
proteases, it is expressed in the transition state after the
end of exponential growth. However, the detailed regu-
latory mechanism is different. It is subject to catabolite
repression, being repressed by CcpA. However, its
expression is not tied to the start of spore formation.
Spore Formation
Spore formation is the most dramatic response to nutrient
depletion. It can be triggered by depletion of carbon,
nitrogen, or phosphorus source. The resulting spores
are dormant, displaying no detectable metabolism. They
are resistant to a variety of stresses that would kill vege-
tative bacteria. These include heat, noxious chemicals,
ultraviolet irradiation, and desiccation. Spore formation
takes about 7 h at 37 C. It begins after transition-state
responses such as competence and motility, and bacteria
forming spores are neither competent nor motile. In con-
trast, spores can be formed within biofilms. Secretion of
proteases and antibiotic formation are associated with the
start of spore formation.
Stages of Spore Formation
The morphological changes during spore formation are
similar for all species of Bacillus and Clostridium that have
been studied. The sequence of changes, as established by
electron microscopy, has been divided into a series of
stages, which are designated with a Roman numeral.
These are illustrated in Figure 3. Vegetative (growing)
bacteria are designated as stage 0. Formation of an axial
filament of chromosome extending across the length of
the bacterium is designated as stage I. This filament con-
sists of two copies of the chromosome, or one partly
replicated chromosome, with a chromosome origin region
located near each cell pole. Then, there is an asymmetri-
cally located division resulting in the formation of two
unequally sized cells, the larger being the mother cell and
the smaller prespore (also called the forespore). The pre-
spore will develop into the mature spore. The mother cell
is necessary for this development, but ultimately lyses.
Completion of this division is designated as stage II.
Remarkably, the chromosomes are not yet equally parti-
tioned into the two cells. The prespore contains the
origin-proximal 30% of one chromosome. The mother
cell contains the origin-distal 70% of that chromosome as
well as another complete chromosome. Following com-
pletion of the division septum, a DNA translocase,
SpoIIIE, pumps the rest of the chromosome into the
Mother cell
Prespore
0
VII
VI V IV
III
III
Figure 3 The stages of spore formation. A vegetatively growing
cell is defined as stage 0; the top of the diagram indicates the
symmetrically located division that occurs during vegetative
growth. Stage I is the formation of an axial filament of chromatin
that stretches across the long axis of the cell. Completion of the
asymmetrically located division is defined as stage II; at this
stage, only the origin-proximal 30% of a chromosome is present
in the prespore. Completion of engulfment is stage III; by this
stage, a complete chromosome is present in the prespore. Stage
IV is the synthesis of the primordial germ-cell wall and the cortex
between the opposite membranes that surround the prespore
(shown in grey). Deposition of layers of coat protein around the
prespore is defined as stage V (shown in black). By stage V, the
prespore core has contracted to about half its original size and is
becoming opaque to stains (indicated by green). Stage VI is
completion of maturation, by which time the spore has acquired
its full resistance properties. At stage VII, the mother cell lyses
and releases the spore into the environment.
160 Bacillus Subtilis

prespore. The points of attachment of the septal mem-
brane to the peripheral membrane move toward the cell
pole, and the prespore becomes completely engulfed by
the mother cell. Completion of engulfment (stage III)
results in the prespore being entirely surrounded by the
mother cell. Two types of cell wall material, the cortex
and the primordial cell wall, are deposited between the
opposed membranes that surround the prespore (stage
IV). Several layers of different proteins, collectively
known as the spore coat, are then assembled on the sur-
face of the prespore (stage V). The developing prespore
matures into the resistant spore (stage VI). The prespore
core (the prespore cytoplasm) becomes dehydrated dur-
ing the transition from stage IV to stage VI. The volume
of the core is reduced by about half, its density increases,
and its optical properties change; the mature spore is
refractile by light microscopy and phase-bright by
phase-contrast microscopy. The core of the mature
spore is impermeable to stains. Finally, the mother cell
lyses, releasing the mature spore (stage VII). Because the
spore is formed within the mother cell, it is sometimes
called an endospore. Spore formation is not an obligatory
part of the life cycle of B. subtilis, and many viable mutants
have been described that cannot form spores. Often they
are blocked at a particular stage. SpoII mutants, for exam-
ple, are blocked at stage II – they form the spore septum
but do not proceed to the completion of engulfment;
SpoIII mutants complete engulfment but do not proceed
further.
The morphological changes during spore formation
are intimately linked to a complex pattern of gene expres-
sion. The initial changes are funneled through Spo0A,
which is the master regulator that controls the start of
spore formation (Figure 4). They also require the activity
of an RNA polymerase sigma factor,
H
, which is specific
to the transition state. As soon as the spore septum is
formed, two distinct programs of gene expression are set
in motion, which are dependent on sporulation-specific
sigma factors. One is specific to the prespore and is
directed by
F
. The other is specific to the mother cell
and is directed by
E
. Following completion of engulf-
ment, two other sigma factors become active –
G
in the
prespore and
K
in the mother cell. It is thought that the
activities of
F
and
E
are curtailed on completion of
engulfment, but it is not clear to what extent this actually
happens. The housekeeping sigma,
A
, retains activity in
both the prespore and the mother cell, though its activity
may be substantially reduced.
The Phosphorelay
Spo0A is activated by phosphorylation via a phosphore-
lay, which is a more complex version of the classic two-
component system. KinA and KinB are the primary
kinases for the initiation of sporulation, although three
other kinases (KinC, KinD, and KinE) may also play a
role. In response to unidentified signals, these kinases
phosphorylate the Spo0F protein. The phosphotransfer-
ase Spo0B then transfers the phosphate from Spo0F-PO4
to Spo0A (Figure 5). The phosphorelay is subject to
negative regulation by several phosphatases acting either
on Spo0F-PO4 or Spo0A-PO4. Presumably, the complex-
ity of this system enables the organism to integrate a
number of internal and external signals before embarking
on the energy-demanding path of spore formation. A few
of these signals have started to be defined. For example,
when cell density is low, the RapA, RapB, and RapE
proteins stimulate dephosphorylation of Spo0F-PO4,
and hence block Spo0A activation. However, this depho-
sphorylation is blocked by a quorum-sensing mechanism –
when cell density is high, certain peptides, which had
been produced by B. subtilis and exported into the med-
ium, are imported back into the cell and inhibit Spo0F-
PO4 dephosphorylation, thus facilitating activation of
Spo0A σ H
II
III
0
σ Eσ F
σ G
σ K
Figure 4 Stages of spore formation at which transcription
regulators become active.
Sporulation
Spo0A
Spo0B
Spo0F
KinA KinB KinC KinD KinE
Figure 5 The direction of phosphate flow during activation of
Spo0A by the phosphorelay. Arrows indicate the direction of
transfer of phosphate residues from histidine kinases via Spo0F
and Spo0B so as to activate Spo0A and trigger spore formation.
Bacillus Subtilis 161

Spo0A. Other signals go through CodY and Sda. CodY
represses the expression of kinB as well as the genes
encoding the precursor forms of the signaling peptides; a
fall in the concentration of GTP and GDP, which is
critical to start the sporulation, relieves repression by
CodY. Blocks in DNA replication or DNA damage
induce expression of the sda gene; the Sda protein blocks
KinA action and hence Spo0A activation.
Spo0A-PO4 (i.e., activated Spo0A) is necessary for the
asymmetrically located sporulation division. It activates
transcription of the spoIIE locus. This transcription, along
with the increased expression of the ftsZ locus, which is
directed by
H
, results in repositioning of the FtsZ ring
from its usual position at midcell to positions near the cell
poles. This repositioning occurs via dynamic helical
intermediates. The FtsZ rings are formed at both the
poles, but normally a septum develops at only one FtsZ
ring; the other ring disassembles. The sporulation septum
differs from the vegetative division septum by containing
much less cell wall material. However, the cause of the
difference is not clear. Activated Spo0A is also necessary
for the transcription of two other loci that are crucial to
subsequent sporulation events – spoIIA and spoIIG. These
loci include the structural genes for the two sigma factors
that become active following completion of septation –
F
and
E
.
The spoIIA Locus and Activation of
F
The spoIIA locus is a three-gene operon, encoding
SpoIIAA, SpoIIAB, and
F
. SpoIIAB is an antisigma factor
that binds to
F
and inhibits its action. SpoIIAA is an anti-
antisigma factor that binds to SpoIIAB and releases
F
from the inhibitory SpoIIAB–
F
complex. During this
process, SpoIIAA becomes phosphorylated by SpoIIAB;
SpoIIAA-PO4 is unable to disrupt the SpoIIAB–
F
com-
plex. The other critical player is SpoIIE, which is
associated with polar septation and colocalizes with the
septum. SpoIIE functions as a phosphatase to depho-
sphorylate and hence activate SpoIIAA. All these
components become available before spore septum for-
mation. However,
F
does not become active until after
septum formation. It is thought to be activated as soon as
the septum is formed, and it is active only in the prespore.
The mechanism of activation has been the subject of
intense study, and there is still no complete agreement
about it. A critical feature is the volume asymmetry of the
division so that the ratio of soluble proteins to membrane-
associated proteins is very different in the prespore com-
pared to that in the mother cell or the predivisional
organism. This difference is thought to tip the balance
so that the membrane-bound SpoIIE wins out in the
prespore and
F
becomes active.
F
directs the transcrip-
tion of about 50 genes, including spoIIR, which is required
for
E
activation, and spoIIIG, which is the structural gene
for
G
. The
F
-directed genes fall into two temporal
classes – spoIIR is an example of the early expressed
class and spoIIIG of the late. Transcription of spoIIIG is
subject to complex regulation, which may explain the
delay in its expression. It is not clear if other late-
expressed genes are subject to the same regulation.
The spoIIG Locus and Activation of
E
The spoIIG locus encodes two proteins, SpoIIGA and
pro-
E
. Pro-
E
is not active as a sigma factor and needs
to be activated by removal of the 27-residue N-terminal
pro sequence. It becomes active only in the mother cell.
This activation requires SpoIIGA, which is thought to
cleave the pro sequence from pro-
E
. Activation also
requires the activity of SpoIIR, whose gene is expressed
in the prespore from a
F
-directed promoter. Partly
overlapping mechanisms contribute to the compartmen-
talization of
E
activity. One is the directionality of the
SpoIIR signal from the prespore. A second is enhanced
Spo0A activity in the mother cell following septation,
which leads to greatly enhanced spoIIG transcription. A
third is selective proteolysis in the prespore. Once active,
E
directs the transcription of about 200 genes. (For each
of the sporulation-associated sigma factors, estimates by
microarray analysis by different laboratories agree on
most of the genes that constitute the regulons, but differ
somewhat on the absolute number of genes involved;
these differences do not affect core conclusions.) This
large group of genes (known as the
E
regulon) is sub-
divided into several groups showing different temporal
patterns of expression. Most notably, many genes are
repressed by the SpoIIID protein, some are activated by
SpoIIID, while many are unaffected; transcription of the
spoIIID gene is itself directed by
E
. Another regulator
also under
E
control, GerR, further subdivides the
E
regulon. This summary helps illustrate the complexity of
gene regulation during spore formation.
Genes in the regulon include three, spoIID,spoIIM, and
spoIIP, that are required for engulfment and a number of
genes encoding coat proteins and proteins required for
coat assembly. It includes genes associated with activation
of
G
in the prespore and includes the genes for formation
of
K
, which is the next sigma factor to become active in
the mother cell. The SpoIID, SpoIIM, and SpoIIP pro-
teins are associated with peptidoglycan lytic activity.
They are required not only to permit engulfment but
also to prevent formation of a second septum at the
other end of the organism, opposite to the first septum.
It will be remembered that FtsZ forms a ring near both the
poles of the cell, but only one of these normally serves as a
template for septum formation. However, if SpoIID,
SpoIIM, and SpoIIP are not formed, then a second septum
is formed at the site of the second FtsZ ring, and devel-
opment proceeds no further. This behavior is observed,
162 Bacillus Subtilis

for example, in mutants that lack
E
. Under these circum-
stances, the second septum is formed within 10 min of the
first. This result would appear to set a severe time con-
straint on sigma activation. Minimally, within this 10 min,
F
must become active and direct the transcription of
spoIIR in the prespore; SpoIIR must trigger the processing
of pro-
E
in the mother cell and
E
must direct the
transcription of spoIID,spoIIM, and spoIIP, whose products
must act to prevent the formation of that second septum.
Postengulfment Transcription
Transcription of the structural gene for
G
,spoIIIG,is
directed by
F
in the prespore and depends on
E
-
directed signals from the mother cell as well; it is thought
to commence as engulfment is nearing completion. Once
activated,
G
can direct transcription of its own structural
gene, setting up a positive-feedback loop to increase its
formation. Even a few active molecules could potentially
set in motion this self-reinforcing mechanism inappropri-
ately, and there are several controls to prevent premature
activation in the mother cell as well as in the prespore.
The controls in the prespore are different from those in
the mother cell.
G
is not active when first formed in the
prespore. It becomes active only upon completion of
engulfment. The controls include
E
-directed signals
from the mother cell, but the mechanism is not under-
stood. The
G
regulon contains about 100 genes,
including one spoVT that encodes a regulator of the reg-
ulon, which activates some genes and represses some
others. The
G
regulon includes genes for
K
activation,
for the protection of spore DNA (through formation of
small, acid-soluble proteins (SASP)), and for germination.
Transcription of the structural gene for
K
,sigK,is
directed by
E
, and so is confined to the mother cell.
Once activated,
K
can direct transcription of its own
structural gene, setting up a positive-feedback loop to
increase its formation.
K
is formed as an inactive pre-
cursor, pro-
K
. Processing depends on a
G
-directed
signal from the prespore; it shows no mechanistic simi-
larity to the processing of pro-
E
. In some strains of
B. subtilis, including widely used derivatives of the 168
strains, the 59and 39portions of the sigK gene are sepa-
rated on the chromosome by a 48-kb element known as
SKIN. This element is excised by a mechanism that is
dependent on
E
, and so is confined to the mother cell. It
is not excised in the developing spore, which is the germ
line. In other strains of B. subtilis and in other species of
Bacillus, the sigK gene is intact in all cell types so that this
mechanism is not essential for spore formation. The
K
regulon contains about 120 genes. These include gerE,
which encodes a regulator that represses transcription of
some genes in the operon and activates others. The reg-
ulon includes genes for coat proteins and for spore
maturation.
Spore Resistance
Suspensions of B. subtilis spores are completely resistant to
20 min at 80 C, and about 10% will survive 20 min at
90 C, whereas vegetative bacteria are completely killed
by either treatment. About 10% of dried spores will
survive 20 min at 120 C. Resistance to such wet and dry
heat treatments is determined by somewhat different
mechanisms. Wet heat resistance is determined largely
by the dehydration of the spore core (core is the name
used for the cytoplasm of the spore). Cortex formation is
essential for the reduction in water content of the core.
The accumulation of dipicolinic acid in the core (about
10% of the dry weight) also contributes to dehydration.
However, the mechanism of core dehydration is not
known. The SASP, which bind to DNA in the spore
core, provide some resistance to wet heat; they are critical
for resistance to dry heat, where damage to DNA is the
lethal event. (However, the mechanism of being killed by
wet heat is unclear.)
Resistance to chemicals is provided by different fac-
tors, depending on the chemical. The spore coat is the
major barrier to many chemicals, including most oxidiz-
ing agents. In addition, the membrane surrounding the
spore core provides a permeability barrier; the lipids in it
are largely immobile, and small molecules pass through it
extremely slowly. For a few chemicals, such as formalde-
hyde and nitrous acid, DNA appears to be the major
target where SASP provide protection. Spore resistance
to ultraviolet irradiation is also largely determined by the
SASP. These proteins change the conformation
and photochemistry of the DNA. Efficient DNA repair
systems, which become active during germination and
outgrowth, are important for protection against all
DNA-damaging agents.
Germination and Outgrowth
Spores survive without nutrients and are metabolically
dormant. They can survive for hundreds of years, perhaps
longer. Yet when they encounter a particular nutrient,
they lose their resistance and become metabolically active
within minutes; this process is termed germination, and
the nutrient (or a few other types of trigger) is the germi-
nant. The particular nutrients that function as germinants
vary from species to species. For B. subtilis, effective
germinants are L-alanine or a mixture of asparagine, glu-
cose, fructose, and K
þ
(GFAK). L-Alanine and GFAK
have distinct, but structurally similar, receptors in the
membrane surrounding the spore core. The germinant
reacts with the receptor, and within seconds the spore
becomes committed to germinate. The way it happens is
not understood mechanistically, but the events in germi-
nation are clear: (1) there is a release of protons and
Bacillus Subtilis 163

cations from the spore; (2) release of dipicolinic acid and
its associated cation (predominantly Ca
2þ
); (3) partial
rehydration of the spore core; (4) hydrolysis of spore
cortex; (5) and swelling of the spore, resulting from
further hydration. By this time (a few minutes), the
spore has lost its resistance properties and germination
is considered complete. It is now that active metabolism
resumes, and in a process termed outgrowth, the germi-
nated spore changes into a growing bacterium. Spores
contain little or no ATP or NADH, and 3-phosphoglyceric
acid serves as energy reserve; degradation of SASP pro-
vides a source of amino acids, which also serve as a second
energy source. Outgrowth involves a resumption of RNA,
protein, and then DNA synthesis, and a change in cell
shape; the first vegetative division usually occurs about
2 h after the initiation of germination as long as a growth
medium is provided.
Stress Responses
B. subtilis displays a range of responses to different stresses
in addition to the transition state/sporulation responses
discussed above. The regulatory mechanisms for these
responses, which are described below, are highly con-
served among low GC Gram-positive bacteria (the
Firmicutes). Exposure to a variety of growth-limiting
stresses induces the so-called general stress response.
This response is mediated by an alternative sigma factor,
B
, which is regulated by an antisigma factor (RsbW) and
an anti-antisigma factor (RsbV), in a manner very similar
to that of
F
regulation during spore formation. Thus,
RsbW (like SpoIIAB) also functions as a kinase to phos-
phorylate RsbV, which is only active as an anti-antisigma
factor when it is not phosphorylated (like SpoIIAA).
However, the controls of dephosphorylation are different.
SpoIIAA-PO4 is dephosphorylated by the phosphatase
SpoIIE in response to a morphological signal, the asym-
metric sporulation division. There are two phosphatases
that act on RsbV-PO4. Both are activated by an environ-
mental signal, but each is subject to its own signals and
regulatory system. One responds to environmental stres-
ses such as from acid, ethanol, salt, or heat. The other
responds to energy stresses such as from carbon, phos-
phorus, or oxygen limitation. Deletion of the structural
gene for
B
reduces the ability of B. subtilis to survive the
various stresses. However, it does not affect spore forma-
tion, and the
B
and
F
regulatory mechanisms seem
largely compartmentalized from each other. The
B
reg-
ulon contains about 200 genes.
Often, there are other responses to particular stresses
that accompany the all-encompassing general stress
response. For example, a sudden increase in osmotic
strength of the medium induces transient expression of
the entire general-stress (i.e.,
B
) regulon, and sigB
mutants are very sensitive to such a shock. Often, the
response also involves synthesis of proline as osmopro-
tectant to almost molar concentrations. This requires
radically increased expression of proline biosynthetic
genes, directed by
A
-dependent promoters. High osmo-
tic shock induces expression of regulons under the control
of two other sigma factors,
M
and
W
; their responses are
also induced by the presence of antibiotics in the medium.
These observations serve to illustrate the complexity of
the responses to a particular environmental shock that can
and do occur. They provide a very incomplete picture of
that response.
Damage to DNA induces a series of changes known as
the SOS response. In B. subtilis, the SOS response is also
induced during competence development. The response
includes increased capacity to repair DNA, mutagenesis,
and inhibition of cell division. Genes induced by DNA
damage are collectively known as din genes (for damage
inducible). Many are repressed by the LexA protein (also
called DinR). When DNA is damaged, the resulting sin-
gle-stranded DNA binds to the RecA protein, which then
functions as a coprotease to cause LexA to cleave itself
and hence inactivate itself. In B. subtilis, LexA/RecA
appears only partly to control the inhibition of cell divi-
sion during the SOS response, in contrast to its complete
control in E. coli.
Different classes of gene have been distinguished as
responding to a heat shock in B. subtilis based on the
regulatory mechanism involved. Class I includes groEL
and dnaK, which are among the most highly conserved
heat-shock genes. They are regulated by a repressor,
HrcA, that binds to a sequence known as CIRCE located
immediately upstream of the open reading frames. HcrA
is denatured by heat, which relieves repression. HcrA is
then renatured by the action of the GroEL/GroES cha-
perone, thus restoring repression. Class II genes are
regulated by the general stress mechanism, which is
described above. Class III genes include clpC and clpE,
encoding ATPases of the Hsp 100 family of heat-shock
proteins, and clpP, which encodes the proteolytic subunit
of the Clp ATP-dependent proteases. The class III genes
are regulated by a repressor, CtsR; the regulatory circuit
is less understood than that for HcrA, though CtsR is
thought also to be denatured by heat. Class IV is the
designation given to another group of genes, where the
regulatory mechanisms are unknown.
Summary
B. subtilis is the best-studied species of low GC Gram-
positive bacteria. It serves as a model for studies of this
group, including studies of spore formation in the genera
Bacillus and Clostridium. B. subtilis grows in defined, mini-
mal media. It is nonpathogenic. Its genome is sequenced
164 Bacillus Subtilis

and annotated. There are efficient systems of genetic
exchange for B. subtilis, making it one of the few species
that is readily amenable to genetic manipulation. It dis-
plays a wide variety of regulatory mechanisms. Its study
continues to yield discoveries that prove applicable to a
range of species.
Further Reading
Bhavsar AP and Brown ED (2006) Cell wall assembly in Bacillus subtilis:
How spirals and spaces challenge paradigms. Molecular
Microbiology 60: 1077–1090.
Devine K (2004) Bacillus subtilis genetics. In: Schaechter M (ed.) Desk
Encyclopedia of Microbiology, pp. 126–134. San Diego, CA:
Elsevier.
Eichenberger P, Fujita M, Jensen ET, et al. (2004) The program of gene
transcription for a single differentiating cell type during sporulation in
Bacillus subtilis. PLoS Biology 2: e328.
Errington J, Daniels RA, and Scheffers DJ (2003) Cytokinesis in bacteria.
Microbiology and Molecular Biology Reviews 67: 52–65.
Hilbert DW and Piggot PJ (2004) Compartmentalization of gene
expression during Bacillus subtilis spore formation. Microbiology and
Molecular Biology Reviews 68: 234–262.
Moir A (2005) How do spores germinate? Journal of Applied
Microbiology 101: 526–530.
Piggot PJ (2004) Sporulation. In: Schaechter M (ed.) Desk Encyclopedia
of Microbiology, pp. 942–950. San Diego, CA: Elsevier.
Setlow P (2005) Spores of Bacillus subtilis: Their resistance to and killing
by radiation, heat and chemicals. Journal of Applied Microbiology
101: 514–525.
Sonenshein AL, Hoch JA, and Losick R (eds.) (1993) Bacillus subtilis
and Other Gram-Positive Bacteria. Washington, DC: ASM Press.
Sonenshein AL, Hoch JA, and Losick R (eds.) (2002) Bacillus subtilis
and its Closest Relatives: From Genes to Cells. Washington,
DC: ASM Press.
Steil L, Serrano M, Henriques AO, and Volker U (2005) Genome-wide
analysis of temporally-regulated and compartment-specific gene
expression in sporulating cells of Bacillus subtilis.Microbiology
151: 399–420.
Stein T (2005) Bacillus subtilis antibiotics: Structures, syntheses and
specific functions. Molecular Microbiology 56: 845–857.
Relevant Websites
http://bacillus.genome.jp/ – BSORF Bacillus subtilis Genome
Database
http://genolist.pasteur.fr/ – GenoList genome browser
http://locus.jouy.inra.fr/ – INRA Biotechnology Laboratories
Home Page
http://pbil.univ-lyon1.fr/ – Po
ˆle Bioinformatique Lyonnais
Bacillus Subtilis 165

Bacteriophage (overview)
P Hyman, Medcentral College of Nursing, Mansfield, OH, USA
S T Abedon, The Ohio State University, Mansfield, OH, USA
ª2009 Elsevier Inc. All rights reserved.
Defining Statement
Introduction
Primer on Phage Biology
Importance of Phage
A Closer Look at Certain Aspects of Phage Biology
Overview of Well-Studied Phage Types
Phage Associated with Different Bacterial Hosts
Further Reading
Glossary
adsorption A series of events, culminating in free
phage attachment to a bacterium, involving virion
movement (via diffusion), virion encounter with a
bacterium, virion attachment, and, included by some
but not all authors, transfer of the phage genome into
the bacterial cytoplasm.
capsid The proteinaceous structure that contains the
phage genome.
chronic release Release of mature virions from
infected bacteria by extrusion or budding; chronic
release neither destroys the bacterium nor ends the
phage infection.
free phage A mature phage (virion) particle that is not
found associated with a bacterium.
induction (prophage induction) The transition of a
lysogenic infection to a productive one, involving
expression of numerous prophage genes that otherwise
remain quiescent in an uninduced lysogen.
lysis Release of mature virions from an infected
bacterium via the destruction of both the bacterium and
the phage infection.
lysogeny A phage infection in which phage virions are
not produced and the phage genome replicates only so
as to continue infecting bacterial progeny as they are
produced via binary fission. Typically, this involves
phage existence as a prophage that is integrated into
the bacterial genome.
lytic cycle A productive infection that ends with
bacterial lysis and release of free phage.
lytic phage A phage that displays a lytic cycle given
productive infection; an obligately lytic phage cannot
display a lysogenic cycle.
productive infection Phage infection that results in
production of free phage.
prophage The phage genome during a lysogenic
infection (lysogeny).
pseudolysogeny A phage infection that stalls prior to
entrance into either lysogenic or productive states,
typically due to bacterial starvation. Additional phage
phenomena are also described using this terms,
however.
temperate phage A phage that is capable of displaying
lysogeny, though infections by temperate phage are
often productive and do not lead to lysogeny.
virion An infectious viral particle.
Abbreviation
HIV human immunodeficiency virus
Defining Statement
Bacteriophage (phage) are the viruses of bacteria.
Introduction
Viruses are obligate intracellular parasites and may be
categorized in terms of the types of cellular organisms
that they infect. Three cell types exist: members of
domains Eukarya, Archaea, and Bacteria. The viruses that
infect the bacteria, for historical reasons, are called bacter-
iophage, or phage for short, meaning that they are ‘eaters’
of bacteria. Since most environments – including our own
bodies – contain numerous bacteria, phage are found
almost everywhere. Phage biologists have found phage in
most environments that can support bacterial growth, often
in phage-to-bacteria ratios of 10:1 or greater. As there exist
166

estimates of total bacterial numbers of approximately 10
30
,
there consequently is an expectation that there are 10
31
or
more total individual virus (mostly phage) particles, mak-
ing phage Earth’s most numerous ‘organisms’. Bacteria are
highly diverse, and perhaps there are millions of species of
these prokaryotes. Phage–bacterial interactions therefore
are quantitatively vast (huge numbers of interactions) and
qualitatively diverse (huge numbers of environment types,
bacterial–host types, and also individual phage types). In
this article we provide an overview of this enormous
diversity of phage types, variations on phage biology, and
the importance of phage in the laboratory, in environ-
ments, and, potentially, in the clinical setting.
Primer on Phage Biology
F. W. Twort (in 1915) and Felix d’Herelle (in 1917) both
described phage as macroscopic phenomena: the dissol-
ving of bacterial colonies, the clearing of turbid broth
cultures of bacteria, and the formation of holes (plaques)
in turbid ‘lawns’ of bacteria. Confirmation of phage as
viruses awaited the invention of the electron microscope
(early 1940s). Subsequently, phage were used in elucidat-
ing the basic molecular mechanisms of life, and are
credited with significant contribution to the development
of the scientific subdisciplines of molecular biology and
molecular genetics. In this section we provide an over-
view of the phage life cycle, which by definition must
include at some point an extracellular virion state. We
then discuss major criteria by which phage biologists
distinguish among different phage genes and different
phage types.
Phage Life Cycle
The formation of a free phage in the phage life cycle,
which initiates the phage’s extracellular search for new
bacteria to infect, is discussed first. The extracellular
search culminates with adsorption. Entrance of the
phage genome into the cell begins the infection period,
typically described as the latent period. The latent
period ends either with phage-induced bacterial
destruction (lysis) or with an extruding or budding of
maturing phage virions (chronic release) across the
bacterial cell envelope (in a manner that does not
lead to immediate bacterial death). Infections that result
in phage release can be described as productive.
Alternatively, phage infections can enter a latent state
(lysogeny or pseudolysogeny) or can fail to successfully
infect (phage restriction or abortive infection). See
Table 1 for a summary of phage infection types and
their characteristics.
Phage Genes
Functionally, the genes and factors involved in a phage
infection can be differentiated into three types: products
of bacterial genes, products of phage genes that are
expressed and employed during phage infection, and
phage genes whose products are associated with released
phage virions. Though useful when viewing phage as
evolving ecological entities, not all of the gene products
employed by phage may be unambiguously differentiated
into these three categories. For example, phage virions
can carry proteins that are employed only when subse-
quent infection occurs. Also ambiguously, many phage
Table 1 Different types of phage infections
Type of
infection
Does the
phage genome
replicate?
Are free
phage
produced?
Do
bacteria
survive?
Do
phage
survive? Comments
Lytic Yes Yes No Yes Productive cycle that releases free phage via phage-
induced bacterial lysis, which totally destroys both
bacterium and phage infection
Chronic Yes Yes Yes Yes Productive cycle that results in the formation of free phage
without destroying either the infected bacterium or the
phage infection
Lysogenic Yes No Yes Yes Phage genome replication without production of phage
progeny; replicated genomes segregate into daughter
bacteria
Pseudo-
lysogenic
No No Yes Yes Infecting phage genomes do not replicate and do not
produce phage progeny; a quiescent state that can lead
to productive or lysogenic cycles
Restricted No No Yes No Passive or active bacteria-mediated death of infecting
phage such as via display of restriction endonucleases
Abortive No No No No Abortive infections involve the death of both bacterium
and infecting phage without production of phage
progeny
Derived from Abedon ST (2008) Phages, ecology, evolution, ST Abedon (ed.), Bacteriophage Ecology. Cambridge: Cambridge University Press.
Bacteriophage (overview) 167

genes encode proteins that are involved in virion assem-
bly but that nevertheless are not represented as part of the
resulting virion.
Evolutionarily, phage genes can be distinguished in
terms of their potential to coevolve with phage molecules
(such as proteins or DNA). Coevolution among phage
genes is often cited as an explanation for the genetic
linkage – similar location on the genome – of genes
encoding interacting phage capsid proteins, such that a
mutation in one gene requires a corresponding mutation
in another. Alternatively, phage genes can evolve to
become further refined in their interactions with smaller
molecules (e.g., nucleotides), generic versions of larger
molecules (e.g., as with phage exonuclease action on bac-
terial DNA), or with specific bacterial macromolecules
(e.g., RNA polymerase or the phage receptor molecule
found on the surface of host bacteria). The latter too can
be coevolutionary should antiphage adaptations by bac-
teria stimulate phage to evade such adaptations.
Phylogenetically, phage genes can be distinguished in
terms of where those genes came from. Many or most
genes associated with phage, for example, likely have
been evolving within phage genomes for millions or
even billions of years. Other genes, or portions of genes,
appear to be newly acquired from bacterial genomes.
Some phage genes seem to readily move from phage
genome to phage genome due to genetic recombination
following coinfection of individual bacteria by different
phage types. Still other genes, such as virion structural
genes (below), appear to move between phage genomes
only as multigene complexes, presumably as a conse-
quence of the difficulty in splitting these coevolved
genes while still retaining function (above).
Metabolically, phage genes may be sorted into at least
six broad classes: (1) phage genes involved in the meta-
bolic takeover of host metabolism (e.g., genes that shut
down transcription from the bacterial genome), (2) phage
genes involved in establishing or maintaining a latent
state (e.g., lysogeny), (3) phage genes involved in prepar-
ing the infected cell for phage progeny maturation (e.g.,
genes involved in prophage induction, nucleic acid repair,
and nucleic acid replication), (4) genes that express phage
virion structural proteins and virion assembly proteins,
(5) gene products that process and package newly repli-
cated phage genomes into virions, and (6) gene products
required for release of assembled virions from the host
cell either by lysing the host cell or by exporting the
newly assembled virions through the cell membrane.
Though phage genes, as distinct from bacterial genes,
were traditionally viewed as models for the basic meta-
bolic workings of life, there is no fundamental
biochemical difference between phage and bacteria
encoding of parts of complex molecular machines such
as those involved in gene transcription.
Genetically, phage genes required for productive infec-
tion can be described as encoding essential functions.
Mutations in these genes tend to be lethal or effectively
so by substantially decreasing the number of progeny pro-
duced during infection such that phage plaques do not
form. Phage also encode nonessential genes. Inactivation
of these genes still allows production of viable progeny.
The yield of phage per infection is often reduced, but not
to the point that phage propagation is severely curtailed.
Alternatively, if the yield is not reduced, and additional
phage growth parameters are not otherwise affected, it may
be that these nonessential genes encode proteins that are
only needed for infection of certain hosts or under certain
metabolic conditions. The number of nonessential genes
can be significant. Sixteen of the fifty (32%) genes of
bacteriophage T7 are nonessential, for example. Finally,
it should be noted that some bacteriophage genomes con-
tain other genetic elements such as introns.
Phage Gene Expression
The expression of phage genes typically occurs in a well-
defined temporal order, one that typically ‘makes sense’ in
terms of the metabolic function of these genes. In addi-
tion, as bacterial parasites, phage rely on the host cell for a
range of metabolic functions. In the most genomically
complex phage, functions supplied by the host cell may
be limited to cell structural elements (membranes, cell
wall), energy generation machinery, and protein synthesis
apparatus (ribosomes). Large, more complex (and usually
obligately lytic) phage often shut down host gene expres-
sion soon after entering the cell and may degrade the host
genome. Simpler phage usually rely on the host cell for
more functions. Temperate and chronically released
phage are also more reliant on host cell functions and,
presumably as a consequence, are less disruptive of these
functions.
Upon entry into the host cell, phage begin expressing
what are termed early or immediate-early genes. The pro-
moters of these early genes – DNA sequences where RNA
polymerase binds to initiate transcription – tend to more
closely resemble bacterial promoters than those of late-
expressing phage genes. The early genes of obligately
lytic phage produce proteins involved in co-opting bacterial
gene expression. These include RNA polymerases and
sigma factors (which modify RNA polymerase promoter
recognition). Phage-encoded sigma factors favor transcrip-
tion of viral genes over bacterial genes. Expression of these
early genes is followed by delayed-early or middle genes
(or, in some cases, late genes) that initiate phage genome
replication and related functions. Phage that encode their
own DNA or RNA polymerase begin synthesizing that
enzymealongwithproteinsinvolvedinnucleicacidmeta-
bolism. Collectively, early and middle genes are sometimes
168 Bacteriophage (overview)

referred to as prereplicative genes, that is, genes expressed
before genome replication begins.
The first proteins made by temperate phage are those
that determine whether lysogeny or a lytic infection will
occur. Expression of these early genes is sensitive to the
metabolic state of the bacteria. The relative level of
expression of key phage proteins commits the phage to
either the lysogenic or the lytic pathway by activating one
set of regulatory genes and inhibiting a second set of
regulatory genes. If the phage is to enter the lysogenic
phase, then proteins that bring about the integration of the
phage genome into the host genome or, instead, stabilize
the phage genome in an episomal (plasmid) form, are
produced. Proteins that prevent (by inhibition or termi-
nation) expression from the remainder of the phage’s
genes are also produced. If the phage enters the lytic
cycle, then it begins expressing early and middle lytic
genes and blocks expression of lysogenic genes.
During the postreplicative phase of the lytic cycle, both
obligately lytic and temperate phage begin expressing late
genes, including structural genes for the phage virion,
processing proteins that are required to mature the virion
(if they encode any), and packaging proteins that place
newly replicated phage genomes into the phage particle.
Late genes are much more dependent on phage-encoded
functions for expression. In some phage, such as phage T7
and T3, late-gene expression is dependent on a phage-
encoded RNA polymerase. In other phage, such as phage
T4, the switch to late-gene expression is brought about by
modification of the Escherichia coli RNA polymerase com-
plex by phage proteins. In bacteriophage land related
phage, expression of late genes begins by a combination
of derepression (loss of a repressor protein allowing RNA
polymerase access to promoters) and antitermination
(caused by a phage protein that allows transcription to
pass through transcription termination sites).
A few phage also encode unusual late genes that con-
tribute neither to the phage virion nor to the phage
release. Notable examples of this are lambdoid phage
strains, which both lysogenize pathogenic E. coli strains
such as the O157 and encode a type 2 Shiga toxin. In these
phage, the toxin genes are located next to the genes
causing cell lysis and are expressed with them as late
genes. The release of the toxin from the cell is also
dependent on phage-induced cell lysis. There is debate
as to whether these toxin genes ought to be considered
phage genes or, instead, phage-located bacterial genes.
Phage Diversity
Phage, like viruses in general, are typically differentiated in
terms of their infection type, virion morphology, or gen-
ome characteristics. Based on infection types, a phage may
be described as a lytic versus chronic releaser or as obli-
gately lytic versus temperate. Based on virion morphology,
phage may be described as tailed (also known as binary),
cubic (including icosahedral), helical, or pleomorphic.
Tails can be long or short, flexible or rigid, and contractile
or noncontractile. Phage genomes can be ssDNA, dsDNA,
ssRNA, or dsRNA. Genomes can also be segmented (mul-
tipartite) or nonsegmented (monopartite). The majority of
phage isolates are tailed and so far as is known all tailed
phage display dsDNA, monopartite genomes, and lytic
cycles (though many are also temperate). See Table 2 for
a description of the various phage families.
Increasingly, phage are differentiated in terms of their
genome nucleotide sequences, and whole-genome sequen-
cing provides a wealth of information useful for inferring
phage genomic functionality and evolutionary history. The
analysis of phage in this manner is referred to, generally, as
the study of phage genomics. Phage additionally may be
distinguished in terms of their host range, that is, what
bacterial types they are capable of infecting. In general,
however, host-range-based classification is less useful in
obtaining a facile understanding of common themes of
phage biology. Perhaps the best illustration of the difficulty
of host-range-based classification are phage P1 and Mu,
which are able to switch between different host ranges by
utilizing alternate phage-encoded adsorption proteins.
Table 2 General characteristics of major phage types infecting eubacteria
Family Genome Morphology Release Examples
Cystoviridae dsRNA,
segmented
Enveloped Lytic f6
Inoviridae ssDNA, circular Helical, rod-shaped, or filamentous Chronic f1, fd, M13, CTX
Leviviridae ssRNA Icosahedral Lytic MS2, F2, Qb
Microviridae ssDNA, circular Icosahedral Lytic fX174
Myoviridae dsDNA, linear Tailed, contractile Lytic Mu, P1, P2, T2, T4, T6, RB69
Siphoviridae dsDNA, linear Tailed, noncontractile, long, flexible
or rigid
Lytic l, N15, SPP1, T1, T5
Podoviridae dsDNA, linear Tailed, noncontractile, short Lytic Gh-1, N4, f29, fA1122, fYe03-12, P22, SP6,
T3, T7
Bacteriophage (overview) 169

Importance of Phage
Bacteriophage play important roles – some positive, some
negative, some current, some historical – in biology, ecol-
ogy, and health. In this section we provide an overview of
these roles. These include, in order of presentation, phage
use as molecular model systems, phage (and phage pro-
duct) use as molecular tools (including phage display
technologies), phage use in bacterial identification, the
problem of phage as contaminants, the promise of phage
therapy (i.e., phage as antibacterial agents), phage use as
indicators and tracers, the study of phage interaction with
animal bodies, the study of phage ecology, phage-mediated
transfer of genetic material between bacteria (i.e., transduc-
tion), the role of phage in bacterial pathogenesis, and the
use of phage models in the general study of organismal
ecology and evolutionary biology.
Phage as Molecular Model Organisms
Phage have been used as model organisms for almost as
long as their biological nature was recognized (e.g., the
use of phage as model viruses by Emory Ellis in the late
1930s). In part this was (and is) due to their ease of culture
and to their amenability to chemical as well as biological
manipulation. Bacteriophage were used in key experi-
ments in the history of molecular biology including
those leading to an understanding of the structure and
composition of the gene, mutagenesis, and gene regula-
tion. Two notable examples are a demonstration, by
Hershey and Chase, that DNA is the genetic material in
phage T2, which served as the second and universally
convincing system for which DNA was demonstrated to
be the hereditary material, and the demonstration, by
Luria and Delbru¨ck, of the existence of mutations within
a population before selection, which ushered in the now
obvious understanding that bacteria, like peas and fruit
flies, also possess an experimentally accessible genetics.
Phage were used in many other key discoveries in the
history of molecular biology. A partial list includes recom-
bination of phage chromosomes; viral encoding of
metabolic enzymes; restriction/modification enzymes;
fine structure of the gene; mechanisms of mutation; exis-
tence and function of mRNA; nature of the genetic code;
colinearity of genes and proteins; conditional lethal muta-
tions; nonsense and frameshift mutations; protein assembly
pathways; role of sigma factors in transcription; in vitro
gene expression; noneukaryotic introns; and the identifica-
tion of DNA replication fork proteins.
Phage as Molecular Tools
Just as bacteriophage played a critical role in the devel-
opment of molecular biology, bacteriophage have been
vital in genetic engineering technologies. The use of
phage as cloning vectors (carriers of cloned genes), for
example, takes advantage of the ability of phage to infect a
large population of bacteria essentially simultaneously
and begin expressing the cloned gene in a temporally
coordinated fashion. This has allowed the expression of
proteins that would otherwise be lethal to bacteria.
Likewise, the ability of some phage to integrate their
DNA into specific sites in the bacterial genome allows
for bacterial strain modification that would prove difficult
by general recombination.
Many different phage have been used to develop
genetic engineering tools and techniques, but three have
played especially important roles. These are the tempe-
rate phage l(and the related lambdoid phage), the
chronically released filamentous phage M13 (and its cou-
sins f1 and fd), and the obligately lytic phage T7. Phage l
along with the various filamentous phage have been used
to develop a series of gene expression and cloning vectors.
The organization of the lgenome is especially useful as a
cloning vector since the central one-third of the 48 000 bp
genome can be deleted, leaving ample room for inserted
genes. This segment includes all of the genes responsible
for lysogeny, committing the derived phage to a solely
lytic life cycle. Phage M13 and T7 have been widely used
in phage display technology (below). Functional elements
of other phage, including the promoters of phage T3, T7,
and SP6 as well as the phage f1 origin of replication, have
come to be used in a wide variety of cloning vectors.
Filamentous phage (M13, f1) lack a large dispensable
region but have other uses since cloning vectors derived
from these phage can form a plasmid-like intermediate in
the infected cell and replicate and package their genomes
in a ssDNA form. Single-stranded DNA is particularly
useful for a number of genetic engineering procedures
including oligonucleotide-directed site-specific mutagen-
esis, synthesis of strand-specific probes, subtractive
hybridization, and DNA sequencing. Likewise, there are
more specialized functional elements, such as the cin
recombinase (also called cre recombinase) and recogni-
tion sites (cix-cin sites) of bacteriophage P1, which have
been adapted to make a powerful site-specific recombina-
tion system: the Cre/Lox system.
Phage Display
A powerful phage-based genetic engineering tool is phage
display. Phage display is a form of high-throughput screen-
ing that allows large numbers of peptide segments to be
screened for binding to a target. For these systems, a library
encoding short peptide segments is inserted into a gene
encoding a phage virion capsid protein. Insertion of these
peptides is accomplished at a location that leaves the added
peptides on the surface of the virion particle, in a manner
that minimally disrupts virion functionality, and where
170 Bacteriophage (overview)

they are accessible to interact with other proteins or mate-
rials. Depending on the virus vector used, the displayed
peptides may be in head proteins, receptor proteins, coat
proteins, and so on. The resulting recombinant phage are
exposed to a target protein, or other material, that is
usually fixed to a surface or other solid matrix. If the
inserted protein segment has affinity for the target, then
the phage will bind to it. Noninteracting phage are washed
away and the bound phage are recovered. The recovered
phage are then grown to produce a population enriched for
phage whose inserted peptide binds the target. These steps,
which are sometimes termed ‘biopanning’, are repeated
through several (commonly three to five) rounds to obtain
phage containing the tightest binding segments under the
conditions used.
Phage display has been used in finding peptides that
bind to a wide variety of targets and that are useful for
many purposes including the generation of antibody
and other protein-binding peptides (which are useful
for epitope mapping and for vaccine development);
virus-receptor-binding peptides (which are useful in
drug discovery); novel DNA-binding peptides, espe-
cially ones that show sequence specificity (which may
be employed in designing novel gene regulatory pro-
teins); and peptides that bind to inorganic materials
(such as semiconductor materials used to create hybrid
organic–inorganic materials). Not all phage display sys-
tems work equally well for a given application and
finding the most appropriate system for a particular
target is sometimes a matter of trial and error.
Phage Use in Bacterial Identification
The treatment of bacterial disease, or otherwise dealing
with bacterial contamination (including by quarantining),
is eased via rapid and accurate bacterial identification. For
decades phage have played important roles in such identi-
fication. Early techniques involved phage typing, which is
bacterial identification (and classification) on the basis of
phage susceptibility. For bacterial detection, phage may be
added to bacteria-containing cultures, looking for phage
amplification that occurs only if phage-susceptible bacteria
are present. Alternatively, phage endogenous to a culture
(i.e., naturally occurring) and that infect specific bacteria
types may be used to infer bacterial presence. More
recently, phage have been tagged with reporter molecules,
such as fluorescent markers, or have been bioengineered to
express reporter genes, which provide light or color
changes within a culture only if phage infection occurs
successfully. The latter approach is especially useful in
identifying bacterial antibiotic susceptibility since antibio-
tics capable of blocking phage infection (due to blocks on
bacterial metabolism) can also block reporter-gene expres-
sion. All of the techniques are dependent in their efficacy
on the relatively narrow host range displayed by many
phage, that is, the potential by phage to infect only a
limited number of bacterial types.
Phage as Contaminants
Biotechnology employs organisms to produce useful pro-
ducts and in the modern world this typically involves
employing some form of recombinant DNA. As the use of
microorganisms in biotechnology has become more sophis-
ticated, especially beyond their use, for example, as
naturally acquired cultures during food production, the
tendency has been to employ pure cultures. A pure bacterial
culture, however, is especially susceptible to inactivation by
contaminating phage. That is, a single bacterial type may be
wiped out by a single phage type, whereas wild cultures,
consisting of multiple bacterial types, are more likely to
contain bacteria that are inherently resistant to any given
phage type. With the advent of modern culturing techni-
ques, along with bacterial culturing on industrial scales,
phage contamination thus can and often does lead to cata-
strophic fermentation failure.
Fermentation failures are especially prevalent in the
production of fermented dairy products, such as cheeses,
since the milk is not sterilized prior to use and therefore
can contain phage specific to the starter culture bacteria
employed to create the specific characteristics of the
fermented food. A variety of steps may be taken to mini-
mize phage contamination, or its impact. These include
modifications to fermentation facilities or to the bacterial
strains employed.
Indigenous phage have also been implicated in the
failure of natural bacterial assemblies. These may include
the lactobacilli, vaginal normal flora that otherwise can
serve as a bulwark against bacterial vaginosis. It has been
hypothesized that cigarette smoking can lead to bacterial
vaginosis as a consequence of prophage induction in
vaginal lactobacilli lysogens.
Phage Therapy
While phage can be a nuisance because of their ability to
infect and thereby inhibit or destroy bacterial cultures of
industrial importance, that same propensity can be har-
nessed to reduce numbers of nuisance bacteria, including
bacterial pathogens. This phage application as antibacterial
agents is described generally as phage therapy. The history
of phage therapy is almost as long as the history of phage
study itself, but phage use as antibacterial therapeutic
agents was discarded, especially by Western medicine, as
a consequence of the discovery of antibiotics. Phage ther-
apy has a number of advantages over traditional antibiotics,
however. Phage are self-replicating, minimally toxic, and
easily isolated. Furthermore, phage display a ‘narrow spec-
trum of activity’ (which for phage is their host range),
meaning that only relatively few bacteria are susceptible
Bacteriophage (overview) 171

to a given phage strain. As a consequence, unlike antibiotics
with their broader spectrum of activity, phage therapy is
much less likely to cause the ‘collateral damage’ of destroy-
ing beneficial bacteria along with pathogenic, target
bacteria. Phage therapy therefore is less likely to give rise
to side effects such as overgrowth of opportunistic patho-
gens, so-called superinfections, that sometimes occur such
as with antibiotic-associated vaginal yeast infections or
Clostridium difficile-associated colitis.
Phage as Fecal Indicators and Environmental
Tracers
Phage are found associated with fecal material because
bacteria are abundant in the animal colon. As feces carry
enteric pathogens capable of causing disease in otherwise
healthy individuals, public health measures are directed
toward both avoiding contaminating water supplies with
feces and monitoring water supplies for fecal contamina-
tion. In addition to certain bacterial types, phage can be
employed as indicators in such monitoring, especially
since, as viruses, they can mimic (to a certain degree)
the survival characteristics of pathogenic enteric viruses.
Also, as mimics of enteric viruses, phage can be employed
to test the potential of various water treatments for
removal of such viruses, as well as for virus removal, or
containment, in a variety of nonwater contexts. Phage are
also employed as relatively inert tracers of water move-
ment, including of underground water supplies.
Phage-Based Interactions with Animal Bodies
Phage can be employed as a means of characterizing
animal bodies, be it in terms of immune response, their
removal from serum by nonspecific immunity, or in map-
ping tissues using phage display. Phage fX174, especially,
has been used to study the human humoral immune
response, serving as a neoantigen (one not previously
experienced by an animal) such that primary, secondary,
and tertiary immune responses may be induced simply
with subsequent vaccination. Antibody fragments pro-
duced by phage display methods can also be used to
target specific tissues. A phage display library of antibody
fragments is injected into an animal including, in certain
instances, into humans. Recovery of phage virions from
tissues and subsequent phage growth results in amplifica-
tion of antibody fragments with specific binding
properties and/or a mapping of antibody binding to spe-
cific tissues. This can be considered in vivo biopanning.
Phage that display tissue-targeting peptides may be
employed in the course of gene therapy, serving as vec-
tors targeting specific tissues. Here, phage DNA is
replaced by appropriate gene therapy vector DNA along
with the therapeutic gene of interest. Phage may also
serve as platforms for the display of antigens as vaccines.
Because phage proteins also provoke an immune
response, the phage itself may act as an adjuvant for the
displayed peptide, that is, a substance that enhances the
immune response.
Phage Ecology
Phage ecology is the study of the interaction of phage with
their environments. Environments consist of biotic compo-
nents (other organisms) or abiotic components (spatial,
chemical, and physical factors). Subdisciplines of phage
ecology consist of organismal, population, community, and
ecosystem ecologies. Organismal phage ecology considers
those phage adaptations responsible for phage survival or
acquisition of new bacteria to infect. Phage population ecol-
ogy considers groups of similar phage (loosely, same phage
species) that are located within the same environment. Of
concern are demographic factors, especially births and
deaths, and how these factors are affected by phage and
bacterial population densities. Communities consist of
more than one species found within the same environment,
and phage community ecology considers especially the
interaction between phage and bacteria but also among
phage or between phage and other organisms that are
affected by phage-associated bacterial genes such as toxin
genes.
Ecosystems consist of both biotic and abiotic factors
contained within a reasonably well-delineated environ-
ment, such as a pond or a field, and phage ecosystem
ecology considers especially the impact of phage on the
movement of energy and nutrients through and within
ecosystems. The interruption of such movement by
viruses is especially important in aquatic environments,
which are principally based on primary production
(photosynthesis) performed by microorganisms. In addi-
tion, the lysis of these microorganisms provides nutrients
to heterotrophic bacteria, which serve as a second base of
aquatic ecosystems. Phage disruption of aquatic environ-
ments has a significant impact on the global carbon
budget and therefore on the global warming that results
from atmospheric carbon dioxide accumulation.
Horizontal Gene Transfer
Transduction is the movement of DNA from one bacter-
ium to another via a phage virion carrier that has picked
up bacterial DNA during infection. When the virion
carrying the bacterial DNA infects another bacterium,
the transduced DNA enters the recipient cell following
the same entry path normally used by phage DNA. The
DNA can then be incorporated into the bacterial genome
via recombination. Transduction appears to play an
important role in bacterial gene exchange.
In generalized transduction the DNA within a phage
virion comes entirely from the bacterial genome.
172 Bacteriophage (overview)

Generalized transduction can move bacterial genes with-
out distinguishing among them, but is mediated by inviable
phage virions. Specialized transduction occurs when
prophage excise from a bacterial genome in a manner
that incorporates adjacent genetic material. Specialized
transducers can retain phage viability, though the likeli-
hood of viability is reduced as the size of the bacterial
genetic material transferred is increased. Phage can also
incorporate bacterial genetic material via illegitimate
recombination, forming what are known as morons (for
‘more’ DNA). The moron accretion hypothesis posits that
phage evolution occurs via the gradual incorporation of
morons. Through coevolution with the rest of the phage
genome, these morons either are eliminated or come to
take on important phage functions.
Phage Role in Bacterial Pathogenesis
As transducers of DNA, phage play important roles in
bacterial pathogenesis, the potential of bacteria to cause
specific diseases. During lysogeny many prophage can
express genes that impact bacterial phenotype, for exam-
ple, by the production of exotoxins, which are eukaryote-
affecting toxic proteins released from the bacterial cell.
The expression of these genes is described as either phage
conversion or lysogenic conversion. In addition, following
induction of a prophage, genes that impact the character-
istics of the harboring bacterial culture may also be
expressed. Also, via generalized transduction, phage can
transfer bacterial DNA as so-called pathogenicity islands,
which are contiguous strings of genes that encode factors
that contribute to bacterial pathogenicity.
While not all examples of lysogenic conversion contri-
bute to bacterial pathogenesis (superinfection immunity by
temperate phage does not, for example), there are many
instances where bacterial toxins are encoded by temperate
phage either in the lysogenic phase or, less commonly,
during the lytic cycle. Corynebacterium diphtheriae, for exam-
ple, is converted from a nonpathogenic form to a
pathogenic form after phage infection. Likewise, about
5% of the genomes of pathogenic strains of Salmonella
typhimurium are composed of prophage genomes, and
these prophage contain some of the bacterial arsenal of
exotoxin and other virulence factor genes. Pathogenic
strains of Vibrio cholerae also owe much of their pathogeni-
city to phage conversion, with cholera toxin encoded by
the temperate and filamentous phage CTX.Another
variation on this theme is seen in the production of Shiga
toxin by pathogenic strains of E. coli such as the serotype
O157. There are several related Shiga toxins but a typical
feature is that their genes are located in prophage genomes
and the harboring bacteria lack a mechanism to export the
toxin. Instead, Shiga toxin is released when the prophage is
induced and subsequently lyses the bacterium to release
phage progeny.
Phage as Ecological and Evolutionary Model
Organisms
Besides studying phage ecology and evolutionary biology,
researchers test ecological and evolutionary biological
theories by employing phage. In other words, just as
phage have been useful as models for universal molecular
aspects of life (e.g., transcription, translation, and DNA
replication), they can serve as model organisms for study-
ing universal (or, at least common) aspects of organismal
ecology and evolutionary biology. Included are the study
of predator–prey interactions, evolutionary optimization
of adaptations, the generation of known phylogenies
(diverging lineages of evolving populations), genetic con-
straints on natural selection, and the evolutionary roles
played by genetic drift. The advantages associated with
employing phage in these studies include their relatively
simply biology, their rapid rates of reproduction, the
exceedingly high numbers that phage may be grown to,
ease of long-term storage, high mutation rates (especially
for RNA and ssDNA phage), ease of laboratory manip-
ulation, amenability to genetic engineering (including
reverse genetics, i.e., engineering in mutations), and, per-
haps especially, the relative smallness of phage genomes
(particularly, again, for RNA and ssDNA phage), which
allows for routine whole-genome sequencing.
A Closer Look at Certain Aspects of Phage
Biology
Certain aspects of phage biology have been extremely
well defined molecularly. In this section we provide an
introduction to several of these processes, focusing on
phage adsorption, virion assembly, lysis, lysogeny, and
phage evolution.
Adsorption
Adsorption describes the process by which phage attach
to the surface of host bacteria. This process has been
especially well defined for the contractile, long tail
fiber-containing T-even bacteriophage. The tips of the
six long tail fibers bind to specific surface proteins or
other bacterial receptor molecules (such as lipopolysac-
charide). It has been shown that three of the six tail fibers
are sufficient to properly orient the phage onto the sur-
face of the cell, placing the base plate (found at the distal
end of the tail) in proximity to the surface. Binding of the
long tail fibers is reversible so that if the base plate is not
adjacent to its receptor, then the long tail fibers can
release. These reversible interactions allow the phage to
‘walk’ across the surface of the cell until the short tail
fibers, found under the phage base plate, are able to
successfully bind. Short tail fiber binding is irreversible
Bacteriophage (overview) 173

and, along with the long tail fibers, triggers the opening of
the base plate. The remainder of the infection process
consists of tail sheath contraction, exposure of phage
enzymes that help degrade the cell wall, penetration of
the tail tube through the cell envelope to the cell mem-
brane, and subsequent ejection of the phage genome into
the bacterial cytoplasm.
Virion Self-Assembly
Assembly of the virion particle is often described as ‘self’-
assembly because an ordered assembly process in which
complex structures are built by the individual component
proteins, which self-assemble in a defined order, aided by
only a limited number of accessory or helper proteins. In
addition, different virion components, such as the head,
tail, and, if present, the tail fibers, self-assemble indepen-
dently and then join together. The tail is perhaps the most
complex of the three main components and its assembly
illustrates several principles. As outlined in Figure 1,in
T-even phage, tail assembly begins with the base plate.
This is composed of six wedges that are each made up of
several different proteins and hub protein complexes. The
wedges and hubs combine to form the hexagonal base
plate. Once the base plate has assembled, the short tail
fibers attach to it. Only after this step is completed does
the tail tube form, assembling onto the base plate. Once
the tail tube is formed, then the proteins that make up the
contractile sheath assemble around the tail tube. Finally,
the tail assembly is completed by the addition of connec-
tor proteins that will link the completed tail to the head,
after its assembly (including genome packaging) is com-
pleted. Over 20 different proteins form the tail, but only
two chaperone proteins (proteins that aid protein folding)
are needed for tail assembly. In each step of assembly, the
partially completed structure acts as the initiating com-
plex for the next proteins to bind to and complete their
folding to their final form. A similar process is followed by
phage heads and tail fibers.
Filamentous phage, such as M13, have a very different
assembly pathway that reflects their chronic release.
Because of this type of release, completed virions do not
accumulate in the infected cell. Instead, they are conti-
nually extruded from the infected bacterium and
assembly is intimately tied to this extrusion. Assembly
takes place at the cell membrane and all phage proteins
that are involved in virion formation, including those
involved in pore assembly through which virions are
extruded, are integral proteins that collect in the mem-
brane. Virion assembly begins when a phage genome,
bound to a specific structural protein at the genome
packaging site, enters the pore. Additional capsid proteins
attach to the growing virion as it passes through the pore
until the entire genome is coated with the major coat
protein. The capsid is completed with minor coat
proteins binding to the terminus, including the receptor
proteins. This completion also triggers the release of the
now-mature virion.
Genome Packaging into Capsids
As part of the self-assembly of phage virions, replicated
phage genomes must be packaged into phage capsids.
This process has been well studied for the tailed dsDNA
phage, which package their DNA into the head portion
of the capsid. The process of DNA packaging is not
straightforward owing to the length of DNA that must
be packaged along with the need, for many phage, to
Unassembled wedge
and hub proteins Assembled wedge
and hub proteins
Tail sheath
completed
Tail tube
assembly
begins
Tail tube completed
as tail sheath
assembly begins
Connector
proteins added
to complete tail
Base plates with
short tail fibers
Figure 1 T-even phage tail assembly. Self-assembly of the
phage tail begins as wedge and hub proteins join together to
form a partial base plate. Base plate assembly is completed by
the addition of the short tail fiber and joining proteins. Two
completed base plates (top and side views) are shown. The base
plate acts as the assembly initiator for the tail tube. As the tail
tube assembles, the base plate/tail tube acts as the assembly
initiator for the tail sheath. Once the tail tube and, then, the tail
sheath are completed, connector proteins are added. The
connector proteins will join the head and tail together after the
head is filled with DNA. Note that not all steps are shown and that
some steps require accessory proteins that are not part of the
final structure. For example, short tail fiber assembly requires a
chaperonin (a protein necessary for proper folding of another
protein into its native conformation). Adapted from Figure 8 of
Coombs DH and Arisaka F (1994). T4 Tail Structure and Function.
In: Karam J (ed.) Molecular Biology of Bacteriophage T4, pp.
259–281. American Society of Microbiology: Washington, DC.
174 Bacteriophage (overview)

package that DNA into heads at a density that is nearly
crystalline. Furthermore, the DNA must be packaged in
such a way that DNA exits from heads both smoothly and
rapidly. This packaging involves enzymes responsible for
moving DNA through ports found in what are known,
prior to their maturation, as proheads. All tailed dsDNA
phage package their genomes as linear molecules either
exactly one genome in length or slightly longer. In both
cases the genome is packaged from a large concatemer
containing many copies of the phage genome that may be
linear or more structurally complex (branched concate-
mers). Phage that package more than one genome length
of DNA package that DNA directly from this concatemer
and continue packaging DNA into the prohead until it is
full. Hence, it is the capacity of the phage head that
determines the amount of DNA that is packaged and the
mechanism is described as ‘headful’ packaging. Because
there is more than one genome length of DNA packaged,
the ends of the linear molecule are duplicated and this
duplicated DNA is often used to circularize the genome
after the next infection. Furthermore, this mechanism
means that each individual phage packages genomes
that have different segments of the genome duplicated,
resulting in a genomic map that is circular.
Phage that do not package DNA by headful mechan-
isms often employ genomic elements that determine the
ends of the packaged DNA by defining where the genome
is cut from the replication concatemer. Hence, these
phage package exactly one genome length and the map
of that genome is linear. For example, phage lflanks the
ends of its packaged genome with cos sites, which are over
200 bp long and act as recognition sites for the packaging
enzymes (terminases) that cleave near the middle of the
cos sites, leaving a 12 bp overhang. These ends are recog-
nized by other packaging enzymes that place the DNA
into the maturing phage head. The cos sites also allow for
the lgenome to circularize when infecting the next cell.
Other phage use similar packaging-enzyme recognition
sites that are more generically described as pac sites (for
packaging).
Lysis
Phage-induced bacterial lysis serves as a means by which
mature phage progeny may be released from phage-infected
bacteria. Lysis allows rapid release of large numbers of these
progeny, but comes at the expense of ending intracellular
phage progeny production. That is, lytic phage can continue
to produce progeny or release those progeny to find new
cells to infect, but not both simultaneously, and only in that
order. Phage-induced lysis also has the effect of destroying
the infected bacterium, which is relevant with regard to
nutrient cycling within ecosystems (i.e., the freeing up of
nutrients locked within bacteria as well as the release of
intracellular bacterial enzymes, and other molecules, which
can go on to modify the extracellular environment). The
best studied of phage-associated lysis mechanisms involves
at least two components: a protein called a holin and a
secondproteinthatdigeststhebacterialcellwall(theendo-
lysin, also known, generically, as a lysozyme).
The holin controls both the timing of lysis and the access
of the endolysin to the cell wall (the cell wall is divided from
thecytoplasm,wheretheendolysinaccumulates,bythe
bacterial plasma membrane). Accumulating in the plasma
membrane of the infected bacterium, the holin proteins
create holes with precise timing to effect catastrophic expo-
sure of the cell wall to the phage endolysin. For lytic ssDNA
phage, in contrast, lysis is achieved via the production and
export of a cell wall synthesis inhibitor. As cells continue to
grow despite phage replication, these inhibitors eventually
cause cell wall failure, giving rise to osmotic lysis of the
bacterial cell and thereupon release of intracellular phage
progeny. Another type of lysis is lysis from without, which is
effected by T4-like phage. In this lysis mechanism, adsorp-
tion by multiple phage to a single cell weakens the cell wall,
due to lytic enzymes found on the phage tail, contributing to
cell wall failure and osmotic lysis of the cell. This mechan-
ism of lysis may serve to augment the lysis by these phage
during growth within cultures containing high densities of
phage-infected bacteria.
Lysogeny
Temperate phage are capable of causing lysogeny.
Figure 2 outlines the relationship of lysogeny as com-
pared to a lytic infection. The prophage is the temperate
phage genome as found during lysogeny. Traditionally,
temperate phage are described as integrating into the host
genome, and replicating along with the bacterial genome,
as seen with the prototype temperate phage, phage l.
However, temperate phage that effect lysogeny by form-
ing plasmids are also known (e.g., phage P1 and N15).
Note that temperate phage are not properly described as
lysogenic since lysogeny, traditionally, is considered to be
a characteristic of bacteria rather than of phage.
Upon infection, temperate phage may be ‘reduced’ to a
prophage rather than display a productive infection.
Temperate phage such as phage l(as well as phage P22
and CTX) display a site-specific reciprocal insertion
into the host genome. The steps in this mechanism
include a closing of the linear phage genome into a circle,
which is followed by recombination over small regions of
homology between phage and bacterium at a specific site
in the host chromosome. This integration mechanism is
catalyzed by the phage integrase enzyme. To go from a
lysogenic to a productive state (induction), excision
enzymes reverse this integration step. In contrast to
phage l, phage Mu displays a nonreplicative transposi-
tion mechanism to insert (rather than recombine) its
genome into the host bacterium in a manner that is similar
Bacteriophage (overview) 175

to that employed by transposons or retroviruses, such as
human immunodeficiency virus (HIV). This transposition
is not site-specific, unlike phage lintegration, and, as a
consequence, results in random mutation by gene disrup-
tion of the bacterial chromosome. ‘Mu’ in fact, is named
for the first two letters of the word ‘mutation’.
To prevent induction (which is activation of a produc-
tive infection), prophage express repressor molecules
(usually proteins) that inhibit the transcription of genes
necessary for exit from the lysogenic state. In addition to
maintaining lysogeny, the repressor protein is responsible
for causing immunity (superinfection immunity), which is
the inhibition of infection by phage of the same type. For
many temperate phage, induction occurs following DNA
damage, which induces the bacterial SOS system, leading
to repressor inactivation by cleavage.
Mosaic Model of Phage Evolution
The earliest studies on the arrangement of genes in phage
genomes showed that these genes tend to cluster by
function. For example, most of the virion head protein
genes tend to be adjacent to each other within the genome
and may even express as a single cistron. This is advanta-
geous as it coregulates genes of similar function and also
tends to increase the genetic linkage of genes of related
function. As more and more phage genomes have been
sequenced, it has become clear that genes of related
function are often exchanged in blocks via recombination
events. This recombination can be illegitimate, thereby
involving no sequence homology among the regions
swapped. Alternatively it may involve minimal homology.
In addition to the swapping of gene blocks, individual
genes, or even parts of genes, may be swapped as well.
These nonhomologous or minimally homologous
exchanges are probably fairly rare, and most recombina-
tion events likely result in phage genomes that are fatally
defective. Large numbers of phage and phage infections
presumably allow for sufficient recombination, however,
between divergent coinfecting phage such that gene
exchange despite minimal homology is a major mode of
evolution for bacteriophage. These exchanges should
occur especially during productive phage infections of
bacterial lysogens, with recombination occurring between
infecting phage and prophage, or among prophage pre-
sent within a single bacterial cell. The result is that phage
genomes typically are mosaic, with different genes or
regions found within a given phage genome displaying
greatest homology with a diversity of different phage.
Homology is also found with bacterial genes but, in
many cases, phage genes with no homology to previous
gene sequences are found, suggesting that there exists an
enormous diversity of genetic information encoded by
phage from all over the world. In addition, regions of
genome homology between phage that otherwise are
quite distinctive (e.g., phage T4 and phage l) are not
uncommon.
Overview of Well-Studied Phage Types
A number of phage types have been extensively studied
and serve as models for understanding phage biology.
Among these phage are the famous ‘T’ (for type) phage
of E. coli B, which were assembled by Milislav Demerec
with the help of Max Delbru¨ck: phage T1 through T7.
We present an overview of these T phage first, starting
with phage T4, the best studied among them. We then
Adsorption and uptake
Lytic-lysogeny
decision
Lysogeny
Prophage
Productive
cycle
Transcription Replication Induction
Translation and assembly
Release (via lysis)
Figure 2 Outline of the life cycles of a temperate phage. After
infecting, early proteins made by the phage determine whether
the phage will enter the lytic or lysogenic modes. In lysogeny, the
phage genome forms a prophage, which for most temperate
phage is integrated into the host genome. In this state, bacterial
replication also replicates the phage genome, thereby
maintaining lysogeny. Some change in bacterial metabolism,
typically DNA damage that induces the bacterial SOS pathway,
triggers the prophage to enter an active state via the process of
prophage induction. The prophage is excised from the bacterial
genome and begins expressing phage genes, just as phage that
go directly into the lytic phase do. Genes for genome replication
as well as virion structural proteins and genome packaging are
expressed. The genome is packaged into proheads, virion
assembly is completed, and the cell is lysed to release the
progeny phage. Note that not all details are shown and that some
temperate phage do not follow these specific details.
176 Bacteriophage (overview)

discuss phage l, which is also a coliphage and which
serves as the archetypical temperate phage. Then we
turn to brief synopses of a number of additional phage
types.
Phage T4 (also T2, T6, RB69, and others)
Bacteriophage T4 is a well-studied, obligately lytic phage
of E. coli. It is a member of the family Myoviridae, meaning
that it has a contractile tail as well as a large icosahedral
head. Phage T4 has a relatively large dsDNA genome of
approximately 170 000 bases, including modified bases
(glycosylated hydroxymethylcytosines) that allow the
phage genome to resist digestion by numerous bacterial
restriction endonucleases. As one of the best studied of
phage types, the biology of phage T4, like that of phage
l, may be considered archetypical. In studies of phage
evolution, phage T4 along with phage T2 and T6 form
the original members of the T-even family of bacterioph-
age, which now includes many members that infect many
other species of bacteria besides E. coli.
Among the interesting, additional characteristics of
phage T4 biology are a highly structured self-assembly
pathway for virion particles, multiple modes of DNA
replication initiation that are utilized at defined times
during the replication cycle, a gradual subversion of the
host RNA polymerase complex by a combination of
covalent modification and replacement of accessory pro-
teins that allows sequential recognition of various classes
of phage promoters, gradual breakdown of the host gen-
ome and mRNA to supply nucleotides for phage
replication and transcription, a large number of nones-
sential gene products, unusual genetic features including
overlapping genes, and the first noneukaryotic introns
identified.
Phage T1 (also TLS and others)
Bacteriophage T1 is another member of the classic seven
T phage. It is also an obligately lytic virus of E. coli, but
unlike T4 it is a member of the Siphoviridae family,
having an icosahedral head and a long, flexible, noncon-
tractile tail. The T1 genome consists of a single dsDNA
molecule of just under 50 000 bp. Phage T1 and related
phage are less well studied than the T-even family, in part
due to T1’s early reputation as a troublesome phage: T1
virion particles are notoriously durable and persistent,
resistant to desiccation, and able to spread as aerosolized
particles, resulting in its reputation as a contaminant.
Stories of labs requiring periodic sterilization or hanging
ultraviolet lamps abound, as does the (likely apocryphal)
story of an early researcher recovering a sample of T1
from the letter sent by a colleague declining to send a
sample. While some of these stories may be exaggerated,
it is true that many commonly used laboratory strains of
E. coli carry the tonA or tonB allele, which confers resis-
tance to phage T1 infection.
Phage T7 and T3
Morphologically, T7 and T3 are members of family
Podoviridae, possessing an icosahedral capsid with a short
tail and tail fibers. The T7 genome is just under 40 000 bp
of dsDNA. Unlike most phage, the packaged genome only
occupies about half of the virion head. The remainder of
the space is taken up by a large complex of internal
proteins that the genome is coiled around. Packaging of
the phage genome is less precise than with other phage,
and DNA of between 85% and 103% of the full genome
may be packaged. The internal proteins are ejected from
the phage head before genome ejection and seem to form a
channel through the cell membrane for the genome.
Genome entry into the cell is unusually slow for bacter-
iophage and seems to require active transcription of the
initially entering DNA (850 bp) for the remaining genome
to enter the cell. It appears that it is transcription itself
rather than the expression of particular genes that is the
key to phage DNA internalization.
Both phage T7 and T3 produce their own RNA poly-
merase for late-gene expression. These RNA polymerases
are unusually specific for the phage promoters and have
found widespread use in many commercialized gene
expression vectors. Phage T7 has also found use as a
phage display vehicle.
Phage T7 and T3 are two members of a larger group of
phage related by genomic analysis. Not all members are
coliphage but include, for example, phage infecting
Yersinia,fA1122 and fYeO3-12, and a Pseudomonas putida
phage, gh-1. These other phage display high degrees of
homology to phage T7 genes, as consistent with the mosaic
model for phage evolution. The host range of phage T7
supports this family linkage: Wild-type T7 can infect some
species of Salmonella and Shigella, but extended host range
mutants that can infect some Yersinia species have also
been isolated as have some mutants of fA1122 that can
infect E. coli.
Phage T5
Bacteriophage T5 is an obligately lytic phage of E. coli,
which is classified as a member of the Siphoviridae family,
having an icosahedral head and a long, noncontractile tail.
Its genome is composed of a single linear piece of dsDNA,
with just over 121 000 bp. Although its life cycle has
several unusual features, phage T5 is not nearly as well
studied as other phage types considered here. In part this
lack of study is due to the presence of a large number
of unusually strong promoters that interfere with
bacterial metabolism when cloning of genomic fragments
is attempted. Among the unusual features are a number of
Bacteriophage (overview) 177

nicks in the packaged genomic DNA, whose function is
unknown, and the excretion of nucleotides from the
infected cell soon after infection. This excretion ends
after the genome has completely entered the cell.
The entry of the phage genome into the cell is also
different from most other families of phage in that phage
T5 (and a few near relatives) do not eject their entire
genomes into the cell at one time. Instead, about 8% of
the genome is ejected into the cell. Expression of the
genes on this segment is necessary for the remainder of
the genome to enter the cell. Ten proteins appear to be
expressed from this genome segment, although not all are
essential for genome entry. The pause between the first-
stage and the second-stage genome transfer is about 5 min.
Phage l
Phage ldisplays the Siphoviridae morphology, posses-
sing an icosahedral head and a long, flexible,
noncontractile tail. Phage lis the type phage for a
large number of related phage usually described as lamb-
doid and though phage linfects E. coli, other lambdoid
phage infect strains of Salmonella,Shigella,Pseudomonas,
Burkholderia, and so on. Though strictly speaking the
term lambdoid is reserved for those phage that can form
recombinants with phage lwhen they enter the same cell,
the term is increasingly being used more loosely to
describe any phage that has the appropriate morphology
and a temperate life cycle.
The genome of phage lis a single dsDNA molecule
about 48 500 bp long. In its intracellular circular form, the
genome can be readily divided into a single portion of
about one-third of the genome that contains genes related
to lysogeny. Another segment constituting the other two-
thirds of the genome contains structural and other lytic-
phase-related genes. When the genome is packaged, the
lytic phase genes are divided, forming right and left arms
of the genome flanking the central lysogenic segment.
The temperate life cycle and lysogenic state are described
elsewhere in this article.
Phage N4
Phage N4 is a member of the family Podoviridae, which
infects a limited number of E. coli K-12 strains. Unlike
other coliphage, which infect using receptors that are
fairly common on the E. coli surface, there appear to be
only five attachment sites for N4 on each cell. The N4
genome is a single linear dsDNA molecule of about
70 000 bp. The left end of the genome is unusual in that
it has a 5–6 base 39overhang while the right end varies
between substrains and may be blunt or have a 1, 2, or 3 bp
39overhang.
The virion of phage N4 is also unusual, not in its
structure, but in its contents. In addition to the phage
genome, there are one or two copies of a phage-encoded
RNA polymerase, designated vRNAP. This RNA poly-
merase is essential for phage N4 early gene transcription.
One of those early transcripts is for a second RNA
polymerase, RNAPII, which mediates middle gene tran-
scription. Surprisingly, phage N4 late-gene transcription
appears to be effected by the host E. coli RNA polymerase.
Even more surprisingly, the phage-encoded ssDNA-
binding protein, normally employed during DNA repli-
cation, is also needed for transcription from late genes.
Phage f29
Phage f29 and related phage are Podoviridae that infect
Gram-positive Bacillus species, especially Bacillus subtilis,as
well as other, especially Gram-positive, bacteria. These
phage are notable for their relatively small genomes,
which are linear, dsDNA, and about 20 000 bp long.
Phage f29 has served as a model system for the study of
transcriptional regulation, DNA replication, and virion
morphogenesis.
Phage SPP1
Phage SPP1 is a well-characterized generalized transdu-
cing phage of B. subtilis possessing a Siphoviridae virion
morphology. It has a linear dsDNA genome of about
44 000 bp. Phage SPP1 and related phage are capable of
effecting the transduction of plasmids. SPP1 has also been
employed to study phage transfection, which is the trans-
formation of competent bacteria with a phage genome
leading to infection.
Phage P1
Phage P1 is a temperate phage of the Myoviridae family,
possessing an icosahedral head and a long, contractile tail.
Phage P1 can mediate generalized transduction between
E. coli strains and other Gram-negative bacteria. In addi-
tion to its generalized transducing abilities, phage P1 has
two other features that are unusual among bacteriophage:
First, though a temperate phage, P1 does not integrate its
dsDNA genome into the bacterial genome. Instead, the
genome circularizes and replicates in a plasmid-like state.
The phage devotes several genes to controlling replica-
tion and partitioning of the plasmid so that it is stably
maintained at low copy number.
Second, phage P1 also has two complete sets of tail
fiber genes, each conferring a different host range. These
genes are arranged in opposite orientation in the phage
genome with a single control region located in between. A
phage-encoded inversion system switches the control
region from one orientation to the other, activating one
or the other set of tail fiber genes. Any single burst con-
tains identical progeny. However, during the lysogenic
178 Bacteriophage (overview)

phase the inversion system is active enough so that a
population of lysogens produce about 50% of phage of
each host range type. It is this inversion system that has
been adapted to create the Cre/Lox recombination
system.
Phage P2
Phage P2, like phage P1, is a temperate Myoviridae of
E. coli and, in fact, both phage were isolated at the same
time. The phage P2 genome is a single, linear dsDNA
molecule, about 33 000 bp in length. Unlike phage P1,
phage P2 integrates its genome into the host genome
during lysogeny and is not particularly efficient at gen-
eralized transduction. Phage P2 and related phage,
however, do seem readily able to capture nonessential
genes that have no role in phage metabolism – morons
(as described above) – that allow the phage to confer
lysogenic conversion phenotypes to host bacteria. In addi-
tion, these related phage display extensive mosaicism
similar to that of the T-even and lambdoid families of
phage.
Phage P4
Phage P4 is a satellite phage, only able to productively
infect E. coli strains that are P2 or related phage lysogens.
P4 is dependent on the P2 genome for all of its virion
proteins. Consequently, morphogenetically, phage P4 is
also a Myoviridae, although a P4-encoded protein causes
the heads to be smaller than normal phage P2 heads. This
smaller head size reflects the smaller genome size of
phage P4. The linear dsDNA genome is only 11 600 bp
compared to the over 33 000 bp of phage P2.
Phage P4 is also a temperate phage and can form E. coli
lysogens irrespective of the presence or absence of a
phage P2 genome. The P4 genome can exist in the lyso-
genic state as a multicopy plasmid form or it can integrate
into the host genome at a specific integration site similar
to phage l. Because of this dual mode of lysogeny, the
genome is sometimes described as a phasmid (phage
plasmid). Alternatively, the phage P4 genome is described
by some as a plasmid that uses an especially effective
means of transferring between cells: transduction by
phage P2. This description also reflects genetic analysis
of the phage P4 genome, which indicates that it is not
merely a defective form of phage P2 but rather an inde-
pendently arising phage. It should also be noted that
phage P4 is not unique as a satellite phage, although the
number of other examples is still very small.
Phage N15
Phage N15 is a temperate phage displaying Siphoviridae
morphology of an icosahedral head and a long
noncontractile tail. It is quite similar to phage lin gen-
ome size and organization as well. It deviates from the
lambdoid life cycle in the lysogenic phase, where the
phage genome does not integrate into the host genome
or form a circular, plasmid-like form. Instead, it remains
as a linear episomal element separate from the host gen-
ome. Phage N15 is one of only three known examples of
phage that are maintained as linear plasmids during lyso-
geny and the only one to do so in E. coli. It does this by
forming a circular intermediate upon entering the cell
that is acted upon by a phage-encoded protelomerase
that cuts the circular genome and covalently closes each
end of the molecule by joining the two strands together.
Replication is accomplished in several modes, which
either involve cutting of one or both of the ends for
replication and resealing or lead to the production of a
circular dimer that is cut and resealed as two linear
closed-monomer genomes.
Phage P22
Phage P22 is a temperate phage of Salmonella that is often
described as lambdoid because of its temperate life cycle
and similar genetic structure. It differs from lin that phage
P22 is a member of the family Podoviridae, with adsorption
organelles, the tail spikes, attached directly to one of the
vertices of the phage particle. Also, while lis a specialized
transducing phage, P22 is a generalized transducing phage.
Phage P22 and related phage are considered to play an
important role in the evolution of pathogenic strains of
Salmonella, and many P22-like phage have acquired genes
that make lysogens more virulent through phage
conversion.
Phage Mu
Phage Mu is a member of the family Myoviridae, with an
icosahedral head and contractile tail. Its genome, packaged,
consists of a single, linear DNA molecule with about
37 000 bp. In addition, the phage usually packages between
500 and 3000 bp of host DNA, making phage Mu a general-
ized transducing phage. Phage Mu exhibits a temperate life
cycle with genome integrated into the chromosome of its
host E. coli. It is after integration that the Mu genome
displays an unusual alternate mode of movement, acting
as a transposon that moves from one location in the host
genome to another. It can do this in a nonreplicative
manner, leaving one location and inserting into another,
or it can utilize a replicative transfer mode and a second
copy of the genome/transposon is then created at the
second location. Phage Mu is not unique in this dual
existence. Mu-like prophage have been found in other
bacteria including Pseudomonas,Haemophilus influenzae,
Neisseria meningitidis,andDeinococcus radiodurans.
Bacteriophage (overview) 179

In addition to its dual prophage/transposon nature,
phage Mu has other notable features including a dual
set of tail fiber genes in a manner similar to phage P1.
Each set confers a very different host range: E. coli and
Salmonella strains in one mode and Shigella,Enterobacter,
Erwinia, and Citrobacter strains in the other. Finally, as a
transposon, Mu has been used to modify and study a wide
variety of bacterial genomes, many of which phage Mu
could not infect. These range as far from E. coli as strains
of Rhizobium and Agrobacterium.
Phage Associated with Different Bacterial
Hosts
Archaeal Viruses
The Archaea represent one of the three cellular domains of
life, the others being the bacteria and the eukaryotes.
Typically, researchers prefer to not describe the viruses
of this lineage as phage, though archaeans are bacteria-like
in the sense that the cells of both domains lack cell nuclei.
Many archaeal viruses, however, are tailed (just as many or
most bacteriophage are tailed), though among archaeal
phage are also a number of morphologies that are quite
unlike those found among bacteriophage (Figure 3).
Presumably, archaeal viruses play roles in archaean ecol-
ogy similar to what bacteriophage play in bacterial ecology.
In addition, there appears to be evolutionary kinship
between certain archaeal viruses and bacteriophage.
Phage Found in Marine Environments
Marine phage are notable especially in terms of their
great numbers and probable impact on marine bacteria.
Recently a wealth of information has accumulated on
these phage, an exploration that is driven, to a great
extent, by the potential impact marine phage have on
global carbon cycles as important converters of bacterial
biomass into dissolved organic matter. To some degree
the phrase marine ‘phage’ is a misnomer, however, as
direct counts of virus particles, as marine viruses are
often observed, consist not just of bacteriophage but also
of archaeal as well as eukaryotic viruses.
Cyanophage
Among marine as well as freshwater bacteriophage are those
infecting cyanobacteria, once described as blue-green algae.
Cyanobacteria are bacteria possessing a plant-like photo-
synthetic apparatus and are responsible for generating a
significant proportion of the Earth’s atmosphere oxygen.
They are also important producers in aquatic systems (i.e.,
photosynthetic fixers of CO
2
). Consequently, the lysis of
thesebacteriabyphage(i.e.,bycyanophage)redirects
much of the resulting organic carbon (and energy) from
dsDNA tailed phage
ssDNA phage
ssRNA phage
dsRNA phage
dsDNA tailless phage
dsDNA archaeal viruses
Corticoviridae
Podoviridae
Microviridae
Leviviridae
Rudiviridae
Fuselloviridae
Cystoviridae
Inoviridae
Siphoviridae Myoviridae
Tectiviridae
Plasmaviridae
Lipothrixviridae
Figure 3 Basic morphologies of different families of virions of prokaryotes. Green represents nucleic acid-encasing capsid protein.
This includes the heads of tailed phage. Blue indicates tails and other adsorption organelles (tail fibers and other appendages on tailed
phage, however, are not shown). Pink is lipid of various kinds. The contractile portion of the Myoviridae tail is indicated with diagonal
lines. The flexibility often seen with the Siphoviridae tail is not indicated. All the heads shown are isometric, but in addition, tailed phage
often display elongated (prolate) heads. The Inoviridae are depicted as two types: short rigid rods (genus Inovirus) and long flexible rods
(genus Plectovirus). Long rigid rods of genus Plectovirus also exist. Plasmaviridae are unusual budding viruses of mycoplasma bacteria,
which lack cell walls. Not all archaeal virus morphologies are depicted. Reproduced from Ackermann H-W (2006). Bacteriophage
classification. In: R Calendar and ST Abedon (eds.), The Bacteriophages, 2nd edn. pp. 8–16. Oxford University Press.
180 Bacteriophage (overview)

especially the protist predators of cyanobacteria and redir-
ects it into dissolved organic matter. Dissolved organic
matter is mostly unavailable to eukaryotes and nourishes
heterotrophic bacteria (themselves prey of phagotrophic
eukaryotes as well as of phage). Characterization of cya-
nophage of the genera Synechococcus and Prochlorococcus has
been especially productive. Among the interesting observa-
tions of cyanophage is the phage encoding of proteins that
play roles in host cell photosynthesis during infection.
Lactobacillus Phage
The Gram-positive Lactobacillus species serve as the basis
for the production of numerous fermented food products
such as yogurt or cheeses. Because of their economic
importance and because phage contamination can give
rise to failures in Lactobacillus ferments, much of the
research concerning Lactobacillus phage, and lactobacilli,
has been dedicated to devising means of effecting phage
resistance. Phage-based technologies, though, may also be
employed to enhance food production such as by better
controlling Lactobacillus lysing to accelerate product ‘ripen-
ing’. Comparative genomics using Lactobacillus phage is an
important area of phage research. This importance is due,
in part, to the numerous sequences of Lactobacillus prophage
that have become available as economically important
Lactobacillus species have been sequenced, but also because
of the economic importance of Lactobacillus phage
themselves.
Lactococcus Phage
Members of genus Lactococcus, like lactobacilli, are Gram-
positive, lactic acid-producing bacteria, though unlike the
lactobacilli, which are facultative anaerobes, lactococci are
aerotolerant anaerobes. Of the lactococci, by far the most
economically important species is Lactococcus lactis.Because
L. lactis is employed in large, nonsterile industrial ferments,
phage-associated fermentation failure is an economically
important concern, especially as a limited number of starter
culture bacteria strains have come to be employed per
ferment.
Listeria Phage
Listeria monocytogenes is a Gram-positive foodborne patho-
gen. Listeria phage have been used as phage typing agents
and more recently have been developed as reporter phage
for detection of Listeria contamination especially in foods.
While most Listeria phage are productive at temperatures
ranging from 10 Cto37
C, some isolates of Listeria
phage are productive only at 25 C, suggesting a niche
that does not include warm-blooded Listeria hosts.
Mycobacterium Phage
The acid-fast mycobacteria are important disease agents
(e.g., tuberculosis) but nonpathogenic mycobacteria are
commonly found as soil saprobes. Mycophage (the phage
of mycobacteria) are important for their role as molecular
tools useful in the study of mycobacteria, especially their
genetics. As an offshoot of those efforts, mycobacterioph-
age serve as a phage cohort that is employed in the study
of comparative phage genomics, the study of entire phage
genomes. An interesting clinical role for mycophage is in
phage-based bacterial detection schemes including ones
that assess antibiotic susceptibility.
Mycoplasma Phage
Mycoplasma consist of a number of genera of cell-
wall-less bacteria evolutionarily derived from Gram-positive
bacteria. Due to the lack of a cell wall, mycoplasma phage
adsorption is more like that of eukaryotic viruses than that of
more typical bacteriophage. Not unexpectedly, then, some
mycoplasma phage are enveloped, though others display
short tails. In addition, like many enveloped animal viruses,
included among mycoplasma phage are ones that are persis-
tently released by budding rather than the extrusion seen
with filamentous phage.
Streptomyces Phage
Streptomyces, important producers of antibiotics, are common
Gram-positive bacteria in moist soil where they superfi-
cially resemble fungi in terms of their mycelial growth as
well as their production of drought-resistant spores on aerial
hyphae. Streptomyces phagehaveplayedimportantrolesas
tools in Streptomyces genetic engineering.
Yersinia Phage
Yersinia is a genus of Gram-negative bacteria that includes,
among others, the causative agent of plague. Yersinia phage
have been isolated primarily for use in phage typing.
Further Reading
Abedon ST (2008) Bacteriophage Ecology: Population Growth,
Evolution, and Impact of Bacterial Viruses. Cambridge: Cambridge
University Press.
Abedon ST and LeJuene JT (2005) Why bacteriophage encode
exotoxins and other virulence factors. Evolutionary Bioinformatics
Online 1: 97–110.
Ackermann H-W (2007) 5500 phages examined in the electron
microscope. Archives of Virology 152: 227.
Ackermann H-W and DuBow MS (1987) Viruses of Prokaryotes. Boca
Raton, FL: CRC Press.
Birge EA (2006) Bacterial and Bacteriophage Genetics. New York:
Springer-Verlag.
Calendar R and Abedon ST (2006) The Bacteriophages, 2nd edn.
Oxford: Oxford University Press.
Bacteriophage (overview) 181

Hendrix RW, Hatfull GF, and Smith MCM (2003) Bacteriophages with
tails: Chasing their origins and evolution. Research in Microbiology
154: 253.
Hendrix RW, Robert JW, Stahl FW, and Weisberg RA (1983) Lambda II.
Cold Spring Harbor, NY: Cold Spring Harbor Laboratory.
Karam JD (1994) Molecular Biology of Bacteriophage T4. Washington,
DC: American Society for Microbiology.
Kutter E and Sulakvelidze A (2005) Bacteriophages: Biology and
Application. Boca Raton, FL: CRC Press.
Sambrook J and Russell DW (2001) Molecular Cloning: A Laboratory
Manual., 3rd edn. Cold Spring Harbor, NY: Cold Spring Harbor
Laboratory Press.
Sullivan MB, Coleman M, Weigele P, Rohwer F, and Chisholm SW
(2005) Three Prochlorococcus cyanophage genomes:
Signature features and ecological interpretations. PLoS Biology
3: e144.
Waldor MK, Friedman D, and Adhya S (2005) Phages: Their Role in
Bacterial Pathogenesis and Biotechnology. Washington, DC: ASM
Press.
Weinbauer MG (2004) Ecology of prokaryotic viruses. FEMS
Microbiology Reviews 28: 127–181.
Wommack KE and Colwell RR (2000) Virioplankton: Viruses in aquatic
ecosystems. Microbiology and Molecular Biology Reviews
64: 69–114.
182 Bacteriophage (overview)

Biofilms, Microbial
J W Costerton, University of Southern California, Los Angeles, CA, USA
ª2009 Elsevier Inc. All rights reserved.
Defining Statement
Biofilm Structure and Function
Biofilms in Natural Ecosystems
Biofilms in Industrial Ecosystems
Biofilms in Medical Systems
Postlude
Summary
Further Reading
Glossary
genotype Genes possessed by organism.
phenotype Genes expressed by organism.
planktonic Free floating.
sessile Stationary.
Abbreviations
ENT ear nose and throat
FISH fluorescent in situ hybridization
SRB sulfate-reducing organisms
Defining Statement
Biofilms are surface-associated bacterial communities
that predominate in natural and pathogenic ecosystems.
The matrix-enclosed bacterial cells in these communities
assume a phenotype that differs profoundly from that of
their planktonic counterparts, and this mode of growth
protects them from so many antibacterial factors that they
constitute protected enclaves in hostile environments and
chronic infections.
Biofilm Structure and Function
Direct observations of a very large number of natural and
pathogenic ecosystems have shown that the vast majority
of bacteria in these systems live in matrix-enclosed com-
munities attached to surfaces. The term ‘biofilm’ was
coined to describe these sessile communities, and the defi-
nition of this term has been refined to be ‘‘a community of
bacterial cells enclosed in a matrix, at least partially of its
own production, which functions as a physiologically inte-
grated community.’’ Further examinations, using the
methods of modern microbial ecology, have shown that
most of the cells in biofilms are alive, and that cells of
different species are often spatially arranged in patterns
that facilitate metabolic cooperation. The discovery that
sessile cells in biofilms express genes that are profoundly
different from those expressed by their planktonic (float-
ing) counterparts led us to describe the biofilm phenotype,
and the realization that these patterns of gene expression
differ by as much as 70% offers at least a partial explana-
tion of the enormous survival value of biofilm formation.
A biofilm is not simply a slime-enclosed mass of planktonic
cells. A biofilm is a multicellular community in which each
sessile cell expresses its genes in different ways, and this
biofilm phenotype is profoundly different from that of
planktonic cells in a single-species culture.
We have proposed that biofilms have predominated in
all natural ecosystems, from the earliest of times, because
these sessile communities provide protection from biolo-
gical predators and antibacterial chemicals, and because
biofilm formation anchors these communities in favorable
locations. The life of the planktonic cells shed from bio-
films, in the primitive earth, would be ‘nasty and short’
(Oscar Wilde), except in rare instances in which they
discovered virginal surfaces in halcyon environments,
but the biofilm from which they set forth would remain
protected and inviolate. This distinction is particularly
true in pathogenic ecosystems in which planktonic cells
are killed by antibodies produced in response to modern
vaccines and by antibiotics, while any biofilm that can
become established in the body persists for years in myr-
iad chronic infections. Cells within biofilms in chronic
infections persist for years, in spite of the focused attacks
of many functional host defense systems, and biofilms in
natural ecosystems withstand heavy grazing pressure
from protozoa and from specialized predators such as
snails. We are just beginning to discover the mechanisms
of this protection, which may involve compounds that
paralyze phagocytes and poison grazing protozoa, but
183

the simple fact remains that biofilms persist and predo-
minate in virtually all ecosystems. The ‘life cycle’ of
biofilms is diagrammed in Figure 1.
The complexity of the architecture of mature micro-
colonies, like that in the right foreground in Figure 1,
suggested that the process of biofilm formation must be
under the control of some kind of signaling system. Many
researchers have now discovered which of the several cell–
cell signaling systems control biofilm formation in many
bacterial species; one ‘master system’ controlling cell
detachment has also been discovered by David Davies.
This major discovery reveals that the sessile bacteria in
biofilms are sentient of the presence of neighboring organ-
isms, and of environmental conditions, so the groundwork
is laid for the concept of biofilms as multicellular commu-
nities whose component cells can communicate with each
other. This logical process could lead to a situation in
which a stimulus applied to one part of a biofilm could
trigger reactions that would ramify throughout the com-
munity, and produce reactions in locations far distant from
the stimulated area. Preliminary indications of this ability
to sense changes, and to react on a community basis, have
been seen in bacterial biofilms.
If we look at the structural complexity of biofilms, and
their behavioral characteristics, we become motivated to
discover the mechanisms that enable this complexity and
these reactions. When we see that sessile cells in energy-
deprived areas of biofilms can receive energy from more
favored areas, we discover electrically conductive nano-
wires that can be used for energy sharing and may even be
used for electrical communication. When we note that the
frequency of horizontal gene transfer in biofilms exceeds
that in planktonic cell suspensions, we find large numbers
of pili that may facilitate conjugation, and may also
position each cell in a predetermined location in the
community. When we note that some de facto biofilms
(e.g., myxobacterial swarms) move through soil contain-
ing stationary biofilms of thousands of species, without
losing contact with each other, we note that these cells
produce large numbers of signal-containing vesicles that
may be ‘addressed’ exclusively to cells of the same species.
The notion of biofilms as sophisticated and integrated
communities is new, and we are just beginning to find
the first few mechanisms that enable this sophistication
and this integration. So we are well advised to marvel at
the biofilm’s accomplishments, and to ferret out the
mechanisms that enable each marvelous attribute, until
the whole complex-integrated apparatus is revealed.
The revelation that biofilms predominate, in virtually
all natural and pathogenic ecosystems, must drive immedi-
ate changes in the ways that microbiologists study bacteria.
The reductionist approach of studying a single ‘type’ strain,
growing as planktonic cells in a defined liquid medium,
may reveal the arcane secrets of protein synthesis but it has
nothing at all to do with bacterial processes in nature or
disease. When we select a type strain we make an arbitrary
choice, from a spectrum of genomes that comprise the
supergenome of the species concerned, and we exclude as
many as 1500 genes from consideration. When we study
gene expression using a chip made from a type strain, we
Figure 1 Diagrammatic representation of a microbial biofilm showing the development of these communities, from the attachment of
planktonic cells to the development of complex mature microcolonies with open water channels and hollow areas from which
planktonic cells have dispersed. The metabolic integration of biofilms is implied, in the middle distance, by the juxtaposition of clusters
of physiologically different organisms in arrangements that would facilitate interactions. In the far distance, the diagram suggests a
structure somewhat like a kelp bed, in which individual microcolonies are anchored on a surface, but are free to respond elastically to
shear forces operative in the environment.
184 Biofilms, Microbial

are blinded from any information concerning the thou-
sands of genes in the supergenome that are not in the
type strain. When we study planktonic cells, we study a
phenotype that may vary from the biofilm phenotypes that
grow in natural and pathogenic systems by as much as
70%, in terms of the genes that are expressed. We can
use mutants to study metabolic processes in planktonic
cells, and add more exquisite details to the well-worn
cycles that are memorized in Microbiology 101, but we
cannot use cultures to study mutations that affect the
fitness of an individual cell to function as a member of an
integrated community.
Modern microbial ecology has long since abandoned
the general practice of extrapolating from cultures to
ecosystems, and the other subdivisions of microbiology
must soon follow. Ecologists analyze ecosystems of inter-
est by harvesting bacterial DNA and sequencing the 16S
rRNA gene to determine which species are present.
Fluorescent in situ hybridization (FISH) probes are then
constructed, so that individual cells of the species con-
cerned can be identified in microscopic examinations of
the real community growing in the ecosystem. These
probes also reveal the distribution of cells of each species,
in spatial relationships to those of other species, and to the
surface on which the biofilm has formed. The whole
community can be studied, intact and in its real surround-
ing, and the effects of various stresses on the biofilm can
be assessed using parameters such as carbon fixation or
the output of specific products (e.g., organic acids). The
somewhat draconian parameter of cell death can be
assessed, in situ in real ecosystems, using the live/dead
BacLite probe and the confocal microscope. The parallel
systems of microscopy-based and nucleic acid-based eco-
logical methods have recently been joined, by the PALM
‘capture’ microscope and the MDA amplification system,
which allows us to visualize a group of bacteria in a real
biofilm and then to excise those cells, extract their DNA,
and sequence their genome.
Because biofilms predominate in virtually all natural
and pathogenic ecosystems, serious students of bacteria
must examine the biofilm phenotype of their minute
subjects. In the rare instances in which a biofilm is formed
by single species, as in certain device-related infections, a
single-species biofilm can be grown on an inert surface in
the laboratory and valid extrapolations from the culture
to the infection may be made. The mixed species biofilms
that predominate in most ecosystems are much more
difficult to study in the laboratory, even though some
simulations may be useful, and direct observations will
provide the best data. As we undertake new large-scale
projects, such as the NIH roadmap project on the Human
Microbiome, we will turn to direct examination of nucleic
acids for population analysis and direct confocal and
electron microscopy for community mapping, and micro-
biology will have moved on to a new phase.
Biofilms in Natural Ecosystems
Perhaps because of the historical tendency of microbiol-
ogists to ‘sample’ natural ecosystems, and to head straight
for the laboratory with these samples, the bulk of the
microbiology of natural ecosystems has involved ‘grab’
samples of the bulk water phase. When we have profiled
natural ecosystems including streams, lakes, and near-
shore marine and subsurface environments, we have
observed that >99.9% of the bacteria grow in biofilms
adherent to surfaces, and only a few stray planktonic cells
inhabit the bulk water phase. For this reason, complex
organic compounds placed in contact with samples of the
bulk water of such systems as the Athabasca River, in the
region of the tar sands, show only very slow rates of
bacterial degradation. When the complex organics (e.g.,
bitumen) are placed in contact with the enormous biofilm
populations, which have developed in response to the
continuous availability of these energy-rich substrates,
their degradation is very rapid and complete. The validity
of these analyses is attested by the fact that the tons of
bitumen washed into the Athabasca River by erosion are
completely biodegraded by the time the river reaches
Lake Chippewa (48 miles downstream), and by the fact
that local oil spills are resolved very rapidly by the biofilm
system of the river. If we take a rational view of the
microbiology of natural ecosystems, based on direct
observations of the location and activity of all of the
bacteria, we can assess the real potential of each system
for the processing of organic molecules, including pollu-
tants. Our analyses of the Peace/Athabasa/MacKenzie
river system of Northern Canada suggest that that this
system could be designated as an ‘oil-adapted’ corridor
through which oil from that region, and oil from the
North Slope deposits in Alaska, could be shipped with
complete ecological impunity. The omission of biofilm
populations from ecological evaluations, including impact
statements, is bad science and very bad public policy.
The addition of the biofilm component has solved
many ecological mysteries that have led classically
inclined microbiologists to throw up their hands, and to
declare that the ways of bacteria are simply ‘wondrous
strange’. The puzzle concerning the bovine rumen arose
because a fastidiously anaerobic bacterial population,
dependent on ammonia, grew and functioned happily in
an animal organ that was continuously perfused with
oxygenated blood containing large amounts of urea.
Then we discovered a special biofilm population on the
rumen wall, which developed in the first few days of life,
and both scavenged oxygen at the tissue surface and
changed urea to ammonia, while deriving energy from
the proteolytic degradation of shed epithelial cells.
Rumen ecologists also grappled with the problem of
laboratory model systems in which biofilms of primary
Biofilms, Microbial 185

cellulose degrading bacteria broke down cellulose at rates
100-fold slower than the rates seen in the functioning
rumen, until they discovered that elusive treponema
cells could enter the biofilms for short excursions and
remove the butyrate that was slowing the digestive pro-
cess. Other classical microbiologists have been troubled
by the fact that PCR analyses of fruit and produce have
indicated the presence of potential pathogens (e.g., Listeria
and Escherichia coli 0157), while cultures of the same
materials have yielded negative results. The revelation
that biofilm cells do not grow when spread on the surfaces
of agar plates stimulated direct examinations of tissue
surfaces using FISH probes and confocal microscopy,
and the mystery was solved when well-developed biofilms
of these organisms were found. We submit that the analysis
of any natural ecosystem is incomplete and likely to become
stalled by anomalous data, if we examine only planktonic
populations, but that the invocation of the biofilm concept
has the potential to solve many of these mysteries.
Biofilms in Industrial Ecosystems
For several decades, the control of the very serious problem
of corrosion of metals by bacteria was predicated on a
planktonic model, in spite of the obvious fact that the attack
on stationary metals by mobile bacterial cells seems ludi-
crous at a basic conceptual level. Several microbial villains
were designated, amongst whom the sulfate-reducing
organisms (SRB) were prominent, and surveillance or the
world’s pipelines was initiated using an elaborate whole
bottle system to detect SRBs using a lactate medium with
iron filings. Sick pipelines were detected and treated with
biocides to kill the deadly SRBs, but continuing metal loss
caused catastrophic pipe failures, and the planktonic bacter-
ial counts always returned when the biocide treatment was
over. Biocide salesmen declared that the SRB in the most
affected pipelines had become ‘resistant’ to the biocide in
question, and offered new and better (and more expensive)
biocides to save the day and keep the oil flowing. In the
meantime, engineers with scant knowledge of microbiology
observed that regular ‘pigging’ of pipelines with mechanical
scrapers that removed tons of ‘slime’ were effective in con-
trolling corrosion, especially when coupled with the use of
biocides. David White had a medical degree, and a back-
ground in physical chemistry, and he led the team that
solved the corrosion puzzle in the 1980s, by figuring out
that bacterial biofilms cause corrosion by building struc-
tured communities on the metal surface that actually
constitute classic ‘corrosion cells’. The biofilms are a living
energy-driven cathode, the metal is the matching anode,
and a well-organized bacterial biofilm can drill a neat hole
through 5/8 inch steel pipe in a couple of months. So the
biofilm concept has solved another microbiological mystery
and we now detect SRBs in biofilms (not bulk water
samples), we pig all ‘piggable’ lines with relentless regular-
ity, and we follow the pig with biocides to kill the bacteria
we have just blasted off of the pipe wall with mechanical and
shear forces. The solution to this problem is poignant, in
terms of communication between scientists in the same area,
because the external surfaces of the thousands of miles of
metal pipe we bury in the ground are always protected from
microbial corrosion by the application of ‘cathodic protec-
tion’. For at least four decades, oil companies paid dearly for
courses in cathodic protection, which prevents external
pipe corrosion by overriding the electrical potentials of
biofilm-driven corrosion cells, while sponsoring corrosion
classesforthesameemployees,inwhichtheyweretaught
how to prevent internal corrosion by the use of biocides!
Again, we need to know where the bacteria are, in industrial
systems ranging from pipelines to cooling towers, and useful
answers simply come to light when we know their locations
and their mode of growth.
Biofilms in Medical Systems
The paradigm that has developed in medical microbiol-
ogy is especially unfortunate, in view of the phenomenal
success of the pioneers of this field in the virtual eradica-
tion of acute epidemic disease. The paradigm depends on
culture methods for the detection and recovery of the
bacteria that cause a particular disease, the cultivation of
these bacteria in single-species cultures in defined media,
and the extrapolation from culture data to define the
etiology of the disease and to suggest therapeutic strate-
gies. The success of this paradigm, in Koch’s heyday and
in the first part of the twentieth century, may have
blinded us to its scientific faults and to the fact that it
has not been successful in the definition or the treatment
of the burgeoning number of chronic bacterial diseases
that currently beset us. In terms of the biofilm concept,
the failure of the traditional paradigm to accommodate
the fact that 80% of the bacteria in modern chronic
infections live in biofilms, and fail to produce colonies
when spread on agar surfaces, is a pivotal deficit. But it is
equally disturbing to note that any given strain of bacteria
that is recovered from an infection is only one of many
strains that may constitute the super genome of the spe-
cies, and that any chosen ‘type’ strain may lack hundreds
or even thousands of genes that are present in other
strains in the same infection. Tragically, because of the
general conservation of ‘housekeeping’ genes, the genes
that are missing from any type strain may control im-
portant pathogenic processes, and even this depleted
complement of genes may be further depleted by genetic
drift as the strain is carried in serial culture. Coupled with
the fact that the biofilm phenotype differs so profoundly
from the planktonic phenotype of the same strain, any
attempts to extrapolate from a single strain grown as
186 Biofilms, Microbial

planktonic cells in a defined medium to a disease caused
by multiple strains growing as biofilms in infected tissues
seems futile, and possibly fraudulent.
The persistence of the traditional planktonic paradigm
has puzzled clinicians, many of whom see their patients
suffering from infections that produce obvious symptoms
and demonstrable tissue damage, while lab tests yield
negative cultures. The problem of overt culture-negative
infections has bedeviled clinicians in orthopedic surgery,
ear nose and throat (ENT), and urology, and modern
detection methods have uniformly detected bacteria
where cultures have failed. Clinicians from these different
specialties do not often read each other’s literature, so
many are unaware that the problem of culture-negative
chronic infections has been solved and that large numbers
of biofilm bacteria have been found in each case. At the
Mayo Clinic, Robin Patel has pioneered the use of PRC-
based nucleic acid technologies to detect the presence of
bacteria in infections of orthopedic devices, and many new
initiatives will gradually replace cultures with DNA-based
methods. Roger Lasken, of the Craig Venter Institute, will
soon sequence the entire genomes of a large number of
single bacterial cells, isolated from a cystic fibrosis lung by
micromanipulation, and we will finally know how many
different strains of how many different species are present
in a well-defined biofilm infection. On a practical note, it
should be noted that many clinicians have ignored nega-
tive culture data, because their patients are obviously
infected, and have developed empirical therapeutic stra-
tegies based on the physical removal of biofilms (where
possible) and high-dose antibiotic therapy. As in natural
and industrial ecosystems, horse sense has triumphed, and
the modern DNA-based methods and direct observations
that have brought microbial ecology forward have pro-
vided the rationale for this sensible approach.
One area in which the traditional paradigm still lingers,
with very invidious effect, is in the treatment of multi-
species infections. If a bacterium has been regularly
cultured from a type of chronic bacterial infection, that
organism is enshrined as the causative agent of that parti-
cular infection, and all strategies from prevention to
therapy are predicated on that assumption. In fact, when
a predisposing condition such as a burn offers a hospitable
environment for members of a very large spectrum of
bacterial species, many species may colonize the tissue
concerned, because many organisms are present and noth-
ing predisposes to favor colonization by any particular
organism. Culture media have been devised and refined
to favor the growth of certain infamous pathogens, and we
can always culture Staphylococcus aureus,Pseudomonas aeru-
ginosa, and Enterobacter faecalis from wounds, the cystic
fibrosis lung, and failed root canals, even though we may
not be able to culture many of the organisms that coinfect
with them. This preoccupation with ‘pathogens of note’
harkens back to the era of the ‘one pathogen ¼one disease’
theorem, and it is a virtual ecological impossibility that
specific pathogens occur exclusively in lesions that are
open to colonization from the environment, which is an
exuberant microbiological zoo. Furthermore, there was
some justification in this thesis if the pathogen possessed
specific aggressive toxins and other pathogenic factors, but
the common link between biofilm pathogens that cause
chronic infections is that their pathology is mediated by
the inflammatory response to their continued presence in
the affected tissues. There is, therefore, absolutely no valid
reason to suspect that a multispecies infection, like that of
a wound, is caused by a single bacterial species because only
one species is recovered in cultures. DNA-based analysis
has revealed the presence of dozens of bacterial species in
wounds that have yielded positive cultures for only
S. aureus, and our ongoing work with FISH probes indicates
that several bacterial species form biofilms in the wound
bed. A detailed examination of the bacterial biofilms in the
wound bed, and an analysis of the extent to which each
species causes cytokine production and leukocyte mobili-
zation, will tell us which bacterial species are involved and
how they contribute to the sustained infection.
Postlude
Direct observations indicate, unequivocally, that bacteria
in all ecosystems live predominantly in matrix-enclosed
biofilms attached to surfaces. These sessile biofilms have
many attributes that have not been previously associated
with prokaryotic organisms, and it is now clear that they
function as metabolically integrated communities whose
sophistication and internal communications rival those of
multicellular eukaryotes. As we approach conceptual pro-
blems, in all subdivisions of microbiology, the simple
addition of the biofilm concept to the traditional cul-
ture-based microbiological paradigm provides us with
an intellectual basis for understanding these puzzles by
locating and enumerating the bacteria, of all species, that
are present and active in the ecosystem.
Summary
Direct observations of bacteria growing in natural and patho-
genic ecosystems have shown that these organisms grow
predominantly in matrix-enclosed biofilms. These sessile
bacteria assume a distinct phenotype that differs from that
of their planktonic counterparts, renders them resistant to
antimicrobial agents, and makes them incapable of producing
colonies when dispersed on agar plates. In mature biofilms
very effective metabolic interaction is achieved by the juxta-
position of cooperative species, and equally effective
communication is achieved by means of electrically conduc-
tive nanowires, and by cell–cell signals that spread by simple
diffusion or by transport in specialized vesicles.
Biofilms, Microbial 187

Biofilms recycle organic matter with remarkable effi-
ciency, they cooperate with many plants (e.g., legumes)
and animals (e.g., ruminants), and they may exert protective
effects on many tissues that they colonize to the exclusion of
pathogenic species. Biofilms also mediate the attack of bac-
teria on metals (e.g., pipelines), by concentrating ions and
electrical fields at a specific location of the affected surface,
and cause damaging inflammations of tissues by allowing
bacteria to persist for decades in human tissues. If we are to
enhance these beneficial activities, and to thwart these
destructive tendencies of biofilm bacteria, we must apply
the biofilm paradigm throughout modern microbiology.
Further Reading
Costerton JW (2007) The Biofilm Primer. 200 pp. Heidelberg: Springer.
Costerton JW, Stewart PS, and Greenberg EP (1999) Bacterial
biofilms: A common cause of persistent infections. Science
284: 1318–1322.
Fuqua WC and Greenberg EP (2002) Listening in on bacteria: Acyl-
homoserine lactone signaling. Nature Reviews Molecular Cell Biology
3: 685–695.
Fux CA, Shirtliff M, Stoodley P, and Costerton JW (2005) Can laboratory
reference strains mirror ‘real-world’ pathogenesis? Trends in
Microbiology 13: 58–63.
Fux CA, Stoodley P, Hall-Stoodley L, and Costerton JW (2003) Bacterial
biofilms; a diagnostic and therapeutic challenge. Expert Review of
Anti-infective Therapy 1: 667–683.
Hall-Stoodley L, Costerton JW, and Stoodley P (2004) Bacterial biofilms:
From the natural environment to infectious diseases. Nature Reviews
Microbiology 2: 95–108.
O’Toole GA, Kaplan HB, and Kolter R (2000) Biofilm formation as
microbial development. Annual Review of Microbiology
54: 49–79.
Pratt LA and Kolter R (1999) Genetic analysis of biofilm formation.
Current Opinion in Microbiology 2: 598–603.
Stewart PS and Costerton JW (2001) Antibiotic resistance of bacteria in
biofilms. Lancet 358: 135–138.
Stoodley P, Sauer K, Davies DG, and Costerton JW (2002) Biofilms as
complex differentiated communities. Annual Review of Microbiology
56: 187–209.
188 Biofilms, Microbial

Biological Warfare
J A Poupard, Pharma Institute of Philadelphia, Inc., Philadelphia, PA, USA
L A Miller, GlaxoSmithKline Collegeville, PA, USA
ª2009 Elsevier Inc. All rights reserved.
Defining Statement
Introduction
Historical Review
International Treaties
Current Research Programs
Contemporary Issues
Further Reading
Glossary
biological warfare (BW) The use of microorganisms,
such as bacteria, fungi, viruses, and rickettsiae, to
produce death or disease in humans, animals, or plants.
The use of toxins to produce death or disease is often
included under the heading of BWR (US Army definition:
included in Army report to the Senate Committee on
Human Resources, 1977).
biological weapon(s) Living organisms, irrespective of
their nature, which are intended to cause disease or
death in man, animals or plants, and which depend for
their effects on their ability to multiply in the person,
animal, or plant attached (United Nations definition:
included in the Report of the Secretary General entitled
Chemical and Bacteriological (biological) Weapons and
the Effects of their Possible Use, 1969).
bioterrorism The use of biological agents, such as
pathogenic microorganisms or agricultural pests, to
cause harm for terrorist purposes.
bioterror pathogen A microorganism used for terrorist
purposes to cause disease or death in man, animals, or
plants.
genetic engineering Methods by which the genomes
of plants, animals, and microorganisms are
manipulated, and includes but is not limited to
recombinant DNA technology.
recombinant DNA technology Techniques where by
different pieces of DNA are spliced together and
inserted into vectors such a bacteria or yeast.
toxin weapon(s) (TW) Any poisonous substance,
irrespective of its origin or method of production, which
can be produced by a living organism, or any poisonous
isomer, homolog, or derivative of such a substance (US
Arms Control and Disarmament Agency (ACDA)
definition: proposed on 20 August 1980).
weapon of mass destruction (WMD) ‘Chemical,
biological, radiological, and nuclear agents (CBRN), in
the possession of hostile states or terrorists’, that could
‘potentially cause mass casualties’. (Homeland Security
Presidential Directive/HSPD-18, Medical
Countermeasures against WMD, 31 January 2007.)
Abbreviations
ACDA US Arms Control and Disarmament
Agency
BARDA Biomedical Advanced Research and
Development Authority
BDRP Biological Defense Research Program
BW biological warfare
CBRN Chemical, biological, radiological, and
nuclear agents
CDC Centers for Disease Control and
Prevention
DARPA Defense Advanced Research Project
Agency
DoD Department of Defense
NATO North Atlantic Treaty Organization
TW toxin weapon
USAMRIID US Army Medical Research Institute of
Infectious Diseases
WMD weapon of mass destruction
189

Defining Statement
The most general concept of biological warfare (BW)
involves the use of any biological agent as a weapon
directed against humans, animals, or crops with the intent
to kill, injure, or create a sense of havoc against a target
population. This agent could be in the form of a viable
organism or a metabolic product of the organism, such as
a toxin. This article will focus on the use of viable biolo-
gical agents because many of the concepts relating to the
use of toxins are more associated with chemical warfare.
The use of viable organisms or viruses involves complex
issues that relate to containment. Once such agents are
released, even in relatively small numbers, the area of
release has the potential to enlarge to a wider population
due to the ability of the viable agent to proliferate while
spreading from one susceptible host to another.
Introduction
During the last decade of the twentieth century and early
years of the twenty-first century, several events marked
significant alterations in the concept of biological warfare
(BW). These events include the end of the Cold War, the
open threat by Iraq of using BW agents in the First Gulf
War, the events of 9/11 followed by dissemination of
anthrax through the US Mail system, and the war with
Iraq over possible weapon of mass destruction (WMD).
These events lead to the full realization that, in addition
to BW between nations, the developed world is quite
susceptible to attack by radical terrorists employing BW
agents. This was a major expansion in the concept of BW
and transformed the subject, once limited to the realm of
political and military policy makers, to a subject that must
be considered by a wide range of urban disaster planners,
public health officials, and the general public. BW is a
complex subject that is difficult to understand without a
basic knowledge of a long and convoluted history. BW
can be traced to ancient times and have evolved into more
sophisticated forms with the maturation of the science of
bacteriology and microbiology. It is important to under-
stand the history of the subject because one often has
preconceived notions of BW that are not based on facts
or involve concepts more related to chemical rather than
biological warfare. Many of the contemporary issues
relating to BW deal with third-world conflicts, terrorist
groups, or nonconventional warfare. An understanding of
these issues becomes important because many of the long-
standing international treaties and conventions on BW
were formulated in an atmosphere of either international
conflict or during the Cold War period of international
relations. Many of the classic issues have undergone sig-
nificant alteration by more recent events. The issue of
BW is intimately bound to such concepts as offensive
versus defensive research or to the need for secrecy and
national security. It is obvious that BW will continue to be
a subject that will demand the attention of contemporary
and future students of microbiology as well as a wide
range of policy and scientific specialists.
Historical Review
300 to 1925 BC
Many early civilizations employed a crude method of
warfare that could be considered BW as early as 300 BC,
when the Greeks polluted the wells and drinking water
supplies of their enemies with the corpses of animals. Later
the Romans and Persians used the same tactics. All armies
and centers of civilization need palatable water to func-
tion, and it is clear that well pollution was an effective and
calculated method for gaining advantage in warfare. In
1155, at a battle in Tortona, Italy, Barbarossa broadened
the scope of BW, using the bodies of dead soldiers and
animals to pollute wells. Evidence indicates that well
poisoning was a common tactic throughout the classical,
medieval, and Renaissance periods. In more modern times,
this method has been employed as late as 1863 during the
US Civil War by General Johnson, who used the bodies of
sheep and pigs to pollute drinking water at Vicksburg.
The wide use of catapults and siege machines in med-
ieval warfare introduced a new technology for delivering
biological entities. In 1422 at the siege of Carolstein, cata-
pults were used to project diseased bodies over walled
fortifications, creating fear and confusion among the people
under siege. The use of catapults as weapons was well
established by the medieval period, and projecting diseased
bodies over walls was an effective strategy employed by
besieging armies. The siege of a well-fortified position
could last for months or years, and it was necessary for
those outside the walls to use whatever means available to
cause disease and chaos within the fortification. This tech-
nique became commonplace, and numerous classical
tapestries and works of art depict diseased bodies or the
heads of captured soldiers being catapulted over fortified
structures.
In 1763, the history of BW took a significant turn from
the crude use of diseased corpses to the introduction of a
specific disease, smallpox, as a weapon in the North
American Indian wars. It was common knowledge at the
time that the Native American population was particularly
susceptible to smallpox, and the disease may have been
used as a weapon in earlier conflicts between European
settlers and Native Americans. In the spring of 1763, Sir
Jeffrey Amherst, the British Commander-in-Chief in North
America, believed the western frontier, which ran from
Pennsylvania to Detroit, was secure, but the situation dete-
riorated rapidly over the next several months. The Indians
190 Biological Warfare

in western Pennsylvania were becoming particularly
aggressive in the area around Fort Pitt, near what is now
Pittsburgh. It became apparent that unless the situation was
resolved, western Pennsylvania would be deserted and Fort
Pitt isolated. On 23 June 1763, Colonel Henry Bouquet, the
ranking officer for the Pennsylvania frontier, wrote to
Amherst, describing the difficulties Captain Ecuyer was
having holding the besieged Fort Pitt. These difficulties
included an outbreak of smallpox among Ecuyer’s troops.
In his reply to Bouquet, Amherst suggested that smallpox be
sent among the Indians to reduce their numbers. This well-
documented suggestion is significant because it clearly
implies the intentional use of smallpox as a weapon.
Bouquet responded to Amherst’s suggestion stating that he
would use blankets to spread the disease.
Evidence indicates that Amherst and Bouquet were not
alone in their plan to use BW against the Indians. While
they were deciding on a plan of action, Captain Ecuyer
reported in his journal that he had given two blankets and
a handkerchief from the garrison smallpox hospital to
hostile chiefs with the hope that it would spread the
disease. It appears that Ecuyer was acting on his own and
did not need persuasion to use whatever means necessary
to preserve the Pennsylvania frontier. Evidence also shows
that the French used smallpox as a weapon in their con-
flicts with the native population.
Smallpox also played a role in the American
RevolutionaryWar,butthetacticsweredefensiverather
than offensive: British troops were inoculated against small-
pox, but the rebelling American colonists were not. This
protection from disease gave the British an advantage for
several years, until Washington ordered inoculation against
smallpox for all American troops.
It is clear that by the eighteenth century BW had become
disease-oriented, even though the causative agents and
mechanisms for preventing the spread of diseases were
largely unknown. The development of the science of bac-
teriology in the nineteenth and early twentieth centuries
considerably expanded the scope of potential BW agents. In
1915, Germany was accused of using cholera in Italy and
plague in St. Petersburg. Evidence shows that Germany
used glanders and anthrax to infect horses and cattle, respec-
tively, in Bucharest in 1916 and employed similar tactics to
infect 4500 mules in Mesopotamia the following year.
Germany issued official denials of these accusations.
Although there apparently was no large-scale battlefield
useofBWinWorldWarI,numerousallegationsof
GermanuseofBWweremadeintheyearsfollowingthe
war. Britain accused Germany of dropping plague bombs,
and the French claimed the Germans had dropped disease-
laden toys and candy in Romania. Germany denied the
accusations.
Although chemical warfare was far more important than
BW in World War I, the general awareness of the potential
of biological weapons led the delegates to the Geneva
Convention to include BW agents in the 1925 Protocol
for the Prohibition of the Use in War of Asphyxiating,
Poisonous or Other Gases, and of Bacteriological Methods
of Warfare. The significance of the treaty will be discussed
later (see ‘International treaties’).
1925–90
The tense political atmosphere of the period following
the 1925 Geneva Protocol and the lack of provisions to
deter biological weapons research had the effect of under-
mining the treaty. The Soviet Union opened a BW
research facility north of the Caspian Sea in 1929; the
United Kingdom and Japan initiated BW research pro-
grams in 1934. The Japanese program was particularly
ambitious and included experiments on human subjects
prior to and during World War II.
Two factors were significant in mobilizing governments
to initiate BW research programs: (1) a continuing flow of
accusations regarding BW and (2) the commitment of
resources for BW research by several national adversaries,
thus creating a feeling of insecurity among governments.
The presence of BW research laboratories in nations that
were traditional or potential adversaries reinforced this
insecurity. Thus, despite the Geneva Protocol, it was
believed that it was politically unwise for governments to
ignore the threat of BW, and the result was the use of
increasingly sophisticated biological weapons.
In 1941, the United States and Canada joined other
nations and formed national programs of BW research
and development. Camp Detrick (now Fort Detrick)
became operational as the center for US BW research in
1943, and in 1947 President Truman withdrew the
Geneva Protocol from Senate consideration, citing cur-
rent issues such as the lack of verification mechanisms
that invalidated the underlying principles of the treaty.
However, there was no widespread use of BW in a battle-
field setting during World War II. BW research, however,
continued at an intense pace during and after the war. By
the end of the decade, the United States, the United
Kingdom, and Canada were conducting collaborative
experiments involving the release of microorganisms
from ships in the Caribbean. In 1950, the US Navy con-
ducted open-air experiments in Norfolk, Virginia, and the
US Army conducted a series of airborne microbial dis-
persals over San Francisco using Bacillus globigii,Serratia
marcescens, and inert particles.
Not surprisingly, the intense pace of BW research led to
new accusations of BW use, most notably by China and
North Korea against the United States during the Korean
War. In 1956, the United States changed its policy of
‘defensive use only’ to include possible deployment of
biological weapons in situations other than retaliation.
During the 1960s, all branches of the US military had active
BW research programs, and additional open-air
Biological Warfare 191

dissemination experiments with stimulants were conducted
in the New York City subway system. By 1969, however,
the US military concluded that BW had little tactical value
in battlefield situations, and since it was felt that in an age of
nuclear weapons dominated the strategic equation, the
United States would be unlikely to need or use BW.
Thus, President Nixon announced that the United States
would unilaterally renounce BW and eliminate stockpiles
of biological weapons. This decision marked a turning point
in the history of BW: Once the US government made it
clear that it did not consider biological weapons a critical
weapon system, the door was opened for negotiation of a
strong international treaty against BW.
Once military strategists had discounted the value of BW,
an attitude of openness and compromise on BW issues took
hold, leading to the 1972 Convention on the Prohibition of
the Development, Production, and Stockpiling of
Bacteriological (Biological) and Toxin Weapons and on
Their Destruction (see ‘International treaties’). The parties
to the 1972 Convention agreed to destroy or convert to
peaceful use all organisms, toxins, equipment, and delivery
systems. Following the signing of the 1972 treaty, the US
government generated much publicity about its compliance
activities, inviting journalists to witness destruction of biolo-
gical weapons stockpiles.
The problem of treaty verification, however, belea-
guered the 1972 Convention. Press reports accusing the
Soviet Union of violating the treaty appeared as early as
1975. When an outbreak of anthrax was reported in
Sverdlovsk, Soviet Union, in 1979, the United States
claimed it was caused by an incident at a nearby Soviet
biological defense laboratory that had released anthrax
spores into the surrounding community. The Soviet gov-
ernment denied this allegation, claiming the outbreak was
caused by contaminated black market meat.
BW continued to be discussed in the public media
throughout the 1980s. In 1981, reports describing the
American ‘cover-up’ of Japanese BW experiments on pris-
oners of war began to surface in the public and scientific
literature. In 1982, The Wall Street Journal published a series
of articles on Soviet genetic engineering programs that
raised many questions about the scope of Soviet BW activ-
ities. The environmental effects of testing biological agents
at Dugway Proving grounds in Utah received considerable
press attention in 1988, leading to a debate over the need for
such a facility.
The 1980s also were characterized by debate over
larger issues relating to BW. A public debate in 1986
considered the possible role of biological weapons in
terrorism. Scientific and professional societies, which
had avoided the issues for many years, began considering
both specific issues, such as Department of Defense
(DoD) support for biological research and more general
issues, such as adopting ethical codes or guidelines for
their members.
1990 and Contemporary Developments
The last decade of the twentieth century and the early
years of the twenty-first century saw a remarkable transi-
tion in the concepts relating to BW. With the fall of the
Soviet Union and the rise of the United States as the only
remaining superpower, many policies that were in place
in a dual superpower setting became altered. Although
the concept of BW as an alternative offensive weapon
among developing and nonnuclear States remained a
serious concern, the new emphasis was on the threat of
these weapons being used by bioterrorist groups. The
events of 11 September 2001, followed by a US anthrax
scare, dramatically shifted awareness to the need for
improved Public Health protection for the general popu-
lation, the initiation, and placement of early and rapid
detection systems for potential biological agents and
increased border protection. The concept of BW agents
in the hands of terrorists was not new, however, and the
foundation for shift in emphasis from nations to indepen-
dent terrorist groups had begun in the 1990s.
Prior to the 1990s, most US defensive research and
BW-related policies were directed to counter potential
BW use by the Soviet Union. As the wall of Soviet secrecy
eroded during the 1990s, the extent of the Soviet BW
program became apparent. There was international con-
cern that a large number of unemployed BW researchers
could find work as advisors for developing countries that
viewed BW as a rational defense strategy, especially those
countries without nuclear capability or those without
restrictive laws against radical terrorist groups. Also, the
open threat by the Iraqi military to use BW agents raised
serious concerns and changed attitudes about BW. The
plans for Operation Desert Storm included provisions for
protective equipment and prophylactic administration of
antibiotics or vaccines to protect against potential biolo-
gical weapons. Many of the critics of the US Biological
Defense Research Program (BDRP) were now asking why
the country was not better prepared to protect its troops
against biological attack. BW was not used during the
First Gulf War, but the threat of its use provided several
significant lessons. Although there was considerable con-
cern that genetic engineering would produce new,
specialized biological weapons, most experts predicted
that ‘classical’ BW agents, such as anthrax and botulism,
would pose the most serious threats to combat troops in
Operation Desert Storm. Efforts by the United Nations
after the war to initiate inspection programs demon-
strated the difficulty of verifying the presence of
production facilities for BW agents; these difficulties
highlight the need for verification protocols for the BW
Convention. Verification and treaty compliance are pro-
minent contemporary BW issues. Following the Gulf
War, the actual extent of the intense Iraqi BW research
programs was understood based on information from
192 Biological Warfare

defectors. The actual programs were huge compared to
predicted estimates of the Iraqi BW program as well as the
postwar ‘verification’ programs that essentially uncovered
very little. This vast discrepancy demonstrated the inade-
quacy verification procedures.
The World Trade Center attack and the anthrax inci-
dents in 2001 were the most significant contemporary
developments contributing to the realization that urban
centers, public facilities, and the general population are all
vulnerable to attack by terrorists employing BW agents.
Local and national governments realized the extent of the
vulnerability and began taking extensive measures to for-
mulate policies to address potential bioterror attacks. In the
United States, it was felt that the various agencies involved
in protecting the population against the threat of bioterror-
ism had to be strengthened. The US Patriot Act of October
2001 and the formation of the Department of Homeland
Security are just some of the steps taken to address the
needs of responding to and limiting the threat of a BW or
bioterrorist attack in the US. Canada and several European
countries have created new or greatly enhanced existing
government agencies, such as the European Centre for
Disease Control, to protect the population against bioter-
rorism and other major potential disasters. Much work
remains to be accomplished in this area.
Additionally, in the United States, a number of
legislative acts and directives that were designed to
increase the nation’s biodefense capabilities and respon-
siveness were approved. Increased resources have been
made available through the Department of Health and
Human Services in support of medical countermeasure
preparedness. On 21 July 2004, President George W.
Bush signed the Project BioShield Act of 2004 (Project
Bioshield). The purpose of this bill was to accelerate
the research, development, acquisition, and availability
of safe and effective countermeasures against Chemical,
Biological, Radioactive, and Nuclear Threats by pro-
viding the funding to purchase countermeasures. Under
this bill, the HHS pursued acquisition of countermea-
sures for anthrax, smallpox, botulinum toxins, and
radiological/nuclear agents. Project Bioshield created a
$5.6 billion special reserve fund for use over 10 years
(FY04-FY13) to acquire medical countermeasures. New
legislation, the Pandemic and All-Hazards
Prepardedness Act was approved in December 2006.
This act provided for the establishment of the
Biomedical Advanced Research and Development
Authority (BARDA) within HHS. BARDA is intended
to address the inadequacy of Project Bioshield which,
while providing funds for procurement of the actual
end product, did not allow for funding of the actual
research and development. BARDA should have
addressed the so-called valley of death where there is
no funding available to support the expensive later
stage development. BARDA is intended to provide
direct funding of medical countermeasure advanced
research and development (Federal Register/Vol. 72,
No. 53/Tuesday, 20 March 2007, p. 13109).
International Treaties
The 1925 Geneva Protocol
The 1925 Geneva Protocol was the first international treaty
to place restrictions on BW. The Geneva Protocol followed
a series of international agreements that were designed to
prohibit the use in war of weapons that inflict or prolong
unnecessary suffering of combatants or civilians. The St.
Petersburg Declaration of 1868 and the International
Declarations concerning the Laws and Customs of War,
which was signed in Brussels in 1874, condemned the use
of weapons that caused useless suffering. Two major inter-
national conferences were held at The Hague in 1899 and
1907. These conferences resulted in declarations regarding
thehumanitarianconductofwar.Theconferenceregula-
tions forbid nations from using poison, treacherously
wounding enemies, or using munitions that would cause
unnecessary suffering. The so-called Hague Conventions
also prohibited the use of projectiles to diffuse asphyxiating
or deleterious gases. The Hague Conventions still provide
much of the definitive law of war as it exists today.
The Hague Conventions did not specifically mention
BW, due in part to the lack of scientific understanding of
the cause of infectious diseases at that time. The
Conventions have, however, been cited as an initial source
of the customary international laws that prohibit unneces-
sary suffering of combatants and civilians in war. While
biological weapons have been defended as humanitarian
weapons, on the grounds that many biological weapons are
incapacitating but not lethal, there are also biological
weapons that cause a slow and painful death. It can be
argued, therefore, that the Hague Conventions helped to
set the tone of international agreements on laws of war that
led to the 1925 Geneva Protocol.
The 1925 Geneva Protocol, formally called the
Prohibition of the Use in War of Asphyxiating, Poisonous
or Other Gases, and of Bacteriological Methods of Warfare,
was opened for signature on 17 June 1925 in Geneva,
Switzerland. More than 100 nations have signed and ratified
the protocol, including all members of the Warsaw Pact and
North Atlantic Treaty Organization (NATO). The 1925
Geneva Protocol was initially designed to prevent the use
of chemical weapons in war; however, the protocol was
extended to include a prohibition on the use of
Bacteriological Methods of Warfare. The Geneva Protocol
distinguishes between parties and nonparties by explicitly
stating that the terms of the treaty apply only to confronta-
tions in which all combatants are parties and when a given
situation constitutes a ‘war’. Additionally, a number of nations
ratified the Geneva Protocol with the reservation that they
Biological Warfare 193

would use biological weapons in retaliation against a biolo-
gical weapons attack. This resulted in the recognition of the
Geneva Protocol as a ‘no first use’ treaty.
The 1972 BW Convention
International agreements governing BW have been
strengthened by the 1972 BW Convention, which is offi-
cially called the 1972 Convention on the Prohibition
of the Development, Production and Stockpiling of
Bacteriological (Biological) and Toxin Weapon and on
Their Destruction. The Convention was signed simulta-
neously in 1972 in Washington, London, and Moscow and
entered into force in 1975. The preamble to the 1972 BW
Convention states the determination of the state’s parties to
the treaty to progress toward general and complete disar-
mament, including the prohibition and elimination of all
types of WMD. This statement places the Convention in
the wider setting of international goals of complete disar-
mament. The 1972 BW Convention is also seen as a first
step toward chemical weapons disarmament.
The 1972 BW Convention explicitly builds on the
Geneva Protocol by reaffirming the prohibition of the use
of BW in war. The preamble, although not legally binding,
asserts that the goal of the Convention is to completely
exclude the possibility of biological agents and toxins being
used as weapons and states that such use would be repug-
nant to the conscience of humankind. The authors of the
1972 Convention, therefore, invoked societal attitudes as
justification for the existence of the treaty.
In 1972 BW Convention evolved, in part, from a
process of constant reevaluation of the Geneva Protocol.
From 1954 to the present, the United Nations has peri-
odically considered the prohibition of chemical and
biological weapons. The Eighteen-Nation Conference of
the Committee on Disarmament, which in 1978 became
the Forty-Nation Committee on Disarmament, began
talks in 1968 to ban chemical weapons. At this time,
chemical, toxin, and biological weapons were being
considered together, in an attempt to develop a compre-
hensive disarmament agreement. However, difficulties in
reaching agreements on chemical warfare led to a series of
separate negotiations that covered only BW and TWs.
The negotiations resulted in the drafting of the 1972 BW
Convention.
The 1972 BW Convention consists of a preamble,
followed by 15 articles. Article I forms the basic treaty
obligation. Parties agree never, under any circumstances,
to develop, produce, stockpile, or otherwise acquire or
retain the following:
1. Microbial or other biological agents, or toxins irrespec-
tive of their origin or method of production, of types
and in quantities that have no justification for prophy-
lactic, protective, or other peaceful purposes.
2. Weapons, equipment, or means of delivery designed to
use such agents or toxins for hostile purposes or in
armed conflict.
Article II requires each party to destroy, or divert to
peaceful purposes, all agents, toxins, equipment, and
delivery systems that are prohibited in Article I and are
under the jurisdiction or control of the party. It also
forbids nations from transferring, directly or indirectly,
materials specified in Article I and prohibits nations from
encouraging, assisting, or inducing any state, group of
states, or international organizations from manufacturing
or acquiring the material listed in Article I. There is no
specific mention of subnational groups, such as terrorist
organizations, in the treaty.
Article IV requires each party to the Convention to
take any measures to ensure compliance with the terms of
the treaty. Article IV has been interpreted by some states
as the formulation of civil legislation or regulations to
assure adherence to the Convention. This civil legislation
could regulate activities by individuals, government agen-
cies, universities, or corporate groups.
Articles V–VII specify procedures for pursuing allega-
tions of noncompliance with the 1972 BW Convention.
The United Nations plays an integral part in all of the
procedures for investigating allegations of noncompliance.
According to Article VI, parties may lodge a complaint
with the Security Council of the United Nations if a
breach of the treaty is suspected. All parties must coop-
erate with investigations that may be initiated by the
Security Council. Article VII requires all parties to pro-
vide assistance or support to any party that the Security
Council determines has been exposed to danger as a result
of violation of the Convention. Articles VII–IX are general
statements for obligations of the parties signing the proto-
col. Article X gives the parties the right to participate in
the fullest possible exchange of equipment, materials, and
scientific or technological information of the use of bac-
teriological (biological) agents and toxins for peaceful
purposes. Article XI allows parties to propose amendments
to the Convention. The amendments only apply to those
states that accept them and enter into force after a majority
of the states parties to the Convention have agreed to
accept and be governed by the amendment.
Article XII requires that a conference be held 5 years
after the entry into force of the BW Convention. Article
XIV states that the 1972 BW Convention is of unlim-
ited duration. A state party to the treaty is given the
right to withdraw from the treaty if it decides that
extraordinary events, related to the subject matter of
the Convention, have jeopardized the supreme interests
of the country. This article also opens the Convention
to all nations for signature. Nations that did not sign the
Conventions before its entry into force may accede to it
at any time.
194 Biological Warfare

Review Conferences
The 1972 Convention contained a stipulation that a con-
ference be held in Geneva 5 years after the terms of the
Convention entered into force. The purpose of the con-
ference was to review the operation of the Convention
and to assure that the purposes of the Convention were
being realized. The review was to take into account any
new scientific and technological developments that were
relevant to the Convention. The first review conference
was held in Geneva in 1980. Several points contained in
the original Convention were clarified at this conference.
There was general agreement that these conferences
would serve a definite function in solving contemporary
problems, such as issues of verification and compliance
that need clarification based on changing events. While
limited in scope, these conferences made some progress in
keeping the 1972 Convention relevant to the needs of a
changing world situation.
Select US Laws and Acts
A number of US laws have been enacted since 1989 that
impact on BW:
Biological Weapons and Anti-Terrorist Act (1989):
Established as a federal crime, the development, manu-
facture, transfer, or possession of any biological agent,
toxin, or delivery system for use as a weapon.
Chemical and Biological Weapons Control Act (1991):
Places sanctions on companies that knowingly export
goods or technologies relating to biological weapons to
designated prohibited nations.
The Defense Against WMD Act (1996): Designed to
enhance federal, state, and local emergency response cap-
abilities to deal with terrorist incidents.
Antiterrorism and Effective Death Penalty Act (1996):
Established as a criminal act, any threat or attempt to
develop BW or DNA technology to create new pathogens
or make more virulent forms of existing organisms.
National Laboratory Response Network (1999): A
joint effort by the Centers for Disease Control and
Prevention (CDC) and US Army Medical Research
Institute of Infectious Diseases (USAMRIID) to establish
a network of public health laboratories throughout the
United States, and was reinforced and expanded follow-
ing the anthrax letter incident of 2001.
The USA Patriot Act (2001): Greatly expanded the
ability of law enforcement agencies for fighting terrorism
in the United States and abroad. New crime categories,
such as domestic terrorism, were established. Under this
act laws on immigration, banking, money laundering, and
foreign intelligence have been amended.
Public Health Security and Bioterrorism Preparedness
and Response Act of 2002: Encouraged technological
solutions to prevent the threat of bioterrorism and the
stockpiling of vaccines and supplies.
Homeland Security Act (2003): Attempt to consolidate
25 agencies and tens of thousands government employees
into a new department to prevent terrorist attacks, reduce
vulnerability, and minimize damage and recover from
attacks that may occur.
Project BioShield Act of 2004 (Project Bioshield):
Provides funds to purchase countermeasures against
Chemical, Biological, Radioactive, and Nuclear Threats.
Pandemic and All-Hazards Prepardedness Act of 2006:
Included provisions for the establishment of the BARDA
within HHS. Funding provided through BARDA will
support medical countermeasure advanced research and
development.
CDC 42 CFR Part 1003 Possession, use, and Transfer
of Select Agents and Toxins: Established a rule regarding
possession, use, and transfer of select agents and toxins
that pose a significant risk to public health and safety.
Infectious agents have been added to this list at several
intervals over time. Some of the organisms regulated by
CDC are listed in Table 1.
Table 1 Representative organisms regulated by CDC (Center
for Disease Control)
Bacteria Viruses
Bacillus anthracis Arenaviruses
Brucella species Crimean-Congo
hemorrhagic fever virus
Burkholderia mallei,
B. pseudomallei
Eastern equine
encephalitis virus
Clostridium botulinum,
B. perfringens
Ebola virus
Escherichia coli 0157:H7 Equine morbillivirus
Francisella tularensis Hantavirus
Salmonella species Lassa fever virus
Shigella species Marburg virus
Vibrio cholerae Monkeypox virus
Nipah virus
Yersinia pestis Rift Valley fever virus
South American
hemorrhagic fever
viruses
Coccidioides immitis Tick-borne encephalitis
complex viruses
Rickettsiae and Chlamydia Variola (smallpox) major
virus
Chlamydia psittaci Venezuelan equine
encephalitis virus
Coxiella burnetii Western equine
encephalitis virus
Rickettsia prowazekii Yellow fever virus
Rickettsia rickettsii
Select Genetic Elements,
Recombinant Nucleic Acids, and
Recombinant Organisms
Biological Warfare 195

Current Research Programs
The US BDRP today is headquartered at the USAMRIID
at Fort Detrick, Maryland. USAMRIID is an organization
of the US Army Medical Research and Materiel
Command. In accordance with official US policy, the
BDRP is solely defensive in nature, with the goal of
providing methods of detection for, and protective coun-
termeasures against, biological agents that could be used
as weapons against US forces or civilians by hostile states
or individuals. USAMRIID plays a key role as the only
laboratory in the US DoD equipped for the safe study of
highly hazardous infectious agents that require maximum
containment at biosafety level (BSL)-4.
Current US policy stems from the 1969 declaration
made by President Nixon that confined the US BW
program to research on biological defense such as immu-
nization and measures of controlling and preventing the
spread of disease. Henry Kissinger further clarified the
US BW policy in 1970 by stating that the US biological
program will be confined to research and development for
defensive purposes only. This did not preclude research
into those offensive aspects of biological agents necessary
to determine what defensive measures were required. The
BDRP expanded significantly in the 1980s, in an apparent
response to alleged treaty violations and perceived offen-
sive BW capabilities in the Soviet Union. These perceptions
were espoused primarily by representatives of the Reagan
Administration and the Department of State. At congres-
sional hearings in May 1988, the US government reported
that at least ten nations, including the Soviet Union, Libya,
Iran, Cuba, Southern Yemen, Syria, and North Korea, were
developing biological weapons. Critics of the US program
refuted the need for program expansion.
The BDRP is focused in three sites, the USAMRIID at
Fort Detrick, Maryland; Aberdeen Proving Ground in
Maryland; and the Dugway Proving Ground in Utah.
USAMRIID is designated as the lead laboratory in med-
ical defense against BW threats. Research conducted at the
USAMRIID focuses on medical defense such as the devel-
opment of vaccines and treatments for both natural
diseases and potential BW agents. Work on the rapid
detection of microorganisms and the diagnosis of infec-
tious diseases are also conducted. The primary mission at
the Aberdeen Proving Ground is nonmedical defense
against BW threats including detection research, such as
the development of sensors and chemiluminescent instru-
ments to detect and identify bacteria and viruses, and
development of methods for material and equipment
decontamination. The US Army Dugway Proving
Ground is a DoD major range and test facility responsible
for development, test, evaluation, and operation of chemi-
cal warfare equipment, obscurants and smoke munitions,
and biological defense equipment. Its principal mission
with respect to the BDRP is to perform developmental
and operational testing for biological defense material,
including the development and testing of sensors, equip-
ment, and clothing needed for defense against a BW
attack.
The BDRP focuses on five main areas:
1. Development of vaccines.
2. Development of protective clothing and decontamina-
tion methods.
3. Analysis of the mode of action of toxins and the devel-
opment of antidotes.
4. Development of broad-spectrum antiviral drugs for
detecting and diagnosing BW agents and toxins.
5. Utilization of genetic engineering methods to study
and prepare defenses against BW and toxins.
The BDRP has often been a center of controversy in the
United States. One BDRP facility, the Dugway Proving
Ground, was the target of a lawsuit that resulted in the
preparation of the environmental impact statement for
the facility. A proposal for a high-level containment
laboratory (designated P-4) was ultimately changed to
new plans for a lower-level (P-3) facility.
The use of genetic engineering techniques in BDRP
facilities has also been a focus of controversy. The BDRP
position is that genetic engineering will be utilized if
deemed necessary. The DoD stated that testing of aero-
sols of pathogens derived from recombinant DNA
methodology is not precluded if a need should arise in
the interest of national defense.
Many secondary sites have received and continued to
obtain contracts for biological defense research. Once
specific program requires a special note. DARPA
(Defense Advanced Research Project Agency) is a
Pentagon program that invests significantly in pathogen
research through grants to qualified institutions. This
project initially focused on engineering and electronics
(computer) projects; however, starting in 1995 biology
became a key focus, and several BW-defensive research
grants are now in operation at many academic and private
institutions.
An important issue in biological defense has been the
convergence in the late 1990s and the early twenty-first
century of the increased need for new biological counter-
measures at the same time that private pharmaceutical
company research and development in infectious diseases
has diminished. Numerous factors have been outlined by a
variety of organizations, including the Infectious Disease
Society of America, that provide reasons for the decreasing
activity of the private sector in infectious diseases research
and development. A major component of this is the low
return on investment of infectious disease pharmaceutical
agents compared to agents in other therapy areas such as
oncology and diabetes. The concern about diminished
research and development in infectious diseases has been
196 Biological Warfare

met with a number of initiatives by the US government and
other groups to try to stimulate companies to invest in
infectious disease countermeasures.
The two major programs in the United States have been
(1) the 2004 Project Bioshield and (2) the 2006 Pandemic
and All-Hazards Prepardedness Act that provided for the
establishment of the BARDA within HHS. These actions
have the goal of obtaining medical countermeasures for
both potential bioterror agents and also naturally occurring
infectious disease outbreaks, either by providing funds for
purchasing the countermeasures or by providing financial
support for research and development activities (see ‘1990
and Contemporary Developments’).
Very little is written in the unclassified literature on
BW research conducted in countries other than the
United States. Great Britain has maintained the
Microbiological Research Establishment at Porton
Down; however, military research is highly classified in
Great Britain and details regarding the research con-
ducted at Porton are unavailable.
During the 1970s and 1980s, a great deal of US BW
policy was based on the assumption of Soviet offensive BW
capabilities. Most US accounts of Soviet BW activities were
unconfirmed accusations or claims about treaty violations.
The Soviet Union was a party to both the 1925 Geneva
Protocol and the 1972 BW Convention. According to
Pentagon sources, the Soviet Union operated at least
seven top-security BW centers. These centers were
reported to be under strict military control. While the
former Soviet Union proclaimed that their BW program
was purely defensive, the United States has consistently
asserted that the Soviet Union was conducting offensive
BW research.
Contemporary Issues
Genetic Engineering
There has been considerable controversy over the poten-
tial for genetically engineered organisms to serve as
effective BW agents. Recombinant DNA technology has
been cited as a method for creating novel, pathogenic,
microorganisms. Theoretically, organisms could be
developed that would possess predictable characteristics,
including antibiotic resistance, altered modes of transmis-
sion, or altered pathogenic and immunogenic capabilities.
This potential for genetic engineering to significantly
affect the military usefulness of BW has been contested.
It has been suggested that because a large number of
genes must work together to endow an organism with
pathogenic characteristics, the alteration of a few genes
with recombinant DNA technology is unlikely to yield a
novel pathogen that is significantly more effective or
usable than conventional BW agents.
The question of predictability of the behavior of
genetically engineered organisms was addressed at an
American Society for Microbiology symposium held in
June 1985. Some symposium participants believed that
the use of recombinant DNAs increases predictability
because the genetic change can be precisely character-
ized. Other participants, however, felt that the use of
recombinant DNA decreases predictability, because it
widens the potential range of DNA sources. Other evi-
dence supports the view that genetically engineered
organisms do not offer substantial military advantage
over conventional BW. Studies have shown that geneti-
cally engineered organisms do not survive well in the
environment. This fact has been cited as evidence that
these organisms would not make effective BW agents.
Despite the contentions that genetic engineering does
not enhance the military usefulness of BW, a significant
number of arguments support the contrary. At the 1986
Review Conference of the BW Convention, it was noted
that genetic engineering advances since the Convention
entered into force may have made biological weapons a
more attractive military option.
Several authors have contended that the question of
the potential of genetic engineering to enhance the mili-
tary usefulness of BW is rhetorical, because the 1972 BW
Convention prohibits development of such organisms
despite their origin or method of production. Nations
participating in both the 1980 and 1986 review confer-
ences of the BW Convention accepted the view that the
treaty prohibitions apply to genetically engineered BW
agents. An amendment to the treaty, specifically mention-
ing genetically engineered organisms, was deemed to be
unnecessary. Additionally, the United States, Great
Britain, and the Soviet Union concluded in a 1980 briefing
paper that the 1972 BW Convention fully covered all BW
agents that could result from genetic manipulation.
While the utility of genetic engineering for enhancing
the military usefulness of BW agents has been questioned,
the role of genetic engineering for strengthening defensive
measures against BW has been clear. Genetic engineering
has the potential for improving defenses against BW in
two ways: (1) vaccine production and (2) sensitive identi-
fication and detection systems. The issues of the new
technologies in defensive research have been evident in
the US BW program. Since 1982, US Army scientists have
used genetic engineering to study and prepare defenses
against BW agents. Military research utilizing recombi-
nant DNA and hybridoma technology include the
development of vaccines against a variety of bacteria and
viruses, methods of rapid detection and identification of
BW agents, and basic research on protein structure and
gene control. By improving defenses against BW, it is
possible that genetic engineering may potentially reduce
the risk of using BW.
Biological Warfare 197

The primary effect of BW on the government regula-
tions on genetic engineering is the tendency toward more
stringent control of the technologies. The fear of geneti-
cally engineered BW agents has prompted proposals for
government regulation of BW research utilizing genetic
engineering research. The DoD has released a statement
indicting that all government research was in compliance
with the 1972 BW Convention. The government has also
prepared an environmental impact statement of research
conducted at Fort Detrick.
Government regulations on genetic engineering also
affect BW research through limitations on exports of
biotechnology information, research products, and equip-
ment. In addition to controls of exports due to
competitive concerns of biotechnology companies, a sub-
stantial amount of information and equipment related to
genetic engineering is prohibited from being exported
outside the United States. The Commerce Department
maintains a ‘militarily critical technology’ list, which
serves as an overall guide to restricted exports. Included
on the list are containment and decontamination equip-
ment for large production facilities, high-capacity
biological reactors, separators, extractors, dryers, and
nozzles capable of disseminating biological agents in a
fine mist.
Genetic engineering has altered the concept of BW. A
current, comprehensive discussion of BW would include
both naturally occurring and potential genetically engi-
neered agents. Many current defenses against BW are
developed with genetic engineering techniques.
Government regulations on biotechnology have limited
BW research, while fears of virulent genetically engi-
neered BW agents have strengthened public support for
stronger regulations. Future policies related to BW will
need to be addressed in light of their altered status.
Mathematical Epidemiology Models
While genetic engineering may potentially alter charac-
teristics of BW agents, mathematical models of
epidemiology may provide military planners with tech-
niques for predicting the spread of a released BW agent.
One of the hindrances that has prevented BW from being
utilized or even seriously considered by military leaders
has been the inability to predict the spread of a BW agent
once it has been released into the environment. Without
the capability to predict the spread of the released organ-
isms, military planners would risk the accidental exposure
of their own troops and civilians to their own weapons.
The development of advanced epidemiology models may
provide the necessary mechanisms for predicting the
spread of organisms that would substantially decrease
the deterrent factor of unpredictability.
Low-Level Conflict
Another important factor that has affected the current
status of BW is the increase in low-level conflict or the
spectrum of violent action below the level of small-scale
conventional war, including terrorism and guerrilla war-
fare. In the 1980s, the low-intensity conflict doctrine,
which was espoused by the Reagan administration, was
a plan for US aid to anti-Communist forces throughout
the world as a way of confronting the Soviet Union with-
out using US combat troops. The significant changes in
the world since the inception of the low-intensity conflict
doctrine have only increased the probability of increasing
numbers of small conflicts. Although no evidence indi-
cated that the United States would consider violating the
1972 BW Convention and support biological warfare, the
overall increase in low-level conflicts in the future may
help create an environment conducive to the use of BW.
While BW may not be assessed as effective weapons in
a full-scale conventional war, limited use of BW agents
may be perceived as advantageous in a small-scale con-
flict. While strong deterrents exist for nuclear weapons,
including unavailability and, most formidably, the threat
of uncontrolled worldwide ‘nuclear winter’, BW may be
perceived as less dangerous. Additionally, the participants
of low-level conflicts may not possess the finances for
nuclear or conventional weapons. BW agents, such as
chemical weapons, are relatively inexpensive compared
to other weapon systems and may be seen as an attractive
alternative to the participants and leaders of low-level
conflicts. Low-level conflict, therefore, increases the
potential number of forums for the use of BW.
Terrorism
The most significant factor that has altered the concept of
BW is the global threat of terrorism. Although there have
been isolated incidents to date of the use of biological
pathogens by terrorist groups, these attempts have only
had minimum impact. However, the possibility of a major
incident by bioterrorists is predicted as inevitable by
many experts.
The relationship of terrorism and BW can be divided
into two possible events. The first involves terrorist acts
against laboratories conducting BW-related research. The
level of security at Fort Detrick is high, the possibility of a
terrorist attack has been anticipated, and contingency plans
have been made. Complicating the problem of providing
security against terrorist attack in the United States is the
fact, that, while most BW research projects are conducted
with the BW research program of the DoD, an increasing
number of projects are supported by the government that
are conducted outside of the military establishment. These
outside laboratories could be potential targets.
198 Biological Warfare

The second type of terrorist event related to BW is the
potential use of BW by terrorists against urban areas or
major public facilities. Biological weapons are relatively
inexpensive and easy to develop and produce compared
to conventional, nuclear, or chemical weapons. BW
agents can be concealed and easily transported across
borders or within countries. Additionally, terrorists are
not hampered by a fear of an uncontrolled spread of the
BW agent into innocent civilian populations. To the
contrary, innocent civilians are often the intended targets
of terrorist activity, and the greater chance for spread of
the BW is considered to be a positive characteristic for a
bioterrorist. The use of these agents to attack agricultural
operations or food supplies, although not directly target-
ing humans, can have an enormous economic impact. All
aspects of BW are receiving needed attention as the
potential threat of their use by terrorists is further realized
by policy makers. Environmental monitoring in public
places along with new technologies for rapid identifica-
tion have been greatly stimulated by the threat of
bioterrorism and will continue to receive much attention
in the foreseeable future.
Offensive Versus Defensive BW Research
The distinctions between ‘offensive’ and ‘defensive’ BW
research have been an issue since 1969, when the United
States unilaterally pledged to conduct only defensive
research. The stated purpose of the US BDRP is to main-
tain and promote national defense from BW threats.
Although neither the Geneva Convention nor the 1972
Convention prohibits any type of research, the only
research that nations have admitted to conducting is defen-
sive. The problem is whether or not the two types of
research can be differentiated by any observable elements.
Although production of large quantities of a virulent
organism and testing of delivery systems has been cited as
distinguishing characteristics of an offensive program, a
substantial amount of research leading up to these activ-
ities including isolating an organism, then using animal
models to determine pathogenicity, could be conducted
in the name of defense.
Vaccine research is usually considered ‘defensive’,
whereas increasing the virulence of a pathogen and pro-
ducing large quantities is deemed ‘offensive’. However, a
critical component of a strategic plan to use biological
weapons would be the production of vaccines to protect
the antagonist’s own personnel (unless self-annihilation
was also a goal). This means that the intent of a vaccine
program could be offensive BW use. Furthermore,
research that increases the virulence of an organism is
not necessarily part of an offensive strategy because one
can argue that virulence needs to be studied to develop
adequate defense.
The key element distinguishing offensive from defen-
sive research is intent. If the intent of the researcher or the
goals of the research program is the capability to develop
and produce BW, then the research is offensive BW
research. If the intent is to have the capability to develop
and produce defenses against BW use, then the research is
defensive BW research. While it is true that nations may
have policies of open disclosures (i.e., no secret research),
‘intent’ is not observable.
Although the terms ‘offensive BW research’ and
‘defensive BW research’ may have some use in describing
intent, it is more a philosophical than a practical distinc-
tion, one that is based on trust rather than fact.
Secrecy in Biological Warfare-Related Research
Neither the Geneva Protocol nor the 1972 BW
Convention prohibits any type of research, secret, or
nonsecret. While the BDRP does not conduct secret or
classified research, it is possible that secret BW research is
being conducted in the United States outside of the
structure of the BDRP. The classified nature of the
resource material for this work makes it impossible to
effectively determine if secret research is being conducted
in the United States or any other nation.
It is not, however, unreasonable to assume that other
nations conduct significant secret BW research. Therefore,
regardless of the facts, one cannot deny the perception that
such research exists in a variety of countries and that this
perception will exist for the foreseeable future.
Secrecy has been cited as a cause of decreased quality
of BW research. If secret research, whether offensive or
defensive, is being conducted in the United States or
other nations, it is unclear if the process of secrecy affects
the quality of the research. If the secret research process
consists of a core of highly trained creative and motivated
individuals sharing information, the quality of the
research may not suffer significantly. It must be stated,
however, that secrecy by its very nature will limit input
from a variety of diverse observers.
Secrecy may increase the potential for violations of the
1972 BW Convention; however, violations would prob-
ably occur regardless of the secrecy of the research.
Secrecy in research can certainly lead to infractions
against arbitrary rules established by individuals outside
of the research group. The secret nature of the research
may lure a researcher into forbidden areas. Additionally,
those outside of the research group, such as policy-
makers, may push for prohibited activities if the sense of
secrecy prevails. Secrecy also tends to bind those within
the secret arena together and tends to enhance their
perception of themselves as being above the law and
knowing what is ‘right’. As in the case of Oliver North
and the Iran–Contra affair, those within the group may
believe fervently that the rules must be broken for a
Biological Warfare 199

justified purpose and a mechanism of secrecy allows vio-
lations to occur without penalty.
The distrust between nations exacerbates the perceived
need for secret research. The animosity between the
United States and the Soviet Union during the 1980s fueled
the beliefs that secret research leading to violations of the
1972 BW Convention was being conducted in the Soviet
Union. As the belligerence of the 1980s fades into the New
World Order, the questions will not focus on the Soviet
Union as much as on the Middle East and third-world
countries. There are factions in the United States that
believe strongly that other countries are conducting secret
research that will lead to violations of the Convention.
There is also a tendency to believe that the secrecy in
one’s own country will not lead to treaty violations, while
the same secret measures in an enemy nation will result in
activities forbidden by international law.
The importance of the concept of secrecy in BW
research is related to the perception of secrecy and arms
control agreements. Regardless of the degree of secrecy in
research, if an enemy believes that a nation is pursuing
secret research, arms control measures are jeopardized.
The reduction of secrecy has been suggested as a tool to
decrease the potential for BW treaty violations. A trend
toward reducing secrecy in BW research was exemplified
by the 1986 Review Conference of the 1972 BW
Convention, which resulted in agreements to exchange
more information and to publish more of the results of
BW research.
Whetherornotthesemeasureshaveanyeffecton
strengthening the 1972 BW Convention remains to be seen.
Organizations and individuals have urged a renuncia-
tion by scientists of all secret research and all security
controls over microbiological, toxicological, and pharma-
cological research. This action has been suggested as a
means of strengthening the 1972 BW Convention. The
belief that microbiologists should avoid secret research is
based on the assumption that (1) secret research is of poor
quality due to lack of peer review and (2) secrecy perpe-
trates treaty violations.
While it may be reasonable to expect microbiologists
to avoid secret research, it is not realistic. Secrecy is
practiced in almost every type of research including aca-
demic, military, and especially industrial. Furthermore,
there will always be those, within the military and intelli-
gence structures, who believe that at least some degree of
secrecy is required for national security.
Secrecy in BW research is a complex issue. The degree
to which it exists is unclear. Individuals are generally
opposed to secrecy in BW research although other exam-
ples of secrecy in different types of research exist and are
generally accepted. The effect of the secrecy on the
quality of research, the need for the secrecy, and the
choice of microbiologists to participate in secret BW
research remain unanswered questions.
Problems Relating to Verification
One of the major weaknesses of the 1972 BW Convention
has been the lack of verification protocols. Problems with
effectively monitoring compliance include the ease of
developing BW agents in laboratories designed for other
purposes, and the futility of inspecting all technical facil-
ities of all nations. Measures that have been implemented
with the goal of monitoring compliance have included
(1) open inspections, (2) intelligence gathering, (3) moni-
tor research, (4) use of sampling stations to detect the
presence of biological agents, and (5) international coop-
eration. The progress achieved with the Chemical
Weapons Convention has renewed interest in strengthen-
ing mechanisms for verification of compliance with the
1972 BW Convention. While this renewed interest in
verification of compliance with the emergence of the
Commonwealth of Independent States from the old
Soviet Union has brought optimism to the verification
issue, the reticence of countries such as Iran and North
Korea to cooperate with United Nations inspection teams
is a reminder of the complexities of international agree-
ments. The examples herein are typical of the many issues
attached to the concept of BW.
Further Reading
Atlas RM (1988) Biological weapons pose challenging for microbiology
community. ASM News 64: 383–389.
Buckingham WA Jr. (ed.) (1984) Defense Planning for the 1990s.
Washington, DC: National Defense University Press.
Cole L (1996) The specter of biological weapons. Scientific American
(6): 60–65.
Frisna ME (1990) The offensive-defensive distinction in military biological
research. The Hastings Center Report 20(3): 19–22.
Gravett C (1990) Medieval Siege Warfare. London: Osprey Publishing
Ltd.
Guillemin J (1999) Anthrax. London: University of California Press.
Guillemin J (2005) Biological Weapons. New York: Columbia University
Press.
Harris R and Paxman J (1982) A Higher Form of Killing. New York: Hill
and Wang.
Livingstone NC (1984) Fighting terrorism and ‘‘dirty little wars’’.
In: Buckingham WA Jr. (ed.) Defense Planning for the 1990s,
pp. 165–196. Washington, DC: National Defense University Press.
Livingstone NC and Douglass J Jr. (1984) CBW: The Poor Man’s Atomic
Bomb. Medford, MA: Institute of Foreign Policy Analysis, Tufts
University.
Meselson M, Guillemin J, Hugh-Jones M, et al. (1994) The Sverdlovsk
anthrax outbreak of 1979. Science 266: 1202–1208.
Milewski E (1985) Discussion on a proposal to form a RAC working
group on biological weapons. Recombinant DNA Technical Bulletin
8(4): 173–175.
Miller LA (1987) The Use of Philosophical Analysis and Delphi Survey to
Clarify Subject Matter for a Future Curriculum for Microbiologists on
the Topic of Biological Weapons. Thesis, University of Pennsylvania,
Philadelphia. University Micro-films International, Ann Arbor, MI.
8714902.
Murphy S, Hay A, and Rose S (1984) No Fire, No Thunder. New York:
Monthly Review Press.
Poupard JA, Miller LA, and Granshaw L (1989) The use of smallpox as a
biological weapon in the French and Indian War of 1763. ASM News
55: 122–124.
200 Biological Warfare

Smith RJ (1984) The dark side of biotechnology. Science
224: 1215–1216.
Stockholm International Peach Research Institute (1973). The Problem of
Chemical and Biological Warfare, vol. II New York: Humanities Press.
Taubes G (1995) The defense initiative of the 1990’s. Science
267: 1096–1100.
Wright S (1985) The military and the new biology. The Bulletin of the
Atomic Scientists 42(5): 73.
Wright S and Sinsheimer RL (1983) Recombinant DNA and biological
warfare. The Bulletin of the Atomic Scientists 39(9): 20–26.
Zilinskas R (ed.) (1992) The Microbiologist and Biological Defense
Research: Ethics.
Biological Warfare 201

Bioluminescence, Microbial
P V Dunlap, University of Michigan, Ann Arbor, MI, USA
ª2009 Elsevier Inc. All rights reserved.
Defining Statement
Introduction
Biochemistry of Bacterial Light Production
Species and Systematics of Luminous Bacteria
Habitats and Ecology of Luminous Bacteria
Regulation of Bacterial Luminescence
Functions of Luminescence in Bacteria
Evolution of the Bacterial Luminescence System
Isolation, Storage, and Identification of Luminous
Bacteria
Conclusions
Further Reading
Glossary
bioluminescence The enzymatic production of light by
a living organism.
coevolution Reciprocal heritable change in a host and
its symbiont.
cospeciation Evolutionary codivergence of a host and
its symbiont.
cosymbiosis The presence of two (or more) species of
luminous bacteria in the light organ of a fish or squid.
horizontal gene transfer The acquisition and stable
incorporation into the genome of an organism of a gene
or genes from another species of organism.
luciferase The light-emitting enzyme; in bacteria, a
heterodimeric protein that uses oxygen, reduced flavin
mononucleotide, and a long-chain fatty aldehyde as
substrates to produce blue-green light.
merodiploidy The stable presence in the genome of
an organism of two (or more) copies of a gene or
genes.
phylogeny The evolutionary relationships among
organisms.
psychrotroph An organism with a growth temperature
optimum typically below 20 C.
quorum sensing A gene regulatory mechanism that
operates via low molecular weight, membrane-
permeant signal molecules in response to a bacterium’s
local population density.
systematics The area of biology that addresses the
taxonomy and phylogeny of organisms.
Abbreviations
AFLP amplified fragment length polymorphism
AHLs acyl-homoserine lactones
cAMP cyclic AMP
CEAs ciliated epithelial appendages
CRP cAMP receptor protein
Defining Statement
Bioluminescence is the enzymatic production of light by a
living organism. Many different kinds of organisms are
bioluminescent. Luminous microbes include some fungi,
certain unicellular eukaryotes, and several kinds of
bacteria. This article summarizes information on biolumi-
nescence in bacteria, from the perspectives of biochemistry,
systematics, ecology and symbiosis, genetics, and evolution.
Introduction
Bioluminescence, the enzyme catalyzed emission of light, is
an attribute of many different kinds of organisms. The
yellow-green flashes of light made by fireflies at dusk in
summer are one of the more commonly observed forms of
bioluminescence. Various other terrestrial and many marine
organisms are luminescent, including cnidarians, mollusks,
annelids, arthropods, echinoderms, and fish. Certain eukar-
yotic microorganisms, the protist Gonyaulax,andcertain
fungi, for example, also emit light, as do several kinds of
bacteria. A common theme in bioluminescence is the use of
oxygen as a substrate for the light-emitting enzyme, referred
to generically as luciferase. However, in most of these
organisms, the substrates that luciferase uses other than
oxygenarecompletelydifferent,andtheluciferasesthem-
selves exhibit no homology in their nucleotide sequences.
The biochemical diversity of extant bioluminescence
systems and their lack of DNA sequence homology indicate
that bioluminescence has evolved independently many
202

times during the history of life on Earth. This article focuses
on the smallest of luminous organisms with presumably the
longest evolutionary history, the bioluminescent bacteria.
Additional information on bioluminescence in eukaryotic
microorganisms can be found in references listed in Further
Reading.
Luminous bacteria (Table 1) are those bacteria whose
genomes naturally contain genes for bacterial luciferase
and for the enzymes that produce a long-chain aldehyde
substrate used by luciferase in light emission. Bacterial
luminescence and many of the luminous bacteria them-
selves have been known for some time. During the 1700s
and 1800s, various animal products, such as meats, fish,
and eggs, the decaying bodies of marine and terrestrial
animals, and even human wounds and corpses, were seen
to emit light. Those observations were preceded many
years by the demonstration of Robert Boyle in 1668 that
the ‘uncertain shining of Fishes’, the light coming from
decaying fish, required air, long before the existence of
bacteria was known. Light-emitting bacteria were first
isolated from nature in the 1880s by the early microbiol-
ogists Bernard Fischer and Martin Beijerinck, and they
have been subjects of biochemical, physiological, ecologi-
cal, and, more recently, genetic studies since that time.
Although luminous bacteria are in most ways not different
physiologically and genetically from other bacteria, stu-
dies of these bacteria from the perspective of their light-
emitting capability have led to substantial progress in
understanding quorum sensing in bacteria, now a major
research theme in microbiology, and in understanding the
ecology and genetics of mutualistic bacterial symbioses
with animals. More recently, studies of these bacteria
using modern phylogenetic approaches, while opening
up their evolutionary history, have made contributions
to understanding the nature of bacterial species and to
bacterial biogeography.
Biochemistry of Bacterial Light
Production
Light emission in bacteria (Figure 1) is catalyzed by
bacterial luciferase, a heterodimeric protein of approxi-
mately 80 kDa, composed of an -subunit (40 kDa) and a
-subunit (37 kDa). Bacterial luciferase mediates the
oxidation of reduced flavin mononucleotide (FMNH
2
)
and a long-chain aliphatic aldehyde (RCHO) by O
2
to
produce blue-green light, according to the following
reaction:
FMNH2þO2þRCHO luciferase?FMN þH2O
þRCOOH þlight ð490 nmÞ
In the luminescence reaction, binding of FMNH
2
by
the enzyme is followed by interaction with O
2
and then
binding of aldehyde, forming a highly stable enzyme/
substrate complex that slowly decays with the oxidation
of the FMNH
2
and aldehyde substrates and the emission
of light. Quantum yield for the reaction has been esti-
mated at 0.1–1.0 photons. The reaction is highly specific
for FMNH
2
, and the aldehyde substrate in vivo is likely to
Table 1 Species and habitats of luminous bacteria
a
Species Habitats
b
Aliivibrio fischeri Coastal seawater, light organs of monocentrid fish and sepiolid squids
Aliivibrio logei Coastal seawater, light organs of sepiolid squids
Aliivibrio salmonicida Tissue lesions of Atlantic salmon
Photobacterium kishitanii Skin and intestines of marine fishes, light organs of deep sea fishes
Photobacterium leiognathi Coastal seawater, light organs of leiognathid fishes and loliginid squids
Photobacterium mandapamensis Coastal seawater, light organs of apogonid and leiognathid fishes
Photobacterium phosphoreum Skin and intestines of marine fishes, coastal and open ocean seawater
Photorhabdus asymbiotica Human skin lesions
Photorhabdus luminescens Insect larvae infected with heterorhabditid nematodes
Photorhabdus temperata Insect larvae infected with heterorhabditid nematodes
Shewanella hanedai Seawater and sediment
Shewanella woodyi Seawater and ink sac of squid
Vibrio chagasii Coastal seawater
Vibrio cholerae Coastal seawater, brackish and estuarine waters
Vibrio damselae Coastal seawater
Vibrio harveyi Coastal seawater and sediments
Vibrio orientalis Coastal seawater, surfaces of shrimp
Vibrio splendidus Coastal seawater
Vibrio vulnificus Coastal seawater, oysters
a
All are members of Gammaproteobacteria, phylum Proteobacteria, domain Bacteria.
b
Listed are typical habitats from which luminous strains of the species have been isolated.
Bioluminescence, Microbial 203

be tetradecanal. Synthesis of the long-chain aldehyde and
its recycling from the long-chain fatty acid are catalyzed
by a fatty acid reductase complex composed of three
polypeptides, an NADPH-dependent acyl protein reduc-
tase (54 kDa), an acyl transferase (33 kDa), and an ATP-
dependent synthetase (42 kDa). The activity of this com-
plex is essential for the production of light in the absence
of exogenously added aldehyde.
The genes for bacterial light production are present as a
coordinately expressed set of genes, luxCDABEG, which is
the lux operon (Figure 7). The luxA and luxB genes encode
the - and -subunits of luciferase, luxC, luxD, and luxE
encode the polypeptides of the fatty acid reductase
complex, and luxG encodes a flavin reductase. The
luxCDABE genes are present and have the same gene
order in all luminous bacteria examined to date, a defining
characteristic of these organisms. More information on the
biochemistry of bacterial light production can be found in
the references listed in Further Reading.
Species and Systematics of Luminous
Bacteria
At present, 19 species of luminous bacteria have been
identified (Table 1). This list includes some species in
which only certain strains are luminous. It should be
noted that many more kinds of luminous bacteria remain
to be discovered and characterized. The basis for this
statement is the recent identifications of new species of
luminous bacteria (i.e., Photobacterium kishitanii) and of
luminous strains of species not previously known to be
luminous (i.e., Aliivibrio salmonicida), as well as descrip-
tions of new species in progress at this time and not listed
in Table 1.
Luminous bacteria are all Gram-negative, non-
sporeforming, motile, chemoorganotrophs. Most, that is,
those in genera Vibrio, Aliivibrio, Photobacterium, and
Photorhabdus, are facultatively aerobic, able to use oxygen
in respiration and also able to use sugars by fermentation
for energy generation when oxygen and other suitable
terminal electron acceptors are not available. In contrast,
Shewanella species use only the respiratory mode of
energy generation. Luminous Vibrio, Aliivibrio,
Photobacterium, and Shewanella species are found in the
marine environment, whereas Photorhabdus species are
terrestrial. Luminous strains of Vibrio cholerae have been
isolated from coastal seawater as well as from brackish and
freshwater environments. Some species of luminous bac-
teria form highly specific, mutually beneficial
bioluminescent symbioses with marine fishes and squids
(discussed below).
Luminous bacteria are members of three families,
Vibrionaceae, Shewanellaceae,andEnterobacteriaceae,allof
which belong to Gammaproteobacteria, a class in phylum
Proteobacteria of domain Bacteria. A phylogeny of lumi-
nous bacteria is shown in Figure 2.Thisphylogenyis
based on sequences of the 16S rRNA gene, which encodes
the RNA component of the small subunit of the bacterial
ribosome, and gyrB, a housekeeping gene that encodes
DNA gyrase subunit B and that, like the 16S rRNA gene,
is useful for evolutionary analysis of bacteria. The figure
reveals that most species of luminous bacteria are members
of the Vibrionaceae genera Vibrio, Photobacterium,and
Aliivibrio. Species previously known as members of the
Vibrio fischeri species group, that is, V. fischeri, Vibrio logei,
Vibrio salmonicida,andVibrio wodanis, were for many years
known to differ from members of Vibrio and Photobacterium.
These bacteria have been reclassified in accord with those
differences as members of a new genus, Aliivibrio.Four
species of this genus are currently recognized, namely,
Aliivibrio fischeri, Aliivibrio logei, A. salmonicida,andAliivibrio
wodanis. The phylogenetic tree includes all the luminous
bacteria but only a few representative nonluminous species
in Vibrionaceae, Shewanellaceae,andEnterobacteriaceae;lumi-
nous bacteria make up only a small number of the many
species in these genera. Within Vibrio, Aliivibrio,
Photobacterium,andShewanella,therearemanyspeciesof
nonluminous bacteria; in contrast, genus Photorhabdus as
presently defined contains only luminous species. Even
species characterized as luminous, such as Photorhabdus
luminescens, can contain strains that do not produce light,
Figure 1 Bacterial bioluminescence. Cells of Photobacterium
kishitanii, a newly described species of luminous bacteria,
have formed colonies on this plate of nutrient seawater
agar. The bacteria were taken from the ventral light organ of the
deep sea fish Chlorophthalmus albatrossis (Chlorophthalmidae).
The plate was photographed in the dark by the light the bacteria
produce.
204 Bioluminescence, Microbial

and some species, such as V. cholerae and Vibrio vulnificus,
contain relatively few strains that are luminous. The phy-
logenetic relationships among luminous bacteria and the
presence of luminous and nonluminous species in several
groups provide insights into the evolution of the bacterial
luminescence system, a topic discussed in a later section.
Our knowledge of what species of bacteria are luminous
is based to a large extent on the production of high levels of
light by many commonly encountered luminous species.
This criterion, however, does not recover all luminous
bacteria. The problem is that some luminous bacteria pro-
duce a high level of light under natural conditions but little
or no light when grown on laboratory media; ‘cryptically
luminous’ bacteria therefore can be missed in screening
environmental samples for light-emitting bacteria.
Examples include luminous bacteria infecting crustaceans
and strains of A.fischeri symbiotic with the Hawaiian sepio-
lid squid, Euprymna scolopes. Other examples are V. cholerae,
many strains of which carry lux genes but produce little or
no light, and A. salmonicida, which requires addition of
aldehyde to stimulate light production. Enzyme assay and
antibody methods previously were used to indicate the
presence of luciferase in several nonluminous Vibrio spp.,
and lux gene-containing bacteria not producing light in
culture have been identified with luxA-based DNA probes
from various seawater samples. A further complication is
that luminescence often is not phenotypically stable; strains
that are luminous on primary isolation often become dim
or dark in laboratory culture and therefore may be dis-
carded as nonluminous contaminants. It is therefore
reasonable to assume that more luminous bacteria exist
than are listed here (Table 1). Supporting this view,
descriptions of additional new luminous bacteria and of
bacterial species newly recognized to contain luminous
strains are underway at this time.
Methods for taxonomic identification of luminous bac-
teria have changed significantly over the past few years,
with more emphasis now being placed on DNA sequence-
based phylogenies over previously standard descriptive
phenotypic and genotypic methods. Analysis of lux gene
sequences together with sequences of housekeeping
genes, such as the16S rRNA gene, gyrB, pyrH, recA, rpoA,
and rpoD, has proven helpful both for defining evolution-
ary relationships among luminous bacteria and for the
identification of new species. For example, bacteria pre-
viously grouped as members of Photobacterium phosphoreum
based on phenotypic and genotypic traits have been
resolved by a multigene phylogenetic approach as three
distinct species (Figure 3). The more definitive species-
level resolution provided by molecular phylogenetic ana-
lysis is proving to be helpful also in opening up the
species-specific ecologies of luminous bacteria.
Habitats and Ecology of Luminous
Bacteria
Marine
Luminous bacteria are globally distributed in the marine
environment (Table 1) and can be isolated from seawater,
sediment, and suspended particulates. They also colonize
the skin of marine animals as saprophytes, their intestinal
tracts as commensal enteric symbionts, and their tissues
and body fluids as parasites, where they presumably use
the organic compounds available in these habitats as
sources of energy and carbon. Certain of the luminous
bacteria form highly specific bioluminescent symbioses
with marine fish and squids. They also colonize marine
algae, but agar-digesting luminous bacteria are rare.
In seawater and marine sediments and on the skin of
marine animals, luminous bacteria are a consistent but
Escherichia coli
Xenorhabdus nematophila
Photorhabdus temperata
Ph. luminescens
Ph. asymbiotica
Shewanella oneidensis
S. affinis
S. hanedai
S. woodyi
Vibrio mimicus
V. cholerae
Aliivibrio fischeri
A. wodanis
A. logei
A. salmonicida
P. an
g
ustum
P. leiognathi
P. mandapamensis
Photobacterium kishitani
i
P. phosphoreum
P. iliopiscarium
V. vulnificus
V. diazotrophicus
V. cyclitrophicus
V. lentus
V. splendidus
V. orientalis
V. alginolyticus
V. parahaemolyticus
V. pelagius
V. harveyi
V. campbellii
50 changes
Enterobacteriacaeae
Shewanellacaeae
Vibrionaceae
Figure 2 Phylogeny of luminous bacteria. This analysis
(provided by Dr. Jennifer Ast, University of Michigan) is based on
sequences of the 16S rRNA and gyrB genes. Luminous species
(in boldface) are found in three families, Vibrionaceae,
Shewanellaceae, and Enterobacteriaceae. These families contain
many more nonluminous species than shown here.
Bioluminescence, Microbial 205

ATCC 51761
NCIMB 13476
NCIMB 13478
NCIMB 13481
ATCC 51760T
FS-2.1
FS-2.3
AK-9
FS-4.2
FS-2.2
ATCC 11040T
FS-5.2
FS-3.1
FS-5.1
FS-1.1
AK-3
FS-1.2
AK-1
FS-4.1
AK-4
AK-6
AK-5
AK-7
FS-3.2
AK-8
FS-6.1
FS-6.2
FS-6.3
FS-8.1
pjapo.2.1
pjapo.4.1
pjapo.5.1
pjapo.8.1
pjapo.9.1
chubb.1.1
ckamo.3.1
canat.1.2
hstri.1.1
calba.1.1
pjapo.1.1T
apros.2.1
ckamo.1.1
vlong.3.1
ppros.1.1
calba.5.1
vlong.1.1
ckamo.2.1
NZ-11D
B-421
hstri.2.1
vlong.2.1
NCIMB 844
FS-8.2
FS-7.2
ckamo.5.4
canat.2.1
NCIMB 12839
NCIMB 66
FS-7.1
ckamo.4.2
50 changes
17/55/341
100/22 (32)
100/52 (52)
99/2 (14)
99/10 (18)
100/2 (33)
0/38/-
5/47/52
1/34/79
0/42/-
Photobacterium
phosphoreum
Photobacterium
iliopiscarium
Photobacterium
kishitanii
Photobacterium fischeri (1 strain)
P. damselae (1 strain)
P. leiognathi ssp. mandapamensis (3 strains)
P. leiognathi ssp. leiognathi (4 strains)
P. angustum (2 strains)
P. profundum (2 strains)
P. kishitanii (32 strains)
P. phosphoreum (21 strains)
P. iliopiscarium (5 strains)
50 changes
99
100
100
86
73
85
16S rRNA/gyrB/luxABFE
jackknife/Bremer support
Figure 3 Phylogenetic resolution of the members of the Photobacterium phosphoreum species group. The phylogenies shown are
based on combined analysis of the 16S rRNA, gyrB,andluxABFE genes. The numbers above the branches represent the steps each
locus (16S rRNA gene, gyrB and luxABFE) contributed to branch length. The 16S rRNA gene contributed several steps (17 steps) to the
separation of the P. phosphoreum group from the rest of Photobacterium, but few steps (0–1 step) to the branches separating P.
phosphoreum and Photobacterium iliopiscarium; the sequences of Photobacterium kishitanii strains differed slightly (five steps) from
those of P. phosphoreum and P. iliopiscarium. In contrast, the much greater sequence divergence of the gyrB and luxABFE genes
permits resolution of P. phosphoreum, P. iliopiscarium,andP. kishitanii as separate species. Numbers below the branches represent
jackknife resampling values and Bremer support values. Species type strains are in boldface. Reproduced from Ast JC and Dunlap PV
(2005) Phylogenetic resolution and habitat specificity of the Photobacterium phosphoreum species group. Environmental Microbiology
7: 1641–1654.
206 Bioluminescence, Microbial

usually small fraction of the bacteria present. Also in the
intestinal tracks of marine fishes and other animals, lumi-
nous bacteria usually make up a small but consistent
percentage of the bacteria present than can grow under
aerobic laboratory conditions, although in some cases,
luminous colonies have been observed to form 50% or
more of the colonies arising on plates of seawater-based
complete medium inoculated with intestinal contents.
Luminous bacteria attain exceptionally high numbers,
up to 10
9
to 10
11
cells per ml, in light organs of fishes
and squids, where they exist in mutualistic symbioses, and
as incidental parasites reproducing in the hemocoel of
marine crustaceans and other marine animals. Luminous
bacteria grow readily, for example, on fish muscle tissue
(Figure 4). Reproduction in each of these habitats
releases cells into seawater, providing inocula for coloni-
zation of the other habitats. In colonizing free-living,
saprophytic, commensal, and parasitic habitats, luminous
bacteria coexist and compete for nutrients with many
other kinds of bacteria. The exception to their existence
as members of a diverse community of bacteria is biolu-
minescent symbiosis; light organs of fishes and squids are
highly specific to certain species of luminous bacteria and
do not harbor nonluminous species.
The distributions of individual species of luminous bac-
teria and their numbers in a given habitat correlate with
certain environmental factors, as is seen for nonluminous
bacteria. Primary among these factors are temperature and
depth in the marine environment, nutrient limitation, and
sensitivity to solar irradiation induced photooxidation in
surface waters. Temperature, along with being an impor-
tant environmental factor, can influence whether luminous
bacteria are detected from environmental samples. For
example, Shewanella hanedai and some strains of A. logei,
which are psychrotrophic, grow and produce light at low
temperature (e. g., 15 C), and grow but do not produce
light at room temperature (24 C). Therefore, incubation of
platings of environmental samples at the lower tempera-
tures may reveal the presence of other psychrotropic
luminous species. Temperature relationships of luminous
bacteria appear to be species-specific. For example,
S. woodyi, characterized from squid ink and seawater in the
Alboran Sea near Gibraltar and A. fischeri, species that are
closely related to S. hanedai and V. logei, respectively, grow
and produce light at room temperature. Some bacteria
appear to be eurythermal, growing and producing light
from low to relatively high temperatures.
Freshwater
V. cholerae apparently is the only luminous bacterium to
have been isolated from freshwater and brackish estuarine
habitats. A luminous non-O1 strain of this species, some-
times called Vibrio albensis, was isolated from the Elbe
River in Germany in 1893, and non-O1 strains of
V. cholerae sometimes have been isolated from diseased,
glowing crustaceans from freshwater lakes.
Terrestrial
Luminous bacteria are found also in the terrestrial envir-
onment, where they infect a variety of terrestrial insects,
causing the infected animal to glow. These bacteria pre-
sumably are members of P. luminescens and Photorhabdus
temperata, which occur also as the mutualistic symbionts of
nematodes, which are common in soil, or Photorhabdus
asymbiotica, which has been isolated from human clinical
infections initiated by spider and insect bites (Table 1).
P. luminescens and P. temperata occur as the mutualistic
symbionts of entomopathogenic nematodes of the family
Heterorhaditidae. They are carried in the intestine of the
infective juvenile stage of the nematode, contribute to a
lethal infection of insect larvae, and permit completion of
the nematode life cycle. When the nematode enters the
insect, via the digestive tract or other openings, and pene-
trates the insect’s hemocele, the bacteria are released into
the hemolymph, constituents of which they utilize for
growth. The bacteria elaborate a variety of extracellular
enzymes that presumably breakdown macromolecules of
the hemolymph. Proliferation of the bacteria leads to death
of the insect, the carcass of which can become luminous.
Through consumption of the bacteria or products of bac-
terial degradation of the hemolymph, the nematodes
develop and sexually reproduce. Completion of the nema-
tode life cycle involves reassociation with the bacteria and
the emergence from the insect cadaver of the nonfeeding
infective juveniles, the intestines of which are colonized by
the bacteria. Cells of P. luminescens presumably are present
Figure 4 Saprophytic growth of luminous bacteria. Luminous
bacteria have colonized this slice of fish meat, which was
photographed in the dark by the light the bacteria produce. Cells
of luminous bacteria injected into the flank muscle tissue of live
fish can rapidly reproduce and cause septicemia and death of the
fish, indicating the potential of luminous bacteria for
pathogenesis.
Bioluminescence, Microbial 207

in soil, but association with the nematode may be necessary
for their survival and dissemination. Luminescence of the
infected insect larva might function to attract nocturnally
active animals to feed on the glowing carcass, thereby
increasing the opportunities for the bacterium and the
nematode to be disseminated. However, luminescence is
not required for successful symbiosis with the nematode;
not all strains of P. luminescens produce luminescence.
Furthermore, bacteria in the genus Xenorhabdus, which are
symbiotic with entomopathogenic nematodes in the family
Steinernematidae, are ecologically very similar to
Photorhabdus, except that they do not produce light. The
similarities between the life styles and activities of
Photorhabdus and Xenorhabdus might be a case of ecological
convergence.
Bioluminescent Symbiosis
A different kind of symbiotic association is seen with
members of several families of marine fishes and squids,
which form mutually beneficial associations with lumi-
nous bacteria (Figure 5). These associations, of which
there are many, are called bioluminescent symbioses.
The bacteria are housed extracellularly in the body of
the animal in a complex of tissues called a light organ. In
fishes, the light organs are outpocketings of the gut tract
(most fishes), or are positioned below the eyes (anomalo-
pids), in the lower jaw (monocentrids), or at the tips of
tissue extensions (ceratioids). In squids, they are found as
bilobed structures within the mantle cavity, associated
with the ink sac. Accessory tissues associated with the
light organ, that is, lens, reflector and light-absorbing
barriers, direct and focus the light the bacteria produce.
The animal uses the bacterial light in various lumines-
cence displays that are associated with sex-specific
signaling, predator avoidance, locating or attracting
prey, and schooling. In turn, the bacteria, which are pre-
sent at a high cell density (Figure 6), use nutrients
obtained from the host to reproduce and are disseminated
from the animal’s light organ into the environment.
Five species of marine luminous bacteria have been
identified as light-organ symbionts, A. fischeri (previously
V. fischeri), A. logei (previously V. logei), Photobacterium leiog-
nathi, P. kishitanii, and Photobacterium mandapamensis. The
families of squids and fishes whose light organs these
bacteria colonize are listed in Table 2.P. phosphoreum
has not been found as a light-organ symbiont, whereas
P. kishitanii, a newly identified species closely related to
P. phosphoreum, is found in the light organs of a wide
variety of deep, cold-dwelling fishes. Luminous bacterial
symbionts of two groups of fishes, the flashlight fish,
family Anomalopidae, and deep sea anglerfish, for exam-
ple, families Melanocetidae and Ceratiidae in suborder
Ceratioidei, have not yet been brought into laboratory
culture and therefore remain to be identified; these as-yet
uncultured bacteria probably represent new species. In
the cases studied, the newly hatched, aposymbiotic ani-
mals acquire their symbiotic bacteria from the
environment with each new host generation.
Based on symbiont acquisition from the environment,
the association between the sepiolid squid E. scolopes and
the A. fischeri has emerged as an experimental system with
which examine various aspects of the association. The
nascent, rudimentary light organ lobes in aposymbiotic
hatchling juvenile squids bear a pair of ciliated epithelial
appendages (CEAs) and contain three simple sac-like
epithelial tubules embedded in the undifferentiated
accessory tissues. The outer portions of these tubules
are ciliated and directly connect to the mantle cavity via
a lateral pore. Colonization of the epithelial tubules,
which is facilitated by ciliary beating of the CEAs, occurs
through these pores, which later coalesce, with the for-
mation of a ciliated duct for each light organ lobe.
Notably, colonization triggers regression of the CEAs
within a few days. Other morphological changes upon
colonization include alterations in the epithelial cells of
the distal portions of the light organ tubules, which
develop a dense microvillous brush border. Nonetheless,
the developmental program giving rise to the light organ
and accessory tissues runs independently of the presence
of the bacteria; these tissues develop normally in apos-
ymbiotic animals, and the light organ can remain
receptive to colonization in aposymbiotic animals from
hatching to adulthood. At the level of bacterial genes and
functions necessary for symbiosis, motility of A. fischeri,
via polar flagella, is necessary for colonization of the squid
light organ. Various other bacterial genes may be
involved in the ability of this bacterium to establish bio-
luminescent symbiosis with E. scolopes.
Bioluminescent symbiosis is a special class of symbio-
sis, different in fundamental ways from other kinds of
symbiotic associations. In most bacterial mutualisms
with animals and plants, the host is dependent nutrition-
ally on its symbiotic bacteria, for bacterial fixation of
carbon or nitrogen, the activity of bacterial extracellular
degradative enzymes such as cellulases, or bacterial pro-
vision of vitamins or other essential nutrients to the host.
The absence of symbiotic bacteria consequently can have
a profound effect on the growth, development, and survi-
val of the host. In the bioluminescent symbiosis of
A. fischeri and the sepiolid squid E. scolopes, however, ani-
mals cultured aposymbiotically from hatching to
adulthood grow, develop, and survive in the laboratory
as well as animals colonized by A. fischeri. This observa-
tion, which indicates that, at least under laboratory
conditions, the animal is not dependent on the bacterium
for completion of its life cycle, suggests that A. fischeri
makes no major nutritional contribution to the animal.
The metabolic dependency of E. scolopes on A. fischeri
probably is limited to light production, and selection
208 Bioluminescence, Microbial

that maintains the association presumably is ecological,
not nutritional, at the level of the squid’s ability to use
light to avoid predators.
Bioluminescent symbioses differ in this and other ways
also from endosymbiotic associations, which are mutually
obligate relationships in which the symbiotic bacteria are
housed intracellularly and are transferred maternally.
Symbiotic luminous bacteria are housed extracellularly,
and in most cases they are known not to be obligately
dependent on the host for their reproduction. Unlike
obligate intracellular bacteria, the symbiotic luminous
colonize a variety of other marine habitats, including
Figure 5 Luminous animals. Different fish and squid hosts of light-organ symbiotic luminous bacteria are shown. Counterclockwise
from the upper left, the animals are Monocentris japonicus (Monocentridae), host of Aliivibrio fischeri;Chlorophthalmus albatrossis
(Chlorophthalmidae), host of Photobacterium kishitanii;Aulotrachichthys prosthemius (Trachichthyidae) (photo provided by Atsushi
Fukui, Tokai University), host of P. kishitanii;Leiognathus splendens (Leiognathidae), host of Photobacterium leiognathi;Acropoma
japonicus (Acropomatidae) (photo provided by Atsushi Fukui, Tokai University), host of Photobacterium mandapamensis; and,
Euprymna scolopes (Sepiolidae) (dissected to reveal bilobed light organ in this ventral view), host of A. fischeri.
Bioluminescence, Microbial 209

intestinal tracts, skin, and body fluids of marine animals,
sediment, and seawater, where they coexist and compete
with many other kinds of bacteria as members of com-
mensal, saprophytic, pathogenic, and free-living bacterial
communities. A second major difference with endosym-
biotic associations is that symbiotic luminous bacteria are
acquired from the environment with each new generation
of the host instead of being transferred vertically through
the maternal inheritance mechanisms seen for obligate
bacterial endosymbionts of terrestrial and marine
invertebrates.
Bioluminescent symbioses also the lack the strict spe-
cificity expected for partners in a mutually obligatory,
endosymbiotic association. Two or three different species
of bacteria colonize the light organs of members of a
single fish or squid family (Table 2), and even light
organs of individual fish and squids can contain two
bacterial species, a state called bacterial cosymbiosis.
Furthermore, the bacteria resident within individual
light organs often represent several genetically distinct
strain types. The ability of host animals to accept geneti-
cally distinct strain types and even different species of
luminous bacteria as symbionts suggests that a strict
genetically based selection by a host of its specific sym-
biont probably is not operative in these associations. An
alternative explanation for the patterns of symbiont–host
affiliation observed in nature is that the species of lumi-
nous bacteria most abundant and active where
aposymbiotic hatchling animals first encounter bacteria
determines which species of luminous bacteria are most
likely to initiate the symbiosis. Temperature, for example,
influences the presence and relative numbers of the dif-
ferent species of luminous bacteria in the marine
environment. Thus, lower temperatures, found in deeper
Table 2 Squid and fish families harboring light-organ symbiotic luminous bacteria
Bacterial species
Host family
a
Aliivibrio
fischeri
Aliivibrio
logei
Photobacterium
kishitanii
Photobacterium
leiognathi
Photobacterium
mandapamensis
Not
identified
b
Squids
Loliginidae þ
Sepiolidae þþ
Fishes
Opisthoproctidae þ
Chlorophthalmidae þ
Macrouridae þþ
Moridae þþ þ
Melanocetidae þ
Ceratiidae þ
Anomalopidae þ
Trachichthyidae þ
Monocentridae þ
Acropomatidae þþ þ
Apogonidae þ
Leiognathidae þþ
a
For a listing of the bacteria colonizing individual species of squids and fishes, see Dunlap PV, Ast JC, Kimura S, Fukui A, Yoshino T, and Endo H (2007)
Phylogenetic analysis of host-symbiont specificity and codivergence in bioluminescent symbioses. Cladistics 23: 507–523.
b
Not yet in laboratory culture.
Figure 6 Symbiotic light-organ bacteria. This scanning
electron micrograph of a section of the light organ of the fish
Siphamia versicolor (Apogonidae) (micrograph prepared by
Sasha Meshinchi, Microscopy and Imaging Laboratory,
University of Michigan) shows the exceptionally high density of
bacteria that is typical of bioluminescent symbioses.
210 Bioluminescence, Microbial

waters, favor the incidence of the more psychrotrophic
A. logei and P. kishitanii. Animals whose eggs hatch out in
these waters would be more likely to acquire these species
as light organ symbiont. Conversely, warmer tempera-
tures, found in temperate and tropical coastal waters,
favor the incidence the more mesophilic A. fischeri,
P. leiognathi, and P. mandapamensis; animals whose eggs
hatch out in these waters would be more likely to encoun-
ter and therefore take up these bacteria as light-organ
symbionts. The general depth and temperature distribu-
tions of bacterially luminous animals in the marine
environment and the lack of strict specificity between
hosts and symbionts are consistent with this environmen-
tal congruence hypothesis. Nonetheless, the apparently
complete absence of nonluminous bacteria from light
organs indicates some form of selection, possibly for a
bacterial activity associated with luminescence.
Another major difference between bioluminescent
symbiosis and endosymbiosis is that luminous bacteria
and their host animals show no evidence of cospeciation.
Endosymbiosis is generally assumed to involve coevolu-
tionary interactions, reciprocal genetic changes in host
and symbiont that result from the obligate and mutual
dependence of each partner on the other. One manifesta-
tion of coevolution is a pattern of codivergence (i.e.,
cospeciation) in which the evolutionary divergence of
the symbiont follows and therefore reflects that of the
host. Detailed molecular phylogenies of bacterially lumi-
nous fishes and squids, however, are very different from
and do not resemble the phylogenies of their symbiotic
light-organ bacteria. This lack of host–symbiont phylo-
genetic congruence demonstrates that the evolutionary
divergence of symbiotic luminous bacteria has occurred
independently of the evolutionary divergence of their
host animals.
Bioluminescent symbioses therefore appear to repre-
sent a paradigm of symbiosis that differs fundamentally
from associations involving obligate, intracellular, mater-
nally transferred symbionts. While fishes and squids are
dependent ecologically on luminous bacteria, the bacteria
are not obligately dependent on their bioluminescent
hosts. The evolutionary (genetic) adaptations for biolu-
minescent symbiosis, that is, presence of light organs that
can be colonized by luminous bacteria, accessory tissues
for controlling, diffusing and shaping the emission of
light, and behaviors associated with light emission, all
are borne by the animal. No genetic adaptations have
been identified in the bacteria that are necessary for and
specific to their existence in light organs compared to the
other habitats they colonize. Luminous bacteria therefore
seem to be opportunistic colonizers, able to persist in
animal light organs as well as in a variety of other habitats
to which they are adapted.
Regulation of Bacterial Luminescence
Quorum Sensing
Luciferase synthesis and luminescence are regulated in
many luminous bacteria. This regulation has been studied
in detail in A. fischeri and V. harveyi. At low population
density, these bacteria produce very little luciferase and
light, whereas at high population density, luciferase levels
are induced 100- to 1000-fold and light levels increase by
10
3
-to10
6
-fold. This population density-dependent
induction of luciferase synthesis and luminescence is con-
trolled in part by the production and accumulation in the
cell’s local environment of small secondary metabolite
signal molecules, called autoinducers (acyl-homoserine
lactones (AHLs) and other low molecular weight com-
pounds), which function via regulatory proteins to
activate or derepress transcription of the lux operon.
Originally called autoinduction, this gene regulatory
mechanism is now referred to as quorum sensing to reflect
its relationship with population density. As a mechanism
by which a bacterium can detect its local population
density, quorum sensing might function as a diffusion
sensor, mediating whether or not cells produce extracel-
lular enzymes and other factors for obtaining nutrients, or
as a sensor of host association.
Quorum-sensing control of luminescence in A. fischeri
and V. harveyi involves complex regulatory circuits. In
A. fischeri, quorum-sensing regulatory genes, luxR and
luxI, are associated with the lux operon (Figure 7). The
luxR gene, which is upstream of the lux operon and diver-
gently transcribed from it, encodes a transcriptional
activator protein, LuxR, that binds autoinducer, N-3-
oxo-hexanoyl-homoserine lactone (3-oxo-C6-HSL),
forming a complex that binds at a site in the lux operon
promoter and facilitates association of RNA polymerase
with the lux operon promoter, thereby activating tran-
scription of the genes for light production. The other
regulatory gene, luxI, is the first gene of the lux operon
in this species, luxICDABEG; it encodes an acyl-homoser-
ine lactone synthase necessary for synthesis of 3-oxo-C6-
HSL. Between luxR and luxI is a regulatory region con-
taining the luxR and lux operon promoters. According to a
simple model for luminescence induction in A. fischeri,
cells produce a low level of 3-oxo-C6-HSL, which, as a
membrane-permeant molecule, diffuses out of the cells
and away into the environment. In seawater, for example,
where the number of A. fischeri cells is low, 3-oxo-C6-
HSL would not accumulate, and transcription of the lux
operon would remain uninduced. However, under condi-
tions where cells can attain a high population density,
such as in gut tracts of fishes, light organs of fish or
squid, or in the laboratory in batch culture, the local
concentration of 3-oxo-C6-HSL can build up, both
Bioluminescence, Microbial 211

outside and inside cells. Once 3-oxo-C6-HSL reaches a
critical concentration, it then interacts inside the cell with
LuxR protein, leading to activation of lux operon tran-
scription. Because luxI is a gene of the lux operon,
increased transcription leads to increased synthesis of 3-
oxo-C6-HSL, in a positive feedback manner. The result is
a rapid and strong induction of luciferase synthesis and
luminescence.
Many other regulatory components contribute to
quorum sensing in A. fischeri. These include: GroEL,
which is necessary for production of active LuxR; 39:59-
cyclic AMP (cAMP) and cAMP receptor protein (CRP),
which activate transcription of luxR and thereby potenti-
ate the cell’s response to 3-oxo-C6-HSL; a second
autoinducer, octanoyl-HSL, which is dependent on the
ainS gene for its synthesis and which interacts with LuxR
apparently to delay lux operon induction; and several
proteins homologous to components of the phosphorelay
signal transduction system that controls luminescence in
V. harveyi (see below). In A. fischeri LuxR and 3-oxo-C6-
HSL also control several genes unrelated to lumines-
cence, forming a quorum-sensing regulon in this species.
In V. harveyi, the quorum-sensing regulatory mechanism
differs substantially from that of A. fischeri. A transcriptional
activator, called LuxR (which is not homologous to A.
fischeri LuxR) is necessary for lux operon transcription, but
the regulatory genes controlling that transcription are not
contiguous with the lux operon, for example. Expression of
the lux operon in V. harveyi is regulated by a quorum-
sensing phosphorelay signal transduction mechanism. The
mechanism involves two separate two-component phos-
phorelay paths, each involving a transmembrane sensor/
kinase, LuxN and LuxQ, responsive to a separate quorum-
sensing signal. The luxLM genes are necessary for synthesis
luxC
luxC
luxD
luxD
luxA
luxA
luxB
luxB
luxF luxE
luxE
luxG
luxG
ribE
ribE
ribB
ribB
ribH
ribH
ribA
ribA
luxC luxD luxA luxB luxF luxE luxG ribB ribH ribA
luxC luxD luxA luxB luxE luxG
luxCluxIluxR luxD luxA luxB luxE luxG
luxI
Photobacterium leiognathi
Photobacterium mandapamensis
Photobacterium phosphoreum
Vibrio harveyi
luxC luxD luxA luxB luxE
Photorhabdus luminescens
Aliivibrio fischeri
luxCluxR1 luxD luxA luxB luxE luxG luxR2
Aliivibrio salmonicida
Photobacterium kishitanii
luxC luxD luxA luxB luxE luxG
Vibrio cholerae
luxC luxD luxA luxB luxF luxE luxG ribE ribB ribH rib
A
luxCluxIluxR luxD luxA luxB luxE luxG
Shewanella hanedai
luxC luxD luxA luxB luxE luxG
Shewanella woodyi
ribB
Figure 7 The lux genes of luminous bacteria. Contiguous genes of the luminescence operons of luminous bacteria are aligned to
highlight commonalities and differences (Dr. Henryk Urbanczyk and Dr. Jennifer Ast, University of Michigan, assisted in the
preparation of this figure). Note that the lux operon in Photobacterium, referred to as the lux-rib operon, contains the ribEBHA
genes, which are involved in synthesis of riboflavin. Many strains of Photobacterium leiognathi carry multiple, phylogenetically
distinct lux-rib operons.
212 Bioluminescence, Microbial

of the N-3-hydroxy-butanoyl-HSL (3-OH-C4-HSL) sig-
nal. In the absence of 3-OH-C4-HSL, LuxN operates as a
kinase, phosphorylating LuxU, a signal integrator, which in
turn passes the phosphate on to LuxO, which in phosphory-
lated form is a repressor of the lux operon. In the presence of
3-OH-C4-HSL, the activity of LuxN is shifted from kinase
to phosphatase, which draws phosphate from LuxU and
thereby from LuxO, which then no longer represses lux
operon expression. A similar activity is carried out by a
second signal, AI-2, identified as furanone borate diester,
which requires LuxS for its production. AI-2 operates via
LuxP, a putative periplasmic protein, to mediate the
kinase/phosphatase activity of LuxQ, which in turn, like
LuxN, feeds phosphate to or draws it from LuxO.
Previously thought to directly repress lux operon expres-
sion, LuxO may operate indirectly, by controlling
a negative regulator of luminescence. Expression of luxO
itself is subject to repression by LuxT. In a manner possibly
analogous to LuxR in V. fischeri,LuxRinV. harveyi is
autoregulatory and responsive to 3-OH-C4-HSL.
Despite the major differences in the quorum-sensing
systems of A. fischeri and V. harveyi, there are several
commonalities. These include homologues in A. fischeri
of the V. harveyi luxR gene (litR), luxO, luxU,andluxM
(ainS), among others. These homologies indicate that a
phosphorelay system is likely to be a part of the quorum-
sensing system of A. fischeri.
Physiological Control
Induction of luciferase synthesis and luminescence are
also influenced by physiological factors. Oxygen, amino
acids, glucose, iron and osmolarity have distinct effects,
depending on the species studied. Those factors that
stimulate growth rate of the bacterium, such as readily
metabolized carbohydrates, tend to decrease light pro-
duction and luciferase synthesis. They do so presumably
by causing oxygen and reducing power (FMNH
2
)tobe
directed away from luciferase and by lowering cellular
levels of cAMP and CRP, which are needed to activate lux
gene expression. In A. fischeri, the lux regulatory region
between luxR and luxICDABEG contains a cAMP-CRP-
binding site, and in V. harveyi, a cAMP-CRP-binding site
is upstream of luxCDABEGH. Conversely, factors that
restrict growth rate, such as limitation for iron and either
high or low salt concentrations, depending on the species,
tend to stimulate the synthesis and activity of luciferase.
Much remains to be learned about how these factors
operate and the relationship between growth physiology
of the cell and regulatory elements controlling lux gene
expression.
Over the past 25 years, there has been a rapid accumu-
lation of information on how cells regulate luminescence
by quorum sensing. Based on these studies, quorum sensing
systems biochemically and genetically homologous to that
in luminous bacteria have also been identified in a wide
variety of nonluminous bacteria, in which quorum sensing
controls many cellular activities other than light produc-
tion, particularly the production of extracellular enzymes
and other extracellular factors thought to be useful for
bacteria at high population density and in host association.
More details on quorum sensing in luminous and nonlumi-
nous bacteria are provided in Quorum-Sensing in Bacteria.
Functions of Luminescence in Bacteria
The production of light consumes a substantial amount of
energy, through the synthesis of Lux proteins and their
enzymatic activity. This energetic cost, which may
account for the fact that luminescence is regulated, sug-
gests that activity of the luminescence system plays an
important role in the physiology of luminous bacteria.
Most attention to what that role might be has focused
on oxygen. One possibility is that the light-emitting reac-
tion arose evolutionarily as a detoxification mechanism,
removing oxygen and thereby allowing otherwise anae-
robic organisms to survive. A related possibility is that
luciferase, as an oxidase, might function like a secondary
respiratory chain that is active when oxygen or iron levels
are too low for the cytoplasmic membrane-associated
electron transport system to operate. This activity
would allow cells expressing luciferase to reoxidize
reduced coenzyme even when oxygen levels are low.
Reoxidation of reduced coenzyme would permit cells of
luminous bacteria in low oxygen habitats, such as in
animal gut tracts, to continue to transport and metabolize
growth substrates, gaining energy through substrate-level
phosphorylation. Another possibility is that light produc-
tion could facilitate dissemination of luminous bacteria.
The feeding of animals on luminous particles (decaying
tissues, fecal pellets, and moribund animals infected by
luminous bacteria), to which they are attracted, would
bring the bacteria into the animal’s nutrient-rich gut
tract for reproduction and dispersal. Other hypotheses
for the function of luminescence in bacteria have been
put forward, and future studies may provide support for
one or more of these hypotheses. It is by no means clear
yet what actual benefits, physiological or ecological,
accrue to luminous bacteria that lead them to retain and
express an energetically expensive enzyme system.
Evolution of the Bacterial Luminescence
System
The natural presence of genes necessary for producing
light defines the luminous bacteria. The necessary
genes, luxA and luxB, encoding the luciferase subunits,
luxC, luxD and luxE, for the fatty acid reductase
Bioluminescence, Microbial 213

subunits, and luxG, encoding a flavin reductase, are
consistently found together as a cotranscribed unit,
luxCDABEG. The reason for this conservation of lux
genes as a unit is not known, but it might relate to
efficient light production; the contiguous presence of
these genes as an operon might help promote the
coordinated production of luciferase and substrates for
luciferase, long-chain aldehyde and reduced flavin
mononucleotide (FMNH
2
). The conservation of these
genes as a unit in nearly all luminous bacteria exam-
ined (Figure 7) suggests that the lux operon arose in
the distant past evolutionarily. Supporting this view,
phylogenetic analysis demonstrates that the individual
lux genes of different bacterial species are homologous,
as was suggested by the high levels of amino acid
sequence identities of the inferred Lux proteins. This
homology implies that the bacterial luxCDABEG genes
arose one time in the evolutionary past. The use by
luciferase of oxygen as a substrate implies that this
enzymatic activity originated after oxygenic photo-
synthesis by ancestors of modern-day cyanobacteria
began to increase the level of O
2
on Earth, approxi-
mately 2.4 billion years ago, during the Great
Oxidation Event. A marine origin for bacterial lumines-
cence seems likely because most species of luminous
bacteria are marine (Table 1).
Evolutionary Origin of Bacterial Luciferase
The origins of the individual genes of the lux operon
remain obscure. Luciferase, however, might have arisen
from a primitive flavoprotein, a flavin-dependent, alde-
hyde-oxidizing protoluciferase that incidentally
produced a small amount of light. If the level of light
produced by this protoluciferase was sufficient to be
detected by phototactic multicellular animals, they
might have been attracted to luminous particles contain-
ing these early bioluminescent bacteria and may have fed
on them, introducing the bacteria into the animal’s nutri-
ent-rich digestive tract. This interaction might thereby
have enhanced the reproduction of these bacteria and led
to selection for more intense light output. The evolution-
ary steps leading to protoluciferase may also have
involved selection for oxygen detoxification activity that
permitted early protobioluminescent anaerobic bacteria
to survive an increasingly aerobic environment before the
evolution of cytochrome-dependent respiration. Bacterial
protoluciferase, either a monomer or a homodimer, might
have been encoded by a single gene, an early form of luxA.
Modern-day - and -subunits of luciferase alone, how-
ever, are unable to produce high levels of light in vitro or
in vivo. Alternatively, a light emitting bacterial protoluci-
ferase might have arisen following gene duplication of the
primitive luxA gene that is thought to have given rise to
luxB (see below).
Most luminous bacteria are members of Vibrionaceae,
which suggests that the bacterial luminescence system
arose in the ancestor of this family. Recent identifications
of new luminous species and of luminous strains of species
not previously known to be luminous support this view.
Assuming vertical inheritance of the lux genes from that
ancestor, through its descendents to modern-day bacteria,
gene phylogenies for luminous bacteria (Figure 2)implya
complex history of lux gene duplication, gene recruitment,
and gene loss within this family. Phylogenetic analyses also
suggest that the lux genes were acquired by the luminous
species of Shewanellaceae and Enterobacteriaceae from a mem-
berormembersofVibrionaceae.
Gene Duplication
Based on amino acid sequence identities, a tandem dupli-
cation of the ancestral luxA gene, followed by sequence
divergence, is thought to have given rise to luxB, leading
to formation of the heterodimeric luciferase present in
modern-day luminous bacteria. Similarly, a tandem
duplication of luxB is thought to have given rise to luxF,
which encodes a nonfluorescent flavoprotein; luxF is pre-
sent in the lux operons, luxCDABFEG, of three of the four
luminous Photobacterium species (Figure 7).
Gene Loss
Most species of Vibrionaceae lack the lux genes and there-
fore are nonluminous. Also, most strains of some luminous
species, such as V. cholerae, are nonluminous. The low
incidence of luminous species in the family suggests that
the lux genes have been lost over evolutionary time from
many of the lineages that have given rise to extant species.
It also seems likely that nonluminous variants of luminous
species can arise frequently through loss of the lux operon.
The scattered incidence of lux genes in Vibrionaceae pre-
sumably relates to different ecologies of the different
species. It is not clear, however, how having and expres-
sing lux genes contributes to the life style of luminous
bacteria, because there are no obvious ecological differ-
ences between luminous and nonluminous species except
in the case of those species that are light-organ symbionts.
With respect to the loss of individual lux genes,
P. leiognathi strains lack luxF, a gene that is present in the
lux operons of other luminous Photobacterium species
(Figure 7). Presumably, therefore, luxF, possibly acquired
in the lineage leading to Photobacterium through duplica-
tion and sequence divergence of luxB, was lost from the
lineage that gave rise to P. leiognathi. This loss might
reflect the evolutionary divergence of P. leiognathi from
other luminous species of Photobacterium. Also, some
strains of P. mandapamensis bear nonsense mutations in
luxF, further evidence that this gene does not play an
essential role in the biology of Photobacterium species.
214 Bioluminescence, Microbial

Mutations in luxF in P. mandapamensis might set the stage
for loss of this gene from the lux operon. Similarly, the lux
operons of P. phosphoreum strains lack ribE, one of the genes
‘recruited’ to the lux operon in Photobacterium.
Recruitment of Genes to the lux Operon
LinkedtotheluminescencegenesinPhotobacterium species,
and apparently cotranscribed with them, are genes involved
in synthesis of riboflavin, forming an operon of ten or 11
genes, luxCDAB(F)EG-ribEBHA, referred to as the lux-rib
operon (Figure 7). The presence of the ribEBHA genes
(just ribBHA in P. phosphoreum) appears to be a case of gene
recruitment to the lux operon of Photobacterium,because
these genes, with the exception in V. harveyi of ribB (referred
to originally as luxH) are not contiguous with the lux oper-
ons of other species of luminous bacteria. Again, one can
invoke the notion that the presence of genes for synthesis of
riboflavin, a major component of FMN, as part of the lux
operon might facilitate light production by ensuring coor-
dinate synthesis of luciferase and of substrates for the
enzyme. In this regard, it is interesting to note that in A.
fischeri, ribB, which is not linked to the lux operon, is con-
trolled by the LuxR/acyl-homoserine lactone-quorum
sensingsystemthatcontrolslux operon expression.
A second example of apparent gene recruitment to the
lux operon is the presence of regulatory genes, luxI and
luxR, which control lux operon transcription, in A. fischeri
and A. salmonicida.InA. fischeri, the luxI gene is part of the
lux operon, whereas luxR is upstream and divergently
transcribed. In A. salmonicida, the arrangement is somewhat
different, with two luxR genes flanking the lux operon and
with luxI following the downstream luxR gene (Figure 7).
In other species, the lux regulatory genes either have not
been identified or, as in the case of a different (not homo-
logous) luxR gene in V. harveyi, they are not linked to the
lux operon. The grouping of regulatory genes with the lux
operon in Aliivibrio might ensure a tight regulation of
luminescence under quorum sensing control.
Horizontal Transfer of the lux Operon
In addition to gene duplication, loss, and recruitment, evi-
dence is accumulating that lux geneshavebeenacquiredin
some bacteria by horizontal gene transfer. Two species of
Shewanella are luminous and carry lux operons similar to that
of A. fischeri, suggesting acquisition from A. fischeri or an
ancestor of this bacterium. Support for the notion of hor-
izontal transfer of the lux operon from A. fischeri to luminous
Shewanella species is seen in the presence of luxR and luxI
genes in association with the lux operon of S. hanedai and in
thesamegeneorderasinA. fischeri (Figure 7). Recent
evidence indicates that three Vibrio species, Vibrio chagasii,
Vibrio damselae,andVibrio vulnificus, acquired their lux gene
by horizontal transfer. The situation for Photorhabdus is not
yet clear, but an early transfer of lux genes from a member of
Vibrionaceae might have occurred. These considerations sug-
gest that the lux genes may have arisen within the lineage
leading to modern-day members of Vibrionaceae and were
then lost from several descendents, retained by some, and
transferred relatively recently from a member or members
of Vibrionaceae to Photorhabdus and S. hanedai and S. woodyi.
Natural Merodiploidy of the lux-rib Operon
An intriguing wrinkle in the evolutionary dynamics of the
lux operon is that many strains of P. leiognathi isolated from
nature carry two intact and apparently functional
luxCDABEG-ribEBHA operons. This situation represents
an unusual case of natural merodiploidy in bacteria, the
presence of two or more copies of the same gene or genes
in the genome of a bacterium, because of the large num-
ber of genes involved and because the second operon did
not arise by tandem duplication of the first. The two lux-
rib operons are distinct in sequence and chromosomal
location. One operon is in the ancestral chromosomal
location of the lux-rib operon in P. leiognathi and related
bacteria. The other is located elsewhere on the chromo-
some and is present in many but not all strains of
P. leiognathi; it is flanked by genes specifying transposases,
which suggests it can transfer between strains.
Phylogenetic analysis indicates that the two lux-rib oper-
ons are more closely related to each other than either is to
the lux and rib genes of other bacterial species. This
finding rules out interspecies horizontal transfer as the
origin of the second lux-rib operon in P. leiognathi; instead,
the second operon apparently arose in the distant past
within, and was acquired by transposon-mediated transfer
from, a lineage of P. leiognathi that either has not yet been
sampled or has gone extinct. Merodiploidy of the lux-rib
operon in P. leiognathi also is the first instance of merodi-
ploid strains of a bacterium having a nonrandom
geographic distribution; strains bearing a single lux-rib
operon are found over a wide geographic range, whereas
lux-rib merodiploid strains have been found only in
coastal waters of Honshu, Japan (Figure 8). The presence
of multiple copies of each of the lux and rib genes might
provide opportunities for sequence divergence and selec-
tion that could lead to the evolution of new gene
functions in one or the other of the duplicate genes.
Isolation, Storage, and Identification
of Luminous Bacteria
When working with luminous bacteria, and particularly
when isolating new strains from nature, the possibility
that bacteria could be pathogenic should always be kept
Bioluminescence, Microbial 215

in mind and appropriate care to avoid infection should
always be used.
Luminous bacteria can be isolated from most marine
environments, and two methods, direct plating of sea-
water and enrichment from marine fish skin, are
effective and simple for this purpose. An easily prepared
complete medium that is suitable for growing all known
luminous bacteria contains: natural or artificial seawater,
diluted to 70% of full strength, 10 g l
1
tryptone or pep-
tone, and 5 g l
1
yeast extract, with 1.5 g l
1
agar for solid
medium. Sugars and sugar alcohols (i.e., glycerol) are
unnecessary and can lead to acid production and death
of cultures; their use in isolation media should be avoided.
For isolations from environments where high numbers of
bacteria that form spreading colonies may be present,
such as coastal seawater, sediment, and intestinal tracts
of marine animals, the use of agar at 4% (40 g l
1
)is
recommended. This harder, less moist agar limits the
ability of bacteria motile on solid surfaces, for example,
certain peritrichously flagellated bacteria and bacteria
that move by gliding motility, to spread over the plate
and cause cross contamination of colonies.
Directly plating of seawater involves simply spreading
an appropriate volume, typically 10–100 l for coastal
seawater, of the sample on one or more plates and incu-
bating at room temperature or, preferably, cooler
temperatures, such as 15 Cto20
C. For open ocean
seawater and other samples with a lower number of bac-
teria, larger volumes, for example, 100 ml to 1 l, can be
filtered through membrane filters with a pore size of
0.2 mm or 0.45 mm to collect the bacteria. The filters are
then placed, bacteria side up, on plates of the above
medium. Once colonies have arisen, usually within 18 to
24 h at room temperature, the plates can be examined in a
dark room. Luminous colonies can then be picked (sterile
wooden toothpick are suitable for this purpose) and
streaked for isolation on fresh plates of the same medium.
Use of a red light, such as a photographic darkroom light,
on a variable intensity control can make the picking of
luminous colonies easier; by adjusting the red light, colo-
nies of nonluminous bacteria can be made to appear
reddish, whereas luminous colonies are blue due to their
luminescence. Samples collected from warm waters and
incubated at room temperature are more likely to yield
V. harveyi and related luminous Vibrio species, as well as
A. fischeri, P. leiognathi and P. mandapamensis; whereas cold
seawater samples plated and incubated at lower tempera-
tures are likely to yield A. logei, P. kishitanii, P. phosphoreum,
a
2
3
9
12
13
9
b
c
d
e
f
40
36
1
20
g
2
h
i
j
kl
m
2
1
2
16 6
Figure 8 Nonrandom geographic distribution of lux-rib merodiploid strains of P. leiognathi. The numbers next to each location
indicate the number of strains identified as bearing single (white area in circle) or multiple (gray area in circle) lux-rib operons. The insert
shows an enlarged map of the main islands of Japan, with some landmasses omitted for clarity. The scale bar is approximately 500 km.
Reproduced from Ast JC, Urbanczyk H, and Dunlap PV (2007) Natural merodiploidy of the lux-rib operon of Photobacterium leiognathi
from coastal waters of Honshu, Japan. Journal of Bacteriology 189: 6148–6158.
216 Bioluminescence, Microbial

and S. hanedai. It should be noted that some strains of
A. logei and S. hanedai grow well but do not produce light at
room temperature; attempts to isolate these and other
psychrotrophic bacteria should be carried out at 15 C.
Enrichment from fish (or squid) can be made using
fresh samples and sterile seawater or frozen samples with
natural, unsterilized seawater. The tissue, preferably with
the skin on, is placed in a tray, skin up, covered halfway
with seawater, incubated, and observed daily in the dark
for luminous spots, which arise in one to a few days.
These spots, colonies of luminous bacteria, can then be
picked and streaked for isolation on the medium
described above containing 4% agar. From fish and
squid, a variety of different species of luminous bacteria
can be isolated, especially when different incubation tem-
peratures, such as 4 C, 15 C, and 22 C, are used.
Storage at ultra low temperature, for example, from
75 Cto80 C, in a suitable cryoprotective medium is
effective for all luminous bacteria. Cryopreservation of
luminous bacteria is recommended to ensure their survi-
val and to avoid the formation of dim and dark variants
and the occurrence of other genetic changes. An effective
cryoprotective medium for luminous bacteria is filter-
sterilized deep freeze medium (2DFM), prepared
with 1% w/v yeast extract, 10% DMSO, 10% glycerol
and 0.2M K
2
HPO
4
/NaH
2
PO
4
(pH 7.0).
Phenotypic and genotypic traits were used in the past
for identification of luminous bacteria and descriptions of
new species. These methods remain useful, both for prac-
tical provisional identifications of new strains and as a
complement to the construction of a DNA sequence-
based molecular phylogenies for identification. With the
advent of rapid, inexpensive DNA sequencing, the avail-
ability of many sets of primers for various genes whose
sequences are useful in bacterial species resolution, and
an expanded database of sequences for comparisons (e.g.,
GenBank), a DNA sequence-based approach to identifi-
cation has become cost effective, rapid, and highly
accurate. For luminous bacteria, phylogenetic analysis of
lux and rib genes, together with housekeeping genes such
as the16S rRNA gene, gyrB, and pyrH, for example, can
quickly and accurately place a strain in a species or
indicate the possibility that it may be new.
Complete characterization of a new species of lumi-
nous bacteria should include a multigene phylogenetic
analysis together with examination of biochemical and
morphological traits, DNA hybridization analysis, deter-
mination of the mol% G þC ratio, fatty acid profile
analysis, and comparative genomic analysis such as
amplified fragment length polymorphism (AFLP) or
repetitive extragenic polymorphic PCR (rep-PCR).
The examination of multiple independent isolates of
the new entity and inclusion in the analysis of the type
strains of all closely related species are critically impor-
tant for accurate and definitive work. Increasingly,
multigene phylogenetic analysis is becoming a standard
for identification and characterization of luminous
bacteria.
Conclusions
Knowledge of bioluminescent bacteria has increased
greatly in recent years, through examination of their evo-
lutionary relationships and symbioses and through the
identification of new species and strains. Many new species
of light-emitting bacteria will likely be identified in future
studies, as new habitats are examined and as molecular
phylogenetic criteria are used to discriminate among clo-
sely related species. The ability to distinguish among
luminous bacteria using phylogenetic criteria opens up
for detailed analysis questions of their habitat specificity,
biogeography, and host specificity. Information gained
from analysis of the lux operons of newly recognized lumi-
nous bacteria will likely provide further insight into the
evolutionary dynamics of the lux operon and its horizontal
transfer gene among members of Vibrionaceae and to mem-
bers of other bacterial groups.
Further Reading
Ast JC and Dunlap PV (2005) Phylogenetic resolution and habitat
specificity of the Photobacterium phosphoreum species group.
Environmental Microbiology 7: 1641–1654.
Ast JC, Urbanczyk H, and Dunlap PV (2007) Natural merodiploidy of
the lux-rib operon of Photobacterium leiognathi from coastal
waters of Honshu, Japan. Journal of Bacteriology
189: 6148–6158.
Baumann P and Baumann L (1981) The marine Gram-negative
eubacteria: Genera Photobacterium, Beneckea, Alteromonas,
Pseudomonas, and Alcaligenes. In: Starr MP, Stolp H, Tru¨ per HG,
Balows A, and Schlegel HG (eds.) The Prokaryotes. A handbook on
Habitats, Isolation, and Identification of Bacteria, pp. 1302–1331.
Berlin: Springer-Verlag.
Buchner P (1965) Endosymbiosis of Animals with Plant Microorganisms.
New York: Wiley Interscience.
Dunlap PV, Ast JC, Kimura S, Fukui A, Yoshino T, and Endo H (2007)
Phylogenetic analysis of host-symbiont specificity and codivergence
in bioluminescent symbioses. Cladistics 23: 507–523.
Dunlap PV and Kita-Tsukamoto K (2006)Luminous bacteria. In: Dworkin M,
Falkow S, Rosenberg E, Schleifer KH, and Stackebrandt E (eds.) The
Prokaryotes, A Handbook on the Biology of Bacteria, 3rd edn, vol. 2
(Ecophysiology and Biochemistry), pp. 863–892. New York, NY:
Springer.
Harvey EN (1952) Bioluminescence. New York: Academic Press.
Hastings JW (1995) Bioluminescence. In: Sperelakis N (ed.) Cell
Physiology Source Book, pp. 665–681. New York: Academic Press.
Hastings JW (2002) Microbial bioluminescence. In: Lederberg J (ed.)
Encyclopedia of Microbiology, 2nd edn., vol. 1, pp. 520–529.
New York: Academic Press.
Hastings JW and Nealson KH (1981) The symbiotic luminous bacteria.
In: Starr MP, Stolp H, Tru¨ per HG, Balows A, and Schlegel HG (eds.)
The Prokaryotes. A Handbook on Habitats, Isolation, and
Identification of Bacteria, pp. 1332–1345. Berlin: Springer-Verlag.
Herring PJ and Morin JG (1978) Bioluminescence in fishes.
In: Herring PJ (ed.) Bioluminescence in Action, pp. 273–329.
London: Academic Press.
Bioluminescence, Microbial 217

McFall-Ngai MJ and Ruby EG (1991) Symbiont recognition and
subsequent morphogenesis as early events in animal-bacterial
mutualism. Science 254: 1491–1494.
Nealson KH and Hastings JW (1992) The luminous bacteria. In: Balows A,
Tru¨ per HG, Dworkin M, Harder W, and Schleifer KH (eds.) The
Prokaryotes, 2nd edn., pp. 625–639. Berlin: Springer-Verlag.
Ruby EG (1996) Lessons from a cooperative bacterial-animal
association: The Vibrio fischeri –Euprymna scolopes light organ
symbiosis. Annual Review of Microbiology 50: 591–624.
Urbanczyk H, Ast JC, Kaeding AJ, Oliver JD, and Dunlap PV (2008)
Phylogenetic analysis of the incidence of lux gene horizontal transfer
in Vibrionaceae.Journal of Bacteriology 190: 3494–3504.
Wassink EC (1978) Luminescence in fungi. In: Herring PJ (ed.)
Bioluminescence in Action, pp. 171–197. London: Academic
Press.
218 Bioluminescence, Microbial

Bioreactors
L E Erickson, Kansas State University, Manhattan, KS, USA
ª2009 Elsevier Inc. All rights reserved.
Defining Statement
Introduction
Classifications of Bioreactors
Principles of Bioreactor Analysis and Design
Sensors, Instrumentation, and Control
Metabolic and Protein Engineering
Stability and Sterilization
Conclusions
Further Reading
Glossary
airlift reactor Column with defined volumes for upflow
and downflow of the culture broth; vertical circulation
occurs because air is bubbled into the upflow volume.
batch bioreactor Culture broth is fed into the reactor at
the start of the process; air may flow continuously.
bubble column reactor Aerated column without
mechanical agitation.
fed batch Liquid media is fed to the reactor
continuously; the broth accumulates in the reactor as
there is no outflow of liquid.
heterotrophs Microorganisms growing on an organic
compound that provides carbon and energy.
insect cell culture Cultivation of insect cells in a
bioreactor to produce a protein or other product.
photoautotrophs Microorganisms that use light for
energy and carbon dioxide for their carbon source.
plant cell culture Production of plant cells in a
bioreactor to produce useful products.
protein engineering The design, development, and
production of new protein products with properties of
commercial value.
tissue engineering The design, development, and
production of tissue cells (biomaterials) for use on or in
humans.
Defining Statement
Bioreactors contain substrates, nutrients, and microbial
cells in a controlled environment such that one or more
useful products is produced. The goal of bioreactor design
is to scale up from laboratory bioreactors to production
scale vessels that produce the desired product economic-
ally and reliably.
Introduction
The importance of the bioreactor is recorded in early
history. The Babylonians apparently made beer before
5000 BC. Wine was produced in wineskins, which were
carefully selected for their ability to produce a beverage
that met the approval of the King and other members of
his sensory analysis taste panel. Food and beverage pro-
duct quality depended on art and craftsmanship rather
than on science and engineering during the early years of
bioreactor selection and utilization. Early recorded his-
tory shows that some understood the importance of the
reactants and the environmental or operating conditions
of the reactor. This allowed leavened bread and cheese to
be produced in Egypt more than 3000 years ago.
The process of cooking food to render it microbiolo-
gically safe for human consumption as well as to improve
its sensory qualities is also an ancient tradition. The
process of thermal inactivation of microorganisms
through the canning of food to allow safe storage was an
important early achievement in bioreactor design and
operation.
As humans learned to live in cities, waste management
including wastewater treatment emerged as a necessity
for control of disease. One of the first process engineering
achievements was the biological treatment of wastes in
bioreactors designed and built by humans for that pur-
pose. Because a significant fraction of the population of a
city could die from disease spread by unsanitary condi-
tions, these early bioreactors represented important
advancements.
After microorganisms were discovered, microbiolo-
gists and engineers increased their understanding of the
biochemical transformations in bioreactors. Simple anae-
robic fermentations for the production of ethyl alcohol,
acetone, and butanol were developed. Aerobic and
219

anaerobic treatment of wastewater became widely used.
Sanitary engineering became a part of civil engineering
education.
In the 1940s, the field of biochemical engineering
emerged because of developments in the pharmaceutical
industry that required large-scale bioreactors for the
production of streptomycin and penicillin. Progress in
bioreactor design and control resulted from research on
oxygen transfer, air and media sterilization, and pH con-
trol. The central concern of the early biochemical
engineers was the development of bioreactors that could
achieve and maintain the chemical and physical environ-
ment for the organism that the biochemist/microbiologist
recommended. The ability to scale up from laboratory
bioreactors to large fermentors required the development
of instrumentation such as the sterilizable oxygen elec-
trode. Early courses in biochemical engineering were
concerned with the analysis, design, operation, and con-
trol of bioreactors. While the field of biochemical
engineering is less than 60 years old and some of the
pioneers are still available to provide a first-person
account of those exciting days, great progress has been
made in bioreactor engineering. Some of the significant
developments in bioreactor technology are listed in
Table 1 together with the approximate date.
Brazil has had a growing ethanol production industry
since about 1975. In 2004, ethanol production was about
410
9
gallons in Brazil, and equal to about 40% of fuel
use in Brazil. Worldwide ethanol production was 2% of
gasoline consumption in 2004. In 2006, there was rapid
growth in the production of ethanol for use as a fuel in the
United States. As the price of fuels from petroleum
increases, anaerobic digestion and ethanol production
processes become more competitive.
Classifications of Bioreactors
Several methods have been used to classify bioreactors.
These include the feeding of media and gases and the
withdrawal of products; the mode of operation may be
batch, fed batch, or continuous. The classification may be
based on the electron acceptor; the design may be for
aerobic, anaerobic, or microaerobic conditions. In aerobic
processes, the methods of providing oxygen have resulted
in mechanically agitated bioreactors, airlift columns, bub-
ble columns, and membrane reactors. The sterility
requirements of pure culture processes with developed
strains differ from those of environmental mixed-culture
processes, which are based on natural selection. There are
bioreactors in which the vessel is made by humans and
natural bioreactors such as the microbial cell, the flowing
river, and the field of native grass. In this article, the
classification of bioreactors will be based on the physical
form of the reactants and products.
Gas Phase Reactants or Products
Oxygen and carbon dioxide are the most common gas
phase reactants and products. Others include hydrogen,
hydrogen sulfide, carbon monoxide, and methane.
Oxygen is a reactant in aerobic heterotrophic growth
processes, whereas it is a product in photoautotrophic
growth. Generally, the concentration of the reactants
and products in the liquid phase in the microenvironment
of the cell influences the kinetics of the cellular reaction.
Mass transfer to and from the gas phase affects bioreactor
performance in most processes with gas phase reactants or
products. The anaerobic reactor is designed to exclude
oxygen. In some cases, inert gases are bubbled into the
anaerobic reactor to provide gas–liquid interfacial area to
remove the product gases.
Because the solubility of oxygen in water is very low,
the dissolved oxygen in the broth is rapidly depleted if
oxygen transfer from the gas to the liquid phase is dis-
rupted in aerobic processes. The distribution of dissolved
oxygen throughout the reactor volume and the transient
variation affect reactor performance. When mold pellets
or biofilms are present, the diffusion of oxygen into the
interior should be considered. A significant fraction of the
Table 1 Significant developments in bioreactor technology
Development Year
a
Fermented beverages 5000
BC
Pasteur’s discovery of yeast 1857
First medium designed for culturing bacteria 1860
Trickling filter for wastewater 1868
Anaerobic digester 1881
Production of citric acid using mold 1923
Production of penicillin in a Petri dish 1928
Production of penicillin in small flasks 1942
Hixon and Gaden paper on oxygen transfer 1950
Air sterilization in fermentors 1950
Continuous media sterilization 1952
Aiba, Humphrey, and Millis biochemical
engineering textbook on bioreactor design
1965
Continuous airlift reactor for production of yeast 1969
Advances in instrumentation and computer control 1970
Progress in airlift bioreactor design 1973
Recombinant DNA technology 1973
Insect cells grown in suspension culture 1975
Large-scale cell culture to produce interferon 1980
Insulin produced using bacteria 1982
Bioreactors for fragile cell cultures 1988
Textbook on plant cell biotechnology 1994
Textbook on protein engineering 1996
Textbook on tissue engineering 1997
Rapidly increasing number of bioreactors for
renewable energy applications
2006
a
The dates are approximate and indicative of periods of time when
advances were moving from initial studies to published works or
commercial use.
220 Bioreactors

bioreactor literature is devoted to oxygen transfer and the
methods recommended for the design and operation of
aerobic bioreactors. The phase equilibrium relationship is
based on thermodynamic data, while the rate of oxygen
transfer depends on the gas–liquid interfacial area and
the concentration driving force. Mechanical agitation
increases the gas–liquid interfacial area. Aeration pro-
vides the supply of oxygen, and it affects the gas–liquid
interfacial area.
Oxygen has been supplied by permeation through
membranes in cultures in which bubbles may damage
shear-sensitive cells. The membrane area and concentra-
tion driving force determine the oxygen transfer rate in
these bioreactors.
Most large-scale bioreactors have either oxygen or
carbon dioxide among the reactants or products. In many
anaerobic fermentations, the formation of carbon dioxide
results in bubbling, and often no additional mixing is
required for either mass transfer or suspension of the
microbial cells. Methane is produced through anaerobic
digestion of waste products. It is also a product of micro-
bial action in landfills, bogs, and the stomach of the cow.
Packed bed bioreactors are used to biodegrade volatile
organic compounds in air pollution control applications.
The rhizosphere provides a natural environment where
many volatile compounds in soil are transformed by
microbial and plant enzymes.
Liquid Phase Reactants or Products
Many bioreactors have liquid phase reactants and pro-
ducts. Ethanol, acetone, butanol, and lactic acid are
examples of liquid products that can be produced by
fermentation. The kinetics of biochemical reactions
depend on the liquid phase concentrations of the reactants
and, in some cases, the products. The Monod kinetic
model and the Michaelis–Menten kinetic model show
that many biochemical reactions have first-order depen-
dence on reactant (substrate) concentration at low
concentrations and zero-order dependence at higher
concentrations. Rates are directly proportional to concen-
tration below 10 mg l
1
for many reactants under natural
environmental conditions. At very high concentrations,
inhibition may be observed.
Hydrocarbons that are relatively insoluble in the water
phase, such as hexadecane, may also be reactants or sub-
strates for biochemical reactions. Microbial growth on
hydrocarbons has been observed to occur at the liquid–
liquid interface as well as in the water phase. The oxygen
requirements are greater when hydrocarbon substrates
are used in place of carbohydrates. At one time, there
was great interest in the production of microbial protein
from petroleum hydrocarbons. The commercialization of
the technology was most extensive in Russia and other
Eastern European countries. The airlift bioreactor is
uniquely suited for this four-phase process because of
the tendency of the hydrocarbon phase to migrate to the
top of the fermentor. The hydrocarbons are found sus-
pended as drops in the water phase, adsorbed to cells, and
at the gas–liquid interface. The cells are found adsorbed
to hydrocarbon drops, suspended in the water phase, and
at the gas–liquid interface. In the airlift fermentor, the
vertical circulation mixes the hydrocarbons and cells that
have migrated to the top of the fermentor with the broth
that enters the downflow side of the column.
One of the oldest and most widely practiced fermenta-
tions is the microbial production of ethanol and alcoholic
beverages such as beer and wine. Because ethanol inhibits
the fermentation at high concentrations, the process of
inhibition has been extensively studied for this fermenta-
tion. Ethanol affects the cell membrane and the activities
of enzymes. This inhibition limits the concentration of
ethanol that can be obtained in a fermentor. Because
ethanol is also produced for use as a motor fuel, there is
still considerable research on ethanol production. Because
the cost of the substrate is a major expense, inexpensive
raw materials such as wastes containing cellulose have
been investigated.
Solid Phase Reactants or Products
There are many examples of bioreactors with solid phase
reactants. The cow may be viewed as a mobile bioreactor
system that converts solid substrates to methane, carbon
dioxide, milk, and body protein. While the cow is a
commercial success, many efforts to transform low cost
cellulosic solid waste to commercial products in human-
made bioreactors have not achieved the same level of
success because of economics.
Solid substrates such as soybean meal are commonly
fed into commercial fermentations. Through the action of
enzymes in the fermentation broth, the biopolymers are
hydrolyzed and more soluble reactants are obtained.
Many food fermentations involve the preservation of
solid or semisolid foods such as in the conversion of
cabbage to sauerkraut and meats to sausage products.
Cereals, legumes, vegetables, tubers, fruits, meats, and
fish products have been fermented. Some fermented
milk processes result in solid products such as cheeses
and yogurts.
Other examples include the composting of yard
wastes, leaching of metals from ores, silage production,
biodegradation of crop residues in soil, microbial action in
landfills, and the remediation of contaminated soil.
In many of these fermentations, mixing is difficult or
expensive. Transport of essential reactants may depend
on diffusion; the concentrations of reactants and products
vary with position. Rates may be limited by the transport
of essential reactants to the microorganisms.
Bioreactors 221

Most compounds that are present as solids in bioreac-
tors are somewhat soluble in the water phase. For
reactants that are relatively insoluble, biochemical reac-
tion rates may be directly proportional to the available
interfacial area. The surface of the solid may be the
location of the biochemical transformation. An example
of microorganisms growing on the surface of a solid sub-
strate is mold on bread. To design bioreactors for solid
substrates and solid products, the solubility and the trans-
port processes as well as the kinetics of the process should
be addressed.
Recently, there has been considerable progress in
tissue engineering. The rational design of living tissues
and the production of these tissues by living cells in
bioreactors are advancing rapidly because of the progress
in systems design and control for both in vitro flow reac-
tors and in vivo maintenance of cell mass.
Microorganisms in Bioreactors
The rate of reaction in bioreactors is often directly pro-
portional to the concentration of microbial biomass. In
biological waste treatment, the influent concentration of
the organic substrate (waste) is relatively low, and the
quantity of microbial biomass that can be produced from
the waste is limited. The economy of the operation and
the rate of biodegradation are enhanced by retaining the
biomass in the bioreactor. In the activated sludge process,
this is done by allowing the biomass to floculate and
settle; it is then recycled. The trickling filter retains
biomass by allowing growth on the surfaces of the packing
within the bioreactor.
A variety of immobilized cell reactors and immobi-
lized enzyme reactors have been designed and operated
because of the economy associated with reuse of cells and
enzymes. In the anaerobic production of ethanol, lactic
acid, and the other fermentation products, the product
yield is greatest when the organisms are not growing and
all of the substrate is being converted to products.
Continuous processes can be designed in which most of
the cells are retained and the limiting maximum product
yield is approached. Ultrafiltration membrane bioreactors
have been used to retain cells, enzymes, and insoluble
substrates.
In nature, cells are retained when biofilms form along
flow pathways. The biofilms allow microorganisms to
grow and survive in environments where washout
would be expected. The excellent quality of ground-
water is the result of microbial biodegradation and
purification under conditions where microbial survival
is enhanced by biofilm formation and cell retention on
soil and rock surfaces. The ability of microorganisms to
survive even after their food supply appears to be
depleted is well established; this accounts for our ability
to find microorganisms almost everywhere in nature.
When spills occur, organic substances will often be
degraded by microorganisms, if the nutritional environ-
ment is balanced. Nitrogen, phosphorous, and other
inorganic nutrients often must be added.
The concentration of cells adsorbed to the surface and
the concentration in the water phase depends on an
adsorption phase equilibrium relationship and the oper-
ating conditions. In many environmental applications,
most of the cells are adsorbed to surfaces. However, in
large-scale fermentors with high cell concentrations and
rich media feeds, only a small fraction of the cells are
found on surfaces.
Photobioreactors
Light is the energy source that drives photoautotrophic
growth processes. Because light is absorbed by the grow-
ing culture, the intensity falls rapidly as the distance from
the surface increases. Photobioreactors are designed to
produce the quantity of product that is desired by select-
ing a surface area that is sufficient to obtain the needed
light. Heat transfer is an important design aspect because
any absorbed light energy that is not converted to chemi-
cal energy must be dissipated as heat.
Principles of Bioreactor Analysis
and Design
The basic principles of bioreactor analysis and design are
similar to those for chemical reactors; however, many
biochemical processes have very complex biochemistry.
The chemical balance equations or stoichiometry of the
process must be known or investigated. The yield of
microbial biomass and products depends on the genetics
of the strain and the operating conditions. The consis-
tency of data from experimental measurements can be
evaluated using mass balances such as the carbon balance
and the available electron balance.
Microorganisms obey the laws of chemical thermody-
namics; some heat is produced in heterotrophic growth
processes. The free energy change is negative for the
complete system of biochemical reactions associated
with heterotrophic growth and product formation. Thus,
the chemical energy available for growth and product
formation decreases as a result of microbial assimilation
of the reactants.
The rate of growth and product formation depends on
the number of microorganisms and the concentrations of
the nutrients. The kinetics of growth and product forma-
tion are often written in terms of the concentration of one
rate-limiting substrate; however, in some cases, more than
one nutrient may be rate limiting. The kinetics must be
known for rational design of the bioreactor.
222 Bioreactors

Heat is evolved in microbial bioreactors. For aerobic
processes, the quantity of heat generated (heat of fermen-
tation) is directly proportional to the oxygen utilized.
Thus, the heat transfer and oxygen transfer requirements
are linked by the energy regularity of approximately
450 kJ of heat evolved per mole of oxygen utilized by
the microorganisms.
Transport phenomenon is widely applied in bioreactor
analysis and design. Many fermentation processes are
designed to be transport limited. For example, the oxygen
transfer rate may limit the rate of an aerobic process.
Bioreactor design depends on the type of organism as
well as the nutritional and environmental requirements.
For example, in very viscous mycelial fermentations,
mechanical agitation is often selected to provide the
interfacial area for oxygen transfer. Likewise, animal
cells that grow only on surfaces must be cultured in
special bioreactors, which provide the necessary surface
area and nutritional environment. In other cases, animals
are selected as the bioreactors, because the desired bio-
chemical transformations can best be achieved by
competitively utilizing animals; cost and quality control
are both important when food and pharmaceutical pro-
ducts are produced.
Sensors, Instrumentation, and Control
The ability to measure the physical and chemical envir-
onment in the fermentor is essential for control of the
process. In the last 60 years, there has been significant
progress in the development of sensors and computer
control. Physical variables that can be measured include
temperature, pressure, power input to mechanical agita-
tors, rheological properties of the broth, gas and liquid
flow rates, and interfacial tension. The chemical envir-
onment is characterized by means of electrodes for
hydrogen ion concentration (pH), redox potential, car-
bon dioxide partial pressure, and oxygen partial pressure.
Gas phase concentrations are measured with the mass
spectrometer. Broth concentrations are measured with
gas and liquid chromatography; mass spectrometers can
be used as detectors with either gas or liquid chromato-
graphy. Enzyme thermistors have been developed to
measure the concentration of a variety of specific bio-
chemicals. Microbial mass is commonly measured with
the spectrophotometer (optical density) and cell num-
bers through plate counts and direct microscopic
observation. Instruments are available to measure com-
ponents of cells such as reduced pyridine nucleotides
and cell nitrogen. Online biomass measurements can be
made using a flow cell and a laser by making multiangle
light scattering measurements. Multivariate calibration
methods and neural network technology allow the data
to be processed rapidly and continuously such that a
predicted biomass concentration can be obtained every
few seconds.
The basic objective of bioreactor design is to create and
maintain the environment needed to enable the cells to
make the desired biochemical transformations. Advances
in instrumentation and control allow this to be done
reliably.
Metabolic and Protein Engineering
Genetic modification has allowed many products to be
produced economically. With the use of recombinant
DNA technology and metabolic engineering, improved
cellular activities may be obtained through manipulation
of enzymatic, regulatory, and transport functions of the
microorganism. The cellular modifications of metabolic
engineering are carried out in bioreactors. Successful
manipulation requires an understanding of the genetics,
biochemistry, and physiology of the cell. Knowledge of
the biochemical pathways involved, their regulation, and
their kinetics is essential.
Living systems are bioreactors. Through metabolic engi-
neering, man can modify these living bioreactors and alter
their performance. Metabolic engineering is a field of reac-
tion engineering that utilizes the concepts that provide the
foundation for reactor design including kinetics, thermody-
namics, physical chemistry, process control, stability,
catalysis, and transport phenomena. These concepts must
be combined with an understanding of the biochemistry of
the living system. Through metabolic engineering, improved
versions of living bioreactors are designed and synthesized.
While many products are produced in microbial cells,
other cell lines including insect cells, mammalian cells,
and plant cells are utilized for selected applications. The
science to support these various living bioreactors is
growing rapidly and the number of different applications
is increasing steadily. The choice of which organism to
select for a specific product must be made carefully with
consideration of biochemistry, biochemical engineering,
safety, reliability, and cost. Both production and separa-
tion processes affect the cost of the product; however, the
cost of product development, testing, regulatory approval,
and marketing are substantial as well.
Proteins with specific functional properties are being
designed, developed, and produced through applications
of protein engineering. Through molecular modeling and
computer simulation, proteins with specific properties are
designed. Protein production may involve applications of
recombinant DNA technology in host cell expression bior-
eactors. An alternative is to produce a protein with the
desired amino acid sequence through direct chemical
synthesis.
Bioreactors 223

Stability and Sterilization
While beneficial genetic modification has led to many
industrial successful products, contamination and
genetic mutations during production operations have
resulted in many batches of useless broth. Batch pro-
cesses are common in bioreactors because of the need
to maintain the desired genetic properties of a strain
during storage and propagation. Continuous operation
is selected for mixed culture processes such as waste-
water treatment, where there is natural selection of
effective organisms.
Bioreactors that are to operate with pure cultures or
mixed cultures from selected strains must be free of
contamination, that is, the reactor and associated instru-
mentation must be sterilizable. The vessels that are to
be used for propagation of the inoculum for the large-
scale vessel must be sterilizable as well. Methods
to sterilize large vessels, instrumentation, and connect-
ing pipes are well developed; however, there is a
continuing need to implement a wide variety of good
manufacturing practice principles to avoid contamina-
tion problems.
Steam sterilization has been widely applied to reduce
the number of viable microorganisms in food and fermen-
tation media. As temperature increases, the rates of
biochemical reactions increase exponentially until the
temperature affects the stability of the enzyme or the
viability of the cell. The Arrhenius activation energies,
which have been reported for enzymatic reactions and
rates of cell growth, are mostly in the range of 20–
80 kJ g mol
1
, whereas activation energies for the thermal
inactivation of microorganisms range from 200 to
400 kJ g mol
1
. Many of the preceding principles also
apply to the thermal inactivation of microorganisms in
bioreactors. When solids are present in foods or fermen-
tation media, heat transfer to the interior of the solid is by
conduction. This must be considered in the design of the
process because of the increase in the required steriliza-
tion time.
Conclusions
Bioreactors are widely used for a variety of purposes. The
knowledge base for their application has increased
significantly because of the advances in chemical,
biochemical, and environmental engineering during the
last 60 years. Many different bioreactors have been
designed because of the importance of optimizing the
production environment within each vessel for each
application.
Many pharmaceutical, biomedical, biochemical, food,
beverage, fuel, and biomaterial products are produced in
bioreactors. The total amount and commercial value of
these bioproducts increases annually.
Further Reading
Asenjo JA and Merchuk JC (eds.) (1995) Bioreactor System Design.
New York: Marcel Dekker.
Bailey JE and Ollis DF (1986) Biochemical Engineering Fundamentals,
2nd edn. New York: McGraw-Hill.
Barford JP, Harbour C, Phillips PJ, Marquis CP, Mahler S, and Malik R
(1995) Fundamental and Applied Aspects of Animal Cell Cultivation.
Singapore: Singapore University Press.
Cabral JMS, Mota M, and Tramper J (eds.) (2001) Multiphase Bioreactor
Design. New York: Taylor & Francis.
Carberry JJ and Varma A (eds.) (1987) Chemical Reaction and Reactor
Engineering. New York: Marcel Dekker.
Characklis WG and Marshall KC (eds.) (1990) Biofilms. New York: Wiley
Interscience.
Christi MY (1989) Airlift Bioreactors. New York: Elsevier.
Erickson LE and Fung DYC (eds.) (1988) Handbook on Anaerobic
Fermentations. New York: Marcel Dekker.
Fan LT, Gharpuray MM, and Lee YH (1987) Cellulose Hydrolysis.
Heidelberg: Springer-Verlag.
Grady CPL, Daigger GT, and Lim HC (1999) Biological Wastewater
Treatment. New York: Marcel Dekker.
Lanza RP, Langer R, and Vacanti J (eds.) (2000) Principles of Tissue
Engineering, 2nd edn. San Diego: Academic Press.
Sanchez Marcano JG and Tsotsis T (2002) Catalytic Membranes and
Membrane Reactors. Weinheim, Germany: Wiley-VCH.
Shuler ML and Kargi F (2002) Bioprocess Engineering, 2nd edn. Upper
Saddle River, New Jersey: Prentice Hall.
Sikdar SK and Irvine RL (eds.) (1998) Bioremediation: Principles and
Practice. Lancaster, PA: Technomic Publishing.
Van’t Riet K and Tramper J (1991) Basic Bioreactor Design. New York:
Marcel Dekker.
224 Bioreactors

Caulobacter
J S Poindexter, Barnard College, Columbia University, NY, USA
ª2009 Elsevier Inc. All rights reserved.
Defining Statement
Caulobacter and Caulobacters
Development in Caulobacter crescentus
Further Reading
Glossary
chemotaxis Motility directed by a sensory/motor
system along a gradient of a solute.
cytoskeleton Protoplasmic proteins that participate in
the development and/or maintenance of cell shape.
oligotrophy Of the habitat: Condition of the habitat
characterized by low organic productivity and low
density of microbial populations. Of microbes:
Nutritional class of microbes whose competitiveness in
their natural habitat depends on their ability to exploit a
scarcity of nutrients.
periplasm Region immediately external to the cell
membrane; in Gram-negative bacteria, the region is
separated from the environment by a second superficial,
outer membrane.
phosphorelay Systematic transfer of phosphoryl
groups from a nucleotide triphosphate through a series
of proteins, thereby altering the functional activity of
each protein; important in many signal-transduction
systems.
prostheca An outgrowth of the Gram-negative
bacterial cell surface that includes the outer membrane,
the cell membrane, and the peptidoglycan layer; may or
may not include cytoplasmic elements.
sacculus The rigid peptidoglycan layer of a bacterial
cell envelope; in Gram-negative bacteria, the sacculus
lies within the periplasm.
stalked sibling The product of asymmetric fission in
caulobacter that bears a prostheca and is not motile.
swarmer sibling The product of asymmetric fission in
caulobacter that bears a flagellum and is motile.
TonB-dependent receptors Periplasmic proteins that
assist in providing metabolic energy for active transport
of solutes across the outer membrane of a Gram-
negative bacterium into its periplasm.
transcription cascade System of sequential
transcription of genes within which transcription of each
‘later’ gene requires activation by the product of an
‘early’ gene.
Abbreviation
GS/GOGAT glutamine synthetase/glutamate-
oxoglutarate amino transferase
Defining Statement
Caulobacters are aquatic, oligotrophic bacteria with a dis-
tinctive reproductive cycle that produces flagellated
juvenile swarmers and nonmotile adolescent stalked cells
as siblings. Correlations between their oligotrophy and
their dimorphy are drawn against the background of
description of the molecular details of development now
available from extensive research with Caulobacter crescentus.
Caulobacter and Caulobacters
Prologue: It was not a dark and stormy night; it was an
overcast day, and the sky was a smooth gray. Nevertheless,
the water of the lake was blue; it was unquestionably clean
and oligotrophic. A caulobacteriologist scooped samples
from the lake’s surface with great expectations. Within 2
weeks, the collector was rewarded by finding that 75% of
the 3177 aerobic, chemoorganoheterotrophic bacteria per
milliliter that formed visible colonies on a dilute peptone
medium were caulobacters.
Recognizing Caulobacters
The genus Caulobacter
Species assigned to the genus Caulobacter are aquatic, oligo-
trophic, aerobic, freshwater, Gram-negative Alphaproteobacteria.
All the distinguishing morphologic features of the genus
Caulobacter areevidentinthedividingcell(seeFigures 1–4):
225

•An elongated, unicellular form – straight (rods or fusi-
form cells), curved (curved rods or subvibrios), or
twisted (vibrios) – with poles that are blunt (rods) or
tapered (vibrios, subvibrios, and fusiform cells);
•A different appendage at each pole: a single flagellum
at the younger pole, and at the older pole a prostheca
composed of the cell envelope (outer membrane, pep-
tidoglycan layer, and inner membrane);
•A discrete blob of adhesive material, the ‘holdfast’, at
two sites: at the flagellated pole at the base of the
flagellum, and at the outer tip of the prostheca (hence
its designation as a cellular ‘stalk’);
•A constriction at approximately the midcell that, when
completed, will separate a flagellated ‘swarmer’ cell
from its nonmotile stalked sibling; and
•Ringed disks of peptidoglycan and proteins, called
stalk bands, at intervals along and within the stalk;
one band is installed during each cell cycle and records
the number of fissions completed by the cell since it
began to develop its stalk. The rings look very much
like the flagellar base plates first described in spirilla.
Other caulobacters
Variations on this morphology are exhibited by closely
related Alphaproteobacteria. The closest relative is the genus
Asticcacaulis (literally, nonadhesive stalk). Although not
adhesive, Asticcacaulis stalks are banded. The genus is
distinguished from Caulobacter by several morphologic
features.
•Cells of all isolates are blunt rods.
•Locations of the holdfast, flagellum, and prostheca are
not coincidental; the holdfast is located excentrically
Figure 1 Vibrioid cells of Caulobacter crescentus strain CB2
grown in dilute peptone yeast extract medium. See also
Figure 8(a). EM, Pt-shadowed.
Figure 2 Bacteroid cells of Caulobacter sp. strain CB417
grown in dilute peptone yeast extract medium. EM, negatively
stained with AmMoO
4
. Marker ¼1mm.
Figure 3 Fusiform cells of Caulobacter leidyi strain CB37
grown in dilute peptone yeast extract medium. See also
Figure 8(b). EM, Pt-shadowed. Marker ¼1mm.
226 Caulobacter

on the pole, the flagellum excentrically at the same
pole, and the prostheca may be excentral, subpolar, or
lateral. Isolates with lateral prosthecae may bear one or
two prosthecae, although only one flagellum.
•Fission occurs by septation rather than constriction.
•A difference in size of the siblings, with the swarmer
regularly much shorter than its stalked sibling during
and immediately after fission, and a greater difference
in cell cycle times between the siblings (see Figure 9).
Both Caulobacter and Asticcacaulis fall into the 16S rRNA
family ‘Caulobacteraceae’, as do Brevundimonas (a composite
taxon of phenotypically diverse bacteria) and Phenylobacterium
(a genus of nonprosthecate bacteria). Some of the species
currently assigned to Brevundimonas were originally named as
Caulobacter species because they possess all the ecologic,
morphologic, and physiologic features described for that
genus.
Two other 16S rRNA families of Alphaproteobacteria
include genera with caulobacterial morphologies. One
species (Caulobacter leidyi)isplacedinthefamily
Sphingomonadaceae on the basis of its lipid content as
well as its 16S rRNA. Isolates similar to C.leidyi are
known, but not yet named or classified. The family
Rhodobacteraceae includes the marine caulobacters of the
genus Maricaulis. Dividing cells of these Alphaproteobacteria
are identical to Caulobacter in microscopical appearance of
their dividing cells, and their stalks are adhesive; however,
stalk bands are typically absent.
The Caulobacterial Stalk
The term ‘prostheca’ was introduced by J.T. Staley to
designate an outgrowth of the bacterial cell surface that
includes at least the peptidoglycan sacculus (Figure 5);
this definition distinguishes prosthecae from proteinac-
eous structures such as flagella and pili/fimbriae, and
from extracellular polysaccharidic capsules and slime
stalks. Known prosthecate bacteria are Gram negative,
but not all are Alphaproteobacteria. Among dimorphic pros-
thecate bacteria that produce swarmer cells, the features
of the dividing cell described above for caulobacters
are – as far as known – unique to the three families of
Alphaproteobacteria already mentioned. The caulobacterial
Figure 4 Biprosthecate cells of Asticcacaulis biprosthecum
strain C-19 grown in dilute peptone yeast extract medium. EM,
Pt-shadowed. Marker ¼1mm.
(a)
(b)
Figure 5 Peptidoglycan sacculi of caulobacters. EM, positively stained with uranyl and rotary shadowed with Pt. Marker ¼1mm.
(a) Caulobacter crescentus strain CB2. (b) Asticcacaulis biprosthecum strain C-19. Marker ¼1mm.
Caulobacter 227

prostheca lacks cytoplasm and DNA. It does not generate
progeny, a reproductive process that occurs in the
dimorphic bacteria of the genera Hyphomicrobium and
Hyphomonas, where the nonadhesive prostheca produces
swarmers by budding from its distal tip.
The value of motility in an aquatic organism is never
debated. Adhesion, likewise, is generally regarded as
adaptive because it can anchor the organism in a favorable
locale. Although adhesion of a bacterium typically does
not require a prostheca, adhering bacteria are very often
perpendicular to the substratum. While this allows most
of the cell surface to continue in contact with the liquid
phase of the aquatic environment, an adhesive prostheca
increases that advantage by preventing crowding of the
cell body against other bacteria attached to the same
substratum.
Only among the caulobacters is the prostheca typically
adhesive, and adhesiveness is not a universal property
even within this group. It is therefore an unavoidable
challenge to infer possible functions for the stalk other
than a role in adhesion. To date, three further functions
have been proposed: (1) increased resistance to settling in
an aquatic environment (‘buoyancy’); (2) increase of the
nutrient uptake-mediating area of the cell surface; and (3)
boosting the incipient swarmer above the crowd to free it
from entrapment in a biofilm. (1) The difference in buoy-
ancy of nonstalked and stalked siblings is the mechanical
basis for segregation of swarmers from their stalked sib-
lings by differential centrifugation, which is the most
widely used method for the establishment of synchro-
nously developing populations used in cell cycle
research with caulobacters (see section ‘Cytoskeleton’).
(2) Besides straightforward geometric reasoning, there is
biochemical, physiological, developmental, and molecular
(genetic and proteomic) evidence that supports the pro-
posed role of the stalk in nutrient scavenging. Even stalks
severed from the cell body mechanically or as a conse-
quence of genetic mutation are demonstrably capable of
accumulating solutes, and to consume metabolic energy
doing so. (3) Observations of caulobacters attached to
natural materials reveal only dispersed and not crowded
caulobacters; swarmers tend to be well away from their
stalked siblings before settling down. However, on both
animate and inanimate surfaces exposed to caulobacter
populations at 1000-fold or greater than their usual den-
sity in natural waters, and in the absence of predators such
as protozoa and microfauna, caulobacters can be forced
into crowds – a technique that can be useful in technolo-
gical applications that employ immobilized caulobacters.
Accordingly, the caulobacter stalk is demonstrably
capable of providing at least four functions. It mediates
adhesion in a fashion that simultaneously exposes most
of the cell surface to the liquid surroundings, the source
of the cell’s nutrients and lifts the cell body above a
biofilm, promoting free dispersal of the motile sibling.
Because the stalk engages in little biosynthetic activity
except at the cell-stalk junction (see section ‘Placement of
cytoskeletal proteins and cell wall synthesis complexes’),
it could serve (like microvilli in a mammalian intestine) to
increase the ratio of nutrient-absorptive surface to
nutrient-consuming protoplasm. Finally, it provides the
capacity for the third ecologic habitat available in an
aquatic environment: floating, as well as swimming in
the water column and settling on submerged surfaces.
Stalked caulobacters not attached to submerged surfaces
accumulate in the neuston, or air–water interface, the
shallow vertical zone in an aquatic habitat where organic
substances accumulate because they diffuse less freely
there than in the water column; where O
2
enters from
the atmosphere; and where the local phototrophs, the
primary producers, tend to gather during the day and
catch the sun’s energy that will support the local chemo-
heterotrophs such as caulobacters. Thus, bacteria with
this peculiar morphology and developmental cycle are
well suited to living competitively in low-nutrient-flux
aquatic environments as aerobic, metabolically efficient,
nutrient-scavenging chemoorganoheterotrophs. As men-
tioned in the Prologue, it is precisely where they are most
dependably found as the predominant (but not crowded)
aerobic, nonphotosynthetic bacteria.
Capture and Cultivation of Caulobacters
The natural environment in which caulobacters thrive
and can sometimes even predominate is low-nutrient-flux
water, both fresh and marine. Even when predominant,
caulobacters do not accumulate as dense populations;
they are rarely as crowded as 10
5
–10
6
cells per milliliter.
Natural waters are almost never constant in nutrient
flux; even the most oligotrophic water will experience
transient surges of nutrients that will support a respond-
ing increase in the density of the microbial populations
and of the organisms that feed on the microbes.
During such periods, caulobacters do not necessarily dis-
appear, but they do not respond by multiplying rapidly.
Consequently, they can be overwhelmed numerically
by faster-growing bacteria such as pseudomonads and
become difficult to detect – microscopically or by
cultivation.
The most dependable way to encourage caulobacters
to accumulate in a culture and to enable their isolation as
colonies on solidified media is to depend on their devel-
opment as a dimorphic population. Let the water sample
stand in a tall bottle (such as a milk dilution bottle) at
room temperature in the dark. In 4–14 days, a thin,
delicate surface film of caulobacters will accumulate as
the swarmers rise toward the air–water interface and then
develop their ‘water wings’ – their stalks. Their accumu-
lation can be accelerated by adding peptone to no more
0.01% (w/v); higher concentrations will encourage the
228 Caulobacter

multiplication of bacteria that can grow faster, but are less
capable of scavenging nutrients from low concentrations.
Similarly, incubation in the dark reduces primary produc-
tion by phototrophs in the sample. Their activities
interfere with the enrichment of caulobacters in two
ways: by producing and exuding organic compounds,
often amino acids, thereby enriching the water; and by
serving as attachment surfaces for the caulobacters and
reducing their buoyancy. The stalked bacteria probably
do quite well attached to phototrophs, but they are harder
to find because they sink out of the surface film.
A sample of surface film can be examined in a wet
mount to determine whether the relative abundance of
stalked cells is increasing, and when it is, a sample can be
streaked on an unbuffered medium containing 0.05%
peptone and not more than 1% agar, and incubated at
room temperature. As colonies begin to appear, it is
instructive to mark those that are macroscopic by the
third day of incubation; in the author’s experience, such
colonies are never generated by caulobacters from enrich-
ment samples. After 1–2 weeks, new colonies no longer
appear and the preparation for screening can begin.
There is a fast, frustrating way to screen, and a tedious,
fruitful way. The fast way is to examine samples of colo-
nies in wet mounts. Because the medium is dilute, the
colonies are very small (rarely more than 0.5–0.8 mm),
and a colony (especially if cohesive) is easily consumed in
the preparation of the mount; consequently, finding them
is not capturing them. The tedious way is to patch a
sample of each colony onto a gridded plate of medium,
incubate for about 2 days, and then prepare wet mounts
from the growth in the patches. This actually saves con-
siderable time because the patches can be sampled in a
pattern and marked off if they contain caulobacters,
whereas using primary colonies requires that the colonies
be mapped. Better yet, the patch is not consumed in the
preparation of a wet mount.
Water can be surveyed for the presence of caulobac-
ters by molecular tools such as FISH probing. There are,
however, practical problems with fluorescence microsco-
pical techniques. For example, natural populations of
caulobacters are sparse, whether they are predominant
or vastly outnumbered by noncaulobacters. It is often
more difficult to detect them as fluorescent dots than as
bacteria that wave about on their stalks in a focal plane
above other bacteria settled on the slide. Their motion
reveals their presence and their stalks identify them.
Fluorescence intensity of a probe-binding caulobacter
cell may be low and difficult to discern, for more than
one reason: (1) Caulobacter cells in wild samples are
relatively small, often not much wider than 0.5 mm, bind-
ing too little probe to be discerned readily; (2) Ribosomal
content is often very low in cells from oligotrophic con-
ditions, and relatively little probe is bound; (3) Most of
the ‘universal’ probes used in community surveys are
intended to bind to 16S rRNA. However, the caulobacters
most frequently encountered in freshwater are members
of the rRNA family Caulobacteraceae, the only family in
the order Caulobacterales, which is a fairly discrete and
congruous taxon as currently defined. Again, reaction
with a fluorescent probe may be weak, and even compe-
tent application of probes can fail to detect a caulobacter
signal in a sample that will yield a dozen or more different
kinds of isolates – from which more can be inferred than
just natural distribution.
To identify the colonies or patches containing stalked
bacteria, the wet mount should be examined with phase-
contrast illumination; the hydrated stalk is about 0.2 mm
in diameter, just at the limit of resolution of a good
phase-contrast microscope. If only ordinary light is avail-
able, preparing the mount in a droplet of dilute methylene
blue will provide some contrast and help reveal some
stalks. When crowded (as when growing on an agar
surface), caulobacters adhere to each other in rosettes
(see Figures 6 and 7), and as their stalks elongate they
will appear in one or another arrangement. In Caulobacter-
like organisms, the stalks will be oriented like the spokes
of a wheel, with the cell bodies sticking outward toward
the rim of the wheel or like pins in a pincushion
(Figure 6). In Asticcacaulis-like organisms, the cells will
appear to be in contact with each other at the poles, with
the nonadhesive prosthecae extending from the cell
cluster. Asticcacaulis biprosthecum rosettes (Figure 7) are
especially distinctive as ‘hairy’ rosettes. The remainder
of the procedure is a routine bacteriological restreaking
until only one type of colony can be found on plates
streaked from successive colony samples.
Colonies of caulobacters may be translucent or opa-
que. They occur in various shades of yellow/gold/
Figure 6 Newer and older rosettes of Caulobacter sp. strain
CB417. The newer rosette includes six cells with almost no stalk
elongation yet; the older rosette includes 21 cells, most of which
have developed stalks. EM, negatively stained with AmMoO
4
.
Marker ¼1mm.
Caulobacter 229

orange/red-orange due to cell-associated carotenoid pig-
ments; pale pink due to an unidentified nonheme,
noncarotenoid pigment; or colorless (unpigmented). As
they age, colorless colonies often become dark tan-pink
or pink-red due to heme accumulation. The colony mar-
gins are entire, the outline is circular, and the elevation is
convex. Texture may be soft and watery, butyrous, com-
pact and slightly sticky, or very cohesive and smooth or
granular. Under each strain’s optimal conditions of
cultivation, colonies of most isolates become visible
macroscopically between 60 h and 4 days of incubation –
3–4 days being most common. In liquid culture, doubling
times of recent isolates range from 2.5 to 5–6 h, which
is somewhat faster than they seem to manage in nature.
As determined by the rate of accumulation of bands in
the stalks of caulobacters captured by their adhesion to
EM grids submerged in a mesotrophic lake, the reproduc-
tive rate in situ in early summer is three generations per
day or 8 h per generation.
Faster-growing clones with doubling times close to
only 2 h have been generated by laboratory cultivation
from at least two species (Caulobacter crescentus and
C.leidyi). These two species are the only caulobacters
that can be grown in chemically defined media; vitamins
(riboflavin, biotin, or cyanocobalamin) are required by
some isolates, but are not sufficient for growth without
complex supplementation with low concentrations of
peptone, casamino acids, or yeast extract. Amino acids –
commonly exuded by algae – are generally their pre-
ferred sources of both carbon and nitrogen; besides
amino acids, many organic acids and several sugars can
be consumed as carbon sources. Cellobiose, the disacchar-
ide produced by the digestion of cellulose, is used by
almost all isolates in the author’s collection; this might
explain in part the frequent occurrence of cytophagas in
successful caulobacter enrichments.
Morphogenesis and Oligotrophy
It has long been suspected that one of the most important
functions of the stalk is to increase the capacity of the
caulobacter cell to scavenge nutrients from the oligotrophic
environments where caulobacters are competitive. Very
early in the studies with pure cultures of caulobacters, it
was discovered that the nutrient with the most dramatic
influence on morphogenesis of the stalk was phosphate:
phosphate inhibits stalk elongation, and phosphate limita-
tion results in a marked acceleration of stalk outgrowth
(see Figure 8 and section ‘Phosphate and stalk elongation’).
These observations were a stimulus to the notion that stalk
development improves specific nutrient scavenging by the
caulobacter cell, at least for phosphate. The inhibitory effect
of phosphate can be mitigated by calcium, and the accel-
erating effect of phosphate scarcity requires available
calcium. Although an abundance of the molecular details
of development has been elucidated in C. crescentus,the
interaction of phosphate and calcium in stalk elongation is
yet to be explained in comparable detail. Nevertheless, in
the natural habitat of caulobacters, phosphate and calcium
are not typically available in excess together because of the
insolubility of calcium phosphate; in caulobacters, calcium
could serve as an indicator of phosphate scarcity.
Nitrogen-source availability has little demonstrable
effect on stalk elongation, but starvation or limitation for
nitrogen has a marked effect on stalk initiation (see sec-
tion ‘Nitrogen source and stalk initiation’). In nitrogen-
adequate media in the laboratory, the swarmer cell
sheds its flagellum and begins its maturation (initiating
stalk development and DNA synthesis) after a motile
stage that lasts about 25–33% of the cell cycle time. In
nitrogen-inadequate media, the transition from motile,
juvenile swarmer to nonmotile, reproductively capable
stalked cell is postponed indefinitely and may not occur
(a) (b)
Figure 7 Rosettes of Asticcacaulis biprosthecum strain AC402 appearing ‘hairy’ due to the extension of the nonadhesive prosthecae
away from the point of mutual adhesion of the cells. (a) Phase-contrast photomicrograph. (b) EM, negatively stained with AmMoO
4
.
Marker ¼1mm.
230 Caulobacter

until nitrogen becomes available. The only nutrient-
specific chemotactic response so far demonstrated in
C. crescentus by the Adler capillary assay is the attraction
of nitrogen-limited swarmers toward nitrogen sources
(ammonium and amino acids); in contrast, even swarmers
produced under nutrient-limited conditions (whether for
carbon or nitrogen or phosphorus) do not clearly respond
to carbon sources or phosphate. Thus, two types of obser-
vation reveal that nitrogen limitation is the only
nutritional signal that results in perpetuation of motility,
in specific chemotaxis, and in delay of maturation of the
swarmer into the reproductive stage. Together, these
observations imply that the motility of the swarmer
stage serves within the cell cycle to lead the cell toward
a nitrogen-adequate site.
Caulobacters generally prefer amino acids as their
nitrogen source, but they can consume inorganic nitrogen.
However, C. crescentus,atleast,lacksglutamicdehydrogen-
ase and depends on the high-affinity GS/GOGAT
(glutamine synthetase/glutamate-oxoglutarate amino trans-
ferase) pathway for the assimilation of ammonium. As in
enteric bacteria, the activity of the C. crescentus system is
inhibited and its synthesis is repressed by ammonium. As a
consequence, C. crescentus growth is ammonium sensitive in
minimal media, and the bacteria can starve for nitrogen in
the midst of abundance when ammonium is the only
nitrogen source available. In laboratory cultures, relief of
that interference is achieved by the supplementation
of defined media with glutamate to enable ammonium
assimilation via GS/GOGAT or by the substitution of
nitrate for ammonium.
Limitation for any one of the three macronutrients car-
bon, nitrogen, and phosphorus dramatically increases the
uptake rate and affinity specifically for the limiting nutrient.
Again, as in the case of stalk hypertrophy, phosphate limita-
tion has the most striking effect: the relative increase in
uptake rate (calculated as per unit area of cell surface) is
about 80-fold for phosphate, but only about eightfold for
carbon or nitrogen sources. Uptake of nonlimiting nutrients
does not change with the stalk length. The long-stalked cells
of phosphate-limited populations take up phosphate rapidly
and with high affinity through both the cell body and the
stalk, and their swarmer siblings exhibit a comparable
enhancement of phosphate uptake. Nevertheless, while the
stalk surface seems no more active in nutrient uptake than the
rest of the cell, it lacks cytoplasmic components such as
ribosomes and DNA. Thus, the hypertrophied stalk should
provide the cell with an extension of the supply route for
nutrients without increasing the nutrient demand by the
most expensive metabolic activity, which is protein synthesis,
or by the demand for phosphorus by nucleic acid synthesis.
A further aspect of caulobacterial nutrient-scavenging
capacity was revealed in the fully sequenced genome of
C. crescentus. There are in that genome loci that are inter-
preted as genes for TonB-dependent receptors, which are
components of the systems for transducing metabolic
energy to the outer membrane of Gram-negative bacteria
that enables active uptake of solutes into the periplasm.
Enteric bacteria have a few (not more than ten) such
genes, and there are 34 in the highly versatile and compe-
titive bacterium Pseudomonas aeruginosa.C. crescentus possesses
65. At least 19 such receptors appear in the proteome of
isolated stalks, providing the strongest molecular evidence
that the stalk is capable of energized, high-affinity uptake of
solutes. Translocation to the cell body cytoplasm of solutes
taken into the periplasm of the stalk probably involves
periplasmic ATP-binding proteins, but the mechanism of
translocation is still hypothetical.
(a)
(b)
Figure 8 Cell and stalk elongation in phosphate-exhausted cultures of caulobacters. EM, Pt-shadowed. Marker ¼1mm.
(a) Caulobacter crescentus strain CB2; See also Figure 1. (b) Caulobacter leidyi strain CB37; see also Figure 3.
Caulobacter 231

In the oligotrophic waters that are the natural habitat of
caulobacters, primary production of organic carbon is typi-
cally limited by the availability of phosphate or – less often –
of nitrogen compounds, particularly nitrate. The dimorphy
of caulobacters presents itself as a composite of adaptations
that fits their ecologic role as nutrient scavengers, with
the motile stage sensing nitrogen adequacy for stalk
development and stalk elongation proceeding as needed
for phosphate acquisition. The remaining major nutrient is
organic carbon, which they presumably take up and
transport into the cytoplasm with their exceptional battery
of high-affinity TonB-dependent receptors. Those systems
may enable caulobacters to collect the by-products of
photosynthetic CO
2
fixation as those substances are
released by the phototrophs to which caulobacters so com-
monly adhere and with whom they must compete for
phosphorus and nitrogen.
Nutrient gradient-directed motility, extension of
nutrient uptake surface relative to cytoplasm, nutrient
uptake assisted by high-affinity TonB-receptor systems,
and adhesion to phototrophic microbes all combine to
make typical caulobacters highly competent for oligotro-
phy. Their unique reproductive cycle, which produces
one offspring that will move away from its immobile
sibling, also largely ensures that siblings will not crowd
each other and therefore will not compete for sparse
nutrients. Some of the details of the mechanisms that
confer on caulobacters’ unique approach to the problem
of resource acquisition are described in the next section.
Development in Caulobacter crescentus
In 1935, on the basis of microscopical observations of
mixed, wild (uncultivated) populations of caulobacters,
Henrici and Johnson correctly inferred that a swarmer
cell would develop a stalk and then proceed to asym-
metric fission of a cell with a flagellum at one pole and a
stalk at the opposite pole. They observed that such fission
generated two siblings: a flagellated swarmer cell and a
nonmotile sibling bearing a stalk. However, because they
lacked pure cultures, they could not determine whether a
swarmer cell could divide without first attaching to a
substratum and/or developing a stalk. This double ques-
tion was answered in the first extensive studies with pure
cultures of a variety of caulobacters, during which it was
found that mechanical segregation of nonstalked (swar-
mer) cells from stalked cells allowed separate cultivation
of each cell type. Early studies with such populations
revealed that newborn swarmer cell populations were
synchronous with respect to flagellum shedding, stalk
development, and completion of fission, and that fission
was invariably preceded by the other two events.
Synchrony in a stalked cell population was less stringent;
nevertheless, a full round of cell division was completed
in about 75% of the time required for a full round of cell
division in a population that began as swarmers.
Continuous direct observation of mixed populations in
microcultures revealed behavior that was entirely consis-
tent with the behavior of the synchronous cultures: the
cell cycle was significantly shorter for a cell that entered
the cycle with its stalk than for a cell that was observed
from its motile stage, and the latter type of cell became
nonmotile and began to develop a stalk before it elon-
gated, constricted, and divided. Fission of nonstalked cells
was not detected. The absence of any difference in
sequence or timing of morphogenetic and cell cycle
events in populations attached to glass cover slips or
suspended in agitated liquid cultures implied that adhe-
sion was not required as a signal for flagellum shedding or
the initiation of stalk outgrowth.
Within a few years after these initial studies, one species,
C. crescentus, attracted the attention of microbial cell biolo-
gists who began to explore its dimorphic cell cycle. In the
hands and minds of these diligent scientists, C. crescentus has
proved a fertile experimental system that has yielded details
of the mechanisms that enable a unicellular bacterium to
order and integrate its morphogenesis, reproduction, and
physiologic properties. The studies have also established
that this ‘simple’ organism is a complex cell in which func-
tional compartments can be established by the localization
of proteins, without the elaboration of intracellular barrier
membranes so familiar in eukaryotic cells.
Although there are some variations (rigidly enforced
within a species), the cyclical sequence of developmental
events in the lives of all caulobacter cells is largely a story
of poles. The entire tale can be perceived at every
C. crescentus pole from the birth of the pole as a product
of fission to its maturation as an adhesive, banded stalk.
It begins with the formation of the pole when fission
is completed in generation I (see Figure 9). During
generation II, begun by that fission, the sequence of
developmental events at each new pole will be the same,
but the time course of those events will depend on the age
of the opposite pole; developmental events will occur
sooner at the new pole of the sibling with a stalk at its
older pole (in the ‘stalked sequence’ in Figure 9) than at
the flagellated cell’s new pole (in the ‘swarmer sequence’
in Figure 9). Maturation of each pole formed in genera-
tion I will occur in generation III. In short, the pole’s story
has three chapters:
1. The pole is formed by cell fission.
2. Extrusion events occur that confer motility, adhesive-
ness, and phage reception.
3. The flagellum and motility and phage receptors are
lost and the pole elongates as a stalk.
The long version of this story is now remarkably detailed
as the result of research that has employed mutations,
inhibitors (particularly, inhibitors of cell wall synthesis),
232 Caulobacter

genomic and proteomic analyses, physiological studies,
environmental manipulations, and studies of cellular
composition and protein localizations. The research has
yielded an elaborate description of the development of
cell shape and of functional appendages in a unicellular
bacterium whose unique morphology and cell cycle have
been creatively exploited as a model system for the
elucidation of bacterial cell biology. (For the reader inter-
ested in full-length versions, several reviews are listed in
the Further Reading section.)
Fission and the Development of Cell Shape
Cell wall synthesis
The shape of a bacterial cell requires maintenance by a
rigid element, which is a sacculus (see Figure 5) of pepti-
doglycan, sometimes called ‘murein’. The best-known
pathway of synthesis in a Gram-negative bacterium occurs
at three locations in a Gram-negative bacterial cell:
1. In the cytosol: small-molecule precursors are synthe-
sized by intermediary metabolism, then combined into
precursors of the repeating unit of the cell wall
polymer.
2. At and within the cell membrane: the saccharide pen-
tapeptide is delivered to the inner, cytoplasmic surface
of the cell membrane, transferred to a lipid carrier, and
moved into the membrane, where a second saccharide
unit is added to the lipid-carried precursor. This
disaccharide-pentapeptide-lipid carrier is then con-
veyed through the membrane to its outer periplasmic
surface.
3. On the outer surface of the cell membrane and in the
periplasm: the disaccharide pentapeptide is transferred
from the lipid carrier to an acceptor site (either an end
recently synthesized or a position opened by a lytic
enzyme) on the preexisting peptidoglycan of the sac-
culus in the periplasm. This process elongates the
glycan backbone of the peptidoglycan as the lipid
carrier is recycled within the membrane.
Transpeptidases then strengthen the sacculus by cross-
linking between the outer D-ala-D-ala pair of one
pentapeptide and the free amino group on the diamino
amino acid (most commonly diamino pimelic acid) of
another glycan chain.
The details of synthesis vary among bacteria; neverthe-
less, the overall process is general for Eubacteria, and
similar systems occur in some Archaea.
Peptidoglycan synthesis complexes can affect the
shape of an elongated cell when they are active at three
regions:
1. Along the length of the cell to support elongation along
the cell’s long axis. So far as known at present, the
complexes are arranged as a helix in rods, vibrios,
spirilla, and fusiform cells.
2. At midcell to provide new peptidoglycan for constric-
tion or septation. So far as known at present, the
complexes are arranged as a ring in this location.
3. At a cell pole to support polar outgrowth such as
occurs in budding and/or prosthecate bacteria. A spe-
cific geometric pattern of installation has not yet been
discerned.
Research on bacterial cell shape development is, in large
measure, research on peptidoglycan synthesis, and is
aided by the availability of natural and artificial products
that specifically inhibit one or another synthetic step.
Example of inhibitors used in studies of C. crescentus
morphogenesis include cycloserine, which inhibits the
formation of D-ala-D-ala from L-ala in the cytoplasm;
vancomycin, which inhibits transglycosylation at the
outer surface of the cell membrane; and -lactam com-
pounds such as amdinocillin that inhibit crosslinking in
the periplasm. Van-FL, a derivative of the cell wall synth-
esis inhibitor vancomycin, binds to and detects the
D-ala-D-ala moiety of uncross-linked peptidoglycan. It
can be used to tag nascent peptidoglycan in bacteria
with highly crosslinked peptidoglycan, particularly
Gram-positive species. However, the peptidoglycan of
C. crescentus is not highly crosslinked, and Van-FL tagging
probably does not adequately distinguish sites of particu-
larly active peptidoglycan synthesis from less active or
even inactive sites.
Swarmer sequence
Stalked sequence
III III
Figure 9 Sequence of pole development events in three
successive generations. The sequences are displayed here in
parallel to emphasize that the sequences are identical at the
sibling poles formed by any one fission process. However, the
swarmer sequence in generation II is typically about 1.33 times
as long as the sequence occurring in its stalked sibling.
Caulobacter 233

Cytoskeleton
Three cytoskeletal proteins have been discovered in
Eubacteria that appear to guide the placement of cell wall
synthetic complexes. Each of these proteins is homolo-
gous to cytoskeletal proteins of eukaryotic cells:
1. FtsZ, a GTPase, is a tubulin homolog that participates
somehow in cytokinesis (pole formation); in
C. crescentus, it also participates in stalk initiation
(pole outgrowth).
2. MreB is an actin homolog whose principal role appears
to be to guide cell elongation.
3. Crescentin may be homologous to intermediate fila-
ments of animal cells; it accumulates within the
cytoplasm on the concave side of vibrioid cells and
appears to generate cell curvature and possibly also
twisting. Discovered in C. crescentus, its role in bacteria
other than caulobacters has not yet been established,
but similar proteins are anticipated.
The properties and functions of these cytoskeletal pro-
teins have been investigated in rods such as Escherichia coli
and Bacillus subtilis, and in staphylococci, and the research
with C. crescentus has been particularly fruitful in elucidat-
ing the dynamic nature of their localization during the
course of a cell cycle. In such research, caulobacter cells
offer two marked advantages over other bacteria: the
relative age of each cell’s two poles can be inferred in
microscopical preparations, and one synchronous devel-
opmental sequence can be followed by the procedurally
simple means of differential centrifugation that segregates
the nonstalked cells (swarmers) from their distinctly more
buoyant stalked siblings.
Placement of cytoskeletal proteins and cell wall
synthesis complexes
During the sequence of developmental events at a caulo-
bacter pole that are observable by light and electron
microscopy of whole cells, a submicroscopic sequence
also occurs. This sequence has been revealed by micro-
scopical methods that detect the presence of a specific
protein within the cell with sufficient resolution to
determine whether it is dispersed throughout the cell,
restricted to the cell surface, or accumulated at a
particular locale along the long axis. In C. crescentus,
microscopical studies have revealed a hierarchy of
protein placement dependence in which the accumula-
tion of one protein at a site facilitates or is necessary to the
subsequent accumulation of another protein.
These studies have employed a molecular biological
toolkit of chemicals, mutants, and highly specific genetic
manipulations, the details of which are beyond the scope
of this article. They have enabled investigators to follow
events in deletion mutants that cannot produce specific
proteins, in strains that overproduce specific proteins, and
others that can be depleted of specific proteins due to the
cessation of synthesis or when a specific protein accumu-
lation is dispersed by being depolymerized. Sequence,
duration, and location of specific events are followed by
the fluorescence of fluorochrome-carrying proteins or by
protein-specific fluorescent antibodies. The studies have
depended heavily on observations of the events in the
swarmer sequence (see Figure 9), where synchrony is far
tighter than in populations of stalked cells.
In C. crescentus, as in most bacteria so far examined,
FtsZ is present at the site of constriction during cytokinesis.
Associated with this ring are peptidoglycan-synthesizing
complexes that contain MurG, the transglycosylase that
adds the second sugar to the monosaccharide-pentapeptide-
lipid carrier. The completed precursor is then flipped from
the cytoplasmic to the periplasmic surface of the cell mem-
brane, an activity currently attributed to RodA, an integral
cell membrane protein. As constriction is completed, FtsZ is
visible within each incipient pole. When the siblings sepa-
rate, the polar FtsZ disappears due to proteolytic
destruction that seems faster in the stalked than in the
swarmer sibling.
As the swarmer sequence progresses, FtsZ synthesis
resumes when the flagellum is shed and DNA replication
begins (see section ‘The core regulatory cascade of tran-
scription regulation’). The new FtsZ appears first as a
helix that extends the entire length of the cell within the
cytoplasm. It is accompanied by MreB, also in a helix, and
by a third helix, of MreC, in the periplasm. A fourth
protein (this is not a full list) known to become part of
this system is PBP2, a periplasmic transpeptidase. As the
complexes mature, peptidoglycan synthesis can occur
along the helices, and the cell elongates.
Early during DNA replication, the three membrane-
associated proteins FtsZ, MurG, and MreB (at least) are
directed to begin accumulation as a ring at midcell. As this
region matures, the synthesis of peptidoglycan causes
elongation from midcell toward the poles. At about the
same time, a third site of synthesis is established at the
older pole and initiates elongation of that pole as a stalk.
The proteins apparently responsible for stalk elongation,
which occurs only at the cell-stalk junction, include MreB
and RodA. After the midpoint of DNA replication, con-
striction becomes apparent as the midcell site of
peptidoglycan synthesis develops into two new poles.
Meanwhile, because the swarmer’s sibling lacked a
motility period during which DNA synthesis and pepti-
doglycan synthesis at the pole were suspended, these
events have already occurred in the stalked-cell sibling.
In both siblings, cell wall synthesis at the cell-stalk junc-
tion appears to pause during cell separation, then resume,
probably as soon as DNA synthesis resumes in the next
cycle.
Two mechanisms could explain how a protein recog-
nizes and positions itself at a particular location. Its
structure could confer on it an affinity for another
234 Caulobacter

macromolecule, the target; such molecular recognition is
one of the most important properties of proteins.
Alternatively, it could encounter a barrier at some sites
that prevents its close approach or binding; by default, it
would then bind only at barrier-free sites. Both mechan-
isms are reasonable and precedented; both beg the
question of what places the target or the barrier. So far,
in C. crescentus studies of these peptidoglycan-shaping
proteins, only FtsZ seems capable of finding its own way
within the cell relatively independent of the other pole-
and surface-localizing proteins involved in shaping the
cell. Nevertheless, others in this set of proteins (particu-
larly MreB) are required to lead the cell wall synthetic
complexes to the FtsZ. In some bacteria, FtsZ rings can
form only in areas within the protoplast that do not
contain proteins that inhibit polymerization of FtsZ by
stimulating its GTPase activity. These proteins also tend
to be DNA-binding proteins that associate with specific
genome regions so that their location is determined by the
location, position, and state of replication of the DNA.
Such proteins so far identified in C. crescentus include
MipZ and ParB, which may provide a direct molecular
connection between cell shape development during the
cell cycle (most importantly, in this instance, constriction)
and the DNA replication cycle.
What happens to a cell in which these events are
deranged by chemical abuse, genetic modification, or
malnutrition? Cell shape becomes bizarre – lemons rather
than vibrios; abnormally wide stalks; stubby or branched
or multiple or misplaced (ectopic) stalks; filamentous cells
that divide infrequently; and so on. Specific aberrations
help investigators interpret the function of a missing
participant in shape determination or protein placement,
as does recovery toward normal shape following relief of
an inhibitory condition. Without or before relief, many
cells disintegrate and die.
Extrusion Events at the Younger Cell Pole
‘Extrusion’ is used here to refer to the assembly of cell
components, other than the typical outer membrane of a
Gram-negative bacterium, that are located superficially,
external to the cell membrane, and installed only at
cell poles (except, of course, in Asticcacaulis; see section
‘Other caulobacters’). Freshwater caulobacters such as
C. crescentus also produce and assemble a surface array, or
S-layer, on the exterior of the outer membrane. However,
that layer is made constantly through the cell cycle, covers
the entire cell body and stalk surface evenly, and consists of
a single major exported protein. Although it is presumably
of great value to the cell and has been exploited in tech-
nological applications of C. crescentus, it is not described
here because its production, assembly, and possibly its
function are neither unique to caulobacters nor an aspect
of the asymmetry of development in this bacterium.
Motility: Flagellum and chemotaxis proteins
Assembly and activation of a flagellum at the younger
pole of a dividing cell can be observed as the appendage,
its activity, or its component proteins. Preparation for the
development of a new flagellum begins in the swarmer
cycle as the swarmer’s original flagellum is shed, motility
ceases, and stalk outgrowth and DNA replication begin.
Within the cell, a transcription cascade of three sets of
genes begins. The products of some of these genes reg-
ulate expression of other genes in the cascade, while
others’ products are functional components of the flagel-
lum apparatus. The first set (‘class II genes’) produce the
motor switch and its ring; the second set (‘class III’)
produce the basal body and hook; and the third set
(‘class IV genes’) produce the flagellin subunits that are
assembled into the rigid external helical filament whose
rotation will propel the cell through its liquid environ-
ment. In the cascade, transcription of each successive class
is required for the expression of the next class, and each
set of proteins is assembled onto products of the previous
set.
During the swarmer cycle, this regulatory system
results in temporal (because of transcription dependence)
and spatial (because of assembly dependence) ordering of
the development of the next flagellum. Meanwhile, pro-
tein components needed for chemotactic sensors and
response regulators are produced and accumulated in
the incipient swarmer progeny as the cell begins to divide.
The flagellum begins to rotate as constriction progresses
at midcell, and the newborn swarmer is freely motile
immediately upon separation from its stalked sibling.
Within the constriction site, two proteins, TipN and
TipF, accumulate that seem to mark each of the new
poles as sites of flagellum assembly in the next cell cycle.
The final step in the life of a flagellum occurs in the
next swarmer cycle at about the time that DNA replica-
tion begins: release of the flagellum from the older cell
pole. This process is accompanied by proteolytic destruc-
tion of the motor switch protein FliF by a specific
protease, ClpXP. While the mechanism of release is not
yet certain, the appearance of the shed flagella that accu-
mulate like litter in the liquid phase of laboratory cultures
is consistent with a cleavage-effected separation. The
filament, the hook, and the rod are still an intact unit,
but the other membrane-associated components are
absent.
Thus, the overall organization of the development of
flagellar structure and function follow mechanistic prin-
ciples similar to those of sacculus development, although
regulation of transcription may play a somewhat larger
role here. An immediate role for cytoskeletal proteins has
not been demonstrated for flagellar morphogenesis, but it
is clear that the positioning of the flagellar apparatus
derives from the ultimate guidance of the constriction
site placement by the cytoskeleton.
Caulobacter 235

Adhesiveness: Holdfast and pili
Many kinds of bacteria – aquatic, terrestrial, plant and
animal associates – adhere to bulky (bulkier than bacterial
cells) substrata by means of some type of adhesive sub-
stance, most commonly composed of or containing a
significant amount of polysaccharide. For mechanical
and/or electrostatic reasons, initiation of adhesion is
often facilitated by motility of the bacterium. In many
bacteria, it is also aided by sticky protein filaments (pili or
fimbriae) that extend from the cell surface and enlarge the
effective diameter of the cell, increasing its frequency of
contact with other particles.
The younger pole of a caulobacter cell is provided
with all three devices for establishing persistent, stable
adhesion to substrata. At about the same time that the new
flagellum becomes visible and active on a dividing cell,
extrusion of adhesive material (the ‘holdfast’) occurs at
the same pole. The glue is composed of poly-N-acetyl-
glucosamine plus other components not yet identified. It
is the strongest adhesive known among biotic glues, stron-
ger than the adhesives of marine mollusks. It works under
water and allows caulobacters to adhere to a wide diver-
sity of organic and inorganic inanimate materials and to
other microorganisms, most commonly algae and cyano-
bacteria in natural samples, without damaging the
substrate cells. Once sessile, a caulobacter cell remains
fixed in place; there seems to be no mechanism for the cell
to reverse adhesion, and the holdfast seems to retain its
adhesiveness indefinitely.
In several species of caulobacters, pili are also
extruded by assembly at the same pole as the flagellum
and holdfast, but unlike those structures, pili are not
universal among isolates. In C. crescentus, the pili accom-
pany the other polar structures in position and in time
during the cell cycle.
Caulobacters are fun to watch. Prior to sibling separation, if
the stalked pole is not attached to the slide or cover slip, the
single flagellum drives the dividing cell stalk foremost. The
flagellated pole can attach without causing cessation of flagellar
rotation, swinging its stalked sib around with the stalk waving in
the liquid in a direction that reveals that, most of the time,
flagellar rotation is counterclockwise. When the siblings
separate with neither of them attached to a substratum, the
swarmer pauses briefly and then resumes swimming at a speed
noticeably greater than it achieved while it carried the additional
mass of its stalked sibling.
One seemingly awkward aspect of adhesion initiated
by the swarmer is direction: the flagellum drives the cell
predominantly with the adhesive, flagellated pole as pos-
terior and the newborn, nonadhesive pole in the lead.
While this should prevent adhesion to most of the parti-
cles the cell approaches, motility should assist adhesion
only when the cell backs up.
In most caulobacters, the three structures important to
adhesion arise at the site on the younger pole of the
dividing cell that will grow outward as the stalk. In the
closely related genus Asticcacaulis, stalk outgrowth occurs
at a separate site, in one species not even at the pole (see
section ‘Other caulobacters’ and Figures 4 and 7). As the
flagellum is shed and stalk outgrowth begins, the pili are
retracted by depolymerization within the periplasm, but
the holdfast remains on the tip of the growing stalk. In
contrast to stalk outgrowth, which probably pauses during
cytokinesis and certainly continues (or resumes) in each
cell cycle, synthesis and extrusion of the holdfast, pili, and
flagellum occur only once in the life of a pole. If the cell
does not adhere to a substratum while motile, it is much
less likely to do so after it sheds its flagellum and begins to
develop a stalk, even though the holdfast persists. It can
migrate to a new locale only through its swarmer progeny.
Given such a long-term commitment to a substratum, is
there any mechanism that promotes or guides adhesion of
the cell to a favorable environmental site?
The answer presumably lies in the ability of the cell to
move to a favorable location chemotactically. Like other
motile bacteria, caulobacters are provided with a chemi-
cal gradient sensory system that influences the activity of
the flagellar motor. Unlike peritrichously flagellated bac-
teria, these monoflagellate swarmers do not tumble, but
they do occasionally stall. Brownian motion is sufficient to
reorient the cell during a stall, and this passive tumbling
results in a redirection of the cell’s swimming when rota-
tion resumes. The components of the chemotaxis system,
synthesized before midcell constriction occurs, are placed
at the cell poles. However, even before constriction is
completed, they are swiftly destroyed by proteolysis at
the stalked pole and so are inherited almost exclusively by
the swarmer sibling. Proteolysis eventually eliminates the
system in the swarmer sibling as it begins the transition
from swarmer to stalked cell, in concert with the shedding
of the flagellum.
In the limited studies of specific stimuli of chemotaxis
in caulobacters, the strongest influences on this response
have proved to be potential nitrogen sources. This is
consistent with the striking effect of nitrogen limitation
as an inhibitor of the events that begin the maturation of a
swarmer into a stalked cell. It implies that a major purpose
of motility in these oligotrophic bacteria is to reposition
the young swarmer not only away from its sibling and into
an aerated region, but toward a substratum fixed in a
nitrogen-adequate location.
Bacteriophage receptors
There is a final set of functions that are transiently present
at the younger pole of a dividing cell: reception of bacter-
iophage. With few exceptions, the attachment of
bacteriophage produced by caulobacters is pole-specific,
and the pole is the same for all such viruses - the
236 Caulobacter

flagellated, sticky pole. All the RNA phages of caulobac-
ters attach to the pili; at least one type of DNA phage
attaches to the flagellum; and the majority of DNA phages
attach directly to the pole, either to unidentified compo-
nents of the outer membrane or to protein(s) situated at
the site through which pili are extruded. None is known
to be holdfast-specific. The unusual consequence of this
pole specificity is that bacteriophage infection is a ‘child-
hood’ disease of caulobacters, in the sense that
susceptibility to infection depends on traits of the juvenile
stage, the swarmer. As a consequence, virus infection
spreads through a caulobacter population only when the
environmental conditions are suitable for completion of at
least one reproductive cycle – and for the production of
virions.
Influence of Macronutrient Availability on Stalk
Initiation and Elongation
Almost all of the nutritional experiments have been con-
ducted with the species C. crescentus, which is amenable to
the studies of nutritional influences because it can grow in
chemically defined media. Nevertheless, one principle
regarding development in caulobacters is observable
with every isolate tested: development responds signifi-
cantly to changes in nutrient concentration, even in
complex media. Phosphate and nitrogen-source effects
were recognized early; effects of carbon source, calcium,
and magnesium are also known, but have received rela-
tively little attention to date.
Nitrogen source and stalk initiation
In general, caulobacter isolates can be cultivated in com-
plex media containing peptones, which provide nitrogen
as amino acids and peptides. C. crescentus,C.leidyi, and
some Asticcacaulis isolates can be cultivated in media that
provide inorganic nitrogen as ammonium or nitrate salts.
However, because C. crescentus lacks the low-affinity
ammonium uptake system of glutamate dehydrogenase
and depends on the high-affinity GS/GOGAT system
for ammonium assimilation, it starves for nitrogen when
ammonium is in excess. Such starvation is relieved by
supplementation of the medium with glutamate or by
substitution of nitrate for ammonium. Nitrogen limitation
has one long-known, demonstrable effect on the cell cycle:
nitrogen unavailability causes cell cycle arrest that post-
pones release of the flagellum, onset of DNA replication,
and initiation of stalk outgrowth. Nevertheless, little atten-
tion has been paid to nitrogen availability in many of the
developmental studies; the molecular details of develop-
ment so far described are based on studies of development
under nitrogen-adequate conditions.
Phosphate and stalk elongation
In considering stalk length in caulobacters, the age of the
stalk, which grows during each cell cycle, needs to be
accommodated. First-generation stalks have had only one
growth period, third-generation stalks have had three
growth periods, and so on. To compare two differently
manipulated populations with each other with respect to
stalk length, results will be informative only if stalk length
is measured only for the stalks in the same generation.
The first generation is by far the most variable, probably
due to composite influences on two stages of stalk devel-
opment – stalk initiation and stalk elongation. After the
first stalk band has been installed, stalk outgrowth occurs
by stalk elongation only, and that process can be evalu-
ated separately from stalk initiation.
Phosphate concentration in finite cultures and phos-
phate flux in perpetual cultures (chemostats) exert
striking effects on stalk development. At high phosphate
concentrations or fluxes, stalk length by the end of the
second cell cycle does not significantly exceed average
length of siblings at the time of completion of cell
constriction. During phosphate exhaustion in a phos-
phate-limited finite culture and most of the time in a
phosphate-limited chemostat culture, second-generation
stalks (with one or two bands) are several times longer
than newborn cells. It is readily inferred that abundant
phosphate retards stalk elongation. It probably also inhi-
bits stalk initiation, at least in mutants that appear
‘stalkless’ until grown in low-phosphate conditions. Stalk
initiation is, however, difficult to recognize until it is
followed by stalk elongation, and so cannot be studied
independently of elongation.
Like many other bacteria, C. crescentus possesses a Pho
regulon of genes whose expression is governed by the
availability of phosphate. Most of these genes occur in
an operon containing at least three genes for high-affinity
phosphate transport proteins and at least three for sensing
and responding to the availability of phosphate; another
transport gene, pstS, is at a separate locus. If these genes
work together in a manner similar to such genes in E. coli
(which seems probable), the relationship between phos-
phate abundance and rate of stalk elongation would be as
follows.
1. The proteins PstC, PstA, PstB, and PstS form a cell
membrane complex capable of high-affinity phosphate
transport. The complex is associated with the periph-
eral cytoplasmic protein PhoU, and through PhoU
with the integral membrane protein PhoR. PhoU
is a sensor protein and PhoR is a response modulator.
The response regulator, PhoB, is cytoplasmic, not
membrane-associated.
2. When phosphate is abundant, PhoR remains with the
complex, but when phosphate is scarce, it is trans-
ported via the Pst complex. The passage of phosphate
Caulobacter 237

through the complex releases PhoR from the complex,
but not from the cell membrane. PhoR then autopho-
sphorylates (see Figure 10(c)) and transfers its
phosphate group to PhoB.
3. PhoB-P activates genes of the Pho regulon, increasing
the abundance of the Pst proteins and providing other
features for dealing with phosphate limitation, such as
synthesis of phosphatases that enable the cell to
consume phosphorus from organic phosphate com-
pounds. In C. crescentus, these events are accompanied
by a marked acceleration of stalk elongation.
Studies with cell wall synthesis inhibitors indicate that some
of the immediate effectors of stalk outgrowth (initiation and
elongation) catalyze peptidoglycan synthesis and/or mod-
ification, but no such enzyme has yet been identified as
unique to stalk sacculus development. Studies of mutants
that seem able to divide without stalk outgrowth when
cultivated in phosphate-rich media have consistently been
foundabletoinitiateatleastsomeoutgrowthwhensub-
jected to phosphate limitation. Decades of searching for
C. crescentus mutants that are viable yet lack at least one
piece of genetic information essential to stalk development
has not yet yielded such a mutant. Every caulobacter labora-
tory has recognized the implication that because genetic
stalklessness appears to be lethal, it is reasonable to regard
stalk development as a process of cell surface morphogenesis
that is common to pole outgrowth and pole formation. The
latter process cannot be lost without eliminating fission.
Nevertheless, it is not unreasonable to expect that some
step late in the hierarchy of regulation of stalk development
could be eliminated without preventing fission, and a viable
unconditionally stalkless mutant may yet be found.
Proteomic characterization of the C. crescentus stalk has
identified several proteins that are known to participate in
nutrient acquisition – for example, TonB-dependent
receptors, certain outer membrane pore/channel pro-
teins, and phosphatases and other hydrolytic enzymes
that assist in increasing the transportability of charged
substrates. Altogether, the stalk proteins so far identified
appear to be a subset of the cell body periplasmic and
outer membrane proteins; none appears to be unique to
the stalk. Whether any of the stalk proteins are installed in
the stalk only during phosphate limitation has not yet
been systematically explored.
Control of Development: Protein Synthesis,
Modification, Localization, and Destruction
The core regulatory cascade of transcription
regulation
For the first three decades or so of developmental research
in C. crescentus, attention focused intensely on determining
the cause of the postponement of developmental events in
the swarmer sibling – events that occur in the stalked
sibling in the same order and at the same rate, but sus-
pended during motility in the swarmer sibling. By the
early 1990s, a lengthy description of regulation through
transcription control, protein phosphorylations that alter
protein activities, and installation of specific proteins at
specific cellular locations had been elucidated. Advances
since then in genome manipulation, sequencing, and inter-
pretation, as well as in subcellular microscopy of living
cells and in physicochemical analysis of protein structure,
have greatly accelerated the elucidation of further details.
ADP
ATP
ADP
ATP
(a)
(b)
(c)
ADP
ATP PhoR PhoB-P
PhoB
PhoR-P
ShkA
ShkA-P
ShpA-P TacA
TacA-P
ShpA
CckA ChpT-P
ChpT
CpdR CpdR-P
CtrA-P CtrA
OR
CckA-P
Figure 10 Example phosphorelays (P-relays) known to influence pole development and progress through the cell cycle in
Caulobacter crescentus. (a) CckA-initiated, to the gene activator CtrA-P. (b) ShkA-initiated, to the gene activator TacA, which can also
be phosphorylated via CtrA-P. (c) PhoR-initiated under conditions of phosphate limitation, to the gene activator PhoB-P.
238 Caulobacter

The core of the cell cycle’s direction as described by about
1990 has proved adequate as new information has been fit
into that core. Following is a brief description of the major
regulatory features that govern development in both sib-
lings: swarmer and stalked cell.
Four regulatory proteins constitute the core of the
regulatory mechanism: CcrM, DnaA, GcrA, and CtrA.
The last three of them are transcription regulators that
interact with each other’s genes and ccrM; as a group, they
also control at least 200 other genes whose products
mediate the cell changes and assist in regulation. Most
of the principles of cell cycle regulation in C. crescentus can
be laid out in terms of these four proteins – their regu-
lated expression, their placement relative to the cell poles,
and their cyclical destruction by proteolysis.
Description of a cycle can begin at any point; the point
used here is the epigenetic step: methylation of specific
nucleotides close to a gene’s promoter that affects the
gene’s transcription. Each of the other regulatory proteins
activates or inhibits transcription.
1. CcrM is the DNA methylase: its methylation of DNA
activates dnaA, but inhibits expression of ctrA and of its
own gene, ccrM.
2. DnaA activates gcrA: through a multitude of other
genes in its regulon, DnaA is essential for initiation of
DNA replication.
3. GcrA (probably not alone) activates ctrA transcription
from the first of ctrA’s two promoters, P1 and P2.
4. CtrA is phosphorylated by the CckA-initiated P-relay
(see Figure 10(a)). CtrA-P has multiple regulatory
effects as it accumulates:
1. activation of ctrA through its second promoter, P2,
providing positive feedback regulation of its own
transcription;
2. inhibition of ctrA transcription through P1, provid-
ing negative feedback of control of its transcription
by GcrA;
3. inhibition of transcription of gcrA; a, b, and c
together shift responsibility for regulation of ctrA
from GcrA to CtrA-P;
4. prevention of initiation of DNA synthesis by bind-
ing near the origin of replication (ori), blocking the
binding of the replication proteins. Initiation of
DNA replication happens only once in each cell
cycle in C. crescentus, necessarily occurring before
CtrA-P accumulates;
5. activation of ccrM, reinitiating this regulatory cas-
cade by activating DNA replication by inhibiting
transcription of ctrA.
The operation of this cascade results in the sequential
transcription of the four genes in order: dnaA,gcrA,ctrA,
ccrM. Each of the gene products DnaA, GcrA, and CcrM
is effective as an unmodified protein and begins to func-
tion as it accumulates. CtrA, in contrast, must be
converted into CtrA-P by phosphorylation, which is the
role of a phosphorelay (P-relay) initiated by an autopho-
sphorylating kinase, CckA.
Roles of phosphorelays
Protein phosphorylation is a mechanism for controlling
the activity of catalytic proteins, which may be activated
or inactivated by the addition of one or more phosphate
groups to target sites, typically serine, threonine, or his-
tidine residues. Cells also possess phosphatases that
remove the phosphate groups and reverse the direction
of control. P-relays provide control of metabolism by
making the phosphate groups available to the families of
proteins whose activation-inactivation depends on the
presence and activity of the relay components; the relays
thereby serve as a buffer to balance activation among
pathways and their branches and so to direct metabolic
traffic. Operation of a P-relay requires, at a minimum, a
kinase that transfers the phosphate group (‘P’) from a
nucleotide triphosphate to a protein (including itself, if
capable of autophosphorylation), and a phosphotransfer-
ase to move the phosphorus to at least one other protein.
In a P-relay involved in regulation of transcription rather
than of enzyme activities, one of the proteins along the
relay is converted from an inactive form into a gene-
activating protein that will target promoters that contain
a unique, shared sequence. Activation of a set of such
genes (a regulon) provides the cell with new, usually
related properties simultaneously.
The genome of C. crescentus contains 106 genes – an
exceptionally high number – for two-component signal-
transduction proteins that function via P-relays. The
activity of one-third of these genes rises and falls as
the cell progresses through the cell cycle, implying that
they participate in the regulation of morphogenesis in
C. crescentus. Such roles are known for two of the three
examples of C. crescentus P-relays illustrated in Figure 10.
The CckA-initiated P-relay (Figure 10(a)) passes phos-
phate groups from ATP to ChpT, a branch point protein
in the relay from which the phosphorus can be passed to
more than one other protein. One of those proteins is
CtrA; another is CpdR. The CckA-initiated relay is,
therefore, integral to the core of cell cycle regulation in
C. crescentus.
The second relay illustrated (Figure 10(b)) transfers
phosphorus from ATP through ShkA (the kinase) to
ShpA (the phosphotransferase) and then to TacA (the
response regulator). TacA-P is an enhancer-binding pro-
tein that can also be phosphorylated through CtrA-P. One
of the genes activated by TacA-P, staR, is essential for
stalk elongation in nutrient-rich medium; the require-
ment for staR may account in part for the known need
for intact tacA for that process. The third, shortest relay
(Figure 10(c)) illustrates the role of a P-relay in the
response of Gram-negative bacteria, presumably
Caulobacter 239

including caulobacters, to environmental limitation for
phosphate as a nutrient, which was discussed above (see
section ‘Phosphate and stalk elongation’).
Chromosome and protein localization
In the dividing cell, one copy of the origin of replication
(ori) of the C. crescentus chromosome is situated at each
pole. Completion of constriction separates the siblings,
each with a copy of ori at its now-older pole. In the next
cycle, as soon as replication begins (sooner, in the stalked
sibling; later, in the swarmer cycle), one copy of ori
migrates to the younger pole. Thus, for most of the cell
cycle, begun either by a swarmer or by a stalked cell, the
two copies of ori are at opposite poles.
Also prior to the completion of cell fission, the protein
CpdR has somehow guided the installation of the pro-
tease ClpXP at the stalked pole. Several other proteins
become localized to the poles late in the cell cycle.
Motility-associated proteins of the entire flagellar struc-
ture and chemotaxis system (e.g., McpA) are found only in
the swarmer sibling, some installed in the cell envelope,
others dispersed in the cytoplasm. Proteins associated
with constriction (including FtsZ, MurG, and RodA; see
‘Placement of cytoskeletal proteins and cell wall synthesis
complexes’) have gathered at about midcell. By the time
the cell divides into two morphologically distinguishable
siblings, they are also distinguishable by the presence of
and arrangement of internal proteins. Probably most sig-
nificantly, the core regulatory protein CtrA remains at ori
within the stalked pole, but disperses into the cytoplasm
in the swarmer sibling.
Starting over: Proteolysis
Following the separation of the two copies of ori, CtrA-P
accumulates, binds to ori, and blocks initiation of another
round of replication during the remainder of the cell
cycle, in both siblings. However, during constriction,
while newly synthesized CtrA remains dispersed in the
swarmer compartment, CtrA becomes localized at the
stalked pole in the other compartment. Also localized at
the stalked, but not the flagellated, pole is a complex of
proteins that includes the protease ClpXP. Within that
complex, ClpXP destroys the local CtrA and frees ori for
the initiation of DNA replication.
An efficient and dependable way to halt the core
regulatory cascade and reset the entire developmental
sequence would be to destroy at least one of the core
proteins. Which one to destroy?
•CcrM? CcrM destruction would not be efficient
because CtrA-P promotes CcrM synthesis and would
compete with proteolytic removal of CcrM.
•GcrA? By the time CtrA-P appears, GcrA has already
lost control of ctrA transcription, so it is no longer part
of the cascade.
•DnaA? DnaA destruction would prevent DNA initia-
tion, which is already blocked by CtrA-P.
•CtrA/CtrA-P? CtrA destruction would allow residual
CcrM to promote synthesis of DnaA, enabling DNA
synthesis; it would clear away the blockage at ori so that
DNA replication could be initiated; and ctrA transcrip-
tion would be brought back under the control of the
cascade. Finally, CtrA phosphorylation by the CckA-
initiated P-relay (Figure 10(a)) would lack its CtrA
substrate.
C. crescentus destroys the CtrA. The responsible protease is
positioned at the stalked pole of the dividing cell and does
not diffuse into the incipient swarmer. Adding to the
asymmetry of the next events is a role of the CckA-
initiated P-relay, which is interrupted in the stalked sib-
ling. As phosphorylation of CtrA fails, the protein
becomes more susceptible to proteolysis and is destroyed,
and the cascade begins again with the production of
CcrM.
CtrA-P persists for a while in the newborn swarmer,
but proteolysis of CtrA will occur in the swarmer sibling
later – after the period of motility – and involves proteins
and events that are not yet as certain as those identified in
the stalked sibling. There are roles for the CckA-initiated
P-relay, a phosphatase (PleC) localized in the swarmer
cytoplasm, DivK/DivK-P, and once again for ClpXP. In
addition to the effects of CtrA-P noted above, CtrA-P
activates divK, whose product inhibits the P-relay from
CckA to CpdR. Inhibition of CtrA proteolysis, an effect of
CpdR-P, probably declines, allowing CtrA proteolysis in
the swarmer, finally resetting the core regulatory cascade.
This seems to coincide with the release of the flagellum,
retraction of the pili (if present), initiation of DNA synth-
esis, and the onset of stalk outgrowth.
Besides CtrA, ClpXP also attacks FliF, the flagellar
motor switch, and McpA, a chemotaxis protein, both
located at the flagellated pole. Proteolysis of FliF is a
candidate as a crucial step in the release of the flagellum,
which occurs close in time to the onset of DNA replica-
tion. The McpA will be replaced by renewed synthesis as
the transcription cascade of flagellar genes begins again
later in the cell cycle.
In summary, although the story of development in this
dimorphic bacterium is a 3-chapter tale of poles, the cast of
participants includes scores of proteins. The plot involves
regulation of transcription; covalent modification of
proteins that alters their activities; and localization of
cytoskeletal proteins, cell wall synthesis complexes,
DNA-binding proteins, and structural proteins to target
sites or away from barriers. Unraveling the plot has revealed
240 Caulobacter

that these bacteria achieve functional compartmentalization
of the protoplast by localization of proteins rather than by
the familiar elaboration of internal membrane barriers seen
in eukaryotic cells. Ultimately, degradation of certain par-
ticipants resets the sequence and renews the cycle of events.
The greater the detail in which this story is related, the
stronger the implication that the unique dimorphy of cau-
lobacters expresses a complex and sophisticated genetic
heritage, and that dimorphy is of great significance to the
successofcaulobactersastheyekeouttheirexistenceby
competing for nutrients that are perpetually scarce.
In today’s biology, we accept the notion that cells do not
create genes; they copy them. The remarkably detailed
molecular studies of C. crescentus development should help
us recognize the parallel throughout the cell: some mole-
cules in addition to DNA must be present for still other
molecules to be synthesized and ordered. Like peptidogly-
canandDNA,whichcanbepolymerizedonlyinacellthat
has some of each, the cascades, feedback loops, protein
phosphorylation pathways, and other controlling events,
which occur during C. crescentus development, occur nor-
mally only in cells in which certain key events are already
in progress and where certain key proteins are already in
place. C. crescentus research, with an abundance of molecular
detail, is contributing to cell biology an elegant lesson in the
meaning of the biotic continuum.
Further Reading
Aaron M, Charbon G, Lam H, Schwartz H, Vollmer W, and
Jacobs-Wagner C (2007) The tubulin homologue FtsZ contributes
to cell elongation by guiding cell wall precursor synthesis
in Caulobacter crescentus.Molecular Microbiology
64(4): 938–952.
Biondi EG, Skerker JM, Arif M, Prasol MS, Perchuk BS, and Laub MT
(2006) A phosphorelay system controls stalk biogenesis during cell
cycle progression in Caulobacter crescentus.Molecular
Microbiology 59(2): 386–401.
Chiaverotti TA, Parker G, Gallant J, and Agabian N (1981) Conditions
that trigger guanosine tetraphosphate accumulation in Caulobacter
crescentus.Journal of Bacteriology 145(3): 1463–1465.
Evinger E and Agabian N (1977) Envelope-associated nucleoid from
Caulobacter crescentus stalked and swarmer cells. Journal of
Bacteriology 132(1): 294–301.
Gitai Z, Dye NA, Reisenauer A, Wachi M, and Shapiro L (2005) MreB
actin-mediated segregation of a specific region of a bacterial
chromosome. Cell 120: 329–341.
Gober JW and Marques MV (1995) Regulation of cellular
differentiation in Caulobacter crescentus.Microbiological Reviews
59(1): 31–47.
Henrici AT and Johnson DE (1935) Studies on fresh water bacteria. II.
Stalked bacteria, a new order of schizomycetes. Journal of
Bacteriology 30: 61–93.
Iniesta AA, McGrath PT, Reisenauer A, McAdams HH, and Shapiro L
(2006) A phospho-signaling pathway controls the localization and
activity of a protease complex critical for bacterial cell cycle
progression. Proceedings of the National Academy of Sciences of
the United States of America 103(29): 10935–10940.
Laub MT, Shapiro L, and McAdams HH (2007) Systems biology of
Caulobacter.Annual Reviews of Genetics 41: 429–441.
Lawler ML and Brun YV (2007) Advantages and mechanisms of polarity
and cell shape determination in Caulobacter crescentus.Current
Opinion in Microbiology 10: 630–637.
Nierman WC, Feldblyum TV, Laub MT, et al. (2001) Complete genome
sequence of Caulobacter crescentus.Proceedings of the National
Academy of Sciences of the United States of America
98(7): 4136–4141.
Poindexter JS (1964) Biological properties and classification of the
Caulobacter group. Bacteriological Reviews 28: 231–295.
Schmidt JM and Stanier RY (1966) The development of cellular stalks in
bacteria. Journal of Cell Biology 28: 423–436.
Shapiro L, Agabian-Keshishian N, and Bendis I (1971) Bacterial
differentiation. Science 173: 884–892.
Caulobacter 241

Cell Cycles and Division, Bacterial
N Nanninga, Universiteit van Amsterdam, Amsterdam, The Netherlands
ª2009 Elsevier Inc. All rights reserved.
Defining Statement
Introduction
Terminology and Concepts
The Cell Cycle of E. coli
DNA Replication Cycle
Division Cycle
Cell Cycle Regulation
Further Reading
Glossary
cell division genes Genes that encode for proteins that
specifically function during the division process.
constriction, septation Mode of cell envelope
invagination during division. During constriction all
envelope layers move inward simultaneously and the
daughter cells move gradually apart; septation involves
the ingrowth of the cell envelope forming a T-like
structure.
cytokinesis The process of cell division in prokaryotes.
By contrast, in eukaryotic cells division also includes
mitosis.
dcw cluster The cluster of genes involved in division (d)
and cell wall (cw) synthesis. In many bacteria this cluster
is evolutionary conserved.
divisome The macromolecular complex that carries out
division at the cell center.
Fts proteins Cell division proteins encoded by fts
genes. In temperature-sensitive (ts) cell division
mutants, division is blocked, and because cells continue
to grow filaments (f) are formed.
minicells Small DNA-less cells that arise through
divisions at the poles of rod-shaped bacteria.
multifork replication More than one round of DNA
replication going on in the same chromosome. It arises
when the doubling time of the culture is shorter than the
duration of the DNA replication period.
penicillin binding proteins Proteins involved in
peptidoglycan assembly outside the cytoplasmic
membrane. They bind specific antibiotics.
peptidoglycan Covalently closed structure that has
the shape of a bacterium. It is composed of glycan
chains, which have peptide side chains. Cross-linking
through the peptide side chains provides for a strong
network.
potential division sites Cellular sites beyond the
nucleoid areas. They occur at cell pole or in the cell
center, provided that the nucleoids have segregated.
Abbreviations
ffilaments
IM inner membrane
OM outer membrane
PG peptidoglycan layer
PIPS PBP3-independent peptidoglycan synthesis
ssDNA single-stranded DNA
ts temperature-sensitive
Defining Statement
The cell cycle of bacteria and archaea is treated with empha-
sis on the former. The difference with the eukaryotic and
bacterial cell cycle is emphasized. The temporal relationship
of the DNA replication cycle and the division cycle is eluci-
dated. The division process is described in molecular terms.
Introduction
Proliferation of cells, whether pro- or eukaryotic, requires
duplication of cytoplasm and genetic material (DNA) and
the subsequent distribution of the new genomes over two
daughter cells. For the individual cell this is achieved by
fission of a cell that is on average 2 times as large as a
newborn one. All molecular components should have
been duplicated before fission.
Terminology and Concepts
Though the above description applies to all cells, some
prokaryotes (bacteria) show features that are essentially
different from their eukaryotic counterparts. It is impor-
tant to appreciate these differences because, as will be
242

shown below, they bear on concepts pertaining to the
progression of the cell cycle. For instance, is a newborn
cell completely new or is there actually a cell cycle?
According to the standard view, a eukaryotic cell cycle
is punctuated by four sequential periods: the G1-period in
which cells grow and prepare for DNA replication, the
S-period in which DNA replication takes place, the
G2-period where cells prepare for mitosis, and finally,
the M-period during which chromosomes become com-
pact, align in the cell center, and segregate producing new
daughter cells. The fission of cells is termed cytokinesis.
Note that in the eukaryotic field cell division encom-
passes mitosis and cytokinesis, whereas in prokaryotes
cytokinesis is commonly designated as cell division
alone. Of the many prokaryotic species, only a few bac-
teria have been or are being studied in detail. However,
cell cycle studies on archaea are emerging. For bacterial
cell division, a distinction should been made between
Gram-positive (Bacillus subtilis,Enterococcus hirae (formerly
called Streptococcus faecalis and S. faecium), Streptococcus
pneumoniae) and Gram-negative species (Caulobacter cres-
centus and Escherichia coli).
Gram-positive organism divide by septation and
Gram-negatives by constriction (Figure 1). In the Gram-
positives, a circumferential inward-growing septum divides
the new daughter cells, whereas in the latter, the cell con-
stricts in the cell center (Figure 2). The cell envelope of
E. coli, as in all Gram-negatives, is composed of three layers.
From outside to inside these are the outer membrane, the
peptidoglycan or murein layer, and the inner or cytoplas-
mic membrane. B. subtilis, as a typical Gram-positive, lacks
an outer membrane (which affects the Gram stain) and has a
thick cell wall composed of peptidoglycan and teichoic
acid as the main components. Because of its rigid nature,
the peptidoglycan-containing cell wall serves as an exoske-
leton, which maintains the cell shape. Its strength prevents
cellular disruption due to osmotic pressure and also plays
an active role during the constriction process. Recent
research has revealed an endoskeletal helix composed of
the actin-like protein MreB directly underneath the inner
membrane. Disruption of the helix leads to spherical cells,
suggesting a functional interplay between MreB helix and
peptidoglycan assembly in establishing and maintaining cell
shape.
To date, E. coli has been studied most intensively with
respect to the cell cycle, though closely followed by
B. subtilis and C. crescentus. For this reason, we will focus
on E. coli.
However, some interesting features have emerged
from the study of archaea, which differentiate them
from bacteria and shed a broader light on prokaryotes in
general.
The Cell Cycle of E. coli
The Cell Cycle Periods of E. coli Differ from
those of Eukaryotes
How do the standard eukaryotic cell cycle periods
compare with those of a bacterium like E. coli?Inboth
cases, the lengths of the periods are affected by growth
conditions. In eukaryotes the duration of G1 is directly
related to the richness of the growth medium, the other
periods being somewhat independent; however, in
E. coli, the growth conditions specifically affect the
position of the DNA replication period in the division
cycle. In slowly growing cells, that is, cells growing in a
relatively poor medium, an equivalent of a G1-period
can be distinguished. This is followed by an S-like
period denoted as C. However, a striking difference
with eukaryotes can now be observed; in E. coli, DNA
replication and DNA segregation go hand in hand.
Therefore, in fact, S ¼M. Consequently, bacteria lack
classical mitosis. In E. coli the C-period is followed
by the D-period, being defined as the period between
termination of DNA replication and cell division.
During the D-period cells prepare for and carry out
cytokinesis. Thus, the G2- and M-periods have no
direct counterparts in E. coli. As will be shown below,
archaea appear to resemble eukaryotic cells.
E. coli B. subtilis
Cell wall
}{
Outer
membrane
Peptidoglycan
layer
Inner
membrane
Peptidoglycan
plus
teichoic acid
Figure 1 Division by constriction in Escherichia coli and by
septation in Bacillus subtilis. During the constriction process
the envelope layers invaginate together; during septation a
T-structure is formed.
Figure 2 Electron microscopical image of a thin section of
dividing Escherichia coli. Cytokinesis involves contriction of the
envelope layers (cf. Figure 1). Scale ¼0.5 mm. Courtesy of
Dr. CL Woldringh.
Cell Cycles and Division, Bacterial 243

The Division Cycle and the DNA Replication
Cycle Do not Coincide
The duration of C is affected by growth conditions. E. coli
B/r cells that grow with doubling times (Tds) of
20–60 min at 37 C have a C-period of 40 min and a
D-period of 20 min. This length of D appears to be the
minimal time span required to build the division appara-
tus or divisome (see below). Similarly, the shortest
duration of C is about 40 min. Thus, under given growth
conditions at least 60 min (C þD) have to elapse before
fission is completed. Application of this rule for a range of
doubling times is graphically presented in Figure 3.
Let us start with a Td of 60 min. Since C þD¼Td,
DNA replication must start at cell birth. At slower growth
rates (Td > 60 min) a period without DNA synthesis after
birth is seen, and it becomes longer as Td increases. In
the example, the period is 20 min (Figure 3). When
CþD < Td, for instance, when Td is 50 min the duration
of the division cycle is not sufficient to complete DNA
replication and division. The problem is solved by DNA
replication beginning in the previous cycle. It can be seen
that DNA replication has to start 10 min before cell birth
(Figure 3). It will be appreciated that this leads to a
newborn cell whose chromosome is one quarter repli-
cated. Conceptually, this has an important consequence:
a newborn cell does not start out with a new round of
DNA replication.
Multifork Replication
What happens if C Td? For example, if Td ¼20 min
(when C þD¼60 min), DNA replication initiates at
cell birth two cycles earlier (I
1
in Figure 3). A new
initiation takes place every 20 min in line with Td.
These subsequent initiations have been indicated at I
2
and I
3
in Figure 3. As a result, the newborn cell of the
extant cell cycle has its chromosome not only fully
replicated (two chromosomes in a newborn cell) but it
also has been engaged in DNA replication for 20 min.
Moreover, a new round of DNA replication starts at
birth (I
3
in Figure 3). As a consequence, 5 min after
birth, the bacterial chromosome is involved in two
DNA replication cycles simultaneously. This phenom-
enon has been termed multifork replication (Figure 4).
In eukaryotes, multifork replication does not occur,
presumably because chromosome compaction during
mitosis precludes DNA replication. It is also for this
reason that in eukaryotes the DNA replication cycle is
contained within the ongoing division cycle. In bacteria,
as outlined above, this is not obligatory. The fact that in
bacteria the DNA replication cycle and its division cycle
do not always coincide implies (as mentioned above) that
a newborn bacterial cell is not completely new. Clearly,
bacteria can also do without an identifiable G1-period.
This has led to the notion that bacteria continuously
prepare for the initiation of DNA replication, not only
during DNA replication but also during D. It implies that
the bacterial G1-period has no specific functional mean-
ing; it simply arises because C þD < Td. It has been
argued that the same reasoning would apply to the G1-
period in eukaryotes. This common concept for pro- and
eukaryotes has been called the continuum model by
Cooper. The division cycle can be conceived of as a
means for a cell to maintain and enlarge its molecular
BCD
806020
I1
I1
I1
I1I2I3
0
04060
0–10
–40 0 20
30 50
Figure 3 Temporal relationship between DNA replication
period (C) and the division cycle in Escherichia coli B/r at
doubling times (Tds) from 20 to 80 min at 37 C. B, period
between cell birth and initiation of DNA replication. D, period
between termination of DNA replication and cell division. The
C-period is shown as a brown bar. An interrupted brown bar
denotes DNA replication before cell birth at the extant cycle. In
this scheme, C ¼40 min and D ¼20 min. I
1
, initiation of DNA
replication belongs to the extant division cycle. I
2
and I
3
,
subsequent initiations of DNA replication. The frequency of
initiation equals Td. The green line depicts an unreplicated
chromosome. The red dot represents an activated origin of
replication. At Td ¼50 min, one quarter of the chromosome has
been replicated at birth. At Td ¼20 min, a newborn cell contains
two chromosomes that have been replicated halfway. Initiation of
DNA replication follows immediately after birth at the four origins.
This happens before the ongoing round of replication has been
completed. This results in multifork replication (cf. Figure 4). How
one arrives at the chromosome configuration at cell birth is
shown below. At Td ¼20 min, 20 min are needed for the
preparation of division (D-period), which is preceded by
C¼40 min. Thus I
1
begins at –40 min as indicated. After 20 min at
–20 min the chromosome is replicated halfway. At the same time
(after one Td) a new round of DNA replication starts at I
2
. One Td
later chromosomes have segregated and are at the same time
replicated halfway. New initiations start at I
3
. Note that cells
become bigger as Tds decrease. C and D values apply for E. coli
B/r grown at 37 C. For K12 strains they can be different.
244 Cell Cycles and Division, Bacterial

fabric to allow replication of its genome. Thus, while mass
continues to be made, the bacterial chromosome repli-
cates, independently of division. This leads to the
question, do cells really cycle?
As indicated above (Figure 3), cellular DNA con-
tent increases with the growth rate. Roughly, there is
a relationship between cell size and the number of
chromosomes that initiate DNA replication. Thus,
dependent on growth conditions there can be a dra-
maticdifferenceincellmassandDNAcontent
(Figure 5).
DNA Replication Cycle
DNA Replication Cycle in E. coli
In the standard description of the eukaryotic cell cycle
the G1-period encompasses protein synthesis including
preparation for DNA replication during the S-period
(see, however, the continuum model above). A separate
description of the bacterial equivalent (B-period) does not
seem warranted because it is often not distinguishable
(dependent on growth conditions; see above).
It has been early recognized that initiation of DNA
replication takes place at a defined cell mass (initiation
mass). Of course, the challenge has been to translate this
rather vague notion into molecular terms. In E. coli, the
protein DnaA has been invoked as a positive regulator of
initiation of DNA replication. DNA replication in E. coli
starts at a fixed origin sequence on the chromosome (oriC)
and progresses bidirectionally toward the terminus terC
(Figure 4). OriC is a 258-bp sequence that is flanked by
other regions required for the onset of DNA replication.
Of particular importance are the so-called DnaA boxes
that recognize the DnaA protein. DnaA becomes active
when it binds ATP. When sufficient DnaA-ATP is avail-
able for occupation of the DnaA boxes, melting of the
DNA double strands of the origin takes place, allowing
replication proteins to bind. There are additional DnaA
boxes on the chromosme but their function is not known.
Conceivably, these boxes titrate away excess DnaA to
prevent premature reinitiation of oriC. Continued protein
synthesis serves to provide new DnaA molecules for a
next round of replication.
An additional mechanism has been invoked that pre-
vents premature initiation of DNA replication. This is
based on the fact that newly synthesized DNA is hemi-
methylated in contrast to mature DNA, which is fully
methylated. Hemimethylated DNA containing GATC
sites becomes sequestered by a protein appropriately
called SeqA, thus preventing re-initiation of DNA repli-
cation. The duration of the re-replication block is of the
order of one third of Td. Presumably, this period in
combination with a limited amount of DnaA is sufficient
to prevent re-initiation prematurely.
DNA Replication Cycle in Archaea
Bacteria and archaea, though prokaryotes, differ consider-
ably from one another with respect to DNA replication
and possibly DNA segregation. This supports the increasing
evidence that archaea are closer to eukaryotes than to
bacteria. Though a limited number of archaea have been
investigated some interesting features have emerged.
For instance, in hyperthermophile, Sulfolobus spp., which
belong to the archaeal phylum Crenarchaeota the chromo-
some contains three different origins. These initiate
RF
RF
RF
RF
RF RF
RF RF
RF
RF
RF
RF
oriC terC
RF
RF
RF
Figure 4 Linear (left, cf. Figure 3) and circular (right)
representation of a replicating chromosome. oriC, origin of DNA
replication; terC, terminus of DNA replication; RF, replication
fork. The circle shows bidirectional replication. Below, multifork
replication is shown.
NNN
Figure 5 Electron microscopical images of thin sections of two
Escherichia coli cell halves. The left and right cells have been
grown at Tds of 21 and 150 min, respectively. The mean
respective genome equivalents are 4.6 and 1.2. The left cell
contains four replicating chromosomes at division, the right cell
one. Scale ¼1mm. N, nucleoplasm.
Cell Cycles and Division, Bacterial 245

simultaneously, though termination appears variable in time.
This is reminiscent of the multiple origins in a eukaryotic
chromosome. In S. solfataricus pairing of replicating as well as
postreplicating chromatids have been observed. This sug-
gests the presence of genuine G2-period in this organism.
Whether chromosome compaction precedes DNA segrega-
tion remains to be seen. However, it seems likely that DNA
replication and DNA segregation do not run in parallel as in
E. coli.
Division Cycle
The fastest division cycle in E. coli in rich medium at 37 C
is about 20 min, which is the same as the minimal
D-period. Consequently, cells growing with a Td of
20 min are continuously involved in cell division. As out-
lined above such cells initiate DNA replication every
20 min, which makes multifork replication a must. The
tight coordination between DNA replication and cell divi-
sion (Figure 3) requires that cell division takes place at the
right time and at the right place. How is this achieved?
The Divisome and Divisome Subassemblies
Most cell division proteins have been discovered through
the phenotypes of temperature-sensitive cell division
mutants. At the nonpermissive temperature cells grow as
filaments, thus revealing defects in the division process.
Many cell division proteins have the prefix Fts, meaning
filamentation-thermosensitive. Genetic studies have been
complemented by microscopic labeling studies, both by
electron microscopical immunogold labeling (Figure 6)
and fluorescent light microscopy (Figure 7). Cytokinesis
is carried out by a protein machine called the divisome,
which contains about 20 different proteins. The majority
of them are specific for the divisome; others are also active
during cell elongation. These proteins are located in
different cellular compartments and are cytoplasmic pro-
teins, integral transmembrane proteins, or periplasmic
proteins with a membrane anchor. Recently, a protein
complex has been identified (Tol-Pal), which connects
the divisome to the outer membrane.
The first protein to arrive at the site of division is the
cytoplasmic protein FtsZ (Figure 6). It is a tubulin homo-
logue with GTPase activity. FtsZ occurs in thousands of
copies per cell. Potentially, FtsZ forms one or more ring-
like polymers underneath the cytoplasmic membrane in
the cell center. The exact in vivo conformation of the FtsZ
polymer(s) is (are) not known. It clearly is a dynamic
structure, as demonstrated by photobleaching experi-
ments. The Z ring must decrease in circumference
during the constriction process, without losing its integ-
rity. Whereas FtsZ occurs in thousands of copies in a cell,
other proteins like FtsQ (Figure 7) are present in only
about 50 copies per cell. Thus, such proteins cannot
participate in forming a ring that spans the circumference
of the cell. Presumably, FtsQ and other low-copy number
proteins are grouped into divisome subassemblies, which
decorate extended FtsZ polymers (Figure 8).
Recent investigations have revealed the temporal
sequence of divisome biogenesis. The assembly of a func-
tional divisome takes place in two steps. In the first step,
the cell division proteins FtsA, ZipA, and ZapA bind and
stabilize an initial FtsZ ring. In the later stage, the other
cell division proteins are recruited, including FtsK, FtsQ,
FtsL, FtsB, FtsW, FtsI (PBP3; penicillin-binding protein
3), FtsN, and AmiC. Presumably, a subassembly is com-
posed of these proteins (Figure 9). Remarkably, a
complex of FtsB, C, and L can exist outside the divisome.
The function of the various proteins is largely unknown.
FtsA is a member of the actin superfamily, FtsK has a role
in separating chromosomes after termination of DNA
replication, FtsI is a transpeptidase, and AmiC an ami-
dase. The latter two proteins emphasize the importance of
peptidoglycan synthesis during division.
Figure 6 Electron microscopic image of immunogold labeled
FtsZ in a thin section. Reproduced from Nanninga N (1998)
Morphogenesis of Escherichia coli.Microbiology and Molecular
Biology Reviews 62: 110–129.
120’
Figure 7 Fluorescent image (right) of FtsQ-GFP labeled live
Escherichia coli. Left: phase contrast image. See attached film
clip GFP-FtsQ. Courtesy of Dr. T den Blaauwen.
246 Cell Cycles and Division, Bacterial

Potential Division Sites and Site Selection
Although it is customary to think that cells split in the
middle, additional potential division sites exist at the cell
poles (Figure 10). As depicted here, division takes place
at regions that are not near the nucleoid (nucleoid occlu-
sion; see ‘Cell cycle regulation’). Interestingly, polar
divisions occur in thermosensitive min mutants and result
in the so-called minicells. These are devoid of DNA,
though not of ribosomes, thus can still carry out some
residual protein synthesis. The phenomenon of minicell
production indicates the existence of a system to prevent
polar divisions. It is known as the Min system. The
protein MinC inhibits polymerization of FtsZ at the cell
poles. MinC is recruited to the membrane by the ATPase
MinD in its ATP-bound form. Binding of MinD to the
membrane is released by interaction with MinE, which
causes ATP hydrolysis. MinE is specifically active at the
cell center, thus preventing inhibition of FtsZ polymer-
ization by MinC. Remarkably, the polar topology of these
reactions is achieved by oscillation of MinD from pole to
pole. The time course of one oscillation is of the order of
1 min. The Min system, as described for E. coli, is not
found in B. subtilis and C. crescentus. Interestingly, Min
Outer
membrane
Inner
membrane
FtsZ-ring
Divisome
subassembly
Formation
of subassemblies
Constriction
Formation
of Z-ring
Peptidoglycan
layer
Figure 8 The division process in Escherichia coli. First the FtsZ
ring with associated proteins (FtsA, ZapA, and ZipA; not shown)
is formed. Next divisome subassemblies are positioned. During
constriction the subassemblies approach each other, whereas
FtsZ leaves the ring. Note that the various components have not
been drawn to scale.
MraY
AmiC
MurG
ZipA
ZapA
Z
A
Z
Z
Z
Z
Z
K
K
N
W
B
L
OM
IM
PG
PERI-
PLASM
Q
I
Figure 9 Protein composition of a divisome subassembly. The
divisome subassembly spans cytoplasm, inner membrane (IM),
peptidoglycan layer (PG), periplasm, and outer membrane (OM).
It interacts with an FtsZ scaffold, which is reinforced by the
cytoplasmic proteins FtsA, ZapA, and ZipA. The latter is
anchored to the inner membrane. Specific components of the
divisome subassembly are FtsB, FtsI, FtsK, FtsL, FtsN, FtsQ, and
FtsW. Most of the proteins have their main domain in the
periplasm as depicted. Note that FtsW is membrane-embedded.
The cytoplasmic domain of FtsK functions in DNA segregation.
Tol-Pal (not shown) connects the subassembly to the outer
membrane.
Potential division sites
Normal cellsMinicell
Figure 10 Potential division sites in a rod-shaped cell. Division
takes place where there is no physical obstruction of the
nucleoid, that is at poles and in the cell center. Normally division
only occurs in the cell center. However, when the Min system is
impaired a minicell is formed at a pole. Division starts by the
positioning of a Z ring (green) composed of polymerized FtsZ.
Cell Cycles and Division, Bacterial 247

proteins (and FtsZ) have been found in chloroplasts and
in some mitochondria, which emphasizes their endosym-
biontic origin of the latter.
Though the mechanism of division site selection is not
fully understood, elements include the sensing of the
cellular position of the nucleoid (see below) and the
inhibition of polar divisions by the Min system.
Peptidoglycan Synthesis during Cell Elongation
After birth, rod-shaped cells like E. coli elongate before
they divide. This implies growth of the covalent peptido-
glycan layer and insertion of new components in the
noncovalent inner and outer membrane. Precursors of
building blocks for the peptidoglycan layer are produced
stepwise in the cytoplasm. The final cytoplasmic products
are lipids I and II, which are made by the enzymes MraY
and MurG, respectively. MraY, a translocase, is an inte-
gral membrane protein that binds UDP-MurNAc-
pentapeptide to undecaprenyl phosphate forming lipid I.
MurG, a transferase, is tightly associated with the
cytoplasmic side of the inner membrane. It adds UDP-
GlcNAc to lipid I producing lipid II. An unknown flip-
pase activity transfers the disaccharide moiety of lipid II
to the periplasmic side of the inner membrane, where it
serves as a substrate for penicillin-binding proteins.
Elongation of the glycan chains of existing peptidoglycan
is carried out by a transglycosylase activity and cross-
linking of peptide side chains is due to a transpeptidase
activity. Some PBPs, such as PBP1a and PBP1b, are
bifunctional and perform both activities. PBP2 is mono-
functional with only a transpeptidase activity. PBP2 is
essential for the cells’ rod shape, because mutations or
binding by the PBP2-specific antibiotic mecillinam turns
rods into spheres. Light microscopic fluorescent studies
have shown that PBP1b and PBP2 are dispersed along the
lateral wall, with additional label at the site of constriction
(see also below). Another rod-shape determinant is RodA,
a transmembrane protein, whose biochemical function is
not yet known.
In recent years, increasing evidence points to the pre-
sence of macromolecular complexes that connect
cytoplasm and periplasm to carry out peptidoglycan
synthesis at many site along the cells’ length. These com-
plexes do not seem to be randomly located, but are
probably arranged in a helical fashion, with the actin-
like MreB polymer serving as a scaffold (Figure 11).
Such an arrangement can explain why a diffuse incor-
poration of peptidoglycan precursors has been found in
earlier studies. Earlier studies have also shown that outer
membrane assembly is a random process along the cell
length, presumably also obscuring the helical insertion of
its components.
Though we have focused on PBPs with synthetic
activities, there are numerous other enzymatic activities
that lead to remodeling and recycling of peptidoglycan. In
this sense, Figure 11 represents only a first approxima-
tion of the in vivo situation.
Peptidoglycan Synthesis at the Divisome
Constriction is not simply the pulling inward of the envel-
ope by an FtsZ ring of a decreasing circumference. The
constriction process requires local envelope synthesis at
least on the level of the peptidoglycan layer. Early electron
microscopic autoradiographic studies have shown that the
peptidoglycan precursor [
3
H]-meso-diaminopimelic acid is
especially incorporated at the site of constriction. FtsI
(PBP3) is involved in divisome-specific peptidoglycan
synthesis. It is the most intensively studied of all cell
division proteins. Certain antibiotics, such as cephalexin,
furazlocillin, and aztreonam, act on this protein specifi-
cally. Inhibition of FtsI by these antibiotics or inactivation
of FtsI in a thermosensitive ftsI mutant at the nonpermis-
sive temperature produces filaments with aborted blunt
constrictions. This is in contrast to filaments of thermo-
sensitive ftsZ mutants, which have a smooth morphology.
Peptidoglycan assembly does not take place at the blunt
constrictions. Remarkably, inhibition of FtsI does not pre-
vent peptidoglycan synthesis at new division sites flanking
the blunt constrictions (Figure 12). This has been demon-
strated by electron microscopic autoradiography and by
viewing the dilution of immunogold label attached to –SH
groups of D-Cys incorporated into the peptidoglycan
layer. It is plausible that initial peptidoglycan synthesis at
MreC PBP2 PBP1b
RodA
PG
OM
PERI-
PLASM
IM
MraYMreD
MurG MreB
MreB
MreB
MreB
MreB
MreB
MreB
Figure 11 Protein machine involved in cell elongation. It
encompasses components in cytoplasm, inner membrane, and
nascent peptidoglycan. IM, inner membrane; OM, outer
membrane; PG, peptidoglycan layer. The peptidoglycan
synthesizing machinery including MurG, MraY, PBP1b, and
PBP2 is positioned by a helical MreB polymer underneath the
inner membrane. This model integrates data from Escherichia
coli and Caulobacter crescentus.
248 Cell Cycles and Division, Bacterial

the division site is carried out by PBP2 and PBP1b as
remnants of the cell elongation system. The phenotype of
FtsI-impaired cells has led to an early suggestion that FtsI
plays a role in a later stage of cell division. It also fits the
idea that FtsI becomes recruited to the assembling divi-
some in a second step (see above).
The localized function of FtsI requires the presence of
enzymes, which prepare the substrate prenylated disac-
charide peptide (lipidII) for PBPs to act upon in the
periplasm. During cell elongation these enzymes are
MraY and MurG. Most likely, these proteins are also
present in the divisome (Figure 9).
Organization of Cell Division Genes on
the Chromosome
The E. coli chromosomal map is divided into 100 min. In
this organism most cell division genes are located at 2 min.
Remarkably, many genes encoding enzymes involved in
the formation of peptidoglycan precursors and in pepti-
doglycan assembly are also situated in this region. The 2-
min region is therefore also denoted as the dcw cluster,
where dstands for division and cw for cell wall
(Figure 13). This clustering suggests the existence of a
global regulatory mechanism that coordinates expression
of the many genes and which directs the transformation of
elongation-specific to division-specific peptidoglycan
synthesis. To date, little is known about division-specific
gene expression. Recent studies on genomic sequences
have shown that the dcw cluster is conserved among
bacteria (Figure 8). Note that archaea have no peptido-
glycan and, consequently, no PBPs.
Cell Cycle Regulation
In the E. coli cell cycle the frequency of initiation of DNA
replication equals Td. If C þD < Td, newborn cells con-
tain a replicating chromosome, which exemplifies the fact
that a newborn cell is not completely new. If C > Td,
multifork replication ensues. Cells have to know when
to initiate DNA replication and when to start cell division.
Though some molecular aspects have been discussed
above, a complete picture is still far off. Transcriptional
regulation through a central controller might be a possible
means to exert control on cell cycle events. However,
cellular biochemical processes might be interwoven in
such a way that the concept of a central controller might
not apply.
It is intriguing that cells are capable to adjust for DNA
damage via the so-called SOS response (see below).
Another regulating aspect resides in the cells’ perception
of the location of its nucleoid, thus prohibiting the
cutting of its DNA by the constricting envelope
(nucleoid occlusion).
PIPS PIPSInhibition of Ftsl
Figure 12 Inactivation of FtsI (PBP3) halts constriction and
produces blunt constrictions. Incipient division remains possible
at future division sites flanking the aborted constriction. FtsZ
rings (green) form and PBP3-independent peptidoglycan
synthesis (PIPS) proceeds.
mraZ mraW ftsL ftsl murE murF mraY murD ftsW murG murC ddIB ftsQ ftsA ftsZ envA
Escherichia coli
Bacillus subtilis
Thermus thermophilus
Chlorobium tepidum
mraZ mraW ftsL ftsl spoVD murE murF mraY murD ftsW murG murB ftsQ ftsA ftsZ
mraZ mraW ftsl murF mraY murD ftsW murG murC murB ddIB ftsQ ftsA ftsZ
mraZ mraW ftsl murE murF mraY murD ftsW murG murC ftsQ ftsA ftsZ
Figure 13 Genes involved in cell division (d) and cell wall (cw) synthesis are grouped together (dcw cluster) in a wide range of
bacteria. In Escherichia coli they are located at the 2-min region of the chromosome. Genes encoding for cell division proteins are
shown in red; those involved in cell wall synthesis in green. Reproduced from Mingorance J, Tamames J, and Vicente M (2004) Genomic
chanelling in bacterial cell division. Journal of Molecular Recognition 17: 481–487.
Cell Cycles and Division, Bacterial 249

SOS- Response
DNA damage prevents completion of DNA replication
and segregation. As a consequence cell division is inhib-
ited. Damage can occur, for instance, upon UV radiation
or by treating cells with a chemical like nalidixic acid.
Cell division is postponed until damaged DNA has been
repaired (if possible). This safeguarding of cell division
until DNA has been properly repaired is called the SOS
response. If damage leads to the formation of single-
stranded DNA (ssDNA) at a replication fork, a protein
called RecA polymerizes on the ssDNA. This in turn
depletes a repressor called LexA, which allows the
expression of the cell division inhibitor SulA (SfiA),
among other things. SulA inhibits the polymerization of
FtsZ at the cytoplasmic membrane in the cell center.
Nucleoid Occlusion
Potential division sites (Figure 10) exist where there is no
spatial obstruction by the nucleoid. This implies that the
divisome is assembled after nucleoids have segregated
upon completion of DNA replication. This is known as
the nucleoid occlusion model. So far little is known about
the sensing mechanism that links termination of DNA
replication (and segregation) with initiation of division.
However, recently DNA-binding proteins (Noc and
SlmA), which seems to interfere with divisome assembly,
have been detected in B. subtilis and E. coli, respectively.
Further Reading
Alberts B, Johnson A, Lewis J, Raff M, Roberts K, and Walter P
(2002) Molecular Biology of the Cell, 3rd edn. New York: Garland
Science.
Cooper S (1991) Bacterial Growth and Division. San Diego: Academic
Press.
De Pedro MA, Quintela JC, Ho¨ ltje JV, and Schwarz H (1997) Murein
segregation in Escherichia coli.Journal of Bacteriology
179: 2823–2834.
Errington J, Daniel RA, and Scheffers DJ (2003) Cytokinesis in bacteria.
Microbiology and Molecular Biology Reviews 67: 52–65.
Gerding MA, Ogata Y, Pecora ND, Niki H, and de Boer PAJ (2007)
The trans-envelope Tol-Pal complex is part of the cell division
machinery and required for proper outer-membrane invagination
during cell constriction in E.coli.Molecular Microbiology
63: 1008–1025.
Goehring NW and Beckwith J (2005) Diverse paths to midcell: Assembly
of the bacterial cell division machinery. Current Biology
15: R514–R526.
Kruse T, Bork-Jensen J, and Gerdes K (2005) The morphogenetic
MreBCD proteins of Escherichia coli form an essential membrane-
bound complex. Molecular Microbiology 55: 78–89.
Lundgren M and Bernander J (2007) Genome-wide transcription
map of an archaeal cell cycle. Proceedings of the National
Academy of Sciences of the United States of America
104: 2939–2944.
Lutkenhaus J (2007) Assembly dynamics of the bacterial MinCDE
system and spatial regulation of the Z ring. Annual Review of
Biochemistry 76: 539–562.
Margolin W (2006) Bacterial division: Another way to box in the ring.
Current Biology 16: R881–R884.
Mingorance J, Tamames J, and Vicente M (2004) Genomic chanelling
in bacterial cell division. Journal of Molecular Recognition
17: 481–487.
Nanninga N (1998) Morphogenesis of Escherichia coli.Microbiology and
Molecular Biology Reviews 62: 110–129.
Nanninga N (2001) Cytokinesis in prokaryotes and eukaryotes:
Common principles and different solutions. Microbiology and
Molecular Biology Reviews 65: 319–333.
Nordstro¨ m K (1999) The bacterial cell cycle. In: Lengeler JW, Drews G,
and Schlegel HG (eds.) Biology of Prokaryotes, pp. 541–554. Oxford:
Blackwell Science Ltd.
Robinson NP, Blood KA, McCallum SA, Edwards PAW, and Bell SD
(2007) Sister chromatid junctions in the hyperthermophilic
archaeon Sulfolobus solfataricus.The EMBO Journal
26: 816–824.
van Heijenoort J (2001) Formation of the glycan chains in the synthesis
of bacterial peptidoglycan. Glycobiology 11: 25R–36R.
250 Cell Cycles and Division, Bacterial

Cell Membrane, Prokaryotic
M H Saier Jr., University of California, San Diego, CA, USA
ª2009 Elsevier Inc. All rights reserved.
Defining Statement
Introduction
Membrane Fluidity
Bacterial CMs
Gram-Negative Bacterial OMs
OMs of Acid-Fast Gram-Positive Bacteria
Archaeal Membranes
Conclusions
Further Reading
Glossary
archaea One of the three domains of living organisms:
archaea, bacteria, and eukarya. Although archaea share
a basic morphology with bacteria and they are also
prokaryotes (i.e., they lack a true nucleus), in many
molecular details they resemble eukaryotes more than
bacteria. Previously called archaebacteria.
cell membrane A phospholipid bilayer that surrounds
all cells. Also called cytoplasmic membrane or plasma
membrane.
cell wall The tough envelope surrounding many cells,
including nearly all bacteria and archaea. Located
outside the cytoplasmic membrane.
channel proteins Proteins that form aqueous pores or
channels through membranes.
crystalline surface layer A surface layer (S-layer) of
some bacteria and archaea consisting of protein arrays,
usually quite resistant to chemicals and proteases.
domain (1) A discrete, independently folded region of a
protein. Different subfunctions of a multidomain protein
are usually localized in separate domains. (2) One of the
three major taxons: bacteria, archaea, or eukarya.
electron transport chain The sequential oxidation/
reduction of compounds embedded in a membrane that
creates proton/sodium gradients across membranes.
facilitated diffusion Movement of molecules across a
membrane from higher to lower concentration mediated
by proteins that permit the passage of specific
molecules only.
glycerol ether lipid A type of lipid, characteristic of the
archaea, containing isoprenoid lipids that are ether
linked to glycerol.
Gram-negative bacteria A group of bacteria with cell
envelopes composed of two membranes, the inner and
the outer, lipopolysaccharide-containing membranes as
well as thin peptidoglycan cell wall layers.
Gram-positive bacteria Two groups of bacteria, both
with thick peptidoglycan cell layers. One group, the low
GþC Gram-positive bacteria, lacks an outer membrane.
The other, the high GþC Gram-positive ‘acid-fast’ bacteria,
has a thick outer cell membrane overlying the cell wall.
lipid A A phosphorylated glycolipid common to all
Gram-negative bacterial lipopolysaccharides.
lipopolysaccharides Major components of the outer
monolayers of the outer membranes of most
Gram-negative bacteria. Abbreviated LPS.
lipoprotein A protein containing covalently bound fatty
acids.
mycolic acid A long-chain organic acid found in the
waxy cell envelope of mycobacteria and related
acid-fast high GþC Gram-positive bacteria.
outer membrane The outer lipid bilayer of many
prokaryotes and some eukaryotic organelles. In
Gram-negative bacteria, they consist of an outer
lipopolysaccharide leaflet and an inner phospholipid
leaflet plus proteins. In high GþC Gram-positive
bacteria, the outer membranes incorporate mycolic
acids.
passive transport Diffusional passage of a compound
across a membrane.
permease A proteinaceous system functioning in the
transport of specific substances through a membrane.
phospholipid bilayer A membrane consisting of two
leaflets, each composed of phospholipid.
proton motive force (PMF) Potential energy stored in
the form of an electrochemical gradient of protons
across a cell or organellar membrane.
secondary active transport Active transport of
substances using the sodium or proton motive force as
the energy source driving substrate accumulation or
efflux.
sodium motive force (SMF) Potential energy stored in
the form of an electrochemical gradient of sodium ions
across a cell or organellar membrane.
symbiosis The living together of two different kinds of
organism in a nonharmful fashion.
symport The coupled movement of two molecules
together across a cell membrane. Usually, the
concentration gradient of one of them drives the
movement of the other.
251

Abbreviations
ATP adenosine triphosphate
CM cytoplasmic membrane
DMSO dimethyl sulfoxide
GTP guanosine triphosphate
KDO keto deoxy octulosonate
LPS lipopolysaccharides
OM outer membrane
OMP outer membrane protein
PEP phosphoenolpyruvate
PIM phosphatidylinositol mannoside
PMF proton motive force
SAM sorting and assembly machinery
SMF sodium motive force
Tat twin arginine targeting/translocating
TCDB Transporter Classification Database
TMAO trimethylamine N-oxide
TMS transmembrane segment
UDP-GlcNAc uridyl-diphospho-N-
acetylglucosamine
Defining Statement
In addition to cytoplasmic membranes, shared by all liv-
ing cells, many prokaryotes possess protective outer
membranes that have compositions very different from
those of their inner membranes as well as from those of
the outer membranes of other organismal types. This
chapter describes these membranes.
Introduction
Bacterial cytoplasmic membranes (CMs) consist primarily
of amphipathic phospholipids with lesser amounts of gly-
colipids. In the case of Gram-negative bacterial outer
membranes (OMs), phospholipids are present in the inner
leaflet of the bilayer while lipopolysaccharides (LPS) pre-
dominate in the outer leaflet. Most Gram-positive bacteria
lack an OM. This is true of all low GþC Gram-positive
bacteria, called ‘firmicutes’, although acid-fast, high GþC
Gram-positive bacteria, such as Mycobacterium species, have
mycolic acid-containing OMs that are structurally very
different from the OMs of Gram-negative bacteria. Like
Gram-positive bacteria, most archaea lack an OM, but
recent studies have revealed the occurrence of archaea
with these structures. The lipid constituents of both the
inner and OMs of archaea are very different from those of
bacteria. The OMs of all of these organisms provide a
degree of protection from toxic substances, not found in
organisms having a single membrane.
Almost all bacterial membranes are assembled in bilayers
with embedded integral and associated peripheral
membrane proteins. Lesser amounts of carbohydrates (gly-
colipids and glycoproteins) extend outward from these
membranes. Properties of bacterial membrane proteins and
lipid–protein interactions have been studied in detail as have
those of archaeal membranes. The latter unique membranes
often consist of hydrophobic tails linked by ether rather than
ester bonds to the glycerol-containing lipid backbone. A few
archaea have complex envelopes which, like those in some
bacteria, consist of inner and outer membranes that are of
different lipid and protein contents.
Our understanding of prokaryotic cell membrane
dynamics has advanced considerably since the fluid mosaic
model was proposed by Singer and Nicolson in 1972.
Moreover, links between CM structure and function have
been extensively elucidated. However, our understanding
of prokaryotic membranes remains incomplete. For exam-
ple, we do not yet fully understand what aspects of
membrane physiology are responsible for bacterial or
archaeal survival in diverse and extreme environments.
Lipid and protein membrane compositions are central to
survival since prokaryotes in general are subject to extreme
physical and chemical stresses. The CM should be thought
of as the primary boundary between the external environ-
ment and the living cell while the OM serves a primary
protective function. Flexibility in the adaptive capacity of
the envelope and its components to environmental condi-
tions is a primary determinant of cell survival.
The selectively permeable envelope allows appreciable
diffusion of small neutral molecules such as H
2
O, NH
3
,
CO
2
, and O
2
, although transport proteins may increase
diffusional rates or allow accumulation against concentra-
tion gradients. However, this envelope presents high-
energetic barriers to the permeability of moderately sized
and large polar molecules. The CM serves the cell in
numerous capacities providing functions including active
transport, macromolecular synthesis, energy generation,
maintenance of electrochemical gradients, and cell division.
Membrane Fluidity
Microbial membranes provide a fluid matrix for
embedded proteins. The membrane state is frequently
defined in terms of degree of fluidity. Fluidity reflects
252 Cell Membrane, Prokaryotic

the lipid order and microviscosity which in turn are
determined by lipid shape and packing. A composite
measure of the lateral and rotational movement of lipids
seems to determine membrane lipid/protein phase
behavior.
Static as well as dynamic properties are characteristic of
all biological membranes. Changes in CM fluidity may
reflect physical and chemical interactions with environ-
mental factors such as temperature, pH, osmotic pressure,
internal and external ion compositions, and the presence or
absence of various chemicals. Membrane perturbations eli-
cit adaptive responses that must compensate for suboptimal
conditions. Membrane alterations represent only one type
of response, but these membrane responses, required to
maintain cell function, guarantee a degree of fluidity that
allows transmembrane transport as well as lateral lipid and
protein diffusion without jeopardizing membrane stability.
Lipids exhibit polymorphism; each lipid has a distinc-
tive headgroup and two dissimilar fatty acids. They
aggregate into different structures such as bilayers and
micelles, and assume structurally distinct phases. These
depend on forces including exclusion volume, headgroup
interactions, and van der Waals interactions between
hydrocarbon chains. Lipid behavior within bacterial
membranes is complicated by the huge variety of lipid
types present. This diversity makes lipids among the most
flexible and versatile of the various types of biological
macromolecules.
The dynamic phase behavior of membranes balances
the gel-to-liquid crystalline and the lamellar-to-
nonbilayer phase transitions. Cumulative evidence sug-
gests that mechanisms of cellular homeostasis are
integrated elements of the dynamic range of membrane
behavior. Methods used to study fluidity include X-ray
diffraction, differential scanning calorimetry, electron
spin resonance, nuclear magnetic resonance using
2
Hor
31
P, and fluorescence polarization. Visualization of the
membrane has been achieved by electron microscopy
and X-ray diffraction. Fluorescence polarization and sev-
eral of the other cited methods can be used to measure the
static versus dynamic characteristics of the membrane.
The first of these techniques has the advantage that it
can be used with viable bacteria under a variety of normal
and stressed conditions as well as in vitro with isolated
membrane preparations.
Molecular studies have revealed the types of lipid
order and phase alterations employed by prokaryotes to
maintain CM fluidity and function. The use of extracted
bacterial and archaeal lipids has revealed differences of
in vitro versus in vivo properties resulting from membrane
adaptations. CM polarization data for bacteria have been
obtained under normal and a variety of environmental
stress conditions, revealing the responses of membranes to
these conditions.
Bacterial CMs
The CM of any bacterium is an 80-A
˚-thick structure
separating the interior of the cell from the environment. It
prevents the diffusion of most substances into and out of
the cytoplasm and acts as a selective barrier to concen-
trate metabolites and nutrients within the cell while
secreting waste products and toxins. These structures
will be reviewed here while OMs of bacteria will be
described in the sections titled ‘Gram-negative bacterial
OMs’ and ‘OMs of acid-fast Gram-positive bacteria’.
Archaeal membranes will be discussed in the section
Archaeal membranes.
Structure, Composition, and Function of CMs
The CMs of most bacteria consist of roughly equal
amounts of phospholipid and protein (see Figure 1(a)).
They contain 70% of the cellular phospholipids and
25% of the cellular proteins. The phospholipids are
amphipathic, having hydrophobic tails and hydrophilic
heads. The glycerol backbone contains two bound fatty
acids and a phosphoryl headgroup. Three major types of
phospholipids are present in Escherichia coli, about 2 10
7
molecules per cell: 75% phosphatidylethanolamine,
20% phosphatidylglycerol, and 5% cardiolipin (dipho-
sphatidylglycerol). All of these phospholipids contain
-glycerol-phosphate esterified with fatty acids at the
one and two positions. The predominant fatty acids in
E. coli are palmitic acid (16:0), palmitoleic acid (16:1), and
cis-vaccenic acid (18:1). Different bacteria have different
ratios of these lipids, and many have others as well.
Sterols, glycolipids, amino acid-containing lipids, and
other hydrophobic and amphipathic molecules can be
present, depending on the species.
The CM is stabilized by hydrophobic interactions and
hydrogen bonds; the former are also known as van der
Waals interactions. In addition, divalent cations such as
Mg
2þ
and Ca
2þ
stabilize the membrane by neutralizing
the negative charges of the phospholipids on both sides of
the bilayer, serving as ‘salt bridges’. The asymmetric
bilayer, with different lipid and protein compositions for
the two apposed monolayers, is thus a stable structure that
serves as an encapsulating ‘bubble’ for the cell cytoplasm.
It is absolutely essential for all living cells.
As noted above, the fatty acid composition of the
phospholipids that comprise the CM (e.g., chain length,
substitutions, and degree of saturation) are determined
during biosynthesis, dependent on internal and environ-
mental conditions such as stage of growth, temperature,
and composition of the external milieu. The CM main-
tains a fluid state to allow conformational flexibility
and lateral diffusion of proteins and protein complexes.
Fluid membranes also have higher transmembrane
Cell Membrane, Prokaryotic 253

permeabilities to small molecules than do more rigid
bilayers. As noted above, the phospholipids occur primar-
ily in a bilayer, forming a hydrophobic barrier, but
micellar structures and ‘lipid rafts’ of unusual composition
may be present, illustrating their dynamic nature. The
membrane prevents the unregulated transmembrane
movement of polar molecules and allows the selective
retention of ions, essential metabolites, and macromole-
cules. Due to the presence of specific transport systems, it
also catalyzes the active extrusion from the cell of end
products of metabolism, drugs, and toxins.
Integral membrane proteins in the CM are anchored
into the membrane with one or more transmembrane
segments (TMSs). Others, peripheral membrane proteins,
are loosely bound and interact transiently, often due to
ionic attractive forces. Analyses of the E. coli protein con-
tent (the proteome) indicate that about one quarter of the
predicted gene products are integral membrane proteins
in the CM. Many are critical for cellular functions
(e.g., transport and cell division). The largest functional
class is the transport proteins which comprise 5–15% of
the total proteome, depending on the organism. Owing to
their hydrophobic and amphiphilic characters, membrane
proteins are much more difficult to study than soluble
(cytoplasmic and extracellular) proteins. They account
for less than 1% of the known high-resolution
protein structures, solved by either X-ray crystallography
or multidimensional nuclear magnetic resonance.
Topological models have been derived that depict the
number of TMSs and the orientation of the proteins in
the lipid bilayer, and in numerous cases, these structural
predictions have been verified experimentally. However,
in only a few cases do we know how the various TMSs
interact with each other to form compact, functional
proteins and protein complexes.
Amino acid residues of the portions of proteins that are
embedded in the membrane have hydrophobic character,
as do residues in the cores of soluble proteins. Residues in
the same membrane proteins that are exposed to the
aqueous environment, however, are much more polar.
Residues in membrane proteins that are exposed to lipid
acyl side chains have greater hydrophobic character than
do residues in the protein interior. The latter are often
semipolar and are important for maintaining correct con-
formation of the lipid bilayer. In general, TMSs in the
CM are hydrophobic -helices.
In addition to transport, CM proteins can be involved
in transmembrane electron flow, energy generation and
Man Abe
Man Abe n
Rha
Gal
Rha
Gal
Gal
NAGGlc
GalGlc
Hep
Hep
KDO
KDO
NAG NAG PP
KDOP
P P ethanolamine
ethanolamine
(a) (b)
Figure 1 (a) Schematic view of the Escherichia coli cell envelope. Lipopolysaccharide (LPS), embedded within and extending from the
outer surface of the outer membrane, consists of three moieties: lipid A, core polysaccharide, and the O-antigen polysaccharide side
chains. A trimeric porin in the outer membrane and integral membrane proteins in the inner membrane are depicted schematically.
The peptidoglycan cell wall in the periplasm separates the two membranes. (b) Structure of the E. coli lipopolysaccharide (LPS) showing
the sugar residues. KDO, keto deoxy octulosonate; Hep, heptose; Glc, glucose; Gal, galactose; NAG, N-acetylglucosamine; Rha,
rhamnose; Man, mannose; Abe, abequose; n, a variable number of repeat units.
254 Cell Membrane, Prokaryotic

conservation, biosynthesis of hydrophobic substances,
synthesis of cell envelope constituents, and translocation
of cell wall and envelope macromolecules from the inside
of the cell to an extracytoplasmic locale. This last men-
tioned function can include translocation and insertion of
proteins through and into the one or two membranes of
the bacterial cell envelope. Thus, there are at least five
compartments in the Gram-negative bacterial cell: the
cytoplasm, the inner membrane, the periplasm between
the two membranes, the OM, and the extracellular milieu.
Moreover, in both membranes, the inner and outer leaf-
lets of these bilayers can be considered as distinct
compartments. Specific, dissimilar, and evolutionarily
distinct protein insertion complexes are responsible for
integration of inner and outer membrane proteins
(OMPs) into the envelope. It is also important to note
that certain bacteria have been shown to possess a variety
of membrane-bounded organelles such as magnetosomes
which allow bacteria to orient in the Earth’s magnetic
field, chromatophores where photosynthesis occurs, gas
vacuoles that provide the function of flotation, and sulfur
granuoles that house elemental sulfur. The complexity of
the prokaryotic cell is thus far greater than was initially
believed.
Energy Generation and Conservation
Many biosynthetic and CM transport processes are dri-
ven by the hydrolysis or transfer of the high-energy
phosphoryl moieties of adenosine triphosphate (ATP),
guanosine triphosphate (GTP) or phosphoenolpyruvate
(PEP). In many cases, the phosphoryl group is transferred
transiently to a protein or solute, whereas in a few other
cases, phosphoryl bond hydrolysis drives the formation of
high-energy protein conformational states; yet other
transport processes are energized by transmembrane ion
gradients. Cells growing under fermentative conditions,
in the absence of oxygen or another inorganic electron
acceptor, produce ATP by substrate-level phosphoryla-
tion reactions as in the glycolytic pathway. Generally,
bacteria that generate energy primarily by substrate-
level phosphorylation (fermentation) use ATP or PEP
to drive the majority of their transport processes, whereas
bacteria that generate energy primarily via electron trans-
fer (respiration) use ion (proton and sodium) gradients to
drive most of their transport processes. In the former case,
the ATP synthesized by substrate-level phosphorylation
can also be used to form transmembrane ion gradients by
using the F
1
F
0
proton-translocating ATPase, while ion
gradients generated via respiration can be used to synthe-
size ATP in the reverse process catalyzed by the same
enzyme complex. Marine bacteria more frequently use
Na
þ
gradients to drive transport than observed for fresh
water or terrestrial bacteria.
For cells growing under respiratory conditions, the
passage of electrons through an electron transfer chain
to suitable electron acceptors (oxygen, fumarate, nitrate,
nitrite, dimethyl sulfoxide (DMSO), trimethylamine
N-oxide (TMAO) or hydrogen, e.g.) can be coupled to
the extrusion of protons or sodium ions and the creation
of transmembrane electrochemical gradients. The resul-
tant proton motive force (PMF,
H
) or sodium motive
force (SMF,
Na
þ
) is essential for life and can be used to
drive transport. However, the transmembrane electroche-
mical gradient is also important in maintaining protein
conformations, opening channels, and influencing trans-
membrane enzyme activities.
Bacterial respiratory chains consist of a series of physi-
cally separate protein complexes. Commonly, membrane-
bound dehydrogenases transfer two electrons and/or
hydrogen atoms from their substrates to the pool of qui-
nones. Electron donors in bacteria include reduced
molecules such as NADH, succinate, -glycerol phos-
phate, nitrite, and sulfides. Quinones serve as mobile
hydride carriers diffusing through the membrane. These
quinones shuttle reducing equivalents from the dehydro-
genases to terminal reductases or oxidases that oxidize the
electron acceptors (e.g., oxygen, nitrate, and H
2
) listed in
the preceding paragraph. While ubiquinone-8 is the pre-
dominant quinone species in aerobically grown E. coli
cells, menaquinone-8 is the major species in cells grown
anaerobically. Several, but not all of these respiratory/
electron transfer complexes, catalyze proton or sodium
ion export during electron flow. This proves to be one of
the primary mechanisms for generating ion motive forces
(the PMF and SMF).
Translocation of Proteins
Integral CM proteins need to be integrated into the
membrane, and hydrophilic proteins need to be translo-
cated through the CM from the inside of the cell where
they are made, to the external cell surface where they
function. For these purposes, the general secretory (Sec)
pathway and the twin arginine targeting/translocating
(Tat) pathway which act on unfolded and folded proteins,
respectively, are usually used. A protein, YidC, assists
insertion of proteins into the CM, alone or in conjunction
with the Sec pathway. Especially in Gram-negative
bacteria, but also in other prokaryotes, other protein
complexes are integrated into the CM, working in con-
junction with outer-membrane complexes destined to
secrete proteins into the medium. Altogether, 16 distinct
protein insertion/secretion systems have been identified
in Gram-negative bacteria: eight each for transport across
or into the inner and outer membranes, respectively.
Some of these systems translocate their protein substrates
across the two membranes in a single energy-coupled
step.
Cell Membrane, Prokaryotic 255

Solute Transport
Nonpolar substances such as fatty acids, neutral alcohols,
and simple aromatic compounds enter and exit the cell
to some extent by dissolving in the lipid bilayer. By
contrast, charged molecules such as organic acids and
inorganic salts must be specifically transported. Water
penetrates the membrane fairly freely, being small and
uncharged, but aquaporins may facilitate the process,
allowing more rapid water fluxes than would otherwise
be possible in response to osmotic stress conditions.
Similarly, passage of NH
3
and CO
2
through the mem-
brane can be stimulated by the presence of ‘gas
channels’. More polar molecules are transported via
specific membrane transporters, but there are many dif-
ferent types and hundreds of families of these proteins as
tabulated in the Transporter Classification Database
(TCDB). Active transport mechanisms allow the accu-
mulation and extrusion of solutes against concentration
gradients, while facilitated diffusion merely allows the
energy-independent equilibration of the substrate across
a membrane.
Most solutes are transported across prokaryotic CMs
by energy-dependent mechanisms, and prokaryotes pos-
sess a remarkable array of active transport systems. These
systems usually exhibit high substrate affinity and stereo-
specificity; the affinities reflect the concentrations of the
solutes in the natural environments of these organisms.
Mechanisms of energy-coupling to transport include:
symport with and/or antiport against ions, ATP or GTP
hydrolysis, phosphoryl transfer from phosphoenolpyru-
vate to sugar substrates (group translocation), organic acid
decarboxylation, methyl transfer, light absorption, and
electron flow. Group translocation involves the simulta-
neous transport and modification of substrates, often
involving the expenditure of phosphoryl bond-type
energy.
Gram-Negative Bacterial OMs
Gram-negative bacteria, and some Gram-positive bac-
teria, and archaea are surrounded by OMs which serve
as selective permeation barriers. They prevent the entry
of noxious compounds while allowing the influx of nutri-
ents. They contain -structured porins and other proteins
that allow selective permeability and catalyze specific
reactions. These membranes in Gram-negative bacteria
will be considered in this section. Those in Gram-positive
bacteria will be discussed in the section titled ‘OMs of
acid-fast Gram-positive bacteria’, and those in archaea
will be considered in the section titled ‘Archaeal
membranes’.
Structure and Composition of the OM
The OMs of most Gram-negative bacteria are asym-
metric lipid bilayers where the inner leaflet contains
phospholipids while the outer leaflet contains a prepon-
derance of LPS (Figures 1(a) and 1(b)). Gram-negative
bacteria lacking LPS may instead have sphingolipids
and/or various glycolipids. These bilayers show low per-
meability to many solutes. Amino acids, most vitamins,
short peptides, sugars, etc. can cross the OM by diffusion
through porin channels if smaller in mass than 600 Da.
These channel proteins form -barrel structures with
transmembrane spanning segments consisting of amphi-
pathic antiparallel -strands. -Helical proteins in the
OMs of these organisms are rare, just as are -structured
proteins in the inner membranes. -Barrel porins, in
general, do not concentrate their substrate solutes across
the membrane; they catalyze facilitated diffusion.
Other compounds such as vitamin B
12
and iron side-
rophore complexes use substrate-specific, high-affinity
active transporters to cross the OM. The energy required
to allow these transporters to accumulate their substrates
in the periplasm is derived from a complex of proteins
(e.g., TonB, ExbB, and ExbD in E. coli) that use the PMF
across the inner membrane to energize uptake. Since
these receptors are exposed to the cell surface, infective
agents such as some colicins and bacterial viruses (phage)
can parasitize TonB-dependent systems or their homo-
logues to enter and kill the host bacteria. Exactly how
these protein complexes accumulate their substrates in
the periplasm of the Gram-negative bacterial cell and
allow passage of toxic proteins or DNA from phage into
the cell is still an intense area of research.
The OMs of Gram-negative bacteria contain at least
five major classes of proteins: (1) structural lipoproteins,
(2) membrane-integrated -barrel porins, (3) solute-
specific receptors, (4) membrane-anchored enzymes,
and (5) multicomponent surface structures such as fim-
briae (organelles of adhesion), pili (organelles of
conjugation), and flagella (organelles of motility).
Lipoproteins usually have lipids and/or fatty acids cova-
lently attached to an N-terminal cysteine. These tails,
embedded in the OM, anchor these proteins within the
membrane. -Barrel proteins consist of -sheets that
are wrapped into cylinders. Many of these proteins (the
porins referred to above) form channels allowing the free
flow of nutrients and waste products. Porins can be non-
specific or specific for a particular class of substrates.
Nonspecific porins act as ‘molecular sieves’, but the
more specific porins may restrict permeation to a class
of sugars, amino acids, ions, or other nutrient types.
-Barrel proteins may also possess enzymatic activities
such as hydrolase activities. Moreover, as mentioned in
the preceding paragraph, receptor proteins, embedded in
the OMs via -barrel structures, can accumulate their
256 Cell Membrane, Prokaryotic

solutes in the periplasm against considerable concentra-
tion gradients using the PMF across the CM to drive
uptake.
OM Lipopolysaccharides
LPSs (Figures 1(a) and 1(b)) are found uniquely in most
Gram-negative bacterial OMs. They are composed of
three parts: the proximal, hydrophobic lipid A region
which is embedded in the outer leaflet of the OM; the
distal, hydrophilic O-antigen polysaccharide region that
protrudes into the medium; and the core oligosaccharide
region that connects lipid A to the O-antigen repeat units
(Figure 1(a)). Lipid A is a polar lipid of unusual structure in
which a backbone of glucosaminyl--(1 !6)-glucosamine
is substituted with six or seven saturated fatty acyl
residues.
In E. coli, LPS biosynthesis begins in the bacterial
cytoplasm with the acylation of uridyl-diphospho-N-
acetylglucosamine (UDP-GlcNAc) with -hydroxymyr-
istate. After deacetylation, the product of this reaction
is further modified with a second -hydroxymyristate
to generate UDP-2,3-diacylglucosamine. Cleavage of
the pyrophosphate bond and displacement of the nucleo-
tide, UMP, produces 2,3-diacylglucosamine-1 phosphate.
After condensation of this compound with another
molecule of UDP-2,3-diacylglucosamine and 49phos-
phorylation, the intermediate, lipid A, is formed. Two
keto deoxy octulosonate (KDO; 3-deoxy-D-manno-oct-
2-ulosonic acid) residues are then transferred, and two
acyltransferases add lauroyl and myristoyl groups
(Figure 1(b)). The core sugar residues are added onto
this intermediate, and an export system translocates
them from the cytoplasmic side to the periplasmic
surface of the plasma membrane. The O-antigen, which
is assembled and polymerized separately, is added in
the periplasm, completing the biosynthetic process
(Figure 1(b)). Subsequent transport reactions probably
move the LPS molecules across the periplasmic space
into the inner leaflet and finally to the outer leaflet of
the OM (Figure 1(a)). Lipid A is the biologically active
component of LPS which causes inflammation and septic
shock in animals.
Three kinds of LPS modifications have been observed:
(1) substitution of the phosphate groups in lipid A with
phosphoethanolamine, (2) decoration of the basic struc-
ture with additional sugar residues, and (3) addition of
palmitate by esterification. Derivatization with phos-
phoethanolamine renders the bacteria resistant to a lipid
A-binding, cyclic, cationic peptide antibiotic, polymyxin,
while palmitoylation provides resistance against cationic
antimicrobial peptides induced by the innate immune
system in response to bacterial infections. These modifi-
cations may occur alone or in combination on a single
LPS molecule, yielding multiple LPS species in a single
bacterium.
Gram-negative bacteria produce OM blebs or vesicles
of 0.5–1.0 mm in diameter. These vesicles that can contain
enzymes and signaling molecules are released into the
culture medium to be delivered to other bacteria, where
the vesicles again fuse to the OM of the recipient bacter-
ium. These vesicles can also be used to deliver bacterial
protein toxins to mammalian cells. They provide a novel
mechanism of prokaryotic communication.
OM Proteins
OMPs are usually synthesized in the bacterial cytoplasm
as precursors with N-terminal signal peptides and are
then translocated across the CM via the general Sec path-
way. After removal of the signal peptides by a signal
peptidase, many of the mature proteins insert themselves
into the OM and assume -barrel structures with hydro-
phobic, membrane-embedded outer surfaces suitable for
interaction with LPS and membrane lipids. OM proteins
can be classified based on their functions: (1) lipoproteins,
(2) general porins, (3) substrate-specific receptors, (4)
enzymes, and (5) various other OM proteins.
Lipoproteins
Dozens of lipoproteins have been described. The murein
lipoprotein, Lpp of E. coli, is the most prominent and best-
studied member. Lpp is a small protein (7200 Da) present
in about a million copies per cell. Its N-terminal cysteine
is modified at two sites. The cysteyl sulfhydryl group is
substituted with a diglyceride, and the -amino group is
derivatized by a fatty acyl residue. This allows penetration
into and anchoring to the inner leaflet of the OM. About
one-third of these molecules are bound covalently to the
underlying peptidoglycan cell wall layer, thereby attach-
ing the OM to the wall. Deletion of the lpp gene results in
numerous defects such as leakage from the periplasm,
increased susceptibility of the cell to toxic compounds,
and increased blebbing of membrane vesicles from the
OM with the release of vesicles into the external milieu.
These lipoproteins thus serve important structural roles.
Porins
Porins allow the diffusion of fairly small hydrophilic (and
occasionally hydrophobic) molecules. They exhibit vary-
ing degrees of substrate specificity. They can be
nonspecific or show selectivity only for the charge of
the substrate, either anionic or cationic. Some are even
specific for certain types of molecules – oligosaccharides,
peptides, amino acids – or anions. They generally form
OM water-filled channels. Many are either monomeric or
homotrimeric, the latter being formed by three hollow
-barrels. However, other quaternary porin structures
have been reported. They can be small or large, having
Cell Membrane, Prokaryotic 257

8–24 transmembrane -strands per polypeptide chain,
and they frequently have extra hydrophilic protein
domains on one or both sides of the membrane. Their
pore sizes vary; several of their three-dimensional struc-
tures have been determined, allowing visualization of the
permeation pathway. A conspicuous structural feature is
the presence of an ‘eyelet’ region, a narrow constriction in
the pore, lined with charged residues. These charged
residues determine in part the specificity of the porin
for the substrates.
As an example, the trimeric phosphoporin, PhoE of
E. coli, is produced under conditions of phosphate starva-
tion. The channel-forming motif of PhoE is a 16-strand
antiparallel -barrel. Short -hairpin turns define the
periplasmic side of the barrel, whereas long irregular
loops are found at the cell surface. PhoE functions pri-
marily in anion transport due to the presence of positively
charged residues near the mouth of the channel. OMPs
probably fold in the periplasm before being inserted into
the OM in the presence of LPS. The insertion of proteins
into these membranes is generally poorly understood, but
it depends on a multicomponent protein insertion appa-
ratus which is essential for the process (see ‘OM protein
insertion’).
Substrate-specific receptors
While most nutrients gain access to the periplasm by
diffusion through porins, a few substrates are too large
to enter by this route. Large receptor/transport systems
form energy-dependent gated channels which take up
these compounds. The TonB/ExbB/ExbD type systems
energize transport using the PMF- and TonB-dependent
receptors. Examples of such receptors in E. coli include
BtuB for vitamin B
12
uptake and several receptors for the
uptake of different iron–siderophore complexes. Iron–
siderophore complexes are high-affinity iron chelators
of microbial origin. Transport requires an interaction
with the periplasmic protein TonB, which may shuttle
between the inner and outer membranes. The action of
TonB requires an energized CM in the form of a PMF.
Energy is transferred to the receptors with the assistance
of the two cytoplasmic H
þ
channel-forming membrane
proteins ExbB and ExbD, which energize TonB by trans-
porting protons down their electrochemical gradient,
across the CM. Energized TonB then transmits its energy
to the receptors.
These siderophore receptors and BtuB are -barrel
monomeric proteins that consist of 22 transmembrane
-strands each. The N-terminal domain consists of a
globular structure that inserts itself into the barrel from
the periplasmic side, forming a plug. Binding of a ligand
induces a conformational change in the protein so that
the most N-terminal portion containing a short motif,
called the ‘TonB box’, can interact with the TonB pro-
tein. This first step is followed by a large-scale
conformational change caused by the energized TonB.
The molecular details of this process are not yet fully
understood.
OMP Insertion
Gram-negative bacterial OMPs are assembled from the
periplasm into the OM in a process that has only recently
become a subject of molecular research. Large (800 aas)
OMPs, complexed with several others, play a crucial role.
These bacterial proteins are very distantly related to the
chloroplast import-associated channel proteins, IAP75,
constituents of the chloroplast envelope protein translo-
case. IAP75 has been shown to be a -barrel porin in the
OM of plant chloroplasts. Another homologue is the yeast
mitochondrial sorting and assembly machinery (SAM)
constituent, SAM50. The SAM complex in yeast mito-
chondria consists of at least three proteins and is required
for the assembly of OM -barrel proteins in mitochon-
dria. It seems clear that these organellar protein
complexes were derived from bacterial proteins when
endosymbiotic -proteobacteria and cyanobacteria
became permanent residents of eukaryotic cells as mito-
chondria and chloroplasts, respectively.
The functionally characterized homologue in the
Gram-negative bacterium Neisseria meningitidis is essential
for bacterial viability. It has a two-domain structure with
an N-terminal periplasmic domain rich in hydrophilic
repeat sequences and a C-terminal domain that forms
an integral OM -barrel. Unassembled forms of
various OMPs accumulate when Omp85 is depleted.
Homologues of Omp85 are present in all Gram-negative
bacteria examined, but not in other prokaryotes. The E. coli
homologue functions as a principal constituent of a com-
plex that catalyzes protein insertion into the OM.
Normally OMPs are translocated into the periplasm
via the Sec translocase. They are believed to fold in the
periplasm before being inserted into the OM. Folding is
stimulated by small periplasmic chaperone proteins. In
E. coli, these chaperones feed a substrate protein to the
OM integrated multiprotein complex required for OM
biogenesis. It is probable that the activities of this complex
are absolutely required for OMP assembly. The specific
biochemical roles of the individual protein constituents
have not yet been determined.
OMs of Acid-Fast Gram-Positive Bacteria
Acid-fast bacteria belong to a distinctive suprageneric
actinomycete taxon, which includes mycobacteria, cor-
ynebacteria, nocardia, rhodococci, and other closely
related genera. All of these bacteria share the property
of having an unusual cell envelope composition and
258 Cell Membrane, Prokaryotic

architecture (Figure 2(a)). Based on available published
data, the envelope layers consist of a typical CM of
phospholipid and protein, a characteristic wall of unu-
sual structure, and a complex outer layer. Although
studies with mycobacteria are more detailed than with
other related genera, it is evident that the envelopes of
these related bacteria are all similar, especially in terms
of ultrastructure and cell-wall composition.
The cell walls of these bacteria are formed by
thick meso-diaminopimelic acid-containing peptidoglycan
layers covalently linked to arabinogalactan. The arabi-
nogalactan is in turn esterified with long-chain -alkyl,
Hydrophobic Small, hydrophilic
≈10
nm
Mycolic acids
(60–90
C atoms)
Arabinogalactan
Peptidoglycan
6–8
nm
(a)
(b)
α
-Mycolates
Ketomycolates
Methoxymycolates
Figure 2 (a) The most important structural components of the mycobacterial cell envelope. While small hydrophobic molecules
may diffuse through the outer lipid bilayer, small hydrophilic molecules require the involvement of outer membrane porins as indicated
at the top of the diagram. The figure illustrates the covalent linkages between cell wall peptidoglycan, arabinogalactan, and mycolic
acids. (b) The structures of mycolic acids in Mycobacterium tuberculosis.-Mycolates: the meromycolate chains contain two
cis-cyclopropanes; methoxymycolates: their meromycolate chains contain an -methyl-ether moiety in the distal position and a
cis-cyclopropane or an -methyl trans-cyclopropane in the proximal position; ketomycolates: their meromycolate chains contain an
-methyl ketone moiety in the distal position and proximal functionalities as in the methoxy series. Unsaturations are present in some
meromycolate chains of M. tuberculosis (not shown).
Cell Membrane, Prokaryotic 259

-hydroxy fatty acids. These fatty acids in mycobac-
teria are called mycolic acids (Figure 2(b)). They
possess very long chains (C
60–90
) and may contain
various branches, oxygen functions such as hydroxyl,
methylated hydroxyl, and keto groups as well as unsa-
turations. Mycolic acids found in other actinomycetes
consist of mixtures of saturated and unsaturated acids,
but they contain shorter chains. Nocardomycolic acids
are of length C
40–50
while corynomycolic acids are of
C
22–36
. Thus, mycobacterial OMs are thicker than
nocardial OMs which, in turn, are thicker than coryne-
bacterial OMs.
Acid-fast high GþC Gram-positive microbes share
with Gram-negative bacteria the property of possessing
OMs that are very different in composition from the
plasma membranes. While the outer barrier in Gram-
negative bacteria is a typical bilayer of phospholipid and
LPS, in mycobacteria, nocardia, and corynebacteria, the
cell wall-linked mycolates comprise much of this barrier.
The lengths and structures of mycolic acids are important
in determining not only the membrane width, but also the
envelope fluidity and permeability. The existence of OM
diffusion barriers in mycobacteria, corynebacteria, and
nocardia is reinforced by the characterization of cell
envelope proteins with pore-forming abilities. The OMs
of some of these organisms are essential for many of their
pathogenic properties.
In all currently proposed models, the outer permeabil-
ity barrier of mycobacteria consists primarily of a
monolayer of mycoloyl residues covalently linked to
cell wall arabinogalactans (Figure 2(a)). Other lipids
may be arranged in an outer leaflet to form a complex
asymmetric bilayer. The structural details of this bilayer
are yet to be fully elucidated.
Freeze-fractured samples of mycobacteria, corynebac-
teria, and other related bacteria have revealed details of
the envelope structures of these organisms with distinct
lipid domains. Freeze-fracture electron microscopy also
revealed the presence of ordered arrays on the surfaces
of these envelopes consisting of surface layer proteins
(S-layers) that overlie the OMs. There may therefore
be five layers: (1) the inner CM, (2) the cell wall, (3) the
arabinogalactan/arabinomannan polysaccharide layer,
(4) the OM, and (5) the external proteinaceous S-layer.
All have protective functions.
The five layers of the acid-fast bacterial envelope are
believed to be integrated to form the protective envel-
ope as follows. Immediately outside of the CM, the cell
wall peptidoglycan layer is covalently linked to the
arabinogalactans, and these are esterified with mycolic
acids. Because the amounts of cell wall-linked mycolates
are insufficient to cover the entire bacterial surface,
other types of noncovalently bound lipids must play
roles in forming the OM. In fact, these lipids have
been shown to form bilayer structures spontaneously.
Thus, the cell wall permeability barriers in these bac-
teria involve both covalently wall-linked mycolates and
noncovalently bound lipids. These molecules together
with various proteins comprise the bulk of the cell
envelopes.
OMs of Mycobacteria: Function, Structure,
and Composition
As noted above, the permeability of mycobacteria, and
other bacteria related to them, to substances in their
environments is determined by the properties of their
envelopes. Current models depicting the structural orga-
nization of the mycobacterial cell wall assume that
peptidoglycan and arabinogalactan strands overlie the
CM forming horizontal layers beneath perpendicularly
oriented mycolic acids. The mycolate layer prevents
entry of small hydrophilic molecules which gain access
to the cell only via porins (Figure 2(a)). Some small
lipophilic molecules may diffuse through the lipid layer.
The capsule prevents passage of virtually all macromole-
cules unless specific transport systems mediate their entry
or exit. The structure of the outer lipid barriers is similar
in all mycobacteria, but the capsule is more abundant in
slow-growing species than in fast-growing species. The
slow-growing organisms comprise the group that includes
most mycobacterial pathogens.
Mycobacteria secrete proteins that are important to
the pathogenesis of the many human and animal diseases
caused by these microbes. Information about how the
secreted proteins and the polysaccharides of the capsule
cross the outer lipid barrier is fragmentary and is only
now coming to light. It is possible that proper knowledge
of mycobacterial envelope permeability will enable new
approaches to the treatment of mycobacterial diseases.
The cell envelopes of mycobacteria substantially con-
tribute to their resistance to therapeutic agents. This is
largely due to the presence of the C
60–90
mycolic acids
that are covalently linked to the large arabinogalactans as
well as the acylated and nonacylated arabinomannans.
Recent studies have clarified the unusual structures of
arabinogalactans as well as extractable cell wall lipids
such as phenolic glycolipids, glycopeptidolipids, and
trehalose-based lipooligosaccharides called ‘cord factor’.
Most of the hydrocarbon chains of these lipids assemble to
produce the exceptionally thick, asymmetric OM.
Structural considerations suggest that the fluidity is unu-
sually low in the innermost parts of bilayer, gradually
increasing toward the outer surfaces. Differences in
mycolic acid structure may affect the fluidity and perme-
ability of the bilayer and explain the different sensitivities
of various mycobacterial species to lipophilic compounds.
Hydrophilic nutrients, vitamins, minerals, toxins, and
growth inhibitors, in contrast, traverse the OM exclu-
sively via porin channels.
260 Cell Membrane, Prokaryotic

The detailed molecular structures of mycobacterial
cell envelopes and their lipids are currently coming
to light (see Figures 2(a) and 2(b)). The cell wall archi-
tecture resembles a massive ‘core’ comprised of
peptidoglycan covalently attached via a linker unit
(L-Rha-D-GlcNAc-P) to a linear galactofuran. This in
turn is attached to several strands of a highly branched
arabinofuran, which is attached to mycolic acids. The
mycolic acids are perpendicularly oriented relative to
theplaneofthemembrane(Figure 2(a)). They create a
lipid barrier responsible for many of the physiological,
disease-inducing, and drug resistance properties of
Mycobacterium tuberculosis, Mycobacterium leprae, Mycobacterium
bovis, Mycobacterium avium, and other mycobacterial
pathogens.
Intercalated within this envelope are the lipids that
have intrigued biochemists for over five decades: the
phthiocerol dimycocerosate, cord factor (dimycolyltreha-
lose), the sulfolipids, the phosphatidylinositol mannosides
(PIMs) and others. The lipomannans and lipoarabino-
mannans also play important roles in the physiology and
pathogenesis of mycobacteria. These molecules have
functions of signaling to the host and stimulating immune
responses of infected humans and animals. Mycolic acids
are recognized by CD1-restricted T-cells, and antigen
85 – one of the most powerful protective antigens of
M. tuberculosis – is a mycolyltransferase. Moreover, lipoar-
abinomannans, when ‘capped’ with short mannose
oligosaccharides, promote phagocytosis of the bacteria
by animal cells, an important phase of pathogenesis.
Sequencing of the M. leprae, M. tuberculosis and other
pathogenic and nonpathogenic mycobacterial genomes
has aided efforts to define the biosynthetic pathways
for all of these exotic lipid and complex carbohydrate-
containing molecules. These include mycolic acids, the
mycocerosates, phthiocerol, lipidated arabinomannans
and arabinogalactans, and the polyprenyl phosphates.
We now know that synthesis of the entire core is initiated
on a decaprenyl-P with synthesis of linker units. There
seems to be concomitant extension of the galactan and
arabinan chains while these intermediates are transported
through the CM. The final steps in these events, the
attachment of mycolic acids, and ligation to peptidogly-
can, must occur in the periplasm. Elucidation of these
complicated processes awaits definition.
Mycolic Acids and Other Unusual Mycobacterial
Lipids
As noted above, mycolic acids of mycobacteria are long-
chain fatty acids, many of which vary in size and structure
(Figure 2(b)). Arabinogalactan mycolates are covalently
linked via phosphodiester linkages to the underlying pep-
tidoglycan cell wall polymer (Figure 2(a)). Mycolic acids
together with other cell wall lipids (trehalose-based
lipooligosaccharides, phenolic glycolipids, and glycopep-
tidolipids) comprise part of the OM and contribute to the
low permeability of these envelopes. They account in part
for the remarkable drug resistance of mycobacteria ren-
dering treatment of mycobacterial diseases difficult. This
is particularly important to human health since one-third
of the world’s population is infected with mycobacteria,
and millions die from mycobacterial diseases every year.
The hydrophobic hydrocarbon chains of these lipids
comprise the OMs which may be the thickest of all
biological membranes yet identified. The asymmetric
OM consists largely of long-chain mycolic acids compris-
ing most of the inner leaflet with a diversity of other lipids
contributing to the outer leaflet.
Some lipids and lapidated glycans unique to mycobac-
teria appear to be present in both the inner and the outer
membranes. These are the PIMs, their hypermannosy-
lated derivatives, lipomannans, and lipoarabinomannans.
They are important virulence factors in pathogenic spe-
cies. These facts reveal a surprising degree of lipid
diversity in mycobacterial envelopes and show that fatty
acyl esters linked to complex carbohydrates contribute to
the rigidity of these structures.
Mycobacterial OMPs
OMPs of mycobacterial species are far less well charac-
terized than those of Gram-negative bacteria; however,
substantial progress has been made. The most important
observations are summarized here.
Lipoproteins
The availability of complete genome sequences of myco-
bacterial species has greatly facilitated the identification
of OM lipoproteins. The occurrence of genes encoding
these lipidated proteins in the reduced-size genome of
M. leprae provides a guide to the minimal mycobacterial
gene set. Surprisingly, perhaps, these lipoproteins are
superficially similar to those of Gram-negative bacteria.
The consensus sequence at the N-terminal region of
these proteins includes the cysteine residues to which the
lipid moiety becomes attached. This sequence provides
clues for the identification of these proteins. More than 20
potential lipoprotein genes have been identified in the
M. leprae genomic sequence. Lipoprotein LpK, for exam-
ple, encodes a 371 amino acyl precursor protein which
becomes lipidated after it is synthesized, exported from
the cytoplasm and proteolytically processed. The purified
lipoprotein induces production of interleukin-12 (IL-12)
in humans. This implies that LpK is involved in protec-
tive immunity against leprosy. The pursuit of such
lipoproteins is likely to reveal details of the pathogenesis
of a variety of mycobacterial diseases.
Cell Membrane, Prokaryotic 261

Mycobacterial OM porins
Pore proteins in Gram-negative bacterial OMs that span
the membrane mediate the diffusion of small hydrophilic
nutrients such as sugars, amino acids, anions, cations, and
vitamins (see ‘Porins’). M. tuberculosis possesses at least
three porins, one which is the low-activity channel pro-
tein, OmpATb. OmpATb is essential for adaptation of
M. tuberculosis to low pH and survival in macrophage. The
channel activity of OmpATb probably plays a role in
the defense of M. tuberculosis against acidification within
the phagosomes of macrophage. In contrast to other acid-
fast bacterial porins, it shows sequence similarity to OMP
(OmpA) homologues from Gram-negative bacteria.
Another porin, MspA, is the main porin of the related,
fast-growing, nonpathogenic species M. smegmatis. It forms
a tetrameric complex with a single central pore of 10 nm
length and has a cone-like structure. This structure is
entirely different from that of the trimeric porins of
Gram-negative bacteria suggesting that these two porin
types evolved independently. In agreement with this con-
clusion, MspA shows no significant sequence similarity
with any of the Gram-negative bacterial OMPs. The
approximately 50-fold decreased numbers of porins in
acid-fast bacteria compared with Gram-negative bacteria
and the increased lengths of mycobacterial pores are two
primary determinants of the low permeabilities of outer
mycobacterial membranes to small hydrophilic solutes.
Slow transport through porins needs to be considered
when designing novel drugs against mycobacterial
diseases.
Compartmentalization of Lipid Biosynthesis
in Mycobacteria
The plasma membranes of Mycobacterium species are the
sites of synthesis of several distinct classes of lipids. Some
of these lipids are retained in the inner membrane while
others are exported to the overlying cell envelope.
Enzymes involved in the biosynthesis of different major
lipid classes, the PIMs and aminophospholipids, for
example, are compartmentalized within the CM and
the cell wall containing envelope fractions. Enzymes
involved in the synthesis of early PIM intermediates
are localized to a plasma membrane subdomain, while
later stages of synthesis seem to be associated with
external parts of the envelope. This suggests that like
the LPSs in Gram-negative bacteria, complex outer
envelope lipids may be synthesized in several stages
that occur in different compartments of the cell
envelope.
Molecular Action of Antimycobacterial Agents
There is evidence that many drugs exert their antimyco-
bacterial activities by interacting with classical bacterial
proteinaceous targets. This possibility is supported by
both direct and indirect evidence. Mechanistic studies
have been performed for drugs such as fluoroquinolones,
macrolides, rifampicin, and streptomycin. Although the
modes of action of many agents with antimycobacterial
activities are not well understood, it seems likely that
many drugs will prove to inhibit specific molecular tar-
gets involved in the biosynthesis of mycobacterial cell
envelope constituents such as its many unique lipids
and carbohydrate polymers. The recent reemergence of
tuberculosis as an important human pathogen has
prompted the development of improved methods for
exploring the structures, biochemistry, and genetics of
mycobacterial envelopes. These advances should be use-
ful in gaining a better understanding of the molecular
basis of drug action in mycobacteria.
Archaeal Membranes
Archaea are similar to bacteria in many aspects of cell
structure, but they differ radically with respect to the lipid
compositions of their membranes (Figures 3(a) and 3(b)).
The structures of their cell surfaces and their protein, lipid,
and carbohydrate constituents are also unique. Archaeal
membranes contain glycerol ether-linked lipids rather than
ester-linked lipids as are found in bacteria and eukaryotes
(Figure 3(b)). These lipids are based on isoprenoid side
chains. In addition, bacterial-type peptidoglycan cell walls
are altogether lacking, and in their place, cell walls consist-
ing of surface layer proteins are present (Figure 3(a)). OMs
are not found in the better-characterized archaea, although
they have been identified in one class of these organisms and
are probably present in others. Because the existence and
the unique properties of these organisms have been recog-
nized for a relatively short period of time, much less is
known about the OMs of archaea than about those of
Gram-negative and acid-fast Gram-positive bacteria as
well as those of eukaryotic organelles.
Archaeal Lipids
Polar ether lipids of archaea account for 80–90% of the
total membrane lipids in these organisms. The remainder
are neutral squalenes and other isoprenoids. Many such
unique lipids have been discovered in recent years.
Genus-specific combinations of various lipid core struc-
tures include diether-tetraether, dietherhydroxydiether,
and diether-macrocyclic diether-tetraether lipid moieties.
The basic structure of a representative archaeal ether
lipid and its comparison with a bacterial eukaryotic ester
lipid are shown in Figure 3(b).
Some archaeal species have only the standard
diether core lipids. None are known with predominantly
tetraether lipids present in certain sulfur-dependent
262 Cell Membrane, Prokaryotic

archaea. The relative proportions of these lipid cores are
known to vary with growth conditions in some archaea
such as Methanococcus jannaschii and Methanobacterium ther-
moautotrophicum. Polar headgroups in glycosidic or
phosphodiester linkage to glycerol consist of polyols,
other carbohydrates, and amino compounds. The avail-
able structural data indicate close similarities between the
polar lipids found in species of the same genus. Thus,
the closer the phylogenetic relationships of the organisms,
the more similar the lipid compositions of their mem-
branes. These ether-containing lipid structures are more
stable than the ester-containing lipids of bacteria and
eukaryotes. This may have resulted in part through evo-
lution, from the extreme environments inhabited by many
archaea.
The extreme environments that some archaea thrive in
include hot springs and strongly acidic, salty, and/or
alkaline lakes. For example, M. jannaschii grows optimally
at 85 C and pH 6, Thermoplasma acidophilum at 55 C and
pH 2, and Halobacterium salinarum in near-saturated salt
brines. Archaea that can not only survive but also grow at
temperatures above 100 C are known.
A primary role of any cell CM is to provide a selective
barrier between the external environment and the cyto-
plasm. Given the extreme environmental conditions
conducive to archaeal growth, it is not surprising that their
membranes contain lipids that differ markedly from those of
bacteria and eukaryotes. The presence of ether rather than
ester bonds contributes to their chemical stability, particu-
larly at high temperatures and extreme pH values.
Surprisingly, the glycerol ethers of archaea contain an
sn-2,3 stereochemistry that is different from that of the
sn-1,2 stereochemistry of glycerophospholipids of the other
domains of life. The unique basic lipid core structures of
these two lipid types are depicted in Figure 3(b).
Two major classes of archaeal lipids include the archaeol
lipids (diphytanyl glycerol diethers) and the caldarchaeol
lipids (dibiphytanyl diglycerol tetraethers). The
Isoprene chains
L-glycerol
Phosphate
Cytoplasm
Cell membrane
Cell wall
.5 μm
(a)
(b)
Figure 3 (a) A typical archaeal cell illustrating the positions and structural features of the ether-linked lipids in the cytoplasmic
membrane. The illustrated membrane is a ‘blow-up’ of the archaeal cell as visualized by electron microscopy. (b) Structure of an
archaeal ether lipid (top) compared with that of a typical bacterial ester lipid (bottom). Primary structural differences are illustrated.
Cell Membrane, Prokaryotic 263

caldarchaeol lipids span the membrane, and liposomes made
from these lipids preferentially form monolayers rather than
the bilayers formed from conventional glycerophospholi-
pids. Many of the tetraether lipids are phosphoglycolipids
containing one or more sugar residues at one pole, most
commonly gulose, glucose, mannose, and/or galactose, and
a phosphopolyol moiety, such as phosphoglycerol or inosi-
tol, on the other. The more bulky sugar residues probably
face outward, and the phosphate residue may face toward
the cytoplasmic side of the membrane. Depending on the
growth temperature, certain thermophilic archaea are cap-
able of controlling membrane fluidity by altering the
number of cyclopentane rings (from 0 to 8 in caldarchaeol
lipid chains).
Archaeal OMs
Many hyperthermophilic Crenarchaeota have two-dimensional
crystalline arrays of (glyco-)protein subunits (the S-
layer) as the more rigid component of their cell walls.
In most cases, these protein arrays constitute the outer-
most surfaces of the cells. The subunits themselves are
directly anchored to the CM by stalk-like structures.
The space between the CM and the S-layer is called
the ‘quasi-periplasmic space’ by analogy to the equiva-
lent structures in bacterial cell envelopes.
Ignicoccus is a hyperthermophilic archaeon belonging
to the Desulfurococcales subdivision of the Crenarchaeota.It
is a chemolithoautotrophic organism that obtains its
energy by the reduction of elemental sulfur with mole-
cular hydrogen. Cells of Ignicoccus have been examined
ultrastructurally following cultivation in cellulose capil-
laries and processing by high-pressure freezing. They
consistently showed a cell envelope structure previously
unknown among the archaea: CM and OM separated by a
periplasmic space of variable width (20–200 nm) contain-
ing membrane-bound vesicles. The outer sheath,
approximately 10 nm wide, seemed to resemble the
OMs of Gram-negative bacteria. The Ignicoccus sheath
contains three types of particles: (1) numerous irregularly
packed single particles, about 8 nm in diameter; (2) puta-
tive pores with a diameter of 24 nm; and (3) tiny particles
arranged in a ring with a diameter of 130 nm surrounding
the pores. Clusters of up to eight particles, each particle
12 nm in diameter, were conspicuous. Freeze-etched cells
exhibited a smooth surface without a regular pattern, with
frequent fracture planes through the outer sheath. This
observation indicated to the researchers the presence of
an OM and the absence of an S-layer. The study illu-
strated the novel complex architecture of the cell
envelope of Ignicoccus. Comparative studies suggest that
OMs of prokaryotes have evolved independently at least
three times, once in Gram-negative bacteria, once in high
GþC Gram-positive bacteria, and once in Crenarchaeota.
Membrane Transfer Between Cells
Ignicoccus lives in symbiosis with another archaeon, a very
small, single-celled organism called Nanoarchaeum equitans
(see Figure 4). The Nanoarchaeum cell has one of the smal-
lest genomes yet sequenced (less than 500 000 bp). In fact,
too few genes are present to code for all of the biological
functions thought to be essential for life. It can live only
together with Ignicoccus. Among the missing functions are
the enzymes that catalyze lipid biosynthesis. If these
enzymes are really absent from this organism, then how
does Nanoarchaeum get its lipids for construction of its CM?
Ultrastructural analyses reveal not only the two-
membrane envelope of Ignicoccus, but also the presence
of intraperiplasmic vesicles. Because the lipid and protein
compositions of the inner and outer membranes are dif-
ferent, it has been possible to establish that these vesicles
derive from the inner membrane of Ignicoccus. Moreover,
the lipids in the nanoarchaeal membrane are very similar,
if not identical, to those in the CM of Ignicoccus.
These observations led to the postulate that one organ-
ism makes the lipids for both. Some of the membrane
Figure 4 An electron microscopic depiction of an Ignicoccus cell (bottom), showing the inner and outer membranes, in symbiotic
association with two Nanoarchaeum cells (top).
264 Cell Membrane, Prokaryotic

transport proteins in the nanoarchaeal membrane of one
organism may also derive from its symbiotic partner cell.
The details of the transfer process, which still need to be
confirmed, are yet to be established. However, it already
seems likely that these symbiotic archaea have developed
mechanisms for intercellular communication and mole-
cular transfer involving periplasmic vesicles that are
unique to them. Alternatively, elucidation of such
mechanisms may lead to the discovery of analogous pro-
cesses in bacteria and eukaryotes.
Conclusions
Prokaryotes, including bacteria and the much less well-
studied archaea, possess cell envelopes of extremely var-
ied compositions and structures. In both prokaryotic
domains of living organisms, as in organelles of eukar-
yotes, the envelopes can possess one or two membranes.
The two membranes always consist of different combina-
tions of lipids and proteins. We are now coming to
appreciate the complexities of the assembly machineries
that function to construct these envelopes. Many are
present in specific membranes while others span the
entire cell envelope structures. Moreover, completely
different transport apparati are found in the inner and
outer membranes of organisms that have both. Evaluation
of the structural data available for the OMs of Gram-
negative bacteria, high GþC Gram-positive bacteria,
and archaea leads to the conclusion that prokaryotic
OMs have probably evolved independently in these
three organismal types. It is clear that further research
will be required to clarify the many important but poorly
understood issues dealing with basic aspects of the func-
tions, structures, biogenesis, and evolution of prokaryotic
OMs. Moreover, novel processes and mechanisms are
likely to come to light. This chapter thus serves as a
progress report of prokaryotic membrane research efforts
that will hopefully provide a basis for future advances.
Further Reading
Brennan PJ (2003) Structure, function, and biogenesis of the cell wall of
Mycobacterium tuberculosis.Tuberculosis (Edinburgh) 83: 91–97.
Brennan PJ and Nikaido H (1995) The envelope of mycobacteria.
Annual Review of Biochemistry 64: 29–63.
Busch W and Saier MH Jr. (2002) The transporter classification (TC)
system. Critical Review in Biochemistry and Molecular Biology
2002: 287–337.
Chami M,BayanN, Dedieu JC, Leblon G, Shechter E, and Gulik-Krzywicki T
(1995) Organisation of the outer layers of the cell envelope of
Corynebacterium glutamicum: A combined freeze-etch electron
microscopy and biochemical study. Cell Biology 83: 219–229.
Daffe´ M and Draper P (1998) The envelope layers of mycobacteria with
reference to their pathogenicity. Advances in Microbial Physiology
39: 131–203.
Denich TJ, Beaudette LA, Lee H, and Trevors JT (2003) Effect of
selected environmental and physico-chemical factors on bacterial
cytoplasmic membranes. Journal of Microbiological Methods
52: 149–182.
Dowhan W (1997) Molecular basis for membrane phospholipids
diversity, why are there so many lipids. Annual Review of
Biochemistry 66: 199–232.
Kartmann B, Stengler S, and Niederweis M (1999) Porins in the cell wall
of Mycobacterium tuberculosis.Journal of Bacteriology
181: 6543–6546.
Koga Y and Morii H (2005) Recent advances in structural research on ether
lipids from archaea including comparative and physiological aspects.
Bioscience, Biotechnology, and Biochemistry 69: 2019–2034.
Liu J, Barry CE III, Besra GS, and Nikaido H (1996) Mycolic acid
structure determines the fluidity of the mycobacterial cell wall.
Journal of Biological Chemistry 271: 29545–29551.
Morita YS, Velasquez R, Taig E et al. (2005) Compartmentalization of
lipid biosynthesis in mycobacteria. Journal of Biological Chemistry
280: 21645–21652.
Rachel R, Wyschkony I, Riehl S, and Huber H (2002) The ultrastructure
of Ignicoccus: Evidence for a novel outer membrane and for
intracellular vesicle budding in an archaeon. Archaea 1: 9–18.
Saier MH , Jr. (2006) Protein secretion and membrane insertion systems
in Gram-negative bacteria. The Journal of Membrane Biology
214: 75–90.
Singer SJ and Nicolson GL (1972) The fluid mosaic model of the
structure of cell membranes. Science 175: 720–730.
Trevors JT (2003) Fluorescent probes for bacterial cytoplasmic
membrane research. Journal of Biochemical and Biophysical
Methods 57: 87–103.
Cell Membrane, Prokaryotic 265

Cell Structure, Organization, Bacteria and Archaea
N Nanninga, Universiteit van Amsterdam, Amsterdam, The Netherlands
ª2009 Elsevier Inc. All rights reserved.
Defining Statement
Characteristics of Prokaryotes
Cell Envelope – Appendages
Cell Envelope
Cytoplasm
The Nucleoid
Further Reading
Glossary
cell envelope The boundary that envelopes a cell. It is
composed of a cytoplasmic membrane and a cell wall.
cryo-electron tomography Frozen biological objects
are imaged in an electron microscope under various
viewing angles. Image processing results in a 3D
representation. This, in turn, can be used to obtain
virtual sections through the object.
flagellum A proteinaceous filament of several
micrometer length that enables bacterial motility.
Through a basal body, it is integrated into the cell
envelope. Proton motive force drives a rotor located in a
stator.
hamus Plural: hami. Proteinaceaous filaments on the
surface of an archaeal organism SM1. They terminate
into fishhook-like structures.
nucleoid The bacterial or archaeal chromosome.
nucleoplasm The DNA-containing region in the
bacterial or archaeal cell.
penicillin-binding proteins Proteins involved in
bacterial peptidoglycan assembly outside the
cytoplasmic membrane. They bind specific antibiotics.
peptidoglycan A bacterial wall component built from
glycan chains interconnected by cross-linked peptide
side chains. The glycan chains are made up of
disaccharide units, which are composed of
N-acetylglucosamine and N-acetylmuramicacid. Cross-
linking through the peptide side chains provides for a
strong network.
pili Proteinaceous filaments on a bacterial cell surface
that can adhere to other organisms, notably eukaryotic
epithelia. Their dimensions are markedly smaller than
those of flagella.
pseudopeptidoglycan Also denoted as
pseudomurein. The peptidoglycan equivalent of some
archaeal species. It contains no D-amino acids. The
disaccharide units of the glycan chains are composed of
N-acetylglucosamine and N-acetyltalosaminuronic
acid.
sacculus A covalently closed structure that has the
shape of a bacterium. It is composed of glycan chains
that are interconnected by peptide side chains.
S-layer A protein layer of regularly arranged subunits
on the surface of a prokaryote.
Abbreviations
CM cytoplasmic membrane
CW cell wall
CY cytoplasm
ENV envelope surrounding the nucleoid
Fflagellum
GFP green fluorescent protein
GlcNAc N-acetylglucosamine
ICM intracytoplasmic membrane
IWZ inner wall zone
LL-ring in outer membrane
LPS lipopolysaccharide
MS MS-ring in cytoplasmic membrane
MurNAc N-acetylmuramic acid
Nnucleoid
NacTalNA N-acetyltalosaminuronic acid
NU nucleoid
OM outer membrane
OWZ outer wall zone
Ppilus
PP-ring in peptidoglycan layer
PA paryphoplasm
PE periplasm
PF proteinaceous filaments
PG peptidoglycan
PR polyribosome
TA teichoic acid
266

Defining Statement
The structure of bacteria and archaea is presented here
with some extra focus on the latter. The rationale has
been to discuss the cell structure, while going from the
outside of the cell to the inside, that is, from cellular
appendages to the nucleoid. Special emphasis has been
placed on novel results obtained by cryo-electron
tomography.
Characteristics of Prokaryotes
An Overview of Prokaryotic Structure
Prokaryotes are divided into the domains Bacteria (for-
merly Eubacteria) and Archaea (formerly Archaebacteria).
As prokaryotes (pro,beforeandkaryon, nucleus), they con-
tain no membrane-enveloped genome. This common
feature implies direct contact between DNA and cyto-
plasm. In contrast to the situation in eukaryotes,
transcription and translation occur in one and the same
compartment. Thus, while genes are being transcribed,
ribosomes position themselves on the emerging messenger
RNA and protein synthesis takes place simultaneously. In
case of synthesis of a membrane protein, a continuous, be it
transient, connection exists between DNA and membrane
(Figure 1).
So far, prokaryotic structure has been mainly studied in
bacteria. Though many species have been investigated,
some organisms have been used as models for biochemical,
genetic, physiological, and ultrastructural research.
Escherichia coli, Salmonella typhimurium,andCaulobacter cres-
centus have dominated the Gram-negative field, whereas
Bacillus subtilis, Enterococcus sp., Pneumococcus sp.,
Staphylococcus aureus,andStreptococcus spp. are popular
Gram-positives. The distinction between Gram-positive
and Gram-negative organisms makes sense, because in
the case of bacteria, it reflects a basic difference in cell
wall architecture (Figure 2 and see below). Model organ-
isms have advantages and disadvantages. Clearly,
concerted efforts of many groups augment progress in
specific scientific fields. Nevertheless, interesting biological
phenomena in other organisms may not be noticed for a
long time. For instance, it has been found quite recently
that an organism like Vibrio cholerae has specific DNA
segregation mechanisms for its two different chromosomes.
Recent research has demonstrated a remarkable mem-
brane compartmentalization in some planctomycete
species. In these bacteria, which lack peptidoglycan,
the nucleoid region is enveloped by a single or a double
membrane. In Gemmata obscuriglobus, a double membrane
shields a DNA- and ribosome-containing area from a
cytoplasmic area also containing ribosomes (Figure 3).
This area is bounded by an intracytoplasmic membrane.
Between the intracytoplasmic membrane and the
P
C
F
CY
CM CW
PE OM
CM CM
PG PG + TA
NPR 0.5
μ
m
PF
Figure 2 Schematic representation of a bacterium. The Gram-
positive (right) and Gram-negative (left) cell envelopes are
indicated below. C, capsule; CM, cytoplasmic membrane; CW,
cell wall, CY, cytoplasm; F, flagellum; N, nucleoid; OM, outer
membrane; P, pilus; PE, periplasm; PF, proteinaceous filaments;
PG, peptidoglycan; PR, polyribosome; TA, teichoic acid.
PG
mRNA
RNA polymerase
Polyribosome
OM
CM
DNA
50
nm
Figure 1 Structural continuity between the nucleoid and the
envelope through cotranscriptional biosynthesis of membrane
proteins. CM, cytoplasmic membrane; OM, outer membrane;
PG, peptidoglycan. Reproduced from Woldringh CL, Jensen PR,
and Westerhoff HV (1995) Structure and partitioning of bacterial
DNA: Determined by a balance of compaction and expansion
forces? FEMS Microbiology Letters 131: 235–242.
Cell Structure, Organization, Bacteria and Archaea 267

cytoplasmic membrane is a ribosome-free (though not
RNA-free) compartment termed paryphoplasm.
Interestingly, compartmentalization of the nucleoid is
reminiscent of the eukaryotic structure. Thus, posing
the questions. What is the evolutionary position of the
planctomycetes? Are they on their way to become eukar-
yotes? Did archaea become endosymbionts of
planctomycetes? Did noncompartmentalized bacteria
evolve into planctomycetes? Or, alternatively, did they
lose compartments during evolution? In any case, the
membrane-bounded nucleoid of G. obscuriglobus is quite
different from a genuine nucleus, because its DNA is
surrounded by cytoplasmic material. Clearly, there are
many questions to be answered for the future. These
novel data show an increasing diversity of bacterial
ultrastructure.
Modern studies of Archaea have started about 20 years
after those of Bacteria. For instance, seminal ultrastructural
and biochemical works on the archaeon Halobacterium halo-
bium originated in the mid-1970s of the previous century
(Figure 4). This electron micrograph is perhaps the earliest
image of an archaeon showing its prokaryotic nature, that
is, the direct contact of the nucleoplasm and the cytoplasm.
Habitats of archaea are diverse and may be harsh
(hyperthermophilic or extreme halophilic) according to
human standards. Up till now, no dominant model organ-
ism has emerged for the archaea. Nevertheless, the
discovery that archaea are genetically more close to eukar-
yotes than bacteria makes them a highly interesting domain
from an evolutionary point of view.
Shape of Prokaryotes
The shape of prokaryotes ranges from rods to spheres.
Rods can be straight, curved, or helical. Cells may operate
individually, as chains, when cell separation fails after
division, as two-dimensional sheets, or even as three-
dimensional packets. Cell shape is maintained by a rigid
cell wall, which varies in complexity. The cell wall can be
considered as an exoskeleton, which in the case of most
bacterial species contains peptidoglycan. Archaea have no
peptidoglycan and may contain pseudopeptidoglycan
(pseudomurein) or chondroitin in some organisms.
Consequently, archaea are not susceptible to antibiotics
directed against the penicillin-binding proteins involved
in peptidoglycan synthesis. Other archaea that lack pseu-
dopeptidoglycan or chondroitin are bordered by a
cytoplasmic membrane, which is reinforced by a so-called
S-layer (see below).
In recent years, a new dimension has been added to the
understanding of bacterial shape by the discovery in rod-
shaped bacteria of a helix composed of a polymer of an
actin-like protein MreB underneath the cytoplasmic
membrane (Figure 5). In E. coli and B. subtilis, it runs
from pole to pole. Disruption of the helix leads to sphe-
rical cells. This fits with the idea that shape involves
interplay between cytoplasmic MreB and the envelope-
associated peptidoglycan synthesizing system. Rod-
shaped archaea may also posses MreB homologues,
whereas coccal species tend to lack this protein. The
helical shape of a Gram-negative spirochete like Borrelia
burgdorferi is maintained by periplasmic flagella in addi-
tion to its peptidoglycan layer. Many prokaryotic species
posses appendages such as flagella, pili (fimbriae), or a
stalk (prosthaeca).
NU
PA
ENV
ICM
20
nm
Figure 3 Gemmata obscuriglobus, a bacterium with an
enveloped nucleoid. CM; ENV, envelope surrounding the
nucleoid; ICM, intracytoplasmic membrane; NU, nucleoid; PA,
paryphoplasm. Reproduced from Lindsay MR, Webb RI, Strous
M, et al. (2001) Cell compartmentalisation in planctomycetes:
Novel types of structural organisation for the bacterial cell.
Archives of Microbiology 175: 413–429.
CY
NU
0.1
μ
m
Figure 4 Electron micrograph of a thin section of
Halobacterium halobium. The nucleoplasm in this archaeal
organism is in direct contact with the cytoplasm. CY, cytoplasm;
NU, nucleoplasmic region. Reproduced from Stoeckenius W and
Rowen R (1967) A morphological study of Halobacterium
halobium and its lysis in media of low salt concentration. The
Journal of Cell Biology 34: 365–393.
268 Cell Structure, Organization, Bacteria and Archaea

In presenting prokaryotic structure, I will proceed
from the outside to the inside, that is, from cellular
appendages to the nucleoid. In each section of this article,
I will first focus on bacteria and subsequently, if applic-
able, on archaea.
Cell Envelope – Appendages
Prokaryotic cells often carry appendages such as a stalk,
flagella, or pili. These serve to attach to surfaces (stalk), to
allow swimming (flagella) or movement on a surface like
swarming (flagella) or gliding (pili). Flagella and pili are
distinct macromolecular complexes, whereas a stalk is a
structural continuation of the cell envelope.
Stalks (Prosthecae)
Stalks enable cells to bind to a substrate. A familiar exam-
ple is the stalk of C. crescentus. This organism is remarkable
for its two alternating developmental stages where it
exists as a polarly-flagellated free swimming cell, a swar-
mer or as a sessile stalked cell. When a swarmer sheds its
flagellum and adjacent pili, a stalk develops at the same
location. The stalk is much thinner than the diameter of
the cell and it is free of cytoplasm. Thus, it basically
represents a continuation of the bacterial envelope. Its
increase in length bears resemblance to cell elongation
as it takes place in C. crescentus and in E. coli. In these
organisms, penicillin-binding protein 2 and RodA are
required for cell elongation as well as growth of the
stalk in C. crescentus. However, its length extension is not
dispersed as in E. coli, it is rather carried out at its base,
that is, at the junction of the stalk and the cell body.
Hyphae (long filaments) are prosthecae that are seen
in organisms such as Hyphomonas and Hyphomicrobium.
Though Hyphomonas species and C. crescentus are quite
similar genomically, their stalks serve essentially different
purposes. In Hyphomonas species, the stalk is not devoid of
cytoplasm (Figure 6). By contrast, it enables the migra-
tion of DNA and cytoplasm to the distal end of the stalk,
where a bud is formed. The bud develops into a swarmer
cell, which can be transformed into a stalked cell as in
C. crescentus.
Bacterial Flagella
Many bacteria move by proteinaceous filaments, flagella,
which are attached to their bodies. Bacterial flagella are
hollow helical tubes with a length of several mms and a
diameter of about 24 nm (Figure 7). The arrangement can
be polar, peritrichous (peri, around; trichous, hair), or
both. Polar flagella are longer than their peritrichous
counterparts. Polarly flagellated Spirillum volutans has
about 50 flagella at each pole. Spirochetes carry flagella
in the periplasmic space between the outer membrane
and the cytoplasmic membrane.
2
μ
m
Figure 5 Fluorescent image of immunolabeled MreB in Bacillus
subtilis 168. Reproduced from Jones LJF, Carballido-Lo9pez R,
and Errington J (2002) Control of cell shape in bacteria, helical,
actin-like filaments in Bacillus subtilis. Cell 104: 913–922.
Main body
OM
CM
M
NU
500
nm Stalk
Figure 6 Electron micrograph of a thin section of Hyphomonas
strain VP-6. CM, cytoplasmic membrane; M, membrane
separating cytoplast from the stalk; NU, nucleoplasmic areas;
OM, outer membrane. Arrow, membranous strands connecting
cell and stalk contents. Reproduced from Zerfas PM, Kessel M,
Quintero EJ, and Weiner RM (1997) Fine-structure evidence for
cell membrane partitioning of the nucleoid and cytoplasm during
bud formation in Hyphomonas species. Journal of Bacteriology
179: 148–156.
Cell Structure, Organization, Bacteria and Archaea 269

The flagellum is anchored to the cell surface, where it
is in contact with its various layers. Its integration into the
envelope leads to various rings (MS, P, and L), specific for
a particular layer, as indicated in Figure 7. The envelope-
based structure is termed basal body. This structure as
deduced from a rotationally averaged reconstruction of
numerous electron micrographs is also shown in Figure 7.
The flagellum is composed of three parts, the basal body
with a rotator in the envelope, a bended flexible part
called hook, and the more rigid filament. Flagellar assem-
bly requires the participation of many different proteins.
A protein export facility (type III secretion system) for
flagellar proteins is apposed against the cytoplasmic side
of the basal body. Elongation of the flagellar filament
involves the transport of flagellin FliC from the cyto-
plasm, through the base of the flagellum and finally
through a channel inside the flagellum to its distal part.
Eleven protofilaments constitute the filament. The pro-
teinaceous rotator (Figure 7) resembles a mechanical
rotor in the sense that a cylinder can rotate in a stationary
shaft, the stator. The energy for torque generation is
thought to result from the proton motive force across
the cytoplasmic membrane.
In Gram-negatives such as E. coli and S. typhimurium,
flagella may rotate clockwise or counterclockwise. In the
first case, cells show directionless tumbling, whereas in the
other, they swim in a straight line. Tumbling arises when
intertwined flagella during counterclockwise rotation
change their helical pitch. The alternation between tum-
bling and straight swimming makes it possible to adhere to a
directed movement when a food source (attractant) or repel-
lent has been located. Sensing of the food source occurs
through chemoreceptors located near the cellular pole. A
signal transduction system provides a connection with the
basal body of the flagellum. The flagella of Gram-positives
resemble those of Gram-negatives, but their integration in
the cell envelope reflects the difference in cell wall structure
of the two types of microorganisms. A remarkable feature
characterizes spirochetes, for instance, in Borella species and
Treponema species. In these organisms, periplasmic flagella
arise at a subpolar position from each pole and overlap in the
cell center. Presumably, because of their location, the fla-
gella are directly responsible for the helical shape of the
spirochetes and indirectly for the motility of the latter.
Archaeal Flagella
Archaeal flagella, as studied in the extreme halophile
Halobacterium salinarium,arequitedifferentfromthoseof
bacteria. They have smaller dimensions than their bacterial
equivalents and their axial filaments contain different pro-
teins. The diameter of archaeal flagella is about 10 nm,
whereas it is 24 nm for the bacterial organelles (Figure 8).
Another difference is that their proteins are often
Filament cap
Filament (FliC)
Hook-associated
proteins
Hook
L
P
OM
CM
MS
Rotor
component Switch Protein transport
apparatus
Force
Generation
Distal
rod Proximal
rod
PG
Figure 7 Schematic structure of a Gram-negative bacterial flagellum. At the right, an averaged image based on numerous electron
micrographs. The C-ring is underneath the cytoplasmic membrane. CM, cytoplasmic membrane; L, L-ring in outer membrane; MS, MS-
ring in cytoplasmic membrane; OM, outer membrane; P, P-ring in peptidoglycan layer; PG, peptidoglycan layer. Reproduced from
Berg H (2003) The rotary motor of bacterial flagella. Annual Review of Biochemistry 72: 19–54.
270 Cell Structure, Organization, Bacteria and Archaea

glycosylated. Presumably, this is related to the requirement
to sustain extreme growth conditions, be it high salinity or
high temperature. Note that probably for the same reason,
S-layers of archaea are also glycosylated. The architecture
of archaeal flagella bears resemblance to that of type IV pili
(Figure 9). Likewise, the N-termini of archaeal flagellin
and bacterial pilin show significant homology. Knowledge
about archaeal flagella is emerging slowly. In the hyperther-
mophile Pyrococcus furiosus, which grows at 100 C, a bundle
of flagella is inserted at one pole. Their glycosylated pro-
teins resemble those of other archaeal flagella. The
P. furiosus flagella adhere to surfaces, and it remains to be
demonstrated whether they are used for swimming. Clearly,
research on archaeal flagella requires continued efforts.
In contrast to bacterial flagella, the growth of archaeal
flagella might take place at their base because they seem
to lack a central channel. However, the detailed interac-
tions of cell-proximal archaeal proteins with the cell
envelope are not yet known. In H. salinarium, the flagel-
lum is thought to interact with a cytoplasmic structure
underneath the cytoplasmic membrane at a cell pole. This
structure has been termed polar cap (Figures 9(b) and
10). So far, it is not clear whether a cell envelope-based
rotor is part of an archaeal flagellum. Bio-assembly of the
archaeal flagellum is thought to occur via a type II secre-
tion system as in type IV pili.
Pili (Fimbriae)
Pili are comparatively small rod-like proteinaceous appen-
dages on bacterial surfaces. They are markedly smaller
(a)
(b)
20
nm
Figure 8 Electron micrographs of negatively stained bacterial
and archaeal flagella allowing diameter comparison. (a) An
archaeal flagellum. (b) A flagellum of Salmonella typhimurium.
Reproduced from Cohen-Krausz S and Trachtenberg S (2002)
The structure of the archaebacterial flagellar filament of the
extreme halophile Halobacterium salinarum R1M1 and its relation
to eubacterial flagellar filaments and type IV pili. Journal of
Molecular Biology 321: 383–395.
(a) (b)
Adhesin
Major
pilin (PilA)
Secretin
Prepilin
peptidase
NTP
NTP-binding
proteins
Preflagellin
peptidase Fla proteins Polar cap
10
nm
OM
Pilin-like
proteins CM
S-layer
Filament proteins
(FlaA, B1, B2)
Hook proteins
NTP
Figure 9 Schemes of the possible architecture of a (a) type IV pilus and an (b) archaeal polar flagellum. (a) The main body from the
type IV pilus is composed of the pilin protein PilA. Pilin-like proteins are cleaved by the prepillin peptidase in the cytoplasmic
membrane (CM). The secretin allows protrusion of the pilus through the outer membrane (OM). The energy for assembly and
retraction of the pilus is supposed to be delivered by the nucleotide triphosphate (NTP)-binding proteins. (b) The external part of the
flagellum is made up of the three flagellar proteins FlaA, FlaB1, and FlaB2. The flagellum is probably embedded in the envelope with
other Fla proteins. A preflagellin peptidase cleaves the leader peptide from flagellins to be incorporated into the flagellum. Not all
functions of proteins are known. CM, cytoplasmic membrane; OM, outer membrane; PC, polar cap (cf. Figure 10); SL, S-layer.
Reproduced from Bardy SL, Ng SYM, and Jarrell KF (2003) Prokaryotic motility structures. Microbiology 149: 295–304.
Cell Structure, Organization, Bacteria and Archaea 271

than flagella. Information on archaeal ‘pili’ is slowly emer-
ging (see below). The terms pili and fimbriae are both used,
mostly for one and the same thing. Examples include P pili,
type I pili, type IV pili, and G fimbriae. In this section, the
focus is on type I and type IV pili, because they have been
studied extensively. At their tips, pili carry adhesive pro-
teins. Nonfimbrial adhesive proteins (adhesins) may also be
present directly on the bacterial surface.
Type I pili
These pili, which resemble P pili, emerge from the sur-
face of Enterobacteriaceae. The pili are somewhat rigid thin
filaments, which can attain a length of 2 mm(Figure 11).
In uropathogenic E. coli strains, they adhere to the surface
of epithelial cells with their tips. At the tip, the adhesin
FimH is present, which is a mannose-specific lectin. The
main body of type I pili is composed of FimA subunits,
which are arranged into a helix via three protofilaments
(Figure 12). The pilus has a diameter of 6–7 nm and an
axial hole with a diameter of 2.0–2.5 nm. Bio-assembly of
type I pili is carried out through the chaperone-usher
pathway.
Type IV pili
These pili reside on polar surface of pathogenic Gram-
negative bacteria, such as Neisseria gonorrhoae, Neisseria
meningitidis, and the opportunistic pathogen Pseudomonas
aeruginosa. They are multifunctional, including acting in
adhesion, uptake of DNA (natural transformation),
twitching motility, and biofilm formation. Adhesion and
DNA uptake are mediated at the pili tips. Type IV pili
have a length in the order of 1 to several micrometers and
a thickness of about 5 nm. The pili have a helical structure
and contain as a main component PilA (Figure 9(a)).
Probably related to their function, type IV pili can retract
and extend. This is supposed to enable gliding by twitch-
ing motility. The formation of fruiting bodies by directed
movement of Myxococcus xanthus is termed social gliding
and it also involves twitching motility. Swarming, as it
occurs in Proteus sp., can also be considered as a form of
social gliding. However, it involves flagella and not pili.
Bio-assembly of type IV pili is mediated by the type II
secretion system.
1
μ
m
Figure 10 Electron micrograph of polar caps of Halobacterium
halobium purified by gel filtration. Reproduced from Kupper J,
Marwan W, Typke D, et al. (1994) The flagellar bundle of
Halobacterium salinarum is inserted into a distinct polar cap
structure. Journal of Bacteriology 176: 5184–5187.
(a)
(c)
700
nm
10
nm
20
nm
(d)
(b)
Figure 11 Electron micrographs of Escherichia coli W3110 and
type I pili. (a) Negatively stained cell with pili. Inset: detail at higher
magnification. (b) Darkfield image of a pilus. The pilus seems to
have a channel as suggested by its dark central line. (c, d)
Darkfield image of pili extremities. Arrows point to a presumed
flexible coiled tip. Reproduced from Hahn E, Wild P, Hermanns U,
et al. (2002) Exploring the 3D molecular architecture of
Escherichia coli type 1 pili. Journal of Molecular Biology 323:
845–857.
272 Cell Structure, Organization, Bacteria and Archaea

Hami
Bacterial pili and flagella have been studied extensively.
By contrast, much less is known about archaeal flagella
(see above) and even less about potential archaeal pili
equivalents. Hami are a novel type of appendages that
are peritrichously arranged on the surface of a nonmetha-
nogenic archaeal organism denoted SM1 (Figure 13).
Their name is derived from the Latin term hamus, which
denotes prickle or hook amongst others. They are several
microns long and have a diameter of 7–8 nm. Remarkably,
their tips end in a structure resembling a triple fishhook
(Figure 14). The fishhooks are preceded by a smooth
region, which, in turn, is preceded by the remaining
filament region. This region that extends to the cellular
surface resembles barbed wire (Figure 14). The barbed
wire appearance is caused by the periodic arrangement of
three prickly structures along the helical filament. The
latter is presumed to be composed of three protofilaments.
The detailed dimensions are also given in Figure 14.So
far, nothing is known about the assembly pathway of these
elegant structures. It is in particular intriguing to under-
stand how the fishhook-like structures are created. Hami
have adhesive properties. The tip structures suggest that
this is accomplished through grasping rather than through
stickiness as in adhesive proteins.
Archaeal pili of known chemical composition have not
been identified morphologically. However, they might be
present, because an archaeal genome search for bacterial
pilin-like and pilin-associated proteins has identified sev-
eral components that point to the existence of class III
signal peptides. It should be remembered that bacterial
Figure 12 A 3D reconstruction of type I pilus composed of FimA. Reproduced from Hahn E, Wild P, Hermanns U, et al. (2002)
Exploring the 3D molecular architecture of Escherichia coli type 1 pili. Journal of Molecular Biology 323: 845–857.
500
nm
Figure 13 Electron micrograph of a shadowed archaeal
coccus SM1 with hami on its surface. Reproduced from Moissl C,
Rachel R, Briegel A, Engelhardt H, and Huber R (2005) The
unique structure of archaeal ‘hami’, highly complex cell
appendages with nano-grappling hooks. Molecular Microbiology
56: 361–370.
60
nm
(d)
152
nm
46
nm
Cell surface
(a) (b) (c)
Figure 14 Detailed representation and model of a hamus
based on cryo-electron tomography. (a) Digital section through a
3D reconstruction of a hamus. (b) After denoising. (c) Surface
rendering of the data from Figure 14b. (d) Detailed dimensions of
hamus structure. Reproduced from Moissl C, Rachel R, Briegel
A, Engelhardt H, and Huber R (2005) The unique structure of
archaeal ‘hami’, highly complex cell appendages with nano-
grappling hooks. Molecular Microbiology 56: 361–370.
Cell Structure, Organization, Bacteria and Archaea 273

type IV pili also have class III signal peptides. Clearly, for
the future, archaea still have much in store concerning
their cellular appendages.
Cell Envelope
The cell wall functions to protect the integrity of the cell
and at the same time it permits interaction of the organism
with a variable environment. The Gram-negative cell
envelope as exemplified in E. coli (Figure 2) is composed
of three layers. From outside to inward, these are the outer
membrane, the peptidoglycan layer, and the inner or cyto-
plasmic membrane. The peptidoglycan layer is covalently
attached to the outer membrane through lipoprotein mole-
cules. This is easily seen upon plasmolysis, when outer
membrane and peptidoglycan layer peel away together
from the cytoplasmic membrane. The compartment
between the two membranes and which includes the pep-
tidoglycan layer is called the periplasm. It is filled with
membrane-derived oligosaccharides. Their synthesis is
under osmoregulation and they are thought to function in
maintaining a high osmotic pressure in the periplasm.
The Gram-positive cell lacks an outer membrane;
instead, it has a rather thick cell wall (Figure 2) composed
of peptidoglycan and wall teichoic acids. Wall teichoic
acids are charged anionic polyol phosphates, which give a
negative charge to the Gram-positive cell wall. Gram-
positive bacteria are difficult to plasmolyze, presumably
because the molecular interactions between cytoplasmic
membrane and cell wall are relatively abundant. For
instance, lipoteichoic acid polymers are inserted into the
cytoplasmic membrane, thus spanning the whole envelope.
A few organisms such as Mycoplasma, Planctomyces,and
Chlamydia lack peptidoglycan.
Archaea can also be divided into Gram-positives and
Gram-negatives, though this distinction is not as widely
used as for bacteria. Archaea lack peptidoglycan, instead
they may possess pseudopeptidoglycan (pseudomurein)
in their walls. Other archaea contain a chondroitin-like
polymer. In some wall-less organisms, the cytoplasmic
membrane is reinforced by an S-layer (see below). In
the hyperthermophilic Ignicoccus sp., an outer membrane
has been detected. This structure should not be confused
with the outer membrane of E. coli. Still other archaea may
lack a cell wall, without a reinforcing S-layer, which
results in a flexible shape.
In Gram-positive as well as Gram-negative organisms,
an additional external layer, composed of regularly
arranged proteins may be present (S-layer; see below).
S-layers, as already mentioned, also occur in archaea. In
some archaea, they are in direct contact with the cyto-
plasmic membrane and contribute to maintaining the cell
shape (see below).
Capsules
Long polysaccharides associated with the outer membrane
of, for instance, E. coli protrude in the environment and
together form a capsule at the surface of the cell (Figure 2).
The polysaccharides are extremely variable in composition
and are strain-specific. In E. coli, K antigens and O antigens
are distinguished.
S-Layers
The disposition of the S-layer on the envelopes of bac-
teria and archaea is shown in Figures 15(a) and 16.In
Gram-negative archaea such as H. halobium, S-layer
(b)(a) S-layer lattice types
Oblique
p1
p4
p2
Square
Hexagonal
p6
p3
Figure 15 Electron micrograph of a freeze-etched cell surface and different S-layer lattice types. (a) Square lattice on the outer
surface of Bacillus sphaericus CCM 2177. (b) Oblique (p1, p2), square (p4), and hexogonal (p3, p6) lattice symmetries. The numbers
refer to the identical morphological units indicated in red. Bar: 100 nm. Reproduced from Sleytr UB, Huber C, Ilk N, Pum D, Schuster B,
and Egelseer EM (2007) S-layers as a tool kit for nanobiotechnological applications. FEMS Microbiology Letters 267: 131–144.
274 Cell Structure, Organization, Bacteria and Archaea

(glyco)proteins are inserted into the outer leaflet of the
inner membrane (Figure 17(a)). In Gram-positive bac-
teria and Gram-positive archaea, the S-layer appears
apposed to the cell wall containing peptidoglycan or
pseudopeptidoglycan, respectively (Figure 17(b)). In
Gram-negative bacteria, the S-layer is in contact with
lipopolysaccharide (LPS) constituent of the outer mem-
brane (Figure 17(c)). S-layers arise through self-assembly
on the cells’ surface and they might obey different rules of
symmetry (Figure 15(b)). Purified S-layer proteins
assemble into sheets in vitro. The S-layer may disappear
under laboratory growth conditions. S-layers have likely a
protective function, one aspect of which might be a role as
a molecular sieve. Nanobiotechnological applications of
S-layer proteins include their crystallization on specific
substrates. This in turn can be used to organize selected
biomaterials in a defined pattern.
Outer Membrane
The outer membrane is an integral component of the cell
envelope of Gram-negative bacteria, where it is thought to
act as a selective permeability barrier mainly. It is com-
posed of (lipo)proteins, phospholipids, and LPSs. The
arrangement of these components in the outer membrane
is essentially asymmetric (Figure 17(c)). The chemical
asymmetry is clearly seen in freeze-fractured membranes
at the ultrastructural level.
The LPSs are located in the outer leaflet of the outer
membrane, whereas the main phospholipids reside in the
inner leaflet (i.e., the leaflet pointing to the interior of the
cell). LPS consists of three regions: lipid A, which is
anchored to the outer leaflet of the outer membrane,
core oligosaccharide, and O-specific polysaccharides,
also called O-antigen. The composition of the latter can
be extremely variable and the genes that express
O-antigen are grouped in gene clusters.
Outer membrane proteins tend to be organized into
trimers to allow their function as hydrophilic transmem-
brane channels. As such, the channel proteins are referred
to as porins. Several porins may occur in one and the same
cell and they have been studied in many Gram-negative
organisms. A monomeric porin has a ß-barrel structure,
which traverses the outer membrane. Three ß-barrel
structures constitute a pore as shown for the osmoporin
OmpC (Figure 18).
Peptidoglycan Layer
Escherichia coli
Peptidoglycan or murein is constructed from glycan
chains interconnected by peptide side chains. The glycan
chains consist of disaccharide subunits composed of
N-acetylglucosamine (GlcNAc) and N-acetylmuramic
acid (MurNAc). They are connected through ß(1,4) gly-
cosidic bonds. Their length is extremely variable and can
range from 8 to 80 disaccharide units. The glycan chains
carry peptide side chains (stem peptides), which can be
interconnected through peptide bonds. In E. coli, the side
chains are tetrapeptides, which are interconnected
through a peptide bond between meso-diaminopimelic
acid and D-alanine (Figure 19(a)). Whereas the composi-
tion of the glycan chains is quite universal, the
composition of the peptide side chains may differ in
various organisms. For instance, in a Gram-positive
organism like S. aureus, the peptide is a pentaglycine. A
consequence of peptide side chain cross-linking is that the
peptidoglycan layer represents a single covalent struc-
ture, which has the shape of the cell (Figure 20). In a
Gram-negative organism like E. coli, the peptidoglycan
(a) (b)
CM
CM
OM
PG
S
CM
CW
S
S
(c)
Figure 16 Electron micrographs of thin sections of diverse cell envelopes with S-layers (cf. Figure 17). (a) The S-layer (S) apposed to
the cytoplasmic membrane (CM) in Sulfolobus acidocaldarius. (b) S-layer apposed to the outer membrane (OM) of the Gram-negative
Aeromonas salmonicida. (c) The S-layer on the cell wall (CW) of the Gram-positive Bacillus thuringiensis. PG, peptidoglycan layer. Bar:
50 nm. Reproduced from Sleytr UB and Beveridge T (1999) Bacterial S-layers. Trends in Microbiology 7: 253–260.
Cell Structure, Organization, Bacteria and Archaea 275

layer is monomolecular and thus very thin. This singular
sac-like macromolecule has been called a sacculus or little
sac. The position of the glycan chains in the plane of the
peptidoglycan layer is not known for certain, though
there is evidence indicating that they are arranged more
or less perpendicular to the length axis of the cell. The
sacculus is not a static structure, because it is subject to
turnover and recycling of its constituents.
Assembly of the peptidoglycan layer in E. coli takes
place in three cellular compartments. A series of enzymatic
reactions in the cytoplasm produces UDP-MurNAc-pen-
tapeptide. The next step takes place at the cytoplasmic
membrane where lipid I and lipid II are formed subse-
quently. Lipid I is the result of binding UDP-MurNAc-
pentapeptide to undecaprenyl phosphate. The addition of
UDP-GLcNAc to lipid I produces lipid II. The third
compartment is the periplasm, where lipid II is inserted
into existing peptidoglycan by penicillin binding-
proteins. To achieve this, the prenylated disaccharide
pentapeptide has to switch from the cytoplasmic side of
the membrane to the periplasmic side by an unknown
flippase activity.
Bacillus subtilis
In the Gram-positives, the peptidoglycan-containing
walls are much thicker than their Gram-negative coun-
terparts. Moreover, wall teichoic acids are intermeshed
and covalently linked to peptidoglycan. The molecular
spatial architecture of the Gram-positive cell wall is not
well-known. Recently, an interesting comparison has
been made between freeze-substituted and frozen-
hydrated electron microscopic sections of B. subtilis
strain 168 (Figures 21(a) and 21(b)). Freeze-substitu-
tion involves rapid freezing to preserve ultrastructure.
Cells are then fixed, dehydrated, and stained at low
temperature (80 C). This procedure is followed by
classical embedding to enable thin sectioning. Clearly,
Figure 18 Stereo representation of the OmpC trimer structure as viewed from the extracellular side. Reproduced from Basle A,
Rummel G, Storici P, Rosenbusch JP, and Schirmer T (2006) Crystal structure of osmoporin OmpC from E. coli at 2.0A. Journal of
Molecular Biology 362: 933–942.
(a)
(b)
(c)
S-layer
S-layer
CM
Cell wall
CM
S-layer
Pore OM
LPS
LP
CM
PG
Figure 17 Schematic disposition of S-layers in archaea and
bacteria. (a) S-layer on the cytoplasmic membrane (CM) of an
archaeon (cf. Figure 16 (a)). (b) A Gram-positive archaeon or
bacterium. Cell walls have different chemical compositions in the
two cases. (c) S-layer associated with the lipopolysaccharide
(LPS) leaflet of the outer membrane (OM) in a Gram-negative
bacterium. LP, lipoprotein; PG, peptidoglycan layer. Reproduced
from Sleytr UB and Beveridge T (1999) Bacterial S-layers. Trends
in Microbiology 7: 253–260.
276 Cell Structure, Organization, Bacteria and Archaea

dehydration is a critical step in this procedure, though
perhaps less so as at room temperature procedures. The
cell wall image (Figure 21(a)) shows an electron dense
region (1), a more translucent zone (2), and finally a
ruffled electron dense outer layer (3). The tripartite
cytoplasmic membrane is not distinguishable, presum-
ably because the membrane and associated material has
collapsed into a thin layer during dehydration. The
interpretation of zone 2 is more difficult in this
image. However, the ruffled outer zone fits with the
concept that older peptidoglycan becomes dissolved by
autolysins as it arrives at the wall surface. By contrast,
frozen-hydrated sections do not require dehydration
(by definition) and staining by electron-dense chemi-
cals. Here, a contrast is produced through native
differences in electron density. As seen in
Figure 21(b), the cytoplasmic membrane is well visible
and the cell wall appears to be divided into two zones,
an inner wall zone (IWZ) of relatively low electron
density and an outer wall zone (OWZ) of higher elec-
tron density. Because the IWZ is absent in isolated cell
walls, this has led to the idea that this low electron
density zone represents the periplasm of B. subtilis. This
is a novel concept for a Gram-positive like B. subtilis
and it seems plausible because excreted proteins and
penicillin-binding proteins need a space to carry out
their tasks. Interestingly, the OWZ decreases in density
from inside to outside. This implicates that the ruffled
outer zone visible after freeze-substitution
(Figure 21(a)) is the result of dehydration.
Assembly of peptidoglycan in B. subtilis is essentially
the same as in E. coli. However, it is coordinated with the
synthesis of wall teichoic acids. The coordination is
achieved through the use of a common component –
undecaprenyl phosphate. Remarkably, wall teichoic
acids are assembled underneath the cytoplasmic mem-
brane and not in the periplasm as for peptidoglycan.
Ultimately, the wall teichoic acid polymer has to be
transferred to the periplasm where it becomes attached
to peptidoglycan. The transfer mechanism is not yet
understood.
Peptidoglycan synthesis is different in cocci and rods
in the sense that in cocci the cell wall synthetic activities
are linked to septation.
(a)
(b)
-D-GlcNAc-(4 1)
β
-MurNAc-
Ala
D-Glu
D-Glu
Ala
-MurNAc-
β
(1 4) -D-GLcNAc-
m-Dap D-Ala
D-Ala m-Dap
Peptidoglycan
-D-GlcNAc-(3 1)
β
-L-NAcTalNA-
Glu (AsP)
Ala (Thr, Ser)
Pseudopeptidoglycan
Lys Glu
Lys Glu
Ala (Thr, Ser)
Glu (Asp)
-L-NAcTalNA-
β
(1 3) -D-GLcNAc-
(Orn)
Figure 19 Schematic structure of peptidoglycan and pseudopeptidoglycan. Note that pseudopeptidoglycan does not contain
D-amino acids.
Cell Structure, Organization, Bacteria and Archaea 277

Pseudopeptidoglycan
In some Gram-positive Archaea, the genus Methanobacterium,
the cell wall contains pseudopeptidoglycan. In this polymer,
the disaccharides are composed of GlcNAc and N-acetylta-
losaminuronic acid (NacTalNA), where the latter has
replaced bacterial MurNAc. Moreover, they are connected
through a ß(1,3) glycosidic bond (Figure 19(b)). The glycan
chains carry peptide side chains as in peptidoglycan.
However, they lack D-amino acids. Assembly of pseudopep-
tidoglycan requires undecaprenyl phosphate as in
peptidoglycan and teichoic acid synthesis.
Overall Structure
The cytoplasmic membrane as a phospholipid bilayer
envelopes the cytoplasm. Though, by definition, a struc-
tural entity, its protein components interact functionally
with cytoplasmic and periplasmic proteins. Thus, despite
classic electron microscopic images of thin-sectioned bac-
teria, the cytoplasmic membrane is embedded in a
proteinaceous framework. In recent years, fluorescence
microscopy has revealed that proteins in or at the cyto-
plasmic membrane are positioned in a helical
arrangement. A pioneering achievement has been the
discovery of the MreB helix underneath the cytoplasmic
membrane (Figure 5). Subsequently, it has been shown
that, for instance, the Sec protein translocation machinery
is helically arranged at the cytoplasmic membrane
(Figure 22)inB. subtilis as well as in E. coli. In both
cases, the Sec helix and the MreB helix do not overlap.
Also membrane proteins with periplasmic domains may
be organized into a helix. These findings stipulate the
highly organized disposition of the cytoplasmic mem-
brane in relation to periplasm and cytoplasm.
In some cases, membranous invaginations arise from
the cytoplasmic membrane, for instance, in prototrophic,
nitrifying, and methanotrophic bacteria. An outdated
example is the mesosome in Gram-positive organisms,
(a)
(b) CM
IWZ
OWZ
3
2
1
50
nm
50
nm
Figure 21 Electron micrographs of thin sections of freeze-
substituted and frozen-hydrated Bacillus subtilis 168 cell
envelopes. (a) Freeze-substituted image. 1, heavily stained
innermost region, including cytoplasmic membrane; 2,
intermediate region; 3, fibrous outermost wall region. (b) Frozen-
hydrated image. CM, cytoplasmic membrane; IWZ, low density
inner wall zone; OWZ, high density outer wall zone. Reproduced
from Matias VRF and Beveridge TJ (2005) Cryo-electron
microscopy reveals native polymeric cell wall structure in Bacillus
subtilis 168 and the existence of a periplasmic space. Molecular
Microbiology 56: 240–241.
0.5 μm
Figure 20 Electron micrograph of shadowed sacculi purified
from Escherichia coli. Reproduced from Verwer RW, Nanninga N,
Keck W, and Schwarz U (1978) Arrangement of glycan chains in
the sacculus of Echerichia coli.Journal of Bacteriology 136: 723–
729.
278 Cell Structure, Organization, Bacteria and Archaea

which is nowadays considered as an artifact of electron
microscopic preparation.
In archaeal membrane lipids, hydrophobic side chains
are not linked to the glycerol backbone through an ester
linkage, and an ether linkage is used instead.
Furthermore, the hydrophobic side chains are not fatty
acids, but isoprenoid chains. These and other differences
testify to the special status of archaea within the
prokaryotes.
Cytoplasm
The Cytoplasm
The structural connection between transcription and
translation leads literally to the picture of polyribosomes
being attached to DNA (Figure 1). At a first approxima-
tion, the bacterial cytoplasm (at least in fast growing cells)
can be conceived of as a compartment filled with poly-
ribosomes. In electron microscopic thin sections,
individual ribosomes are visible as ill-defined black dots
because of severe dehydration, which precludes analysis
of their spatial configuration. However, recent advances
in cryo-electron tomography in combination with pattern
recognition techniques have identified 70S ribosomes as
such in a bacterial cell (Spiroplasma melliferum). This has
opened the possibility to generate what has been termed a
cellular atlas of macromolecular complexes (Figure 23).
It was also observed that in S. melliferum, ribosomes com-
prise a limited fraction of the cytoplasmic volume.
As noted before, polyribosomes may link DNA and
cytoplasmic membrane (Figure 1). In this sense, there is a
transient structural link between nucleoplasm and envel-
ope. It is not clear whether the collection of
polyribosomes could serve as an intracellular supportive
structure or even whether such a supportive structure
would be needed at all. Ubiquituous cytoplasmic proteins,
such as the ribosomal elongation factor Tu and the tubu-
lin-like cell division protein FtsZ, are able to polymerize
into linear polymers in vitro. Whether such polymers
provide for a cytoplasmic framework in vivo is not clear
(cf. Figure 24). As mentioned earlier, helical MreB poly-
mers are located underneath the cytoplasmic membrane
(see, however, below).
Some organisms contain polyhydroxybutyric acid
granules, polyphosphates, sulfur droplets, or even magne-
tosomes. Gas vesicles are a special case, serving to affect
the buoyant density of, for instance, H. halobium.
Cytoplasmic Proteinaceous Filaments
Eukaryotic cytoplasm is crammed with proteinaceous
filaments. These constitute the cytoskeleton, wherein
actin filaments and microtubules are ubiquitously present.
Protein constituents of these structures are actin and
tubulin, respectively. Filamentous structures composed
of similar proteins also occur in bacterial cytoplasm.
12 3
4
1 μm
56
Figure 22 Fluorescent micrographs of the helical arrangement
of a GFP-SecE fusion protein in Escherichia coli HCB436 cells.
Panels 1 to 3, processed 3D-reconstituted images seen from
different angles. Panels 4–6, unprocessed 3D-reconstituted
images seen from different angles. Reproduced from Shiomi D,
Yoshimoto M, Homma M, and Kawagishi I (2006) Helical
distribution of the bacterial chemoreceptor via colocalization with
the Sec protein translocation machinery. Molecular Microbiology
60, 894–906.
Figure 23 Arrangement of 70S ribosome in the cytoplasm of
Spiroplasma melliferum. The ribosomes have been identified on
the basis of pattern recognition and template matching using
cryo-electron tomography. The identification of the green
ribosomes is more reliable than the yellow ones from a statistical
point of view. Grey structure: envelope. Reproduced from Ortiz
JO, Fo¨ rster F, Ku¨ rner J, Linaroudis A, and Baumeister W (2006)
Mapping 70S ribosomes in intact cells by cryoelectron
tomography and pattern recognition. Journal of Structural
Biology 156: 334–341.
Cell Structure, Organization, Bacteria and Archaea 279

However, their spatial disposition is essentially different.
In a previous section, mention has already been made of
the actin-like protein MreB, the polymers of which form a
helix underneath the cytoplasmic membrane (cf.
Figure 5). Prokaryotes also contain a tubulin homologue,
which is called FtsZ. Upon division, FtsZ polymerizes in
the cell center into a ring-like structure, which is apposed
against the cytoplasmic membrane. Together with
roughly 20 other proteins it carries out the cytokinetic
process. New cytoplasmic proteinaceous filaments have
been detected employing cryo-electron tomography.
For instance, cryo-electron tomography of C. crescentus
and of the spiral-shaped wall-less bacterium S. melliferum
has demonstrated the presence of presumed proteinaceous
filaments that may traverse the length of the cell. Though
their chemical identity in C. crescentus (Figure 25) has not
yet been elucidated, they persist in MreB and crescentin
deletion mutants. Crescentin is a C. crescentus protein,
resembling proteins of eukaryotic intermediate filaments,
which is located at the concave side of the cell. Presumably,
it functions in maintaining the curved cell shape because
cells become straight in its absence.
In S. melliferum, cryo-electron tomography has shown
three filament bundles traversing the length of the helical
cell. Two of them have been supposed to be composed of
MreB. The chemical nature of the third filament is not yet
known. Three-dimensional reconstructions indicate that
movement and change of handedness of the helical organ-
ism is accomplished by differential alteration of the MreB
filaments (Figure 26). So, it seems that the MreB endos-
keleton because of its disposition compensates for the
absence of a cell wall. The above examples demonstrate
Proteinaceous
filaments
CM
OM
Figure 25 Three dimensionally segmented view of
Caulobacter crescentus as based on cryo-electron tomography.
Color has been added. Proteinaceous filaments have been
indicated in yellow. CM, cytoplasmic membrane; OM, outer
membrane. Reproduced from Briegel A, Dias DP, Jensen RB,
Frangakis AS, and Jensen GJ (2006) Multiple large filament
bundles observed in Caulobacter crescentus by electron-cryo
tomography. Molecular Microbiology 62: 5–14.
Figure 26 Three-dimensional visualization of Spiroplasma
melliferum. In yellow is shown the geodetic line, that is, the
shortest line between two points (at the cell extremities) within
the outline of the cell. Two proteinaceous ribbons are indicated in
green and red. The red structures comply more with the geodetic
line, indicating that they are shorter than the green ones. This
difference is thought to contribute to helicity of the cell.
Reproduced from Ku¨ rner J, Frangakis AS, and Baumeister W
(2005) Cryo-electron tomography reveals the cytoskeletal
structure of the Gram-negative bacterium Spiroplasma
melliferum.Science 307: 436–438.
mRNA tRNA DNA
Lipopolysaccharide
Phospholipid
Lipoprotein
Peptidoglycan
H
2
O
(b)
(a)
ProteinsRibosome
Figure 24 (a) A 100 nm window of the Escherichia coli
cytoplasm. Ribosomes and other components have been drawn
to scale. (b) A close-up of part of the window as indicated.
Depicted are water molecules, some larger molecules, and part
of a protein. Reproduced from Goodsell DS (1991) Inside a living
cell. Trends in Biochemical Sciences 16: 203–206.
280 Cell Structure, Organization, Bacteria and Archaea

how the application of cryo-electron tomography has
revealed new polymeric cytoplasmic structures.
Another example of proteinaceous cytoplasmic fila-
ments is the DNA segregation apparatus of the larger
(ChrI) of the two V. cholerae chromosomes. Duplicated
ChrIs are moved apart by polymerized ParAI proteins.
This structure should be considered cytoplasmic because
it is not part of the nucleoid.
The Nucleoid
Overall Structure of the Nucleoid (Nucleoplasm)
The nucleoplasm is the central area in the cell that con-
tains the genetic material. Its outline is often irregular in
the electron microscope (Figure 27), which is presumably
determined, at least in part, by the presence of transcripts
at the interface of nucleoplasm and cytoplasm. Proteins
that play a role in DNA compaction, DNA replication,
and transcription are most likely to be located at the
periphery of the nucleoplasm, because they are excluded
from the DNA-rich region (see below). Whereas, the term
nucleoplasm denotes a microscopically visible area in the
cell, the nucleoid or bacterial chromosome represents a
separate entity that can be isolated or analyzed
genetically.
Microscopic and biophysical studies on the nucleoid
have been most extensively carried out with E. coli. The
information, which follows, is therefore largely based on
data from this organism. A main problem to solve for a
bacterial cell is to compact its DNA while DNA replica-
tion, DNA segregation, and transcription can still proceed
coordinately. The compaction problem can be illustrated
by realizing that the circumference of the circular E. coli
chromosome is 1.6 mm (4.6 million base pairs), whereas
the diameter of the cell is in the order of 1 mm. Assumedly,
packing is achieved by a combination of three mechan-
isms (Figure 28). First, the bacterial chromosome is
negatively supercoiled, which has been shown most
clearly in electron micrographs of spread DNA
(Figure 29). A supercoiled region is shown schematically
0.5 μm
Figure 27 Electron micrograph of a thin section of Escherichia
coli. This image serves to illustrate the irregular outline of the
electron-transparent nucleoplasmic region and the close contact
of the latter with the cytoplasm. Courtesy of Dr. CL Woldringh.
Macromolecular
crowding
DNA-binding
proteins
DNA gyrase
ATP ATP
topo I topo IV
Coupled
transcription
Translation
translocation
Figure 28 Factors involved in compaction and loosening
of the nucleoid. Compaction is thought to occur through
macromolecular crowding, DNA-binding proteins, and proteins
that affect superhelicity. Loosening might occur through coupled
transcription, translation, and protein translocation (cf. Figure 1).
Reproduced from Stuger R, Woldringh CL, van der Weijden CC,
et al. (2002) DNA supercoiling by gyrase is linked to nucleoid
compaction. Molecular Biology Reports 29: 79–82.
5 μm
Figure 29 Electron micrograph of an envelope-bound
Escherichia coli nucleoid spread according to the cytochrome c
monolayer technique (Kleinschmidt technique). In the rectangular
area, supercoiling is visible at the periphery of the spread
nucleoid. Reproduced from Meyer M, de Jong MA, Woldringh
CL, and Nanninga N (1976) Factors affecting the release of folded
chromosomes from Escherichia coli.European Journal of
Biochemistry 63: 469–475.
Cell Structure, Organization, Bacteria and Archaea 281

in Figure 30. Supercoiling is produced by DNA gyrase
and it divides the chromosome in roughly 100 domains.
Second, DNA-binding proteins such as the histone-like
protein HU, integration host factor IHF, factor for inver-
sion stimulation Fis, and the nucleoid-associated protein
H-NS are likely to further reduce the chromosomes’
spatial dimensions. Whereas HU can bend and compact
DNA at nonspecific sites, IHF can also bind specifically as
does Fis. H-NS accomplishes compaction by bridging
DNA regions. Thirdly, it is thought that a physical pro-
cess as phase separation due to macromolecular crowding
creates an interface between cytoplasm and nucleoplasm.
The relative contributions of these three compaction
mechanisms to chromosome folding are still a matter of
debate. Clearly, they should not create a static structure
and they should allow for a dynamic positioning of bac-
terial genes (see below). Note that bacteria do not posses
nucleosomes or nucleosome-like structures. By contrast,
archaea have nucleosomes that are similar to their eukar-
yotic counterparts. This underlines another evolutionary
distinction between bacteria and archaea.
Substructure of the Nucleoid
In recent years, considerable advances have been made
regarding the cellular positioning of the DNA replica-
tion machinery and specific gene regions, such as origin
of replication (oriC) and terminus (terC;Figure 30).
This is largely due to the application of fluorescence
microscopy, be it with immunolabeling or by visualiz-
ing green fluorescent protein (GFP) fusions in living
cells. Most cytological advances have been made with
slow growing cells, which exclude the complication of
multifork replication. Multifork replication arises when
the doubling time of the culture is smaller than the
duration of DNA replication. By labeling components
of the DNA replication machinery, it has been deduced
that DNA replication is effected in a central cellular
compartment. In this compartment, the two replication
forks of the bidirectional replicating chromosome are in
the vicinity of each other. In other words and in accor-
dance with the earlier proposals, the DNA to be
replicated is threaded through a stationary replication
factory (Figure 31). Supporting this model is the obser-
vation that duplicated oriCs move in opposite direction
toward the poles. Simultaneous labeling of oriC and terC
has revealed that they occupy distinct cellular positions
dependent on the progress of DNA replication during
the cell cycle. Labeling of gene regions on intermediate
positions on one arm of the circular chromosome has
shown that the label also occurs at intermediate posi-
tions. An arm is here defined as the chromosomal
segment between oriC and terC (cf. Figure 30). In a
more detailed analysis comparing the cellular localiza-
tion of genes on the arbitrary left and right arm of the
chromosome, it has been found that the left arm and
the right arm show a defined arrangement with respect
to the length axis of the cell (Figure 32). These results
make it clear that the gene position in the nucleoid is
not at all random. Their position is dynamic in the
sense that it depends on the DNA replication stage of
the bacterial chromosome (cf. Figure 31).
terC
oriC
160 nm
Figure 30 Detail of a supercoiled chromosomal stretch of
DNA. The supercoil segments have a persistence length of
160 nm as indicated. The local flexibility of supercoils has been
depicted by the short repetitive lines. Reproduced from
Woldringh CL and Nanninga N (2006) Structural and physical
aspects of bacterial chromosome segregation. Journal of
Structural Biology 156: 273–283.
terC
oriC ori
C
Replication factor
y
Figure 31 Factory model of DNA replication. DNA to be
replicated is threaded through a stationary replication factory.
The origins of replication (oriC) move apart from each other
through an unknown segregation mechanism. After finishing
replication, the terminus (terC) ends up at one pole, the origin at
the other. Consequently, gene regions are not randomly located
in the cell. Reproduced from Dingman CW (1974) Bidirectional
chromosome replication: Some topological considerations.
Journal of Theoretical Biology 43: 187–195.
282 Cell Structure, Organization, Bacteria and Archaea

Further Reading
Bardy SL, Ng SYM, and Jarrell KF (2003) Prokaryotic motility structures.
Microbiology 149: 295–304.
Berg HC (2003) The rotary motor of bacterial flagella. Annual Review of
Biochemistry 72: 19–54.
Bhavsar AP and Brown ED (2006) Cell wall assembly in Bacillus subtilis:
How spirals and spaces challenge paradigms. Molecular
Microbiology 60: 1077–1090.
Briegel A, Dias DP, Jensen RB, Frangakis AS, and Jensen GJ (2006)
Multiple large filament bundles observed in Caulobacter crescentus
by electron-cryo tomography. Molecular Microbiology 62: 5–14.
Cohen-Krausz S and Trachtenberg S (2002) The structure of the
archaebacterial flagellar filament of the extreme halophile
Halobacterium salinarum R1M1 and its relation to eubacterial
flagellar filaments and type IV pili. Journal of Molecular Biology
321: 383–395.
Fu¨ rst JA (2005) Intracellular compartmentation in planctomycetes.
Annual Review of Microbiology 59: 299–328.
Jones LJF, Carballido-Lo´ pez R, and Errington J (2002) Control of cell
shape in bacteria, helical, actin-like filaments in Bacillus subtilis.Cell
104: 913–922.
Kandler O and Ko¨ nig H (1998) Cell wall polymers in Archaea
(Archaebacteria). Cellular and Molecular Life Sciences 54: 305–308.
Ku¨ rner J, Frangakis AS, and Baumeister W (2005) Cryo-electron
tomography reveals the cytoskeletal structure of the Gram-negative
bacterium Spiroplasma melliferum.Science 307: 436–438.
Matias VRF and Beveridge TJ (2005) Cryo-electron microscopy reveals
native polymeric cell wall structure in Bacillus subtilis 168 and the
existence of a periplasmic space. Molecular Microbiology
56: 240–241.
Moissl C, Rachel R, Briegel A, Engelhardt H, and Huber R (2005) The
unique structure of archaeal ‘hami’, highly complex cell appendages
with nano-grappling hooks. Molecular Microbiology 56: 361–370.
Nanninga N (1998) Morphogenesis of Escherichia coli.Microbiology and
Molecular Biology Reviews 62: 110–129.
Nikaido H (2003) Molecular basis of bacterial outer membrane
revisited. Microbiology and Molecular Biology Reviews
67: 593–656.
Ortiz JO, Fo¨ rster F, Ku¨ rner J, Linaroudis A, and Baumeister W (2006)
Mapping 70S ribosomes in intact cells by cryoelectron
tomography and pattern recognition. Journal of Structural Biology
156: 334–341.
Sleytr UB and Beveridge T (1999) Bacterial S-layers. Trends in
Microbiology 7: 253–260.
Sleytr UB, Huber C, Ilk N, Pum D, Schuster B, and Egelseer EM (2007)
S-layers as a tool kit for nanobiotechnological applications. FEMS
Microbiology Letters 267: 131–144.
Woldringh CL and Nanninga N (2006) Structural and physical aspects of
bacterial chromosome segregation. Journal of Structural Biology
156: 273–283.
Woldringh CL and Odijk T (1999) Structure of DNA within the bacterial
cell: Physics and physiology. In: Charlebois RL (ed.) Organization of
the Genome, pp. 171–187. Washington, DC: American Society for
Microbiology.
Young KD (2006) The selective value of bacterial shape. Microbiology
and Molecular Biology Reviews 70: 660–703.
(a)
(b)
5 μm
5 μm
Figure 32 Dual fluorescent label of chromosomal regions in
Escherichia coli. (a) Two chromosomal sites have been labeled on
the arbitrary right arm (between origin and terminus, cf. Figure 30).
(b) Labeling of chromosomal sites on the left and right arms.
Reproduced from Nielsen HJ, Li Y, Youngren B, Hansen FG, and
Austin S (2006) Progressive segregation of the Escherichia coli.
chromosome. Molecular Microbiology 62: 331–338.
Cell Structure, Organization, Bacteria and Archaea 283

Chromosome, Bacterial
K Drlica, University of Medicine and Dentistry of New Jersey, Newark, NJ, USA
A J Bendich, University of Washington, Seattle, WA
ª2009 Elsevier Inc. All rights reserved.
Defining Statement
Historical Introduction
Chromosome Form and Number
Gene Arrangements
Recombination
DNA Twisting, Folding, and Bending
Chromosome Inactivation
Chromosome Duplication and Segregation
Chromosome Packaging Dynamics
Concluding Remarks
Further Reading
Glossary
DNA supercoiling A phenomenon occurring in
constrained duplex DNA molecules when the number of
helical turns differs from the number found in DNA
molecules of the same length, but containing an
unconstrained end that can rotate. Supercoiling creates
strain in constrained DNA molecules. A deficiency of
duplex turns generates negative supercoiling; a surplus
generates positive supercoiling. Supercoils can be
helical or plectonemic (similar to a twisted rubber band).
DNA topoisomerases Enzymes that change DNA
topology by breaking and rejoining DNA strands.
Topoisomerases introduce and remove supercoils, tie
and untie knots, and catenate and decatenate circular
DNA molecules.
genome The entire complement of genetic material in a
bacterium or in the nucleus, mitochondrion, or
chloroplast of a eukaryotic species.
nucleoid A term for the bacterial chromosome when it
is in a compact configuration, either inside a cell or as an
isolated structure.
origin of replication A location on the chromosome
(oriC) where initiation of replication occurs. For E. coli,
oriC is about 250 nt long and during initiation it
specifically interacts with several proteins to form an
initiation complex. Archaebacterial chromosomes may
contain as many as three replication origins.
recombination A process in which two DNA molecules
are broken and rejoined in such a way that portions of
the two molecules are exchanged.
replication fork The point at which duplex DNA
separates into two single strands during the process of
DNA replication. Associated with replication forks are
DNA helicases to separate the strands and DNA
polymerases to synthesize new DNA strands.
Abbreviations
FIS factor for inversion stimulation
H-NS histone-like nucleoid structuring protein
IHF integration host factor
LRP leucine-responsive regulatory protein
Defining Statement
Advances in microscopy reveal intracellular locations and
movements of specific chromosome regions. DNA con-
formations (supercoiling, folding, and looping) are also
dynamic. Nucleotide sequence analysis reveals many his-
torical additions, deletions, and rearrangements; strains
within a species can display both common and diverse
sequences.
Historical Introduction
Bacterial chromosomes were discovered much later than
their eukaryotic counterparts, largely due to their small
size. Moreover, bacterial chromosomes do not undergo
the striking metaphase condensation that makes eukaryo-
tic chromosomes so easy to see. Indeed, it was not until
the early 1940s that bacteria were clearly shown to
undergo spontaneous mutation and to have mutable
284

genes. At about that time, Avery and associates discovered
the chemical nature of genetic material: extracted DNA
carried a character for polysaccharide synthesis from one
strain of Pneumococcus to another. At first, the result was
not universally accepted as evidence for genetic
exchange, partly because the so-called ‘transforming prin-
ciple’ exerted its effect after an unknown number of steps
and partly because Avery lacked a molecular framework
for explaining how DNA could function as genetic mate-
rial. In 1952, Hershey and Chase announced that phage
DNA, not protein, is injected into bacterial cells during
infection, and a year later Watson and Crick provided the
structural framework for DNA. At that point DNA
became widely accepted as the carrier of hereditary infor-
mation, and a search for bacterial chromosomes began.
By 1956, nucleoids, as bacterial chromosomes are
called, could be seen in living cells as discrete, compact
structures (for recent example see Figure 1). Gentle
extraction methods eventually yielded large, intact
DNA molecules; by the early 1970s it became possible
to isolate a compact form of the chromosome for bio-
chemical study. DNA supercoiling had been discovered
in the mid-1960s, and within a decade enzymes called
DNA topoisomerases that introduce and remove super-
coils were found. The existence of DNA topoisomerases
gave credence to the idea that chromosomal DNA is
under torsional tension inside cells. During the 1980s
the dynamic, regulated nature of supercoiling emerged
as a major structural feature that needed to be considered
whenever the activities of the chromosome were dis-
cussed. The development of rapid methods for
determining nucleotide sequences led to complete
sequences for many bacterial genomes in the 1990s.
DNA sequence analyses led to the conclusion that all
living organisms share a common ancestor, and inferences
could be drawn about the nucleotide sequence history of
chromosomes.
An emerging theme is the dynamic nature of bacterial
chromosomes. In terms of nucleotide sequence, massive
gene shuffling has occurred over the course of evolution.
With respect to three-dimensional structure, portions of
the chromosome move to particular regions of the cell at
specific times during the cell cycle, while the bulk of the
DNA threads through replication forks. At the level of
DNA conformation, changes can occur within minutes
after alterations in cellular environment occur. These
changes are influenced, and in some cases directed, by
protein components of chromosomes.
In the following sections we sketch major concepts con-
cerning chromosome structure. We emphasize that a
bacterial chromosome is not equivalent to a bacterial gen-
ome: a chromosome is a dynamic protein–RNA–DNA
structure that can vary in conformation, size, DNA content,
andformwithgrowthconditions,whereasagenomeisthe
genetic information content of the organism, its DNA
sequence; a genome does not change with growth conditions.
Chromosome Form and Number
Bacterial DNA has been found in both circular and linear
forms. For Escherichia coli, chromosomal circularity is sup-
ported by three lines of evidence. First, circles were
observed when radioactively labeled DNA was extracted
from cells and then examined by autoradiography.
Although almost all of the molecules in these experiments
(a) (b)
(c) (c)
Figure 1 Bacterial nucleoids. Nucleoids of Escherichia coli K-12 were visualized in a confocal scanning laser microscope as
developed by GJ Brankenhoff (Nature 317: 748–749, 1985). Elongated cells were obtained by growth in broth. Then the nucleoids were
stained with the DNA-specific fluorochrome DAPI (0.1 mgml
1
) added to the growth medium. Under these conditions the stain had no
effect on growth. The cells were observed either alive (a) or after fixation with 0.1% osmium tetroxide (b). Since the cell boundary is not
easily visualized, it has been sketched in for reference (c). Multiple nucleoids were present because these fast-growing cells contain
DNA in a state of multifork replication. In live cells the nucleoid has a cloud-like appearance and a smooth boundary with the cytoplasm
(protuberances, if present, would be smaller than 200 nm). Magnification for panels (a) and (b) is 9000. Photo courtesy of Dr. Conrad
Woldringh, Department of Molecular Cell Biology, University of Amsterdam, The Netherlands.
Chromosome, Bacterial 285

were so tangled that their configurations were unclear, a
few appeared as large circles more than a millimeter in
length (cells are only 1 or 2 mm long). However, these
circular molecules exhibited a size range of severalfold,
which was not readily explained. Second, genetic map-
ping studies are most easily interpreted as the genes being
arranged in a circle, although a linear interpretation is still
possible (mapping can be ambiguous, since a large linear
bacteriophage DNA is known to have a circular genetic
map). Third, two bidirectional replication forks emerge
from a single origin of replication, and DNA moves
through a ‘replisome’ (or the replisome moves through
DNA) such that the forks converge at a point located 180
opposite to the origin on the circular map. Recombination
and decatenation events expected to be associated with
large circular DNA then allow each daughter cell to
inherit a chromosome. Conclusive evidence for circular-
ity would be visualization of circular images for most of
the DNA molecules present.
In 1989, chromosomal DNA molecules of Borrelia burg-
dorferi were found to have a linear form. Linear
chromosomes were subsequently observed in Streptomyces
species, Rhodococcus fascians, and Agrobacterium tumefaciens.
With Streptomyces, DNA ends contain repetitive sequences
as well as terminal proteins that prime DNA synthesis
complementary to the 39end of the DNA. In B. burgdorferi,
the ends are hairpins that facilitate complete replication.
Thus bacteria have chromosomal ends that function
much like the telomeres of linear chromosomes in eukar-
yotic cells.
Many bacteria carry all of their genes in a single
genetic linkage group, as if they have a single type of
chromosome. However, there is a growing list of species
in which useful or essential genes are found on two or
more chromosomes. The number of large, circular-map-
ping DNA molecules is two for Vibrio cholerae,Leptospira
interrogans,Rhodobacter sphaeroides, and Brucella species;
three for Rhizobium meliloti; and 2–4 among the isolates of
Burkholderia (Pseudomonas)capecia. Some Agrobacterium spe-
cies contain one circular- and one linear-mapping
chromosome. Thus the old idea that prokaryotes contain
only one circular chromosome has been abandoned.
Indeed, those with more than one chromosome (genetic
linkage group) may constitute a sizable class, since the
vast majority of bacterial species have yet to be examined.
Distinguishing between chromosomes and plasmids
can be difficult, since some plasmids are very large and
contain genes essential for cell growth. Moreover, some
large plasmids integrate into, and excise from, chromo-
somes. Thus chromosome number in some species may be
variable.
The existence of multiple copies of chromosomal
regions, as well as entire chromosomes (multiploidy), is
well known in eukaryotes. In addition, a eukaryotic cell
can contain thousands of copies of mitochondrial and
chloroplast genomes. Multicopy genomes are also com-
mon among bacteria. For example, the cells of E. coli
growing rapidly in a rich medium (20-min doubling
time) at low cell density are large and contain about ten
genome equivalents of DNA per cell, whereas the number
is between one and two in small cells during slow growth.
Cells of Deinococcus radiodurans, contain ten genome
equivalents during exponential growth and four during
the stationary phase. Even slowly growing cells, such as
Borrelia hermsii (minimum doubling time 8 h), can carry
multiple genomes. This bacterium contains 8–11 genome
copies when grown in vitro and up to 16 copies when
grown in mice. Azotobacter vinlandii presents a dramatic
example. Genome copy number in rich medium increases
from 4 to 40 and then to greater than 100 as the culture
progresses from early exponential through late exponen-
tial to stationary phase. DNA per cell then decreases at
the start of a new growth cycle. The spectacular increase
in genome copy number in Azotobacter is not observed
with cells grown in minimal medium. High copy number
may result from an ‘engorge now divide later’ reproduc-
tive strategy. When nutrients are abundant, it might be
advantageous to carry many genomes in large cells to be
diluted into smaller cells when nutrients become limited.
An extreme practitioner of this strategy is the eubacter-
ium Epulopiscium fishelsoni, which can fill its half-
millimeter-long cells with 100 000 genome-equivalents
of DNA in times of plenty. When nutrients run out, the
large cells subdivide into many smaller cells.
Regardless of the reason for genome multiplicity, it is
clearly not restricted to eukaryotic cells. Indeed, bacterial
and eukaryotic chromosomes can no longer be considered
different with respect to form (both types can be linear)
and number of linkage groups (bacteria, which often have
one, can have several; eukaryotes, which usually have
many chromosomes, can have only one, as seen with the
ant Myrmecia pilosula). What distinguishes bacterial and
eukaryotic chromosomes is the coupling between replica-
tion and segregation: it is flexible in bacteria and tight
among eukaryotes As a result, a nuclear chromosome
never contains more than one genome equivalent of
DNA as it segregates to daughter cells. In contrast, a
bacterial chromosome may contain from one to many
genome equivalents of DNA (depending on growth con-
ditions) even during segregation.
Gene Arrangements
Gene mapping in bacteria was originally based on the
ability of an externally derived, genetically marked frag-
ment of DNA to recombine with the homologous region
of a recipient’s DNA. The frequency with which two
nearby markers recombine is roughly proportional to
the distance between them. As mutations were collected
286 Chromosome, Bacterial

for a variety of purposes, characterization of a mutation
usually included determining its map position on the
genome. The resulting genetic maps revealed relation-
ships among genes such as operon clusters, showed
orientation preferences that might reflect chromosomal
activities, and suggested that some chromosomal informa-
tion may have been derived from plasmids and phage.
The discovery of restriction endonucleases led to a quan-
tum advance in genetic mapping, since these enzymes
allowed the accurate construction of maps in terms of
nucleotide distances. Practical nucleotide sequencing
methods, which became available in the late 1970s, were
expected to yield the complete nucleotide sequences for
at least 1000 bacterial species by the year 2008. Data are
being obtained at three levels: (1) the genetic map, with
the genes and their map locations correlated with the role
of the gene products in cell metabolism, structure, or
regulation, (2) the physical map in terms of locations of
restriction sites, and (3) the nucleotide and corresponding
protein amino acid sequences. It is becoming clear that all
living organisms probably arose from a common ancestor.
Thus information on nucleotide sequence and gene func-
tion in one organism can be applied to many other
organisms.
The conservation of gene structure makes it possible
to use nucleotide sequence information for comparison of
genetic maps among bacterial species. One of the features
revealed is clustering of related genes. For example, the
genetic maps of Bacillus subtilis,E. coli, and Salmonella
typhimurium show a grouping of many genes for biosyn-
thetic and degradative pathways. Such grouping could be
for purposes of coordinated regulation, since some adja-
cent genes produce polycistronic messages. A completely
different view of the same data maintains that functionally
related genes move horizontally (from one organism to
another) as clusters, because the products of the genes
work well together, increasing the probability of success-
ful transfer. Both ideas are likely to be accurate.
While it is clear that genomes are quite malleable, the
time frame over which insertions and deletions occur can
be large. Some perspective is provided by comparison of
the maps of E. coli and S. typhimurium. One large genetic
inversion occurred, and the maps have major differences
at about 15 loci where pieces of DNA were either inserted
into or deleted from one genome or the other. But the
overall arrangement of gene order between the organisms
is remarkably conserved. In contrast, the genomes of some
other bacteria, such as Salmonella typhi,Helicobacter pylori,
and strains of Pseudomonas aeruginosa,Fransciella tularensis,
and Bartonella henselae, appear to have undergone substan-
tial rearrangement. Interestingly, when S. typhi and
S. typhimurium are grown in the laboratory, rearrange-
ments are found for both, but when isolated from
humans from all over the world, rearranged genomes are
found for S. typhi but not S. typhimurium. The reason for
differences among organisms is not clear. Some rearran-
gements, such as insertions or deletions, may be more
deleterious for certain bacteria. Alternatively, the oppor-
tunity for rearrangements, such as the occurrence of
recombinational hot spots, may be greater in some organ-
isms than in others. The latter explanation appears to be
more likely for chloroplast and mitochondrial genomes,
which in many ways resemble bacterial genomes. After
some 300 million years of evolution, the order of chlor-
oplast genes is highly conserved among most land plants,
including mung bean. Yet chloroplast gene order is com-
pletely scrambled in pea, a plant closely related to beans.
Massive rearrangement of genes is also evident when
mitochondrial genome maps are compared among types
of maize. Thus gene order in organelles appears to have
little functional significance, and it can be subject to
frequent recombination if the opportunity arises.
Situations in which the opportunity is lacking clearly
exist.
As complete genomic nucleotide sequences become
increasingly available, new questions arise. For example,
what is the minimal number of genes required for inde-
pendent life? Endosymbionts of sap-sucking insects
currently hold the record: Carsonella ruddii DNA has
only 160 000 bp arranged in 182 open reading frames.
Nucleotide sequence analysis is also identifying genes
involved in pathogenicity by comparison of virulent and
avirulent strains of a pathogen. For example, such an
approach has uncovered a ‘pathogenicity island’, a collec-
tion of virulence genes, in H. pylori. The island is bounded
by 31 bp direct repeats, as if it had been transferred
horizontally into an ancestor of H. pylori. In some bacteria,
horizontal transfer may have been quite extensive. With
E. coli as much as 15% of the genome, 700 kbp, may have
been acquired from foreign sources such as integrative
bacteriophage, transposons in plasmids, and conjugative
transposons (genetic elements that cannot replicate inde-
pendently but cause the occurrence of conjugation, a form
of cell-to-cell DNA transfer).
Recombination
Intracellular DNA experiences a variety of perturbations
that must be repaired to maintain the integrity of the
chromosome and to allow movement of replication
forks. Cells have several ways to repair DNA damage,
one of which involves recombination (Recombination is a
process in which DNA molecules are broken and rejoined
in such a way that portions of the two molecules are
exchanged.) Damaged sequences in one molecule can be
exchanged for undamaged ones in another. It is now
thought that the raison d ’eˆtre for recombination is its role
in DNA repair, a process that occurs thousands of times
per cell generation.
Chromosome, Bacterial 287

Recombination is also involved in DNA rearrange-
ments arising from the pairing of repeated sequences.
When the repeats are in direct orientation, duplications
and deletions arise; inversions arise when the repeats are
inverted. In B. subtilis a cascade of sequential rearrange-
ments has been identified in which large transpositions
and inversions have been attributed to recombination at
specific junction points in the genome. Several other
examples are found for the rrn clusters, sets of similar
assemblies of ribosomal and transfer RNA genes.
Rearrangements at the three rrn clusters of Brucella are
thought to be responsible for differences in chromosome
size and number among species of this genus. Other
repeated sequences that facilitate rearrangements are
duplicate insertion sequences, the rhs loci (recombination
hot spot), and experimentally introduced copies of the
transposon Tn10.
The third consequence of recombination is the inser-
tion of genes from mobile elements into chromosomes.
These elements, which include transposons, plasmids,
bacteriophage, integrons, and pathogenicity islands,
move from one cell to another and sometimes from one
species to another. A spectacular example of gene transfer
and its evolutionary effect across kingdoms is seen in the
acquisition of a 500 kbp symbiosis island. This island of
DNA converts a saprophytic Mesorhizobium into a sym-
biont of lotus plants that is capable of fixing nitrogen.
Because they mediate such sweeping change, mobile
genetic elements may represent the most important
means for generating the genetic diversity on which
selection operates. For mobility, and thus generation of
genetic diversity, such genetic elements require recombi-
nation activities.
DNA Twisting, Folding, and Bending
DNA Supercoiling
Circular DNA molecules extracted from mesophilic bac-
teria have a deficiency of duplex turns relative to linear
DNAs of the same length. This deficiency exerts strain on
DNA, causing it to coil. The coiling is called negative
supercoiling (an excess of duplex turns would give rise to
positive supercoiling). Negative supercoils can assume
either a helical or a plectonemic form (the latter is similar
to a twisted rubber band). Superhelical strain is sponta-
neously relieved (relaxed) by nicks or breaks in the DNA
that allow strand rotation; consequently, supercoiling is
found only in DNA molecules that are circular or other-
wise constrained so the strands cannot rotate. Since
processes that separate DNA strands relieve negative
superhelical strain, they tend to occur more readily in
supercoiled than in relaxed DNA. Among these activities
are the initiation of DNA replication and initiation of
transcription. Negative supercoiling also makes DNA
more flexible, facilitating DNA looping, wrapping of
DNA around proteins, and the formation of cruciforms,
left-handed Z-DNA, and other non-B-form structures. In
a sense, negatively supercoiled DNA is energetically
activated for most of the processes carried out by the
chromosome.
Negative supercoils are introduced into DNA by gyr-
ase, one of the several DNA topoisomerases found in
bacteria. DNA topoisomerases act through a DNA strand
breaking and rejoining process that allows supercoils to be
introduced or removed, DNA knots to be tied or untied,
and separate circles of DNA to be linked or unlinked. The
action of gyrase is countered by the relaxing activities of
topoisomerase I and topoisomerase IV. Since gyrase is
more active on a relaxed DNA substrate, while topoi-
somerases I and IV are more active on a negatively
supercoiled one, the topoisomerases tend to reduce varia-
tion in supercoiling. Moreover, lowering negative
supercoiling raises gyrase expression and lowers topoi-
somerase I expression. Thus negative supercoiling is a
controlled feature of the chromosome.
Supercoiling is influenced by the extracellular envir-
onment. For example, when bacteria such as E. coli are
suddenly exposed to high temperature, negative super-
coiling quickly drops (relaxes), and within a few minutes
it recovers. The reciprocal response is observed during
cold shock. Presumably these transient changes in DNA
supercoiling facilitate timely induction of heat- and cold-
shock genes important for survival. Supercoiling is also
affected by the environment through changes in cellular
energetics. Gyrase hydrolyses ATP to ADP as a part of
the supercoiling reaction, and ADP interferes with the
supercoiling activity of gyrase while allowing a compet-
ing relaxing reaction to occur. Consequently, the ratio of
[ATP] to [ADP] influences the level of supercoiling.
Changes in oxygen tension and salt concentration provide
examples in which cellular energetics and supercoiling
change coordinately. Collectively, these observations
indicate that chromosome structure changes globally in
response to the environment.
Supercoiling is influenced locally by transcription.
During movement of transcription complexes relative to
DNA, RNA polymerase does not readily rotate around
DNA. Consequently, transcription generates positive
supercoils ahead of the polymerase and negative super-
coils behind it. Since topoisomerase I removes negative
supercoils and gyrase positive ones, transcription and
similar translocation processes have only transient effects
on supercoiling. However, cases in which induction of
very high levels of transcription results in abnormally
high levels of negative supercoiling have been found. In
such situations transcription-mediated changes in super-
coiling provide a way for specific regions of a DNA
molecule to have levels of supercoiling that differ greatly
from average values.
288 Chromosome, Bacterial

Problems can arise when negative supercoils build
up behind a transcription complex and facilitate DNA
strand separation, since nascent transcripts form long
hybrids with the coding strand of DNA. Such hybrid
structures, called R-loops, can interfere with gene
expression. These hybrids are removed by ribonuclease
H; consequently, a deficiency of topoisomerase I can be
corrected by overexpression of ribonuclease H.
Problems also arise from a buildup of positive super-
coils ahead of a transcription complex, since helix
tightening will slow transcription. That is probably
why strong gyrase-binding sites are scattered through-
out the chromosome immediately downstream from
active genes.
DNA Looping
In the early 1970s Worcel showed that multiple nicks are
required to relax chromosomal supercoils, demonstrating
that DNA must be constrained into topologically inde-
pendent domains. Superhelical tension and topological
domains were later detected in living cells, making it
unlikely that the domains are artifacts of chromosome
isolation. Dividing supercoiled DNA into independent
domains keeps a few nicks or breaks from relaxing all
the supercoils. Independent domains also allow supercoils
to be introduced into the chromosome before a round of
replication finishes – in the absence of domains, the gaps
following replication forks would relax any supercoils
that gyrase might introduce. While early studies esti-
mated the number of domains at about 50–100, more
recent work, some based on site-specific DNA breakage
and supercoil-sensitive expression of particular genes,
places the number in the hundreds, about one per
10 kb of DNA.
A variety of processes probably contribute to domain
structure. One may be coupled transcription–translation
of proteins that transiently anchor the chromosome to the
cell membrane. This process, called transertion, restricts
strand rotation. Since domain barriers are present even
when RNA synthesis is inhibited, additional factors, such
as the MukBEK protein, are likely to be involved.
MukBEK has two DNA-binding domains connected by
a long flexible linker. Thus, it could restrict DNA rotation
by binding to distant regions of DNA. Another type of
constraint is seen after exhaustive deproteinization.
Nearly every nucleoid in preparations from both expo-
nential and stationary-phase E. coli appears by
fluorescence microscopy as a rosette or loose network of
20–50 large loops. Such interactions involving only DNA
may reflect the role of recombination in forming some of
the domains. Still other factors may be the DNA-com-
pacting proteins discussed below.
DNA-Compacting Proteins
Five small, abundant, DNA-binding proteins have cap-
tured attention as possible elements of chromosome
packaging. At one time these proteins were called his-
tone-like proteins, but they have little resemblance to
histones with respect to amino acid sequence. They
have also been called nucleoid-associated proteins, but
that term encompasses many more proteins. A unifying
feature is the ability of these proteins to compact DNA. A
variety of functions, including regulation of gene expres-
sion and in several cases participation in site-specific
recombination, have evolved for these proteins. Most of
our knowledge about the proteins comes from biochem-
ical studies.
The most abundant of the small compacting proteins is
HU (60 000–100 000 monomers per cell). Each member of
the dimer protein has a long arm; together the arms reach
around DNA, using a proline at the tip of each arm to
intercalate into DNA and either create or stabilize kinks
in DNA. HU binding, which lacks nucleotide sequence
specificity, shows a preference for supercoiled DNA. HU
constrains negative supercoils, which led to the idea that
the protein wraps DNA into nucleosome-like particles in
vitro. Nucleosomes, which have long been recognized as a
distinctive feature of eukaryotic nuclei, are ball-like
structures in which about 200 bp of DNA is wrapped
around histone proteins. Nucleosomes occur at regular
intervals along DNA, giving nuclear chromatin a ‘‘beads-
on-a-string’’ appearance. True bacteria (eubacteria) do
not have true histones or nucleosomes, although some
archaebacteria do. Thus HU is more likely to be a bend-
ing rather than a wrapping protein. With some DNAs,
HU introduces a 180bend, although on average the
bends are closer to 100. The bending activity is espe-
cially clear when HU serves as an architectural protein,
assisting in the formation of DNA–protein complexes that
carry out site-specific recombination. HU also provides
the DNA bending needed for certain repressors to bring
distant regions of DNA together in loops that block initia-
tion of transcription.
Closely related to HU is a bending protein called IHF
(integration host factor, 30 000–60 000 copies per cell). It
bends DNA roughly 160, but unlike HU, IHF recognizes
specific nucleotide sequences (about 1000 specific IHF-
binding sites are present in the E. coli genome). Many
examples have been found in which IHF helps form a
DNA loop between promoters and transcription activa-
tors located far upstream from promoters. IHF also
participates as an architectural protein during the forma-
tion of site-specific DNA–protein complexes. The best
known of these is the intasome generated by bacterioph-
age lambda during integration into and excision from the
bacterial chromosome. Since cells contain many more
copies of IHF than specific IHF-binding sites, the protein
Chromosome, Bacterial 289

may also have a nucleotide-sequence-independent mode
of binding that contributes to DNA compaction. In vitro
the protein can compact DNA by 30%, presumably
through nonspecific binding.
The third protein is called FIS (factor for inversion
stimulation). FIS recognizes a weakly conserved 15 bp
binding site that is present at almost 6000 copies per
genome. FIS is a dimer of two identical subunits that
appear to bind in adjacent major grooves of DNA. A
bending angle of about 50to 90is generated as dimer-
ization of the protein pulls on the two portions anchored
to DNA. FIS also binds nonspecifically to plectonemic
supercoiled DNA, clustering at DNA crossover points
and at the apexes of DNA loops. Thus, FIS may stabilize
DNA loops.
The level of FIS expression is sharply elevated shortly
after dilute bacterial cultures enter logarithmic growth,
reaching a maximal copy number of about 60 000 per
genome. In older stationary-phase cultures, the rate of
FIS synthesis drops to almost zero. Some of the binding
sites for FIS are so close to promoters that FIS acts as a
repressor. In other cases, FIS acts as an upstream activator
of transcription. It also serves as an architectural protein
when it forms protein–DNA complexes for site-specific
recombination.
LRP (leucine-responsive regulatory protein; 3000
dimers per cell) is a small protein that responds to the
nutrient status of the cell, particularly amino acid levels. It
acts as a repressor for many genes involved in catabolic
(breakdown) processes and as an activator for genes
involved in metabolic synthesis. LRP appears to have
two modes of action. At its own promoter it oligomerizes
into an octomeric, nucleosome-like structure that wraps
DNA. The second mode is much like the DNA bridging
observed with H-NS (see below). As with HU, IHF, and
FIS, LRP has architectural roles when it forms protein–
DNA complexes for site-specific recombination.
The fifth protein is called H-NS (histone-like
nucleoid structuring protein, 20 000 molecules per cell).
Unlike the four other small DNA-compacting proteins,
H-NS does not actively bend or wrap DNA. Instead, it
binds to DNA that is already bent, generally at AT-rich
sequences; thus, H-NS stabilizes DNA bends. H-NS is
composed of two domains connected by a flexible linker.
The N-terminal domain dimerizes with another H-NS
molecule, while the C-terminus binds DNA. Thus the
dimer has two DNA-binding domains. Electron micro-
scopy studies indicate that H-NS can form bridges
between regions of double-stranded DNA, while bio-
chemical work suggests that binding of H-NS stiffens
DNA, perhaps in local patches. H-NS patches interacting
with each other could be responsible for the DNA brid-
ging effect, which could stabilize DNA loops. If an
appropriate DNA bend is near the promoter of a gene,
H-NS binding will repress the gene by preventing RNA
polymerase binding. Binding within a gene can also act as
a roadblock to transcription, and with some genes the
bridging function of H-NS appears to trap RNA poly-
merase in a DNA loop. The expression of hundreds of
genes is likely to be affected by H-NS. An interesting
possibility is that H-NS binds to many regions of DNA
when they enter a genome ‘horizontally’, thereby repres-
sing large numbers of genes. Such gene silencing would
allow cells to accept a new piece of DNA that might
otherwise express deleterious genes.
While the abundance and biochemical properties of
DNA-compacting proteins make them good candidates
for chromosome structural elements, the dynamic nature
of their interactions with DNA and their multiple, some-
times redundant activities make it difficult to assign firm
roles in DNA packaging. Nevertheless, combinations of
compacting protein mutations are associated with
reduced nucleoid compaction, as seen with HU/FIS dou-
ble mutants. Conversely, overexpression of H-NS
increases compaction.
Chromosome Inactivation
In eukaryotic cells, large portions of genomes are rendered
transcriptionally inactive by heterochromatinization, a
local DNA compaction that is readily observed by light
microscopy. Bacterial chromosomes are too small to see
locally compacted regions; consequently, we can only
guess about their existence. However, evidence is accumu-
lating that bacteria have systems that condense entire
chromosomes. Caulobacter crescentus serves as an example.
In the life cycle of this organism, two cell types exist:
swarmer cells and stalk cells. The latter are genetically
active. When a swarmer cell differentiates into the stalked
type, the nucleoid changes from a compact form into a
more open structure, possibly reflecting transcriptional
activation of the chromosome. In the second example, a
histone H1-like protein in Chlamydia trachomatis appears to
cause chromosomal condensation when the metabolically
active reticulate body differentiates into an inactive, extra-
cellular elementary body. Another example occurs during
sporulation in Bacillus. In this case the chromosome of the
spore is bound with new proteins as its transcriptional
activity ceases. Still another case is seen when the archae-
bacterium Halobacterium salinarium progresses from early to
late exponential phase of growth. The H. salinarium
nucleoid, when obtained by gentle lysis, changes from a
type containing naked DNA to one having the beads-on-a-
string appearance typical of nucleosomal DNA. This
change, seen by electron microscopy, is also reflected in
nucleoid sedimentation properties. Finally, fluorescence
measurements of DNA and RNA within the enormous
cells of E. fishelsoni, which, as pointed out above, are up to
500 mm long, suggest that decondensation and dispersion of
290 Chromosome, Bacterial

the nucleoid is accompanied by increased transcriptional
activity. Whether some of these diverse organisms share a
common mechanism for chromosome activation–inactiva-
tion is unknown.
Chromosome Duplication and
Segregation
The major features of chromosome replication have been
established for many years. Semiconservative replication
was demonstrated by density-shift experiments in 1958,
and a few years later the autoradiograms prepared by
Cairns revealed a partially replicated circle containing a
large replication ‘bubble’. In the early 1970s it became
clear that bidirectional replication begins at a fixed origin
(oriC) with a pair of forks pointing in opposite directions
along the genetic map. With E. coli, about 40 min is
required for the forks to reach a point located 180from
oriC on the genetic map, thereby completing the replica-
tion of the 4.6 megabase chromosome. The two daughter
chromosomes then segregate. Under conditions of rapid
growth, bacterial chromosomes can contain more than
one pair of replication forks, allowing cells to inherit
chromosomes containing more copies of genes near oriC
than far from oriC. The location of highly expressed genes
(such as those encoding rRNA and RNA polymerase)
near oriC may be advantageous for bacteria capable of
rapid growth, thereby providing a reason for segregation
of branched DNA. In the nucleus of a eukaryotic cell,
however, only unbranched DNA molecules that have
completed replication can serve as chromosomes (segre-
gating genetic units) during cell division.
Initiation of replication has long been a focus of atten-
tion, since it is expected to regulate the cell cycle. Early in
the study of initiation, heat-sensitive mutations were
obtained in genes called dnaA and dnaC. These mutations
made it possible to uncouple initiation from the elonga-
tion phase of replication. Then the origin was cloned by
its ability to confer replication proficiency to a plasmid
lacking an origin of replication. The availability of oriC on
a small piece of DNA, plus purified initiation proteins,
allowed Kornberg to develop an in vitro initiation system.
From this system we learned that initiation involves the
specific binding of DnaA to oriC and the wrapping of
origin DNA around the protein. Local DNA strand
separation then occurs at the origin, and single-stranded
binding protein attaches to the separated strands. That
helps stabilize what looks like a single-stranded bubble in
duplex DNA. The DnaB helicase, helped by the DnaC
protein, binds to the replication bubble and enlarges it.
Then DNA polymerase binds to form two replication
forks. The two forks point in opposite directions; thus,
as DNA synthesis begins, the left half of the chromosome
moves through one fork and the right half through the
other fork.
Sensitive probes that bind to specific regions of the
chromosome are being used to address major cytological
questions such as whether DNA is drawn through sta-
tionary replication ‘factories’ or whether the replication
machinery moves along the DNA. For a decade the for-
mer idea was favoured. Fluorescent labeling of DNA
polymerase indicated that replication forks are located
at the center of the cell, where they remained throughout
most of the cell cycle. When multifork replication
occurred, two additional replication centers, each prob-
ably containing a pair of forks, were seen situated between
the midcell forks and the cell poles. Data from Sherratt
recently argued for independent replication forks that
follow the path of the DNA in E. coli cells. These opposing
views have not been resolved.
A second issue concerns the origin of replication (oriC),
which can be located by fluorescent antibodies directed at
proteins that bind to repeated nucleotide sequences
placed near oriC (or any other specified region). In some
studies of newly formed cells, oriC and the replication
terminus are located at opposite poles of the nucleoid,
implying that the dynamic nucleoid must have internal
structure. At the beginning of replication, oriC moves
briefly toward a midcell position, presumably to the
replication apparatus. Later, two copies of oriC become
visible at the same nucleoid pole, apparently having been
drawn back to the pole after replication begins. Still later,
one copy of oriC abruptly moves to the opposite edge of
the nucleoid. Eventually the replication terminus is
pulled to the replication apparatus at the midcell position,
and late in the cell cycle two replication termini can be
seen pulling apart. Then the septum that separates new
daughter cells forms between the termini. The localiza-
tion of oriC and its rapid movement, which is about 10
times faster than cell elongation, indicate that bacterial
chromosomes undergo a form of mitosis. But unlike
eukaryotic mitosis, the bacterial chromosome continues
to be replicated and transcribed throughout segregation.
While the details of bacterial ‘mitosis’ are still poorly
understood and rapid movement of oriC is not always
seen, several proteins exhibit properties expected of mito-
tic proteins. For example, in B. subtilis the ParB (SpoOJ)
protein appears to participate in chromosome partitioning
by binding to multiple sites on the chromosome near oriC.
An attractive idea is that ParB holds the new and old
copies of oriC near one pole of the nucleoid until the
mitotic apparatus pulls one oriC copy to the opposite
pole. Since mitosis is expected to be an essential activity,
it is surprising that mutations in parB are not lethal.
Clearly, there is much more to learn about the segrega-
tion of sister chromosomes to daughter cells.
We expect DNA tangles to arise as replicated chromo-
somes pull apart. The double-strand passing activity of
Chromosome, Bacterial 291

gyrase and topoisomerase IV is well suited for resolving
tangles, with the movement of daughter chromosomes to
opposite cell poles providing the directionality needed by
the topoisomerases to untangle loops. Consistent with this
idea, both gyrase and topoisomerase IV are distributed
around the E. coli chromosome, as judged by DNA clea-
vage induced by the quinolone inhibitors of the
topoisomerases. Replication is also expected to leave
daughter chromosomes catenated (interlinked). Plasmid
studies indicate that unlinking may be a function of
topoisomerase IV, although other topoisomerases are
also able to perform the function. For example, gyrase
shows decatenating activity in vitro, as do topoisomerases
I and III if nicks or gaps are present in DNA. Some of
these backup systems must function in Mycobacterium
tuberculosis,Treponema pallidum, and H. pylori, since these
bacteria lack topoisomerase IV.
Chromosome Packaging Dynamics
Nucleoid compaction occurs at four levels. One is macro-
molecular crowding: cytoplasmic proteins and other large
cytoplasmic molecules are present at such high concentra-
tion that they force DNA into a small volume. This
packing level requires no specific DNA-compacting pro-
tein and therefore accommodates the apparent absence of
nucleosome-like particles in eubacteria. A second level of
packing is represented by DNA bends and loops stabilized
by the small DNA-compacting proteins. Larger proteins,
such as MukBEK, may also constrain loops. Some of these
proteins are likely to be displaced when a segment of DNA
encounters the replication apparatus or transcription com-
plexes. DNA looping generated by plectonemic supercoils
represents a third level of compaction. The fourth level is
represented by macrodomains. These large (1000 kbp),
contiguous regions appear by some assays to be indepen-
dent units. E. coli contains four macrodomains (Ori, Ter,
Left, Right) and two less-structured regions. The Ori and
Ter macrodomains were initially recognized by colocali-
zation of fluorescent probes binding at a variety of map
positions near oriC or near the terminus of replication.
However, years earlier it had been noticed that chromoso-
mal DNA contains boundaries across which DNA
inversion rarely occurs. These boundaries define the
macrodomains genetically: a much lower frequency of
site-specific recombination occurs between sites located
in different macrodomains than within the same macrodo-
main. What causes regions of DNA within a macrodomain
to interact more with each other than with other regions is
unknown.
We envision that chromosomal activities involving
bulky protein complexes occur at the edges rather than
in the center of the nucleoid. For example, the replication
apparatus, which is likely to be attached to a multienzyme
complex that supplies deoxyribonucleoside triphosphates,
may be situated at the edge of the compacted portion of
the chromosome, which would allow replication proteins
to bind to the cell membrane. Likewise, transcription,
which in bacteria is coupled to translation, also probably
occurs on DNA emerging from the compacted mass of
nucleoid DNA, because ribosomes are seen only outside
the nucleoid (extrachromosomal localization is especially
likely when transcription–translation complexes are
bound to the cell membrane via nascent membrane pro-
teins). Consistent with this idea, pulse-labeled nascent
RNA is preferentially located at the nucleoid border, as
is topoisomerase I (as pointed out above, topoisomerase I
may serve as a cytological marker for transcription, since
it is probably localized behind transcription complexes to
prevent excess negative supercoils from accumulating). In
special cases, such as transcription of ribosomal RNA
during periods of rapid growth, transcription ‘factories’
pull together genes from different regions of the nucleoid,
thereby creating local foci.
If the replication and transcription–translation machi-
neries are located on the surface of the nucleoid, DNA
movement must occur to allow access to all nucleotide
sequences. Such movement may not fully explain tran-
scriptional access to the whole genome, since some genes
can be induced when DNA replication is not occurring.
Compacted DNA may be sufficiently fluid that genes
frequently pass from interior to exterior without guidance
from proteins. At any given moment, in some fraction of
the cell population each gene may be at the surface of the
nucleoid and available for transcription. Capture of a gene
by the transcription–translation apparatus would hold
that gene on the surface. During induction of transcrip-
tion, the fraction of cells in which a particular gene is
captured would increase until most cells express that
gene. For the chromosome as a whole, many genes
would be expressing protein during active growth, and
many regions would be held outside the nucleoid core.
Kellenberger suggested that such activity explains why
the nucleoid appears more compact when protein synth-
esis is experimentally interrupted.
Capture of the oriC region by the replication apparatus
might be similar to gene capture for transcription. With
the fluid chromosome hypothesis, replication proteins
would assemble at oriC and move oriC from its polar
position toward the midcell location of the replication
apparatus. As oriC and nearby regions are passed through
the replication forks and then replicated, new binding
sites (parS) for the ParB chromosome partition protein
would be created. Once these sites were filled, the two
daughter oriC regions might pair through ParB–ParB
interactions and return to the polar position. Other pro-
teins would later disrupt ParB–ParB interactions,
allowing the new ParB–oriC complex to move to the
other pole of the nucleoid.
292 Chromosome, Bacterial

Evidence for an oriC-pulling force has been obtained
with V. cholerae. In this bacterium ParB interacts with a
centromere-like site (parS) located near oriC. During seg-
regation, parS pulls away from nearby chromosomal loci.
Meanwhile, ParA, an ATPase capable of forming filamen-
tous polymers in vitro, forms a band that extends from the
distant cell pole to the segregating ParB/parS complex.
The ParA band then appears to retract, pulling the ParB/
parS complex and the nearby oriC region. Whether
a similar phenomenon occurs in other bacteria and
whether conclusions derived from other bacteria apply
to V. cholerae have yet to be established.
Concluding Remarks
Many of the features found in bacterial chromosomes are
remarkably similar to those in eukaryotic chromosomes:
one or more dissimilar chromosomes (the number can be
as high as four among bacteria and as low as one in
eukaryotes (2N¼2)), high ploidy (copy number) levels,
and, at least in some species, a mitotic-like apparatus used
in cell division. Consequently, the prevalent belief that
profound differences exist between prokaryotic and
eukaryotic chromosomes is eroding. Even the distinction
revolving around histones and their compaction of DNA
into nucleosomes has exceptions. True bacteria lack his-
tones and nucleosomes, and so DNA compaction must
occur by other means. But some archaea have histones
and stable nucleosomes, while some unicellular eukar-
yotes lack both. Nevertheless, the absence of a nuclear
membrane and the segregation of actively replicating
bacterial chromosomes are distinct. So is the idea of a
pan-genome. Genomic sequencing using DNA from mul-
tiple strains of the same bacterial species reveals that with
some species individual strains can share a core genome
but the overall gene content differs from one strain to
another. Thus the nucleotide sequence of the total gen-
ome of some species can be far greater than that found in
any given strain. To our knowledge this phenomenon has
not been reported with eukaryotic organisms. One of the
next tasks will be to determine whether the core
sequences are physically clustered on chromosomes.
Acknowledgments
We thank Marila Gennaro for critical comments on the
manuscript. The authors’ work was supported by grants
from the National Science Foundation, the American
Cancer Society, and the National Institutes of Health.
Further Reading
Bendich AJ (2007) The size and form of chromosomes are constant in
the nucleus, but highly variable in bacteria, mitochondria, and
chloroplasts. BioEssays 29: 474–483.
Boccard F, Esnault E, and Valens M (2005) Spatial arrangement and
macrodomain organization of bacterial chromosomes. Molecular
Microbiology 57: 9–16.
Drolet M (2006) Growth inhibition mediated by excess negative
supercoiling: The interplay between transcription elongation, R-loop
formation and DNA topology. Molecular Microbiology 59: 723–730.
Fogel M and Waldor M (2006) A dynamic, mitotic-like mechanism for
bacterial chromosome segregation. Genes & Development
20: 3269–3282.
Hendrickson H and Lawrence J (2007) Mutational bias suggests that
replication termination occurs near the dif site, not at Ter sites.
Molecular Microbiology 64: 42–56.
Jin D and Cabrera J (2006) Coupling the distribution of RNA polymerase
to global gene regulation and the dynamic structure of the bacterial
nucleoid in Escherichia coli.Journal of Structural Biology
156: 284–291.
Luijsterburg M, Noom M, Wuite G, and Dame R (2006) The architectural
role of nucleoid-associated proteins in the organization of bacterial
chromatin: A molecular perspective. Journal of Structural Biology
156: 262–272.
Medini D, Donati D, Tettelin H, Masignani V, and Rappuoli R (2005) The
microbial pan-genome. Current Opinion in Genetics & Development
15: 589–594.
Nakabachi A, Yamashita A, Toh H, et al. (2007) The 160-kilobase
genome of the bacterial endosymbiont Carsonella.Science
314: 267–268.
Reyes-Lamothe R, Wang X, and Sherratt D (2008) Escherichia coli and
its chromosome. Trends in Microbiology 18: 238–245.
Thanbichler M, Wang SC, and Shapiro L (2005) The bacterial nucleoid:
A highly organized and dynamic structure. Journal of Cellular
Biochemistry 96: 506–521.
Zimmerman SB (2006) Shape and compaction of Escherichia coli
nucleoids. Journal of Structural Biology 156: 255–261.
Chromosome, Bacterial 293

Conjugation, Bacterial
L S Frost, University of Alberta, Edmonton, AB, Canada
ª2009 Elsevier Inc. All rights reserved.
Defining Statement
Introduction
Conjugative Process
Physiological Factors
Conjugative Elements
Gram-Negative Conjugation
Gram-Positive Conjugation
Mobilization
Transfer to Plants
Evolutionary Relationships
Conjugation in Natural Environments
Further Reading
Glossary
coupling protein An ATPase responsible for the
transport of DNA during conjugation. It is a hallmark of
conjugative systems and homologues are widely
distributed throughout nature.
ICE (integrating conjugative element)
Chromosomally encoded elements, similar to
conjugative transposons, capable of excision,
conjugation, and reestablishment in a new host via
integration. The excision and integration operations are
formally similar to those of integrative phages.
plasmid An extrachromosomal DNA segment, usually
circular, which is capable of autonomous replication via
a segment of the plasmid called the replicon.
relaxase The protein responsible for site-specific
nicking at the origin of transfer (oriT) in the DNA as well
as recircularization after transfer. It covalently attaches
to the 59end of the nicked DNA via a tyrosine. It is a key
component of the relaxosome.
transconjugant A general term for a recipient cell that
has successfully been converted to donor cell by
conjugation.
transposon A segment of DNA that is replicated as part
of a chromosome or plasmid. It encodes a mechanism,
called transposition, for moving from one location to
another, leaving a copy at both sites.
type IV secretion system (T4SS) A widely distributed
mechanism for the secretion and uptake of protein and
nucleic acids via secretion, conjugation, and
transformation.
Abbreviations
Cma chromosome mobilization ability
Eex entry exclusion
fi/Fin fertility inhibition
Hfr high frequency of recombination
HFT high frequency of transfer
HGT horizontal gene transfer
HSL homoserine lactone-like
ICEs integrating conjugative elements
IHF integration host factor
Inc incompatibility groups
kb kilobases
LPS lipopolysaccharide
Mpf mating pair formation
Mps mating pair stabilization
NLS nuclear localization signals
T4SS type IV secretion system
Tc tetracycline
Defining Statement
Bacterial conjugation is a widespread mechanism for the
transfer of DNA between cells in close contact with one
another. This entry summarizes past findings and discusses
the better-studied systems in Gram-negative and -positive
bacteria as well as the phenomena of mobilization and
tumorigenesis in plants, which are related processes.
Introduction
Bacterial conjugation was first described by Lederberg
and Tatum in 1946 as a phenomenon involving the
exchange of markers between closely related strains of
Escherichia coli. The agent responsible for this process was
later found to be a site on the chromosome called the F
(‘fertility’) factor. This finding was the basis of bacterial
294

genetics in the 1940s and 1950s and was used extensively
in mapping the E. coli chromosome, making it the
preeminent prokaryotic organism at that time. It was
also shown that F could excise out of the chromosome
and exist as an extrachromosomal element or plasmid. It
was capable of self-transfer to other bacteria and could
cotransfer the chromosome, a serendipitous function of
F, and integrate randomly into its host’s DNA. The F
sex factor of E. coli also imparted sensitivity to bacter-
iophages that required the F pilus, which is encoded by
the F transfer region, as an attachment site during infec-
tion. In the 1960s a number of other conjugative
plasmids were isolated, many carrying multiple antibio-
tic resistance markers. These plasmids were termed R
(‘resistance’) factors and were found in many instances to
repress pilus expression and conjugation by F, a process
termed fertility inhibition (fi
þ
). The number of conjuga-
tive plasmids discovered has grown tremendously in the
last few decades and includes self-transmissible plasmids
isolated from Gram-negative and -positive bacteria as
well as mobilizable plasmids. Conjugative transposons or
integrating conjugative elements (ICEs), which move
between cells using a conjugative mechanism, excise
and integrate into the host chromosome via a process
reminiscent of lysogenic phages; an example of a con-
jugative phage has been described for Staphylococcus
aureus.
In general, the transfer and replication functions of
these mobile elements are often physically linked and
the type of transfer system is closely aligned with the
nature of the replicon that is described by incompatibility
groups (Inc). An excellent summary of the properties of
many conjugative plasmids is given in Shapiro (1977).
Bacterial conjugation is now realized to be one of the
principal conduits for horizontal gene transfer (HGT)
among microorganisms. The process is extremely wide-
spread and can occur intra- and intergenerically as well
as between kingdoms (bacteria to yeast or to plants).
DNA sequence analysis has revealed that conjugation,
and in some cases transformation, two of the main con-
duits for HGT, are effected by a transenvelope protein
complex that belongs to the type IV secretion system
(T4SS). The effect of this process on evolution has been
immense with bacteria rapidly acquiring traits both good
(hydrocarbon utilization) and bad (antibiotic resistance,
toxins). Once again, bacterial conjugation is at the fore-
front of microbiology but this time the emphasis is on
the process itself rather than its utility as a geneticist’s
tool. Excellent reviews of the topic are provided in The
Horizontal Gene Pool, Bacterial Plasmids and Gene Spread
(C.M. Thomas, ed.) and Plasmid Biology (Phillips, G. and
Funnell, B., eds.).
Conjugative Process
Unlike other processes like transformation and transduc-
tion that contribute to HGT, conjugation can be
distinguished by two important criteria. There must be
close cell-to-cell contact between the donor and recipient
cells and DNA transfer must begin from a specific point
on the transferred DNA molecule, be it a plasmid, trans-
poson, or chromosome (Figure 1). This point is encoded
within the origin of transfer (oriT) called nic. The proteins
that act on this site are encoded by tra (transfer) or mob
(mobilization) regions although other designations such
as vir are now common. In general, each conjugative
element encodes an array of proteins for mating pair
formation (Mpf) while another set of proteins are
involved in processing and transferring the DNA (Dtr).
The Mpf genes can further be classified into the genes for
pilus formation or mating pair stabilization (Mps) in
Gram-negative bacteria or aggregate formation in
7
*
**
*
*
*
6
5
43
9
8
1
2
pCF10
RP4
F
Figure 1 Summary of the mating process for universal
(plasmid F) and surface-preferred (plasmid RP4) conjugation
systems in Gram-negative bacteria and the pheromone-
activated system of Enterococcus faecalis (plasmid pCF10). In
universal systems, the pilus attaches to a receptor on the
recipient cell surface (1) and retracts to form a stable mating pair
or aggregate (2). DNA transfer is initiated (3), causing transport of
a single strand in the 59!39direction (4). Transfer is associated
with synthesis of a replacement DNA strand in the donor cell and
a complementary strand in the recipient (5). The process is
terminated by disaggregation of the cells, each carrying a copy of
the plasmid (6). The transfer systems of conjugative plasmids in
Gram-negative bacteria can be repressed (7) or derepressed
(constitutive; 8). Cells carrying RP4 and related plasmids express
pili constitutively but the pili are not seen attached to the bacteria.
Such cells form mating pairs by collision on a solid surface (8). In
Gram-positive bacteria, such as the enterococci, the donor
senses the presence of pheromone (
) released by the recipient
cell, which triggers mating pair formation (Mpf) and DNA transfer
(9). Donor cells are shown as oblongs (blue) and recipient (red)
cells as ovals. Pili are blue.
Conjugation, Bacterial 295

Gram-positive cocci. A system to prevent close contact
between equivalent donor cells is called surface exclusion.
The gene products that process the DNA in preparation
for transfer usually include a protein (relaxase) that
cleaves the DNA in a sequence- and strand-specific man-
ner at nic and remains covalently bound to the 59end in
all cases that have been examined. This nucleoprotein
complex plus other auxiliary proteins bound to the oriT
region is called the relaxosome whereas the complex
formed between the relaxosome and the transport
machinery is known as the transferosome. A hallmark of
conjugative systems is the coupling protein, within the
cytoplasmic membrane, that connects the relaxosome to
the transferosome. A process that prevents the transfer of
DNA into the recipient cell after Mpf has occurred is
called entry exclusion (Eex). Previously, the terms surface
exclusion and entry exclusion were used interchangeably;
however, as the details of the process have been refined, it
is important to make this distinction.
In Gram-negative bacteria, the process of DNA trans-
fer is triggered upon cell contact whereas in Enterococcus
faecalis and T-DNA transport by Agrobacterium tumefaciens,
among others, contact between cells induces a complex
program of gene expression leading to DNA transport.
Whereas the sequences for a number of conjugative ele-
ments have been completed and comparisons have
revealed information on the evolution of conjugative ele-
ments, a study of the conjugative process has only been
undertaken in some depth for IncF, IncI, IncP, IncW
elements and the Ti plasmid of A. tumefaciens and other
Gram-negative bacteria and for the pheromone-
responsive system found in some plasmids in Ec. faecalis,
although studies on other systems such as pIP501 are
ongoing. Information is now available on the integration
and excision processes of conjugative transposons and
ICEs as well as the role of the mob genes in mobilizable
plasmids. In addition, conjugation in Streptomyces has been
studied in some detail but is quite different than that
described and may use a DNA transport mechanism
related to the process of DNA partition during septation
in Bacillus subtilis (see ‘Streptomyces’).
Physiological Factors
The level of transfer efficiency varies dramatically among
the various systems. For derepressed or constitutively
expressed systems such as F (IncFI) or RP4 (IncP),
maximal levels of mating (100% conversion to plasmid-
bearing status) are possible within 30 min. Plasmids
undergoing fertility inhibition usually have a 100- to
1000-fold reduction in mating efficiency whereas other
plasmids, especially the smaller plasmids of Gram-
positive bacteria and conjugative transposons, mate at
barely detectable levels even under the best of
circumstances. Factors affecting mating efficiency include
temperature with very precise optimums usually being the
rule. For instance, F and RP4 mate optimally at 37–42 C,
and IncH plasmids and the Ti plasmid at about 20–30 C.
Other factors include oxygen levels, nutrient availability,
and growth phase. Silencing by host-encoded factors such
as H-NS is an important phenomenon that is thought to
provide control of gene expression by newly acquired
DNA through HGT, a process now termed ‘xenogeneic
silencing’. F
þ
cells in late stationary phase are known as F
phenocopies because they are able to accept incoming F
DNA and are not subject to surface or entry exclusion.
Available literature indicates conjugation to be maximal
over a short temperature range, in nutrient-rich environ-
ments with good aeration for aerobic organisms.
Liquid versus Solid Support
The ability of some conjugative systems to mate equally
well in liquid media or on a solid support is one of the
hallmarks of conjugation. Whereas all conjugative ele-
ments can mate well on a solid support, usually a filter
placed on the surface of a prewarmed nutrient agar plate,
many transfer systems, including those of the IncF group
and the pheromone-responsive plasmids of Enterococcus,
mate very efficiently in liquid media. This difference can
be attributed to the nature of the Mpf process as thick,
flexible pili of Gram-negative bacteria are associated with
systems that mate well in liquid media whereas rigid pili,
not usually seen attached to the cells (e.g., IncP), require
a solid support for efficient mating. The aggregation sub-
stance of Ec. faecalis allows high levels of transfer in liquid
media but other Gram-positive systems and conjugative
transposons mate at low levels and absolutely require a
solid support. In general, it appears that mating systems
requiring a solid support depend on collision between
donor and recipient cells whereas systems that mate
well on either medium have a mechanism for initiating
contact between freely swimming cells (thick, flexible
pili, and aggregation substance). The description of
media requirements for many Gram-negative plasmid
transfer systems is given in Bradley et al. (1980).
Conjugative Elements
Naturally occurring conjugative elements including plas-
mids, conjugative transposons, or ICEs, which are
incorporated into the host chromosome, can lead to chro-
mosome mobilization ability (Cma), resulting in high
frequency of recombination (Hfr). Free plasmids can be
divided into self-transmissible (Mpf plus Dtr genes) or
mobilizable (Dtr or Mob genes) plasmids and can vary in
size from a few kilobases (kb) to large plasmids
100–500 kb in size.
296 Conjugation, Bacterial

Plasmids
In general, Gram-negative transfer systems are approxi-
mately 20–35 kb and reside on plasmids from 60 to 500 kb
whereas mobilizable plasmids are under 15 kb. The trans-
fer or mobilization regions often represent half or more of
the coding capability of the plasmid. Table 1 contains a
list of selected plasmids and their characteristics including
their pilus type and mating medium preference. In non-
filamentous Gram-positive plasmids, the smaller plasmids
(<30 kb) usually have a requirement for a solid support
during mating and mate at low levels whereas the larger
plasmids mate efficiently in liquid media and express genes
for aggregate formation (e.g., Enterococcus,Staphylococcus,
Lactobacillus,Bacillus thuringiensis). Streptomyces is able to
mate at high frequency and has the added property of
Cma. Each large self-transmissible plasmid can supply the
needed Mpf functions for a number of mobilizable
plasmids. These mobilizable plasmids have been used to
construct vectors that either are maintained in the recipient
cell or deliver their cargo of DNA but are unable to
replicate in the new host (suicide vectors). This has been
a boon for the study of genetics of otherwise recalcitrant
bacteria.
Chromosome Mobilization
F undergoes integration into the chromosome via four
transposable elements (IS2, IS3a and b, and Tn1000),
which either mediate cointegrate formation via a transpo-
sition event or more frequently undergo homologous
recombination between these sequences and similar ele-
ments on the chromosome. Once incorporated into the
chromosome, the F replicon is suppressed by the chro-
mosomal replication machinery allowing stable
maintenance of the Hfr strain. Like F, which was found
incorporated into the host chromosome, other examples
of naturally occurring Hfr strains have been reported in
the literature including ICEs. Hfr strains have also been
constructed using homologous gene segments shared by a
Table 1 Selected conjugative/mobilizable plasmids and conjugative transposons
Mobile element Size (kb)
Inc group/host/
pheromone
a
Copy
number
Mating surface/
pilus type
b
Mating efficiency/host
range
Gram-negative bacteria
F 100 IncFI 1–2 Liquid/flexible (II) High (derepressed)/narrow
RP4 60 IncP4–6 Solid/rigid (II) High (constitutive)/broad
ColIB-P9 93 IncI1 1–2 Liquid/rigid (II),
thin (IV)
Low (repressed)/narrow
pTiC58 200 Agrobacterium
tumefaciens/HSL
1–2 Solid/rigid (II) Low (repressed)/narrow
vir 25 (T-DNA) Plant exudates 1–2 Plants/rigid (II)
Gram-positive bacteria
pAD1 60 Ec. faecalis/cAD1 1–4 Liquid High (10
–2
per donor)/
narrow
pIP501 30.2 Inc18/Streptococcus
agalactiae
3–5 Solid High (10
–4
per donor)/
broad
pIJ101 8.8 Streptomyces 300 Solid High/broad
(Actinomycetes)
Mobilizable plasmids
ColE1 6.6 Escherichia coli 10 Liquid High (IncF, -P, -I)/narrow
RSF1010 8.9 IncQ 10 Solid High (IncP)/broad
pMV158 5.5 Streptococcus B 12–16 Solid Low (pAM1/pIP501)/
broad
Conjugative transposons
Tn916 18.5 Enterococcus faecalis Solid Low (10
–8
per donor)/
broad
CTnDOT 80 Bacteroides/Tc Solid Low (10
–5
per donor)/
narrow
Integrating conjugative
elements
SXT 99.5 Vibrio cholerae Solid Low (10
–4
or 10
–5
per
donor)/narrow
R391 89 Providencia rettgeri Liquid Low (10
–4
or 10
–5
per
donor)/narrow
a
Incompatibility groups (Inc) are listed for E. coli except pIP501, which uses the Inc group classification for Streptococcus. HSL is homoserine lactone.
cAD1 is a pheromone specific for pAD1 of Ec. faecalis. CTnDOT transfers at 1000-fold higher frequencies in the presence of tetracycline (Tc).
b
Pili can be classified as type II or type IV that are assembled by type II (T2SS) and type IV (T4SS) secretion systems, respectively.
Conjugation, Bacterial 297

plasmid and its host for mapping the host’s genome. Since
the advent of pulsed-field gel electrophoresis for mapping
chromosomes and large-scale sequencing facilities, the
utility of Hfr strains for mapping purposes is waning.
The procedure for using Hfr strains for chromosome
mapping requires that the plasmid integrate near a locus
with a few genetically defined markers. The direction of
transfer of the chromosome and the time of entry of the
markers into the recipient cell is a function of the position
and orientation of the plasmid’s oriT in the chromosome
and its distance from each marker. By laboriously measur-
ing the time of entry of each marker (e.g., antibiotic
resistance, amino acid biosynthesis), which must be able
to recombine into the recipient’s chromosome in such a
way as to announce its presence, a map of the chromo-
some can be generated. The process of mobilizing the
entire E. coli chromosome takes about 90 min and markers
that are distal from F oriT are transferred much less
efficiently than those more proximally located, a process
called the ‘gradient of transmission’. The last portion of
the chromosome to be transferred contains the F transfer
region; consequently, the recipient cells in an Hfr mating
are seldom, if ever, converted to F
þ
(Hfr) status.
Another related property of F is imprecise excision
out of the chromosome with adjoining chromosomal
sequences being incorporated into the circular F element
that are often large enough to encode complete operons.
These elements are known as F9(F prime) factors, and
examples include Flac,Fgal, and Fhis.
Conjugative Transposons and ICEs
The first conjugative transposon, Tn916, which expressed
tetM (tetracycline (Tc)) resistance, was isolated from
Ec. faecalis (Table 1) in Clewell’s laboratory in 1981.
This element excises from the chromosome, circularizes
into a nonreplicative intermediate, and expresses func-
tions for transfer to a wide range of recipient cell types at
low frequency on solid surfaces. The enzymes responsible
for excision and integration (Int, Xis) are related to the
corresponding enzymes in lambda () phage. The absence
of a small repeated sequence flanking the conjugative
transposon as well as a nonrandom site selection mechan-
ism for integration suggests that these elements are
evolutionarily more related to phages than true transpo-
sons. Excision of the element results in staggered ends
that form a heteroduplex structure upon circularization.
This heteroduplex structure is derived from the flanking
sequences in the chromosome (‘coupling sequences’). On
the basis of mapping and sequencing the site of insertion
and determining which end of the heteroduplex is inher-
ited in the recipient, a model involving single-stranded
DNA transfer has been proposed. A second important
group of conjugative transposons has been found in the
anaerobic Gram-negative genus Bacteroides. These
elements are usually associated with antibiotic resistance
(tetX, erm) and exhibit increased transfer proficiency in the
presence of Tc. That IncJ conjugative plasmids could not
be isolated from E. coli was puzzling. The realization that
they were related to the chromosomally located, conju-
gative, integrative phage-like SXT element in Vibrio
cholerae explained why they were not true plasmids.
These ICEs appear to lack the property of random site
selection during integration but instead integrate at
att-like sites (e.g., prfC), similar to lysogenic phages.
Conjugative transposons demonstrate amazing versa-
tility in mobilizing DNA. They can mobilize coresident
plasmids directly or form cointegrates with plasmids or
the chromosome. They are also able to harbor other
mobile elements such as transposons and move them
between cells. In the case of Bacteroides, the conjugative
transposons are able to excise and mobilize small, non-
conjugative, nonreplicative segments of DNA found in
the chromosome called NBUs (nonreplicating Bacteroides
units). While conjugative transposons have been identi-
fied in many genera of bacteria especially in Gram-
positive bacteria, the details of the conjugation process
remain obscure although orthologues of T4SS have been
identified within the transfer regions, suggesting that
Gram-negative and -positive conjugation are related.
Gram-Negative Conjugation
With the possible exception of Bacteroides, all Gram-
negative transfer systems encode a conjugative pilus
(type II), which is essential for Mpf and DNA transport
(Figure 1). In thick, flexible pilus mating systems, the pili
are attached to the donor cell and pili-mediated contact
between donor and recipient cells is easily visualized with
a electron microscope. In the case of rigid pilus mating
systems, pili are rarely seen attached to cells but are seen
as bundles of pili accumulating in the medium.
Considerable homology has been found among all the
transfer systems examined to date within the Gram-
negative group of organisms as well as detectable homology
with systems in Gram-positive bacteria and Archaea. In
Gram-negative bacteria, two broad classes can be identi-
fied as F-like or P-like Mpf, with I-like Mpf systems
being a subclass of P. Relaxase, as well as the protein
that energizes DNA transport, the coupling protein, is
conserved throughout these systems as are key proteins
in the T4SS, as described below. To date, the principal
systems studied include IncF (F, R100-1, R1) and IncHI1,
which have F-like Mpf genes, and IncP (RP4, R751),
IncI1 (ColIb-P9, R64), IncN (pCU1, pKM101), IncW
(R388), and the Ti plasmids of A. tumefaciens, which
encode IncP-like Mpf genes.
298 Conjugation, Bacterial

Pilus
Structure
The conjugative pilus is a thin filament expressed in
relatively low numbers (1–3 per cell), has no set length
(usually 1mm), and is randomly distributed on the sur-
face of the cell (Figure 2). The diameter of the pilus is
approximately 6–11 nm, with most pili being around
9 nm. Pili isolated from cells usually contain a ‘knob’ at
the base that represents unassembled pilin subunits
derived from the inner membrane of the cell. They may
also have a pointed tip suggesting another protein or
unusual configuration of pilin subunits at the tip and can
aggregate into large bundles that can be pelleted in an
ultracentrifuge. The pilus is usually composed of a single
W
FU
i
H
c
b
G
Relaxase-T-strand
Cytoplasmic
membrane
Cell wall
Outer
membrane
B1
D4
B10
B9
B7
B5
B2
B2
B8
B10
B5
B6
B3
B11 B4
Protein
substrates
ATP ATP
ATP
ADP+Pi ADP+Pi
ADP+Pi
N
(a) (b)
OM
IM
148
NTP
pIP501 ssDNA-Orf1
14
7
13
5
9
10
12
15
6
314
8
9
6
3
11
(c)
14
NDP
NTP NDP
Figure 2 Transfer apparatuses of Gram-positive and -negative bacteria. The simplest transfer mechanism is exemplified by Tra in
Streptomyces, which is homologous to the coupling protein of other systems (not shown). (a) The transfer apparatus of the Ti
plasmid illustrates the complexity of the P-type Gram-negative transfer systems. The red arrow is the putative path of the DNA
during transfer. Note the presence of three ATPases involved in pilus assembly and DNA transfer. Reprinted with permission from
AAAS. (b) The F-type Gram-negative system is similar to that for the Ti plasmid except that it lacks homologues of VirB11 (ATPase)
and VirB8. It contains proteins for mating pair stabilization (Mps) (TraG, -N, and -U in orange) as well as a cluster of proteins
involved in pilus assembly that form an interaction network (shown in green) (based on Harris and Silverman (2004) Journal of
Bacteriology. 186: 5480–5485). TrbB (yellow) has DsbC-like activity; TraN, -U, and -H are cysteine-rich. TraD, the coupling protein,
is not required for pilus assembly. The relaxase, other members of the relaxosome, and inessential proteins are not shown. (c) The
transfer apparatus of pIP501 illustrates the comparative simplicity of a system that spans only one membrane. Homologies among
the various systems as well as functions are given in Table 2. From Abajy et al. (2007) Journal of Bacteriology 189: 2487–2496,
redrawn with permission.
Conjugation, Bacterial 299

repeating subunit of pilin arranged in a helical array with
a hollow lumen clearly visible in negatively stained elec-
tron micrographs. F pili, which are the best studied, have a
diameter of 8 nm with an inner lumen of 2 nm and a mass
per unit length of 3000 Da A
˚
1
. The pilin subunits are
arranged as repeating layers of five subunits with each
layer rising 1.28 nm.
The F pilus is expressed as propilin of 121 amino acids
(traA), which requires TraQ, a putative chaperone, for
insertion in the inner membrane where it is stored in a
pool of approximately 100 000 subunits. The 51-amino
acid leader peptide is cleaved by the host leader peptidase
(LepI) and the pilin subunit is acetylated at the N-terminus
by TraX. Transposon insertion studies have revealed that
mature pilin is oriented within the inner membrane as two
-helical transmembrane segments with the N- and
C-termini facing the periplasm. Assembly by the TraL,
-E, -K, -B, -V, -C, -W, -U, -F, -H, -G and TrbC proteins
results in the subunits oriented within the fiber such that
the acetylated N-terminus is buried within the structure
and the C-terminus is exposed on the sides. The pilus
appears to assemble at its base rather than the tip, based
on evidence using the slowly assembled pili expressed by
the IncHI1 plasmid R27.
The RP4 pilin subunit is expressed as a 15 kDa prepilin
polypeptide (trbC in Tra2), which is processed three times
to give a 7.5 kDa mature product that is circular with the
N- and C-termini covalently linked. The cleavage reac-
tions at the N- and C-termini are completed by LepI of the
host as well as the cyclase, TraF, that removes four amino
acids at the C-terminus and cyclizes the pilin. The RP4
transfer region is separated into two parts: Tra1 and -2. In
addition to traF of Tra1, an essential gene, trbD-L are
required for pilus assembly with the exception of TrbK,
which is involved in Eex. A homologue of F TraX is
present in RP4 (TraP) although its substrate and function
are unknown. Circular pilins have been identified in the
IncHI1 plasmid, R27, and T-pili of the Ti plasmid of
A. tumefaciens, that lacks a plasmid-encoded cyclase, and
are suspected to be present in other mating systems that
encode a P-like TraF orthologue.
Phage attachment
Conjugative pili act as the primary receptor for a wide
range of bacteriophages. These phages can be divided
broadly into those that bind to the pilus tip and those
that bind to the sides of the pilus. The structure of the
phages includes the single-stranded DNA filamentous
phages, the small isometric RNA phages, and the complex
double-stranded DNA tailed phages that usually attach
near the pilus tip. The filamentous phages specific for
F-like pili (Ff phages; M13, f1, fd) attach via a defined
region of the pIII attachment protein to an unknown
receptor at the pilus tip. The RNA phages such as R17
and Q, which belong to different phage groups, bind to
specific residues in F pilin exposed on the pilus sides. For
RP4 (IncP), the filamentous phage Pf3 binds to the sides
of the pilus as does the RNA phage PRR1. The tailed
phages such as PRD1 and PR4 bind to the pilus tip,
although it appears that infection requires binding to a
tip exposed at the cell surface rather than at the end of an
extended pilus. These phage have a broad host range
including cells bearing IncP, -W, -N, and -I plasmids.
Whereas the pilus is required for initial attachment,
the transfer region is not necessarily required for phage
penetration or growth. The Ff phages are thought to
contact the cell surface via the process of pilus retraction
where they interact with the TolA protein and penetrate
the cell via the TolQRA pathway. The RNA phages R17
and Qhave differing requirements for the F TraD
coupling protein, which energizes the transport of nucleic
acid through the conjugation pore, suggesting that R17 is
imported via the F transfer machinery whereas Qis
taken up via another pathway. RNA phages have the
property of phage eclipse, an extracellular event that
involves detachment of the phage capsid from the
attachment (A) protein–RNA complex, which is then
susceptible to exogenous ribonuclease. This process
requires that the pilus be extended from a living cell,
suggesting that the cell supplies the energy for phage
eclipse in some unknown manner. Mutations in F-pilin
that block phage eclipse have been identified.
Role in conjugation
The role of the pilus in conjugation has been controver-
sial but it is now generally believed that pilin is part of the
conjugative pore. Mutations that affect pilus formation
block both Mpf and DNA transfer. Mutations that affect
Mps (e.g., F TraN and TraG) allow initial contacts to
form between cells via the pilus and also allow the initia-
tion of DNA synthesis in the donor cell but block DNA
transport into the recipient cell. While indirect, this is the
best evidence that the pilus is involved in the signaling
process whereas the Mps genes are involved in forming
the conjugation pore. Other experiments in which donor
and recipient cells were not allowed to establish cell-to-
cell contact suggested that mating was possible through
the extended pilus. The pilus has also been implicated in
DNA transport in both the F plasmid (mutations in pilin
that block transfer) and the Ti plasmid (cross-linking
T-DNA to pilin).
Mating Pair Formation
Conjugation involves the establishment of a mating pair
via Mpf, which may be augmented by the process of Mps,
a feature of F-like systems. The pilus is thought to iden-
tify a receptor on the recipient cell surface that triggers
retraction of the pilus into the donor cell, although the
route of the pilin subunits in this process is unknown.
300 Conjugation, Bacterial

Pilus outgrowth requires energy whereas retraction
occurs by default in the absence of assembly. Thus factors
that negatively affect cell metabolism (temperature, poi-
sons, and carbon source) cause retraction. Whether pilus
outgrowth and retraction are ongoing processes or
whether binding of recipient cells or phage trigger retrac-
tion is unknown.
Early studies identifying mutations in the recipient
cell that affected conjugation (Con
) revealed that var-
ious components of the heptose-containing inner core of
the lipopolysaccharide (LPS) were generally important in
Mpf whereas OmpA was required for efficient conjuga-
tion by the F transfer system. The F-like systems are each
affected by different mutations in the rfa (now wra) locus
in the recipient cell whereas the IncH plasmids seem to
recognize a generalized negative charge on the recipient
cell surface. The requirements for OmpA by F as well as
for specific side chains in the LPS appear to be a function
of the outer membrane protein F TraN, which is involved
in Mps. The idea that the pilus recognizes negatively
charged surfaces nonspecifically remains a possibility. A
second protein identified in F that is involved in Mps is
TraG. Mutations in traG fall into two classes: those in the
first two-thirds of TraG that affect pilus formation and
Mpf and those that only affect Mps.
Recent studies on the F-like tra and Ti vir gene pro-
ducts have revealed the presence of a complex
transenvelope structure, the transferosome, composed of
core T4SS proteins and auxiliary proteins involved in
pilus retraction and Mps (Figures 2(a) and 2(b);
Table 2). The scaffold for the transferosome consists of
a TraB (VirB10)–TraK (VirB9)–TraV (VirB7) complex
that spans the envelope. VirB10 has been shown to have
TonB-like activity that transduces energy from the inner
membrane to the outer membrane; TraK/VirB9 are
related to secretins of other secretion systems and
TraV/VirB7 are lipoproteins in the outer membrane.
Other transfer proteins are also required for pilus assem-
bly (Figure 2(b)) with a group of proteins (TraF, -G, -H,
-N, -U, -W, TrbB, -C, and -I), which are characteristic of
F-like transfer systems, additionally involved in pilus
retraction and conjugative pore formation. Some of
these proteins have a high cysteine content (TraH, -N,
and -U) whereas others are homologous to thioredoxin
with one protein (TrbB, a homologue of DsbC) shown to
be involved in disulfide bond formation and protein
stabilization.
An interesting variation of Mps for the IncI1 transfer
systems (R64, ColIb-P9) that express two types of pili has
been identified: thin, flexible pili, which are required for
Mps, and thick, rigid pili, which are required for DNA
transfer. Research on the thin pili of R64 by Komano’s
group has revealed that they are composed of type IV
pilin (similar to the pili found in pathogens such as
Neisseria gonorrhoeae) of 15 kDa (pilS). These pili have a
protein at their tip (pilV) whose gene undergoes rearran-
gement via site-specific recombination by the rci gene
product to form seven possible fusion proteins, each
recognizing a specific LPS structure (e.g., pilVA9).
Whether these pili retract in order to bring the donor
and recipient cells together is unknown although retrac-
tion is a general feature of type IV pili. Besides these two
cases (F and R64 thin pili), little is known about Mps in
other Gram-negative systems.
Table 2 Orthologues in various conjugative systems
a
Function F
b
P(RP4) Ti(pTiC58) I1(R64) pIP501 pAD1 HI1(R27)
SLT
c
P19 TrbN VirB1 TrbN Orf7 Orf41/50 Orf169
Acetylase TraX TrbP
Pilin cyclase TraF Unknown TrhP
Pilin TraA TrbC VirB2 TraX TrhA
Pore, pilus assembly TraL TrbD VirB3 TrhL
Pilus assembly, ATPase TraC TrbE VirB4 TraU Orf5 TrhC
Pore, pilus assembly TraE TrbF VirB5 TrhE
Pilus assembly, Mps TraG
Nb
TrbL VirB6 TrhG
Lipoprotein, OM TraV TrbH VirB7 TraI TrhV
Pore TrbF VirB8
Pore (secretin-like) TraK TrbG VirB9 TraN TrhK
Pore (TonB-like) TraB TrbI VirB10 TraO TrhB
Transport ATPase TrbB VirB11 TraJ
Relaxase TraI TraI VirD2 NikB Orf1(TraA) TraX TrhI
Coupling protein ATPase TraD TraG VirD4 TrbC Orf10 TraW TraG
a
Based on Lawley et al. (2003); Grohmann et al. (2003); Abajy et al. J. Bacteriol. 189: 2487–2496 (2007).
b
F-like systems contain a characteristic gene cluster encoding mating pair stabilization (Mps), disulfide bond isomerization, and pilus retraction
proteins (TraF, -H, -G, -N, -U, -V, and -W; TrbB, -C, and -I). G
N
refers to the N-terminal region of TraG that is required for both pilus assembly and
Mps.
c
SLT refers to soluble lytic transglycosylase.
Conjugation, Bacterial 301

Surface and entry exclusions
Surface or entry exclusion reduces redundant transfer
between equivalent donor cells. Such transfer is thought
to be deleterious to the donor cell and is exemplified by
the phenomenon of lethal zygosis, which occurs when a
high ratio of Hfr donor to recipient cells is used. Multiple
matings with a single recipient cell result in its death
because of severe membrane and peptidoglycan damage
as well as induction of the SOS response resulting from
the influx of a large amount of single-stranded DNA. The
surface exclusion genes were first identified as the ilz
locus (immunity to lethal zygosis) because of their role
in protecting recipient cells during matings with a high
ratio of Hfr donor to recipient cells.
The mechanism of entry or surface exclusion is
unknown although an exclusion mechanism has usually
been found associated with the transfer systems studied to
date. One exception is the conjugative transposons that
transfer at such low frequency that redundant transfer
might not be an important factor. Surface exclusion in
the F system involves TraT, a lipoprotein found in the
outer membrane, which forms a pentameric structure and
blocks Mps. Whether it interacts with the pilus or another
component of the F transfer system is unknown. The
TraS protein of F is an inner membrane protein that
blocks the signal that DNA transfer should begin and is
thus associated with the property of Eex. TraS interacts
with TraG in the inner membrane of another donor cell
as demonstrated by Eex specificity experiments using F
and R100 plasmids and R391 and SXT ICEs. Thus, TraG
appears to contact the inner membrane of the recipient
cell, thereby stapling the cells together as part of the Mps
process, which is blocked by TraS. TrbK, a lipoprotein
found in the inner membrane of RP4-containing cells, is
also thought to cause Eex.
DNA Metabolism
Organization of oriT
In Gram-negative transfer systems, the origin of transfer
(oriT)is40–500 bp in length and contains intrinsic
bends and direct and inverted repeats that bind the pro-
teins involved in DNA transfer. The nic site itself, which
is a strand- and sequence-specific cleavage site, is cleaved
and religated by relaxase. In most cases, relaxase requires
auxiliary proteins that direct relaxase to the nic site and
ensure the specificity of the reaction. The sequence of the
nic sites identified to date reveal four possible sequences
represented by IncF, -P, and -Q and certain Gram-
positive plasmids such as pMV158. In addition, there is
usually a protein that binds to multiple sites within oriT
forming a higher-order structure in the DNA, which is
essential for the process. This protein also appears to have
a function in anchoring the relaxosome to the transport
machinery.
Mechanism of DNA transfer
After Mpf, a signal is generated that converts the relaxo-
some from the cleavage/religation mode to one where
unwinding of the DNA is coupled to transport through
the conjugation pore in an ATP-dependent manner. The
transfer rate is 750 nucleotides per second with the F
plasmid (100 kb) transferred in a little over 2 min.
In IncF plasmids, TraI is the relaxase/helicase enzyme
that binds to a site near nic and generates an equilibrium
between cleavage and religation. This reaction requires
supercoiled template DNA and Mg
2þ
as well as the
auxiliary proteins F TraY and host integration host factor
(IHF) in vitro. TraM is known to promote nicking
although it is not absolutely required. The signal that
triggers the helicase activity of F TraI, which is essential
for DNA transfer, is unknown as is the function of TraI
produced by a translational restart in the traI mRNA.
TraY binds near nic whereas TraM binds to multiple
sites, in conjunction with IHF, within the nucleoprotein
complex. TraM binds TraI as well as the coupling pro-
tein, TraD, an inner membrane protein that utilizes ATP
via its two NTP-binding motifs. Thus TraM could med-
iate the initial interaction between TraI and TraD in F,
whereas in other systems, relaxase and coupling protein
interact directly. This step precedes transport of relaxase,
covalently bound to the 59end of the DNA, into the
recipient cell where religation is thought to occur. The
transport of relaxase has been demonstrated for several
systems other than F and is now thought to be a general
feature of conjugation.
In RP4, a similar arrangement of proteins at oriT exists
except that there is no role for the host protein, IHF. The
relaxase protein, also called TraI, cleaves at nic and is part
of a complex with TraJ whereas TraH stabilizes the TraI–
TraJ complex. TraK binds and bends the DNA at oriT to
form the nucleosome-like structure thought to be needed
to initiate DNA replication. The DNA is delivered to the
TraG coupling protein, possibly by another ATPase,
specific to P-like systems, called TrbB in RP4 and
VirB11 in the Ti plasmids, found in the inner membrane.
In all cases, the 59phosphate generated by the cleavage
reaction remains covalently bound to the relaxase enzyme
via a tyrosine residue using a mechanism that is similar to
the initiation of rolling circle replication in some phage
and plasmid replicons. The DNA is transferred in a
59!39direction with the first genes to enter the recipient
cell called the leading region. Transfer seems to be a
precise process with termination of transfer after one
copy of the plasmid has been delivered to the recipient
cell. A sequence in oriT, near nic, is important for termi-
nation by relaxase in a religation reaction. Both strands of
the DNA are replicated by the PolIII enzyme using dis-
continuous synthesis in the recipient and continuous
synthesis either from the free 39end at nic or from an
RNA primer in the donor. Although synthesis and
302 Conjugation, Bacterial

transport are coupled in conjugation, DNA synthesis does
not drive, nor is it required, for DNA transfer.
In RP4 and IncI plasmids, the transport of a primase
protein, Pri (traC encoded in Tra1), or Sog in RP4 or IncI
plasmids, respectively, has been demonstrated to occur
simultaneously with the transport of the DNA, with hun-
dreds of copies being transferred. This protein appears to
initiate DNA synthesis in the recipient cell via primer
formation although it is not essential for conjugation. In F,
no primase is transferred and DNA synthesis is thought to
begin via a mechanism utilizing ssi sites for single-
stranded initiation.
Leading region expression
The first genes to enter the recipient cell in the leading
region include genes for preventing the SOS response (psi)
and for plasmid maintenance via poison–antidote systems
such as CcdAB and Flm in F, Hok/Sok in R1, and Kil/Kor
in RP4. Although homologues of a single-stranded DNA-
binding protein, Ssb, are found on many conjugative
plasmids, they are not essential for conjugation. Another
interesting but inessential gene is orf169 in F or TrbN in
RP4thatisrelatedtotransglycosylasessuchaslysozyme.
Perhaps this gene, which is the first to enter the recipient
cell during F transfer, has a role in establishing a new
transferosome in the recipient cell. Slowly growing bacteria
in natural environments might require this transglycosylase
to rearrange peptidoglycan in preparation for pilus assem-
bly and DNA transfer. Homologues in Gram-positive
conjugation systems are essential for conjugation, suggest-
ing a role in penetrating the thick Gram-positive cell wall
during erection of the transport apparatus.
Regulation
•The regulation of genes involved in conjugation has
been extensively studied in F, RP4, and Ti (see
‘Transfer to plants’) plasmids and in Gram-positive
conjugation but there is little information on other
systems. The regulation of F transfer gene expression
depends on both host and plasmid-encoded factors
whereas the regulation of RP4 appears to be indepen-
dent of the host. Also, F is unusual in that there is no
evidence for coregulation of transfer and replication, a
salient feature of other conjugation systems.
In F there are three main transcripts encoding traM,traJ
(the positive regulator of transfer operon expression), and
traY-I (33 kb). The P
Y–X
promoter is controlled by a con-
sortium of proteins, including the essential TraJ protein,
TraY, the first gene in the operon, and IHF and SfrA (also
known as ArcA) encoded by the host. TraY also controls
traM expression from two promoters that are autoregulated
by TraM. The translation of the traJ mRNA is controlled
by an antisense RNA FinP, which requires the RNA-
binding protein FinO for activity (fertility inhibition; see
‘Fertility inhibition’). Extracytoplasmic stress, which upre-
gulates the CpxAR regulon, decreases the levels of TraJ by
upregulating the HslVU protease/chaperone pair that
degrades TraJ. F transfer gene expression is also silenced
by H-NS as it enters the stationary phase with TraJ
involved in desilencing the transfer region. This silencing
has also been described for other plasmids in response to
temperature flux and some plasmids such as F-like R100
encode H-NS-like proteins that form heterodimers with
host H-NS, thereby inactivating it and desilencing the
transfer region. Other factors have been shown to affect F
transfer gene expression including LRP and CRP, which
sense the nutritional state of the host cell, and Dam methy-
lation of sites within the traJ promoter region during
conjugation, which monitors the methylation state of the
incoming DNA.
In RP4, transfer is tied very closely to replication with
the main replication promoter for TrfA divergently
oriented and overlapping with the first of two promoters
for the Tra2 transfer region, P
trbA
and P
trbB
. In this system,
the trfA promoter is activated first in the transconjugant,
promoting plasmid replication. The P
trbB
promoter, as
well as the promoters in Tra1 that express the genes for
Dtr, is also activated in order to establish a new transfero-
some. Eventually, the main global regulators KorA and
KorB repress expression from these promoters and allow
transcription from P
trbA
that maintains the level of Tra2
proteins in the donor cell. TrbA is a global regulator that
represses P
trbB
as well as the three promoters in Tra1
encoding the genes for Dtr. Thus conjugation leads to a
burst in transcription that establishes the plasmid in the
new donor cell followed by transcription from either the
trfA or the trbA promoters during vegetative growth.
Fertility inhibition
Fertility inhibition (Fin) is a widespread phenomenon
among related plasmids that limits the transfer of compet-
ing plasmids coresident in a single cell. The Fin systems
of F-like plasmids (R factors) repress F and also autore-
gulate the expression of their own transfer regions. These
systems have two components, the antisense RNA FinP
and the RNA-binding protein, FinO, which together pre-
vent translation of the traJ mRNA, TraJ being the
positive regulator of the P
Y-I
promoter. FinO protects
FinP antisense RNA from degradation by the host ribo-
nuclease, RNase E, allowing FinP concentration to rise
sufficiently to block traJ mRNA translation. Whereas finP
is plasmid-specific, finO is not and can be supplied from a
number of F-like plasmids. This is the basis of the fi
þ
phenotype noted in the 1960s for various R factors. F
lacks FinO since finO is interrupted by an IS3element
and consequently is constitutively derepressed for
transfer.
Conjugation, Bacterial 303

In F-like plasmids (FinOP
þ
), 0.1–1% of a repressed
cell population express pili. If conjugation is initiated, the
transconjugant is capable of high frequency of transfer
(HFT) for about six generations until fertility inhibition
by FinOP sets in. This phenomenon, along with surface or
entry exclusion, contributes to the epidemic spread fol-
lowed by stable maintenance of a plasmid in a natural
population of bacteria.
Other Fin systems are specified by one plasmid and are
directed against another. For instance, F encodes PifC
that blocks RP4 transfer whereas RP4 encodes the Fiw
system that blocks the transfer of coresident IncW plas-
mids. Each system has a unique mechanism that has made
the study of Fin systems more difficult and has tended to
downplay the importance of this phenomenon in the
control of the dissemination of plasmids in natural
populations.
Gram-Positive Conjugation
Conjugative elements in nonfilamentous Gram-positive
bacteria can be subdivided into three groups: small plas-
mids (<30 kb), usually associated with MLS resistance,
exhibiting moderate transfer efficiency on solid surfaces
over a broad host range (pAM1, pIP501); large plasmids
(>60 kb) that mate efficiently in liquid media over a
narrow host range and undergo clumping or cell aggre-
gate formation (pAD1, pCF10 in Enterococcus, pSK41,
pGO1 in S. aureus); and conjugative transposons.
Studies on Gram-positive plasmids have revealed that
their conjugative systems also encode homologues of
T4SS proteins especially relaxase, the coupling protein
(an ATPase associated with pilus assembly), and a lytic
transglycosylase (Ti VirD2, -D4, -B4, -B1, respectively;
Figure 2(c),Table 2). Although constructing the T4S
apparatus within the Gram-positive cell envelope has
different challenges, the basic mechanism of conjugation
appears to be conserved throughout the phylogenetic
tree.
In the few systems studied in detail, detection of a
recipient cell results in expression of an aggregation sub-
stance (AS, Agg, or Clu) that covers the surface of the
donor cell and results in the formation of mating aggre-
gates that are visible to the naked eye. This ‘fuzz’ is the
result of a complex pattern of gene expression that has
been studied in detail in only a few instances, mostly in
the large plasmids of Ec. faecalis. This group of plasmids
responds to pheromones expressed by the recipient cell
whereas the signal that triggers mating aggregate forma-
tion in other systems is poorly understood. Plasmids in
S. aureus produce pheromones that trigger transfer by
Ec. faecalis, suggesting a mechanism to broaden the host
range for the plasmids of this latter organism.
Enterococcus faecalis
The first conjugative plasmid identified in Gram-positive
bacteria was pAD1, which carried a hemolysin/bacterio-
cin determinant responsible for increased virulence and
which caused clumping or aggregation 30 min after the
addition of plasmid-free cells. Later it was shown that
aggregation and subsequent plasmid transfer were
induced by pheromones produced by the recipient cell
and released into the medium. These pheromones are
hydrophobic peptides of 7–8 amino acids with a single
hydroxyamino acid derived from the signal sequences of
surface lipoproteins. Each recipient cell releases several
pheromones with plasmids from a particular incompat-
ibility group recognizing a specific pheromone with
specificity residing in the N-terminus of the peptide.
Once the plasmid has become established in the transcon-
jugant, expression of the pheromone is repressed by
preventing its synthesis in, or release from, the donor
cell. As little as picomolar amounts of pheromone added
to donor cultures can induce the expression of the transfer
genes. Usually the concentration hovers around
1–10 nmol l
1
and a slight increase in pheromone levels
is sufficient to induce clumping. Pheromones are named
after the transfer system that recognizes them; thus, pAD1
recognizes cAD1 and produces iAD1, an inhibitory
peptide that blocks accidental induction of transfer.
The pheromone is recognized by a plasmid-encoded
protein and imported into the cell via the host Opp
system (oligopeptide permease). In pAD1, it binds to a
repressor, TraA, inactivating it and allowing transcription
of TraE1, a positive regulator required for induction of
transfer gene expression. In pCF10, the pheromone
cCF10 causes antitermination of transcription of the prg
genes (pheromone-responsive gene), generating the 530-
nucleotide RNA Q
L
and the mRNA for aggregation sub-
stance and transfer proteins. The Q
L
RNA, in conjunction
with the pheromone, associates with the ribosome causing
preferential translation of the transfer genes. In either
case, transcription of the aggregation substance (AS or
Asa1 for pAD1, Asc10 for pCF10) ensues, which is depos-
ited asymmetrically on the surface of the cell until the cell
surface is covered. This binds to the binding substance
(BS, lipoteichoic acid) on the recipient cell to give the
mating aggregates so characteristic of conjugation.
Interestingly, both AS and BS have been associated with
increased virulence in a rabbit endocarditis model with
AS having RGD motifs (arginine-glycine-aspartic acid),
which are known to promote binding to the integrin
family of cell surface proteins.
Once the pCF10 transferosome is established in the
transconjugant, a cytoplasmic membrane protein binds
pheromone and prevents its release. The inhibitory pep-
tide, iCF10, is synthesized from a shorter version of Q
L
called Q
S
. A surface exclusion protein, Sea1 or Sec10
304 Conjugation, Bacterial

(for pAD1 or pCF10, respectively), is also expressed to
reduce aggregation between donor cells and provides a
second level of control to prevent redundant mating
between plasmid-bearing cells.
There also seems to be a close relationship between
replication and transfer in these plasmids with the replica-
tionproteinPrgWembeddedwithinaregionthat
negatively regulates transfer in pCF10. The replication
protein also appears to have a requirement for pheromone
that is not yet understood. There are two oriTs for pAD1:
one within the rep gene for plasmid replication and a second
dominant one near the genes for relaxase (TraX) and the
coupling protein (TraW) on the opposite side of the plas-
mid. The oriT of pCF10 is located near pcfG, encoding the
relaxase, which is interrupted by a functional group II
iteron suggesting tight control of the conjugative process.
Streptomyces
The transfer systems found on conjugative plasmids in the
large genus Streptomyces differ significantly from those of
both nonfilamentous, Gram-positive bacteria and Gram-
negative systems in that there is only a single essential
transfer protein and no evidence for a relaxase or nic site
has been found. Streptomyces are a medically important
source of antibiotics and other therapeutic compounds
and are thought to be a major reservoir for antibiotic
resistance mechanisms that protect these bacteria from
the arsenal of antibiotics they produce.
The conjugative plasmids of Streptomyces range in size
and structure from the circular 9 kb plasmid pIJ101 to the
large linear 350 kb plasmid SCP1. The phenomenon of
conjugation in this genus was first identified by the ability
of certain integrating plasmids to mobilize chromosomes
(Cma). One such plasmid SLP1 (17 kb) excises and inte-
grates at the 39end of an essential tRNA
Tyr
gene in
Streptomyces lividans with tRNA genes providing the loci
for integration of a number of phage and plasmids.
Streptomycetes are soil microorganisms that undergo a
complex differentiation program whereby spores germi-
nate and form substrate mycelia that penetrate into the
support surface followed by the erection of aerial hyphae
that are multinucleate mycelia. These mycelia eventually
septate and form spores. As the cells enter the hyphal
stage, they begin to produce an array of secondary meta-
bolites characteristic of the organism and also enter a
phase where they are competent for conjugation between
aerial mycelia or mycelia and other organisms such as
E. coli.
The intermycelial transfer of a plasmid requires one
essential protein, for example, Tra, in pIJ101, which has
homology to the proteins FtsK and SpoIIIE. This protein
is located at the asymmetric septum of sporulating
B. subtilis cells and ensures that a copy of the chromosome
enters the forespore. Since no relaxase protein has been
found associated with pIJ101, it appears that this might be
a conjugation system closely related to partitioning
mechanisms involving double-stranded DNA.
Once the DNA has been transferred to one compart-
ment of a long mycelium, the plasmid is distributed to all
compartments by the tra and the spd gene products. This
process slows the growth rate of the cell and areas on agar
plates where plasmids are spread via inter- and intramy-
celial transfer form ‘pocks’ of more slowly growing cells,
which resemble plaques on a phage titer plate. This
phenomenon has proven useful in identifying cells con-
taining conjugative plasmids.
Mobilization
Mobilization is a widespread phenomenon whereby a
smaller plasmid encoding its own nic site and Dtr genes
(mob) utilizes the transport machinery of a usually larger
plasmid to effect its own transfer. Many plasmids can be
mobilized by plasmids from a number of Inc groups. For
instance, ColE1 can be mobilized by plasmids from IncF,
-P and, -I groups and less effectively and with different
requirements by IncW plasmids. The Mob proteins of
ColE1 consist of MbeA (relaxase) and MbeB and C that
aid in relaxosome formation. MbeD has an Eex function.
In the vector pBR322, derived from ColE1, the mob genes
are deleted and only an oriT region for IncP plasmid
mobilization remains. While ColE1 requires TraD, the
coupling protein, from F for mobilization, the closely
related plasmid CloDF13 supplies its own TraD-like
protein, a difference that is commonly seen among mobi-
lizable plasmids.
The most remarkable mobilizable plasmid is RSF1010
and its relatives (8.6 kb in size) from the IncQ group.
These plasmids are mobilized very efficiently by plasmids
from the IncP group into an extremely broad group of
recipients including bacteria, yeast, and plants. This plas-
mid encodes three Mob proteins, with MobA being the
relaxase. Like ColE1, it requires TraG of RP4, a coupling
protein, for efficient conjugation. The oriT region is a
mere 38 bp in size and is homologous to oriT regions in
plasmids from Gram-positive bacteria, all of which use a
rolling circle mechanism during transfer. RSF1010 can be
mobilized into plants and between agrobacteria by the vir
region (not tra; see ‘Transfer to plants’) and between
strains of Legionella using the virulence determinants
encoded by the dot and icm loci involved in macrophage
killing (see ‘Evolutionary relationships’).
Small Gram-positive plasmids are also mobilizable by
self-transmissible plasmids but less is known about them
although recent studies confirm that they encode T4SS
homologues and require a transglycosylase (SLT)
(Table 2). The utility of conjugative transposons as
genetic tools in Gram-positive bacteria has overshadowed
Conjugation, Bacterial 305

interest in these plasmids that tend to be mobilized at low
frequencies over long periods. One plasmid that replicates
and transfers via the rolling circle mechanism using dif-
ferent origins is pMV158. It encodes a relaxase (MobM)
that cleaves at a nic sequence unique to a group of mobi-
lizable plasmids found in Gram-positive bacteria
representing the fourth class of nic sequences.
Transfer to Plants
The phenomenon of DNA transfer from A. tumefaciens to
plant cells has features of both Gram-negative (pilus
expression) and Gram-positive (induction of tra gene
expression) bacteria and has been dealt with separately
(Figure 3). A. tumefaciens carrying large conjugative plas-
mids such as Ti (tumor-inducing) or Ri (root-inducing)
greater than 200 kb cause crown gall disease in plants
whereby they induce the formation of tumors at the site
of infection. The Ti plasmid encodes a sensor-response
regulator system, VirA and VirG, which in conjunction
with ChvE, a chromosomally encoded periplasmic sugar-
binding protein, process signals from wounded plant tis-
sue. The phosphotransfer reaction from VirA to VirG
induces gene expression from the virA,-B,-D,-E, and
-Goperons on the Ti plasmid. In addition, the virC,-F,and
-Hoperons are induced but these operons express ines-
sential gene products that affect host range or the degree
of virulence. The signals generated by the plant include
phenolic compounds, simple sugars, and decreased pH or
phosphate content among others.
The virB region encodes 11 proteins that are homo-
logous to the gene products in the Tra2 region of RP4 and
are distantly related to the gene products of F. They
encode the gene for prepropilin (VirB2), which is pro-
cessed to pilin via a mechanism similar to that for RP4
pilin. A potential peptidase, homologous to TraF in RP4,
has been identified (VirF) but its role has not been proven.
The assembly of the VirB pilus is highly temperature
dependent with an optimum of 19 C, which is also
maximal for the transfer process. The pili along with the
T4SS transfer apparatus are localized to the pole of the
cell, where transfer occurs.
The specific segment of single-stranded DNA that is
transferred to the plant nucleus is called the T-DNA and
can be characterized by the right (RB) and left (LB)
borders, which are direct repeats of 25 bp. The T-DNA
of nopaline-producing Ti plasmids is about 23 kb in
length and contains genes for plant hormone expression
(13 kb), a central region of unknown function, and a third
region for opine (nopaline) biosynthesis (7 kb). The
relaxase, VirD2, in conjunction with VirD1 that is similar
to RP4 TraJ, cleaves at RB and subsequently LB in a
TraI-like manner and remains attached to the 59end.
VirC1, which binds to an ‘overdrive’ sequence near the
RB, and VirC2 of certain Ti plasmids, enhance T-inter-
mediate formation. Unlike other transfer systems, many
copies of the T-DNA segment accumulate in the cyto-
plasm suggesting replacement replication is important in
this system. The accumulation of T-DNA strands has
been puzzling but might represent a strategy by the bac-
terium to ensure infection of the larger, more complex
plant cell.
The DNA in the VirD2–T-DNA complex (T-complex)
is thought to be coated with the single-stranded DNA-
binding protein, VirE2, in preparation for transport
through a conjugation pore composed of the VirB pro-
teins (VirB2–VirB11). The VirD4 coupling protein (an
ATPase) appears to work in conjunction with VirB11,
another ATPase specific to P-like T4SS systems, to
transport the T-complex (Figure 2(b)). Recent evidence
suggests that VirE2 and VirD2–T-DNA transport are
uncoupled and can occur using separate transfer pores.
One of the Vir proteins, VirB1, which is inessential,
resembles the transglycosylase of F (Orf169) and RP4
(TrbN) whereas a truncated version of VirB1 (VirB1
)
is excreted into the rhizosphere and mediates adhesion
between the bacterium at the site of transfer and the
plant. Once the T-complex has entered the plant
1
Acetosyringone
sugars
Auxin
Cytokinin
AAI
Opines
Tra
Vir 3
T-DNA
Plant cell
4
8
7
6
4
2
5
Plant wound
Figure 3 Signaling pathway used to stimulate T-DNA complex
transfer to the plant nucleus and Ti conjugative transfer between
Agrobacteria. Wounded plant tissue releases phenolics
(acetosyringone) and sugars (1) that are detected by the two-
component VirA and VirG regulatory system (2). This induces
expression of the vir genes that encode the transfer apparatus at
the pole of the cell that transports the T-DNA to the plant
nucleus (3). The T-DNA is incorporated into the plant genome and
produces the phytohormones auxin (indoleacetic acid) and
cytokinin (4) that trigger tumorigenic growth of the plant tissue.
The plant also produces opines (5) whose synthesis is encoded
on the T-DNA. These unusual amino acids serve as a food source
for Agrobacterium and also result in the induction of synthesis (6)
of the conjugation factor, N--oxo-octanoyl-homoserine lactone
(AAI; 7). AAI allows quorum sensing, which determines cell
density with respect to Ti-plasmid-bearing cells resulting in
conjugative transfer to other agrobacteria (8).
306 Conjugation, Bacterial

cytoplasm, the DNA is transported to the nucleus via
nuclear localization signals (NLS) on the VirE2 and
VirD2 proteins. The T-DNA is randomly integrated
into the plant genome whereupon it begins to elicit
signals for plant hormone production resulting in tumor
formation. The T-DNA encodes for the synthesis of
auxin (indoleacetic acid) and cytokinin isopentenyl ade-
nosine, plant hormones that elicit uncontrolled growth at
the site of infection. The bacteria derive nutrients from
the tumor by the devious method of opine (unusual
amino acid) production encoded by the T-DNA.
Opines can be classified into about nine different types
of compounds including octopine, nopaline, and agroci-
nopine, with up to three different opines being encoded
by a particular T-DNA. Thus Ti plasmids are often
referred to as octopine- or nopaline-type plasmids, for
instance, depending on the opine they specify. The
opines are excreted from the plant and taken up by the
A. tumefaciens bacteria encoding a region on the Ti plas-
mid involved in opine utilization. The genes for opine
catabolism (e.g., Occ for octopine catabolism) match the
genes for the synthesis of that class of opines on the
T-DNA.
An interesting aspect of Ti plasmid biology is the
induction of conjugative transfer between agrobacterial
cells in response to the presence of opines. The genes for
this process (tra) are distinct from the genes for T-DNA
transfer (vir) and encode a transfer region with homology
to RP4 as well as the vir region itself.
Conjugative transfer by Ti has a narrow host range,
limited to the genus of Agrobacterium. However, the host
range can be extended to E. coli if an appropriate replicon
is supplied, suggesting that it is plasmid maintenance and
not conjugative functions that affect host range.
The process of inducing conjugative transfer in these
bacteria is unique and fascinating. Initially, there is a low-
level uptake of opines, which activates the regulatory
protein OccR in octopine-type plasmids and inactivates
the repressor protein AccR in nopaline-type plasmids
such as pTiC58. This leads to increased expression
of the tra and opine utilization genes by activation of
TraR. TraI (not to be confused with relaxase proteins of
F and RP4 plasmids) is a LuxI homologue that synthesizes
a signaling compound, N--oxo-octanoyl-homoserine
lactone (Agrobacterium autoinducer or AAI), belonging to
a diverse class of homoserine lactone-like (HSL) com-
pounds involved in quorum sensing or gene activation in
response to changes in cell density (Figure 3). TraR is a
LuxR-like regulatory protein that detects increased levels
of AAI and induces transfer gene expression to maximal
levels. The result is the dissemination of the genes for
opine utilization among the agrobacteria in the rhizo-
sphere. Thus the system demonstrates a certain degree
of chauvinistic behavior since the original colonizer of the
plant cell shares its good fortune with its neighbors who
then outcompete other bacteria in the rhizosphere.
Evolutionary Relationships
With the advent of high-throughput sequencing and
easily available databases, comparison of gene sequences
has become routine. Considering that the mechanism for
conjugation varies surprisingly little among the systems
described above, the high degree of relatedness of these
systems with one another is expected (Table 2).
However, the remarkable finding that there is homology
between conjugative systems and the transport mechan-
isms for a number of toxins and virulence determinants
has generated increased interest in these systems. There is
almost gene-for-gene homology between the transport
system for pertussis toxin of Bordetella pertussis (ptl) and
the virB region of the Ti plasmid, which is, in turn,
homologous to the genes for pilus synthesis in IncN, -P,
and -W transfer systems and is distantly related to those
of F-like plasmids. More recently, five vir homologues
(VirB4, -9, -10, -11, and VirD4) have been found in the cag
pathogenicity island of Helicobacter pylori and some of the
Dot/Icm proteins involved in the pathogenesis of
Legionella pneumophila, which can mobilize RSF1010, are
homologous to genes in the Tra2 region of RP4 as well as
the Trb region of the IncI1 plasmid R64. In fact, many
bacteria carry more than one T4SS that are involved in
conjugation, transformation, DNA release, and protein
translocation. The number of orthologues is astounding
and the versatility of T4SS is only now being appreciated.
Conjugation in Natural Environments
While the process of conjugation is thought to be relevant
to the adaptation of organisms to environmental conditions
such as the acquisition of antibiotic resistance under con-
tinuous pressure for selection, there is much to be learned
about the process in nature. Conjugation can be demon-
strated in a wide number of situations including the gut of
animals, biofilms, soil, aquatic environments including was-
tewater, and on the surface of plants and animals. However,
the level of transfer is usually very low. Most experiments
have utilized common lab strains and plasmids, which are
good model systems for study but might be irrelevant in
nature. Considering the diversity of bacterial species, their
vast numbers, and the timescale for their evolution, we
have only scratched the surface of this phenomenon in
the natural environment. However, studies on domesti-
cated lab strains and plasmids have allowed predictions
about the conditions that favor transfer. Most conjugative
systems require actively growing cells in exponential phase
and have a fairly precise temperature optimum. The
Conjugation, Bacterial 307

majority of systems studied to date mate more efficiently
on solid media. Those systems that mate efficiently in
liquid media seem to be found in enteric bacteria and
might be associated with diseases transmitted via water.
More information is required on the natural hosts for
conjugative elements and their contribution to the evolu-
tion of these elements in an ecological niche. In addition,
the most likely route of transmission, which appears to
involve many intermediate organisms, is usually impossi-
ble to predict or detect because of the complexity of the
system and the unknown role of nonculturable organisms
in this process. Thus, we can isolate a plasmid from its
environment and we can find evidence for its transfer to a
new species but we cannot, at this time, follow the plasmid
as it makes its way in the world.
Further Reading
Bradley DE, Taylor DE, and Cohen DR (1980) Specification of surface
mating systems among conjugative drug resistance plasmids in
Escherichia coli K-12. Journal of Bacteriology 143: 1466–1470.
Burrus V and Waldor M (2004) Shaping bacterial genomes with
integrative and conjugative elements. Research in Microbiology
155: 376–386.
Casadesus J and Low D (2006) Epigenetic gene regulation in the bacterial
world. Microbiological and Molecular Biology Reviews 70: 830–856.
Christie PJ, Atmakuri K, Krishnamoorthy V, Jakubowski S, and Cascales E
(2005) Biogenesis, architecture, and function of bacterial type IV
secretion systems. Annual Reviews in Microbiology 59: 451–485.
Clewell DB, Francia MV, Flannagan SE, and An FY (2002) Enterococcal
plasmid transfer: Sex pheromones, transfer origins, relaxases, and
the Staphylococcus aureus issue. Plasmid 48: 193–201.
Dunny GM (2007) The peptide pheromone-inducible conjugation
system of Enterococcus faecalis plasmid pCF10: Cell–cell
signalling, gene transfer, complexity and evolution. Philosophical
Transactions of the Royal Society, Series B, Biological Sciences
362: 1185–1193.
Firth N, Ippen-Ihler K, and Skurray RA (1996) Structure and function of
the F factor and mechanism of conjugation. In: Neidhardt FC, et al.
(eds.) Escherichia coli and Salmonella: Cellular and Molecular
Biology, pp. 2377–2401. Washington, DC: ASM Press.
Frost LS (1993) Conjugative pili and pilus-specific phages.
In: Clewell DB (ed.) Bacterial Conjugation, pp. 189–221. New York:
Plenum Press.
Fuqua C, Winans SC, and Greenberg EP (1996) Census and consensus
in bacterial ecosystems: The LuxR–LuxI family of quorum-sensing
transcriptional regulators. Annual Reviews in Microbiology
50: 727–751.
Grohmann E, Muth G, and Espinosa M (2003) Conjugative plasmid
transfer in Gram-positive bacteria. Microbiological and Molecular
Biology Reviews 67: 277–301.
Lanka E and Wilkins BM (1995) DNA processing reactions in bacterial
conjugation. Annual Reviews in Biochemistry 64: 141–169.
Lawley TD, Klimke WA, Gubbins MJ, and Frost LS (2003) F factor
conjugation is a true type IV secretion system. FEMS Letters in
Microbiology 269: 1–15.
Paranchych W and Frost LS (1988) The physiology and biochemistry of
pili. Advances in Microbial Physiology 29: 53–114.
Phillips G and Funnell B (eds.) (2004) Plasmid Biology. Washington, DC:
ASM Press.
Salyers AA, Shoemaker NB, and Stevens AM (1995) Conjugative
transposons: An unusual and diverse set of integrated gene transfer
elements. Microbiological Reviews 59: 579–590.
Shapiro JA (1977) Bacterial plasmids. In: Bukhari AI, Shapiro JA,
and Adhya SL (eds.) DNA Insertion Elements, Plasmids, and
Episomes, pp. 601–670. Cold Spring Harbor, NY: Cold Spring
Harbor Press.
Thomas CM (2000) The Horizontal Gene Pool, Bacterial Plasmids and
Gene Spread. Amsterdam: Harwood Academic Publishers.
308 Conjugation, Bacterial

Continuous Cultures (Chemostats)
J G Kuenen, Delft University of Technology, Department of Biotechnology, The Netherlands
O J Johnson, University of Southern California, Los Angeles, CA, USA
ª2009 Elsevier Inc. All rights reserved.
Defining Statement
Introduction
Theory of Continuous Culture
Physiological and Functional Genomic Studies with the
Chemostat
Simultaneous Use of Mixed Substrates in Continuous
Culture
Ecological Studies in the Chemostat
Industrial Applications of Continuous Culture
Competition and Selection of Mutants in the Chemostat
Essential Equipment in Continuous Culturing
Important Aspects of Continuous Culture
Further Reading
Glossary
auxostat A continuous culture system in which the rate
of feeding is determined by controlling a single growth-
dependent parameter while all other parameters,
including the dilution rate (D) and the specific growth
rate (), are adapted accordingly.
chemostat Named from the phrase chemically static,
the chemostat is a continuous culture system in which
the dilution rate (D), and hence the specific growth rate
(), is set externally and all other growth parameters will
adapt accordingly.
continuous culture An ‘open’ culture system in which
fresh (sterilized) medium is introduced at a steady flow
rate (), from which the culture fluid is continuously
removed at the same rate.
critical dilution rate (D
C
)Rate at which D¼
max
in
which cells are washed-out faster than they can grow.
C
s
Concentration of growth-limiting substrate (S)in
fermentor (mol l
1
or g l
1
).
C
¯
s
Steady-state concentration of growth-limiting
substrate (S) in fermentor (mol l
1
or g l
1
.)
C
Si
Concentration of substrate in medium supply (g l
1
).
C
X
Concentration of biomass in fermentor (g DW l
1
;
DW ¼dry weight of cells).
C
¯
X
Steady-state concentration of biomass in fermentor
(g DW l
1
).
dilution rate (D)Flow rate of incoming medium divided
by the volume of the culture in the continuous culture
vessel (h
1
).
fermentor Cultivation vessel with appropriate stirring
device and control of temperature, aeration, gas supply,
pH, pO
2
, and ports for addition and removal of gas and
liquids.
flow rate ()Rate at which fresh medium is supplied to
the fermentor (l h
1
).
maintenance coefficient (q
m
)Maintenance energy
requirement of the biomass in culture (g or moles
substrate (g DW h)
1
).
maximum specific growth rate (
max
)Rate of increase
in biomass (h
1
) relative to biomass present when all
nutrients are present in excess and no growth inhibitors
are present.
Monod saturation constant (K
S
)Substrate
concentration (g
1
or mol l
1
) at which the specific
growth rate is equal to half of the maximum specific
growth rate.
specific consumption rate (q
s
)Substrate (g or moles)
consumed per gram biomass per hour, also equal to
/Y.
specific growth rate (m
s
)Rate of increase of biomass
relative to the biomass already present (h
1
),
numerically equal to ln 2/t
d
. The subscript ‘s’ refers to
the growth-limiting substrate, but is used optionally.
steady state Condition of a continuous culture in which
changes in cell density and physiological state of the
cells are no longer detectable.
turbidostat A continuous culture with a
growth-dependent feedback system, in which the
dilution rate is controlled by an internal sensor
monitoring turbidity.
Y0
SX
(yield factor for biomass on substrate) Quantity
of cells produced per substrate consumed (g DW
produced per g or moles substrate consumed).
Y
SX
max
True yield factor for biomass on substrate, that is,
the experimental yield factor Y0
SX
if no maintenance
exists (g DW produced per g or moles substrate
consumed).
309

Abbreviations
GOGAT-GS glutamate oxoglutarate amino
transferase and glutamine synthetase
PMF proton motive force
PTS phosphotransferase system
Defining Statement
Continuous culture techniques enable the cultivation of
microorganisms at submaximal growth rates under highly
controlled, nutrient-limited conditions and, if desired, at
high cell density, thereby providing researchers with
powerful and reproducible tools that have several advan-
tages over batch cultivation. Continuous cultivation is
invaluable for (eco)physiological investigations of micro-
organisms, including functional genomics studies.
Introduction
Continuous culture is a set of techniques used to repro-
ducibly cultivate microorganisms at submaximal growth
rates at different growth limitations in such a way that the
culture conditions remain virtually constant (in ‘steady
state’) over extended periods of time. In the steady state,
the growth of organisms can be studied in great detail
under precisely controlled physiochemical states. Such
conditions are amenable to a great deal of mathematical
modeling that enables powerful quantitative analysis of
microbial activities. Continuous culture principles first
appeared in the literature near the middle of the twenti-
eth century, notably from work performed in the labs of
Herbert, Monod, and Novick. Since that time, continuous
culture techniques have become common tools in both
research and industry. A large diversity of continuous
culture applications exists, of which only a modest subset
will be mentioned in the present work. Focus will be on a
number of classic and a few up-to-date examples of the
use of continuous cultivation in various applications. As
will be described, the use of continuous culture has
enabled studies into several ecological phenomena,
including the relationship between growth rate and intra-
cellular metabolic fluxes, the transcriptional responses
of microorganisms to various nutrient limitations, the
competitive strategies between microorganisms at low
nutrient concentrations, as well as the selection and com-
petition between spontaneous or designed mutants for
biotechnological applications. As synergistic tools con-
tinue becoming more powerful and widely available, the
number of uses and the value of the classic continuous
culture techniques will likely continue growing at a com-
parable rate.
Theory of Continuous Culture
General
Microorganisms, inoculated into a suitable growth medium,
will grow at a rate that is the maximum possible under the
given conditions. During their growth, the environment will
continuously change, but as long as the conditions remain
favorable, growth will continue until at least one of the
essential substrates in the medium becomes limiting. If all
other nutrients are present in excess, this is called the
growth-limiting substrate. The specific growth rate of a
microorganism is dependent on the concentration of the
growth-limiting substrate according to the empirical equa-
tion of Monod (1942, 1949):
¼max
Cs
KsþCsð1Þ
where is the specific growth rate,
max
the maximum
specific growth rate, C
s
the concentration of the growth-
limiting substrate, and K
s
the Monod saturation constant,
which is numerically equal to the substrate concentration
at which ¼
max
. We will use this very simple mathe-
matical model for growth to introduce the mathematics of
the operation of the chemostat. Note that the doubling
time (t
d
) is related to as t
d
¼ln 2/.
To obtain sizeable population densities, the substrate
concentrations employed in a batch culture are much
higher than K
s
(K
s
values are usually in the nmol l
1
range), so that growth occurs at the maximum specific
growth rate. Most microbial and biochemical research has
been carried out on microorganisms grown under these
conditions. An experimental drawback of the batch cul-
ture is that during growth the medium composition will
change, excretion products may accumulate, and cell
density will increase. In view of the adaptability of the
physiology of the microbes, this means that the results
obtained from such cultures will depend on the time of
harvest. Another drawback of cultivation in batch is that
questions concerning general physiology, such as cellular
metabolic pathways, composition, and enzymology at
submaximal growth rates under nutrient-limited condi-
tions, cannot be answered.
In contrast, in continuous culture, it is possible to maintain
steady-state concentrations of a growth-limiting nutrient
in the culture, which permits growth of microorganisms at
submaximal rates. In addition, in continuous culture, para-
meters such as pH, oxygen tension, concentration of
310 Continuous Cultures (Chemostats)

excretion products, and population densities can easily be
controlled. Several types of continuous culture methods exist
(i.e., auxostat, turbidostat, and the chemostat), but by far the
most common is the flow-controlled continuous culture, the
chemostat, which will be discussed first.
As already mentioned, chemostat is used for the culti-
vation of microorganisms at growth-limiting substrate
concentrations. In the medium reservoir all the com-
pounds necessary for growth are present in excess, with
the exception of the growth-limiting substrate, C
S
. Under
these conditions, the microorganisms grow at a specific
growth rate, , which is lower than the maximum specific
growth rate,
max
. The chemostat is an ‘open’ culture
system (often a lab-scale growth vessel or fermentor) in
which fresh (sterilized) medium from a medium reservoir
is introduced at a steady flow rate, , from which the
culture fluid emerges at the same rate, often by a simple
overflow system. With a constant volume, V, and an in-
flow rate, , the dilution rate, D, is defined as
D¼
Vð2Þ
where the dilution rate is expressed in h
1
.
Monod showed that over a large range of growth rates,
a fixed relationship exists between the amount of sub-
strate consumed and the amount of biomass produced:
dCX
dt¼–YSX
0dCS
dtð3Þ
where dCX=dtis the change in biomass concentration
over time. Y0
SX
is the yield factor and is defined as the
amount of cell material produced per amount of substrate
consumed. It should be remembered that Y0
SX
is only a
constant in the simple mathematical model of Monod, as
will be seen later.
Biomass: If the medium in the fermentor is inoculated,
for example with bacteria, the culture will grow at a given
rate. At the same time, a quantity of bacteria will be washed
out via the overflow, because the culture is continuously
fed and diluted with fresh medium from the medium
supply. For the culture it thus follows that the accumula-
tion of biomass is equal to growth minus washout or
dCX
dt¼CX–DCX¼ð–DÞCXð4Þ
Hence if >D,C
X
will increase, while if <D, C
X
will
decrease. If ¼D, an equilibrium will exist. While the
formula given above accurately describes the general
situation, it can easily be shown that, starting from non-
steady-state conditions, a steady state must inevitably be
reached, provided that Ddoes not exceed the critical
value D
C
:
DC¼max
CSi
ðKSþCSiÞð5Þ
where C
Si
is the concentration of the growth-limiting
substrate in the medium supply. If C
Si
>> K
S
, which is
usually the case, then D
C
max
. However, if C
Si
<< K
S
,
the culture will be washed-out at <<
max
.IfD<D
C
,
the establishment of a steady state may be considered as
follows. At >D, the biomass concentration, C
X
, will
increase. Owing to the resulting decrease in substrate
concentration (C
S
), the specific growth rate will then
decrease. If becomes lower than the dilution rate, D,
then C
X
will decrease because of washout. Consequently,
C
S
will increase again. Therefore, it can be concluded that
the dynamic equilibrium ¼Dis a stable situation.
Accordingly, a steady state will be established automati-
cally. It is usually assumed that a steady state has been
reached if C
X
has not changed during two volume changes
and at least five volume changes, in total, have occurred.
Growth-limiting substrate : Substrate enters the culture
vessel at a concentration C
Si
. Consumption of the sub-
strate by the organisms results in a concentration C
S
. The
net rate of change in the culture vessel is obtained by a
balance equation:
dCS
dt¼in –out –consumption ð6Þ
in which
consumption ¼growth
yield ¼CX
YSX
0
It follows that
dCS
dt¼DðCSi –CSÞ–CX
YSX
0ð7Þ
At steady state, dCX=dtand dCS=dtare both equal to zero.
This, when combined with eqns [4] and [7], gives the
equilibrium concentrations
CXand
C
s
.
If
dCX
dt¼ð–DÞCX¼0
then
¼Dð8Þ
Hence
D¼max
CS
ðKSþ
CSÞð9Þ
Or:
CS¼KS
D
max –Dð10Þ
Furthermore
DðCSi –
CSÞ¼
CX
YSX
0ð11Þ
Continuous Cultures (Chemostats) 311

Combining eqns [11] and [8], it follows that
CX¼YSX
0ðCSi –
CSÞ
¼YSX
0CSi –KSD
max –Dð12Þ
where K
S
,
max
, and Y0
SX
are constants for a microorganism
under the specified condition of temperature, medium
composition, and the nature of the growth-limiting sub-
strate, respectively For C
Si
and Da constant value can be
chosen. From eqn [10] it appears that
C
s
solely depends on
D.IfK
S
,
max
, and Y0
SX
are known for a given microorgan-
ism, the relationship between
CXor
C
s
and Dcan be
predicted at a chosen C
Si
. This is illustrated in Figure 1.
The amount of cell material produced per unit of time
is given by D
CX(g l
1
h
1)
. This term is also known as the
productivity. Note that the theoretical lines often do not
follow experimental values when the dilution rate is
below 10% of
max
. This is because at lower , the
assumption that Y0
SX
is a constant (i.e., the Monod model
for growth) does not hold (see below). Equation [12]
shows that
CXdepends on Dand C
Si
and is proportional
to C
Si
if
C
s
<< C
Si
, which is usually the case in the experi-
mental lab situation. At varying C
Si
, the relationship
between Dand
CXor
C
s
is illustrated in Figure 2.
It is important to note that
C
s
is independent of C
Si
.At
dilution rates well below D
C
, relatively high cell concen-
trations can be obtained at very low, growth-limiting
concentrations of the substrate. Hence, high biomass sam-
ples of cells that are growing at a submaximal rate and
maintained in an active, controlled physiological state, are
available for (eco)physiological studies. This is one of the
great assets of chemostat cultivation.
In practice, the parameters of a culture such as
max
,
Y0
SX
, and K
S
can be determined in various ways. In the
chemostat,
max
can usually be determined more reliably
than in a batch culture for the following three reasons:
(1) prior to the determination of
max
the culture can be
grown at a rate close to
max
, ensuring that all cells are
optimally adapted to growth at their near-maximum rate;
(2) lag phases will not interfere with the measurement;
and (3) possible influences of changing the substrate and
the product concentrations are minimized. For the actual
measurement, the dilution rate is increased (in one step)
from a value slightly below
max
to a value of 20–50%
above the critical dilution rate. This results at once in
alleviation of the substrate limitation and in gradual
washout of the culture. The rate at which this washout
proceeds can be expressed as given in eqn [4], which after
integration gives
ln CX¼ð–DÞtþln CXo ð13Þ
where C
Xo
represents the cell density at the start of the
washout period. Because the substrate is no longer limit-
ing, the culture grows at
max
and a plot of ln C
X
versus t
yields a line with a slope of ¼D. Because Dis fixed at a
known value,
max
can be determined.
K
s
can be obtained from continuous culture experi-
ments by selecting Dso large that
C
s
can be measured.
Usually
C
s
can only be measured over a small range of
dilution rates, and hence the data may give inaccurate
results. It is essential to minimize residual substrate con-
sumption during the sampling. This can be done (1) by
very rapid sampling in a tube with precooled stainless-
steel beads, followed by immediate filtering and (2) by
decreasing the C
Si
so that the steady-state biomass
t
d
C
x
Dilution rate (h
–1
)
Cs (g l–1)
Cx (g l–1)
10
7.5
5.0
2.5
0
00.2 0.4 0.6 0.8 1
1
2
3
4
5–
6
1
2
3
4
Doubling time (h)
5
C
s
–
Figure 1 Steady-state relationships in a continuous culture
(theoretical). The steady-state values of substrate concentration,
bacterial concentration, and doubling time at different dilution
rates are calculated from Eqns [10] and [12], for an organism with
the following growth constants:
max
¼0.8 h
1
,Y0
SX
¼0.5 g g
1
,
K
S
¼0.15 g l
1
, and a substrate concentration in the medium
supply of C
Si
¼10 g l
1
.
0
1
2
3
4
5
6
7
8
9
10
0.2 0.4 0.6 0.8 1
Dilution rate (h
–1
)
16
14
12
10
8
6
4
2
0
Cx (g l–1)
Cs (g l–1)
C
x
(16)
–
C
x
(8)
–
C
x
(4)
–
C
s
–
C
s
(16)
C
s
(8)
C
s
(4)
Figure 2 Effect of varying the concentration of substrate in
the medium supply (C
Si
) on the steady-state relationships in a
continuous culture (theoretical). The curves are calculated
from Eqns [10] and [12] for an organism with
max
¼0.8 h
1
,
Y0
SX
¼0.5 g g
1
, and K
s
¼0.15 g l
1
, for three media with
different substrate concentrations of 4, 8 and 16 g l
1
.
312 Continuous Cultures (Chemostats)

concentration, C
X
, and hence the rate of consumption,
CX=YSX
0, are lowered. A common way to obtain K
S
is
to perform a nonlinear fit (with least-squares regression),
of the measured C
S
values in the Monod equation (¼D)
with a proper computer-fitting program. The most accu-
rate method is to use the formula for the specific
consumption rate (q
s
), discussed below (eqn [16]). An
outdated method for the graphical determination of K
S
is mentioned here because it is very commonly used to
linearize eqn [9], which can be rewritten to produce the
so-called ‘Lineweaver–Burk plot’:
1
D¼KS
max
CSþ1
max ð14Þ
At varying Dvalues, a graphical plot of the reciprocal of
C
s
measured versus the reciprocal of Dgives a straight
line with an intercept with the y-axis equal to 1/
max
and
an intercept with the x-axis equal to 1/K
S
. The slope of
the line is K
s
/
max
. Practical values of K
s
can lie in a range
between 10
8
and 10
3
mol l
1
, but are usually between
10
7
and 10
5
mol l
1
. However this method gives inac-
curate results because those points obtained at the low
end of the substrate concentration range (which usually
are the most inaccurate) have the greatest effect on the
position of the line in such a plot. This graphical method
has been replaced by the direct linear plot.
The yield factor, Y0
SX
, can be obtained from batch
experiments using a series of cultures with increasing
C
Si
and further by a graphical plot of C
Si
versus
CX.
However, this method often neither gives data as repro-
ducible nor dependable as that observed from the
chemostat. In continuous cultures, Y
SX
0
can be calculated
from eqn [12], according to the simple Monod model for
growth, but now we must refine the mathematical treat-
ment of the operation of the chemostat, because in
practice it is observed that at low growth rate the yield
is strongly influenced by the fact that an organism
requires maintenance energy for a number of purposes.
The resulting deviation is illustrated in Figure 3.
In other words, in eqn [12], Y0
SX
will not always be a
constant. The percentage of the total consumed substrate
used for maintenance will increase as decreases and,
thus, Y0
SX
will decrease as decreases. Marr, and later
Pirt, have given an explanation based on the assumption
that for its maintenance a cell requires a certain amount of
energy per unit of time, independent of the specific
growth rate. This means that the total consumption of
substrate is equal to the consumption of substrate for
maintenance plus consumption of substrate for growth:
CX
YSX
0¼qm?CXþCX
Ymax
SX ð15Þ
If we divide by C
X
, we obtain the specific consumption
rate of the microorganism, q
s
:
qs¼
YSX
0¼qmþ
Ymax
SX ð16Þ
where q
m
is the specific maintenance energy requirement
expressed as amount (moles or grams) of substrate con-
sumed per unit of biomass per unit of time. Note that in
the literature we often see the symbol m
s
instead of q
m
.
Y
SX
max
is the maximum yield (also known as the true yield),
that is, the growth yield if no maintenance energy is
required. The experimentally obtained Y
SX
max
value should
not be confused with the ‘theoretical’ maximum yield that
can be calculated from metabolic pathways, which is at
least twice as high as the Y
SX
max
.
Maintenance energy is necessary, in the first place, to
maintain the proton motive force (PMF). This is a proton
gradient across the cell membrane that is essential for
various metabolic functions (e.g., maintaining ion gradi-
ents across the cell membrane). Furthermore, energy is
used in the ‘turnover’ of proteins and mRNA, for repair
and motility, among other things. The existence of a
maintenance energy requirement can be deduced from
the fact that all microorganisms at rest (i.e., not growing)
retain a certain respiratory level.
In the older literature, a graphical plot of 1=YSX
0versus
1/Dis used to derive the value of q
m
(slope) and 1/Y
SX
(intercept with the y-axis). However, in this type of reci-
procal plot the same drawback is observed as pointed out
above for the K
S
determination. In this case, a plot of q
s
against Dgives much more dependable results. An exam-
ple is shown in Figure 4 (lower line), where the specific
rate of oxygen consumption of a carbon- and energy-
limited culture is plotted against D. The value of q
s
can
3
4
5
0.4 0.6 0.8 1
2
1
6
0.2
0
Dilution rate (h
–1
)
Cx (g l–1)
Figure 3 Steady-state biomass concentration
CXas a
function of the dilution rate Din a chemostat when there is a
maintenance requirement for the growth-limiting
substrate: ¼Y
SX max
¼0.5 g g
1
,C
Si
¼10 g l
1
,
q
Smax
¼1.6 g g
1
h
1
,q
m
¼0.08 g g
1
h
1
,andK
S
¼0.15 g l
1
.
Continuous Cultures (Chemostats) 313

easily be calculated by monitoring the oxygen content of
in- and out-flowing gas and by measuring the biomass
concentration in the steady state. The specific mainte-
nance coefficient in this case is expressed as qmðO2Þ, that is,
the specific oxygen consumption for glucose respiration
at D¼0. If the specific glucose consumption rate,
qsðglucoseÞ, instead of qO2, would be plotted as a function
of D, the experimental yield is measured and the qsðglucoseÞ
is calculated from the equation qs¼=YSX
0.
Although q
m
can directly be read from the graph at
D¼0, the Y
SX
max
must be calculated from the slope of the
curve under carbon and energy limitation. The experimen-
tal data indeed often show a linear relationship. In such cases
it is assumed that q
m
is a constant. However, sometimes a
straight line is not obtained. It is clear that in such a case
Pirt’s concept does not hold. An essential assumption, which
was previously not formulated explicitly, is that Pirt’s con-
cept can only be applied when growth is energy-limited.
This means that under other limitations the ‘apparent’ q
m
may have a variable value (see Figure 4), and does not refer
to the ‘minimum’ energy required for maintenance of the
integrity of the living cell. In practice, energy limitation
often involves growth-limiting amounts of an organic com-
poundthatissimultaneouslytheenergyandcarbonsource.
With limitations other than energy (and carbon), much
higher consumptions may be observed as glucose may be
consumed for purposes other than growth. This is very well
described in the literature for microorganisms grown under
nitrogen (ammonium) limitation, and is demonstrated in
Figure 5 from an experiment with Torula (Candida) utilis,
grown under nitrogen limitation. At low growth rates, the
cell will store reserve material that does not contain nitrogen
(e.g., polyglucose or poly--hydroxybutyrate), because the
15
10
5
00.1 0.6 0.70.50.40.30.2
Dilution rate (h–1)
qO2 value (
μmoles O2/mg dry wt organisms
•
h)
Figure 4 Relationship between the specific growth rate and the
specific rate of oxygen consumption in variously limited
chemostat cultures of Klebsiella aerogenes growing in a
glucose-containing medium. Cultures were, respectively,
carbon-limited (N), NH
3
-limited (4), SO
42
-limited (), and
phosphate-limited (*). Reproduced from Neijssel OM and
Tempest DW (1976) Bioenergetic aspects of aerobic growth of
Klebsiella aerogenes NCTC-418 in carbon-limited and
carbon-sufficient chemostat culture. Archives of Microbiology
107: 215–221.
Specific growth rate μ (h–1)
20
30
40
00.1 0.2 0.3 0.4 0 0.1 0.2 0.3 0.4
Dry weight of cells (mg ml–1)
2
4
6
8
10
0
500
˚
˚
˚
˚
˚
˚
˚
˚
˚
˚
˚
˚
Carbohydrate content (%)
0
5
(a) (b)
˚˚˚˚˚˚
˚
Dry weight
˚
˚
˚
˚
˚
˚
˚
˚
˚
˚
˚
˚
˚
˚
[glucose] in culture
[glucose] (mg ml–1)
˚
˚
˚
˚
˚
˚
˚
˚
˚
˚
˚
˚
˚
˚
˚
˚
[NH3] in culture
˚
˚
˚
˚
˚
˚
˚
˚
˚
˚
˚
˚
Carbohydrate content (%)
˚˚˚˚
˚˚˚
˚
Dry weight
NH3 concentration μg N ml–1
Total carbohydrate content
of cells (% dry weight)
10
Figure 5 Carbohydrate content of Torula utilis as a function of growth rate and limiting nutrient (unpublished data of Herbert and
Tempest). The organism was grown in a continuous culture at a number of different growth rates in a glucose-NH
3
-salts medium (a)
with glucose as limiting nutrient, and (b) with NH
3
as limiting nutrient. Dry weight of cells in the culture and their total carbohydrate
content (anthrone method), as well as steady-state levels of glucose and NH
3
in the culture, are plotted against growth rate.
Reproduced from Herbert D (1961) The chemical composition of microorganism as a function of their environment. In: Meynell GG
and Gooder H (eds.) Microbial Reaction to Environment:11th Symposium, pp. 391–416. Reading: Society of General Microbiology:
Cambridge University Press.
314 Continuous Cultures (Chemostats)

cell has an excess of carbon and energy. This phenomenon is
quite common and may have ecological implications,
because if a shortage of energy and/or carbon sources
occurs, the cell can then use the stored reserve material.
This ability of a cell to consume more substrate than strictly
necessary for the synthesis of ‘standard’ cell material is based
upon the surplus capacity of the respiratory system under
substrate excess. This will be further discussed later.
The consequence of the introduction of the mainte-
nance energy requirement is that the empirical Monod
model for growth no longer holds. If maintenance energy
is playing a role, then clearly a discrete rate of substrate
supply and/or consumption can take place without growth,
when the rate of supply is lower than required for main-
tenance purposes. This implies that the Monod type of
saturation curve (hyperbola eqn [1]) must be written for q
s
rather than for :
qs¼qmax
Cs
KsþCsð17Þ
This is the formula commonly used in computer models
to calculate K
S
from (weighted) experimental data.
After rearrangements of eqn [17] one obtains an alter-
native formulation for :
¼max
Cs
KsþCs
–Ks
KsþCs
Ymax
SX qmð18Þ
This equation shows that at C
s
¼0, ¼q
m
Y
SX
max
, while
at C
s
¼1,¼
max
. This equation is the Monod equation
in the first part, corrected with a term that becomes zero
at very high C
S
. Accounting for maintenance, the formu-
lae for the steady state of C
X
and C
S
become
CX¼½DY max
SX ðCSi –CSÞ
DþqmYmax
SX ð19Þ
CS¼ðDþqmYmax
SX ÞKS
½Ymax
SX ðqmax
s–qmÞ–Dð20Þ
Figure 3 has been constructed from eqns [19] and [20],
using assumed kinetic parameters: Y
SX
max
,C
Si
q
S
max
,q
m
, and
K
S
. Further considerations concerning the maintenance
energy requirement will be discussed under the physio-
logical studies.
In continuous culture experiments, many other devia-
tions from the theoretical behavior of chemostat cultures
can be found. For example, if the cells present in the
culture are not all viable (i.e., if a certain percentage of
cells continuously die), a deviation will appear because the
living cells must grow faster than Dto maintain the value of
C
X
. Another problem might be the toxicity of the growth-
limiting substrate, which could give deviation at high D
(i.e., high
C
s
). Mathematical models incorporating these
extra variables can be found in the literature.
In the laboratory practice there are a number of poten-
tial problems related to the growth of microorganisms in
the chemostat. Inhomogeneities may often occur because
the culture is not well stirred, or because wall growth
takes place.
Continuous Cultivation by Other Controls: The
Turbidostat and pH-Auxostat
The flow-controlled chemostat is not suited for the
growth of microorganisms at a value near D
C
(
max
).
Small experimental errors in the pumping rate, and hence
in the D, will have dramatic effects on
CX(see Figure 1).
In such a case, a turbidostat is preferred. In a turbidostat,
the density (turbidity) of the culture is measured con-
tinuously and kept constant by a proportional adjustment
of the pumping rate. A practical problem is that the
measuring device, such as a flow-through cell in a spec-
trophotometer, used to measure the turbidity and
generate the feedback to the pump can easily be fouled
by wall growth.
Other types of continuous cultures are controlled by
monitoring a variety of measurable chemical or physical
parameters and appropriate feed back. Examples are car-
bon dioxide, sulfide, light, oxygen, and protons (i.e., pH).
Such systems are called ‘auxostats’. The pH-auxostat has
frequently and successfully been used in practice. The
theory is as follows. Assuming that during growth protons
(H
þ
) are excreted into the culture liquid, the change in
their concentration as a function of time can be expressed
as follows:
dHþ
dt¼CXhþD½Hþ
R–D½Hþ
C–DBRð21Þ
where his the stoichiometry of proton formation per gram
dry weight of cells (moles (g DW)
1
), ½Hþ
Rthe proton
concentration in the medium reservoir (moles l
1
), ½Hþ
C
the proton concentration in the culture (moles l
1
), and
B
R
the buffer capacity of the reservoir medium (moles
l
1
). For the simplest situation, in which only a small
difference exists between the pH of the medium and
that of the culture, eqn [21] reduces to
dHþ
dt¼CXh–DBRð22Þ
and in steady state with ¼Dthe following expression
for cell density is the result:
CX¼BR
hð23Þ
This shows that the steady-state cell density is a linear
function of the buffering capacity of the medium, assum-
ing that his independent of B
R
. Combining eqn [21] with
the general nutrient balance for continuous culture eqn
[7] yields the following expression for C
S
in steady-state
cultures:
Continuous Cultures (Chemostats) 315

CS¼CSi –BR
hYSX
0ð24Þ
Finally, solving the conventional Monod expression (eqn
[1]) for the obtained steady-state values of C
S
allows a plot
of the specific growth rate (), the steady-state substrate
concentration (
C
s
), and the steady-state cell density (
CX)
as a function of the buffering capacity (B
R
)(Figure 6). As
can be seen from this illustration, the specific growth rate
of the cells remain at a value close to
max
over a large
range of buffering capacities but, of course, will decrease
at high buffering capacities due to the decreasing
concentration of remaining growth substrate. Obviously,
this effect will be most prominent with cells possessing
relatively high K
S
values for the substrate used. In princi-
ple, this will provide the opportunity to choose the
buffering capacity such that the substrate concentration
becomes strongly growth rate-limiting, thus creating an
overlap with the conventional mode of substrate-limited
growth.
Competition of Microorganisms for a
Growth-Limiting Substrate
Consider microorganisms A and B, which have –C
S
curves of the types presented in Figures 7(a) and 7(b).
In the example shown, if organisms A and B are grown in
batch culture (with a maximum specific growth rate of
max
), organism A will grow faster than organism B in
both cases and therefore becomes dominant (assuming
that both have started with equal numbers and neither
has a lag phase). In the example shown in Figure 7(b),
however, if A and B are grown together in a continuous
culture with growth limitation by substrate C
S
, then, at
low D, organism B will dominate. This can be rationalized
by assuming a steady state with organism B at
D¼½B
max. The steady-state concentration of the
growth-limiting substrate would be equal to KB
S. At that
nutrient concentration, organism A will grow at a <D,
and hence it will be washed out. Conversely, if we would
have a steady state of organism A at that same D, organism
B would be able to grow faster at the concentration of the
growth-limiting nutrient than A, and hence would out-
compete (replace) organism A. In other words, in spite of
the lower
max
of B shown in Figure 7(b), this organism
will grow faster than organism A at low
CS. In fact, it is the
0
0.6
0
200
300
0.8
1.0
0.4
0.2
100
246810
----------------------------------------------------
----------------------------------------------------
Steady-state values of Cs (×10) and μ
BR
C
X
–
C
S
–
Steady-state values of biomass CX
–
Figure 6 Major growth parameters in a pH-auxostat. Residual
substrate concentration C
s
(moles l
1
), specific growth rate
(h
1
) and cell density C
x
(g DW l
1
) as a function of the buffering
capacity B
R
(moles l
1
), in the reservoir medium. Arbitrarily
chosen values: Y
sx
0¼22 (g DW (mole)
1
), h ¼0.05 (moles (g
DW)
1
), C
si
¼10 (mole l
1
) and
max
¼1(h
1
). Adapted from
Gottschall JC (2000) Continuous Culture. In: Lederberg J (ed.)
Encyclopedia of Microbiology, 2nd edn., vol. 1, pp. 873–886.
New York: Academic Press Inc.
A
B
B
A
(a) (b)
----------------------------------------------------
---------------------------------------------------- ----------------------------------------------------
----------------------------------------------------
1/2 μ A
max ---------
-------------
------------
-----
-------------------------------
-----------------------
-----------------------
-------------------
CS
KA
SKB
SCS
KA
S
KB
S
μμ
μ A
max
μ B
max
1/2 μ B
max
μ A
max
μ B
max
1/2 μ A
max
1/2 μ B
max
Figure 7 The –C
S
relationship of two organisms A and B (a) K
SA
<K
SB
and
maxA
>
maxB
; (b) K
SA
>K
SB
and
Amax
>
Bmax
.
316 Continuous Cultures (Chemostats)

slope of each of the curves, that is
max
/K
S
, which deter-
mines the outcome of the competition. This slope is often
referred to as the ‘affinity’ for the substrate. A high affi-
nity, in other words, will equip the organism with the
ability to grow relatively fast at very low nutrient con-
centrations. This is most relevant to the (semi) natural
environment. In the later examples of competition for
growth-limiting nutrients, we will not only refer to mix-
tures of different organisms, but also to competition
between mutants of one species, which is very important
for the general study of selection. However, mutant selec-
tion is also a potential practical problem in the continuous
cultivation of pure cultures in the laboratory (see below).
Physiological and Functional Genomic
Studies with the Chemostat
Physiological Studies
As pointed out in the introduction, the chemostat is a
unique tool for the study of the physiology of microor-
ganisms at different growth rates and with different
growth limitations under controlled, nutrient-limited
conditions. For example, by means of this technique it
has been found that the composition of the cell changes
strongly, both qualitatively and quantitatively, with chan-
ging growth rates and with the type of growth limitation.
At low growth rates, cells appear to possess fewer ribo-
somes (rRNA) than at higher growth rates. This can be
directly related to the requirement of the cell to synthe-
size protein more rapidly when growing fast as the
rate of protein synthesis per ribosome is about constant.
Especially when growth is limited by the carbon and
energy source, the amount of catabolic enzymes (for
energy production) present in the cell may be observed
to increase with increasing growth rate. Furthermore,
the amount of cytochromes in a cell also often increases
or decreases in response to environmental changes.
However, a general rule for alterations in enzyme activity
with changing growth rate cannot be given, because these
changes are usually the result of very complex regulatory
mechanisms.
Metabolic pathways and growth rates. As already stated,
the chemostat is used for the study of all forms of limita-
tion. Examples involving nitrogen and carbon/energy
supplies as well as different limitations will be discussed
here.
Most organisms grown in batch culture with ammonia as
the nitrogen source possess glutamate dehydrogenase for
ammonia assimilation. The same enzyme is used
by chemostat cultures under limitation by the carbon and
energy source. However, if growth is limited by ammonia,
the combination of glutamate oxoglutarate amino transfer-
aseandglutaminesynthetase(theGOGAT-GSsystem)is
induced. The latter enzyme has a considerably lower K
m
value for ammonia than does glutamate dehydrogenase
(about a factor of 5–10). The assimilation of ammonia
through glutamine synthetase costs 1 ATP, but it is clear
that under conditions of energy excess, this is not a problem
for the cell.
While the biomass yield is, of course, dependent on
the substrate (as is the case in batch culture), it is also
dependent on the metabolic pathway used by the organ-
ism, which in turn may be dependent on the growth
rate. The group of Stouthamer has observed a very inter-
esting example. They found that at high growth rates
Lactobacillus casei ferments glucose, producing lactate.
Accordingly, when grown in the chemostat under glucose
limitation at high Dvalues, the bacterium produced only
lactate. However, when Dwas lowered, the density of the
culture increased and acetate appeared in the culture.
The explanation of this phenomenon is that at low D
values L. casei can make additional ATP by converting
pyruvate into acetyl CoA rather than lactate. By means of
a phosphoroclastic splitting of acetyl CoA, one additional
ATP is formed. To keep a proper redox balance the
organism produces formate and ethanol:
High : glucose !2 pyruvate þ2ATP þ2NADH
pyruvate þ2NADH !2 lactate
yield: 2ATP
Low : glucose !2 pyruvate þ2ATP þ2NADH
2pyruvateþ2NADH !2formateþethanol
þacetate þ1ATP
yield: 3ATP
There is no definite answer to the question of why the
organism at high growth rates does not also produce energy
from glucose as economically as possible. It is possibly due
to the fact that the reaction that yields 3 ATP is not fast
enough for higher growth rates. It was found that the
lactate dehydrogenase is activated by fructose-l,6-bipho-
sphate. At low growth rates the concentration of this
intermediate is low and the lactate dehydrogenase does
not function. In this situation, the pyruvate can be con-
verted into formate, ethanol, and acetate.
Neijssel and Tempest studied the response of Klebsiella
aerogenes grown fully aerobically under different limita-
tions in the chemostat with glucose as the only carbon and
energy source as shown in Figure 4, which is discussed in
the theory section. The specific oxygen respiration rate
qO2was recorded as a function of Dand in all cases a linear
relation existed. In the carbon-limited cultures glucose was
completely consumed, but in all other (glucose-sufficient)
cultures the sugar was partially respired and also partially
fermented, as indicated by the appearance of different
products such as gluconate and acetate (not shown in
Figure 4). In many publications, it is also shown that
under limitations other than by the carbon and energy
source the cell-composition changed as mentioned for
Continuous Cultures (Chemostats) 317

nitrogen limitation. For example, during phosphate or
sulfate limitation the cell may synthesize alternative cell
wall components not containing the limiting nutrient.
As mentioned earlier, according to the Pirt mainte-
nance concept the extrapolated consumption rate under
carbon and energy limitation at D¼0 represents the true
maintenance energy requirement, q
m
. Extrapolation of the
other lines to D¼0 simply demonstrates that the organ-
ism respires more glucose than required for biosynthesis.
The apparently wasteful use of glucose under the other
limitations may in part be due to the need for more
energy for transport of the limiting nutrients, but the
authors also clearly showed that a certain uncoupling of
energy metabolism and biosynthesis occurred. The inter-
pretation of this phenomenon is that under the other
limitations the organism is unable to match (excess)
uptake of glucose with the requirement for growth, and
hence must waste energy since without it, it would be
unable to maintain the proper energy charge and redox
balance in the cell. Neijssel and Tempest argue that the
maintenance energy requirement is not necessarily lim-
ited to the Pirt-type -independent maintenance
requirement, but may be in part growth rate dependent
in a linear manner. The discussion of this point falls
beyond the scope of this article.
Yields under fluctuating-nutrient supply. Another point
that deserves attention is that energy-limited cultures,
when exposed to sudden increases of their limiting energy
source, often show lower yields. For example, when glu-
cose-limited cultures of the yeast Saccharomyces cerevisiae
were given the same amount of glucose per unit of time,
but in discrete pulses, rather than continuously, the
experimental biomass yield decreased. Directly after the
pulse the yeast would excrete ethanol, which would be
rapidly consumed again once all glucose had been taken
up. The ethanol consumption was proceeding through
acetate, which was transiently observed. Before the next
pulse of glucose appeared all substrates had been con-
verted into CO
2
or taken up into biomass. Apparently
under these conditions, the (excess) uptake of glucose
could not be met by biosynthesis, and a certain uncou-
pling of energy metabolism and biosynthesis would take
place and some substrate was wasted as heat. This phe-
nomenon was not observed in the yeast Candida utilis,
which under these fluctuating conditions would control
its glucose uptake to match the requirement for biosynth-
esis, and hence in the latter case the yields were the same.
Functional Genomic Applications of the
Chemostat
With the booming interest in ‘functional genomics’, which
may well be considered as a modern version of microbial
physiology, the chemostat has obtained renewed interest
not only because it allows one to study the (controlled)
response of an organism to different limitations, but also
because of the reproducibility of the experiments. This
was put to the test by the groups of Pronk and Nielsen,
who did a transcriptome analysis of S. cerevisiae grown in
the chemostat under both aerobic and anaerobic condi-
tions in two independent laboratories. Using triplicate
experiments in each laboratory and adequate statistical
analysis, they were able to show 95% agreement for
transcripts that changed by more than twofold. This is
remarkably reproducible for these types of biological
experiments and shows the great values of the use of the
chemostat for genomic research. The Pronk group also
used the chemostat to grow the same organism under
carbon, nitrogen, phosphorous, and sulfur limitations at
the same dilution rate. In doing so, they could rule out
that major differences would be caused by differences in
specific growth rate. Experimental design and medium
composition were carefully checked to ensure that the
chosen growth limitation was realized. They observed
that 31% of the annotated genome transcripts changed
significantly in these experiments with four separate lim-
itations. Nearly 500 transcripts could specifically be
linked to one of the four nutrient limitations. Fifty-one
genes showed tenfold changes under one particular lim-
itation. They concluded that the responsible genes may
be targets for future diagnostic study and characterization
of specific limitations for metabolic engineering strate-
gies. For the cultivation of industrially relevant organisms
the use of poorly defined, complex media (such as
molasses) is common and hence this type of analysis
would be most important. These two examples underline
the power and usefulness of controlled cultivation in the
chemostat for reproducible and quantitative functional
genomic research.
Simultaneous Use of Mixed Substrates
in Continuous Culture
Equivalent Substrates
Diauxic growth is a phenomenon that can be observed
when, for example, Escherichia coli is grown in batch cul-
ture on a mixture of glucose and lactose. Growth of the
culture clearly shows two phases: first the glucose is con-
sumed and, after a lag phase, the lactose can then be used.
At high glucose concentrations the organism grows at
the maximal rate and lactose metabolism is repressed
(known as catabolite repression). This is because lactose
transport is inhibited at high-energy status of the phos-
photransferase (PTS) system. It should be remembered
that the PTS system is in dynamic equilibrium with the
PMF and the energy charge of the cell. Under simulta-
neous limitation of growth by glucose and lactose in a
continuous culture, at relatively low dilution rate (D¼),
the energy status of the cell is relatively low and the use of
318 Continuous Cultures (Chemostats)

lactose does not appear to be repressed. Thus at low D
values, the simultaneous use of both compounds occurs,
whereas at high Dvalues lactose does appear in the
fermentation broth. In E. coli,
max(glucose)
is approximately
1.0 h
1
, whilst the
max(lactose)
is approximately 0.8 h
1
.In
this case, the complete simultaneous use occurs below
D¼0.5 h
1
, and glucose and lactose are detectable only
at microgram per liter levels. Between D¼0.5 and 0.8 h
1
lactose gradually appears at increasing levels and a plot of
C
S
(lactose) against Dshows a normal Monod relation as
shown in Figure 1. Above D¼0.8 h
1
lactose is no longer
used and the organism shows typical diauxic behavior as
in batch culture with excess glucose. The culture was
washed out above the D
C
for glucose, and hence also for
the glucose the organism displayed normal Monod
kinetics (Figure 1).
The group of Egli has performed similar experiments
with other (two or three) mixtures of sugars, for example
glucose and galactose, which they were able to measure
directly in the steady-state culture liquid at extremely
low levels using a new sensitive assay. Figure 8 shows the
results of chemostat experiments run at D¼0.3 h
1
with
different ratios of glucose (0–100%) and galactose (100–
0%) in the in-flowing medium.
It can be seen that the residual, steady-state concen-
tration of each of the two growth-limiting substrates was
lower in the presence of the second substrate than in its
absence. In a 50:50 mixture the residual sugar concentra-
tions were around 20 mgl–1(100 nmol l
1
), that is,
almost half of that compared with the presence of one
substrate only. This important observation, predicted by
mathematical modeling, indicates that in the competition
for substrates in Nature, the capability to use substrates
simultaneously has a competitive advantage (also see
mixed cultures).
The simultaneous, that is mixotrophic, use of substrates
with similar roles in metabolism is not limited to sugars but
also applies to all kinds of mixtures of carbon and energy
sources, mixtures of organic compounds and inorganic
energy sources, as well as to mixtures of nitrogen sources,
such as ammonium and nitrate. Likewise, the same mixo-
trophic behavior occurs with respect to electron acceptors
such as limiting mixtures of oxygen and nitrate. An exten-
sive study in this area has been done by Gottschal and
Kuenen on mixotrophic growth of a facultative sulfur-
oxidizing bacterium, Thiobacillus versutus (presently
named Paracoccus versutus) on a mixture of acetate and
thiosulfate as an additional energy source and/or CO
2
as
an additional carbon source. The organism showed typical
diauxic behavior in batch culture at high acetate (con-
sumed first) and thiosulfate, but under simultaneous
limitation (at D¼0.05 h
1
) by the two substrates both
were used simultaneously. With high acetate to thiosulfate
ratio the latter substrate served as supplementary energy
source, whilst at low ratio acetate was primarily used as
carbon source with CO
2
as supplementary carbon source
for autotrophic metabolism. Thus a remarkably efficient
metabolic control and use of resources were revealed,
which made this organism very competitive under condi-
tions of mixed-substrate supply and/or short-term
fluctuation in the supply of the separate substrates.
Simultaneous Limitation by Non-Equivalent
Substrates
When in a carbon-limited culture the in-flowing nitrogen
(originally in excess) is lowered, the residual nitrogen in
the culture will go down. At a stage where, academically
speaking, the nitrogen is still in slight excess the organism
may, however, begin to induce its high-affinity GS-
GOGAT system for ammonium assimilation and hence
employ the ATP-requiring assimilation pathway, in spite
of its carbon and energy limitation. This was experimen-
tally verified by Egli, who showed that below suboptimal
nitrogen content in the in-flowing medium the organism
displays an actual physiological double limitation.
A recent study by Ihssen and Egli with glucose-limited
E. coli cultures confirmed and extended the generally
observed phenomenon of de-repression of pathways in
the lower D-range. Under single limitation by glucose at
D¼0.3 h
1
(i.e., at 40% of
max
) a large number of meta-
bolic pathways were de-repressed, without the inducer
50
40
30
20
10
0
0
100 80 60
Proportions of su
g
ars in inflowin
g
medium (%)
40 20 0
0
10
20
30
40
20 40 60 80 100
Galactose
Glucose
Residual galactose (μg l–1)
Residual glucose (μg l–1)
Figure 8 Steady-state concentrations of glucose (&) and
galactose (&) during growth of E. coli at a constant dilution rate
of 0.30 h
1
in carbon-limited chemostat culture with different
mixtures of two sugars. The proportion of the sugars in the
mixture fed to the culture is given as weight percentages. The
total sugar concentration in the feed was held at 100 mg l
1
.
Reproduced from Egli T (1995). The ecological and
physiological significance of the growth of heterotrophic
microorganisms with mixtures of substrates. In: Jones JG (ed.)
Advances in Microbial Ecology, vol. 14, pp. 305–386. New York:
Plenum Press.
Continuous Cultures (Chemostats) 319

being present, in contrast to what is observed in batch
culture. These cultures can metabolize and grow instan-
taneously on the new substrates, such as sugars, alcohols,
and organic acids. It is generally believed that this type of
response offers an advantage for survival because it
reduces the time required to react to a change in nutrient
supply. Clearly under natural conditions, mixed sub-
strates will be available and mixotrophic growth on a
variety of substrates will be the rule rather than the
exception. In these experiments, the authors ensured
that the selection of particular mutants did not play a
significant role. This was accomplished in practice by
establishing each steady state from a fresh inoculum.
Ecological Studies in the Chemostat
General Considerations
In Nature and in man-made environments such as waste-
water-treatment plants, concentrations of nutrients are
generally very low. The order of magnitude is usually in
the nanomolar (microgram per liter) level and K
S
values
of organisms are adapted to these low concentrations. The
physiological or competitive behavior of organisms at
these low levels can be studied by using chemostat cul-
tures grown under the appropriate limitation. It is true
that in Nature actual steady states rarely occur but the
chemostat is an excellent tool to look at the principles of
(eco)physiological response and competition, under con-
trolled conditions. In addition, continuous cultivation in
chemostat equipment under dynamic condition can
also be done for simulation of natural conditions, though
the mathematics of such operations is much more
complicated.
The groups of Jannasch and Veldkamp have exten-
sively studied the competition of bacteria under nutrient
limitation in the chemostat. It appears that in nature there
are many organisms of type B (Figure 7(b)), which pos-
sess a high affinity for a growth-limiting nutrient (i.e., low
K
S
combined with a relatively low
max
) for the substrate.
An example is that of a rod-shaped bacterium (R) and a
spirillum (S) as shown in Figure 9.
Both strains were originally isolated from phosphate-
limited continuous cultures inoculated with ditch water.
One chemostat was run at a high D, with a second one at a
low D. In the culture with the low Dthe spirillum became
dominant, whilst in the culture with the high Dthe rod
dominated. When the two pure cultures were mixed, and
cultivated again at the same Dvalues, the cultures
appeared to behave like the original chemostat enrich-
ments. When experiments were performed with the same
set of two organisms under other nutrient limitations, that
is, succinate, ammonium, or potassium, very similar cross-
ing curves were obtained showing that the spirillum had a
generally higher affinity for substrates than the rod. This
property, which points to a generally higher transport
capability at low nutrient concentration, is linked to the
much higher surface to volume ratio of the spirillum. This
allows the accommodation of more membrane-transport
proteins per unit of biomass.
Competition for Mixed Substrates
In nature many growth-limiting substrates are available
simultaneously, and hence an understanding of the selec-
tion and competition for more than one substrate has
also been studied in the chemostat. Unquestionably,
other abiotic and biotic variables also play a role in the
establishment of a community of organisms in any envir-
onment. Theoretical calculations by Fredrickson indicate
that the maximum number of coexisting species is deter-
mined by the number of variables in a particular
environment. As a simple example, a steady state with
two growth-limiting substrates will allow a maximum of
two existing species in the culture. When a variation of
the pH would be admitted as a third variable, the number
would increase to a maximum of three.
Gottschal and colleagues published an interesting
example of a set of three organisms competing for two
substrates. The properties of the three organisms are
listed in Table 1 and refer to Thiobacillus neapolitanus,
T. versutus, strain A2, and Spirillum G7.
T. neapolitanus (presently known as Halothiobacillus neapoli-
tanus) is a specialized, obligately chemolithoautotrophic
sulfur oxidizer, which can grow only on an inorganic
sulfur compound (thiosulfate) as the energy source and
CO
2
as carbon source. Spirillum G7 is a specialized
Specific growth rate μ (h–1)
---------
K R
S
10 20 30 40 500
0.1
0.2
0.3
0.4
0.5
[K2HPO4] × 10–8 M
------------------------
R
S
Figure 9 Specific growth rate of fresh water rod-shaped
bacterium (R) and a spirillum (S) as a function of phosphate
concentration. The curves are schematic and based on two
measurements each at the growth rates indicated by the arrows.
K
s
values: rod-shaped bacterium, 6.6 10
8
mol l
1
; spirillum,
2.7 10
8
mol l
1
. Reproduced from Kuenen JG, Boonstra J,
Schroder HGJ, and Veldkamp H (1977) Competition for inorganic
substrates among chemoorganotrophic and chemooligotrophic
bacteria. In: Microbial Ecology, vol. 3, pp.119–130.
320 Continuous Cultures (Chemostats)

chemoorganoheterotroph, which can grow only on acetate as
carbon and energy source. Both specialists have a high
max
in batch (excess substrate) on their respective substrates. In
contrast, T. versutus,presentlyknownasP. versutus,isa
facultative organism capable of growing in both modes, but
at lower
max
in batch. As mentioned above, when grown in a
mixture of the two substrates in batch culture at high sub-
strate concentrations, the organism shows diauxic behavior
and consumes acetate first and then thiosulfate. Therefore,
max
(TþA) does not increase. When a mixture of the three
organisms is inoculated in excess acetate and thiosulfate in
batch culture, we end up with a dominant mixture of the two
specialists. However under limitation by a mixture of acetate
and thiosulfate at a low dilution rate in the chemostat, the
versatile organism can very effectively use the two substrates
simultaneously. It was shown that, as a result of this capability
at low D(0.05 h
1
)itcancoexistorevenout-competethe
two specialists in a mixed culture of the three organisms. This
is due the fact that in the mixture of the second substrate
(thiosulfate or acetate) the versatile organism can lower the
concentration of the other limiting nutrient, as was shown
above for the mixture of glucose and galactose (Figure 8)and
mathematically modeled by Gottschal and Thingstad. In line
with theoretical predictions concerning the maximum num-
ber of coexisting species in relation to the number of
variables, it was shown that T. versutus was able to maintain
itself at low number in the steady-state culture of
T. neapolitanus, in spite of its lower affinity for thiosulfate,
since the specialist excreted glycollate. The glycollate was
mixotrophically consumed by the versatile organism. This
demonstrates the important principle that metabolic (excre-
tion) products can not only lead to simple cometabolic
consumption of this product by a second population, but
that by excreting a consumable product the excreting organ-
ism may generate more competition for its main substrate.
Continuous cultivation not only provides a tool to
create reproducible steady-state cultures, but also offers
controlled alternations of environmental and nutritional
conditions, such as feast and famine cycles, changes of
substrates, or temperature. In such experiments, a true
steady state is not established but nevertheless highly
reproducible cycles will allow the precise monitoring of
the response of the organism(s). Indeed in the case of the
two specialists and the versatile organism, it was shown
that the latter could also out-compete the two specialists
at low Dwhen acetate and thiosulfate were alternately
supplied. As long as the period of the cycle was below 4 h
the versatile organism would continue growing, but when
longer cycle times were introduced the versatile organism
would repress its autotrophic potential too far down to be
able to compete with the specialists in the next cycle. This
example serves to emphasize the usefulness of continuous
cultivation for ecophysiological research.
Industrial Applications of Continuous
Culture
In the industrial production of (secondary) metabolites,
such as antibiotics, the production organism (i.e., a fungus
like a Penicillium or a Streptomyces sp.) is cultivated at
submaximal , because only under these conditions will
the organism produce at a sufficiently high rate. Clearly
for optimization reasons, it is essential to study the per-
formance of the organism in the chemostat at different
dilution rates. The production process is, however, rarely
performed in continuous culture. The main reasons for
this are: (1) the cell density and hence the product con-
centration can never be very high because the aeration
capacity of the fermentors have limited oxygen transfer
and cooling capacities. This leads to insufficiently high
product concentrations for economical down-stream pro-
cessing. (2) The inevitable selection of less productive
spontaneous mutants under the imposed carbon and
energy limitation (see below). Therefore, in industry,
the cultivation method of choice is usually fed-batch
cultivation. After an initial stage of growth in excess
substrate the organism is fed (in batch) with a concen-
trated feed of the growth-limiting nutrient (i.e., glucose or
ammonium) in such a way that the instantaneous con-
sumption of the added nutrient limits the growth of the
organism. Using this method, high product concentrations
may be reached and in the short-term cultivation period
mutants will not become dominant.
In the practice of wastewater treatment many (semi)
continuous operations are used, be it that biomass reten-
tion and recycling of biomass are practiced. An example
of a chemostat-type large-scale process is the production
of a 50:50 ammonium/nitrite mixture from ammonium-
containing reject water using selected, oxygen-limited
Table 1 Maximum specific growth rates of two specialists and one versatile bacterium
a
Organism Lifestyle Relevant physiology
max
thiosulfate (T)
max
acetate (A)
max
(T þA)
Thiobacillus neapolitanus Specialist Obligate chemolithoautotroph 0.35 0 0.35
Thiobacillus versutus Versatile Facultative 0.1 0.22 0.22
Heterotroph G7 Specialist Obligate heterotroph 0 0.43 0.43
a
The specialists can only grow on a single specific substrate. The versatile organism shows diauxic behavior towards thiosulfate, but simultaneously
consumes acetate and thiosulfate in the chemostat at low D¼0.05 h
1
.
Continuous Cultures (Chemostats) 321

mixed cultures of nitrifying bacteria. The effluent is used
to feed an anaerobic anammox reactor, which converts
the mixture into nitrogen gas as demonstrated by Van
Dongen and colleagues.
Competition and Selection of Mutants
in the Chemostat
Nutrient-Limited Wild Types and Mutants
A monoclonal bacterial culture will contain mutants. It is
known that the average number of mutants for a particular
gene is of the order of 1 out of every 10
6
–10
9
replications.
This means that mutants, which can perform better under
nutrient limitation than any wild-type organism, may out-
compete the parent strain. Therefore, the study of competi-
tion and selection does not require two different species.
The technique is sometimes intentionally utilized to isolate
mutants, which by spontaneous (or induced) mutation have
obtained a competitive advantage. A classical example
of this is the development of a constitutive mutant for
-galactosidase of E. coli in a lactose-limited culture as
described by Novick. Once the constitutive mutant has
been enriched, so-called super-constitutive mutants,
which produce more -galactosidase often arise. This is
illustrated in Figures 10 and 11.
These results can be understood by making the
assumption that the uptake of lactose (and the linked
conversion of lactose into galactose and glucose) is the
rate-limiting step. By producing more permease and
-galactosidase (which is transcribed under the same
promoter), the cell would be able to convert lactose some-
what faster at the same
CS. For example, as long as the
lactose permease is the real bottleneck in the rate of
metabolism of lactose, a doubling of the permease
concentration will allow the organism to maintain the
same overall rate at half the concentration of the lactose.
Consequently, it will be able to grow at the same rate at
half the lactose concentration and hence out-compete the
wild type. Consequently, the –C
S
curve of the mutants
changes. This is illustrated in Figure 11, where Novick
has given the wild-type –C
S
curve an ‘S’-shape to
accommodate the fact that, in contrast to the constitutive
mutant, it requires a relatively high concentration of
lactose to fully initiate transcription of the lactose operon.
In the above case, 25–30% of the total protein of the
‘super-constitutive’ mutant appeared to be -galactosidase.
This mutant is, in fact, extremely vulnerable, competi-
tively, under any other form of growth limitation since
then the overproduction of the enzyme would be a waste
of energy. For this reason, if this culture is transferred to
glucose limitation, other mutants, which cannot be distin-
guished from the original (wild type) parent strain, will
rapidly appear. In summary, the striking changes shown in
the final mutant demonstrate the extreme selective forces
that can be exploited in the chemostat to obtain mutants
that have taken advantage of the chosen limitation. For a
representative set of other examples the reader is referred
to the reviews by Kuenen and Harder and Sikyta.
Egli’s team has studied the selection of mutants of E.
coli in glucose-limited chemostats. With a combination of
highly sensitive analytical tools for residual sugar con-
centrations as well as the availability of tools for
physiological screening, a thorough analysis has been
made of the events taking place during the selection of
E. coli mutants under glucose limitation in the chemostat.
It appeared that the selection events were consistent with
Monod kinetics. Consecutive mutants, with higher affi-
nity (i.e., a mutation leading to either higher
max
or lower
K
S
) for glucose, gradually took over in the chemostat, as
Generations
β-galactosidase activity
100
200
300
400
500
20 40 60 80
˚˚˚ ˚˚˚˚˚˚˚˚˚˚˚˚˚˚˚
˚˚
˚
˚
˚
˚
Figure 10 Increase in -galactosidase activity of Escherichia
coli strain E-102 grown in a lactose-limited chemostat.
Reproduced from Novick A (1961) Bacteria with high levels of
specific enzymes. In: Zarrow MX (ed.) Growth in Living Systems,
Purdue Growth Symposium, pp. 93–106. New York: Basic Books
Inc.
Lactose concentration
Growth rate
Inducible
Constitutive
Figure 11 Hypothetical relationship between growth rate and
lactose concentration when the growth-limiting enzyme is
constitutive and when it is inducible. Reproduced from Novick A
(1961) Bacteria with high levels of specific enzymes. In: Zarrow
MX (ed.) Growth in Living Systems,Purdue Growth Symposium,
pp. 93–106. New York: Basic Books Inc.
322 Continuous Cultures (Chemostats)

evidenced by the stepwise drop in the residual glucose
concentration in the culture. Initially
max
improved, but
this stopped after the first 150 h and then further improve-
ments were primarily due to the lowering of the K
S
. The
experiments were reproducible in cultures with high
number of cells in the culture (10
11
), that is, the stepwise
improvement could be predicted. However at low num-
bers of total cells (10
7
), the mutation frequency for
advantageous mutations (estimated to be 1/10
7
cell dupli-
cations) caused a stochastic behavior. Evidently, at 10
11
cells per culture, in the order of 10
4
favorable mutants
would have been present after the first generation and the
system did not have to wait for favorable mutants to
overgrow the existing population. Over the time span of
500 h in these experiments, no mutant types other than
the high-affinity strains established themselves in the
culture. They obtained no evidence for the establishment
of secondary populations of mutants with a lower affinity
for glucose, as was observed by Rosenzweig and collea-
gues (1994), after long-term selection at D¼0.2 h
1
.In
this experiment, a mixture of mutants had been selected
with a distribution of tasks after 773 generations (2500 h).
This mixed culture remained essentially the same for an
additional 450 generations. One dominant mutant had the
highest affinity for glucose but excreted glycerol and
acetate, which were consumed by a second and third
(satellite) mutant, respectively. Hence under the extreme
and permanent selection conditions, the distribution of
tasks in the breakdown of glucose (‘resource partitioning’)
apparently was the most effective way to deal with the
regulatory consequences of metabolic rearrangement in
the respective mutants. Although the exact steady-state
fluxes of glycerol and acetate in the chemostat were not
known, it must be assumed that the second and third
mutants, having the capacity for glucose metabolism,
were both growing mixotrophically on glucose and gly-
cerol or acetate, respectively.
Metabolic Engineering
The group of Pronk has recently constructed a xylose-
fermenting S. cerevisiae strain for alcohol production from
the pentose. They inserted a xylose isomerase from a fungus
in this yeast, which was originally incapable of metabolizing
xylose even under aerobic conditions. The xylose isomerase
converts the sugar into xylulose, which can be metabolized
by the yeast. Once this was accomplished, oxygen-limited
and anaerobic batch enrichment in the presence of high-
xylose concentrations led to the selection of mutants that
grew faster on xylose and eventually they ended up with a
mutant that grew anaerobically on xylose. Genetic engi-
neering to add bottleneck enzymes of the pentose
phosphate cycle yielded a mutant that could grow anaero-
bically on xylose at a rate of 0.09 h
1
.Theorganism
showed, however, a strong diauxic behavior towards xylose
in the presence of glucose, which was undesirable for appli-
cation in the commonly available industrial sugar mixtures
derived from processing of wood for paper production.
Subsequent selection was then performed in an anaerobic
chemostat culture under simultaneous limitation by a mix-
ture of glucose and xylose. Progressive decrease of the
residual xylose in the culture indicated the appearance of
mutants. A strain was obtained with much improved xylose
uptake kinetics and rate of metabolism of the pentose in the
presence of glucose, even in batch culture. The authors
concluded that the bottleneck in this case was primarily
caused by uptake of xylose. This again shows how one can
take advantage of the strong selective forces existing in
nutrient-limited continuous cultures. Further improvement
was accomplished by enrichment of mutants in anaerobic
sequencing batch culture to select for faster growth. In the
end, a mutant was selected with a
max
¼0.22–0.25 h
1
in a
mixture of (10%, w/v) glucose and (2%) xylose, in which
sequential but effective-anaerobic consumption of xylose at
a rate of 0.9 grams per gram biomass per hour occurred.
Given the demonstrated selective forces under nutri-
ent limitation the maintenance of prolonged steady states
is not advisable in laboratory studies aimed at studying
the wild-type strain. It is advisable to switch dilution rates
after each steady state and to start with a fresh culture
(using an original new inoculum) after not more than 3–5
consecutive steady states have been investigated.
Reproducibility of any particular steady state must be
checked with independent cultures.
Other Interactions in Continuous Culture
When we consider competition for single or mixed sub-
strates, we assume that there are no other interactions
between the organisms other than competition for the
growth-limiting substrate. Commensalism was briefly
mentioned, and in its ‘pure’ form it is defined as an
interaction involving the excretion of a substrate that is
used by a second organism, without any further interac-
tion. Examples are the use of fermentation products or
products from an electron acceptor, such as nitrite from
nitrate or sulfide from sulfate. Some of these may be toxic
and in such cases the first organism may need the second
to perform optimally. Secondary products such as vita-
mins or antibiotics may play a crucial role as well. This
may lead to stable coexistence if an organism with
the highest affinity for the limiting substrate requires the
vitamin from an organism with lower affinity. In the case
of an antibiotic, the cell density may determine whether
or not coexistence is possible.
Mixed cultures of organisms may also be stable if one
organism consumes a substrate toxic to the second. In this
way, mixtures of aerobic and anaerobic organisms have
been studied in oxygen-limited continuous culture.
Oxygen is removed by the first organism, before the
Continuous Cultures (Chemostats) 323

second can carry out its obligate anaerobic metabolism as
has been demonstrated for a mixture of aerobic hetero-
trophs and sulfate reducers and even methanogens. More
complex interactions include the degradation of xenobio-
tics by consortia of organisms, where one organism
initiates the degradation of the compound, but cannot
grow on that product. It needs a second organism to
metabolize the first product and excrete a second product
that can be used by the first. Examples are known in
which four or five organisms maintain themselves in
continuous culture in a tightly closed interactive network.
Essential Equipment in Continuous
Culturing
From the preceding theoretical consideration, it is clear
that the only fundamental design requirement of any
continuous culture system is that the culture be kept
growing by a continuous input of fresh medium that is
balanced by the removal of culture fluid at the same rate.
It is essential that the culture is ‘ideally’ mixed, because
the theory assumes a totally homogeneous system. A great
variety of continuous culture systems have been used
over the years, with properly evaluated systems ranging
in size from just a few milliliters from modified Hungate
tubes that were used for radioactive tracer analysis of
metabolic fluxes, up to a 1500 m
3
industrial system that
is used for the nitrification step in wastewater treatment.
For all practical purposes, it is recommended to use a
commercially available fermentor of 1–2 l working
volume with a potentially high oxygen transfer capacity
to ensure good aeration for aerobic cultivation. If the
fermentor is built of glass and stainless steel, or from
autoclavable oxygen-impermeable polymers, such a sys-
tem can also be used for anaerobic continuous cultivation.
It is beyond the scope of this article to elaborate on the
detailed design of these systems, but a summary of the
important general considerations is included because they
are important for the construction of most general-
purpose research chemostats. Today many very well-
designed chemostat systems are commercially available.
In Figure 12, an example of a small bench scale (0.5 l
working volume) continuous culture system is shown.
Some of its design characteristics are as follows:
1. It can be used for both aerobic and anaerobic cultiva-
tion. For aerobic use, silicone seals and tubing are ideal.
For anaerobic cultivation, seals and tubing are typi-
cally made from neoprene rubber or similarly
impermeable materials, into which holes can easily be
drilled to fit the desired assortment of tubing and
probes.
2. Sterility is easily maintained because the entire unit
can be autoclaved and mixing is done with a magnetic
coupling between the motor and the stirring shaft,
eliminating potential problems associated with the
sealing of the stirring shaft through the lid of the
chemostat. For simplicity Figure 12 shows a stirring
bar. However, in fermenters with larger working
volumes (>>0.5 l) much more elaborate stirrers with
shaft and impellers are required to ensure
homogeneity.
3. The medium is supplied by means of a peristaltic
pump using a durable rubber such as ismaprene or
norprene for anaerobic cultivation. Silicone or any
other compatible rubber can be used with aerobic
cultures. The culture volume is maintained at a con-
stant level by the removal of fluid at the same rate that
it enters. In the example, an overflow is shown for
simplicity. However, the drawback is that such devices
may not remove representative materials from the
culture. Therefore the best device is a second pump
removing liquid from below the liquid surface and
N2
O2
T1T2
Cp
Cf
Cf
Re
pH
Mp Ac
Ef
Rs
St
Sm
Ga
Al Air Cp
Sa
Figure 12 Schematic drawing of a small-scale (500-ml working
volume), low-cost glass chemostat. All gases pass through
cotton wool filters (not shown) before entering the fermentor.
For anaerobic cultivation the N
2
is freed of traces of oxygen by
passage over heated copper turnings. Rs, reservoir medium; Mp,
medium supply pump; Sa, sampling bottle; Ac and Al, acid and
alkaline titration inlets, respectively; pH, autoclavable pH
electrode; O
2
, autoclavable polarographic oxygen electrode;
Re, redox electrode; T
1
and T
2
, temperature sensor and heating
element; Ga, sampling outlet for head-space gas analysis; Cf
and Cp, constant flow and pressure regulators, respectively, for
maintaining a stable (mixed) flow of N
2
and air over and
through the culture; St and Sm, magnetic stirring bar and
motor unit, respectively; Ef, effluent from the culture.
324 Continuous Cultures (Chemostats)

which is activated by a sensor touching the surface of
the culture.
4. In some cases, an appropriate low cost and/or simple
continuous culture system may be used. It is essential,
however, that such a system be designed appropriately
for its intended purpose and thoroughly checked for
adequate performance. For example, the use of poten-
tially hazardous and/or expensive compounds, such as
14
C- or
13
C-labeled substrate, may require using very
small working volumes. A simple test that is often
overlooked in continuous culture studies and that can
easily demonstrate whether the culture is actually lim-
ited by the expected substrate is to check the relation
and the proportionality of
CXwith C
Si
at one chosen
intermediate D, when it can be expected that
C
S
<< C
Si
(eqn [12]). A very good example is described by Sauer
and colleagues, who used 17 ml Hungate tubes as che-
mostats to study the dependency of intracellular fluxes
of metabolite as a function of specific growth rate. The
validation concerned aeration sufficiency, and pre-
dicted linearity of the specific consumption rate with
the dilution rate as well as biomass yield, residual
glucose, and acetate as a function of D.
5. Other potential issues of chemostat design may arise
from the use of highly volatile compounds in which an
open gas phase may not be appropriate. The use of
hydrophobic compounds can be problematic as they
are often permeable in rubber tubing and rubber seals,
and so proper attention toward chemical compatibility
is essential. Most general-purpose chemostats are also
insufficient for growth under pressure so the contin-
uous cultivation of hyperthermophiles requiring
elevated pressure typically must be done in chemostats
whose exteriors are made exclusively from stainless
steel. Insufficient stirring and aeration can easily
become a problem in cultures grown at very high cell
densities, especially in combination with high dilution
rates. These can also become a problem at low cell
densities if the volume of the culture is scaled up too
high and these parameters should therefore be care-
fully considered when setting up any continuous
culture system.
6. One detailed comment must be made on the design of
the nutrient-medium inlet, which is of critical impor-
tance. The inlet must be able to deliver a regular flow
of small droplets to the culture vessel (to minimize any
effects of discontinuity in the supply of fresh medium)
while simultaneously preventing contamination of the
nutrient reservoir by the back growth of organisms in
the culture vessel. This is typically accomplished by
using a device through which medium droplets fall
freely and directly into the culture fluid through a
relatively wide glass tube that is kept dry on the inside
by a continuous flow of sterile gas in the direction of
the culture vessel. However if this device is used at low
dilution rate and small culture volume, the drop-wise
addition will cause dramatic fluctuations of the con-
centration of the limiting nutrient in the culture. As a
result the coupling between catabolism and anabolism
may no longer be optimal, which leads in turn to the
low yield.
Important Aspects of Continuous Culture
1. Continuous culture in a chemostat enables the repro-
ducible growth of bacteria and other microorganisms.
Consequently, the chemostat is an appropriate tool for
quantitative (eco)physiological research.
2. Microorganisms can be studied while growing at sub-
maximal rates.
3. The effect of different growth limitations on the meta-
bolism of the cells can be measured reproducibly.
4. The chemostat is also appropriate for studying the
competition of microorganisms and mutants for
growth-limiting substrates.
5. Continuous cultivation can also be performed under
fluctuating environmental conditions.
6. Recent publications show the great value of chemostat
cultivation for functional genomic research and for the
selection of industrially relevant mutants.
7. The commercial availability of well-designed chemo-
stat equipment greatly facilitates the introduction of
continuous cultivation in the laboratory.
Acknowledgments
We thank Dr JC Gottschal for permission to use part of
his text on the auxostat and the equipment of the previous
edition of this chapter.
Further Reading
Boer VM, de Winde JH, Pronk JT, and Piper MDW (2003) The genome-
wide transcriptional responses of Saccharomyces cerevisiae grown
on glucose in aerobic chemostat cultures limited for carbon,
nitrogen, phosphorus, or sulfur. Journal of Biological Chemistry
278: 3265–3274.
Daran-Lapujade P, Daran JM, van Maris AJA, de Winde JH, and Pronk
JT (2007) Chemostat-based micro-array analysis in Saccharomyces
cerevisiae. In: Poole RK (ed.) Advances in Microbial Physiology, vol.
54, 257–311.
De Vries W, Kapteijn WMC, van der Beek EG, and Stouthamer AH
(1970) Molar growth yields and fermentation balances of
Lactobacillus casei L3 in batch cultures and in continuous cultures.
Journal of General Microbiology 63: 333–345.
Frederickson AG (1977) Behaviour of mixed cultures of microorganisms.
Annual Review of Microbiology 31: 63–87.
Gottschal JC and Kuenen JG (1980) Mixotrophic growth of Thiobacillus
A2 on acetate and thiosulfate as growth-limiting substrates in the
chemostat. Archives of Microbiology 126: 33–42.
Continuous Cultures (Chemostats) 325

Gottschal JC, de Vries S, and Kuenen JG (1979) Competition between
the facultatively chemolithotrophic Thiobacillus A2, an obligately
chemolithotrophic Thiobacillus and a heterotrophic Spirillum for
inorganic and organic substrates. Microbiology 121: 241–249.
Herbert D, Elsworth R, and Telling RC (1956) The continuous culture of
bacteria; a theoretical and experimental study. Journal of General
Microbiology 14: 601–622.
Ihssen J and Egli T (2005) Global physiological analysis of carbon- and
energy-limited growing Escherichia coli confirms a high degree of
catabolic flexibility and preparedness for mixed substrate utilization.
Environmental Microbiology 7: 1568–1581.
Kuenen JG and Harder W (1982) Microbial competition in continuous
culture. In: Burns RG and Slater JH (eds.) Experimental Microbial
Ecology, pp. 342–367. Oxford: Blackwell Scientific Publications.
Kuenen JG and Robertson LA (1984) Interactions between obligately
and facultatively chemolithotrophic sulphur bacteria. In: Dean ACR,
Ellwood DC, and Evans CGT (eds.) Continuous Culture 8:
Biotechnology, Medicine, and the Environment, pp. 139–158. Upper
Saddle River, NJ: Ellis Horwood Ltd Publishers.
Kuyper M, Winkler AA, van Dijken JP, and Pronk JT (2004) Minimal
metabolic engineering of Saccharomyces cerevisiae for efficient
anaerobic xylose fermentation: A proof of principle. FEMS Yeast
Research 4: 655–664.
Matin A, Auger EA, Blum PH, and Schultz JE (1989) Genetic basis of
starvation survival in nondifferentiating bacteria. Annual Review of
Microbiology 43: 293–316.
Nanchen A, Schicker A, and Sauer U (2006) Nonlinear dependency of
intracellular fluxes on growth rate in miniaturized continuous cultures
of Escherichia coli.Applied and Environmental Microbiology
72: 1164–1172.
Piper MDW, Daran-Lapujade P, Bro C, et al. (2002) Reproducibility of
oligonucleotide microarray transcriptome analyses – An
interlaboratory comparison using chemostat cultures of
Saccharomyces cerevisiae.Journal of Biological Chemistry
277: 37001–37008.
Pirt SJ (1965) The maintenance energy of bacteria in growing cultures.
Proceedings of the Royal Society of London, Series B, Biological
Sciences 163: 224–231.
Rosenzweig RF, Sharp RR, Treves DS, and Adams J (1994) Microbial
evolution in a simple unstructured environment: genetic
differentiation in Escherichia coli.Genetics 137: 903–917.
Sikyta B (1991) Directed selection of microorganisms in continuous
culture. In: Chaloupka J (ed.) Prague: Academia (ISSN 0069-
228X).
Tempest DW and Neijssel OM (1978) Eco-physiological aspects of
microbial growth in aerobic nutrient-limited environments.
In: Alexander M (ed.) Advances in Microbial Ecology, vol. 2,
pp. 105–153. New York: Plenum Press.
Veldkamp H and Jannasch H (1972) Mixed culture studies with the
chemostat. Journal of Applied Chemistry and Biotechnology
22: 105–123.
Wick LM, Weilenmann H, and Egli T (2002) The apparent clock-like
evolution of Escherichia coli in glucose-limited chemostats is
reproducible at large but not at small population sizes and can
be explained with Monod kinetics. Microbiology
148: 2889–2902.
326 Continuous Cultures (Chemostats)

Cyanobacteria
F Garcia-Pichel, Arizona State University, Tempe, AZ, USA
ª2009 Elsevier Inc. All rights reserved.
Defining Statement
Introduction
Biodiversity: Taxonomy and Phylogeny
Cytology and Morphogenesis
Physiology and Metabolism
Molecular Genetics
Ecology and Adaptations
Fossil Record and Evolutionary History
Commercial Use and Applications
Further Reading
Glossary
benthos Collection of organisms living on or within the
sediments of water bodies.
monophyletic A taxon or group of organisms that
contains all extant descendants of a common ancestor.
oxygenic photosynthesis Type of metabolism based
on the coordinated action of two photosystems by
means of which radiant energy is converted into
chemical energy in the form of ATP, and reduction
equivalents are obtained in the form of NADPH from the
(photo)oxidation of water to free molecular oxygen.
phycobilisome Macromolecular aggregates serving as
antenna systems for the capture of light in
photosynthesis, typical of cyanobacteria. They are
composed of multimers of different phycobiliproteins
and of linker polypeptides. Phycobiliproteins are
polypeptides containing covalently bound open
tetrapyrroles chromophores: the phycobilins.
plankton Collection of organisms living suspended in
open waters. According to their function, oxygenic
phototrophic organisms in the plankton are termed
phytoplankton. By an unorthodox convention,
planktonic organisms smaller than 2 mm in size are
called picoplankton.
sheath Structurally well defined, usually laminated,
extracellular polysaccharide investment. The term is
usually, but not exclusively, applied to those of
filamentous cyanobacteria.
trichome Row of vegetative cells in filamentous
cyanobacteria, excluding the extracellular
polysaccharide structures (sheaths). The term is
complemented by ‘filament’, which includes both the
trichome and the sheaths.
Abbreviations
NADPH nicotinamide adenine dinucleotide
phosphate
PRK phosphoribulosekinase
PSII photosystem II
RubisCO ribulose 1,5-bisphosphate carboxylase/
oxygenase
UV ultraviolet
Defining Statement
Cyanobacteria are a monophyletic, ancient, morphologi-
cally diverse, and ecologically very important group of
phototrophic bacteria that carry out water-oxidizing,
oxygen-evolving, plant-like photosynthesis. With few
exceptions, they synthesize chlorophyll aas major photo-
synthetic pigment and phycobiliproteins as light-
harvesting pigments. They fix CO
2
as the sole source of
carbon using primarily the reductive pentose phosphate
pathway.
Introduction
Cyanobacteria constitute a phylogenetically coherent
group of evolutionarily ancient, morphologically diverse,
and ecologically important phototrophic bacteria. They are
defined by their ability to carry out oxygenic photosynth-
esis (water-oxidizing, oxygen-evolving, plant-like
photosynthesis). With few exceptions, they synthesize
chlorophyll aas major photosynthetic pigment and phyco-
biliproteins as light-harvesting pigments. All are able to
grow using CO
2
asthesolesourceofcarbon,whichthey
327

fix using primarily the reductive pentose phosphate path-
way. Their chemoorganotrophic potential is restricted to
the mobilization of reserve polymers (mainly glycogen)
during dark periods, although some strains are known to
grow chemoorganotrophically in the dark at the expense of
external sugars. As a group, they display some of the most
sophisticated morphological differentiation among the bac-
teria, and many species are truly multicellular organisms.
Cyanobacteria have left fossil remains as old as 2000–3500
million years, and they are believed to be ultimately
responsible for the oxygenation of Earth’s atmosphere.
During their evolution, through an early symbiotic partner-
ship, they gave rise to the plastids of algae and higher plants.
Today cyanobacteria make a significant contribution to the
global primary production of the oceans and become locally
dominant primary producers in many extreme environ-
ments, such as hot and cold deserts, hot springs, and
hypersaline environments. Their global biomass has been
estimated to exceed 10
15
g of wet biomass, most of which
is accounted for by the marine unicellular genera
Prochlorococcus and Synechococcus, the filamentous genera
Trichodesmium (a circumtropical marine form), as well as
the terrestrial Microcoleus vaginatus and Chroococcidiopsis sp. of
barren lands. Blooms of cyanobacteria are important fea-
tures for the ecology and management of many eutrophic
fresh and brackish water bodies. The aerobic nitrogen-fix-
ing capacity of some cyanobacteria makes them important
players in the biogeochemical nitrogen cycle of tropical
oceans, terrestrial environments, and in some agricultural
lands. Because of their sometimes large size, their metabo-
lism, and their ecological role, the cyanobacteria were long
considered algae; even today it is not uncommon to refer to
them as blue-green algae, especially in ecological studies.
With the possible exception of their capacity for facul-
tative anoxygenic photosynthesis, cyanobacteria in nature
are all oxygenic photoautotrophs. It can be logically argued
that after the evolutionary advent of oxygenic photosynth-
esis, the evolutionary history of cyanobacteria has been one
geared toward optimizing and extending this metabolic
capacity to an increasingly large number of habitats. This
article provides an overview of the characteristics of their
central metabolism and a necessarily limited impression of
their diversity. Generalizations might, in the face of such
diversity, easily become simplifications. Whenever they are
made, the reader is reminded to bear this in mind.
Biodiversity: Taxonomy and Phylogeny
Taxonomy
For the newcomer, the taxonomy of cyanobacteria can
easily become a nightmare; for the initiated, it is a persis-
tent headache. Because in many cases cyanobacteria are
indistinguishable ecologically from eukaryotic microal-
gae, they had been studied mostly by botanists. The
epithets blue-green algae, Cyanophyceae, Cyanophyta,
Myxophyceae, and Schizophyceae all apply to cyanobac-
teria. The botanical taxonomy was built using
overwhelmingly morphological criteria based on observa-
tions from natural samples. Actually, two parallel
botanical taxonomic treatments exist. The ‘Geitlerian’
system, recognizing approximately 1300 species grouped
in 145 genera and three orders, has been the most
widely accepted, and has been the subject of more
modern updates and modifications in the ‘Anagnostidis/
Komarek’ system. The Drouet system represented an
attempt to arbitrarily simplify the previous one, recogniz-
ing only 62 species in 24 genera. It was never judged
appropriate by most taxonomists, but it was welcome by
many biochemists and physiologists because of its ease of
use. Many names of laboratory strains stem from Drouet’s
system, such as Anacystis nidulans, the Escherichia coli of
cyanobacteria. The prokaryotic nature of cyanobacteria
began to be fully recognized in the 1970s, when a taxo-
nomic system based on the International Code of
Nomenclature of Bacteria was initiated. This system
relies on the study of cultured axenic strains, and it
draws heavily on morphological and cytological informa-
tion, but integrates some genetic and physiological traits
as well. The maximal taxonomic resolution so far
achieved in this system is at the genus level. The current
state of the bacteriological taxonomy of the cyanobacteria
is described in the second edition of the Bergey’s Manual of
Determinative Bacteriology. Agreement exists that even-
tually both systems should converge, but to date they
coexist with their own advantages and shortcomings.
One is left with the choice of either using a system that
allows identification of species but is largely unreliable or
using a more reliable system in which species are yet to be
defined. The diagnostic key to the cyanobacterial subsec-
tions (a taxon akin to Order), as given in the Bergey’s
Manual, is reproduced in Table 1. Most of the so-called
form genera recognized within each subsection can be
found in Figure 1, in which they have been gathered
according to some simple, mostly visual keys. This una-
voidably abridged overview is not intended as a substitute
for more thorough generic descriptions. In this article, for
consistency, taxa not recognized in the Bergey’s Manual
appear in quotation marks, without intended detriment to
their validity.
Phylogeny
The most widely accepted reconstructions of cyanobac-
terial phylogeny are those based on comparisons of the
16S ribosomal RNA gene sequences. The salient traits of
cyanobacterial ribosomal phylogeny have found support
when other genes or multilocus analyses have been car-
ried out, even with large sets of genes. Currently, several
characteristics of cyanobacterial evolution can be
328 Cyanobacteria

Table 1 Diagnostic key to the subsections of the cyanobacteria, according to the Bergey’s Manual of Determinative Bacteriology
Subsection (traditional order) Definitory criteria
Subsection I (Chroococcales) Unicellular, nonfilamentous. Cells occurring singly or in aggregates. Cell division by binary fission
in 1, 2, or 3 planes, symmetric or asymmetric, or by budding
Subsection II (Pleurocapsales) Unicellular, nonfilamentous. Cells occurring singly or in aggregates. Reproduction by multiple
fission without growth, yielding beaocytes (cells smaller than the parent cell), or by binary and
multiple fission
Subsection III (Oscillatoriales) Filamentous, binary fission in one plane, yielding uniseriate trichomes without true branching. No
heterocysts or akinetes formed
Subsection IV (Nostocales) Filamentous, division occurring only in one plane to yield uniseriate trichomes without true
branching. Heterocysts formed when combined nitrogen is low
Subsection V (Stigonematales) Filamentous, division occurring periodically or commonly in more than one plane, yielding
multiseriate trichomes, truly branched trichomes, or both. Heterocysts formed when combined
nitrogen is low
Subsection I
Subsection IV
Subsection III
Trichome cross-section
Circular
Straight or sinuous
Sheath
1 trichome
within 1 sheath
More than 1
trichome
within 1 sheath
Barrel-
shaped
cells
Disk-
shaped
cells
No sheath
Helically coiled
Helix pitch
< 45° > 45°
Flattened
Triradiate
Subsection II
Subsection V
Mostly binary fission
Binary fission in
several planes;
forming short filaments
Pleurocapsa,
Hyellla,
Solentia
Branching
dichotomous
Branching lateral
Transiently
filamentous,
forming aggregates
Always filamentous
Branches
uniseriate
Heterocysts
Lateral Intercalary
Nostochopsis
Chlorogloeopsis
Geitleria Fischerella
Branches
multiseriate
Stigonema
(Pleurocapsa
group)
Baeocytes without fibrous wall
(often motile) Myxosarcina Dermocarpella Stanieria
Chroococcidiopsis Cyanocystis Xenococcus
Baeocytes with fibrous wall
(often non-motile)
Binary fission in
3 or more planes
Polar assimetry Simetrical
Mostly multiple fission
Phycobilisomes present
Trichome shows
polarity, tapered
Trichome taper
Conspicuous
Calothrix
Gloeotrichia
Rivularia
Lyngbya
Leptolyngbya,
Symploca Microcoleus
Pseudanabaena, Limnothrix,
Phrochlorothrix...
Oscillatoria, Borzia, Planktothrix
Trichodesmium
Spirulina
Arthrospira
Crinalium
Starria
Scytonema
Tolypothrix
Anabaenopsis,. Cyanospira
Nodularia
Cylindrospermum
Cylindrospermopsis
Aphanizomenon
Anabaena
Nostoc
Subtle
Sheathed,
single
filaments
Many
trichomes
within
gelatinous
matrix
Spiral Straight
Discoid
No Yes Trichomes
Not discoid
vegetative cells
Akinetes
Trichome displays no polarity
Producing hormogonia Not producing hormogonia
trichome
No phycobilisomes
Cells Division by
Budding Fission
Coccobacilloid or Bacilloid
No thylakoids
Gloeobacter Gloeothece
Gloeocapsa,
Chrococcus
Thylakoids
Coccoid
Synechococcus
Cyanobium
Cyanobacterium
Prochlorococcus
Prochloron
Chamaesiphon
In fascicles
Single
Sheaths
Synechocystis,
Microcystis
Cyanothece
No Sheaths
No Sheaths
Sheaths
Figure 1 Genera (form genera) recognized in the Bergey’s Manual of Determinative Bacteriology within each of the five subsections of
the cyanobacteria. Genera have been arranged according to the most important (abridged) definitory criteria, and drawings are
provided depicting their simplified morphological appearance and/or their life cycles.
Cyanobacteria 329

inferred, and some taxonomic controversies have been
settled. However, several apparent paradoxes have also
been unveiled. Extreme caution should be exercised in
the interpretations of phylogenetic trees of cyanobacteria
because the nomenclatural chaos has already pervaded
the molecular databases. In Figure 2, a phylogenetic tree
for the cyanobacterial radiation is presented. The cyano-
bacteria are a diverse phylum within the bacterial
radiation, well separated from their closest relatives.
The trees support clearly the endosymbiotic theory for
the origin of plant chloroplasts because they place plastids
(from all eukaryotic algae and higher plants investigated)
in a very diverse but monophyletic deep-branching clus-
ter. However, the gross structure in the evolutionary
history of extant cyanobacteria cannot be easily resolved;
most of the cyanobacterial diversity probed seems to be
Gloeobacter sp. PCC 7421
0.1
Thermophilic isolate C9
Microcystis
Cyanothece sp. PCC 7424
Gloeothece sp. PCC 6501
Oscillatoria sp. M-220
Synechococcus sp. PCC 7002
Synechocystis sp. PCC 6803
Merismopedia sp. B1448-1
Spirulina PCC6313
Spirulina sp. M-223
Prochloron didemni
Pleurocapsa sp. PCC 7516
Unicellular
Extremely Halotolerant
Oscillatoria sp. CYA 18
Trichodesmium
Lyngbya sp. PCC 7419
Arthrospira sp. PCC 7345
Microcoleus chthonoplastes
Oscillatoria sp. CJ1 SAG 8.92
Chamaesiphon sp. PCC 7430
Cyanobacterium sp. OS-VI-L16.
Leptolyngbya sp. PCC 73110
Phormidium sp. M-99
Oscillatoria sp. M-117
Heterocystous
Phormidium/Pseudanabaena
Prochlorococcus/Synechococcus
(marine picoplankton)
Non marine Synechococcus
Oscillatoria sp. M-82
Phormidium sp. D5
Phormidium sp. N182
Bacillus subtilis
Escherichia coli
Plastids
Figure 2 Phylogenetic tree of the cyanobacteria based on (complete) 16S ribosomal RNA sequences. Scale at bottom represents
genetic distance. Vertical distances bear no meaning. Clusters of (more than two) sequences that were well supported statistically have
been collapsed into polygonal boxes of fixed width. The distance contained within each cluster is represented by the difference in
horizontal length of opposing sides.
330 Cyanobacteria

due to an explosive radiation that took place early during
their evolution. It seems clear that the current taxonomic
treatment of the cyanobacteria diverges considerably
from a natural system that reflects their evolutionary
relationships. For example, subsections I, III, and perhaps
also II (orders Chroococcales, Oscillatoriales, and
Pleurocapsales, respectively) do not find support in the
trees as coherent units. The heterocystous cyanobacteria
(subsections IV and V; Nostocales and Stigonematales,
respectively) together form a monophyletic group with
relatively low sequence divergence, but they are not
monophyletic in their own right. Several other statisti-
cally well-supported groups of strains can be
distinguished that may or may not correspond to cur-
rently defined taxa. The Microcystis (see ‘Gene transfer’)
of unicellular colonial freshwater plankton species is very
well supported by phylogenetic reconstruction, as is the
genus Trichodesmium (see ‘Genomes’) of filamentous, non-
heterocystous nitrogen-fixing species typical from
oligotrophic tropic marine plankton. A grouping not cor-
responding to any official genus, the Halothece cluster, is
composed of unicellular strains that are extremely toler-
ant to high salt and stem from hypersaline environments.
A second grouping, bringing together very small unicel-
lular open-ocean cyanobacteria (picoplankton: see
‘Genomes’), includes members of the genera
Synechococcus and all of Prochlorococcus. The picture that
seems to emerge from these studies is that ecology and
physiology are extremely important parameters to under-
standing the phylogenetic relationships of cyanobacteria
and to achieving an evolutionarily coherent taxonomic
system. Reaching this goal will necessitate continued
efforts in the future.
Cytology and Morphogenesis
Cytology and Ultrastructure
Cyanobacterial cells range in width between 0.5 mm (e.g.,
Prochlorococcus) and 50–100 mm (e.g., some ‘Chroococcus’ and
some Oscillatoria); the modal size of the described species
is significantly larger than that of most other bacteria and
archaea (4mm). In unicellular and colonial forms, cells
may be spherical, bacilloid, or fusiform, and some strains
present considerable pleiomorphism. Cells of filamentous
cyanobacteria may range from discoid to barrel-shaped,
and the trichomes often attain lengths on the order of
millimeters. The filamentous genus Starria has triradiate
cells. Several types of cells may be present in morpholo-
gically complex cyanobacteria. The cells of most
cyanobacteria are surrounded by a more or less-defined
exopolysaccharide investment. In some species this may
form a distinct, structured capsule or sheath, where the
steric constrictions to cell growth imposed by the pre-
sence of mechanically strong capsules or sheaths may
even dictate cellular shape (Figure 3(p)). Several ultra-
structural features are typical for cyanobacteria. The cell
envelope is of a Gram-negative type but may attain a
considerable thickness in the peptidoglycan layer (from
several to 200 nm). Pores of different sizes, whether or not
orderly arranged, perforate the cyanobacterial cell wall.
Pore pits may allow close contact of the cytoplasmatic
membrane with the lipopolysaccharide outer membrane.
The photosynthetic machinery of cyanobacteria resides
on intracellular membranes (thylakoids). Each thylakoid
consists of a double-unit membrane enclosing an
intrathylakoidal space (Figure 4(d)). Thylakoids may be
arranged parallel to the cell membrane, radially, or in
small disorderly stacks, depending on species (Figure 4).
They may be single or stacked, usually depending on
illumination conditions. Gloeobacter has no thylakoids and
the photosynthetic apparatus resides in the plasma mem-
brane. The phycobilisomes, used by most cyanobacteria
as light-harvesting structures, can be distinguished in
electron microscopic preparations as rows of particles
50 nm in diameter on the cytoplasmatic side of the
thylakoids (Figure 4(e)). These are obviously absent
from chlorophyll b-containing, phycobiliprotein-lacking
species (Prochlorococcus,Prochloron, and Prochlorothrix). A
central electron-clear region in the cell, the nucleoplasm,
or the centroplasm, hosts the cellular DNA. Several
intracellular nonmembrane-bound granules typically cor-
respond to polymeric reserve materials, such as glycogen
(polyglucose, usually present in the intrathylakoidal
space), polyphosphate, poly--hydroxyalkanoates, and
lipid droplets found in the cytoplasm proper, which are
also common in other bacteria (Figure 4). Cyanophycin
(multi-L-arginyl-poly(L-aspartic acid)) is a cytoplasmatic,
exclusively cyanobacterial nitrogen reserve polymer.
Carboxysomes (or polyhedral bodies) are commonly
seen as membrane-bound intracellular inclusions, and
they consist of accumulations of the enzyme ribulose
1,5-bisphosphate carboxylase/oxygenase (RubisCO),
responsible for the initial carboxylation step in the
Calvin cycle (see ‘Dark reactions of photosynthesis:
carbon fixation and uptake’), bound by a proteinaceous,
viral-capside-like case (Figure 4(e)). Gas vesicles are air-
filled, cylindrical proteinaceous structures present in
many planktonic species and in the dispersal stages of
benthic forms; they provide buoyancy to the organisms.
A large variety of ultrastructural inclusions of restricted
occurrence are also known from particular species or
strains.
Growth and Cell Division
Some strains cultured under optimal conditions display
doubling times as short as several hours. In nature, one
or more doublings per day is common in blooming
planktonic populations, and cell divisions may be
Cyanobacteria 331

strongly governed by daily periodicity. Under extreme
conditions in the natural environment, net growth is
sometimes best measured in units of percentage
increase in biomass per year. Many cyanobacteria owe
their ecological dominance and success not so much to
the fast growth as to their ability to grow slowly and
steadily in the face of environmental adversity, and
slow growth rates may be an integral, genetically
fixed part of the biology of many cyanobacteria.
Cyanobacteria cells divide basically by fission, but the
patterns of cell division, which vary, form the base of a
morphological diversity unparalleled among prokaryotic
organisms (Figure 1). It is surprising that, because
morphological complexity is such a unique cyanobac-
terial trademark in the bacterial world, our knowledge
of the regulation of cell division patterns and morpho-
genetic implications at the biochemical and molecular
level is virtually nonexistent. The extracellular slime
layers or sheaths may contribute considerably to mor-
phogenesis in some cyanobacteria by simply holding
cells together after division in disorderly colonies (as
in Microcystis), by holding filaments together into
nc
ac
vc
nc
hc
hc
ak
(a)
(e)
(h)
(i)
(j)
(m)
(o) (p) (q)
(n)
(l)
(k)
(g)
(f) (c)
(d)(b)
Figure 3 Aspects of morphological diversity and morphogenetic processes in cyanobacteria. (a) Coccoid cells of Synechocystis sp.
strain PCC 6803, one of the most widely studied cyanobacteria. (b) Loosely aggregated colonies of a unicellular, extremely halotolerant
cyanobacterium belonging to the Halothece cluster. (c) Filamentous Anabaena with intercalary heterocysts (hc). (d) Formation and
extrusion of baeocytes in unicellular colonial cyanobacteria after repeated rounds of division without growth (sequence from top to
bottom). (e) Chroococcus turgidus, the largest unicellular cyanobacterium known with right cell undergoing fission. (f) Negative stain
(India ink) of a colony of Gloeothece sp., rendering the diffuse extracellular polysaccharide investments visible. (g) Cell differentiation in
Nostoc showing vegetative barrel-shaped cells, hetrocysts (hc), and akinetes (ak). (h) Field sample of Gloeocapsa sanguinea, with red-
stained, well-structured extracellular polysaccharide sheaths. (i) A young filament of Calothrix, displaying a terminal heterocyst (hc) and
a tapering trichome. (j) Filament of a Pseudanabaena-like, Konvophoron, with deep constrictions at cross walls and displaying trichome
division by direct differentiation of mamillated (nipple-bearing) apical cells without mediation of necridia. (k) Trichome division in a
Lyngbya-like (Porphyrosiphon) filamentous strain. The top-to-bottom sequence displays the formation of necridial cells (nc), their
degradation, and the formation of two rounded apical cells (ac), different from the discoid intercalary cells and a leftover vestigial cell.
(l) Hellically coiled filament of Spirulina. (m) Heterocystous Scytonema showing the formation of false branches, as recently divided
trichomes (see vestigial necridium, nc) break free from the sheath and continue to grow (not glide). (n) Asymmetric division (budding) in
unicellular cyanobacteria of the genus Chamaesiphon. (o) Single trichome of Microcoleus chthonoplastes, with slight constrictions at
the cross walls and bullet-shaped apical cell. (p) Pleiomorphy in a unicelular cyanobacterium, Cyanophanon, morphology being a result
of steric constrictions to growth by their tough sheath. (q) Biseriate filament of Stigonema, with a true lateral branch.
332 Cyanobacteria

bundles (as in Microcoleus), or by allowing a localized
extrusion of trichomes that result in ‘false branching’
(as in Scytonema;Figure 3(m)).
Unicellular and colonial types
Cell division occurs here by inward growth of all tegu-
mentary structures (cytoplasmatic membrane, cell wall,
outer membrane, and slime sheath), usually at an equa-
torial position (Figure 4(c)). Asymmetrical division in
one pole of unicells may result in small-sized daughter
cells (budding; Figures 3(n) and 3(p)), as in Chamaesiphon.
A genetic capacity to alternate between two or three
orthogonal division planes yields spatially ordered colo-
nial forms, as in Merismopedia (planar colonies – two
alternating division planes) or in Myxosarcina (cubical
colonies – three alternating division planes). Multiple
divisions occurring in the absence of cell growth result
in the formation of a multiplicity of minute daughter cells
(baeocytes) that eventually break free from the cell wall
remains of the parental cell, as in all ‘pleurocapsalean’
(subsection III) cyanobacteria (Figure 3(d)).
Filamentous types
Repetitive division in a single plane without complete cell
separation yields simple filamentous forms. The filamen-
tous nature of some cyanobacteria may simply be due to
this fact and may not necessarily imply a functional inte-
gration of the cells into a truly multicellular organism. In
morphologically complex filamentous forms, however,
the outer tegumentary layers may be continuous along
the trichome, and the formation of cross walls or septa
may involve the invagination of the plasma membrane
and the cell wall only, as has been shown in Nostoc
(Figure 4(d)). In filamentous oscillatorian cyanobacteria,
one or more tegumentary invaginations (future cross
walls) may be initiated before cell division is completed.
A widespread change of division plane in the cells along
the trichome results in biseriate or multiseriate trichomes
(two or more rows of cells), and a change in the plane of
division occurring in a single cell and maintained for
several rounds of fission results in true branching, as in
Stigonema (Figure 3(q)). In morphologically complex fila-
mentous forms, cell division may be meristematic,
PP
TM
TM
CS
EPS
CW
TM CP
CS
LD PP
S
OM
PM
PG
C
IS
TM
EPSCW
CSPBS S
PBS
(b)
(d)
(c)
(a)
PP
TM
TM
CS
EPS
CW
TM CP
CS
LD PP
S
OM
PM
PG
C
IS
TM
(e)
EPSCW
CSPBS S
PBS
Figure 4 Cyanobacterial ultrastructure as seen by transmission electron microscopy. (a) Longitudinal section through a trichome of
Oscillatoria ‘lacus-solaris’, showing thylakoid membranes parallel to the cell wall (TM), and large polyphosphate (PP) granules, as well as
incipient septa (cross-walls). (b) Trasversal section through a trichome of Microcoleus chthonoplastes showing radial, peripheral
arrangement of thylakoids, a clear centrosome containing carboxysomes (polyhedral bodies, CS). (c) Dividing Synechocystis strain
PCC6803, showing clearly equatorial invagination of all tegumentary layers including exopolysaccharide (EPS) and cell wall (CW), and
parallel sets of thylakoids membranes. (d) End cell in a Nostoc pruniforme trichome, with characteristic cyanophycin granules (CP),
carboxysomes (CS), polyphosphate granules (PP), unordered arrangement of thylakoids, lipidic droplets (LD), and septum or cross wall
(S). The top insets show a detail of the tegumentary layers around the cross wall constrictions, with the plasma membrane (PM), and the
peptidoglycan wall (PG) entering to form the septum, to the exclusion of the outer membrane (OM). The middle inset shows a thylakoid-
rich region with thylakoid membranes (TM), intrathylakoidal space (IS), and the cytoplasm (C). The bottom inset shows a cyanophycin
granule. (b) Outer regions in a Oscillatoria filament with, from right to left, exopolysacharide (EPS) layer, cell wall (CW), a carboxysome
(or polyhedral body, CS), rows of phycobilisomes (PBS) sitting on the cytoplasmatic side of the thylakoid membranes, and a septum (S).
After unpublished photomicrographs from Mariona Herna´ ndez-Marine´ (University of Barcelona, all but (c)) and Robert Roberson
(Arizona State University, (c)), with permission.
Cyanobacteria 333

occurring only in certain portions of the trichome (e.g.,
Calothrix and allied forms).
Multicellularity and Cell Differentiation
The magnitude of the morphological complexity evolved
within the cyanobacterial radiation is exemplified by the
achievement of multicellularity. The heterocystous group
(subsections IV and V) and some oscillatorians are clearly
not mere linear arrays of cells but truly multicellular
organisms, possessing all the attributes required for such
a distinction: supracellular structural elements, integrated
behavioral responses to environmental stimuli, and dis-
tribution of labor through cell differentiation into distinct
cellular types. The most important examples of cellular
differentiation in cyanobacteria are reviewed here.
Additionally, in many cases cyanobacteria form colonies
or structurally organized macroscopic bodies (thalli in
botanical terminology) that are quite large in size.
Spherical colonies of Nostoc ‘pruniforme’ exceeding 15 cm
in diameter are known from the benthos of oligotrophic
cold springs, but somewhat smaller, ordered arrange-
ments of cells and filaments are common in other Nostoc
and ‘Aphanothece’ species as well as in Calothrix and allied
genera (e.g., ‘Rivularia’). This metadifferentiation is sel-
dom achieved in culture.
Hormogonia
Hormogonia (s. hormogonium) are short (5–25 cells)
chains of cells formed and released from the parental,
larger trichome. They serve a function in the dispersal
of the organism. Hormogonial cells may or may not be
different in size and shape from vegetative cells.
Detachment may involve the differentiation of a necridic
cell separating the vegetative trichome from the hormo-
gonium. Dispersal is aided by the expression of
phenotypic traits, which may vary according to strains,
such as gliding motility, development of gas vesicles, or
change in surface hydrophobicity. Hormogonia even-
tually settle and dedifferentiate into a typical vegetative
organism.
Heterocysts
Heterocysts (Figures 3(c), 3(g), and 3(i)) are morpholo-
gically distinct cells that develop in response to a lack of
combined nitrogen sources in the environment. The abil-
ity to develop heterocysts occurs without exception
within a monophyletic group of filamentous cyanobac-
teria (heterocystous; subsections IV and V). They are
usually larger than vegetative cells, develop thick tegu-
mentary layers and intracellular hyaline buttons at the
points of attachment to the vegetative cells, displaying a
pale coloration and reduced autofluorescence. As such,
heterocysts are easy to recognize under the microscope.
They may differentiate from end cells (terminal
heterocysts, as in Calothrix) or from cells within the tri-
chome (regularly spaced intercalary heterocysts, as in
Anabaena, or lateral as in ‘Mastigocoleus’). Heterocysts are
highly specialized in the fixation of dinitrogen under
aerobic conditions. They represent a successful solution
to the nontrivial problem of avoiding nitrogenase inacti-
vation by free oxygen in oxygen-evolving organisms.
Heterocyst biology has been relatively well studied at
the biochemical and molecular levels. Heterocysts are
the only cells that express nif (nitrogen fixation) genes
and synthesize nitrogenase in heterocyst-forming cyano-
bacteria. Heterocysts do not evolve oxygen themselves
(photosystem II (PSII) activity is absent or restricted) but
a functional photosystem provides ATP. The source of
reductant for nitrogen fixation is provided (as organic
carbon) by the adjacent vegetative cells, which in turn
obtain fixed nitrogen from the heterocyst in the form of
amino acids (mostly glutamine). The heterocysts protect
their nitrogenase from oxygen inactivation by maintain-
ing reduced internal partial pressures of oxygen, a
situation that is attained by means of increased rates of
cellular respiration and, apparently, by restricting diffu-
sive entry of oxygen from the environment as a result of
their thick envelope. The developmental regulation of
heterocysts is beginning to be understood at the genetic
level. The autoregulated gene hetR, which is activated by
the deficiency in combined nitrogen, seems to play a
crucial role in the initiation of heterocyst development.
Akinetes
These nonmotile cells (Figure 3(g)) are characterized by
their enlarged size with respect to vegetative cells, their
thick cell wall and additional tegumentary layers, and
their high content of nitrogen reserves in the form of
cyanophycin granules. They are formed exclusively by
heterocystous filamentous cyanobacteria (but not by all)
and they may differentiate en masse or at special locations
within the filaments (usually close to or next to a hetero-
cyst). Because akinetes are resistant to desiccation, low
temperatures (including freeze–thaw cycling), and diges-
tion in animal guts, they are considered resting stages in
the life cycle, but they fundamentally different from typi-
cal bacterial spores in that they are not heat-resistant. In
natural planktonic populations, massive akinete formation
occurs at the end of the growth season. Germination of
akinetes occurs when the environmental conditions
become favorable for the growth of a vegetative filament.
Genetic evidence suggest that the early regulatory pro-
cess of akinete development and that of heterocysts has a
common basis.
Terminal hairs
These are multicellular differentiations occurring at the tips
of trichomes in some members of the genus Calothrix and
allied cyanobacteria (botanical family Rivularaceae). In
334 Cyanobacteria

response to nutrient limitation (e.g., phosphorous), the term-
inal parts of the trichome differentiate irreversibly into thin
and long rows of narrow, almost colorless, vacuolated cells
(hence the term hair). The hair is a site of preferential
expression of cell surface-bound phosphatase activity.
Necridic cells (necridia)
Necridic cells occur in truly multicellular cyanobacteria
(Figures 3(n) and 3(k)). Necridic cells undergo a suicidal
process (apoptosis), which begins with the loss of turgor
and leakage of some cellular contents and continues with
shrinkage and the separation of the cross walls (septa) from
the adjoining cells. Eventually, the necridic cells will either
rupture and disintegrate or remain as small, isolated vesti-
gial cells. Cells adjacent to the necridium will usually
develop morphologies typical for terminal (apical) cells.
The formation of necridia may lead to the separation of
one trichome into two (proliferation) or in the detachment
of hormogonia from the vegetative filament. Most of the
information about necridia is observational, and no studies
have been performed to investigate the regulation of this
morphogenetic mechanism.
Physiology and Metabolism
Cyanobacteria are photoautotrophic organisms par excellence
and their metabolism is typically geared toward anabolic
reactions. The basis of their metabolism is the conversion of
radiant energy into chemically usable energy and the
reduction of CO
2
into organic matter. The electron donor
for the reduction of CO
2
is water, which is oxidized to
molecular oxygen. The name of this type of metabolism is
derived by the release of oxygen: oxygenic photosynthesis.
It is exclusively carried out by organisms in the cyanobac-
terial radiation (cyanobacteria proper and the plastids of
algae and plants).
Photosynthesis
In the light reactions of photosynthesis, radiant energy is
captured and used to generate energy in the form of ATP
and reduction equivalents in the form of nicotinamide
adenine dinucleotide phosphate (NADPH). The light
reactions of oxygenic photosynthesis are based on the
coordinated action of (1) light-harvesting systems;
(2) two chlorophyll a-containing, membrane-bound, mul-
tisubunit enzymes known as photosystems; and (3) a series
of soluble and membrane-bound electron-carrier proteins
linking both photosystems (Figure 5).
Light harvesting
Light harvesting in most cyanobacteria (and in red algal
plastids) is accomplished by highly ordered and structu-
rally versatile supramolecular complexes known as
phycobilisomes, which are primarily composed of
H+
ADP + PiATP
PSII (dimer)
Cytochrome b6fPSI (trimer)
SEC
FD
FNR
2H+ + ½ O2
H2OH+
H+
NADP + H+
NADPH
ATPase
Thylakoid
membrane
P700
P680
Q
Phycobilisome
Cytoplasm
Intrathylakoidal
space
PQ
Figure 5 Idealized organization of the photosynthetic components in and around cyanobacterial thylakoids and their associated
activities. Multimeric complexes are indicated by labeled brackets. Abbreviations not explained in text are bound quinone (Q),
plastoquinone (PQ), soluble electron carrier (SEC), ferredoxin (FD), ferredoxin/NADP oxidoreductase (FNR). Thick black arrows indicate
the direction of electron flow from water to NADPH; dashed arrow depicts the shortcut under cyclic phosphorylation conditions. Thin
arrows depict either transformation of chemical reactants or the traffic of protons across the membrane. Modified from Bryant (1996), as
cited, with permission.
Cyanobacteria 335

phycobiliproteins. Phycobiliproteins are water-soluble
proteinaceous pigments containing covalently bound,
open-chain tetrapyrroles (phycobilines) as chromophores.
Universal cyanobacterial phycobilines are the blue-
colored allophycocyanin (absorbing maximally at a wave-
length of 650 nm) and phycocyanin (maximum at
620 nm). Phycoerythrocyanin (maximum at 575 nm) and
the red-colored phycoerythrin(s) (maxima vary from 495
to 560 nm) are also common. Multimeric disc-shaped
phycobiliprotein complexes are stacked into either cen-
tral cores or radially protruding rods (Figure 5) to form a
functional phycobilisome. The radiant energy absorbed
by the phycobiliproteins along the rods is channeled
vectorially (as excitation energy) toward the core region
and from the core onto the reaction center of PSII or
(partially) onto that of photosystem I. Phycobiliproteins
are arranged orderly within the phycobilisome: the
shorter the wavelength of maximum absorbance, the
more peripheral their location. This allows for the cen-
tripetal channeling of excitation energy down a
thermodynamically allowed sequence. In such a light-
harvesting system, 300–800 phycobilin chromophores
capture additional energy for 50 Chl amolecules asso-
ciated with PSII. In some strains, the phycobilin
composition of phycobilisomes can be regulated to opti-
mize the capture of photons according to the color of the
available light, a phenomenon known as complementary
chromatic adaptation.
Light reactions of photosynthesis
PSII, which contains a reaction center, known as P680, of
very high basal reduction potential (þ1 V), catalyzes the
transfer of electrons from water to a bound quinone, with
the production of O
2
. The electrons then enter an elec-
tron transport chain involving successive redox reactions
of a membrane-bound protein (plastoquinone), a mem-
brane-bound protein complex (cytochrome b
6
f), and one
of the two intrathylakoidal soluble electron carrier
proteins (cytochrome c
533
or plastocyanin). An electro-
chemical gradient of protons is created across the
thylakoid membrane in the process of electron transport.
This is used by the thylakoidal f-type ATPase complex to
generate ATP, the cell’s energy currency. When excited,
PSI, with a reaction center (known as P700) of intermedi-
ate reduction potential, catalyzes the reoxidation of
reduced plastocyanin (or cytochrome c
533
) with the con-
comitant reduction of ferredoxin (a soluble iron–sulfur
protein) against a steep thermodynamic gradient.
Reduced ferredoxin is used by ferredoxin: NADPþ
oxidoreductase (an enzyme physically tethered to phyco-
bilisomes, if present) to generate the NADPH necessary
for the dark reactions. In short, the light-driven formation
of ATP and NADPH has been achieved. Additionally,
electron flow around PSI alone may also occur (cyclic
electron transport). In this case, electrons flow from
reduced ferredoxin directly to plastoquinone, through
the cytochrome b
6
fcomplex and plastocyanin, back to
PSI and, with light, to oxidized ferredoxin, closing the
cycle. The net effect of the cycle is the generation of
energy but no reductant.
Dark reactions of photosynthesis: Carbon fixation
and uptake
The reduction of CO
2
to organic matter (carbon fixa-
tion) occurs in all cyanobacteria mainly through the
reductive pentose phosphate (Calvin) cycle, in which
the net formation of a triose from 3CO
2
is powered by
ATP and NADPH formed in the light reactions. This
cycle supplies important intermediates for anabolic
reactions (triose, pentose, and hexose phosphate).
Additional CO
2
may be fixed by phosphoenolpyruvate
carboxylase, yielding C
4
acids, and by carbamyl phos-
phate synthetase/carbamylphosphateornithine carbamyl
transferase, yielding citrulline and glutamate from glu-
tamine, ornithine, and CO
2
. The Calvin cycle is related
to the catabolic (oxidative) pentose phosphate pathway,
differing in two key enzymes that allow it to function
anabolically. These are PRK (phosphoribulosekinase)
and RubisCO, a very interesting enzyme and the most
abundant protein on Earth. RubisCO is characterized by
a low affinity for CO
2
and by possessing internal mono-
oxygenase activity. This results in a competitive
inhibition of carboxylation by free oxygen, a fact of
obvious importance for oxygen-producing phototrophs.
Under conditions of low CO
2
andhighO
2
partial pres-
sure, RubisCO catalyzes the oxidation of ribulose
bisphosphate to phosphoglycerate and phosphoglyco-
late. After dephosphorylation, glycollate is excreted by
the cells in what seems to be a wasteful loss of carbon.
Probably, to prevent conditions leading to such losses,
cyanobacteria possess a carbon concentrating mechan-
ism by which inorganic carbon, either as bicarbonate or
as CO
2
, is active and at the expense of energy trans-
ported into the cell so that the intracellular
concentrations can be 1000-fold higher than those out-
side the cells. A carbonic anhydrase-like enzyme keeps
intracellular carbon in the form of bicarbonate to pre-
vent leakage of CO
2
. A carbonic anhydrase located
within the carboxysomes (or polyhedral bodies, the site
of RubisCO accumulation; Figure 4) generates CO
2
.
With this system, a high CO
2
partial pressure is main-
tained locally in close proximity to the carboxylation
sites of RubisCO, and the carboxylating activity of the
enzyme is promoted.
Dark Metabolism
Energy generation in the dark occurs through aerobic
respiration at the expense of glycogen accumulated dur-
ing the light phase. Monomeric sugars are degraded using
336 Cyanobacteria

the oxidative pentose phosphate cycle. A complete tricar-
boxylic acid cycle has never been shown for – and
-ketoglutarate dehydrogenase has never been detected
in – any cyanobacterium. NADPH formed in sugar cata-
bolism is fed to the membrane-bound electron transport
chain at the level of plastoquinone. Terminal oxidases are
cytochrome oxidases of the aa
3
type. The respiratory
electron transport chain of cyanobacteria is housed in
both the plasma and the thylakoidal membrane and it
shares many functional components with photosynthetic
electron transport. Approximately half of all cyanobacter-
ial strains tested are obligate phototrophs, unable to use
exogenous carbon sources aerobically. Some are photo-
heterotrophs, able to use some sugars as carbon source,
and some are facultative heterotrophs, able to grow, albeit
slowly, at the expense of externally supplied sugars
(usually only one) in the dark. All strains retain pigmen-
tation and all components are necessary for
photosynthesis under dark growth conditions. The lack
of sugar transport systems has been heralded as one of the
main reasons for the inability of many strains to use
exogenous sugars while being able to respire endogenous
glucose.
Cyanobacteria may also be subject to periods of anoxia,
particularly in the dark (e.g., benthic forms thriving in
sulfidogenic environments and biofilm or colony formers
under diffusion limitations of O
2
supply). The only known
electron acceptors alternative to oxygen for cyanobacterial
chemoorganotrophy are internal organic compounds and
elemental sulfur. Fermentation is not universal but is a
relatively widespread ability in benthic and bloom-forming
cyanobacteria. As in aerobic heterotrophy, fermentation
occurs at the expense of endogenous sugars (usually glyco-
gen but also sugar osmolytes such as trehalose or
glucosylglycerol) accumulated in the light period. Some
strains ferment, or even grow on, exogenous substrates
anaerobically. Homolactic, heterolactic, homoacetate, and
mixed-acid fermentation have all been described. There is
evidence that the Embden–Meyerhof–Parnas glycolytic
pathway, unoperative for aerobic respiration, is used in the
fermentative degradation of sugars by cyanobacteria. An
Oscillatoria strain oxidizes endogenous carbohydrates largely
to CO
2
in the presence of elemental sulfur with the con-
comitant production of sulfide. In other cyanobacteria,
sulfur may be used as a sink for electrons, otherwise released
as H
2
, with or without concomitant modification of the
fermentative products. A thermophilic Synechococcus reduces
sulfate and thiosulfate to sulfide anaerobically in the dark. It
is yet to be demonstrated that the reduction of sulfur is
coupled to electron transport or energy generation.
Secondary Metabolism
Cyanobacteria synthesize a variety of compounds that are
not components of universal biochemical pathways, but
have restricted distribution among taxa (secondary meta-
bolites). These are thought to serve particular functions
relevant to the survival of the strains in question, but their
specific role has been deduced only in a few cases. Several
important cyanobacterial metabolites are peptides
synthesized in a nonribosomal setting by specific peptide
synthetases. Compounds such as cyanobacterin
(Figure 6(c)), a herbicide produced by some Scytonema,
potently inhibit PSII of algae and cyanobacteria other
than the producing strain, thus wiping out the competi-
tion. Scytonemin, a widespread indole alkaloid, is
synthesized, excreted, and accumulated in large quanti-
ties in extracellular sheaths in response to ultraviolet
(UV) radiation exposure, serving a sunscreen role
(Figure 6(h)). A similar sunscreen role has been proposed
for a large variety of colorless mycosporine-like com-
pounds (Figures 6(f) and 6(g)). Triterpenoids of the
hopane series found in thermophilic strains may stabilize
the cell membranes under high temperatures. Other com-
pounds display antibiotic activity, such as the
antibacterial brominated biphenyls from Oscillatoria
‘chalybea’(Figure 6(f)) or the methoxytetradecenoic acid
of Lyngbya ‘majuscula’(Figure 6(d)). However, for most
cyanobacterial secondary metabolites identified, their
biological function remains elusive. Such is the case for
the volative compounds 2-methylisoborneol and geosmin
(Figures 6(a) and 6(b), respectively), which are of com-
mon occurrence and responsible for the earthy smell and
off-flavors in lakes harboring cyanobacterial blooms. A
defined biological role for the notoriously famous cyano-
toxins (Figures 6(i) and 6(j); see ‘Gene transfer’) is
lacking. Among the bioactive compounds of unknown
natural function, some have antineoplastic, antiviral, anti-
inflammatory, antimitotic, ichtiotoxic, and dermatitic
activities. Efforts to study the largely untapped cyanobac-
terial inventory of secondary metabolites and their
biology are likely to increase substantially in the near
future due to their relevance to pharmaceutical research
and public health.
Nutrition
Apart from liquid water, light, and inorganic nutrients, few
additional requirements for growth are known in most
cultivated strains. A requirement for vitamin B
12
has been
demonstrated in some strains. Metabolic processes devoted
to the provision of nutrients may account for a significant
part of the energy and reduction equivalents obtained in the
light reactions of photosynthesis. Cyanobacteria possess
specific uptake systems for nutrient assimilation.
Orthophosphate can be taken up and stored intracellularly
as polyphosphate (Figures 4(a) and 4(d)), and the uptake
may be aided by the action of surface-bound phosphatases,
which release phosphate bound to organic molecules.
The availability of phosphorous may often be the
Cyanobacteria 337

growth-limiting factor in natural freshwater populations.
The production of siderophores (iron-chelating organic
compounds) seems to be important in the assimilation of
iron because Fe
3þ
ions, required for many of the enzymes
involved in redox reactions, are very insoluble in water.
The availability of iron may be growth limiting in oceanic
planktonic species. Nitrogen-fixing cyanobacteria have
complex sets of amino acid uptake systems, probably geared
toward the recovery of leaked fixed nitrogen. In addition to
uptake mechanisms, sulfur, and nitrogen assimilation
require additional reduction steps and are discussed sepa-
rately in the following sections.
Nitrogen assimilation
Among inorganic nutrients, nitrogen is of paramount
importance as it accounts for 10% of the dry weight of
(b)(a) (c)
(d)
(e)
(f)
(i)
(g)
(h)
(k)
(j)
Figure 6 Diversity of cyanobacterial secondary metabolites. (a) 2-methylisoborneol; (b) geosmin; (c) cyanobacterin; (d) 7-methoxy-4-
tetradecanoic acid; (e) malyngamide A; (f) and (g) mono- and bisubstituted mycosporines, respectively, where R stands for (amino)
acidic moiety; (h) scytonemin; (i) anatoxin-a; (j) microcystin-YR; (k) a brominated phenyldiphenol.
338 Cyanobacteria

cyanobacterial cells. Nitrate (NO
3
) and ammonium
(NH
4þ
) are virtually universal sources of nitrogen for cya-
nobacteria, but urea or other organic nitrogenous
compounds can be used by some strains. In addition,
many strains can fix gaseous dinitrogen (N
2
). Plasma mem-
brane-bound transport systems exist for both NO
3
and
NH
4þ
,whereasN
2
enters the cells by diffusion.
Intracellular NO
3
must be reduced to NH
4þ
.Thisis
accomplished by the stepwise reduction to nitrite (catalyzed
by nitrate reductase) and NH
4þ
(catalyzed by nitrite reduc-
tase), the reduction equivalents for both processes
stemming from reduced ferredoxin. Ammonium (either
taken up or endogenously generated) is assimilated by the
glutamine synthetase/glutamate synthase enzyme system.
The net action of this system is the formation of glutamate
from -ketoglutarate and NH
4þ
, with the expenditure of
ATP and the oxidation of ferredoxin. Glutamate can donate
its amino moiety to various precursors of central metabo-
lism by the action of specific transaminases. Many, but not
all, cyanobacteria are able to fix N
2
;thisisofgreatecolo-
gical significance because N
2
is ubiquitous in the
environment. The process is carried out by the enzyme
nitrogenase and is a costly one, involving the consumption
of both ATP and reduction equivalents (supplied by ferre-
doxin). In addition, nitrogenase will also inevitably reduce
protons to H
2
in what represents a wasteful decrease in
efficiency. Nitrogenase is inherently and irreversibly inac-
tivated by O
2
. Several strategies have evolved in
cyanobacteria to circumvent this problem. Some strains
will only carry out N
2
fixation under anoxic conditions,
butsomewillalsodoitinthepresenceofoxygen.Several
strains have been shown to restrict temporally N
2
fixation
to the dark period, thus decreasing the exposure of nitro-
genase to photosynthetic oxygen. Strains belonging to the
Nostocales and Stigonematales have evolved a specialized
cell type (the heterocysts; see ‘Heterocysts’) in which nitro-
gen fixation is spatially separated from photosynthesis and
protected from O
2
inactivation. Heterocystous strains dis-
play the highest specific rates of N
2
fixation among all
cyanobacteria. However, some nonheterocystous cyanobac-
teria, such as Trichodesmium, are able to fix substantial,
biogeochemically significant amounts of N
2
in the light;
their mode of adaptation is unknown. The various mechan-
isms for nitrogen assimilation are tightly regulated so that
the presence of less costly sources (NH
4þ
) immediately
inhibits NO
3
(and NO
2
)uptake,orN
2
fixation activity,
and represses the expression of the enzymes involved in the
reduction of alternative N
2
sources. In the same way, the
presence of abundant NO
3
represses the expression of
nitrogenase genes and results in the halting of new hetero-
cyst differentiation.
Sulfur assimilation
Sulfate (SO
42
) is seemingly the universal source of sulfur
for cyanobacterial cells, and it is only rarely growth
limiting in the environment. Other sources of sulfur may
be taken up alternatively, such as sulfate esters, sulfonate,
hydrogen sulfide, and organic thiols. Sulfate is taken up
by a SO
42
permease in an energy-dependent process,
reduced to sulfide, and incorporated into cysteine. The
cyanobacterial assimilatory sulfate reduction pathway is
similar to that of other bacteria, involving the activation of
sulfate by binding to ADP and the reduction of the
sulfonucleotide to free sulfite using thioredoxin as a redu-
cing agent. Sulfite is further reduced to sulfide by sulfite
reductase using NADPH as an electron donor, and free
sulfide is incorporated into cysteine by specific synthases.
An oxidized sulfur source may also be a requirement for
growth because, unlike other bacteria, cyanobacteria pos-
sess important structural components containing oxidized
sulfur moieties: the sulfolipids of the photosynthetic
membranes and, in some strains, the sulfate esters consti-
tuent of the extracellular polysaccharide sheaths.
Regulation
The regulation of cellular activities in cyanobacteria is
similar in nature to that found in other prokaryotes, but
photobiology plays a particularly important role. The
presence and nature of the cyanobacterial photoreceptor
systems (a cell’s light meter) are well documented.
Although specific photoreceptor molecules, some struc-
turally similar to plant phytochromes, do exist, and some
have been postulated as sensors of UV radiation, in many
cases it is the indirect effect of light supply on the overall
redox state of the cell that determines cellular responses.
Small redox-sensitive proteins such as thioredoxin may
act as general modulators of enzyme activity in carbon
and nitrogen metabolism. The balance between carbon
and nitrogen metabolism is typically sensed through the
levels of 2-oxoglutarate. Short-term (photo)responses can
also be based on protein phosphorylation mechanisms, as
seems to be the case for the process leading to the redis-
tribution of captured energy between photosystems I and
II (the so-called state transitions) or for the direct regula-
tion of phosphoenolpyruvate carboxylase activities. By
means of its multiple targeting, phosphorylation of a
serine residue of P
II
, a small regulatory protein, is thought
to provide coordinated regulation of carbon and nitrogen
metabolism. There is abundant evidence for light-
mediated regulation of gene expression, leading to long-
term responses, either to light intensity or to spectral
composition. This is particularly true for genes encoding
components of the photosynthetic apparatus, such as
phycobiliproteins and PSII polypeptides. Some strains
grown under light–dark cycles are capable of incorporat-
ing specific metabolic tasks into the swing of the cycle,
relegating, for example, protein synthesis or nitrogen
fixation to the dark periods. At least some of these daily
patterns are maintained by an internal clock system,
Cyanobacteria 339

because the periodicity remains even in the absence of
environmental stimuli. The core of this central clock,
virtually universal among cyanobacteria, is an autopho-
sphorylating enzyme, KaiC, that oscillates between
nonphosphorylated and phosphorylated forms, and can
modulate the expression of various central genes. Two-
component (histidine kinase/response regulator) regula-
tors seem to be common for signal transduction,
particularly in responses to environmental stress or
shock (cold, heat, salt, and light), as well as for adaptation
to some forms of nutritional limitation. Regulatory, non-
coding RNAs are also known for a few genes.
Motility and Taxes
Cyanobacteria do not have flagella, but many unicellular
and filamentous cyanobacteria display gliding motility.
In some strains of oceanic marine Synechococcus, slow-
swimming motility has also been described. Gliding is a
movement across a solid or semisolid material in the
absence of flagella or other conspicuous propulsion
mechanisms and without apparent change in cellular
(or trichome) shape. Gliding is typically accompanied
by the secretion of slime. In filamentous forms, rotation
of the trichomes along their main axes often occurs while
gliding. The structural involvement of a Ca
þ
-binding
glycoprotein, oscillin, in cyanobacterial gliding has
been determined; it forms supracellular helical fibrils in
the outermost surface of the trichomes. However, the
actual mechanism of cyanobacterial motility remains
unknown, and may simply not be universal among
them. Gliding motility may be displayed only transiently
(i.e., in hormogonia or in baeocytes but not in vegetative
cells). Photosensory and chemosensory systems, allowing
the organisms to respond to temporal or spatial environ-
mental gradients, are tightly coupled to motility,
resulting in the so-called tactic behavior. Positive tactic
responses to chemical species (chemotaxis) such as bicar-
bonate and nitrate have been shown in cyanobacteria
(i.e., they move up chemical gradients of concentration
of those substances). Terrestrial cyanobacteria are the
only microorganisms shown to have tactic responses to
water. All motile cyanobacteria display phototactic beha-
vior so that the populations are able to seek optimally
illuminated areas. Like other bacteria, cyanobacteria
usually respond by stopping and changing the direction
of movement (reversing) upon crossing a sharp boundary
in light intensity (photophobic response); however, some
are also capable of perceiving the angular direction of
the light and responding by steering toward or away
from the direction of the incoming light. This capacity
(known as true phototaxis) has no parallel in any other
prokaryote.
Molecular Genetics
Genomes
The genome is typically prokaryotic in nature and is
located in the centroplasm. The genomes of free-living
cyanobacteria vary widely in GC base composition from
32 to 71%, a range comparable to that spanned by all
bacteria. They also vary in size, approximately correlat-
ing with morphological complexity, from 1.6 to
14 10
6
bp (base pairs) (1700–10 000 genes). The smal-
lest cyanobacterial genomes are thus similar in size to
those of most bacteria, whereas the largest ones are in
the range of eukaryotic fungal genomes. Symbiotic cya-
nelles and plastids have retained only 0.13 10
6
bp in
their genomes. To date, more than 30 cyanobacterial
genomes have been fully sequenced. The DNA of cyano-
bacteria is subject to very extensive modification, which
in some cases is so thorough that a role for methylation
beyond protection from restriction enzyme cleavage has
been postulated. The presence of widespread, highly
iterated short palindromic sequences is a trait shared by
many, but not all, cyanobacterial genomes. Genomic rear-
rangements involving deletion, operon fusion, and
translocation events are known to occur during heterocyst
differentiation. Plasmids or extrachromosomal replicons
are commonly encountered (some as large as
1.5 10
5
bp), but they are usually cryptic and do not
appear to be responsible for antibiotic resistance pheno-
types, as in other bacteria. Some are known to bear genes
encoding for isozymes involved in assimilatory sulfate
reduction.
Gene Transfer
There is evidence from phylogenetic comparisons that
horizontal genetic exchange among related cyanobac-
teria has played a significant role in their evolution.
Nevertheless, the mechanisms leading to genetic
exchange are difficult to pinpoint. Despite the abun-
dance and spread of cyanobacterial plasmids, natural
conjugation among cyanobacteria has not been
reported. The same is true for viral transduction,
despite the wealth of cyanophages described in the
laboratory and from natural populations, some clearly
carrying cyanobacterial genes in their genomes. Some
strains are naturally highly competent for taking up
foreign DNA, but unaided transformation seems to be
restricted to some unicellular strains of the genera
Synechococcus and Synechocystis.
Gene Expression
Control of gene expression at the level of transcription
seems to play a significant role in the adaptation to
340 Cyanobacteria

changing environmental conditions. Cyanobacteria pos-
sess a transcriptional apparatus of unique characteristics
among bacteria. The cyanobacterial DNA-dependent
RNA polymerase is structurally different from that of
the common bacterial type, possessing an additional sub-
unit in its core, and several sigma factors (polypeptides,
whose association with the core of the polymerase is
needed for effective initiation of transcription) have
been identified. It has been shown that a ‘principal’
sigma factor is commonly present under normal growth
conditions, whereas alternative factors are temporarily
expressed upon, for example, a change to nitrogen-limit-
ing conditions. Because cyanobacterial promoters lack
some of the distal consensus sequences of other bacteria,
it has been hypothesized that regulation of transcription
may often be activated by accessory factors other than
sigma factors. Noncoding RNA transcriptional regulatory
elements are known for a few genetic systems, such as the
fur (ferric uptake regulator) master regulator and the isiA
locus, both related to iron limitation, and may be more
widespread than presently considered.
Ecology and Adaptations
The range of environmental conditions under which
cyanobacteria can develop is impressively wide, and
equally wide is the variety of ecological adaptations
they display. One can find cyanobacteria as an impor-
tant part of the primary producer community in almost
any habitat in which light penetrates. Thermophilic
cyanobacteria can grow up to temperatures of 73 C
in hot springs, which is the upper temperature limit
for any phototrophic organism, and develop stable
populations in polar soils, rocks, and ponds in which
temperatures rarely exceed a few degrees Celsius.
Some forms thrive in rain or snow-melt puddles of
extremely low inorganic solute concentrations, and
some halotolerant types grow in NaCl-saturated brines.
Cyanobacteria thrive in caves, deep in lakes, and in
coastal areas, where light is extremely dim, but some
terrestrial forms develop permanent populations in
mountainous tropical areas exposed to the highest
levels of solar radiation found on Earth. Many terres-
trial cyanobacteria are desiccation resistant, and they
withstand freeze–thaw cycles. Benthic marine cyano-
bacteria flourish under supersaturated oxygen, often
exceeding 1 atm in partial pressure during daytime,
but they are exposed to anoxia at night. It is common
that more than one of these extreme conditions coin-
cide in one particular habitat. One of the most
conspicuous limitations to the development of cyano-
bacteria seems to be acidity: although many are known
from alkali lakes, no bona fide reports of growth below
pH 4.5 exist. The ecological success of cyanobacteria in
many of these extreme habitats is often a result of their
metabolic resilience in the face of environmental insults
rather than a consequence of sustained growth. A few
environmentally relevant cyanobacterial habitats are
discussed in the following sections.
Marine Plankton
With the possible exception of polar areas, morphologi-
cally simple, cyanobacteria of small size (0.5–2 mm)
inhabit in large numbers in the upper zone of the oceans
where light penetrates. These are referred to as pico-
plankton, and consist of two phenotypically distinct but
phylogenetically related groups (Figure 2): the open-
ocean marine Synechococcus and Prochlorococcus.
Population sizes typically range between 10
4
and 10
5
cells per ml for both types. The global biomass of pico-
plankton must be on the order of 1–2 billion metric tons
(1600 10
12
g). This shear size indicates their ecological
importance. It has been calculated that as little as 11%
and as much as 50% of the primary production of non-
polar open ocean regions is due to their activity. This
group has developed interesting adaptations to the light
field of clear oligotrophic waters: their light-harvesting
complexes have differentiated to match the predomi-
nantly blue light available. Synechococcus cells synthesize
a special kind of bilin chromophore, phycourobilin,
absorbing maximally at 490–500 nm, thus increasing the
ability of cells to use blue light. Evolutionary pressure of a
similar nature has probably resulted in the virtual loss of
phycobiliprotein-based light harvesting in Prochlorococcus
and the evolution of antenna mechanisms based on (divi-
nyl) chlorophylls (aand b), which are optimally suited to
capture blue light. The life strategy of picoplankton
populations is based on fast growth, with cells often dis-
playing several doublings per day. Grazing pressure and
viral infection seem to be the major factors controlling
population sizes. The comparatively small size of pico-
plankton genomes, the absence of nitrogen-fixing
capacity and of some reserve polymers such as phycocya-
nin, and the lack of mechanisms to withstand small
concentrations of toxic metals such as copper may be
the result of reductionist evolutionary pressures favoring
fast growth. Their small size (large surface to volume
ratio) may provide selective advantage in nutrient-poor
environments. Phenotypic and genetic variation exists
within the picoplanktonic cyanobacteria, resulting in
strains that diverge in light and temperature optima for
growth: high- and low-light-loving strains of
Prochlorococcus have been described as mesophilic and
moderately psychrophilic strains of Synechococcus.
The intensely red (phycoerythrin-containing) oscilla-
torian cyanobacteria of the genus Trichodesmium, which
Cyanobacteria 341

typically occur as bundles of filaments in the wild, con-
stitute the second most important group of marine
planktonic cyanobacteria, with a global biomass estimated
at 100 10
12
g. They are inhabitants of oligotrophic
(nutrient-poor) tropical open ocean regions worldwide,
in which they may form blooms that can be detected as
surface accumulations with the naked eye. They are
responsible for much of the global oceanic nitrogen fixa-
tion, and this nitrogen-fixing capacity is a key factor of
their ecological success. The particular adaptations that
allow nonheterocystous Trichodesmium filaments to fix
nitrogen in the light, however, are not well understood.
They also contain large amounts of gas vesicles that
provide positive buoyancy to the filaments so that they
remain in the upper wind-mixed layers of the ocean.
Trichodesmium gas vesicles are among the sturdiest in
prokaryotes, apparently so that they can withstand the
large hydrostatic pressures experienced upon mixing of
the deep mixed layers of open-ocean waters. Large, uni-
cellular populations of ‘Crocosphaera’ also contribute
significantly to the inputs of new nitrogen in the oceans
along with Trichodesmium.
Freshwater Plankton
Although not a major component of the global biomass
(with only some 30 10
12
g), a large variety of cyano-
bacteria are found as components of the phytoplankton
of fresh waters, and are particularly prominent or
dominant under conditions of nutrient eutrophication.
In eutrophic lakes and man-made reservoirs (and in
enclosed brackish water basins such as the Baltic), the
formation of cyanobacterial blooms results in serious
water quality problems regarding not only the degrada-
tion of the recreation potential, musty odors, and off-
flavors that are associated with bloom development, but
also the likelihood of fish kills due to anoxic events
after bloom decay and the production and release of
cyanobacterial toxins. These are known to have caused
animal and, in extreme cases, human deaths. Bloom-
associated health effects reach beyond local environ-
mental agencies and are being considered in rulings of
the World Health Organization. Gas-vacuolated species
in the heterocystous genera Anabaena,Nodularia,
‘Gloeotrichia’, and Aphanizomenon, as well as in the non-
heterocystous genera Oscillatoria and particularly
Microcystis, are notoriously responsible for bloom for-
mation and for reported cases of intoxication.
Terrestrial Environments
Desiccation-resistant terrestrial cyanobacteria have
widespread occurrence. They may be found growing
on bare surfaces (rocks, trees, buildings, and soils) or
several millimeters within more or less soft diaphanous
substrates (soils, sandstone, and limestone). Some spe-
cies actively bore into the rock substrate. The
availability of liquid water, in the form of rain or
dew, determines the potential spurts of growth of cya-
nobacteria in the terrestrial environment. Growth of
terrestrial cyanobacteria can be fast and luxurious in
tropical humid climates, but in most other regions it is
usually only intermittent. Their life strategy is usually
one of slow growth and enhanced resilience.
Adaptations to this environment are directed to with-
stand both desiccation (e.g., by abundant
exopolysaccharide production) and exposure to solar
radiation under inactive conditions (by the synthesis
of sunscreen pigments). The exclusion of higher plant
vegetation by climatic rigors determines the relative
importance of cyanobacteria in terrestrial habitats.
Thus, extensive endolithic cyanobacterial communities
(accounting for as much as 140 10
12
g of biomass
globally), usually dominated by members of the genus
Chroococcidiopsis, have been described from tropical,
desert, and polar environments. These communities
play a significant role in rock erosion processes, and
their actions have become a concern for the preserva-
tion of stone monuments. Edaphic (soil dwelling)
cyanobacteria are also distributed worldwide, and
represent one of the largest global reservoirs of bio-
mass, with some 540 10
12
g. Sheathed oscillatorian
forms such as M.‘vaginatus’, possibly the most common
and widespread, along with heterocystous ones (Nostoc
and Scytonema), are major ecological players in arid and
semiarid regions, both hot and cold. Edaphic cyanobac-
teria in the so-called biological soil crusts contribute
significantly to the physical stability and fertility of arid
soils worldwide.
Sulfidogenic Environments
Hydrogen sulfide interferes with PSII and acts as a potent
inhibitor of oxygenic photosynthesis. Many marine and
fresh-water habitats, such as hot springs, marine littoral
sediments, and the deep water of lakes, may contain
significant amounts of free sulfide. Cyanobacteria develop
the most conspicuous populations of oxygenic photo-
trophs in such environments when sufficient light is
available. Specific adaptations to these habitats include
the ability to express sulfide-resistant forms of PSII so
that oxygenic photosynthesis can proceed even in the
presence of sulfide (e.g., in the marine benthic
Microcoleus ‘chthonoplastes’ and in some hot spring and
freshwater oscillatorians) and also an ability to perform
anoxygenic photosynthesis using hydrogen sulfide as a
source of electrons instead of water (e.g., in Oscillatoria
‘limnetica’ and members of the ‘Halothece’ cluster from
342 Cyanobacteria

hypersaline waters, Oscillatoria ‘amphigranulata’ from hot
springs, or Pseudanabaena sp. from hardwater lakes).
Many strains display both adaptations simultaneously.
The ability to use sulfide as an electron donor has been
traced to the inducible expression of a soluble enzyme,
sulfide:quinone oxidoreductase, which can transfer elec-
trons from sulfide to plastoquinone, thus allowing the
noncycling function of PSI (Figure 5) with the formation
of both ATP and NADPH. Although some strains in
culture show continued growth using anoxygenic photo-
synthesis alone, they cannot compete successfully for
sulfide with phototrophic sulfur bacteria in the environ-
ment. It is thought that cyanobacteria use anoxygenic
photosynthesis as a means for sulfide detoxification.
Indeed, many use anoxygenic photosynthesis only tem-
porarily, until local concentrations of sulfide are
sufficiently low and (sulfide-resistant) oxygenic photo-
synthesis can begin.
Symbioses
Although they show an apparent lack of taste for sexual
matters, cyanobacteria have displayed a considerable
evolutionary promiscuity, entering into intimate sym-
biotic associations with various unrelated organisms.
The list of cyanobacterial symbioses is large. There is
also a large variation in the degree of independence
maintained by the cyanobacterial partners. In some
cases, the distinction of two organisms may no longer
be possible because cyanobacteria lose their typical
appearance and a large portion of their genomes to
their hosts. This is obviously the case in higher plant
and eukaryotic algal plastids, in which massive loss of
genes to the eukaryotic nucleus has occurred. Cyanelles
(plastid-like endosymbionts of eukaryotic protists) have
retained the peptidoglycan and phycobilines, but their
identity loss is substantial as well. These cases are no
longer considered symbioses. At the other end of the
spectrum, loose but mutualistic relationships between
cyanobacteria and other bacteria or fungi (the so-called
consortia) have been described, but these are not con-
sidered here. Well-known cyanobacterial symbioses can
be functionally divided into those formed by hetero-
cystous cyanobacteria, in which the main contribution
of the cyanobacterial partner is the supply of fixed
nitrogen, and those formed by nonheterocystous types,
in which their contribution is often the supply of fixed
carbon. According to the degree of intimacy attained,
they can be classified into intracellular (in which cya-
nobacterial cells are found within cells of other
organisms) and extracellular (in which cyanobacterial
cells are located within the tissues but outside the
cells of other organisms). The most common extracel-
lular symbioses of nonheterocystous cyanobacteria
(involving the unicellular genera Chroococcidiopsis,
Gloeocapsa,‘Chroococcus’, and Gloeothece) are in the form
of cyanolichens. Both Prochloron and large-celled
Synechocystis are known from extracellular symbioses
with ascidians in tropical or subtropical marine waters.
Extracellular symbioses of Pseudanabaena-like
‘Konvophoron’ occur in Mediterranean sponges.
Filamentous Phormidium has been reported in symbioses
with some green algae. Intracellular symbioses of non-
heterocystous cyanobacteria are known from tropical
sponges (‘Aphanocapsa’, Oscillatoria,Synechocystis, and
Prochloron), from green algae (Phormidium), and from
dinoflagellates (unidentified). Heterocystous cyanobac-
teria in the genus Nostoc are known to form
extracellular symbioses with liverworts and higher
plants (Cycads and duckweed). Anabaena enters into
symbiosis with water ferns of the genus Azolla.
Cyanolichens are known to contain members of the
genera Nostoc,Calothrix,Scytonema,Stigonema, and
Fischerella as photobionts. Intracellular symbioses of het-
erocystous cyanobacteria occur in oceanic diatoms of
the genera Hemiaulus and Rhizosolenia (cyanobacterial
genus ‘Richelia’) and in Trifolium (clover) with Nostoc.
Nostoc also enters into intracellular symbioses with the
terrestrial nonlichenic fungus Geosiphon pyriforme.
Fossil Record and Evolutionary History
The fossil record of cyanobacteria contains the oldest
entries that can be confidently assigned to any extant
group of organisms. Excellently preserved microfossils,
1000 million years old, bear virtually indisputable cya-
nobacterial morphologies. Fossil cyanobacteria showing
considerable morphological diversification have been
described dating back at least 2500 million years.
Additionally, filamentous bacteria of putative cyanobac-
teria identity are known from as far back as 3500
million years. In fact, it has been suggested that cyano-
bacteria have evolved only very slowly in the
intervening time because present and past morphologies
are very similar. In view of the biochemical and phy-
siological diversity of adaptations that particular
cyanobacteria display, some doubts may be cast on
such a perception. The fossil record of the Archaean
and Proterozoic Eons (before 500 million years ago)
offers strong evidence not only for the presence of
cyanobacteria but also for a type of environment they
must have inhabited: the sedimentary environment of
shallow coastal waters. This is recorded in the abundant
organosedimentary laminated macrofossils known as
stromatolites, which became geographically restricted
in the Phanerozoic. Stromatolites are analogous to
present-day cyanobacterial mats, benthic compact
Cyanobacteria 343

assemblages built by cyanobacteria in extreme environ-
ments, and have provided evidence for the sustained
importance of photoresponses in the ecology of cyano-
bacteria in the form of ‘heliotropic’ accretions.
Precambrian fossil microboring on marine carbonaceous
substrates reveals the sustained role of cyanobacteria in
small-scale geomorphological processes. Fossil evidence
for the presence of eukaryotic algae is also quite old,
perhaps as much as 2000 million years, which is in
agreement with the early offshoot of the plastidic line
of evolution suggested by phylogenetic reconstructions.
The oldest fossil evidence for terrestrial cyanobacteria,
in the form of Gloeocapsa-like cells symbiont in lichens,
is comparatively young (400 million years). Thus, cya-
nobacteria have inhabited Earth for a long time and
survived through geological periods of environmental
conditions very different from those reigning today. In
the early days of cyanobacterial evolution, high fluxes
of short-wavelength UV radiation penetrated the oxy-
gen- and ozone-free, carbon dioxide-rich atmosphere.
Oceans were shallow and rich in reduced iron and poor
in sulfate and nitrate. In fact, it is thought that oxygenic
photosynthesis was the ultimate cause, regulated by
geological events of carbon burial, for the change in
most of these parameters, including the late Proterozoic
oxygenation of the atmosphere.
Comparative biochemistry of the proteins in the
different photosystems suggests homologies between
PSII of cyanobacteria and the photosystems of purple
sulfur bacteria, as well as between PSI and the photo-
systems of green sulfur bacteria. The hypothesis has
been presented that genetic fusion between different
oxygenic phototrophs may have led to the evolution
of a two-photosystem photosynthetic apparatus in the
predecessor of cyanobacteria, perhaps using iron as an
electron donor. The evolutionary lowering of the basal
potential of the type II photosystem, allowing the
retrieval of electrons directly from water, would have
supposed the tapping of a virtually unlimited and ubi-
quitous source of electrons for CO
2
reduction,
providing the first cyanobacterium with a wide range
of potential niches and possibly enabling an early
explosive radiation of particular adaptations.
Commercial Use and Applications
The commercial use of cyanobacteria has long been
sought for but in most cases has not reached the pro-
duction stage. Procedures and modified strains have
been devised, for example, for the industrial production
of amino acids, ammonia, and for the control of mos-
quito larvae using genetically engineered strains that
produce Bacillus toxins. The main commercial use of
cyanobacteria is for the production of bulk biomass for
human consumption, a practice that has a long history
in traditional cultures. Natural blooms of Arthrospira
(previously assigned to Spirulina) were collected, sun-
dried, and cut into cakes for human consumption in
preHispanic Mexico; this ‘tecuitlatl’ of the Aztecs was
highly regarded and commercialized at that time. A
very similar procedure is used today to manufacture
‘Dihe
´’ cakes by the Kanembu tribeswomen from the
shores of Lake Chad. Indeed, dried Arthrospira contains
60–70% protein. Today, it is also produced commer-
cially in outdoor man-made facilities and
commercialized under the trade name ‘Spirulina’ for
the health-food market as a protein-rich, low-calorie,
cholesterol-free, vitamin-loaded food supplement. Due
to the cult that has developed regarding this form of
food supplement, blooms of other species
(‘Aphanizomenon’, traditionally not consumed and
strains of which are known to contain toxins) are also
being commercially sold. Nostoc commune, a terrestrial
cyanobacterium, is considered a delicacy and has been
collected and marketed for centuries in China. Given
the central role that natural populations of cyanobac-
teria play in maintaining the long-term fertility of
paddy soils for rice cultivation, inoculating rice fields
with cyanobacterial mixtures is currently a standard
agricultural practice in some Asian countries. The sym-
biotic association Anabaena/Azolla (see ‘symbioses’) is
intensively cultivated in the Far East for its use as
green manure and as fodder for poultry and swine;
written instructions for this practice date to 500 BC.In
addition, on a much smaller scale, cyanobacteria are
used as sources for fine biochemicals. Beta-carotene
and phycocyanin are commercialized as food colorants.
Chlorophyll a, radiolabeled nucleotides, and amino
acids and some restriction endonucleases of cyanobac-
terial origin are sold for research purposes. The
possibility of using cyanobacteria biomass biofuels, as
suppliers of biomass, biodiesel, or hydrogen, is cur-
rently being pursued by a variety of academic and
industrial ventures worldwide.
Further Reading
Blankenship RE (2002) Molecular Mechanisms of Photosynthesis.
Oxford: Blackwell Science.
Bryant DA (ed.) (1996) The Molecular Biology of Cyanobacteria.
Dordrecht: Kluwer.
Castenholz RW and Phylum BX (2001) Cyanobacteria: Oxygenic
photosynthetic bacteria. In: Boone DR and Castenholz RW (eds.)
Bergey’s Manual of Systematic Bacteriology, 2nd edn., vol. 1,
pp. 473–599. Baltimore: William & Wilkins.
Cohen Y and Gurewitz M (1992) The cyanobacteria – ecology,
physiology and molecular genetics. In: Balows A, Tru¨ per HG,
Dworkin M, Harder W, and Schleifer KH (eds.) The Prokaryotes,
2nd edn., vol. 2, pp. 2079–2104. New York: Springer-Verlag.
344 Cyanobacteria

Garcia-Pichel F, Belnap J, Neuer S, and Schanz F (2003) Estimates of
global cyanobacterial biomass and its distribution. Archive for
Hydrobiology/Algological Studies 109: 213–228.
Herrero A and Flores E (eds.) (2008) The Cyanobacteria. Molecular
Biology, Genomics and Evolution. Norfolk, UK: Caister Academic
Press.
Overmann J and Garcia-Pichel F (2000) The phototrophic way of life.
In: Dworkin M (ed.) The Prokaryotes (Electronic Edition). Heidelberg:
Springer-Verlag (http://link.springer-ny.com/link/service/books/
10125/ ).
Potts M and Whitton BA (eds.) (2000) The Ecology of Cyanobacteria.
Their Diversity in Time and Space. Dordrecht: Kluwer.
Cyanobacteria 345

Deep-Sea Hydrothermal Vents
A Teske, University of North Carolina at Chapel Hill, Chapel Hill, NC, USA
ª2009 Elsevier Inc. All rights reserved.
Defining Statement
Mid-Ocean Ridge Hydrothermal Vents
The Chemosynthetic Basis of Life at Hydrothermal
Vents
Chemolithoautotrophic Bacteria
Heterotrophic Vent Bacteria
Hyperthermophilic Archaea
Comparison to Terrestrial Hot Springs
Unusual Hydrothermal Vents: Loihi, Guaymas, Lost City
Further Reading
Glossary
archaea One of the two prokaryotic domains of life,
phylogenetically and also biochemically distinct from
the bacteria. The metabolic and physiological properties
of archaea from hydrothermal vents reflect adaptations
to challenging environmental regimes; vent archaea
include anaerobic and microaerophilic thermophiles and
hyperthermophiles, methanogens and anaerobic
methane oxidizers, heterotrophic and autotrophic
archaea.
black smoker A common type of hydrothermal vent
where extremely hot (350 C) vent fluid emerges into
the water column through channelized flow in a
chimney-like structure; the chimneys are formed by
precipitation of metal sulfides from the vent fluid and can
grow to a height of less than 1 to more than 10 m,
depending on the stability of precipitated minerals. The
porous chimney matrix is the major natural habitat of
hyperthermophilic vent archaea.
chemolithoautotroph A microorganism that obtains
its metabolic energy from the oxidation of reduced
inorganic compounds, and its carbon for biosynthesis
from CO
2
or CO.
chemosynthesis The use of chemical energy instead
of light to drive the assimilation of CO
2
as the sole
carbon source for biosynthesis of cellular material;
chemical energy comes from light-independent
oxidation of inorganic electron donors.
electron acceptor The oxidant (e.g., O
2
,NO
3
,SO
4
2
,
Fe
3þ
,CO
2
) in a biologically mediated redox reaction that
accepts electrons from the reductant or electron donor,
an organic compound, or an inorganic electron donor
(H
2
S, H
2
, reduced metals, CH
4
). The combination and
concentrations of oxidant and reductant determine the
energy yield of a microbial redox reaction.
electron donor At hydrothermal vents, inorganic
electron donors in the vent fluid (H
2
S, H
2
, reduced
metals, CH
4
) are used as the primary electron donors
and energy sources for microbial metabolism by
chemolithotrophic bacteria and archaea. Organic
carbon compounds from pyrolyzed cells serve as
electron donors for heterotrophic bacteria and archaea.
heterotroph A microorganism that requires organic
carbon as energy and carbon source. At hydrothermal
vents, heterotrophs degrade biomass and organic
substrates derived from chemolithoautotrophic bacteria
and archaea; in the surface biosphere, heterotrophs rely
on photosynthetic biomass.
hyperthermophile An extremely thermophilic
bacterium or archaeon with an optimum growth
temperature above 80 C.
mid-ocean ridge The region where two opposite
oceanic plates are separating a few centimeters every
year; the split (the spreading center) is characterized by
increased volcanic and tectonic activity and
hydrothermal venting. This region is elevated 2–3 km
above the deep-sea floor (4–5 km average depth) and
appears as an extensive underwater mountain chain or
ridge.
Abbreviations
ANME anaerobic methane-oxidizing
RuBisCO ribulose-1,5-bisphosphate carboxylase–
oxygenase
346

Defining Statement
Hydrothermal vents, hot seafloor springs at mid-ocean
ridges, sustain chemosynthetic microbial ecosystems that
are independent of photosynthetically produced biomass;
these hot, acidic, and chemically toxic habitats harbor a
wide, only incompletely recognized spectrum of extre-
mophilic bacteria and archaea that are specifically
adapted to the hydrothermal vent environment.
Mid-Ocean Ridge Hydrothermal Vents
Hydrothermal vents are hot deep-sea springs at mid-ocean
ridge spreading centers where the extensive basalt plates
that form the basement of the seafloor (oceanic crust) are
split apart and new ocean crust is constantly generated from
melting zones in the earth’s upper mantle. They occur
globally and follow the mid-ocean ridges and their spread-
ing centers that meander around the ocean surface of the
earth, almost as seams around a tennis ball. At slow spread-
ing centers such as the Mid-Atlantic Ridge, the area
between the separating oceanic plates just above the
geothermally active spreading zone appears as a valley or
trough (the ‘Rift Valley’) framed by the higher ridges of the
young basaltic crust on both sides of the spreading center;
fast-spreading centers such as the East Pacific Rise show
often an ‘axial high’, an upward bulge sandwiched between
the separating plates. These areas at the hot, volcanically
active center of the mid-ocean ridges are the location of
most hydrothermal vents; fewer, geologically and chemi-
cally distinct types of vents occur at some distance from the
mid-ocean ridge axis. Most hydrothermal vents occur at
water depths between 2000 and 3500 m, corresponding to
the water depth of most mid-ocean ridges.
The fractured and porous basement rock of the mid-
ocean ridge entrains cold deep-sea water, which then
circulates through the subsurface underneath the spread-
ing center, analogous to water circulating through an
aquifer on land. During subsurface passage, seawater is
exposed to the geothermal heat of the melting zone
underneath the spreading center; the chemistry of the
entrained seawater is fundamentally altered as it reacts
with the subsurface basalt and undergoes phase separation
under extreme temperature and pressure. The most sig-
nificant and microbiologically relevant changes include
sulfate removal by anhydrite precipitation (CaSO
4
) and
by geothermal reduction of seawater sulfate to hydrogen
sulfide; leaching of metals and of additional sulfur from
the subsurface basalt; generation of protons and decreas-
ing pH toward 3–4 during water–rock interaction;
removal of oxygen due to outgassing; increasing CO
2
concentration as a consequence of magma degassing;
and elevated hydrogen and methane concentrations.
In most cases, H
2
S and CO
2
are the dominant component
of vent fluids, with concentrations between 3 and
>100 mmol l
1
. The highly altered hydrothermal vent
fluids reach temperatures of 300–400 C, but remain in
the liquid state due to the high hydrostatic pressure of
the deep sea. The hot, buoyant hydrothermal fluid
migrates back to the seafloor surface and emerges as a
high-temperature vent; alternatively, subsurface seawater
mixing can attenuate the temperature and chemistry,
resulting in warm vents (Figure 1). High-temperature
vent fluids appear as a black or gray cloud, undergoing
instant precipitation of dissolved metal sulfides as the
vent fluid mixes into the cold, oxygenated deep-sea
water column. The precipitated minerals, generally
metal sulfides and anhydrite, accumulate in situ and
build a friable and porous structure that surrounds the
hot fluid flow, channels and focuses it; the result is the
hydrothermal chimneys from which the fluid flow
emerges (Figure 2). These porous and friable structures
can grow to tens of meters in height, depending on local
chemistry and the stability of the precipitated minerals.
Their walls are only a few centimeters thick, but separate
the channelized flow of the hydrothermal vent fluid
(300–400C) within the chimney from the cold, oxyge-
nated deep-sea water surrounding the chimney and
cooling its surface (2C). The steep temperature and
chemical gradients within the chimney walls are the
preferred habitat for anaerobic, hyperthermophilic vent
archaea (Figure 3) and provide the source material for
enrichment and isolation of the most thermophilic micro-
organisms on Earth.
Mixing of hydrothermal fluids with entrained seawater
within the porous subsurface of a hydrothermal vent site
produces a wide range of warm vent fluids, which emerge
as channelized or diffuse flow (Figure 1). The moderate
temperatures and the changes in chemistry favor different
microbial populations. Hyperthermophilic archaea origi-
nating in the hot subsurface and entrained in the mixed
fluids remain detectable, but the dominant populations
that are sustained by these mixed vent fluids are sulfur-
oxidizing autotrophic bacteria with a mesophilic or mod-
erately thermophilic temperature optimum. These
bacteria constitute the dominant primary producers of
biomass at hydrothermal vents and fall into two broad
classes: free-living, surface-attached or mat-forming bac-
teria and bacterial symbionts of marine invertebrates that
contribute to the nutrition of their hosts.
Hydrothermal vents are subject to sudden geologi-
cal disturbance by earthquakes and volcanic eruptions
that occur frequently at mid-ocean ridges; in addition,
the precipitation of minerals, such as metal sulfides,
on the subsurface can alter the deep plumbing of a
hydrothermal vent system. Thus, individual hydro-
thermal vent sites have short life spans, in the range
of a few years or decades; the microbial communities
Deep-Sea Hydrothermal Vents 347

and the symbiont-dependent vent animals recolonize
new vents quickly as previous vent habitat may dis-
appear at short notice. The microbial communities of
hydrothermal vents are resilient and have maintained
themselves in their volatile and extreme habitat for
billions of years.
The Chemosynthetic Basis of Life at
Hydrothermal Vents
The hydrothermal vent ecosystem is based on chemo-
lithoautrophic bacteria and archaea that derive energy
from the oxidation of inorganic compounds, mostly
Plume
Chimney
Hot hydrothermal fluid
Entrained
seawater
350
°C contour
Subsurface
mixing
Plume
Chimney
Hot hydrothermal fluid
Entrained
seawater
Low-temperature vent
350
°C contour
Subsurface
mixing
High-temperature vent
~250–400
°C
~8–40
°C
Hot basalt near melt zone
Figure 1 Schematic cross-section of hydrothermal circulation at a mid-ocean ridge. Seawater is drawn into the crust, heated to 350–
400 C, chemically altered by interaction with the hot basalt subsurface, and rises buoyantly back to the seafloor. At the seafloor,
venting high temperature end member fluids precipitate chimneys; subsurface mixing with seawater produces lower temperature vents.
Modified after McCollom TM and Shock EL (1997) Geochemical constraints on chemolithoautotrophic metabolism by microorganisms
in seafloor hydrothermal systems. Geochimica et Cosmochimica Acta 61: 4375–4391.
(a)
(b)
Figure 2 (a). Black smoker chimney on the East Pacific Rise (21N) at 2600 m depth. The orifice of the chimney consists of whitish
aragonite (CaSO
4
); the lower chimney consists of the gray-black metal sulfides. (b). A group of black smoker chimneys at East Pacific
Rise (21N). Photo credits: Jannasch H, WHOI.
348 Deep-Sea Hydrothermal Vents

sulfide or hydrogen (lithotrophy), and build up their
biomass by assimilation of dissolved inorganic carbon,
such as CO
2
, CO, HCO
3
,orCO
3
2
(autotrophy). The
oxidation reactions of the inorganic electron donors are
exergonic and proceed without additional energy input.
The energy thus obtained drives proton transport across
the cytoplasmic membrane and is conserved as ATP.
Also, it drives reverse electron transport and the re-
duction of physiological hydrogen carriers; these are,
together with ATP, essential for autotrophic carbon fixa-
tion. The shortened term ‘chemosynthesis’ is generally
used for this mode of microbial life, in analogy to photo-
synthesis, where the oxidation of an inorganic electron
donor requires the input of light energy.
Depending on the preferred electron acceptor, chemo-
synthetic metabolism can be aerobic or anaerobic.
Oxidation reactions with oxygen or nitrate as terminal
electron acceptor give the highest energy yields, which
explains the great diversity and abundance of oxygen- or
nitrate-dependent chemolithotrophic bacteria at hydro-
thermal vents (see ‘Free-living chemolithoautrophic
bacteria’). Oxygen-respiring chemolithoautotrophs have
also evolved numerous symbiotic associations with mar-
ine invertebrates, where the animal host optimizes the
supply of electron donor and acceptor in return for nutri-
tional contributions from its interior or exterior symbiont
(see ‘Symbiotic chemolithoautotrophic bacteria’).
Chemolithoautotrophic metabolism is also possible with
electron acceptors other than oxygen, such as oxidized
metals, oxidized sulfur species, and inorganic carbon in
the oxidation state of CO
2
, CO, and formate. Since che-
mosynthesis cannot take place without oxidized electron
acceptors, the hydrothermal vent ecosystem remains geo-
chemically linked to the photosynthetic biosphere near
the ocean surface. Only photosynthesis produces oxygen,
which in turn is essential for producing other oxidized
electron acceptors. For this reason, hydrothermal vent
ecosystems are not independent domains of life that
could survive and thrive even if some planetary cata-
strophe extinguishes photosynthetic surface life. The
only possible exceptions are chemolithoautotrophic
methanogenic archaea, which generate methane from
CO
2
and hydrogen and use reactions of the acetyl-CoA
pathway for autotrophic carbon fixation. CO
2
is abundant
in hydrothermal fluids and could, together with hydrogen
of hydrothermal origin, sustain an autotrophic, autono-
mous hydrothermal vent biosphere. For the same reason,
CO
2
/H
2
autotrophic methanogenesis is a good candidate
for a microbial pathway that can sustain autonomous life
in the deep subsurface, for example, in deep marine sedi-
ments or the basaltic ocean crust.
The in situ chemical conditions determine which auto-
trophic pathway or life strategy contributes most to the
overall biomass at hydrothermal vents. Where sulfide and
oxygen coexist in turbulent mixing of vent water and
seawater, symbiotic chemosynthetic bacteria (sulfur-oxi-
dizing, oxygen-respiring chemolithoautotrophs) and their
animal hosts make the highest contribution of new
organic carbon to hydrothermal vent ecosystems; the
symbiotic bacteria sustain not just their own biomass,
but their host animals as well. In some cases, symbiont-
harboring invertebrates reach unusually large sizes and
body mass. The vent clam Calyptogena magnifica can reach
a length of a foot and weigh over a pound; the vestimen-
tiferan vent worm Riftia pachyptila reaches a length of 2 m,
two orders of magnitude larger than its closest, nonhy-
drothermal relatives. Nonsymbiotic, free-living sulfur-
oxidizing bacteria can also grow in an abundance that is
not seen anywhere else; for example, the mat-forming
filamentous bacterium Beggiatoa, which oxidizes sulfide
and elemental sulfur with nitrate as electron acceptor,
grows in thick pillows in suitable locations (see ‘Unusual
hydrothermal vents: Loihi, Guaymas, Lost City’).
The dominant microbial pathway of autotrophic carbon
fixation at hydrothermal vents was assumed to be
the Calvin–Benson–Bassham cycle, found in numerous
free-living and symbiotic sulfur oxidizers that are phy-
logenetically related to each other, as members of the
-Proteobacteria. However, recently discovered and
phylogenetically distinct bacterial populations (sulfur-and
hydrogen-oxidizing bacteria within the "-Proteobacteria)
Thermophilic
anaerobes:
methanogens,
sulfur reducers,
sulfate reducers
Vent
fluid
350 °C
Chimney wall
Mesophilic aerobes:
H
2
S and H
2
oxidizers,
CH
4
and Fe oxidizers
Seawater
2 °C
Thermophilic
microaero–
philic H
2
oxidizers
and potential
anaerobic
Fe oxidizers
20–
50 °C
100 °C200 °C300 °C
Oxic habitats Anoxic habitats
Figure 3 Schematic cross-section of a hydrothermal vent
chimney wall, showing habitats for thermophilic and mesophilic
bacteria and archaea. Anaerobic archaea are found around the
100 C isothermes and possibly deeper within the chimney wall.
Thermophilic, microaerophilic hydrogen-oxidizing bacteria
(Aquificales) occur further toward the outer chimney layers where
dissolved oxygen penetrates in low concentrations. Mesophilic,
aerobic hydrogen-, sulfur- or methane-oxidizing bacteria grow
on the chimney surface. Modified after McCollom TM and Shock
EL (1997) Geochemical constraints on chemolithoautotrophic
metabolism by microorganisms in seafloor hydrothermal
systems. Geochimica et Cosmochimica Acta 61: 4375–4391.
Deep-Sea Hydrothermal Vents 349

were using the reverse TCA cycle for carbon fixation; this
pathway also exists in symbiotic sulfur oxidizers.
Chemolithoautotrophic Bacteria
Free-Living Chemolithoautrophic Bacteria
Most free-living, nonsymbiotic autotrophs in the hydro-
thermal vent environment belong to three major
physiologically and phylogenetically distinct groups of
sulfur- or hydrogen-oxidizing, aerobic or microaerophilic
bacteria.
The first group includes autotrophic bacteria of the
genera Thiomicrospira,Beggiatoa, and Thiobacillus that fix
carbon by the Calvin–Benson–Bassham cycle; these auto-
trophs are phylogenetic members of -Proteobacteria.
The obligately autotrophic, aerobic, sulfur-oxidizing and
mesophilic species of the genus Thiomicrospira are found
in hydrothermal environments and sulfide-rich sedi-
ment–water interfaces worldwide. The filamentous
sulfur oxidizers of the genus Beggiatoa form extensive
mats on sediments and chimneys; most hydrothermal
vent Beggiatoa spp. accumulate their electron acceptor
nitrate intracellularly and may be facultative or obligate
autotrophs.
The second group consists of mesophilic or moderately
thermophilic sulfur and hydrogen oxidizers that assimilate
carbon through the reverse TCA cycle; these bacteria use
oxygen, nitrate, sulfur, and sulfite as the terminal electron
acceptor. Historically, this group was discovered and stu-
died in detail only after the RuBisCO (ribulose-
1,5-bisphosphate carboxylase–oxygenase) autotrophs.
Numerous new genera (Caminibacter,Hydrogenimonas,
Lebetimonas,Nautilia,Nitratiruptor,Sulfurimonas,Sulfurovum)
and novel species (candidatus ‘Arcobacter sulfidicus’), almost
exclusively from hydrothermal vent habitats, have been
described in recent years. They are members of the
"-Proteobacteria and are related to epibionts of vent inver-
tebrates, such as the polychaete worm Alvinella pompeiana and
the vent shrimp Rimicaris exoculata.The"-Proteobacterial
autotrophs generally colonize areas with higher tempera-
tures, higher concentrations of reduced sulfur, and lower
concentrations of dissolved oxygen than the -
Proteobacterial autotrophs. This environmental preference
matches the biochemical characteristics of the reverse TCA
cycle; under conditions of oxygen limitation or anaerobiosis,
CO
2
fixation by the reverse TCA cycle is energetically
more efficient than through the Calvin cycle.
The third group consists of thermophilic and
hyperthermophilic hydrogen-oxidizing bacteria of the
Aquificales phylum. The hydrothermal vent Aquificales
fall into the obligately hydrogen-oxidizing genera
Desulfurobacterium,Balnearium, and Thermovibrio and the
hydrogen-, sulfur-, sulfite-, and thiosulfate-oxidizing
genus Persephonella. Oxygen, nitrate, or elemental sulfur
serve as terminal electron acceptors for hydrogen oxida-
tion. As far as is known, the Aquificales assimilate carbon
through the reverse TCA cycle. The members of the
Aquificales grow in temperature ranges from 45 to
95 C, and thus overlap with the temperature range of
the hyperthermophilic archaea. The Aquificales have a
wide habitat range, including chimneys and sediments of
deep-sea hydrothermal vents (Figure 2), as well as shal-
low-water marine vents and terrestrial hot springs.
In addition to these major physiological and phylogenetic
groups of vent bacteria, other types of chemolithoauto-
trophic bacteria thrive at hydrothermal vents, such as
the recently discovered obligate hydrogen oxidizers
Thermodesulfobacterium hydrogenophilum and Thermodesulfatator
indicus, both sulfate reducers and members of a phylum-
level deeply branching lineage of sulfate-reducing bacteria,
Thermodesulfobacterium. The potential for discovery of novel
chemosynthetic bacteria is certainly not exhausted; molecu-
lar surveys demonstrate that only a small portion of the total
bacterial diversity in hydrothermal vent sites has been cul-
tured to date.
Symbiotic Chemolithoautotrophic Bacteria
Symbioses of sulfur-oxidizing chemolithoautotrophic
bacteria with hydrothermal vent animals are characteris-
tic of the vent ecosystem; the host animals can harbor
symbionts within their bodies in specialized cells or tis-
sues, or the symbionts live as epibionts on the exterior of
the vent animals. Good examples for epibionts are the
filamentous "-Proteobacteria that grow on the carapace of
the vent shrimp R. exoculata or on the dorsal bristles of the
annelid worm A. pompeiana. Ongoing metagenomic ana-
lyses of the Alvinella-associated epibiont community
reveal the potential for CO
2
fixation though the reductive
TCA cycle.
Endosymbiontic sulfur-oxidizing chemolithoauto-
trophs have led to major modifications in the body plans
of their host animals, notably in the relative size of their
symbiont-bearing organs and their digestive systems. The
digestive systems are greatly reduced or have completely
disappeared, while other tissues have been modified to
harbor the bacterial symbionts. Symbiotic bivalves pro-
vide a good example for this adaptation: Hydrothermal
vent bivalves have evolved thickened gill tissues (subfila-
mental tissues) to accommodate their sulfur-oxidizing
intracellular symbionts. As far as detailed studies are
available, the sulfur-oxidizing bivalve symbionts assimi-
late carbon via RuBisCO. Dual symbioses are possible;
bivalves of the family Mytilidae, which colonize
methane-rich seeps, also harbor aerobic methane-
oxidizing symbionts in addition to sulfur oxidizers. The
two symbionts coexist not just within a single animal but
within the same individual host cells; they can adjust their
350 Deep-Sea Hydrothermal Vents

relative dominance in response to the availability of their
electron donors, sulfide and methane.
The most conspicuous hydrothermal vent animal, the
large tubeworm R. pachyptila, is a model system for the
study of its unusually versatile symbionts. R. pachyptila
houses its sulfur-oxidizing endosymbionts in a unique,
richly vascularized body tissue, the trophosome, which
is simultaneously supplied with oxygen, sulfide, and CO
2
.
These sulfur-oxidizing symbionts show an unusual mix-
ture of metabolic strategies; they harbor RuBisCO,
indicating carbon fixation via the Calvin cycle; they har-
bor functioning enzymes of the energy-generating TCA
cycle; and they also express the enzymes of the reverse
TCA cycle. Thus, the symbionts could switch from
RuBisCO autotrophy to heterotrophic oxidation of car-
bon storage compounds via the TCA cycle to autotrophic
growth via the reverse TCA cycle.
Heterotrophic Vent Bacteria
The chemosynthetic ecosystem at hydrothermal vents
also provides a nutritional basis for functionally and
phylogenetically diversified heterotrophic microbial
communities. Some families and genera of thermophilic
heterotrophic vent bacteria are found consistently at
hydrothermal vents. These typical vent heterotrophs
include the families Thermaceae (genera Marinithermus,
Oceanithermus,Vulcanithermus) and Thermotogaceae (gen-
era Thermotoga,Fervidobacterium,Thermosipho,Geotoga, and
Petrotoga), obligate organotrophs that require complex
substrates (peptides and carbohydrates) or in some cases
low molecular weight organic acids. Electron acceptors
for members of the Thermaceae are oxygen and nitrate;
oxygen is tolerated only in low concentrations.
Microaerophilic growth and wide thermophilic tempera-
ture range (total range of different species, 30–80 C) are
consistent with the steep oxygen and temperature gradi-
ents of the hydrothermal vent habitat.
The Thermotogaceae are anaerobes that grow by fer-
mentation of carbohydrates; these thermophiles are
mostly found in terrestrial hot springs, deep oil wells,
geothermally heated aquifers, or shallow marine vents.
So far, only Thermosipho japonicus, a barophile that grows
with thiosulfate as electron acceptor, was isolated from a
deep-sea hydrothermal vent.
Some thermophilic vent bacteria are capable of
lithoautotrophic as well as heterotrophic growth. A parti-
cularly interesting example is Caldanaerobacter subterraneus
(synonymous with Carboxydobrachium pacificum), a Gram-
positive bacterium and member of the Firmicutes phylum
that can grow autotrophically by CO oxidation in addi-
tion to anaerobic fermentative growth on complex
proteinaceous substrates, such as peptone or yeast
extract, or polymeric or monomeric sugars. Anaerobic
fermentation of peptides and sugars is the predominant
metabolism of heterotrophic, thermophilic Gram-positive
bacteria of the genera Caloranaerobacter,Caminicella,
Tepidibacter, and Caldanerobacter, all moderately thermo-
philic members of the Firmicutes phylum with a growth
temperature range of 33–65 C. Its higher growth tem-
perature range (50–80 C) distinguishes Caldanaerobacter
subterraneus from other hydrothermal vent Firmicutes.
Interestingly, this bacterium shares the ability for
CO oxidation with a hyperthermophilic archaeon,
Thermococcus strain AM4 that grows at temperatures of
45–95 C (see Table 1). Most likely, increased heat tol-
erance is an adaptation to CO oxidation, since CO is a
major gas constituent of hydrothermal vent end member
fluids.
Hyperthermophilic Archaea
Soon after the discovery of hydrothermal vents in 1977,
hyperthermophilic archaea were isolated from hydrother-
mal vent samples. Most archaea are anaerobes that use
nitrate, oxidized metals, elemental sulfur, sulfite, sulfate,
or CO
2
/carbonate as electron acceptors. Table 1 shows
the diversity of currently known, metabolically and phy-
logenetically distinct hydrothermal vent archaea. The
preferred archaeal habitats are the interior matrix of hot
chimney walls, hydrothermally heated sediments, and the
shallow subsurface of the porous basalt underneath
hydrothermal vent areas. In these environments, conduc-
tive cooling and seawater–vent fluid mixing generate
steep chemical and temperature gradients, and provide a
suite of electron acceptors for anaerobic metabolism
within the growth temperature range of hyperthermophi-
lic archaea, 80–120 C(Figure 3). Under these
conditions, anaerobic reducing reactions are energetically
more favorable than aerobic sulfur oxidation, which dom-
inates at mesophilic conditions up to 50 C. Thus,
thermodynamic constraints in combination with meta-
bolic specialization account for the dominance of
archaea in hot vent habitats, for example, within chimney
walls, and for the dominance of bacteria in warm
or moderately hot vent environments, for example, the
seawater-exposed surface of chimneys.
Chemolithoautotrophic Archaea
Autotrophic CO
2
/CO assimilation is widespread among
hyperthermophilic vent archaea and can be found in
combination with the entire spectrum of anaerobic meta-
bolism: hydrogen, reduced sulfur species, CO, and
reduced metals serve as electron donors for respiration
with nitrate, oxidized metals, elemental sulfur, sulfite and
sulfate, and methanogenic reduction of CO
2
(Table 1).
The current temperature limit for methanogenesis and
Deep-Sea Hydrothermal Vents 351

elemental sulfur reduction is 110 C, the upper limit for
the methanogen Methanopyrus kandleri and the sulfur
reducer Pyrodictium occultum. The upper limit for sulfate
reduction appears to be 90 C, the highest growth tem-
perature for Archaeoglobus profundus. Some archaeal metal
reducers and nitrate reducers have even higher growth
temperatures, as demonstrated by the isolation of the
nitrate-reducing, microaerophilic autotrophic archaeon
Pyrolobus fumarii with a maximal growth temperature of
113 C and the iron (Fe-III)-reducing archaeon
‘Geogemma’ with a maximal growth temperature of
121 C. Thermodynamic stability considerations of essen-
tial macromolecules, such as proteins and DNA, in
aqueous solution place the upper temperature limit of
life near 130 C; at higher temperatures, cellular macro-
molecules have half-life times of seconds and cannot be
replenished as quickly as they are destroyed.
On the other end of the temperature spectrum,
hyperthermophilic vent archaea are also found suspended
in the buoyant plumes of hydrothermal fluids that are
mixed into seawater and extend hundreds of meters
upward into the cold, oxygenated deep-sea water column.
The origin of these archaea is most likely the shallow
subsurface underneath the vents and the basalt surface,
where subsurface mixing of vent fluids and seawater
creates a patchwork of niches with suitable environmental
conditions. These subsurface reservoirs can be discharged
abruptly in major volcanic eruptions; large quantities of
hydrothermal fluids and gases emerge as megaplumes
that can reach heights of 1–2 km and remain detectable
for months. After dilution with seawater, these water
masses are only minimally warmer than the deepwater
background, and are fully oxygenated; yet some vent
archaea survive in this environment for several weeks or
months, facilitating dispersal.
Heterotrophic Archaea
The majority of currently described archaeal hyper-
thermophilic isolates from hydrothermal vents are
heterotrophic. The mutually related genera Thermococcus
and Pyrococcus are the most frequently isolated represen-
tatives; they assimilate and ferment complex organic
compounds such as yeast extract, tryptone, peptone,
casein, diverse sugars, and peptides. Fermentative growth
is enhanced by the addition of elemental sulfur, or
requires sulfur as an essential component in some species;
sulfur acts as an auxiliary electron acceptor, and hydrogen
Table 1 Selected deep-sea hydrothermal vent archaea
Archaeon (genus) Metabolic type Reaction
Temperature range and
optimum
Lithoautotrophs
Methanopyrus kandleri Methanogenesis 4H
2
þCO
2
!CH
4
þ2H
2
O 84–110 C98
C
Methanocaldococcus
jannaschii
Methanogenesis 4H
2
þCO
2
!CH
4
þ2H
2
O 50–86 C85
C
Archaeoglobus profundus
a
Sulfate reduction 4H
2
þH
2
SO
4
!H
2
Sþ4H
2
O 65–90 C82
C
Archaeoglobus veneficus Sulfite reduction 3H
2
þH
2
SO
3
!H
2
Sþ3H
2
O 65–85 C 75–80 C
Pyrodictium occultum Sulfur reduction H
2
þS
0
!H
2
S 82–110 C 105 C
Ignicoccus pacificus Sulfur reduction H
2
þS
0
!H
2
S 70–98 C90
C
Geoglobus ahangari Iron reduction H
2
þ2Fe
3þ
!2H
þ
þ2Fe
2þ
65–90 C88
C
Geogemma strain 121 Iron reduction H
2
þ2Fe
3þ
!2H
þ
þ2Fe
2þ
80–121 C 105–107 C
Pyrolobus fumarii Nitrate and oxygen
respiration
4H
2
þNO
3
þH
þ
!NH
3
þ3H
2
O
2H
2
þO
2
!2H
2
O (microaerophilic)
90–113 C 106 C
Thermococcus strain AM4 CO oxidation CO þH
2
O!CO
2
þH
2
45–95 C82
C
Ferroglobus placidus
b
Fe
2þ
,S
2
oxidation S
2
þNO
3
þ2H
þ
!2NO
2
þS
0
þH
2
O 65–95 C85
C
with NO
3
2Fe
2þ
þNO
3
þ2H
þ
!NO
2
þ2Fe
3þ
þH
2
O
Heterotrophs
Thermococcus guaymasensis
Pyrococcus abyssi
reduce S
0
during fermentation of protein-rich substrates, and
produce H
2
Sþorg. acids þCO
2
; without S
0
,H
2
is produced
50–90 C
67–102 C
80 C
96 C
Palaeococcus ferrophilus reduces Fe
3þ
during fermentation of proteinaceous substrates 60–88 C83
C
Aeropyrum camini obligately aerobic heterotroph, grows on proteinaceous substrates 70–100 C 90–95 C
Pyrodictium abyssi fermentation to organic acids þCO
2
; growth stimulated by H
2
80–110 C97
C
Staphylothermus marinus reduces S
0
during fermentation of protein-rich substrates and
produces H
2
Sþorg. acids þCO
2
65–98 C92
C
a
Obligate H
2
oxidizer, but requires acetate as carbon source for mixotrophic growth.
b
Isolated from a shallow-water vent.
Reproduced from Jannasch HW (1995) Microbial interactions with hydrothermal fluids. In: Humphris SE, Zierenberg RA, Mullineaux LS, and Thomson
RE (eds.) Seafloor Hydrothermal Systems: Physical, Chemical, Biological and Geological Interactions. Geophysical Monograph, vol. 91, pp. 273–296.
Washington, DC: American Geophysical Union; Miroshnichenko ML and Bonch-Osmolovskaya EA (2006) Recent developments in the thermophilic
microbiology of deep-sea hydrothermal vents. Extremophiles 10: 85–96; Reysenbach AL, Go¨ tz D, and Yernool D (2002) Microbial diversity of marine
and terrestrial thermal springs. In: Staley J and Reysenbach AL (eds.) Biodiversity of Microbial Life, pp. 345–421. New York: Wiley-Liss.
352 Deep-Sea Hydrothermal Vents

sulfide accumulates in high concentrations. Members of
the genera Thermococcus and Pyrococcus grow quickly and
robustly on a wide range of liquid, anaerobic laboratory
media supplemented with sulfur, and are isolated so fre-
quently from all kinds of hydrothermal vent sample
materials, including the subsurface underneath hydro-
thermal vents, that they are viewed as indicator species
of hydrothermal activity.
Thermococcus and Pyrococcus spp. are particularly inter-
esting as model archaea that can grow as biofilms, often
with specific adaptation to chemical or physiological
stress. In laboratory simulations and within the porous
rock of hydrothermal chimneys, hyperthermophiles
grow attached to each other and to their mineral substrate,
surrounded by capsular exopolysaccharides. Mutually
related cultured Thermococcus and Pyrococcus species differ
slightly in temperature sensitivity, substrate spectra, and
proteolytic repertoire. These physiological differences
among Thermococcus and Pyrococcus isolates,andthenumer-
ous variants of their molecular marker genes (16S rRNA
genes) in hydrothermal vent samples, indicate that this
diversity is a consistently recurring key feature of archaeal
vent communities and therefore must have an ecological
explanation. Resource partitioning within the chimney
matrix is the most likely explanation, analogous to other
microbial ecosystems in hot springs and nonthermal habitats.
Uncultured Archaea and Bacteria at
Hydrothermal Vents
Molecular surveys based on cloning and sequencing of 16S
rRNA and functional genes have revealed an unexpected
diversity of uncultured archaeal and bacterial lineages at
hydrothermal vents. These lineages lack cultured relatives
that could serve as a baseline for physiological inferences
or cultivation strategies. Obviously, the evolutionary and
physiological diversity of hydrothermal vent micro-
organisms has been explored only to a limited extent;
metagenomic studies and increased cultivation efforts
would enable significant progress. Many deeply branching
archaeal and bacterial lineages at hydrothermal vents can-
not be subsumed into the well-defined phylum-level
lineages, but represent deeply branching lineages that
emerge from the earliest evolutionary radiation of the
bacterial and the archaeal domains. These findings have
lend new support to the hypothesis that deep-sea hydro-
thermal vent microbial ecosystems are among the oldest
on Earth, and have sustained microbial life already during
its early diversification more than 3.5 billion years ago.
Comparison to Terrestrial Hot Springs
Interestingly, hydrothermal vents and terrestrial hot
springs harbor very distinct microbial communities, as a
consequence of key differences in the chemical regime.
Specific archaeal and bacterial groups show strong biases
in environmental preference and can be viewed as signa-
ture communities for deep-sea vents and terrestrial hot
springs.
The archaeal composition of terrestrial hot springs and
deep-sea vents reflects differences in sulfur cycle chemistry
and pH. Terrestrial hot springs with reduced sulfur species
turn acidic due to proton-releasing sulfur oxidation reac-
tions, once the limited local buffering capacity is exhausted.
In contrast, the acidic pH of end member fluids in marine
hydrothermal vents is quickly attenuated by mixing with
slightly basic seawater, which also buffers protons released
by microbial sulfur oxidation reactions. Therefore, terres-
trial hot springs harbor a great diversity of acidophilic
sulfur-oxidizing archaea (genera Sulfolobus,Acidianus,
Sulfurococcus,Metallosphaera) that have so far not been
found in deep-sea hydrothermal vents; conversely, the
neutrophilic sulfur reducers of the genera Thermococcus
and Pyrococcus provide examples for almost exclusively
marine archaea that are largely missing in terrestrial hot
springs. Around 20 recognized Thermococcus spp. and a large
number of strains have been isolated from marine, deep
and shallow hydrothermal vents; only two species have
been described from a volcanic lake in New Zealand.
The second example for strong habitat preference, in
favor of terrestrial hot springs and against deep-sea
hydrothermal vents, is provided by the Thermotogales,
a deeply branching lineage of thermophilic, heterotrophic
bacteria. Only T. japonicus, a barophile that grows
with thiosulfate as electron acceptor, was isolated from a
deep-sea hydrothermal vent. Some members of the
Thermotogales are found exclusively in the terrestrial
subsurface (genus Geotoga) or in freshwater hot springs
(genus Fervidobacterium). The ecophysiologically diversi-
fied genus Thermotoga includes species isolated from
shallow-water marine vents, hot springs in salt lakes,
and the geothermally heated terrestrial subsurface. In
many cases, the freshwater representatives of Thermotoga
are more sensitive to high salt concentrations and to high
sulfur concentrations. The Thermotogales’ preference for
sugars and carbohydrates as carbon and energy sources
might also link them to terrestrial habitats and hot springs
where plant-derived carbon substrates are available.
The Aquificales are one of the very few groups of
hyperthermophiles that occur as a dominant group in
deep-sea hydrothermal vents and shallow-water vents,
as well as in terrestrial hot springs; they are at home in
both worlds. For example, the Aquificales are the domi-
nant hyperthermophilic autotrophic bacteria in the near-
neutral Yellowstone hot springs. Here, hydrogen instead
of sulfide is the dominant inorganic electron donor for
chemolithoautotrophic metabolism; atmospheric oxygen
is readily available for microaerophilic growth with
hydrogen.
Deep-Sea Hydrothermal Vents 353

At temperatures below 72–74 C, photoautotrophic
bacteria, such as thermophilic cyanobacteria, gain a foot-
hold and turn hot springs into photoautotrophic microbial
ecosystems where the community structure of thermophi-
lic cyanobacteria, and the ecophysiological specialization
of specific cyanobacterial community members, reflects
the physical and chemical zonation of the microbial
habitat.
Unusual Hydrothermal Vents: Loihi,
Guaymas, Lost City
Unusual geological and chemical settings result in several
unique hydrothermal vent systems that are very different
from the classical mid-ocean ridge, black smoker-type
hydrothermal vents. The unique geochemistry of these
vents is reflected in their unusual microbial communities.
The surprising diversity of geologically, geochemically,
and microbiologically different vent sites is illustrated
here with three unusual vent sites: The Loihi vents south-
east of Hawaii, a vent field dominated by iron-oxidizing
microbial communities on a growing seamount that will
emerge as the next Hawaiian Island; the Guaymas Basin
vents in the Gulf of California, where a mid-ocean
spreading center is buried under thick organic-rich sedi-
ments whose organics undergo fast thermal maturation;
and the Lost City vents located off-axis near the Mid-
Atlantic Ridge, where nonvolcanic rock–water chemistry
provide the inorganic electron donors for microbial life in
huge carbonate chimneys.
The Loihi vents are located at the top of Loihi
Seamount on the southeastern end of the Hawaiian
Island chain at 900 m depth; the vent fluids are dominated
by high concentrations of dissolved reduced iron and
CO
2
, but contain little or no sulfide; their temperature
range is less extreme (10–170 C) than that at most mid-
ocean ridge sites. The iron-rich vent fluids of Loihi
emerge into the oxygen minimum layer of the marine
water column, which slows down abiogenic iron oxidation
in oxygenated seawater and favors the development of
extensive iron-oxidizing bacterial communities. The
iron-oxidizing microbial communities of Loihi are domi-
nated by mesophilic or psychrophilic, microaerophilic,
and neutrophilic Fe-II-oxidizing bacteria that grow in
thick, rust-colored microbial mats of freshly produced
and precipitated amorphous iron oxides; the bacteria are
members of the different Proteobacterial subdivisions
(Figure 4). Phylogenetically and physiologically similar
Fe-II-oxidizing bacteria have also been isolated from
(a)
(d)
(b)
(c)
(e)
Figure 4 Hydrothermal vent orifices at Loihi Seamount surrounded by rust-colored microbial mats that are responsible for depositing
iron oxides (left panel). These vents are located at a depth of approximately 1300 m in a caldera near the summit of Loihi. The anoxic
vent fluid contains 100 mm Fe(II) and is rich in CO
2
, but has a very low sulfide content; vent fluid temperature at the time of this
photograph was approximately 60 C. The vents support a robust community of iron-oxidizing bacteria. The right hand panel shows
light photomicrographs documenting the morphology of biogenically produced iron oxides typically found in these mat communities.
(a) Tubular sheath encrusted with iron oxides; filaments of cells are sometimes visible in these when samples are stained with a
fluorescent DNA stain. (b), (c), and (e) show twisted, filamentous stalk-like structures that are formed by a novel member of the
Proteobacteria Reproduced from Emerson D and Moyer CL (2002) Neutrophilic iron-oxidizing bacteria are abundant at the Loihi
Seamount hydrothermal vents and play a major role in Fe oxide deposition. Applied and Environmental Microbiology 68: 3085–3093.
(d) Y-shaped morphology of dense iron-oxides formed by cells that grow at the apical tips of the oxide structures. The scale bar
corresponds to 5 mm. Photo credits: Vent: Kerby T, Hawaiian Undersea Research Laboratory; photomicrographs: Emerson D.
354 Deep-Sea Hydrothermal Vents

other vent sites during in situ colonization experiments
with metal sulfides.
The Guaymas Basin vents in the Gulf of California,
between Baja California and the Mexican Mainland, are a
mid-ocean ridge that is buried under hundreds of meters of
organic-rich sediments that originate from high primary
productivity in the upper water column, and from terres-
trial runoff. As the vent fluids percolate upward through the
sediment layers, the buried organic material in the sedi-
ments is geothermally heated and matures to petroleum
compounds, including complex aromatics, organic acids,
alkanes, and methane. Nitrogen compounds are reduced
to ammonia, absent in most vent fluids but abundant at
Guaymas. Most of the dissolved metals are precipitated en
route to the sediment surface, which reduces the metal
toxicity of the fluids. The usually acidic pH of the vent
fluids is buffered to the near-neutral range by buried car-
bonates. The resulting organic cocktail sustains extensive
communities of anaerobic archaea and bacteria in the sedi-
ment, including methanogens, sulfate-dependent methane
oxidizers, sulfate reducers, and anaerobic heterotrophs.
Sulfide and dissolved inorganic carbon in the vent fluids
sustain massive sulfur-oxidizing microbial mats of filamen-
tous Beggiatoa spp. at the sediment surface (Figure 5). The
methane in the vent fluids sustains anaerobic methane-
oxidizing (ANME) communities in the surficial sediments.
Here, methane is oxidized by novel archaea in a consortium
with sulfate-reducing bacteria that transfer the methane-
derived electrons on sulfate as the electron acceptor.
Overall, the Guaymas sediment communities are more
similar to those of petroleum and methane seeps than to
standard mid-ocean ridge vent sites.
The Lost City hydrothermal vent field on the flanks of
the Mid-Atlantic Ridge owes its existence to deep subsur-
face mineral–fluid reactions unlike those of mid-ocean
spreading centers. The dominant type of rock–fluid inter-
actions are serpentinization reactions in the earth’s crust
that produce hydrogen and methane; the resulting vent
fluids are warm or moderately hot (40–80 C) and contain
2 orders magnitude less sulfide than hot vent fluids from
mid-ocean ridges. The high pH of 9–10 and the high
Ca
2þ
content of the vent fluids lead to precipitation of
large carbonate mounds, pinnacles, and chimneys, unlike
the previously known metal sulfide chimneys; with a
height of 40–60 m, the Lost City structures are the largest
known hydrothermal chimneys.
The microbial community of the Lost City vents indi-
cates an active microbial methane and sulfur cycle. The
archaeal communities of the Lost City include members
of the Methanosarcinales, uncultured methanogens that
form biofilms on surfaces exposed to the hottest vent
fluids at the Lost City (80 C) where they have access
to molecular hydrogen. Cooler areas are dominated by
anaerobic methane-oxidizing archaea (ANME-1 group)
that gain energy by sulfate-dependent oxidation of
(a)
(b) (c)
(d)
Figure 5 Guaymas Basin. (a) White and orange Beggiatoa
mats and a colony of Riftia pachyptila, at Guaymas Basin. The
diameter of the mats is 1 feet. Photo credits: Shank T, WHOI.
(b) Transmission light microphotograph of the large white
Beggiatoa spp., showing the cells within the filaments. Scale
bars, 250 um. Photo credits: Teske A. (c) Epifluorescence light
microphotograph of white and orange Beggiatoa spp., under UV
excitation light. The larger white Beggiatoa spp. appears bluish
and the smaller orange Beggiatoa spp. appears yellow-orange.
Photo credits: Teske A. (d). Freshly retrieved push cores (2.5 inch
diameter) with hydrothermal sediment, covered with mats of
orange Beggiatoa spp. Photo credits: Jannasch HW and
Nelson D.
Deep-Sea Hydrothermal Vents 355

methane. The bacterial communities predominantly
include the -and"-Proteobacteria and Firmicutes, in addi-
tion to a diverse assemblage of Chloroflexi, Planctomyces,
Actinobacteria, Nitrospira, and uncultured subsurface
lineages. The -Proteobacteria at the Lost City vents
are closely related to the cultured members of the genera
that aerobically oxidize sulfide (Thiomicrospira) and
methane (Methylomonas and Methylobacter). Uncultured
"-Proteobacteria are found as well and are most likely
involved in hydrogen and sulfide oxidation. Several
uncultured members of the Firmicutes are most closely
related to members of the sulfate-reducing genus
Desulfotomaculum. Thus, the molecular surveys indicate a
fully formed anaerobic archaeal methane cycle of hydro-
genotrophic methanogens and sulfate-dependent
methane oxidizers at the Lost City vents. Bacterial com-
munities oxidize methane aerobically, and also constitute
a full sulfur cycle with anaerobic Gram-positive sulfate
reducers and aerobic or microaerophilic sulfide oxidizers;
hydrogen, methane, and sulfide sustain the chemosyn-
thetic microbial communities at the Lost City vents.
The Lost City vent site is the first example of a pre-
viously unknown, chemically distinct and unusually long-
lived type of hydrothermal vent; the serpentinization
reactions in the vent subsurface can yield energy and
microbial electron donors over hundreds of thousands of
years. Radiocarbon tests of the vent carbonates have
shown that the Lost City vents have been active for at
least 30 000 years. This long-term habitat stability, and
the wide distribution of geological settings that are favor-
able for serpentinization reactions, has major implications
for the evolution of microbial life on Earth and on other
planets.
Further Reading
Brazelton WJ, Schrenck MO, Kelley DS, and Baross JA (2006) Methane
and sulfur-metabolizing microbial communities dominate the Lost
City hydrothermal field ecosystem. Applied and Environmental
Microbiology 72: 6257–6270.
Campbell BJ, Engel AS, Porter ML, and Takai K (2006) The versatile
epsilon-Proteobacteria: Key players in sulphidic habitats. Nature
Reviews Microbiology 4: 458–468.
Emerson D and Moyer CL (2002) Neutrophilic iron-oxidizing bacteria are
abundant at the Loihi Seamount hydrothermal vents and play a major
role in Fe oxide deposition. Applied and Environmental Microbiology
68: 3085–3093.
Jannasch HW (1995) Microbial interactions with hydrothermal fluids.
In: Humphris SE, Zierenberg RA, Mullineaux LS, and Thomson RE
(eds.) Seafloor Hydrothermal Systems: Physical, Chemical,
Biological and Geological Interactions. Geophysical Monograph,
vol. 91, pp. 273–296. Washington, DC: American Geophysical
Union.
Kelley DS, Baross JA, and Delaney RJ (2002) Volcanoes, fluids, and life
at mid-ocean ridge spreading centers. Annual Review of Earth and
Planetary Sciences 30: 385–491.
Markert S, Cordelia A, Felbeck H, et al. (2007) Physiological proteomics
of the uncultured endosymbiont of Riftia pachyptila.Science
315: 247–250.
McCollom TM and Shock EL (1997) Geochemical constraints on
chemolithoautotrophic metabolism by microorganisms in seafloor
hydrothermal systems. Geochimica et Cosmochimica Acta
61: 4375–4391.
Miroshnichenko ML and Bonch-Osmolovskaya EA (2006) Recent
developments in the thermophilic microbiology of deep-sea
hydrothermal vents. Extremophiles 10: 85–96.
Reysenbach AL, Go¨ tz D, and Yernool D (2002) Microbial diversity of
marine and terrestrial thermal springs. In: Staley J and
Reysenbach AL (eds.) Biodiversity of Microbial Life, pp. 345–421.
New York: Wiley-Liss.
Reysenbach AL and Shock E (2002) Merging genomes with
geochemistry in hydrothermal ecosystems. Science
296: 1077–1082.
Spear JR, Walker JJ, McCollom TM, and Pace NR (2005) Hydrogen and
bioenergetics in the Yellowstone geothermal ecosystem.
Proceedings of the National Academy of Sciences of the USA
102: 2555–2560.
Takai K, Nakagawa S, Reysenbach AL, and Hoek J (2006) Microbial
ecology of mid-ocean ridges and back-arc basins. In: Christie DM,
Fisher CR, Lee SM, and Givens S (eds.) Back-arc Spreading
Systems – Geological, Biological, Chemical and Physical
Interactions. Geophysical Monograph, vol. 166, pp. 185–214.
Washington, DC: American Geophysical Union.
Teske A, Hinrichs KU, Edgcomb V, et al. (2002) Microbial diversity in
hydrothermal sediments in the Guaymas basin: Evidence for
anaerobic methanotrophic communities. Applied and Environmental
Microbiology 68: 1994–2007.
Van Dover CL (2000) The Ecology of Deep-Sea Hydrothermal Vents.
Princeton, NJ: Princeton University Press.
Ward DM, Ferris MJ, Nold SC, and Bateson MM (1998) A natural view of
microbial biodiversity within hot spring cyanobacterial mat
communities. Microbiology and Molecular Biology Reviews
62: 1353–1370.
356 Deep-Sea Hydrothermal Vents

DNA Restriction and Modification
G W Blakely and N E Murray, University of Edinburgh, Institute of Cell Biology, Edinburgh, UK
ª2009 Elsevier Inc. All rights reserved.
Introduction
Detection of Restriction Systems
Nomenclature and Classification
R-M Enzymes as Model Systems
Control and Alleviation of Restriction
Distribution, Diversity, and Evolution
Biological Significance
Applications and Commercial Relevance
Further Reading
Glossary
ATP and ATP hydrolysis Adenosine triphosphate
(ATP) is a primary repository of energy that is released
for other catalytic activities when ATP is hydrolyzed
(split) to yield adenosine diphosphate (ADP).
bacteriophage (and T-even) Bacterial viruses. Phage
lambda () is a temperate phage, and therefore on
infection of a bacterial cell, one of two alternative
pathways may result; either the lytic pathway in which the
bacterium is sacrificed and progeny phage are produced,
or the temperate (lysogenic) pathway in which the phage
genome is repressed and, if it integrates into the host
chromosome, will be stably maintained in the progeny of
the surviving bacterium. Phage was isolated from
Escherichia coli K-12 in which it resided in its temperate
(prophage) state. T-even phage (T2, T4, and T6) are
virulent coliphage, that is, infection of a sensitive strain of
E. coli leads to the production of phage at the inevitable
expense of the host. T-even phage share the unusual
characteristic that their DNA includes
hydroxymethylcytosine rather than cytosine.
DNA methyltransferases These enzymes (MTases)
catalyze the transfer of a methyl group from the donor
S-adenosylmethionine (AdoMet or SAM) to adenine or
cytosine residues in the DNA.
efficiency of plating (EOP) This usually refers to the
ratio of the plaque count on a test strain relative to that
obtained on a standard, or reference, strain.
endonucleases Enzymes that can fragment
polynucleotides by the hydrolysis of internal
phosphodiester bonds.
Escherichia coli strain K-12 The strain used by
Lederberg and Tatum in their discovery of
recombination in E. coli.
glucosylation of DNA The DNA of T-even phage in
addition to the pentose sugar, deoxyribose, contains
glucose attached to the hydroxymethyl group of
hydroxymethylcytosine. Glucosylation of the DNA is
mediated by phage-encoded enzymes, but the host
provides the glucose donor.
helicases Enzymes that separate paired strands of
polynucleotides.
recombination pathway The process by which new
combinations of DNA sequences are generated. The
general recombination process relies on enzymes that
use DNA sequence homology for the recognition of the
recombining partner. In the major pathway in E. coli the
RecBCD enzyme, also recognized as exonuclease V,
enters DNA via a double-strand break. It tracks along
the DNA, promoting unwinding of the strands and DNA
degradation. The activity of RecBCD changes when it
encounters Chi, a special DNA sequence in the 39to 59
orientation. Degradation at the 59end is now favored
and the single-stranded DNA with a 39end becomes a
substrate for RecA-mediated strand transfer into an
homologous DNA duplex.
SOS response DNA damage induces expression of a
set of genes, the SOS genes, involved in the repair of
DNA damage.
Southern transfer The transfer of denatured DNA from
a gel to a solid matrix, such as a nitrocellulose filter,
within which the denatured DNA can be maintained and
hybridized to labeled probes (single-stranded DNA or
RNA molecules). Fragments previously separated by
electrophoresis through a gel may be identified by
hybridization to a specific probe.
transformation The direct assimilation of DNA by a
cell, as the result of which the recipient is changed
genetically.
357

Abbreviations
ADP adenosine diphosphate
ATP adenosine triphosphate
EOP efficiency of plating
HMC hydroxymethylcytosine
PCR polymerase chain reaction
R-M restriction and modification
SAM S-adenosylmethionine
TRDs target recognition domains
Introduction
Awareness of the biological phenomenon of restriction and
modification (R-M) grew from the observations of micro-
biologists that the host range of a bacterial virus (phage)
was influenced by the bacterial strain in which the phage
was last propagated. Although phage produced in one
strain of Escherichia coli would readily infect a culture of
the same strain, they might only rarely achieve the success-
ful infection of cells from a different strain of E. coli.This
finding implied that the phage carried an ‘imprint’ that
identified their immediate provenance. Simple biological
tests showed that the occasional successful infection of a
different strain resulted in the production of phage that had
lost their previous imprint and had acquired a new one,
that is, they acquired a different host range.
In the 1960s, elegant molecular experiments showed
the ‘imprint’ to be a DNA modification that was lost
when the phage DNA replicated within a different bac-
terial strain; those phage that conserved one of their
original DNA strands retained the imprint, or modifica-
tion, whereas phage containing two strands of newly
synthesized DNA did not. The modification was shown
to provide protection against an endonuclease, the barrier
that prevented the replication of incoming phage gen-
omes. The host-controlled barrier to successful infection
by phage that lacked the correct modification was
referred to as ‘restriction’ and the relevant endonucleases
have acquired the colloquial name of restriction enzymes.
The modification enzyme was shown to be a DNA
methyltransferase that methylated specific bases within
the target sequence, and in the absence of the specific
methylation, the target sequence rendered the DNA sen-
sitive to the restriction enzyme. When DNA lacking the
appropriate modification imprint enters a restriction-pro-
ficient cell, it is recognized as foreign and cut by the
endonuclease. Classically, a restriction enzyme is accom-
panied by its cognate modification enzyme and the two
comprise an R-M system. Most restriction systems con-
form to this classical pattern. There are, however, some
restriction endonucleases that attack DNA only when
their target sequence is modified. A restriction system
that responds to its target sequence only when it is iden-
tified by modified bases does not, therefore, coexist with a
cognate modification enzyme.
Two early papers documented the phenomenon of
restriction. In one, Bertani and Weigle, in 1953, using
temperate phage (and P2), identified the classical R-M
systems characteristic of E. coli K-12 and E. coli B. In the
other, Luria and Human, in 1952, identified a restriction
system of a nonclassical kind. In the experiments of Luria
and Human, T-even phage were used as test phage and
after their growth in a mutant E. coli host they were found
to be restricted by wild-type E. coli K-12, but not by
Shigella dysenteriae. An understanding of the restriction
phenomenon observed by Luria and Human requires
knowledge of the special nature of the DNA of T-even
phage. During replication of T-even phage, the unusual
base 5-hydroxymethylcytosine (HMC) completely
substitutes for cytosine in the T-phage DNA, and hydro-
xymethyl residues become substrates for glucosylation. In
the mutant strain of E. coli used by Luria and Human as
host for the T-even phage, glucosylation fails and, in its
absence, the nonglucosylated phage DNA becomes sensi-
tive to endonucleases present in E. coli K-12 but not in
S. dysenteriae ; particular nucleotide sequences normally
protected by glucosylation are recognized in E. coli when
they include the modified base, HMC, rather than cyto-
sine residues. These endonucleases, now accepted as
restriction systems, were later discovered to attack DNA
that includes methylated cytosine residues. Strains lacking
these endonucleases enhanced the efficiency of cloning
foreign DNA in E. coli.
The classical R-M systems and the modification-
dependent restriction enzymes share the potential to
attack DNA derived from different strains and thereby
‘restrict’ DNA transfer. They differ in that in one case an
associated modification enzyme is required to protect
DNA from attack by the cognate restriction enzyme and
in the other modification enzymes specified by different
strains impart signals that provoke the destructive activity
of restriction endonucleases.
Detection of Restriction Systems
As a Barrier to Gene Transfer
This is exemplified by the original detection of the R-M
systems of E. coli K-12 and E. coli B by Bertani and Weigle
in 1953. Phage grown on E. coli strain C (.C), where
358 DNA Restriction and Modification

E. coli C is a strain that apparently lacks an R-M system,
forms plaques with poor efficiency (EOP of 2 10
4
)on
E. coli K-12 because the phage DNA is attacked by a
restriction endonuclease (Figure 1). Phage grown on
E. coli K-12 (.K) forms plaques with equal efficiency on
E. coli K-12 and E. coli C, since it has the modification
required to protect against the restriction system of E. coli
K-12 and E. coli C has no restriction system (Figure 1). In
contrast, .K will form plaques with very low efficiency on
a third strain, E. coli B, since E. coli B has an R-M system
with different sequence specificity from that of E. coli K-12.
Phage often provide a useful and sensitive test for the
presence of R-M systems in laboratory strains of bacteria,
but they are not a suitable vehicle for the general detection
of barriers to gene transfer. Many bacterial strains, even
within the same species and particularly when isolated from
naturalhabitats,areunabletosupportthepropagationof
theavailabletestphageandsomephage(e.g.,P1)havethe
means to antagonize at least some restriction systems (see
‘Antirestriction systems’). Gene transfer by conjugation can
monitor restriction, although some natural plasmids, but
probably not the F factor of E. coli, are equipped with
antirestriction systems. The single-stranded DNA that
enters a recipient cell by conjugation, or following infection
by a phage such as M13, becomes sensitive to restriction
only after the synthesis of its complementary second strand.
In contrast, the single-stranded DNA that transforms natu-
rally competent bacteria may not become a target for
restriction because it forms heteroduplex DNA with resi-
dent (and therefore modified) DNA, and one modified
strand is sufficient to endow protection. Transformation
can be used to detect restriction systems when the target
DNA is the double-stranded DNA of a plasmid.
In Vitro Assays for DNA Fragmentation
Endonuclease activities yielding discrete fragments of
DNA are commonly detected in crude extracts of bacter-
ial cells. More than one substrate may be used to increase
the chance of providing DNA that includes appropriate
target sequences. DNA fragments diagnostic of endonu-
clease activity are separated according to their size by
electrophoresis through a matrix, usually an agarose gel,
and are visualized by the use of autoradiography or a
fluorescent dye, ethidium bromide, that intercalates
between stacked base pairs.
Extensive screening of many bacteria, often obscure
species for which there is no genetic test, has produced
a wealth of endonucleases with different target sequence
specificities. These endonucleases are referred to as
restriction enzymes, even in the absence of biological
experiments to indicate their role as a barrier to the
transfer of DNA. Many of these enzymes are among
the commercially available endonucleases that serve
molecular biologists in the analysis of DNA (Table 1;
see ‘Applications and commercial relevance’). In vitro
screens are applicable to all organisms, but to date R-M
systems have not been found in eukaryotes, although
some algal viruses encode them.
Sequence-Specific Screens
The identification of new R-M genes via sequence simi-
larities is sometimes possible. Only occasionally are gene
sequences sufficiently conserved that the presence of
related systems can be detected by probing Southern
transfers of bacterial DNA. More generally, screening
databases of predicted polypeptide sequences for relevant
motifs has identified putative R-M systems in the rapidly
growing list of bacteria for which the genomic sequence is
available (see ‘Distribution’). Currently, this approach is
more dependable for modification methyltransferases
than restriction endonucleases, but the genes encoding
the modification and restriction enzymes are usually adja-
cent. Many putative R-M systems have been identified in
bacterial genomic sequences.
Nomenclature and Classification
Nomenclature
R-M systems are designated by a three-letter acronym
derived from the name of the organism in which they
e.o.p. = 1
e.o.p. = 1
e.o.p. = 2 × 10–4
K–12
e.o.p. = 1
C
λ.C
λ.K
Figure 1 Host-controlled restriction of bacteriophage .
Escherichia coli K-12 possesses, whereas E. coli C lacks, a Type
I R-M system. Phage propagated in E. coli C(.C) is not
protected from restriction by EcoKI and thus forms plaques with
reduced efficiency of plating (EOP) on E. coli K-12 as compared
to E. coli C. Phage escaping restriction are modified by the EcoKI
methyltransferase (.K), and consequently form plaques with the
same efficiency on E. coli K-12 and C. Modified DNA is indicated
by hatch marks. Reproduced from Barcus VA and Murray NE
(1995) Barriers to recombination: Restriction. In: Baumberg S,
Young JPW, Saunders SR, and Wellington EMH (eds.) Population
Genetics of Bacteria Society for General Microbiology,
Symposium No. 52, pp. 31–58. Cambridge, UK: Cambridge
University Press.
DNA Restriction and Modification 359

occur. The first letter comes from the genus, and the
second and third letters from the species. The strain
designation, if any, follows the acronym. Different sys-
tems in the same organism are distinguished by Roman
numerals. Thus HindII and HindIII are two enzymes
from Haemophilus influenzae strain Rd. Restriction endo-
nuclease and modification methyltransferases (ENases
and MTases) are sometimes distinguished by the prefixes
R.EcoRI and M.EcoRI, but the prefix is commonly
omitted if the context is unambiguous. The current con-
vention for ENase naming omits italicization.
Classification of R-M Systems
R-M systems are classified according to the composition
and cofactor requirements of the enzymes, the nature of
the target sequence, and the position of the site of DNA
cleavage with respect to the target sequence. Currently
R-M systems are divided into three types (I, II, and III). In
addition there are modification-dependent restriction
systems, now referred to as Type IV. Early experiments
identified Type I systems, but the Type II systems are the
simplest and for this reason will be described first. A
summary of the properties of different types of R-M
systems is given in Figure 2.
Type II R-M Systems
A classical Type II R-M system comprises two separate
enzymes; one is the restriction ENase, the other the mod-
ification MTase. The nuclease activity requires Mg
2þ
,and
DNA methylation requires S-adenosylmethionine (AdoMet
or SAM) as methyl donor. The target sequence of both
enzymes is the same; the modification enzyme ensures that
a specific base within the target sequence, one on each strand
of the duplex, is methylated and the restriction endonu-
clease cleaves unmodified substrates within, or close to, the
target sequence. The target sequences are often rotationally
symmetrical sequences of 4–8 bp; for example, a duplex of
the sequence 59GAA
TTC is recognized by EcoRI. The
modification enzyme methylates the adenine residue iden-
tified by the asterisk, but in the absence of methylated
adenine residues on both strands of the target sequence the
restriction endonuclease breaks the phosphodiester back-
bones of the DNA duplex to generate ends with 39
hydroxyl and 59phosphate groups. Type II ENases cut
within or close to their target sequences. The nature of the
modification introduced by the MTase varies according to
the system: N6-methyladenine (m6A) and N5- and N4-
methylcytosine (m5C and m4C). Irrespective of the target
sequence, or the nature of the modification, ENases differ in
that some cut the DNA to generate ends with 59overhangs,
Table 1 Some Type II restriction endonucleases and their cleavage sites
a
Bacterial source Enzyme abbreviation
Sequences
59!39
39 59Note
b
Haemophilus influenzae Rd HindII GTPy#PuAC 1, 5
CAPu"PyTG
HindIII #
AAGCTT
TTCGAA
2
"
Haemophilus aegyptius HaeIII GG#CC
CC"GG
1
Staphylococcus aureus 3A Sau3AI #GATC
CTAG"
2, 3
Bacillus amyloliquefaciens H BamHI #
GGATCC 2, 3
CCTAGG
"
Escherichia coli RY13 EcoRI #
GAATTC 2
CTTAAG
"
Providencia stuartii PstI #
CTGCAG 4
GACGTC
"
a
The cleavage site for each enzyme is shown by the arrows.
b
1, produces blunt ends; 2, produces cohesive ends with 59single-stranded overhangs; 3, cohesive ends of Sau3AI and
BamHI are identical; 4, produces cohesive ends with 39single-stranded overhangs; 5, Pu is any purine (A or G), and Py is any
pyrimidine (C or T).
360 DNA Restriction and Modification

some generate 39overhangs and others produce ends which
are ‘blunt’ or ‘flush’ (see Table 1).
Classical Type II restriction enzymes are generally
active as symmetrically arranged homodimers, an associa-
tion that facilitates the coordinated cleavage of both
strands of the DNA. In contrast, Type II modification
enzymes act as monomers, an organization consistent
with their normal role in the methylation of newly repli-
cated DNA in which one strand is already methylated.
The genes encoding Type II R-M systems derive from
the name of the system. The genes specifying R.BamHI
and M.BamHI, for example, are designated bamHIR and
bamHIM. Transfer of the gene encoding a restriction
enzyme, in the absence of the transfer of the partner
encoding the protective MTase, is likely to be lethal if
the recipient cell does not provide the relevant protec-
tion. Experimental evidence supports the expectation that
the genes encoding the two components of R-M systems
are usually closely linked so that cotransfer will be
efficient.
The extensive characterization of restriction endonu-
cleases during 40 years has led to significant broadening
of the Type II class, and its subsequent division into many
subclasses. Subclass IIP includes classical representatives
such as EcoRI and HindIII, in which the endonucleases
comprise symmetrically arranged homodimers that per-
mit recognition of a symmetrical (palindromic) target
sequence, and the cutting of each strand of DNA at
fixed symmetrical locations, either within the target
sequence or immediately adjacent to it. DpnI, a similar
dimeric endonuclease that cuts within a symmetrical tar-
get sequence, but only if methylated, is now accepted as a
Type II system. It identifies subclass M (methylation-
dependent). Systems that recognize asymmetric target
sequences are assigned to subclass IIA, but many of
these, for example, FokI, cut the DNA at a precise, but
short, distance from their recognition sequence, and
therefore, they also meet the requirement for subclass
IIS (where S refers to the shifted position of the cut).
The endonucleases of members of the subclasses IIB,
C, G, and H have hybrid structures that include both
endonuclease and modification domains within a single
polypeptide. The activity of members of subclasses IIE
and IIF is mechanistically dependent on two target
sequences. In subclass IIE one of the two targets only
serves as an accessory site, while in subclass IIF both
targets are substrates for coordinate cleavage.
This brief survey of even the Type II subclasses illus-
trates enormous variation among sequence-specific
endonucleases.
Type I R-M Systems
Type I R-M systems are multifunctional enzymes com-
prising three subunits that catalyze both restriction and
modification. In addition to Mg
2þ
,endonucleolyticactivity
requires both AdoMet and adenosine triphosphate (ATP).
The restriction activity of Type I enzymes is associated
Type I Type II Type III Type IV
•Hetero-oligomeric enzymes •ENase and MTase
generally separate
enzymes
•Hetero-oligomeric ENase •Modification-dependent
Enase
•Require ATP hydrolysis for
restriction •ATP required for
restriction
•Cut DNA at sites remote
from target sequence •Cut DNA within or
close to target
sequence
•Cut DNA close to target
sequence •Cut DNA outside the
target sequence
•DEAD-box proteins
•Do not require ATP •DEAD-box proteins •No cognate MTase
e.g. EcoKI e.g. EcoRI e.g. EcoP1I e.g. McrBC
Genes hsdR hsdM hsdS ecorIR ecorIM mod res mcrB mcrC
Subunits HsdR HsdM HsdS Res Mod Mod Res
⎯⎯⎯⎯⎯⎯ ⎯⎯⎯ ⎯⎯⎯ ⎯⎯⎯⎯
MTase ENase MTase MTase
Activities
⎯⎯⎯⎯⎯⎯⎯⎯⎯⎯ ⎯⎯⎯⎯⎯⎯⎯⎯⎯ ⎯⎯⎯⎯⎯⎯
Both ENase and MTase Both ENase and MTase ENase
Figure 2 The characteristics and organization of the genetic determinants and subunits of the different types of restriction systems.
These systems are classified on the basis of their complexity, cofactor requirements and position of DNA cleavage with respect to their
DNA target sequence. The Type I, II and III systems are the classical restriction and modification (R-M) systems. The restriction enzymes
of the Type I and III systems contain motifs characteristic of ‘DEAD’-box proteins. These motifs are associated with ATP-dependent
DNA translocation. The Type II restriction enzymes do not translocate DNA, and their properties are sufficiently variable for them to be
allocated to subclasses. Some indication of this is given in the text. Modification-dependent endonucleases are now included as
Type IV restriction systems. ENase, restriction endonuclease; MTase, methyltransferase (Adapted from King and Murray, 1995).
DNA Restriction and Modification 361

with the hydrolysis of ATP, an activity that correlates with
the peculiar characteristic of these enzymes, that of cutting
DNA at nonspecific nucleotide sequences considerable
distances from their target sequences. The Type I R-M
enzyme binds to its target sequence and its activity as an
ENase or a MTase is determined by the methylation state
of the target sequence. If the target sequence is unmodified,
the enzyme, while bound to its target site, is believed to
translocate DNA toward itself simultaneously in both
directions in an ATP-dependent manner. This transloca-
tion process brings the bound enzymes closer to each other
and experimental evidence suggests that DNA cleavage
occurs when translocation is impeded, either by collision
with another translocating complex or by the topology of
the DNA substrate.
The nucleotide sequences recognized by Type I enzymes
are asymmetric and comprise two components, one of 3 or
4 bp and the other of 4 or 5 bp, separated by a nonspecific
spacer of 6–8 bp. All known Type I enzymes methylate
adenineresidues,oneoneachstrandofthetargetsequence.
The three subunits of a Type I R-M enzyme are
commonly encoded by three contiguous genes: hsdR,
hsdM,andhsdS. The acronym hsd was chosen at a time
when R-M systems were referred to as host specificity
systems and hsd denotes host specificity of DNA. hsdM
and hsdS are transcribed from the same promoter, but hsdR
from a separate one. The two subunits encoded by hsdM
and hsdS, sometimes referred to as M and S, are both
necessary and sufficient for MTase activity. The third
subunit (R) is essential only for restriction. The S subunit
includes two target recognition domains (TRDs) that
impart target sequence specificity to both the restriction
and modification activities of the complex; the M subunits
include the binding site for AdoMet and the active site for
DNA methylation. Two complexes of Hsd subunits are
functional in bacterial cells, one that comprises all three
subunits (R
2
M
2
S
1
) and is an R-M system, and a second
that lacks R (M
2
S
1
) and has only MTase activity.
Type III R-M Systems
Type III R-M systems are less complex than Type I, but
nevertheless share some similarities with them. A single
hetero-oligomeric complex catalyzes both the restriction
and modification activities. Modification requires the
cofactor AdoMet and is stimulated by Mg
2þ
and ATP.
Restriction requires Mg
2þ
and ATP, and is stimulated by
AdoMet. The recognition sequences of Type III modifi-
cation enzymes are asymmetric sequences of 5–6 bp.
Restriction requires two unmodified sequences in inverse
orientation (Figure 3(a)). Recent evidence shows that
Type III R-M enzymes, like Type I, can translocate
DNA in a process dependent on ATP hydrolysis, but
they hydrolyze less ATP than Type I systems, and prob-
ably only translocate DNA for a relatively short distance.
Cleavage is stimulated by collision of the translocating
complexes and occurs on the 39side of the recognition
sequence at a distance of approximately 25–27 bp: this
contrasts with cleavage by Type I enzymes where cutting
occurs at sites remote from the recognition sequence.
Because only one strand of the recognition sequence of
a Type III R-M system is a substrate for methylation, it
might be anticipated that the immediate product of repli-
cation would be sensitive to restriction. In order to
understand why this is not so, it is necessary to distinguish
the target for modification from that needed for restric-
tion. Restriction is only elicited when two unmethylated
target sequences are in inverse orientation with respect to
each other and, as shown in Figure 3(b), replication of
modified DNA leaves all unmodified targets in the same
orientation.
The bifunctional R-M complex is made up of two
subunits, the products of the mod and res genes. The
Mod subunit is sufficient for modification, while the Res
and Mod subunits together form a complex with both
activities (see Figure 2). The Mod subunit is functionally
equivalent to the MTase (M
2
S) of Type I systems and, as
in Type I R-M systems, imparts sequence specificity to
both activities.
Type IV Restriction Systems
These systems only cut modified DNA, but in contrast
to Type IIM enzymes, not within a specific target
sequence. They are variable in their complexity and
requirements.
E. coli K-12 encodes three distinct, sequence-specific,
modification-dependent systems. Mrr is distinguished
by its ability to recognize DNA containing either methy-
lated adenine or 5-methylcytosine in the context of
particular, but as yet undefined, sequences. McrA and
McrBC both restrict DNA-containing modified cytosines
(HMC or methylcytosine). The Mcr systems (modified
cytosine restriction) are those first recognized by Luria
and Human by their ability to restrict nonglucosylated
T-even phage (originally called RglA and RglB; restricts
glucose-less phage). McrBC is a complex enzyme with a
requirement for GTP rather than ATP.
R-M Enzymes as Model Systems
Sequence Recognition, Including Base Flipping
Structures of the crystals of several Type II restriction
ENases have been determined – some in both the pre-
sence and the absence of DNA. The symmetrically
arranged dimers of the Type II enzymes bind to their
specific target sequences by the combined effects of dif-
ferent types of interactions including hydrogen bonding
and electrostatic interactions of amino acid residues with
362 DNA Restriction and Modification

the bases and the phosphate backbone of the DNA. No
general structure, such as a helix-turn-helix or zinc finger
(often found in proteins that interact with DNA), is char-
acteristic of the protein–DNA interface, and amino acids
that are widely separated in the primary sequence may be
involved in interactions with the target nucleotide
sequence. Comparisons of the active sites of EcoRV,
EcoRI, and PvuII identify a conserved tripeptide
sequence in close proximity to the target phosphodiester
of the DNA backbone and a conserved acidic dipeptide
that may represent the ligands for Mg
2þ
, the catalytic
cofactor essential for ENase activity.
The structure of a monomeric MTase interacting with
its target sequence identified an important solution to the
question of how enzymes that modify a base within a DNA
molecule can reach their substrate. The cocrystal structure
of M.HhaI bound to its substrate showed that the target
cytidine rotates on its sugar–phosphate bonds such that it
projects out of the DNA and fits into the catalytic pocket of
the enzyme. Such base flipping was confirmed for a second
enzyme, M.HaeIII, which also modifies cytosine, and cir-
cumstantial evidence supports the notion that this
mechanism may be true for all MTases regardless of
whether they methylate cytosine or adenine residues.
Comparative analyses of the amino acid sequences of
many MTases identified a series of motifs, many of which
are common to MTases irrespective of whether the target
base is cytosine or adenine. These motifs enable structural
predictions to be made about the catalytic site for DNA
methylation in complex enzymes for which crystals are
not available.
DNA Translocation
Specific interactions of large R-M enzymes with their
DNA substrates are not readily amenable to structural
analysis. The molecular weight of EcoKI is in excess of
400 000 and useful cocrystals with DNA have not yet
been reported. Nevertheless, these complex enzymes
have features of mechanistic interest. Much evidence
now supports models in which DNA restriction involves
the translocation of DNA in an ATP-dependent process
prior to the cutting of the substrate. In the case of Type I
R-M enzymes the breaks in the DNA may be many kb
remote from the target sequence. Molineux and collea-
gues, in 1999, using assays with phage, have shown
that EcoKI can transfer (translocate) the entire genome
(39 kb) of phage T7 from its capsid to the bacterial cell.
CAGCAG
GTCGTC
CAGCAG
(a)
(b)
CAGCAG
CTGCTG
GTCGTC
GTCGTC
CAGCAG
CH3CH3
CH3
CH3
CH3
CH3CH3
CH3
Replication
GTCGTC
CAGCAG
GTCGTC
GAGCAG
GTCGTC
CAGCAG
GTCGTC
GACGAC
CTGCTG
GACGAC
CTGCTG
GACGAC
CTGCTG
GACGAC
CAGCAG
GTCGTC
CAGCAG
GTCGTC
CTGCTG
GACGAC
CTGCTG
GACGAC
CTGCTG
GACGAC
CAGCAG
GTCGTC
Figure 3 (a) DNA substrates for a Type III R-M system (EcoP15I). The top strand of each duplex is written 59to 39; the arrows identify
the orientation of the target sequences. Solid lines indicate polynucleotide chains of undefined sequence. Only pairs of target
sequences shown in inverse orientation (line 2) are substrates for restriction. A single site in any orientation is a target for modification;
(b) replication of modified DNA leaves all unmodified target sites in the daughter molecules in the same orientation, and therefore
insensitive to restriction.
DNA Restriction and Modification 363

For linear DNA, the evidence supports the idea that
cutting by Type I R-M systems occurs preferentially
midway between two target sequences. For Type III
enzymes the breaks are close to the target sequence, but
in both cases the endonuclease activity may be stimulated
by the collision of two translocating protein complexes.
The most conserved features of the polypeptide
sequences of Type I and Type III R-M are the so-called
DEAD-box motifs, which are also found in RNA and
DNA helicases, and the motifs characteristic of adenine
MTases. The DEAD-box motifs acquired their collective
name because a common variant of one element is Asp-
Glu-Ala-Asp, or DEAD when written in a single-letter
code. The DEAD-box motifs, which include sequences
diagnostic of ATP binding, are found in the subunit that is
essential for restriction (HsdR or Res) but not for mod-
ification. It is not known how the ATP-dependent activity
drives the translocation of DNA, although circumstantial
evidence correlates ATPase activity with DNA translo-
cation. Mutations in each DEAD-box motif have been
shown to impair the ATPase, translocase and endonu-
clease activities of a Type I ENase.
Control and Alleviation of Restriction
Control of Gene Expression
The control of restriction activity is critical for survival of
bacterial cells. This can be provided by the regulation of
gene expression. It may be useful for protecting host DNA
in restriction-proficient cells, but it is especially important
when R-M genes enter a new host. Experiments show that
many R-M genes are readily transferred from one labora-
tory strain to another. The protection of host DNA against
the endonucleolytic activity of a newly acquired restric-
tion system would be achieved if the functional cognate
MTase is produced before the restriction enzyme.
Transcriptional regulation of some of the genes encoding
Type II systems has been demonstrated. Genes encoding
regulatory proteins, referred to as C-proteins for controller
proteins, have been identified in some instances. The
C-proteins for a number of systems have been shown
to activate efficient expression of the restriction gene.
When the R-M genes are transferred to a new environ-
ment, in the absence of C-protein there is preferential
expression of the modification gene, but following the
production of the C-protein the consequent generation
of restriction-proficient cells.
Representatives of all three types of classical R-M
systems have been shown to be equipped with promoters
that could permit appropriate transcriptional regulation
of the two activities. For complex R-M systems, despite
the presence of two promoters, there is no evidence for
transcriptional regulation of gene expression. The hetero-
oligomeric nature of these systems offers opportunity
for the regulation of the R-M activities by the intracel-
lular concentrations of the subunits and the affinities with
which different subunits bind to each other. Nevertheless,
efficient transmission of the functional R-M genes of
some families of Type I systems requires ClpX and
ClpP in the recipient cell. Together these polypeptides
comprise a protease. The ClpXP complex functions to
degrade the HsdR subunit of an active R-M complex
before the endonuclease activity has the opportunity to
cleave unmodified chromosomal DNA.
Restriction Alleviation
The efficiency with which E. coli specifying a Type I R-M
system restricts unmodified DNA is influenced by a num-
ber of stimuli, all of which share the ability to damage
DNA. Induction of the SOS response leads to a decrease
in restriction activity, and one consequence of this is a
marked reduction of the efficiency with which the bacteria
restrict incoming DNA. This alleviation of restriction is
usually monitored by following the EOP of phage –
unmodified in the case of classical systems or modified
in the case of modification-dependent restriction systems.
Alleviation of restriction is characteristic of complex sys-
tems and can be induced by ultraviolet light, nalidixic
acid, 2-aminopurine and the absence of Dam-mediated
methylation. The effect can be appreciable and host sys-
tems may contribute to more than one pathway of
restriction alleviation. Recent experiments have shown
that ClpXP is necessary for restriction alleviation of the
EcoKI system; therefore there is a connection between the
complex mechanisms by which restriction activity is nor-
mally controlled and its alleviation in response to DNA
damage. Homologous recombination, required for DNA
repair, can generate unmodified targets by synthesis of
new DNA strands. A normal function of restriction alle-
viation is to protect the bacterial chromosome from
restriction by resident Type I R-M systems when unmo-
dified targets are generated. ClpXP is not relevant to all
Type I R-M systems; therefore, alternative mechanisms of
alleviation remain to be determined.
Antirestriction Systems
Many phage, and some conjugative plasmids, specify
functions that antagonize restriction. An apparent bias of
functions that inhibit restriction by Type I R-M systems
may reflect the genotype of the classical laboratory strain
E. coli K-12, a strain with a Type I but no Type II R-M
system.
The coliphage T3 and T7 include an ‘early’ gene, ocr
or 0.3, the product of which binds Type I R-M enzymes
and abolishes both restriction and modification activities.
Ocr does not affect Type II systems. The ocr gene is
expressed before targets in the phage genome are
364 DNA Restriction and Modification

accessible to host restriction enzymes, so that ocr
þ
phage
are protected from R-M by Type I systems. The crystal
structure of T7 Ocr has shown that this protein mimics
the shape and charge of the DNA substrate. Phage T3 Ocr
has an additional activity; it hydrolyzes AdoMet, the
cofactor essential for both restriction and modification
by EcoKI and its relatives. Bacteriophage P1 also protects
its DNA from Type I restriction, but the antirestriction
function, Dar, does not interfere with modification. The
Dar proteins are coinjected with encapsidated DNA, so
that any DNA packaged in a P1 head is protected. This
allows generalized transduction to occur between strains
encoding different Type I R-M systems.
Coliphage T5 has a well-documented system for pro-
tection against the Type II system EcoRI. As with the ocr
systems of T3 and T7, the gene is expressed early when
the first part of the phage genome enters the bacterium.
This first segment lacks EcoRI targets, whereas the rest of
the genome, which enters later, has targets that would be
susceptible in the absence of the antirestriction protein.
Some conjugative plasmids of E. coli, members of the
incompatibility groups I and N, also encode antirestric-
tion functions. They are specified by the ard genes located
close to the origin of DNA transfer by conjugation, so that
they are amongst the first genes to be expressed following
DNA transfer. Like the ocr proteins of T3 and T7, the
protein encoded by ard is active against Type I R-M
systems.
Bacteriophage encodes a very specialized antires-
triction function, Ral, which modulates the in vivo activity
of some Type I R-M systems by enhancing modification
and alleviating restriction. The systems influenced by Ral
are those that have a modification enzyme with a strong
preference for hemimethylated DNA. Unmodified ral
þ
DNA is restricted on infection of a restriction-proficient
bacterium, because ral is not normally expressed before
the genome is attacked by the host R-M system, but Ral
enhances the modification of those phage that escape
restriction. Ral may act by changing the MTase activity
of the R-M system to one that is efficient on unmethy-
lated target sequences.
Some phage are made resistant to many types of R-M
systems by the presence of glucosylated HMC in their
DNA, for example, the E. coli T-even phage and the
Shigella phage DDVI. The glucosylation also identifies
phage DNA and allows selective degradation of host
DNA by endonucleases specified by the virulent phage.
Nonglucosylated T-even phage are resistant to some
classical R-M systems because their DNA contains
the modified base HMC, but they are sensitive to
modification-dependent systems, although T-even
phage encode a protein (Arn) that protects superinfecting
phage from McrBC restriction. It has been suggested that
some phage have evolved to specify DNA that contains
HMC, which counteracts classical R-M systems, and that
host-encoded modification-dependent endonucleases are
a response to this phage adaptation. In this evolutionary
story, the glucosylation of HMC would be the latest
mechanism that renders T-even phage totally resistant
to most R-M systems.
In some cases, a phage genome can tolerate a few
targets for certain restriction enzymes. The few EcoRII
sites in T3 and T7 DNA are not sensitive to restriction,
because this unusual enzyme requires at least two targets
in close proximity and the targets in these genomes are
not sufficiently close. For the Type III enzymes the
orientation of the target sequences is also relevant. Since
the target for restriction requires two inversely oriented
recognition sequences, the T7 genome remains refractory
to EcoP15I because all 36 recognition sequences are in
the same orientation. The unidirectional orientation of
the target sequences is consistent with selection for a
genome that will avoid restriction. Considerable evidence
supports the significance of counter-selection of target
sequences in phage genomes, in some cases correlating
the lack of target sequences for enzymes found in those
hosts in which the phage can propagate.
Distribution, Diversity, and Evolution
Distribution
The technical importance of Type II endonucleases in
biological sciences has extended their discovery to include
enzymes with more than 250 different specificities, while
the detection of Type I and Type III R-M systems con-
tinued to rely on in vivo experiments. More recently, the
sequencing of genomes has revealed that R-M systems are
almost ubiquitous in the Eubacteria and the Archaea,
although identification of homologous sequences does not
guarantee the activity of the predicted enzymes. From a
survey of 496 genomes (http://rebase.neb.com/rebase/
rebase.html), only 35 lack homologues of known R-M
systems. Eubacteria without R-M systems generally have
small genomes (<2 Mb) and represent organisms that have
undergone genetic reduction following a specialized, and
intimate, association with a eukaryotic host, for example,
Buchnera aphidicola (0.62 Mb), which is an endosymbiont of
aphids. Many pathogenic bacteria that infect and grow
inside eukaryotic cells do not contain R-M systems, possi-
bly because they no longer encounter phage. Examples of
important intracellular pathogens devoid of R-M systems
include members of the class Chlamydiae, and the spiro-
chaete Treponema pallidum. In contrast, another pathogenic
spirochaete, Borrelia burgdorferi,specifiesawiderangeof
plasmid-borne Type II R-M systems, while its single linear
chromosome lacks any R-M homologue. Bacteria with
small genomes are not necessarily bereft of R-M systems;
for example, Mycoplasma genitalium (0.58 Mb) specifies a
Type I and a Type II system, while the smallest genome
DNA Restriction and Modification 365

from the Archaea, Nanoarchaeum equitans (0.49 Mb), con-
tains genes predicted to specify a Type II R-M system. It
would appear that, even under the pressures for genome
reduction, there is an important selective advantage for
cells containing R-M systems.
Type II systems appear to be more prevalent than the
other R-M systems in both the Eubacteria and the Archaea.
The abundance of Type II enzymes within a single species
can be quite dramatic; for example, strains of the -proteo-
bacterium Helicobacter pylori contain homologues for around
20 Type II R-M systems. H. pylori is naturally competent in
the uptake of DNA and it appears that many of these R-M
systems have been acquired by horizontal gene transfer.
Different strains share similar complements of Type II
homologues, but only a fraction of these coding sequences
express functional protein at any one time. Subsets of R-M
genes are inactivated by point mutations while others are
switched ‘on’ and ‘off’ by a mechanism known as slipped-
strand mispairing. It is currently unclear why H. pylori
should accumulate such an arsenal of inactivated R-M
systems; however, it is speculated that the ability to switch
on new specificities will prevent phage from infecting cells
of an entire population.
Enteric bacteria have been used extensively in genetic
studies, particularly E. coli and Salmonella enterica. The
evidence from these bacteria is consistent with intraspe-
cific diversity. In E. coli, there are at least six distinct
mechanistic classes of restriction enzyme, that is, Types
I, IIE, IIG, IIP, III, and IV. The Type II systems in E. coli
currently include about 30 specificities, and at least 14
Type I specificities have been identified.
Diversity and Evolution
R-M enzymes may be dissected into modules. A Type II
MTase comprises a TRD and a module that is responsible
for catalyzing the transfer of the methyl group from
AdoMet to the defined position on the relevant base.
The catalytic domains share sequence similarities, and
these are most similar when the catalytic reaction is the
same, that is, yields the same product (e.g., 5 mC). Given
the matching specificities of cognate ENase and MTase, it
might be expected that their TRDs would be of similar
amino acid sequence. This is not the case; it seems likely
that the two enzymes use different strategies to recognize
their target sequence. Each subunit of the dimeric ENase
needs to recognize one half of the rotationally symmetrical
sequence whereas the monomeric MTase must recognize
the entire sequence. The absence of similarity between the
TRDs of the ENase and its cognate MTase suggests that
they may have evolved from different origins.
Restriction enzymes that recognize the same target
sequence are referred to as isoschizomers. A simple expec-
tation is that the TRDs of two such enzymes would be
very similar. This is not necessarily so. Furthermore the
similarities observed do not appear to correlate with taxo-
nomic distance. The amino acid sequences of the
isoschizomers HaeIII and NgoPII, which are isolated
from bacteria in the same phylum, show little, if any,
similarity whereas the isoschizomers FnuDI and NgoPII,
which are isolated from bacteria in different phyla, are
very similar (59% identity).
Type I R-M systems are complex in composition and
cumbersome in their mode of action, but they are well
suited for the diversification of sequence specificity. A
single subunit (HsdS or S) confers specificity to the entire
R-M complex and to the additional smaller complex that
is an MTase. Any change in specificity affects restriction
and modification concomitantly. Consistent with their
potential to evolve new specificities, Type I systems
exist as families within which members, for example,
EcoKI and EcoBI, are distinguished only by their S sub-
units. Currently, allelic genes have been identified for at
least seven members of one family; each member having a
different specificity. It is more surprising to find that
allelic genes in E. coli, and its relatives, also specify at
least two more families of Type I enzymes. While mem-
bers of a family include only major sequence differences
in their S polypeptides, those in different families share
very limited sequence identities (usually 18–30%).
Clearly, the differences between gene sequences for
Type I R-M systems are no indication of the phylogenetic
relatedness of the strains that encode them. It is of interest
to note that despite the general absence of sequence
similarities between members of different families of
Type I enzymes, pronounced similarities have been iden-
tified for TRDs from different families when they confer
the same sequence specificity.
The information from gene sequences for both Type I
and Type II systems, as stated by Raleigh and Brooks, in
1998, ‘yields a picture of a pool of genes that have circu-
lated with few taxonomic limitations for a very long time’.
Allelic variability is one of the most striking features of
Type I R-M systems. Both the bipartite and asymmetrical
nature of the target sequence offer more scope for diversity
of sequence specificity than the symmetrical recognition
sequencesofTypeIIsystems.TheSsubunitofTypeI
enzymes includes two TRDs, each specifying one compo-
nent of the target sequence. This organization of domains
makes the subunit well suited to the generation of new
specificities as the consequences of either new combinations
of TRDs or minor changes in the spacing between TRDs.
In the first case, recombination merely reassorts the regions
specifying the TRDs and, in the second, unequal crossing-
over within a short duplicated sequence leads to a change in
the spacing between the TRDs. Both of these processes
have occurred in the laboratory by chance, as well as by
design. The protection of unmodified target sequences in
the host chromosome, by restriction alleviation, enhances
the opportunity for changes in specificity.
366 DNA Restriction and Modification

While many bacteria conserve the close linkage of the
three genes of Type I R-M systems (hsdR, hsdM, and hsdS;
Figure 2), a number of bacteria have been described
which contain multiple copies of hsdS that are phase-
variable. Shuffling the DNA sequences that encode
TRDs of different HsdS proteins provides a dynamic
method for varying specificity. In Mycoplasma pulmonis,
there are two examples of ‘shufflons’, systems that recom-
bine hsdS genes. Both shufflons contain hsdR and hsdM
genes flanked by two hsdS genes that are inverted with
respect to each other. Recombination between these two
copies of hsdS can generate four different target specifi-
cities. A more complex shufflon exists in the genome of
the human commensal Bacteroides fragilis, which contains
an hsd locus with the capacity to generate eight HsdS
proteins with different specificities.
For Type I R-M systems, the swapping or reposition-
ing of domains can create enzymes with novel specificities,
but the evolution of new TRDs with different specificities
has not been witnessed. In one experiment strong selection
for a change that permitted a degeneracy at one of the
seven positions within the target sequence failed to yield
mutants with a relaxed specificity.
Biological Significance
The wide distribution and extraordinary diversity of R-M
systems, particularly the allelic diversity documented
in enteric bacteria, suggest that R-M systems have an
important role in bacterial communities. This has tradi-
tionally been considered to be protection against
phage. Laboratory studies following bacterial populations
under conditions of phage infection indicate that R-M
systems provide only a transitory advantage to bacteria.
Essentially, an R-M system with a different specificity
could assist bacteria in the colonization of a new habitat in
which phage are present, but this advantage would be
short lived as phage that escape restriction acquire the
new protective modification and bacteria acquire muta-
tions conferring resistance to the infecting phage. It can be
argued that one R-M system protects against a variety of
phage, and the maintenance of one R-M system may
compromise the fitness of the bacterium less than the
multiple mutations required to confer resistance to a
variety of phage – especially because these are likely to
occur in important components of the cell, such as surface
receptors. No direct evidence supports this expectation. It
may be relevant to remember that the restriction barrier is
generally incomplete, irrespective of the mechanism of
DNA transfer, and that the fate of phage and bacterial
DNA fragmented by ENases may differ. A single cut in a
phage genome is sufficient to prevent infectivity.
Fragments generated from bacterial DNA will generally
share homology with the host chromosome and could be
rescued by recombination. The rescue of viable phage by
homologous recombination requires infection by more
than one phage or recombination with phage genomes
that reside within the host chromosome.
A protective role for R-M systems in no way excludes
an additional one that is relevant to bacterial evolution.
Restriction provides an opportunity to separate linked
genes while concomitantly generating DNA breaks that
can facilitate gene transfer simply by ligation, but primar-
ily by general recombination pathways. In E. coli, and
probably bacteria in general, linear DNA fragments are
vulnerable to degradation by exonucleases, particularly
ExoV alias RecBCD. The products of restriction, there-
fore, are substrates for degradation by the very enzyme
that is an essential component of the major recombination
pathway in E. coli. However, degradation by RecBCD is
impeded by the special sequences, designated Chi, which
stimulate recombination. It has been shown that a Chi
sequence can stimulate recombination when RecBCD
enters a DNA molecule at the site generated by
cutting with EcoRI. It seems inevitable that fragmentation
of DNA by restriction would reduce the opportunity
for recombination to incorporate long stretches of
DNA, but given that DNA ends are recombinogenic,
restriction could promote the acquisition of short seg-
ments of DNA.
Radman and colleagues, in 1989, suggested that R-M
systems are not required as interspecific barriers to recom-
bination, since the DNA sequence differences between E.
coli and Salmonella are themselves sufficient to hinder recom-
bination. It is evident, however, that selection has
maintained a diversity of restriction specificities within
one species, and consequently restriction is presumed to
play a significant role within a species, where DNA
sequence differences are less likely to affect recombination.
Analyses of the effects of restriction on the transfer of DNA
between strains of E. coli by transduction have shown that
restriction diminishes the size, and alters the distribution, of
DNA segments acquired by homologous recombination.
Kobayashi and colleagues have viewed R-M genes as
‘selfish’ entities on the grounds that loss of the plasmid
that encodes them leads to cell death. The experimental
evidence for some Type II R-M systems implies that the
cells die because residual ENase activity cuts incomple-
tely modified chromosomal DNA. The behavior of Type
I systems, on the other hand, is different and is consistent
with their ability to diversify sequence specificity; new
specificities are acquired by recombination, and old ones
are readily lost without impairing cell viability.
Applications and Commercial Relevance
Initially, the opportunity to use enzymes that cut DNA
molecules within specific nucleotide sequences added a
DNA Restriction and Modification 367

new dimension to the physical analysis of small genomes.
At the beginning of the 1970s, maps (restriction maps)
could be made in which restriction targets were charted
within viral genomes and their mutant derivatives. Within
a few years the same approach was generally applicable to
larger genomes. The general extension of molecular meth-
ods to eukaryotic genomes depended on the technology
that enabled the cloning of DNA fragments, that is, the
generation of a population of identical copies of a DNA
fragment. In short, DNA from any source could be broken
into discrete fragments by restriction ENases, the frag-
ments could be linked together covalently by the
enzymatic activity of DNA ligase, and the resulting new
combinations of DNA amplified following their recovery
in E. coli. Of course, to achieve amplification of a DNA
fragment, and hence a molecular clone, it was necessary to
link the DNA fragment to a special DNA molecule cap-
able of autonomous replication in a bacterial cell. This
molecule, the vector, may be a plasmid or a virus.
Importantly, it is usual for only one recombinant molecule
to be amplified within a single bacterial cell. In principle,
therefore, one gene can be separated even from the many
thousands of other genes present in a eukaryotic cell, and
this gene can be isolated, amplified and purified for ana-
lysis. The efficiency and power of molecular cloning have
evolved quickly, and the new opportunities have catalyzed
the rapid development of associated techniques, most
notably those for determining the nucleotide sequences
of DNA molecules, the chemical synthesis of DNA and,
more recently, the extraordinarily efficient amplification
of gene sequences in vitro by the polymerase chain reac-
tion (PCR). In some cases, amplification in vitro now
obviates the need for amplification in vivo since the
nucleotide sequence of PCR products can be obtained
directly.
The bacterium E. coli remains the usual host for the
recovery, manipulation, and amplification of recombinant
DNA molecules. Already, however, for many of the com-
monly used experimental organisms the consequence of a
mutation can be determined by returning a manipulated
gene to the chromosome of the species of origin.
The recombinant DNA technology, including screens
based on the detection of DNA by hybridization to a
specific probe and the analysis of DNA sequence, is now
basic to all fields of biology, biochemistry, and medical
research, as well as the ‘biotech industry’. Tests depen-
dent on DNA are used to identify contaminants in food,
parents of children, persons at the scene of a crime, and
the putative position of a specimen in a phylogenetic tree.
Mutations in specific genes may be made, their nature
confirmed, and their effects monitored. Gene products
may be amplified for study and use as experimental or
medical reagents. Hormones, cytokines, blood-clotting
factors, and vaccines are among the medically relevant
proteins that have been produced in microorganisms,
obviating the need to isolate them from animal tissues.
Most of the enzymes used as reagents in the laboratory
are readily available because the genes specifying them
have been cloned in vectors designed to increase gene
expression. This is true for the ENases used to cut DNA.
It is amusing to remember that in the 1980s the generally
forgotten, nonclassical, restriction systems identified by
Luria and Human, in 1952, were rediscovered when dif-
ficulties were encountered in cloning Type II R-M genes.
It was soon appreciated that cloning the genes for parti-
cular MTases was a problem in ‘wild-type’ E. coli K-12;
the transformed bacteria were killed when modification of
their DNA made this DNA a target for the resident
Mcr (Type IV) restriction systems. Rare survivors were
mcr mutants ideal strains for recovering clones of
foreign DNA rich in 5 mC as well as genes encoding
MTases.
Further Reading
Barcus VA and Murray NE (1995) Barriers to recombination: Restriction.
In: Baumberg S, Young JPW, Saunders SR, and Wellington EMH
(eds.) Population Genetics of Bacteria Society for General
Microbiology, Symposium No. 52, pp. 31–58. Cambridge, UK:
Cambridge University Press.
Bickle TA and Kru¨ ger DH (1993) Biology of DNA restriction.
Microbiological Reviews 57: 434–450.
Cheng X and Blumenthal RM (1996) Finding a basis for flipping bases.
Structure 4: 639–645.
Murray NE (2002) Immigration control of DNA in bacteria: Self versus
non-self. Microbiology 148: 3–20.
Raleigh EA and Brooks JE (1998) Restriction modification systems:
Where they are and what they do. In: De bruijn FJ, Lupski JR, and
Weinstock GM (eds.) Bacterial Genomes: Physical Structure and
Analysis, pp. 78–92. New York: Chapman & Hall.
Roberts RJ, Belfort M, Bestor T, et al. (2003) A nomenclature for
restriction enzymes, DNA methyltransferases, homing
endonucleases and their genes. Nucleic Acids Research
31: 1805–1812.
Relevant Website
http://rebase.neb.com/rebase/rebase.html – REBASE
R
The
Restriction Enzyme Database
368 DNA Restriction and Modification

DNA Sequencing and Genomics
J H Leamon, RainDance Technologies, Guilford, CT, USA
J M Rothberg, The Rothberg Institute for Childhood Diseases, Guilford, CT, USA
ª2009 Elsevier Inc. All rights reserved.
Defining Statement
Introduction
Benefits of Microbial Genomics
Sequencing Technology
Novel Sequencing Technologies
Future Directions
Further Reading
Glossary
assembly The process by which small sections of DNA
sequence generated by various sequencing processes
are compiled to recreate the original chromosome from
which the DNA originated.
contigs The DNA sequence reconstructed from a set of
overlapping DNA segments through the assembly
process.
genome An organism’s genetic material, including
ancillary plasmids, and chromosomes in the case of
microbes.
genomics The study of an organism’s entire genome.
next-generation sequencing (also Next-Gen
sequencing) A catchphrase used to describe the
recently developed sequencing platforms that employ
non-Sanger methodologies to derive DNA sequences.
scaffolds A series of contigs that are consecutively
ordered but not necessarily continuously connected.
Abbreviations
ABI Applied Biosystems
APS adenosine phosphosulfate
ATP adenosine triphosphate
CCD charge coupled device
COBRA constraint-based reconstruction
and analysis
PCR polymerase chain reaction
TIGR The Institute of Genome Research
TIRM total internal reflection microscopy
Defining Statement
Microbial genomics has expanded rapidly since the 1995
sequencing of Haemophilus influenza. This article will
examine the influential role genomics has played in
many fields, and how technological advances enabled
the sequencing of the first genomes. The impact of next-
generation, or Next-Gen, sequencers on genomics and
their role in enabling novel applications will also be
discussed.
Introduction
Understanding of microbial biology has been greatly
enhanced by the introduction of genomic sequence
data. Haemophilus influenza was the first microbe
sequenced in 1995, followed by Saccharomyces cerevisiae
in 1996 and Escherichia coli in 1997. The number
and rate of completed microbial genomes increased
dramatically over the following years (Figure 1),
with the sequences of over 2000 strains of H. influenza
available to the scientific community by February 2007.
Sequencing has been completed for 709 different
microbial genomes and an additional 98 genomes are
in draft as of May 2007.
As the number of completed microbial genome
sequences has increased, so too has both the size of
the genomes, from 1.83 Mb for H. influenza to 87 Mb for
Gibberella moniliformis, and the complexity of samples
sequenced, from single organisms to entire microbial
communities sampled from diverse environments such
as acidic mines, the open ocean, or the human gut. In
light of this considerable expenditure of time and
money, it is only reasonable to ask what benefit is
obtained from these microbial sequencing projects.
369

Benefits of Microbial Genomics
The principal goal of sequencing microbial genomes is
directly related to human health. Although a vanishingly
small proportion of existing bacterial species are clinically
relevant, approximately 47% of the bacterial species that
have been sequenced, or are scheduled for sequencing, are
important human pathogens. Possession of the complete
genome sequence of medically important microbes has
obvious implications in many areas pertaining to human
health. Sequence information can be used to generate either
polymerase chain reaction (PCR)- or microarray-based tests
that can specifically detect and classify pathogenic microbes,
enabling discrimination of closely related species more pre-
cisely than culture-based tests. This is particularly evident
with regard to detecting and classifying species within the
Bacillus cereus bacterial group. This group contains bacteria
that range in impact from potential bioterrorist threats
(Bacillus anthracis) to the source of the most commonly
utilized biological pesticide in the world (Bacillus thuringien-
sis). Given the strain- and species-specific breadth of health
impact and the required response, accurate classification
and detection are essential. In the case of B. anthracis,con-
ventional species identification includes a variety of
microbiological and biochemical assays including culturing
and animal testing. These tests typically require several days
to complete, and can produce false-positive results owing to
the high degree of genetic and phenotypic similarities found
between B. anthracis and B. cereus cultures.
Diagnostics
In recent years diagnostic advances in terms of both
speed and accuracy have been achieved using genetic
information to design molecular tools including both
standard and real-time PCR- and microarray-based
tests, typically targeting the virulence-inducing pX01
and pX02 plasmids, and enabled by the possession of
the complete sequence of both plasmids. Complete diag-
nostic reliance upon markers from these two plasmids is
risky, however, as horizontal gene transfer and/or plas-
mid loss can confound discrimination between B. cereus
species. More recent diagnostic platforms utilize multi-
ple markers, generating microarrays with the ability to
accurately discriminate B. anthracis from the other spe-
cies in the B. cereus group. Multiple markers also allow
the detection and quantification of multiple species of
bacteria within a complex population background, which
is often difficult or impossible to achieve using conven-
tional culturing techniques. Clearly, nucleic acid
sequences are required for the design of appropriate
PCR primers and probes and are obtained through
extensive sequencing of target microbial genomes at
sufficient depth to determine variable and conserved
regions at both inter- and intraspecific levels. Probe
sets have also been designed and utilized to rapidly
detect and identify disease-causing microorganisms and
have found a routine application in monitoring the safety
of food and water supplies. The technique has evolved to
the point where in the case of a Campylobacter jejuni out-
break, bacteria from different hosts (livestock, chicken,
human, and environmental) had distinct genetic finger-
prints that permitted outbreaks to be traced back to the
original source of the infection.
Detailed information on inter- and intraspecific
genetic variability has also proven essential in identifying
mutations that confer antibiotic resistance thus indicating
antibiotics to which microbes may be immune. By
0
10
000
20
000
30
000
40
000
50
000
60
000
70
000
80
000
90
000
1995
1996
1997
1998
1999
2000
2001
2002
2003
2004
2005
2006
Total bases of microbial
genomic projects (Mb)
0
100
200
300
400
500
600
700
800
900
Average bases of microbial
genomic projects (Mb)
Total bases
Average size
Figure 1 Increasing amount and size of microbial genomic sequencing. Both the total amount of sequence generated (blue) and the
average size of the microbial genome sequenced (red) exhibit an upward trend since 1995. Raw data were obtained from GOLD
Genomes OnLine Database V2.0 (www.genomesonline.org).
370 DNA Sequencing and Genomics

correctly identifying both the pathogen and the proper
antibiotics, the speed and effectiveness of therapeutic
regimens can be optimized.
Therapeutics
Genomic information also enhances the suite of thera-
peutic options available to the medical community. In
response to the ready availability of genomic data, the
process of drug development has changed from searching
for drugs active against specific cells to those active
against particular proteins. Establishment of large micro-
bial sequence databases has allowed identification of
organism-specific genes. These genes are then screened
by a variety of methods to determine which of the genes
are essential for microbial growth and are not common
genes in eukaryotic pathways, thus decreasing the risk of
side effects. Essential genes, conserved within the parti-
cular microbe, are prime targets for drugs designed to
disrupt or inhibit the essential gene activity within the
microbe. Using this technique the first new tuberculosis-
specific drug in 40 years was discovered. The genomes
of mutant strains of Mycobacterium tuberculosis and
Mycobacterium smegmatis resistant to the drug DARQ
R207910 were compared with the sequence from wild-
type, nonresistant strain of M. tuberculosis, thereby identi-
fying both the mutations responsible for resistance and
the drug target, the proton pump of adenosine tripho-
sphate (ATP) synthase. The theory that these drugs might
act with greater specificity and lower side effects than
drugs that target entire cells or common metabolic
processes (which are more likely to be shared with
the host) has been supported by high human tolerance
in clinical trials.
Similarly, microbial bioinformatics can be used
to streamline vaccine development through a process
known as reverse vaccinology. As opposed to traditional
vaccines that rely upon exposure to dead or attenuated
pathogens, this process screens microbial sequence
databases to detect pathogen-specific proteins (typically
membrane-associated, virulence-related, or secreted) that
could induce a protective immune response. The techni-
que was initially demonstrated by reducing 570 coding
genes to 7 surface-expressed proteins with potential as
vaccine candidates, and is now being applied to many
pathogens.
Pathogenicity
Intensive research on microbial genomes also produced a
deeper understanding of the multiple mechanisms of
pathogenicity itself, whether arising within a species
through nucleotide mutation, or passed from one species
to another through gene transfer. Of particular interest
to medicinal genomics are pathogenicity islands, a
pathogenic gene-containing subclass of genomic islands,
large chromosomal or plasmid-based clusters of function-
ally related genes flanked by repeat sequences. The
identification of pathogenicity islands provides an impor-
tant medical tool to detect and track the movement of
pathogenic activity within and between bacteria species.
Additionally, the homology to known pathogenic island
sequences permitted identification of other putative viru-
lence factors in microbial sequence databases.
Genetics and Evolution
Extensive studies of pathogenicity islands, driven by their
relevance to human health, also had a dramatic impact on
the conventional view of microbial genetics, ecology, and
evolution. Comparison of whole-genome sequences has
led to the identification of genomic islands, a large class of
genetic elements that differ in GC content from the host
genome, are flanked by repeat sequences, and are typi-
cally located near a tRNA and either an integrase or a
transposase gene. The functions of the genes contained
within the genomic islands vary widely, and subdivide
genomic islands into pathogenicity, antibiotic, secretory
system, metabolic, and symbiosis islands. As the transfer
mechanism of pathogenicity islands was illuminated, the
prevailing view of microbial evolution as a process driven
by small-scale shifts of nucleotide mutations gave way
to one that often occurred in large quantum leaps. This
view envisions microbial evolution as driven by the hor-
izontal transfer of genomic islands from one bacterium to
another, ignoring species boundaries, even to the point
where gene transfer has been shown to occur between
archaea and bacteria. This horizontal transfer of genes
between bacteria is a common, universal evolutionary
event, although the amount of horizontal gene transfer
evident in any given species varies considerably. With the
incorporation of foreign genes, the host genome is mod-
ified, and new phenotypes may emerge, even resulting in
speciation. Interestingly, not all cases of lateral gene
transfer occur within bacterial species; recent research
has revealed instances of gene transfer between bacteria
and eukaryotes. Most importantly, the ubiquitous nature
of genomic islands in microbial genomes has reinforced
the view of dynamic bacterial genomes, where a constant,
species-specific genetic backbone or core genome is vari-
ably augmented with genomic inserts such that the
presence of a specific genomic island in one strain does
not indicate the presence of the same island in another
strain of the same species.
Minimum Genome Size
The abundance of available microbial sequences has
highlighted wide differences in the size of microbial gen-
omes, ranging from less than 500 kb to over 50 Mb. This
DNA Sequencing and Genomics 371

observation has raised questions regarding the process
through which genes can be lost and the minimum gen-
ome size required to sustain life. Early work using
mutational studies suggested a minimum viable genome
size of 318 kb, which under the assumption of 1.25 kb per
gene, estimates that 250 genes are required for life.
Comparison of Mycoplasma genitalium and H. influenzae
genes arrived at a similar estimate of 256 essential genes,
in close agreement with the estimate of 265–350 minimal
genes obtained by mutagenesis of the Mycoplasma genome.
While this research might initially appear to be a strictly
academic pursuit, answers to these questions have broad
implications for bioengineering and the emerging field of
synthetic biology. Once the requisite genes for life are
known, opportunities exist to modify existing organisms
to produce desired behavior or products, or to design
artificial life forms from scratch, employing genomes
containing as few as 151 genes. Sequencing technology
and capacity have expanded to the point where research-
ers now initiate projects that intend to sequence genomes
from whole ecosystems rather than from whole organisms.
Metagenomics
Metagenomics is an inclusive term that encompasses a
variety of techniques pioneered that use extracted bulk
nucleic acid taken directly from a given ecosystem, and
fragment and sequence it, as opposed to culturing target
microbes from the environmental samples under labora-
tory conditions and subsequently sequencing the purified
cultures. The main benefit of the metagenomic approach
is the obviation of laboratory cultures, enabling the
sequencing of microbes unculturable under normal
conditions, such as extremophiles, thermophiles, and
symbionts. Inclusion of unculturable organisms in com-
munity profiles is essential for accuracy; as many as 99%
of microbes may be unculturable and hence invisible to
community profiles developed with traditional culture
and sequence technologies. The goal of metagenomic
studies is different from that of traditional organismal
sequencing; metagenomics typically does not seek to
complete each of the component genomes but rather
seeks to sequence enough of each organism to identify
the component organisms and their relative abundance in
the sample. In addition, the unassembled sequences are
used for quantitative gene content analysis, which utilizes
the information from the metabolic genes detected in
the community to derive information about the habitat.
Metagenomic projects have been used to survey the
population composition from samples as diverse as sea-
water, acid mines, the distal gut of mice and humans, as
well as whale carcasses and agricultural soil. The diffi-
culty with metagenomics projects stems from the sheer
volume of data produced, the amount of sequencing
required to generate it, the computational power required
to analyze it, and the size of the existing database of
known sequences necessary to classify the results. For
example, close to 120 000 rRNA PCR amplicons were
sequenced for one of the marine studies, and target phy-
logeny was classified by matching the sequences against a
database containing a similar number of published rRNA
sequences. Another seawater survey sequenced, anno-
tated, and classified more than 1 10
9
bases of a
nonredundant sequence from 1.66 million individual
sequences in their characterization of microbial commu-
nities. As the size of the sequence databases increases, so
will the accuracy with which metagenomic studies iden-
tify community composition, but with a concomitant
increase in the required computing power.
An additional, but by no means exhaustive, list of the
benefits accrued from extensive microbial sequencing
includes the following: genomic databases provide essential
information for the development of alternative technolo-
gies, enabling the design of oligonucleotide primers and
probes for PCR- and microarray-based applications, and
repositories of completed genomes serve as the foundation
for subsequent genome sequencing, facilitating gene anno-
tation, defining gene coordinates, identifying putative
orthologues, paralogues, and homologues; providing the
basis for discovery of novel diagnostic or therapeutic poly-
morphisms; and supplying the reference data required
to identify microbes from fragments of sequenced nucleic
acids. Also, completed whole genomes permit the creation
of genomic-scale metabolic models that direct the bioengi-
neering of industrially or medically useful behaviors
or products for such diverse fields as development of alter-
native energy sources (such as ethanol, methane, or
hydrogen), bioremediation of toxic chemicals, energy gen-
eration, and production of enzymatic or chemical catalysts.
Sequencing Technology
The demand for microbial sequencing has been driven by
the increased utility and relevance of the data, but meet-
ing this demand has been enabled by evolution and
optimization of the sequencing process itself, providing
ever-increasing amounts of sequence data per unit time at
a lower cost with every passing year as is clear from
Figure 2.
DNA sequencing as we currently know it started in the
mid-1970s with the development of two gel electrophor-
esis-based sequencing systems, one designed by Sanger
and Coulson and the other by Maxam and Gilbert. These
two methods supplanted the previous process, which
relied upon fragmentation of the nucleic acids through
various methods, followed by chromatographic resolution
of the fragments, with subsequent identification of the
sequence by base-specific size shifts after electrophoresis
or analysis of the terminal nucleotide.
372 DNA Sequencing and Genomics

The Sanger Method
Despite their similarity in the utilization of gel electro-
phoresis to size fractionate bands of ending at every
possible base in the sequence of interest, the Sanger and
Maxam–Gilbert strategies differed significantly in meth-
odology. The Sanger method relied upon two serial
polymerase extension reactions from a distinct priming
site, the first of which generated partial fragments of every
possible length from the initial priming site along the
template, producing a population of fragments, some por-
tions of which were terminated at each of the nucleotides
in the target sequence. The product of this initial reaction
was then split into eight aliquots that were then used as
primer for the second round of amplification. In four of
the reactions, the reaction mix contained all but one of
the four nucleotides, with a different nucleotide absent in
each of the four reactions. In the other four reactions, only
one nucleotide was added, with a different nucleotide
present in each mix. In the first four reactions, the primer
would be extended until the nucleotide complementary
to the missing base was encountered, at which time the
amplification process would halt for that strand. In the
second reactions, the variable length primers would elon-
gate only as far as the template contained bases
complementary to the single nucleotide included in the
reaction mix. As a radioactive
32
P nucleotide had been
incorporated in each product during the initial amplifica-
tion step, the products of all the eight reactions could be
visualized on a gel after exposure on X-ray film. The
sequence was determined by counting the individual
bands in each lane on the exposed film; the main disad-
vantage with this system was the difficulty in determining
the length of homopolymer tracts, as bands were gener-
ated for only the first and the last nucleotide, and the
length had to be inferred from the gap between the two.
Nonetheless, the system was initially capable of generat-
ing approximately 50 base reads and was used to sequence
the entire 5368 base pair viral jX genome.
The Maxam–Gilbert Method
The Maxam–Gilbert method, in contrast, enzymatically
cleaved the double-stranded template. The 59ends of the
resulting fragments were then labeled with
32
P. These
radiolabeled fragments where then aliquotted into four
reactions: one fragmented by a chemical reaction that
attacked only C nucleotides; another attacked only
G nucleotides; a third cleaved A, with some cleavage
of G nucleotides; and the fourth predominantly cleaved
T nucleotides, with some cleavage at C sites. Like
the Sanger method, the sequencing process was resolved
by electrophoresis and photographic exposure. The
Maxam–Gilbert method, however, was able to resolve
homopolymer regions accurately with sequentially sized
bands indicating all bases in the tract, leading to an initial
dominance of this method.
500.00
1000.00
1500.00
2000.00
2500.00
3000.00
3500.00
4000.00
2001 Q1
2001 Q2
2001 Q3
2001 Q4
2002 Q1
2002 Q2
2002 Q3
2002 Q4
2003 Q1
2003 Q2
2003 Q3
2003 Q4
2004 Q1
2004 Q2
2004 Q3
2004 Q4
2005 Q1
2005 Q2
2005 Q3
2005 Q4
2006 Q1
Financial quarter
Cost per megabase ($)
0
200
400
600
800
1000
1200
Microbial genomic projects
Figure 2 Inverse relationship between amount and cost of sequencing. The number of microbial genomic sequencing projects
(orange line) increases by quarter as the cost per megabase of sequencing using capillary array electrophoresis (blue line) at a major
sequencing center decreases. For reference, cost per megabase is also shown for the 454 Life Sciences GS-20 ($166, black square)
and the Solexa 1G ($5, red triangle). Raw data for genomic projects were obtained from GOLD Genomes OnLine Database V2.0
(www.genomesonline.org).
DNA Sequencing and Genomics 373

Improved Sanger
The Sanger method was later modified to include
dideoxy terminators, an improvement that resolved the
outstanding issue of homopolymers. Then the process,
also known as the ‘chain termination method’, utilized
nucleotide analogues for all four of the normal deoxynu-
cleoside triphosphates. Sequencing was conducted in four
reactions with each containing all dNTPs; but in each of
the reactions a different nucleotide was present in a
reduced amount, and the analogue for that particular
nucleotide was added as well. As polymerases began to
copy the template from the initial priming site, inclusion
of the analogue would result in termination of the nascent
strand. As the analogues were present in reduced concen-
tration, incorporation was an unlikely event for any single
strand, but a termination was statistically likely to occur at
each nucleotide position in the sequence when the entire
reaction mix was considered. Now each of the bases in a
given homopolymer region generated a specific band, and
could be accurately sequenced. This, in conjunction with
the subsequent inclusion of fluorescently labeled termi-
nators, a shorter reaction protocol, the absence of toxic
chemicals, and the ease of optimization for automated
sequencing resulted in the widespread acceptance of the
Sanger method and its continued relevance to genomics.
Automated Sequencing
Automation of DNA sequencing became possible once
fragment detection was conducted via fluorescence rather
than radiation. The development of sequencing primers
possessing 59fluorescent labels with distinct fluors for
each nucleotide increased throughput by allowing all four
nucleotide-specific reactions to be run in a single gel lane,
and also enabled automated gel resolution by employing
lasers, rather than film exposure, for base detection.
Commercial automated slab-gel sequencers were first
used in 1987; the ABI 370A, which had ran 16 lanes per
plate, generated roughly 400 bases per template, for a total
yield of 6500 bases per 14-h run. The throughput for
slab-gel systems improved as the number of lanes that
could be simultaneously sequenced increased to 96, with
as many as 200 lanes sequenced on proof-of-concept
devices. Additional advantages were realized as the thick-
ness of the gel decreased from 400 to 50 mm, permitting the
use of higher electrical field strengths during electrophor-
esis and reducing heat retention, thermal distortion, and
temperature gradients through efficient heat transfer,
resulting in gained sequencing speed (from several hours
to between 15 and 60 min for reads of a few hundred bases),
sensitivity, and resolution, while simultaneously increasing
the total output per run by extending read lengths from 100
to 400 bases. The labor invested in sequencing was further
reduced on both the front and the back ends of the
sequencing process; to address bottlenecks in sample pre-
paration, researchers adapted various robotic work stations
and liquid-handling systems to generate templates for
sequencing, preparing up to 96 templates simultaneously.
After the sequencing run was completed, automated soft-
ware incorporated the onerous tasks of data acquisition and
basecalling, allowing data analysis to keep pace with the
improved sequencing throughput.
Capillary Sequencing
The drive for faster sequencing runs and increased auto-
mation eventually led researchers from slab-gel based
sequencing to systems that utilized electrophoretic capil-
laries filled with a viscous polymer mix that could resolve
sequences up to 14 times faster than traditional gels. Not
only did the small-bore capillaries efficiently dissipate
heat, allowing high voltage application and rapid run
times, but they also provided higher resolution and longer
read lengths than the previous slab systems. The capil-
lary-based systems generally proved more efficient in
other ways as well: by utilizing polymer-filled capillaries,
the lengthy process of gel pouring was obviated, and the
fact that samples could be electrokinetically loaded into
the capillary from the wells of a 96-well plate was far
easier and more user-friendly than the pipette loading
required for the slab-gel combs and reduced turnaround
time between sequencing runs. The first commercial
capillary sequencer was released in the United States in
1995 and possessed only a single capillary that was used to
sequence multiple templates in series, fed from a 96-well
plate. Potential throughput leaped yet again when it was
replaced 3 years later by another capillary unit, this one
featuring a 96-capillary array, permitting simultaneous
sequencing of 96 samples.
Enzymatic Improvements
Several other advances had major impacts on the amount
and quality of microbial sequences entering the database,
and many of these were biological and computational rather
than mechanical. The first was the continued optimization
of the polymerases and other enzymes that formed the core
of the sequencing process. Early improvements to the T7
DNA polymerase removed the 39to 59exonuclease activity
and increased the efficiency with which it incorporated
nucleotide analogues. This resulted in higher gel resolution
and longer read lengths owing to a reduction in termina-
tions at pause sites or sites with challenging secondary-
structure motifs. Meticulous optimization of the polymerase
reaction conditions resulted in the substitution of Mn
2þ
for
Mg
2þ
, addressing an existing problem where polymerases
significantly discriminated against dideoxynucleotides, dis-
playing preferential incorporation of deoxynucleotides.
374 DNA Sequencing and Genomics

When Mn
2þ
was used, T7 DNA polymerase incorporated
dideoxynucleotides and deoxynucleotides at approximately
thesamerate.
Another improvement involved the addition of the
enzyme pyrophosphatase, which prevented pyropho-
sphorylsis, or polymerase-driven 39to 59degradation of
DNA fragments triggered by high concentrations of pyr-
ophosphate, a by-product of polymerization. In addition,
whereas pyrophosphate has been shown to accumulate
during amplification and inhibit polymerase activity at
high levels, use of pyrophosphatase has been shown to
reduce inhibition and ensure high levels of amplification.
The combination of modified enzymes and reaction con-
ditions had the net effect of increasing both the length and
the quality of the sequences produced in a given run, and
thus increased the amount of usable sequence generated.
Sample Preparation
Despite technological advancements in the number and
length of reads produced while sequencing, proper orien-
tation of the reads to form the completed template
remained one of the serious hurdles that challenged
the analysis of genomes or other large sections of DNA.
Complete coverage of a genome was facilitated by longer
and more plentiful sequence reads, but prior to the incor-
poration of large-scale computational resources for
genome assembly, simply placing the generated sequences
in the proper genomic context was difficult. To that end,
most of the sample preparation processes at the time
initiated the sequencing process from known priming
sites within the genome and expanded the coverage
sequentially outward from those anchoring points. One
such technique, unidirectional deletions, generated an
ordered set of subclones by progressively deleting sec-
tions from the original template through the activity of a
59exonuclease; these increasingly digested fragments
were then cloned and sequenced. The primer walking
method sequenced fragments generated from a known
priming site and used the resulting sequence information
to design the primer set necessary to generate the subse-
quent section of DNA to be sequenced. In this manner,
the entire region was sequenced using the data from the
preceding fragment to generate primers for the next.
Bacterial transposons were employed in the transposon
insertion method, where transposons were inserted
directly into the fragmented and subcloned template
DNA. As the transposon sequences were known, their
locations within the subclones could be mapped and
could serve as priming sites for directional sequencing.
Whole-genome sequencing received a critical
improvement in the optimization of the shotgun sequen-
cing process used in the sequencing of the H. influenza
genome in 1995. The original technique had been in
routine use since 1982 when Fredrick Sanger and his
colleagues employed it to reduce a long section of DNA
template (in this case the lambda phage genome) into the
relatively small fragments of DNA required for successful
chain terminator sequencing. Like the deletional and
transposon methods, shotgun sequencing relied upon the
physical fractionation of the target genome or gene into
ordered, overlapping segments, each containing up to
40 kb of DNA. Unlike the other methods, however, each
of these large subsections was then shotgunned, or ran-
domly fragmented, amplified through cloning in E. coli,
and sequenced. A computer program was then used to
align all matching sequences from the pool of reads, tying
together overlapping sequences and creating a consensus
sequence of the original template (known as contigs). In
this manner, the short random sequences were assembled
back into the larger sections, which in turn were
assembled into a complete genome. For an illustration of
sample preparation methodologies for whole-genome
sequencing refer to Figure 3.
Data Analysis and Assembly
Shotgun sequencing, as used for the H. influenza project,
however, was modified to allow whole genomes to be
sequenced completely. The group from The Institute of
Genome Research (TIGR) revised the Sanger shotgun
method by utilizing double-stranded, randomly fragmen-
ted DNA as the template for cloning, as opposed to the
single-stranded template used previously. The use of
double-stranded template DNA facilitated paired-end
sequencing, sequencing from both ends of the cloned
fragment, providing sequence information on the frag-
ment’s starting and ending regions. This information,
combined with the fact that the randomly fragmented
templates had been carefully size-selected prior to
sequencing, ensured that not only were the ends of the
fragments known, but the length of unknown sequence
separating them was known as well. This was an impor-
tant advantage as it permitted the generation of scaffolds,
which resulted when one had two or more contigs for
which the sequences were completely known, but had no
overlapping sequence between the contigs to indicate the
order or orientation of the contigs in the broader genomic
context. With the modified shotgun sequencing and
paired-end sequencing, however, reads that spanned con-
tigs with sequences from either end of the fragment
aligning with regions in different contigs could be used
to orient the two contigs and to efficiently estimate the
amount of missing sequences between them. With this
information, PCR primers could be designed to specifi-
cally amplify and sequence the missing regions, filling the
gaps and completing the genome coverage.
The 24 000 sequencing reads generated during the
whole-genome shotgun sequencing of H. influenza dwar-
fed anything that had been analyzed before and
DNA Sequencing and Genomics 375

overwhelmed any of the existing assembly packages of the
day. Alignment and assembly was enabled by the devel-
opment of TIGR Assembler, a computer program
designed specifically to handle the increased data flow.
Additional improvements to genomics software and algo-
rithms have increased the information that can be derived
from the assembled sequences, particularly in regard to
gene annotation, and the development of genome-scale
metabolic models of the sequenced organism. One such
program, the constraint-based reconstruction and analysis
(COBRA) modeling technique, helped develop metabolic
models for a variety of organelles and microbes, enabling
scientists to assess and modify genome contents, a valu-
able capability for bioengineering.
These in silico improvements allowed the sequencing
community to cope with the throughput increases
that resulted from regular updates and modifications
to the line of capillary array sequencers. It must be rea-
lized, however, that most of the microbial genomes
sequenced to date are not the products of individual
sequencers operated in individual laboratories. Rather,
large-scale genomic sequencing typically requires a
truly industrialized, automated approach to sequencing,
where economies of scale result in multiple colony pick-
ers, fleets of PCR machines, and banks of capillary array
sequencers (often 100 or more), all of which operate 24 h a
day, every day of the year. After the actual sequencing is
completed, massive computer networks are employed to
assemble and annotate the sequence. Relatively few insti-
tutions are capable of supporting this level of investment,
but without this infrastructure whole-genome sequencing
has, until now, been too costly and time-consuming for
typical laboratories to undertake.
Novel Sequencing Technologies
The current development and utilization of the next-
generation, or Next-Gen, sequencers in genomics
research provide core facilities, if not individual labora-
tories, with the ability to complete microbial genomics
projects on their own. All of these emerging technologies
employ some type of non-Sanger sequencing, and each
possesses the potential to truly democratize sequencing,
providing individual laboratories with daily sequencing
capacities that rival those previously found only at large
genome centers (Figure 4).
454 Life Sciences
The first of the commercially available next-generation
sequencers was the GS-20 released by 454 Life Sciences
Corp., Branford, CT, in 2005. Initial publications on
the new system detailed the complete sequencing of
M. genitalium at 99.96% accuracy in less than 5 h, 100
times faster than with conventional sequencing technol-
ogy. The GS-20 generates between 20 and 35 megabases
of sequence per 5.5-h run from 200 000 individual
100–120 base pair reads, employing a miniaturized
sequencing process based on pyrophosphate-based
sequencing. The GS-FLX, the second-generation 454
sequencer released in 2007, generates over 400 000 indi-
vidual reads with lengths in the range of 200–300 bases
at single read accuracies greater than 99.5%, generating
a total of 100 Mb of sequence in less than 8 h.
Unlike Sanger or Maxam–Gilbert sequencing, pyro-
phosphate-based sequencing utilizes the act of
DNA replication by the polymerase to establish the
(b)(a)
1.
2.
3.
1.
2.
1.
2.
3.
4.
(c)
Figure 3 Sample preparation methodologies for whole-genome sequencing. In traditional shotgun sequencing (a), the genome (a1) is
fragmented in an ordered fashion and cloned (a2). These clones are then randomly fragmented into sections small enough to be
sequenced, and the subsections are cloned and sequenced (a3). The resulting sequence reads from each clone are then overlapped
and reassembled to build contigs; the contigs are joined together to compile the genome (a4). In whole-genome shotgun sequencing
(b), the entire genome (b1) is randomly fragmented into sequenceable sections (b2), cloned, and sequenced. Extensive computer
assembly is then required to reassemble the entire genome from the reads (b3). Paired-end reads (colored blocks linked by dotted lines)
are used to orient contigs within the genomic context, forming scaffolds. In next-generation sample preparation (c), clonal amplification
obviates the use of cloning, so the genome (c1) is fragmented, amplified, and sequenced. The short reads (25–200 bases) generated are
then used to compile contigs (c2), some of which may not completely overlap to form contiguous sections of DNA (note gaps between
contigs in c2). As with whole-genome sequencing, paired-end reads (colored blocks linked by dotted lines) are used to orient contigs,
but due to the shorter reads, greater reliance is placed on them for reassembly.
376 DNA Sequencing and Genomics

sequence of the template DNA, a process also known as
sequencing by synthesis. The template for pyropho-
sphate-based sequencing, or pyrosequencing, reactions is
a homogenous population of DNA molecules to which
oligonucleotide primers have been annealed. DNA poly-
merases are added to the reaction and they bind to the
hybridized primers after which each of the four nucleo-
tide triphosphates is sequentially added to the sequencing
reaction. The sequential addition of the four individual
nucleotides is repeated cyclically for the length of the
sequencing run. When any given nucleotide triphosphate
added to the reaction is complementary to the base at the
position directly downstream of the primer, the polymer-
ase will incorporate it into the growing priming strand,
releasing pyrophosphate in the process. If the stretch of
bases directly downstream from the primer is composed
of only a single base complementary to the added nucleo-
tide, only a single base is incorporated, a single
pyrophosphate is released, the polymerase advances, and
the length of the priming strand increases by a single base.
However, if the template downstream of the primer is a
homopolymeric region, composed of multiple contiguous
bases complementary to the added nucleotide, the poly-
merase will advance and extend the primer for as many
bases as comprise the homopolymer, and inorganic
pyrophosphate (PPi) molecules will be released propor-
tionate to the number of bases in the homopolymer. If the
added nucleotide is not complementary to the base 39of
the primer, no nucleotide is incorporated, no PPi is
released, and the polymerase pauses until a complemen-
tary nucleotide is added.
The nucleotide incorporation-dependent PPi release
initiates an enzyme cascade illustrated by the equation
below, wherein the PPi and adenosine phosphosulfate
(APS) present in the reaction mix are converted to ATP
by ATP sulfurylase (see equations below, where nindi-
cates the number of nucleotides). The ATP, along with
oxygen and D-luciferin (also present in the reagent
stream), is subsequently converted to oxyluciferin and
photons through the activity of luciferase. The number
of photons generated by the cascade within any
PicoTiterPlate well is directly proportional to the PPi
concentration and also to the number of nucleotides
incorporated by the polymerase.
DNA polymerase
(
DNA
)
n+1 + PPi
(
DNA
)
n + dNTP ⎯⎯⎯⎯→
⎯
⎯⎯⎯⎯→⎯ATP + SO42−
PPi + APS ATP sulfurylase
ATP + luciferin + O2 Luciferase
⎯⎯⎯→
⎯
AMP + PPi + oxyluciferin + CO2 + h
ν
The 454 sequencing is performed within a
PicoTiterPlate, made of approximately 1.6 million indivi-
dual optical fibers fused into a single piece of glass.
A partial etching process converts each of the optical fibers
into a 55 mm-deep, 75 pl reaction well on one end, while
leaving the other side of the PicoTiterPlate optically
smooth. The 454 sequencing reactions occur simulta-
neously under a cyclic flow of reagents with the face of
the PicoTiterPlate wells open to the reagent flow and the
unetched side of the plate in contact with a charge coupled
device (CCD) camera. The use of optical fibers for the
reaction well provides a direct connection between the
reaction wells in the PicoTiterPlate, and the CCD camera
permits precise quantification of the amount of light
generated within each well. The amount of light generated
during each nucleotide flow at each well on the
Read length
Throughput
454 Life Sciences
Solexa
ABI
helicos
Capillary electrophoresis arrays
Expression profiling Resequencing De novo sequencing
Cost per base
Low
HighLow
High
Short Long
Applications
Figure 4 Placement of sequencing technologies within an application matrix. The application matrix uses read length, cost, and
throughput to illustrate how the traditional capillary sequencing (long reads, low throughput and high cost per base), 454 Life Sciences
(medium read lengths, medium throughput, and medium cost), as well as systems by Solexa, Helicos, and Applied Biosystems (ABI)
(high throughput, low cost, short reads), compare with one another. Some applications, such as de novo sequencing are currently
amenable only to systems with longer read lengths, while other applications (gene expression and resequencing) are well served by
large volumes of 25–35 base reads.
DNA Sequencing and Genomics 377

PicoTiterPlate is measured for the duration of the run.
These data are then subjected to software normalization,
filtering, correction, and deconvolution to reveal the tem-
plate sequenced within each of the light-generating wells.
Preparation of large templates for the 454 system
incorporates some streamlined aspects of whole-genome
shotgun sequencing in that the template is randomly
fragmented, but completely avoids any cloning steps,
permitting process completion in 24 h or less. Template
DNA is mechanically fractionated through nebulization
and size-selected to produce a population of double-
stranded fragments ranging from 400 to 600 bases. Two
distinct types of oligonucleotide adapters are then ligated
onto the fragments, one of which is biotinylated, provid-
ing priming sites for subsequent amplification and
sequencing as well as permitting collection of single-
stranded templates possessing heterogeneous adapters
on the ends of the fragment. Preparing PCR products
for sequencing is a simpler process, involving bipartite
primers with product-specific 39portions and a 454-
specific 59tag.
Recently 454 has also developed a paired-end sequen-
cing protocol enabling the determination of the relative
positions and orientation of contigs during de novo sequen-
cing. In summary, the process involves fragmentation of
the template genome to produce 2.5-kb-long templates, to
either end of which adaptors are ligated. The fragments
are then circularized and cleaned with Mme1 restriction
sites present in the adaptors, producing 84-base-pair-long
fragments comprising an adaptor sequence separating two
20 base sequences originally located on either end of the
2.5 kb fragment.
Regardless of the method of preparation, the templates
are clonally amplified and immobilized on 28 mm DNA
capture beads through emulsion PCR or emPCR. The
emPCR process utilizes a limiting dilution of template
that is applied to a solution of PCR reaction mix and
DNA capture beads, emulsified in a thermostable oil
matrix, and thermocycled. The limiting dilution ensures
that the majority of the droplet-based microreactors con-
tain no template molecules, but those that do contain a
template molecule contain only one. Amplification of
each template molecule in a discrete microreactor
permits unbiased amplification of complex samples, as
templates are amplified individually rather than in bulk.
As a result, differential amplification efficiencies, influ-
enced by product length, GC content, and so on, are
minimized. Only droplets that contain a DNA capture
bead and a viable template generate amplicons that
are immobilized on the DNA capture bead and are sub-
sequently enriched away from the beads lacking the
amplified template. The enriched beads are then loaded
into the wells of the PicoTiterPlate for sequencing.
One of the main benefits of the 454 sequencing system
is its rapidity and cost efficiency compared to the existing
capillary array systems. As at the time of this writing, a
single FLX produces 200 Mb of data per day at a cost of
roughly $160 per megabase, compared to approximately
1.4 Mb per day at around $900 per megabase with stan-
dard capillary array units. Sequences generated by the
454 system have also been shown to be remarkably
unbiased compared to those generated using previous
technologies. As previously mentioned, 454 sequencing
avoids cloning and amplification-induced bias through
the emPCR process. Bias inherent to the sequencing
process itself, such as poor coverage of GC-rich areas
and hard stops in regions with high levels of secondary
structure, is reduced through the use of the strand-dis-
placing Bst polymerase during 454 sequencing, as opposed
to the use of less tenacious polymerases in traditional
Sanger sequencing. The types of errors generated in 454
sequencing are different from those encountered during
traditional sequencing; because the individual nucleotides
are flown cyclically, the possibility for polymerases to
misincorporate nucleotides is substantially decreased. As
a result, substitution type errors are rarely encountered in
454 sequencing; if an error does occur, it will most likely
be an insertion/deletion (or indel) type error, as had
occurred with Sanger’s original plus–minus sequencing
technique. Finally, pyrophosphate-based sequencing is
immune to the electrophoresis-specific biases such as
GC compression that affect both gel- and capillary-
based systems.
Limitations of the 454 sequencing system must be
addressed as well, some of which are inherent in the
method while others are symptomatic of any developing
technology and may be corrected over time. When com-
pared to the 500–800 base reads produced by conventional
sequencing, the 454 system’s most apparent limitation is
the short length of the sequences (100–125 for the GS-20,
200–300 for the FLX) that they generate. The shorter
reads present challenges for assembling de novo sequences
primarily because they have more difficulty spanning
repeat sections than longer reads and are less likely to
contain sequences that can be unambiguously placed
within an assembled scaffold or contig. This limitation
has been partially addressed by the development of the
paired-end library for 454 sequencing, which facilitates
contig orientation within scaffolds by generating sequence
pairs separated by known lengths of intervening
sequences, but it does nothing to improve the placement
of individual reads. In a more mundane fashion, shorter
reads are more difficult to manage while sequencing as it
requires more of them to completely cover large genomes,
and present more potential permutations that assembly
software must consider, requiring additional CPU time
and capacity.
Another limitation of the 454 system involves sequen-
cing homopolymer regions, in terms of both physical
parameters and accurate data analysis. When a
378 DNA Sequencing and Genomics

homopolymer is encountered during pyrophosphate-based
sequencing, the polymerase will extend along the entire
length of the stretch, releasing PPi proportional to the
number of bases in the homopolymer. The relationship
between homopolymer size and the number of photons
generated by the sulfurylase–luciferase enzyme cascade is
linear for homopolymers up to eight nucleotides, after
which the relationship for individual reads begins to
decay. This stems from the fact that basecalls for the 454
system are derived from the intensity of the emitted signal
from a given well during a particular nucleotide flow.
While the accuracy of that basecall is dependent on signal
intensity, the variability of signal intensity is also propor-
tional to the signal strength. As homopolymer length and
signal intensity increase, the signal variability grows as
well, increasing the probability of error when using the
signal intensity to call the actual number of bases in
the homopolymer. Typical 454 sequencing runs can iden-
tify a single base with greater than 99.9% accuracy; 2-base
homopolymers are correctly identified 99.5% of the
time and 3-base homopolymers 99.0% of the time. For 9-
base homopolymers, the accuracy of basecalling has degen-
erated such that the basecalls are roughly 64% accurate. It
is important to note, however, that this pertains to single
reads where only the accuracy of the read from a single
well is considered, and that 99% of these 9-mers are called
as 8-, 9-, or 10-base homopolymers. The random nature of
the signal variability, where erroneous basecalls are as
likely to be too high as too low, allows the use of over-
sampling to correct homopolymer error. When multiple
reads covering the same homopolymer are averaged, the
consensus basecall accuracy for that 9-base homopolymer
is close to 99%.
The high throughput provided by both the GS-20 and
the FLX have enabled projects that were considered
impractical using conventional sequencing. Since its com-
mercial release in 1995, 454 sequencing has been used
for more than 60 peer-reviewed papers, including meta-
genomic investigations of deep-mine ecology, the deep
sea, and solar salterns, and the identification of the virus
responsible for colony collapse disorder by a metage-
nomic sequencing of the bees themselves. The system
has been employed for standard genomics including
de novo sequencing of multiple microbes (e.g., C. jejuni,
Helicobacter pylori, and bacteria from the Antarctic Sea),
and has also been successfully utilized for studies of gene
expression and DNA methylation in multiple species of
organisms.
Solexa
The second of the next-generation sequencers to be
commercially released was the 1G released by Solexa in
early 2007, generating up to 1 Gb of data through 40
million 25 base reads in a 72-h run. Like the GS-20 and
the FLX, the 1G is a sequencing-by-synthesis system, but
unlike the 454 systems it relies on incorporation of fluor-
escent, reversible chain-terminating nucleotides for signal
generation.
As with 454, the sample preparation process involves
random fragmentation of the template, with subsequent
ligation of adaptors that serve as forward and reverse
primers for PCR and sequencing at either end. Single-
stranded template molecules are covalently attached at a
density of approximately 100 million templates per
square centimeter to the surface of a glass slide to which
lawns of forward and reverse primers have also been
bound. The templates are then amplified to roughly
1000 copies through solid-phase amplification, also
known as bridge amplification, a version of PCR that
utilizes the immobilized rather than the solution-phase
PCR. Through bridge amplification, the free end of a
given immobilized template hybridizes to a proximal
immobilized primer. As in traditional PCR, a polymerase
generates a nascent copy of the template molecule, bound
to the glass surface by the 59end of the elongating primer.
Each denaturation phase in the PCR cycle disassociates
the double-stranded products, which are then free to
hybridize to other complementary immobilized primers.
If bridge amplification reactions are run to completion,
the templates will amplify from every immobilized pri-
mer within the reach of the molecule, at a distance that
must be shorter than the length of the template itself.
During amplification, products expand outward from
the original immobilized template across the surface of
the slide, generating circular colonies of amplified
template.
After amplification is complete, sequencing is accom-
plished through the simultaneous addition of all four
chain-terminated nucleotides, each possessing a distinct
fluorophore, which are incorporated into the complemen-
tary strand by polymerases engineered to accept modified
nucleotides. After the incorporation phase, the entire slide
is scanned with a laser and the fluorescence is measured
for each colony of templates, the fluorescent terminating
moiety is chemically removed, and the process is repeated
for each subsequent position on the template. The use of
chain-terminated nucleotides prevents the homopolymer
errors that affect 454 sequencing, in that each base of a
sequence is read individually whether part of a homopo-
lymer stretch or not; however, this allows substitution as
well as insertion/deletion errors to occur during
sequencing.
The overriding benefits provided by the Solexa’s 1G
sequencing system are throughput and cost. With the
capability of generating up to 1 Gb of data per run at a
cost of approximately $5 per megabase, Solexa delivers
significantly more data at a substantially lower price per
base than any of the existing Next-Gen or conventional
sequencing technologies. Sequencing output of this
DNA Sequencing and Genomics 379

magnitude has obvious applications where large numbers
of reads are desired for achieving sufficient coverage
depth when resequencing and accurately quantifying
transcripts within complex populations for expression-
profiling projects. In each of these contexts, the 25–35
base reads generated by the Solexa system are sufficient.
For resequencing, the reads are simply mapped against a
known target sequence, and any discrepancies are identi-
fied. The 25 base reads are adequate to identify most of
the expressed genes.
Due to the scarcity of published data for the Solexa
system, the degree to which the system will be able to
sequence hard motifs is currently unknown, and is likely
dependent on strand-displacing activity of the polymer-
ase and the temperature at which sequencing is
conducted.
Despite the use of engineered polymerases, the mod-
ified nucleotides are still not incorporated as readily as
natural nucleotides and this, in conjunction with the
cumulative loss of signal due to incomplete cleavage of
the terminators and fluorophores from the incorporated
nucleotide, limits read lengths to between 25 and 35
nucleotides, roughly 10% of that possible with the 454
FLX sequencer.
As mentioned previously, reads of this length are sui-
table for resequencing application, but are of limited
value when attempting de novo sequencing owing to the
difficulty in obtaining overlapping sequences of sufficient
length to tile reads when forming contigs, and their
inability to span nucleotide repeat sections longer than
35 bases.
The run durations (72 h) are considerably longer for
the Solexa instrument than for capillary array sequencers
or the 454 system. Although the 1G generates an enor-
mous amount of data for the specific samples sequenced,
the run duration limits the number of samples that can be
analyzed per day.
Perversely, the sheer volume of data generated by the
1G might limit its accessibility to ordinary laboratories.
Generating terabyte amounts of data per run, the 1G
requires an entire network of computers for analysis and
data storage, infrastructure more commonly found in
genome centers and core lab facilities.
Applied Biosystems
Applied Biosystems (ABI) entered the next-generation
sequencing business with the acquisition of Agencourt in
2006 and launched an early-adopter program for the
SOLiD technology in 2007. No published data exist on
the system as yet, but from what can be obtained from the
company website, the SOLiD system can generate up to
3 Gb of data during a 6-day run consisting of fewer than
100 million individual 35 base pair reads. SOLiD
technology utilizes a significantly different method for
sequencing, employing a ligase-driven ‘sequencing-by-
ligation’ technique as opposed to the polymerase-
mediated ‘sequencing-by-synthesis’.
The sample preparation and amplification processes
are very similar to those used in 454 sequencing, with
template DNA fragmented into one of two size ranges
depending on whether simple fragment or paired-end
libraries are required; fragment libraries are roughly 70
bases in length, while paired-end libraries are 1–6 kb. As
in the emPCR process, individual templates of a limiting
dilution are clonally amplified and immobilized on DNA
capture beads through emulsion PCR, although the beads
are polystyrene rather than Sepharose and smaller, mea-
suring 1 mm in diameter. Following emPCR, the small
percentage of DNA capture beads possessing immobilized
PCR amplicons are enriched from the total bead popula-
tion and anchored with biotin–streptavidin linkages to the
surface of a glass slide. The slide is then loaded into a
flowcell on the SOLiD instrument for subsequent
sequencing.
The sequencing process requires addition of primers
specific to the 59end of the amplified templates and a mix
of four different 8-base oligonucleotide probes, where each
of the four probe types carries a distinct 39fluorophore.
After the priming sequencing has annealed to the priming
site, the oligo probes anneal to the template directly down-
stream from the sequencing primer. Probe hybridization is
specific only for the two bases in the 4th and 5th positions
on the probe. Probes that contain 4th- and 5th-position
bases complementary to the two corresponding bases on
the template anneal to the template and are ligated onto the
sequencing primer, while noncomplementary probes are
washed away. The fluorescent signal generated by the
hybridized probe is then detected and recorded. The fluor-
escent signal detected through this process is reflective of
the sequence at a specific location on the sequencing
template.
The ligated probe is then cleaved between the 5th and
6th bases, removing the fluorescent moiety, and a second
round of probe ligation occurs. In this round, the probes’
4th and 5th base specificity interrogates the nucleotides
9 and 10 bases downstream from the end of the sequen-
cing primer, and the probe is ligated onto the tail of the
cleaved probe from the previous round of sequencing.
This process is repeated several times, after which the
sequencing primer and the associated train of ligated
probes are stripped off the template, and the process is
repeated with a sequencing primer one base shorter than
the previous sequencing primer. By reducing the length of
the sequencing primer, template bases 3 and 4 are
sequenced in the first round, 8 and 9 in the second, and
so on. In this fashion a total of five sequencing primers of
different lengths are employed, generating up to 35 base
reads.
380 DNA Sequencing and Genomics

According to company literature, the system is
expected to produce sequences that are greater than
99.94% accurate when using 2-base encoding, and a con-
sensus accuracy of 99.999% when the sequence coverage
exceeds 15oversampling. Interestingly, the company
also reports that of the reads generated during a run,
50% or more will have 0 or 1 error when aligned to a
reference sequence, and that 50% or less of the beads will
have 2 or 3 errors when aligned to reference sequences.
Using the maximum 35 base read length, this implies that
50% or more of the reads will have an accuracy of 97% or
greater, while 50% or less of the reads will possess accura-
cies as low as 94% and 91%.
Until the SOLiD system is released for widespread use
and generates peer-reviewed publications, it is difficult to
accurately assess the system’s benefits and limitations.
One can suppose that the SOLiD will generate data on a
gigabase scale composed of large numbers of short reads,
an inference supported by the fact that the system ships
with its own 10-unit Linux cluster to enable data analysis.
The ABI system is expected to provide benefits similar to
that obtained with the Solexa 1G: massive amounts of
sequence data generated at extremely low costs per base.
Also like the 1G, the short read lengths will probably
preclude the system’s use for de novo sequencing applica-
tion. It is possible that the short read lengths result from
the gradual accumulation of incompletely cleaved probes,
and that improvements to this process may increase read
lengths.
Helicos
Another Next-Gen sequencing system approaching com-
mercial release is Helicos BioSciences’ HeliScope; as with
the ABI SOLiD, there is little published information on
the system at this time, aside from what can be obtained
from the company website. Based on zero wave guide
technology developed by Steven Quake, the HeliScope
differs from the previously described sequencing pro-
cesses, both traditional and next-generation, in that the
template DNA is not amplified prior to sequencing.
Like the previous systems, sample preparation
involves fragmentation of the target genome into sections
several hundred bases in length, and either adapters are
ligated onto the ends of each fragment or a poly(A) tail is
added, depending upon the sequencing application.
Approximately 1 10
9
single-stranded templates are
then annealed to probes that are already chemically
anchored to the surface of a glass slide. These probes are
either a reverse complement oligo of the ligated adaptor
(for templates to which adaptor sequences were ligated)
or a poly(T) oligo (for templates to which poly(A) tails
were attached). For each nucleotide cycle, polymerases
are bound to the immobilized templates, and both fluor-
escently labeled nucleotides and proprietary terminators
that kinetically inhibit the polymerase from incorporating
more than a single base are added. After single fluorescent
nucleotides are incorporated, the slide surface is imaged
with a high-intensity laser where the fluorescent signal
detected indicates a base incorporation at that position in
the fluorescing template sequence.
As only a single template molecule is interrogated per
sequence, rather than the clusters of thousands to millions
of clonally amplified molecules analyzed per template
with the other sequencing systems, extremely sensitive
detection methods must be employed. Helicos uses total
internal reflection microscopy (TIRM), which constrains
the physical space interrogated to a region within 150 nm
of the flowcell surface. This substantially reduces the
background fluorescence that is typically generated by
bulk solutions and, in conjunction with substantial wash-
ing to remove errant signals from unincorporated
nucleotides, enables accurate detection of single fluores-
cent molecules.
While sequencing single-molecule, templates encoun-
ter technical challenges not faced by clonal population
sequencing; distinct benefits are also accrued. For exam-
ple, when sequencing clonal populations, not all
templates in the population advance at the same rate,
and a general loss of phase is inevitable during a sequen-
cing run. This loss of phase, when some percentage of the
total polymerase molecules might be located at position n
on the template, another at position n1, and a third at
position nþ1, causes loss of signal and an increase in
background, eventually limiting read lengths. When
sequencing single strands, loss of phase is not possible,
although polymerase-related problems such as insertions,
where an incorrect base is inserted along with the proper
base (these should be relatively rare in the Helicos sys-
tem), deletions, where either a base is not incorporated
when it should have been or the proper nucleotide is
incorporated but lacks the fluorescent label and so is not
recorded, and misincorporations/substitutions, where an
incorrect base is incorporated, can occur and result in
either erroneous sequence or premature termination of
that template’s read. No throughput specifications for the
HeliScope have been released yet, but with approxi-
mately 1 10
9
anchored templates, reads on par with
Solexa and SOLiD could theoretically generate 25 Gb
per run.
Combined Approaches
Each of the technologies described, whether traditional or
next-generation, possesses a combination of factors such
as read length, throughput, and cost that make them
suitable for particular applications in genomic research,
as illustrated in Figure 4. For example, the long read
lengths delivered by traditional capillary sequencing are
well suited for de novo sequencing projects, but the cost
DNA Sequencing and Genomics 381

per base and the extensive infrastructure required to
obtain high-throughput levels with the technology
makes it less amenable to gene expression or resequen-
cing applications where large numbers of reads are
required. Solexa or ABI reads, on the other hand, are
too short for de novo sequencing, but the systems’ excep-
tional throughput and affordable cost per base make them
an obvious choice for resequencing and expression profil-
ing. The 454 system occupies a middle ground,
supporting multiple applications; although its reads are
shorter than the capillary system’s, and its cost per base
higher than Solexa’s and ABI’s, it is a viable platform for
applications ranging from gene expression to de novo
sequencing.
While each of the systems has a particular mix of
strengths and weaknesses, discussion of applications
enabled by any single system may be somewhat artificial
as maximum efficiency and accuracy will likely be
obtained by using a combination of technologies.
For example, use of traditional Sanger sequencing along
with Next-Gen data may provide the best alternative for
maximizing speed, cost, and completeness of coverage
when sequencing whole genomes. Researchers have
already demonstrated that a hybrid approach using a
mixed next-generation (in this case, reads from the
GS-20) and traditional sequencing provided the optimum
combination of cost, completeness of coverage (due to
lack of cloning bias), and total assembly when sequencing
multiple species of microbes. It is highly likely that simi-
lar benefits would result from a combination of Sanger
sequencing with any of the high-throughput systems.
Future Directions
The genomics field is in the midst of a period character-
ized by the rapid emergence of multiple sequencing
platforms and techniques. In addition to the improved
accuracy, throughput, and cost effectiveness provided by
continuous refinement of existing systems, promising
novel technologies such as nanopore sequencing are in
active development. Introduction and incorporation of
any disruptive technology is accompanied by some
amount of inconvenience and effort, as users are forced
to educate themselves about the advantages and costs
associated with the new techniques. In addition, the geno-
mics community has had to not only evaluate the flood of
data generated by the different platforms, but also
develop methods to efficiently incorporate disparate
data types into completed genomes and universal data-
bases. Despite the inconveniences inherent and the effort
required in adopting new technologies, the benefits are
evident not only in the rising number of microbes either
completely sequenced or subjected to routine resequen-
cing and the dramatic reduction in sequencing costs, but
also in the development of entirely new applications that
were simply impossible with the previous technologies.
Advances in microbial genomics can have a profound
impact on human health. If the rate of technological
innovations is proportional to the utility and importance
of their benefits, then the next 10 years should be exciting
indeed.
Further Reading
Bentley DR (2006) Whole-genome re-sequencing. Current Opinion in
Genetics and Development 16(6): 545–552.
Binnewies T, Motro Y, Hallin P et al. (2006) Ten years of bacterial
genome sequencing: Comparative-genomics-based discoveries.
Functional & Integrative Genomics 6(3): 165–185.
Bonetta L (2006) Genome sequencing in the fast lane. Nature Methods
3: 141–147.
Hunkapiller T, Kaiser RJ, Koop BF and Hood L (1991) Large-scale and
automated DNA sequence determination. Science
254(5028): 59–67.
Hutchison CA (2007) DNA sequencing: Bench to bedside and beyond.
Nucleic Acids Research Sep 12.
Jarvie T (2005) Next generation sequencing technologies. Drug
Discovery Today: Technologies 2(3): 255–260.
Margulies M, Egholm M, Altman WE et al. (2005) Genome sequencing in
microfabricated high-density picolitre reactors. Nature
437(7057): 376–380.
Metzker ML (2005) Emerging technologies in DNA sequencing.
Genome Research 15(12): 1767–1776.
Relevant Website
http://www.genomesonline.org – Genomes Online Database V2.0
382 DNA Sequencing and Genomics

Emerging Infections
D L Heymann, World Health Organization, Geneva, Switzerland
ª2009 Elsevier Inc. All rights reserved.
A 30-Year Perspective
Misplaced Optimism
Public Health Weakness Facilitating Emergence and
Reemergence
Globalization
Solutions
Further Reading
Glossary
amplification of transmission The increased spread
of infectious diseases that occurs naturally or because
of facilitating factors, such as nonsterilized needles and
syringes, that can result in an increase in transmission of
infections such as hepatitis.
anti-infective drug resistance The ability of a virus,
bacterium, or parasite to defend itself against a drug
that was previously effective. Drug resistance is
occurring in bacterial infections such as ‘tuberculosis’
and ‘gonorrhoea’, in parasitic infections such as
‘malaria’, and in viral infections such as AIDS.
emerging infection A newly identified and previously
unknown infectious disease in humans, often resulting
from a breach in the species barrier between humans
and animals that carry the infectious agent. Since 1970,
there have been over 40 emerging infections identified,
causing diseases ranging from diarrheal disease among
children, hepatitis, and AIDS to Ebola and Marburg
hemorrhagic fevers.
eradication The complete interruption of transmission
of an infectious disease and the disappearance of the
virus, bacterium, or parasite that caused the infection.
The only infectious disease that has been eradicated is
‘smallpox’, which was certified as eradicated in 1980.
International Health Regulations (2005) International
law that is intended to protect against the spread of
infectious diseases across international borders, aimed
at ensuring global public health security. The regulations
provide new standards and norms for national and
global disease surveillance, notification, and response;
and require reporting to the World Health Organization
(WHO) of all public health emergencies of international
concern, including events or hazards arising from
communicable diseases, biological, radionuclear, and
chemical agents.
reemerging infection A known infectious disease
that had fallen to such low prevalence or incidence
that it was no longer considered a public health
problem, but that is presently increasing in prevalence
or incidence. Reemerging infections include
‘tuberculosis’, which has increased worldwide since
the early 1980s, dengue in tropical regions, and
‘diphtheria’ in Eastern Europe.
Abbreviations
BSE bovine spongiform encephalopathy
IHR International Health Regulations
SARS severe acute respiratory syndrome
WHO World Health Organization
A 30-Year Perspective
Infectious diseases, whether caused by bacteria, viruses, or
parasites, are complex, dynamic, and constantly evolving.
Some emerge or reemerge in human populations as they
cross the species barrier from animals to humans, and once
they have infected humans they may be asymptomatic or
cause disease. If they cause disease, they may maintain
their virulence or decrease in virulence with further pas-
sage through human populations. While some of these
infectious agents transmit easily from human to human
causing epidemics or pandemics, others may not be trans-
missible, but continue to sporadically infect humans as
zoonotic infections. Still others, like HIV infection, may
eventually become endemic infectious diseases in humans.
Examples of emerging infectious diseases are numerous
and clearly demonstrate their complexity, dynamism, and
evolution. In the Democratic Republic of Congo, the ces-
sation of smallpox vaccination in 1980, after smallpox had
been eradicated, may have contributed to a change in the
383

transmission patterns of human monkeypox. Smallpox vac-
cine also protects against other orthopox virus infections of
humans, including monkeypox. During the 1970s and
1980s, when human monkeypox was the subject of exten-
sive study and the majority of humans were still vaccinated
against smallpox, it was shown that person-to-person trans-
mission beyond three generations was rare. In 1996–97, an
outbreak of human monkeypox occurred with transmission
through at least nine generations and probably more, and
large chains of human to human transmission of monkey-
pox have continued intermittently since then. Poverty and
civil unrest appear to be factors that contribute to the
increase in human monkeypox infections, and these infec-
tions are now better able to sustain transmission because
succeeding generations are no longer vaccinated.
Numerous other infectious diseases have likewise
shown the potential to emerge, reemerge and transmit
from human to human (Table 1). In the early to mid-
1970s, for example, classic dengue fever had just begun to
reappear in Latin America after it had been almost elimi-
nated as a result of mosquito control efforts in the 1950s
and 1960s. During the early 1970s, dengue continued to
reemerge, with unprecedented numbers of its hemorrhagic
form. Thirty years later, in 2001, Latin America reported
over 609 000 cases of dengue, of which 15 000 were of the
hemorrhagic form. These figures represent more than
double the cases reported for the same region in 1995.
Dengue outbreaks are also becoming more numerous
and lethal. An outbreak in Brazil in 2002 caused over
500 000 cases in one of the largest outbreaks ever
recorded. In 1998, over 1.2 million cases of dengue fever
and dengue hemorrhagic fever were reported from 56
countries. Today, dengue is occurring in epidemics in
more than 100 countries in Africa, the Americas, the
Eastern Mediterranean, Southeast Asia and the Western
Pacific. Dengue outbreaks in Indonesia began during the
early 2000s, and have resulted in over 60 000 reported
cases with more than 700 deaths in this country alone.
In 1991, cholera, which had not been reported in Latin
America for over 100 years, reemerged in Peru with over
320 000 cases and nearly 3000 deaths. It rapidly spread
throughout the continent to cause well over 1 million
cases in a continuing and widespread epidemic. Fifteen
years earlier, in 1976 in North America, Legionella infection
was first identified in an outbreak among war veterans
attending a conference in Philadelphia (USA). Legionellosis
is now known to have occurred in outbreaks many years
prior to that date. Today it occurs worldwide, posing a
threat to travelers exposed to water from many different
sources including poorly maintained air conditioning sys-
tems because the organisms are resistant to chlorination. In
the Netherlands, in 1999, an outbreak of Legionellosis
occurred, which was subsequently traced to exposure to
mist from whirlpool baths exhibited at a flower show
visited by 80 000 people. Local cooling towers are
considered the likely source of a large outbreak of
Legionellosis, involving 751 cases and two deaths, which
occurred in Spain in 2001.
In 1986 a new disease in cattle, bovine spongiform
encephalopathy (BSE), was first identified in the United
Kingdom. In 1996, the appearance of a previously
unknown variant of the invariably fatal Creutzfeldt-
Jakob disease appeared in humans, and this has now
been shown to be caused by the same infectious agent
that causes BSE in cattle. Some scientists have suggested
that BSE may have been the result of cross species trans-
mission from sheep as the result of feeding cattle animal
proteins from dead sheep. By mid-2006 variant
Creutzfeldt-Jakab disease had occurred in over 195 per-
sons, and infected cattle had been identified in 24
additional countries.
Within a decade, food-borne infection by Escherichia
coli 0157, unknown in the 1970s, had become a food-safety
concern in Japan, Europe, and in the Americas. Hepatitis
C was first identified in 1989 and is now thought to be
present in at least 3% of the world’s population, while
hepatitis B has reached levels exceeding 90% in popula-
tions at high risk from the tropics to Eastern Europe.
In 2003, the severe acute respiratory syndrome (SARS)
coronavirus was first identified, demonstrating the full
potential of emerging infectious agents for international
spread. Thought to be an animal virus from a yet unpro-
ven animal reservoir, the SARS coronavirus first infected
humans in the Guangdong province of China in 2002.
From China it rapidly spread to 26 countries, and resulted
in over 8000 human cases during 2003.
In the Hong Kong Special Administrative Region of
China, 18 cases of human zoonotic infection with influ-
enza A virus subtype H5Nl occurred in 1997. Six of these
cases were fatal. The H5N1 virus had been previously
confined to wild bird populations, but around 1997 it
began to infect domestic poultry in China and Hong
Kong. By 1 December 2007, poultry infections were
occurring throughout Asia, the Middle East, Europe,
and Africa, and a total of 335 human zoonotic infections
of H5N1 had occurred, of which 206 were fatal. The
threat of emergence of a global influenza pandemic in
humans continues, either as a result of adaptive mutation
or reassortment of the H5N1 virus as it continues to
circulate in nonhuman mammals and avian populations,
or from one of the other avian influenza viruses now
circulating in avian populations.
Human African trypanosomiasis, which had been vir-
tually eliminated in the 1960s, resurged in an epidemic
that in 1998 was thought to have infected 300 000 to
500 000 people. In 1976, the Ebola virus was first identified
in simultaneous outbreaks of hemorrhagic fever in
Democratic Republic of Congo and Sudan. In many ways,
Ebola hemorrhagic fever has come to symbolize emerging
diseases and their potential impact on human populations
384 Emerging Infections

without previous immunological experience. The largest
recorded outbreak, which began in Uganda in 2001, caused
425 confirmed cases and 224 deaths. Altogether, since 1976
Ebola has caused just under 2000 human infections of which
approximately 1300 have been fatal, and epidemics continue
to occur in west, central, and east African countries.
A retrospective analysis in 1985, of blood that had been
collected from persons living in communities around the
Table 1 Principal newly identified infectious organisms associated with diseases
Year Newly identified organism Disease (year and place of first recognized or documented case)
Diseases primarily transmitted by food and drinking water
1973 Rotavirus Infantile diarrhea
1974 Parvovirus B19 Fifth disease
1976 Cryptosporidium parvum Acute enterocolitis
1977 Campylobacter jejuni Campylobacter enteritis
1982 Escherichia coli 0157:H7 Hemorrhagic colitis with hemolytic uremic syndrome
1983 Helicobacter pylori Gastric ulcers
1986 Cyclospora cayatanensis Persistent diarrhea
1989 Hepatitis E virus Enterically transmitted non-A and non-B hepatitis (1979, India)
1992 Vibrio cholerae 0139 New strain of epidemic cholera (1992, India)
Unclear modes of transmission, thought to be primarily transmitted by drinking water
1985 Enterocytozoon bieneusi Diarrhea
1991 Encephalitozoon hellem Systemic disease with conjunctivitis, in AIDS patients
1993 Encephalitozoon cunicali Parasitic disseminated disease, seizures (1959, Japan)
1993 Septata intestinalis Persistent diarrhea in AIDS patients
Diseases primarily transmitted by close contact with infectious individuals, excluding sexually transmitted diseases, nosocomial
infections, and viral hemorrhagic fevers
1980 HTLV-1 T-cell lymphoma-leukemia
1982 HTLV II Hairy cell leukemia
1988 HHV-6 Rosela subitum
1993 Influenza A/Beijing/32 virus Influenza
1995 HHV-8 Associated with Kaposi sarcoma in AIDS patients
1995 Influenza A/Wuhan/359/95 virus Influenza
2003 SARS coronavirus SARS
Sexually transmitted diseases
1983 HIV-1 AIDS (1981)
1986 HIV-2 Less pathogenic than HIV-1 infection
Nosocomial and related infections
1981 Staphylococcus toxin Toxic shock syndrome
1988 Hepatitis C Parenterally transmitted non-A, non-B hepatitis
1995 Hepatitis G viruses Parenterally transmitted non-A, non-B hepatitis
Human zoonoses and vector-borne diseases, including viral hemomorrhagic fevers, transmitted by close contact with animals
or animal products, excluding food-borne diseases
1977 Hantaan virus Hemorrhagic fever with renal syndrome (1951)
1990 Reston strain of Ebola virus Human infection documented but without symptoms (1990)
1991 Guanarito virus Venezuelan hemorrhagic fever (1989)
1992 Bartonella henselae Cat-scratch disease (1950s)
1993 Sinnombre virus Hantavirus pulmonary syndrome (1993)
1994 Sabia¨ virus Brazilian hemorrhagic fever (1955)
1997 Influenza A (H5N1) Avian influenza
1998 Nipah virus Severe encephalitis
Tick-borne
1982 Borrelia burgdorferi Lyme disease (1975)
1989 Ehrlichia chaffeensis Human ehrlichiosis
1991 New species of Babesia Atypical babesiosis
Unknown animal vector
1977 Ebola virus Ebola hemorrhagic fever (1976, Democratic Republic of Congo and Sudan)
1994 Ebola virus, Ivory Coast strain Ebola hemorrhagic fever
Soil-borne diseases, airborne diseases and diseases associated with recreational water with no evidence of direct person-to-person
transmission
1976 Legionella pneumophila Legionellosis (1947)
Reproduced from G. Rodier, WHO.
Emerging Infections 385

site of the 1976 Ebola outbreak, demonstrated that HIV
seroprevalence was already almost 1%. HIV has since
become a preoccupying problem in public health world-
wide. Widespread infection with HIV, an infectious agent
that is now endemic and appears to have emerged in
human population sometime during the first half of the
twentieth century, provides fertile ground for the trans-
mission of tuberculosis, including extensively drug
resistant-tuberculosis (XDR-TB), because HIV kills
CD4 lymphocytes and destroys much of the acquired
immune system. Drug-resistant tuberculosis has been
identified in all regions of the world but is today most
frequent in the countries of the former Soviet Union and
in Asia, and is on the rise in Africa.
Misplaced Optimism
With the certification of the eradication of smallpox in
1980, an unparalleled public health accomplishment that
resulted in immeasurable prevention of human suffering
and death, there was great optimism that infectious dis-
eases were no longer a major threat. Vaccines and
antimicrobial drugs that became available as the result
of intensified research and development immediately fol-
lowing World War II provided further optimism, as well
as technological advances in hygiene and sanitation.
Malaria, endemic in many industrialized countries in
both North America and Europe, disappeared with the
use of insecticides and antimalarial drugs. Tuberculosis
hospitals in Europe and North America emptied as
living conditions improved and effective drugs became
available that could be used to treat those with acute
tuberculosis and prevent infection in their contacts.
Influenza deaths could be prevented in industrialized
countries by vaccinating elderly populations, and epi-
demics of diarrhoeal disease became rare events,
limited to foodborne outbreaks when temporary
breaches in sanitation occurred.
This optimism resulted in a transfer of resources and
infectious disease specialists away from infectious disease
control and public health. More and more resources were
invested in the development of drugs useful for noncom-
municable diseases related to lifestyle and aging, and
public health infrastructure weakened. At the same time,
however, with increasing use of antimicrobial drugs,
warning signs of microbial resilience began to appear
and increase in magnitude.
At the end of the 1940s, resistance of hospital strains of
Staphylococcus to penicillin in the United Kingdom had
become as high as 14%. By the end of the 1990s it had
risen to levels of 95% or greater, and by 2000 multidrug-
resistant staphylococcal infections had become the cause
of great public health concern. In New York City in the
1990s, multidrug-resistant strains of tuberculosis gained
their hold in hospitals, prisons, and homeless populations.
At the same time, multidrug-resistant tuberculosis
emerged in the Russian Federation and the prevalence
more than doubled in less than seven years, with over
20% of tuberculosis patients in prison settings infected
with multidrug-resistant strains. Development of exten-
sively drug-resistant tuberculosis rapidly followed, and by
2006 had become a major public health problem in south-
ern Africa.
Levels of anti-infective drug resistance of Staphylococcus
aureus and other microbes increased with great rapidity. By
1976, chloroquine-resistant Plasmodium falciparum malaria
was highly prevalent in southeastern Asia and 20 years
later was found worldwide, as was high-level resistance to
two back-up drugs, sulfadoxine-pyrimethamine and meflo-
quine. Antimicrobial drugs developed to treat AIDS and
other sexually transmitted infections such as gonorrhoea
likewise began to lose their efficacy because of the rapid
development of resistance. In the early 1970s, Neisseria
gonorrhoeae that was resistant to usual doses of penicillin
was just being introduced into Europe and the United
States from Southeast Asia, where it is thought to have
first emerged. By 1996, N. gonorrhoeae resistance to penicil-
lin had become worldwide, and strains resistant to all major
families of antibiotics had been identified wherever these
antibiotics had been widely used. Countries in the Western
Pacific, for example, have registered quinolone resistance
levels up to 69%.
As a result of the shift in resources to other health
priorities, vaccine and antimicrobial drug development
lagged. No effective vaccines have been developed to
prevent infection of many of the major mortality causing
infections such as tuberculosis, malaria, and AIDS, and
research and development of new antimicrobial agents
has slowed.
Optimism is now being replaced by an understanding
that the world is less well equipped to deal with infectious
diseases because of emerging anti-infective drug resis-
tance, and because the infrastructure for infectious
disease surveillance and control has suffered and in
some cases become ineffective. These weaknesses have
recently come into sharp focus as countries consider pre-
paredness plans for responding to the possible deliberate
use of biological agents or a potential influenza pandemic,
and recognize the importance of strong public health
systems as the first line of defense for infectious disease
outbreaks, irrespective of their origin.
Public Health Weakness Facilitating
Emergence and Reemergence
The weakening of the public health infrastructure for
infectious disease control is evidenced by the failures in
mosquito control in Latin America and Asia that
386 Emerging Infections

facilitated the reemergence of dengue that is now causing
major epidemics. It was also evidenced in disinvestment
in childhood immunization programes in Eastern Europe
during the 1990s, which contributed to the reemergence
of epidemic diphtheria; and in Africa and Latin America
where yellow fever vaccination coverage markedly
decreased, facilitating yellow fever outbreaks on both
continents, the most severe of which was a major urban
outbreak in Cote d’Ivoire in 2001.
Weakening of public health infrastructure is also
clearly demonstrated by the high levels of hepatitis B
and the nosocomial transmission of other pathogens
such as HIV in the former Soviet Union and Romania,
and the nosocomial amplification of outbreaks of Ebola in
Democratic Republic of Congo, where syringes and failed
barrier nursing amplified outbreaks into major epidemics.
Population increases and rapid urbanization have like-
wise resulted in the breakdown of sanitation and water
systems in large coastal cities in Latin America, Asia, and
Africa that promoted the transmission of cholera and
shigellosis. In 1950, there were only two urban areas in
the world with populations greater than 7 million, but by
2005 this number had risen to 34, with increasing popula-
tions in and around all major cities, challenging the
capacity of existing water and sanitary systems.
Anthropogenic or natural effects on the environment
also contribute to the emergence and reemergence of
infectious diseases. The effects range from global warm-
ing and the consequent extension of vector-borne
diseases, to ecological changes due to deforestation that
increase contact between humans and animals and the
possibility of microorganisms breaching the species bar-
rier. These changes have occurred on almost every
continent. They are exemplified by zoonotic diseases
such as Lassa fever, first identified in West Africa in
1969 and now known to be transmitted to humans from
human food supplies contaminated with the urine of rats
that are in search of food, as their natural habitat could no
longer support their needs.
In Latin America, Chagas disease emerged as an
important human disease after mismanagement of
deforested land caused triatomine populations to move
from their wild natural hosts to involve human beings
and domestic animals in the transmission cycle, even-
tually transforming the disease into an urban infection
that can be transmitted by blood transfusion. Other
zoonotic diseases that are increasing because of
increased contact between people and naturally
infected animal hosts include Lyme borreliosis in
Europe and North America, transmitted to humans
who come into contact with ticks that normally feed
on rodents and deer, the reservoir of Borrelia burgdorferi
in nature; and the Hantavirus pulmonary syndrome in
Southwest North America.
The narrow band of desert in sub-Saharan Africa, in
which epidemic Neisseria meningitidis infections tradition-
ally occur, has enlarged as drought spread south, so that
Uganda and Tanzania experience epidemic meningitis,
while outbreaks of malaria and other vector-borne dis-
eases have been linked to the cutting of the rainforests. In
1998 an outbreak of Japanese encephalitis in Papua New
Guinea was linked to an extensive drought, which led to
increased mosquito breeding as rivers dried into stagnant
pools. The virus is now widespread in Papua New Guinea
and other parts of Asia and threatening to move farther
east. Buruli ulcer, a poorly understood mycobacterial
disease that has emerged dramatically over the past dec-
ade, has erupted following significant environmental
disturbances, and some evidence suggests that recent
increases in Africa are linked to deforestation and subse-
quent flooding, or to the construction of dams and
irrigation systems.
Finally, human behavior has played a role in the
emergence and reemergence of infectious diseases, best
exemplified by the increase in gonorrhea and syphilis
during the late 1970s, and the emergence and amplifica-
tion of HIV worldwide, which are directly linked to
unsafe sexual practices and intravenous drug abuse.
Human behavior has also facilitated the relentless evolu-
tion of anti-infective drug resistance. The mechanisms of
resistance, a natural defense of microorganisms exposed
to antimicrobial drugs, include both spontaneous muta-
tion and genetic transfer. The selection and spread of
resistant strains are facilitated by many factors, including
human behavior in overprescribing drugs, in poor com-
pliance, and in the unregulated sale of pharmaceuticals by
nonhealth workers.
In Thailand, among 307 hospitalized patients, 36%
who were treated with antiinfective drugs did not have
an infectious disease. The overprescribing of antimicro-
bials occurs in most other countries as well. In Canada, it
has been estimated that of the more than 26 million
people treated with anti-infective drugs, 50% were trea-
ted inappropriately. Findings from community surveys of
E. coli in the stool samples of healthy children in China,
Venezuela, and the United States suggest that although
multiresistant strains were present in each country, they
were more widespread in Venezuela and China, countries
where less control is maintained over antibiotic
prescribing.
Animal husbandry and agriculture use large amounts
of antimicrobials, and results in the selection of resistant
bacterial strains in animals, which then genetically trans-
fer the resistance factors to human pathogens or infect
humans as zoonotic diseases, is a confounding factor that
requires better understanding. Direct evidence exists that
four multiresistant bacteria infecting humans, Salmonella,
Campylobacter, Enterococci, and E. coli, are directly linked to
resistant organisms in animals.
Emerging Infections 387

Globalization
Infectious diseases emerge and reemerge in a world
where international travel facilitates their spread.
Though the role of travel in the spread of infectious
diseases has been known for centuries, the speed of such
travel has increased during the past 50 years. Today, a
traveller can be in an European or Latin American capital
one day and be in the center of Africa or Asia the next day.
With them, humans often carry infectious agents, many
times without knowledge of infection because it is still in
its incubation period. Like insects, humans have become
important vectors of diseases in a globalized world.
During the 1990s, over 500 million people traveled by
air each year, and contributed to the growing risk of
exporting or importing infection or drug-resistant organ-
isms. In 1988, a clone of multiresistant Streptococcus
pneumoniae first isolated in Spain was later identified in
Iceland. Another clone of multiresistant S. pneumoniae, also
first identified in Spain, was subsequently found in the
United States, Mexico, Portugal, France, Croatia,
Republic of Korea, and South Africa. A study conducted
by the Ministry of Health of Thailand on 411 existing
tourists showed that 11% had an acute infectious disease,
mostly diarrheal, but also respiratory infections, malaria,
hepatitis, and gonorrhea.
By 2006, international travel had increased to over 2
billion, and had greatly increased the ease with which
microbes, incubating in unsuspecting humans, can cross
continents and invade new geographic territories.
Microbes living in insects concealed in cargoes or in the
luggage holds and cabins of jets also take the same pathway.
In the late 1990s West Nile fever arrived in North America
through the introduction of a single virus subtype, and
today has become endemic in avian populations through-
out the United States and in Southern Canada and
Northern Mexico.
Once established on new continents, emerging or ree-
merging infectious diseases can change population
dynamics and negatively impact on economies. Nothing
more clearly demonstrates this global threat than the
spread of AIDS in humans throughout the world during
the latter half of the twentieth century. AIDS has had a
negative impact on economic development and healthy
population growth. In recent years, every continent has
experienced an unexpected outbreak of some infectious
disease directly related to increased travel, one of the
most recent having been SARS in 2003 which had a nega-
tive impact on travel and trade throughout Asia.
Parallel increases in trade have also facilitated the
international spread of microbes, in animals traded inter-
nationally, or in improperly or nonprocessed food and
food products. As a result, the threat of epidemic diseases
with origins in one country and spread to others has
become a real and constant threat. Trade is the reason
that BSE in cattle has been found in 24 countries in which
cattle and/or cattle products including animal feed were
traded. Rift Valley fever is thought to have arrived in
the Arabian peninsula in infected livestock traded across
the Red Sea from Eastern Africa, and it has now become
endemic in these new geographic areas, adding to the
infectious disease burden.
Advances in food production and storage technology,
coupled with the globalization of markets, have resulted
in a food chain that is unprecedented in its length and
complexity, thus creating an efficient vehicle for microbes
to spread to new areas and susceptible hosts. Tracing the
origin of all ingredients in a meal has become virtually
impossible, constituting an enormous challenge for the
control of foodborne diseases.
The universal nature of the microbial threat, with
agents of disease, including drug-resistant forms, passing
undetected across increasingly porous borders, has placed
all nations on an equally vulnerable footing. Economic
prosperity has produced a world that is interconnected in
matters of economics and trade, with the result that health
has become both a domestic issue, and an issue with
foreign policy considerations as well (Table 2).
Solutions
Attempts at regulation to prevent the spread of infectious
diseases were first recorded in 1377 in quarantine legisla-
tion to protect the city of Venice from plague-carrying
rats on ships from foreign ports. Similar legislation in
Europe, and later the Americas and other regions, led to
the first international sanitary conference in 1851, which
laid down a principle for protection against the
Table 2 Resistance of common infectious diseases to
antiinfective drugs, 1998
Disease
Antiinfective
drug Range (%)
Acute respiratory infection
(S. pneumoniae)
Penicillin 12–55
Diarrhea (Shigella) Ampicilline 10–90
Trimethoprim
Sulfamethoxazole 9–95
Gonorrhea (N. gonorrhoeal) Penicillin 5–98
Malaria Chloroquine 4–97
Tuberculosis Rifampicin 2–40
Isonizid
Fluoroquinolone
Amikacin
Capreomycin
Kanamycin
Source: WHO.
388 Emerging Infections

international spread of infectious diseases: maximum pro-
tection with minimum restriction. Uniform quarantine
measures were determined at that time, but a full century
elapsed, with multiple regional and interregional initia-
tives, before the International Sanitary Regulations were
adopted in 1951. These were amended in 1969 to become
the International Health Regulations (IHR), which are
implemented by the World Health Organization (WHO).
The IHR (1969) provided a universal code of practice,
which ranged from strong national disease detection sys-
tems and measures of prevention and control including
vaccination, disinfection, and deratting. They initially
required the reporting of four infectious diseases – cho-
lera, plague, smallpox, and yellow fever. But when these
diseases were reported, the regulations were often mis-
applied, resulting in the disruption of international travel
and trade, and huge economic losses. For example, when
the cholera pandemic reached Peru in 1991, it was imme-
diately reported to WHO. In addition to its enormous
public health impact, however, misapplication of the reg-
ulations caused a severe loss in trade (due to concerns for
food safety) and travel, which has been estimated as high
as $770 million. In 1994, an outbreak of plague occurred
in India with approximately 1000 presumptive cases. The
appearance of pneumonic plague resulted in thousands of
Indians fleeing from the outbreak area, risking spread of
the disease to new areas. Plague did not spread, but the
outbreak led to tremendous economic disruption and
concern worldwide, compounded by misinterpretation
and misapplication of the IHR (1969).
A further problem with the regulations was that many
infectious diseases, including those that are new or reemer-
ging, were not covered even though they have great
potential for international spread. These ranged from rela-
tively infrequent diseases such as viral hemorrhagic fevers
to the more common threat of meningococcal meningitis.
Because of the problematic application and disease cover-
age of the IHR (1969), they have been revised and updated
to make them more applicable to infection control and
other public health menaces in the twenty-first century.
The revised IHR (2005) give a clear definition of
what constitutes a public health emergency of interna-
tional concern, thus helping countries to avoid
inappropriate reactions to strictly localized events.
They include unambiguous mechanisms for confidential
collaboration between the affected country and WHO
to verify the presence or absence of a suspected out-
break. For example, any event that may constitute a
global public health threat is assessed by the country in
which it is occurring using a decision instrument and, if
certain criteria are met, an official notification must be
provided to WHO. Notification is mandatory for a
single case of human influenza caused by a new virus,
poliomyelitis caused by a wild-type poliovirus, small-
pox, and SARS. Potential threats are, however, no
longer confined to a list of four communicable diseases.
They include all public health emergencies of interna-
tional concern, including those caused by other
infectious agents, chemical agents, radioactive materials,
and contaminated food.
To allow for a more sensitive and proactive system of
detecting events and outbreaks, the IHR (2005) provide for
a fundamental change in surveillance practices to include
the use of unofficial information sources, such as the press
or electronic media. The IHR (2005) are designed to
become a true global alert and response system to ensure
maximum protection against the international spread of
diseases and other public health emergencies with mini-
mum interference with trade and travel.
Finally, the IHR (2005) require the development of a
core set of surveillance and control capacities in each
country, and countries will be monitored by WHO to
ensure that these capacities have been established.
These capacities, along with efforts to minimize the
impact of natural and anthropogenic changes in the envir-
onment, improved water and sanitation; effective
communication of information about the prevention of
infectious diseases; and more rationally prescribed use of
antimicrobial drugs will help rebuild the weakened public
health infrastructure. The challenge in the twenty-first
century will be to continue to provide resources to
strengthen and ensure more cost-effective infectious dis-
ease control, and implementation of the IHR (2005),
while also providing the additional resources needed for
other emerging public health problems such as those
related to lifestyle and aging.
Further Reading
Binder S, Levitt AM, Sacks JJ, and Hughes JM (1999) Emerging
infectious diseases: Public health issues for the 21st century.
Science 284: 1311–1313.
Desselberger U (2000) Emerging and re-emerging infectious diseases.
The Journal of Infection 40: 3–15.
Fenner F, Henderson DA, Arita I, Jezek Z, and Ladnyi ID (1988) Smallpox
and its Eradication. Geneva: World Health Organization.
Fricker J (2000) Emerging infectious diseases: A global problem.
Molecular Medicine Today 6: 334–335.
Garrett L (1995) The Coming Plague: Newly Emerging
Disease in a World Out of Balance.NewYork,NY:Penguin
Books.
Lederberg J (2000) Infectious history. Science 288: 287–293.
Levy SB (1992) The Antibiotic Paradox: How Miracle Drugs are
Destroying the Miracle. New York: Plenum Press.
Schuchat A (2000) Microbes without borders: Infectious disease, public
health, and the journal. American Journal of Public Health
90: 181–183.
WHO (2003) Global Defence Against the Infectious Disease Threat.
Geneva: World Health Organization.
WHO (2006) International Health Regulations (2005). Geneva: World
Health Organization.
Emerging Infections 389

Relevant Websites
http://www.cdc.gov/ – CDC, Centers for Disease Control and
Prevention
http://www.geis.fhp.osd.mil/ – DoD-GEISWeb, Global
Emerging Infections System
http://www.idsociety.org/ – IDSA, Infectious Diseases Society
of America
http://www3.niaid.nih.gov/ – National Institute of Allergy and
Infectious Diseases, National Institutes of Health
http://depts.washington.edu/ – UW Departments Web Server
390 Emerging Infections

Endosymbionts and Intracellular Parasites
A E Douglas, University of York, York, UK
ª2009 Elsevier Inc. All rights reserved.
Defining Statement
Chronic Microbial Infections of Eukaryotes
Functional Significance of Endosymbionts
Transmission of Microbial Symbionts and Parasites
Persistence of Associations
Further Reading
Glossary
chronic infection Persistent infection by
microorganisms.
horizontal transmission Acquisition of
microorganisms from the environment or a host other
than the parent, with the consequence that the
microorganisms in parent and offspring hosts are not
necessarily related.
symbiosis The intimate association between
phylogenetically different organisms, often restricted to
relationships from which all organisms derive benefit.
symbiosomal membrane Membrane of host origin
bounding an intracellular symbiotic microorganism.
vertical transmission The transmission of
microorganisms from a parent to offspring host.
Abbreviation
ROS reactive oxygen species
Defining Statement
Eukaryotes bear persistent (i.e., chronic) microbial infec-
tions. Most microorganisms are not deleterious to the
eukaryotic host, and some are beneficial or even required
by the host. Many mutualistic microorganisms expand the
metabolic repertoire of their host or are beneficial
through effects that cannot be attributed to defined
microbial traits.
Chronic Microbial Infections of
Eukaryotes
Eukaryotes (‘hosts’) provide multiple habitats for prolif-
erating populations of microorganisms, including
representatives of the eubacteria, archaea, protists, and
fungi. In other words, eukaryotes bear chronic (i.e., per-
sistent) infections with microorganisms that generally are
not deleterious and, in some cases, are beneficial or even
required by the host. To illustrate, more than 90% of the
cells and an estimated 99% of all genes in a healthy
human are microbial. Only a minority of microorganisms
associated with most eukaryotes are pathogens.
The relationships are most conveniently classified by
two complementary criteria: their impact on the eukar-
yotic host and their location.
Impact on the Eukaryotic Host
By convention, the relationships between microorgan-
isms and their eukaryotic hosts are assigned to three
categories: mutualism, where the host benefits; com-
mensalism, where the microorganism has no observable
effect on host fitness; and parasitism, where the micro-
organism is deleterious to the host. Despite its
widespread use, this classification is recognized to be
artificial. The effect of a microorganism on eukaryotes
can vary with host species, genotype, developmental age
and condition, and with environmental circumstance.
For example, opportunistic pathogens have no detectable
impact on healthy hosts but cause disease in immuno-
compromised or otherwise debilitated hosts. Similarly,
mycorrhizal fungi associated with plant roots are gener-
ally beneficial to plants by enhancing plant mineral
nutrition, but their demand for plant-derived photosyn-
thetic carbon can be deleterious to young seedlings with
limited photosynthetic capacity.
A further term, symbiosis, is used widely to describe
associations between microorganisms and their hosts. Some
authorities regard symbiosis as synonymous with mutual-
ism, while others subscribe to the original definition of
symbiosis as ‘any association between differently named
organisms’. Similarly, the term ‘symbiont’ is interpreted by
some to describe mutualistic microorganisms (as distinct
391

from commensal and parasitic microorganisms) and by
others to mean any microorganism in a eukaryotic host.
The more general definition of symbiosis and symbiont is
used extensively in the symbiosis literature but very rarely
in the parasitology literature, and overt parasites are rarely
considered as symbiotic. For this reason, this article refers
to symbionts as microorganisms, which are generally
advantageous to their host.
Immediately relevant to the definition of symbiont are
symbiont-derived organelles in eukaryotes. As the term
implies, these organelles have evolved from intracellular
symbionts. A symbiont-derived organelle is characterized
by two linked traits: first, genes ancestrally in the symbiont
have been transferred to the host nucleus; second, the cog-
nate proteins are targeted back to the organelle. In this way,
the symbiont-derived organelle is inextricably dependent
on the host lineage in which it evolved. There is over-
whelming evidence for a symbiotic origin of mitochondria
and plastids, both of which retain small numbers of genes.
Location in Eukaryotic Host
Microorganisms living within their hosts are termed
endosymbionts (and endoparasites), as distinct from ecto-
symbionts (and ectoparasites), which are located on the
surface of the host. Endosymbionts are classified as either
intracellular (within cells) or extracellular (external to
cells). Within multicellular hosts, the extracellular sym-
bionts may reside in cavities or other spaces, for example,
the body cavity and gut of animals, or between closely
apposed host cells, for example, endophytic and mycor-
rhizal fungi in plant shoots and roots, respectively, and the
latter are sometimes referred to as ‘intercellular’. Most
intracellular microorganisms are restricted to the cyto-
plasm and separated from the cytoplasmic contents by a
membrane of host origin, variously known as the
symbiosomal membrane or parasitiphorous vacuole.
Exceptionally, some intracellular symbionts and parasites
lie free in the host cell cytoplasm, for example, the
-proteobacterium Wigglesworthia symbiont in tsetse fly,
or are localized to specific organelles, for example, rick-
ettsias in mitochondria of the tick Ixodes, various bacteria
in the nucleus of ciliates.
Although a broad phylogenetic range of microorgan-
isms adopt the intracellular lifestyle, the diversity of
intracellular microorganisms in any one host is low, gen-
erally one to several taxa. A far higher diversity of
microorganisms colonize extracellular habitats in eukar-
yotic hosts. In particular, the guts of many animals bear
very diverse microbial communities, comprising hun-
dreds of taxa and including both ‘resident’ species that
persist for substantial periods up to the full lifespan of the
host and ‘transients’ that pass through the digestive tract
with food. Among vertebrate animals, the only known
intracellular microorganisms are parasites. The reasons
for the apparent absence of intracellular symbionts are
unknown, but may be related to the adaptive immune
system of these animals.
Functional Significance of Endosymbionts
Symbioses as a Source of Metabolic
Capabilities
Many endosymbioses are founded on the fact that micro-
organisms have a wider metabolic repertoire than their
hosts. In particular, the lineage giving rise to the eukar-
yotes lacked the key metabolic capabilities of aerobic
respiration, photosynthesis, and nitrogen fixation.
Various eukaryotic groups also lack additional capabil-
ities; for example, some protists and all animals cannot
synthesize 9 of the 20 amino acids that contribute to
protein (the ‘essential’ amino acids) and some coenzymes
required for functioning of key enzymes (vitamins); the
insects additionally cannot synthesize sterols de novo, and
vertebrates cannot degrade cellulose. Repeatedly, eukar-
yotes have gained access to these metabolic capabilities
by forming symbioses with microorganisms. Eight key
metabolic capabilities of eukaryotes have a symbiotic
basis, and an overview of these is provided in Table 1
and the following text.
Aerobic respiration
Eukaryotes have acquired aerobic respiration from just one
lineage of microorganisms, an -proteobacterium allied to
rickettsias, which evolved into mitochondria. The evidence
is that all mitochondria are autonomous organelles (i.e., a
cell line from which mitochondria have been eliminated
cannot resynthesize these organelles) and possess coding
DNA with unambiguous sequence similarity to rickettsias.
Various genes derived from the mitochondrial ancestor
have been transferred to the nucleus of the eukaryotic
host and are present in the nucleus of taxa lacking mito-
chondria (e.g., trichomonads), leading to the current
consensus that the ancestor of all modern eukaryotes was
mitochondriate. It is disputed whether the acquisition of
mitochondria predated (and was perhaps instrumental in)
the evolutionary origin of eukaryotes, or occurred later, in
a host bearing the key eukaryotic trait of a membrane-
bound nucleus.
Photosynthesis
Oxygenic photosynthesis evolved once, in the ancestor
of the cyanobacteria, and has been acquired multiply by
eukaryotes. By far, the most widespread and important
photosynthetic symbiont is the cyanobacterial lineage
that evolved into plastids. Phylogenetic analyses point
firmly to a single evolutionary origin of plastids,
acquired by the protist ancestor of chlorophytes
(which gave rise to the land plants), rhodophytes (red
392 Endosymbionts and Intracellular Parasites

algae), and a small third group of algae, the glauco-
phytes. Representatives of chlorophytes and
rhodophytes have been acquired by other protists, giv-
ing rise to additional algal groups bearing complex
plastids bounded by multiple membranes (Figure 1).
Some host lineages have subsequently become nonpho-
tosynthetic but retained their erstwhile plastids, which
perform different but essential functions. For example,
the apicomplexan protists bear an organelle, the apico-
plast, required for its capacity to synthesize essential
terpenoids, and the genome of which is unambiguously
allied to the genome of chromophyte plastids.
Various photosynthetic cyanobacteria and algae enter
into symbioses with nonphotosynthetic hosts. Of particu-
lar importance are the lichens, associations of fungi with
algae or cyanobacteria, which dominate large areas of
tundra and are abundant in temperate and tropical forests.
An estimated 14 000 fungal species, including nearly half
of all described ascomycetes, are lichenized, and the sym-
bionts include 30–40 genera of algae, mostly
chlorophytes, and at least 12 genera of cyanobacteria. In
the marine environment, the symbiosis between corals
and dinoflagellate algae of the genus Symbiodinium is the
architectural foundation of shallow-water coral reefs,
which are highly productive and diverse ecosystems of
immense ecological and socioeconomic importance.
Chemoautotrophy
Chemoautotrophic bacteria fix carbon dioxide using the
energy and the reductant derived from the oxidation of
reduced (usually inorganic) compounds, generally with
molecular oxygen as the electron acceptor. Various che-
moautotrophs form symbioses with animals living at the
interface between oxic and anoxic environments,
representing a source of oxygen and reduced substrate,
respectively. Habitats include the zone in marine sedi-
ments where oxygen-rich seawater percolating
downward meets anoxic sediment water, deep-sea hydro-
thermal vents, natural gas and methane seeps, and the
immediate environment around sewage outfalls. Most
symbiotic chemoautotrophs are sulfur oxidizers or
methane oxidizers. Their animal hosts include bivalves,
pogonophoran worms, nematodes, and annelids, and these
symbioses are particularly conspicuous at hydrothermal
vents, where the hosts include vestimentiferan tube
worms, such as Riftia, up to 2 m in length, and very large
bivalves, such as Calyptogena species.
A recent metagenomic analysis of the symbiosis in the
interstitial oligochaete annelid Olavius algarvensis has
revealed microbial complexity. This symbiosis involves
four bacterial taxa located internal to the host body wall
cuticle: 1-, 3-, 1-, and 4-proteobacteria. Shotgun
sequencing, gene identification, and metabolic recon-
struction in silico indicated that the -proteobacteria are
sulfide-oxidizing chemoautotrophs and that the
-proteobacteria are sulfate-reducing bacteria that can
also fix carbon dioxide by the reductive acetyl coenzyme
A pathway and the TCA cycle. The complementary
pathways of sulfate reduction and sulfide oxidation pro-
vide for a symbiotic sulfur cycle, ensuring that the
-proteobacteria are provided with sulfide, even though
the external habitat has no detectable sulfide. The ani-
mal host lacks any gut, mouth, or anus and is believed to
gain most of its nourishment by engulfing and digesting
the subcuticular bacteria. The bacteria also have the
genetic capacity to consume host waste ammonia, and
this may explain the reduced nephridial excretory
system in this species.
Table 1 An overview of endosymbioses that enhance the metabolic repertoire of eukaryotes
Metabolic capability Examples of endosymbioses
Aerobic respiration Mitochondria (evolved from -proteobacteria) in most eukaryotes
Oxygenic photosynthesis Plastids (evolved from cyanobacteria) in algae and plants. Cyanobacteria
(e.g., Nostoc) and algae (e.g., Trebouxia) in lichenized fungi. Various algae
(e.g., freshwater Chlorella and marine Symbiodinium in protists and animals
(e.g., corals)
Chemoautotrophy Various bacteria in marine animals, e.g., Pogonophora (e.g., Riftia) and bivalves
Nitrogen fixation Rhizobia in legumes, Frankia (actinomycete) in various dicot plants,
a
cyanobacteria
in some lichenized fungi, plants (e.g., Gunnera,Azolla, cycads) and diatoms (e.g.,
Rhizosolenia). Various bacteria in termites, teredinid mollusks
Essential nutrient provision (e.g., essential
amino acids, vitamins, and sterols)
Various bacteria and fungi in protists and animals, especially insects feeding on
vertebrate blood, plant sap, and wood
Cellulose degradation Various bacteria (e.g., Ruminococcus) in herbivorous vertebrates, for example,
ruminants; protists in lower termites
Methanogenesis Methanogenic bacteria associated with anaerobic ciliates
Bioluminescence Bacteria (Vibrio,Photobacterium) in marine teleost fish and squid
Secondary metabolites as protective toxins Bacteria in various animals, endophytic fungi in grasses
a
Members of eight families: Betulaceae, Casuarinaceae, Coriariaceae, Dastiscaceae, Eleaginaceae, Myricaceae, Rhamnaceae, and Rosaceae.
Endosymbionts and Intracellular Parasites 393

Nitrogen fixation
The phylogenetic distribution of nitrogen fixation is
broad but irregular, indicative of multiple evolutionary
acquisitions and losses. The lateral transfer of nitrogen
fixation genes has apparently been widespread among
bacteria, but eukaryotes have gained this capability exclu-
sively by symbiosis with bacteria, none of which (to our
knowledge) have evolved into organelles.
The nitrogen-fixing endosymbionts are best known in
plants. Of particular importance are the nitrogen-fixing
bacteria in the root nodules of legumes (comprising two
separate lineages of -proteobacteria, one including
Bradyrhizobium and Azorhizobium and the other
including Rhizobium,Sinorhizobium, and Mesorhizobium,
and -proteobacteria of the genera Burkholderia and
Ralstonia) and the actinomycete Frankia in various dicot
plants. An estimated 150 species of vascular plants,
including many cycads, the water fern Azolla, and the
dicot Gunnera, associate with cyanobacterial symbionts
of the family Nostocaceae that comprise filaments of
vegetative cells (capable of oxygenic photosynthesis)
and heterocysts (which fix nitrogen), and the chief advan-
tage to the plant host is access to fixed nitrogen derived
from the heterocysts. In addition, an estimated 550 species
of lichenized fungi associate with both photosynthetic
algae and cyanobacteria restricted to specialized struc-
tures called cephalodia, in which they fix nitrogen at high
rates. These cyanobacterial symbionts are the only known
nitrogen-fixing symbioses in fungal hosts.
Nitrogen-fixing bacteria are present in the gut micro-
biota of many animals, but they generally are at low
abundance and of no nutritional significance to the animal
host. Some animals feeding on nitrogen-poor wood (e.g.,
some termites, Tenebrio shipworms) gain nitrogen from
nitrogen-fixing bacterial endosymbionts. There is a gen-
eral expectation that nitrogen-fixing symbioses are less
Archaeplastida
Chromalveolates
Alveolates
red algae
prasinophyte algae
land plants
charaphyte algae
chlorophyte algae
glaucophyte algae
Policistina
Toxopodida
Acantharea Gromia
foraminifera
euglyphid amoebas
cercomonads
chlorarchniophytes
Phaeodarea
Desmothoracida
acanthamoebas
tubulinid amoebas
flabellinid amoebas
Dictyostelia
Myxogastria
Protostelia
archaemoebae
Thecamoeba
Mayorella
mesomycetozoa
choanoflagellates
animals
microsporidia
fungi
nucleariids
Malawimonas
oxymonads
parabasalids
trichomonads
retortamonads
diplomonads
core jakobids
leishmania
trypanosomes
euglenids
acrasid amoebas
haptophytes
cryptophytes
opalinids
labyrinthulids
(14 total groups of
chl a+c algae)
Raphidophyceae
Pelagophyceae
Eustigmatales
xanthophytes
brown algae
Chrysophytes
diatoms
oomycetes
bicosoecids
Actinophryidae
marine group II
marine group I
ciliates
apicomplexa
dinoflagellates
vahlkampfiid amoebas
Heterokonts
discicristates
Opisthokonts
Unikonts
Amoebozoa
Rhizaria
Excavates
chlorophyll number of plastid
membranes:
2
3
4
nucleomorph:
relict plastid (no photosynthetic genes):
a
b
c
Figure 1 The phylogenetic distribution of plastids in eukaryotes, mapped onto an unrooted phylogenetic tree of eukaryotes based on
a combination of molecular phylogenetic and ultrastructural data. According to this evolutionary scenario, the diversity of plastids can
be explained by three evolutionary events. (1) The cyanobacterial ancestor of all plastids was acquired by the ancestor of the
archaeplastida, giving rise to three groups – the rhodophytes (red algae) and the glaucophytes containing chlorophyll aand the
chlorophytes (green algae) and allies, including the land plants, containing chlorophyll aand b. (2) A rhodophyte alga was acquired by
the ancestor of the chromalveolates, generating complex plastids that have chlorophyll aand c. (3) A chlorophyte was acquired by the
ancestor of the euglenids and the chlorarachniophytes. Among the complex plastids generated through steps (2) and (3), the nucleus of
the primary host has been retained as a nucleomorph in the chlorarachniophytes and one group of chromalveolates, the cryptophytes.
Reproduced from Baldauf S. L. (2003). The deep roots of eukaryotes. Science 300: 1703–1706.
394 Endosymbionts and Intracellular Parasites

significant in animals than in plants because animals have
a limited capacity to utilize the primary nitrogen fixation
product, ammonia. Indeed, ammonia is a potentially toxic
waste product of metabolism for most animals.
Provision of essential nutrients
Most research on microorganisms that provide specific
classes of primary nutrients, such as amino acids and vita-
mins, has focused on intracellular endosymbionts of insects
that are restricted to specific organs, variously known as
mycetomes or bacteriomes (Table 2). Although these sym-
bioses have evolved independently multiple times between
diverse groups of insects and microorganisms, the associa-
tions have three common traits. (1) The microorganisms are
restricted to specific insect cells, the sole function of which
appears to be to house and maintain the microorganisms;
these cells are known as bacteriocytes or mycetocytes (the
terms are synonymous), forming organs known as bacter-
iomes or mycetomes. (2) The microorganisms are
obligately vertically transmitted, usually by insertion from
the maternal bacteriocytes directly into the eggs in the
female ovary. (3) The association is required by both insect
and microorganisms.
The anatomical location and structural organization of
the bacteriome vary widely; the bacteriome may be asso-
ciated with the animal gut (e.g., tsetse flies), fat body
(e.g., cockroach), Malpighian tubules (e.g., book lice), or
lie free in the body cavity (e.g., aphids). The microorgan-
isms are restricted to the cytoplasm. They are generally
unculturable and molecular methods have revealed their
diversity, including -, -, and -proteobacteria, flavo-
bacteria, and fungi, some of which are not closely related
to any formally described taxa. Where similar or identical
sequences are identified in multiple host species of one
order or family, the endosymbiont has been assigned a
novel candidate generic name (Table 2).
The nature of the symbiont–host interactions has been
inferred from the distribution of these relationships,
which are particularly prevalent in insects feeding on
nutrient-poor diets, such as plant sap (phloem or xylem)
deficient in essential amino acids and vertebrate blood
deficient in B vitamins (Table 2). Direct experimental
evidence for the translocation of essential amino acids
from bacteria to insects has been obtained for cockroaches
and aphids, and the nutritional role of other symbiotic
microorganisms is inferred from their complement of
metabolic genes, identified either by PCR amplification
or from completely sequenced genomes.
Microsopical studies have revealed various other ani-
mals, usually invertebrates including earthworms, leeches,
tunicates, and nematodes, which universally bear dense
aggregations of microorganisms, in specific anatomical
Table 2 Distribution of intracellular microbial endosymbioses in insects
Insect Microorganisms
(a) plant sap feeders
Heteroptera
Plataspids (stinkbugs) Ishikawella (-proteobacteria)
Alydids (broad-headed bugs) Burkolderia (-proteobacteria)
Homoptera
Auchenorrhyncha (including
leafhoppers, planthoppers,
cicadas)
Baumannia cicadellinicola (-proteobacteria) and Sulcia muelleri (Bacteroidetes); Pyrenomycete
fungi in some planthoppers
Aphids Buchnera (-proteobacteria) or pyrenomycete fungi
Whitefly Portiera aleyrodidarum (-proteobacteria)
Psyllid jumping lice Carsonella ruddii (-proteobacteria)
Scale insects & mealy bugs) Tremblaya princes (-proteobacteria)
(b) vertebrate blood
Heteroptera
Cimicid (bedbugs) -proteobacterium allied to Serratia
Triatome bugs Arsenophonus triatominarum (-proteobacteria)
Anoplura (sucking lice) Riesia pediculicola ((-proteobacteria) in human head louse & body louse
Diptera Pupiparia Wigglesworthia in Glossina
Arsenophonus in streblids and hippoboscids
(c) general feeders
Blattidae (cockroaches) Blattabacterium (flavibacteria)
Mallophaga (biting lice) Not known
Psocoptera (book lice) Rickettsia sp.
Beetles, e.g.
Weevils Various -proteobacteria
Anobiid timber beetles Symbiotaphrina (yeasts)
Hymenoptera
Camponoti (carpenter ants) Blochmannia (-proteobacteria)
Endosymbionts and Intracellular Parasites 395

locations. Similarly, some protist species consistently bear
intracellular bacteria. The identity and function of the
microorganisms have received little study, but a nutritional
role is often invoked. Genome sequence analysis is assisting
with the construction of specific hypotheses. For example,
the bacteria Wolbachia in filarial nematodes have been
implicated in the provision of nucleotides and heme to
their host on the basis of the predicted gene complement
of the complete genome sequence.
Immediately related to the nutrient provisioning is the
role of microorganisms in recycling, especially of nitro-
gen. Nitrogen recycling refers to the microbial
consumption of animal waste nitrogenous compounds
(e.g., ammonia and urea) to synthesize ‘high-value’ nitro-
genous compounds (e.g., essential amino acids), which are
released back to the host (Figure 2). Nitrogen recycling
has been implicated from radiotracer and
15
N-tracer stu-
dies of several symbioses, including cockroach–
flavobacteria and the relationship between corals and
their dinoflagellate algal symbionts Symbiodinium.
Cellulose degradation
Vertebrate animals lack the capacity to digest cellulose
and other plant cell wall polysaccharides, such as hemi-
cellulose, and many herbivores can exploit these
compounds only by association with cellulolytic micro-
organisms. Typically, the microorganisms are restricted
to an anoxic portion of the gut, the ‘fermentation cham-
ber’ where they degrade the plant polymers to support
their own growth, releasing short-chain fatty acids as the
waste products of anaerobic respiration. These com-
pounds diffuse into the host bloodstream and are used as
substrates for aerobic respiration by the animal host.
These symbioses are known in the hindgut (colon or
cecum) of virtually all herbivorous mammals (the giant
panda is reputedly an exception) and various herbivorous
birds and lizards. They are called postgastric symbioses
because the fermentation chamber is distal to the
enzymatic region of the gastrointestinal tract. Some mam-
mals, for example, ruminants, such as cattle, sheep, deer,
kangaroos, and colobine monkeys, and at least one bird,
the leaf-eating hoatzin, additionally have pregastric fer-
mentation chambers, that is, proximal to the digestive
region. Cellulolytic symbioses are apparently rare
among invertebrate animals, probably because many
invertebrates have intrinsic cellulases and because, for
small animals, the costs of maintaining an anoxic fermen-
tation chamber would be unduly high. However, a
minority of wood-feeding termites exploit cellulolytic
microorganisms in an enlarged hindgut, known as the
paunch. Unlike the bacterial cellulose-degrading
symbionts of vertebrates, the cellulolytic symbionts in
termites are obligately anaerobic flagellate protists of
the orders Hypermastigida, Trichomonadida, and
Oxymanidida. At least 400 species have been reported,
most unknown from any other location, and several,
including Trichomitopsis termopsidus and Trichomympha
sphaerica, have been brought into culture. Related protists
occur in wood-eating roaches of the genus Cryptocercus.
The cellulolytic microorganisms represent one of many
functional groups of microorganisms in the digestive tracts
of many animals (see below). For the majority of associa-
tions that are postgastric, only diffusible microbial products
(e.g., short-chain fatty acids) are available to the host. Other
microbial products (proteins, vitamins, etc.) are lost from
the system via the feces and are recovered only in host
species that display coprophagy, that is, consumption of
feces. Animals with pregastric fermentation chambers, by
contrast, can gain nutrients from their microbiota by the
digestion of microbial cells or other products that pass from
the fermentation chamber into the gastric stomach.
Methanogenesis
Methanogenic bacteria generate ATP by synthesizing
methane under strictly anoxic conditions, most commonly
by the reduction of carbon dioxide with hydrogen. All
known methanogens are euryarchaeote Archaea. The con-
sumption of hydrogen by methanogens is advantageous to
anaerobic eukaryotes because the rate of oxidative reac-
tions, such as glycolysis, can otherwise be depressed by
high levels of hydrogen. In other words, methanogens can
act as an electron sink for anaerobic hosts.
Methanogenic symbioses are prevalent in anaerobic
ciliate protists. Phylogenetic analyses suggest that the
symbiotic habit has evolved multiple times among metha-
nogens and that most symbionts are closely related to
free-living taxa. The symbiotic methanogens may be
ectosymbiotic, for example, on the surface of ciliates of
the family Entodiniomorphida living in the rumen of
cattle, or intracellular, as for Methanobacterium formicicum
in Plagiopyla and Metopus species in rice paddies and land-
fill sites, and Methanobrevibacter species in cellulolytic
protists in termite guts.
Animal Microor
g
anisms
Nitrogenous
compounds synthesized
by the microorganisms
Animal nitrogenous
waste compounds
Figure 2 Nitrogen recycling by endosymbiotic
microorganisms. The microorganisms (collectively displayed
here as a circle) transform nitrogenous waste products of the
animal (ammonia, urea, etc.) into nitrogenous compounds
valuable to animal metabolism, and these compounds are
translocated back to the animal tissues.
396 Endosymbionts and Intracellular Parasites

Bioluminescence
Luminescence is the generation of light by the oxidation
of a substrate, generically known as luciferin, catalyzed by
the enzyme luciferase. Bioluminescence has evolved at
least 35 in eukaryotes, involving at least 5 different bio-
chemical reactions, and is rare in bacteria, being restricted
to four genera, Vibrio,Photobacterium,Alteromonas, and
Xenorhabdus. Linked to this, most instances of lumines-
cence in eukaryotes are intrinsic; the only known
luminescent symbioses involve Vibrio/Photobacterium in a
minority of marine teleost fish and squid, and Xenorhabdus
in some terrestrial entomopathogenic nematodes (see
‘Synthesis of secondary compounds’).
Marine animals use light for communication in shoal-
ing and courtship (e.g., flashlight fish), as a startle response
to distract potential predators in deep waters, as a lure
(e.g., angler fish) and as camouflage (by counterillumina-
tion to obscure the silhouette of the animal otherwise
evident against downwelling light to predators lower in
the water column). The luminescent symbioses in marine
fish and squid are housed in light organs. The symbiotic
bacteria are restricted to many narrow tubules, with
access to the nutrients and oxygen required for sustained
light production. They are maintained at high densities;
this is essential for light production, which is regulated by
quorum sensing via an autoinducer that, on reaching a
certain concentration, induces the expression of the lux
genes coding for the luciferase. Bacterial luminescence is
generally less intense than intrinsic sources, requiring
mirrors and lenses to maximize emission, and, unlike
intrinsic luminescence, it is continuous (it cannot be
turned off), requiring shutters, chromatophores, and so
on to control the timing of its emission. Essentially, the
greater anatomical complexity of symbiotic light organs
than intrinsic light organs relates to the limitations of
bacteria as a light source.
Synthesis of secondary compounds
Various eukaryotic groups have exploited the capacity of
microorganisms to synthesize bioactive secondary
compounds, principally as mediators of antagonistic
interactions with natural enemies or prey. One of the
best-studied relationships is between grasses, particularly
agronomically important species, and endophytic fungi of
the form genus Neotyphodium allied to the genus Epichloe
¨
.
Hyphae of these fungi, which ramify through the shoot of
the grass, contain alkaloids that are toxic to animals.
Animals that feed on fungal-infected grasses ingest these
alkaloids and become debilitated and may die. For exam-
ple, ergot and indole diterpene-type alkaloids present in
endophytes of tall fescue and perennial ryegrass cause
neurological disorders known as ‘the staggers’ in cattle
and sheep and also confer resistance to various insect and
nematode pests.
The incidence of animals that derive protection from
secondary metabolites synthesized by symbiotic micro-
organisms is uncertain, and only a few examples have
been explored in detail. These include the production of
compounds known as ‘bryostatins’ by the bacterium
Endobugula sertula in the marine bryozoan Bugula neritina;
polyketides, such as pederin, by uncultured pseudomo-
nads both in beetles of the genus Pederus and in sponges,
including Theonella swinhoei; and a variety of cyclic patel-
lamide peptides by cyanobacteria of the genus Prochloron
in marine ascidians (sea squirts). All these compounds
have been suggested to have a protective role against
predators, and this has been demonstrated for the
Pederus beetles. Furthermore, the genes for pederin synth-
esis are borne on a putative pathogenicity island in the
pseudomonad genome, suggesting that this capability is
horizontally transmissible among bacteria.
A further instance of secondary product biosynthesis
by microbial symbionts is provided by the luminescent
bacterium Xenorhabdus luminescens, the obligate symbiont
of soil-borne heterorhaditid nematodes that parasitize
insects. When the nematodes infect a susceptible insect,
the bacteria are released into the insect hemolymph
(‘blood’) and proliferate rapidly. In this location, they
synthesize compounds, including antibiotics, thereby pre-
venting invasion by other bacteria. This ensures that the
insect habitat is sustained for the 2 weeks required for the
reproduction of the nematodes. The bacteria also produce
a red anthraquinone pigment and light, believed to attract
new insect hosts by day or night toward the young infec-
tive nematodes as they emerge from the insect host. Some
authorities, however, doubt the significance of the lumi-
nescence in this context because the light intensity is very
low. An alternative possible role of the luciferase is as a
terminal oxidase with greater affinity for oxygen than the
cytochrome pathway, promoting aerobic metabolism at
low oxygen tensions in the insect cadaver.
A remarkable instance of evolutionary change in func-
tion is provided by the protein GroEL synthesized by the
symbiotic bacteria Enterobacter aerogenes in antlions (insects
of the family Myrmeleontidae, a group of lacewings).
GroEL is a bacterial chaperone that mediates protein
folding, but the GroEL homologue in the symbiotic
E. aerogenes is a potent toxin, released in the insect saliva
that paralyzes prey.
Symbiont-Mediated Modification of Host
Physiology and Vigor
Comparisons of the traits of various hosts bearing and
experimentally deprived of their symbiotic microorgan-
isms have revealed differences that cannot be attributed
readily to defined traits of the microorganisms. For exam-
ple, plants infected with mycorrhizal fungi are commonly
more drought-tolerant than uninfected congeners, the gut
Endosymbionts and Intracellular Parasites 397

microbiota of animals can confer resistance to gut patho-
gens, the tolerance of high temperatures by some insects
is promoted by specific microbial symbionts, and calcifi-
cation and skeletal growth of many corals is promoted by
the presence of symbiotic dinoflagellate algae. In most
instances, the underlying processes are obscure or uncer-
tain, but microbial impacts on the host metabolism or
hormonal and immune systems have been invoked. It
should also be recognized that, although generally bene-
ficial, these interactions can be deleterious to the host in
certain circumstances. For example, the gut microbiota
can promote obesity in mice and humans, and the com-
mensal gut bacteria in insects are instrumental in the
mortality of insects that ingest the -endotoxin of
Bacillus thuringiensis (the toxin-mediated modification of
the insect gut wall allows commensal gut microorganisms
to gain entry into the insect body cavity, where they
proliferate causing lethal septicemia).
Microbial-mediated modification of host traits has
been studied in detail for one group of insects, the aphids.
Many aphids bear one to several ‘secondary symbionts’ in
addition to the obligate intracellular bacterium Buchnera,
which has a required nutritional role. The secondary
symbionts have a wider tissue distribution than Buchnera
and can be acquired horizontally both by the oral route
and sexually. The secondary symbionts are not required
by the aphids and are absent from many individual aphids
in natural populations. They are all bacteria and include a
rickettsia, a Serratia species, recently assigned the candi-
date name S. symbiotica, and two further -proteobacteria
with the candidate names Regiella insecticola and
Hamiltonella defensa that are not closely related to any
formally described taxa. S. symbiotica can ameliorate the
negative impact of heat shock on aphid fecundity and
survivorship, while R. insecticola promotes aphid resistance
to entomopathogenic fungi and H. defensa can protect
aphids from parasitoids. In the pea aphid, the prevalence
of the secondary bacteria differs with the plant from
which the aphids are isolated. For example, aphids on
clover species generally bear R. insecticola, while those
on alfalfa tend to have H. defensa. The contribution of
the bacteria and aphid genotype to these patterns is
uncertain because experiments on the impact of manip-
ulating the secondary symbiont complement on the
capacity of aphids to use plant species have yielded con-
tradictory results.
Intracellular Parasites
The intracellular habitat has several plausible advan-
tages for microorganisms: evasion of extracellular
defenses (e.g., antimicrobial peptides, complement and
circulating antigens in the blood and tissue fluids),
access to an alternative source of nutrients, and as a
route to colonize new tissues in multicellular hosts. It is
exploited by various parasitic microorganisms: faculta-
tive intracellular parasites, which can also thrive in the
extracellular condition (e.g., in blood or the tissue fluids
of animals), and obligate intracellular parasites, which
can proliferate only within eukaryotic cells. Facultative
parasites include Shigella species, which proliferate and
spread among epithelial cells of the colon, and
Mycobacterium tuberculosis, which invades the alveolar
macrophages of the lungs. Rickettsias, mycoplasmas,
and Chlamydia species are all obligate intracellular
parasites.
Most intracellular parasites are deleterious by causing
disease, either through direct effects, for example, toxins,
or as a consequence of the host immune response to their
presence. One exceptional type of intracellular parasite is
the reproductive parasites. These parasites are trans-
mitted vertically via females and specifically target male
hosts, for example, by killing or feminizing them or by
inducing parthenogenesis in females (see below).
Reproductive distortion by microorganisms is apparently
restricted to arthropods and is mediated by very few
microorganisms. Most known instances involve the -
proteobacterium Wolbachia, reportedly present in at least
20% of all insects, but Cardinium (Bacteroidetes), micro-
sporidia, flavobacteria, and spiroplasmas have also
been implicated.
Transmission of Microbial Symbionts and
Parasites
Two modes of transmission are recognized. Vertical trans-
mission is the transfer of microorganisms from parent to
offspring, usually via the mother in sexually reproducing
hosts. Horizontal transmission is the acquisition of micro-
organisms from the environment or a host other than the
parent, with the consequence that the microorganisms in
parent and offspring hosts are not necessarily related.
Vertical Transmission
Vertical transmission has important evolutionary conse-
quences for microorganisms. The offspring of the host
represent habitats for the progeny of vertically trans-
mitted microorganisms, with the consequence that the
microorganisms have a selective interest in the reproduc-
tive output of their host. Most vertically transmitted
symbionts are, consequently, beneficial to their hosts,
and vertical transmission can be considered as a route
by which hosts ‘impose’ mutualistic traits on their micro-
bial partners. Furthermore, where vertical transmission is
obligate, the phylogenies of the host and microorganism
are congruent.
398 Endosymbionts and Intracellular Parasites

The advantage to the host of vertical transmission is
that its offspring are assured of gaining a compatible
symbiont – or, at least, a symbiont compatible with its
parent. Vertical transmission is particularly important
where the symbionts are rare in the free-living envir-
onment. Vertical transmission may involve highly
regulated, coordinated processes in host and microor-
ganism. This is illustrated by the transmission of the
bacteria Riesia pediculicola in the human body louse
Pediculus humanus. The mycetocytes in this insect are
aggregated together as a coherent organ, the stomach
disc, just ventral to the stomach. During the final molt
of the female insect, the bacteria are expelled from the
mycetome and they migrate to the reproductive tract,
such that in the adult female louse, all the bacteria are
associated with the reproductive organs. In the male,
they are retained in the stomach disc. The bacteria in
the adult females are initially associated with the lateral
oviducts. They subsequently penetrate the oviduct wall
and gain access to the insect cells lining the oviduct.
From here, they are transferred to the insect cells in
the pedicel and then to the cytoplasm of each egg as it
matures (Figure 3).
Although, as considered above, vertical transmission
promotes overlap in the selective interests of the host and
its complement of microorganisms, it does not eliminate
conflict between the partners. In sexual hosts with exclu-
sively maternal transmission, the source of conflict is the
sex ratio of the host offspring, with a 1:1 female to male
ratio generally optimal for the host, and an excess of
females optimal for the microorganism; all microbial
cells transmitted to a male host will die with that host.
Reproductive distortion is widespread in arthropods,
mediated by Wolbachia and other taxa in several different
ways as follows:
1. Parthenogenesis, to give twice the number of female
offspring relative to uninfected hosts, appears to be
restricted to host taxa with haplodiploid sex determi-
nation (i.e., fertilized (diploid) eggs develop as females
and unfertilized (haploid) eggs develop as males in
uninfected hosts) and most examples of microbial-
mediated parthenogenesis are in insects of the order
Hymenoptera, especially wasps.
2. Male hosts are feminized, thereby doubling the
number of female offspring, the same consequence
as microbial-mediated parthenogenesis (described
above). The principal taxa susceptible to feminization
by microorganisms are Crustacea, specifically isopods
(woodlice) and amphipods, but feminization of insects
(e.g., the moth Eurema hecabe) has also been reported.
3. Uninfected eggs are killed by a factor associated with
the sperm from infected hosts, but crosses between
infected males and females, and between uninfected
males and infected females, are fertile. (Table 3) This
mode of host reproductive manipulation is usually
known as cytoplasmic incompatibility. By killing unin-
fected eggs, the frequency of infected females in the
population is increased, often to very high levels or
fixation, at which point the microorganism has a very
small, or no, impact on the reproductive output of the
host population. Although the microorganisms causing
cytoplasmic incompatibility occur in the testes of the
male insect, the mature sperms are uninfected.
4. Preferential killing of male hosts can result in
increased fitness of the female hosts (and therefore of
the vertically transmitted microorganism) where the
females benefit from the death of their brothers
through reduced chance of inbreeding or depressed
intersib competition.
Most sexual eukaryotes with vertically transmitted
microorganisms have an unbiased sex ratio, and this sug-
gests that the sex determination mechanisms in most
eukaryotes are difficult to distort. However, the possibi-
lity cannot be excluded that reproductive parasitism is
Bacterial inoculum
in basal egg
Pedicel
1h
Stomach disc
Ovary
Figure 3 Vertical transmission of endosymbionts of insects.
Symbiotic bacteria Riesia sp. in the human body louse Pediculus
humanus. (a) Transmission of bacteria from stomach disc to
ovaries of female insect. (b) Transfer of bacteria from pedicel at
the base of each ovary to basal egg in one ovariole. See text for
full description. Redrawn from Ries, E. (1931). Die symbiose der
lau¨ se und federlinge. Zeitschrift fur Morphologie undO
¨kologie der
tiere 20: 233–367.
Table 3 Disruption of host reproduction by cytoplasmic
compatibility caused by infection with the bacterium Wolbachia:
compatible (p) and incompatible (X) crosses between hosts
Male host
Female host Uninfected Infected
Uninfected pX
Infected pp
Endosymbionts and Intracellular Parasites 399

one factor limiting the incidence of vertical transmission.
Two further factors may also be important. The first is the
cost of housing and nourishing symbiotic microorganisms.
This may be significant at developmental stages where
the microorganisms confer little or no benefit, such as
during early development of the host. For example, the
mycetocyte symbionts of insects occupy up to 10% of the
egg volume and often proliferate rapidly after transfer to
the egg, presumably utilizing the egg’s nutritional
reserves. The second factor limiting the incidence of
vertical transmission is anatomical barriers in the host,
which restrict microbial access to the gametes of the host.
For example, the root symbionts of plants, for example,
rhizobia and mycorrhizal fungi, are invariably horizon-
tally transmitted, while shoot-borne microorganisms,
such as bacteria in the leaf nodules of Ardisia species and
cyanobacteria in leaflets of the water fern Azolla, are
vertically transmitted. In animals, the gut wall is a crucial
barrier to microbial colonization of the body cavity and,
ultimately, the gonads; gut-borne microorganisms are
generally horizontally transmitted, while microorganisms
in the body cavity or internal organs (e.g., mycetocyte
symbionts) are vertically transmitted. The anatomical
barrier of the gut wall can, however, be bypassed by
animal behavior. For example, vertical transmission of
the -proteobacterium Ishikawella in the gut of stinkbugs
is achieved by the maternal deposition of fecal pellets
bearing these bacteria, which are consumed by the larvae
immediately on hatching from the egg.
Horizontal Transmission
Chemical signaling between the microorganisms and the
host plays a critical role in the establishment of symbioses
with horizontally transmitted symbionts. This is particu-
larly well understood in the relationship between legumes
and nitrogen-fixing rhizobial bacteria because the sym-
biosis is amenable to molecular dissection, including the
analysis of symbiosis formation by panels of mutants and
the use of reporter genes to identify when and where
individual genes are expressed as the symbiosis is estab-
lished. It is now apparent that the so-called flavonoid-
Nod factor-kinase signaling cascade (Figure 4) plays a
crucial role in symbiosis formation.
The first step in this cascade is the detection of a
compatible plant host by rhizobial cells in the rhizo-
sphere. The host signal is a specific flavonoid in the root
exudates that diffuses into the rhizobial cell. The rhizo-
bium responds to this chemical signal by synthesizing a
responding signal, specifically an acylated oligosacchar-
ide called a Nod factor. The Nod factor is the signal to the
plant to allow the rhizobia to colonize the root and to
initiate the development of the nodule that, in due course,
houses the rhizobia. It is also an important determinant of
the specificity of the symbiosis. Nod factors vary in the
structure of the acyl chain and number and position of
acetyl and sulfate groups, and each legume species associ-
ates only with rhizobia that produce Nod factors of
certain chemical structures. The molecular basis of the
plant response to the rhizobial Nod factor includes a
protein, specifically a serine/threonine receptor kinase
with one or more LysM motifs that is predicted to bind
the acetyl-glucosamine backbone of the Nod factor. The
result of this molecular interaction is a signaling cascade
in the plant cell, as outlined in Figure 4.
The relationship between the molecular signaling-
mediated flavonoid-Nod factor and the route by which
rhizobia infect the root and the development of the
nodule is understood in broad outline. The initial inter-
action occurs at the zone of contact between the rhizobial
cell and a root hair, which responds to the Nod factor by
curling at the site of contact. The cellular machinery for
growth in the root hair is then reorganized to create an
invaginated tube, known as the infection thread, which
extends through the cell toward the root cortex, with its
dividing population of rhizobial cells. At this early stage in
infection, the region of the cytoplasm surrounding the
nucleus undergoes regular oscillations in Ca
2þ
concen-
tration, a process known as calcium spiking. This is
required for the activation of the calcium-dependent cal-
modulin kinase DMI3 and the transfer of the putative
transcription factor NSP1/2 to the nucleus. The first
sign of the developing nodule is a wave of cell division
near the center of the root. It is apparent about 12 h after
rhizobial contact with the root, while the infection threads
and the rhizobia are extending down through the epider-
mal and outer cortical cells, and it results in a mass of cells
known as the nodule primordium. As the infection thread
extends into this region, rhizobia are endocytosed from
the infection thread into cells, where they differentiate
into nitrogen-fixing bacteroids. Some plant cells remain
uninfected and these form the nodule meristem.
Ca
2+
spiking
NSP2
DMI1
DM12 DMI3
Nodule
formation
Plant
flavonoid
Nod factor of rhizobium
NFR/1
Figure 4 Signal transduction between symbiosis of alfalfa
roots with rhizobia. The DMI2 protein is a receptor kinase with
leucine-rich repeats, similar to plant kinases involved in defense
against pathogens; DMI3 is a calcium-calmodulin kinase; and
NSP2 has a GRAS domain characteristic of transcriptional
regulators.
400 Endosymbionts and Intracellular Parasites

Gaining Entry into Host Cells
For intracellular microorganisms, especially horizontally
transmitted taxa, access to the host cell contents is an
essential feature of transmission. This topic has been
studied extensively for facultatively intracellular bacterial
parasites of mammalian cells. These microorganisms gain
entry into the host cell by phagocytosis: some, such as
M. tuberculosis, are phagocytosed by macrophages (specia-
lized phagocytic cells of the immune system), but many
others induce phagocytosis by cells that are not normally
phagocytically active. Two broad mechanisms by which
bacteria invade nonphagocytic cells have been identified:
the trigger mechanism and the zipper mechanism. The
bacterial proteins mediating uptake of various pathogens
have been identified, and they are key virulence factors.
In the trigger mechanism adopted, for example, by
Salmonella and Shigella, the effector proteins are secreted
from the bacterial cell via the type III secretion system
into the host cell, resulting in membrane ruffling. Actin-
rich protrusions are thrown up and fold over, engulfing
the bacterium. The underlying mechanisms include the
activation of Rho family GTPases, such as Rac and
Cdc42, and direct binding to F-actin, resulting in reorga-
nization of the actin microfilament network. These
responses of the host cell are reminiscent of their response
to growth factors, suggesting that the same intracellular
signaling cascades may be involved.
The zipper mechanism displayed, for example, by
Listeria monocytogenes and Yersinia pseudotuberculosis to
induce phagocytosis is mediated by adhesin proteins on
the bacteria surface that bind to host cell surface
molecules, which normally mediate adherence to other
cells or the extracellular matrix. The key protein in
Y. pseudotuberculosis is known as invasin and it binds to a
subset of
1
-integrins (receptors for fibronectin), and the
internalin protein of L. monocytogenes binds to E-cadherin.
The resultant cytoskeletal rearrangements in the host cell
lead to phagocytosis of the bacteria.
Intracellular symbionts also gain entry into host cells
by phagocytosis, but the underlying mechanisms have not
been studied extensively. Some authorities predict that
internalization is mediated by specific surface molecules
of the symbiont, analogous to the virulence factors of
pathogens. However, studies of the uptake of symbiotic
Chlorella by hydra suggest that the relatively nonspecific
trait of surface charge may be the key discriminant of an
acceptable symbiont.
Persistence of Associations
Host Controls Over Microbial Infections
Endosymbioses persist, meaning that the population of
microorganisms is retained within the host for extended
periods, potentially for the full lifespan of the host and, in
vertically transmitted associations, through multiple host
generations. Furthermore, the density and proliferation
rate of the microorganisms are tightly regulated such that
the microbial population increases in parallel with the
host, neither overgrowing nor being diluted out by host
growth. Generally, this requires suppression of microbial
growth rates. For example, the doubling time of the
dinoflagellate alga Symbiodinium is <24 h in culture and
50–60 days in symbiosis with corals; the symbiotic bac-
teria Buchnera in aphids with a population doubling time
of c. 3 days are allied to enteric bacteria with a capacity to
divide every 20 min.
The endosymbiotic microorganisms may be con-
trolled by suppression of growth rates, expulsion from
the host, and by lysis, and the relative importance of
these different processes varies among associations.
Most algal associations in hydra, corals, and related
aquatic invertebrates are regulated primarily by con-
trols over algal proliferation, although up to 5% of the
algal population in some coral hosts may be expelled
from the association per day. The algal density in these
symbioses is increased in media with high concentra-
tions of ammonia or other inorganic nutrients,
suggesting that these symbionts may be nutrient-limited
and that the host control over nutrient supply to the
symbionts may be overwhelmed by high levels of exo-
genous nutrients. Expulsion plays a central role in the
regulation of the bioluminescent bacteria Vibrio fischeri
in the bobtail squid Euprymna scolopes, with up to 90%
of the bacterial population in the squid light organ
expelled daily followed by a rapid proliferation of the
remaining bacterial population. Lysis of endosymbionts
is developmentally controlled in many symbioses. For
example, cells bearing the bacteria Buchnera in aphids
lyse in mid-reproductive insects, releasing the bacterial
cells into the hemolymph (blood), where they are
destroyed.
The abundance of microbial symbionts is also influ-
enced strongly by the scale of the benefit they confer on
the host. This has been demonstrated experimentally for
the symbiosis of Bradyrhizobium with soybean plants.
When the bacteria are prevented from fixing nitrogen
by replacing air with the N
2
-free atmosphere of argon
and oxygen, the numbers of rhizobia are markedly
reduced; this effect is obtained whether the experiment
was conducted at the scale of the whole root, part of the
root system, or even the individual root nodule
(Figure 5(a)). Monitoring of the oxygen relations
revealed reduced oxygen tensions in the central infected
zone of the nodule, where the rhizobia are located, and
depressed oxygen permeability of the outer nodule tissues
(Figure 5(b)). These results suggest that legume plants
respond to rhizobia that fail to fix nitrogen by decreasing
the oxygen supply to the rhizobia.
Endosymbionts and Intracellular Parasites 401

The host can also control the life history traits of their
symbionts, generally suppressing motile or sexual forms.
For example, the fungal symbionts of leaf-cutting ants are
maintained in a permanently asexual condition, presum-
ably by secretions from the ants; sexual fruiting bodies are
produced only in nests abandoned by the ants. The per-
sistence of the obligately anaerobic protists in wood-
eating cockroaches Cryptocercus is linked to the molt
cycle of the insect. The protists are restricted to the
anoxic hindgut of their insect host, where they degrade
ingested cellulose. However, they are expelled from the
insect at each insect molt. In the hours prior to expulsion,
and in response to elevated titers of the insect ecdysteroid
(molting) hormones, the symbionts develop into oxygen-
resistant cysts, enabling them to survive in the external
environment until such time as they are ingested by the
insect and return to a metabolically active state in the
insect gut.
Endosymbionts are generally restricted to specific
locations in their host, such as particular organs or cell
types that, in some associations, have the sole function to
house and maintain the microorganisms. Examples
include the root nodules of leguminous plants, the light
organs of various fish and squid housing luminescent
bacteria, and the bacteriocytes of diverse insects. A parti-
cularly vivid example of spatial control is provided by
stratified lichens, that is, lichens in which the photosyn-
thetic symbionts are restricted to a specific zone of the
thallus (body) of the lichen. Within this layer, light cap-
ture by the symbionts is optimized by minimizing shading
of one symbiont cell by another. For example, the algal
symbiont Trebouxia in the lichen Parmelia borreri is main-
tained in regular rows, controlled by hyphae of the fungi.
Each Trebouxia is contacted by a single fungal haustorium.
When the algal cell divides to produce four daughter
cells, the fungal haustorium branches fourfold and length-
ens, thereby separating the four daughter cells and
maintaining regular spacing between the algal cells.
Persistence of Intracellular Infections
Understanding of the processes by which microorganisms
suppress or evade the defenses of their hosts is fragmen-
tary for most systems apart from the intracellular
parasites. These microorganisms manipulate the endoso-
mal system in a diversity of ways that is not linked to the
mode of entry into the cell (Table 4). These are consid-
ered in turn.
A particularly widespread strategy is to modify the
endosomal compartment, thereby preventing lysosomal
fusion. This is achieved in a variety of ways. M. tuberculosis
arrests endosomal maturation at the ‘early endosome’
stage, as illustrated by the presence of the protein Rab5
(a marker for early endosomes) and the absence of Rab7
(late endosome marker) in the vacuolar membrane, while
Salmonella species allow maturation of the endosome to
the ‘late endosome’ (i.e., an acidic compartment with
Rab7), a stage prior to lysosomal fusion, and the
Ar:O2
N2:O2
150
O2 concentration in
infected zone of nodule
(% initial)
O2 permeability
(% initial)
Time (h)
100
50
0
100
50
00 50 100 150 200 250
(b)
(a)
Per nodule per nodule mass
Number of rhizobia × 108
mean ± s.d.
0
2
4
6
8
10
N
2
:O
2
Ar:O
2
Figure 5 Impact of inhibiting nitrogen fixation by
Bradyrhizobium symbionts in soybean plants by exposure to
nitrogen-free air (Ar:O
2
, with nodules in N
2
:O
2
air as controls).
(a) Number of rhizobia in nodules; (b) oxygen relations in nodules.
Reproduced from Kiers et al. (2003) Host sanctions and the
legume-rhizobium mutualism. Nature 425: 78–81.
Table 4 Intracellular habitats of parasitic microorganisms
Habitat Microorganisms
Endosome Mycobacterium species
Salmonella typhimurium
Phagolysosome Coxiella burnetii
Cytoplasm Listeria monocytogenes
Shigella species
Rickettsia species
Trypanosoma cruzii
402 Endosymbionts and Intracellular Parasites

compartment bearing Chlamydia trachomatis has features
characteristic of the exocytic pathway. The apicomplexan
parasite Toxoplasma gondii is also borne within a mem-
brane-bound compartment, but it is generally considered
to be isolated from the host cell endosomal pathway
because the vacuole is constructed from T. gondii-derived
lipids and the membrane proteins are predominantly
derived from the parasite and not the host cell.
However, recent data indicate that this parasite actively
recruits host microtubules that act as a conduit for the
delivery of membrane-bound vesicles from the endoso-
mal system.
Some intracellular microorganisms escape from the
phagosome into the cytoplasm, a trait mediated by spe-
cific microbial proteins. L. monocytogenes secretes a
hemolysin protein known as listerolysin O and a phos-
pholipase C, which disrupt the membrane, releasing the
bacterium into the cytoplasm. The hemolysin has appre-
ciable sequence similarity to hemolysins of other bacteria
but, unusually, includes a domain with the eukaryotic
PEST sequence, which triggers targeting to the protea-
some and degradation. As a consequence of this domain,
listerolysin O released by bacterial cells into the cyto-
plasm is destroyed (thereby avoiding damage to the cell
membrane), while listerolysin O molecules released from
bacterial cells in the phagosome are isolated from the
proteasome and so remain active. The implication is
that, by acquiring the PEST domain, the activation of
listerolysin O is regulated according to the location of
the bacterial cell. The activity of listerolysin O in the
phagosome is promoted by low pH in this compartment.
Trypanosoma cruzii also resides only briefly within a host
membrane after uptake. When this parasite contacts the
surface of a susceptible cell, it induces local increase in
cytoplasmic Ca
2þ
levels in the host cell, leading to the
recruitment of lysosomes to the surface and engulfment of
theparasitebymembranepredominantlyoflysosomalori-
gin. The trypanosome then secretes, first, a trans-sialidase
that mediates the transfer of sialic acid residues from host
glycoproteins to the trypanosomal surface glycoproteins as
a molecular ‘disguise’ and, second, a pore-forming toxin
that disrupts the vacuolar membrane, releasing the parasite.
Limited data suggest that some intracellular symbionts
may prevent lysosomal fusion by arresting the maturation
of the phagosome. For example, the symbiosomal mem-
brane bounding the dinoflagellate alga in corals and
related marine animals includes Rab5, but not Rab7. The
membrane bounding symbionts is commonly described as
a symbiosomal membrane. Its composition in legume
nodules bearing rhizobia has been shown to differ from
the cell membrane, with a high lipid content and contain-
ing proteins uniquely expressed in the nodule (e.g.,
NOD26, a dicarboxylate transporter that supplies malate,
an important carbon source, to the rhizobia symbionts).
Breakdown of Symbioses
Generally, endosymbioses are robust to fluctuations in
abiotic conditions, but some are susceptible to particu-
lar environmental circumstances. The most intensively
studied instance of symbiosis collapse is provided by
coral bleaching, a phenomenon of global significance,
contributing to the deteriorating condition of the
world’s coral reefs. Formally, bleaching refers to the
loss of color from aquatic hosts (animals and protists)
with symbiotic algae. Virtually all research has con-
cerned the symbioses of corals and other marine
animals (sea anemones, tridacnid clams, etc.) with the
dinoflagellate alga Symbiodinium, and these associations
appear to be more prone to bleaching than symbioses
involving other algae (e.g., diatoms in some foramini-
ferans, Chlorella in freshwater hosts). Bleaching of
symbioses with Symbiodinium encompasses at least two
syndromes. The first is the loss of Symbiodinium cells,
commonly by exocytosis from endodermal cells,
although sloughing off and loss of endodermal cells
and their complement of Symbiodinium is also involved
in some systems. Corals that appear bleached by eye
may have lost from 50–70% to essentially the total
algal population. The second mode of bleaching is the
transformation of algal pigments to colorless products.
This is particularly likely to occur in response to rapid
increases in irradiance and involves little or no reduc-
tion in the density of Symbiodinium cells.
There is widespread agreement that the most impor-
tant trigger for coral bleaching is elevated temperature,
often associated with high irradiance, but other triggers,
for example, low salinity, metal pollutants, low tem-
perature, darkness, and certain bacteria may be locally
important or act in combination with elevated tempera-
ture. To date, most research on the mechanisms of
bleaching has focused on the primary lesion caused by
elevated temperature and irradiance. This lesion is in
the Symbiodinium, specifically the photosystem II, which
mediates the stripping of electrons from water to
release molecular oxygen. One scenario is that excess
excitation energy arising from temperature/irradiance-
induced inhibition of PSII generates reactive oxygen
species (ROS), such as superoxides and oxygen radicals.
ROS damage plastid thylakoids and other cell compo-
nents. The host partner in bleaching symbioses also has
elevated ROS and detoxifying enzymes, but it is
unclear whether this is a defensive response (analogous
to the oxidative burst of pathogen-challenged macro-
phages) to damaged algal cells or evidence that the host
is also under oxidative stress. A high priority for future
research is to establish how the host cells respond to
this impairment of symbiont function, resulting in the
collapse of the symbiosis.
Endosymbionts and Intracellular Parasites 403

Further Reading
Bourtzis K and Miller TA (eds.) (2003–2005) Insect Symbiosis (2
volumes). Boca Raton, FL: CRC Press.
Buchner P (1965) Endosymbiosis of Animals with Plant Microorganisms.
London: John Wiley and Sons.
Douglas AE (1994) Symbiotic Interactions. Oxford: Oxford University
Press.
Douglas AE (2003) Coral bleaching – How and why? Marine Pollution
Bulletin 46: 385–392.
Knodler LA, Celli J, and Finlay BB (2001) Pathogen trickery: Deception
of host cell processes. Nature Reviews Molecular Cell Biology
2: 578–588.
McFall Ngai MJ, Henderson B, and Ruby EG (eds.) (2005) The Influence
of Cooperative Bacteria on Animal Host Biology. Advances in
Molecular and Cellular Biology Series. Cambridge: Cambridge
University Press.
Nyholm SV and McFall-Ngai MJ (2004) The winnowing: Establishing the
squid–Vibrio symbiosis. Nature Reviews Microbiology 2: 632–642.
Oldroyd GED and Downie JA (2004) Calcium, kinases and nodulations
singalling in legumes. Nature Reviews Molecular Cell Biology
5: 566–576.
O’Neill SL, Hoffmann AA, and Werren JH (1997) Influential Passengers:
Inherited Microorganisms and Arthropod Reproduction. Oxford:
Oxford University Press.
Woyke T, Teeling H, Ivanova NN, et al. (2006) Symbiosis insights
through metagenomic analysis of a microbial consortium. Nature
443: 950–952.
404 Endosymbionts and Intracellular Parasites

Enteropathogenic Infections
F K Bahrani-Mougeot, Carolinas Medical Center, Charlotte, NC, USA
M W Scobey, Carolinas Medical Center, Charlotte, NC, USA
P J Sansonetti, Institut Pasteur, Paris, France
ª2009 Elsevier Inc. All rights reserved.
Defining Statement
Introduction
Infections Caused by Preformed Toxins in the Absence
of Bacterial Colonization
Infections Caused by Bacterial Colonization through
Attachment
Infections Caused by Bacterial Colonization through
Invasion
Glossary
bacteriophage Virus that infects a bacterial host.
colitis Inflammation of colon (large bowel).
cytotoxin Bacterial toxins that cause cell damage.
enterocytes Intestinal epithelial cells.
enterotoxin Bacterial toxins that induce fluid secretion
from intestinal cells.
fimbriae (pili) Surface adhesins that mediate bacterial
adherence to host cells.
flagellae Surface structures that provide bacteria with
motility and the ability to move toward nutrients and
away from toxic materials (chemotaxis).
pathogenicity island Cluster of virulence genes that is
foreign and absent in the nonpathogenic strains of the
same species.
quorum sensing A mechanism by which bacteria
regulate their gene expression in response to cell
density.
superantigen Antigens that bind to lymphocytes in a
nonspecific manner and activate them.
type III secretion system A common system found in
many Gram-negative bacterial pathogens as well as in
symbionts of plant and animals. It consists of a syringe-
like apparatus that spans the bacterial membranes and
inserts into the host cell membrane and delivers
secreted proteins into the host cells.
type IV fimbriae Special fimbriae with different
structural subunits and different morphology from
common fimbriae. These fimbriae are produced by
several Gram-negative pathogens.
Abbreviations
A/E attaching and effacing
AAF aggregative adherence fimbriae
ail attachment-invasion locus
Bfp bundle-forming pili
CDT cytolethal distending toxin
CFAs colonization factor antigens
CPE Clostridium perfringens enterotoxin
CSs coli surface antigens
CT cholera toxin
EAEC enteroaggregative E. coli
EAST1 EAEC heat-stable enterotoxin
EHEC Enterohemorrhagic E. coli
EPEC Enteropathogenic E. coli
Esp E. coli secreted proteins
ETEC Enterotoxigenic E. coli
FAS fluorescent actin staining
HUS hemolytic uremic syndrome
InlA internalin A
InlB internalin B
Inv invasin
LEE locus for enterocyte effacement
LLO listeriolysin O
LOS lipooligosaccharide
Lpf long polar fimbriae
LT heat-labile enterotoxin
NAP1 American pulsed-field type 1
Nod1 nucleotide-binding oligomerization
domain 1
N-WASP neuronal Wiskott–Aldrich syndrome protein
PAI pathogenicity islands
Pet plasmid-encoded toxin
PMN polymorphonuclear cells
SCV Salmonella-containing vacuole
405

ShET1 Shigella enterotoxin 1
ShET2 Shigella enterotoxin 2
SPI-1 Salmonella PAI 1
ST heat-stable enterotoxin
Stx Shiga toxin
TCP toxin coregulated pilus
Tir translocated intimin receptor
TTSS type III secretion system
YadA Yersinia adhesin A
Zot Zonula occludens toxin
Defining Statement
Enteropathogenic bacterial infections, manifested by syn-
dromes such as watery diarrhea, dysentery, and enteric
fever, cause high mortality and morbidity in humans.
Pathogens are transmitted to humans by person-to-
person contact or by contaminated food or water. They
cause disease by toxin formation, by destruction of intest-
inal cells, or invasion.
Introduction
Enteropathogenic infections are caused by a variety of
microorganisms including bacterial pathogens. These
infections produce symptoms such as diarrhea and
vomiting, which involve noninflammatory or inflamma-
tory processes. Noninflammatory infections such as
cholera occur mainly in the proximal small bowel and
cause symptoms mainly due to increased intestinal
secretion resulting from enterotoxin production.
Inflammatory infections, on the other hand, occur in
the distal small bowel or colon. Symptoms are due to
decreased intestinal absorption that results from the
destruction of the intestinal mucosa by pathogens such
as Shigella and Salmonella. Enteric infections can also lead
to systemic symptoms such as those seen with typhoid
fever. Although enteric infections are manifested predo-
minantly by short-term gastrointestinal symptoms,
postinfection complications can ensue. For example,
enterohemorrhagic Escherichia coli infections can result
in permanent renal dysfunction, while yersiniosis can
lead to chronic arthritis (Reiter’s syndrome).
Campylobacter infection may cause the neuroparalytic
Guillain–Barre
´syndrome and typhoid fever can turn
into a life-long recurrent illness.
Infections resulting in diarrhea are largely diseases
of impoverished people. They are the major cause of
mortality and morbidity in children from the develop-
ing world, where malnutrition, poor personal hygiene,
and inadequate sanitation are commonplace. Although
the mortality rate in the endemic areas has declined
over the past three decades, the incidence of diarrheal
diseases has remained high, particularly in children
below the age of 5 years. Repeated episodes of
diarrhea in these children often leave them with the
lifetime complications of malnutrition and growth
retardation.
In the industrialized world, diarrheal diseases are
much less frequent and are often related to food-borne
outbreaks and the overuse of antibiotics. Nevertheless,
there has been a significant increase in the incidence of
infections with the emergence of enteropathogens such as
E. coli 0157:H7 and a Clostridium difficile strain that pro-
duces a more virulent toxin, which is more common in
hospitals and chronic care centers. These trends have
resulted in the enactment and enforcement of new food-
handling policies as well as hospital infection control
policies. Furthermore, in recent years, the bioterrorism
threat for misuse of bacterial products as biological weap-
ons, such as the use of botulinum toxin for massive food
poisoning, has led to the establishment of new regulations
for handling of the pathogens and for public health
preparedness.
Compelling information from comparative genomics,
in vitro assays using cell cultures, and in vivo experiments
using animal models of infections suggest that the enter-
opathogenic bacteria use both common and specific
strategies to overcome the host defense system and suc-
cessfully express infections. For example, though
Salmonella typhimurium and Salmonella typhi employ a similar
specialized secretion system to inject their effectors into
the host cells, they use different specific factors to cause a
local inflammatory infection (i.e., S. typhimurium)orto
spread and cause infection in systemic sites (i.e., S. typhi).
In this article, we will stratify these bacteria based
upon three main mechanisms of pathogenicity. These
are the following:
1. toxin delivery without prior colonization,
2. colonization through attachment with or without overt
cell damage, and
3. colonization through invasion of the epithelial cells of
the small or large bowel.
The prototypic pathogens for each class will be dis-
cussed, as the coverage of all the enteropathogenic
bacteria is beyond the scope of this article. A brief
review of the epidemiology and clinical symptoms of
the illness caused by each pathogen is presented.
(Tables 1 and 2).
406 Enteropathogenic Infections

Table 1 Characteristics of the bacterial enteric infections
Infection Pathogen Route of transmission Site of infection
Incubation
period Clinical syndrome
1. Noninflammatory Staphylococcus aureus Foods high in protein, salt, or sugar Small intestine 2–6 h Watery diarrhea, vomiting
Bacillus cereus (emetic) Foods such as fried rice Small intestine 1–6 h Nausea, vomiting
B. cereus (diarrheal) Foods such as vanilla sauce Small intestine 8–16 h Watery diarrhea, abdominal
cramps
Clostridium botulinum Home-canned vegetables, fruits, and fish Small intestine 18–36 h Nausea, vomiting, diarrhea,
paralysis
Small intestine 8–16 h
5–6 h
Watery diarrhea
Necrotic enteritis
Vibrio cholerae Fecal–oral, contaminated food and water,
and shellfish
Small intestine 16–72 h ‘Rice water’ diarrhea
ETEC
a
Contaminated water or food Small intestine 16–72 h Watery diarrhea, abdominal
pain
EPEC
b,c
Fecal–oral and person–person contact Small intestine 12–24 h Vomiting, watery diarrhea,
fever
EAEC
c,d
Fecal–oral and contaminated water and
food
colon and small intestine 8–18 h Watery and mucoid diarrhea,
abdominal pain, low-grade
fever
2. Inflammatory EHEC
e
Foods contaminated with cattle feces and
person–person contact
Small intestine and colon 3–8 days Diarrhea, abdominal pain,
hemorrhagic colitis,
hemolytic uremic syndrome
C. difficile Fecal–oral and environmental contamination
with spore
Colon Variable Diarrhea, pseudomembranous
colitis
Shigella spp. Fecal–oral, contaminated food and water,
Person–person contact
Colon 16–48 h Watery diarrhea, dysentery
Salmonella (nontyphoidal) Contaminated water and foods of animal
origin such as meat, poultry, egg, and dairy
products
Small intestine and colon 6–48 h Watery diarrhea, dysentery
Campylobacter jejuni Person–person contact, animal–person
contact, fecal–oral, contaminated water
and foods such as poultry, and raw milk
Small intestine, colon 1–7 days Watery diarrhea, dysentery
3. Systemic Salmonella typhi Person–person contact, contaminated food
and water
Systemic 1–2 weeks Typhoid fever
Yersinia enterocolitica Fecal–oral, contaminated water or food
such as milk and raw pork
Small intestine and systemic 4–7 days Acute diarrhea, abdominal
pain, fever, mesenteric
adenitis
Listeria monocytogenes Foods such as soft cheese, raw milk, raw
vegetables, and processed meat
Small intestine and systemic 11–70 days Nausea, vomiting, diarrhea,
bacteremia, meningitis,
abortion, still birth
a
Enterotoxigenic E. coli.
b
Enteropathogenic E. coli.
c
EPEC and EAEC elicit inflammatory responses as well.
d
Enteroaggregative E. coli.
e
Enterohemorrhagic E. coli.

Infections Caused by Preformed Toxins
in the Absence of Bacterial Colonization
These infections are usually of a food-borne origin that
can occur sporadically or as an outbreak. The common
feature among these infections is the short incubation
time and symptoms of nausea and vomiting due to
the action of toxins. The main etiological pathogens of
these infections discussed below are Staphylococcus aureus,
Bacillus cereus (emetic type), and Clostridium botulinum.
Staphylococcus aureus
Staphylococci are Gram-positive, facultatively anaerobic,
nonmotile, and non-spore-forming cocci that appear in
pairs, short chains, and grapelike clusters. The genus
Staphylococcus contains many species that are divided
based on the production of coagulase. S. aureus, a coagu-
lase-positive species, is one of the most virulent species.
This species can be found on the skin and the anterior
part of nostrils of adults. S. aureus causes a variety of
infections and is among the most common causes of
food-borne infections worldwide. Food poisoning is char-
acterized by a short incubation period of 2–6 h after
ingestion of preformed enterotoxin in contaminated
food, followed by vomiting and diarrhea, which usually
resolves within 6–12 h. The most common contaminated
foods involved in outbreaks are those high in protein, salt,
or sugar content such as ham, poultry, egg salad, and dairy
products.
S. aureus produces 15 enterotoxins that function both as
gastrointestinal toxins and as superantigens. Enterotoxin
types A, B, C, D, and E are mostly associated with food
poisoning. The total dose of enterotoxin necessary for
intoxication is as low as 200 ng. These toxins are all
resistant to heat denaturation and therefore not inacti-
vated by cooking. They are also resistant to inactivation
by gut proteases such as pepsin and trypsin. Structurally,
all enterotoxins are monomeric proteins encoded by
genes that are located on the bacterial chromosome or
sometimes carried by a specific bacteriophage. The
mechanism of action of these enterotoxins on the enteric
nervous system and production of gastrointestinal symp-
toms in humans is not yet fully understood. It is, however,
postulated that the gastrointestinal effect of the super-
antigen toxin is the result of its indirect action on the
central autonomic nervous system instead of its direct
secretory effect on the intestine.
Bacillus cereus (Emetic Type)
B. cereus is a Gram-positive, aerobic, spore-forming,
motile rod that resides in the soil environment. It is part
of the gut microflora of invertebrates in both spore and
vegetative forms. It spreads to the foods of plant origin,
but can also be isolated from meat, eggs, and dairy pro-
ducts. This organism is associated with food poisoning
mostly in immunocompromised individuals or patients
recovering from surgery. Food poisoning in humans
occurs in two different ways: the emetic (intoxication)
type, characterized by nausea and vomiting with an incu-
bation period of 1–6 h, and the diarrheal (infection) type
manifested by abdominal cramps and diarrhea with an
incubation period of 8–16 h. Regardless of the type of
food poisoning, the food involved is already contaminated
prior to cooking. Spores can survive extreme tempera-
tures and then germinate and multiply when allowed to
cool down slowly.
The emetic syndrome is caused by the emetic toxin
cereulide, which is produced by multiplying bacteria in
food and/or is ingested as a preformed toxin. The short
incubation period is consistent with this pathogenic
mechanism. Cereulide causes only vomiting when fed
to Rhesus monkey and, unlike the diarrheal enterotoxin,
does not produce fluid accumulation as in rabbit ileal
loops. The toxin is resistant to heat, extreme pH,
and proteolytic enzymes. It consists of a ring structure
formed by three repeats of four amino acids with a
molecular weight of 1.2 kDa. Cereulide binds to the
receptors on the enteric nerves, but its mechanism of
action is not yet known.
The emetic syndrome has been commonly associated
with fried rice and occurs about 10 times more frequently
than the diarrheal type in Japan. The diarrheal form,
caused by complex enterotoxins produced during the
vegetative growth of the pathogen in the small bowel, is
the more frequent form reported in Europe and North
America. Food poisoning by B. cereus, in both forms, is
Table 2 Pathogenic mechanisms of enteropathogenic bacteria
Pathogenicity
mechanism Organism
I. Toxin delivery without
prior colonization
Staphylococcus aureus,Bacillus
cereus (emetic), Clostridium
botulinum
II. Attachment and toxin
elaboration
Overt tissue damage EAEC
a
, EHEC
b
, EPEC
c
,Clostridium
perfringens,Clostridium difficile
No overt tissue damage B. cereus (diarrheal), Vibrio
cholerae, ETEC
d
III. Invasion Shigella,Salmonella,Yersinia,
Campylobacter jejuni,Listeria
monocytogenes
a
Enteroaggregative E. coli.
b
Enterohemorrhagic E. coli.
c
Enteropathogenic E. coli.
d
Enterotoxigenic E. coli.
408 Enteropathogenic Infections

underreported since both types of illness are relatively
mild and usually last for less than 24 h.
Clostridium botulinum
C. botulinum is an anaerobic, Gram-positive, spore-forming
rod that is ubiquitous in soil and aquatic environments.
The strains of C. botulinum are classified into seven types,
A–G, based on the neurotoxin serotype they produce.
This organism causes botulism, a severe neurological
disease, in both human and animals. Human botulism is
caused mainly by serotypes A, B, E, and rarely F. In
humans, botulism can occur naturally in three different
forms: wound infection, infant botulism, and food-borne
botulism. Wound and infant botulism result from the
growth of C. botulinum spores in deep wounds or in an
infant’s intestine with subsequent in vivo production of
toxin. In healthy adult humans, the spores, if ingested, are
excreted from the intestine without germination and
toxin production. Another form of botulism is inhala-
tional, which does not occur naturally, but has been
used in the past as a bioweapon.
Food-borne botulism occurs by ingestion of preformed
toxin from contaminated food. The incidence of this form
of botulism is low because the toxin is heat labile and can
be destroyed if heated at 85 C for 5 min. The major
source of this type of botulism is home-canned vegetables,
fruits, and fish that have been inadequately processed and
consumed without cooking. Symptoms of nausea, vomit-
ing, and diarrhea appear 18–36 h before or simultaneously
with neuro-paralytic symptoms.
All botulinum neurotoxins consist of large single-chain
polypeptides with a molecular weight of 150 kDa. They
associate with other nontoxic proteins and form large
complexes. The mode of action of these toxins on the
nervous system is to block the release of acetylcholine at
the peripheral synaptic nerve endings, causing a neuro-
muscular blockade and resulting in muscle relaxation.
Botulinum toxin is the most potent toxin known.
Primate studies suggest a lethal dose of 70 mg when
taken orally. Contamination of the food supply by this
toxin as a weapon for bioterrorism has created a major
fear in recent years in the Western world.
The intestinal symptoms of food-borne botulism are
caused by the action of cytotoxins C2 and C3. The C2
toxin ADP-ribosylates G actin at Arg
177
and prevents
polymerization of G actin to F actin. The C3 toxin
ADP-ribosylates the Rho proteins A, B, and C at Asp
41
within the GTPase effector region. These functions
result in the disassembly of actin filaments, which in
turn leads to the loosening of intercellular tight junc-
tions. The role of these toxins in disease is not well-
known.
Infections Caused by Bacterial
Colonization through Attachment
Attachment and Elaboration of Toxin without
Cytoskeletal Rearrangement
Enteropathogenic bacteria can attach to enterocytes via
special adhesins and without significant alteration of the
cytoskeleton of microvilli. These enteropathogens, exem-
plified by V. cholerae, often produce enterotoxins that
account for noninflammatory diarrhea in the small intes-
tine via alteration of ion transport.
Vibrio cholerae
V. cholerae is a Gram-negative bacterium belonging to the
family of Vibrionaceae. The bacterium was discovered by
Filippo Pacini in 1854 and by Robert Koch in 1883. It
resides in aquatic environment as the microflora. During
epidemics, surface water becomes heavily contaminated
with V. cholerae through the feces of infected humans.
Transmission of the infection occurs by the fecal–oral
route and by ingestion of contaminated water or under-
cooked shellfish. The resulting illness, cholera, is
characterized by vomiting and acute diarrhea with typical
‘rice water’ stools within 16–72 h of ingestion of the patho-
gen. Cholera leads to rapid severe dehydration and
becomes fatal in the absence of effective rehydration ther-
apy. V. cholerae is sensitive to low pH of gastric acid; thus, a
high inoculum dose (10
9
organisms) is required to colonize
the small intestine and efficiently cause the disease.
There are more than 200 known O serogroups of
V. cholerae, although only serogroups O1 and O139 have
been associated with cholera epidemics. The non-O1, non-
O139 strains cause only sporadic cases of cholera. The O1
strains are endemic in the Indian subcontinent and have
caused seven cholera pandemics throughout the rest of the
world since 1817. The serogroup O139 was the cause of a
cholera epidemic in 1992 in Bangladesh, India, and neigh-
boring countries. The adult population of these areas is
already immune to serogroup O1 strains. Currently, two
types of vaccine, inactivated and live attenuated, are used
by travelers from industrialized countries traveling to ende-
mic areas.
The key pathogenic factors responsible for the secretory
diarrhea by O1 and O139 strains are the production of type
IV fimbriae, called toxin coregulated pilus (TCP), and the
production of a potent enterotoxin known as cholera toxin
(CT). TCP and CT are both encoded by genes located on a
lysogenic bacteriophage and their expression is negatively
regulated by quorum sensing.
CT is a multimeric protein consisting of five B subunits
that bind to GM1 gangliosides on the surface of enterocytes
and facilitates the release of a single catalytic A subunit.
The A subunit catalyzes the ADP-ribosylation of the GTP-
binding protein, Gs
.
This results in activation of adenylate
Enteropathogenic Infections 409

cyclase, production of high level of cAMP in enterocytes,
and increased secretion of chloride ions and water into the
gut, which accounts for the massive watery diarrhea char-
acteristic of cholera. CT also upregulates expression and
secretion of several proinflammatory and anti-inflamma-
tory cytokines (e.g., IL-1, IL-6, and IL-10) by enterocytes.
V. cholerae also produces another bacteriophage-
encoded enterotoxin called zonula occludens toxin
(Zot). Zot activates the paracellular secretion pathway
by affecting the structure of the intercellular tight junc-
tion, the zonula occludens.
Enterotoxigenic E. coli
E. coli was first described by the German physician
Escherich in 1885. It resides within the intestine of
warm-blooded animals. In human gut, E. coli lives natu-
rally as the most common facultative anaerobe, although
there exist many pathogenic strains of E. coli that cause
human and animal diseases such as enteric infections.
Enterotoxigenic E. coli (ETEC) pathotype is the most
frequent bacterial cause of diarrhea in infants and children
of the developing world, especially in tropical regions, and a
common cause of travelers’ diarrhea in international visitors
to these areas. The disease occurs following ingestion of
contaminated water or food. Abdominal pain and watery
diarrhea result within 16–72 h and usually resolve within
3–4 days. In travelers the disease is usually mild, but in
infants from endemic areas it is typically more severe.
Repeated infections with ETEC during childhood may
lead to long-term malnutrition. Epidemiological studies
indicate that ETEC infection is more frequent during the
warm seasons in developing countries and also in tropical
areas, where there is a heavy burden of the pathogen.
Studies in human volunteers have shown that, similar to
V. cholerae,theinfectingdoseforETECisalsohigh(10
8
bacteria).
Pathogenesis of the illness caused by ETEC resembles
that of cholera, in which the pathogen colonizes the small
bowel by attachment and production of the enterotoxins
that induce secretion of water and electrolytes. Bacteria
bind to the receptors on the epithelial cells in the small
bowel lumen using fimbrial or nonfimbrial adherence
factors. More than 25 types of adhesins, called coli surface
antigens (CSs) or colonization factor antigens (CFAs),
have been identified in human ETEC strains. These
adhesins are associated with specific O serogroups and
include common fimbriae with rigid rods, bundle-forming
flexible rods, thin fibrillas, and type IV fimbriae.
Once attached to the enterocytes, ETEC secrete two
types of enterotoxin, known as heat-labile (LT) and heat-
stable (ST) enterotoxins, both encoded on a plasmid. LT
is homologous to CT in structure, function, and mode of
action. It has a total molecular mass of 84 kDa and is
composed of a single A subunit and five identical B sub-
units. The B subunits bind to GM1 ganglioside receptors
of the plasma membrane of the enterocyte, allowing the
release of the A subunit into the cytoplasm. There, the A
subunit catalyzes the activation of adenylate cyclase by
ADP-ribosylation of the G proteins, which results in
the accumulation of cyclic AMP in the cytoplasm of the
enterocyte. This results in increased secretion of chloride
ions in the crypt cells and reduced absorption of sodium
and chloride ions by villous cells, accumulation of elec-
trolytes and water in the lumen and, heretofore, watery
diarrhea. LT also causes diarrhea by influencing the
metabolism of prostaglandins and stimulating neurotrans-
mitters of the enteric nervous system.
ST is a small polypeptide that is homologous to the
intestinal hormone, guanylin. ST activates guanylate
cyclase, which results in increased intracellular levels of
cyclic GMP and secretion of electrolytes and water, lead-
ing to diarrhea. ST alone is produced by approximately
half of clinical strains of ETEC, whereas most of the rest
produce both ST and LT.
Attachment Followed by Cytoskeletal
Rearrangement
Intestinal pathogens can adhere to the epithelial cells and
remain extracellular. However, the adherence can be inti-
mate and can lead to the loss of the brush border microvilli
followed by major rearrangements in the actin cytoskele-
ton. The representative pathogens in this category include
enteropathogenic E. coli. These pathogens can also secrete
potent enterotoxins and cytotoxins and cause noninflam-
matory as well as inflammatory symptoms.
Enteropathogenic E. coli
Enteropathogenic E. coli (EPEC) is one of the major
causes of infantile diarrhea worldwide, with a high mor-
tality rate in infants below 2 years of age in developing
countries. EPEC infections are more prevalent in tropics
and during warm months. The pathogen is transmitted by
the fecal–oral route by person-to-person contact.
Outbreaks in developed countries usually occur in day
care centers. More than 10
8
organisms are required to
cause infection in adult human volunteers. The symptoms
of the infection are often severe and include acute watery
diarrhea, malaise, vomiting, and fever.
EPEC strains do not produce enterotoxins and are not
invasive. Instead, the defining feature of this pathogen is
formation of attaching and effacing (A/E) lesions on the
brush border of the small intestine. The lesions are caused
by the intimate contact of the bacteria with the apical enter-
ocyte membrane followed by their effacement. Bacteria
induce formation of actin-rich cup-like pedestals at the site
of bacterial contact on the epithelial cell surface. These
lesions have been demonstrated both in intestinal tissue
biopsy of infants with diarrhea and in cell culture models
by using the fluorescent actin staining (FAS) technique. The
410 Enteropathogenic Infections

genesinvolvedintheformationofA/Elesionsarelocatedon
a 35 kb pathogenicity island called the locus for enterocyte
effacement (LEE). LEE is located on a chromosome and
contains more than 40 genes responsible for the production
of components of the type III secretory system, a series of
effector proteins called E. coli-secreted proteins (Esp), the
94 kDa outer membrane adhesin intimin, and the 90 kDa
protein translocated intimin receptor (Tir).
The initial adherence of EPEC to the enterocytes is
mediated by the plasmid-encoded type IV pili, also called
bundle-forming pili (Bfp). Bfp are characterized by a
rope-like morphology. In vitro, by using tissue culture
assays, Bfp were shown to mediate the formation of tight
microcolonies of 5–200 individual bacteria with a distinc-
tive pattern of adherence to the cells called ‘localized
adherence’. Fimbriae, known as the surface-associated
filament (EspA filaments), and flagella also contribute to
the adherence process. The role of Bfp in virulence of
EPEC has been shown in volunteers who developed a
milder diarrhea when they ingested the Bfp mutants.
Meanwhile, localized adherence is followed by the injec-
tion of Tir into the intestinal epithelial cells through the
type III secretion system (TTSS). Tir acts as the receptor
for intimin and, once bound, it causes accumulation of
cytoskeletal proteins such as actin, loss of microvilli, and
the formation of the cup-like pedestal for the pathogen to sit
on. This intimate contact leads to the secretion of Esp
proteins into the cytosol of enterocytes via type III secre-
tion apparatus. EspA forms a tunnel between the bacteria
and the host cells to allow other effector proteins to trans-
locate into the host cytoplasm. One of these proteins, EspF,
modifies other host proteins and contributes to the altera-
tion of the permeability of tight junctions. In addition,
proinflammatory cytokines such as IL-8 are upregulated
during infection, perhaps by flagella, which can lead to an
inflammatory process that exacerbates intestinal damage.
Therefore, A/E lesions may contribute to the pathogenesis
of diarrhea by altering the absorptive capacity of the intest-
inal mucosa, which results in electrolyte and water loss, and
subsequent diarrhea.
Enterohemorrhagic E. coli
Enterohemorrhagic E. coli (EHEC) is an emerging patho-
gen in the highly industrialized countries such as Japan,
North America, and Europe, but causes fewer outbreaks in
the developing countries. Infection occurs in both adults
and children and starts with abdominal pain, vomiting, and
watery diarrhea. Fever is uncommon. Watery diarrhea can
progress to hemorrhagic colitis within 3–5 days.
Symptoms of bloody diarrhea may then last for up to a
week or more. The severe complications of hemolytic
uremic syndrome (HUS) may also occur, which can lead
to long-term renal damage and significant mortality rate.
The intestinal tract of cattle is the natural reservoir of
EHEC and the bacteria can spread from animal feces to
water and food. Transmission usually occurs through con-
taminated ground beef, raw milk, and vegetables, direct
contact with farm animals, or by person-to-person contact.
Less than 100 organisms can lead to infection. Of the 200
recognized EHEC serotypes, O157:H7 is the most common
serotype in food-borne outbreaks. It was first detected as a
human pathogen in 1982 after an outbreak associated with
undercooked hamburger at a fast-food restaurant chain.
The main pathogenic feature of EHEC is the production
of cytotoxins called Shiga toxins (or verotoxins): Stx1 and
Stx2. These toxins are closely related to the Shiga toxin of
Shigella dysenteriae (see ‘Shigella spp.’). Stx2 is the more viru-
lent toxin and is produced by almost all O157:H7 strains.
The Shiga toxins have the A1B5 structure similar to the LT
toxins of ETEC and CT of V. cholerae (see preceding).
Genes encoding Stx proteins are located on a temperate
bacteriophage that has integrated in the EHEC chromo-
some. The mode of action of the toxin is characterized by
the inhibition of protein synthesis in colon epithelial cells,
resulting in cell death. The mucosal damage in the colon is
similar to that seen with C. difficile infections. The toxin is
then absorbed from the gut into the circulation where it
further damages vascular endothelial cells in organs such as
colon and kidney, resulting in worsening hemorrhagic coli-
tis (similar to ischemic colitis) as well as HUS.
Infection with EHEC also results in histopathologic
alterations of the intestinal mucosa and formation of typical
A/E lesions similar to EPEC infections. These lesions,
however, are different in composition and may develop in
the colon or the distal small bowel. EHEC, like EPEC, uses
the adhesin intimin (for intimate attachment), but unlike
EPEC it does not produce Bfp (see preceding). EHEC also
harbors a large virulence plasmid called pO157 that
encodes a hemolysin called enterohemolysin (HlyA), an
autotransported serine protease EspP (involved in the clea-
vage of human coagulation factor V), and a large protein
called ToxB with structural similarity to C. difficile toxin.
EHEC also produces the enterotoxin EAEC heat-stable
enterotoxin (EAST1) that is a heat-stable protein similar
to the heat-stable toxin of ETEC (see preceding).
Enteroaggregative E. coli
Enteroaggregative E. coli (EAEC) was first described in
1987 and is now recognized as an emerging pathogen that
causes pediatric diarrhea. It is the cause of persistent
diarrhea and malnutrition largely in children below the
age of 2 in developing and tropical countries. It is also the
cause of acute diarrhea in travelers to developing areas, in
HIV-infected individuals, and in children and adults of
both developing and developed countries. In addition,
EAEC has been associated with large diarrheal outbreaks
in Japan, Europe, and India. EAEC is transmitted by the
fecal–oral route and by consumption of contaminated
water and food. An inoculum dose of 10
10
organisms was
required for development of diarrhea in a volunteer
Enteropathogenic Infections 411

study. The symptoms of disease appear within 8–18 h of
ingestion of the pathogen and include watery diarrhea
with or without blood and mucus, abdominal pain, nausea,
and low-grade fever. In malnourished children, diarrhea
can become chronic and persistent. In addition, infection
with EAEC in children may result in long-term compli-
cations of malnutrition and growth retardation.
The pathogenesis of EAEC is complex, and EAEC
strains are heterogeneous in terms of their virulence.
Animal and cell culture studies indicate that EAEC adheres
to the mucosa in both the small and the large bowel and
then forms aggregates with a ‘stacked brick’ pattern. The
adherence and aggregative phenotype is mediated by adhe-
sins such as aggregative adherence fimbriae (AAF). AAF is
encoded on a large plasmid and regulated by the AggR
regulatory protein. In addition, an antiaggregative protein,
called dispersin (aap), and a mucinase, called Pic, cause
bacterial dispersal across the intestinal mucosa. Adherence
and aggregation are followed by production of a thick layer
of mucus within which bacteria adhere to each other and to
the epithelium in a manner similar to biofilm. This biofilm
formation accounts for the production of mucoid stool,
malnutrition, and perhaps persistent colonization with sub-
sequent diarrhea and worsening malnutrition in children
with previous malnutrition. Following adherence, EAEC
secretes both enterotoxins and cytotoxins. The toxins
induce mild but significant cytotoxic effect on the tips and
sides of the intestinal villi and epithelial cells, as seen in
both animal and human studies. The damage to intestinal
mucosa is different from the lesion caused by EPEC.
The toxins also induce mild inflammatory response and
intestinal secretion. Predominant toxins include the
plasmid-encoded EAST1, Shigella enterotoxin 1 (ShET1),
and plasmid-encoded toxin (Pet). EAST1 is encoded by
astA and is a heat-stable protein similar to the heat-stable
toxin of ETEC (see preceding). ShET1 is an enterotoxin
similar to that of Shigella (see ‘Shigella spp.’). Pet is a member
of a serine protease autotransporter family of bacterial
toxins. It acts intracellularly and cleaves the cytoskeletal
proteins spectrin and fodrin. This, in turn, leads to the loss
of actin stress fibers and rounding of cells in culture. Pet also
elicits enterotoxic effects and causes fluid secretion and
diarrhea. In addition, the EAEC flagella induces the release
of the proinflammatory cytokine IL-8, which facilitates
intestinal fluid secretion. EAEC also possesses pathogeni-
city islands (PAI) including Shigella she PAI containing the
enterotoxin and mucinase gene and Yersinia PAI containing
the yersiniabactin siderophore gene.
Clostridium perfringens
Clostridium perfringens is an anaerobic, Gram-positive,
spore-forming, nonmotile rod. It is ubiquitous in nature
and mainly present in soil and in the intestine of humans
and warm-blooded animals. The species is divided into
five types, A–E, based on the production of four major
toxins. Of these types, A and C are responsible for two
very different food-borne infections. Type A results in a
watery diarrheal illness, while type C generally produces
a more severe necrotic enteritis.
C. perfringens type A is a common cause of food poison-
ing outbreaks in industrialized nations, particularly in
institutions where large amounts of food are cooked in
advance, but not reheated adequately prior to serving.
Like other toxinogenic strains, type A strains are not
able to produce several essential amino acids. For this
reason, they tend to associate with foods rich in protein
such as meat and poultry where they can grow at tem-
peratures between 15 C and 50 C, with doubling times
as short as 8 min. Initial cooking kills the vegetative cells
but not the spores, which will eventually germinate after
cooking. Once ingested at a high inoculation dose (10
7
organisms), C. perfringens enterotoxin (CPE) is efficiently
produced in the small intestine. Abdominal pain and mild
watery diarrhea appear within 8–16 h and can resolve
after 24 h. CPE is also responsible for the antibiotic-
associated diarrheal symptoms caused by C. perfringens
type A. As in cases of C. difficile infection, the diarrhea
usually lasts longer and is typically more severe, being
characterized by the passage of bloody mucus.
CPE is a heat- and pH-labile 35 kDa single polypeptide
chain with a two-domain structure. The C-terminal
domain binds to Claudin-3 and Claudin-4, the proteins
located in the epithelial tight junctions, and the N-terminal
domain is involved in insertion and cytotoxicity. By inter-
action with several membrane proteins, a pore-forming
complex that increases apical membrane permeability to
ions in human intestinal Caco-2 epithelial cells is formed.
The cytotoxic activity of CPE has also been demonstrated
in HeLa cells and animal models.
On the other hand, C. perfringens type C causes necrotic
enteritis known as ‘pig-bel’, a severe necrotizing disease of
the small intestine. In Papua New Guinea, outbreaks of
‘pig-bel’ are related to the consumption of large amount
of undercooked pork during the long traditional feasts.
The symptoms of ‘pig-bel’ appear within 5–6 h of inges-
tion of the pathogen, characterized by severe abdominal
cramps, vomiting, bloody diarrhea, and eventually death
due to intestinal perforation. The disease is mainly due to
the production of a cytotoxin called b-toxin, produced by
the vegetative cells. This toxin is degraded by proteolytic
enzymes such as trypsin in the normal human intestine.
However, the lack of proteolytic enzymes in the diet due
to malnutrition and consumption of foods containing
trypsin inhibitors, such as sweet potatoes, is a precipitat-
ing factor in the development of the disease.
Clostridium difficile
C. difficile is an anaerobic, spore-forming, Gram-positive
rod that exists naturally in the environment. It is the most
commonly identified cause of diarrhea in hospitals
412 Enteropathogenic Infections

worldwide. The incidence of C. difficile infections has
increased in developed nations since the 1980s as a result
of increased use of antibiotics. The antibiotics alter the
colonic microflora and allow colonization of the intestinal
tract by C. difficile. The spores, which are resistant to many
disinfectants used in the hospitals, are able to survive the
acidic environment of the stomach and germinate in the
colon, subsequently producing toxins. The clinical spec-
trum associated with C. difficile infection can range from
mild diarrhea to severe pseudomembranous colitis.
Recurrence of diarrhea is also frequently observed.
C. difficile produces two toxins, toxin A and B, which
are responsible for the pathophysiology of diarrhea and
colitis. The expression of these toxins is coregulated. In
addition, toxins A and B are among the largest monomeric
toxins known, with a molecular weight of 308 and
207 kDa, respectively. Both the toxins exert general cyto-
toxic activities although toxin A has been traditionally
known as an enterotoxin. Both the toxins have glucosyl-
transferase activities that catalyze transfer of glucose to
small GTP-binding proteins belonging to the Rho family.
This modification results in the disruption of the actin
cytoskeleton and leads to rounding of the cells. These
toxins also cause alterations of the intestinal barrier func-
tion most likely through a proteinase kinase C signaling
pathway. In addition, toxin A binds to colonocytes and
enters the mitochondria prior to the process of Rho gly-
cosylation, leading to early release of proinflammatory
cytokines such as IL-8. This accounts for the severe
inflammation often seen with pseudomembranous colitis.
Another toxin, called binary toxin, is produced only by
some strains. Binary toxin causes fluid secretion with no
epithelial damage in the rabbit ileal loop, but its role in
disease development is currently unknown. Other factors
contributing to the pathogenicity of C. difficile include
fimbriae, the capsule, and hydrolytic enzymes. Moreover,
mutations in one of the regulatory genes of toxin A and B
has been shown to result in constitutive production of the
toxins by the pathogen. Such a strain is then defined as
hypervirulent and is associated with a high rate of C.
difficile-associated complications such as toxic megacolon
(which may result in colectomy) or even death. Thus the
hypervirulent strain, referred to as PCR ribotype 027 or
American pulsed-field type 1 (NAP1), is a new emerging
strain that is resistant to fluoroquinolone antibiotics and
was responsible for an epidemic in Quebec, Canada, in
2003. In addition, this strain has caused other outbreaks in
the United States and Europe since then (Table 3).
Infections Caused by Bacterial
Colonization through Invasion
Enteroinvasive pathogens invade the mucosa of the distal
ileum or colon following adherence to the intestinal
epithelia and this usually results in an inflammatory
Table 3 Predominant virulence factors of enteropathogenic bacteria
Pathogen Virulence factor
Bacillus Cereus Cereulide (enterotoxin)
Campylobacter jejuni Cytolethal distending toxin (CDT), flagella
Clostridium botulinum Botulinum toxin (enterotoxin), C2 and C3 (cytotoxins)
Clostridium difficile Toxin A and B (cytotoxin)
Clostridium perfringens Clostridium perfringens enterotoxin (CPE), b-toxin (cytotoxin)
Enteroaggregative E. coli (EAEC) Aggregative adherence fimbriae (AAF), dispersin, mucinase, EAST1
a
, ShET1
b
,
plasmid-encoded toxin (Pet)
Enterohemorrhagic E. coli (EHEC) Stx1 and Stx2
c
(cytotoxins), intimin
Enteropathogenic E. coli (EPEC) Intimin, bundle forming pili (Bfp)
Enterotoxigenic E. coli (ETEC) Heat-labile (LT) and heat-stable (ST) enterotoxins, colonization factor antigens (CFAs)
Listeria monocytogenes Internalin A and B, listeriolysin O, Act-A
Salmonella (nontyphoidal) Salmonella enterotoxin, Sips
d
, TTSS
e
Salmonella typhi Vi capsule, PhoP/PhoQ system, Sips, TTSS
Shigella Stx
c
(cytotoxin), Ipas
f
, TTSS, IcsA/VirG
Staphylococcus aureus Enterotoxins type A, B, C, D, and E
Vibrio Cholerae CT
g
(enterotoxin), toxin coregulated pilus(TCP), zonula occludens toxin (Zot)
Yersinia enterocolitica Invasin (Inv), Yst (enterotoxin), Yops
h
, TTSS
a
EAEC heat-stable enterotoxin.
b
Shigella enterotoxin 1 (ShET1).
c
Shiga toxins 1 and 2.
d
Salmonella invasion proteins.
e
Type III secretion system.
f
Invasin plasmid antigens.
g
Cholera toxin.
h
Yersinia outer membrane proteins.
Enteropathogenic Infections 413

type of diarrhea. Some of these pathogens may remain
localized and only invade the epithelium, thus causing
serious inflammatory destruction of the colonic mucosa
(e.g., Shigella). Other pathogens may further infect mesen-
teric lymph nodes draining the intestine (e.g., Yersinia)or
spread beyond to the extraintestinal sites and result in
systemic infection (e.g., S. typhi). The best-characterized
pathogens in each category are discussed in the following
sections.
Local Invasion
Shigella spp.
Shigella spp. are Gram-negative, nonmotile, nonencapsu-
lated, facultatively anaerobic bacilli and were first
described by Shiga at the end of the nineteenth century.
They are genetically closely related to E. coli. Based on
their biochemical and serological characteristics, they are
divided into four different species: S. dysenteriae,S. flexneri,
S. bodyii,andS. sonnei.S. dysenteriae serotype 1, the Shiga
bacillus, is responsible for most recorded epidemics in the
developing countries. S. bodyii exists mostly in the Indian
subcontinent while S. flexneri and S. sonnei are responsible
for most of the endemic diseases. S. sonnei is prevalent in
Europe and the United States, whereas, S. flexneri is ende-
mic in developing countries and characteristically
produces higher mortality rates compared to the other
species. Shigella is the etiologic agent of shigellosis or
bacillary dysentery, accounting for approximately 5% of
all the episodes of diarrhea. Mortality due to shigellosis is
high in developing countries, since it largely affects chil-
dren between 1 and 5 years of age. In recent years, there
has been a decline in mortality rate, although the inci-
dence of the disease has remained high in endemic areas.
The symptoms of shigellosis occur within 16–48 h of
ingestion of the pathogen and range from self-limiting
watery diarrhea to the classic triad of fever, abdominal
cramps, and bloody diarrhea. The infectious dose for the
organism is as low as 10–100 organisms in adult volun-
teers. Transmission usually occurs by person-to-person
contact or through contaminated food and water.
Infection occurs primarily as the result of poor hygiene
and inappropriate sanitation.
Shigella is the paradigm of enteropathogenic bacterial
invasion that results in an inflammatory infection. Once
the bacteria reach the colon, they invade the mucosa by
penetrating, multiplying, and spreading between the
colonocytes. Genes required for these key steps of inva-
siveness are located on a 221 kb virulence plasmid, called
pWR100. These genes are clustered on PAI. The main
PAI is a 30 kb fragment that carries genes encoding the
components of a TTSS) called Mxi-Spa, the secreted
effector proteins called Ipas, and the chaperones for
these proteins called Ipgs. Like other TTSSs, the Mxi-
Spa TTSS has a syringe-like structure composed of three
components: a cytoplasmic bulb, a disk-like structure that
spans the inner and outer membrane, and a 60 mm needle-
like component that extends outside the outer membrane
(Figure 1).
Shigella strains do not invade through the apical mem-
brane of the epithelial cells. Experimental infections in
the rabbit ligated ileal loop have shown that once inside
the intestine, Shigella selectively translocate across the
intestinal epithelium via the endocytic M cells.
Following translocation, the bacteria are phagocytosed
by resident macrophages. Subsequently, they destroy the
macrophages by IpaB-mediated apoptosis, thereby gain-
ing access to the basolateral membrane of the epithelial
cells, which they can then efficiently enter. Upon contact
with the host cell, the TTSS becomes activated, leading
to the secretion of IpaB and IpaC and their insertion into
the plasma membrane of the host cell. The IpaB–IpaC
complex forms a pore that can facilitate the insertion of
the needle component into the target cell membrane. The
pore also allows passage of effector proteins such as IpaA
and IpgD directly from the bacterial cytoplasm into the
target cell. IpaC also induces actin nucleation/polymer-
ization at the early stage of entry by activating the
cytoskeletal proteins, Cdc42, Rho, and Rac. IpaA activates
vinculin, which causes the formation of the actin cup
structure beneath the bacterium. IpgD facilitates exten-
sion of actin filaments. Therefore, Shigella employs a
‘triggering’ mechanism that induces cytoskeletal rearran-
gements, with the formation of ruffles and the engulfment
Figure 1 Computer reconstitution of a Shigella type III
secretion system (TTSS), based on addition of a large set of
electron microscopy pictures. TTSS from other Gram-negative
enteric pathogens (i.e., Salmonella,Yersinia) are structurally
similar.
414 Enteropathogenic Infections

of the bacteria within macropinocytic vacuoles
(Figure 2). Shigella then lyses the vacuoles by using the
IpaB invasion and escapes into the cytoplasm, where it
multiplies. Within the cytoplasm, Shigella’s outer
membrane protein, IcsA/VirG, binds to the neuronal
Wiskott–Aldrich syndrome protein (N-WASP) and
causes nucleation/polymerization of actin and formation
of an F-actin comet at one pole of the bacterium. This
enhances the ability of the bacterium to move inside
epithelial cells. The motile Shigella can then recruit the
components of the cell intermediate junction such as
cadherins to form membrane protrusions that are endo-
cytosed by the adjacent cell. Following internalization of
the protrusion, the two membranes are lysed by the IpaB/
IpaC pore complex, allowing cell-to-cell spread of the
bacterial pathogen. This cell-to-cell spread can be mea-
sured in vitro by the formation of plaques on a confluent
cell monolayer (plaque assay) and in vivo by formation of
keratoconjunctivitis in guinea pigs (Sereny test).
As expected, invasion by Shigella causes severe local
inflammation. Apoptosis of macrophages leads to release
of proinflammatory cytokines such as IL-1 and IL-18. In
addition, once intracellular, a small motif of peptidogly-
can of the bacterial cell wall binds to the nucleotide-
binding oligomerization domain 1 (Nod1) protein of the
epithelial cell and induces secretion of the proinflamma-
tory cytokine IL-8. These events lead to the infiltration of
the polymorphonuclear cells (PMN) through the epithe-
lial cell tight junctions, rapid destruction of the epithelial
barrier, and consequent fluid leakage and diarrhea. Once
phagocytosed by the PMNs, Shigella cannot escape. This
process keeps the bacteria localized, thus preventing sub-
mucosal invasion and subsequent systemic dissemination.
Shigella spp. also produce different types of toxins. The
ShET1 is encoded by the 46 kb chromosomally located
PAI called SHI-1. This toxin is an A1B5 toxin similar to
the CT toxin of V. cholerae (see preceding). The ShET1
toxin is mainly found in S. flexneri 2a strains. The Shigella
enterotoxin 2 (ShET2) is encoded by the pWR100 viru-
lence plasmid and produced by most Shigella strains. Shiga
toxin (STx) is a lethal cytotoxin encoded by the lambdoid
bacteriophage that is integrated in the chromosome of S.
dysenteriae. This toxin has an A1B5 structure and functions
by cleaving the 28S rRNA of host cells and inhibiting
protein synthesis, which leads to cell death. This toxin
may also be responsible for the more severe infections
that are typical of S. dysenteriae when compared to the
other species.
Salmonella (nontyphoidal serovars)
Salmonella spp. are Gram-negative facultatively anaerobic
rods. The genus comprises two species. One of the spe-
cies, S. enterica, is further subdivided into six subspecies
with approximately 2500 serovars (serotypes). S. enterica
causes a variety of infections in diverse animal hosts
including humans, domestic animals, and birds, with
infections in humans being caused mostly by serovars in
subspecies I. S. enterica serovars typhimurium,enteritidis,
newport and heidelberg, referred to as nontyphoidal
Salmonella, cause gastroenteritis (salmonellosis), whereas
the serovars typhi,paratyphi, and sendai cause enteric fever
(see the section following on S. typhi).
Nontyphoidal Salmonella infections occur at a high rate
in both developed and developing countries. The non-
typhoidal Salmonella is the most common bacterial
pathogen associated with food-borne outbreaks. The
infection usually occurs after ingestion of contaminated
water or foods of animal origin such as meat, poultry,
eggs, and dairy products. The infectious dose in adult
volunteers has been shown to be 10
6
. Disease symptoms
usually appear within 6–48 h of ingestion of the bacteria
and include nausea, vomiting, abdominal cramps, and
diarrhea. The disease is self-limiting and usually lasts no
longer than 3–7 days, but can lead to serious complica-
tions in immunocompromised hosts such as HIV patients.
Salmonella infections develop in both the small and
large intestines. Invasion is initiated by attachment of
the pathogen to the intestinal epithelial cells by different
types of fimbriae including type 1 fimbriae, long polar
fimbriae (Lpf), and the thin aggregative fimbriae (curli).
Subsequently, the bacteria either invade the intestinal
epithelial cells or get internalized by the M cells of the
Peyer’s patches. Invasion of epithelial cells is mediated by
TTSS and the secreted effector proteins encoded by the
40 kb Salmonella Pathogenicity Island 1 (SPI-1) located on
the Salmonella chromosome. Like Shigella (see preceding),
Salmonella enters host cells by a ‘triggering mechanism’
that involves cytoskeletal alterations resulting in the
Figure 2 Entry of Shigella flexneri into an epithelial HeLa cell.
Note massive membrane rearrangements that form a
macropinocytic pocket in response to the cytoskeletal changes
induced by the type III secreted effectors.
Enteropathogenic Infections 415

formation of actin-rich membrane ruffles that engulf the
pathogen. The TTSS pore complex, SipB/SipD, and the
SPI-1 effector proteins (SipA, SopB, SopD, and SopE/E2)
then stimulate a host signaling cascade and cytoskeletal
changes involving activation of host proteins such as
Cdc42 and Rac. These events alter actin dynamics at
the point of bacterial entry and subsequent bacterial
uptake. Salmonella also produces flagellin, the monomeric
subunit of the bacterial flagellae, and is able to translocate
it into host cell cytosol using the SPI-1 TTSS. There,
flagellin induces production of proinflammatory cyto-
kines such as IL-8. Once intracellular, Salmonella remains
trapped in a vacuolar compartment and, unlike Shigella,
does not escape into the cytoplasm.
To cross the epithelial barrier, Salmonella can also use
dendritic cells, the cells that are able to move between
adjacent intestinal epithelial cells without disrupting the
tight junctions. After translocation across the epithelial
barrier, the nontyphoidal Salmonella induces a massive
influx of neutrophils attracted by the secreted effector
protein SipA. Bacteria become phagocytosed by macro-
phages where they use the SPI-1 SipB protein to induce a
rapid proinflammatory cell death that has features of both
apoptosis and necrosis. This also induces activation of
proinflammatory cytokines IL-1 and IL-18, further parti-
cipating in the inflammatory process within the intestine
leading to increased fluid loss and diarrhea. Another
TTSS of Salmonella, the SPI-2 TTSS, is also involved in
the early and complete induction of intestinal inflamma-
tion (see ‘S. typhi’ about SPI-2).
Campylobacter jejuni
Campylobacter species are Gram-negative, motile, microaer-
ophilic, spirally curved rods. There are 14 species within
the genus Campylobacter. Of these species, C. jejuni is the
prototype for causing the enteric infection referred to as
campylobacteriosis. C. jejuni has its habitat within the gas-
trointestinal tract of a broad spectrum of animals including
domesticated animals and birds. Campylobacteriosis results
from the consumption of contaminated water or foods,
especially undercooked poultry, and raw milk. It may
also spread in a fecal–oral fashion either from person to
person or from animal to person. The organism preferen-
tially grows at 42 C and is sensitive to low pH, drying,
freezing, and high temperature. The infectious dose varies
depending on the source of bacteria. As few as 500 organ-
isms were able to produce disease in one volunteer study.
The incubation period varies from 1 to 7 days, while the
symptoms of infection usually emerge within 3–4 days.
Symptoms usually include fever, abdominal pain, and diar-
rhea, which is sometimes bloody. When symptoms of
bloody diarrhea occur, the infection may be confused
with idiopathic inflammatory bowel disease, either ulcera-
tive colitis or Crohn’s disease. The illness usually resolves
in 7 days, but relapse can occur in untreated patients. Also,
in rare cases, Guillain–Barre
´syndrome, an acute neuro-
paralytic disease, has been reported, usually within 2–3
weeks after the diarrheal illness. Postinfectious arthritis
may also occur.
C. jejuni is among one of the most frequent bacterial
causes of enteric infections in both industrialized and devel-
oping nations. It also causes travelers’ diarrhea, ranking as
the second cause after ETEC. In developing countries C.
jejuni infections occur mainly in childhood before the age of
five and primarily by person-to-person transmission. In
these children the disease symptom is mostly self-limited
watery diarrhea, which often leads to long-term asympto-
matic carriage of the bacteria. However, in industrialized
nations such as the United States and the United Kingdom,
most of the disease outbreaks are food-borne and manifest
as an inflammatory dysentery-like diarrhea in adults.
C. jejuni causes inflammation in both the small and
large intestines. Other than primates, no animal model
reproduces infections similar to humans. Most of the
knowledge of the pathogenicity of this organism is
derived from experimental infections in ferrets and chicks
as well as from in vitro studies in intestinal epithelial cell
lines such as INT 407, HEp-2, and Caco-2. In addition,
sequencing of the relatively small genome of C. jejuni (i.e.,
1.6 Mb) has helped in elucidating some of the potential
virulence determinants.
A significant body of evidence from these in vitro and
in vivo studies shows that C. jejuni colonizes the intestine by
invading the intestinal epithelial cells using a unique
mechanism. Once bacteria are ingested, they use their fla-
gella and their corkscrew morphology to penetrate the
intestinal mucosal barrier and reach the epithelial cells.
There, they can bind to the cells via CadF, an adhesion
protein that has been shown, in vitro, to bind to fibronectin
on the basolateral side of the epithelial cells. The C. jejuni
capsule, as well as the secreted protein, CiaB, and the
flagellar protein, FlaC, have also been shown to be required
for invasion of cultured epithelial cells. Unlike other patho-
gens such as Shigella,Salmonella,andYersinia that use an
actin microfilament-dependent mechanism for entry,
C. jejuni uses microtubule polymerization during the inva-
sion process. Upon bacterial contact with the epithelial
cells, the cell membrane forms specialized structures
known as pseudopods, which contain microtubules and
are able to capture the bacteria. Following internalization,
the bacterial-containing vacuoles move along the microtu-
bules toward the cell nucleus. In addition, it is thought that
the CdtA and CdtC components of the cytolethal distend-
ing toxin (CDT) might mediate binding of bacteria to the
host cell receptors and cause subsequent internalization of
bacteria through clathrin-mediated endocytosis, the natural
process used by mammalian cells for nutrient uptake.
The mechanism of intracellular survival and growth of
C. jejuni is not yet understood. CdtB, the toxic moiety of
CDT, is thought to act as a DNase and cause DNA
416 Enteropathogenic Infections

damage in the nucleus and, thus, cytotoxicity. Moreover,
CDT induces secretion of the proinflammatory cytokine
IL-8 from the epithelial cells, leading to recruitment of
inflammatory cells. CDT also induces apoptosis in mono-
cytic cell lines. Another inducer of proinflammatory
response is JIpA, an adhesin protein essential for the
binding of bacteria to cultured HEp-2 cells.
C. jejuni also carries hypervariable sequences within its
genes that encode for the proteins required for capsule
and lipooligosaccharide (LOS) biosynthesis. These
hypervariable sequences probably play a role in immune
avoidance and increased survival of the bacterium.
Locoregional Invasion
Yersinia spp.
Yersinia spp. are Gram-negative, aerobic rods. The three
species that are pathogenic for humans include Y. pestis,
Y. pseudotuberculosis, and Y. enterocolitica.Y. pestis is the
etiologic agent of the bubonic plague (the ‘Black
Death’), which is thought to have killed one-fourth of
the European population during medieval times. Y. pseu-
dotuberculosis and Y. enterocolitica are the enteropathogenic
species, the latter being the main cause of yersiniosis. Both
species have reservoirs in a wide range of animals includ-
ing rodents, birds, farm animals, and pets. Transmission of
infection takes place by the fecal–oral route and usually
by ingestion of contaminated water or foods such as milk
and raw pork. The organisms grow at a wide range of
temperature from 4 Cto37
C, thus enabling them to
multiply even after refrigeration.
Yersiniosis is a disease that is mostly caused by
Y. enterocolitica and is relatively common in developed parts
of the world such as Europe, especially among children and
young adults. The infecting dose for the organism is high
(10
9
organisms) and the symptoms of the disease appear after
4–7 days of incubation. The symptoms, which can last for 1
day to 4 weeks, are enteric fever-like and include fever,
abdominal pain, and diarrhea. Mesenteric adenitis can also
occur, and this can be confused clinically with acute appen-
dicitis. Extraintestinal syndromes can result from yersiniosis
that may include septicemia and postinfectious arthritis. On
the other hand, Y. pseudotuberculosis mainly causes mesenteric
adenitis and diarrheal syndrome is less frequent.
Following ingestion, Yersinia cross the intestinal
epithelium through the M cells within the Peyer’s patches
of the ileum. Yersinia entry takes place by the so-called
zippering’ mechanism that involves an intimate contact
between the bacterium and the host cell. This is achieved
by the binding of invasin (Inv), a chromosomally encoded
103 kDa outer membrane protein of Yersinia, to the 1
integrins that are also expressed on the apical surface of
the M cells. The dynamics of binding cause integrin
clustering and transmission of intracellular signals,
which leads to the formation of focal adhesion complexes,
rearrangement of the actin cytoskeleton, and bacterial
internalization. Other Yersinia surface proteins such as
Yersinia adhesin A (YadA) and attachment–invasion
locus (ail) also contribute to the invasion process.
Invasion leads to the production of proinflammatory
cytokines and massive infiltration of neutrophils. However,
Yersinia resists being phagocytosed by neutrophils and resi-
dent macrophages. The antiphagocytosis function can be
mediated by the injection of the plasmid-encoded effector
proteins YopH, YopT, YopE, and YpkO/YopO through the
plasmid-encoded TTSS called Ysc. Secretion of the Yop
proteins is regulated by temperature, calcium concentration,
and contact with the host cell. Following injection,
YopH, which is a homologue of mammalian tyrosine phos-
phatase, dephosphorylates macrophage proteins such as
FAK and paxillin. YopT, YopE, and YpkO/YopO modify
macrophage proteins including Rac1, Rho, and Cdc42.
Moreover, YopJ/YopP induces apoptosis of macrophages.
This way, Yops inhibit the phagocytic activity of macro-
phages and therefore the bacteria remain extracelluar.
Bacteria also invade epithelial cells by the Inv-mediated
entry and trigger the expression of a variety of cytokines
such as interleukin IL-8. Subsequently, polymorphonuclear
leukocytes (PMNs) are recruited to the site of infection,
leading to the formation of microabscesses in the intestine.
Bacteria also disseminate through the lymphatic system and
form microabscesses in mesenteric lymph nodes, leading to
clinical manifestations of mesenteric adenitis.
Y. entrocolitica also produces an enterotoxin similar to
the heat-stable toxin of E. coli, called Yst. It is postulated
that this toxin may play a role in the food poisoning
caused by this pathogen.
Locoregional Invasion Followed by Systemic
Dissemination
Salmonella typhi
Salmonella enterica serovar typhi (S. typhi) is the etiologic
agent of typhoid fever, a severe systemic illness affecting
humans. The disease is transmitted by ingestion of con-
taminated drinking water or by close contact with the
infected individuals or with individuals that are merely
carriers. The disease is characterized by fever and abdom-
inal symptoms, which emerge after a long incubation
period of 1–2 weeks. Diarrheal symptoms mainly occur
in immunocompromised individuals. The disease can
resolve or turn into a chronic carrier stage with relapse.
Typhoid fever is prevalent in Southeast Asia where
patients often suffer because of recurrent infections.
Studies on typhoid fever have been restricted due to
the fact that the human species is the only known reser-
voir for S. typhi. However, S. typhimurium, which normally
causes salmonellosis in humans, can colonize the small
and large bowel of mouse and cause a typhoid-like sys-
temic illness in this animal. For these reasons, most of the
Enteropathogenic Infections 417

understanding of mechanisms of pathogenesis of typhoid
fever is based on infection of susceptible mice with
S. typhimurium.
S. typhi has gained the pathogenic ability to penetrate
the intestinal submucosa, and further multiply in lympha-
tic and reticuloendothelial cells. Upon ingestion, the
pathogens colonize the ileum and cecum, followed by
translocation through the intestinal mucosa by invading
the specialized epithelial M cells of Peyer’s patches and
by also employing the dendritic cells. These events
involve a complex process including the actions of both
SPI-1 and SPI-2 TTSSs and their effector proteins. This
process is similar to the invasion mechanism used by
nontyphoidal Salmonella (see preceding). The bacteria
are then carried from the intestine into the mesenteric
lymph nodes and further within the blood circulation via
CD18-expressing mononuclear phagocytes, in which bac-
teria can survive and multiply. Through the blood,
bacteria are carried to systemic sites where they are
taken up by interstitial macrophages present in bone
marrow, liver, and spleen tissues. The ability of the bac-
teria to survive and replicate within macrophages is
central for the pathogenesis and systemic dissemination
of the infection. This ability is conferred by the various
effectors of SPI-1 and SPI-2 such as SipA, SpiC, and
SseD. These effectors assist the pathogen in remaining
within a membrane-bound compartment called the
Salmonella-containing vacuole (SCV), which is distinct
from phagosomes or lysosomes. Survival within the
macrophages is also mediated by the PhoP/PhoQ two-
component regulatory system.
Another pathogenic determinant of S. typhi that
induces inflammatory responses in macrophages is LPS.
S. typhi strains also produce a polysaccharide capsule
called the Vi capsule, which is encoded by SPI-7. It has
been postulated that the Vi capsule modulates the infil-
tration of PMNs within the intestinal lumen at the early
stages of colonization.
Listeria monocytogenes
Listeria monocytogenes is a Gram-positive, nonsporulat-
ing, facultatively anaerobic rod. It is the only Listeria
species that causes disease in humans. The organism is
ubiquitous in nature and is found in soil, water, and as a
commensal in many animals. Infections with L. monocyto-
genes, termed listeriosis, are usually food-borne. The
infection is caused by ingestion of a dose of more than
10
9
organisms in contaminated foods such as soft cheese,
raw milk, raw vegetables, and processed meat. The organ-
ism can grow in acidic and high-salt environments and
survive for long periods if refrigerated. Listeriosis has a
long incubation period that ranges from 11 to 70 days.
The symptoms of gastrointestinal disease include nausea,
vomiting, and diarrhea, which are usually self-limiting in
normal healthy people. However, in specific high-risk
groups such as neonates, the elderly, pregnant women,
and other immunocompromised hosts, more serious man-
ifestations such as bacteremia, meningitis, abortion, and
stillbirth can occur.
L. monocytogenes colonizes the small intestine by invasion
of the enterocytes. The organism can also disseminate into
the blood circulation and infect other organs such as the
liver and brain. As with Yersinia, entry of L. monocytogenes
into the epithelial cells takes place by the ‘zippering’
mechanism, which is an actin-mediated phagocytosis pro-
cess (see preceding). Two surface proteins, internalin A
(InlA) and internalin B (InlB), bind to the host cell recep-
tors Met and E-cadherin, respectively, and this binding
leads to activation of a complex set of signaling pathways
resulting in cytoskeletal rearrangements with consequent
bacterial internalization. Internalization of L. monocytogenes
can also be mediated by a clathrin-dependent endocytosis
pathway.
Following internalization, bacteria lyse the phagosomal
vacuole and escape into the cytosol by secreting a pore-
forming toxin, the listeriolysin O (LLO), and two phospha-
tases, PlcA and PlcB. Within the host cytoplasm, bacterial
protein Act-A induces polymerization of actin to propel
itself through the cytoplasm and spread to the adjacent
cells in a manner similar to Shigella (see preceding). The
mechanism of intracellular growth at that point is not well
understood. However, recent transcriptomic studies show
that approximately 500 genes are involved in this mechan-
ism. One protein shown to play a role in growth inside the
host cytosol is Hpt, a sugar update protein. In addition,
several two-component regulatory proteins have also been
identified by genomic sequencing. These proteins possibly
contribute to intracellular bacterial survival.
References
Brynestad S and Granum E (2002) Clostridium perfringens and
foodborne infections. International Journal of Food Microbiology
74: 195–202.
Cai S, Singh BR, and Sharma S (2007) Botulism diagnostics: From
clinical symptoms to in vitro assays. Critical Reviews in Microbiology
33(2): 109–125.
Coburn B, Grassl GA, and Finlay BB (2007) Salmonella, the host and
disease: A brief review. Immunology and Cell Biology 85: 112–118.
Elliott B, Chang BJ, Golledge CL, and Riley TV (2007) Clostridium
difficile-associated diarrhea. Internal Medicine Journal 37: 561–568.
Fasano A and Nataro JP (2004) Intestinal epithelial tight junctions as
targets for enteric bacteria-derived toxins. Advanced Drug Delivery
Reviews 56: 795–807.
Fry AM, Braden C, Griffin P, and Hughes JM (2005) Foodborne disease.
In: Mandel GL, Bennet JE, and Dolin R (eds.) Principles and Practice
of Infectious Diseases, 6th edn., vol. 2. New York: Churchill
Livingstone.
Girarad MP, Steele D, Chaignant C-L, and Lieny MP (2006) A review of
vaccine research and development: Human enteric infections.
Vaccine 24: 2732–2750.
GrasslGA,BohnE,MullerY,BuhlerOT,andAutenriethIB(2003)Interaction
of Yersinia enterocolitica with epithelial cells: Invasion beyond invasion.
International Journal of Medical Microbiology 293: 41–54.
Guerrant RL and Steiner TS (2005) Principles and syndromes of enteric
infections. In: Mandel GL, Bennet JE, and Dolin R (eds.) Principles
418 Enteropathogenic Infections

and Practice of Infectious Diseases, 6th edn., vol. 2. New York:
Churchill Livingstone.
Hamon M, Bierne H, and Cossart P (2006) Listeria monocytogenes:A
multifaceted model. Nature 4: 423–434.
Huang DB, Mohanty A, DuPont HL, Okhuysen PC, and Chiang T
(2006) A review of an emerging enteric pathogen:
Enteroaggregative Escherichia coli.Journal of Medical
Microbiology 55: 1303–1311.
Marvis M and Sansonetti P (2004) Epithelial cell responses. Best
Practice and Research Clinical Gastroenterology 18(2): 373–386.
Qadri F, Svennerholm A-M, Fauque ASG, and Sack RB (2005)
Enterotoxigenic Escherichia coli in developing countries:
Epidemiology, microbiology, clinical features, treatment, and
prevention. Clinical Microbiology Reviews 18(3): 465–483.
Spears KJ, Roe AJ, and Gally DL (2006) A comparison of
enteropathogenic and enterohaemorrhagic Escherichia coli
pathogenesis. FEMS Microbiology Letters 255: 187–202.
Young KT, Davis LM, and DiRira VJ (2007) Campylobacter jejuni:
Molecular biology and pathogenesis. Nature Reviews Microbiology
5: 665–679.
Enteropathogenic Infections 419

Escherichia Coli
M Schaechter, San Diego State University, San Diego, CA, USA
ª2009 Elsevier Inc. All rights reserved.
Defining Statement
Introduction
Taxonomy
Ecology
Structure and Function of Cell Parts
Metabolism and Growth
Pathogenesis
Principles of Diagnosis Using Clinical Specimens
Further Reading
Glossary
enterobacteriaceae A family of the -(Greek gamma)
Proteobacteria that includes Escherichia coli and related
Gram-negative bacteria.
enterohemorrhagic E. coli (EHEC) A bacterium that
causes hemorrhagic colitis.
enteropathogenic E. coli (EPEC) A bacterium that
causes diarrhea after colonization of the mid-distal small
intestine.
enterotoxigenic E. coli (ETEC) The bacterium that is
the most common agent of watery ‘tourist’s’ diarrhea.
hemorrhagic colitis Bloody diarrhea caused
by enterohemorrhagic E. coli (EHEC).
Abbreviations
ATP adenosine triphosphate
EAggEC enteroaggregative E. coli
ECA enterobacterial common antigen
EHEC enterohemorrhagic Escherichia coli
EIEC Enteroinvasive E. coli
EPEC Enteropathogenic E. coli
ETEC Enterotoxigenic E. coli
HGT horizontal gene transfer
LEE locus of enterocyte effacement
LPS lipopolysaccharide
LT heat labile
SLT Shiga-like toxins
ST heat stable
Defining Statement
Escherichia coli is the best studied cellular form of life and
continues to serve as one of the principal model systems
in Biology. Much has been elucidated regarding its struc-
ture, metabolism, and genetics. The species includes a
large number of strains that differ considerably in geno-
mic composition and pathogenic potential. Many of these
are innocuous commensals of mammals, others cause
serious disease in both animals and humans.
Introduction
Escherichia coli is a Gram-negative facultative anaerobic non-
spore-forming motile rod. The species belongs to the
Enterobacteriaceae family of the -(Greek gamma)
Proteobacteria and includes a large number of strains that
differ in pathogenic potential. Certain strains are common
innocuous residents of the intestine of mammals; others
cause human and animal infections of the digestive and
urinary tracts, blood, and central nervous system. The struc-
ture, biochemical functions, and genetics of this organism
are well studied, making it the best known of all cellular
forms of life. This organism has occupied center stage in the
development of molecular biology.
Taxonomy
E. coli is one of eight or more recognized species of the
genus Escherichia. The genus is named after Theodor
Escherich, who first isolated E. coli in 1884. Historically,
the species is defined on the basis of certain readily
measurable biochemical activities shared by most strains.
Thus, E. coli generally ferments lactose, possesses lysine
decarboxylase, produces indole, does not grow on citrate,
does not produce H
2
S, and is Voges–Proskauer negative
(does not produce acetoin). The chromosomal DNA of
strain K-12 is 50.8% GC. The limits of the taxonomic
420

definition are under scrutiny because DNA hybridization
data suggest that, contrary to tradition, Escherichia and
Shigella belong to the same genus. E. coli comprises a
number of strains that share the same basic taxonomic
features, with about 70% DNA homology at the extremes.
At the time of writing, the genomes of seven strains have
been completely sequenced.
E. coli strains are defined mainly by their antigenic com-
position. Of taxonomic relevance are over 170 different
serological types of lipopolysaccharide antigens
(O antigens) and 80 types of capsular (K antigens). Other
properties that are used to define individual strains are H
antigens (flagellar proteins), F antigens (fimbrial proteins),
and phage and colicin sensitivity.
Quantitative approaches to defining taxonomic rela-
tionships have been based on patterns of isozymes of
metabolically important enzymes, protein composition of
the outer membrane, and increasingly genomic sequences.
Although there is a huge number of combinations of these
properties, the variety of strains that have been isolated is
circumscribed (perhaps in the thousands). By the criteria
used, most of the strains in today’s world appear to be the
clonal descendants of relatively few ancestors. Genetic
exchange leading to recombinational events thus seems to
be an infrequent event in the environment. It has been
estimated that, for this species, major episodes of selection
occur once in 30 000 years.
Ecology
E. coli is the most abundant facultative anaerobe in the
feces, and therefore the colon, of normal humans and
many mammals. It is commonly present in concentrations
of 10
7
–10
8
live organisms per gram of feces. Thus, the
total number of individual E. coli cells present on Earth at
any one time exceeds 10
20
and their total weight 10
2
metric tons.
E. coli is far from the most abundant organism in the
colon and is outnumbered 100-fold or more by strict
anaerobes. E. coli and other intestinal facultative anaerobes
colonize not only in the large intestine of vertebrates but
also in the ileum, the distal segment of the small intestine.
In the ileum, E. coli is present in numbers that approx-
imate those of the organisms in feces. The ileal population
is transient, being rapidly propelled into the cecum by
peristalsis. These organisms are apparently derived via a
reflux mechanism from the cecum and are rarely acquired
anew by ingestion. A better understanding of what shaped
E. coli during evolution will require a systematic study of
the distinct selective pressures it may have faced in these
two very different regions of the intestine, the ileum and
the colon. In the ileum, E. coli may have been selected for
rapid growth under oxygenated conditions; in the colon,
in competition for limited nutrients and in the presence of
noxious chemicals under anoxic conditions.
Most fecal E. coli isolates are well adapted to colonizing
the mammalian intestine and seldom cause disease. When
human strains are cultivated in the laboratory, they tend
to lose the ability to colonize. Included among these is
K12, the most widely used strain in the molecular
microbiology.
E. coli cells are periodically deposited from their intest-
inal residence into soils and waters. It has been thought
that they do not survive for extended periods of time in
such environments and could be cultured only for a few
days (seldom weeks) after their introduction. For this
reason, their presence has been taken as a measure of
recent fecal contamination, and the coliform count of
the drinking water supply or of swimming facilities is
still a common measure of microbiological water purity.
The notion that E. coli has a short survival time in the
environment has been challenged, and newer work sug-
gests that the presence of these organisms may not be a
reliable indication of recent fecal pollution. Mammals
become colonized with E. coli within a few days of birth,
possibly from the mother or other attendants. How the
organisms are transmitted to the neonate is not known
with certainty; this may occur during passage through the
birth canal or, shortly after birth, via the fecal–oral route.
Structure and Function of Cell Parts
In both structure and function, E. coli serves as the proto-
type for members of the Enterobacteriaceae. An example
of the overall composition of this organism in its growth
phase is shown in Table 1.
Fimbriae (Pili)
E. coli strains carry one or two kinds of fimbriae, common,
and conjugative (sex pili). Common fimbriae are usually
found in numbers of 100–1000 per cell and consist mainly
of an acidic hydrophobic protein called fimbrin. The com-
mon fimbriae fall into seven groups according to the amino
acid sequence of their major fimbrin. Fimbriae are highly
antigenic, comprising many F antigens.
E. coli strain K12 possesses only type 1 common fim-
briae. This strain and others alternate between the
fimbriated and nonfimbriated condition, a phenomenon
known as phase variation. It is thought that the presence
of common fimbriae allows organisms in their first efforts
to colonize their host by attaching to epithelial cells. Inside
the body, turning off the synthesis of common fimbriae
may lessen the chances that the organisms will be phago-
cytized by white blood cells.
The sex fimbriae (usually called pili) are encoded by
plasmids such as F or R and are usually present in one or a
Escherichia Coli 421

few copies per cell. These structures cause the donor and
recipient bacteria to make contact, allowing the transfer of
DNA during conjugation.
Flagella
E. coli is usually endowed with only 5–10 flagella per cell.
However small, this complement suffices to endow the
cells with brisk motility. The flagella are typically
5–10 mm(Greek mu)-long and are arranged randomly
around the cell surface, a pattern called peritrichous fla-
gellation. As is typical of bacterial flagella, those of E. coli
are composed of a long filament, a hook, and a basal
body. The principal component of E. coli flagella is an
N-methyl-lysine-rich protein known as flagellin. Its size,
usually around 55 kDa, varies among strains. Around
20 000 subunits of this protein assemble to make the fla-
gellar filament. In vitro, flagellin self-assembles into
flagella-like filamentous cylindrical lattices with hexagonal
packing.
The E. coli flagellar genetic system consists of about 40
genes arranged in five regions. These genes are involved
in structure, function, assembly, and regulation. Flagella
are highly antigenic, comprising a large number of H
antigens. The N- and C-termini of various H antigens
are highly conserved, the major antigenic divergence
being found in the central region of the molecule.
Capsule and Outer Membrane
In some strains, the outer membrane of E. coli covered by a
polysaccharide capsule composed of K antigens. Other
polysaccharides, the M antigens (colanic acids, which are
polymers of glucose, galactose, fucose, and galacturonic
acid), are synthesized under conditions of high osmolarity,
low temperature, and low humidity, suggesting that nor-
mally these compounds may be made in response to
stressful conditions in the external environment. In addi-
tion, E. coli and other enteric bacteria possess a glycolipid
anchored in the outer leaflet of their outer membrane,
called the enterobacterial common antigen (ECA).
The outer membrane of E. coli is typical of that of
Gram-negative bacteria, consisting of a lipid bilayer
whose inner leaflet is made up largely of phospholipids
and whose outer leaflet is made of lipopolysaccharide
(LPS). Interspersed are several kinds of membrane pro-
teins. One, the murein lipoprotein, is small (7.2 kDa) and
exists in 7 10
5
copies per cell. This protein contains three
fatty acid residues that help anchor it into the inner leaflet
of the outer membrane, whereas the rest of the molecule is
located in the periplasm. About one-third of the molecules
are covalently linked to the cell-wall peptidoglycan. The
major outer-membrane proteins include the pore-forming
proteins, called porins Omp C, Omp F, and Pho E.
Together, these porins are present in about 10
5
copies
per cell. Their sizes vary from 36.7–38.3 kDa. The dia-
meters of the pores are 1.16 nm for Omp F and Pho E
Table 1 Overall macromolecular composition of an average Escherichia coli cell
Number of
macromolecule
Percentage of total dry
weight
Weight per cell
(10
15
g)
Molecular
weight
Molecules
per cell
Different kinds of
molecule
Protein 55.0 155.0 4.0 10
4
2 360 000 1050
RNA 20.5 59.0
23S ribosomal RNA 31.0 1.0 10
6
18 700
16S ribosomal RNA 16.0 5.0 10
5
18 700
5S ribosomal RNA 1.0 3.9 10
4
18 700
Transfer RNA 8.6 2.5 10
4
205 000 60
Messenger RNA 2.4 1.0 10
9
1380 400
DNA 3.1 9.0 2.5 10
9
2.13
Lipid 9.1 26.0 705 22 000 000
Lipopolysaccharide 3.4 10.0 4346 1 200 000
Murein 2.5 7.0
Glycogen 2.5 7.0 1.0 10
6
4360
Total macromolecules 96 273.0
Soluble pool 2.9 8.0
Building blocks 7.0
Metabolites, vitamins 1.0
Inorganic ions 1.0 3.0
Total dry weight 100.0 284
Total dry weight per
cell
2.8 10
13
g
Water (at 70% of cell) 6.7 10
13
g
These values are for E. coli in balanced growth in a glucose-minimal medium at 37 C. Reproduced from Neidhardt FC, Ingraham JL, and
Schaechter M (1990) Physiology of the Bacterial Cell. Sunderland, MA: Sinauer Associates.
422 Escherichia Coli

and 1.08 nm for Omp C. The synthesis of these porins is
regulated by environmental conditions; thus, Omp F is
repressed by high osmotic conditions or high temperature,
Omp C is derepressed by high osmotic conditions, and Pho
E is synthesized when cells are starved for phosphate.
These findings suggest that the organisms use narrower
porin channels in the animal host than in the outside
environment, which invites speculation about the nature
of chemical and metabolic challenges faced under the two
conditions.
Certain compounds that are too large to diffuse through
E. coli porin channels are carried across the outer mem-
brane by special transport proteins. These compounds
include maltose oligosaccharides, nucleosides, various
iron chelates, and vitamin B
12
. The proteins involved, as
well as the porins, also act as receptors for the attachment
of bacteriophage and colicins.
Periplasm and Cell Wall
By functional tests of solute partition and electron micro-
scopy, the periplasm (the space between the inner and
outer membranes) of E. coli makes up 20–40% of the cell
volume. This compartment is osmotically active, in part
because it contains large amounts of membrane-derived
oligosaccharides (molecules of 8–10 linked glucose resi-
dues substituted with 1-phosphoglycerol and O-succinyl
esters). There is evidence that the contents of the peri-
plasmic space form a gel. The E. coli periplasm contains
over 60 known proteins, including binding proteins for
amino acids, sugars, vitamins, and ions; degradative
enzymes (phosphatases, proteases, and endonucleases);
and antibiotic detoxifying enzymes (-lactamases, alkyl
sulfodehydrases, and aminoglycoside phosphorylating
enzymes). The periplasmic environment is oxidizing,
whereas that of the cytoplasm is reducing. This explains
why certain secretory proteins that require disulfide
bonds for activity are inactive in the cytoplasm.
As in most bacteria, the cell wall of E. coli consists of a
peptidoglycan layer responsible for cell shape and rigid-
ity. In this organism, peptidoglycan is one or, at most, a
few molecules thick. It is anchored to the outer membrane
at some 400 000 sites via covalent links to the major
membrane lipoprotein and noncovalent links to porins.
Evidence indicates that the periplasm is spanned by
200–400 adhesion zones between the outer membrane
and the cytoplasmic membrane. These appear to be the
sites of attachment of certain bacteriophage and of export
of outer-membrane proteins and lipopolysaccharide. In
addition to these apparently scattered junctions, the two
membranes appear joined at defined periseptal annuli,
ring-shaped adhesion zones that are formed near the
septum.
Cytoplasmic Membrane
The cytoplasmic membrane of E. coli is made up of about
200 distinct proteins and four kinds of phospholipids.
Proteins make up about 70% of the weight of the structure.
Under aerobic conditions, the E. coli cytoplasmic membrane
contains a number of dehydrogenases (e.g., NADH-, D-and
L-lactate, and succinate dehydrogenases), pyruvate oxidase,
cytochromes (of the o and d complexes), and quinones
(mainly 8-ubiquinone). Anaerobically grown E. coli may
contain other dehydrogenases (e.g., formate and glycerol-
3-phosphate dehydrogenases) and enzymes involved in
anaerobic respiration (nitrate and fumarate reductases).
The cytoplasmic membrane is the site of adenosine
triphosphate (ATP) synthesis. The cytoplasmic membrane
systems involved in the transport of solutes are highly
efficient and permit this species to grow in relatively dilute
nutrient solutions. The cytoplasmic membrane of E. coli
contains over 20 proteins involved in various aspects of
peptidoglycan biosynthesis, cell wall elongation, and cell
division. About 10 of these proteins have been identified
by their ability to covalently bind -lactam antibiotics. They
are known as the penicillin-binding proteins, and some have
been shown to be involved directly in cell-wall synthesis.
Cytoplasm
Most of the thousands of biochemical reactions necessary
for the growth of E. coli take place in the cytoplasm. These
activities are divided into those concerned with metabolic
fueling (production of energy, reducing power, and pre-
cursor metabolites), biosynthesis of building blocks,
polymerization into macromolecules, and assembly of
cell structures. For E. coli, each of these activities is gen-
erally the same as for all microorganisms, but with certain
species specific characteristics.
In fast-growing E. coli, much of the cytoplasmic space is
taken up by ribosomes. The number of ribosomes per cell
is proportional to the growth rate, ranging from about
2000 in cells growing at 37 C at doubling rates of 0.2 h
1
to >70 000 at a doubling rate of 2.5 h
1
, where they make
up about 40% of the cell mass. In E. coli, the genes for the
four ribosomal RNAs (16S, 23S, 5S, transfer) are arranged
in seven operons located at different sites on the chromo-
some. Most of these operons are found near the origin of
chromosome replication and, thus, are replicated early.
This arrangement ensures that ribosomal RNAs are
made in large amounts during rapid growth. Each
operon encodes one, two, or three transfer RNAs at sites
between the 16S and 23S RNA genes or at the end of the
operon. The 52 ribosomal proteins are encoded by 21
transcriptional units. Ribosomal RNAs and proteins
assemble into particles via a precise sequence of reactions
that has been well studied in vitro.
Escherichia Coli 423

DNA and Nucleoid
The entire sequence of several strains of the E. coli genome
has been determined. That of the K12 strain consists of
4 639 679 bp and codes for an estimated 4460 proteins
(Table 2) in about 3277 transcriptional units and 175
RNA genes. About three quarters of the genes have been
assigned a function, but this is a changing figure. Most of
these genes have been annotated based on experimental
data, the highest proportion for any organism. About 20%
of the genes appear to have been acquired by horizontal
gene transfer (HGT) from other organisms. Protein-coding
sequences account for about 88% of the genome, stable
RNAs for 0.8%, and noncoding repeats for 0.7%, leaving
about 10% of the genome for regulatory and other func-
tions. Most transcriptional units contain a single gene and
very few have more than six. The genome contains a
number of repeated sequences, most of unknown function,
as well as several dozen insertion sequences, cryptic proph-
age, and phage remnants. Some pathogenic strains of E. coli
contain about 1 million more base pair than the K-12 strain.
These extra genes were probably acquired by HGT.
As in many bacteria, the DNA of E. coli consists of a
circular molecule with a replicative origin and a terminus
about 180away. By genetic manipulations, the DNA can
be linearized, apparently without undue effects on the
physiology of the cells.
The nucleoid of E. coli is a highly lobular intracytoplas-
mic region, generally located toward the center of the cell.
In this region, the DNA is found at a local concentration of
2–5% (w/v). The reason why this long molecule is folded
and physically limited to the nucleoid region is not well
understood. It is known that in vivo the DNA is negatively
supercoiled into some 50 individual domains. Nucleoids of
superhelicity and dimension similar to those seen intracel-
lularly can be isolated by the gentle breakage of cells in the
presence of divalent cations.
Transcription takes place at the nucleoid–cytoplasm
interface, as the nucleoid is thought to form a significant
barrier to the diffusion of many macromolecules. The
reason for the highly irregular shape of the nucleoid
may be to contribute to the availability of genes for
transcription. At least four small-molecular-weight pro-
teins that bind to DNA are known to play a role in
transcription, recombination, and replication. These
nucleoid-associated proteins range in molecular weight
from 9200 to 15 400. Two, HU and IHF, are among the
abundant E. coli proteins and are present in 20–50 000
monomers per cell.
The initiation of DNA replication takes place at a
specific origin site, oriC, and is under the influence of
a protein that is highly conserved among many bacteria,
DnaA. Once initiated, DNA replication takes place at a
nearly constant rate in moderately fast and fast-growing
E. coli, until it reaches a terminus. The doubling of the
chromosome takes 40 mm at 37 C, which requires that
the time of initiation of chromosome replication takes
place before the end of the previous round in cultures
growing faster than this.
Little is known about the mode of segregation of the
nucleoids. The process takes place with considerable fide-
lity and, thus, cannot result from partitioning into progeny
cells by chance alone. A widespread view is that the chro-
mosome is attached to the cell membrane and that
movement of the membrane serves as a primitive mitotic
apparatus. However, this view is based largely on cell
fractionation studies and is not supported by functional
tests. At least in vitro, recently replicated (hemimethylated)
origin DNA binds to the membrane with great specificity.
Metabolism and Growth
Biosynthetic and Fueling Reactions
The central metabolism of E. coli is carried out via the
Embden–Meyerhof–Parnas pathway, the pentose path-
way, and the tricarboxylic acid cycle plus, for the
metabolism of gluconate, the Entner–Doudoroff pathway.
As a facultative anaerobe, E. coli meets its energy needs by
either respiratory or fermentative pathways. E. coli carries
out a mixed acid fermentation of glucose that results in
the formation of a large number of products. Under anae-
robic conditions, the main products (and the moles
formed per 100 moles of glucose used) are formate (2.4),
acetate (37), lactate (80), succinate (12), ethanol (50), 2,3-
butanediol (0.3), CO
2
(88), and H
2
(75).
The need for biosynthetic building blocks is met in
E. coli by the production of 12 precursor metabolites
common to all bacteria. The energy requirements for
the manufacture of the major building blocks are shown
in Table 3.
The precursor metabolites do not contain nitrogen or
sulfur, which must enter the metabolic circuit indepen-
dently. E. coli does not fix dinitrogen gas, but can use a
number of compounds as a source of nitrogen, including
ammonium ions and various amino acids. It can use
nitrate and nitrite as terminal electron acceptors during
anaerobic respiration by activating nitrate or nitrite
reductases. However, under anaerobic conditions, no
energy is generated by this process, and a source of
reduced nitrogen is necessary for the anaerobic growth
of E. coli. The incorporation of ammonium ion into
Table 2 Genes of Escherichia coli (strain K12)
Total number of genes 4580
Genes for transport functions 484
Genes for metabolism 1596
Genes determining cell structure 840
424 Escherichia Coli

organic compounds is catalyzed either by L-glutamate
dehydrogenase when ammonia is abundant or by gluta-
mine synthetase and glutamate synthase, acting together,
when ammonia is limiting.
The common sources of sulfur for E. coli are sulfate and
sulfur-containing amino acids. Sulfate is transported into the
cell after being reduced to H
2
S by a sulfite reductase. Sulfur
is then assimilated from H
2
SusingO-acetylserine sulfohy-
drolase to produce L-cysteine. E. coli has a complete system
of transporting and using organic phosphates, including an
inducible alkaline phosphatase in its periplasm.
Nutrition and Growth
E. coli is a chemoheterotroph capable of growing on any of
a large number of sugars or amino acids provided indivi-
dually or in mixtures. Some strains found in nature have
single auxotrophic requirements, among them thiamin is
common. The growth of many strains is inhibited by the
presence of single amino acids, such as serine, valine, or
cysteine. E. coli grows faster with glucose than with any
other single carbon and energy source and reaches a
doubling time of 50 min under well-oxygenated condi-
tions at 37 C. Doubling times with less favored substrates
may be hours in length. Slow rates of growth can also be
achieved by using an externally controlled continuous
culture device or by adding a metabolic analogue and its
antagonist to the culture at proper ratios. When the med-
ium is supplemented with building blocks such as amino
acids, nucleosides, sugars, and vitamin precursors.
E. coli grows more rapidly in rich-nutrient broths, reach-
ing doubling times of 20 min at 37 C. E. coli can grow at
temperatures between 8 and 48 C, depending on the
strain and the nutrient medium. Its optimum growth tem-
perature is 39 C. E. coli does not grow in media containing
a NaCl concentration greater than about 0.65 M. In
response to changes in the osmotic pressure of the medium,
E. coli increases its concentration of ions, especially K
+
and
glutamate. The pH range for growth is between pH 6.0 and
8.0, although some growth is possible at values approxi-
mately 1 pH unit above and below this range.
Pathogenesis
Strains of E. coli are responsible for a large number of
clinical diseases. In their manifestation, some of these dis-
eases overlap with those caused by other species (e.g.,
Shigella and Salmonella). The most common infections
caused by E. coli involve the intestinal and urinary tracts
of humans and other mammals, where they produce simple
watery diarrhea or locally invasive forms of infection (e.g.,
dysentery). E. coli infects deeper tissues, including the blood
(septicemia) as a complication of focal extraintestinal infec-
tions such as pyelonephritis and, additionally, the
meninges in newborns. The organism also causes mastitis
in cattle. Strains of E. coli that produce intestinal infections
are divided into groups according to the clinical picture
they produce and their known virulence factors (Table 4).
These strains are denoted by abbreviations (e.g., ETEC
and EPEC, where the terminal EC stands for E. coli)and
are proliferating. Infections by E. coli involve a large num-
ber of virulence factors, including toxins, adhesions,
invasins, antiphagocytic surface components, and others.
Table 3 Energy requirements for polymerization of the
macromolecules in 1 g of cells
Macromolecule
Amount of energy
required (mmol P)
From activated building
blocks
DNA from dNTPs 136
RNA from NTPs 236
Protein from
aminoacyltransfer RNAs
11 808
Murein, in part from
activated building blocks
138
Phospholipids, in part from
activated building blocks
258
Lipopolysaccharide 0
Polysaccharide (glycogen) 0
Total energy 12 576
From unactivated building
blocks
DNA from dNMPs 336
RNA from NMPs 1516
Protein from amino acids 21 970
Murein, in part from
activated building blocks
138
Phospholipids, in part from
activated building blocks
258
Lipopolysaccharide 0
Polysaccharide (glycogen) 0
Total energy 24 218
Reproduced from Neidhardt FC, Ingraham JL, and Schaechter M (1990)
Physiology of the Bacterial Cell. Sunderland, MA: Sinauer Associates.
Table 4 Classification of pathogenic Escherichia coli
Group Symptoms
Enterotoxigenic
Escherichia coli (ETEC)
Watery diarrhea (‘travelers’
disease’)
Enteropathogenic E. coli
(EPEC)
Watery diarrhea
Enterohemorrhagic
E. coli (EHEC)
Bloody diarrhea, hemorrhagic
colitis, hemolytic-uremic
syndrome, thrombocytopenic
purpura
Enteroinvasive (EIEC) Bloody diarrhea
Enteroaggregative
(EAggEC)
Watery diarrhea, persistent
diarrhea
Escherichia Coli 425

Enterotoxigenic Strains
Enterotoxigenic E. coli (ETEC) strains acquired from food
or water contaminated with human or animal feces are the
most common bacterial agents of diarrhea in the United
States and Europe. These strains circulate among a popu-
lation, but the majority of people (especially adults)
usually remain asymptomatic, most likely due to immu-
nity afforded by previous exposure. ETEC strains are
responsible for the ‘tourist’s diarrhea’ that frequently
affects persons traveling to countries with a low level of
sanitation. Watery diarrhea due to E. coli resembles that
seen in mild cases of cholera.
ETEC strains colonize the small intestine, where they
produce one or both of two enterotoxins called heat labile
(LT) and heat stable (ST). Both toxins act by changing the
net fluid transport activity in the gut from absorption to
secretion. LT is structurally similar to cholera toxin and
activates the adenylate cyclase–cyclic adenosine mono-
phosphate system, whereas ST works on guanylate
cyclase. The intestinal mucosa is not visibly damaged, the
watery stool does not contain white or red blood cells, and
no inflammatory process occurs in the gut wall. Gut cells
activated by LT or cholera toxin remain in that state until
they die, whereas the effects of ST on guanylate cyclase are
turned off when the toxin is washed away from the cell.
Enteropathogenic Strains
Enteropathogenic E. coli (EPEC) strains cause watery and
sometimes bloody diarrhea after the colonization of the
mid-distal small intestine (ileum). They recognize their
preferred hosts and tissues by means of plasmid-encoded
surface adhesins specific for receptors on the intestinal
brush-border membranes, called the bundle-forming pili
(or fimbriae). Characteristic of EPEC infection is an
attachment–effacement (A/E) lesion on the surface of
enteric epithelial cells. The affected cells form a broad
flat pedestal (effacement) beneath the attached microor-
ganism, which, by damaging the absorptive surface (villi),
contributes to the diarrhea. The genes required for the
formation of A/E lesions are located on a 35-kb patho-
genicity island called the locus of enterocyte effacement
(LEE). Once bound to the epithelial cells, EPEC export
critical virulence factors by a type III secretion apparatus,
causing several host signals to be activated.
Enterohemorrhagic Strains
The enterohemorrhagic E. coli (EHEC) comprise a lim-
ited number of serotypes that cause a characteristic
nonfebrile bloody diarrhea known as hemorrhagic colitis.
The most common of these serotypes in the United States
is O157:H7, whereas others, particularly O26, are found
with greater frequency elsewhere in the world. E. coli
O157:H7 causes both outbreaks and sporadic disease.
The organism is commonly isolated from cattle and
other ruminants, and several outbreaks have been traced
to undercooked hamburger meat. EHEC strains have two
special characteristics of pathogenic importance. First,
they produce high levels of two related cytotoxins that
resemble toxins of Shigella, with the same protein synth-
esis-inhibitory action and binding specificity. These
toxins are therefore called Shiga-like toxins (SLT) I and
II. The SLT are cytotoxic for endothelial cells in culture.
Second, they possess a gene highly homologous to the
EPEC attaching and effacing pathogenicity island. In
combination, the proteins encoded by this gene and the
SLT presumably damage the gut mucosa in a manner
characteristic of hemorrhagic colitis.
EHEC strains cause systemic manifestations (hemoly-
tic–uremic syndrome or thrombotic thrombocytopenic
purpura in adults) that are believed to be related to
systemic absorption of SLT, possibly in combination
with endotoxin, which up-regulates the expression of
the SLT receptor on host cells. These syndromes repre-
sent the clinical response to endothelial damage of
glomeruli and the central nervous system. Organ damage
is sometimes permanent.
Other Strains that Cause Intestinal Infections
Enteroinvasive E. coli (EIEC) strains cause dysentery,
resembling that due to Shigella. Unlike the strains
already described, which are noninvasive, EIEC strains
are selectively taken up into epithelial cells of the
colon, requiring for this process a specific outer-mem-
brane protein. EIEC strains also make Shiga-like toxins.
Cell damage by these strains triggers an intense inflam-
matory response. Other strains, called enteroaggregative
E. coli (EAggEC), are associated with diarrhea in infants
under 6 months of age, often persisting for weeks with
marked nutritional consequences. EAggEC strains spon-
taneously agglutinate (aggregate) in tissue culture.
Strains that Infect the Genitourinary Tract
E. coli strains are the most common cause of genitourinary
tract infections in humans, including cystitis, pyelone-
phritis, and prostatitis. Strains that cause pyelonephritis
(UPEC) usually have specific O and K antigens, and are
often hemolytic by virtue of encoding an RTX hemolysin.
They also possess unique fimbriae (pili) that bind speci-
fically to a membrane glycolipid of kidney tissue. These
structures are called P pili because the receptor is a
complex galactose-containing molecule that is part of
the P blood group antigen. About 1% of humans are
P antigen-negative and, not carrying the P pilus receptor,
are not susceptible to colonization by P pili carrying
strains. These people do not suffer from urinary infections
426 Escherichia Coli

mediated by the usual route (i.e., mucosal colonization
followed by ascending invasion of the bladder). Such
individuals may, however, become infected when the
normal route is bypassed (e.g., by the use of an indwelling
urinary catheter).
Other Invasive Strains
Strains that possess a sialic acid-containing capsular poly-
saccharide, called K1 antigen, cause invasive disease, such
as septicemia and meningitis in infants. E. coli is also a
common cause of septicemia in adults. Many patients
with this manifestation acquire it as a consequence of
infections of the urinary tract, often following manipula-
tions such as urinary catheterizations or obstruction of
urine flow. Cholecystitis is another common cause of
E. coli bacteremia.
Principles of Diagnosis Using Clinical
Specimens
Naturally occurring strains of E. coli are generally similar
with respect to both their colonial morphology on agar
plates and their shape under the microscope. E. coli can be
distinguished from other enteric bacteria on the basis of
biochemical and nutritional properties. Most strains of E. coli
differ from some of the classic intestinal pathogens, such as
Salmonella and Shigella, in that they ferment lactose. For this
reason, lactose is included as the sole added sugar together
with a pH indicator in agar media. Lactose fermenting
colonies (presumptively those of E. coli) turn a distinctive
color due to the production of acid.
With the help of an ingenious array of differential and
selective media, it is usually simple to isolate E. coli from
samples, such as feces, that contain a preponderance of
other bacteria. These media and other special tests permit
laboratories to narrow down the identification to the main
genera of the Enterobacteriaceae.
Classifying E. coli into serological subgroups is not a
task that most clinical laboratories are prepared to carry
out. The serological reagents most readily E. coli,General
Biology 269 available commercially are those directed
against EPEC strains. EHEC strains of the serotype
O157:H7 are nearly unique in their inability to ferment
sorbitol. Nonfermenting colonies are detected on sorbitol
containing MacConkey agar and confirmed with a sensi-
tive and specific latex agglutination test. Molecular and
fluorogenic typing methods useful for diagnostic purposes
have been developed to detect toxins, pili, and other
virulence factors.
Further Reading
EcoCyc. Encyclopedia of Escherichia coli K-12 Genes and Metabolism.
Available online at http://www.ecocyc.org.
Karp PD, Keseler IM, and Shearer A , et al. (December 2007)
Multidimensional annotation of the Escherichia coli K-12 genome.
Nucleic Acids Research 35: 7577–7590.
Levi P (1989) An interview with Escherichia coli (one of five intimate
interviews). In: The Mirror Maker, pp. 42–46. New York: Schoecken
Books.
Neidhardt FC, Ingraham JL, and Schaechter M (1990) Physiology of the
Bacterial Cell. Sunderland, MA: Sinauer Associates.
Neidhardt FC, Curtiss R III, Ingraham JL, et al. (1996) Escherichia coli
and Salmonella, Cellular and Molecular Biology, 2nd edn.
Washington, DC: ASM Press.
Zimmer C (2008) Microcosm: E. coli and the New Science of Life.
New York: Pantheon Books.
Relevant Website
http://www.ecosal.org – Escherichia coli and Salmonella, Cellular
and Molecular Biology
Escherichia Coli 427

Ethanol
L R Jarboe, University of Florida, Gainesville, FL, USA and Iowa State University, Ames, IA, USA
K T Shanmugam and L O Ingram, University of Florida, Gainesville, FL, USA
ª2009 Elsevier Inc. All rights reserved.
Defining Statement
Introduction
Engineering E. coli for Ethanol Production
Other Engineered Ethanologenic Microbial Biocatalysts
Ethanol Production by Z. mobilis
Challenges for Cost-Effective Ethanol Production
Conclusion
Further Reading
Glossary
cellulose A homopolymer of glucose that occurs in
crystalline bundles of individual chains.
furfural An aromatic aldehyde derived from pentose
sugars during acid hydrolysis of hemicellulose.
hemicellulose A complex polymer of pentose and
hexose sugars with acetyl and glucuronyl side chains.
homoethanol pathway Redox balanced fermentation
of sugar to ethanol with near-stoichiometric yield.
lignocellulose The structural polymers that comprise
the plant cell wall, including cellulose, hemicellulose,
pectin, and lignin.
Abbreviations
ADH alcohol dehydrogenase
AFEX ammonia fiber explosion
CBP consolidated bioprocessing
FBR Fermentation Biochemistry Research Unit
LDH lactate dehydrogenase
PDC pyruvate decarboxlyase
PDH pyruvate dehydrogenase
PFL pyruvate formate lyase
SSF simultaneous saccharification and
fermentation
USDA United States Department of Agriculture
Defining Statement
The economic viability of fuel ethanol production from
biological materials has been increased by metabolic
engineering. This includes engineering microbes that
inherently produce ethanol to utilize a variety of substrates
and engineering bacteria that inherently metabolize a vari-
ety of substrates to produce ethanol.
Introduction
In 2005, more than 300 billion gallons of petroleum were
consumed in the USA, with two-thirds of this consump-
tion being transportation fuels. Similarly, two-thirds of
the crude oil consumed that year was supplied by foreign
imports. Limited supply and increasing cost of petroleum,
along with an enhanced awareness of the risks associated
with the dependence on crude oil imports, have elevated
the interest in alternative renewable energy sources.
Despite this increased interest, renewable energy accounted
for only 6% of the total energy consumption of USA in
2005. Among the various renewable energy sources, etha-
nol is emerging as the dominant alternate energy source
due to its clean burning nature with no detectable CO or
NOx emission. Henry Ford envisioned that ethanol
would be the fuel powering his Model T automobile.
Toward this objective, he even built an ethanol fermenta-
tion plant in 1908 in Atchison, Kansas. However, the
availability of cheaper petroleum-based fuel during the
1940s completely replaced ethanol as the transportation
fuel of choice. At present, ethanol is having a renaissance
as an alternate fuel to petroleum for reasons listed above.
While ethanol-blended gasoline contributes more energy
than solar or wind sources, it still accounts for only 6% of
the total renewable energy use. However, the production
and use of ethanol as a transportation fuel is on the rise. In
2004, ethanol-based fuels provided the energy equivalent
to 23 million gallons of gasoline. In 2006, 4.9 billion
gallons of fuel ethanol were produced in the USA, an
428

increase of nearly threefold from the 1.7 billion gallons
produced in 2001.
Ethanol can be produced by both chemical and biolo-
gical processes. Catalytic hydration of ethylene is a simple
chemical method for production of ethanol, but this
accounts for only a tiny fraction of the ethanol produced
in the world today. Almost all of the industrially produced
ethanol today comes from fermentation of sugars by one
organism Saccharomyces cerevisiae.
Fermentation of sugars to ethanol predates mankind,
and the fermentation of plant nectar rich in sugars to
ethanol by yeast and bacteria is probably a process of
natural evolution that benefited the microbes. Earliest
record of human adaptation of ethanol fermentation
dates back to the Neolithic period (8500–4000 BC) as
evidenced by the presence of resinated wine in pottery
from Hajji Firnz Tepe, in the Northern Zagros Mountains
of present day Iran, that has been dated to about 5000 BC
(http://www.museum.upenn.edu).
The main feedstock of industrial ethanol production is
either sugar derived from sugar cane, sugar beets, or crops
with high sugar content. In the USA, glucose from corn
starch is the dominant feedstock for ethanol production.
In all of these fermentations, a fraction of the solar energy
stored in green plants via the conversion of carbon diox-
ide and water to biomass is utilized. About 90% of the dry
weight of green plants is in the form of lignocellulose,
making it the most abundant source of renewable energy
worldwide. Lignocellulose is a complex material that
consists mainly of the cell wall structural polymers
cellulose, hemicellulose, pectin, and lignin (Figure 1).
Cellulose, hemicellulose, and pectin are carbohydrate
polymers that can be utilized by microbial biocatalysts
for ethanol production after appropriate treatment. Lignin
cannot be utilized for ethanol production since the aver-
age oxidation state of its carbon is significantly higher
than that of ethanol. But lignin, which accounts for about
10–20% of total lignocellulosic biomass, can be used as a
feedstock for production of various other specialty che-
micals or can be burned as a fuel to supply the energy for
ethanol production processes.
Brazil has successfully used sugar-derived ethanol as an
automotive fuel for many years. Ethanol can also be pro-
duced from glucose derived from sugar crops or corn, or
from lignocellulose. There continues to be a debate over
the long-term implications of using food crops or crops
grown on fertile soil for fuel production, and there is great
interest in the utilization of hemicellulosic feedstocks.
Microbial production of ethanol invariably starts with
sugar. Glucose is converted to pyruvate by the enzymes of
glycolysis. This oxidation of glucose to two pyruvates is
coupled with the production of energy, as ATP and two
NADHs as reductant. Fermentation of sugars to ethanol
differs from other types of microbial fermentations in that
pyruvate is decarboxylated by a unique enzyme, pyruvate
decarboxlyase (PDC; EC 4.1.1.1), to yield acetaldehyde
(Figure 2). The acetaldehyde is then reduced to ethanol
by alcohol dehydrogenase (ADH; EC 1.1.1.1) using the
NADH generated during the conversion of glucose to
pyruvate. The combination of the glycolysis reactions,
PDC and ADH helps maintain the redox balance within
the cell along with energy production to support contin-
ued growth of the microbe (eqns [1] and [2]). This
conversion of sugars to ethanol is referred to as homo-
ethanol fermentation pathway.
Glucose þnADP þnPi þ2NADþ
!2Pyruvate þ2NADH þnATP ½1
2Pyruvate þ2NADH !2Ethanol þ2CO2þ2NADþ½2
In this reaction the number of ATP produced per
glucose is variable depending on the organism.
Pectin
2–20%
(polygalacturonate)
Cellulose
20–50%
(glu)
Other
8%
Lignin
10–20%
(aromatics)
Hemicellulose
20–40%
(xyl, ara,
man, glu, gal) Acetic acid
Formic acid
Levulinic acidHydroxymethylfurfural
Acids
Caproic coumaric ferulic
Gallic gentisic hydroxybenzoic
Protocatechuic synapic
Syringic vanillic
Alcohols
Catechol
Coniferyl
Dihydrosynapil
Guaiacol
Synapil
Syringol
Vanillyl
Aldehydes
Cinnamaldehyde
Hydroxybenzaldehyde
Syringaldehyde
Vanillin
Furfural
Figure 1 Composition of lignocellulose and the toxins and inhibitors produced during dilute acid treatment. The average approximate
lignocellulose composition is given as a percentage of total weight. ara, arabinose; gal, galactose; glu, glucose; man, mannose; xyl,
xylose. Compounds enclosed within rectangular boxes are produced at varying levels during dilute acid hydrolysis of the lignocellulose.
Ethanol 429

Although PDC is common among yeast and other
fungi, it is rare in bacteria. Zymomonas mobilis, Acetobacter
pasteurianus, Zymobacter palmae, and Sarcina ventriculi are a
few limited known examples of bacteria with the pdc gene
encoding pyruvate decarboxylase. Among these bacteria,
Z. mobilis and Z. palmae are the only bacteria that produce
ethanol as the main fermentation product during normal
anaerobic growth. Other bacteria are either aerobic or
produce ethanol using PDC only during acid stress.
Production of ethanol from acetaldehyde by ADH is a
common biological pathway. In most bacteria, acetalde-
hyde is formed from pyruvate formate lyase (PFL; EC
2.3.1.54)-derived acetyl-CoA. In contrast to nonoxidative
decarboxylation of pyruvate to acetaldehyde by PDC,
acetyl-CoA is produced by oxidative decarboxylation of
pyruvate. The reductant generated during acetyl-CoA
production is lost either as formate or H
2
. Since, conver-
sion of acetyl-CoA to acetaldehyde requires one NADH
as reductant input, the overall conversion of pyruvate to
ethanol requires two NADHs (Figure 2). Because glucose
yields only enough NADH for the production of one
ethanol, the remaining pyruvate is converted to organic
acid, such as acetate. Due to this constraint for reductant,
organisms that use acetyl-CoA as an intermediate in
pyruvate metabolism can only convert, at most, half of
the glucose to ethanol. Therefore, these organisms are not
suitable microbial biocatalysts for homoethanol fermenta-
tion (eqns [1] and [3]).
Glucose !2Pyruvate þ2NADH
!Ethanol þ2Formate þAcetate ½3
Based on the evaluation of ethanol-producing microbes,
S. cerevisiae and Z. mobilis have emerged as the only viable
naturally occurring microbial biocatalysts for fermentation
of sugars to ethanol. Both S. cerevisiae and Z. mobilis ferment
glucose completely to ethanol in a stoichiometric manner.
Historically, yeast has served as the major ethanologenic
microbial biocatalyst and is used exclusively by the ethanol
industry to ferment sugar (from sugar cane, sugar beet, etc.)
and glucose derived from various starch (such as corn
starch) to ethanol. However, it lacks the inherent ability to
ferment the pentose sugars that account for about 20–40%
of lignocellulosic biomass. Since both S. cerevisiae and
Z. mobilis lack the ability to ferment this resource, a signifi-
cant portion of the fermentable sugar in biomass is left
behind, reducing the overall ethanol yield during fermenta-
tion of biomass-derived sugars. Recent progress in
metabolic engineering of these microbes to expand their
substrate range has been covered in several excellent
reviews (see the section ‘Further reading’). This article
focuses on metabolic engineering of nontraditional ethano-
logenic bacteria, such as Escherichia coli and Klebsiella oxytoca,
with the substrate range to ferment all of the sugars found in
a wide range of lignocellulosic materials. In addition,
other challenges to cost-effective ethanol production, such
as the inhibitory properties of hemicellulose acid-hydroly-
sate and design of growth media are discussed.
Engineering E. coli for Ethanol Production
While Saccharomyces and Z. mobilis natively express the
homoethanol pathway, both lack the ability to metabolize
the pentose sugars that are abundant in hemicellulose.
Alternatively, E. coli lacks the homoethanol pathway but
is able to utilize a wide variety of substrates, such as
hexose and pentose sugars and the uronic acid found
in pectin. Other advantages of using E. coli for ethanol
production are the extensive understanding of its physiol-
ogy and metabolism and ease of genetic manipulation.
Therefore, E. coli was an obvious choice for metabolic
engineering toward homoethanol production.
KO11: Versatile Microbial Biocatalyst for
Biomass Conversion to Ethanol
The Z. mobilis genes encoding PDC and ADH (homo-
ethanol pathway, PET operon) were cloned into a
plasmid and expressed from the PFL promoter in E. coli.
The Z. mobilis PDC has a significantly higher affinity for
Entner–
Doudoroff
Embden–
Meyerhof–
Parnas
Pentose
phosphate
LDH
PFL
PDH
PDC
ADH
ADH
K
m
=
7
mmol
l
–1
K
m
=
0.4
mmol
l
–1
K
m
=
2
mmol
l
–1
Succinate
H
2
+
CO
2
CO
2
Formate
Acetate Acetyl-CoA
CO
2
Acetaldehyde
Ethanol
Hexose and pentose sugars
NADH
+
Pyruvate
Z. mobilis
Lactate
NADH
NADH
NADH
NADH
NAD
+
NAD
+
NAD
+
NAD
+
Figure 2 Metabolic pathways pertaining to ethanologenesis.
PDH, which contains essential mutations for homoethanol
production by Escherichia coli SE2378, is indicated with a
dashed line. K
m
values for pyruvate-utilizing reactions are shown.
ADH, alcohol dehydrogenase; LDH, lactate dehydrogenase;
PDC, pyruvate decarboxlyase; PDH, pyruvate dehydrogenase;
PFL, pyruvate-formate lyase.
430 Ethanol

pyruvate (K
m
of 0.4 mmol l
1
) than the native PFL (K
m
of
2 mmol l
1
) or lactate dehydrogenase (LDH; EC 1.1.1.28)
(K
m
, 7 mmol l
1
) allowing for effective competition for the
available pyruvate pool (Figure 2). With the goal of
finding the best E. coli host for further strain development,
eight wild-type E. coli strains were tested for ethanol
tolerance and productivity in medium rich in 100 g l
1
glucose. The E. coli strains ATCC 9637 (W), ATCC 8739
(Crooks), and ATCC 14948 (K-12 W3100) showed the
maximum ethanol tolerance, and ATCC 11303 (E. coli B),
ATCC 11775, and ATCC 15224 demonstrated the high-
est PDC activity from the plasmid-borne homoethanol
pathway genes.
To eliminate plasmid dependence, the PET genes
were chromosomally integrated into the pfl locus along
with a chloramphenicol resistance gene into wild-
type E. coli strain W. To increase ethanol production,
spontaneous mutants with increased ADH activity
and resistance to 600 mg l
1
of chloramphenicol were
selected. Undesirable carbon loss through nonethanol
E. coli fermentation pathways was decreased by deletion
of the succinate-producing frd gene. Production of etha-
nol by the resulting strain, KO11, from 100 g l
1
glucose
or 80 g l
1
xylose in rich medium exceeded the theore-
tical yield due to the presence of complex nutrients in the
growth medium. Strain KO11 was initially reported as a
derivative of E. coli B, but further comparative genome
sequence analysis of several wild-type E. coli strains and
KO11 revealed that the genome of strain KO11 is most
similar to that of E. coli W and should be considered as a
derivative of E. coli W (ATCC 9637).
Although the PDC produced by strain KO11 had a
significant advantage over the other two enzymes that
metabolize pyruvate, growing cultures of KO11 produced
acetate during growth, especially during growth with
xylose. This indicates that PFL activity was also contri-
buting to pyruvate metabolism in this organism. Since the
conversion of acetyl-CoA to acetate yields one additional
ATP, PFL-mediated production of acetate and ethanol
apparently contributed to higher growth rate and cell
yield, which are essential components for an increased
volumetric productivity of the microbial biocatalyst. With
a decrease in the growth rate as the culture reaches the
stationary phase of growth, wild-type E. coli switches its
fermentation product to lactate, a reaction that oxidizes
NADH without producing ATP. Although the PDC-
mediated ethanol pathway and LDH both oxidize
NADH, the higher affinity of PDC for pyruvate effec-
tively channels the pyruvate to ethanol. Because these
physiological advantages negate the need to delete PFL
and LDH as PDC-competing reactions, PFL and LDH
were not removed from strain KO11.
In the 20 years since the ethanologenic E. coli strain
KO11 was described, it has been used to catalyze the
conversion of many types of biomaterials to ethanol
(Table 1). These substrates include, but are not limited
to, sugars derived from sugar cane bagasse, corn cobs,
hulls and AFEX-pretreated fibers, pectin-rich beet pulp,
willow, sweet whey, rice hulls, brewery waste, cotton gin
waste, Pinus sp. hydrolysate, housing wood waste, and
orange peels.
As desired for a successful industrial biocatalyst, KO11
was shown to be robust to soil contamination, moderate
temperatures, and pH values. Industrially competent
ethanologenic biocatalysts need to retain ethanologeni-
city without dependence on antibiotics to retain the
introduced genes and their expression. Strain KO11 has
been reported to maintain stable ethanol yields for up to
27 days in fluidized bed and continuous stirred tank
reactors without inclusion of chloramphenicol.
The process cost of bioethanol production is depen-
dent upon a multitude of factors. From the fermentation
point of view, the critical external factor, besides the
microbial biocatalyst, is the amount of nutritional supple-
ments required by the microbe for optimum activity.
While KO11 has demonstrated the desired ability to
produce ethanol from a wide variety of biomaterials,
supplementation of the medium with complex nutrients
did increase the overall ethanol productivity (Table 2).
In rich medium, KO11 converted 100 g l
1
glucose to
45 g l
1
ethanol within 72 h, but produced only 30 g l
1
ethanol even after 96 h in mineral salts medium. This
positive effect of nutritional supplements on ethanol pro-
ductivity was attributed to higher efficiency of PDC in
converting pyruvate to acetaldehyde at the expense of
decreased production of acetyl-CoA that is needed for
biosynthesis. Additionally, KO11 ADH activity in vivo
Table 1 Biomass conversion by ethanologenic biocatalysts
Organism Biomass
Escherichia coli KO11 Sugar cane bagasse
Sugar cane molasses
Rice hulls
Beet pulp
Corn hulls and fibers
Corn hulls
Orange peel
Sweet whey
Brewery wastewater
Pinus sp. (softwood)
Willow (hardwood)
Waste housing wood
E. coli FBR Wheat straw
Corn ‘quick fiber’
Corn fiber
Klebsiella oxytoca P2 Crystalline cellulose
Mixed waste office paper
Sugar cane molasses
Sugar cane bagasse
Zymomonas mobilis ZM4 (pZB5) Oat hull
Wheat stillage
Ethanol 431

may not have matched the efficiency of the PDC activity,
leading to a higher than expected NADH pool size. High
NADH levels inhibit the activity of citrate synthase, the
first committed enzyme toward synthesis of 2-oxogluta-
rate, a precursor to glutamate, an important compound
for osmotic tolerance and amino acid biosynthesis.
Expression of an NADH-insensitive citrate synthase
from Bacillus increased the growth of strain KO11 and
ethanol production by about 75%, supporting the conclu-
sion that citrate synthase inhibition by NADH contributed
to the lower productivity of KO11. Supplementation of the
growth medium with an osmoprotectant, such as betaine,
also helped overcome the need for complex nutrients to
enhance the ethanol productivity of strain KO11, indicat-
ing the efficiency of this microbial biocatalyst in converting
sugars to ethanol.
All ethanologenic microbes produced ethyl acetate as
a minor byproduct of ethanol fermentation. Since
there are multiple enzymes that catalyze the production
of ethyl acetate, a Pseudomonas putida esterase (estZ) was
introduced into KO11 to reduce the concentration by
hydrolyzing the ethyl acetate to ethanol and acetate. In
KO11 fermentations, the ethyl acetate levels were
reduced to less than 20 mg l
1
by the esterase activity,
similar to the amount produced by yeast.
LY01: Increased Ethanol Tolerance
Despite a comparable rate of ethanol production to yeast
strains, the ethanol tolerance of KO11 is lower than
commercially employed yeast strains: 35 g l
1
ethanol
inhibited the growth of KO11 even in rich medium com-
pared to the tolerance level of at least 200 g l
1
ethanol for
S. cerevisiae. In an effort to increase the ethanol tolerance
of ethanologenic E. coli, KO11 was evolved for higher
ethanol tolerance and productivity for 3 months in
media with increasing concentrations of ethanol. This
metabolic evolution consisted of alternating periods of
selection for increased ethanol productivity and increased
ethanol tolerance. The resulting strain, LY01, demon-
strated higher than 80% survival to short-term exposure
Table 2 Comparison of ethanologenesis
Organism
Sugar
a
(gl
1
)Medium
Ethanol
b
(gl
1
)
Yield
(gg
1
)Reference
Escherichia coli KO11 90, xyl LB 43.2 0.48 1
E. coli KO11 90, xyl Min 26.9 0.30 1
E. coli LY01 90, xyl LB 42.4 0.47 2
E. coli LY168 90, xyl Min 45.5 0.51 1
E. coli LY168 90, xyl LB 45.3 0.50 1
E. coli FBR5 (pLOI297) 95, xyl LB 41.5 0.44 3
E. coli SE2378 50, xyl LB 20.5 0.41 4
Klebsiella oxytoca P2 100, glc LB 45.2 0.49 5
Zymomonas mobilis ZM4 (pZB5) 50, glc; 50, xyl YE 50.0 0.50 6
Z. mobilis CP4 (pZB5) 8, glc; 80, xyl YE 36.6 0.48 7
Saccharomyces cerevisiae RE700A (pKDR) 50, xyl YE 23.0 0.46 8
S. cerevisiae RWB217 20, xyl Synth 8.7 0.44 9
a
Initial sugar concentration.
b
Final reported concentration in the medium.
glc, glucose; LB, Luria Broth; Min, mineral salts medium þ1 mmol l
1
betaine; Synth, minerals supplemented with a mixture of vitamins; YE, medium
containing yeast extract; xyl, xylose.
1. Yomano L, York SW, Zhou S, Shanmugam KT, and Ingram LO (2008) Re-engineering of Escherichia coli W for ethanol production from xylose in
mineral salts medium. Submitted.
2. Yomano LP, York SW, and Ingram LO (1998) Isolation and characterization of ethanol-tolerant mutants of Escherichia coli KO11 for fuel ethanol
production. Journal of Industrial Microbiology and Biotechnology 20(2): 132–138.
3. Dien BS, Nichols NN, O’Bryan PJ, and Bothast RJ (2000) Development of new ethanologenic Escherichia coli strains for fermentation of
lignocellulosic biomass. Applied Biochemistry and Biotechnology 84–86: 181–196.
4. Kim Y, Ingram LO, and Shanmugam KT (2007) Construction of an Escherichia coli K-12 mutant for homoethanologenic fermentation of glucose or
xylose without foreign genes. Applied and Environmental Microbiology 73: 1766–1771.
5. Wood BE and Ingram LO (1992) Ethanol-production from cellobiose, amorphous cellulose, and crystalline cellulose by recombinant Klebsiella
oxytoca containing chromosomally integrated Zymomonas mobilis genes for ethanol-production and plasmids expressing thermostable cellulase
genes from Clostridium thermocellum.Applied and Environmental Microbiology 58(7): 2103–2110.
6. Joachimsthal E, Haggett KD, and Rogers PL (1999) Evaluation of recombinant strains of Zymomonas mobilis for ethanol production from glucose
xylose media. Applied Biochemistry and Biotechnology 77–79: 147–157.
7. Lawford HG and Rousseau JD (1999) The effect of glucose on high-level xylose fermentations by recombinant Zymomonas in batch and fed-batch
fermentations. Applied Biochemistry and Biotechnology 77–79: 235–249.
8. Sedlak M and Ho NWY (2004) Characterization of the effectiveness of hexose transporters for transporting xylose during glucose and xylose co-
fermentation by a recombinant Saccharomyces yeast. Yeast 21(8): 671–684.
9. Kuyper M, Toirkens MJ, Diderich JA, Winkler AA, van Dijken JP, and Pronk JT (2005) Evolutionary engineering of mixed-sugar utilization by a xylose-
fermenting Saccharomyces cerevisiae strain. Fems Yeast Research 5(10): 925–934.
432 Ethanol

to 100 g l
1
ethanol and was able to grow in the presence
of 50 g l
1
ethanol.
With the goal of identifying metabolic changes that
contributed to increased ethanol tolerance, total mRNA
pools of KO11 and LY01 were compared during growth
in rich medium with 100 g l
1
glucose or xylose and 0, 10,
or 20 g l
1
ethanol. This analysis identified 205 genes with
significantly different expression in KO11 and LY01; for
49 of these genes, the expression difference was higher
than twofold. The differentially expressed genes belong
to a variety of functional groups, including cell processes,
cell structure, amino acid biosynthesis, central intermedi-
ary metabolism, energy metabolism, and stress response.
This analysis suggested three major physiological differ-
ences between KO11 and LY01 that lead to higher
ethanol tolerance of E. coli: increased glycine degradation,
increased uptake of protective osmolytes and betaine
synthesis, and lack of function of the transcription regu-
lator, FNR protein. When functional, FNR controls the
expression of fermentation and anaerobic respiration
genes. As described above, suboptimal pyruvate distribu-
tion contributes to limited growth of KO11 in minimal
medium. Therefore, it is interesting to note that glycine
metabolism and the FNR regulon, which both impact
pyruvate availability and distribution, are significantly
altered in strain LY01. As expected, the increase in etha-
nol tolerance of LY01 is a result of a combination of
multiple physiological factors.
Ethanologenic E. coli Strain LY168: Adapted for
Mineral Salts Medium
Due to the suboptimal distribution of pyruvate for
biosynthesis and the osmotic stress of high initial
sugar concentrations during ethanol fermentation, the
ethanologenic E. coli strains described thus far required
supplementation with complex nutrients for complete
fermentation of sugars, such as 90 g l
1
xylose. Since
nutritional supplements increase the process cost of etha-
nol production, a new strain of ethanologenic E. coli was
constructed (strain LY168) that can optimally grow and
ferment high concentrations of sugar in mineral salts
medium with only betaine added as an osmoprotectant.
The key difference between strain LY168 and strain
KO11 is in the way that expression of the homoethanol
pathway is regulated. In strain KO11, the Z. mobilis pdc and
adh genes are regulated by the pfl promoter with multiple
layers of transcriptional control. In strain LY168, the
genes encoding the homoethanol pathway are integrated
within the gene encoding 23S ribosomal RNA subunit
rrlE, concurrent with the direction of transcription. Since
rRNA synthesis is growth rate controlled, complex reg-
ulation of the two promoters results in high expression of
ribosomal RNA at high growth rates and basal expression
during stationary phase and low growth rates. Therefore,
in retrospect, a ribosomal RNA promoter is an ideal
choice for expression of the Z. mobilis homoethanol path-
way. Further, metabolic evolution and mutations leading
to strain LY168 optimized the level of expression of the
PET operon that supported growth of the ethanologen in
mineral salts medium.
As desired, strain LY168 produced 45.5 g l
1
ethanol
from 90 g l
1
xylose in mineral salts medium with betaine
alone as an osmoprotectant within 48 h (Table 2). This
yield of 0.5 g ethanol per gram of xylose is very close
to the maximum theoretical yield of 0.51. Even more
important is the fact that the volumetric and specific
productivities of strain LY168 were independent of the
presence or absence of additional nutrients in the mineral
salts medium (Table 2). Strain LY168 met the need for a
biocatalyst that rapidly and efficiently converts sugars to
ethanol without depending on expensive nutritional
supplements.
FBR Series: Sustained Ethanologenicity
The Fermentation Biochemistry Research Unit at USDA
has also designed a series of ethanologenic E. coli K12
derivatives with the goal of maximizing strain stability.
As with KO11 and LY168, these strains express
the Z. mobilis homoethanol pathway. However, the homo-
ethanol pathway is maintained on a plasmid (pLOI297) in
these strains instead of the chromosomal integration in
strains KO11 and LY168. Since the FBR strains lack both
LDH and PFL, growth is dependent on expression of the
homoethanol pathway for NAD
þ
regeneration and redox
balance under anaerobic conditions. This need for the
homoethanol pathway for anaerobic growth negates the
need for antibiotics in the medium for stable plasmid
maintenance.
FBR5, the most recent strain of this series, produced
ethanol from wheat straw, corn fibers, and corn ‘quick
fiber’, a modified corn grind that allows recovery of fiber
fractions prior to fermentation (Table 1). Consistent with
the design goal, FBR5 maintained stable ethanol yields
during 26 days of continuous culture on glucose or xylose.
However, like KO11, these strains are dependent on rich
medium for optimum rate of growth and fermentation.
Additionally, the final ethanol titer and yield in rich
media are lower than those of LY168 in minimal medium
(Table 2).
SE2378: Nonrecombinant Homoethanol
Production
The ethanologenic E. coli strains described thus far have
utilized the Z. mobilis pathway for homoethanol produc-
tion. However, a recently isolated mutant E. coli strain
demonstrated a new metabolic pathway that can lead to
balanced production of ethanol without foreign genes.
Ethanol 433

During anaerobic growth, PFL and LDH serve as
the major routes for NAD
þ
regeneration in E. coli
(Figure 2), and mutants that lack the genes encoding
these two proteins are incapable of anaerobic growth.
This physiological property was used to stabilize the
ethanologenic plasmid in the FBR strains described
above. Although E. coli produced pyruvate dehydrogenase
(PDH) under both aerobic and anaerobic growth condi-
tions, activity of this enzyme is inhibited by the high
NADH pool levels of an anaerobic cell. A mutation in
the genes encoding the PDH complex that reduced the
level of enzyme inhibition by NADH supported the
activity of PDH under anaerobic growth condition. In
such a mutant, strain SE2378, PDH provided an alternate
route of pyruvate metabolism that led to the production
of acetyl-CoA and NADH. With this additional NADH
(2 NADHs per acetyl-CoA), balanced production of one
ethanol per pyruvate was achieved (Figure 2). Although
the maximum specific ethanol productivity of the strain
SE2378, 2.24 g h
1
(g cell)
1
with 50 g l
1
xylose, was
comparable to recombinant ethanologenic E. coli KO11,
strain SE2378 still requires further metabolic engineering
to increase the growth rate and volumetric ethanol pro-
ductivity to levels that are comparable to those of
S. cerevisiae and E. coli LY168.
This glycolysis- and PDH-based conversion of one
mole of glucose to two moles of ethanol is a new pathway
that was not previously known in nature. Since all facul-
tative bacteria produce PDH during aerobic growth, this
new homoethanol pathway provides an alternate to the
PDC/ADH pathway toward engineering an expanded list
of microbial biocatalysts for ethanol production from
lignocellulose.
Other Engineered Ethanologenic
Microbial Biocatalysts
Klebsiella oxytoca
One of the motivational factors for using E. coli as an
ethanologen is the fact that it utilizes a wide variety of
biomass-derived sugars. K. oxytoca, in addition to metabo-
lizing monomeric sugars, also has the native ability to
transport and metabolize the cellulose subunits cellobiose
and cellotriose. Engineering of K. oxytoca for ethanol pro-
duction, resulting in strain P2, paralleled recombinant
expression and chromosomal integration of the Z. mobilis
PET operon in E. coli by the Ingram Lab. Production of
ethanol from a variety of substrates by K. oxytoca P2
is presented in Table 1. Another difference between
K. oxytoca and E. coli is the ability of K. oxytoca to use urea
as sole nitrogen source. The use of urea reduces media
acidification and therefore reduces the process cost. In
mineral salts urea medium, K. oxytoca strain BW21
produced more than 40 g l
1
ethanol from 90 g l
1
glucose
within 48 h.
Gram-Positive Biocatalysts
The robustness of Gram-positive organisms makes them
industrially appealing. While the Z. mobilis pathway has
been successfully expressed in Corynebacterium glutamicum,
initial engineering attempts with lactic acid bacteria and
Bacillus were only limitedly successful.
Ethanol Production by Z. mobilis
The ethanologenic potential of microbial biocatalyst
Z. mobilis was first reported over 25 years ago. Like
S. cerevisiae,Z. mobilis contains PDC and is capable of
glucose fermentation to ethanol through the homoethanol
pathway at a rate and volumetric productivity that
exceeds that of yeast. Unfortunately, Z. mobilis also shares
a shortcoming with yeast: it lacks the inherent ability to
utilize the pentose sugars that are abundant in biomass.
Recent whole-genome sequencing confirmed the lack
of key pentose–phosphate pathway enzymes in this
bacterium.
The presence of a facilitated glucose diffusion system
in Z. mobilis allows rapid equilibration between internal
and external glucose concentrations. However, Z. mobilis
is unusual in that it lacks 6-phosphofructokinase and
therefore uses the Entner–Doudoroff pathway to metabo-
lize glucose instead of the Embden–Meyerhoff–Parnas
pathway. In addition to glucose utilization, Z. mobilis is
also capable of producing ethanol from fructose, sucrose,
desalted molasses, aspen, corn, wheat, natural rubber
waste, Jerusalem artichoke juice, and cassava.
Much of the fermentation research has focused on
immobilization of Z. mobilis cells on glass beads, to
increase biocatalyst loading and therefore ethanol pro-
ductivity. Z. mobilis productivity has also been improved
by metabolic evolution and mutagenesis. Metabolic
evolution of strain CP4 during 18 months of serial trans-
fers enabled the production of 95 g l
1
ethanol in just
17.4 h instead of the 31.8 h required by the original
strain. Z. mobilis strains with increased ethanol tolerance,
improved growth on mannitol, increased osmotic toler-
ance, and increased thermotolerance were isolated after
mutagenesis.
However, metabolic engineering and mutagenesis
were unable to compensate for the lack of pentose utiliza-
tion genes, and there were many attempts to engineer
pentose utilization ability by the incorporation of foreign
genes into Z. mobilis, with limited initial success. However,
by using Z. mobilis promoters to regulate the expression of
E. coli genes encoding xylose isomerase, xylulokinase,
transketolase, and transaldolase, a xylose-fermenting
434 Ethanol

Z. mobilis CP4 (pZB5) was constructed. This strain fer-
mented xylose and produced ethanol at 86% of the
theoretical yield (Table 2). Similarly, the use of Z. mobilis
promoters to regulate E. coli arabinose metabolic genes
resulted in the utilization of arabinose as the sole carbon
source and production of ethanol at 98% of the theore-
tical yield. Recombinant strain ZM4 (pZB5) produced
50 g l
1
ethanol from a mixture of 50 g l
1
glucose and
50 g l
1
xylose, a yield of 0.50 g ethanol per gram of sugar
(Table 2). Biomass utilization by strain ZM4 (pZB5) is
detailed in Table 1. Immobilized Z. mobilis 31821 (pZB5)
has also been shown to produce ethanol from various
biomaterials including cedar, newspaper, and rice straw
after treatment. Z. mobilis 8b, which contains chromoso-
mally integrated pZB5, produced ethanol at 85% yield
from acid-treated corn stover.
Challenges for Cost-Effective Ethanol
Production
Fungal Cellulase Supplementation
The insoluble crystalline structure of cellulose makes it
relatively inaccessible for microbial digestion. Therefore,
the cellulose must be treated by either chemical or phy-
sical means for appreciable ethanol production.
The fungal cellulases traditionally used for cellulose
hydrolysis are costly and have a lower catalytic rate than
other glycosidases. This process is further complicated by
the fact that cellulase activity is inhibited by the hydro-
lysis products glucose and cellobiose. To combat this
product inhibition, Gulf Oil Company developed the
simultaneous saccharification and fermentation (SSF)
process in 1976. As the name implies, this process
combines cellulose saccharification and Saccharomyces-
mediated fermentation of the resultant glucose in a single
reaction vessel.
Recent attempts to reduce the cost of fungal cellulase
have focused on engineering biocatalysts to produce the
required cellulase enzymes themselves, a process referred
to as consolidated bioprocessing (CBP). A strain of
S. cerevisiae engineered to express the Trichoderma reesei
endoglucanase II and cellobiohydrolyase II and Aspergillus
aculeatus -glucosidase 1 produced ethanol directly from
amorphous cellulose at 88.5% of the theoretical yield
without fungal cellulase supplementation. Work with
recombinant E. coli and K. oxytoca has focused on engi-
neered expression of the CelZ and CelY endoglucanases
of Erwinia chrysanthemi. These enzymes work synergisti-
cally to degrade amorphous cellulose and carboxymethyl
cellulose. Preliminary work showed that effective reduc-
tion of the cellulase demand required high expression and
secretion of CelZ and CelY by the microbial biocatalysts.
The use of a surrogate Z. mobilis promoter for celZ and
simultaneous expression of the E. chrysanthemi out secretion
system resulted in the expression of active glycan hydro-
lase as approximately 5% of the total cellular protein by
both E. coli and K. oxytoca. Additionally, these enzymes
enabled K. oxytoca to convert amorphous cellulose to etha-
nol at 58–76% of the theoretical yield without the
addition of any supplemental enzymes.
As described above, cellobiose, the product of cellu-
lose digestion, inhibits the cellulose digestion enzymes.
Therefore, biocatalysts that can prevent cellobiose accu-
mulation via metabolic consumption are industrially
appealing. The ability to metabolize cellobiose is wide-
spread in prokaryotes, including K. oxytoca. Functional
expression of the K. oxytoca casAB cellobiose utilization
operon in E. coli KO11 resulted in ethanol production
from cellobiose at greater than 90% of the theoretical
yield, and this derivative also fermented mixed-waste
office paper to ethanol with the aid of commercial
cellulase. Recombinant expression of the Ruminococcus
albus -glucosidase gene enabled Z. palmae to produce
ethanol from cellobiose at 95% of the theoretical yield.
Several physical and chemical cellulose treatment
methods to make the crystalline cellulose accessible to
the hydrolytic enzymes, coupled with engineering of
microbial biocatalysts with cellulolytic capability, are
being developed for SSF of cellulose toward addressing
the need for ethanol production from cellulose in a cost-
effective manner.
Hemicellulose Hydrolysate-Containing
Inhibitors
As with cellulose, hemicellulose requires depolymeriza-
tion of its soluble components prior to bacterial utilization.
The various methods of hemicellulose hydrolysis for etha-
nol production have been recently reviewed, and this
article focuses only on hydrolysis with dilute mineral
acid at modest temperatures. This method, which yields
xylose-rich syrup, also produces significant amounts of
various compounds that inhibit growth of the microbial
biocatalysts and limit ethanol production (Figure 1).
One of the most thoroughly studied inhibitors in hemi-
cellulose hydrolysate is furfural, an aromatic aldehyde
derived from pentose sugars. Furfural concentrations
in hemicellulose hydrolysates range from 1 to 4 g l
1
.
Furfural concentrations as low as 2.4 g l
1
can inhibit
E. coli growth in rich medium, and the sensitivity is
increased in mineral salts medium. There are other hemi-
cellulose-derived aldehydes that are more toxic than
furfural on a weight basis, such as 4-hydroxybenzalde-
hyde and syringaldehyde, but furfural is of particular
interest because it enhances the inhibitory effects of
other toxins on E. coli. Ethanologenic biocatalysts E. coli
KO11 and LY01 and K. oxytoca P2 have the ability to
convert furfural to furfuryl alcohol via an unidentified
NAD(P)H-dependent alcohol–aldehyde oxidoreductase.
Ethanol 435

As described above, LY01 was derived from KO11 follow-
ing selection for spontaneous mutants with increased
ethanol tolerance. Surprisingly, LY01 also has increased
furfural tolerance, as indicated by the ability to grow,
although at a reduced rate, in the presence of 3 g l
1
furfural, a concentration that completely inhibits KO11
growth.
Alcohol, aldehyde, and acid components of hemicel-
lulose hydrolysate impact E. coli LY01 in a variety of
ways. For the compounds tested, the toxicity was
directly related to the hydrophobicity of the molecule.
All of the aldehyde compounds inhibited growth of
LY01, but only furfural reduced ethanol production.
The toxicity of alcohols, such as catechol and hydro-
quinone, was lower than that of aldehydes and acids,
and the inhibitory effect of these alcohols on ethanol
production appeared to be a secondary effect of growth
inhibition. Aliphatic and mononuclear organic acids
inhibited growth and ethanol production by probably
disturbing ion gradients and increasing the intracellular
anion concentration. This is especially true for acetic
acid, that is present in the hemicellulose hydrolysate at
a concentration as high as 10 g l
1
, where 9 g l
1
was
sufficient for growth inhibition of E. coli KO11 in rich
medium.
Like E. coli,S. cerevisiae is inhibited by hemicellulose-
derived furans, acids, and phenolic compounds, with
strain-dependent variation in the degree of sensitivity.
The inhibitor tolerance of S. cerevisiae strains was
increased via overexpression of alcohol dehydrogenase
ADH6p for increased furfural reduction or phenylacrylic
acid decarboxlyase PAD1 for increased consumption of
phenolic derivatives. Metabolic evolution in synthetic
media with increasing concentrations of inhibitors was
used to develop S. cerevisiae strains with increased inhibi-
tor tolerance. Additionally, several S. cerevisiae strains
were found to successfully ferment hemicellulose hydro-
lysate without detoxification.
Just as there are various methods for generating
hemicellulose hydrolysate, there also exist various meth-
ods for reducing its toxicity. One common method,
termed ‘overliming’, involves adjustment of the hydroly-
sate pH to 9–10 by adding calcium hydroxide. Overliming
of sugar cane bagasse acid-hydrolysate enabled the
conversion of 95 g l
1
sugar to 33 g l
1
ethanol by E. coli
LY01, compared to the production of <1 g l
1
ethanol
from the same hydrolysate that had only been adjusted
to pH 6.5–6.7. Comparison of overliming corn stover
hydrolysate to pH 9–11 showed that pH 10 had the
best results for fermentation by Z. mobilis 8b. While over-
liming to pH 11 produced the most fermentable
hydrolysate, loss of xylose was substantial at this pH.
Alternative methods of toxicity reduction include ion
exchange resins, adsorptive membranes, and charcoal
treatment.
Growth Media Engineering
In addition to engineering strains to require less nutri-
tional supplementation for rapid, efficient attainment of
high ethanol concentrations, progress has also been made
in engineering simpler, cheaper growth media for cultiva-
tion of microbial biocatalysts.
For processes that still require complex nutrient sup-
plementation, on-site preparation of crude autolysate
from spent yeast allows synergy between grain-based
and lignocellulosic processes.
Osmolyte Stress
To produce ethanol at the desired high concentrations,
fermentation must start with high levels of substrate
sugars. Sugars at these high concentrations generate
osmotic stress that is intensified by growing the microbial
biocatalysts in mineral salts medium. Protective osmo-
lytes, such as glutamate, betaine, trehalose, and proline,
help bacteria maintain the appropriate cell volume
and turgor despite changes in extracellular osmolality.
As described above, lower ethanol productivity of E. coli
KO11 grown in minimal medium compared to that in rich
medium was attributed to lower levels of osmoprotective
glutamate produced by these cultures. Intracellular levels
of other osmolytes were also low during anaerobic growth
of E. coli relative to aerobic growth in the same medium.
Increasing the level of expression of trehalose synthesis
genes otsBA alleviated the osmotic stress of E. coli induced
by high sugar concentrations. Additionally, a combination
of increased osmolyte synthesis and supplementation
with betaine increased the E. coli tolerance to high sugar
concentrations more than trehalose synthesis or betaine
supplementation alone.
Conclusion
Metabolic engineering has proved invaluable to eco-
nomically viable production of ethanol as an
alternative fuel. Microbial biocatalysts that inherently
produce ethanol have been improved by the introduc-
tion of additional sugar utilization pathways, and others
that inherently utilize a wide spectrum of sugars have
been improved by the introduction of the homoethanol
pathway. Metabolic evolution has further improved the
performance of these microbial biocatalysts in cost-
effective growth media. Metabolic engineering has also
contributed to a reduction in demand for supplemental
cellulase enzymes for the conversion of lignocellulosic
biomass to ethanol. There are frequent reports on the
identification of new bacteria with high ethanol toler-
ance and/or productivity, and additional studies and
436 Ethanol

engineering of these microbial biocatalysts are expected
to yield continued improvement and sustainability of
ethanol production.
Further Reading
Deanda K, Zhang M, Eddy C, and Picataggio S (1996) Development of
an arabinose-fermenting Zymomonas mobilis strain by metabolic
pathway engineering. Applied and Environmental Microbiology
62: 4465–4470.
Dien BS, Cotta MA, and Jeffries TW (2003) Bacteria engineered for fuel
ethanol production: Current status. Applied Microbiology and
Biotechnology 63: 258–266.
Hahn-Hagerdal B, Karhumaa K, Fonseca C, Spencer–Martins I, and
Gorwa–Grauslund MF (2007) Towards industrial pentose-
fermenting yeast strains. Applied Microbiology and Biotechnology
74: 937–953.
Jeffries TW (2006) Engineering yeasts for xylose metabolism. Current
Opinion in Biotechnology 17: 320–326.
Kim Y, Ingram LO, and Shanmugam KT (2007) Construction of an
Escherichia coli K12 mutant for homoethanologenic fermentation of
glucose or xylose without foreign genes. Applied and Environmental
Microbiology 73: 1766–1771.
Klinke HB, Thomsen AB, and Ahring BK (2004) Inhibition of ethanol-
producing yeast and bacteria by degradation products produced
during pre-treatment of biomass. Applied Microbiology and
Biotechnology 66: 10–26.
Ohta K, Beall DS, Meija JP, Shanmugam KT, and Ingram LO (1991)
Genetic improvement of Escherichia coli for ethanol production –
chromosomal integration of Zymomonas mobilis genes encoding
pyruvate decarboxlyase and alcohol dehydrogenase II. Applied and
Environmental Microbiology 57: 893–900.
Rogers PL, Lee KJ, and Tribe DE (1980) High productivity ethanol
fermentations with Zymomonas mobilis.Process Biochemistry
15: 7–11.
Seo JS, Chong HY, Park HS, et al. (2005) The genome sequence of
ethanologenic bacterium Zymomonas mobilis ZM4. Nature
Biotechnology 23: 63–68.
Sprenger GA (1993) Approaches to broaden the substrates and product
range of the ethanologenic bacterium Zymomonas mobilis by
genetic engineering. Journal of Biotechnology 27: 225–237.
Sun Y and Cheng JY (2002) Hydrolysis of lignocellulosic materials for
ethanol production: A review. Bioresource Technology 83: 1–11.
Wood BE and Ingram LO (1992) Ethanol production from cellobiose,
amorphous cellulose and crystalline cellulose by recombinant
Klebsiella oxytoca containing chromosomally integrated Zymomonas
mobilis genes for ethanol production and plasmids expressing
thermostable cellulase genes from Clostridium thermocellum.
Applied and Environmental Microbiology 58: 2103–2110.
Yomano LP, York SW, and Ingram LO (1998) Isolation and
characterization of ethanol-tolerant mutants of Escherichia coli KO11
for fuel ethanol production. Journal of Industrial Microbiology and
Biotechnology 20: 132–138.
Yomano L, York SW, Zhou S, Shanmugam KJ, and Ingram LO (2008).
Re-engineering of Escherichia coli W for ethanol production from
xylose in mineral salts medium. Submitted.
Zhang M, Eddy C, Deanda K, Finkestein M, and Picataggio S (1995)
Metabolic engineering of a pentose metabolism pathway in
ethanologenic Zymomonas mobilis.Science 267: 240–243.
Relevant Website
http://www.museum.upenn.edu – Penn Museum, University of
Pennsylvania
Ethanol 437

Evolution, Theory and Experiments with Microorganisms
R E Lenski and M J Wiser, Michigan State University, East Lansing, MI, USA
ª2009 Elsevier Inc. All rights reserved.
Defining Statement
Review of Evolutionary Theory
Experimental Tests of Fundamental Principles
Genetic and Physiological Bases of Fitness
Genetic Variation within Populations
Coevolution of Interacting Genomes and Species
Evolution of New Metabolic Functions
Evolution of Genetic Systems
Further Reading
Glossary
adaptation A feature of an organism that enhances its
reproductive success and that evolved by natural
selection.
evolution Change in the genetic properties of
populations and species over generations, which
requires the origin of variation (by mutation or mixis) as
well as the subsequent spread or extinction of variants
(by natural selection and genetic drift).
fitness Average reproductive success of a genotype in
a particular environment, usually expressed relative to
another genotype.
genetic drift Changes in gene frequency caused by the
random sampling of genes during transmission across
generations (rather than by natural selection).
mixis Production of a new genotype by recombination
of genes from two sources.
natural selection Changes in gene frequency caused
by specific detrimental or beneficial effects of those
genes.
population Group of individuals belonging to the same
species and living in close proximity, so that individuals
may potentially recombine their genes, compete for
limiting resources, or otherwise interact.
Abbreviations
GASP Growth Advantage in Stationary Phase
MOI multiplicity of infection
Defining Statement
Evolution in action can be studied by experiments in the
laboratory using bacteria and other microorganisms with
suitably rapid generation. These experiments have con-
firmed the main principles of modern evolutionary
theory, while also providing new insights into the genet-
ics, physiology, and ecology of microorganisms.
Review of Evolutionary Theory
Evolutionary theory seeks to explain observable patterns
of biological diversity in terms of a few fundamental
evolutionary processes. These processes are presumed
not only to have operated in the past, but also to continue
to operate today. Thus, they can be studied experimen-
tally in the laboratory. Before discussing a broad range of
experiments that have used microorganisms to examine
evolutionary processes, the major elements of evolution-
ary theory will be reviewed.
Evolutionary Patterns
The three most conspicuous products of organic evolu-
tion are (1) the wealth of genetic variation that exists
within almost every species; (2) the divergence of popula-
tions and species from one another and from their
common ancestors; and (3) the manifest adaptation, or
fit, of organisms to the environments in which they live.
Genetic variation
The existence of extensive genetic variation within spe-
cies has been demonstrated by a variety of means.
Variation in certain traits, such as seed shape in pea plants
and blood type in humans, can be shown to have a genetic
basis by careful examination of pedigrees. For many other
traits, such as milk production in cows or body weight in
humans, quantitative genetic analyses are required to
partition the phenotypic variation that is due to genetic
versus environmental influences. Biochemical and mole-
cular techniques have also revealed extensive variation in
DNA sequences and the proteins they encode.
438

Divergence and speciation
All biological species differ from one another in some
respects. It is generally possible to arrange species hier-
archically, depending on the extent and nature of their
similarities and differences. This hierarchy is reflected in
the classification scheme of Linnaeus (species, genus,
family, and so on). This hierarchical arrangement also
suggests a sort of ‘tree of life’ in which the degree of
taxonomic relatedness between any two species reflects
descent with modification from some common ancestor in
the more or less distant past. Investigating the origins of
groups and their relationships requires an historical
approach, which is not amenable to direct experimenta-
tion. Even so, historically based hypotheses can be tested
by phylogenetic and comparative methods, which utilize
data on the distribution of traits across various groups and
environments, sometimes supplemented with information
from the fossil record.
The extent of evolutionary divergence that is neces-
sary for two groups of organisms to be regarded as distinct
species is embodied in the biological species concept,
according to which ‘species are groups of actually or
potentially interbreeding populations, which are repro-
ductively isolated from other such groups’ (E. Mayr, in
1942). Speciation thus refers to the historical process by
which groups of organisms become so different from one
another that they no longer can interbreed. However,
many organisms (including most microorganisms)
reproduce primarily or exclusively asexually, and the
preceding definition is not applicable. For such organ-
isms, the extent of evolutionary divergence that
corresponds to distinct species is somewhat arbitrary
and often more a matter of convenience than of scientific
principle.
Adaptation
Many phenotypic features of organisms often exhibit an
exquisite match to their environments. For example, the
bacteria that live in hot springs have special physiological
and biochemical properties that allow them to survive and
grow at very high temperatures, which would kill most
other bacteria; often these thermophiles cannot grow at all
under the lower temperatures where most other bacteria
thrive. However, organisms are also generally not per-
fectly adapted to their environments. Evidence for the
imperfection of organisms can be seen when species go
extinct, usually as a consequence of some change in the
environment to which they cannot quickly adapt.
Evolutionary Processes
Biological evolution occurs whenever the genetic compo-
sition of a population or species changes over a period of
generations. Four basic processes contribute to such
change: mutation, mixis, natural selection, and genetic
drift. Selection and drift will not produce evolutionary
changes, however, unless there exists genetic variation
among individual organisms.
Sources of genetic variation
Genetic variation among individuals is generated by two
distinct processes, mutation and mixis. In terms of evolu-
tionary theory, these processes are usually distinguished
as follows: mutation refers to a change at a single gene
locus from one allelic state to another (e.g., abcd !Abcd,
where each letter indicates a locus), whereas mixis refers
to the production of some new multilocus genotype by
the recombination of two different genotypes (e.g.,
abcd þABCD !aBcD).
There are many different types of mutations, including
point mutations, rearrangements, and transposition of
mobile elements from one site in the genome to another.
Some mutations cause major changes in an organism’s
phenotype; for example, a bacterium may become resis-
tant to attack by a virus (bacteriophage) as a result of a
mutation that alters a receptor on the cell surface. Other
mutations have little or even no effect on an organism’s
phenotype: many point mutations have absolutely no
effect on amino acid sequence (and hence protein struc-
ture and function) because of the redundancy in the
genetic code.
Any number of factors may affect mutation rates,
including both environmental agents (e.g., UV irradiation)
and the organism’s own genetic constitution (e.g., defec-
tive DNA repair genes). Evolutionary theory makes no
assumptions about the rates of mutations or their biophy-
sical bases, with one exception: mutations are assumed to
occur randomly, that is, irrespective of their beneficial or
harmful effects on the organism.
Recombination among genomes can occur by a num-
ber of different mechanisms. The most familiar one is
eukaryotic sex, which occurs by meiosis and fertilization.
Many eukaryotic microorganisms, including fungi and
protozoa, engage in sexual mixis. Bacteria generally
reproduce asexually, but may undergo mixis via conjuga-
tion (plasmid-mediated), transduction (virus-mediated),
or transformation. Even viruses may recombine when
two or more coinfect a single cell.
Unlike mutation, these various mechanisms do not
necessarily produce organisms with new genes; instead,
they may produce organisms that possess new combina-
tions of genes. This can have very important evolutionary
consequences. In the absence of mixis, two or more ben-
eficial mutations can be incorporated into an evolving
population only if they occur sequentially in a single
lineage. Mixis allows beneficial mutations that occur in
separate lineages to be combined and thereby incorpo-
rated simultaneously by an evolving population. Thus,
mixis may accelerate the rate of adaptive evolution by
bringing together favorable combinations of alleles.
Evolution, Theory and Experiments with Microorganisms 439

Natural selection
One of the most conspicuous features of biological evolu-
tion is the evident ‘fit’ (adaptation) of organisms to the
environments in which they live. For centuries, this
match between organism and environment was taken as
evidence for the design of a Creator. But in 1859, Charles
Darwin published ‘The Origin of Species’, in which he set
forth the principle of adaptation by natural selection. This
principle follows logically from three simple premises.
First, variation among individuals exists for many pheno-
typic traits. Second, these phenotypic traits influence
survival and reproductive success. Third, phenotypic var-
iation in those characters that affect survival and
reproductive success is heritable, at least in part. (Many
phenotypic traits are subject to both genetic and environ-
mental influences.) Hence, individuals in later
generations will tend to be better adapted to their envir-
onment than were individuals in earlier generations,
provided that there is heritable phenotypic variation and
the environment has not changed too much in the inter-
vening time. (Environments do sometimes change, of
course, and when this happens a population or species
may go extinct if it cannot adapt to these changes.)
Darwin himself did not know about the material basis
of heredity (DNA and chromosomes), nor did he even
understand the precise causes of heritable variation
among individuals (mutation and mixis). What he clearly
understood, however, was that this heritable variation did
exist and its causes could be logically separated from its
consequences for the reproductive success of individuals
and the resulting adaptation of species to their
environments.
Darwin’s theories were influenced, in part, by his
observations on the practices of breeders of domesticated
animals and plants. These practices are now commonly
referred to as artificial selection. It is useful to distinguish
between artificial and natural selection, and to relate this
distinction to experimental evolution in the laboratory.
Under artificial selection, organisms are chosen by a
breeder, who allows some but not all individuals to sur-
vive and reproduce. Individuals are thus selected on the
basis of particular traits that are deemed desirable to the
breeder. By contrast, under natural selection, no one
consciously chooses which individuals within a popula-
tion will survive and reproduce and which will not.
Instead, the match between organismal traits and envir-
onmental factors determines whether or not any given
individual will survive and reproduce.
At first glance, one might regard laboratory studies as
examples of artificial selection. Such usage, however,
would not reflect the critical distinction between artificial
and natural selection, that is, whether a breeder or the
environment determines which individuals survive and
reproduce. In experimental evolution, an investigator
typically manipulates environmental factors, such as
temperature and resource concentration, but he or she
does not directly choose which individuals within an
experimental population will survive and reproduce.
Instead, natural selection in the laboratory, like natural
selection in the wild, depends on the match between
organismal traits and environmental factors.
Genetic drift
The frequency of genes within populations, and hence
also the distribution of phenotypic traits, may change not
only as a consequence of natural selection, but also as a
consequence of the random sampling of genes during
transmission across generations. This random sampling
is called genetic drift. In practice, it can be difficult to
distinguish between natural selection and genetic drift,
although statistical methods have been developed that
may allow one to distinguish between these forces by
comparing DNA sequences among related strains.
Alternatively, by using microorganisms to study evolu-
tion experimentally, it is possible to compare the survival
and reproductive success of different genotypes that are
placed in direct competition with one another. With
proper replication of such experiments, one can distin-
guish systematic differences in survival and reproductive
success from chance deviations due to drift.
Experimental Tests of Fundamental
Principles
Two key principles of evolutionary theory are the ran-
domness of mutation and adaptation by natural selection.
According to the former, mutations occur irrespective of
any beneficial or harmful effects they have on the indivi-
dual organism. According to the latter, organisms in later
generations tend to be better adapted to their environ-
ment than were those in earlier generations, provided that
the necessary genetic variation exists and the environ-
ment itself does not change.
Random Mutation
For many years, it was known that bacteria could adapt to
various environmental challenges. For example, the intro-
duction of bacteriophage into a population of susceptible
bacteria often caused the bacterial population to become
resistant to viral infection. It was unclear, however,
whether mutations responsible for bacterial adaptation
were caused directly by exposure to the selective agent,
or whether this adaptation was the result of random
mutation and subsequent natural selection. Two elegant
experiments were performed in the 1940s and 1950s,
which demonstrated that mutations existed prior to expo-
sure to the selective agent, so that these mutations could
not logically have been caused by that exposure.
440 Evolution, Theory and Experiments with Microorganisms

Fluctuation test
The first of these experiments was published by Salvador
Luria and Max Delbru¨ck in 1943, and it relies on subtle
mathematical reasoning. Imagine a set of bacterial popula-
tions, each of which grows from a single cell to some large
number of cells (N); the founding cells are identical in all of
the populations. If exposure to the selective agent causes a
bacterial cell to mutate with some low probability (p), then
the number of mutants in a population is expected to be, on
average, pN. Although this probability is the same for each of
the replicate populations, the exact number of mutants in
each population may vary somewhat due to chance (just as
the number of heads and tails in 20 flips of a fair coin will not
always equal exactly 10). Mathematical theory shows that
the expected variance in the number of mutants among the
set of replicate populations is equal to the average number of
mutants under this hypothesis.
Now imagine this same set of populations, but assume
that mutations occur randomly, that is, independent of
exposure to the selective agent. During each cell genera-
tion, there is a certain probability that one of the daughter
cells is a mutant. A mutant cell’s progeny are also mutants,
and so on. According to mathematical theory for this
hypothesis, the variance in the number of mutants among
the replicate populations should be much greater than the
average number of mutants. This large variance comes
about because mutations will, by chance, occur earlier in
some replicate populations than in others, and each of the
early mutations will leave many descendant mutants as a
consequence of the subsequent population growth.
Luria and Delbru¨ck designed experiments that allowed
them to measure both the average and the variance of the
number of mutants in a set of populations of the bacterium
Escherichia coli. The observed variance was much greater
than expected if exposure to the selective agent had
caused the mutations. Hence, their results supported the
hypothesis of random mutation.
Replica plating experiment
Joshua and Esther Lederberg devised a more direct
demonstration of the random origin of bacterial mutations,
which they published in 1952. In their experiment, thou-
sands of cells are spread on an agar plate that does not
contain the selective agent; each cell grows until it makes a
small colony, and the many colonies together form a lawn
of bacteria (master plate). By making an impression of this
plate using a pad of velvet, cells from all of the colonies are
then transferred to several other agar plates (replica plates)
that contain the selective agent, which prevents the growth
of colonies except from those cells with the appropriate
mutation. If mutations are caused by exposure to the selec-
tive agent, then there should be no tendency for mutant
colonies found on the replica plates to be derived from the
same subset of colonies on the master plate. However, if
mutations occur during the growth of the colony on the
master plate (i.e., prior to exposure to the selective agent),
then those master colonies that give rise to mutant colonies
on one replica plate should also give rise to mutant colonies
on the other replica plates. Indeed, Lederberg and
Lederberg observed that master colonies giving rise to
mutants on one replica plate gave rise to mutants on the
other replica plates. Moreover, they could isolate resistant
mutants from those master colonies, without the cells hav-
ing ever been exposed to the selective agent. This
experiment thus demonstrates that the mutations had
occurred randomly during the growth of the colony on
the master plate.
Adaptation by Natural Selection
In addition to demonstrating the random occurrence of
mutations, the fluctuation test and the replica plating
experiment both demonstrate adaptation by natural selec-
tion. Two other types of experiments also demonstrate
adaptation by natural selection. One type is very compli-
cated and involves monitoring the dynamics of mutation
accumulation at one genetic locus, which is not under
selection, in order to study indirectly what is happening at
some other loci, which are under selection.
The other type of experiment that demonstrates adap-
tation by natural selection involves direct estimation of an
evolving population’s fitness relative to its ancestor, and it
is conceptually quite simple. A population is founded by
an ancestral clone, which is also stored in a dormant state
(usually at very low temperature). The population is then
propagated in a particular environment, and one or more
samples are obtained after many generations have
elapsed. These derived organisms are placed in direct
competition with the ancestral clone under the same
defined environmental conditions (after both types have
acclimated physiologically to these conditions). If the
derived organisms increase their number relative to the
ancestral clone, in a systematic and reproducible fashion,
then the evolving population has evidently become better
adapted to the environment as the result of mutation and
natural selection.
To distinguish the derived and ancestral types from
one another in a competition experiment, it is usually
necessary to introduce a genetic marker that can be
scored into one of them. This genetic manipulation neces-
sitates an appropriate control experiment to estimate the
effect of the genetic marker on fitness.
Genetic and Physiological Bases
of Fitness
The fact that one strain may be more fit than another in a
particular environment usually says little or nothing
about the causes of that difference. It is interesting to
Evolution, Theory and Experiments with Microorganisms 441

know why one strain is more fit than another in terms of
their genotypes and their physiological properties. By
using both classical and molecular genetic methods, one
can construct genotypes of interest and then determine
the effects of their differences on physiological perfor-
mance and fitness.
Effects of Single and Multiple Mutations
A study by Santiago Elena and Richard Lenski examined
systematically the fitness effects of a large set of random
mutations. Using transposon mutagenesis, they made 225
genotypes of E. coli that each carried one, two, or three
insertion mutations. Each genotype was then placed in
competition with the unmutated progenitor strain in
order to measure the fitness of the mutant relative to the
progenitor. Single insertion mutations reduced fitness by
about 2%, on average, and there was tremendous varia-
bility in the mutational effects, which ranged from
approximately neutral to effectively lethal under the con-
ditions where the competitions were performed.
The relationship between average fitness and mutation
number was approximately log-linear. That is, subsequent
mutations were neither more nor less harmful, on average,
than was the first mutation. However, many pairs of muta-
tions interacted strongly with one another, that is, their
combined effect on fitness was different from what was
expected given their separate effects. (The overall relation-
ship between average fitness and mutation number was
approximately log-linear because some interactions were
synergistic whereas others were antagonistic.) These data
imply that a full understanding of the genetic basis of any
organism’s functional capacity cannot depend entirely on
the step-by-step analysis of individual genes and pathways;
instead, a more integrative approach is necessary.
Fitness Effects due to Possession of Unused
Functions
A number of studies have used well-characterized bacter-
ial genotypes to examine the effects on fitness caused by
the carriage and expression of superfluous gene functions.
These studies have measured the relative fitnesses of (1)
bacteria with constitutive (high level) and repressed (low
level) expression of enzymes for catabolism of carbon
sources in media where those resources are not available;
(2) prototrophic bacteria (which produce an amino acid or
other required nutrient) and auxotrophic mutants (which
cannot produce that nutrient) in media where the
required nutrients are supplied; (3) phage-sensitive bac-
teria and resistant mutants when the phage are absent; and
(4) antibiotic-sensitive bacteria and resistant genotypes in
media that contain no antibiotics.
These studies have often, but not always, demonstrated
substantial fitness disadvantages due to possession of
unnecessary gene functions. In some cases where such
disadvantages have been detected, they are much greater
than can be explained by the energetic costs of synthesizing
the extra proteins and other metabolites. For example, a
study by Daniel Dykhuizen found that the fitness disad-
vantage associated with synthesis of the amino acid
tryptophan, when it was supplied in the medium, was
much greater than could be explained on the basis of
energetic costs alone. Evidently, the expression of super-
fluous functions can sometimes have strong indirect effects,
which presumably arise through the disruption of other
physiological processes.
The idea that microorganisms may have reduced fit-
ness owing to possession of unnecessary functions has two
important practical implications. First, in many bioengi-
neering applications, microorganisms are constructed that
constitutively express high levels of some compound (e.g.,
a pharmaceutical) that can be harvested for its commer-
cial value. However, the microorganisms themselves do
not benefit from producing that compound, and so any
mutant that no longer produces the compound may have
a selective advantage. Such a mutation would thus spread
through the population and thereby reduce the efficiency
of the production process. Second, the spread of antibio-
tic-resistant bacteria has become a serious concern in
public health. It has been proposed that the prudent use
of antibiotics, including even the elimination of their use
in certain environments (e.g., animal feeds), might favor
antibiotic-sensitive bacteria, thereby restoring the effi-
cacy of antibiotics. This proposal rests, in part, on the
presumption that resistant bacteria are less fit than their
sensitive counterparts, in the absence of antibiotic, due to
their possession of the superfluous resistance function.
This tradeoff often appears to be the case, but sometimes
antibiotic-resistant bacteria evolve solutions that reduce
or even eliminate the cost of resistance, thus complicating
efforts to contain their spread.
Effects due to Variation in Essential Metabolic
Activities
It is clear that the expression of unnecessary metabolic
functions is often disadvantageous to a microorganism. An
equally important issue concerns the relationship
between fitness and the level of expression of functions
that are required for growth in a particular environment.
This latter issue is more difficult to address experimen-
tally, because it demands careful analyses of subtle
differences between strains in their biochemical activities.
Daniel Dykhuizen, Antony Dean, and Daniel Hartl
performed a pioneering study to examine the relation-
ships between genotype, biochemical activities in a
required metabolic pathway, and fitness. Their study
examined growth on lactose by genotypes of E. coli that
varied in levels of expression of the permease used for
442 Evolution, Theory and Experiments with Microorganisms

active uptake of lactose and the -galactosidase required
for hydrolysis of the lactose. (The genotypes were other-
wise essentially identical.) Given that both enzymes are
necessary for growth on lactose, how do the activities at
each step affect the net flux through this metabolic path-
way? And how does net flux affect fitness?
Metabolic control theory consists of mathematical
models that describe the dynamics across multiple steps
in a biochemical pathway. Using this theory, Dykhuizen
and colleagues predicted how the net flux through this
pathway would depend on the activities of the permease
and -galactosidase enzymes, and they measured these
activities for several different genotypes using biochem-
ical methods. They then predicted that the relative fitness
of any two genotypes would be directly proportional to
their relative fluxes if lactose was provided as the sole
energy source. In order to test the theory and its predic-
tions, they estimated the relative fitnesses of the various
genotypes in a medium in which lactose was the sole
source of energy for growth. The observed fitnesses
were very close to the predicted values.
Dykhuizen and Dean have also successfully extended
this mechanistic approach to predicting fitness in compe-
tition for mixtures of lactose and glucose. However, the
results to date (for both single and mixed sugars) were
obtained with genotypes in which gene regulation was
eliminated in order to simplify the analysis. An important
challenge for the future is to include the complex dyna-
mical effects of gene regulation in the models and
experiments.
Effects of Genetic Background
It is obvious that the fitness effects caused by particular
genetic differences strongly depend on the environment.
For example, an antibiotic resistance gene function that is
essential for survival and replication of a bacterium in the
presence of antibiotic may hinder growth in an antibiotic-
free environment. Similarly, the fitness effect that is due
to a particular gene function may often depend on the
genetic background in which that gene is found.
For example, one study found that different alleles at
the 6-phosphogluconate dehydrogenase (6-PGD) locus in
E. coli had similar fitnesses in a gluconate-limited medium,
provided that these alleles were present in a genetic back-
ground that also encoded an alternative metabolic
pathway for 6-phosphogluconate utilization. In a genetic
background where this alternative pathway was defective,
however, these alleles had quite variable fitnesses in that
same medium.
In another study with E. coli, it was observed that the
selective disadvantage associated with bacteriophage
resistance mutations in a virus-free environment was
substantially reduced during several hundred generations
of experimental evolution. This fitness improvement
resulted from secondary mutations in the genetic back-
ground that compensated for the maladaptive side effects
of the resistance mutations, but which did not diminish
the expression of resistance.
Other studies, including one by Stephanie Schrag,
Veronique Perrot, and Bruce Levin, have demonstrated
similar compensatory evolution among antibiotic-resis-
tant bacteria. When bacteria resistant to an antibiotic
first arise, they are typically less fit in the absence of the
antibiotic, thus helping to control their proliferation. Over
time, however, the evolving bacteria become very good
competitors in the absence of antibiotic while retaining
their resistance to antibiotic. That is, the bacteria find
ways to ‘have their cake and eat it, too’. Such compensa-
tory evolution unfortunately makes it more difficult to
devise strategies to manage the spread of antibiotic-
resistant pathogens.
Speciation and Genetic Exchange
As populations diverge from one another over time, the
potential for gene flow between them lessens. The
increased barriers to gene flow between more distantly
related organisms reflect both molecular processes and
selective factors. At the molecular level, highly diverged
DNA sequences recombine less efficiently than similar
sequences. From the standpoint of selection, genes that
evolved in one lineage may not function as well when
they are moved into a different lineage, where they must
function within a different physiological context.
Therefore, when two lineages diverge and adapt to dif-
ferent environments for a sufficiently long time, they
become separate species. A recent experiment by
Jeremy Dettman and colleagues examined the effects of
adaptation to different environments on the fitness of
progeny in the yeast Saccharomyces cerevisiae. The
researchers generated hybrid progeny by sexually cross-
ing yeast strains, using three different types of strain
pairings: (1) two strains that had independently evolved
in the same environment; (2) two strains that evolved in
different environments; and (3) one evolved strain and its
ancestor. The hybrid progeny of strains that had both
evolved in the same environment were more fit than the
other types of hybrids, while the least fit progeny resulted
from crosses between strains that evolved in different
environments. These results demonstrate that incipient
speciation can occur rapidly as populations adapt to dif-
ferent environments and diverge from one another, so
that their hybrid progeny are not well adapted to the
environment of either parent.
Over time, another process, called reinforcement,
may occur that further separates and isolates two incipi-
ent species. Reinforcement occurs when organisms
evolve mating preferences so that they become less
likely to mate with individuals that are ecologically
Evolution, Theory and Experiments with Microorganisms 443

and genetically distinct, thereby avoiding the production
of mal-adapted hybrid offspring. In another recent
experiment with yeast, Jun-Yi Leu and Andrew Murray
showed the rapid evolution of mate discrimination. After
only a few dozen rounds of selection for assortative
mating, yeast cells had evolved that were five times
more likely to mate with their own type than with the
ancestor.
Genomic Analyses of Experimental Evolution
As technologies change, so do the questions that biologists
can address. Our understanding of the extent and patterns
of genetic diversity has grown with each new advance.
For many years, geneticists had to rely on differences that
were visible to the naked eye – for example, the round
and wrinkled seeds, and white and purple flowers, of the
pea plant that Gregor Mendel studied to discover the
basic laws of inheritance in plants and animals. Several
decades ago, biochemists discovered they could discern
subtle differences in proteins, caused by mutations in the
genes that encode them, by examining how the variant
proteins moved through gels that were subject to electri-
cal fields. This approach revolutionized biology by
demonstrating tremendous levels of genetic diversity in
almost every species that was investigated, from bacteria
to humans. More recently, the ability to sequence DNA
molecules now allows scientists to examine and compare
the hereditary information of organisms at its most funda-
mental level. It has become possible to sequence genes
isolated directly from the environment, allowing ecolo-
gists to examine patterns of diversity even among
microbes that have never been directly observed or cul-
tured. It has also become possible to sequence the entire
genome of any organism. With improving technologies
and declining costs, it is becoming feasible to pursue
whole-genome sequencing to discover and investigate
all of the genetic changes that occur during laboratory-
based evolution experiments.
A fascinating question in evolution – and one that has
benefited from the improving genomic technologies –
concerns the reproducibility of evolutionary outcomes.
The late paleontologist Stephen Jay Gould imagined
the thought experiment of ‘replaying life’s tape’ to
address this question. Of course, it is impossible to
rerun evolution for billions of years on the scale of an
entire planet, but with microbes one can perform care-
ful experiments to ask whether replicated populations
that start with the same ancestor and evolve in the
same environment will arrive at the same or different
solutions to the challenges they face. A long-term study
by Richard Lenski and colleagues has monitored the
evolution of 12 initially identical populations of E. coli
as they evolved in and adapted to the same laboratory
environment for tens of thousands of generations. They
identified many parallel, or repeatable, changes in
the phenotypes of the evolving lineages, including
improved competitiveness in the glucose-based medium
where they evolved, reduced performance on certain
other sugars including ribose and maltose, larger
cell volumes, altered supercoiling of their chromo-
somes, and so on. Robert Woods, Richard Lenski and
colleagues further analyzed this experiment by sequen-
cing many genes in the ancestor and all 12 evolved
lines. They found several genes that had acquired
mutations in most or all of the evolved lines, even
though most genes showed no substitutions at all in
any of the lines. These data indicate, therefore, a high
degree of evolutionary reproducibility even at the
genetic level.
Conceptually related work has now been extended to
the entire genome in experiments with evolving viruses
and bacteria. Holly Wichman, James Bull and colleagues
have documented striking evolutionary reproducibility in
the bacteriophage jX174 that, in this case, often extends
to the nucleotide level. Christopher Herring, Bernhard
Palsson and colleagues have used new methods for
rapidly resequencing entire bacterial genomes to identify
several genes that changed repeatedly in short-term
experiments in which E. coli evolved in and adapted to a
glycerol-based medium.
Genome-level resequencing was also used by Gregory
Velicer and colleagues to discover mutations that arose
during a two-stage evolution experiment with the bacter-
ium Myxococcus xanthus. This species is fascinating
because cells, when they are starving, form multicellular
aggregations. Some of the cells in these aggregations
differentiate into stress-tolerant spores that can be dis-
persed and germinated in more favorable environments,
but the majority of cells die while forming a mound-like
structure that elevates the spores and helps them disperse.
In the first stage of their experiment, Velicer and collea-
gues evolved M. xanthus strains that ‘cheated’ on their
progenitors during aggregation and differentiation. By
themselves, these cheaters were very poor at aggregating
and producing spores, but when they were mixed with
their cooperative progenitors, the cheaters were dispro-
portionately likely to end up among the surviving spores.
In the second stage of this evolution experiment, Velicer
and colleagues found one cheater-derived strain that had
recovered the ability to cooperate, although its mechan-
ism of cooperation was somewhat different from the
ancestral cooperator. By resequencing the genomes of
both the evolved cheater and the restored cooperator,
and comparing them to the ancestral genome, they
found 14 mutations that led to the cheater, while only a
single mutation – although obviously a very important
one – was responsible for the evolved restoration of the
cooperative behavior.
444 Evolution, Theory and Experiments with Microorganisms

Genetic Variation within Populations
In nature, there exists abundant genetic variation in most
species, including microorganisms. Some of this variation
exists within local populations, while other variation may
distinguish one population from another. This section
describes some of the dynamic processes that influence
genetic variation within populations.
Transient Polymorphisms
A population is polymorphic whenever two or more
genotypes are present above some defined frequency
(e.g., 1%). A polymorphism arises whenever an advanta-
geous mutation is increasing in frequency relative to the
ancestral allele. This type of polymorphism is called
transient, because eventually the favored allele will
exclude the ancestral allele by natural selection.
Selective Neutrality
At the other extreme, some polymorphisms may exist
almost indefinitely precisely because the alleles that are
involved have little or no differential effect on fitness.
Such selectively neutral alleles are subject only to genetic
drift. Daniel Dykhuizen and Daniel Hartl sought to deter-
mine whether some polymorphic loci in natural
populations of E. coli might exist because of selective
neutrality, or whether other explanations are needed.
To that end, naturally occurring alleles at certain loci
were moved into a common genetic background, and
the fitness effects associated with the various alleles
were determined. Even when the bacteria were grown
under conditions where growth was directly dependent
on the particular enzymes encoded by these loci, there
were often no discernible effects on fitness due to the
different alleles. These results therefore support the
hypothesis that random genetic drift is responsible for
some of the genetic variation that is present in natural
populations.
Frequency-Dependent Selection
In the course of growth and competition in a particular
environment, microorganisms modify their environment
through the depletion of resources, the secretion of meta-
bolites, and so on. When this happens, the relative fitness
of genotypes may depend on the frequency with which
they are represented in a population, and selection is said
to be frequency-dependent. Frequency-dependent selec-
tion can give rise to several different patterns of genetic
variation.
Stable equilibria
Two (or more) genotypes can coexist indefinitely when
each has some competitive advantage that disappears as
that genotype becomes more common. In that case, each
genotype can invade a population consisting largely of the
other genotype but cannot exclude that other genotype,
so that a stable equilibrium results.
Several different ecological interactions can promote a
stable equilibrium. For example, an environment may
contain two different resources. If one genotype is better
at exploiting one resource and another genotype is super-
ior in competition for the second resource, then
whichever genotype is rarer will tend to have more
resource available to it, thereby promoting their stable
coexistence. In some cases, a resource that is essential for
one genotype may be produced as a metabolic by-product
of growth by another genotype; such interactions are
often called cross-feeding. Stable coexistence of geno-
types in one population can also occur when the
environment contains a population of predators (or para-
sites); predator-mediated coexistence requires that one of
the prey genotypes be better at exploiting the limiting
resource while the other prey genotype is more resistant
to the predator. The evolution of two or more stably
coexisting bacterial types from a single ancestral type
has been demonstrated in several experiments involving
both cross-feeding and predator–prey interactions.
A striking example of the rapid evolution of several
stably coexisting genotypes comes from an experiment on
Pseudomonas fluorescens performed by Paul Rainey and
Michael Travisano. The experiment started with a single
clone that was placed in a static (unshaken) flask containing
a nutritionally rich liquid medium. Within a few days, the
bacteria evolved into three distinct genotypes that could be
distinguished by the appearance of their colonies, and these
types then coexisted with one another. By reconstituting
the various combinations of these three types, the authors
showed that each type had a selective advantage when it
was rare relative to one or both of the other types. As a
consequence, each genotype could invade and coexist with
the others, so that a stable community was formed.
However, if the medium and cells were thoroughly
mixed by physically shaking the flask, then this coexistence
was disrupted and one genotype prevailed. The three
genotypes coexisted in the static flask because they had
evolved different abilities to exploit gradients, such as in
oxygen concentration, which were generated by the organ-
isms’ metabolic activities in concert with the physical
environment. When these gradients were eliminated by
continually shaking the flask, stable coexistence of the
three genotypes was impossible.
Unstable equilibria
Those ecological interactions that promote the stable
coexistence of two or more genotypes contribute to the
Evolution, Theory and Experiments with Microorganisms 445

maintenance of genetic variation in populations.
However, certain ecological interactions give rise to
unstable equilibria. An unstable equilibrium exists when
each of two genotypes prevents the other from increasing
in number. Such interactions do not promote polymorph-
isms within a local population. However, they may
contribute to the maintenance of genetic differences
between populations, because neither type can invade a
resident population of the other type.
One form of ecological interaction that can give rise to
an unstable equilibrium is interference competition. This
interaction occurs when one genotype produces a toxic
substance that inhibits the growth of competing geno-
types; it is distinguished from exploitative (scramble)
competition, which occurs by the depletion of resources.
Many microorganisms secrete such toxins, including
fungi that produce antibiotics. Similarly, some strains of
E. coli produce colicins that kill some competing strains of
E. coli, but to which the producing genotypes are immune.
The producing types, when common, make so much toxin
that they can eliminate a sensitive strain that is more
efficient in exploitative competition. When the producing
cells are rare, however, the cost of their colicin production
is greater than the benefit of the resource that becomes
available by the killing of sensitive cells, and the produ-
cing type loses out to the more efficient colicin-sensitive
competitor. The outcome of competition between coli-
cin-producing and sensitive strains also depends on the
physical structure of the environment, as shown in experi-
ments by Lin Chao and Bruce Levin. In particular, the
advantage shifts to the colicin-producing cells on agar
surfaces, even when they are rare, because the resources
made available by the killing action of colicins accrue
locally to the producers, rather than being dispersed
evenly as in a well-stirred liquid medium.
Nontransitive interactions
In some cases, the frequency-dependent interactions
among three or more genotypes are so complex that
they become nontransitive. For example, genotype A
out-competes genotype B, and genotype Bout-competes
genotype C, but genotype Cout-competes genotype A.A
familiar example is the game of rock-paper-scissors, in
which rock beats scissors, scissors beat paper, and paper
beats rock. Benjamin Kerr, Brendan Bohannan and col-
leagues studied an example of this game played by three
strains of E. coli on the surface of agar plates. One strain
produced a toxic colicin, while the second strain was
sensitive to the colicin. The third strain was resistant to
the colicin, although it did not produce any toxin. In
pairwise interactions, the colicin-producing strain out-
competes the sensitive strain by poisoning it. The resis-
tant strain out-competes the producing strain by not
wasting resources to produce the colicin, as both strains
are resistant to it. The sensitive strain, in turn,
out-competes the resistant strain because there is no
colicin around, and the resistant strain pays a fitness cost
for its resistance. This research team further showed, both
by experiments and in computer simulations, that the
three strains could coexist with one another only in a
spatially structured environment, such as on the surface
of an agar plate. By contrast, in a well-mixed liquid
medium, one strain dominates, although the identity of
the winner depends on the initial abundances.
As another example, Charlotte Paquin and Julian Adams
found nontransitive interactions in populations of the yeast,
S. cerevisiae, that were evolving in chemostats fed with
glucose as a sole carbon source. Nontransitive interactions
can lead to situations in which the average fitness of an
evolving population declines relative to some distant ances-
tor, even though each successive dominant genotype has
increased fitness relative to its immediate predecessor.
Indeed, Paquin and Adams observed precisely this
phenomenon.
Evolution in a Changing Environment
Most evolution experiments operate within a controlled,
defined environment, which facilitates the analysis and
interpretation of these experiments. However, many
environments change over time owing to either external
processes, such as a change in temperature, or internal
processes, such as resource depletion or coevolution of
interacting species. This section examines research on the
evolution of bacteria in response to prolonged resource
deprivation, while the next section will address the coe-
volution of interacting species.
When bacteria are inoculated into fresh medium, they
grow exponentially until they exhaust the available nutri-
ents, at which point the cells typically enter a ‘stationary’
phase during which they neither grow nor die, at least for
many hours or even days. However, if the bacteria are left
in the nutrient-depleted medium indefinitely, they even-
tually enter a death phase, although not all the cells
necessarily die even after a very long time. Roberto
Kolter and Steven Finkel studied the ecological and evo-
lutionary dynamics in long-term cultures of E. coli that
were grown in a nutrient-rich medium and then left for
over five years without additional nutrients, except that
sterile water was added occasionally to compensate for
evaporation. Some 99% of the cells died over the first few
weeks of the death phase. If that rate of decline had
continued throughout the experiment, then there would
soon have been no survivors at all. However, Kolter and
Finkel found that the surviving cells entered a sort of
second stationary phase, in which the population declined
only very slowly. During this period, the rates of cell
division and death were nearly equal, so that the popula-
tion was dynamic rather than static. Moreover, the
environment itself changed continually owing to the
446 Evolution, Theory and Experiments with Microorganisms

buildup and breakdown of metabolic by-products
released by both living and dying cells. This changing
environment, in turn, favored mutants that were better
able to survive and grow under these challenging condi-
tions than was the strain used to begin this experiment.
The authors called these winners ‘GASP’ mutants
because they had a growth advantage in stationary phase
(GASP). Further analyses of this system found multiple
waves of GASP mutants that arose and swept to high
frequency in the population, only to be displaced later
by other, even tougher, mutants. Thus, many different
mutations can produce GASP phenotypes, and the var-
ious mutants differ in the details of their physiological and
ecological advantages.
Coevolution of Interacting Genomes
and Species
Microorganisms in nature rarely, if ever, exist as single
species, as they are usually studied in the laboratory.
Rather, they exist in complex communities of many inter-
acting populations. Some interactions are exploitative,
such that one population makes its living by parasitizing
or preying upon another population. Other interactions
are mutualistic, such that each population obtains some
benefit from its association with the other. In many cases,
these interactions are plastic both genetically and ecolo-
gically. For example, a single mutation in a bacterium
may render it resistant to lethal infection by a bacterioph-
age. And a plasmid that confers antibiotic resistance may
be beneficial to its bacterial host in an antibiotic-contain-
ing environment but detrimental in an antibiotic-free
environment.
As a consequence of this variability, microorganisms
have proven useful for investigating questions about the
coevolution of interacting populations. Are there evolu-
tionary ‘arms races’ between host defenses and parasite
counterdefenses? Why are some parasites so virulent to
their hosts, whereas others are relatively benign? How can
mutualistic interactions evolve, if natural selection favors
‘selfish’ genes that replicate themselves even at the
expense of others?.
Exploitative Interactions
A number of studies have demonstrated the stable coex-
istence of virulent bacteriophage (lytic viruses) and
bacteria in continuous culture. In these studies, the virus
population may hold the bacterial population in check at
a density that is several orders of magnitude below the
density that would be permitted by the available resource
if viruses were not present. In most cases, however, bac-
terial mutants eventually appear that are resistant to the
virus, and these mutants have a pronounced selective
advantage over their virus-sensitive progenitors. The
proliferation of bacteria that are resistant to infection by
the original virus provides a selective advantage to host-
range viral mutants, which are capable of infecting the
resistant bacteria. Thus, one can imagine, in principle, an
endless ‘arms race’ between resistant bacteria and
extended host-range viruses.
In fact, there are constraints that often preclude this
outcome. Experiments performed by Lin Chao, Richard
Lenski, and Bruce Levin using E. coli and several lytic
viruses found that bacterial mutants eventually evolved
for which it was very difficult or impossible to isolate
corresponding host-range viral mutants. This asymmetry
may arise because bacterial resistance can occur via muta-
tions that cause either the structural alteration or the
complete loss of certain receptors on the bacterial surface,
whereas viral host-range mutations can counter only the
former. Despite this asymmetry, these experiments also
demonstrated that the virus population often persisted
because the virus-resistant bacterial mutants were less
efficient than their sensitive progenitors in competing
for limiting resources. In such cases, the result was a
dynamic equilibrium, in which the growth-rate advantage
of the sensitive bacteria relative to the resistant mutants
was offset by death due to viral infection. Such tradeoffs
between competitiveness and resistance commonly occur,
because the same receptors used by viruses to adsorb to
the cell envelope often serve to transport nutrients into
the cell or to maintain its structural integrity.
A widely held belief is that a predator or parasite that is
too efficient or virulent will drive its prey or host popula-
tion extinct, thereby causing its own demise. However,
virulent phage often coexist with bacteria, even though
successful reproduction of the virus is lethal to the
infected bacterium. Moreover, the process of natural
selection does not involve foresight, so the mere prospect
of extinction cannot deter the evolution of more efficient
predators or more virulent parasites. Nevertheless, there
exist many viruses (lysogenic and filamentous bacterioph-
age) that are replicated alongside the host genome, and
whose infections, although deleterious, are not necessarily
lethal. These viruses, as well as conjugative plasmids,
have life cycles that include both horizontal (infectious)
and vertical (intergenerational) transmission.
At present, the evolutionary forces that favor these
alternative modes of transmission are not fully under-
stood. One factor that is thought to be important is the
density of hosts. If susceptible hosts are abundant, then
there are many opportunities for horizontal transmission.
In that case, selection favors those parasites that replicate
and infectiously transmit themselves most rapidly,
regardless of the consequences of these activities for the
host’s fitness. On the other hand, if susceptible hosts are
scarce, then horizontal transmission becomes infrequent.
Vertical transmission, by contrast, does not depend upon
Evolution, Theory and Experiments with Microorganisms 447

the parasite or its progeny finding another host. Instead,
the success of a vertically transmitted parasite is deter-
mined by the success of its infected host. The greater the
burden that such a parasite imposes on its host, the slower
the host can reproduce its own genome and that of the
parasite. Hence, when the density of susceptible hosts is
low, selection may favor those parasites that minimize
their replicative and infectious activities, and thereby
minimize their deleterious effects on the host.
Two studies sought to test this hypothesis by manip-
ulating the supply of susceptible hosts. One experiment,
by Jim Bull and colleagues, with a filamentous bacter-
iophage supported the hypothesis. The other study, by
Paul Turner and Richard Lenski, used a conjugative
plasmid, and their experiment did not support that
hypothesis, for reasons that are unclear. However, both
studies demonstrated genetically encoded tradeoffs
between the parasites’ rates of horizontal and vertical
transmission. That is, parasites that were transmitted
between individual hosts at higher rates reduced the
host’s growth rate – and hence their own vertical trans-
mission – more severely than did parasites that were
infectiously transmitted at lower rates.
In addition to subtle changes in the interaction
between a virus and its current host, evolution can occur
when a virus evolves the ability to infect a different host
species. Most viruses are severely constrained in the
organisms that they can infect because they must enter
their host via specific proteins or other receptors on the
host’s cell surface, and these receptors typically differ
between host species. Two viral genomes can only recom-
bine genetically when they both infect the same host.
Therefore, if a virus evolves the new ability to infect a
different host species and, moreover, loses its ability to
infect its previous host, then this host shift may lead to
speciation, whereby a single virus population eventually
evolves to become two distinct types of virus.
A study by Wayne Crill, Holly Wichman, and Jim Bull
examined the adaptation of a virus to two different host
species. They alternated a bacteriophage population
between two bacterial hosts, E. coli and Salmonella enterica.
The experiment was designed so that the virus saw only
‘naı¨ve’ bacteria that had not previously been exposed to
the virus; hence, the bacteria could not evolve resistance
that might complicate their analysis of the evolving virus.
Because the viral genome is small, the authors could
completely sequence several isolates of the virus after
each round of their adaptation to the alternating hosts.
The authors found a single base pair in the virus genome
that alternated in perfect concordance with the host spe-
cies to which the virus had most recently adapted. Owing
to this and other mutations, viral growth rate was always
higher on the current host than on the alternate host.
However, there was a strong asymmetry in this host-
specific adaptation. Specifically, adaptation to S. enterica
led to reduced viral growth on E. coli, but adaptation to
E. coli did not cause a comparable reduction in growth on
S. enterica. This finding has potential relevance for the
production of vaccines, because it is common practice to
produce weakened versions of infectious viruses by
adapting them to new cell types, and then using these
attenuated viruses in vaccines. If viral adaptation to a new
host type does not always impair viral growth on its usual
host, then it becomes all the more necessary to test care-
fully the safety of such putatively attenuated viruses.
More generally, these results show that even single muta-
tions can sometimes allow viruses to infect new host
species, a finding that is of interest not only for under-
standing evolution but also to public health.
Mutualistic Interactions
It has been proposed that many mutualisms evolved from
formerly antagonistic interactions. In fact, mathematical
models predict that, at low host densities, genetic ele-
ments such as plasmids and phage can persist only if
they are beneficial to their host. Many plasmids encode
functions useful to their bacterial hosts, including resis-
tance to antibiotics, catabolic pathways, production of
bacteriocins, and so on. Also, some plasmids are unable
to promote conjugation, thus relying exclusively on ver-
tical transmission. This limitation requires that the
plasmid does not harm its host, because any plasmid-
free derivative would otherwise out-compete those cells
that carry a costly plasmid. Indeed, several studies have
found unexpected competitive advantages for bacteria
that are infected by plasmids, transposons, and even tem-
perate phage, relative to cells that are not infected but
otherwise genetically identical.
Two studies have even demonstrated the evolution of
mutualistic interactions from formerly antagonistic asso-
ciations. Kwang Jeon showed that the growth of the
protist Amoeba proteus was initially greatly reduced by a
virulent bacterial infection. The harmful effects of the
bacteria were diminished, however, by propagating the
infected amoebae for several years. In fact, the amoebae
eventually became dependent on the bacterial infection
for their viability. In another study, Judith Bouma and
Richard Lenski found that a certain plasmid initially
reduced the fitness of its E. coli host in antibiotic-free
medium. However, the plasmid enhanced the fitness of
its host in this same medium after 500 generations of
experimental evolution. Interestingly, the mutation
responsible for the newly evolved mutualistic interaction
was in the host, not in the plasmid. Both of these experi-
ments show that hosts can become dependent on, or
otherwise benefit from, formerly parasitic genomes, thus
giving rise to mutualistic interactions.
448 Evolution, Theory and Experiments with Microorganisms

Evolution of New Metabolic Functions
Microbes exhibit a tremendous diversity of metabolic
activities, some of which function in degradative path-
ways (catabolism) while others work in synthetic
pathways (anabolism). How has this diversity evolved?
One area of research in the field of experimental evolu-
tion seeks to elucidate the various processes by which
microorganisms can acquire new metabolic functions.
This research is timely as humans seek to employ certain
microbes that degrade toxic pollutants in the environ-
ment, and to harness others that may be useful in the
production of biofuels.
Acquisition by Gene Transfer
Perhaps the simplest way in which a microorganism can
acquire some new metabolic function is by gene transfer
from another microorganism that already encodes that
function. For example, antibiotic resistance functions are
often encoded by plasmids, which are transmitted from
donors to recipients by conjugation. However, acquiring
new functions by gene transfer is not always so simple.
Biodegradation of certain recalcitrant compounds may
require the complex coordination of several steps in a
biochemical pathway, which are encoded by complemen-
tary genes from two (or more) different microorganisms.
The acquisition of activities that depend on such path-
ways may require not only genetic exchange, but also
subsequent refinement of the new function by mutation
and natural selection.
Changes in regulatory and structural genes
In a number of studies, microorganisms have been shown
to evolve new metabolic functions without any horizontal
gene exchange. The evolution of these new functions
often occurs by selection for mutations in existing regu-
latory or structural genes that previously encoded some
other function. For example, the bacterium Klebsiella aero-
genes cannot normally grow on the sugar D-arabinose,
although it does possess an enzyme, isomerase, that is
able to catalyze the conversion of D-arabinose into an
intermediate, D-ribulose, which can be further degraded
to provide energy to the cell. This isomerase is normally
expressed at a very low level that does not permit growth
on D-arabinose. Robert Mortlock and colleagues demon-
strated that mutations in regulatory genes that increase
the level of expression of this isomerase are sufficient to
enable K. aerogenes to grow on D-arabinose. They also
showed that the ability to grow on D-arabinose could be
further improved by certain mutations in the structural
gene that change the amino acid sequence of the isomer-
ase in ways that improve its efficiency in converting
D-arabinose into D-ribulose.
This study, as well as other experiments and compara-
tive analyses, show that the evolution of new metabolic
functions often involves ‘borrowing’ gene products that
were previously used for other functions. It is not surpris-
ing that this process may sometimes also encroach upon,
and disrupt, the previous function. Such encroachment
could, in turn, favor gene duplication, a type of mutation
whereby a single copy of an ancestral gene gives rise to
two copies, each of which may then evolve toward differ-
ent metabolic capabilities.
Evolution of Genetic Systems
The process of adaptation by natural selection requires
genetic variation in traits that influence the survival and
reproduction of organisms. As discussed earlier, the two
sources of genetic variation are mutation and mixis. Rates
of mutation and mixis depend not only on environmental
factors (e.g., ultraviolet irradiation), but also on properties
of the ‘genetic system’ intrinsic to the organism itself.
Here, genetic system refers to all those aspects of the
physiology, biochemistry, and reproductive biology of
an organism that affect rates of mutation and mixis. For
example, organisms have mechanisms of varying efficacy
to promote the accurate replication and repair of their
DNA. And while sex is an integral part of reproduction
for some organisms, many others reproduce asexually, so
that the progeny are usually identical to their parent and
siblings.
Some of the most interesting questions in evolutionary
biology concern the significance and evolutionary con-
sequences of alternative genetic systems. Why do some
organisms reproduce sexually, whereas others reproduce
asexually? If mutation generates variation that is neces-
sary for adaptation by a population, but most mutations
have deleterious effects on the individual, then what
mutation rate is optimal? Might organisms somehow be
able to choose only those mutations that are beneficial to
them, given their present circumstances?
Sexuality and Mixis
Sexual reproduction imposes several costs relative to
asexual reproduction. These costs include finding a
mate, the risk of disease transmission, and, in higher
organisms, the genetic dilution that occurs because a
female produces an offspring that carries only half of her
genes. Therefore, biologists have long sought to under-
stand the advantages for sexual reproduction that could
overcome these disadvantages. Numerous hypotheses
have been proposed, and all of them depend, in one way
or another, on the genetic variation that results from
mixis. Most efforts to test these hypotheses have relied
on comparing distributions of sexual and asexual
Evolution, Theory and Experiments with Microorganisms 449

organisms to find variables that correlate with reproduc-
tive mode. However, several experiments have tested the
evolutionary consequences of mixis using microbes in
which one can manipulate the extent of intergenomic
recombination.
For example, mixis in viruses can be experimentally
manipulated by varying the multiplicity of infection
(MOI) of host cells, since recombination of viral geno-
types can occur only if two or more viruses infect the
same host cell. An experimental study by Russell
Malmberg compared the rate of adaptive evolution in
bacteriophage populations propagated at high and low
MOI; the total number of viruses per population was
standardized for both treatments. The average fitness
increased more rapidly under the high-MOI (equal to
high recombination) treatment than under the low-MOI
(equal to low recombination) treatment. This result is
consistent with the hypothesis that sexual populations
can adapt more rapidly than asexual ones because two
or more beneficial mutations can be incorporated simul-
taneously in the former, but only sequentially in the latter.
Another experiment indicates that the benefit of mixis
in accelerating adaptive evolution may depend on the
environment. Matthew Goddard, Charles Godfray, and
Austin Burt compared the rate of fitness improvement in
evolving sexual and asexual populations of the yeast
S. cerevisiae. By deleting two genes in the yeast, they
were able to construct an asexual version that could not
undergo meiosis. They then established separate popula-
tions of sexual and asexual yeast in both harsh and benign
environments, and allowed the yeast to evolve for several
hundred generations. Neither sexual nor asexual strains
showed significant improvement in the benign environ-
ment, implying that they were already well adapted to
those conditions. However, both strains adapted to the
harsh environment, with the rate of improvement consis-
tently greater for the sexual than the asexual populations.
This experiment suggests, therefore, that genetic recom-
bination can be especially important for adaptation to
stressful and changing environments.
Some experiments have suggested that another advan-
tage of mixis may occur when the rate of deleterious
mutation is high and the effective population size is
very small. Such conditions may apply especially to
microorganisms with high error rates during replication
(e.g., RNA viruses) or those with large genomes (e.g.,
protozoa), if their populations experience periodic ‘bot-
tlenecks’. In these cases, deleterious mutations tend to
accumulate in asexual lineages, a process called
‘Muller’s ratchet’ (after the geneticist, H. J. Muller, who
first described this phenomenon). However, even occa-
sional mixis can purge lineages of their accumulated load
of deleterious mutations, as demonstrated by Lin Chao
and colleagues using a segmented RNA virus that infects
bacteria. This effect occurs because two recombining
genomes may each complement the deleterious mutations
that are present in the other, thereby generating some
progeny that have a reduced load of deleterious mutations
(as well as other progeny with an increased load, which
will be removed by natural selection).
In some cases, mixis might not be an adaptation to
recombine genes but rather a coincidental consequence of
the movement between cells of parasitic entities. In many
bacteria, for example, mixis occurs only when cells are
infected by viruses (transduction) or plasmids (conjuga-
tion). The new combinations of chromosomal genes that
sometimes result from such infections may occasionally
be advantageous. However, one cannot view phage and
plasmids as benevolent agents of bacterial carnal pleasure,
because these infectious agents often harm or even kill
their hosts.
Evolutionary Effects of Mutator Genes
‘ Mutator’ genes increase the mutation rate throughout an
organism’s genome by disrupting DNA repair functions.
Experiments performed by Lin Chao and others have
investigated the effect of mutator genes on bacterial evo-
lution. These studies have revealed a pattern that seems,
at first glance, rather curious. When a mutator gene is
introduced in a population above a certain initial fre-
quency (e.g., 0.1%), it tends to increase in frequency
over the long term. However, if that same gene is intro-
duced at a frequency below that threshold, then it
typically goes extinct.
What causes this curious effect? In a sense, there is an
evolutionary race between two clones, with and without
the mutator gene, to see which one gets the next beneficial
mutation. The rate of appearance of new mutations for
each clone depends on the product of its population size,
N, and its mutation rate, u. When the ratio of mutation rates
for the mutator and nonmutator clones, u9/u, is greater than
the inverse ratio of their population sizes, N/N9, then the
mutator clone is more likely to have the next beneficial
mutation and thus prevail over the long term. When u9/u,is
less than N/N9, the nonmutator clone, by virtue of its
greater numbers, is likely to produce the next beneficial
mutation and thereby exclude the mutator clone.
However, this explanation presents a problem for
understanding the evolution of mutators in nature,
where they are moderately prevalent in some circum-
stances. If mutator genes are useful only when they are
common, then how do they become common in the
first place? Mathematical models and evolution experi-
ments with bacteria indicate that a process called
‘hitchhiking’ can resolve this paradox. In hitchhiking,
a deleterious mutation (such as the one that disrupts
DNA repair) gets carried along to high frequency if it
is genetically linked to a beneficial mutation. In bac-
teria, which usually have a single chromosome and
450 Evolution, Theory and Experiments with Microorganisms

reproduce asexually, the entire genome is effectively
linked. Moreover, a mutator gene is more likely than
any other deleterious mutation to be associated with a
new beneficial mutation because of the high mutation
rate it causes. It is unlikely that any particular mutation
that produces a mutator will yield a beneficial mutation
that allows the mutator to hitchhike. Given enough
time, however, one ‘lucky’ mutator may do so, and
the mutator gene can then increase in frequency
by hitchhiking with the beneficial mutation that it
caused.
It has also been proposed that mutator genes may be
more common in pathogenic bacteria than in their
nonpathogenic counterparts. The idea is that patho-
genic bacteria face especially rapidly changing
selective conditions owing to immunological and other
host defenses. By having a high mutation rate, patho-
gens would have a better chance of evolving a
counterdefense. This explanation also fits well with
the hitchhiking hypothesis, because every change in
the host that favors a new mutation in the pathogen
population creates an opportunity for a mutator allele
to hitchhike to high frequency. By contrast, for an
organism living in a constant environment to which it
is already adapted, beneficial mutations would be much
rarer and hence there would be fewer opportunities for
a mutator gene to hitchhike. Antonio Oliver, Fernando
Baquero, Jesu
´sBla
´zquez, and colleagues examined the
frequency of mutator genes in samples of Pseudomonas
aeruginosa, a bacterial species that often causes chronic
(long-term) lung infections in people with cystic fibro-
sis. This same species is common in the environment,
and it can cause acute (short-term) infections in
patients with severe burns or otherwise weakened
immune systems. The authors documented a much
higher frequency of mutator clones in samples from
patients with chronic infections, which supports the
hypothesis that frequent changes in host immunity
and antibiotic regimens can promote the evolution of
high mutation rates.
An experimental study by Csaba Pal, Angus
Buckling, and colleagues examined the effect of viral
parasites on the evolution of mutation rates in bacteria.
They found that P. fluorescens that were coevolving in
environments with bacteriophage present were much
more likely to become mutators than were bacteria
that were evolving in the absence of the bacteriophage.
This study also supports the general hypothesis that
rapidly changing environments – including coevolving
parasites as well as hosts – can favor the evolution of
elevated mutation rates.
Thus, aspects of genetic systems that increase variation –
whether by mutation or mixis – may accelerate adaptive
evolution. On the other hand, mutation and mixis can also
break down genotypes that are already well adapted to
particular environments. The evolution of genetic sys-
tems may often reflect the balance between these
opposing pressures.
Directed Mutations?
The experiments of Luria and Delbru¨ck and the
Lederbergs demonstrated that mutations arose before bac-
teria were exposed to a selective agent, and thus the
mutations were not a response by the bacteria to that
agent. However, in 1988, John Cairns and colleagues called
into question the generality of random mutation in bac-
teria. Their paper and some other studies seemed to show
that certain mutations occurred only (or more often) when
the mutants were favored, and such mutations were called
‘directed’. However, several subsequent experiments indi-
cated that some of the evidence for directed mutation was
flawed or misinterpreted, and this subject became very
controversial. However, there is now widespread agree-
ment that the most radical hypotheses put forward to
explain this phenomenon – for example, a reverse flow of
information from the environment through proteins and
RNA back to the DNA – are incorrect.
Nonetheless, this controversy generated renewed
interest in bacterial mutation, especially the mechanisms
by which a cell might exercise some control over the
mutational process. Attention became focused on under-
standing the effects of stress, such as due to starvation, on
DNA repair and mutation, as well as the extent of varia-
tion among local DNA sequences in their mutability. For
example, numerous studies have documented unusually
high mutation rates in short repeated sequences (e.g.,
TTTT); the mutations are typically frameshift events
involving the loss or gain of a repeated element, and
they occur via the slippage of DNA strands during repli-
cation. These hypermutable sequences are not distributed
randomly throughout bacterial genomes. Rather, they are
found more often in genes encoding products (such as
fimbriae and lipopolysaccharides on the cell surface) that
are involved in pathogenicity and evasion of host immune
surveillance. This distribution suggests that bacteria have
evolved a simple but effective strategy to increase the
mutation rate in genes that help them cope with unpre-
dictable aspects of the environment, without inflating the
load of deleterious mutations in ‘housekeeping’ genes
whose products interact predictably with the environ-
ment. These mutations are apparently random insofar as
a particular mutation does not occur as a direct response
to an immediate and specific need, but they are nonran-
dom in their genomic distribution and may thereby
promote a more favorable balance between evolutionary
flexibility and conservatism.
Evolution, Theory and Experiments with Microorganisms 451

Further Reading
Baquero F, Nombela C, Cassell GH, and Gutie´ rrez JA (eds.) (2008)
Evolutionary Biology of Bacterial and Fungal Pathogens.
Washington, DC: ASM Press.
Bell G (1997) Selection: The Mechanism of Evolution. New York, NY:
Chapman & Hall.
Bohannan BJM and Lenski RE (2000) Linking genetic change to
community evolution: insights from studies of bacteria and
bacteriophage. Ecology Letters 3: 362–377.
Chadwick DJ and Goode J (eds.) (1997) Antibiotic Resistance: Origins,
Evolution, Selection and Spread. Chichester, UK: Wiley.
Chao L (1992) Evolution of sex in RNA viruses. Trends in Ecology and
Evolution 7: 147–151.
Dykhuizen DE and Dean AM (1990) Enzyme activity and fitness:
Evolution in solution. Trends in Ecology and Evolution 5: 257–262.
Elena SF and Lenski RE (2003) Evolution experiments with
microorganisms: The dynamics and genetic bases of adaptation.
Nature Reviews Genetics 4: 457–469.
Finkel SE (2006) Long-term survival during stationary phase:
Evolution and the GASP phenotype. Nature Reviews Microbiology
4: 113–120.
Futuyma DJ (2005) Evolution. Sunderland, MA: Sinauer.
Lenski RE (2000) Evolution: Fact and Theory. Washington, DC:
American Institute of Biological Sciences. http://
www.actionbioscience.org/evolution
Mayr E (1942) Systematics and the Origin of Species. New York, NY:
Columbia University Press.
Mortlock RP (ed.) (1984) Microorganisms as Model Systems for
Studying Evolution. New York, NY: Plenum.
Moxon ER, Rainey PB, Nowak MA, and Lenski RE (1994) Adaptive
evolution of highly mutable loci in pathogenic bacteria. Current
Biology 4: 24–33.
Rice WR (2002) Experimental tests of the adaptive
significance of sexual recombination. Nature Reviews Genetics
3: 241–251.
Sniegowski PD and Lenski RE (1995) Mutation and adaptation: The
directed mutation controversy in evolutionary perspective.
Annual Review of Ecology and Systematics 26: 553–578.
Travisano M and Velicer GJ (2004) Strategies of microbial cheater
control. Trends in Microbiology 12: 72–78.
452 Evolution, Theory and Experiments with Microorganisms

Exotoxins
J T Barbieri, Medical College of Wisconsin, Milwaukee, WI, USA
ª2009 Elsevier Inc. All rights reserved.
Defining Statement
Classification of Exotoxins
General Properties of Exotoxins
Conversion of Exotoxins into Toxoids
Therapeutic Applications of Exotoxins
Other Classes of Bacterial Toxins
Further Reading
Glossary
AB structure–function Structure–function
organization of most bacterial exotoxins; the A domain
comprises catalytic activity and the B domain
comprises the receptor-binding and the translocation
domains.
exotoxin A soluble protein produced by a
microorganism that can enter a host cell and catalyze
the covalent modification of a cellular component to
alter host cell physiology.
heat-stable enterotoxins Soluble peptides that are
secreted by bacteria, which bind to host cells and
stimulate a signal transduction pathway within the host
cell.
mechanism of action The specific reaction by which
each exotoxin catalyzes to covalently modify a host cell
component, such as the ADP-ribosylation of elongation
factor-2 by diphtheria toxin.
N-terminal and C-terminal Bacterial toxins are often
organized into distinct domains termed the amino-
terminal (N-terminal) domain and the carboxy-terminal
(C-terminal) domain based on their location within the
primary amino acid sequence of the toxin.
pore-forming toxins Soluble proteins that are
secreted by bacteria, which bind to the surface of the
host cell and oligomerize to form a pore to release
soluble components from the host cell.
post-translational modification A covalent
modification to a cellular component that occurs
subsequent to its synthesis.
proenzyme The form in which exotoxins are secreted
by bacteria; these are processed to exhibit catalytic
activity.
superantigens Soluble proteins that are secreted by
bacteria and bind to the major histocompatibility
complex of T lymphocytes. This stimulates
antigen-independent proliferation of T lymphocytes.
toxoid The detoxified form of an exotoxin that is used
for immunization. Conventional toxoiding is achieved
with chemicals such as formalin; genetic engineering
approaches have also been used to produce toxoids.
type III-secreted cytotoxins Soluble proteins that are
translocated into the host cell cytoplasm via a type III
secretion apparatus by host cell surface-bound
bacteria. Subsequent studies identified several
analogous secretion systems termed the type IV and
type V secretion systems that also deliver cytotoxins
from the bacterium.
vaccination The administration of an immunogen
(toxoid) to stimulate an immune response that protects
the host from infection by the microorganism that
produces the immunogen.
Abbreviations
ARF ADP-ribosylation factor
BT/TT Botulinum toxin and tetanus toxin
cGMP cyclic guanosine monophosphate
CNF cytotoxic necrotizing factor
CTL cytotoxic lymphocyte
EF edema factor
ETA exotoxin A
GM1 Ganglioside
LF lethal factor
LT heat-labile enterotoxin
NAD nicotinamide adenine dinucleotide
PA protective antigen
STa heat-stable enterotoxin a
453

Defining Statement
Exotoxins are a group of soluble proteins that are secreted
by the bacterium, enter host cells, and catalyze the cova-
lent modification of a host cell component(s) to alter the
host cell physiology. Both Gram-negative and Gram-posi-
tive bacteria produce exotoxins. A specific bacterial
pathogen may produce a single exotoxin or multiple exo-
toxins. Each exotoxin possesses a unique mechanism of
action, which is responsible for the elicitation of a unique
pathology. Thus, the role of exotoxins in bacterial patho-
genesis is unique to each exotoxin. Corynebacterium
diphtheriae produces diphtheria toxin, which is responsible
for the systemic pathology associated with diphtheria,
whereas Vibrio cholerae produces cholera toxin, which is
responsible for the diarrheal pathology associated with
cholera. Exotoxins vary in their cytotoxic potency, with
the clostridial neurotoxins being the most potent exotox-
ins of humans. Exotoxins also vary with respect to the host
that can be intoxicated. Exotoxin A (ETA) of Pseudomonas
aeruginosa can intoxicate cells from numerous species,
whereas other toxins, such as diphtheria toxin, are more
restricted in the species that can be intoxicated. Some
bacterial toxins, such as pertussis toxin, can intoxicate
numerous cell types, whereas other toxins, such as the
clostridial neurotoxins, show a specific tropism and intox-
icate only cells of neuronal origin. Bacterial exotoxins
catalyze specific chemical modifications of host cell com-
ponents, such as the ADP-ribosylation reaction catalyzed
by diphtheria toxins or the deamidation reaction catalyzed
by the cytotoxic necrotizing factor (CNF) produced by
Escherichia coli. These chemical modifications may either
inhibit or stimulate the normal action of the target mole-
cule to yield a clinical pathology. Bacterial exotoxins
possess an AB structure–function organization, in which
the A domain represents the catalytic domain and the B
domain comprises the receptor-binding domain and the
translocation domain. The translocation domain is respon-
sible for the delivery of the catalytic A domain into an
intracellular compartment of the host cell.
Many bacterial exotoxins can be chemically modified
to toxoids that no longer express cytotoxicity, but retain
immunogenicity. Bacterial toxins can also be genetically
engineered to toxoids, which may lead to a wider range of
vaccine products. Exotoxins have also been used as ther-
apeutic agents to correct various disorders, including the
treatment of muscle spasms by botulinum toxin (BT).
Nontoxic forms of exotoxins have been used as carriers
for the delivery of heterologous molecules to elicit an
immune response and as agents in the development of
cell-specific chemotherapy. In addition, bacterial toxins
have been used as research tools to assist in defining
various eukaryotic metabolic pathways, such as G pro-
tein-mediated signal transduction.
Classification of Exotoxins
Exotoxins are soluble proteins produced by microorgan-
isms that can enter a host cell and catalyze the covalent
modification of a cellular component(s) to alter host cell
physiology. The term ‘host cell’ refers to either vertebrate
cells or cells of lower eukaryotes, such as protozoa,
because some bacterial exotoxins intoxicate a broad
range of host cells. The recognition that some pathogenic
bacteria produced soluble components capable of produ-
cing the pathology associated with a particular disease
was determined in the late nineteenth century. Roux and
Yersin observed that culture filtrates of Corynebacterium
diphtheriae were lethal in animal models and that the
pathology elicited by the culture filtrate was similar to
that observed during the infection by the bacterium.
Subsequent studies isolated a protein, diphtheria toxin,
from the toxic culture filtrates and showed that the
administration of purified diphtheria toxin into animals
was sufficient to elicit the pathology ascribed to
diphtheria. Diphtheria toxin is a prototype exotoxin and
has been used to identify many of the biochemical and
molecular properties of bacterial exotoxins.
The ability of a bacterial pathogen to cause disease
frequently requires the production of exotoxins, but the
mere ability to produce a toxin is not sufficient to cause
disease. Cholera toxin is the principal virulence factor of
Vibrio cholerae. Administration of micrograms of purified
cholera toxin to human volunteers elicits a diarrheal dis-
ease that mimics the magnitude of the natural infection.
Nonetheless, nonvirulent toxin-producing strains of
V. cholerae have been isolated and shown to lack specific
biological properties, such as motility or chemotaxis.
Similarly, although anthrax toxin is the principal toxic
component of Bacillus anthracis, nonvirulent toxin-produ-
cing strains of B. anthracis have been isolated and shown to
lack the ability to produce a polyglutamic acid capsule.
An exception to this generalization is the intoxication
elicited by the botulinum neurotoxins, in which ingestion
of the preformed toxin is responsible for the elicitation of
disease; food poisoning by botulinum neurotoxins is an
intoxication rather than an infection by a toxin-producing
strain of Clostridium botulinum.
Bacterial exotoxins are classified according to their
mechanisms of action. The covalent modifications of host
cell components, which are catalyzed by bacterial exotox-
ins, include ADP-ribosylation, deamidation, depurination,
endoproteolysis, and glucosylation (Table 1). Most cellu-
lar targets of bacterial exotoxins are proteins, although
there are exceptions such as Shiga toxin, which catalyzes
the deadenylation of ribosomal RNA. In addition to exo-
toxins, there are several other classes of toxins that are
produced by bacterial pathogens, including the pore-
forming toxins, type III-secreted cytotoxins, heat-stable
454 Exotoxins

Table 1 Properties of representative bacterial exotoxins
Modification Exotoxin Bacterium AB Target Contribution to pathogenesis
ADP-
ribosylation
Diphtheria toxin Corynebacterium
diphtheriae
AB Elongation factor-2 Inhibition of protein synthesis
Exotoxin A Pseudomonas aeruginosa AB Elongation factor-2 Inhibition of protein synthesis
Cholera toxin Vibrio cholerae AB5 GsInhibition of GTPase activity
Heat-labile enterotoxin Escherichia coli AB5 GsInhibition of GTPase activity
Pertussis toxin Bordetella pertussis AB5 GiUncouple signal transduction
C2 toxin Clostridium botulinum A–B Actin Actin depolymerization
ExoS P. aeruginosa A (type III
delivered)
Multiple targets including Ras Uncoupling of Ras signal transduction
ExoT P. aeruginosa A (type III
delivered)
Crk Uncoupling of Rac signal transduction
SpvB Salmonella A (type III
delivered)
Actin Disruption of the actin cytoskeleton
Glucosylation Lethal toxin Clostridium sordelli AB Ras Inhibition of effector interactions
Toxin A and B Clostridium difficile AB RhoA Inhibition of Rho signaling
Endoprotease Lethal toxin (anthrax
toxin)
Bacillus anthracis A–B MAP kinase Cell death
Botulinum toxin (A–G) C. botulinum AB SNARE proteins Inhibition of vesicle fusion in neurons (flaccid
paralysis)
Tetanus toxin Clostridium tetani AB Vesicle-associated membrane
protein
Inhibition of vesicle fusion in neurons (spastic
paralysis)
Deamidation Cytotoxic necrotizing
factor
E. coli AB RhoA Stimulation of RhoA
Deadenylation Shiga toxin Shigella spp. AB5 28S ribosome Inhibition of protein synthesis
Verotoxin E. coli AB5 28S RNA Inhibition of protein synthesis
Adenylase
cyclase
Adenylate cyclase toxin B. pertussis AB cAMP production Uncouple cell signaling
Edema toxin (anthrax
toxin)
B. anthracis A–B cAMP production Uncouple cell signaling
ExoY P. aeruginosa A (type III
delivered)
cAMP production Uncouple cell signaling
RhoGAP SptP Salmonella spp. A (type III
delivered)
Inhibition of RhoGTPase function Inhibition of phagocytosis
YopE Yersinia A (type III
delivered)
Inhibition of RhoGTPase function Inhibition of phagocytosis
ExoS P. aeruginosa A (type III
delivered)
Inhibition of RhoGTPase function Inhibition of phagocytosis

enterotoxins, and superantigens. Each of these toxins fails
to perform one of the properties associated with exotoxins.
The pore-forming toxins are not catalytic in their action
but instead disrupt cell physiology through the formation
of pores in the host cell plasma membrane. The type III-
secreted cytotoxins cannot enter host cells as soluble pro-
teins but instead are injected directly into the host cell by
the type III secretion apparatus of the cell-bound bacter-
ium. The heat-stable enterotoxin and superantigens do not
enter the intracellular compartment of the host cell and
elicit host cell responses by triggering signal transduction
pathways upon binding to the host cell membrane. In this
article, initial emphasis is placed on the molecular proper-
ties of bacterial exotoxins, with a subsequent description
of the general properties of pore-forming toxins, type
III-secreted cytotoxins, heat-stable enterotoxins, and
superantigens.
The pathology elicited by a specific exotoxin results
from the catalytic covalent modification of a specific host
cell component. Although diphtheria toxin and cholera
toxin are both bacterial ADP-ribosylating exotoxins, the
pathogenesis elicited by each exotoxin is unique. This is
due to the fact that diphtheria toxin ADP-ribosylates
elongation factor-2, resulting in the inhibition of protein
synthesis and subsequent cell death, whereas cholera
toxin ADP-ribosylates the Gs component of the hetero-
trimeric protein, which stimulates the activity of
adenylate cyclase. The stimulation of adenylate cyclase
elevates intracellular cAMP and the subsequent secretion
of electrolytes and H
2
O from the cell, resulting in the
clinical manifestations of cholera.
General Properties of Exotoxins
Genetic Organization of Exotoxins
The genes encoding bacterial exotoxins may be located
on the chromosome or located on an extrachromosomal
element, such as a plasmid or a bacteriophage. Elegant
experiments characterizing diphtheria toxin showed that
the gene encoding this exotoxin was located within the
genome of the lysogenic phage. Although both nonlyso-
genic and lysogenic strains of C. diphtheriae could establish
local upper respiratory tract infection, only strains of
C. diphtheriae lysogenized with -phage that encoded
diphtheria toxin were capable of eliciting systemic dis-
ease. This established a basic property for the pathology
elicited by bacteria that produce exotoxins; bacteria
establish a localized infection and subsequently produce
an exotoxin, which is responsible for pathology being
distanced from the site of infection.
Most exotoxins are produced only during specific
stages of growth, with the molecular basis for the regula-
tion of toxin expression varying with each bacterium.
This differential expression often reflects a complex
regulation of transcription, including responses to envir-
onmental conditions, such as iron. Multisubunit toxins are
often organized in operons to allow the coordinate
expression of their subunit components.
Secretion of Exotoxins from the Bacterium
Most bacteria secrete exotoxins across the cell membrane
by the type II secretion pathway. The secretion of exo-
toxins by the type II secretion pathway was predicted by
determining that the N-terminus of mature exotoxins had
undergone proteolysis relative to the predicted amino
acid sequence derived from the gene sequence encoding
the exotoxin. Type II secretion is also called the general
secretion pathway. Type II secretion involves the coordi-
nate translation and secretion of a nascent polypeptide
across the cell membrane. During the translation of the
mRNA that encodes a type II-secreted protein, the nas-
cent polypeptide encodes an N-terminal leader sequence
that is targeted to and secreted across the cell membrane.
After secretion across the cell membrane, the nascent
protein folds into its native conformation and the leader
sequence is cleaved by a periplasmic leader peptidase to
yield a mature exotoxin.
Some Gram-negative bacteria export the assembled
exotoxin from the periplasm into the external environment
via a complex export apparatus. While the heat-labile
enterotoxin (LT) of Escherichia coli remains
localized within the periplasmic space, V. cholerae and
Bordetella pertussis assemble their respective exotoxins,
cholera toxin and pertussis toxin, within the periplasm
and then transport the mature exotoxin into the external
environment. Although the multiple protein components
of the export apparatus have been identified, the exact
mechanism for export across the outer membrane remains
to be resolved.
Bacteria Produce and Secrete Exotoxins as
Proenzymes
Although one property of a bacterial exotoxin is the
ability to intoxicate sensitive cells, early biochemical stu-
dies observed that, in vitro, many bacterial exotoxins
possessed little intrinsic catalytic activity. These perplex-
ing observations were resolved by determining that
bacteria produce and secrete exotoxins as proenzymes,
which must be activated (processed) to express catalytic
activity in vitro. Because exotoxins intoxicate sensitive
cells, the requirements for in vitro activation reflect the
activation steps in vivo. Each exotoxin requires specific
conditions for activation, including proteolysis, disulfide
bond reduction, or association with a nucleotide or a
eukaryotic accessory protein. Some activation processes
result in the release of the catalytic A domain from the B
domain, whereas other activation processes appear to
456 Exotoxins

result in a conformational change in the catalytic A
domain, rendering it catalytically active. Some exotoxins
require sequential activation steps. Diphtheria toxin is
activated by limited proteolysis, followed by disulfide
bond reduction.
The determination of the activation mechanism of
exotoxins has also provided insight into several physiolo-
gical pathways of host cells. The eukaryotic protein,
ADP-ribosylation factor (ARF), which activates cholera
toxin in vitro, was subsequently shown to play a central
role in vesicle formation within the eukaryotic cell. The
ability of a host cell extract to activate cholera toxin is
often used as a sign of the presence of ARF. Cholera toxin
is activated through a series of steps where the catalytic
domain of the toxin is cleaved into A1 and A2 fragments.
The A1 fragment binds ARF, which activates the protein
to ADP-ribosylate the alpha subunit of the heterotrimeric
G
s
protein to uncouple cAMP regulation within the host
cell. Characterization of the mechanisms that pertussis
toxin and cholera toxin use to intoxicate eukaryotic cells
has provided insight into the pathways for eukaryotic G
protein-mediated signal transduction. The ability of per-
tusis toxin to inhibit the action of a ligand in a signal
transduction pathway is often used to implicate a role for
G proteins in that signaling pathway.
AB Structure–Function Properties of Exotoxins
Most bacterial exotoxins possess AB structure–function
properties (Figure 1). The A domain is the catalytic
domain, whereas the B domain includes the translocation
and binding domains of the exotoxin. Exotoxins are
organized into one of several general types of AB organi-
zation. The simplest AB organization is represented by
diphtheria toxin, in which the A domain and B domain are
contained in a single protein. Diphtheria toxin is the
prototype for this class of AB exotoxin. Diphtheria toxin
is a 535-amino acid protein in which the N-terminus
constitutes the ADP-ribosyltransferase domain and the
C-terminus comprises the translocation domain and
receptor-binding domain. The AB5 exotoxins are com-
posed of six proteins that are noncovalently associated as
an oligomer. Cholera toxin is the prototype for the AB5
exotoxin. The A domain of cholera toxin constitutes the
ADP-ribosyltransferase domain, whereas the B5 domain
is composed of five identical proteins, forming a penta-
mer. This is organized into a ring structure, on which the
A domain is positioned. The five proteins that make up
the B domain may be identical, as is the case for cholera
toxin and the LT of E. coli, or may be different proteins
that form a nonsymmetrical ring structure, as observed
with the B oligomer of pertussis toxin.
The third class of AB exotoxin is composed of proteins
that are not associated in solution, but associate following
the binding and processing of the B domain to the host
cell. C2 toxin is an example of this class of A–B exotoxin.
C2 toxin is a bipartile exotoxin composed of a protein that
encodes the catalytic A domain and a separate protein
that encodes the B domain. The A domain C2 toxin ADP-
ribosylates actin. The B domain protein of C2 binds to
sensitive cells and is nicked by a eukaryotic protease. The
processed B components oligomerize and are then cap-
able of binding either of the A domain proteins. Anthrax
toxin is a major virulence factor of B. anthracis. Like the
C2 toxin, anthrax toxin is organized as an AB exotoxin
that is composed of two unique A domains (edema factor
(EF), an adenylate cyclase; lethal factor (LF), a zinc
protease) and a B domain (termed the protective antigen
(PA)), which are not associated in solution. The A
domains associate with the B domain subsequent to the
binding and the oligomerization of the B domain on the
surface of sensitive host cells. Recent studies observed
that three A domains can bind to each heptameric B
domain on the host cell surface.
Although the A domain possesses the catalytic activity
of the exotoxin, the B domain possesses two specific
functions, receptor binding and translocation capacity.
Each exotoxin uses a unique host cell surface component
as a receptor. The cell surface receptor for each exotoxin
may be specific. The cell surface receptor for cholera
toxin is the ganglioside (GM1) whereas diphtheria toxin
binds directly to the epidermal growth factor precursor.
In contrast, the binding of pertussis toxin appears to be
less specific, as pertussis toxin is able to bind numerous
cell surface proteins. The ability to bind its cell surface
A
A
B
AB5
AB
A–B
B
BBB
A
B
B
Figure 1 Bacterial exotoxins possess AB structure–function
organization. There are three general AB organizations of
bacterial exotoxins. The A domain (red) represents the catalytic
domain whereas the B domain comprises the translocation and
receptor-binding domains (brown). AB5 is represented by
cholera toxin of Vibrio cholerae, which is composed of six
noncovalently associated proteins. AB is represented by
diphtheria toxin of Corynebacterium diphtheriae, in which the A
domain and the B domain are included in a single protein. A–B is
represented by anthrax toxin of Bacillus anthracis, which is
composed of two nonassociated proteins; the two proteins
associate after the binding and processing of the B component
on the host cell membrane.
Exotoxins 457

receptor is an absolute requirement for an exotoxin to
intoxicate a host cell because the deletion of the receptor-
binding domain renders the exotoxin essentially noncy-
totoxic. After binding to the cell surface, some exotoxins
are proteolytically processed or are processed during
endocytic vesicle transport.
The second function of the B domain includes trans-
location capacity, which is responsible for the delivery of
the A domain across the cell membrane. The presence of a
translocation domain was predicted from early structure–
function studies of diphtheria toxin, which showed that in
addition to the catalytic domain and receptor-binding
domain, a third function was required for the efficient
expression of cytotoxicity. This third function was subse-
quently shown to correspond to a region of diphtheria
toxin that had the propensity to interact with membranes.
The crystal structure of diphtheria toxin revealed the
presence of three distinct domains, representing the cat-
alytic, translocation, and receptor-binding functions.
Exotoxins Enter Host Cells via Distinct
Pathways
Although A domain translocation is one of the least
understood aspects of the intoxication process of exotox-
ins, there are several general themes that are involved in
translocation of the A domain across the cell membrane.
One translocation mechanism uses a pH gradient within
the endosome to stimulate protein conformational
changes in the B domain, making it competent to interact
with the endocytic vesicle. After insertion into the endo-
cytic membrane, the B domain generates a pore that is
believed to be involved in the translocation of the A
domain across the vesicle membrane in an unfolded
form. After the translocation across the endocytic mem-
brane, the A domain refolds to its native conformation.
Subsequent to translocation of the A domain across the
vesicle membrane, glutathione may reduce the disulfide
that connects the A domain with the B domain and release
the A domain into the cytoplasm. The potency and cata-
lytic potential of exotoxins was demonstrated by the
observation that the introduction of one molecule of the
catalytic domain of diphtheria toxin into the intracellular
cytoplasm was sufficient to inhibit host cell physiology,
resulting in cell death.
Other toxins, such as cholera toxin and exotoxin A
(ETA) of Pseudomonas aeruginosa, appear to use retrograde
transport to enter the interior regions of the cell.
Movement appears to occur through retrograde transport
from the endosome to the Golgi apparatus and ultimately
to the endoplasmic reticulum. Many exotoxins that are
ultimately delivered to the endoplasmic reticulum pos-
sess a KDEL (Lys-Asp-Glu-Leu)-like retention signal
sequence on their C-terminus. Although the details for
the actual transport pathway remain to be determined,
studies with chimeric proteins have shown that the intro-
duction of a KDEL retention sequence is sufficient to
retrograde transport a protein, which is normally deliv-
ered only to the early endosome, into the endoplasmic
reticulum. Thus, there is physiological precedence for the
use of the KDEL sequence to retrograde transport exo-
toxins toward the endoplasmic reticulum. One of the basic
questions concerning the intoxication process of these
exotoxins is the actual mechanism of translocation and
whether or not eukaryotic proteins assist in the transloca-
tion process. Recent studies on the translocation process
of anthrax toxin support the direct translocation of the A
domain through a stable, gated channel formed by the
heptameric B domain.
Covalent Modification of Host Cell Components
by Exotoxins
Exotoxins use several unique mechanisms to covalently
modify host cell components. The major classes of reac-
tions are the covalent addition of a chemical group to the
target protein, the cleavage of a chemical group from a
target protein, and the endoproteolytic cleavage of a
peptide bond of the target protein.
The ADP-ribosylation of host proteins is the prototype
mechanism of action of bacterial exotoxins. Numerous
bacterial exotoxins catalyze the ADP-ribosylation of
specific host proteins and elicit physiological changes. In
the ADP-ribosylation reaction, exotoxins use the oxidized
form of nicotinamide adenine dinucleotide (NAD) as the
substrate and transfer the ADP-ribose portion of NAD to a
specific amino acid via an N-glycosidic linkage of ADP-
ribose onto the host target protein. The specific type of
amino acid that is ADP-ribosylated within the target pro-
tein varies with the specific exotoxin. ADP-ribosylation
may either inactivate or stimulate the activity of the target
protein. Diphtheria toxin ADP-ribosylates elongation
factor-2 on a post-translationally modified histidine
residue called diphthamide. ADP-ribosylated elongation
factor-2 is unable to perform its translocation of nascent
polypeptides in the ribosome, which results in the inhibi-
tion of protein synthesis and subsequent cell death. In
contrast, cholera toxin ADP-ribosylates the Gs component
of a heterotrimeric G protein. ADP-ribosylated Gs is
locked in an active conformation, which results in the
stimulation of adenylate cyclase and the subsequent eleva-
tion of intracellular cAMP. Likewise, deamidation of
Gln63 in RhoA by E. coli cytotoxic necrotizing factor
(CNF) results in a constitutively active RhoA protein.
Note that although most host targets for exotoxins are
proteins, Shiga toxin catalyzes the deadenylation of a
specific adenine on 28S RNA.
Recall that each exotoxin modifies a specific host cell
component, which is responsible for the specific pathol-
ogy elicited by that exotoxin. Although there are no
458 Exotoxins

absolute rules for the types of proteins targeted for cova-
lent modification, the most frequent targets are the
nucleotide-binding proteins that are involved in signal
transduction pathways, including both the heterotrimeric
G proteins and the small molecular weight GTP-binding
proteins of the Ras superfamily. It is not clear whether this
class of host protein is targeted for modification due to the
presence of a common structural motif or due to its
critical role in host cell metabolism.
Molecular and Structural Properties of Bacterial
Exotoxins
Early biochemical studies provided significant advances
in defining the structure–function properties of exotoxins,
resolving many of the exotoxin mechanisms of action and
developing the concept that exotoxins have AB organiza-
tion. Molecular genetics and structural biology have
extended earlier studies and provided a more detailed
understanding of the biochemical and molecular
relationships among the exotoxins. The biochemical
characterization of diphtheria toxin and ETA of P. aerugi-
nosa showed that these two exotoxins catalyzed kinetically
identical reactions during the ADP-ribosylation of elonga-
tion factor-2. In addition, both diphtheria toxin and ETA
were shown to possess an active site glutamic acid, which
was subsequently shown to be a signature property of
exotoxins that catalyze the ADP-ribosyltransferase reac-
tion. These observations predicted that ADP-ribosylating
exotoxins would possess considerable primary amino acid
homology. Thus, the determination that the genes encod-
ing diphtheria toxin and ETA shared little primary amino
acid homology was unexpected. This paradox was resolved
after the analysis of the three-dimensional structures of
ETA and the LT of E. coli and subsequently confirmed
with diphtheria toxin. The three-dimensional structures of
ETA and LT showed little similarity in their respective
receptor-binding domains and translocation domains; how-
ever, the catalytic domains of ETA and LT, which are
composed of seven discontinuous regions of each protein,
could be superimposed on each other despite possessing
homology at only 3 of the 43 amino acids. One of the
homologous amino acids in ETA and LT was the signa-
ture active site glutamic acid. This was a remarkable
finding because ETA and LT ADP-ribosylate different
host target proteins and possess different AB organization.
A common theme has evolved for describing the struc-
ture–function properties of this family of bacterial
exotoxins in which the ADP-ribosylating exotoxins
possess a conserved three-dimensional structure in their
active sites, despite the lack of primary amino acid homol-
ogy. These findings have provided a framework for the
study of other classes of exotoxins produced by divergent
groups of bacteria.
Conversion of Exotoxins into Toxoids
Chemical Detoxification of Bacterial Exotoxins
Shortly after the determination that toxic components
were associated with bacterial pathogens, several studies
showed that cell extracts or cell cultures of a pathogen
could be treated with chemical denaturants, such as for-
malin, to produce nontoxic immunogenic material that
could prevent disease upon subsequent exposure to that
pathogen. In the case of diphtheria toxin and tetanus toxin
(TT), chemical modification with formalin produced tox-
oids that were used as acellular vaccines in large-scale
immunizations. This resulted in a remarkable decrease in
the incidence of both diphtheria and tetanus within the
populations that were immunized. In areas where these
toxoids are not administered, diphtheria and tetanus
remain clinically important diseases. In addition to for-
malin, other chemicals have been used to detoxify
bacterial exotoxins, including glutaraldehyde and hydro-
gen peroxide. In contrast, the chemical toxoiding of other
exotoxins, such as cholera toxin and pertussis toxin, has
been more difficult because the treatment of these toxins
with denaturants often results in a reduction of immuno-
genicity. Thus, there is a need to develop alternative
strategies, such as genetically engineered and subunit
vaccines, to eliminate the cytotoxicity of certain exotox-
ins without compromising their immunogenicity.
Genetic Detoxification and Subunit Vaccines
of Bacterial Exotoxins
Developments in genetic engineering have provided an
opportunity to produce recombinant forms of bacterial
exotoxins that possess greatly reduced toxicity, but retain
immunogenicity. The use of genetic engineering to develop
a toxoid of pertussis toxin has been successful. The whole-
cell pertussis vaccine is composed of a chemically treated
preparation of B. pertussis, which is effective in the elicitation
of a protective immune response after mass immunization.
However, the whole-cell pertussis vaccine is acutely reac-
tive when administered to children because of the crude
nature of the vaccine that includes endotoxin. Recently, a
component pertussis vaccine has been developed that is
administered with diphtheria toxoid and tetanus toxoid
(termed the DTPa vaccine), which produces fewer adverse
reactions in children than the whole-cell pertussis vaccine.
The reactivity of the acellular pertussis vaccine is so low
that administration of this vaccine in adults is nearing
approval, an important development as adults are consid-
ered a primary carrier of B. pertussis. Pertussis toxin, a
primary virulence determinant of B. pertussis, is an exotoxin
that ADP-ribosylates the Gi component of heterotrimeric
G proteins and effectively uncouples signal transduction
between the G protein-coupled receptor and the G protein.
Exotoxins 459

Genetically engineered forms of pertussis toxin have been
produced that possess essentially no catalytic activity or
cytotoxicity, but that maintain native conformation and
elicit a protective immune response when used as an immu-
nogen. These recombinant noncytotoxic forms of pertussis
toxin have been engineered with multiple mutations in
their active site, virtually eliminating the risk of reversion
to a cytotoxic form. Similar strategies are being applied to
other bacterial exotoxins with the goal of engineering acel-
lular vaccine candidates.
Subunit vaccines represent another approach to devel-
oping safe and efficient vaccines. This strategy implies
that a domain of the exotoxin can be identified that elicits
a protective immune response against exotoxin challenge
in the host. One example of vaccination is the develop-
ment of a subunit vaccine against botulism. Botulism is a
toxin-mediated disease elicited by botulinum toxin (BT).
BT is the most toxic protein for humans and is an AB
toxin (Figure 2). Recent studies have shown that immu-
nization with the C-terminal portion of the B domain
stimulates a protective immune response against chal-
lenge by BT. Recombinant forms of this C-terminal B
domain have been produced in yeast and E. coli and
represent the next generation of botulism vaccine.
Therapeutic Applications of Exotoxins
One of the most exciting areas of bacterial exotoxin
research has been the development of strategies to use
exotoxins in therapeutic disciplines. Some therapies use
the native cytotoxic form of the exotoxin. Other therapies
use either the A or B domain, which is conjugated to a
heterologous binding component or to effector elements,
respectively, to produce a chimeric molecule with direc-
ted properties.
Botulinum toxin and tetanus toxin (BT/TT) are each
a single protein that is organized as an AB exotoxin. The
N-terminus of BT/TT expresses endoprotease activity
within neurons, which results in the paralysis associated
with botulism and tetanus, and constitutes the A domain,
whereas the B domain possesses neuron-specific recep-
tor-binding activity. The specific association of the B
domain with neuronal cells is responsible for the clinical
manifestation of these neurotoxins. BT/TT appear to
enter neuronal cells by receptor-mediated endocytosis
and deliver the A domain to the cytosol, where the A
domain catalyzes the endoproteolytic cleavage of host
SNARE proteins that are involved in vesicle fusion. BT
can be introduced into the muscles surrounding the eye to
temporarily reduce muscle spasms associated with several
clinical disorders, such as blepharospasm, an involuntary
contraction of eye muscles. This application for BT has
been expanded and this toxin represents one of the most
widely used therapeutic agents in clinical medicine. In
contrast, the extreme potency of BT to humans has made
this a potential agent for malicious application.
Diphtheria toxin has been used as a carrier to stimulate
an immune response against several epitopes. One epitope
is polyribitolphosphate, a component of the polysaccharide
capsule of Haemophilus influenzae type b (Hib). Early
attempts to elicit an effective immune response to purified
Hib antigen resulted in the production of a T-cell-inde-
pendent immune response that did not yield an effective
memory. A noncatalytic mutant of diphtheria toxin,
CRM197, has been used as a carrier for the Hib epitope.
Immunization with the CRM197–Hib conjugate yielded a
strong T-dependent immune response. Mass immuniza-
tion with Hib conjugates has resulted in a dramatic
reduction in the number of cases of Hib in the immunized
population.
Due to their potency, the catalytic A domain of exo-
toxins have been used in the construction of chimeric
immunotoxins that are designed to target cancer cells.
Early studies used conjugates that were composed of the
A domain of the diphtheria toxin coupled to an antibody
that recognized a cell surface-specific antigen. The A
Catalytic Translocation
S–S
S–S
SH
SH
Translocation
Translocation Binding
Binding
Binding
Catalytic
Catalytic
Figure 2 Bacterial exotoxins are produced as proenzymes.
upper panel – Most bacterial exotoxins are produced as
proenzymes that undergo processing to express catalytic
activity. The sequential processing of botulinum toxin involves
protein cleavage between the catalytic A domain (red) and the
translocation (green) and receptor-binding (yellow) B domain.
The A and B domains are connected by a disulfide bond, which is
reduced as the A domain is translocated into the host cytoplasm
by agents such as reduced glutathione. Lower panel – A ribbon
diagram of botulinum neurotoxin is shown (Protein Data Bank No.
3BTA). The catalytic A domain (red) is linked to the translocation
(green)/receptor-binding (yellow) B domain.
460 Exotoxins

chain of the diphtheria toxin was used in the first genera-
tion of immunotoxins because it was shown to possess
impressive cytotoxic potential when introduced into the
cytosol of eukaryotic cells. Introduction of a single mole-
cule of the A chain of diphtheria toxin into the cytosol is
sufficient to kill that cell. In cell culture, these chimeras
have proven to be both potent and antigen specific.
Anthrax toxin is a bipartite toxin composed of two
nonassociated proteins. The B component of anthrax
toxin, termed PA, binds sensitive cells, where PA is pro-
cessed and undergoes oligomerization to form a
heptameric structure on the cell surface. The PA hepta-
mer can bind either of two A domains that are secreted
from B. anthracis independent of PA, LF, or EF. These
A–B toxin complexes enter cells via receptor-mediated
endocytosis, and the A domain is translocated into the
host cell cytosol upon acidification in the early endosome.
A truncated, noncytotoxic form of LF has been used to
deliver epitopes into antigen-presenting cells to elicit a
cytotoxic lymphocyte (CTL) response. In this nontoxic
anthrax delivery system, PA is added to antigen-present-
ing cells with a nontoxic LF–CTL epitope chimera for
antigen presentation. One of the more attractive aspects of
this CTL epitope delivery system is that small amounts of
PA are required to present antigen. Ongoing research
involves the determination of clinical situations for the
use of these chimeras in a therapeutic arena.
Other Classes of Bacterial Toxins
Pore-Forming Toxins
The lack of a catalytic A domain differentiates the pore-
forming toxins from exotoxins. Thus, the pathology asso-
ciated with pore-forming toxins is due solely to the
generation of a pore within the membrane of the host
cell. Several bacterial pathogens produce pore-forming
toxins, some of which are secreted by a type I secretion
pathway. Unlike type II-secreted proteins, the N-terminus
of type I-secreted proteins is not processed. Type I-
secreted proteins possess a polyglycine signal sequence
in the C-terminus of the mature toxin. There are several
classes of pore-forming toxins, including members of the
hemolysin family of pore-forming toxins, the aerolysin
family of pore-forming toxins, and the -toxin of
Staphylococcus aureus. Host cell specificity differs among
pore-forming toxins. The crystal structures of several of
the pore-forming toxins have been determined. The
molecular events generating a pore in the membrane of
a host cell have been proposed for the aerolysin family of
pore-forming toxins. Aerolysin is exported by Aeromonas
hydrophilia as a monomeric molecule, which binds to the
host cell. The monomer is proteolytically processed and
subsequently undergoes oligomerization. The oligomer-
ized complex is inserted into the membrane and generates
a pore in the center of the complex, causing the release of
the cytoplasmic components of the host cell.
Type III-Secreted Cytotoxins
The lack of a B domain differentiates the type III-secreted
cytotoxins from exotoxins. Thus, the organization of the
type III-secreted cytotoxins may be represented as A
domains that are specific effector proteins. Type III-
secreted cytotoxins are transported directly into the host
cells by cell surface-bound bacteria. Type III secretion of
bacterial proteins is a recently defined pathway for the
delivery of proteins into the cytoplasm of host cells. Type
III-secreted proteins were initially recognized by the fact
that the secreted mature cytotoxins were unique to pro-
teins secreted by either the type I or the II secretion
pathways, whereas the N-terminus of type III-secreted
proteins is not processed nor is there a polyglycine motif
in their C-terminus. Although it is clear that a complete
type III secretion apparatus is required for the transport of
type III-secreted proteins into the host cytoplasm, the
mechanism for the delivery of type III-secreted proteins
across the host cell membrane remains to be resolved.
Numerous bacteria have been shown to possess type III
secretion pathways, including members of the genera
Escherichia, Pseudomonas, Shigella, Salmonella, and Yersinia.
Cytotoxicity elicited by type III-secreted cytotoxins has
an absolute requirement for the type III secretion appa-
ratus of the bacterium, as purified forms of the cytotoxins
are not toxic to host cells.
The A domains of type III-secreted cytotoxins cata-
lyze several unique mechanisms of action, including the
depolymerization of the actin cytoskeleton, phosphatase
activity, ADP-ribosyltransferase activity, and the stimula-
tion of apoptosis. Each type III secretion apparatus
appears capable of delivering numerous type III-secreted
proteins into the host cell. Recent studies have identified
additional secretion systems that use bacteria to translo-
cate proteins across the bacterial cell envelope. The type
IV secretion system utilizes an apparatus that is evolutio-
narily related to the apparatus used by bacteria for DNA
transfer between bacteria. The type IV secretion appara-
tus has several applications: In B. pertussis, type IV
secretion is used to transfer pertussis toxin from the
periplasm across the cell envelope into the extracellular
environment, whereas in Agrobacterium tumefaciens, the
type IV secretion system is used to inject effector mole-
cules directly into the host cells. The type V secretion
system is an autotransporter system in which a protein is
composed of a catalytic domain that is transported across
the bacterial cell envelope by another component of the
protein termed the autotransporter domain. There are
numerous type V-secreted proteins with VacA, a viru-
lence factor of Helicobacter pylori, one of the most noted
examples of a type V-secreted protein.
Exotoxins 461

Heat-Stable Enterotoxins
The inability of the heat-stable enterotoxins to enter the
host cell or possess catalytic activity differentiates the
heat-stable enterotoxins from exotoxins. Several genera
of bacteria produce heat-stable enterotoxins, including
Escherichia and Yersinia. The heat-stable enterotoxin a
(STa) of E. coli is the prototype toxin of this group.
E. coli secretes STa into the periplasm as a 72-amino
acid precursor in which three intramolecular disulfide
bonds are formed and processed into a 53-amino acid
form. The 53-amino acid form of STa is exported into
the environment where a second proteolytic cleavage
results in the production of an 18- or 19-amino acid
mature STa molecule. The mature STa binds to a protein
receptor on the surface of epithelial cells, which results in
an increase in the intracellular concentrations of cyclic
guanosine monophosphate (cGMP). The intracellular
increase in cGMP results in a stimulation of chloride
secretion and net fluid secretion, resulting in diarrhea.
Superantigens
The inability of superantigens to enter the host cell or
possess catalytic activity differentiates the superantigens
from exotoxins. Superantigens are soluble proteins of
approximately 30 kDa that are secreted by bacteria that
possess mitogenic properties. Superantigens are produced
by both Streptococcus and Staphylococcus. The superantigens
bind to a component of the major histocompatibility
complex of T lymphocytes through an antigen-indepen-
dent mechanism, which stimulates proliferation of a large
subset of T lymphocytes.
Further Reading
Aktories K and Barbieri JT (2005) Bacterial cytotoxins: Targeting
eukaryotic switches. Nature Reviews Microbiology 3(5): 397–410.
Alouf JE (2000) Bacterial protein toxins. An overview. Methods in
Molecular Biology 145: 1–26.
Barbieri JT and Burns D (2003) Bacterial ADP-ribosylating exotoxins.
In: Burns D, Barbieri JT, Iglewski B, and Rappuoli R (eds.) Bacterial
Protein Toxins. Washington, DC: ASM.
Collier RJ (1975) Diphtheria toxin: mode of action and structure.
Bacteriological Reviews 39(1): 54–85.
Dobrindt U, Janke B, Piechaczek K, et al. (2000) Toxin genes on
pathogenicity islands: Impact for microbial evolution. International
Journal of Medical Microbiology October 290(4–5): 307–311.
Ernst JD (2000) Bacterial inhibition of phagocytosis. Cellular
Microbiology 2(5): 379–386.
Fivaz M, Abrami L, Tsitrin Y, and van der Goot FG (2001) Aerolysin from
Aeromonas hydrophila and related toxins. Current Topics in
Microbiology and Immunology 257: 35–52.
Henderson IR, Navarro-Garciz F, Desvaux M, Fernandez RC, and
AlaAlden D (2004) Type V protein secretion pathway: The
autotransporter story. Microbiology and Molecular Biology Reviews
68(4): 692–744.
Lesnick ML and Guiney DG (2001) The best defense is a good offense–
Salmonella deploys an ADP-ribosylating toxin. Trends in
Microbiology January 9(1): 2–4.
Michie CA and Cohen J (1998) The clinical significance of T-cell
superantigens. Trends in Microbiology 6(2): 61–65.
Moss J and Vaughan M (1990) ADP-Ribosylating Toxins and G Proteins:
Insights Into Signal Transduction. Washington, DC: American
Society of Microbiology.
Pastan I, Chaudhary V, and FitzGerald DJ (1992) Recombinant toxins as
novel therapeutic agents. Annual Review of Biochemistry
61: 331–354.
Prevost G, Mourey L, Colin DA, and Menestrina G (2001)
Staphylococcal pore-forming toxins. Current Topics in Microbiology
and Immunology 257: 53–83.
Saelinger CB and Morris RE (1994) Uptake and processing of toxins by
mammalian cells. Methods in Enzymology 235: 705–717.
Sandvig K, Garred O, Holm PK, and van Deurs B (1993) Endocytosis
and intracellular transport of protein toxins. Biochemical Society
Transactions 21(Part 3): 707–711.
Sixma TK, Pronk SE, Kalk KH, et al. (1991) Crystal structure of a cholera
toxin-related heat-labile enterotoxin from E. coli.Nature
35(6326): 371–377.
Stathopoulos C, Hendrixson DR, Thanassi DG, Hultgren SJ, St
Geme JW, 3rd, and Curtiss R 3rd (2000) Secretion of virulence
determinants by the general secretory pathway in gram-negative
pathogens: An evolving story. Microbes and Infection July
2(9): 1061–1072.
Tweten RK, Parker MW, and Johnson AE (2001) The cholesterol-
dependent cytolysins. Current Topics in Microbiology and
Immunology 257: 15–33.
Relevant Websites
http://emergency.cdc.gov – Centers for Disease Control and
Prevention
http://www.mic.ki.se – Karolinska Institutet
http://vm.cfsan.fda.gov – US Food and Drug Administration
462 Exotoxins

Extremophiles: Acidic Environments
D B Johnson, Bangor University, Bangor, UK
ª2009 Elsevier Inc. All rights reserved.
Defining Statement
Nature and Origin of Extremely Acidic Environments
Biodiversity of Extreme Acidophiles
Interactions Between Acidophilic Microorganisms
Microbial Ecology of Extremely Acidic Environments
Outlook and Applications
Further Reading
Glossary
autotroph An organism that obtains its carbon by fixing
carbon dioxide, bicarbonate, or other C
1
compound.
chemolithotroph A prokaryote that uses an inorganic
energy source and fixes carbon dioxide.
FISH (fluorescent in situ hybridization) A technique
for identifying individual cells using molecular (RNA)
probes.
heterotroph An organism that obtains both its carbon
and energy from an organic source.
lentic waters Nonflowing continental waters, such as
ponds and lakes.
lotic waters Flowing continental waters, such as
streams and rivers.
mixotroph A prokaryote that uses an inorganic energy
source and an organic carbon source.
RISCs (reduced inorganic sulfur compounds)
Oxysulfur anions other than sulfate.
snotites Small gelatinous growths of microorganisms
that grow suspended from the roofs of underground
mines and caves.
sulfidogen An organism that generates (hydrogen)
sulfide.
Abbreviations
AMD acid mine drainage
DGGE denaturing gradient gel electrophoresis
FISH fluorescent in situ hybridization
PGM platinum group metal
RISC reduced inorganic sulfur compound
SRB sulfate-reducing bacteria
Defining Statement
This article gives an overview of the nature of extremely
acidic environments and of the biodiversity of microor-
ganisms found within them. Ways in which acidophiles
interact with each other in both positive and negative
fashions are described. Finally, the microbial ecology of
some of the most widely studied extremely acidic envir-
onments on our planet is discussed.
Nature and Origin of Extremely Acidic
Environments
Oceanic waters, which constitute the largest biome on pla-
net Earth, are uniformly moderately alkaline (pH 8.2–8.4).
In contrast, some lentic and lotic waters, soils, and anthro-
pogenic environments are moderately acidic (pH 3–5) or
extremely acidic (pH < 3). In some rare cases, environments
that have recorded negative pH values have been documen-
ted. Living organisms that are active in extremely acidic
environments are now known to be far more diverse than
was recognized even a couple of decades ago. As with other
extremophiles, acidophiles tend to be specialized life-forms,
in that many are unable to grow in neutral pH environ-
ments. The majority of acidophiles are prokaryotic
microorganisms,andthesecomprisealargevarietyofphy-
logenetically diverse Bacteria and Archaea, though some
single-celled and multicellular eukaryotes are known to
grow in highly acidic ponds and streams.
Extremely acidic environments may be formed by
processes that are entirely natural, though human activ-
ities have became increasingly important in generating
such sites. While the scale of human impact has paralleled
global industrialization, small-scale anthropogenic gen-
eration of acidic, metal-polluted environments probably
began in the Bronze Age. Overall, the majority of extre-
mely acidic sites that now exist on planet Earth are
463

associated with one particular human activity – the
mining of metals and coal.
There are a number of important (in terms of their scale)
microbial activities that can generate acidity. Among the
most important of these is the formation of organic acids as
waste products in either anaerobic (fermentative) or aerobic
metabolisms. However, the generation of strong inorganic
acids by aerobic microorganisms gives rise to the most
acidic environments on our planet. Nitrification (the for-
mation of nitric acid from ammonium) is potentially one of
these, though the process is self-limiting in poorly buffered
environments, as the majority of nitrifying bacteria are
highly sensitive to even mild acidity. In contrast, prokar-
yotes that oxidize sulfur (in many of the large variety of
reduced forms of this element that exist) include species
that grow in neutral pH and moderately alkaline environ-
ments, as well as those that grow optimally in acidic
environments. Indeed, some of the most extremely acido-
philic life-forms known are those that obtain energy by
oxidizing reduced sulfur to sulfuric acid.
Geothermal Areas
Elemental sulfur may occur in geothermal areas (e.g.,
around the margins of fumaroles) where it can form by
the condensation of sulfur dioxide and hydrogen sulfide,
two common volcanic gases (eqn [1]):
SO2þ2H2S!2H2Oþ3S0ð1Þ
Oxidation of sulfur by acidophilic bacteria and archaea
generates sulfuric acid (eqn [2]):
S0þH2Oþ1:5O2!H2SO4ð2Þ
This can result in severe acidification of environments both
on the micro- (i.e., microbial habitats) and on the macro-
scale. Oxidation of sulfide minerals (see ‘Mine-impacted
environments’) may also contribute to acid genesis in
these locations. Whether or not specific sites develop
net acidity depends on how effectively acid generation
is counterbalanced by the dissolution of basic minerals,
such as carbonates. Geothermal, sulfur-rich, acidic sites
are known as solfatara (Figure 1); water temperatures in
solfatara fields approach boiling point (85–100 C,
depending on altitude) but tend to cool rapidly as the
water flows from the source of the geothermal spring.
These sites may therefore be colonized by a variety of
acidophilic microorganisms that have different tempera-
ture optima, and are therefore very fertile locations for
isolating novel acidophilic microorganisms.
High-temperature environments that host solfatara
and acid streams occur in zones of volcanism and in
areas where the earth’s crust is relatively thin. Examples
of terrestrial and shallow marine locations include
Yellowstone National Park (USA); Whakarewarewa
(New Zealand); Krisuvik (Iceland); the Kamchatka
Peninsula (Russia); Sao Michel (Azores); Volcano,
Naples, and Ischia (all Italy); Djibouti (Africa); and some
Caribbean islands, such as Montserrat and St. Lucia.
Related to these are deep and abyssal submarine hydro-
thermal systems, such as the Mid-Atlantic Ridge, the East
Pacific Rise, the Guaymas Basin, and active seamounts
(e.g., around Tahiti). In contrast to many terrestrial sites,
submarine hydrothermal systems are generally in the
range pH 3–8, and saline, due to the high buffering
capacity of seawater.
Mine-Impacted Environments
Many of the most important base metals (such as copper,
lead, and zinc) used by humankind are sourced mostly from
sulfide minerals. In addition, many precious metals includ-
ing gold, silver, and PGMs (platinum group metals) are
(a) (b)
Figure 1 (a) Elemental sulfur forming from gases venting the Soufriere Hills volcano on Montserrat, West Indies; (b) an acidic
geothermal pool (Frying Pan Hot Spring) in Yellowstone National Park, Wyoming.
464 Extremophiles: Acidic Environments

often found in association with sulfidic ores. Mining of
metallic ores has, in the past, involved smelting whole
rocks, though the advent of concentration techniques
(mostly involving froth flotation and separation of target
minerals) and nonpyrometallurgical techniques (such as
pressure oxidation and biological processing) have had,
and continue to have, a major impact on the mining industry.
Production of mineral concentrates results in the generation
of large quantities of waste minerals that, because of the
intensive rock grinding involved, are fine grain. These waste
minerals (referred to as tailings) are usually disposed of in
largelagoons,whichmay,intime,becomedrainedthereby
allowing ingress of oxygen and dissolution of the minerals, a
process often paralleled by intensive acidification. Apart
from this, waste rocks from mines and the abandoned
mines themselves can serve as source points for the genera-
tion of metal-rich, acidic wastewaters.
The mining of copper ores, which is carried out in
many different parts of the world, is one potential source
of acid pollution. Copper exists in a variety of sulfide
minerals, of which the most important (quantitatively) is
the mixed copper–iron sulfide chalcopyrite (generally
notated as CuFeS
2
, though a more accurate mineral for-
mulation is probably CuFeS
1.5
, as both copper and iron
occur in their more reduced ionic forms). Other signifi-
cant copper minerals include single-metal sulfides
(chalcocite, Cu
2
S; and covellite, CuS) and mixed-metal
sulfides bornite (Cu
5
FeS
4
) and enargite (Cu
3
AsS
4
). The
sulfide moiety in these minerals represents a source of
energy that can be utilized by some lithotrophic (literally,
rock-eating) prokaryotes, many of which are obligate
acidophiles (Figure 2). In addition, the ferrous iron pre-
sent in chalcopyrite and bornite is a second potential
energy source for mineral-oxidizing Bacteria and
Archaea. These microorganisms require both oxygen and
water (though little else) to facilitate their attack on the
minerals, which is why mine wastes may be safely stored
in environments that are either totally dry or anoxic. In
moist, aerated environments, however, the minerals are
prone to oxidative dissolution, resulting in the release and
potential solubilization of their component metals.
Acid genesis, however, is relatively limited when cop-
per sulfides are (biologically) dissolved. In contrast, the
iron disulfide mineral pyrite (FeS
2
; ‘fool’s gold’), which is
the most abundant sulfide mineral in the lithosphere and
which is invariably associated (often as the dominant
mineral) with copper and other metal sulfide ores, gen-
erates significant levels of acidity due to its greater sulfur
content. Pyrite has served as the model mineral for most
studies of microbial attack on sulfide minerals and,
although there have been various schemes proposed,
that described by Wolfgang Sand of Duisburg–Essen
University is generally regarded as the most accurate. In
this, the initial attack on the hard, dense mineral is by
ferric iron, which is a powerful oxidizing agent in acidic
liquors. Ferric iron oxidizes the sulfur moiety of the
mineral to thiosulfate, and in so doing is reduced to
ferrous iron (eqn [3]):
FeS2þ6Fe3þþ3H2O!7Fe2þþS2O32–þ6Hþð3Þ
The ferrous iron formed is reoxidized to ferric iron by a
variety of iron-oxidizing acidophilic bacteria and archaea
in an oxygen-consuming reaction (eqn [4]):
4Fe2þþO2þ4Hþ!4Fe3þþ2H2Oð4Þ
Thiosulfate is unstable in acidic liquors (particularly
when ferric iron is present) and oxidizes to form a variety
of other reduced inorganic sulfur compounds (RISCs)
such as trithionate (S
3
O
62
) and tetrathionate (S
4
O
62
),
as well as elemental sulfur (S
0
). The latter can all serve as
substrates for sulfur-oxidizing Bacteria and Archaea and
are oxidized, when oxygen is available, to sulfuric acid,
thereby generating the extreme acidity that helps main-
tain a suitable pH required by the mineral-oxidizing
microorganisms.
A second mechanism has been proposed for minerals,
such as sphalerite (ZnS) and galena (PbS), that are soluble
in sulfuric acid. In this scenario (the polysulfide mechan-
ism) the metal–sulfur bond is broken by proton attack and
hydrogen sulfide (H
2
S) is liberated. If ferric iron is also
present, concomitant attack by iron and protons results in
the proposed formation of H
2
S
þ
, which dimerizes to form
free disulfide (H
2
S
2
), and is further oxidized forming,
ultimately, elemental sulfur. In the absence of sulfur-
oxidizing prokaryotes, this sulfur accumulates, and
though in their presence it is oxidized to sulfuric acid.
Figure 2 Partial dissolution of a sulfidic rock by
chemolithotrophic bacteria. The rock on the right is freshly
exposed and contains grain of pyrite (fool’s gold) and other metal
sulfides. That on the left has been exposed to attack by
chemolithotrophic acidophiles, and the sulfide minerals have
been effectively dissolved, leaving a porous remnant composed
of inert minerals. Inset: the mineral-oxidizing acidophile
Leptospirillum ferrooxidans (the scale bar represents 2 mm).
Extremophiles: Acidic Environments 465

Dissolution of sulfidic ores not only produces acidity,
but also generates liquors that contain concentrations of
base metals (copper, zinc, manganese, etc.) and aluminum
that are far greater than those found in most surface waters.
Thetworeasonsforthisare(1)theoccurrenceofthese
metals in sulfide minerals and others (many aluminosili-
cates) that spontaneously degrade at low pH, and (2) the far
greater solubility of these metals in low pH than in circum-
neutral pH solutions. Exceptions to the latter are metals,
such as molybdenum and vanadium, that occur mostly as
oxyanions, rather than cations. Metalloids, most signifi-
cantly arsenic, can also be present at highly elevated
concentrations in sulfide ore leach liquors; arsenopyrite
(FeAsS) and realgar (As
4
S
4
) are two other relatively com-
mon sulfide minerals. Waters percolating through fissures
in worked-out underground mines, as well as those draining
stockpiled mine waste rock dumps and mine tailings,
become enriched in these soluble metals and metalloids.
At their point of discharge from underground mines or
tailings ponds, mine waters are frequently devoid of oxygen
and appear untainted. However, flowing waters become
increasingly aerated, facilitating the oxidation of uncolored
ferrous iron (usually the dominant dissolved metal found in
mine drainage waters) to highly colored (yellow-red) ferric
iron. This is why mine water-impacted waters are, in the
main, very obvious sites of water pollution. Depending on
pH, the ferric iron formed will either remain in solution or
hydrolyze (react with water) to produce a variety of solid
phase minerals (e.g., schwertmannite (Fe
8
O
8
(OH)
6
SO
4
),
ferrihydrite (5Fe
2
O
3
.9H
2
O), and amorphous ferric hydro-
xide (Fe(OH)
3
)):
Fe3þþH2O!Fe OHðÞ
3þ3Hþð5Þ
This has two important consequences: First, the reaction
generates protons, as illustrated in eqn [5], thereby help-
ing to maintain the acidity of water. Aluminum and
manganese also behave similarly, but these metals are
generally less abundant than iron in mine waters.
Second, the precipitates that form sink to the bottom of
the stream, forming a dense coating (known in Europe as
ochre and in the USA as yellow boy) that can seriously
impact benthic life. In the most extremely acidic mine
waters (pH < 2.5), ferric iron remains in solution and the
resulting red water color is often reflected in the names
given to these streams or rivers, most famously, the Rio
Tinto in Spain (Figure 3).
Figure 3 The Rio Tinto, an iron-rich extremely acidic river that flows though southwest Spain (left); the deep red-colored water of the
Rio Tinto, due to the presence of elevated concentrations of soluble ferric iron (top right); colonies of rust-colored iron-oxidizing
bacteria (Acidithiobacillus ferrooxidans) and heterotrophic acidophiles (Acidiphilium spp.) isolated from the Rio Tinto (bottom right).
466 Extremophiles: Acidic Environments

Apart from their characteristic low pH and elevated
metal contents, the chemistries of mine waters are highly
variable, as described in the section titled ‘Acid mine
streams and lakes’. However, concentrations of inorganic
nitrogen (generally exclusively ammonium, except where
there is input of nitrate from rock blasting at working
mines), phosphate, and dissolved organic carbon all tend
to be relatively small.
Biodiversity of Extreme Acidophiles
Extremely acidophilic organisms are exclusively micro-
bial and include both prokaryotes and eukaryotes. The
axiom that as an environmental parameter (in this case,
acidity) becomes more extreme biodiversity declines
holds true for both groups. Although some angiosperms
have been observed to grow in highly acidic lakes, their
root systems grow in sediments in which the pH is usually
much higher than the water body itself. Many eukaryotic
microorganisms that have been observed in extremely
low-pH environments are acid-tolerant rather than truly
acidophilic, and may grow equally well, or better, in
circum-neutral pH environments.
Primary Producers in Acidic Environments
The first extremely acidophilic microorganism to be iso-
lated and characterized was the sulfur-oxidizing bacterium,
Acidithiobacillus (At.)thiooxidans (then referred to as
Thiobacillus thiooxidans) by Waksman and Joffe in 1921.
Some years later, another sulfur-oxidizing bacterium was
isolated from water draining a coal mine that had the
unique trait (at the time) of also being able to oxidize
ferrous iron to ferric. (Acidi)thiobacillus ferrooxidans has sub-
sequently become the most well studied of all acidophilic
microorganisms. Both of these early isolates are autotrophic
chemolithotrophs, that is, they use inorganic electron
donors and fixed carbon dioxide. Such a metabolic lifestyle
is highly appropriate in extremely acidic environments,
which, as noted previously, tend to contain elevated con-
centrations of potential inorganic energy sources (ferrous
iron and reduced sulfur) but often low concentrations of
dissolved organic carbon. While more recent studies have
led to the isolation of a number of other genera and species
of chemolitho-autotrophic acidophiles, a large number of
highly biodiverse microorganisms that have very different
metabolic lifestyles (e.g., phototrophic microalgae, hetero-
trophic bacteria and yeasts, and phagotrophic protozoa)
have also been shown to be obligate acidophiles (see
‘Acidophilic eukaryotic microorganisms’).
Primary production (net assimilation of carbon) in
extremely acidic environments is carried out by two
main groups of microorganisms, the relative importance
of which varies from site to site. Chemolitho-autotrophic
acidophiles are CO
2
fixers that use either ferrous iron or
reduced sulfur (or, in some cases, both) as energy sources.
Sulfide (e.g., in minerals), elemental sulfur, and RISCs are
far more energetic substrates than ferrous iron (Table 1)
though interestingly at least one bacterium (At. ferrooxi-
dans) that can use both ferrous iron and sulfur as
substrates appears to opt for the former when both are
available. Some acidophiles have also been shown to use
hydrogen as an electron donor. The significance of this is
unknown, though hydrogen may form in these environ-
ments from reactions between protons and various
minerals in contact with acidic liquors. Other chemo-
litho-autotrophic metabolisms (e.g., nitrification) have
not been observed in extremely acidic environments.
Photoautotrophy (the use of solar energy to fuel carbon
dioxide fixation) may be the dominant mechanism of
primary production in acidic ecosystems, as in most
others, though in underground sites (acidic caves and
mine caverns) primary production is exclusively
mediated by chemolithotrophs. All acidophilic photo-
trophic microorganisms that have been identified are
eukaryotic microalgae. No truly acidophilic phototrophic
bacteria (aerobic cyanobacteria or anaerobic purple/
green S-bacteria) have been described, though clones of
anaerobic photosynthetic green sulfur and purple nonsul-
fur bacteria have been obtained from an acidic geothermal
site in New Zealand (see ‘Geothermal areas’).
Many acidophilic microorganisms that fix carbon
dioxide are obligate autotrophs. Some, however, can
switch to assimilating organic carbon if and when this
Table 1 Comparison of free energy changes associated with
the oxidation of inorganic substrates used by chemolithotrophic
acidophiles
Reaction
Free energy
change G
o
(kJ mole
substrate
1
)
Ferrous iron oxidation
4FeSO
4
þO
2
þ2H
2
SO
4
!2Fe
2
(SO
4
)
3
þ2H
2
O –30 (at pH 2.0)
Hydrogen oxidation
H
2
þ0.5O
2
!H
2
O –237
Elemental sulfur oxidation
S
0
þ1.5O
2
þH
2
O!SO
42–
þ2H
þ
–507
Hydrogen sulfide oxidation
H
2
Sþ2O
2
!H
2
SO
4
–714
RISC oxidation
(1) S
2
O
32
þ2O
2
þH
2
O!2SO
42
þ2H
þ
–739
(2) S
4
O
62
þ3.5O
2
þ3H
2
O!4SO
42
þ6H
þ
–1225
Source: Data from Kelly DP (1978) Bioenergetics of chemolithotrophic
bacteria. In: Bull AT and Meadows PM (eds.) Companion to
Microbiology, pp. 363–386. London: Longman, and Kelly DP (1999)
Thermodynamic aspects of energy conservation by chemolithotrophic
bacteria in relation to the sulfur oxidation pathways. Archives of
Microbiology 171: 219–229.
Extremophiles: Acidic Environments 467

becomes available. The metabolic logic for this is obvious,
as CO
2
fixation is a highly energy-consuming process
(e.g., At. ferrooxidans has been estimated to utilize most of
the energy it obtains by oxidizing iron on this single
process), and using prefixed carbon, assuming that it is
readily incorporated and metabolized, avoids this expen-
diture of energy. Various terms have been used to
describe such microorganisms, which include some
eukaryotic algae as well as some prokaryotic acidophiles,
though the most appropriate (and least ambiguous) is to
refer to them as facultative autotrophs. Whether such
acidophiles are net contributors to total primary produc-
tion depends not only on the presence of metabolizable
organic carbon, but also (in the case of phototrophs such
as Cyanidium caldarium) on the availability of solar energy.
Heterotrophic Acidophiles
Unusually for microbial ecology, the first obligately het-
erotrophic acidophilic bacteria (Acidiphilium spp.) were
isolated some 70 years after the first chemolithotrophic
acidophile, though a heterotrophic acidophilic archaeon
(Thermoplasma (Tp.)acidophilum) was actually described a
decade before the first Acidiphilium sp. (Acidiphilium
cryptum). There are now a large number of characterized
species of acidophilic bacteria and archaea that are known
to use organic compounds as sources of both carbon and
energy. Some of these are able to supplement their energy
budgets by oxidizing inorganic substrates (ferrous iron or
reduced sulfur) when these are also available. In the
case of truly mixotrophic acidophiles, such as the iron-
oxidizing heterotroph Ferrimicrobium (Fm.)acidiphilum, the
inorganic substrate can serve as the sole source of energy
and the organic moiety only to meet the carbon require-
ments of the bacterium.
Bacteria, in particular, are renowned as a collective
group of microorganisms for their abilities to degrade a
multitude of small and large molecular weight organic
compounds, including many synthetic materials.
Acidophilic prokaryotes, on the other hand, appear to
use a far more restricted range of monomeric organic
substrates and few polymeric materials. Simple sugars
and alcohols are utilized by many heterotrophic acido-
philes, but aliphatic acids (such as acetic acid) tend to be
lethal to acidophiles when present in only micromolar
concentrations. The reason for this relates to the fact that
many small molecular weight organic acids exist as undis-
sociated, lipophilic molecules in low-pH liquors. These
can freely permeate microbial membranes and accumu-
late in the circum-neutral pH cell interiors where they
dissociate and cause intracellular acidification of the cyto-
plasm. Di- and tricarboxylic organic acids, such as citric
acid, are not so toxic and are actually used as substrates by
many heterotrophic acidophiles. Some organic acids,
most notably glutamic acid, also serve as appropriate
substrates for many acidophiles, though others (e.g., gly-
cine) do not. Complex, nitrogen-rich organic substrates,
such as yeast extract and tryptone, are also suitable sub-
strates for isolating and cultivating many heterotrophic
acidophiles and supplementing defined organic growth
media with, for example, yeast extract often promotes
growth of heterotrophic acidophilic bacteria and archaea.
One of the few known examples of an acidophile being
able to grow on an organic polymer is the archaeon
Acidilobus aceticus, which grows anaerobically on starch,
forming acetate as the main metabolic product.
Aerobic and Anaerobic Acidophiles
The majority of known acidophilic prokaryotes have been
classed as obligate aerobes. More detailed examination has
revealed that, in a number of cases, they can also grow in
the absence of oxygen and are therefore facultative anae-
robes. Of the various options that microorganisms use for
living in the absence of oxygen, by far the most widespread
among acidophiles appears to be ferric iron respiration.
This is understandable since iron, as both ferrous and
ferric, is usually abundant in extremely acidic environ-
ments, particularly those originating from the oxidative
dissolution of sulfide minerals. There is also a thermody-
namic advantage to be gained from using ferric iron in that
the redox potential (E
h
value) of the ferrous/ferric couple
at low pH is about þ770 mV, a value which is not much
below that of the oxygen/water couple (þ840 mV) and
considerably more positive than alternative inorganic
electron acceptors such nitrate and sulfate. Most Bacteria
(and the Euryarchaeote Ferroplasma (Fp.) acidiphilum) that
can oxidize ferrous iron in the presence of molecular
oxygen can also reduce it when oxygen is absent.
Notable exceptions are species of Leptospirillum, though
this is explained by the fact that these highly specialized
bacteria have not been found to use an electron donor
other than ferrous iron. Other acidophilic bacteria that also
reduce ferric iron to ferrous are obligate heterotrophs, one
of which Fm.acidiphilum is an iron oxidizer, while others
(all species of Acidiphilium, as well as many Acidocella and
Acidobacterium spp.) are not. This trait is not universal
among acidophilic heterotrophic bacteria, however, as
illustrated by the fact that Acidisphaera rubrifaciens and
closely related isolates do not appear to reduce ferric
iron. The earlier claim that the sulfur-oxidizing bacterium
At. thiooxidans can reduce ferric iron was later challenged as
probably being an artifact resulting from chemical reduc-
tion by RISCs that are produced during sulfur metabolism.
The thermotolerant sulfur oxidizer Acidithiobacillus caldus
also does not appear to reduce ferric iron.
Sulfur respiration (the use of elemental sulfur as elec-
tron acceptor) is not uncommon among acidophilic
archaea: Acidianus, Stygiolobus, Sulfurisphaera (all thermoaci-
dophilic crenarchaeotes), and Thermoplasma (a moderately
468 Extremophiles: Acidic Environments

thermoacidophilic euryarchaeote) can all grow anaerobi-
cally by reducing sulfur to hydrogen sulfide. Acidianus spp.
and Sulfurisphaera ohwakuensis are both facultative anae-
robes that couple the oxidation of hydrogen to the
reduction of sulfur in anoxic environments, while
Stygiolobus azoricus is an obligately anaerobic thermoacido-
phile that can do the same. In contrast, both classified
species of Thermoplasma (Tp. acidophilum and Tp. volcanium)
are facultative anaerobes that couple the oxidation of
organic carbon to the reduction of elemental sulfur. No
extremely acidophilic sulfur- or sulfate-reducing bacteria
(SRB), or sulfate-reducing archaea, have yet been isolated
and characterized, though there is evidence that sulfido-
gens are both present and active in some anaerobic acidic
environments. A Desulfosporosinus-like isolate (M1), iso-
lated from a geothermal site on Montserrat, West Indies,
has been demonstrated to grow in a mixed culture at pH
3.2 and above, but is probably acid-tolerant rather than a
true acidophile. Many other apparently acid-tolerant sul-
fidogenic isolates and putative clones detected in acidic
mine waters have also been found to be Gram-positive
bacteria.
Clones of methanogenic archaea have also been iden-
tified in gene libraries constructed from DNA extracted
from some extremely acidic environments, but no
extremely acidophilic methanogens are known.
Likewise, no acetogenic acidophiles have been isolated,
though this may be explained on the biotoxicity of acetic
acid in low-pH liquors, as discussed previously. The
general toxicity of aliphatic acids may also help account
for the apparent absence of fermentative metabolism
among extreme acidophiles, with the exception of the
thermophilic archaeon A. aceticus, which can grow by
fermenting starch to acetic acid. The scarceness of nitrate
in most acidic environments, apart from those in the
vicinity of rock blasting, and the fact that acidophiles are
more sensitive to nitrate and nitrite than most other
bacteria are probably why nitrate respiration is apparently
absent in these microorganisms.
Temperature and pH Characteristics of
Acidophilic Microorganisms
One of the most widely used methods to categorize acid-
ophilic prokaryotes is on the basis of their temperature
characteristics, that is, their optimum temperatures for
growth and the range of temperatures within which they
are active (Table 2). Three groups of acidophiles have
often been recognized in this way: (1) mesophiles, with
temperature optima of 20–40 C; (2) moderate
Table 2 Categorization of validated species and genera of extremely acidophilic prokaryotic microorganisms, based on growth
temperature optima
Carbon assimilation Fe
2þ
oxidation Fe
3þ
reduction S
0
oxidation S
0
reduction
(a) Mesophiles (temperature optima 20–40 C)
At. ferrooxidans OA þþþþ
L. ferrooxidans OA þ
Fm. acidiphilum OH þþ
At. thiooxidans OA þ
Thiomonas spp. FA þþ
Acidiphilium spp. OH þþ
A. acidophilum FA þþ
Acidocella spp. OH þ
Acidobacterium spp. OH þ
Fp. acidiphilum OH þþ
(b) Moderate thermophiles (temperature optima 40–60 C)
L. ferriphilum OA þ
Sulfobacillus spp. FA þþþ
Alicyclobacillus spp.
a
OH/FA þ/þ/þ/
Am. ferrooxidans FA þþ
Fx. thermotolerans OH þþ
Acd. organivorans OH þ
At. caldus OA þ
Thermoplasma spp. OH þ
Picrophilus spp. OH
(c) Extreme thermophiles (temperature optima >60 C)
H. acidophilum OA þ
S. acidocaldarius OH
S. solfataricus OH
S. metallicus OA þþ
S. tokodaii OH þþ
(Continued)
Extremophiles: Acidic Environments 469

thermophiles, with temperature optima of 40–60 C; and
(3) extreme thermophiles, with temperature optima of
60–80 C. While some acidophiles (strains of At. ferroox-
idans and Acidiphilium) have been demonstrated to be
active at very low (<5 C) temperatures, all of these
have temperature optima well above 20 C, and are there-
fore psychrotolerant rather than psychrophilic
microorganisms. At the other end of the temperature
spectrum, the most thermophilic extreme acidophile
known is the facultatively anaerobic sulfur-metabolizing
archaeon Acidianus infernus, which has a growth tempera-
ture optimum of 90 C and a maximum of about 96 C.
However, relatively few hyperthermophilic acidophiles
are known and the fact that the maximum temperature
for growth of an acidophile is about 25 C lower than that
of the most thermophilic life-forms known (neutrophilic
Pyrolobus-like archaea) is possibly a reflection of the diffi-
culty that living organisms have when challenged by the
dual stresses of extreme temperature and acidity. In addi-
tion, the pH of high-temperature (>100 C) abyssal
environments around submarine vents is maintained at
close to neutral by the strong buffering capacity of sea-
water, precluding extensive colonization by acidophiles.
As with neutrophilic prokaryotes, extremely thermo-
philic acidophiles are mostly Archaea while mesophiles
are predominantly Bacteria. The majority of moderate
thermoacidophiles are also Bacteria, and mostly Gram-
positives, while most known Gram-negative acidophilic
bacteria grow best at below 40 C. There are exceptions
to this general trend. Indeed, the most thermophilic acid-
ophilic bacteria known – the sulfur-oxidizing autotroph
Hydrogenobaculum acidophilum, which grows at up to 70 C,
and the heterotroph Acidicaldus organivorans, which grows
at up to 65 C – are both Gram-negative.
The ability to tolerate elevated concentrations of pro-
tons (strictly speaking, hydronium ions; H
3
O
þ
)is
obviously what defines an acidophile. While there is no
official cutoff pH value that delineates whether an organ-
ism is or is not an acidophile, the generally accepted view
is that, as a group, these can be divided into extreme
acidophiles that have pH optima for growth at pH < 3,
and moderate acidophiles that have pH optima of
between 3 and 5. As can be anticipated, the most extre-
mely acidic environments have less potential biodiversity
than those that are moderately acidic. The number of
prokaryotes that are known to grow at pH < 1 is relatively
small and includes some Gram-positive bacteria
(e.g., Sulfobacillus spp.), Gram-negative bacteria (e.g.,
Leptospirillum spp. and At. thiooxidans), and Archaea (e.g.,
Ferroplasma spp.) that oxidize iron and/or sulfur. The most
acidophilic of all currently known life-forms is, however,
a heterotrophic archaeon, Picrophilus. Two species
are known, Picrophilus oshimae and Picrophilus torridus,
both of which have optima pH for growth of 0.7, and
grow in synthetic media poised at pH 0. These ‘hyper-
acidophiles’ are also thermophilic, with optimum
temperatures for growth at 60 C.
Physiological Versatility in Acidophilic
Prokaryotes: Specialized and Generalist
Microorganisms
Acidophiles as a group are highly versatile and are able
to utilize a wide variety of energy sources (solar and
inorganic and organic chemicals), grow in the presence
or complete absence of oxygen, and at temperatures of
between 4 and 96 C. However, individual species dis-
play very different degrees of metabolic versatility. On
the one end of this spectrum are members of the genus
Leptospirillum. Three species are known: Leptospirillum
ferrooxidans, Leptospirillum ferriphilum, and Leptospirillum
ferrodiazotrophum. All grow as highly motile curved rods
and spirilli, and species and strains vary in temperature
and pH characteristics. All three species, however,
appear to use only one energy source – ferrous iron.
Because of the high redox potential of the ferrous/ferric
couple (see ‘Aerobic and anaerobic acidophiles’), these
Bacteria, by necessity, have to use molecular oxygen as
Table 2 (Continued)
Carbon assimilation Fe
2þ
oxidation Fe
3þ
reduction S
0
oxidation S
0
reduction
Metallosphaera spp. FA þ
Sulfurococcus spp. FA þ
A. infernus OA þþ
Ac. ambivalens OA þþ
Ac. brierleyi FA þþþ
Sg. azoricus OA þ
Ss. ohwakuensis FA þ
a
Alicyclobacillus spp. include species that are facultatively autotrophic and obligately heterotrophic, and vary in terms of their dissimilatory
transformations of iron and sulfur.
Note: OA, obligate autotroph; FA, facultative autotroph; OH, obligate heterotroph.
Genera abbreviations: At., Acidithiobacillus; L., Leptospirillum; Fm., Ferrimicrobium; A., Acidiphilum; Sb., Sulfobacillus; Fp., Ferroplasma; Am.,
Acidimicrobium; Fx., Ferrithrix; Acd., Acidicaldus; H., Hydrogenobaculum; S., Sulfolobus; Ac., Acidianus; Sg., Stygiolobus; Ss., Sulfurisphaera.
470 Extremophiles: Acidic Environments

an electron acceptor, restricting them to being active
only in aerobic environments. All three species fix car-
bon dioxide (but not organic carbon) and two of the
three (L. ferrooxidans and L. ferrodiazotrophum) are also
able to fix molecular nitrogen. Leptospirillum spp. are,
therefore, highly specialized acidophiles. Their meta-
bolic limitations appear, however, to be compensated
by their abilities to outcompete other iron-oxidizing
bacteria in many natural and anthropogenic environ-
ments, such as stirred tank bioreactors used to bioleach
or biooxidize sulfide ores. This is achieved, at least in
part, by their greater affinities for ferrous iron and
greater tolerance of ferric iron than most other iron
oxidizers.
At. ferrooxidans is, in contrast, a more generalist bacter-
ium. Initially it was described as an obligate aerobe that
obtains energy by oxidizing ferrous iron, elemental sulfur,
sulfide, and RISCs, and fixes CO
2
as its sole source of
carbon. The first hint of a more extensive metabolic
potential was in a report by Thomas Brock and John
Gustafson in 1976 who showed that the bacterium could
couple the oxidation of elemental sulfur to the reduction
of ferric iron, though it was not confirmed at the time
whether this could support growth of the acidophile in
the absence of oxygen, though the free energy of the
reaction (G¼–314 kJ mol
–1
; eqn [6]) suggested that
this might be the case.
Sþ6Fe3þþ4H2O!HSO4–þ6Fe2þþ7Hþð6Þ
Later, Jack Pronk and colleagues at Delft University
showed conclusively that At. ferrooxidans is, indeed, a
facultative anaerobe and can grow anaerobically by ferric
iron respiration using not only sulfur as electron donor,
but also formic acid (which can also be used as sole energy
source under aerobic conditions). The finding that this
acidophile can use formic acid, although somewhat unex-
pected, does not imply that it is capable of heterotrophic
as well as autotrophic growth, as C
1
compounds, such as
formate and methanol, are also used by other autotrophic
prokaryotes. About the same time, it was discovered that
some strains of At. ferrooxidans (including the type strain)
can use hydrogen as an energy source, but that bacteria
cultivated on hydrogen are less acidophilic than when
grown on sulfide ores. It was shown later that hydrogen
oxidation could also be coupled to ferric iron reduction
by some At. ferrooxidans isolates.
The most generalist of all acidophiles are, however,
Sulfobacillus spp. These Gram-positive bacteria can grow
as chemolithotrophs, heterotrophs, or mixotrophs in aero-
bic or anaerobic environments. Although there are no
reports of Sulfobacillus spp. using hydrogen, they can
(unlike At. ferrooxidans) use a variety of organic com-
pounds (such as glucose and glycerol) as carbon and
energy sources, though their capacities for heterotrophic
growth are more limited than Alicyclobacillus spp. (related
acidophilic Firmicutes, some of which can also oxidize
ferrous iron and sulfur).
Acidophilic Eukaryotic Microorganisms
Extremely acidophilic organisms are exclusively microbial.
Whilesomeangiosperms,suchasJuncus bulbosus and
Eriophorum angustifolium, can grow in highly acidic (pH < 3)
ponds and lakes, their root systems grow in sediments where
the pH is usually significantly higher than the water body
itself. Many eukaryotic microorganisms that may be found
in extremely low pH environments are acid-tolerant rather
than truly acidophilic and may grow equally well, or better,
in higher pH waters.
All known phototrophic acidophiles are eukaryotic,
and both mesophilic and moderately thermophilic species
are known. Some photosynthetic acidophiles are also
capable of heterotrophic growth in the absence of light,
provided that a suitable carbon source is available.
Microalgae that can live in highly acidic environments
include genera of Chlorophyta, such as Chlamydomonas
acidophila and Dunaliella acidophila; Chrysophyta, such as
Ochromonas sp.; and Euglenophyta, such as Euglena mut-
abilis (Figure 4). Some diatoms, including several Eunotia
spp., have also been found to colonize extremely acidic
waters. A filamentous alga, identified from its morphology
as Zygnema and confirmed from biomolecular analysis to
be Zygnema circumcarinatum, has been found in abundance
on surface streamer growths in an extremely acidic
(pH 2.7) metal-rich stream draining a mine adit in
southwest Spain. Four species of thermoacidophilic
Rhodophyta have been described. Of these, Galderia spp.
(Galderia sulfuraria and Galderia maxima) can grow as het-
erotrophs, while Cyanidioschyzon merolae and the original
strain of C. caldarium are strict autotrophs. One C. caldar-
ium-like isolate has been reported to grow in synthetic
media poised as low as pH 0.2. Chlorella-like microalgae
have also been detected in acidic geothermal waters.
Many species of yeasts and fungi can tolerate moderate or
even extreme acidity. Truly acidophilic fungi are, however,
less common, though these include some remarkable species,
such as Acontium velatum and Scytalidium acidophilum,bothof
which are copper-tolerant mitosporic fungi that can grow at
pH values of below 0.5. Among the most commonly encoun-
tered yeasts in metal-rich acidic waters are Rhodotorula spp.,
while some Cryptococcus spp. and Trichosporon dulcitum are also
acidophilic yeasts. Novel acidophilic fungal isolates (pro-
posed name Acomyces richmondensi)havebeenisolatedfrom
warm (30–50 C), extremely acidic (pH 0.8–1.38), and iron/
zinc/copper/arsenic-contaminated waters within the
Richmond mine at Iron Mountain, California.
Microscopic animal life-forms may also be found in
acidic environments. The most biodiverse of these appear
to be protozoa (Figure 4). Phagotrophic flagellates
Extremophiles: Acidic Environments 471

(Eutreptia), ciliates (Urotricha, Vorticella, Oxyticha, and
Cinetochilum), and amoeba (Vahlkampfia) have all been
encountered in acidic mine waters, and some have also
been grown in acidic media in the laboratory.
Multicellular animal life-forms are relatively uncommon,
though rotifers (such as Cephalodella hoodi and Cephalodella
gibba) have occasionally been identified in acidic mine
waters. The two most acidophilic species of known roti-
fers appear to be Elosa woralii and Brachionus sericus,
though the latter can also grow at neutral pH in vitro.
The pioneering crustacean Chydorus sphaericus has also
been observed in the pelagic community of acid mine
lakes in Germany, though it is acid-tolerant rather than
acidophilic, with a pH range of 3.2–10.6.
Interactions Between Acidophilic
Microorganisms
The study of microbial ecology involves not only under-
standing the impact of the environment on microorganisms
(and vice versa) but also examining how microorganisms
interact with each other. Along with increasing awareness of
the biodiversity and complexity of life in extremely acidic
environments have come fresh insights into the wide range
of microbial interactions that occur within them. In some
cases, such as grazing by phagotrophic protozoa on acido-
philic bacteria, the interaction may be readily observed,
though more often it is more clandestine.
Mutualistic Interactions
Mutualistic interactions are where both partners derive
some benefit from their association. One way in which
this occurs in extremely acidic environments is via redox
transformations and transfer of iron and/or sulfur between
prokaryotes. As noted in the section titled ‘Biodiversity of
extreme acidophiles’, ferrous iron is an energy source that is
widely used by acidophilic Bacteria and some acidophilic
Archaea, while ferric iron can act as a highly effective
alternative electron acceptor to oxygen in low pH environ-
ments. Juxtaposition of aerobic and microaerobic/anaerobic
environments can lead to rapid cycling of iron between the
two zones. This is aided by the fact that, in contrast to most
(a) (b)
(c) (d)
Figure 4 Scanning electron micrographs of eukaryotic acidophiles: (a) a Eutreptia-like flagellate protozoan, grazing on Leptospirillum
ferrooxidans; (b) a Cinetochilum-like ciliate protozoan, grazing on Acidithiobacillus ferrooxidans; (c) a Vahlkampfia-like amoeboid
protozoan; (d) a bundle of Euglena mutabilis (an acidophilic microalga) with individual cells arrowed. The scale bar represents 5 mm
in micrographs (a)–(c), and 10 mm in micrograph (d).
472 Extremophiles: Acidic Environments

environments, ferric iron is soluble at pH < 2.5 and is more
readily utilized as an electron sink as soluble Fe
3þ
than
when present in its various amorphous and crystalline
forms. The importance of iron cycling has been illustrated
in major acidic environments such as the Rio Tinto, and
also demonstrated in vitro. Obviously, an extraneous energy
source is required for iron cycling to perpetuate. In acidic
environments, this may be organic carbon, originating as
exudates and lysates from primary producers (phototrophs
and chemolithotrophs) that act as electron donors for iron-
reducing acidophiles. Cycling of iron may involve more
than one species (e.g., the iron-oxidizer At. ferrooxidans and
the iron-reducer Acidiphilium) or a single species (e.g., of
Sulfobacillus). The situation with sulfur transformations is
less clear, due in part to the relative paucity in the
knowledge of bacterial sulfate/sulfur reduction in low-
temperature acidic environments, and the far greater inso-
lubility of some reduced sulfur compounds (metal sulfides
and elemental sulfur) than ferric iron at extremely low pH,
which limits their free diffusion. Sulfate produced by aero-
bic sulfur-oxidizing acidophiles (such as Acidithiobacillus and
Thiomonas spp.) can diffuse into underlying sediments and
act as a terminal electron acceptor for any acidophilic/acid-
tolerant SRB present. These generate sulfide, which, at low
pH, is present almost exclusively as gaseous H
2
S. The
presence in the sediments of soluble metals, such as copper,
that form very insoluble sulfides, results in the rapid
removal of H
2
S, even at very low pH. However, if, as is
often the case, the dominant soluble chalcophilic metal
present is (ferrous) iron, the lower solubility of the sulfide
mineral (FeS) means that it does not form until the pH has
risen to 5. If the sediment pH is <5, at least some of the
H
2
S can, at least in theory, diffuse into the overlying water
and act as an energy source for sulfur-oxidizing acidophiles.
Other examples of mutualistic interaction between acid-
ophilic bacteria involve the metabolism of organic
compounds. Autotrophic iron- and sulfur-oxidizing acido-
philes fix carbon dioxide to incorporate into cell biomass.
Some of this, mostly small molecular weight material, is lost
from actively metabolizing cells and has been shown to
accumulate in axenic cultures of these prokaryotes grown
in the laboratory. Additional organic carbon originates from
dead and dying cells as cell lysates. In the environment,
much of this organic carbon is metabolized by heterotrophic
acidophiles, such as Acidiphilium spp., which are adept sca-
vengers. Positive feedback to the autotrophs comes from the
fact that many of these are sensitive to small molecular
weight organic compounds in general, and aliphatic acids
in particular, and the catabolism of these materials by
heterotrophic acidophiles therefore reduces or eliminates
this potential toxicity hazard. Iron-oxidizing acidophiles
vary in their sensitivities to organic materials; L. ferrooxidans
is, for example, much more sensitive than At. ferrooxidans.
This is reflected in the far greater mortality rate of the
former in spent (substrate-depleted) media, and is the
reason why mixed cultures of L. ferrooxidans and
Acidiphilium spp., grown on ferrous iron or pyrite, tend to
befarmorestablethanpureculturesoftheironoxidizer.In
practical terms, the inclusion of obligately or facultatively
heterotrophic acidophiles in mineral-leaching consortia has
been shown to improve metal recovery, and commercial-
scale stirred tanks used to bioprocess sulfide ores have
invariably been found to include organic carbon-degrading
acidophiles as well as those that fix CO
2
.Thesameratio-
nale of using heterotrophic acidophiles to remove
potentially toxic organic materials has been used to develop
solid media for isolating and cultivating iron- and sulfur-
oxidizing acidophiles from environmental and industrial
samples.
Synergistic Interactions
Microbial interactions that result in the complimentary
activities of both (or all) participants being more efficient
in, for example, degrading a substrate, than the individual
species working alone, are referred to as synergistic. One
such example involves the oxidative dissolution of pyrite
by mixed cultures of L. ferrooxidans and At. thiooxidans.
L. ferrooxidans is an iron oxidizer that is unable to oxidize
sulfur, while At. thiooxidans has the opposite abilities. Pyrite,
being an acid-insoluble sulfide mineral (see ‘Mine-
impacted environments’), is oxidized by ferric iron
produced by ferrous iron-oxidizing L. ferrooxidans in an
acid-consuming reaction. The RISCs produced as a result
of ferric iron attack on pyrite are oxidized to sulfuric acid by
At. thiooxidans, thereby generating the extremely low pH
conditions under which L. ferrooxidans thrives and mineral
dissolution is accelerated. Pure cultures of L. ferrooxidans
are, however, also able to accelerate the oxidative dissolu-
tion of pyrite, in contrast to the heterotrophic iron oxidizer
Fm. acidiphilum,whichrequiresasourceoforganicmaterial,
such as yeast extract, as carbon source. When Fm. acidiphilum
and At. thiooxidans are grown in mixed culture, the interac-
tion involves carbon transfer as well as the modulation of
acidity. Fm. acidiphilum can obtain sufficient carbon to grow
from autotrophic partners, such as At. thiooxidans. This facil-
itates ferric iron generation, producing RISCs from the
degrading pyrite that serves as the energy source for At.
thiooxidans and continued fixation of CO
2
and release of
organic carbon (Figure 5).
Syntrophic Interactions
In syntrophic relationships, the degradation of a substrate
by one species is made thermodynamically possible
through the removal of an end product by another species.
Neutrophilic SRB have frequently been reported as one
of the partners in a syntrophic association. Hydrogen is a
common end product of fermentative metabolism and the
oxidation of this gas, coupled to sulfate reduction, may
Extremophiles: Acidic Environments 473

result in a change in the overall free energy (G) and
allow an otherwise thermodynamically unfeasible reac-
tion to proceed. A syntrophic association involving an
acid-tolerant Desulfosporosinus-like SRB and an acetic
acid-degrading Acidocella sp. has been proposed to account
for sulfidogenesis in moderately acidic (pH 3.2 and above)
media. This mixed culture grows anaerobically using
glycerol as sole carbon and energy source, a substrate
that the SRB can oxidize but the Acidocella cannot. In
pure cultures of the Desulfosporosinus, acetic acid accumu-
lates in equimolar proportion to the amount of glycerol
oxidized, but in the presence of Acidocella the appearance
of acetic acid is transient and more sulfide is produced. It
was postulated that acetic acid is degraded to hydrogen
and carbon dioxide, a reaction that is only feasible in
thermodynamic terms if at least one of these products is
rapidly removed. This role was fulfilled by the
Desulfosporosinus sp., which was shown to use hydrogen
as well as glycerol as an electron donor. The energetic
bonus for the SRB (hydrogen), which was only available
in the mixed culture, resulted in it generating more
hydrogen sulfide than when it was grown in pure culture.
Additional support for the hypothesis came from the
observation that the mixed culture, but not axenic cul-
tures of the Desulfosporosinus isolate, could use acetic acid
to fuel sulfidogenesis.
Predation
The fact that some acidophilic Bacteria are predated by
protozoa and rotifers has been known for many years.
One of the first indicators that some protozoa could grow
in highly acidic waters was a report in 1941, where it was
noted that the flagellate Polytomella caeca could grow over
a wide pH range (from 1.7 to 9.2). Early studies of acid
mine drainage (AMD) frequently reported the presence
of flagellates, ciliates, and amoeba, and the first labora-
tory study was by Henry Ehrlich at the Rensselaer
Polytechnic Institute (in 1963) who found that a
Eutreptia-like flagellate could grow in enrichment cul-
tures prepared using mine water as an inoculum.
A detailed study of another Eutreptia-like flagellate was
described some 30 years later. This protozoan was found
to be obligately acidophilic, with a pH range of 1.8–4.5
for growth. Although it was highly sensitive to some
heavy metals (e.g., copper, silver, and molybdenum), it
could tolerate very high concentrations of both ferrous
and ferric iron. The flagellate was found to graze a wide
range of acidophilic bacteria, including At. ferrooxidans, L.
ferrooxidans,andA. cryptum. It was noted that the highly
motile iron oxidizer L. ferrooxidans was less effectively
grazed than the less motile acidophile At. ferrooxidans,
leading to mixed cultures of the two bacteria being
dominated by L. ferrooxidans when the protozoan was
present. Filamentous growth by some acidophiles also
appeared to give them some protection from predation
by the flagellate. Detailed examination of mixed cultures
of acidophilic bacteria and five different acidophilic
protozoan isolates (three flagellates, and Cinetochilum-
like ciliate, and a Vahlkampfia-like amoeba) showed
that, in each case, population dynamics followed classic
predator–prey population dynamics (e.g., Figure 6).
CO
2
CO
2
Ferrimicrobium
acidiphilum
Acidithiobacillus
thiooxidans
Fe
3+
FeS
2
Fe
2+
S
reduced
SO
42–
Organic C
Figure 5 Dissolution of pyrite by a mixed culture of
Ferrimicrobium (Fm.)acidiphilum and Acidithiobacillus (At.)
thiooxidans.ThoughFm. acidiphilum can oxidize ferrous iron to
ferric iron (which is the chemical that directly attacks the pyrite
mineral), it requires organic carbon to grow. At. thiooxidans can
fix CO
2
and releases some of this as organic carbon, but it
cannot access its energy source (reduced sulfur) directly from
pyrite. Therefore, neither bacterium can grow in organic carbon-
free pure cultures, using pyrite as an energy source, but
together they form a successful synergistic consortium, via the
interactions shown. Modified from Bacelar-Nicolau P and
Johnson DB (1999) Leaching of pyrite by acidophilic
heterotrophic iron-oxidizing bacteria in pure and mixed
cultures. Applied and Environmental Microbiology 65: 585–590,
with permission from the publisher.
0
105103
104
105
106
107
108
20 40
Time (days)
60 80 100
Protozoa (ml–1)
Iron-oxidizing bacteria (ml–1)
Figure 6 Grazing of acidophilic iron-oxidizing bacteria (a mixed
culture of Acidithiobacillus ferrooxidans and Leptospirillum
ferrooxidans)byaCinetochilum-like acidophilic ciliate protozoan,
showing a classic predator–prey relationship. Numbers of iron-
oxidizing bacteria are shown in red: solid symbols show data
from a ciliate-containing culture, while hollow symbols show data
from a corresponding culture where protozoa were absent.
Protozoan numbers are shown in green. Modified from Johnson
DB and Rang L (1993) Effects of acidophilic protozoa on
populations of metal-mobilizing bacteria during the leaching of
pyritic coal. Journal of General Microbiology 139: 1417–1423,
with permission from the publisher.
474 Extremophiles: Acidic Environments

Early attempts to cultivate the acidophilic protozoa in
media containing pyrite failed, even though large popu-
lations of iron-oxidizing and other bacteria were present.
Thiswaslatershowntobeduetothefinesize(<61mm)
ofthepyritegrainsused.Whencoarser-grain
(61–200 mm) pyrite particles were used, all five protozoa
were able to grow effectively, suggesting that the phago-
trophic protozoa were unable to differentiate between
pyrite and bacteria, and that inadvertent ingestion of
bacteria-sized pyrite grains resulted in death of the pro-
tozoa. Interestingly, dramatic reductions of numbers of
iron-oxidizing bacteria due to protozoan grazing did not
necessarily result in decreased rates of pyrite dissolu-
tion,possiblybecauseoftheoverridinginfluenceof
mineral-oxidizing bacteria attached to the pyrite,
which were not grazed.
Evidence for predation of acidophilic bacteria
by other microorganisms has come mostly from
microscopic observations. Rotifers, for example, have
been seen to feed on acid streamer microbial communities
(see ‘Acidophilic eukaryotic microorganisms’) using their
wheel-like cilia to draw a vortex of bacterial cells into
their mouths.
Competitive Interactions
As might be anticipated, competition between acidophiles
for electron donors and acceptors, inorganic nutrients,
and so on, is as important in acidic as in all other envir-
onments. One of the most detailed studies of this kind,
given the importance of iron-oxidizing bacteria in
commercial mineral processing and the genesis of AMD,
has been the competition between At. ferrooxidans and
Leptospirillum spp. for their communal substrate (electron
donor), ferrous iron. Early assumptions that At. ferrooxi-
dans was invariably the dominant iron-oxidizing
bacterium in metal-rich, acidic environments have gra-
dually been eroded, with increasing numbers of reports
describing L. ferrooxidans (though in some cases this is
probably L. ferriphilum) as the more abundant species.
These include mine drainage waters and some (mostly
stirred tank) commercial biomining operations. In gen-
eral, Bacteria classified as At. ferrooxidans tend to grow
more rapidly than Leptospirillum spp., and are better able
to exploit acidic environments that contain relatively
large concentrations of ferrous iron. In terms often used
to differentiate heterotrophic bacteria, At. ferrooxidans is a
copiotroph while Leptospirillum spp. are oligotrophs. This
is also the reason why using ferrous iron-rich synthetic
media to enrich for iron-oxidizing acidophiles favors
At. ferrooxidans rather than L. ferrooxidans. On the other
hand, the greater affinity for ferrous iron and the greater
tolerance of ferric iron of L. ferrooxidans (and probably
other Leptospirillum spp.) facilitates their dominance in
stirred tank mineral leachates, where ferric iron
concentrations can be many grams per liter and, conver-
sely, in those extremely acidic environments (pH < 2.3)
where ferrous iron concentrations are very small. In both
situations, redox potentials (which are determined by the
relative concentrations, rather than actual concentrations,
of ferrous and ferric iron) are commonly above 750 mV,
and Leptospirillum spp. are known to be far more efficient
iron oxidizers than At. ferrooxidans under such highly
oxidizing conditions. Other important factors that affect
competition between these iron-oxidizing autotrophs are
temperature and pH. Leptospirillum spp. in general (and L.
ferriphilum in particular) tend to be more thermotolerant
than At. ferrooxidans, which partly explains their greater
importance within the warm interior of the Richmond
mine at Iron Mountain (see ‘Acid mine streams and lakes’)
and in stirred tanks used to bioprocess gold and cobalti-
ferous ores, which generally operate at around 40 C. On
the other hand, cold-tolerant iron-oxidizing acidophiles
have been invariably identified as At. ferrooxidans-like.
Leptospirillum spp. also tend to be more tolerant of extreme
acidity (many stains grow at pH 1) than At. ferrooxidans,
some strains of which do not grow below pH 1.8, though
others, including the type strain, can grow at pH 1.5. The
higher pH optima for their growth is one of the reasons
why At. ferrooxidans is often more important in heap leach-
ing of mineral ores, as engineered mineral heaps are
generally not so acidic as stirred tanks.
In one of the few studies to describe competition
between two other iron-oxidizing acidophiles, dissolu-
tion of pyrite at 45 C by a mixed culture of the
thermotolerant facultatively autotrophic bacterium
Acidimicrobium (Am.)ferrooxidans and a thermotolerant
strain of the obligate autotroph L. ferriphilum was exam-
ined. Numbers of the two bacteria (estimated using
fluorescent in situ hybridization; FISH) remained very
similar until the pH of the bioreactor was lowered from
1.5 to 1.2, at which point L. ferriphilum emerged as the
dominant bacterium. However, when the thermotolerant
sulfur oxidizer At. caldus was also included in the micro-
bial consortium, Am. ferrooxidans was more abundant than
L. ferriphilum at pH 1.5 and 1.2. The reason for this was
probably the additional amount of organic carbon avail-
able for the heterotrophically inclined Am. ferrooxidans
originating from the CO
2
-fixing At. caldus that used the
RISCs produced by ferric iron attack of the pyrite in the
bioreactor.
Microbial Ecology of Extremely Acidic
Environments
Geothermal Areas
Geothermal areas occur is discreet zones in various parts of
the world, as noted in the section titled ‘‘Nature and origin
of extremely acidic environments’’. Probably the most
Extremophiles: Acidic Environments 475

well-studied land-based geothermal area is Yellowstone
National Park, Wyoming, USA. Much of the early pio-
neering microbiological work in Yellowstone was carried
out by Thomas Brock and coworkers in the 1970s and
formed the basis of later research on thermophilic micro-
organisms (including thermoacidophiles). One of the major
breakthroughs around the time was the isolation, by James
Brierley, of the first thermophilic acidophile (a Sulfolobus-
like archaeon, though it was not recognized as such at the
time) from an acid hot spring in Yellowstone. Two of the
more important solfatara fields in Yellowstone are located
in and around the Norris Geyser Basin, and at Sylvan
Springs, though there are numerous other smaller scale,
often ephemeral sites (such as around the Gibbon River)
where acidic ponds and streams may be found. Moderately
thermophilic and acidophilic phototrophs (Galderia/
Cyanidium-like rhodophytes) and Gram-positive bacteria
(Sulfobacillus and Alicyclobacillus spp.) have frequently been
isolated from these sites. A greater biodiversity was
revealed in a study reported in 2003, where strains of
what turned out to be novel genera of thermophilic
Gram-negative bacteria (Acidicaldus), and moderately ther-
mophilic Gram-positive bacteria (Ferrithrix)wereisolated,
as well as novel strains of Firmicutes that have not, as yet,
been formally classified. Interestingly, many of the moder-
ately thermophilic bacteria isolated from these sites (where
the acidity is derived chiefly from the oxidation of sulfur)
have been shown to catalyze the oxidation or reduction
(and, in some cases, both) of iron. A study of acidic geother-
mal springs within the Norris Geyser Basin that contained
a variety of electron donors that support the growth of
chemolithotrophic acidophiles (hydrogen, hydrogen sul-
fide, arsenic(III), and ferrous iron) revealed complex and
changing microbial communities that were determined, at
least in part, by changing chemical gradients, which in turn
effected major geochemical transformations. It was found
that (1) Hydrogenobaculum (a hydrogen and sulfur oxidizer)
and Stygiolobus (a hydrogen-oxidizing anaerobe) were
present in the high temperature (79 C) source waters;
(2) Hydrogenobaculum and Thiomonas (a ferrous iron, sulfur,
and arsenic(III) oxidizer) were present in zones of rapid
As(III) oxidation; and (3) Metallosphaera (a sulfur oxidizer),
Acidimicrobium (an iron oxidizer), and Thiomonas were pre-
sent in areas where As(V)-rich ferric iron oxides were
being generated.
In a separate study based in the Ragged Hills area of
Yellowstone, the effect of increased geothermal activity
on soil microbial diversity across a temperature gradient
of 35–65 C was assessed. The pH of the soil samples
analyzed ranged from 3.7 to 5.1. It was found that the
DNA profiles of the soil bacteria (estimated using dena-
turing gradient gel electrophoresis; DGGE) in heated
soils were less complex than those that had not undergone
geothermal heating. The majority of clones obtained
belonged to Acidobacterium, cultivated species of which
are mostly moderate acidophiles, and mesophilic. It was
concluded that thermophilic and thermotolerant micro-
bial species are probably widely distributed in soils within
Yellowstone, and that localized geothermal activity
selects for them. The effects of natural hydrocarbon
seeps (composed almost entirely of saturated, branched
C
15
to C
30
, straight-and branched-chain alkanes) on the
microflora of acidic (pH 2.8–3.8) sulfate-rich soils in the
Rainbow Springs area of Yellowstone were examined in
another study. Over 75% of the clones recovered in 16S
rRNA gene libraries were related to known species of
heterotrophic acidophiles (Acidiphilum and Acidisphaera)
though clones related to Acidithiobacillus spp. were also
recovered. An alkane-degrading alphaproteobacterium
(distantly related to Acidicaldus (Acd.)organivorans,a
Yellowstone isolate that has been shown to grow on
phenol and other organic substrates) was isolated and
partially characterized.
Other geothermal areas where the distribution of
acidophilic microorganisms has been studied include
New Zealand, the Caribbean island of Montserrat, and
northern California. One site that has been studied in
New Zealand was an acidic (pH 2.5) stream water on
White Island that, in addition to soluble iron and sulfate,
contained significant concentrations (2000–4400 mg l
–1
)
of chloride. Among the clones identified from DNA
extracted directly from the acid stream were, unusually,
those closely related to a green sulfur bacterium
(Chlorobium vibrioforme), the marine, purple nonsulfur
bacterium Rhodovulum,andtheheterotrophicbacterium
Ralstonia solanacearum, while those obtained from enrich-
ment cultures also included a bacterium that was closely
related to the Yellowstone isolate, Acd. organivorans.Pure
cultures of Acidiphilium and C. caldarium were also
obtained from the site. Results of a large-scale survey
of geothermal sites (many of which were also extremely
acidic) on Montserrat, carried our shortly prior to the
major eruption of the Soufriere Hills volcano in 1996,
showed that temperatures of pools and streams in the
volcanic southern region of the island ranged from 30 to
99 C, and pH from 1.0 to 7.4. Most of the acidophilic
bacteria that were isolated were similar to known strains,
though some Sulfobacillus-like isolates had novel traits in
being able to grow as mesophiles, or at higher maximum
growth temperatures (up to 65 C) than classified spe-
cies. Clone libraries constructed from DNA extracted
from acidic sites with different temperatures indicated
thepresenceof(1)Acidiphilium-like bacteria and At.
caldus (33 Csite);(2)At. caldus,andaputativemoder-
ately thermophilic sulfate-reducing bacterium of the
Desulfurella group (48 Csite);(3)novelFerroplasma-like
and Sulfolobus-like archaea (78 Csite);and(4)an
archaeon distantly related to A. infernus (98 Csite).
Elsewhere, a microbiological survey of high-tempera-
ture (82–93.5 C) acidic (pH 1.2–2.2) hot springs
476 Extremophiles: Acidic Environments

located in the Lassen Volcanic National Park in north-
ern California failed to detect any bacteria, though
archaea distantly related to the crenarchaeotes S. azoricus
and Sulfolobus solfataricus (both extremely acidophilic
thermophiles), and others more closely related to the
moderately acidophilic thermophile Vulcanisaeta distri-
buta, were identified in clone libraries.
Acid Mine Streams and Lakes
Waters draining abandoned mines, mine spoils, and tail-
ings deposits are often characterized by low pH and
elevated concentrations of soluble metals (particularly
iron) and sulfate (Table 3). These are generically referred
to as AMD waters (or acid rock drainage in North
America). Acidity in such waters derives from the pre-
sence of soluble aluminum, manganese, and iron (mineral
acidity) as well as hydronium ions. Extremely acidic lakes
may develop naturally in volcanic area, for example, Lake
Kawah Idjen in Indonesia, which has a pH of 0.7. Acidic
mining lakes, in contrast, are relics of opencast mining,
where worked-out voids have not been backfilled, and
become progressively filled with rising groundwater or
river water. Where the surrounding bedrocks are rich in
sulfide minerals (normally chiefly pyrite and marcasite)
and contain small amounts of carbonates, the oxidative
dissolution of the former can lead to the formation of
extremely acidic mine lakes. Acid mine lakes are particu-
larly abundant in central Europe, in parts of Germany,
Poland, and the Czech Republic. In past times (up to the
end of the twentieth century) the extensive reserves of
lignite in these areas were extracted by opencast mining
on enormous scales, leaving a legacy of a very large
number of man-made lakes of varying sizes and chemis-
tries. In the Lusatia district of eastern Germany alone
there are an estimated 200 mining lakes of >1 ha that
have pH values of <3.
The microbiology of AMD streams has been the subject
of a number of reviews in books and journals. Knowledge of
how biodiverse these flowing waters can be has expanded
considerably since At. ferrooxidans was first isolated from an
AMD stream draining a bituminous coal mine in the
United States in 1947. The most important factors in
determining which microbial species are present in AMD
appear to be pH, temperature, and concentrations of dis-
solved metals and other solutes. At the most extreme end of
the AMD spectrum, the microbiology of mine waters
within the Richmond mine at Iron Mountain, California
(which can have negative pH values), has been studied
extensively. Within this abandoned mine, pyrite is under-
going oxidative dissolution at a rate that is sufficient to
maintain air temperatures of between 30 and 46 C, and
produce mine waters containing 200gl
–1
of dissolved
metals. A novel iron-oxidizing archaeon, Ferroplasma acid-
armanus, was found to be dominant in waters within the
mine that had the lowest pH and highest ionic strengths,
while L. ferriphilum and L. ferrodiazotrophum were also asso-
ciated with exposed pyrite faces. Sulfobacillus spp. were
more important in some of the warmer (43 C) waters.
At. ferrooxidans was rarely found in sites that were in contact
with the ore body, though it was found in greater abun-
dance in the cooler, higher pH waters that were peripheral
to the ore body. In contrast, a microbiological survey of
much cooler and higher pH mine waters at an abandoned
subarctic copper mine in Norway showed that an At. fer-
rooxidans-like isolate (closely related to a psychrotolerant
strain found subsequently in a mine in Siberia) was the
dominant iron oxidizer present. L. ferrooxidans was only
detected in enrichment cultures using mine water inocula.
The Norwegian AMD waters also contained significant
numbers of acidophilic heterotrophs related to some
Table 3 Examples of mine water chemistries (all units are mg l
1
, except pH)
pH [Fe
total
] [Fe
2þ
] [Al] [Cu] [Zn] [SO
4
]
Coal mines
Bullhouse (UK) 5.9 61 45 1.2 <1 <1
Ynysarwed (UK) 6.2 160 140 20 460
Oatlands (UK) 5.5 287 0.97 <0.007 0.05 146
Sverdrupbyen (Norway) 2.7 179 27.5 0.168 1.3 1077
Metal mines
Mynydd Parys (UK) 2.5 650 650 70 60 40 3100
Roeros (Norway) 3.7 6.7 4.3 11 3.76
Wheal Jane (UK) 3.6 130 130 50 2 130 350
Cwm Rheidol (UK) 2.6–2.7 104–128 1.2–9.35 577–978 250
Sao Domingos (Portugal) 1.7 31 000 10 000 14 850
Iron Mountain (California) 1.5 2670 2470 293 58 14 000
Source: Data are from Johnson DB (2006) Biohydrometallurgy and the environment: Intimate and important interplay. Hydrometallurgy 83:153–166,
and Nordstrom DK, Alpers CN, Ptacek CJ, and Blowes DW (2000) Negative pH and extremely acidic minewaters from Iron Mountain, California.
Environmental Science and Technology 34: 254–258.
Extremophiles: Acidic Environments 477

species (Acidiphilium, Acidocella,andAcidisphaera)thathad
previously been observed in acidic environments, and one
(a Frateuria-like bacterium) that had not.
The importance of At. ferrooxidans-like bacteria in
cooler (<20 C) mine waters of pH 2–3 has also been
supported at sites in other parts of the world. For exam-
ple, biomolecular analysis (from clone libraries) of four
AMD sites at the Dexing copper mine in the Jiangxi
province of China found differences in the distribution
of acidophiles with water pH. In the most acidic site (pH
1.5), Leptospirillum spp. (L. ferrooxidans, L. ferriphilum, and
L. ferrodiazotrophum) were the dominant species in the
clone library, while in pH 2.0 AMD L. ferrodiazotrophum
was the single dominant species detected. In slightly
higher pH (2.2) AMD, most clones recovered were
related to At. ferrooxidans, while in the highest pH waters
(3.0) most were related to the heterotrophic moderate
acidophile Acidobacterium. Where mine waters have pH
values of above 3, however, there is increasing evidence
that moderately acidophilic iron oxidizers assume a more
important role than At. ferrooxidans. The dominant iron
oxidizer in AMD flowing from an underground coal mine
in south Wales was found to be a Thiomonas-like bacter-
ium, and similar strains (given the novel species
designation Thiomonas arsenivorans) were isolated from
an abandoned tin mine in Cornwall, England, and a dis-
used gold mine (Cheni) in France. Other acidophilic
Bacteria isolated from the Cornish site included
Acidobacterium-like and Frateuria-like isolates, and an iron
oxidizer related to Halothiobacillus neopolitanus. Further
evidence of the importance of previously uncultured
acidophiles in AMD has come from a study of acidic
(pH 2.7–3.4) iron- and arsenic-rich water draining mine
tailings at Carnoule
`s in France. The dominant bacteria
found in clone libraries were betaproteobacteria, many of
which were related to a Gallionella-like sequence pre-
viously reported in a chalybeate spa in north Wales.
The sole Gallionella sp. that has been characterized
(Gallionella ferruginea) is a neutrophilic iron oxidizer that
grows best under microaerophilic conditions, and the
circumstantial evidence for the existence of an acidophilic
(or acid-tolerant) species of Gallionella is intriguing.
Researchers also found evidence of SRB distantly related
to Desulfobacterium in AMD at Carnoule
`s. SRB may also be
found in sediments (and microbial mats) underlying
AMD, though the pH in such sediments is frequently
much higher than the AMD itself.
Microbiological studies of acid mine lakes in Germany
have focused on phototrophic eukaryotes as well as acid-
ophilic bacteria and have also examined how
dissimilatory microbial reductive processes may be sti-
mulated in order to ameliorate water acidity and
immobilize metals. A survey of 14 acidic lakes in Lusatia
(ranging in pH from 2.14 to 3.35, and conductivities from
690 to 4460 mScm
–1
) found a positive correlation between
the relative numbers of the iron-oxidizing heterotroph
Fm. acidiphilum and concentrations of aluminum.
However, it was concluded that indicator groups of bac-
teria, rather than single species, were better correlated
with different lake chemistries. Addition of organic car-
bon, nitrogen, and phosphorus to enclosed water columns
in a pH 2.6 mine lake was shown to induce changes in
both water chemistry and microbiology. Treatment of
water resulted in increased microbial diversity, and SRB
(Desulfobacter spp.) were among the microorganisms
detected in the amended water columns.
One other important extremely acidic ecosystem that
has been studied extensively is the Rio Tinto, a major
river, some 92 km in length, located in southwest Spain
(Figure 3). The source of the river is the Pen
˜a de Hierro
(Iron Mountain) in the Iberian Pyrite Belt, and from there
it flows though a large and historic area of copper mining
(the Riotinto mines), eventually reaching the Atlantic
Ocean at Huelva. Interestingly, even above the Riotinto
mines, the river is acidic and enriched with metals, but
this is very much accentuated as it flows through the (now
abandoned) mining district. The river has a mean pH of
about 2.2 and its distinctive red coloration derives from its
soluble ferric iron content (2gl
–1
). Primary production
in the river is carried out by both photosynthetic and
chemoautotrophic acidophiles. A study of the indigenous
prokaryotes showed that >80% were Bacteria, and that
Archaea accounted for only a relatively small proportion
of cells. A variety of different iron oxidizers (At. ferroox-
idans, Leptospirillum spp., Fm. acidiphilum, and Fp.
acidiphilum) as well as the iron-reducing heterotroph
Acidiphilium were identified. A geomicrobiological model
involving cyclical oxidation of ferrous iron and reduction
of ferric iron has been proposed to account for the
remarkable chemical stability of the river ecosystem.
Acid Streamers, Mats, and Slimes
The most obvious and dramatic manifestations of micro-
bial life in extremely acidic environments are
macroscopic growths, referred to as acid streamers,
slimes, and mats. Streamers may occur in flowing AMD
streams inside and outside of abandoned mines; these
have distinct filamentous morphologies and each filament
may be more than a meter in length. Acid mats are denser
in texture and are often found below growths of acid
streamers. Acid slimes are thick, macroscopic biofilms
that grow on moist surfaces of exposed rock faces. In
addition, macroscopic filaments (or pipes) composed of
acidophilic microorganisms may attach to, and suspend
from, mine roofs and pit props. Where these are small-
scale, they have been referred to as snotites, though larger
structures have been described as microbial stalactites.
Because of the macroscopic nature of acid streamer
478 Extremophiles: Acidic Environments

growths, they were among the first life-forms to be
reported in extremely acidic environments (in 1938).
Most of the early reports described acid steamers as
being composed of bacteria embedded in a gelatinous
matrix. The first attempts, in the 1970s, to characterize
their component microorganisms used classical microbio-
logical (cultivation-based) techniques. In the main,
neutrophilic (chiefly spore-forming) Bacillus spp. were
isolated from the acid streamers examined, leading to
the erroneous conclusion that acid streamers were com-
posed of neutrophilic heterotrophic bacteria that
maintained circum-neutral pH within the macroscopic
growths. In contrast, other researchers noted that strea-
mers found in an iron/sulfur mine in Japan were able to
catalyze the oxidation of both ferrous iron and sulfur,
though some subsamples of streamers have very limited
capacity to oxidize iron. At. ferrooxidans-like bacteria were
isolated from these growths, leading the researchers to
conclude that acid streamers were a mass of At. ferroox-
idans embedded in a gelatinous matrix. However, it is only
after biomolecular tools have been used to analyze acid
streamers and related macroscopic growths that their true
nature has been elucidated. This approach, coupled with
the major advances made in the past two decades in
techniques for isolating and cultivating acidophiles in
the laboratory, has shown that streamer communities are
both highly complex, and vary from site to site.
Superficial similarities in their gross morphologies may
mask completely contrasting microbial diversities.
One of the first intensive biomolecular examinations of
acid slime (1 cm thick) and snotite growths was carried
out with materials collected from the Richmond mine at
Iron Mountain, California. Microscopic examination
showed that both growth forms were composed mostly of
spirillum-shaped cells embedded in an extracellular poly-
meric matrix. Phylogenetic analysis based on 16S rRNA
genes showed that most of the recovered sequences were
novel, but related to known iron-oxidizing acidophiles. The
single most dominant sequence recovered from slime
growths was a novel strain of Leptospirillum (subsequently
named L. ferrodiazotrophum). L. ferriphilum-related clone
sequences were also identified. Other iron-oxidizing
Bacteria identified were related to the Gram-positive acti-
nobacteria, Acidimicrobium,andFerrimicrobium, while
sequences that affiliated with deltaproteobacteria (which
includes anaerobic sulfate and iron reducers) were also
detected, suggesting that microzones of low redox potential
existed within the macroscopic growths. Archaeal genes
were also amplified, and sequences related to Fp. acidarma-
nus were identified. Other archaeal sequences were,
however, only distantly related to known Archaea.
In contrast to the Richmond mine slimes, acid streamer
growths in less extremely acidic and cooler sites in north
Wales (one an AMD stream at an abandoned copper mine
and the other water in a chalybeate spa) were both found
to be composed predominantly of betaproteobacteria. At
the copper mine site, a single novel bacterium was the
dominant prokaryote present, while this and a second
betaproteobacterium accounted for 90% of bacteria
(determined by the quantitative FISH technique) in the
spa water streamers. A modified solid medium was devel-
oped to isolate the unknown bacterium from the copper
mine streamers, and the betaproteobacterium isolate was
shown to be the first representative of a novel genus
(proposed name, Ferrovum) of iron-oxidizing chemoauto-
trophic acidophiles. The second (spa water) unknown
species was identified as being most closely related to
G. ferruginea (and a clone obtained from the Carnoule
`s
mine; see ‘Acid mine streams and lakes’) but was not
isolated. Although known species of acidophilic bacteria
(At. ferrooxidans, Acidiphilium, Acidocella, Thiomonas,
Ferrimicrobium, and Acidobacterium) were also isolated
from the streamers, these were shown to be present in
only relatively small numbers.
Another underground site that has been the focus of
intense study is an abandoned pyrite mine (Cae Coch)
located in northwest Wales. This mine is home to the
most extensive and diverse macroscopic acidophile
growths yet reported, with an estimated acid streamer
biovolume of >100 m
3
alone, in addition to extensive
slime biofilms and mats, microbial stalactites, and snotites.
Although the temperature in the mine shows very little
seasonal fluctuation (8.5 1C), other physico-chemical
factors, including pH, dissolved oxygen, and concentra-
tions of dissolved metals and other solutes, vary from
site to site within the mine. This, together with the
fact that the underground mine has been largely undis-
turbed for 90 years, has facilitated the colonization of
different niches by different streamer/slime acidophilic
communities. Using a combination of biomolecular
and cultivation-based techniques, the Cae Coch streamer
microflora has been shown to be very different to those
of the AMD streams and ponds in which they bathe. All
of the macroscopic growths were found to be composed of
acidophilic bacteria (though protozoa and rotifers
were also found in some locations), and the novel iron
oxidizer Ferrovum was found to be the most abundant
single organism present overall. Many of the Bacteria
identified were well-known acidophiles (At. ferrooxidans,
Leptospirillum, Ferrimicrobium, Acidiphilium, and Acidocella)
while others (including Frateuria- and Ralstonia-like
bacteria) were not. Included in the latter group was a
Sphingomonas sp. that was detected by biomolecular
methods, and also isolated in pure culture where it was
shown to be an obligate acidophile, the first such species
of Sphingomonas to have this trait. The fact that acid
streamer communities can be very different from
planktonic communities in the same ecosystem was
also shown by a study of long (1.5 m) filamentous
biofilms found in the Rio Tinto, Spain. Whereas the
Extremophiles: Acidic Environments 479

dominant microorganisms in the Rio Tinto water column
are Acidithiobacillus, Leptospirillum, Acidiphilium, and
archaea (Thermoplasmatales), the streamer-like growths
examined were composed of gamma- and alphaproteo-
bacteria; Gram-positive bacteria and betaproteobacteria
were also detected in smaller numbers. As with the Cae
Coch streamers, Sphingomonas-andRalstonia-like bacteria
were identified in clone libraries constructed from Rio
Tinto streamers.
A more complex streamer/mat community in another
mine site in southwest Spain (Cantareras) has been
described recently (Figure 7). Both solar and chemical
(mostly ferrous iron) energy drives primary production in
an adit drainage channel at the site, and consequently
acidophilic microalgae and chemoautotrophic iron-oxidiz-
ing Bacteria both thrive. The streamer growths that fill the
100-m-long drain channel show distinct stratification
(Figure 7). The surface layer is green due to the presence
of Zygnema, Chlamydomonas, and other phototrophic eukar-
yotes that both aerate the anoxic mine water and provide
organic carbon, which supports the growth of heterotrophic
acidophiles. The lower layers are (in sequence) cream-
brown, turquoise, and gray-black in color, and are almost
exclusively bacterial. In contrast to most other acid streamer
communities that have been described, heterotrophic
(mostly iron-reducing) acidophiles dominate subsurface
layers at Cantareras. This is particularly the case with the
bottom mat layer, which is composed almost exclusively of
Acidobacterium-like bacteria and novel strains of sulfate redu-
cers. Complex biogeochemical cycling of iron (acting as
both electron donor and electron acceptor) and sulfur in
the Cantareras streamer community helps to sustain the
highly diverse population of acidophiles that occurs there
(Figure 8).
(a)
(c) (d)
(b)
Figure 7 Acidophilic microbial communities in an abandoned copper mine (Cantareras, Spain): (a) acid mine drainage (AMD)
channels draining the mine adit, showing deposition of copper salts on the adit walls; (b) stratified acid streamer and mat growths in
the main drain channel; (c) scanning electron micrograph of the surface streamer layer, showing filaments of microalgae (Zygnema)
and aggregates of bacteria (the bar scale represents 20 mm); (d) scanning electron micrograph of lower zone streamers, showing
rod-shaped bacteria embedded in dehydrated exopolymeric material (the bar scale represents 5 mm).
480 Extremophiles: Acidic Environments

Acidophilic snotite-like biofilms have also been
found in at least one other, very different, location.
The Frasassi complex, located in central Italy, is a
large and actively developing sulfidic cave, hosted in
limestone rock. Large concentrations (0.3 m mol l
–1
)of
hydrogen sulfide have been found in groundwater in
deep sections of the cave system, and this gas has been
shown to support the growth of sulfur-oxidizing acido-
philes that grow in biofilms on the cave roof. Although
the pH of the cave stream water is 7.0–7.3, droplets of
liquid at the tips of the snotites have pH values of
between 0 and 1, as a result of microbiological oxidation
of sulfide, forming sulfuric acid. A bacterium related to
Halothiobacillus was isolated from a snotite sample from
Frasassi, together with clones related to Acidithiobacillus
and Sulfobacillus. A later study showed that most of the
clones obtained (65%) from a snotite sample from
Frasassi were related to the mesophilic sulfur-oxidizing
acidophile At. thiooxidans. The second most phylotype
identified (31% of clones) was most closely related to
Am. ferrooxidans, which is interesting as this is a
moderately thermophilic acidophile that can oxidize
ferrous iron but not reduced sulfur.
Outlook and Applications
Knowledge of the phylogenetic and physiological diversi-
ties of acidophilic microorganisms has expanded greatly in
the past 25 years. Data from biomolecular studies of extre-
mely acidic sites, however, suggest that a large number of
acidophilic prokaryotes still await isolation and character-
ization. There is a great deal of interest in acidophiles, not
only from the standpoint of understanding how these
microorganisms can thrive in conditions that are hostile to
most life-forms, but also due to their importance in envir-
onmental pollution (mine spoils and mine drainage waters)
and in biotechnology (their central role in biomining and in
removal of metals from contaminated soils). Significant
research effort is currently concerned with finding acido-
philes that can also tolerate other environmental extremes,
such as temperature (above that of currently known
Mine adit
Portal
Drain channel
MeS → Me2+ + SO42–
Zone of oxygenic photosynthesis → O2 and DOC
H2S + Cu2+ → CuS
Fe2+
Fe2+
Fe3+
Fe3+
O2
DOC
Stratified
streamers
CL1
Surface AMD
CL2
CL3
CL4 SO42–
Figure 8 Proposed model of the biogeochemical cycling of iron and sulfur at the abandoned Cantareras mine. Dissolution of sulfide
minerals in the exposed mine workings gives rise to a highly acidic, metal- and sulfate-rich effluent. The anoxic water draining the mine
is oxygenated by photosynthetic acidophilic algae in the surface (CL1) layer of the acid streamer growths that develop immediately
outside of the adit, which facilitates oxidation of ferrous iron in the surface AMD (catalyzed primarily by Acidithiobacillus ferrooxidans).
Dissolved organic carbon (DOC) originating from photosynthetic and chemosynthetic primary producers serves as substrates for the
(dominantly) heterotrophic bacteria in the deeper zone (CL2–4) streamer layers. Ferric iron is used as terminal electron acceptor in
streamer layers CL2 and CL3, while in the thick CL4 layer sulfate is also used, resulting in the deposition of copper sulfide (CuS). The
gradual buildup of ferric iron concentrations as the AMD flows through the channel results in the elimination of the microalgae, thereby
removing the major primary production system that supports the streamer microbial community. Reproduced from Rowe OF, Sa´ nchez-
Espan
˜a J, Hallberg KB, and Johnson DB (2007) Microbial communities and geochemical dynamics in an extremely acidic, metal-rich
stream at an abandoned sulfide mine (Huelva, Spain) underpinned by two functional primary production systems. Environmental
Microbiology 9: 1761–1771, with permission from the publishers.
Extremophiles: Acidic Environments 481

thermoacidophiles) and salinity. There will doubtless be
new opportunities to exploit existing and novel acidophilic
microorganisms in future biotechnologies that will harness
their unique abilities to thrive in conditions that are mod-
erately or extremely acidic and mediate transformations of
inorganic as well as organic chemicals.
Further Reading
Baker BJ and Banfield JF (2003) Microbial communities in acid mine
drainage. FEMS Microbiology Ecology 44: 139–152.
Donati ER and Sand W (eds.) (2007) Microbial Processing of Metal
Sulfides. Dordrecht, The Netherlands: Springer.
Geller W, Klapper H, and Salomons W (eds.) (1998) Acidic Mining Lakes.
Berlin: Springer-Verlag.
Gross W (2000) Ecophysiology of algae living in highly acidic
environments. Hydrobiologia 433: 31–37.
Gross S and Robbins EI (2000) Acidophilic and acid-tolerant fungi and
yeasts. Hydrobiologia 433: 91–109.
Hallberg KB and Johnson DB (2001) Biodiversity of acidophilic
prokaryotes. Advances in Applied Microbiology 49: 37–84.
Johnson DB (2007) Physiology and ecology of acidophilic
micro-organisms. In: Gerday C and Glansdorff N (eds.),
Physiology and Biochemistry of Extremophiles, pp. 257–270.
Washington DC: ASM Press.
Johnson DB and Hallberg KB (2008) Carbon, iron and sulfur
metabolism in acidophilic micro-organisms. Advances in
Microbial Physiology 54: 201–255.
Rawlings DE (2002) Heavy metal mining using microbes. Annual Review
of Microbiology 56: 65–91.
Rawlings DE and Johnson DB (2007) Biomining. Heidelberg:
Springer-Verlag.
482 Extremophiles: Acidic Environments

Extremophiles: Cold Environments
J W Deming, University of Washington, Seattle, WA, USA
ª2009 Elsevier Inc. All rights reserved.
Defining Statement
Discovery of Cold-Adapted Microbes
Evolution of Cold Adaptation
Molecular Basis for Cold Adaptation
Conclusion: A Model Habitat for Cold Adaptation
Further Reading
Glossary
barophilic Descriptor for cultured members of the
domain Bacteria or Archaea that grow more rapidly
under elevated hydrostatic pressures of the deep sea
than at atmospheric pressure (also piezophilic).
barotolerant Descriptor for cultured members of the
domain Bacteria or Archaea that grow under elevated
hydrostatic pressures but more rapidly at atmospheric
pressure.
cold-active General descriptor for enzymes that are
catalytic or viruses that are infective at low temperature.
cold-adapted General descriptor for microorganisms,
cultured or uncultured, that express traits enabling
activity at low temperature.
cryopegs Ancient (>100 000 years) lenses of liquid
brine of marine origin, found in deep layers of Arctic
permafrost at temperatures of 10 to 12 C.
enzymes Proteins that catalyze chemical reactions
which otherwise would occur only slowly if at all;
extracellular enzymes are held near the surface of the
cell or released into the environment.
eutectic temperature Lowest temperature at which a
mixture of salt and water can contain any liquid (about
55 C for seawater); below it, liquid water converts to
solid (ice) and dissolved salts precipitate; eutectophile
refers to a microbe living near the eutectic temperature
in a natural (saline) ice formation.
freezing point Temperature at which liquid water
begins to convert to solid phase (ice); the freezing point
of pure water (0 C) is lowered by the presence of
impurities (salt, organics).
lipid bilayer Critical component of the semipermeable
membrane enclosing a microbial cell; when composed
of unsaturated fatty acid-rich complexes, the lipid
bilayer imparts greater flexibility to the membrane at low
temperature.
mesophilic Thermal descriptor for cultured members
of the domain Bacteria or Archaea that reproduce at a
minimal temperature of 10 C, optimal temperature
near 37 C, and maximal temperature of 45 C.
oligotrophic Descriptor for nutrient-poor
environments, where nutrients refer to organic
substrates utilizable by heterotrophic microbes.
permafrost Perennially frozen soil or rock material, not
subject to seasonal warming found in polar regions.
psychrophilic Thermal descriptor for cultured
members of the domain Bacteria or Archaea that grow
at a minimal temperature of 0 C or lower, optimal
temperature of 15 C or lower, and maximal temperature
of 20 C (also stenopsychrophilic).
psychrotolerant Thermal descriptor for cultured
members of the domain Bacteria or Archaea that grow
at a minimal temperature of 0 C or lower and maximal
temperature above 20 C (also eurypsychrophilic).
Defining Statement
Earth today is a cold planet, with over 80% of its bio-
sphere at temperatures of 5C and 10–20% of its
surface frozen. Widely diverse microbes have evolved
specific molecular, cellular, and extracellular adaptations
to enable their essential roles in the biogeochemical
cycles of the planet.
Discovery of Cold-Adapted Microbes
Earliest Observations and Terminology
The earliest known report of microbial life in a cold
environment dates back to the fourth century BC and
the writings of Greek philosopher Aristotle who made
observations of what later proved to be photosynthetic
Eukarya (‘red algae’) that turned snow to a reddish color.
483

More than two millennia later in the nineteenth century
(1887), the German scientist Forster described the ability
of a bioluminescent bacterium, derived from fish pre-
served in the cold, to reproduce at 0 C. In the twentieth
century (1902), the term ‘psychrophile’ for cold loving
was introduced by Schmidt-Nielsen to describe such
microorganisms.
Over the next 60 years, the term psychrophile contin-
ued to be in use to describe cold-adapted microbes
according to the ability to reproduce in the cold, regard-
less of the upper temperature limit for growth. That limit,
with few exceptions, fell above room temperature, thus
overlapping with the thermal category of mesophiles.
These microbes today are called psychrotolerant (or psy-
chrotrophic), with the descriptor psychrophilic reserved
for organisms that fit the more precise definition provided
by the American marine microbiologist Morita (in 1975),
based on cardinal growth temperatures: minimal
temperature (T
min
)of0C or lower, optimal temperature
(T
opt
)of15C or lower, and maximal temperature (T
max
)
of about 20 C(Figure 1). By this definition, which pro-
vided much needed clarity at the time and remains in
wide use today, the first true psychrophile was discovered
by Tsiklinsky as part of a French expedition to Antarctica
(1903–05). Another half-century would pass before the
abundance and functional roles of true psychrophiles in
cold environments would be appreciated. First, micro-
biologists had to learn about the sensitivity of cold-
adapted microbes to room temperature (even to unchilled
pipets) during isolation procedures. Eventually, after
many enrichment studies using 46C (convenient
refrigerator temperature) and reports of predominantly
psychrotolerant isolates, came the understanding that the
temperature of initial enrichment influences the thermal
nature of the resulting isolates: enrichments near the
freezing point (e.g., at 1C for marine samples) are
more likely to yield psychrophilic than psychrotolerant
bacteria.
Morita expected that future adjustments to his defini-
tion of psychrophily, based on new isolates obtained by
paying attention to detrimental (and influential) tempera-
tures during isolation procedures, would be in the
direction of lower cardinal temperatures. Microbes with
considerably lower cardinal growth temperatures, called
extremely psychrophilic, have been reported in the last
decade, particularly the current record holders for low-
temperature growth, Psychromonas ingrahamii (T
min
¼
12 C, T
opt
¼5C, T
max
¼10 C) and Colwellia psychrer-
ythraea strain 34H (T
min
¼12 C, T
opt
¼8C, T
max
¼
18 C) from subzero Arctic sea ice and sediments, respec-
tively. Measurements of microbial metabolic activity at
very cold temperatures (down to at least 20 C) in
natural ice formations, where measuring a reproductive
rate is methodologically challenging, has led to introduc-
tion of the term eutectophile for the most cold-adapted
microbes, living in ice near the eutectic temperature with
only nanometer-scale films of liquid water available.
Because cardinal growth temperatures cannot fully
capture the adaptability of a microorganism to its envir-
onment and are unavailable for the vast majority of
microbes in nature that evade cultivation, the term psy-
chrophilic (and psychrotolerant) remains most useful for
categorizing cultured members of the domains of Bacteria
and Archaea. Cold-adapted is used very generally to
describe microorganisms, cultured or uncultured, that
express a recognizable adaptation to low temperature,
while cold-active is often reserved for enzymes and
viruses with catalytic or infective activity at low
Temperature (°C)
Growth rate
Mesophilic
Psychrotolerant
Psychrophilic
?
?
?
–15 –10 –5 0 5 10 15 20 25 30 35 40 45 50
Figure 1 Schematic depiction of bacterial growth rate as a function of temperature (at atmospheric pressure) for a psychrophilic,
psychrotolerant, and mesophilic microbe. The dotted line depicts the psychrophilic response when grown under elevated hydrotstatic
pressure.
484 Extremophiles: Cold Environments

temperature. Other terms based on cardinal growth tem-
peratures are recently in play, particularly
stenopsychrophilic and eurypsychrophilic (comparable
in operational meaning to psychrophilic and psychroto-
lerant, respectively), in an attempt to recognize that
psychrotolerant microbes are not simply tolerant of the
cold (some mesophiles and thermophiles can tolerate the
cold) but also adapted to it, in spite of higher T
max
for
growth than psychrophiles.
What constitutes a cold temperature is also subject to
perspective. Combining cardinal growth temperatures for
psychrophiles and some key environmental temperatures
yields the following set of descriptors. Moderately cold is
15 to 5 C; that is, from the upper T
opt
for psychrophilic
growth, which is also the average temperature of the
surface of the Earth, down to the (upper) temperature of
80% of the biosphere. Cold is 5 to 2C, the approx-
imate freezing point of seawater, while very cold is below
2C. Extremely cold is below 12 C, the current
lowest T
min
for microbial growth in culture and the
temperature of the Earth’s near-million year-old perma-
frost in polar regions. Cold in the term cold adaptation
remains broadly defined by any temperature 15 Cor
lower.
Exploration of the Cold Deep Sea
The cold deep sea, as the volumetrically dominant and
most persistently cold environment on Earth (over geo-
logic time), has provided an important natural laboratory
for studying and advancing understanding of cold adapta-
tion in the microbial realm. Although its temperature is
always above the freezing point of seawater and thus not
as thermally extreme as most frozen environments, the
cold deep sea is considered extreme for other reasons: its
elevated hydrostatic pressure, which increases linearly at
10 atm (¼1 MPa) per 100 m increase in water depth, and
its typically oligotrophic state. The search for psychro-
philes in the cold deep sea has often been coupled with
the search for barophiles (also known as piezophiles),
pressure-adapted microbes that grow more rapidly
under elevated hydrostatic pressures than at atmospheric
pressure when adequate nutrients in the form of organic
substrates are available. The focus of these searches has
usually been the heterotrophic bacteria.
Scientific exploration of oceanic life, in general, began
with a series of deep-sea expeditions at the end of the
nineteenth century (study of the productive surface layers
and sea ice would come later). Until the discovery of
deep-sea hydrothermal vents toward the end of the twen-
tieth century (in 1977), the deep ocean was understood to
be uniformly cold, the temperature not exceeding about
5C (except in the deep Mediterranean and Sulu seas
where temperatures reach about 15 C). Yet, early expe-
ditions had no facilities for incubating samples shipboard
at such low temperature. The first opportunities to dis-
cover cold-adapted microbes from the vast, cold deep sea
were thus thwarted by lack of refrigeration. Remarkably,
the early French explorer Certes was able to test for
pressure-adapted microbes from the deep sea in the
1880s, even if cold adaptation was beyond reach.
More than a half century later, American marine
microbiologist ZoBell began the study of deep-sea
microbes under both in situ pressure and temperature,
documenting with Morita in 1957 the first psychrophilic
barophiles. Although these cultures were lost to future
study, similar efforts by several groups beginning from the
1970s eventually yielded sizeable culture collections of
psychrophilic barophiles; indeed, all barophiles cultured
from the cold deep sea are also psychrophilic. The syner-
gistic effects of temperature and pressure on microbial
growth (or other activities) have not been fully explored,
but for several psychrophilic bacteria their cardinal
growth temperatures can be shifted upward by incubating
under higher pressure (Figure 1). When the growth
responses of deep-sea bacteria have been examined
according to a matrix of three parameters – temperature,
pressure, and salinity – salt concentration is also observed
to shift cardinal growth temperatures, though the direc-
tion of the shift is variable and strain-dependent.
Microbiological exploration of the cold deep sea has
thus raised general awareness that cold adaptation must
be understood in relation to other parameters and not
exclusively to temperature.
Not least of other parameters is the concentration of
available energy sources or organic substrates in the case
of the heterotroph. For heterotrophic psychrophilic bar-
ophiles the barophilic trait depends upon available
substrate concentration: at low substrate concentrations,
growth rate is similar under both atmospheric and ele-
vated pressures (barotolerant, within the pressure range
for growth), while at high substrate concentrations,
growth rate is higher under elevated pressures than at
atmospheric pressure (barophilic). When substrates are in
adequate supply in the cold deep sea, for example, from
the hydrolysis of freshly deposited organic detritus, psy-
chrophilic barophiles will outcompete other cold-adapted
microbes that may be present. Genetic work with pres-
sure-adapted psychrophiles indicates that membrane
proteins involved in substrate uptake are upregulated
under elevated pressures when provided with sufficient
substrate.
Somewhat analogous work with marine psychrophiles
from shallow cold waters, considering only temperature
and substrate concentration, indicates that the lower the
temperature, the higher the required substrate concentra-
tion to achieve a comparable growth (or oxygen
respiration) rate. Low temperature or viscosity-driven
reduction of the diffusive flux of various solutes to the
cell is insufficient to account for this increase in the
Extremophiles: Cold Environments 485

required substrate concentration threshold. Resolving the
issue is important to understanding why, at least at times,
the microbial role in biogeochemical cycles of surface
polar waters appears limited until sufficient organic
solutes accumulate. Although gene expression work that
may help to explain this phenomenon remains to be
conducted, the recent whole-genome analyses of several
heterotrophic psychrophiles reveals an apparent ability to
store substrate reserves intracellularly, a potential means
around the problem for the individual cell. Also awaiting
a gene-based explanation is the repeated observation that
cold temperature favors higher bacterial growth effi-
ciency: a greater fraction of the organic carbon
consumed in the cold goes to new biomass (gain to the
food chain) than to respiration (loss as carbon dioxide).
Warming temperatures in polar waters are thus expected
to shift the role of cold-adapted microbes in the cycling of
organic carbon to increased remineralization to carbon
dioxide.
Exploration of Other Low-Temperature
Environments
Many other cold environments have been explored over
the past several decades for cold-adapted microbes.
Moderately cold to cold environments include a wide
range of aquatic and sedimentary environments, both
marine and freshwater (rivers, lakes, and subsurface aqui-
fers), terrestrial soil environments of varying degrees of
desiccation, and numerous surfaces that support microbial
biofilms, from moist rocks in caves and mines to fluid-
bathed tissues of vertebrate and invertebrate animals that
live in the cold. Unlike the cold deep sea, many of these
environments experience fluctuating temperatures (and
other parameters) on a seasonal and diurnal basis.
Exceptions with stably cold temperatures include ani-
mal-associated microbial environments, where the
animal host spends its life history in cold water, as well
as the many deep subglacial lakes of Antarctica (over 150
have been discovered) with stable temperatures just above
the freezing point, given separation from the lower atmo-
sphere and solar radiation by kilometers of glacial ice.
With the possible exception of subglacial lakes, which
await direct exploration (drilling efforts have only
reached ice accreted above the water line), all of these
cold environments have in common their successful colo-
nization by cold-adapted microbes, which then play
active if not dominant roles in cycling the inorganic and
organic materials within them. Based on classical chemo-
stat studies pitting cold-adapted microbes with different
cardinal growth temperatures against each other at con-
stant low temperature, the more psychrophilic organisms
are the dominant players.
In contrast are the environments that experience very
cold to extremely cold temperatures, including the upper
atmosphere where viable microbes have been found asso-
ciated with microscopic particles and, of course, the major
types of ice formations on Earth – freshwater snow and
glacial ice (formed from long-term compaction of snow),
lake and river ice, polar sea ice, and frozen soils. Except
for sea ice (see below) and possibly lake ice (understu-
died), frozen environments in general can be viewed as
preserving an often cosmopolitan suite of microbes, lar-
gely inactive in the cold, rather than as actively colonized
by cold-adapted microbes with all the attendant succes-
sional and adaptive responses. At extremely cold
temperatures, the primary limitation to the latter scenario
is the absence of sufficient water in the liquid phase. All
ice formations on Earth derive from source waters con-
taining impurities of one kind or another that depress the
freezing point (especially inorganic salts), so they retain at
least some liquid water. Only those that may drop below
their eutectic temperature, for example, high altitude
glacial ice on Antarctica, become completely desiccated.
Some of these frozen environments experience seasonal
and/or diurnal temperature swings, which intermittently
relieve the limitation of insufficient liquid water. They can
then support highly productive microbial ecosystems. An
example is sea ice, which during spring and summer sea-
sons, with near-continuous sunlight and seawater flushing
its base with nutrients, develops algal and microbial com-
munities visible to the naked eye as strongly discolored ice
(Figure 2). These communities contribute 25% or more of
total primary production in the Arctic with consequent
effects on secondary production (the transformation and
consumption of this biomass) and higher trophic levels. Sea
ice (like lake and river ice), however, is not a stable envir-
onment, melting by late summer before reforming in fall.
An exception is multiyear sea ice in the Arctic Ocean that
until recently could survive 8–10 melting seasons before
circulating out of the Arctic into melting Atlantic waters.
Climate-driven declines in multiyear (and first-year) sea
ice, which had been averaging about 10% per decade since
satellite coverage began in the 1970s, recently accelerated
beyond all model predictions. This particular frozen envir-
onment may soon represent a lost opportunity for the
study of cold adaptation.
The upper layers of soil in alpine and polar regions
also experience regular and wide fluctuations in tempera-
ture seasonally, from warm (>20 C) to extremely cold, as
well as climate-driven warming. Even during moderately
cold periods, microbial activity increases such that the
environment becomes a source of greenhouse gases like
carbon dioxide and methane, rather than a sink. In alpine
soils, an insulating snow cover promotes substantial
microbial activity through the winter. The deeper frozen
layers (>50 m) of polar soils removed from atmospheric
and solar influences, however, have been permanently
frozen (permafrost) in the temperature range of –10 to
12 C for close to a million years in some Siberian
486 Extremophiles: Cold Environments

locations. The typical diversity of soil microbes that have
been recovered in culture from permafrost, including
aerobes, anaerobes, heterotrophs, sulfate reducers, and
methanogens, may represent some of the oldest viable
forms available to study. Wedged between deep layers
of permafrost are cryopegs, recently discovered lenses of
very old unfrozen water kept liquid by high salt concen-
tration. Whether these very cold brines are life preserving
or actively colonized remains to be determined.
In the upper atmosphere, high-altitude glacial ice
and snow that covers Greenland and Antarctica, and
Arctic winter sea ice (and its overlying snow), microbes
experience extremely cold temperatures, sometimes
approaching or reaching the eutectic of 55 C (for
seawater). The thermal gradients inherent to glacial and
sea-ice environments (Figure 2) provide natural labora-
tories to examine the question of the lower temperature
limits for microbial growth, activity, and survival. To date,
studies of such environments and of artificially produced
ices at extreme temperatures suggest that cellular repro-
duction may be limited to about 20 C, metabolic
activity to about 40 C, and survival to the lowest tem-
peratures yet to be tested (196 C in liquid nitrogen).
These general guidelines, however, are subject to change,
especially as the field of Astrobiology stimulates increased
experimentation under extremely cold conditions.
Early in the study of this varied array of low-tempera-
ture environments, a general paradigm emerged: stably
cold environments tend to support a greater (culturable)
community of psychrophilic microbes, while those with
temperatures that fluctuate, especially above the T
max
of
psychrophiles, tend to support a greater community of
psychrotolerant (eurypsychrophilic) microbes. The
implication was that psychrophily requires a stably cold
environment to evolve. Although this paradigm appeals to
common sense, much of the early data supporting it relied
upon enrichment temperatures that would have favored
psychrotolerant microbes. When more stringent
enrichment conditions are used (e.g., 1C for saline
environments), temperature-fluctuating environments
that previously yielded mainly psychrotolerant isolates
yield a predominance of psychrophiles instead.
Psychrophiles have also been observed to reestablish
dominance in an environment in a relatively short period
of time (days), once fluctuating temperatures have stabi-
lized at a cold temperature. Furthermore, the sea-ice
environment, which has always consistently yielded
greater numbers of psychrophiles, is an ephemeral one,
with inhabitants released during the summer melt period
to seawater that then warms under 24 h solar radiation.
From initial encasement during ice formation in fall
through the winter, spring and summer seasons, sea-ice
Ice crystal
10 μm
30 mm
–1.5 °C, 3.6% salt
–12 °C, 16% salt
Temperature (°C)
Brine salinity
Ice core thickness (cm)
00 50 100 150 200
40
80
120
160
–16 –12 –8 –4 0
Ice crystal
Ice crystal
Exopolymer
gel matrix
Brine
Microbial habitat at triple point juncture
Brine salinity
Temperature
Habitable brine pores
Ice
algae
Figure 2 Schematic depiction of some characteristics of sea ice. At left are vertical gradients, in temperature and in salinity of liquid
inclusions, that develop in winter as temperature of the overlying atmosphere drops but underlying seawater remains near freezing
point. Middle panels depict relative size of brine pores in a very cold section of ice versus bottom ice with larger channels flushed by
seawater that will support an ice-algal bloom in spring. At right is an enlarged schematic of very cold brine at the juncture of three ice
crystals, depicting microbes embedded in a gelatinous matrix of exopolymers, brine, and organic substrates concentrated in the
interior, and extracellular enzymes hydrolyzing the substrates. Also shown are proposed cold-active viral enzymes at work, successful
infection and viral reproduction, lysis of host and release of free DNA and new viruses, potential agents of horizontal gene transfer.
Extremophiles: Cold Environments 487

microbes can experience a temperature fluctuation of
more than 40 C, from 35 in winter to 6 C (or higher)
in melt water. The corresponding fluctuations in other
parameters, especially salt concentration (Figure 2), add
osmotic and other stresses to the thermal swing. Although
psychrophiles have long been considered the more sensi-
tive of cold-adapted microbes, in large part because some
express narrow temperature ranges for growth (unlike
that shown in Figure 1), environmental robustness is a
matter of perspective influenced by considering other
parameters. What constitutes an ideal habitat for cold
adaptation needs to be reconsidered.
Influence of Astrobiology
The ongoing and planned exploration of other bodies in
our solar system for evidence of past or present life opens
a new chapter in the history of studying cold-adapted
extremophiles. Even the extremely cold environments
of Earth are thermally moderate relative to the extrater-
restrial sites targeted for exploration. For example, the
average surface temperature of the desiccated soils
on Mars is about 55 C, coincidentally the eutectic
temperature for Earth’s seawater. Where the surface tem-
perature is warmer, not even nanometer-scale films of
liquid water are available and radiation intensity (in the
absence of a protective atmosphere as on Earth) would be
prohibitive. The average temperature of the deeply fro-
zen surface of Europa, the Jovian moon believed to harbor
beneath its ice cover a global ocean larger than Earth’s, is
about 160 C. Such extremely cold ice formations are
not found on Earth, invoking the need to study forms of
ice generated in the laboratory. Initial studies of the
reactions of a known psychrophile to flash freezing, as
might be experienced when Europan seawater rises into
cracks of its extremely cold ice cover, suggest the impor-
tance of organic (sugar-rich) exopolymers in buffering
cells against fatal damage from ice crystals and even
enabling the completion of enzymatic reactions begun
prior to freezing. Because the presence of exopolymers
are also known to alter the microstructure of saline ice in
readily detectable ways, similar effects in extraterrestrial
ices may constitute a recognizable biosignature.
Although space missions first access only extremely
cold surfaces, the subsurface environments of both Mars
and Europa, hidden from damaging radiation, hold greater
promise for life. They are expected to be more moderate
in temperature, favoring liquid water (perhaps in analogy
to the brine layers of deeply buried permafrost), and to
offer potential energy sources for chemolithotrophic life
forms, for example, via the exothermic water-rock reac-
tion known as serpentinization. In Earth’s deep sea at a
mid-Atlantic site called Lost City, serpentinization is
known to yield hydrogen and methane in support of
luxurious archaeal biofilms and mats. The study of cold-
adapted Archaea and chemolithotrophs in general is in its
infancy, relative to the heterotrophic bacteria.
Evolution of Cold Adaptation
Glaciation Periods on Earth
The temperature of the early Earth and its ocean is
actively debated, but marine geological evidence points
to a very hydrothermally active and thus warm ocean.
The first hypothesized period of planetary-scale chilling
or glaciation does not occur until about half-way through
Earth’s history at 2.2 billion years ago during the
Proterozoic era. Less than a billion years ago, Earth is
believed to have experienced a severe freezing episode
resulting in what has been called ‘Snowball Earth’. Since
then, the planet has experienced a series of glaciation
events, not always global in scale, eventually leading to
the glacial/interglacial periods of recent Earth history.
Their periodicity is estimated in tens of thousands of
years. In between each major ice age, the planet is
believed to have been completely free of ice with an
average temperature above that permissive of a psychro-
philic life style.
Unless the deep sea remained sufficiently cold to pro-
vide refuge to a stock of psychrophiles, a difficult
hypothesis to test, psychrophilic microbes likely evolved
more than once during Earth’s history. The implication is
that the evolutionary steps between psychrotolerance and
psychrophily must be accommodated by the time avail-
able between glaciation periods. In addition to vertical
gene transfer from an ancestor (inherited beneficial gene
mutations), horizontal gene transfer (e.g., mediated by
viruses) may have played important roles in achieving
these steps. Leading the way to tests of this hypothesis
are phylogenetic analyses of extant microbes, cultured
and uncultured, comparative genomic evaluations of psy-
chrophiles and other thermal classes of microbes, and
experimentation with horizontal gene transfer in the cold.
Phylogeny of Cold Adaptation
The now classic 16S rRNA gene-sequencing approach to
deducing relationships among organisms yields a universal
tree of life on which known psychrophilic and psychroto-
lerant microbes can be located. Use of a phylogenetic tree
originally designed to highlight hyperthermophilic genera
of Bacteria and Archaea (those that grow at 90 Cor
higher) for this purpose emphasizes the late arrival of
cold adaptation among extant organisms (Figure 3). It
also indicates the slightly deeper branching of groups
containing only psychrotolerant members, reinforcing
the expectation that psychrophiles evolved from psychro-
tolerant strains.
488 Extremophiles: Cold Environments

Most of the major branches within the domain of
Bacteria, except those unique to thermophiles, contain
psychrophilic members, including all five groups of the
Proteobacteria, aerobes and anaerobes alike, the Cytophaga-
Flavobacteria,theCyanobacteria, and the Gram-positive bac-
teria. Some genera of the gamma-Proteobacteria, in
particular Moritella and Colwellia, are comprised mainly or
exclusively of psychrophiles. The Green nonsulfur bac-
teria, however, contain only psychrotolerant isolates so far.
InthedomainofArchaea,onlyasingleculture-
authenticated psychrophile is known, the methanogen
Methanogenium frigidum, isolated from an Antarctic lake. Its
position within the archaeal domain of the tree also indicates
a later evolutionary arrival (Figure 3). The marine
Crenarchaeota have a somewhat earlier branching position.
Members of this archaeal group often dominate numerically
in the cold deep sea and occur in many of the polar waters
and sediments that have been examined, but only one of their
members has been brought into culture (from an aquarium
sample enriched at room temperature). It is not cold-adapted.
A well-studied crenarchaeal symbiosis with a sponge host
that dwells in cold waters clearly suggests cold adaptation,
but whether psychrophilic or psychrotolerant awaits a cul-
tured isolate. Because the marine Crenarchaeota that inhabit
thecolddeepseaarebelievedtobeinvolvedinthenitrogen
cycle, especially the process of nitrification (microbial oxida-
tion of ammonia to nitrite and nitrate) which generates the
inorganic nitrogen required by primary producers in surface
waters, they are targets of intensive study.
Given that the study of cold adaptation in the micro-
bial realm has historically centered on heterotrophic
bacteria, in large part because these organisms are more
readily brought into culture than chemolithotrophs or
Archaea in general, conclusions from the depicted phylo-
genetic tree (Figure 3) should be drawn with caution. As
more microbes are brought into culture and shown to be
cold-adapted, the branching patterns evident today may
change. Stable isotope (and other) probing techniques that
allow recognition of microbial activity under different
temperatures in the absence of cultivation, yet coupled
to a sequencing identification, may also bring new infor-
mation to the tree.
Genetic Mechanisms
Genetic mutation as a means to cold adaptation is evident
from studies of the molecular interactions inferring
enzymes with catalytic ability in the cold and in compara-
tive analyses of whole-genome sequences from related
organisms with different cardinal growth temperatures.
In the former case, site-directed mutagenesis and related
approaches indicate that, depending on the enzyme and
often its size, anywhere from a single amino acid change
to numerous amino acid substitutions or chemical altera-
tions can explain the gain (or loss) of cold activity. In the
latter case, and despite an oft-cited idea that only a critical
subset of an organism’s enzymes need be cold-active for it
to function as a psychrophile, results of comparative gen-
ome studies for both Archaea and Bacteria suggest
otherwise. Significant amino acid replacements were
observed in over 1000 genome-deduced proteins from
the psychrophilic methanogen, M. frigidum, relative to
Bacteria
Archaea
Eukarya
Euryarchaeota
Crenarchaeota
Korarchaeota
Extreme
halophiles
Thermoplasma
Methanopyrus
Methanobacterium
Thermoproteus
Methanococcus
Thermococcus
Pyrolobus
Marine
Crenarchaeota
Pyrodictium
Methanosarcinaceae
Green nonsulfur
bacteria
Gram-positive
bacteria
Cyanobacteria
Flavobacteria
Thermotoga
Thermodesulfobacterium
Aquifex
Methanogenium
Proteobacteria
α,β,δ,γ,ε
Figure 3 Universal phylogenetic tree of life based on 16S rRNA sequences, emphasizing the domains of Bacteria and Archaea.
Orange branches indicate hyperthermophiles that grow at 90 C; purple branches, groups that contain known (cultured)
psychrotolerant strains; and blue branches, groups that contain known psychrophiles. Note that the (uncultured) marine Crenarchaeota
are colored purple because degree of cold adaptation is not known.
Extremophiles: Cold Environments 489

proteins from other methanogens covering a range of
temperature growth optima, from 15 to 98 C. When the
whole proteome of C. psychrerythraea 34H and three-
dimensional architectures of its proteins were compared
to nearest mesophilic neighbors with available genome
sequences, the same general observation was made. In
both cases, the interactions and locations of polar and
charged amino acids (in particular serine, histidine, glu-
tamine, and threonine) in protein tertiary structures
appeared influential in imparting psychrophily.
In other analyses of the whole genomes from the
several psychrophiles that have been sequenced so far,
specific proteins and other features known from previous
culture work to impart cold adaptation (discussed below)
have been documented. A new genomic finding, not
widely evident from prior culture work, is the prevalence
of virally delivered genes in psychrophiles along with the
presence of prophage (viruses residing benignly in the
bacterial genome and thus implicated in gene transfer).
That virally mediated horizontal gene transfer has played
an important role in the evolution of psychrophily
appears inescapable, although other forms of gene transfer
also need to be considered (transformation by direct
uptake of free DNA and plasmid exchange by conjugation
between cells; Figure 4), particularly since the transfer of
plasmid DNA via conjugation between mesophilic and
psychrophilic bacteria has been demonstrated.
Inthesametimeframethatgenomicanalysesofpsychro-
philes have become available, the study of cold-active virus–
host systems in culture has been renewed. While work over a
half-century ago had documented infectivity at 0 C, the
environmental and evolutionary implications had only
rarely been pursued. Recently, several promising cold-active
virus–host systems have been obtained by a number of
researchers and the lower (known) temperature limit for
infectivity has been pushed to 12 C (and 16% salt) in
simulated sea-ice brines. The goal of demonstrating active
horizontal gene transfer under realistic environmental con-
ditions, whether or not mediated by viruses, as means to
evolve cold adaptation remains for the future.
Molecular Basis for Cold Adaptation
As the temperature of an aqueous solution decreases, for
example, from 37 to 0 C, its viscosity more than doubles,
slowing solute diffusion rates, while chemical reaction rates
(also influenced by viscosity) decrease exponentially. The
cytoplasmic membranes and enzymes of mesophilic
microbes tend to rigidify under these conditions and lose
function. Protein folding is impaired and nucleic acids
assume secondary or super-coiled structures that interfere
with their proscribed activities. A hallmark of microbial
cold adaptation at the molecular level is thus to retain
sufficient flexibility in its macromolecules such that essen-
tial functions can go forward in spite of the challenging
effects of low temperatures. When arguably nonessential
functions, for example, motility, can also go forward, the
microbe becomes even more competitive in the cold. The
lower temperature limit for bacterial motility, 10 C(ina
high sugar solution), is held by an extreme psychrophile,
C. psychrerythraea 34H. Enough direct research on psychro-
philes and comparative studies of psychrotolerant and
mesophilic bacteria has been accomplished in recent
decades to identify key components and aspects of a cell
that impart cold adaptation (Figure 4).
1 DNA polymerase
2 Cold-shock proteins
3 tRNA and ribosomes
4 Lipid bilayer with PUFAs
5 Transport and catalytic proteins
6 Compatible solutes
7 Extracellular hydrolytic enzymes
8 Ice-crystal controlling proteins
9 Extracellular polysaccharides
10 Flagellum and motility motor
11 Conjugative pilus and plasmid
12 Infective virus with enzymes
5
10
11
12
9
7
2
1
4
3
8
11
6
Figure 4 Simplified schematic of a bacterial cell depicting some of the known components and processes linked to cold adaptation
(see text).
490 Extremophiles: Cold Environments

Membrane Fluidity
The cellular membranes of cold-adapted microbes must
remain flexible enough under rigidifying temperatures to
facilitate their essential functions in the transport of nutri-
ents and metabolic byproducts and the exchange of ions
and solutes critical to maintaining intracellular integrity.
The cold-adapted cell accomplishes this feat by fine-
tuning the composition of its membrane lipid bilayer
(Figure 4), introducing steric hindrances that change
the packing order of the lipids or reduce interactions
between them and other membrane components. The
genome must encode the ability to produce a flexible
membrane in the first place (adaptation), as well as to
adjust membrane components on the short-term (accli-
mation). The list of specific alterations known to enhance
flexibility in the cold is extensive, if sometimes strain-
specific, but typically includes producing a higher content
of unsaturated (fewer double bonds between carbon
atoms), polyunsaturated, and branched and/or cyclic
fatty acids in response to cold. In some cases, shortening
the length of the fatty acid can enhance flexibility, while
in others, changing the content or size of the lipid head
groups helps. Genes for enzymes involved in polyunsatu-
rated fatty acid (PUFA) synthesis are clearly present in
psychrophilic genomes, although without tests of their
cold-active nature, such findings are not definitive for
cold adaptation (some mesophiles also contain them).
Other components of the lipid bilayer include mem-
brane proteins and carotenoid pigments. How membrane
proteins interact with lipids affects both the active and
passive permeability of the membrane, important for con-
trolling the exchange of ions and organic solutes
(Figure 4). The genome of C. psychrerythraea 34H contains
numerous gene families involved in the transport of
compatible solutes, low-molecular-weight organic com-
pounds (often sugars or amino acids and their
derivatives) that accumulate to high intracellular levels
under osmotic stress, and are compatible with the meta-
bolism of the cell. They help to maintain cellular volume
and turgor pressure and protect intracellular macromole-
cules in the face of changing salt concentrations exterior to
the cell, as occurs in sea-ice brines when the temperature
drops (Figure 3). The cold-adapted membrane thus needs
to be flexible, especially in very cold environments, to
permit both the uptake of energy-yielding substrates and
compatible solutes, yet impermeable enough to prevent
excessive passive exchange; adjusting the protein compo-
nents of membranes can help. The sensitivity of some
membrane proteins to temperature-driven conformational
changes appears to provide a thermal sensor that results in
the upregulation of genes involved in subsequent mem-
brane adjustments, making life in a temperature gradient
imminently feasible. As temperatures approach T
max
for
growth, cold-adapted microbes must also be able to keep
their membranes sufficiently stable (inflexible) to avoid
cell leakage and death by lysis. In some cases, adjusting
pigment content appears to accomplish this goal.
Cold-Active Enzymes
The exponential drop in chemical reaction rates brought
on by decreasing temperature highlights the impressive
evolutionary development of all manner of enzymes with
high catalytic activity in the cold. Complimenting the
known membrane adjustments to achieve flexibility in
the cold are those expressed by cold-active enzymes,
including both essential intracellular enzymes required
for nucleic acid and protein synthesis in the cell, mem-
brane permeases for active solute transport and alteration,
and extracellular enzymes released to perform hydrolytic
functions in the environment (Figure 4). As with achiev-
ing a more flexible membrane against the cold, high
enzymatic activity at low temperature involves creating
greater molecular flexibility than that observed in
enzymes active at warm temperatures. It also involves
trade-offs; although not a firm rule, for many cold-active
enzymes the very traits that impart cold activity also
make them unstable at higher temperature. Unlike mem-
brane adjustments, enzyme adaptations over an
evolutionary time scale appear more relevant to cold
activity than means for short-term acclimation. The stra-
tegies for increased flexibility of an enzyme leading to
cold activity are numerous but not uniform. In some cases,
increased flexibility is linked to a shift in primary struc-
ture (amino acid composition) of the entire protein, while
in others only direct adjustments to the catalytic site of
the three-dimensional macromolecule are involved. For
some enzymes, including those released from the cell to
perform hydrolytic functions in the environment, adjust-
ments to flexibility are detected in the regions of the
protein exposed to the solvent. Keeping an exterior
shape firm as temperature drops can translate to keeping
a more protected catalytic site flexible.
Considering the interface between the exterior shape of
an enzyme and the solvent raise the need to consider
enzyme interactions with other components in the envir-
onment, independently of the cell. For example, the
extracellular polysaccharides released by C. psychrerythraea
34H have been observed to stabilize an extracellular pro-
tease (that it also produces) against thermal denaturation.
The effective work of extracellular enzymes in the cold,
for example, in hydrolyzing organic substrates to a size
that can be transported into the cell, may be an important
trait of heterotrophic psychrophiles. Over half of the
enzymes assigned to the degradation of proteins and pep-
tides in the C. psychrerythraea genome are predicted to be
localized external to the cytoplasm, among the highest
percentage in any completed genome (from all thermal
classes). The successful infection (and reproduction) of a
Extremophiles: Cold Environments 491

virus in this same psychrophile at very cold temperatures
(–10 to 13 C) suggests that at least some viruses in cold
environments may carry highly cold-active enzymes for
penetrating the cell membrane (Figures 3 and 4).
In spite of multiple strategies to achieve enough flex-
ibility for catalytic activity in the cold, intracellularly or
extracellularly, some common trends have emerged from
enzyme studies regarding specific chemical modifications
required to reduce the strength or number of otherwise
stabilizing factors for a protein. These include reducing
ion pairs, hydrogen bonds and hydrophobic interactions,
inter-subunit interactions, cofactor binding, and proline
and arginine content. Increasing exposure of apolar resi-
dues to the solvent, accessibility to the active site, and the
clustering of glycine residues also pertain. Such trends
provide means to search both available and future gen-
omes for signs of cold adaptation. They also provide
blueprints to identify or engineer proteins for applied
uses in the cold, many of which have been identified by
the food, detergent, and biotechnology industries, by
those seeking means to remediate the contamination of
cold environments, and by start-up companies interested
in the possible production of cost-effective alternatives to
fossil fuels that take advantage of enzymatic hydrolysis in
the cold.
Cold-Shock Proteins
For the cold-adapted microbe, all nucleic acids and pro-
teins involved in maintaining (if not synthesizing),
transcribing, and translating genetic information intracel-
lularly must be able to function in the cold. In some cases,
this feat is thought to be accomplished not by primary
alteration of the macromolecule itself, as already
described, but by production of specific proteins that
bind to them, presumably enabling proper conformation
and flexibility, including required periods of destabiliza-
tion. The production of cold-shock proteins to serve a
similar function when mesophiles are subjected to a tem-
perature downshift is well studied, but less is known about
related responses of cold-adapted microbes to downshifts
in temperature or to continuous life in the cold. Available
information on psychrotolerant bacteria indicates that
large numbers of cold-shock proteins (related to those in
mesophiles) are always present and that production of
cold-acclimation proteins is continuous in the cold, as is
the expression of housekeeping genes (for basic cellular
functions). By contrast, the mesophile Escherichia coli car-
ries few cold-shock proteins prior to cold shock, but a
temperature downshift immediately results in repression
of critical housekeeping genes and induction of cold-shock
(but not cold-acclimation) proteins, which is transient.
The continuous production of a variety of binding
proteins to maintain proper conformation, flexibility,
and function of major macromolecules thus appears to
be an important trait of cold adaptation (Figure 4).
Although work with live psychrophiles is needed, geno-
mic sequence data support this idea; for example, the
genome of C. psychrerythraea 34H encodes for multiple
common cold-shock proteins. Furthermore, the genetic
acquisition of cold-shock proteins may not require the
longer term evolutionary process of vertical inheritance
but may be facilitated by horizontal gene transfer. Genes
for cold-shock proteins known only from the domain of
Bacteria have been observed upon genomic sequencing of
an uncultured population of marine Crenarchaeota from
cold Antarctic waters.
Cryoprotectants and Exopolymers
In very cold environments, the cellular membranes of
resident microbes are subject not only to rigidity but
also to physical damage from ice-crystal formation during
the freezing process. Some cold-adapted microbes are
known to produce and release specific proteins that help
to control the formation of ice crystals (Figure 4), includ-
ing ice-nucleating proteins (that provide a template for
crystal formation away from the cell) and antifreeze pro-
teins that inhibit ice nucleation by dropping the freezing
point or repressing the recrystallization of ice. The rate of
freezing experienced by the cell also influences the
degree of damage, with faster rates limiting the damage.
Natural ice formations on Earth freeze slowly (producing
ice crystals) relative to the vitrification process, whereby
the liquid phase converts directly to solid without ice-
crystal formation. When microbial cultures are vitrified in
the laboratory (using liquid nitrogen at 196 C), their
cell membranes remain intact with no morphological sign
of damage. When vitrified in the presence of sugars, the
likelihood of recovering them in culture after thawing
increases.
Small molecular weight sugars (like glycerol) have
long been used as cryoprotectants in the deep-freeze
(80 C) storage of microbes, presumably providing a
buffer between cells and ice crystals. Newly discovered,
however, is the overproduction of complex extracellular
polysaccharides by cold-adapted bacteria, both psychro-
philic and psychrotolerant, when subjected to
increasingly cold temperatures, especially below the
freezing point. Sea ice through its seasonal lifetime is
also recently known to harbor high concentrations of
sugar-based exopolymers in its liquid brine inclusions
(Figure 3). These exopolymers, produced copiously not
only by sea-ice algae but also by ice-encased bacteria, are
understood to serve as natural cryoprotectants not only
against potential ice-crystal damage but also by further
depressing the freezing point such that more liquid water
remains available within the ice matrix. In this regard,
cellular coatings of exopolymers (Figure 4), or exopoly-
mers available in the environment, are believed to
492 Extremophiles: Cold Environments

provide a hydrated shell that helps to buffer the cell
against the osmotic stress of high salt concentrations in
winter sea-ice brines (Figure 3). Along with the possible
stabilization of extracellular enzymes, this myriad of func-
tions makes exopolymers a cold-adaptive trait worth
examining in more detail. The organization of genes for
exopolymers on the genome of the psychrophilic bacter-
ium Psychroflexus torques, for example, suggests that they
may be the result of a series of lateral gene transfer events.
Conclusion: A Model Habitat for Cold
Adaptation
Considering that the ocean represents the bulk of Earth’s
cold biosphere, today and in the past, the annual freezing
of its surface waters in polar regions takes on special
significance as an important planetary driver of cold
adaptation. Astronomical numbers of bacteria (10
5
in a
single milliliter of seawater) pass through this frozen
gauntlet annually, and over extended periods in geologi-
cal time. Microbes that experience a winter in sea ice are
subjected to the linked stressors of increasingly cold tem-
perature and high brine salinity as shrinking pore space
further concentrates all impurities in the source seawater,
including microbes (Figure 2). This concentrating factor
brings microbes into close proximity to each other, as
verified by microscopic observations of DNA-stained
cells in unmelted ice, in a liquid environment of abundant
low- and high-molecular-weight organic compounds,
including complex exopolymers that serve many positive
functions for the trapped cells. Model calculations and
observed concentrations in melted sea ice indicate that
agents of lateral gene transfer (free DNA and viruses) also
surround the encased cells (Figure 2). The virus–bacteria
contact rate in a winter sea-ice brine may be as much as
600 times higher than in underlying seawater. Active
virally mediated gene transfer has not yet been demon-
strated, but the sea-ice environment would appear to
favor it.
Even if horizontal gene transfer is not operative in sea
ice, the vertical inheritance of genes for cold adaptation
must be a regular occurrence. The habitat of P. ingraha-
mii, one of the most extremely psychrophilic bacteria on
record (shown to reproduce at 12 C), is sea ice.
Isolates of C. psychrerythraea (strain 34H also grows at
12 C) are readily cultured from sea ice. Virtually all of
the canonical molecular traits of cold adaptation, along
with some new ones, have been documented in the test
tube or by genome analyses of such sea-ice psychro-
philes. Rather than a stably cold environment, the key
to the evolution of cold adaptation may be repeated
exposure to the extreme cold and brine of sea ice, select-
ing for robustness in the face of multiple insults,
including future ones like hydrostatic pressure. That
salt-heavy water masses form in polar oceans actively
growing sea ice and then sink to fill the cold deep ocean
over time points to the concept of a cold refuge for cold-
adapted bacteria during interglacial times when ice as an
evolutionary driver was nonexistent, as we may witness
again in this century.
Further Reading
Bowman JP (2008) Genomic analysis of psychrophilic prokaryotes.
In: Margesin R, Schinner F, Marx JC, and Gerday C (eds.)
Psychrophiles: From Biodiversity to Biotechnology, pp. 265–284.
Berlin: Springer-Verlag.
Breezee J, Cady N, and Staley JT (2006) Subfreezing growth of the sea
ice bacterium Psychromonas ingrahamii.Microbial Ecology
47: 300–304.
Connelly TL, Tilburg CM, and Yager PL (2006) Evidence for
psychrophiles outnumbering psychrotolerant marine bacteria in the
springtime coastal Arctic. Limnology and Oceanography
51: 1205–1210.
Deming JW (2002) Psychrophiles and polar regions. Current Opinion in
Microbiology 3(5): 301–309.
Deming JW (2007) Extreme high-pressure marine environments.
In: Hurst CJ, Crawford RL, Garland JL, Mills AL, and Stetzenbach LD
(eds.) ASM Manual of Environmental Microbiology, 3rd edn.,
pp. 575–590. Washington, DC: ASM Press.
Deming JW and Eicken H (2007) Life in ice. In: Sullivan WT and
Baross JA (eds.) Planets and Life: The Emerging Science of
Astrobiology, pp. 292–312. Cambridge: Cambridge University
Press.
Gerday C and Glansdorff N (eds.) (2007) Physiology and Biochemistry of
Extremophiles. Washington, DC: ASM Press.
Helmke E and Weyland H (2004) Psychrophilic versus psychrotolerant
bacteria – occurrence and significance in polar and temperate
marine habitats. Cellular and Molecular Biology 50: 553–561.
Margesin R, Schinner F, Marx JC, and Gerday C (eds.) (2008)
Psychrophiles: From Biodiversity to Biotechnology. Berlin: Springer-
Verlag.
Methe´ BA, Nelson KE, Deming JW, et al. (2005) The psychrophilic
lifestyle as revealed by the genome sequence of Colwellia
psychrerythraea 34H through genomic and proteomic analyses.
Proceedings of the National Academy of Sciences of the United
States of America 102(31): 10913–10918.
Morita RY (1975) Psychrophilic bacteria. Bacteriological Reviews
39: 144–167.
Moyer CL and Morita RY (2007) Psychrophiles and Psychrotrophs.
Encyclopedia of Life Sciences, doi:10.1002/
9780470015902.a0000402.pub2. New York: John Wiley and Sons.
Panikov NS and Sizova MV (2007) Growth kinetics of microorganisms
isolated from Alaskan soil and permafrost in solid media frozen down
to –35 C. FEMS Microbiology Ecology 59: 500–512.
Parrilli E, Duilio A, and Tutino ML (2008) Heterologous protein
expression in psychrophilic hosts. In: Margesin R, Schinner F,
Marx JC, and Gerday C (eds.) Psychrophiles: From Biodiversity to
Biotechnology, pp. 365–379. Berlin: Springer-Verlag.
Price BP and Sowers T (2004) Temperature dependence of metabolic
rates for microbial growth, maintenance, and survival. Proceedings
of the National Academy of Sciences of the United States of America
101: 4631–4636.
Extremophiles: Cold Environments 493

Priscu JC and Christner BC (2004) Earth’s icy biosphere. In: Bull AT (ed.)
Microbial Biodiversity and Bioprospecting, pp. 130–145.
Washington, DC: ASM Press.
Rodriguez DF and Tiedje JM (2008) Coping with our cold planet. Applied
and Environmental Microbiology 74: 1677–1686.
Saunders NF, Thomas T, Curmi PM, et al. (2003) Mechanisms of
thermal adaptation revealed from the genomes of the Antarctic
Archaea Methanogenium frigidum and Methanococcoides burtonii.
Genome Research 13: 1580–1588.
494 Extremophiles: Cold Environments

Extremophiles: Hot Environments
J F Holden, University of Massachusetts, Amherst, MA, USA
ª2009 Elsevier Inc. All rights reserved.
Defining Statement
Introduction
Discovery: Life at High Temperatures
Taxonomy
Mechanisms of Thermostability
Upper Temperature Limit of Life
Metabolism and Growth
Relationship between Organisms and their Environment
Further Reading
Glossary
archaea A third superkingdom of life along with
bacteria and eukarya.
chaperone A protein used to prevent aggregation of
denatured proteins and facilitate their refolding.
ether lipid Lipids unique to archaea where isoprenoid
alcohol chains are ether linked to a glycerol backbone.
histone A DNA-binding protein that compacts DNA into
a nucleosome-like structure and adds thermostability to
hyperthermophile DNA.
hyperthermophile An organism with an optimal growth
temperature above 80 C, primarily archaea.
methanogens Archaea that produce methane as a
metabolite.
respiration Electron transfer through the cytoplasmic
membrane for the purpose of energy generation and
oxidative phosphorylation.
reverse gyrase A topoisomerase used to positively
supercoil DNA and aid in DNA repair.
tetraether lipids Two archaeal ether lipids connected
end to end by their hydrocarbon tails that form a
membrane monolayer.
thermophile An organism with an optimal growth
temperature between 55 and 80 C, includes bacteria
and archaea but not eukarya.
Abbreviations
APS adenosine phosphosulfate
cDPG cyclic 2,3-diphosphoglycerate
CoA coenzyme A
DIP di-myo-inositol-1,19-phosphate
MGD molybdopterin guanine dinucleotide
PRPP 5-phospho-D-ribose-1-pyrophosphate
RubisCO ribulose-1,5-bisphosphate carboxylase/
oxygenase
Defining Statement
This article examines the microbial ecology of thermo-
philes and hyperthermophiles by describing factors used
for DNA, protein, and cell wall thermostability; CO
2
and
acetate assimilation; heterotrophy; and respiration. It also
examines the evidence for the upper temperature limit for
life based on pure cultures, studies on natural assem-
blages, and field studies.
Introduction
Life at high temperatures is classified as being either ther-
mophilic or hyperthermophilic. Thermophiles are those
organisms with optimal growth temperatures between 55
and 80 C, whereas hyperthermophiles grow optimally at
and above 80 C. The lower bound for thermophily is
based on the rarity of temperatures above this point in
nature and because it is very uncommon for eukarya to
grow above 55 C. The hyperthermophile boundary is
arbitrary but does largely distinguish those organisms that
grow at the highest temperatures. It also has some mole-
cular basis as generally only hyperthermophiles possess the
enzyme reverse gyrase, which helps to stabilize double-
stranded DNA at high temperatures. The highest known
optimal growth temperatures are 105–106 Cwherethe
slight addition of hydrostatic pressure prevents boiling.
High-temperature organisms are of interest for the infor-
mation they provide on early life history, life in geothermal
environments, and biochemistry. It is widely believed that the
earliest life on Earth or the last common ancestor of life was
either thermophilic or hyperthermophilic. Therefore, the
study of modern-day (hyper)thermophiles may provide
495

insight into the biochemical processes that occurred more
than 3 billion years ago. Geothermal environments are ubi-
quitous on land and on the ocean floor and likely extend into
vast regions of the Earth’s crust. Thermophilic and
hyperthermophilic microorganisms likely alter at some
level the chemistry and fluid flow within these environments.
High-temperature microorganisms are also useful for several
industrial applications, including in vitro DNA replication
(i.e., the polymerase chain reaction (PCR)), gas and oil recov-
ery, laundry detergents, sweetener production, and biofuels.
Relating the biochemical characteristics of an organism
to its ecology is best called physiological ecology and is
the goal of this article. After an introduction to the kinds of
thermophiles and hyperthermophiles found in geothermal
environments, this article will examine those physiological
attributes that permit these organisms to survive at high
temperatures and place the information into an ecological
context. This will include discussions on molecular stabi-
lity at high temperatures, the upper temperature limit of
life, and metabolic traits and capabilities that are relevant
to biogeochemistry and microbial ecology.
Discovery: Life at High Temperatures
The presence of living organisms in geothermal hot
springs was noted in Naturalis Historia by Pliny the Elder
(23–79 AD). The first significant studies began in the
nineteenth century, and early researchers recognized
their importance on topics such as the structure and
organization of life. Early challenges included demon-
strating that the organisms were indeed alive in the
springs and that the temperature was measured precisely
at the organism’s location because temperatures can vary
significantly over a few centimeters. The first likely
report of life above 80 C came from the observation of
high concentrations of microorganisms (or ‘chlorophylless
filamentous Schizomycetes’) in an 89 C hot spring in
Yellowstone National Park sampled in 1898.
In 1965, Thomas D. Brock began detailed studies of
life in the hot springs of Yellowstone National Park and
elsewhere and launched the study of thermophilic micro-
biology. He found microorganisms were thriving in
geothermal pools and streams, in some cases up to the
boiling point of the fluid, and cultured the first isolates for
study. After 1980, many novel hyperthermophilic genera
were cultured and characterized by Karl O. Stetter,
Wolfram Zillig, and others from the solfataras of Iceland
and shallow marine vents along the coasts of Iceland and
Italy. At the same time, microorganisms associated with
deep-sea hydrothermal vents were found that utilize the
steep temperature and chemical gradients to support
growth. More recently, hyperthermophiles have been
found in other hot environments, such as petroleum
reservoirs, subsurface geothermal pools, and deep mines.
Taxonomy
Thermo(acido)philes
Although thermophiles are limited to bacteria and
archaea, they are found in a wide range of environments,
including coal refuse, hot-water tanks, and compost
piles. This article will focus only on thermophiles from
geothermal environments and are divided into the follow-
ing groups. Photosynthetic bacteria generally grow up to
70–75 C and include many cyanobacteria as well as
green- and purple-sulfur bacteria such as Chloroflexus
and Chromatium. Spore-forming thermophiles include
Bacillus,Clostridium,andMoorella species. Several thermo-
philic Actinomycetes have been described as well as
thermophilic sulfur-oxidizers (e.g., Thiobacillus), sulfate
reducers (e.g., Desulfovibrio), and Gram-negative aerobes
(e.g., Thermus). Among archaea, thermophiles are often
also acidophiles. Sulfolobus,Acidianus, and Metallosphaera
are found in acidic terrestrial hot springs and have pH
optima around pH 2. Aciduliprofundum boonei is a marine
thermoacidophile recently found in deep-sea hydrother-
mal vents that grows optimally at pH 4.5, which highlights
the potential importance of acidophily in marine environ-
ments as well. Methanogens are found in the thermophilic
temperature range as well as the hyperthermophilic range.
Hyperthermophiles
Hyperthermophily is found primarily within the archaea,
which contain 33 of the 37 reported genera (Table 1).
The remaining four genera are bacteria. Archaea are
further divided into two major phyla: the Crenarchaeota
and the Euryarchaeota. Hyperthermophiles are found in
both, but most genera are Crenarchaeota. A third archaeal
phylum is Nanoarchaeota whose sole representative is a
hyperthermophilic epibiont of certain Ignicoccus species.
There is molecular evidence for a fourth archaeal phy-
lum, the Korarchaeota, which is believed to contain either
thermophilic or hyperthermophilic members but are yet
to be cultured.
In the Crenarchaeota, the Sulfolobaceae contain primar-
ily thermoacidophiles that are found in terrestrial hot springs
and grow optimally around pH 2. The Thermoproteaceae
are also largely freshwater organisms but grow in more
neutral environments. The Desulfurococcaceae and Pyro-
dictiaceae are marine hyperthermophiles that grow in
mildly acidic to neutral pHs. In the Euryarchaeota, the
Thermococcaceae are marine heterotrophs, whereas the
Archaeoglobaceae are marine heterotrophs and autotrophs.
The Methanopyraceae, Methanocaldococcaceae, and
Methanothermaceae contain freshwater and marine metha-
nogens. Hyperthermophilic bacteria are found in the
Aquificaceae, Thermotogaceae, and Thermodesulfo-
bacteriaceae. The degree of homology between the
496 Extremophiles: Hot Environments

Table 1 Taxonomy of hyperthermophiles at the superkingdom, phylum, family, and genus levels and their growth characteristics.
Optimum (T
opt
) and maximum (T
max
) growth temperatures are the maximum known temperatures for each genus
Taxonomic group Metabolism
a
Electron acceptors T
opt
(T
max
)(
C)
Archaea
Crenarchaeota
Desulfurococcaceae
Acidolobus HH
þ
,S
85 (92)
Aeropyrum HO
2
95 (100)
Caldococcus HS
92 (96)
Desulfurococcus HH
þ
,S
85 (95)
Ignicoccus CS
90 (98)
Ignisphaera H 95 (98)
Staphylothermus HS
92 (98)
Stetteria CS
,S
2
O
32
95 (102)
Sulfophobococcus HH
þ
85 (95)
Thermodiscus HH
þ
,S
90 (98)
Thermosphaera HH
þ
85 (90)
Pyrodictiaceae
Hyperthermus HS
101 (108)
Pyrodictium C, H FeO, S,S
2
O
32
,SO
32
105 (110)
Pyrolobus C FeO, NO
3
,O
2
,S
2
O
32
106 (113)
Sulfolobaceae
Acidianus CS
,O
2
88 (95)
Stygiolobus CS
80 (89)
Sulfolobus CO
2
81 (90)
Sulfurisphaera HO
2
,S
84 (92)
Thermoproteaceae
Caldivirga HO
2
,S
,S
2
O
32
,SO
42
85 (92)
Pyrobaculum H, FA Fe
3þ
, FeO, NO
3
,S
,S
2
O
32
100 (103)
Thermophilum HS
88 (95)
Thermoproteus H, FA S88 (97)
Vulcanisaeta HFe
3þ
,S
,S
2
O
32
,SO
42
90 (99)
Euryarchaeota
Archaeoglobaceae
Archaeoglobus C, FA SO
42
83 (95)
Ferroglobus C FeO, NO
3
,S
2
O
32
85 (95)
Geoglobus FA FeO 88 (90)
Methanocaldococcaceae
Methanocaldococcus CCO
2
85 (91)
Methanopyraceae
Methanopyrus CCO
2
98 (110)
Methanothermaceae
Methanothermus CCO
2
88 (97)
Thermococcaceae
Paleococcus HFe
2
S
3
,O
2
,S
83 (88)
Pyrococcus HH
þ
,S
100 (105)
Thermococcus H FeO, Fe
2
S
3
,H
þ
,S
87 (93)
Nanoarchaeota
Nanoarchaeum HS
90 (98)
Bacteria
Aquificaceae
Aquifex CNO
3
,O
2
85 (95)
Thermocrinis CO
2
80 (89)
Thermotogaceae
Thermotoga H FeO, H
þ
,S
80 (90)
Thermodesulfobacteriaceae
Geothermobacterium C FeO 90 (100)
a
C, chemolithoautotrophic; H, heterotrophic; FA, facultative autotroph.
Extremophiles: Hot Environments 497

nucleotide sequences of small-subunit ribosomal RNA from
all life suggests that both bacterial and archaeal hyperther-
mophiles are positioned largely near the root of the
phylogenetic tree. This supports the idea that phylogeneti-
cally they are the closest extant organisms to early life on the
planet.
Mechanisms of Thermostability
DNA
DNA denatures in vitro from a double strand to two single
strands (i.e., melts) at temperatures between 70 and 90 C.
The stability of the DNA secondary structure is a func-
tion of the degree of guanosine–cytosine base pairing and
salt concentration, with DNA melt temperature increas-
ing with GC content and salt. As a result, thermophiles
and especially hyperthermophiles must have in vivo
mechanisms that prevent this melting. This protection
comes in the forms of protein–DNA interaction and
solutes. Above 90 C, DNA damage (e.g., depurination)
occurs at rates that are 1000-fold higher than at 25 C.
Thus hyperthermophiles also require a highly efficient
DNA repair mechanism.
DNA from the hyperthermophile Pyrococcus furiosus
was fragmented into pieces that were less than 500 kb
when cultures were irradiated with 2.5 kGy of -radiation.
After irradiation and incubation for 4 h at 95 C, its gen-
ome was fully restored and growth recommenced, thus
demonstrating a highly efficient DNA repair mechanism
within this organism. DNA thermostability and repair has
focused primarily on a protein known as reverse gyrase,
which is a type IA topoisomerase with a helicase domain.
Reverse gyrase has the unique ability to introduce positive
supercoiling into DNA molecules, which counters the
effect of DNA melting at higher temperatures and stands
in contrast to the negative supercoiling of DNA found in
mesophiles. It is the only protein known to be specific to
hyperthermophiles in both archaea and bacteria. Reverse
gyrase is also recruited to DNA after the induction of
DNA damage, showing that it is part of a broader DNA
repair mechanism. It recognizes nicked DNA, recruits a
protein coat to the site of damage through cooperative
binding, and reduces the rate of double-stranded DNA
breakage. Thus it maintains damaged DNA in a confor-
mation that is amenable to repair. However, reverse gyrase
is not a prerequisite for hyperthermophilic life.
Thermococcus kodakaraensis with a disrupted reverse gyrase
gene had retarded growth, especially at higher tempera-
tures, but the disruption did not lead to a lethal phenotype.
The gene for a RecA-like protein known as RadA and
several other putative genes for DNA repair were induced
in P. furiosus after irradiation, suggesting that hyperther-
mophiles possess a spectrum of DNA repair mechanisms.
Hyperthermophiles also possess up to ten copies of their
genomes, which may readily facilitate DNA repair by
homologous recombination.
The thermostability of the DNA double helix in
hyperthermophilic archaea is also due to DNA interac-
tion with double-stranded DNA-binding proteins. Many
Euryarchaeota produce histone-like proteins that show
sequence homology to the core fold region of eukaryotic
histones but are shorter than eukaryotic histones.
These proteins form dimers (or monomeric pseudodimers
with twofolds) that must assemble into tetramers to bind
DNA. The tetrameric form has been shown to compact
DNA both in vitro and in vivo and adds to the thermo-
stability of the double-stranded DNA. Crenarchaeota
lack histone-like proteins but have other DNA-binding
proteins that also compact DNA and increase the
melting temperature of double-stranded DNA in vitro.
These archaeal DNA-binding proteins are more likely
for DNA packaging and nucleosome formation than for
DNA stability.
The secondary structure of nucleic acids is also stabi-
lized by the accumulation of specific organic osmolytes.
The melting temperature of DNA from Methanothermus
fervidus increased with the concentration of cyclic 2,3-
diphosphoglycerate (cDPG), a compatible solute that is
produced by thermophilic and hyperthermophilic metha-
nogens. Another osmolyte unique to hyperthermophiles,
di-myo-inositol-1,19-phosphate (DIP), may also serve as a
DNA thermoprotectant as this compound increases in
concentration with organism growth temperature (see
‘Protein’). Polycationic polyamines are also observed in
hyperthermophiles and increase the melting temperature
of DNA. Concentrations of up to 0.4 g% (d.w. cell
biomass) of putrescine, spermidine, norspermine, thermo-
spermine, and spermine were detected in various
Sulfolobus strains. Norspermine and norspermidine occur
only in hyperthermophilic archaea, and these organisms
typically contain a greater diversity of polyamines than
other organisms.
Protein
A remarkable feature of thermophiles and hyperthermo-
philes is the broad thermostability of proteins across all
functional classes and forms. Perhaps the most significant
finding is that enzymes from hyperthermophiles, thermo-
philes, and mesophiles have no pattern of systematic
structural differences that provides thermostability. There
are small differences within a related group of proteins
with varying optimal temperatures, but the changes will
be different for a different related group of proteins.
Furthermore, only a few amino acid substitutions are neces-
sary to bring about significant changes in protein thermal
stability.
498 Extremophiles: Hot Environments

There is strong evidence in general terms for an
inverse correlation between protein thermal stability
and molecular flexibility (i.e., a less flexible protein will
be more thermostable). A balance must be struck between
stabilizing and destabilizing interactions to meet the
conflicting demands of thermostability and catalytic func-
tion, respectively. The structural basis of thermostability
in hyperthermophilic proteins varies for different pro-
teins with some commonality between certain examples.
A comparison of crystal structures of hyperthermophilic,
thermophilic, and mesophilic orthologous proteins shows
that some of the more common structural changes found
in thermophilic proteins are as follows: (1) an increase in
the number of ion pairs, (2) an increase in the number of
hydrogen bonds between positively charged side chains
and neutral oxygens, (3) more extensive helix second-
ary structure, (4) a decrease in the number of internal
cavities, (5) a decrease in surface-to-volume ratios by
shortening surface loops, (6) an increase in the number
of hydrophobic residues as the hydrophobic effect
increases with temperature, and (7) oligomerization.
In addition to these intrinsic factors, there are numer-
ous extrinsic factors that likewise enhance protein
stability at high temperatures. These include a chaperone
protein (thermosome) that is unique to hyperthermophi-
lic archaea, is highly abundant at all hyperthermophile
growth temperatures, and is the primary protein pro-
duced during heat shock. The chaperone from Sulfolobus
solfataricus prevents the aggregation of denatured target
protein, catalyzes the refolding of the protein upon the
addition of K
þ
, and releases the substrate after ATP
hydrolysis. Hyperthermophiles also produce nonprotei-
naceous osmolytes that serve to stabilize proteins at
high temperatures. Thermophilic and hyperthermophilic
methanogens produce cDPG, which stabilizes thermola-
bile proteins in vitro at superoptimal temperatures. Other
hyperthermophiles produce DIP. Like cDPG, DIP stabi-
lized proteins in vitro at superoptimal temperatures. The
concentration of DIP in P. furiosus increases 20-fold dur-
ing heat shock, further suggesting that DIP functions
specifically to stabilize macromolecules at high tempera-
tures. It was also shown that elevated pressure stabilizes
numerous hyperthermophilic enzymes, whereas their
mesophilic counterparts were unaffected or inhibited by
elevated pressure. Elevated pressure is believed to cause
increased packing of the molecule, which likewise imparts
increased structural rigidity and thermostability to these
proteins.
Cell Wall
The maintenance of membrane fluidity is essential for
normal cell function, and the mechanisms for maintaining
stable and adaptive membranes in hyperthermophilic
archaea and bacteria differ significantly from each other.
Studies on artificial membranes (i.e., liposomes) demon-
strate that the membranes of hyperthermophiles have
evolved mechanisms for maintaining a liquid crystal
state at high temperatures. In archaea, lipids are com-
posed of isoprenoid alcohol chains that are ether-linked
to the glycerol backbone. Ether linkages are also found in
low proportions in some thermophilic bacteria and may
mark a thermophilic adaptation. The lipid bilayer is also
cross-linked at certain points by C
40
trans-membrane
phytanyl chains (i.e., tetraether lipids). Membranes that
contain these membrane-spanning lipids are much more
thermostable than those formed from phosphodiester
lipids. The proportion of tetraether-to-diether lipids in
Methanocaldococcus jannaschii increased significantly with
temperature, supporting the idea that an increased pro-
portion of tetraether lipids in archaeal membranes
contributes to cell wall thermostability.
Upper Temperature Limit of Life
Hyperthermophile Culture Studies
Hyperthermophiles have the highest known growth
temperatures for life, and most of what is known about
them has come through pure culture studies under well-
defined and regulated conditions in the laboratory. From
these studies, the highest optimal growth temperature for
an organism is 105–106 C(Table 1). The heterotrophic
archaea Hyperthermus butylicus and Pyrodictium abyssi
have maximum growth temperatures of 108 and 110 C,
respectively. They grow on peptides and their growth is
stimulated by the addition of H
2
,CO
2
, and S. The obli-
gately chemolithoautotrophic archaea Pyrodictium occultum
and Pyrodictium brockii grow up to 110 C; require H
2
and
S,S
2
O
32–
,orSO
32
for growth; and are stimulated by the
addition of yeast extract (i.e., mixed organic compounds).
After prolonged incubation (9 days at 96 C), very few
Pyrodictium cells are present singly in suspension. Rather,
the cells are connected by ultrathin fibers that form a
network. This may be a mechanism to enhance the
thermostability of these cells. The methanogenic
archaeon Methanopyrus kandleri also grows at temperatures
up to 110 C and requires H
2
and CO
2
to produce
CH
4
. The cultured organisms with the highest growth
temperatures are the obligately chemolithoautotrophic
archaea Pyrolobus fumarii and Pyrodictiaceae strain 121,
which grow up to 113 and 121 C, respectively. P. fumarii
requires H
2
as an electron donor and can use NO
3
,
S
2
O
32
, iron oxide hydroxide, and low levels of O
2
as
electron acceptors. In contrast, strain 121 can use either
H
2
or formate as an electron donor but can only use iron
oxide hydroxide as an electron acceptor.
Extremophiles: Hot Environments 499

A parameter related to the upper temperature limit of
life is pressure. Any life above 100 C requires pressure
>0.1 MPa to maintain a liquid environment. Most marine
hyperthermophiles are present in deep-sea hydrothermal
vent sites where the in situ pressure is 20–45 MPa
(pressure increases 0.1 MPa, or 1 times atmospheric pres-
sure, for every 10 m of water depth). Pressure effects on
hyperthermophiles are generally favorable for growth at
high temperatures. Relative to low pressures (0.1–3 MPa),
the maximum growth temperature increases 2–6 C
for Pyrococcus,Thermococcus, and Desulfurococcus species
when incubated at in situ pressures. For other hyperther-
mophiles, although their optimum growth temperature
does not increase with pressure, their rate of growth
does increase significantly at elevated pressure. For
M. jannaschii, hyperbaric pressure significantly increases
its growth rate at 86 C but does not increase its optimum
growth temperature. However, the maximum tempera-
ture for CH
4
formation increases from 92 C at 0.8 MPa to
98 C at 25 MPa. Likewise, methanogenesis rates are
higher at higher pressures.
Laboratory Studies on Natural Microbial
Assemblages
Natural assemblages of microorganisms collected from
deep-sea hydrothermal vent sites have also been studied
under controlled conditions in the laboratory. Petroleum-
rich sediment cores from Guaymas Basin showed max-
imum sulfate reduction activities at 90 C with additional
activity between 105 and 110 C. The hyperthermophilic
sulfate reducer Archaeoglobus profundus was cultured from
these same sediment samples, which has a maximum
growth temperature of 90 C and most likely is respon-
sible for the 90 C sulfate reduction activity peak. The
organisms responsible for sulfate reduction between 100
and 110 C are unknown. A natural assemblage of micro-
organisms collected from high-temperature black smoker
fluids was incubated in solid gel material (GELRITE)
that is stable at temperatures up to 120 C. Colonies of
microorganisms formed in the gel at 115 and 120 Cat7
and 27 MPa. The largest colonies (0.5 mm diameter)
formed at 27 MPa, which again demonstrates the positive
influence of pressure on the growth of microorganisms at
high temperatures. Growth also may have been enhanced
by the presence of a solid matrix to which cells attach
themselves.
Field Observations
Analyses for biomolecules and intact cells have been
performed on exiting hydrothermal fluids, sulfide ore
deposits, and sediment and rock core samples. The pri-
mary difficulty has been determining what proportion of
the material originated from seawater and cooler sulfide
ore material that frequently contaminates samples. An
in situ incubator containing interior melting point stan-
dards was deployed on top of a black smoker at Guaymas
Basin (Vent 1). Microbial colonization was observed
where a 125 C sensor had melted but not a neighboring
140 C sensor, although exposure to 125 C may have
been transient. In a sulfide ore deposit from a deep-sea
hydrothermal vent site, the highest concentrations of
ether lipids and intact fluorescent cells were found in
mineral layers consisting primarily of anhydrite and Zn-
Fe sulfides, which suggests that their temperatures were
between 100 and 140 C.
Field evidence for life above 100 C is circumstantial
due to the difficulties of obtaining accurate temperature
measurements on the spatial scales necessary, the tem-
poral variations in temperature at a given site, the
uncertain origin of the biomass analyzed, and the absence
of direct microbial activity measurements. These results
are speculative rather than conclusive, and await further
detailed analyses for verification and identification of
indigenous microorganisms and their metabolic traits.
Metabolism and Growth
CO
2
and Acetate Assimilation
The assimilation of CO
2
by autotrophs is often associated
with the Calvin cycle. However, this pathway is generally
absent in thermophilic bacteria and is completely absent
in archaea. Alternative CO
2
assimilation pathways are
generally used in these organisms and include the coen-
zyme A (CoA) pathway, the reductive citric acid cycle,
the 3-hydroxypropionate cycle, and the 4-hydroxybuty-
rate cycle. These pathways were discovered in part by
studying anaerobic thermophiles. Acetate assimilation can
occur using the citramalate cycle, the glyoxylate shunt, or
by reversing a portion of the acetyl-CoA pathway.
Thermophilic bacteria and archaea use all of these path-
ways for inorganic carbon assimilation in some capacity.
An archaea-specific version of the acetyl-CoA pathway
is used by Euryarchaeota with CH
4
production as
added steps to the pathway in methanogens (Figure 1).
Crenarchaeota use the reductive citric acid cycle, which
is lacking in most hyperthermophilic Euryarchaeota, as
well as the 3-hydroxypropionate, the 4-hydroxybutyrate,
and citramalate cycles. The pathway for CO
2
assimilation
in the Pyrodictiaceae is largely unknown and likely
represents a novel autotrophic pathway.
Acetyl-CoA pathway and methanogenesis
Moorella thermoacetica and Moorella thermoautotrophica (for-
merly Clostridium thermoaceticum and C. thermoautotrophicum)
are facultative autotrophs and obligately anaerobic spore
formers. When grown on glucose, these organisms produce
500 Extremophiles: Hot Environments

three molecules of acetate per glucose and little CO
2
.This
led to the suggestion that glucose is first oxidized to two
molecules each of acetate and CO
2
, followed by the pro-
duction of a third acetate from the two CO
2
molecules.
14
CO
2
and
13
CO
2
incubation experiments confirmed that
both carbons of acetate are labeled during growth.
Incubation with
13
C-formate led to the labeling of the
methyl group in acetate and suggested that formate is an
intermediate in the pathway. The isolation of the auto-
trophic acetogen Acetobacterium woodii confirmed CO
2
assimilation can occur by means other than by the Calvin
cycle, which is now known as the acetyl-CoA pathway (or
Wood–Ljungdahl pathway). In addition to these thermo-
philic bacteria, an archaeal version of the pathway is used
by autotrophic members of the Archaeoglobaceae and by all
methanogens growing on H
2
and CO
2
.
The acetyl-CoA pathway reduces and condenses two
molecules of CO
2
to form one molecule of acetyl-CoA
(Figure 2). One CO
2
molecule is reduced in a series of
reduction steps to a methyl group ligated to a C
1
carrier.
In bacteria, the C
1
carriers are tetrahydrofolate and
coenzyme E; in archaea, they are methanofuran and
tetrahydromethanopterin. Another difference between
the pathways in bacteria and archaea is the use of a
soluble 5-deazaflavin called coenzyme F
420
by archaea
that carries two electrons but only one hydrogen. The
enzymes in bacteria and archaea that catalyze these steps
are conserved functionally but have little-to-no sequence
homologies between them. The key enzyme in the path-
way is carbon monoxide dehydrogenase/acetyl-CoA
synthase, which is a highly conserved protein across
superkingdoms. This enzyme reduces the second CO
2
molecule to a carbon monoxyl group, ligates it to the
methyl group from the C
1
carrier, and then adds CoA
to form acetyl-CoA. Methanogens use three additional
enzymes (methyl-MPT:CoM methyltransferase, methyl-
CoM reductase, and heterodisulfide reductase) to
dispose of electrons during their anaerobic respiration
using methyl-MPT as their terminal electron acceptor
(Figure 2).
Reductive citric acid cycle
Like M. thermoacetica and M. thermoautotrophica,itwasshown
in the photosynthetic green sulfur bacterium Chlorobium
limicola, the purple sulfur bacterium Chromatium vinosum,and
the purple nonsulfur bacterium Rhodospirillum rubrum that
CO
2
assimilation occurs by a pathway other than the Calvin
cycle. The concept of the reductive citric acid cycle
(Figure 3) had its origin in the discovery of ferredoxin-
dependent reductive carboxylation reactions: pyruvate
synthase and 2-oxoglutarate (formerly -ketoglutarate)
synthase. They are driven by the strong reducing
potential of reduced ferredoxin and complement the
irreversible NAD
þ
-dependent pyruvate dehydrogenase
and 2-oxoglutarate dehydrogenase reactions. Other key
findings were enzymes that produce oxaloacetate and
acetyl-CoA from citrate and complement the irreversible
citrate synthase step in the oxidative citric acid cycle.
In C. limicola and Desulfobacter hydrogenophilus, citrate
Thermoproteaceae
reductive citric acid cycle
Sulfolobaceae
Mixed reductive citric acid cycle/
3-hydroxypropionate cycle/
4-hydroxybutyrate cycle
Desulfurococcaceae
4-hydroxybutyrate cycle
Pyrodictiaceae
unknown pathway, possibly involves rubisco
Archaeoglobaceae
Archaeal acetyl-CoA pathway
Methanogens
Mixed archaeal acetyl-CoA pathway
/
Methanogenesis pathway
Pyrobaculum islandicum
Thermoproteus neutrophilus
Sulfolobus solfataricus
Acidianus ambivalens
Stygiolobus azoricus
Stetteria hydrogenophila
Ignicoccus pacificus
Pyrolobus fumarii
Pyrodictium occultum
Geoglobus ahangari
Archaeoglobus fulgidus
Ferroglobus placidus
Methanococcus jannaschii
Methanothermus fervidus
Methanopyrus kandleri
0.02
Figure 1 Phylogeny of chemolithoautotrophic archaea based on 16S rRNA sequence homologies and the CO
2
assimilation pathways
for each family or group of organisms.
Extremophiles: Hot Environments 501

cleavage is accomplished in a single step by ATP citrate
lyase (eqn [1]):
citrate þATP þCoA !acetyl-CoA þoxaloacetate
þADP þPi½1
This protein is the citrate cleavage enzyme that is most
commonly associated with the reductive citric acid cycle.
In the thermophilic bacterium Hydrogenobacter thermophilus
TK-6, citrate cleavage is catalyzed in two steps by citryl-
CoA synthetase (eqn [2]) and citryl-CoA lyase (eqn [3]):
citrate þATP þCoA !citryl-CoA þADP þPi½2
citryl-CoA !oxaloacetate þacetyl-CoA ½3
The first evidence for the reductive citric acid cycle in
archaea came from the study of thermoacidophile
Acidianus brierleyi (formerly Sulfolobus brierleyi). Pulse label-
ing of autotrophically grown A. brierleyi with
14
CO
2
showed the formation of labeled malate, citrate, aspartate,
and glutamate. Initially all of the citric acid cycle enzymes
and pyruvate synthase were measured in cell extracts of
A. brierleyi grown autotrophically. However, the lack of
ATP citrate lyase activity and the presence of 3-hydro-
xypropionate cycle activities led to the suggestion that
the organism uses this latter pathway for CO
2
assimila-
tion. It was since shown that autotrophically grown
A. brierleyi does possess ATP citrate lyase activity but it
requires covalent modification by acetylation for activity.
Therefore, the organism appears to use a combination of
the reductive citric acid cycle and the 3-hydroxypropio-
nate cycle for CO
2
assimilation.
The hyperthermophilic archaeon Thermoproteus neutro-
philus was grown autotrophically and pulse labeled with
14
C- and
13
C-succinate, yielding labeled malate, gluta-
mate, and aspartate. This and the presence of all of the
activities of the citric acid cycle enzymes, pyruvate
synthase, and ATP citrate lyase suggest that it also uses
the reductive citric acid cycle for CO
2
assimilation. The
presence of pyruvate synthase, 2-oxoglutarate synthase,
and ATP citrate lyase activities in the hyperthermophilic
archaeon Pyrobaculum islandicum grown autotrophically
suggests that this organism likewise uses this pathway.
formyl-MPT
methenyl-MPT
F420-H2
methylene-MPT
MPT
MFR
formyl-MFR
MFR + Fdred
Fdox
CO2
H2O
H2
2 H+
F420
F420-H2
F420
methyl-MPT
CoMSH
MPT
methyl-CoM
acetyl-Co
A
CoBSH
CoBS-SCoM
H2
2 H+
CH4
CoMSH
MPTCoASH
+ CO2
methenyl-THF
methylene-THF
formyl-THF
THF + ATP
ADP + Pi
HCOOH
H2O
Fdred
Fdox
methyl-THF
acetyl-CoA
CoECoASH
+ CO2
CO2
NADPH + H+
NADP+
NADPH + H+
NADP+
CoE
THF
methyl-CoE
1
2
3
4
5
6
7
8
9
10
11 12
13
7
14
15
16
ArchaeaBacteria
Figure 2 The acetyl-CoA pathways in bacteria and archaea. The enzymes are as follows: 1, formate dehydrogenase; 2, formyl-THF
synthetase; 3, methenyl-THF cyclohydrolase; 4, methylene-THF dehydrogenase; 5, methylene-THF reductase; 6, methyltransferase; 7,
carbon monoxide dehydrogenase; 8, formyl-MF dehydrogenase; 9, formyl-MF:MPT formyltransferase; 10, methenyl-MPT
cyclohydrolase; 11, F
420
-dependent methylene-MPT dehydrogenase; 12, F
420
-independent methylene-MPT dehydrogenase; 13,
methylene-MPT reductase; 14, methyl-MPT:CoMSH methyltransferase; 15, methyl-CoM reductase; and 16, heterodisulfide reductase.
THF, tetrahydrofolate; MF, methanofuran; MPT, tetrahydromethanopterin; CoE, coenzyme E; CoM, coenzyme M; CoB, coenzyme B;
Fd, electron carrier ferredoxin; and F
420
, electron carrier coenzyme F
420
. The dashed lines show the enzyme steps that are unique to
methanogenesis.
502 Extremophiles: Hot Environments

However, for both T. neutrophilus and P. islandicum, it was
suggested that the ATP citrate lyase activities are too low
to account for all of the CO
2
assimilated. It was subse-
quently shown for P. islandicum that acetylated citrate
lyase (eqn [4]) and AMP-forming acetyl-CoA synthase
(eqn [5]) activities increase significantly in cells grown
autotrophically relative to those grown heterotrophically
and are higher than the ATP citrate lyase activities
measured.
citrate !oxaloacetate þacetate ½4
acetate þCoA þATP !acetyl-CoA þAMP þPPi½5
Therefore, there appears to be a third mechanism for
citrate cleavage in thermophiles that requires covalent
modification by acetylation.
All 8 of the citric acid cycle enzymes are present
within 20 of the 46 archaeal genome sequences
currently available (Figure 4). The complete cycle is
found in all organisms within the Thermoproteales, the
Sulfolobales, and Aeropyrum pernix in the Crenarchaeota
and in all Halobacteriales (i.e., extreme halophiles) and
Thermoplasmales in the Euryarchaeota. Only a portion
of the cycle is found in the Thermococcales, the
Archaeoglobales, the Desulfurococcales (except A. pernix),
and all methanogens. The distributions of the citric acid
cycle enzymes in both archaeal phyla and the acetyl-CoA
pathway enzymes (only in Euryarchaeota) suggest
that the last common archaeal ancestor contained the
complete citric acid cycle and that portions of the cycle
were lost in the methanogens, Archaeoglobales, and
Thermococcales, and currently it only serves to produce
Oxaloacetate
Succinyl-CoA
Isocitrate
Fumarate
Malate Citrate
Succinate
Acetyl-CoA
CoA
NADPH +
CO2 + H+
NADP+
Fdred + CO2
Fdox + CoA
ADP + Pi
ATP + CoA
FAD
FADH2
H2O
NAD+
NADH + H+
ATP +
CoA
Acetyl-CoA
+ ADP + Pi
Pyruvate
Fdox + CoA
Fdred + CO2
NAD(P)+
NAD(P)H + H+
+ CO2
Phosphoenolpyruvate
AMP + Pi
ATP
Oxaloacetate
CO2Pi
Glyoxylate
CoA
Acetyl-CoA
+ H2O
Acetate
ATP + CoAAMP + PPi
Oxaloacetate
18
11
7
6
5
4
3
2
1
9
8
10
12
14
15
16
17
Oxaloacetate
ATP + CO2ADP + Pi
13
2-oxoglutarate
Figure 3 The citric acid cycle, the glyoxylate shunt, and related enzymes. The enzymes are as follows: 1, malate dehydrogenase; 2,
fumarase; 3, fumarate reductase/succinate dehydrogenase; 4, succinyl-CoA synthetase; 5, 2 oxoglutarate synthase; 6, isocitrate
dehydrogenase; 7, aconitase; 8, either ATP citrate lyase (one step) or citryl-CoA synthase and citryl-CoA lyase (two steps); 9, citrate
lyase; 10 AMP-forming acetyl-CoA synthetase; 11, citrate synthase; 12, pyruvate synthase; 13, pyruvate carboxykinase; 14,
phosphoenolpyruvate synthetase; 15, phosphoenolpyruvate carboxylase; 16, malic enzyme; 17, isocitrate lyase; and 18, malate
synthase. Fd, electron carrier ferredoxin. Copyright ªAmerican Society for Microbiology, Journal of Bacteriology, vol.188, pp.
4350–4355, 2006.
Extremophiles: Hot Environments 503

intermediates for some biosynthesis reactions in these
organisms.
3-hydroxypropionate cycle
Chloroflexus aurantiacus is a thermophilic green nonsulfur
bacterium that is a facultative photoautotroph and an
anaerobe. Cultures grown photoautotrophically with H
2
and CO
2
lack ribulose-1,5-bisphosphate carboxylase/
oxygenase (RubisCO) and ribulose-5-phosphate kinase
(formerly phosphoribulokinase) activities, which are the
key enzymes of the Calvin cycle. They also lack ATP
citrate lyase and 2-oxoglutarate synthase activities
that are necessary for the reductive citric acid cycle.
However, C. aurantiacus secretes 3-hydroxypropionate
during phototrophic growth, which suggests that it is
an intermediate of CO
2
assimilation. This led to the
discovery of the 3-hydroxypropionate cycle where two
molecules of CO
2
are assimilated to form glyoxylate
(Figure 5). The carboxylation reactions are catalyzed at
two points in the cycle by a single bifunctional enzyme
called acetyl-CoA/propionyl-CoA carboxylase. Many of
the enzymes in the cycle overlap with those of the citric
acid cycle to form malate, which is then split to form
glyoxylate and regenerate acetyl-CoA.
As mentioned previously, the lack of ATP citrate lyase
activity in the thermoacidophilic archaeon A. brierleyi and
the presence of acetyl-CoA carboxylase and propionyl-
CoA carboxylase activities led to the suggestion that
this organism uses the 3-hydroxypropionate cycle for
CO
2
assimilation. Acetyl-CoA carboxylase and propionyl-
CoA carboxylase activities were also measured in autotro-
phically grown cell extracts from Sulfolobus metallicus and
Acidianus infernus. The subsequent discovery of ATP citrate
lyase activity in A. brierleyi after acetylation and the activities
of both the citric acid and 3-hydroxypropionate cycles
suggest that this organism uses a combination of these path-
ways for CO
2
assimilation.
4-hydroxybutyrate cycle
Ignicoccus species are hyperthermophilic obligately auto-
trophic archaea that belong to the Desulfurococcaceae.
Ignicoccus pacificus and Ignicoccus islandicus lack ATP citrate
lyase, 2-oxoglutarate synthase, carbon monoxide dehy-
drogenase, and acetyl-CoA/propionyl–CoA carboxylase
activities that are indicative of the reductive citric acid
Crenarchaeota
Korarchaeota
Euryarchaeota
Sulfolobales
Desulfurococcales
Thermoproteales
0.05
Cenarchaeales
Methanopyrales
Thermococcales
Halobacteriales
Methanococcales
Thermoplasmales
Methanomicrobiales
Methanobacteriales
Methanosarcinales
Archaeoglobales
Figure 4 A 16S rRNA tree of the archaea. Those taxonomic orders that contain all of the genes that encode for citric acid cycle
enzymes are shown in green, whereas those with only a subset of these genes are in red. Uncultivated orders are shown as unfilled
groups. The star indicates the location of the root of the tree. The tree was constructed as described previously. The scale bar
represents 0.05 changes per nucleotide. Adapted by permission from Macmillan Publishers Ltd: Schleper C, Jurgens G, and Jonuscheit
M (2005) Genomic studies of uncultivated Archaea, Nature Reviews, vol. 3, pp. 479–488. Copyright 2005.
504 Extremophiles: Hot Environments

cycle, the acetyl-CoA pathway, and the 3-hydroxypro-
pionate cycle, respectively. It was shown that Ignicoccus
hospitalis assimilates CO
2
in two steps using pyruvate
synthase and phosphoenolpyruvate carboxylase (Figure 6),
and many of the enzymes are the same as those used in the
reductive citric acid cycle. However, because the organism
lacks 2-oxoglutarate synthase, it reduces succinyl-CoA in
two enzymatic steps to form 4-hydroxybutyrate and even-
tually acetoacetyl-CoA. In the final step, acetoacetyl-CoA is
cleaved to form two molecules of acetyl-CoA, one of which
brings the cycle back to its starting point, yielding the net
formation of one acetyl-CoA.
Interestingly, the thermoacidophilic archaeon Metall-
osphaera sedula, which is a close relative of Sulfolobus and
Acidianus species, uses a mixture of the 3-hydroxypropio-
nate and 4-hydroxybutyrate cycles. CO
2
is assimilated
using acetyl-CoA/propionyl-CoA carboxylase, as is found
in the 3-hydroxypropionate cycle. However, instead of
forming glyoxylate and acetyl-CoA from succinyl-CoA as
is found in the 3-hydroxypropionate cycle, M. sedula
converts succinyl-CoA into two molecules of acetyl-CoA
via 4-hydroxybutyrate using the same enzymes found in the
4-hydroxybutyrate cycle. Therefore, across all of the auto-
trophic Crenarchaeota (with the possible exception of the
Pyrodictiaceae), CO
2
assimilation often involves a mixture
of the reductive citric acid cycle, the 3-hydroxypropionate
cycle, and the 4-hydroxybutyrate cycle, and many of the
same enzymes (i.e., malate dehydrogenase, fumarase, succi-
nate dehydrogenase/fumarate reductase, succinyl-CoA
synthetase, pyruvate synthase, PEP synthetase, and PEP
carboxylase) are used, suggesting that there is an evolution-
ary relationship between these CO
2
assimilation pathways.
Other possible CO
2
assimilation pathways
Hyperthermophilic archaea belonging to the Pyrodi-
ctiaceae may possess novel pathways for CO
2
assimilation.
Autotrophically grown P. fumarii,P. abyssi and P. occultum
grown on yeast extract with H
2
and CO
2
all had pyruvate
synthase activity but lacked 2-oxoglutarate synthase
activity and generally lacked other enzymes of the citric
acid cycle needed for the 3-hydroxypropionate and 4-
hydroxybutyrate cycles. P. abyssi and P. occultum also lack
carbon monoxide dehydrogenase/acetyl-CoA synthase
activity. Therefore, these organisms do not appear to use
3-hydroxypropionate
Propionyl-CoA
Succinate
Malonyl-CoA
Malonate semialdehyde
3-hydroxypropionyl-CoA
Acrylyl-CoA
Methylmalonyl-CoA
Succinyl-CoA
Fumarate
Malate
Acetyl-CoA
ATP + CO2
ATP + CoA
FAD
FADH2
1
23
4
5
6
8
1
7
9
10
11
12 13
ATP + CoA
ADP + Pi
ADP + Pi
Glyoxylate
+ ADP + Pi
NADPH + H+
NADP+ + CoA NADPH + H+
NADP+
CoA + ATP
ADP + Pi
NADPH + H+
NADP+
ATP + CO2
ADP + Pi
Figure 5 The 3-hydroxypropionate cycle. The enzymes are as follows: 1, acetyl-CoA/propionyl-CoA carboxylase; 2, malonyl-CoA
reductase; 3, 3-hydroxypropionate dehydrogenase; 4, 3-hydroxypropionyl-CoA hydrolase; 5, acrylyl-CoA hydratase; 6, acrylyl-CoA
dehydrogenase; 7, methylmalonyl-CoA epimerase; 8, methylmalonyl-CoA mutase; 9, succinyl-CoA synthetase; 10, succinate
dehydrogenase; 11, fumarase; 12, malyl-CoA synthetase; and 13, malyl-CoA lyase.
Extremophiles: Hot Environments 505

the acetyl-CoA pathway, the reductive citric acid cycle,
the 3-hydroxypropionate cycle, or the 4-hydroxybutyrate
cycle for CO
2
assimilation.
In P. abyssi and P. occultum, there are low levels
(5–15 nmol min
1
mg
1
cell protein) of RubisCO activity,
which is the key enzyme of the Calvin cycle. For P. abyssi,
RubisCO activity increases approximately twofold per
10 C temperature increase, as expected for most enzymes,
and activity requires strictly anoxic and reducing condi-
tions. The product of the reaction is 3-phosphoglycerate.
However, ribulose-5-phosphate kinase activity is not
measured, suggesting that CO
2
assimilation does not
occur via the standard Calvin cycle. Similarly, RubisCO
activity is present in several Euryarchaeota including
methanogens, the hyperthermophilic heterotrophs in the
Thermococcaceae, and Archaeoglobus fulgidus. All lack
ribulose-5-phosphate kinase activity. Ribulose-1,5-
bisphosphate is generated in M. jannaschii using 5-
phospho-D-ribose-1-pyrophosphate (PRPP) as a substrate,
which is an intermediate in nucleotide biosynthesis. A
similar pathway is found in T. kodakaraensis where adeno-
sine monophosphate is used as the starting material
instead of PRPP. First the adenine in AMP is replaced
with a phosphate to form ribose-1,5-bisphosphate, then
an isomerase converts this to ribulose-1,5-bisphosphate.
Although pathways for CO
2
assimilation via RubisCO
seem to exist in Euryarchaeota, they do not appear to
contribute significantly, if at all, to CO
2
assimilation.
Acetate catabolism
Acetate is potentially an important carbon source in high-
temperature environments. It is a common metabolite
formed by heterotrophs during the breakdown of organic
material and is the primary end product of acetogens. The
most common pathway of acetate catabolism in bacteria is
via the glyoxylate shunt. First, acetate and CoA are com-
bined to form acetyl-CoA by acetyl-CoA synthase using
the energy of ATP and forming AMP þPP
i
(Figure 3).
Then some of the acetyl-CoA condenses with oxaloace-
tate to form citrate and enters the citric acid cycle.
Isocitrate is formed from citrate. At this point, the fate of
the carbon varies. Some isocitrate remains within the
citric acid cycle for biosynthesis reactions. The remainder
is cleaved into succinate and glyoxylate by isocitrate
Oxaloacetate
Succinic semialdehyde
Crotonyl-CoA
Pyruvate
Phosphoenolpyruvate
Succinate
Succinyl-CoA
4-hydroxybutyrate
4-hydroxybutyryl-CoA
(S)-3-hydroxybutyryl-CoA
Acetoacetyl-CoA
Acetyl-CoA
2 Fdred + CO2
CoA
FAD
FADH2
1
23
6
7
8
10
9
11
12
13
14
ATP + CoA
ADP + Pi
2 Fdox
Acetyl-CoA
ATP + H2O
AMP + PiHCO3–
Pi
NADH + H+ + 2 MVred
NAD+ + 2 MVox
2 MVred
2 MVox + CoA
NAD(P)H + H+
NAD(P)+
54
ATP + CoA
ADP + Pi
ATP + CoA
AMP + PPi
NAD+
NADH + H+
Figure 6 The 4-hydroxybutyrate cycle. The enzymes are as follows: 1, pyruvate synthase; 2, phosphoenolpyruvate synthetase;
3, phosphoenolpyruvate carboxylase; 4, malate dehydrogenase; 5, fumarase; 6, fumarate reductase; 7, succinyl-CoA synthetase;
8, succinyl-CoA reductase; 9, succinate semialdehyde reductase; 10, 4-hydroxybuturyl-CoA synthetase; 11, 4-hydroxybutyryl-CoA
dehydratase; 12, crotonyl-CoA hydratase; 13, 3-hydroxybutyryl-CoA dehydrogenase; and 14, acetoacetyl-CoA -ketothiolase.
506 Extremophiles: Hot Environments

lyase. The succinate then re-enters the citric acid cycle
pool of intermediates. Glyoxylate is then combined with a
second molecule of acetyl-CoA to form malate by malate
synthase. Malate can either enter the citric acid cycle pool
for biosynthesis reactions or be used to form pyruvate
using the malic enzyme. The key enzymes of the glyox-
ylate shunt are isocitrate lyase and malate synthase, and
both of these as well as the complete citric acid cycle are
found in the thermoacidophilic archaeon Sulfolobus
acidocaldarius.
Other thermophilic organisms lack isocitrate lyase and
pyruvate synthase activities, the two most common means
for biosynthesis from acetyl-CoA, when grown on acetate.
In these cases, acetate catabolism is accomplished using
the citramalate cycle (Figure 7). Acetate (or acetyl-CoA)
combines with pyruvate to form citramalate by citrama-
late synthase. After a series of enzyme reactions,
3-methylmalonyl-CoA is cleaved to form propionyl-
CoA and glyoxylate. The glyoxylate can be used to
form malate using acetyl-CoA and malate synthase.
Propionyl-CoA is carboxylated and eventually forms
intermediates of the citric acid cycle using enzymes
found in the 3-hydroxypropionate and citric acid cycles.
Pyruvate is recycled from an intermediate in the citric
acid cycle. The citramalate cycle was first described in
purple bacteria, which grow best on acetate when H
2
,
CO
2
, and low levels of either pyruvate or organic com-
pound are added to the growth medium. Similarly, the
hyperthermophilic archaeon P. islandicum increases its
citramalate synthase and 3-methylmalyl-CoA lyase activ-
ities when grown on acetate relative to autotrophic and
heterotrophic growth, suggesting that is uses the citrama-
late cycle in part for acetate metabolism. It grew best on
acetate when H
2
and low levels of yeast extract (0.001%)
were added to the medium.
The biochemical overlap between the citric acid cycle,
the glyoxylate shunt, the 3-hydroxypropionate cycle, and
the citramalate cycle highlights the importance of viewing
these and other pathways holistically because it is likely that
they do not always operate completely independent of the
others. Furthermore, these pathways each perform multiple
cellular functions for the cell. Some or all of the citric acid
cycleisinvolvedinallofthepathwayslistedaboveandalso
functions for energy production and biosynthesis reactions
such as amino acid synthesis. Portions of the 3-hydroxypro-
pionate cycle are also used for propanoate metabolism and
the steps of the citramalate cycle are also used for leucine
biosynthesis. These overlaps may have significant evolution-
ary implications and their study is important to understand
the natural history of catabolic and anabolic pathways.
Propionyl-CoASuccinate
Methylmalonyl-CoASuccinyl-CoA
Malate
FAD
FADH2
1
2
3
4
5
69
11
12
ATP + CoA
ADP + Pi
3-methylmalyl-CoA
Pyruvate
Citramalate
Acetate
Mesaconate
Mesaconyl-CoA
10
7
CoA
Glyoxylate
NAD(P)+
NAD(P)H
+ H+ + CO2
ATP + CO2
ADP + Pi
8
Figure 7 The citramalate cycle. The enzymes are as follows: 1, citramalate synthase; 2, citramalate dehydratase; 3, mesaconyl-CoA
synthetase; 4, mesaconyl-CoA hydratase; 5, 3-methylmalyl-CoA lyase; 6, propionyl-CoA carboxylase; 7, methylmalonyl-CoA
epimerase; 8, methylmalonyl-CoA mutase; 9, succinyl-CoA synthetase; 10, succinate dehydrogenase; 11, fumarase; and 12, malic
enzyme.
Extremophiles: Hot Environments 507

Heterotrophy
The majority of high-temperature microorganisms are
heterotrophs or facultative autotrophs (Table 1). Not
surprisingly, the most common organic compounds
catabolized at high temperatures are carbohydrates and
peptides. However, some thermophiles and hyperther-
mophiles also oxidize low-molecular-weight organic
acids and many thermophiles catabolize hydrocarbons as
sources of carbon and electrons.
Carbohydrate metabolism
Carbohydrate metabolism can be divided into four cate-
gories: uptake, hydrolysis, glycolysis, and gluconeogenesis.
The enzymes for gluconeogenesis are found in most
organisms, including autotrophs, whereas those for
uptake, hydrolysis, and glycolysis vary. Many of the
hyperthermophilic enzymes involved in glycolysis and
gluconeogenesis are biochemically and phylogenetically
unique to either hyperthermophiles or archaea (Figure 8).
For example, glucokinase and phosphofructokinase
from P. furiosus are ADP-dependent rather than ATP-
dependent and do not show any sequence similarity
with their ATP-dependent counterparts in mesophilic
bacteria. Glyceraldehyde-3-phosphate is oxidized to
3-phosphoglycerate in a single enzyme step with
concomitant reduction of ferredoxin rather than NAD
þ
and is catalyzed by the unique tungsten-containing
protein glyceraldehyde-3-phosphate oxidoreductase. Both
NAD(P)
þ
-dependent glyceraldehyde-3-phosphate dehy-
drogenase and 3-phosphoglycerate kinase are present
and are homologous to their counterparts in mesophilic
bacteria, but they are used for gluconeogenesis rather than
for glycolysis in P. furiosus. Furthermore, fructose-1,6-
bisphosphate aldolase, fructose-1,6-bisphosphatase, and
phosphoglucose isomerase are all unique to either
hyperthermophiles or archaea.
Three membrane-bound sugar-binding proteins have
been characterized from P. furiosus that are specific for
maltose/trehalose (MalE), maltose/maltodextrin (MBP),
and cellobiose (CbtA). These demonstrate the specificity
and coordination of carbohydrate uptake in hyper-
thermophiles. The MalE binding, permease (MalFG),
and ATP-binding transporter (MalK) proteins from
Thermococcus litoralis and the operon encoding these pro-
teins were characterized as well as the regulatory protein
(TrmB) for this operon, and showed that the sequences,
function, and regulation of ATP-binding cassette (ABC)-
type transport systems in hyperthermophiles are similar
to those found in mesophiles. The malEFGK operon in
P. furiosus is flanked by insertion sequences but is absent
in P. abyssi and Pyrococcus horikoshii, suggesting lateral gene
transfer from other organisms. Using proteomics, MalE
and CbtA were identified in the membrane cellular frac-
tion of P. furiosus grown on a mixture of maltose and
peptides, and MalE is one of the most abundant proteins
within the membrane.
The genes for MBP and CbtA in P. furiosus are likewise
part of an ABC-type operon but lack flanking insertion
sequences and are found in P. abyssi and P. horikoshii.
Furthermore, the maltodextrin uptake operons in P.
furiosus and Pyrobaculum aerophilum contain the gene
encoding for the sugar hydrolase amylopullulanase
(apu), whereas the cellobiose operon in P. furiosus is
next to and shares a putative promoter region with the
-mannosidase gene (bmn), thus demonstrating a tight
coupling between sugar uptake and hydrolysis in these
organisms. P. furiosus amylopullulanase is an extracellular
glycosylase that is active at temperatures up to 140 C.
This demonstrates that some proteins are stable well
above 110 C and that the biogenic impact of P. furiosus
in its native environment extends beyond its maximum
growth temperature as its extracellular enzymes ‘forage’
for growth substrates.
Peptide metabolism
Peptide metabolism can be divided into three categories
that are functionally similar to those found in carbohy-
drate metabolism: uptake, hydrolysis, and peptidolysis
(Figure 9). Unlike the sugar ABC transport system, little
is known about the peptide ABC transport system in
hyperthermophiles. Using proteomics, a putative mem-
brane dipeptide-binding protein was highly abundant in
the membrane fraction of P. furiosus cells grown on
tryptone and maltose along with the MalE-binding
protein. Up to 13 protease activity bands are observed
in gelatin-containing zymograms from P. furiosus cell
extracts, demonstrating the large suite of proteases
available with the cells. Four of the 13 predicted transa-
minases in P. furiosus were shown to have varying
degrees of specificity for amino acids, although each
uses 2-oxoglutarate as the amine group acceptor. The
glutamate produced from the transamination reaction is
recycled back to 2-oxoglutarate by glutamate dehydrogen-
ase with concomitant reduction of NADP
þ
in P. furiosus.
Hyperthermophiles and archaea produce up to four ferre-
doxin-linked 2-keto acid oxidoreductases that decarboxylate
the acid, pass electrons to ferredoxin, and ligate CoA to the
remaining compound (Figure 8). Three of these (IOR,
VOR, and OGOR) are unique to archaea. The coenzyme
is then cleaved, forming an organic acid with the phosphor-
ylation of ADP to ATP, which is the only substrate-level
phosphorylation step within the peptidolysis pathway.
P. furiosus growth on maltose was compared with its
growth on peptides using growth kinetics, metabolite ana-
lyses, enzyme activities, and DNA microarray analyses.
Based on growth rates, P. furiosus grows better on peptides
than on maltose. As expected, the primary organic acid
produced when cultures are grown on maltose is acetate
(Figure 7), whereas growth on peptides yields a fairly
508 Extremophiles: Hot Environments

even mixture of acetate, phenylacetate, (iso)butyrate, and
isovalerate (Figure 9). The activities of glutamate dehy-
drogenase, 2-oxoglutarate oxidoreductase, indolepyruvate
oxidoreductase, isovalerate oxidoreductase, formaldehyde
oxidoreductase, aldehyde oxidoreductase, acetyl-CoA
synthetase I, glyceraldehydes-3-phosphate dehydrogen-
ase, and cytoplasmic hydrogenase were all significantly
higher when P. furiosus cultures were grown on peptides.
Conversely, the activities of glyceraldehydes-3-phosphate
oxidoreductase, acetolactate synthase, and -amylase
were higher when cultures were grown on maltose. In
both cases, these enzymes appear to follow their proposed
physiological functions. Formaldehyde oxidoreductase,
aldehyde oxidoreductase, and glyceraldehyde:ferredoxin
oxidoreductase are tungsten-containing enzymes and
explain in part why hyperthermophiles generally have a
tungsten requirement for growth.
Respiration
The consumption of electron donors and the reduction
of terminal electron acceptors are among the primary
Starch
Maltodextrin
Maltodextrin
Maltose
Maltose
ADPATP ADPATP
Glucose
ADP
AMP
Maltodextrin
Glucose-6-P
Maltodextrin
Fructose-6-P
AMP
ADP
Fructose-1,6-BP
G-3-P
Fdred
Fdox
3-PG
2-PG
H2O
PEP
ATP
ADP
P
y
ruvate
H2O
Extracellular
Cytoplasm
Pi
ATP
AMP + Pi
Glucose-1-P
ATP
PP
i
ADP-glucose
DHAP
Glycogen
1,3-BPG
NADH
NAD+ + Pi
ATP ADP
1
2 34 4
5 5
6
7
8
9
10
11 12
13
14
15 16
17
18
19
20 21
22
23
24
Figure 8 Starch hydrolysis, uptake, and glycolysis via the modified Embden–Meyerhof pathway and steps for gluconeogenesis. The
enzymes are as follows: 1, amylopullulanase; 2, maltose/maltodextrin-binding protein; 3, maltose/trehalose-binding protein; 4, sugar
transport permease; 5, sugar transport ATPase; 6, -amylase; 7, -glucan phosphorylase; 8, -glucosidase; 9, glucokinase; 10,
glucose-6-phosphate isomerase; 11, fructose-6-phosphate kinase; 12, fructose-1,6-bisphosphatase; 13, fructose-1,6-bisphosphate
aldolase; 14, triosephosphate isomerase; 15, glyceraldehydes-3-phosphate:ferredoxin oxidoreductase; 16, glyceraldehydes-3-
phosphate dehydrogenase; 17, 3-phosphoglycerate kinase; 18, 3-phosphoglycerate mutase; 19, enolase; 20, pyruvate kinase; 21,
phosphoenolpyruvate synthetase; 22, phosphoglucomutase; 23, ADP-glucose synthase; and 24, glycogen synthase. Fd, the electron
carrier ferredoxin.
Extremophiles: Hot Environments 509

means that microorganisms have of altering the chemistry
of their environment. Although several compounds can
serve as electron donors for hyperthermophiles, the most
common compounds used for this purpose in geothermal
environments are H
2
, organic compounds, and reduced
sulfur compounds. Hydrogen is typically oxidized on the
membrane by a hydrogenase where electrons then enter
the electron transport pathway. Organic compounds are
oxidized as described in the section titled ‘Carbohydrate
metabolism’ and ‘Peptide metabolism’ and result in the
production of reduced ferredoxin and NADH.
Respiration is a series of exergonic redox reactions
within the cytoplasmic membrane that are coupled with
proton translocation across the membrane, which forms
an electrochemical gradient (Figure 10). This proton
motive force is then used to generate ATP from ADP
and phosphate using a membrane-bound ATP synthase.
The canonical electron transport chain through the
membrane typically begins with the oxidation of NADH
by a membrane-bound NADH:quinone oxidoreductase
and the direct reduction of a quinone. Often electrons
from the quinone are transferred to a cytochrome cby a
quinol:cytochrome coxidoreductase, typically a bc
1
com-
plex. Electrons from either the quinones or the
cytochrome are then passed to a terminal reductase that
reduces the terminal electron acceptor. The marvelous
aspect of respiration in bacteria and archaea is that the
system is modular, and individual components (e.g., term-
inal reductases) can be exchanged with changes in
environmental conditions and electron acceptor
availability.
Homologues of NADH:quinone oxidoreductases are
found in the genome sequences of most thermoacidophi-
lic and hyperthermophilic archaea. The catalytic (NuoD)
and quinone-binding (NuoH) subunits are conserved
except for NuoH in methanogens, but all archaea lack
Protein
Oligopeptides Dipeptides
ADPATP ADPATP
Oligopeptides Dipeptides
Amino acid
α-ketoglutarate
Glutamate
Oligopeptide
H2O
Extracellular
Cytoplasm
NADP+
NADPH
α-keto acids
Pyruvate Branched chain Aromatic 2-oxoglutarate
Acetyl-CoA
Fdred
Fdox
Branched chain
acyl-CoAs
Fdred
Fdox
Aryl-CoAs
Fdred
Fdox
Succinyl-CoA
Fdred
Fdox
Branched chain
acids
ATP
ADP
Acetate
ATP
ADP
Aryl acids
ATP
ADP
1
2 34 4
5 5
67
8 9
10 11 12 13
14 14 14
Figure 9 Peptide hydrolysis, uptake, and peptidolysis in archaea. The enzymes are as follows: 1, pyrolysin; 2, oligopeptide-binding
protein; 3, dipeptide-binding protein; 4, peptide transport permease; 5, peptide transport ATPase; 6, intracellular protease; 7,
prolidase; 8, amino acid aminotransferase; 9, glutamate dehydrogenase; 10, pyruvate:ferredoxin oxidoreductase; 11, -ketoiso-
valerate:ferredoxin oxidoreductase; 12, indolepyruvate:ferredoxin oxidoreductase; 13, 2-oxoglutarate:ferredoxin oxidoreductase;
and 14, acyl-CoA synthetase. Fd, the electron carrier ferredoxin.
510 Extremophiles: Hot Environments

the NuoAEFGJK subunits found in bacteria, which
includes the NADH binding, flavin, and iron–sulfur
cluster containing subunits (NuoEFG). Membrane-
soluble archaeal electron carriers have been found in
the hyperthermophiles P. islandicum and Pyrobaculum
organotrophum, in the thermoacidophile S. solfataricus, and
in the mesophilic methanogen Methanosarcina mazei.
Menaquinones were found in the two Pyrobaculum
species whereas two novel sulfur-containing quinone-
like compounds were observed in S. solfataricus. The
methanogen uses a 2-hydroxyphenazine derivative
called methanophenazine, which could be reduced by a
membrane-bound F
420
dehydrogenase and oxidized by
the membrane-bound enzyme heterodisulfide reductase.
The use of methanophenazine by methanogens may
explain the absence of the quinone-binding subunit in
their NADH:quinone oxidoreductase.
The presence of bc
1
complexes in hyperthermophilic
and thermoacidophilic archaea is relatively scarce. They
are found in some Pyrobaculum,Aeropyrum,Sulfolobus, and
Acidianus species, all organisms with some capacity for
aerobic growth. Homologues of membrane-bound H
þ
-
translocating ATP synthase are found in the genome
sequences of all thermoacidophilic and hyperthermophi-
lic archaea. The catalytic subunits (AtpAB) are conserved,
but all archaea lack the AtpGHJK subunits found in
bacteria.
Reduction of sulfur compounds
The reduction of elemental sulfur is one of the most com-
mon traits of thermoacidophiles and hyperthermophiles
(Table 1). Elemental sulfur is the terminal electron
acceptor for neutrophilic heterotrophs from marine envir-
onments (e.g., Pyrococcus and Thermococcus) and terrestrial
environments (e.g., Thermoproteus and Pyrobaculum), for
chemolithoautotrophs from marine environments (e.g.,
Pyrodictium), and for some thermoacidophiles from terres-
trial environments (e.g., Acidianus). This is not surprising
given the abundance of sulfur compounds in their native
geothermal environments. Environmental conditions
significantly influence the form of sulfur available for
respiration. Above pH 5, sulfide anion (HS-) is a nucleo-
phile that reacts with the elemental sulfur ring (S
8
)forming
polysulfide (S
42
and S
52
). Above pH 7 and 75 C, ele-
mental sulfur disproportionates into thiosulfate and sulfide
(S
8
þ6H
2
O!2S
2
O
32
þ4HS
þ8H
þ
).
Pyrodictium and Acidianus species couple H
2
oxidation
with elemental sulfur reduction. They grow at pH 5-8 and
pH 1-4, respectively, suggesting that Pyrodictium uses
polysulfide whereas Acidianus uses S
8
.InPyrodictium,H
2
oxidation is coupled directly to sulfur/polysulfide reduc-
tion in a membrane-bound multienzyme complex with
both hydrogenase and sulfur reductase activities. It con-
tains Fe, Ni, Cu, acid-labile sulfur and hemes band cbut
lacks Mo and W. Quinones were required for activity in
the P. brockii complex but not in the P. abyssi complex,
suggesting that the complete electron transport chain is
contained within the latter complex. Dissimilatory sulfur
reductase from Acidianus ambivalens is a heterotrimer with
a 110 kDa catalytic subunit containing a molybdo-bis-
molybdopterin guanine dinucleotide (MGD) cofactor
and one Fe-S center, an Fe-S electron transfer subunit,
and a membrane anchor. The catalytic subunit contains a
twin arginine (Tat) signal peptide sequence, suggesting
that it faces the outside of the cell. Mo, but not W, was
found in the solubilized membrane. Sulfolobus quinone is
used to shuttle electrons from a membrane-bound hydro-
genase to the sulfur reductase.
The hyperthermophilic archaeon P. furiosus can
reduce elemental sulfur when it is separated from the
cells by a porous barrier and can use polysulfide as the
electron acceptor. Pyrococcus and Thermococcus differ from
Pyrodictium and Acidianus in that they do not appear to use
a membrane-bound sulfur/polysulfide reductase for sul-
fur respiration, nor do they appear to use quinones or
cytochromes as electron carriers. Instead, P. furiosus uses a
soluble NAD(P)H- and CoA-dependent sulfur reductase
whose gene expression increases up to sevenfold when
cultures are shifted from growth without elemental sulfur
to growth with sulfur. The enzyme is a homodimeric
1
6
5
2
2 e–2 e–
4 H+
NAD(P)H
+ H+
Xox + 2 H+
3 H+
3 H+
ATPADP + Pi
Xred
2 H+
Cytoplasm
NAD(P)+
2 H+
3
4e–
e–
Figure 10 Membrane electron transport pathway. The components are as follows: 1, NADH:quinone oxidoreductase; 2, quinone;
3, quinol:cytochrome coxidoreductase (bc
1
complex);4,cytochromec; 5, generic terminal reductase; and 6, H
þ
-translocating ATP synthase.
Extremophiles: Hot Environments 511

flavoprotein. The mechanism for generating a proton
motive force is unknown.
Dissimilatory sulfate, thiosulfate, and sulfite reduction
is found in several hyperthermophilic archaea (Table 1).
Sulfate is reduced in three steps (SO
42
!APS !
SO
32
!S
2
) by three enzymes localized in the cyto-
plasm. The ATP sulfurylase from the hyperthermophilic
archaeon Archaeoglobus fulgidus is a homodimer and
activates sulfate using ATP, yielding adenosine phospho-
sulfate (APS) and pyrophosphate. This and the ATP
sulfurylase from the thermophilic bacterium Thermus
contain a zinc site that is absent in mesophiles, suggesting
that it may be related to thermostability at higher tem-
peratures. Dissimilatory APS reductase from A. fulgidus is
a heterodimer that contains FAD and two Fe-S clusters.
Dissimilatory sulfite reductase from A. fulgidus has an
2
2
structure and contains siroheme iron, nonheme
iron, and acid-labile sulfide. It uses six electrons to reduce
sulfite to sulfide. Our understanding of the source of
electrons for these reductases and their relationship with
the development of a proton motive force is at a rudi-
mentary level.
Dissimilatory thiosulfate reduction occurs on the
membrane producing sulfite and sulfide, and then the
sulfite is reduced in the cytoplasm to sulfide as described
above. The amount of thiosulfate reductase in the mem-
brane fraction of P. islandicum cultures increased
dramatically in thiosulfate-grown cultures relative to
those grown on elemental sulfur and iron. Like the sul-
fur/polysulfide reductases described above, the
thiosulfate reductase in P. islandicum is predicted to be a
membrane-bound heterotrimer with MGD and Fe-S
cofactors. Dissimilatory sulfite reductase from P. islandi-
cum has biochemical properties that are nearly identical to
those of A. fulgidus.
Reduction of nitrogen compounds
Denitrification is found in a limited number of hyper-
thermophilic archaea (Table 1). Nitrate is reduced in
four steps (NO
3
!NO
2
!NO !N
2
O!N
2
) by four
enzymes. In contrast to denitrifying bacteria, all four deni-
trifying enzymes in the hyperthermophilic archaeon
P. aerophilum are membrane bound and use menaquinol
as an electron donor. Dissimilatory nitrate reductase from
P. aerophilum is a heterotrimer that consists of a 146 kDa
catalytic subunit with an MGD cofactor and one Fe-S
center, an electron transfer subunit with four Fe-S centers,
and a membrane anchor with biheme band quinol-oxidiz-
ing capability. Like the sulfur reductase in A. ambivalens,
the catalytic subunit contains a twin arginine (Tat) signal
peptide sequence, suggesting that it faces the outside of the
cell, which is unlike bacterial nitrate reductases that face
the cytoplasm. If so, this would significantly influence
the manner in which P. aerophilum generates a proton
motive force when grown on nitrate. Cultures did not
grow without the addition of tungstate; however, concen-
trations above 0.7 mmol l
1
led to a fourfold decrease in
dissimilatory nitrate reductase activity. Therefore, tung-
sten does not replace molybdenum in this metalloenzyme
as it does in other thermophiles but apparently is required
by other enzymes in the organism. Variations in tungstate
concentrations had no effect on nitrite reductase and NO
reductase activities. NO reductase from P. aerophilum is
homomeric, contains derivatives of heme b, and uses
menaquinone as an electron donor. Denitrification to
N
2
O was also measured in Ferroglobus placidus.
Oxygen
The majority of thermophiles and especially hyper-
thermophiles are anaerobes, due in large part to the
insolubility of O
2
in water at high temperatures and the
lack of fluid contact with O
2
. However, there are several
organisms that are obligate aerobes, microaerophiles, or
facultative anaerobes (Table 1). As expected, these
organisms are generally found in geothermal environ-
ments such as in hot springs that interface with oxic
environments. Aerobic respiration generally requires
electrons carried by cytochrome cthat are passed to O
2
via cytochrome coxidase. Various forms of this enzyme
are found in Aeropyrum and Pyrobaculum whereas quinol
oxidases are found in Sulfolobus and Acidianus.Pyrobaculum
oguniense has both cytochrome aand cytochrome ocon-
taining heme-copper oxidases. The bc
1
complex and the
cytochrome o-containing oxidase are present in the mem-
branes of cells grown aerobically and anaerobically
whereas the cytochrome a-containing oxidase is only
present in aerobically grown cells. The two oxidases
have different affinities for O
2
and are specialized for
microaerophilic and aerobic growth.
Metal compounds
Two forms of ferric iron are generally used for growth of
bacteria and archaea: soluble Fe(III) that is chelated with
citrate and insoluble Fe(III) oxide hydroxide (FeO).
Several hyperthermophiles grow on FeO whereas
only Pyrobaculum and Geoglobus grow on Fe(III) citrate.
Often the end product of FeO reduction is insoluble
magnetic iron. P. islandicum also can reduce U(VI),
Tc(VII), Cr(VI), Co(III), and Mn(IV). Frequent research
questions with mesophilic dissimilatory iron-reducing
bacteria are whether they are able to reduce FeO without
direct mineral contact and whether polyheme c-type
cytochromes are required. The two most commonly stu-
died iron-reducing bacteria are Shewanella and Geobacter.
Both require polyheme c-type cytochromes for iron
reduction. Shewanella can grow without direct FeO con-
tact by producing an extracellular electron shuttle
whereas Geobacter requires direct contact unless a soluble
mediator is provided. P. aerophilum and Pyrobaculum arsena-
ticum can grow without direct FeO contact whereas
512 Extremophiles: Hot Environments

P. islandicum and Pyrobaculum calidifontis require direct
contact. Genome sequence analyses show that P. aerophi-
lum,P. islandicum, and P. arsenaticum lack polyheme c-type
cytochromes whereas P. calidifontis contains a cytochrome
with eight predicted hemes that is highly homologous to
those found in Shewanella and Geobacter. Growth of
P. aerophilum and P. islandicum on Fe(III) citrate and FeO
is favored at pHs slightly above neutral and at reduction
potentials that are above 220 mV. In contrast, growth of
P. islandicum on thiosulfate and elemental sulfur is favored
at slightly acid pHs and at low reduction potentials
(570 mV). Growth of P. aerophilum on nitrate is
favored at neutral pH and at reduction potentials above
220 mV.
H
2
production
The anaerobic catabolism of organic compounds often
yields low molecular weight organic compounds (e.g.,
acetate) and H
2
. Although common, H
2
production
(E
o
9¼410 mV) by most bacteria is easily inhibited due
to their use of NADH (E
o
9¼320 mV) as the electron
donor for the redox reaction (thermodynamically, the
midpoint potential (E
o
9) of the electron donor should
ideally be more negative than that of the electron accep-
tor). Therefore, this process often requires the presence
of a H
2
syntroph such as a methanogen in order to keep
H
2
at low partial pressure. In contrast, Pyrococcus and
Thermococcus readily produce H
2
as their primary meta-
bolite when grown in the absence of elemental sulfur,
their preferred terminal electron acceptor, without a
H
2
syntroph. The electron donor for H
2
production in
P. furiosus is ferredoxin (E
m,95
C
¼471 mV), making the
reaction more energetically favorable. The hydrogenase
from P. furiosus is membrane bound and receives electrons
directly from ferredoxin. The reaction is coupled directly
with proton translocation across the membrane and
the development of a and a pH. ATP synthesis
on the membrane was likewise shown to be linked to
H
2
production. P. furiosus also has two cytoplasmic hydro-
genases that use NADH as the electron donor, which are
upregulated when cultures are grown without sulfur.
Relationship between Organisms and
their Environment
The high temperatures and geochemistry found in ter-
restrial and marine geothermal sites are unique.
Volcanically derived gases and products from water–
rock reactions support chemolithoautotrophic-based
microbial communities in what has been termed the
deep, hot biosphere. Endolithic microbial communities
are pervasive in these environments and likely contribute
significantly to subsurface biomass production, which
may constitute a significant portion of the total biomass
on the planet. The subsurface biosphere is a largely
unknown and untapped natural resource. Thermophiles
and hyperthermophiles inhabit these environments and
serve as model organisms for microbial processes that
occur at high in situ temperatures. Although known
hyperthermophiles may comprise only a small minority
of the total microbial population in a geothermal envir-
onment, their metabolisms are likely reflections of the
kinds of processes occurring within them. Because they
are typically not found in nongeothermal background
fluids, they can serve as tracers of in situ chemical and
physical conditions within geothermal environments.
Before one can use these organisms as models of bio-
geochemical processes in geothermal environments, there
are a number of fundamental questions that must be
addressed related to the relationship between high-
temperature organisms and their environment. For exam-
ple, what are the physical and chemical constraints on
metabolic processes? Are different forms of thermophile
and hyperthermophile metabolism spatially and tempo-
rally segregated on the basis of fluid chemistry? Clearly,
the presence of thermoacidophiles, thermoneutrophiles,
and thermoalkaliphiles shows how pH can influence
microbial distributions and metabolisms, but can these
types of changes be observed on a finer scale even within
the same organism? What are the different ways in which
organisms assimilate CO
2
or respire a given compound?
Are these differences rooted in environmental factors that
favor one metabolism over another? Many hyperthermo-
philes have a requirement for tungsten to meet the needs
of certain enzymes found in central metabolic pathways.
Are there other unique cofactors used by these organisms?
What do these mean with respect to the natural history of
these organisms?
In conclusion, extremophiles from hot environments
have moved from mere curiosity to a group of organisms
that have significant medical and biotechnological appli-
cations and are useful for the study of the evolution and
biochemistry of metabolic pathways and the biogeochem-
istry of geothermal environments. Many thermophiles
and most hyperthermophiles belong to the Archaea,
which is the third superkingdom of life for which there
is still much to be learned. Because physiology and ecol-
ogy go hand in hand, the continued study of high-
temperature organisms from these two perspectives
should expand our appreciation for these organisms and
the function they have in nature.
Further Reading
Adams MWW (1999) The biochemical diversity of life near and above
100C in marine environments. Journal of Applied Microbiology
85: 108S–117S.
Extremophiles: Hot Environments 513

Brock TD (1978) Thermophilic Microorganisms and Life at High
Temperatures. New York: Springer-Verlag.
Buchanan BB and Arnon DI (1990) A reverse KREBS cycle in
photosynthesis: Consensus at last. Photosynthesis Research
24: 47–53.
Cabello P, Rolda´ n MD, and Moreno-Vivia´ n C (2004) Nitrate
reduction and the nitrogen cycle in Archaea. Microbiology
150: 3527–3546.
Daniel RM, van Eckert R, Holden JF, Truter J, and Cowan DA (2004) The
stability of biomolecules and the implications for life at high
temperatures. In: Wilcock WSD, DeLong EF, Kelley DS, Baross JA,
and Cary SC (eds.) The Subseafloor Biosphere at Mid-Ocean
Ridges. Geophysical Monograph Series, vol. 144, pp. 25–39.
Washington, DC: American Geophysical Union Press.
Holden JF and Daniel RM (2004) The upper temperature limit for life
based on hyperthermophile culture experiments and field
observations. In: Wilcock WSD, DeLong EF, Kelley DS, Baross JA,
and Cary SC (eds.) The subseafloor biosphere at mid-ocean ridges.
Geophysical Monograph Series, vol. 144, pp. 13–24. Washington,
DC: American Geophysical Union Press.
Kletzin A (2007) Metabolism of inorganic sulfur compounds in archaea.
In: Garrett RA and Klenk HP (eds.) Archaea: Evolution, Physiology,
and Molecular Biology, pp. 261–274. Malden, MA: Blackwell
Publishing.
Petsko GA (2001) Structural basis of thermostability in
hyperthermophilic proteins, or ‘‘there’s more than one way to skin a
cat.’’ Methods in Enzymology 334: 469–478.
Scha¨ fer G, Engelhard M, and Mu¨ ller V (1999) Bioenergetics of
the Archaea. Microbiology and Molecular Biology Reviews
63: 570–620.
Schleper C, Jurgens G, and Jonuscheit M (2005) Genomic studies of
uncultivated Archaea. Nature Reviews 3: 479–488.
Stetter KO (1990) Extremophiles and their adaptation to hot
environments. FEBS Letters 452: 22–25.
Verhees CH, Kengen SWM, Tuininga JE, et al. (2003) The unique
features of glycolytic pathways in Archaea. Biochemistry Journal
375: 231–246.
Woese CR, Kandler O, and Wheelis ML (1990) Towards a natural
system of organisms: Proposal for the domains Archaea, Bacteria,
and Eucarya. Proceedings of the National Academy of Sciences of
the United States of America 87: 4576–4579.
Wood HG and Ljungdahl LG (1991) Autotrophic character of the
acetogenic Bacteria. In: Shively JM and Barton LL (eds.) Variations in
Autotrophic Life, pp. 201–250. New York: Academic Press.
514 Extremophiles: Hot Environments

Fermentation
ABo¨ck, University of Munich, Munich, Germany
ª2009 Elsevier Inc. All rights reserved.
Defining Statement
Introduction
Fermentation Balances
Fermentation of Carbohydrates
Fermentation of Organic Acids, Amino Acids,
and Purines
Energy Conservation Reactions in Fermentations
Regulation of Fermentations
Manipulation of Fermentation Pathways
in Biotechnology
Further Reading
Glossary
anaerobic respiration An anaerobic type of
metabolism in which organic (and in a special case also
inorganic) compounds are degraded and external
electron acceptors other than oxygen are used.
electron transport-coupled phosphorylation ATP
synthesis by the membrane-bound ATP synthase with
the electrochemical gradient across the cytoplasmic
membrane as the driving force.
fermentation An anaerobic type of metabolism in
which organic compounds are degraded in the absence
or without the use of external electron acceptors. A
mixture of oxidized and reduced metabolites is
produced and secreted by cells.
fermentation balance The sum of the oxidized and
reduced compounds produced as end products during
fermentation in which the oxidation state is calculated in
arbitrary units.
reducing equivalents Hydrogen or electrons
withdrawn from the substrate during oxidative
breakdown.
substrate-level phosphorylation A phosphorylated
organic compound that is generated as an intermediate
during substrate degradation is used for the synthesis of
ATP.
Y
ATP
Cell mass in grams dry weight obtained from 1 mol
of ATP upon growth on a monomeric substrate in
minimal medium.
Abbreviations
ALS acetolactate synthetase
CAP Catabolite activation protein
Fd flavodoxin
FNR Fumarate–nitrate–reductase regulatory protein
GAP glyceraldehyde-3-phosphate
IHF Integration host factor
KDPG 2-keto-6-phosphogluconate
LDH lactate dehydrogenase
NADH nicotinamide adenine dinucleotide
PC pyruvate carboxylase
PDC pyruvate decarboxylase
PEP phosphoenolpyruvate
PGA 6-phosphogluconate
PK pentose phosphoketolase
POR pyruvate-ferredoxin oxidoreductase
Defining Statement
Fermentation, which was originally defined by Louis
Pasteur as ‘‘life without oxygen,’’ is now understood in
biochemical terms as the degradation of organic com-
pounds in the absence or without the implication of
external electron acceptors. This review describes the
mechanisms via which fermenting organisms maintain
their redox balance, and it gives an account of different
pathways of fermentation and how facultative organisms
manage to switch their energy metabolism between fer-
mentation and respiration.
Introduction
Many environments on the surface of earth are devoid of
oxygen, either because it is consumed in chemical reac-
tions or by the respiratory activity of aerobic organisms.
This creates anoxic macroenvironments such as lake sedi-
ments, or microenvironments such as soil particles in
which anaerobic organisms can thrive. Instead of using
oxygen as the terminal acceptor for the electrons with-
drawn from the substrate during degradation, these
anaerobes use alternate acceptors such as nitrate, nitrite,
sulfur, or sulfate in a process designated anaerobic
515

respiration. If such acceptors are not available, selected
organisms can carry out fermentations in which internally
produced electron acceptors are used. The range of
substrates that can be degraded via fermentation is
broad and includes carbohydrates, amino acids, short-
chain organic acids, purines, pyrimidines, and a few
others. Fermentation can be an obligatory process, as in
the diverse group of clostridia, which lack the ability to
switch to aerobic or anaerobic respiration when the rele-
vant electron acceptors are provided, or it may be
facultative, as in staphylococci, enterobacteria, or yeast,
which have complex regulatory mechanisms to ensure
that fermentative enzymes are produced only when the
cells are deprived of external electron acceptors like
oxygen. Some groups of obligatory fermenting organisms
degrade their substrates also in the presence of oxygen.
Fermentation as a metabolic process needs to be dif-
ferentiated from the use of this term in biotechnology,
which denotes the production of any biological product in
a bioreactor, also under aerobic conditions.
Fermentation Balances
The average energy yield of fermentations lies in the
range of 2–2.5 mol of ATP per mole of consumed glucose.
Because of this low-energy gain, most of the carbon of the
substrate is not incorporated into cell mass but rather
appears in the fermentation end products. Because the
reducing equivalents withdrawn from the substrate must
be transferred to an internally generated acceptor, the
sum of the oxidation state of the reduced products and
of the oxidized products must equal the oxidation state of
the substrate. Fermentations, therefore, are disproportio-
nation reactions when one neglects the fact that only a
minor part of the carbon is incorporated into cell mass.
The calculation of a fermentation balance, therefore, can
give important clues about the metabolic routes via which
the products are formed and may shed light on the
question of whether an unknown oxidant or reductant
participates. An example is shown in Figure 1(a).
An important role in the fermentation of many organ-
isms is played by hydrogenases. These enzymes either
reduce protons with electrons to molecular hydrogen or
oxidize hydrogen in the reverse reaction. In fermenta-
tions, hydrogen production, that is, the use of protons as
internal electron acceptors, helps to dissipate the redu-
cing equivalents and thus enables a shift in the ratio of
reduced carbon products to the oxidized side. Because
molecular hydrogen has a low solubility in water, its
formation pulls the kinetics of unfavorable reaction
Substrate
(a)
(b)
Reduced product
–[H]
+2 [H] H2
Glucose O/R = 0
2 C2H5OH: O/R = –4
2 CO2: O/R = +4
Oxidized product
Glucose Hydrogenase
Pyruvate
Acetyl-CoA
Acetal
Acetyl ~ P
Acetate + ATP Ethanol
–[H]
Figure 1 (a) Fermentation balance of the ethanol fermentation. In the calculation, oxygen is arbitrarily assigned a value of þ1,
hydrogen of 0.5, and nitrogen of þ1.5. (b) Effect of the reduction of protons by hydrogenase on the conversion of acetyl-CoA to
acetate and ethanol.
516 Fermentation

equilibria, especially when hydrogen-producing organ-
isms live in syntrophy with hydrogen-consuming ones.
Figure 1(b) displays the role of hydrogenases during the
conversion of acetyl-CoA either into acetate plus ATP or
into ethanol, reactions occurring during many types of
fermentations. In contrast to acetate generation, ethanol
formation requires 2 mol of reducing equivalents, which
are supplied during the degradation of 1 mol of glucose in
glycolysis; consequently, acetate and ethanol are formed
in equimolar amounts. The withdrawal of reducing
equivalents into the hydrogenase reaction causes a shift
of the balance to the side of acetate, which is advanta-
geous because of the increased gain of ATP.
Fermentation of Carbohydrates
Carbohydrates in the form of starch, cellulose, or hemi-
cellulose are the most abundant naturally occurring
electron donors, and thus are rich sources of energy for
the growth of heterotrophic organisms. Their hydrolytic
breakdown into the monomeric or oligomeric constituents
provides important fermentation substrates for many obli-
gate and facultative anaerobes. Processes in nature where
metabolic breakdown of organic material by fermentation
takes place include the rumen and the guts of animals and
humans or the degradation of plant material in compost or
anaerobic soil compartments. Fermentation as a metabolic
process, however, also plays a significant role in biotech-
nology, as up to around 90% of the substrates may be
converted into secreted products. The production of bulk
chemicals such as ethanol, lactate, or butanol relies on the
fermentative activity of microorganisms as well as on the
production of major sources of human nutrition such as
fermented milk products and vegetables, or of animal feed
in the form of silage. Fermentation reactions also contri-
bute to the spoilage of food, and they play a role in the
infection process of organisms such as staphylococci or
Bacteroides, which enable these organisms to settle in anoxic
niches of the human body. This practical relevance is dealt
with in ‘Diary products’, ‘Fermented foods’, ‘Food
Spoilage, Preservation and Quality Control’, ‘Lactic Acid,
Microbially Produced’, and ‘Solvent Production’.
Propanediol Fermentation: The Substrate
Glycerol is Converted in a 1:1 Ratio into an
Oxidant and a Reductant
The question whether an organism is able to degrade a
carbohydrate monomer by fermentation depends on its
ability either to induce pathways or to use constitutively
expressed pathways that accept the reducing equivalents
set free during the oxidative breakdown of the substrate.
An interesting example in this respect presents the aero-
bic and anaerobic breakdown of the polyol glycerol by
Escherichia coli and by Klebsiella species. E. coli and Klebsiella
are able to degrade glycerol by aerobic and anaerobic
respiration, as they possess aerobic and anaerobic dehy-
drogenases that convert glycerol-3-phosphate into
dihydroxyacetone phosphate (Figure 2(a), top). Both
enzymes are membrane-bound flavoproteins that feed
the electrons directly into the respective aerobic or anae-
robic respiratory chains. A third enzyme capable of this
interconversion is an oxidoreductase whose function lies
in the formation of glycerol-3-phosphate for lipid bio-
synthesis. None of these three enzymes is able to support
fermentation as they are functionally connected either to
respiratory chains or they serve biosynthetic purposes.
Glycerol fermentation, however, can only proceed in
Klebsiella because it is able to induce the formation of
two functional and unique branches of glycerol break-
down (Figure 2(b)). The oxidative branch initiates with
the oxidation of glycerol to dihydroxyacetone by glycerol
dehydrogenase; subsequent phosphorylation of dihydrox-
yacetone delivers an intermediate of the central
glycolytic route and allows ATP generation via sub-
strate-level phosphorylation. This oxidative branch
produces an extra reducing equivalent as compared with
the breakdown of the C3 unit of glyceraldehyde-3-phos-
phate (GAP). To balance the redox state of glycerol
fermentation, an additional mole of glycerol is dehy-
drated by the coenzyme B
12
-dependent glycerol (diol)
dehydratase to 3-hydroxypropionaldehyde whose alde-
hyde group is a ready acceptor of electrons resulting in
nicotinamide adenine dinucleotide (NADH) reoxidation
under 1,3-propanediol formation. Thus, 50% of the gly-
cerol consumed is released as propanediol, an interesting
bulk chemical for polymerization reactions. Another pro-
duct of this pathway of biotechnological interest is
dihydroxyacetone, a chemical used in creams for the
bronzing of skin.
Pyruvate or Derivatives Thereof Serve as
Electron Acceptors
Types of carbohydrate fermentation are classified in most
cases according to the products that are formed and
released into the medium. Figure 3 schematically presents
the pathways followed by some prominent fermentation
systems. A characteristic feature of most carbohydrate
breakdown routes during fermentation is that pyruvate
plays a central role. Altogether six enzyme systems can
be differentiated that are involved in the conversion of
pyruvate, with the aim to either directly reduce it or
convert it into intermediates that can accept the reducing
equivalents liberated during carbohydrate degradation
either through glycolysis or through the Entner–
Doudoroff pathway and thus to reoxidize the reduced
coenzymes.
Fermentation 517

The reduction of pyruvate to lactate is catalyzed by
lactate dehydrogenase (LDH) and – depending on the
organism – delivers one of the two stereoisomers of lactate,
which may be the sole fermentation end product as in
homofermentive lactobacteria or produced as one of the
several end products as in enterobacteria (see Figure 4(b)).
In alcoholic fermentation by yeast or Zymomonas,thesub-
strate for the dissipation of reducing equivalents is
acetaldehyde, the product of the decarboxylation of pyru-
vate by pyruvate decarboxylase (PDC). In propionic acid
fermentation by Propionibacterium and in succinate formation
by enterobacteria, the reductive branch of the citric acid
cycle serves as a means to reoxidize the reduced coenzymes.
The initial reaction that provides the substrate to be
reduced, oxalacetate, is catalyzed by pyruvate carboxylase
(PC) in Propionibacterium or phosphoenolpyruvate (PEP)
carboxylase in enterobacteria. In butyric acid fermentation
by clostridia, pyruvate is first oxidized to acetyl-CoA,
CO
2
, and reduced ferredoxin by pyruvate-ferredoxin
oxidoreductase (POR) and 2 mol of acetyl-CoA are
subsequently condensed to acetoacetyl-CoA, which
delivers butyrate or butanol by investing 2 or 4 mol of
reducing equivalents, respectively. As already mentioned
(Figure 1(b)), acetyl-CoA can be converted into acetate
via the phosphotransacetylase/acetokinase sequence or
reduced to ethanol with the expenditure of two reducing
equivalents. A final reductive branch initiating from pyr-
uvate leads to butanediol in the mixed acid fermentation
followed by the Enterobacter/Klebsiella group of enterobac-
teria. Here, 2 mol of pyruvate are condensed to acetolactate
by acetolactate synthetase (ALS) (Figure (4b)), which is
reduced to butanediol via acetoin.
The Carbohydrate Substrate Itself Serves as
Electron Acceptor
The fermentation type characteristic of the -group
members of Lactobacillus deserves special mention; they
degrade glucose according the following overall balance:
3 glucose !1 lactate þ1 acetate þ1CO
2þ2 mannitol
G3P DHAP
FAD
D A F
0.5 O
2
H
2
O
GAP
GD
DHAK
GDT
PD
F
umarate Succinate
Anaerobic DH
Biosynthetic OR
Lipids
Aerobic DH
ATP [P ~ PTS]
1,3-Propanediol3-Hydroxypropionaldehyde
NADH
DHAGlycerol
Figure 2 The metabolism of glycerol by Escherichia coli and by Klebsiella. Glycerol-3 phosphate (G3P) derived from the
hydrolysis of fat and of lipids can be oxidized by E. coli and Klebsiella in the presence of external electron acceptors. An aerobically
induced G3P dehydrogenase (DH) and an anaerobically induced isoenzyme feed electrons directly into specific respiratory chains. A
third enzyme, an oxidoreductase (OR), is responsible for de novo G3P biosynthesis when G3P is not provided in the medium. The
lower part of the figure (written in bold letters) presents the oxidative and reductive branches of glycerol fermentation by Klebsiella. The
homodimeric dihydroxyacetone kinase (DHAK) from Klebsiella uses ATP as substrate, whereas the heterotrimeric enzyme from
E. coli uses the phosphate from PEP, which is transferred via a cascade of relay proteins to the ADP firmly bound to the ultimate
kinase subunit. E. coli possesses the genetic capacity to synthesize the constituent polypeptides of this pathway except that coding
for a functional glycerol dehydratase. Transformation with the gene for glycerol dehydratase enables E. coli to also ferment glycerol.
DHAK, dihydroxyacetone kinase; GD, glycerol dehydrogenase; GDT, glycerol dehydratase; PD, propanediol dehydrogenase, P
PTS indicates that the phosphate for dihydroxyacetone phosphorylation in E. coli is transferred from PEP via the
phosphotransferase system to dihydroxyacetone kinase.
518 Fermentation

Here 1 mol of glucose is converted to xylulose-5-P via the
hexose monophosphate route, which is then cleaved to
acetylphosphate and GAP by pentose phosphoketolase
(PK). GAP delivers lactate via the lower branch of gly-
colysis and the activity of LDH, whereas acetylphosphate
is converted to acetate with the gain of 1 mol of ATP via
phosphotransacetylase and acetokinase. As the formation
of xylulose-5-phosphate is connected with the generation
of 2 mol reducing equivalent and as the organism is
unable to reduce acetate to ethanol, it needs to search
for alternate compounds as acceptor for the surplus elec-
trons: as a consequence, two units of hexose are reduced
to mannitol to balance the redox state.
CO
2
as Electron Acceptor
Finally, the fermentation conducted by homoacetogenic
bacteria such as Moorella thermoacetica that degrade 1 mol of
glucose into three acetate units is chosen as an example, as
the CO
2
liberated during glycolysis serves as the electron
acceptor. Two of the three acetate moieties are generated
from the two pyruvates formed during glycolysis. This part
of the pathway also delivers two CO
2
molecules and
elemental hydrogen, which is the product of proton reduc-
tion by the electrons derived from the cleavage of pyruvate.
The third one arises from the reduction of the two CO
2
molecules liberated during pyruvate cleavage: one CO
2
molecule is reduced to the methyl group by the activities
of a selenium- and tungsten-containing formate dehydro-
genase and the attachment to and subsequent reduction at
the coenzyme tetrahydrofolate. After transfer to a corrinoid
protein, it is carbonylated with CO at CO-dehydrogenase/
acetyl-CoA synthase to acetyl-CoA. The reducing power is
provided by elemental hydrogen via the activity of a hydro-
genase. In summary, the long-time enigmatic formation of
the third acetate unit can be visualized as the intracellular
reduction of CO
2
with hydrogen as the reductant, whereby
both are gaseous products arising from glycolysis.
Fermentation of Organic Acids, Amino
Acids, and Purines
Fermentation of Organic Acids
Apart from carbohydrates, short-chain organic acids and
amino acids are major substrates for fermentations. These
A G P
KDPG GAP
CO2
POR PC
LDH PDC
PK
Glucose
Gluc-6-P PGA
Xylu-5-P
Heterofermentive lactobacteria
Acetyl-P Acetate
Ethanol
Homofermentive lactobacteria
Zymomonas
Saccharomyces
Ethanol Acetal Lactate
Pyruvate
Oxalacetate
Succinate
Propionate
Propionibacteria
Saccharolytic clostridia
Butanol Butyrate
Butyryl-CoA
Acetoacetyl-CoA
Isopropanol
Acetone
Acetyl-CoA
Figure 3 Scheme of carbon flux in selected fermentation types with carbohydrate as the substrate. Only characteristic intermediates
are given; the reducing equivalents that are generated or invested are not demonstrated. Gluc-6-P, glucose-6-phosphate; GAP,
glyceraldehyde-3-phosphate; KDPG, 2-keto-6-phosphogluconate; LDH, lactate dehydrogenase; PC, pyruvate carboxylase; PDC,
pyruvate decarboxylase; PGA, 6-phosphogluconate; PK, pentose phosphoketolase; POR, pyruvate-ferredoxin oxidoreductase; Xylu-5-P,
xylulose-5-phosphate. The mixed acid fermentation of enterobacteria is not included (see Figure 4).
Fermentation 519

organic acids are generated from carbohydrates by the
activities of the organisms in the reactions described in
the section titled ‘Fermentation of carbohydrates’ or by
oxidative deamination of amino acids arising from pro-
teolysis. Among the short-chain organic acids, acetate is
by far the most abundant substrate. Its fermentation
by methanogenic bacteria such as Methanothrix or
Methanosarcina is widespread in nature and about 70%
of the methane produced biologically derives from the
reduction of the methyl group of acetate in a quasi-
internal disproportionation reaction.
CH3-COOH !CH4þCO2
Despite its seemingly simple chemistry, the reaction
involves about half a dozen unique coenzymes and cofactors.
The major amount of methane biologically produced
from acetate occurs in lake sediments, in tundra soils, rice
paddies, and in the rumen of ruminants. Because of its
about 20-fold higher potential as a ‘green-house’ gas com-
pared with CO
2
, methane formation presently is under
particular attention. On the other hand, the development,
construction, and optimization of biogas plants in which
agricultural materials and municipal wastes are converted
into methane-containing biogas gain increasing economic
relevance.
Two pathways have convergently evolved for the fer-
mentation of lactate, both of them yield propionate as end
product. Propionibacterium species oxidize lactate (an end
product of lactobacterial fermentations in dairy products)
to pyruvate and follow the route along the reductive
branch of the citric acid cycle described above. On the
other hand, Clostridium propionicum forms propionate by
the dehydration of lactyl-CoA to acrylyl-CoA and its
reduction to propionyl-CoA.
Citrate fermentation has been studied extensively
because citrate is the major source for the generation of
the typical flavor of fermented milk, in particular of
diacetyl. The fermentation of citrate is also a significant
diagnostic characteristic to differentiate Salmonella from
the E. coli group of enterobacteria. Citrate degradation is
Glucose
2 PEP
+2H
+H
+H
+H
+H
2 PEP
H2
+
ATP
–H
(b) (a)
PFL
ALS
Glucose
+2H
Pyruvate
Ac-CoA + CO2 + NADH2
Citrate
Isocitrate
2-Oxoglutarate
Succinyl-CoA
2NADH2 + O22H2O + 4 ATP
Succinate
Fumarate
Malate
Oxalacetate
PEPC
CO2
Glucose Glucose
+2H
+2H Butanediol
Ac-lactate
Lactate
–H
Pyruvate
CO2
CO2
PEPC FHL
Acetyl-CoA + Formate
Citrate
Oxalacetate
Malate
–H
–H
Acetal
Acetyl~P
Ethanol
Fumarate
Succinate
Succinyl-CoA
Acetate
Isocitrate
2-Oxoglutarate
Figure 4 Scheme of carbon flux in Escherichia coli and related enterobacteria under fully respiratory (a) and fermentative (b)
conditions. (a) Pyruvate is cleaved by pyruvate dehydrogenase (PD) and the citric acid cycle is functional as a cycle. Reducing
equivalents generated are denoted by þH. Intermediates withdrawn into anabolism are indicated by bold arrows pointing away from
the respective intermediate. The citric acid cycle is replenished by the activity of PEP carboxylase (PEPC) to replace the
intermediates withdrawn into biosynthetic routes. (b) Pyruvate is cleaved by pyruvate formatelyase (PFL), and the citric acid cycle is
interrupted and divided into two branches because the synthesis of 2-oxoglutarate dehydrogenase is repressed. þH denotes the
generation of reducing equivalents, whereas –H assigns its consumption. The pathway functional in the Klebsiella/Enterobacter
group leading to butanediol is indicated by dotted arrows. ALS, 2-acetolactate synthetase; FHL denotes the activity of the formate
hydrogenlyase complex.
520 Fermentation

initiated by its cleavage into oxalacetate and acetate by
citrate lyase. Oxalacetate decarboxylase is a membrane-
bound enzyme complex that catalyzes biotin-dependent
pyruvate formation coupled to the extrusion of a sodium
ion across the cytoplasmic membrane, causing a buildup
of a sodium gradient that can be used for ATP synthesis
with the aid of a sodium dependent ATP synthase. The
pyruvate formed is nonoxidatively cleaved by pyruvate
formatelyase into acetyl-CoA and formate, and further
metabolism follows the route of a characteristic mixed acid
fermentation (see Figure 4). Similar sodium-dependent
decarboxylases are involved in succinate or methylmalonate
fermentation by Propionigenium modestum and in glutamate
fermentation by Acidaminococcus and Peptococcus.
Fermentation of Amino Acids
Amino acids are readily fermented by many bacteria,
especially by members of the Gram-positive anaerobes
belonging to the peptolytic clostridia such as Clostridium
stricklandii,Clostridium litorale,orClostridium histolyticum,by
nonsporogenic Peptococcus sp., as well as by Eubacterium (E.)
species such as E. acidaminophilum. Because of the nature
and occurrence of their substrate, amino acid fermenters
are frequently associated with processes of food spoilage
and with anaerobic infections. Table 1 lists examples in
which a single amino acid can serve as a substrate of
fermentation. Because of the diversity of chemical struc-
tures, the fermentation of amino acids, unlike that of most
carbohydrates, does not follow a route converging in
some central metabolite (like pyruvate in carbohydrate
fermentations); instead, it proceeds through individual
pathways that involve a plethora of chemically unusual
and often also novel reactions. Frequently, different and
phylogenetically distant organisms possess different path-
ways. Examples of this are listed in Table 1. Glutamate
fermentation by Clostridium tetanomorphum, for example,
proceeds through mesaconate as an intermediate, whereas
that of Acidaminococcus and Peptostreptococcus involves oxi-
dative deamination to 2-oxoglutarate, reduction and
dehydratation to glutaconate, and decarboxylation to
crotonyl-CoA. Its dismutation to butyrate and acetate
yields the same end products as glutamate fermentation
by. C. tetanomorphum. Another example of convergently
evolved pathways concerns threonine fermentation: By
E. coli,L-threonine is dehydrated to 2-oxobutyrate,
which is the substrate for an isoenzyme of the classic
pyruvate formatelyase but with propionate and formate
as cleavage products. C. propionicum, on the other hand,
cleaves 2-oxobutyrate oxidatively by means of a ferre-
doxin-dependent oxidoreductase.
Many of the peptolytic clostridia and also Gram-
negative organisms such as Treponema denticola are able
to ferment pairs of amino acids in the so-called Stickland
reaction. One of the amino acids serves as electron donor
whose breakdown usually delivers CO
2
,H
2
, and organic
acids, whereas the other functions as electron acceptor.
Preferred electron donors are alanine, the branched chain
amino acids, and histidine. Preferred acceptors are gly-
cine, proline, arginine, and tryptophan. With alanine and
glycine as Stickland pair, the overall reaction formally
proceeds as follows:
alanine þ2 glycine þ3ADP þ3Pi
!3 acetate þCO2þ3NH4þ3ATP
The oxidation of the donor involves oxidative deami-
nation to the 2-oxo acid followed by oxidative
decarboxylation to the acyl-CoA derivative, which can
be used in substrate-level phosphorylation for ATP synth-
esis via the phosphotransacetylase/acetokinase reaction
sequence. The reduction of the acceptor amino acid
involves at least three proteins, two of which are seleno-
proteins. Formally, the amino acid is reduced to the
corresponding organic acid plus NH4þwith the genera-
tion of another molecule of ATP, again by substrate-level
phosphorylation:
glycine þPi2–þADP2þ2eþ3Hþ
!acetate þNH4þþ3ATP3þH2Oð14:4 kcal mol1Þ
Fermentation of Purines and Pyrimidines
Purines and pyrimidnes arise from hydrolytic degrada-
tion of nucleic acids; anaerobically, they can be fermented
Table 1 Examples of selected amino acid fermentations
Amino acid Overall reaction products Organisms
Alanine Acetate, propionate, NH4þClostridium propionicum
Glycine H
2
,NH4þ,CO
2
, acetate Peptococcus anaerobius
Glutamate H
2
,NH4þ,CO
2
, acetate, butyrate Clostridium tetanomorphum
Glutamate NH4þ,CO
2
, acetate, butyrate Acidaminococcus fermentans
Threonine H
2
,NH4þ,CO
2
, propionate C. propionicum
Threonine NH4þ, formate
a
, propionate Escherichia coli
Lysine 2 NH4þ, acetate, butyrate, Clostridium subterminale
Arginine NH4þ,CO
2
, ornithine Extreme halophiles, Pseudomonas,Mycoplasma
a
Secreted at neutral or alkaline pH.
Fermentation 521

by a few specialists. Some of them are so restricted in their
substrate spectrum that they accept a single substrate
only. Thus, Clostridium acidi-urici and Clostridium cylindros-
porum solely ferment guanines, the end products being
formate, CO
2
,NH
4þ, acetate, and, in the case of the
latter organism, glycine. Organisms that are able to
degrade pyrimidines or derivatives thereof are scarce.
Clostridium oroticum, for example, degrades orotic acid to
acetate, CO
2
, and NH4þ.
C. acidi-urici,C. cylindrosporum, and also Clostridium pur-
inolyticum couple purine degradation to the reduction of
glycine in a Stickland-type reaction. They possess a gly-
cine reductase and glycine is used for the disposal of
reducing equivalents that are generated during anoxic
degradation of purines. The overall balance can be for-
mulated as follows:
formiminoglycine þ2ADP þ2Pi
!acetate þCO2þNH4þþ2ATP
Such mixed substrate fermentation may be of consider-
able importance in the degradation of complex mixtures
of natural compounds.
Energy Conservation Reactions
in Fermentations
Depending on the availability of external electron accep-
tors, three different modes of coupling substrate
degradation with energy conservation can be differen-
tiated, namely aerobic respiration, anaerobic respiration,
and fermentation. Aerobic and anaerobic respirations
conserve energy by the buildup of a primary proton
motif force across the cytoplasmic membrane, which is
used for the synthesis of ATP by electron transport-
coupled phosphorylation. In contrast, the classic energy
conservation mode in fermentations is substrate-level
phosphorylation. Immediate phosphoryl donors with a
high group transfer potential are acetyl-phosphate, pro-
pionyl-phosphate, butyryl-phosphate, carbamoyl-
phosphate, 1,3-diphosphoglycerate, and phosphoenolpyr-
uvate. Fermentative growth on arginine by many
Gram-positive and Gram-negative bacteria and by some
archaea, for example, relies on the synthesis of ATP using
the high-energy anhydride bond of carbamoyl phosphate:
arginine þH2O!citrulline þNH4þ
citrulline þPi!ornithine þcarbamoyl-phosphate
carbamoyl-phosphate þADP !CO2þNH4þþATP
A single mole of ATP, therefore, is formed from 1 mol of
arginine. As a consequence, growth on arginine is possible
only under the condition that uptake of the substrate does
not afford energy. This is accomplished by the function of
an energy-neutral antiporter that couples the uptake of
arginine to the extrusion of the product ornithine.
Other energy-rich intermediates originating in fermenta-
tive pathways are acetyl-CoA, propionyl-CoA, butyryl-
CoA, and succinyl-CoA. ATP is generated by CoA exchange
between the latter three substrates with acetate and the use of
the resulting acetyl-CoA for ATP synthesis via the phospho-
transacetylase/acetokinase reaction sequence.
Fermentation is the ‘last resort’ for energy conserva-
tion. It is now generally accepted that Y
ATP
(the yield of
cell mass obtained from 1 mol of ATP after growth on
monomeric substrates in minimal salts medium) is about
10.5 g. The determination of Y
ATP
allowed the conclusion
that in most fermentations, no more than 3 mol of ATP
per mole of degraded glucose are formed. The ATP that
is generated by substrate-level phosphorylation is then
used to build up a proton motif force across the cytoplas-
mic membrane via the cleavage of ATP coupled with the
extrusion of protons or sodium ions.
Substrate-level phosphorylation is frequently accom-
panied by direct membrane energy reactions. Thus, in the
case of the sodium-dependent decarboxylation of oxala-
cetate during citrate fermentation by some enterobacteria
or methylmalonate decarboxylation by Propionigenium,
sodium ions are translocated to the outside of the cell,
resulting in the buildup of a sodium gradient used for
ATP synthesis. Propionibacteria and enterobacteria con-
serve energy also by direct electron transport-coupled
phosphorylation during the reduction of fumarate in
mixed acid fermentations. Finally, in several fermentation
routes, the export of certain acidic fermentative end pro-
ducts produced in symport with protons can contribute to
the gain of energy.
Regulation of Fermentations
Depending on their mode of energy conservation and on
their relation to oxygen, fermenting organisms can be
divided into several classes: Obligatory fermenters are
unable to switch their metabolism to alternate modes of
energy conservation such as aerobic or anaerobic respira-
tion; whereby some classes are inhibited or even killed in
the presence of oxygen and others are tolerant to oxygen,
at least to concentrations below the atmospheric level.
The members of this aerotolerant group comprise most
of the genera and species used in food technology or in
biotechnological processes. Facultative fermenters, on the
other hand, are able to switch to a respiratory type of
metabolism using electron transport-coupled phosphory-
lation for ATP syntheses when they are provided with an
external electron acceptor. During the shift to a medium
containing such an external acceptor, enzymes with a sole
role in fermentative metabolism are repressed in their
synthesis.
522 Fermentation

The regulation of fermentation in such facultative
fermenters has attracted considerable attention because
it sheds light on the adaptation of microorganisms to
environmental conditions like oxygen or pH. They also
deserve interest from an applied point of view, because
the use of these organisms in biotechnological processes
may necessitate the manipulation of the underlying reg-
ulatory mechanisms. Most of the regulatory work has
dealt with the metabolic consequences of a shift from
aerobiosis to anaerobiosis, mainly of E. coli and its enter-
obacterial relatives.
Central Metabolic Routes of E. coli During
Aerobic Respiration and Fermentation
Figure 4 compares the central metabolic pathways of
E. coli upon growth under respiratory (a) and fermentative
(b) conditions. The major characteristics of aerobic
respiration are that pyruvate is cleaved oxidatively by
pyruvate dehydrogenase and that the cells contain a func-
tional citric acid cycle. The reduced coenzymes feed their
electrons into an aerobic respiratory chain, which in the
case of E. coli only harbors two coupling sites for ATP
generation. Formally, the energy gain is thus 24 mol of
ATP per 1 mol of glucose degraded.
There are a number of regulatory events that convert the
central pathway characteristic of fully aerobic growth into
the mixed acid-type fermentation depicted in Figure 4(b).
First, pyruvate dehydrogenase is no longer synthesized but
its activity is replaced by pyruvate formatelyase, which
cleaves pyruvate nonoxidatively into acetyl-CoA and for-
mate. Second, the citric acid cycle is interrupted by the
repression of the formation of 2-oxoglutarate dehydrogen-
ase. It is thus separated into an oxidative and a reductive
branch, which purely serve biosynthetic purposes. Finally, a
number of downstream pathways are induced and start to
operate to balance the redox status. A LDH is formed that
directly reduces pyruvate, an ethanol dehydrogenase is
induced, which as a single polypeptide catalyses the reduc-
tion of acetyl-CoA first to acetaldehyde and then to ethanol,
and at acidic pH values, formate is disproportionated to H
2
and CO
2
by formate hydrogenlyase. Enterobacteria belong-
ing to the Enterobacter/Klebsiella group induce the synthesis of
a pathway initiated by ALS and leading to butanediol. It
competes with pyruvate formatelyase for the substrate
pyruvate and thus reduces the formation of acidic products
(formate, lactate, acetate, and succnate) characteristic of the
fermentation type of E. coli. The pathway from acetyl-CoA
to acetate plus ATP is constitutive and must function in
parallel with an alternate route such as ethanol formation to
maintain redox balance (see Figure 1). The average energy
gain is thus around 2.5 mol of ATP per mole of glucose
degraded.
Regulatory Mechanisms Involved in the
Metabolic Switch
The fundamental change in the central routes of carbohy-
drate breakdown in aerobically and anaerobically growing
cells described is effected by a set of regulatory circuits.
Table 2 gives a summary of the major ones involved and
also lists their physiological targets. The ArcA/ArcB two-
component system is responsible for the repression
of aerobic enzymes/systems under anaerobic conditions,
such as pyruvate dehydrogenase, 2-oxoglutarate dehydro-
genase, or the respiratory electron transport chain.
Fumarate–nitrate–reductase regulatory protein (FNR) is
a transcription activator harboring an Fe/S cluster that
senses oxygen; it is required for the activation of genes
involved in anaerobic respiration. Catabolite activation
protein (CAP) as a transcription activator is a global reg-
ulator that binds cyclic AMP and allows the expression of
genes for catabolic enzymes that are under repression
control of glucose. Integration host factor (IHF) controls
the topology of DNA and thus acts as a structural element
that modulates gene expression. Table 2 also lists a num-
ber of specific regulators responsible for induction of the
expression of the downstream branches of the mixed acid
fermentation. They are discussed below.
The key reaction involved in the shift of enterobac-
teria from respiration to fermentation is the cleavage of
pyruvate by pyruvate formatelyase. The enzyme is pre-
sent in aerobically grown cells, but at a low level only and
in an inactive state. Upon shift to fermentative conditions,
the enzyme is activated by the introduction of a protein
radical located at a glycine residue by means of an
activase, with S-adenosyl-methionine as cofactor and
reduced flavodoxin (Fd) as electron donor (Figure 5),
according to the following equation:
E-HþS-adenosyl-methionine þFdred
!Eþ59-deoxyadenosine þmethionine þFdox
Table 2 Regulatory elements involved in the aerobic–anaerobic
metabolic switch in enterobacteria
Regulatory
element Physiological target
ArcA/ArcB Repression of genes involved in aerobic
respiration
FNR Activation of genes involved in anaerobic
metabolism
CAP Catabolite activation protein
IHF DNA topology
FhlA Induction of formate regulon genes
Act Activation of PFL
AdhE Deactivation of PFL, autoregulation
BudR Activation of butanediol operon genes
See text for abbreviations.
Fermentation 523

The introduction of the radical converts the oxygen-
stable precursor form into the highly oxygen-sensitive
active enzyme. Upon exposure to oxygen, the constituent
polypeptide is cleaved at the respective glycine residue
located in the C-terminal part of the protein backbone.
Concomitant with the activation of the oxygen-stable
precursor, about a 15-fold induction takes place.
The pfl structural gene lies in a transcriptional unit with
focA, probably coding for a formate exporter. The gene for
the activase is clustered with this transcriptional unit but
expressed from its own promoter, warranting the avail-
ability of the activating system at any time. The focA–pfl
operon is transcribed from seven promoters. The trans
elements involved in control of the expression are FNR,
the ArcA/ArcB two-component regulatory system, the
CAP, and the IHF (see Table 2 and figure 5). After full
induction, pyruvate formatelyase is the major protein in
fermentatively grown cells.
When fermenting cells of E. coli encounter oxygen, the
oxygen-sensitive radical form of pyruvate formatelyase is
rapidly converted into the nonradical oxygen stable but
inactive form. Deactivation is accomplished by the AdhE
protein, which also catalyzes the reduction of acetyl-CoA
to ethanol with acetaldehyde as the intermediate by
removing the protein radical. AdhE forms string-like
multimers, which have been discovered since long in the
electron micrographs of anaerobic cells from E. coli.
Regulation of the Downstream Pathways
of Mixed Acid Fermentation
As Figure 4 indicates, acetyl-CoA formed in the anaerobic
pyruvate cleaving reaction by enterobacteria can follow
two alternative pathways. One of them, to acetate via the
phosphotransacetylase-acetokinase route, is coupled to
ATP synthesis but does not contribute to NADH reoxida-
tion. The other one, reduction to ethanol, can compensate
for this deficiency because two reducing equivalents are
consumed. The route to acetate appears to be formed
constitutively. On the other hand, the route to ethanol,
catalyzed by AdhE, is regulated at the level of gene
expression. The AdhE level is expanded considerably
under fermentative conditions. Several mechanisms, like
the involvement of FruR or the dependence on the NAD/
NADH ratio, have been proposed, but there is no definite
resolution of the open question yet.
More information, however, is available for the regula-
tion of the metabolism of formate, the second product
produced from pyruvate in the pyruvate formatelyase reac-
tion. Under neutral pH conditions, formate is extruded into
the medium, potentially serving as a high-energy substrate
for one of the two formate dehydrogenases that couple
formate oxidation with the reduction of oxygen or of
nitrate, if the physiological situation, that is, availability of
the terminal electron acceptor, becomes appropriate.
Under acidic conditions, the synthesis of the formate
F
+
–
+
PFLa
Pyruvate
Ac-CoA
Induction
ArcAB, FNR
CRP, IHF
PFLi
Activation
AdhE
AdoMet, ACT, Fldr
H2 + CO2
FHL SYSTEM
Formate
FhlA FhlA
HycA
Hydrogenase 3
UAS
hycA
UAS
Maturation
fhlA
Figure 5 Regulation of carbon flux in the formate regulon of Escherichia coli. Regulatory proteins are shaded and their interactions are
given by broken arrows. Only relevant genes are indicated. Hydrogenase 3: Genes coding for the structural polypeptides of the
hydrogenase components of the formate hydrogenlyase system (FHL). Maturation: genes involved in the maturation of hydrogenase 3.
AdoMET, S-adenosyl methionine; ACT, Activase; UAS, upstream activatory sequence. For other abbreviations see text.
524 Fermentation

hydrogenlyase complex is induced, which disproportion-
ates formate into H
2
and CO
2
. Formate hydrogenlyase
consists of a formate dehydrogenase (FDHH) and a hydro-
genase (hydrogenase 3) component plus several membrane-
integral or associated components. The synthesis and the
maturation of the complex also include the formation and
attachment of the following cofactors: MoCo, the molybde-
num cofactor of FDHH, selenocysteine for the formation of
the large subunit of FDHH, and the [NiFe] cluster for the
active site of the hydrogenase three components. A large set
of accessory genes coding for functions in these functions
must therefore be coexpressed with the structural genes.
Some of them, like the hyp genes that have a function in
[NiFe] synthesis and ligandation, are coregulated with the
structural genes for the formate hydrogenlyase complex
and are members of the so-called formate regulon, as for-
mate is the major stimulus.
The expression of these structural genes and matura-
tion genes is under the control of the FhlA protein, which
requires formate as a ligand (Figure 5). FhlA binds to an
upstream regulatory sequence and induces transcription
activation at 12/24 promoters. FhlA thus works like a
regulator of two-component systems but, unlike classical
regulators of such systems, does not require phosphoryla-
tion for activity but rather the binding of the ligand
formate.
The structural gene for FhlA is under the control of its
own product. Under anaerobic conditions, therefore, a
buildup on the cellular level of activator takes place in an
autocatalytic manner. Two counteracting mechanisms
exist, however, that balance the expression level. The first
one consists in the parallel induction of expression of the
formate hydrogenlyase genes, which results in lowering the
cellular concentration of formate by dissipating it into CO
2
and H
2
. The second one relies on the fact that the product
of the first gene of the hydrogenase 3 operon (HycA) seems
to act as an antagonist of FhlA and to inactivate it, possibly
by direct protein–protein interaction.
In summary, the anaerobic expression of adhE and of
the genes of the formate regulon is subject to different
control mechanisms. AdhE formation appears to be con-
trolled by the redox demands of metabolism, whereas the
formate hydrogenlyase genes are controlled by the pool
level of formate whereby the pH of the medium plays a
decisive role. Under neutral pH conditions, formate is
extruded into the medium and its energy thus conserved
for later oxidation reactions once a terminal electron
acceptor like oxygen or nitrate becomes available. Drop
of the pH into the acidic range, on the other hand, induces
formation of the formate hydrogenlyase system, resulting
in the dissipation of formate into the neutral end gaseous
products CO
2
and H
2
. A major role of the formate hydro-
genlyase system may therefore lie in the maintenance of
pH homeostasis. Elegantly, the energy is conserved again
but in the form of elemental hydrogen.
Such reuse of the fermentation end products when the
physiological conditions change seems to be a general prin-
ciple for organisms that can switch between fermentative
and respiratory metabolism. Thus, E. coli synthesizes three
lactate dehydrogenases, only one of which has a role in
fermentation. It is induced under anaerobiosis at acidic pH
and converts pyruvate into the D-stereoisomer of lactate.
The other two enzymes are membrane-bound flavoproteins
that oxidize either D-orL-lactate and feed the electrons into
the respiratory chain once an external acceptor has been
supplied.
Degradation of organic substrates by fermentation deli-
vers the minimal amount of energy, whereas aerobic
respiration offers the maximal energy yield. In addition to
oxygen, E. coli and its enterobacterial relatives are able to
use terminal electron acceptors alternate to oxygen, such as
nitrate or nitrite, fumarate, or trimethylamine. Specific
primary dehydrogenases like formate dehydrogenase N
lead the electrons withdrawn from the substrate via a
specific electron transport chain to one of these acceptors,
for example, nitrate. Because the redox potential of the
nitrate/nitrite pair is less positive than that of the oxygen/
hydrogen pair, the gain of energy is lower but still much
higher than that available via fermentation. Consequently,
regulatory mechanisms have evolved to warrant that fer-
mentation does not take place when nitrate is offered to
anaerobic cells. Two main mechanisms are involved. First,
the formation of pyruvate dehydrogenase is not switched
off fully but only reduced, so it can compete with pyruvate
formatelyase for pyruvate and less formate is generated.
Second, formate dehydrogenase N is induced in its forma-
tion by nitrate and it drains the cellular pool of formate
down to a level below the concentration required for
activation of FhlA.
Regulation of the Butanediol Formation
in Klebsiella
Klebsiella and Enterobacter species (and also species of the
Gram-positive Bacillus) can convert 2 mol of pyruvate
into 1 mol of butanediol via the intermediates
2-acetolactate and acetoin. This lowers the amount of
pyruvate to be cleaved by pyruvate formatelyase and
prevents acidification down to those pH levels reached
in the mixed acid fermentation of the E. coli type.
Proceeding in this pathway, however, creates an imbal-
ance in the redox status, as only 1 mol of reducing
equivalent from the two generated in glycolysis is rein-
vested. The imbalance is compensated by the parallel
formation of ethanol by the two-step reduction of
acetyl-CoA.
The genes for the formation of butanediol are orga-
nized in the bud operon and their expression is under
the control of the BudR regulator, which is an LysR-
type regulatory protein. BudR requires acetate as a
Fermentation 525

ligand for activity. Expression is increased at acidic pH
values so that one of the physiological roles of butane-
diol formation may again lie in pH homeostasis.
Regulation of 1,3-Propanediol Fermentation
in Klebsiella
The anaerobic breakdown of glycerol by Klebsiella has
attracted attention both from a basic and from an applied
interest. Dihydroxyacetone is in use as a means for skin
bronzing in cosmetics and 1,3-propanediol is a promising
bifunctional molecule for the synthesis of polymers and
polyesters. Moreover, glycerol dehydratase is one of the
paradigm enzymes for the study of B
12
-dependent enzyme
reaction mechanisms. The genes (dha) for the enzymes of
the oxidative and reductive branch are induced upon
growth on glycerol and subject to catabolite repression
by glucose. The actual inducer is dihydroxyacetone,
which binds to the transcription activator protein DhaR.
Glycerol dehydrogenase is further regulated by posttran-
slational inactivation when fermenting cells are shifted to
aerobiosis.
A unique and novel mode of interaction between cat-
alysis and regulation has been recently experienced for
the dihydroxyacetone kinase from E. coli. In contrast to the
heterodimeric enzyme of Klebsiella, which uses free ATP
as the phosphor donor, the kinase from E. coli consists of
three different soluble subunits that transfer the phos-
phate from PEP and the phosphotransferase system via
a phospho-relay protein to an ADP firmly bound to one
of the kinase subunits. Two of the kinase subunits
also are involved in interaction with the transcription
activator DhaR, whereby one acts as coactivator
and the other as corepressor. The inability of many
E. coli strains to degrade glycerol fermentatively is due
to a genetically inactivated glycerol dehydratase.
Transformation with the respective gene from Klebsiella
repairs the deficiency.
Regulation of Butyrate–Butanol Fermentation
in Clostridium acetobutylicum
C. acetobutylicum is an obligatory fermenting organism that
degrades carbohydrates into acetate, butyrate, CO
2
,H
2
,
and, depending on the physiological conditions, also acet-
one and butanol. Because of the potential industrial
interest, a considerable amount of work has been invested
in increasing the yield of solvents in the butyrate–butanol–
acetone fermentation. When the pH is kept at neutral or
slightly alkaline values, the organism predominantly pro-
duces a mixture of acetate and butyrate, in addition to
CO
2
and H
2
. When the pH is allowed to drop to values
between 4 and 5, acetone and butanol are formed and
the amount of butyrate is concomitantly reduced.
Solventogenesis appears to be another mechanism main-
taining pH homoeostasis and thereby preventing lethal
acidification. Similar to the mixed acid fermentation by
enterobacteria, it is unknown how the pH is sensed and
how the signal is transduced to the genes that are to be
controlled.
Manipulation of Fermentation Pathways
in Biotechnology
A number of different modules of this encyclopedia deal
with the exploitation of fermentations for the synthesis of
chemicals or for the processing of human food, animal
feed, or for anaerobic treatment of waste. Therefore, in
the context of this article whose aim is to concentrate on
the general characteristics of fermentations, only a few
principal approaches will be discussed that are feasible to
improve the substrate spectrum, the rate of degradation,
and the yield and purity of the end product.
A major problem for the application of fermentations in
biotechnology is the frequently very limited substrate
spectrum of the organisms. This may relate to the lack of
hydrolytic enzymes, which necessitates the pretreatment
of the substrate either chemically or enzymatically or to
the inability to degrade disaccharides like lactose or of
the pentoses arising from the hydrolysis of hemicellulose.
Recently, considerable success has been achieved by
the construction of recombinant strains that harbor the
relevant genes for hydrolases from heterologous
sources. Frequently, the genes coding for the uptake or
metabolism of such monomers/oligomers produced by the
recombinant hydrolases in the medium must also be
introduced.
Economic optimization of fermentation processes
often demand the input of cheap substrates in the form
of hydrolysates of natural materials such as hemicellulose
or lignocellulose. The degradation of all compounds of
the mixture, which normally follows a hierarchical order,
is desirable; it can again be achieved by the introduction
of heterologous genes coding for enzymes with altered
substrate affinity and activity or control of synthesis. In
other cases, as in the fermentative synthesis of propane-
diol, the expensive substrate glycerol has been replaced
by glucose by combination of the pathway from glucose to
glycerol in yeast with the bacterial route from glycerol to
propanediol.
Increase of the flux from the substrate to the end
products is much more difficult to achieve because it
needs, among others, the information on the kinetic con-
stants of the individual reactions, on their equilibria, on
substrate and product inhibitions or limiting substrate and
coenzyme concentrations. Although this is a timely
field of metabolic engineering and systems biology, the
approach followed until now is mostly empirical. An
526 Fermentation

elegant project in this respect presents the conversion of the
mixed acid fermentation of E. coli into a pure ethanologenic
fermentation. Key enzymes such as pyruvate formatelyase
in the mixed acid fermentation were replaced by anaerobi-
cally expressed pyruvate dehydrogenase to improve the
pressure on NADH formation by the AdhE enzyme if the
yield of ethanol is to be increased. Pathways of the reactions
leading to the other products of the mixed acid fermentation
that compete with ethanol formation had to be genetically
blocked off. Yield increase, especially in solventogenic
organisms, also required the isolation of mutants with a
higher tolerance against the product or the continuous
removal of the product.
Finally, actively fermenting strains have a high reducing
power; this can be exploited in enzymatic synthesis proce-
dures by offering a chiral synthone to an organism, which is
then hydrogenated and converted into some pure optical
isomer, depending on the stereospecifity of the enzyme.
Further Reading
Andreesen JR, Wagner M, Sonntag D, et al. (1999) Various functions of
selenols and thiols in anaerobic Gram-positive, amino acids-utilising
bacteria. Biofactors 10: 263–270.
Buckel W (1999) Anaerobic energy metabolism. In: Lengeler JW,
Drews G, and Schlegel HG (eds.) Biology of the Prokaryotes,
pp. 296–323. Stuttgart: Thieme Verlag.
Deppenmeier U (2002) The unique biochemistry of methanogenesis.
Progress in Nucleic Acid Research and Molecular Biology
71: 223–283.
Dimroth P and Schink B (1998) Energy conservation in the
decarboxylation of dicarboxylic acids by fermenting bacteria.
Archives. Microbiology 170: 69–77.
Du¨ rre P (2005) Handbook on Clostridia. Boca Raton, FL: CRC Press Inc.
Erni B, Siebold C, Christen S, Srinivas A, Oberholzer A, and Baumann U
(2006) Small substrate, big surprise: Fold, function and phylogeny of
dihydroxyacetone kinase. Cellular and Molecular Life Sciences
63: 890–900.
Glick BR and Pasternak JJ (2003) Molecular Biotechnology, 3rd edn.
Washington, DC: American Society for Microbiology.
Jarboe LR, Graber TB, Yomano LP, Shanmugam KT, and Ingram LO
(2007) Development of ethanologenic bacteria. Advances in
Biochemical Engineering/Biotechnology 108: 237–261.
Leonhartsberger S, Korsa I, and Bo¨ ck A (2003) The molecular biology of
formate metabolism in Enterobacteria. In: Du¨ rre P and Friedrich B
(eds.) Regulatory Networks in Prokaryotes JMMB Symposium
Series, vol. 6, pp. 101–108. Wymondham, Norfolk, UK: Horizon
Scientific Press.
Sawers RG and Clark DP (2004) Fermentative pyruvate and acetyl-
coenzyme A metabolism. In: Curtiss R. (Editor in chief)
EcoSal-Escherichia coli and Salmonella. Cellular and
Molecular Biology. [Online] http://www.ecosal.org. Washington, DC:
ASM Press.
Thauer R, Jungermann K, and Decker K (1977) Energy conservation in
chemotrophic, anaerobic bacteria. Bacteriological Reviews
41: 100–180.
Fermentation 527

Flagella, Prokaryotic
S-I Aizawa, Prefectural University of Hiroshima, Hiroshima, Japan
ª2009 Elsevier Inc. All rights reserved.
Defining Statement
Structure
Function
Genetics
Morphological Pathway
Conclusion
Further Reading
Glossary
flagellar basal body The major structure of the flagellar
motor, consisting of ring structures and a rod.
flagellar motor A molecular machine that converts the
energy of proton flow into the rotational force.
master genes Flagellar genes regulating the
expression of all the other flagellar genes, sitting at the
top of the hierarchy of flagellar regulons.
polymorphic transition Interconversion of helical
forms on a flagellar filament in a discrete or stepwise
manner.
type III export system One of the protein secretion
systems that does not use the general secretory
pathway. It consists of many protein components.
Abbreviations
GSP general secretory pathway
HAP hook-associated protein
PMF proton motive force
SPI Salmonella pathogenesis Island
T3SS type III secretion system
Defining Statement
The flagellum is an organelle of bacterial motility. It
consists of several substructures – the filament, the
hook, the basal body, the C ring, and the C rod. The
flagellar motor, an actively functional part of the flagel-
lum, can generate torque from proton motive force. In this
article, I will describe mainly the structural aspects of the
flagellum revealed in pursuit for the identity of the
flagellar motor.
Structure
Filament
The flagellum is a complex structure composed of many
different kinds of proteins. However, the term flagellum
often indicates the flagellar filament only since the fila-
ment is the major portion of the entire flagellum.
Especially, in earlier papers, the term flagella always
denoted filaments. In this section, I am going to describe
the filament and may occasionally call the filament
flagellum.
Number of flagella per cell
The number and location of flagella on a cell is one of the
readily discernible traits for the classification of bacterial
species. The number ranges from one to several hundreds
depending on the species, and hence the nomenclature:
monotrichous (one) or multitrichous (two or more).
Occasionally, the term ‘amphitrichous’ is used for two
flagella.
There are three possible locations on a cell body for
flagella to grow: polar (at the axial ends of the cell body),
lateral (at the middle of the cell body), or peritrichous
(anywhere around the cell body). In some cases, ‘lateral’ is
used as the counterpart of ‘polar’, as in the two flagellar
systems of Vibrio alginolyticus: polar sheathed flagellum and
lateral plain flagella. The ‘lateral’ flagella have been
sometimes mistaken as a part of ‘peritrichous’ flagella,
but now there are a several lines of evidence that these
two are different from each other: (1) they belong to
different flagellar families (see ‘Three flagellar families’);
(2) the gene organization of the two is different (see
‘Flagellar genes’); and (3) lateral flagella are inducible in
higher viscosity environments, but peritrichous flagella
are not. Thus, lateral flagella seem to have its own manner
for localization on the cell. A tuft of flagella growing from
a pole is called lophotrichous. In most cases, flagella can
528

be named by a combination of number and location; for
example, polar lophotrichous flagella of Spirillum volutans.
Although ordinary flagella are exposed to the medium,
some flagella are wrapped with a sheath derived from the
outer membrane (e.g., Vibrio cholerae,Helicobacter pylori). In
an extreme case such as spirochaetes, flagella are confined
in a narrow space between the outer membrane and the
cell membrane and thus are called the periplasmic flagella
or axial filaments. The flagella still can rotate; the helical
cell body works as a screw, and the flagella counterba-
lance the torque on the cell body.
Filament shape and polymorphic transition
(Figure 1)
Filament shape is helical. In theory, there are two types of
helices, right-handed and left-handed; in reality,
Salmonella spp. have left-handed filament and Caulobacter
crescentus has a right-handed filament. However, it should
be noted that shapes of these two helices are not mirror
images of each other.
There are several detailed filament shapes, and it will
be convenient to use the names of typical shapes found in
Salmonella spp.: normal (left-handed), curly (right-
handed), coiled (left-handed), semicoiled (right-handed),
and straight. The helical parameters of these helices are
discrete and distinguishable from one another.
Flagella can switch between a set of helical shapes
under appropriate conditions; not only helical pitch but
also helical handedness is interchangeable. The transfor-
mation of shapes can be induced by physical perturbation
(torque, temperature, pH, salt concentration of medium,
etc.). Genetical changes such as point mutations in the
flagellin (the component protein of the flagellar filament)
gene also result in transformation of helices, but some
mutant flagella such as straight flagella have no freedom
to transform into another helix.
This phenomenon called ‘polymorphism’ of flagella is
a visible example of conformational changes in proteins
and, therefore, has evoked an idea of a functional role of
flagella in motility; could polymorphism of the flagellum
by itself cause the motion? The answer is No. Flagella are
passive in terms of force generation. Polymorphism of
flagella is observed to occur naturally on actively motile
cells with peritrichous flagella. The helical transformation
is necessary for untangling a jammed bundle of tangled
flagella. When normal flagella in a jammed bundle are
transformed into curly flagella, knots of tangled flagella
run toward the free end of each flagellum to untangle the
jammed bundle.
Models that explain the polymorphism were first
introduced by Sho Asakura in 1970 and theoretically
strengthened by Chris R. Calladine in 1978. Twisting
and bending a cylindrical rod give rise to a helix.
Models predict 12 shapes, and 8 of them have been
found in existing filaments: straight with a left-handed
twist, f1, normal, coiled, semicoiled, curly I, curly II, and
straight with a right-handed twist. Only a small energy
barrier seems to lie between two neighboring shapes.
Polymorphic transition occurs from one shape to its
neighbors; for example, in a transition from normal to
curly I, the filament briefly takes on coiled and semicoiled
forms.
Three flagellar families (Figure 2)
The bacterial flagella transform its typical shape into
several distinguishable helical shapes (polymorphs)
under various environmental conditions as mentioned
above. Therefore, we have regarded flagella from other
species as one of those polymorphs defined for Salmonella
typhimurium. Recently, we have found that curly filament
of the polar flagellum was not right-handed as expected
but left-handed, which urged us to reexamine all flagella
shapes so far studied. Indeed, it turned out that the two
types of flagella form two distinguishable families.
(a) (b) (c) (d) (e)
Figure 1 Helical forms of flagellar filaments. Helices are seen
from a position slightly off its axial direction so that the
handedness can be easily visualized. The figure shows five
typical forms with their helical parameters (p: pitch, d: diameter) –
(a) normal (p¼2.55 mm, d¼0.6 mm), (b) coiled (p¼0, d¼1.0 mm),
(c) semicoiled (p¼1.26 mm, d¼0.5 mm), (d) curly (p¼1.20 mm,
d¼0.2 mm), and (e) straight filament (p¼1,d¼0).
Family II
Peritrichous flagella
S. typhimurium
Y. enterocolitica
E. coli
P. mirabilis
E. carotovora
B. subtilis
E. faecalis
Polar flagellum
I. loihiensis
P. aeruginosa
P. syringae
X. axonopodis
V. parahaemolyticus
B. japonicum
A. brasilense
Lateral flagella
V. parahaemolyticu
s
B. japonicum
A. brasilense
Family I Family III
Figure 2 Flagellar family. According to the helical parameters,
flagella are divided into three families: Family I for peritrichous
flagella, Family II for polar flagella, and Family III for lateral flagella.
Flagella, Prokaryotic 529

A helix is uniquely defined by three parameters: the
pitch (p), the helix diameter (d), and the handedness. If the
handedness was expressed as þ(right handed) or – (left
handed) of the pitch value, any helices will be plotted on
the pitch–diameter (p–d) plane. For example, the para-
meters of the normal filament are written as (2.55, 1.88)
and those of the curly filament as (þ1.20, 0.63). Note that
dis better than d; if a tube was flattened, a unique d
disappears but d(periphery) remains constant.
Polymorphs of Salmonella flagellum stay on a circle in
the pitch–diameter (p–d) plot, indicating that they all
belong to one family predicted by the Calladine model. In
2005, the flagellar polymorphs of Idiomarina loihiensis
(Family II) were turned out much smaller than the con-
ventional flagellar family of S. typhimurium (Family I). The
pitch and diameter of Family II flagella are half of the
same of Family I flagella. Furthermore, lateral flagella had
helical parameters much smaller than those of the two
families and thus belonged to a new family (Family III).
Flagellin
The component protein of the filament is called flagellin.
Although the flagellum of many bacteria is composed of
one kind of flagellin, some flagella consist of more than
two kinds of closely related subspecies of flagellin. The
molecular size of flagellin ranges from 20 to 60 kDa.
Enterobacteria tend to have larger molecules, while spe-
cies living in fresh water have smaller molecules. The
three-dimensional structure of the flagellin in the fila-
ment of S. typhimurium has been solved at the atomic level.
One of the most characteristic features of flagellin is
evident even in the primary structure of the molecule; the
amino acid sequences of both terminal regions are well
conserved, whereas that of the central region is highly
variable even among species or subspecies of the same
genera. As a matter of fact, this hypervariability of the
central region gives rise to hundreds of serotypes of
Salmonella spp.
The terminal regions are essential for binding of each
molecule to another to polymerize into a filament.
Complete folding of flagellin occurs during assembly;
although the terminal regions do not take on any specific
secondary structure in solution, they are converted into
-helix upon polymerization.
In the filament, the terminal regions are located at the
innermost radius of a cylindrical structure, while the
central region is exposed to the outside. It should be
noticed that the filament are extremely stable; it does
not depolymerize in water, in contrast to actin filaments
or tubulin filaments which depolymerize in the absence
of salts.
The description of the flagellin molecule is not applic-
able to that found in archaea. Archaic flagella seem to
have a system totally different from bacterial flagella;
archaic flagellins have signal sequences, suggesting that
the flagellum might grow from the proximal end in the
outer membrane, in contrast to the distal growth of bac-
terial flagellum (see ‘Morphological pathway’).
Flagellin can be posttranslationally modified.
Salmonella flagellin is methylated at several Lys residues
by methylase encoded by fliB gene neighboring fliC gene.
The role of methylation of flagellin is not clear, because
fliB mutants behave like the wild-type. Pseudomonas
syringae flagellin is glycosylated at six Ser residues.
Deglycosylation of the flagellin results in the loss of
virulence to the host plant rice. Two types of flagellins
of Pseudomonas aeruginosa are also glycosylated. Archael
(Methanococcus voltae) flagellins are highly glycosylated.
The meaning of modification in the latter two cases is
not clear.
Cap protein
Flagella have been regarded as a self-assembly systems.
Indeed, flagellin can polymerize into flagella under con-
ditions that commonly promote protein crystallization
in vitro. However, in vivo, flagellin assembly requires
another protein, without which the flagellin is secreted
into the medium as monomers. The protein that helps
filament formation is located at the tip and is thus called
the cap protein or HAP2 or FliD.
The three-dimensional structure of the cap has been
solved at the atomic level. The cap proteins assemble in a
pentamer, forming a star-shaped structure. The star hands
fit in the grooves of flagellin subunits at the tip of flagel-
lum, leaving a small gap for a nascent flagellin to insert.
Hook
Shape
Hook, as the name suggests, is more sharply curved
(almost right-angled) than filament and is much shorter.
The curvature indicates the flexibility of the hook,
though it has to be stiff enough to transmit torque gener-
ated at the basal structure to the filament. From these
physical properties, the hook has been regarded as a
universal flexible joint. The physical property of the
hook is important in understanding the behavior of the
tethered cells (see ‘Function’).
The length of the hook is 55 nm with a standard
deviation of 6 nm, which is rather well controlled at con-
stant when compared with the length of filament.
However, this large standard deviation, 10% of the
mean, indicates that the hook length control might be
‘loose’ or variable. At the moment, there are two models
for the length control mechanism: the molecular ruler
model and the measuring cup model. Polyhook is a
mutant hook of indefinite length, obtained in fliK mutants.
The former model claims that FliK measures the hook
length, whereas the latter argues that the hook length is
530 Flagella, Prokaryotic

the results of polymerization of a defined number of hook
subunits (see ‘Morphological pathway’).
It is not clear whether the polyhook is a tandem poly-
mer of the wild-type hook. Its shape is a right-handed
superhelix. The wild type hook has the same superhelix
but consists of about one-fourth of the helical pitch.
Hook protein
The hook is a tubular polymer made of a single kind of
protein: hook protein or FlgE. The molecular size of hook
protein varies from 264 amino acids (Bacillus subtilis)to
718 amino acids (H. pylori), but is around 400 amino acids
for most species.
The architecture of hook protein resembles that of
flagellin: the amino acid sequence in both terminal
regions is well conserved, but in the central region it is
variable. Hook protein folding also completes on assem-
bly. The three-dimensional structure of the hook protein
in the hook has been solved at the atomic level.
Scaffolding protein FlgD
Hook does not self-assemble in vivo; it requires a helper
protein, FlgD, which functions in a similar way as FliD
does for filament formation. FlgD sits at the tip of the
nascent hook to polymerize hook protein coming out
from the central channel. When the hook length reaches
55 nm, FlgD is replaced by HAP1 (FlgK), which remains
in the mature flagellum. Because of its temporary exis-
tence, FlgD is regarded as a scaffolding protein.
Hook-associated proteins
There are two minor proteins between the hook and
filament. They are called hook-associated proteins
(HAPs), because they were found at the tip of the hook
in several filament-less mutants. Originally, there were
thought to be three HAPs, called HAP1–3 in the order of
their molecular size. HAP2 (FliD) turned out to be
located at the tip of the filament as described above,
leaving HAP1 (FlgK) and HAP3 (FlgL) between the
hook and filament. They are, therefore, hook–filament
junction proteins.
The number of subunits of HAP1 and HAP3 in a
filament are estimated to be five or six, indicating that
they form one-layer rings sitting one on another. The
roles of these two HAPs have been ambiguous. The idea
of a connector to smooth the junction between the two
polymers is blurred by the question, ‘why not one but two
kinds necessary’. In a mutant of HAP3, filaments undergo
polymorphic transitions so easily that cells cannot swim
smoothly, suggesting a specific role of HAP3 as a stabi-
lizer of filament structure.
Basal Structure
Flagella have to be anchored in the cell wall. The struc-
tural entity for the anchoring was called the basal
structure or basal granule, hinted at by vague images by
electron microscopy. Since DePamphilis and Adler in
1974 defined the details of the basal structure, it has
been called the basal body. The basal body typically
consists of four rings and one rod.
The basal body does not contain everything necessary
for motor function. Fragile components were detached
from the basal body during purification. In 1985, one
such fragile structure was found attached to basal bodies
purified by a modified method; it was named as the
cytoplasmic ring (C ring). In 1990, another rod-like struc-
ture was found in the center of the C ring and named as
the C rod. In 2006, flagellar export ATPase (FliI) was
found at the periphery of the C ring as a complex with the
supporter protein FliH. Therefore, the basal structure (as
of 2007) consists of the basal body, the C ring, the C rod,
and export ATPase, but there could be more.
Basal body
The basal body contains rings and a rod penetrating
through them. The number of rings varies depending on
the membrane systems: four rings in most of Gram-
negatives and two rings in Gram-positives exemplified
by B. subtilis. Some variations in the number (such as five
rings in C. crescentus) have been occasionally seen. The
fifth ring might be a ghost image of electron microscopy
or could be erroneously added during ring formation (see
‘Rod’).
The structure of the basal body of S. typhimurium has
been extensively analyzed. The physical and biochemical
properties of the substructures of the basal body described
below are from S. typhimurium, unless otherwise stated.
MS-ring complex
Earlier studies on flagellar motor function assumed that
torque would be generated between the M and S rings,
which face each other on the inner membrane. However
in 1990, it was shown that a single kind of protein, FliF,
self-assembles into a complex consisting of the M and S
rings and a part of the rod.
FliF is 65 kDa, the largest of the flagellar proteins. It
contains no cysteine residues. Overproduction of FliF in
Escherichia coli gives rise to numerous MS-ring complexes
packed in the inner membrane, indicating that the central
channel is physically closed. The image analysis revealed
that the MS-ring complex is composed of 26 subunits
of FliF.
The S ring has been seen in the basal bodies from
all the species studied so far (more than ten examples).
It stays just above the inner membrane and has no appar-
ent interaction with any other structures, thus named
Flagella, Prokaryotic 531

S (supramembrane) ring. Besides, it is very thin and the
role of the S ring remains mysterious.
Although the MS-ring complex is no longer regarded
as the functional center of the flagellar motor, it is still the
structural center of the basal structure and, as will be seen
later (see ‘Genetics’), plays an important role in flagellar
assembly.
Rod
The rod is not as simple as its name suggests; it is struc-
turally separated into two parts: the proximal rod and the
distal rod of 10 nm length. The proximal rod consists of
three proteins (FlgB, FlgC, and FlgF), while the distal rod
consists of only one kind of protein FlgG. It breaks at the
midpoint when external physical force is applied to
the filament, which is usually not expected for the struc-
ture that transmits torque to the filament.
Rod formation seems complicated because of the four
component proteins. No intermediate rod structure has
been observed; either there is a whole rod or no rod at all.
Several flgG point mutants produce distal rods c.60nm
long. Double mutants of a flgG point mutation and fliK
deletion give rise to polyrods, rods of undefined length,
indicating that FliK controls the rod length by the same
mechanism for the hook-length control. This also implies
that the wild-type rod has a self-closed structure to keep
the length as short as 10 nm. Since many P rings
are formed on the long distal rod, FlgG is the target for
interaction with FlgI, the subunit of the P ring (see
below).
LP-ring complex
The outermost ring, the L ring, interacts with the lipopo-
lysaccharide layer of the outer membrane, and the P ring
just beneath the L ring may bind to the peptidoglycan
layer. The LP-ring complex works as a bushing, fixed
firmly enough to hold the entire flagellar structure stably
in the cell surface.
The component proteins, FlgH for the L ring and FlgI
for the P ring, have signal peptides, indicating that they
are secreted through the general secretory pathway
(GSP), which is the exception for flagellar proteins as
will be seen later (see ‘Genetics’). FlgH undergoes lipoyl
modification.
P ring formation precedes L ring formation; without
the P ring, L ring formation does not occur. Once the L
and P rings have bound together to form the LP-ring
complex, this complex is extraordinarily resistant against
extremes of pH or temperature. Treatments with pH11,
pH2, or boiling for a minute do not destroy the complex,
confirming that the complex serves as a rigid bushing in
the outer membrane. Essential roles of the complex are
still ambiguous because of the facts that no corresponding
structure has been found in Gram-positive bacteria and
spirochaetes.
Cring
The C ring is a fragile component of the basal structure. It
is resistant to the nonionic detergent Triton X-100 but is
destroyed by the alkaline pH or high concentration of
salts employed by the conventional purification method.
The dome shape of the C ring is easily flattened on a grid
during preparation for electron microscopy. Under the
well-controlled conditions, the C ring shows a flat cup
shape, whose structure is solved at 2-nm resolution by
electron microscope image analysis.
The C ring consists of the switch proteins (FliG, FliM,
and FliN) necessary for changing the rotational direction
of the motor, and so is called the switch complex. FliG
directly binds to the cytoplasmic surface of the M ring.
FliM binds to FliG, and FliN to FliM. Stoichiometry of
these molecules in the C ring is determined from the
high-resolution image of the C ring: 24–26 copies of
FliG, 32–36 copies of FliM and FliN. The copy number
of FliN can be increased up to 100 without affecting the
motor function.
Genetic studies revealed that the switch complex plays
important roles in flagellar formation, torque generation,
and switching of rotational direction. FliM in the C ring
directly binds signal molecules, CheY, produced in the
sensory transduction system, but the mechanism of the
switching is still ambiguous.
Export apparatus
Flagella have been regarded as a self-assembly system,
similar to that of bacteriophage. However, flagellar
assembly is quite different from phage assembly in many
ways. First, the flagellum, being an extracellular structure,
assembles not in the cytoplasm but outside the cell.
Second, therefore, the component proteins have to be
transported from the cytoplasm to the outside. Third,
consequently, assembly proceeds in a one-by-one manner
at the distal end of the nascent structure.
For this kind of assembly, a protein secretion system
must play an important role. As a matter of fact, among 14
genes required in the very first step of flagellar assembly,
more than half of the gene products are necessary to form
a protein complex called an export apparatus. One of
them, FliI, has an ATPase activity, suggesting that one
step in the export process requires ATP hydrolysis as an
energy source.
The physical body of the export apparatus has not
been identified yet; the C rod is a strong candidate, jud-
ging from its location within the C ring. Genetic analysis
indicates that at least five components are required for the
C rod: FliP, FliQ, FliR, FlhA, and FlhB, all of which have
membrane-spanning region(s). How these component
proteins are inserted in the small space of the central
area of the MS-ring complex is still mysterious.
532 Flagella, Prokaryotic

Function
The function of flagella is described here briefly so that
the meaning of structure can be understood.
Bacterial flagella rotate. There is no correlation
between bacterial flagella and eukaryotic flagella either
in function or in structure; the type of movement, the
energy source, and the number of component proteins
differ greatly between the two. No evolutionary correla-
tion between these two types of flagella has been shown.
Among motile bacterial species, swimming by flagellar
rotation is the most common. However, several families
such as Myxococcus, Mycoplasma, and Cyanobacteria
can move on a solid surface by a gliding motion; myx-
ococcus moves by means of type IV pili and mycoplasm
has motor proteins as the locomotive organ. The motile
organ of many other gliding bacteria is not known.
Torque
Rotational force (torque) of the flagellar motor is difficult
to measure directly but can be estimated from the rota-
tional speed of flagella. The method most widely
employed is the tethered cell method, developed by
Silverman and Simon in 1974. The rotation of a cell
body caused by a tethered filament can be observed
with an ordinary optical microscope. Rotating flagella
on a cell can be observed by dark-field microscopy,
developed independently by Robert M. Macnab and
Hirokazu Hotani in 1976. Using laser as the light source
of a dark-field microscope, the rotational speed of a fla-
gellum on a cell stuck on the glass surface can be
measured at the time resolution of milliseconds. A more
sophisticated method employs the fluorescent microscope
to detect the rotation of fluorescent beads attached to the
hook. Most of the experiments for measuring torque have
been done by Howard C. Berg and his colleagues.
Rotational direction
Flagella of many species (e.g., enterobacteria) can rotate
in both the directions: clockwise (CW) and counterclock-
wise (CCW). Under ordinary circumstances, around 70%
of the time is occupied by CCW rotation, which causes
smooth swimming. A brief period of CW rotation causes a
tumbling motion of the cell. There is no perceptible pause
in switching between the two modes.
In some bacterial species such as Rhodobacter sphaeroides,
a lateral flagellum on a cell rotates in the CW direction
only with occasional pauses. During pauses, the filament
takes on a coiled form and curls up near the cell surface.
Upon application of torque on this filament, the coiled
form extends to a semistable, right-handed form that clo-
sely resembles a curly form. The CW rotation of this right-
handed helix causes a forward propulsive force on the cell.
Rotational speed
Flagella on a stuck cell rotate at c. 200 Hz, which is
comparable with that of a free-swimming cell. In contrast,
tethered cells rotate only at c. 20 Hz. It has been long
believed that the cell body is too large and thus hydro-
dynamically too heavy for a tiny motor to rotate faster.
However in 2007, we have shown that tethered cells
almost always interact with the surface; the distance
between the cell and the glass surface is only 55 nm, the
hook length. The hook seems to play an active role as a
flexible joint in the interaction.
The rotational speeds of flagella correlate directly
with the torque and inversely with the viscosity of the
solution. The correlation appears as a straight line in a
speed–torque diagram – the higher the viscosity, the
slower the speed is. This indicates that the torque of the
flagellar motor is constant over a wide range of speed.
The highest speed so far measured is 1700 Hz for
V. alginolyticus. However, only 10% of the torque derived
from the speed is used as a propulsive force, the rest being
lost in slippage of flagella in the medium. In general, cells
with single polar flagellum swim (>100 mms
1
) faster
than cells with peritrichous flagella (<20 mms
1
).
Energy Source
The energy source of torque generation in the flagellar
motor is not ATP but proton motive force (PMF). PMF is
the electrochemical potential of the proton and results in
the flow of protons from outside to inside the cell. PMF
consists of two different forms of energy: membrane
potential, and entropy caused by a difference in pH
between outside and inside the cell. Since these two
parameters are independent and separable from each
other, either one can, in principle, be abolished without
affecting the other. It is not known whether protons
directly flow through the flagellar motor to generate
torque or flow nearby to induce conformational changes
of the component proteins in the C ring.
One of the goals of flagellar research is the elucidation
of the mechanism by which PMF is converted into torque
in the motor.
Switching of Rotational Direction
Switching of the rotational direction of flagella is the
primary basis of chemotaxis, one of the most important
behaviors shown by bacteria. Damage in the switching
mechanism results in a rotation biased to either CCW
only or CW only. Although cells that rotate only CCW
swim smoothly in liquid, they cannot form a chemotaxis
ring on a semisolid agar plate.
In a strict sense, the switching mechanism will not be
solved until the mechanism of rotation is solved.
However, factors involved in the mechanism are known;
Flagella, Prokaryotic 533

an effector binds to FliM of the switch complex in the
flagellar motor. The effector is the phosphorylated form
of CheY, a signaling protein within the sensory transduc-
tion system.
Genetics
Flagellar genetics has been most extensively studied in
S. typhimurium, especially using the enormous number of
SJW (Salmonella Japan Waseda) strains that Shigeru
Yamaguchi has collected for more than 30 years. Once
the fundamental genetics was established, molecular biol-
ogy has been serving powerful tools to reveal the details.
Topics regarding the fla genes in this section are mostly
based on results obtained from Salmonella strains, whereas
chemotaxis (che) genes and motility (mot) genes were more
extensively analyzed using mostly E. coli and other strains
(e.g., Rhizobium spp., Vibrio spp., etc.).
Flagellar Genes
There are more than 50 flagellar genes divided into three
types according to null mutant phenotype (Figure 3).
The fla genes
Defects in the majority of the flagellar genes result in
flagellar-deficient (Fla-) mutants. These genes were ori-
ginally called fla genes. In 1985 when the number of genes
exceeded the number of letters in the alphabet, a unified
name system for both E. coli and S. typhimurium was pro-
posed by Robert M. Macnab and introduced in the field
with approval by all contemporary geneticists. They are
flg,flh,fli, and flj; each for one of the clusters of genes
scattered in several regions around the chromosome (see
‘The mot genes’). When a particular gene does not have
the corresponding gene in Salmonella, historical names are
kept, for example, flaF,flaG,flbS, and flbT.
The mot genes
Mutants that produce paralyzed flagella are called moti-
lity-deficient (Mot-) mutants. There are only two mot
genes (motA and motB)inS. typhimurium.InV. alginolyticus,
there are two sets of flagella – polar and lateral. The
energy source for each motor is distinguishable;
the sodium motive force for the polar flagellum and the
PMF for the lateral flagella. Mot genes for the polar
flagellum are called pomA and pomB. There are four more
mot genes (motA, motB, motX, and motY)inV. alginolyticus,
R. sphaeroides, and Aeromonas hydrophila.V. alginolyticus MotX
and MotY are associated with the basal body of sodium-
driven polar flagellum and required for stator formation.
P. aeruginosa retains one set of mot genes (motA and
motB) and another set (motC and motD). Although it is
indicated that the motC and motD genes play an important
role in pathogenicity, their roles in motor function are not
known. There was renaming of some mot genes; MotD of
Sinorhizobium meliloti and related alpha-proteobacteria
turned out to be the flagellar-hook-length regulator
FliK, indicating that original naming was wrong. MotE
in S. meliloti is a chaperone specific for the periplasmic
motility protein, MotC.
The che genes
Mutants that can produce functional flagella but cannot
show a normal chemotactic behavior are called
S
almonella typhimurium genome
4800/0(Kbp)
2043
1256
3600
flgNMA BCDEFGHIJKL
2007 flhEAB cheZYBR tar
-cheWAmotBA flhCD
B C fli YZA
2056
fliE FGHIJK LMNOPQR
flk
fljAB hin
(Region IV)
trg
1715
2912
2483
3380
4789
MCP?aer
tsr (Region I)
(Region II)
(Region III)
cheV
2420
3314
3300
MCP
MCP
(4.8 Mbp/4451 genes)
1
3
3
3
3 3
3
2/3
2/3
2 2
2
2
2 2
DST
Figure 3 Genetic map of Salmonella typhimurium. Flagellar genes distribute in several clusters on the chromosome. Arrows over
genes indicate the size of operons and their transcriptional directions. The numbers on the arrows indicate classes of transcription. The
regulation of class 2 and 3 is not simple; some operons are expressed twice in class 2 and class 3. Chemotaxis receptors (Tsr, Trg, and
Tag) and receptor homologues (MCP) are scattered on the chromosome.
534 Flagella, Prokaryotic

chemotaxis-deficient (Che-) mutants. These are divided
into two types – general chemotaxis mutants (authentic
Che-) and specific chemotaxis mutants. The former
involve the proteins working in the sensory transduction
(CheA, CheW, CheY, CheZ, CheB, and CheR), and the
latter involve the receptor proteins (e.g., Tsr, Tar, Trg,
and Tap).
In some species, there are multiple homologues of the
E. coli chemotaxis genes. For example, R. sphaeroides pos-
sesses 5 cheA,2cheB,2cheR,3cheW, and 6 cheY
arranged in several operons. Thirteen chemoreceptors,
including both membrane-spanning and cytoplasmic or
transducer-like proteins (Tlps), have been identified (as
of 2007). These are differentially expressed according to
the environmental conditions. It is not known whether the
products of the che operons operate through independent,
linear pathways or there is significant cross-talk between
the components of these operons.
In V. cholerae, there are five cheY genes including one
putative cheY. It was shown that only one of them directly
switches flagellar rotation. In E. coli, CheY dephosphor-
ylation by CheZ extinguishes the switching signal. But
instead of CheZ, many chemotactic bacteria contain
CheC, CheX, and FliY for dephosphorylation.
Gene Clusters in Four Regions
Most flagellar genes are found in gene clusters on the
chromosome. They are in four regions: the flg genes in
region I, the flh genes and mot and che genes in region II,
and the fli genes in regions IIIa and IIIb (Figure 3). The flj
operon (including fljA and fljB) in region IV involves an
alternative flagellin gene to fliC and is only found in
Salmonella. Either FliC flagellin or FljB flagellin is pro-
duced at one time. The hin gene inverts the
transcriptional direction at a certain statistical frequency;
if the flj operon is being expressed, FljA represses fliC,
allowing FljB flagellin alone to be produced. This alter-
nate expression of two flagellin genes is called ‘phase
variation’.
This clustering of flagellar genes is also observed in
other peritrichously flagellated species; grouping of par-
ticular genes and gene order are similar to those in
S. typhimurium. Flagellar genes for the polar flagellum in
Pseudomonas spp. and Vibrio spp. form clusters in a few
regions, but the gene order is different from that of peri-
trichous flagella. The polar flagellum requires special
regulatory genes (such as fleP, fleQ, flhF, flhG) to localize
one flagellum at the pole of the cell, which peritrichous
flagella do not require. Flagellar genes of C. crescentus or
Campylobacter jejuni are scattered in more than seven
regions; the extreme case is H. pylori, in which single
flagellar genes or at most three-gene clusters are scattered
all over the chromosome. It is interesting to see that a
cluster, FliC (flagellin)–FliD (the capping protein)–FliS
(chaperone for FliC)–FliT (chaperone for FliD), is ubi-
quitously found in all species but not in H. pylori and
Buchneraspp.
Transcriptional Regulation
Flagellar construction requires a well-ordered expression
of flagellar genes not only because there are so
many genes, but also because flagellar assembly requires
only one kind of component protein at a time, as
described in previous sections. There is a strict hierarchy
of expression among the flagellar genes. The hierarchy is
controlled or maintained by a few prominent regulatory
proteins.
Hierarchy: Three classes
The hierarchy of flagellar gene expression is divided into
three classes: class 1 regulates class 2 gene expression, and
class 2 regulates class 3. Class 1 contains the master genes:
only two genes in one operon, flhD and flhC.
Class 2 consists of 35 genes in eight operons. There are
two regulatory genes, fliA and flgM; the rest are compo-
nent proteins of the flagellum or the export apparatus.
Class 3 genes code flagellin, MotA and MotB, and all
the Che proteins. Flagellin is one of the most abundant
proteins in a cell, suggesting that the tight regulation in
the hierarchy guarantees the economy of the cell.
There is another class of regulation pathway in species
that produce polar flagellum. In P. aeruginosa, there are
four classes; class 1 contains the master gene fleQ, class 2
contains 25 genes necessary for constructing the export
apparatus, class 3 contains 12 genes necessary for com-
pleting the hook-basal body, and class 4 contains 13 genes
to produce the filament and the chemotaxis system.
Master genes, flhDC
Master gene products form a tetrameric complex of
FlhD/FlhC, which works as a transcriptional activator
of the class 2 operons.
The master operon (flhDC) is probably transcribed
with the help of the ‘housekeeping’ sigma factor,
70
.
The master operon is also activated by a complex of
cyclic AMP and catabolite activator protein (cAMP–
CAP), which binds to a site upstream of the promoter.
In P. aeruginosa,fleQ is the master gene instead of flhCD.
However, fliA is out of the control of fleQ; the controlling
element of fliA is not known yet.
Sigma factor F (
F
: FliA) and antisigma factor (FlgM)
The FliA and FlgM proteins expressed from the
operon competitively regulate the class 3 operons. FliA
is the sigma factor that enhances the expression of the
class 3 operons, while FlgM is an antisigma factor against
FliA.
Flagella, Prokaryotic 535

If the hook and basal body have been constructed
normally, FlgM is secreted into the medium through the
basal body and the complete hook, allowing free FliA
proteins to work on the class 3 operons. However, if the
hook and basal body construction is somehow halted in
the middle of process, FlgM stays in the cytoplasm in a
complex with FliA, maintaining shut-off of the expression
of the class 3 operons.
A combination of fliA–flgM genes has been found in
genomes of all species so far studied except Buchnera spp.
that lacks all of the fla genes necessary for filament
formation.
Global regulation versus internal regulation
There are several external genes or factors that affect the
flagellar gene expression through the master operon
flhDC. Some of the factors show pleiotropic effects on
many cellular events such as cell division, suggesting
that flagellation would be finely tuned with the cell divi-
sion cycle due to well-organized tasks of global regulation
systems.
As described above, the master operon (flhDC) is prob-
ably transcribed using the ‘housekeeping’ sigma factor,
70
. In the last decades, other factors regulating or mod-
ulating flhDC expression have been identified, mainly in
E. coli. The motility of E. coli cells is lost at temperatures
higher than 40 C as a result of reduced flhDC expression.
It has been shown that some of the heat-shock proteins are
involved in both class 1 and class 2 gene expressions. This
strongly suggests that flagellar genes are under global
regulation in which the heat-shock proteins play a major
role; probably the proper protein folding (or assembly)
mediated by these chaperons is essential for flagellar
construction.
Other adverse conditions such as high concentrations
of salts, carbohydrates, or low-molecular-weight alcohols
also suppress flhDC expression, resulting in lack of
flagella. The regulation by all these factors is independent
of the cAMP–CAP pathway.
Flagellar gene expression is also controlled by the
ubiquitous bacterial second messenger cyclic diguanosine
monophosphate (c-di-GMP). In response to changing
environments, fluctuating levels of c-di-GMP inversely
regulate flagellar formation and thus cell motility.
The factors and mechanism of directly turning on the
master flhDC operon in accordance with the cell cycle are
yet unknown. Another goal of the flagella research is the
elucidation of the roles of global regulators on flagellar
gene expression to uncover the complex regulatory net-
work connecting flagellation and cell division.
Morphological Pathway
The order of the steps toward the construction of a
flagellum (the morphological pathway) has been analyzed
in the same way as was used for bacteriophage – analyzing
intermediate structures in various flagellar mutants and
aligning them in size from small to large ones. Flagellar
construction starts from the cytoplasm, progresses
through the periplasmic space, and finally extends to the
outside of the cell (Figure 4).
In the cytoplasm
The smallest flagellar structure recognizable by electron
microscopy is the MS-ring complex; therefore, the MS-
ring complex is regarded as the construction base. When
two other flagellar substructures, the C ring and the C
rod, attach on the cytoplasmic side of the M ring, the
gigantic complex starts secreting other flagellar proteins
to construct the flagellum.
FliH
FliI
FliJ
FlhA
FlhB
FliO
FliP
FliQ
FliR
FliF
FliE
FlgB
FlgC
FlgF
FlgG
FliG
FliM
FliN
FlgH
FlgI FlgE
FlgD
FlgK
FlgL
FlgN
FliC
FliD
FliS
FliT
FlgA
FlgJ
Figure 4 Morphological pathway of flagellation. Flagellar construction proceeds from left to right. Gene products shown above the
membranes are incorporated in the flagellar structure at each step. The gene products shown under the membranes are chaperones for
the component protein just above the membrane (shown in italics) or enzymes: FliI is an ATPase, and FlgJ is muramidase.
536 Flagella, Prokaryotic

In the periplasmic space
The first extracellular structure constructed on the MS-
ring complex is a rod. When the rod has grown large
enough to reach the outer membrane, the hook starts
growing. However, the outer membrane physically ham-
pers the hook growth until the outer-ring complex makes
a hole in it. Among flagellar proteins, FlgH and FlgI, the
component proteins of the outer-ring complex, are excep-
tional in terms of the manner of secretion; these two
proteins have cleaved signal peptides and are exported
through the GSP. However under special conditions,
filaments grow in the absence of the outer rings but stay
in the periplasm to form the periplasmic flagella as seen in
spirochaetes.
Outside the cell
Once the physical block by the outer membrane has been
removed, the hook resumes growth with the aid of FlgD
until the length reaches 55 nm. Then, FlgD is replaced by
HAPs, which is followed by the filament growth. The
filament growth proceeds only in the presence of FliD
(HAP2 or filament cap protein); without this cap,
exported flagellin molecules are lost to the medium.
Flagellar Protein Export as a Type III Secretion
System
There are several ways to transport proteins outside
bacterial cells. The best-known pathway is the GSP.
However, many flagellar proteins cannot pass through
this system, since they do not have the signal sequences
that are necessary for the recognition by GSP.
There are six characterized bacterial protein secretion
systems (type I–VI) that are grouped according to their
function in pathogenesis. Here I will briefly explain the
major three types of export systems.
Type I secretion system (T1SS) secretes proteins
without modification through the secretion apparatus
consisting of a few component proteins that span both
the inner and the outer membranes, for example, hemo-
lysin in E. coli.
Type II secretion system (T2SS) secretes proteins
retaining the signal peptide, which is cleaved upon secre-
tion by GSP, for example, pullulanase in Klebsiella oxytoca.
Thus, GSP is a secretion machinery in T2SS.
Type III secretion system (T3SS) secretes proteins
without cleavage through the gigantic secretion apparatus
spanning both the inner and the outer membranes, for
example, virulence factors from many pathogenic
Enterobacter spp. The flagellar protein export system is
now regarded as a T3SS. The flagellar export apparatus
consists of at least six components (FlhA, FlhB, FliI, FliP,
FliQ, and FliR). The amino acid sequences of these
proteins share homology with those for secretion of viru-
lence factors in many pathogenic bacteria. The structures
between these two distinguishable systems resemble each
other; the secretion apparatus for virulence factors is the
needle complex, which looks like the flagellar basal body,
consisting of several ring structures and a needle. It is now
suspected that flagellum and pathogenesis might be
derived from a common ancestor.
The two secretion systems are superficially indepen-
dent from each other in S. typhimurium. However, it is now
known that the Salmonella pathogenesis Island (SPI) 1
gene expression is regulated by fliZ in serovar
Typhimurium and is dependent on flagellar sigma factor
FliA in serovar Typhi. Note that fliA and fliZ sit next to
each other in an operon.
The Kinetics of Morphogenesis
The morphological pathway of the flagellum described
above indicates the order of the construction steps but
ignores the time to be consumed at each step. In order to
achieve coherent cell activities, flagellar construction has
to be synchronized with cell division. The most time-
consuming step of flagellation seems to be the first step,
the construction of the export apparatus, which takes
almost one generation to complete. The filament elonga-
tion also takes time; filaments grow over generations.
The growth processes of the filament and the hook
have been carefully analyzed. By taking a closer look at
elongation modes of these two polymers, we will get a
glimpse of the whole kinetic process of flagellar
construction.
Filament growth
In bacteria with peritrichous flagella, the number and the
length of flagella are, if not exactly, fairly well defined;
there are 7–10 flagella per cell and the average length of
filament is 5–8 mm.
A defined number of flagella have to be supplied at
each cell division. A large deviation from this number will
cause disastrous results to the cell – either no flagella at all
or too many to swim. The number of flagella must be
genetically controlled, but the gene(s) for this role has not
been found.
On the other hand, filament growth seems free from
genetic control since it continues over generations. From
statistical analysis of the length distribution, the elonga-
tion rate of filaments is inversely proportional to the
length; thus, a filament grows rapidly in the beginning
and gradually slows down to a negligible rate.
Hook growth
In contrast to the wide distribution of filament lengths,
the hook length is rather well controlled at 55 nm with a
deviation of 6 nm. The hook length is controlled by a
Flagella, Prokaryotic 537

secreted protein FliK; deletion of the fliK gene results in
hooks with undefined length, called polyhooks.
Engineered FliK, either elongated by insertion of foreign
sequences or shortened by internal deletions, gives rise to
hooks whose length is proportional to the molecular size
of the mutant FliK. Thus, FliK is a molecular ruler. But it
must work in the cytoplasm because some mutant FliK
control the hook length but are not secreted. In 2001, we
have shown that mutations in switch proteins (FliG, FliM,
and FliN) gave rise to short hooks with a defined length,
indicating that the C ring serves as a measuring cup for
hook monomers. The relationship between FliK and the
C ring cup is not clear.
Statistical analysis of the length distribution of poly-
hooks reveals that the hook grows in a similar manner as
the filament does; it starts outgrowing at 40 nm min
1
and
exponentially slows down to reach a length of 55 nm.
After the length is 55 nm, the hook grows at a constant
rate of 8 nm min
1
. It takes many generations for poly-
hooks to grow as long as several micrometers.
Studies of the correlation between flagellation and
cell division are underway, but no definite schemes have
been found.
Conclusion
In the previous edition, I wrote, ‘‘Analysis of the flagellar
structure has been coming to an end’’; but since then many
unexpected facts were revealed. We are proud of the
brilliant results of our research; most components of the
flagellum have been identified, the pathway of flagellar
construction has been revealed, and roles of ca. 40 flagellar
genes in the flagellar construction are now known.
However, I now realize that the nature is not so shallow
to reveal everything in a short life of a man. We have to
keep asking ‘Why?’ with indefatigable enthusiasm to
unveil mysteries of the flagellum.
We have not yet known the physics principle of fla-
gellar rotation. One of the immediate goals is to answer a
simple but important question; what is rotating against
what? This question stems from the controversy that has
started from the beginning of the flagellar research.
Without knowing the rotor and the stator in detail, the
mechanism of motor function will never be understood.
And then, we want to answer a more intriguing and
difficult question: what is the ancestor of the flagellum?
The question arose from the recent discovery of similarity
between the flagellum and the pathogenicity: not only the
gene sequences between the two distinguished systems
are homologous, but also their supramolecular structures
resemble each other. This also leads us to the most pri-
mitive question: what is the flagellum?
Further Reading
Aizawa SI (1996) Flagellar assembly in Salmonella typhimurium.
Molecular Microbiology 19: 1–5.
Aizawa SI (2001) Bacterial flagella and type III secretion systems. FEMS
Microbiology Letters 202: 157–164.
Chilcott GS and Hughes KT (2000) Coupling of flagellar gene expression
to flagellar assembly in Salmonella enterica serovar typhimurium and
Escherichia coli.Microbiology and Molecular Biology Reviews.
64: 694–708.
Macnab RM (1996) Flagella. In: Neidhardt FC, Ingraham JL, Low KB,
Magasanik B, Schaechter M, and Umbarger HE (eds.) Escherichia
coli and Salmonella typhimurium: Cellular and Molecular Biology,
pp. 123–145. Washington, DC: American Society for Microbiology.
Minamino T and Namba K (2004) Self-assembly and type III protein
export of the bacterial flagellum. Journal of Molecular Microbiology
and Biotechnology 7: 5–17.
Relevant Website
http://www-micro.msb.le.ac.uk/ – Microbiology @ Leicester
538 Flagella, Prokaryotic

Forensic Microbiology
S Y Hunt, N G Barnaby, and B Budowle, Federal Bureau of Investigation, Laboratory Division,
Quantico, VA, USA
S Morse, Centers for Disease Control and Prevention, Atlanta, GA, USA
Published by Elsevier Inc.
Defining Statement
Introduction
Law Enforcement/Forensic Role
Microbial Forensics Response
Biocrime Investigations
Conclusion
Further Reading
Glossary
attribution Attribution is the information obtained
regarding the identification or source of a material (to the
degree that it can be ascertained).
biocrime or bioterrorism Biocrime or bioterrorism is
the threat or use of microorganisms, toxins, pests,
prions, or their associated ancillary products to commit
acts of crime or terror.
bioweapon Bioweapon is any weapon comprised of a
microorganism or toxic microbiological products to
commit a crime or terrorist attack with the intent to
cause harm to, death of, or disruption of humans,
animals, or plants.
epidemiology Epidemiology classically studies the
health and illness of a population; but herein is defined
as the study of the combination of clinical presentation
of disease, identification of the pathogen, the
distribution of the pathogen in a population, and other
factors to deduce where an infection began and how it
spread throughout a population.
forensic science Forensic science generally is the
application of science in the investigation of legal
matters. Scientific knowledge and technology are used
to serve as witnesses in both civil and criminal matters.
microbial forensics Microbial forensics is a scientific
discipline that examines microorganisms, toxins, pests,
prions, or their associated ancillary products for source
attribution.
Select Agents Select Agents are biological agents and
toxins that have the potential to present a serious threat
to public, animal or plant health, or to animal or plant
products. Lists of these agents have been defined by
HHS and USDA. Registration is required for use or
transfer of these agents.
signature Signature is a specific analytically derived
characteristic that contributes to attribution.
Abbreviations
AFM atomic force microscopy
AMS accelerator mass spectrometry
BAMS bio-aerosol mass spectrometry
CDC Centers for Disease Control and
Prevention
CSF cerebrospinal fluid
DHS Department of Homeland Security
EDX energy dispersive X-ray microanalysis
FBI Federal Bureau of Investigation
FMDV foot-and-mouth disease virus
HEAT Hazardous Evidence Analysis Team
INDELS insertions/deletions
LC/MS liquid chromatography/mass
spectrometry
LRN Laboratory Response Network
MALDI-TOF matrix assisted laser desorption/ioniza-
tion time of flight
MLST multilocus sequence typing
NBACC National Biodefense Analysis and
Countermeasures Center
NBFAC National Bioforensics Analysis Center
NIBC National Interagency Biodefense
Campus
PCR polymerase chain reaction
PIXE particle (proton)-induced X-ray emission
This is publication number 08-01 of the Laboratory Division of the
Federal Bureau of Investigation. Names of commercial manufacturers
are provided for identification only, and inclusion does not imply
endorsement by the Federal Bureau of Investigation.
539

RFLP restriction fragment length
polymorphism
SEM scanning electron microscopy
SERS surface-enhanced Raman
spectroscopy
SNP single nucleotide polymorphism
STIM scanning transmission ion microscopy
ToF-SIMS time-of-flight secondary ion mass
spectrometry
USDA United States Department of Agriculture
VEE Venezuelan equine encephalitis virus
VNTR variable number tandem repeat
WHO World Health Organization
Defining Statement
Microbial forensics is a continually evolving discipline
that examines microorganisms, toxins, pests, prions, or
their ancillary products for source attribution.
Challenges to developing a robust microbial forensics
program involve issues of evidence integrity, extraction
of trace biological signatures and data interpretation. The
field continues to mature as it faces these challenges to the
prevention and investigation of acts of bioterrorism.
Introduction
On 2 October 2001, a 63-year-old male photo editor work-
ing for American Media in Boca Raton, Florida, appeared
in the emergency room complaining of fever, emesis, and
confusion. A Gram stain of his cerebrospinal fluid (CSF)
revealed the presence of numerous polymorphonuclear
leukocytes and chains of large Gram-positive bacilli.
Bacillus anthracis was isolated from the CSF after 7 h
of incubation and from blood cultures within 24 h of incu-
bation. On 4th October, the Florida Department of Health
notified the public that a case of inhalational anthrax had
been confirmed. Prior to this diagnosis, the last reported
case of inhalational anthrax in the United States was in
1976, when a home craftsman died after using imported
yarn contaminated with endospores of B. anthracis.The
proximity of this case of inhalational anthrax to the 11
September 2001 terrorist attacks in New York City,
Washington, DC, and Pennsylvania led to the speculation
that this event might have a more sinister origin. The
discovery of B. anthracis spores on the computer keyboard
of the index case, a computer in the America Media build-
ing, and recovery of spores from asymptomatic coworkers
and a hospitalized coworker supported the premise that the
introduction of the spores was an act of terrorism. Letters
containing B. anthracis spores were discovered, and a sub-
sequent investigation resulted in a reconstruction of their
routes (known and presumed) through the US mail system
(Figure 1). Use of the US Postal Service to send spore-
laden letters to media outlets (ABC, CBS, NBC, and the
New York Post) and Congressional offices (Senators Tom
Daschle and Patrick Leahy) led to widespread panic, and to
one of the largest investigations ever undertaken by the
Federal Bureau of Investigation (FBI). Law enforcement
was ill-prepared to address these events from a forensic
perspective; not in recent times had such a pernicious
biological pathogen been used to perpetrate an attack on
domestic soil. There was suddenly an urgent need for
forensic methods that could be used to gather and char-
acterize microbial evidence for attribution of acts of
terrorism.
The mailing of B. anthracis spores brought biocrimes
and acts of biological terrorism to the forefront of public
attention. Biocrimes are, in actuality, assault crimes in
which the weapon is a biological toxin or pathogen.
Although acts of bioterrorism are also biocrimes, bioter-
rorism is generally motivated by ideological objectives
(e.g., political, religious, ecological) and induces psycho-
logical fear and panic, which are inherent elements of
terrorism. As such, just the threat of the use of a biological
agent can constitute an act of bioterrorism. Biocrimes
generally use known infectious agents that have proven
capable of producing disease outbreaks among human and
agricultural populations.
The threat that a microorganism or its toxin will be
used as a weapon in a criminal act is greater today than
ever before. A number of bacteria, viruses, and fungi (and
their byproducts), which present serious health concerns
to humans, livestock, and plants, could potentially be used
as biological weapons. While not all toxins and patho-
genic organisms would make useful weapons, a number
of them could be used effectively. Many infectious and
harmful microorganisms can be grown in vitro from a
single cell with relative ease. Dispersal may not require
sophisticated technology, particularly for agricultural and
food targets. Criteria often considered important for
assessing whether a microorganism or toxin may consti-
tute a potential weapon are
1. accessibility;
2. culturability;
3. ease of large-scale production;
4. infectivity and toxicity;
5. consistency of death or disability;
6. delivery potential;
540 Forensic Microbiology

7. stability and retention of potency during transport and
storage;
8. potency after dissemination; and
9. economic effects (e.g., foreign animal diseases).
A combination of lethality, availability, and deliverability
must be present before a pathogen or toxin can be used as an
effective weapon, although a hoax may not require any of
these criteria for the material used. For example, the need
for lethality depends on the purpose. Foot-and-mouth dis-
ease virus (FMDV) is not a lethal infection, but one case can
have a disastrous effect on the economy.
Infectious diseases account for 29 of the 96 major causes
of human mortality and morbidity and for approximately
25% of global deaths (i.e., 14 million) per year. Many of the
responsible pathogens exist in nature; thus, traditional
security measures alone will not suffice to prevent access.
However, the Select Agent Regulation was promulgated to
limit access to the most harmful or plausible pathogens.
It regulates the possession and transfer of particularly harm-
ful microorganisms (and in some cases nucleic acids) and
toxins. The Centers for Disease Control and Prevention
(CDC) and the United States Department of Agriculture
(USDA) are responsible for enforcing this regulation and
have compiled lists of microorganisms and toxins (i.e., Select
Agents) that are deemed to pose a significant threat to the
health of humans, livestock, and plants (Tables 1 and 2).
Responding to the intentional release of biological
agents that affect humans is the role of public health. To
facilitate planning efforts that involve the stockpiling of
antibiotics or the development of diagnostic assays
and vaccines, the CDC developed a list of priority threat
agents (Table 1). This list was divided into three groups
referred to as Category A, B, and C agents. Category
A agents are those most likely to cause mass fatalities;
Category B agents cause moderate rates of illness with
lower death rates; and, Category C agents are responsible
for a number of emerging infectious diseases. These
agents were considered representative of the immediate
needs for public health preparedness efforts; however,
genetic engineering and synthetic technology may
broaden the threat list in the future. Furthermore, this
list is periodically revised by the Department of
Homeland Security (DHS) to reflect changes in prepa-
redness levels and current threat assessments.
The potential impact of an attack with a biological agent
was estimated in a World Health Organization (WHO)
study in which hypothetical biological attacks with three
West Palm Beach, FL
postal facility
Mail carrier, NJ
Mailed:
18 Sept. 2001
?
?
?
Mailed:
9 Oct. 2001
Bookkeeper, NJ
Hospital employee, NYC
Elderly woman, CT
Morgan postal facility
New York, NY
State Dept mail
processing center
Sterling, VA
Brentwood, DC
postal facility
Trenton postal facility
Hamilton, NJ
Cutaneous anthrax
AMI *
*
*
*
*
*
NBC
ABC
CBS
NY post*
Daschle’s office
Hart Senate office bldg
Leahy’s office
Russell Senate office bldg
Inhalational anthrax
Envelope recovery site
Red: 18th Sept. envelopes
Blue: 9th Oct. envelopes
Green: undetermined exposure
Known path of mailed envelope
Presumed path of mailed envelope
? Presumed exposure to contaminated mail
*
Intended target
Figure 1 Reconstruction of the paths of anthrax-tainted letters through the US Postal system and the associated disease
outbreak. ABC, American Broadcasting Company; AMI, American Media, Inc.; CBS, Columbia Broadcasting System; NBC,
National Broadcasting Company. Adapted from Jernigan JA, Stephens DS, Ashford DA, et al. (2001) Anthrax bioterrorism
investigation team. Bioterrorism-related inhalational anthrax: The first 10 cases reported in the United States. Emerging Infectious
Diseases 7: 933–944.
Forensic Microbiology 541

viral (Rift Valley fever, Tick-borne encephalitis, and
Venezuelan equine encephalitis) and two bacterial patho-
gens (Francisella tularensis and B. anthracis) were modeled.
The results (Table 3) demonstrated that an attack with
B. anthracis or F. tularensis would result in more deaths and
casualties than an attack with any one of the viral agents,
with the caveats that it required 50 kg of the agent and
optimal wind conditions to produce these results. In this
scenario, almost half of the exposed population would be
killed or incapacitated by the release of B. anthracis.There
have been changes in the human population in the 30 years
since this model was presented. The most important could
be the increase in the incidence of immuno-compromised
individuals. Their weakened immune systems could result
in a higher risk of infectivity and passage of the pathogen
than was previously calculated. However, more simulations
and risk assessment studies are needed to present a current
view of the impact of a release of a biological pathogen into
the population.
Law Enforcement/Forensic Role
Law enforcement has the responsibility of protecting indivi-
duals and communities against bioterror threats. These
responsibilities include deterrence, interdiction, response
to, and investigation of such criminal acts. The forensic
sciences can assist in these investigations by providing addi-
tional leads that may attribute the source of an evidentiary
sample and/or assist in identifying the perpetrator. The field
of microbial forensics was created in response to the threat of
bioterrorism and is a discipline dedicated to the character-
ization, analysis, and interpretation of evidence from the
scene of an act of bioterrorism or a biocrime. Microbial
forensic investigations are carried out to obtain information
regarding the identification or source of the material (i.e.,
attribution) used in a bioterrorism act, biocrime, hoax, or
unintentional release, with the ultimate goal of identifying
those responsible (as well as excluding those not associated
with the crime). In order to perform these functions with best
practices and by employing the best analytical tools avail-
able, the field of microbial forensics is continually evolving.
At a minimum, microbial forensics incorporates the fields of
microbiology, molecular biology, genetics, biochemistry,
genomics, epidemiology, and bioinformatics. Many of the
laboratory techniques in use or under development for use in
the discipline have been reviewed elsewhere. This article
will present the challenges in this new field of forensic
investigation and the domestic network that has been estab-
lished to respond to and investigate incidents involving the
use of biological agents. For a history of the use of biological
weapons, the reader is referred to recent reviews.
Microbial Forensics Response
An intentional attack with a biological agent can be classi-
fied as either overt or covert. An overt attack is often
recognized immediately (e.g., anthrax-laden letters received
in the Hart Senate Office Building), while a covert attack
may not become known for days, weeks, or years, if at all.
The ability to distinguish naturally occurring outbreaks
from a covert dissemination of a biological agent can be a
challenge for epidemiologists, as exemplified by the inves-
tigation in The Dalles, Oregon, of a food-borne outbreak of
Salmonella typhimurium in a salad bar. The possibility of
intentional contamination was considered early in the
investigation, but was excluded for the following reasons:
Table 1 CDC high-consequence pathogens and toxins
Category A Category B Category C
Bacillus anthracis (anthrax) Alphaviruses (Venezuelan equine encephalitis) Hanta virus
Clostridium botulinum
toxin
Brucella spp. Mycobacterium tuberculosis (multidrug
resistant tuberculosis)
Francisella tularensis
(tularemia)
Burkholderia mallei (glanders) Nipah virus
Hemorrhagic arenaviruses
(Lassa fever)
Burkholderia pseudomallei (Melioidosis) Tick-borne encephalitis
Hemorrhagic fever
filoviruses (Ebola)
Chlamydia psittaci (psittacosis) Tick-borne hemorrhagic fever viruses
Variola major (smallpox) Clostridium perfringens (epsilon toxin) Yellow fever
Yersinia pestis (plague) Coxiella burnetti (Q fever)
Cryptosporidium parvum (cryptosporidiosis)
Escherichia coli O157:H7
Ricin toxin (castor bean – Ricinus communis –
extract)
Rickettsia prowazekii (Typhus)
Salmonella spp.
Shigella spp.
Staphylococcus enterotoxin
542 Forensic Microbiology

(1) such an event had never been reported previously; (2)
no one claimed responsibility; (3) no disgruntled employee
could be identified; (4) there was no apparent motive; (5)
the epidemic curve suggested multiple exposures, which
was presumed to be unlikely behavior for a saboteur; (6) law
enforcement officials failed to establish a recognizable pat-
tern of unusual behavior; (7) a few employees had exhibited
an onset of illness before the patrons, suggesting a possible
source of infection; (8) the outbreak was biologically plau-
sible – even if highly unlikely; and (9) failure to locate a
source is not unusual, even in highly investigated outbreaks.
Although one of the initial reasons to exclude terrorism (i.e.,
no prior incidents) is no longer applicable, determining if an
unusual outbreak is the result of a deliberate act will remain
a challenge. In this context, it is important to remember that
the index case of inhalation anthrax identified in Florida in
2001 was initially thought to be a natural occurrence.
There are a number of epidemiologic clues that have
been proposed that alone or in combination may suggest
that an outbreak is deliberate. These indicators (Table 4)
are based on distinctive epidemiology and laboratory
criteria of varying specificity to evaluate whether an out-
break may be of deliberate origin. The clues focus on
aberrations in the typical characterization of an outbreak
by person, place, and time, in addition to consideration of
the microorganism. Some of the clues, such as a commu-
nity-acquired case of smallpox, are quite specific for
bioterrorism whereas others, such as genetically similar
microorganisms, may simply denote a natural outbreak.
Evaluation (and confirmation) of a combination of clues
increases the probability of determining events that result
from an intentional release.
Epidemiologic clues can only be assessed in the context
of a rapid and thorough epidemiologic investigation.
Surveillance to identify increases in disease incidence is
the first step and the cornerstone of bioterrorism epidemiol-
ogy. However, even the most specific of epidemiologic clues
(Table 4) may signal a new natural outbreak. For example, a
community outbreak of individuals with smallpox-like
lesions in the Midwest in 2003 may have indicated the
deliberate release of smallpox virus. However, a thorough
integrated epidemiologic and laboratory investigation iden-
tified the disease as monkey pox, an exotic disease in the
United States, which in and of itself may suggest bioterror-
ism. In this outbreak, affected individuals were infected via
prairie dogs purchased as pets, which had acquired their
infection while cohoused with infected Giant Gambian rats
that had recently been imported from Ghana. Therefore, the
evidence did not support deliberate dissemination.
Similarly, other emerging infectious diseases such as West
Nile encephalitis and SARS would appropriately meet the
minimal criteria for suspect bioterrorism and require a thor-
ough investigation. Distinguishing natural outbreaks from
those that are the result of an intentional attack requires an
in-depth understanding of endemic diseases and their
Table 3 Casualty estimates produced by hypothetical
biological attack
Downwind
Agent
Reach
(km) Dead Incapacitated
Rift Valley fever 1 400 35 000
Tick-borne encephalitis 1 9500 35 000
Venezuelan equine
encephalitis virus (VEE)
1 200 19 800
Francisella tularensis >20 30 000 125 000
Bacillus anthracis >20 95 000 125 000
These estimates are based on the following scenario: release of 50 kg of
agent by aircraft along a 2 km line upwind of a population center of
500 000. Reproduced from Meyer RF and Morse SA (2007)
Bioterrorism. In: Mahy B and van Regenmortel M (eds.) Encyclopedia of
Virology, 3rd edn. Oxford: Elsevier.
Table 2 USDA high consequence pathogens and toxins
Bacillus anthracis (anthrax)
Brucella spp.
Burkholderia mallei (glanders)
Burkholderia pseudomallei (Melioidosis)
Cowdria ruminantium (heartwater or cowdriosis)
Coxiella burnetti (Q fever)
Francisella tularensis (tularemia)
Mycoplasma capricolum (contagious caprine pleuropneumonia)
Mycoplasma mycoides mycoides (contagious bovine
pleuropneumonia)
Coccidioides immitis (true systemic (endemic) mycoses)
Akabane virus
African horse sickness virus
African swine fever virus
Avian influenza virus
Blue tongue virus
Camel pox virus
Classical swine fever virus
Eastern equine encephalitis virus
Foot-and-mouth disease virus
Goat pox virus
Hendra virus
Japanese encephalitis virus
Lumpy skin disease virus
Malignant catarrhal fever virus
Menangle virus
Newcastle disease virus
Nipah virus
Peste des petits ruminants virus
Rift Valley fever virus
Rinderpest virus
Sheep pox virus
Swine vesicular disease virus
Venezuelan equine encephalitis virus
Vesicular stomatitis virus
Bovine spongiform encephalopathy agent
Clostridium botulinum toxin
Clostridium perfringens epsilon toxin
Shigatoxin
Staphylococcus enterotoxin
T-2 toxin
Forensic Microbiology 543

epidemiology, and presents a significant challenge for sur-
veillance and detection systems.
The most likely responders to an overt release of
a microorganism or toxin (including hoaxes) are law
enforcement or hazmat personnel and firefighters because
of their terrorism training. Evaluations are made to assess
the threat to public health, safety, and security. Once the
threat assessment is complete, biological evidence is col-
lected, preserved, and sent to a laboratory for analysis.
Within the laboratory, a cadre of analytical tools is avail-
able to characterize the evidentiary material. Microbial
forensics is focused on tracking and linking microorganisms
to individuals and locations. Thus, different strategies may
be used depending on the type(s) of evidence collected. In
an overt attack, for example, the package, the biological
agent and associated materials, as well as traditional foren-
sic evidence (e.g., hairs, fibers, and fingerprints) may be
analyzed. Therefore, an analytical plan may involve many
different and diverse strategies. In a covert attack, evidence
may be limited to patient diagnoses, epidemiologic data,
and isolates from the victims.
Microbial Forensics Tools
Microbial forensics laboratories may perform detailed
characterization assays to identify clues to the origin of
a pathogen or toxin and/or its preparation for use in a
criminal act. All pertinent evidence can be exploited.
In addition to microbiological analyses (e.g., culture),
the evidence collected from an overt event is likely to
be amenable to chemical and physical analyses that may
yield information about the methods, means, processes,
and locations involved in the preparation and dissemina-
tion of the microorganism or toxin. The type of evidence
found at the scene of an overt event might include pow-
ders, liquids, food, or other environmental samples. In
addition, traditional forensic evidence (such as hair, fibers,
documents, fingerprints, human DNA, etc.) also may be
collected and analyzed.
A number of questions that could potentially be
addressed through the genetic analysis of forensic samples
are listed in Table 5. Defining the questions provides
direction for an investigation, and the answers may provide
information that can be used for attribution purposes or to
provide investigative leads. The degree to which these
questions can be addressed depends on the context of the
case and the available knowledge of the genetics, genomics,
Table 4 Epidemiological indicators of an intentional
bioterrorism attack
A single case of disease caused by an uncommon agent
(e.g., smallpox, viral hemorrhagic fever, inhalation or
cutaneous anthrax, glanders) without adequate
epidemiologic explanation
The presence of an unusual, atypical, genetically engineered,
or antiquated strain of an agent (or antibiotic resistance
pattern)
Higher morbidity and mortality in association with a common
disease or syndrome, or failure of such patients to respond to
usual therapy
Unusual disease presentation (e.g., inhalation anthrax,
pneumonic plague)
Disease with an unusual geographic or seasonal distribution
(e.g., plague in a nonendemic area, influenza occurring in the
Northern Hemisphere in the summer)
Stable endemic disease with an unexpected increase in
incidence (e.g., tularemia, plague)
Atypical disease transmission through aerosols, food, or
water, in a mode suggesting sabotage (i.e., no other possible
explanation)
Commonalities in diseased individuals (e.g., illness seen in
persons who are in proximity and are exposed to a common
ventilation system)
Combination of diseases in a person or a cluster lacking
precedent, or otherwise unexpected
Unusual illness that affects a large, disparate population (e.g.,
respiratory disease in a large heterogeneous population may
suggest exposure to an inhaled biological agent)
Illness that is unusual (or atypical) for a given population or
age group (e.g., outbreak of measles-like rash in adults)
Unusual pattern of death or illness among animals (which
may be unexplained or attributed to an agent of bioterrorism)
that precedes or accompanies illness or death in humans
Unusual pattern of death or disease in humans that precedes
or accompanies illness or death in animals (which may be
unexplained or attributed to an agent of bioterrorism)
Ill persons who seek treatment at about the same time (point
source with compressed epidemic curve)
Agents isolated from temporally or spatially distinct sources
have a similar genotype
Simultaneous clusters of similar illness in noncontiguous
areas, domestic or foreign
Large numbers of unexplained diseases or deaths
Table 5 Microbial forensics questions addressed by genetic
analysis
What might be deduced concerning the nature and source of
the evidentiary sample?
Is the pathogen detected of endemic origin or introduced?
Do the genetic markers provide a significant amount of
probative information?
Does the choice of markers allow the effective comparison of
samples from known and questioned sources?
If such a comparison can be made, how definitively and
confidently can a conclusion be reached?
Are the genetic differences too few to conclude that the
samples are not from different sources (or lineages)?
Are these differences sufficiently robust to consider that the
samples are from different sources?
Is it possible that the two samples have a recent common
ancestor or how long ago was there a common ancestor?
Can any samples be excluded as contaminants or recent
sources of the isolate?
Are there alternative explanations for the results that were
obtained?
544 Forensic Microbiology

phylogeny, and ecology of the microorganism in question.
Genetic markers that may be useful for forensic attribution
include single nucleotide polymorphisms (SNPs), repeti-
tive sequences, insertions/deletions (INDELS), mobile
genetic elements, pathogenicity islands, virulence and anti-
microbial resistance genes, housekeeping genes, structural
genes, and whole genomes. Many of these markers have
been used for the molecular subtyping (i.e., genotyping) of
pathogens where public health and epidemiological needs
are foremost. Thus, developments in molecular epidemiol-
ogy will contribute to the analytical toolbox of the
microbial forensic scientist. The essential components of
a highly precise and robust subtyping system for an infec-
tious agent often are the same for both forensic and public
health/epidemiologic purposes. These include (1) identi-
fication of diversity; (2) development of validated and
robust molecular typing assays; (3) development of refer-
ence population databases; (4) establishment of guidelines
for interpretation of analytical results, either qualitative or
based on theoretical and probabilistic approaches; and (5)
validation of the system with studies of actual disease
outbreaks.
Analysis of Biological Signatures
Nucleic acid-based assays
Nucleic acid-based assays for microbial identification, char-
acterization, and attribution purposes are widely used in the
forensic arena to associate (and exclude) DNA-containing
biological evidence with suspected sources. Ideally, for
attribution, the forensic scientist attempts to narrow the
possible sources of a sample while excluding most if not
all other sources. This level of individualization may not
always be achievable. To enhance attribution capabilities, a
major thrust of microbial forensics is the use of nucleic acid-
based assays that enable association (or elimination) of a
pathogen with specific sources on the basis of genetic infor-
mation from the full or partial genome of that pathogen.
The use of these assays is analogous to the role they play in
human DNA forensic analysis, where they are used on
biological evidence to associate or exclude suspected indi-
viduals. However, the nucleic acid-based methods
currently used in microbial forensics cannot routinely
achieve the level of attribution that is achieved with
human DNA forensics. The vast numbers of microorgan-
isms, their complex biological and ecological diversities,
and their capacity for genetic exchange complicate the
analysis and interpretation of evidence in ways that do not
impact human DNA forensics.
Prior to the introduction of the polymerase chain
reaction (PCR), nucleic acid-based microbial identifica-
tion was limited to techniques such as hybridization and
typing by restriction fragment length polymorphism
(RFLP) analysis. Such techniques required relatively
large amounts of nucleic acid and were laborious, time-
consuming, and not amenable to automation. The advent
of PCR led to the development of sequence-specific
amplification methods and a broad range of techniques
that may ultimately meet the needs of the microbial
forensics community.
PCR is typically thought of as a front-end assay com-
ponent, whereby the PCR end products are assayed to
determine the genetic profile of the sample. This notion
changed with the advent of real-time PCR, which has
become the genetic typing method of choice for charac-
terizing microbes. The primary benefits of real-time
PCR assays are the extremely low limits of detection
(approaching single copy detection) and inherent specifi-
city that enables the design of highly discriminating
assays that are capable of distinguishing closely related
molecular species. Further advantages of using this tech-
nique include (1) a broad dynamic range of quantification
(up to seven orders of magnitude); (2) a short turnaround
time (as little as 30 min); and (3) a reduction in laboratory
contamination (assay is contained within a closed tube).
The capacity to achieve unambiguous pathogen identifi-
cation in as short a time as possible is broadly recognized
as a key component in microbial forensic applications,
public health investigations, and biodefense.
Various methods are used to identify markers that are
targeted in real-time PCR assays. The most effective
approach for comprehensive genetic variation discovery is
high-throughput shotgun sequencing used by large genome
centers. Whole genome sequencing is the preferred method
for discovering genetic variation of value to forensic analysis.
The power of this approach was demonstrated by a compar-
ison of the genome sequence of B. anthracis Ames isolated
from one of the victims of the 2001 bioterrorist anthrax
attack to the genome sequence of a reference B. anthracis
Ames strain. This comparison led to the identification of 60
polymorphic loci within the B. anthracis Ames genome that
were comprised of SNPs, INDELS, and tandem repeat
motifs. A number of these markers were found to separate
a collection of anthrax isolates into distinct families.
Although several genomes were sequenced to discover var-
iants of the Ames strain of B. anthracis in the ongoing FBI
investigation, it was a very costly process. Thus, current
whole genome sequencing methodology is unlikely to be
used routinely in biocrime cases. The relatively high costs of
genome sequencing will limit its use for screening large
repositories and population studies, until some of the
newer high-throughput sequencing technology capabilities
are realized.
If a reference sequence is available, resequencing using
microarrays is an inexpensive, high-throughput alternative
to whole genome sequencing. With proper microarray
design, a large number of parallel analyses can be carried
out simultaneously, and thousands of assays can be run at one
time. Thus, a substantial increase in throughput can be
realized, and genomes of many samples can be scanned
Forensic Microbiology 545

rapidly. High-density array chips are being used to discover
microbial polymorphisms, define population diversity,
map virulence and antimicrobial resistance genes, and iden-
tify pathogens of consequence. The problem has been that
mobile genetic elements and genes (including plasmids) can
move horizontally between species and possibly confound
species identification. However, because of the high-density
oligonucleotide array on a chip surface, multiple ‘unique’
regions of any species, strain, or isolate can be typed so that
confidence in a correct identification is increased over results
from assays that type only one or a few regions of a genome.
The chip approach provides the capability to screen
simultaneously a large number of microorganisms and
affords a sensitivity level desirable for forensic demands.
Resequencing arrays were designed to analyze over three
million bases of the B. anthracis genome based on a panel
of 56 strains. Replication studies showed very high
sequence quality that was comparable to that obtained
by shotgun sequencing. Chip technology will enable rese-
quencing in a short period of time while screening
multiple pathogens with high sensitivity, specificity, and
nearly complete genome coverage. Not only will species
and strain detection be possible, but chips also offer the
possibility of detecting genetically engineered or modi-
fied strains through the detection of genes encoding
antibiotic resistance or toxins as well as other heterolo-
gous genes. This application is obviously valuable for
forensic attribution, but also has tremendous public health
and homeland security applications.
The genotyping of biothreat agents presents a chal-
lenge when compared with other infectious disease-
causing microorganisms in that the genetic relationship
between many medically important microorganisms has
been determined based on SNPs, the presence of known
virulence factors, and macro restriction patterns of
the genomic DNA. However, agents such as B. anthracis,
F. tularensis,Yersinia pestis, and Brucella spp. are relatively
monomorphic and exhibit little molecular variation
among isolates from similar geographic areas. Thus, the
identification and use of rare variants will be significant
for obtaining the deepest resolution possible. Ongoing
efforts to sequence multiple strains of these biothreat
agents will facilitate the development of nucleic acid-
based assays for attribution purposes.
A nested hierarchal strategy for subtyping these
agents has been proposed. Progressive hierarchical
resolving assays type genetic markers based on stability.
SNPs are generally very stable and good for lineage
studies, but tend to have a lower power of resolution
for isolate individualization. Variable number tandem
repeat (VNTR) loci (including microsatellites) are less
stableandtendtoevolvemorerapidly;therefore,these
loci (similar to human DNA forensic typing) will be
more useful for distinguishing between similarly related
samples.
A popular sequence-based bioinformatics approach that
is used in attempts to establish the history and ‘uniqueness’ of
a bacterial strain is the analysis of phylogenetic relationships.
Bacterial phylogenies can be elucidated via the comparison
of conserved regions of the genome. Phylogenetically infor-
mative gene sets include the ribosomal RNA genes that
encode the 5S, 16S, and 23S rRNA genes and the intergenic
spacer regions between these genes. The most widely used
universal gene for phylogenetically positioning a sample (or
for speciation) is the 16S rRNA gene. However, relying on a
single region for speciation may not be sufficient and often is
incapable of strain-level resolution. To gain further resolu-
tion, other conserved or universal genomic regions can be
examined.
Multilocus sequence typing (MLST) analyzes 450–
500 bp internal fragments of a minimum of five to seven
housekeeping genes common to many bacteria. Most, if
not all, bacterial species studied to date can be uniquely
characterized using MLST. Data profiles of isolates are
compared with those housed in a database. With proper
design, many strains within a given species are distin-
guishable. For example, MLST has been useful in
differentiating B. anthracis from its near-neighbors and in
validating assays capable of differentiating virulent, vac-
cine, and avirulent B. anthracis strains. The real-time PCR
assays used in these analyses are also capable of detecting
B. anthracis pXO1 or pXO2 virulence plasmid markers
that may reside in near-neighbor Bacillus cereus clade
members. The advantage of MLST is that sequence data
are readily exchangeable among laboratories. Thus, stan-
dards and databases, much like those for human forensic
DNA analyses, can be generated.
Interpretations of genetic data from a clinical isolate, a
laboratory-derived strain, or a reference database and its
similarity to an evidence sample can be made quantita-
tively or qualitatively. Quantitative assessments convey
the significance of an analytical result and rely on extant
diversity data. Because of the lack of diversity data and
limited knowledge of worldwide diversity in many cases,
there can be a high degree of uncertainty associated
with findings of a ‘matched’ (or similar) sample with
some reference sample. While most scientists are becom-
ing accustomed to statistical assessments of their data,
this uncertainty will limit the use of some quantitative
interpretations of microbial forensics results. However,
qualitative assessments are also useful. They can provide
direction for an investigation or indicate those samples
that are dissimilar and could not be recently related to the
evidence in question.
Non-nucleic acid-based analyses
DNA (or RNA) typing alone may not enable identifica-
tion to the level of individualization, or at least to a very
limited number of potential sources. Therefore, chemical
and physical analyses of microbial forensic evidence may
546 Forensic Microbiology

increase the likelihood for attribution. These types of
signatures can only be obtained from crimes where the
weaponized material or delivery device is found; they
have little use in covert attacks where only the biological
agent is derived from victims. The chemical characteriza-
tion of a microorganism or its matrix may assist an
investigation by providing information regarding the pro-
cesses used to grow the agent and when or where it was
grown. The sourcing application of stable isotope ratios
has been used to address forensic questions such as deter-
mining the point-of-origin of illicit drugs. Like other
organisms, microorganisms carry records of aspects of
their growth environment, which consists primarily of
nutrients and water, in the stable isotope ratios of their
organic compounds.
An investigation of isotopic ratio analysis was performed
using Bacillus subtilis grown in media prepared with water of
varying oxygen (
18
O) and hydrogen (
2
H) stable isotopic
ratios. The isotope ratios of the organic matter in spores
harvested from these cultures were measured using a mass
spectrometer and shown to be linearly related to those of the
water used to prepare the growth medium. In addition, the
predicted stable isotope ratios of spores produced in nutri-
tionally identical media prepared with local water from five
different locations (with different stable isotope ratios)
around the United States matched the measured values of
the water sources within a 95% confidence interval. Thus,
stable isotope ratio analyses may be a powerful tool for
tracing the geographic point-of-origin for microbial pro-
ducts, including vegetative cells and spores. However, only
30% of the hydrogen atoms in spores originated from the
water used in the culture medium; the remaining 70%
originated from the organic components of the culture
medium, which may make the interpretation of the data
for geo-location far more complex.
The stable isotope ratios (
13
C,
15
N,
2
H) of microbio-
logical culture medium vary based on the biological
sources of the medium components – the most important
being the C
3
and C
4
plants that are either a direct source
of medium components or the base of the food chain
for animal or yeast sources. Based on studies with
B. subtilis, it has been suggested that the growth of micro-
organisms in different media should produce differences
in microbial isotope ratios, which are readily measur-
able. Furthermore, the analysis of stable isotope ratios of
microbiological agents and seized culture media would
make it possible to rule out specific batches of media as
having been used to culture a specific batch of micro-
organisms. These investigators also developed a model,
using B. subtilis, that relates the hydrogen isotope ratios
in culture media, water, and spores that works well
for spores produced during growth in nonglucose
media. These concepts can be extrapolated to other
threat agents; however, differences in physiology and
metabolism will require that these methods be validated
with each microorganism.
A number of other technologies can be applied to micro-
bial forensics. A number of these technologies have been used
to examine weaponized spore preparations of Bacillus globigii,
a commonly used surrogate for B. anthracis. Scanning electron
microscopy (SEM) coupled with energy dispersive X-ray
microanalysis (EDX) was used to determine the elemental
composition of single cells or spores. SEM–EDX was able to
detect the presence of silicon, of interest due to its use as a
potential additive in the preparation of weapons grade B.
anthracis endospores. Atomic force microscopy (AFM),
which provides a high resolution image of the cellular sur-
face, can be used to provide information on molecules
adhering to the spores as well as on modifications to the
exosporium caused by mechanical or chemical treatment
during the weaponization process. Through the use of parti-
cle (proton)-induced X-ray emission (PIXE), and scanning
transmission ion microscopy (STIM), the distribution of
elements can be mapped within regions of a single cell.
Raman and surface-enhanced Raman spectroscopy (SERS)
probes molecular bond vibrations and rotations to produce
characteristic spectra. This methodology has been used to
distinguish between species of spores by probing as little as
the first few nanometers of the spore surface. Bio-aerosol
mass spectrometry (BAMS) has been developed for the rapid
identification of individual cells or spores in an aerosol con-
taining many background materials in real-time and without
reagents. The mass spectrometry signature reflects both the
intrinsic biologic agent and the matrix material in which it is
embedded or coated. Time-of-flight secondary ion mass
spectrometry (ToF-SIMS) captures elemental data (to gen-
erate chemical maps) as well as molecular fragments (to
generate mass spectra) in a depth-dependent basis
(to generate a depth profile). This complementary technol-
ogy can also detect the signatures of silica and other additives.
Accelerator mass spectrometry (AMS) combines mass
spectrometry and nuclear detection to measure the concen-
tration of an isotope in a sample. AMS reduces the entire
sample (less than 1 mg) to carbon before performing the
analysis and provides the
14
C measurements on the bulk
sample. This can be used to determine the age of the material
(i.e., when the biological agent was prepared). Finally, mass
spectroscopic methods (e.g., liquid chromatography/mass
spectrometry (LC/MS) and matrix assisted laser deso-
rption/ionization time of flight (MALDI-TOF)) have also
been applied to the detection and characterization of toxins.
Biocrime Investigations
National Microbial Forensics Network
The anthrax mailings illustrated how crucial it was to
have a specialized response network in place that is able
to quickly and efficiently respond to biocrimes and
Forensic Microbiology 547

bioterrorism. A criminal investigation, including the col-
lection of forensic information on the threat agent, cannot
begin until an attack or threat of an attack has been
identified. Indeed, the anthrax letter attack began as a
covert attack and became overt with the identification of
the anthrax-tainted letters. Regardless, whether an attack
is overt or covert, officials representing public health or
animal health will likely initiate the investigation.
Therefore, evidence from a covert attack on humans
(e.g., cultures) is usually first analyzed by a laboratory
belonging to the Laboratory Response Network (LRN),
which is composed of state and local public health labora-
tories and the CDC. Law enforcement personnel become
engaged once a crime is suspected, and typically forensic
scientists are brought in when it is confirmed that a crime
has occurred.
Following the discovery of the anthrax letters, the
United States government established a dedicated
national microbial forensics system. As part of this system,
the United States developed the National Bioforensics
Analysis Center (NBFAC), which is part of the National
Biodefense Analysis and Countermeasures Center
(NBACC) and the National Interagency Biodefense
Campus (NIBC) located at Fort Detrick. The NBFAC,
in conjunction with the partner laboratory network,
serves as the national forensic reference center for the
attribution of biological weapons in support of homeland
security. Primary support for the NBFAC is provided by
the DHS in partnership with the FBI.
In response to the threat of terrorism, part of the
FBI’s response and preparedness strategy was the estab-
lishment of the Chemical and Biological Sciences Unit
(CBSU) within the FBI Laboratory in 2002. The CBSU
is tasked with the responsibility of managing the scien-
tific analyses of cases involving suspected threat agents
(biological, chemical, and radiological/nuclear). The
CBSU is subdivided into the Biology, Chemistry, and
Infrastructure programs. The Biology and Chemistry
programs perform research and development on meth-
ods and protocols not only in support of ongoing
casework, but also with the goal of addressing attribu-
tion in the event of future attacks with chemical or
biological weapons. The Infrastructure program acquires
the facilities and equipment needed for the analysis of
hazardous materials at partner laboratories and manages
the training of a selected number of FBI laboratory
examiners, already qualified in the more traditional
aspects of forensics (trace, fingerprints, chemistry,
DNA, etc.), for the Hazardous Evidence Analysis Team
(HEAT). If the CBSU determines that traditional foren-
sic analysis is needed on evidence collected from a
crime scene, the evidence is directed to a partner labora-
tory that is equipped to handle that particular threat
agent, and HEAT members are deployed to perform
their examinations. The evidence is then sent to the
NBFAC or other partner laboratories for pathogen iden-
tification and analyses using their in-house protocols or
methods developed by CBSU.
Gaps in Microbial Forensic Analyses
The large variety of possible attack scenarios mandates
the need to configure and prioritize a broad range of
research and development efforts. With the ultimate
goal of source attribution, a number of key areas must
be addressed – (1) evidence collection, handling, and
storage; (2) extraction and purification of trace nucleic
acid, protein, or other signatures from samples; (3) meth-
ods for the identification of unique biological signatures
(e.g., molecular genetics, microbiology, and cell biology);
and (4) methods for the evaluation of the significance of
biological data (e.g., genomics, informatics, and statistics).
Evidence collection, handling, and storage
The collection and preservation of microbial forensic evi-
dence are paramount to successful investigation and
attribution. If evidence (when available) is not collected,
degrades, or is contaminated during collection, handling,
transport, or storage, the downstream characterization and
attribution analyses may be compromised. Retrieving suf-
ficient quantities and maintaining the integrity of the
evidence increase the chances of successful characteriza-
tion of the material to obtain the highest level of attribution
possible. There are a large variety of pathogens that could
be used as bioweapons, not to mention the greater variety
of environmental organisms that, if present as ‘contami-
nants’, might be of value in reconstructing the history of
the event. This diversity precludes the creation of a single
standard collection and preservation procedure that would
be a catch-all for any and all possible organisms or toxins.
However, a standard procedure(s) that encompasses the
bacterial types that are most likely to be encountered can
be created, with the understanding that additional informa-
tion or an unusual locale might entail alteration of the
procedure on a case-by-case basis.
Extraction and purification of biological
signatures
Perhaps the most important aspect of the investigation
occurs once samples reach the laboratory after collection –
extraction of biological signatures. The focus here is on
nucleic acid extraction since current protocols are heavily
biased in favor of nucleic acid signatures, but the observa-
tions apply equally to other signatures such as proteins or
fatty acids. The lack of proper cell disruption and nucleic
acid extraction negates the use of successful collection
and preservation and precludes the need for analytical
and evaluation tools. As such, extraction techniques are a
cornerstone of this new discipline. In this instance, variety
is not the complicating factor. While there are a large
548 Forensic Microbiology

variety of organisms, many of them fit into a few well-
defined categories. Disruption and extraction techniques
can be developed and validated across a spectrum. Many
different extraction and ‘nominal extraction’ techniques
are currently in use. A difficult task will be setting accep-
table standards that the microbial forensics community
can agree upon and will agree to adopt for extraction
methodologies. However, development of extraction
techniques is not the only factor that must be considered.
All forensic disciplines must face the challenge of limited
sample size. The same is true for microbial forensics.
A common misconception is that a large amount of mate-
rial is readily available through expansion of the sample
via growth in vitro. In actuality, it is possible that the
evidence is nonviable or unculturable in the laboratory.
These possibilities must be considered when developing
both disruption/extraction and identification protocols.
Identification of ‘unique’ signatures
Comparative genomic sequence characterizations are
needed to identify the degree of variation, rates of muta-
tion, and the extent of sequence divergence within known
and questioned isolates or microbial groups. Also, there
is a need to identify virulence and antibiotic resistance
genes that could be targets for genetic manipulation or for
selection of spontaneous antibiotic resistance. Because
bioengineering capabilities are readily accessible, genetic
engineering could be appealing to state sponsored pro-
grams and some individual bioterrorists. Using
recombinant DNA technology, microbes can be readily
modified, such that they can become more infectious or
pathogenic, expand their host range, avoid host immune
responses, and/or be made resistant to current medical
countermeasures. Identifying signatures of purposeful
manipulation, such as incorporation of an antibiotic-
resistant gene, will become of utmost importance in
determining whether an engineered microorganism
was used as a bioweapon (or differentiating naturally
occurring outbreaks of infectious diseases from inten-
tional acts).
Data interpretation
Interpretation of results in a forensic analysis often entails
a comparison of an evidence sample and a reference
sample(s). There are three general categories of interpre-
tation: inclusion (or association), exclusion, and
inconclusive. An inclusion, or association, is stated when
the pattern or profile from the two compared samples is
sufficiently similar so that they potentially could have
originated from the same source (or have a recent com-
mon ancestor). An alternate definition of an inclusion is a
failure to exclude the two samples as having a common
origin or belonging to the same group. An exclusion is
stated when the pattern or profile is sufficiently dissimilar
such that the two samples could not have originated
from the same source. An inconclusive interpretation is
rendered when there are insufficient data to provide a
conclusive interpretation.
When the interpretation favors inclusion, or associa-
tion, or the samples belong to the same genetic lineage, it
is desirable to attach significance or weight to these
results. However, care must be taken not to interpret the
evidence beyond the limits of the assay and available data.
Statistical inferences based on the strength of the inclu-
sion or association depends on the relative information
content of the genetic site(s) detected by the method(s)
employed and extant supporting data.
Currently, there are few established statistical inter-
pretation guidelines for microbial forensics data. In
contrast, statistical assessment of human DNA forensics
has been a well-studied area of investigation. Thus, one
might follow the established protocols of human DNA
forensic evidence interpretations for microbial forensics
situations. Although the three general classes of observa-
tions (i.e., inclusion, exclusion, or inconclusive) are
similar for human DNA and microbial forensics, there
are some inherent differences, which must be invoked
for statistical interpretation of the microbial forensic
evidence.
For interpretation of analytic results, a better, more
unifying statistical framework must be developed and
tested for the comparison of forensic (and epidemiologi-
cal) samples. This framework should be based on using
lineage-based models where the extent of match/non-
match evidence is assessed under the hypotheses of a
particular sample(s) belonging to one group (or lineage)
of putative samples or not. In other words, sequence
similarity and/or a genotypic match may only infer a
common lineage instead of unique identity. This possibi-
lity necessitates a somewhat different type of reference
database for microorganisms, compared with those used
in human DNA forensics. For example, in the human
context, populations of diverse anthropological affinities
have been collated and examined to investigate intra- and
interpopulation variation of allelic and genotypic fre-
quencies for autosomal loci and to study the extent of
haplotype diversity (for mtDNA-sequences and Y-
chromosome linked marker panels). Such data make it
possible to derive a conservative estimate of the chance of
a coincidental match (conditional or unconditional). In
contrast, a genotypic match (albeit character state iden-
tity) or sequence similarity between microbial specimens,
which are indicators of their evolutionary closeness, can-
not be readily translated into a frequency; the reference
data may not reflect a single population, nor provide any
indication as to how many populations they could repre-
sent. Molecular evolutionary tools that can translate
sequence (or genotype) similarity into evolutionary dis-
tance (or proximity) exist, which in turn can provide a
Forensic Microbiology 549

signature of the most recent common ancestor of con-
trasted samples.
However, such molecular evolutionary tools may
have to be refined for microbial forensics. For example,
horizontal transfer of ecologically relevant genes, gene
conversion, and recombination could uncouple the rela-
tionship between phylotypes (phylogenetically distinct).
Thus, effective horizontal gene transfer, vertical gene
transfer, and recombination statistical models, as well as
general and specific genome site stability studies, near
neighbor analyses, and diversity studies, will enhance
capabilities to quantitatively assess the significance of
lineage-based comparisons. Computational power and
confidence will depend on the number of markers and
their diversity within and among species, and the num-
ber of representative samples. Refined analyses will
likely be based on coalescence theory incorporating
population size fluctuation over generations, intersite
variation of mutation rate, recombination, horizontal
gene transfer (or gene conversion), and conservation of
sites (based on function). Although it may be impossible
to predict the complete diversity of microorganisms
and their strains in any one geographic area, one could
use collections of geographically diverse isolates from
disease outbreaks. Isolates that cause disease may be
relevant for population diversity estimates based on
infectivity, host polymorphisms, and biogeography.
Also, the assumption of a molecular clock (i.e., constancy
of the rate of substitution over time), which is intrinsic
in most algorithms of molecular evolution, has to be
relaxed, since depending on the mode and medium of
culture, temporal rate differences may be created either
naturally or through engineering.
There is one notable difference between the statistical
assessment of microbial forensic evidence and that
used with human DNA forensics. In the human context,
the courts and juries are accustomed to hearing about
frequencies of a coincidental match such as one in a one
hundred billion or less (or likelihood ratios on the order of
billions or higher). Even with lineage-based markers, such
as mitochondrial DNA or those residing on the Y chro-
mosome, the estimates are in the orders of hundreds to
thousands. In microbial forensics, time estimates of a more
recent common ancestor will often be associated with
standard errors that may be as large as the estimate (gen-
erally the coefficient of variation of the estimate, ratio of
standard deviation, and the estimate would rarely be
below 30%), or the bootstrap confidence of any lineage
clustering may not exceed the complement of the inverse
of the number of replications of the algorithm in the
toolbox. As a consequence, the inherent relatively modest
statistical support of any microbial forensic evidence
should not be regarded as a drawback. But it is important
that whatever statistic is calculated is done so within
the limits of the genetic marker(s) and extant data. The
statistical toolbox might also contain a quantitative guide-
line of what constitutes a ‘high’ versus ‘modest’ level of
confidence in terms of the forensic implication of the
evidence, rather than simple use of the nominal levels of
significance used in applied statistics.
Conclusion
The challenges to developing a robust microbial forensics
program are immense, but not impossible. The founda-
tions are already in place and owe their origins to the field
of epidemiology. Technology is developing to better
recover evidence and purify it for downstream analyses.
In the not too distant future, whole genome sequencing
may become facile and relatively inexpensive; then, dril-
ling down for rare SNPs in a genome for attribution
purposes may become routine for even large-scale ana-
lyses. Bioinformatics tools and databases are developing
and population genetic studies are underway so that the
interpretation or significance of results can evolve from
solely qualitative to quantitative assessments. Because it
may not be possible to individualize microbial forensic
evidence to the level enjoyed in human DNA forensics,
non-nucleic acid-based analyses will figure prominently
in scientific investigations, at least for overt attacks. For
the foreseeable future, the field of microbial forensics will
continue to mature in its capabilities so that law enforce-
ment can provide the best services possible to deter,
interdict, respond to, and investigate acts of bioterrorism.
Further Reading
Breeze RG, Budowle B, and Schutzer S (eds.) (2005) Microbial
Forensics. Amsterdam: Academic Press.
Budowle B, Johnson MD, Fraser CM, Leighton TJ, Murch RS, and
Chakraborty R (2005) Genetic analysis and attribution of microbial
forensics evidence. Critical Reviews in Microbiology 31: 233–254.
Budowle B, Schutzer SE, Burans JP, et al. (2006) Quality sample
collection, handling, and preservation for an effective microbial
forensics program. Applied and Environmental Microbiology
72: 6431–6438.
Budowle B, Schutzer SE, Einseln A, et al. (2003) Building microbial
forensics as a response to bio-terrorism. Science 301: 1852–1853.
Carus WS (2002) Bioterrorism and Biocrimes: The Illicit Use of Biological
Agents Since 1900. Amsterdam: Fredonia Books.
Guillemin J (2006) Scientists and the history of biological weapons.
A brief historical overview of the development of biological weapons
in the twentieth century. European Molecular Biology Organization
7(SI): S45–S49.
Jernigan JA, Stephens DS, Ashford DA, et al. (2001) Anthrax
bioterrorism investigation team. Bioterrorism-related inhalational
anthrax: The first 10 cases reported in the United States. Emerging
Infectious Diseases 7: 933–944.
Keim P (2003) Microbial Forensics: A Scientific Assessment. American
Academy of Microbiology. Washington, D.C: American Society for
Microbiology. Available at http://www.asm.org/ASM/files/
CCPAGECONTENT/docfilename/000018026/
FOREN%20REPORT_BW.pdf.
Keim P, Van Ert MN, Pearson T, Vogler AJ, Huynh L, and Wagner DM
(2004) Anthrax molecular epidemiology and forensics: Using the
550 Forensic Microbiology

appropriate marker for different evolutionary scales. Infection,
Genetics and Evolution 4: 205–213.
Kreuzer-Martin HW, Chesson LA, Lott MJ, Dorigan JV, and
Ehleringer JR (2004) Stable isotope ratios as a tool in microbial
forensics–part 1. Microbial isotopic composition as a function of
growth medium. Journal of Forensic Sciences 49: 1–7.
Lindler LE, Huang X-Z, Chu M, Hadfield TL, and Dobson M (2005)
Genetic fingerprinting of biodefense pathogens for epidemiology and
forensic investigation. In: Lindler LE, Lebeda FJ, and Korch GW
(eds.) Biological Weapons Defense: Infectious Diseases and
Counterterrorism, pp. 453–480. Totowa: Humana Press.
Maiden MC, Bygraves JA, Feil E, et al. (1998) Multilocus sequence
typing: A portable approach to the identification of clones within
populations of pathogenic microorganisms. Proceedings of the
National Academy Sciences United States America 95: 3140–3145.
Meyer RF and Morse SA (2007) Bioterrorism. . In: Mahy B and van
Regenmortel M (eds.). , Encyclopedia of Virology. Oxford: Elsevier.
Morse SA and Budowle B (2006) Microbial forensics: Application to
bioterrorism preparedness and response. Infectious Disease Clinics
of North America 20: 455–473.
Read TD, Salzberg SL, Pop M, et al. (2002) Comparative genome
sequencing for discovery of novel polymorphisms in Bacillus
anthracis.Science 296: 2028–2033.
Spratt BG (1999) Multilocus sequence typing: Molecular typing of
bacterial pathogens in an era of rapid DNA sequencing and the
internet. Current Opinion in Microbiology 2: 312–316.
Taylor LH, Latham SM, and Woolhouse ME (2001) Risk factors
for human disease emergence. Philosophical Transactions of
the Royal Society of London B: Biological Sciences 356: 983–989.
To¨ro¨ k TJ, Tauxe RV, Wise RP, et al. (1997) A large community outbreak
of salmonellosis caused by intentional contamination of restaurant
salad bars. Journal of the American Medical Association
278: 389–395.
Traeger MS, Wiersma ST, Rosenstein NE, et al. (2002) Florida
investigation team. First case of bioterrorism-related inhalational
anthrax in the United States, Palm Beach County, Florida, 2001.
Emerging Infectious Diseases 8: 1029–1034.
Zwick ME, McAfee F, Cutler DJ, et al. (2004) Microarray-based
resequencing of multiple Bacillus anthracis isolates. Genome Biology
6: R10.1–R10.13.
Forensic Microbiology 551

Gastrointestinal Microbiology in the Normal Host
S M Finegold, VA Medical Center West Los Angeles and UCLA School of Medicine, Los Angeles, CA, USA
ª2009 Elsevier Inc. All rights reserved.
Defining Statement
Problems Associated with the Study
of Gastrointestinal Flora
Techniques for Study of Gastrointestinal Flora
Normal Flora of Esophagus
Normal Flora of Stomach
Normal Flora of Small Intestine
Normal Flora of Colon
Addendum
Further Reading
Glossary
DNA Deoxyribonucleic acid.
GI Gastrointestinal.
OTU Operational taxonomic unit, or molecular species.
PCR Polymerase chain reaction.
phylotype Group of organisms sharing a specific
genetic constitution; species.
RNA Ribonucleic acid.
16S rRNA 16 subunit of ribosomal ribonucleic acid.
UCLA University of California, Los Angeles.
Abbreviations
DGGE Denaturing gradient gel electrophoresis
FISH fluorescent in situ hybridization
GI gastrointestinal
OTU operational taxonomic unit
PFGE pulsed-field gel electrophoresis
TGGE temperature gradient gel electrophoresis
T-RFLP Terminal restriction fragment length
polymorphism
Defining Statement
The microflora of the human gastrointestinal tract has a
profound influence on health and disease. Estimates indi-
cate that the colon has 10
14
bacterial cells, 10 times the
number of tissue cells in the human body and containing
at least 100 times as many genes as the human genome.
Estimates of the number of species thought to be present
in the human bowel vary from 1000 to 35 000 and 60–80%
of these have not yet been cultivated.
Problems Associated with the Study
of Gastrointestinal Flora
The composition of the gastrointestinal (GI) microflora is
complex and many different methodologies have been
used to study it. There is no optimum technique currently
available. Many of these microorganisms that make up this
flora are quite fastidious and are difficult (or impossible
presently) to recover in culture, particularly if they are
present in relatively small numbers. Nonetheless, even
organisms in low counts may play an important role in
physiologic and pathophysiologic processes. Ideally, speci-
mens should be obtained in the laboratory (with a
bathroom dedicated for this purpose); this is seldom possi-
ble. Thus, specimens usually need to be transported to a
laboratory for study, sometimes over great distances. Since
99.9% of GI organisms are anaerobes, specimens should be
transported to the laboratory under anaerobic conditions
(which will usually not be a problem for aerobic organisms
that are also present) and as expeditiously as possible. If the
specimens cannot be delivered to the laboratory in less
than 12–18 h, it is desirable to ship them under some
form of refrigeration rather than by freezing the specimen.
The distribution of different organisms in the fecal mass is
irregular, so the entire bowel movement should be
obtained and, upon arrival in the laboratory, homogenized
under anaerobic conditions (or frozen until this can be
done) before culturing or isolating and studying the
DNA. Moisture content of stool specimens is also quite
variable, so one should thoroughly dehydrate an aliquot
with weighing before and after so that numbers of organ-
isms of various types can be corrected to counts/dry
weight.
Studies of GI flora are extremely time-consuming, but
shortcuts in identification of isolates, or incomplete
552

testing, may lead to gross errors. For cultural studies, a
variety of media should be used, along with a variety of
atmospheric conditions. Organisms vary greatly in their
growth requirements. Unless selective and differential
media are used, certain organisms present in lower counts
may be overlooked. It is important to remember that
many or most ‘aerobes’ are actually facultative and there-
fore can grow on anaerobically incubated plate media.
Older studies must be interpreted with caution as there
may be a number of inaccuracies, alluded to above. There
may also have been reclassification of organisms based on
later knowledge and description of novel taxa previously
unknown. It should also be recognized that normal bowel
flora may be influenced by such factors as age, diet,
geographic residence, and antimicrobial agents or other
medications with some antibacterial activity. Sampling of
certain areas of the small bowel may be very difficult or
impossible. Tubes for such sampling will have less
‘contamination’ with local indigenous flora if they are
passed via the nose, rather than through the mouth.
Selective media, while very useful, always lead to sup-
pression of certain organisms, sometimes including the
ones sought with these media. One of the principal
problems of culture-based techniques is the fact that the
majority of the indigenous flora of the GI tract cannot be
detected by such procedures. Most of these so-called
‘uncultivable’ organisms (a better term for them would
be ‘not yet cultured’ organisms) are anaerobes or other
very fastidious microorganisms. Molecular techniques
provide the possibility to detect the majority of such
organisms.
Molecular studies using microbial DNA may also be
inaccurate if the stool or other specimen is not thoroughly
homogenized before the DNA is extracted. In studying
mixed populations, there may be insufficient or preferen-
tial cell lysis, inhibition of PCR, differential amplification
or formation of chimeric or artefactual PCR products. In
using 16S rDNA sequencing for identification, analysis of
only 500 base pairs is not adequate for complete and
accurate identification of many of the anaerobic organisms
of the normal flora. The big problem with molecular
approaches, of course, is that one does not recover the
organism to do such important studies as pulsed-field gel
electrophoresis (PFGE) for epidemiologic purposes, nor
can one readily study antimicrobial susceptibility or viru-
lence factors (although there are molecular techniques
that are useful in this regard). In addition, recovery of
DNA does not indicate whether the organisms from
which it came were dead or alive (however, there are
techniques that will give this information).
Quantitation of mucosal-associated populations is
influenced by the washing procedure used to eliminate
luminal organisms and reversibly-bound organisms. It
is less of a problem with small bowel bacteria and
others adhering to the epithelium than with colonic
mucosa-associated flora where this flora is primarily in
the mucus layer overlying the epithelium and may therefore
be relatively easily lost during a washing procedure.
Techniques for Study of Gastrointestinal
Flora
There are many protocols for cultural studies of GI flora.
It is important that good anaerobic conditions are pro-
vided during transport of the specimens and for the
culture and examination processes. With GI flora, many
organisms are quite fastidious and may not survive if they
are cultured in an anaerobic jar and then removed to an
aerobic atmosphere while the plates are examined before
subculturing. It is better to use an anaerobic glovebox or
cabinet with an anaerobic incubator attached to it so that
plates are never exposed to air. After an initial subculture
or two, many organisms can be processed on a laboratory
bench and then replaced into an anaerobic jar within
20 min or less. Others will require constant anaerobiosis.
A good protocol makes use of prereduced nonselective
enriched plate media (e.g., Brucella blood agar plates
supplemented with vitamin K
1
and hemin) and numerous
selective and differential media to facilitate recovery of
particular types of organisms. The more carefully chosen
selective/differential media utilized, the better. One must
decide what is practical, but for study of indigenous flora
the more the better. Serial dilutions of the specimens may
be made in prereduced yeast extract solution in an anae-
robic chamber. Accurate identification often will require
sequencing of the 16S ribosomal and/or other genes in
addition to phenotypic tests.
Various molecular approaches may be used and will
provide a remarkable amount of additional information.
Clone libraries, while tedious and time-consuming, have
been used with excellent results. Terminal restriction
fragment length polymorphism (T-RFLP) has been
considered to be promising for analysis of communities
such as GI flora but is somewhat lacking in precision.
Denaturing and temperature gradient gel electrophoresis
(DGGE and TGGE) and fluorescent in situ hybridization
(FISH) have also been used effectively for community
flora analyses. Probe grids or DNA checkerboard hybri-
dization may be used and DNA microarrays are available,
but not with a comprehensive array for GI flora. A pre-
ferred technique is real-time PCR. It requires that one
have primer-probes for target sequences of groups of
organisms or for each individual organism that may be
present (which immediately places limitations since we
do not yet know the total makeup of GI microflora com-
munities). For studies of known organisms for which there
are primer-probes there are high-throughput methods
that provide quantitation as well as accurate identifica-
tion, and detection of organisms that are present in small
Gastrointestinal Microbiology in the Normal Host 553

numbers. Pyrosequencing techniques are new and not yet
highly developed but offer great promise for the future.
Normal Flora of Esophagus
It has generally been considered that the esophagus has
no resident microflora, that bacteria occur there only
transiently and represent swallowed organisms from the
oral cavity. However, a paper in 1983, using older tech-
niques, did find aerobic organisms in all subjects studied
and anaerobes in 80% of subjects. The most common
aerobes might have represented oral flora – Haemophilus,
Neisseria, and streptococci and yeasts, but coliforms were
found in half the subjects. The most common anaerobes
encountered were anaerobic cocci and Bacteroides, includ-
ing Bacteroides fragilis. In a very recent paper, careful
studies were reported on seven subjects ranging in age
from 40 to 75 years. One of these was a smoker, one had
inflammation (severe) noted on endoscopy, and three
were being treated with proton pump inhibitors; there
may have been overlap with regard to these factors.
None had been on antibiotics in the previous 4 weeks.
Cultures were done on aspirated fluid and on mucosal
biopsies (six from the lower third of the esophagus, one
from the middle third). Both nonselective and several
selective media were used for isolation and 16S rDNA
sequencing (500 base pairs) was used for identification.
Microbiotas were detected in aspirates from four subjects
and in mucosal biopsy samples from three; three of the
four subjects not receiving proton pump inhibitors were
colonized by bacteria. The pH of aspirates ranged from
1.6 to 4.0 (mean 2.3). A total of 13 species of microorgan-
isms were recovered, none from subjects whose pH
was <2.0. Lactobacilli (8 species), streptococci (two spe-
cies), and yeasts (two species of Candida and one of
Saccharomyces) were the only organisms found in aspirate
specimens. Mean counts of bacteria were 10
2.3
to 10
2.8
and
of yeasts 10
4.3
. In mucosal tissue, only two lactobacillus
species were obtained (mean count 10
4.7
), together
with three species of streptococci (mean count 10
4.2
),
and other organisms such as Actinomyces, Bifidobacterium,
Propionibacterium, Veillonella and Prevotella (mean counts
10
2.8
to 10
3.5
); no yeasts were recovered. Thus, bacteria
in mucosal samples were more diverse and present in
higher counts than in aspirates, but aspirates contained
yeasts and mucosal samples did not.
Normal Flora of Stomach
In most fasting normal subjects, gastric juice is sterile, but
there is significant colonization in the face of hypochlor-
hydria or achlorhydria of any cause. After meals, bacterial
counts obtained from cultures may go as high as 10
6
ml
1
but the organisms are rapidly killed by gastric acid so that
the stomach is sterile by 1 h. At pH values <2.0, gastric
fluid is usually sterile, with a small percentage colonized
by acid-resistant organisms such as yeast or lactobacilli.
However, an elegant study of gastric mucosal flora
published recently gives quite a different picture. Single
mucosal biopsies were taken from either the corpus of the
stomach or the gastric antrum of 23 adults and subjected
to analysis by using a small subunit 16S rDNA clone
library approach. There were 1833 sequences generated
by broad-range bacterial PCR, with 128 phylotypes
identified. Five major phyla dominated – Proteobacteria
(952 clones, 32 phylotypes), Firmicutes (low GC Gram-
positive bacteria) with 464 clones and 36 phylotypes,
Bacteroidetes (193 clones, 35 phylotypes), Actinobacteria
(high GC Gram-positive bacteria) with 164 clones and
12 phylotypes, and Fusobacteria (56 clones, 10 phylotypes).
The remaining sequences were in the TM7, Deferribacteres,
and Deinococcus/Thermus phyla. Helicobacter pylori sequences
constituted 42% of all sequences analyzed and 777 clones
(in 7 of the 19 subjects positive for this organism, conven-
tional tests for H. pylori were negative). The second most
common genus found was Streptococcus (299 clones) and the
third most common was Prevotella with 139 clones. Ten
percent of the phylotypes had not been characterized
previously. The microbial flora overall did not relate to
the presence or absence of H. pylori or to the gastric
location biopsied or the pH; it appeared to be distinct
also from the floras of the subgingival crevice and esopha-
gus when compared to previous studies.
Normal Flora of Small Intestine
Studies of the duodenum have either failed to yield any
organisms or found only low counts (typically 10
2
ml
1
),
chiefly acid-tolerant organisms such as lactobacilli,
streptococci, and yeasts. On occasion, other organisms
such as Bacteroides spp., Bifidobacterium spp., Veillonella spp.,
Staphylococcus spp., and enterobacteria were found in very
small numbers.
Jejunal flora is also sparse, but more specimens
from the jejunum yield growth and in higher numbers
than is true for the duodenum. Several studies employed
aspiration of luminal fluid with needle and syringe
at the time of surgery (without prophylactic antibiotics),
so the data is quite reliable. Organisms recovered
were similar to those found in duodenal flora, with lacto-
bacilli (chiefly Lactobacillus fermentum, Lactobacillus
reuteri, Lactobacillus gasseri, and Lactobacillus salivarius),
streptococci, staphylococci, Veillonella spp., yeasts, and
sometimes enterococci being detected. Homogenates of
jejunal biopsies yielded a flora generally comparable to
that found in luminal fluid. Specimens from subjects in
554 Gastrointestinal Microbiology in the Normal Host

developing countries often had much higher counts and a
more diverse flora.
In the ileum, peristalsis is slower than in the upper
bowel and intestinal juice dilutes pancreatic enzymes and
bile which have an antimicrobial effect. This results in a
more profuse and diverse flora, related to both organisms
coming down from above and reflux of cecal contents
through the ileocecal sphincter. In the ileum, microbial
counts are often in the range of 10
6–8
, dominated by
streptococci and enterococci, enterobacteria, lactobacilli,
and other facultative bacteria but also including obligate
anaerobes such as Veillonella spp., Clostridium spp., and
Bacteroides spp., including B. fragilis. Other organisms, in
smaller numbers, include Bifidobacterium spp., anaerobic
cocci, Fusobacterium spp., Eubacterium spp. and staphylo-
cocci. A study of jejunal and ileal flora in three subjects,
using terminal restriction fragment length polymorphism,
obtained results similar to those cited above.
There is also a very recent study of terminal ileum (and
colon, to be discussed in the subsequent section) from six
subjects requiring emergency bowel resection (no antibiotic
therapy used), using both denaturing gradient gel electro-
phoresis (DGGE) and real-time PCR. Organisms identified
by PCR amplicon sequencing from the DGGE gels
included Bacteroides fragilis,B. vulgatus,Clostridium fallax,
C. acetobutylicum,Vibrio campbelli,Desulfococcus multivorans,
Mycoplasma faucium, and two unidentified organisms. The
real-time PCR studies revealed total counts of eubacteria
significantly higher than in three colonic sites sampled.
Counts of individual organisms or groups detected
were as high as 10
7.4
andmeancountsoforganismsranged
from 10
2.2
to 10
6.2
. Organisms detected by real-time
PCR included lactobacilli, enterobacteria, Enterococcus faeca-
lis,Bacteroides,Bifidobacterium,Desulfovibrio,Peptostreptococcus
anaerobius,Clostridium clostridioforme,C. butyricum,Eubacterium
rectale,andFaecalibacterium prausnitzii (Figure 1).
Normal Flora of Colon
‘‘And it is truly wonderful that a substance, the very
aspect and odor of which are sufficient to induce an
inevitable nausea, should be regarded not merely as a
matter of curiosity and study, but held in the highest
repute as a unique and most precious treasure for the
preservation of health.’’
Samuel Augustus Flemming, 1738.
Succession of Flora in Infants
The GI tract is sterile at birth and becomes colonized
with successive floras until a complex microbiota resem-
bling that of adults is established by age 2. The newborn
becomes colonized with microbes from the genital and
anal tracts of the mother during delivery and then from
breast milk and the mother’s skin flora. During the
first 24 h of life, bacteria found in the infant’s feces include
micrococci, streptococci, enterobacteria, lactobacilli,
Bacteroides and clostridia. Between 2 days and 1 week,
enterobacteria and streptococci dominate. In breast-fed
infants, bifidobacteria predominate by 4 weeks and these
persist until there is dietary supplementation. Formula-
fed infants maintain a more complex flora. Both groups of
infants have Bacteroides spp. (B. vulgatus and B. fragilis) and
Parabacteroides distasonis. With the introduction of solid
food, differences between formula-fed and breast-fed
infants disappear. By 12 months of age, facultative anae-
robes decrease and obligate anaerobes resemble those
found in adults. Microbial flora in infants is much more
variable than that of adults, in terms of counts, and rela-
tively small changes in diet may produce major effects on
the bowel flora.
Duodenum
5
10
Lactobacilli Streptococci Bacteroides
Enterobacteria∗Enterobacteria Bacteroides Bifidobacteria
Jejunum
Bacteria/ml. Log101
Ileum
Figure 1 The distribution of viable bacteria in the small intestine. Reproduced with permission from Drasar S and Hill MJ (1974)
Human Intestinal Flora, p. 40. London: Academic Press.
Gastrointestinal Microbiology in the Normal Host 555

Cultural Studies of the Microflora of the Adult
Colon
One gram of feces contains significantly more bacteria
than there are people on the earth. Usually the colonic
flora is inferred from studies of feces. It is generally not
practical, of course, to sample the bowel lumen directly.
One such study was done, however, in ten patients under-
going elective cholecystectomy. Material obtained by
needle aspiration of the cecum and transverse colon was
studied only for total counts of various facultative bacteria
and anaerobes and revealed counts of both that were
somewhat lower than obtained from stool specimens
from these subjects. In the most comprehensive and
detailed studies of this type (Tables 1–8) a total of 141
adults had studies of fecal flora. Included were several
different diet groups as well as some subjects with colonic
polyps and early colon cancer. Differences in flora
between these various groups were small with the proce-
dures available at that time. Bacteroides were found in all
subjects and in the highest counts of all organisms recov-
ered; B. thetaiotaomicron was the species most commonly
encountered but counts of the other Bacteroides recovered
(B. vulgatus, B. fragilis, B. ovatus and (now Parabacteroides)
distasonis were also high. The principal genera or groups
recovered, in addition to Bacteroides, were anaerobic cocci,
Eubacterium,Bifidobacterium,Lactobacillus,Clostridium, and
facultative streptococci and Gram-negative bacilli. Since
this data was published, there have been many changes in
nomenclature and taxonomy. Identification of organisms
in this study was done only by phenotypic studies and it is
now known that 16S rDNA (and other) gene sequencing
gives more accurate identification (and is more rapid).
A culture-based study of 20 Japanese-Hawaiian older
adults, using the roll-tube technique, gave similar results.
Studies of mucosa-associated flora are difficult to do but
some organisms are associated with the mucosal epithe-
lium and others with the overlying mucin layer. These
bacteria are felt to be largely of the same genera as those
found in the colonic lumen when cultural techniques are
used. It is felt that the species diversity displayed in the
colonic flora helps maintain a balance among the resident
organisms.
There have been a number of newer phenotypic meth-
ods introduced since these studies were done that would
provide greater accuracy of identification. In particular,
study of preformed enzymes (commercial kits such as the
Table 1 Fecal microbiota in various dietary groups including Seventh-Day Adventists who were strictly vegetarian, Japanese who
consumed an oriental diet that included fish but no beef, and healthy subjects who consumed a Western diet with relatively large
quantities of beef
Strictly
vegetarian (13) Japanese (15)
c
Western (62) Total (141)
d
Microorganisms %
a
Mean
b
% Mean % Mean % Mean
Bacteroides 100 11.7 93 10.8 100 11.3 99 11.3
Fusobacterium 0 40 8.1 24 8.6 18 8.4
Anaerobic streptococci 8 11.4 60 9.5 32 10.5 34 10.3
Peptococcus 8 11.2 47 9.4 37 10.1 33 10.0
Peptostreptococcus 23 11.1 80 10.2 35 10.2 45 10.1
Ruminococcus 54 10.2 60 10.3 45 10.0 45 10.2
Anaerobic cocci 85 10.3 100 10.7 98 10.6 94 10.7
Actinomyces 31 10.5 0 2 5.7 7.8 9.2
Arachnia-Propionibacterium 38 10.0 0 2 5.5 9.2 8.9
Bifidobacterium 69 10.9 80 9.7 79 10.4 74 10.2
Eubacterium 92 11.0 93 10.6 95 10.6 94 10.7
Lactobacillus 85 11.1 73 9.0 73 9.3 78 9.6
Clostridium 92 9.4 100 9.7 100 10.2 100 9.8
Streptococcus 100 8.6 100 8.7 100 9.1 99 8.9
Gram-negative facultatives 100 8.2 100 9.2 98 8.9 98 8.7
Candida albicans 15 4.9 47 5.6 14 5.4 14.2 5.4
Other yeasts 23 5.6 53 5.8 31 5.2 36.2 5.6
Filamentous fungi 0 0 3 3.8 3.5 5.9
Bacillus spp. 69 4.2 80 6.2 82 5.0 82.3 5.2
TOTAL
e
100 12.6 100 11.8 100 12.2 100 12.2
a
% Positive.
b
Mean count expressed as organisms log 10/g dry-weight feces.
c
Number of subjects per dietary group.
d
Total for all 141 subjects including colonic polyp, colonic cancer, and vegetarians who consume some meat.
e
Total of all microbes detected (including other genera and groups not listed above).
Data from Finegold, Sutter, and Mathisen 1983, modified by Conway PL Chap. 1 in Gibson GR and Macfarlane GT (1995) Human Colonic Bacteria.
Boca Raton, FL: CRC Press; with permission.
556 Gastrointestinal Microbiology in the Normal Host

Table 2 Gram-negative anaerobic rods recovered from patients in V.A. Wadsworth Medical Center Fecal Flora Studies
a,b
Strictly vegetarian (13)
c
Vegetarian, some meat (14) Japanese diet (15) Western diet (62) Total (141)
Organism % positive Range (mean) % positive Range (mean) % positive Range (mean) % positive Range (mean) % positive Range (mean)
Bacteroides
B. amylophilus 0 0 0 2 9.0 1.4 7.6–9.0 (8.3)
B. capillosus 15 11.0–11.7 (11.4) 7 10.9 7 10.1 15 9.4–11.5 (10.4) 14.9 9.3–11.7 (10.5)
B. coagulans 8 10.0 0 0 3 10.8–11.3 (11.1) 3.5 8.7–11.7 (10.5)
B. distasonis 39 9.8–11.1 (10.5) 36 10.2–11.5 (11.0) 60 9.2–11.6 (10.3) 52 9.3–12.5 (10.6) 52.5 7.9–12.5 (10.5)
B. eggerthii 0 0 0 5 10.0–11.0 (10.5) 2.1 10.0–11.0 (10.5)
B. fragilis 23 8.9–12.0 (10.1) 50 9.9–11.7 (11.0) 33 8.4–10.9 (9.8) 50 7.5–11.8 (10.3) 46.1 7.5–12.0 (10.4)
Other species
d
23 10.5–11.7 (11.0) 21 11.1–11.7 (11.4) 40 7.6–10.9 (9.8) 24 8.6–11.8 (10.4) 25.5 7.6–11.8 (10.5)
‘Giant’
e
15 8.5–10.2 (9.4) 14 8.6–10.7 (9.6) 0 6 8.8–11.4(10.2) 5.7 8.5–11.4 (9.9)
B. hypermegas 0 0 0 5 8.6–10.9 (9.8) 2.8 8.6–10.9 (9.8)
B. melanino
genicus-
asaccharolyticus
group
0 0 7 9.6 0 3.5 8.3–10.7 (9.6)
B. oralis 0 0 0 2 10.2 1.4 10.2–10.4 (10.3)
B. ovatus 31 9.5–11.2 (10.3) 21 10.7–11.4 (11.1) 40 7.2–10.9 (9.6) 24 5.7–11.1 (9.7) 29.1 5.7–11.7 (10.0)
B. pneumosintes 0 0 7 9.7 7 10.2–10.6 (10.4) 8.5 7.5–11.7 (9.8)
B. putredinis 8 10.5 21 10.6–11.6 (11.1) 0 11 10.0–11.4 (10.6) 7.8 10.0–11.6 (10.7)
B. ruminicola group 15 10.7–11.4 (11.0) 7 11.6 13 8.8–10.7 (9.7) 18 9.8–11.4 (10.6) 15.6 8.8–11.6 (10.5)
B. splanchnicus 15 10.5–12.1 (11.3) 7 10.6 7 10.8 2 10.6 4.3 10.0–12.1 (10.8)
B. thetaiotaomicron 100 9.4–12.5 (11.3) 86 7.7–12.4 (11.4) 80 9.2–11.4 (10.2) 86 6.3–12.0 (10.3) 86.5 6.3–12.5 (10.7)
B. ureolyticus 0 0 0 2 10.9 0.7 10.9
B. vulgatus 69 9.5–12.2 (10.8) 57 10.0–12.0 (11.1) 47 8.8–11.4 (10.1) 71 8.6–13.5 (10.5) 69.5 8.6–13.5 (10.6)
Species
f
31 10.5–11.7 (11.1) 36 9.5–11.7 (11.0) 40 7.6–10.9 (9.9) 50 1.3–11.8 (5.8) 47.5 1.3–11.8 (7.0)
Total count of
Bacteroides
100 10.6–12.6 (11.7) 100 9.5–12.5 (11.8) 93 9.6–12.0 (10.8) 100 9.2–13.5 (11.3) 99.3 9.2–13.5 (11.3)
Fusobacterium
F. gonidiaformans 0 0 20 5.9–6.7 (6.3) 3 6.6–6.7 (6.6) 3.5 5.9–6.7 (6.5)
F. mortiferum 0 0 0 5 9.6–9.9 (9.8) 2.8 7.2–9.9 (9.2)
(Continued )

Table 2 (Continued)
Strictly vegetarian (13)
c
Vegetarian, some meat (14) Japanese diet (15) Western diet (62) Total (141)
Organism % positive Range (mean) % positive Range (mean) % positive Range (mean) % positive Range (mean) % positive Range (mean)
F. necrogenes 0 0 0 3 7.7–8.3 (8.0) 1.4 7.7–8.3 (8.0)
F. necrophorum 0 0 7 9.5 5 5.1–8.4 (7.3) 3.5 5.1–9.5 (7.4)
F. prausnitzii 0 0 0 2 8.4 1.4 8.4–8.6 (8.5)
F. russii 0 0 7 8.0 3 7.5–11.0 (9.3) 3.5 5.9–11.0 (8.4)
Species
g
0 0 13 8.8–9.0 (8.9) 5 7.7–10.6 (9.5) 5 6.5–10.6 (9.0)
Total count of
Fusobacterium
0 0 40 6.4–9.5 (8.1) 24 5.1–11.0(8.6) 18.4 5.1–11.0 (8.4)
Butyrivibrio
B.fibrisolvens 0 0 0 0 0.7 7.5
Total count of
Gram-negative
anaerobic rods
100 10.6–12.6 (11.7) 100 9.5–12.5 (11.8) 100 6.7–12.0 (10.5) 100 9.2–13.5 (11.3) 100 6.7–13.5 (11.3)
a
Total fecal flora studies were done on 141 subjects (Seventh-Day Adventists who were strict vegetarians, Seventh-Day Adventists who consumed only small quantities of meat, Japanese who consumed an Oriental diet
that included fish but no beef, patients with colonic polyps, patients with nonobstructing colon cancer, and healthy subjects who consumed a Western diet that contained relatively large quantities of beef. The columns
for patients with colonic polyps and colon cancer have been left out. Total is for all 141 subjects.
b
Ranges and mean counts of bacteria expressed as number of organisms log
10
per gram feces (dry weight).
c
Numbers in parentheses are numbers of subjects studied.
d
Other B. fragilis group species, aside from B. distasonis,B. fragilis,B. ovatus,B. thetaiotaomicron, and B. vulgatus.
e
Large forms not fitting recognized species.
f
Fourteen isolates were recovered that could not be speciated using currently accepted identification protocols and presently recognized species. These appeared different enough to represent possibly 10 separate
species.
g
Ten isolates (possibly representing seven species) could not be speciated using currently accepted identification protocols and presently recognized species.
Reproduced from Finegold SM, Sutter VL, and Mathisen GE (1983) Normal indigenous intestinal flora. In: Hentges DJ (ed.) Human Intestinal Microflora in Health and Disease, pp. 3–31. Paris: Academic Press.

Table 3 Anaerobic cocci recovered from patients in V.A. Wadsworth Medical Center Fecal Flora Studies
a,b
Strictly vegetarian (13)
c
Vegetarian, some meat
(14) Japanese diet (15) Western diet (62) Total (141)
Organism
%
positive
Range
(mean)
%
positive
Range
(mean)
%
positive
Range
(mean)
%
positive
Range
(mean)
%
positive
Range
(mean)
Acidaminococcus
fermentans
0 7 8.2 20 5.0–7.9 (6.3) 27 3.6–11.6
(8.7)
19.1 3.6–11.6
(8.5)
Acidaminococcus species
d
0 7 8.2 20 5.0–7.9 (6.3) 23 3.6–10.7
(8.7)
18.0 3.6–11.1
(8.5)
Total count of
Acidaminococcus
0 7 8.5 20 5.0–8.2 (6.6) 27 3.7–11.6
(9.0)
20.0 3.7–11.6
(8.8)
Anaerobic streptococci
S. constellatus 0 7 10.6 7 11.3 2 4.7 4.3 4.7–11.3
(9.5)
S. hansenii 0 7 10.6 7 7.0 3 10.5–11.8
(11.1)
5.0 7.0–11.8
(10.5)
S. intermedius 8 11.4 7 12.0 47 8.8–10.4
(9.6)
31 6.4–12.6
(10.2)
27.7 6.4–12.6
(10.2)
S. morbillorum 0 0 0 3 9.4–10.4
(9.9)
1.4 9.4–10.4
(9.9)
Total count of anaerobic
streptococci
8 11.4 14 10.9–12.0
(11.5)
60 7.0–11.3
(9.5)
32 8.6–12.6
(10.5)
34.0 7.0–12.6
(10.3)
Coprococcus comes 0 14 3.8–10.9
(7.4)
0 8 9.3–12.0
(9.9)
5.7 3.8–12.0
(8.6)
Gaffkya 0 0 0 0 0.7 12.6
Megasphaera elsdenii 0 0 13 8.3–10.0
(9.2)
5 8.7–10.5
(9.6)
5.0 8.3–10.5
(9.4)
Peptococcus
asaccharolyticus
0 7 10.7 20 8.0–9.9 (9.1) 3 10.4–12.0
(11.2)
5.0 7.5–12.0
(9.7)
P. magnus 0 0 0 7 5.1–11.0
(9.3)
6.4 5.1–11.7
(9.9)
P. prevotii 8 11.2 0 20 7.0–10.6
(9.3)
23 5.9–12.7
(9.9)
16.3 5.9–12.7
(10.0)
P. saccharolyticus 0 0 0 2 12.5 3.5 7.1–12.5
(9.3)
P. variabilis 0 0 0 3 9.4–10.8
(10.1)
2.8 9.4–10.8
(10.1)
Peptococcus species
e
0 0 33 5.6–10.5
(8.3)
8 9.9–10.7
(10.3)
9.9 5.6–10.7
(9.4)
Total count of Peptococcus 8 11.2 7 10.7 47 7.0–10.6
(9.4)
37 5.1–12.9
(10.1)
33.3 5.1–12.9
(10.0)
Peptostreptococcus
P. anaerobius
0 0 0 2 8.6 1.4 8.6–12.3
(10.4)
P. micros 0 0 13 8.9–10.0
(9.4)
8 7.4–11.7
(9.9)
7.1 7.4–11.7
(9.5)
P. parvulus 0 0 0 8 5.6–11.3
(9.6)
4.3 5.6–11.3
(9.6)
(Continued )

Table 3 (Continued)
Strictly vegetarian (13)
c
Vegetarian, some meat
(14) Japanese diet (15) Western diet (62) Total (141)
Organism
%
positive
Range
(mean)
%
positive
Range
(mean)
%
positive
Range
(mean)
%
positive
Range
(mean)
%
positive
Range
(mean)
P. productus 15 10.2–11.3
(10.8)
50 5.3–11.8
(10.3)
40 7.0–10.9
(9.9)
18 5.4–12.6
(9.9)
29.8 3.8–12.6
(9.7)
Peptostreptococcus species
f
8 11.7 0 67 8.8–11.7
(9.9)
8 10.0–11.0
(10.5)
15.6 8.5–11.7
(10.0)
Total count of
Peptostreptococcus
23 10.2–11.7
(11.1)
50 5.3–11.8
(10.3)
80 9.2–11.7
(10.2)
35 5.4–12.6
(10.2)
45.4 3.8–12.6
(10.1)
Ruminococcus albus 15 8.5–11.3
(9.9)
0 20 5.4–10.0
(8.3)
18 4.6–11.6
(9.0)
14.9 4.6–11.6
(9.2)
R. bromii 8 11.0 0 7 10.0 7 4.7–11.5
(9.1)
6.4 4.7–11.5
(9.8)
R. callidus 0 0 0 3 10.3–11.0
(10.7)
2.1 9.5–11.0
(10.3)
R. flavefaciens 0 0 0 3 9.8–10.6
(10.2)
2.1 9.8–11.9
(10.8)
R. lactaris 0 0 13 7.0–9.9 (8.5) 5 9.7–10.8
(10.3)
4.3 7.0–10.8
(9.7)
R. obeum 0 0 27 6.5–10.5
(9.3)
0 4.3 6.5–10.9
(9.5)
R. torques 0 0 7 10.5 0 1.4 8.9–10.5
(9.7)
Ruminococcus species
g
46 7.8–11.4
(9.8)
36 10.3–11.6
(10.9)
20 9.9–11.0
(10.5)
24 6.4–12.7
(10.4)
25.5 6.4–12.8
(10.5)
Total count of Ruminococcus 54 7.8–11.4
(10.2)
36 10.3–11.6
(10.9)
60 9.4–11.0
(10.3)
45 4.6–12.7
(10.0)
45.0 4.6–12.8
(10.2)
Sarcina lutea 0 0 7 3.9 0 0.7 3.9
S. ventriculi 8 7.5 7 7.5 0 0 2.1 7.0–7.5
(7.4)
Sarcina species
h
8 7.5 7 7.5 7 3.4 2 5.6 5.7 3.4–8.6
(6.6)
Total count of Sarcina 8 7.8 7 7.8 13 3.4–3.9 (3.7) 2 5.6 6.4 3.4–8.6
(6.4)
Veillonella 62 4.9–11.6
(8.2)
29 10.6–12.6
(11.6)
33 6.7–10.0
(8.3)
34 3.5–13.4
(7.7)
34.0 3.5–13.4
(7.9)
Total count of anaerobic
cocci
85 5.9–11.8
(10.3)
79 10.3–12.6
(11.6)
100 10.1–11.8
(10.7)
98 4.0–13.4
(10.6)
94.0 4.0–13.4
(10.7)
a
For a description of subjects see footnote a,Table 2.
b
Ranges and mean counts of bacteria expressed as number of organisms log
10
per gram feces (dry weight).
c
Numbers in parentheses are numbers of subjects studied.
d
Twenty-six isolates.
e
Nine isolates (eight species)
f
Twenty-four isolates (13 species) could not be speciated using currently accepted identification protocols and presently recognized species.
g
Four isolates (four species).
h
Twelve isolates (three species).
Reproduced from Finegold SM, Sutter VL, and Mathisen GE (1983) Normal indigenous intestinal flora. In: Hentges DJ (ed.) Human Intestinal Microflora in Health and Disease, pp. 3–31. Paris: Academic Press.

Table 4 Gram-positive non-spore-forming anaerobic rods recovered from patients in V.A. Wadsworth Medical Center Fecal Flora Studies
a,b
Strictly vegetarian (13)
c
Vegetarian, some meat (14) Japanese diet (15) Western diet (62) Total (141)
Organism
%
positive
Range
(mean)
%
positive
Range
(mean)
%
positive
Range
(mean)
%
positive
Range
(mean)
%
positive
Range
(mean)
Actinomyces
A. naeslundii 23 9.2–10.9
(10.2)
29 5.8–11.0 (8.4) 0 2 5.7 5.7 5.7–11.0 (8.8)
A. odontolyticus 0 0 0 0 0.7 9.8
Species
d
8 11.1 0 0 0 1.4 9.8–11.1
(10.4)
Total count of
Actinomyces
31 9.2–11.1
(10.5)
29 5.8–11.0 (8.4) 0 2 5.7 7.8 5.7–11.1 (9.2)
Arachnia–
Propionibacterium
A. propionica 0 0 0 0 0.7 10.6
P. acnes 38 4.3–12.0
(10.0)
29 4.7–11.7 (8.4) 0 5 7.4–10.5 (9.1) 9.2 4.3–12.0 (9.4)
P. avidum 0 0 0 0 0.7 10.0
Species
e
0 0 0 2 5.5 1.4 5.5–6.0 (5.7)
Total count of Arachnia–
Propionibacterium
38 4.3–12.0
(10.0)
29 4.7–11.7 (8.4) 0 2 5.5 9.2 4.3–12.0 (8.9)
Bifidobacterium
B. adolescentis group 62 9.5–12.2
(10.9)
43 7.6–11.5 (10.0) 53 8.0–10.4 (9.5) 52 5.7–13.4
(10.3)
54.6 5.7–13.4
(10.0)
B.bifidum 0 0 7 9.9 10 8.4–11.4
(10.3)
5.0 8.4–11.4
(10.2)
B. breve 0 0 33 7.6–9.9 (8.9) 15 7.6–10.8 (9.3) 9.9 7.6–10.8 (9.2)
B. eriksonii 0 0 27 8.2–10.6 (9.7) 5 9.4–10.7
(10.1)
5.7 8.2–10.7 (9.7)
B. infantis group 8 11.9 14 10.2–10.6
(10.4)
7 9.0 39 6.1–12.4 (9.9) 24.8 5.7–12.4 (9.8)
B. longum 15 9.8–10.6
(10.2)
7 11.6 13 8.6–9.3 (8.9) 24 9.1–11.3
(10.4)
21.3 4.9–11.6 (9.9)
Species
f
0 7 11.9 7 11.3 2 9.4 2.1 9.4–11.9
(10.8)
Total count of
Bifidobacterium
69 9.5–12.2
(10.9)
64 7.6–11.9 (10.4) 80 7.6–11.4 (9.7) 79 5.7–13.4
(10.4)
74.0 4.9–13.4
(10.2)
Eubacterium
E. aerofaciens 46 8.0–11.8
(10.6)
57 3.5–11.5 (7.9) 47 6.3–11.1 (9.5) 42 5.9–12.5 (9.8) 48.9 3.5–12.5 (9.7)
E. alactolyticum 0 0 0 2 4.3 0.7 4.3
(Continued )

Table 4 (Continued)
Strictly vegetarian (13)
c
Vegetarian, some meat (14) Japanese diet (15) Western diet (62) Total (141)
Organism
%
positive
Range
(mean)
%
positive
Range
(mean)
%
positive
Range
(mean)
%
positive
Range
(mean)
%
positive
Range
(mean)
E. biforme 15 8.3–11.3 (9.8) 7 9.9 7 9.3 8 8.6–9.9 (9.3) 7.1 8.3–11.3 (9.7)
E. budayi 0 7 5.4 0 0 0.7 5.4
E. cellulosolvens 0 7 10.4 0 0 0.7 10.4
E. combesii 0 0 0 8 7.5–11.4
(10.1)
4.3 7.5–11.4
(10.1)
E. contortum 54 4.8–12.7 (9.8) 50 4.2–11.6 (9.0) 20 4.4–10.5 (8.1) 23 5.7–11.0 (9.8) 26.2 4.2–12.7 (9.5)
E. cylindroides 15 3.5–10.0 (6.8) 43 9.8–11.9 (10.8) 7 9.7 23 3.7–11.6 (9.6) 21.3 3.5–11.9 (9.6)
E. dolichum 0 0 0 7 6.5–11.0 (8.6) 2.8 6.5–11.0 (8.6)
E. eligens 8 5.5 0 7 3.7 0 3.5 3.7–10.8 (7.9)
E. formicigenerans 0 0 0 3 8.7–11.5
(10.1)
1.4 8.7–11.5
(10.1)
E. hallii 0 7 8.4 0 5 4.4–10.6 (7.1) 2.8 4.4–10.6 (7.5)
E. lentum 15 3.6–7.9 (5.7) 36 3.6–11.6 (9.6) 53 6.0–10.8 (8.3) 47 5.4–11.4 (9.4) 42.6 3.6–11.6 (9.3)
E. limosum 0 0 13 5.8–7.0 (6.4) 7 8.7–10.8 (9.6) 5.7 5.8–10.8 (8.7)
E. moniliforme 8 8.9 21 10.6–11.1
(10.8)
7 9.8 5 8.0–9.7 (9.1) 6.4 8.0–11.1 (9.9)
E. multiforme 0 0 0 0 0.7 9.0
E. nitritogenes 0 0 7 9.5 3 7.5–8.0 (7.7) 2.8 4.0–9.5 (7.2)
E. ramulus 0 0 0 2 8.6 0.7 8.6
E. rectale 31 4.9–11.3 (9.2) 43 3.5–11.7 (8.6) 47 7.1–11.6 (9.0) 16 5.7–11.6 (9.4) 27.7 3.5–11.7 (9.3)
E. saburreum 0 0 0 2 7.9 1.4 7.9
E. siraeum 0 0 0 11 5.8–10.3 (9.1) 7.1 5.8–11.0 (9.6)
E. tenue 8 11.2 7 4.5 7 5.4 11 6.2–10.7 (9.3) 8.5 4.5–11.2 (8.8)
E. tortuosum 8 4.6 7 5.5 0 13 4.7–11.5 (8.9) 11.3 4.0–11.5 (8.5)
E. ventriosum 8 9.7 14 8.5–11.0 (9.8) 7 7.5 18 4.0–12.3 (9.2) 12.1 4.0–12.3 (9.2)
Species
g
46 4.5–11.5
(10.0)
57 4.0–11.5 (8.4) 73 7.6–11.3 (9.9) 60 3.7–13.3 (9.3) 58.2 3.7–13.3 (9.5)
Total count of
Eubacterium
92 8.0–12.7
(11.0)
93 9.5–12.0 (11.3) 93 9.7–11.8 (10.6) 95 5.9–13.3
(10.6)
94.0 5.0–13.3
(10.7)
Lactobacillus
L. acidophilus 62 7.0–11.4 (9.8) 50 7.0–11.4 (10.3) 53 4.5–10.9 (8.0) 36 5.8–11.9 (9.2) 44.7 4.5–11.9 (9.2)
L. brevis 8 11.4 7 4.1 7 10.7 3 9.0–12.5
(10.7)
5.0 4.1–12.5 (8.8)
L. buchneri 0 0 0 0 1.4 5.4–9.8 (7.6)
L. casei 0 7 6.3 0 2 10.1 2.8 6.3–10.1 (8.4)
L. catenaforme 0 7 9.8 0 0 0.7 9.8
L. crispatus 8 4.9 0 0 0 0.7 4.9

L. fermentum 31 8.6–11.7
(10.3)
43 4.1–10.6 (6.7) 27 5.4–10.4 (8.8) 42 3.6–11.5 (8.3) 38.3 3.6–11.7 (8.4)
L. helveticus 8 10.1 0 0 3 3.6–4.7 (4.1) 2.1 3.6–10.1 (6.1)
L. lactis 8 10.6 0 0 3 7.8–9.6 (8.7) 5.0 6.4–10.9 (9.1)
L. leichmannii 0 21 6.3–6.5 (6.4) 7 8.6 0 3.5 5.4–8.6 (6.7)
L. minutes 8 8.3 14 10.1–10.8
(10.4)
0 7 8.3–10.6 (9.4) 5.7 8.3–10.8 (9.5)
L. plantarum 62 4.6–12.0
(10.0)
64 7.6–12.1 (9.9) 13 7.7–9.8 (8.8) 24 4.9–10.7 (8.0) 29.8 4.6–12.1 (8.8)
L. salivarius 0 0 0 5 6.8–8.0 (7.2) 6.4 6.8–11.3 (8.3)
Subspecies
salicinius
rogosae 0 0 0 2 10.8 0.7 10.8
Species
h
23 3.5–12.0 (8.9) 14 8.6–10.6 (9.6) 20 5.5–10.0 (8.1) 7 5.7–11.5 (8.9) 13.5 3.5–12.0 (8.4)
Total count of
Lactobacillus
85 8.6–12.1
(11.1)
100 6.4–12.1 (10.2) 73 4.5–10.9 (9.0) 73 3.6–12.5 (9.3) 78.0 3.6–12.5 (9.6)
Total count of Gram-
positive non-spore-
forming anaerobic rods
100 8.6–12.7
(11.7)
100 10.1–12.3
(11.6)
100 10.0–11.9
(10.8)
100 8.6–13.7
(11.1)
99.3 8.5–13.7
(11.1)
a
For a description of subjects, see footnote a,Table 2.
b
Ranges and mean counts of bacteria expressed as number of organisms log
10
per gram feces (dry weight).
c
Numbers in parentheses are numbers of subjects.
d
Two isolates (two species) could not be speciated using currently accepted identification protocols and presently recognized species.
e
Two isolates (one species).
f
Three isolates (three species).
g
One hundred and five isolates (representing 55 possible separate species) could not be speciated using currently accepted identification protocols and presently recognized species.
h
Nineteen isolates could not be speciated using currently accepted identification protocols and presently recognized species.
Reproduced from Finegold SM, Sutter VL, and Mathisen GE (1983) Normal indigenous intestinal flora. In: Hentges DJ (ed.) Human Intestinal Microflora in Health and Disease, pp. 3–31. Paris: Academic Press.

Table 5 Clostridia recovered from patients in V.A. Wadsworth Medical Center Fecal Flora Studies
a,b
Strictly Vegetarian (13)
c
Vegetarian, some meat (14) Japanese diet (15) Western diet (62) Total (141)
Organism
%
positive Range (mean)
%
positive
Range
(mean)
%
positive
Range
(mean)
%
positive Range (mean)
%
positive Range (mean)
Clostridium
C. acetobutylicum 0 0 0 2 7.6 2.8 7.6–10.7 (8.6)
C. aminovalericum 8 11.9 14 6.3–7.9 (7.1) 13 5.8–6.2 (6.0) 13 5.7–10.6 (7.9) 14.2 5.7–11.9 (7.9)
C. aurantibutyricum 0 0 0 3 8.3 1.4 8.3
C. barati 15 4.1 7 3.5 13 6.5–7.1 (6.8) 8 5.4–8.7 (7.1) 9.9 3.5–9.1 (6.5)
C. barkeri 0 0 0 8 9.1–10.5 (9.8) 3.5 9.1–10.5 (9.8)
C. beijerinckii 0 14 4.1–10.7 (7.4) 0 8 5.6–12.7 (9.3) 6.4 4.1–12.7 (9.0)
C. bifermentans 0 0 20 4.3–8.2 (6.3) 32 3.3–12.6 (8.8) 29.1 3.3–12.6 (8.7)
C. butyricum 0 21 3.8–10.2 (6.4) 7 5.4 2 10.4 5.0 3.8–10.4 (6.8)
C. cadaveris 0 0 0 2 5.6 1.4 5.6–8.7 (7.1)
C. carnis 0 0 0 5 6.3–7.8 (7.3) 5.7 6.3–10.7 (8.9)
C. celatum 0 0 0 0 1.4 5.7–8.8 (7.2)
C. cellobioparum 0 0 0 3 5.7–6.5 (6.1) 3.5 5.7–9.7 (7.7)
C. chauvoei 0 0 7 4.7 5 5.9–11.1 (8.8) 2.8 4.7–11.1 (7.8)
C. clostridioforme 8 11.7 0 7 6.0 8 9.6–11.1
(10.3)
8.5 4.9–11.7 (9.0)
C. cochlearium 0 7 4.8 0 5 5.7–10.8 (7.7) 2.8 4.8–10.8 (7.0)
C. difficile 0 0 0 2 4.8 0.7 4.8
C. fallax 0 0 0 3 7.9–9.6 (8.7) 1.4 7.9–9.6 (8.7)
C. felsineum 0 0 7 8.7 0 0.7 8.7
C. ghoni 0 0 0 2 10.4 0.7 10.4
C. glycolicum 0 7 5.1 13 5.6–8.8 (7.2) 7 5.0–6.3 (5.5) 5.7 5.0–8.8 (6.2)
C. haemolyticum 0 0 0 3 7.3–10.8 (9.1) 1.4 7.3–10.8 (9.1)
C. indolis 0 7 10.1 0 2 11.0 1.4 10.1–11.0
(10.6)
C. innocuum 8 7.9 43 6.9–11.4 (9.9) 53 6.7–11.4 (9.2) 21 6.5–9.2 (8.2) 26.2 4.5–11.4 (8.6)
C. irregularis 0 0 0 2 7.0 0.7 7.0
C. lentoputrescens 0 0 0 2 5.7 0.7 5.7
C. limosum 0 7 5.3 0 2 4.4 1.4 4.4–5.3 (4.8)
C. malenominatum 0 0 0 2 9.8 2.1 4.6–9.8 (6.4)
C. mangenoti 0 0 0 8 3.6–10.1 (6.6) 5.0 3.6–10.7 (7.3)
C. nexile 0 7 3.9 0 2 9.7 1.4 3.9–9.7 (6.8)
C. oceanicum 0 0 0 2 7.6 0.7 7.6
C. oroticum 23 10.4–12.0
(11.0)
0 7 10.5 7 6.3–10.4 (7.5) 6.4 4.4–12.0 (8.7)

C. paraputrificum 15 4.8–7.9 (6.3) 57 5.0–11.4 (8.9) 47 6.7–11.4 (9.4) 28 4.4–11.8 (8.5) 9.9 4.4–11.8 (8.5)
C. pasteurianum 0 0 0 2 10.0 0.7 10.0
C. perfringens 0 7 4.0 73 4.0–10.0 (7.6) 55 3.8–12.5 (6.9) 41.1 3.8–12.5 (7.1)
C. plagarum 0 0 0 2 5.3 0.7 5.3
C. pseudotetanicum 0 0 7 5.1 2 4.0 2.1 4.0–5.1 (4.5)
C. putrefaciens‘B’ 15 4.4–6.8 (5.6) 0 0 7 4.7–10.1 (7.1) 7.8 4.4–11.0 (7.7)
C. ramosum 69 7.1–11.1 (9.4) 36 6.4–11.4 (9.3) 67 7.6–10.5 (9.1) 60 4.5–12.5 (8.9) 53.2 4.5–12.5 (9.1)
C. sartagoformum 0 7 9.9 0 5 8.3–10.9 (9.6) 5.0 7.7–10.9 (9.2)
C. septicum 0 0 0 3 6.9–7.3 (7.1) 2.1 6.9–9.8 (8.0)
C. sordellii 0 0 7 8.5 2 9.9 3.5 8.5–12.3 (10.2)
C. sphenoides 8 9.5 7 5.7 13 4.7–6.7 (5.7) 5 4.0–10.3 (7.0) 6.4 3.8–10.3 (6.8)
C. sporosphaeroides 0 0 13 4.1–10.2 (7.1) 7 5.5–10.9 (8.4) 5.0 4.1–10.9 (7.8)
C. subterminale 0 0 0 2 7.5 0.7 7.5
C. tertium 0 0 13 4.9–5.9 (5.4) 8 3.9–10.7 (7.1) 5.0 3.9–10.7 (6.6)
Species
d
15 4.0–10.0 (7.0) 43 5.7–11.0 (8.5) 47 4.7–11.2 (8.3) 34 4.4–12.5 (8.2) 39.0 4.0–12.5 (8.3)
Total count of
clostridium
92 4.1–12.2 (9.4) 93 4.9–11.5 (8.9) 100 7.7–11.5 (9.7) 100 6.5–13.1
(10.2)
100 3.8–13.1 (9.8)
a
For a description of subjects, see footnote a,Table 2.
b
Ranges and mean counts of bacteria expressed as number of organisms log
10
per gram feces (dry weight).
c
Numbers in parentheses are numbers of subjects.
d
Sixty-seven isolates (possibly representing 45 separate species) could not be speciated using currently accepted identification protocols and presently recognized species.
Reproduced from Finegold SM, Sutter VL, and Mathisen GE (1983) Normal indigenous intestinal flora. In: Hentges DJ (ed.) Human Intestinal Microflora in Health and Disease, pp. 3–31. Paris: Academic Press.

Table 6 Streptococci recovered from patients in V.A. Wadsworth Medical Center Fecal Flora Studies
a,b
Strictly vegetarian (13)
c
Vegetarian, some meat (14) Japanese diet (15) Western diet (62) Total (141)
Organism
%
positive
Range
(mean)
%
positive
Range
(mean)
%
positive
Range
(mean)
%
positive
Range
(mean)
%
positive
Range
(mean)
Streptococcus
S. agalactiae 0 0 7 9.0 0 0.7 9.0
S. avium 0 0 0 2 10.8 0.7 10.8
S. bovis 31 6.0–7.6 (6.6) 14 7.2–8.7 (7.9) 27 4.7–10.9 (7.9) 19 4.2–11.5 (7.3) 18.4 4.2–11.5 (7.5)
S. cremoris 8 7.6 14 5.4–8.2 (6.8) 0 8 5.3–10.7 (8.4) 7.1 4.6–10.7 (7.6)
S. durans 8 6.9 21 4.7–7.0 (6.1) 7 8.0 11 4.7–12.7 (7.5) 10.6 4.7–12.7 (7.0)
S. equinus 0 0 7 7.9 3 9.2–10.6 (9.9) 2.1 7.9–10.6 (9.2)
S. equisimilis 0 7 8.3 0 5 4.9–9.3 (7.1) 5.0 4.9–9.9 (7.2)
S. faecalis group 69 4.5–10.6 (7.5) 79 4.7–11.1 (7.5) 93 4.4–10.6 (7.9) 82 3.6–10.9 (7.4) 80.1 3.6–11.2 (7.5)
S. faecium group 31 4.2–7.6 (6.3) 14 5.4–6.0 (5.7) 20 6.8–10.4 (8.6) 36 3.5–10.9 (8.0) 30.5 3.5–11.5 (7.9)
Group G 0 0 0 2 6.5 0.7 6.5
Group M 8 8.0 0 0 0 0.7 8.0
Group O 0 0 0 0 1.4 6.4–8.6 (7.5)
S. lactis 31 6.2–11.8 (8.4) 29 5.5–8.1 (6.6) 7 8.2 29 5.5–12.3 (8.7) 28.4 5.5–12.3 (8.2)
MG-intermedius 15 7.6–8.8 (8.2) 7 6.3 13 6.0–8.7 (7.3) 0 3.5 6.0–8.8 (7.5)
S. mitis 15 4.0–7.9 (5.9) 21 6.6–10.6 (8.5) 20 6.4–7.1 (6.7) 34 5.1–10.7 (7.9) 31.2 4.0–10.7 (7.3)
S. mutans 8 7.3 7 8.7 0 11 5.6–9.9 (7.7) 11.3 5.6–9.9 (7.4)
S. pyogenes 0 0 0 2 7.5 0.7 7.5
S. salivarius 15 4.7–6.0 (5.4) 14 5.5–7.7 (6.6) 0 10 4.1–9.4 (6.9) 12.1 4.1–9.8 (7.1)
S. sanguis 39 4.6–10.2 (7.0) 29 3.7–7.0 (5.0) 7 4.1 13 5.2–9.4 (7.4) 16.3 3.7–10.2 (6.7)
S. thermophilus 0 0 0 2 7.6 0.7 7.6
S. uberis 0 0 7 9.4 0 0.7 9.4
S. zooepidemicus 0 0 0 2 5.6 0.7 5.6
Species
d
62 5.9–11.0 (8.2) 57 6.2–11.1 (7.9) 60 5.1–10.9 (8.3) 53 4.4–11.0 (8.4) 51.8 4.4–11.1 (8.2)
Total count of
Streptococcus
100 6.0–11.8 (8.6) 100 5.8–11.1 (8.7) 100 5.2–11.1 (8.7) 100 5.1–12.9 (9.1) 99.3 3.9–12.9 (8.9)
a
For a description of subjects, see footnote a,Table 2.
b
Ranges and mean counts of bacteria expressed as number of organisms log
10
per gram feces (dry weight).
c
Numbers in parentheses are numbers of subjects.
d
Seventy-three isolates could not be speciated using currently accepted identification protocols and presently recognized species.
Reproduced from Finegold SM, Sutter VL, and Mathisen GE (1983) Normal indigenous intestinal flora. In: Hentges DJ (ed.) Human Intestinal Microflora in Health and Disease, pp. 3–31. Paris: Academic Press.

Table 7 Other facultative organisms recovered from patients in V.A. Wadsworth Medical Center Fecal Flora Studies
a,b
Strictly vegetarian (13)
c
Vegetarian, some meat
(14) Japanese diet (15) Western diet (62) Total (141)
Organism
%
positive
Range (mean) %
positive
Range
(mean)
%
positive
Range
(mean)
%
positive
Range
(mean)
%
positive
Range
(mean)
Gram-negative facultative bacilli
Aeromonas hydrophila 0 0 0 0 2.1 2.7–9.5 (7.0)
Alcaligenes species 8 7.3 0 0 0 0.7 7.3
Citrobacter freundii 15 6.4–7.8 (7.1) 7 6.1 7 3.7 2 9.5 4 3.7–9.5 (7.0)
Citrobacter species 0 7 7.5 27 5.6–8.6 (6.7) 10 6.3–9.7 (7.5) 9.2 5.6–9.7 (7.5)
Enterobacter aerogenes 8 7.0 0 0 2 7.5 2.1 7.0–7.5 (7.3)
E. cloacae 46 4.5–9.4 (7.3) 29 3.6–7.2 (6.0) 0 13 4.3–11.5 (7.5) 16.3 3.6–11.5 (7.3)
E. liquefaciens 0 0 33 6.7–9.4 (7.6) 11 4.2–9.2 (6.5) 8.5 4.2–9.4 (6.9)
Enterobacter species 0 0 0 3 6.6–8.3 (7.5) 1.4 6.6–8.3 (7.5)
Escherichia coli 92 5.9–10.9 (7.7) 86 3.9–10.7 (7.1) 100 6.3–10.8 (9.0) 94 4.4–12.3 (8.8) 92.9 3.9–12.3 (8.6)
E. coli(lactose-negative) 0 0 7 7.5 3 7.6–8.2 (7.9) 2.1 7.5–8.2 (7.8)
Hafnia species 0 7 3.9 7 8.3 2 5.6 2.1 3.9–8.3 (6.0)
Klebsiella ozaenae 8 5.6 0 0 2 6.7 1.4 5.6–6.7 (6.2)
K. pneumoniae 46 4.5–11.7 (8.4) 43 3.7–11.6 (6.9) 20 7.0–9.8 (8.1) 15 4.4–10.0 (7.6) 19.9 3.7–11.7 (7.7)
Klebsiella species 0 0 33 5.3–9.3 (7.6) 24 3.5–10.1 (6.9) 19.9 3.5–10.1 (7.3)
Morganella morganii 0 0 7 8.3 2 4.3 1.4 4.3–8.3 (6.3)
Proteus mirabilis 0 7 7.9 20 5.3–8.0 (6.9) 5 5.6–8.8 (7.3) 6.4 5.3–10.0 (7.7)
P. vulgaris 0 0 0 2 7.0 0.7 7.0
Providencia rettgeri 0 0 0 1 10.6 0.7 10.6
Pseudomonas aeruginosa 23 4.3–6.9 (5.4) 0 20 2.9–5.0 (3.8) 5 4.5–7.3 (5.5) 10.6 2.9–8.7 (5.0)
Pseudomonas species 8 3.4 0 0 0 1.4 3.4–8.7 (6.1)
Total count of Gram-negative
facultative anaerobes
100 6.3–11.7 (8.2) 100 3.9–11.6 (7.4) 100 6.8–10.8 (9.2) 98 4.9–12.4 (8.9) 98 4.0–12.4 (8.7)
Other facultative organisms
Aerococcus viridans 8 7.4 0 0 0 0.7 7.4
Bacillius species 69 3.5–5.0 (4.2) 86 3.9–5.5 (4.4) 80 3.9–10.0 (6.2) 82 0.6–9.9 (5.0) 82.3 0.7–10.9 (5.2)
Corynebacterium species 8 7.6 7 6.6 0 2 7.6 2.1 6.6–7.6 (7.3)
Micrococcus species 0 14 4.3–5.8 (5.1) 7 8.5 11 3.7–9.3 (6.4) 10.6 3.7–10.6( 7.2)
(Continued )

Table 7 (Continued)
Strictly vegetarian (13)
c
Vegetarian, some meat
(14) Japanese diet (15) Western diet (62) Total (141)
Organism
%
positive
Range (mean) %
positive
Range
(mean)
%
positive
Range
(mean)
%
positive
Range
(mean)
%
positive
Range
(mean)
Nocardia species 8 7.4 0 20 6.6–8.4 (7.7) 0 2.8 6.6–8.4 (7.7)
Pediococcus species 0 0 0 2 7.7 0.7 7.7
Staphylococcus aureus 23 4.2–7.9 (5.5) 7 4.0 13 3.7–7.6 (5.7) 11 3.6–6.4 (4.6) 11.3 3.6–8.9 (5.4)
Staphylococcus epidermidis 46 4.0–8.8 (5.9) 36 4.1–11.4 (8.0) 20 3.7–9.8 (5.9) 27 3.9–12.7 (8.2) 31.2 3.7–12.7 (7.4)
Candida albicans 15 3.5–6.3 (4.9) 0 47 3.5–8.9 (5.6) 14 3.6–9.4 (5.4) 14.2 3.5–9.4 (5.4)
Candida species 0 0 13 3.7–8.8 (6.3) 8 3.7–5.1 (4.4) 5.0 3.7–8.8 (4.9)
Other yeast 23 4.3–7.8 (5.6) 50 4.2–8.7 (6.1) 53 3.4–8.7 (5.8) 31 3.6–8.1 (5.2) 36.2 3.4–8.7 (5.6)
Filamentous fungi 0 0 0 3 3.5–4.0 (3.8) 3.5 3.5–8.0 (5.9)
Total count of other facultative
organisms
85 3.9–8.8 (5.8) 100 3.9–11.4 (6.5) 93 5.1–10.3 (7.3) 97 0.7–12.7 (6.5) 92.9 0.7–12.7 (6.8)
a
For a description of subjects, see footnote a,Table 2.
b
Ranges and mean counts of bacteria expressed as number of organisms log
10
per gram feces (dry weight).
c
Numbers in parentheses are numbers of subjects.
Reproduced from Finegold SM, Sutter VL, and Mathisen GE (1983) Normal indigenous intestinal flora. In: Hentges DJ (ed.) Human Intestinal Microflora in Health and Disease, pp. 3–31. Paris: Academic Press.

API ZYM kit are available) has been found to be very
useful. More importantly, quite a large number of genera
and species are newly described so that studies such as
those described above need to be updated; at this time,
sequencing of 16S rDNA and other genes plus use of
expanded phenotypic testing schemes would be used to
provide a much more detailed and accurate picture.
There are studies that have reanalyzed old taxa and
provided important new information. For example, the
organism Clostridium clostridioforme is now known to be
comprised of a group of related species – C. bolteae,
C. hathewayi, C. clostridioforme (newly defined), C. asparagi-
forme, C. citroniae and C. aldenense. The genus Bacteroides has
been modified in several ways. B. distasonis, B. merdae, and
B. goldsteinii have been placed in a new genus,
Parabacteroides and a new species Parabacteroides johnsonii
has been added. Bacteroides putredinis has been moved into
a new genus, Alistipes and three new species have been
added to it: A. finegoldii, A. onderdonkii, and A. shahii. There
are many other newly described taxa as well. New species
of Bacteroides are B. coprocola, B. plebeius, B. finegoldii,
B. massiliensis, B. nordii, B. salyersiae, and B. doreii.
Fusobacterium prausnitzii has been moved to a new genus
Faecalibacterium as F. prausnitzii. There are two new species
of Porphyromonas that may be found in the gut – P. uenonis
and P. levii. Newly described clostridial species include
C. bartlettii, C. neonatale, and C. disporicum. The Gram-
positive nonsporeforming bacilli have many new taxa
described. Among the Actinobacteria are the genera
Actinobaculum and Collinsella and among the Firmicutes are
the genera Anaerofustis, Anaerotruncus, Anaerostipes,
Holdemania, and Solobacterium. The taxonomy of the anae-
robic cocci has been completely revised, with several new
genera added – Anaerococcus, Parvimonas, Peptoniphilus,
Finegoldia,andGallicola. There are also new species of
Ruminococcus. Certain strains of Bacteroides fragilis are now
known to produce an enterotoxin that has been found to
produce diarrhea in certain populations.
Molecular Studies of the Microflora of the Colon
Molecular studies of colonic flora give a better picture of
the true flora than cultural studies. Molecular identifica-
tion of isolates also gives greater accuracy and speed than
phenotypic identification. Both types of studies, used
together, give more accurate identification of certain
taxa and studies of additional genes (beyond 16S rDNA)
are needed for certain organisms (viz., streptococci and
staphylococci). Various molecular approaches to the
study of the colonic microflora have been used. Included
are denaturing gradient gel electrophoresis and tempera-
ture gradient gel electrophoresis; when these approaches
are combined with cloning and sequencing, the results are
improved. Group-specific primers have been used for
detection and identification of predominant groups of
bacteria in feces. This approach, combined with FISH, is
effective but only small portions of the total bacteria have
been detected in some fecal samples in some studies. The
study of emergent bowel resection, mentioned above in
the section on ileal flora, found that there were no sig-
nificant differences in overall numbers of bacteria in
different parts of the colon. Real-time PCR showed that
bifidobacteria counts were significantly higher in the
large bowel than in the terminal ileum, Eubacterium rectale
and F. prausnitzii were dominant in the ascending and
descending colons, and lactobacilli were more prominent
in the distal large bowel. Benno’s group has had good
results with T-RFLP studies of bowel flora, using a data
base that they have developed for this purpose. The use of
group-specific probes with real-time PCR is a very good
technique which provides a good snapshot of the bowel
flora with quantitation if one uses an extensive set of
appropriate primer-probes. This approach has been used
to compare the microbiota of different groups of indivi-
duals such as infants and elderly people with the general
population. Detection limits with real-time PCR are as
low as 10
1
or fewer organisms of a particular phylotype
per sample. With the newly available real-time PCR
equipment, extremely high throughput is now available;
included are trays with 384 wells so that if one develops
Table 8 The 25 most prevalent bacterial species in the feces of
human subjects consuming a Western diet (10
9
–10
10
bacteria per
gram dry weight)
1Bacteroides vulgatus
2Bacteroides species, other
3Bacteroides fragilis
4Bacteroides thetaiotaomicron
5Peptostreptococcus micros
6Bacillus species (all)
7Bifidobacterium adolescentis D
8Eubacterium aerofaciens
9Bifidobacterium infantis, other
10 Ruminococcus albus
11 Bacteroides distasonis
12 Peptostreptococcus intermedius
13 Peptostreptococcus sp.2
14 Peptostreptococcus productus
15 Eubacterium lentum
16 Facultative streptococci, other
17 Fusobacterium russii
18 Bifidobacterium adolescentis A
19 Bifidobacterium adolescentis C
20 Clostridium clostridiiformis
21 Peptostreptococcus prevotii
22 Bifidobacterium infantis ss. liberorum
23 Clostridium indolis
24 Enterococcus faecium
25 Bifidobacterium longum ss. longum
Modified from Tannock GW (1995) Normal microflora. Modified from
Finegold, et al. (1974) Effect of diet on human fecal flora; comparison of
Japanese and American diets. American Journal of Clinical Nutrition 27:
1456–1469 with permission.
Gastrointestinal Microbiology in the Normal Host 569

all the appropriate primer-probes, it is now feasible to
study a large number of individual genera and/or species
rather than groups or clusters of organisms. DNA micro-
array analysis cannot be used effectively by most smaller
laboratories unless reliable commercially available kits
are available but one study showed good results with a
microarray of 40 species commonly encountered in the
gut. A problem with several of these techniques such as
FISH, real-time PCR, and microarrays is that one can
only find the organisms or groups that one has specific
primer-probes for and there is still a considerable portion
of the bowel flora that remains uncharacterized.
A tedious and time-consuming study of clone libraries,
and one not suitable for high throughput at this time, is
nonetheless an excellent procedure for detailed analysis
of colonic or other diverse and complicated microfloras.
Newly available pyrosequencing machines, when fully
developed, will greatly assist in this type of analysis.
The clone library approach has been used effectively by
a number of investigators and has provided outstanding
data from the study of small numbers of individuals. For
this procedure, DNA is recovered from the sample to be
studied, it is enriched and amplified for the 16S rDNA
using broad-range primers, and then the PCR products
are cloned into Escherichia coli by established procedures.
The 16S rDNA nucleotide sequences of the clone inserts
are determined by cycle sequencing and trimmed to
remove vector sequence, chimeras, and sequences of
poor quality. Sequences are grouped into phylotypes so
that the least similar pair within the phylotype has 99%
similarity (some use 98% as the cutoff). In an elegant
study of the diversity of the human intestinal flora, both
fecal samples and mucosal biopsies from six different
colonic sites were obtained from three healthy adults.
In all, these workers performed phylogenetic analyses
on a total of 11 831 bacterial and 1524 archaeal
near-full-length 16S rDNA sequences (Figures 2 and 3).
From this, they identified 395 bacterial phylotypes and a
single archaeal phylotype (Methanobrevibacter smithii).
Most of the bacteria were members of the Firmicutes and
Bacteroidetes phyla. Within the Firmicutes phylum, there
were 301 phylotypes, 191 of which were novel; 95% of
the Firmicutes sequences were members of the class
Clostridia. Known butyrate-producing bacteria repre-
sented 2454 sequences and 42 phylotypes, all belonging
to clostridial clusters IV, XIVa, and XVI. There were 65
Bacteroidetes
(5640, 65, 42)
Epsilonproteobacteria (2, 1, 0)
Fusobacteria (9,1,0)
Actinobacteria (22, 10, 2)
Alphaproteobacteria
(10, 4, 4)
Betaproteobacteria
(32, 5, 2)
Gammaproteobacteria
(5, 2, 0)
Verrucomicrobia
(76, 1, 0)
Deltaproteobacteria
(24, 4, 2)
Firmicutes: Mollicutes
and bacilli classes (287, 27, 13)
Firmicutes: Clostridia class
(5721, 274, 178)
Proteobacteria
Fusobacterium
Firmicutes
Bacteroidetes
Verrucomicrobia
Actinobacteria
Unclassified, near
Cyanobacteria (3, 1, 1)
Archaea
0.10
0.10
Figure 2 Phylogenetic tree based on the combined human intestinal 16S rDNA sequence data set. The label for each clade
includes, in order, the total number of recovered sequences, phylotypes, and novel phylotypes (in parentheses). The angle where each
triangle joins the tree represents the relative abundance of sequences, and the lengths of the two adjacent sides indicate the range of
branching depths within that clade. Six of the seven phyla represented by sequences recovered in this study are shown in red; the
unclassified clade near cyanobacteria is not pictured in the inset. Reproduced with permission from Eckburg PB, Bik EM, Bernstein CN,
et al. (2005) Diversity of the human intestinal microbial flora. Science 308: 1635–1638.
570 Gastrointestinal Microbiology in the Normal Host

Bacteroidetes phylotypes, with large variations between the
three study subjects. Bacteroides thetaiotaomicron was pre-
sent in all three individuals. Relatively few sequences
were associated with the Proteobacteria, Actinobacteria,
Fusobacteria, and Verrucomicrobia phyla. Both the observed
and estimated richness of the flora increased in parallel
fashion with additional sampling; the authors estimate
that one unique phylotype would be expected for every
100 additional clones sequenced (Figure 4). There was
relatively little variability between the six mucosal sites
studied. The greatest amount of variability overall was
related to differences between the three subjects whose
specimens were analyzed (Figure 5) with the next great-
est variability related to differences between feces and
mucosal analyses. Overall, a majority of the bacterial
sequences encountered belonged to uncultivated species
and novel bacteria. The authors of this study point out
that the limited sensitivity of broad-range PCR may
hinder detection of rare phylotypes and that their meth-
ods did not distinguish between living and dead
microorganisms. Studies by various groups proceeded
beyond the above approach to analyze the metagenomics
(metabolic function analysis) of the bowel flora.
One group recently proposed a novel approach for
comparing 16S rRNA gene clone libraries that is inde-
pendent of both DNA sequence alignment and definition
of bacterial phylogroups; they used direct comparisons of
microbial communities from the human GI tract in an
absolute evolutionary coordinate space.
Studies of Individual or Special Groups
Various groups have used a variety of methods to detect
and sometimes quantitate special populations such
as sulfate-reducing bacteria (Desulfovibrio specifically),
Bifidobacterium, lactobacilli, Methanobrevibacter smithii, var-
ious clostridia, and a mucin-degrading bacterium known
as Akkermansia muciniphila. Fecal flora studies have also
been undertaken to study the relationship between intest-
inal bacteria (particularly bifidobacteria and lactobacilli)
and aging, to note changes in bowel flora following
administration of certain antimicrobial agents, to study
microflora changes in relation to administration of lactu-
lose and Saccharomyces boulardii, to study the GI tract
microflora in certain diseases such as inflammatory
bowel disease, Clostridium difficile-associated colitis or
diarrhea, and autism, in comparison with control subjects,
and to note flora involved in lactate formation and
Firmicutes
Verrucomicrobi
a
Proteobacteria
Bacteroidetes
Other
M
Subject A
SM
Subject B
SM
Subject C
S
100%
80%
60%
40%
20%
0%
Figure 3 Relative abundance of sequences from stool and
pooled mucosal samples per subject. The sequence frequencies
are grouped according to phylum, colored according to Figure 2.
‘Other’ represents the fusobacteria, actinobacteria, and
unclassified near cyanobacteria phyla, each containing less than
0.2% of the total sequences. ‘M’ denotes pooled mucosal
sequences per subject and ‘S’ refers to stool sample.
Reproduced with permission from Eckburg PB, Bik EM,
Bernstein CN, et al. (2005) Diversity of the human intestinal
microbial flora. Science 308: 1635–1638.
0
0
100
200
300
400
500
2000
99%: 395 OTUs
98%: 340 OTUs
97%: 292 OTUs
95%: 233 OTUs
90%: 90 OTUs
83%: 33 OTUs
4000 6000
No. clones sampled
No. OTUs
8000 10 000 12 000
Figure 4 Individual-based rarefaction curves for combined
sequences at multiple operational taxonomic unit (OTU) cutoff
levels. The slopes of the curves decrease as the OTU definitions
relax toward 95%. The curves seem to plateau at OTU cutoffs
90%; for example, at the 90% cutoff, the last 430 clones sampled
do not change the final richness value of 90 phylotypes. Every
clone sampled has been seen more than once at the 83% OTU
cutoff. The total numbers of OTUs per definition are listed in the
inset, as calculated by dissimilarity matrices and DOTUR.
Reproduced with permission from Eckburg PB, Bik EM,
Bernstein CN, et al. (2005) Diversity of the human intestinal
microbial flora. Science 308: 1635–1638.
Gastrointestinal Microbiology in the Normal Host 571

conversion to short-chain fatty acids. A fascinating paper
on the symbiotic relationships between the human host
and its GI tract microflora has been published. Their
studies involved models of germ-free mice colonized
with specific human microflora and comparisons of gen-
omes of members of the bowel flora. One striking example
Subject A
120.00
100.00
No. phylotypes
80.00
60.00
40.00
20.00
0.00 0 200 400 600
No. clones sampled
800 1000 1200
Cecum
Ascending
Transverse
Descending
Sigmoid
Rectum
Stool
Subject B
100.00
120.00
140.00
No. phylotypes
80.00
60.00
40.00
20.00
0.00 0 100 200 300
No. clones sampled
400 500 600 700
Cecum
Ascending
Transverse
Descending
Sigmoid
Rectum
Stool
Subject B
100.00
120.00
140.00
No. phylotypes
80.00
60.00
40.00
20.00
0.00 0 100 200 300
No. clones sampled
400 500 600 700
Cecum
Ascending
Transverse
Descending
Sigmoid
Rectum
Stool
Figure 5 Individual-based rarefaction curves for sequences from each anatomic site per subject. Phylotypes were defined using
the 99% operational taxonomic unit (OTU) cutoff. Reproduced with permission from Eckburg PB, Bik EM, Bernstein CN, et al. (2005)
Diversity of the human intestinal microbial flora. Science 308: 1635–1638.
572 Gastrointestinal Microbiology in the Normal Host

of this research is documentation of the importance of
Bacteroides thetaiotaomicron for the host and its highly
developed environmental sensing apparatus and its capa-
city for retrieving polysaccharides from the gut lumen.
These workers point out that polysaccharides are the
most abundant biological polymer on Earth and that
polysaccharide fermentation is an important activity in
bacterial communities and contributes to ecologically
important processes, including the recycling of carbon.
Follow-up publications have attracted a great deal of
interest; they describe an obesity-associated GI tract
microbiome with a transmissible trait such that coloniza-
tion of germ-free mice with an obese microbiota leads to
significant increase in total body fat. Genetically obese
mice have fewer Bacteroidetes and correspondingly more
Firmicutes. Studies on 12 obese people showed similar
proportions of these phyla and when they were placed
on either a fat-restricted or a carbohydrate-restricted low
calorie diet for 1 year showed an increase in Bacteroidetes
and a decrease in Firmicutes, regardless of diet type.
Remarkably, these changes were division-wide and not
related to specific bacterial species. It has been pointed
out that, in relation to dietary advice, consideration needs
to be given to the role of carbohydrates in maintenance of
gut health and function. Microbial fermentation releases
as much as 10% of dietary energy in the form of short-
chain fatty acids that act as a source of energy for host
cells. Butyrate is a preferred energy source for colonic
epithelial cells and has been implicated in the prevention
of colitis and colorectal cancer. Counts of Roseburia spp.
and Eubacterium rectale, and bifidobacteria to a lesser
extent, decrease as carbohydrate intake decreases. This
correlates with a decline in fecal butyrate.
Addendum
The use of pyrosequencing for evaluating diversity has
been improved remarkably in the past several months.
One can use a modified tag-encoded bacterial diversity
amplificon method, which promotes studies of human
microbiomes through the increased number of individual
samples (n > 200), that can be included as part of a single
massively parallel FLX pyrosequencing reaction.
Segments of 250 bp can now be achieved and it is likely
that this will be increased to 500 bp by the end of 2008.
Rarefaction techniques can be utilized to detect organ-
isms in counts of >10
3
g
1
in fecal specimens with a total
count of 10
14
g
1
.
Further Reading
Ahmed S, Macfarlane GT, Fite A, Mc Bain AJ, Gilbert P, and
Macfarlane S (2007) Mucosa-associated bacterial diversity in relation
to human terminal ileum and colonic biopsy samples. Applied and
Environmental Microbiology 73: 7435–7442.
Bik EM, Eckburg PB, Gill SR, et al. (2006) Molecular analysis of the
bacterial microbiota in the human stomach. Proceedings of the
National Academy of Sciences of the United States of America
103: 732–737.
Chakravorty S, Helb D, Burday M, Connell N, and Alland D (2007) A
detailed analysis of 16S ribosomal RNA gene segments for the
diagnosis of pathogenic bacteria. Journal of Microbiological
Methods 69: 330–339.
Dowd SE, Sun Y, Wolcott RD, Doming A, and Carroll JA (2008) Bacterial
tag-encoded FLX amplicon pyrosequencing (bTEFAP) for
microbiome studies: Bacterial diversity in the ileum of newly weaned
Salmonella infected Rigs. Foodborne Pathogens and Disease,in
press.
Duncan SH, Belenguer A, Holtrop G, Johnstone AM, Flint HJ, and
Lobley GE (2007) Reduced dietary intake of carbohydrates by obese
subjects results in decreased concentrations of butyrate and
butyrate-producing bacteria in feces. Applied and Environmental
Microbiology 73: 1073–1078.
Eckburg PB, Bik EM, Bernstein CN, et al. (2005) Diversity of the human
intestinal microbial flora. Science 308: 1635–1638.
Finegold SM, Sutter VL, and Mathisen GE (1983) Normal indigenous
intestinal flora. In: Hentges DJ (ed.) Human Intestinal Microflora in
Health and Disease, pp. 3–31. New York: Academic Press.
Gibson GR and Macfarlane GT (eds.) (1995) Human Colonic Bacteria:
Role in Nutrition, Physiology, and Pathology. Boca Raton, FL: CRC
Press.
Gill SR, Pop M, DeBoy RT, et al. (2006) Metagenomic analysis of the
human distal gut microbiome. Science 312: 1355–1359.
Jousimies HR, Summanen P, Citron DM, Baron EJ, Wexler HM, and
Finegold SM (2002) Wadsworth-KTL Anaerobic Bacteriology
Manual., 6th edn. Belmont, CA: Star Publishing Company.
Ley RE, Backhed F, Turnbaugh P, Lozupone CA, Knight RD, and
Gordon JI (2005) Obesity alters gut microbial ecology. Proceedings
of the National Academy of Sciences of the United States of America
102: 11070–11075.
Macfarlane S, Furrie E, Macfarlane GT, and Dillon JF (2007) Microbial
colonization of the upper gastrointestinal tract in patients with
Barrett’s esophagus. Clinical Infectious Diseases 45: 29–38.
Rudi K, Zimonja M, Kvenshagen B, Rugtveit J, Midtvedt T, and
Eggesbo M (2007) Alignment-independent comparisons of human
gastrointestinal tract microbial communities in a multidimensional
16S rRNA gene evolutionary space. Applied and Environmental
Microbiology 73: 2727–2734.
Simpson S, Ash C, Pennisi E, and Travis J (2005) The gut: Inside out.
Science 307: 1895–1925.
Song Y (2005) PCR-based diagnostics for anaerobic infections. Mini
Review. Anaerobe 11: 79–91.
Tannock GW (1995) Normal Microflora. An Introduction to Microbes
Inhabiting the Human Body. London: Chapman & Hall.
Gastrointestinal Microbiology in the Normal Host 573

Genome Sequence Databases: Genomic, Construction of Libraries
J M Struble, P Handke, and R T Gill, University of Colorado, Boulder, CO, USA
ª2009 Elsevier Inc. All rights reserved.
Defining Statement
Vectors Used in Genomic Library Construction
Genomic DNA Preparation
Agarose Gel Electrophoresis Used in Genomic Library
Construction
Quantifying DNA and Determining Quality
Ligation Reactions
Transformation of Library DNA into Bacterial Host
Strains
Increasing the Number of Transformants
Determining the Number of Transformants Needed for
Coverage of an Entire Genome
Current Strategies to Enhance Genomic Library
Production
Sample Protocol to Construct a 4 kb Pseudomonas
aeruginosa PAO1 Library with Vector PBTB-1 Within
an E. coli Host Strain
Further Reading
Glossary
agarose gel electrophoresis Movement of charged
molecules, such as proteins and nucleic acids, induced
by an electrical field.
blunt ends DNA fragment ends with no overhanging
nucleotides resulting from enzyme digestions.
cohesive ends DNA fragment ends with
single-stranded overhangs resulting from enzyme
digestions; also known as sticky ends.
competent cell Cells treated to accept extracellular
DNA.
copy number Number of particular plasmids present in
a cell.
electroporation The process of introducing vectors
into a host organism by temporarily creating
electropores to allow DNA passage.
end repair Process employing Klenow fragments or
DNA polymerases to fill in or remove overhangs
obtained by restriction enzyme digestions.
genomic library Collection of overlapping segments of
DNA including all regions of an organism’s genome.
ligase Enzyme catalyzing the reformation of
phosphodiester bonds to join two compatible DNA
fragments.
ligation Joining of two compatible fragments of DNA
through the reformation of phosphodiester bonds
catalyzed by ligase.
partial digestion Enzyme digestion performed for a
limited amount of time that does not go to completion
for purposes of generating random DNA fragments for
library construction.
plasmid Extrachromosomal, circular DNA molecule
employed to introduce DNA fragments into a host
organism.
recombinant clone Clone containing a recombinant
DNA molecule.
restriction enzyme Enzyme recognizing a specific
DNA sequence around which it will cleave both strands
of a DNA segment.
transformation Introduction of foreign DNA into a host
organism.
vector DNA molecule, such as a plasmid, into which
exogenous DNA fragments can be ligated for
transformation into a host organism and propagation
within that host.
Abbreviations
CFU colony forming units
LB broth Luria–Bertani broth
Defining Statement
Genomic libraries are becoming more important as the uses
for biotechnology multiply and expand at an increasing
pace. Identifying and isolating genes of interest, as well as
gene mapping and sequencing, must be preceded by con-
struction of a genomic library. The quality and specific
features of such a library are therefore of utmost importance.
574

Vectors Used in Genomic Library
Construction
Vector Selection
The choice of backbone vector used for constructing a
genomic library is highly dependent upon what studies
will be performed. When choosing a backbone vector,
decisions must be made about the desired copy number,
selective marker, size of genomic DNA insert, host
range, and, if the cloned DNA is to be expressed, the
type of promoter and ribosomal binding site that should
be upstream of the multiple cloning site. Also, the vector
used for library construction should remain stable after
genomic DNA fragments are inserted.
For constructing a genomic library, it is important that
the vector has the ability to replicate within the desired
host organism or organisms. The origin of replication, or
the ori region, on a vector controls the host range and, to a
large extent, the copy number of the vector. Vectors with
narrow host ranges such as those containing the ColE1
origin have only been found to replicate in Escherichia coli
and closely related bacteria. Broad host range vectors have
origins of replication that are recognized in a wide range of
bacterial species. The origin of replication from the broad
host range plasmids RK2 and pBBR1 is functional across
multiple Gram-negative species while plasmid RSF1010
has been found to be able to replicate within a number of
both Gram-positive and Gram-negative species.
The ori region (replicon) of a vector also affects the copy
number of vector within the host. High copy number vec-
tors offer the advantage of increased yield of purified vector
from a volume of culture to be used for sequencing or
molecular cloning purposes. Low copy number vectors
are typically desired for studies involving expression of
genomic DNA segments, especially those involving toxic
DNA segments. When a higher yield of a low copy number
vector is needed, low copy number vectors containing the
ColE1 or pMB1 origin of replication, which allows for
plasmid number amplification prior to purification in the
presence of 170 mg l
1
of chloramphenicol, may be used.
Chloramphenicol inhibits protein synthesis and thus pre-
vents chromosomal replication. The enzymes necessary for
replication of plasmids with the ColE1 or pMB1 origin
require enzymes that are long lived and thus continue to
replicate in the presence of chloramphenicol, reaching sev-
eral thousand copies per cell.
The ori region and the mechanism of vector replication
have also been implicated to be responsible for the structural
stability of cloned vectors. Vectors with replicons using roll-
ing circle mechanisms have frequently been found to be
unstable for cloning purposes. This instability may be due
to the secondary structure formed by the lagging strand of
DNA during replication, which may be cleaved by nucleases
or experience mutations or deletions during replication.
Features of and around the insert site also have an
impact on stability and representation of the library. For
the creation of a representative genomic library, all DNA
sections of the genome must be cloned, regardless of
DNA secondary structure or the encoding of toxic gene
products or strong promoters. Vectors that contain tran-
scription terminators flank the cloning site to prevent
transcription into and out of the cloned DNA and have
been shown to be successful at mitigating cloning bias
against difficult DNA and increase vector stability. For
studies involving expression of the insert DNA, a variety
of vectors exist that offer options of using constitutive,
inducible, titratable, or native promoters, as well as
options including ribosomal binding sites and start codons
upstream of the cloned insert.
Vector Preparation
Once an appropriate vector has been selected, it must be
prepared for cloning. Purified vector should be free of
endonuclease contamination and chemicals such as phe-
nol or EDTA that may interfere with downstream
enzymatic reactions. There exist a number of standard
protocols and commercially available kits that are used
for purifying plasmid DNA. Plasmid purification proto-
cols take advantage of the smaller size of the plasmid
DNA compared to the significantly larger chromosomal
DNA. The method chosen is influenced in part by the size
of the plasmid and the host strain. Many commonly used
cloning strains, such as E. coli DH5, have mutations
within their endA regions, which eliminate the nonspecific
endonuclease activity of endonuclease I, thus allowing
higher quality plasmid preparations from these strains.
Other strains such as E. coli HB101 produce large amounts
of carbohydrates that can interfere with DNA extractions.
Large plasmids (>15 kb) are more fragile and thus have to
be treated with more gentle extraction methods than
small plasmids, which are less susceptible to damage.
Once purified, a vector needs to be linearized prior to
ligation. Using the sequence of the vector and the vector
map, an enzyme or a set of enzymes must be found that
cut only within the cloning site of the vector. Enzymes
may leave blunt or sticky ends after digestion. When
selecting enzymes to digest the vector, it must be kept
in mind that the ends for the vector and the ends for the
fragmented genomic DNA that will be cloned must be
compatible. The sticky ends of a digested piece of DNA
may be converted to blunt ends by using particular DNA
modifying enzymes that may fill in overhangs of sticky
ends or exhibit exonuclease activity against single-
stranded DNA and thus degrade overhangs. T4 DNA
polymerase or the Klenow fragment of E. coli DNA poly-
merase I will remove 39overhangs and fill in 59overhangs
when provided with deoxynucloside triphosphates.
Additionally, DNA end repair kits are available from
Genome Sequence Databases: Genomic, Construction of Libraries 575

several commercial vendors that use proprietary enzymes
to generate blunt-ended DNA segments.
In an effort to prevent self-ligation and minimize the
number of clones without genomic DNA insert, the
59-termini phosphate groups required by ligase for ligation
reactions are removed from the linearized vector using an
alkaline phosphatase. The most commonly used alkaline
phosphatases within molecular biology are shrimp alkaline
phosphatase from the Arctic shrimp Pandalus borealis,calf
intestinal alkaline phosphatase from calf intestines, bacterial
alkaline phosphatase from E. coli C4, and Antarctic
Phosphatase from the psychrophilic bacterium strain
TAB5. All of these phosphatases are effective at removing
59phosphates from DNA, but vary in their activity, buffer
compatibility, and ability to be inactivated. Alkaline phos-
phatases bind tightly to DNA and thus may require
aggressive methods to denature. To inactivate bacterial
alkaline phosphatase and calf intestinal alkaline phosphatase
reactions, proteinase K is used to digest the phosphatase,
followed by a phenol–chloroform extraction and an ethanol
precipitation. Alternatively, a commercial enzymatic reac-
tion clean-up kit can be used to purify the
dephosphorylated DNA. Shrimp alkaline phosphatase and
Antarctic Phosphatase from TAB5 are thermolabile and can
be completely heat inactivated. It desired to use an alkaline
phosphatase that is compatible with the restriction enzyme
buffer or buffers that were used in upstream preparation of
the vector and to have an alkaline phosphatase that is heat-
labile to minimize the number of purification steps, which
may decrease the yield of vector DNA.
The dephosphorylation step, which removes 59phos-
phate groups from the linearized vector, may not go to
completion and thus the amount of background from
vector that can self-ligate may be significantly high. An
optional step to help mitigate this problem is to perform a
ligation reaction following the dephosphorylation step.
Vector DNA that maintained the 59phosphate groups
will self-ligate while linearized vector DNA that has had
its 59phosphates successfully removed will be incapable
of self-ligating and thus remain linear. The circular self-
ligated vector DNA and the linear vector DNA can then
be separated by agarose gel electrophoresis. The linear-
ized vector can be extracted with a scalpel and purified
using traditional DNA extraction methods or commer-
cially available kits for DNA extraction from agarose gels.
If the ligation step to remove vectors that had not been
successfully dephosphorylated is omitted, the linearized
vector should still be purified from the restriction enzyme
digestion and the alkaline phosphatase reaction buffers and
enzymes. Phenol–chloroform purification followed by an
ethanol precipitation or a commercially available spin col-
umn for cleanup of enzymatic reactions may be used for
this purpose. Purifying the vector DNA will remove pro-
teins and buffer components that may lessen the efficiency
of the ligation of the vector to genomic DNA insert.
PCR amplification may also be used to generate large
amounts of linear dephosphorylated vector. Culture-
purified and linearized vector is PCR amplified with
unphosphorylated primers designed to extend outward
from the cloning site into the vector backbone.
Proofreading polymerases such as Pfu or Pfx DNA poly-
merase will generate high-fidelity blunt-ended PCR
product. The choice of polymerase influences the types of
overhangs that will be generated as well as the fidelity of the
PCR product generated. The PCR product should be pur-
ified away from the components in the PCR buffer prior to
ligation so as not to have extraneous nucleotides, primers,
or salts that may interfere with enzymatic reactions. To do
so, the sample may be separated via agarose gel electro-
phoresis followed by excision of the appropriate band
containing the PCR product of linearized vector. DNA
can then be extracted via a commercial gel extraction kit.
Genomic DNA Preparation
Genomic DNA Purification
Genomic DNA must be isolated from proteins and other
cellular debris prior to any enzymatic or mechanical
manipulation. Bacterial cells are lysed, typically through
exposure to surfactants, such as sodium dodocyl sulfate or
Tween-20, or treatment with lysozyme to digest the
polysaccharide component of cellular membranes and
proteinase K for protease digestion. DNase-free RNase
may be added to the lysis step to minimize RNA contam-
ination. Genomic DNA can be purified from cell lysate
using a phenol–chloroform extraction followed by an
ethanol precipitation or commercially available silica col-
umns. Commercially available kits for genomic DNA
isolation are often desirable in that they avoid the use of
phenol and chloroform, which are toxic and may interfere
with downstream enzymatic reactions. Many commer-
cially available kits avoid phenol by using buffers
containing the chaotropic agent guanidine hydrochloride
to aid in cell lysis and to effectively denature proteins.
Purified genomic DNA should be maintained in a nucle-
ase-free Tris buffer or in nuclease-free water.
Nuclease contamination is a frequent concern asso-
ciated with genomic DNA isolation. Nuclease activity
will degrade DNA and can be easily mistaken for a
restriction enzyme digestion or the result of mechanical
shearing. Nuclease contamination may be detected by
incubating an aliquot of purified DNA at 37 C for 18 h
and then visualizing the DNA on an agarose gel. A control
aliquot of DNA that had been stored frozen should be
used for comparison. Following electrophoresis, if the
incubated aliquot appears to have degraded, nucleases
may be contaminating the genomic DNA sample.
Additionally, the DNaseAlert kit available from Ambion
(Austin, TX) can be used to detect DNase contamination
576 Genome Sequence Databases: Genomic, Construction of Libraries

in a sample. This kit detects DNase in a sample through
the use of modified oligonucleotides that fluoresce upon
cleavage by nucleases that may be within the sample. If
nuclease activity is detected, the DNA sample can be
exposed to high concentrations of guanidine hydrochlor-
ide (6–8 M) for 30 min or be subjected to an additional
phenol–chloroform extraction for more thorough depro-
teinization of the sample. An ethanol precipitation should
follow the additional deproteinization step to remove the
phenol, chloroform, or chaotropic salts.
Fragmentation
Once purified and established as free of contaminating
nucleases, genomic DNA must be fragmented to a desired
size and made compatible for ligation into a prepared
vector. Genomic DNA may be fragmented using enzy-
matic or mechanical means. Enzymatic fragmentation is
accomplished using either restriction endonucleases or
DNase I in the presence of manganese ions. Digestion
with DNase I offers the ability to generate a more random
pool of DNA segments compared to digestion with
restriction endonucleases, which are biased based on the
sequence of the genomic DNA and the recognition sites
of the enzymes. Despite this, DNA digestion with restric-
tion endonucleases is often preferred due to simplicity in
reaction set-up and controllability. Appropriate restric-
tion endonucleases for genomic DNA digestions are
chosen based on five factors:
1. Frequency of cutting.
2. Buffer compatibility.
3. Ability to be denatured.
4. Methylation sensitivity.
5. The type of overhang that is produced.
Restriction endonucleases have known recognition sites
ranging from 4 to greater than 30 nucleotide bp. Their
frequency of cutting within a genome may be predicted if
information is known about the genome sequence and the
recognition sequence of the enzyme. Enzymes that cut with
a high frequency in the genome, typically containing smaller
recognition sequences, can be used to generate suitably
random fragments by using partial digestions (Figure 1), or
digestions that have not gone to completion. More than one
restriction enzyme may be used for the partial digestion of
DNA to ameliorate bias based on recognition sequence.
Ideally, all of the restriction enzymes used in a digestion
should have similar activity within a common reaction buffer
and ability to be denatured to minimize DNA purification
steps. Additionally, the restriction enzymes selected may be
desired to be insensitive to dam methylation (methylation of
the N6 position of the adenine in the sequence GATC) or
dcm methylation (methylation of the cytosine at its C5
found in the sequences CCTGG and CCAGG), which
may render the DNA resistant to cleavage. Lastly, restriction
enzymes may be chosen based on the type of overhang that is
left after cleavage. It can be arranged to have blunt ends or
overhangs (called cohesive ends) that would be compatible
with the prepared vector. This will eliminate a step to
modify the ends of the DNA fragments prior to ligation.
Mechanical methods for DNA fragmenting offer the
advantage of being unbiased toward DNA sequence and
thus are useful for creating a more random pool of
fragments. The main disadvantage associated with
mechanically fragmenting DNA is the limitation on the
size of fragments that can be generated as well as the
extensive treatment that is required to repair the ends of
the DNA necessary before they can be cloned into back-
bone vector. A French press, sonicator, clinical nebulizer,
small gauge syringe, and HydroShear (Genomic Solutions
Inc., Ann Arbor, MI) are common tools used to fragment
DNA. Of these tools, the HydroShear was deliberately
designed to shear DNA using hydrodynamic force and
canbeusedtoreproduciblycreaterandomfragmentsof
DNA within a limited size range, independent of DNA
Figure 1 Restriction enzyme digestion of genomic DNA for
5 min (middle) and 16 h (right) next to DNA standard ladder (left).
Genome Sequence Databases: Genomic, Construction of Libraries 577

concentration, starting length of DNA, and sample volume.
Mechanical fragmentation of DNA will result in DNA that
must be end-repaired to fill in or remove overhangs and
restore 59phosphate groups. T4 DNA polymerase, Klenow
fragment, or kits available to repair DNA ends may be used
for this purpose. T4 polynucleotide kinase, when supplied
withATP,canbeusedtorestore59phosphate groups
necessary for ligase activity.
Agarose Gel Electrophoresis Used
in Genomic Library Construction
Agarose gel electrophoresis is used to separate DNA by
size or topology using an electric field that induces nega-
tively charged DNA molecules to migrate to the positive
pole through a porous matrix of agarose. In library con-
struction, it is used in both vector preparation and
isolation of genomic DNA pieces of a particular size.
Circular vector migrates more quickly through an agarose
gel than linearized vector with the same molecular weight
and thus can be separated from vector that was linearized
after digestion with a restriction enzyme. Vector that has
ligated can also be separated from vector that has not been
ligated and remained linear using gel electrophoresis.
After genomic DNA has been fragmented, pools of gen-
erated segments are separated according to their
molecular weight. DNA segments of less than 20 kbp
can be sufficiently separated with a standard 1% agarose
gel. The resolution of smaller pieces of DNA (<1 kbp) can
be enhanced by increasing the percentage of agarose in
the gel to 2%, while lowering the agarose content to 0.8%
can enhance the resolution of larger pieces of DNA. If
larger pieces of DNA need to be resolved, pulse field gel
electrophoresis (which uses an alternating electric field)
may be employed to achieve higher resolution.
Larger segments or fragile pieces of DNA that are
sensitive to shearing should be resolved using gels made
from low melting point agarose, which does not require
vortexing or centrifugation steps to extract embedded
DNA, but rather relies upon melting the gel at low
temperatures followed by an incubation with -agarase I
to digest the agarose away from embedded DNA.
DNA within an agarose gel must be bound to a dye in
order for visualization. The most commonly used dye to
stain agarose gels is ethidium bromide (EtBr). EtBr is a
fluorescent dye that intercalates between stacked bases of
DNA. EtBr experiences excitation by UV radiation and
emits energy at 590 nm, fluorescing with a red-orange
color. Dye bound to DNA displays an almost 20-fold
increase in fluorescent yield, thus allowing for the detec-
tion of as little as 10 ng of DNA. If EtBr is used to visualize
DNA loaded onto an agarose gel, it is very important to
minimize the amount of short wavelength UV light
exposed to the DNA (Figures 2 and 3). Exposure to
100%
0.001% 30 s
302 nm
60 s
302 nm
120 s
302 nm
120 s
360 nm
No UV
0.01%
0.1%
1%
10%
Figure 2 Relative cloning efficiency of pUC19 after exposure to
short or long wavelength UV light. Intact pUC19 DNA was
transformed after no UV exposure (‘No UV’) or exposure to
302 nm UV light for 30, 60, or 120 s (‘30 s 302 nm, 60 s 302 nm,
120 s 302 nm’) or to 360 nm UV light for 120 s (‘120 s 360 nm’).
Cloning efficiencies were calculated relative to nonirradiated
pUC19 DNA. Reprinted with permission from Lucigen
Corporation (www.lucigen.com).
(a)
(b)
(c)
Figure 3 Digested DNA to be used in subsequent steps should
not be exposed to UV light. After loading ladder in lane 1, a
fraction of the digested DNA should be placed in lane 2 with the
rest in lane 3. After running the gel (a), lanes 1 and 2 should be
separated from lane 3 with a scalpel (b) and examined under UV
light. The desired DNA fragment should be excised from lane 2,
and both gel pieces should be brought together (c) to obtain the
desired DNA fragment piece.
578 Genome Sequence Databases: Genomic, Construction of Libraries

short wavelength UV light has been shown to damage
DNA and decrease its cloning efficiency. In addition,
EtBr is a potent mutagen and moderately toxic, so safer
alternatives or dyes that can be seen without the aid of
UV light are often desired. Alternative dyes include crys-
tal violet, methylene blue, SYBR Safe(Invitrogen,
Carlsbad, CA), or Nile blue.
Quantifying DNA and Determining Quality
It is important to be able to determine the amount and
purity of DNA within a sample. DNA should be quanti-
fied following purifications steps to be sure of a sufficient
yield prior to any further manipulations. The quality of
DNA should also be monitored before initiating cloning
steps to ensure that there are minimal contaminants that
would interfere with the efficiency of cloning reactions.
The purity of a DNA sample can be accessed by
calculating the ratio of absorbance at 260 nm to the absor-
bance at 280 nm measured by a spectrophotometer.
Nucleic acids have a higher absorbance at 260 nm than
at 280 nm. The reverse is true for proteins, which display
higher absorbance at 280 nm than at 260 nm. The absor-
bance at each individual wavelength is thus influenced by
the presence of both proteins and nucleic acids. Based on
the extinction coefficients for both of these macromole-
cules, pure samples of DNA would have a A
260
/A
280
ratio
of close to 2.0 and pure protein samples would have a
A
260
/A
280
ratio of close to 0.6. Typically, a DNA sample
with a A
260
/A
280
ratio of greater than 1.7 is acceptable for
molecular cloning reactions.
The quantity of DNA can be measured via UV spec-
troscopy, fluorometry, or by comparison to a standard
mass ladder on an agarose gel. Due to the simplicity, the
concentration of DNA within a sample is frequently
approximated based on the absorbance reading at
260 nm. The concentration is found through application
of the Beer–Lambert law, which relates absorbance with
concentration through the relationship
A¼"bC
where A¼absorbance, b¼pathlength of the sample cuv-
ette, in units of length, "¼absorption coefficient in units
of volume/mass/length, and C¼concentration in units of
mass per volume.
Using a standard spectrophotometer with a path length
of 1 cm, an absorbance reading at 260 nm (A
260
)of1
equates to a concentration of approximately 1 ng ml
1
.
As mentioned above, other molecules besides DNA that
absorb at this wavelength, including proteins, RNA, and
salts within the sample, can influence absorbance at
260 nm. Due to this phenomenon, the amount of
DNA within a sample is usually confirmed or measured
with a different method. Fluorometric measurements of
DNA are more accurate than those obtained from UV
spectroscopy and can detect smaller quantities of DNA.
To quantify DNA, DNA-specific fluorescent stains, such
as PicoGreen or SYBR Green I, are added to a DNA
sample and the fluorescence of the sample is compared to
the fluorescence of standards of known concentrations.
Accurate DNA quantification can also be achieved by
running an aliquot of sample along with a standard
DNA mass ladder on an agarose gel and comparing
DNA band intensities. This method is effective when
quantifying distinctly sized pieces of DNA.
Ligation Reactions
A ligation reaction is required to bind fragmented geno-
mic DNA into linearized vector. The most commonly
used ligase, T4 ligase, is derived from the T4 bacterioph-
age and requires ATP as a cofactor and an available DNA
59phosphate group on at least one of the two ligating
DNA fragments. When setting up a ligation reaction, the
moles of insert to moles of vector ratio may be varied to
find optimal conditions. Lower ratios may result in ineffi-
cient ligation reactions while higher ratios increase the
risk of ligating more than one insert per vector. Typically,
insert to vector ratios are varied from 1:1 to 5:1. Blunt-
ended ligations may perform best with higher ratios. A
control ligation containing vector without insert should
also be conducted to give an estimate of background
clones that contain self-ligated vector. Ligases may or
may not be required to be inactivated or purified from a
reaction prior to transformation. Following the recom-
mendations of the supplier of the ligase generally will
give the best ligation and transformation results.
Transformation of Library DNA into
Bacterial Host Strains
Naked DNA in solution can be transferred into a bacterial
host strain via transformation of competent cells. Bacterial
transformations with plasmid DNA is accomplished
through heat shock of chemically competent cells or elec-
troporation of electrocompetent cells. Transformation of
chemically competent cells usually achieve 10
5
–10
9
colony forming units (CFU) per mg of supercoiled DNA
while electroporation of electrocompetent cells can yield
up to 10
10
CFU mg
1
of DNA.
Generally, the preparation of chemically competent
cultures of E. coli involves treating exponentially growing
cells with a salt solution, such as 0.1 M CaCl
2
. Plasmid
DNA is mixed with the cells and the plasmid DNA and
cell suspension are heat shocked at 42 C for a brief
period, during which the cells can uptake the DNA.
Genome Sequence Databases: Genomic, Construction of Libraries 579

While the exact mechanism of DNA uptake by this
method is not fully known, it is believed that the swelling
of the cells following treatment with the salt solution and
the activation of heat shock genes are important in cells
taking up DNA from their environment. Factors that
influence the frequency of transformation include the
purity of the reagents and water used, the viable cell
density of the culture, and the trace contaminants that
are found on glassware. Additionally, the number of times
a culture has been passaged influences transformation
efficiencies. Best results are obtained from cultures started
directly from cryogenic freezer stock as opposed to cells
that have been continuously passaged.
Electrocompetent cells are prepared by repeated
washing of cells in low conductivity solutions such as
10% glycerol or 300 mmol l
1
sucrose to reduce the
ionic strength of the cell suspension. Electroporation
works by using a transmembrane electric field pulse to
create small holes, referred to as electropores, within the
bacterial membrane through which DNA can pass.
Electroporation conditions, such as pulse amplitude and
duration, must be sufficient enough to generate electro-
pores but not increased to the point at which the number
and size of electropores detrimentally affect transforma-
tion efficiency by causing cell damage or death. The
number of pulses, along with the pulse duration and
amplitude, can be varied to empirically optimize condi-
tions for various cell lines.
While many bacterial strains can be made competent,
the protocols for preparing and manipulating competent E.
coli are the most thoroughly worked out. Furthermore,
competent E. coli can be obtained from commercial sources.
Commercially available competent cells tend to yield
transformation efficiencies several orders of magnitude
greater than those typically achieved by standard labora-
tory preparations. Additionally, ligated DNA tends to have
lower transformation efficiencies than supercoiled DNA,
most likely due to DNA topology. For a combination of
these reasons, the initial transformation step of transferring
cloned library DNA to a host strain is usually conducted
with E. coli, provided that the cloning vector used has an
origin of replication that can be recognized by E. coli DNA
polymerases. If desired, after this initial transformation
step, the extracted supercoiled plasmid DNA can be pre-
pared from transformed E. coli and then transformed into a
different desired host cell line (Figure 4).
Increasing the Number of Transformants
When a large number of recombinant clones is required,
the ligation reaction can be precipitated in the presence of
yeast tRNA. Precipitation of ligation reactions prior to
electroporation has been shown to give up to a 400-fold
increase on the number of transformants. It is believed
that the yeast tRNA alters or stabilizes the topology of the
ligated DNA, increasing its efficiency of transformation.
In this method, a 5 ml ligation reaction is mixed with 1 mg
of yeast tRNA from a 1 mgml
1
solution, brought up to a
total volume of 20 ml with ultrapure water, and then
precipitated with twice the volume of cold absolute etha-
nol. The DNA is pelleted by centrifugation, washed twice
with cold 70% ethanol, and allowed to air dry prior to
resuspension in 1 ml of ultrapure water. This sample can
then be transformed into competent cells.
Determining the Number
of Transformants Needed for Coverage
of an Entire Genome
The extent to which a library represents all sections of the
genome can be statistically determined. The number of
necessary transformants to have sufficient coverage or
Select vector
Purify vector
Linearize vector
End repair vector if necessary
Dephosphorylate vector
Remove residual enzymes and buffers
Purify genomic DNA
Fragment genomic DNA
End repair genomic DNA if necessary
Run DNA on gel and obtain desired fragment size
Determine quantity and purity of DNA
Ligate vector and genomic DNA fragments
Transform ligation product into bacterial strain
Figure 4 Summary of steps necessary for constructing representative genomic libraries.
580 Genome Sequence Databases: Genomic, Construction of Libraries

high probability of containing any given section of the
genome is dependent upon the genome size and the size
of genomic DNA inserts contained within a library. The
Clarke–Carbon equation, based on the assumption that
recombinant clones are distributed according to a Poisson
distribution across the genome, can be used to determine
the number of transformants needed to have a high prob-
ability of any given unique DNA sequence that would be
present in a genomic library. The Clarke–Carbon equa-
tion can be written as
N¼ln 1 –PðÞ
ln 1 –fðÞ
where N¼number of recombinant clones required,
P¼probability of finding a given unique DNA section,
and f¼fraction of the total genome size that is contained
within a single insert of the genomic library, equal to the
size of the insert in bp per size of the genome in bp.
For E. coli, K12 genome with a 4 639 221 bp sequence, a
genomic library containing 12 000 bp inserts would need
2667 transformants to have a probability of 99.9% of the
library containing any given DNA sequence.
While the Clarke–Carbon equation is the most com-
monly used formula for determining the number of
transformants, other equations, such as the Poisson dis-
tribution-based Lander–Waterman equation may also be
used. The number of recombinant clones required may
also be influenced by the application of the genomic
library. Some applications requiring high amounts of
overlap between DNA segments require higher numbers
of recombinant clones while applications that require
only sections of genes to be present, such as some hybri-
dization studies, may require less transformants.
Current Strategies to Enhance Genomic
Library Production
Large-scale sequencing projects, including the sequen-
cing of entire genomes, require the construction of high
quality and highly representational genomic libraries.
These libraries should have minimal sequence bias and
often it is desired to have clones with larger sized inserts
to decrease the number of clones required to be
sequenced. In order for genomic sequencing projects to
be complete, all DNA of the organism must be included
within the genomic library, including difficult to clone
DNA that contain secondary structures, AT- or GC-rich
regions, or DNA encoding strong promoters or toxic
gene products. Additionally, it is desired for all insert
DNA to be stable within cloning vectors so that the
vector can be amplified or be available for other
molecular biology experiments. To this end, a number
of advances have been developed, particularly in the area
of cloning vectors to improve cloning of genomic DNA
fragments.
Linear vectors based on the coliphage N15, available
commercially from Lucigen (Middleton, WI) such as
pJAZZ vectors, have been shown to be stable for larges
DNA segments (up to 30 kb) or DNA with difficult to
clone secondary structure. The stability of these vectors is
believed to be accredited to their lack of supercoiling and
differences in replication compared to standard cloning
vectors. Low copy number vectors, such as the pSMART
or broad host range pRANGER-BTB series of vectors
(available from Lucigen), have features that block tran-
scription into and out of the multiple cloning site by the
presence of transcriptional terminators and the lack of
constitutive promoters. These vectors have been shown
to be several times more stable for cloning random DNA
fragments than pUC vectors thus minimizing cloning
gaps caused by difficult-to-clone DNA. Another recently
developed vector intended to facilitate sequencing,
pLEXX-AK (also available from Lucigen), is designed to
clone two inserts per vector, thus reducing the down-
stream labor involved in processing clones prior to
sequencing.
Additional advances in constructing genomic libraries
come from a reduction in the amount of work required.
Many molecular biology suppliers now offer kits to aid in
genomic library construction. These kits typically contain
pre-processed vector that has already been linearized and
dephosphorylated, along with prepared competent cells,
reducing the amount of user time required to create a
genomic library. Commercially prepared vectors typi-
cally promise much lower background empty vector
than is usually obtained when cloning vectors are pre-
pared locally.
Sample Protocol to Construct a 4 kb
Pseudomonas aeruginosa PAO1 Library
with Vector PBTB-1 Within an E. coli Host
Strain
Supplies and Reagents Needed
All kits and products should be used according to the
recommendations of the suppliers unless otherwise noted.
•Incubator set at 37 C.
•Water bath set at 37 C.
•Heat block.
•Milliliter conical tubes.
•Yeast tRNA (1 mg ml
1
in ultrapure water) (Sigma-
Aldrich, St. Louis, MO).
•Ultrapure water (Invitrogen).
•100% ethanol.
Genome Sequence Databases: Genomic, Construction of Libraries 581

•70% ethanol.
•E. cloni 10G (F-mcrA(mrr-hsdRMS-mcrBC)
80dlacZM15 lacX74 endA1 recA1araD139 (ara,
leu)7697 galUgalKrpsLnupG-tonA) (Lucigen) con-
taining plasmid pBTB-1 (-lactamase resistance, low
copy number).
•P. aeruginosa PAO1.
•Luria–Bertani (LB) broth.
•YT agar plates supplemented with 100 mgml
1
carbenicillin.
•Sterile-filtered stock solution of carbenicillin
(100 mg ml
1
).
•HiSpeed Plasmid Midi kit (Qiagen, Valencia, CA).
•500/G Genomic-tips (Qiagen).
•Genomic DNA Buffer Set (Qiagen).
•MinElute Gel Extraction Kit (Qiagen).
•QIAprep Spin Miniprep Kit (Qiagen).
•Nuclease-free water (Ambion).
•Agarose gel electrophoresis apparatus.
•1TAE buffer (50: 242 g Tris base 57.1 ml acetic
acid 100 ml 0.5 M EDTA. Add deionized water to 1 l
and adjust pH to 8.5) to be used for all electrophoresis
steps and in preparing agarose gels.
•Molecular biology grade agarose (Sigma-Aldrich).
•Low-melting point agarose (Promega, Madison, WI).
•10 mg ml
1
stock solution of EtBr.
•10% sodium dodecyl sulfate solution (Ambion).
•GELase Agarose Gel-Digesting Preparation
(Epicentre Biotechnologies, Madison, WI).
•HincII (New England BioLabs, Ipswich, MA).
•RsaI (New England BioLabs).
•HaeIII (New England BioLabs).
•Antarctic Phosphatase (New England BioLabs).
•T4 DNA ligase (Lucigen).
•High DNA Mass Ladder (Invitrogen).
•1 kb Plus DNA Ladder (Invitrogen).
•UltraClone DNA Ligation & Transformation Kit con-
taining ELITE DUOS (Lucigen) (contains ligase and
E. cloni ELITE 10G electrocompetent cells).
Vector Preparation
1. Inoculate 100 ml of LB broth supplemented with
100 mg l
1
carbenicillin and allow to incubate over-
night at 37 C, 225 rpm.
2. Prepare plasmid from overnight culture with a
Qiagen HiSpeed Plasmid Midi kit, eluting with
nuclease-free water.
3. Quantify vector by visual comparison to a High DNA
Mass Ladder run on a 1% agarose gel stained with
0.5 mgml
1
ethidium bromide. If vector is too dilute
(>100 mgml
1
), concentrate the sample with a
speedvac.
4. Blunt cut 1 mg of vector with 10 units of HincII. Heat
inactivate the reaction.
5. Allow the sample to equilibrate to 37 C.
6. Add Antarctic Phosphatase reaction buffer to a final
concentration of 1 and 5 units of Antarctic
Phosphatase. Following dephosphorylation, heat
inactivate the sample.
7. Allow the sample to cool to room temperature.
8. Add 10 T4 DNA ligase Buffer containing ATP to a
final concentration of 1 and 2 units of ligase. Allow
the reaction to proceed for 2 h at room temperature
prior to heat inactivation.
9. Separate circular and linearized vector on a 1% agar-
ose gel stained with 0.5 mgml
1
, running the sample
adjacent to a 1 kb Plus DNA ladder.
10. Extract the linearized band from the gel with a clean
razor blade, using care to minimize UV exposure of
the DNA.
11. Purify vector DNA from the agarose gel using a
MinElute Gel Extraction Kit, eluting with nuclease-
free water.
12. Quantify the vector DNA by visual comparison to a
High DNA Mass Ladder run on a 1% agarose gel
stained with 0.5 mgml
1
.
13. Vector may be stored frozen at 80 C.
P. aeruginosa PAO1 Genomic DNA 4 kb Insert
Preparation
1. Inoculate 100 ml of LB media with P. aeruginosa PAO1
and allow to incubate overnight at 37 C, with shaking
at 225 rpm.
2. Extract genomic DNA using 500/G Genomic-tips and
Genomic DNA Buffer Set.
3. Quantify the genomic DNA by visual comparison to a
High DNA Mass Ladder run on a 1% agarose gel
stained with 0.5 mgml
1
EtBr.
4. Partially digest 5 mg of DNA with 10 units each of
blunt-cutting RsaI and HaeIII for 1 h.
5. Add 10% SDS to the reaction to a final concentration
of 1.
6. Resolve DNA fragments on a 1% low melting
point agarose gel stained with 0.5 mgml
1
EtBr,
running the sample adjacent to a 1 kb Plus DNA
ladder.
7. Excise with a clean razor blade the section of the gel
containing the 4 kb fragments of DNA, using caution to
minimize UV exposure of the DNA.
8. Recover DNA using a GELase Agarose Gel-Digesting
Preparation.
9. Quantify and verify length of the genomic DNA frag-
ments by visual comparison to a High DNA Mass
Ladder run on a 1% agarose gel stained with 0.5 mg
ml
1
EtBr.
582 Genome Sequence Databases: Genomic, Construction of Libraries

Ligation and Transformation
1. Following the directions included in the UltraClone
DNA Ligation & Transformation Kit, ligate insert
DNA to vector with a 3:1 insert to vector ratio.
2. Heat inactivate the reaction.
3. Precipitate the ligation by adding to the reaction 2 ml
yeast tRNA (1 mg ml
1
), 28 ml ultrapure water, and
100 ml 100% ethanol.
4. Vortex the mixture and allow it to cool at 20 C for
15 min.
5. Pellet by centrifuging for 15 min (13 000 rpm and
4C).
6. Carefully remove the supernatant.
7. Wash the pellet with 70% ethanol.
8. Centrifuge the sample again (13 000 rpm and 4 C).
9. Remove the supernatant and allow the pellet to air
dry.
10. Resuspend the pellet in 2 ml of ultrapure water.
11. Transform the precipitated ligation reaction into
electrocompetent E. cloni cells included in the kit
following the suggestions of the supplier.
12. Allow cells to recover for an hour at 37 C with
shaking at 225 rpm.
13. Make a 1/100 dilution of the transformed cells prior
to plating.
14. Plate transformed cells and dilution onto YT agar
plates containing 100 mgml
1
carbenicillin.
15. Incubate the plates overnight at 37 C.
16. Count the number of colonies on the plates onto
which the dilution was plated. Calculate the number
of transformants based on this count.
Calculating the Number of Recombinant Clones
Needed for a 4000 bp Library
1. For a representational library (99.9% probability of con-
taining any given DNA sequence), calculate the number
of transformants needed using the Clarke–Carbon equa-
tion (see ‘Determining the number of transformants
needed for coverage of an entire genome’). The size of
the P. aeruginosa PAO1 genome is 6 264 404 bp.
N¼ln 1 –PðÞ
ln 1 –fðÞ
with P¼0.999 and f¼4000/6 264 404, the number of
transformants needed N¼10 815.
Confirmations
1. Fill ten sterile 15 ml conical tubes with 5 ml of LB
supplemented with 100 mgml
1
carbenicillin.
2. Pick ten colonies chosen at random from the plated
library transformation to inoculate the ten conical
tubes.
3. Allow the cultures to incubate overnight at 37 C and
225 rpm.
4. Prepare the vectors from these cultures using a
QIAprep Spin Miniprep Kit.
5. Vector DNA may be run on a 1% agarose gel to check
for appropriately sized insert or be sequenced with
primers designed to extend into the multiple cloning
site.
Further Reading
Adkins S and Burmeister M (1996) Visualization of DNA in agarose gels
as migrating colored bands: Applications for preparative gels and
educational demonstrations. Analytical Biochemistry 240(1): 17–23.
Choi KH, Kumar A, and Schweizer HP (2006) A 10-min method for
preparation of highly electrocompetent Pseudomonas aeruginosa
cells: Application for DNA fragment transfer between chromosomes
and plasmid transformation. Journal of Microbiological Methods
64(3): 391–397.
Clewell DB (1972) Nature of Col E 1 plasmid replication in Escherichia
coli in the presence of the chloramphenicol. Journal of Bacteriology
110(2): 667–676.
del Solar G, Giraldo R, Ruiz-Echevarrı´a MJ, Espinosa M, and Dı´az-
Orejas R (1998) Replication and control of circular bacterial plasmids.
Microbiology and Molecular Biology Reviews 62(2): 434–464.
Godiska R, Patterson M, Schoenfeld T, and Mead DA (2005) Beyond
pUC: Vectors for cloning unstable DNA. In: Kieleczawa J (ed.) DNA
Sequencing: Optimizing the Process and Analysis, pp. 55–75.
Sudbury, MA: Jones and Bartlett.
Grundemann D and Schomig E (1996) Protection of DNA during
preparative agarose gel electrophoresis against damage induced by
ultraviolet light. Biotechniques 21(5): 898–903.
Kues U and Stahl U (1989) Replication of plasmids in Gram-negative
bacteria. Microbiology Reviews 53(4): 491–516.
Lander ES and Waterman MS (1988) Genomic mapping by fingerprinting
random clones: A mathematical analysis. Genomics 2(3): 231–239.
Lynch MD and Gill RT (2006) Broad host range vectors for stable
genomic library construction. Biotechnology and Bioengineering
94(1): 151–158.
McClelland M (1981) The effect of sequence specific DNA methylation
on restriction endonuclease cleavage. Nucleic Acids Research
9(22): 5859–5866.
Mead DA, Patterson MK, Schoenfeld T, et al. (2002) High stability
vectors for cloning unstable DNA. Genome Sequencing and Analysis
Conference XIV. Boston, MA.
Meyer R, Figurski D, and Helinski DR (1975) Molecular vehicle properties
of the broad host range plasmid RK2. Science 190(4220): 1226–1228.
Pieterse B, Quirijns EJ, Schuren FH, and van der Werf MJ (2005)
Mathematical design of prokaryotic clone-based microarrays. BMC
Bioinformatics 6: 238.
Rand KN (1996) Crystal violet can be used to visualize DNA bands
during gel electrophoresis and to improve cloning efficiency. Elsevier
Trends Journals Technical Tips OnlineT40022.
Ravin NV and Ravin VK (1999) Use of a linear multicopy vector based on
the mini-replicon of temperate coliphage N15 for cloning DNA with
abnormal secondary structures. Nucleic Acids Research 27(17): 13.
Rodriguez RL and Denhardt DT (1988) Vectors: A survey of molecular
cloning vectors and their uses. In: Rodriguez RL and Denhardt DT
(eds.) Biotechnology. Stoneham, MA: Butterworth Publishers.
Rosche WA, Trinh TQ, and Sinden RR (1995) Differential DNA
secondary structure-mediated deletion mutation in the leading and
lagging strands. Journal of Bacteriology 177(15): 4385–4391.
Sambrook J, Fritsch EF, and Maniatis T (1989) Molecular Cloning: A
Laboratory Manual. 2nd edn. Cold Spring Harbor: Cold Spring
Harbor Laboratory Press.
Trinh TQ and Sinden RR (1991) Preferential DNA secondary structure
mutagenesis in the lagging strand of replication in E.coli.Nature
352(6335): 544–547.
Genome Sequence Databases: Genomic, Construction of Libraries 583

Zhu H and Dean RA (1999) A novel method for increasing the
transformation efficiency of Escherichia coli-application for bacterial
artificial chromosome library construction. Nucleic Acids Research
27(3): 910–911.
Relevant Websites
http://www.lucigen.com – Lucigen Corporation
http://www.qiagen.com – Qiagen
584 Genome Sequence Databases: Genomic, Construction of Libraries

Gram-Negative Cocci, Pathogenic
E C Gotschlich, The Rockefeller University, New York, NY, USA
ª2009 Elsevier Inc. All rights reserved.
Defining Statement
Infection by Neisseria meningitidis and Neisseria
gonorrhoeae
Molecular Mechanisms of Infection
Antigens
Natural Immunity
Prevention
Conclusion
Further Reading
Glossary
capsules An external layer usually consisting of a
complex polysaccharide coating the surface of many
species of pathogenic bacteria.
DNA-mediated transformation Pathogenic Neisseria
are able to specifically transport DNA from the
environment into the cell and by homologous
recombination integrate it into the genome.
meningitis Inflammation of the meninges that are
membranes covering the brain and the spinal cord,
resulting from a bacterial or viral infection.
meningococcemia Infection of the bloodstream by
meningococci in the absence of meningitis.
petechial skin lesions Small purplish spots on the skin
caused by a minute hemorrhage.
porins Protein molecules found in outer membranes of
Gram-negative bacteria serving as channels for the
diffusion of water and small molecular weight solutes.
Abbreviations
CDC Center for Disease Control
CECAM CEA-related cell adhesion molecule
ET electrophoretic types
fMLP formyl methionyl-leucyl-proline
GlcNAc N-acetyl glucosamine
Hep heptose
HSPG heparan sulfate proteoglycan
IgV immunoglobulin variable
ITAM immunoreceptor tyrosine-based activation
motif
ITIM immunoreceptor tyrosine-based inhibition
motif
KDO keto-deoxyoctulosonic acid
LOS lipooligosaccharide
LPS lipopolysaccharide
MLEE multilocus enzyme electrophoresis
MLST multilocus sequence typing
NANA N-acetyl-neuraminic acid
N-CAM neural cell adhesion molecule
PE phosphoethanolamine
PID pelvic inflammatory disease
PMN polymorphonuclear
Rmp reduction modifiable protein
VDAC voltage-dependent anionic channel
Defining Statement
Gram-negative cocci are almost invariably isolated from
nasopharyngeal cultures of human beings. The majority
of these are commensal species. Members of the genus
Neisseria are nonmotile and oxidase- and catalase-positive
Gram-negative diplococci that utilize sugars oxidatively.
Members of this genus are differentiated primarily on the
basis of colony morphology and their ability to utilize
various carbohydrates. Neisseria gonorrhoeae can utilize
only glucose, whereas Neisseria meningitidis utilizes glucose
and maltose. Neisseria lactamica resembles N. meningitidis but
can also utilize lactose. On rare occasions, bacteria belong-
ing to a few of these species are able to invade the human
host and cause disease; this is summarized in Table 1.
Infection by Neisseria meningitidis
and Neisseria gonorrhoeae
Local Infection
Among the Neisseria and related organisms listed,
N. meningitidis and N. gonorrhoeae are primary pathogens,
namely, organisms that are able to cause disease in an
585

otherwise healthy host. DNA hybridization and genomic
sequences of N. meningitidis and N. gonorrhoeae indicate that
they are extremely closely related organisms. It is there-
fore not surprising that the pathogenetic strategies of the
organisms are for the most part very similar. Both are able
to cause infection of mucous membranes. N. meningitidis,
transmitted by droplets from the respiratory tract of an
infected individual, usually infects the mucous mem-
branes of the nasopharynx, but has been isolated on
occasion from genitourinary sites. The nasopharyngeal
infection with N. meningitidis is most often asymptomatic
and is self-limited, with the infection lasting for a few
weeks to months. This colonization is referred to as the
carrier state and is quite common. During the winter
months, the frequency of carriers is usually 10% or
greater. In populations that live in close contact, such as
in boarding schools and military recruit camps, the carrier
rate not infrequently will exceed 50%.
Gonococci are transmitted most often by sexual con-
tact, infect the genitourinary tract, but are also quite
frequently isolated from rectal and pharyngeal cultures.
In 2005, 340 000 cases were reported by the Center for
Disease Control (CDC). The infections of the genitour-
inary tract are most often symptomatic, whereas
oropharyngeal infections generally cause no symptoms.
The conjunctivae are susceptible to gonococcal infection,
particularly in neonates who acquire it when passing
through an infected birth canal. Historically, this
infection, ophthalmia neonatorum, was extremely com-
mon and was the major cause of acquired blindness until
the general acceptance of the preventive Crede
`proce-
dure, first introduced in 1881 and consisting of the
instillation of drops of a 1% silver nitrate solution in the
eyes of newborns. This has been replaced by the use of
less irritating antibiotic ointments.
Extension of Local Infection
Genitourinary gonococcal infection in women usually
involves the endocervix and, with lesser frequency, the
urethra, the rectum, and the pharynx. As many as 50% of
the infections may be asymptomatic or with insufficient
symptoms to prompt the person to seek medical attention.
In at least 10% of infections, there is early extension to
the uterine cavity (endometritis), and subsequently
ascending infection of the fallopian tubes (pelvic inflam-
matory disease (PID)). PID is the major complication of
gonorrhea. Most often it requires hospitalization for dif-
ferential diagnosis and treatment and causes tubal
scarring, resulting in infertility and tubal pregnancies.
The latter is an obstetric emergency always causing
death of the fetus and of about 10% of the mothers.
Infections in men, while sometimes asymptomatic,
most often cause sufficient symptoms to drive the affected
individual to seek medical attention. In the days prior to
the availability of antibiotic therapy, epidydimitis
Table 1 Commensal and pathogenic Gram-negative cocci
Species Distribution Pathogenicity
Commensal species
Neisseria lactamica Very commonly colonizes
nasopharynx of young
children
Very rare instances of sepsis and meningitis
Neisseria subflava family:
flava, sicca, perflava
Commonly found in
nasopharyngeal cultures
Neisseria cinerea Nasopharynx Very rarely peritonitis in dialysis patients
Moraxella catarrhalis 50% of children are carriers
during the winter months
Third most common cause of acute otitis media and sinusitis
in young children. Can cause acute exacerbations of chronic
bronchitis in adults. Sepsis very rare
Moraxella lacunata Nasopharynx Formerly common cause of conjunctivitis and keratitis; now rare
Moraxella bovis Human and bovine
nasopharynx
Causes outbreaks of bovine keratoconjunctivitis
Moraxella nonliqefaciens Nasopharynx
Moraxella osloensis Nasopharynx Occasionally causes invasive disease
Moraxella canis Canine and feline oral cavity Infections following dog and cat bites
Kingella kingi Commonly in nasopharyngeal
cultures
Occasionally causes arthritis, osteomyelitis and sepsis in children
below age 2
Primary pathogens
Neisseria meningitidis Nasopharynx, rarely
genitourinary tract
Sepsis and meningitis
Neisseria gonorrhoeae Genitourinary tract, less
commonly rectum and
pharynx
Gonorrhea, sepsis, septic arthritis and dermatitis, rarely meningitis
586 Gram-Negative Cocci, Pathogenic

occurred in about 10% of cases, but this complication as
well as prostatitis are rarely seen today. However, gonor-
rhea, as well as other sexually transmitted diseases,
increases severalfold the probability of transmitting or
acquiring HIV infection.
Bacteremic Infection
Both N. meningitidis and N. gonorrhoeae first colonize the
epithelial surface and are able to traverse epithelial cells
by mechanisms described below. Once the organisms are
in the subepithelial space, both the meningococcus and
the gonococcus may invade the bloodstream. With
N. meningitidis, bloodstream invasion and subsequent inva-
sion of the meninges of the brain result in meningitis,
which is a very dangerous bacterial infection and can very
rapidly lead to death even with optimal antibiotic and
supportive therapy and is usually accompanied by disse-
minated intravascular coagulation, a petechial rash and
high levels of circulating endotoxic lipopolysaccharide
(LPS) and capsular antigen. In the United States, there
are about 1500 reported cases of meningococcal meningi-
tis each year, and now that meningitis due to Haemophilus
influenzae type b is a vanishing disease as a result of
widespread acceptance of vaccination, meningococcus is
the leading cause of meningitis.
Meningococcal disease occurs worldwide as an ende-
mic disease principally in infants 3 months or older and in
young children with a rate of 2–5 cases per 100 000
population. The incidence is seasonal, with winter and
spring having most cases. However, meningococcal dis-
ease can also occur in epidemic form where the rate of
disease can rise as high as 200–1000 cases per 100 000.
During epidemics, the peak incidence shifts to an older
age group, children aged 5–7 years. During the first half of
the twentieth century, epidemics caused by group A
meningococci occurred in the United States about every
12 years. Since World War II, there has not been a major
epidemic in the United States, but they have occurred in
many other parts of the world, notably Brazil, China,
Finland, Russia, Mongolia, and New Zealand. However,
the area of the world most severely affected is Africa in the
so-called meningitis belt that extends through all of the
sub-Saharan countries from the Sahel to the rain forest
region. In this region, major epidemics affecting tens of
thousands of inhabitants have occurred every 3–4 years. In
the winter season of 1995–1996, there were 250 000 cases
in West Africa. In the year 2007, there were about 27 000
cases in that area.
In the case of the gonococcus, it is estimated that 1–2%
of patients with gonorrhea do have invasion of the blood-
stream, which can in rare instances be as fulminant as
meningococcal infection, but usually has a much more
benign course. The disease most often presents with fever,
arthritis, and petechial, hemorraghic, pustular, or necrotic
skin lesions. The disease can also present as monoarticular
arthritis unaccompanied by rash. If untreated this can
progress to septic arthritis that may cause severe damage
to the affected joint.
Treatment
Meningococcal infection is a medical emergency, and the
earlier the effective antibiotic treatment is initiated the
better the prognosis. The mortality rate for meningococ-
cal meningitis is generally about 10%, but is much higher
in meningococcemia and shock. The drug of choice for
treatment remains intravenously administered penicillin
G in very high doses. However, since meningitis due to
pneumococcal and H. influenzae infection can present with
a very similar clinical picture and because these organ-
isms not infrequently are resistant to penicillin, third-
generation cephalosporins together with vancomycin are
recommended as initial therapy in children until the
meningococcal etiology has been established. Patients
need to be hospitalized because the course of the disease
is unpredictable and supportive therapy is frequently
needed.
The treatment of gonococcal infection has changed
over the past decades due to the development of partial
or complete resistance of this organism to many antibiotics.
Recently, gonococcal strains resistant to fluoroquinolones
have become quite common, and the CDC counsels against
their use and recommends third-generation cephalospor-
ins. In addition, coinfection with Chlamydia trachomatis is a
very common occurrence, and the treatment should also
eliminate this organism.
Molecular Mechanisms of Infection
One of the problems in the study of neisserial disease is
that these organisms are restricted to human beings, and
animal models have provided relatively little information
on the pathological events occurring during the various
stages of the infection. The human disease has been most
closely simulated by organ culture systems, in particular
by one employing fallopian tubes that are obtained from
women undergoing medically indicated hysterectomies.
The epithelium lining the fallopian tubes consists princi-
pally of two kinds of cells, mucus-secreting cells and cells
that bear cilia and beat in unison to move the mucus layer.
When gonococci are added to the explants in vitro,
the first discernible interaction is that the gonococci
attach by means of long hair-like projections known as
pili to the surface of the mucus-secreting cells, but not to
the ciliated cells. This is a distant attachment between the
bacteria and the cell surface and occurs about 6 h follow-
ing inoculation. Then over the next 12–18 h, this distant
attachment converts to a very close attachment that may
Gram-Negative Cocci, Pathogenic 587

be due to pilus retraction (see below). The close attach-
ment is believed to be favored by a set of outer membrane
proteins called opacity (Opa) proteins (discussed below).
These interactions initiate a signaling cascade that causes
the epithelial cells to engulf the gonococci, transport the
bacteria through the body of the cell in vacuoles, and
egest them on the basal part of the cells onto the basement
membrane. Later in the infection (between 24 and 72 h),
toxic phenomena occur that result in expulsion of the
ciliated cells from the epithelium. If meningococci are
placed on human fallopian tubes, the same events occur
but over a shorter period of time. However, these events
are not seen with commensal Neisseria species, or if the
fallopian tube is not of human origin. Cervical biopsies
obtained from infected patients as part of diagnosis or
treatment of cancer show a microscopic picture that is
quite similar.
The events transpiring in the course of the model
infection have been the focus of research in order to
understand meningococcal and gonococcal disease in
molecular terms. Obviously, the establishment of the
mucosal infection depends on cross talk between the
bacterium and the host cells, and this is discussed in
‘Antigens’. It is noteworthy that compared to the other
pathogens such as Salmonella, Shigella, and Listeria, where
invasion occurs quite promptly, there is a long lag in the
invasion by the Neisseria as if some slow inductive events
need to occur in the host cell or the organism or both.
Antigens
The surface antigens of the Neisseria have been exten-
sively studied to gain an understanding of the molecular
steps underlying the pathogenesis of these diseases as well
as to identify candidate molecules for inclusion in
vaccines.
Pili
Most peripheral on the surface are pili that are hair-like
appendages with a diameter of about 8 nm that emanate
from the outer membrane of gonococci and are several
bacterial diameters long. Pili have a number of functions
that include adherence, motility, and participation in
DNA-mediated transformation. Pili consist of the helical
aggregation of a single kind of protein subunit of about
18 000 molecular weight (MW) known as pilin. Neisserial
pili belong to the class of type IV pili found in many
bacterial species, notably Pseudomonas aeruginosa, Moraxella
sp., and Vibrio cholerae. The study of pili on gonococci is
simplified by the fact that their expression imparts a
distinctive appearance to the gonococcal colony as it
grows on agar. Observation of this variability indicates
the gonococcus has the ability to turn on and off pilus
expressionat a very high frequency.
Gonococci freshly isolated from patients invariably are
piliated. It is known from challenge studies of volunteers
that only piliated strains are capable of causing infection.
Stable nonreverting pilus-negative strains do not cause
infections. Pili are antigenically highly variable. No two
strains of gonococci appear to have the same pili, and pili
expressed by a single strain of gonococcus maintained in
the laboratory over time repeatedly change their antige-
nicity. The mechanism of antigenic variation has been
elucidated. Generally, the gonococcus possesses a single
genetic locus expressing the pilin, which is called pilE.
This locus contains a complete pilin structural gene with
its promoter. In addition to the expression locus, gono-
cocci also have several silent loci that contain pilin genes
that lack the promoter sequences and portions corre-
sponding to the beginning of the protein coding frame.
These incomplete genes are efficiently shuttled by homo-
logous recombination into the pilE expression site, causing
the production of a large number of serological variant
pili by a single strain of gonococcus over a period of time.
If the new antigenic variant pilin can be assembled into
intact pili, then an antigenic variation step will occur; this
occurs at a rate of 1 in a 1000 cells per cell division. If the
new pilin cannot be assembled into an intact pilus, then
the organism is pilus negative, but is able to revert to pilus
positive as soon as a gene copy that can be assembled is
recombined into the expression locus. Thus, the recom-
binational mechanism accounts both for on–off variation
and for antigenic variation. This is obviously a remark-
ably complex genetic mechanism for varying this protein,
and the only conceivable evolutionary pressure to force
the development of this system is of course the human
immune system.
The genes that are involved in the biogenesis of type
IV pili of meningococci and gonococci have been char-
acterized, and it is recognized that this is a dynamic
process with extension being mediated by pilF and retrac-
tion by pilT. Extension appears to be favored by six
additional genes pilC and pilH–L. Mutations of any of
the genes in the pilH–Lcluster prevent aggregation of
the bacteria and also adhesion to epithelial cells. pilT-
mediated retraction gives rise to substantial mechanical
force, imparts so-called twitching motility to the bacteria,
and may be important in converting distant attachment
to epithelial cells to close attachment. PilC is a pilus-
associated protein of about 110 000 MW, not only favor-
ing the assembly of pili, but also imparts the ability to
adhere to epithelial cells since it is present at the tip of
the pili. The cellular receptors that are recognized by pili
are still controversial, but one candidate proposed is the
complement control protein CD46, which also serves as
the receptor for measles virus.
588 Gram-Negative Cocci, Pathogenic

Crystallographic and other structural studies have
shown that pili consist of a helical aggregate of pilin
subunits and that, remarkably, the exposed surface of
the pilus cylinder consists of the variable domains, while
the constant regions of the pilin molecule are buried
within the cylinder. In addition, pilin subunits bear a
trisaccharide consisting of two hexose units (galactose)
and an unusual diamino sugar, which depending on the
genetic background may be 2,4-diacetamido-2,4,6-tri-
deoxyhexose or glyceramido acetamido trideoxyhexose
linked to a particular serine in the pilin sequence. There is
also a phosphoethanolamine (PE) linked to another serine
residue. The biological role of these posttranslational
modifications is not known.
Capsules
Meningococci are classified into serogroups on the basis
of the chemical nature of the capsular polysaccharide they
express (Table 2). Thirteen serogroups have been
described, and epidemiologically, groups A, B, C, Y, and
W-135 are the most important because they are the cause
of nearly all cases of meningitis and meningococcemia.
Group A is the classical epidemic type having been
responsible for the recurrent epidemics in the United
States in the first half of the twentieth century, in
Finland and Brazil around 1970, and continuing to be
the major epidemic type in the African meningitis belt.
In 2002, there were a very considerable number of cases of
meningitis due to serogroup W-135, in Burkina Faso, but
more recently, group A has again predominated. Group B
epidemics disease has been seen in Cuba, Norway, and
most recently in New Zealand. Group C epidemic disease
has been a problem recently in the United Kingdom,
Spain, and Canada.
The presence of the capsular polysaccharides protects
the organism from the natural defense of the host such
as phagocytosis by white cells and killing mediated by
complement via the alternative pathway. Meningococci iso-
lated from systemic infection are encapsulated. However,
the presence of antibodies to the capsular polysaccharides is
protective,andtheseantigensarethebasisofthemeningo-
coccal vaccines (discussed below). The locus for the
biosynthesis of capsular polysaccharide has been character-
ized and is encompassed by about 25 kb of the genome. The
right and left sides of the locus are conserved among ser-
ogroups and are concerned with common biosynthetic steps
such as the addition of lipid carriers and the export of the
product from the cytoplasm to the exterior. The middle
portion of the locus differs between serogroups and contains
the enzymes responsible for the biosynthesis of the activated
sugar intermediates for the particular serogroup as well as
the specific polymerase assembling the polysaccharide. The
modular construction of the locus permits in the laboratory
conversion from one serogroup to another by DNA-
mediated transformation, and this phenomenon, on rare
occasions, appears to have occurred in nature.
Outer Membrane Proteins
The outer membrane of the pathogenic Neisseria like that
of other Gram-negative bacteria consists of a lipid bilayer
with the outer leaflet consisting principally of LPS. The
outer membrane contains a number of integral membrane
proteins of which quantitatively the porins are predomi-
nant. The nomenclature of the neisserial outer membrane
proteins has evolved with increasing knowledge of these
proteins and is summarized in Table 3 to assist the reader
interested in the earlier literature.
Porins
The porins of the pathogenic Neisseria like those of
Escherichia coli are postulated to consist principally of
-pleated sheets arranged perpendicularly to the mem-
brane with loops exposed to the cytoplasm and eight loops
exposed on the surface of the organism. Each functional
Table 2 Chemical structure of meningococcal capsular
polysaccharides
Serogroup Repeating unit in capsular polysaccharide
A!6)--N-acetyl mannosamine-1-phosphate;
O-acetyl C3
B!8)--N-acetyl neuraminic acid-(2 !
C!9)--N-acetyl neuraminic acid-(2 !;
O-acetyl C8
X!4)--N-acetyl glucosamine-1-phosphate
Y!6)--glucose-(1 !4)-N-acetyl neuraminic
acid-(2 !;O-acetyl C7
Z!3)--N-acetyl galactosamine (1 !1)-glycerol-
3-phosphate
29E !3)--N-acetyl galactosamine (1 !7)--KDO
(2 !;O-acetyl C4 or C5 of KDO
W-135 !6)--galactose-(1 !4)--N-acetyl neuraminic
acid-(2 !;O-acetyl C7
KDO, keto-deoxyoctulosonic acid.
Table 3 Outer membrane proteins of pathogenic Neisseria
Meningococcal
proteins
Gonococcal
proteins
Genetic
designation
Class 1 No homolog porA
Class 2 Protein I, PI, PIB porB
Class 3 Protein I, PI, PIA
Class 4 PIII, Rmp Rmp
Class 5 PII, opa opaA–opaJ,or
opa
50
–opa
60
Opc No functional
homolog
Opc
Gram-Negative Cocci, Pathogenic 589

porin consists of a trimer of the porin subunit. Neisserial
porins not only serve as channels through which water
and solutes of less than 1000 MW can diffuse through the
outer membrane, but also play an active role in pathogen-
esis. The meningococcus contains two genetic loci that
code for the production of outer membrane porins called
porA and porB. The gonococcus lacks a porA locus, but
possesses the porB locus that gives rise to porins that are
very similar in amino acid sequence to the meningococcal
proteins. The gonococcal porins vary antigenically pri-
marily in the surface-exposed loops and fall into two main
classes referred to as PIA and PIB. PIA strains predomi-
nate among gonococci isolated from the bloodstream and
apparently have an increased capacity to invade the
bloodstream and cause disseminated gonococcal disease.
PIA strains also tend to be resistant to the bactericidal
action of normal human serum. Strains that cause ascend-
ing infection of fallopian tubes are of the PIB type.
Biophysical studies in artificial lipid membranes indi-
cate that the gonococcal porins are unusual among Gram-
negative porins in that they are somewhat anion-selective
and voltage-sensitive. Voltage sensitivity means that
when the protein is in a membrane, the channel will be
modulated by the potential across that membrane, such
that at low membrane potentials, the porin molecules will
be open, and as the voltage is raised, the probability that
the porin molecule is closed increases. In addition, it has
been shown that the porins are able to bind GTP and
certain other phosphate compounds, and this binding also
favors the closing of the porin channel. The neisserial
porins readily transfer from the outer membrane of living
gonococci to foreign membranes including human cells.
PIA porins transfer more readily than PIB into artificial
membranes. Gonococci with PIA porins (but not PIB) are
readily ingested by Chang conjunctival cells and other
human epithelial cell lines as long as the phosphate con-
centration in the assay medium is below 1 mM (the
concentration prevailing in human serum and secretions).
GTP is able to inhibit this PIA-mediated invasion at very
low concentration (50% inhibition at 0.03 mM).
The earliest studies on the effect of porins was done
with human polymorphonuclear (PMN) leukocytes.
Within seconds after the addition of purified porin to
PMN, the membrane potential of these cells becomes
hyperpolarized due to the chloride ion movement.
Shortly thereafter, the membrane potential returns to
baseline, presumably because the porin channels adjust
to this hyperpolarization by closing, and the active ion
pumps of the cells reestablish the baseline potential.
However, the cells are altered and this is evident when
these cells are subsequently exposed to a stimulus such as
formyl methionyl-leucyl-proline (fMLP). Normally,
fMLP causes an immediate depolarization of the mem-
brane. However, with porin channels present in the
membrane, fMLP induces a prolonged hyperpolarization.
Porin also markedly inhibits the aggregation of PMN.
Degranulation in response to fMLP, leukotriene B4, or
complement component C5a is also blocked, but is nor-
mal when induced with phorbol myristate acetate.
However, there is no inhibition of superoxide generation
in response to these signals.
The neisserial porins transferred into the cell mem-
brane of HeLa cells are further transported to
mitochondrial membranes where they associate with vol-
tage-dependent anionic channel (VDAC). Such cells
show increased resistance to undergo apoptosis, thereby
preserving the intracellular niche for the proliferation of
the neisseria as they transit through epithelial cells to
reach the submucosa.
Rmp
All strains of gonococci produce an outer membrane
protein originally designated PIII. This protein migrates
on a SDS–PAGE with an apparent MW of 32 000 when
exposed to reducing agents such as ß-mercapto ethanol,
and with a MW of 31 000 when not reduced. Hence, the
protein has been named reduction modifiable protein
(Rmp). In contrast with other outer membrane proteins,
Rmp is a highly preserved antigen showing little, if any,
variation among strains. The sequence of Rmp has sub-
stantial homology with OmpA, a protein that is universally
present in all enterobacterial species. Rmp is also present
in meningococci where it was originally named class 4
protein and it is almost identical to the Rmp of gonococcus.
It has been found that complement-fixing immunoglo-
bulin G (IgG) antibodies to Rmp are present in the sera of
at least 15% of normal human beings with no history of
prior gonococcal infection. These antibodies arise in
response to the meningococcal carrier state and also by
contact with the enterobacterial flora. Surprisingly, these
antibodies do not mediate serum killing or opsonization
of gonococci, but instead block the ability of normally
bactericidal antibodies directed to other surface antigens
to exert their function. Anti-Rmp antibody is a powerful
blocking antibody, inhibiting the activity of other bacter-
icidal monoclonal antibodies directed to a number of
different surface proteins or LPS. In a prospective epide-
miologic study of a population at very high risk of
acquiring sexually transmitted diseases, it has been
demonstrated that the presence of anti-Rmp antibodies
significantly increases the risk of gonococcal infection,
demonstrating the inhibitory role of blocking antibodies
in the local mucosal infection. The blocking activity of
anti-Rmp antibodies is not seen with meningococci, per-
haps because this organism expresses quantitatively less
Rmp. The molecular mechanism by which anti-Rmp
antibodies act as blocking antibodies is not yet
understood.
590 Gram-Negative Cocci, Pathogenic

Opa proteins
Pathogenic Neisseria express another surface-exposed
class of outer membrane proteins that are called opacity
proteins (Opa) because their expression leads to distinc-
tive changes in the translucency of the colonies on agar. In
the gonococcus, there are about a dozen opa genes while in
the meningococcus there are usually four. The expression
of Opa protein can turn off and on at high frequency
because all of the opa genes have a variable number of
pentameric repeats of the sequence CTCTT between the
ATG initiation codon and the remainder of the protein
that is subject to rapid change due to slipped strand
mispairing during replication. Thus, the expression of
this class of proteins is controlled at the level of protein
translation. Gonococci freshly isolated from the blood of
patients with disseminated gonococcal infection do not
express Opa. The same is true of isolates from PID.
Strains from males with genitourinary disease usually
express Opa protein. Most remarkably, in young women
not on the pill, the gonococci that can be isolated from the
cervix vary so that at the time of ovulation the isolates
express Opa, while at the time of menses they do not. This
mechanism of translational mechanism for variation has
now been seen with other neisserial antigens and is also
seen in a number of other mucosal pathogens, notably
H. influenzae and Helicobacter pylori. Many different opa
genes have been sequenced and have been distinguished
either by naming them opaA–opaJ or by adding a numer-
ical subscript (see Table 3). The mature proteins coded
by these loci are all about 250 amino acids in length. The
genes are highly homologous except for two regions that
are highly variable and a smaller region that has lesser
variation. Gonococi have about 12 opa loci while menin-
gococci have 3 to 4. The differences between the proteins
in the content of basic amino acids is noteworthy and the
pI of the proteins range from about 7.0 to 10.0.
This class of proteins promotes adhesiveness of gono-
cocci and meningococci to epithelial cells in tissue culture
or to human PMN. The ligand specificity of the Opa
proteins has been defined on a molecular level. The
majority of Opa proteins react with several proteins that
are members of the CECAM family (CEA-related cell
adhesion molecule). CEA was originally described as a
colon-cancer-associated antigen, and tests for blood levels
of CEA antigen are used to clinically monitor the pro-
gression of colon cancer. There are about 20 related
proteins known; their genes are clustered on human chro-
mosome 19, they belong to the Ig superfamily, and they
have an N-terminal domain homologous to Ig variable
(IgV) domain and a variable number of domains with
homology to Ig constant regions. Some are transmem-
brane proteins with cytoplasmic tails, while CEA
(CECAM5) is GPI linked. The cytoplasmic tails of
some members of the family contain a functional immu-
noreceptor tyrosine-based activation motif (ITAM) or
immunoreceptor tyrosine-based inhibition motif (ITIM).
The proteins are heavily glycosylated. Several of the
genes are subject to alternative splicing, and various
family members, notably CECAM1, are expressed on a
wide variety of cells including epithelial cells. The Opa
proteins of both the gonococcus and the meningococcus
react with the IgV domain of the molecules irrespective of
its state of glycosylation, but react only with human
CECAMs and not with those of mice or rats.
A smaller number of Opa proteins recognize heparan
sulfate proteoglycans (HSPGs). The heparan sulfate
occurs mainly on the syndecan class of molecules of
which four have been described and two of these (1 and 4)
are expressed on epithelial cells. The syndecans are
believed to act as receptors or coreceptors for interaction
between cells and the extracellular matrix. There is also
evidence that fibronectin and vitronectin may enhance the
signals for ingestion into the cells by bridging the HSPG
recognized by the Opa protein to integrin
v
5
or
v
3
on
the cell surface.
LPS
Like other Gram-negative bacteria, the pathogenic
Neisseria carry LPS in the external leaflet of their outer
membranes. In contrast to the high molecular weight LPS
molecules with repeating O-chains seen in many enteric
bacteria, the LPS of Neisseria is of modest size and there-
fore is often referred to as lipooligosaccharide (LOS).
Although the molecular size of the LPS is similar to that
seen in rough LPS mutants of Salmonella spp., this sub-
stance has considerable antigenic diversity. In the case of
the meningococcus, a serological typing scheme has been
developed that separates strains into 12 immunotypes,
and the detailed structure of these has been determined.
The LPS of the pathogenic Neisseria is heterogeneous,
and LPS preparations frequently contain several closely
spaced bands as analyzed by SDS–PAGE. Using mono-
clonal antibodies, it is evident that gonococci are able to
change the serological characteristics of the LPS they
express and that this antigenic variation occurs at a fre-
quency of 10
2
to 10
3
per cell division.
The structure of the largest fully characterized gono-
coccal LPS molecule is shown in Figure 1. To the lipid A
are linked two units of keto-deoxyoctulosonic acid
(KDO) and two heptoses (Hep). This inner core region
as shown in Figure 1 can carry three oligosaccharide
extensions that have been named the -, -, and -chains.
The -chain consisting of N-acetyl glucosamine
(GlcNAc) appears to be always present. The -chain
when present consists of a lactosyl group and when absent
the position is substituted with ethanolamine phosphate.
The gonococcal -chain in its full form consists of the
pentasaccharide, shown in Figure 1. An alternative
-chain structure consisting of a trisaccharide is also
Gram-Negative Cocci, Pathogenic 591

shown. However, as indicated in Table 4, the sugar
composition of the -chain can vary, and in every
instance, it is identical to human cell surface oligosacchar-
ides most often part of glycosphingolipids that in some
instances are the determinants of blood group antigens.
Meningococci lack lgtD the glycosyltransferase adding the
terminal N-acetyl galactosamine.
The glycosyltransferases responsible for the biosynth-
esis of gonococcal and meningococcal LPS have been
identified and are shown in Figure 1. This has provided
an understanding of the genetic mechanism that underlies
the high-frequency variation in the LPS structures
expressed by these organisms. Note that four of these
genes (lgtA, lgtC, lgtD, and lgtG) are underlined to indicate
that they contain in their coding frames homopolymeric
tracts of nucleotides. In the case of lgtA, lgtC, and lgtD,
these are stretches of 8 to about 20 deoxyguanosines
(poly-G), which can vary in size due to errors resulting
from slipped strand mispairing during replication. In lgtG,
there is homopolymeric poly-C tract. When the number
of bases in the tracts is such that the coding frames are
not disrupted, the respective glycosyltransferases are pro-
duced, but if the number changes, premature termination
occurs and no functional enzyme is produced. Thus, the
presence of the -chain depends on whether functional
LgtG glucosyl transferase is produced. If not then lpt-3
substitutes the position with phosphoryl ethanolamine.
Similarly, in the instance of the -chain synthesis if lgtA
is ‘on’, then the lacto-N-neotetraose chain will be formed
and the addition of the terminal GalNAc depends on
whether lgtD is ‘on’ or ‘off ’. When lgtA is ‘off’, then the
globoside structure is synthesized if lgtC is ‘on’ and only
the lactosyl structure if lgtC is ‘off’. The gonococcus and
the meningococcus have evolved a very elegant system to
shift readily between a large number of different LPS
GalNAc
GlcNAc
Gal
Gal Gal
Glc Hep 1
GlcNAc
Gal
Hep 2
β
ββ
β
α
β
α
KDO2
HOOC
KDO1 COOH
Lipid A
Glc Gal
β
α
α
βγ
lgtE lgtF
lgtB lgtA
lgtD
lgtG lgtE
lgtK
Glc
α ββ
lgtC
PE lpt-3
Figure 1 Genetics of neisserial lipopolysaccharide (LPS) synthesis. The LPS contains a lipid A portion with two residues of keto-
deoxyoctulosonic acid (KDO) and linked to these are two residues of heptose (Hep) to form the inner core. This structure can bear three
additional extensions indicated as the -, -, and -chains. The largest structurally characterized -chain is indicated in the figure and
consists of glucose (Glc), galactose (Gal), N-acetyl glucosamine (GlcNAc), Gal, and N-acetyl galactosamine (GalNAc). An alternative
-chain has been characterized and is the trisaccharide shown at the top of the figure. The glycosyltransferases responsible for the
addition of each of the sugars are indicated by their genetic designation. The genes that are underlined are subject to high-frequency
variation. The meningococcus lacks lgtD and hence does not have a terminal GalNAC residue. Gonococci and meningococci
expressing the lacto-N-neotetraose -chain grown in vivo,orin vitro in medium supplemented with cytosine monophosphate-N-acetyl
neuraminic acid (CMP-NANA), will add a sialic acid residue. Among meningococcal strains, there is substantial variation in the
sequence of the lgtE gene with two main evolutionary lines that are mutually exclusive, one of which is referred to as lgtH; they however
perform the same biosynthetic task. Phosphoethanolamine (PE) is added to Hep 2 at carbon 6 by lpt-3. If the lgtG is inactive then lpt-3
adds phosphoethanolamine at carbon 2 as well.
Table 4 Molecular mimicry by gonococcal lipopolysaccharide
Human antigen
mimicked -Chain oligosaccharide
Lactosyl ceramide Gal1!4Glc1!4-R
Globoside, p
k
blood
group antigen
Gal1!4Gal1!4Glc1!4-R
Lacto-N-neotetraose,
paragloboside
Gal1!4GlcNAc1!3Gal1!
4Glc1!4-R
Gangliosides, X
2
blood
group antigen
GalNAc1!3Gal1!4GlcNAc1!
3Gal1!4Glc1!4-R
Sialyl-gangliosides NANA2!3Gal1!4GlcNAc1!
3Gal1!4Glc1!4-R
592 Gram-Negative Cocci, Pathogenic

structures, all of them being mimics of human glycolipids.
This ability to shift the expression among a number of
different LPS structures is not peculiar to the pathogenic
Neisseria, but also occurs in H. influenzae whereat least four
genes are subject to phase variation. In this organism, the
mechanism is also by slipped strand mispairing but occurs
in repeated tetrameric sequences that can be either
CAAT or GCAA. Thus, it is likely that LPS antigenic
variation is important since it is an attribute of a number
of mucosal pathogens.
Gonococci possess a sialyl transferase activity which in
vitro is able to use exogenously supplied cytosine mono-
phosphate-N-acetyl neuraminic acid (CMP-NANA) and
add NANA to the LPS if the organism is expressing the
lacto-N-neotetraose -chain (see Table 4). In the human
infection in vivo, the concentration of CMP-NANA found
in various host environments is sufficient to support this
reaction. The sialylation of the LPS causes gonococci to
become resistant to the antibody-complement-dependent
bactericidal effect of serum. The resistance is to the bac-
tericidal effect mediated not only by antibodies to LPS,
but also to other surface antigens as well. Group B, C, W-
135, and Y meningococci have the capacity to synthesize
CMP-NANA as a precursor of their capsule biosynthesis
and frequently sialylate their LPS without requiring exo-
genous CMP-NANA.
It is still unknown how this molecular mimicry illu-
strated in Table 4 benefits the organism. It has been
proposed that the human host may find it difficult to
produce antibodies to any of these structures and that
the ability to change to a different one may compound
this problem. While immune evasion is attractive as an
idea, it is clear that the LPS does serve as target for
bactericidal antibodies, and at least in vitro perhaps the
majority of bactericidal antibodies are directed to this
antigen, rather than other surface structures. In vivo this
is of course very different because sialylation of the LPS
very effectively inhibits the bactericidal reaction and
interferes with phagocytosis as well. However, only the
lacto-N-neotetraose structure is effectively sialylated to
produce the serum-resistant phenotype. (The exception
is the L1 immunotype meningococcal LPS that has a
glycosyltransferase capable of sialylating the globoside
trisaccharide.) Why does the organism then have genetic
mechanism to alter away from this structure? Perhaps the
answer lies in the observation that sialylation of the LPS
interferes with invasion of epithelial cells in vitro. There is
also evidence that sialylated gonococci are significantly
less infectious when used to challenge volunteers. It is
clear that the gonococcus can circumvent LPS sialylation
either by addition of the terminal N-acetyl galactosamine
or by truncation of the chain. It is also possible that the
mimicry may benefit the organism by allowing it to be
recognized by human carbohydrate-binding molecules
such as the C-lectins, the S-lectins, and the sialoadhesins.
Classification of Meningococci
Because of the central importance of useful classification
systems to analyze the epidemiology of meningococcal
endemic and epidemic disease, enormous effort has been
invested in this endeavor. The first systems depended on
the serological identification of the capsular serogroup,
and this remains essential in making decisions concerning
the use of polysaccharide-based vaccines.
However, as it became evident that the group B poly-
saccharide antigen was not suitable as a vaccine candidate
(see below), serological classification schemes based on
subcapsular antigens were developed in a number of
laboratories. While at first these were based on empiric
results obtained by bactericidal assays or gel diffusion
studies, subsequently it became evident that these classi-
fications were based primarily on epitopes on Por
proteins or LPS determinants and this allowed the refine-
ment of the classification often to a molecular description.
During this time, a number of laboratories became inter-
ested in the study of bacterial population genetics and
typing schemes based on the analysis of polymorphic
housekeeping genes. Initially, this was accomplished by
electrophoretic analysis of a number of enzymes (in the
order of 12 to 15 or more) by so-called multilocus enzyme
electrophoresis (MLEE). While there were a great num-
ber of different electrophoretic types (ET), it was
observed that a few of these were disproportionately
represented in the strains studied and also tended to
exist in strains isolated from patients with disease in
different areas of the world and at different periods of
time. These were referred to as hypervirulent clones
and the first so recognized were the ET-5 and ET37
complex. MLEE as a technique is quite demanding and
interlaboratory reproducibility was difficult to achieve.
Concurrently, the meningococcal genome sequence
became available and DNA sequencing became a widely
available technology. Thus, at this time MLEE has for the
most part been replaced by multilocus sequence typing
(MLST). Because of the greater number of alleles that can
be recognized by sequence variability in a polymorphic
enzyme, it has been possible to obtain the same resolution
using only seven enzymes. The global types identified by
this method are referred to as STs and overlap closely
with the ones previously identified by MLEE, as summar-
ized in Table 5.
Natural Immunity
Bactericidal Antibody
In the case of the meningococcus, there is clear evidence
that the major predisposing factor for bloodstream
invasion is the lack of biologically active antibodies to
surface components and resultant failure to mediate an
Gram-Negative Cocci, Pathogenic 593

antibody-complement bacteriolytic reaction. This was
first demonstrated in 1969 by Goldschneider and his
colleagues by two lines of evidence. The first is based
on a study done in an adult population. Nearly 15 000 sera
were collected from military recruits within the first week
of training and stored in anticipation that a number of
these would develop meningococcal meningitis during
the 8-week basic training. In fact 60 cases occurred in
this cohort, and in 54 of these the N. meningitidis causing
the infection could be isolated. Each of these sera as well
as ten sera obtained from unaffected recruits serving in
the same training platoons were tested for bactericidal
activity against the strain of N. meningitidis isolated from
the patient. Only 5.6% of the patients’ sera were able to
kill the disease-causing N. meningitidis, while 82% of sera
obtained from unaffected recruits demonstrated bacteri-
cidal activity. The second line of evidence is the
demonstration that there is an inverse relationship of the
incidence of meningococcal disease and the prevalence of
bactericidal antibody in relationship to age. The disease is
very rare during the first 3 months of life when maternally
derived antibodies are still present. Incidence rises to a
peak between 6 and 12 months of age when the nadir of
bactericidal activity is seen. Thereafter, the incidence
progressively diminishes as the prevalence of antibodies
rises with age. This is the same relationship that was
reported for H. influenzae meningitis by Fothergill and
Wright in 1933. Finally, it is evident that the antibody-
complement-dependent bactericidal reaction is clearly
important in protection against neisserial systemic infec-
tions since deficiencies of late complement components
(C6 or C8) impart a specific susceptibility to blood-borne
neisserial infections, but not to other bacterial infections.
Is there natural immunity to gonococcal infection? It is
established that individuals with no known immunological
defective can acquire gonorrhea multiple times. Thus, it
has been suggested that there is no such thing as natural
immunity to this disease. However, there is clear evidence
that gonococcal infection before the days of antibiotic
therapy was as a rule a self-limited disease lasting for a
few weeks. This spontaneous elimination of the infection
applied not only to the genitourinary disease, but often also
to disseminated gonococcal infection, to gonococcal arthri-
tis (albeit with bad sequelae), and even in some instances to
gonococcal endocarditis. Hence, there is ample evidence
that after a period of time gonococci are killed effectively
in vivo. In the face of this ability to self-cure, how can we
explain the apparent lack of natural immunity? The most
likely explanation is that gonococci are inherently so anti-
genically variable that it requires the immune system
considerable time to catch up with the repertoire of the
infecting gonococcus and eliminate the infection.
Prevention
Two methods exist for the prevention of meningococcal
disease: chemoprophylaxis and vaccination.
Chemoprophylaxis
Meningococcal disease represented a very serious pro-
blem to military forces during the major mobilizations of
World War I and World War II. The disease often
reached epidemic proportions in recruit camps. In 1944,
it was demonstrated that these outbreaks could be pre-
vented if all military personnel in a camp were treated
with a brief course of sulfa drugs. This was highly effective
in lowering the carrier rate and consequently the incidence
of disease. This prophylaxis continued to control this pro-
blem until 1964 during the Vietnam mobilization when
the meningococci circulating in the recruit camps had
for the most part become sulfa-resistant. Since the intro-
duction of effective meningococcal vaccines, the role of
chemoprophylaxis has become restricted to prevention of
disease among close contacts of cases. Close contacts
include family members and members of the health care
team that were most closely involved in the care of the
patient. The agents used are rifampin, ciprofloxacin, and
ceftriaxone.
Vaccines
Since the beginning of the twentieth century, attempts
have been made to prepare vaccines for the prevention of
meningococcal disease. Vaccines based on whole-cell pre-
parations proved to be ineffective. In the late 1960s,
methods were developed to purify the capsular polysac-
charides of group A and C meningococcus in a form that
maintained their high molecular weight. It was shown that
injection of 25–50 mg of group A, C, Y, or W-135 poly-
saccharide in school-age children and adults resulted in a
strong and long-lasting antibody response and that in vitro
Table 5 Prevalent multilocus sequence typing meningococcal
complexes
ST complex Epidemiologic characteristics
ST-41/44 complex lineage 3 New Zealand epidemic
ST-11 complex ET-37
complex
Mostly group C, UK problem,
also African W-135
ST-32 complex ET-5
complex
Mainly group B worldwide since
1970
ST-8 complex cluster A4 B & C worldwide
ST-269 complex Group B in Quebec
ST-213 complex
ST-22 complex
ST-23 complex Group Y
ST-162 complex
594 Gram-Negative Cocci, Pathogenic

these antibodies were opsonic and bactericidal. Large-
scale field trials both in the United States and overseas
demonstrated that both group A and group C polysac-
charide vaccines were highly effective in preventing the
disease and that the protection lasted for at least 2 years.
These vaccines were introduced in the US military over
30 years ago and have essentially eliminated the problem
of meningococcal disease among recruits. Vaccination is
employed in the military of many other countries and is
required for pilgrims participating in the Hajj. In Egypt,
meningococcal A/C vaccine is routinely given to children
at school entry (age 6 years) and a second dose 3 years
later, and since the introduction of this practice, the pre-
valence of meningitis has markedly changed for the
better.
As a general rule, the immune response to purified
polysaccharides is age related, but the response varies
with the antigen. Thus, responses to the group C antigen
are very low below the age of 18 months. Children
between 2 and 4 years of age do respond to the group C
antigen, but the response is short-lived lasting only a few
months. After age 6, the responses are similar to adults.
The response to group A antigen among young children is
unusually favorable. Infants who are vaccinated twice, at 3
months and again at 6 months of age, will show a brisk
booster immune response to the second injection which is
sufficient to provide protection. This booster response has
not been seen with any other polysaccharide antigen. It
has been demonstrated that a protective level of group A
antibodies can be maintained by immunization twice in
the first year of life, then again at age 2 and upon entry to
school. Unfortunately, this property of the group A anti-
gen has not been taken advantage of in the prevention of
endemic and epidemic disease in Africa.
As the experience with the H. influenzae vaccine has
demonstrated, the immune responses in infants and tod-
dlers can be markedly improved by covalently linking the
polysaccharide to a protein carrier to enhance T cell help
in the immune response. In 1999, England introduced
vaccination with group C meningococcal conjugate vac-
cine in infants, with a three-dose schedule at 2, 3, and 4
months. In addition, over a 1-year period, a catch-up
campaign reached 85% of children 5–12 months of age
and teenagers 15–17 years with a single dose. The effec-
tiveness over a 1-year period was over 90%. There was
also a 67% reduction of group C disease among the
unvaccinated population, evidence of herd immunity
attributable to the drop in the group C carrier rate in
the age group 15–17 years. However, in the infants
receiving the vaccinations, effectiveness diminished after
1 year following the last immunization. This decline of
effectiveness has also been seen with the Hib conjugate
vaccine and has led in the United Kingdom to the practice
of giving a booster at the age of 12 months. In Spain,
routine vaccination was introduced in 2000, with a
three-shot schedule at 2, 4, and 6 months. Effectiveness
in the first year was 98%, but declined to 78% in the
subsequent year. Development of conjugate vaccines has
progressed rapidly, and the first quadrivalent vaccine (A,
C, W-135, and Y) was FDA-approved in 2005.
The group B capsular polysaccharide is a homopoly-
mer of (2–8)-linked NANA (see Table 2). This structure
is present on mammalian tissues notably on neural cell
adhesion molecule (N-CAM), and the degree of (2–8)
sialylation of this molecule is particularly elevated during
embryonic life. While the majority of adults have some
levels of antibodies to this antigen, injection of the purified
antigen generally does not raise any additional antibodies.
There has also been concern that engendering a strong
immune response to this antigen may have deleterious
effects on infants during fetal life. Therefore, group B
meningococcal vaccines based on partially purified outer
membranes with their LPS content reduced by detergent
extraction have been prepared and have proved to be able
to prevent disease caused by the strain used for the pro-
duction of the vaccine. They have proved efficacious
under epidemic conditions in Cuba, in Norway, and
most recently in New Zealand, showing up to 80% pro-
tection against the epidemic strain prevailing in the
respective country. However, they have not provided
broad protection against group B strains because of the
considerable antigenic heterogeneity in meningococcal
outer membrane proteins.
Recently, a new approach has been adopted for this
problem, which is now referred to as reverse vaccinology.
Its essence is to use available genomic sequences to pre-
dict protein antigens that are likely to be surface exposed.
These are then produced by recombinant DNA metho-
dology and tested for their ability to give rise to
protective antibodies in mice. Nearly 100 proteins not
previously described were expressed, among which a
quarter gave rise to bactericidal antibodies. With the aid
of the MLST system described above, it is now possible to
assemble strain collections that are representative of
group B hypervirulent clones seen worldwide over the
last decades in order to test the broadness of potential
protection that can be induced by these antigens either
singly or in combination. Based on the bactericidal
response elicited in mice by immunized with a combina-
tion of a particular set of five antigens presented in a
vaccine formulation suitable for use in humans is pre-
dicted to afford protection against 80% of group B strains
currently in circulation. These immune responses if they
extend to human beings may lead to a practical vaccine to
prevent group B meningococcal disease.
No vaccine exists at this time for the prevention of
gonorrhea, and the problem is formidable because of
the extraordinary antigenic variability of this organism.
Nevertheless, the experience in several European coun-
tries has demonstrated that prevention of this disease
Gram-Negative Cocci, Pathogenic 595

can be very effective if public education is combined
with rapid treatment of infected individuals and their
contacts. To invest in this approach is becoming
increasingly important because of the formidable anti-
biotic resistance pattern seen in current strains and the
role it plays in heightening the transmissibility of HIV-
1 infection.
Conclusion
The discrete steps that occur in the mucosal infection by
the pathogenic Neisseria are increasingly being explained
on molecular cell biological level. It is evident that parti-
cularly the gonococcus has developed very elaborate
mechanisms to evade the immune response of human
beings shared to a lesser extent by the meningococcus.
With pili, it has chosen the path of antigenic variation.
This is an evasion mechanism which is highly developed
in eukaryotic parasites such as trypanosomes and is also
seen in prokaryotes such as Borrelia. In the case of Rmp,
the gonococcus has chosen the path of antigenic con-
stancy as a target for blocking antibodies. With Opa
proteins, the variation may be more a way to succeed in
various environments within the host rather than immune
evasion. The biological significance of LPS variation is
not yet clear, but it must be very useful since Neisseria and
H. influenzae have developed in principle the same varia-
tion mechanism, though the specific details are quite
different. In the era before ready treatment with antibio-
tics, self-cure of gonorrhea over a period of weeks was
commonly seen, and this slow acquisition of natural
immunity was probably a reflection of the time needed
for the immune response to finally catch up with the
variability of the particular strain infecting the human
host. In the case of the meningococcus, the introduction
of the polysaccharide conjugate vaccines will have an
enormous impact on this disease since it allows the exten-
sion of benefits of vaccination to infants and young
children, the population at greatest risk, and there is
every reason to expect that the impact on disease inci-
dence will be just as profound as it has been with
hemophilus type b meningitis. There is also increasing
optimism about the possibility to develop a group B
meningococcal vaccine based on a carefully selected com-
bination of protein antigens.
Further Reading
Brehony C, Jolley KA, and Maiden MC (2007) Multilocus sequence
typing for global surveillance of meningococcal disease. FEMS
Microbiology Reviews 31: 15–26.
Cohen MS and Cannon JG (1999) Human experimentation with
Neisseria gonorrhoeae: Progress and goals. The Journal of Infectious
Diseases 179(supplement 2): S375–S379.
Craig L, Pique ME, and Tainer JA (2004) Type IV pilus structure and
bacterial pathogenicity. Nature Reviews Microbiology 2: 363–378.
Girard MP, Preziosi MP, Aguado MT, and Kieny MP (2006) A review of
vaccine research and development: Meningococcal disease.
Vaccine 24: 4692–4700.
Giuliani MM, du-Bobie J, Comanducci M, et al. (2006) A universal
vaccine for serogroup B meningococcus. Proceedings of the
National Academy of Sciences of the United States of America
103: 10834–10839.
Gray-Owen SD and Blumberg RS (2006) CEACAM1: Contact-
dependent control of immunity. Natural Reviews Immunology
6: 433–446.
Hamrick TS, Dempsey JA, Cohen MS, and Cannon JG (2001) Antigenic
variation of gonococcal pilin expression in vivo: Analysis of the strain
FA1090 pilin repertoire and identification of the pilS gene copies
recombining with pilE during experimental human infection.
Microbiology 147: 839–849.
Massari P, Ram S, MacLeod H, and Wetzler LM (2003) The role of
porins in neisserial pathogenesis and immunity. Trends in
Microbiology 11: 87–93.
Stephens DS, Greenwood B, and Brandtzaeg P (2007) Epidemic
meningitis, meningococcaemia, and Neisseria meningitidis. Lancet
369: 2196–2210.
596 Gram-Negative Cocci, Pathogenic

Helicobacter Pylori
S Suerbaum, Hannover Medical School, Hannover, Germany
M J Blaser, New York University School of Medicine and VA Medical Center, New York, NY, USA
ª2009 Elsevier Inc. All rights reserved.
Historical Introduction
Microbiology
Epidemiology
Diseases Associated with H. pylori
Diagnosis
Treatment
Vaccine Development
Conclusions
Further Reading
Glossary
chronic active gastritis The infiltration of the gastric
mucosa with lymphocytes, plasma cells, and
granulocytes. Essentially, all people colonized with
Helicobacter pylori develop chronic active gastritis, but
the intensity varies.
Helicobacter pylori Helicobacter pylori is one of the
most common bacteria affecting humans, colonizing
more than half of the world’s population. H. pylori
colonizes the gastric mucosa, frequently persisting for
the entire life of the host. This colonization invariably
causes a chronic tissue response of the gastric mucosa,
termed chronic or chronic active gastritis. Although this
process is asymptomatic, those colonized are at a
higher risk of several illnesses including gastric and
duodenal ulcer, gastric adenocarcinoma, and
lymphoma involving the MALT. Interestingly, persons
with H. pylori are at a lower risk for gastroesophageal
reflux and its sequelae, and possibly asthma. H. pylori
was first isolated in culture in 1982 and H. pylori
research has since become one of the most rapidly
moving fields in medical microbiology. Although the
focus of this article is on data that are generally
accepted, we have included a number of areas that
remain controversial.
mucosa-associated lymphoid tissue (MALT) Tissue
that frequently responds to H. pylori colonization. The
‘germ-free’ stomach does not have MALT. The
presence of gastric MALT can give rise to malignant B
cell lymphomas, which are rare events.
panmictic population structure A population
structure that arises when recombination is so frequent
in a given bacterial species that no remnants of clonal
descent are discernible.
pathogenicity island (PAI) A large fragment of DNA in
the genome of a microorganism that contains
virulence-related genes and has been acquired by
horizontal gene transfer. Hallmarks of PAI are GC
content that differs from that of the rest of the genome,
insertion in proximity to tRNA genes, and mobility genes
(e.g., insertion sequences).
peptic gastric/duodenal ulcer A breach in the
epithelium of the stomach or duodenum caused by an
imbalance between aggressive factors (acid and pepsin)
and mucosal protection mechanisms. Ulcers have a
strong tendency to relapse and can progress to the
potentially fatal complications of bleeding and
perforation; removal of H. pylori colonization
ameliorates ulcer disease.
urease An enzyme abundantly produced by H. pylori
that hydrolyzes urea. It is essential for gastric
colonization. Detection of urease activity is used to
diagnose the presence of H. pylori by the rapid biopsy
urease test and the
13
C urea breath tests.
vacuolating cytotoxin (VacA) A cytotoxic protein that
affects epithelial and immune cell function. Multiple
alleles exist that vary in VacA production in vitro.
Colonization with particular genotypes affects the risk of
disease development.
Abbreviations
GERD gastroesophageal reflux disease
LPS lipopolysaccharide
MALT mucosa-associated lymphoid tissue
NSAID nonsteroid anti-inflammatory drug
VacA vacuolating cytotoxin
597

Historical Introduction
Pathologists noted the presence of spiral bacterial in the
human stomach as early as 1906. Although similar obser-
vations were repeatedly reported during the subsequent
decades, they did not receive much attention because the
bacteria could not be cultured. The introduction of flex-
ible fiberoptic endoscopes and the establishment of
microaerobic and selective culture techniques for
Campylobacter species were important prerequisites for
the first isolation in culture of Helicobacter pylori from
human gastric biopsies by two Australian researchers,
Barry Marshall and Robin Warren in 1982. The most
important argument for a pathogenic role of H. pylori
came from clinical trials showing that the elimination
of H. pylori substantially changes the clinical course
of ulcer disease. The elimination of H. pylori with
antibiotic-containing regimens significantly reduced the
high relapse rate of gastroduodenal ulcer disease. Thus,
peptic ulcer disease, which previously could only be
controlled by long-term treatment with inhibitors of gas-
tric acid secretion or by surgery, became a condition that
can be substantially improved by a short course of anti-
biotic treatment. In 2005, Marshall and Warren received
the Nobel Prize in Medicine for their first isolation of
H. pylori and showing the role of eradicative therapy in the
control of ulcer disease. However, the long-term conse-
quences of H. pylori eradication are not known.
In the early 1990s, three large prospective seroepide-
miological studies each indicated that H. pylori is a major
risk factor for the development of gastric noncardiac
adenocarcinomas and H. pylori was classified as a defini-
tive carcinogen by the World Health Organization in
1994. H. pylori also has been strongly associated with
malignant non-Hodgkin’s lymphomas of the stomach. In
recent years, there has been increasing attention to its
roles protecting against esophageal, pulmonary, and
metabolic diseases.
Microbiology
General Microbiology
H. pylori was first designated Campylobacter pyloridis, then
Campylobacter pylori; the new genus Helicobacter was estab-
lished in 1989. It is a motile, urease-, catalase-, and
oxidase-producing Gram-negative eubacterium that is
classified in the epsilon subdivision of the proteobacteria
on the basis of 16S rRNA sequence analysis. H. pylori
requires rich media supplemented with blood, serum, or
cyclodextrin and grows best at 37 C in a microaerobic
atmosphere (5% oxygen is optimal). Colonies become
visible after 2–5 days of incubation. H. pylori cells in vivo
are spiral-shaped (Figure 1), whereas after in vitro
culture, cells with curved rod shape predominate. After
prolonged incubation or after treatment of cultures
with subinhibitory concentrations of certain antibiotics,
H. pylori cells assume a coccoidal form. Whether these
coccoid cells are in viable-but-non-culturable (VBMC)
state and of epidemiological relevance, or are the mor-
phological correlate of cell degeneration and death is still
the subject of controversy. H. pylori cells have six to eight
unipolar sheathed flagella.
H. pylori is the type species of the genus Helicobacter,
which comprises more than 25 species, with more being
discovered every year. Helicobacter sp. colonize the gastric
mucosa of particular mammals; some have been widely
used in animal models of gastric Helicobacter colonization.
The best studied among these are Helicobacter mustelae,
which naturally colonizes ferrets, and Helicobacter felis,
which in nature colonizes cats and dogs, but experimen-
tally also colonizes mice. The term Helicobacter heilmannii
is used for several – mostly as yet unculturable –
Helicobacter species other than H. pylori with a distinct
morphology (tightly and regularly coiled spirals) that
are uncommonly found in the human stomach. The
genus Helicobacter also contains nongastric species, such
as the human enteric pathogens Helicobacter cinaedi and
Helicobacter fennelliae, intestinal colonizers (Helicobacter
muridarum and Helicobacter pametensis), and bile-resistant
organisms that first were isolated from the biliary tract
and the liver of rodents (Helicobacter hepaticus and
Helicobacter bilis), but whose normal habitat may in fact
be the colon (enterohepatic Helicobacter species). Some
enterohepatic Helicobacter sp. (chiefly, H. hepaticus) can
cause hepatobiliary cancer in immunocompetent mice as
well as typhlitis, colitis, and colon cancer in immunodefi-
cient mice.
Figure 1 Electron micrograph (negative staining) of
Helicobacter pylori, strain N6. Note the presence of sheathed
flagella attached to one cell pole. At the tip of the flagella, the
sheath forms a characteristic terminal bulb. The length of the bar
corresponds to 0.5 mm. EM courtesy of Dr. Christine Josenhans
(Hannover Medical School, Germany).
598 Helicobacter Pylori

Genome Sequence
H. pylori (strain 26695) has a circular chromosome of
1.668 Mb and an average GC content of 39%; the genome
contains 1590 predicted coding sequences. Two other
complete genome sequences (strains J99 and HPAG1)
were reported more recently. Each of the genomes con-
tains a substantial number of genes (approximately 100)
that are not present in the other strains, most of them
located in a highly variable chromosome region (the
‘plasticity region’). A predicted 1111 genes are present
in every strain, representing the H. pylori core genome.
Most strains isolated from patients with symptomatic
disease harbor a 37-kb pathogenicity island (PAI), the
cag PAI. The genome is rich in homopolymeric tracts
and dinucleotide repeats that permit phase variation of
gene expression by frameshifts due to slipped-strand mis-
pairing. Three fucosyl transferases involved in the
synthesis of unusual oligosaccharides (Lewis
x
, Lewis
y
)in
the lipopolysaccharide (LPS) O-specific side chains may
undergo such phase variation. The Lewis antigens are
identical to human gastric epithelial cell antigens and
there is evidence for host selection of H. pylori Lewis
phenotypic expression. Many H. pylori strains contain
plasmids, whose biological functions are unknown. The
genome sequence of the enterohepatic species H. hepaticus
shares extensive homology with both gastric Helicobacter
sp. and Campylobacter sp., and harbors a PAI, termed
HHGI1.
Population Genetics and Evolution
H. pylori is highly diverse, as indicated by the unusually
high sequence variation of both housekeeping and viru-
lence-associated genes, as well as in variability of gene
order. Much of this diversity is due to the unusual com-
bination of a relatively high mutation rate, which is likely
due to the lack of some DNA repair mechanisms, and
very frequent intraspecific recombination during mixed
infections of one human carrier with at least two strains,
leading to the shuffling of alleles and individual mutations
among different strains, and thus to the rapid disruption of
clonal groupings. This high rate of recombination is,
probably at least in part, due to the natural transform-
ability exhibited by many strains of H. pylori. The
population structure of H. pylori is largely panmictic, but
different populations and subpopulations have been iden-
tified in H. pylori strains from different geographic regions.
The geographic distribution of H. pylori populations mir-
rors ancient and more recent human migrations, and
patterns of genetic diversity in H. pylori populations
show strong similarity to patterns of genetic diversity in
human DNA. H. pylori gene sequences have the potential
to be even more informative about recent human migra-
tions than human genetic markers. For unknown reasons,
significantly different allelic types have been conserved at
some gene loci, some of which are statistically associated
with an elevated risk of developing disease (e.g., frag-
ments of the vacA cytotoxin gene).
Colonization and Host Interaction Factors
H. pylori colonizes the gastric mucus layer and epithelium,
a niche of the human body that normally has low levels of
colonization by other bacteria. Humans and nonhuman
primate species are the only known natural hosts of
H. pylori; no reservoir in the inanimate environment has
been identified. H. pylori has a strong tropism for the
gastric epithelium. In the duodenum, it only colonizes
areas where the normal duodenal mucosa has been
replaced by gastric-type epithelium (gastric metaplasia).
The colonized stomach contains two H. pylori subpopula-
tions, the majority of bacteria moves freely in the viscous
mucus layer that covers the gastric epithelium and others
that are attached to gastric epithelial cells. The relative
contributions to these subpopulations to persistence and
tissue interaction are unknown. Intracellular bacteria are
rarely observed, and H. pylori is considered an extracellu-
lar organism. Although a number of bacterial factors have
been implied in the pathogenesis of H. pylori, there is little
experimental evidence to support a specific pathogenetic
role for many of these. Here, we review only those factors
for which there is strong experimental or clinical evi-
dence that supports their role in colonization or tissue
injury: urease, motility, adherence, the vacuolating cyto-
toxin (VacA), and the cag island.
Urease
H. pylori produces large amounts of urease, a nickel-containing
metalloenzyme that catalyzes the hydrolysis of urea.
H. pylori urease is a hexapolymer composed of two sub-
units, UreA and UreB, present in a 1:1 stoichiometry, to
which are bound two Ni
2þ
ions. Urease has multiple
functions. In the presence of urea, urease permits
H. pylori to maintain a constant internal and periplasmic
pH, even when the external pH is strongly acidic,
thereby preventing a collapse of the transmembrane
potential difference. Isogenic urease-negative mutants
of H. pylori are incapable of colonizing the gastric mucosa
in several experimental challenge models in animals.
This inability to colonize could not be overcome by
blocking the host animal’s acid secretion, indicating
that protection of the bacteria from acid is not the sole
function of urease. Urease may permit the use of urea as
a nitrogen source and contribute to tissue injury by the
generation of ammonia as well as by the recruitment and
activation of inflammatory cells. Activity of urease is
controlled by pH-dependent transcriptional regulation
of urease gene expression as well as by specific transport
Helicobacter Pylori 599

mechanisms regulating the intracellular availability of
the substrate urea and of the essential cofactor nickel.
Motility and chemotaxis
H. pylori is a highly motile bacterium, due to a bundle of
six to eight unipolar flagella. Each flagellar filament is
covered by a membraneous flagellar sheath, shielding the
inner filament from low pH. The flagellar filaments of
H. pylori are copolymers of two subunits, the flagellins
FlaA and FlaB. Concomitant expression of both flagellin
proteins is essential for full motility. In all, more than 60
genes are involved in the biogenesis of flagella, the assem-
bly of the flagellar motor, and the chemotaxis system, and
the expression of most of these is coordinately regulated
by a complex regulatory network. Motility, as is urease, is
essential for H. pylori to colonize its host. Mutants that are
defective in the synthesis of either one of the two flagel-
lins are severely impaired in colonization efficiency,
whereas nonmotile double mutants are completely aviru-
lent. An intact pH gradient across the mucus layer is
required for the orientation of H. pylori within the mucus
layer, where the bacteria reside in a narrow zone adjacent
to the epithelial cells.
Adherence
H. pylori can adhere tightly to human gastric epithelial
cells. More than 10 distinct H. pylori binding specificities
for host cell glycoproteins, carbohydrates, and phospho-
lipids have been reported. The best-characterized
adhesins, BabA and SabA, are outer membrane proteins
that mediate H. pylori binding to the Lewis
b
and sialyl-
Lewis
x
tissue antigens, respectively. babA and sabA are
part of a large family of closely related genes encoding
similar proteins (Helicobacter outer membrane proteins,
Hop). The gene family encodes further adhesins (includ-
ing AlpA, AlpB, and HopZ), whose receptors have not yet
been characterized.
VacA
H. pylori produces a protein toxin that was first identified
by its ability to induce vacuole formation in eukaryotic
cells. The protein responsible for this vacuolization,
VacA, first purified in 1992 by Cover and Blaser, is
produced as a 140-kDa protoxin and actively secreted
by means of a C-terminal autotransporter domain. The
mature 87-kDa toxin present extracellularly forms multi-
meric complexes that resemble flowers with six or seven
petals. VacA is a multifunctional toxin that acts on both
epithelial cells and T cells. Several different activities
have been reported, including the formation of anion-
selective pores in cellular membranes, the induction of
epithelial cell apoptosis by release of cytochrome cfrom
mitochondria, inhibition of T cell proliferation, and inter-
ference with antigen presentation. The toxin gene occurs
in several allelic forms, and a classification has been
developed based on three polymorphic regions, termed
signal sequence, middle region, and intermediate region
(s/m/i regions). Allelic variants encode toxin molecules
with different activity and receptor affinity. Generally,
the m1/s1 form seems to be the one most strongly asso-
ciated with disease. Although the extraordinary resistance
of VacA to degradation by acid and pepsin, and its activa-
tion by acid indicate that it is highly adapted to an acidic
environment, the in vivo role of VacA in human disease
remains to be fully established.
CagA and the cag PAI
The cag PAI is a chromosomal region of >30 kb, encoding
28 genes. Distribution of the cag PAI varies with geo-
graphic regions, about 70% of strains from Western
countries contain the island, while cag PAI carriage is
almost universal in Asia. In contrast, at least one population
of H. pylori, termed hpAfrica2, exists in South Africa that
always lacks a cag PAI. Possession by a strain of a functional
cag PAI is associated with a higher risk of tissue response
(greater numbers of inflammatory cells, more induction of
proinflammatory cytokines, such as IL-8), and a higher risk
of ulcers, mucosal atrophy, and gastric carcinoma. Several
of the cag PAI genes encode proteins with homology to
components of the T pilus of Agrobacterium tumefaciens,the
prototype of a type IV secretion apparatus. Type IV secre-
tion systems are multisubunit nanomachines that can
introduce proteins (and/or DNA) into host cells and
thereby influence cellular functions. After contact with
host cells, using an integrin on the epithelial cell surface as
a receptor, the cag type IV apparatus forms a pilus-like
appendage that translocates the protein CagA into host
epithelial cells. After its delivery into the host cell, CagA
becomes phosphorylated by cellular kinases at specific phos-
phorylation sites (EPIYA motifs), and binds to several target
proteins, including SHP-2, Csk, and PAR-1. These interac-
tions, of which some are phosphorylation-dependent and
some are phosphorylation-independent, induce multiple
events that contribute to cellular responses, such as the
morphogenetic changes characteristic of cell infection with
cag-positive H. pylori strains, and may ultimately lead to
malignant transformation. CagA has therefore been termed
a bacterial oncoprotein. About 70% of all H. pylori strains
possess the cag PAI.
Epidemiology
H. pylori occurs in all parts of the world and a large
body of evidence indicates that colonization has been
present since ancient times, for at least 50 000 years, if
not considerably longer. The major determinants of
prevalence are socioeconomic conditions and age. In
developing countries, nearly everyone acquire H. pylori
600 Helicobacter Pylori

by age 10, but in developed countries, the overall
prevalence is 40–50%. In industrialized countries, the
incidence of H. pylori acquisition has been decreasing
rapidly, probably due to improved hygienic conditions
and widespread antibiotic use. H. pylori is mostly
acquired in childhood. The route of acquisition and
infectious dose are unknown; there is evidence for
fecal–oral, oral–oral, and vomitus–oral transmission.
Contaminated water supplies also may contribute to
transmission. Direct transmission from person to person
occurs within families, between spouses, and in com-
munities where people live together in close contact,
such as orphanages. The household is the most impor-
tant place for transmission. Young children may be the
most important amplifiers for transmission of the organ-
isms. H. pylori is equally frequent in women and men.
Twin studies have shown that susceptibility to H. pylori
contains a hereditary component, which may be parti-
cularly relevant as it is disappearing rapidly.
Diseases Associated with H. pylori
Acute and Chronic Active Gastritis
The acute acquisition of H. pylori is rarely diagnosed. In
most cases, it is characterized by some, nondiagnostic,
abdominal symptoms, such as dyspepsia, abdominal
cramping, and vomiting. Essentially all colonized persons
develop a tissue response that is termed chronic active
gastritis, characterized by the infiltration of the gastric
mucosa with lymphocytes and plasma cells (chronic com-
ponent) as well as neutrophils (active component). This
response varies substantially in its intensity and anatomic
distribution. However, most investigators believe that it is
the nature of the specific response that affects clinical
consequences, such as the risk of ulcer disease or cancer.
H. pylori colonization has complex effects on gastric phy-
siology (gastrin, somatostatin, leptin, and ghrelin
secretion, and on acid secretion) that probably are depen-
dent on both bacterial and host factors.
Ulcer Disease
Peptic ulcers of the stomach or the duodenum are common
and potentially fatal conditions. Duodenal ulcers are
usually associated with H. pylori, although medication (non-
steroid anti-inflammatory drugs (NSAIDs))-associated
ulcers are becoming more common. Elimination of H. pylori
substantially reduces ulcer relapses. The same holds true
for gastric ulcers, although NSAID induction is propor-
tionally more common. It is in the treatment of ulcer
disease that the discovery of H. pylori has had the most
significant clinical impact. The recommendation is for
H. pylori to be eliminated in all patients with ulcer disease.
Gastric Carcinoma
Large seroepidemiological studies have shown that the
presence of H. pylori increases between three- and nine-
fold the risk for subsequent development of noncardia
gastric adenocarcinoma, and experimental infection of
Mongolian gerbils confirms the oncogenic role. About
60% of all gastric cancers, or 500 000 new cases per
year, can be attributed to the presence of H. pylori.
Carriage of cagAþstrains induces higher risk of both
ulcer disease and gastric cancer.
Gastric Lymphoma
Gastric B cell non-Hodgkin’s lymphomas are relatively
rare gastric malignancies (about 1 per 1 million in the
population annually) that in most cases arise from
acquired mucosa-associated lymphoid tissue (MALT).
H. pylori almost always induces the development of lym-
phoid follicles in the submucosa; in the absence of
H. pylori, the stomach is usually devoid of MALT.
Gastric MALT lymphomas are therefore very rare in
patients without H. pylori. In low-grade MALT lym-
phoma, the proliferation of the malignant B cell clones
appears to be dependent on stimulation by bacterial anti-
gens, probably explaining why H. pylori eradication may
induce tumor remissions. The boundary between benign
hyperproliferation and true malignancy is not fully
resolved.
Esophageal Diseases
In the twentieth century, as H. pylori prevalence has
dropped in developed countries, the incidence of esopha-
geal diseases such as gastroesophageal reflux disease
(GERD) and its sequelae, including Barrett’s esophagus
and adenocarcinoma of the esophagus, has increased dra-
matically, and the trend continues. Is there any relationship
between the decline in H. pylori and the rise of these
diseases? A large body of evidence now indicates that
persons carrying H. pylori, especially cagþstrains, have a
substantially lower risk of GERD and its sequelae, includ-
ing adenocarcinoma, than persons who are H. pylori-free.
The secular trend, pathophysiologic, and epidemiologic
studies all point toward gastric H. pylori colonization as
protecting the esophagus from these diseases.
Asthma and Allergic Diseases
Similar to GERD, these diseases also have been increas-
ing as H. pylori is disappearing from developed country
populations. Several large studies now have shown an
inverse relationship between cagAþH. pylori strains and
asthma, allergic rhinitis, eczema, and skin sensitization,
especially for cases with childhood onset. If these findings
Helicobacter Pylori 601

are confirmed, they will substantially change our evalua-
tion of the clinical significance of H. pylori.
Diagnosis
Diagnosis of H. pylori can be established by gastric biopsy
obtained during an endoscopy of the upper gastrointest-
inal tract, as well as by noninvasive techniques. The
simplest biopsy-based test for H. pylori is the rapid urease
test, which detects the abundant urease activity. The
bacteria also can be visualized in tissue sections when
specific histological staining techniques (e.g., the
Warthin–Starry stain) are used. Culturing H. pylori is
rarely done in clinical settings, but may be advisable
when determination of antibiotic susceptibility is impor-
tant. Essentially all colonized people develop humoral
(especially serum IgG) immune responses to H. pylori
antigens, a property that can be used to diagnose its
presence without endoscopy. An alternative way to diag-
nose H. pylori presence is by the
13
C urea breath test. Stool
antigen tests also can be useful, especially in children.
Treatment
The recommendation is to eliminate H. pylori in all
patients with gastric or duodenal ulcer disease, with
low-grade gastric MALT lymphoma, or who have under-
gone surgery for resection of early-stage gastric
carcinoma. Although H. pylori is susceptible to many anti-
biotics in vitro, no single agent achieves eradication rates
above 55%, and thus combination therapies must be used.
The standard treatment to eliminate H. pylori in 2008
consists of a combination of two antibiotics (most com-
monly the macrolide clarithromycin, in combination with
either a nitroimidazole or amoxicillin) with an inhibitor of
gastric acid secretion (such as a proton-pump inhibitor),
which are given for 7–10 days. These short-term regi-
mens have low rates of side effects, and in clinical practice
achieve eradication rates exceeding 80%. Increasing
H. pylori resistance to nitroimidazoles and macrolides has
reduced their efficacy; this resistance is due to the acqui-
sition of point mutations in the nitroreductase gene rdxA
and 23S ribosomal RNA genes, respectively.
Vaccine Development
When H. pylori was considered to be exclusively a patho-
gen, vaccine development appeared to be desirable.
Accumulating evidence suggesting a protective role
against esophageal diseases and other disorders has tem-
pered the recommendations concerning worldwide
elimination of these organisms. Vaccine strategies in the
future may be aimed at particular populations at high risk
of gastric cancer, or in preserving colonization, but redu-
cing the specific disease risks.
Conclusions
The isolation of H. pylori and analysis of its relation to
disease has had an important impact on the clinical practice
of medicine, a phenomenon that continues to evolve.
Because peptic ulcer disease had been considered for so
long to be a medical disease without the consideration of a
microbial role, the elucidation of the contributions of
H. pylori also has reinvigorated the search for microbial
participation in other diseases whose pathogenesis is at
present poorly understood (e.g., inflammatory bowel dis-
ease, atherosclerosis, and biliary tract diseases). The
paradigm of H. pylori protecting against potentially fatal
conditions provides a new dimension that needs to be
taken into account when strategies for management of
H. pylori infection are devised. The comparative assessment
of benefits (e.g., potentially preventing an excess of 500 000
cases of gastric cancer per year) and costs of mass H. pylori
eradication and prevention is far from being completed. As
our understanding of the interaction of H. pylori with
humans matures, it provides answers to ecological questions
about relationships with our commensal organisms.
Further Reading
Blaser MJ and Atherton J (2004) Helicobacter pylori persistence:
Biology and disease. The Journal of Clinical Investigation
113: 321–333.
Blaser MJ and Kirschner D (2007) The equilibria that permit bacterial
persistence in human hosts. Nature 449: 843–849.
Chen Y and Blaser MJ (2007) Inverse associations of Helicobacter pylori
with asthma and allergies. Archives of Internal Medicine 167: 821–827.
Falush D, et al. (2003) Traces of human migrations in Helicobacter pylori
populations. Science 299: 1582–1585.
Hentschel E, et al. (1993) Effect of ranitidine and amoxicillin plus
metronidazole on the eradication of Helicobacter pylori and the
recurrence of duodenal ulcer. The New England Journal of Medicine
328: 308–312.
Linz B, et al. (2007) An African origin for the intimate association
between humans and Helicobacter pylori.Nature 445: 915–918.
Marshall BJ and Warren JR (1983) Unidentified curved bacilli on gastric
epithelium in active chronic gastritis. Lancet 1: 1273–1275.
Peek RM and Blaser MJ (2002) Helicobacter pylori and gastrointestinal
tract adenocarcinomas. Nature Reviews Cancer 2: 28–37.
Suerbaum S, et al. (1998) Free recombination within Helicobacter pylori.
Proceedings of the National Academy of Sciences of the United
States of America 95: 12619–12624.
Suerbaum S, et al. (2003) The complete genome sequence of the
carcinogenic bacterium Helicobacter hepaticus.Proceedings of the
National Academy of Sciences of the United States of America
100: 5830–5835.
Suerbaum S and Josenhans C (2007) Helicobacter pylori evolution and
phenotypic diversification in a changing host. Nature Reviews
Microbiology 5: 441–452.
Suerbaum S and Michetti P (2002) Helicobacter pylori infection. The
New England Journal of Medicines 347: 1175–1186.
Tomb JF, et al. (1997) The complete genome sequence of the gastric
pathogen Helicobacter pylori.Nature 388: 539–547.
602 Helicobacter Pylori

Hepatitis Viruses
A J Uriel, Mount Sinai School of Medicine, New York, NY, USA
P Martin, University of Miami Miller School of Medicine, Miami, FL, USA
ª2009 Elsevier Inc. All rights reserved.
Defining Statement
Introduction
Acute Viral Hepatitis
Chronic Viral Hepatitis
HAV
HBV
HCV
HDV
HEV
‘New’ Hepatitis Viruses
Further Reading
Glossary
alanine transaminase (ALT, formerly SGPT) An
enzyme found predominantly in liver, released into the
serum as a result of liver injury. In most liver diseases,
ALT is elevated to a greater level than the aspartate
transaminase (AST), and in acute viral hepatitis levels of
>1000 IU ml
1
are not uncommon.
alkaline phosphatase (ALP) An enzyme that is made in
the liver, bone, and the placenta and can be measured in
serum. It is increased in the setting of diseases in which
bile secretion is impaired, and to a lesser degree in
association with hepatocellular injury.
angioedema A skin eruption similar to urticaria but
affecting both the dermis and the subcutaneous tissue
(deeper skin layer).
ascites Abnormal accumulation of fluid in the
abdominal cavity. Ascites is associated with advanced
liver disease complicated by portal hypertension but
can be seen in other conditions including abdominal
malignancies.
aspartate transaminase (AST, formerly SGOT) An
enzyme found in many tissues including the liver, heart,
muscle, kidney, and brain. It is released into serum when
any one of these tissues is damaged, for example, after
a myocardial infarction or muscle injury. Although not a
highly specific indicator of liver injury, levels of >500 IU
ml
1
suggest acute hepatitis.
B cells These lymphocytes mature in the bone marrow
and are responsible for humoral immunity.
bilirubin A chemical that results from the breakdown of
red blood cells. Increased levels in serum result from
increased red cell destruction (hemolysis), decreased
uptake by the liver, or decreased excretion into the bile.
High levels in the serum are associated with jaundice.
cholestasis Caused by obstruction to bile flow within
the liver (intrahepatic) or outside the liver (extrahepatic).
The obstruction causes bile salts, the bile pigment
bilirubin, and fats (lipids) to accumulate in the blood
instead of being eliminated normally.
cirrhosis The final common histological pathway for a
wide range of chronic liver diseases, the hallmark of
which is the formation of microscopic or macroscopic
nodules of normal liver tissue separated by bands of
fibrous tissue. Injury to the liver cells results in an
inflammatory response that leads to the formation of
scar or fibrous tissue. The liver cells that do not die
replicate to replace the cells that have died, resulting in
clusters of newly formed liver cells (regenerative
nodules) within the fibrous tissue.
cytopathic Pertaining to or characterized by
pathological changes in cells.
cytopenias A reduction in the number of cells
circulating in the blood, which can take several forms;
anemia is a decrease in red cell count, leucopenia is a
decrease in white cells, and thrombocytopenia is a
reduction in platelets. When all three classes of blood
cells are decreased, the condition is known as
pancytopenia.
cytotoxic T lymphocytes Lymphocytes that mature in
the thymus gland and generate cell-mediated immune
responses, directly destroying cells that have specific
antigens on their surface recognizable by these T cells.
deoxyribonucleic acid (DNA) The genetic material of
all cellular organisms and most viruses. A molecule of
DNA consists of two strands composed of nucleotides,
linked together to form a chain in the form of a double
helix. DNA carries the information needed to direct
protein synthesis and replication.
enteral Entry of a substance or organism (such as a
virus) into the body via the gastrointestinal tract.
epitope Also known as the antigenic determinant, this
is the specific part of an antigen that can be recognized
by an antibody.
glomerulonephritis An inflammation of the glomeruli,
bunches of tiny blood vessels inside the kidneys. The
damaged glomeruli cannot effectively filter waste
products and excess water from the bloodstream to
make urine.
603

HBV cccDNA Hepatitis B virus covalently closed
circular DNA is a continuous double-chain ring, which
serves as the template for all viral RNA transcription.
hepatic portal system A portal system is a capillary
bed draining into another capillary system through veins
before returning to the heart. The hepatic portal system
refers to the circulation of blood from parts of the
gastrointestinal tract, via the hepatic portal vein into the
hepatic sinusoids.
hepatic steatosis One of a spectrum of liver diseases
termed nonalcoholic fatty liver disease (NAFLD) that
have in common the accumulation of excess fat in liver
cells. These conditions range from simple steatosis
(excess fat without inflammation), to nonalcoholic
steatohepatitis (NASH), through to cirrhosis. The term
nonalcoholic is used because NAFLD occurs in
individuals who do not consume excessive amounts of
alcohol, but the appearance of the liver microscopically
is similar to that seen in alcoholic liver disease. NAFLD is
associated with insulin resistance and the metabolic
syndrome.
hepatomegaly Enlargement of the liver.
humoral immune response The production of
antibodies that circulate through the blood and other
body fluids, binding to antigens, and helping to destroy
them.
insulin resistance (IR) The uptake of glucose into
tissues is stimulated by insulin, in the setting of IR,
tissues have an impaired responsiveness to the actions
of insulin. In an effort to maintain normal glucose levels,
the pancreas secretes more insulin, leading to high
plasma insulin levels. Over time the pancreas is unable
to overcome IR through hypersecretion and overt
diabetes develops.
International Normalized Ratio (INR)/prothrombin
time These laboratory tests are measures of the
extrinsic pathway of coagulation, and are a sensitive
method of assessing liver function. The INR is the ratio
of a patient’s prothrombin time to a normal (control)
sample.
jaundice The yellowish coloration of the skin and
sclerae (the whites of the eyes) observed when bilirubin
levels are increased above a certain level. Also referred
to as icterus.
lipoprotein Classes of conjugated proteins in which
proteins are combined with a lipid (fat) such as
cholesterol. These complexes are the form in which
lipids are transported in the circulation. Lipoproteins are
classified by their density and chemical properties.
lymphocyte Specialized white blood cells whose
function is to identify and destroy invading antigens, are
subdivided into B and T cells.
major histocompatibility complex (MHC) A large
cluster of genes located on the short arm of
chromosome 6, which is traditionally divided into the
class I, II, and II regions, each containing groups of
genes with related functions. Many, but not all of the
genes in this complex play important roles in the
immune system.
metabolic syndrome This syndrome can be defined as
a number of related conditions, including obesity,
hypertension, abnormalities of lipid metabolism, and
type 2 diabetes, that are associated with IR and
compensatory hyperinsulinemia.
parenteral Entry of a substance or organism (such as a
virus) directly into the bloodstream, via a device such as
needle or catheter.
polyarteritis nodosa A disease of unknown etiology,
possibly due to hypersensitivity to an unknown antigen,
causing inflammation and necrosis of medium-sized
muscular arteries, with secondary ischemia of tissue
supplied by affected vessels.
portal hypertension Elevated blood pressure in the
portal vein and its branches, resulting from intrahepatic
or extrahepatic portal venous compression or occlusion.
In the United States and Europe, the commonest cause
is increased resistance to blood flow caused by
extensive scarring of the liver in cirrhosis. Increased
pressure in the portal circulation causes the formation of
new veins called collaterals that develop at specific
places, most importantly at the lower end of the
esophagus and upper part (fundus) of the stomach.
purpura Hemorrhages in the skin and mucous
membranes having the appearance of purplish spots or
patches.
ribonucleic acid (RNA) A molecule of nucleic acid that
differs from DNA by containing ribose rather than
deoxyribose. RNA is formed on a DNA template. Several
differing molecular classes of RNA are produced
(messenger, transfer, and ribosomal) that play roles in
the synthesis of protein and other cell functions. It
reflects the exact nucleoside sequence of the
genetically active DNA.
splenomegaly Enlargement of the spleen.
urticaria A skin eruption consisting of localized wheals
and erythema (‘hives’) affecting only the dermis
(superficial skin layer).
varices Abnormally enlarged and convoluted veins,
prone to bleeding, seen in the lower esophagus and
stomach in association with portal hypertension.
vasculitis A group of diseases in which the primary
pathology is inflammation of the blood vessels. Each of
these diseases is differentiated by the characteristic
distributions of blood vessel and organ involvement,
and laboratory test abnormalities. Underlying immune
system abnormality is a common feature.
604 Hepatitis Viruses

Abbreviations
ALP alkaline phosphatase
ALT alanine transaminase
anti-HCV hepatitis C Antibody
AST aspartate transaminase
Bili bilirubin
cccDNA covalently closed circular DNA
DNA deoxyribonucleic acid
EIA enzyme immunosorbant assays
EMC Essential mixed cryoglobulinemia
HAV hepatitis A virus
HBcAg hepatitis B core antigen
HBeAg hepatitis B e antigen
HBIg hepatitis B immune globulin
HBsAg hepatitis B surface antigen
HBV hepatitis B virus
HCC hepatocellular carcinoma
HCV hepatitis C virus
HDV hepatitis Delta virus
HEV hepatitis E virus
HVR hypervariable region
IFN Interferon
Ig immunoglobulin
IgM anti-HAV hepatitis A IgM antibody
IgM anti-HBc hepatitis B core IgM antibody
IL-12 interleukin-12
IM intramuscularly
INR international normalised ratio
IR insulin resistance
IVDU intravenous drug user
LCMV lymphocytic choriomeningitis virus
LT liver transplantation
MHC major histocompatibility complex
NAFLD nonalcoholic fatty liver disease
NANB Non-A, non-B
NASH nonalcoholic steatohepatitis
NHL non-Hodgkin’s lymphoma
NRTI nucleoside reverse transcriptase
inhibitor
ORF open reading frame
RBV ribavirin
RIBA recombinant immunoblot assay
RNA ribonucleic acid
SENV SEN virus
SVR Sustained viral response
TNF tumor necrosis factor
TTV Torque teno virus
Defining Statement
We discuss the pathogenesis of acute and chronic viral
hepatitis, and the structure, replication, epidemiology, and
clinical features of each hepatitis virus (A, B, C, D, and E).
Current therapies for chronic HBV and HCV, vaccination
against HAV, HBV, HEV, and newly identified hepato-
tropic viruses will also be covered.
Introduction
Hepatitis is a nonspecific term meaning inflammation of
the liver (from the Greek hepar for liver þitis for inflam-
mation) and does not necessarily imply a viral etiology.
Many viruses can cause a systemic infection that may
involve the liver with an acute hepatitis (e.g., cytomega-
lovirus, Epstein–Barr virus, and yellow fever virus).
Hepatitis A virus (HAV), hepatitis B virus (HBV), hepa-
titis C virus (HCV), hepatitis delta virus (HDV), and
hepatitis E virus (HEV) are the five hepatotropic viruses
responsible for most cases of acute viral hepatitis. Three
of these, HBV, HDV, and HCV, also cause chronic
hepatitis, with the risk of progression to cirrhosis, and
hepatocellular carcinoma (HCC) (Table 1).
Before the identification of individual viruses, acute
hepatitis was classified by British hepatologist F.O.
MacCallum in 1947 as either infectious (transmitted via
the fecal–oral route from person to person) or serum
(acquired from the transfusion of blood and blood pro-
ducts). With the introduction of diagnostic tests in the
1960s and 1970s, HBV and HAV were identified as the
major cause of serum and infectious hepatitis, respec-
tively. In 1977, HDV was identified as a defective
ribonucleic acid (RNA) virus that is dependent on HBV
to replicate. However, not all individuals with acute
infectious or serum hepatitis tested positive for HAV or
HBV and it was strongly suspected there were additional
causative viral agents. Non-A, non-B (NANB) hepatitis
was characterized epidemiologically as either parenter-
ally or enterally transmitted until two additional viruses
were discovered in the 1980s: HCV and HEV. HCV was
identified in 1989 as the major cause of parenterally
transmitted NANB, and HEV in 1983 as the major
cause of enterically transmitted NANB hepatitis. Some
patients continue to have typical signs and symptoms of
acute viral hepatitis, without serologic evidence of
Hepatitis Viruses 605

infection with any of the currently identified hepatitis
viruses (non-ABCDE hepatitis).
HAV and HEV are transmitted via the fecal–oral route,
whereas HBV, HDV, and HCV are spread predominantly
through parenteral exposure; sexual contact and vertical
transfer from mother to infant are generally significant
routes of transmission only for HBV. Until recently, sexual
transmission of HCV was not considered a significant route
of infection; however, there is now accumulating evidence
that high-risk sexual activity is a potential HCV risk factor
for men who have sex with men.
There is wide geographical variation in the prevalence
of these agents, with HAV and HEV endemic in devel-
oping countries reflecting an absence of safe, clean water
supplies. HBV is highly endemic in sub-Saharan Africa
and Asia, and it is estimated that about 5% of the world’s
population are chronically infected.
Common symptoms of acute hepatitis include fever,
malaise, and anorexia (decreased appetite) in the ‘prodro-
mal’ period, followed by the onset of dark-colored urine,
pale stools, and jaundice. Although the majority will
recover completely, a small proportion may develop
severe fulminant hepatitis that carries a high mortality
(50%) unless the individual undergoes liver transplanta-
tion (LT). Fulminant liver failure due to acute viral
hepatitis is the most common emergency indication for
LT. Chronic HBV and HCV infections are usually
asymptomatic, unless there has been progression to cir-
rhosis when individuals can present with complications
such as ascites and bleeding esophageal varices. Chronic
HCV-related end-stage liver disease is the leading indi-
cation for LT in the Western world.
Histopathology of the Liver
Microscopically, the smallest functional anatomical unit
of the liver is the ‘lobule’ (Figure 1). Each lobule consists
of a branch of the hepatic vein (terminal hepatic venule)
from which ‘plates’ of hepatocytes radiate toward a num-
ber of peripheral ‘portal tracts’, each tract composed of a
biliary ductule, terminal hepatic arteriole, and terminal
portal venule (the portal triad). In acute viral hepatitis,
lobular rather than portal abnormalities dominate,
whereas in chronic hepatitis changes are observed in the
portal and periportal areas. Histological examination of
the liver is not generally required in the setting of acute
infection. In chronic viral hepatitis, liver histology is use-
ful in assessing disease severity.
Liver lobule
Detail of lobule
Hepatic venule
Hepatocytes
Sinusoids
Bile duct Branch of
hepatic
portal vein
Branch of
hepatic
artery
Figure 1 The structure of the liver’s functional units, or lobules.
Blood enters the lobules through branches of the portal vein and
hepatic artery, then flows through small channels called
sinusoids that are lined with hepatocytes Reproduced from
Cunningham CC and Van Horn CG (2003) Energy availability and
alcohol-related liver pathology. Alcohol Research and Health
27(4): 281–299, with permission.
Table 1 The major hepatitis viruses
Hepatitis A Hepatitis B Hepatitis C Hepatitis D Hepatitis E
Family Picornovirus Hepadnae Flavi virus Unclassified Hepeviridae
Genus Hepatovirus Orthohepadna Hepacivirus Deltavirus Hepatitis E-like
virus
Genome RNA DNA RNA RNA RNA
Main transmission routes Fecal–oral Parenteral/
sexual
Parenteral Parenteral Fecal–oral
Materno-fetal transmission No High risk Low risk No Possible
Chronicity No Yes Yes Yes No
Commercially available vaccine Yes Yes No Prevented by
hepatitis B
vaccination
No
606 Hepatitis Viruses

Acute Viral Hepatitis
The etiology of an acute hepatitis caused by any of the
five hepatitis viruses cannot be distinguished solely by
clinical or biochemical features, and requires serological
testing. Common prodromal symptoms include malaise
and anorexia (loss of appetite), followed by dark-colored
urine, pale stools, and icterus (jaundice). Although most
cases of acute viral hepatitis resolve uneventfully, some
patients with acute HBV and HCV become chronically
infected. A minority of patients with acute HAV, HBV,
and HDV (and also with acute HCV but far less likely)
will develop fulminant hepatitis with acute liver failure.
Affected individuals can also be asymptomatic, identified
only after the infection has resolved, by positive serology
performed incidentally (e.g., before blood donation).
Histology of Acute Viral Hepatitis
The histological picture is similar in acute hepatitis caused
by any of the major hepatitis viruses. Characteristic find-
ings include lobular disarray, diffuse hepatocyte injury,
ballooning, eosinophilic degeneration, and necrosis,
together with a predominantly mononuclear inflammatory
response in the parenchyma and portal tracts. The inflam-
matory infiltrates consist mainly of T-cell lymphocytes,
reflecting the role of cellular immunity in the pathogenesis
of hepatitis. Although ‘interface hepatitis,’ formerly
referred to as ‘piecemeal necrosis’ (the destruction of
hepatocytes at an interface between liver parenchyma
and connective tissue), is the defining feature of chronic
hepatitis, it is also seen in acute hepatitis, particularly with
HBV. Cholestasis may also be observed. As the reticular
framework of the liver is usually preserved in acute hepa-
titis, hepatocyte regeneration and complete restoration of
the liver normally occur after resolution of infection.
Typical features of acute HAV infection include hepa-
tocellular injury and necrosis that predominates around
the portal tracts, and a portal and periportal inflammatory
infiltrate that contains abundant plasma cells. In adult-
acquired acute HBV, histological findings are character-
ized by severe centrilobular necrosis and inflammation.
Portal lymphoid aggregates and bile duct lesions of the
Poulsen–Christoffersen type are characteristic of acute
HCV, occurring rarely in other types of acute viral hepa-
titis (Figure 2).
Acute Viral Hepatitis – Pathogenesis
Most hepatitis viruses are noncytopathic, liver damage in
the acute as well as the chronic stages reflects the host
immune response, largely controlled by CD4 T-helper
lymphocytes. These immune responses are directed at
viral- or self-antigens expressed on the surface of
infected hepatocytes via the major histocompatibility
complex (MHC). In acute HBV, the antiviral cytotoxic
T-lymphocyte response is directed against multiple epi-
topes within the HBV core, polymerase, and envelope
proteins. The mechanism of cytotoxic T-lymphocyte
destruction of HBV-infected hepatocytes has been inves-
tigated in a mouse model, with the number of infected
hepatocytes killed by direct interaction between cyto-
toxic T lymphocytes and their targets insufficient to
explain the extent of damage observed in acute hepatitis.
It has therefore been postulated that much of the injury
is due to secondary antigen-non-specific inflammatory
responses induced by the response of the cytotoxic lym-
phocytes (e.g., due to release of tumor necrosis factor
(TNF), free radicals, and proteases), and also possibly
due to the involvement of other immune cells such as
natural killer T cells.
(a)
(b)
Figure 2 Histological features of (a) acute recurrent hepatitis C
in a liver allograft showing diffuse necro-inflammatory changes in
the parenchyma with acidophilic bodies, inflammation, and
ballooning degeneration of hepatocytes; and (b) chronic hepatitis
C with nodular cirrhosis. Courtesy of Dr. S. Thung, Mount Sinai
School of Medicine, New York.
Hepatitis Viruses 607

It is believed that the immune response to one or more
viral proteins is responsible for both viral clearance and
liver injury during infection.
Acute Viral Hepatitis – Clinical Features
Parenterally transmitted hepatitis viruses tend to have
longer incubation periods than those transmitted via the
enteric route. An incubation period of between 40 and
160 days is observed in HBV and HDV infection, 15–160
days with HCV, 14–60 days for HEV, and 10–50 days for
HAV.
In symptomatic individuals, after a typical viral pro-
drome, symptoms of anorexia, right upper abdominal
discomfort, with dark urine and pale stools, precede the
onset of icterus by several days. On examination, the liver
is usually enlarged/palpable and mildly tender, although
marked hepatomegaly or splenomegaly is uncommon.
Once the patient is icteric, fever resolves and constitu-
tional symptoms generally improve. The duration of
jaundice can vary from a few days to several weeks. In
the majority of cases, acute viral hepatitis is a self-limited
disease with patients recovering completely by 2–8 weeks
after the onset of jaundice. Occasionally a patient may
experience ‘biphasic hepatitis’, where initial clinical
improvement is followed by a relapse of signs and symp-
toms. This is most often seen in HAV infection; if this
situation occurs in a patient with acute HBV, the possi-
bility of acute HDV should be considered. Although wide
fluctuations in alanine transaminase (ALT) occurring
over weeks to months can be seen in acute HCV, a true
‘biphasic’ course is uncommon. Approximately 10% of
subjects with acute HBV initially develop a serum-
sickness-like syndrome (characterized by skin rash,
angioedema, and arthritis) due to circulating immune
complexes of viral particles and antibody with comple-
ment activation (see ‘Extrahepatic manifestations of viral
hepatitis’).
Fulminant Acute Viral Hepatitis
The majority of cases of fulminant hepatitis (>50%) are
due to acute HBV (with and without HDV superinfec-
tion). Fulminant disease is only seen in a small percentage
of patients with HAV (this is more likely if the disease is
acquired by older adults), and very rarely associated with
acute HCV. Between 1 and 2% of cases of HEV can also
become fulminant, particularly when acquired by females
in the later stages of pregnancy when the percentage
increases to over 20%. Individuals with underlying
chronic liver disease, such as HCV-related cirrhosis,
who are infected acutely with HBV, HAV, or even
HEV, are at increased risk for a fulminant course. In
patients with chronic HBV, hepatitis flares and rarely
fulminant hepatitis can accompany changes in
immunological response to the virus, for example, rever-
sion from nonreplicative to replicative infection (hepatitis
B e antigen (HBeAg-to-anti-HBe seroconversion), and
can also be seen in individuals with previously quiescent
chronic HBV undergoing immunosuppressive or cancer
chemotherapy. Although only a small percentage of
patients with acute viral hepatitis develop fulminant
hepatitis, altered mental status in an icteric patient should
prompt referral to a transplant center because of the high
mortality rate.
Acute Viral Hepatitis – Laboratory Features and
Diagnosis
Acute viral hepatitis can usually be differentiated from
other causes of acute jaundice by the marked elevations
of two liver enzymes measured in serum, ALT, and aspar-
tate transaminase (AST). ALT is typically higher than
AST, but absolute levels correlate poorly with clinical
severity. Serum transaminases begin to increase during
the prodromal period, preceding the onset of jaundice,
and can reach a peak level of >1000IUl
1
(normal
range 10–40 IU l
1
). The serum bilirubin (Bili) is mainly
conjugated and reflects the severity of the hepatitis; how-
ever, large elevations in transaminases can be seen without
significant elevations in Bili, particularly in acute HCV.
Alkaline phosphatase (ALP) is usually only mildly to mod-
erately elevated, marked elevation suggests extrahepatic
cholestasis and should prompt imaging, for example, with
ultrasound. Occasionally, there may be a cholestatic phase
(most commonly seen with HAV infection) when Bili and
ALP levels remain elevated in the face of decreasing trans-
aminases, with the patient exhibiting symptoms of severe
pruritis (itching) and jaundice. Assessment of the synthetic
function of the liver with albumin and coagulation tests,
that is, prothrombin time and International normalized
ratio (INR), provides the most sensitive measure of liver
injury. Increasing prolongation of the INR implies possible
hepatocellular failure and evolution to fulminant hepatitis.
The most useful initial serological tests are hepatitis B
surface antigen (HBsAg), hepatitis A IgM antibody (IgM
anti-HAV), hepatitis B core IgM antibody (IgM anti-
HBc), and hepatitis C antibody (anti-HCV) (Figure 3).
Acute HAV is confirmed by IgM anti-HAV. Acute HBV
is indicated by the presence of HBsAg with IgM anti-
HBc. Unless there is documented anti-HCV seroconver-
sion after a discrete HCV exposure, such as a needlestick
injury, acute HCV can be difficult to diagnose conclu-
sively. Viral replication can be confirmed by the detection
of HCV RNA in serum, but does not distinguish acute
from chronic infection. If HEV infection is suspected, the
diagnosis can be confirmed with serology. Both IgM and
IgG anti-HEV can be seen in acute infection.
608 Hepatitis Viruses

Acute Viral Hepatitis – Treatment
Most cases of acute viral hepatitis resolve spontaneously
and require no specific treatment other than supportive
care. Small series, however, suggest that treatment of
acute HBV may abort its course and prevent chronicity.
Owing to the high risk of progression to chronicity in
acute HCV, with up to 75% of those infected failing to
clear the virus, there is valid reason to advocate antiviral
therapy for those individuals who are persistently viremic
4–6 months after exposure. Sustained viral response
(SVR) rates of over 90% have been reported using inter-
feron (IFN) monotherapy.
Extrahepatic Manifestations of Viral Hepatitis
Extrahepatic manifestations of acute and chronic viral
hepatitis are most frequently seen with acute or chronic
HBV with immune complex-mediated tissue damage. A
‘serum sickness’-like syndrome sometimes seen in acute
HBV is thought to be due to the deposition of circulating
immune complexes of HBsAg-anti HBs in blood vessel
walls, leading to the activation of the complement system
and depressed serum complement levels.
Other types of immune-complex disease may be seen
in chronic HBV, including membranous glomerulone-
phritis and, rarely, polyarteritis nodosa. Deposition of
HBsAg, immunoglobulin (Ig), and C3 has been described
in the glomerular basement membrane; membrano-
proliferative glomerulonephritis has also been reported
with chronic HCV. HBV is implicated in up to 20% of
cases of childhood membranous nephropathy.
Essential mixed cryoglobulinemia (EMC), initially
associated with hepatitis B, has subsequently been shown
to be more frequently associated with chronic HCV
(>90% cases). Cryoglobulinaemia is characterized by the
presence of Igs in the blood (cryoglobulins), which are
precipitated into the microvasculature at low tempera-
tures, and then redissolve at temperatures of 37 C. In
EMC, cryoprecipitable immune complexes of more than
one Ig class are found in the serum; these immune com-
plexes contain HCV RNA. Clinical features of EMC
include arthritis, cutaneous vasculitis (palpable purpura),
and occasionally glomerulonephritis. EMC can be asso-
ciated with overt lymphoproliferative disorders of B-cell
lineage. HCV is a factor in the pathogenesis of at least a
proportion of patients with non-Hodgkin’s lymphoma
(NHL), with some cases of HCV-associated NHL being
highly responsive to antiviral therapy.
A variety of other extrahepatic diseases such as
Sjo¨gren’s syndrome, autoimmune thyroiditis, porphyria
cutanea tarda, and lichen planus has been described in
chronic HCV. The mechanism by which HCV causes
these extrahepatic diseases is still unclear. Antiviral ther-
apy with IFN, with or without ribavirin (RBV), leads to
remission or resolution in many cases.
Chronic Viral Hepatitis
Acute infections with HAV and HEV infections do not
progress to chronicity and therefore there is no risk of
long-term liver damage. Acute infection with HBV,
HDV, and HCV, however, can become chronic, with
Weeks after exposure
Symptoms
HBeAg anti-HBe
Total anti-HBc
IgM anti-HBc
anti-HBs
HBsAg
20
0481216 242832
36 52 100
Titer
Acute hepatitis B virus infection with recovery
Typical serologic course
Figure 3 Graphical representation of evolution of serological markers in acute hepatitis B infection. Reproduced from Center for
Disease Control and Prevention, USA, with permission.
Hepatitis Viruses 609

persisting viral replication 6 months after initial infection.
Chronic infection with HBV occurs most commonly in
individuals who acquire the virus perinatally or during
early childhood when the immune response is muted,
whereas exposure in later life through sexual contact or
IV drug use leads to chronic infection in less than 5% of
cases. Both viral and host factors are thought to contribute
to the high rate of chronicity with HCV infection
(approximately 80%), which unlike HBV is not related
to age of exposure. Neither HBV nor HCV is predomi-
nantly cytopathic; hence, inflammation and injury in
chronic infection are probably immune mediated.
Chronic HBV and HCV infections are often asympto-
matic, patients may complain of vague right upper
abdominal discomfort, and nonspecific symptoms such
as chronic fatigue and malaise. The natural history of
chronic HBV is complex, but recent data suggest that
progression to cirrhosis and HCC is correlated with
serum HBV DNA levels and HBV genotype. In HCV,
up to one-third of chronically infected individuals, if
untreated, will progress over a variable time period
(usually 20–30 years) to cirrhosis; however, in contrast
to HBV, viral factors such as HCV RNA level and geno-
type do not appear to influence disease progression. The
rate of fibrosis progression in chronic HBV and HCV
infections is also dependent on host variables, for exam-
ple, age, immunogenetics, and alcohol consumption. Once
cirrhosis develops, additional manifestations include por-
tal hypertension with bleeding esophageal varices and
ascites, and impairment of hepatocellular function. The
risk of HCC is also increased in cirrhosis, whatever the
underlying cause, although the risk is particularly high if
the individual has chronic HBV (relative risk increased by
>200). However, unique among most causes of liver dis-
ease, HCC can occur in chronic HBV infections in the
absence of cirrhosis.
LT in Chronic Viral Hepatitis
There is currently no treatment other than LT to offer
individuals with chronic HBV or HCV and advanced
liver disease with complications such as portal hyperten-
sion and ascites. However, recurrence of the original
infection after LT is an important cause of morbidity
and mortality. The early results of LT for HBV were
disappointing due to the high rates of graft loss from
severe cholestatic recurrent HBV infection. LT became
a viable option once hepatitis B immune globulin (HBIg)
had been shown to reduce recurrence rates to below 10%.
More recently, the antiviral drugs lamivudine and adefo-
vir have been used, with and without HBIg, to prevent
recurrence. Unfortunately, there is currently no therapy
available to prevent recurrent infection with HCV, and
reinfection after LT is almost universal. Recurrent HCV is
variable in severity, but some individuals progress to
cirrhosis within 3–5 years of transplant. In a large US data-
base (>11 000 patients), 5-year survival rates after LT were
reducedinHCV-positivecomparedwithHCV-uninfected
individuals (69.9 vs. 76.6%).
Histology of Chronic Viral Hepatitis
HBsAg-positive ‘ground glass’ hepatocytes are characteristic
of chronic and not acute HBV infection. Identification of
cytoplasmic HBsAg is possible with special stains (Shikata
orcein or Victoria blue stains) or immunohistochemically.
Accumulation of hepatitis B core antigen (HBcAg) in hepa-
tocyte nuclei produces an appearance known as ‘sanded’
nuclei. HBcAg is best identified using immunohistochemical
staining. Coinfection with HBV and HDV produces the same
histological picture as with HBV alone, but often with a more
severe degree of necro-inflammation. Hepatitis D antigen
can be visualized using immunohistochemical staining.
Characteristic histological features of chronic HCV
infection include dense portal lymphocytic infiltrates,
often with lymphoid aggregates and sometimes with fol-
licle formation accompanied by varying degrees of
interface hepatitis. Mild degrees of biliary epithelium
damage (the ‘Poulsen lesion’) can also be seen. There is
currently no commercial immunohistochemical stain for
HCV. Hepatic steatosis can be observed in up to 70% of
liver biopsies from individuals with chronic HCV (74%
in genotype 3 vs. 50% in non-3 genotype) as compared
with up to 18% of patients with chronic HBV infection.
The high prevalence is due to a combination of the direct
steatogenic effect of HCV (particularly genotype 3) and
the prevalence of metabolic risk factors in the HCV
population. Steatohepatitis has been shown to enhance
fibrosis progression in chronic HCV.
Chronic Viral Hepatitis – Pathogenesis
After acute infection with HBV or HCV, impairment of
hepatitis virus-specific T-cell responses can lead to fail-
ure to clear the virus, with the establishment of chronic
infection. Individuals who spontaneously clear HBV and
HCV maintain durable virus-specific CD4þand CD8þ
T-cell responses that can be easily detected in the blood
for decades, whereas those who progress to chronic viral
hepatitis typically display narrowly focused and weak
HBV- and HCV-specific T-cell responses. Virus-specific
T cells in these subjects show reduced proliferation and
production of cytokines, and there is reduced cytotoxicity
of CD8þT cells. The gradual loss of T-cell function is
termed ‘exhaustion,’ and is thought to be secondary to the
frequent exposure to a high viral and antigenic load, for
example, in chronic HBV, large quantities of HBeAg are
secreted into the blood and may be the cause of neonatal
T-cell tolerance and in altering the reactivity of HBe-
specific CD8þT cells. In HCV, it has been demonstrated
610 Hepatitis Viruses

that other antigen-specific mechanisms are involved in
the downregulation of cellular immune responses, even at
low antigen concentrations; for example, recombinant
HCV core protein has been shown to downregulate inter-
leukin-12 (IL-12) production by macrophages in vitro.
Reduction of effector T-cell function occurs in the fol-
lowing order: IL-2 production being affected first, then
cytotoxicity and the production of TNF-,withIFN-
production usually preserved until last. In addition, the
functional potential of CD8þT cells can be negatively
impacted if help from CD4þcells is reduced or unavailable.
Finally, viral mutations (which are more frequent in HCV
than in HBV infection) also contribute to CD8þT-cell
impairment by affecting the intracellular processing of
T-cell epitopes, their binding to major histocompatability
molecules, and the stimulation of T-cell receptors. These
mutations also affect recognition by specific antibodies, so
that all arms of the adaptive immune response are
downregulated.
A small number (<2% per annum) of chronically infected
HBV patients spontaneously clear HBsAg and develop neu-
tralizing antibodies. In these individuals, HBV-specific
T-cell responses become detectable in the blood just before
seroconversion. This implies that latent, immune-mediated
clearance mechanisms can become spontaneously activated
in chronically infected subjects. It is not known whether such
immune responses can be induced therapeutically by vacci-
nation and or antiviral therapy in patients with chronic HBV.
Studies in animal models of related chronic viral infections
(e.g., the mouse model of chronic infection with the1
hepatotropic lymphocytic choriomeningitis virus, LCMV)
suggested that proliferative CD8þT-cell responses can be
partially restored if viral load was reduced with antivirals
before vaccination. However, results of studies of HBV pep-
tideandproteinvaccinationinadultsandchildrenwithHBV
have been disappointing, and although therapy with nucleo-
side analogues results in a transient recovery of HBV-specific
CD4þand CD8þT-cell function in peripheral blood, this
does not persist for greater than 6 months. Antiviral therapy
in chronic HCV is not associated with even a transient
increase of HCV-specific T-cell responses. Extrapolating
on data obtained from the LCMV-infected mouse model, it
would appear that virus-specific CD8þTcellsdevelopan
intrinsic defect during chronic infection that prevents a vig-
orous proliferative response to vaccination even if the virus is
removed.
HAV
HAV is a nonenveloped positive-strand RNA virus
transmitted via the fecal–oral route. Although globally
distributed, risk of infection decreases as levels of hygiene
and sanitation improve, and an effective preventative
vaccine is available.
Virology
First visualized by immune electromicroscopy in 1973,
HAV has been classified within a separate genus of the
Picornaviridae family, the genus Hepatovirus (Figure 4). The
virus is nonenveloped, with a diameter of 27–32 nm, with a
linear RNA genome The 39-end terminates with a poly (A)
tail of 40–80 nucleotides The genome contains a single,
large open reading frame (ORF), which codes for a large
polyprotein and which is subsequently cleaved by a viral
protease, forming three capsid proteins and several
nonstructural proteins. The capsid is composed of 60
copies of each of three major structural proteins, VP1,
VP2, and VP3.
Once the virus enters the hepatocyte, there is loss of
the protein coat releasing the positive-sense RNA strand
into the cytoplasm. Genomic replication takes place by a
mechanism involving an RNA-dependent RNA polymer-
ase. HAV then enters the biliary tract and exits the body
via the feces. Several viral genotypes have been identified,
but with only one serotype, with one immunodominant
neutralization site, a property that facilitated the devel-
opment of an effective vaccine.
Epidemiology
HAV is transmitted via the fecal–oral route, by ingestion
of contaminated food or water or direct person-to-person
transmission; it can occur either sporadically or in large
outbreaks. The highest prevalence of this infection occurs
in countries with lack of access to clean water supplies. In
endemic areas, infections occur early in life, such that
most children by the age of 9 are seropositive for HAV.
In contrast, HAV is mainly a disease of adults in most
industrialized nations, who are much more likely to have
symptomatic infection. Despite high seroprevalence rates
in highly endemic populations, HAV perpetuates in these
Figure 4 Electron micrograph of hepatitis A virus particles.
Reproduced from Center for Disease Control and Prevention,
USA, with permission.
Hepatitis Viruses 611

regions due to its ability to survive in the environment for
prolonged periods, and, once ingested, to withstand the
acid environment of the stomach. Food and water can
become contaminated with HAV by the use of human
feces as fertilizer, and the pollution of water supplies
by raw sewage. Consumption of raw or undercooked
shellfish is associated with infection as certain mollusks
can concentrate HAV from polluted waters. Parenteral
transmission of HAV is possible, with cases reported in
intravenous drug users, hemophiliacs, and rarely via
blood transfusion. Sexual oro-anal contact can also result
in transmission.
Clinical Features
The incubation period is from 10 days up to 7 weeks,
during which time high levels of HAV are present in liver
tissue, bile, and feces (virus can also be detected in blood
in lesser amounts); the infected individual is generally
asymptomatic and highly infectious. After the 4th or
5th week of infection there is an immune response accom-
panied by the first symptoms (the prodromal or preicteric
period), which may include fatigue, fever, anorexia, nau-
sea and vomiting, diarrhea, and right-sided abdominal
pain. During this period, ALT and AST are increasingly
elevated. Generally, within 10 days of the onset of symp-
toms the patient enters the icteric phase of infection, with
resolution of fever and marked decrease in viremia,
although virus is still shed in the feces for another
1–2 weeks. Extrahepatic symptoms are uncommon,
although urticaria can occur. Jaundice usually resolves
over 1–2 weeks, and a complete recovery can take up to
6 months. The neutralizing antibodies produced in an
infected individual can be used therapeutically to prevent
infection in an exposed individual (hyperimmune or
-globulin).
Diagnosis
Routine diagnosis is usually made by the detection of IgM
anti-HAV. Experimentally, infection with HAV can be
confirmed by the detection of virus in the blood or feces.
Antibodies to HAV of the IgM class can be detected
approximately 3 weeks after exposure, and these increase
in titer over the next 4–6 weeks before disappearing from
the blood. Shortly after the appearance of IgM anti-HAV
antibodies, IgG anti-HAV antibodies can be detected;
these persist for years after resolution of acute infection,
conferring lasting immunity. As the presence of IgG anti-
HAV in the serum can indicate either prior or current
infection, it is therefore important to request both IgM
anti-HAV and IgG anti-HAV to establish the diagnosis of
acute HAV.
Vaccines
There are four inactivated commercial vaccines currently
available for the prevention of HAV. These are safe,
highly effective, and provide long-term protection (for
at least 20 years) against infection; however, a booster
vaccination after 10 years is recommended. Although
generally used preexposure, mass postexposure vaccina-
tion has been successfully utilized to contain the spread of
HAV in established outbreaks. Dosing schedules vary, but
generally two doses of vaccine are administered intramus-
cularly (IM) 6 months apart. This will produce protective
levels of antibody within 1 month of the first dose in
almost 100% of those vaccinated. These vaccines can be
coadministered with others, including live attenuated
vaccines, without affecting immunogenicity.
Vaccination strategies differ between areas of high and
low endemicity. In most developing countries, HAV is
acquired in early childhood and tends to be asymptomatic,
and therefore HAV is not a major public health issue
requiring universal immunization. As nations develop pub-
lic sanitation, the age at which individuals will become
infected is delayed until adulthood, and subsequently the
risk of symptomatic illness is much higher. In such coun-
tries, groups at high risk of infection due to lifestyle or
occupation, and travelers to areas of high endemicity, are
targeted for vaccination. One study from Ireland showed
that if HAV immunity in a population is greater than 45%,
screening followed by vaccination of nonimmune indivi-
duals is the most cost-effective strategy; if less than 45%,
vaccination without prior screening should be used.
Ig
This is more often used in the setting of postexposure
prophylaxis or in situations where immediate protection
is required. Nonimmune individuals should be given
0.02 ml k g
1
of Ig within 2 weeks of exposure, in which
case it will either prevent or attenuate the severity of the
infection. Ig can safely be given to children, pregnant and
lactating women, and the immunocompromised, and a
single dose of 100 IU given IM will provide protection
for up to 6 months. Ig should not be coadministered with
live attenuated vaccines as this may interfere with the
immune response to these vaccines, but can be given with
HAV vaccine (at a different site) for maximal protection
after an exposure.
HBV
Uniquely among DNA viruses, HBV replicates within
infected hepatocytes through a process called reverse tran-
scription. Infection with HBV can result in different clinical
scenarios, ranging from fulminant hepatitis to asymptomatic
612 Hepatitis Viruses

chronic infection, cirrhosis, or HCC. Integration of HBV
viral DNA into the hepatocyte nuclear DNA is a key event
in hepatocarcinogenesis. HCC resulting from chronic HBV
is one of the most common malignancies worldwide.
Virology
HBV is a member of the family Hepadnaviridae, with a
double-stranded circular DNA genome that replicates
through an RNA intermediate. Although HBV infects
only human and higher primates, related viruses are
common in rodent (e.g., woodchuck) and bird species
(e.g., duck). Hepadnaviridae preferentially infect liver
cells, with trace amounts of HBV DNA found in kidney,
pancreas, and mononuclear cells without causing disease
at these sites. HBV DNA does not integrate into host
cellular DNA as part of the viral replication cycle, but
may persist in the host cell for many years even after
clinical resolution of infection. During this time, HBV
DNA may be integrated into cellular DNA and it is
thought that integration plays a role in the subsequent
development of HCC.
Each HBV particle consists of a 3.2-kb double-
stranded circular DNA genome and DNA polymerase
enclosed by a viral envelope, containing three related
surface proteins, and an icosahedral nucleocapsid of
approximately 30 nm diameter.
HBV replication proceeds through a unique and com-
plex mechanism utilizing an RNA intermediate, with viral
RNA transcripts being generated from a covalently closed
circular DNA (cccDNA) transcriptional template found in
the nucleus of the host cell in the form of a viral mini
chromosome. The genome encodes four ORFs, which
when translated produce the precore and core, polymer-
ase, small, medium, and large envelope proteins, and the
transcriptional regulator protein X. The core gene can also
produce a small-molecular-weight protein called HBeAg
by an alternate start codon and post-translational modifi-
cation. The HBV polymerase has a number of functions in
the viral life cycle, including the initiation of minus-strand
DNA synthesis (priming), the synthesis of DNA using
either RNA or DNA templates (polymerase activity), the
degradation of the RNA strand of RNA–DNA hybrids
(nuclease activity), and the packaging of the RNA prege-
nome into nucleocapsids.
There are eight HBV genotypes (A–H) so designated
on the basis of a genomic variation of at least 8%.
Coinfection with different genotypes has been reported.
Genotype A is the most widely distributed, being fre-
quent in northwest Europe, sub-Saharan Africa, India,
and North, Central, and South America; B and C are
common in Southeast Asia and Oceania, and D is pre-
valent around the Mediterranean, Central Asia, and
South America. Genotype E is found only in West
Africa, F is limited to Central and South America but is
also found in Native Americans, G has been described in
the United States and France, and H in Central America.
There is accumulating evidence that HBV genotypes
may influence HBeAg seroconversion rates, mutational
patterns in precore and core promoter regions, and the
clinical severity of liver disease. For example, infection
with genotype A HBV may be more likely to become
chronic, but causes milder liver disease than other geno-
types; it also has a better response to treatment with IFN.
In contrast, genotype C HBV appears to be associated
with a more aggressive clinical course and faster progres-
sion to cirrhosis. The predominant mutation in the
precore region of the HBV genome, which completely
aborts the production of HBeAg, is rarely seen with HBV
genotypes A and F, but is found mainly in genotypes B–D.
The lifecycle of HBV begins with viral attachment and
entry into the hepatocyte followed by internalization.
Once in the cytoplasm, viral uncoating occurs and HBV
DNA is transported to the nucleus where it is converted
to cccDNA, a stable template for transcription of both
subgenomic messenger RNA (for translation into viral
proteins) and pregenomic RNA (for reverse transcription
into genomic DNA). HBV cccDNA is responsible for
viral persistence. After binding of the HBV polymerase
and core Ag to the pregenomic RNA, encapsidation
occurs. Synthesis of the negative DNA strand by reverse
transcription and partial synthesis of the positive strand is
performed by HBV polymerase within the nucleocapsid,
which is then either transferred to the endoplasmic reti-
culum where it assembles with HBsAg molecules to form
the virion, or returns to the nucleus to amplify the
cccDNA reservoir. The intact virion exits the cell by
budding and vesicular transport. The surface proteins
can also bud in the absence of capsids, forming both
spherical and tubular (or ‘filamentous’) particles approxi-
mately 22 nm in diameter consisting of HBsAg and host-
cell-derived lipids (Figure 5). These particles are also
secreted into the blood, as they do not contain viral
nucleic acid and they are not infectious, but are highly
immunogenic.
The turnover of virions is high, with estimates on the
order of 10
11
virions produced per day – much higher
than that for other DNA viruses, HCV, or HIV. The HBV
DNA polymerase does not have proofreading or editing
capacity, and this together with the high rate of virion
production makes replication errors inevitable. It has
been calculated that over the period of 1 day, an estimated
10
14
nucleotides are replicated, with the potential for 10
7
base pairing errors.
The consequence of this high mutational rate is the
formation of a large pool of ‘quasispecies’ with the virus,
with the best replicative ‘fitness’ becoming the dominant
species. Selection pressure, either from the host immune
response or from antiviral therapy, can result in vaccine/
Ig escape mutants and drug-resistant variants.
Hepatitis Viruses 613

Mutations of the HBV envelope, precore, core, and
polymerase regions occur. Several precore mutations
have been identified in HBeAg-negative patients. The
most common mutation observed is a G !A substitution
at nucleotide 1896 (G1896A) in the precore region, creat-
ing a premature stop codon. Translation of the precore
protein is prevented, which aborts the production of
HBeAg.
Epidemiology
There are an estimated 350 million people in the world
with chronic HBV, with prevalence varying widely
between geographical areas. HBV is efficiently trans-
mitted horizontally by intimate contact, by parenteral
exposure as well as vertically from mother to infant.
However, in about a one-third of adults with acute infec-
tion, no risk factors are identified, probably reflecting
HBV’s ability to survive outside the body for up to a
week as well as its ubiquitous presence in body fluids.
Vertical transmission occurs peripartum or in infancy
rather than in utero. The risk of vertical transmission is
increased if the mother is HBeAg positive with high
serum HBV DNA.
Countries with low prevalence in the general popula-
tion (i.e., carriage rates of HBsAg of less than 2%) include
the United States, Canada, Northern, Western, and Central
Europe, and Australia; however, within these countries
higher prevalence rates are seen in high-risk populations,
for example, in intravenous drug users (IVDUs) and in
individuals with multiple sexual partners. Intermediate
carriage rates (2–8%) are observed in Eastern Europe,
the Mediterranean, Russia and the Russian Federation,
Southwest Asia, and Central and South America. The
highest prevalence of HBsAg positivity (8% and above)
occurs in China, Southeast Asia, Alaska, and tropical Africa.
The age at which most HBV transmission occurs varies
according to the prevalence rate. The majority of indivi-
duals with chronic HBV in countries with high prevalence
of HBV acquire infection vertically or horizontally during
early childhood. In low-prevalence areas, the highest inci-
dence of infection occurs in teenagers and young adults,
reflecting sexual and parenteral transmission. Iatrogenic
transmissions from contaminated blood transfusions, use
of unsterile needles for injections, or vaccinations remain
risk factors in the less-developed world.
Clinical Features
Acute infection
The incubation period for HBV infection ranges from
6 weeks to 6 months. Clinical presentation reflects host
age and immune status of the host. Acute perinatal or
childhood infection is generally asymptomatic. Children
older than 5 years and adults are symptomatic in 33–50%
of infections with typical signs and symptoms of acute
hepatitis. Fulminant hepatic failure occurs in approxi-
mately 1% of patients with acute HBV. Most adults
with acute HBV recover completely without sequelae,
although in 5% infection persists into chronicity.
Chronic infection
The natural history of chronic HBV is dynamic, with
several phases characterized by differing levels of serum
ALT, HBeAg, and HBV DNA. Chronic HBV acquired in
infancy or in early childhood often has a prodromal
‘immune-tolerant phase,’ which can last up to young
adulthood, characterized by HBeAg positivity, high levels
of serum HBV DNA, but with normal levels of ALT and
minimal inflammation on liver biopsy. In the late teens or
early adulthood, a transition occurs to a more active phase
of ‘immune clearance’, during which time serum HBV
DNA levels fall with increasing ALT levels and worsen-
ing liver inflammation (classic HBeAg-positive chronic
HBV). This phase of active replication is usually asymp-
tomatic, but can be prolonged, with ultimate progression
to cirrhosis, although it ends in HBeAg-to-anti-HBe
seroconversion at a rate of approximately 10–15% of
individuals per annum. Increased immune responsiveness
can be accompanied by an abrupt ‘flare’ in ALT levels,
which may even mimic fulminant hepatitis. The third
phase, ‘low-replicative’ or inactive carrier state, is char-
acterized by detectable HBsAg and anti-HBe, the absence
of HBeAg, and low (<10
5
copies per ml) levels of HBV
DNA, with a reduction in necro-inflammation on biopsy.
However, spontaneous reactivation, with an increase in
markers of disease activity (HBV DNA and ALT) without
the reappearance of HBeAg, occurs in up to a one-third of
Figure 5 Electron micrograph of hepatitis B virus showing
spherical, tubular, and double-shelled forms. Courtesy of Dr. Arie
Zuckerman.
614 Hepatitis Viruses

individuals (classic HBeAg-negative chronic hepatitis B)
owing to mutations in the HBV genome, which abolish
HBeAg production but allow a return of HBV replication.
HBeAg-negative chronic HBV is characterized by fluctu-
ating ALT levels and progressive liver injury and reflects
a later stage of the disease.
Diagnosis of HBV infection
There are a number of laboratory tests that can be used to
diagnose hepatitis B infection, and also to determine
whether the individual is in the acute or chronic phase
(Table 2).
Therapy of Chronic HBV infection
Goals of HBV therapy include suppression of viral repli-
cation with the prevention of progression of liver disease
and the development of HCC. Recent large, prospective,
cohort-based studies following a large Taiwanese popula-
tion of HBsAg-positive patients for a median of 11 years
have concluded that serum HBV DNA level is a key
predictor of progression to cirrhosis and HCC, indepen-
dent of ALT and HBeAg status. Increasingly elevated
serum HBV DNA is being proposed as the major criteria
to initiate antiviral therapy. A detailed discussion of treat-
ment guidelines is outside the scope of this article, but
generally noncirrhotic individuals with chronic HBV,
elevated ALT, and HBV DNA levels of 20 000 IU
ml
1
for eAg-positive disease and 2000 IU ml
1
in
eAg-negative disease should be given treatment. If HBV
DNA levels fit these criteria but ALT is normal, the
patient should have regular monitoring of ALT and a
liver biopsy should be considered, and treatment insti-
tuted if there is significant histological disease. Patients
with chronic HBV and cirrhosis are candidates for ther-
apy regardless of ALT and HBV DNA levels because of
the risk of frank hepatic decompensation with a sponta-
neous flare in cirrhotics. A number of end points are used
to assess treatment response, normalization of elevated
ALT (biochemical), achieving undetectable HBV DNA
in the serum using a sensitive assay, and/or loss of HBV
surface and eAg (virological), and improvement in liver
necro-inflammation and fibrosis (histological). IFN-has
been used to treat chronic HBV since the mid-1980s;
more recently a number of oral antiviral drugs have also
become available. Whereas IFN is contraindicated in
individuals with decompensated cirrhosis, the oral agents
have the advantage of being safe and well tolerated in this
patient population. Currently six agents are licensed for
the management of chronic HBV, they are: IFN-2b,
pegylated IFN-2a, lamivudine, adefovir, and, more
recently, entecavir and telbivudine. Efficacy of IFN ther-
apy is strongly dependent on HBV genotype in eAg-
positive disease, with best results seen in genotype A
and B infections. Lamivudine, a nucleoside analogue
reverse transcriptase inhibitor (NRTI), was originally
developed for the treatment of HIV infection, but was
found to also inhibit the replication of HBV and was
subsequently licensed for use in chronic HBV in 1998.
NRTI’s interfere with viral replication by causing pre-
mature termination of the DNA chain; other recently
licensed members of this drug class include entecavir
and telbivudine. Adefovir, introduced in 2002, also
works by DNA chain termination but is a nucleotide
analogue. Although these drugs effectively suppress
HBV replication, they have much less effect on clearing
the ‘reservoir’ of cccDNA in hepatocytes. Viral relapse
will usually occur once therapy is discontinued, unless
the subject has eAg-positive chronic HBV and achieves
seroconversion with the loss of eAg and production of
anti-HBe. If seroconversion occurs, therapy can be discon-
tinued 12 months after seroconversion with low chance of
relapse. In patients with eAg-negative disease, it is impos-
sible to recognize a treatment-induced seroconversion,
and therefore therapy may need to be continued
indefinitely.
Table 2 HBV serology and interpretation of diagnostic tests
Test
Acute
HBV
Past exposure
(immunity)
Previous
immunization
Chronic HBV Infection
(HBeAg
þ
)
Chronic Precore Mutant
(HBeAg
)
HBeAg þ þ
Anti-HBe /þ þ
HBsAg þ þ þ
Anti-HB
s
þ þ
Anti-HBc þþ þ þ
IgM anti-
HBc þ
a
HBV DNA þ þ þ
ALT Elevated Normal Normal Normal or elevated Normal or elevated
a
May become detectable in severe reactivations of chronic HBV.
Adapted from Hepatitis B Management Algorithim, Hepatitis Resource Network, with permission.
Hepatitis Viruses 615

The development of resistance to oral agents with
prolonged use is a cause for concern, recalling the situa-
tion seen in the early days of antiretroviral therapy for
HIV. There is now a commercially available test that
detects the key genotypic mutations in HBV polymerase
associated with antiviral therapy with some of the most
frequently used oral drugs (lamivudine, adefovir, and
entecavir). The most efficacious way to use these drugs
to minimize the development of resistance is currently
under evaluation, but may involve using two or more
drugs in combination.
Vaccines
Several preventative HBV vaccines are currently avail-
able; these rely on the use of one of the viral envelope
proteins (HBsAg) and are now made using recombinant
technology. HBV vaccines are available in monovalent
formulations and in combination, for example, with HAV
vaccine. Two recombinant vaccines are available; both
are safe, even during pregnancy. Three 1.0 ml IM injec-
tions are given into the deltoid or anterolateral thigh, at
time 0, 1 month, and 6 months, although there is flex-
ibility and an accelerated schedule can be used. Children
are given lower doses (0.5 ml), and immunosuppressed
patients and patients on hemodialysis are given higher
doses.
Immunization strategy varies depending on the level
of endemicity, with the ideal goal being universal
childhood vaccination. Additional strategies include
prevention of perinatal HBV infection through routine
HBsAg screening of all pregnant women, with immuno-
prophylaxis given to all babies of HBsAg- positive
mothers. As soon as possible after delivery, the infant is
given 30 IU of HBIg and an HBV vaccination course is
started. Even with prompt administration of HBIg and
vaccine, there is still a risk of transmission to the neonate;
this risk is increased if the mother is HBeAg-positive and
has HBV DNA levels >10
7
IU ml
1
. In countries with low
or intermediate endemicity, a higher proportion of
chronic HBV is acquired by older children and young
adults, and ‘catch-up’ vaccination for those who were not
vaccinated at birth should be considered, particularly for
individuals at increased risk for exposure to HBV, such as
healthcare workers and persons engaging in high-risk
sexual activity.
HCV
HCV is a parenterally transmitted RNA virus, a charac-
teristic feature of which is a propensity to cause chronic
infection, with only 15–20% of acutely infected indivi-
duals clearing infection spontaneously. This is explained
in part by the extreme genetic diversity of HCV, a feature
it shares with other RNA viruses. HCV was first identified
in 1989, although clinically its existence had been sus-
pected for many years as the agent responsible for
parenterally transmitted ‘NANB’ hepatitis. HCV is glob-
ally distributed, with over 170 million individuals
estimated to be infected, and decompensated cirrhosis
secondary to chronic HCV is now the leading indication
for LT worldwide.
Virology
HCV is a small enveloped positive-sense, single-stranded
RNA virus, which is classified as a member of the family
Flaviviridae, genus Hepacivirus. Within an infected indi-
vidual, HCV exists as a population of closely related yet
distinct ‘viral quasispecies,’ which may differ with respect
to replicative capacity, cell tropism, immunologic escape,
and antiviral resistance. HCV has six known genotypes
(1 a/b, 2 b, 3a, 4, 5, and 6) and at least 30 subtypes with
differing geographical distributions. Genotypes 1, 2, and 3
are distributed worldwide, genotype 4 is found in the
Middle East and Africa, genotype 5 in South Africa, and
genotype 6 is the predominant genotype in Southeast
Asia. Coinfection with more than one genotype is not
infrequently seen, and ‘superinfection’ has been reported.
The genome of HCV contains a single, large ORF
flanked by 59- and 39-untranslated regions, which codes
for a polyprotein of approximately 3000 amino acids,
which, when cleaved by viral and host peptidases, pro-
duces a number of functional proteins, namely three
structural proteins, core, and two envelope glycoproteins
(E1 and E2), six nonstructural proteins (NS2, NS3, NS4A,
NS4B, NS5A, and NS5B), and a protein (p7). The viral
nucleocapsid comprises multiple copies of the core pro-
teins in complex with genomic RNA (Figure 6). Apart
from humans, HCV infects only chimpanzees, and char-
acterization of the molecular mechanisms involved in
viral replication and immune response to HCV was
until recently impeded by the lack of a good in vitro
model. Alternative tissue culture systems have now
been developed, including recombinant HCV envelope
glycoproteins, HCV-like particles, HCV retroviral pseu-
doparticles, and, most recently, cell culture-derived
infectious HCV. Although these models have certain lim-
itations, they have greatly advanced the understanding of
the early steps of viral infection and host–virus interac-
tions, and have facilitated the development of several new
classes of antiviral drugs specific for HCV.
Circulating HCV is physically associated with lipo-
proteins or antibodies. The major target cell is the
hepatocyte, but it is thought that HCV may be able to
infect other cells, such as lymphocytes, monocytes, and
dendritic cells. Both EI and E2 are essential for entry into
the host cell. Within the E2 envelope, glycoprotein
sequence hypervariable regions (HVR) have been
616 Hepatitis Viruses

identified, which differ more than 80% among HCV
genotypes, and within subtypes of any one genotype.
HVR-1 is a HVR that is important for host cell recogni-
tion and attachment. A number of potential entry
receptors have been identified, including the tetraspanin
CD81, scavenger receptor class B type 1 (SR-B1), heparin
sulfate, low-density lipoprotein receptor, and, most
recently, claudin-1, a protein involved in the maintenance
of cell structures called ‘tight junctions’ found in several
epithelial tissues and most prevalent in the liver. Binding
of viral envelope glycoproteins to the hepatocyte cell
surface triggers endocytosis of the HCV virion, and the
viral nucleocapsid enters the cytosol and is transported to
the endosome where uncoating, IRES-mediated transla-
tion, and RNA replication occur. Four viral enzymes are
needed for RNA replication, including the NS2 autopro-
tease, the NS3–4 serine protease, the NS3 RNA-stimulated
NTPase/helicase, and the NS5B RNA-dependent RNA
polymerase. The serine protease and RNA polymerase are
currently the focus for the development of antiviral agents;
once fully elucidated, entry receptors will also provide an
important additional target.
Epidemiology
HCV infection is endemic in most parts of the world, with
an estimated overall prevalence of 3%. The virus is pre-
dominantly transmitted via the parenteral route, although
vertical and sexual transmission is recognized. In about
10% of cases, a source of infection cannot be identified.
HCV has be shown to remain viable on surfaces outside
the body for up to 16 h, and transmission may occur
through sharing of toothbrushes or razors contaminated
with infected blood.
Before the introduction of serological tests for HCV,
infection with contaminated blood or blood products
was a frequent source of infection. Use of contaminated
pooled clotting factors led to prevalence rates of over
(a) Model structure of HCV
(b) Proteins encoded by the HCV genome
Envelope glycoprotein 1
Envelope lipid
Envelope glycoprotein 2
RNA genome
Capsid proteins
HCV RNA
Region encoding polyprotein precursor
Structural proteins
p22 gp35
C
5′ NTR
E1 E2 NS1 NS
4A NS4B NS5A NS5B
gp70 p7 p23 p70 p8 p27 p56/58
3′ NTR
p68
RNA
polymerase
IFN-resistance
protein
Metalloprotease
Serine protease
RNA helicase
Envelope
glycoproteins
Nucleocapsid Transmembrane protein
Hepatitis C virus (HCV): model structure and genome organisation
Expert reviews in molecular medicine © 2003 Cambrid
g
e Universit
y
Press
Cofactors
Nonstructural proteins
NS3NS2
Figure 6 Structural and genomic organization of the hepatitis C genome. Reproduced from Expert Reviews in Molecular Medicine,
2003, Cambridge University Press.
Hepatitis Viruses 617

80% in the hemophiliac population in the West, many of
whom were also infected with HIV. Following the intro-
duction of screening of blood donors for infection, the risk
of transmitting HCV by blood products is presently at
1/200 000 units distributed. Transmission from nonsterile
injecting practices in healthcare settings is no longer a
significant risk for acquisition of HCV, although sporadic
cases have been reported in association with poor disinfec-
tion procedures for invasive medical equipment such as
colonoscopes. HCV has been transmitted through tattooing
and body piercing in establishments re-using needles
between clients, and rarely infection has been reported to
have contracted through manicures and pedicures. In
developed countries, IVDUs are currently the only group
at significant risk for acquiring HCV. Prevalence rates of
HCV approach 80% in the IVDU population, with most
becoming infected within 1–2 years of embarking upon
intravenous drug use. Incidence of new infections can be
reduced by harm-minimization strategies such as needle
exchange programs. Health professionals are at risk follow-
ing needlestick exposures from an infected source, as there
is no equivalent of HBV Ig, and currently no vaccine is
available.
Vertical transmission is uncommon (seen in <5%
cases), the risk is proportional to the maternal HCV
RNA level, with higher levels carrying greater risk.
Higher HCV viral loads are usually seen in individuals
coinfected with HIV, and increased rates of vertical trans-
mission are seen in HIV-positive mothers.
The role of sexual transmission is controversial. Most
data come from studies with HCV-positive hemophiliacs
and their female partners, and indicate extremely low
risk. Most authorities do not routinely recommend the
use of ‘safe sex’ practices in HCV sero-discordant hetero-
sexual couples. However, there have been several recent
reports from the United States and Northern Europe of
outbreaks of acute HCV infection in HIV-positive men
who have sex with men. Permucosal transmission of
HCV related to high-risk traumatic sexual and drug
practices has been implicated as the infection route in
these cases.
Although HCV infection is found worldwide, there is
marked geographic variance in prevalence and incidence,
and also between age groups within individual countries.
In countries where IVDU is the major risk factor for HCV
acquisition, such as North America, Northern Europe, and
Australia, the highest prevalence rates are seen in adults
aged 30–49, which would indicate an exposure in early
adult life. In countries such as Italy and Japan, the majority
of affected individuals are older, reflecting remote inad-
vertent transmission during medical interventions. In
Egypt, prior mass parenteral therapy for schistosomiasis
with contaminated needles is responsible for high rates of
HCV prevalence in the general population.
Acute Hepatitis C – Clinical Features
Depending on the size of the inoculum, HCV RNA can
be detected in serum from 6–7 days to 8 weeks after
exposure, with the first biochemical evidence of infection.
Approximately 80% of acutely infected individuals fail to
clear the virus and develop chronic infection. Clinical
factors favoring spontaneous resolution include age
<40 years, female gender, and icteric presentation.
Following initial infection, HCV may become estab-
lished despite the induction of a humoral immune
response targeted against various epitopes of the HCV
envelope glycoproteins. Strong and persistent proliferative
responses of CD4
þ
T cells and the production of IFN-are
associated with spontaneous viral clearance, whereas weak
or transient responses are associated with progression to
chronic infection. The role of CD8
þ
T cells in controlling
acute HCV infection is less clear. It is known that
IFN-treated individuals who have cleared HCV have
decreased HCV-specific immune responses as compared
with those achieving spontaneous clearance. There is some
evidence that host genetic factors influence the outcome
following HCV infection. Certain HLA class II alleles –
HLA-DRB1
1101-DQB1
0301, DRB1
1104-DQB1
0301, and
DRB1
0401-DQB1
0301 haplotypes – have been associated
with a significantly increased likelihood of viral clearance,
predominantly in Caucasian populations.
Chronic Hepatitis C – Clinical Features
Insulin resistance (IR) and the other components of the
metabolic syndrome (obesity, hyperglycemia, hypertri-
glyceridemia, increased blood pressure, and low high-
density lipoprotein cholesterol levels) and type II diabetes
mellitus are more prevalent in individuals with chronic
HCV than in healthy controls or patients with chronic
HBV. The natural history of chronic HCV infection is
variable, ranging from indolent to rapid progression to
cirrhosis. Cohort studies have shown that 20% of indivi-
duals will progress to cirrhosis over 20 years.
Increased fibrosis progression is associated with male
sex, longer duration of infection, acquisition of infection
at age >40 years, excess alcohol consumption, immuno-
supression, that is, from HIV coinfection or following
organ transplantation, and coinfection with HBV, but it
does not appear related to HCV genotype. Increased body
mass index, visceral adiposity, and coexisting IR and
hepatic steatosis may also increase the risk of fibrosis
progression, and reduce response to IFN.
Diagnosis
Persistence of HCV RNA in the serum 6 months after initial
infection indicates chronic HCV, although there are rare
reports of spontaneous clearance up to 2 years after exposure.
618 Hepatitis Viruses

Current commercially available tests for the detection
of HCV antibody are based on either enzyme im-
munosorbant assays (EIA), which detect HCV-specific
antibodies, or on recombinant immunoblot assays
(RIBA). EIA’s can diagnose more than 95% of chronic
infections but can only detect 50–70% of acute infections.
RIBA assays identify antibodies that react with individual
HCV antigens and are used as a supplemental test for
confirmation of a positive EIA result.
Therapy of Chronic Hepatitis C
Unlike chronic HBV in which there is a ‘reservoir’ of viral
cccDNA in host cells with the potential for viral reactiva-
tion, there is no such reservoir in chronic HCV infection,
and therefore HCV can potentially be eradicated with
therapy. SVR is defined as undetectable serum HCV
RNA levels (with sensitive PCR-based assays) 6 months
after the completion of therapy. The current ‘gold stan-
dard’ of therapy for chronic HCV is a combination
of pegylated IFN-(Peg-IFN) injected once weekly,
together with daily oral weight-based RBV, administered
for 24 weeks to most patients with HCV genotype 2 or 3,
and for 48 weeks to all other genotypes. Mechanisms of
action of IFN-include the induction of an antiviral state
that either protects cells from infection or attenuates the
production of viral progeny in already infected cells, and,
indirectly, the activation of the host adaptive immune
response. Both Peg-IFN and RBV have significant side
effects, such as depression, fatigue, and cytopenias, and
may be poorly tolerated. Efficacy of treatment is highly
dependent on viral kinetics, HCV genotype, and ethni-
city, with other factors such as gender, age, degree of liver
fibrosis, and presence of HS and IR also playing a role.
HCV genotype 1, African-American ethnicity, male gen-
der, age >50 years and, advanced liver fibrosis with or
without steatosis on liver biopsy are all negatively asso-
ciated with treatment response. Although SVR rates with
Peg-IFN and RBV are better with genotypes 2 and 3
(75–80%) than with genotype 1 (45–50%), there are
now data from multiple clinical trials indicating that
rapid viral clearance on therapy (undetectable HCV
RNA by 4 weeks) is the best predictor of SVR irrespective
of genotype. A prolonged period of aviremia while on
therapy is beneficial because it allows a longer time for
residual virus-infected cells to be eradicated.
Owing to poor tolerability and low efficacy of current
therapy, there is a great interest in developing specific
candidate small-molecule inhibitors. Both HCV polymer-
ase and HCV protease inhibitors are in clinical trials.
Vaccines
Currently, no vaccine is available to protect against
infection with HCV. Vaccine development has been
hampered by the lack of a suitable small animal model
with which to assess the immunogenicity and protective
efficacy of HCV candidate vaccines. Recent advances in
this field involve the use of novel challenge viruses, such
as recombinant murine gammaherpes virus 68 (MHV-68),
to test the efficacy in mice of candidate human vaccines
delivering HCV nonstructural NS3 or core proteins.
In addition, a new approach to inducing strong anti-
viral immunity by the use of dendritic cells (the most
potent antigen-presenting cells) transfected with HCV
viral antigens has yielded promising initial results.
HDV
HDV, a defective RNA virus also referred to as Delta
agent, infects nearly 20 million people worldwide, with a
varying geographical distribution. It is only found in
association with HBsAg – either as a coinfection in
acute hepatitis B or as a ‘super infection’ in an individual
with chronic HBV infection.
Virology
First identified in 1977, HDV is deemed ‘defective’ as it is
unable to replicate by itself, requiring HBsAg as a protein
‘coat’ for the HDV genome. HDV virions are 36–43 nm,
roughly spherical, enveloped particles with no distinct
nucleocapsid structure. The outer envelope contains
lipid and all three forms of HBsAg (S, M, and L, but
predominantly small). The genome of HDV (cloned and
sequenced in 1986) consists of a compact (approximately
1.7 kb in length) circular single-stranded negative RNA
molecule, which contains several sense and antisense
ORFs, only one of which is functional and conserved.
The RNA genome replicates via an RNA intermediate,
the antigenome, both of which can function as ribozymes
to carry out self-cleavage and self-ligation reactions. A
third RNA, complementary to the genome and found in
the infected cell, is responsible for synthesis of the delta
antigen. To date, there have been three genotypes and
two subtypes of HDV have been characterized, but emer-
ging data suggest that the genetic variability of the HDV
genome is more complex than previously thought.
Genotype 1 is mainly found in North America, Asia,
Middle East, and Europe; genotype 2 in East Asia; and
genotype 3 in South America. Genotype 2 is thought to
cause less severe disease than the other two genotypes.
HDV genomic replication is not acutely cytopathic,
and does not occur in cells other than hepatocytes; hence,
the liver is the only organ affected. HBV is essential for
the evolution of the hepatocellular necrosis and inflam-
mation seen with HDV infection. Both humoral and
cellular immune mechanisms are thought to be involved.
Hepatitis Viruses 619

Epidemiology
Like HBV, HDV is transmitted by blood-borne and sexual
routes, but in contrast perinatal transmission is rare.
Infection with HDV has a global distribution, with two
distinct epidemiologic patterns. First, high prevalence
areas for HDV coincide with certain areas of high
prevalence for chronic HBV infection, including the
Mediterranean, Middle East, Central Africa, and the
AmazonBasininSouthAmerica(Figure 7). In these
areas, viral transmission takes place predominantly by non-
percutaneous means, especially close personal contact. It is
not known why HDV coinfection is not seen in other
countries with a high prevalence of HBV, such as
Southeast Asia and China. The second pattern is of parent-
eral transmission in subjects with multiple parenteral
exposures, primarily injection drug users and hemophiliacs,
as is seen in nonendemic areas such as Northern Europe and
the United States. Worldwide, HDV infection is declining.
Even in Italy, an HDV-endemic area, public health mea-
sures introduced to control HBV infection there resulted in
a significant reduction in the prevalence of HDV infection.
Clinical Features
The outcome of infection with HDV depends on whether
HDV and HBV infect simultaneously (coinfection) or if
HDV is acquired by an individual with chronic HBV
(superinfection). Mortality from HDV infection is
10 times higher than for HBV alone.
In coinfection, both acute HBV and HDV hepatitis
occur. Whether one or two bouts of clinical hepatitis are
seen depends on the relative titers of HBV and HDV. The
incubation period of acute HDV is between 3 and
7 weeks, with a pre-icteric phase lasting 3–7 days, during
which time the classic symptoms of acute hepatitis are
manifested (fatigue, lethargy, anorexia, and nausea), and
ALT and AST become elevated. This phase is followed
by jaundice, which can last for several weeks. The sever-
ity of the resulting illness is typically greater than with
HBV monoinfection, with a higher incidence of fulminant
hepatitis, and low risk of chronic infection (<5%). During
the acute phase of HDV infection, synthesis of both
HBsAg and HBV DNA is suppressed until HDV is
cleared.
Hepatitis D superinfection is frequently associated
with severe acute hepatitis with progression to chronic
HDV in up to 80% of cases. Fulminant hepatitis also
occurs. Superinfection can transform inactive or mild
chronic hepatitis B into severe, progressive chronic hepa-
titis, and result in faster progression to cirrhosis than seen
with chronic HBV alone. Up to 70% of patients with
chronic HDV will develop cirrhosis.
High
Taiwan
Pacific islands
Intermediate
Low
Very low
No data
HDV Prevalence
Geographic distribution of HDV infection
Figure 7 Geographic distribution of hepatitis D. Reproduced from Center for Disease Control and Prevention, USA.
620 Hepatitis Viruses

Diagnosis
Anti-HDIgM, HDV RNA, and HDAg are the most sen-
sitive markers for the diagnosis of acute HDV, although
anti-HDIgG is the only test commercially available. In
acute HBV–HDV coinfection, HBsAg precedes the
appearance of HD Ag and HDV RNA. Anti-HDIgM
develops late in the acute phase, and is accompanied by
the disappearance of HDAg. In about 15% of patients the
only evidence of HDV infection may be the detection of
either IgM anti-HDV alone during the early acute period
of illness or IgG anti-HDV alone during convalescence.
Both IgM and IgG anti-HD antibodies decline after
recovery to subdetectable levels within months to years,
and it can sometimes be difficult to demonstrate past
HDV infection as there is no serologic marker that per-
sists to indicate that the patient was ever infected with
HDV. These immune responses are thought to be pro-
tective, as second cases of HDV have not been reported.
With HBV–HDV superinfection, HBsAg titers decline
with the appearance of HD-Ag in the serum. HDV RNA
levels reach a peak between 2 and 5 weeks after exposure,
declining over a period of 1–2 weeks. High titers of IgM
and IgG anti-HD are detectable in the acute phase, and
can persist for months or even indefinitely. Most super-
infections result in chronic HDV, demonstrated by the
persistence of HD-Ag, HDV RNA, and high levels of IgM
and IgG anti-HD. HDV viremia is associated with active
liver disease.
Therapy
High-dose IFN-(up to 9 million units three times
weekly for 48 weeks) has been evaluated in individuals
with chronic HDV, but does not achieve viral eradication
in the majority of those treated, although improvement
in biochemical and histological parameters has been
observed. Treatment of the associated HBV infection
with oral antiviral drugs does not alter the course of
HDV infection.
Vaccines
No vaccine is available specifically for Delta virus; how-
ever, as this virus is only acquired in association with
HBV, vaccination against HBV will also prevent against
the transmission of HDV. HBIg will not protect indivi-
duals with chronic HBV from infection with HDV.
HEV
HEV is an enterically transmitted RNA virus responsible
for outbreaks of hepatitis in developing countries and
sporadic cases of acute hepatitis in endemic areas such
as Southeast and Central Asia (Figure 8).
Virology
Although recognized as a clinical entity in the 1980s, the
virus responsible for acute enterically transmitted NANB
hepatitis was not identified until 1983. HEV has recently
been classified in the genus Hepevirus of the family
Hepeviridae.
Cloned in 1990, the HEV genome is a nonenveloped,
single-stranded, positive-sense RNA molecule 7.2 kb in
length, with three ORFs. ORF 1 codes for viral enzymes
methyltransferase, proteases, helicase, and replicase; ORF
2 codes for the major HEV capsid protein, the function of
the protein coded for by ORF 3 has not yet been well
characterized, although it appears to be involved in virus–
host interactions. Four major genotypes have been iden-
tified, geographically distinct, but all share at least one
major serologically cross-reactive epitope despite
substantial genomic variability, which is an important
observation that may facilitate the development of a pro-
tective vaccine.
Viral replication, transcription, virus–host interac-
tions, and pathogenesis of HEV are poorly understood
due to the lack of a cell culture system and a practical
animal model for HEV. Subgenomic expression strategies
Areas where >25% of
sporadic non-ABC hepatitis
is due to hepatitis E virus
Figure 8 Geographic distribution of hepatitis E. Reproduced from Expert Reviews in Molecular Medicine, 2003, Cambridge University
Press.
Hepatitis Viruses 621

have been used to fractionally characterize HEV-encoded
proteins. However, in common with other hepatitis
viruses, the mechanism of liver injury is probably
immunological, as the onset of ALT elevation and histo-
pathological findings of acute hepatitis correspond with
the appearance of antibodies to HEV and decreasing
levels of HEV antigen in hepatocytes.
Epidemiology
Outbreaks of acute HEV infection affecting several
thousand people have been reported from Asia, the
Middle East, Northern and Western parts of Africa, and
Central America. HEV is transmitted through the fecal–
oral route and most epidemics have been associated with
contaminated drinking water. Although like HAV,
HEV is detectable in the stools of infected individuals,
person-to-person transmission is less commonly
observed. Materno-fetal transmission is thought possible,
and there have been isolated case reports of parenteral
transmission. Sexual transmission is debatable.
HEV is a common cause of sporadic hepatitis in ende-
mic areas, accounting for almost 50–70% of acute
hepatitis cases in India. In industrialized nations, acute
HEV infections are infrequent, accounting for <1% of
cases of acute viral hepatitis, and are usually associated
with a history of travel to an endemic area. However, a
number of reports of nontravel-associated HEV have
been recently reported from Europe, United States, and
Japan, and in these cases it has been postulated that HEV
may have been acquired from a viral reservoir in swine or
possibly rodents. In support of this theory, high sero-
prevalence of anti-HEV has been reported in pig
veterinarians, and farm workers in contact with pigs. In
Japan, cases of acute infection associated with the con-
sumption of inadequately cooked pig liver have been
reported. HEV may therefore be viewed as a new emer-
ging pathogen with zoonotic potential.
There is evidence that subclinical infection may be
common in endemic areas; one study reports HEV ser-
oprevalence rates of 30–50% in healthy subjects. Another
study from Southeast Asia followed up a cohort of healthy
individuals over an 18-month period and found that 66%
of those who seroconverted to anti-HEV had no history of
jaundice, suggesting that such ‘subclinical’ cases may act
as reservoirs for infection in endemic populations and also
as a source for cases of sporadic acute HEV.
Clinical Features
As for hepatitis A, the attack rate is highest for young
adults aged between 15 and 40. Work with susceptible
primate models and infected individuals reveals that the
incubation period is approximately 21 days, with the
expression of HEV antigen in the serum and stool
occurring 7 days before the onset of symptoms, and per-
sisting for approximately 2 weeks. ALT and AST begin to
rise a few days before the onset of symptoms, but gener-
ally return to normal within 1–2 months after the peak
severity of the disease has passed. Anti-HEV (IgM)
appears shortly after the onset of clinical illness and
persists only for a few months. IgG anti-HEV appears a
few days after IgM and persists for up to 3 years, and may
afford protection against reinfection.
Clinical features are similar to other acute viral hepa-
titides. Acute HEV infection is self-limiting, and does not
become chronic. However, HEV can cause fulminant
liver disease in individuals with underlying cirrhosis and
pregnant women, particularly during the third trimester
of pregnancy when mortality rates of up to 25% have
been reported. Disease severity may correlate with HEV
genotype. In Japan where 3 and 4 are the most prevalent
HEV genotypes, two studies found that patients with
genotype 4 experienced higher peak ALT levels and
longer hospital stays as compared with patients with
genotype 3.
Diagnosis
Infection with HEV can be confirmed by the detection of
anti-HEV antibodies or the presence of HEV RNA in the
serum detected by RT-PCR. Simultaneous detection of
IgA and IgM antibodies against HEV is highly specific for
the diagnosis of acute infection.
Vaccines
There are no commercially available vaccines against
HEV, although encouraging results have been reported
from recent clinical trials. In 2007, Shrestha and collea-
gues evaluated recombinant HEV vaccine in (mostly
male) volunteers in the Nepalese Army; 896 subjects in
the vaccine group and 898 in the placebo group received
three doses (at 0, 1, and 6 months) of recombinant HEV
capsid protein or saline, respectively. The protective effi-
cacy against clinically overt HEV infection was 95.5% in
subjects receiving all three vaccine doses and 85.7% after
two doses. The vaccine was well tolerated. This study
clearly showed that a recombinant HEV vaccine effec-
tively prevents clinical HEV hepatitis.
‘New’ Hepatitis Viruses
Several recently discovered viruses, namely Torque teno
virus (TTV), SEN-V, and hepatitis G, although poten-
tially hepatotropic, have yet to be conclusively shown to
be pathogenic to the liver.
In 1994, an agent (initially named hepatitis F virus)
was isolated from a stool sample and found to be
622 Hepatitis Viruses

transmissible in primates. Subsequent researchers have
not been able to confirm the existence of this agent, and
there is currently no confirmed HFV.
TTV
TTV, family Circoviridae, genus Anellovirus, has a single
stranded circular DNA genome. Related viruses are also
found in primates, chickens, pigs, cows, sheep, and dogs.
This virus was first identified in 2001 in a patient pre-
senting with non-A–E acute recurrent hepatitis with no
history of drug or alcohol abuse and negative markers of
viral or autoimmune disease. Transmitted parenterally
and probably also enterically, the TTV family of viruses
is present in over 90% of adults worldwide. Human
pathogenicity, particularly regarding the liver, has yet to
be clearly established.
SEN Virus
Named after the initials of the patient with HIV from
which it was first isolated, SEN virus (SENV) is a novel
circular single-stranded DNA virus distantly related to
TTV and also classified within the family Circoviridae,
which has been associated in some studies with post-
transfusion hepatitis. Variants designated A–H have
been identified, which have differing geographical preva-
lence, for example, SENV-D is highly prevalent in Japan.
HGV
In 1995 and 1996 several new flaviviruses, GB-A, GB-B,
and GB-C, related to but distinct from HCV, were iden-
tified. GB-A and GB-B infect tamarin monkeys but GB-C
can infect humans and has been implicated in some cases
of acute and chronic hepatitis. Another group identified a
virus which they termed HGV; based on genomic
sequence comparisons, HGV and GB-C can be consid-
ered the same virus.
HGV is a positive-stranded RNA virus, classified in the
family Flaviviridae, which has at least four major geno-
types. It is thought to be lymphotropic, replicating
predominantly in the spleen and bone marrow. Molecular
epidemiological studies have demonstrated that about
1–1.4% of the healthy population in developed countries
are chronically infected with HGV. Parenteral is the most
frequent mode of infection, and HGV has been implicated
in a small number of cases of post-transfusion hepatitis.
There is also a higher prevalence of HGV in drug users
and patients on hemodialysis. Whether HGV is a signifi-
cant cause of human hepatitis is still unconfirmed.
Although relatively common, infection with HGV may
cause a mild acute hepatitis but does not seem to cause
clinically significant chronic liver disease. In one US study
evaluating causes of acute viral hepatitis, HGV RNA was
detected in 9% of patients with acute non-A–E hepatitis,
20% of those with HCV, 25% of those with HAV, and
32% of those with HBV. Another study examined serum
samples from blood donors, transfusion recipients and con-
trols. Prevalence of HGV in the nontransfused individuals
(n¼657) was 1.4%. There were 35 HGV infections among
the 357 transfusion recipients, with only three having HGV
as the only agent detected. All these subjects had a mild
hepatitis and did not develop clinically apparent chronic
hepatitis (although liver biopsy was not performed).
A French study retrospectively examined 228 subjects
with chronic HCV for HGV coinfection; 21% of the
cohort and 32% of the subset who were IVDUs were
coinfected. Another French study found that 57.5% of a
cohort of 61 hemodialysis patients tested positive for
HGV RNA; however, only four of these subjects had
viremia associated with elevated serum ALT.
Several studies in HCV coinfected individuals,
although with small numbers of subjects, have established
that severity of liver disease, serum HCV RNA levels, and
response to IFN therapy are not influenced by HGV co-
infection. HGV RNA levels were observed to decrease
with IFN therapy, but most subjects became detectable
again once IFN was discontinued.
Future Prospects
Prospects for lessening both mortality and the socioeco-
nomic burden resulting from viral hepatitis are optimistic,
because safe and effective vaccines are currently commer-
cially available for HAV and HBV, and a vaccine for HEV
appears imminent. Improvements in sanitation and disse-
mination of simple public health information will lessen the
transmission of HAV and HEV in endemic areas.
Pretransfusion screening of blood and blood products for
infectious agents is now routine in the majority of devel-
oped countries, thus lessening the iatrogenic transmission of
HBV, HDV, and HCV. In Asia, where vertical transmission
of HBV constitutes the major route of infection, increasing
maternal HBV screening, and use of both active (adminis-
tration of HBV vaccine) and passive (administration of
hyperimmune globulin) immunoprophylaxis for infants at
high risk will prevent most neonatal infections, leading to a
decreased incidence of chronic HBV-related complications
(such as HCC) in these populations over time. Owing to
particular viral characteristics, development of a vaccine for
HCV remains difficult with no current indication of when
such a vaccine might be available. Fortunately, the inci-
dence of HCV, at least in the Western world, is declining
because of routine screening of blood and blood products
before transfusion, and the implementation of risk minimi-
zation strategies, for example, needle exchange programs, in
populations such as IVDUs.
In both chronic HBV and HCV, achieving viral eradica-
tion with currently available therapies is problematic.
Hepatitis Viruses 623

Nevertheless, new classes of specific antiviral drugs are mov-
ing quickly from ‘bench to bedside’ and will likely be used in
novel treatment strategies, such as combinations of two or
more drugs with or without immunomodulatory therapy
such as IFN, with potential improvement in response rates.
Many cases of acute hepatitis occur without any iden-
tification of a causative agent, viral or otherwise, which
would imply that there are additional pathogenic hepato-
tropic agents. The search for these agents will provide a
continuing diagnostic and therapeutic challenge.
Further Reading
Davis GL, Krawczynski K, and Szabo G (2007) Hepatitis C virus infection –
pathobiology and implications for new therapeutic options. Digestive
Diseases and Sciences 52(4): 857–875.
Dienstag JL (2007) Acute viral hepatitis. Harrison’s Internal Medicine
17th edn. New York, USA: McGraw-Hill Companies Inc.
Guidotti AJ and Chisari FV (2006) Immunobiology and pathogenesis of
viral hepatitis. Annual Reviews of Pathology 1: 23–61.
Hoofnagle JH, Doo E, Liang TJ, Fleischer R, and Lok AS (2007)
Management of hepatitis B: Summary of a clinical research
workshop. Hepatology 45(4): 1056–1075.
Martin A and Lemon SM (2006) Hepatitis A virus: From discovery to
vaccines. Hepatology 43(2): S164–S172.
Rehermann B (2007) Chronic infections with hepatotropic viruses:
Mechanisms of impairment of cellular immune response. Seminars in
Liver Diseases 27(2): 152–160.
Suriawinata AA and Thung SN (2006) Acute and chronic hepatitis.
Seminars in Diagnostic Pathology 23: 132–148.
Thomas HC, Lemon SM, and Zuckerman AJ (2005) Viral Hepatitis, 3rd
edn. Oxford, UK: Wiley-Blackwell publications.
Relevant Websites
http://www.cdc.gov/ – Centers for Disease Control and
Prevention
http://wikipedia.org – Wikipedia
http://www.who.int/en – World Health Organization
624 Hepatitis Viruses

Herpesviruses
A L van Lint and D M Knipe, Harvard Medical School, Boston, MA, USA
ª2009 Elsevier Inc. All rights reserved.
Defining Statement
Family Herpesviridae
The Alphaherpesvirinae Subfamily
The Gammaherpesvirinae Subfamily
The Betaherpesvirinae Subfamily
Further Reading
Glossary
antiviral drugs A class of medication used specifically
for treating viral infections. As with antibiotics for
bacterial infections, specific antivirals are used for
specific viruses.
immunocompetent An individual with a normal
immune system; the individual is capable of developing
an immune response to an infection.
immunocompromised An individual whose immune
system is compromised in some way, the individual
lacks the ability to mount a normal immune response to
an infection and is often unable to resist or fight off
infection.
latency A quiescent period of infection when most or all
of the viral lytic genes are silenced, and the virus is not
making progeny virus.
lytic A type of infection in which viral lytic genes are
switched on and the virus is actively undergoing
replication and making progeny virions. This is also
referred to as a productive infection.
seropositive A situation where an individual has
antibodies against a certain pathogen in their blood,
being seropositive indicates that the individual was
previously exposed to that pathogen.
vaccine A preparation that contains an antigen,
consisting of an organism or a part of an organism, that
is used to confer immunity against the disease that the
organism causes. Vaccines can be natural, synthetic or
derived from recombinant DNA technology.
Abbreviations
ACV acyclovir
BL Burkitt’s lymphoma
CD8
+
cluster of differentiation 8
CD21 complement receptor 2
E genes Early genes
EBNA EBV-coded nuclear antigens
EBV Epstein-Barr virus
CAEBV chronic active EMV
ES exanthem subitum
NHANES National Health and Nutrition Examination
Survey
HPC hematopoietic progenitor cells
HSE herpes simplex encephalitis
HSV herpes simplex virus
HSK herpetic stromal keratitis
HCF host cell factor
HCMV human cytomegalovirus
HHV4 human herpesvirus 4
HHV-6 Human herpesvirus 6
HHV8 human herpesvirus 8
HHV Human herpesvirus
IE genes immediate early genes
IM infectious mononucleosis
IFN-interferon-
KS Kaposi’s sarcoma
KSHV Kaposi’s sarcoma-associated herpesvirus
L genes Late genes
LATs latency-associated transcripts
LMPs latent membrane proteins
LCV Lymphocryptovirus
MHC major histocompatibility complex
MCMV models with murine CMV
NK cells Natural killer cells
NPC nuclear pore complexes
Oct-1 octamer binding protein 1
PHN post-herpetic neuralgia
PTLD posttransplant lymphoproliferative disease
PEL primary effusion lymphoma
RDV Rhadinovirus
625

TK thymidine kinase
VZV varicella-zoster virus
VP16 viral protein number 16
VHS virion host shutoff
VAHS Virus-associated hemophagocytic
syndrome
XLP X-linked lymphoproliferative
Defining Statement
The family Herpesviridae includes over 100 different species
of DNA viruses, eight of which are currently known to
infect humans. These viruses are discussed with relation to
the diseases they cause, their ability to establish latent
infections, their biology, replication and pathogenesis, and
the treatment options available for each.
Family Herpesviridae
The family Herpesviridae is a family of large DNA viruses
containing over 100 different virus species that infect hosts
ranging from humans to birds to reptiles. Classification of a
virus as a member of the family Herpesviridae is based on a
shared virion structure: a linear, double-stranded DNA
genome is contained within a central core, surrounded
by an icosahedral capsid. This capsid is in turn surrounded
first by an amorphous protein layer, known as the
tegument, and then by an envelope containing viral gly-
coprotein spikes (Figure 1). Herpesviruses also share four
significant biological properties:
1. They encode a large number of enzymes involved in
nucleic acid metabolism, DNA synthesis, and proces-
sing of proteins.
2. The synthesis of viral DNAs and caspid assembly
occurs in the nucleus of the infected cell. During infec-
tion, virus-specific compartments are assembled within
the nucleus of the infected cell, commonly referred to as
replication compartments (Figure 2). It is within these
compartments that viral DNA replication, late viral
gene expression, and encapsidation of progeny viral
genomes occur. These compartments lead to the forma-
tion of basophilic nuclear inclusion bodies, which are
diagnostic of herpes virus infection.
3. Production of infectious progeny virus is generally
accompanied by the destruction of the infected cell.
4. The viruses are able to establish a latent infection in
their natural hosts.
There are currently eight herpesviruses that are known
to infect humans: herpes simplex virus (HSV)-1 and
HSV-2, human cytomegalovirus (HCMV), varicella zos-
ter virus (VZV), Epstein–Barr virus (EBV), Kaposi’s
sarcoma-associated herpesvirus (KSHV) and human
herpesvirus (HHV)-6 and HHV-7. These viruses, along
with the majority of herpesviruses that infect other mam-
mals and birds, have been divided into three subfamilies,
alpha, beta, and gamma, based on the biological proper-
ties of the viruses. HSV-1, HSV-2, and VZV are
members of the Alphaherpesvirinae subfamily, EBV and
KSHV are both members of the Gammaherpesvirinae
subfamily, while the remaining viruses, HCMV and
HHV-6A, HHV-6B, and HHV-7 are all members of
Envelope
Tegument
Capsid
Core
Figure 1 Structure of the herpes simplex virus (HSV) virion. An
electron micrograph of a negative-stained HSV-1 virion. The
envelope, tegument, capsid, and core are indicated. Micrograph
provided by Dr. Travis Taylor.
Figure 2 Replication compartments in the nucleus of a herpes
simplex virus (HSV)-infected cell. Shown is an immunofluorescence
image illustrating the localization of ICP8 to replication
compartments within the nucleus of an infected cell. ICP8 staining
is shown on the left, the location of the nucleus within the cell can be
seen on the right. Figure provided by Lindsey Silva.
626 Herpesviruses

the Betaherpesvirinae subfamily. Despite the many simila-
rities in structure and biological properties shared by
herpesviruses, it is not surprising that in a group of this
size there are also many differences. Host range, length
of replicative cycle, cell type in which latency is estab-
lished, and clinical manifestations of disease all vary
among the different members of the family.
The Alphaherpesvirinae Subfamily
Members of the Alphaherpesvirinae subfamily are charac-
terized by a variable host range, short reproductive cycles,
the ability to spread rapidly in culture and efficiently
destroy infected cells, and the capacity to establish latent
infections primarily, although not solely, in sensory gang-
lia. The members of the Alphaherpesvirinae subfamily that
infect humans are HSV-1 and HSV-2, and VZV.
HSV
Disease
The two HSV species, HSV-1 and HSV-2, are capable of
causing a variety of diseases within an infected host. The
most common of which are orolabial lesions, commonly
referred to as coldsores or fever blisters and most
often caused by HSV-1, and genital herpes which is most
often caused by HSV-2. The viruses are extremely wide-
spread throughout the world’s population. The US
National Health and Nutrition Examination Survey
(NHANES) conducted between 1999 and 2004 has put
seroprevalence rates in the United States at 58% for
HSV-1 and 17% for HSV-2. Seroprevalence rates in
Europe tend to be slightly higher for HSV-1 and slightly
lower for HSV-2 when compared to the United States,
although there are large intercountry differences. In devel-
oping Asian countries, the seroprevalence of HSV-1 and
HSV-2 appear to match those seen in Europe and the
United States. However, in Africa and Central and
Southern America, the picture is quite different. In these
regions, HSV-1 is becoming an almost ubiquitous pathogen
with greater than 90% of the population seropositive by
their fourth decade of life. HSV-2 seroprevalence rates
range from 30 to 80% in women and 10 to 50% in men
in sub-Saharan Africa, and between 20 and 40% in women
in Central and South America. Universally, HSV-2 sero-
positivity is higher in women than in men. Changes in
sexual practices also mean that HSV-1 is becoming a
more common cause of genital infection than it once was.
In an immunocompetent host, primary infections with
HSV can be asymptomatic, with an individual only rea-
lizing that they have been infected when a recurrent
infection occurs at a later point. However in some cases,
primary infections can be symptomatic, and in these
instances disease is usually more severe than that seen
with recurrent infection. During symptomatic primary
HSV infection, individuals can present with fever,
malaise, and large quantities of painful vesicular lesions
at and around the site of infection, lasting for a period of
up to 3 weeks. Recurrent infections, at either the orofacial
or genital site, generally involve a much smaller number
of vesicular lesions that persist for 7–10 days.
Along with the common mucosal herpetic lesions asso-
ciated with orofacial and genital infections, HSV is also
associated with a number of more severe complications.
In immunocompetent individuals, the most serious com-
plications are herpetic stromal keratitis (HSK) and herpes
simplex encephalitis (HSE). Ocular infection with HSV
can lead to HSK, the leading cause of infectious corneal
blindness. Initially, recurrent infections within the cornea
can produce ulcers that result in pain, light sensitivity,
and blurred vision. Repeated episodes of recurrent disease
can lead to involvement of the underlying stroma, result-
ing in HSK, which can eventually lead to blindness due to
corneal scarring and vascularization. HSE, while extre-
mely rare, has a high risk of mortality if left untreated
(>70%). It is usually caused by HSV-1 and results in
inflammation and swelling of the brain tissue, with
patients presenting with weakness, visual disturbances,
and seizures. Although antiviral drugs can be used to
decrease mortality, almost 50% of patients fail to regain
complete normal function.
As is common with herpes viruses, individuals with
compromised or absent immune responses are at high risk
of HSV complications. Patients with atopic dermatitis,
where the immune response in the skin is skewed toward
a Th2 response, can develop a disseminated HSV infec-
tion throughout the skin known as eczema herpeticum.
Evidence from HIV-positive patients and people under-
going immunosuppressive therapy has demonstrated the
increased severity of HSV infection in such populations,
with these patients also more prone to chronic or atypical
infections. Finally, HSV infection in neonates is asso-
ciated with increased mortality and morbidity. Infection
in this setting usually results from transmission from
mother to child during delivery and is estimated to
occur at a rate of one in every 3–5000 deliveries.
Localized infections of the skin, eyes, and mouth are
rarely fatal. However, children with disseminated infec-
tions or those involving the central nervous system are at
high risk of mortality or ongoing neurological impair-
ment. Prompt antiviral treatment has been able to
reduce mortality rates; however, neurological sequelae
remain high in children who recover from either disse-
minated HSV or HSV encephalitis.
Virus and biology
The genome of HSV-1 is 152 kbp in length, while that of
HSV-2 is 154 kbp. The two viruses have approximately
50% nucleotide sequence identity and encode protein
Herpesviruses 627

products with high levels of amino acid sequence identity.
Both viruses have the same genome structure of a unique
long and unique short region flanked by inverted repeats
and share the common herpesvirus virion structure
described previously. The high level of shared protein
sequence results in antigenic cross-reactivity between the
two viruses but despite this they have different neutrali-
zation patterns and tend to produce different clinical
symptoms.
One biological property, common to both HSV-1 and
HSV-2, that influences the ability of these viruses to cause
disease in humans is neurovirulence. The ability of the
virus to invade and replicate within the host nervous
system primarily enables the virus to establish a latent
reservoir of virus within this site, from which reactivation
and subsequent transmission can occur. However, it also
provides a situation whereby the virus can produce severe
disease within the host, such as is seen in cases of HSV
encephalitis.
Replication
In permissive cells, the process of HSV viral replication
takes 18–20 h (Figure 3). The initial step in this process is
the attachment to and entry of the virus into the target cell,
a process that involves five viral glycoproteins – gB, gC, gD,
gH, and gL. The initial attachment is mediated by contact
between glycoprotein C (gC) and/or gB with heparan
sulfate on the surface of the cell. Viral attachment is closely
followed by interaction between gD and one of the several
cell surface receptors that facilitate entry into the cell;
three different classes of receptors have been identified for
gD. Viral entry can occur via two pathways, the well-
characterized method of direct penetration of the cellular
membrane via fusion with the viral envelope and the less
well-characterized method of endocytosis. This second
method of entry has to date only been demonstrated using
in vitro systems with several different cell lines. Hence, the
importance of endocytosis in a natural infection remains to
be determined. The kinetics of both modes of viral entry
appears to be similar, with the transition from attachment to
penetration occurring within minutes.
Following entry into the cell, the de-enveloped viral
capsid is transported through the cytosol to the nuclear
pore complexes (NPC) where the viral DNA is released
into the nucleus and takes on a circularized form.
Movement of the capsid through the cytosol is rapid,
reaching the nucleus within approximately 1 h. This
transport is most likely mediated by microtubules. Once
the viral DNA has entered the nucleus, the host RNA
polymerase II is then used to transcribe the viral genome
in a sequential fashion, resulting in the expression of over
80 viral proteins. The viral proteins are preferentially
translated within the infected cell, in part due to the
action of the viral protein VHS (virion host shutoff).
IE proteins
E proteins
L proteins
IE RNA
E RNA L RNA
Viral
DNA
Cytoplasm
Nucleus
Replication compartment
Figure 3 Replication cycle of herpes simplex virus (HSV). The virus binds to the cell surface and the capsid and tegument are released
into the cytoplasm following fusion of the viral envelope with the plasma membrane. The capsid is transported to the nuclear pore; the
viral DNA is released into the nucleus and becomes circularized. The host RNA polymerase II transcribes the immediate early (IE) genes;
the mRNAs are transported into the cytoplasm where translation occurs. The IE proteins activate transcription of the early (E) genes that
are involved in viral DNA replication. Viral DNA replication occurs within replication compartments and stimulates transcription of the
late (L) genes. The L proteins are involved in assembling the capsids within the nucleus. Progeny viruses exit from the cell by one of three
potential mechanisms described below.
628 Herpesviruses

This tegument protein remains in the cytoplasm as the
viral capsid is transported to the nucleus. It induces
destabilization of host mRNA and causes a rapid cessation
of host protein synthesis, resulting in the loss of the
cellular mRNA pool and thus, the preferential translation
of viral proteins. The sequential pattern of viral gene
expression results in the HSV genes being divided into
three categories, loosely based on the timing of their
expression in infected cells. The categories are the
immediate early (IE) or genes, the early or genes,
and the late (L) or genes.
IE genes
The IE genes are expressed within 2–4 h of infection and
include six different viral proteins. These genes can be
expressed in the absence of de novo viral protein synthesis,
using the viral tegument protein VP16 (viral protein
number 16) as a transactivator. VP16 is transported to
the nucleus with the cellular host cell factor (HCF) pro-
tein. Once within the nucleus, the VP16–HCF complex
binds to a second cellular factor, Oct-1 (octamer binding
protein 1) and forms a stable transcription regulatory
complex called the VP16-induced complex. This com-
plex is able to stimulate expression of the IE genes.
The IE genes ensure the orderly expression of subse-
quent viral genes and the evasion of the cellular responses
to the infection. To do this, many of the IE genes perform
multiple functions, and a variety of posttranslational pro-
cessing is employed to enable these proteins to fulfil the
roles required. In brief, ICP4 is required for the expres-
sion of all early (E) and L genes; ICP0 acts as a
nonspecific or ‘promiscuous’ transactivator, capable of
stimulating the transcription of ,and, genes; ICP27
is required for the transcription of the L viral genes and
some E genes; ICP47 is involved in immune evasion; and
ICP22 and U
S
1.5 are thought to be involved in promoting
the expression of some L genes.
E genes
The E genes are maximally expressed between approxi-
mately 5–7 h after infection. The E proteins include those
that make up the viral DNA replication machinery. Thus,
the expression of the E genes signals the initiation of viral
DNA replication. However, the expression of certain
E genes is also involved in downregulating IE gene
expression, in particular, ICP8 has been shown to down-
regulate expression of the IE gene ICP4.
L genes
The L genes are the final group of viral genes to be
expressed within the infected cell. Some L genes, such
as gB and gD, are actually expressed early in the infected
cell, and their expression simply increases with the onset
of viral DNA replication. Alternatively, other L genes,
including gC and U
S
11, are only expressed following viral
DNA replication. Many of the L genes encode viral
structural proteins, and their expression enables the pro-
duction of progeny virion particles.
Viral egress from infected cells
Following the expression of the L genes, viral capsids are
assembled within the nucleus. These capsids, predomi-
nantly made up of four viral proteins, are then filled with
viral DNA, a process that utilizes viral proteins. It is
generally accepted that the nucleocapsids then bud
through the inner nuclear membrane and upon doing so
acquire an envelope. However the subsequent events that
lead to the egress of the newly formed virus particle from
the infected cell are not yet fully understood. Three
competing theories exist, each with varying amounts of
supporting evidence. The first theory argues that the
enveloped nucleocapsid buds through the inner nuclear
membrane and is transported to the surface by vesicular
movement through the Golgi apparatus; thus, in this
model, the tegument would be acquired in the nucleus.
The second theory argues that the enveloped virus
fuses with the outer nuclear membrane, leaving the de-
enveloped nucleocapsid to bud into the Golgi apparatus,
regaining an envelope, and then to travel to the surface
via vesicular movement. In this model, the tegument
could be acquired in the nucleus or the cytoplasm, with
work supporting this model demonstrating that the
majority of virions gain their tegument and envelope in
the cytoplasm. The third model involves capsids exiting
the nucleus via nuclear pores and then budding through
Golgi membranes.
Release of virus from an infected cell results in the
shedding of newly formed virions, enabling the virus to
spread to susceptible individuals. However, within the
body, the virus can also spread directly from cell to cell.
This process involves the viral glycoproteins gE and gI,
which form a heterodimer, and is facilitated by cell con-
tact. In general, cells infected with replicating HSV do not
survive the infection, due to the cytopathic effects of viral
infection.
Latent infection
HSV persists for the life of the host by establishing a
latent infection in sensory neurons. During a primary
infection, virus enters the sensory nerve endings in the
epithelium and travels to the neuronal cell body. Animal
models have suggested that within the neuronal cell body
viral replication can occur initially. However, within
several days, no replicating virus can be detected.
Concurrent with the short-lived lytic infection within
the ganglia, the virus also establishes latency and, follow-
ing clearance of the replicating virus, latent virus persists.
Evidence from animal models and human studies has
indicated that the latent HSV genome most likely exists
Herpesviruses 629

as an extrachromosomal circular episome, with human
studies suggesting a latent viral burden of between 1 and
10 viral copies per neuron, remembering that not all
neurons within a ganglion will harbor latent virus. Viral
replication within the nerves or even at the primary site of
infection is not required for the establishment of latency.
However, lack of viral replication appears to reduce the
quantity of latent virus within a latently infected ganglion
through a reduction in the number of latently infected
cells.
The traditional view of latency is that lytic viral gene
expression is shut down and only the latency-associated
transcripts (LATs) are produced. The primary LAT is an
8.5 kb transcript that is cleaved to produce the 2.0 kb and
1.5 kb major LATs, referred to as such based on their
abundance. LATs may play a role in silencing lytic
genes, preventing cell death, or exerting other effects
during latent infection.
As mentioned previously, latent virus can reactivate
periodically. It is thought that only a small percentage of
latently infected neurons will reactivate at any given time.
Following reactivation within the ganglion, viral compo-
nents such as the nucleocapsid and the glycoproteins
travel down the neuronal axon individually via antero-
grade axonal flow and are assembled into virus particles
prior to virus emergence into the periphery. Within the
periphery, reactivated virus can result in either asympto-
matic shedding or a clinical recurrent lesion. Although the
mechanisms are not fully understood, a number of stimuli
are known to induce reactivation including nerve
damage, stress, ultraviolet (UV) light, menstruation, and
hormonal imbalances. The fate of virus-infected neurons
continues to be contentious, with some believing that
neurons can survive a lytic HSV-1 infection and others
arguing that they cannot.
Pathogenesis
Transmission of HSV requires close, personal contact
between the susceptible individual and an individual
secreting the virus, enabling the virus to come into con-
tact with either mucosal surfaces or abraded skin. As
previously mentioned, HSV-1 is generally the cause of
orofacial infections while HSV-2 is usually transmitted
via genital contact, and thus causes genital infections,
although it should be noted that both viruses are capable
of infecting either sites. At each site, the virus replicates in
the epithelium and infects the innervating sensory nerve
endings. Virus travels along the neuronal axon to the
innervating sensory ganglion, the trigeminal ganglion in
orofacial infections, and the sacral ganglia in genital infec-
tions. Within the sensory ganglion, HSV establishes a
lifelong latent infection in which viral gene expression is
silent except for transcription of the LAT.
A major factor in the pathogenesis of HSV is the ability
of the virus to reactivate from latency. Although we are
yet to fully understand the mechanisms through which
this occurs, it has been demonstrated that the frequency of
reactivation correlates with the severity of the primary
infection. When reactivation occurs, progeny virions are
produced within the ganglion and travel back down the
neuronal axon to be released into the epithelium at or
near the site of initial infection. Such reactivation events,
which can be either symptomatic or asymptomatic, pro-
vide the virus with the opportunity to spread to other
susceptible individuals. Interestingly, HSV-1 is more
likely to reactivate within a trigeminal ganglion than a
sacral ganglion, while the opposite is true for HSV-2. In
this way, the tissue tropism of each virus appears to be
coupled with a site-specific frequency of reactivation.
Drugs and vaccines
A number of nucleoside analogues have been used effec-
tively to treat herpes infections, including acyclovir
(ACV), famciclovir, and valacyclovir. These drugs exploit
the fact that viral enzymes recognize certain molecules
that the endogenous cellular enzymes do not, enabling the
drugs to target only virus-infected cells. One of the most
successful antiviral drugs, ACV, a guanine base attached
to an acyclic sugar-like molecule, is used to block
HSV lytic replication (Figure 4). ACV is highly specific
because it targets two viral enzymes, virus-encoded thy-
midine kinase (TK) and DNA polymerase. The viral TK
phosphorylates ACV to the monophosphate form while
the cellular enzymes phosphorylate it to the di- and
triphosphate forms. The HSV DNA polymerase then
incorporates the monophosphate form of ACV into
the growing DNA chain, but the nascent DNA chain
cannot be extended because ACV lacks a 39-hydroxyl
group. Viral DNA synthesis is thereby inhibited.
Minimal toxicity is observed because uninfected host
cells lack the two enzymes needed for ACV incorporation
into DNA.
ACV effectively blocks productive infection but does
not affect latent infection. Resistance to ACV is uncom-
mon except in individuals who are immunocompromised,
such as AIDS patients, and those undergoing immuno-
suppression. In such cases, viral replication occurs at a
high level and mutant viruses resistant to ACV can arise.
Drugs such as ACV, when given promptly, have
proved effective in reducing the mortality and morbidity
associated with HSV encephalitis and ocular and neonatal
NH
NH2
N
N
N
HO
O
O
Figure 4 The chemical structure of acyclovir.
630 Herpesviruses

infections. However, given the emerging link between
HSV-2 and the acquisition and progression of HIV, a
method of preventing HSV infection is needed. To this
end, a number of different vaccine approaches have been
investigated, including killed virus vaccines, subunit vac-
cines, and genetically engineered live virus vaccines. On
the whole, killed virus vaccines have proven ineffective at
preventing acquisition of HSV, and of two subunit vac-
cines that have been through human trials, only one
showed some efficacy in a subgroup of patients. At this
point, the use of replication-defective mutant viruses as
vaccines appears to be the most promising approach.
A current candidate, dl-529, has been rendered replica-
tion-defective through deletions in both U
L
5 and U
L
29
and has been shown to induce both high titers of neutra-
lizing antibodies and strong cell-mediated responses.
VZV
Disease
VZV is the causative agent of varicella or ‘chickenpox’, a
common childhood disease with the highest prevalence
occurring in the 4–10 years age group, and herpes zoster
or shingles, a disease most often seen in older individuals.
The virus is highly communicable, thought to enter sus-
ceptible individuals via the respiratory tract. From here, it
spreads to the lymphoid system before producing the
characteristic vesicular rash in the skin 10–21 days later.
A fever and general feeling of malaise accompany the
appearance of the rash. Most individuals become infected
with VZV as children. However, approximately 10% of
young adults remain susceptible. It should be noted that
the incidence of varicella in the United States, particularly
in children aged 1–4 years, has declined by approximately
85% since the introduction of a vaccine into the United
States pediatric immunization schedule in 1995.
Following a primary infection, VZV establishes a
latent infection in the sensory ganglia, with 10–20% of
people experiencing a recurrent infection after several
decades. Recurrent VZV infection manifests as a vesicular
rash in the dermatome innervated by the latently infected
ganglion and is referred to as herpes zoster or ‘shingles’. It
first presents with a prodrome, a painful burning sensation
throughout the soon-to-be-affected dermatome. Several
days later, the characteristic vesicular rash appears in the
skin, which is generally accompanied by flu-like symp-
toms and can last up to 7–10 days. It is common for the
burning, piercing pain to continue after the resolution of
lesions in the skin, and in cases where pain persists for
longer than 30 days after such resolution the patient is
deemed to have post-herpetic neuralgia (PHN). PHN is
generally self-limiting and most patients are pain-free by
6 months post-zoster, although pain can be significant
until resolution.
The fact that herpes zoster is more common among the
elderly and immunocompromised individuals supports
the idea that the immune response plays an important
role in determining whether VZV is able to reactivate
from latency or not and whether symptomatic disease
ensues. For those aged 20–50 years, the incidence of
herpes zoster is around 0.25%, this rises to 0.8% in people
aged over 60 and can reach as high as 50% in people who
reach 85 years of age. Individuals with compromised
immune systems are also at an increased risk of herpes
zoster. People with HIV, leukemia, Hodgkin’s and non-
Hodgkin’s lymphoma, and those who have undergone
either bone marrow or renal transplants are at risk. It
should also be noted that in immunocompromised indi-
viduals, the cutaneous rash is usually more extensive and
widespread viremia is also common.
Virus and biology
VZV shares the common herpesvirus virion structure of a
core, containing a single copy of the 125 kbp linear,
double-stranded DNA genome, surrounded by a nucleo-
capsid, a proteinaceous tegument layer, and an outer
envelope. It also shares the ability to establish lifelong latent
infections in the sensory ganglia with the other human
alphaherpesviruses HSV-1 and HSV-2. However, unlike
the HSVs that are able to replicate in cells from a wide
range of hosts, VZV has a very narrow host range, restricted
to selected cell types of human and simian origin. Another
difference between VZV and HSV relates to the spread of
the virus through the host. HSV is generally confined to the
epithelium infected during lytic infection and the neuronal
cells within the sensory ganglia, where latency is estab-
lished. VZV on the contrary has the ability to disseminate
widely through the bloodstream of the infected host, infect-
ing skin, mucous membranes, and visceral and nervous
system tissues.
Replication
The infectious cycle of VZV is similar to that seen with
HSV-1 and HSV-2. The virus uses surface glycoproteins,
definitely gB and possibly gC, to attach to cellular surface
glycosaminoglycans, such as heparan sulfate. Several
other viral glycoproteins, gH, gE, and gI are also involved
in the attachment and penetration process, following
which the viral nucleocapsid, along with several tegument
proteins, is transported to the nuclear surface and the viral
genome is inserted into the nucleus. It is thought that, like
VP16 during HSV infection, the VZV tegument proteins
may be involved in initiating transcription of viral genes.
The transcription of viral genes occurs in a sequential
pattern with IE, E, and L genes, designated as such by the
timing of their transcription. Each class of genes is tran-
scribed in the nucleus, the mRNAs are then transported
into the cytoplasm where they are translated, and the
resulting proteins are then transported back into the
Herpesviruses 631

nucleus. The IE genes are involved in the regulation of
transcription of IE, E, and L genes and each VZV IE
protein has homology to one of the HSV IE proteins,
although the exact roles played by these proteins are not
always homologous. The E proteins are involved in viral
DNA replication, and the L proteins are generally struc-
tural, used to produce the capsids for progeny virions.
The newly formed capsids travel out of the nucleus,
becoming enveloped in the process, and are then trans-
ported to the cytoplasmic membrane where they are
released from the infected cell. In cell culture systems,
the entire process can occur in as little time as 8–16 h.
Pathogenesis
VZV is transmitted via inhalation of infectious respiratory
secretions or skin-to-skin contact with infectious vesicu-
lar fluid and manifests as a vesicular rash throughout the
skin 10–21 days later. Due to a lack of animal models for
VZV, the pathogenesis of this virus was originally mod-
eled on that of mousepox. Based on this model, it is
thought that the inhalation of the virus enables infection
of regional lymph nodes, resulting in a primary viremia
that enables the virus to disseminate throughout the body,
spreading to reticuloendothelial organs such as the liver.
Within these organs, it is hypothesized that a phase of
viral amplification occurs followed by a second round of
viremia during which the virus is transported to the skin.
During primary infection, VZV is able to establish
latency within sensory ganglia; VZV DNA is widely
detected in the trigeminal ganglia and in many dorsal
root ganglia of infected individuals. It is widely accepted
that neuronal cells are the primary reservoir of latent
virus, infected either hematogenously or by virus trans-
ported along neuronal axons from the skin via
anterograde axonal transport. VZV latency differs from
the situation during HSV infection in two main ways;
first, unlike HSV infection, a number of VZV genes are
believed to be transcribed and translated while the virus is
in a latent state, and second, VZV latency lacks the
frequent episodes of asymptomatic reactivation seen
with HSV infection. This later observation is thought to
be due to the ability of the host immune response to
quickly control reactivation events and maintain the
virus in a latent state.
Many aspects of the host immune response come into
play when dealing with a VZV infection. The innate
response in epidermal cells plays an important role in
slowing the spread of virus through the skin. NK cells
and interferon (IFN-) also play a role in the innate
defense against VZV infection, helping to contain the
virus prior to the development of the adaptive response.
In terms of adaptive immunity, VZV induces both cell-
mediated and humoral immunity, with T cells thought to
be particularly important in clearing infectious virus and
helping to maintain VZV in a latent state.
Drugs and vaccines
As with HSV, nucleoside analogues such as ACV and
related drugs have been useful in treating VZV infections.
In cases of varicella, oral ACV can be given to healthy
individuals to reduce the severity of symptoms, while
intravenous ACV is given to immunocompromised indi-
viduals to reduce the risk of disseminated infections. In
cases of herpes zoster, ACV can be given to immunocom-
petent individuals to shorten the period of lesion
outbreaks, the healing period, and the severity of acute
neuropathic pain. Similarly for immunocompetent indi-
viduals, intravenous ACV can be used to shorten the
period of disease and prevent disseminated infection.
VZV is the first HHV for which there is a licensed
vaccine, a live attenuated virus vaccine derived from a
clinical viral isolate known as the Oka strain. The Oka
strain was attenuated by passage into guinea pig fibro-
blasts, producing a virus with reduced efficiency for
replication in human skin. In clinical trials, a single dose
of the vaccine was sufficient to induce seroconversion
rates of 90% or greater in children 12 years and under
and provided complete protection from disease in
approximately 85% of exposures. The vaccine induces
strong T cell responses with a single dose and also
achieves high antibody titers when a second dose is admi-
nistered and is now recommended for routine vaccination
of infants and susceptible older children and adults in the
United States. A recent study has also demonstrated that
vaccination of healthy adults aged 60 years and older can
significantly reduce the frequency and morbidity of
herpes zoster, suggesting that a vaccination regimen in
this population may also be useful.
The Gammaherpesvirinae Subfamily
Gammaherpesviruses are classified as such based on their
ability to replicate in epithelial cells, establish latency in
lymphocytes, and their oncogenic effects. Within the
gammaherpesvirus subfamily, there are two genera:
the Lymphocryptovirus (LCV) genus, which includes the
human pathogen EBV, and the Rhadinovirus (RDV)
genus, which includes KSHV. It is thought that the
viruses within the LCV genus likely evolved from those
in the RDV genus.
EBV
Disease
EBV, also known as HHV-4, is a widespread human
pathogen with 90% of adults testing seropositive. In
developing countries, most children are infected within
the first three years of life, while in developed countries
around 50% of individuals remain seronegative through
632 Herpesviruses

childhood. It is estimated that 25% of people who then
acquire EBV during adolescence or young adulthood will
present with acute disease called infectious mononucleo-
sis (IM), although it should be noted that childhood cases
of IM are common in Asian populations and are possibly
underdiagnosed in other parts of the world. Patients with
IM can present with symptoms ranging from a mild and
transient fever to a period of malaise and pharyngitis
lasting several weeks. This period of EBV disease is
closely linked to the emergence of the cytotoxic T cell
response to infection, and it is widely accepted that IM is
mostly an immunopathologic disease, with the proinflam-
matory cytokines secreted by active T cells thought to be
responsible for many of the IM symptoms. In a small
subset of patients, IM is poorly controlled and can lead
to more severe, possibly fatal, outcomes. Males with
X-linked lymphoproliferative (XLP) syndrome are highly
sensitive to EBV infection. In these patients, primary EBV
infection results in severe IM-like symptoms and can
rapidly result in mortality, thought to be due to an uncon-
trolled T cell response to infection. Virus-associated
hemophagocytic syndrome (VAHS) and chronic active
EBV infection (CAEBV) are two other serious outcomes
of EBV primary infection. Both involve EBV infection of
T cells, resulting in virus-driven proliferation of these
cells (much like the proliferation of B cells during a
classical primary infection). The infected T cells release
huge amounts of proinflammatory cytokines, which
results in hemophagocytosis, where macrophage begin
phagocytosing red blood cells, platelets, leukocytes, and
other cells. The risk of mortality with either syndrome is
high.
Following primary infection, EBV establishes a latent
infection in B cells, which is generally maintained as such
for the life of the host with no clinical manifestations.
However, this is not always the case, and EBV is asso-
ciated with a number of different human malignancies. In
immunocompetent individuals, usually following several
decades of EBV latency, EBV is associated with the
development of certain types of Hodgkin’s lymphoma,
several B-lymphoproliferative lesions, T cell and NK
cell nasal lymphomas, and gastric and nasopharyngeal
carcinomas. In immunocompromised individuals, the
virus is capable of rapid tumor development, with
some cases of tumorigenesis evident within months of
EBV infection. In transplant settings, a link has been
demonstrated between EBV and posttransplant lympho-
proliferative disease (PTLD), with EBV association as
high as 100% in early onset cases and 80% with late
onset cases. AIDS patients show a heightened risk of B
cell lymphoma with approximately 50% linked to EBV,
and most settings involving immunosuppression have
demonstrated a link between EBV and smooth muscle
cell tumors. EBV is also associated with endemic
Burkitt’s lymphoma (BL), the most common childhood
cancer in equatorial Africa which is geographically linked
to areas of holoendemic malarial infection, although the
mechanisms through which EBV contributes to BL are
not fully understood.
Virus and biology
EBV shares the common herpesvirus virion structure and
has a 184 kbp genome. There are two strains of the virus,
types 1 and 2 or types A and B, which circulate in most
populations. Individuals can be infected with both types
and this is a common occurrence in immunocompromised
individuals. Type 1 is generally more prevalent in devel-
oped countries while type 2 is dominant in equatorial
Africa and New Guinea. The main differences between
the two strains are seen in the nuclear protein genes that
encode EBV-coded nuclear antigen (EBNA)-LP,
EBNA-2, EBNA-3A, EBNA-3B, and EBNA-3C.
Replication
EBV is known to infect both B cells and epithelial cells
during primary infection, with infection of epithelial cells
thought to result in a lytic infection and infection of
B cells thought to generally result in a latent infection.
In B cells, the virus binds to CD21 and MHC class II on
the surface of target cells using glycoproteins in the virus
envelope. A cell surface receptor for epithelial cell infec-
tion has yet to be found, and it is hypothesized that virus
may be transferred to epithelial cells directly from lyti-
cally infected B cells. The entry of virus into each cell
type differs in that virus enters B cells via the endocytic
pathway while virus entering epithelial cells does so at the
cell surface, in both cases viral glycoproteins are involved
in facilitating fusion and entry of the virus into the target
cell. Following entry of the virus into the target cell, the
nucleocapsid is transported to the nucleus into which the
viral genome is inserted.
If a lytic infection ensues, as is thought to occur in
epithelial cells in vivo, the sequential expression of IE, E,
and L genes, common to herpesviruses, is seen. The IE
proteins are primarily involved in activation of E gene
expression, the E proteins are primarily involved in viral
DNA replication, while the L proteins are involed in the
production of progeny virions. At this time, it is thought
that newly formed nucleocapsids initially acquire an
envelope at the inner nuclear membrane, are de-envel-
oped as they are released into the cytoplasm, and then
reacquire an envelope as they bud through the plasma
membrane.
It is widely accepted that initial infection of B cells
results in a latent or persistent infection. In fact, in vitro
studies demonstrated that infection of B cells with EBV
resulted in a latent infection that was capable of causing
perpetual B cell proliferation, helping to confirm the
oncogenic properties of EBV. During latency, the viral
genome is maintained in the nucleus of the infected cell in
Herpesviruses 633

an episomal form with variable levels of gene expression
possible. There are four different forms of EBV latency:
latency 0, I, II, and III. These stages are classified as such
based on the level of expression of the EBNAs and latent
membrane proteins (LMPs), with latency 0 having no
viral antigens expressed and latency III having all latency
proteins expressed.
These different forms of latency are used by the virus
to ensure the maintenance of the viral genome within
progeny B cells, and as such the virus uses cellular differ-
entiation controls to determine which level of latency is
required at any given time. For example, during a primary
infection, EBV is present in infected B cells in latency III
form, and the expression of viral genes at this stage is used
to drive the proliferation and differentiation of these cells
into a latently infected memory pool. Once the memory
pool is established, and in order to prevent further detec-
tion by virus-specific cytotoxic T cells, EBV switches off
all gene expression, thus entering latency 0. At times
when memory B cells are induced to divide by homeo-
static signals, the virus reactivates to latency I to ensure
the viral genome is not lost during such cell division. In
this way, the virus is able to establish a balance between
avoiding immune detection and maintaining the viral
genome. At times of cell proliferation, the viral EBNA-1
protein tethers the viral chromosome to the cellular chro-
mosome to ensure maintenance of the viral genome
within daughter cells.
Pathogenesis
EBV infection is transmitted via the oral route and is
generally asymptomatic. As such, knowledge of the pri-
mary infection has come from the study of IM. These
individuals shed virus in saliva and throat washings.
However, the source of this virus remains contested. It
is generally assumed that because B cell-deficient indivi-
duals show no sign of EBV infection in the throat, initial
infection of a naı¨ve host is B cell-dependent. However, it
is becoming more widely accepted that epithelial cells
may also be sites of viral replication, with studies suggest-
ing that virus bound to the surface of a B cell is highly
efficient at infecting epithelial cells. Interestingly, recent
evidence further suggests that virus released from B cells
is defective for B cell infectivity but shows enhanced
infection of epithelial cells, while virus released from
epithelial cells has the opposite phenotype.
EBV establishes a latent infection in B cells at the site
of primary infection, the tonsillar tissue. Studies suggest
that latently infected B cells express a memory pheno-
type, and it has been proposed that infection of naı¨ve
B cells with EBV mimics the process of B cell differentia-
tion, resulting in activation and proliferation of the
infected cell population, and thus the production of an
expanded pool of latently infected memory cells. It is
generally accepted that the cell-mediated immune
response brings the proliferating B cells under control.
The memory pool of latently infected B cells,
which circulates through the body, is able to disperse
the latently infected cells throughout the lymphoid sys-
tem. Individuals latently infected with EBV will have
peripheral blood B cells that harbor virus and, following
clearance of the primary infection, these individuals will
continue to shed low levels of infectious virus via the oral
cavity. This virus comes from the latent B cell reservoir. It
is thought that memory B cells containing latent virus
may undergo reactivation when they receive an activation
signal, and that such cells, which localize near mucosal
surfaces, would be capable of transmitting lytic virus to
epithelial cells where viral replication and subsequent
shedding can occur.
In a healthy individual with an intact immune system,
EBV persists in this form for the life of the host with no
clinical manifestations. The latent pool is constantly
maintained by the virus moving forward and backward
through the various forms of latency as required, and
infectious virus is sporadically shed from the oral cavity
with the potential of infecting other susceptible hosts.
However, when immune suppression occurs, either
through disease or drug intervention, this balance is
destroyed and the individual is put at risk of EBV-
associated disease.
Drugs and vaccines
To date, attempts to develop preventative vaccines
against EBV have been largely unsuccessful. The finding
that the major viral envelope protein gp350 was the
dominant target of the neutralizing antibody response
led to attempts to develop a gp350 subunit vaccine.
However, some evidence suggests that neutralizing anti-
bodies alone are not sufficient to protect against EBV,
with clinical trials showing that the gp350 subunit vaccine
failed to prevent primary infection, although it was able to
reduce the incidence of IM symptoms. It is now widely
believed that an integrative approach is required, where a
vaccine to prime the antibody response (such as the gp350
subunit vaccine) would be given in combination with a
vaccine aimed at priming the CD8
þ
T cell response.
However, it should be noted that even this integrative
approach would probably be most successful at limiting
rather than preventing infection.
In parallel with efforts to design a preventative vaccine,
efforts are also being aimed at developing immunothera-
peutics for EBV-associated malignancies. Current
strategies being developed include adoptive transfer of
activated T cells specific for viral antigens expressed on
EBV-associated tumors and the development of vaccines
that can boost the host T cell response to these same
antigens. Both strategies are aimed at increasing T cell
recognition and subsequent destruction of EBV-associated
tumors.
634 Herpesviruses

KSHV
Disease
KSHV, also known as HHV-8, is the most recently iden-
tified HHV. The virus was originally identified because
of its association with Kaposi’s sarcoma (KS), an endothe-
lial neoplasm. It was later recognized as a member of the
LCV genus within the gammaherpesvirus subfamily of
herpesviruses.
Infection rates with KSHV in the United States and in
Europe are relatively low with approximately 3% of the
population infected. In Africa, a different picture emerges,
with KSHV reaching endemic rates of infection of
between 40 and 60%. The various strains of KSHV can
be divided into four major groups or clades: A, B, C, and
D, with each virus within a given clade sharing a single
common ancestor. A and C tend to cluster together and
are more prevalent in Europe and in the United States, B
is the most commonly isolated in infected individuals in
sub-Saharan Africa, and D is the dominant clade seen in
South Asia and Australia. The pattern of distribution and
the evolutionary relationship between viruses in the dif-
ferent clades suggest that KSHV entered the human
population at about the time when modern man emerged
in Africa, with the different clades being produced as
different groups moved out of Africa to Europe and
Asia, respectively. The fact that the distribution of these
clades seems to have been maintained over millions of
years also suggests that, particularly in areas of high
seroprevalence, transmission of KSHV is primarily famil-
ial, moving vertically from parent to child and
horizontally between different members in a family unit
possibly via salivary exchange. It should be noted that in
areas of low seroprevalence, such as Europe and the
United States, the pattern of infection appears to follow
that of a sexually transmitted disease, and virus has
been successfully isolated from both saliva and genital
secretions.
The most common malignancy associated with KSHV
is KS. KS is a complex, angioproliferative, and inflamma-
tory lesion. It was historically a disease of elderly
Mediterranean men until it emerged as the most common
neoplasm seen as a complication of HIV/AIDS. In both
settings, the disease is a slow progressing malignancy,
although it can result in death in AIDS patients if organ
involvement is present. Unlike a classical tumor, KS
lesions contain many different cell types with the driving
cell being a KSHV-infected spindle cell (an elongated
endothelial cell). The spindle cells produce proinflamma-
tory and angiogenic products and may actually require
factors released from proinflammatory cells for survival
and growth. It is possible for KS lesions to be locally or
systemically invasive, requiring chemotherapy or
radiotherapy.
While strong evidence suggests that KSHV is neces-
sary for KS development, it is certainly not sufficient.
Within the general population, only 1 in 10 000 infected
individuals will develop KS annually. Therefore, it is
assumed that there are other cofactors involved in the
development of KS. In AIDS-related KS, the assumption
is that HIV infection is the cofactor. It has been proposed
that an HIV protein may act as a growth factor for KSHV
or that the immunodeficiency seen during HIV infection
may enable KSHV to disseminate more widely through
the host, increasing the chances of endothelial cell infec-
tion. The cofactor in non-AIDS-related KS remains
unknown.
Along with KS, KSHV has been implicated in two B
cell diseases, primary effusion lymphoma (PEL) and
Castleman’s disease. PEL is a rare disease seen in end-
stage AIDS patients and is characterized by proliferation
of B cells primarily in body cavities such as the pleura,
pericardium, and peritoneum. Unlike KS, PEL is a classi-
cal malignancy with every cell in the tumor harboring
KSHV DNA. Castleman’s disease is a rare, lymphoproli-
ferative lesion that is seen in both HIV-positive and
HIV-negative individuals. In HIV-negative individuals,
Castleman’s disease generally presents as a benign tumor
localized to a single lymph node. This form of
Castleman’s disease does not involve KSHV and is
usually treated by excision of the involved tissue.
Multicentric Castleman’s disease is a more aggressive,
systemic illness characterized by sustained fever, sweats,
and weight loss. This form of Castleman’s disease is seen
with increased frequency in patients with AIDS and, in
this setting, is almost always linked to KSHV infection.
Virus and biology
KSHV shares the standard herpesvirus virion structure
described above. The virion contains a double-stranded
linear DNA genome of between 165 and 170 kbp in length
that contains four blocks of highly conserved genes, many
of which encode replication proteins common to alpha-
and betaherpesviruses. The genome also encodes several
small noncoding mRNAs, the function of which remains
unknown, several of which are expressed during latency
and one of which is expressed during lytic infection.
Replication
The replication cycle of KSHV follows a pattern similar
to that seen with the other herpesviruses and thus will not
be discussed in detail here. Virus attachment and entry
are facilitated by several viral glycoproteins, following
which the viral genome and several tegument proteins
are delivered into the nucleus of the infected cell. If, at
this point, the virus enters the lytic cycle, the sequential
expression of over 90 viral genes is initiated. These genes
Herpesviruses 635

are divided into IE, delayed early (DE), and L genes. The
mechanism of KSHV egress has yet to be fully elucidated.
Despite the obvious ability of the virus to induce a
lytic infection, as demonstrated by the intermittent shed-
ding of virus from infected individuals, studies in cell
culture systems suggest that the default pathway in
KSHV infection is latency. From in vitro work, it appears
that only a small number of cells (1–3%) will enter the
true lytic pathway and that this will subside following
several days of infection. In the majority of cells, a defec-
tive version of lytic infection arises, which is quickly
terminated and latency established. In these cells, a
range of lytic cycle genes are expressed during the first
12 h of infection. However, the expression of these genes
ceases by 24 h postinfection and the genes are not
expressed in their correct sequential order, thus providing
evidence of the defective nature of this ‘lytic’ infection.
Latency is then quickly established in these cells. The role
that the faulty lytic infection plays in the overall virus
infection remains unknown, although it has been pro-
posed that the transient expression of some of the viral
immune evasion mediators may be beneficial during the
early stages of infection.
Once latency is established, the viral genome is repli-
cated as an episome. The viral LANA protein tethers the
viral episome to the cellular chromosome so that the viral
genome is distributed to progeny cells during cell divi-
sion. At this time, only a few of the 90-plus viral genes are
expressed. However, the exact roles that these proteins
play during the latent infection still require much inves-
tigation. Work to date would suggest that they may be
involved in maintenance of the viral genome in dividing
cells, prevention of apoptosis and, surprisingly, upregula-
tion of proinflammatory responses. The switch from the
latent to the lytic phase of infection is thought to be
facilitated by the so-called lytic switch protein, known
as RTA. This protein is a viral transcriptional activator
that is capable of inducing lytic gene expression on its
own, but becomes even more efficient when bound to one
of several different HCFs. In experimental systems, dele-
tion of RTA prevents both spontaneous and chemically
triggered induction of the lytic cycle.
Pathogenesis
Primary infection of a susceptible host is followed quickly
by the establishment of latency, primarily in B cells. In
most individuals, the latent infection is asymptomatic and
is accompanied by intermittent, clinically silent viral
reactivation that enables shedding of virus in the saliva.
Given the apparent absence of an extended primary lytic
infection, asymptomatic reactivation during latency
would appear to play a major role in virus transmission.
The exact role of KSHV in the pathogenesis of KS is
currently unknown. It appears that both latent and lytic
stages of infection are important, with KSHV latency
much less potent than EBV latency at inducing cell
immortalization. Most KS spindle cells are latently
infected but a small percentage demonstrates lytic infec-
tion. It would appear that this low level of lytic replication
is important in the development of KS, possibly enabling
the reinfection of spindle cells that have lost the KSHV
genome, providing a reservoir of newly infected cells to
replace cells within the tumor mass that have died, or
even providing some of the inflammatory and angiogenic
signals that play a role in KS pathogenesis.
Drugs and vaccines
There are currently no drugs or vaccines available for the
prevention or treatment of KSHV. In most individuals,
the immune response is adequate to control the virus and
prevent virus-associated disease. With this in mind, in
immunocompromised individuals, it is common to treat
the underlying cause of immunosuppression or to
attempt to treat the malignancy itself rather than the
viral infection.
The Betaherpesvirinae Subfamily
The betaherpesviruses are characterized by a restricted
host range, a long productive cycle, and the ability to
establish latent infections in secretory glands, lymphore-
ticular cells, and kidneys. The betaherpesviruses have the
highest level of evolutionary and genetic diversity of the
three herpesvirus subfamilies, which can make the use of
animal models to study human pathogens within this
subfamily difficult. There are four genera within the
betaherpesvirus subfamily: the cytomegaloviruses, the
muromegaloviruses, the roseoloviruses, and the probosci-
viruses (which has only a single member).
HCMV
Disease
HCMV is a ubiquitous human pathogen, infecting those
in developing countries in their youth and those in devel-
oped countries across a slightly wider timeframe. In most
individuals, HCMV causes an asymptomatic infection,
with disease generally only seen in those unable to
mount a cellular response to infection, such as neonates
or individuals with some form of immunosuppression. As
is characteristic of herpesviruses, HCMV establishes a
latent infection within the host, although interestingly
this is also accompanied by what can be called a chronic
infection, with infected individuals shedding virus spor-
adically from their bodily fluids for life.
HCMV can be classified as an opportunistic pathogen,
only causing disease in situations where the immune
response is severely compromised (such as HIV) or absent
(such as congenital infection). In most healthy individuals,
636 Herpesviruses

infection with HCMV is clinically silent, although it
should be noted that in a small number of cases a short
bout of fever and malaise can occur, similar to the mono-
nucleosis caused by EBV.
Congenital infection
Transmission of HCMV from mother to fetus or newborn
is a very common occurrence and can occur via three
routes: transplacental, intrapartum, and via human milk.
HCMV is the only herpesvirus known to exhibit natural
transplacental transmission, and it is this congenital route
of transmission that causes serious morbidity. That said,
intrapartum and transmission via breast milk, while not
associated with the morbidity of congenital infections,
both play an important role in viral epidemiology.
These newborn children infected with HCMV will con-
tinue to shed virus capable of infecting susceptible hosts
for many years after the primary infection.
Congenital infection can occur when the mother has
either a primary or reactivated infection during preg-
nancy, with evidence from those undergoing a primary
infection suggesting that transmission to the fetus can
occur in 20–40% of cases. Although less than 1% of live
births involve a child with congenital HCMV, the long-
term sequelae for these children make it a serious disease,
with HCMV estimated to be the leading cause of infec-
tious brain damage in the United States. Approximately
5–10% of those born with a congenital HCMV infection
will be symptomatic, showing clinical manifestations such
as hearing loss, seizures, jaundice and brain abnormalities,
with long-term sequelae such as mental retardation, cere-
bral palsy, and impaired vision. In 10% of cases,
symptomatic congenital HCMV infection will be fatal.
Even the 90% of congenitally infected children born
without symptoms remain at risk of long-term CNS
sequelae such as hearing loss.
Infectioninanimmunocompromisedhost
Patients with compromised or suppressed immune sys-
tems are at greater risk of CMV-associated disease than
healthy individuals, with the severity of disease often
matching the level of immunosuppression. In patients
with HIV or those undergoing solid organ or hematopoie-
tic stem cell transplants, HCMV can disseminate into a
number of different organs, causing clinical manifesta-
tions such as pneumonitis, retinitis, and hepatitis. In
organ transplant patients, HCMV has also been shown
to cause dysfunction of the transplanted organ and put the
patient at greater risk of fungal and bacterial infections.
The thorough screening of transplant patients and the use
of antivirals in this setting and HAART in the HIV setting
is helping to reduce the morbidity and mortality asso-
ciated with HCMV infection in immunocompromised
individuals.
Virus and biology
Compared to the other HHVs, HCMV is a very large
virus. With a genome between 196 and 241 kbp, the virus
encodes in excess of 166 gene products (less than half of
which are conserved in all betaherpesviruses), and while
HCMV shares the common herpesvirus virion structure,
the actual size of the virions is larger than that of the other
HHVs.
Replication
The replication cycle of HCMV follows a similar pattern
to that described for the other herpesviruses. The virus
uses heparan sulfate as an initial binding receptor on
target cells and then enters the cell via either fusion of
the viral envelope with the cellular membrane or the
endocytic pathway. The viral genome is released into
the nucleus and the lytic viral genes are expressed in a
sequential manner: IE, DE, and L. Unlike the alphaher-
pesviruses, evidence suggests that HCMV most likely
undergoes a two-stage envelopment/de-envelopment/
re-envelopment process in order to exit an infected cell.
Newly synthesized nucleocapsids are enveloped as they
pass through the inner nuclear membrane and then
deenveloped as they pass through the outer nuclear mem-
brane. The envelope-free nucleocapsid is thus released
into the cytoplasm where it reacquires an envelope at the
ERGIC membranes before being transported out of the
infected cell via the cellular exocytic pathway.
In terms of replication, the main difference between
HCMV and other HHVs is the length of the replication
cycle. DE gene expression begins at 6 h postinfection and
continues through 18–24 h when viral DNA synthesis is
initiated. From initial attachment to the initiation of pro-
geny virion release, the complete infectious cycle takes
between 42 and 78 h. During this time, the virus has a
profound effect on the infected cell, blocking IRF-3 acti-
vation, IFN signaling, and apoptosis responses and
interrupting the cell cycle in such a way that infected
cells are able to survive for several days of productive
infection.
Pathogenesis
In an immunocompetent host, HCMV infection is gen-
erally asymptomatic. Primary infection is usually initiated
in the mucosal epithelium following direct contact with
infectious secretions from another individual, aerosol
transmission does not occur. A systemic phase of infection
then follows with a leukocyte-associated viremia. Animal
models with murine CMV (MCMV) suggest that the
virus uses immature leukocytes from the bone marrow
to facilitate dissemination to the salivary glands, kidneys,
and other tissues. This systemic phase of infection is
associated with high levels of persistent viral shedding
in the saliva, urine, breast milk, and genital secretions and
continues for a long time after the onset of the adaptive
Herpesviruses 637

immune response. It can last for months in adults and for
years in young children, supposedly due to a less effective
cellular immune response in younger patients. The ability
of the virus to persist in the face of the cellular immune
response is thought to be due, in part, to the fact that more
than 25 viral genes have been found to play a role in
modulating the host response to infection.
When virus is cleared following primary infection,
HCMV is maintained in a latent state in hematopoietic
progenitor cells (HPC). However, unlike the human
alphaherpesviruses, this latent infection is accompanied
by what can be called a chronic infection in epithelial cells
of the salivary glands and kidneys, which results in spora-
dic shedding of virus in the bodily fluids for the life of the
host. Reactivation of virus from latency, as opposed to the
sporadic viral shedding achieved by the persistent infec-
tion in the salivary glands and kidneys, seems to be an
issue only in situations of immunosuppression.
Immune responses to HCMV are well maintained for
years beyond the primary infection, at levels not seen
with other herpesviruses or persistent infections. Innate
immune responses such as IFN and NK cells are impor-
tant during the early stages on infection and may play a
role in containing the infection until the adaptive immune
response develops. T cell responses appear to be of
greater importance than antibody responses, although in
certain settings antibodies play a crucial protective role.
Despite the persistence of the primary viremia in the face
of an active cellular immune response, the fact that viral
reactivation is only seen in cases of immunosuppression
suggests that the immune response plays an important
role in helping to maintain the virus in a latent state and
preventing CMV-associated disease.
Drugs and vaccines
There are currently four drugs approved for the treatment
of HCMV infection in immunocompromised individuals:
Ganciclovir, Valganciclovir, Foscarnet, and Cidofovir. All
four have been shown to reduce or eliminate viremia,
reduce viral shedding, and prevent or control CMV dis-
ease. However, due to risks of severe toxicity, the drugs
are only used when a patient is at risk of serious disease. At
this time, no drugs are approved for the treatment of
congenital CMV, although a small Ganciclovir trial did
produce some positive results.
Given the seriousness of congenital CMV infection
and the difficulty in preventing maternal infections, a
preventative vaccine would have a large public health
benefit. Several different vaccine approaches have been
tested to date. However, a CMV vaccine is yet to reach
the market. Strategies that have reached clinical trials
have included a live attenuated vaccine, a gB subunit
vaccine, a canary pox vector expressing CMV gB and
pp65, and a DNA vaccine with antibody and CTL
epitopes. Several of these vaccines have shown promising
results in inducing strong immune responses.
HHV-6 and HHV-7
Disease
HHV-6 was first isolated in 1986 and is classified into two
variants, A and B. HHV-6B is the major causative agent of
exanthem subitum (ES), while HHV-6A has not been
clearly linked with any disease. HHV 7 was first isolated
in 1990 and is also a causative agent of ES as well as being
associated with febrile convulsions in young children.
Both HHV-6 and HHV-7 are ubiquitous pathogens,
with greater than 90% of adults seropositive for both.
ES or roseola is a classical childhood disease (sixth
disease). It initially presents as a fever lasting for 3–4 days.
As the fever clears, a rash appears, first on the trunk and
hands and then on the lower limbs, lasting several days.
HHV-6B is the major cause of ES, with the magnitude of
viral replication correlating with the severity of disease.
HHV-7, while also a cause of ES, has a lower frequency
of disease as compared to HHV-6B. It is possible for chil-
dren to have successive bouts of ES caused by one virus and
then the other. Most cases of ES are benign and are asso-
ciated with other symptoms such as diarrhea, cough, and
febrile convulsions. However, it is possible for HHV-6
infection to result in encephalitis, meningitis, and hepatitis,
which can be fatal.
Following primary infection, both HHV-6 and HHV-7
persist in a latent state. As with other herpesviruses, reactiva-
tion is generally only a problem in situations where the
immune system is compromised. In bone marrow transplant
recipients, asymptomatic HHV-6 reactivation is common.
However, reactivation has also been linked to bone marrow
suppression, encephalitis, colitis, pneumonitis, and graft-
versus-host disease. In solid organ transplant recipients,
HHV-6 reactivation has been associated with kidney
rejection.
Virus and biology
HHV-6A, HHV-6B, and HHV-7 are members of the roseo-
lovirus genus of the betaherpesvirus family, sharing the
common characteristics of growth in T cells, high preva-
lence, and association with febrile rash illness. HHV-6A and
HHV-6B are closely related but actually meet the require-
mentsforrecognitionastwoseparateviruses–theydifferin
cell tropisms, interactions with cells and the immune sys-
tem, DNA sequences, and epidemiology. As with the other
human betaherpesvirus, HCMV, both HHV-6 and HHV-7
have protracted replication cycles and share some beta-
subfamily-specific genes.
The virion structure of HHV-6 and HHV-7 follows
the common herpesvirus structure of a dsDNA genome
within an icosahedral capsid that is surrounded by a
tegument layer and finally a lipid bilayer envelope.
638 Herpesviruses

HHV-6 has a genome of up to 170 kbp, while the HHV-7
genome is 145 kbp in length.
Replication
HHV-6 and HHV-7 have a similar replication cycle to
that of the other HHV. Following virus attachment and
entry, the viral genome is delivered to the nucleus where
viral gene transcription is initiated in a sequential manner:
IE, E, and L. Egress of newly formed virions from the
infected cell follows the same path as that used by
HCMV: envelopment/de-envelopment/re-envelopment.
Pathogenesis
Transmission of HHV-6 and HHV-7 is not fully under-
stood. It is thought that transmission during infancy
occurs horizontally, possibly via saliva during close per-
sonal contact. However, it is also thought that the viruses
can be transmitted across the placenta, during delivery, or
even intrauterine. The exact site of primary infection is
also yet to be determined. It is currently thought that
infection is initiated through respiratory pathways, how-
ever the exact cells that are infected are not known.
Both HHV-6 and HHV-7 establish latent infections
within their hosts. It is thought that HHV-6 establishes
latency in monocyte or macrophage cells and certain stem
cells. HHV-6 DNA and antigens can also be detected in a
range of other sites including the saliva, brain, and lung,
suggesting a concurrent persistent infection. HHV-7
establishes a latent infection in CD4
þ
T cells while main-
taining a persistent infection in the salivary glands and a
variety of other tissues.
Drugs and vaccines
Several drugs approved for use against CMV have been
shown to be effective against HHV-6 and HHV-7 in vitro,
these include Ganciclovir, Foscarnet, and Cidofovir.
IFN-and IFN-have also been shown to inhibit
HHV-6 replication in vitro. However, no drugs are cur-
rently approved for use in the treatment of HHV-6 or
HHV-7 infection.
Further Reading
Cohen JI, Straus SE, and Arvin AM (2007) Varicella-zoster virus.
In: Knipe DM and Howley PM (eds.) Fields Virology, 5th edn.,
pp. 2773–2818. Philadelphia: Lippincott, Williams and Wilkins.
Ganem D (2007) Kaposi’s sarcoma-associated herpesvirus.
In: Knipe DM and Howley PM (eds.) Fields Virology, 5th edn.,
pp. 2847–2888. Philadelphia: Lippincott, Williams and Wilkins.
Kieff ED and Rickinson AB (2007) Epstein-Barr virus and its replication.
In: Knipe DM and Howley PM (eds.) Fields Virology, 5th edn.,
pp. 2603–2654. Philadelphia: Lippincott, Williams and Wilkins.
Mocarski ES, Shenk T, and Pass RF (2007) Cytomegalovirus.
In: Knipe DM and Howley PM (eds.) Fields Virology, 5th edn.,
pp. 2701–2772. Philadelphia: Lippincott, Williams and Wilkins.
Nagot N, Ouedraogo A, Foulongne V, et al. (2007) Reduction of HIV-1
RNA levels with therapy to suppress herpes simplex virus. The New
England Journal of Medicine 356: 790–799.
Oxman MN, Levin MJ, Johnson GR, et al. (2005) A vaccine to prevent
herpes zoster and postherpetic neuralgia in older adults. The New
England Journal of Medicine 352: 2271–2284.
Pellet PE and Roizman B (2007) The family herpesviridae: A brief
introduction. In: Knipe DM and Howley PM (eds.) Fields Virology, 5th
edn., pp. 2479–2500. Philadelphia: Lippincott, Williams and Wilkins.
Rickinson AB and Kieff E (2007) Epstein-Barr virus. In: Knipe DM and
Howley PM (eds.) Fields Virology, 5th edn., pp. 2655–2700.
Philadelphia: Lippincott, Williams and Wilkins.
Roizman B, Knipe DM, and Whitely RJ (2007) Herpes simplex virus.
In: Knipe DM and Howley PM (eds.) Fields Virology, 5th edn.,
pp. 2501–2602. Philadelphia: Lippincott, Williams and Wilkins.
Wang Q, Zhou C, Johnson KE, Colgrove RC, Coen DM, and Knipe DM
(2005) Herpesviral latency-associated transcript gene promotes
assembly of heterochromatin on viral lytic-gene promoters in latent
infection. Proceedings of the National Academy of Sciences of the
United States of America 102: 16055–16059.
Yamanishi K, Mori Y, and Pellet PE (2007) Human herpesviruses 6
and 7. In: Knipe DM and Howley PM (eds.) Fields Virology, 5th edn.,
pp. 2819–2846. Philadelphia: Lippincott, Williams and Wilkins.
Herpesviruses 639

HIV/AIDS
S Kaushik and J A Levy, University of California, San Francisco, CA, USA
ª2009 Elsevier Inc. All rights reserved.
Defining Statement
Introduction
Discovery of the AIDS Virus
The HIV Virion: Structure and Genomic Organization
HIV Genetic Diversity
HIV Transmission
Detection Assays for HIV
HIV Infection and Replication
Effect of HIV on Cells and the Immune System
Host Immune Responses to HIV
Features of HIV Pathogenesis
Future Directions
Further Reading
Glossary
acquired immunodeficiency syndrome (AIDS) An
immune system disease caused by human
immunodeficiency virus (HIV) infection that is marked by
significant depletion of CD4þT cells resulting in
increased susceptibility to a variety of opportunistic
infections, certain cancers, and neurological disorders.
adaptive immunity Host defenses that are mediated
by B and T cells following exposure to antigen and that
exhibits specificity, diversity, memory, and self–nonself
recognition.
CD4 A cellular surface glycoprotein found majorly on
T cells that facilitates recognition of the T cell receptor
(TCR) to antigens bound to major histocompatibility
complex (MHC) class II complexes and serves as a
receptor for HIV binding.
chemokines Class of proinflammatory cytokines that
mediate, attract, and activate leukocytes.
cytokines Low-molecular weight proteins secreted by
leukocytes and some other cells that act as intercellular
mediators and regulate the intensity and duration of the
immune response.
dendritic cells (DCs) Bone-marrow derived cells that
descend through the myeloid and lymphoid lineages
and are specialized for antigen presentation to T cells.
humoral immunity Host defenses that protect
against extracellular pathogens and are mediated by B
cell-secreted antibodies present in the plasma, lymph,
and tissue fluids.
innate immunity Nonspecific host defenses that occur
rapidly in response to a pathogen and involve anatomic,
physiologic, endocytic, phagocytic, and inflammatory
mechanisms.
lentivirus A genus of the family Retroviridae consisting
of nononcogenic retroviruses that cause diseases
characterized by long incubation periods and persistent
infection. Lentiviruses are unique as they have open
reading frames between the pol and env genes and in
the 39env region.
long-terminal repeats (LTRs) Several hundred
nucleotides long, identical DNA sequences, found at
either end of transposons and proviral DNA. LTRs are
formed by reverse transcription of retroviral RNA and
function as promoters of viral transcription.
macrophage Mononuclear phagocytic leukocytes that
play roles in adaptive and innate immunity. There are many
types of macrophage present in blood or fixed in tissues.
retroviridae A family of viruses with single-stranded
RNA that upon infection generate a DNA copy via a viral
reverse transcriptase (RT).
T lymphocyte A lymphocyte that matures in the thymus
and circulates in the blood and thymic tissue. It
participates in the normal function of the immune system
and expresses a TCR, and CD3 and CD4 or CD8.
Abbreviations
ADCC antibody-dependent cellular cytotoxicity
ADE antibody-dependent enhancement
AIDS acquired immunodeficiency syndrome
APC antigen-presenting cell
ARS acute retroviral syndrome
ARV AIDS-associated retroviruses
CAF cell antiviral factor
cDNA complementary DNA
CLRs C-type lectin-like receptors
CMV cytomegalovirus
CNAR cell noncytotoxic antiviral response
640

CRF circulating recombinant form
CTL cytotoxic T lymphocyte
DC dendritic cell
FIV feline immunodeficiency virus
HAART highly active antiretroviral therapy
HIV human immunodeficiency virus
HTLV human T-cell leukemia virus
KIR killer cell immunoglobulin-like receptor
LAS lymphadenopathy syndrome
LAV lymphadenopathy-associated virus
LC Langerhans cell
LTNP long-term nonprogessors
LTR long-terminal repeat
LTS long-term survivors
MDC myeloid dendritic cell
MDDC monocyte-derived dendritic cell
MHC major histocompatibility complex
MHR major homology region
NOD nucleotide-binding oligomerization
domain
NLR nucleotide-binding oligomerization domain
(NOD)-like receptor
NSI nonsyncytia-inducing
PAMP pathogen-associated molecular pattern
PBMC peripheral blood mononuclear cell
PDC plasmacytoid dendritic cell
PEP postexposure prophylaxis
PIC preintegration complex
PRR pathogen recognition receptor
RIG-1 retinoic acid-inducible gene 1
RLR RIG-1-like-receptor
RRE Rev response element
RT reverse transcriptase
SIV simian immunodeficiency virus
SNP single-nucleotide polymorphism
Tcm central memory T cells
TCR T cell receptor
Tem effector memory T cells
TLR toll-like receptor
VCAM Vascular cell adhesion molecule
Defining Statement
HIV pathogenesis and immune system.
Introduction
The human immunodeficiency virus (HIV) is a mem-
ber of the genus Lentivirus in the Retroviridae family, a
large and diverse family of enveloped RNA viruses.
Retroviruses are so called because their RNA
genome is transcribed into linear double-stranded
DNA by a characteristic enzyme known as reverse
transcriptase (RT), a RNA-dependent DNA polymerase
that reverses the classical flow of genetic information.
The DNA subsequently enters the nucleus and inte-
grates as a DNA provirus into the host cellular genome.
The integrated retrovirus then is either transcription-
ally active producing virions or remains in a silent or
latent state.
Lentiviruses consist of a diverse group of animal
viruses with certain clinical and biological characteristics.
The human counterpart, HIV, was discovered because of
its association with the AIDS. This clinical condition is
characterized by a marked reduction in the numbers of
CD4þT cells and a loss in immune function leading to
the development of various opportunistic infections and
cancer (Table 1).
Discovery of the AIDS Virus
Recognition of AIDS and HIV-1
After over two decades, HIV and AIDS have continued to
challenge public health approaches all over the world.
The syndrome was first recognized in the United States
in 1981 with the appearance of Kaposi’s sarcoma and
Pneumocystis jiroveci (carinii) pneumonia in young men. It
was primarily found in homosexual men and intravenous
drug users but soon was recognized in infants born of
infected mothers (see ‘Overview’). Initially, the symptoms
characteristic of this disease reflected opportunistic
Table 1 Average CD4þcell count at diagnosis of an AIDS-
defining condition
Opportunistic infection
CD4þcell
count ml
1
Tuberculosis <400
Herpes zoster <300
Non-Hodgkin’s lymphoma 240
Kaposi’s sarcoma 220
Pneumocystis jiroveci pneumonia
a
120
Toxoplasmic encephalitis 98
Cryptococcal meningitis 73
Primary cerebral lymphoma <50
Mycobacterium avium complex
infection
<50
Cytomegalovirus (CMV) retinitis <50
a
Formerly P. carinii.
HIV/AIDS 641

infections and cancers. The underlying cause was then
identified as an immune deficiency with a major loss of
CD4þT cells. The syndrome became known as the AIDS
and in the early 1980s was found to be present in Europe,
the Caribbean, and many parts of Africa.
The first indication that a retrovirus could be the
etiologic agent of AIDS came in 1983 when Francoise
Barre-Sinoussi and colleagues recovered a virus from the
lymph node of a person suffering from lymphadenopathy
syndrome (LAS). The isolated virus had the morphology
of a budding retrovirus, later recognized as a lentivirus. It
had the unusual characteristic of infecting peripheral
blood mononuclear cells (PBMCs) and causing cyto-
pathic effects within 6–7 days. This LAS agent termed
as lymphadenopathy-associated virus (LAV) did not
establish a transformed state in CD4þcells, but caused
cell death after high-level replication.
Subsequently, two other groups identified retroviruses in
AIDS patients. In 1984, Robert Gallo and coworkers reported
a retrovirus that they called (human T-cell leukemia virus)
HTLV-IIIbecausetheybelievedittobeapartoftheHTLV
family of oncogenic viruses. At the same time, other retro-
viruses were identified in subjects from San Francisco by Jay
Levy and colleagues in 1984. They had the characteristics of
cytopathic agents like LAV and were called AIDS-associated
retroviruses (ARV). These three prototype viruses, LAV,
HTLV-III, and ARV, were subsequently recognized as
members of the same group of viruses belonging to the
genus Lentivirinae in the family Retroviridae, distinct from
HTLV. In 1986, the International Committee on Taxonomy
of Viruses named this group of viruses as HIV. After identi-
fication of another type of this virus in West Africa, which
was named HIV-2, the earlier type was named HIV-1. Both
these viruses bear a sequence homology of about 45% and
exhibit heterogeneity in biological behavior.
HIV-2
A second AIDS retrovirus, HIV-2, recovered from AIDS
patients from West Africa, particularly the Cape Verde
Islands and Senegal, differs in sequence by more than 55%
from the earlier isolated HIV-1 strains. Subsequently, other
HIV-2 isolates were recovered from individuals from
Guinea Bissau, Gambia, and Ivory Coast. The genome of
HIV-2 is similar to that of HIV-1 except for the presence of
the accessory protein Vpx and the absence of Vpu. The
major serologic difference between HIV-2 and HIV-1 iso-
lates resides in the envelope glycoproteins. Antibodies to
HIV-2 generally cross-react with Gag and Pol proteins of
HIV-1 but do not detect HIV-1 envelope proteins and vice
versa. However, HIV-2 envelope glycoproteins appear to
cross-react serologically with envelope proteins from iso-
lates of simian immunodeficiency virus (SIV), a group of
primate lentiviruses, thus suggesting that HIV-2 was
derived from SIV.
The HIV Virion: Structure and Genomic
Organization
Overview
Like all retroviruses, the HIV virion is about 100–120 nm
in diameter, with heterogenous morphology. The mature
infectious virus particle buds from the cell membrane
forming a sphere with an outer lipid bilayer consisting
of gp120 and gp41 envelope glycoproteins and a dense,
cone-shaped core composed of the viral p24 Gag capsid
(CA) protein enclosing the two molecules of single-
stranded RNA (Figure 1). The Gag matrix (MA, p17)
protein forms the inner shell below the viral membrane
and the nucleocapsid (NC, p7). The Gag protein interacts
with the viral RNA inside the capsid. The two RNA
strands are also associated with a RNA-dependent DNA
polymerase (Pol), also called RT. Several other viral
accessory proteins required for the early phases of virus
infection are present within the virion: Vif, Nef, and Vpr
(as well as Vpx in HIV-2). Certain cytoskeletal proteins
(e.g., actin, ezrin, emerin, moesin, and coflin) have also
been detected within virions. HIV isolates have demon-
strated selective incorporation of specific lipid domains
from the host cell membrane during viral budding.
ThegenomeofHIVisabout10kbwithopenreading
frames coding for three structural (Gag, Pol, and Env) and
sixaccessoryproteins(Vif,Vpr,Vpu,Rev,Tat,andNef).
HIV-1 and HIV-2 follow the basic genomic structure com-
mon to most retroviruses: gag–pol–env structural genes
symmetrically flanked by two complete viral long-terminal
repeats (LTRs) (Figure 2). These LTRs contain transcrip-
tional regulatory sequences, RNA processing signals, and
packaging and integrating sites. The primary transcript of
HIV is a full-length viral mRNA, which is translated into
Gag and Pol proteins. The 55 kDa Gag precursor protein
(p55) is synthesized on cytosolic ribosomes and becomes
gp120 (SU) p9, p6 (NC)
p15 (Vpr)
p17 (MA)
p10 (PR)
p66, p51 (RT)
p32 (IN)
p25 (CA)
Core
gp41 (TM)
RNA
Envelope
“spike” (knob)
Lipid bilayer
(can contain cellular
proteins, e.g. HLA)
Figure 1 An HIV virion with the structural and other virion
proteins identified. The exact locations of Nef and Vif in
association with the core have not been well established. The
abbreviated viral protein designations are those recommended.
Reproduced from Levy JA (2007) HIV and the Pathogenesis of
AIDS, 3rd edn. Washington, DC: ASM Press.
642 HIV/AIDS

cotranslationally modified by the N-terminal attachment of
a myristoyl group, which increases its affinity for mem-
branes. It can be observed on Western blot preparations
made from whole-cell lysates.
Gag Proteins
The cleavage of the Gag precursor protein (p55) by viral
protease (PR) during the process of viral maturation
results in three principal proteins: matrix (MA/p17), cap-
sid (CA/p24), and nucleocapsid (NC/p7). The MA/p17
protein constitutes the N-terminal domain of the Gag
precursor. The membrane (M)-targeting domain of p55
located within MA is myristoylated on a glycine at its
N-terminus by the host cell enzyme N-myristoyl trans-
ferase and targets the Gag protein to the membrane. MA
is also essential for the incorporation of envelope glyco-
protein spikes into mature virions during virus assembly.
The CA (p24) protein sequentially follows MA in the
p55 precursor protein. In the mature virion, CA forms the
shell of the core, which is occasionally tubular but most
often conical, a feature that distinguishes lentiviruses such
as HIV-1 from most other retroviruses. It also has crucial
roles in particle assembly by binding the cellular cyclo-
philins in steps following HIV entry into a new target cell.
The C-terminal CA domain also includes a stretch of 29
residues, called the major homology region (MHR)
because of its conservation among unrelated retroviruses.
Genetic analyses have shown that the MHR is essential
for retrovirus replication and plays an important role both
in viral particle assembly and at postassembly stages.
The NC/p7 protein lies C-terminal to CA in the p55
precursor protein. This hydrophilic protein binds both viral
RNA and CA p24 protein, intertwining approximately one
molecule with four to six nucleotides of RNA. It increases
the proportion of long complementary DNA (cDNA) tran-
scripts produced by reverse transcription. The NC domain
harbors two copies of a CCHC-type zinc finger motif,
which is essential for specific recognition and packaging of
viral genomic RNA into assembling particles. The presence
of a p6 domain at the C-terminus of the Gag polyprotein is
a characteristic feature of HIV-1 and other primate lenti-
viruses. Within the Gag precursor, the NC and p6 domains
are separated by a peptide called p1. The p6 domain
appears to serve primarily as a flexible extension that pro-
vides docking sites for cellular factors. Among the Gag
5′ LTR 3′ LTR
gag
pol
rev, p19
vif, p23
Gag-Pol precursor, Pr160
M
M
Reverse transcriptase
RT, p66, p51
Protease, PR, p10
Integrase, IN, p32
Gag precursor, pr55
Matrix, MA, p17
Capsid, CA, p24
p15
Proline-rich, p6
Nucleic acid binding
NC, p7
Cellular protease
cleavage
Viral protease
cleavage
Transmembrane glycoprotein
TM, gp41
Surface glycoprotein
SU, gp120
Env precursor
gp160
tat, p14
nef, p27env
vpr
p15 vpu
p16
Figure 2 Processing of viral proteins. Some HIV-1 proteins, which are translated from 10 distinct viral transcripts, are further
processed by viral and cellular proteases. From 46 translated open reading frames, which include Tev (not diagrammed), 16 viral
proteins are made. They form the virion structure, direct viral enzymatic activities, and serve regulatory and accessory functions. The
Gag-Pol precursor of 160 kDa is processed by the viral (aspartyl) protease into seven proteins, which include four Gag proteins (MA,
p17; CA, p24; late domain, p7; NC, p9), protease (P, p10), reverse transcriptase/RNase (RT, p66, p51), and integrase (IN, p32). The Env
precursor (gp160) is processed by a cellular protease into the surface glycoprotein (SU, gp120) and the transmembrane glycoprotein
(TM, gp41). Viral regulatory and accessory proteins, which include Tat (p14), Tev (p20), Rev (p19), Nef (p27), Vif (p23), Vpr (p15), and Vpu
(p16), are not processed. M, myristoylated. Reproduced from Levy JA (2007) HIV and the Pathogenesis of AIDS, 3rd edn. Washington,
DC: ASM Press.
HIV/AIDS 643

domains of different subtypes of HIV-1, the p6 domain is by
far the most variable, both in length and in sequence except
a P (T/S) APP motif near the N-terminus of p6 and a
LXXLF motif near the C-terminus of the domain. The
LXXLF motif is essential for the incorporation of the reg-
ulatory viral protein Vpr into assembling HIV-1 virions.
The late (L) domain of the Gag p55 precursor, located
within the NC, involves p6 of the Gag polyprotein that
mediates retroviral budding.
The Gag–Pol precursor (p160) is generated by a riboso-
mal frame-shifting event, triggered by a specific cis-acting
RNA motif. The ribosomes shift approximately 5% of the
time to the Pol reading frame without interrupting transla-
tion, and this frequency of ribosomal frame shifting explains
why the Gag and the Gag–Pol precursor proteins are pro-
duced at a ratio of approximately 20:1. During viral
maturation, the virally encoded protease (PR) cleaves the
Pol polypeptide away from Gag and further digests it to
separatetheprotease(p10),RT/RNaseH(p66,p51),and
integrase (p32) activities. These different enzymes function
at different stages of the viral replication cycle and have
been the prime targets for antiretroviral approaches. The
HIV-1 protease induces the maturation of the viral particle
into infectious virions by posttranslational processing of the
viral Gag and Gag–Pol polyproteins. The RNA-dependent
DNA polymerase (with its RNase H function) acts in the
early steps of viral replication to form a double-stranded
DNA copy (cDNA) of the viral RNA, which is integrated
via the viral integrase into the host chromosomal DNA.
Envelope Proteins
The 160-kDa envelope protein (gp160) is expressed from
singly spliced viral mRNA. The envelope protein is first
synthesized in the endoplasmic reticulum and glycosylation
occurs at asparagine residues during migration through the
Golgi complex. The glycosylated gp160 is cleaved in the
Golgi complex by cellular proteases into the external surface
(SU) envelope protein, gp120, and the transmembrane (TM)
protein, gp41. These proteins are transported to the cell
surface where noncovalent, labile interactions between the
gp41 ecto- and amino domains and discontinuous structures
composed of N- and C-termini gp120 sequences in the
assembled trimer helps gp120 to adhere to the surface of
the virion and infected cells. The long cytoplasmic tail of
gp41 appears to be required for HIV envelope glycoprotein
incorporation into virions. The virion gp120 located on the
virus surface has four regions that are relatively invariant,
designated C1 through C4, and has five hypervariable
regions, designated V1 through V5, whose amino acid
sequences can differ greatly among HIV-1 isolates. The latter
characteristic can reflect the evolution of HIV during the
course of a single infection and its ability to adapt to drugs
and immunologic attack. The third variable region, called the
V3 loop, is not directly involved in CD4 binding, but
interacts with the HIV chemokine coreceptors CXCR4 and
CCR5, thus determining the preferential R5 and X4 tropism
of HIV-1. The virion gp120 and gp41 also have major
antibody-neutralizing domains (see ‘Humoral immune
responses to HIV infection’).
Regulatory and Accessory Proteins
Splicing events resulting in many subgenomic mRNAs are
responsible for the synthesis of other viral regulatory and
accessory proteins. One of the regulatory proteins essential
for HIV replication is Tat, a transcriptional transactivator
encoded by two exons. Tat binds to a short stem–loop
structure known as the transactivation response element,
which is formed in the 39portion of the viral LTR. This
attachment stabilizes the nascent mRNA and promotes the
elongation phase of HIV-1 transcription, so that full-length
transcripts can be produced. The second regulatory pro-
tein, Rev (regulator of viral protein expression), is a
sequence-specific RNA-binding protein that binds to a
240-base region of a complex RNA secondary structure,
called the Rev response element (RRE) located in the viral
envelope mRNA. This interaction permits unspliced
mRNA to enter the cytoplasm from the nucleus and
gives rise to the viral proteins from unspliced and singly
spliced mRNAs that are needed for progeny production.
HIV contains four additional genes, nef, vif, vpr,andvpu
(vpx in HIV-2), encoding the so-called accessory proteins.
Nef (negative factor) protein has been shown to have
multiple activities, including downregulation of the cell
surface expression of CD4, perturbation of T cell activa-
tion, and stimulation of HIV infectivity. Viruses with Nef
deleted do not replicate well in PBMCs or in vivo.The
other accessory gene products, Vpr, Vpu, Vpx and Vif, are
involved in virion assembly, cell cycling and budding, and
infectivity during the production of infectious viruses. The
importance of Vif lies in its countering the intracellular
resistance factor APOBEC3G (see ‘Intracellular factors’).
HIV Genetic Diversity
Globally circulating strains of HIV-1 exhibit an extraor-
dinary degree of genetic diversity, which may influence
aspects of their biology such as infectivity, transmissibility,
and immunogenicity. This characteristic may be attributed
to the infidelity of the viral RT with DNA, suggesting that
mutations occur with the DNA template–DNA primer.
This enzyme has been found to be highly error prone,
resulting in about ten base pair changes in the HIV genome
per replicative cycle. One of the early differences to be
recognized among various HIV-1 isolates was the variation
in sensitivity of the cloned, proviral genome to restriction
enzyme digestion. In another approach, DNA heterodu-
plex analysis on an agarose gel has been used to detect
644 HIV/AIDS

HIV-1 quasispecies diversity when evaluating different
genetic regions (see ‘Detection assays for HIV’).
When the complete genetic sequence data for the initial
HIV-1 isolates became available, HTLV-IIIB and LAV
were found to be the same isolate whereas SF-2 (formerly
called ARV-2) and other HIV-1 isolates were different.
Molecular analyses of various HIV isolates reveal sequence
variations over many parts of the viral genome, particularly
in the envelope region. Currently, on the basis of full-
length viral genome sequencing, HIV-1 has been classified
into three groups: M (main), O (outlier), and N (Non-M
or -O). Eight HIV-2 groups have been identified.
Group M viruses are by far the most widespread and
responsible for more than 99% of infections worldwide.
Group M viruses have been divided into nine distinct
genetic subtypes or clades, designated A to D, F to H, J,
and K; and differ among themselves in amino acid com-
position by at least 20% in the envelope region and 15%
in the Gag region. The groups have more than 25%
difference in the envelope and Gag regions.
Recombinant viruses are part of the viral genetic
diversity. They emerge frequently in human populations
where multiple clades co circulate, sometimes becoming
an epidemiologically important lineage called as circulat-
ing recombinant forms (CRFs). The CRFs are numbered
sequentially with the clades involved in recombination or
are designated cpx (for complex) if more than four sub-
types are involved (http://hiv-web.lanl.gov). The viruses
originally identified as subtypes E (the predominant
group of viruses involved in heterosexual transmission
in Thailand) and I (initially found in Cyprus) are now
considered inter-subtype recombinants or CRFs and have
been termed CRF-01AE and CRF-04cpx, respectively. In
Africa, an inter-subtype recombinant, CRF-02AG, is the
dominant virus type.
Clades A through D and the inter-subtype recombi-
nants CRF-01AE and CRF-02AG account for more than
90% of current infections worldwide. Subtype B is domi-
nant in Europe, North and South America, and Australia.
Subtypes A, C, and CRF-02AG are responsible for about
75% of new infections occurring globally. Clade C is the
most prevalent clade and may represent up to 50% of all
HIV infections worldwide. It is found predominantly in
South Africa, India, and China (www.unaids.org). Clade D
is predominant in Central Africa. CRF-01AE is the most
prevalent virus in Southeast Asia. Subtype F includes
isolates from Brazil and Romania. Other sequence sub-
types (G, H, and I) include viruses from Africa, Russia,
and Taiwan. Subtype K, whose env C2-V5 sequence
branched within group M but remained distinct from
all known HIV-1 subtypes, has been reported from
Cameroon.
In addition to group M, other isolates initially found in
Cameroon and in other African countries at a low
frequency are considered outliers and belong to group O.
The prototype virus of group N was isolated in Cameroon
and appears to be closer to the chimpanzee SIV than either
groups M or O of HIV-1.
Eight distinct sequence groups of HIV-2 (A through H)
have been identified. Group A in Senegal and Guinea
Bissau and group B in the Ivory Coast are the most com-
monly identified groups. Groups C, D, E, and F came were
identified from rural areas in Sierra Leone and Liberia.
The HIV-2 viruses appear to be most related to the SIV
smm
isolates from sooty mangabeys found in the same areas.
HIV Transmission
Overview
After an acute HIV infection, a flu-like illness occurs that
can last for up to 3–4 weeks. Sometimes a macular skin
rash is also seen (Table 2). Those infected people who do
not show this acute retroviral syndrome (ARS) usually
have a better prognosis. The transmission frequency of a
Table 2 Characteristics of acute HIV infection
Clinical
a
Headache, retro-orbital pain
Muscle aches and joint pains
b
Low-grade or high-grade fever
b
Swollen lymph nodes
b
Nonpruritic macular erythematous rash
b
Oral candidiasis
Ulcerations of the esophagus, anal or vaginal canal
Acute central nervous system disorders (e.g., encephalitis)
Pneumonitis
Diarrhea and other gastrointestinal complaints
Course
Symptoms usually appear 1 to 4 weeks after acute infection
Symptoms last from 1–3 weeks
Lymphadenopathy, lethargy, and malaise can persist for
many months
Generally followed by an asymptomatic period of months to
years
Laboratory findings
First week: lymphopenia and thrombocytopenia
Second week: lymphocyte number rises secondary to an
increase in CD8þcells; CD4þ/CD8þcell ratio decreases
Immune activation reflected by increased cytokine levels
(e.g., IL-1, TNF, and IFN)
Third week: atypical lymphocytes appear in the blood
(generally <30%)
HIV antigenemia and viremia detected within 3–10 days
Virus can be present in CSF and in seminal fluid within 7–14
days
Anti-HIV antibodies usually first detected within 1–3 weeks
after acute infection
Proinflammatory cytokines increased in blood (e.g., IL-15
and TNF-)
a
Some or all of these findings can be present in the acute retroviral
syndrome (ARS). They usually appear after at least 1–4 weeks at peak
viremia levels before antibodies are detected.
b
Most frequently seen.
HIV/AIDS 645

virus like HIV is greatly influenced by the amount of
infectious virus in a body fluid and the extent of contact
with that body fluid. Epidemiological studies conducted
during 1981–1982 first indicated that the major routes of
transmission of AIDS were intimate sexual contact and
contaminated blood. The syndrome was initially
described in homosexual and bisexual men and intrave-
nous drug users but its transmission through heterosexual
activity was soon recognized. High-risk sexual behavior
early in the epidemic caused the rapid increase in HIV
transmission. Subsequent studies showed that transfusion
recipients and hemophiliacs could contract the virus from
blood or blood products, and infected mothers could
transfer the causative agent to newborn infants.
Surveillance and epidemiologic data throughout the
world continue to support strongly three primary modes
of transmission: sexual contact (heterosexual and homo-
sexual); exposure to blood, largely through injecting drug
use and transfusion; and perinatal transmission from
infected mothers to their infants.
These means of transmission can be greatly
explained by the relative concentration of HIV in var-
ious body fluids. Blood has high levels of both
infectious virus and virus-infected cells; however, the
amount of infectious virus is less than the number of
HIV-infected cells that could transfer virus to an indi-
vidual. HIV-infected cells in genital fluids appear to be
a major source of transmission by the sexual route.
Sexually transmitted diseases further enhance the risk
of virus transmission to either partner by increasing the
presence of virus-infected cells. Saliva is not a major
source of transmission as it contains HIV-inhibitory
substances and only small amounts of infectious virus.
Transmission of virus from mother to child can involve
direct infection of the fetus in utero or exposure of the
newborn to maternal blood and secretions during birth.
The major factors affecting this transmission are the
levels of infectious virus in the mother at the time of
delivery; amniotic fluid; and uterine, placental, and fetal
tissues. The number of virus-infected macrophage and
T cells in mother’s colostrum and milk also determines
this transmission.
Effective preventive measures for sexual transmission
include condoms. Female condoms, diaphragms, vaginal
microbicides, or compounds that inhibit HIV adsorption
and cell-to-cell contact need further evaluation. Most
recently, male circumcision has been shown to decrease
transmission in men by up to 60%. Treatment of
ulcerative genital diseases that can enhance HIV trans-
mission also reduces infection. Highly active
antiretroviral therapy (HAART) is being evaluated for
use in postexposure prophylaxis (PEP). Antiretroviral
therapy can also greatly reduce the risk of mother–
child transmission.
Cells Are Involved in HIV Transmission
An important consideration in understanding HIV
transmission is the role of the virus-infected cell in
transmitting HIV not only to immune cells but also to
macrophage and mucosal-lining cells. These infected
cells (lymphocytes and macrophage) are found in geni-
tal fluids. Several electron microscopy studies have
shown that, whereas HIV alone may not directly infect
cultured cervical-lining cells or mucosal cells from the
bowel, infected T cells and macrophage can efficiently
deliver virus to these cells. Time-lapse photography
has shown that the infected cells, remaining viable,
can move from one mucosal-lining cell to the other,
delivering virus. They thus emphasize this important
means of transmission. Infection of the bowel mucosa
through HIV-infected cells in genital fluid could
account for the infected cells seen in the mucosal-lining
cells of the bowel.
Other work in this field during the late 1980s and early
1990s indicated the wide cellular host range of HIV,
infecting several cell types of the brain, as well as the
bowel, heart, kidney, liver, testes, prostate, and most
likely many other tissues (Table 3). Virus replication in
lymphoid tissues mirrors the progression of HIV infection
in individuals – destruction of the germinal centers in the
lymph node, accompanied by increased virus expression
in lymphoid tissues. In some cases, HIV-1 can also infect
brain and alveolar macrophage in a CD4þ-independent
manner.
Detection Assays for HIV
Various assays for the detection of HIV have been
developed since the recognition of AIDS. The virus’
presence in cell culture can be determined by RT
activity. Immunofluorescence assays, ELISAs, and the
Western blot help to detect antibodies to HIV. All
these tests are confirmatory assays for HIV infection.
Other procedures like measurement of viral p24 anti-
gen (directly and after acid dissociation) and of HIV
RNA levels by reverse transcription-PCR have
increased the sensitivity for detection of HIV in blood
and other body fluids. Even though these procedures
do not distinguish between infectious and noninfectious
virions, they have been particularly useful in monitor-
ing the effect of antiviral treatment in HIV-infected
individuals.
The development of flow cytometry in the 1970s
greatly helped to study the effect of HIV on the immune
system as it enabled clinical and research laboratories,
via selective monoclonal antibodies, to determine the
number of CD4þand CD8þcells in humans. While
the CD4þ/CD8þcell ratio is usually 2:1, it was very
646 HIV/AIDS

soon recognized that the ratio in infected individuals
often was reduced to less than 1. The number
of CD4þT cells, usually in the range of 600–1200
cells ml
1
, became reduced over time, particularly in
progressors, to the low hundreds (e.g., <300 cells ml
1
).
These findings supported the observation that the CD4þ
lymphocyte was a major target for HIV replication and
cell death.
HIV Infection and Replication
Virus–Receptor Interactions
Primary receptor: CD4 molecule
One of the first breakthroughs in the studies of HIV came
with the discovery that its major cellular receptor was the
CD4 molecule, thus, explaining its preferential growth in
CD4þlymphocytes. Subsequent crystal studies of CD4
revealed that the binding site for the viral envelope gly-
coprotein 120 (gp120) was located on a protuberant ridge
along one face of the D1 region of the CD4 molecule
(in the complementarity-determining region 2 (CDR2)
domain). This binding site appears to overlap with
the major histocompatibility complex (MHC) class
II-binding site, thus, affecting the use of inhibitors of
CD4–gp120 interaction. The fourth conserved portion
(C4) near the carboxyl terminal end of the gp120 acts as
the major viral region binding to the CD4. The CD4-
binding domain of gp120 also includes hydrophobic and
hydrophilic domains in conserved C2, C3, and C4 regions
that are involved in the conformational structure of the
envelope. Glycosylation of the envelope gp120 is another
potential factor influencing the CD4–gp120 interaction.
After attachment to the CD4 molecule, gp120 appears to
be displaced, either completely or partially, or cleaved by
cellular proteases as observed with X4 viruses. This pro-
cess leads to conformational changes in the envelope and
uncovering of domains in gp41 that are needed for virus–
cell fusion.
Certain CD4þT cell lines and undifferentiated CD4þ
monocytes were not found susceptible to HIV and some
CD4– cells could be infected. Therefore, the CD4 receptor
alone did not appear to be sufficient or the sole mean for
viral attachment and subsequent entry. Hence, the
existence of other cell surface receptors for HIV was
proposed.
Secondary receptors for HIV infection
Several chemokine receptors, belonging to a seven-
membrane-spanning protein family, most importantly
CXCR4 and CCR5, have been found to act as secondary
receptors for HIV entry. The affinity of these second
coreceptors to HIV isolates varies and can account for at
least two distinct biologic phenotypes of HIV. The X4 or
T cell-line-tropic viruses recognize CXCR4 as the core-
ceptor, and R5 or macrophage-tropic strains bind to the
CCR5 coreceptor. Some dual tropic HIV isolates (R5/
X4) that are both macrophage-tropic and T cell-line-
tropic use either coreceptor.
Table 3 Human cells susceptible to HIV infection
a
Hematopoietic
_B cells
Bone marrow endothelial cells
Dendritic cells (DCs)
Eosinophils
Follicular DCs
T cells
Macrophage
Mast cells
NK cells
T cells
Megakaryocytes
Promyelocytes
Stem cells
T lymphocytes
Thymic epithelium
Thymocytes
Brain
Capillary endothelial cells
Astrocytes
Macrophage (microglia)
Oligodendrocytes
Choroid plexus
Ganglia cells
Neuroblastoma cells
Glioma cell lines
Neurons (?)
Skin
Fibroblasts
Langerhans cells (LCs)
Bowel
Columnar and goblet cells
Enterochromaffin cells
Colon carcinoma cells
Others
Myocardium
Renal tubular cells
Synovial membrane
Hepatic sinusoid endothelium
Hepatic carcinoma cells
Kupffer cells
Dental pulp fibroblasts
Pulmonary fibroblasts
Fetal adrenal cells
Adrenal carcinoma cells
Retina
Cervix-derived epithelial cells
Prostate
Testes
Urethra
Osteosarcoma cells
Rhabdomyosarcoma cells
Fetal chorionic villi
Trophoblast cells
a
Susceptibility to HIV determined by in vitro and in vivo studies.
HIV/AIDS 647

CXCR4
CXCR4 acts as a coreceptor for T cell-line-tropic HIV
strains, permitting a closer interaction between the virus
and the cell surface. The amino terminal domain of
CXCR4 is involved in HIV binding, especially the second
extracellular loop structure. The viral V3 loop is involved
in X4 virus infection. The natural ligand for CXCR4 is
the chemoattractant stromal-derived factor 1 (SDF1),
which can block HIV infection of T cells. The X4 strains
induce multinucleated syncytia in T cell lines like MT-2,
and hence are called ‘syncytia-inducing (SI) viruses’.
CCR5
CCR5 acts as a coreceptor for macrophage-tropic HIV
isolates. The -chemokines RANTES, macrophage inflam-
matory protein 1(MIP-1), and MIP-1efficiently block
infection by macrophage-tropic HIV strains at the CCR5
receptor site, presumably by competitive interaction. The
amino terminal or first extracellular region of CCR5 takes
part in the interaction with a highly conserved portion of
gp120, which is located between the V1, V2, and V3 loops.
The R5 strains do not usually induce multinucleated syn-
cytia in T cell lines, and thus are considered ‘nonsyncytia-
inducing (NSI) viruses’. A 12-bp deletion in CCR5 that
introduces a frameshift mutation results in a protein lacking
the C-terminal domain (CCR5 32). Cells with a genetic
variant homozygous for this mutant chemokine receptor
allele are resistant to HIV infection with R5 viruses.
Virus–Cell Fusion and Entry
The conformational changes induced in the envelope
after attachment to the CD4 molecule and coreceptors
combined with the displacement or cleavage of gp120
exposes the domains on the envelope gp41 that are
needed for virus–cell fusion. Another conformational
change in gp41 causes insertion of the N-terminal hydro-
phobic fusion peptide region into the phospholipid
membranes of the target cell. This process could lead to
a conformational change in CD4 as well as dissociation of
the envelope gp120 from the virion surface. Subsequently,
the viral nucleocapsid enters into the target cell cyto-
plasm in a pH-independent manner. This process can
involve different viral and cellular proteins.
Virus Replication, Assembly, and Release
After HIV has entered the host cell as a ribonucleocapsid,
several intracellular events lead to the integration of a
proviral form into the cell chromosome (Figure 3). The
HIV RNA exits from the viral capsid into the cytoplasm
of the host cell. It undergoes reverse transcription by
using its RNA-dependent DNA polymerase and RNase
H activities to form a double-stranded DNA copy
(cDNA) of its genome. The NC/p7 Gag protein helps
in efficient reverse transcription by increasing the propor-
tion of long-cDNA transcripts and later plays a role in the
efficient packaging of genomic RNA.
The synthesized double-stranded HIV genome is
actively transported to the nucleus in a preintegration
complex (PIC), which can include the viral proteins PR,
RT, IN, and Vpr. The noncovalently bound circular
forms of viral DNA randomly integrate into the transcrip-
tionally active regions of the host cell chromosomal DNA,
particularly those activated by HIV infection. Proviral
DNA is replicated as part of host cell genome and may
persist in this form through many rounds of mitotic cell
division. The earliest mRNAs made in the cell are doubly
spliced transcripts encoded by major regulatory genes,
particularly tat, rev, and nef. High-level expression of
Tat and Nef proteins increases viral replication. The
Rev protein encourages the transport of large, unspliced
mRNA, which is responsible for viral structural gene
products and enzymes, into the cytoplasm.
Assembly of mature viral particles occurs at the cell
membrane where viral RNA is incorporated into capsids
that bud from the cell surface, taking up the viral envel-
ope protein. Two mechanisms of budding have been
proposed. In the first model, the Gag and Gag–Pol pre-
cursors localize to ‘rafts’ on the plasma membrane that are
enriched in sphingolipids and cholesterol. The Gag
Reverse
transcription
EIAVMLV
FV1
Cytoplasm
Nucleus
TRIM5αTRIM-Cyp
SIV HIV-1
Figure 3 Capsid-specific restriction factors. After entry into the
cytoplasm, retroviral capsids can be recognized and infection
blocked by one of many factors. Fv1 is unique to the mouse and
blocks infection by MLV only, in an Fv1 allele- and MLV strain-
specific way. TRIM5, which is present in most primates, can
block infection by a range of retroviruses including N-tropic MLV,
equine infectious anemia virus (EIAV), simian immunodeficiency
virus (SIV), and HIV-1. The precise spectrum of TRIM5
antiretroviral activity depend on its species of origin. A unique
form of TRIM5 exists in owl monkeys, due to transposition of a
cyclophilin A (CypA) pseudogene, and the resulting fusion
proteins inhibits HIV-1 because of the latter’s CypA-core binding
activity. Reproduced from Bieniasz (2004) Nature Immunology 5:
1109–1115 with permission from Nature Publishing Group.
648 HIV/AIDS

precursor protein, p55, associates with the cytoplasmic
domain of the envelope transmembrane protein gp41,
which in turn binds to the viral gp120 on the outer sur-
face. As they bud through the host cell membrane, virus
particles acquire a lipid bilayer that contains envelope
molecules distributed as trimers and oligomers on the
membrane. The other Trojan exosome hypothesis, con-
sidered common to macrophage, proposes that HIV
assembly takes place in multivesicular bodies that come
to the cell surface and fuse with the plasma membrane,
releasing virus as an exosome. The virus recruits cellular
proteins to break the cell membrane. During or shortly
after budding, the viral protease (PR) cleaves Gag and
Gag–Pol precursor proteins to their mature products,
generating infectious virions. The released viral particles
complete the replication cycle by subsequent infection of
a new host cell.
Differences in Virus Production
Intracellular factors
Various intracellular factors can influence the extent of
productive viral infection as noted by differences in virus
production in PBMCs. These factors may also be respon-
sible for the lack of replication of some X4 viruses in
macrophage and R5 viruses in T cell lines. Intracellular
blocks can affect early and late steps of reverse transcrip-
tion, formation of PIC, and transport of the PIC to the cell
nucleus (see titled ‘Virus replication, assembly, and
release’). The early mRNA transcription appears to be
dependent primarily on the binding to the HIV LTR by
cellular transcription factors like nuclear factor kappa B
(NF-B), NFAT, AP-1, Sp-1, and Tat-binding proteins.
Activation is important for HIV replication in T cells as it
involves the conventional interaction of intracellular
factors with regions in the viral LTR. Differentiated
macrophage compared to monocytes are most susceptible
to virus replication due to upregulation of NF-B tran-
scriptionally active proteins.
Certain cytokines like TNF-have been shown to
affect intracellular transactivating factors within the
LTR, particularly NF-B, and can substantially increase
HIV production. The binding of HIV proteins like Tat to
the TAR element of the viral LTR in conjunction with
cellular RNA-binding proteins subsequently upregulates
viral expression as the cellular proteins increase Tat
binding to the TAR region.
Natural cellular resistance to HIV
Major observations made over the last few years have
shown the presence of natural mechanisms within cells
that might influence the extent of virus production in
resting CD4þcells. These cellular resistances were
recognized because they were sometimes countered by
HIV proteins. APOBEC3G, a species-specific, cytosine
deaminase, induces G-to-A mutations in newly synthe-
sized viral DNA leading to the replacement of cytosine by
uracil in retroviral minus strand DNA. This change cre-
ates an increased frequency of G-to-A mutations in the
plus strand DNA and results in inactivated progeny
viruses either because of mutations or because of DNA
degradation triggered by viral N-glycosidases. Recent
studies also suggest that APOBEC3G and -3F can interact
with the HIV-1 integrase and inhibit proviral DNA for-
mation. APOBEC3G and -3F are countered by the viral
Vif protein, which prevents these intracellular proteins
from functioning in the infected cell and ensures produc-
tion of infectious virions. Most recently, virus replication
block in resting CD4þcells has been linked to the spe-
cific location of APOBEC3G in the cell.
As another example, the restriction of HIV in monkey
cells has been shown to be related to the presence of an
intracellular protein, TRIM5, which appears to block
the opening of the HIV capsid within the cell and affects
reverse transcription and the formation of the PIC.
TRIM5may also restrict HIV progeny production by
degrading the Gag protein before core formation.
In other studies, a gene product, Murr-1, has been
shown to inhibit the degradation of I-B, and therefore
can play a role in creating and maintaining latency (silent
HIV infection) within the cell. Moreover, an yet to be
identified human cellular restriction factor inhibits HIV
assembly and appears to be counteracted by Vpu. All
these factors could offer novel approaches to antiretro-
viral therapy.
Virus Infection of Quiescent Cells and Viral
Latency
In a classic state of viral latency, the full viral genome is in
the cell but expression is completely suppressed.
However, as seen in other retroviruses, HIV can infect
and remain in an unintegrated state for several days with-
out evidence of virus replication. Viruses may then
replicate to very low levels or remain latent. The various
mechanisms possible for this cellular latency, or ‘silent
virus’ state, have not been fully elucidated but could be
related to methylation of viral DNA or direct activity of
host cellular products like APOBEC3G and Murr-1 on
the HIV genome. The induction or activation of HIV
from a latent state can be achieved by a variety of
approaches including irradiation, halogenated pyrimi-
dines, and coinfection of a cell with other viruses.
The level of cell activation as measured by the expres-
sion of HLA-DR and CD25 can greatly influence the extent
of viral reverse transcription and release of infectious virus
from the cell. Early in vitro studies using nondividing per-
ipheral blood CD4þT cells have shown that the
nonactivated (no HLA-DR and low CD25 expression)
HIV/AIDS 649

quiescent or resting CD4þT cells cannot be productively
infected by HIV. The virus can enter CD45RAþnaive
CD4þT cells, but limited transcription of the viral genes
takes place and no viral proteins are formed as the virus is
not integrated. Upon activation, full-length viral DNA is
formed and integrated, followed by virus production.
However, without activation, the infection is aborted.
These observations with purified quiescent CD4þ
cells have been applied to clinical specimens. Purified
CD4þcells from asymptomatic individuals consist of a
large population of resting cells lacking HLA-DR expres-
sion that contain viral DNA. In subjects on HAART, a
reduced number of latent CD4þT cells have been
reported; a small percentage of these cells will replicate
the virus when treatment is stopped. These latent cells are
established early in acute infection even in treated sub-
jects. A recent study estimates the half-life of the latent
viral reservoir to be 4.6 months in individuals who initiate
antiviral therapy early in HIV infection. The study pro-
jects that it may take approximately 8 years of continuous
antiviral therapy to completely eliminate this reservoir of
latently infected resting CD4þT cells in such indivi-
duals. Thus, cycles with fluctuations in virus infection and
loss characterize a dynamic situation within an infected
individual (Figure 4).
Clinical latency defines the absence of symptoms of
HIV infection although low-level virus replication can
remain active in the host. Long-term survivors (LTS)
are identified as individuals who have been HIV infected
for more than 10 years but do not show any symptoms and
do not develop disease (see ‘Factors affecting HIV disease
progression’). Apart from the cellular factors, the immu-
nologic response of the host against the virus influences
this clinical condition. Thus, biologic and clinical latency
can be quite distinct.
Effect of HIV on Cells and the Immune
System
Overview: HIV Cytopathology
An important part of understanding of HIV pathogenesis
comes from studying the cytopathic effects of the virus or
its proteins on individual host cells. Several processes are
involved in induction of cell death by HIV, including
syncytium formation, cell membrane changes, necrosis,
and apoptosis. Indirect viral effects involve syncytia for-
mation as a result of fusion of infected cells with
uninfected CD4þcells; it can be the first sign of HIV
infection of cultured PBMCs. HIV, particularly X4 bio-
types, induces cell–cell fusion by the interaction of its
envelope gp120 and gp41 proteins with CD4þcells. This
virus envelope–cell membrane fusion causes cell death by
changes in cell membrane integrity that permit an influx
of monovalent and divalent cations with water, leading to
balloon degeneration. The cell–cell fusion is temperature-
dependent and involves surface carbohydrates and glyco-
lipids as well as certain surface adhesion molecules like
LFA-1 and CD7 glycoprotein. Accumulation of uninte-
grated viral DNA in the cell cytoplasm can also be
responsible for cell death.
Apoptosis or programmed cell death requires cell acti-
vation, protein synthesis, and the function of a Ca
2þ
-
dependent endogenous endonuclease that fragments the
cellular DNA into small nucleotide units. Apoptosis of
host cells results from the direct action of viral proteins
(e.g., Nef, Vpu, Vpr, and Tat), gp120 binding to the CD4
molecule, disorders in antigen-presenting cells (APCs),
and superantigens. HIV gp120 and Vpr can cause apoptosis
by blocking replication at the G
2
stage of cell cycle. HIV-
induced apoptosis of CD4þcells may occur either due to
direct infection of CD4þcells or due to indirect effects of
HIV, which include interference with T cell renewal by
HIV, bystander killing induced by HIV gene products,
and activation-induced cell death and activated T cell
CD4
CD4
CD4+
cell
Superinfection
Activation
Activation
No
activation
Abortive
infection Active virus
production
CD4+
cell
1
2
3
4
5
Figure 4 HIV can infect a resting CD4þcell that expresses the
CD4 molecule (step 1). If that cell is not activated, virus
replication cannot take place. Because the CD4 molecule is still
expressed on a resting cell, superinfection by another virus can
occur (step 2). With no activation of the resting cell after infection,
an abortive infection takes place (step 3). With activation, active
virus replication takes place (step 4). Similarly, activation of the
superinfected cell can lead to virus production and both type
viruses or recombinants might be found. Following activation and
virus production, the CD4 molecule is down-modulated so
superinfection cannot occur. Reproduced from Levy JA (2007)
HIV and the Pathogenesis of AIDS, 3rd edn. Washington, DC:
ASM Press.
650 HIV/AIDS

autonomous death. HIV-induced activation makes CD4þ
and CD8þcells more susceptible to apoptosis. These cells
are characterized by increased expression of cell surface
markers like HLA-DR, CD38, and CD69, mainly on mem-
ory (CD45ROþ)CD4þand CD8þcells. Superantigens
can also induce cell activation associated with apoptosis.
Apoptosis is more common in uninfected (bystander effect)
rather than infected CD4þcells. The process can be
observed in other cells, including CD8þT lymphocytes,
B lymphocytes, and neuronal cells.
HIV infection and viral proteins can disrupt produc-
tion of cytokines by the immune cells, thus interfering
with their normal immune function. For example, the
gp41 envelope protein induces IL-10 secretion by mono-
cytes and macrophage and can decrease IL-2 and
interferon-(IFN-) production by CD4þand CD8þ
T cells, which are important for cell-mediated immunity.
The cytokine alterations also influence apoptosis as type
1 cytokines prevent the process and type 2 cytokines
increase apoptosis. Cytokines can cause cell death via
enhanced HIV replication or by direct toxicity.
CD4þT Cell Depletion
A marked reduction in CD4þcell number and function is
the primary HIV-induced immune abnormality. Various
mechanisms are responsible for the CD4þcell loss,
including direct cell destruction by virus or its proteins,
immune activation with apoptosis, loss of de novo cell
production, and reduced cell proliferation (Table 4).
Effect of HIV on CD4þT cell number
In HIV-infected individuals, the number (2 10
11
)of
mature CD4þT cells as observed in healthy adults is
halved by the time the peripheral blood CD4þTcell
count falls to 200 cells ml
1
.ThelossofCD4þlymphocytes
of the helper (inducer) cell type can also be reflected in the
observed inversion of the CD4þTcell/CD8þTcellratio
in HIV infection. One reason for the reduction in these
circulating CD4þT cells is that these cells remain in the
tissueafteractivationwithinthelymphnodeascomparedto
circulating CD8þT cells. Moreover, HIV can elicit expres-
sion of CD62L and CCR7 on CD4þT cells, thus trafficking
them back to lymph nodes. Additionally, direct HIV infec-
tion of CD4þT cells decreases their numbers. The
disruptions in CD4þ-andCD8þT cell repertoire also
reflect CD4þTcellnumberreduction.
Importantly, the level of CD4þT cells in the blood
may not reflect the true number in infected individuals,
since the most extensive CD4þT cell loss is in the
gastrointestinal tract. This process results from early
infection with R5 viruses and later by ongoing infection
of the CD4þT cells, apoptosis, and cytotoxic T cell
responses. In contrast, naive and memory CD4þT cells
predominantly found in lymph nodes are targeted pri-
marily by X4 viruses.
Another explanation for the low levels of CD4þT
cells is that the enhanced CD4þT cell destruction is not
compensated by an increased production of these cells,
either by replication of effector memory cells present in
tissues or by production of naive cells derived from thy-
mus. Efficient thymopoiesis appears to be important even
after therapy for natural maintenance and recovery of
naive and total CD4þT cells. This decrease in produc-
tion of CD4þT cells is further supported by cell-labeling
studies, which have demonstrated that the absolute pro-
duction rate (10 CD4þT cells ml
1
per day) of CD4þT
cells does not increase during HIV infection. Advanced
HIV infection is also characterized by a shortened aver-
age life span of T cells. In HIV-infected subjects with
CD4þT cell levels of 350 cells ml
1
, the CD4þT cell
half-life is about 30% less as compared to the half-life of
about 84 days found in healthy individuals. The total T
cell half-life has been shown to increase with HAART in
association with enhanced cell production as reflected by
abundant thymic tissue.
Effect of HIV on CD4þT cell proliferation
HIV-induced immune activation also causes rapid prolif-
eration of CD4þand CD8þT cells, resulting in cell
death, most likely by activation-induced apoptosis. In
addition, a reduced ability of CD4þcells to proliferate
in response to HIV proteins and decreased CD4þcell
proliferative responses to T cell receptor (TCR) antibo-
dies have been observed in HIV-infected individuals,
particularly with high viral load. HIV infection is also
associated with decreased expression of IL-7 receptor
(IL-7R ), and thus, decreased sensitivity to IL-7-
induced cell proliferation.
Effect of HIV on CD4þTcellfunction
The CD4þT cell function, measured by the proliferative
responses to specific stimuli, is also compromised in HIV
infection. These cells from HIV-infected subjects have a
reduced response to recall antigens such as flu, followed
Table 4 Potential factors involved in HIV-induced loss of CD4þ
lymphocyte number and immune function
a
Direct cytopathic effects of HIV and its proteins on CD4þcells
and progenitor cells
Induction of apoptosis via immune activation
Cytokine cytotoxicity
Effect of HIV on production of cytokines needed for CD4þcell
function
Destruction of bone marrow (e.g., stem cells and stromal cells)
and lymphoid tissue (e.g., thymus); lack of lymphopoiesis
Cell destruction via circulating envelope gp120 attachment to
normal CD4þcells: ADCC and CTL
CD8þcell cytotoxic activity against uninfected CD4þcells
a
ADCC, antibody-dependent cellular cytotoxicity; CTL, cytotoxic T
lymphocytes.
HIV/AIDS 651

by a decreased proliferative response to alloantigen
(MHC), and finally a loss of response to lectins like
phytohemagglutinin. The latter subjects progress to dis-
ease faster than those who have all or some of these
immunologic functions. Early initiation of antiretroviral
therapy in acute infections may help to restore these
immunologic functions. HIV infection of CD45ROþ
memory CD4þT cells makes them more susceptible to
the cytotoxic effects of HIV, thus causing immune
dysfunction.
Indirect effects of HIV on CD4þT cell number
and function
HIV infection of CD4þT cells can lead to disorders in
cytokine production, thus affecting the T helper (T
H
)
function of CD4þT cells (see ‘T lymphocyte immune
responses to HIV infection’). HIV can also remain in a
latent state in a large number of CD4þcells, particularly
in asymptomatic individuals, thus affecting the function,
long-term viability, and growth of these cells (see ‘Virus
infection of quiescent cells and viral latency’). It may
reduce cell proliferation and increase their sensitivity to
toxic effects of cytokines.
Host Immune Responses to HIV
Innate Immune Responses in HIV Infection
The innate immune system represents the first line of
defense against infectious organisms (see ‘Innate immu-
nity’). It is very important for preventing and maintaining
control of HIV infection. This immunity differs in several
ways from adaptive immunity; they have different cellu-
lar and soluble participants (Table 5). Innate immune
cells respond rapidly to pathogens and can act without
MHC restriction. They recognize specific conformational
patterns of organisms rather than a specific epitope.
Importantly, the cytokines (e.g., IFN-) produced by
innate immune cells can have direct antipathogen effects.
Some of the components of the innate immune system are
discussed in the next section.
The innate immune system recognizes incoming micro-
bial organisms via evolutionary conserved pathogen-
associated molecular patterns (PAMPs) and responds
through intracellular signaling with cytokine production.
The pathogen recognition receptors (PRRs) serve as
pathogen sensors. PRR signaling activates transcription
factors like NF-B and IFN regulatory factors 3 and 7
(IRF3 and IRF7), which induce inflammatory responses
and stimulate the immune system or elicit the production
of type 1 IFNs (e.g., IFN-). These PRRs include the
following:
1. Nucleotide-binding oligomerization domain (NOD)-
like receptors (NLRs) participate mainly in the
recognition of bacterial pathogens and their products
(e.g., muramyl dipeptide peptidoglycans). They are
located intracellularly and after ligand interaction,
activate NF-B, leading to the expression of cytokines
and chemokines.
2. Retinoic acid-inducible gene 1 (RIG-1)-like-receptors
(RLRs) are RNA helicases that recognize double-
stranded RNA of viruses, which enter by endocytosis
or fusion, and elicit cytokine production for elimina-
tion of replicating viruses.
3. C-type lectin-like receptors (CLRs) include -glucan
and mannose receptors, which interact with mannose-
containing organisms and encourage engulfment by
macrophage.
4. Toll-like receptors (TLRs) are the most notable class of
PRRs. They are type 1 integral membrane glycoproteins
with cytoplasmic, transmembrane, and extracellular
domains. There are currently 11 identified human
TLRs that recognize PAMPs extracellularly (e.g., TLR-
1, -2, -4, and -6) or intracellularly (e.g., TLR-3, -7, and -9).
They recruit signal transduction molecules like MyD88,
leading to activation of transcription factors like NF-B
and expression of cytokines (e.g., IFN-). TLRs can be
found on macrophage, dendritic cells (DCs), neutrophils,
B cells, epithelial cells, endothelial cells, and T cells.
A recent study indicates that astrocytes in the brain
can also participate in local innate immune responses
via TLRs.
Table 5 Components of the innate and adaptive immune
systems
Innate immune system
Dendritic cells (DCs)
Macrophage
Neutrophils
NK cells
T cells
NK T cells
Plasmacytoid dendritic cells (PDCs)
B-1 cells
Cytokines (e.g., interferon)
Chemokines
Antimicrobial peptides: defensins, cathelicidins, pentraxins
Complement
Lectin-binding proteins (collectins)
CD8þT cells
a
Adaptive immune system
Dendritic cells (DCs)
Macrophage
B lymphocytes
CD4þT lymphocytes
CD8þT lymphocytes
b
a
Noncytotoxic antiviral activity.
b
Cytotoxic activity.
652 HIV/AIDS

Dendritic cells
DCs play an important role in innate immunity by their
induction of immune responses. A variety of subtypes of
these cells are distributed throughout the body (Table 6).
DCs take up antigens efficiently and present them to the
immune system via MHC–peptide complexes on their
cell surface. They are the only cells capable of initiating
a primary immune response by stimulating naive T cells
to proliferate. They link innate and acquired immunity by
stimulation of naive T lymphocytes and natural killer
(NK) cells and by release of various cytokines (e.g., IL-
12, IL-10, and IFN-).
Two major types of blood DCs have been recognized:
myeloid dendritic cells (MDCs) and plasmacytoid den-
dritic cells (PDCs) (Table 7). MDCs are primary
producers of IL-12. They mature into APCs after expo-
sure to IFN-(secreted by NK cells or CD8þcells) or
IFN-(secreted by PDCs). Subsequently, they migrate
into various tissues and play a role in inducing both innate
and adaptive immune responses.
PDCs were initially recognized as CD4þCD11c
Lincells that grow in the presence of Flt3 ligand.
Subsequently, they were found to be the principal pro-
ducers of IFN-. The addition of CD40L to PDCs results
in their differentiation into mature DC. PDCs can be
identified by the expression of blood dendritic cell anti-
gen 2 (BDCA-2) and BDCA-4, now classified as CD303
and CD304, respectively. Antibodies to these specific
markers are routinely used to purify and identify PDC
population.
PDCs are found in the T cell associated region of
lymphoid tissue and have plasma-cell morphology, repre-
senting 0.2–0.8% of PBMCs. PDCs develop from
hematopoietic stem cells in the fetal liver, thymus, and
adult bone marrow, circulate in blood, and migrate to
lymphoid tissues and inflammatory sites as they express
chemokine receptors (e.g., CXCR4, CD62L, and CCR7).
PDCs recognize pathogens via TLR-7 and TLR-9
located in endosomes. The ligands for TLR-7 and
TLR-9 are single-stranded RNA viruses and unmethylated
CpG rich oligonucleotides, respectively. Upon pathogen
recognition, PDCs produce large amounts of type 1 IFNs
(1–2 U or 3–10 pg per cell), which is 200–1000 times more
than that produced by any other blood cell type. Type 1
IFNs play an important role in HIV infection. They can
directly interfere with virus replication, increase the activity
of NK cells, and increase the function of MDCs as APCs by
upregulating MHC and costimulatory molecules on DCs.
Increased MHC class I expression also enhances cytotoxic
T cell activity. Additionally, type 1 IFNs increase IFN-
production by CD4þT cells and promote a type 1 cellular
immune response. Upon maturation into DCs with CD40
ligand interaction with CD4þT cells, PDCs can become
DC-2 cells that produce various cytokines like IL-4, IL-5,
and IL-10, and enhance antibody production (a type 2
immune response).
Dendritic cells and HIV infection
The DCs play a major role in initial HIV infection and
dissemination as they are potentially the first cells to be
infected by HIV in the genital mucosa. A variety of C-type
lectins on DCs, importantly DC-SIGN, are involved in
uptake of HIV by endocytosis, and subsequently direct
infection of CD4þcells takes place as HIV is passed to
them by DCs in the lymphoid tissue. It has been assumed
that Langerhans cells (LCs) in the genital mucosa mediate
the transmission of HIV-1 to CD4þT cells through the C-
type lectin langerin. However, a recent study shows that
langerin can internalize HIV-1 and prevent transmission.
This possibility needs further study. The DCs from lymph
nodes, blood, and myocardium are also susceptible to HIV
infection (Figure 5).
Table 6 Distribution of dendritic cells (DCs)
DC type Location
Langerhans cells (LCs) Skin and genital tract
Interdigitary cells Lymph node
Follicular DCs Lymph nodes
DCs Thymus
Interstitial DCs Heart, lung, and intestine
MDCs and PDCs Blood
All these DCs are susceptible to HIV infection to a varying extent (see
‘Cells are involved in HIV transmission’ and ‘Dendritic cells’). MDC,
myeloid DC; PDC, plasmacytoid DC.
Table 7 Comparison of blood dendritic cells (DCs)
Marker PDC MDC
Lineage – –
CD11c – þ
CD4 þþ þ
HLA-DR þþ þþ
CCR5/CXCR4 þþ
CCR7 –
IL-3R (CD123) þþ –
BDCA-2, -4 þþ –
a
DC-SIGN – –
b
Growth factor IL-3 GM-CSF
Phagocytosis þ/þ
TLR-7, -9 þ–
c
TLR-2–6, -8 – þ
Major cytokine production IFN-IL-12
TNF-
Chemokines
Only monocytes
GM-CSF, granulocyte–macrophage colony-stimulating factor; MDC,
myeloid dendritic cells; PDC, plasmacytoid dendritic cells; TLR, toll-like
receptor.
a
Some expression of blood dendritic cell antigen 4 (BDCA-4) can be
detected.
b
Expressed on monocyte-derived dendritic cells (MDDCs).
c
MDDCs are similar to MDC but larger in shape and have a dominance
of C type lectin receptors and some evidence of TLR-7 expression.
HIV/AIDS 653

Apparently, selective subpopulations of blood DCs are
susceptible to HIV infection. The monocyte-derived den-
dritic cells (MDDCs) obtained after cytokine (e.g., GM-
CSF) treatment in vitro and MDCs are susceptible to HIV
infection. Immature MDCs are more susceptible as they
express CD4 and high levels of CCR5. Moreover, they
can also engulf virus without the need of CD4þcell
interaction. Low-level replication of HIV in mature and
immature MDCs acts as a reservoir for transfer of virus to
activated CD4þcells. MDCs replicate R5 virus isolates
better than X4 viruses. PDCs are susceptible to both X4
and R5 virus infection via CD4 and other coreceptors as
they express both CXCR4 and CCR5. However, the
extent of HIV replication resembles that observed in
unactivated CD4þcells. However, on maturation with
CD40L, the virus replicates to higher levels with noted
cytopathic effects.
HIV infection may cause a decrease in dendritic cell
number, impair their function as APCs, and decrease their
ability to stimulate primary T cell proliferative responses
and antibody production by B cells. A defect in DC
renewal from CD34þprogenitor cells is also observed
in HIV infection. PDC levels in HIV-infected individuals
vary according to the clinical state (Figure 6). In
advanced disease, the reduced PDC numbers correlate
with decreased CD4þcell numbers and high viral loads.
LTS have higher levels of PDCs in blood compared with
healthy controls. In acute infection, subjects with low viral
loads have high PDCs compared with subjects with high
viral loads. PDC numbers recover with early HAART
but not after treatment interruption. Some untreated
30
25
20
15
10
PDC/μl
5
0
Healthy
donor LTS Progressor AIDS
Figure 5 Relationship of plasmacytoid dendritic cell number to
clinical state. Each open circle represents a value for a different
study subject. Horizontal bars indicate the median. The number
of blood (PDCs) is increased in long-term survivors (LTS) (P<
0.05 for all group comparisons vs. LTS) and decreased in AIDS
patients (P< 0.01) for all group comparisons vs. AIDS). Most of
the progressors had received antiretroviral therapy for several
months; no substantial difference in PDC number was observed
between these subjects and those who were untreated.
Reproduced from Levy JA (2007) HIV and the Pathogenesis of
AIDS, 3rd edn. Washington, DC: ASM Press.
100
80
60
40
Percent of control
20
0RT IFA In situ
RNA Control
infected
cells
HIV RNA levels LTR-driven
transcription
β-Actin
RNA
us ss ds PMA
Basal HIV tat
Figure 6 Effect of CD8þcells and CAF on parameters of HIV replication. The CD8þcell noncytotoxic antiviral response blocks viral
replication, as indicated by decreased reverse transcriptase (RT) activity, viral protein expression measured by immunofluorescent
antibody (IFA) techniques, and in situ RNA production. This activity has no effect on the number of infected cells in the culture. The
antiviral effect is observed as well in a reduction in unspliced (us), single-spliced (ss), and double-spliced (ds) HIV RNA levels as
compared to a normal expression of -actin RNA. Finally, the suppressing effect of CD8þcells or CAF does not affect the basal-level
expression of HIV LTR-driven transcription but blocks induction of this transcription by HIV, SV-40 tat, or phorbol myristate acetate
(PMA) using cells in which the HIV LTR has been linked to a reporter gene. Reproduced from Levy JA (2007) HIV and the Pathogenesis of
AIDS, 3rd edn. Washington, DC: ASM Press.
654 HIV/AIDS

asymptomatic HIV-infected subjects have normal or ele-
vated PDC numbers even with low CD4þcell counts.
HIV-infected cells induce the highest levels of type 1
IFN production by PDCs compared with HIV gp120 or
free virus. The TLR involved in human PDC activation
by HIV could be either TLR-9, or TLR-7, or both. After
exposure to HIV-infected cells, PDCs mature as seen by
their increased expression of CD80 and CD86. They also
express CCR7, suggesting that they migrate to lymphoid
tissues. This finding could explain their low numbers in
HIV infection.
The production of IFN-by PDCs in response to
HIV-infected CD4þcells has been shown to inhibit
HIV replication in CD4þcells. In addition, an increase
in the CD8þcell noncytotoxic antiviral response
(CNAR) is observed when CD8þcells from HIV-
infected subjects are cocultured with PDCs or exposed
to IFN-.
The CD8þcell noncytotoxic anti-HIV response
(CNAR)
A subset of CD8þcells can suppress HIV replication in
infected CD4þcells without killing the infected cells.
HIV replication can be blocked at low CD8þcell/
CD4þcell ratios ( < 0.05:1). This CNAR is somewhat
stronger with cell activation and involves production of
a CD8þcell antiviral factor (CAF) (see below). CD8þ
cells suppress viral replication in CD4þlymphocytes and
macrophage without affecting the proliferation or expres-
sion of activation markers on CD4þcells and without
killing the virus-infected cells. CNAR and CAF involve
processes occurring after virus integration and prevent
viral transcription (Figure 6). Some of the major charac-
teristics of CNAR are detailed in Table 8.
CAF is a protein resistant to heat, low pH, ether, and
lyophilization extraction processes. It lacks identity to
any known protein or cytokine (e.g., -defensins,
-chemokines) and is not found in cellular granules.
CAF is produced in very low amounts by CD8þcells
(Figure 7) and its identification has not yet been achieved.
The CD8þcell anti-HIV response develops soon after
infection but diminishes over time, concomitant with
progression to AIDS. It has been observed in healthy
HIV-infected adults and children. In LTS this anti-HIV
response is commonly found at high levels. In addition,
highly exposed uninfected individuals usually have
CNAR and often without evidence of cytotoxic T lym-
phocyte (CTL) activity. The antiviral CD8þcells show
this response against all HIV-1 and HIV-2 isolates tested.
CNAR is therefore different from the classic antigen-
specific cytotoxic activity of CD8þcells (see ‘CD8þT
lymphocyte immune responses to HIV infection’). This
CD8þcell antiviral activity can also be observed with
other lentiviruses such as SIV in various primate species
and feline immunodeficiency virus (FIV)-infected cats.
Since CNAR is not restricted by MHC, is mediated by
a secreted cytokine, is not antigen-specific, and is an early
and rapid response to HIV, it appears to be part of the
innate immune system.
NK cells
NK cells are an important part of the immune system
and represent 15% of the PBMC population. They recog-
nize and in many cases kill virus-infected cells in a
Table 8 Characteristics of the CD8þcell noncytotoxic anti-HIV
response (CNAR)
Does not involve cell killing
Property of CD8þT cells; not CD4þcells, NK cells, or
macrophage
Exhibited predominantly by the CD8þHLA-DRþCD28þ
CD11bhuman cell subset
Associated with VCAM expression on CD8þcells
Blocks HIV replication in naturally or acutely infected CD4þ
cells
Can block HIV replication at low CD8þ/CD4þcell ratios
(<0.05:1)
Correlates directly with clinical status and high CD4þcell
counts
Early response to HIV infection; occurs before seroconversion
Active against all tested strains of HIV-1, HIV-2, and SIV
Dose dependent
Not MHC restricted
Blocks HIV at transcription and does not affect earlier steps in
virus replication cycle
Observed with CD8þcells from infected nonhuman primates
Mediated (at least in part) by a novel soluble anti-HIV factor
Optimal activity with cell–cell contact
No effect on activation or proliferation of CD4þcells
Measured by in vitro assays. MHC, major histocompatibility complex;
NK cells, natural killer cells; SIV, simian immunodeficiency virus.
120 Medium
AIDS pts.
Asympt. (10%)
Asympt. (25%)
Asympt. (50%)
80
40
0
RT Activity (×103 cpm/ml)
0246
Days
810 12 14
Figure 7 Quantity of CAF produced by CD8
þ
cells. Dilutions of
CAF-containing fluid from cultured CD8þcells from an
asymptomatic individual indicate that a 1:4 dilution will still show
a 50% reduction in HIV replication as measured by reverse
transcription (RT) activity in the culture fluid. Fluids from CD8
þ
cells of normal individuals or those with AIDS do not show
evidence of CAF production. Reproduced from Levy JA (2007)
HIV and the Pathogenesis of AIDS, 3rd edn. Washington, DC:
ASM Press.
HIV/AIDS 655

non-MHC-dependent manner. NK cells function through
the interaction of cell surface inhibitory or activating mole-
cules. Decreased expression of MHC class I molecules on
virus-infected cells determines their susceptibility to NK
cell killing. NK cell function is blocked by recognition of
HLA-A, -B, and -C molecules by killer cell immunoglobu-
lin-like receptors (KIRs), C-type lectins, and non-MHC
class I molecules like CEA (CD66e). NK cell response
against microbes includes production of immune regulatory
cytokines (e.g., TNF-and IFN-)aswellascytotoxic
activity. NK cells can also eliminate HIV-infected cells
through antibody-dependent cellular cytotoxicity (ADCC).
HIV infection causes a decrease in NK cell number
and function. The reduced number correlates with
decreased CD4þcell counts. HIV viremia is associated
with enhanced expression of NK cell inhibitory receptors
and loss of activating receptors like NKG2A and CD94.
HIV infection also causes impaired IFN-production,
reduced ability to respond to IFN-, and a decrease in
ADCC mediated by NK cells.
Adaptive Immune Responses in HIV Infection
Humoral immune responses to HIV infection
Circulating anti-HIV antibodies can be detected in blood
and mucosal surfaces. Antibodies appear usually within
1–2 weeks after acute infection. Gag is the first viral
protein recognized followed by Nef, Rev, and Env. The
IgG1 subclass is dominant in all clinical stages.
Anti-HIV neutralizing antibodies
Antibody-mediated neutralization of HIV is achieved
when antibody binds with adequate avidity and appro-
priate specificity to the virus and inactivates (neutralizes)
it. The viral envelope gp120 and gp41 glycoproteins are
the primary proteins involved in antibody neutralization.
The HIV-specific neutralizing antibodies are targeted to
the V3 loop, the CD4-binding domain, and variable
regions 1 and 2 of the envelope gp120. The viral envelope
gp41, carbohydrate moieties, and other cell surface pro-
teins on the envelope are also sensitive to antibody
neutralization. Antibodies inhibit viral function in three
ways: by inducing the dissociation of gp120 from gp41, by
direct inhibition of viral binding to receptor–coreceptor
complexes, and by interfering with postattachment steps
of gp41 that lead to virus–membrane fusion.
Neutralizing antibodies against autologous virus are
detectable within 4–8 weeks of primary infection.
However, the virus isolated at the time the antibodies
are detected is usually resistant to these antibodies.
They neutralize only an earlier virus, not the concurrent
virus that appears to escape this immune response. The
anti-HIV neutralizing antibodies produced are present in
low levels or absent in patients with progressive disease,
but a strong and broad response is detectable in patients
with long-term nonprogressive HIV disease. The neutra-
lizing antibodies can also be important in preventing
mother–child transmission.
A number of factors limit the development of effec-
tive HIV-specific neutralizing antibodies. These include
the carbohydrate moieties, cell surface nonviral proteins
like LFA-1, and the age of virus preparation in culture.
Selective immunologic pressure allows the virus to
escape neutralization by amino acid changes in the V3
loop and other envelope regions recognized by the
neutralizing antibodies. This resistance to neutralization
may be related to conformational masking of the envel-
ope receptor-binding site on the virion. Various
neutralizing immunotypes, not necessarily correlating
with the genotype, are found involving a variety of
clades.
Antibody-dependent cellular cytotoxicity
Antibodies to both gp120 and gp41 envelope proteins
participate in ADCC-mediated killing of HIV-infected
cells. In this process, antibody–antigen-coated cells are
recognized by effector NK cells or by monocytes and
macrophage bearing Fc receptors. They are killed either
by perforin-mediated cytolysis or via apoptosis. The rela-
tive binding of these antibodies to the viral antigenic
determinant depends on the specific gp120 and gp41
proteins expressed by different viral isolates. ADCC can
have clinical relevance by destroying virus-infected cells,
but it depends on the function of host effector cells like
macrophage and NK cells. This activity has been detected
in early stages of HIV infection and shown to be asso-
ciated with a healthy state in LTS.
Detrimental effects of anti-HIV antibodies
Some antiviral antibodies can enhance viral replication
through interaction with the complement or Fc receptor.
This antibody-dependent enhancement (ADE) is asso-
ciated with HIV disease progression. Complement-
mediated ADE correlates with high plasma viral loads
and is observed in patients with low CD4þcell counts.
Other harmful effects of antibodies include the presence
of auto-antibodies that circulate in the blood of indivi-
duals with HIV infection. These auto antibodies can lead
to several clinical conditions involving the loss of certain
peripheral blood cells (e.g., neutropenia, thrombopenia)
and to neuropathies.
T lymphocyte immune responses to HIV infection
CD4þand CD8þT lymphocytes exist as antigen-naive
(naive) and antigen-experienced (memory) cells. The
memory cells can further be broadly divided into two
types. (1) Central memory T cells (Tcm) are those that
circulate among secondary lymphoid tissue through
blood and lymph channels. They express CCR7 and
CD62L, which permits their trafficking to lymphoid
656 HIV/AIDS

tissue. (2) Effector memory T cells (Tem) are those that
migrate from secondary lymphoid tissue into effector
sites, like the intestinal lamina propria. They lack CCR7
and CD62L expression and remain at the site of microbial
infection to respond to antigen. They can either become
short-lived terminal effector cells or evolve into ‘resting’
memory cells with characteristics of central memory cells
when the antigen load is reduced. The Tcm cells can
rapidly produce cytokines and respond after restimula-
tion by antigen exposure.
The CD8þand CD4þT lymphocytes recognize anti-
gen processed to smaller peptides by APCs and presented
at their cell surface in association with their MHC class I or
-class II molecules, respectively. MHC class I molecules
present proteolytic fragments (8–10 residues in length).
This recognition of viral pathogens by CD8þT cells is
precise as the conserved residues of the heterodimer
forming the peptide-binding groove bind to both terminal
residues of the short peptides. In contrast, the peptide-
binding groove of MHC class II molecules lacks these
conserved residues and forms an open pocket, thus binding
to a longer (12–24 residues) protein. This accounts for the
diversity of antigenic determinants that can be presented to
CD4þT cells by MHC class II molecules.
The antigen is recognized by means of the TCR
present on the T lymphocyte. Mature TCR genes are
rearranged from multiple, discontinuous gene segments
(V, D, J), resulting in a high level of diversification at the
V(D)J junction (complementarity-determining region 3
or CDR3). The TCRs of various T cell clones responding
to identical peptide–MHC complexes tend to exhibit
structural similarities as the amino acid residues encoded
within CDR3 closely contact the antigenic peptide. The
sum of different TCR combinations and specificities
within a host termed as the ‘TCR repertoire’ can deter-
mine the diversity and persistence of T cell immune
responses. The diversity of the CD4þand CD8þT cell
repertoires is also determined by the polymorphism of
MHC class I and -class II genes, which is focused in
regions of the molecules directly involved in peptide
binding. A broad repertoire is associated with a beneficial
clinical course. Thus, the repertoire alterations during
HIV infection can result in either protective or deleter-
ious immunologic responses.
A variety of assays can be used to detect CD4þand
CD8þT cell responses to HIV. The intracellular cyto-
kine assay, tetramer-binding assay, and CFSE cell
proliferation assay are based on flow cytometry.
Enzyme-linked immunospot assays utilize the principle
of ELISA.
CD4þT lymphocyte immune responses to HIV
infection
The activated CD4þT cells help orchestrate an effective
immune response in HIV infection either through direct
cell–cell interactions or through release of cytokines. The
CD40L expressed on activated CD4 cells is crucial in
triggering DCs via direct cell–cell interactions to produce
IL-12, which in turn is central in initiating a CD8þT cell
response. T
H
responses have also been divided into dif-
ferent subsets depending on the cytokine profiles of the
stimulated cells:
•T
H
1-type responses are associated with the production
of type 1 cytokines (e.g., IL-2 and IFN-) that are
supportive of cell-mediated immunity. These
responses can be enhanced by cytokines like IL-12.
•T
H
2-type responses are associated with type 2 cyto-
kines (e.g., IL-4, IL-5, and IL-10) that promote
humoral immunity and reduce CD8þT cell responses.
Studies of HIV-infected individuals over time suggested
that T
H
1 (type 1) responses are present in healthy asymp-
tomatic individuals, whereas T
H
2 (type 2) responses
predominate in the symptomatic phase of disease. A
shift from type 1 to type 2 responses was found associated
with disease progression. Thus, type 1 responses are
thought to be protective. Although this hypothesis is less
popular these days, it still contributes to the understand-
ing of HIV disease progression.
CD4þT cell responses to HIV have been divided into
three cell subsets (primarily Tem) on basis of their ability
to proliferate and produce cytokines: (1) those cells that
secrete IL-2 and are most beneficial to host defense
against HIV, (2) those cells that secrete IFN-and appear
to be more differentiated with less proliferative and anti-
gen-responsive activities, and (3) some cells that secrete
both IL-2 and IFN-. Cytomegalovirus (CMV)-specific
CD4þcells and HIV-specific CD4þcells in LTS have
an equal distribution of all three subsets. However, HIV-
infected individuals with progressive disease have solely
IFN--secreting CD4þcells, which are considered term-
inal effector cells. HIV infection causes an increase in this
subset as compared to CD4þcells that secrete only IL-2
or IL-2 and IFN-and have good proliferation and anti-
viral response. The Tem cells that produce IFN-but not
IL-2 also express CCR7. Recent studies show that
disease-resistant sooty mangabeys have more
IL-2-producing CD4þT cells, thus underscoring the
importance of this subset of CD4þT cells in containment
of HIV infection.
Strong HIV-specific CD4þT
H
responses have been
observed in patients who are able to control viremia in the
absence of antiviral therapy. In HIV-infected individuals
with progressive disease, these responses are deleted or
blunted as a direct or indirect consequence of ongoing
viral replication. Several factors are thought to contribute
to the impairment of HIV-specific CD4þcell responses
during progressive HIV disease. Besides direct cell death,
the possible mechanisms include virus-induced anergy as
well as antigen-induced cell death or apoptosis. HIV Tat
HIV/AIDS 657

downregulates HLA class II expression, and therefore
impairs antigen recognition leading to virus-induced
anergy. This process also prevents effective establishment
of a memory cell population. Moreover, HIV-specific
CD4þcells are likely to be depleted because of direct
HIV infection especially in acute infection.
Loss of effective CD4þcell responses has detrimental
consequences for HIV-specific CD8þcell responses as
CD4þcell help is crucial for priming CD8þcells, main-
taining CD8þcell memory, and maturation of functional
CD8 cells. CD4þcells may provide this help in two ways:
(1) CD8þcell activity is stimulated by IL-2 produced by
CD4þcells and (2) the upregulation of CD40L on CD4þ
cells enhances the costimulatory pathways between APCs
and CTLs. Moreover, CD40L triggers DCs to produce
IL-12, which in turn initiates CD8þcell responses.
Several studies provide evidence that ineffective CTL
responses are associated with lack of T
H
cell responses.
These observations underscore the importance of T
H
cell
activity in control of HIV infection. Memory CD8þcells
generated in the absence of CD4þcell help are severely
impaired in effector functions; they display poor recall
responses and proliferation in comparison to memory
CD8þT cells generated with CD4þcell help.
Certain CD4þT cells, usually T
H
1-type CD4þT
cells, can have CTL activity directed against either
infected or uninfected CD4þT cells or cells expressing
HIV peptides in association with MHC class II molecules.
This response is usually virus-strain specific, mediated by
perforin or involves Fas–Fas ligand-induced apoptosis.
Even though the level of CD4þcell cytotoxic anti-HIV
response is usually low, a substantial increase in HIV-
specific CD4þcell CTLs has been reported in primary
HIV infection.
CD8þT lymphocyte immune responses to HIV
infection
The CD8þT cells can have cytotoxic (CTL) or noncy-
totoxic anti-HIV activity (see ‘Dendritic cells and HIV
infection’). CD28 expression has been used to distinguish
CD8þT cells that have CTL activity (CD8þCD28–) and
those with noncytotoxic anti-HIV activity (CD8þCD28þ
cells). The HIV-specific CD8þCD28CD57þCCR7
effector memory CTLs reflect chronic immune activation
and have reduced proliferative capacity. This CD8þT cell
subset is increased in HIV infection. The cytotoxic effector
memory CD8þT cells also have a high expression of
CD38 and HLA-DR, indicating their activated state.
HIV-specific CD8þcytotoxic T cell responses are
generated in the majority of infected subjects soon after
the peak of viral replication during primary HIV infec-
tion. The result is a decline of plasma viremia, resolution
of clinical symptoms, and a rapid selection of viral CTL
escape variants. CNAR’s role in this virus control has
been shown (see ‘Dendritic cells and HIV infection’).
These cellular antiviral responses during acute infection
involve more than 10% of total CD8þcells and typically
target, in a distinct hierarchical order, a small number of
viral epitopes from the early expressed viral proteins,
particularly Tat, Nef, and Rev. The responses are a result
of a tightly regulated process that is critically impacted by
the kinetics of viral protein expression, the genetic HLA
class I background of the infecting individual, and the
autologous sequence of the infecting virus. In LTS,
HIV-specific CTL responses are directed against a wide
range of HIV-1 antigens, including peptide determinants
located within the Gag, Env, Pol, Rev, and Nef proteins.
These responses persist at high frequencies; often 1–2%
of all circulating CD8þT cells are specific for a dominant
HIV epitope. These responses are closely associated with
the control of viral replication as demonstrated by their
inverse correlation with viral load and loss of CD4þT
cells. HIV-1-specific CTLs can also suppress high virus
replication in macrophage and kill infected macrophage.
However, HIV-specific CD8þT cells become less
effective in recognizing autologous virus over time. A
decrease in HIV-specific CTL activity may occur in
AIDS patients without a reduction in CD8þcell cyto-
toxic functions to other pathogens. These HIV-specific
CD8þT cells can produce IFN-but have lower levels
of perforin and persistent CD27 expression, which sug-
gests impaired maturation and reduction in HIV-specific
lytic activity. Thus, even though CTL activity correlates
with a healthy clinical state, progression of disease with
increasing numbers of HIV-infected cells, a high viremia,
and low CD4þT cell counts can occur in the presence of
CD8þeffector cells.
CTLs recognize virus peptides presented by HLA
class I molecules and different HLA types display differ-
ent peptides. Thus, the quality of the immune response is
affected. HLA types associated with slow progression of
the infection such as HLA-B27 and HLA-B57 stimulate
more effective immune responses compared with those
that confer increased susceptibility such as HLA-B35.
Similarly, homozygosity at the HLA class 1 loci, which
is also associated with more rapid progression of HIV,
offers less opportunity for a diverse T cell response.
HIV resistance to CTL activity can further compro-
mise HIV-specific CD8þT cell responses. The inability
of CTL to eliminate HIV rapidly in primary infection
exerts a selective force on the virus to have mutations in
the dominant epitopes. This enables the infected cells to
escape lysis and propagate the mutated virus. The
immune escape by HIV may occur by any of the follow-
ing mechanisms. (1) The infidelity of the viral RT results
in the generation of viral mutations. Even a single muta-
tion within a defined CTL epitope is sufficient to
abrogate CTL recognition. (2) Viral latency, in which
the level of expression of viral gene products is reduced,
can prevent the presentation of viral peptides to the
658 HIV/AIDS

immune system. (3) Changes in the MHC class 1 mole-
cule can lead to failure of HIV antigen presentation to
immune system. Some viral gene proteins, especially Nef
and Tat, downregulate HLA class 1 expression and impair
CTL recognition. Moreover, the upregulation of the Fas
ligand by Nef in infected cells can cause the HIV-specific
T cells expressing Fas to be targets for killing by the FasL
pathway. Other means by which HIV can escape CTL
attack include sequestration of infected cells in the central
nervous system where T cells normally have limited
access.
Increased expression of the programmed death 1 (PD-1)
protein on HIV-specific CD8þT cells correlates directly
with impaired CD8þT cell function, increased viral load,
low CD4þcell counts, and progression to disease. The
level of PD-1 expression is also associated with enhanced
sensitivity of HIV-specific CD8þT cells to apoptosis.
In summary, the CTL activity in response to HIV
infection may appear to have beneficial effects but these
cells can also have some detrimental effects. In some
HIV-infected individuals, CTL can lyse autologous and
heterologous activated, uninfected CD4þlymphocytes,
thus contributing to the loss of CD4þT cells. The rela-
tive roles of CTLs and CNAR in HIV infection are under
continual study.
Features of HIV Pathogenesis
Overview
HIV pathogenesis is a complex interplay between various
biologic properties of the virus and the host immune
response to the virus. The final outcome determines
either long-term survival or progression to AIDS. As
observed with HIV transmission, various cofactors appear
to influence progression to disease. These cofactors
include the genetic background of the host (e.g., HLA),
infection by other viruses or pathogens, sexually trans-
mitted diseases, immune-stimulating processes such as
allergens, and factors that affect cytokine production.
Certain lifestyle factors like smoking, alcohol, drugs, and
stress can also influence HIV pathogenesis.
HIV pathogenesis can be divided into three major
phases following acute virus infection (Figure 8).
Early period (Phase 1)
In the initial days following acute infection, virus replica-
tion takes place at the site of virus entry, particularly in
activated CD4þT cells, macrophage, DCs, and mucosal
cells of the rectal and cervicovaginal cavities. Within 2
days, the virus goes from the initial site to the local lymph
nodes, thus establishing infection. Viremia results with up
to 5000 infectious particles per milliliter or 10
7
viral RNA
molecules per milliliter of plasma detected in 5–7 days.
After 10–14 days, approximately 200 billion CD4þT
cells are infected. This entire process depends on host
susceptibility to infection and local immune factors.
Subsequently, the CD8þcell numbers rise as well as
the production of proinflammatory cytokines and chemo-
kines. The innate antiviral cytokines like type 1 IFNs and
adaptive CD8þT cell response do not appear at this
stage to prevent infection. Thus, large numbers of target
cells in lymphoid tissues become infected. The replicating
virus can also undergo mutations to increase its virulence.
Within weeks after acute infection, viremia levels
decrease in association with the appearance of cellular
immune responses, mainly CD8þT cell responses
with both cytotoxic and noncytotoxic activities.
Seroconversion takes place within days to weeks after
infection with transient appearance of neutralizing anti-
bodies after about 2–3 months (see ‘Anti-HIV
neutralizing antibodies’).
Persistent period (Phase 2)
The CD4þT cell numbers usually return to their normal
levels at 3–6 months after primary virus infection.
However, their number steadily decreases either by direct
1
2
Acute
infection Asymptomatic
carrier Symptoms
Time after HIV infection
AIDS
Persistent state
Relative level
3
Figure 8 Events occurring after HIV infection. Prior to
seroconversion, high levels of virus (- - -) can be detected in the
blood. This viremia is then reduced to low levels (phase 1) and
maintained with episodic release of varying amounts of virus over
time (phase 2). A second high level of viremia occurs along with
onset of clinical symptoms and remains raised throughout the
development of AIDS (phase 3). The CD4þcell number (. . . .)
decreases during acute (primary) infection, then returns to a level
somewhat below normal. A slow decrease in CD4þcell count,
estimated to be approximately 60 cells/ml per year, occurs over
time (the persistent period) (phase 1). Subsequently, in some
individuals developing symptoms, a marked decrease in CD4þ
cell counts can be observed concomitant with reemergence of
high levels of viremia (phase 2). The number of CD8þcells (- - -)
rises during primary infection, as is commonly seen in viral
infections. Their number then returns to just above normal and
stays elevated until the final stages of disease. In contrast, the
CD8þcell anti-HIV responses (..__..__) begin to decrease prior to
or around the time of symptoms (late in phase 1) and then to
decrease steadily as progression to disease occurs (phase 2).
Reproduced from Levy JA (2007) HIV and the Pathogenesis of
AIDS, 3rd edn. Washington, DC: ASM Press.
HIV/AIDS 659

cytotoxicity of the virus or by indirect means like apop-
tosis (see ‘Overview: HIV cytopathology’). This gradual
loss of CD4þT cells can be observed in infected indivi-
duals from all risk groups. During this phase, HIV
replication in the body continues at a low level. This
suppression of HIV replication appears to be mediated
by antiviral CD8þT cells. The virus population becomes
heterogeneous, reflecting the ongoing emergence of virus
variants that are able to escape the immune responses.
Symptomatic period (Phase 3)
Many infected individuals develop symptoms within
8–10 years after infection. The CD4þT cell counts
drop below 350 (sometimes 200) cells ml
1
. The viral
load increases with a reduction in antiviral CD8þT
cell immune responses. The reduced cellular immune
responses also lead to increased viral replication in the
lymph nodes and disruption of lymphoid tissue including
follicular DCs. The high levels of virus in blood and
lymph nodes are accompanied by the emergence of a
predominant virus strain as observed in primary infection.
However, this virus strain is usually virulent as repre-
sented by the X4 phenotype compared with the
noncytopathic R5 phenotype in primary infection.
Some of the characteristics of the virulent variants
include extended cellular host range, rapid kinetics of
replication, high levels of syncytia induction, increased
CD4þcell cytopathicity, resistance to neutralization,
sensitive to antibody-mediated enhancement of infection,
and failure to enter into a latent viral state. The virus
responsible can be a R5 biotype in 50% of cases, but it has
biologic properties of virulence including cytopathicity
and increased replicative ability.
A loss of anti-HIV immune responses further enhances
the disease progression and onset of AIDS. The various
factors involved in the decrease of HIV-specific immune
function have been detailed in the section titled ‘Host
immune responses to HIV’. These include chiefly the
loss of CD4þT cells by direct killing effects of virus or
by indirect effects such as apoptosis, inadequate produc-
tion of type 1 cytokines (IL-2), reduced cell production in
the thymus, and increased production of type 2 cytokines
(e.g., IL-10), which can further reduce CD8þT cell-
mediated immune responses and cause aberrant immune
responses like autoreactive T cells.
Factors Affecting HIV Disease Progression
The CD4þT cell counts and viral RNA levels are the most
important predictors of prognosis in HIV infection. In the
absence of therapy, a delay in progression to disease corre-
lates with low viral RNA levels and high numbers of CD4þ
T cells in the blood. In this regard, baseline viral loads of
>100 000 RNA copies ml
1
and CD4þTcellcounts
<350 cells ml
1
are indicators for initiation of antiretroviral
therapy.Apoorprognosisisalsoassociatedwithhigh
plasma levels of certain markers of immune activation like
neopterin, tumor necrosis factor, IL-2 receptor, sCD8,
sCD4 proteins, and 2 microglobulin. Increased expression
of CD38 on CD8þT cells also reflects immune activation
and directly correlates with poor prognosis. These markers
can be particularly important in individuals with discor-
dance in viral loads and CD4þTcellcounts.Other
prognostic factors indicating disease advancement include
increased levels of p24 antigen or infectious virus in the
blood, low titers of antibodies to the HIV p24 or p17 Gag
and the Nef proteins, low serum albumin, and decreased
delayed-type hypersensitivity reactions.
Some of the virus characteristics found with disease
progression have been discussed in the sections titled
‘HIV infection and replication’ and ‘Effect of HIV on cells
and on the immune system’. X4 virus infection is associated
more often with a fast disease progression than R5 virus
infection. However, R5 viruses can still account for 50% of
AIDS cases. As noted above, these R5 viruses have greater
replicative abilities than those from HIV-infected asympto-
matic individuals. In some cases, a deletion in the viral nef
gene or a mutation in the vpr gene is associated with slow
disease progression. Moreover, individuals infected with
clade C, -D, or -G viruses are more likely to develop
AIDS than people infected with clade A or -B viruses.
HIV disease progression also depends on certain host
factors, such as some HLA genotypes (see ‘T lymphocyte
immune responses to HIV infection’). Polymorphisms in
certain chemokine receptors also affect the pathogenic
pathway. For example, individuals homozygous for the
CCR5 32 allele (deletion in expression of CCR5) show
resistance to infection by R5 viruses. Those with a
CCR5/CCR5þgenotype can have a delayed progres-
sion to AIDS. A haplotype of the CXCR1 gene (CXCR1-
ha), one of the receptors for IL-8, may have a protective
role in disease progression. Single-nucleotide polymorph-
ism (SNP) studies of host immune factors like RANTES,
SDF, IL-4, and the DC-SIGN promoter have recently
shown that RANTES-28G is associated with late AIDS
progression whereas DC-SIGN-139C is linked with
accelerated clinical course in HIV-1-infected Japanese
patients suffering from hemophilia. Modifications in cer-
tain chemokines and the age, gender, race, and ethnicity
of a population can determine HIV disease progression.
Clinical Outcome of HIV Infection
The major clinical outcomes of HIV infection can be
distinguished:
1. Typical progressors consist of individuals who pro-
gress to disease 8–10 years after infection. Their
immune functions appear to be intact in early infection
but gradually decline.
660 HIV/AIDS

2. Rapid progessors show a very quick decline in CD4þ
T cell counts, usually within 2–5 years of infection.
They are characterized by high viral load and viral
homogeneity. They have low levels of anti-HIV-1-
neutralizing antibodies. CTL activity may be present
in these individuals, but is functionally impaired as
reflected by high viral load. They also have an acti-
vated immune state represented by large numbers of
CD38 and HLA-DR-expressing CD8þT cells.
3. Long-term survivors (LTS) or long-term nonproges-
sors (LTNP) are HIV-infected individuals who have
remained asymptomatic with normal CD4þT cell
counts and low viral loads in the absence of therapy
for at least 10 years after infection. The rate of CD4þ
decline is markedly reduced in LTS compared with
normal progressors. The usual percentage of LTS is 5–
8% of total infected people. A subset of LTS, some-
times called elite controllers, remain healthy for many
years with very low or no detectable virus in their
blood.
4. Factors involved in long-term survival can include
infection with a less cytopathic R5 strain and a bene-
ficial anti-HIV immune response reflected by the
presence of neutralizing antibodies and a lack of
enhancing antibodies, the presence of anti-HIV CTL,
and certain innate immune responses such as CNAR
and high levels of interferon-producing cells or PDCs.
PBMCs from LTS also show a type 1 cytokine (IL-2
and IFN-) production favoring CD8þT cell
immune responses. The genetic background of the
host like HLA and chemokine receptor polymorph-
isms also influence long-term survival.
5. High-risk seronegative individuals have been exposed
on many occasions to HIV but remain uninfected. This
group includes sexual partners of infected individuals,
intravenous drug users, transfusion recipients, patients
suffering from hemophilia, children born to infected
mothers, and healthcare workers with needlestick inju-
ries. They have a reduced or lack of CCR5 expression
and genes closely related to HLA class A2 alleles.
These individuals can have HIV-specific CD4þand
CD8þT cell immune responses as well as CNAR but
no antiviral antibodies. In some cases, they have a
reduced state of immune activation and decreased
susceptibility of their PBMCs to infection. Increased
NK cell function associated with a more effective
response immune response to HIV and high RANTES
levels have also been observed in some people in this
group. Recent studies have also shown an increased
expression of APOBEC3G in PBMCs of high-risk
seronegative individuals (see ‘Differences in virus pro-
duction’). Polymorphism in the IRF-1 gene has been
found as well to be associated with resistance to HIV
infection in these individuals.
Future Directions
Combination antiretroviral therapy or HAART has chan-
ged the course of HIV infection by enabling HIV-infected
people to survive longer. Many drugs that target certain
features of HIV infection, particularly steps in viral infec-
tion, have been evaluated. To date, more than 20 drugs
are being used in various combinations. Broadly, the
drugs can be categorized as attacking the viral enzymes,
RT, protease, and most recently, integrase. Some novel
therapies under consideration include the use of RNA
interference, which targets specific viral genes, and
drugs that block viral activity via the chemokine corecep-
tors or virus fusion (e.g., Fuzeon) occurring after virus
attachment to cells.
While HAART has been able to control HIV infection
in individuals who are even suffering from AIDS, the
long-term control of this virus requires new directions.
Besides consideration of latent infections, the emergence
of recombinant viruses and drug-resistant strains as well
as the toxic effects of HAART challenge therapies and
can further limit the benefits of antiretroviral strategies.
Importantly, the virus-infected cell still remains a
mechanism for HIV transfer, since antiretroviral drugs
do not directly eliminate this source of the virus.
Further work therefore needs to be done toward boost-
ing the immune response via both the innate and the
adaptive immune systems and the development of an
effective vaccine. Enhancement of innate immune
responses is particularly important at mucosal sites of
HIV transmission. One emphasis for future therapies is
to restore the immune system to that of LTS who can
control HIV infection. This approach would include a
variety of cytokines, including IL-2, IL-15, IFN-, IL-7,
and, when fully identified, CAF. In vaccine development,
these same cytokines can act as beneficial adjuvants along
with CpG, G-CSF, and Flt-3 that help elicit innate
immune responses by PDCs. An innovative way of excis-
ing HIV-1 proviral DNA from cells using an evolved
recombinase system has been recently demonstrated.
Improvements in these kinds of approaches could also
provide the basis for future therapies to control HIV.
Further Reading
Appay V, Papagno L, Spina CA, et al. (2002) Dynamics of T cell
responses in HIV infection. Journal of Immunology 168: 3660.
Barre-Sinoussi F, Chermann J-C, Rey F, et al. (1983) Isolation of a
T-lymphotropic retrovirus from a patient at risk for acquired immune
deficiency syndrome (AIDS). Science 220: 868.
Buonaguro L, Tornesello ML, and Buonaguro FM (2007) Human
immunodeficiency virus type 1 subtype distribution in the worldwide
epidemic: Pathogenetic and therapeutic implications. Journal of
Virology 81: 10209–10219.
Gottlieb MD, Schroff R, Schanker HM, et al. (1981) Pneumocystis carinii
pneumonia and mucosal candidiasis in previously healthy
homosexual men. New England Journal of Medicine 305: 1425.
HIV/AIDS 661

Greene WC and Peterlin BM (2002) Charting HIV’s remarkable voyage
through the cell: Basic science as a passport to future therapy.
Nature Medicine 8: 673.
Haase AT (2005) Perils at mucosal front lines for HIV and SIV and their
hosts. Nature Reviews Immunology 5: 783.
Johnston MI and Fauci AS (2007) An HIV vaccine: Evolving concepts.
New England Journal of Medicine 356: 2073–2081.
Kremer M and Schnierle BS (2005) HIV-1 Vif: HIV’s weapon against the
cellular defense factor APOBEC3G. Current HIV Research 3: 339–444.
Levy JA (2001) The importance of the innate immune system in
controlling HIV infection and disease. Trends in Immunology 22: 312.
Levy JA (2007) HIV and the Pathogenesis of AIDS, 3rd edn. Washington,
DC: ASM Press.
Liu YJ (2005) IPC: Professional type 1 interferon-producing cells and
plasmacytoid dendritic cell precursors. Annual Review of
Immunology 23: 275.
McCune JM (2001) The dynamics of CD4þT-cell depletion in HIV
disease. Nature 410: 974.
Pashine A, Valiante NM, and Ulmer JB (2005) Targeting the innate
immune response with improved vaccine adjuvants. Nature
Medicine 11: S63.
Shearer GM and Clerici M (1996) Protective immunity against HIV
infection: Has nature done the experiment for us? Immunology
Today 17: 21.
Wei X, Decker JM, Wang S, et al. (2003) Antibody neutralization and
escape by HIV-1. Nature 422: 307–312.
Relevant Websites
http://hiv-web.lanl.gov – HIV Databases
http://www.unaids.org – UNAIDS
http://www.ucsf.edu/levylab
662 HIV/AIDS

Horizontal Gene Transfer: Uptake of Extracellular DNA by Bacteria
K M Nielsen, J L Ray, and P J Johnsen, University of Tromsø, Tromsø, Norway
ª2009 Elsevier Inc. All rights reserved.
Defining Statement
Process of Natural Uptake of Extracellular DNA in
Bacteria
Uptake of Extracellular DNA by Bacteria Present in
Various Environments
Some Limitations of the DNA Uptake Model Systems
Used
Factors Affecting the Stable Uptake of DNA in Single
Bacterial Cells
Considerations of the Long-Term Persistence of
Horizontally Acquired DNA in Bacterial Populations
Predictors of DNA Uptake in Bacteria and Implications
for the Release of Genetically Modified Microbes
Further Reading
Glossary
extracellular DNA Extracellular DNA (also called
naked, free, ambient, or environmental DNA) are DNA
fragments released into the environment from
decomposing cells, disrupted cells, or viral particles, or
via excretion from living cells.
heterogamic/interspecific transformation
Heterogamic/interspecific transformation leads to
recombination between chromosomal DNA from
different species.
homogamic/intraspecific transformation
Homogamic/intraspecific transformation leads to
recombination between chromosomal DNA within
species.
recipient Recipient is a bacterial cell that has the
potential to acquire DNA by natural transformation.
synteny Synteny describes the observation of shared
presence and order of genes on the chromosomes of
related species. Disruption of synteny due to genetic
rearrangements may reduce recombination rates within
and between the species.
transformant Transformant is a bacterial cell that
has successfully acquired DNA by natural
transformation.
transformation frequency Transformation frequency
is usually given as the number of transformant bacteria
divided to the total number of recipient bacteria of a
given species over a given time period.
Abbreviations
CDS coding sequence
GMM genetically modified microbes
GMO genetically modified organism
HFIR homology-facilitated illegitimate
recombination
HGT horizontal gene transfer
MEPS minimum efficient processing segment
MMR methyl-directed mismatch repair
RM restriction modification
SSBP single-strand binding proteins
USS uptake signal sequences
Defining Statement
Here we present experimental models that examine the
uptake of chromosomal DNA in bacteria and discuss some
of the advantages and limitations of the models used. The
relationship between DNA uptake frequencies versus
selection is examined, and the implications for the open
release of genetically engineered microbes is discussed.
Process of Natural Uptake of Extracellular
DNA in Bacteria
Extracellular DNA released from a donor organism can
be ‘horizontally’ acquired by bacteria (recipients) through
the process of natural transformation. Natural transforma-
tion occurring with chromosomal DNA fragments can be
divided into several steps:
663

1. development of competence in the recipient bacterium
simultaneously with exposure to transforming DNA;
2. DNA uptake/translocation into the bacterial cytoplasm;
3. heteroduplex formation of transforming DNA with
similar DNA sequences in the recipient chromosome;
4. homologous recombination-mediated integration of
the transforming DNA strand into the recipient bac-
terium’s chromosome;
5. expression of the acquired trait(s) leading to an altered
recipient phenotype; and
6. stable inheritance and maintenance of the acquired
trait(s) at the individual recipient cell level and at the
bacterial population scale level.
Although the last two steps are not strictly part of the
transformation process, they are usually an integral part of
most natural transformation studies in bacteria. Extracellular
DNA is only accessible to naturally transformable bacteria
when they are in a competent state. Competence is a
genetically encoded physiological state in which bacteria
express protein complexes that facilitate DNA uptake into
their cytoplasm. In bacteria such as Streptococcus pneumoniae
and Bacillus subtilis, competence is under tight regulation by
a cell-to-cell signaling pathway. For other bacteria, such as
Neisseria gonorrhoea,competenceisconstitutiveandDNA
can be taken up during all phases of growth. Competence
development is usually linked to particular growth condi-
tions or perturbation of those conditions. For instance,
Acinetobacter baylyi, a soil and water bacterium, achieves
maximum competence for DNA uptake during early expo-
nential phase, with competence peaking at approximately
midexponential phase. In B. subtilis, random peak levels of
the ComK protein trigger transition to a competent stage.
Bacteria that can express natural genetic competence are
found in diverse habitats, and it is suspected that discovery
of more naturally competent species and strains will con-
tinue with further improvement of culture- and nonculture-
based methods of detection of DNA uptake. The reasons for
the existence of DNA uptake/integration mechanisms in
bacteria are still debated; incoming DNA fragments may
be used for nutrition after further degradation, as a template
for recombinational repair of DNA, or for the generation of
genetic variation of which some may accelerate adaptation.
Natural transformation may serve different functions in
different bacterial species, as evidenced by expression of
competence at dissimilar stages in their life cycles and to
varying extents.
The model organisms B. subtilis,S. pneumoniae,A. baylyi,
N. gonorrhoea, and Haemophilus influenzae have provided
most of the information about the molecular aspects of
the natural transformation process. The DNA transloca-
tion apparatus is a putative pore-forming multimeric
protein complex that spans the inner membrane/peri-
plasm/outer membrane in Gram-negative bacteria, and
the inner membrane/cell wall in Gram-positive bacteria.
Extracellular DNA first binds to the translocation appa-
ratus on the cell surface by a poorly understood
mechanism. While N. gonorrhoea and H. influenzae require
specific uptake signal sequences (USS) for successful
DNA binding and translocation, the majority of bacteria
will bind extracellular DNA nondiscriminately with
respect to sequence. Both linear and circular DNA are
taken up during natural transformation. Structural pro-
teins associated with extracellular DNA do not hinder the
DNA-binding or uptake process, as bacterial cell lysates
also efficiently transform competent bacteria. In most
cases, although the DNA is initially double-stranded, it
enters the bacterial cytoplasm in single-stranded (ssDNA)
form, providing evidence for an endonuclease within, or
associated with, the membrane-bound translocation appa-
ratus that degrades one strand during DNA uptake. The
uptake of DNA by competent cells occurs at rates of up to
100 bp s
1
. Studies on the size of chromosomal DNA
substrates in bacteria have demonstrated that the initial
DNA fragment size is not correlated to uptake efficiency
but to integration efficiency. Longer DNA fragments
(5 kb or more) are more likely to yield detectable trans-
formants in in vitro assays than shorter fragments. In some
cases, part of the translocated DNA can be degraded in
the cytoplasm (e.g., approximately 500 bp at each end of
the linearized strand) prior to chromosomal integration.
Few details are available on the molecular interactions
of ssDNA once it enters the cytoplasm of studied bacterial
species. There is some evidence that single-strand bind-
ing proteins (SSBP) or other proteins bind to the DNA
fragment and provide protection from rapid nucleolytic
degradation. Although the majority of DNA molecules
that enter the bacterial cytoplasm will be degraded, some
of the ssDNA may subsequently pair with the bacterial
chromosome by homology-guided base-pairing at the
cognate locus in the recipient. The resulting duplex
molecule acts as a substrate for resolution by the RecA
protein. For heterogamic transformation (i.e., recombina-
tion between chromosomal DNA from divergent species),
the formation and stability of the heteroduplex molecule
formed by donor strand base-pairing is determined by the
degree of sequence similarity between the donor and
recipient DNA. If the incoming chromosomal DNA is
less than 30% divergent from the recipient genome, inte-
gration by homologous recombination may occur into the
host genome. Natural transformation with chromosomal
DNA in bacteria seems to depend strongly on DNA
sequence similarity. Lack of DNA similarity and, hence,
stable heteroduplex formation is, for example, the most
likely hindrance to interspecific recombination between
Bacillus spp., Streptococcus spp., and Acinetobacter spp.
The most common type of recombination in bacteria is
thought to occur when sequence similarity between the
donor and recipient DNA is uniformly present over the
entire heteroduplex region. In cases where the donor and
664 Horizontal Gene Transfer: Uptake of Extracellular DNA by Bacteria

recipient sequences are identical along their entire
lengths, recombination with the donor DNA strand will
not result in a detectable genetic or phenotypic change. In
cases where some minor sequence dissimilarity between
donor and recipient result exists, successful transforma-
tion events yield the acquisition of donor polymorphisms
in transformants (i.e., allelic replacement). This process is
called substitutive recombination, as the resulting DNA
sequence in a transformant originates by substitution of
the recipient sequence with (parts of) the donor sequence.
Such recombination events do not introduce major inser-
tions or deletions and typically do not disrupt the overall
coding sequence (CDS) and reading frame if a protein-
encoding gene is present in the recombined region.
A second type of recombination process occurring in
natural transformation is called additive integration. Such
a recombination process occurs when a defined DNA
sequence present only in the donor is flanked on both
sides by sequences common to both donor and recipient
bacteria. Heteroduplex formation occurring at flanking
regions with high DNA similarity results in recombina-
tion of those sequences, as well as integration of the
intervening foreign sequence, into the recipient chromo-
some. Additive integration may also occur in the presence
of only one-sided homology/DNA similarity between
donor and recipient. Such homology-facilitated illegiti-
mate recombination (HFIR) allows additive integration of
an incongruous DNA sequence via a recombinational
anchor of homologous/similar sequence at one end of
the invading DNA strand and a random microhomology
(3–12 nucleotides) at the other end. HFIR events often
result in nonspecific deletion of a recipient DNA
sequence located between the anchor and the down-
stream microhomology. HFIR has been demonstrated as
a mechanism of foreign DNA integration by natural
transformation in A. baylyi,S. pneumoniae, and Pseudomonas
stutzeri. Where DNA integration is additive, the activity
of the DNA maintenance machinery, combined with
mutations and selection of the host chromosome, may
over time result in the nucleotide composition of the
integrated fragment resembling that of the recipient.
Also, a gradual elimination of nonpositively selected
DNA may occur by processes not fully understood.
A third type of recombination, illegitimate recombina-
tion, could hypothetically occur also in the absence of
DNA sequence similarity (e.g., <70% DNA similarity)
between the donor and the recipient bacteria. However,
in contrast to many eukaryotic systems, illegitimate
recombination of nonmobile chromosomal DNA in
competent bacteria has been rarely reported. Random
insertion of foreign DNA in bacterial genomes most
often results in a reduction in the relative fitness of the
transformant. It can, therefore, be hypothesized that such
events are extremely rare in bacterial populations and the
forces modulating recombination frequencies in bacteria
are complex (Figure 1).
Natural transformation with DNA sequences encoding
their own mobility and stabilization functions (e.g., mobile
DNA such as plasmids) may occur independent of recom-
bination with the bacterial chromosome as these can
recircularize and replicate in the bacterial cytoplasm.
The stable uptake of plasmid DNA in competent bacteria
usually occurs at lower frequencies than the integration of
chromosomal DNA fragments due to reassembly con-
straints on the plasmid fragments in the cytoplasm.
The resulting recombinant locus in the transformant
bacterium may contain genetic alterations in existing non-
coding (e.g., regulatory) or protein-coding sequence, or
larger alterations such as changed gene composition, gene
order (synteny), and so on. The various combinations of
these factors may result in favorable, unfavorable, or near-
neutral fitness changes to the transformed bacterium that
will ultimately determine the impact and the survival of
the transformant in a dynamic bacterial population over
time.
Uptake of Extracellular DNA by Bacteria
Present in Various Environments
Extracellular DNA molecules are released into the envir-
onment from decomposing cells, disrupted cells, or viral
particles, or via excretion from living cells. Release of
intact DNA from decomposing cells depends on the
activity and location of intracellular nucleases and reac-
tive chemicals. DNA released from dead cells will be
Recombination rate
Cost of DNA
mismatch repair
Beneficial
recombinations
Deleterious
recombinational load
Cost of facilitating
recombination
Figure 1 Recombination frequencies may vary according to
the metabolic (fitness) costs and benefits for the transformant.
Recombination events can increase transformant fitness via rare
acquisition of novel beneficial traits. Recombination rates are
kept low by the high deleterious recombinational load associated
with accumulation of deleterious sequences and the costs
associated with production and maintenance of DNA
translocation/recombination machinery. Recombination rates
may be raised by the metabolic costs associated with frequent
removal of unsuccessful recombination intermediates by DNA
mismatch repair.
Horizontal Gene Transfer: Uptake of Extracellular DNA by Bacteria 665

usually associated with the constituents of the cell cyto-
plasm, membrane, and DNA-binding proteins.
The first indication of the capacity of bacteria to take up
extracellular DNA was published in 1928 by Griffith, when
avirulent nonencapsulated Streptococci in mice were
‘transformed’ into the virulent, capsulated form after expo-
sure to a capsulation ‘factor’ from heat-killed virulent
Streptococci. The experiments of Avery, MacLeod, and
McCarty in 1944 identified deoxyribonucleic acid (DNA)
as the transforming factor in Griffith’s experiments. Natural
transformation studies of B. subtilis and H. influenzae followed
during the 1960s. Researchers then expanded studies to
investigate interspecific genetic exchange in Streptococcus
spp., between H. influenzae and Haemophilus parainfluenzae,
and between different species of Bacillus. The ability to take
up extracellular DNA by natural transformation has since
been detected in a range of divergent subdivisions of bac-
teria, including representatives of the Gram-positive,
cyanobacteria, Thermus,Deinococcus, Green-sulfur bacteria,
and numerous Gram-negatives. Recent studies have
shown that some archaea and the single-celled eukaryote
Saccharomyces cerevisiae (Baker’s yeast) can develop
competence for natural transformation as well. The phylo-
genetically widespread ability to acquire genetic
information by natural transformation suggests that it may
be functionally important in the environment. The limited
number of transformable species identified may be
explained by an overall lack of competence in the test
populations, inability to obtain sufficient testable popula-
tion sizes and time scales in the laboratory, or inability to
recreate competence-inducing conditions as they occur
under natural conditions.
Uptake of DNA by Soil Bacteria
A number of divergent bacterial species present in soil,
including A. baylyi,B. subtilis,P. stutzeri,andThermoactinomyces
vulgaris are known to be naturally transformable. So far, all the
published studies with soil-derived bacteria have been con-
ducted in laboratory microcosms with sterile or nonsterile soil
samples. Often, the soils have been amended with clay
minerals or nutrients prior to or during the transformation
experiments. Natural transformation of bacteria in the
field remains to be shown, possibly due to the experimen-
tal challenges in both identifying and quantifying
low-frequency events occurring in bacterial communities
reaching 10
9
bacterial cells per gram of soil. Some of the
first transformation studies on soil reported that the com-
monly occurring Gram-positive bacterium B. subtilis takes
up chromosomal DNA when grown in autoclaved potting
soil. Many subsequent studies have investigated natural
transformation of B. subtilis and Bacillus amyloliquefaciens
cells in soil with chromosomal and plasmid DNA. Often,
the addition of clay minerals (1–10%, w/w) such as mon-
tmorillonite has been shown to increase DNA stability and
transformation frequencies. Natural transformation of P.
stutzeri cells has been shown in sterile soil slurry with
chromosomal DNA, and in a nonsterile soil microcosm
with plasmids, chromosomal DNA, and intact bacterial
cells. While most studies in soil microcosms have relied
on the addition of purified DNA, natural transformation of
the Gram-negative A. baylyi has also been shown after the
addition of isogenic cell lysates or lysates from Pseudomonas
fluorescens or Burkholderia cepacia.ThedetectionofDNA
uptake was based on recombinational repair of a partially
deleted neomycin phosphotransferase gene (nptII) in the
recipient with a functional nptII gene transferred from the
donor bacteria. While most studies of natural transformation
in soil have relied on the addition of competent cells to the
microcosms, some studies have also shown that competence
for natural transformation can develop in situ.
Several investigations have explored the possibility
that plant transgenes, such as antibiotic resistance mar-
kers, can be released from decaying genetically modified
plants and be exposed to competent soil- and plant-
associated bacteria. Short fragments of plant DNA have
been shown to remain stable for up to several years in
agricultural soil. Soil microcosms have been used to
investigate the possible transfer of the kanamycin and
hygromycin resistance genes (nptII, hpt)fromtissuehomo-
genates of transgenic tobacco (Nicotiana tabacum) plants
into indigenous soil bacteria. However, no bacterial
transformants could be recovered. This investigation
hypothesized that any integration of the plant marker
genes into the genome of exposed soil bacteria would take
place after illegitimate recombination. The only study that
has shown uptake of DNA fragments isolated from trans-
genic plants into a soil-residing bacterium utilized a
genetically engineered strain of A. baylyi with inserted
sequence similarity to the plant marker gene nptII. Using
this system, the uptake of the plant marker gene in the
bacterium was shown in a sterile soil microcosm at frequen-
cies of 1 10
7
transformants per plant-harbored copy of
the nptII gene. The amount of DNA added was several
orders of magnitude higher than the concentrations
expected to be released from plants under their natural
growth cycle. There is no evidence to date for stable
incorporation and inheritance of plant DNA in bacteria in
the absence of supplied DNA sequence similarity.
Soil is a spatially and structurally heterogeneous envir-
onment in which numerous microhabitats exist. The
current empirical knowledge of natural transformation in
soil has been exclusively collected in soil microcosms. Most
often, the studies have relied on external addition of high
concentrations of DNA, bacterial cells, nutrients, or clay
minerals to either sterile soil (all studies prior to 1997) or
nonsterile soil samples. Moreover, the transformation fre-
quencies recorded in soil represent so far a broad
distribution across a heterogeneous milieu. The detection
of rare natural transformation events under more realistic
666 Horizontal Gene Transfer: Uptake of Extracellular DNA by Bacteria

conditions depends on advances in methodology to allow
more sensitive identification and quantification in the loca-
tions in soil that are conducive to natural transformation.
Uptake of DNA by Plant-Associated Bacteria
Both transduction and conjugation have been shown to
occur on plant surfaces. However, few studies have exam-
ined horizontal gene transfer by natural transformation on
plant surfaces or plant tissues. A growing interest in
gene transfer mechanisms active in these environments
has been stimulated by the presence of engineered genes
(transgenes) in genetically modified plants. Candidates
for exposure to plant transgenes are bacteria that interact
closely with plant cells, for example, epiphytes, endo-
phytes, rhizosphere bacteria, and plant pathogens.
Several studies have examined the potential of DNA
uptake in plant-associated bacteria. Uptake of plant mar-
ker genes has been examined in the plant pathogen
Agrobacterium tumefaciens in tobacco crown-galls, in trans-
genic potato tubers infected with a pathogenic Erwinia
chrysanthemi strain, and Ralstonia solanacearum-infected
tomato plants. A range of studies has been performed
with the soil bacterium A. baylyi. So far, all attempts to
detect horizontal transfer of plant transgenes into naturally
occurring plant pathogenic bacteria have been unsuccess-
ful. The general 1000-fold larger size of a plant genome,
as compared with a bacterial genome, effectively dilutes
the concentration of the selectable gene examined for
transfer. Transgenes inserted into plant organelles may
have higher copy numbers and higher sequence similarity
to bacterial chromosomes than transgenes inserted into
the plant chromosomes. Some recent studies have shown
that bacteria can access plant DNA during colonization of
plants, or after mechanical disruption of plant tissues, if
regions of high DNA similarity exist between the plant
and bacterial DNA. Thus, the main mechanistic barrier to
the uptake and integration of plant transgenes in bacteria
seems to be the limited ability of plant transgenes to act as
a substrate for heteroduplex formation and homologous
recombination.
Uptake of DNA by Bacteria in Water
and Sediment
Marine environments can contain significant concentra-
tions of dissolved DNA. Several studies have examined
the ability of both introduced and native bacteria to take
up DNA by natural transformation in water and sediment
microcosms. The studies can be divided into those that
introduce defined bacterial inoculants (recipients) or pur-
ified selectable DNA (e.g., containing an antibiotic
resistance marker gene) into marine microcosm environ-
ments to detect DNA uptake events, and those that
expose selected members of the indigenous population
to DNA containing selectable markers in vitro. In studies
utilizing introduced bacterial recipients, natural transfor-
mation has been shown in the Vibrio spp. strain WJT-1C
(later reclassified as a pseudomonad) with plasmid DNA
in small-scale marine water and sediment microcosms
sampled from the Eastern Gulf of Mexico; in marine
sediments inoculated with the P. stutzeri and added chro-
mosomal DNA; in Acinetobacter calcoaceticus strain BD413
(recently renamed A. baylyi) with chromosomal DNA in
groundwater samples from a drinking water well, sterile
aquifer material, and in sterile groundwater microcosms;
and in B. subtilis with chromosomal and plasmid DNA
bound to mineral aquifer material.
Escherichia coli K-12 strains have been found to develop
competence and take up naked DNA (pUC18) in water
samples taken from calcareous regions. The high Ca
2þ
concentrations found in the mineral springs produced up
to 20 000 transformants of E. coli per 10
8
strain JM109
cells. In the first experiments to describe natural transfor-
mation in open systems, an introduced A. baylyi strain was
capable of being transformed to prototrophy by bacterial
cell lysates or live donor cells in different river systems.
The recipient A. baylyi bacteria and transforming DNA
were immobilized on filters secured to stones on the
riverbed. Transformation frequencies of 10
6
–10
3
were
reported.
In native bacterial populations, natural transformation
of marine bacterial populations has been recorded after
exposure to plasmid DNA or DNA in cell lysates of
rifampicin-resistant Vibrio strains. Three out of 30 marine
bacterial isolates were found to be competent for uptake
of the plasmid DNA in in vitro assays. These included
isolates of the genera Vibrio and Pseudomonas. Moreover,
15 out of 105 sensitive isolates obtained from Tampa Bay
(FL, USA) were found to acquire rifampicin resistance in
in vitro assays. In another set of experiments, plasmid
DNA exposure of 14 different whole bacterial commu-
nities sampled from a variety of marine environments,
such as sediment, surface, and deep water, and from
various organisms revealed that bacteria present in 5 out
of the 14 communities examined could take up DNA.
This study estimated that between 0.000 05 to 1 transfor-
mant occurred per liter of water per day, suggesting that
natural transformation may be an important mechanism
for plasmid transfer among marine bacterial communities.
In general, experimental studies suggest that DNA pre-
sent in freshwater, in marine water, and on sediment
surfaces is available for natural transformation of
competent bacteria of the genera Acinetobacter, Bacillus,
Pseudomonas, and Vibrio, albeit at variable frequencies
that depend on environmental conditions and the type
of DNA present. The introduction of defined recipient
bacteria into an environmental sample results in competi-
tion between the introduced recipient population
and indigenous communities for nutrients, habitats, and
Horizontal Gene Transfer: Uptake of Extracellular DNA by Bacteria 667

transforming DNA. This presents a challenge in design-
ing experiments that accurately reflect the environmental
conditions, species compositions, and concentrations
encountered by recipient bacterial strains when present
in natural habitats.
Uptake of DNA by Bacteria Present in the
Digestive System
The animal digestive system is hypothesized to be an
environmental hot spot for bacterial gene transfer due to
the high concentrations of nutrients, actively growing
bacteria, and surface. However, due to methodological
constraints and other undetermined factors, little infor-
mation is available on DNA uptake processes active in the
digestive system of animals. The potential for compe-
tence has been identified in few bacteria isolated from
this system. Most studies have focused on members of the
Gram-positive genus Streptococcus that are ubiquitous in
the oral cavity and rumen of many higher animals includ-
ing cattle and sheep. Several microcosms and in vitro
systems have been applied to detect DNA uptake in
Streptococcus spp.
Sampling the teeth of 70 human individuals, it was
found that at least 20 out of 129 isolates identified as
Streptococcus mutans, which forms biofilms in dental
plaques, could develop competence for acquisition of
chromosomally borne streptomycin resistance in vitro.In
a more recent study, high natural transformation frequen-
cies were reported, reaching up to three transformants per
100 exposed recipients, using S. mutans cells grown in
biofilms on polystyrene microtiter plates and saturating
concentrations of DNA. The transformation frequencies
of the surface-bound cells were 10- to 600-fold higher
than those observed for planktonic S. mutans cells. Natural
transformation was also observed when S. mutans cells
were exposed to biofilms of a heat-killed isogenic strain
harboring an erythromycin resistance gene. Natural
transformation of Streptococcus gordonii, also found in the
human oral cavity, has been reported by plasmid or chro-
mosomal DNA in saliva samples at frequencies up to
710
4
transformants per recipient cell. DNA released
from bacteria or food sources within the mouth can,
therefore, be potentially taken up by naturally transform-
able bacteria. The natural transformation of a ruminal
bacterium was first reported in 1999 with Streptococcus
bovis cells at a frequency of 1 10
5
transformants per
microgram plasmid in a liquid culture medium.
Currently, only a few bacterial species localized to the
digestive system of higher animals have been found to
express competence in vitro and none have been found
in situ. Few studies have examined or reported the poten-
tial development of competence by bacteria colonizing
invertebrates. The scarcity of available data may be due to
insufficient incentive and methods to investigate limited
bacterial transformability in such habitats. Although sev-
eral members of the genus Streptococcus have been found to
develop competence in situ, and other bacteria inhabiting
the animal digestive tracts like Helicobacter pylori and
Campylobacter spp. can develop competence in vitro,
the biological significance of horizontal acquisition of
extracellular DNA in the digestive system remains
unclear.
Uptake of DNA by Bacteria Present in Food
Food provides an excellent growth substrate for many
types of microorganisms. Some evidence exists for the
uptake of extracellular DNA by bacteria residing in
food. Natural transformation of B. subtilis, a common con-
taminant in milk, ranges from 10
4
to 10
3
transformants
per recipient, with the highest frequency of 3 10
3
obtained in chocolate milk after an incubation time of
12 h at 37 C. Plasmid transfer by natural transformation
of E. coli in various foods, including milk, soy drink,
tomato juice, carrot juice, vegetable juice, supernatants
of canned cabbage, soy beans, shrimps, and various mix-
tures of canned vegetables, has also been shown to occur.
Natural transformation occurred in all growth substrates,
although at variable frequencies. Typically, fewer than
10
8
transformants per recipient cell were observed, a
frequency three or four orders of magnitude lower than
those of transformation experiments conducted under
optimized laboratory conditions. No correlation was
found between the content of divalent ions such as
Ca
2þ
, which are considered prerequisites for artificial
transformation of E. coli, in the foods and transformation
frequencies. The above studies exemplify that food
sources may provide the conditions required for natural
transformation to occur and that the bacterial contaminants
of food can experience competence-inducing growth
conditions.
Some Limitations of the DNA Uptake
Model Systems Used
The data generated from transformation assays used to
determine the availability and uptake of DNA in bac-
terial recipients are linked to the specific laboratory
conditions employed. The informative value of such
data on the DNA uptake processes occurring under
natural conditions must be assessed case by case. Some
technical constraints often embedded in the studies
include the practice of adding bacterial recipients of a
single strain, and often also DNA and nutrients, to a
laboratory-maintained microcosm under semiartificial
conditions. With few exceptions, studies of DNA uptake
by natural transformation have been conducted in vitro,
or in microcosms intended to represent soil, plants, or
668 Horizontal Gene Transfer: Uptake of Extracellular DNA by Bacteria

the gastrointestinal tract. The ability to establish repre-
sentative bacterial habitat locations and population sizes
after introducing externally cultured bacterial recipi-
ents into structurally organized microcosm models
containing heterogeneously distributed indigenous
bacteria is questionable. Few, if any, studies have exam-
ined DNA uptake processes in indigenous microbial
communities with the DNA naturally present and spon-
taneously released on site. Moreover, the concerted
action of DNA uptake and selection in determining the
genetic compositions of bacterial populations undergoing
adaptation to environmental changes is rarely studied in
combination.
Several explanations for the dearth of such studies can
be found. Most importantly, the range of gene transfer
frequencies that can be practically measured in the
laboratory is around 1 transformants per 10
8
–10
9
exposed
cells. The lower relative cell densities of a given species
that are usually present in natural bacterial communities
effectively limit the gene transfer frequencies that can
be measured. Another limitation is that only a fraction
of the indigenous bacteria from any given environment
can be cultivated for subsequent selection, making
DNA uptake difficult to verify in uncultivable bacteria.
Moreover, the use of selectable marker genes as a tool for
DNA uptake identification is sometimes problematic due
to frequently encountered background resistance to most
antibiotics and a limited ability of rare transformants to
adequately express the marker gene. Only a minor por-
tion of bacteria from any given complex environment is,
therefore, susceptible to positive selection by antibiotics
and will take part in any screen for competence develop-
ment. Because most detection methods of DNA transfer
in bacteria are based on the uptake of resistance genes, the
enumeration procedures usually performed on selective
media disturb the sites and conditions that induced the
gene transfer. Methods are now being developed for the in
situ detection of discrete bacterial cells that allow poten-
tial DNA uptake events to be identified and quantified in
situ. For instance, fluorescent protein (e.g., green fluores-
cent protein) markers have been used to monitor
horizontal acquisition of single genes in situ.
Most studies on natural transformation have been per-
formed with monocultures with high population densities
of the bacterium grown under laboratory conditions.
Transforming bacterial species may, however, have spe-
cific requirements for competence development and
resource utilization in complex environments. Hence,
conditions conducive for gene transfer by natural trans-
formation vary and the conditions established in the
laboratory may not be those promoting competence
development under natural conditions. It, therefore,
follows that species currently thought to be nontrans-
formable may show competence under yet unmonitored
conditions.
Factors Affecting the Stable Uptake
of DNA in Single Bacterial Cells
Molecular barriers define the sexual isolation or the degree
to which two bacteria are prevented from exchanging
genetic material by recombination. Sexual isolation may
be expressed in terms of observed recombination frequen-
cies between two bacteria, or more specifically as the ratio
of homogamic recombination within species to heteroga-
mic recombination between species. Molecular barriers act
upon chromosomal DNA uptake from its first interaction
with the outside of the cell through its integration in a
heritable state.
Studies of natural transformation with various degrees
of divergent DNA (Table 1) show that low DNA
sequence similarity is a strong barrier to the integration
of chromosomal DNA in bacteria. Indeed, studies have
consistently demonstrated an absolute requirement for
sequence similarity for detectable transformation of bac-
teria with chromosomal DNA. For some bacteria, the
minimum length of 100% DNA similarity necessary to
facilitate efficient resolution of heteroduplex molecules
has been experimentally determined and is referred to as
the minimum efficient processing segment (MEPS). The
minimum amount of base-pairing required for a single
Table 1 Some examples of interspecies/heterogamic
recombination in bacteria
Transformation-mediated
recombination in chromosomally
localized loci
Sequence divergence
of recombining DNA
molecules (%)
Bacillus licheniformis and
B. mojavensis
17
Streptococcus intermedius and
S. pneumoniae
18
Acinetobacter sp. strain 01B0 and
Acinetobacter sp. strain ADP1
20
Rhodococcus erythropolis and
Acinetobacter sp.
24
Other recombination systems in
nonchromosomally localized loci
In vitro recombination between M13
and fd phage
3
Conjugal gene transfer between
Escherichia coli and Salmonella
typhimurium
17
S. pneumoniae and various cloned
Streptococcal fragments located
on plasmids
18
E. coli and S. typhimurium genes
located on compatible multicopy
plasmids
25
phage – plasmid cointegration in
E. coli
35
a
a
263/405 bp.
Horizontal Gene Transfer: Uptake of Extracellular DNA by Bacteria 669

region to initate heteroduplex formation with linear DNA
substrates is 153 bp in S. pneumoniae and 183 bp in A. baylyi.
Fewer details are available for the exact minimum
requirements for double-sided DNA similarity for het-
eroduplex formation to occur. Such quantification is also
not straightforward as it is likely to depend on the species
and strain, and the specific nucleotide composition
(GC%, etc.) of the recombining regions. For circular
DNA intermediates (present in double-stranded form in
the cytoplasm), DNA similarities of as little as 25 bp can
mediate a single-crossover event and integration into the
bacterial chromosome.
Base pairing of the single-stranded donor DNA with
the complementary recipient strand within the heterodu-
plex molecule results in the formation of a double-
stranded region that is recognized and acted upon both
by host restriction modification (RM). With the exception
of H. influenzae, transforming DNA becomes single-
stranded during the translocation process, which should
theoretically render it insensitive to immediate digestion
by restriction enzymes. Nevertheless, studies indicate that
restriction systems reduce heterogamic transformation
sixfold in B. subtilis and 100-fold in P. stutzeri.
The methyl-directed mismatch repair (MMR) systems
of bacteria contribute to sexual isolation by binding to
mismatches in heteroduplex regions formed during
DNA-strand invasion, resulting in abortion of heterospe-
cific recombination events. While the contribution of
MMR to sexual isolation in some bacteria (e.g., E. coli)is
large, it appears to be less important in naturally trans-
formable bacteria such as B. subtilis,S. pneumoniae,
P. stutzeri, and A. baylyi. In bacteria, defective MMR can
lead to increased rates of heterogamic recombination in
addition to increased rates of mutation, as cells are unable
to identify/repair mismatches in heteroduplex DNA
formed during heterologous strand invasion. For instance,
inactivation of the mutS gene, encoding the protein that
recognizes and binds to mismatches, results in less than
20-fold increase in heterogamic transformation and
recombination with DNA substrates of 20% sequence
divergence in A. baylyi, threefold in B. subtilis (at 14.5%
sequence divergence), and sixfold in P. stutzeri (at 14.6%
sequence divergence). These results are in contrast to
plasmid–phage recombination systems in E. coli or
Salmonella enterica subspecies Typhimurium, where mutS
deletions increase heterogamic recombination rates by
1000- to 10 000-fold. Reasons for this dichotomy in
MMR inhibition of heterogamic recombination are
unknown, but it may be due to the molecular machinery
of the individual bacterium or due to the nature of DNA
interacting with the recipient chromosome (single-
stranded in B. subtilis,P. stutzeri, and A. baylyi vs. double-
stranded during phage or plasmid integration in E. coli
and S. enterica).
Considerations of the Long-Term
Persistence of Horizontally Acquired DNA
in Bacterial Populations
The observed frequencies of DNA uptake, and preva-
lence and diversity of transformants in a bacterial
population are determined by (1) the molecular barriers
to natural transformation (see above); (2) the limited
access to relevant DNA as determined by the nucleotide
diversity present and accessible (physical and geographic
isolation); and (3) the reduced fitness of bacterial trans-
formants, after uptake of most random DNA fragments,
that leads to their removal from the bacterial population
by purifying selection.
Experimental transformation studies have most often
focused on quantifying the frequencies at which particu-
lar gene segments may be taken up by bacteria at one or a
few chromosomal loci. The DNA uptake rates quantified
are often described in the scientific literature as ‘low’ to
‘high’. It is important to note that such grading only
reflects the range of frequencies that can be practically
measured in limited sample sizes in the laboratory.
The grading is not, as often erroneously implied, linked
to the subsequent biological impact of the acquired DNA
in the bacterial population. It may be that frequencies
below those that can be observed in a 24–48-h DNA
uptake experiment in the laboratory are significant in
the long run. Most successful horizontal gene transfer
(HGT) events identified through comparative DNA ana-
lysis of bacterial genomes are estimated to have occurred
over a timescale of millions of years. Therefore, experi-
mentally measured DNA uptake frequencies collected
over minute timescales in the laboratory may not neces-
sarily provide relevant information to understand the
occurrence and biological impact of infrequent DNA
uptake events taking place in larger bacterial populations
over several years.
In addition to considerations of the relevant timescale
of DNA uptake events, the timescale of transformant
population expansion may also be considerably longer
than what can be practically measured in the laboratory.
The long-term fate of any DNA uptake event/transfor-
mant is determined by selection and genetic drift and not
the DNA uptake frequencies themselves. This is because
it is the population trajectories of the descendants of the
primary transformants that will determine the long-term
survival and impact of the transformant. For instance,
single DNA uptake events may take place within the
time span of a few bacterial generations. Nevertheless, it
may subsequently take many thousands of generations
and, hence, many years before the trait will become wide-
spread in the overall bacterial population after clonal
division and directional selection of the transformant.
The latter process can only be approximated through
670 Horizontal Gene Transfer: Uptake of Extracellular DNA by Bacteria

modeling (e.g., probabilistic or deterministic) of bacterial
populations, if the strength of the selection of the trans-
formant is known. The timescale needed to understand
DNA uptake processes as they occur naturally depends
on the objective of the study, the anticipated directional
selection of the transformant bacteria, and their popula-
tion structure, size, and generation time.
Predictors of DNA Uptake in Bacteria
and Implications for the Release of
Genetically Modified Microbes
Genomic information and laboratory evidence support both
the occurrence of genetic recombination between bacteria of
variable genetic relatedness and the existence of mechanistic
and selective barriers that maintain divergence between
bacterial lineages. A challenge in microbiology is to recon-
cile these two observations to assess the recombinogenic
potential and impact thereof between different bacterial
entities. The ability to accurately predict the potential for
two separately evolving bacterial lineages to undergo
genetic exchange remains, however, in its ‘adolescence’.
This is illustrated by our inability to predict the impact of
future HGT events on bacterial genome evolution, although
data on DNA uptake frequencies can be extracted from
many experimental model systems. Knowledge of the factors
governing horizontal transfer and selection of transformed
bacteria is, nevertheless, crucial to the evaluation of the
potential for unintended spread of recombinant DNA from
genetically modified microbes (GMM). GMM can offer
benefits in, for example, improving food production and
utilization and in disease prevention. A potential hazard
arising from the indiscriminate use of GMM is adverse
alteration of indigenous bacterial populations after horizon-
tal transfer of recombinant DNA (recDNA). For instance,
the potential of unintended transfer of antibiotic resistance
determinants, used as selective markers in the construction
of GMMs, to other members of the microbial community
has been extensively evaluated.
Most countries and many international organizations
have developed legislation and recommendations on the
types of assessments necessary prior to the commercial
use of GMMs. For instance, the Codex Alimentarius
Commission of the United Nations have developed prin-
ciples for risk analysis and guidelines for safety
assessments of foods derived from modern biotechnology,
including recDNA microorganisms. In most assessments
of genetically modified organisms (GMO), the starting
point is the familiarity and the history of safe use/beha-
vior/consumption of the parent organism. The concept of
‘substantial equivalence’ is used to structure the assess-
ment relative to the conventional counterpart and to
focus the assessment on the determination of similarities
and differences. Thus, risk assessment is based on the
introduced biological changes in the modified organism
and does not usually address the biological safety of the
parent microorganism itself. In the context of unintended
horizontal transfer of recDNA, some general safety
recommendations for the construction of GMMs have
been made.
1. The genetic modification performed should be limited
to the intended trait, and the final GMM or product
thereof should not contain unnecessary DNA sequences,
for example, antibiotic marker genes, DNA sequences
that confer or stimulate genetic mobility of the recDNA,
or DNA sequences that can confer or affect pathogenic
properties.
2. A chromosomal location of the recDNA is desired
because extrachromosomal elements such as plasmids
are often self-transferable or mobilizable between cells
and species. Plasmids also harbor replication functions
that ensure their stability in an extracellular state over
bacterial generation.
3. The use of recDNA (genes) that mediate a selective
advantage to unintended bacterial recipients should be
avoided to prevent dissemination of recDNA in bac-
terial communities.
The general recommendations made above are precaution-
based and seek to minimize both the likelihood of uptake
of recDNA in bacterial populations, and the potential
positive selection of unintended bacterial transformants
carrying recDNA, if rare DNA uptake events occurred.
To reduce the likelihood of occurrence of unintended
horizontal gene transfer, the recDNA may be inserted
into the chromosome in the absence of sequences confer-
ring mobility. Empirical and theoretical data provide a
basis for the identification of parameters of importance for
limiting the transfer potential of chromosomal DNA
between bacteria. Nucleotide differences in DNA sequence
between bacterial strains and species are probably the most
important barrier to recombination of chromosomal DNA
in bacteria. The lack of DNA sequence similarity between
the donor and the recipient DNA preclude the ability of
the transforming (rec)DNA fragment to form a hetero-
duplex with the recipient chromosome. In general,
experimental studies in transformable bacteria have
shown that DNA substrates with more than approxi-
mately 30% sequence divergence will not be
successfully integrated in the recipient genome.
Knowledge of the sequence divergence between species
can be a useful predictor of their overall recombination
potential. Different approaches are available to estimate
the overall DNA sequence similarity between bacteria,
including DNA–DNA hybridization, whole genome
comparisons, or comparisons of housekeeping genes,
including 16S rRNA. While predictors of overall genomic
sequence relatedness can be useful to understand the
potential for chromosomal recombination between
Horizontal Gene Transfer: Uptake of Extracellular DNA by Bacteria 671

species, knowledge of local sequence divergence and con-
servation in the area spanning the recDNA will more
accurately reflect its recombination potential into unin-
tended recipients.
The technical approaches to limit the potential of unin-
tended recDNA transfer from GMM are required because a
precise understanding of bacterial fitness of unintended
recipients of recDNA is lacking. As discussed above, it is
not the transfer frequencies of chromosomal DNA that will
cause a biological impact, but directional positive selection
of transformants carrying recDNA. Integrated DNA frag-
ments (including recDNA constructs) are likely to cause
phenotypic changes that negatively affect the transformant
fitness relative to the larger bacterial population and com-
munities. Transformants carrying recDNA that are not
competitive in growth and cell division will not remain in
the larger bacterial population for long. Identifying condi-
tions that may promote positive selection of transformants
is, therefore, essential to understand the fate of recDNA in
any bacterial population. The use of recDNA (genes) that is
likely to mediate a selective advantage to unintended bac-
terial recipients should be avoided to prevent unchecked
dissemination of recDNA in bacterial communities.
Unfortunately, available methodology does not readily
facilitate the collection of empirical data on the selection
coefficients of GMMs and unintended bacterial recipients
of recDNA in agricultural settings or the gastrointestinal
tract. Expert evaluation and inference from a history of safe
use and expected behavior (of both the recDNA donor[s]
and the recDNA recipient bacterium), therefore, remain an
essential component in the case-by-case assessment of
GMMs.
Further Reading
Bushman F (2002) Lateral Gene Transfer. Cold Spring Harbor, New
York: CSHL Press.
Codex Alimentarius Commission (2004) Foods Derived from
Biotechnology. Rome, Italy: Joint FAO/WHO Food Standards
programme FAO.
Cohan FM (2004) Concepts of bacterial biodiversity for the age of
genomics. In: Fraser CM, Read T, and Nelson KE (eds.) Microbial
Genomes, pp. 175–194. Totowa, NJ: Humana Press, Inc.
De Vries J and Wackernagel W (2002) Integration of foreign DNA during
natural transformation of Acinetobacter sp. by homology-facilitated
illegitimate recombination. Proceedings of the National
Academy of Science of the United States of America
99: 2094–2099.
Dubnau D (1999) DNA uptake in bacteria. Annual Review of
Microbiology 53: 217–244.
Feil EJ, Holmes EC, Bessen DE, et al. (2001) Recombination within
natural populations of pathogenic bacteria: Short-term empirical
estimates and long-term phylogenetic consequences. Proceedings
of the National Academy of Science of the United States of America
98: 182–187.
Lawrence JG and Hendrickson H (2003) Lateral gene transfer: When will
adolescence end? Molecular Microbiology 50: 739–749.
Lorenz MG and Wackernagel W (1994) Bacterial gene transfer by
natural genetic transformation in the environment. Microbiological
Reviews 58: 563–602.
Majewski J (2001) Sexual isolation in bacteria. FEMS Microbiology
Letters 199: 161–169.
Mullaney P (ed.) (2005) The Dynamic Bacterial Genome. Cambridge,
MA: Cambridge University Press.
Nielsen KM and Townsend JP (2004) Monitoring and modeling
horizontal gene transfer. Nature Biotechnology 22: 1110–1114.
Pettersen AK, Bøhn T, Primicerio R, Shorten PR, Soboleva TK, and
Nielsen KM (2005) Modeling suggests frequency estimates are not
informative for predicting the long-term effect of horizontal
gene transfer in bacteria. Environmental Biosafety Research
4: 223–233.
Ray J and Nielsen K (2005) Experimental methods for assaying natural
transformation and inferring horizontal gene transfer. In: Zimmer E and
Roalson E (eds.) Molecular Evolution: Producing the
Biochemical Data, Part B, pp. 491–520. San Diego, CA: Elsevier
Academic Press.
Syvanen M and Kado CI (eds.) (2002) Horizontal Gene Transfer,
2nd edn. San Diego, CA: Academic Press.
Thomas CM and Nielsen KM (2005) Mechanisms of, and barriers to,
horizontal gene transfer between bacteria. Nature Reviews
Microbiology 3: 711–721.
Zawadzki P, Roberts MS, and Cohan FM (1995) The log-linear
relationship between sexual isolation and sequence
divergence in Bacillus transformation is robust. Genetics
140: 917–932.
672 Horizontal Gene Transfer: Uptake of Extracellular DNA by Bacteria

Influenza
A Garcı´a-Sastre, Mount Sinai School of Medicine, New York, NY, USA
ª2009 Elsevier Inc. All rights reserved.
Defining Statement
Introduction
Human Influenza
Avian Influenza
Influenza in Nonhuman Mammalian Species
Treatment and Prevention
Further Reading
Glossary
aerosol Very fine particles of liquid or solid in
suspension.
droplet Tiny drops that sediment quickly.
epidemic Outbreak of a disease affecting many
persons at the same time in a locality.
fomite Inanimate object capable to transmit an
infectious agent from one person to another.
pandemic An epidemic of global proportions.
Abbreviations
CNS central nervous system
HA hemagglutinin
NA neuraminidase
NEP nuclear export protein
NP nucleoprotein
RNP ribonucleoprotein
Defining Statement
This article summarizes the disease and pathogenesis of
influenza virus infections, an important respiratory patho-
gen that causes yearly epidemics and pandemics every
10–50 years in humans. Animal influenza viruses and their
contribution to the generation of pandemic strains of
influenza viruses are also discussed.
Introduction
Influenza has been recognized as a human respiratory
disease for more than 2000 years, and its symptoms were
described by Hippocrates, in the fifth century BC.
However, the causative agent of the disease, the influenza
virus, was first isolated in swine by Shope in 1930 and
shortly after in humans by Smith, Andrewes, and Laidlaw
in 1933. Influenza viruses not only affect humans, but they
are also known to infect different bird species, pigs, horses,
seals, whales, dogs, cats, and other small and large carni-
vore mammals. Today we know that there are three
antigenically distinct types of influenza viruses circulating
in humans: influenza A, B, and C viruses. Influenza C
viruses are believed to cause mainly asymptomatic or
mild respiratory infections in humans. Influenza A and B
viruses are responsible for the annual epidemics of
influenza in humans, with one type being prevalent at a
particular year. Often, the prevalent type is an influenza A
virus, but approximately every 4–5 years, influenza B
viruses become the predominant circulating influenza
virus in humans. A hallmark of influenza viruses is their
ability to cause global worldwide epidemics affecting a
great number of individuals, or pandemics. Pandemic epi-
sodes are solely attributed to influenza A viruses and they
occur every 10–60 years. The 1918 influenza pandemic is
considered to be the most devastating infectious disease
affecting humans in a short period of time. Human pan-
demics are characterized by the generation of a new strain
of human influenza A virus containing antigenic determi-
nants from avian influenza A viruses, for which there is
little or no preexisting immunity in humans. In this article
we will discuss epidemic human influenza and animal
influenza, the origin of pandemic influenza, the determi-
nants of influenza virus virulence and pathogenesis, and the
measures for the prevention and treatment of influenza.
Human Influenza
Causative Agent
Human influenza is caused by influenza A and B viruses.
Although there is no antibody cross-reactivity between
673

the proteins encoded by these two types of influenza
viruses, their replication cycle is very similar. Both are
negative-strand RNA virus belonging to the orthomyxo-
virus group whose genome is composed of eight RNA
segments, each segment encoding one or two viral pro-
teins. The virions are enveloped, with two types of viral
glycoproteins (spikes) inserted in the envelope: the
hemagglutinin (HA) and neuraminidase (NA). The HA
recognizes the viral receptor, sialic acid-containing mole-
cules, and therefore is responsible for the attachment of
the virus to cells. This results in the internalization of the
virus into an endosome, where acidification of the pH
causes a conformational change of the HA that triggers
fusion of viral envelope with the membrane of the endo-
some, resulting in the injection of the viral genome into
the cytoplasm. The viral genomic RNAs are encapsidated
by the viral nucleoprotein (NP), in the form of ribonu-
cleoprotein (RNP). The viral RNPs have also bound the
viral RNA-dependent RNA polymerase, a complex of
three protein subunits, PB2, PB1, and PA. The RNPs
are surrounded by a layer of viral matrix protein (M1),
but this layer becomes dissociated (uncoating) from the
RNPs by its previous exposure to acidic pH just prior to
the fusion event. This exposure is mediated by a small
viral ion channel or M2 protein (BM2 in the case of
influenza B virus) that like the HA and NA is anchored
into the viral envelope. The M2 protein transports pro-
tons from the acidified endosome to the interior of the
virion, resulting in dissociation of the M1 from the viral
RNPs. Uncoated RNPs are transported to the nucleus
where replication and transcription takes place through
the activity of the viral RNA polymerase, which synthe-
sizes a replicative positive-strand intermediate as well as
mRNAs. Among the newly synthesized viral proteins, the
viral nuclear export protein, or NEP, is responsible for the
exit of the newly synthesized viral RNPs from the nucleus
back to the cytoplasm, and budding at the plasma mem-
brane results in the formation of new enveloped virions
that spread to new cells. The NA is required for efficient
spreading by removing sialic acids present in newly
synthesized virions, which otherwise will be bound by
HAs from adjacent virions, resulting in viral clumping.
Both influenza A and B virus synthesize a viral nonstruc-
tural protein or NS1 in infected cells that subverts the
cellular antiviral response. In addition, most of the strains
of influenza A virus encode a short nonstructural viral
polypeptide, PB1-F2, that localizes to the mitochondria
and modulates the apoptotic cellular pathways.
Disease
Influenza virus in humans is transmitted through the
respiratory route. Most cases of influenza virus infections
will result in the development of classical respiratory
disease symptoms, starting around 2 days after infection,
such as chills, malaise, fatigue, headache, cough, nasal
congestion, and sneezing. In many instances, infected
individuals are confined to bed for several days, with
fever and aches throughout their bodies. Sometimes,
these symptoms are accompanied by nausea and vomit-
ing, especially in children. In most of the cases, symptoms
subside after 5 days, but severe infections and pneumonia
can also occur, specially in the very young, the elderly,
and in people with chronic medical conditions, such as
asthma, diabetes, or heart disease. Despite available vac-
cines and antivirals, it is estimated that approximately
50 million people become infected yearly with influenza,
with more than 200 000 hospitalizations and about 36 000
deaths just in the United States.
Infection by influenza virus results in pathological
changes in the respiratory tract, with severity of the disease
mostly being attributed to infection of the lower respiratory
tract. These changes are characterized by inflammation
of the larynx, trachea, and bronchi due to infiltration of
neutrophils and mononuclear cells, accompanied by des-
quamation of ciliated epithelial cells lining the trachea and
bronchi. Cases of primary viral pneumonia are character-
ized by bronchiolitis, interstitial pneumonitis, and alveolitis,
in some instances of a necrotizing nature, with viral antigen
being detected in type 1 and 2 pneumocytes and in alveolar
macrophages. These pathological changes result in high
fever, cyanosis, and hypoxemia and in the most severe
cases lead to death.
Combined viral–bacterial pneumonia and secondary
bacterial pneumonia are also associated with severe dis-
ease. Influenza virus infection appears to predispose the
lower respiratory tract to colonization by pathogenic bac-
teria, most likely by exposing receptors for bacterial
attachment. Most of the bacterial complications are caused
by Streptococcus pneumoniae,Staphylococcus aureus, and
Hemophilus influenzae. The fatality rate jumps in these
cases to 10%, reaching almost 50% in the case of coin-
fections with S. aureus. Otitis media, sinusitis, croup,
pneumonia, and myositis are frequent complications of
influenza virus infection in children. Pregnant women
have a predisposition to severe influenza virus infection
during the second and third trimester of pregnancy, but
viruses do not appear to infect the fetus.
Influenza virus infections in humans are usually
confined to the respiratory tract, and most of the extra-
pulmonary manifestations of influenza in cases of severe
disease are believed to be a consequence of respiratory
failure. In rare occasions, viruses can be detected at low
titers in blood. Viral encephalitis has been described in
some instances, especially among influenza virus-infected
children in Japan, but most of the central nervous system
(CNS) symptoms sometimes seen during influenza virus
infections are attributed to metabolic effects from hypoxia
and severe pulmonary infections, and not to direct infec-
tion of the CNS. Reye syndrome is a poorly understood
674 Influenza

noninflammatory encephalopathy with high fatality rate
associated with the use of aspirin during influenza B virus
infections in children.
Seasonal Epidemic Influenza
Yearly epidemics of influenza occur during the winter
season, except for tropical and subtropical countries,
where influenza virus is isolated sporadically from humans
all year long. The reasons for the seasonality of influenza
are poorly understood, and may include a combination of
different factors, including virus stability in aerosols at
colder temperatures, more close contact among people in
winter than in summer, and possibly lower levels of host
defenses during the winter time. Recently, by using a
guinea pig model of airborne transmission of influenza
virus, it was shown that lower temperatures and humidity
facilitates influenza virus transmission.
Currently, there are three antigenically distinct influenza
viruses circulating in humans, influenza B virus and influ-
enza A virus of the H1N1 and H3N2 subtypes (Figure 1).
The HA, and to some lower extent the NA, is the main
target of neutralizing antibodies elicited after influenza virus
infection. Different subtypes of influenza A viruses have
been described, characterized by HA and NA proteins
belonging to specific antigenic groups. A total of 16 subtypes
for the HA, H1 to H16, and a total of 9 subtypes for the NA,
N1 to N9, have been described. Neutralizing antibodies
against one HA or NA subtype do not cross-react with
another subtype. The prevalence of influenza B and influ-
enzaAH1N1andH3N2virusinfectionsvariesfromyearto
year, with A/H3N2 viruses in general being more prevalent
and also more virulent, followed by B and by A/H1N1
viruses, but this pattern changes in some years. Infection
with one of the three types/subtypes of influenza virus does
not result in protective immunity against the other types/
subtypes, but it has been shown to confer long-lasting pro-
tection against the particular infecting strain. In fact,
neutralizing antibodies against the H1N1 strain infecting
humans in 1918 are still detected almost 100 years later
in individuals that were exposed in 1918 to this virus.
Nevertheless, influenza A/H1N1, A/H3N2, and B viruses
are able to reinfect the same person previously exposed to
these viruses. This is possible due to the accumulation of
changes from year to year in the antigenic sites of the HA
of these viruses that are responsible for partial evasion of
preexisting immunity against older strains. This process has
been named antigenic drift, and as a result, the circulating
influenza virus strains in humans at any given year are
antigenically different from those circulating in the previous
years. Due to the antigenic drift, the annual influenza virus
vaccine, composed of three components (B, A/H3N2, and
A/H1N1), requires updation from year to year to mirror the
antigenicity of the currently circulating virus strains.
Pandemic Influenza
Most of the concerns with human influenza virus infec-
tions relate to the ability of this virus to cause human
pandemics, some of which have been known to be of
devastating consequences, such as the 1918 pandemic.
There have been three well-documented influenza pan-
demic episodes during the last 100 years, in 1918, 1957,
and 1968 (Figure 1). The influenza A viruses causing
these pandemics belonged to subtypes H1N1 (1918),
H2N2 (1957), and H3N2 (1968). During these pandemic
episodes, a new virus subtype started to circulate in
humans, and therefore, preexisting immunity against the
previously circulating subtype, which antigenically is
very different, was of little help to prevent and mitigate
infections with the new subtype. With the introduction of
a new subtype in humans (or antigenic shift), the previous
subtype disappeared from circulation in humans.
Pandemic episodes have been characterized by higher
number of human infections as well as higher disease
severity. In 1977, human H1N1 influenza viruses resumed
circulation in humans, and since then they coexist in
humans with H3N2 viruses.
While antigenic drift is due at the molecular level by
the accumulation and selection of mutations in the anti-
genic sites of the HA of previously circulating strains,
antigenic shift is caused by reassortment. Influenza virus
strains from all known 16 HA and 9 NA subtypes are
circulating in avian species. While virus strains infecting
avian species are not well adapted to infect and transmit
in humans (and vice versa), avian and human influenza
virus strains coinfecting the same host can readily
exchange RNA segments (reassortment) due to the seg-
mented nature of the viral genome. In 1957 a reassortant
influenza virus containing the HA, NA, and PB1 genes
derived from an avian H2N2 virus, and the rest of the
RNA segments from the previously circulating human
H1N1 virus, was generated and was able to infect and
transmit in humans, initiating the 1957 H2N2 pandemic.
1940 1950 1960 1970 1980 20001990
H1N1
H2N2
H1N1
H3N2
Influenza A virus
Influenza B virus
1957
1968
19771918
19301920
Figure 1 Epidemiology of human influenza virus since the last
century.
Influenza 675

A similar process occurred in 1968 with a reassortant virus
containing the HA and PB1 genes from an avian H3 virus
and the rest of the RNA segments from previously circulat-
ing human H2N2 viruses, resulting in the 1968 H3N2
pandemic. Pigs are believed to have been the intermediate
host where these reassortant pandemic viruses were origi-
nated, because they are known to be susceptible to infection
with both avian and human influenza virus strains. However,
other animal host species may also contribute to reassort-
ment and adaptation processes of influenza viruses, resulting
in strains with human pandemic potential.
Very little was known about the 1918 H1N1 human
influenza virus pandemic due to the lack of virus isolation
procedures during the year of the pandemic. This was
changed when the genetic material of the virus was
sequenced from lung tissue still available from humans
who succumbed to this virus. Not only is the genetic
information of this pandemic virus now available, but the
use of reverse genetics techniques that allow the rescue of
infectious influenza viruses from plasmid DNA has also
resulted in the reconstruction of the 1918 virus in the
laboratory. The characterization of this virus is offering
new clues on the determinants responsible for the severe
influenza disease experienced by humans in 1918–19,
which resulted in approximately 40 million deaths world-
wide during the three waves of this pandemic (see below).
The origin of this pandemic virus is still unclear, although
based on sequence similarities of the 1918 virus with avian
influenza viruses, it has been proposed that the virus
jumped through an adaptation process in an unknown
host from birds to humans in the absence of reassortment
processes. However, the lack of sequence information on
human influenza virus strains prior to 1918 precludes our
ability to firmly conclude whether this was the case.
Molecular Pathogenesis
As with any infectious disease, severe disease caused by
influenza virus depends on the genetic composition of the
virus, the genetic composition of the host, and the parti-
cular immune status of the host at the time of infection.
As already discussed, young infants and the elderly are at
high risk of severe influenza virus infection, most
likely due at least in part to a weak immune system.
Nevertheless, it is also possible that an exacerbated
immune response might also be responsible for severe
cases of influenza virus infection, and, in fact, higher
levels of cytokines and immune cell infiltration in lungs
is associated with severe influenza virus infection in
humans and in animal models. The reconstruction and
characterization of the 1918 virus has allowed studies on
the reasons responsible for the high virulence of this virus,
which not only was responsible for the death of large
amounts of people, but which, in contrast with other
human influenza viruses, was also particularly more
virulent in adult healthy individuals between 15 and 35
years of age. Despite the lack of sequence signatures in its
genes known to be associated with high pathogenicity for
avian influenza viruses, the 1918 human influenza virus
was highly virulent in mice, ferrets, and macaques. In all
cases, virulence was associated with high viral titers in the
lungs of these animals, although in general viral replica-
tion was restricted to the respiratory tract. High viral
titers also resulted in a more profound inflammatory
response in the lungs, and in elevated proinflammatory
cytokines. Neutrophils and macrophages constituted most
of the infiltrating immune cells in the lungs of infected
animals. However, elimination of neutrophils and of resi-
dent alveolar macrophages in mice infected with 1918
influenza virus resulted in more severe disease, indicating
that these cells mainly have a protective role. Of interest,
elimination of CCL2, a chemokine involved in monocy-
tic/macrophage recruitment from circulation to the
lungs, results in decreased lethality of a mouse-adapted
influenza virus in mice, implicating these cells as a cause
of immunopathology during influenza virus infections.
Recent studies have shown that although the virulence
determinants of the 1918 influenza virus are multigenic,
most of its pathogenesis and high replicative characteris-
tics is attributed to the HA, NA, and PB1 genes. Of
interest, the PB1 gene encodes not only the PB1 protein,
a component of the viral RNA polymerase, but also
the PB1-F2 protein, absent in contemporary human
H1N1 viruses. The presence of a serine at position 66 of
the PB1-F2 polypeptide, only found in the PB1-F2 pro-
teins of the 1918 virus and of the H5N1 viruses causing
severe disease in humans in 1997, was shown to increase
virulence for primary disease as well as for secondary
bacterial pneumonia following influenza virus infection
in mice. PB1-F2 is a viral pro-apoptotic factor involved in
increased apoptosis of immune cells infected with influ-
enza virus, but the role that this particular amino acid has
in PB1-F2 function remains to be elucidated.
Infections of mice and macaques with the 1918 virus are
associated with profound changes in host gene expression in
the lungs of these animals as early as 24 h postinfection.
Although it is still too early to understand how these changes
contribute to virulence, it is of interest that the NS1 protein
of the 1918 virus appears to be a potent inhibitor of the type
I interferon-mediated antiviral response, and its C-terminal
residue, which lies in a putative protein–protein interacting
domain (PDZ ligand domain), has recently been shown to be
involved in increased virulence in mice.
Avian Influenza
Low Pathogenic Avian Influenza Viruses
Although influenza A and B viruses are important human
pathogens, influenza A virus is mainly an avian virus, with
676 Influenza

all known subtypes of this virus present in wild birds,
mainly migratory waterfowl birds. It has been assumed
that avian influenza A virus infections in wild birds are
asymptomatic, and in contrast to human influenza, where
the virus infects the respiratory tract, avian influenza
viruses replicate in the intestine tract of birds, and trans-
mit through fecal–oral and fecal–fecal routes of infection.
Often, avian influenza viruses from different subtypes
establish cycles in domestic avian species (chicken, tur-
keys, etc.) (Figure 2), with different degrees of disease
severity, but usually associated with low pathogenicity,
with some notable exceptions, described below.
High Pathogenic Avian Influenza Viruses
High pathogenic avian influenza or HPAI is caused only
by specific influenza A virus strains belonging to H5 and
H7 subtypes. In general, HPAI viruses are not present in
wild birds, but when a low pathogenic H5 or H7 strain
infects poultry, it can evolve into a high pathogenic strain
through the acquisition of a multibasic cleavage site in its
HA protein. These viruses cause fulminant disease in
chicken and replicate systemically to high titers in multi-
ple organs. The disease in poultry was first described in
1878 in Italy as fowl plague and it was not until 1955 that
it was shown to be caused by an influenza A virus.
A multibasic cleavage site in the HA is clearly asso-
ciated with the high pathogenicity of HPAI virus strains
in birds. The viral HA is synthesized as a precursor or
HA0, and it requires proteolytic activation into HA1
and HA2 subunits in order to expose the fusion peptide
responsible for viral entry. One of the reasons for the
tissue restriction of human influenza viruses and of low
pathogenic avian influenza viruses to respiratory and
intestinal tracts, respectively, is the need for a specific
cellular protease able to process the HA0, which is only
present in respiratory and intestinal mucosa. By acquiring
a multibasic cleavage site, H5 and H7 HAs are now
processed by ubiquitous cellular proteases of the furin
family, and these viruses become systemic and induce
disseminated infections in chicken and other poultry,
resulting in high pathogenicity. Although many outbreaks
of HPAI have been recorded in poultry in different
regions of the world, all of them have been successfully
contained with the exception of the HPAI H5N1 out-
break first described in Hong Kong in 1997. Despite the
massive culling of poultry in Hong Kong, this virus has
continued to circulate among poultry and more recently
has been extended to different countries of Southeast
Asia, Central Asia, Middle East, Africa, and Europe.
HPAI H5N1 viruses are isolated not only from poultry
in different areas of the world, but also from dead wild
birds, suggesting that wild migratory birds might also play
a role in the propagation of H5N1 viruses.
Avian Influenza in Humans
Before 1997 it was assumed that HPAI viruses could
not infect and cause severe disease in humans. This con-
cept dramatically changed after the diagnosis of several
cases of severe human H5N1 influenza virus infections,
many of which were associated with a lethal outcome in
Hong Kong. After an initial period of containment, the
reemergence of this virus in different areas of the world
has been associated with more than 300 cases of severe
influenza virus infection in humans, and more than 200
human deaths. Concerns about the human pandemic
potential of this virus has prompted global efforts on the
development of influenza pandemic preparedness plans,
including stockpiling programs of antivirals and H5 vac-
cines in many countries. Fortunately, despite continuous
circulation of H5N1 viruses in poultry, associated with
antigenic changes and the appearance of numerous H5N1
clades, only very limited number of infections in humans
have been recorded and even less cases of transmission of
this virus between humans, only associated with a few
infection clusters within members of the same family.
Severe infection with H5N1 viruses in humans is likely
associated with high levels of exposure to the virus,
although it is also possible that predisposing genetic fac-
tors in the few individuals who have been infected and
developed severe disease exist. Severe infection in
humans is associated with high levels of viral replication,
viral pneumonia, acute respiratory distress syndrome, and
multiorgan dysfunction. Diarrhea episodes are also com-
mon during human H5N1 infections, and the virus has
been isolated in some cases from feces, indicative of a
more extended tissue tropism than regular human influ-
enza virus infections. Viral RNA has also been detected in
blood and in CNS in several human cases. However, most
of the viral replication in humans appears to be associated
with the respiratory tract, and this is also the case in
H5N1 experimental inoculations of macaques. In contrast
Aquatic birds
Poultry
Pigs
Humans
Horses
Fecal/oral
Respiratory
Dogs
Cats
Figure 2 Spread and evolution of influenza A viruses.
Influenza 677

to most avian influenza viruses, H5N1 viruses appear to
be highly promiscuous for different mammalian species,
and they are known to cause lethal and disseminated
disease in mice, cats, ferrets, and tigers.
Nevertheless, HPAI H5N1 viruses are not unique in
their ability to cause sporadic severe human disease.
In 2003, an outbreak of HPAI H7N7 viruses in chicken
in the Netherlands resulted in several human cases of
conjunctivitis associated with contact with this virus,
and in one human case of fatal severe respiratory infec-
tion. Low pathogenic avian H9N2 viruses, widely
distributed in poultry in different countries, are also
known to infect humans, although not associated with
disease. However, any process resulting in selection of
viruses of non-H1 and non-H3 subtypes with the ability
to infect humans and transmit from human to human will
result in a new pandemic, and, therefore, avian influenza
viruses need to be closely monitored for any possible
changes that might increase their tropism for humans.
While severe infections in birds and mammals with
H5N1 HPAI are mainly associated with the multibasic
cleavage site of its HA, other viral determinants are
known to contribute to increased virulence in mammals.
HAs from avian and human influenza viruses recognize
sialic acid-containing receptors. However, HAs from
human influenza viruses have a preference for binding
to sialic acids linked to sugars through alpha2,6 linkages,
and HAs from avian influenza viruses have a preference
for binding to sialic acids linked to sugars through
alpha2,3 linkages. This correlates with the relative abun-
dance of these linkages in the tissues where these viruses
replicate: the upper respiratory tract in humans and the
intestinal tract in birds. Intriguingly, alpha2,3-linked sialic
acids are more abundant in the lower respiratory tract of
humans, and this may facilitate replication of H5N1
viruses in the lungs, resulting in severe disease, while
restricting replication in the upper respiratory tract, lim-
iting transmission. Also interestingly, changes in receptor
specificity of the human 1918 virus from alpha2,6- to
alpha2,3-linked sialic acids did not prevent severe disease,
but prevented sneezing and aerosol/droplet-mediated
transmission in ferrets, suggesting that avian influenza
viruses will need to change receptor specificity of their
HAs from alpha2,3- to alpha2,6-linked sialic acids as
one of the requirements to be transmissible in humans.
Polymorphisms in the polymerase genes of HPAI H5 and
H7, and especially in the PB2 gene, have also been asso-
ciated with increased virulence in mammals. A few amino
acid changes in the C-terminal PB2 appear to be selected
during mammalian or human adaptation of these viruses,
resulting in more efficient replication especially at the
relative lower temperature of human cells as compared
with avian cells. Possible interactions of PB2 with specific
host factors have also been postulated and some PB2
adaptive mutations from avian to mammalian hosts have
been associated with enhanced recognition of this viral
protein by the mammalian nuclear import machinery,
required for proper transport of PB2 in mammalian
cells. The NS1 gene from H5N1 viruses and from some
other avian influenza viruses have also been associated
with increased virulence in some mammalian species.
The presence of a glutamate at position 92, typical of
several H5N1 strains, appears to increase virulence by
increasing the ability of the NS1 to mediate resistance
to the host interferon-mediated antiviral response.
A robust PDZ ligand motif at the C-terminal domain of
NS1, typical of most avian influenza viruses, appears to
enhance virulence in mice through mechanisms that still
are not well understood. Finally, infections of mammals
with HPAI H5N1 viruses have been associated with dis-
regulated cytokine responses in macrophages and with
lymphocytic depletion, and these factors are also likely
to contribute to enhanced disease.
Influenza in Nonhuman Mammalian
Species
Besides establishing cycles in human and avian species,
influenza A virus strains have successfully established
cycles in other mammals (Figure 2). The 1918 influenza
virus pandemic is believed to have affected pigs in addi-
tion to humans, and originated the classical H1N1 swine
virus lineage that is still infecting pigs. Swine influenza
causes respiratory disease in pigs mainly in combination
with other swine respiratory pathogens. Swine influenza
is also caused by swine H3N2, H1N2, and modern
H1N1 viruses, originated through multiple reassortment
processes between human, avian, and classical H1N1
influenza viruses. The recent isolation of H2N3 influenza
A viruses in several US pig farms further complicates the
epidemiology of swine influenza and raises concerns
about the possibility of human infections from pigs with
a novel H2 virus, which in theory could initiate a new H2
pandemic.
At least two subtypes of influenza A viruses have been
shown to circulate in horses, H7N7 and H3N8, with
H3N8 being more prevalent, inducing a respiratory dis-
ease in horses similar to the human disease. Equine H3N8
viruses have been associated with an outbreak of influenza
in dogs, underscoring the potential of influenza viruses to
jump between different species. Other mammals known to
be infected by influenza A viruses include ferrets, minks,
seals, and whales, and, more recently, cats, tigers, and leo-
pards have been infected with HPAI H5N1 viruses.
However, the significance that these animals have in
spreading influenza is not clear. Influenza B virus, in con-
trast to influenza A virus, appears to be specific for humans,
with the notable exception of at least one isolation of
influenza B viruses from seals.
678 Influenza

Treatment and Prevention
Vaccines are available for the prevention of human epi-
demic influenza virus infection. The vaccine is trivalent
and consists of three components: H1N1, H3N2, and
influenza B. There are two major types of vaccines in
use in the United States, inactivated and live cold-
adapted attenuated. The inactivated vaccine is based on
egg-grown inactivated virions that are treated for enrich-
ment of HA and NA antigens. It is administered
intramuscularly. The cold-adapted vaccine is based on
egg-grown live viruses that contain attenuating mutations
for growth in the lower respiratory tract by virtue of
adaptation to replication at low temperatures, and it is
administered intranasally. Both types of vaccines are fre-
quently updated to match the yearly circulating influenza
virus strains. Yearly vaccination of high-risk groups is
recommended. While both types of vaccines are efficient
in inducing protection against seasonal influenza in adults
and children, efficacy is decreased in the elderly, one of
the groups at risk of severe infections. Recently, more
efforts have been dedicated to generate improved influ-
enza virus vaccines, based on the potential advent of a
pandemic of unpredicted consequences in humans. The
use of reverse genetics techniques for the generation of
the master vaccine strains, of cell substrates for the growth
of vaccine stocks, of new adjuvants to enhance immuno-
genicity of inactivated vaccines, of novel recombinant
subunit vaccines and novel delivery vectors, of conserved
antigenic determinants among different virus strains, and
of novel live attenuated virus vaccines are among the
different strategies pursued to improve influenza virus
vaccine production and/or efficacy.
There are two types of antivirals in use for the treat-
ment of influenza virus infections. The M2 inhibitors,
amantadine and rimantadine, block the ion channel activ-
ity of this virus protein and prevent viral uncoating. Their
use is limited because of widespread resistance against
these drugs and side effects. The NA inhibitors, zanamivir
and oseltamivir, work by preventing the NA enzymatic
activity, resulting in inhibition of viral spread. There are
concerns about the possible emergence of resistance
against these NA inhibitors, and therefore, novel classes
of influenza antivirals based on other viral and maybe
even cellular targets are desirable. The therapeutic effi-
cacy of the existing influenza antivirals is limited by the
need to treat shortly after infection, after the first onset of
symptoms.
Concerns about availability of vaccines and antivirals
during a pandemic outbreak of influenza viruses have
also prompted to consider nonpharmacological interven-
tions to mitigate the impact of the pandemic. These
include quarantine measures, social distancing, and the
use of masks and disinfectants, among others. However,
more basic knowledge is needed on the relative contri-
bution of fomites versus infectious droplets and
infectious aerosols (the latter able to travel distances
greater than 3 feet) in the transmission of influenza
virus in humans in order to rationally adopt the best
possible measures to reduce transmission during a pan-
demic outbreak.
Further Reading
Barry JM (2004) The Great Influenza: The Epic Story of the Deadliest
Plague in History. New York: Viking Books.
Kawaoka Y (2006) Influenza Virology: Current Topics. Wymondham,
UK: Caister Academic Press.
Palese P and Shaw ML (2007) Orthomyxoviridae: The viruses and their
replication. In: Knipe DM and Howley PM (eds.) Fields Virology,
p. 1647. Philadephia: Lippincott Williams & Wilkins.
Wright PF, Neumann G, and Kawaoka Y (2007) Orthomyxoviruses.
In: Knipe DM and Howley PM (eds.) Fields Virology, p. 1691.
Philadelphia: Lippincott Williams & Wilkins.
Influenza 679

Legionella, Bartonella, Haemophilus
N C Engleberg, University of Michigan Medical School, Ann Arbor, MI, USA
ª2009 Elsevier Inc. All rights reserved.
Defining Statement
Introduction
Legionella
Bartonella
Haemophilus
Conclusion
Further Reading
Glossary
alarmone Small guanine nucleotide molecules (i.e.,
ppGpp and pppGpp) that are produced by bacteria
under stress and regulate numerous cellular activities in
response. These alarmones are signals for the stringent
response that occurs in the presence of amino acid
starvation.
atypical pneumonia Infection of the pulmonary
airspace that fails to produce the sudden onset and
rapid clinical course associated with pneumococcal
(‘‘typical’’) pneumonia.
BCYE-Buffered charcoal yeast extract agar
supplemented with -ketoglutarate. This medium is
enriched for the isolation of Legionella species, and it
also contains supplemental iron pyrophosphate and
cysteine.
Carrio´ n’s disease A geographically isolated disease
transmitted by sandflies infected with Bartonella
bacilliformis, including a severe febrile illness with
hemolysis (Oroya fever) and chronic disseminated skin
lesions (verruca peruana).
chancroid A sexually transmitted disease caused by
Haemophilus ducreyi that results in one or more shallow
ulcers on the genitals, often internal and asymptomatic
in a female reservoir host, but symptomatic and painful
on the external genitalia of male contacts.
endocarditis An infection of the internal surface of the
heart, usually manifested as a collection of fibrin,
platelets, and microorganisms deposited on one of the
valve leaflets.
endocytic pathway The process by which substances
that are ingested by the cell are directed to their final
intracellular destination. In the case of ingested bacteria,
this refers to the steps in the delivery of the phagosome
to the lysosomal compartment.
epiglottitis A potentially fatal infection of the epiglottis, the
flap of tissue that normally covers the opening of the trachea
into the pharynx. Swelling of this structure in the presence of
bacterial infection can cause asphyxia and death.
hematophagous Literally, ‘blood-eating’; referring to
the behaviors of some biting arthropods.
hemolytic anemia A loss of erythrocytes in the
bloodstream by virtue of a process that causes their
rupture or inappropriate removal from the circulation.
mucins Heavily glycosylated large proteins that form
massive aggregates to cover mucosal surfaces,
providing a barrier to penetration of some
microorganisms.
Abbreviations
BA bacillary angiomatosis
CDC Center for Disease Control
COPD chronic obstructive pulmonary disease
CSD cat scratch disease
ER endoplasmic reticulum
Hib Haemophilus influenzae type b
IFA indirect fluorescent antibody
LOS lipooligosaccharide
NF-Bnuclear factor-B
OUP outer membrane protein
PRP polyribosylribitol phosphate
TLR Toll-like receptor
Defining Statement
This article describes three pathogenic Gram-negative
bacterial genera, namely Haemophilus, a strictly human,
mucosal pathogen transmitted by direct contact;
Bartonella, a zoonotic pathogen transmitted by arthropods
that produces variable disease in nonreservoir hosts
depending on the competency of the immune system;
and Legionella, an aquatic, intracellular parasite of free-
living protozoa and fortuitous, dead-end pathogen that
causes pneumonia in humans with respiratory disease or
immunocompromise.
680

Introduction
This article focuses on three bacterial genera, Haemophilus,
Bartonella, and Legionella. These bacteria are all fastidious
Gram-negative pathogens, each of which requires specia-
lized conditions for in vitro cultivation. However, these
organisms share little else in common. As pathogens, they
represent a wide range of pathophysiologic and epide-
miologic features. For example, Haemophilus spp. are
primarily extracellular pathogens that infect mucosal sur-
faces. The species discussed in this article are exclusively
human pathogens that are transmitted by respiratory dro-
plets or by direct contact between people. Consequently,
they have evolved to adapt to and evade the human
immune response. In contrast, Bartonella organisms are
intracellular pathogens in their natural hosts. They have
evolved to be transmitted among the reservoir hosts by
arthropod bites and to evade immune clearance in both
the reservoir host and the arthropod vector. In contrast,
Bartonella infections of accidental hosts, such as in humans
with cat scratch disease (CSD), are extracellular infec-
tions, and the diseases they cause depend on the integrity
of the host immune response.
Finally, Legionella bacteria are residents of natural bio-
films, where they are also occasional intracellular pathogens
of free-living amoebae that graze on them. When they are
inhaled by humans in the form of aerosols from environ-
mental water sources, they must be able to grow in
alveolar macrophages to survive in the lungs. As humans
do not transmit the infection to other humans, it is pre-
sumed that the bacterial functions that confer the capacity
to survive and grow in macrophages evolved in phagocy-
tic protozoa in the natural environment. Hence, these
three pathogens represent a strictly human pathogen
transmitted by direct contact (Haemophilus), a zoonotic
pathogen transmitted by arthropods (Bartonella), and an
environmental bacteria that becomes a fortuitous, dead-
end pathogen in humans (Legionella). The remainder of
this article focuses on the specific factors that mediate the
life cycle and pathophysiologic features of these three
bacterial species.
Legionella
The Organism
The Legionellaceae are aerobic, Gram-negative bacilli
that use amino acids rather than carbohydrates as their
preferred energy source. There are nearly 50 species
within the genus Legionella, the majority of which have
been isolated only from environmental, rather than from
clinical sources. In the environment, these organisms
may inhabit complex communities composed of multiple
bacterial species that grow within biofilms. They have
been isolated from waters with temperatures ranging
from 5 to 50 C; however, they can grow to abundance
at the warmer end of this spectrum, particularly in water
distribution systems with water heaters. Legionella bac-
teria are natural parasites of free-living protozoa that
dwell in lakes, ponds, or streams and graze on bacteria
in biofilms. When Legionella organisms are taken up by
protozoa, such as the amoeba species Hartmannella or
Acanthamoeba, they are able to evade intracellular degra-
dation and grow within specialized vacuoles in these
single-cell eukaryotes. The coexistence of Legionella bac-
teria and a competent amoeba host in the pipes and tanks
of potable water systems appears to be a prerequisite for
the creation of aerosols, which may result in human
infections.
Legionella pneumophila is the most frequently encoun-
tered and the best-studied species, as it is associated with
most of the human infections, usually in the form of an
atypical pneumonia designated Legionnaires’ disease (see
‘History’). There are 16 distinct serogroups of L. pneumo-
phila, with serogroup 1 accounting for the majority of
recognized Legionnaires’ disease cases. At least 18 other
species have caused human infections (e.g., Legionella mic-
dadei,Legionella dumoffi, and Legionella bozemanii), but they
are much less prevalent and most often isolated from
hospitalized or severely immunocompromised patients.
All of the potential pathogens must be able to survive
and grow within macrophages in order to cause produc-
tive infection in the lungs of mammals, presumably by
exploiting pathogenic mechanisms evolved in response to
the natural hosts, the protozoa. Dependence on the intra-
cellular niche for growth is a feature shared by the most
closely related non-Legionella species, Coxiella burnetii.
C. burnetii is an obligate intracellular pathogen that is
also a cause of atypical pneumonia.
The Legionellaceae are fastidious in their growth
requirements in vitro. They are susceptible to noxious
substances generated during the autoclaving of agar.
Thus, semisolid media are typically prepared with
added charcoal to absorb these substances. The standard
media are complex, composed of yeast extract, and are
buffered to a pH of 6.9 with an organic buffer (ACES) and
potassium hydroxide. Supplemental L-cysteine and solu-
ble iron in the form of the pyrophosphate salt are required
for growth, and the organisms grow best when -ketoglu-
tarate is also supplied as a nutritional substrate.
Typically, L. pneumophila can be isolated on this buffered
charcoal yeast extract media (BCYE-) in 2–5 days. As
most normal flora grow abundantly on this rich media,
antibiotics may be added to select Legionella spp. from
nonsterile specimens. Identification of the L. pneumophila
serogroup or of a non-L. pneumophila species is usually
made with specific antisera that recognize unique lipopo-
lysaccharide composition.
Legionella, Bartonella, Haemophilus 681

History
Awareness of the Legionellaceae began after a large out-
break in a downtown Philadelphia hotel that hosted an
American Legion Convention in 1976. Over 200 persons
were affected, and the case-fatality rate was 15%. The
severe respiratory disease affecting the conventioneers
thus became known as ‘‘Legionnaires’ disease.’’
However, the etiologic agent, L. pneumophila serogroup 1,
was not isolated and characterized until the following
year at the Center for Disease Control (CDC). The
organism was initially passed from postmortem clinical
specimens into guinea pigs and subsequently into specia-
lized, enriched media. The association of this organism
with disease was suggested by the development of anti-
bodies to this organism in affected patients, detected by
using an indirect fluorescent antibody (IFA) test with the
fixed bacteria as the capture antigen. The use of the IFA
test also permitted CDC investigators to screen stored
human sera associated with prior unexplained outbreaks
of respiratory infection, several of which were retrospec-
tively diagnosed as Legionnaires’ disease, one of which
had occurred at a different convention at the same
Philadelphia hotel.
In addition to severe pulmonary disease, outbreaks of
self-limited, flu-like illnesses were associated with sero-
conversion to L. pneumophila serogroup 1. This benign
response to exposure to Legionella organisms has been
named ‘Pontiac fever’ (see below for details). Since 1977,
the list of L. pneumophila serogroups and non-L. pneumophila
species has gradually lengthened, as new organisms
were isolated from patients and from environmental
sources.
Epidemiology
With refinements in the media and serology, it was pos-
sible to show that Legionnaires’ disease occurs both in
discrete outbreaks and in sporadic cases. Water distribu-
tion systems were shown to be the predominant
environmental sources of human infection (e.g., potable
water, water aerosols from showers, sprayers, decorative
fountains, and evaporative cooling towers). When out-
breaks occur from these sources, exposure of humans is
usually very common, but disease among exposed indivi-
duals is relatively rare. Accordingly, attack rates in these
outbreaks are typically 5%, suggesting that most
humans can clear an inhaled inoculum of L. pneumophila
without developing disease. In contrast, most individuals
who develop Legionnaires’ disease in outbreak situations
have one or more underlying conditions that may
have disposed them to disease (e.g., advanced age,
smoking history, lung disease, heart disease, or
immunosuppression).
Pathogenesis – Intracellular Infection
Intracellular infection of free-living amoebae in the nat-
ural aquatic environment appears to be a strategy that
permits Legionella organisms to survive and grow from
complex bacterial communities that are frequently grazed
upon by the protozoa. Mutants that cannot grow in pro-
tozoa have been isolated. Whether these mutants could
survive in the aquatic environment is unknown. However,
it is clear from laboratory animal experiments that infec-
tion in the lungs requires the capacity to infect and to
grow in alveolar macrophages. Mutants that cannot grow
in cells cannot cause disease. Because Legionella bacteria
are not transmitted between mammals, it is presumed that
the mechanisms that permit growth and development in
macrophages evolved first in protozoa.
Transmissive and replicative phases
L. pneumophila alternate between two distinct phases to
complete their intracellular life cycle. The regulation of
these phases occurs through a complex cascade of gene
expression or suppression, which is thoroughly reviewed
by Molofsky and Swanson. A key determinant of the
phase is the abundance of free amino acids, as amino
acids are the primary nutrient source for L. pneumophila.
When nutrients are abundant, the posttranscriptional reg-
ulator CsrA represses traits associated with transmission
and cellular invasion (e.g., flagella synthesis and motility,
lysosomal evasion, resistance to stress, and cytotoxicity)
and promotes bacterial division. In contrast, when nutri-
ents are scarce, the ribosome-associated enzyme RelA is
triggered to produce the alarmone (p)ppGpp. This alar-
mone in turn increases the stationary-phase sigma factor
RpoS, and it stimulates a virulence-associated two-
component system, LetA/LetS. The latter system induces
CsrB, which represses that action of CsrA. Together with
the abundance of RpoS, these regulators induce the
expression of the transmissive traits mentioned above
and inhibit the replication of the bacteria.
As in log-phase growth in nutrient broth, the intracel-
lular niche provides abundant amino acids to the bacteria.
Consequently, in both log-phase and intracellular growth,
the organisms replicate rapidly, but they do not express
flagellar motility or any of the traits required to establish
infection in cells. If harvested from these growth states,
cells are unable to initiate cell infection de novo. As a broth
culture approaches stationary phase, or as the intracellu-
lar bacteria exhaust the amino acid stores of the cell,
(p)ppGpp is produced, the bacteria stop growing, and
they express a phenotype that will permit the transmis-
sion to a new host cell, that is, motility and cellular
invasion traits. Hence, bacteria grown to stationary
phase in broth culture or harvested from cells just before
lysis are efficient in establishing infection in new host
cells.
682 Legionella, Bartonella, Haemophilus

Intracellular life cycle
Flagellate L. pneumophila (in the transmissive phase) are
promptly taken up by macrophages on contact (Figure 1,
step 1). Some strains induce uptake by a novel coiling
mechanism in which a pseudopod wraps itself around the
bacterium, drawing the organism into the cell while sort-
ing host cell membrane proteins (Figure 2(a)). After
ingestion, the bacterium escapes from the endocytic
pathway, avoiding trafficking to lysosomes. Instead, the
L. pneumophila-containing vacuole attracts other membra-
nous intracellular organelles (Figure 1, steps 2 and 3).
Specifically, the cellular proteins, Arf1 and Rab1, which
normally attract vesicles from the endoplasmic reticulum
(ER) to the cis-Golgi, are instead recruited to the mem-
brane of the L. pneumophila-containing vacuole. Within a
few hours, the vacuolar membrane enlarges by fusion with
redirected ER vesicles. In addition, the membrane is
studded circumferentially with ribosomes (Figure 2(b)).
The ER vesicles contain nascent proteins, and it is specu-
lated that the ribosomes may provide polypeptides that
the bacteria cleave proteolytically and utilize as nutrients.
Amino acids are likely to be abundant at this stage, since
the bacteria convert into the nonflagellate, replicative
phase and begin to grow and to divide. As replication
proceeds and bacterial numbers increase, some fusion
with lysosomes may occur; however, late in the course
of intracellular replication, there is little deleterious effect
of lysosomal contents on bacterial viability. After 24 h, the
cell contains large membrane-bound compartments filled
with bacteria, many of which have converted again into
the transmissive phase (Figure 1, step 5; Figure 2(c)).
Presumably, the resources of the cell are exhausted at this
point, causing an increase in the alarmone, (p)ppGpp,
which triggers the phase transition. Bacteria in the trans-
missive phase produce a cytotoxin that induces the
release of bacteria from the cell. Finally, the motile pro-
geny are then free to seek out a new host cell (Figure 1,
step 6).
Mechanisms of intracellular survival
Survival of L. pneumophila in both macrophages and amoe-
bae depends on the integrity of a type IV secretion
system, designated as Dot/Icm, and on the effectors that
1.
2.
3.
2a.
5.
6.
4.
ER
N
Ly
Figure 1 Schematic diagram of events in the Legionella
pneumophila life cycle in macrophages. Flagellate bacteria in
the transmissive phase are taken up by the cell, sometimes by a
process of ‘coiling’ phagocytosis (1). Virulent bacteria within
the early phagosome, (2) evade phagolysosomal fusion (2a),
and associate with other membranous organelles (3).
Endoplasmic reticulum (ER) bearing ribosomes associate with
the L. pneumophila-containing vacuole, the bacteria are
converted into the replicative phase, and intracellular
replication begins (3 and 4). At 24 h, large vacuoles displace
the cytoplasm of the cell, and the bacteria are converted again
into the transmissive phase (5) before they are released from
the cell to swim free to the next host cell (6).
(a) (b) (c)
Figure 2 Electron micrographs showing key events in L. pneumophila replication in macrophages. (a) An electron-dense bacterium
is seen surrounded by a pseudopod coil as it is taken into the cell. (b) Bacteria are seen in individual phagosomes studded with
ribosomes (arrows) after endoplasmic reticulum (ER) vesicle recruitment. (c) As intracellular replication proceeds, increasing
numbers of bacteria are seen in enlarging vacuoles (arrows).
Legionella, Bartonella, Haemophilus 683

this system translocates into the host cell cytoplasm.
Mutations that abrogate the functions of this secretion
system result in the inability of an individual bacterium
to escape the endosomal–lysosomal pathway and instead
the ingested bacteria are directed to the lysosome within
5 min (Figures 1 and 2(a)). More than 30 substrate pro-
teins are now known to be transported by this system, and
the functions of some are either known or strongly sus-
pected (Table 1). Substrate proteins have been identified
using various screens for protein translocation; their func-
tions could sometimes be inferred from their sequence
homologies with known effectors. Alternatively, other
investigators devised genetic screens to detect specific
functions that are thought to mediate the intracellular
life cycle events. For example, a genetic screen was used
to identify mutants that are unable to recruit Rab1 to the
L. pneumophila-containing vacuole. Another method iden-
tified genes encoding proteins that bind to Rab1. A third
approach identified mutations that interfere with mem-
brane traffic to the vacuole in yeast cells. Two Dot/Icm-
dependent proteins that redirect secretory vesicles to the
L. pneumophila vacuole have been identified (RalF and
DrrA; Table 1). Other Dot/Icm substrates have been
shown to interfere with phagosome–lysosome fusion, sti-
mulate host cell antiapoptotic factors to postpone cell
death until bacterial replication is exhausted, and facil-
itate the release of progeny bacteria from the cell
(Table 1). Many of the substrate proteins translocated
by Dot/Icm likely have redundant functions; the func-
tions of several others are currently unknown.
Consequences of Infection
Legionnaires’ disease
Infection of humans with L. pneumophila is usually
acquired by the inhalation of aerosolized bacteria
directly into the lower airways. The minimal infectious
inoculum and form of the infectious particle
(e.g., individual bacteria, amoebae containing bacteria,
and isolated amoebic vesicles containing bacteria) are
unknown; however, L. pneumophila within amoebae are
more infectious than broth-grown bacteria alone when
equivalent inocula are administered by intratracheal
injection in laboratory animals.
As the infection of pulmonary alveolar macrophages
with L. pneumophila proceeds, inflammatory cells (mono-
cytes and neutrophils) are recruited into the lung, and a
fibrinous exudate develops in the airways. Eventually
alveoli coalesce into microabscesses. Most of the damage
is likely to be a product of the vigorous inflammatory
response. The organisms produce a lipopolysaccharide
that is mildly endotoxic. They also elaborate a major
extracellular protease that is potentially cytotoxic; how-
ever, this molecule has not been associated with damage
to the lung during infection. The outcome of infection is
dependent on the treatment and on the immune status of
the individual host.
Host response to infection
The immunocompetent host can mount an innate
response to L. pneumophila infection of macrophages. In
mice, this response is, in part, dependent on the presence
of assembled flagella that triggers cytosolic pattern recog-
nition proteins (i.e., naip-5). The activity of the Dot/Icm
system also appears to be an early and potent stimulus for
apoptosis by the activation of caspase-3. However,
L. pneumophila also produces antiapoptotic factors that
also stimulate cytokine production through the nuclear
factor-B(NF-B) pathway. Tumor necrosis factor-
produced by this activation may have an autocrine effect
on the infected cell that limits infection. Thus, the immu-
nocompetent host may deal with inhaled L. pneumophila
through purely innate mechanisms. This may explain
why patients with Legionnaires’ disease tend to be
smokers, elderly, and/or immunosuppressed or impaired
hosts.
Table 1 Selected substrates of the Dot/Icm type IV secretion system
Function Protein Mechanism
Vacuolar modification RalF Exchange factor for Arf GTPase
DrrA Exchange factor for Rab1 GTPase
LidA Binds to Rab1 GTPase
SidJ Facilitates recruitment of ER vesicles
Inhibition of lysosome fusion VipA Inhibits lysosomal trafficking (in yeast)
VipF Inhibits lysosomal trafficking (in yeast)
VipD Inhibits lysosomal trafficking (in yeast)
Prevention of host cell apoptosis SdhA Forestalls host cell apoptosis
SidF Forestalls host cell apoptosis
Release from the host cell LepA Facilitates lytic release of bacteria from protozoa
LepB Facilitates lytic release of bacteria from protozoa; inactivates Rab1
684 Legionella, Bartonella, Haemophilus

Once infection has been established, the growth of
L. pneumophila within macrophages must be controlled by
a Th1-dependent acquired immune response with inter-
feron-as the major effector. The restriction of
intracellular growth caused by interferon-is a result of
the sequestration of intracellular iron induced by this cyto-
kine and can be overcome experimentally by providing
abundant transferrin-iron. The role of humoral immunity
in Legionnaires’ disease is secondary. However, specific
antibodies may target any extracellular bacteria to neutro-
phils, where intracellular replication does not occur, rather
than mononuclear phagocytes, where infection may
flourish.
Pontiac fever
After the discovery of L. pneumophila in 1977, an outbreak
of illness at the county health department in Pontiac,
Michigan, in 1968 was subsequently found to be asso-
ciated with seroconversion to L. pneumophila serogroup 1.
The epidemic illness in Pontiac that affected 95% of the
building occupants was remarkably different from
Legionnaires’ disease. It can be noted that the patients
reported self-limited, flu-like symptoms that lasted for
only 2–5 days. Both healthy and high-risk individuals
were exposed and became ill, but none died. In more
recent outbreaks of Pontiac fever elsewhere, Legionella
bacteria cannot be isolated from affected patients, sug-
gesting that illness may be a result of inhaling nonviable
organisms. The exact pathogenesis of this illness remains
a mystery.
Diagnosis, Treatment, and Prevention
Legionnaires’ disease can be diagnosed definitively by the
isolation of Legionella bacteria from the respiratory tract,
although the sensitivity of this approach is poor unless the
specimens for culture are collected by bronchoscopy.
Moreover, from a practical point of view, culture diag-
nosis is not helpful clinically, because it is not timely,
requiring 3–4 days of incubation before Legionella colonies
appear on selective media. Currently, infection with
L. pneumophila serogroup 1 can be diagnosed rapidly and
with great sensitivity by a urine antigen test that detects
serogroup-specific lipopolysaccharide epitopes. This spe-
cific assay is useful in clinical practice because it is rapid
and accurate and also because serogroup 1 accounts for
more than half of all cases of Legionnaires’ disease.
Although Legionella organisms are susceptible to most
antibiotics in vitro, many agents (e.g., all -lactams and
aminoglycosides) are of little or no use in vivo because
they cannot penetrate into cells where most Legionella
bacterial replication takes place. Antibiotics that achieve
high intracellular levels, such as macrolides, fluoroquino-
lones, and tetracyclines, are clinically useful. There
is currently no vaccine against Legionnaires’ disease.
However, because many patients who develop
Legionnaires’ disease are immunocompromised and
have inadequate cell-mediated immune responses, the
very population that one would wish to protect with a
vaccine are also those who would be least likely to profit
from it.
Bartonella
The Organism
The Bartonella bacteria are facultative Gram-negative
bacilli of the class Alphaproteobacteria and are thus
most closely related to Brucella,Rhizobium, and
Agrobacterium spp. Bartonella species have evolved to infect
and to establish carriage in specific mammalian host spe-
cies, although they may also cause disease when
transferred to a nonnatural host. In the native host, the
anatomical site of persistence of the infection is not
known; however, the bacteria may persist in the blood-
stream without producing overt sepsis by replicating
within erythrocytes. Their presence in the bloodstream
(within erythrocytes) enables transmission between nat-
ural hosts by arthropod vectors. Several Bartonella species
have been identified, but only a handful have been
observed to infect humans, and only three are known to
be important causes of human disease – Bartonella henselae,
Bartonella bacilliformis, and Bartonella quintana.
History
In parts of Andean South America, a papular warty skin
disorder known as verruca peruana was recognized since
pre-Columbian times. An epidemic of a febrile illness
associated with hemolytic anemia (known as Oroya
fever) occurred among railroad workers in a similar geo-
graphic distribution during the late nineteenth century.
The common etiology of these two disorders was estab-
lished in a famous autoexperiment performed by a
Peruvian medical student. Daniel Carrio
´n injected himself
with lesional material from a patient with verruca peruana;
he then developed Oroya fever and died. Subsequently,
the biphasic disease caused by this organism has been
designated as Carrio
´n’s disease in recognition of Daniel
Carrio
´n’s audacious experiment. In 1909, the erythrocyte-
associated bacteria that cause Oroya fever were observed
by microbiologist Alberto Barton and later designated as
B. bacilliformis.B. bacilliformis was the only member of the
genus Bartonella for the next 80 years.
Until 1990, bacillary angiomatosis (BA) was an unex-
plained opportunistic infection of patients with advanced
AIDS. It is a disease that causes persistent fever, malaise,
and skin lesions reminiscent of verruca peruana. The
focal lesions of BA feature abundant proliferation of
small blood vessels, infiltration of inflammatory cells,
Legionella, Bartonella, Haemophilus 685

and abundant silver-staining bacteria. The identity of the
bacteria in these lesions was revealed by using a set of
universal bacterial primers to amplify 16S rDNA from
human tissues affected by BA. The sequence of the ampli-
fied DNA was then compared with a databank of
known 16S RNA sequences. The closest match was with
Rochalimaea quintana, the cause of Trench fever, a louse-
borne infection encountered primarily during World War I.
Consequently, the related agent associated with BA was
initially placed in the same genus as Rochalimaea henselae.
When the close identity of both R. quintana and R. henselae
with B. bacilliformis and other zoonotic Bartonella species
was appreciated, all of these agents were reassigned to the
genus Bartonella and the genus Rochalimaea was eliminated.
Perhaps the most intriguing consequence of the iden-
tification and eventual cultivation of B. henselae was the
discovery that it also caused a more common and benign
disease in immunocompetent individuals, that is, CSD.
For decades, the etiology of CSD was obscure and widely
debated. However, after B. henselae was isolated from the
tissues of BA patients, it was possible to demonstrate a
serologic response to this agent in virtually all patients
with CSD. B. henselae was also detected in lymph nodes of
patients with CSD and in the blood of healthy cats both
by cultivation in vitro and by PCR. Ironically, the unifica-
tion of these two disparate pathological entities is like a
twentieth century echo of the unification of verruca per-
uana and Oroya fever, demonstrated tragically by Daniel
Carrio
´n’s autoexperiment 100 years earlier.
Epidemiology
The occurrence and range of human Bartonella infection
depend on the geographical location of the natural hosts
and the vectors of transmission (Table 2). Humans are
thought to be the exclusive natural hosts for B. bacilliformis
and B. quintana.B. bacilliformis infection is limited geogra-
phically to the Western Andean slopes, probably by the
distribution of competent sandfly vectors. B. quintana is
transmitted by the human body louse; the infection is
therefore restricted to regions and populations where
human infestation with ectoparasites is common, such as
among inner-city homeless populations or in refugee
situations in Africa. Because B. henselae primarily infects
domestic cats and is transmitted by cat fleas, the disease is
cosmopolitan in distribution, wherever cats are kept as
pets. There are numerous other Bartonella species that
primarily infect other small mammals; however, human
contact with these animals and their ectoparasites is
uncommon, and human infection is extremely rare.
Pathogenesis
Infectioninthenaturalhost
In their natural hosts, most of the Bartonella species cause
minimal disease manifestations or no disease at all. A
notable exception is B. bacilliformis infection in humans
in which a fatal hemolytic anemia (Oroya fever) can
occur. Yet, even with this potentially dangerous infection,
there are selected human hosts who become bacteremic,
but remain minimally symptomatic. It is not known what
factors determine whether a human host will suffer a
severe and fatal illness or remain asymptomatic and
become part of the reservoir.
The natural host typically becomes infected by the
bite of an infected blood-feeding arthropod (Figure 3).
Adherence of the organisms to both endothelial and
epithelial cells is mediated by a Bartonella nonfimbrial
adhesin, BadA. The same protein also mediates adherence
to various extracellular matrix proteins. For most species,
the primary site of infection is thought to be the vascular
endothelium at the site of inoculation. This assumption is
based on the observation that Bartonella bacteria readily
proliferate in contact with endothelial cells in vitro, and
they are taken up into a membrane-bound vesicle within
these cells. As in the L. pneumophila cell interactions
described above, Bartonella–endothelial–cell interactions
are mediated by the activity of a type IV secretion system
homologous to the vir locus of Agrobacterium tumefaciens.
This system and at least one set of its translocated effector
proteins (BepA-G) are involved in the induction of cyto-
skeletal rearrangements, establishment of intracellular
infection, and suppression of apoptosis. Once established,
the primary nidus of infection (presumed to be intraen-
dothelial) serves as a source for successive, synchronized
waves of bloodstream infection every few days.
With each synchronized wave of bacteremia, some of the
organisms reinfect the other endothelial cells, contributing to
the persistence of infection at the primary nidus. More
importantly for the transmission of the infection from the
Table 2 Major Bartonella species, their hosts, and arthropod vectors
Species Natural host Arthropod vector Human disease
Bartonella bacilliformis Humans Sandflies Oroya fever, verruca peruana
Bartonella quintana Humans Lice Urban trench fever, endocarditis, bacillary angiomatosis (BA)
Bartonella henselae Cats Fleas Cat scratch disease (CSD), bacillary angiomatosis (BA), retinitis
Bartonella vinsonii Mice, dogs Ticks Bacteremia, endocarditis
Bartonella elizabethae Rats ? Endocarditis, retinitis
686 Legionella, Bartonella, Haemophilus

natural host, many of the bacteria released into the blood-
stream invade and grow within erythrocytes. The type IV
secretion system mentioned above is also essential for the
establishment of erythrocyte infection. The bacteria persist in
erythrocytes until these cells become senescent and are
removed from circulation. In this way, the bacteria can
achieve a high-enough concentration in blood to facilitate
efficient uptake when an uninfected hematophagous arthro-
pod feeds on the infected host. As indicated above,
bacteremia usually occurs without damaging or septic con-
sequences for the host for at least two reasons. First, the
bacteria remain in erythrocytes and are not free to interact
with Toll-like receptors (TLR) on circulating leukocytes.
Second, the Bartonella lipopolysaccharide is modified to be
less capable of triggering innate cytokine induction.
The host response to infection partially controls these
processes. Antibodies to Bartonella cannot clear – and
therefore coexist with – intraerythrocytic infection.
However, antibodies can prevent successive waves of
erythrocytic infection. Bartonella also induce the expres-
sion of the anti-inflammatory cytokine interleukin-10,
which dampens cell-mediated immune responses and
facilitates bacterial persistence.
Infectioninanaccidentalhost
Erythrocyte infection is not typically a feature of infec-
tion in the accidental host. Consequently, the accidental
host may have a localized site of symptomatic infection
related to the site of entry or a primary infection with
septicemia or endocarditis or both. In the case of human
B. henselae infection, it appears that the immune compe-
tency of the host is the most important determinant of
disease. Most immunocompetent individuals who are
inoculated by a cat scratch develop a minor, transient
lesion at the site of the scratch and a highly inflammatory
reaction to infection in one or more regional lymph nodes.
The immune response is exuberant and limiting.
Consequently, the lymph node is infiltrated with acute
inflammatory cells, and bacteria are very difficult to find
by microscopy. In CSD, the infection may persist for
weeks to months, but it is contained at the level of the
regional lymph node and is ultimately self-limited.
In contrast to CSD, B. henselae infection in an immu-
nocompromised host presents a very different picture.
Patients with AIDS cannot contain the infection at the
level of the lymph node. Bacteria reach the general cir-
culation, inducing persistent fevers and causing metastatic
infection in the skin and liver where the bacteria are
abundant in number and easily spotted by microscopy.
The same manifestations may occur with infection by
B. quintana in AIDS patients.
A notable feature of disseminated Bartonella infection is
vascular proliferation at sites of local bacterial infection.
Skin lesions teem with bacteria, and these bacteria have
the capacity to induce endothelial cells to proliferate. The
result is the development of skin and liver lesions that
resemble benign vascular tumors. This process accounts
for the warty appearance of verruca peruana (caused by
B. bacilliformis) and the nearly indistinguishable appearance
of B. henselae or B. quintana skin infection in patients with
AIDS. The disease in AIDS is referred to as BA, but the
same expression could apply to the Peruvian disease as well.
Diagnosis, Treatment, and Prevention
The Bartonella species are not obligate intracellular patho-
gens and can therefore be isolated on cell-free, artificial
media. These organisms will grow slowly on blood agar
incubated in 5–10% CO
2
. Although culture is feasible, it
is insensitive and untimely. The development of colonies
may take weeks of incubation. Most cases are therefore
diagnosed by serologic testing.
Bartonella bacteria are susceptible to tetracyclines and
macrolide antibiotics. Treatment of patients with BA or
immunocompromised individuals is essential. However,
in most cases of CSD, it is difficult to ascertain whether
antimicrobial therapy has any beneficial effect on the
duration or outcome of infection. There is no Bartonella
vaccine for cat owners, but acquisition of the disease can
be prevented by the treatment of pet cats and kittens for
fleas and by avoidance of contacts that may break the
skin or inoculate mucous membranes when handling
these pets.
1.
2. 3a.
4. 5.
3.
Figure 3 Infection of Bartonella in the natural host. The
organism is inoculated into the susceptible host by a biting
hematophagous arthropod, for example, sandfly, flea, louse, or
tick, depending on the Bartonella species. (1) Bacteria adhere to
and invade endothelial cells at or near the site of inoculation,
(2) creating a primary nidus of intracellular growth and source of
synchronized release of bacteria into the circulation every few
days. Circulating Bartonella organisms infect red blood cells
(3), and grow to large numbers in the bloodstream
(4). Alternatively, some bacteria may reenter endothelial cells to
maintain the primary nidus of infection (3a). Senescent, infected
red blood cells serve as a source for transfer to an uninfected
vector arthropod (5) to complete the cycle.
Legionella, Bartonella, Haemophilus 687

Haemophilus
The Organism
The genus Haemophilus includes small, nonmotile, Gram-
negative coccobacilli, with Haemophilus influenzae being
the most medically important member of this genus. As
the name Haemophilus implies (‘blood-loving’), most spe-
cies require factors present in blood cells for growth
in vitro. These factors include heme-iron-containing pig-
ments, such as hemin or hematin (‘X factor’) and NAD or
NADP (‘Y factor’). Therefore, to isolate Haemophilus spp.
in the laboratory, clinical samples are inoculated onto
chocolate agar, a medium prepared with gently heated
blood that has released free X and Y factors from lysed
erythrocytes into solution.
Strains of H. influenzae may be encapsulated (typeable)
or nonencapsulated (nontypeable). There are six known
capsular types, type a through type f, but type b is by far
the most virulent of the encapsulated strains. The type b
capsule is composed of repeating units of polyribosylribi-
tol phosphate (PRP, Figure 4). H. influenzae type b (Hib)
was once the predominant cause of bacterial meningitis in
young children but has been largely eliminated by the
introduction of a PRP–protein conjugate vaccine in many
countries. Strains of nontypeable H. influenzae are not
uniform and vary in their expression of outer membrane
proteins (OMPs). These strains are associated with a high
rate of human colonization and in many cases of otitis,
sinusitis, and exacerbations of chronic bronchitis. Their
prevalence has been unaffected by the use of PRP-con-
jugate vaccine. Finally, a specific biogroup of nontypeable
H. influenzae, that is, aegyptius, has been associated with
purulent conjunctivitis and with a bacteremic condition
known as Brazilian purpuric fever.
The genus also includes species that are associated with
rare cases of bacteremia, endocarditis, and genital tract infec-
tion in humans. These include Haemophilus parainfluenzae,
Haemophilus aphrophilus,Haemophilus paraphrophilus,
Haemophilus haemolyticus, and Haemophilus parahaemolyticus.
A separate species, H. ducreyi, is the cause of the sexually
transmitted ulcerative disease, chancroid.
History
H. influenzae (previously known as Bacillus influenzae or
‘Pfeiffer’s bacillus’) received its species designation
because it was isolated from the sputum of patients with
influenza. It was even proposed, and briefly accepted, as
the cause of the 1918 ‘Spanish flu’ epidemic. Doubt about
this association arose after experiments of Peter Olitsky
and Frederick Gates of The Rockefeller Institute were
published in 1921. These investigators showed that lung
disease could be passed from human respiratory secre-
tions to rabbits even after filtration that excluded bacteria.
In 1924, Oswald Avery and J. M. Neill (also of the
Rockefeller Institute) developed specialized media for
growing B. influenzae – chocolate agar as described above –
and determined the optimal conditions for its cultivation.
This contribution allowed for more accurate study of the
occurrence of Haemophilus infection and led to the realiza-
tion that H. influenzae was a formidable secondary
infection in some cases of influenza, but not the primary
cause. Obviously, the nomenclature has not changed to
reflect this realization.
Epidemiology
H. influenzae is a human pathogen and is distributed
worldwide. As noted above, Hib was the predominant
cause of bacterial meningitis in young children until the
1990s. Thereafter, the use of capsule-conjugate vaccines
virtually eliminated this type of meningitis in countries
where it was introduced as part of the universal immuni-
zation program for infants (Figure 5). The vaccine also
reduced the Hib carriage rate dramatically, so much so
that there is little Hib circulating in the community.
Recent cases of Hib disease in older children who had
been previously vaccinated suggest that the lack of a
booster effect from natural reexposure to the bacteria
circulating in the community may account for the few
failures – perhaps a case of the vaccine program being too
successful!
Adult infections with H. influenzae (e.g., community-
acquired pneumonia, otitis, and sinusitis) are associated
with nonencapsulated (untypeable) strains. Similarly,
respiratory H. influenzae infections in populations of
immunized children are also usually associated with non-
typeable isolates. Fortunately, meningitis is extremely
rare with these strains.
Pathogenesis
H. influenzae is transmitted among humans by respiratory
droplet spread. The first essential event in a new host
is adherence to the upper respiratory epithelium.
H. influenzae is well equipped for this task; it expresses
pili (fimbriae) that bind to fibronectin-coating epithelial
HO C
CC
CCC
O
HHHH
OOO
CCCCOP
O
O
n
O
O
O
O
OH
Figure 4 The repeating structure of polyribosylribitol
phosphate (PRP) capsule of H. influenzae.
688 Legionella, Bartonella, Haemophilus

cells and heparin-binding extracellular matrix proteins.
Several nonpilus adhesins have also been identified and
bind to alternate receptors such as vitronectin, laminin, or
type IV collagen. In addition, several OMPs interact with
TLRs (TLR2 and TLR4). A phosphorylcholine residue
(ChoP) expressed on the lipooligosaccharide (LOS) inter-
acts with the platelet-activating factor receptor on the
host cell surface (Table 3). These secondary ligands are
also thought to contribute to host cell adherence.
Once attached to the mucosa, the organisms must fend
off both innate mechanisms of clearance and acquired muco-
sal immunity. To address the latter concern, H. influenzae
elaborates an IgA1 protease that dampens the effects of
mucosal antibodies by cleaving IgA at its hinge region. In
addition, certain bacterial surface structures mediate the
uptake of H. influenzae by epithelial cells, providing protec-
tion from mucosal immune mechanisms and a route of
invasion to the submucosa. The details of the complex
host cell signaling during the process of bacterial uptake
arebeyondthescopeofthisarticle.However,itappears
that the binding of H. influenzae ChoP to the platelet-activat-
ing factor receptor is both an important stimulus for
pinocytotic uptake of the bacteria and a suppressor of the
proinflammatory effects induced by the engagement of
OMP-2/OMP-6 and LOS with TLR2 and TLR4,
respectively.
25
Hib
Nontype b
20
15
10
5
01990 1991 1992 1993 1994 1995 1996
Year
Incidence rate
per 100 000 population
1997 1998 1999 2000
Figure 5 Annual rate of invasive Haemophilus influenzae disease (cases per 100 000 population) for the decade following the
introduction of type b capsular-conjugate vaccine. Courtesy of CDC, Atlanta, GA.
Table 3 Factors involved in the pathogenesis of infection by H. influenzae
Bacterial factor Localization Putative role in pathogenesis
IgA1 protease Secreted Cleaves IgA1 at the hinge region
Haemocin Secreted Bacteriocin produced only by Hib that may allow Hib to outcompete nonencapsulated
strains at the mucosal surface
Capsule Surface Confers serum resistance, antiphagocytic
Hif fimbriae (pili) Surface
organelle
Adherence via cell-associated fibronectin and heparin-binding extracellular matrix proteins
High-molecular-
weight adhesins
Surface HMW1 binds to sialyl-2,3 hexose; homologous to Bordetella pertussis filamentous
hemagglutinin
Hap, Hia, and Hsf
fibrils
Surface Adherence to host cells via various receptors
ChoP LOS Engages the platelet-activating factor receptor to induce pinocytotic uptake and
downregulate Toll-like receptors (anti-inflammatory effect)
Sialyltransferases,
SiaB
LOS Sialylation of LOS confers increased serum resistance
LgtC LOS Galactosyltransferase confers increased serum resistance
OMP-2 OM Engages TLR2
OMP-6 OM Engages TLR2; target for bactericidal antibodies
OMP-5 OM Inhibits sloughing of colonized epithelial cells
Major heat shock
Protein
Periplasm,
OM, etc.
Induces an inflammatory response via TLR2 and MyD88 (NF-B is translocated to the
nucleus)
Legionella, Bartonella, Haemophilus 689

H. influenzae have been found to have type IV pili that
may confer twitching motility and the ability to conjug-
ally transfer genes from a genomic island to a recipient
bacterium. Although this conjugative system constitutes a
type IV secretion system that transfers DNA from one
bacterium to another, there is currently no evidence of
translocation of bacterial proteins into host cells to mod-
ulate intracellular infection as was described for the
Legionella spp. and the Bartonella spp. in earlier sections of
this article.
Some H. influenzae surface structures serve as natural
targets for innate immune mechanisms. For example, gel-
forming mucins on the mucosal surface can bind to and
clear piliated H. influenzae. To counteract this clearance
mechanism, the pilus genes may undergo genetic phase
variation, allowing for a subpopulation that is not piliated,
and therefore is not susceptible to mucin clearance. The
structure of the LOS is also phase variable in a manner
that affects survival and virulence. For example, serum
resistance is a property that is altered by genetic phase
variation of the carbohydrate structure of LOS in non-
encapsulated strains of H. influenzae. A prominent
example of this variation is observed in the galactosyl-
transferase gene (lgtC) that confers serum resistance to the
bacterium when it is expressed. This gene is translated
into a functional protein only when the number of tetra-
nucleotide repeats in a variable region of the gene
conserves an appropriate reading frame. As in other spe-
cies with similar mechanisms, slipped-strand mispairing
provides the genetic mechanism for variation in the num-
ber of repeats. Similarly, the addition of sialic acid
residues to LOS by sialyltransferases in vivo also confers
serum resistance and is also subject to phase variation.
The phase-variable expression of ChoP on LOS has an
opposite effect; the presence of the phosphorylcholine
residues on LOS permits the binding of C-reactive pro-
teins and the triggering of the complement system, thus
increasing serum sensitivity.
For the encapsulated strains of H. influenzae, the key
virulence factor that allows for invasive disease and
meningitis is the capsule. Nonencapsulated strains tend
to cause only localized infections associated with epithe-
lial surfaces and do not have the capacity in normal hosts
to metastasize in the bloodstream to internal, sterile sites.
There is some evidence of biofilm formation during per-
sistent infection with nonencapsulated strains, but a
biofilm-specific exopolysaccharide has not yet been
identified.
Pathological Consequences of Infection
Type b, encapsulated strains of H. influenzae may cause
meningitis, pneumonia, epiglottitis, bacteremia, and sep-
tic arthritis in susceptible hosts. However, even in the
prevaccine era, these invasive infections were seen almost
exclusively in young children. Because of the high fre-
quency of colonization with Hib before extensive vaccine
use, most children possessed anticapsular antibodies by
the age of 4 years, with or without clinical manifestations
of prior infection. Thus, children older than 4 years of age
rarely ever developed invasive Hib disease, even in the
prevaccine era.
Nontypeable strains of H. influenzae cause acute bac-
terial otitis media, sinusitis, and conjunctivitis in healthy
hosts. In addition, these strains may cause opportunistic
infections in impaired hosts. For example, they are a
common cause of exacerbations of chronic bronchitis in
patients with chronic obstructive pulmonary disease
(COPD), pneumonia in COPD patients and children in
developing countries, neonatal and maternal sepsis, and
bacteremia in the elderly or otherwise compromised host.
In all types of H. influenzae infection, acute inflamma-
tory responses are the rule. Bacterial factors that trigger
these responses include the LOS, which has some endo-
toxin activity, OMPs that engage TLR2, and the heat
shock protein, Hsp70, that also engages TLR2. All of
these factors signal the cell to enhance the transfer
of NF-B to the nucleus and to increase the expression
of proinflammatory cytokines, provoking a localized
acute inflammatory response.
Diagnosis, Treatment, and Prevention
H. influenzae is a relatively fastidious bacterium, but diag-
nosis typically depends on culture. In addition to their
failure to grow on blood agar or MacConkey media
(which lack factors X and Y), these bacteria do not survive
well outside of the human host. Cultures in hospital set-
tings are frequently negative even when Gram stains are
highly suggestive of infection because the bacteria may
not survive the prolonged transportation time to the
laboratory.
Most H. influenzae are susceptible to a variety of anti-
microbials, including -lactams. Ampicillin or amoxicillin
is the drug of choice for these strains. However, approxi-
mately 17% of strains worldwide are resistant to
ampicillin and other penicillins, with frequencies of ampi-
cillin resistance varying considerably in different locales.
In the vast majority of these strains, ampicillin resistance
is conferred by the production of a -lactamase enzyme.
A very small percentage of strains (<1%) are resistant to
ampicillin by virtue of an alteration in a penicillin-
binding protein. Ampicillin-resistant strains are suscepti-
ble to -lactam–-lactamase-inhibitor combinations,
second- and third-generation cephalosporins, fluoroqui-
nolones, and some macrolides, any of which can be used
successfully to treat H. influenzae infections.
As mentioned, vaccination with type b capsular–
protein conjugate vaccines has virtually eliminated dis-
ease and reduced the carriage of type b strains wherever it
690 Legionella, Bartonella, Haemophilus

has been initiated in infant vaccination programs. There is
no current vaccine to protect against infection with non-
typeable strains.
Conclusion
The three fastidious Gram-negative pathogens described
in this article share elements of their basic structure and the
potential to cause disease in humans. They are otherwise
distinct in their selection of their preferred hosts and their
strategies for survival. Like many bacterial pathogens, these
three species cause particularly serious disease in impaired
or immunocompromised hosts in whom the pathology may
differ dramatically from that in healthy exposed indivi-
duals. Although a vaccine has produced a dramatic
reduction in the frequency of H. influenzae type b infection,
preventive strategies for the remaining H. influenzae strains
and two other species depend on public health and perso-
nal lifestyles adjustments.
Further Reading
Birtles RJ (2005) Bartonella as elegant hemotropic parasites. Annals of
the New York Academy of Sciences 1063: 270–279.
Dehio C (2004) Molecular and cellular basis of Bartonella pathogenesis.
Annual Review of Microbiology 58: 365–390.
Dehio C (2005) Bartonella–host-cell interactions and vascular tumour
formation. Nature Reviews Microbiology 3: 621–631.
Erwin AL and Smith AL (2007) Nontypeable Haemophilus influenzae:
Understanding virulence and commensal behavior. Trends in
Microbiology 15(8): 355–362.
Foucault C, Brouqui P, and Raoult D (2006) Bartonella quintana
characteristics and clinical management. Emerging Infectious
Diseases 12(2): 217–223.
McVernon J, Mitchison NA, and Moxon ER (2004) T helper cells and
efficacy of Haemophilus influenzae type b conjugate vaccination. The
Lancet Infectious Diseases 4(1): 40–43.
Merrell DS and Falkow S (2004) Frontal and stealth attack strategies in
microbial pathogenesis. Nature 430: 250–256.
Molmeret M, Bitar DM, Han L, and Abu Kwaik Y (2004) Cell biology of
the intracellular infection by Legionella pneumophila.Microbes and
Infection 6: 129–139.
Molofsky AB, Shetron-Rama LM, and Swanson MS (2005) Components
of the Legionella pneumophila flagellar regulon contribute to multiple
virulence traits, including lysosome avoidance and macrophage
death. Infection and Immunity 73(9): 5720–5734.
Molofsky AB and Swanson M (2004) Differentiate to thrive: Lesson from
the Legionella pneumophila life cycle. Molecular Microbiology
53(1): 29–40.
Nagai H, Kagan JC, Zhu X, Kahn RA, and Roy CR (2002) A bacterial
guanine nucleotide exchange factor activates ARF on Legionella
phagosomes. Science 295: 679–682.
Ninio S and Roy CR (2007) Effector proteins translocated by Legionella
pneumophila: Strength in numbers. Trends in Microbiology
15(8): 372–380.
Shohdy N, Efe JA, Emr SD, and Shuman HA (2005) Pathogen effector
protein screening in yeast identifies Legionella factors that
interfere with membrane trafficking. Proceedings of the National
Academy of Sciences of the United States of America
102(13): 4866–4871.
Tristam S, Jacobs MR, and Applebaum PC (2007) Antimicrobial
resistance in Haemophilus influenzae.Clinical Microbiology Reviews
20(2): 368–389.
Relevant Website
http://www.cdc.gov – Center for Disease Control and
Prevention (CDC)
Legionella, Bartonella, Haemophilus 691

Lipopolysaccharides (Endotoxins)
A X Tran and C Whitfield, University of Guelph, Guelph, ON, Canada
ª2009 Elsevier Inc. All rights reserved.
Defining Statement
Lipopolysaccharide Structure
Biosynthesis and Assembly of Lipopolysaccharides
Functions and Biological Activities of
Lipopolysaccharides
Further Reading
Glossary
core oligosaccharide (core OS) A branched and often
phosphorylated oligosaccharide with varying glycan
composition that is linked to lipid A. The inner core is
more conserved and generally contains 3-deoxy-D-
manno-octulosonic acid (Kdo) and L-glycero-D-manno-
heptose (Hep) residues. The outer core OS is more
variable in structure.
endotoxin In Gram-negative sepsis, the lipid A
components of LPS may stimulate macrophages and
endothelial cells to overproduce cytokines and
proinflammatory mediators. This can lead to septic
shock, a syndrome involving hypotension,
coagulopathy, and organ failure.
lipid A An acylated and phosphorylated di- or
monosaccharide that forms the hydrophobic part of
LPS.
lipooligosaccharide (LOS) A form of LPS often
produced by mucosal pathogens, including members of
the genera Neisseria,Haemophilus,Bordetella, and
others. LOS lacks O-polysaccharide (O-PS) but has
oligosaccharide chains extending from the inner core
OS. In many bacteria, expression of these chains (and
the resulting antigenic epitopes) is phase-variable.
lipopolysaccharide (LPS) An amphiphilic glycolipid
found exclusively in Gram-negative bacteria. LPS forms
the outer leaflet of the outer membrane in the majority of
Gram-negative bacteria.
O-polysaccharide (O-PS) A glycan chain attached to
the core OS. Structures of O-PSs vary considerably and
give rise to O-antigens that define O-serospecificity in
serological typing.
R-LPS Rough LPS, a form of LPS that is truncated by
the absence of O-PS and, in some cases, by part of the
core OS.
S-LPS Smooth LPS, a form of LPS common in the
families Enterobacteriaceae, Pseudomonadaceae, and
Vibrionaceae among others. S-LPS has a tripartite
structure composed of lipid A, core OS, and O-PS.
Abbreviations
ABC ATP-binding cassette
Acyl-ACP Acyl-acyl carrier protein
Ara4N 4-aminoarabinose
BPI bactericidal/permeability-inducing
protein
CAMP cationic antimicrobial peptide
GalA galacturonic acid
GlcN glucosamine
Hep L-glycero-D-manno-heptose
IRF interferon regulatory factor
Kdo 3-deoxy-D-manno-octulosonic acid
L-Ara4N 4-amino-4-deoxy-L-arabinose
LBP LPS-binding protein
LOS lipooligosaccharide
LPS lipopolysaccharide
MAC membrane attack complex
MAL MyD88 adaptor-like protein
mCD14 membrane CD14
MD-2 myeloid differentiation-2
MPL monophosphoryl lipid
MyD88 myeloid differentiation factor 88
PEtN phosphoethanolamine
R-LPS rough LPS
sCD14 soluble form of CD14
S-LPS smooth LPS
TIR Toll/interleukin I receptor
TLR4 Toll-like receptor 4
TNF-tumor necrosis factor-
TRAM TRIF-related adaptor molecule
TRIF TIR domain-containing adaptor
inducing IFN
UDP-
GlcNAc
UDP-N-acetylglucosamine
und-P undecaprenyl phosphate
und-PP undecaprenyl pyrophosphoryl
692

Defining Statement
A characteristic feature of Gram-negative bacteria is a
complex cell envelope containing an outer membrane.
The outer membrane is an asymmetric lipid bilayer that
has an inner leaflet containing glycerophospholipids and
an outer leaflet whose major component is lipopolysac-
charide (LPS), an amphiphilic glycolipid that is unique to
Gram-negative bacteria.
Lipopolysaccharide Structure
Lipopolysaccharide (LPS) is often called ‘endotoxin’, a
term first introduced in the nineteenth century to describe
the component of Gram-negative bacteria responsible for
the pathophysiological phenomena associated with Gram-
negative bloodstream infections. Early structural analyses
of LPS were driven, in part, by the desire to resolve the
identity of the molecule responsible for the endotoxic
effect. One of the key breakthroughs in early LPS research
came from the establishment and refinement of techniques
for the extraction and isolation of LPS by O. Westphal, O.
Lu
¨deritz, and F. Bister in the late 1940s and early 1950s.
Although other methods have followed, their hot phenol–
water extraction method is still commonly used today.
This pioneering early work led to the understanding that
LPS is responsible for the endotoxic phenomenon, and,
equally important, the finding that LPS molecules with
similar composition are present in different Gram-nega-
tive bacteria. More recent application of high-resolution
analytical techniques, such as nuclear magnetic resonance
spectroscopy and mass spectrometry, has led to detailed
refined structures for LPS molecules from diverse bac-
teria. It is now clear that there are general structural
principles that are highly conserved in the LPSs from
different sources, but there is substantial variation when
examining the fine structural details.
Extensive research has been performed on the structure,
genetics, and biosynthesis of LPS molecules of Salmonella
enterica serovar Typhimurium and Escherichia coli,andthese
LPSs form a basis for comparative analysis of other LPSs.
The LPS of E. coli and other members of the family
Enterobacteriaceae is organized into three distinct struc-
tural domains: O-antigen, core, and lipid A (Figure 1). Most
lipid A forms have a multiply-acylated diglucosamine back-
bone that serves as the hydrophobic anchor of LPS.
Extending outward from lipid A is the branched and often
phosphorylated oligosaccharide known as the core oligo-
saccharide (core OS). The O-antigen side chain
polysaccharide (O-antigen; O-PS) is a polymer of defined
repeat units attached to the core OS. The O-PS extends
from the surface to form a protective layer. This complete
tripartite LPS structure is known as ‘smooth LPS’
(S-LPS), taking its name after the ‘smooth’ or shiny col-
ony morphology displayed by enteric bacteria that have
S-LPS on their cell surface. Mutants with defects in O-PS
or core OS assembly produce truncated LPS molecules
but their growth in vitro is unaffected. For example, the
widely used E. coli K-12 strains carry a defect in O-PS
biosynthesis. The resulting colonies lack the smooth char-
acter, and, therefore, the truncated LPS are widely known
as ‘rough LPS’ (R-LPS) (Figure 1). Preparations of LPS
from bacteria that produce S-LPS contain a heteroge-
neous mixture of molecules with differing O-PS chain
length and always have a variable amount of truncated
R-LPS. This molecular heterogeneity is clearly evident
when LPS preparations are examined by SDS-PAGE
(Figure 2). Some bacteria, particularly mucosal patho-
gens, naturally lack O-PS chains in their LPS. Their LPS
contains oligosaccharide extensions attached to various
points of a typical inner core OS, in a form of LPS
known as lipooligosaccharides (LOSs) (Figure 1).
The LPS molecules from different bacteria typically
show closer structural relationships in the cell-proximal
lipid A and inner core OS regions and increasing diversity
in the distal outer core OS and O-PS domains. The inner
portion of the LPS molecule plays important roles in
establishing the essential barrier function of the outer
membrane, potentially placing constraints on the extent
of chemical, structural variation seen in LPS molecules.
The outer part of the LPS molecules interacts with envir-
onmental factors, such as the host immune response.
O-PSOuterInnerLipid A
Core OS
N
S-LPS
R-LPS
LOS
Figure 1 Schematic diagram showing three different forms of
LPS molecules. The tripartite S-LPS structure is typical of LPSs
produced by members of the Enterobacteriaceae,
Pseudomonadaceae, and Vibrionaceae. These bacteria also
produce a variable amount of R-LPS that lacks O-PS and, in
some cases, part of the core OS. Mucosal pathogens such as
Neisseria and Haemophilus spp. lack O-PS but instead may have
phase-variable oligosaccharide extensions attached to the core
OS, to form LOS.
Lipopolysaccharides (Endotoxins) 693

These selective pressures may have played a significant
role in the diversification of outer LPS structures.
Some bacteria, including Sphingomonas paucimobilis and
a few examples of treponemes (e.g., Treponema maritime
and Borrelia burgdorferi), have outer membranes that lack
LPS molecules entirely. In some cases, key genes for lipid
A synthesis are absent from genome sequences and the
genetic data are therefore consistent with compositional
data. In the case of S. paucimobilis, glycosphingolipids
probably serve to replace lipid A, and the same may be
true for the other examples. In those organisms that have a
traditional LPS, it is generally thought that lipid A is
essential for viability. However, the universality of this
assumption is challenged by the relatively recent identi-
fication of a viable Neisseria meningitidis mutant containing
a defect in an essential step in the lipid A biosynthesis
pathway.
Lipid A
During the early stages of endotoxin research, the terms
‘lipid A’ and ‘lipid B’ were assigned to components later
identified as the lipid moiety of LPS and phosphatidyletha-
nolamine, respectively. Phosphatidylethanolamine often
contaminates LPS preparations. The term ‘free’ lipid A
was used to describe the lipid product released by mild-
acid hydrolysis of LPS; this procedure selectively cleaves
the labile ketosidic linkage between the core OS and lipid
A. Until recently, it was the generally held view that free
lipid A does not exist on the surfaces of bacteria, but
Francisella tularensis now provides an exception; only small
quantities of the total cellular lipid A are found in a
complete LPS structure in this bacterium. Determining
the structure of lipid A is difficult due to its microheter-
ogenity as well as its amphipathic properties. However, the
lipid A structures from a variety of Gram-negative bacter-
ial species have now been resolved, revealing a family of
structurally related glycolipids based on common architec-
tural principles. In enteric bacteria, the backbone of lipid A
is formed by a disaccharide comprised of two glucosamine
(GlcN) residues joined by a -(1,6) linkage. The disacchar-
ide backbone is phosphorylated at positions 1 and 49in the
classic E. coli (Figure 3)andSalmonella LPS structures.
These phosphates can be further modified by addition
of phospho-ethanolamine (PEtN) or 4-aminoarabinose
(Ara4N) in a series of regulated processes (see ‘Lipid A
modification systems’). The disaccharide backbone is acy-
lated with ester and amide-linked 3-hydroxyl saturated
fatty acids (3-OH-C
14:0
). In E. coli and Salmonella, the fatty
acyl chains on the nonreducing GlcN residue are substi-
tuted by nonhydroxylated fatty acids, creating an
asymmetric arrangement. However, the precise acylation
pattern is species-specific (Figure 3). The variations in
lipid A structure can have an important effect on the
Lipid A-core
Lipid A-core + 1 O-repeat
Lipid A-core + 2 O-repeats
Lipid A-core + 3 O-repeats
Lipid A-core + modal O-PS
R-LPS S-LPS
Figure 2 Characteristic SDS-polyacrylamide gel profiles of
R-LPS and S-LPS preparations.
Helicobacter pyloriEscherichia coli (unmodified) Neisseria meningitidis
Figure 3 Structural diversity of representative lipid A molecules found in pathogenic bacteria. The major lipid A species from
Helicobacter pylori and Neisseria meningitidis are compared to that of the unmodified Escherichia coli K-12 (i.e., the structure
lacking the regulated covalent modifications; Figure 9). Partial covalent modifications are indicated with dashed bonds and
the enclosed circles indicate the length of each fatty acyl chain.
694 Lipopolysaccharides (Endotoxins)

biology of the organism. Within a given species structural
variants arise through complex environmental regulation;
the additional glycoforms are not essential for viability
in the laboratory but they play important roles in host–
bacterium interactions (see ‘O-polysaccharides as a protec-
tive barrier’).
In a few organisms, the canonical lipid A format varies.
In some representatives of the genera Rhizobium,Brucella,
and Legionella, the backbone is comprised of a -(1,6)-
linked disaccharide of 2,3,diamino-2,3-deoxyglucose and
long acyl chains (e.g., 27-hydroxyoctacosanoic acid) are
found. Other Rhizobium species contain a lipid A where
the proximal GlcN is oxidized to 2-aminogluconate.
Core Oligosaccharides
For the purpose of discussion of structure–function rela-
tionships, the core OS is often divided into inner and
outer core regions (Figures 1 and 4). The inner core OS
of most known LPSs is composed of characteristic resi-
dues of 3-deoxy-D-manno-octulosonic acid (Kdo) and
L-glycero-D-manno-heptose (Hep). The first Kdo residue
marking the core OS is attached to the 69-position in
lipid A (Figure 3). In some nonenteric bacteria, the Kdo
residue proximal to lipid A is phosphorylated, or is
replaced with the derivative D-glycero-D-talo-octulosonic
acid. These differences may influence the lability of the
linkage that is usually cleaved by mild-acid hydrolysis to
release lipid A from the intact LPS molecule for structural
studies. While Kdo is generally considered to be a diag-
nostic marker of the inner core, Kdo is also present in the
outer core OS of Klebsiella pneumoniae LPS (Figure 4) and
the susceptibility of its linkage to common treatments
used to prepare carbohydrate backbones can influence
structural determinations. In the Enterobacteriaceae,
the base inner core region is highly conserved and the
phosphorylated glycan backbone is nonstoichiometrically
modified by PEtN and Kdo residues (Figure 4). In con-
trast, the outer core shows more diversity; for example,
there are five outer core OS structures in E. coli reflecting
variations in glycose components and linkages. In most
cases, the core OS carries a net negative charge that is
Klebsiella pneumoniae O1
Salmonella enterica serovar Typhimurium
Neisseria meningitidis
Hep-(1–4)-Kdo-(2–6)-GlcN-(1–4)-GalA-(1–3)-Hep-(1–3)-Hep-(1–5)-Kdo-
β-GalA-(1–7)-Hep-(1–7)
β-GalA-(1–6)-β-Glc(1–4)
(Hep)N-(1–2)-Hep-(1–6)
O-PS
Kdo-(2–4)
Glc-(1-2)-Gal-(1-3)-Glc-(1-3)-Hep-(1–3)-Hep-(1–5)-Kdo-
Kdo-(2–4)
P–4
P–4
PEtN
PEtN-7
Hep-(1–7)Kdo-(2–4)
Gal-(1-6)
GlcNAc-(1-2)
O-PS
β-Glc-(1-4)-Hep-(1−5)-Kdo-
Hep-(1–3)
Glc-(1-3)
or PEtN-3
or H
or
NeuNAc-(2-3)-β-Gal-(1-4)-β-GlcNAc-(1-3)-β-Gal-(1-4)-
Gal-(1-4)-β-Gal-(1-4)-
GlcNAc-(1-2)
α-chain L3
α-chain L1
6-PEtN-3
or H
O-Ac
or H
PEtN-7
or Gly
Figure 4 Structural relationships in the core oligosaccharides from Salmonella enterica serovar Typhimurium and Klebsiella
pneumoniae and the lipooligosaccharide (LOS) of Neisseria meningitidis. Inner core residues are shown in blue, outer core (where
relevant) in black, and serospecific domains/structures are in red.
Lipopolysaccharides (Endotoxins) 695

important for its function in outer membrane stability (see
‘Role of LPS in the outer membrane integrity’ and
‘O-polysaccharides as a protective barrier’). The charge
is contributed by the carboxyl groups of Kdo and phos-
phate in E. coli and Salmonella, but K. pneumoniae provides
one example of a core OS devoid of phosphate. In this
bacterium, galacturonic acid (GalA) residues play a
critical role in establishing the permeability barrier.
O-Polysaccharides
The O-PS is the most variable portion of the LPS mole-
cule. A remarkable array of novel structures arises from
alterations in constituent sugars, linkages, and both com-
plete and partial substitutions with nonsugar residues. The
simplest O-PSs contain a disaccharide repeat unit with a
single monosaccharide constituent and a single glycosidic
linkage type. Complex homopolysaccharides can result
from larger repeat units defined by a specific sequence of
glycosidic linkages. At their most complex, O-PSs can be
heteropolysaccharides in which the repeat units contain
several component sugars, together with nonsugar substi-
tuents, such as O-acetyl groups and amino acids. The
remarkable structural diversity in O-PSs has been
exploited in serological classification of isolates from a
given bacterial species. In E. coli, there are approximately
170 distinct O-serogroups. Although the LPSs from most
bacterial strains tend to have a single O-PS type in the
same clone, there are a growing number of bacteria being
identified for which the lipid A-core serves as an acceptor
for two or more different polymeric structures that are
coexpressed. The length of the O-PS attached to lipid A-
core is heterogeneous but the distribution of chain lengths
is both strain- and growth condition-dependent. This is
best reflected in the patterns of LPS molecules revealed by
SDS-PAGE analysis (Figure 2).
Lipooligosaccharides
The LPS of mucosal pathogens such as Neisseria and
Haemophilus spp. is smaller than S-LPS and takes a form
that is known as LOS (Figure 3). These bacteria generally
do not produce S-LPS. As an example, the LOS structure
from N. meningitidis is given in Figure 4. The oligosac-
charide chains linked to the inner core OS provide
distinct antigenic epitopes giving rise to seven (L1–L7)
immunotypes. A common feature in these bacteria is the
phenomenon of phase variation, where the LOS epitopes
are differentially expressed. The complex glycoforms
impact host–pathogen interactions but can give rise to
difficulty in arriving at precise LOS structures, unless
phase-locked variants are available. Some bacteria (e.g.,
Bordetella spp.) can form both S-LPS and LOS.
Biosynthesis and Assembly of
Lipopolysaccharides
As might be anticipated from the structure of LPS, the
processes involved in LPS biosynthesis are complex
(Figure 5). A further complication arises from the fact
that most LPS precursors are found in the cytoplasm and
the completed molecule must be assembled in a process
that traverses the inner and outer membranes, the peri-
plasm and the peptidoglycan layer. In overview, lipid
A-core is synthesized in consecutive steps and is then
exported across the inner membrane by MsbA, an ATP-
binding cassette (ABC) transporter. O-PS is synthesized
by one of three pathways (although one has, so far, just a
single example). In each, the O-PS is assembled on the
lipid acceptor, undecaprenyl phosphate (und-P), and
becomes available at the periplasmic face of the inner
membrane in the undecaprenyl pyrophosphoryl (und-
PP)-linked form. The LPS molecule is completed by
transfer of the O-PS to the lipid A-core.
It is generally held that translocation of R-LPS and
S-LPS from the periplasm to the cell surface occurs
through the same pathway, although the details are
scant. Recent studies have begun to shed light on the
essential components. These include a conserved outer
membrane protein known as LptD (formerly known as
Imp or OstA); defects in this protein cause altered envel-
ope permeability properties. Conditional imp (LptD)
mutants produce membranes with an altered lipid-to-
protein ratio, demonstrating a role of LptD in cell envel-
ope biogenesis. LptD exists in a complex with LptE
(formerly RlpB), an outer membrane lipoprotein, whose
absence gives a phenotype resembling an LptD defect.
Several additional proteins are also implicated in LPS
translocation; a periplasmic protein (LptA), a cytoplasmic
ABC protein (LptB), and three inner membrane proteins
LptC (formerly YrbK), LptF (formerly YjpG), and LptG
(formerly YjgQ). Both LptF and LptG have been pro-
posed as transmembrane domain proteins that participate
with LptB in an ABC protein complex to extract LPS
from the inner membrane en route to the outer mem-
brane. LptC is a bitopic inner membrane protein that has
also been suggested to play a role in LPS extraction from
the inner membrane. LptA has been shown to be an LPS-
binding protein (LBP), perhaps serving as a chaperone to
mask the hydrophobic domains of lipid A in the aqueous
periplasm. However, the mechanisms of action of the
other proteins are currently unknown. Two potential
models can be envisaged for translocation. In one, the
essential machinery comes together to form a complex
that spans the envelope and provides specific assembly
sites with a direct connection between the inner and outer
membranes. This would resemble the proposed ‘Bayer
junctions’ from Manfred Bayer’s work in the late 1960s.
696 Lipopolysaccharides (Endotoxins)

Alternatively, the nascent LPS might be translocated via a
soluble carrier system similar to the process mediated by
the Lol system in assembly of outer membrane lipopro-
teins. After export across the inner membrane, newly
synthesized outer membrane-directed lipoproteins on
the periplasmic leaflet of the inner membrane are recog-
nized by the ABC transporter LolCDE complex and
released from the inner membrane in the presence of a
periplasmic carrier protein, LolA. LolA forms a soluble
complex with one molecule of lipoprotein and delivers its
cargo to a lipoprotein-specific outer membrane receptor,
LolB. LolB receives the lipoprotein from LolA and facil-
itates its incorporation into the outer membrane. The
identification of the potential LPS chaperone, LptA, and
the shared relationships in other components suggest
obvious similarities between the Lol and LPS transloca-
tion systems. This merits further investigation.
Beyond the base (constitutive) assembly system, it is
now clear that a variety of important LPS processing and
modification reactions occur in the periplasm and outer
membrane during the late assembly steps or following
insertion into the outer membrane. These have a signifi-
cant effect on LPS biological activity and cell envelope
properties (see ‘Lipid A modification systems’).
Biosynthesis of Lipid A-Core OS
The LPS molecules in most Gram-negative bacteria con-
tain at least one Kdo residue attached to lipid A. Kdo is an
essential and highly conserved component found in
nearly all LPS structures investigated to date. In E. coli
and Salmonella, the minimal LPS structure required for
growth has long been recognized as two Kdo residues
attached to lipid A (Kdo
2
-lipid A or Re-LPS). Although
this has complicated attempts to study the biosynthesis of
lipid A, most steps in the pathway are now established
through systematic efforts in the laboratory of Chris
Raetz; the pathway is widely referred to as the ‘Raetz
pathway’. Elucidation of the reaction sequence was
made possible by the initial discovery of a novel
LptD
(Imp)
IM
Other proteins?
ATP
ATP
ATP
?
ADP + Pi
OM
LptE
(RlpB)
P
P
Export via MsbA
O-antigen
biosynthesis
Lipid A and core OS
biosynthesis
LptB
LptGLptF
LptA
LptC
(YrbK)
LPS translocation
LPS biosynthesis
Ligation by
WaaL
Figure 5 Overview of LPS biosynthesis. The lipid A-core domain is synthesized at the cytoplasmic face of the inner membrane and is
exported to the periplasm by MsbA, an ABC transporter. The O-polysaccharide is assembled separately on a lipid carrier (undecaprenyl
phosphate) and is presented for ligation to lipid A-core by WaaL in the periplasm. The completed S-LPS molecules and R-LPS are
thought to be transported to the cell surface by the same pathway, involving several essential proteins whose mechanism of action is
generally unresolved. Nomenclature in parentheses refers to historical gene/protein names; the Lpt designations have been assigned
recently and are now in common usage in the field.
Lipopolysaccharides (Endotoxins) 697

membrane-associated glycolipid in E. coli, 2,3-diacylglu-
cosamine 1-phosphate (also known as lipid X), more than
20 years ago. Lipid X is a diagnostic intermediate that
provided essential clues to the biosynthesis strategy. The
nine Lpx enzymes of the constitutive Raetz pathway are
highly conserved and a single copy of each lpx gene can be
found in the genome of most Gram-negative bacteria and,
interestingly, in plants.
The biosynthetic pathway of E. coli Kdo
2
-lipid A is
shown in Figure 6. The pathway begins in the cytoplasm
of the cell with the acylation of the sugar nucleotide
UDP-N-acetylglucosamine (UDP-GlcNAc), catalyzed
by LpxA. UDP-GlcNAc is also a precursor for peptidogly-
can biosynthesis. LpxA and the subsequent acyltransferases
use only acyl-acyl carrier protein (acyl-ACP) as the obli-
gatory acyl donor. The second step of the pathway and
the first committed step of Kdo
2
-lipid A biosynthesis is
catalyzed by LpxC, a highly conserved deacetylase.
LpxC removes the acetyl group from position 2 of
UDP-GlcNAc to allow the addition of a second fatty
acyl chain catalyzed by LpxD, forming UDP-2,3-diacyl-
glucosamine. LpxH then cleaves the pyrophosphate bond
of the UDP-2,3-diacylglucosamine intermediate to yield
UMP and lipid X. The disaccharide synthase, LpxB,
forms the characteristic -(1,6) glycosidic linkage by con-
densing one molecule of lipid X with one molecule of
UDP-2,3-diacylglucosamine. Formation of the disacchar-
ide backbone is followed by phosphorylation at position
49by a specific kinase, LpxK, resulting in the formation of
lipid IV
A
, a key lipid A precursor. This kinase reaction has
played a central role in endotoxin research, in that it
allows for the preparation of radioactive
32
P-labeled pre-
cursors for biochemical studies. A distinctive feature of
the Gram-negative bacterial LPS is the presence of the
UDP-GlcNAc
3-OH-C14-ACP
LpxA
Acetate
LpxC LpxD
3-OH-C14-ACP UMP
LpxH
UDP
LpxB
MsbA
Lipid X
Lipid IVA
LpxK
ATP
ADP
WaaA
Kdo2-lipid IVA
LpxL
C12-ACP
LpxM
C14-ACP
Kdo2-lipid A
Periplasm
Cytoplasmic membrane
UDP
Ac
UDP
Ac
UDPUDP
2 × CMP-Kdo
2 × CMP
1-Phosphate4′-Phosphate
Acyl chains
GlcN
Kdo
Figure 6 The pathway for biosynthesis of the Kdo
2
lipid A domain of LPS in Escherichia coli K-12. The enzymes (red) responsible for
each step in the pathway are indicated. All have been identified by genetic and biochemical approaches. The completed Kdo
2
-lipid A
provides an acceptor for sequential assembly of the core oligosaccharide at the cytoplasmic face of the inner membrane. Acyl-acyl
carrier proteins (acyl-ACPs) serve as the obligate donors for acylation events in the pathway. The ABC-transporter MsbA is responsible
for exporting the complete LPS molecule across the inner membrane.
698 Lipopolysaccharides (Endotoxins)

Kdo sugars located at position 69of the disaccharide
backbone. In E. coli and Salmonella, transfer of the Kdo
sugars is catalyzed by the bifunctional Kdo transferase,
WaaA. The Kdo transferase from other organisms, such as
Haemophilus spp. and Vibrio spp., transfer a single Kdo
sugar to the disaccharide backbone, whereas in
Chlamydia spp., WaaA can be trifunctional or even tetra-
functional. All use a CMP-Kdo donor and the structural
features that dictate their mono- or multifunctional beha-
viors are unknown. In E. coli and Salmonella, the synthesis
of Kdo
2
-lipid A is completed by the addition of two fatty
acyl chains by the so-called ‘late’ acyltransferases, LpxL
(lauroyl, C12) and LpxM (myristoyl, C14).
A significant breakthrough in understanding the LPS
assembly process and the minimal essential LPS structure
in E. coli was achieved by the discovery of MsbA, the ABC
transporter required for export of lipid A derivatives to
the periplasm. MsbA is highly conserved among Gram-
negative bacteria and shares homology with the multi-
drug resistance proteins of eukaryotes. MsbA was first
identified by its ability to complement the growth defect
of an lxpL mutant at elevated temperatures. MsbA is
essential for viability in E. coli, and inactivation of the
transporter in temperature-sensitive mutants results in
the accumulation of Kdo
2
-lipid A and glycerophospholi-
pids in the inner membrane. Some N. meningitidis isolates
can survive without LPS and therefore tolerate an msbA
mutation; this bacterium represents an excellent system
for studying trafficking of lipid A. Unfortunately, attempts
to demonstrate MsbA’s lipid A flippase activity in phos-
pholipid vesicles have not yet been successful and remain
a major challenge in LPS research. Crystal structures of
MsbA transporters from several species are available but
the precise structure–function relationships pertaining to
lipid A export have not been resolved. A key question
remains – how does MsbA handle an amphipathic export
substrate; that is, what is the transport solution for a
molecule with a highly hydrophobic acylated domain
and a polar carbohydrate backbone? MsbA is highly selec-
tive for the hexa-acylated LPS forms, but full acylation
occurs only after the addition of two Kdo residues to a
tetra-acyl lipid A. Thus defects in Kdo addition are man-
ifested as blocks in LPS export. However, it has now been
demonstrated that overexpression of MsbA can suppress
the lethality of a Kdo-deficient LPS mutant, allowing
insertion of tetra-acylated lipid A precursor lipid IV
A
into the outer membrane. Presumably the low efficiency
of MsbA in exporting the lipid A intermediate is over-
come when the ABC transporter is present in high
concentrations, by simple mass action. This new discov-
ery redefines the minimal LPS structure required for
E. coli growth.
The essential requirement for lipid A and the overall
conservation of the Raetz pathway in most bacteria affords
opportunities for therapeutic intervention. To date, the
most promising target is the zinc-dependent deacetylase,
LpxC. LpxC shares no confounding similarity with mam-
malian deacetylases or amidases. Early LpxC inhibitors
were hydroxamate derivatives that interact with the cata-
lytic zinc ion. However, subtle differences in LpxC
structure meant that while E. coli was susceptible,
Pseudomonas aeruginosa (an important clinical target) was
not. A recently developed inhibitor (CHIR-090) shows
more promise with broad-spectrum activity and efficacy
against E. coli and P. aeruginosa, which is comparable to
that of commercial antibiotics such as ciprofloxacin or
tobramycin. A structure has been solved for LpxC from
Aquifex aeolicus in complex with CHIR-090 and this repre-
sents a major step in further refinements of inhibitors.
The completed Kdo
2
-lipid A provides an acceptor for
glycosyltransferases that act sequentially to assemble the
core OS as well as those that add the oligosaccharide
chains of LOSs. Assignments of glycosyltransferases that
synthesize core OS and enzymes such as kinases that
modify the backbone have primarily been made by
approaches where specific genes are individually mutated
and the resulting LPS structure is resolved by chemical
analysis. In some cases, these mutations have complex
effects since they alter the structure of the acceptors for
additional enzymes, that is, a single mutation can give a
phenotype suggesting multiple defects. For some
enzymes detailed biochemical properties and solved
structures are now available.
Synthesis of O-Polysaccharides
Despite the diversity in O-PS structures, only three
mechanisms are known for their formation of O-PS
(Figure 7). O-PS synthesis begins at the cytoplasmic face
of the inner membrane with activated precursors (sugar
nucleotides, nucleotide diphosphosugars) and the process
terminates with a nascent O-PS at the periplasmic face.
Und-P is an obligatory carrier in all three O-PS assembly
pathways. The involvement of a carrier lipid scaffold may
ensure fidelity in O-repeat unit structure, or simply pro-
vide an acceptor compatible with the membrane
environment. Interestingly, the ligase from E. coli K-12
will ligate structurally distinct O-PSs formed by any of
the three assembly pathways, indicating that the form in
which nascent O-PS is presented for ligation is conserved.
WaaL is the only known component involved in ligation
but other factors seem to be involved in the molecular
recognition of core OS acceptors and the underpinning
mechanism is unknown.
The three pathways for assembly of O-antigens vary in
the components required for polymerization, in the cel-
lular location of the polymerization reaction, and in the
manner in which material is exported across the inner
membrane (Figure 7). The same three mechanisms are
identified in the biosynthesis of capsular polysaccharides
Lipopolysaccharides (Endotoxins) 699

in Gram-negative and Gram-positive bacteria. In this
respect, the primary distinction between the O-PSs and
capsular polysaccharides is that the O-PSs are attached to
lipid A-core.
The earliest known pathway for O-PS synthesis is
distinguished by the involvement of the putative ‘O-PS
polymerase’ enzyme, Wzy. The ‘Wzy-dependent’ system
(Figure 7) is the classical pathway first described in S.
enterica serogroups A, B, D, and E. Sequence and biochem-
ical data show that the key enzymes (Wzx and Wzy) are
shared by other bacteria. In the working model for this
pathway, und-PP-linked O-repeat units are assembled by
glycosyltransferase enzymes at the cytoplasmic face of the
inner membrane. These reactions have been known since
work in the 1960s by H. Nikaido, M. J. Osborn,
P. Robbins, A. Wright, and others. The initial transferase
is an integral membrane protein that transfers sugar-1-
phosphate to the und-P acceptor. This is followed by
sequential sugar transfers, catalyzed by additional periph-
eral glycosyltransferases, to form an und-PP-linked
repeat unit. The polymerization reaction occurs at the
periplasmic face of the membrane and utilizes und-PP-
linked O-PS repeat units as the substrate. The individual
und-PP-linked O-PS repeat units must, therefore, be
exported across the inner membrane prior to polymeriza-
tion, and preliminary biochemical analyses suggest that the
likely candidate for this process is a multiple membrane-
spanning protein, Wzx. Wzx has specificity for the first
sugar in the und-PP-linked repeat unit. Polymerization of
the O-PS repeat units minimally involves the putative
polymerase (Wzy) and the O-PS chain length regulator
(Wzz), and genetic data suggest critical interactions
between Wzx, Wzy, and Wzz. Polymerization occurs in a
block-wise process where the growing glycan is transferred
from its lipid carrier to the newly exported und-PP-linked
repeat unit. A wzy mutant is unable to polymerize O-PS
and its LPS comprises a single O-repeat unit attached to
lipid A-core (sometimes called ‘semirough’-LPS). In con-
trast, a wzz mutant makes S-LPS but loses the
characteristic modal distribution (Figure 2)ofO-PS
chain lengths evident in SDS-PAGE analysis. The O-PSs
synthesized by this pathway are all heteropolymers and
often have branched repeating unit structures. An interest-
ing feature in some bacterial species is the presence of
additional O-antigenic determinants whose addition is
encoded by lysogenic bacteriophage. As an example,
Shigella O-PS is modified by acetyl and glucosyl residues
at different sites in the O-repeat unit using genes provided
by prophages. These modifications are added to und-PP-
linked O-PS intermediates at the periplasmic face of the
inner membrane. The glucosyl donor is und-P-Glc.
In the ‘ABC transporter-dependent’ pathway (Figure 7)
the O-PS is synthesized exclusively inside the cytoplasm and
once complete, it is exported to the periplasm via an ABC
transporter. The transporter is comprised of two copies each
of an integral membrane protein, Wzm, and its nucleotide-
binding partner, Wzt. As with the Wzy-dependent pathway,
synthesis is initiated at the cytoplasmic face of the inner
membrane by an integral membrane glycosyltransferase
enzyme, to form an und-PP-sugar. In fact, in E. coli
the UDP-GlcNAc:undecaprenyl phosphate GlcNAc-1-
phosphate transferase (WecA) can initiate for either pathway.
However, in the ABC transporter-dependent pathway the
initiating transferase acts only once per chain, rather than
once per repeat unit. Additional peripheral glycosyltrans-
ferases then act sequentially and processively to elongate the
und-PP-linked intermediate at the nonreducing terminus to
form a fully polymerized und-PP-O-PS. In the established
N
Wzz ATP
ADP
Wzx-Wzy-dependent ABC transporter-dependent Synthase-dependent
Periplasm
Cytoplasm
Wzm
Wzt
“Synthase”
NDP-sugars
NMP, NDPs NDP-sugars
NMP, NDPs
NDP-sugars
NMP, NDPs
Figure 7 The three known pathways for the biosynthesis of O-polysaccharides (O-PS). All of the assembly systems begin at the
cytoplasmic face of the inner membrane and assemble the nascent O-PS in an undecaprenyl pyrophosphoryl (und-PP)-linked form.
Nucleotide diphosphosugars (NDP-sugars) are the activated precursors. The enzyme complexes include integral and peripheral
proteins, and key components are indicated by name. The pathways differ in the mechanism and location of O-PS polymerization, and
in the manner by which O-PS (or O-repeat units) are transferred across the plasma membrane. Termination of O-PS synthesis occurs
with ligation of the nascent O-PS to preformed lipid A-core OS at the periplasmic face of the membrane (see Figure 5).
700 Lipopolysaccharides (Endotoxins)

prototype for this system, the chain length is regulated by
addition of a terminating residue to the growing glycan. The
termination residue also provides an essential export signal
that is recognized by a structure-specific binding domain
located on the nucleotide-binding protein of the ABC trans-
porter. The mechanism by which an ABC transporter can
translocate a long chain O-PS linked to und-PP across the
cytoplasmic membrane is intriguing but unresolved.
The ‘synthase-dependent’ pathway for O-PS bio-
synthesis is, so far, confined to the one homopolymeric
O-antigen (factor 54) of S. enterica serovar borreze. The
model for this pathway (Figure 7) proposes that the
initiating glycosyltransferase (WecA in this case) forms
an und-PP-sugar acceptor that is elongated by a single
multifunctional synthase enzyme, in a manner analogous
to eukaryotic chitin and cellulose synthases, and chon-
droitin/hyaluronan synthases from eukaryotes and
bacteria. There is no dedicated ABC transporter or Wzx
homologue in the O:54 system and all experimental evi-
dence currently points to the ‘synthase’ having dual
transferase-export functions.
Functions and Biological Activities of
Lipopolysaccharides
Role of LPS in the Outer Membrane Integrity
In E. coli and other closely related enteric bacteria, there
are estimated to be approximately 10
6
LPS molecules per
cell, encompassing nearly three quarters of the total outer
cell surface. The distinct structural features of LPS allow
the outer membrane to function as a selective barrier,
preventing entry of many toxic molecules and allowing
the cell to survive in different environments. A limited
number of wild-type Gram-negative bacteria are viable
without LPS; this phenomenon was first seen in menin-
gococci where compensatory changes in outer membrane
phospholipids and surface lipoproteins may help maintain
viability. In the case of S. paucimobilis, no ‘typical’ LPS
molecule is present in the outer membrane; instead, the
bacterium produces glycosphingolipid, a modified cera-
mide derivative containing glucuronic acid and an
attached trisaccharide. The smallest naturally occurring
LPS molecule is lipid IV
A
in F. tularensis and the intracel-
lular growth environment for this organism, together with
other features of the cell envelope, facilitates its survival
in the absence of more complex LPS structure.
Outermembraneasymmetry(i.e.,LPSintheouter
leaflet and glycerophospholipids in the inner leaflet) is
essential to the barrier properties. When this is not
achieved, and glycerophospholipids migrate to the outer
leaflet, the resulting areas of the outer membrane become
freely permeable to large hydrophobic antibiotics that nor-
mally affect only Gram-positive bacteria, detergents (e.g.,
SDS), and bile salts (sodium cholate and deoxycholate).
Although E. coli canassembleanoutermembranefrom
lipid IV
A
, the barrier function of the resulting outer mem-
brane is severely compromised and the mutants are highly
susceptible to hydrophobic compounds. Because of the
reaction sequence in E. coli (Figure 6), lipid IV
A
lacks
both Kdo moieties and secondary acyl chains; both influ-
ence outer membrane properties. It has been suggested that
the Kdo moiety helps stabilize the lipid bilayer by partici-
pating in divalent cation bridges formed between negative
charges contributed by both the phosphorylated lipid A
backbone and the carboxyl group of Kdo. These ionic
bridges not only minimize electrostatic repulsion but also
promote strong lateral interactions between neighboring
LPS molecules. Addition of the secondary acyl chains to
lipid IV
A
has been implicated in maintaining a low degree
of fluidity, a condition that is critical to outer membrane
function. Although secondary acyl chains are not essential
for viability, under-acylation of lipid A often results in
growth defects. The normal tight packing of saturated
acyl chains induces a network of hydrophobic interactions
that help maintain the integrity of the outer leaflet of the
outer membrane through van der Waal’s forces.
In many bacteria, the core OS also contributes to outer
membrane integrity. In E. coli and Salmonella, the phos-
phorylated inner core Hep residues (Figure 4) are
particularly important. Their absence leads to a pleiotro-
pic-defective envelope phenotype called ‘deep rough’
that is reflected in hypersensitivity to hydrophobic com-
pounds, such as detergents, dyes, and some antibiotics, as
well as other physiological changes. Salmonella waaP
mutants are avirulent. In P. aeruginosa, phosphorylation
of the Hep region is essential for viability. These mod-
ifications may provide further avenues for therapeutic
intervention. The importance of negatively charged core
OS residues in a robust outer membrane is underscored
by K. pneumoniae where the phosphates are absent and
carboxyl groups provided by GalA residues are
important.
O-Polysaccharides as a Protective Barrier
Molecular modeling of LPS structure and its organization
in the outer membrane suggest that the O-PS partially lies
flat on the cell surface, where the crossover of multiple
chains forms a ‘felt-like’ network. Since the O-PS is
flexible, it can also extend a significant distance from the
surface of the outer membrane and cryo-electron micro-
scopy reveals a significant O-PS layer on the cell surface.
It is therefore not surprising that many properties attrib-
uted to the O-PS are protective.
Long-chain O-PS is typically essential for resistance to
complement-mediated serum killing and, therefore, repre-
sents a major virulence factor in many Gram-negative
bacteria. The serum proteins in the complement pathway
interact to form a membrane attack complex (MAC) that
Lipopolysaccharides (Endotoxins) 701

can integrate into lipid bilayers to produce pores, leading
to cell death. The MAC can be formed via a ‘classical’
pathway, where surface antigen–antibody complexes
initiate MAC formation, or through the ‘alternative’
pathway, where complement component C3b directly
interacts with the cell surface in the absence of antibody
to facilitate MAC formation. In Gram-negative bacteria
with S-LPS, resistance to the alternative pathway does
not result from defects in C3b deposition. Instead, C3b is
preferentially deposited on the longest O-PS chains, and
the resulting MAC is unable to insert into the outer
membrane. In addition to O-PS chain length, complement
resistance can also be influenced by the extent of coverage
of the available lipid A-core with O-PS. As is often the
case, there are exceptions to such generalizations. For
example, there are some E. coli strains with S-LPS that
are serum-sensitive unless an additional capsular poly-
saccharide layer is present. Although R-LPS variants
of E. coli and Salmonella are almost invariably serum-
sensitive, other bacteria (including many with LOS) use
alternate strategies to achieve resistance.
The bactericidal/permeability-inducing protein (BPI)
is an antibacterial product found in polymorphonuclear
leukocyte-rich inflammatory exudates. BPI binds LPS
and plays a role in the clearance of circulating LPS (see
‘Lipopolysaccharide and Gram-negative sepsis’), but it
also exhibits antimicrobial activity in the presence of
serum. Resistance to BPI-mediated killing is also depen-
dent on long-chain O-PS.
Lipopolysaccharide and Gram-Negative Sepsis
One potential outcome of Gram-negative infection is
septic shock, a syndrome manifest by hypotension, coa-
gulopathy, and organ failure. In the United States, Gram-
negative sepsis accounts for nearly 200 000 deaths each
year. LPS (endotoxin) is responsible for this effect but it is
now clear that it does not act as a ‘toxin’ in its classical
sense. Instead, septic shock results from the interaction of
LPS molecules released from bacteria with macrophages
and endothelial cells, leading to the unregulated host
production of cytokines and inflammatory mediators,
including tumor necrosis factor-(TNF-) and a variety
of interleukins. Under normal circumstances, these com-
ponents have beneficial effects and lead to moderate
fever, general stimulation of the immune system, and
microbial killing. However, their unregulated overpro-
duction leads to tissue and vascular damage and the
symptoms of sepsis. Since free LPS is required to initiate
the process, treatment with antibiotics and the ensuing
bacterial lysis can actually exacerbate the problem.
The last decade has seen significant advances in our
understanding of the manner in which LPS interacts with
animal cells and stimulates their production of mediator
molecules and the structural principles of endotoxity. It is
the structure of lipid A that dictates the biological (endo-
toxic) properties. Some partial LPS structures and
chemically synthesized lipid A derivatives display the
same biological activities as the complete molecule.
Importantly, other partial structures (including lipid
IV
A
) and some naturally occurring LPS (e.g., the product
from Rhodopseudomonas sphaeroides) are biologically inac-
tive and can act as antagonists, negating the biological
activity of ‘toxic’ LPS. These structures have directed the
synthesis of potent synthetic LPS antagonists. Many of
the structural principles underlying the biological activity
have been resolved; the phosphates and the position and
types of acyl chains are critical. LPS molecules form
micellar aggregates. Their adopted shape is dictated by
packing of LPS monomers (a function of their structure)
and is a key determinant in their endotoxic properties.
The prototypical lipid A structure of E. coli, containing
two phosphate groups and six acyl chains consisting of
12–14 carbons, has maximal biological activity. In con-
trast, lipid A molecules that show low biological activity
typically possess only four or five acyl chains, some which
are 16–18 carbons in length, and they contain only one
phosphate group attached to lipid A.
Many elements of the complex system by which cells
respond to LPS have now been identified (Figure 8).
Circulating LPS aggregates interact with a variety of
host proteins, which are important in mobilizing LPS
monomers from such complexes; these proteins include
BPI and LBP, an acute phase protein produced by hepa-
tocytes. One role of these proteins is to clear and detoxify
LPS. For example, LBP is known to transfer LPS to high-
density lipoprotein fractions. However, LBP is also a
crucial component of the signaling pathway through
which animal cells are stimulated to produce cytokines
and inflammatory mediators. The central pathway by
which cells recognize low concentrations of LPS (or bac-
terial envelope fragments containing LPS) requires the
participation of a receptor protein CD14; CD14-knockout
mice are 10 000-fold less sensitive to LPS in vivo.In
myeloid cell lines, CD14 occurs as a glycosylphosphati-
dylinositol (GPI)-anchored glycoprotein attached to the
membrane CD14 (mCD14). However, a variety of non-
myeloid (endothelial and epithelial) cells are also
responsive to LPS via a soluble form of CD14 (sCD14).
Both sCD14 and mCD14 can bind LPS to form a com-
plex, but the kinetics of binding is slow. LBP serves to
overcome this rate-limiting step by delivering LPS to
mCD14 or sCD14. CD14 has a hydrophobic pocket that
accommodates the acyl chains of lipid A. This protects the
molecule from the enzymatic activity of acyloxyacyl
hydrolase, a leukocyte enzyme whose function is to selec-
tively remove the secondary (acyloxyacyl-linked) fatty
acyl chains from lipid A, thereby detoxifying the
molecule.
702 Lipopolysaccharides (Endotoxins)

Although CD14 is a central element in the signaling
pathway, it has no transmembrane domain to facilitate
intracellular signaling, nor can it discriminate between
agonist and antagonist lipid A species. Thus an accessory
coreceptor was hypothesized but its identity remained
elusive for some time. Major breakthroughs in under-
standing the process came with the discovery of the
central roles played by a membrane protein, Toll-like
receptor 4 (TLR4), and a secreted glycoprotein called
MD-2 (myeloid differentiation-2). Both MD-2 and TLR
are essential for LPS responsiveness. MD-2 serves as an
adaptor linking the extracellular recognition and intracel-
lular signaling events. MD-2 exists in two forms; one is
soluble and the other is membrane-bound through an
association with TLR4. MD-2 binds LPS and apparently
recognizes both acyl chains and lipid A phosphates. It is
likely that MD-2 recognizes structural features of differ-
ent LPS molecules and confers species-specific
recognition on TLR4 reflected in agonist/antagonist
responses and signals of differing strength. For example,
the lipid A molecules from Helicobacter pylori,Yersinia
pestis,F. tularensis,Legionella pneumophila,Porphyromonas
gingivalis, and Chlamydia trachomatis all have much lower
biological activities. The potential of these pathogens to
cause severe disease in human is attributed, in part, to
their ability to avoid TLR4 signaling. An essential step in
the signaling process is the delivery of LPS to the tethered
MD-2 and this is likely achieved by either soluble MD-2
or CD14. However, the processes are unclear and some
reports also implicate intercalation of LPS aggregates in
the cell membrane as part of the signaling pathway. The
engagement of tethered MD-2 with LPS results in signal
LPS micelle
MAL MyD88
TLR4
TIR-domain
NF-κB and IRF-5
NF-κB and IRF-3
Proinflammatory cytokines
IFN-ß and IFN- ß-inducible genes
TRAM
TRIF
Membrane
LBP
CD14 MD-2
Figure 8 The pathway involved in the stimulation of macrophages and other myeloid cell lines by LPS. The LPS-binding protein
(LBP) binds to Gram-negative bacteria or aggregated LPS and delivers an LPS molecule to CD14 and this is transferred to MD-2.
The binding of MD-2:LPS to TLR4 causes TLR4 to dimerize and leads to the productive association of the intracellular TIR domains
on the TLR4 monomers. This in turn facilitates the recruitment of adaptor proteins MAL/MyD88 and TRAM/TRIF to activate the
MyD88-dependent and MyD88-independent pathways. In each case, a multifactorial signal transduction cascade leads to transcription
of genes encoding cytokines and inflammatory mediators. Some elements of the pathway are also important for LPS clearing.
Lipopolysaccharides (Endotoxins) 703

transfer across the cell membrane, through a mechanism
that involves dimerization of TLR4. Crystal structures for
TLR4:MD-2 and MD-2:lipid A have been reported.
TLR4 dimerization facilitates the productive association
of intracellular TIR (Toll/interleukin I receptor)
domains on each monomer and initiates the recruitment
of additional cytoplasmic adaptor proteins that also con-
tain TIR domains.
These adaptor proteins include MyD88 (myeloid dif-
ferentiation factor 88), MAL (MyD88 adaptor-like
protein), TRIF (TIR domain-containing adaptor indu-
cing IFN, also known as TICAM-1), and TRAM
(TRIF-related adaptor molecule). These adaptors act in
concert with a complex array of additional positive
and negative regulators to control the activation of IRF
(interferon regulatory factor) proteins and NFB, leading
to expression of different sets of genes. MAL is mem-
brane-associated and recruits MyD88 to activate the
MyD88-dependent signaling pathway. In contrast, mem-
brane-associated TRAM recruits TRIF to stimulate the
MyD88-independent pathway. These pathways play an
important role in the proflammatory response as well as in
the development of LPS tolerance.
A variety of therapeutic approaches have been
designed to interfere with specific steps in the process
leading to septic shock. The number of mediators involved
complicates strategies based on blocking cytokines them-
selves; for example, antibody neutralization of TNF-is
not effective. Significant efforts have been directed to
neutralizing the LPS using antiendotoxin monoclonal
antibodies, but the results have been disappointing.
However, antibodies that recognize the core OS show
promise in preliminary studies. LPS neutralization could
be achieved by using proteins that bind LPS, and both
LBP and BPI are being pursued in that respect. Other
strategies meeting success in early-phase studies include
attempts to block the extracellular steps in LPS receptor/
signaling pathways. The approaches include delivery of
synthetic LPS antagonist(s), application of anti-CD14 and
anti-LBP monoclonal antibodies that block the formation
of CD14/LPS complex, or administration of antibodies
against MD-2 and TLR4 to inhibit signal transfer.
Lipid A Modification Systems
Modification of lipid A can contribute in a very signifi-
cant way to the virulence and pathogenic capabilities of
many Gram-negative bacteria, by modulating interaction
with the innate host defenses. These modifications can
allow the bacterium to evade recognition by TLR4 as
well as promoting resistance to host cationic antimicrobial
peptides (CAMPs). The modifications are often induced
by environmental signals and occur after lipid A transport
across the inner membrane by MsbA; the modifying
enzymes are located at the periplasmic face of the inner
membrane or in the outer membrane. This separation of
lipid A biosynthesis from latent modifications may be
important to maintain efficient synthesis of lipid A and
to ensure proper transport across the inner membrane.
The potential modifications are well illustrated using
Salmonella LPS as an example.
In the laboratory, the basal Salmonella LPS structure
contains a hexa-acylated lipid A with phosphates at posi-
tions 1 and 49. In contrast, in the presence of the appropriate
environmental signals, the lipid A is heavily decorated and
is hepta-acylated (Figure 9). The lipid A modifications are
governed by two different two-component regulatory sys-
tems, PhoP/PhQ and PmrA/B. PhoP/PhoQ is required for
transcription of genes essential for virulence in mice and
humans; it is important for survival within macrophages and
for resistance to CAMPs. PhoP/PhoQ is activated after
phagocytosis by macrophages and signals to the bacterium
its presence inside the phagolysosome, which contains a
variety of antimicrobial peptides and other surface-active
compounds. In the laboratory, the PhoP/PhoQ system can
be activated under low Mg
2þ
conditions and by exposure of
the bacterium to CAMPs. In Salmonella, activation
PhoP/PhoQ also initiates the PmrA/B pathway via a
posttranslational mechanism using an effector protein
known as PmrD. However, in E. coli the pmrD gene is
nonfunctional.
Following activation via PhoP/PhoQ, the acyl chains
of Salmonella lipid A are extensively remodeled. PagP is a
palmitoyltransferase that transfers palmitate from glycer-
ophospholipids to lipid A to form a hepta-acylated species
with an acyloxyacyl derivative at position 2. This addition
may afford tighter packing of LPS. PagP is important for
resistance to CAMPs, and PagP homologues are essential
for virulence in many Gram-negative pathogens. PagL
and LpxR (which is Ca
2þ
-regulated) are deacetylases
whose roles are unclear; both are latent in Salmonella and
their influence on LPS structure is evident only when the
enzymes are overexpressed. In Salmonella, PagL is not
required for resistance to CAMPs. LpxR homologues
are widespread, and are apparently active, in other patho-
gens (e.g., H. pylori,Yersinia enterocolitica, and P. gingivalis)
where ester-linked acyl chains are absent from the 3-O
and 39-Opositions. Modification of Salmonella LPS by
either PagP or PagL is sufficient to attenuate signaling
through TLR4 and may serve to dampen host response
(inflammation) in infected hosts.
Modification to the disaccharide region centers on the
removal or decoration of the lipid A phosphate groups.
Salmonella contains latent enzymes capable of modifying
the lipid A phosphates with 4-amino-4-deoxy-L-arabinose
(L-Ara4N) and/or PEtN (Figure 9) following activation of
PmrA/PmrB. Substitution of the 1- and 49-phosphates with
L-Ara4N and PEtN helps to mask the negatively charged
lipid A phosphate groups. This lowers the affinity of lipid
A for CAMPs and polycationic compounds such as
704 Lipopolysaccharides (Endotoxins)

polymyxin (the Pmr name is derived from ‘polymyxin
resistance’), and therefore prevents a critical step in the
killing of bacteria by CAMPs. Bacteria harboring the
modified LPS survive longer inside neutrophils. The
transfer of L-Ara4N to lipid A occurs at the periplasmic
face of the inner membrane and is catalyzed by ArnT,
using und-P-Ara4N as a donor, in a reaction resembling
phage-mediated glucosylation of O-PS (see above). The
arn genes are well distributed. PEtN is transferred from
phosphatidylethanolamine by the inner membrane
enzyme EptA (also known as PmrC). In Salmonella, addi-
tion of Ara4N appears more important than addition of
PEtN in CAMP-resistance. In contrast, N. meningitidis
cannot add Ara4N and its natural resistance to CAMPs
is conferred by its EptA homologue. In H. pylori, the
1-phosphate on the lipid A is removed prior to addition
of PEtN. In E. coli, the 1-phosphate can be modified with
an additional phosphate group which is transferred from
und-PP by LpxT. The 1-diphosphorylated lipid A spe-
cies in Salmonella are identified only in Pmr-null mutants
lacking Ara4N and PEtN. The nature of the regulatory
process that balances these modifications, and the impact
of the 1-diphosphate, have not been established. Other
modifications of the backbone phosphates include methyl
groups in Leptospira interrogans, galactosamine residues in
F. tularensis, and GalA in some Rhizobium species.
In Salmonella, the core OS is also subject to modifica-
tion with PEtN (Figure 9). Modifications of Kdo and
Hep-P are catalyzed by EptB (Ca
2þ
-regulated) and
CptA (PmrA/PmrB-regulated), respectively; both may
Core OS
O
NH
O
O
O
O
O
O
OOO
HO
O
OO
O
O
OO
O
OPPNH3
NH3
O
HO
NH
O
O
HO
O
O
O
P
O
O
HO OH
OO
O
OH
O
HO
O
OO
O
OH
OH
HO
OO
O
O
OH
O
HO
O
O
OP
H3N
O
OH
OH
HO
HO
HO
O
O
O
O
OH
HO
O
O
OP
O
O
OP NH3
O
O
OP
ArnT
LpxR
PagL
PagP
EptB
EptA (PmrC)
O
O
OP
LpxT
CptA
or
Figure 9 Regulated covalent modifications of Salmonella enterica serovar Typhimurium lipid A-inner core. The base lipid A structure is
indicated in black, Kdo residues in blue, and phosphorylated Hep residues in green. PhoP/PhoQ-regulated modifications influencing
acylation are shown in purple and PmrA/PmrB-regulated modifications affecting charge are shown in red. The modifications in orange
are regulated by the Ca
2þ
content of the medium.
Lipopolysaccharides (Endotoxins) 705

be required for outer membrane stability under certain
conditions.
Rather than masking the negatively charged phosphate
groups, some bacteria adopt an alternative strategy in
which the lipid A phosphate groups are removed enzy-
matically. Gram-negative bacteria whose lipid A lacks
one or more phosphates include H. pylori,P. gingivalis,
Bacteroides,L. interrogans, and others. Removal of the phos-
phate groups reduces the endotoxic property of lipid A,
while at the same time reducing its affinity for antimicro-
bial peptides. The influence of this modification is
illustrated by expression of a 1-phosphatase gene (lpxE)
from Sinorhizobium in Salmonella. The resulting LPS is a
nonendotoxic adjuvant and the resulting strain may be
useful in development of live oral vaccines.
Perhaps the most radical postsynthesis modification is
seen in F. tularensis, where free lipid A can be found on the
cell surface. It is proposed that this is derived from
nascent S-LPS through the action of one (or more)
Kdo-hydrolase(s). This is accompanied by removal of
the 49-phosphate (by LpxF), 39-deacylation and addition
of GalN to the 1-phosphate, by a homologue of ArnT.
Phase Variation and Molecular Mimicry in LPS
and LOS
Pathogenic bacteria have developed a wide array of stra-
tegies to overcome the host immune system for extended
survival in their host. Gram-negative bacteria often use
phase variation, a reversible change in antigenic determi-
nants including LPS. The mechanisms involved in on–off
switching of target genes include genomic rearrange-
ments, slipped-strand mispairing, or variations mediated
by differential methylation that change the expression of
specific genes. Phase variation of LPS is prevalent and
well studied in mucosal pathogens with LOS such as
Neisseria spp., Haemophilus influenzae, and in H. pylori and
Campylobacter jejuni it generates a complex mixture of
glycoforms. The resulting structures are subject to intense
selective pressures in the host and can significantly influ-
ence host–pathogens. For example, the LPS of Neisseria
gonorrhoeae isolates typically contain low amounts of sialic
acid, and this is important for entry of the bacterium into
human mucosal epithelial cells. In contrast, variants with
highly sialylated LPS resist killing by complement and
antibodies but fail to enter into human mucosal epithelial
cells. Although not a classical phase variation process,
P. aeruginosa isolates colonizing the pulmonary system of
cystic fibrosis patients undergo a gradual change in the
LPS phenotype involving loss of the long-chain anionic
O-PS known as B band. This host adaptation appears to
be a regulated development, since on subsequent culture
in vitro, cells revert to typical S-LPS profiles.
Molecular mimicry is also seen frequently in LPS and
LOS. For example, the O-chain of H. pylori LPS contains
fucosylated OS and Lewis antigen epitopes, which mimic
human blood group antigens. Variable expression of these
epitopes influences evasion of host immune response,
autoimmune response, cell adhesion, and long-term colo-
nization of the bacteria. The LOS of C. jejuni and Brucella
melitensis contain phase-variable ganglioside mimics and
these may again provide a mechanism for avoiding the
host immune response. However, they are also implicated
in the development of an autoimmune response under-
lying Guillain–Barre
´syndrome.
Biotechnological Applications Involving LPS
The incredible array of LPS structures provides an exten-
sive range of oligosaccharide and polysaccharide
structures with novel biological properties. These may
be of value for therapeutic or other commercial applica-
tions. In one novel example, a recombinant E. coli strain
was constructed in which the LPS core OS provided a
scaffold for expression of the globotriose receptor for
Shiga toxin. The surface-exposed receptor in the E. coli
strain efficiently adsorbs and neutralizes the toxin, afford-
ing a therapeutic approach to treating infections whose
pathogenesis involves this and related toxins. Another
exciting example is the recent development of monopho-
sphoryl lipid A (MPL) as a vaccine adjuvant. The
effectiveness of LPS as an immunomodulator is well
known; however, its extreme toxicity precludes its ther-
apeutic use. MPL is a chemically modified derivative of
Salmonella LPS that displays greatly reduced toxicity,
while maintaining most of the immunostimulatory activ-
ity of LPS. MPL adjuvant has been extensively used in
clinical trials as a component in prophylactic and ther-
apeutic vaccines targeting infectious disease, cancer, and
allergies. Structures of glycosyltransferases, including an
LOS galactosyltransferase, have been solved at high reso-
lution by crystallographic methods. Ultimately, this will
provide insight into the details of structure–function rela-
tionships among glycosyltransferases and open the
possibility for engineering enzymes with novel specifici-
ties for practical applications. For information regarding
known glycosyltransferases see the CAZY (Carbohydrate
Active enZYmes) website maintained by B. Henrissat’s
laboratory (http://www.cazy.org/).
Further Reading
Allison GE and Verma NK (2000) Serotype-converting bacteriophages
and O-antigen modification in Shigella flexneri.Trends in
Microbiology 8: 17–23.
Bishop RE (2008) Structural biology of membrane-intrinsic beta-barrel
enzymes: Sentinels of the bacterial outer membrane. Biochimica et
Biophysica Acta 1778: 1881–1896.
Bos MP, Robert V, and Tommassen J (2007) Biogenesis of the Gram-
negative bacterial outer membrane. Annual Review of microbiology
61: 191–214.
706 Lipopolysaccharides (Endotoxins)

Dixon DR and Darveau RP (2005) Lipopolysaccharide heterogeneity:
Innate host responses to bacterial modification of lipid A structure.
Journal of Dental Research 84: 584–595.
Doerrler WT (2006) Lipid trafficking to the outer membrane of Gram-
negative bacteria. Molecular Microbiology 60: 542–552.
Freudenberg MA, Tchaptchet S, Keck S, et al. (2008)
Lipopolysaccharide sensing an important factor in the innate immune
response to Gram-negative infections: Benefits and hazards of LPS
hypersensitivity. Immunobiology 213: 193–203.
Gay NJ and Gangloff M (2007) Structure and function of Toll receptors
and their ligands. Annual Review of Biochemistry 76: 141–165.
Holst O (2007) The structures of core regions from enterobacterial
lipopolysaccharides – an update. FEMS Microbiology Letters
271: 3–11.
Jerala R (2007) Structural biology of the LPS recognition. International
Journal of Medical Microbiology 297: 353–363.
Lu Y-C, Yeh W-C, and Ohashi PS (2008) LPS/TLR4 signal transduction
pathway. Cytokine 42: 145–151.
Meredith TC, Aggarwal P, Mamat U, Lindner B, and Woodard RW
(2006) Redefining the requisite lipopolysaccharide structure in
Escherichia coli.ACS Chemical Biology 1: 33–42.
Miller SI, Ernst RK, and Bader MW (2005) LPS, TLR4 and infectious
disease diversity. Nature Reviews Microbiology 3: 36–46.
O’Neill LAJ and Bowie AG (2007) The family of five: TIR domain-
containing adaptors in toll-like receptor signaling. Nature Reviews
Immunology 7: 353–364.
Raetz CR, Reynolds CM, Trent MS, and Bishop RE (2007) Lipid A
modification systems in Gram-negative bacteria. Annual Review of
Biochemistry 76: 295–329.
Raetz CR and Whitfield C (2002) Lipopolysaccharide endotoxins.
Annual Review of Biochemistry 71: 635–700.
Stenutz R, Weintraub A, and Widmalm G (2006) The structures of
Escherichia coli O-polysaccharide antigens. FEMS Microbiology
Reviews 30: 383–403.
Trent MS, Stead CM, Tran AX, and Hankins JV (2006) Diversity of
endotoxin and its impact on pathogenesis. Journal of Endotoxin
Research 12: 205–223.
Wu T, McCandlish AC, Gronenberg LS, Chng SS, Silhavy TJ, and
Kahne D (2006) Identification of a protein complex that assembles
lipopolysaccharide in the outer membrane of Escherichia coli.
Proceedings of the National Academy of Sciences of the United
States of America 103: 11754–11759.
Relevant Websites
http://www.cazy.org – Carbohydrate active enzymes (CAZY)
http://www.ieiis.org – International Endotoxin and Innate
Immunity Society (IEIIS)
Lipopolysaccharides (Endotoxins) 707

Marine Habitats
D M Karl, University of Hawaii, Honolulu, HI, USA
R Letelier, Oregon State University, Corvallis, OR, USA
ª2009 Elsevier Inc. All rights reserved.
Defining Statement
Introduction
Nature of Marine Microbial Life
Structure and Classification of Marine Macrohabitats
Marine Microbial Inhabitants and Their Growth
Requirements
Distribution, Abundance, and Biogeography of Marine
Microbes
Sunlight, Nutrients, Turbulence, and the Biological
Pump
Time Variability of Marine Habitats and Climate Change
Summary and Prospectus
Further Reading
Glossary
autotroph An organism that uses carbon dioxide as its
source of carbon for new cell growth. Autotrophs can be
either phototrophs or chemotrophs.
chemotroph An organisms that derives its energy from
reduced inorganic or reduced organic compounds.
chlorophyll A ubiquitous pigment that is responsible
for light energy absorption in the photosynthetic
apparatus of most marine phototrophs.
euphotic zone The sunlit portion of the water column
where there is a sufficient light flux to sustain net
photosynthesis, usually the upper 150–200 m in the
clearest ocean water.
genome The complement of genes present in a living
organism that determines its taxonomic structure,
metabolic characteristics, behavior, and ecological
function.
habitat A place of residence that is defined by a suite of
physical, chemical, and biological characteristics.
mixotrophy A term used to describe the metabolism of
a microorganism that can obtain energy, electrons, or
carbon (or all three) from more than one conventional
source.
nutrient One of several organic or inorganic raw
materials that are used by microorganisms to sustain
their metabolism, for example, nitrate, phosphate, iron,
vitamins.
phototroph An organism that derives its energy from
sunlight, usually through the process of photosynthesis.
picoplankton Small (0.2–2 mm in diameter)
phototrophic, chemotrophic, or mixotrophic organisms
that live in the water column and drift with the ocean
currents.
remote sensing The indirect measurement of habitat
characteristics, for example, by Earth-orbiting satellites.
turbulence A physical process resulting from wind
stress, ocean circulation, and related processes that is
responsible for the exchange of heat and mass between
two or more regions of the ocean, for example, the
transport of nutrients from the deep sea to the sunlit
surface waters.
twilight zone The region of the oceanic realm (also
called the mesopelagic zone) immediately below the
euphotic zone where sunlight is measurable but
insufficient to support net photosynthesis, usually
between 200 and 1000 m.
Abbreviations
ALOHA A Long-term Oligotrophic Habitat
Assessment
ATP adenosine triphosphate
BATS Bermuda Atlantic Time-series Study
CZCS Coastal Zone Color Scanner
DCML Deep Chlorophyll Maximum Layer
DOM dissolved organic matter
DON dissolved organic nitrogen
HOT Hawaii Ocean Time-series
HTL higher trophic level
MODIS Moderate Resolution Imaging
Spectroradiometer
NPSG North Pacific Subtropical Gyre
OSP Ocean Station Papa
PAR Photosynthetically Available Radiation
SEATS SouthEast Asia Time-Series
WOCE World Ocean Circulation Experiment
708

Defining Statement
A habitat is the natural abode of an organism. The marine
habitat is composed of a diverse spectrum of environ-
ments each supporting the proliferation of a diverse
assemblage of microorganisms. When habitats vary, for
example as a result of seasonal and longer term climate
forcing, the diversity and function of the microbial assem-
blage will also change. The North Pacific Subtropical
Gyre (NPSG), one of Earth’s largest habitats, is an excel-
lent example of a marine habitat in motion with respect to
microbial structure and function.
Introduction
A habitat is often defined as the natural abode or place of
residence. For this reason, the global ocean may be con-
sidered as one of the largest and oldest habitats on Earth;
it covers 71% of the Earth’s surface to a mean depth of 3.8
kilometers and comprises >95% of Earth’s probable liv-
ing space (Figure 1). However, despite the appearance of
homogeneity, the ocean is actually a complex mosaic of
many different macrohabitats that can be identified, stu-
died, and compared; each macrohabitat has a potentially
distinct assemblage of microorganisms. Examples are
rocky intertidal, coastal upwelling, deep sea hydrother-
mal vent, and open ocean habitats.
Some of these habitats are critical to the mass balance
of elements in the ocean because they are found at the
interface or boundary between terrestrial, or freshwater,
and marine systems. For instance, within estuarine
habitats, which are located at the freshwater–marine
boundary, processes can trap dissolved nutrients and par-
ticulate matter, or can export energy in the form of
organic matter and nutrients to surrounding coastal habi-
tats. The characteristics of any given estuary will vary
depending upon dimensions, hydrology, and geographical
location. And, because they represent gradual transition
zones, estuaries highlight the difficulty of defining the
boundaries of marine habitats. The continental–marine
boundary also includes many specialized and important
microbial habitats including fjords, salt marshes, man-
grove stands, coral reefs, kelp forests, and many man-
made or human-impacted (e.g., harbors, sewage outfalls,
mariculture farms, gas and oil production facilities) zones.
Another approach to define a marine habitat is through
the comprehensive list of physical, chemical, and biological
parameters experienced directly by the organism during its
lifetime; collectively these parameters determine the suc-
cess or failure of a particular strain, species, or assemblage
of microbes. Given this definition, the size, motility, and
10 000
Earth
Ocean
Oceanic habitats
8000
5.8%
10.8%
53.8%
0.9%
Mt. Everest
8936 M
Mean
elevation
of land
840 M
Depth/elevation (m)
6000
4000
2000
0
2000
Mean depth
of sea
3800 M
Challenger deep
10 800 M
4000
6000
8000
10 000
10 20 30 40
Percent earth’s surface
50 60 70 80 90 100
Land 29%
·
Ocean 71%
·
Shelf (0–200 m)
Slope (200–3000 m)
Abysal plain
(3000–6000 m)
Deep trenches
(>6000 m)
·
·
·
·
Surface area = 3.6 × 108 km2
Volume = 1.4 × 109 km3
·
·
Figure 1 The world ocean covers 71% of Earth’s surface with the deep blue sea (regions seaward of the continental shelf)
accounting for more than 60% of the total. With an average depth of 3800 m, the volume of habitable space on planet Earth is
dominated by marine habitats. Because microbes dominate the marine environment, they are directly or indirectly linked to most global
processes and are largely responsible for the habitability of our planet. Reproduced, with permission, from Microbial Oceanography
(http://www.agi.org).
Marine Habitats 709

lifespan of the microbes under consideration define the
spatial and temporal scale of their habitat. Hence, it is
important to recognize that most microorganisms live in
‘microhabitats’ that are defined on space scales of micro-
meters to millimeters and time scales of hours to weeks.
Microhabitats are often the sites of elevated microbial
biomass and accelerated metabolism. Once colonized by
microorganisms, the environmental conditions within a
given microhabitat (e.g., pH, redox level, nutrients, and
dissolved gas concentrations) can change as a result
of the metabolic activities of the microbial assemblage.
Consequently, a description of the macroscopic surround-
ing habitat (scales of meters to kilometers) may not always
be a valid representation of the true habitat of existence.
This is the reason why otherwise incompatible microbes,
for example, obligate aerobic and anaerobic microorgan-
isms can co-occur in a single environmental sample.
Therefore, any given marine habitat – particularly when
viewed on macroscale (meter or more) – is likely to be
composed of numerous microhabitats that collectively sup-
port the growth and proliferation of the microbial
assemblage as a whole.
Historically, there has been a concerted effort to define
only the physical/chemical properties of a given marine
habitat, but more recently the key role of biotic factors in
establishing and maintaining microbial community structure
and function has been recognized. Many microorganisms in
the sea live attached to surfaces including nonliving parti-
culate matter and living organisms. These surfaces help to
create and sustain the above-mentioned microhabitats; at the
same time they provide local enrichments of organic matter.
In addition, bacteria and other microbes can also be found
within the digestive tracts of marine macroorganisms, from
small crustaceans to large cetaceans; it is likely that every
macroorganism in the sea has a unique, species-specific set
of microbial partners that are not commonly found else-
where. And, because many marine macroorganisms (e.g.,
tuna, squid, and seabirds) have broad geographical distribu-
tions and enormous migratory capability, these animal
vectors may affect the geographic distribution range of
their microbial partners. Additional biotic interactions
include virus–host interactions, gene exchange between
otherwise unrelated microorganisms, microbe–microbe and
microbe–macroorganism symbioses, obligate metabolic
partnerships (syntrophy), and coevolution of different
groups of microorganisms.
At a microbial level, for many syntrophic relationships
to succeed there needs to be a high probability of juxtapo-
sition of cell types to maximize interspecific interactions.
This can be achieved in a homogeneous environment
where microbes live freely but in close proximity, or
through an ordered spatial structure of the microbial
assemblage as a whole. In marine sediments and other
‘solid’ habitats, for example, microbial communities are
often established along diffusion gradients with each cell
type growing in the most favorable microhabitat within the
gradient in order to maximize success. Growth along these
stable gradients, where stability is defined as a function of
microbial generation time, can lead to the development
of microbial (usually bacterial) mats. Analogous features
termed microbial lens or plates can occur in highly strati-
fied ‘fluid’ habitats, for example, at the oxic–anoxic
boundaries of permanently anoxic basins such as the
Black Sea or Cariaco Basin. Metabolic activities of micro-
organisms in these mats and lens can be very high, thereby
producing extremely steep vertical gradients of biomass
and other metabolic by-products.
Even though we know that microbes are by far the
largest contributors to living matter in the sea and have
been responsible for the development of the atmosphere
under which terrestrial life evolved, much of the research
on the role of the habitat in structuring marine microbial
communities and their ecosystem function is fairly new,
incomplete and lacking any formal theoretical description
or predictive capability under changing habitat condi-
tions. And, because seascapes are changing, in part, due
to the activities of human populations, a comprehensive
understanding of sea microbes and their activities under
various global environmental change scenarios is a major
and urgent intellectual challenge.
Nature of Marine Microbial Life
Life on Earth most likely began in the sea; so the marine
environment was the original habitat for the growth and
proliferation of microorganisms. As the pioneering pro-
karyotes evolved into more complex life forms, including
multicellular macroscopic organisms, and radiated into
freshwater habitats and eventually onto land, the imprint
of a marine origin remained. Today, virtually all life is
intimately dependent upon the availability of water; even
desert microbes are aquatic.
Aquatic habitats are built around the unique properties
of water. The most important criterion is the fact that water
is a polar molecule having positively and negatively
charged sides. This characteristic establishes its high dielec-
tric constant and effectiveness as a solvent, setting the stage
for the high dissolved ionic (salt) composition of seawater
(referred to as salinity). During the HMS Challenger expedi-
tion of 1872–1876, the ‘law of constant proportions’ was
confirmed, namely that the ratios of the major ions in sea-
water are relatively constant throughout the world ocean.
This relative ionic stability has very important implications
for the evolution of marine microorganisms. Furthermore,
the unique solvation property of water also facilitates nutri-
ent delivery to and waste material export from the cell,
thereby sustaining microbial metabolism.
Other water properties including density and gas solu-
bility, which vary with temperature and salinity, can also
710 Marine Habitats

have major implications for the distribution and abun-
dance of microorganisms. The density of pure water at
4C is 1.000 g cm
3
, decreasing slightly to 0.994 g cm
3
at
35 C; the average density of seawater is 1.025 at 25 C
(in marine sciences, the density is often expressed as an
anomaly ((density – 1.000) 1000], to amplify the small
differences in density between freshwater and seawater;
for example, the density anomaly of average seawater
would be ((1.025 – 1.000) 1000] or 25.0). This means
that river and rain water will float on seawater, as will
surface waters warmed by the sun, whereas colder and
saltier seawater will sink. As a result, the world’s ocean is
highly stratified with depth; mass exchange and transport
occur mainly within layers of constant density (along
isopycnals) or via turbulent mixing of waters with differ-
ent densities (across isopycnals). Diffusional exchange
processes that depend on molecular kinetic energy are,
by comparison, very slow. This vertical density stratifica-
tion, a hallmark of the marine environment, tends to
insulate inorganic nutrient-rich deep seawaters from the
sunlit surface region where the capture of solar energy by
biological systems (photosynthesis) occurs. Consequently,
density stratification strongly influences the rate of organic
matter production and attendant ecosystem services.
In order for marine organisms to live in the water
column they need to remain in suspension. The specific
gravity of marine microbes varies with their bulk chemical
composition (e.g., protein ¼1.5 g cm
3
, nucleic acids ¼2.0
gcm
3
, lipids ¼0.9 g cm
3
) which is, in turn, dependent
upon nutrient supply, growth rate, and other biotic factors.
If the mean cell density is less than the density of seawater,
the cells will tend to rise. Conversely, if the bulk cell
density is greater than seawater or if microbes are attached
to dense particulate materials, cells will settle. Many mar-
ine microorganisms adjust their density by the formation
(or collapse) of gas vacuoles, alterations in the ionic com-
position of the cytoplasm, or by adjusting the above-
mentioned composition of the cell, for example, by the
synthesis of storage components such as carbohydrates
that can serve as ballast. The rate at which cells will rise
or settle is also related to their size causing small cells to
remain suspended in their environment. Furthermore,
most microorganisms, even small bacteria, are motile by
means of one or more flagella, but movement through a
relatively viscous medium at low Reynold’s numbers can
be difficult (the Reynold’s number is a dimensionless
metric that determines whether inertial or viscous forces
dominate motion of an object in a fluid). Small bacteria
and virus particles are also displaced by means of
Brownian motion, a process driven by the random move-
ment of water molecules that can act as a counterforce to
gravitational settling. However, even though many marine
microorganisms in the water column are motile, their
directed movements are small relative to the marine cur-
rents in which they reside. Hence, they drift with the
currents and are commonly known as plankton (from the
Greek root Plankto, which means ‘wandering’).
In addition to its role in density stratification, solar
radiation provides most of the energy required to fuel
the biological activity in marine environments. Water
has a characteristic solar absorption spectrum that allows
electromagnetic radiation between 350 and 700 nm to
penetrate to various depths in the water column depend-
ing upon surface solar irradiance, sun angle, and water
clarity; the euphotic zone is generally defined as the water
column region located above a specific isolume (a constant
daily level of irradiance) or above a specific percentage
(usually 1 or 0.1%) of the surface irradiance. The water
absorption spectrum, with a maximum transmission at
417 nm, creates a sharp gradient, in terms of both the
intensity and the quality of light available as a function
of depth. For example, while photosynthetic organisms
confined to surface waters are exposed to high light inten-
sities within a broad spectrum range within the visible
(400–700 nm) and extending into the near-ultraviolet
region (350–400 nm), deeper marine habitats experience
lower light intensities due to the exponential decrease of
light with depth and a shift toward a dominance of blue
light. Hence, while organisms in surface waters have had
to adapt to protect themselves against excess light and
ultraviolet radiation by producing photoprotective pig-
ments, organisms living near the base of the euphotic
zone require strategies that increase their capabilities of
solar energy capture in the blue region of the spectrum;
this is achieved by increasing the number of photosyn-
thetic units per cell and by modifying the spectral
absorption characteristics through changes in the photo-
synthetic pigments associated with them. As a
consequence, the light gradient can generate and sustain
a highly structured vertical pattern of light-harvesting
microorganisms in the marine environment; some
microbes are adapted to high and others to lower light
fluxes. In addition, the surface light intensity and its pro-
pagation through the water column define the region
where the photosynthetic rates of the microbial assem-
blage can exceed its respiration, driving the balance
between the uptake (photosynthesis) and remineralization
(respiration) of nutrients with depth. It is this balance in
microbial activity that ultimately drives the biological
sequestration and transport of elements, such as carbon,
in the ocean and defines the large-scale distribution and
availability of nutrients in the marine environment.
Structure and Classification of Marine
Macrohabitats
There are numerous criteria that can be used to classify
marine habitats. The most widely accepted scheme divides
the ocean into two broad categories: pelagic and benthic,
Marine Habitats 711

depending upon whether the habitat of interest is the
overlying water column (fluid) or the seabed (solid),
respectively (Figure 1;Table 1). Within each of these
main categories, a number of additional subdivisions can
be made depending, for example, on increasing water
depth from the high tide mark. For the pelagic habitat,
major subdivisions include neritic for waters overlying the
continental shelves (200 m deep) and oceanic, for the vast
open sea. The oceanic realm can also be further subdivided
(Table 1). Benthic habitats include littoral (intertidal),
sublittoral (from the low tide boundary to edge of conti-
nental shelf), bathyal, abyssal, and hadal. Other
classification schemes use the topographic boundaries: con-
tinental shelf, continental slope, abyssal plain, and deep sea
trenches (see Figure 1). Although these and other terms
are routinely used, the depth ranges are not always iden-
tical, so they should be considered as guidelines rather than
rules.
Along the seawater depth gradient, whether in benthic
or pelagic habitats, some physical and chemical character-
istics systematically change (e.g., decreasing temperature
and increasing pressure). In this regard, it is important to
emphasize that the most common marine habitat is cold
(<12 C) and exposed to high hydrostatic pressure
(>50 bars). Consequently, many marine microbes are
cold- and pressure-adapted, even obligately so; indeed,
some abyssopelagic bacteria require high pressure
(>400 bars) to grow. Other classification schemes based on
the availability of sunlight (euphotic (light present) or
aphotic (light absent)) or the relative rates of organic matter
production (eutrophic (high), mesotrophic (medium), or
oligotrophic (low)) have also been used.
Sharp horizontal gradients can also be observed in the
surface of the ocean. For example, since the 1960s, ocea-
nographers have used satellite-based remote sensing
approaches to map various features of the global ocean,
including sea surface temperature, winds, altimetry, and
the distributions of photosynthetic microbes as inferred
from observations of spectral radiance. The first satellite-
based ocean color measurements were obtained using the
Coastal Zone Color Scanner (CZCS) aboard the Nimbus-
7 satellite that was launched in October 1978; it provided
useful data for nearly a decade. The CZCS sensor was
eventually replaced with the Sea-viewing Wide Field-of-
view Sensor (SeaWiFS), launched in September 1997, and
still operational, followed by Moderate Resolution
Imaging Spectroradiometer (MODIS) aboard the Terra
and Aqua satellites (1999 and 2002 to present, respec-
tively). And, although these instruments cannot provide
information regarding spatial variability below 1 km reso-
lution, they have provided unprecedented observations on
the temporal variability or surface ocean macrohabitats
(depth-integrated to one optical depth, 25 m in clear
open ocean waters), as well as the mesoscale (10–100 s of
km) and large-scale distributions of chlorophyll (chl).
Daily synoptic global images can be pieced together to
track the dynamics (days to decades) of photosynthetic
microbial assemblages in the global ocean and their corre-
lations with other environmental variables in ways that are
not possible by any other means (Figure 2). Furthermore,
systematic analyses of these ocean color datasets can be
used to define spatial habitat structure in oceanic ecosys-
tems, and the partitioning of the global ocean into a suite
of ecological provinces or functional habitat units, leading
to the novel subdiscipline of marine ecological geography.
Unfortunately, there are no satellite-based sensors that
can track non-chl-containing marine microbes, although
several novel remote detection systems are under devel-
opment for in situ application based on molecular/genetic
probes and imaging-in-flow cytometry.
There are distinct water types throughout the ocean
that can be easily identified by measuring their tempera-
ture and salinity characteristics, which together determine
their densities (T-S diagram; Figure 3). Using T-S dia-
grams as a fingerprinting tool, water types can be traced
throughout the world ocean to specific regions of forma-
tion. A water mass results from the mixing of two or more
water types, and is represented by a line between distinct
water types on the T-S diagram (Figure 3). Water masses
can also be tracked for great distances throughout the
world ocean, and their microbial assemblages can also be
sampled and characterized. The global circulation rate, as
deduced by nonconservative chemical properties and
radioisotopic tracers, has a time scale of hundreds to
thousands of years. Consequently, ‘young’ and ‘old’ water
masses can be identified based on the time that the water
was last in contact with the atmosphere.
Table 1 Classification of marine habitats according to
Hedgpeth (1957)
Region Boundaries/comments
Pelagic Realm (water column)
Neritic Waters over the continental
shelves (200 m)
Oceanic Waters seaward of the
continental shelves
- epipelagic 0–200 m; sunlit regions
- mesopelagic 200–1500 m
- bathypelagic 1500–4000 m
- abyssopelagic >4000 m
Benthic Realm (seabed)
Supralittoral Above high-tide mark
Littoral Between the tides
Sublittoral Between low tide and edge of
continental shelves (200 m)
Bathyal Seaward of continental shelves
to 4000 m
Abyssal 4000–6000 m
Hadal >6000 m, including trenches
712 Marine Habitats

Due to unique seafloor topography and interactions
with the atmosphere, certain regions ‘short-circuit’ the
mean circulation by serving as conduits for a more rapid
ventilation of the deep ocean (bringing it into contact
with the atmosphere) and the concomitant delivery of
nutrient-rich deep water to the surface of the sea. These
so-called upwelling regions occupy only 1% of the
surface ocean, but they are important areas of solar
energy capture through enhanced photosynthesis and
the selection of relatively large algae and short food
chains; thereby they support some of the great fisheries
of the world (Figure 4). In contrast, the more common
condition (90% of the global ocean) is the oligotrophic
habitat (low nutrient and low rates of organic
Figure 2 Satellite-derived temporal and longitudinal variability in sea surface temperature (Top) and chlorophyll (Bottom) for the
region surrounding Station ALOHA (22.75N, 158W). The data, available from the NASA Ocean Color Time-Series Online
Visualization and Analysis website (http://reason.gsfc.nasa.gov/), have been obtained through NASA’s Moderate Resolution
Imaging Spectroradiomater (MODIS) sensor on board Aqua between July 2002 and June 2007 and correspond to the latitudinal
average between 22.5N and 23.5N for the longitude band 142–164W. The black line marks longitude 158W where Station
ALOHA is located.
Marine Habitats 713
2007.5
2007
2006.5
2005.5
2004.5
Year
Year
2003.5
164 162 160 158 156 154 152
Longitude W
150 148 146 144 142
27
26
25
24
23
22
Sea surface temperature, °C
mg chl a m–3
21
0.12
0.11
0.1
0.09
0.08
0.07
0.06
0.05
0.04
0.03
164 162 160 158 156 154 152
Longitude W
150 148 146 144 142
2004
2005
2003
2006
2007.5
2007
2006.5
2005.5
2004.5
2003.5
2004
2005
2003
2006

matter production) that selects for very small primary
producers, long and complex microbial-based food
webs, and relatively inefficient transfer of carbon and
energy to higher trophic levels like fish. These
fundamental differences in physics result in marine habi-
tats with diverse structures and dynamics that host
dramatically different microbial assemblages, as discussed
later in this article.
30
30
20
21
22
23
24
25
26 27 28 29
BATS
OSP
SEATS HOT
25
20
15
10
5
0
32 33 34 35 36 37
HOT
22
23
24
25
26
Potential temperature (°C)
Potential temperature (°C)
27
25
20
15
10
5
0
34 34.5 35 35.5
Salinity (‰)
Salinity (‰)
0
5000
4000
3000
2000
Depth (m)
1000
0
10
Potential
temperature
Salinity
20 30 34 34.5 35 35.5
Figure 3 Potential temperature versus salinity (T-S) plots are used to identify, trace, and compare distinct water types and water
masses in the marine environment. (Top) T-S diagram for the Hawaii Ocean Time-series (HOT) Station ALOHA for the period 1988–2006.
The inset shows the depth profiles of potential temperature and salinity. The ALOHA T-S fingerprint shows the presence of numerous
water masses at specific depths. The contours show lines of constant density, or isopycnal surfaces, in density anomaly notation
((density in g cm
3
)1.000)1000). In addition to temperature and salinity (density) variations, these distinctive water masses also have
distinctive chemical properties and may contain unique assemblages of microorganisms. The large variability of T and S at the top of the
graph is a result of seasonal and interannual changes in near-surface water properties. (Bottom) Comparison of T-S fingerprints for a
variety of oceanic time-series stations including: Ocean Station Papa (OSP; 50N, 145W), SouthEast Asia Time-Series (SEATS; 18N,
116E), Hawaii Ocean Time-series (HOT; 22.75N, 158W), and Bermuda Atlantic Time-series Study (BATS; 32N, 64W). The three
North Pacific stations (OSP, SEATS, HOT) have a common deep water mass.
714 Marine Habitats

Marine Microbial Inhabitants and Their
Growth Requirements
The marine environment supports the growth of a diverse
assemblage of microbes from all three domains of life:
Bacteria,Archaea, and Eucarya. The term ‘microorganism’
is a catchall term to describe unicellular and multicellular
organisms that are smaller than 100 150 mm. This
grouping includes organisms with broadly distinct evolu-
tionary histories, physiological capabilities, and ecological
niches. The only common, shared features are their size
and a high surface-to-biovolume ratio. A consequence of
being small is a high rate of metabolism and shorter
generation times than most larger organisms.
Microorganisms, particularly bacteria and archaea, are
found throughout the world ocean including marine sedi-
mentary and subseabed habitats. There is probably no
marine habitat that is devoid of microorganisms, with the
possible exception of high-temperature (>100 C) zones. In
addition to a physically favorable environment, the metabo-
lism and proliferation of microorganisms also require a
renewable supply of energy, electrons for energy generation,
carbon (and related bioelements including nitrogen, phos-
phorus, sulfur), and occasionally organic growth factors such
as vitamins. Depending upon how these requirements are
met, all living organisms can be classified into one of several
metabolic categories (Table 2). For example, photolithoau-
totrophic microbes use light as an energy source, water as an
electron source, and inorganic carbon, mineral nutrients,
and trace metals to produce organic matter. At the other
end of the metabolic spectrum, chemoorganoheterotrophic
microbes use preformed organic matter for energy genera-
tion and as a source of electrons and carbon for cell growth.
In a laboratory setting, only obligate photolithoautotrophs
are self-sufficient; all other autotrophs and all heterotrophs
rely upon the metabolic activities of other microorganisms.
However in nature, even obligate photolithoautotrophs
must tie their growth and survival to other, mostly deep-
sea, microbes that are vital in sustaining nutrient availability
over evolutionary time scales. Most marine microorganisms
probably use a variety of metabolic strategies, perhaps
simultaneously, to survive in nature. Because needed nutri-
ents in the ocean’s surface are often found in dissolved
organic molecules, it seems highly improbable that sunlit
marine habitats would select for obligate photolithoautotro-
phy as opposed to, for instance, mixotrophic growth.
Across the full metabolic spectrum of possible modes
of growth, some microbes are more self-sufficient than
others. For example, while most microbes require a sup-
ply of chemically ‘fixed’ nitrogen, either in reduced
(ammonia or dissolved organic nitrogen (DON)) or in
oxidized (nitrate or nitrite) form to survive, a special
group of N
2
-fixing microbes (diazotrophs) can use the
nearly unlimited supply of dissolved N
2
as their sole
source of cell N. Additionally, some microbes can manu-
facture all their required building blocks (e.g., amino acids
and nucleic acid bases) and growth cofactors (e.g., vita-
mins) from simple inorganic precursors, whereas others
PL
PL
PS
PS
NO3–
NH4+
HTL
5
4
3
2
1
High nutrient flux
(‘new’ N)
Low nutrient flux
(‘recycled’ N)
Trophic level
ML
Figure 4 Importance of nutrient flux on the size distribution and
efficiency of biomass and energy flow in marine habitats. The
schematic on the left depicts a habitat where ‘new’ nutrient (as
NO
3
) flux is high (e.g., an upwelling region). This leads to a
selection for large phytoplankton cells (P
L
) that are efficiently
consumed by higher trophic levels (HTLs) including large
zooplankton and fish. This results in a short and efficient food
chain. In contrast to the upwelling regions, most open ocean
habitats have low new nutrient (NO
3
) fluxes and survive by local
remineralization of required nutrients (‘recycled’). These
conditions select for small phytoplankton cells (P
S
) that serve as
the food source for long and complex microbial-based food
webs (also called microbial loops; ML) that recycle mass and
dissipate most of the solar energy that was initially captured. The
great marine fisheries of the world are generally found in
association with upwelling regions.
Table 2 Variations in microbial metabolism based on sources
of energy, electrons, and carbon according to Karl (2007)
Source of energy
a
Source of electrons Source of carbon
Sunlight Inorganic CO
2
photo- -litho- -autotroph
Organic Organic
-organo- -heterotroph
Chemical Inorganic CO
2
chemo- -litho- -autotroph
Organic Organic
-organo- -heterotroph
Radioactive decay Inorganic CO
2
radio- -litho- -autotroph
Organic Organic
-organo- -heterotroph
a
A ‘mixotroph’ is an organism that uses more than one source of
energy, electrons, or carbon.
Marine Habitats 715

require that they be supplied from the environment;
‘auxotrophic’ microorganisms are, therefore, ultimately
dependent upon the metabolic and biosynthetic activities
of other microbes. These ‘incomplete’ microbes, probably
the bulk of the total microbial assemblage in seawater,
cannot grow unless the obligate growth factors are present
in and resupplied to the local habitat. In this regard, most
marine habitats provide the laboratory equivalent of a
complex or complete medium containing low-molecular-
weight compounds (e.g., amino acids, simple sugars,
nucleic acid bases, and vitamins), in addition to the
mineral nutrients and trace metals. The active salvage
and utilization of these biosynthetic precursors, in lieu
of de novo synthesis, conserves energy, increases growth
efficiency, and enhances survival. Over evolutionary
time, some unused biosynthetic pathways in particular
organisms appear to have been lost from the genome,
perhaps, as a competitive strategy for survival in a mostly
energy-limited environment. This process has been
termed genome streamlining.
Finally, growth and reproduction are often viewed as the
most successful stages of existence for any microorganism.
However, in many of the low nutrient concentration and
low energy flux habitats that dominate the global seascape,
the ability to survive for extended periods under conditions
of starvation may also be of great selective advantage and
ultimately may affect the stability and resilience of micro-
bial ecosystems. The starvation-survival response in marine
bacteria leads to fragmentation (i.e., cell division in the
absence of net growth) and, ultimately, to the formation of
multiple dwarf or miniaturized cells. Other physiological
changes, including reduction in endogenous metabolism,
decreases in intracellular adenosine triphosphate (ATP)
concentrations, and enhanced rates of adhesion are also
common consequences. These starved cells can respond
rapidly to the addition of organic nutrients. This ‘feast and
famine’ cycle has important implications for how we design
in situ metabolic detection systems and model microbial
growth in marine habitats.
Distribution, Abundance, and
Biogeography of Marine Microbes
The distribution and abundance of microbes is highly
variable, but somewhat predictable, across globally distrib-
uted marine habitats. For example, phototrophic microbes
are restricted to sunlit regions (0–200 m in the open sea)
whereas chemotrophic microbes are found throughout the
oceanic realm. However, because the abundance and pro-
ductivity of marine microbes depend on the availability of
nutrients and energy, there is often a decreasing gradient in
total microbial biomass from the continents to the open
ocean, and a decreasing gradient in total microbial biomass
from the sunlit surface waters to the abyss. For the pelagic
zone, total microbial biomass in near-surface (0–100 m)
waters ranges from 30 to 100 mg carbon m
3
in neritic waters
to 6–20 mg carbon m
3
in oceanic waters. For open ocean
habitats, this biomass decreases by approximately three
orders of magnitude from euphotic zone to abyssal habitats,
with values <0.02 mg carbon m
3
in the deepest ocean
trenches. When scaling these concentrations to the volume
of the ocean, the total oceanic microbial biomass, excluding
sediments, has been estimated to be 0.61.9 10
15
gcarbon
with approximately half its stock residing below 100 m.
Temperature is an important habitat variable, and may
be responsible for structuring microbial assemblages and
setting limits on various metabolic processes. However,
temperature per se does not limit the existence of marine
microbes so long as liquid water exists. Accordingly, there
are some marine habitats that select for thermophilic
microbes (‘warm temperature-loving’; e.g., deep-sea hydro-
thermal vents) and others for psychrophilic microbes (‘cold
temperature-loving’; e.g., polar latitudes and abyssal
regions). Spatial gradients in temperature across open
ocean habitats as well as seasonal changes in temperature
can also affect the diversity of microbial assemblages in most
marine habitats. Finally, for any given microbial species,
there is a positive correlation between rates of metabolism
and temperature over its permissive range. Generally, for a
10 C change in temperature there is a two- to threefold
increase in metabolic activity, for example, respiration.
Photochemical reactions, including photosynthesis, have
much smaller temperature coefficients, and it has been
hypothesized that low temperature suppression of che-
moorganoheterotrophic bacterial activity, relative to
photosynthesis, might significantly restrict energy flow
through microbial food webs, increasing the efficiency of
the transfer of carbon and energy to higher trophic levels via
metazoan grazing. This is just one way in which temperature
may structure and control microbial processes in the sea.
In the near-surface waters, microbes capture solar
energy, which is locally transferred and dissipated as heat,
or exported to other surrounding marine habitats in the
form of reduced organic or inorganic substrates, including
biomass. Apart from very restricted shallow coastal regions
where light can penetrate all the way to the seabed for use
by benthic micro- and macroalgae, essentially all marine
photosynthesis is planktonic (free floating) and microbial.
The dynamic range in total marine photosynthesis, from
the most productive to the least productive regions of the
global ocean, is probably less than two orders of magnitude
for a given latitude, and the biomass of chemoorganoheter-
otrophic bacteria may be even less. There are much steeper
gradients in photosynthesis and bacterial/archaeal biomass
in the vertical (depth) than with horizontal (spatial) dimen-
sions. Furthermore, most marine respiration is also driven
by microbes, both phototrophs and chemotrophs. For this
reason, the mean turnover time of oceanic carbon within
716 Marine Habitats

biological systems in surface waters is weeks, compared to
decades for most terrestrial ecosystems.
Size spectral models and analyses, which relate the
relative abundance of organisms as a function of size,
have been used to examine the distribution of biomass
among various size classes. The emergent patterns from
these analyses, particularly between and among different
marine habitats, are relevant to issues regarding the envir-
onmental controls on microbial community structure and
function as well as to the trophic efficiency of marine food
webs. In some oceanic habitats, solar energy is captured
and completely utilized within microbial-based food
webs; in other regions a significant proportion of the
energy captured via photosynthesis is passed to large
organisms, including fish and humans. An important con-
sideration appears to be the size of the primary producer
populations, and this determines the number of trophic
transfers that are sustainable in light of the typically
inefficient (<10%) transfer of carbon and energy between
trophic levels (Figure 4). If, for example, the primary
producers are relatively large (>10 20 mmdiameter; P
L
in Figure 4, left), such as unicellular algae including
diatoms, rather than tiny picoplankton (<2mm;P
S
in
Figure 4, right), then the grazer/consumer based food
chain is shorter, leading to a more efficient transfer of
carbon and energy (Figure 4). However, the length of the
food chain is not always defined by the difference in size
between the primary producer and the top consumer; in
some cases, large organisms such as baleen whales have
adapted a feeding strategy that relies mostly on very
small, planktonic organisms. Nevertheless, the size and
structure of marine food webs is determined, in large part,
by physical processes such as turbulence, which, in turn,
affects the flux of nutrients into the euphotic zone and,
therefore, shapes the structure and function of marine
ecosystems.
In most sunlit marine habitats there is generally a
significant correlation between chl concentrations and
the number of bacterial cells, and between net primary
production and bacterial production across a broad range
of ecosystems. These empirical relationships suggest that
phototrophs and chemotrophs grow in response to com-
mon factors (e.g., nutrients, temperature), or that
phototrophs produce substrates for the growth of chemo-
trophs, or vice versa.
In addition to living organisms, virus particles – parti-
cularly those capable of infecting specific groups of
microorganisms – can exert influence on microbial-based
processes. For example, through microbial infection and
subsequent lysis, viral activity may directly influence the
composition of the microbial assemblage. Furthermore,
through the release of dissolved organic matter (DOM)
into the marine environment during virus-induced cell
lysis, an indirect effect on metabolic activity of the che-
motrophic assemblage can occur. Viruses can also
facilitate genetic exchange between different microbial
strains contributing to the metabolic plasticity of certain
microorganisms and the redundancy of some metabolic
processes in a given environment. It has been reported that
virus particle abundances closely track the abundance of
bacteria plus archaea, at least in the water column, with
virus-to-prokaryote ratios ranging from 5 to 25, and com-
monly close to 10. This relationship appears to hold even
into the deep sea, suggesting a close ecological linkage
throughout the entire marine habitat.
From an ecological perspective, understanding and
modeling how microbial assemblages emerge as a result
of interaction of physics and biology is a primary goal in
microbial oceanography. In this context, the study of the
distribution of biodiversity over space and time, also
known as biogeography, seeks fundamental information
on the controls of speciation, extinction, dispersal and
species interactions such as competition. The field of
microbial biogeography is just beginning to develop a
conceptual framework and analytical tools to examine
distribution patterns and to quantify diversity at the eco-
logically relevant taxonomic scale. For example, recent
studies of the marine phototroph Prochlorococcus have
documented significant intraspecific genomic variability
that confers distinct niche specificity including nutrient
and light resource partitioning. What appears at one level
to be a cosmopolitan species is actually a group of closely
related ecotypes (populations within a species that are
adapted to a particular set of habitat conditions); the
high- and low-light ecotypes have >97% similarity in
their 16S ribosomal RNA gene sequences and share a
core of 1350 genes, but vary by more than 30% in their
total gene content (and genome size; the high- and low-
light adapted ecotypes have genome sizes of 1 657 990 bp
and 2 410 873 bp, respectively). An assemblage of related
Vibrio splendidus (>99% 16S RNA identity) sampled from
a temperate coastal marine habitat had at least 1000 dis-
tinct coexisting genotypes, and bacterial samples
collected from the aphotic zone of the North Atlantic
Ocean revealed an extremely diverse ‘rare biosphere’
consisting of thousands of low-abundance populations.
The ecological implications of these independent reports
of taxonomic diversity are profound; new ecological the-
ory may even be required to build a conceptual
framework for our knowledge of marine habitats and
their microbial inhabitants.
Sunlight, Nutrients, Turbulence, and the
Biological Pump
Of all the environmental variables that collectively define
the marine habitat, we single out three – namely, sunlight,
nutrients, and turbulence – as perhaps the most critical for
the survival of sea microbes. Together, these properties
Marine Habitats 717

control the magnitude and efficiency of the ‘biological
pump’, a complex series of trophic processes that result in
a spatial separation between energy (sunlight) and mass
(essential nutrients) throughout the marine environment.
In the sunlit regions of most (but not all) marine habitats,
nutrients are efficiently assimilated into organic matter, a
portion of which is displaced downward in the water
column, mostly through gravitational settling. As particles
sink through the stratified water column, a portion of the
organic matter is oxidized and the essential nutrients
are recycled back into the surrounding water masses.
Depending upon the depth of remineralization and
replenishment to the surface waters by physical processes,
these essential nutrients can be sequestered for relatively
long periods (>100 yrs). The vertical nutrient profile, for
example of nitrate, shows a relative depletion near the
surface and enrichment at depth as a result of the biolo-
gical pump (Figures 5(a) and 5(b)); regional variations in
the depth profiles reflect the combination of changes in
the strength and efficiency of the biological pump and the
patterns of global ocean circulation (Figures 5(a) and 6).
The highest nutrient concentrations in deep water can be
found in the abyss of the North Pacific, the oldest water
mass on Earth. The regeneration of inorganic nutrients
requires the oxidation of reduced organic matter, so the
concentrations of dissolved oxygen decrease with depth
and with age of the water mass as a result of the cumula-
tive effect of microbial metabolism (Figures 5(b) and 6).
Turbulence in marine habitats derives from a variety
of processes including wind stress on the ocean’s surface,
ocean circulation, breaking internal waves, and other
large-scale motions that can create instabilities, including
eddies, in the mean density structure. Turbulence, or
eddy diffusion, differs fundamentally from molecular dif-
fusion in that all properties (e.g., heat, salt, nutrients, and
dissolved gases) have the same eddy diffusion coefficient;
a typical value for horizontal eddy diffusivity in the ocean
is 500 m
2
s
1
, a value that is 10
9
times greater than
molecular diffusion. Vertical eddy diffusivity is much
lower (0.6–1 10
4
m
2
s
1
) suggesting that the upward
flux of nutrients into the euphotic zone is a slower process
than movement horizontally in the open ocean. Most
near-surface dwelling microbes, particularly phototrophs
that are also dependent upon solar energy and are effec-
tively ‘trapped’ in the euphotic zone habitat, depend on
turbulence to deliver deep water nutrients to the sunlit
habitat.
In addition to the eddy diffusion of nutrients from the
mesopelagic zone, wind stress at the surface and other
forces can mix the surface ocean from above. If the near-
surface density stratification is weak or if the mixing
forces are strong, or both, then a large portion of the
euphotic zone can be homogenized; in selected latitude
regions the surface mixing layer can extend to 500 m or
more, well below the maximum depth of the euphotic
zone. These well-mixed environments usually have
sufficient nutrients but insufficient light to sustain photo-
synthesis because the phototrophs are also mixed to great
depths, as in some polar habitats during winter months.
Following these seasonal deep-mixing events, the ocean
begins to stratify due to the absorption of solar radiation
in excess of evaporative heat loss. As the wind forcing
from winter storms subsides and the intensity of solar
radiation increases, a density gradient develops in the
upper water column. Phototrophic microorganisms in
the euphotic zone gain a favorable niche with respect to
both light energy and nutrient concentrations. Depending
upon the presence or absence of grazers, this condition
results in an increase in phototrophic microbial biomass, a
condition referred to as the spring bloom. A com-
prehensive formulation of the ‘vernal blooming of
phytoplankton’ presented by H. Sverdrup remains a
valid representation of this important marine microbial
phenomenon.
However, in many portions of the world ocean, parti-
cularly in tropical ocean gyres, local forcing due to wind
stress is too weak to break down the density stratification,
so the nutrient delivery from below the euphotic zone
through mixing is not possible. In these oligotrophic
regions, the habitat is chronically nutrient-stressed and
oftentimes nutrient-limited. Although surface mixed
layers can be observed, they rarely penetrate deeper
than 100 m. Even within the so-called mixed layer,
gradients in chl, nutrients, dissolved gases, and microor-
ganisms can be detected, suggesting that these regions are
not always actively mixing. This subtle distinction
between a mixing layer, where there is an active vertical
transport of physical, chemical, and biological properties,
and a mixed layer, which is defined operationally as a
layer with weak or no density stratification, has important
implications for microbial growth and survival, particu-
larly for phototrophic microorganisms. Consequently,
without additional information on mixing dynamics
(e.g., a profile of turbulent kinetic energy), the commonly
used term mixed layer can be misleading with regard to
habitat conditions for microbial growth. The time
required to change from a mixing layer to a mixed layer
to a density-stratified surface habitat and back again will
depend on the habitat of interest.
One approach for distinguishing between a mixing
layer and a mixed layer is to measure the near-surface
concentrations and temporal dynamics of a short-lived
photochemically produced tracer, for example, hydrogen
peroxide (H
2
O
2
). The concentration versus depth profile
of H
2
O
2
in a mixing layer with a short mixing time scale
(1 h) would be constant because the concentration of
photochemically active DOM and average solar energy
flux would also be relatively constant. On the other
hand, the H
2
O
2
concentration profile in a nonmixing
(or slowly mixing, turnover >1 day) ‘mixed layer’ would
718 Marine Habitats

approximate the shape to the flux of solar energy decreas-
ing exponentially with depth nearly identical to a
density-stratified habitat, assuming that the concentration
of photosensitive DOM is in excess. It is also possible to
use other photochemical reactions to obtain information
on vertical mixing rates.
Time Variability of Marine Habitats
and Climate Change
Marine habitats vary in both time and space over more
than nine orders of magnitude of scale in each dimension.
Compared with terrestrial habitats, most marine ecosys-
tems are out of ‘direct sight’, and, therefore, sparsely
observed and grossly undersampled. The discovery and
subsequent documentation of the oases of life surround-
ing hydrothermal vents in the deep sea in 1977 revealed
how little we knew about benthic life at that time.
Furthermore, because marine life is predominantly
microscopic in nature, the temporal and spatial scales
affecting microbial processes may be far removed from
the scales that our senses are able to perceive. And, due to
this physical and sensory remoteness of marine microbial
habitats, even today unexpected discoveries about the
ocean frontier continue to be made, many of these invol-
ving marine microbes.
We have selected the North Pacific Subtropical Gyre
(NPSG) for a more detailed presentation of relation-
ships between and among habitat structure, microbial
community function and climate. Our choice of the
NPSG as an exemplar habitat is based on the existence
of the Hawaii Ocean Time-series (HOT) study, a
research program that seeks a fundamental understand-
ing of the NPSG habitat. The emergent comprehensive
physical, chemical, and biological data sets derived from
the HOT benchmark Station ALOHA (A Long-term
Oligotrophic Habitat Assessment) is one of the few
spanning temporal scales that range from a few hours
to almost two decades. More generally, we submit that
the sampling and observational components of the HOT
program at the deep water Station ALOHA are applic-
able to other locations that may be representative of key
marine habitats.
The NPSG is one of the largest and oldest habitats on
our planet; its present boundaries have persisted since the
0
500
(a)
1000
1500
2000
2500
0
200
400
600
800
100002550
0
200
400
600
800
100002550
Depth (m)
3000
3500
4000
4500
50000 1020304050
NO– (μM)
3
0
500
1000
1500
2000
2500
Depth (m)
3000
3500
4000
4500 HOTBATS
5000 01020304050
NO– (μM)
3
Figure 5 (Continued)
Marine Habitats 719

Pliocene nearly 10
7
years before present. The vertical
water column at Station ALOHA can be partitioned into
three major microbial habitats: euphotic zone, mesopela-
gic (twilight) zone, and aphotic zone (Table 3 and
Figure 7). The main determinant in this classification
scheme is the presence or absence of light. The euphotic
zone is the region where most of the solar energy cap-
tured by phototrophic marine microbes is sufficient to
support photosynthetic activity. In the twilight zone
(200–1500 m), light is present at very low photon fluxes,
below which photosynthesis can occur, but at sufficiently
high levels to affect the distributions of mesozooplankton
and nekton and, perhaps, microbes as well. At depths
greater than 1500 m, light levels are less than 10
3
quanta
cm
2
s
1
; the aphotic zone is, for all intents and purposes,
dark.
Each of these major habitats is characterized by specific
physical and chemical gradients, with distinct temporal
scales of variability, providing unique challenges to the
microorganisms that live there, and resulting in a vertical
segregation of taxonomic structure and the ecological func-
tion of the resident microbial assemblages. A recent report
of microbial community genomics at Station ALOHA,
from the ocean’s surface to the abyss, has revealed signifi-
cant changes in metabolic potential, attachment and
motility, gene mobility, and host–viral interactions.
The NPSG is characterized by warm (>24 C) surface
waters with relatively high light and relatively low
0
500
(b)
1000
1500 200
400
600
800
1000 02040
0
2000
2500
3000
3500
4500
4000
50000 5 10 15 20 25 30 35 40 45 0
Oxygen (μM)
Oxygen (μM)
0
100
200
700
600
500
400
300
02040
0 100 200
20 40
NO– (μM)
3
NO–
3
NO–
3
DON
DON
PN
PN
NO– (μM)
3
NO– (μM)
3
Depth (m)
Depth (m)
Figure 5 (a) Nitrate (NO
3
) versus depth profiles for the North Atlantic (Bermuda Atlantic Time-series Study; BATS) and the North
Pacific (Hawaii Ocean Time-series; HOT) showing significant interocean differences including a steeper nitracline (i.e., a larger change
in NO
3
concentration per meter in the upper mesopelagic zone region) and higher deep water (>4000 m) NO
3
concentrations for HOT.
These differences in NO
3
inventories and gradients, part of a systematic global pattern (see Figure 6), have significant implications for
NO
3
fluxes into the euphotic zone. Data available at the HOT and BATS program websites (http://hahana.soest.hawaii.edu; http://
www.bios.edu/). (b) Relationships between the vertical distributions of nitrate (NO
3
) and dissolved oxygen (O
2
) at Station ALOHA in
the North Pacific Subtropical Gyre (NPSG). (Left) Graph of NO
3
(mmol l
1
) versus depth (m) showing the characteristic ‘nutrient-like’
distribution of NO
3
with regions of net NO
3
uptake and DON cycling and particulate nitrogen (PN) export near the surface, and net
NO
3
remineralization at greater depths. The insert shows these main N-cycle processes, which are most intense in the upper 1000 m of
the water column. (Right, top) NO
3
and O
2
concentration versus depth profiles of the 300–700 m region of the water column at Station
ALOHA showing the effects of net remineralization of organic matter. (Right, bottom) A model 2 linear regression analysis of NO
3
versus O
2
suggests an average consumption of 80 mmol l
1
O
2
for each 1 mmol of NO
3
that is regenerated from particulate and DOM.
Data available at the HOT program website (http://hahana.soest.hawaii.edu).
720 Marine Habitats

concentrations of inorganic nutrients and low microbial
biomass (Figure 8). The euphotic zone has been described
as a ‘two-layer’ habitat with an uppermost light-saturated,
nutrient-limited layer (0–100 m) which supports high rates
of primary productivity and respiration, and a lower
(>100 m) light-limited, nutrient-sufficient layer. A region
of elevated chl a, termed the Deep Chlorophyll Maximum
Layer (DCML), defines the boundary between the two
layers (Figure 9). The DCML in the NPSG results from
photoadaptation (increase in chl a per cell) rather than
enhanced phototrophic biomass; this can also be seen in
the near-surface ‘enrichment’ of chl in winter when light
fluxes are at their seasonal minimum (Figure 9).
Previously considered to be the oceanic analogue
of a terrestrial desert, the NPSG is now recognized
as a region of moderate primary productivity
60
30
EQ
30
60
60
50
40
30
20
10
300
250
200
Oxygen (μM)
150
100
50
60
Atlantic
Atlantic
Pacific
Pacific
Latitude (de
g
) Latitude (de
g
)
40 20 0 –20 –40 –60 –60 –40 –20 0 20 40 60
60 40 20 0 –20 –40 –60 –60 –40 –20 0 20 40 60
Nitrate (μM)
120 180 120 60 GM
Figure 6 Map showing the locations of the World Ocean Circulation Experiment (WOCE) program transects A-16 (Atlantic) and
P-15 (Pacific). Data from these cruises were obtained from http://woce.nodc.noaa.gov and averaged over the depth range of
500–1500 m, then combined into 10latitude bins and plotted as mean nitrate and dissolved oxygen concentrations (1 standard
deviation). The resultant plot shows a systematic increase in nitrate concentrations at mid-water depths ‘down’ the Atlantic and ‘up’
the Pacific, and an opposite trend for oxygen. These spatial patterns are the result of the time-integrated aerobic decomposition of
organic matter along known pathways of deep water circulation.
Marine Habitats 721

(150–200 g carbon m
2
year
1
), despite chronic nutrient
limitation. Furthermore, based on data from the HOT
program it appears that the rates of primary production
have increased by nearly 50% between the period 1989
and 2006 due in part to enhanced nutrient delivery
resulting from climate controls on habitat structure
and function.
At Station ALOHA the light-supported inorganic car-
bon assimilation extends to 175 m, a depth that is equivalent
to the 0.05% surface light level (20 mmol quanta m
2
day
1
). Most of the light-driven inorganic carbon assimila-
tion (>50%) occurs in the upper 0–50 m of the water
column (Figure 8), a region of excess light energy (>6 mol
quanta m
2
day
1
). In addition, chemoorganoheterotrophic
microbial activities are also greatest in the upper 0–50 m.
However, unlike photolithoautotrophic production (where
light is required as the energy source and inorganic carbon
is assimilated for growth), the metabolism of chemoorgano-
heterotrophs is not dependent on light energy so it
continues, albeit at a reduced rate, well into the twilight
zone and beyond. Recently, it has been observed that ‘het-
erotrophic production’ at Station ALOHA is enhanced by
sunlight, suggesting the presence of microorganisms using
light and both inorganic and organic substrate (photo-
lithoheterotrophic) or light and organic substrates
(photoorganoheterotrophic) to support their metabolism,
or both. Several possible pathways for solar energy capture
and carbon flux potentially exist in the euphotic zone at
Station ALOHA, and we are just beginning to establish a
Table 3 Conditions for microbial existence in the three major
habitats at Station ALOHA in the North Pacific Subtropical Gyre
Habitat
Depth
range
(m) Conditions
Euphotic zone
(nutrient-
limited)
0–200 high solar energy
high DOM
low inorganic nutrients,
trace elements, and
organic growth factors
Mesopelagic
(twilight) zone
(transition)
200–1000 low solar energy
decrease in reduced
organic matter with depth
increase in organic
nutrients and trace
elements with depth
Abyssal zone
(energy-
limited)
>1000 no solar energy
low DOM
high inorganic nutrients
and trace elements
10–14 10–12 10–10 10–8
Light intensity (relative units)
10–6 10–4 10–2 1 100
200
400
600
Moon light
Sunlight
clearest ocean water
800
Depth (m)
1000
Bioluminescence
Detection limit for homo
Phototaxis of crustacea
Net
phytoplankton
growth
PR-pumps?
0
1200
Aphotic
zone
Twilight
zone
Euphotic
zone
Figure 7 Schematic representation of the distribution of light in open ocean marine habitats. The X-axis displays light intensity (on
a log
10
scale in relative units) and the Y-axis is water depth. The euphotic zone where net photosynthesis can occur extends to a
depth of 150–200 m but sunlight can be detected by mesozooplankton (crustacean and fish) to depths of 800 m or more. The dark
adapted human eye can detect even lower light fluxes. Proteorhodopsin proton pumps that have recently been detected in marine
bacteria may also be able to use light but this is not yet confirmed. Moonlight, in contrast, is 10
4
as bright as sunlight, but can
also be detected by marine organisms and, perhaps, microbes. Bioluminescence, light production via cellular metabolism that can be
found in nearly all marine taxa including microorgansisms, is found throughout the water column even in the ‘aphotic’ zone.
722 Marine Habitats

comprehensive understanding of these processes, their roles
and controls, and the diversity of microbes supporting them
in the pelagic ecosystem.
As described earlier, physical and chemical depth gra-
dients in the water column affect the vertical distribution
of microbial assemblages and their metabolic activities.
Furthermore, at a macroscopic scale we can assess how
each depth horizon is affected by different temporal pat-
terns of variability, which, in turn, influence the microbial
environment. For example, in the upper euphotic zone
the variability in solar radiation due to cloud coverage
and changes in day length associated with the seasonal
solar cycle can affect the rates of photosynthesis. In this
habitat, far removed from the upper nutricline (the depth
at which nutrient concentrations start to increase), the
dynamics of microbial processes will be controlled mainly
by the rates of solar energy capture and recycling of
nutrients through the food web. Furthermore, upper
water column mixing rates also contribute significantly
to the variability in the light environment. However, if the
variability has a high frequency relative to the cell cycle,
then microbes integrate the signal because the energy
invested in acclimation may be greater than that gained
by maximizing photosynthetic and photoprotective pro-
cesses along the variability (light) gradient.
Between the base of the mixing layer and the top of the
nutricline, the microbial assemblage resides in a well-
stratified environment that is nevertheless still influenced
by variability in light. Although mixing does not play a
significant role in this habitat, unless a deep wind- or
density-driven mixing event occurs, the vertical displace-
ments of this stratified layer as the result of near-inertial
period (31 h at the latitude corresponding to Station
ALOHA) oscillation forces may introduce strong day-
to-day variability in the light availability and photosyn-
thetic rates (Figure 10); these vertical motions can affect
the short-term balance between photosynthesis and
respiration. The variability in solar irradiance described
above propagates into the lower euphotic zone, penetrat-
ing into the upper nutricline. But the apparent presence of
excess nutrients relative to the bioavailable energy that
can be derived through photosynthesis in this region
indicates that light is the limiting factor supporting micro-
bial activity. For this reason, day-to-day variations, as
well as the seasonal cycle of solar irradiance in this layer
may trigger successional patterns in the microbial
0Station ALOHA
50
100
150
Depth (m)
200
250 16
23 24 25 26 0
0 2 4 6 75 80 85
% O
2
saturation (–)
Primary production (–)
90 95 100 105
0.05 0.1 0.15 0.2 0.25 0 2 4 6
18
Temperature (–)
Density (–
–
–) Chl (–
–
–) Nitrate (–
–
–)
20 22 24 26
Figure 8 Typical patterns of the vertical distributions of selected physical and biological parameters at Station ALOHA in the NPSG.
The base of the euphotic zone, defined here as the depth where primary production is equal to zero, is 175 m. Units are: temperature (C),
density (shown as density anomaly; ((density g cm
3
)1.000) 1000), primary production (mg C m
3
day
1
), chlorophyll (mg m
3
),
nitrate (mM), and O
2
(% of air saturation). Compiled from the HOT program database (http://hahana.soest.hawaii.edu).
Marine Habitats 723

assemblage, and lead to pulses of organic matter export
into the deeper regions of the ocean.
AtStationALOHA,aswellasinmostoceanicregions,
the gravitational flux of particles formed in the euphotic
zone represents the major source of energy that links sur-
face processes to the deep sea. In addition, these sinking
organic particles represent energy- and nutrient-enriched
microhabitats that can support the growth of novel micro-
bial assemblages. The remineralization of particles with
depth follows an exponential decay pattern indicating
that most of the organic matter in these particles is
respired in the upper layer below the euphotic zone. If
the quality and quantity of organic rain was constant, we
would expect to observe stable layers of microbial diver-
sity and activity with depth. However, the long-term
records of particle flux to abyssal depths at Station
ALOHA suggest that, during certain periods of the year,
this flux increases significantly, representing potential
inputs of organic matter into these deep layers driven by
changes in upper water column microbial processes.
Microscopic analysis of these organic matter pulses at
Station ALOHA reveal that their composition is domi-
nated by diatoms. These photolithoautotrophic microbes
produce an external siliceous skeleton that can act as
strong ballast when the cells become senescent.
Several mesoscale physical processes have been observed
that can modify the upper water column habitat at Station
ALOHA, triggering an increase in the relative abundance of
diatoms in surface waters and subsequent cascade of ecolo-
gical processes. The passage of mesoscale features, such as
eddies and Rossby waves, can shift the depth of nutrient-
rich water relative to the euphotic zone, leading to a possible
influx of nutrients into the well-lit zone that can last from
days to weeks. This sustained nutrient entrainment can alter
the microbial size spectrum, in favor of rapidly growing,
large phytoplankton cells (usually diatoms), resulting in a
bloom. In addition, eddies can trap local water masses and
transport microbial assemblages for long distances.
A second mechanism triggering changes in the micro-
bial community appears to occur during summer months
at Station ALOHA, when the upper water column is
warm and strongly stratified. Under these conditions,
N
2
-fixing cyanobacteria, sometimes living in symbiosis
with diatoms, aggregate in surface waters and provide an
abundant supply of reduced nitrogen and organic matter
to the microbial community. Although it is still not clear
what triggers these summer blooms, in situ observations
suggest that they significantly alter the structure and
metabolic activity of the microbial assemblage.
Finally, the mixing layer can periodically penetrate to a
depth where it erodes the upper nutricline and delivers
nutrients to the surface waters, while mixing surface-
dwelling microbes into the upper nutricline. This deepen-
ing of the mixing/mixed layer can be driven by sudden
events such as the development of a severe storm or the
cooling of surface waters by the passage of a cold air mass.
And, although each of these three mechanisms can lead to
the entrainment of nutrients into the euphotic zone, they
generate different microbial responses and interaction. For
example, while the first two mechanisms do not involve a
change in stratification, the third mixes the water column
temporarily erasing the physical, chemical, and biological
gradients that had existed before the event. Furthermore,
while the passage of eddies and Rossby waves introduce
nutrients into the base of the euphotic zone, affecting
primarily the microbial populations inhabiting the upper
nutricline, summer blooms have their strongest effect in
the microbial assemblages residing in the upper few
meters of the water column. Nevertheless, all these
mechanisms appear to generate pulses of particulate
organic matter rain that enhance the availability of
0
50
100
150
Depth (m)
200
2500 0.2 Chloropigment (mg
l
–1
)
0.4 0.6
Summer
Winter
0.8 1
Figure 9 Vertical distributions of chloropigments (chlorophyll
plus pheophytin) determined from in vivo fluorescence
measurements and bottle calibrations. These graphs show
average distributions at Station ALOHA for summer (June–Aug)
versus winter (Dec–Feb) for 1999 showing and documenting
changes in both total concentration of chloropigments at the
surface and at the depth of the Deep Chlorophyll Maximum
Layer (DCML). Both of these seasonal differences are caused
primarily by changes in light intensity.
724 Marine Habitats

ephemeral microenvironments, fuel the deeper microbial
layers, and carry microbes to depth.
In addition to mesoscale events and seasonal cycles that
seem to support small transient changes in the microbial
community structure and function, variability at longer
time scales (interannual to decadal) may shift the taxo-
nomic structure of the microbial community. For example,
there is evidence suggesting that a significant shift in the
dominance of phototrophic taxa may have taken place in
the NPSG as a result of changes in ocean circulation and
wind forcing during the 1970s. More recently, changes in
the stability of the upper water column since the 1997–98
El Nin
˜o event may have also triggered long-term changes
in the phototrophic community structure.
Ultimately, these long-term habitat changes are the result
of processes taking place over a broad range of scales
Da
y
of
y
ear 1997
0
50
HOT–83
HOT–83
HOT–83
27.0
0.11 0.05 0.15 0.33 0.44
24.5 39.6 38.8 37.9
100
150
Range of DCML (m)
200
2000
1000
30
20
10
0
Surface PAR
(mmol quanta m
–2
s
–1
)
DCML PAR
(mmol quanta m
–2
s
–1
)
0125 126 127
Day of year 1997
128 129 130
125 126 127 128 129 130
1989 1990 1991 1992 1993 1994 1995 1996 1997 1998 1999
Figure 10 Effect of isopycnal vertical displacements in accounting for day-to-day variability of Photosynthetically Available Radiation
(PAR) at the DCML at Station ALOHA: (Top) Observed minimum and maximum depth range distribution of the DCML for each HOT
cruise based on continuous fluorescence trace profiles obtained from 12 CTD casts deployed over a 36-h sampling period. (Center)
Surface PAR measured at the HALE ALOHA mooring location during HOT-83 (5–9 May 1997). (Bottom) Estimated PAR at the DCML
based on the vertical displacement of the DCML, surface PAR, and assuming k
PAR
¼0.04 m
1
. Daily integrated PAR values (in mol
quanta m
2
day
1
) are displayed next to each light cycle in (Center) and (Bottom). These day-to-day variations in light caused by
inertial period oscillations of the DCML and variations in surface PAR due to clouds are certain to have significant effects on rates of in situ
photosynthesis. Reproduced from Karl DM, Bidigare RR, and Letelier RM (2002) Sustained and aperiodic variability in organic matter
production and phototrophic microbial community structure in the North Pacific Subtropical Gyre. In: Williams PJ, le B, Thomas DR,
and Reynolds CS (eds.) Phytoplankton Productivity and Carbon Assimilation in Marine and Freshwater Ecosystems, pp. 222–264. London:
Blackwell Publishers.
Marine Habitats 725

propagating into the habitat experienced by a microbe. In this
context, the advent of novel molecular tools such as metage-
nomic, proteomic, and transcriptomic analyses has provided
an unprecedented opportunity to infer the diversity and
biogeochemical relevance of microhabitats via the character-
izationofthegenesbeingexpressedintheenvironment.
These new tools may help us better explore how physical
and biological processes, by affecting the spatial and temporal
distribution of these habitats, shape the microbial diversity
and metabolism in the sea. However, understanding how
microbial assemblages in different oceanic habitats may
evolve over time in response to climate change will require
not only a characterization of the microbes’ response to phy-
sical and chemical changes, but also the development of an
understanding of how interactions among microbes contri-
bute to the plasticity and resilience of the microbial ecosystem
in the marine environment.
Summary and Prospectus
All marine habitats support diverse microbial assemblages
that interact through a variety of metabolic and ecological
processes. The characteristics and dynamics of marine
habitats determine the composition, structure, and func-
tion of their microbial inhabitants. Many microbial
habitats (i.e., microhabitats) are cryptic, ephemeral, and
difficult to observe and sample; the spatial and temporal
domains of these environments are poorly resolved at
present. The changing ocean will lead to different and,
probably, novel marine habitats that will select for new
microbial assemblages. Future ecological research should
focus on the relationships among climate, habitat,
microbes, and their individual and collective metabolic
function. These comprehensive studies demand coordi-
nated, transdisciplinary field programs that fully integrate
physical and chemical oceanography with theoretical
ecology into the wonderful world of marine microbes.
Acknowledgments
We thank our many colleagues in the HOT and
C-MORE programs for stimulating discussions, and the
National Science Foundation, the National Aeronautics
and Space Adminstration, the Gordon and Betty Moore
Foundation, and the Agouron Institute for generous sup-
port of our research.
Further Reading
Cole JJ, Findlay S, and Pace ML (1988) Bacterial production in fresh and
saltwater ecosystems: A cross-system overview. Marine Ecology
Progress Series 43: 1–10.
Cullen JJ, Franks PJS, Karl DM, and Longhurst A (2002) Physical
influences on marine ecosystem dynamics. In: Robinson AR,
McCarthy JJ, and Rothschild BJ (eds.) The Sea, vol. 12,
pp. 297–336. New York: John Wiley & Sons, Inc.
DeLong EF, Preston CM, Mincer T, et al. (2006) Community genomics
among stratified microbial assemblages in the ocean’s interior.
Science 311: 496–503.
Fenchel T, King GM, and Blackburn TH (1998) Bacterial
Biogeochemistry: The Ecophysiology of Mineral Cycling, 2nd edn.
California: Academic Press.
Giovannoni SJ, Tripp HJ, Givan S, et al. (2006) Genome streamlining in a
cosmopolitan oceanic bacterium. Science 309: 1242–1245.
Hedgpeth JW (ed.) (1957) Treatise on Marine Ecology and
Paleoecology. Colorado: The Geological Society of America, Inc.
Hunter-Cevera J, Karl D, and Buckley M (eds.) (2005) Marine Microbial
Diversity: The Key to Earth’s Habitability. Washington, DC: American
Academy of Microbiology.
Johnson KS, Willason SW, Weisenburg DA, Lohrenz SE, and
Arnone RA (1989) Hydrogen peroxide in the western
Mediterranean Sea: A tracer for vertical advection. Deep-Sea
Research 36: 241–254.
Karl DM (1999) A sea of change: Biogeochemical variability in the North
Pacific subtropical gyre. Ecosystems 2: 181–214.
Karl DM (2007) Microbial oceanography: Paradigms, processes and
promise. Nature Reviews Microbiology 5: 759–769.
Karl DM, Bidigare RR, and Letelier RM (2002) Sustained and aperiodic
variability in organic matter production and phototrophic microbial
community structure in the North Pacific Subtropical Gyre.
In: Williams PJ, le B, Thomas DR, and Reynolds CS (eds.)
Phytoplankton Productivity and Carbon Assimilation in Marine and
Freshwater Ecosystems, pp. 222–264. London: Blackwell
Publishers.
Karl DM and Dobbs FC (1998) Molecular approaches to microbial
biomass estimation in the sea. In: Cooksey KE (ed.) Molecular
Approaches to the Study of the Ocean, pp. 29–89. London:
Chapman & Hall.
Letelier RM, Karl DM, Abbott MR, and Bidigare RR (2004) Light driven
seasonal patterns of chlorophyll and nitrate in the lower euphotic
zone of the North Pacific Subtropical Gyre. Limnology and
Oceanography 49: 508–519.
Longhurst A (1998) Ecological Geography of the Sea. San Diego:
Academic Press.
Mann KH and Lazier JRN (1996) Dynamics of Marine Ecosystems:
Biological-Physical Interactions in the Oceans, 2nd edn.
Massachusetts: Blackwell Science.
Martiny JBH, Bohannan BJM, Brown JH, et al. (2006) Microbial
biogeography: Putting microorganisms on the map. Nature Reviews
Microbiology 4: 102–112.
Morita RY (1985) Starvation and miniaturization of heterotrophs, with
special emphasis on maintenance of the starved viable state.
In: Fletcher M and Floodgate GD (eds.) Bacteria in Their Natural
Environments, pp. 111–130. Orlando: Academic Press.
Platt T and Sathyendranath S (1999) Spatial structure of pelagic
ecosystem processes in the global ocean. Ecosystems
2: 384–394.
Purcell EM (1977) Life at low Reynolds number. American Journal of
Physics 45: 3–11.
Rocap G, Larimer FW, Lamerdin J, et al. (2003) Genome divergence in
two Prochlorococcus ecotypes reflects oceanic niche differentiation.
Nature 424: 1042–1047.
Ryther JH (1969) Photosynthesis and fish production in the sea. The
production of organic matter and its conversion to higher forms of life
vary throughout the world ocean. Science 166: 72–76.
Sverdrup HU (1953) On conditions for the vernal blooming of
phytoplankton. Journal du Conseil International pour l9Exploration de
la Mer 18: 287–295.
Thompson JR, Pacocha S, Pharino C, et al. (2005) Genotypic diversity
within a natural coastal bacterioplankton population. Science
307: 1311–1313.
Yayanos AA (1995) Microbiology to 10,500 meters in the deep sea.
Annual Review of Microbiology 49: 777–805.
726 Marine Habitats

Relevant Websites
http://www.agi.org – AGOURON Institute
http://www.bios.edu/ – BIOS, Bermuda Institute of Oceanic
Sciences
http://hahana.soest.hawaii.edu – Microbial Oceanography,
Hawaii
http://reason.gsfc.nasa.gov/ – NASA, National Aeronautics and
Space Administration
http://woce.nodc.noaa.gov – NODC, National Oceanographic
Data Center
Marine Habitats 727

Metabolism, Central (Intermediary)
M P Spector, University of South Alabama Mobile, AL, USA
ª2009 Elsevier Inc. All rights reserved.
Defining Statement
Introduction
Central Metabolic Pathways
Gluconeogenesis
Utilization of Polysaccharides, Oligosaccharides, and
Monosaccharides
Precursor Metabolites for Biosynthesis/Anabolism
Further Reading
Glossary
aerobic The presence of oxygen.
anaerobic The absence of oxygen.
anapleurotic reaction A metabolic reaction that
functions to replenish one or more intermediates of a
pathway.
carbohydrate Organic molecules composed of
carbon–hydrogen–oxygen typically in a 1:2:1 ratio; a
sugar or a derivative thereof.
carbon-energy source An organic molecule that can
be metabolized by the cell to generate energy and to
produce carbon backbone intermediates/precursors for
anabolic processes.
catabolism The branch of metabolism in which
complex larger molecules are broken down into less
complex smaller molecules with the concomitant
release of energy.
(chemo)heterotrophic Refers to the requirement of
some organisms to obtain their carbon from organic
molecules.
electron transport phosphorylation The major
mechanism of ATP production during respiration;
results from the proton motive force generated by the
passage of electrons through the electron transport
system and concurrent extrusion of protons from the
cytoplasm, which provides the energy for the
production of ATP from ADP plus P
i
.
fermentation The process of generating energy from
the oxidation of organic molecules that serve as both
electron donors and acceptors in the process.
gluconeogenesis The synthesis of hexose sugar
intermediates of central metabolic pathways for the
purpose of providing biosynthetic precursors during
growth on carbon sources other than hexose sugars.
glycolysis The breakdown or catabolism of glucose
(sugars); sometimes used when referring to the
Embden–Meyerhof–Parnas glycolytic pathway but used
here to refer to glycolytic pathways in general.
oxidation In general terms, it refers to the loss of
electrons by a molecule, ion, or atom.
reduction In general terms, it refers to the gain of
electrons by a molecule, ion, or atom.
respiration The production of ATP from the catabolism
of organic molecules in which the terminal electron
acceptor is oxygen (or in some cases another
exogenous electron acceptor such as nitrate).
substrate-level phosphorylation ATP production that
results from the direct transfer of a phosphate group to
ADP from an organic intermediate possessing a
high-energy phosphate bond.
Abbreviations
ADP-HK ADP-dependent hexokinase
ADP-PFK ADP-dependent PFK
AMP adenosine monophosphate
ATP-PFK ATP-dependent PFK
1,3-BPG 1,3-bisphosphoglycerate
DHAP dihydroxyacetone phosphate
KDPG 2-keto-3-deoxy-6-
phosphogluconate
ED Entner–Doudoroff pathway
EMP Embden–Meyerhof–Parnas
pathway
FBA fructose bisphosphate aldolase
FBP fructose-1,6-bisphosphate
FDH formate dehydrogenase
FHL formate-hydrogen lyase
GAP glyceraldehyde-3-phosphate
GAPDH glyceraldeyde-3-phosphate
dehydrogenase
GAPOR glyceraldehyde-3-phosphate
ferridoxin oxidoreductase
HK hexokinase
ICL isocitrate lyase
KDG 2-keto-3-deoxygluconate
LALDH lactaldehyde dehydrogenase
LDH lactate dehydrogenase
LPS lipopolysaccharide
MG methylglyoxal
728

OAA oxaloacetate
PDH pyruvate dehydrogenase
PEP phosphoenolpyruvate
PFK phosphofructokinase
PFL pyruvate–formate lyase
PG phosphoglycerate
PGI phosphoglucose isomerase
PGK phosphoglycerokinase
PGM phosphoglycerate mutase
PKP phosphoketolase pathway
pmf proton motive force
PP
i
pyrophosphate
PPK pentose phosphoketolase pathway
PPP pentose phosphate pathway
PP-PFK pyrophosphate (PP
i
)-dependent
PFK
PRPP 5-phospho-D-ribosyl-1-
pyrophosphate
PYK pyruvate kinase
SDH succinate dehydrogenase
SH-7P sedoheptulose-7-phosphate
TCA tricarboxylic acid cycle
TPP thiamine pyrophosphate
Defining Statement
Central metabolism provides mechanisms for the genera-
tion of energy from carbon-energy source catabolism and
the production of biosynthetic precursors and intermedi-
ates for the anabolic pathways essential to maintain cell
structure and function. Here, the central metabolic path-
ways are described and discussed in terms of the
remarkable diversity of the microbial world.
Introduction
The beauty of the microbial world lies in the diversity and
complexity of environments where microbes are found. Key
to growth and survival of (chemo)heterotrophic microbes is
the ability to utilize diverse collections of organic com-
pounds as carbon and energy sources. These can range
from carbohydrates (e.g., glucose the preferred carbon-
energy source of most microbes), fatty acids, amino acids
to nucleic acids and other compounds. Regardless of the
myriad of organic substrates utilized by heterotrophic
microbes, all are metabolized initially through substrate-
specific pathways that feed into a common set of pathways
collectively referred to as central (intermediary) metabo-
lism. The functions of central metabolic pathways are to
generate the majority of energy (typically in the form of
high-energy phosphodiester bonds of adenosine tripho-
sphate or ATP) and oxidation–reduction (O–R) cofactor
molecules, nicotinamide adenine dinucleotide (NADH),
and NAD phosphate (NADPH). Substrate-specific or ‘fee-
der’ pathways may also generate energy and O–R cofactors
for the cell. In addition to their roles in generating the bulk
of the energy and reducing power for the cell, various
pathways of central metabolism produce the essential pre-
cursor metabolites (e.g., fructose-6-phosphate, ribose-5-
phosphate, phosphoenolpyruvate (PEP), pyruvate, and
-ketoglutarate) necessary for de novo biosynthetic (i.e.,
anabolic) pathways of cellular metabolism (Figure 1).
Central Metabolic Pathways
Although glucose is the most preferred carbon-energy
source used by most microbes, other carbohydrate/sugar
and noncarbohydrate substrates can also serve as carbon-
energy sources depending on the microbe. Typically, these
alternative substrates are converted into intermediates that
feed into one of the central metabolic pathways involved in
glucose metabolism. Central metabolic pathways common
to most microbes include the Embden–Meyerhof–Parnas
(EMP) pathway and the pentose phosphate pathway
(PPP). Additional pathways of carbon-energy source meta-
bolism, for example, phosphoketolase pathway (PKP),
Entner–Doudoroff (ED) pathway, and tricarboxylic acid
(TCA) cycle, are present in different microbes and func-
tion under different conditions.
Pathways of Glucose Catabolism or Glycolysis
Embden–Meyerhof–Parnas pathway
The Embden–Meyerhof–Parnas (EMP) pathway is more
commonly referred to as glycolysis (Figure 2). The
degradation of glucose to two pyruvates (along with the
generation of a net two NADH/H
þ
and two ATP
Catabolism
(e.g., Central/intermediary metabolic pathways)
Anabolism
(e.g., Biosynthetic pathways)
Precursors
and
intermediates
Building blocks
and
macromolecules
ADP + PiATP
Figure 1 Schematic representation of the relationship between
central metabolic pathways and the generation of ATP and the
biosynthesis of building block molecules (e.g., amino acids,
nucleotides) and macromolecules (e.g., proteins, DNA, RNA).
Metabolism, Central (Intermediary) 729

molecules) is essentially the same in bacteria and eukar-
yotic microbes that employ the EMP pathway. The EMP
pathway is the major glucose catabolic pathway in many
bacteria (e.g., Bacillus subtilis,Lactobacillus species, Sarcina
lutea,Streptomyces griseus, and the enterobacteria) and all
yeasts (e.g., Saccharomyces cerevisiae). Pyruvate is the point
of divergence in that it can be further catabolized through
several different biochemical reactions to a variety of
products, for example, acids, alcohols, aldehydes, gases,
or through the TCA cycle depending on the microbe and
the environmental conditions, for example, aerobic versus
anaerobic conditions (discussed further below).
In the first step of the EMP pathway, D-glucose is
phosphorylated by the enzyme hexokinase (HK; aka, glu-
cokinase) to D-glucose-6-phosphate (Glc-6P) using ATP.
The cleavage of the high-energy -phosphoric acid anhy-
dride bond of ATP coupled to the transfer of the phosphate
group and formation of the lower-energy phospho-ester
bond in Glc-6P drives the reaction. The phosphorylation
of sugars is essential for them to be further metabolized; this
is commonly carried out by cytoplasmic enzymes such as
HK that utilize ATP or during uptake into the cytoplasm
by various transport systems using either ATP or PEP (i.e.,
PEP:sugar phosphotransferase system) depending on the
sugar and microorganism. The negatively charged sugar
phosphate is then prevented from leaking out of the cyto-
plasm and the cell.
In the next step, the enzyme phosphoglucoisomerase
(encoded by the pgi gene in Escherichia coli and other
bacteria) mediates the isomerization of Glc-6P to fruc-
tose-6-phosphate (Fru-6P). This rearrangement produces
a more compact and lower entropy molecule. The third
step of the pathway involves the phosphorylation of
Fru-6P to fructose-1,6-bisphosphate (FBP) mediated by
the enzyme phosphofructokinase (PFK; encoded by the
pfkA gene in E. coli and other bacteria) using ATP as
discussed above. This creates a compact molecule with
two negatively charged phosphate groups very close
together producing some intramolecular instability. The
first three reactions of the pathway function to prepare
the six-carbon (C
6
) glucose molecule for separation into
two three-carbon (C
3
) triose phosphate molecules at the
expense of the hydrolysis of two ATP molecules.
In the fourth step of the pathway, the FBP formed is
cleaved to Glyceraldehyde-3-phosphate (GAP) and dihy-
droxyacetone phosphate (DHAP) by the enzyme fructose
bisphosphate aldolase (FBA; encoded by the fbaA gene in
E. coli and other bacteria). The two triose phosphates,
GAP and DHAP, can be interconverted by the enzyme
triose phosphate isomerase. This allows both triose phos-
phate products to be further metabolized through the
triose phosphate portion of the EMP pathway. GAP,
during the next step, is oxidized and an inorganic
phosphate (P
i
) is added to the molecule to form
Glyceraldehyde-
3-phosphate
Dihydroxyacetone-
phosphate
NAD+
NADH/H
+
P
i
1,3-Bisphospho-
glycerate
C
H2
C
OH
O
H2
C
O
P
C
C
OHH
HO
H2
C
O
P
C
OHH
O
~ P
H2
C
O
P
C
O
C
OHH
O–
C
O
H2
C
O
P
3-Phospho-
glycerate
C
H
O–
C
O
H2
C
OH
P
O
2-Phospho-
glycerate
H2O
C
H
O–
C
O
H2
C
OH
P
O
~
Phosphoenol-
pyruvate
Pyruvate
D
-Glucose Glucose-
6-phosphate
Fructose-
6-phosphate Fructose-
1,6-bisphosphate
C
C
CC
C
OH
OH
OH
HO
O
H
H
H
H
H
O
P
C
C
CC
C
H2
C
OH
OH
OH
OH
HO
O
H
H
H
H
HO
C
C
C
H2OH
C
C
OH
HO
H
OH
H
H
H2
C
O
P
O
C
C
C
C
OH
HO
H
OH
H
H
H2
C
O
P
H2
C
O
P
ATP
ADP
ATP
ADP
C
H
O–
C
O
C
H3
O
321
4
567
910
8
ATP
ADP
ATP
ADP
H2
C
Figure 2 Embden–Meyerhof–Parnas (EMP) pathway. Enzymes catalyzing each step are as follows: (1) (ATP-dependent) hexokinase
(HK; aka, glucokinase), (2) phosphoglucoisomerase (PGI), (3) (ATP-dependent) phosphofructokinase (PFK), (4) fructose bisphosphate
aldolase (FBA), (5) triose phosphate isomerase, (6) glyceraldehyde-3-phosphate dehydrogenase (GAPDH), (7) phosphoglycerokinase
(PGK), (8) phosphoglycerate mutase (PGM), (9) (phosphoglycerate) enolase, and (10) pyruvate kinase (PYK).
730 Metabolism, Central (Intermediary)

1,3-bisphosphoglycerate (1,3-BPG). The enzyme glycer-
aldeyde-3-phosphate dehydrogenase (GAPDH; encoded
by the gap gene in E. coli and other bacteria) utilizes the
high-energy potential of oxidation to add a P
i
group to
the molecule. In this process, GAP oxidation and phos-
phorylation is coupled to the reduction of NAD
þ
to
NADH/H
þ
. 1,3-BPG is a mixed acid anhydride posses-
sing a high-energy anhydride phosphate bond. The
generation of this intermediate sets up the generation
ATP during the final reactions of this pathway.
In the next step of this glycolytic pathway, phosphogly-
cerokinase (PGK; encoded by the pgk gene in E. coli and
other bacteria) takes 1,3-BPG plus adenosine diphosphate
(ADP) and forms 3-phosphoglycerate (3-PG) and ATP.
The remaining phosphate ester bond in 3-PG has rela-
tively low free energy of hydrolysis. The subsequent two
steps in the pathway function to form a high-energy bond
that can be linked to the generation of a second ATP
during the final step in the EMP pathway. The 3-PG
formed in step seven undergoes intramolecular rearrange-
ment, with the phosphate group being moved from the
third carbon to the second carbon to form 2-phosphogly-
cerate (2-PG), catalyzed by the enzyme phosphoglycerate
mutase (PGM; encoded by the pgm gene in E. coli and other
bacteria). In the following step, a water molecule is
removed from 2-PG to form a high-energy enol-
phosphate bond in PEP; this reaction is catalyzed by the
enzyme (PG) enolase (encoded by the eno gene in E. coli
and other bacteria). In the final step of the EMP pathway,
pyruvate kinase (PYK; encoded by the pykA and pykF gene
in E. coli and other bacteria) transfers the high-energy
phosphate group from PEP to ADP forming
pyruvate and ATP. The formations of ATP in the phos-
phoglycerokinase- and pyruvate kinase-mediated steps are
examples of substrate level phosphorylation.
Thus, the catabolism of one six-carbon glucose mole-
cule to two three-carbon pyruvate molecules yields a
net of two NADH/H
þ
and two ATP molecules. The
EMP pathway accounts for the majority of carbon flux
within those microbes possessing the pathway. For some
bacteria known as homofermentative lactic acid bacteria
(e.g., species of Streptococcus,Enterococcus,Lactococcus,
Pediococcus, as well as Lactobacillus casei,Lactobacillus pento-
sus, and Lactobacillus plantarum) the EMP pathway is the
only glycolytic pathway and, therefore, substrate level
phosphorylation is the sole mode of ATP production in
these bacteria.
The genes for the enzymes composing the EMP path-
way are believed to be constitutively expressed; however,
in the facultative anaerobe E. coli and in many other
bacteria the gap (glyceraldehydes-3-phosphate dehydro-
genase) and pgk (phosphoglucokinase) genes are both
upregulated by glucose in a catabolite-control protein A
(CcpA)-dependent manner. Several of the enzymes them-
selves exhibit either positive or negative feedback control
by pathway intermediates and/or adenosine monopho-
sphate (AMP) or ADP. For example, PFK is positively
regulated by ADP and negatively regulated by PEP while
pyruvate kinases are positively regulated by FBP and/or
AMP. PFK is the rate-limiting enzyme of the EMP
pathway.
Pentose phosphate pathway
Although the majority of carbon-source catabolism occurs
through the EMP pathway, as much as one-fifth of the
glucose/hexose molecules can be catabolized through the
PPP (aka, hexose monophosphate pathway/shunt) in
microbes possessing both pathways. Mutants blocked in
the EMP pathway enzyme PFK are able to grow on
glucose-6-phosphate indicating that this pathway can
function as a major glucose catabolic pathway when
needed. For Gluconobacter (Acetobacter)suboxydans, a mod-
ified PPP appears to be the only glucose catabolic
pathway. For others (e.g., Neisseria perflava and Neisseria
sicca) the PPP is a major route for glucose dissimilation.
Generally, the primary functions of the PPP is (1) pro-
duction of NADPH needed for reductive steps in
numerous biosynthetic pathways (e.g., -ketoglutarate
conversion to glutamate and fatty acid biosynthesis), and
(2) production of intermediates (e.g., pentose (5-C),
tetrose (4-C), and heptose (7-C) phosphates) needed for
biosynthesis of nucleotides, amino acids, and lipopolysac-
charide (LPS) as well as other precursor molecules.
The first three steps of the PPP are referred to as the
oxidative branch since the reduction of 2 NADP
þ
to 2
NADPH/H
þ
molecules is coupled to the oxidation of
glucose-6-phosphate (Glc-6P), formed from the phos-
phorylation of D-glucose by (ATP-dependent)
hexokinase (ATP-HK), to ribulose-5-phosphate plus
CO
2
(Figure 3(a)). In the first step, Glc-6P is converted
to 6-phosphate-gluconolactone by glucose-6-phosphate
dehydrogenase (Glc-6PDH; encoded by the zwf gene in
E. coli and other bacteria, zwf comes from zwischenfer-
ment); this oxidation step is coupled to the reduction of
a NADP
þ
to form the first NADPH/H
þ
molecule.
6-Phosphate-gluconolactone is then converted to 6-phos-
phogluconate by 6-phosphogluconolactonase (encoded
by the pgl gene in E. coli and other bacteria) using one
H
2
O molecule. The conversion of 6-phosphate-glucono-
lactone to 6-phosphogluconate can also occur
nonenzymatically at a significant level. In the next step,
6-phosphogluconate is oxidatively decarboxylated to
form ribulose-5-phosphate plus CO
2
by 6-phosphogluco-
nate dehydrogenase (encoded by the gnd gene in E. coli
and other bacteria). During this step, a NADP
þ
is reduced
to form a second NADPH/H
þ
molecule.
The remaining steps of the PPP represent the
nonoxidative branch of the pathway (Figure 3(b)). The
ribulose-5-phosphate that is formed is converted to either
ribose-5-phosphate by ribose-5-phosphate isomerase
Metabolism, Central (Intermediary) 731

(encoded by the rpiA genes in E. coli and other bacteria) or
xylulose-5-phosphate by ribulose-5-phosphate epimerase
(encoded by the rpe gene in E. coli and other bacteria).
These three pentose phosphates are maintained in equili-
brium by these two enzyme activities. E. coli and some other
bacteria also possess a second gene, rpiB, encoding a ribose-
5-phosphate isomerase activity; however, based on genetic
analysis the rpiA enzyme is required for conversion of
ribulose-5-phosphate to ribose-5-phosphate in the PPP
while the rpiB enzyme only allows for growth on ribose
as a carbon-energy source unless it is overexpressed.
Both the ribulose-5-phosphate epimerase and ribose-5-
phosphate isomerase activities must be functional for the
continuation of the pathway.
In the next few steps, xylulose-5-phosphate and ribose-5-
phosphate are converted to sedoheptulose-7-phosphate
(SH-7P) and glyceraldehyde-3-P (GAP) by the enzyme
transketolase (encoded by the tkt gene in E. coli and other
bacteria). The enzyme transaldolase (encoded by the tal
gene in E. coli and other bacteria) mediates the conversion
of SH-7P and GAP to fructose-6-phosphate (Fru-6P) and
erythrose-4-phosphate (Ery-4P). Transketolase also cata-
lyzes the conversion of Ery-4P and xylulose-6-phosphate
to Fru-6P and GAP. This branch of the PPP supplies key
intermediates, Fru-6P and GAP, that can feed into the EMP
pathway providing a mechanism for growth on pentoses
(e.g., xylulose, xylose, ribose, or ribulose) and gluconate as
carbon-energy sources. In addition, this pathway provides
the intermediates SH-7P and Ery-4P required for biosynth-
esis of LPS and aromatic amino acids (e.g., tyrosine,
phenylalanine, and tryptophan), as well as vitamins/cofac-
tors (e.g., folates, ubiquinone, menaquinone), respectively.
The Fru-6P formed in the transaldolase and subsequent
transketolase reactions can be converted to Glc-6P by the
EMP enzyme phosphoglucoisomerase producing a poten-
tial cyclic nature to this pathway. Several turns of this cycle
could result in the complete oxidation of Glc-6P (þ12
NADP
þ
)to6CO
2
(þ12NADPH/H
þ
). However, such a
cycle does not appear to function at a significant level
under normal conditions.
Glucose-6-
phosphate
C
C
CC
C
OH
OH
OH
HO
O
H
H
H
H
H
H
2
COP
6-Phospho-
gluconolactone
NADP
+
NADPH/H
+
H
2
OH
+
6-Phosphogluconate
CO
2
(a) Oxidative branch of pentose phosphate pathway:
Ribulose-
5-phosphate
NADP
+
NADPH/H
+
32
1
8
Ribulose-
5-phosphate
(b) Non-oxidative branch of pentose phosphate pathway:
Xylulose-
5-phosphate
Ribose-
5-phosphate
Glyceraldehyde-
3-phosphate
Sedoheptulose-
7-phosphate
Erythrose-
4-phosphate
Fructose-
6-phosphate
Xylulose-
5-phosphate
Glyceraldehyde-
3-phosphate
C
COHH
HO
EMP pathway
4
5
676
C
C
CC
C O
OH
OH
HO
O
H
H
H
H
COP
C
COHH
O
–
O
OHH
C
CHHO
OHH
C
H
2
COP
C
COHH
OHH
C
C
OH
O
COP
OP
C
COHH
HHO
C
OH
O
OP
C
COHH
HHO
C
OH
O
COHH
OP
C
COHH
HO
COHH
OP
C
COHH
HHO
C
OH
O
C
COHH
OHH
OP
C
COHH
HO
OP
C
COHH
OHH
C
COH
O
H
H
COP
C
COHH
HHO
C
C
OH
O
COP
C
COHH
OHH
H
2
C
C
OH
O
COP
H
2
H
2
H
2
H
2
H
2
H
2
H
2
CH
2
CH
2
CH
2
CH
2
CH
2
CH
2
CH
2
CH
2
CH
2
Figure 3 Pentose phosphate pathway (PPP; aka, hexose monophosphate pathway). Enzymes catalyzing each step are as follows:
(1) glucose-6-phosphate dehydrogenase (Glc-6PDH), (2) 6-phosphogluconolactonase, (3) 6-phosphogluconate dehydrogenase,
(4) ribulose-5-phosphate epimerase, (5) ribose-5-phosphate isomerase, (6) transketolase, (7) transaldolase, and
(8) phosphoglucoisomerase.
732 Metabolism, Central (Intermediary)

Entner–Doudoroff pathway
The Entner–Doudoroff (ED) pathway is present in a
number of bacteria where it can be a major pathway of
glucose catabolism under aerobic conditions. The ED
pathway (Figure 4) represents an offshoot of the oxida-
tive branch of the PPP. Glucose-6-phosphate,
formed from the phosphorylation of D-glucose by ATP-
dependent hexokinase, is converted to 6-phosphogluco-
nate by the subsequent actions of Glc-6P dehydrogenase
(Glc-6PDH) and 6-phosphogluconolactonase producing
one NADPH/H
þ
. 6-Phosphogluconate is then converted
to 2-keto-3-deoxy-6-phosphogluconate (KDPG) through
the removal of a water molecule by the enzyme 6-
phosphogluconate dehydratase. KDPG is then split by
the enzyme KDPG aldolase into pyruvate and GAP.
GAP can then be converted to pyruvate through the
triose phosphate portion of the EMP pathway producing
two ATP and one NADH/H
þ
. Thus, a single glucose
molecule catabolized through the ED pathway can be
degraded to two pyruvates yielding a net one ATP plus
one NADPH/H
þ
and one NADH/H
þ
depending on the
microbe. As a result, the ED pathway yields half the net
amount of energy in the form of ATP from the catabolism
of a single glucose molecule to two pyruvates compared
with the EMP pathway.
Although the ED pathway is most prevalent among
strictly aerobic Gram-negative bacteria, including species
of Pseudomonas (e.g., Ps. aeruginosa), Agrobacterium (e.g.,
A. tumefaciens), Azotobacter (e.g., A. vinelandii), Xanthomonas,
Arthrobacter,Caulobacter,andNeisseria (e.g., N. gonorrhoeae
and N. meningitides), it is also present in many
Gram-negative facultative anaerobes such as E. coli and
Vibrio spp. (e.g., V. cholerae)aswellasthenitrogen-fixing
Sinorhizobium (e.g., S. meliloti), photoheterotrophic Rhodobacter
(e.g., Rh. sphaeroides), the nitrogen-oxidizing Paracoccus (e.g.,
P. versutus), and the cyanobacteria. Aerobic Gram-negative
bacteria can live with the relatively low energy yield of the
ED pathway because they obtain the majority of their energy
through oxidative phosphorylation mechanisms. In these
bacteria, the ED enzymes are typically inducible rather
than constitutive since intermediates of the TCA cycle
(e.g., citrate, succinate) rather than sugars are the preferred
C-energy sources.
In E. coli, a gluconate permease and the genes (edd–eda
operon) encoding the ED pathway enzyme 6-phospho-
gluconate dehydratase (edd for ED dehydratase) and
KDPG aldolase (eda for ED aldolase) are induced by
growth on gluconate. The edd–eda genes are induced
from a GntR-regulated gluconate-responsive promoter,
P
1
, located upstream of edd. Interestingly, the edd gene is
effectively not expressed in the presence of glucose while
eda exhibits higher basal level expression from other pro-
moters (P
2
or P
4
) regardless of the C-energy source being
utilized. The eda gene is also induced by glucuronate and
galacturonate from the KdgR-regulated P
2
promoter.
This likely plays a key role in growth of E. coli within
6-Phosphogluconate
H
+
D
-Glucose Glucose-6-
phosphate
(G-6-P)
C
C
CC
C
H
2
COH
OH
OH
OH
HO
O
H
H
H
H
H
6-Phosphoglucono-
lactone
NADP
+
NADPH/H
+
ATP ADP
Glyceraldehyde-3-
phosphate (GAP)
C
COHH
HO
COP
Pyruvate
C
O
–
CO
CH
3
O
2-Keto-3-deoxy-6-
phosphogluconate
(KDPG)
NAD
+
NADH/H
+
ATP ADP
H
2
O
EMP pathway
P
i
ATP
ADP
21
3
5
4
C
C
CC
C
OH
OH
OH
HO
O
H
H
H
H
H
COP
C
C
CC
CO
OH
OH
HO
O
H
H
H
H
COP
C
COHH
O
–
O
OHH
C
CHHO
OHH
C
COP
C
COHH
O
OHH
H
C
CH
OH
C
O
COP
H
2
H
2
H
2
O
H
2
H
2
O
H
2
H
2
Figure 4 Entner–Doudoroff (ED) pathway. Enzymes catalyzing each step are as follows: (1) (ATP-dependent) hexokinase (aka,
glucokinase), (2) glucose-6-phosphate dehydrogenase (Glc-6PDH), (3) 6-phosphogluconolactonase, (4) 6-phosphogluconate
dehydratase, and (5) 2-keto-3-deoxy-6-phosphogluconate (KDPG) aldolase.
Metabolism, Central (Intermediary) 733

the intestines of animal hosts where glucuronate derived
from glucuronides secreted through the bile duct into the
intestines may be an important C-energy source.
Interestingly, the strictly fermentative bacterium
Zymomonas mobilis is unique in that it uses the ED pathway
under anaerobic conditions. In this bacterium, the ED
pathway is the only pathway for the catabolism of glucose
and other sugars for energy production. Z. mobilis utilizes
nonoxidative branch of the PPP and an incomplete TCA
cycle to synthesize necessary metabolic precursors and
intermediates. The pyruvate produced through the ED
pathway is ultimately converted to ethanol in Z. mobilis
(discussed further under ethanol-producing fermenta-
tions). The relative inefficiency of the ED pathway in
terms of energy production plus the lack of electron
transport system enzymes requires that this bacterium
be able to rapidly take up and metabolize sugars in its
environment in order to achieve and maintain significant
growth rates. This is accomplished by maintaining high
levels of the ED pathway, and other enzymes needed for
C-energy source utilization as well as a high-velocity-
facilitated diffusion glucose uptake system. Given this, it
is not surprising that Z. mobilis lives on plants producing
sugar-rich saps. The high rate of ethanol production from
sugars also makes Z. mobilis a desirable microbe for the
commercial production of ethanol.
Pentose phosphoketolase pathway
The pentose phosphoketolase (PPK; aka, heterolactic)
pathway is a major route of glucose catabolism in hetero-
lactic or heterofermentative lactic acid-producing bacteria
including: species of Leuconostoc (e.g., L. mesenteroides),
Lactobacillus (e.g., L. brevis,L. lysopersici,andL. pentoaceticus),
Streptococcus,Lactococcus,Pediococcus,Microbacterium,Bacillus,
Acetobacter (A. aceti), and the mold Rhizopus. The heterofer-
mentative lactic acid-producing bacteria typically produce
equimolar amounts of CO
2
plus lactate and ethanol or
acetate from the catabolism of glucose. Originally the pro-
duction of these compounds from glucose catabolism was
thought to be a result of alternative metabolic routes for
pyruvate formed in the EMP pathway. Carbon isotope
studies to examine the distribution of the carbon atoms of
glucose in the ultimate products of its catabolism indicated
that these microbes possessed an alternative pathway of
glucose degradation.
The PPK pathway also represents an offshoot of the
oxidative branch of the PPP (Figure 5). The first five
steps in this pathway are shared with the PPP and involve
the conversion glucose to xylulose-5-phosphate. Xylulose-
5P is then cleaved to form the C
3
compound GAP and two-
carbon (C
2
) compound acetyl-phosphate by the enzyme
pentose (or xylulose-5-phosphate) phosphoketolase. GAP
is further catabolized to pyruvate through the triose
Glucose-6-phosphate
6-Phospho-
gluconolactone
NADP+
NADPH/H+
H2O
H+
C
COHH
O–
O
COP
OHH
C
CHHO
OHH
C
6-Phosphogluconate
Ribulose-5-
phosphate Xylulose-5-
phosphate
CO2
NADP+
NADPH/H+
ATP
ADP
C
C
CC
C
OH
OH
OH
HO
O
H
H
H
H
H
COH
Glucose
Glyceraldehyde-
3-phosphate
Pi
C
C
OP
O
Acetyl-
phosphate
Pyruvate
C
H
CO
CH3
O
NAD+
NADH/H+
2 ATP
2 ADP
Pi
EMP pathway
NAD+
NADH/H+
Lactate
CH
O
CH3
CH2
HO
Acet-
aldehyde Ethanol
NAD+
NADH/H+
HS-CoA
PiNAD+
NADH/H+
ATP
ADP
CH3
C
OOH Acetate
123
4
56
7
8/9
10
11
C
C
CC
CO
OH
OH
HO
O
H
H
H
H
H2COP
C
C
CC
C
OH
OH
OH
HO
O
H
H
H
H
H
H2COP
CP
C
COHH
OHH
C
C
OH
O
COP
C
COHH
HHO
C
C
OH
O
H2COP
C
COHH
HO
COP
C
H
CH3
OH
CO
HS-CoA
H2
H2
H2
H2
H3
CH3
H2
O–O–
H2
Figure 5 Pentose phosphoketolase (PPK) pathway. Enzymes catalyzing each step are as follows: (2) Glucose-6-phosphate
dehydrogenase (Glc-6PDH), (3) 6-phosphoglucono-lactonase, (4) 6-phosphogluconate dehydrogenase, (5) ribulose-5-phosphate
epimerase, (6) pentose phosphoketolase (PPK), (7) lactate dehydrogenase (LDH), (8) phosphotransacetylase, (9) (CoA-dependent)
aldehyde dehydrogenase, (10) alcohol dehydrogenase, and (11) acetyl phosphate kinase.
734 Metabolism, Central (Intermediary)

phosphate portion of the EMP pathway generating two
ATP and one NADH/H
þ
. The pyruvate is then reduced
to lactate by the enzyme lactate dehydrogenase (LDH)
utilizing one NADH/H
þ
. The acetyl-phosphate that is
formed can be reductively dephosphorylated to
acetaldehyde in a CoA-dependent manner by phosphotran-
sacetylase and aldehyde dehydrogenase. Acetaldehyde is
then reduced to ethanol by alcohol dehydrogenase using
NADH/H
þ
and regenerating NAD
þ
. Therefore, the con-
version of acetyl-phosphate to ethanol generates two
NAD
þ
molecules from two NADH/H
þ
molecules, con-
tributing to the maintenance of O–R cofactor balance.
Alternatively, under conditions where NAD
þ
can be regen-
erated without ethanol formation, acetyl-phosphate plus
ADP can be converted to acetate plus ATP in a reaction
catalyzed by acetyl-phosphate kinase; this allows for the
formation of an additional ATP through the PPK pathway.
Thus, a single glucose molecule catabolized through the
PPK pathway to CO
2
,lactate,andacetatecangeneratea
net of two NAD(P)H/H
þ
molecules and two ATP.
Unlike for heterofermentative lactic acid bacteria, the
PPK pathway seems to be more important for the growth
of many types of yeast on xylose (possibly other pentoses)
rather than glucose. In these yeasts, little to no pentose
phosphoketolase activity was detected when they were
grown on glucose. In contrast, pentose phosphoketolase
activity increased greatly (70-fold) when they were
grown on xylose as the sole carbon-energy source. This
suggested that the PPK pathway is a major means of
pentose catabolism in these microbes.
Deviations in the Pathways of Glycolysis
Glycolytic pathways in the Archaea
The Archaea are a relatively newly discovered diverse
domain of prokaryotic microbes that can be found in
virtually every environment on earth from hot/thermal
springs to salt lakes to the open ocean to soils. One group
of these bacteria, the saccharolytic archaea, is hetero-
trophic, living on a variety of saccharides and sugars.
Although the central intermediary metabolic pathways
of bacteria and eukaryotes are by and large conserved,
the saccharolytic archaea have developed sugar-
degrading pathways, that is, the Embden–Meyerhof–
Parnas and the ED pathways, possessing a varying combi-
nation of classical bacterial/eukaryotic glycolytic enzymes
and enzyme activities unique to the archaeons. Some
utilize only a modified EMP pathway or ED pathway for
the catabolism of sugars, while others use a modified EMP
pathway for the catabolism of some sugars and a modified
ED pathway for the catabolism of other sugars.
The anaerobic thermophilic Pyrococcus furiosus,oneof
the best-studied archaea in terms of its EMP pathway, and
many other archaeons possess only four of the ten glyco-
lytic enzymes found in bacteria and eukaryotes, for
example, triose phosphate isomerase, phosphoglycerate
mutase, enolase, and pyruvate kinase. The other steps of
this pathway are catalyzed by enzymes novel to this
and other archaeons (Figure 6(a)). In addition, several of
the archaeal glycolytic enzymes show diversity among the
archaeons themselves. The enzyme responsible for the
phosphorylation of glucose in P. furiosus is an ADP-depen-
dent hexokinase (ADP-HK) that is unrelated to the ATP-
dependent hexokinase of bacteria and eukaryotes.
However, like the bacterial/eukaryote HK, the archaeal
ADP-HK exhibits broad substrate (hexose) specificity. An
ADP-HK is also present in other Pyrococcus species as well
as Thermococcus species and Archaeoglobus fulgidus strain
7324. In comparison, ATP-HK homologues are found in
other archaea including Desulfurococcus amylolyticus,
Pyrobaculum aerophilum,Thermoproteus tenax,Thermoplasma
volcanium,Thermoplasma acidophilum,andAeropyrum pernix.
The phosphoglucose isomerases (PGI) of some archaeons
appear to be different, as well, based on genetic analysis.
The deduced PGI enzymes of Pyrococcus,Thermococcus,and
Methanosarcina species belong to the cupin superfamily of
proteins in contrast to the classical PGIs of bacteria and
eukaryotes. The archaeal phosphofructokinases (PFK) are
found as three types. The first type is found in the
hyperthermophiles P. aerophilum and A. pernix, and appears
to be a homologue of the classical ATP-dependent PFK
(ATP-PFK) of bacteria and eukaryotes. The PFK of
A. pernix, the first ATP-PFK characterized from a
hyperthermophile, is not allosterically regulated in contrast
to most bacterial/eukaryotic PFKs. The second type of
PFK enzymes is ADP-dependent (ADP-PFK), and is
found in P. furiosus, the related Thermococcus illogic,the
nonsaccharolytic Methanocaldococcus jannaschii,thesulfate-
reducing A. fulgidus strain 7324 and in both thermophilic
and mesophilic glycogen-degrading methanogenic archae-
ons. Sequence analyses of several ADP-PFKs suggest that
they are paralogous to the ADP-HKs described above.
Furthermore, both the ADP-PFK and ADP-HK enzymes
look to be unrelated to the corresponding ATP-PFK/HK
enzymes of bacteria and eukaryotes. The third type of PFK
enzymes is pyrophosphate (PP
i
)-dependent (PP-PFK).
This type of PFK enzyme is found in T. tenax.PP-PFK
enzymes are also found in some bacteria and eukaryotes,
and are distantly related to ATP-PFK enzymes. One of the
most conspicuous differences observed in Archaea com-
pared to bacteria and eukaryotes is in the conversion of
GAP to 3-phosphoglycerate. In bacteria, eukaryotes, and
some archaea, this requires two different enzymes
(GAPDH and PGK) and generates a NADH/H
þ
and
one ATP. In P. furiosus, a distinctive enzyme catalyzes the
single-step (inorganic) phosphate-independent conversion
of GAP into 3-phosphoglycerate. This enzyme is the tung-
sten-containing glyceraldehyde-3-phosphate ferridoxin
oxidoreductase (GAPOR). No NADH/H
þ
or ATP
is generated in this process. In comparison, T. tenax
Metabolism, Central (Intermediary) 735

possesses an allosterically controlled phosphate-indepen-
dent (or nonphosphorylating) NAD
þ
-dependent GAP
dehydrogenase activity (GAPN), which catalyzes the sin-
gle-step oxidation of GAP to 3-phosphoglycerate. Here
one NADH/H
þ
is produced but no ATP is generated.
The ED pathways of Archaea are found to vary in two
important ways (Figure 6(b)). The first variant is exem-
plified by the ‘partially phosphorylated’ ED-like pathway
found in members of the halophilic archaea Halobacterium,
Haloferax, and Halococcus. In these archaea, glucose is oxi-
dized to gluconate by glucose dehydrogenase (producing
NADPH/H
þ
) and gluconolactonase. Gluconate is con-
verted to 2-keto-3-deoxygluconate (KDG) by gluconate
dehydratase. KDG is then phosphorylated by the enzyme
KDG kinase, using ATP, to form KDPG. The KDPG is
then split by KDPG aldolase to pyruvate and GAP. GAP
can then be further metabolized to pyruvate using the
enzymes of the triose phosphate portion of the EMP
pathway. The phosphorylation of the six-carbon KDG
allows for the net production of one ATP via substrate-
level phosphorylation during the complete conversion of
one glucose to two pyruvates. The second variant of the
bacterial ED pathway is present in species of the thermo-
philes Thermoproteus,Thermoplasma, and Sulfolobus. These
archaeons use a ‘nonphosphorylated’ ED-like pathway
in which neither glucose nor the other C
6
intermediates
(i.e., gluconate or KDG) are phosphorylated. In this var-
iant, glucose is converted to KDG as described above;
(b)
Glucose
Gluconate
NADP+
NADPH/H+
2-Keto-3-deoxy-
gluconate
H2O
Glyceraldehyde
Pyruvate
Glycerate
KDPG
ATP ADP
GAP
Pyruvate
1,3-BPG
Pi
ATP
ADP
ADP
ATP 3-PG
2-PG
PEP
H2O
Pyruvate
11
12
13
14
16
15
17
18
8
9
10
19
NAD+
NADH/H+
ATP
ADP
NADP+
NADPH/H+
ED-like pathway
EMP-like pathway(a)
Glucose
G-6-P
ATP or ADP
ADP or AMP
F-6-P
FBP
ATP or ADP or PPi
ADP or AMP or Pi
DHAP GAP
Fdox or NAD+
Fdred or NADH/H+
3-PG
2-PG
PEP
H2O
Pyruvate
1
2
3
4
5
6/7
8
9
10 ATP
ADP
Figure 6 Glycolytic pathways in the Archaea. (a) Embden–Meyerhof–Parnas (EMP)-like pathways present in some Archaea.
(b) Entner–Doudoroff (ED)-like pathways present in some Archaea. See text for further explanations and abbreviations of intermediates/
molecules in pathways. Fd
ox
, oxidized ferredoxin; Fd
red
, reduced ferredoxin. Enzymes catalyzing each step are as follows: (a) (1) ATP-
dependent or ADP-dependent hexokinase (ATP-HK or ADP-HK), (2) phosphoglucoisomerase (PGI), (3) ATP-dependent or ADP-
dependent or PP
i
-dependent phosphofructokinase (ATP-PFK or ADP-PFK or PP
i
-PFK), (4) fructobisphosphate aldolase (FBA),
(5) triose-phosphate isomerase, (6) glyceraldehyde-3-phosphate ferridoxin oxidoreductase (GAPOR) (7) phosphate-independent
NAD
þ
-dependent glyceraldehyde-3-phosphate dehydrogenase (GAPN), (8) phosphoglycerate mutase (PGM), (9) (phosphoglycerate)
enolase, (10) pyruvate kinase (PYK). (b) (11) glucose dehydrogenase/gluconolactonase, (12) gluconate dehydratase, (13) 2-keto-3-
deoxy-gluconate (KDG) aldolase; (14) glyceraldehyde dehydrogenase, (15) glycerate kinase, (16) KDG kinase, (17) KDPG aldolase,
(18) (phosphate-dependent NAD
þ
-dependent) glyceraldehyde-3-phosphate dehydrogenase (GAPDH), (19) phosphoglycerate kinase.
736 Metabolism, Central (Intermediary)

however, KDG (rather than KDPG) is split by KDG
aldolase to yield pyruvate and glyceraldehyde.
Glyceraldehyde is then oxidized to glycerate by the
enzyme glyceraldehyde dehydrogenase generating one
NADPH/H
þ
from NADP
þ
. Glycerate kinase then
phosphorylates glycerate using ATP to form 2-phospho-
glycerate (2-PG). 2-PG is then converted to pyruvate by
the EMP pathway enzymes enolase and pyruvate kinase,
the latter reaction generating one ATP. Since one ATP is
used in the phosphorylation of the three-carbon glyce-
rate, there is no net production of ATP through this
variant of the ED pathway. However, both of these
ED-like pathways potentially yield two NAD(P)H/H
þ
.
Evidence to date suggests that Archaea do not catabo-
lize glucose via the PPP. However, like bacteria and
eukaryotes, they do require the ability to generate pen-
tose intermediates for nucleotide and amino acid
biosynthesis. Some archaea such as Sulfolobus are capable
of growth on pentoses. Together, these suggest that at
least some of PPP enzymes may be present in the archaea.
Based on genomic analysis, transketolase, ribulose-5-
phosphate epimerase, and ribose-5-phosphate isomerase
are present in many archaea.
A novel glycolytic pathway has been proposed in
Thermococcus zilligii based on radio-labeled glucose
experiments. In this pathway, a C
6
intermediate
(possibly gluconate 6-phosphate) is converted to a
five-carbon (C
5
) pentose phosphate intermediate (e.g.,
xylulose 5-phosphate) and formate, by a novel type of
lyase. The pentose phosphate is presumably further
catabolized via a pentose phosphoketolase pathway
similar to that of lactic acid-producing bacteria. This
pathway appears to be more important when T. zilligii
grows on amino acids (e.g., tryptone) since the enzymes
involved are repressed by the presence of glucose in
the medium.
Methylglyoxal bypass of glycolytic pathways
The methylglyoxal (MG) bypass pathway provides an
alternative means for the catabolism of GAP to pyruvate
in many bacteria, including E. coli, other enterobacteria,
and Pseudomonas spp., along with yeast (e.g., S. cerevisiae)
and halophilic Archaea. In this pathway, GAP is con-
verted to pyruvate through the intermediates DHAP,
MG (a highly toxic 2-oxo-aldehyde), and lactate, with
no generation of ATP. This series of reactions bypasses
the energy-yielding steps of the triose phosphate portion
of the EMP pathway, in particular the phosphorylating
step mediated by GAPDH (Figure 2). A proposed phy-
siologic role for this bypass is to allow for the conversion
of GAP to pyruvate under phosphate-limiting conditions
when the activity of GAPDH would be diminished by the
scarcity of one of its substrates, inorganic phosphate.
Although no ATP is generated during the MG bypass,
the subsequent catabolism of pyruvate may lead to ATP
generation.
The MG bypass pathway of the yeast S. cerevisiae is
presented in Figure 7. In the first step, DHAP formed
from the splitting of fructose-1,6-bisphophosphate or iso-
merization of GAP is converted to MG by MG synthase.
MG can be converted to lactate through either (1) lactal-
dehyde by the actions of MG reductase and lactaldehyde
dehydrogenase (LALDH) oxidizing one NADPH/H
þ
and
reducing one NAD
þ
in the process or (2) S-lactoyl-glu-
tathione via the actions of glyoxalase I and II using reduced
glutathione. Lactate is then converted to pyruvate through
the reverse reaction of LDH forming one NADH/H
þ
.
Fates of Pyruvate and Reduced NAD/NADP
Formed in Glycolytic Pathways
Pyruvate formed from the various glycolytic pathways
described above represents the key intermediate from
DHAPGAP
C
OH
O
CH
HC OH
O
H
2
COP
C
HC O
O
CH
3
Methyl-
glyoxal
HC
HC O
OH
CH
3
Lactaldehyde
HC
CO
OH
S-Glutathione
S-lactoyl-
g
lutathione
C
H
–
OCO
CH
3
OH
Lactate Pyruvate
C
H
CH
3
O
NADP
+
NADPH/H
+
HS-Glutathione
NAD
+
NADH/H
+
NADH/H
+
NAD
+
12 3
4
5
6
7
H
2
C O PPi
–
OCO
H
2
C
CH
3
Figure 7 Methylglyoxal (MG) bypass pathway of Saccharomyces cervisiae. See text for further explanations and abbreviations of
intermediates/molecules in pathways. Enzymes catalyzing each step are as follows: (1) triose phosphate isomerase, (2) MG synthase,
(3) MG reductase, (4) glyoxalase I, (5) lactaldehyde dehydrogenase (LALDH), (6) glyoxalase II, and (7) lactate dehydrogenase (LDH).
Metabolism, Central (Intermediary) 737

which a plethora of metabolic by-products (e.g., alcohols,
aldehydes, gases) and precursors (e.g., amino acids) are
formed. The fate of pyruvate is determined by the envir-
onmental conditions in which the microbe finds itself
(e.g., aerobic vs. anaerobic environs) as well as the meta-
bolic capabilities of the microbe (e.g., strictly fermentative
vs. strictly oxidative metabolisms). Another consideration
is how the reduced NAD or NADP formed in several
steps of various glycolytic pathways is oxidized so as to
restore and maintain the O–R balance to cellular meta-
bolism. This, like the fate of pyruvate, is dependent upon
the environmental growth conditions and the basic meta-
bolic capabilities of the microbe.
Aerobiosis – strict aerobes and facultative
anaerobes
Growth in the presence of oxygen provides a more effec-
tive way of energy/ATP production from glucose;
however, it also increases the generation of toxic metabo-
lites such as reactive oxygen species (e.g., superoxide anion,
hydrogen peroxide) that must be detoxified. Under aerobic
growth conditions, microbes capable of aerobic or oxida-
tive metabolism convert the pyruvate formed from
glycolytic pathways into acetyl-CoA and CO
2
, reducing
NAD
þ
to NADH/H
þ
in the process. This conversion is
mediated by pyruvate dehydrogenase (PDH) complex
using thiamine pyrophosphate (TPP), lipoate, and coen-
zyme A (CoA-SH)) as cofactors. This enzyme complex is
present in (strict or facultative) aerobic microbes but not
in strict anaerobes. In E. coli,Salmonella, and other
bacteria, this complex is encoded by aceE (PDH), aceF
(dihydrolipoamide acetyltransferase), and lpd (lipoamide
dehydrogenase). The acetyl-CoA formed is further oxi-
dized to two CO
2
through the tricarboxylic acid (TCA;
aka, citric acid or Kreb’s) cycle, generating one ATP, three
additional NADH/H
þ
, and one FADH
2
(Figure 8).
Pyruvate
HC
COO–
CH3
OC
CH3
O
S-CoA
Acetyl-CoA
HS-CoA
TPP
Lipoate
HS-CoA
TPP
Lipoate
1
NAD+NADH/H+
Oxaloacetate C
CH2
O
COO–
C
CH2
HO
CH2
C
Citrate
H2O
CO2
HC
CH
HO
COO–
CH2
COO–
COO–
Isocitrate
CH2
CO
COO–
CH2
COO–CO2
α-Ketoglutarate
3
NAD+
NADH/H+
CH
CH2
HO
COO–
COO–
CH2
CH2
COO–
COO–
Succinate
CH
HC
COO–
COO–
NAD+
NADH/H+
CO2
Succin
y
l-CoA
CH2
CH2
COO–
CO
S-CoA
HS-CoA H2O
GDP
GTP
ATP
ADP
Pi
Fumarate
FAD
FADH2
H2O
Malate NAD+NADH/H+
HC
C
O
Glyoxlate
10
29
8
7
6
5
4
11
Acetyl-CoA
HS-CoA
HS-CoA
TPP
Lipoate
TPP
Lipoate
COO–
CH3
Acetate
12
HS-CoA
ATP
AMP
+ PPi
COO–
OO–
COO–
COO–
OO–
Figure 8 Tricarboxylic acid (TCA) and glyoxylate (shunt) cycles. Enzymes catalyzing each step are as follows: (1) pyruvate
dehydrogenase complex, (2) Citrate synthase, (3) aconitase, (4) isocitrate dehydrogenase (ICD), (5) -ketoglutarate dehydrogenase
(-KDH) complex, (6) succinyl-CoA synthetase, (7) succinate dehydrogenase (SDH), (8) fumarase, (9) malate dehydrogenase,
(10) isocitrate lyase (ICL), (11) malate synthase and (12) acetyl-CoA synthetase.
738 Metabolism, Central (Intermediary)

Bacillus species have also been shown to produce acetoin,
diacetyl, and 2,3-butanediol from pyruvate under aerobic
conditions. This process is similar to that described below
under mixed acids-producing fermentations (Figure 9).
However, the purpose of acetoin production in Bacillus
species under these conditions is quite different. Here it
produced as a carbon-energy storage molecule that can be
secreted from the cell for future use as cells move into
stationary phase due to depletion of more preferred
carbon-energy sources. The fact that acetoin is neutral
means that its secretion into the growth medium has little
effect on extracellular pH.
Tricarboxylic acid cycle
The first reaction in the TCA cycle is the condensation of
acetyl-CoA (C
2
) and oxaloacetate (OAA; C
4
)toformcitrate
(C
6
),whichismediatedbytheenzymecitratesynthase
(encoded by gltA in E. coli and Salmonella or citZ in B. subtilis).
α-Acetolactate
× 2CO2
CO2
Acetoin
Diacetyl2,3-Butanediol
NADH/H+
NAD+
NAD+
NADH/H+
Acetaldehyde
CO2
Ethanol
NADH/H+
NAD+
Lactate
NADH/H+
NAD+
OAA
Malate
NADH/H+
NAD+
H2O
Fumarate
Succinate
FADH2
FAD+
CO2
Propionate
Acetyl-CoA
HS-CoA
Formate
Acetoacetyl-CoA
Acetaldehyde
Ethanol
NADH/H+
NAD+
NADH/H+
NAD+
Acetate
Acetyl
phosphate
Pi
ADP
ATP
HS-CoA
Acetone
HS-CoA
Isopropanol
NADPH/H+
NADP+
Butyryl-CoA
NADH/H+
NAD+
Butyryl
phosphate
Butanol
HS-CoA
NADH/H+
NAD+
Fdox
Fdred
H2
HS-CoA
Butyrate
ADP
ATP
Pi
HS-CoA
Acetoacetate β-Hydroxy-
butyryl-CoA
Crotonyl-CoA
H2O
NADH/H+
NAD+
Butyraldehyde
NADPH/H+
NADP+
NADH/H+
NAD+
NADPH/H+
NADP+
Succinyl-CoA
Methyl-
malonyl-CoA
Propionyl-CoA
HS-CoA
Pyruvate
× 2
CO2
CO2H2
CO2
Figure 9 Examples of pathways of pyruvate fermentation in microorganisms. The yellow box with 2 inside indicates that two
molecules of the substrate, that is, pyruvate or acetyl-CoA, are combined or condensed in the reaction to yield the indicated product.
Fd
ox
, oxidized ferredoxin; Fd
red
, reduced ferredoxin. Organic end products of fermentations are boxed and shown in blue while
intermediates are shown in black. See the text for enzymes mediating the various reactions presented.
Metabolism, Central (Intermediary) 739

Citrate is then isomerized to isocitrate (C
6
) through the
unstable intermediate cis-aconitate by the enzyme aconitase
(encoded by encoded by citB in B. subtilis). Isocitrate is then
oxidized and decarboxylated to -ketoglutarate (or 2-
oxoglutarate; C
5
)generatingoneNADH/H
þ
and CO
2
.
This reaction is mediated by the enzyme isocitrate dehy-
drogenase (encoded by icd in E. coli and Salmonella or citC in
B. subtilis) through the unstable intermediate oxalosuccinate
(C
6
). The -ketoglutarate (-KG; C
5
)producedis
then oxidatively decarboxylated to succinyl-CoA by the
-ketoglutarate dehydrogenase (-KGDH) complex
using TPP, lipoate, and CoA as cofactors; in the process
one NAD
þ
is reduced to one NADH/H
þ
. This complex is
functionally comparable to the PDH complex that catalyzes
the oxidative decarboxylation of pyruvate to acetyl-CoA.
Components of the -KGDH complex are encoded by the
sucA (-KGDH), sucB (dihydrolipoamide succinyltransfer-
ase), and lpd (shared component with PDH complex) in
E. coli and Salmonella or odhA (2-oxoglutarate dehydrogen-
ase) in B. subtilis.
In the next step, succinyl-CoA synthetase (encoded by
sucD and sucC in E. coli,Salmonella, and other bacteria)
catalyzes the replacement of the CoA in succinyl-CoA
with an inorganic phosphate group, forming a transient
high-energy phosphate bond that gets transferred to GDP
forming GTP; in bacteria, the GTP is used to phosphor-
ylate ADP to yield one ATP. The product of this reaction
is succinate (C
4
). Succinate is then oxidized to fumarate
by the enzyme succinate dehydrogenase (SDH; encoded
by sdhABCD in E. coli,Salmonella, and B. subtilis). SDH is a
flavoprotein and utilizes FAD rather than NAD
þ
in its
oxidation of succinate to fumarate (C
4
); thus, a FADH
2
is
formed rather than a NADH/H
þ
. The enzyme fumarase
(encoded by fumC in E. coli and Salmonella or citG in B.
subtilis) then adds a water molecule to fumarate producing
malate (C
4
). In the last step of the cycle, malate is oxidized
to OAA by malate dehydrogenase (encoded by mdh in E.
coli and Salmonella or citH in B. subtilis), reducing NAD
þ
to
NADH/H
þ
in the reaction. This regenerates OAA for
another round of the cycle.
The NADH/H
þ
and FADH
2
(generated from the
TCA cycle, glycolysis of glucose via the EMP pathway,
and conversion of pyruvate to acetyl-CoA) can all be
oxidized to NAD
þ
and FAD
þ
, respectively, via the dona-
tion of H
þ
atoms and transfer of electrons into the
electron transport system of the bacteria. This not only
helps to maintain oxidation–reduction or O–R balance in
the cell but allows for the generation of additional ATP
by coupling electron transport, and ultimate reduction of
O
2
to H
2
O, to ATP production by the F
1
F
0
-ATPase; a
process known as oxidative phosphorylation. This is
accomplished by pumping H
þ
atoms out of the cytoplasm
at key steps along the electron transfer chain to create a
proton motive force (pmf) across the membrane that is
then utilized by the F
1
F
0
-ATPase to generate ATP from
ADP þP
i
as it moves the H
þ
back into the cytoplasm. For
every pair of electrons transferred from NADH/H
þ
up to
3 ATP molecules can be formed; since FADH
2
donates
electrons further down the electron transport chain it
appears to generate only two ATP. Thus, aerobic or
facultatively anaerobic microbes growing aerobically on
glucose can potentially generate up to 36 ATP, via both
substrate-level and oxidative phosphorylation, for every
glucose molecule catabolized through the EMP pathway
and TCA cycle. This makes oxidative metabolism, by far,
more energy efficient for the cell.
The use of O
2
as the terminal electron acceptor for the
electron transport system is referred to as aerobic respira-
tion. However, in the absence of O
2
some microbes are
able to use alternative electron acceptors whose ultimate
reduction can also be coupled to the production of ATP.
This process is referred to as anaerobic respiration. One
such alternative electron acceptor commonly used by
facultative anaerobes (e.g., E. coli,Salmonella, and other
enterobacteria) as well as strict aerobes (e.g., Pseudomonas
spp., Bacillus spp.) is nitrate. Nitrate reduction to nitrite is
primarily carried out by an oligomeric protein complex
encoded for by the narGHIJ operon in E. coli,Salmonella,
and other bacteria; however, many bacteria possess addi-
tional nitrate reductase activities that appear to function
under different conditions. The primary NarGHJ nitrate
reductase activity is expressed only in the absence of O
2
and in the presence of nitrate.
Glyoxylate shunt or cycle
A variation of the TCA cycle occurs when some bacteria,
yeasts, and other microbes grow aerobically on acetate as
a sole carbon source. Acetate is excreted when E. coli and
other microorganisms grow rapidly on glucose and can
therefore be used as a secondary carbon-energy (C)
source when glucose (or other more rapidly utilized
C-sources) is exhausted. Acetate can be ‘activated’ by
the addition of CoA forming acetyl-CoA, using the
energy released from the hydrolysis of ATP to AMP
plus pyrophosphate (PP
i
); this reaction is catalyzed by
the enzyme acetyl-CoA synthetase (Figure 8). The
acetyl-CoA then condenses with OAA to form citrate,
which is then converted to isocitrate as described above.
When preferred C-sources are limited or absent under
aerobic conditions, two enzyme activities are expressed:
isocitrate lyase (ICL) and malate synthase. These two
enzyme activities compose the glyoxylate shunt or cycle
(Figure 8). In the first reaction, isocitrate is cleaved to
form the C
2
molecule glyoxylate and the C
4
molecule
succinate by the enzyme ICL. The glyoxylate formed is
then combined with acetyl-CoA to form malate (C
4
)by
the enzyme malate synthase. An additional malate is
formed from the succinate produced in the ICL-mediated
step using TCA cycle enzymes (Figure 8). The glyoxylate
cycle, thus, allows for the net production of two malates, one
740 Metabolism, Central (Intermediary)

of which can be utilized to replace the OAA used in the
citrate synthase reaction while the other can be used for
gluconeogenesis (described later) to allow for the generation
of other carbon backbone intermediate/precursors.
The yeast S. cerevisiae utilizes propionyl-CoA (a C
3
molecule) through a similar cyclic pathway. In the initial
steps, propionyl-CoA and OAA are combined to
form 2-methylcitrate. 2-Methylcitrate is converted to
2-methylisocitrate, which is then cleaved by the mito-
chondrial enzyme 2-methylisociterate lyase (encoded by
ICL2) producing pyruvate and succinate. This cycle
appears to be involved in the catabolism of certain
amino acids; for example, propionyl-CoA is formed
from the oxidative decarboxylation of the threonine cat-
abolism intermediate, 2-ketoisobutyrate.
Anapleurotic reactions
The TCA cycle is an ancillary metabolic pathway that
provides not only reducing equivalents in the form of
NADH/H
þ
and FADH
2
but also intermediates/precur-
sors for the biosynthesis of amino acids as well as other
essential cell components. Biosynthesis of these building
block molecules can drain the TCA cycle of intermedi-
ates, reducing the overall activity of the cycle. However,
these intermediates can be replenished by various ana-
pleurotic (Gr. for ‘to fill up’) enzyme reactions.
Heterotrophic microbes need at least one anapleurotic
enzyme to grow aerobically on glucose, other hexoses,
or glycolytic intermediates. For example, the production
of OAA is required for the continued flow of hexose-
derived carbon compounds into the TCA cycle when
conditions result in TCA cycle intermediates being
rerouted into biosynthetic pathways.
Some anapleurotic enzyme reactions include:
1. PEP carboxykinase:
PEP þCO2þH2O!OAA þPi
2. Pyruvate carboxylase:
pyruvate þCO2þATP þH2O!OAA þADP þPi
3. Malic enzyme:
pyruvate þCO2þNADPH=Hþ$L-malate þNADPþ
It should be noted that the thermodynamics of this reac-
tion favors the reverse reaction, that is, the conversion of
malate to pyruvate, limiting the role of malic enzyme in
replenishing malate for use in the TCA cycle.
4. Glutamate dehydrogenase:
glutamate þNADþ!-ketoglutarate þNH4þþNADH=Hþ
In addition to these reactions, OAA and -ketoglutarate
can also be generated from the deamination of aspartate
and glutamate, respectively, by the actions of specific
transaminases.
Anaerobiosis – facultative anaerobes and strict
anaerobes
The lack of conditions (e.g., presence of O
2
) or abilities
(e.g., lack of membrane-associated electron transport
enzyme systems) that allow for aerobic or anaerobic
respiration require facultative and strictly anaerobic bac-
teria to use pyruvate and/or other organic compounds/
intermediates as ultimate electron acceptors producing, to
varying degrees, a variety of acids, aldehydes, gases, or
alcohols via a process known as fermentation. The func-
tion of these fermentative steps is to oxidize NADH or
FADH
2
to help maintain O–R balance for cellular meta-
bolism and in some cases generate additional energy in
the form of membrane pmf or ATP. Many of the products
of these fermentation pathways (e.g., ethanol, butanol,
acetone, butyric acid, acetic acid, propionic acid, or lactic
acid) are of significant economic importance in both the
commercial chemical and food industries. Based on the
major end product(s) formed in the fermentation reac-
tions, fermentations can be grouped into several types:
(1) lactic acid-producing fermentations, (2) butyric acid/
butanol–acetone-producing fermentations, (3) propionic
acid-producing fermentations, (4) mixed acids-producing
fermentations, and (5) ethanol-producing fermentations.
Lactic acid-producing fermentations
As discussed above, homofermentative and heterofermen-
tative lactic acid bacteria, that is, species of Lactococcus,
Lactobacillus, and Streptococcus as well as others, primarily
produce lactate (homofermentative) or produce lactate
along with other products (heterofermentative) from the
fermentation of pyruvate. These bacteria convert pyru-
vate produced from glycolytic pathways to lactate using
the enzyme LDH. In the process, pyruvate reduction to
lactate is coupled to NADH/H
þ
oxidation to NAD
þ
(Figure 9). This reforms the NAD
þ
that is needed for
the oxidation steps of glycolysis and helps maintain O–R
balance in the cell.
Many lactic acid bacteria in the genus Lactococcus
(L. cremoris,L. lactis, and L. diacetylactis), as well as species
of the genera Leuconostoc and Lactobacillus, also form acet-
oin, diacetyl, and 2,3-butanediol. The formation of these
end products can occur through the condensation of two
pyruvates and decarboxylation to form -acetolactate
followed by another decarboxylation step to form acetoin.
Acetoin can then form either 2,3-butanediol or diacetyl
(discussed further under mixed acids fermentations).
These end products can also be formed from acetate
through acetyl-CoA-C
2
condensations depending on
components in the growth medium. The metabolic prop-
erties of lactic acid bacteria play key roles in the
commercial production of butter and many fermented
Metabolism, Central (Intermediary) 741

dairy products, for example, buttermilk, sour cream, cot-
tage cheese, yogurt, cheddar cheese, and are thus of
enormous commercial importance to the dairy-food
industry.
Butyric acid/butanol–acetone-producing
fermentations
Members of Clostridium,Fusobacterium,Eubacterium, and
Butyrivibrio as well as several poorly characterized
microbes found in a variety of natural environs, for
example, marshes, forests, and anaerobic sewage digestion
systems, produce butyrate (a.k.a., butanoate) as a major
product of pyruvate fermentation. In addition, many pro-
duce, to varying degrees, butanol, acetone, isopropanol,
acetate, 2,3-butanediol, ethanol, CO
2
, and H
2
as end
products of fermentation (Figure 9).
Clostridium acetobutylicum is a good example of a
microbe that produces these products from pyruvate.
During its growth on glucose or other sugars, the pyru-
vate formed through the EMP pathway is converted to
acetate and butyrate in what is referred to as the acido-
genic phase of growth (Figure 9). In the first steps of this
conversion, pyruvate is oxidatively decarboxylated form-
ing acetyl-CoA and reduced ferredoxin (Fd
red
), as
opposed to NADH/H
þ
as is the case of the PDH com-
plex-mediated reaction. In this case, the formation of
acetyl-CoA from pyruvate is mediated by the iron–sulfur
cluster containing pyruvate–ferredoxin oxidoreductase
complex. The reduction of oxidized ferredoxin (Fd
ox
)to
Fd
red
in this reaction is linked to the oxidation of Fd
red
by
hydrogenase forming H
2
in the process. The Fd
red
can also be oxidized by a NADPH-ferredoxin oxidore-
ductase, forming Fd
ox
and NADPH/H
þ
under these
conditions. The acetyl-CoA has two fates at this point.
In one pathway, acetyl-CoA is converted to acetyl phos-
phate by the addition of inorganic phosphate and
concomitant release of CoA in a reaction mediated by
phosphotransacetylase. Acetyl phosphate plus ADP is
then converted to acetate and ATP, by the enzyme acet-
ate kinase. The production of acetate, CO
2
,H
2
, and ATP
from pyruvate plus inorganic phosphate is referred to as
the phosphoroclastic reaction. The phosphoroclastic
reaction is prevalent among anaerobic bacteria and pro-
vides an additional mechanism for the generation of ATP
from sugar fermentation in these bacteria. In an alterna-
tive pathway, two acetyl-CoA molecules condense to
form acetoacetyl-CoA in a reaction mediated by acetyl-
CoA–acetyltransferase. The acetoacetyl-CoA can then be
reduced by NADH/H
þ
to -hydroxybutyryl-CoA via
the action of -hydroxybutyryl-CoA dehydrogenase.
-Hydroxybutyryl-CoA is in turn converted to croto-
nyl-CoA plus one H
2
O by the enzyme crotonase.
Crotonyl-CoA is then reduced by NADH/H
þ
to
butyryl-CoA in a reaction mediated by butyryl-CoA
dehydrogenase. Butyryl-CoA can then be converted to
butyryl phosphate by exchanging an inorganic phosphate
for the CoA moiety in a reaction similar to the formation
of acetyl phosphate described above. This reaction is
mediated by phosphotransbutyrylase. Butyryl phosphate
is converted to butyrate with the concomitant phosphor-
ylation of ADP to form ATP. This provides a second
mechanism for the formation of ATP in these anaerobes.
Metabolizing pyruvate to acetate and butyrate provides
these anaerobes the ability to generate twice the ATP per
glucose molecule catabolized than lactic acid-producing
bacteria (discussed above) or ethanol-producing yeast and
bacteria (discussed below).
As the pH of the culture drops (generally to below a
pH of 5) due to the production of acetic acid and butyric
acid (as discussed above) and the culture enters into a
stationary phase, C. acetobutylicum, and many other anae-
robes, undergo a metabolic shift. They enter what is
known as the solventogenic phase where ‘solvents’ such
as acetone, butanol, and possibly isopropanol are pro-
duced as metabolic end products, as opposed to acidic
end products. In this phase, the acetoacetyl-CoA formed
from the condensation of two acetyl-CoA molecules
serves as the branch point for the production of these
products. In one path, the acetoacetyl-CoA is converted
to acetoacetate in a reaction that is coupled to the transfer
of the CoA moiety to butyrate (or acetate) to form
butyryl-CoA (or acetyl-CoA). The enzyme catalyzing
this process is acetoacetyl-CoA:acetate/butyrate:CoA
transferase. The acetoacetate formed is decarboxylated
to produce acetone plus CO
2
by acetoacetate decarbox-
ylase. Some clostridia (e.g., C. beijerinickii) can reduce
acetone using NADPH/H
þ
to isopropanol by a reaction
mediated by an isopropanol dehydrogenase activity. In a
second path, the acetoacetyl-CoA is converted to butyryl-
CoA, as described above for butyrate production.
Butyryl-CoA may also be produced by the transfer of
CoA from acetoacetyl-CoA to butyrate, which is linked
to acetoacetate formation (discussed above). In the sol-
ventogenic phase, the butyryl-CoA formed is then
reduced by NADH/H
þ
releasing the CoA moiety
forming butyraldehyde in a reaction mediated by butyr-
aldehyde dehydrogenase. Butyraldehyde is then reduced
by NADPH/H
þ
to butanol by a butanol dehydrogenase
activity. A couple of features of solventogenic phase
metabolism are noteworthy. One is that the ATP yield
is significantly reduced compared to the acidogenic
phase, since ATP would only be generated during sub-
strate-level phosphorylation reactions in the EMP
pathway. Secondly, many of the reactions of butanol–
acetone fermentation result in the generation of NAD
þ
or NADP
þ
, creating the need to regenerate NADH and
NADPH, respectively, in order to maintain O–R balance
in the cell. This can be accomplished by the NADH/
H
þ
-generating steps of the triose phosphate portion of the
EMP pathway as well as the oxidation of Fd
red
that was
742 Metabolism, Central (Intermediary)

produced during the conversion of pyruvate to acetyl-
CoA. During the solventogenic phase, the oxidation of
Fd
red
is primarily mediated by two enzyme activities,
NADH-ferredoxin oxidoreductase and NADPH-ferre-
doxin oxidoreductase, as opposed to hydrogenase, which
mainly functions during the acidogenic phase. These
enzyme activities regenerate NADH and NADPH,
respectively, along with Fd
ox
(Figure 9).
Propionic acid-producing fermentations
Members of Propionibacterium,Bacteroides,Bifidobacterium,and
Veillonella,aswellassomespeciesofClostridium and
Corynebacterium, produce propionate, acetate, and CO
2
as
the major end products of glucose, lactate, and glycerol
fermentation. In these bacteria, pyruvate is carboxylated to
form OAA in a reaction mediated by methylmalonyl-CoA–
oxaloacetate transcarboxylase using biotin and coenzyme/
vitamin B
12
as cofactors. This reaction also yields propionyl-
CoA. In the next series of reactions, OAA is first reduced to
malate by NADH/H
þ
through the action of malate dehy-
drogenase. A water molecule is then removed from malate
to form fumarate via the action of malate dehydratase/
fumarase. Fumarate is then reduced to succinate
by FADH
2
in a reaction catalyzed by fumarate reductase.
Succinate is converted to succinyl-CoA, which is then con-
verted to methylmalonyl-CoA by the coenzyme/vitamin
B
12
-containing methylmalonyl-CoA mutase. The enzyme
activity catalyzing the succinate to succinyl-CoA conversion
is propionyl-CoA:succinate:CoA transferase. In this reaction,
the CoA from propionyl-CoA is transferred to succinate,
yielding both succinyl-CoA and propionate (Figure 9).
These bacteria can also decarboxylate pyruvate to form
acetate and CO
2
, yielding one ATP and one NADH/H
þ
in the process. Thus, the formation of acetate plus CO
2
from
pyruvate allows for the generation of an additional ATP
from sugar catabolism while the conversion of pyruvate to
propionate allows for the regeneration of NAD
þ
helping to
maintain O–R balance in the cell.
In addition to forming propionate, acetate, and CO
2
from sugar fermentation, propionic acid bacteria ferment
lactate to acetate, CO
2
, and propionate. The overall pro-
cess produces two propionate, one acetate, and one CO
2
from three lactate molecules with the additional yield of
one ATP. Clostridium propionicum,Bacteroides ruminicola,
Peptostreptococcus species, and others are able to convert
lactate to lactyl-CoA and then to acrylyl-CoA by the
removal of a water molecule; the latter step is catalyzed
by lactyl-CoA dehydratase. Acrylyl-CoA is then reduced
by NADH/H
þ
to propionyl-CoA by the enzyme acrylyl-
CoA reductase. Propionyl-CoA is then converted to pro-
pionate. The fermentation properties of propionic acid
bacteria make them important in the manufacture of
Swiss cheese with propionate and acetate contributing
to the unusual flavor and CO
2
production causing the
wholes characteristic of these cheeses.
Mixed acids-producing fermentations
Although other bacteria can produce mixtures of acidic end
products, mixed acids-producing fermentations are typi-
cally associated with members of the Enterobacteriaceae
family of Gram-negative bacteria (e.g., species of Escherichia,
Salmonella,Klebsiella,Enterobacter,andShigella). These bacteria
typically produce a collection of acetic acid, formic acid,
lactic acid, and in some cases succinic acid as fermentative
end products of glucose catabolism. In most cases, acetic
acid and formic acids are the major end products produced.
The production of acidic end products from glucose fer-
mentation is the basis for a positive reaction in the
methyl red test used in the laboratory identification of the
enterobacteria.
During anaerobiosis, enterobacteria take pyruvate,
formed primarily from the EMP pathway of glucose dis-
similation, and split it to form formate and acetyl-CoA.
This reaction is catalyzed by a CoA-dependent pyruvate–
formate lyase (PFL; encoded by the pfl gene). The acetyl-
CoA formed is then converted to acetyl phosphate by the
enzyme phosphotransacetylase (encoded by the pta gene).
As described above for the butyrate-producing bacteria,
phosphoacetyltransferase essentially exchanges the CoA
moiety for an inorganic phosphate in this reaction. Acetyl
phosphate is then converted to acetate with the concomi-
tant formation of ATP from ADP in a reaction mediated
by the enzyme acetate kinase (Figure 9). This pathway
provides an important mechanism for the generation of
additional ATP during anaerobiosis, in these bacteria.
The formate that is produced can be further broken
down to CO
2
and H
2
by the enzyme complex formate-
hydrogen lyase (FHL). FHL complex is composed of a
formate dehydrogenase activity (FDH-H; encoded by the
fdhF gene) that generates the CO
2
and a hydrogenase-3
activity that forms the H
2
. This reaction only occurs in
the absence of an electron acceptor, that is, oxygen or
nitrate, and the presence of formate and the cofactor
molybdate. The expression fdhF also appears to require
acidic pH conditions. PFL expression is dependent upon
two EMP enzyme activities, namely phosphoglucoisome-
rase and PFK. Interestingly, the expression of PFL,
FDH-H, and hydrogenase-3 all increase under carbon-
energy source starvation.
The enterobacteria can also produce lactate and etha-
nol under anaerobic conditions. As described above for
the lactic acid bacteria, lactate is formed from pyruvate
through the action of a (NADH-dependent) lactate dehy-
drogenase (LdhA; encoded by the ldhA gene). Ethanol is
formed from acetyl-CoA via the action of a CoA-linked
acetaldehyde dehydrogenase, which converts acetyl-CoA
to acetaldehyde, and a NADH-dependent alcohol dehy-
drogenase, which reduces acetaldehyde to ethanol using
NADH/H
þ
. Both these fermentation pathways play
important roles in the maintenance of O–R balance in
the anaerobically growing cells.
Metabolism, Central (Intermediary) 743

Some genera of Enterobacteriaceae (e.g., Enterobacter,
Klebsiella,Serratia, and Erwinia) as well as other bacteria
(e.g., Lactococcus lactis) also produce 2,3-butanediol and
diacetyl (aka, 2,3-butanedione) from oxidation and reduc-
tion, respectively, of acetoin. The first step in this
pathway is the condensation of two pyruvate molecules,
and concomitant decarboxylation, to form -acetolactate.
This reaction is mediated by a -acetolactate synthase
activity (an enzyme activity that is also important in
branched-chain amino acid synthesis). -Acetolactate is
then decarboxylated to form acetoin in a reaction cata-
lyzed by -acetolactate decarboxylase. Acetoin can be
either oxidized to diacetyl by an acetoin dehydrogenase
activity (aka, diacetyl reductase), using NAD
þ
as an elec-
tron acceptor, or reduced by NADH/H
þ
via the action of
acetoin reductase (aka, 2,3-butanediol dehydrogenase).
Both of these reactions are reversible. In Enterobacter aero-
genes, the acetoin dehydrogenase/diacetyl reductase
activities appear to regulate the balance between diacetyl
and 2,3-butanediol production from acetoin. The produc-
tion of acetoin by Klebsiella,Enterobacter, and Serratia
species is the basis for a positive Voges–Proskauer (VP)
test in the laboratory identification of these bacteria.
Ethanol-producing fermentations
Ethanol is produced by a variety of microorganisms as a
fermentation end product. For some, ethanol is the pri-
mary or only end product of pyruvate metabolism while
for others ethanol is produced along with multiple end
products. The latter has been discussed above under the
lactic acid-, butyric acid/acetone–butanol-, and mixed
acids-producing fermentations sections. However, for
the yeast S. cerevisiae and the bacterium Z. mobilis the
production of ethanol and CO
2
are the end products of
pyruvate catabolism. In these organisms, pyruvate
(formed through the EMP pathway in S. cerevisiae and
ED pathway in Z. mobilis) is first decarboxylated to acet-
aldehyde by the enzyme pyruvate decarboxylase (unusual
for bacteria). Acetaldehyde is then reduced to ethanol by
NADH/H
þ
via the action of alcohol dehydrogenase. The
production of ethanol by these two organisms is of parti-
cular interest to (beer brewing) industry as well as the
beer loving public.
Archaea
Pyruvate catabolism is of special importance to the sac-
charolytic archaea because of the low energy yields from
the modified EMP and ED pathways present in these
microorganisms. As a result, all or most of their energy
(i.e., ATP) must come from the metabolism of the pyr-
uvate formed in these pathways.
All heterotrophic saccharolytic archaea oxidatively
decarboxylate pyruvate in a CoA-dependent manner to
acetyl-CoA plus CO
2
in a reaction catalyzed by pyru-
vate–ferredoxin oxidoreductase complex, similar to that
described above for anaerobic bacteria. However, a func-
tional Bacteria- or Eukarya-type PDH complex has yet to
be described in the Archaea. Homologues, however, have
been found in the genomes of T. acidophilum and those
halophilic Archaea analyzed.
In anaerobic archaea (e.g., species of Desulfurococcus,
Pyrococcus, and Thermococcus), acetyl-CoA and ADP plus
P
i
is converted to acetate and ATP by an ADP-forming
acetyl-CoA synthetase activity. The enzyme is named for
the reverse reaction and is an enzyme activity unique to
Archaea. This reaction allows these archaeons to produce
two ATP for every glucose ultimately catabolized to two
acetate plus two CO
2
. In those archaea that reduce O
2
,
NO
3
–
, or sulfur, the acetyl-CoA formed is oxidized via the
TCA cycle to two CO
2
. In the process, NADH/H
þ
,
FADH
2
, and GTP are formed as in the Bacteria and
Eukarya.
Gluconeogenesis
In order for microorganisms to grow on relatively poor
carbon sources such as L-malate (C
4
) or succinate (C
4
),
glycerol (C
3
), pyruvate (C
3
), lactate (C
3
), or acetate (C
2
),
they must be able to synthesize hexoses (e.g., glucose or
fructose phosphates) needed for cell-wall components
(e.g., peptidoglycan), carbon-energy storage molecules
(e.g., glycogen) as well as pentose moieties required for
nucleic acid biosynthesis. The synthesis of glucose from
pyruvate is accomplished essentially by reversing the
EMP pathway in a process known as gluconeogenesis.
Although many of the steps of the EMP pathway are
reversible, there are three reactions whose free-energy
requirement is so high as to essentially prevent the
reverse reaction. Therefore, these steps are catalyzed by
distinct enzyme activities.
The first step to overcome is the conversion of pyr-
uvate to PEP. E. coli, other enterobacteria, and several
Archaea studied accomplish this in the direct synthesis
of PEP from pyruvate in the following reaction:
pyruvate þATP þH2O!PEP þAMP þPi
This reaction is catalyzed by the enzyme PEP synthe-
tase. Fungi and some bacteria (e.g., Pseudomonas) achieve
the conversion of pyruvate to PEP via the following two-
step process:
1. pyruvate þCO
2
þATP !oxaloacetate þADP þP
i
2. oxaloacetate þGTP !PEP þCO
2
þGDP
The first reaction is catalyzed pyruvate carboxylase (pre-
viously discussed above under ‘Anapleurotic reactions’).
The second reaction is catalyzed by (Mg
2þ
-dependent)
PEP carboxykinase (encoded by pckA in E. coli,Salmonella,
and many other bacteria). The latter step represents the
744 Metabolism, Central (Intermediary)

first committed step in gluconeogenesis. This enzyme
activity is essential for the cell to use carbon(-energy)
compounds that feed into the TCA cycle (e.g., citrate,
succinate, or malate) or acetate (via the glyoxylate cycle)
as a sole carbon(-energy) source.
The second step of the EMP pathway that must be
overcome is the conversion of FBP to fructose-6-
phosphate. This is performed by the enzyme fructose-
1,6-bisphosphatase (encoded by the fbp gene in E. coli,
Salmonella, and many other bacteria) by means of the
following reaction:
FBP !fructose-6-phosphate þPi
In E. coli,fbp mutants are unable to grow on succinate,
L-malate, glycerol, or acetate as the sole carbon-energy
sources. However, these mutants can grow on pentoses
since they are able to make hexose phosphates through
the generation of GAP.
ThethirdstepoftheEMPpathwaythatmustbebypassed
is the dephosphorylation of glucose-6-phosphate to
glucose. The enzyme glucose-6-phosphatase mediates the
reaction:
glucose-6-phosphate !glucose þPi
Although this enzyme is present, it does not appear to
be required for growth on C
4
,C
3
,orC
2
compounds. One
notable consequence of converting pyruvate to glucose in
gluconeogenesis is the significant energy expenditure
required:
2 pyruvate þ4ATP þ2GTP þ2NADH=Hþþ4H2O
!1 glucose þ2NADþþ4ADP þ2GDP þ6Pi
Utilization of Polysaccharides,
Oligosaccharides, and Monosaccharides
Microorganisms are remarkable in their ability to utilize a
wide variety of carbon compounds as carbon-energy
sources. Furthermore, in a mixture of carbon-energy
sources, they are typically utilized in an order of prefer-
ence with those capable of supporting the most rapid
growth being used first and the utilization of the others
being inhibited until the preferred source is depleted.
Glucose is the preferred carbon-energy source for most
bacteria and fungi that employ the EMP pathway as their
major or sole glycolytic pathway, and when present it
represses the utilization of other sources in a process
known as glucose catabolite repression. For those micro-
organisms that utilize alternative glycolytic pathways,
such as the ED pathway (e.g., species of Pseudomonas,
Agrobacterium,Azotobacter,Caulobacter, and Zymomonas), as
a major or sole glucose dissimilation pathway, other
organic compounds typically function as preferred car-
bon-energy sources. A good example of the latter is the
pseudomonads, which prefer organic acids and TCA
cycle intermediates as carbon-energy sources, and, when
present with glucose prevent the catabolism of glucose.
Utilization of Polysaccharides
Polysaccharides are the most abundant form of carbohy-
drates present in natural environments. These include the
polysaccharides composing the cell walls of plants (e.g.,
cellulose, pectin, hemicellulose, mannans, xylans), car-
bon-energy source storage polysaccharides (e.g.,
starches, glycogen), fungal cell walls (e.g., chitin, man-
nans, glycans), bacterial cell walls (e.g., peptidoglycan),
and exoskeletons of arthropods (e.g., chitin derivatives).
The size of these polysaccharides makes these molecules
insoluble and virtually unavailable for utilization in these
forms. Microbes must therefore secrete extracellular
enzymes capable of degrading these polysaccharides to
smaller soluble oligo- or monosaccharides that can be
transported into cells for utilization as carbon-energy
sources.
Plant-derived polysaccharides (e.g., pectin and cellu-
lose) are some of the most abundant and important in the
world. Pectin is a highly methylated polymer of D-galac-
turonic acid connected through -1,4 linkages while
cellulose is a -1,4-linked glucose polymer; both are
major components of plant cell walls. The ability to
degrade pectin and cellulose (via the production of pecti-
nases and cellulases) is a virulence factor for many
bacterial and fungal plant pathogens, for example,
Erwinia chrysanthemi,E. carotovora,Cladosporium cucumeri-
num, and Moloninia fructigena. In addition, degradation of
these plant polysaccharides has a significant economic
impact since plant-derived feeds are major sources of
nutrients for domestic animals (e.g., cattle). The plant
pathogens E. chrysanthemi and E. carotovora degrade pectin
by a group of sequentially acting enzymes that first
remove methoxyl groups (pectin methylesterase) along
the polymer to yield polygalacturonate. The polygalac-
turonate is then digested by pectate lyases or
exopolygalacturonase to produce digalacturonate.
Residues are then ultimately catabolized to pyruvate
and GAP via the ED pathway within the cell. Bacteria
(e.g., Butyrivibrio fibrisolvens and Lachnospira multiparus)
that inhabit the rumen of herbivores are essential to
allowing pectin and cellulose from plant-derived feed to
be used as nutrients for the animal. Cellulose-degrading
microbes (e.g., the fungi Trichoderma and Phanaerochete and
the bacteria Cellulomonas,Microbispora,Thermomonaspora,
Ruminococcus flavofaciens,Fibrobacter succinogenes,Clostridium
cellulovorans,andC. cellulolyticum) produce a set of enzymes,
which are typically secreted extracellularly or form a cell
surface-associated multiprotein complex (cellulosome), that
first degrade the glucose polymer to shorter oligosacchar-
ides (i.e., endo--1,4-glucanase). These oligosaccharides are
Metabolism, Central (Intermediary) 745

then degraded to the disaccharide cellibiose by exo--1,4-
glucanase. Cellibiose can be transported into the cell where
it is phosphorylated then cleaved to glucose and glucose-6-
phosphate by -glucosidase.
Starch is a very common carbon-energy storage mole-
cule in plants that is typically a mixture of amylose (long
unbranched chains of -1,4-linked glucose) and amylopec-
tin (highly branched -1,4-linked glucose chains with -1,6
linkages at branch sites). Glycogen is the primary carbon-
energy storage molecule in animals that, like amylopectin,
is a highly branched -1,4-linked glucose polymer with
frequent -1,6-branches. Amylose, amylopectin, and glyco-
gen can all be degraded by -amylases and -amylases to
glucose, maltose, and a highly branched core dextrin that
can be degraded by an -1,6-glucosidase (debranching
enzyme). All three enzymes are produced by a variety of
bacteria and fungi. Species of Aspergillus (a mold) produce
glucoamylases that digest starch to glucose. Bacillus species
(e.g., B. polymyxa,B. megaterium,B. subtilis,B. licheniformis,and
B. amyloliquefaciens)produce-amylases and/or -amylases.
The enzymes of B. amyloliquefaciens,inparticular,produce
maltotriose, maltohexaose, and maltoheptaose, which are
then transported into the cell and degraded further to
glucose. Pseudomonas stutzeri and E. aerogenes both secrete
exoamylases that generate maltotetraose and maltohexaose,
respectively. Some species of Bacillus (e.g., B. stearothermophi-
lus)andKlebsiella (e.g., K. oxytoca and K. pneumoniae)
secrete starch-degrading enzymes, cyclodextrin glucosyl-
transferase, that form cyclodextrins, which are cyclic
oligosaccharides composed of six to twelve glucose mole-
cules linked via -1,4-glycosidic bonds. Cyclodextrins are
resistant to digestion by the typical starch-degrading
enzymes produced by other microbes; however, the bac-
teria that generate them can transport the cyclodextrins into
the cell using specific uptake systems and degrade them to
individual glucose molecules.
Utilization of Oligosaccharides and
Monosaccharides
Monosaccharides and relatively short oligosaccharides
when present in the growth environment may be taken
up into cells through either energy-requiring active trans-
port or group translocation involving phosphorylation, for
most microbes. Some microorganisms that grow in high
sugar concentration environs, that is, S. cerevisiae and
Z. mobilis, may also use facilitated diffusion to transport
sugars into the cell. Monosaccharides entering the cell or
released from the degradation of oligosaccharides in the
cytoplasm must be phosphorylated to allow for further
catabolism and to prevent them from moving out of the
cell. The utilization of a particular sugar depends upon
whether the microbe possesses the necessary transport
system and degradative enzymes.
Disaccharide/oligosaccharide utilizations
E. coli and many other lactose-fermenting microbes possess
the lac operon that encodes a lactose permease and
-galactosidase, which cleaves the disaccharide lactose to
D-galactose and D-glucose. D-Galactose can then be cata-
bolized through either the tagatose pathway or the Leloir
pathway. In the tagatose pathway, D-galactose is phos-
phorylated using ATP to galactose-6-phosphate via the
action of HK. Galactose-6-phosphate isomerase converts
galactose-6-phosphate to tagatose-6-phosphate, which is
phosphorylated using ATP to form tagatose-1,6-phosphate
by the enzyme tagatose-1,6-phosphate kinase. Tagatose-
1,6-bisphosphate aldolase then splits tagatose-1,6-
bisphosphate to yield DHAP and GAP, which can then
enter into the EMP pathway. In the Leloir pathway,
D-galactose is phosphorylated using ATP to galactose-1-
phosphate by galactokinase. Galactose-1-phosphate is then
converted to glucose-1-phosphate by phosphogalactose
uridyltransferase. Glucose-1-phosphate is then converted
to glucose-6-phosphate by phosphoglucomutase. Glucose-
6-phosphate can then enter into the EMP pathway for
further catabolism. In L. casei and some other microbes,
lactose enters the cell through a PEP:phosphotransferase
system that phosphorylates the galactose residue of
lactose through a specific enzyme II. The phosphorylated
lactose is then cleaved to form glucose and galactose-
6-phosphate by a phospho--galactosidase activity.
Galactose-6-phosphate is further catabolized through the
tagatose pathway as described above.
Maltose, a disaccharide of glucose, can be utilized by
several bacteria (e.g., E. coli,Enterococcus faecalis)andfungi
(e.g., S. cerevisiae). In E. coli, genes for the uptake of maltose
and maltodextrins (malEGF,malK,andlamB)andtheir
degradation (amylomaltase and maltodextrin phosphory-
lase; malPG operon) are induced by maltose/maltodextrins.
Maltodextrin can either be acted on by amylomaltase,
which releases a D-glucose that can be converted to glu-
cose-6-phosphate by HK, or maltodextrin phosphorylase,
which releases glucose-1-phosphate that can be converted
to glucose-6-phosphate by phosphoglucomutase. Maltose
can be cleaved by -glucosidase to yield two glucose
molecules.
Melibiose (-D-galactose-(1 !6)-D-glucose) and/or
raffinose (-D-galactose-(1 !6)-D-glucose-(1 !2)--D-
fructose) can be catabolized by several species of enteric
bacteria (e.g., E. coli,Salmonella, and Bacteroides). Both E. coli
and Salmonella are able to transport melibiose into the cell
via a cation (sodium)-sugar cotransport system and
degrade it to galactose and glucose by producing
an -galactosidase. Bacteroides ovatus also produces an
-galactosidase that allows for growth on both melibiose
and raffinose.
Trehalose is a disaccharide of glucose linked through an
-1,1 linkage. In E. coli and Salmonella, trehalose is trans-
ported into the cell through the PEP-phosphotransferase
746 Metabolism, Central (Intermediary)

system using a specific enzyme II activity to form trehalose-
6-phosphate. Trehalose-6-phosphate is then hydrolyzed by
trehalase to glucose and glucose-6-phosphate for utilization
via the EMP pathway.
Sucrose or -D-glucopyranosyl-(1 $2)--D-fructofur-
anoside is a disaccharide composed of glucose and fructose.
Sucrose can be utilized by a variety of bacteria (some
strains of E. coli,Clostridium,Bifidobacterium) and yeasts
(e.g., S. cerevisiae). In E. coli and Clostridium, sucrose is trans-
ported into the cell via the PEP:phosphotransferase system
using a specific enzyme II activity to phosphorylate sucrose
to form 6-phosphoglucose-fructose. The 6-phosphoglu-
cose-fructose is then hydrolyzed by a fructosidase activity
to glucose-6-phosphate and fructose, which can then enter
into the EMP pathway.
Monosaccharide utilizations
Several monosaccharides other than glucose can be uti-
lized by a variety of bacteria to varying degrees. However,
in all cases they are typically converted into some inter-
mediate that allows for entry into one or more of the
central glycolytic pathways discussed previously.
As discussed above, the hexose galactose, released
from lactose degradation, can be utilized by cells through
either the tagatose pathway or the Leloir pathway
depending on the organism. However, to grow on exo-
genous galactose as a carbon-energy source the cell must
first get it into the cytoplasm. This is typically accom-
plished by active transport. In E. coli and Salmonella,
D-galactose is transported via a pmf-driven galactose per-
mease (encoded by galP); for E. coli galactose can enter
through the -methylgalactoside permease or Mgl system
(encoded by mglA,mglB, and mglC). Once inside the cell
the galactose is catabolized via the Leloir and EMP path-
ways as described above.
D-Fructose, D-mannose, and L-sorbose are hexoses that
can also be used as carbon-energy sources by a variety of
microbes. In strains of E. coli,Salmonella, and other entero-
bacteria capable of utilizing these sugars, they are all
transported into the cell through the PEP: phosphotransfer-
ase system. Each utilizes a sugar-specific enzyme II to
phosphorylate the sugar. Fructose-1-phosphate is then
phosphorylated by an ATP-dependent 1-phosphofurctoki-
nase (encoded by the fruK gene in E. coli and Salmonella)to
FBP for entry into the EMP pathway. Mannose-6-phos-
phate gets converted to fructose-6-phosphate by mannose-
6-phosphate isomerase (encoded by the manI gene in E. coli
and Salmonella); Fru-6P then enters into the EMP pathway.
L-sorbose-1-phosphate is reduced by NAD(P)H/H
þ
to
glucitol-6-phosphate by NAD(P)H-linked sorbose-1-phos-
phate reductase (encoded by the sorB gene in E. coli and
Salmonella). Glucitol-6-phosphate is then oxidized using
NAD
þ
by the enzyme glucitol-6-phosphate dehydrogenase
to form fructose-6-phosphate, which then enters the EMP
pathway.
In addition to hexoses, many microbes are able to
utilize amino sugars such as N-acetyl-D-glucosamine
(NAG) or D-glucosamine. Both these amino sugars are
common components of polysaccharides present in
microbial cell walls and on the surface of cells. In E. coli
and Salmonella, both amino sugars can enter the cell via the
PEP:phosphotransferase system. N-acetyl-D-glucosamine
transport involves phosphorylation by either a specific
enzyme II or the major glucose enzyme II activity. In
comparison, D-glucosamine is phosphorylated by either
the enzyme II for glucose or D-mannose. NAG-6-phos-
phate can then be used directly for peptidoglycan
synthesis or can be deacetylated by a NAG-6-phosphate
deactylase (encoded by nagA in E. coli)toD-glucosamine-
6-phosphate (also formed during the transport of
D-glucosamine); D-glucosamine-6-phosphate is converted
to Fru-6P, which then enters the EMP pathway.
Many microbes to varying degrees can also utilize
pentoses (e.g., L-arabinose, D-xylose, and D-ribose), or
their sugar alcohol derivatives (e.g., D-arabitol, xylitol,
and ribitol) and methylpentoses (e.g., L-fucose and
L-rhamnose) as alternative carbon-energy sources. In
E. coli and Salmonella, each is transported into the cell by
at least one specific permease; L-arabinose and D-xylose
can enter through either a high-affinity or a low-affinity
transport system. L-Arabinose inside the cell is converted
to L-ribulose by L-arabinose isomerase (encoded by araA
in E. coli). L-Ribulose is then phosphorylated forming
L-ribulose-5-phosphate, by L-ribulose kinase (encoded
by araB in E. coli) using ATP. Similarly, D-xylose inside
the cell is converted to D-xylulose by D-xylose isomerase
(encoded by xylA in E. coli). D-Xylulose is then phosphory-
lated forming D-xylulose-5-phosphate by D-xylulose
kinase (encoded by xylB in E. coli) using ATP. D-Ribose
is phosphorylated by D-ribose kinase (encoded by rbsK in
E. coli) using ATP forming D-ribose-5-phosphate, which is
converted to D-ribulose-5-phosphate by D-ribose-5-phos-
phate isomerase (encoded by the rpi gene in E. coli).
D-Arabitol and ribitol in the cytoplasm get oxidized by
NAD
þ
to D-xylulose and D-ribulose by D-arabitol dehy-
drogenase (encoded by the atlD gene in E. coli) and ribitol
dehydrogenase (encoded by the rtlD gene in E. coli),
respectively. The D-xylulose and D-ribulose are then
phosphorylated to D-xylulose-5-phosphate and D-ribu-
lose-5-phosphate using ATP through the actions of
D-xylulose kinase and D-ribulose kinase, respectively.
The D-xylulose-5-phosphate and D-ribulose-5-phosphate
formed in the above pathways are then able to enter
the PPP for further catabolism. The utilization of the
methylpentoses, L-fucose, and L-rhamnose, is a little
more detailed. Both enter the cell via specific permease
systems (encoded by the fucP and rhaP genes, respec-
tively, in E. coli). Once inside the cell both undergo
isomerization by a specific isomerase activity (encoded
by the fucI and rhaA genes, respectively, in E. coli) forming
Metabolism, Central (Intermediary) 747

L-fuculose and L-rhamnulose, respectively. The L-fucu-
lose and L-rhamnulose are then phosphorylated to
L-fuculose-1-phosphate and L-rhamnulose-1-phosphate
using ATP via the actions of L-fuculose kinase and
L-rhamnulose kinase activities (encoded by the fucK and
rhaB genes, respectively, in E. coli), respectively.
L-Fuculose-1-phosphate and L-rhamnulose-1-phosphate
can then both undergo cleavage catalyzed by a specific
aldolase activity to form DHAP and lactaldehyde. The
latter can be converted to L-lactate and then pyruvate
through successive dehydrogenase-mediated reactions.
DHAP can then enter the EMP pathway to form another
pyruvate, which can undergo further catabolism as dis-
cussed previously.
Glycerol (a sugar alcohol) and glycerol-3-phosphate are
also potential carbon-energy sources that can be derived
from phospholipids present in membranes. Glycerol enters
the cell through facilitated transport; glycerol-3-phosphate
enters via a permease. Once inside the cell, glycerol gets
phosphorylated by glycerol kinase (encoded by the glpK
gene in E. coli) using ATP. Glycerol-3-phosphate can then
be used directly in biosynthesis or can be converted to
DHAP by one of three possible enzyme activities, an
aerobic or anaerobic glycerol-3-phosphate dehydrogenase
(encoded by glpD and glpAB, respectively, in E. coli)or
glycerol-3-phosphate oxidoreductase (encoded by gpsA in
E. coli), depending on the environmental conditions. The
DHAP can then enter into glycolysis.
Precursor Metabolites for Biosynthesis/
Anabolism
In addition to their function in the generation of energy
and O–R cofactors, the central metabolic pathways pro-
vide essential precursor metabolites for anabolism. The
13 precursor metabolites are needed for the de novo bio-
synthesis of amino acids, fatty acids, nucleotides,
coenzymes/vitamins/cofactors, and other molecules.
These are in turn required for the biosynthesis of DNA,
RNA, proteins, and (phospho-)lipids for membranes as
well as other cell structures. Some of these metabolites
can be generated from multiple central metabolic path-
ways depending on the microorganism. However, the
EMP pathway, PPP, and the TCA cycle are the most
common pathways from which these precursors are pro-
duced (Figure 10).
Precursors Metabolites Derived from the EMP
Pathway
Precursors metabolites derived from the EMP pathway
(Figure 2) include glucose-6-phosphate (Glc-6P), fruc-
tose-6-phosphate (Fru-6P), dihydroxyacetone phosphate
(DHAP)/glyceraldhyde-3-phosphate (GAP) (considered
together here due to isomerization), 3-phosphoglycerate
(3-PG), PEP, and pyruvate (Figure 10). Glc-6P can be
converted to glucose-1-phosphate (Glc-1P) by phospho-
glucomutase; Glc-1P is needed for the generation of
intermediates for the biosynthesis of several polysacchar-
ides present in microorganisms including glycogen,
O-polysaccharide of Gram-negative bacterial LPS, and
cell-wall polysaccharides of many fungi. Fru-6P can
enter the PPP (Figure 3) for the synthesis of key pre-
cursor metabolites (discussed below). Fru-6P can also be
converted to glucosamine-6-phosphate (GluNH
3
-6P) by
the GluNH
3
-6P synthase or to other sugar units (e.g.,
mannose or fucose), which are needed for the biogenesis
of cell structures such as the peptidoglycan of bacteria,
cell walls of fungi, and surface glycolipids or glycopro-
teins of many microbes. DHAP and GAP are formed
from the splitting of FBP in the EMP pathway; DHAP is
also formed from the isomerization of GAP from the
EMP pathway (also ED or PPK pathways; Figures 4
and 5). DHAP can be converted to glycerol-3-phosphate,
which is needed for the de novo biosynthesis of membrane
phospholipids and certain teichoic acids of some Gram-
positive bacteria. GAP (along with pyruvate) is required
for the nonmevalonate pathway of de novo isoprenoid
biosynthesis present in most Gram-negative bacteria as
well as Bacillus (subtilis), Mycobacterium (tuberculosis),
Chlamydia (trachomatis), and a few others.
Polyisoprenoids are needed for the biosynthesis of
many membrane-associated compounds such as qui-
nones (e.g., ubiquinone and menaquinone). The 3-
phosphoglycerate formed in the first ATP-generating
step of the EMP pathway (Figure 2) is a precursor of
de novo serine biosynthesis; serine in turn is a precursor of
de novo biosynthesis of glycine, cysteine, and tryptophan.
Glycine functions in the biosynthesis of porphyrins and
purines. PEP is a precursor in the biosynthesis of
shikimate (an intermediate in chorismate biosynthesis)
and chorismate. Chorismate is a key intermediate in
the biosynthesis of the aromatic amino acids tyrosine,
phenylalanine, and tryptophan (with serine and 5-
phospho-D-ribosyl-1-pyrophosphate or PRPP) as well
as quinones. Pyruvate, formed in the second ATP-
generating step of the EMP pathway (Figure 2), not
only serves as a precursor of acetyl-CoA and OAA
production but also serves as a precursor for the de novo
biosynthesis of the amino acids alanine, valine, leucine
(with acetyl-CoA), isoleucine (with threonine), and
lysine (with aspartate) as well as isoprenoid biosynthesis
(with GAP; discussed above).
Precursors Metabolites Derived from the TCA
Cycle
The TCA cycle is an important source of four precursor
metabolites, acetyl-CoA, -ketoglutarate, succinyl-CoA,
748 Metabolism, Central (Intermediary)

Acetyl-CoA
OAA
Succinate
α-Ketoglutarate
Citrate
Glucose
(TCA
cycle)
Erythrose-4P
(PPP)
–Polysaccharides
–Capsules
–Exopolysaccharides/biofilms
–Storage
–Peptidoglycan
–Chitin/cell wall (Fungi)
–LPS (GNB)
–Nucleotides
–DNA and RNA
–Ribosomes
Glycerol-3P
–(P-)Lipids
–Membranes
Fructose-1,6-bisP
(EMP)
DHAP
(EMP)
1,3-bisP-Glycerate
(EMP)
PEP
(EMP)
Pyruvate
(EMP, ED)
GAP
(EMP, ED, PPK)
Glucose-6P
(EMP, ED. PPP, PPK)
Fructose-6P
(EMP, PPP)
Ribose-5P
other pentose-P
(PPP, PPK)
Sedoheptulose-7P
(PPP)
Isocitrate
Succinyl-CoA
Fumarate
3P-Glycerate
(EMP)
2P-Glycerate
(EMP)
–LPS
(GNB)
–LPS
(GNB)
–Teichoic acids
(GPB)
L-Malate
CO2
Shikimate
–Tryptophan
–Tyrosine
–Phenylalanine
–Proteins
–Proteins
–Serine–Cysteine
–Glycine
–Porphyrin
–Proteins
–Hemes
–Cytochromes
–Other proteins
–Chlorophylls
–Valine
–Isoleucine
–Aspartate
–Purines
–DNA
–RNA
–Threonine
–Asparagine
–Methionine –Pyrimidines
–Purines
–DNA
–RNA
–Lysine
–Proteins
–QA
–NAD(P)
Glucose-1P
–Glutamate –Glutamine
Glucosamine-6P
–Proline –Arginine
–Pol
y
amines
Aspartate
–Fatty acids
–(P-)Lipids
–Membranes
–(Poly)isoprenoids
–Membranes
(archaea)
–Carotenoids
–Chlorophylls
–Sterols (Eukarya)
–NAD(P)
CO2
–Alanine
–Leucine
–Nucleotides
–NAD(P)
Serine
Cysteine
–Teichoic acids
(GPB)
–QA
–Histidine
PRPP
PRPP
–Quinones
–NAD(P)
(some
fungi)
Aspartate
DHAP
Chorismate
–NAD(P)
Figure 10 General overview of the interconnection of central metabolism with biosynthetic/anabolic pathways. Intermediates
of central metabolic pathways functioning as precursors in biosynthetic pathways are shown in red. Darker blue arrows indicate
reactions of central metabolism or gluconeogenesis; purple arrows represent biosynthetic pathways; and lighter blue arrows
indicate biogenesis of indicated cell structure/macromolecule or protein synthesis. ED ¼Entner–Doudoroff pathway; EMP,
Embden–Meyerhof–Parnas pathway; GNB, Gram-negative bacteria; GPB, Gram-positive bacteria; LPS, lipopolysaccharide;
NAD, nicotinamide adenine dinucleotide; PPK, pentose phosphoketolase pathway; PPP, pentose phosphate pathway; PRPP,
5-phospho-D-ribosyl-1-pyrophosphate; QA, quinolinic acid.
Metabolism, Central (Intermediary) 749

and OAA (Figure 10). Acetyl-CoA is included here since
its condensation with OAA is the initiating step in the
cycle. Acetyl-CoA has a variety of roles in both catabolic
reactions (described earlier) and anabolic reactions. It is a
key precursor in the biosynthesis of fatty acids for the
production of phospholipids for membrane biogenesis; in
addition, it is a precursor in the de novo leucine and
mevalonate pathway of (poly)isoprenoid biosynthesis
present in some bacteria (e.g., Streptococcus,Enterococcus,
Staphylococcus,Lactobacillus,Myxococcus), archaea (e.g.,
Archaeoglobus,Pyrococcus,Methanococcus,Methanobacterium),
and eukaryotic microbes. In the Archaea, polyisoprenoids
are a predominant component of the membrane, repla-
cing the typical fatty acids present in bacterial and
eukaryotic membranes. The intermediate -ketogluta-
rate can be converted to glutamate by NADPH-
dependent glutamate synthase or NAD(P)H-dependent
(ammonia assimilating) glutamate dehydrogenase, which
in turn can be converted to glutamine, arginine (with
aspartate), proline, and various polyamines. Not shown
in Figure 10 are the major roles that glutamate and
glutamine play in numerous amino group transfer reac-
tions occurring in a variety of biosynthetic pathways in
the cell. Succinyl-CoA is a precursor metabolite involved
in de novo porphyrin biosynthesis (with glycine); porphyr-
ins are intermediates for the synthesis of heme groups
and chlorophylls in photosynthetic microorganisms.
Figure 10 does not show the additional role of succinyl-
CoA in lysine and methionine biosynthesis (discussed
below). Oxaloacetic acid is converted to aspartate by
aspartate aminotransferase using glutamate as the amino
group donor. Aspartate is a central intermediate in the
de novo biosynthesis of lysine (with pyruvate and succinyl-
CoA; except in yeasts and molds), threonine, asparagine,
methionine (with cysteine and succinyl-CoA), purines
and pyrimidines (needed for DNA and RNA), and
quinolinic acid (an intermediate in de novo NAD
biosynthesis).
Precursor Metabolites Derived from the PPP
The PPP is a source of the remaining three precursor
metabolites: ribose-5-phosphate (may also be produced
from intermediates in the PPK pathway), sedoheptulose-
7-phosphate, and erythrose-4-phosphate. Ribose-5-phos-
phate plus ATP can be converted to PRPP and AMP by
PRPP synthetase. PRPP supplies the ribose-5-phosphate
moiety required in the de novo biosynthesis of purine and
pyrimidine nucleotides as well as the pyridine nucleotide
of NAD. PRPP is also essential for de novo histidine and
tryptophan biosynthesis. Sedoheptulose-7-phosphate is a
precursor needed for the de novo biosynthesis of L-gly-
cero-D-mannoheptose and 2-keto-3-deoxyoctonate (with
PEP; KDO) involved in LPS biosynthesis in Gram-
negative bacteria. Erythrose-4-phosphate (with PEP) is
a precursor in the de novo biosynthesis of shikimate, which
is an intermediate in the synthesis of chorismate
(discussed above).
Not shown in Figure 10 are precursor metabolites,
which function in the biosynthesis of the many
coenzymes/vitamins/cofactors (e.g., riboflavin, thiamine
pyrophosphate, CoA, vitamin B
12
, folates, pyridoxal phos-
phate, and biotin) that are essential to cellular
metabolism. These molecules are for the most part
derived from various purine nucleotides (e.g., GTP in
the case of folates and riboflavin or ATP in the case of
CoA), amino acids (e.g., glutamate in the case of folates
and aspartate in the case of pantothenate and CoA) as well
as other metabolic intermediates such as chorismate (pre-
cursor for p-aminobenzoic acid or PABA).
Further Reading
Barton L (2004) Structural and Functional Relationships in Prokaryotes.
New York: Springer.
Cheryn M (2000) Acetic acid production. In: Lederberg J (ed.)
Encyclopedia of Microbiology, 2nd. edn., vol. 1, pp. 13–17. San
Diego: Academic Press.
Das A and Ljungdahl G (2000) Acetogenesis and acetogenic bacteria.
In: Lederberg J (ed.) Encyclopedia of Microbiology, 2nd. edn., vol. 1,
pp. 647–668. San Diego: Academic Press.
Jones DT and Woods DR (1986) Acetone–butanol fermentation
revisited. Microbiological Reviews 50: 484–524.
LaPorte DC, Miller SP, and Singh SK (2000) Glyoxylate bypass
in Escherichia coli. In: Lederberg J (ed.) Encyclopedia of
Microbiology, 2nd. edn., vol. 1, pp. 556–561. San Diego:
Academic Press.
Moat AG, Foster JW, and Spector MP (2002) Microbial Physiology, 4th
edn. New York: Wiley-Liss.
Siebers B and Scho¨ nheit P (2005) Unusual pathways and enzymes of
central carbohydrate metabolism in Archaea. Current Opinion in
Microbiology 8: 695–705.
Somkuti GA (2000) Lactic acid bacteria. In: Lederberg J (ed.)
Encyclopedia of Microbiology, 2nd. edn., vol. 3, pp. 1–8. San Diego:
Academic Press.
Verhees CH, Kengen SWM, Tuininga JE, et al. (2003) The unique
features of glycolytic pathways in Archaea. The Biochemical Journal
375: 231–246.
Vinopal RT and Romano AH (2000) Carbohydrate synthesis and
metabolism. In: Lederberg J (ed.) Encyclopedia of Microbiology, 2nd.
edn., vol. 1, pp. 647–668. San Diego: Academic Press.
750 Metabolism, Central (Intermediary)

Metagenomics
Z L Sabree, M R Rondon, and J Handelsman, University of Wisconsin-Madison, Madison, WI, USA
ª2009 Elsevier Inc. All rights reserved.
Defining Statement
Introduction
Building Metagenomic Libraries
Sequence-Based Metagenomic Analysis
Function-Based Metagenomic Analysis
Further Reading
Glossary
16S rRNA gene Highly conserved RNA involved in
polypeptide synthesis that is commonly used for making
phylogenetic inferences.
BAC Bacterial artificial chromosome.
contig A set of overlapping sequences derived from a
single template.
cosmids Vectors containing cos sites for phage
packaging that are used to clone large DNA fragments.
environmental DNA Genetic material extracted
directly from a microbial community.
environmental gene tag Short sequence obtained
from metagenomic sequencing.
fosmid Large-insert cloning vector based on the
F-plasmid of Escherichia coli.
genome The genetic complement of an organism.
metaproteome The collective protein complements of
a microbial community.
microbiome The collection of microorganisms residing
in a particular habitat.
mini scaffold A single paired-end read.
read The output of an individual DNA sequencing
reaction.
scaffold Contigs linked by overlapping regions.
Abbreviations
BAC Bacterial artificial chromosome
CTAB hexadecyltrimethylammonium bromide
EGTs environmental gene tags
METREX Metabolite-regulated expression
SIGEX Substrate-induced gene expression
Defining Statement
Metagenomics is the study of the collective genomes of
the members of a microbial community. It involves clon-
ing and analyzing the genomes without culturing the
organisms in the community, thereby offering the oppor-
tunity to describe the planet’s diverse microbial
inhabitants, many of which cannot yet be cultured.
Introduction
Prokaryotes are the most physiologically diverse and
metabolically versatile organisms on our planet. Bacteria
vary in the ways that they forage for food, transduce
energy, contend with competitors, and associate with
allies. But the variations that we know are only the tip
of the microbial iceberg. The vast majority of microor-
ganisms have not been cultivated in the laboratory, and
almost all of our knowledge of microbial life is based on
organisms raised in pure culture. The variety of the rest of
the uncultured microbial world is staggering and will
expand our view of what is possible in biology.
The challenge that has frustrated microbiologists for
decades is how to access the microorganisms that cannot
be cultured in the laboratory. Many clever cultivation meth-
ods have been devised to expand the range of organisms that
can be cultured, but knowledge of the uncultured world is
slim, so it is difficult to use a process based on rational design
to coax many of these organisms into culture. Metagenomics
provides an additional set of tools to study uncultured
species. This new field offers an approach to studying
microbial communities as entire units, without cultivating
individual members. Metagenomics entails extraction of
DNA from a community so that all of the genomes of
organisms in the community are pooled. These genomes
are usually fragmented and cloned into an organism that can
be cultured to create ‘metagenomic libraries’, and these
libraries are then subjected to analysis based on DNA
sequence or on functions conferred on the surrogate host
by the metagenomic DNA. Although this field of microbiol-
ogy is quite young, discoveries have already been made that
751

challenge existing paradigms and made substantial contribu-
tions to biologists’ quest to piece together the puzzle of life.
Building Metagenomic Libraries
DNA has been isolated from microbial communities inha-
biting diverse environments. Early metagenomic projects
focused on soil and sea water because of the richness of
microbial species (e.g., 5000–40 000 species/g soil) as well
as the abundance of biocatalysts and natural products
known to be in these environments from culture-based
studies. While soil has been most sampled for metagenomic
libraries, aquatic sediments, biofilms, and industrial efflu-
ents have also been successfully tapped, often because of
their unique physicochemistries, for various biological
activities. Metagenomic libraries constructed from DNA
extracted from animal-associated microbial communities
have also been the source of a number of novel biocata-
lysts (i.e., hydrolases, laccases, and xylanases), antibiotic
resistance genes, and inter/intraspecies communication
molecules. See Figure 1 for an overview of metagenomic
library construction and screening.
Preparing Metagenomic DNA
The physical and chemical structure of each microbial
community affects the quality, size, and amount of microbial
DNA that can be extracted. Accessing planktonic commu-
nities requires equipment that is capable of handling large
volumes of water to concentrate sufficient microbial biomass
to obtain enough DNA to build libraries. Contaminating
chemicals and enzymes often remain in the water, making it
relatively easy to isolate DNA without abundant contami-
nants. In contrast, inorganic soil components, such as
negatively and positively charged clay particles, and bio-
chemical contaminants, such as humic acids and DNases,
make DNA extraction from soils, and subsequent manipula-
tion, challenging. The process for removing contaminants
determines both the clonability and the size of the DNA
because many of the processes that effectively remove con-
taminants that inhibit cloning also shear the DNA. Physical
disassociation of microbes from the semisolid matrix, typi-
cally termed ‘cell separation’, can yield a cell pellet from
which DNA, especially high molecular weight (>20 kb)
DNA, can be obtained. Immobilization of cells in an agarose
matrix further reduces DNA shear forces and, following
electrophoresis, facilitates separation of high molecular
weight DNA from humic acids and DNases. Various com-
mercial kits can be used to extract DNA from soil and other
semisolid matrices. Applying multiple extraction methods
to a DNA sample can yield minimally contaminated DNA.
For example, a FastDNA Spin (Qbiogene) preparation
followed by a hexadecyltrimethylammonium bromide
(CTAB) extraction yields high quality DNA. Due to shear
forces, low molecular weight DNA is typically isolated, but
the physically vigorous nature of some of these methods can
facilitate lysis of encapsulated bacteria, spores, and other
microbial structures that are resistant to more ‘gentle’ lysis
methods, thereby providing access to a greater, more diverse
proportion of the microbial community for cloning.
Cloning Vectors and Metagenomic Library
Structure
The choice of cloning vector and strategy largely reflects
the desired library structure (i.e., insert size and number of
clones) and target activities sought. To obtain a function
encoded by a single gene, small DNA fragments (<10 kb)
can be obtained and cloned in Escherichia coli into standard
cloning vectors (e.g., pUC derivatives, pBluescript SK(þ),
pTOPO-XL, and pCF430). Various enzymes, such as ami-
dases, hydrolases, cellulases, and antibiotic resistance
determinants,havebeenidentifiedinfunctionalscreensof
metagenomic libraries harboring inserts smaller than 10 kb.
Conversely, to obtain targets encoded by multiple genes,
large DNA fragments (>20 kb) must be cloned into fosmids,
cosmids, or bacterial artificial chromosomes (BACs), all of
which can stably maintain large DNA fragments. Two vec-
tors, namely pCC1FOS and pWE15, have been used for
cloning large DNA fragments from various microbial com-
munities. The pCC1FOS vector has the advantage that,
when in the appropriate host (e.g. E. coli Epi300), its copy
number can be controlled by addition of arabinose in the
medium to increase DNA yield. Microbial sensing signals,
antibiotic resistance determinants, antibiosis, pigment pro-
duction, and eukaryotic growth modulating factors have
been identified from metagenomic libraries constructed
with pCC1FOS. Additionally, the presence of considerable
flanking DNA on fosmid or BAC clone inserts facilitates
phylogenetic inference about the source of the fragment.
Community Complexity and Metagenomic
Library Structure
The determination of target insert size, cloning vector, and
minimum number of library clones is governed by the
type of genes that are sought and the complexity of the
microbial community. Shotgun sequencing is usually
conducted on small-insert clones, whereas successful func-
tional studies can be performed on small- and large-insert
clones. Small-insert metagenomic libraries constructed in
plasmids that stably maintain up to 10 kb of DNA require
3–20 times more clones compared to libraries constructed
in fosmids (30–40 kb inserts) or BACs (up to 200 kb inserts)
to obtain comparable coverage of the same microbial
community.
Community coverage is possible only in relatively
simple microbial communities like the acid mine drai-
nage, which contains only about five members. This
752 Metagenomics

community was sampled and sequenced deeply with a
high-density, large-insert metagenomic library, making it
possible to reconstruct the genome of one member. In
contrast, the metagenome of a very complex community
such as that in soil can only be sampled, not exhaustively
sequenced. With today’s technology, a community can be
sequenced to closure more quickly and cheaply with
small- than large-insert clones, but future technology
development may change this. In contrast, in activity-
based analysis, large inserts are preferable because the
probability that the target activity is encoded by any
one clone is positively correlated with the size of the
insert, and if the activity is encoded by a cluster of
genes, they are more likely to be captured in a large insert.
DNA
extraction
Cloning vector
Heterogeneous
DNA DNA cloning and
transformation
Heterologous
gene
expression
Translation
Secretion
Metagenomic librar
Sequence-based metagenomics
Function-based metagenomics
Screen for
active enzymes
Selection for
growth
Screen for growth
inhibition
Vector-primed
end sequencing Probe library
with specific oligos
Transcription
Host bacteria
Figure 1 Metagenomics. Metagenomics is the study of the collective genomes of the members of a community. DNA is extracted
directly from the community, cloned into a surrogate host, and then studied by sequencing or screening for expression of activities of
interest. Many microbial communities have been tapped for metagenomic analyses. Following construction of a metagenomic library,
two approaches can be taken to access the genomic information. Functional metagenomics requires that the host bacterium can
express the recombinant DNA in either screens for active enzymes or antibiotic production or selections for growth under growth-
suppressive conditions (e.g., nutrient deficiency or presence of an antibiotic). In sequence-based metagenomics, cloned DNA is
randomly sequenced using vector-based primers or a specific gene is sought using complimentary oligonucleotides (oligos) to
hybridize to arrayed metagenomic clones.
Metagenomics 753

Selecting and Transforming a Host Organism
Development of microorganisms to host metagenomic
libraries has trended toward well-characterized and easily
cultivated bacteria, with most work being conducted in
E. coli.E. coli offers many useful tools for metagenomics,
such as strains that harbor mutations that reduce recombina-
tion (recA)andDNAdegradation(endA) and facilitate blue/
white recombinant (lacZ) screening. Electroporation is the
primary and most efficient method for introducing metage-
nomic DNA, especially large-insert libraries, into E. coli.
Additionally, some vectors can be transferred from E. coli to
other bacterial species by conjugation. This has been an
important feature of activity-based analysis of metagenomic
libraries. Libraries have been screened in E. coli with many
successful outcomes, but the barriers to expression of genes
from organisms that are distant from E. coli have led to
screening of some libraries in other hosts. A number of clones
containing interesting activities have been detected in
only one host species and not in others. This suggests
that the host background affects the expression of the
genetic potential of the metagenomic library, and
therefore the suitability of a particular host for the
targeted screen must be considered. Sequence-based ana-
lysis of metagenomic libraries is conducted entirely in
E. coli.
Storing Metagenomic Libraries
Library storage conditions should preserve clone viability
as well as the original diversity of the library. E. coli-based
metagenomic libraries can be prepared in liquid culture
supplemented with vector-selective antibiotics and
10–15% glycerol and stored frozen in pooled aliquots.
Pooled libraries are revived in fresh media supplemented
with antibiotics, and brief incubation (1–2 h) at 30–37 C
on a rotary shaker is sufficient to initiate growth.
Extended incubation could hinder recovery of the full
metagenomic library due to overgrowth of some clones
to the exclusion of others. The revived library is then
suitable for screening or DNA preparation.
Sequence-Based Metagenomic Analysis
Sequence-based metagenomics is used to collect genomic
information from microbes without culturing them. In
contrast to functional screening, this approach relies on
sequence analysis to provide the basis for predictions
about function. Massive datasets are now catalogued in
the ‘Environmental Genomic Sequence’ database, and
each sequencing project is more informative than the
last because of the accumulated data from diverse envir-
onments. As patterns emerge in the environmental
sequences, sequence-based methods will be increasingly
more informative about microbial communities.
Some studies use a gene of interest or ‘anchor’ to
identify metagenomic clones of interest for further ana-
lysis. A metagenomic library is constructed and screened
using PCR to amplify the anchor. Anchors are often a
ribosomal RNA gene, but can also be a metabolic gene
(e.g., a polyketide synthase). The clones that contain the
anchor are then sequenced or further analyzed to provide
information about the genomic context of the anchor.
Thus, researchers can quickly focus on a clone of interest.
For example, a marine picoplankton metagenomic library
was screened by hybridization with a 16S rRNA gene
probe and the 16S rRNA genes in the positive clones
were then sequenced to provide a picture of the diversity
of the community members.
Recently, the tremendous advances in DNA sequen-
cing technology have made it feasible to sequence large
libraries without preselection for clones containing a
particular anchor. This has led to the accumulation
of massive amounts of sequence data from uncultured
microbes in several environments. Here we discuss a
few examples of sequence-based metagenomic projects.
These projects are also detailed in Table 1.
Anchor-Based Sequencing
Some early projects used rRNA or other genes as anchors
to identify useful and informative clones from metage-
nomic libraries. For example, this technique was used to
identify clones containing DNA from planktonic marine
Archaea. Previously, 16S rRNA gene sequences had been
recovered from several environmental samples, suggest-
ing the presence of Archaea in nonextreme environments
such as soil and open water, yet no cultured representa-
tives of these clades were known. Stein and colleagues
took a direct cloning approach to isolate genomic DNA
from these organisms rather than attempting to culture
them. They filtered seawater and prepared a fosmid
library from the collected organisms. The library was
probed to find small-subunit rRNA genes from archaeal
species. One clone was found and completely sequenced.
Several putative protein-encoding genes were identified,
including some that had not yet been identified in Archaea.
Similarly, Be
´ja
`and colleagues constructed several BAC
libraries from marine samples. These libraries were also
screened by first probing for the presence of 16S rRNA
genes. One 130-kb BAC clone was sequenced and found to
contain a 16S rRNA gene from an uncultivated gamma-
proteobacterium. Surprisingly, this clone contained a gene
encoding a protein with similarity to rhodopsins, which
are light-driven proton pumps found thus far only in
Archaea and Eukarya. This new type of rhodopsin, called
proteorhodopsin, suggests that bacteria may also use these
proteins for phototrophy. This discovery highlights the
754 Metagenomics

Table 1 Sequence-based metagenomics
Year Environment
Total
amount
sequenced Number of reads Vector Assembly Comments Reference
Anchor-based projects
1996 Ocean 10 kbp 36 pFOS1 Not attempted Shotgun sequence
clones form 38.5-kb
cosmid insert
Stein et al.
Journal of
Bacteriology
178: 591–599
2000 Ocean 128 kbp Not reported pIndigoBAC536 Entire BAC insert
assembled
Found
proteorhodopsin
gene
Be´ja`et al.
Science
289: 1902–1906
2002 Paederus
beetles
110 kbp Not reported pWEB 110 kbp assembled
from several
overlapping cosmids
Found putative
pederin cluster is
probably bacterial in
origin
Piel
PNAS
99:14002–14007
Viral Metagenomics
2002 Ocean ND 1934 pSMART Contigs assembled at
low stringency
Used specific
techniques
to enrich for viral
DNA
Breitbart et al.
PNAS
99:14250–14255
Community Sequencing projects
2004 Acid mine
drainage
76.2 Mbp 103 462 pUC18 85% of reads in
scaffold 2 kb or
longer
Combined length of
1183 scaffolds is
10.82 Mbp
Assembled two near-
complete and three
partial genomes
Tyson et al.
Nature
428: 37–43
2004 Sargasso Sea 1360 Mbp
265 Mbp
1 660 000
325 561
pBR322
derivative
64 398 scaffolds
217 015 miniscaffolds
215 038 singletons
(data for Weatherbird
only)
Larger Weatherbird
Sample yielded
assembly, smaller
Sorcerer II did not
Venter et al.
Science
304: 66–74
2005 Minnesota soil
Whale-fall
100 Mbp
325
Mbp
149 085
Not reported
Lambda ZAP Analyzed without
assembly for
environmental gene
tags and
metaproteome
Assembly not possible
for soil sample
due to complexity
Tringe et al.
Science
308: 554–557
2006 Human gut 78 Mbp 139 521 pHOS2 14 572 scaffolds for
33 753 108 bp
40% of reads not
assembled for an
additional 44 Mbp
0.7X coverage of
B. longum genome
and 3.5X coverage
of M smithii genome
Gill et al.
Science
312: 1355–1359

expansive potential and novelty of bacterial genes in the
environment and further supports the hypothesis that
much of microbial diversity remains undescribed.
Genes besides 16S rRNA genes can also be used as
anchors. To identify the source of production of the anti-
tumor compound pederin, Piel constructed a cosmid library
from pederin-producing Paederus beetles and screened
the library for pederin synthesis genes. A locus encoding
the putative pederin synthesis genes was identified, and the
locus seems to be bacterial in origin, suggesting symbiotic
bacteria within Paederus beetles are the true producers of
pederin. This analysis shows that metagenomics can be used
to isolate genes of potential medical interest and confirms
that it is the bacteria, not their insect hosts, that produce this
antitumor compound.
Viral Metagenomics
The world is thought to contain 10
32
uncharacterized
viruses, and characterizing them by metagenomics may be
more efficient and informative than finding a suitable host
for each of them. Moreover, since most of their hosts have
likely not been cultured, metagenomics represents the only
way to access this viral diversity. Cloning viral genomes
from an environmental sample faces additional challenges
that are not necessarily barriers in metagenomics based on
cellular organisms. For example, the viral DNA must be
separated from abundant free DNA in the environment,
including organismal DNA; viral genes that kill the host
must be inactivated or they will prevent the cloning of the
viral DNA; chemically modified viral DNA can be unclon-
able; and ssDNA and RNA viral genomes are not amenable
to traditional cloning. Generally, researchers have purified
intact virus particles by physical separation and then
extracted the DNA from those particles. In one example,
Breitbart and colleagues used a linker-amplified shotgun
library method to analyze a viral metagenomes from the
Pacific Ocean. They found that most viral sequences recov-
ered were not highly similar to known viral sequences,
suggesting that the global viral metagenome is still
undersampled.
Community Metagenomics
The development of increasingly fast, accurate, and inex-
pensive sequencing technologies, coupled with significant
improvements in bioinformatics, has made it feasible to
conduct large-scale sequencing of DNA from multispe-
cies communities. This development will advance our
understanding of microbial diversity in nature. Freed
from the constraint of cultivating microbes to access
their genomes, researchers have accumulated vast quan-
tities of microbial genomic information that could not
have been gathered even a few years ago. Although
whole genomes cannot currently be reassembled from
shotgun sequencing of complex communities containing
dozens, hundreds, or thousands of species, rapid advances
in technology development make it likely that such feats
are not far off.
The first environment to be the subject of a compre-
hensive sequence-based metagenomic effort was the acid
mine drainage environment at Iron Mountain, California.
Acid mine drainage results when pyrite dissolution facil-
itates microbial iron oxidation, which is accompanied by
acid production. The simplicity of the acid mine drainage
microbial community led to the assembly of five nearly
complete or partial genomes without first separation of
cells or cultivation of community members.
Approximately 76 million base pairs (Mbp) were
sequenced from small-insert libraries from the acid mine
drainage biofilm. The community consisted of three bacter-
ial and three archaeal lineages, thus raising the possibility of
genome reassembly for many if not all of the members. To
achieve this, the sequences were first assembled into scaf-
folds.Thenthescaffoldsweresortedinto‘bins’basedon
their GþC content. Binning is the first step in assigning the
scaffolds to a unique genome. The scaffolds in each bin were
then sorted based on the degree of coverage, assuming that a
more abundant member of the community would contribute
more DNA to the library, and therefore be more highly
represented in the sequence data and that all genes within
one organism’s genome should be similarly represented.
Thus, the high G þC bin was separated into a 10X coverage
genome and a 3X coverage genome. These two genomes
were found to represent a Leptospirillum group II genome and
aLeptospirillum group III genome, respectively. A nearly
complete, 2.23-Mb genome of the group II genome was
assembled. Similarly, the 10X coverage genome in the low
GþC bin represented a nearly complete genome of the
archaeon Ferroplasma type II. Partial genomes were also
identified for a Ferroplasma type I strain and a ‘G-plasma’
strain.
In addition to providing a model for genome reassem-
bly, the acid mine drainage study led to tremendous
insight into the habitat and physiology of the community
members. The representation of various functions was
recorded, and a chemical model for the flow of energy,
nutrients, and electrons was developed and tested.
Another pivotal study in sequence-based metagenomics
involved the large-scale sequencing of libraries constructed
from the DNA of microbes living in the Sargasso Sea. More
thanonebillionbasepairsofDNAweresequenced,repre-
senting approximately 1800 genome equivalents. Clones
were end-sequenced to provide paired-end reads and
assembled into scaffolds, mini scaffolds (with a single
paired-end read), or left as single reads. Again, the sequences
were sorted into bins, based on depth of coverage, oligonu-
cleotide frequencies, and similarity to known genomes.
From these data, several nearly complete genomes were
assembled, as well as ten megaplasmids. Sequence analysis
756 Metagenomics

predicted that 1 214 207 novel proteins were encoded in the
environmental DNA. The analysis highlighted the presence
of related strains of a given species in the sample, raising the
complicating factor of strain heterogeneity in metagenome
analysis.
When the community is sufficiently complex to pre-
vent reassembly of genomes, other strategies must be
undertaken to find patterns. For example, one study
compared four metagenomic libraries, one from soil and
three from oceanic ‘whale-fall’ samples (decomposing
whale carcasses on the ocean floor), all of which were
too complex for genome reassembly or even construction
of contigs or scaffolds. Using paired-end sequences from
small-insert libraries, ‘environmental gene tags’ (EGTs)
were identified, 90% of which contained predicted genes,
thus allowing for a global predicted metaproteome ana-
lysis without assembly of the DNA into larger scaffolds.
This approach may be useful to find patterns in predicted
protein functions and metabolic properties in many dif-
ferent environments.
In a powerful study, sequence-based metagenomics was
used to investigate the microbiome of the human ecosys-
tem. Since many of the microorganisms living in the
human gut have not yet been cultured, metagenomics
allows a direct approach to this microbial community.
The data revealed nearly complete genomes of strains of
Bifidobacterium longum and Methanobrevibacter smithii,an
archaeon frequently found in the gut ecosystem. Gut
microbes contribute many functions to human metabolism,
including glycan degradation and fatty acid synthesis, and a
number of these functions were identified and their diver-
sity assessed by metagenomics. Scale-up of this approach
could yield near-complete genomes of many of the impor-
tant microbes in our own gut. Comparative studies among
individuals, during infant development and after antibiotic
ingestion, and among people consuming different diets are
beginning to reveal both the idiosyncratic nature of each
person’s gut microbiota, which may provide a signature as
unique as a fingerprint, and the microbial motifs that define
health and disease.
Sequence-based metagenomics has the potential to
revolutionize our understanding of microbial diversity
and function on earth. However, even these initial studies
have raised several questions of methods and technology.
It is apparent that further advances in bioinformatics are
needed to handle the vast quantities of data derived from
these projects. In addition, the species richness of the
communities, coupled with the genetic complexity of
populations of each species, necessitates sequencing
extremely large libraries to approach complete coverage.
Finally, uneven species distribution, leading to the over-
representation of abundant genomes in libraries, makes
the desired library size even larger in order to capture
rare species. The acceleration of sequencing, techniques
that remove the most abundant sequences, and
computational tools will enhance sequence-based meta-
genomic analysis.
Function-Based Metagenomic Analysis
Functional metagenomics involves identification of clones
that express activities conferred by the metagenomic
DNA. Sequence-based metagenomics has revealed phy-
siological and ecological capacity that extends well
beyond that of the culturable minority. Activity-based
metagenomics provides an opportunity to circumvent cul-
turing and to survey a community’s functions (Table 2).
Function-based metagenomics, unlike sequence-driven
approaches, does not require that genes have homology
to genes of known function, and it offers the opportunity
to add functional information to the nucleic acid and
protein databases.
Screening Metagenomic Libraries for Novel
Enzymes
Microorganisms have always been a prime source of
industrial and biotechnological innovations, but until
recently applications have been derived from cultured
organisms. Metagenomics presents the possibility of dis-
covering novel biocatalysts from microbial communities
that either confounded cultivation or failed to yield new
culture isolates upon repeated attempts. Assays that have
historically been used to identify enzymes (e.g., amylases,
cellulases, chitinases, and lipases) in cultured isolates have
been applied successfully to functional metagenomics.
Function-based metagenomic analysis of Wisconsin agri-
cultural soil yielded 41 clones having either antibiotic,
lipase, DNase, amylase, or hemolytic activities among
BAC libraries containing 28 000 clones with an average
insert size of 43 kb. The frequency of finding active clones
in these libraries ranged from 1:456 to 1:3648, which is
similar to the results from other metagenomic surveys for
biocatalysts, thereby highlighting the need for robust
assays for functional analysis.
Exploiting Environmental Physicochemical
Conditions for Biocatalysts Discovery
One approach intended to increase the likelihood of find-
ing certain activities is to build metagenomic libraries
from environments that are enriched for bacteria with
the desired function. For example, a search for cellulases
focused on the liquor of an anaerobic, thermophilic, lig-
nocellulosic digester. Four clones expressing cellulolytic
activity were identified, all of which had activity optima
at pH 6–7 and 60–65 C – conditions similar to those in
the digester.
Metagenomics 757

Table 2 Functional metagenomics surveys
Target gene Source Host strain Cloning vector
Insert size
(kb)
Number of
clones
Active
clones References
Extraction
method
Cellulases Feedstock E. coli N.R. N.R. N.R. 4 Healy et al.
Applied Microbiology and
Biotechnology
43: 667–674
Direct
Biocatalysts and
Antimicrobials
Soil E. coli
DH10B
pBeloBAC11 27/44.5 3646/ 24 546 41 Rondon et al.
Applied and Environmental
Microbiology
66: 2541–2547
Direct
Tetracycline
resistance
determinants
Oral cavity E. coli
TOP10
pTOPO-XL 0.8–3 450 1 Diaz-Torres et al.
Antimicrobial Agents and
Chemotherapy
47: 1430–1432
Direct
Xylanases Insect E. coli Lambda ZAP 3–6 1 000 000 4 Brennan et al.
Applied and Environmental
Microbiology
70: 3609–3617
Direct
Amidases Soil E. coli
TOP10
pZerO-2 5.2 8000 / 25 000 5 Gabor et al.
Environmental Microbiology
6: 948–958
Direct/
enrichment
Aminoglycoside
resistance
determinants
Soil E. coli
DH10B
pCF430/pJN105 1.9–65 1 186 200 10 Riesenfeld et al.
Environmental Microbiology
6: 981–989
Direct
Signal molecules Soil E. coli
Epi300
pCC1FOS/
pSuperBAC/
pCC1BAC
1–190 180 000 3 Williamson et al.
Applied and Environmental
Microbiology
71: 6335–6344
Direct
Catabolic enzymes Aquatic E. coli
JM109
p18GFP 7 150 000 35 Uchiyama et al.
Nature Biotechnology
23: 88–93
Direct
Antibiotic
desistance
determinants
Oral cavity E. coli
TOP10/
Epi300
TOPO-XL/
pCC1FOS
0.8–3/40 1260/600 90/14 Diaz-Torres et al.
FEMS Microbiology Letters
258: 257–262
Direct
Signal molecules Insect E. coli
DH10B
pBluescript II
KS (þ)
3.3 800 000 1 Guan et al.
Applied and Environmental
Microbiology
73: 3669–3676
Direct

Another study was predicated on the finding that
wood- and plant-eating insects are rich sources of
enzymes involved in degradation of complex carbon
polymers such as cellulose and xylan. These polysacchar-
ides are the primary nutrient source for both the insect
and the microbial community it harbors, and therefore
should enrich for species that produce glycosyl hydro-
lases. Small-insert libraries constructed from termite and
lepidopteran gut microbial DNA (1 10
6
clones) con-
tained four clones with xylanase activity. These clones
harbored genes that encoded xylanase catalytic domains
with low sequence similarity (33–40%) to other glycosyl
hydrolases. Not surprisingly, the enzymes most closely
related to three of the four xylanases identified in this
study were found elsewhere in gut-associated microbes.
Prior knowledge of the habitat, based on either culture-
based studies or metagenomic sequence analysis, facili-
tates shrewd choices that match habitat with the function
that is sought.
Artificial Enrichment for Biocatalyst Discovery
Just as the environment can compel microbial communities
to retain members with specific biochemical abilities, micro-
bial communities can be actively manipulated prior to
metagenomic library construction to enrich for desired
activities. One study focused on the discovery of amidases
that convert D-phenylglycine amide derivatives into key
intermediates for the production of semisynthetic -lactam
antibiotics. Soil was added to minimal medium that
had either D-phenylglycine amide or a mixture of various
amides as the sole nitrogen source. Libraries were
constructedinaleucine-auxotrophicE. coli strain
and screened on the medium containing only
phenylacetyl-L-leucine or D-phenylglycine-L-leucine, either
of which would select for the growth of clones capable of
hydrolyzing the amide compounds. According to DGGE
analyses, enrichment cultures showed 64–77% lower
bacterial diversity than in the original sample before enrich-
ment, suggesting that the enrichment conditions enhanced
growth of those bacteria that could utilize the amides as a
nitrogen source and limited growth of the rest of the com-
munity, thereby reducing the diversity of the community.
Four amidase-positive clones were identified from metage-
nomic libraries constructed from enrichment cultures and
all had low to moderate homology to known enzymes. Two
amidase-positive clones had low homology to hypothetical
proteins. Following extensive amide substrate profiling, a
single clone (pS2) was found to catalyze the synthesis of
penicillin G from 6-aminopenicillanic acid and phenylace-
tamide. The pS2-encoded enzyme facilitated accumulation
of twofold higher maximum level of penicillin G than E. coli
penicillin amidase and performed better in amoxicillin and
ampicillin production experiments. These analyses show
that activity-based screening of metagenomic libraries can
yield unique biocatalysts of ecological relevance and bio-
technological importance, and some of these may be
superior to those found in cultured organisms.
Rapid Discovery of Novel Antibiotic Resistance
Genes
Genes that confer antibiotic resistance to bacteria are of
great public health, pharmacological, and biological
importance. Lateral gene transfer and broad antibiotic
usage have resulted in wide distribution of antibiotic
resistance genes in microbial communities. As a result,
many antibiotic treatments are rendered less effective or
totally ineffective against pathogens (e.g., methicillin-
resistant Staphylococcus aureus). Characterization of the
resistance genes in uncultured organisms may identify
resistance determinants that will appear in clinical set-
tings in the future. Characterization of resistance in
environments that have not been influenced directly by
human use of antibiotics could point to the origins of
certain resistance determinants. A comprehensive under-
standing of resistance mechanisms in culturable and
uncultured bacteria will improve drug design, by provid-
ing clues to how resistance can be combated. Additionally,
antibiotic resistance and synthesis genes usually cluster
together in microbial genomes. Therefore, antibiotic
resistance genes can provide a signpost for biosynthetic
pathways residing in nearby DNA.
Antibiotic resistance provides technical advantages over
most other characteristics studied with metagenomics.
Because the frequency of active clones is low, there is a
substantive advantage to using a selection in which only
the desired clones survive, rather than a screen, in which all
clones need to be addressed to determine whether they
express the desired function. When antibiotic-resistant
clones are the target, metagenomic libraries are cultured
in the medium containing the appropriate antibiotic and
only those clones that contain and express cognate resis-
tance genes grow. Using this strategy, a number of studies
have identified clones that carry resistance to antibiotics
such as tetracycline or aminoglycosides such as kanamycin,
tobramycin, and amikasin. In one study, 1 186 200 clones
from small- and large-insert soil metagenomic libraries
were selected for aminoglycoside resistance and ten sur-
viving clones were identified. Some of these clones carry
resistance genes that are similar to known aminoglycoside
resistance genes, some carry resistance genes that are dis-
tantly related to known resistance genes, and some
resistance genes do not have detectable similarity to any
known resistance determinants. The results of the antibio-
tic resistance studies provide a model for the rest of the
metagenomic field. Two lessons are evident. First, the
uncultured world contains some genes that are quite famil-
iar based on studies of cultured organisms as well as more
exotic ones that represent new classes of genes or proteins
Metagenomics 759

for a known function. Second, selections provide the power
to rapidly identify clones of interest, circumventing the
tedious screening step that forms the basis – and bottleneck
– of many function-driven metagenomic studies.
Intracellular Functional Screens
The daunting challenge of screening massive libraries
with millions of members has been met with a novel
type of screen, in addition to the selections described in
the previous section. In an effort to devise screens that are
both rapid and sensitive, the concept of ‘intracellular’
screens emerged in which the detector for the desired
activity resides in the same cell as the metagenomic DNA.
The first two intracellular screens, metabolite-regulated
expression (METREX) and substrate-induced gene
expression (SIGEX) (Figure 2), meet the criteria of
speed and sensitivity and provide prototypes for sensitive
screens that are capable of reporting poorly expressed
gene products and can utilize technologies (e.g., fluores-
cence-activated cell sorting) that rapidly screen millions
of clones.
METREX screening detects molecules that mimic
quorum-sensing signal molecules (Figure 2(a)). These
compounds stimulate transcription, regulated by the LuxR
protein and initiated from the luxI promoter, which is linked
to a reporter, such as the gene encoding green fluorescent
protein. The typical quorum-sensing inducers are acylated
homoserine lactones, but metagenomics has revealed other
classes of molecules that can function similarly. Since the
metagenomic DNA and the broad-specificity reporter plas-
mid are both present within the host cell, even low
concentrations of poorly expressed metagenomic gene pro-
ducts can be detected. In one study, 180 000 clones from soil
metagenomic libraries were subjected to the METREX
screen; 11 clones that stimulated Gfp expression were
identified. Additionally, two clones inhibited Gfp expres-
sioninthepresenceof80nmoll
1
N-(3-oxohexanoyl)-L-
HSL, a typical quorum-sensing signal molecule isolated
from cultured organisms, which binds to LuxR and stimu-
lates transcription from the luxI promoter. Interestingly,
only one of the Gfp-stimulating clones could be detected
in an overlay-based Gfp-reporter screen, indicating that the
intracellular screen detects clones that would be lost in a
standard screen for quorum-sensing signal compounds in
which the active molecule needs to diffuse out of the
producing cell and into the cell containing the reporter.
Most of these clones had no sequence similarity to genes
known to direct production of quorum-sensing stimulating
or inhibiting compounds.
SIGEX facilitates the rapid identification of promoters
that drive transcription in the presence of a particular
catabolite (Figure 2(b)). This can be used to identify
pathways that are regulated by the metabolite.
Degradative pathways are often regulated by the com-
pound that is degraded, so SIGEX is of interest for rapid
identification of new gene clusters for bioremediation. Of
152 000 clones from a metagenomic library derived from
an aquatic microbial community, 33 clones were induced
by benzoate and two by naphthalene. A wide variety of
genes were resolved in these screens, reflecting not only
the sensitivity of the assay but also the broad impact of
aromatic hydrocarbons on bacterial community gene
expression.
Further developments in high-throughput screening
will enhance discovery in function-driven metagenomics
just as advancements in sequencing and bioinformatics will
accelerate discovery in sequence-driven metagenomics.
Reporter
plasmid
Metagenomic
clone
l
u
x
R
g
f
p
Gfp
(a) (b)
Reporter
Plasmid
Metagenomic DNA
Gfp
g
f
p
g
f
p
Reporter
Plasmid
P
luxl
Figure 2 Intracellular screens for metagenomic libraries. (a) Metabolite-regulated expression (METREX): diffusible metagenomic
gene products (red) stimulate dimerization of LuxR proteins (blue), which in turn induce expression of Gfp from the luxI promoter to
produce light (green). Gene products interacting directly with the luxI promoter could also be detected. (b) Substrate-induced gene
expression (SIGEX): Metagenomic DNA is cloned into a promoter-trap vector containing a promoterless Gfp-reporter downstream of
the cloning site. Promoters in the metagenomic DNA that respond to specific catabolites induce expression of Gfp.
760 Metagenomics

Further Reading
Casas V, and Rohwer F (2007) Phage metagenomics. In Hughes,
KT and Maloy, SR (eds.) Methods in Enzymology 421: Advanced
bacterial genetics: use of transposons and phage for genomic
engineering pp. 259–68. Amsterdam: Elsevier.
Daniel R (2005) The metagenomics of soil. Nature Reviews Microbiology
3: 470–478.
DeLong EF (2005) Microbial community genomics in the ocean. Nature
Reviews Microbiology 3: 459–469.
Frank DN and Pace NR (2008) Gastrointestinal microbiology enters
the metagenomics era. Current Opinion in Gastroenterology
24: 4–10.
Gillespie DE, Rondon MR, Williamson LL, and Handelsman J (2005)
Metagenomic libraries from uncultured microorganisms.
In: Osborn AM and Smith CJ (eds.) Molecular microbial ecology,
pp. 261–279. London: Taylor and Francis.
Handelsman J (2004) Metagenomics: application of genomics to
uncultured microorganisms. Microbiology and Molecular Biology
Reviews 68: 669–685.
Hugenholtz P, Goebel BM, and Pace NR (1998) Impact of culture-
independent studies on the emerging phylogenetic view of bacterial
diversity. Journal of Bacteriology 180: 4765–4774.
Langer M, Gabor EM, Liebeton K, et al. (2006) Metagenomics: an
inexhaustible access to nature’s diversity. Biotechnology Journal
1: 815–821.
Lefevre F, Robe P, Jarrin C, et al. (2008) Drugs from hidden bugs: their
discovery via untapped resources. Research in Microbiology
159: 153–161.
Li X and Qin L (2005) Metagenomics-based drug discovery and marine
microbial diversity. Trends in Biotechnology 23: 539–543.
Rappe MS and Giovannoni SJ (2003) The uncultured microbial majority.
Annual Review of Microbiology 57: 369–394.
Riesenfeld CS, Schloss PD, and Handelsman J (2004) Metagenomics:
genomic analysis of microbial communities. Annual Review of
Genetics 38: 525–552.
Rondon MR, Goodman RM, and Handelsman J (1999) The Earth’s
bounty: assessing and accessing soil microbial diversity. Trends in
Biotechnology 17: 403–409.
Tringe SG and Rubin EM (2005) Metagenomics: DNA sequencing of
environmental samples. Nature Reviews Genetics 6: 805–814.
Ward N (2006) New directions and interactions in metagenomics
research. FEMS Microbiology Ecology 55: 331–338.
Metagenomics 761

Metal Extraction and Biomining
C A Jerez, University of Chile and ICDB Millennium Institute, Santiago, Chile
ª2009 Elsevier Inc. All rights reserved.
Defining Statement
Microbial Transformations of Metals
Microorganisms that Solubilize Metals
Microbial Extraction of Metals from Ores and Biomining
Acidiophilic Microorganism–Mineral Interaction
Mechanisms Involved in Metal Solubilization by
Acidophiles
Biomining in the Postgenomic Era
Environmental Effects of Metals Solubilization and
Bioremediation
Conclusions
Further Reading
Glossary
biofilm A layer of adhesive exopolymeric substances
attached to a surface and secreted by microorganisms
forming colonies on it.
bioleaching Refers to the microbial conversion of an
insoluble metal (usually a metal sulfide or oxide) into a
soluble form (metal sulfate).
biomining The use of microorganisms to recover
metals in industrial operations.
bioremediation Use of microorganisms to remove
toxic chemicals from the environment.
biosorption Refers to the binding of metal ions by
whole biomass (living or dead).
chemolithoautotroph A microorganism that fixes CO
2
and obtains its energy by the oxidation of inorganic
compounds.
consortium A group of microorganisms living together
and in which each individual benefits from the others.
genome The complete set of genes present in an
organism.
genomics Refers to mapping, sequencing, and
analyzing genomes.
proteome The total complement of proteins present in
a cell at any one time.
proteomics Genome-wide study of the structure,
function, and regulation of proteins in the cell.
systems microbiology Considers microorganisms or
microbial communities as a whole to create an
integrated picture of how a microbial cell or community
operates.
Abbreviations
2D-
PAGE
Two-dimensional polyacrylamide gel
electrophoresis
AMD acid mine drainage
DGGE denaturing gradient gel electrophoresis
ESI-MS electron spray ionization MS
FISH fluorescence in situ hybridization
FT-ICR
MS
Fourier transform ion cyclotron resonance
mass spectrometer
HPLC High performance liquid chromatography
MS mass spectrometry
QS quorum sensing
SDO sulfur dioxygenase
SOR sulfite oxidoreductase
TEM transmission electron microscopy
Defining Statement
Microorganisms interact with heavy metals, transforming
them by uptake, bioaccumulation, bioprecipitation, bior-
eduction, biooxidation and other mechanisms. Some of
these activities result in the solubilization or extraction of
metals which are successfully used in industrial biomining
processess to recover valuable metals or in biorremedia-
tion to remove toxic metals from contaminated soils.
Microbial Transformations of Metals
Microorganisms interact with metals by several mechan-
isms, most of which are shown in Figure 1. All bacteria
require several metals that are essential for their function-
ing and the uptake of most of them is metabolism- or
energy-dependent. For this bioaccumulation, they possess
specific or general energy-dependent metal transporters
to directly incorporate them or through chelation by
762

means of organic compounds such as siderophores in the
case of iron. Some of these transporters are used to bioac-
cumulate metals inside the cell. This can be done by
sequestering the metal by proteins rich in cysteine or
histidines or they can be chelated by inorganic polypho-
sphates (polyP), which are long chains of phosphate
molecules joined through phosphodiester bonds and are
highly negatively charged at neutral pH. Microorganisms
such as Acinetobacter spp. bioprecipitate metals in the form
of metal phosphates via hydrolysis of stored polyP
depending upon alternating aerobic (polyP synthesis)
and anaerobic (polyP hydrolysis and phosphate release)
periods.
The metabolism-independent sorption of heavy
metals or biosorption refers to the binding of metal
ions by whole biomass (living or dead). It can take
place by adsorption in which metals accumulate at
the surface of the biomass and by absorption or a
rather uniform penetration of the metal ions from a
solution to another phase. Biomolecules present in the
biomass contain several chemical groups that act as
ligands (L
2–
in Figure 1) for the biosorption of the
metal ions. The most common are the amino, carboxyl,
phosphate, and sulfhydryl groups present in proteins,
nucleic acids, and polysaccharides.
Microorganisms can also catalyze several biotransforma-
tions. They transform most toxic metals into less soluble or
less volatile forms. One example is the reduction of metals
such as Cr(VI)toCr(III), U(VI)toU(IV), Te (VI)toTe(0)and
many others that results in the precipitation of the metal
under physiological conditions. Another very well-studied
biotransformation of a toxic metal is the bioreduction of
Hg(II) to the relatively nontoxic volatile elemental Hg(0).
Microorganisms also precipitate metals in the form
of carbonates, hydroxides, or insoluble sulfides and
phosphates. This constitutes a biomineralization, and
due to the very low solubility products of these com-
pounds formed, most of the soluble metals would be
removed by precipitation in their liquid medium
(Figure 1).
Bioaccumulation
Biotransformation
Cell
Biodegradation of
chelatin
g
a
g
ents
Biomineralization
MS
MCO3
HPO42– + M2+
CO32– + M2+
H2S + M2+
MHPO4
Bioleaching
Biosorption
M2+
M0 + organic acid
MO2
(reduced-
insoluble)
MO2
(oxidized-
soluble)
2+
Microbially enhanced
chemisorption of metals
CO2 + M2+
M2+(chelate)
M2+(out)
M2+(in)
M2+(in) M2+(out)
Organic
acid
PolyP
Cu
PolyP-Cu
Pi/H+
MFS
HPO3–/Cu+ Metal detoxification
M2+
M2+
M2+
L2–
L2–
L2–
Figure 1 A general scheme showing the most common bacteria–metals interactions. Modified from Lloyd JR, Anderson RT, and
Macaskie LE (2005) Bioremediation of metals and radionuclides. In: Atlas RM and Philp JC (eds.) Bioremediation: Applied Microbial
Solutions for Real-World Environmental Cleanup, pp. 293–317. Washington, DC: ASM Press.
Metal Extraction and Biomining 763

Microorganisms that Solubilize Metals
A basic prerequisite for life is the existence of a chemical
redox gradient to convert energy. This allows energy flow
and its use in the biochemical reactions of the cells. Most
cells use organic compounds like sugars as fuels (electron
donors). Their oxidation in the presence of oxygen or
respiration provides carbon to the cell generating as end
products CO
2
and H
2
O and energy in the form of elec-
trons. This energy is stored mainly in the form of ATP to
be used in the cell metabolism. A group of special
microorganisms (Bacteria and Archaea) known as chemo-
lithoautotrophs are capable of using minerals as fuels.
Their oxidation generates electrons to obtain ATP and
the carbon is obtained by fixing CO
2
from the air. During
this aerobic mineral oxidation metals are solubilized or
bioleached.
Anaerobic respiration can also solubilize metals. In this
case, the mineral acts as an electron acceptor and the
metal is solubilized under reducing conditions. Several
microorganisms are capable of reducing heavy metals and
couple this reduction with the oxidation of energy sources
such as hydrogen or organic compounds (formate, lactate,
amino acids, and others). Characteristic examples are the
reduction of Fe and Mn, which account for good part of
organic carbon turnover in several environments. Several
of the dissimilatory metal-reducing bacteria not only
reduce Fe and Mn but also other metals such as the
toxic Cr(VI) and U(VI) and, therefore, microorganisms
like Shewanella oneidensis could also be used for
bioremediation.
The reactions just mentioned are part of normal bio-
geochemical processes in nature. They are performed
under neutral conditions or as the majority of microor-
ganisms do, at very high acidic values (pH 1–3 usually).
This article will concentrate mainly on reviewing metals
mobilization by acidophilic microorganisms.
Some of the general oxidation reactions that acido-
philes are able to catalyze are given below.
Ferrous iron:2Fe2þþ0:5O2þ2Hþ!2Fe3þþH2O
General metal sulfide:MS þ2O2!M2þþSO2–
4
Pyrite: 4FeS2þ15O2þ2H2O!2Fe2SO4
ðÞ
3þ2H2SO4
Chalcopyrite:CuFeS2þ4Fe3þ!5Fe2þþCu2þþ2S0
Sulfur:S0þ1½O2þH2O!H2SO4
These reactions not only solubilize the metals present in
the minerals but also generate sulfuric acid. The acidophilic
microorganisms, therefore, are able to stand not only low pH
values but also very high metal concentrations. They possess
heavy metal resistance or detoxification mechanisms.
Neutrophilic bacteria have metal resistance mechanisms
involving either an active efflux or a detoxification of
metal ions by different transformations (Figure 1). In the
case of copper, for example, these include intracellular
complexation, decreased accumulation, extracellular com-
plexation, or sequestration in the periplasm. Neutrophilic
bacteria are able to grow in a range of copper concentration
between 1 and 8 mmol l
1
depending on the species.
However, acidophiles such as Acidithiobacillus ferrooxidans or
archaeons such as Sulfolobus metallicus can resist concentra-
tions of copper up to 800 and 200 mmol l
1
, respectively.
Most likely, they possess additional mechanisms to those
present in neutrophiles, allowing them to have such dra-
matic metal resistance. It has been proposed that in
microorganisms possessing large amounts of polyP, such as
some chemolithoautotrophic acidophilic bacteria and
archaea, these polymers may be actively involved in the
elimination of toxic heavy metals such as Cu. This detox-
ification would take place through the enzymatic hydrolysis
of polyP that would generate free phosphate that would
bind the excess of cytoplasmic metal to form a metal–
phosphate complex that is transported outside the cell
through phosphate transporters (Figure 1). These proper-
ties make these microorganisms very appropriate for their
use in biomining and also for the bioremedation or removal
of heavy metals from polluted places (see below).
Microbial Extraction of Metals from Ores
and Biomining
The microbial solubilization of metals is widely and suc-
cessfully used in industrial processes called bioleaching of
ores or biomining, to extract metals such as copper, gold,
uranium, and others. This process is done by using che-
molithoautotrophic microorganisms. There is a great
variety of microorganisms capable of growth in situations
that simulate biomining commercial operations and many
different species of microorganisms are living at acid mine
drainage (AMD) sites. The most studied leaching bacteria
are from the genus Acidithiobacillus.A. ferrooxidans
(Figure 2(b)) and Acidithiobacillus thiooxidans are acidophi-
lic mesophiles and together with the moderate
thermophile Acidithiobacillus caldus, they belong to the
Gram-negative -proteobacteria. Figure 2(c) shows
A. ferrooxidans cells growing in the form of a biofilm on
the surface of an elemental sulfur particle, most likely as a
monolayer. When this biofilm is removed from the solid
particle by using a detergent (Figure 2(d)), only those
cells attached more strongly to the sulfur particle are
remaining. They are seen as attacking the sulfur surface
through a ‘pitting’ in which some cells are still tightly
bound to the cavities and others have been released,
leaving empty cavities. A similar attack has been observed
on the surface of other minerals such as pyrite.
764 Metal Extraction and Biomining

Members of the genus Leptospirillum are other important
biomining bacteria that belong to a new bacterial division.
Some Gram-positive bioleaching bacteria belonging to the
genera Acidimicrobium,Ferromicrobium,andSulfobacillus have
also been described. Biomining using extremely thermo-
philic archaeons capable of oxidizing sulfur and iron (II)has
been known for many years, and the archaeons are mainly
from the genera Sulfolobus (Figure 2(b)), Acidianus,
Metallosphaera,andSulfurisphaera. Recently, some mesophi-
lic iron (II)-oxidizing archaeons belonging to the
Thermoplasmatales have been isolated and described –
Ferroplasma acidiphilium and Ferroplasma acidarmanus.Infact,
a consortium of different microorganisms participates in the
oxidative reactions, resulting in the extraction of dissolved
metal values from ores.
Industrial biomining operations are of several kinds
depending on the ore type and its geographical location,
the metal content, and the specific minerals present
(metal oxides, metal sulfides of different kinds). One of
the most used setups for the recovery of gold or copper is
the irrigation type of processes. These involve the perco-
lation of leaching solutions through the crushed ore that
can be contained in a column, a heap or a dump. In
Figure 3, we can see a scheme in which the crushed ore
to bioleach is transported to an agglomeration tank or
drum where it is acidified. This process is the key one
since the bigger ore particles are surrounded by the very
fine particles that stick to them thus preventing all the
particles especially the fine material sediment to the
bottom of the heap. In this way irrigation and aeration
of the heap takes place from the top to the bottom,
allowing a much more homogeneous growth of the micro-
organisms and therefore a better metal solubilization. The
heap can be 6–10 m tall and 100 or more meters long and
wide and is constructed over irrigation pads lined with
high-density polyethylene to avoid losses of the pregnant
copper-containing solution (Figure 3). This solution con-
taining copper sulfate generated by the microbial
solubilization of the insoluble copper sulfides present in
the ore is subjected to solvent extraction to have a highly
concentrated copper sulfate solution from which the
metal is recovered in an electrowinning plant to generate
electrolytic copper of high purity (Figure 3). Since most
mining operations are located in areas where water is
scarce, the spent leach liquors or raffinates are recircu-
lated to the heap for further irrigation. This has to be
controlled because the liquor is being enriched in salts
that can rather select for those microorganisms able to
stand the high salt and are not necessarily the most fit for
the biooxidation reactions.
(c)
(a)
(b)
(d)
Figure 2 Some examples of acidophilic microorganisms that participate in metal extraction through biomining. (a) Acidithiobacillus
ferrooxidans cells. (b) A group of Sulfolobus metallicus cells. (c) A biofilm, possibly a monolayer of A. ferrooxidans cells growing on
the surface of an elemental sulfur prill. (d) Most of the biofilm of A. ferrooxidans seen in (c) was removed from the solid particle by
using a detergent and vigorous shaking of the sample. The remaining cells seen are those more strongly adhered to the particle.
Cells in (a) and (b) were observed by transmission electron microscopy (TEM) of unstained preparations and those in (c) and (d) by
scanning electron microscopy. The arrows in each case point to electron dense polyphosphate granules that may help
these microorganisms in their extremely high metal tolerance.
Metal Extraction and Biomining 765

Bioleaching bacteria can also be used for gold recov-
ery. Gold is usually found in nature associated with
minerals containing arsenic and pyrites (arsenopyrites).
During gold bioleaching, the iron- and sulfur-oxidizing
microorganisms attack and solubilize the arsenopyrite
releasing the trapped gold particles. Following this
release, the gold is complexed with cyanide according to
standard gold-mining procedures. Instead of using big
leaching heaps or dumps as in the case of bioleaching of
copper ores, gold bioleaching is usually done by using
highly aerated stirred tank bioreactors connected in ser-
ies. Since these reactors are expensive to build, they are
used with high-grade ores or with mineral concentrates.
The advantage of tank reactors over heaps and dumps,
which are ‘open bioreactors’, is that in the tanks condi-
tions can be controlled, thus having a much faster and
efficient metal extraction process.
Currently, there are operations using both mesophilic
and thermophilic microorganisms. Biomining has distinc-
tive advantages over the traditional mining procedures.
For example, it does not require the high amounts of
energy used during roasting and smelting and does not
generate harmful gases such as sulfur dioxide.
Nevertheless, AMD can be generated, which if not prop-
erly controlled, pollutes the environment with acid and
metals. Biomining is also of great advantage since not only
discarded low-grade ores from standard mining proce-
dures can be leached in an economically feasible way
but also some high-grade ores. In countries like Chile,
which is actually the first world copper producer, many
mining operations process from 10 000 to 40 000 tons of
ore per day and produce between 10 000 and 200 000 tons
of copper per year by using heap or dump bioleaching of
minerals such as oxides, chalcocite, covellite, chalcopyr-
ite, and others. Similar situations take place in United
States, Australia, and other countries. The most successful
ones have been those processing copper oxides and sec-
ondary copper sulfides. However, chalcopyrite is the most
abundant copper sulfide in the world. Since it is the most
difficult to be solubilized by microorganisms, there is
actually great interest in developing processes mainly
using thermophilic biomining microorganisms.
Acidiophilic Microorganism–Mineral
Interaction
The microorganisms used in biomining belong to those
known as extremophiles since they live in extremely
acidic conditions (pH 1–3.0) and in the presence of very
high toxic heavy metals concentrations. Considerable
effort has been spent in the past few years to understand
the biochemistry of iron and sulfur compounds oxidation,
bacteria–mineral interactions, and the several adaptive
responses that allow the microorganisms to survive in a
bioleaching environment. All of these are considered key
phenomena for understanding the process of biomining.
How do the bacterial cells recognize the site of attach-
ment in the ores from which they will extract the metals?
Do they have a specific way to detect or sense where the
oxidizable substrate is present in the rocks? Ample evi-
dence has shown that attachment of the bacterial cells to
metal sulfides does not take place randomly. For example,
A. ferrooxidans cells preferentially adhere to sites with
visible surface scratches and it is seen to form pitting at
the surface of minerals as already seen in Figure 2.
Bacteria such as A. ferrooxidans and Leptospirillum
ferrooxidans have been shown to possess a chemosensory
system that allows them to have chemotaxis, that is, the
capacity to detect gradients of oxidizable substrates being
extracted from the ores such as Fe (II)/Fe (III) ions, thio-
sulfate, and others (Figure 4). The response is the positive
Crushed
ore
Acidification and
agglomeration
tank
Irrigation
Bioleaching heap
H2SO4
Recirculation
of spent leach
liquors
Pregnant
copper-containing
solution
Solvent
extraction
Electrowinning
Electrolytic
copper
Figure 3 A scheme showing the construction of a heap bioleaching process to obtain copper in a large scale.
766 Metal Extraction and Biomining

chemotactic attraction to the sites that will constitute
specific favorable mineral attachment sites.
It is known that most leaching bacteria grow attached
to the surface of the solid substrates such as elemental
sulfur and metal sulfides. This attachment is predomi-
nantly mediated by extracellular polymeric substances
(EPS) surrounding the cells and whose composition is
adjusted according to the growth substrate (Figure 4).
Thus, planktonic or free-swimming cells grown with
soluble substrates such as iron (II) sulfate produce almost
no EPS.
Biofilms are organized layers of bacteria associated to a
solid surface by means of the matrix of EPS. The envir-
onment within this community favors intercellular
interactions between bacteria. Thus, in the presence of
oxygen or aerobiosis, A. ferrooxidans can respire this ele-
ment and oxidize Fe (II). Some of these microorganisms
are also able to perform Fe (III) respiration under anaero-
biosis, regenerating Fe (II) that can be used by those
microbial cells closer to the oxygen within the biofilm
structure. Other types of bacteria forming part of the
microbial biofilm consortium will generate compounds
useful to other members of the community and they can
themselves benefit from the metabolic byproducts of
other microbes present in the biofilm.
Several microorganisms are known to monitor their
own population density through processes collectively
described as quorum sensing (QS), and in several cases
there is strong evidence indicating that biofilm formation
is affected by QS. In most cases, specific genes within the
bacterium are switched on at a defined population density
(defined bacterial quorum) and the result obtained is the
activation of functions under the control of a quorum
sensor. In almost all cases, the capacity to detect a bacter-
ium quorum depends on the release of a signal molecule
from the microorganism that accumulates in proportion
to the cell number (Figure 4). Thus, QS represents a
multicellular action in bacteria, where each cell commu-
nicates with each other to coordinate their behavior. Very
recently, it has been demonstrated that A. ferrooxidans not
only contains quorum sensor signal molecules but may
induce the expression of genes related to QS and EPS
production when grown attached to a solid substrate.
Thus, modulation of the attachment of the microorgan-
isms to ores through interferences of their QS responses
can be envisaged as a new way to control metal extraction
by these microorganisms.
A.ferrooxidans is also able to develop biofilm structures
when growing in solid substrates such as elemental sulfur
or metal sulfides and presents morphological modifica-
tions during the cellular adhesion process. For example,
new proteins related to sulfur metabolism appear in the
surface of A. ferrooxidans when grown in sulfur. This is
clearly seen in Figure 5, in which a primary antibody
specific against a protein related to sulfur metabolism is
bound to the surface of A. ferrooxidans cells grown in sulfur
Figure 4 A diagrammatic representation showing the main steps of the bacteria–mineral interaction. Details of the attack of
Acidithiobacillus ferrooxidans on the mineral pyrite are shown in the amplified inset. The cell is embedded in an extracellular polymeric
substances (EPS) biofilm in which the indirect mechanism generates ferrous iron and thiosulfate, which is finally oxidized to sulfuric acid.
Inset Reproduced from Rohwerder T, Gehrke T, Kinzler K, and Sand W (2003). Bioleaching review part A: Progress in bioleaching:
Fundamentals and mechanisms of bacterial metal sulfide oxidation. Applied Microbiology and Biotechnology 63: 239–248.
Metal Extraction and Biomining 767
Detached
planktonic cells
Chemotaxis
EPS synthesis and
mineral attachment
Mature biofilm
development
+O2
–O2
Time course
Quorum sensing
Pyrite (FeS
2
)
Ferrous iron
Ferric iron
QS signal
Fe3+ Fe2+ S2O32–
FeS2
H2SO4

but is almost absent in ferrous iron-grown cells. The
primary antibody bound to the protein was recognized
by using a secondary antibody labeled with gold particles
and specific to recognize the primary antibody bound to
the sulfur-induced protein. The presence of the protein
changing its expression is seen as the black dots of gold by
transmission electron microscopy (TEM).
Mechanisms Involved in Metal
Solubilization by Acidophiles
Traditionally, it has been proposed that microorganisms
oxidize metal sulfides by either a direct or an indirect
mechanism. In the first one, the bacteria have to attach to
the mineral and the electrons would be directly extracted
by an enzymatic reaction of the microorganism. However,
there is no evidence how the bacteria break the metal–
sulfide bond of a given mineral. In the indirect mechanism,
the role of bacteria would be to oxidize ferrous ions present
in the solution to ferric ions. Ferric ions are strong oxidants
therefore will oxidize chemically the sulfide metals, being
an indirect mode of attack. Actually, many researchers
consider the existence of a contact mechanism, since the
bacteria attaches to the surface of the mineral carrying Fe
(III) bound to its exopolysaccharides, and when the micro-
organism forms a biofilm being embedded in its EPS, this
metal would chemically attack the metal sulfide generat-
ing, in the case of pyrite, ferrous iron that is reoxidized to
Fe (III) and thiosulfate that can be further oxidized to
sulfuric acid (Figure 4). The mechanism still is indirect
(known also as indirect contact mechanism). This close
contact of the bacterium with the mineral makes more
efficient and specific the sulfide oxidation.
The insoluble metal sulfides are oxidized to soluble metal
sulfates by the chemical action of ferric iron, the main role of
the microorganisms being the reoxidation of the generated
ferrous iron to obtain additional ferric iron (Figure 4).
As already mentioned, A. ferrooxidans is a chemo-
lithoauthotrophic bacterium that obtains its energy from
the oxidation of ferrous iron, elemental sulfur, or partially
oxidized sulfur compounds and it has been considered as
a model biomining microorganism. The reactions
involved in ferrous iron oxidation by A. ferrooxidans have
been studied in detail, however, the electron pathway
from ferrous iron to oxygen has not been entirely estab-
lished. The terminal electron acceptor is assumed to be a
cytochrome oxidase anchored to the cytoplasmic mem-
brane. The transfer of electrons would occur through
several periplasmic carriers, including at least the blue
copper protein rusticyanin and cytochrome c552.
Recently, a high molecular weight c-type cytochrome,
Cyc2, has been suggested to be the prime candidate for
the initial electron acceptor in the respiratory pathway
between ferrous iron and oxygen (Figure 6). This path-
way would be Cyc2 !rusticyanin !Cyc1(c552) !aa3
cytochrome oxidase. In addition, there is an apparent
redundancy of electron transfer pathways via bc(1) com-
plexes and terminal oxidases in A. ferrooxidans.
As already mentioned, thiosulfate has been postulated
as a key compound in the oxidation of the sulfur moiety of
pyrite (Figure 4). Iron (III) ions are exclusively the oxi-
dizing agents for the dissolution. Thiosulfate would be
consequently degraded in a cyclic process to sulfate, with
elemental sulfur being a side product. This explains why
only Fe(II) ion-oxidizing bacteria are capable of oxidizing
these metal sulfides. All reactions comprising this oxida-
tion have been shown to occur chemically. However,
sulfur compound-oxidizing enzymes such as the tetra-
thionate hydrolase of A. ferrooxidans,A. thiooxidans,or
T. acidophilus may also be involved in the process.
The oxidation of some metal sulfides such as chalco-
pyrite generates elemental sulfur as a side product instead
of thiosulfate (Figure 6). The aerobic oxidation of ele-
mental sulfur by A. ferrooxidans and other microorganisms
is carried out by a sulfur dioxygenase (SDO) and a sulfite
oxidoreductase (SOR) (Figure 6).
Fe S0
(a) (b)
Figure 5 Example of changes on the Acidithiobacillus ferrooxidans surface depending on growth conditions. It is known that
A. ferrooxidans produces a protein in high amounts when the bacterium grows on elemental sulfur and not in ferrous iron (Fe). To see the
location of that protein, an immunological system was used in which a gold particle (black dots) indicates the presence of the protein in
the cells grown in ferrous iron (Fe) (a) or elemental sulfur (b).
768 Metal Extraction and Biomining

It is important to remark here that the ultimate oxidiz-
ing agent for iron (II) and reduced inorganic sulfur
compounds is oxygen, since often the transport of dis-
solved oxygen is the rate-limiting step in commercial
bioleaching operations.
Biomining in the Postgenomic Era
Systems microbiology, which is part of systems biology, is a
new way to approach research in biological systems. By this
approach, it may be possible to explore the new properties of
microorganisms that arise from the interplay of genes, pro-
teins, other macromolecules, small molecules, and the
environment. This is particularly possible today due to the
large numbers of genomic sequences that are becoming
increasingly available. However, additional genomic
sequences of the different biomining microorganisms will be
required to define the molecular adaptations to their environ-
ment and the interactions between the members of the
community.
The use of genomics, metagenomics, proteomics and
metaproteomics (Figure 7), together with metabolomics
to study the global regulatory responses that the biomin-
ing community uses to adapt to their changing
environment is just beginning to emerge. These powerful
OMICS approaches will have a key role in understanding
the molecular mechanisms by which the microorganisms
attack and solubilize ores. Furthermore, they offer the
possibility of discovering exciting new findings that will
allow analyzing the community as a microbial system,
determining the extent to which each of the individual
participants contributes to the process, and how they
evolve in time to keep the conglomerate healthy. This,
taken together with the physicochemical, geological, and
mineralogical aspects of the process, will allow improving
the efficiency of this important biotechnology.
Biomining Community Diversity Analysis
Of extreme importance is not only to know the micro-
organisms present in a bioleaching operation, but to be
able to monitor their behavior during the process, to
determine the predominant species and the way they
evolve in time with the changing environment as the
metals are solubilized. In recent years, several molecular
methods have been developed for other microorganisms
and these have been successfully applied to many biomin-
ing operations. The most common techniques employed
to explore the bacterial diversity use 16S rRNA and
rDNA profiles and are culture-independent methods.
Among these methods are included fluorescence in situ
hybridization (FISH), denaturing gradient gel electro-
phoresis (DGGE), real time PCR, DNA microarrays,
and others (Figure 7).
FeCuS2
EPS
Cu2+ + So
Fe2+
1/2O2 + 2H+ H2O
QH2
Q
1/2O2 + 2H+ H2O NAD(P) NAD(P)H
Cyc2
Rus
Cyc1
IM
CycA2 CycA2 Iro
Cyt
ox bc1
I NDH
I ba3
CycA1
Reverse electron
flow
OM
Fe3+
SDO SOR
S–SH SO32– SO42–
?
Figure 6 Simplified model showing the main protein components (in red) present in the periphery of the cell and involved in the
transfer of electrons from ferrous iron to oxygen and those oxidizing elemental sulfur (in yellow) and transferring the electrons to
oxygen. This model represents the indirect mechanism of mineral attack by the ferric iron bound to the EPS of the Acidithiobacillus
ferrooxidans cells. As an example, chalcopyrite is shown from which ferrous iron, copper (II), and elemental sulfur are generated upon
its oxidation. SDO, sulfur dioxygenase; SOR, sulfite oxidoreductase. Adapted from Rawlings DE (2005) Characteristics and adaptability
of iron- and sulfur-oxidizing microorganisms used for the recovery of metals from minerals and their concentrates. Microbial Cell
Factories 4: 13.
Metal Extraction and Biomining 769

Genomics
A. ferrooxidans was the first biomining microorganism
whose genome was sequenced by TIGR. This informa-
tion has been very useful to do genome-wide searches for
candidate genes for important metabolic pathways and
several important physiological functions, which can
now be addressed. Furthermore, predictions for the func-
tions of many new genes can be done. The main focus of
research has been the energy metabolism that is directly
responsible for bioleaching. Genes involved in phosphate,
sulfur, and iron metabolism, QS, those potentially
involved in several other functions such as metal resis-
tance and amino acid biosynthesis pathways, and those
involved in the formation of EPS precursors have been
studied. Having the genomic sequence of a given biomin-
ing microorganism is very important, since it is then
possible to formulate hypothesis about the regulation of
the expression of most of these genes under different
environmental conditions. Metabolic reconstruction and
modeling provides an important preliminary step in
understanding the unusual physiology of this extremo-
phile especially given the severe difficulties involved in
its genetic manipulation and biochemical analysis.
However, all these bioinformatic predictions will have
to be demonstrated experimentally by using functional
genomics, proteomics, and other approaches. The exis-
tence of paralog genes that show sequence similarities but
may have different functions in the same microorganism
becomes obvious only when the genome sequence is
available.
So far, there are few genomic sequences of acidophilic
microorganisms usually found in biomining or AMD
places. These are for the bacteria A. ferrooxidans,
Leptospirillum group II, and Acidiphilium cryptum. It has
also been mentioned that although not yet publicly
available, the genome sequences of A. thiooxidans and
A. caldus have been determined. Amongst the archaea,
Metallosphaera sedula and F. acidarmanus genome sequences
are available. Sulfolobus acidocaldarius and Sulfolobus tokodaii
are also known, although they have not been reported as
having a role in bioleaching. It is therefore not difficult to
predict in the very near future the generation of new
DNA microarrays to monitor not only all the microor-
ganisms present in samples from industrial operations
(Figure 7) but also specific genes such as those indicating
the nutritional or stress state of the microorganisms or
Cultivable single
microorganisms
DNA extraction
Molecular
cloning Molecular
cloning
Genomic library
DNA microarrays
Genome
sequence
Functional
genomics Annotated
genome
Genomics Proteomics Metaproteomics Metagenomics
Reverse
genetics
Reverse
genetics
Metagenome
sequence
Functional
analysis
screening
in situ Spot
digestion and
mass spectrometry
Whole sample
FT-MS analysis
Metagenomic library
2D Gel
electrophoresis
Protein
extract
Total community
protein extract
Systems microbiology of the biomining community
Total community
genomic DNA
extraction
Community diversity
analysis Fish
RFLP
DGGE
ARDRA
Microarrays
400 800
m/z
1200
Figure 7 Systems microbiology and the use of OMICS approaches to study microbial communities as applied to biomining microbes.
Modified from Valenzuela L, Chi A, Beard S, et al. (2006). Genomics, metagenomics and proteomics in biomining microorganisms.
Biotechnology Advances 24: 197–211.
770 Metal Extraction and Biomining

those involved in iron or sulfur compound oxidation
whose products will be predominant during different
stages of active bioleaching.
Functional genomics
One of the most used techniques to study differential
genome expression at the level of mRNA synthesis, tran-
scriptomics, or the functional analysis of new and
characterized genes is the use of DNA microarrays.
However, a prerequisite to apply microarrays is to know
the genomic sequence of the organism to be analyzed.
The use of microarrays based on the entire genome of
A. ferrooxidans and other microorganisms will enable a
nearly complete view of gene expression of the members
of the microbial community under several biomining
conditions, helping to monitor their physiological state
and adjustment made during the bioleaching process.
A first preliminary pilot DNA macroarray formed with
70 different genes has been used to study the relative
variations in mRNA abundance of some genes related
with sulfur metabolism in A. ferrooxidans grown in differ-
ent oxidizable substrates. A genome-wide microarray
transcript profiling analysis (approximately 3000 genes
of the A. ferrooxidans ATCC 23270 strain) has also been
performed. The genes preferentially transcribed in fer-
rous iron growth conditions or in sulfur conditions were
studied. The results obtained supported and extended
models of iron and sulfur oxidation (Figure 6) and sup-
ported the possible presence of alternate electron
pathways and that the oxidation of these two kinds of
oxidizable substrates may be coordinately regulated. By
using the same approach, the expression of the genes
involved in carbon metabolism of A. ferrooxidans has
been studied in response to different oxidizable substrates.
As already mentioned, some mining companies are
currently interested in doing transcriptomic analysis of
their newly isolated microorganisms with improved capa-
cities to leach copper since they already have obtained
their genomic sequences.
A very interesting alternative approach can be used to
analyze gene function in environmental isolates without
knowing the sequence of the microorganism of interest.
A random genomic library from the isolated microorgan-
ism can be printed on a microarray. Gene expression by
using total RNA extracted from the microorganism grown
under different conditions can be determined. With this
approach, it is possible to select and sequence only
those clones bearing the genes that showed an altered
expression pattern. Shotgun DNA microarrays are very
powerful tools to study gene expression with environ-
mental microorganisms whose genome sequence is still
unknown.
In the near future, the use of microarrays based on the
entire genomes of biomining microorganisms will allow
having a nearly complete view of gene expression of the
members of the microbial community under several bio-
mining conditions, helping to monitor their physiological
state and adjustment made during the bioleaching process.
Metagenomics
Metagenomics is the culture-independent genomic ana-
lysis of microbial communities. In conventional shotgun
sequencing of microbial isolates, all shotgun fragments are
derived from clones of the same genome. To analyze the
genomes of an environmental microbial community
(Figure 7), the ideal situation is to have a low diversity
environment. Such systems were found when analyzing
the microbial communities inhabiting a site of extreme
AMD production, in which few types of organisms were
present. Still, variation within each species might compli-
cate assembly of the DNA fragments. Nevertheless,
random shotgun sequencing of DNA from this natural
acidophilic biofilm was used. It was possible to recon-
struct the near-complete genomes of Leptospirillum group
II and Ferroplasma type II and partially recover three other
genomes. The extremely acidic conditions of the biofilm
(pH about 0.5) and relatively restricted energy source
combine to select for the small number of species found.
The analysis of the gene complement for each organism
revealed the metabolic pathways for carbon and nitrogen
fixation and energy generation. For example, genes for bio-
synthesis of isoprenoid-based lipids and for a variety of
proton efflux systems have been identified, providing
insights into survival strategies in the extreme acidic envir-
onment. Clearly, the metagenomic approach for the study of
microbial communities is a real advancement to fully under-
stand how complex microbial communities function and
how their component members interact within their niches.
A full understanding of the biomining community also will
require the use of all these current molecular approaches.
Proteomics
Proteomics provide direct information of the dynamic
protein expression in tissue or whole cells, giving us a
global analysis. Together with the significant accomplish-
ments of genomics and bioinformatics, systematic analysis
of all expressed cellular components has become a reality
in the post genomic era, and attempts to grasp a compre-
hensive picture of biology have become possible.
One important aspect of proteomics is to characterize
proteins differentially expressed by dissimilar cell types
or cells imposed to different environmental conditions.
Two-dimensional polyacrylamide gel electrophoresis
(2D-PAGE) in combination with mass spectrometry
(MS) is currently the most widely used technology for
comparative bacterial proteomics analysis (Figure 7).
The high reproducibility of 2D-PAGE is particularly
valuable for multiple sample comparisons. In addition, it
directly correlates the changes observed at the peptide
level to individual protein isoforms.
Metal Extraction and Biomining 771

2D-PAGE separates a complex mixture of proteins
such as those present in a bacterial cell extract based on
the isoelectric point of the proteins in the first dimension
(isoelectrofocusing gel). These proteins or groups of pro-
teins are further resolved in a second dimension (SDS-
PAGE), in which the proteins are all negatively charged
and are separated based on their molecular masses
(Figure 7). Actual 2D-PAGE procedures can resolve
around 1000 protein spots in a single run. One of the
limitations of 2D-PAGE is that only the most abundant
proteins in the cell can be detected. Therefore, to increase
the resolution of the method, it is also possible to analyze
a subproteomic cell fraction instead of the total cell
proteins as shown for the periplasmic proteins from
A. ferrooxidans.
The high reproducibility of 2D-PAGE is particularly
valuable for multiple sample comparisons. In addition, it
directly correlates the changes observed at the peptide
level to individual protein isoforms. This is a typical
‘reverse genetics’ approach in which (after isolating from
a 2D-PAGE gel) an individual protein is differentially
expressed in a condition of interest, and the amino acid
sequence of a peptide from the protein is obtained to
identify its possible homologue in databases. With this
information, its coding gene and genomic context can be
searched using the genome DNA sequence (Figure 7).
Depending on these results, a suggested function could be
hypothesized. It will be of great importance to demon-
strate the expression of putative genes related to EPS
synthesis in A. ferrooxidans cells grown on different metal
sulfides and to find out if these genes are involved in cell
attachment and biofilm formation. In this regard, A. fer-
rooxidans is known to form biofilms on solid substrates
(Figure 2). In an AMD biofilm analyzed by the proteomic
approach, it was not known which microorganisms are
responsible for the production of the polymer embedding
the community. However, the presence of numerous gly-
cosyltransferases and polysaccharide export proteins in
the predominant bacterial species also suggests a role in
biofilm formation.
Several studies have used 2D-PAGE to study changes
in protein expression of A. ferrooxidans under different
growth conditions. Proteins induced under heat shock,
pH stress, phosphate limitation, or the presence of copper
have been reported. A set of proteins that changed their
levels of synthesis during growth of A. ferrooxidans in metal
sulfides, thiosulfate, elemental sulfur, and ferrous iron has
been characterized by using 2D-PAGE.
During growth of A. ferrooxidans in metal sulfides con-
taining iron, such as pyrite and chalcopyrite, proteins
upregulated both in ferrous iron and in sulfur compounds
were synthesized, indicating that the two energy-generating
pathways are simultaneously induced depending on the
kind and concentration of the available oxidizable
substrates.
In the past decade, an increasing number of sequenced
genomes provided good options for high-throughput
functional analysis of proteomes. Proteomic studies are
well advanced for diverse bacteria, such as the model
bacterium Escherichia coli and others. Nevertheless, there
is still a lack of data for identification of proteins from
organisms with unannotated or unsequenced genomes,
which makes large-scale microbacterial proteomics ana-
lysis a challenge. With the development of highly
sensitive and accurate computational gene-finding meth-
ods, new microbial genomes could be explored and
scientific knowledge of them could be maximized.
Traditional 2D gel electrophoresis coupled with MS is
time consuming as a result of the nature of spot-by-spot
analysis and it is biased against low abundance proteins,
integral membrane proteins, and proteins with extreme pI
or molecular weight (MW). Alternatively, solution-based
approaches offer unbiased measurement of relative pro-
tein expression regardless of their abundance, subcellular
localization, or physicochemical parameters (Figure 7).
This methodology, however, results in extremely com-
plex samples. For instance, of the 4191 predicted genes in
the complete genome of E. coli, 2800 of them are believed
to be expressed at any one time. Additional complexity is
introduced upon enzymatic digestion, which generates
multiple peptide species for each protein. To obtain com-
prehensive protein expression information from the
samples, a chromatographic separation step prior to MS
protein analysis is often necessary. High performance
liquid chromatography (HPLC) coupled with online
electron spray ionization MS (ESI-MS/MS) has been
proved to be a valid approach for analyzing protein
expression in complex samples. Alternatively, Fourier
transform ion cyclotron resonance mass spectrometer
(FT-ICR MS) is well suited for the differential analysis
of protein expression due to the high mass accuracy and
high resolution as well as its inherent wide dynamic
range. Peptide charge state can be readily derived with
the accurate isotopic peak distribution information pro-
vided by FT MS experiment, and co-eluting species with
the same nominal m/z ratio can be resolved. The differ-
entially expressed m/z values identified can be assigned
to the peptide sequences and, subsequently, differentially
expressed proteins can be identified (Figure 7).
In the periplasm of A. ferrooxidans, 216 proteins were
identified, several of them changing their levels of synth-
esis when the bacterium was grown in thiosulfate,
elemental sulfur, or ferrous iron media. Thirty four per-
cent of them corresponded to unknown proteins. Forty
one proteins were exclusively present in sulfur-grown
and 14 in thiosulfate-grown cells. The putative genes
coding for all the proteins were localized in the available
genomic sequence of A. ferrooxidans ATCC 23270. The
genomic context around several of these genes suggests
772 Metal Extraction and Biomining

their involvement in sulfur metabolism and possibly in
sulfur oxidation and formation of Fe–S clusters.
Metaproteomics
Recently, the term ‘metaproteomics’ was proposed for the
large-scale characterization of the entire protein comple-
ment of environmental microbiota at a given point in
time. High-throughput MS has been used in a metapro-
teomic approach to study the community proteomics in a
natural AMD microbial biofilm. Two thousand and
thirty-three proteins from the five most abundant species
in the biofilm were detected, including 48% of the pre-
dicted proteins from the dominant biofilm organism
Leptospirillum group II. It was also possible to determine
that one abundant novel protein was a cytochrome
central to iron oxidation and AMD formation in the
natural biofilm. This novel approach together with func-
tional metagenomics can offer an integrated study of a
microbial community to establish the role each of the
participant plays and how they change under different
conditions.
The goal of functional proteomics is to correlate the
identification and analysis of distinct proteins with the
function of genes or other proteins. With the discovery of
a variety of modular protein domains that have specific
binding partners, it has become clear that most proteins
occur in protein complexes and that the understanding of
a function of a protein within the cell requires the identi-
fication of its interacting partners. In the case of a
biomining bacterium such as A. ferrooxidans, the identifi-
cation of protein complexes involved in oxidative
reactions is of high priority. What complexes are formed
by cytochrome-like proteins such as rusticyanin (Rus in
Figure 6) with other proteins in the periplasm? Do some
periplasmic proteins form a complex involved in sulfur
compound oxidation in the periplasm? What other com-
plexes of oxidative reactions are present in this
microorganism? Proteomics may answer these and many
other questions that will help to understand better the
biomining process.
The OMICS procedures briefly analyzed and sum-
marized in Figure 7 should be used in close conjunction
with the known physiological functions of the microor-
ganisms being studied. It should be possible to better
control the activity of the bacteria and archaea by giving
them the appropriate nutritional and physicochemical
conditions, and by interfering with some of these micro-
biological functions in order to enhance their action (for
metal extraction) in the case of biomining or to inhibit
their capacities to control AMD. As already mentioned
(Figure 4), some of these key physiological behaviors are
chemotaxis, QS, and biofilm formation. Bacteria such as
A. thiooxidans and L. ferrooxidans clearly possess chemotac-
tic systems and are attracted by a concentration gradient
of thiosulfate or ferrous iron such as the one generated on
the surface of pyrite (Figure 4). This sensing ability is
very important for the specific bacterial adherence at the
places where the substrates to be solubilized through
oxidation are present.
The development of efficient transformation or con-
jugation systems to introduce DNA to generate mutations
affecting a gene of interest by using gene knockout sys-
tems is almost entirely lacking for biomining
microorganisms. These tools will be essential not only to
perform functional genomics and have experimental
demonstrations for the suggested gene functions based
on bioinformatics analysis of the postgenomic data, but
also to eventually improve some physiological bacterial
capabilities. At the same time, the new OMICS methods
are greatly helping to monitor more precisely the biomin-
ing consortia, and it is expected that providing the right
physiological conditions to the community together with
proper chemical or physical manipulations of the bacter-
ial environment will further improve bioleaching rates in
biomining operations.
Environmental Effects of Metals
Solubilization and Bioremediation
The acidophilic microorganisms mentioned, mobilize
metals and generate AMD, causing serious environmental
problems. AMD should be remediated or abated. Often
there is a sealing of the contaminated sites or the location
of barriers to contain the acidic fluids. Many approaches
use prevention techniques to avoid further spillage of
acidic effluents in the contaminated area. It can be con-
trolled by chemical treatments such as the use of calcium
oxide that neutralizes the acid pH. It is also possible to
inhibit the acidophilic microorganisms responsible of the
acid generation. This can be done by using certain organic
acids, sodium benzoate, sodium lauryl sulfate, or quatern-
ary ammonium compounds that will affect the growth of
bacteria such as A. ferrooxidans.
Bioremediation or removal of the toxic metals from
these contaminated soils can be achieved by a very inter-
esting combination of two opposite biological activities:
that of sulfur-oxidizing bacteria with the one of sulfate-
reducing microorganisms. In a first step, the sulfur-
oxidizing bacteria generate sulfuric acid which bioleaches
or solubilizes the metals in the solid phase of the soil. The
leachate metals are then precipitated in a second step by
using a bioreactor in which the hydrogen sulfide gener-
ated by the sulfate-reducing bacteria under neutral and
anaerobic conditions forms insoluble metal sulfides,
which are eliminated (Figure 8). Metal contaminants
such as Cu, Cd, Ni, and others can be efficiently leached
from contaminated soils. The effluents obtained from
such a process are clean enough of the metals that they
can be reused in the environment.
Metal Extraction and Biomining 773

Bioleaching microorganisms such as A. ferrooxidans can
also have other uses to help avoiding metal contaminations
in modern societies. For example, this bacterium has been
successfully used to recover metals such as cadmium from
spent batteries. By using bioreactors, A. ferrooxidans is grown
attached on elemental sulfur. The bacteria generate sulfuric
acid through the oxidation of sulfur that is then used for the
indirect dissolution of spent nickel–cadmium batteries
recovering after 93 days 90–100% of cadmium, nickel,
and iron. Bioleaching of spent lithium ion secondary bat-
teries, containing lithium and cobalt, has also been explored.
These approaches are not only economically valuable but
maybeaneffectivemethodwhichcouldbeconsideredthe
first step to recycle spent and discarded batteries preventing
one of the many problems of environmental pollution.
Conclusions
Microorganisms (Bacteria and Archaea) require several
metals that are essential for their life. However, when the
metal concentrations reach toxic levels, they also possess
metal resistance mechanisms that involve active efflux or a
detoxification of metal ions by different transformations.
They can transform most toxic metals to less soluble or less
volatile forms by intracellular complexation, decreased
accumulation, extracellular complexation, or sequestration
in the periplasm. Some of these activities result in the
solubilization or extraction of metals, which are success-
fully used in environmental biotechnological applications.
The aerobic mineral oxidation or the anaerobic
respiration of different microorganisms can result in the
solubilization or extraction of metals. All these bacteria–
metal interactions are part of the normal biogeochemical
processes in nature.
The microbial solubilization of metals in acid environ-
ments is successfully used in industrial processes called
bioleaching of ores or biomining, to extract metals such
as copper, gold, uranium and others. On the contrary, the
acidophilic microorganisms mobilize metals and generate
AMD, causing serious environmental problems. However,
bioremediation or removal of the toxic metals from con-
taminated soils can be achieved by using the specific
properties of microorganisms interacting with metals.
Current approaches to study microorganisms consider
the microorganism or the community as a whole, inte-
grating fundamental biological knowledge with genomics,
proteomics, metabolomics, and other data to obtain a
global picture of how a microbial cell or a community
functions. This new knowledge will help not only in
understanding microbiological phenomena but it will be
also useful to improve applied microbial biotechnologies.
Further Reading
Baker-Austin C and Dopson M (2007) Life in acid: pH homeostasis in
acidophiles. Trends in Microbiology 15: 165–171.
Farah C, Vera M, Morin D, Haras D, Jerez CA, and Guillani N (2005)
Evidence of a functional quorum sensing type AI-1 system in the
extremophilic bacterium Acidithiobacillusferrooxidans.Applied and
Environmental Microbiology 71: 7033–7040.
Jerez CA (2007) Proteomics and metaproteomics applied to biomining
microorganisms. In: Donati E and Sand W (eds.) Microbial
Processing of Metal Sulfides, pp. 241–251. Springer: The
Netherlands.
Lloyd JR, Anderson RT, and Macaskie LE (2005) Bioremediation of
metals and radionuclides. In: Atlas RM and Philp JC (eds.)
Contaminated soil
Bioleaching step
M (solid)
M
2+
+
SO
42–
Acidophilic, aerobic sulfur-
oxidizing bacteria
Nutrients
Sulfur
Inoculum
Nutrients
Sulfur
Inoculum
Clean soil
Bioprecipitation step
Neutrophilic, anaerobic
sulfate-reducing bacteria
SO
42–
S
2–
M
2+
+
S
2–
MS
Solid metal sulfides
Effluent free
of metals
Percolated effluent
Figure 8 A schematic diagram illustrating a process for the bioremediation of soils polluted with metals.
774 Metal Extraction and Biomining

Bioremediation: Applied Microbial Solutions for Real-World
Environmental Cleanup, pp. 293–317. Washington, DC: ASM Press.
Lovley DK (2000) Fe(III) and Mn(IV) reduction. In: Derek DK (ed.)
Environmental Microbe–Metal Interactions, pp. 3–30. Washington,
DC: ASM Press.
Nealson KH, Belz A, and McKee B (2002) Breathing metals as a way of
life: Geobiology in action. Antonie van Leeuwenhoek 81: 215–222.
Olson GJ, Brierley JA, and Brierley CL (2003) Bioleaching review part B:
Progress in bioleaching: Applications of microbial processes by the
mineral industries. Applied Microbiology and Biotechnology
63: 249–257.
Parro V and Moreno-Paz M (2003) Gene function analysis in
environmental isolates: The nif regulon of the strict iron oxidizing
bacterium Leptospirillum ferrooxidans.Procceedings of the National
Academy of Sciences of the United States of America
100: 7883–7888.
Quatrini R, Appia-Ayme C, Denis, et al. (2006) Insights into the iron and
sulfur energetic metabolism of Acidithiobacillus ferrooxidans by
microarray transcriptome profiling. Hydrometallurgy 83: 263–272.
Ram RJ, VerBerkmoes NC, Thelen MP, et al. (2005) Community
proteomics of a natural microbial biofilm. Science 308: 1915–1920.
Rawlings DE (2005) Characteristics and adaptability of iron-and sulfur-
oxidizing microorganisms used for the recovery of metals from
minerals and their concentrates. Microbial Cell Factories 4: 13.
Rohwerder T, Gehrke T, Kinzler K, and Sand W (2003) Bioleaching
review part A: Progress in bioleaching: Fundamentals and
mechanisms of bacterial metal sulfide oxidation. Applied
Microbiology and Biotechnology 63: 239–248.
Tyson GW, Chapman J, Hugenholtz P, et al. (2004) Community
structure and metabolism through reconstruction of microbial
genomes from the environment. Nature 488: 37–43.
Valenzuela L, Chi A, Beard S, et al. (2006) Genomics, metagenomics
and proteomics in biomining microorganisms. Biotechnology
Advances 24: 197–211.
Watling HR (2006) The bioleaching of disulphide minerals with emphasis
on copper sulphides – A review. Hydrometallurgy 84: 81–108.
Relevant Website
http://cmr.jcvi.org – Comprehensive Microbial Resource
Metal Extraction and Biomining 775

Mycoplasma and Spiroplasma
J Stu¨ lke, H Eilers, and S R Schmidl, Georg-August-University Go¨ ttingen, Go¨ ttingen, Germany
ª2009 Elsevier Inc. All rights reserved.
Defining Statement
Introduction
The Systematics of the Mollicutes
Biochemistry of the Mollicutes
Genetics and Molecular Biology of the Mollicutes
Accompanying Feature
Further Reading
Glossary
adhesin Bacterial protein that is involved in the
adhesion to the eukaryotic host cell.
firmicutes A monophyletic group of Gram-positive
bacteria whose genomes possess low GC content. The
mollicutes are a subgroup of the firmicutes.
phosphotransferase system (PTS) A multicomponent
system for the transport of carbohydrates into the
bacterial cell. The PTS is composed of two general
energy-coupling proteins and a set of sugar-specific
permeases. The incoming sugars are phosphorylated at
the expense of phosphoenolpyruvate concomitant with
their transport.
promoter A DNA sequence upstream of a gene that is
recognized and bound by the RNA polymerase and
used to initiate transcription.
synthetic biology A new field of biology that is devoted
to the generation of novel creatures and to the
experimental verification of our concepts of life.
terminal organelle (tip structure) A complex cell
structure characteristic of the mollicutes. The terminal
organelle is required for cell division, movement, and
adhesion to the host cell.
Abbreviations
AY-WB aster yellows Phytoplasma strain
witches broom
LC large colony
MMR multiple mutation reaction
OY-M onion yellows strain
PCR polymerase chain reaction
PTS phosphotransferase system
TCA cycle tricarboxylic acid cycle
Defining Statement
Mycoplasma and Spiroplasma species are bacteria that lack a
cell wall (the mollicutes). These organisms evolved in
close association with their eukaryotic hosts, resulting in
an extreme genome reduction. In this article, the biology
of the mollicutes is discussed with special emphasis on
their pathogenicity, cell biology, and molecular biology.
Introduction
Mycoplasmas and spiroplasmas are two important genera
of the bacterial group called mollicutes. The name molli-
cutes – soft skin – reflects the major collective characteristic
of these bacteria – the lack of a cell wall – which at the
same time distinguishes them from all other bacteria with
the exception of the chlamydiae. The lack of a cell wall is
caused by the absence of genes encoding enzymes for
peptidoglycan biosynthesis. The lack of a cell wall is clo-
sely linked to another characteristic feature of the
mollicutes – their cells are usually pleomorphic. Again,
there is no rule without exception: the cells of the genus
Spiroplasma have a helical shape (see following text).
Another important feature of the mollicutes is their
close association with eukaryotic host organisms. In nat-
ure, mollicutes are never found as free-living organisms.
Hosts are either animals including humans (Mycoplasma,
Ureaplasma) or plants and insects (Spiroplasma,Phytoplasma)
(Table 1). Mycoplasma species usually cause mild
diseases such as atypical pneumonia (Mycoplasma pneumo-
niae) or nongonococcal urethritis (Mycoplasma genitalium).
However, there is an interesting exception: Mycoplasma
alligatoris, a pathogen of alligators, causes lethal infections.
Although the infections caused by mollicutes are rarely
lethal, mollicutes pathogenic for plants and animals cause
a significant economic loss in agriculture. This is true for
cattle in Africa that are infected by Mycoplasma mycoides as
776

well as for rice crops in some regions of Southeast Asia
that are infected by phytoplasmas. These losses not only
have an economic dimension, but also a significant effect
on human nutrition in the affected regions. Mycoplasma
species such as Mycoplasma hyorhinis or Acholeplasma laidla-
wii are major sources of cell culture contamination and
have gained increasing interest. These infections are often
discovered only late in the course of an experiment and
can invalidate the scientific research.
The close association of mollicutes with eukaryotic hosts
and their adaptation to habitats with a good nutrient supply
and relatively constant growth conditions led to a remarkable
process of reductive genome evolution. The organism with
the smallest known genome capable of independent life (if
provided with rich artificial medium) is M. genitalium,a
human pathogen. This organism has a genome size of only
580 kb and encodes about 480 proteins, as compared to about
4 million bp and 4000 genes for bacteria such as Escherichia
coli or Bacillus subtilis. These small genomes made the
mollicutes important tools for the new discipline of synthetic
biology (see ‘Genomic comparisons of mollicutes’).
The Systematics of the Mollicutes
Evolution of the Mollicutes
The analysis and comparison of 16S rRNA sequences
revealed that the mollicutes belong to the Gram-positive
bacteria with genomes of low GC content. Ironically,
most members of this phylum are characterized by their
thick Gram-positive cell wall, and the group is
therefore referred to as the firmicutes. This bacterial
phylum includes the lactic acid bacteria (such as
Streptococcus and Lactobacillus), spore-forming bacteria
(Bacillus and Clostridium) and their close relatives (Listeria
and Staphylococcus). As can be seen in the phylogenetic tree
of the firmicutes (Figure 1), the mollicutes form a sister
group to the large Bacillus/lactic acid bacteria group. It is
believed that the first mollicutes emerged some 600 mil-
lion years ago and that significant loss of ancestral
genomic sequences was a major force in the evolution of
the mollicutes.
The mollicutes are subdivided in several ways. Three
traditional classifications rely on genetic or physiological
properties of the bacteria, whereas more recent classifica-
tion schemes are based on the similarity of the 16S rRNA
or conserved protein families.
Two large groups of mollicutes can be distinguished
based on their host organisms. Although most mollicutes
infect exclusively animal hosts, there are other representa-
tives (Spiroplasma and Phytoplasma) that are capable of
infecting both plant and insect hosts. Another conventional
way of classifying the mollicutes is based on their require-
ment for sterols. Most genera need sterols for growth,
whereasthisisnotthecaseforthemembersofthegenus
Acholeplasma (see Table 1). However, this requirement can
only be determined for those mollicutes that can be culti-
vated, and many (perhaps most) representatives have not
yet been cultured, including all species of the genus
Phytoplasma. Another peculiarity of most mollicutes is their
codon usage: they use the UGA codon to specify trypto-
phan rather than as a stop codon as in the universal genetic
code. Only the genera Acholeplasma and Phytoplasma among
the mollicutes use UGA as a stop codon. Because this is the
ancestral property, it can be assumed that Acholeplasma and
Phytoplasma represent the more ancestral mollicutes. This
Table 1 The systematic groups of the mollicutes
Order Genus Genome size Sterol requirement Characteristics Habitat
Mycoplasmatales Mycoplasma 580–1350 kb Yes Growth optimum: 37 C
UGA as Trp codon
Humans, animals
Ureaplasma 760–1170 kb Yes Urea hydrolysis
UGA as Trp codon
Humans, animals
Entomoplasmatales Entomoplasma 790–1140 kb Yes Growth optimum: 30 C Insects, plants
Mesoplasma 870–1100 kb No Growth optimum: 30 C
UGA as Trp codon
Insects, plants
Spiroplasma 780–2200 kb Yes Growth optimum: 30–37 C
UGA as Trp codon Helical
motile filaments
Insects, plants
Anaeroplasmatales Anaeroplasma 1500–1600 kb Yes Obligate anaerobes Bovine/ovine
rumen
Asteroleplasma 1500 kb No Obligate anaerobes Bovine/ovine
rumen
Acholeplasmatales Acholeplasma 1500–1650 kb No Growth optimum: 30–37 C
UGA as stop codon
Animals, plants,
insects
Phytoplasma 640–1185 kb Not known Uncultured in vitro
UGA as stop codon
Insects, plants
Mycoplasma and Spiroplasma 777

conclusion is supported by a phylogenetic tree based on a
concatenated alignment of 30 protein families present in all
mollicutes that places the genus Phytoplasma at the bottom of
thetree(Figure 1). The genus Acholeplasma is not included
in this analysis because of the lack of genome sequence
information. It is interesting to note that the genus
Mycoplasma is paraphyletic, and that genera such as
Spiroplasma,Mesoplasma,andUreaplasma have specific rela-
tives among the different Mycoplasma clades (Figure 1).
For practical reasons, the mollicutes are grouped in four
orders that do not represent the phylogenetic relationships.
An overview of these taxa is provided in Table 1.
Mycoplasma
As mentioned earlier, the genus Mycoplasma is a paraphy-
letic collection of mollicutes that are widespread in nature
as parasites of humans, mammals, birds, reptiles, and fish.
The first representative of the genus Mycoplasma was
identified in 1898 as the causative agent of contagious
bovine pleuropneumonia (M. mycoides). The human patho-
gens Mycoplasma hominis and M. pneumoniae were discovered
in 1937 and 1944, respectively. Even now, new species are
being identified: in 1981, M. genitalium was isolated from a
patient suffering from nongonococcal urethritis, and more
recently, Mycoplasma penetrans and Mycoplasma fermentans
were found to be associated with HIV infections.
The primary habitats of human and animal mycoplas-
mas are the mucous surfaces of the respiratory and
urogenital tracts, the eyes, the alimentary canal, and
mammary glands. In addition, cell cultures are an artificial
habitat for many Mycoplasma species. The mycoplasmas
exhibit a rather strict host and tissue specificity, probably
reflecting their highly specific metabolic demands and
their parasitic lifestyle. For example, M. pneumoniae and
M. genitalium are preferentially detected in the respiratory
and urogenital tracts, respectively.
If cultivated in the laboratory, mycoplasmas as well as
other mollicutes require complex media containing sugars,
amino acids, nucleotides, and vitamins. It has so far been
impossible to cultivate them on chemically defined media.
The complete genome sequences of ten species of the
genus Mycoplasma have been determined so far. This large
interest in the variability of the Mycoplasma genetic com-
plement is stimulated by the interest in creating artificial
organisms based on the Mycoplasma species (i.e., synthetic
biology; see following text). The genome sequences
revealed the reason for the complex nutritional require-
ments of the mycoplasmas: they lack the genes for many
biosynthetic pathways and are thus dependent on their
host or on the artificial medium to provide these required
nutrients. Another interesting feature revealed by genome
sequences is that only very few known regulatory proteins
are present. Again, this is reflective of their close adapta-
tion to one single natural habitat and a result of the
reductive evolution: while a metabolically versatile bac-
terium such as Pseudomonas aeruginosa that is capable of
thriving in a wide variety of environments reserves as
much as 10% of its genome for regulatory genes, only a
handful of these genes is found in the mycoplasmas (see
following text).
Pathogenicity has been most intensively studied with
M. pneumoniae. In contrast to most other pathogenic bac-
teria, M. pneumoniae and other mollicutes do not seem to
produce any exo- or endotoxins. However, a recent study
suggests the formation of a protein similar to ADP-
ribosylating and vacuolating cytotoxin. However, this
observation has not been confirmed by other groups.
A major factor contributing to cytotoxicity and thus to
pathogenicity of M. pneumoniae is the formation of hydro-
gen peroxide. The synthesis of hydrogen peroxide by
mycoplasmas is most strongly increased if the bacteria
are supplied with glycerol. This can be attributed to the
oxidase activity of the enzyme that oxidizes glycerol
Clostridium perfrigens
Clostridium acetobutylicum
Mycoplasma mobile
Mycoplasma pneumoniae
Mycoplasma pulmonis
Mycoplasma penetrans
Mycoplasma gallisepticum
Mycoplasma genitalium
Mycoplasma mycoides
Ureaplasma urealyticum
Mesoplasma florum
Onion yellows phytoplasma
Spiroplasma citri
Aster yellows phytoplasma
Lactobacillus johnsoni
Enterococcus faecalis
Lactococcus lactis
Streptococcus pneumonia
e
Staphylococcus aureus
Listeria monocytogenes
Bacillus subtilis
Figure 1 Unrooted phylogenetic tree of the firmicutes with
special emphasis to the mollicutes. The tree is based on a
concatenated alignment of 31 universal protein families.
Reproduced from Ciccarelli FD, Doerks T, von Mering C, Creevey
CJ, Snel B, and Bork P (2006) Toward automatic reconstruction
of a highly resolved tree of life. Science 311: 1283–1287.
778 Mycoplasma and Spiroplasma

3-phosphate. This enzyme, glycerol-3-phosphate oxidase,
uses water rather than NAD
þ
(as in typical glycerol-3-
phosphate dehydrogenases) as the electron acceptor. The
hydrogen peroxide formed by M. pneumoniae acts in con-
cert with endogenous toxic oxygen molecules generated
by the host cells and induces oxidative stress in the
respiratory epithelium. The effects of the peroxide on
the host cells include loss of reduced glutathione, dena-
turation of hemoglobin, peroxidation of erythrocyte
lipids, and eventually the lysis of the cells. Another result
of infection by M. pneumoniae is the release of proinflam-
matory cytokines by the host cells. It has been suggested
that cytokine production leads to chronic pulmonary dis-
eases such as bronchial asthma.
The significance of glycerol metabolism in hydrogen
peroxide production and virulence has been convincingly
demonstrated by a series of studies that started with an
analysis of the differences between European and African
strains of M. mycoides, the causative agent of contagious
bovine pleuropneumonia. Glycerol transport is highly
efficient in the African isolates, whereas it is barely
detectable in the European isolates. Because glycerol
catabolism gives rise to the formation of hydrogen per-
oxide, it is not surprising that hydrogen peroxide
production is high in the African strains but low in the
European isolates of M. mycoides. In consequence, the
African strains are highly virulent to cattle, whereas
their European relatives are harmless. It has been
hypothesized that intracellular formation of large quanti-
ties of hydrogen peroxide would be toxic for the
producing cells themselves. Accordingly, the cellular
localization of the responsible enzyme, GlpO, was studied
in M. mycoides and it was found to be located in the cell
membrane. The inactivation of GlpO by antibodies
results in the loss of cytotoxicity of M. mycoides toward
bovine epithelial cells. Given that hydrogen peroxide in
concentrations similar to those produced by M. mycoides is
not cytotoxic, it was concluded that GlpO is not only
inserted in the bacterial cell membrane but also in the
membrane of the host cell to inject the cytotoxic hydro-
gen peroxide directly into the epithelial cells. This may
cause oxidative stress and subsequent cell death.
Plant Pathogenic Mollicutes: Spiroplasma and
Phytoplasma
The genera Spiroplasma and Phytoplasma contain plant-
pathogenic mollicutes that shuttle between plant and
insect hosts. Spiroplasma citri was identified in 1971 as a
causative agent of citrus stubborn disease. Phytoplasmas
were first described in 1967 as the probable cause of plant
yellow diseases. Originally, it was speculated that these
diseases are of viral origin, and only in 1967 it became
clear that these pathogens are Mycoplasma-like organisms.
While spiroplasmas can be cultivated in the laboratory, no
cultivation of any representative of the phytoplasmas has
been reported. Therefore, no valid species description for
members of the genus Phytoplasma is available. Moreover,
Spiroplasma cells have a spiral morphology, whereas phy-
toplasmas are pleomorphic.
Spiroplasma species live in the phloem sieve tubes of
their host plants. They are transmitted by insect vectors
that feed on the phloem sap. Multiplication of the bacteria
occurs both in the plant and in the insect hosts. The most
intensively studied representative of the genus, S. citri,
infects periwinkle (Catharanthus roseus) and its vector, the
leafhopper Circulifer haematoceps. Unfortunately, no gen-
ome sequences of any Spiroplasma species are so far
publicly available, although the Spiroplasma kunkelii gen-
ome has recently been sequenced.
The spiroplasmas are unique among the mollicutes for
their helical cell morphology, and also by their unique
mechanism of locomotion. The genetic determinants
for this distinct morphology and movement are so far
unknown. Although the spiroplasmas have a shape that
is similar to that of the members of the genus Spirillum,
they are different because they do not possess flagella.
Propulsion is generated by a propagation of kink pairs
down the length of the cell, caused by a processive change
of cell helicity. In addition, these waves of kinks seem to
be initiated always by the same end of the cell suggesting
cell polarity. Cell polarity can also be concluded from the
results of diverse microscopic studies that showed hetero-
geneity of both ends: one end is tapered with a tip-like
structure called terminal organelle and the other one is
blunt or round.
An interesting aspect of the S. citri lifecycle is the
differential utilization of carbohydrates as source of car-
bon and energy in the two hosts. S. citri possesses the
genetic equipment for the utilization of sorbitol, treha-
lose, glucose, and fructose as carbon sources, which are
mainly catabolized to acetate. The two habitats of S. citri
differ significantly in their carbon source availability.
While glucose and fructose are predominant in phloem
sieve tubes of plants, trehalose is the major sugar in the
hemolymph of the vector insect, the leafhopper C. haema-
toceps. The glucose and trehalose permeases of the S. citri
phosphotransferase system (PTS) share a common IIA
domain encoded by the crr gene, which might be involved
in the rapid physiological adaptation to changing carbon
supplies. The glucose and fructose found in the plant
sieve tubes are both derived from the cleavage of sucrose
by the plant enzyme invertase. A transposon mutagenesis
study with S. citri revealed that mutants devoid of a
functional fruR gene encoding the transcriptional activa-
tor of the fructose utilization operon are no longer
phytopathogenic. The fructose operon of S. citri contains
three genes, fruR,fruA, and fruK encoding the transcrip-
tion activator, the fructose-specific permease of the PTS,
and the fructose-1-phosphate kinase, respectively.
Mycoplasma and Spiroplasma 779

Mutations in the fruA and fruK genes also resulted in
decreased phytopathogenicity. However, these mutant
strains could revert, and this reversion also restored
severe symptoms upon plant infection. Thus, fructose
utilization and pathogenicity are intimately linked in
S. citri. In contrast to mutations affecting fructose utiliza-
tion, a ptsG mutation abolishing glucose transport into the
cell does not result in reduced pathogenicity of S. citri.
The reason for the differential implication of the two
sugars in pathogenicity was studied by nuclear magnetic
resonance analysis and it turned out that the bacteria use
fructose preferentially, whereas the glucose accumulated
in the leaf cells of the infected plants. This led to the
following model. In noninfected plants, both fructose and
glucose are formed by invertase. Fructose inhibits this
enzyme resulting in a very low activity. In contrast, no
inhibition occurs in infected plants because of fructose
utilization by S. citri. The accumulating glucose that is not
used by the bacteria results in inhibition of photosynthesis
and thus in the different symptoms.
Transmission from an infected plant to an insect vec-
tor occurs by the uptake of bacteria along with the phloem
sap. Inside the leafhopper, the bacteria have to pass the
intestine midgut lining to multiply in the hemolymph,
and then infect the salivary glands. Infection of the sali-
vary glands is important because transmission from the
insect to a host plant occurs by inoculation of the saliva
into the damaged plant during feeding. It was shown that
certain adhesins are necessary for transmissibility of
S. citri from an infected plant to a vector, and that the
genes coding for these adhesins are located on plasmids
not existing in all S. citri strains.
In contrast to the spiroplasmas whose members are
pathogenic to a broad range of plants and insects, the
phytoplasmas form their own group among the mollicutes
that is strictly pathogenic to plants. Like the plant-
pathogenic spiroplasmas, they inhabit the phloem sieve
tubes of their host plants after infection by an insect vector
(usually belonging to the family of Cicadelli), but they
depend completely on their host and so far it has been
impossible to cultivate them in vitro. However, the genome
sequences of three members of this group, Candidatus
Phytoplasma asteris onion yellows strain (OY-M), aster yel-
lows Phytoplasma strain witches broom (AY-WB), and
Candidatus Phytoplasma australiense have been determined.
Compared to other members of the mollicutes, the
phytoplasmas have some unique features. They exhibit
shapes that range from rounded pleomorphic cells, with
an average diameter of 200–800 mm, to filaments. Their
genomes lack all known genes coding for cytoskeleton or
flagellum elements, suggesting that translocation of cells
in planta is a passive event caused by the flow of phloem
sap. As other mollicutes, the phytoplasmas lack genes for
the de novo synthesis of amino acids, fatty acids, or nucleo-
tides but they also lack some genes considered to be
essential in all bacteria, such as ftsZ encoding a tubulinlike
protein. As FtsZ is involved in cell division, the mechan-
ism of division in the phytoplasmas lacking it must be
completely different from that of other bacteria. Although
living in an environment that is rich in carbon sources,
neither of the sequenced phytoplasma possesses genes
coding for sugar-specific components of the PTS. In
contrast, S. citri and S. kunkelii, which thrive in the same
environment as the phytoplasmas, contain three PTS for
the import of glucose, fructose, and the insect-specific
sugar trehalose (see earlier). However, Phytoplasma pos-
sesses the maltose-binding protein MalE. This protein
may bind other sugars as well but genes for enzymes
making these sugars available for glycolysis are absent.
Sucrose, the main sugar in the phloem sap of plants, could
be used as a source of carbon and energy, but in
sequenced phytoplasmas the gene for sucrose phosphor-
ylase, which is important for sucrose degradation, is
absent or fragmented. In general, phytoplasmas possess
fewer genes related to carbon metabolism than the other
mollicutes. Energy generation in phytoplasmas seems to
be restricted to glycolysis because ATP synthases
are absent. OY-M Phytoplasma contains a P
2C
-ATPase,
which is common in eukaryotic cells but unique among
prokaryotes. Another remarkable feature that makes the
phytoplasmas unique among the mollicutes is their ability
to synthesize phospholipids, supporting a closer phyloge-
netic relationship to Acholeplasma, which do not require
sterols.
Biochemistry of the Mollicutes
Cytology of the Mollicutes
The mollicutes differ from other bacteria not only
because they lack a cell wall but also by dint of their
small cell sizes. A typical cell of M. pneumoniae is 1–2 mm
long and 0.1–0.2 mm wide (Figure 2). In contrast, a typical
rod-shaped bacterial cell (such as E. coli or B. subtilis)is
1–4 mm in length and 0.5–1 mm in diameter.
The absence of a cell wall has serious consequences for
the osmotic stability of the mollicute cells. They are much
more sensitive to changes of the osmotic conditions than
bacteria possessing a cell wall. The parasitic lifestyle of
the mollicutes may be directly related to their osmotic
sensitivity: the hosts provide them with osmotically con-
stant conditions that would not be found in the external
environment. For example, M. genitalium is a parasite of
the human urogenital tract, and its transmission by sexual
contact ensures minimal exposure of the bacteria to an
external, osmotically variable, environment. With the
exception of the phytoplasmas and acholeplasmas, the
mollicutes are unable to produce fatty acids for mem-
brane biosynthesis and are therefore dependent on
exogenously provided fatty acids, which are then used
780 Mycoplasma and Spiroplasma

for phospholipid synthesis. The lack of fatty acid synth-
esis is accompanied by the absence of a fatty acid
desaturase, which is required to adapt the membrane
fluidity to lower temperatures. To overcome this diffi-
culty, most mollicutes incorporate large amounts of
sterols, which serve as a very effective buffer of membrane
fluidity (see Table 1).
The lack of a cell wall has also consequences for the
cellular morphology of the mollicutes. The cells are pleo-
morphic; however, they are not small amoebas! The
mollicutes exhibit a variety of morphologies, such as
pear-shaped cells, flask-shaped cells with terminal tip
structures (see below), filaments of various lengths, and
in the case of Spiroplasma species the cells are helical.
The mycoplasmas have a flask- or clublike shape with
a terminal organelle, the so-called tip structure (see
Figure 2). This tip structure is a complex and specialized
attachment organelle that has evolved to facilitate the
parasitic existence of the mycoplasmas. The tip structure
is made up of a network of adhesins, interactive proteins,
and adherence accessory proteins, which cooperate struc-
turally and functionally to mobilize and concentrate
adhesins at the tip of the cell. The major adhesin of
M. pneumoniae is the 170 kDa P1 protein that is responsible
for the interaction of the bacteria with the host cells. In
addition, the tip structure is important for the internaliza-
tion of intracellular mollicutes such as M. penetrans and
M. genitalium.M. penetrans is capable of actively entering
different types of animal cells, even those with minimal
phagocytic activity. This may protect the bacterial cells
against the host immune system. The formation of the tip
structure in M. pneumoniae depends on the activity of the
P41 protein that serves as an anchor protein. In the
absence of this protein, multiple terminal organelles
form at lateral sites of the cell and the terminal organelles
are not attached to the body of the cell. In Mycoplasma
mobile, there is also a terminal structure that is referred to
as the ‘jellyfish’ structure made up of a ‘bell’ with dozens
of flexible tentacles. Several components of this structure
have been identified. With the exception of the glycolytic
enzyme phosphoglycerate kinase, these M. mobile proteins
are all absent from the genome of M. pneumoniae suggest-
ing that the two species found individual solutions for the
assembly of the terminal organelle.
Mycoplasma species are able to glide on solid surfaces
with the help of their terminal attachment organelle.
Terminal organelles that are detached from the body of
the M. pneumoniae cell are released by some mutants.
These detached organelles are still capable of gliding
demonstrating that this organelle acts as a novel engine
that allows cellular movement. The fastest gliding
Mycoplasma species, M. mobile, contains a dedicated
349 kDa ‘leg’ protein that is required for gliding. This
protein is composed of an oval base with three successive
flexible extensions that may support movement.
Movement is thought to occur by repeated catching and
releasing of sialic acid on solid surfaces and is driven by
the hydrolysis of ATP. This ATP hydrolysis may be
catalyzed by the glycolytic enzyme phosphoglycerate
kinase that is part of the terminal organelle in M. mobile.
As other bacteria, the mollicutes divide by binary fis-
sion. Again, the terminal organelle seems to be very
important for this process: Cell division in M. pneumoniae
is preceded by the formation of a second tip structure
adjacent to the existing one. The two terminal organelles
then separate leading eventually to cytokinesis. Among
the proteins known to be important for bacterial cell
division is the tubulinlike GTP-hydrolyzing FtsZ protein
that forms a ring at the division site. Until recently, FtsZ
proteins were found in any newly analyzed genome, and
the ftsZ gene is essential in most bacteria, including E. coli
and B. subtilis. Therefore, FtsZ was considered to be
indispensable for all life. However, it recently turned
out that some mollicutes such as M. mobile, Ureaplasma
urealyticum, and the two sequenced phytoplasmas lack
ftsZ genes, suggesting that its function is dispensable at
least in some mollicutes. In many bacteria, the FtsA
protein is required for the recruitment of the proteins
that form the septum for cell division. Interestingly, this
protein is absent from all the pleomorphic mollicutes,
whereas it has been detected in S. kunkelii. This may be
related to the helical morphology of these bacteria.
200 nm
Figure 2 Electron micrograph of a cell of Mycoplasma
pneumoniae. The terminal organelle (also called the tip structure)
is visible in the upper part of the cell. Scale bar ¼200 nm.
Mycoplasma and Spiroplasma 781

Metabolism of the Mollicutes
The reductive evolution of the mollicutes is reflected in
their limited metabolic properties. Of the central meta-
bolic pathways, that is, glycolysis, the pentose phosphate
shunt, and the tricarboxylic acid (TCA) cycle, only gly-
colysis seems to be operative in most mollicutes. Most
striking is the lack of many energy-yielding systems in the
mollicutes. No quinones or cytochromes were found in
any representative. The electron transport system is
flavin-terminated. Thus, ATP is produced by substrate-
level phosphorylation, a less efficient mechanism as com-
pared to oxidative phosphorylation.
As observed for M. genitalium glyceraldehyde
3-phosphate dehydrogenase, the glycolytic kinases of sev-
eral mollicute species have functions in addition to that in
glycolysis. These enzymes can use not only ADP/ATP but
also other nucleoside diphosphate/triphosphate couples.
Thus, these enzymes (phosphofructokinase, phosphoglyce-
rate kinase, pyruvate kinase, and acetate kinase)
compensate for the lack of the normally essential ndk gene
encoding nucleoside diphosphate kinase that is required for
nucleotide biosynthesis.
Glycolysis is not the only source of ATP formation by
substrate level phosphorylation in the mollicutes. Pyruvate
can be oxidized to acetyl-CoA by pyruvate dehydrogenase.
Acetyl-CoA can be further catabolized by phosphotransa-
cetylase and acetate kinase in an additional substrate level
phosphorylation resulting in the formation of acetate. An
alternative pathway of pyruvate consumption is its reduc-
tion to lactate, leading to the regeneration of NAD
þ
.
A recent study with M. pneumoniae demonstrated that
glucose is the carbon source allowing the fastest growth of
these bacteria. In addition, M. pneumoniae can utilize gly-
cerol and fructose. Interestingly, mannitol is not used
even though the genetic equipment to utilize this carbo-
hydrate seems to be complete. Obviously, one or more of
the required genes are not expressed or inactive.
Glucose and fructose are transported into the cells by
the PTS. This system is made up of general soluble
components and sugar-specific membrane-bound per-
meases. The general components, enzyme I and HPr,
transfer a phosphate group from phosphoenolpyruvate
to the sugar permease, which phosphorylates the sugar
concomitant to its transport.
The arginine dihydrolase pathway can be found also in
some Spiroplasma and Mycoplasma species. Arginine hydro-
lysis by this pathway results in the production of
ornithine, ATP, CO
2
, and ammonia. The pathway uses
three enzymes: arginine deiminase, ornithine carbamoyl
transferase, and carbamate kinase. The degradation of
arginine is coupled to equimolar generation of ATP by
substrate-level phosphorylation. The role of this pathway
as a sole energy-generating source in mycoplasmas is
questionable. However, the existence of an arginine–
ornithine antiport system in Spiroplasma melliferum requir-
ing no ATP for arginine import into the cells supports an
energetic advantage in arginine utilization.
Mollicutes possess very limited metabolic and biosyn-
thetic activities for amino acids, carbohydrates, and lipids
as compared to ‘conventional’ bacteria. M. pneumoniae
scavenges nucleic acid precursors and does not synthesize
purines or pyrimidines de novo. These may be provided by
RNA and DNA that have been degraded by potent myco-
plasmal nucleases. Furthermore, both M. genitalium and
M. pneumoniae lack all the genes involved in amino acid
synthesis, making them totally dependent on the exogen-
ous supply of amino acids from the host or from the
artificial culture medium. The mycoplasmas have also
lost most of the genes involved in cofactor biosynthesis;
therefore, to cultivate them in vitro, the medium has to be
supplemented with essentially all the vitamins.
Being dependent on the exogenous supply of many
nutrients would predict that mycoplasmas need
many transport systems. Surprisingly, M. genitalium and
M. pneumoniae possess a only small number of transport
proteins (34 and 44 proteins, respectively) compared to
the 281 transport and binding proteins annotated in E. coli
and almost 400 in B. subtilis. The apparent low substrate
specificity of some of the mollicute transport systems,
such as those for amino acids, may also contribute to the
significant gene reduction observed.
Although mollicutes produce hydrogen peroxide,
M. pneumoniae and M. genitalium lack the genes dealing
with oxidative stress, such as those encoding catalase,
peroxidase, and superoxide dismutase. A thioredoxin
reductase system, identified in the mycoplasmas, may
protect them from reactive oxygen compounds.
A major problem for the research with mollicutes is the
difficulty of cultivating them in vitro. Only a minority of
the mollicutes existing in nature have been cultivated so
far. For example, none of the phytoplasmas infecting
insects or plants has been cultivated in vitro. To overcome
the metabolic deficiencies of the mycoplasmas, complex
media are used for their cultivation. The media are
usually based on beef heart infusion, peptone, yeast
extract, and serum with various supplements. Serum has
been shown to provide, among other nutrients, fatty acids
and sterols that are required for membrane synthesis. The
requirement for sterols has served as an important taxo-
nomic criterion distinguishing the sterol-nonrequiring
mycoplasmas, particularly the Acholeplasma species, from
the sterol-requiring ones. For most mycoplasmas, the pH
is adjusted to a slightly alkaline value, conditions that
imitate those in the eukaryotic host. A common approach
to improve in vitro cultivation of fastidious mycoplasmas
is based on coculture with eukaryotic cell lines (cell-
assisted growth). In this way, some spiroplasmas, such as
the Colorado potato beetle Spiroplasma, were first success-
fully cocultivated with insect cell lines.
782 Mycoplasma and Spiroplasma

Genetics and Molecular Biology of the
Mollicutes
Gene Expression in the Mollicutes
The basic mechanisms of gene expression have been
studied poorly in the mollicutes. They possess a conven-
tional bacterial RNA polymerase, but unlike most other
bacteria, they encode only one sigma factor of the RNA
polymerase. Thus, diversity of promoters and RNA poly-
merase holoenzymes are not used for regulatory purposes
in the mollicutes. The transcription start sites have been
identified for several M. pneumoniae genes, and it turned
out that the –10 region of these promoters is similar to
that recognized by the housekeeping sigma factors of
other bacteria such as E. coli or B. subtilis. In contrast,
there is no conserved –35 region. These observations
were confirmed by a recent analysis of the sequence
determinants that are required for promoter activity in
front of the M. pneumoniae ldh gene encoding lactate dehy-
drogenase. The –10 region is essential for transcription
initiation, whereas the –35 region could be mutated with-
out any consequences. Thus, the single M. pneumoniae
RNA polymerase holoenzyme recognizes only the –10
region for promoter recognition.
Another peculiarity of the M. pneumoniae transcription
machinery is the lack of the termination factor Rho, and
correspondingly, the absence of Rho-dependent transcrip-
tion terminators. Surprisingly, a bioinformatic analysis of
bacterial genomes and the free energy values of RNAs
around the end of open reading frames suggest that the
mollicutes do also not contain functional Rho-indepen-
dent transcription terminators. This raises the important
question of how transcription is terminated in the molli-
cutes or whether it is terminated at all. The answer came
from Northern blot experiments aimed at the identifica-
tion of in vivo transcripts, and this answer is ambiguous.
Indeed, defined transcripts were observed in a few cases,
such as the M. genitalium and M. pneumoniae ftsZ gene
clusters or the M. pneumoniae ptsH gene. The existence of
these defined transcripts implies that there are also defined
transcription terminators present. However, these termi-
nators may be very rare. This might explain the
observation that unrelated genes are expressed as parts of
one transcription unit in the mollicutes. Moreover, most
attempts to determine transcript sizes by Northern blot
analysis in the mollicutes have failed. This is probably the
result of mRNA length polymorphisms, which prevent the
detection of clearly defined RNA species.
Most genes in the mollicutes have the same orientation
on the chromosome, and the intergenic regions are
usually quite short if present at all. The transcription of
most of these large gene clusters is colinear with replica-
tion. This genome organization also favors polycistronic
transcription of large gene clusters.
The lack of defined mRNA species results not only
from the absence of transcription terminators but also
from the weak conservation of sequences that mediate
transcription initiation: a –10 region made up of only Ts
and As is statistically overrepresented in the AT-rich
mollicute genome. Indeed, the –10 regions predicted
from the analysis of many start points occur about 2900
times in the 816 kb genome of M. pneumoniae. This large
number of possible transcription initiation sites is also
reflected by the observation of substantial antisense tran-
scription in both M. genitalium and M. pneumoniae.
In bacteria, regulation is usually exerted at the level of
transcription. In the mollicutes, only one example of
transcription regulation is clearly documented: this is
the regulation of the S. citri fructose operon by the tran-
scription activator FruR (see earlier text). Moreover, the
induction of chaperone-encoding genes at elevated tem-
peratures was demonstrated in several Mycoplasma species.
By analogy to the mechanism of heat shock regulation by
the repressor protein HrcA and the DNA operator ele-
ment CIRCE, it was proposed that heat shock genes are
under the control of HrcA in the mollicutes. In addition to
HrcA, the genomes of M. genitalium and M. pneumoniae
encode only two other potential transcription factors that
belong to the GntR and the Fur family, respectively.
Unfortunately, the function of these regulators has so far
not been studied.
It is interesting to note that M. pneumoniae contains
only three potential regulators (less than 0.5% of all
open reading frames), whereas environmental bacteria
such as Streptomyces coelicolor and P. aeruginosa reserve
about 10% of their genetic capacity to encode transcrip-
tion factors. The low number of transcription factors in
the mollicutes and the weak stringency of transcription
signals in the mollicutes might therefore reflect their close
adaptation to specific habitats that provide a good supply
of nutrients and protect the bacteria from harmful envir-
onmental conditions. Moreover, the good supply of
nutrients from external sources, that is, the host, may
abolish the need for transcription regulation, that is, to
switch off the expression of genes if their products are not
required.
An additional mechanism of regulation is provided by
riboswitches and regulatory RNAs. A guanine-specific
riboswitch was detected in the untranslated region of
the Mesoplasma florum guaAB operon suggesting that this
RNA element governs the regulation of this operon via
guanine.
Translation is one of the most prominent activities of
the mollicute cell: as much as 15% of the genome of the
mollicutes is devoted to translation-related functions.
The principal mechanisms of translation in the mollicutes
are identical to those found in other bacteria. Because of
the low genomic GC content, the codon usage is strongly
biased toward AT-rich codons. With the exception of
Mycoplasma and Spiroplasma 783

Phytoplasma and Acholeplasma, the mollicutes decode the
UGA codon as tryptophan instead of using it as a stop
codon as in the universal genetic code. This poses severe
problems for the expression of mollicute proteins in het-
erologous hosts (see following text).
The mechanisms of translation initiation seem to differ
among the mollicutes. In some organisms such as Mycoplasma
capricolum and S. citri, the open reading frames are preceded
by canonical Shine–Dalgarno sequences that form base pairs
with the 39end of the 16S rRNA. In contrast, many genes of
M. pneumoniae and M. genitalium lack such a sequence, and
moreover, leaderless mRNAs are common in these bacteria.
The molecular mechanisms of translation initiation in M.
pneumoniae and its close relatives still await elucidation.
Posttranslational Protein Modification
In many bacteria including the mycoplasmas, the HPr
protein of the PTS cannot only be phosphorylated by
enzyme I but is also the target of a regulatory phosphor-
ylation on Ser-46 by a metabolite-activated protein
kinase, HPrK. The phosphorylation of HPr on Ser-46 in
‘less degenerated’ firmicutes leads to carbon catabolite
repression. So far, the functions of HPrK and ATP-
dependent phosphorylation of HPr have not been studied
in the mollicutes. In contrast, much work has been
devoted to the biochemical characterization of HPrK
from M. pneumoniae. Unlike its equivalent from other
bacteria, this protein is active at very low ATP concen-
trations. As in related proteins, it contains an essential
Walker A motif for ATP binding. Mutations in this region
severely affect both the kinase and the phosphatase activ-
ities of the protein. Fluorescence studies revealed that the
M. pneumoniae HPrK has a significantly higher affinity for
ATP than any other HPrK studied so far. This may
explain why it is active even at low ATP concentrations.
The M. pneumoniae HPrK was crystallized and its struc-
ture determined. As observed for homologous proteins, it
forms a hexamer with the C-terminal domains in the
active center.
In addition to HPrK, there is one other protein kinase
in M. pneumoniae and many other mollicutes, PrkC. The
corresponding gene is clustered with the gene encoding a
protein phosphatase of the PP2C family, PrpC. It was
shown that PrpC is implicated in the dephosphorylation
of HPr(Ser-P). PrkC is known to phosphorylate a wide
variety of proteins in other firmicutes; however, its targets
and the role of PrkC-dependent phosphorylation in the
mollicutes remain to be studied.
Protein phosphorylation seems to be important for the
biology of the mollicutes. An analysis of the M. genitalium
proteome revealed that each identified protein is present
at an average of 1.22 spots on a 2-D gel, suggesting
posttranslational modification of about 25% of all pro-
teins. Given the importance of protein phosphorylation in
all other living organisms, it seems safe to assume that a
large portion of these modified proteins is actually phos-
phorylated. A phosphoproteome analysis of M. genitalium
and M. pneumoniae identified 5 and 3% of the total protein
complement of these bacteria, respectively, as phospho-
proteins. Among these proteins are not only enzymes of
central carbon metabolism such as enolase and pyruvate
dehydrogenase subunits, but also several cytoskeleton and
cytadherence proteins. It is tempting to speculate that
PrkC may catalyze these phosphorylation events.
As in other bacteria, there is protein secretion in the
mollicutes. While some exported proteins carry typical
signal peptides at their N-termini, there is no signal
peptidase I present in the genome of the mollicutes.
This raises the possibility that so far uncharacterized
proteins are active in protein secretion in the mollicutes.
Genomic Comparisons of Mollicutes
One of the questions that have been of interest to humans
since its early days is the problem of what constitutes life.
Only today, in the era of genome research, are we able to
attempt an answer to this question. A major milestone in
defining life was the identification of key features that
characterize all living things and differentiate them from
nonliving matter such as viruses and prions. Among these
features are metabolism, autonomous replication, com-
munication, and evolution. With the availability of
genome sequences, it is has become possible to determine
the genetic equipment required for independent life. The
mollicutes are of special interest in this respect because
they have the smallest genomes that allow independent
life, at least under laboratory conditions.
Genome research with the mollicutes is driven by two
major challenges: (1) the identification of the minimal set
of genes that is required for independent life and (2) the
creation of artificial organisms that are based on this
minimal gene set. The simplicity of the mollicutes and
the broad body of knowledge on their biology makes them
ideal starting points for these research areas.
Several different strategies have been applied to iden-
tify the minimal gene set required for life. The most
simple approach is based on the comparison of sequenced
genomes of different organisms. It seems safe to assume
that those genes that are conserved in different organisms
are more important than those that appear only in
certain species. The smallest genome of any independent
living organism known so far is that of M. genitalium.
This bacterium has a genome of 580 kb with 482
protein-coding genes and 39 genes coding for RNAs.
M. pneumoniae has a genome of 816 kb with 779 genes
coding for proteins and 40 RNA-coding genes. A compar-
ison of the two genomes reveals an overlap of 477 genes
common to both species. This suggests that M. pneumoniae
is an ‘extended version’ of M. genitalium. It is tempting to
784 Mycoplasma and Spiroplasma

speculate that M. genitalium is further advanced on the
pathway of reductive genome evolution. Indeed, some
genes present in M. pneumoniae but not in M. genitalium
such as the mannitol utilization genes are known to be
nonfunctional in the former organism. Thus, M. genitalium
seems to be very close to a true minimal organism.
A comparison of all sequenced mollicute genomes
reveals that only a small subset of their genes is part of a
common gene pool. Only 156 genes are common to all
mollicute genomes that have so far been sequenced. This
represents about one-third of the 482 open reading frames
of M. genitalium. Interestingly, of the 156 genes of the
mollicute core genome, the large majority, that is, 124
genes, are shared by all firmicutes. Thus, there is only a
small set of 32 genes that is conserved in all mollicutes but
not in all firmicutes. However, even these genes are
shared by many members of the firmicutes thus preclud-
ing the idea of a gene set unique to the mollicutes.
Moreover, a large fraction of the common mollicute
gene set forms the core genome of all bacteria (about
100 genes). Thus, the genome reduction of the mollicutes
obviously went down to a minimum that is absolutely
required for cellular life. This is becoming clear if one
takes into account that even unrelated bacteria such as
E. coli (-proteobacterium) and B. subtilis (firmicute) share
about 1000 genes.
The core gene set of the mollicutes is made up mainly
of genes encoding proteins involved in essential cellular
functions such as DNA topology, replication and repair,
transcription, RNA modification and degradation, trans-
lation, protein folding, secretion, modification, or
degradation (Table 2). In addition, seven genes encoding
potential GTP-binding proteins are conserved in all mol-
licute genomes. A few conserved metabolic genes encode
proteins involved in glycolysis, metabolite and ion trans-
port, nucleotide, lipid, phosphate, and amino acid
metabolism. Interestingly, not a single protein of comple-
tely unknown function is conserved among all mollicutes.
Moreover, the genes common to all mollicutes act in the
central processes of life. This implies that there are no
genes common to all mollicutes that are required for
mollicute-specific activities such as the formation of the
terminal organelle. This is in good agreement with earlier
studies that demonstrated a large variability in the protein
composition of this organelle.
A second approach to determine the minimal gene set
required for life uses an experimental setup. Global trans-
poson mutagenesis studies with M. genitalium and
M. pneumoniae revealed dispensable genes. For M. genitalium,
about 100 genes could be disrupted. This implies that the
remaining 382 genes are essential. In addition, five genes
that are part of groups of redundant genes seem to be
essential. It is believed that these 387 genes (plus the
RNA-coding genes) constitute the essential gene set of
M. genitalium. The difference between the 156 genes in the
core gene set of the mollicutes and the 387 genes that are
essential for M. genitalium suggests that many of the addi-
tional genes are important under the specific ecological
conditions of M. genitalium.Thisideaissupportedbythe
presence of 110 genes of unknown function among the
essential genes. This finding clearly demonstrates how
much remains to be learned about the biology of
M. genitalium, and surely about the other mollicutes as well.
With information on the minimal gene set in hand, the
logical next step will be to construct artificial organisms
with this set of genes. In 2007 and 2008, two important
technological steps have been made on the way to the
construction of such minimal artificial life: first, the replace-
mentofonegenomebyanother,aprocesscalledgenome
transplantation, was demonstrated. Genomic DNA of
M. mycoides largecolony(LC)wasusedtoreplacethe
genome of M. capricolum by polyethylene glycol-mediated
transformation. The second major achievement was the
chemical synthesis and assembly of the M. genitalium chro-
mosome. Thus, an artificial chromosome can be synthesized
and this DNA can be introduced into a living cell to provide
the environment for the expression of this genome. The
generation of an artificial minimal Mycoplasma-derived
organism (‘Mycoplasma laboratorium’) would be the logical
Table 2 The core gene set of the mollicutes
Function Number of genes
Information pathways—Protein
Ribosomal proteins 38
Translation factors 11
Amino acyl tRNA synthetases 19
Chaperones 2
Proteolysis 3
Protein modification 1
Protein secretion 5
Information pathways—RNA 7
Transcription 7
RNA modification 8
RNA degradation and maturation 5
Information pathways—DNA
Replication 7
Repair 8
DNA topology 3
Metabolism
Basic carbon and energy metabolism 8
Amino acid metabolism 1
Nucleotide biosynthesis 6
Pyrophosphatase 1
Lipid metabolism 1
Miscellaneous functions
Transport 7
GTP-binding proteins 7
Unknown proteins 7 (mge_009, 056,
132, 222, 366,
505, 516)
Mycoplasma and Spiroplasma 785

next step and the ultimate proof of both these technologies
and of our understanding for the minimal equipment of a
living cell.
Molecular Biology and Genetic Tools for the
Mollicutes
The detailed genetic analysis of the mollicutes has been
hampered for a long time by the lack of genetic tools that
allow the efficient expression of UGA-containing molli-
cute genes in heterologous hosts for purification and
subsequent biochemical analysis, the stable introduction
of foreign genetic material into a mollicute cell, and either
the targeted construction or the targeted isolation of
desired mutant strains. During the past few years consid-
erable progress has been made in the field of mollicute
genetics, making these organisms accessible for genetic
studies.
The occurrence of UGA codons in the genes of molli-
cutes has often prevented their expression in
heterologous hosts for detailed biochemical analysis,
because they serve as stop codons in E. coli and other
expression hosts. To circumvent this problem, a variety
of different but rather dissatisfying strategies had been
employed, including the expression of UGA-containing
genes in opal suppressor strains of E. coli,orinS. citri that
also reads UGA as a tryptophan codon. As long as only
few UGA codons are present in a gene, their sequential
replacement by standard site-directed mutagenesis stra-
tegies might also be taken into consideration. However,
the latter approach is time-consuming and cost-intensive
with an increasing number of UGA codons. Recently, a
strategy referred to as multiple mutation reaction (MMR)
allowing the simultaneous replacement of multiple UGA
codons in a single-step reaction was developed. This
strategy is based on the use of 59-phosphorylated oligo-
nucleotides containing the desired mutations in a
polymerase chain reaction (PCR). During the elongation
steps, the external amplification primers are extended. As
the mutation primers are designed to hybridize more
strongly to their targets, the elongated amplification pri-
mers can then be ligated to the 59ends of the mutation
primer by a thermostable DNA ligase, yielding a DNA
strand that contains the desired mutation. With this strat-
egy, the simultaneous introduction of up to nine
mutations in one single step is possible.
The majority of genetic tools that are well established in
model organisms are unavailable for mollicutes. Therefore,
transposons are in common use for a variety of purposes. In
combination with smart screening systems, they were used
for the disruption of genes but also as carriers for the
introduction of genetic material into the chromosome.
The transposons Tn916 and Tn4001 and their improved
derivatives can be used in mollicutes. These transposons
were originally isolated from Enterococcus faecalis and
Staphylococcus aureus, respectively, and have a broad host
range. Tn916 is a conjugative 18 kb transposable element
that contains the xis-Tn/int-Tn genes for excision/integra-
tion, followed by the tetM tetracycline resistance
determinant and a set of genes (tra) required for intercel-
lular transfer. Tn916 does not generate target duplications
at its integration site, because it transposes by an excision/
integration mechanism that is based on staggered nicks in
the donor DNA. Tn4001 is a 4.5 kb composite transposon
consisting of two identical IS256 elements flanking the
gentamicin/kanamycin/tobramycin resistance conferring
aac-aphD gene. Tn4001 has been used for transforming
several Mycoplasma species. To increase the stability of
transposon insertion mutants, mini-transposons on the
basis of Tn4001 were constructed that have the transposase
gene outside the transposable elements to prevent reexci-
sion of the transposon after the first transposition event.
Until very recently, the targeted construction of gene
knockout mutants via homologous recombination has only
been reported in a few mollicutes such as M. genitalium,
Mycoplasma gallisepticum,Mycoplasma pulmonis,andA. laidlawii.
In the absence of homologous recombination, the only
remaining way to obtain gene knockouts is transposon
mutagenesis. Because of the randomness of integration, the
screening of large transposon mutant libraries for the loss or
gain of a specific phenotype is required to isolate a gene
knockout of interest. If no screenable phenotype can be
expected to be associated with a gene of interest, the only
known feature of the desired gene knockout is the specific
DNA junction between the gene of interest and the trans-
poson. Based on this idea, a strategy referred to as ‘haystack
mutagenesis’ has been designed that allows the targeted
isolation of any viable transposon insertion strain out of an
ordered library of transposon mutants. The concept of hay-
stack mutagenesis is based on a saturating transposon
mutagenesis to ensure that each dispensable gene is dis-
rupted at a desired confidence level. Once the required
number of transposon mutants has been isolated, they are
arranged in pools of a reasonable size. These pools can then
be screened by PCR using a gene-specific oligonucleotide
and another one specific to the transposon for identifying
the pool that contains the desired insertion. Subsequently, a
similar screen at the level of the individual clones of the
positive pool will identify the mutant of interest. This
strategy has already been used for the isolation of several
M. pneumoniae mutants. Alternatively, transposon mutant
libraries can be screened for mutants that exhibit an inter-
esting phenotype, such as loss of gliding motility.
The use of transposons is accompanied by the problem
of changes of the genetic context at the site of integration
that may cause undesired side effects. To avoid this
problem, autonomously replicating plasmids have always
been the vehicle of choice. Some early studies reported
the isolation of naturally occurring plasmids from
M. mycoides. These are small cryptic plasmids with a size
786 Mycoplasma and Spiroplasma

in the range of 1.7–1.9 kb coding for replication functions
only. Based on one of these plasmids, M. mycoides–E. coli
shuttle vectors were developed. Further developments of
artificial plasmid vectors were stimulated, when the first
genome sequences became available that allowed the
determination of the origins of replication of Mycoplasma
chromosomes. Plasmid replicons have been constructed
that contain the oriC sequences from M. mycoides,
M. capricolum, and Mycoplasma agalactiae. Remarkably, a
certain host specificity was observed for oriC plasmids,
hampering the prediction the oriC compatibility between
different Mycoplasma species and the derived plasmids.
Nevertheless, with the genome sequence of many myco-
plasmas at hand, the construction of stably replicating oriC
plasmids for any desired Mycoplasma can be expected in
the near future.
In the past there have been a couple of studies aimed at
the definition of mycoplasmal promoters. The lack of
clarity concerning the nature of gene expression/regula-
tion signals in mollicutes (see ‘Gene expression in the
mollicutes’) can only be answered in experiments that
make use of promoter reporter systems. Such reporter
systems based on the promoterless lacZ gene or on fluor-
escent proteins have been developed and used. They are
used in two ways: the reporter genes can be randomly
introduced into the chromosome to isolate random
fusions with promoters; alternatively, the fusions can be
prepared on plasmid vectors before their introduction
into the genome. This second possibility allows the ana-
lysis of mutant promoter variants.
At present all required tools for the application of
standard genetics to mycoplasmas are available. The bio-
chemical in vitro analysis of individual proteins is no
longer hampered by the genetic code of these organisms.
Thus, interesting proteins can be easily studied. Similarly,
antigenic surface proteins, which are often very large and
thus contain many UGA codons can now easily be pro-
duced in heterologous hosts in sufficient amounts to be
tested as vaccine candidates. Using the existing reporter
systems, it will be possible to refine the mycoplasmal
promoter concept, to discover regulatory DNA sequences
and, ultimately, unravel the signal transduction mechan-
isms that mediate the adaptive responses seen in a wide
variety of DNA microarray analyses but which are not yet
understood at the molecular level. To confirm in vitro
findings with purified proteins, targeted disruption of
desired genes can presently be carried out in various
representatives of the genus Mycoplasma, either by homo-
logous recombination or by facilitated screening methods
such as haystack mutagenesis.
Accompanying Feature
Additional resources on the mollicutes (key references,
genome information, labs working on the mollicutes,
information on important methods) can be found on an
accompanying web page (http://tinyurl.com/3vw8ca).
Further Reading
Barre´ A, de Daruvar A, and Blanchard A (2004) MolliGen, a database
dedicated to the comparative genomics of Mollicutes. Nucleic Acids
Research 32: D307–D310.
Bove´ JM, Renaudin J, Saillard C, Foissac X, and Garnier M (2003)
Spiroplasma citri, a plant pathogenic mollicute: Relationship with its
two hosts, the plant and the leafhopper vector. Annual Reviews in
Phytopathology 41: 483–500.
Christensen NM, Axelsen KB, Nicolaisen M, and Schulz A (2005)
Phytoplasmas and their interactions with hosts. Trends in Plant
Science 10: 526–535.
Ciccarelli FD, Doerks T, von Mering C, Creevey CJ, Snel B, and Bork P
(2006) Toward automatic reconstruction of a highly resolved tree of
life. Science 311: 1283–1287.
Gibson DG, Benders GA, Andrews-Pfannkoch C, et al. (2008) Complete
chemical synthesis, assembly, and cloning of a Mycoplasma
genitalium genome. Science 319: 1215–1220.
Glass JI, Assad-Garcia N, Alperovich N, et al. (2006) Essential genes of a
minimal bacterium. Proceedings of the National Academy of
Sciences of the United States of America 103: 425–430.
Halbedel S and Stu¨ lke J (2007) Tools for the genetic analysis of
Mycoplasma.International Journal of Medical Microbiology
297: 37–44.
Krause DC and Balish MF (2004) Cellular engineering in a minimal
microbe: Structure and assembly of the terminal organelle of
Mycoplasma pneumoniae.Molecular Microbiology 51: 917–924.
Lee I-M, Davis RE, and Gundersen-Rindal DE (2000) Phytoplasma:
phytopathogenic mollicutes. Annual Reviews in Microbiology
54: 221–255.
Pollack JD (2001) Ureaplasma urealyticum: An opportunity for
combinatorial genomics. Trends in Microbiology 9: 169–175.
Razin S and Herrmann R (eds.) (2002) Molecular Biology and
Pathogenicity of Mycoplasmas. New York: Kluwer Academic/
Plenum Publishers.
Sirand-Pugnet P, Citti C, Barre´ A, and Blanchard A (2007) Evolution of
mollicutes: Down a bumpy road with twists and turns. Research in
Microbiology 158: 754–766.
Waites KB and Talkington DF (2004) Mycoplasma pneumoniae and its
role as a human pathogen. Clinical Microbiology Reviews
17: 697–728.
Mycoplasma and Spiroplasma 787

Nutrition, Microbial
T Egli, Swiss Federal Institute for Aquatic Science and Technology, Du¨ bendorf, Switzerland
ª2009 Elsevier Inc. All rights reserved.
Defining Statement
Classification of Microorganisms and Nutrients
Elemental Composition of Biomass
Requirements and Physiological Functions of Principal
Elements
Feast and Famine: Unrestricted versus Nutrient-Limited
Growth
Design and Analysis of Defined Minimal Growth Media
Further Reading
Glossary
anabolism The process of synthesis of cell
components from a metabolic pool of precursor
compounds.
assimilation The incorporation of a compound into
biomass.
catabolism The breakdown of nutrients to precursor
compounds for anabolism or for dissimilation.
chemoautotrophy The use of reduced inorganic
compounds and CO
2
as the primary sources of energy
and carbon for biosynthesis.
chemoheterotrophy The process in which organisms
are using organic compounds as the primary sources of
carbon and energy for biosynthesis.
dissimilation The oxidation of a reduced (in)organic
compound to provide energy for biosynthesis and cell
maintenance.
growth medium An aqueous solution containing all the
nutrients necessary for microbial growth.
limitation of growth The restriction on microbial
growth by the availability of the nutrient that is first
consumed to completion even when all other essential
nutrients are present in excess. This growth-limiting
nutrient determines the maximum amount of biomass
that can be formed in this system; at low concentrations
in batch culture and in the chemostat it also determines
the rate (kinetics) of growth.
nutrient An organic or inorganic compound that is
used by microorganisms as a building block for the
synthesis of new cell material. In a wider sense, also
compounds not incorporated into the microorganism,
but serving as a source of energy or as terminal electron
acceptor. Nutrients are grouped into classes depending
on the physiological purpose they serve, the quantity
required, and whether or not they are essential for
growth.
nutritional categories of microorganisms Categories
based on the principal carbon (CO
2
or reduced organic
compounds) and energy sources (light or reduced
(in)organic compounds) of microorganisms; there are
four nutritional categories: photoautotrophs,
photoheterotrophs, chemoautotrophs, and
chemoheterotrophs.
photoautotrophy The use of light and CO
2
as the
primary sources of energy and carbon for biosynthesis.
photoheterotrophy The use of light and reduced
organic compounds as the primary sources of energy
and carbon for biosynthesis.
Stoichiometry The relationship between the relative
quantities of consumed nutrient and biomass formed
during microbial growth; reflected in the growth yield
coefficient (Y).
Abbreviations
AOC assimilable organic carbon
EDTA ethylene diamine tetraacetic acid
LB Lysogeny broth
NTA Nitrilotriacetic acid
PHAs poly(3-hydroxyalkanates)
PHB Polyhydroxybutyrate
Defining Statement
To grow and divide, microbial cells take up precursors
and building blocks (nutrients) from the environment. In a
wider sense, nutrients are also compounds that are not
directly incorporated into cell material but are used by
microbes to obtain the energy necessary to drive this
synthesis and maintain cell integrity. Different nutritional
788

types of microorganisms exist using different forms of
carbon (CO
2
or reduced organic compounds) and energy
(light or chemical energy) as the primary sources for
biosynthesis. Nevertheless, the cellular composition of
all microbial cells with respect to bulk components and
the elemental composition is rather similar. Because of
this, it is possible to estimate the general requirement of
different nutrients for growth and to design and analyze
microbial growth media. In well-designed growth media a
particular identified nutrient is growth-limiting and
determines the amount of biomass that can be formed,
whereas all other nutrients are present in excess (Liebig’s
principle). Cell metabolism and performance are strongly
influenced by the nature of the growth-limiting nutrient.
Therefore, many industrial fermentation processes are
based on restricting the availability of a particular nutri-
ent in order to force a strain into a physiological state
favorable for production.
Classification of Microorganisms
and Nutrients
Growth and production of offspring is the ultimate goal of
each microbial cell and to achieve this it takes up nutri-
ents from the environment for two purposes: Either to
serve as a source of building blocks or precursors for the
synthesis of new cellular constituents, or to generate
energy to drive biosynthesis. Individual members of the
microbial world are extremely diverse and often unique
with respect to their nutritional requirements and abil-
ities. Hence, only the main patterns of the nutritional
requirements and of behavior microorganisms will be
delineated here.
Two approaches are traditionally taken to describe the
nutritional behavior and requirements of living cells. The
two approaches do not contrast, but rather complement
each other. One is to categorize organisms on the basis of
the principal sources of carbon and of energy they are
able to use for growth; the other is to categorize them on
the basis of quantitative and elemental aspects of the
nutrients used for growth.
Nutritional Categories of Organisms
Based on their principal carbon and energy sources,
microorganisms are classified into four different nutri-
tional categories (Table 1). Most microorganisms using
light as their principal source of energy are photoauto-
trophs, that is, they use an inorganic reduced compound
as an electron donor and CO
2
as a carbon source (some-
times also referred to as photolithoautotrophs), whereas
photoheterotrophs are a small group of specialists (certain
purple and green bacteria). The ability to grow chemoau-
totrophically, that is, in the dark in a medium containing
only inorganic nutrients, including a reduced inorganic
compound as a source of energy, is specific for bacteria
and archaea but is lacking in eukaryotic microorganisms.
In these three types of nutrition the source for carbon and
that for energy are clearly separated. This clear-cut dis-
tinction between the carbon and the energy source is not
valid for the big group of chemoheterotrophic organisms
that obtain their energy from the oxidation of reduced
organic compounds and at the same time use them as a
source of building blocks. The terms ‘litho-’ and ‘organo-’
are sometimes also used to indicate the source of hydro-
gen and electrons.
Some microbial strains are nutritionally rather flexible
and could be placed into different nutritional categories.
For example, the nutritional versatility of some photoau-
totrophic microalgae is such that they can employ a
chemoheterotrophic lifestyle, growing in the dark at the
expense of organic carbon sources, equally well. Also it
should be mentioned that, when given the chance,
most autotrophs can take up and assimilate considerable
amounts of reduced organic compounds (not only
growth factors, as described below) and use them to
feed their anabolism. The nutritional category of such
microorganisms is usually based on the simplest nutri-
tional requirements, in which phototrophy and
autotrophy precede chemotrophy and heterotrophy,
respectively. The degree of nutritional flexibility, in
addition, is indicated by describing strains as either obli-
gate or facultative photo(chemo)autotrophs. In any of the
four nutritional categories there are auxotrophic strains
that require low amounts of specific organic compounds,
Table 1 Nutritional types of organisms based on the sources of carbon and energy used for growth
Energy source Electron source Carbon source Nutrition type
Phototrophs Light Reduced inorganic
compound
CO
2
Photoautotroph (photolithoautotroph)
Light Reduced inorganic
compound
Reduced organic
compound
Photoheterotroph (photolithoheterotroph)
Chemotrophs Chemical energy Reduced inorganic
compound
CO
2
(Chemolithoautotroph)
Chemical energy Reduced organic
compound
Reduced organic
compound
Chemoheterotroph
(chemoorganoheterotroph)
Nutrition, Microbial 789

that is, the growth factors. Unlike prototrophic strains,
auxotrophs are unable to synthesize these growth factors
from the principal source of carbon supplied in the
medium.
Classes of Nutrients
In everyday usage the term ‘nutrient’ is restricted to
compounds either fully or at least partly incorporated
into cell material. However, biosynthesis requires energy
in addition to building blocks. Frequently, the compounds
involved in the generation of energy are not incorporated
into biomass, but only take part in redox processes.
Hence, based on their physiological purpose, compounds
essential for microbial growth can be divided into two
major groups (Figure 1):
1. Compounds that are either fully or partly incorporated
into components of the biomass (nutrients), and
2. compounds that are not incorporated into biomass but
are essential for the generation of energy (electron
donors or acceptors).
This distinction cannot always be made in such a clear
way because there are nutritional categories of organisms
where some compounds can fulfill both functions at the
same time. For example, reduced carbon sources are
employed by chemoheterotrophs to obtain carbon pre-
cursors for biosynthesis as well as to generate energy, or,
ammonia can be used by particular chemolithotrophs as a
source of both energy and nitrogen.
The chemical elements contained in the nutrients con-
sumed and incorporated into new cell material can be
divided into five different classes. The division is mainly
based on the quantities of these elements required for
growth and their occurrence in dry biomass (Table 2).
Not considered in this table is water, which is a main
constituent of all cells, making up approximately 75% of
the fresh cell weight. Table 3 indicates that typically some
95% of the dry biomass is made up of the eight elements C,
N, O, H, P, S, K, and Mg (class 1). These elements are
indispensable for microbial growth. Class 2 elements are
required in significant amounts, whereas those in class 3
and 4 are usually referred to as trace elements. For ele-
ments categorized in class 2 and 3 it can be demonstrated
experimentally that they are essential, whereas it is difficult
to prove that elements of class 4 are essential for growth.
These elements are required in such low amounts that they
are usually introduced into media with the bulk salts,
where they are present as impurities or leach from the
cultivation vessel and materials in contact with the med-
ium. Finally, a special class of nutrients are the growth
factors required by auxotrophic strains. This includes a
diverse group of organic compounds. The physiological
role of the main nutrients will be discussed in more detail
in the section titled ‘Requirements and physiological func-
tions of principal elements’.
Electron
acceptor (oxidized)
Electron
acceptor (reduced)
Waste products
Oxidized (in)organic
electron donor
Carbon sources
Organic
compound CO2
NADPH
ATP
Inorganic
nutrients
Precursors
Biomass
Light
Oxidized (in)organic
electron donor
Energy sources
Reduced (in)organic
electron donor
CO2
Figure 1 Simplified sketch of the physiological function of nutrients for the growth of microorganisms.
790 Nutrition, Microbial

Elemental Composition of Biomass
The composition of a microbial cell is highly dependent
on the cultivation conditions. The type of cellular con-
stituents present (e.g., ribosomes, particular enzymes,
membrane and cell wall components, compounds in the
metabolic pool) and their amount can vary enormously.
D. Herbert (1961) has emphasized this point saying that it
is useless to give the cellular composition of a microbial
cell without specifying both the exact growth conditions
under which this cell has been cultivated and its growth
history at the same time.
Despite this diversity and variability with respect to cell
constituents, the elemental composition of microbial bio-
mass – including cell material from archaea, eubacteria,
and eukaryotes – varies in a surprisingly narrow range.
This is documented in the overview of the average elemen-
tal composition of microbial biomass and its variability in
Table 3. The relative constant composition of microbial
biomass with respect to the major elements results from the
fact that most of the dry biomass (typically some 95%) is
made up of a limited number of organic macromolecules and
only a small fraction can be attributed to monomers (meta-
bolites and inorganic ions). Because protein, RNA, and
phospholipids are the dominating components, massive
changes in the content of a particular cell component are
required before the overall elemental composition of the
biomass is significantly affected (Table 4). For example, a
significant increase in the carbon content of dry biomass is
observed only when cells store high amounts of poly
(3-hydroxyalkanates) (PHAs) or neutral lipids, whereas it
is primarily the cellular oxygen content that is affected when
Table 2 Classes of nutrients used for microbial growth based on their incorporation and occurrence in dry cell mass
Class 1 Always essential Major elements: C, H, O, N
Minor elements: P, S, K, Mg
Class 2 Mostly essential Fe, Ca, Mn, Co, Cu, Mo, Zn
Class 3 In special cases essential B, Na, Al, Si, Cl, V, Cr, Ni, As, Se, Sn, I
Class 4 Very rarely essential (difficult to prove) Be, F, Sc, Ti, Ga, Ge, Br, Zr, W
Class 5 Growth factors, for special strains essential Amino acids, purines and pyrimidines, vitamins, hormones, etc.
Based on Pirt (1975).
Table 3 Elemental composition of microbial biomass
% of dry weight
a
Element in biomass Average
b
Range
Typical sources utilized for growth
in the environment
Carbon 50 45
c
–58
d
CO
2
, organic compounds
Oxygen 21 18
e
–31
f
H
2
O, O
2
, organic compounds
Nitrogen 12 5
d
–17
g
NH
3
,NO
3
, organically bound N
Hydrogen 8 6
d
–8
g
H
2
O, organic compounds
Phosphorus 3 1.2
h
–10
i
PO
43
, organically bound P
Sulfur 1 0.3–1.3 SO
42
,H
2
S, organically bound S
Potassium 1 0.2
j
–5
k
K
þ
(can be replaced by Rb
þ
)
Magnesium 0.5 0.1
l
–1.1 Mg
2þ
Calcium 1 0.02–2.0 Ca
2þ
Chlorine 0.5 Cl
Iron 0.5 0.01–0.5 Fe
3þ
,Fe
2þ
, organic iron complexes
Sodium 1 Na
þ
Other elements
Mo, Ni, Co, Mn, Zn, W, Se, etc.
0.5 Taken up as inorganic ions
a
Cells consist, on average, to 70% of their weight of water and 30% of dry matter.
b
Gram-negative cells growing with excess of all nutrients at
max
in batch culture.
c
Carbon-limited cells containing no reserve materials.
d
Nitrogen-limited cells storing PHA or glycogen in the presence of excess C source.
e
Cells grown N-limited accumulating neutral lipids.
f
Cells grown N-limited accumulating glycogen.
g
Cells growing at high containing high levels of rRNA.
h
Cells grown P-limited.
i
Cells accumulating the reserve material polyphosphate.
j
Gram-positive Bacillus spores.
k
Gram-positive bacilli.
l
Magnesium-limited cells at low growth rates.
Data collected from Tempest (1969), Pirt (1975), Herbert (1976), and from results obtained in our own laboratory.
Nutrition, Microbial 791

cells accumulate glycogen. Note that an extensive incor-
poration of carbonaceous reserve materials results in a
dilution and, hence, in a reduction of the relative content
of other elements in dry biomass. A typical example is the
reduced cellular nitrogen content found in cells accumulat-
ing PHA or glycogen.
Requirements and Physiological
Functions of Principal Elements
Carbon
Dried microbial biomass consists of roughly 50% carbon,
and virtually all of it is present as one of the many reduced
organic cell constituents. Hence, as discussed (Table 1), the
most obvious physiological function of carbon is as a source
of building material for organic biomolecules. When its
most oxidized form, CO
2
,isusedasthesolesourceof
carbon for autotrophs, reduction to the level of organic
cell material (usually at a redox state of carbon 0) and
the formation of carbon–carbon bonds is required. This
process requires significant amounts of reducing equiva-
lents (primarily NADPH) and energy (ATP) (see
Figure 1). CO
2
is also employed as a terminal electron
acceptor by methanogens and acetogens.
In contrast, heterotrophs use reduced carbon com-
pounds to build their cell material and in most cases (an
exception are the photoheterotrophs) the carbon com-
pound fulfills a dual function, namely, it acts as both a
carbon and an energy source. In some fermenting organ-
isms reduced carbon compounds can act as terminal
electron acceptors. Typically, heterotrophic cells utilize
the same carbon source for both purposes, oxidizing a part
of it to CO
2
(a process called dissimilation) and using the
energy derived from this oxidation to synthesize cell
material from the other part (assimilation). The ratio of
dissimilated to assimilated carbon is essentially depen-
dent on the degree of reduction of the carbon substrate
used. The more oxidized the carbon compound, the more
of it that has to be dissimilated in order to provide
the necessary energy to drive the synthesis processes
and the less of it that can be assimilated. This is reflected
in the maximum growth yield observed for different
carbon sources when plotted as a function of their energy
content (i.e., their degree of reduction, or heat of combus-
tion), as shown in Figure 2. Most extreme is the case of
chemoheterotrophs growing at the expense of oxalate
(HOOC–COOH). To generate energy, this compound
is initially oxidized to CO
2
, which is then assimilated in
Table 4 Major polymeric constituents found in microbial cells and their average elemental composition
% of dry weight
Constituent Average
a
Range %C %H %O %N %S %P
Protein 55 15
b
–75 53 7 23 16 1
RNA
c
21 5
b
–30
d
36 4 34 17 10
DNA
c
31
b
–5
e
36 4 34 17 10
Peptidoglycan 3 0
f
–20
g
47 6 40 7
Phospholipids 9 0
h
–15 67 7 19 2 5
Lipopolysaccharides 3 0
g
–4
i
55 10 30 2 3
Neutral lipids 0–45
j
77 12 11
Teichoic acid
c,g
0
l
–5
g
28 5 52 15
Glycogen 3 0–50
j
45 6 49
PHB 0–80
j
56 7 37
PHA (C8)
k
0–60
j
68 9 23
Polyphosphate
l
0–20
m
61 39
Cyanophycin
n
0–10 42 15 25 27
a
Average composition of an exponentially growing Gram-negative cell (Escherichia coli) (Neidhardt, et al. 1990).
b
Cells storing carbonaceous reserve materials.
c
Inclusion of the highly negatively charged polymers such as RNA, DNA, polyphosphate, or cell wall components is paralleled by the presence of
appropriate amounts of countercations, Mg
2þ
,Ca
2þ
,orK
þ
.
d
At high growth rates.
e
Cells growing slowly.
f
Parasitic cell wall-less species.
g
Gram-positive bacteria.
h
Strains replacing phospholipids under P-limited growth conditions with P-free analogues.
i
Gram-negative bacteria.
j
Cells grown N-limited.
k
PHA consisting of 3-hydroxyoctanoic acid.
l
Grown P-limited.
m
Some yeasts and bacteria.
n
Some cyanobacteria contain the nitrogen storage material cyanophycin (asp-arg)
n
.
Adapted from Herbert (1976) and extended. The figures given for the range have been collected from different organisms and, therefore, may not be
applicable for particular strains.
792 Nutrition, Microbial

an autotrophic manner. The data depicted in Figure 2
clearly demonstrate two different regimes of growth: first,
a regime where growth is ‘energy-limited – carbon excess’
and the maximum yield increases linearly with the heat of
combustion and, second, a growth regime of ‘energy
excess – carbon limitation’ where the growth yield does
not change anymore (in this case excess energy has to be
dissipated as heat).
Heterotrophic microorganisms are extremely diverse
with respect to the spectrum of carbon sources they can
use for growth. Whereas some are restricted to only a few
carbon compounds (e.g., some methanotrophs appear to
utilize only methane and methanol), others are able to
metabolize and assimilate more than a hundred different
carbon compounds for growth. It should be added here that
all heterotrophic organisms also assimilate a substantial
amount of their cell carbon (typically 5–10%) from CO
2
(mainly for replenishing the tricarboxylic acid cycle when it
is used as a source of building blocks for biosynthesis).
Normally, this requirement for CO
2
is masked because
CO
2
is produced in large amounts intracellularly from the
catabolism of organic growth substrates. However, espe-
cially in freshly inoculated dilute cultures its absence can
slow down, or even prevent, growth on organic substrates
and some heterotrophic microorganisms even require ele-
vated concentrations of CO
2
in the culture medium.
In case of energy excess and limited by an other
essential nutrient, for example, nitrogen, carbon com-
pounds can be stored intracellularly as reserve materials
in the form of PHA, glycogen, or neutral lipids. In case of
carbon starvation these internal carbon/energy sources
are broken down to support cellular rearrangement and
adaptation to the new conditions and to ensure survival.
Hydrogen
In cells, hydrogen is present in the form of water and as an
element of all organic cell constituents. The main source of
hydrogen for biosynthetic purposes is NADPH. The need
for hydrogen is particularly evident for the reduction of
CO
2
in autotrophs. In photo- and chemoautotrophs hydro-
gen equivalents used for CO
2
reduction can originate from
water, from the oxidation of reduced inorganic compounds,
or from reduced organic compounds. Chemoheterotrophs
obtain their reducing equivalents from the oxidation of
their primary carbon substrate.
Oxygen
As with carbon and hydrogen, oxygen is omnipresent in
cells. It occurs in most of the organic components of cell
material. The main sources of oxygen for the biosynthesis
of particular cell components are water, molecular oxy-
gen (but not in obligate anaerobes, where oxygen is
frequently toxic) and, less obviously, CO
2
. In aerobes,
molecular oxygen is introduced into organic molecules
with the help of mono- and dioxygenases. In addition to
its function as a cell constituent, O
2
also serves as a
terminal electron acceptor in aerobes.
Nitrogen
The cellular requirement for nitrogen is significant
because it is a constituent of all major macromolecules
(Tables 3 and 4). In cell components, nitrogen is mainly
found in the reduced form (i.e., as primary, secondary, or
tertiary amino groups). Oxidized forms (nitro and nitroso
groups) are rarely found. Organic and inorganic forms of
nitrogen at all states of oxidation, from NH
4þ
to N
2
to
NO
3
, can be used by microorganisms as sources of cell
nitrogen (although some are unable to reduce oxidized
forms). Note that the microbiological fixation of molecu-
lar nitrogen is of special interest to agriculture because of
its ubiquitous availability in air. Frequently, microbial
cells exhibit nitrogen requirements in the form of special
amino acids (L-forms for incorporation into proteins, or
D-forms for the synthesis of cell wall components)
or peptides. Intracellularly, the assimilation of nitrogen
occurs at the level of ammonia. Therefore, all higher-
oxidized forms have to be reduced to this level before
they can be used as a source of nitrogen.
Nitrogen compounds also play a major role in energy
metabolism. Reduced forms (e.g., ammonia and nitrite) are
used as sources of energy by nitrifying bacteria, whereas
oxidized inorganic nitrogen compounds (e.g., nitrate,
nitrite) are employed as terminal electron acceptors by
denitrifying microbes.
Heat of combustion (kcal g–1 substrate)
Max. yield (g DW g–1 substrate C)
2 6 10 14 18 22
0.2
0.4
0.6
0.8
1.0
1.2
1.4
1.6
Oxalate
Formate
Fumarate
Succinate
Citrate
Acetate
Benzoate
Glucose
Mannitol
GlycerolMethanol Methane
Propane
Ethane
Figure 2 Maximum growth yields reported for various carbon
substrates observed for heterotrophic organisms, as a function
of the energy content of the carbon substrate. Adapted from
Linton and Stephenson, 1978.
Nutrition, Microbial 793

Phosphorus
Inorganic phosphate is typically supplied in growth media
as the only source of phosphorus. However, many organ-
isms can also derive phosphorus from organic phosphates,
such as glycerophosphate (note: organic P sources can be
used to avoid precipitation of inorganic phosphate salts in
a medium at basic pH values). Phosphate is primarily
incorporated into nucleic acids, phospholipids, and cell
wall constituents. Some organisms may also store it as
polymetaphosphate, which can be reused as a source of
internal phosphorus or for the generation of ATP.
Intracellularly, the main fraction of phosphorus is con-
tained in ribosomal RNA, whereas ATP and other nucleic
acids make up only a minor fraction of the total cellular
phosphorus.
Sulfur
The bulk of intracellular sulfur is found in proteins
(cysteine and methionine). An important function of
cysteine is its involvement in the folding of proteins by
the formation of disulfide bridges. Frequently, these amino
acids are also found in reactive centers of enzymes (e.g., in
the coordination of reactive iron centers). The sulfur-
containing coenzymes and vitamins (e.g., CoA, biotin,
thiamine, glutathione, and lipoic acid) are small in quantity
but physiologically very important. Intracellularly, sulfur is
present in a reduced form (–SH) whereas it is usually
supplied in growth media as sulfate salt. Some organisms
are not able to catalyze this reduction and therefore must
be supplied with a reduced form of sulfur, for instance with
cysteine or H
2
S.
Many inorganic sulfur compounds are also involved in
the generation of energy. Whereas reduced sulfur com-
pounds are used as electron donors (H
2
S, thiosulfate, and
S
0
), oxidized forms are employed as terminal electron
acceptors (SO
42
,S
0
).
Major Cations
Magnesium
Magnesium is one of the major cations in cell material. Its
intracellular concentration is proportional to that of
RNA, which suggests that it is partly counterbalancing
the negative charges of the phosphate groups in nucleic
acids. Hence, its cellular concentration and requirement
increase with growth rate. It is required for stabilizing the
structure of ribosomes. Many enzymes are activated by or
are even dependent on the presence of Mg
2þ
; some
important examples are enzymes catalyzing reactions
dependent on ATP or chlorophylls. Magnesium is also
found bound to the cell wall and the membrane, where it
seems to be responsible for stabilizing the structure
together with other cations.
Interestingly, in Gram-negative bacteria the molecular
ratio of Mg:K:RNA-nucleotide:PO
4
is always approxi-
mately 1:4:5:8 and is independent of growth rate,
temperature, or growth-limiting nutrient. In Gram-
positive organisms, this ratio is 1:13:5:13, except under
phosphate-limited growth conditions in the chemostat,
where it is 1:4:5:8. The higher K and PO
4
content of
Gram-positive bacteria is due to the presence of phos-
phate-containing cell wall polymers (teichoic acids),
which are replaced under phosphate-limited growth by
non-phosphate-containing analogues (teichuronic acids).
Potassium
Potassium makes up a large part of the inorganic cations in
biomass (Table 3). Only a small fraction of K
þ
present in
cells seems to be associated with binding sites of high affinity
and specificity as it can be rapidly exchanged with other
monovalent cations. A large fraction of K
þ
is bound to RNA
where it seems to have a stabilizing function. Therefore, as
in the case of magnesium, its requirement increases with
specific growth rate. Significant amounts are also found
associated with the cell wall. K
þ
activates a number of
different enzymes, either nonspecifically (contributing to
the ionic strength) or specifically (e.g., peptidyltransferase).
Cations of similar size such as Rb
þ
or NH
4þ
can frequently
take over the function of K
þ
(in contrast to magnesium,
which cannot be replaced by other cations). Specific growth
rates of many organisms are reduced when they are culti-
vated in media that are low in potassium. A variety of
growth conditions affect the intracellular concentration of
potassium, including osmolarity of the medium, tempera-
ture, pH, or sodium concentration. Therefore, this cation
should always be added to growth media in significant
excess.
Iron
Frequently considered a trace element, iron is used in
significant amounts by virtually all organisms, not only
by obligate aerobes (lactobacilli seem to be the only bac-
teria that do not need iron for growth). Iron is the catalytic
center of a number of enzymes, especially those involved in
redox reactions. Most essential are the various iron-
containing cytochromes in the respiratory chain, flavopro-
teins, or the enzymes essential for the detoxification of
reactive oxygen species such as catalase or superoxide
dismutase. Many of the mono- and dioxygenases initiating
the breakdown of pollutants are also iron enzymes. Most
bacteria require concentrations of free iron exceeding 10
8
mol l
1
for growth. Iron(III), which is the species that
prevails in aerobic environments, easily forms insoluble
hydroxides and other complexes. Therefore, the acquisi-
tion of iron is a major problem for growing organisms.
Many organisms react to iron limitation by excreting
iron-complexing organic compounds with a high affinity
toward iron, the siderophores. In mineral media, iron is
794 Nutrition, Microbial

therefore frequently supplied complexed with an organic
ligand.
A number of anaerobic bacteria (in particular nitrate-
reducing strains) can use Fe
3þ
(or Mn
4þ
) as a terminal
electron acceptor, reducing it to Fe
2þ
(or Mn
2þ
). On the
contrary, some specialist bacteria can use Fe
2þ
(or some-
times also Mn
2þ
) as a source of energy by oxidizing it to
Fe
3þ
.
Calcium
In most organisms Ca
2þ
is present intracellularly in sig-
nificantly lower amounts than Mg
2þ
, which has similar
properties. The role of Ca
2þ
is not always clear; however,
it seems to have important functions in stabilizing the cell
wall and controlling membrane permeability. Changes in
cell morphology and cell surface properties have been
reported for several microorganisms in the absence of
Ca
2þ
.Ca
2þ
activates many exoenzymes such as amylase.
Furthermore, a number of uptake processes are stimu-
lated by the presence of Ca
2þ
; an example is the uptake of
exogenous DNA. It appears that extracellularly calcium
plays the role that magnesium plays in the cytoplasm.
Often Mg
2þ
cannot replace Ca
2þ
in these extracellular
functions, but strontium can. In growth media attributing
a clear function to calcium is difficult because of the
presence of competing divalent cations that are essential
for growth, such as Mg
2þ
or Mn
2þ
.
Trace Elements
Sodium
Microorganisms isolated from freshwater do not usually
require sodium. For such organisms it is difficult to demon-
strate that this cation is essential for growth because its
requirements are low and sodium is present in all bulk salts
as an impurity. However, some extremely halophilic
microorganisms require high concentrations of NaCl for
growth. For example, in order to not disintegrate,
Halobacterium needs more than 2.5 mol l
1
NaCl in the
growth medium. Sodium is also essential for certain photo-
synthetic bacteria and cannot be substituted for by other
monovalent cations. In some marine bacteria, energy gen-
eration is even linked to the utilization of a Na
þ
gradient
rather than an H
þ
gradient. Furthermore, in many micro-
organisms this ion is involved in the regulation of
intracellular pH using a Na
þ
–H
þ
antiport system.
Manganese
As a substitute for the iron-containing catalase, lactoba-
cilli produce a manganese-containing pseudocatalase for
protection against molecular oxygen. A high requirement
for manganese is typical for lactic acid bacteria. Many of
the lignolytic peroxidases contain manganese.
Cobalt
Co
2þ
-containing coenzymes and cofactors are widespread,
the best known being the coenzyme B
12
.Cobalamines
(cobalt-containing biomacrocylic compounds) are found
in bacteria as well as in humans, but the highest levels are
usually found in methanogenic bacteria.
Nickel
Methanogens require unusually high amounts of Ni
2þ
for
growth. It was found that it is a component of the coen-
zyme F430 in these organisms. Furthermore, this divalent
cation is a constituent of virtually all hydrogenases in both
aerobic and anaerobic microorganisms that either use or
produce molecular hydrogen.
Copper
Copper is the key metal in the active center of many
redox-reaction-catalyzing enzymes. It is present in many
terminal oxidases of the respiratory chain. A number of
other enzymes, such as peptidases, laccases, some nitrite
reductases, or methane monooxygenase, contain Cu
2þ
.
Molybdenum
A whole family of enzymes, the molybdoenzymes (also
referred to as molybdenum hydroxylases), contain Mo
2þ
.
This family includes the central enzyme in the reduction
of nitrate to nitrite: nitrate reductase. Furthermore, the
nitrogen-fixing nitrogenase contains a MoFe cofactor,
which is clearly different from the molybdenum cofactor
shared by other Mo-containing enzymes.
Zinc
Many of the bacterial (extracellular) metalloproteases
contain Zn
2þ
(e.g., elastase). Many of these proteases are
produced by pathogenic strains and play an important
role in the pathogenesis. Other zinc-containing enzymes
are alkaline phosphatase and the long-chain alcohol
dehydrogenases.
Feast and Famine: Unrestricted versus
Nutrient-Limited Growth
In a typical laboratory shake flask culture all the nutrients
supplied in a well-designed growth medium are initially
present in excess and the cells grow exponentially at the
highest rate possible under these conditions. However, in
every environmental and technical system microbial
growth cannot proceed unrestricted for a long time.
A simple calculation makes this obvious: After 2 days of
exponential growth a single microbial cell doubling every
20 min (as, e.g., Escherichia coli does) will have produced
roughly 2 10
43
cells. Assuming an average cell weight of
Nutrition, Microbial 795

10
12
g this amounts to 2 10
31
g of biomass, or approxi-
mately 4000 times the weight of the Earth. Hence, in
every environmental and technical compartment, growth
is always soon limited by the exhaustion of one or several
nutrients.
The Concept of the Limiting Nutrient
The term ‘limiting nutrient’ is used with meanings, which,
unfortunately, are frequently mixed up. The availability
of nutrients can restrict the growth of microbial cultures
in two distinct ways, namely stoichiometrically and kine-
tically. The stoichiometric limitation is defined by the
maximum amount of biomass that can be produced from
the limiting nutrient in this system (‘Liebig’s principle’,
from Justus von Liebig’s agricultural fertilization studies
around 1840, in which he found that the amount of a
particular nutrient determined the crop on a field as
long as all other nutrients were present in excess; eqn
[1]). The kinetic limitation arises at low nutrient concen-
trations (typically in the low milligram to microgram per
liter range) at which the (stoichiometrically) limiting
nutrient also controls the specific rate of growth of cells
(). This kinetic control of the specific growth rate
usually follows saturation kinetics and the Monod equa-
tion (eqn [2]) is typically used to describe the relationship
between concentration of the growth rate-controlling
nutrient (usually referred to as substrate S) and .
x¼x0þs0–sðÞ?YX=Sð1Þ
¼max
s
Ksþsð2Þ
where s
0
is the initial and sthe actual concentration of the
limiting nutrient S;xis the dry biomass concentration and
x
0
the initial dry biomass concentration; Y
X/S
is the (dry
biomass) growth yield for nutrient S;is the specific
growth rate and
max
the maximum specific growth rate;
and K
s
is the apparent Monod substrate affinity constant.
This is visualized in Figure 3 for growth in a closed
batch culture system in which the cells initially grow
unrestricted until the consumption of the limiting nutri-
ent first leads to growth at a reduced rate, and then to
growth stoppage. The limiting nutrient determines the
final concentration of biomass that can be reached. In
flow-through systems, such as a continuous culture, in
which fresh medium is continuously added and surplus
culture removed, the rate of addition of limiting nutrient
(thought to be a single compound) simultaneously con-
trols and the concentration of biomass obtained in the
culture (see ‘Continuous Cultures (Chemostats)’.
In laboratory cultures, it is possible to cultivate cells
under well-defined conditions where the growth-limiting
nutrient is known when employing defined synthetic
media. Quantitative and practical aspects of nutrients in
microbial growth media for controlled cultivation will be
discussed in the section titled ‘Design and analysis of
defined minimal growth media’. For the cultivation of
heterotrophic microorganisms for research purposes and
the production of biomass, media with a limiting carbon
and energy source, with all other nutrients being supplied
in excess, are commonly designed. However, in biotech-
nological processes, limitation by nutrients other than
carbon is frequently employed to manipulate the physio-
logical state and metabolic performance of microbial
cultures. Restriction (limitation) of specific nutrients
induces or enhances formation of many microbial meta-
bolites and enzymes. Examples are the increased
productivity in antibiotics fermentation by growth in
phosphate-limited media, the production of citric acid
under Fe-, Mn-, and/or Zn-limited batch culture condi-
tions, the synthesis of NAD under Zn–Mn limitation, and
the accumulation of the intracellular reserve materials
polyhydroxybutyrate (PHB) or PHA (bioplastic) by lim-
iting the supply of nitrogen.
In contrast to cultivation in the laboratory and indus-
trial scale, it is difficult to assess the nutritional regimes
that govern growth of microbial cells in environmental
systems (especially the identification of the kinetic con-
trol). In aquatic systems, primary microbial production,
that is, autotrophic growth, is usually limited by the
availability of phosphorus, whereas the growth of hetero-
trophs is limited by the availability of a complex mixture
of carbon energy sources. There are indications that
microbial growth is frequently controlled not by a single
nutrient, but by combinations of two or more nutrients
simultaneously; in addition to phosphorus and carbon
energy sources, nitrogen and iron may frequently be
colimiting.
Nutrient excess,
unrestricted growth Kinetic
limitation Stoichiometric
limitation
Time
s
0
limits x
x
=
x
0
+
s
0
Y
X/S
s controls μ
Log x
Conc. of
nutrient S μ = 0
μ
=
μ
max
μ = f(s)
Figure 3 Kinetic and stoichiometric limitation of microbial
growth in a batch culture by the concentration of the limiting
nutrient (substrate) S.s
0
, initial concentration of S;s, actual
concentration of S;x, biomass concentration; x
0
, initial biomass
concentration; Y
X/S
, growth yield for nutrient S.
796 Nutrition, Microbial

Growth Limitation and Growth Patterns during
Batch Cultivation
Mostly, microbiologists cultivate their strains in batch
culture, that is, closed systems such as shake flasks or
agar plates, where after inoculation no additional nutri-
ents are added (except for oxygen in aerobic cultures).
Usually, the carbon energy source is selected as the limit-
ing nutrient when cultivating heterotrophs. In defined
mineral media with a single growth-limiting carbon
energy source, this results in the typical pattern found in
all textbooks, with an exponential phase, in which cells
grow at a constant specific growth rate, and a distinct and
quick switch from exponential growth to the stationary
phase, as illustrated in Figure 4.
However, batch growth patterns depend very much on
the nature of the growth-limiting nutrient. An example is
given in Figure 5 for the growth of Klebsiella pneumoniae in
synthetic medium with glucose as the sole carbon energy
source where either glucose (Figure 5(a)) or phosphate
(Figure 5(b)) is limiting growth. During exponential
growth, with all nutrients in excess, the specific growth
rate is identical in both cultures. In the case of glucose
limitation, the consumption of sugar to completion brings
biomass production to an immediate standstill and a dis-
tinct switch from the exponential to the stationary phase;
the kinetic limitation phase as indicated in Figure 3 is
hardly visible. Acetate produced during the exponential
phase is now consumed but does not lead to a detectable
further increase in biomass concentration. The growth
pattern in a phosphate-limited batch culture is distinctly
different in as much as not only growth but also glucose
consumption and acetate production proceed after
phosphate is consumed to completion. In this example,
biomass increased almost threefold, and was paralleled by
acetate excretion, until limited availability of glucose slo-
wed down growth. In this phase of obvious extracellular
phosphate limitation the cell redistributes intracellularly
bound phosphorus from nonessential cell components to
places where it is absolutely required, such as DNA. This
phase of growth is characterized by high intracellular
dynamics of cell composition and extensive cell rebuilding.
Hence, limitation by nutrients different from carbon does
not usually result in a complete stoppage of growth.
Whereas for elements that are covalently linked like C,
N, S, and P, a break in the growth curve indicates limita-
tion and a change in metabolism, this is usually not visible
for nutrients that are not covalently linked in cell compo-
nents (such as Mg
2þ
,K
þ
) or may be redistributed easily
(such as iron); here, the onset of limitation is hardly detect-
able from the biomass growth curve and hidden limitations
of growth can be overlooked easily.
Often, standard complex media, for example, Lysogeny
Broth (LB, also known as Luria-Bertani medium), are
widely used in molecular microbiology to cultivate micro-
bial strains in the laboratory (Table 5). Such media consist
of chemical or enzymatic digests of plant, yeast, or animal
tissues and contain a plethora of organic compounds utiliz-
able by many microorganisms for growth. Nevertheless,
most of the organic molecules of different size and quality
presentinsuchmediacannotbeaccessedforgrowth;for
example, E. coli is able to use only roughly 10% of the total
carbon supplied in LB with 90% remaining unutilized. In
such complex mixtures, easily accessible carbon compounds
are utilized first, supporting fast growth, and – as growth
proceeds – cells switch to less preferred, more complex
compounds that support lower specific growth rates. This
is illustrated in Figure 6 for the growth of E. coli in LB where
the specific growth rate starts out at 2.5 h
1
(which is a
doubling time of less than 17 min) and then continuously
decreases until stationary phase is reached. Hence, the true
exponential growth phase with a constant is limited to the
very first part of the curve. Thus, one has to be cautious
when interpreting data obtained under such growth condi-
tions because many of the cellular parameters investigated
are -dependent. Growth under natural conditions is prob-
ably very similar to growth in complex media; also, in nature
a mixture of carbonaceous compounds supports growth of
heterotrophic microorganisms and growth is limited by
available carbon energy sources most of the time. This is
shown in Figure 7 for the growth of E. coli with pasteurized
natural freshwater assimilable organic carbon (AOC) from a
small river. Because of methodological restrictions, informa-
tion on the growth of microbes on the pool of natural
carbon energy sources is still severely limited. However,
recent experiments done in our laboratory demonstrate
that growth at environmental carbon concentrations
(100–200 mgAOCl
1
) is still extremely efficient and
–5
–4
–3
–2
–1
0
1
0.00 5.00 10.00 15.00 20.00 25.00
t [h]
ln (OD600)
μ = μmax = 0.57 ± 0.01 h–1
μ = 0 h–1
Figure 4 Growth of Escherichia coli K-12 MG1655 in batch
culture with glucose mineral medium (37 C) in a shake flask. The
initial glucose concentration was 1.25 g l
1
; growth was
measured spectrophotometrically as optical density at 600 nm
(OD
600
) and the specific growth rate (,h
1
) was calculated from
3–5 adjacent data points. Unpublished data from J. Ihssen, M.
Berney, and T. Egli.
Nutrition, Microbial 797

23–1–2–3 0 1
0.5
1.0
1.5
2.0
2.5
3.0
Glucose, biomass (g
l
–1
)
Time (h)
0.1
0.2
0.3
Acetate (g
l
–1
)
(a)
23–1–2–3 0 1
0
1
Time (h)
0
15
30
45
60
75
2
3
4
5
6
7
4567
0
2
4
8
10
6
0.8
0.6
0.4
0.2
0
Glucose (g l –1)
Dry biomass (g l –1)
Phosphate (mg l –1)
(b)
Acetate (
g
l –1)
Figure 5 Growth, glucose consumption, and acetate production in a batch culture of Klebsiella pneumoniae cultivated in a synthetic
glucose medium where either (a) glucose or (b) phosphate is the growth-limiting nutrient (30 C, pH 7.0). Growth is given as dry biomass
produced. Adapted from Wanner U and Egli T (1990) Dynamics of microbial growth and cell composition in batch culture. FEMS
Microbiology Reviews 75: 19–44.
Table 5 Composition of a selection of media used to set the maximum specific growth rate of Salmonella typhimurium in batch culture
No Medium Comments
a
max
(h
1
)
1 Brain þheart infusion Full strength 1.94
5 Nutrient broth Diluted 1:2 with medium No 14 1.80
6 Nutrient broth Diluted 1:5 with medium No 14 1.66
7 Casamino acids 1.5% þ0.01% Tryptophan in medium No 14 1.39
9 20 Amino acids 20 Natural amino acids þmineral salt solution
a
1.27
10 8 Amino acids 8 Natural amino acids þmineral salts solution
a
1.01
14 Glucose salt 0.2% Glucose þmineral salts solution
a
0.83
15 Succinate salt 0.2% Succinate þmineral salts solution
a
0.66
19 Methionine salt 0.06% Methionine þmineral salts solution
a
0.56
22 Lysine salt 0.014% Lysine þmineral salts solution
a
0.43
a
Mineral salts solution contained MgSO
4
,Na
2
HPO
4
, Na(NH
4
)HPO
4
, KCl and citric acid as chelating agent. It did support no visible growth without
addition of a carbon source.
Reproduced from Schaechter M, Maaløe O, and Kjeldgaard NO (1958) Dependency on medium and temperature of cell size and chemical
composition during balanced growth of Salmonella typhimurium.Journal of General Microbiology 19: 592–606.
798 Nutrition, Microbial

heterotrophic freshwater communities are able to form on
average 10
7
cells from 1 mg of AOC. Because of the much
bigger cell size of E. coli, this yield is reduced and ranges
within 1–2 10
6
cells per 1 mgofAOC.
Design and Analysis of Defined Minimal
Growth Media
To grow and synthesize their own cell material, organ-
isms must obtain all the required building blocks (or their
precursors) and the necessary energy from their environ-
ment. Consequently, to cultivate microbial cells in the
laboratory these nutrients must be supplied in a culture
medium in adequate amounts and in a form accessible to
the organism. Investigations of stoichiometric aspects of
microbial growth can be traced back to the first formula-
tion of defined growth media by Pasteur in the 1850s and
Raulin, a former student of Pasteur, reported in 1869 the
first cell yield coefficients for C, N, P, K, Mg, Fe, and Zn
for an Aspergillus species.
As a result of the physiological diversity of the
microbial world, a myriad of media of different com-
positions have been published, for either selective
enrichment or cultivation of particular microorganisms.
All these media contain components the nutritional
function of which is obvious, in particular when con-
sidering their elemental or energetic function.
Nevertheless, most nutritional studies undertaken have
been qualitative rather than quantitative and different
nutrients have been added in more or less arbitrary
amounts. Also, many of the media contain components
and the reason for their inclusion cannot be clearly
identified because their inclusion is based more on
experience or tradition than on a clear purpose.
02468
Time (h)
22 24 26
0
0.5
1
1.5
2
2.5
3
ln
(OD
546
)
μ
(h
–1
)
–7
–6
–5
–4
–3
–2
–1
0
1
2
–8 –0.5
Figure 6 Growth of Escherichia coli K-12 MG1655 in batch culture with complex medium (LB, 37 C) in a shake flask. Growth was
measured spectrophotometrically as optical density at 546 nm (OD
546
) and the specific growth rate (,h
1
) was calculated from 3–5
adjacent data points. Values are means (standard deviations, error bars) from three experiments. Adapted from Berney, et al. (2006)
Applied and Environmental Microbiology 72: 2586–2593.
0
Time (h)
5101520253035404550
0.4
0.3
0.2
0.1
0
13
12
11
10
9
8
7
ln (cell number)
μ
(h
–1
)
Figure 7 Growth of Escherichia coli O157 in a batch culture with assimilable organic carbon from pasteurized freshwater. Growth at
30 C was measured flow cytometrically as the increase in cell concentration after staining cells with SYBR Green and the specific
growth rate (,h
1
) was calculated from 2–3 adjacent data points. Unpublished data from M. Vital, F. Hammes, and T. Egli.
Nutrition, Microbial 799

The identification of nutritional requirements of
microbial cells usually calls for the use of defined syn-
thetic media. The design of defined culture media is
based on quantitative aspects of cell composition and it
allows influencing the growth of a microbial culture at
three major levels:
•First, the choice is made as to which nutrient is to limit the
growth of the culture stoichiometrically and kinetically.
•Second, for nutritionally flexible microbial strains, the
choice is made as to which type of metabolism the
organism should resort to by the selection of the com-
pounds that are supplied to fulfill a particular
nutritional requirement, including electron donors
and acceptors.
•Third, and often linked with the second point, the choice
of the maximum specific growth rate to be achieved
during unrestricted growth in batch culture is set.
Setting
max
During Unrestricted Growth
In addition to physico-chemical parameters such as tem-
perature or pH, the maximum specific growth rate of a
microorganism is influenced by the composition of the
nutrients supplied in the medium. This has been elegantly
illustrated for the growth of Salmonella typhimurium by
Schaechter and colleagues (1958), who used 22 media of
different compositions to obtain growth of the culture at
differing rates under nutrient excess conditions (a selec-
tion is given in Table 5). Although the four media
supporting the highest specific growth rates are unde-
fined, the other media consist of a minimal salt medium
to which different carbon sources or amino acid mixtures
are added. Hence, selection of the quality of precursors
supplied in the mineral medium allowed adjustment of
the specific growth rate of the culture in a defined and
reproducible way. For metabolically flexible microbes
this choice can be extended to the level of electron
acceptors or donors.
Medium Design and Experimental Verification
of the Limiting Nutrient
Designing a growth medium
In the design of a defined growth medium the initial
decisions to be made are the choice of the maximum con-
centration of biomass the medium should allow to produce
x
max
, and the selection of the nature of the growth-limiting
nutrient (according to Liebig’s principle). Typically,
defined growth media for heterotrophic microbes are
designed with a single carbon energy source restricting
the amount of biomass that can be produced, whereas all
other nutrients (each of them usually added in the form of a
single compound) are supplied in excess. Having set x
max
,it
is possible to calculate the minimum concentration of the
different elements necessary in the culture medium to
produce x
max
, using the individual average elemental
growth yields (Y
X/E
). To ensure an excess of all the non-
limiting nutrients in the medium, their concentrations are
multiplied by an excess factor (F
E
). In this way, the con-
centrations of the different nutrients required in the growth
medium (e
req
) are present in a theoretically x-fold excess
with respect to the limiting nutrient:
ereq ¼xmax
YX=E
?FEð3Þ
An example of the design of a carbon-limited medium
supporting the production of 10 g l
1
of dry biomass of is
given in Table 6. Note that in this medium the ingredi-
ents are chosen in such a way that it is possible to change
the concentration of each of the elemental nutrients indi-
vidually (e.g., by including MgCl
2
plus NaHSO
4
instead
Table 6 Design of a carbon-limited minimal medium allowing the production of 10 g l
1
of dry biomass
Medium
constituent
Source of,
function
Growth yield assumed (g dry
bio-mass/g element)
Excess factor assumed
with respect to carbon
Mass of
element (g l
1
)
Mass of
constituent (g l
1
)
Glucose C, energy 1 1 10 25.0
NH
4
Cl N 8 3 3.75 14.33
NaH
2
PO
4
P 33 5 1.52 5.88
KCl K 100 5 0.5 0.95
NaHSO
4
S 100 5 0.5 1.87
MgCl
2
Mg 200 5 0.25 0.98
CaCl
2
Ca 100 10 1.0 2.77
FeCl
2
Fe 200 10 0.5 1.13
MnCl
2
Mn 10
4
20 0.02 0.046
ZnCl
2
Zn 10
4
20 0.02 0.042
CuCl
2
Cu 10
5
20 0.002 0.0042
CoCl
2
Co 10
5
20 0.002 0.0044
Based on elemental growth yields obtained from the composition of dry biomass (see Table 1).
Based on Pirt (1975) and Egli and Fiechter (1981). Elemental growth yields for C and the trace elements Zn, Cu, Mo, and Mn were taken from Pirt
(1975). Excess factors for different elements were chosen taking into account their variation observed in dry biomass.
800 Nutrition, Microbial

of MgSO
4
). In addition, this medium is only weakly
buffered; hence, it might be necessary to control the pH
during growth.
This approach works well for the design of media for the
cultivation of aerobic microorganisms at low to medium
biomass concentrations. More problematic is the design of
media for anaerobic cultures and cultures that require an
alkaline pH for growth, where many of the medium com-
ponents precipitate easily at the required redox potential or
pH. Similar problems arise for high cell density cultures
where solubility or toxicity problems of some of the med-
ium ingredients have to be taken into account (see ‘Some
practical comments on the preparation of media’).
An estimate for most of the elemental growth yield
factors Y
X/E
can be obtained from an elemental analysis of
dry biomass cultivated under unrestricted growth condi-
tions in batch culture (compare Table 3). For carbon,
oxygen, and hydrogen Y
X/E
cannot be calculated directly
from the elemental composition of cells because these
elements are not only incorporated into the biomass, but
also serve other metabolic functions. For example, carbon
is not only assimilated by heterotrophs but also oxidized
to CO
2
to supply energy (see also Figure 2). Also, not
included in this table is the amount of electron acceptor
that has to be supplied to ensure growth. Table 7 shows
the yield coefficients for oxygen, for some of the other
common electron acceptors, and for some electron donors
that support chemolithotrophic growth.
Two points influence the choice of excess factors.
First, for elements whose cellular content does not vary
considerably as a function of cultivation conditions,
excess factors can be set low (N, P, and S), whereas for
elements that are known to vary considerably (e.g., with
growth rate), they are set higher. Second, the chemical
behavior of the medium component in the growth med-
ium also has to be taken into account for choosing F
E
. For
example, most of the trace elements easily precipitate in
growth media at neutral and basic pH and as a result their
biological availability is reduced (and difficult to assess).
Therefore, they are added in a 10- to 20-fold excess
despite the fact that a metal complexing agent is usually
added to the medium to keep them in solution.
For biotechnological purposes, for which batch and fed-
batch processes are primarily used, it would be advanta-
geous to design media that contain all the nutrients in
exactly the amount required, so that all nutrients would
be consumed to completion at the end of the process. This,
however, is difficult to achieve owing to the variability of
the yield factors for the individual elements, their depen-
dence on the cultivation conditions, and the necessity to
always ensure availability. Nevertheless, one of the most
important points in medium optimization in biotechnology
is to optimize the consumption of nutrients and minimize
their loss.
Some practical comments on the preparation
of media
It is appropriate to add a few comments on some of the
most important precautions to be taken when preparing a
growth medium. Many sugars easily deteriorate during
sterilization at basic pH (especially in the presence of
phosphates and peptones). This leads to a browning of
the medium. The products formed can be inhibitory for
growth. This can be avoided by sterilizing the medium at
a slightly acidic pH, or by sterilizing the sugars separately
from the medium.
It is well known that all trace metals easily form
highly insoluble phosphate salts and precipitate in
growth media. This can be avoided by the addition of
metal-chelating agents such as ethylene diamine tetra-
acetic acid (EDTA), Nitrilotriacetic acid (NTA), or
alternatively also carboxylic acids such as citrate or
tartrate. The addition of chelating agents has a twofold
effect: On the one hand, it prevents the precipitation of
trace metals; on the other hand, it acts as a sink for
these metals, and in this way reduces their toxicity
by lowering their free (for the microbes accessible)
concentration.
At medium pH >7, the alkaline earth metals calcium
and magnesium (as the trace metals) easily precipitate in
Table 7 Some growth yield factors for electron donors and electron acceptors
Electron donors Molecular hydrogen Y
X/H
2
12 g mol
1
Thiosulfate Y
X/S
2
O
3
4 g mol
1
Fe
2þ
Y
X/Fe
2þ
0.35 g mol
1
NH
4þ
to NO
2
Y
X/NH
4þ
1.3–2.6 g mol
1
NO
2
to NO
3
Y
X/NO
2
0.9–1.8 g mol
1
Electron acceptors Molecular oxygen Y
X/O
2
10
a
–42
b
g mol
1
NO
3
to N
2
Y
X/NO
3
27 g mol
1c
NO
2
to N
2
Y
X/NO
2
17 g mol
1c
N
2
OtoN
2
Y
X/N
2
O
9 g mol
1c
SO
42
to H
2
SY
X/SO
4
5–10 g mol
1
a
For growth with reduced substrates such as methane or n-alkanes.
b
For growth with more oxidized substrates such as glucose.
c
For growth of Paracoccus denitrificans with glutamate as carbon substrate.
Nutrition, Microbial 801

the presence of phosphate (or in the presence of carbonate
ions when using a bicarbonate-buffered medium, or if
only hard water is available) to form highly insoluble
phosphate salts. These precipitates are sometimes diffi-
cult to see with the eye, especially in shake flasks owing to
the small volume of the medium. To avoid this, the
medium can be sterilized at a slightly acidic pH (which
requires the possibility that the pH can be adjusted later)
or the phosphate salts can be sterilized separately from
the rest of the medium and combined after cooling. For an
elaborate treatment on this subject and more detailed
information, especially on some of the established
media, the reader is referred to the review by Bridson
and Brecker (1970).
Experimental identification of growth-limiting
nutrient
The variability of yield factors for the different nutrients,
depending on the organism used and the compounds
included in a medium, requires that the nature of the
growth-limiting nutrient be experimentally verified for
each case. For this, the maximum concentration of bio-
mass (x) that can be produced in such a medium is
determined as a function of the initial concentration of
the medium component (s
0
) that is supposedly growth-
limiting, with the concentration of all other medium
components kept constant. This experiment can be done
in either batch or continuous culture.
The typical (theoretical) relationship obtained in such
an experiment is visualized in Figure 8. Ideally, the
relationship between s
0
of a growth-limiting nutrient
and xis initially a straight line that passes through the
origin, that is, when no growth-limiting nutrient is added
to the medium no biomass is produced. When s
0
exceeds a
certain concentration, a deviation from the linear rela-
tionship is observed. It is at this concentration that
another nutrient becomes growth-limiting. Deviations
from this relationship can be observed when one of the
bulk salts used for medium preparation contains low
amounts of the limiting nutrient as an impurity, or when
a certain amount of the limiting nutrient becomes inac-
cessible in the medium (e.g., due to precipitation with
another medium component). Note that variations in
pH due to increasing concentrations of biomass or
excreted toxic products can affect cultivation conditions
and also influence biomass yield.
In practice the linear relationship between xand s
0
is
often observed, although interpretation of the data is
frequently not as straightforward as suggested by
Figure 8. This is demonstrated in Figure 9 for
Pseudomonas oleovorans growing in a continuous culture at
a fixed dilution rate with a mineral medium in which
either carbon or nitrogen was limiting growth, depending
on the ratio of the two nutrients. By keeping the concen-
tration of ammonia constant and increasing the
concentration of the carbon source this bacterium was
cultivated at different C:N feed ratios; the resulting bio-
mass and the ammonia and carbon source concentrations
were measured at the steady state. When P. oleovorans was
cultivated with citric acid as the sole source of carbon
energy the steady-state biomass concentration in the cul-
ture initially increased linearly with the concentration of
the carbon source (Figure 9(a)). Accordingly, the residual
concentration of excess nitrogen decreased in the culture
broth with increasing C:N feed ratios. At a C:N feed ratio
of 8.5, ammonia was consumed to completion. A further
increase of the carbon concentration in the feed medium
led to no further increase of the biomass produced.
Instead, excess citric acid accumulated in the culture.
Thus, one growth regime clearly limited by carbon with
nitrogen in excess, and one limited by nitrogen with
carbon in excess, can be recognized. When the same
experiment was performed with octanoic acid as the sole
carbon source the biomass concentration also increased
initially when growth was carbon-limited with excess
nitrogen present in the culture (Figure 9(b)). At a C:N
feed ratio of 7.0, the residual concentration of nitrogen in
the culture became undetectable. Despite this, the con-
centration of the biomass in the culture continued to
increase linearly when the concentration of octanoate
was further increased in the feed medium, with all the
carbon consumed to completion. Only when the C:N feed
ratio in the feed exceeded 14.5 did unutilized octanoate
become detectable in the culture liquid. Thus, based on
the pattern of biomass concentration, growth became
nitrogen-limited above a C:N feed ratio of 15.3, whereas
the residual concentration of the nitrogen source in the
s in excess,
other nutrient-
limiting
s Growth-limiting
Initial concentration of substrate, s
0
Concentration of biomass reached, x
Figure 8 Concentration of dry biomass (x) that can be
produced in a medium, as a function of the initial concentration of
the growth-limiting substrate (s
0
).(------),xin a case where low
amounts of the limiting substrate are introduced with an other
medium component; (.......), xin a case where part of the limiting
substrate is not available for the cells, for instance, due to
precipitation with another medium component.
802 Nutrition, Microbial

culture indicated that the limitation of the culture by
nitrogen had already occurred at C:N feed ratios higher
than 7.0. The analysis of the cells showed that the effect
observed was a result of channeling the surplus carbon
into the formation of the reserve material polyhydrox-
yalkanoate (in other organisms this may be PHB
glycogen, or lipids). This dual-nutrient-(carbon/nitro-
gen)-limited growth regime is always observed when the
organism has the ability to store carbonaceous reserve
materials. Here, the extension of this zone between the
two single-nutrient-limited growth regimes depends on
the storage capacity of the organism for reserve material
and the growth rate. Such multiple-nutrient-limited
zones are observed not only for the interaction of carbon
with nitrogen but also for other combinations of nutrients,
such as C–P, C–Mg, or N–P. Furthermore, the extension
of this zone is determined by the limits a microorganism
exhibits with respect to its elemental composition under
differently limited growth conditions.
Thus, even when a linear relationship is obtained for
the biomass, care has to be taken in the interpretation. In
such a case, it is advantageous to know which of the
nutrients is the second limiting component in the
medium.
Assessing the Quality of Media and Some Notes
of Caution
Above approach can be used not only to design growth
media limited by a specifically selected nutrient, but
also to assess the quality of various media. (Never
assume that growth media reported in the literature
are perfect. Many times they are not, nor are they
necessarily employed for the purpose they were
designed for.) Such an assessment usually provides a
good understanding about the capacity of a growth
medium with respect to the maximum biomass that it
can support, the nature of the limiting nutrient, and the
degree of excess of other nutrients.
Note that most of the classical media used before the
1960s did not include trace elements. Their addition was
usually not necessary because they were contained as
impurities in the bulk minerals used for the preparation
of the medium. Modern media are frequently prepared
with ‘ultrapure’ salts, and, not surprisingly, they fail to
support good growth unless they are amended with a
trace element solution. A typical example is the classic
synthetic medium M9 that is used widely for growth of
E. coli in genetic studies. This medium in its original
C:N feed ratio of the feed medium (
g
g
–1
)
N limitation
N limitation
C limitation
C limitation
(b)
(a)
C:N limitation
PHA content of dry cells (wt %) Cell dr
y
wei
g
ht (
g
l
–1
)
Residual substrate conc. (mmol
l
–1
)
Residual substrate conc. (mmol
l
–1
)
Dry cell weight conc.
×
10 (g
l
–1
)
16
12
8
4
16
12
8
4
40
30
20
10
1.0
0.8
0.6
0.4
0.2
5 10 15 20
Figure 9 Growth of Pseudomonas oleovorans with either (a) citrate or (b) octanoate as the sole source of carbon in continuous
culture at a fixed dilution rate of 0.20 h
1
as a function of the C:N feed ratio of the feed medium. The C:N feed ratio of the feed
medium was varied by keeping the concentration of the nitrogen source (NH
4þ
) constant and changing the concentration of the
carbon source. Adapted from Durner R, et al. (2001) Biotechnology and Bioengineering 72: 278–288. indicates cell dry weight;
r, ammonium-N concentration; &, concentration of (a) citric acid or (b) octanoic acid in the culture; *, polyhydroxyalkanoate
(PHA) content of cells.
Nutrition, Microbial 803

composition does not support growth of E. coli for more
than a few generations, after which growth slows down
and finally comes to a halt.
Further Reading
Atlas RM (1997) Handbook of Microbiological Media, 2nd edn. Boca
Raton, FL: CRC Press.
Balows A, Tru¨ per HG, Dworkin M, Harder W, and Scheifer KH (1992)
The Prokaryotes: A Handbook of the Biology of Bacteria, 2nd edn.
New York: Springer Verlag.
Bridson EY and Brecker A (1970) Design and formulation of microbial
culture media. In: Norris JR and Ribbons DW (eds.) Methods in
Microbiology, vol. 3A, pp. 229–295. New York: Academic Press.
Egli T (1991) On multiple-nutrient-limited growth of microorganisms,
with special reference to dual limitation by carbon and nitrogen
substrates. Antonie van Leeuwenhoek 60: 225–234.
Egli T and Fiechter A (1981) Theoretical analysis of media used for the
growth of yeasts on methanol. Journal of General Microbiology
123: 365–369.
Herbert D (1961) The chemical composition of micro-organisms as a
function of their environment. Symposium of the Society General
Microbiology 11: 391–416.
Herbert D (1976) Stoicheiometric aspects of microbial growth.
In: Dean ACR, et al. (eds.) Continuous Culture 6: Application and
New Fields, pp. 1–30. Chichester, UK: Ellis Horwood.
Kova´ rova´ K and Egli T (1998) Growth kinetics of suspended microbial
cells: From single-substrate-controlled growth to mixed-substrate
kinetics. Microbiology and Molecular Biology Reviews 62: 646–666.
Lapage SP, Shelton JE, and Mitchell TG (1970) Media for the
maintenance and preservation of bacteria. In: Norris JR and
Ribbons DW (eds.) Methods in Microbiology, vol. 3A, pp. 1–133.
New York: Academic Press.
Linton JD and Stephenson RJ (1978) A preliminary study on growth
yields in relation to the carbon and energy content of various organic
growth substrates. FEMS Microbiology Letters 3: 95–98.
Neidhardt FC, Ingraham JL, and Schaechter M (1990) Physiology of the
Bacterial Cell: A Molecular Approach. Sunderland, MS: Sinauer.
Pirt SJ (1975) Principles of Microbe and Cell Cultivation. Oxford, UK:
Blackwell Scientific Publications.
Schaechter M, Maaløe O, and Kjeldgaard NO (1958) Dependency on
medium and temperature of cell size and chemical composition
during balanced growth of Salmonella typhimurium.Journal of
General Microbiology 19: 592–606.
Tempest DW (1969) Quantitative relationship between inorganic cations
and anionic polymers in growing bacteria. Symposium of the Society
for General Microbiology 19: 87–111.
Thauer RK, Jungermann K, and Decker K (1977) Energy conservation in
chemotrophic anaerobic bacteria. Bacteriological Reviews
41: 100–180.
Wanner U and Egli T (1990) Dynamics of microbial growth and cell
composition in batch culture. FEMS Microbiology Reviews
75: 19–44.
804 Nutrition, Microbial

Gram-Negative Opportunistic Anaerobes: Friends and Foes
A A Salyers and N B Shoemaker, University of Illinois, Urbana, IL, USA
ª2009 Elsevier Inc. All rights reserved.
Defining Statement
The Complex Relationship Between the Normal Human
Microbiota and Human Disease
Human Colonic Bacteroides Species in Health and
Disease
Koch’s Postulates and Microbiota Shift Diseases
(Dysbiosis)
Common Themes
Further Reading
Glossary
anaerobe Bacterium that is unable to divide in the
presence of oxygen, usually having a fermentative
metabolism.
biofilm A multilayered community of bacteria that is
held together by a polysaccharide matrix; may contain
more than one species of bacteria.
colonic fermentation Fermentation of dietary and host
polysaccharides by colonic bacteria to produce short-
chain fatty acids that are absorbed and utilized by
colonic mucosal cells.
conjugation, conjugative transfer The process
by which two bacterial cells make close
contact with each other and transfer DNA
from one to the other; segments of DNA can be quite
large.
capsule A complex matrix composed of polysaccharide
or protein that covers the surface of the bacterial cell.
dysbiosis Change in the composition of a microbiota
that has adverse consequences for the host.
microbiota Complex bacterial population that is
normally found in a site on the human body; usually
protective or neutral with respect to human health.
microbiota shift disease (dysbiosis) Disease that
results from a shift in the composition of the microbiota
rather than from invasion by a single pathogen.
reservoir hypothesis Bacteria in the human colon can
acquire or donate antibiotic resistance genes across
species and genus lines to other colonic bacteria or
bacteria passing through the area.
Abbreviations
ICE integrated conjugative element
LPS lipopolysaccharide
PCR polymerase chain reaction
Defining Statement
Gram-negative anaerobic bacteria that normally
colonize areas of the human body such as the mouth and
colon can cause human disease in two ways: First, if these
bacteria escape from the site they normally occupy, they
can cause abscesses in virtually any organ of the body.
Second, shifts in the composition of the microbiota of sites
where the bacteria are normally found can have patholo-
gical consequences, a phenomenon called dysbiosis.
These bacteria are not always harmful. For the most
part, they are innocuous or play a positive role in
human health.
The Complex Relationship Between the
Normal Human Microbiota and Human
Disease
The human body normally harbors complex bacterial
populations in the mouth, colon, and vagina. All of these
populations contain obligate anaerobes, and in the colon,
the anaerobes are the dominant bacterial group. For the
most part, the bacteria in these sites are beneficial, but
under some conditions members of these populations can
cause disease. Bacteria escape from these areas into sterile
areas such as blood and tissue, where they can cause
infections in almost all areas of the body. Most of the
805

anaerobic bacteria that cause disease are Gram-negative.
At one time, many physicians believed that obligate anae-
robes could not cause infections in humans because they
thought of the human body as an aerobic environment. In
fact, the perception of the body as a completely aerobic
environment is not entirely correct. For one thing, the
concentration of free oxygen in blood is relatively low.
For another, anaerobic pathogens can thrive in regions of
damaged tissue. These regions are anoxic because the
blood supply that would keep them oxygenated is cut
off. This also protects the bacteria from the cells of the
innate and adaptive immune systems because the cells
and proteins that comprise these systems cannot reach the
interior of the region. The result is the formation of
abscesses that can occur in almost any organ of the
body. Bacteria leaking from these abscesses into the
bloodstream cause bacteremia and sepsis.
A disease state can also arise if the composition of the
microbiota shifts substantially. Two well-documented
examples of this are periodontal disease and bacterial
vaginosis. In both of these conditions, the shift is from a
predominantly Gram-positive to a predominantly Gram-
negative microbiota. In periodontal disease, the Gram-
negative bacteria are predominantly anaerobes. In the
case of bacterial vaginosis, the Gram-negative bacteria
are facultative bacteria that are beyond the scope of this
article. Why and how such shifts occur is not clear.
Antibiotic use is unquestionably one of the forces that
can cause a microbiota shift to occur, but there must be
other factors because microbiota shift diseases can occur
in people who are not using antibiotics.
Oral Gram-Negative Anaerobes
Periodontal disease
Bacteria in the mouth form biofilms on tissue or teeth in
order to avoid being washed out of the site by the flow of
saliva or ingested liquids. Biofilms that form on teeth are
called plaque. The plaque that occupies the exposed por-
tion of a tooth is composed mainly of facultative Gram-
positive lactic acid bacteria such as Streptococcus species.
Even in this seemingly aerobic site, however, obligate
anaerobes can be found, probably because the formation
of a biofilm inhibits the influx of oxygen or oxygen is
consumed by some organisms in the biofilm.
Above the gum line, where the environment is more
anoxic, the plaque contains more obligate anaerobes. The
development of periodontal disease is associated with a
shift in the composition of plaque to one that is dominated
by Gram-negative anaerobes.
The species of bacteria that are most commonly asso-
ciated with periodontal disease are listed in Table 1.
Complete genome sequences are available or under way
for representatives of all of these species.
Porphyromonas gingivalis is the best studied of the species
listed in Table 1. It is a rod-shaped bacterium that forms
black-pigmented colonies. The pigmentation is due to its
use of hemin rather than free iron as an iron source.
P. gingivalis is a member of the phylum Bacteroidetes. Its
closest relatives are Prevotella spp. and human colonic
Bacteroides spp. This association was first inferred from
16S rRNA gene sequence analysis, but has been confirmed
by comparisons of whole genome sequences.
P. gingivalis is most associated with chronic adult peri-
odontitis, a condition that is characterized by inflammation
of the gums. This species has also been proposed as a
possible cause of bad breath. In fact, you can buy online a
small can labeled ‘bad breath’ that contains what is sup-
posed to be a stuffed representation of P. gingivalis,
although it looks nothing like the actual bacterium.
P. gingivalis produces a number of virulence factors
that may explain its role in periodontal disease.
Fimbriae allow the bacteria to attach to the tooth surface
and to oral tissue. Others trigger inflammation. The bac-
teria produce polysaccharidases and an impressive variety
of proteases. The polysaccharidases and proteases
degrade many of the components of the intracellular
matrix. Tissue destruction caused by these enzymes may
make a major contribution to the inflammation that is
seen in periodontal disease patients. Some of the proteases
attack complement components and other proteins of the
host’s innate response system, possibly impairing the abil-
ity of the host to eliminate the bacteria. P. gingivalis also
produces a polysaccharide capsule. This capsule stimu-
lates an inflammatory response. Finally, P. gingivalis has
been shown to invade tissue culture cells. Whether this
trait also contributes to the virulence of the organism
in vivo is still not clear.
Prevotella intermedia is associated with acute necrotizing
gingivitis and periodontal disease with bone loss. Like P.
gingivalis,P. intermedia forms black-pigmented colonies
and produces a variety of proteases. Much less is known
about this species than about P. gingivalis, but it is begin-
ning to receive more attention. In culture, the two
Table 1 Bacterial species most commonly associated with
periodontal disease
Species
Most closely related genus or
phylogenetic group
Porphyromonas gingivalis Human colonic Bacteroides spp.
Prevotella intermedia and
other Prevotella spp.
Human colonic Bacteroides spp.
Fusobacterium nucleatum Gram-positive bacteria
(Firmicutes)
Actinobacillus
actinomycetemcomitans
a
Pasteurellaceae, especially
Haemophilus spp.
a
Facultative anaerobe.
806 Gram-Negative Opportunistic Anaerobes: Friends and Foes

organisms form aggregates, an observation that is consis-
tent with the formation of a multispecies biofilm on the
teeth. The biofilm itself may help to protect the bacteria
from the host’s defense responses.
Fusobacterium nucleatum has an interesting phylogenetic
placement. It stains Gram-negative and clearly has an
outer membrane, but both its 16S rRNA gene sequence
and its genome sequence place it in the Gram-positive
bacteria. F. nucleatum also has an unusual role in period-
ontal disease. Most workers in the field do not consider it
a pathogen in the sense that it causes inflammation.
Rather, F. nucleatum’s role seems to be to aid in the for-
mation of the biofilm by attaching to other bacteria such
as P. gingivalis. Because of this propensity, it has been
called a ‘bridge organism’. Although F. nucleatum is not
considered an oral pathogen, it is capable of causing
abscesses in the head, neck, chest, lung, and abdomen if
it escapes from the mouth.
Actinobacillus actinomycetemcomitans is included in
Table 1 for completeness, even though it is a facultative
anaerobe rather than an obligate anaerobe. It is associated
with localized aggressive periodontitis. In periodontal
lesions, it is seen aggregating with F. nucleatum. A change
in name from Actinobacillus to Aggregatibacter has been
proposed. The closest phylogenetic relatives of A. actino-
mycetemcomitans are members of the Pasteurellaceae.
Other diseases
Anything that causes the gums to bleed, including vigor-
ous toothbrushing, dental manipulations, or periodontal
disease, will allow bacteria to enter the bloodstream. In
most people, bacteria are rapidly eliminated and do not
cause an infection. If the bacteria are not eliminated, they
can cause infections in any organ of the body. As already
mentioned, the oral Gram-negative anaerobes can cause
abscesses in many parts of the body. Associations between
oral Gram-negative anaerobes and other diseases have
been suggested but are more controversial. The two dis-
eases that have received the most attention are
atherosclerosis and premature birth. P. gingivalis stimu-
lated the accumulation of aortic plaque in a mouse model
of atherosclerosis. A possible explanation of this result is
that P. gingivalis can infect and inflame damaged tissue,
where the plaque is forming in the aorta. Whether
P. gingivalis is a significant contributor to atherosclerosis
is uncertain. The current leading bacterial candidate for
involvement in heart disease is Chlamydia spp. But since
evidence of P. gingivalis has been found in human aortic
plaque, it might play some role. Many people would like
to believe that there is a bacterial component of athero-
sclerosis because if so the disease might be treatable with
antibiotics.
F. nucleatum causes premature birth in mice. In this
animal model, the bacteria lodge in the placenta, where
they elicit an inflammatory response that is presumably
the cause of premature birth or direct damage to the fetus.
F. nucleatum has also been isolated from human amniotic
fluid and placental tissue of women who experienced
premature birth. So far, however, making a convincing
epidemiological connection between periodontal disease
and premature birth or other complications of pregnancy
has proven difficult. This could be due to the fact that
even if periodontal disease is a cause of premature birth, it
is only one of many causes.
Colonic Gram-Negative Anaerobes
In the colon, Gram-negative anaerobes comprise one of
the two numerically predominant bacterial groups,
accounting for 20–30% of colonic bacteria found in that
site. Most of these Gram-negative bacteria are members
of Bacteroides species. The other major group of colonic
bacteria comprises a number of species of Gram-positive
anaerobes.
Normally, Bacteroides species have a beneficial effect on
colonic health because they compete with and suppress
the growth of pathogens such as Clostridium difficile. Also,
they are major players in the colonic fermentation, a
process in which polysaccharides from the diet or from
the body itself are fermented to produce short-chain fatty
acids. Colonic cells absorb these fatty acids and use them
as sources of carbon and energy. If the colon is ruptured,
however, Bacteroides can escape into normally sterile areas
of the body such as blood and tissue, where they can cause
life-threatening infections. The Gram-positive anaerobes,
by contrast, rarely cause extraintestinal infections.
In earlier times, the release of bacteria from the colon
resulted in a rapidly developing condition called perito-
nitis. This condition is caused by E. coli and related
bacteria that are present in low numbers in the colon.
When antibiotics became available, physicians found that
by administering antibiotics immediately after such
breaches as a ruptured appendix or a suspected surgical
perforation of the colon, Escherichia coli became a much
less common cause of this type of sepsis. Bacteroides spp.,
however, proved to be resistant to the antibiotics that
controlled E. coli, and a much more slowly developing
form of sepsis was seen. Not only could Bacteroides spp.
cause bloodstream infections but they could also cause
abscesses in almost any organ of the body.
More recently, attention has been turned to shifts in
the composition of the microbiota of the colon that alter
the balance between Bacteroides species and the Gram-
positive anaerobes. Such shifts are now suspected of con-
tributing to a variety of human diseases ranging from
inflammatory bowel disease to obesity, although such
connections are still controversial.
Gram-Negative Opportunistic Anaerobes: Friends and Foes 807

Human Colonic Bacteroides Species in
Health and Disease
Bacteroides spp. were the first Gram-negative anaerobes to
be taken seriously as human pathogens. This historical
placement, taken together with a long-term fascination
with the contents of the human colon as a factor in
human health as well as disease, has produced more
detailed information about Bacteroides spp. than is avail-
able for the other species of Gram-negative anaerobes.
Accordingly, it is worth considering this genus and its
relationship with the human body in some detail.
The Definition of Bacteroides as a Genus and a
Phylogenetic Group
Bacteroides species were the first Gram-negative anaerobes
to be viewed as potentially serious pathogens. Accori-
dngly, more is known about their traits and ability to
cause disease than about the other Gram-negative anae-
robes. In the premolecular era, the definition of Bacteroides
as a genus was problematic. Bacteroides were defined are
Gram-negative obligate anaerobes that were nonmotile
and did not produce spores. Bacteroides spp. used carbohy-
drates as energy sources and produced acetate, propionate,
and succinate. This was a rather vague definition. Even the
end products that defined Bacteroides spp. were not very
informative in the sense that they were produced by many
anaerobic bacteria. Many of the oral anaerobes such as
Porphyromonas spp. and Prevotella species were originally
classified as Bacteroides spp. Differences between the oral
species and the colonic Bacteroides spp. had already been
noted. Most evident was the black pigmentation of the oral
strains. Also, they were much less aerotolerant. A careful
phylogenetic analysis based on 16S rRNA genes has finally
sorted out these different genera.
A result of the early phylogenetic analysis that was
surprising at the time was the realization that Bacteroides
and related genera were members of a completely sepa-
rated phylogenetic group from the more familiar enterics
and other proteobacteria. For a long time, the big phylo-
genetic divide was thought to be the divide between the
Gram-negative and Gram-positive bacteria. After all,
these two groups had very different cell wall structures.
To find that within the Gram-negative bacteria, there
were even bigger phylogenetic divides was unexpected.
Now, of course, it is well known that there are numerous
phyla of Gram-negative bacteria. The Gram-positive
bacteria are unusual in that they seem to cluster in a
single phylum.
A number of genome sequences of members of the
Bacteroidetes are beginning to appear. These genome
sequences confirm the original 16S rRNA conclusions
about the relatedness of the various genera in this group.
A notable feature of the genomes of such numerically
major species as Bacteroides thetaiotaomicron is the presence
of numerous glycosidases and polysaccharidases, a finding
consistent with the well-known ability of many Bacteroides
species to use oligo- and polysaccharides as sources of
carbon and energy.
The Normal Life of Bacteroides spp. in the
Human Colon
Gram-negative anaerobes are found in far fewer numbers
than Gram-positive bacteria in the oral cavity, whereas
Bacteroides spp. account for about 20–30% of the colonic
microbiota. The Gram-positive bacteria are still the
numerically predominant group but they do not outnum-
ber the Gram-negative anaerobes by the huge margin
seen in the mouth. One might consider the numerical
predominance of Bacteroides species in the colon to be a
virulence factor of sorts. If it were not for their success in
colonizing the human colon, these species would have far
fewer opportunities to cause infection. Perhaps the ability
of Bacteroides to colonize the human colon in such high
numbers should be more accurately called an ‘opportu-
nity factor’. As we are beginning to learn in the modern
era of bacterial pathogenesis studies, opportunity factors
may be at least as important, if not more so, than have
been called virulence factors.
Colonization of the colon is not, however, the only
factor responsible for their ability to cause infection
because other equally numerous Bacteroides species, such
as Bacteroides vulgatus and Parabacteroides distasonis, cause
human infections much less commonly than the much less
numerous Bacteroides fragilis, which is considered the main
cause of Bacteroides infections.
Normally Bacteroides and the other numerically predo-
minant groups of colonic bacteria are beneficial.
Bacteroides spp. make a major contribution to colonic fer-
mentation. Bacteroides spp. are saccharolytic, but simple
sugars such as glucose and maltose are not available in the
colon because they are absorbed during passage through
the small intestine. Two types of carbohydrates reach the
colon: plant cell wall polysaccharides (also known as diet-
ary fiber) and host-derived substances such as mucins and
mucopolysaccharides. Mucin is a complex mixture of
polysaccharides and proteins that lubricate the intestinal
tract and form a protective barrier that helps prevent
bacteria in the colon lumen from attaching to the colonic
mucosa and thus having more of a chance to invade
colonic cells and pass through the colon wall.
Mucopolysaccharides are also polysaccharide–protein
complexes but they have a different purpose.
Mucopolysaccharides are part of the extracellular matrix
that attaches human cells to each other in the tissue. So
when turnover of the small and large intestinal mucosal
808 Gram-Negative Opportunistic Anaerobes: Friends and Foes

cells sloughs large numbers of these cells into the intest-
inal lumen, mucopolysaccharides are also released.
Products of the colonic fermentation, mainly acetate,
propionate, and butyrate, are absorbed across the colonic
mucosa and act as sources of carbon and energy for
colonic cells and underlying tissue. The contribution of
the colonic fermentation to the human carbon and energy
budget has been estimated to be about 8–10%, although
this estimate is more of a guess than a concrete measure-
ment. The human body must constantly produce new
colonic mucosal cells and slough them into the colon
lumen to prevent bacteria from adhering and invading.
Thus the products of the colonic fermentation may strike
an energy balance with the human body in which colonic
bacteria ‘pay rent’ for being allowed to remain in the
location.
If you are intrigued by the hypothesis that a shift in the
colonic microbiota contributes to obesity, the colonic
fermentation could become an important consideration.
The obesity connection is alleged to result from a shift in
the ratio of Bacteroidetes to Firmicutes (Gram-positive
bacteria) to favor the Firmicutes. In theory, an increase in
the efficiency of the colonic fermentation, even if it is
only a few percent, could lead over time to increases in
weight. Since so little is known about the Gram-positive
anaerobes that comprise the majority of the Firmicutes, it
is premature to speculate on their contribution to colonic
fermentation.
A confusing aspect of the obesity hypothesis is that,
traditionally, a diet high in meat and fat ‘‘Western diet’’,
not a high-fiber diet, has been associated with obesity.
Yet, the high-fiber diet should contribute the most to an
increase in the colonic fermentation because of the high
content of dietary polysaccharides. Evidently, a connec-
tion between obesity and the ratio of Bacteroidetes to
Firmicutes may be more complex than the current simple
hypothesis. One factor that may prove important is that a
‘Western’ diet contains many fabricated foods that have a
high concentration of polysaccharides such as guar gum,
which maintain the texture of puddings and ice cream.
These are much more readily fermented than the less
soluble polysaccharides such as cellulose.
It is probably the case that virtually all of the Bacteroides
in the colon are located in the lumen of the colon, not
attached to the colonic wall. Colonic bacteria account for
about one-third of the volume of colonic contents. This
concentration of bacteria is so high that there is no room
for all of them to lodge in the mucin layer or to attach to
the colon wall. Many Bacteroides cells appear to be
attached to plant particles or are free-living in the colon
interior. This does not preclude the possibility that a few
Bacteroides species preferentially colonize the mucin layer
or even reach the mucosal surface.
A considerable amount of information is available
about the mechanism of polysaccharide utilization by
Bacteroides spp. Bacteroides appear to specialize in the uti-
lization of soluble polysaccharides and are generally
unable to metabolize such insoluble substrates as cellu-
lose. The colon is a highly competitive environment, so
it is not surprising that Bacteroides spp. that utilize poly-
saccharides do not excrete polysaccharide-degrading
enzymes into the extracellular environment. Instead,
they bind the polysaccharide to the bacterial outer mem-
brane and somehow transport it into the periplasmic
space where the degradative enzymes are located. In this
way, the products of the degradative enzymes are seques-
tered by the bacterium that made them.
Virulence Factors of Human Colonic
Bacteroides spp.
Normally, virulence factors are defined as toxic mole-
cules such as protein toxins or traits of the organism such
as capsules that protect them from the defenses of the
human body. Virulence features of the human colonic
Bacteroides spp. are more ill-defined and their role seems
to be to elicit an inflammatory response. Also, they need
to survive to locate the sites of damaged tissue where they
can thrive. Although Bacteroides species cannot grow in the
presence of oxygen, many of them are able to survive low
levels of oxygen for prolonged periods. Pathogenic
Bacteroides species such as B. fragilis have a complex
response to oxygen that is probably protective, and this
may also be true of other Bacteroides species. The ability to
survive in the bloodstream, where low levels of oxygen
may be encountered, would allow the bacteria to find and
lodge in small areas of damaged tissue where conditions
do support growth.
It is possible that the ability to degrade polysaccharides
such as mucopolysaccharides and other human cellular
polysaccharides, a trait that contributes to their ability to
colonize the colon, may act as virulence factors. These
enzymes could help to break down tissues at the margins
of an abscess, thus allowing the bacteria to expand the
area of damage.
Clearly, however, the main virulence factor of B. fra-
gilis, the most common cause of Bacteroides infections, is a
capsule, that consists of two polysaccharides: PSA and
PSB. Capsules of better-studied pathogens have as their
function preventing phagocytic cells such as neutrophils
from engulfing and killing the bacteria. This does not
seem to be the main role of the Bacteroides capsule. This
capsule, which consists of two charged polysaccharides,
seems to have an inflammatory activity that makes a
major contribution to abscess formation. Paradoxically,
this capsule or at least PSA has been shown to have a
protective role in a mouse model of inflammatory bowel
disease. In this case, PSA from bacteria in the intestinal
lumen affect inflammatory cells in the intestinal lining in
Gram-Negative Opportunistic Anaerobes: Friends and Foes 809

such a way as to restore the normal balance of immune
function.
Bacteroides species, like other Gram-negative bacteria,
have lipopolysaccharide (LPS) molecules that are located
in their outer membranes and are able to elicit an inflam-
matory response. Compared to E. coli LPS, Bacteroides LPS
is much less toxic when injected into mice.
The most commonly cited Bacteroides infections are
abscesses, but some strains of B. fragilis are able to cause
diarrheal disease in the intestine because they produce a
small protein enterotoxin. Recently, this enterotoxin,
which has a protease activity, has been shown to act by
cleaving the zonal occludens, proteins that bind intestinal
cells together to form an impermeable barrier. This find-
ing raises the possibility that Bacteroides strains might
produce other, as-yet-undiscovered, protein toxins. So
far, genes that are recognizable as toxin genes have not
been found in the available Bacteroides genome sequences.
Antibiotic Resistance Genes and the Reservoir
Hypothesis
There is still disagreement about whether to regard anti-
biotic resistance genes as virulence genes, but there is no
question that one of the reasons Bacteroides species have
been such successful opportunists is their resistance to
antibiotics. Some resistance are based on failure to take
up an antibiotic. Perhaps the most obvious of these is the
universal resistance of Bacteroides spp. to aminoglycosides
such as streptomycin and gentamicin. Aminoglycosides
inhibit protein synthesis, but to do so they have to enter
the cell. Apparently, the resistance of Bacteroides spp. to
aminoglycosides is due to the failure to take up the
antibiotic.
Two antibiotics that were identified early as being
particularly effective against Bacteroides spp. were clinda-
mycin and metronidazole. Clindamycin is a lincosamide
that inhibits protein synthesis and metronidazole has a
nitro group that is reduced inside the cell to a form that
damages DNA. Both of these antibiotics are more active
against anaerobes than facultative bacteria. Clindamycin
resistance is due to the acquisition of a gene that encodes
a methyltransferase that modifies rRNA, the part of the
ribosome that binds clindamycin. This prevents clinda-
mycin from binding to the ribosome and stopping protein
synthesis. Bacteroides strains have also become resistant to
more familiar antibiotics such as penicillins and cephalos-
porins, macrolides such as erythromycin, and
tetracyclines. These resistances are also due to the acqui-
sition of resistance genes. The tetracycline resistance
genes do not encode efflux proteins such as those com-
monly found in the enterics, but rather encode proteins
that interact with the ribosome to prevent tetracycline
from binding. Resistance to all of these antibiotics has
been increasing. Resistance to tetracycline is now so
widespread in Bacteroides spp. that tetracycline is no
longer considered to be a drug of choice for treating
Bacteroides infections. An interesting but little known fact
is that E. coli, which is susceptible to most aminoglycosides
when growing under aerobic conditions becomes much
more resistant to them when grown under anaerobic
conditions.
Bacteroides species can mutate to resistance, but more
commonly they become resistant by acquiring resistance
genes via horizontal gene transfer, which occurs primarily
by conjugation. Not only does horizontal gene transfer
occur within a matter of hours but more than one resis-
tance gene can be acquired at the same time. Even if a
resistance gene is not expressed initially in a new host,
selection pressure can easily produce mutations in the
promoter that render the gene active.
For many years, conjugative gene transfer was consid-
ered to be mediated entirely by plasmids. Only when
attention shifted to Bacteroides spp. and to Gram-positive
bacteria did it become obvious that there are also inte-
grated gene transfer elements. These were originally
called conjugative transposons, which is something of a
misnomer because these elements are more like lysogenic
bacteriophage than like transposons. More recently, a new
nomenclature has been suggested: integrated conjugative
elements or ICEs. Bacteroides also have conjugative plas-
mids, but these seem to be making less of a contribution to
horizontal gene transfer among members of this group
than ICEs.
Conjugative transposons are normally integrated into
the bacterial chromosome. To transfer, they excise to
form the circular transfer intermediate. A single-stranded
copy of this transfer intermediate is transferred to the
bacterial recipient, then the circular forms reintegrate
into the chromosome.
Recent studies that suggest that conjugative transfer
occurs frequently in the human colon have led to the
suggestion of another pathogenic aspect of Bacteroides
spp., the ability to serve as a reservoir for antibiotic
resistance gene. This idea has been called the reservoir
hypothesis and is illustrated in Figure 1. Conjugative
transfer of DNA can cross species and genus lines.
Numerous reports of the same resistance genes in both
Gram-positive and Gram-negative bacteria as well as in
different species of the same genus supports the hypoth-
esis that such broad host range events occur in nature and
occur fairly frequently. The reservoir hypothesis states
that the dominant members of the colonic population,
Gram-positive anaerobes as well as Bacteroides species,
collect transmissible resistance genes and spread them to
other bacteria.
This includes not only bacteria that are normally resi-
dent in the colon but also bacteria such as some of the
Gram-positive pathogens that are swallowed or ingested
in food and pass through the colon. The normal residence
810 Gram-Negative Opportunistic Anaerobes: Friends and Foes

time of a bacterium passing through the colon (24–48 h) is
more than sufficient for conjugative transfer of resistance
genes to occur. Thus, a swallowed bacterium such as
Staphylococcus aureus or Streptococcus pneumoniae might acquire
resistance genes during passage through the colon. After
excretion, these bacteria enter the environment and could
then recolonize human body sites from which they could
later cause infections if the body’s defenses were impaired.
Koch’s Postulates and Microbiota Shift
Diseases (Dysbiosis)
Throughout this article, a unique feature of the Gram-
negative anaerobes has been mentioned repeatedly: their
participation in shifts in the composition of the microbiota
that can lead to a disease state. This phenomenon repre-
sents a paradigm shift away from the traditional view of
infectious diseases as caused by single organisms. In fact,
associations between shifts in the microbial populations of
the colon or the mouth and human disease have been
difficult for some scientists to accept because it is so
difficult to establish a cause and effect relationship.
How are we to cope with such a complex picture of
disease? During the 1800s, scientists interested in bacterial
diseases focused on diseases caused by single bacteria.
A microbiologist of that period, Koch, developed a set of
guidelines for establishing a cause and effect relationship
between a bacterium and a disease. This set of guidelines
is now called Koch’s postulates. The first postulate was
that the bacterium had to be associated with the lesions of
the disease. The second was that the bacterium must be
isolated from infected blood or tissue in pure culture. The
third, which has proven problematic even in some cases of
single-microbe infections, is that the isolated bacterium
must be shown to cause the disease if inoculated into a
human or animal model. The fourth is that the bacterium
must be reisolated from the infected human or animal in
pure culture.
How would one approach developing a set of Koch’s
postulates for microbiota shift diseases? Currently, such
postulates are formulated as follows: First, the composi-
tion of the bacterial population associated with the disease
must be established. Since it is often the case that many of
the bacteria in a site have not been cultivated, this is
normally done using DNA-based (culture-independent)
methods such as polymerase chain reaction (PCR) ampli-
fication and sequencing of 16s RNA genes. This in effect
combines Koch’s first and second postulates. The third
postulate could be satisfied by inoculating germfree
rodents, rodents raised in sterile conditions so that they
have no normal bacterial microbiota, to give them an
aberrant or normal bacterial population.
Engineering microbiota diversity in mice is the strat-
egy used in recent studies linking a shift in the colonic
microbiota to obesity. Results of these studies provide
support for the cause and effect relationship between a
shift in the colonic microbiota to one in which Bacteroides
spp. decline in abundance and the concentration of the
Gram-positive anaerobes rises. This pattern is the oppo-
site of the shift to a primarily Gram-negative population
that has been associated with periodontal disease.
A similar strategy of using gnotobiotic mice as a model
for dysbiosis is also seen in studies that attempt to link a
shift in the microbiota of the colon to inflammatory bowel
disease. In this case, however, the interaction may be
more complex. Although early studies emphasized the
negative effects of the Gram-negative anaerobes in
inflammatory bowel disease, a very recent study claims
that the B. fragilis capsule, normally thought of as a viru-
lence factor, may have a protective effect in inflammatory
disease. A problem with these murine studies, of course, is
that inflammatory disease in mice may not be as good a
mimic of the human disease as scientists hope.
In humans, one might use antibiotic intervention or
some other treatment such as probiotics to restore the
microbiota to normal and at the same time to reduce the
symptoms of the disease. Unfortunately little is known
about how to manipulate the human microbiota in this
way to achieve the desired population, and so ethical
concerns could arise.
Common Themes
Both the oral and colonic Gram-negative anaerobes
illustrate that bacterial pathogens can act in more
Fecal–oral
transmission
Swallowed bacteria
Genes
Resistant intestinal bacteria
Other intestinal
bacteria
Figure 1 Reservoir hypothesis. Bacteria in the colonic
microbiota can contribute to the ability of other bacteria to cause
disease by transferring genes to other colonic bacteria or to
swallowed bacteria that are merely passing through the colon.
Transient bacteria are excreted but can be spread to other areas
of the body through the fecal–oral route or directly to skin. These
bacteria can then go on to cause disease in another body site.
This hypothesis is best established for antibiotic resistance
genes but could involve genes that increase the ability of the
bacteria to cause disease (virulence genes).
Gram-Negative Opportunistic Anaerobes: Friends and Foes 811

complex than were envisioned by early microbiologists
and even by scientists who founded the era of modern
bacterial pathogenesis. In this paradigm, bacterial patho-
gens usually came into a susceptible person from the
environment or from other people. These pathogens pro-
duced fairly distinct diseases, and thus had readily
identifiable virulence factors. This view of disease was
first challenged by the so-called opportunists, bacteria
such as S. aureus,Staphylococcus epidermidis,S. pneumoniae,
and Pseudomonas aeruginosa that were normally harmless
but were able to take advantage of breaches in the
defenses of the human body.
The Gram-negative anaerobes have pushed the envel-
ope of opportunism even further. The Gram-negative
anaerobes of the human body can appear in a variety of
guises. They can be beneficial, as is the case with the
colonic fermentation and the ability of colonic anaerobes
to compete with and suppress pathogens. They can act as
pathogens if they escape the area in which they normally
reside. In the case of both the colonic and oral anaerobes,
this type of infection is often seen as abscesses, probably
due to the protection the bacteria gain if they lodge in
anoxic areas of damaged tissue. Production of hydrolytic
enzymes is also a common trait and one that may contri-
bute to tissue damage. Finally, the Gram-negative
anaerobes have raised the specter of new forms of disease,
such as microbiota shift diseases, or a contribution to dis-
ease caused by the sharing of antibiotic resistance genes.
Further Reading
Backhed F, Sey RE, Sonnenburg JSl, Petersen DA, and Gordon JI
(2005) Host-bacterial mutualism in the human intestine. Science
307: 1915–1920.
Belanger M, Rodrigues P, and Progulski-Fox A (2007) Unit 13C.2
Genetic manipulation of Porphyromonas gingivalis. Current
Protocols in Microbiology. New York: Wiley and Sons.
Brook I (2006) Bacteroides infections. eMedicine specialties, WebMD.
Demmer RT and Desvarieux M (2006) Periodontal infections and
cardiovascular disease. The Journal of the American Dental
Association 137: 145–205.
Eley B and Cox S (2003) Proteolygic and hydrolytic enzymes from
putative periodontal pathogens: Characterization, molecular
genetics, effects on host defenses and tissues and detection in
gingival crevice fluid. Periodontology 2000 31: 105–124.
Kolenbrander P, Palmer R, Rickard A, Jakubovics S, Chalmers N, and
Diaz P (2006) Bacterial interactions and successions during plaque
development. Periodontology 2000 42: 47–49.
Mazmanian SK, Round L, and Kasper DL (2008) A microbial symbiosis
factor prevents intestinal inflammatory bowel disease. Nature
453: 620–625.
Rodrigues P and Progulske-Fox A (2005) Gene expression profile
analysis of Porphyromonas gingivalis during invasion of human
coronary artery endothelial cells. Infection and Immunity
73: 6169–6173.
Salyers AA, Gupta A, and Wang Y (2004) Human intestinal bacteria as
reservoirs for antibiotic resistance genes. Trends in Microbiology
12: 412–416.
Salyers AA and Shipman JA (2002) Getting in touch with your
prokaryotic self: Mammal-microbe interactions. In: Staley JT and
Reysenbach A-L (eds.), Biodiversity of Microbial Life: Foundation of
Earth’s Biosphere, pp. 315–341. New York: Wiley-Liss, Inc.
Salyers AA, Shoemaker NB, and Schlesinger D (2007) Ecology of
antibiotic resistance genes. In: Lewis K, Salyers AA, Taber HW, and
Wax RG (eds.) Bacterial Resistance to Antimicrobials, 2nd edn. New
York, NY: Marcel Dekker.
812 Gram-Negative Opportunistic Anaerobes: Friends and Foes

Outer Membrane, Gram-Negative Bacteria
H Nikaido, University of California, Berkeley, CA, USA
ª2009 Elsevier Inc. All rights reserved.
Defining Statement
Composition, Structure, and Functions of Outer
Membrane
Biosynthesis and Assembly of Outer-Membrane
Components
Periplasm
Functional Complexes Involving Multiple Components
of the Cell Envelope
Mycobacterial Cell Envelope
Further Reading
Glossary
-barrel A protein-folding pattern in which an extensive
-sheet structure closes upon itself, producing a
cylinder or a barrel structure.
bile salts Amphiphilic derivative of cholesterol secreted
in bile and functioning as detergents for the digestion of
fat in the intestinal tract. Conjugated bile acids often
have strongly acidic groups (for example, from taurine).
Kdo An acidic, eight-carbon sugar 2-keto-3-deoxy-
octonate or 3-deoxy-D-mannooctulosonate.
lipid bilayer An ordered two-layered arrangement of
polar lipids so that their lipophilic portions associate in
the center and their polar head groups face the outside.
lipopolysaccharide (LPS) A complex polymer
comprising the outer leaflet of the outer-membrane
bilayer. Its polysaccharide portion acts as a major
antigen, and its lipid portion (lipid A) is responsible for its
endotoxic activity.
molecular chaperone A protein that helps the folding
of nascent proteins by binding to unfolded or misfolded
polypeptides.
peptidoglycan (murein) An extensively cross-linked
structure unique to bacteria, preventing the bursting of
the cytoplasm by acting as a mechanically strong cage.
periplasm The space between the cytoplasmic
membrane and outer membrane, containing
peptidoglycan, membrane-derived oligosaccharides
(MDO), and many unique proteins.
porin An outer-membrane protein that allows the
nonspecific transmembrane diffusion of small,
hydrophilic solutes.
R LPS An incomplete lipopolysaccharide containing
only lipid A and the core portion of the saccharide chain,
devoid of the O-chain. So-named because it is
produced by mutants that show a ‘rough’(R) colony
morphology.
SecYEG A multiprotein export apparatus in bacteria,
responsible for the transmembrane export of most
proteins, including periplasmic and outer-membrane
proteins.
sigma factor A subunit of bacterial RNA polymerase
that recognizes a specific set of promoter sequences.
Toll-like receptor Usually transmembrane receptors
on animal cell surface, which recognize various
common components of microbial pathogens. So-
named because of its similarity to the Toll receptor in
Drosophila.
two-component system A signal transduction
pathway widespread in bacteria, which consists of a
histidine kinase sensor and a response regulator that
becomes activated by the phosphorylation of its
aspartate residue(s).
Abbreviations
ABC ATP-binding cassette
ECA enterobacterial common antigen
Kdo ketodeoxyoctonate
LPS lipopolysaccharide
MDO membrane-derived oligosaccharides
RND resistance-nodulation-division
Defining Statement
The cell envelope of Gram-negative bacteria contains, in
addition to an inner, cytoplasmic membrane, an outer
membrane – a structure unique to organisms of this
group. The space between the two membranes is the
periplasm, where we find not only the peptidoglycan
(murein) cell wall but also many unique proteins. The
outer membrane acts as a protective barrier, limiting the
access of noxious compounds present in the environment.
813

The enteric bacteria, especially Escherichia coli and
Salmonella, served as a paradigm for the studies of struc-
ture and function of the outer membrane.
Composition, Structure, and Functions
of Outer Membrane
Lipids and Lipopolysaccharides
Outer membrane is distinctly different from the inner one
or cytoplasmic membrane in terms of composition. The
lipid bilayer domain, which is composed of mainly
glycerophospholipids (phosphatidylethanolamine, phos-
phatidylglycerol, and cardiolipin in the enteric bacteria)
in the inner membrane, additionally contains lipopoly-
saccharide (LPS) – a characteristic component. LPS is
composed of two domains – the lipophilic lipid A domain
and the hydrophilic polysaccharide domain. A single lipid
A domain contains 5-7 fatty acid residues, all saturated
and usually containing a 3-hydroxyl group, in contrast to
just two often unsaturated fatty acid residues found
in phosphatidylethanolamine or phosphatidylglycerol
(Figure 1). Its head group is based on a phosphorylated
glucosamine disaccharide, in contrast to the glycerol
phosphate moiety in the glycerophospholipids. The
lipid A head group is also connected to a polysaccharide
structure, which protrudes into the external medium and
plays a major role in the interaction of bacteria with the
external world.
In E. coli and Salmonella, the entire outer leaflet of the
bilayer appears to be composed of LPS, the phospholipids
occupying only the inner leaflet (Figure 2). This asym-
metric structure produces an exceptionally impermeable
bilayer. Lipid bilayers can usually be penetrated easily by
lipophilic molecules, including various drugs, because
these molecules can dissolve into the interior of the
membrane and redissolve in the aqueous phase on the
other side of the membrane. However, the rate of such
permeation is about two orders of magnitude slower
across the outer-membrane bilayer. This is caused by
the very low fluidity of the interior of the LPS leaflet,
which in turn is the result of the presence of only satu-
rated fatty acids, of many fatty acid chains connected
covalently to a single head group, and of the bridging of
neighboring, negatively charged LPS molecules by diva-
lent cations (see below). Thus, the LPS and the LPS-
containing outer leaflet of the outer membrane play a
major role in producing an effective permeability barrier
against the entry of lipophilic compounds, including
many antibiotics. Penicillin G, isoxazolyl penicillins
(such as oxacillin), erythromycin, and rifamycins show
little activity against Gram-negative bacteria but strong
PELPS
O
O
O
O
O
P
O
O
H2N
OH
CORE
O chain
O
O
ONH
O
O
O
O
O
O
HO O
O
NH
O
O
HO
HO
O
P
O
P
O
O
O
O
OH
O
–
OH
–
Figure 1 Structure of lipid A and phosphatidylethanolamine. For the latter, the most abundant species in Escherichia coli containing
palmitate (C
16:0
) and cis-vaccenate (C
18:1
) at 1- and 2-position, respectively, is shown.
814 Outer Membrane, Gram-Negative Bacteria

activity against Gram-positive bacteria; this limited range
is to a large extent due to the low permeability of the LPS
leaflet.
The polysaccharide portion of LPS (Figure 3)is
usually divided into the ‘core’, which is connected to
lipid A, and ‘O side-chain’, which in turn is connected
to the core. The former is composed of a nonrepeating
oligosaccharide structure, which contains numerous
acidic groups especially in its inner portion, close to the
head group of lipid A. The glucosamine disaccharide head
group also carries phosphate or pyrophosphate groups at
both ends. Thus, the inner portion of LPS core has a very
high density of negative charges, which are usually neu-
tralized by divalent cations, such as Mg
2þ
and Ca
2þ
,in
living bacterial cells.
The O-chain is most often composed of an oligosac-
charide repeat unit, which frequently contains unusual
sugars like 3,6-dideoxyhexoses. Since this is the portion
exposed to the external world, animal pathogens will
induce the production of antibodies that bind this portion
of LPS. If the repeating unit contains unusual sugars, this
may help the bacteria to evade the antibodies prevailing
in the population of higher vertebrates. The structure of
O-chain has thus undergone extensive modifications dur-
ing recent evolutionary history so that serological analysis
has shown the presence of more than 100 types of
O-chains (recognized as ‘O antigens’) in E. coli alone.
Our body recognizes the lipid A domain of LPS as a
characteristic common component of a pathogen through
the Toll-like receptor on the surface of many cells, and
this results in the strong stimulation of specific immune
response that follows. Thus, this reaction is meant to help
protect our body from infection, and some successful
human pathogens are known to modify the lipid A struc-
ture to avoid the recognition by the host. Yet the
recognition of lipid A domain by the Toll-like receptor
can result in the overstimulation of many cells in our
body, when many molecules of LPS are suddenly intro-
duced, for example, by injection. Because of this reaction,
LPS is also known as ‘endotoxin’. Humans and rabbits are
some of the most susceptible animals to endotoxin; even
1 ng (kg body weight)
1
will cause significant increase in
Hydrophobic agents must
penetrate through a
highly impermeable
asymmetric bilayer Hydrophilic agents must
go through a narrow
porin channel (7
×
11
Å)
Periplasm
Figure 2 A model of the outer membrane of enteric bacteria. In the bilayer domain, the outer leaflet is composed exclusively of
lipopolysaccharides and the inner leaflet of glycerophospholipids. A nonspecific porin is also shown.
Abe
Gal
Man Rha
()nGlc Glc
Gal
GlcNAc
Hep Hep Kdo
Kdo Kdo
Gal Lipid A
PPPEHep
PE
O chain R LPS
Figure 3 Structure of the polysaccharide portion of LPS. The figure shows, as an example, the LPS of Salmonella typhimurium
(Salmonella enterica serovar Typhimurium). In this species, the O-chain is composed of a repeating unit, containing a 3,6-
dideoxyhexose, abequose. Some of the residues in the R-LPS may not be present in stoichiometric amounts. Abe, abequose; Rha,
L-rhamnose; Man, D-mannose; Gal, D-galactose; Glc, D-glucose; GlcNAc, N-acetyl-D-glucosamine; Hep, L-glycero-D-mannoheptose;
Kdo, 3-deoxy-D-mannooctulosonate; P, phosphate; P(PE), (pyro)phosphorylethanolamine.
Outer Membrane, Gram-Negative Bacteria 815

body temperature. A large amount of LPS is released into
blood stream from dying bacteria, when patients suffering
from sepsis (multiplication of bacteria in the blood
stream) are treated by an effective antibiotic. This often
causes severe, often fatal shock reactions (septic shock) in
patients.
In addition to LPS, the outer membrane of the enteric
bacteria contains enterobacterial common antigen (ECA).
Unlike the O antigen polysaccharides, there is no variation
in the structure among strains or even species, and all
ECA molecules are composed of polysaccharides of
N-acetylaminomannuronic acid, N-acetylfucosamine, and
N,O-diacetylglucosamine. In the common form of this com-
ponent, the polysaccharide is anchored to the outer
membrane through a covalent linkage to phosphatidic acid.
The inner leaflet of the outer-membrane bilayer is com-
posed of the common glycerophospholipids. However, the
quantitative composition is different from that found in the
inner membrane. Phosphatidylethanolamine occupies more
than 90% of the glycerophospholipids in the outer mem-
brane of Salmonella.
Proteins
The outer membrane is high in protein content. Several
different classes of proteins are found.
Structural proteins
There is a need to anchor the outer membrane to the
underlying peptidoglycan for stabilization (Figure 4). In
enteric bacteria, this function is carried out by the murein
lipoprotein (or Braun lipoprotein), which is a small peri-
plasmic protein (7200 Da) with a covalently linked lipid
moiety (a diglyceride and a fatty acyl residue are con-
nected to the sulfydryl group and the amino group,
respectively, of the N-terminal cysteine). This protein
connects the two structures by becoming covalently
linked to peptidoglycan at its C-terminus and
noncovalently linked to the outer-membrane bilayer
through its lipid extensions at its N-terminus.
In Pseudomonas aeruginosa and related bacteria, murein
lipoprotein is absent. Instead, the outer membrane is
connected to the peptidoglycan by OprF and its homo-
logs. OprF is a homolog of E. coli OmpA, and most of
this protein folds into a two-domain conformer with its
N-terminal, eight-stranded -barrel buried in the outer
membrane; at the same time its C-terminal periplasmic
domain associates noncovalently with the peptidoglycan
(Figure 4).
Porins
Bacterial cells must take up nutrients from the environ-
ment in spite of the presence of the outer-membrane
permeability barrier. For this purpose, all Gram-
negative bacteria apparently synthesize a special class
of outer-membrane protein called porins, whose narrow
internal channel allows the diffusion of only small,
hydrophilic nutrients. In E. coli, porins, which are pre-
sent in about 10
7
copies per cell, are the most abundant
protein in the cell in terms of mass. E. coli porin channel
has a dimension of 0.7 1.0 nm at its narrowest point,
and disaccharides barely pass through this channel.
Larger compounds (as a rough yardstick larger than
about 600 Da) are essentially excluded. Interestingly,
lipophilic molecules are strongly retarded in their pas-
sage through this channel; this is apparently because at
the narrowest point of the channel (the ‘eyelet’), the
presence of acidic and basic amino acid residues on
opposing walls (Figure 5) creates a layer of highly
ordered water molecules and passage of lipophilic
solutes through this layer is energetically unfavorable
as it will disrupt this structure. Finally, E. coli porins
favor the passage of cations over anions. Note that these
properties of the porin channels serve to prevent the
entry of many toxic compounds, for example, conju-
gated bile salts (lipophilic and anionic), perhaps the
OmpA
(OprF)
Murein lipoprotein
Peptidoglycan
Outer
membrane
Figure 4 Anchoring of outer membrane to the peptidoglycan layer.
816 Outer Membrane, Gram-Negative Bacteria

most important inhibitor for E. coli living in the intest-
inal tract of higher animals.
E. coli porins are trimers, each of which is composed of
16-stranded -barrels (Figure 5). E. coli produces three
porins: OmpF, OmpC, and PhoE. Their structures are
very similar to each other, yet there are subtle differences
especially within the channel. In contrast to OmpF and
OmpC, PhoE favors the permeation of anions and is
expressed only under phosphorus starvation conditions
presumably to enhance the uptake of phosphate and its
esters from the environment. OmpC behaves as though its
channel is slightly narrower than that of OmpF and
becomes a predominant porin when the ionic strength of
the environment is close to, or over, that in the body fluids
of higher animals. The predominance of OmpC in E. coli
living in the intestinal tract will further enhance the
exclusion of bile acids.
It should be emphasized that porins discriminate
among various solutes based on their global physico-
chemical properties, such as size, charge, and
lipophilicity, and in this sense they show no specificity
based on the exact fit between the protein and the ligand.
Thus PhoE, for example, favor the diffusion of any anions
such as sulfate or anionic antibiotics, although such a
behavior is not beneficial for the E. coli cells starved for
phosphorus.
Although trimeric porins are found universally in
enteric bacteria, they are often absent in other groups of
Gram-negative bacteria. For example, P. aeruginosa and its
relatives produce very impermeable outer membranes;
they do not contain close homologs of OmpF/OmpC/
PhoE, and the rate of penetration of hydrophilic solutes
(such as cephalosporins) is almost two orders of magni-
tude slower than across the E. coli outer membrane. The
major nonspecific porin of these species is OprF, which is
a homolog of E. coli OmpA, and similarly acts as a
structural protein anchoring the outer membrane to the
peptidoglycan. The rate of penetration of solutes through
the OprF channel is indeed nearly two orders of magni-
tude slower than through the OmpF channel, and this is
explained by the fact that only a few percent of OprF
protein folds to produce an open channel, although the
channel itself is not narrow, with an estimated diameter of
about 2.0 nm.
Specific channels
It would be beneficial for E. coli to take up some solutes
rapidly that are retarded or excluded by the trimeric
porins. For P. aeruginosa with its inefficient general pur-
pose porins, the need to take up various types of nutrients
more efficiently is acute. For these purposes, many Gram-
negative bacteria produce specific diffusion channels.
Since starch (amylose) is broken down to oligosaccharides
of maltose series by pancreatic amylase in our intestinal
tract, E. coli must take up these compounds efficiently. For
this purpose, it uses the LamB (lambda B, so named
because it is used as the receptor by the E. coli bacterioph-
age lambda) channel, which served as an example of these
specific channels.
LamB is also a trimeric protein composed of -barrels.
The barrel is slightly larger than in the porin, containing
18 strands in contrast to 16 in the OmpF homologs.
However, the channel is narrower. The interior of the
channel is exquisitely constructed to facilitate the passage
of maltose oligosaccharides, with the succession of six
aromatic amino acid residues constituting a ‘greasy slide’
on which the sugars can slide past (Figure 6). The chan-
nel has affinity to maltose and other higher
oligosaccharides of this series, and this serves to
accelerate the transmembrane diffusion of these sugars
(up to maltohexaose, 990 Da) when they are present
in low concentrations. When they are present in
(a) (b) (c)
K16
R42R82 R132
D113
E117
Figure 5 X-ray structure of Escherichia coli OmpF porin. (a) View of the trimer from the top. Loop 2, colored blue, connects one
protomer to the neighboring protomer. Loop 3, colored orange, folds back into the lumen of the -barrel and narrows the diffusion
channel. (b) View of the monomeric unit from the side. (c) View of the monomeric unit from the top, showing the ‘eyelet’ or the
constricted region of the channel. The eyelet is formed by acidic residues Glu117 and Asp113 from the Loop 3, and basic residues from
the opposing barrel wall, Lys16, Arg42, Arg82, and Arg132, all shown in spherical models. Reproduced from Nikaido H (2003) Molecular
basis of bacterial outer membrane revisited. Microbiology and Molecular Biology Reviews 67: 593–656, with permission from the
American Society for Microbiology.
Outer Membrane, Gram-Negative Bacteria 817

nonphysiological, high concentrations, smaller oligosac-
charides such as maltose can diffuse through the
nonspecific porin channels as well, or even faster.
There are several other specific E. coli channels that
have been studied in detail. These include the channels
for sucrose (ScrY), arylglucosides (BglH), nucleosides
(Tsx), and fatty acids (FadL). In P. aeruginosa, the channel
protein OprD was studied because it plays a major role in
the rapid influx of imipenem, an antibiotic that shows an
exceptional activity against this organism, and appears to
be a specific channel for basic amino acids and peptides.
Interestingly, P. aeruginosa contains 19 homologs of this
protein; probably each of these produces a specific diffu-
sion channel for a specific type of nutrients needed by this
organism, whose general purpose porin, OprF, is very
inefficient as described above.
TonB-dependent receptors
Gram-negative bacteria need to take up some large com-
pounds that exist in extremely low concentrations in the
environment. These include the iron–siderophore com-
plexes for the uptake of iron and vitamin B
12
.E. coli, for
example, produces specific outer-membrane transporters
for ferric enterobactin (726 Da, the chelator produced by
E. coli itself) (FepA), ferrichrome (chelator produced
mostly by fungus) (FhuA), coprogen (FhuE), ferric citrate
(FecA), dihydroxybenzoate–ferric complex (Fiu), ferric
complexes of similar catecholate-type compounds (Cir),
and vitamin B
12
(1355 Da) (BtuB). For the uptake of these
compounds, even specific channels are not adequate
because diffusion through these channels is driven ulti-
mately by the difference in concentrations across the
membrane, which is vanishingly small for these com-
pounds. They are, therefore, transported across the
outer membrane by an active process with the concomi-
tant consumption of energy. Because there is no ATP in
the periplasm or in the outer membrane, the energy
coupling is done by an ingenious process of using a
periplasmic protein, TonB, to transduce the energy from
the cytoplasmic membrane, as discussed in ‘Functional
complexes involving multiple components of the cell
envelope’.
The outer-membrane proteins involved are usually
called receptors because they show very strong affinity
to the transported ligands, with the dissociation constants
in the range of nanomolar. Since the ligands are present in
such low concentrations, this high affinity is absolutely
needed. X-ray crystallographic studies showed that the
proteins have the basic construction of a -barrel, with 22
transmembrane -strands (Figure 7). The proteins
appear to exist as monomers, in contrast to the OmpF-
type porin and the LamB protein. Furthermore, a large
N-terminal portion is folded into the barrel, as though to
‘plug’ the large central channel inside the -barrel.
Recent years have seen impressive progress in our under-
standing of the interaction between TonB and these
receptors (see below), but we still do not know how the
active transport of the ligands is achieved.
(a) (b) (c)
Y41
Y6
W420 Y118
Y118
Triose
Y41
Y6
W420
W358
F227
F227
C
N
W358
Figure 6 X-ray crystallographic structure of a specific channel, Escherichia coli LamB. (a) Side view of the monomeric unit. Loop 3
(orange) and loop 1 (red) between the transmembrane -strands (shown as flat arrows) fold back deeply into the central channel of the
-barrel, and makes the channel narrower. Loop 2 (blue) folds outward and interacts with other protomers of the trimeric structure.
(b) View of the monomeric unit from the top. The residues of the greasy slide (Tyr41, Tyr6, Trp420, Trp358, and Phe227) are shown as
blue stick diagrams, and Tyr118, which constricts the channel from the other side, is shown as a yellow stick diagram. (c) View of
the greasy slide and its interaction with maltotriose. This is a side view, with the front of the -barrel cut out for a better view of the slide.
The aromatic residues comprising the helically twisted slide and Tyr118 are shown as stick diagrams, colored as in (b). The maltotriose
molecule (Triose) is shown as a stick diagram colored in orange. The diagrams are based on PDB coordinate files 1MAL and 1MPN, and
produced with PyMol. Reproduced from Nikaido H (2003) Molecular basis of bacterial outer membrane revisited. Microbiology and
Molecular Biology Reviews 67: 593–656, with permission from the American Society for Microbiology.
818 Outer Membrane, Gram-Negative Bacteria

Export channels
E. coli TolC is an outer-membrane protein that exists as a
symmetrical trimer. The trimer contains the 12-stranded
-barrel that functions as a channel traversing the outer
membrane, but in this case each monomer contributes
only 4 of the 12 transmembrane strands. Remarkably,
the channel extends about 10 nm into the periplasm, this
time as a bundle of 12 long -helices. This arrangement
allows the end of the periplasmic -tunnel to become
connected to the external end of the transporters in the
inner membrane, producing a direct extrusion mechanism
for substrates into the medium, bypassing the periplasm.
Thus, TolC and its homologs are essential components
for some of the machineries that export proteins and
drugs (see below).
A very different arrangement is also used in the export
of various proteins into the medium. Here a rather large
number (12–14) of intrinsic outer-membrane proteins
assemble to produce a large central channel. This occurs
in the Type II secretion pathway (discussed below) and
the protein here is called secretins. Similar large channels
are also envisaged for the pathway leading to the export of
P pili subunits, and here the proteins are called ushers.
Biosynthesis and Assembly of Outer-
Membrane Components
Biosynthesis of Component Macromolecules
The synthesis of macromolecules (LPS, outer-membrane
proteins) obviously takes place in the cytosol where ATP
and other sources of energy are available. The biosynthesis
of LPS is now understood in details. The synthesis of lipid
A starts from an activated form of N-acetylglucosamine,
UDP-N-acetylglucosamine (Figure 8). In the first reaction,
aC
14
hydroxylated saturated fatty acid (3-OH myristic
acid) residue is added to the 3-position of the sugar (step
1inFigure 8), followed by the deacetylation (step 2) and
further addition of another 3-OH myristic acid residue on
the now-deacetylated 2-amino group on the sugar (step 3).
Two of these diacylated molecules are fused together to
produce a 1-phosphorylated tetraacylated disaccharide
(step 4), which is then phosphorylated at the other end of
the disaccharide (step 5) to produce a structure commonly
called Lipid IV
A
, which shows significant endotoxic
activity. Just like the acylation reactions preceded the
formation of disaccharide, the addition of the innermost
sugar residues, two Kdo (ketodeoxyoctonate, or 3-deoxy-
D-mannooctulosonic acid) residues of the core portion are
added next (step 6) before the addition of two other
fatty acid residues to complete the acylation reactions
(steps 7 and 8).
The product of the series of reactions described above
(Kdo)
2
-lipid A, then accepts various sugars of the core
domain (Figure 3) from nucleotide-sugar donor mole-
cules. Since these nucleotide sugars are components of the
cytosol, these transfer reactions must occur at the inner
surface of the cytoplasmic membrane. The final product
of the synthesis up to this point, the complete R LPS (see
Glossary), is flipped across the cytoplasmic membrane by
an ATP-binding cassette (ABC) transporter MsbA.
(a) (b) L8 L7
TonB box
L8 L7
Figure 7 X-ray structure of the ferric citrate receptor, FecA. (a) Side view of the unliganded FecA. The N-terminal domain of this
protein is inserted into the lumen of the large -barrel (green) as a ‘plug’ (orange). Its N-terminal end contains the ‘TonB box’ sequence,
predicted, and now shown, to interact with the C-terminal part of the TonB protein. Loops 7 and 8 are shown in deep blue and mauve,
respectively. (b) Liganded FecA. Binding of ferric citrate (shown with two large blue spheres indicating iron atoms and with stick models
for citrate) produces movement of loops 7 and 8. The TonB box also becomes disordered and invisible. Based on PDB files 1KMO and
1KMP. Reproduced from Nikaido H (2003) Molecular basis of bacterial outer membrane revisited. Microbiology and Molecular Biology
Reviews 67: 593–656, with permission from the American Society for Microbiology.
Outer Membrane, Gram-Negative Bacteria 819

The biosynthesis of the outer part of the LPS poly-
saccharide, O-chain, proceeds separately from that of
the R LPS. Many O-chains are composed of branched
oligosaccharide repeat units, and such a unit is
assembled again at the inner surface of the cytoplasmic
membrane by using nucleotide-sugar molecules as
donors on a large (C
55
) isoprenoid lipid carrier, unde-
caprenol phosphate, bound noncovalently to the
membrane. When the repeating unit assembly is com-
plete, the oligosaccharide–lipid complex is apparently
flipped over across the membrane by a transporter
called Wzx. At the outer surface of the membrane, the
repeating units are polymerized by an enzyme Wzy,
and the completed O-chain is finally transferred, at
the periplasmic surface of the cytoplasmic membrane,
to the nascent R LPS.
Some unbranched O-chains of rather simpler structure
are assembled again on the inner surface of the cytoplas-
mic membrane. However in this case, the completely
assembled, long O-chain is extruded by an ABC trans-
porter across the cytoplasmic membrane before its
transfer to the R LPS presumably at the outer surface of
the cytoplasmic membrane.
Outer-membrane proteins are synthesized by ribo-
somes in the cytosol. They are then exported across the
cytoplasmic membrane, apparently always utilizing
the SecYEG pathway. How these proteins become
assembled into the outer membrane is described in the
next section.
Assembly
The components of the outer membrane, after their
export across the cytoplasmic membrane, somehow travel
across the periplasm and are finally assembled in the
outer membrane. After the export across the cytoplasmic
membrane, all the processes must proceed without utiliz-
ing ATP. Some of the mechanisms involved are becoming
elucidated in the last several years.
Assembly of outer-membrane proteins
The export of lipoproteins is understood in most detail.
After the apoprotein is exported in the unfolded state by
the SecYEG machinery, the lipids are added. Although
this is done on the periplasmic surface of the cytoplasmic
membrane where no ATP is available, the transfer is done
by utilizing membrane phospholipids as donors. It was
known for some time that some lipoproteins associate
themselves with the inner leaflet of the outer membrane,
whereas others remain anchored to the outer leaflet of the
inner membrane; furthermore the fate of the lipoproteins
depends on the nature of the second amino acid residue
from the N-terminus after the cleavage of the leader
sequence. If this residue is aspartate, the protein is
retained in the inner membrane, and if it is a neutral
residue such as serine, the protein is exported to the
outer membrane.
Recent studies elucidated the molecular mechanism of
this differential export process for lipoproteins. Thus,
O
HN O
OH
HO
OH UDP
O
HN O
OR
HO
OH UDP
O
H
N
OR
HO
OH UDP
O
H N
OR
HO
OH UDP
R
O
H N
OR
O
OH
O
H N
OR
HO
OH
P
R
R
HO
O
H N
OR
O
OH
O
H N
OR
P
R
R
P
O
H N
OR
O
OH
O
H N
OR
P
R
R
Kdo-Kdo
P
O
H N
OR
O
OH
O
H N
OR- R
2
P
R
1
-R
R
P O
H N
OR
O
OH
O
H N
OR
P
R
1
-R
R
P
1 2 3 4
5
8 7 6
Lipid IV
A
Kdo2-lipid A
O OH O O
R: 3-OH-myrist(o)yl R
1
: dodecanoyl R
2
: myristoyl
Kdo-Kdo
Kdo-Kdo
Figure 8 Pathway of lipid A biosynthesis. Note that acylation of the sugar occurs before the formation of the disaccharide head group,
and that addition of two Kdo residues occurs before the completion of all acylation reactions. Thus, the final product is (Kdo)
2
-lipid A and
is not lipid A (which was defined as a product of partial acid hydrolysis of LPS).
820 Outer Membrane, Gram-Negative Bacteria

lipoproteins become the substrates of an unusual ABC
transporter, LolCDE, whose function is to ‘transport’
them (with the utilization of ATP at the inner surface of
the cytoplasmic membrane) to a periplasmic-binding pro-
tein, LolA (Figure 9). LolA–lipoprotein complex then
reacts with the LolB protein, located at the inner surface
of the membrane, and the lipoprotein is now delivered
into the inner leaflet. Those lipoproteins with aspartate as
the second amino acid will escape the recognition by the
LolCDE complex, and will thus remain anchored in the
cytoplasmic membrane.
We have also gained some understanding on the
mechanism of assembly of the integral outer-membrane
proteins. Unlike lipoproteins that are inserted into the
outer membrane only through their lipid groups, most
integral outer-membrane proteins traverse both leaflets of
the membrane and characteristically are composed of
-barrels. Since most intrinsic proteins of the cytoplasmic
membrane are bundles of transmembrane -helices, the
unusual -barrel conformation of the outer-membrane
proteins certainly suggests a unique mechanism of export
and assembly for these proteins. Recently, an outer-
membrane protein, called Omp85 (or YaeT), was found
to be at the center of this assembly process. In a cell
depleted for Omp85, outer-membrane proteins accumu-
late in an unfolded form and not into the outer membrane.
Omp85 is also a -barrel, but it has a long N-terminal
extension containing repeated sequences that are postu-
lated to play a chaperone-like role in binding to
incompletely folded proteins. Omp85 exists in association
with several proteins, and this protein complex is likely to
interact with outer-membrane proteins in an incomple-
tely folded state and to help them to fold correctly and
become inserted properly into the outer membrane. The
presence of Omp85 homologs in the outer membranes of
chloroplasts and mitochondria and their apparent role in
the assembly of proteins in these organellar outer mem-
branes support the important role for this protein.
Since proteins are secreted through the SecYEG appa-
ratus in their unfolded form, they will aggregate as
denatured proteins in the periplasm before their interac-
tion with Omp85 complex in the outer membrane, if no
protective mechanisms exist. Indeed, periplasm is known
to contain many proteins that would act as chaperones
and prevent irreversible denaturation of the outer-
membrane proteins in transit. Skp, a small, basic periplas-
mic protein, and SurA, a periplasmic chaperone that also
has an activity in catalyzing the cis–trans interconversion
of peptidyl-proline isomers, are thought by some workers
to play an especially important role in this process.
The process of export and assembly of outer-
membrane proteins is thus complex, and errors are likely
to occur at every step of the pathway. Thus, the periplasm
has a highly evolved mechanism for sensing such errors
and for correcting them (see ‘Periplasm’).
Assembly of LPS
We have described how the complete LPS is assembled
on the outer (periplasmic) surface of the cytoplasmic
membrane. LPS, however, has still to cross the periplasm,
become inserted into the outer membrane, and most
importantly cross the bilayer to reach its final location
in the outer leaflet of the outer membrane. How this
complex series of reactions takes place is not yet clear.
Recently, however, one outer-membrane protein appar-
ently involved in this process has been identified. This
protein, called Imp (for increased membrane permeabil-
ity), was known as an essential protein in E. coli, and its
mutated version was known to produce E. coli cells with a
‘leaky’ outer membrane showing an imperfect barrier
properties. LPS is also essential for the survival of E. coli.
In contrast, another species of Gram-negative bacteria,
Neisseria meningitidis, can survive without LPS. Imp is also
not essential in this organism. Inactivation of the imp gene
in this organism showed that none of the newly synthe-
sized LPS appeared on the cell surface, that is, in the
outer leaflet of the outer membrane, suggesting the role
of Imp in the correct assembly of LPS in its proper
location. The molecular mechanisms involved, however,
are yet not clear.
SecYEG
Cleavage
CE
DD
OM
Addition
of lipids
LolA
LolB
2
3
11A
IM
Figure 9 Mechanism of lipoprotein export. After export
through the SecYEG exporter, the signal sequence is cleaved to
expose the N-terminal cysteine of the mature protein. This
residue is lipid-modified, and the lipoprotein interacts with the
LolCED ABC transporter, with its ATPase units (LolD) (step 1). If
the second amino acid residue is Asp, it is an inner-membrane
lipoprotein and is released and stays in the inner membrane (step
1A). If it is a neutral amino acid, then the lipoprotein is actively
transferred to a periplasmic binding protein, LolA (step 2), and
finally interacts with the outer-membrane receptor protein LolB
(which itself is a lipoprotein), to be assembled into the inner leaflet
of the outer membrane (step 3).
Outer Membrane, Gram-Negative Bacteria 821

Assembly of phospholipids
Phospholipids are synthesized in the inner leaflet of the
inner membrane, and thus the first step for its export is
expected to be the flipping to the outer leaflet. Although
MsbA was suggested to catalyze this reaction, in Neisseria
msbA null mutants export and assemble phospholipids into
the outer membrane, and thus MsbA cannot be
essential for phospholipid export. Currently, there is no
information on the export pathway of phospholipids,
which were shown to equilibrate rapidly between the
outer and inner membranes.
Periplasm
The space between the outer and inner membranes contains
the periplasm. This is not just an empty ‘space’, and it
contains many distinct components that carry out important
functions. Obviously, this space contains peptidoglycan, but
hints of its unique function came from the discovery that
several degradative enzymes of E. coli,forexampleribonu-
clease and alkaline phosphatase, are found exclusively in the
periplasm. Since these enzymes will destroy essential com-
ponents of the cytosol if they existed in the cytoplasm, their
compartmentalization within the periplasm, outside the
cytosol, makes sense in terms of physiology.
One analysis on the basis of genome sequence of E. coli
predicts about 370 periplasmic proteins, in comparison
with only about 150 proteins to be located in the outer
membrane. Another large class of periplasmic proteins
includes ligand-binding proteins that form a part of the
ABC transporters that import many compounds, includ-
ing sugars, amino acids, peptides, inorganic ions such as
phosphate and sulfate as well as metal cations, ferric–
siderophore complexes, vitamin B
12
, and others. Another
class includes proteins involved in electron transport.
Now it is known that enzymes like formic hydrogenlyase
and aerobic nitrate reductase, with their molybdate factor,
are components of the periplasm. Although E. coli lacks
the typical cytochrome cfound in the corresponding
space in mitochondria, there are several c-type cyto-
chromes that function in the reduction of alternate
electron acceptors. Yet other important class includes
enzymes involved in peptidoglycan biosynthesis.
-Lactamase, which was apparently derived from one of
these enzymes during evolution, plays a predominant role
in raising the intrinsic level of resistance of Gram-nega-
tive bacteria to penicillins and cephalosporins, the most
important class of antimicrobial compounds. Finally, peri-
plasm contains many proteins that assist in the folding of
periplasmic and outer-membrane proteins. These include
proteins involved in the formation of disulfide bonds,
such as DsbA, DsbB, DsbC, and others. The
cytoplasm of Gram-negative bacteria is a highly
reducing environment, which contains hardly any
disulfide-bond-containing protein. In contrast, disulfide
bonds are found commonly in periplasmic and outer-
membrane proteins, and their formation presumably
helps in the folding of these proteins after their export,
in an unfolded form, through the SecYEG export appa-
ratus across the cytoplasmic membrane. Periplasm also
contains many proteins that appear to function as mole-
cular chaperones including Skp and SurA that have
already been mentioned.
In addition, it is essential to have an intricate reg-
ulatory mechanism that senses the proper functioning of
the folding machinery. In fact, periplasm contains at
least two major such signal transduction pathways.
One of them, sigma E pathway, becomes activated
when periplasmic or outer-membrane proteins misfold
at high temperature or under other conditions, and the
activation of the alternative sigma factor E increases the
transcription of many dozens of genes, many related to
the folding of proteins in the periplasm, such as SurA,
Skp, DsbC, and another peptidyl-prolyl isomerase,
FkpA. At the same time, the synthesis of periplasmic
proteases such as DegP is increased strongly, presum-
ably to degrade misfolded proteins. The response also
increases the transcription of many genes involved in
lipid A synthesis, as well as the genes for Omp85 and
Imp. The transcription of major outer-membrane pro-
tein genes (ompF, ompC, ompA) is on the other hand
strongly repressed. The sigma factor works with the
core RNA polymerase in the cytosol; yet it has to be
activated by signals in the periplasm. Evidence suggests
that sigma E factor is normally held captive by a trans-
membrane protein RseA, but the appearance of
misfolded proteins in the periplasm activates a periplas-
mic protease DegS, which degrades RseA, ultimately
resulting in the release of sigma E factor into the
cytosol.
The second signal transduction pathway, CpxAR, is a
typical two-component system that uses an intrinsic
inner-membrane protein CpxA to sense the extracytoso-
lic signal. It responds to the presence of misfolded
proteins in the periplasm, but most interestingly it is
stimulated by other signals, for example the attachment
of E. coli cells to a hydrophobic surface. Thus, this
system may sense some subtle changes in the external
world.
The general physical environment of the periplasm
requires some comment. It was shown by Stock and
colleagues that the periplasm is in osmotic equilibrium
with the cytosol. Cytosol is usually kept at a hyperosmotic
state in comparison with the medium so that the cytosol
will not collapse and a moderate outward pressure is
constantly present at the cytoplasmic membrane in a
‘balloon-in-a-cage’ arrangement limited by the mechani-
cally strong peptidoglycan. How could then the periplasm
remain hyperosmotic in relation to the medium in the
822 Outer Membrane, Gram-Negative Bacteria

presence of so many porin channels? Stock and coworkers
found that interior-negative Donnan potential exists
across the outer membrane and this results in the passive
accumulation of cations in periplasm. Later studies
led to the identification of the cause of this Donnan
potential – the presence in the periplasm of ‘membrane-
derived oligosaccharides’ (MDO), a group of glucose oli-
gosaccharides too large to escape through the porin
channels and containing multiple negative charges.
MDO is produced in large amounts when the osmotic
activity of the medium is low so that much cations can be
concentrated in the periplasm. Protons as cations are also
concentrated in the periplasm. Thus depending on the
conditions, the periplasmic pH can be significantly lower
than that of the medium – a fact that is not generally
appreciated. The Donnan potential also affects the uptake
of drugs across the outer membrane, favoring that of
cationic drugs (especially polycationic ones such as ami-
noglycosides) and preventing to some extent the uptake
of anionic compounds.
Functional Complexes Involving Multiple
Components of the Cell Envelope
In the late 1960s, Manfred Bayer found by electron
microscopy structures that seemed to connect the outer
membrane with the inner membrane. This discovery was
greeted with skepticism at that time, but recent genetic
and biochemical studies showed many instances where
physical interaction must occur between the components
of the two membranes.
An example involves the outer-membrane receptors
for iron–siderophore complexes and vitamin B
12
. Bacteria
need iron as a component of many enzymes and respira-
tory complexes. However, the ferric ion found in aerobic
environment occurs at an exceedingly low concentration
because of its low solubility. Thus bacteria produce side-
rophores, or iron carriers, that bind the ferric ion strongly
and move them into the cytoplasm. However, both iron–
siderophore complexes (726 Da for ferric enterobactin)
and vitamin B
12
(1355 Da) are too large to pass through
the porin channels of enteric bacteria. Thus these bacteria
produce specific outer-membrane receptor proteins that
bind these compounds strongly. Transport of these com-
pounds into the periplasm is an energy-dependent
process, driven by the proton-motive force across the
inner membrane. The energy is transmitted from the
inner membrane to the outer-membrane receptor by
TonB, a periplasmic, elongated protein that is embedded
in the cytoplasmic membrane at one end and appears to
traverse the thickness of the entire periplasm to interact
with the outer-membrane receptors. This process is thus
likely to involve physical connection between the inner
and outer membranes (Figure 10).
Another example is a group of multidrug efflux pumps
in Gram-negative bacteria. These bacteria were found to
pump out great many antibiotics and chemotherapeutic
agents since mid-1990s, often utilizing transporters of an
astonishing degree of versatility. One class, called resis-
tance-nodulation-division (RND) superfamily, is
particularly important. They are ubiquitous and often
show an extremely wide range of substrate specificity.
For example, AcrB (so named for acridine resistance)
pump of E. coli,whichservedastheprototypeofthese
transporters, can pump out not only most of the
commonly used antibacterials (including penicillins,
cephalosporins, macrolides, rifampicin, fluoroquinolones),
dyes, antiseptics, and detergents but also even simple
solvents. Furthermore, RND pumps are organized into
multiprotein complexes that span both the inner and
outer membranes (Figure 11), together with an outer-
membrane channel (TolC in E. coli) and a periplasmic
linker protein. This construction allows the complex to
move drug molecules directly into the medium, a
mechanism that is very advantageous in Gram-negative
bacteria. A simple, uncomplexed pump located in the
inner membrane would only move drugs from the cytosol
to the periplasm, and the drug molecules can diffuse into
the cytosol spontaneously and rather easily, as drugs with
cytosolic targets must have rather lipophilic structures to
allow this influx process. In contrast, the tripartite, cell
envelope-spanning structures of the RND pumps
(Figure 11) cause the movement of drugs from either
Receptors
TonB
N
N
C
N
ExbB
ExbD IM
OM
Figure 10 Hypothetical model of TonB-dependent transport
complex. TonB appears to have an N-terminal transmembrane
helix, which may interact with at least two other intrinsic inner-
membrane proteins, ExbB and ExbD, needed for energy
transduction. The other end of TonB has been hypothesized to
interact with the TonB box of various receptors, and indeed
cocrystals of receptors with TonB showed that this physical
interaction occurs.
Outer Membrane, Gram-Negative Bacteria 823

the cytosol or the periplasm into the external medium;
thus, the extruded drug molecule has to traverse the
effective outer-membrane barrier again to come into the
cell. It is well known that most of the naturally occurring
antibiotics (e.g., penicillin G and erythromycin) and the
library of chemically synthesized antibacterial compounds
(e.g., linezolid) exhibit activity only against Gram-
positive bacteria. This ‘intrinsic’ resistance of Gram-
negative bacteria was often attributed to the barrier
properties of the outer membrane. However in many
cases, the inhibitors are actively pumped out by these
ubiquitous multidrug efflux pumps, and the contribution
of the pumps is at least as important as that of the outer-
membrane barrier.
Final examples of the structures spanning both of the
membranes are machineries dedicated for extracellular
secretion of proteins and other macromolecules. With
Gram-positive bacteria, protein secretion is only a matter
of moving protein molecules across the cytoplasmic
membrane. In contrast, with Gram-negative bacteria, the
secreted protein must cross two barriers, and it becomes
necessary to prevent the premature folding of the protein
in the periplasm and to push the protein through another
membrane barrier, the outer membrane. Yet most bac-
teria, especially pathogens, have a need to secrete toxic
proteins into the external space, and in some cases even
into the host cells, a process requiring the breaching of yet
another membrane barrier.
Several mechanisms have been devised for protein
secretion in Gram-negative bacteria (Figure 12). As
seen, all these machineries involve protein assemblies
that traverse the entire cell envelope. In the simplest
system, the Type I secretion pathway, the proteins are
pushed out across the cytoplasmic membrane by a trans-
porter, a member of the ABC superfamily. Although ABC
transporters catalyze the active transport (both import
and export) of a variety of substrates, both small and
large, this system is unusual in the sense that the
transporter exists as a multiprotein complex including
the outer-membrane-channel protein TolC and a peri-
plasmic linker protein so that the exported protein can
cross the entire cell envelope, without facing the aqueous
environment of the periplasm. The system shown is uti-
lized in the secretion of hemolysin, which is a toxin, by
E. coli.
In the Type II secretion system (Figure 12), the
protein is exported across the cytoplasmic membrane by
the SecYEG complex, which is also responsible for the
secretion of most proteins into the periplasm as well as in
Gram-positive bacteria. However, again in this case many
additional proteins appear to collaborate to produce
the passage across the envelope. The movement of
Inner
OM
OM channel (TolC)
drug
Amphiphilic
Membrane fusion
protein (AcrA)
membrane
Porin
RND efflux
transporter
(AcrB)
Periplasm
Outer leaflet (LPS)
Inner leaflet
Figure 11 A model of RND-type efflux pump complex. RND transporters such as AcrB characteristically contain a very large
periplasmic domain, which interacts with the end of the periplasmic extension of the TolC channel. The complex is further stabilized by a
periplasmic linker protein or membrane fusion protein, in this case AcrA. Amphiphilic drugs slowly penetrate across the outer
membrane, either through the porin channel or the asymmetric bilayer, and on reaching the periplasm are likely to become captured by
the periplasmic domain of the transporter, to be expelled directly into the medium. X-ray crystallographic data exist for each of the
components, but so far the whole complex has not been analyzed by crystallography.
824 Outer Membrane, Gram-Negative Bacteria

the protein from the periplasm to the external medium
requires energy, and this is thought to be supplied by
the hydrolysis of ATP at the inner surface of the
cytoplasmic membrane (by the protein ‘E’ in the figure).
This is reminiscent of the energization of outer-
membrane transport of siderophores and vitamin B
12
by the proton-motive force, located in the inner
membrane.
In the Type III secretion system (Figure 12), again a
complex assembly of many proteins is required. This
system usually has a long, needlelike extension outside
and is often thought to ‘inject’ proteins into the cytosol of
the host cells. Indeed, the genes coding for this system are
often found in the ‘pathogenicity islands’ on the bacterial
chromosome, where many genes involved in the infection
process are clustered together. Another fascinating aspect
of this system is that many of its proteins are similar to the
components of the basal bodies of bacterial flagella, sug-
gesting that flagella and this secretion system have a
common evolutionary origin.
Type IV secretion system is also complex and contains
many proteins (Figure 12). A prototype of this system is
the VirB system (shown in Figure 12) that is responsible
for the export of a piece of single-stranded DNA (and
associated proteins) from the bacterium Agrobacterium
tumefaciens into plant cells. (This system was used in the
production of most of the genetically modified crop
plants.) Interestingly, a very similar system is involved
in the conjugational transfer of plasmid DNA from one
bacterial cell to another.
Mycobacterial Cell Envelope
Although mycobacteria are not Gram-negative, their
lipid-rich cell wall appears to have an overall structure
similar to the Gram-negative cell wall. This was sug-
gested by the observation that the hydrocarbon chains of
the cell-wall lipids are in a state of very low fluidity and
arranged in a direction perpendicular to the plane of cell
surface (Figure 13). However, unlike in the outer mem-
brane, in mycobacteria the least permeable portion of the
cell wall appears to correspond to its inner part, where
long, saturated hydrocarbon chains of mycolic acid resi-
dues are packed together. Indeed, this portion of the cell
wall seems to have a very low fluidity, and very low
permeability for lipophilic molecules is expected for the
mycobacterial cell wall. Mycobacterial cell wall also has
an exceptionally low permeability for hydrophilic solutes,
even lower than the P. aeruginosa outer membrane in some
species. Porins were identified in mycobacterial cell wall,
although they are very different proteins from Gram-
negative porins. The number and properties of these
mycobacterial porins appear to explain the low hydro-
philic permeability of the cell wall.
IV
II
D
C
F,
L–N
E
Pseudopilins
(G–K)
I
TolC
HlyD
HlyB
OM
IM
III
PrgH
SpaP,Q,R, etc.
(YscR,S,T, etc.)
InvC(YscN)
PrgI(YscF)
InvG(YscC)
PrgK(YscJ)
VirB9
VirB4, VirB6
VirB8, VirB10
VirD4, VirB11
VirB1, VirB3
VirB7
VirB2
VirB5
OSecY
EG
Figure 12 Machineries for protein export in Gram-negative bacteria. The figure shows the construction of Type I through Type IV
protein secretion apparatus in a schematic manner. For the Type III system, nomenclature for the S. typhimurium system is shown, with
that for the Yersinia system in parentheses. Reproduced from Nikaido H (2003) Molecular basis of bacterial outer membrane revisited.
Microbiology and Molecular Biology Reviews 67: 593–656, with permission from the American Society for Microbiology.
Outer Membrane, Gram-Negative Bacteria 825

Further Reading
Alba BM and Gross CA (2004) Regulation of the Escherichia coli
E-dependent envelope stress response. Molecular Microbiology
52: 613–619.
Bos MP and Tommassen J (2004) Biogenesis of the gram-
negative outer membrane. Current Opinion in Microbiology
7: 610–616.
Brennan PJ and Nikaido H (1995) The envelope of mycobacteria.
Annual Review of Biochemistry 64: 29–63.
Ehrmann M. (ed.) (2007) The Periplasm. Washington, DC: ASM Press.
Kennedy EP (1996) Membrane-derived oligosaccharides (periplasmic
beta-D-glucans) of Escherichia coli. In: Neidhardt, F. (ed.) Escherichia
coli and Salmonella, 2nd edn., pp. 1064–1071. Washington, DC:
ASM Press.
Li XZ and Nikaido H (2004) Efflux-mediated drug resistance in bacteria.
Drugs 64: 159–204.
Niederweis M (2003) Mycobacterial porins – new channels in unique
outer membranes. Molecular Microbiology 49: 1167–1177.
Nikaido H (2003) Molecular basis of bacterial outer membrane revisited.
Microbiology and Molecular Biology Reviews 67: 593–656.
Otto K and Silhavy TJ (2002) Surface sensing and adhesion of
Escherichia coli controlled by the Cpx-signaling pathway.
Proceedings of the National Academy of Sciences of the United
States of America 99: 2287–2292.
Postle K and Kadner RJ (2003) Touch and go: Tying TonB to transport.
Molecular Microbiology 49: 869–882.
Raetz CR and Whitfield C (2002) Lipopolysaccharide endotoxins.
Annual Review of Biochemistry 71: 635–700.
Ruiz N, Kahne D, and Silhavy TJ (2006) Advances in understanding
bacterial outer membrane biogenesis. Nature Reviews. Microbiology
4: 57–66.
Schultis DD, Purdy MD, Banchs CN, and Wiener MC (2006) Outer
membrane active transport: Structure of the BtuB:TonB complex.
Science 312: 1396–1399.
Stock JB, Rauch B, and Roseman S (1977) Periplasmic space in
Salmonella typhimurium and Escherichia coli.The Journal of
Biological Chemistry 252: 7850–7861.
AA AA
AAA
A
A
A
A
A
AAAAA
AA
A
A
A
A
AAAA
A
A
A
A
AA
A
GGGGGGGG GGGGGGGRha-GlcNAc-P-Peptido
g
l
y
can
A
A
AAAAAA
AAAAA A
AA
Figure 13 Model of mycobacterial cell wall. Arabinogalactan (A for arabinofuranose; G for galactofuranose) is linked covalently to
peptidoglycan through a linker oligosaccharide rhamnosyl-N-acetylglucosamine-phosphate (Rha-GlcNAc-P). To the terminal arabinose
residue is linked mycolic acid, a branched fatty acid with very long chains of uneven lengths (typically 24 and 60 carbons). Within the longer
branch, there are a double bond or cis-cyclopropane group (solid squares) and a cis double bond, cis-cyclopropane group, or oxygen-
containing group (solid triangles). The inner part of the envelope occupied by the most proximal part of the mycolic acid chains is expected to
have a very low fluidity. The outer leaflet is assumed to contain lipids with short hydrocarbon chains (glycerophospholipids, glycopeptidolipids)
and lipids with intermediate-length hydrocarbon chains (phenolic glycolipids, phthiocerol dimycocerosate). Porin is drawn as two apposed
rectangles, although detailed crystallographic structures are known for some of them.
826 Outer Membrane, Gram-Negative Bacteria

Peptidoglycan (Murein)
M A de Pedro, CBM ‘Severo Ochoa’ CSIC-UAM, Madrid, Spain
ª2009 Elsevier Inc. All rights reserved.
Defining Statement
Introduction
Peptidoglycan Chemical Composition
Biosynthesis of Peptidoglycan Monomer Units
Polymerization of Peptidoglycan
Postinsertional Metabolism of Peptidoglycan
Biophysical Properties of Peptidoglycan Sacculi
Concluding Remarks
Further Reading
Glossary
cell envelope Is the set of layers that delimit and wrap a
bacterial cell, normally composed of the cytoplasmic
membrane and cell wall (sacculus) plus an outer
membrane in Gram-negative bacteria.
muropeptide Each of the monomeric subunits of
peptidoglycan.
peptidoglycan Is a polymer consisting of sugars and
amino acids. Murein (from the latin murus, wall) is the
particular form found in the bacterial cell walls; however,
the generic term is most often used. Some Archea
present structurally similar components named
pseudomurein.
periplasm/periplasmic space Is the compartment
between the cytoplasmic membrane and the outer
membrane in Gram-negative bacteria.
sacculus Also known as the cell wall, is the rigid layer of
the bacterial cell envelope made of peptidoglycan and
juxtaposed to the external side of the cytoplasmic
membrane.
turgor Is the osmotic pressure exerted by the cell
contents against the cytoplasmic membrane as a
consequence of the high intracellular concentration of
metabolites and macromolecules.
Abbreviations
IWZ inner wall zone
Mgt monofunctional glycosyl-transferases
OM outer membrane
OWZ outer wall zone
PBP penicillin-binding proteins
PGCT peptidoglycan-derived cytotoxin
TCT tracheal cytotoxin
Defining Statement
The peptidoglycan sacculus is a key structural compo-
nent of the bacterial cell. Peptidoglycan metabolism is a
complex process taking place in different cellular com-
partments. Present day knowledge on the characteristics
and central metabolic pathways of peptidoglycan meta-
bolism is presented. The dynamic character of cell wall
biology is given particular consideration.
Introduction
Peptidoglycan is a fundamental component of the cell
envelope of nearly all bacteria. It is a polymeric macro-
molecule made up of linear glycan chains cross-linked to
each other by short peptide bridges. Peptidoglycan (or
murein) is laid down on the outside of the cytoplasmic
membrane as a covalently closed, net-like, macromolecu-
lar structure known as the cell wall or sacculus (small bag)
(Figure 1). Preservation of cell integrity and determina-
tion of bacterial shape are the primary functions of the
peptidoglycan. The net-like, covalently closed structure
of the sacculus is particularly appropriate to maintain cell
shape while standing the high (2 to >15 bar) turgor pres-
sure exerted by the cytosol against the cytoplasmic
membrane of the cell. Because the sacculus completely
wraps the cell body, the cytoplasmic material has to adopt
the shape of the relatively rigid sacculus (Figure 2).
Therefore, variations in cell shape and size are con-
strained by a concurrent change of the sacculus itself.
These characteristics together with the ability of isolated
sacculi to accurately keep the shape of the original cell
make the sacculus the bacterial equivalent to an exoske-
leton (Figure 2). While bulk incorporation of new
material is clearly necessary to enlarge the sacculus, the
827

spatial distribution and temporal regulation of insertion
events define the final shape of the bacterium.
The sacculus serves further important roles as a scaffold
to support the external layers of the cell envelope (S-layers
and the outer membrane (OM) of Gram-negative bacteria);
in the biogenesis of supramolecular structures (export
complexes and flagella) and in protein export in Gram-
positive bacteria. Moreover, peptidoglycan is critically
involved in developmental processes as the generation of
resistance forms (spores) and appendages of different func-
tion (prostheca).
Because peptidoglycan is exclusively found in bacteria
and its biosynthetic pathway is both essential and highly
conserved, it makes the ideal target for antibacterial drugs.
Most of the commonly used antibiotics (-lactams, glyco-
peptides, and phosphomycin) target enzymes involved in
peptidoglycan biosynthesis.
A murein sacculus is present in all known bacteria with
the remarkable exceptions of Mollicutes, Planctomycetes,
Chlamydiae, and the scrub typhus causative agent Orientia
tsutsugamushi. Interestingly, peptidoglycan-free microorgan-
isms belong to largely unrelated phylogenetic branches, and
colonize completely different habitats, from facultative para-
sites (Mycoplasma)tomarinefreelivingforms(Planctomyces).
Although peptidoglycan has not been detected in
Chlamydia, most of the biosynthetic genes are conserved,
and Chlamydia are indeed sensitive to -lactam antibiotics
(the Chlamydial anomaly). This enigmatic phenomenon
suggests the presence of some vestigial, but functionally
important, form of peptidoglycan. The case of O. tsutsuga-
mushi is also remarkable. This organism, formerly known as
Rickettsia tsutsugamushi, has been separated from the genus
Rickettsia mostly for the absence of a peptidoglycan saccu-
lus, present in all other Rickettsia. Conversely, peptidoglycan
layers entirely similar to bacterial sacculi are an essential
structure in the photosynthetic organelles (cyanelles) of
glaucocystophyte algae as Cyanophora paradoxa. This as well
as the recent identification of peptidoglycan biosynthesis
genes in green plants (five genes in Arabidopsis thaliana)and
mosses (nine genes in Physcomitrella patens)constitutesstrong
As a thick outer layer in
Gram-positive bacteria
As a thin layer in the
periplasm of Gram-
negative bacteria
The peptidoglycan sacculus
The sacculus is laid
down on the external
side of the cytoplasmic
membrane
To form a net-like sacculus
made up of long strands cross-
linked by short peptide bridges
Wich are
cross-linked
Are polymerized
into linear strands
The disaccharide
pentapeptide
monomer units
MurNAc
GlucNAc
L-Ala
O
O
O
O
O
O
O
O
OH
O
O
O
O
OH
OH
O
N
N
N
NH
NH
NH
NH
OH
OH
OO
O
OH
D-Glu
D-Ala
D-Ala
A2pm
Outer
membrane
Cytoplasmic
membrane Sacculus
Figure 1 Basic structure and organization of the bacterial peptidoglycan sacculus.
828 Peptidoglycan (Murein)

evidence supporting the endosymbiotic origin of eukaryotic
organelles.
The exclusivity of peptidoglycan as a bacterial cell
surface component has been successfully exploited by
higher eukaryotes (plants and animals) as a means to
recognize and fight, bacterial infections. Indeed, peptido-
glycan is one of the main targets for ‘pattern recognition
proteins’, as the Toll family, which are at the basis of the
innate immune response.
Because of peptidoglycan extracellular location and
covalently closed nature, its biosynthesis represents a
specially challenging problem to the bacterial cell.
Precursors are synthesized in the cytoplasm but polymer-
ization and attachment to the preexisting sacculus takes
place in the external environment, where there is no readily
available source of metabolic energy. Besides, insertion of
new precursors is not enough by itself to promote enlarge-
ment of the preexisting structure. Concomitant cleavage of
chemical bonds in the sacculus is a strict requirement for
growth. Therefore, both biosynthetic and degrading
enzymes must work in concert for the sacculus to grow
harmonically. In addition to the main biosynthetic pathway,
(a)
(c)
(d)
(b)
Figure 2 Peptidoglycan sacculi purified from shape mutants of Escherichia coli. Sacculi and whole cells of wild type and mutant
strains affected in cell morphology are compared to show how purified sacculi retain shape of the original cell. (a) Wild-type E. coli
with normal rod-like shape; (b) spherical shape mutant affected in the rodA gene; (c) filament-shaped cells of a division
thermosensitive ftsI mutant; (d) branched shaped cells from a dacA mutant grown in the presence of the cell division inhibitor
azthreonam. Left panels are phase-contrast images of intact cells, and right hand panels are TEM images of sacculi isolated from
the corresponding strain. Images have been manipulated to approximate magnification of the phase-contrast and TEM images. The
bars represent 1 mm. Notice the thinness of sacculi.
Peptidoglycan (Murein) 829

rather complex by itself, peptidoglycan metabolism is
further complicated by the nested intervention of pathways
responsible for maturation, adaptive modifications, and
recycling, not to mention species-specific pathways for the
generation of resistance forms and/or specific appendages.
I will focus here on the more universal aspects of
peptidoglycan composition, biosynthesis, and physical
properties. Metabolism of the sacculus is intrinsically
coupled with virtually all aspects of bacterial cell growth,
division, development, and morphogenesis. However,
treatment of such aspects in any detail would require a
much more extensive and intensive treatment, out of the
scope of this presentation.
Peptidoglycan Chemical Composition
Peptidoglycan composition and biosynthesis are fairly
well established for a few model systems, but the base of
knowledge is still relatively small. Not more than about
150 species have been studied in any detail and unex-
pected findings may indeed happen.
Traditionally, bacteria are divided into two main groups
according to their response to the Gram stain: Gram-positive
and Gram-negative. The distinction was established well
before discovery of peptidogycan, but reflects the basic
dichotomy in the organization of the bacterial cell envelope.
Gram-negative bacteria are characterized in structural terms
by the presence of a thin peptidoglycan layer, surrounded by
an asymmetric OM made of an outer lipopolysaccharide
leaflet and an inner phospholipid leaflet. The OM constitu-
tes a permeability barrier to molecules of more than a few
hundred Dalton (a typical cutoff value is around 600 Da). As
a result, the peptidoglycan layer is confined in a particular
compartment defined by the OM and the cytoplasmic mem-
brane; the periplasmic space (Figure 1). Conversely, Gram-
positive bacteria display thick peptidoglycan layers, are
devoid of OM, and have accessory polymers linked to
the cell wall peptidoglycan (Figure 1). Gram-positive bac-
teria show a remarkable degree of chemical and structural
variability in their cell walls, in contrast with the rather
homogenous nature of Gram-negative bacteria on these
respects.
Peptidoglycan Basic Structure
The basic structural features of peptidoglycan are
polymeric glycan strands cross-linked by short peptides.
The canonical monomeric unit consists of the disaccharide
N-acetylglucosamine (GlcNAc) (-1 !4) N-acetylmuramic
acid (MurNAc) substituted at the D-lactoyl group of
MurNAc by a peptide stem with the sequence L-Ala-()-D-
Glu-mesoA
2
pm-D-Ala-D-Ala, known in short as the disacchar-
ide pentapeptide. Successive monomers are linked to each
other by (-1 !4) glycosidic bonds to form the glycan
strands. Glycan strands become in turn cross-linked to each
other through the stem peptides, normally between the
amino acid at position 4 (invariably a D-Ala) in one strand
and the dibasic amino acid at position 3 of the neighboring
strand (Figure 1). Cross-linking can connect both amino
acids either directly or through an intermediate short peptide
(interpeptide bridge) that is added to the dibasic amino acid
in the course of monomer unit biosynthesis. The monomeric
subunits of peptidoglycan are commonly known as
muropeptides.
The monomer is an unusual biomolecule character-
ized by the following features: (1) the presence of the rare
MurNAc molecule, exclusively found in the bacterial
sacculus and, oddly enough, in tissues of some gastropods;
(2) the presence of a ()-bonded D-Glu residue; (3) the
occurrence of L-Dand D-Dpeptide bonds, never found in
proteins; (4) the existence of nonprotein amino acids
(mesoA
2
pm, L-ornithine, L-lanthionine); and (5) presence
of a C-terminal D-Ala-D-Ala dipeptide. These basic fea-
tures are virtually universal. However, peptidoglycan
from individual species normally presents modifications
on this common theme, both in the glycan and in the
peptide moieties.
Structural Parameters of Peptidoglycan
The parameters more often used to describe the struc-
tural properties of peptidoglycan sacculi are cross-linkage
and average glycan strand (chain) length.
Cross-linkage reflects the proportion of muropeptides,
which are covalently linked through peptide bonds bridging
the respective stem peptides. Cross-linkage is normally
expressed as the molar fraction of cross-linked with respect
to total muropeptides in percentage. The higher the cross-
linkage, the stronger, and stiffer, the peptidoglycan.
Reported values show a large variability from species to
species, and also in response to environmental conditions
(see ‘Postinsertional metabolism of peptidoglycan’). Among
Gram-positives, cross-linkage is habitually high and values
close to the theoretical 100% maximum have been reported
(93% in Staphylococcus aureus). However, values for Gram-
negative bacteria are much lower, ranging from 20 to 40%
in most cases. This large difference is a consequence of the
mostly monolayered arrangement of sacculi from Gram-
negative bacteria. Geometrical constrains limit the maximum
theoretical cross-linkage to about 50% for a monolayer.
The length of the glycan strands is also a key structural
parameter to understand the properties of the sacculus.
Experimental determination of this parameter has been
possible only in a very small number of cases. A major
limitation comes from the fact that the length of glycan
strands is not uniform but rather follows a very wide
distribution. Precise data on the distribution of glycan
strand lengths have only been obtained for Escherichia
coli. In this organism, the average length is about 30
830 Peptidoglycan (Murein)

monomers, with a modal value of only 10 monomers. The
distribution is very wide and strongly skewed toward the
shorter length classes; nevertheless about 30% of total
muropeptides are in relatively long strands of more than
30 monomer units. In other bacteria only an average value
could be determined at best. The few data available
indicate that peptidoglycan is predominantly made up
of short glycan strands, with average lengths from 20 to
50 monomer units (Helicobacter pylori,Bacillus subtilis,
Bacillus licheniformis,Streptococcus faecium). However, as
found for E. coli, glycan strands considerably longer than
average might contribute substantially to the sacculus
structure. It is important to realize that because a mono-
mer unit is about 1 nm in length, and most bacteria are
about or greater than 1 mm in circumference, single gly-
can chains are by far too short to loop around the cell;
therefore a number of glycan strands have to be arranged
‘head to tail’ to encircle the cell.
Variations in the Glycan Moiety
The glycan backbone, which should consist exclusively of
poly(GlcNAc-MurNAc), becomes invariably modified.
Modification of the glycan moiety occurs in general at
the late stages of synthesis, either associated to polymer-
ization of the glycan strands, or after insertion of new
strands into the sacculus. The glycan strands of Gram-
negative species have a residue of (1 !6)anhydro
MurNAc as the 1-terminal saccharide, eliminating the
reducing character which the peptidoglycan should other-
wise have. In Gram-positive bacteria, covalent attachment
of additional cell wall polymers, as teichoic acids, through
phosphodiester bonds to GlcNAc or MurNAc is virtually
universal.
Many species present secondary modifications in
the glycan strands often conferring resistance against
degrading enzymes like the widespread muramidases (lyso-
zyme). O-acetylation, N-deacetylation, and N-glycolylation
are the more common secondary modifications of glycan
strands.
The most frequent modification of glycan chains is
O-acetylation. This reaction, first detected in Micrococcus
luteus, consists of the addition of an acetyl group to the C
6
-
OH of MurNAc residues, to form 2,6-N,O-diacetyl-
MurNAc. O-acetylation occurs both in Gram-positive and
in Gram-negative species, including many important patho-
gens (S. aureus,Streptococcus pneumoniae,Neisseria gonorrhoeae,
Neisseria meningitidis,H. pylori, etc.). O-acetylation occurs
at the level of polymerized peptidoglycan by means of
O-acetyltransferases. Two types of O-acetyltransferases
have been described: OatA-type are single integral mem-
brane proteins that simultaneously perform transport of
acetate through the cytoplasmic membrane and transfer
onto the MurNAc residues; Pat-type are composed of two
proteins, one for acetate transport and the second for transfer
to MurNAc. O-acetylation renders peptidoglycan resistant to
most known muramidases and contributes to virulence of
pathogens as Staphylococci. Besides, O-acetylation prevents
lysozyme clearing of cell wall fragments from blood serum
after bacterial infection, and contributes to induction of rheu-
matoid arthritis in humans.
Elimination of the N-acetyl groups at position 2 of
either amino sugar increased peptidoglycan resistance to
lysozyme in several important pathogens such as Bacillus
anthracis,Listeria monocytogenes, and S. pneumoniae. In all
cases known, N-deacetylation takes place on polymerized
peptidoglycan, and known deacetylases are predicted to
be extracytoplasmic enzymes.
The presence of glycolyl residues instead of acetate at the
amino group of MurNAc was first found in Mycobacterium
smegmatis. Later it was clearly stated that N-glycolylation was
a hallmark of the Actinomycetales. Contrary to the modifica-
tions discussed above, N-glycolylation occurs at the stage of
UDP-linked precursors in the biosynthesis of the monomeric
subunit by the action of a mono-oxygenase in the presence of
molecular oxygen and NADPH. As in the previous cases,
impairment of the glycolylating enzyme results in hypersen-
sitivity against lysozyme and -lactam antibiotics.
Variations in the Sequence of the Stem Peptide
The stem peptide sequence shows a considerable degree
of variability but, in most cases alterations can be viewed
as conservative, inasmuch as the basic features are con-
cerned. Variations in the stem peptide sequence are
dictated either by the specificity of the biosynthetic
enzymes, or by the postsynthetic modification of the
otherwise standard sequence.
Replacement of the canonical amino acid (L-Ala) at
position 1 is rare and only a few cases are known where
Gly (Mycobacterum leprae,Brevibacterium imperiale)orL-Ser
(Butyribacterium rettgeri) substitute for the regular L-Ala. In
all species studied so far, the amino acid at position 2 is
invariably D-Glu.The third amino acid in the stem,
usually a dibasic amino acid, shows the higher variability.
Most often, A
2
pm (most Gram-negative bacteria, but also
Bacilli and Mycobacteria) or L-Lys (most Gram-positive
species) occupy the third position. However, in a number
of species this position is occupied by unusual dibasic
amino acids as L,L-diaminopimelic acid (Streptomyces
albus)L-ornithine (Spirochetes, Thermus thermophilus,
Deinococcus radiodurans), meso-lanthionine (Fusobacterium),
or L-2,4,diamino butyrate (Corynebacterium aquaticum). In
a few instances, mono amino acids also take the third
position as in Corynebacterium poinsettiae (L-homoserine)
and Erysipelothrix rhusiopathiae (L-Ala). Another interesting
exception is the case of a few species where the third
position is occupied by two amino acids as in
Bifidobacterium globosum in which either L-Lys or D-Lys
Peptidoglycan (Murein) 831

can be at position 3 because of poor substrate specificity of
the adding enzyme.
Amino acids at positions 4 and 5 consist almost invari-
ably of D-Ala. The D-Ala-D-Ala terminal dipeptide is
perhaps the most widely known peptidoglycan hallmark.
However, a certain proportion of Gly is often found at
these positions because of lack of selectivity of D-Ala-D-Ala
ligase, the enzyme making the dipeptide. The proportion
of Gly is normally quite low (1%) but in some species,
such as Caulobacter crescentus, can be as high as 19%.
Undoubtedly, the most relevant alteration known has
been recently identified in some strains of Enterococci. In
such strains, D-lactate or D-Ser substitute for the D-Ala at
position 5. The modification is associated with develop-
ment of high level resistance against the antibiotic
vancomycin. Vancomycin binds D-Ala-D-Ala with high
affinity and blocks the late steps of peptidoglycan biosynth-
esis. However, the depsipeptide D-Ala-D-Lac is a very poor
substrate for vancomycin and therefore substitution of D-
Lac for D-Ala prevents antibiotic action. Actually, this
mechanism of resistance is a serious clinical problem.
Secondary Modifications of the Stem Peptide
Other variations in the chemical composition of mono-
mer peptide stem (amidation, acetylation, attachment of
additional amino acids, etc.) occur at later stages by
modification of the otherwise regular monomeric sub-
unit. These modifications more often affect amino acids
at positions 2 and 3. Amidation of D-Glu and meso-A
2
pm
at the -and"-carboxyl groups, respectively, is quite
common in Gram-positive bacteria. The membrane-
bound form of the complete monomer is the substrate
for amidation. Hydroxylation of D-Glu, meso-A
2
pm, and
L-Lys has been found is some species in direct relation
with oxygenation levels. Addition of aminated com-
pounds to the -carboxyl group of D-Glu at position 2
hasbeendocumentedinsomeorganisms,asM. luteus
(Gly), Arthrobacter (Glycine amide), and also in peptido-
glycan from C. paradoxa cyanelles (N-acetyl putrescine).
In many Gram-positive species the third amino acid is
often modified at the level of Lipid I by addition of a
short (1-7 amino acids), highly variable peptide, to the
free amino group that acts as an intermediate bridge in
cross-linking reactions between peptide stems.
The peptide stem constitutes in addition the anchoring
point for specific cell envelope proteins. Gram-negative
species often present a small size lipoprotein (the 58-
amino-acid Braun’s lipoprotein in E. coli) as the only
known molecule covalently bound to murein. Murein-
bound lipoprotein anchors the OM to the sacculus. The
acylated N-terminal domain of the lipoprotein is buried
into the phospholipid inner leaflet of the OM, while the
"-amino group of the C-terminal L-Lys becomes attached
to the -carboxyl group of meso-A
2
pm by means of a
transpeptidation reaction, effectively bridging both cell
envelope layers.
Gram-positive bacteria in general present a larger
number of peptidoglycan-bound proteins, often involved
in pathogenic processes. Binding is mediated by cytoplas-
mic membrane proteins denominated sortases. Sortases
recognize a specific sequence in the protein and transfer
the bulk of the protein to the side chain amino group of
the dibasic-amino acid at position 3 through a transpepti-
dation reaction. Binding of proteins by sortase seems to
take place at the Lipid II level (see ‘Synthesis of lipid
intermediates’), in Gram-positive bacteria as exemplified
by sortase A from S. aureus.
Biosynthesis of Peptidoglycan Monomer
Units
Biosynthesis of peptidogylcan has been the matter of
active research for more than 60 years. From these efforts
an overall view of the process thought to be valid for all
bacteria has emerged.
Peptidoglycan biosynthesis is traditionally divided
into two stages on the basis of the cell compartments
where it takes place. The first stage concerns assembly
of the monomer unit in the intracellular space by
enzymes present in the cytoplasm or in the cytoplasmic
membrane inner leaflet. The end product of the first
stage is a membrane-anchored, lipid intermediate: disac-
charide-pentapeptide pyrophosphate undecaprenol
(Lipid II) (Figure 3). The second stage addresses the
extracellular polymerization steps that take place on the
outer side of the cytoplasmic membrane and use the lipid
intermediate as the initial substrate (Figure 4).
Concomitant with polymerization, nascent peptidoglycan
is inserted into the macromolecular structure of the
sacculus, in a way promoting further physical expansion
of the preexisting structure and ensuring preservation of
proper shape.
Assembly of the monomer can be subdivided into four
stages: synthesis of UDP-GlcNAc; synthesis of UDP-
MurNAc; sequential formation of UDP-MurNAc-
peptides; and synthesis of the lipid-linked intermediates
(Figure 3).
Synthesis of UDP-GlcNAc
Synthesis of UDP-GlcNAc occurs in four reactions. The
first reaction is the conversion of fructose-6-phosphate and
glutamine into glucosamine-6-phosphate by the GlmS
protein (glucosamine-6-phosphate-synthase), which is
isomerized to glucosamine-1-phosphate by GlmM
protein (phosphoglucosamine mutase). Activity of GlmM
is regulated by phosphorylation of a serine at the active
site, and seems to be the checkpoint in the regulation
832 Peptidoglycan (Murein)

UDP-MurNAc-L-Ala-γ-D-Glu-A2pm-D-Ala-D-Ala
Lipid I
Lipid II
MurG
MraY
MurNAc-pentapeptide
MurNAc-pentapeptide
MurNAc-pentapeptide
UDP-GlucNAc
UDP-MurNAc-L-Ala-γ-D-Glu-A2pm
MurF
D-Ala:D-Ala
ligase
MurE
MurD
MurC
UMP UDP
Pi + ADP
Pi + ADP
Pi + ADP
Pi + ADP
Pi + ADP
ATP + A2pm
ATP + D-Glu
ATP + D-Ala
ATP + L-Ala
NADP+
NADPH
Glutamine Glutamate
Pi
Pi
UTP
CoA
Acetyl-CoA
P-enolpyruvate
ATP + D-Ala-D-Ala
UDP-MurNAc-L-Ala-γ-D-Glu D-Ala
UDP-MurNAc-L-Ala
UDP-MurNAc
MurZ
MurB
UDP-GlucNAc-enolpyruvate
GlmM
GlmS
GlmU
Fructose-6-P
Undecaprenyl-phosphate
Glucosamine-6-P
Sugar
metabolism
Glucosamine-1-P
UDP-N-acetylglucosamine
Cytoplasm
Cytoplasmic
membrane
Periplasmic
space
-GlucNAc
Figure 3 Schematic representation of peptidoglycan monomer unit biosynthesis. The individual stages, synthesis of
N-acetylglucosamine, synthesis of N-acetylmuramic acid, addition of the stem peptide, and synthesis of lipid-linked precursors, are
differentiated by colors. Cosubstrates required for each step are highlighted in red. Enzymes are indicated by their short names derived
from the genetic E. coli nomenclature, which correspond to: GlmS, glucosamine-6 phosphate-synthase; GlmM, phosphoglucosamine
mutase; GlmU, glucosamine-1-phosphate acetyltransferase plus N-acetyl-glucosamine-1-phosphate uridyltransferase; MurA, UDP-
N-acetylglucosamine enolpiruvyl transferase; MurB, UDP-N-acetyl-enolpiruvylglucosamine reductase; MurC, UDP-N-acetylmuramic
acid:L-alanine ligase; MurD, UDP-N-acetylmuramoyl-L-alanine:D-glutamate ligase; MurE, UDP-N-acetylmuramoyl-L-alanyl-
D-glutamate:meso-diaminopimelate ligase; MurF, UDP-N-acetylmuramoyl-L-alanyl-D-glutamyl-meso-diaminopimelate:D-alanyl-D-alanine
ligase; MurG, UDP-N-acetylglucosamine: N-acetylmuramyl(pentapeptide)-P-P-undecaprenol-N-acetylglucosamine transferase; and
MraY, phospho-N-acetylmuramyl-pentapeptide translocase.

of UDP-GlcNAc synthesis. The final two steps are
catalyzed sequentially by the bifunctional enzyme GlmU.
The C-terminal domain of GlmU has glucosamine-1-phos-
phate acetyltransferase activity and catalyzes transfer of an
acetyl group from acetyl-CoA to the amino group of gluco-
samine-1-phosphate, while the N-terminal domain,
endowed with N-acetyl-glucosamine-1-phosphate uridyl-
transferase activity, uridylates the product of the previous
reaction in the presence of UTP, producing UDP-GlcNAc.
The intracellular concentration of UDP-GlcNAc is the lim-
iting factor for the subsequent steps in peptidoglycan
biosynthesis.
Synthesis of UDP-MurNAc
UDP-MurNAc is synthesized from UDP-GlcNAc in a two-
step process: first transfer of enoylpyruvate from phosphoe-
nolpyruvate to the C
3
-OH of a UDP-GlcNAc molecule by
the MurA transferase (UDP-N-acetylglucosamine enolpyr-
uvyl transferase) to yield UDP-GlcNAc-enolpyruvate
and second reduction of enolpyruvate to D-lactate by the
MurB reductase (UDP-N-acetyl-enolpyruvylglucosamine
reductase) in the presence of NADPH to make UDP-
MurNAc.
Addition of the Stem Peptide
Addition of the stem peptide is a sequential process in
which L-Ala, D-Glu, a dibasic amino acid, most often meso
A
2
pm or L-Lys, and the dipeptide D-Ala-D-Ala are incor-
poratedintoUDP-MurNActoproduceUDP-MurNAc-
pentapeptide. Amino acids are added stepwise by the
highly specific synthases MurC (UDP-N-acetylmuramic
acid:L-alanine ligase); MurD (UDP-N-acetylmuramoyl-
L-alanine:D-glutamate ligase); MurE (UDP-N-acetylmura-
moyl-L-alanyl-D-glutamate:meso-diaminopimelate ligase);
MurF (UDP-N-acetylmuramoyl-L-alanyl-D-glutamyl-
meso-diaminopimelate:D-alanyl-D-alanine ligase); and
D-alanine:D-alanine ligase, which synthesizes the dipep-
tide D-Ala-D-Ala the substrate for MurF. All these ligases
are ATP-dependent, and have a similar catalytic
mechanism: activation of the C-terminal amino acid of
the growing nucleotide precursor to an acyl-phosphate
intermediate at the expense of ATP, followed by a
nucleophilic attack by the NH
2
group of the added
amino acid leading to release of phosphate and forma-
tion of a new peptide bond. The specificity of both
MurE and MurF is variable according to the dibasic
amino acid present at position 3 of the stem peptide, a
species-specific feature.
Peptidogylcan sacculus
Undecaprenyl-
pyrophosphate
Lipid II
Transpeptidase
domain
Transglycosylase
domain
Class A-PBP
Monomer biosynthetic pathway
New cross-link
formed
New monomer
added
Flippase
RodA?
Flippase
RodA?
Cytoplasmic
membrane
D-Ala
Figure 4 Schematic representation of peptidoglycan polymerization. In a first step, Lipid II precursor molecules must be transferred to
the external side of the cytoplamic membrane. No flippase has been actually demonstrated but RodA (and the similar protein FtsW) is a
likely candidate. Once on the outside, a Lipid II molecule interacts with the transglycosylase domain of a bifunctional class-A high-
molecular-weight PBP. A nascent glycan strand, already attached to the sacculus at the distal end, is transferred from undecaprenyl-
phosphate onto the C
4
-OH of the Lipid II molecule in the transglycosylase domain, causing the glycan strand to grow by one unit.
A molecule of undecaprenyl-pyrophophate is also released and upon transfer to the cytoplasmic side of the membrane, undergoes a
new round of synthesis. Concomitantly, a stem peptide from the nascent chain and a second stem peptide in the preexisting sacculus
find the right relative positioning at the transpeptidase domain active site and become cross-linked by transfer of the peptide bond
between the two terminal D-Ala residues of the stem peptide in the nascent glycan strand to the dibasic amino acid in the stem-peptide
at the sacculus, releasing a molecule of D-Ala. Iteration of the process leads to coordinated glycan strand linear polymerization and
insertion of the nascent strands into the net-like structure of the sacculus.
834 Peptidoglycan (Murein)

Synthesis of Lipid Intermediates
Attachment of the soluble precursors to the isoprenoid lipid
undecaprenyl phosphate (bactoprenol) in the cytoplasmic
membrane marks the beginning of the membrane-bound
phase of peptidoglycan biosynthesis. The first reaction con-
sists in the transfer of phospho-MurNAc-pentapeptide from
UDP-MurNAc-pentapeptide to the membrane acceptor
undecaprenyl-phosphate to yield MurNAc(pentapeptide)-
pyrophosphoryl-undecaprenol (Lipid I) and UMP. The
reaction is catalyzed by the MraY translocase (phospho-N-
acetylmuramyl-pentapeptide translocase), an integral mem-
brane protein. In a consecutive reaction, the MurG
transferase (UDP-N-acetylglucosamine:N-acetylmuramyl
(pentapeptide)-P-P-undecaprenol-N-acetylglucosamine
transferase) catalyzes the addition of a residue of GlcNAc
from UDP-GlcNAc to the MurNAc moiety of a Lipid I
molecule through a (-1 !4) glycosidic bond giving the
completed lipid linked monomer unit UDP-GlcNAc-(-
1!4)-MurNAc(pentapeptide)-pyrophosphoryl-undeca-
prenol (Lipid II). In E. coli MurG is a peripheral membrane
protein associated to the inner leaflet of the cytoplasmic
membrane.
In growing cells the proportion Lipid I to UDP-
MurNAc-pentapeptide is very low, in the 1% range,
indicating that availability of undecaprenyl phosphate is
a limiting factor for the membrane-bound steps of pepti-
doglycan biosynthesis. The scarcity of Lipid I and Lipid II
(ca. 700 and 2000 molecules per cell in E. coli) implies a
high turnover rate (about 1 s). This in turn constrains free
diffusion of lipid precursors as an efficient way to sustain
ongoing synthesis, and supports the existence of associa-
tions with the transferases and later acting proteins in
peptidoglycan synthesizing complexes. Indeed, recent
evidence gathered from E. coli supports an association of
MurG with the synthetic complexes responsible for long-
itudinal growth of the sacculus.
Addition of Interpeptide Bridges
In most Gram-positive bacteria cross-linking between pep-
tidoglycan stem peptides occurs with the concourse of a
short peptide, which is added to the dibasic amino acid at
position 3. The size and composition of the interpeptide
bridges are species-specific features. Size ranges from 1 to 7
amino acids and composition include Gly as well as D-(D-
Ser, D-Glu, D-Asx) and L-(L-Ala, L-Glu) amino acids. The
nature of the interpeptide bridges is the main cause of
variability in peptidoglycan. However, knowledge of the
enzymes involved (branching enzymes) is still limited.
Synthesis of the interpeptide bridge occurs by the sequen-
tial addition of amino acids to a pentapeptide precursor.
The precursor substrate for branching enzymes is variable
amongst species, for instance, in S. aureus it is Lipid II, but
in other species it can be Lipid I and also UDP-MurNAc-
pentapeptide. Furthermore, in some instances the branch-
ing enzymes use more than one substrate (Lipid II and
UDP-MurNAc-pentapeptide in Enterococcus faecalis). Two
different mechanisms coexist in dependence of the nature
of the amino acid to be added. L-amino acids as well as Gly
are activated as amino acyl-tRNAs and added to the pre-
cursor by the nonribosomal peptide-forming enzymes Fem
transferases. D-amino acids are incorporated by enzymes of
the ATP-grasp family. These enzymes activate the amino
acids as acyl-phosphates at the expense of ATP, and cata-
lyze ligation of the activated carboxyl to different chemical
groups, in particular amino and imino nitrogens.
Polymerization of Peptidoglycan
The second stage in peptidoglycan synthesis is polymer-
ization of monomer units and incorporation of the new
polymeric product into the preexisting sacculus in such a
fashion as to promote growth and preserve the correct cell
shape.
The polymerization stages are performed by two differ-
ent membrane-bound activities: glycosyl transferases that
catalyze formation of linear glycan polymers and peptidyl
transferases (transpeptidases) that catalyze cross-linking of
stem peptides. In growing bacteria formation of glycan
strands (tranglycosylation) and cross-linking of stem pep-
tides (transpeptidation) are continuous, tightly coupled
reactions. However, detailed analysis of the process indi-
cates that polymerization of the monomer proceeds by
transglycosylation and precedes cross-linking of the nascent
glycan strands by transpeptidation. It is important to realize
that transpeptidation is not only responsible for the cross-
linking of nascent material, but also for its incorporation
into the sacculus (Figure 4).
Translocation of Lipid-Linked Precursors
Polymerization of peptidoglycan is an extracellular pro-
cess, but the immediate precursor Lipid II is synthesized
in the intracellular side of the cytoplasmic membrane.
Therefore, the Lipid II units must be translocated to
the external side of the membrane (Figure 4). In spite
of its relevance, lipid-precursor translocation remains
one of the least known stages of peptidoglycan synthesis.
Translocation of the scarce and highly hydrophilic Lipid
II at a rate fast enough to keep apace with polymerization
almost certainly requires the catalytic intervention of
specialized proteins (flippases). However, no Lipid II
flippase has been unambiguously identified up to now.
In the model organism E. coli, the proteins RodA and
FtsW have been proposed as putative flippases. These
proteins are required by the essential peptidoglycan
syntheses penicillin-binding proteins (PBP) 2 and 3 (see
below) respectively, to fulfill their functions. RodA and
Peptidoglycan (Murein) 835

FtsW are similar integral membrane proteins, with ten
membrane-spanning regions, and had been proposed to
work as tunneling devices to channel and provide Lipid II
to their cognate PBPs. Paralogues to E. coli rodA and ftsW
have been found in other bacterial species, both Gram-
positive and Gram-negative.
Penicillin-Binding Proteins; the Key
Peptidoglycan Synthases
PBPs are a set of minor cytoplasmic membrane proteins
ubiquitous in bacteria. PBPs are the specific targets for
-lactam antibiotics and are critically involved in the late
stages of peptidoglycan synthesis. PBPs are defined by
their ability to covalently bind -lactams yielding stable,
enzymatically inactive, acyl-enzyme complexes. This
property facilitated identification of PBPs by specifici-
cally labeling with radioactive or fluorescent -lactams.
PBPs apparently share a common topology; they are
anchored to the cytoplasmic membrane through a trans-
membrane domain, but the bulk of the protein is exposed
to the external environment in close apposition to the
sacculus, the PBPs insoluble substrate. Virtually, every
known bacteria possesses a set of PBPs, but number, size,
abundance, and -lactam-binding spectrum are variable
from species to species.
PBPs are habitually classified as high- (>45 kDa) and
low- (<45 kDa) molecular-weight PBPs (HMW- and
LMW-PBPs respectively). The difference in molecular
weight does indeed reflect a functional dichotomy: while
HMW-PBPs have polymerase activity, LMW-PBPs are
more often involved in cleavage of peptidoglycan peptide
bonds and display endopeptidase and carboxypeptidase
activities. The number of reactions that a single polypep-
tide is able to catalyze differentiates two classes of HMW-
PBPs: the class A HMW-PBPs, bifunctional enzymes able
to catalyze both polymerization of the glycan strands
(transglycosylation) and cross-linking of the stem pep-
tides (transpeptidation), and class B HMW-PBPs that
are monofuctional enzymes endowed with transpeptidase
activity only.
Genetic analysis of HMW-PBPs in known bacterial
genomes embodying more than 400 class A, and 300 class
B HMW-PBPs demonstrated a clear modular architec-
ture. Both classes present a short cytoplasmic N-terminal
segment, followed by a single transmembrane domain
followed in class A enzymes by the transglycosylase mod-
ule, and in class B by a shorter module of unknown
function, followed in turn by the C-terminal transpepti-
dase (peptidyl transferase) module responsible for cross-
linking and -lactam binding. The intermediate module
in class B enzymes has been proposed to be involved in
interactions with other membrane proteins. LMW-PBPs
are monofunctional peptidyl transferases most often
endowed with D,D-carboxypeptidase activity and with
D,D-endopeptidase activity. As above, the active site of
the peptidyl transferase is the target for -lactam binding.
Proteins of this group have an unusual architecture; the
peptidyl transferase domain is encoded after a cleavable
peptide signal and the protein is anchored to the mem-
brane through a C-terminal transmembrane domain or
amphipathic helix.
Synthesis of Linear Peptidoglycan Polymers
Polymerization of peptidoglycan Lipid II units is cata-
lyzed by the bifunctional transglycosylase-transpeptidase
class A HMW-PBPs. Many class A HMW-PBPs are
known, but most of present day knowledge derives from
E. coli PBP1B, the paradigmatic peptidoglycan synthase.
The full-length enzymatically active PBP1B seems to
be a dimer. The most widely accepted mechanism for
peptidoglycan polymerization involves the repetitive
addition of disaccharide-pentapeptide units from Lipid
II at the reducing end of a growing glycan chain attached
to a second molecule of undecaprenyl-pyrophosphate. In
such a scheme, the undecraprenyl-pyrophosphate-bound
growing glycan chain acts as the glycosyl donor, and is
transferred to the C
4
-OH of the GlcNAc molecule in a
Lipid II molecule that becomes the glycosyl acceptor
substrate. While the nascent glycan strand grows by a
monomer unit each cycle, the reaction generates free
undecaprenol-pyrophosphate, which is transferred back
to the cytoplasmic side of the membrane, hydrolyzed to
undecaprenol phosphate, and reused for a new addition
cycle (Figure 4).
The exact catalytic mechanism for transglycosylation
is still uncertain. It is likely that the tranglycosylase
domain of the PBP recognizes the sugar moieties of both
the Lipid II and the terminal section of the growing
glycan chain, as is characteristic for other related glycosyl
transferases. It has been proposed that the -COOH of an
active-site Glu residue (Glu
223
in E. coli PBP1B) donates
its proton to the phosphoester bond of the growing chain
to give an oxicarbenium cation, which then undergoes
nucleophilic attack by the 4-OH of the Gluc-NAC in the
Lipid II molecule. Additional Asp and Glu residues in the
active site (Asp
234
and Glu
290
in E. coli PBP1B) are likely
involved in the stabilization of the oxicarbenium and
activation of the C
4
-OH group.
As mature peptidoglycan is devoid of any linkage to
undecaprenyl phosphate, some enzymatic reaction must
release nascent polymers from the membrane-anchoring
undecaprenyl-phosphate moiety. Such enzyme(s) could
play an important role in determining the length of the
resulting peptidoglycan strands. However, there is no
knowledge for any such enzyme so far. Release of the
nascent glycan strand from undecaprenol-pyrophosphate
836 Peptidoglycan (Murein)

in Gram-negative bacteria results in the generation of
(1 !6) anhydro MurNAc, which becomes a tag for the
glycan chain terminal muropeptide. Formation of (1 !6)
anhydro MurNAc is thought to occur because transgly-
cosylases may enter an idling state that results in an
intramolecular glycosyl transfer of the nascent glycan
strand onto the C
6
-OH of the MurNAc residue, instead
of the C
4
-OH of a nearby Lipid II molecule. A possible
alternative is that glycan strands are polymerized in a
continuous fashion, and then are trimmed by the so-called
lytic-transglycosylases enzymes able to split glycan poly-
mers generating (1 !6) anhydro MurNAc (see ‘Brake to
make; peptidoglycan hydrolases’). Presence of (1 !6)
anhydro MurNAc in the glycan strand terminal muro-
peptides is the reason for the nonreducing character of
peptidoglycan in Gram-negative bacteria.
Class A HMW-PBPs clearly take the burden of Lipid II
polymerization. Nevertheless, membrane-bound mono-
functional glycosyl-transferases (Mgt), able to polymerize
Lipid II, have been identified and biochemically character-
ized in a number of bacteria (M. luteus,E. coli,S. pneumoniae).
Indeed, Mgts from these species often account for most of
the Lipid II glycosyl transferase activity in ‘in vitro’ assays
with cell extracts. Further genomic analyses lead to the
identification of putative Mgts in a much larger set of
unrelated bacteria. Mgts share considerable similarity
with the glycosyl transfer domains of class A PBPs.
An intriguing aspect of peptidoglycan synthetic
transglycosylases, indeed of most enzymes acting on
macromolecular peptidoglycan, is their high redundancy.
For instance, both E. coli and S. pneumoniae have at least
four different enzymes each. It is believed that this multi-
plicity reflects a variety of functions. In fact, not all
transglycosylases are essential. As an example, in E. coli
both the class A PBP1C and the Mgl can be deleted
without noticeable harm to the cell. However either
PBP1A or PBP1B must be present. It has been proposed
that nonessential transglycosylases could be involved in
localized reorganizations of the cell sacculus required for
the assembly of envelope-spanning complexes, such as
flagella, and for specialized transport processes through
the envelope.
Cross-Linking of Glycan Chains
In the last step, peptidoglycan strands synthesized by
glycosyl transferases must be incorporated into the
macromolecular, net-like structure of the sacculus.
This is the role of the peptidyl transferase activities
(D,D-transpeptidase) displayed by both, class A and class
B HMW-PBPs.
Transpeptidases cross-link stem peptides in the saccu-
lus to the stem peptides in the nascent glycan strands
which, consequently, become part of the sacculus proper
(Figure 4). The canonical D,D-transpeptidation reaction
consists in the transfer of the D,D-peptide bond linking
the C-terminal D-Ala-D-Ala dipeptide of a disaccharide-
pentapeptide unit in one strand, the donor muropeptide,
onto the free NH
2
group of the dibasic amino acid at
position 3 in the stem peptide of a second (acceptor)
muropeptide in a nearby strand (Figure 4).
The transpeptidation reaction, the target for -lactam
antibiotics, has been analyzed in detail. The reaction pro-
ceeds in two steps. First the transpeptidase domain binds
the stem peptide-D-Ala-D-Ala dipeptide and through a
nucleophilic attack to the amide bond by the -OH of an
active site Ser residue, an acyl-enzyme complex is formed.
In a second step, the newly formed ester bond between the
D-Ala at position 4 of the donor and the active-site Ser, is
subjected to nucleophilic attack by the free NH
2
-group of
the dibasic amino acid in the acceptor stem peptide, result-
ing in formation of a new amide bond bridging both stem
peptides and regeneration of the -OH in the active-site Ser.
As a result of the transpeptidation reaction, the free NH
2
of
the dibasic amino acid in the acceptor moiety of the result-
ing cross-linked peptide becomes substituted and unable to
participate in further transpeptidation reactions.
Conversely, the equivalent group in the donor moiety
remains free and capable to act as acceptor in a subsequent
round of transpeptidation to yield higher order cross-
linked muropeptides. Indeed, up to tetramers have been
demonstrated in E. coli and in a number of both Gram-
negative and Gram-positive bacteria (S. pneumoniae), where
they are particularly abundant.
As indicated before, in most Gram-positive bacteria
the stem peptide is modified by acylation with a short
peptide of the non--NH
2
group of the dibasic amino
acid. In these cases, the transpeptidation reaction pro-
ceeds as above, except that the nucleophile in the
second step of the reaction normally is the N-terminal
NH
2
of the interpeptide bridge.
-Lactam antibiotics react with D,D-transpeptidases, in
general D,D-peptidyl transferases, because they mimic the
natural donor substrate and are recognized by the donor
site in the peptidyl transferase. The -lactam bond sub-
stitutes for the D-Ala !D-Ala amide bond and acylates
the active-site serine residue yielding a stable penicilloyl-
enzyme complex, which disables the enzyme.
With all likelihood D,D-transpeptidation is the univer-
sal cross-linking reaction, and the reason for the wide
spectrum of -lactam antibiotics. However, cross-linking
by transfer of L,Dpeptide bonds has also been described in
several bacteria. The dibasic amino acid at position 3
(A
2
pm, L-Lys) can substitute for D-Ala at position 4 as
the acyl donor in the transpeptidation reaction to yield a
(3 !3) L,Dcross-link, instead of the regular (4 !3) D,D
cross-link produced by D,D-transpeptidases. In this case,
the transferred peptide bond is of L,Dconformation.
The (3 !3) L,Dcross-bridges were originally found in
Mycobacteria. In some species as M. smegmatis, they account
Peptidoglycan (Murein) 837

for as much as one third of total cross-bridges. In other
bacteria the proportion is highly variable. In Gram-
negative bacteria, (3 !3) L,Dcross-bridges (often referred
to as A
2
pm !A
2
pm cross-bridges) range from <1% of
total cross-bridges in Pseudomonas putida, to about 30% in
Acinetobacter acetoaceticus and Proteus morganii. Abundance
of L,Dcross-bridges shows a substantial variability in
response to environmental conditions, with a tendency
to increase under stress conditions. At present, there is no
clear understanding of the biochemistry of (3 !3) L,D
cross-links. It is generally accepted that synthesis occurs
by a mechanism formally similar to D,D-transpeptidation,
except for the nature of the donor peptide bond. Such a
mechanism would be catalyzed by L,D-transpeptidases. In
fact, L,D-transpeptidases have been described and par-
tially characterized in some bacteria (Enterococcus faecium,
E. coli). An important feature of L,D-transpeptidases is that
because of the change in stereo specificity, they are
refractory to inhibition by -lactam antibiotics. Indeed,
L,D-transpeptidases have been associated with -lactam
resistance in E. faecium.
Class A versus Class B HMW-PBPs
As indicated before, both classes have D,D-transpeptidase
activity, but only class A are bifunctional enzymes.
Therefore, while class A are able to both polymerize
Lipid II into strands and incorporate the strands into the
sacculus, class B are limited to the cross-linking of pepti-
doglycan strands necessarily fed to them by ancillary
transglycosylases. However, in all bacteria where PBPs
could be well studied class B PBPs are essential, and key
enzymes for proper morphogenesis. For instance, PBP2 of
E. coli is strictly required for longitudinal growth of the
sacculus, and PBP3 is responsible for the synthesis of the
septum when cells divide. Furthermore, it has been shown
that PBP2 is by itself able to promote substantial growth
of the sacculus under specific conditions. A possible inter-
pretation of available information, by no means complete,
is that class A enzymes provide bulk-synthetic capacity
and class B enzymes direct the very final step of the
process, fine-tuning incorporation of new material as to
ensure proper shape is generated. Whether class A
are feeders for class B or class B are associated to
monofunctional transglycosylases (Mgt) is under discus-
sion. However, the fact that at least in E. coli, Mgt is
dispensable but a class A enzyme must be active for the
cells to grow, favors class A and class B enzymes teaming
together.
Brake to Make: Peptidoglycan Hydrolases
Enzymes capable of cleaving specific bonds in the saccu-
lus are expected to play crucial roles to permit expansion
of the whole structure. These enzymes are generally
referred to as murein, or peptidoglycan, hydrolases.
Some, but not all, cleave bonds that affect the physical
continuity of peptidoglycan. Enzymes able to split cross-
links or glycan strands can weaken the sacculus beyond a
point when it is not more able to withstand the turgor
pressure of the cell, and cell lysis would ensue. Therefore,
murein hydrolases are dangerous enzymes for the cell,
which must subject them to very stringent control. The
capacity of some of them to cause cell lysis when control
mechanisms are upset, by antibiotics for instance, led to
the designation of ‘autolysins’. The number and variety
of murein hydrolases is really staggering. Specific
hydrolases exist for each and every covalent bond in
peptidoglycan. Each bacterial species studied showed a
wide repertory of hydrolases, and very often a high
degree of redundancy for at least some activities. To
give a taste, in E. coli not less than five different hydrolytic
activities, represented by not less that 16 different pro-
teins, have been described. Peptidoglycan hydrolases can
be roughly classified according to their substrate in pep-
tidases and glycosylases. The former cleave bonds in the
stem peptide and the later on the glycan strand.
An important group of peptidases comprises the D,D-and
L,D-endopeptidases and carboxypeptidases, widespread, and
redundant in most bacteria. D,D-endopeptidase and D,D-
carboxypeptidase activities are peptidyl transferases asso-
ciated to low molecular weight PBPS. D,D-endopeptidases
cut the cross-bridges attaching nearby glycan strands to
each other by cleaving the amide bond between the D-Ala
at position 4 of the donor stem peptide and the dibasic
amino acid on the acceptor stem peptide. Thus a D,D-
endopeptidase reverts the action of a D,D-transpeptidase.
D,D-carboxypeptidases remove the C-terminal D-Ala from
the stem peptides, which become shortened to tetrapep-
tides. Both sets of enzymes are generally dispensable, but
likely relevant for proper morphogenesis. Impairment of
their activity in E. coli, for instance, leads to severe morpho-
logical abnormalities as branching. The catalytic
mechanism of these enzymes is similar to HMW-PBPs. In
the case of D,D-transpeptidases, the donor amino acid is the
D-Ala at position 4 in the donor side of the cross-bridge,
while for D,D-carboxypeptidases is the equivalent D-Ala in a
noncross-linked stem peptide. Upon formation of the acyl-
enzyme complex, the former acceptor moiety is released
and the NH
2
group of the acceptor amino acid is regener-
ated. The ester bond between the donor peptide and the
active-site serine is then subjected to nucleophilic attack by
a molecule of water releasing the free peptide and
regenerating the active-site amino acid. Because of their
PBP character, most DD endopeptidases and carboxypep-
tidases are inhibited by -lactams. However, in some
bacteria as E. coli, penicillin-insensitive D,D-endopeptidases
(MepA) have been also identified. The MepA type endo-
peptidases are metallopeptidases completely unrelated to
the penicillin-sensitive enzymes. L,D-endopeptidases and
838 Peptidoglycan (Murein)

L,D-carboxypeptidases have similar activities to their
D,D-counterparts on peptide bonds of L,D-stereochemistry,
and in most cases are believed to proceed through similar
catalytic mechanisms.
A second very relevant set of murein peptidases is com-
posed by the N-acetylmuramyl-L-alanine amidases. These
enzymes cleave the amide bond between the lactyl group in
MurNAc and the first amino acid (L-Ala) in the stem pep-
tide. As a result of their activity, stem peptides are released
from the peptidoglycan strands. Enzymes with this activity
are quite heterogeneous, in function and structure and still
not well characterized. Amidases are widespread, and very
often highly redundant. In E. coli at least five molecular
species present this activity. In some Gram-positive bacteria,
amidases often present additional domains able to recognize
and bind to specific motifs in cell wall polymers, as the
teichoic and lipoteichoic acids. Recognition of these
domains might be required for enzyme activation as is the
case for S. pneumoniae LytA, which has to recognize lipotei-
choic acid choline to become active.
Among the glycosylases, the family of lytic transgly-
cosylases is predominant. These enzymes catalyze the
intramolecular transfer of a MurNAc (-1 !4) GlcNAc
glycosidic bond in a peptidoglycan strand onto the 6-OH
of the MurNAc residue, cleaving the glycan strands and
generating (1 !6) anhydro MurNAc-containing muro-
peptides. Both endo- and exolytic transglycosylases have
been identified. Exolytic enzymes are processive enzymes
that degrade peptidoglycan strands from one end
(GlucNAc) releasing a monomer at a time and shortening
the strand by one unit. Endolytic enzymes randomly
cleave any glycosidic bond in the glycan strand cutting
it into a number of pieces.
N-acetylmuramidases (as lysozymes) and N-acetylglu-
cosaminidases are the more frequent glycosyl hydrolases.
The later are often predominant in some Gram-positive
species, as S. aureus, where they are definitely involved in
the morphogenetic pathway. However, both classes of
enzymes seem to be mostly implicated in degradative
processes as autolysis, peptidoglycan turnover, and even
depredation (many bacteria release enzymes able to
degrade peptidoglycan of niche-sharing species) than on
biosynthetic pathways.
Physiology of Peptidoglycan Hydrolases
For the bacterial cell to grow the sacculus has to expand
accordingly. Because the sacculus is a covalently closed
structure just binding (cross-linking) new peptidoglycan
strands to the sacculus is not enough to promote expansion.
Indeed it would only lead to thickening of the wall. To
enlarge a closed net bag, meshes have to be cleaved to
permit insertion of new material between the existing
netting. However, the multiplicity of murein hydrolases
as well as the high redundancy of many of them, made
investigation of their functionality a particularly frustrating
business. The key assumption, growth of the sacculus must
be strictly dependent on the activity of a particular murein
hydrolase, has not been demonstrated up to now.
Inactivation of single murein hydrolases very seldom
results in a detectable phenotype. Even multiple mutants
often retain the ability to grow in size normally. That the
key hydrolase for enlargement of the cell wall has yet to be
found, is possible but unlikely. Therefore, either murein
hydrolases are able to functionally compensate for each
other, irrespective of the differences in substrate specificity
and catalytic mechanism, or enlargement of the sacculus
proceeds through a yet unknown murein hydrolase-inde-
pendent mechanism. Indeed, an alternative mechanism
based on a peptidyl transfer reaction has been proposed.
In this mechanism, a putative enzyme would transfer pep-
tide bonds from the cross-bridges in the sacculus onto the
dibasic amino acid of stem peptides in the incoming pepti-
doglycan strands. The reaction would formally be a
transpeptidation and could, in theory, be carried out by
the HMW-PBPs themselves, at least when the transferred
bonds were of D,D-conformation.
Participation of murein hydrolases in the elongation of
the sacculus might be in doubt, but their relevance for cell
division is undeniable. As a matter of fact, the most
recurrently displayed phenotype in hydrolase mutants is
a defective cell division. Both in Gram-negative and
Gram-positive bacteria specific hydrolases (AmiA,B,C in
E. coli,LytAinS. penumoniae, Atl in S. aureus) are required
for resolution of the septal peptidoglycan. Impairment of
the corresponding enzymes results in chained cells, which
are unable to split their peptidoglycan septa to finish
division.
The situation, therefore, remains uncertain as to the
real mechanism(s) responsible for incorporation of nas-
cent peptidoglycan into the sacculus. Actually, available
data would support coexistence of two mechanisms, one
for cell enlargement and another one for septation.
Postinsertional Metabolism of
Peptidoglycan
The sequence of events, schematically presented above,
end up with the incorporation of new peptidoglycan
into the sacculus and the corresponding expansion of
the later. But this is by no means the end of peptido-
glycan metabolism. As a matter of fact, the sacculus is
subjected to a constant and complex reorganization. At
least three processes have been documented in the E.
coli model system: maturation, turnover, and growth-
state adaptation.
Peptidoglycan (Murein) 839

Peptidoglycan Maturation
Investigation of the evolution of new peptidoglycan as it
ages indicates that new and old murein differ to a con-
siderable extent at least in E. coli,B. subtilis, and Lactococcus
lactis. In the E. coli case, maturation is characterized by
elimination of the D-Ala at position 5 of the stem peptides,
by a notable increase in cross-linking, and a reduction in
the mean length of peptidoglycan strands. The enzymol-
ogy of maturation is still poorly understood. Low-
molecular-weight PBPs are definitely involved, but the
molecular identity of many of the activities suspected to
intervene in the process remains unknown.
Peptidoglycan Turnover and Recycling
The phenomenon of murein turnover, that is shedding of
peptidoglycan muropeptides from the sacculus in the
course of normal growth, was first described in Gram-
positive organisms (Bacillus megaterium,B. subtilis,L. mono-
cytogenes,S. aureus,Lactobacillus acidophilus, etc.). Because
most Gram-positive bacteria lack a permeability barrier
external to the sacculus, turnover products are normally
released into the growth medium, making detection rela-
tively straightforward. Demonstration in Gram-negative
bacteria (E. coli,Salmonella enterica,N. gonorrhoeae,Neisseria
subflava) took more effort because turnover is often
coupled to very efficient recycling of the released mur-
opeptides, which are transported back to the cytoplasm
and then enter the biosynthetic pathway. The magnitude
of the turnover process is variable from species to species
and may depend on growth conditions. In most instances
it is quite relevant. Between 20 and 50% of total pepti-
doglycan is turned over each generation in those species
where it has been measured as E. coli (30–40%) B. subtilis
(50%), B. megaterium (50%), S. aureus (25%), N. gonorrhoeae
(20–50%). These high turnover rates mean that peptido-
glycan has to be synthesized and incorporated into the
sacculus at a rate considerably higher than growth rate.
Turnover is often considered a requirement for cell
expansion, and to be associated to damage assessment
and defense mechanisms.
Turnover is an enzymatically catalyzed process
mediated by peptidoglycan hydrolases. The main turn-
over products in many Gram-negative bacteria are
(1 !6)anhydro-MurNAc containing monomeric muro-
peptides, the product of lytic transglycosylases. In Gram-
positive bacteria turnover products are more diverse; in
some, like B. subtilis, turnover is mediated by a single
hydrolase, a MurNAc-L-alanine amidase, but often shed
out products are the result of a more complete degrada-
tion of muropeptides involving several enzymes.
Interestingly, peptidoglycan turnover is an important
virulence factor in some pathogens, as N. gonorrhoeae and
Bordetella pertussis. Both species have intensive turnover
and release considerable amounts of GlucNAc-(1 !6)
anhydro MurNAc-L-Ala-D-Glu-A
2
pm-D-Ala, into the
extracellular environment. This muropeptide has a
strong cytotoxic action on ciliated epithelia and is iden-
tical to the tracheal cytotoxin (TCT) of B. pertussis,
and the peptidoglycan-derived cytotoxin (PGCT) of
N. gonorrhoeae. Furthermore, peptidoglycan fragments
have strong immunogenic and mitogenic activities influ-
encing the course of infection.
Turnover products are often recycled, in particular in
Gram-negative bacteria where released muropeptides
accumulate in the periplasmic space. Several recycling
pathways apparently exist. In E. coli the major route
for recycling is via the transporter protein AmpG, a
transmembrane protein acting as a specific permease
for intact muropeptides. AmpG transports GlucNAc-
(1 !6)anhydro MurNAc-L-Ala-D-Glu-A
2
pm, the main
turnover product in this bacteria, to the cytoplasm.
There, it is further degraded by a -N-acetyl-glucosami-
nidase, which splits the disaccharide releasing GlucNAc
and (1 !6)anhydro MurNAc-L-Ala-D-Glu-A
2
pm and a
MurNAc-L-alanine amidase (AmpD), which breaks up the
later fragment into (1 !6) anhydro MurNAc and the stem
tripeptide. AmpDhas a strict requirement for (1 !6) anhy-
dro MurNAc, and therefore is inactive against the
cytoplasmic precursors present in the cytoplasm as UDP-
MurNAc-pentapeptide. Interestingly, the tripeptide
released by AmpD is not further degraded. Instead, it is
directly hooked onto a molecule of UDP-MurNAc by the
enzyme Mlp (UDP-N-acetylmuramate:L-alanyl-D-gluta-
mate-meso-diaminopimelate ligase) in the presence of
ATP. Although both Mlp and MurC add amino acids to
UDP-MurNAC, they could neither compensate for each
other, nor accept each other peptide substrates. Mlp para-
logues have been identified in other bacteria (Haemophilus
influenzae), indicating that similar pathways could be
widespread.
Peptidoglycan recycling has been recently associated
with induction of chromosomal -lactamases of the
AmpC type in Enterobacteria. -Lactamases are the
major bacterial defense mechanism against -lactams.
Enterobacterial AmpC are inducible enzymes, and induc-
tion requires an operational peptidoglycan recycling
pathway. Presence of antibiotics cause increased intracellu-
lar levels of (1 !6) anhydro MurNAc-L-Ala-D-Glu-A
2
pm,
which binds to AmpR, a regulatory protein of the amp
operon, and induces synthesis of -lactamase. Therefore,
turnover and recycling might also play a sensory function to
detect cell wall-damaging agents.
Adaptive Modifications of Peptidoglycan
The composition and structure of peptidoglycan changes
in response to environmental variations, in particular
during the transitions in growth phase. Information is
840 Peptidoglycan (Murein)

still limited to a few systems (E. coli,S. enterica,H. pylori,
and B. subtilis) but it may well be a widespread phenom-
enon. Transition into stationary phase is a complex
adaptive process, which involves a global reorganization
of cell metabolism and very often specific morphological
changes. In E. coli transition into stationary phase triggers
a full set of modifications both in the characteristics
of peptidoglycan itself and in the complement of
enzymes involved in peptidoglycan metabolism, PBPs,
and peptidoglycan hydrolases. Compared with exponen-
tially growing cells, peptidoglycan from stationary-phase
E. coli is about 50% more cross-linked, has close to double
amount of bound lipoprotein. and is made up of, on
average, 30% shorter glycan chains. These modifications
affect total peptidoglycan and are thought to require
activity of specific enzymes. Interestingly, E. coli cells in
the so-called ‘viable but nonculturable’ state, a condition
though to be clinically relevant in pathogenic bacteria,
display similar alterations in their peptidoglycan. In
B. subtilis peptidoglycan, cross-linking is also higher in
stationary-phase cells. Increased cross-linking seems to
be a rather general feature of nongrowing cells, and has
been detected in all cases studied.
Stationary-phase cells often display specific modifica-
tions in both biosynthetic and hydrolytic peptidoglycan
enzymes. Activation of specific hydrolases is in fact
thought to be critical for induction of the autolytic
response of many bacteria, as S. pneumoniae, to prolonged
starvation and other adverse conditions as the presence of
antibiotics.
Stationary-phase E. coli cells retain a considerable
peptidoglycan biosynthetic activity. This activity is
apparently associated to turnover and could account for
renovation of about 20% of the cell peptidoglycan per
hour. Interestingly, the class B PBP2 seems to be the key
synthase in this process. The relevance of stationary-
phase synthesis has not been asserted yet; however, an
involvement in cell survival seems most likely.
Biophysical Properties of Peptidoglycan
Sacculi
Thickness of Sacculi
As indicated earlier, bacteria fall in two broad categories,
Gram-positive and Gram-negative, according to the
organization of their cell envelopes. The former group
displays a relatively thick peptidoglycan sacculus with
covalently linked accessory polymers, while the later
normally exhibits very thin sacculi devoid of accessory
polymers. Precise measurement of the real thickness of
sacculi has proven to be a rather complex task. Classical
electron microscopy techniques had profound effects on
the apparent thickness of sacculi in thin sections.
Introduction of cryo-electron microscopy of frozen
hydrated samples and atomic force microscopy recently
led to a precise estimation of peptidoglycan thickness. In
Gram-negative bacteria, results were unexpected because
sacculi from E. coli and Pseudomonas aeruginosa, two species
with identical peptidoglycan, gave different values. Cryo-
electron microscopy of frozen hydrated cells gave pepti-
doglycan thickness values of 6.35 0.53 nm for E. coli and
2.41 0.54 for P. aeruginosa. Atomic force microscopy
produced very close values, 6.0 0.5 and 3 0.5 nm for
hydrated E. coli and P. aeruginosa sacculi, respectively.
Concordance of both techniques is reassuring, but clearly
indicates that the three-dimensional organization of pep-
tidoglycan in sacculi of Gram-negative bacteria is more
variable than previously expected. Small-angle neutron
scattering measurements indicate that in E. coli the saccu-
lus in not homogeneous in thickness; about 70% of total
peptidoglycan is arranged in a monolayer, but up to 30%
is in triple-layered domains. Unfortunately, the technique
does not resolve the localization of the multilayered
regions. Species to species variations in the abundance
and distribution of multilayered regions could well
explain the different apparent thickness in thin sections.
In any case, these results seriously question the classical
view of Gram-negative cell walls as a strict monolayer.
Sacculi from Gram-positive bacteria are undoubtedly
multilayered, and variable in thickness. Application of
advanced techniques, however, revealed a bipartite orga-
nization of the cell wall. In all species studied there is an
inner zone of low density, the inner wall zone (IWZ),
about 16 nm thick, apparently impoverish in polymeric
materials, surrounded by the outer wall zone (OWZ)
representing the polymeric peptidoglycan-teichoic acid
complex. The OWZ is often in the 15–30 nm range, but is
quite variable.
Elasticity of Sacculi
Purified peptidoglycan sacculi behave like an elastic fab-
ric. Available measurements indicate that surface of E. coli
sacculi can reversibly expand and shrink by a factor of 3
without ruptures. Different approaches support the idea
that sacculi are under dynamic stress in the living cell,
expanding, and shrinking in response to variations in
turgor pressure. In the growing E. coli cell, sacculi appear
to be stretched to about 140% of their surface in the
relaxed (no turgor pressure) state.
A most interesting observation is the anisotropic char-
acter of elasticity in sacculi. Sacculi from rod cells are
significantly more deformable along the longitudinal axis
of the cell than in the transversal axis. Measurements in
the atomic force microscope gave elastic moduli of
2.5 10
7
and 4.5 10
7
Nm
2
in the respective directions
(smaller elastic modulus means greater elasticity). These
Peptidoglycan (Murein) 841

measurements are in agreement with the observation that
changes in cell volume due to osmotic challenge are
mainly due to elongation of the cells, while diameter
remains nearly constant. In macromolecular peptidogly-
can, peptide bridges can be stretched much further than
the virtually inextensible glycan backbones. For this rea-
son, elastic anisotropy is considered as a strong indication
for a preferential orientation of the glycan strands
perpendicular to the long axis of the cell. However,
X-ray diffraction and infrared spectroscopy indicate that
the sacculus is far from a regularly ordered structure.
Therefore, glycan chains may well be organized with a
preferential orientation, but the layout of the sacculus is
far from a highly ordered structure.
Permeability of Sacculi
Bacteria secrete numerous macromolecules, which must
necessarily cross the sacculus on their way to the external
environment. Moreover, assembly of supramolecular
complexes spanning the cell envelope as flagella or type
III protein secretion systems, also have to deal with the
presence of the sacculus. Therefore, it is relevant to know
whether and how the structure of the sacculus, or the
activity of particular enzymes, permits traffic and assem-
bly of macromolecules.
Experimental data on the porosity of sacculi are scant
and limited to E. coli and B. subtilis. Interestingly, pores in
purified (relaxed) sacculi from both organisms are of
similar average size, with estimated radii of 2.06 nm for
E. coli and 2.12 nm for B. subtilis. This size limits free
passage of globular proteins to molecular weights about
22–25 kDa in the relaxed state of peptidoglycan, which
could go up to around 50 kDa for fully stretched sacculi.
Larger molecules could pass through the sacculus
either in nonfolded or partially folded forms, or through
specialized mechanisms involving local peptidoglycan
rearrangements. Assembly of supramolecular structures
almost certainly requires such rearrangements. For
instance, the flagellar rod has an average diameter of
about 11 nm, much wider than peptidoglycan expected
discontinuities. Participation of murein hydrolases in
these rearrangements has been substantiated in a number
of bacteria. In C. crescentus the transglycosylase PleA is
required for assembly of both pili and flagella at the cell
pole. In S. enterica and Rhodobacter sphaeroides flagellar
proteins with muramidase activity (FlgJ) are required
for flagellar assembly, which otherwise stalls at the M
ring stage. Paralogues to hydrolytic enzyme genes have
been found in operons coding for flagella, pili, and type III
secretion systems, indicating that participation of pepti-
doglycan hydrolases in assembly processes might be a
general mechanism.
Topological Heterogeneity in Sacculi
The existence of peptidoglycan patches with different
properties in sacculi was first detected in B. megaterium.
The polar caps of the rod-like cells were shown to turn-
over far more slowly than the lateral cell wall. More
recently, it has been shown that the peptidoglycan at the
polar caps of E. coli sacculi is metabolically inert (IPG).
That is, neither new precursors are inserted into these
regions nor are they turned over. As a consequence IPG
has a very long life. As polar regions are the product of a
previous septation event, IPG can be considered the final
product of such a septation event. The mechanism under-
lying generation of IPG is unknown. Nevertheless, at least
three proteins, PBP5, BolA, and FtsZ, have been shown to
affect proper distribution of IPG in E. coli. All three
proteins are involved in the morphogenetic pathway.
Therefore, it seems that proper differentiation of IPG
regions might be an important process for the cell. At
present, no specific structural or chemical features have
been found in IPG.
Concluding Remarks
The role of peptidoglycan as a reinforcement for the
bacterial cell envelope was firmly established more than
60 years ago and the basics of its structure and metabolism
were worked out soon after. However, the full complexity
of the bacterial sacculus become apparent only recently,
hand in hand with the impressive advances in the field of
bacterial division differentiation and morphogenesis. The
structure once thought to be a rigid and fundamentally
inert structure is showing a totally unexpected degree of
complexity and dynamism at all imaginable levels.
Further research on the structural properties, biochemis-
try, and physiology of this fascinating macromolecule will
undoubtedly help us to better understand bacterial life.
Further Reading
de Pedro MA (2004) Topological domains in the cell wall of Escherichia
coli. In: Vicente M, Valencia A, and Mingorance J (eds.) Molecules in
Time and Space. New York: Kluwer Academic/Plenum Publishers.
Ho¨ ltje JV (1998) Growth of the stress-bearing and shape-maintaining
murein sacculus of Escherichia coli.Microbiology and Molecular
Biology Reviews 62: 181–203.
Macheboeuf P, Contreras-Marte C, Job V, Dideberg O, and Dessen A
(2006) Penicillin binding proteins: Key players in bacterial cell cycle
and drug resistance processes. FEMS Microbiology Reviews
30: 673–691.
Popham DL (2002) Specialized peptidoglycan of the bacterial
endospore: The inner wall of the lockbox. Cellular and Molecular Life
Sciences 59: 426–433.
Popham DJ and Young KD (2003) Role of penicillin binding proteins in
bacterial cell morphogenesis. Current Opinion in Microbiology
6: 594–599.
Schaeffers DJ and Pinho MG (2005) Bacterial cell wall synthesis: New
insights from localization studies. Microbiology and Molecular
Biology Reviews 69: 585–607.
842 Peptidoglycan (Murein)

Schleifer KH and Kandler O (1972) Peptidoglycan types of bacterial cell
walls and their taxonomic implications. Bacteriological Reviews
36: 407–477.
van Heijenoort J (1998) Assembly of the monomer unit of bacterial
peptidoglycan. Cellular and Molecular Life Sciences 54: 300–304.
van Heijenoort J (2001) Formation of the glycan chains in the synthesis
of bacterial peptidoglycan. Glycobiology 11: 25R–36R.
Vollmer W, Blanot D, and de Pedro MA (2008) Peptidoglycan structure
and architecture. FEMS Microbiology Reviews 32: 321–344.
Vollmer W and Bertsche U (2007) Murein (peptidoglycan) structure,
architecture and biosynthesis in Escherichia coli. Biochimica et
Biophysica Acta. In Press.
Peptidoglycan (Murein) 843

Photosynthesis: Microbial
B Jagannathan and J H Golbeck, The Pennsylvania State University, University Park, PA, USA
ª2009 Elsevier Inc. All rights reserved.
Defining Statement
Introduction
Historical Perspective
Classification of Photosynthetic Organisms
The Constituent Processes of Photosynthesis
Absorption and Transfer of Light Energy
The Water-Splitting Complex
Transmembrane Electron Transfer
Calvin–Benson–Bassham Cycle
Anoxygenic Photosynthesis
The Evolution of Photosynthesis
Future Research Directions
Further Reading
Glossary
anoxygenic photosynthesis A type of photosynthesis
performed by bacteria that do not use water as the
electron donor for carbon fixation, and hence do not
liberate oxygen.
antenna A network of closely spaced pigment
molecules that captures light energy and transfers it
efficiently to the reaction center.
chlorosome An extensive antenna system consisting
of bacteriochlorophyll c,d, and efound in green sulfur
bacteria.
iron–sulfur cluster A redox cofactor consisting of
covalently linked iron and sulfur atoms that is involved in
one-electron transfers.
reaction center A membrane-embedded pigment–
protein complex responsible for transferring electrons
across the photosynthetic membrane.
thylakoid A membranous structure wherein all the
light-dependent processes of photosynthesis occur.
water-splitting complex A cluster of four manganese
atoms and one calcium atom that oxidatively splits
water, producing electrons for carbon fixation.
Abbreviations
3PG 3-phosphoglycerate
CBB Calvin–Benson–Bassham
Chl Chlorophyll
DHAP dihydroxyacetone phosphate
EXAFS extended x-ray absorption fine structure
F6P fructose-6-phosphate
FBP fructose-1,6-biphosphate
FNR ferredoxin-NADP
þ
oxidoreductase
G1P glucose-1-phosphate
G3P glyceraldehyde-3-phosphate
NADPH nicotinamide adenine dinucleotide
phosphate
PS Photosystem
RuBP ribulose-1,5-biphosphate
Defining Statement
The aim of this article is to move beyond the textbook
equation of photosynthesis and describe the design prin-
ciples behind photosynthetic electron transfer. The
events that constitute a photosynthetic cycle are
described in the exact order they occur, using the cyano-
bacterial system as a model. Photosynthesis in lesser-
known phototrophs is also discussed.
Introduction
Photosynthesis is the biochemical process carried out by
certain bacteria, algae, and higher plants in which light is
converted into chemical bond energy. The process is
crucial, since nearly all life on earth depends on sunlight
either directly or indirectly for energy, food, and O
2
. The
advent of photosynthetic prokaryotes with the ability to
consume CO
2
and produce O
2
from H
2
O resulted in a
hospitable environment on earth for advanced forms of
life. Fossil records indicate that the first oxygenic photo-
synthetic bacteria appeared around 3.5 10
9
years ago.
Earlier, organisms survived by anaerobic metabolism, a
process that generates only a fraction of the energy pro-
duced by aerobic metabolism. It is likely that in the
absence of oxygenic photosynthesis, advanced forms of
life would not have emerged and only microorganisms
would now exist. Today, as the primary means of carbon
fixation, oxygenic photosynthesis forms one half of the
844

energy-carbon cycle. Phototrophic organisms reduce
CO
2
to carbohydrates, which are oxidized back to CO
2
by heterotrophic (as well as phototrophic) organisms. The
energy released during the oxidation reaction is stored in
the form of NADH and ATP, which are subsequently
used for growth, metabolism, and reproduction. In addi-
tion, prehistoric plants and algae were largely responsible
for the generation of the vast reserves of fossil fuels that
are now being mined for their energy value. They pro-
vided a large portion of the initial biomass, which was
converted into oil and coal over millions of years through
pressure, heat, and microbial action.
The general process of photosynthesis is described by
Van Niel’s equation:
2H2AþCO2!2A þCH2OþH2O½1
where H
2
A is the reductant and A is the oxidized product.
Van Niel’s equation can be applied to oxygenic photo-
synthesis as:
6CO2þ6H2Oþlight !C6H12O6þ6O2½2
Although complete, this equation belies the overwhelm-
ing complexity of the process. For example, the
generation of the light-induced charge-separated state
and its subsequent stabilization over time requires a
large number of pigments and cofactors arranged in a
specific protein environment. The splitting of H
2
O into
O
2
is extremely difficult to replicate in the laboratory, yet
plants and cyanobacteria perform the task repeatedly with
seeming ease. The conversion of CO
2
into sugars is
another intricate process that requires an extensive set
of physical and chemical reactions to occur in a highly
coordinated fashion.
In this article, we will expand on this simple equation.
In addition to describing the general design principles
behind the sophisticated biomachinery involved in photo-
synthesis, we will provide structural and functional
details, placing special emphasis on light-induced elec-
tron transfer in aerobic and anaerobic organisms.
Historical Perspective
The first experiments on photosynthetic organisms were
performed in the 1770s when Joseph Priestley showed that
plants were capable of generating a gas that could support
combustion. Building on his work, Jan Ingenhousz estab-
lished that sunlight was required, and Jean Senebier and
Nicolas Theodore de Saussure demonstrated the indispen-
sability of CO
2
and H
2
O. In 1845, Julius Robert von Meyer
postulated that plants convert light into chemical energy
during photosynthesis. Early scientists believed that the O
2
was produced from the splitting of CO
2
, and it was not
until the 1930s that Cornelius van Niel proposed, correctly,
that H
2
O was the source of O
2
. It is interesting that 75 years
later the exact biochemical mechanism of H
2
O splitting
remains to be elucidated.
Photosynthesis research has had its share of Nobel
laureates. Melvin Calvin won the chemistry prize in
1961 for identifying most of the intermediates in the
conversion of CO
2
into carbohydrates. Peter Mitchell
was the sole recipient of the chemistry award in 1978
for his work on the chemi-osmotic theory of proton
translocation. Johann Deisenhofer, Robert Huber, and
Hartmut Michel won the chemistry prize in 1988 for
solving the first crystal structure of a photosynthetic
reaction center. Rudolph Marcus’s investigation of the
factors guiding electron transfer in chemical systems
remains the paradigm for theoretical calculations of elec-
tron transfer in photosynthetic reaction centers. He was
awarded the Nobel Prize in chemistry in 1992. More
recently, Paul Boyer and John Walker were awarded the
prize in chemistry in 1997 for elucidating the enzymatic
mechanism underlying the synthesis of ATP.
Artificial photosynthesis has seen a recent spurt of
activity, largely due to an increased awareness of the
depletion of fossil fuel reserves and the effect of their
combustion products on the earth’s climate. The goal is
to synthesize inexpensive and long-lasting organic and
inorganic molecules that convert light into chemical
energy, thereby mimicking the basic process of photo-
synthesis. This has brought new disciplines such as
material science and bioengineering into photosynthesis,
making the field truly interdisciplinary.
Classification of Photosynthetic
Organisms
There exist five bacterial phyla with members capable of
chlorophyll-based phototrophy: Firmicutes, Chloroflexi,
Chlorobi, Proteobacteria, and Cyanobacteria. With the
recent discovery of Chloracidobacterium thermophilum,
Acidobacteria have become the sixth known phylum to
carry out the process of photosynthesis.
All photosynthetic organisms can be classified as either
oxygenic or anoxygenic. Oxygenic phototrophs employ
H
2
O as the source of electrons and liberate O
2
as the by-
product. Anoxygenic phototrophs derive their electrons
from organic or inorganic molecules, and hence they do
not evolve O
2
. Of the five well-established phototrophic
bacterial phyla, only the Cyanobacteria are capable of
performing oxygenic photosynthesis. In addition, all
eukaryotic phototrophs such as higher plants and algae,
which evolved later than cyanobacteria, produce O
2
dur-
ing photosynthesis.
The remaining four phyla include anaerobes such as
the purple nonsulfur bacteria, purple sulfur bacteria,
green sulfur bacteria, and heliobacteria, which survive
Photosynthesis: Microbial 845

only under low concentrations of O
2
. The recently dis-
covered Acidobacteria have been reported to live under
oxic conditions, although a detailed physiological char-
acterization of this organism remains to be carried out.
We will discuss oxygenic photosynthesis first, using
cyanobacteria as the model organism. Cyanobacteria are
photosynthetic prokaryotes that are found in every con-
ceivable habitat from oceans to fresh water to soil. These
Gram-negative bacteria are responsible for generating the
majority of the O
2
in the earth’s atmosphere. The most
widely used cyanobacterial strains for current experimen-
tal research are Synechocystis sp. PCC 6803, Synechococcus
sp. PCC 7002, and Thermosynechococcus elongatus.
In cyanobacteria, photosynthesis is associated with a
well-organized system of internal membranes in the cyto-
plasm. These are called thylakoids, from the Greek word
thylakos meaning sac. These membranes are highly folded,
allowing the cell to pack a large amount of surface area
into a small space. The interior space enclosed by the
thylakoid membrane is termed the lumen and the matrix
surrounding the thylakoids is termed the stroma. The
thylakoids are home to the integral membrane protein
complexes that are involved in the light reactions of
photosynthesis.
Eukaryotic organisms such as higher plants and algae
conduct photosynthesis in membrane-bound organelles
called chloroplasts. They consist of an outer, freely perme-
able membrane and a selectively permeable inner
membrane that encloses the stroma. The sac-like thyla-
koids immersed in the stroma are similar in organization to
the comparable membranes in cyanobacteria. Chloroplast
thylakoids, however, tend to form well-defined stacks
called grana, which are connected to other stacks by
intergrana thylakoids called lamellae. It is widely thought
that chloroplasts evolved from an endosymbiotic relation-
ship of a heterotrophic prokaryote with a cyanobacterium.
The Constituent Processes of
Photosynthesis
Eqn [1] is the end product of a large number of events that
occur during a typical photosynthetic cycle. The basic
processes that constitute oxygenic photosynthesis are:
•Absorption of light by pigment molecules and transfer
of the excitation energy to two reaction centers,
Photosystem II (PS II) and Photosystem I (PS I).
•Light-induced transfer of an electron across the photo-
synthetic membrane and splitting of H
2
O into O
2
by
PS II.
•Light-induced excitation and transfer of an electron
across the photosynthetic membrane, generating redu-
cing equivalents in the form of nicotinamide adenine
dinucleotide phosphate (NADPH) by PS I.
•Production of ATP using the proton gradient gener-
ated across the membrane from both H
2
O splitting and
electron transfer through the cytochrome b
6
fcomplex.
•Conversion of CO
2
into carbohydrates using ATP and
the reducing power of NADPH.
The division of photosynthetic labor is relatively straight-
forward. All the light reactions occur within or on the
thylakoid membrane. The ATP and NADPH produced
by the light reactions are released into the stroma where
the dark reactions of CO
2
fixation are carried out. We
focus first on the overall design philosophy of the process
of converting light to stable chemical energy.
Absorption and Transfer of Light Energy
The Light-Absorbing Chromophores
Photosynthesis in cyanobacteria and plants is driven by
light in the visible (380–750 nm) region of the electromag-
netic spectrum. Phototrophic organisms such as purple
bacteria, green sulfur bacteria, and heliobacteria extend
this region to the near-infrared so as to exploit unique
ecological niches. All of this makes evolutionary sense as
the majority of the sun’s energy that reaches the earth’s
surface lies in this range. Ultraviolet radiation and far-
infrared radiation are both limited in amount; also, the
former is too energetic and is capable of breaking chemical
bonds, while the latter contains insufficient energy to be
useful for most photochemical processes.
Primary chromophores
Photosynthetic organisms use a range of chromophores to
efficiently capture photons in the visible and near-IR
regions. The most abundant chromophore involved in
photosynthesis is chlorophyll, a molecule structurally
similar to, and produced by, the same metabolic pathway
as porphyrin pigments such as heme. The basic structure
of the chlorophyll molecule is a chlorin ring coordinated
to a central magnesium atom (Figure 1). The addition of
a long phytol tail makes chlorophyll insoluble in water.
There are four common types of chlorophyll molecules in
photosynthetic organisms, named chlorophyll a,b,c, and
d. Their overall structure is similar, with minor changes in
the side-chain groups that result in slightly different
absorption spectra (Figure 2). Cyanobacteria employ
chlorophyll a, while plants utilize both chlorophyll a
and b. Some species of algae contain chlorophyll c, and a
few species of cyanobacteria contain chlorophyll d.
Chlorophylls absorb primarily in the blue and red regions
of the visible spectrum and have a high molar extinction
coefficient. They have an inherently high fluorescence
yield, which guarantees a long-lived excited singlet state,
making them the ideal chromophore.
846 Photosynthesis: Microbial

CH2
CH3
–CHO in chlorophyll
b
CH3
CH3
CH3
CH3
CH3
Phytol chain
H3C
N
Mg
H
H
H3
H
O
O
OO
O
NN
N
III
IIIIV
V
H3C
Figure 1 Chemical structure of chlorophyll a. Chlorophyll bhas a –CHO group instead of the –CH
3
group in ring II.
1.0
0.8
0.6
0.4
0.2
0.0
400300 500
Wavelen
g
th (nm)
Absorbance
600 700
β-carotene
Chlorophyll b
Chlorophyll a
Figure 2 The absorption spectra of chlorophyll a, chlorophyll b, and -carotene in solution.
Photosynthesis: Microbial 847

Accessory chromophores
Besides containing chlorophylls, photosynthetic organ-
isms contain accessory pigments that extend the range
of absorbed wavelengths. Carotenoids are the main acces-
sory pigment found in cyanobacteria, algae, and higher
plants. They belong to the tetraterpenoid family, that is,
contain 40 carbon atoms, and absorb light in the
400–500 nm region. Structurally, these compounds are
composed of two small six-carbon rings connected by a
polyene chain of carbon atoms. They are insoluble in
water and are normally attached to proteins that are
attached to the membrane. There are over 600 types of
carotenoids, which are classified as either carotenes or
xanthophylls. Carotenes consist exclusively of carbon
and hydrogen, while xanthophylls also contain oxygen.
The most abundant carotenoid in cyanobacteria is -
carotene, which is the same pigment that gives carrots
its distinctive color (Figure 3). In addition to functioning
as an accessory pigment, carotenoids play a vital role in
dissipating excess light energy, which would otherwise
lead to the generation of superoxide radicals. These radi-
cals are highly reactive to chemical bonds and could be
potentially lethal to the cell if left unchecked.
Cyanobacteria and certain types of algae contain addi-
tional pigments called phycobilins, which absorb light
between 500 and 650 nm. Phycobilins consist of an open
chain of four pyrrole rings and are water-soluble. They
are attached to proteins termed phycobiliproteins and
they pass on the absorbed light energy to nearby antenna
chlorophyll molecules.
Plants and cyanobacteria therefore use a combination
of chlorophylls and accessory pigments to effectively
blanket a large majority of the visible spectrum. Both
appear dark green or blue-green because the few photons
that are not absorbed lie between the blue and red regions
of the spectrum.
The Light-Gathering Structures and Resonance
Energy Transfer
The task of the photosynthetic reaction center is to con-
vert the energy stored in the excited singlet state of
chlorophyll to a form useful for work. In photosynthesis,
work refers to the creation of a charge-separated state
consisting of a donor, D
þ
, and an acceptor, A
, pair. At
one extreme of time, the creation of the singlet excited
state occurs within 10
15
s of absorbing a photon. At the
other extreme, the captured light energy must be utilized
within 10
8
s, otherwise the energy will be lost as heat or
fluorescence as the excited state decays. The generation
of the charge-separated state must occur within this win-
dow of time.
A network of closely spaced chlorophyll molecules,
termed the antenna system, absorbs the photon and the
resulting excited state migrates to a neighboring antenna
chlorophyll by a process known as resonance energy
transfer. This occurs on a timescale of 10
12
s and is a
nonradiative process. The excited state, known as an
exciton, randomly wanders about the antenna system
until it chances upon the specialized reaction center
chlorophylls associated with PS I and PS II. The energy
levels of these specialized chlorophylls are slightly lower
than the antenna chlorophylls because they are in a dif-
ferent protein environment. This allows these specialized
chlorophylls to trap the exciton and use it to create a
charge-separated state. In most photosynthetic reaction
centers, this state is generated within 10
10
s following
photon absorption. Accessory pigments also transmit the
absorbed energy to antenna chlorophylls by a similar
process of resonance energy transfer.
The Water-Splitting Complex
We now turn our attention to the source of electrons in
oxygenic photosynthesis. The catalytic redox center that
carries out H
2
O splitting is termed the O
2
-evolving com-
plex, and is an integral component of PS II. The water-
splitting reaction can be summarized by the following
equation:
2H2O!O2þ4e–þ4Hþ½3
The 3.0 A
˚X-ray crystal structure of PS II from T. elongatus
(PDB ID 2AXT), as well as extended X-ray absorption
fine structure (EXAFS) studies on PS II crystals, has led to
a structural model of the O
2
-evolving complex
(Figure 4). This structure is the starting point for discus-
sion on the mechanism of O
2
evolution.
A cluster of four manganese atoms and a calcium atom
is responsible for stripping four electrons from two H
2
O
CH
3
CH
3
CH
3
CH
3
CH
3
CH
3
CH
3
CH
3
H
3
C
H
3
C
Figure 3 Chemical structure of -carotene.
848 Photosynthesis: Microbial

molecules, liberating O
2
in the process. The protons are
released into the thylakoid lumen, thereby generating a
portion of the pH gradient that is used to synthesize ATP.
The structural model of PS II shows the metal atoms
arranged in an extended cubane structure, with three man-
ganese and one calcium at the corners, and the fourth
manganese located immediately to one side. The metal
atoms are connected to each other by mono--oxo, di--
oxo, and/or hydroxo bridges, but the amino acids that con-
tribute the ligands are not known with complete certainty.
Since 1970, the paradigm for understanding O
2
evolu-
tion has been the S-state cycle proposed by Bessel Kok.
This model includes five oxidation states (S-states) for the
4Mn–Ca cluster. The cluster is oxidized in one-electron
steps from S
0
(most reduced) to S
4
(most oxidized) by a
successively photooxidized reaction center chlorophyll in
PS II. The 4Mn–Ca cluster thus accumulates four equiva-
lents of oxidizing power and uses it to split two H
2
O
molecules. An O
2
molecule is released after the S
4
state,
returning the 4Mn–Ca cluster to the S
0
state.
A large number of questions remain unsolved concern-
ing the catalytic mechanism of water splitting. Most
importantly, the S
4
state of the cycle is fleeting and has
not been observed spectroscopically. This state is critical
because it may be the starting point for O–O bond forma-
tion. Without knowledge of its chemistry, the precise
catalytic mechanism of the water-splitting complex is dif-
ficult to formulate. The binding site of the two H
2
O
molecules represents another uncertainty, although a
recent proposal suggests that the calcium coordinates one
of the H
2
O molecules, with a manganese binding the other.
The electrons from the water-splitting complex are
donated to an oxidized tyrosine residue termed Tyr
Z
.
According to the X-ray crystal structure, the calcium
atom is positioned between the 4Mn–Ca cluster and
Tyr
Z
. A chloride ion is bound near the water-splitting
complex in the vicinity of Tyr
Z
. It is believed that its role
in O
2
evolution is to neutralize accumulated charge.
Transmembrane Electron Transfer
Stabilization of the Charge-Separated State
The electrons obtained from the splitting of H
2
Oareulti-
mately used to reduce CO
2
. To achieve this goal, the
electrons must be transferred against a highly unfavorable
thermodynamic gradient from the lumenal side of the mem-
brane to the stromal side, where the dark process of carbon
fixation occurs. The electrons traverse a distance equal to the
thickness of the membrane, which is around 40 A
˚.This
distance appears short, but it is significant on the scale of an
electron.
Consider a hypothetical donor–acceptor pair, D–A,
where D becomes excited to D
and donates an electron
to A, thereby creating a charge-separated state D
þ
–A
:
D–A!D–A!Dþ–A–
Due to their close proximity, the D
þ
–A
charge-
separated state is unstable and short-lived. Adding a sec-
ond closely spaced acceptor molecule, A
1
, can extend the
lifetime of the charge-separated state:
D–A–A1!D–A–A1!Dþ–A––A1!Dþ–A–A–
1
The driving force for electron transfer is a drop in Gibbs free
energy between A
and A
1
, thus altering the equilibrium
constant in favor of A
1
. This results in the expenditure of
some of the original energy of the photon, but it is a
necessary trade-off to extend the lifetime of the charge-
separated state.
Adding a second closely spaced donor molecule, D
1
,
has a similar effect:
D1–D–A!D1–D–A!D1–Dþ–A–!Dþ
1–D–A–
The positive charge will migrate from D
þ
to D
1
due to a
drop in Gibbs free energy between D
1
and D, thus alter-
ing the equilibrium constant in favor of D.
Photosynthetic complexes adopt both strategies and
trade off some of the energy of the original photon to
extend the lifetime of the otherwise short-lived charge-
separated state.
Factors Affecting the Rate of Electron
Transfer – Marcus Theory
To further understand this process, we must delve further
into the factors that govern the rate of electron transfer in
proteins. Marcus theory states that the rate of electron
Tyr 161
Asp 170
Glu 333
His 332
His 337 Glu 354
Asp 342
Ala 344
Gln 165
His 190
Glu 189
CP43
Mn
A
Mn
C
Mn
B
Mn
D
Ca
Figure 4 Proposed structure of the water-splitting complex of
PS II, based on the 3.0 A
˚resolution X-ray crystal structure and on
extended X-ray absorption fine structure (EXAFS) data. The
spheres represent manganese (red), calcium (green), and the
bridging oxygen ligand atoms (gray).
Photosynthesis: Microbial 849

transfer between a donor and an acceptor pair depends on
two factors. The first is the Frank Condon factor, which
includes the change in the Gibbs free energy, the reorga-
nization energy, and the temperature. Mathematically, it
is expressed as:
ket _exp –G0þðÞ
4kBT
2
½4
where k
et
is the rate of electron transfer, G
0
is the difference
in free energy between the product and the reactant, is the
reorganization energy, k
B
is the Boltzmann’s constant, and T
is the absolute temperature. This is the equation of a para-
bola; as Gincreases, the rate first increases, then attains a
maximum, and finally decreases. The difference in Gibbs
free energy between the product (D
þ
–A
) and the reactant
(D–A) translates into the thermodynamic driving force for
the reaction. The reorganization energy corresponds to the
amount of energy required to alter the microenvironment of
the reactants before electron transfer so that it resembles the
equilibrium microenvironment of the products after electron
transfer. This term reflects small changes in bond lengths and
reorientation of dipoles around the redox centers to reflect
the new pattern of electric fields before and after the electron
transfer event. It is difficult to measure experimentally and is
usually assumed to be a constant 0.7 eV in proteins.
The second factor that influences the rate of electron
transfer is the matrix coupling element. It relates electron
transfer rate to the distance between the donor and the
acceptor pairs. The following equation describes the
relationship:
HAB
jj
2_exp –RðÞ ½5
where HAB
jj
is the coupling probability between the donor
and acceptor wave functions, is a constant whose value is
1.4 A
˚
1
in proteins, and Ris the edge-to-edge distance
between the donor and the acceptor molecules.
In proteins, this logarithmic relationship translates to a
tenfold change in the rate of electron transfer for every 1.7 A
˚
change in distance. Accordingly, an electron would take
nearly a century to traverse a distance of 45 A
˚. In bioener-
getic membranes, large distances are traversed by
introducing several cofactors into the membrane so as to
shorten the distance between any two redox pairs. In photo-
synthetic systems, an electron traverses the width of the
thylakoidmembraneinlessthan1ms due to the presence
of multiple electron transfer cofactors. With detailed knowl-
edge of the factors that affect electron transfer in proteins, we
now turn to how nature has incorporated these concepts into
the design of a photosynthetic reaction center.
The Photosynthetic Reaction Center
The pigment–protein complex that is responsible for
translocating the electron across the photosynthetic mem-
brane is termed the photosynthetic reaction center. It
comprises the antenna pigments, the organic and inor-
ganic molecules that function as electron transfer
cofactors, and the proteins that provide the scaffold for
these components.
Oxygenic phototrophs employ two photosynthetic
reaction centers in series for achieving transmembrane
electron transfer.
Photosystem II
The net reaction performed by PS II can be summarized
as:
The structural model of cyanobacterial PS II (Figure 5)
shows that the redox cofactors bound to the D1 and D2
proteins form two branches that are arranged symmetri-
cally along a pseudo-C
2
axis of symmetry (Figure 6).
The electron transfer chain in PS II starts at a special
pair of chlorophyll a(Chl a) molecules termed P
680
,
named for its peak absorbance in the visible region. The
magnesium atoms between the two Chl amolecules
(P
D1
and P
D2
) are separated by a distance of only 7.6 A
˚.
When the exciton reaches P
680
via the antenna system, it
becomes excited to the singlet state and the electron is
transferred to the primary acceptor, a pheophytin mole-
cule. A bridging Chl amolecule acts as an intermediate
between P
680
and the pheophytin. The bridging Chl a
molecules on either side of the pseudo-C
2
axis (Chl
D1
and
Chl
D2
) are located 10.4 and 10.3 A
˚, respectively, from P
D1
and P
D2
. The two pheophytin molecules (Pheo
D1
and
Pheo
D2
) are located at a distance of 10.5 and 10.7 A
˚,
respectively, from Chl
D1
and Chl
D2
.
The charge-separated state between P
680þ
and Pheo
is stabilized by the transfer of the electron from Pheo
to
Q
A
and then to Q
B
, both of which are molecules of
850 Photosynthesis: Microbial
Plastoquinone
2H2O + 2
Plastoquinol
2
n = 6–10
OH
OH
CH
3
O
O
CH
3
CH
3
CH
3
CH
3
(CH
2
–CH) C–CH
2
)
n
–H
+
O2
(CH
2
–CH) C–CH
2
)
n
–H
[6]
CH
3

plastoquinone. A nonheme iron (Fe
2þ
) located between
Q
A
and Q
B
aids in the electron transfer. The Q
A
site is
13 A
˚distant from Pheo
D1
, while the Q
A
and Q
B
sites are
separated by 18 A
˚, with the nonheme iron precisely in the
middle. Because a quinone molecule (Q
B
) acts as the
terminal electron acceptor, PS II is classified as a Type
II reaction center.
Water, through the action of the O
2
-evolving complex,
reduces oxidized P
680
via Tyr
Z
, thereby precluding charge
recombination between P
680þ
and Q
B
and thus forming the
P
680
Q
A
Q
B
charge-separated state. When a second exciton
reaches P
680
, the process is repeated, creating an unstable
P
680
Q
A
Q
B
charge-separated state. Two protons are
takenupfromthemedium,andthestableP
680
Q
A
(Q
B
H
2
)
PsbZ PsbK PsbJ PsbH
CP47
D1
PsbI
CP43
PsbT
PsbL PsbM
D2
α
β
Cyt b-559 X2
X1
X3
Figure 5 Overall view of the PS II monomer. Transmembrane -helices are represented by cylinders. The main subunits are colored
as follows: reaction center subunits D1 (yellow) and D2 (orange), antenna subunits CP43 (magenta) and CP47 (red), and the and
subunits of cytochrome b559 (green and cyan, respectively). Low molecular mass subunits are colored gray. Cofactors are colored
green (Chl a), yellow (pheophytin), red (carotenoid), blue (heme), violet (quinone), and black (lipids).
Local pseudo-C2 axis Cytoplasm
Lumen
9.0
QAQB
8.8
30.0
14.2 26.3
23.7
24.3
10.7
10.3
7.6
10.4
Tyrz
Mn4–Ca cluster
13.6 13.5
5.4 29.1
TyrD
10.5
25.2
19.9 13.2
6.8
11.7
4.1
ChlzD1 ChlD1
PD1 PD2
ChlD2
ChlzD2
24.8
13.1
Fe2+
CarD1
CarD2
PheoD1 PheoD2
Cyt b559
Figure 6 View of redox-active cofactors and the electron transport chain of PS II along the membrane plane. The pseudo-C
2
axis is
represented by the dotted line with the arrow. Selected distances (in angstrom) are drawn between cofactor centers (black lines) and
edges of -systems (red dotted lines).
Photosynthesis: Microbial 851

state is generated. Plastoquinol (Q
B
H
2
) has a low affinity for
the Q
B
-binding site. It diffuses within the membrane to the
cytochrome b
6
fcomplex, which oxidizes plastoquinol to plas-
toquinone, and by virtue of the protonmotive Q-cycle
translocates up to two protons per electron across the mem-
brane. The regenerated plastoquinone diffuses back to the
Q
B
-binding site to participate in another round of light-
induced electron transfer. The cytochrome b
6
fcomplex passes
the electron to a soluble carrier such as plastocyanin (a copper
protein) or cytochrome c
6
(a heme protein), which diffuses
laterally along the lumenal space, donating its electron even-
tually to PS I.
The 38 kDa D1 protein (also known as PsbA) and the 39
kDa D2 protein (also known as PsbD) contain all the
electron transport cofactors of PS II. The 56 kDa CP47
protein (also known as PsbB) and the 50 kDa CP43 protein
(also known as PsbC) harbor most of the antenna chloro-
phylls and carotenoids associated with PS II. The 9 kDa
PsbE and the 4.5 kDa PsbF proteins constitute the and
the subunits of cytochrome b559, which is present to
prevent radical formation under conditions of suboptimal
electron flow. PS II contains additional subunits (denoted
PsbG–PsbT), many of which have poorly understood roles.
The kinetics of electron transfer between most of the
redox cofactors have been determined to a high degree of
precision (Figure 7). The electron is transferred from
P
680
to Pheo in 4 ps and then to Q
A
in 200 ps. The
Q
A
!Q
B
step requires about 100 and 200 ms when Q
B
becomes singly and doubly reduced, respectively.
Even though any given reduced acceptor can recom-
bine with the P
680þ
cation, forward electron transfer to
the next acceptor is at least 1000 times faster than charge
recombination. Thus, the quantum yield (i.e., the number
of charge-separated events created divided by the number
of photons absorbed) is extremely high.
The bioenergetics of electron transfer further reflect
the artful design of the photosynthetic reaction center. All
electron transfer steps on the acceptor side of PS II are
thermodynamically downhill, that is, there is a loss in
Gibbs free energy at every step that ‘pays’ for the succes-
sively longer charge time of charge separation.
Photosystem I
The net reaction performed by PS I can be summarized as:
2NADPþþ2Hþþ4e–!2NADPH ½7
PS I employs the same design principles as PS II to generate
and stabilize a charge-separated state. The electron transfer
chain starts at a special pair of chlorophyll a(Chl a)molecules
termed P
700
, named for its peak absorbance in the visible
–0.5
0.0
0.5
1.0 4H
+
+ O
2
2H
2
OS
0
30
μs
100
μs
350
μs
1.0
ms
h
ν
(680
nm)
11
ns
170–210
ps
100
μs (Qa– Qb)
200
μs (Qa– Qb–)
–500
ms
160
μs
4
ps
P680*
Pheo
Q
A
Q
B
PQ
PQH
Yz
P680
S
1
S
2
S
3
E
M
(V)
1.2
23
ns (S0
S1)
50/260
ns (S2 S3)
Figure 7 The components of the PS II reaction center depicted with redox potential on the y-axis and rate of electron transfer
on the x-axis.
852 Photosynthesis: Microbial

region. When P
700
becomes excited to the singlet state, its
electron is transferred to the primary acceptor, a Chl a
monomer. An additional molecule of Chl alocated between
P
700
and A
0
acts as an electron transfer bridge. The charge-
separated state is stabilized by rapid transfer of the electron to
a molecule of bound phylloquinone (A
1
) and then to a series
of [4Fe–4S] clusters termed F
X
,F
A
,andF
B
, which function as
an electron transfer wire. Because the terminal acceptors are
iron–sulfur clusters, PS I is a Type I reaction center.
A model based on the 2.5 A
˚resolution crystal structure
of the trimeric PS I reaction center from the cyanobacter-
ium Synechoccoccus elongatus (PDB ID 1JB0) has provided
detailed structural information on the arrangement of
proteins and cofactors (Figure 8). Each monomer of the
PS I heterodimer contains 96 Chl amolecules, 22 carote-
noids, and 4 lipids. All of the organic cofactors in the
electron transport chain are arranged in two pseudo-C
2
symmetric branches along the PsaA–PsaB heterodimer
(Figure 9). However, unlike PS II, in which electron
transfer occurs only along one branch, both the branches
in PS I participate to varying degrees. In higher plants and
algae, electron transfer along the PsaB branch is nearly as
active as along the PsaA branch, whereas in cyanobacteria
electron transfer is more asymmetrical, with only a small
minority of electrons transported along the PsaB branch.
However, which branch is most active has little prac-
tical consequence, as the two branches converge at F
x
,a
unique interpolypeptide [4Fe-4S] cluster ligated by two
cysteine residues from PsaA and two cysteine residues
from PsaB. F
x
is possibly the most reducing iron–sulfur
cluster in biology, with a measured midpoint potential
of –710 to –730 mV. The terminal [4Fe–4S] clusters, F
A
and F
B
, are located in the PsaC subunit, which is located
on the stromal side of the membrane. To our knowledge,
PsaC is the only membrane-associated protein whose
three-dimensional structure has been solved in both the
bound and unbound forms. PsaD and PsaE are two addi-
tional stromal proteins that flank PsaC, stabilizing
its association with the heterodimeric core. These
stromal proteins are vital for the docking of soluble
electron acceptors such as ferredoxin and flavodoxin.
Cyanobacterial PS I contains seven additional subunits
(PsaF, PsaI, PsaJ, PsaK, PsaL, PsaM, and PsaX) whose
roles are not well established. Some function as additional
antenna proteins by binding one or two chlorophyll a
molecules. Others, such as PsaL, along with PsaI and
PsaM, contribute to the trimerization of cyanobacterial
PS I. It is interesting that the absence of a portion of the
C-terminus in the PsaL subunit leads to a completely
monomeric PS I in higher plants and algae.
The electron transfer kinetics among the bound cofac-
tors in PS I are roughly comparable to those in PS II
(Figure 10). The primary electron donor, P
700
,becomes
oxidized in 20 ps, and the electron is transferred from A
0
to A
1
in 50 ps. The electron transfer step from A
1
to F
X
is
biphasic with lifetimes of 200 ns and 20 ns. It is likely that
the slower kinetic phase represents electron transfer along
the PsaA branch of cofactors, while the faster phase repre-
sents electron transfer along the PsaB branch. The rates of
electron transfer between F
X
,F
A
,andF
B
are not known
with certainty; however, soluble ferredoxin is known to be
reduced within 500 ns. The reduced ferredoxin interacts
with the enzyme ferredoxin-NADP
þ
oxidoreductase
PsaE
PsaC PsaD Stroma
Lumen
Figure 8 Side view of the arrangement of all proteins in one
monomer of PS I. The main subunits are colored as follows: PsaA
(blue), PsaB (red), PsaC (pink), PsaD (turquoise), PsaE (green),
and PsaF (yellow). The iron–sulfur clusters in PsaC are colored
yellow. The antenna pigments have been omitted for clarity. The
vertical line (right) depicts the crystallographic C
3
axis.
F
B
F
B
F
A
F
X
F
X
Q
K
-A Q
K
-B
eC-A3 eC-B3
eC-A2
eC-B1
eC-B2
eC-A1
22.0
12.3
14.9
14.1
8.6
8.2
12.0
14.2
8.6
8.8
11.7
Figure 9 The arrangement of cofactors in PS I with center-to-
center distances (in angstrom). The Chl amolecules, eC-A
1
and
eC-B
1
, constitute the special pair of chlorophylls P
700
. The
chlorophylls eC-A3 and eC-B3 represent A
0
on the PsaA and
PsaB branches, respectively. Q
K
-A and Q
K
-B represent
phylloquinone (A
1
) on the PsaA and PsaB branches, respectively.
The three [4Fe–4S] clusters are F
X
,F
A
, and F
B
.
Photosynthesis: Microbial 853

(FNR) to transfer its electron to NADP
þ
. NADPH is used
along with the ATP generated from the transmembrane
proton gradient to fix CO
2
into hexose sugars.
The extremely low midpoint potentials of A
1
and F
X
are intriguing and make PS I an excellent model for study-
ing the influence of the protein environment on redox
cofactors in biological systems. Our current knowledge of
this topic is largely restricted to theoretical predictions
based on influences such as uncompensated charges and
polarities of amino acid side groups, the fixed dipole
moment of the peptide bond in the polypeptide chain,
and solvent accessibility to the cofactors. A change in the
protein environment introduced by mutagenesis will
usually lead to a change in the redox potential of one or
more electron transfer cofactors, which, in turn, results in
an altered rate of electron transfer. The change in kinetics
can be related to a change in midpoint potential using
Marcus theory. As an example, the substitution of a nega-
tively charged aspartate near the A
1
quinone in PS I with a
neutral or positively charged residue results in a decrease
in the rate of electron transfer to F
X
, which implies a lower
driving force between the two cofactors. Conversely,
removal of a negative charge near the F
X
cluster in PS I
leads to higher rates of electron transfer from A
1
and hence
a greater driving force between the two cofactors. The
experimental data agree well with the electrostatic calcula-
tions based on the X-ray crystal structure of PS I.
Cyanobacterial PS I is an ideal candidate for these
experimental studies, as it is relatively straightforward
to determine the rates of electron transfer using time-
resolved optical or EPR spectroscopy. The presence of a
well-established transformation system facilitates the
construction of site-directed variants. The availability of
a 2.5 A
˚resolution X-ray crystal structure of PS I is an
added advantage because it allows accurate predictions to
be made, which can then be tested by experiments.
Although PS II and PS I use similar design principles in
achieving charge separation, they have complementary
roles in photosynthesis by functioning at the two extremes
of the biological redox scale. PS II has evolved to generate
a strong oxidant to split H
2
O, whereas PS I has evolved to
generate a strong reductant to produce NADPH.
With knowledge of how the electron from H
2
Ois
transported across a thermodynamic gradient to produce
NADPH, we now focus on the biochemistry of converting
CO
2
into carbohydrate.
Calvin–Benson–Bassham Cycle
The Calvin–Benson–Bassham (CBB) cycle of carbon
fixation can be divided into two stages. The first involves
the trapping of CO
2
as a carboxylate and its subsequent
reduction to glyceraldehyde-3-phosphate (G3P). The
second involves the regeneration of the acceptor mole-
cule for the next cycle of carbon fixation. A schematic
view of the CBB cycle is depicted in Figure 11.
Atmospheric CO
2
diffuses into the stroma where it is
added to the five-carbon acceptor molecule, ribulose-1,5-
biphosphate (RuBP). The enzyme Rubisco, which is the
most abundant protein on earth, catalyzes the reaction.
The product is a six-carbon intermediate that is cleaved
into two molecules of 3-phosphoglycerate (3PG). At this
point, CO
2
has already been fixed into a carbohydrate.
The remainder of the cycle is dedicated to the formation
of hexose sugars and to the regeneration of RuBP.
Each molecule of 3PG is phosphorylated by the ATP-
dependent enzyme phosphoglycerate kinase, liberating
ADP in the process. The 1,3-biphosphoglycerate so formed
is then reduced to G3P by NADPH, with the accompany-
ing loss of a phosphate. This reaction is catalyzed by the
enzyme G3P dehydrogenase. For each CO
2
molecule that
passes through these steps, two molecules of ATP are
hydrolyzed and two molecules of NADPH are oxidized.
Every new molecule of hexose requires six CO
2
molecules
to enter the cycle. That requires the formation of 12 G3P
and therefore 12 ATP and 12 NADPH are required.
The conversion of G3P into carbohydrates is a complex
multistep process involving several enzymes. G3P can be
isomerized to dihydroxyacetone phosphate (DHAP) by
triose phosphate isomerase. Thus, the 12 G3P molecules
essentially form an interconvertible pool of G3P and
DHAP. At this stage, the pathway bifurcates toward two
goals: the production of hexoses and the regeneration of
RuBP. Six molecules of G3P (4 G3P plus 2 DHAP) are
–1400
Em, mV
–1200 10–30 ps
P700*
P700
A0
A1
FXFB
FA
Fd
50 ps
200 ns
20 ms
60 ms
10 ns
<9 μs
450 μs
10 μs
100 μs
–1000
–800
–600
–400
–200
200
400
0
Figure 10 The components of the PS I reaction center
depicted with redox potential on the y-axis and rate of electron
transfer on the x-axis.
854 Photosynthesis: Microbial

diverted to the regeneration pathway, while the remaining
six molecules (3 G3P plus 3 DHAP) are used for carbohy-
drate synthesis.
Three molecules of G3P combine with three molecules
of DHAP via the enzyme fructose biphosphate aldolase to
yield three molecules of fructose-1,6-biphosphate (FBP).
The FBP is then dephosphorylated to provide three mole-
cules of fructose-6-phosphate (F6P).
Of these, two molecules will be used in the regenera-
tion pathway, leaving one as the net product of the CCB
cycle. F6P is isomerized to glucose-6-phosphate (G6P)
and finally to glucose-1-phosphate (G1P), which is the
precursor for oligosaccharide and polysaccharide forma-
tion. G1P can be hydrolyzed to form glucose, or it can
be converted to amylose and sucrose via separate
pathways.
The input molecules for the regeneration cycle are 4
G3P, 2 DHAP, and 2 F6P molecules. Enzymes termed
trans-ketolases and aldolases perform molecular rearran-
gements that are necessary to form five-carbon molecules
from six-carbon and three-carbon molecules. The final
step in the regeneration of RuBP is a phosphorylation
reaction catalyzed by the ATP-dependent enzyme ribu-
lose-5-phosphate kinase. An additional six ATP are
required for six rounds of this step. The overall CCB
cycle can thus be summarized as:
6CO2þ18ATP þ12NADPH þ12H2O
!C6H12O6þ18ADP þ18Piþ12NADPþþ6Hþ½8
Anoxygenic Photosynthesis
As the name suggests, anoxygenic photosynthetic bacteria
do not evolve O
2
as a by-product of photosynthesis. These
descendants of ancient microbes contain only one type of
reaction center and hence the electrons used to reduce CO
2
are taken from highly reduced molecules such as succinate
and sulfide. Although most photosynthetic bacteria use the
CCB cycle to fix carbon, some are able to fix atmospheric
CO
2
by other biochemical pathways. Most anaerobic photo-
trophs can survive only under very low concentrations of O
2
.
Despite these differences, the general principles of
energy transduction in anoxygenic photosynthesis are
similar to those in oxygenic photosynthesis. The primary
chromophore belongs to a family of molecules called
bacteriochlorophylls. There are six types of bacterio-
chlorophylls, denoted bacteriochlorophyll (BChl) a,b,c,
d,e, and g(Figure 12). They are similar to chlorophylls,
but absorb light in the near-infrared region (Figure 13).
As in aerobic photosynthesis, electron transfer is coupled
to the generation of a proton gradient that is used to
synthesize ATP. The energy required to reduce CO
2
is
provided by ATP and NADH, a molecule similar to
NADPH but lacking the phosphate.
Purple Bacteria
Purple photosynthetic bacteria are a versatile group of
proteobacteria that can be classified further into purple
36
6
6
3-Phosphoglycerate
1,3-Diphosphoglycerate
3C
3C
5C
1C3CO
2
Ribulose-1,5-
biphosphate
3
5
5C
3C
1
3C
6Pi
2Pi
6 AT P
6 ADP
3 AT P
3 ADP
6 NADPH
6 NADP+
3C
Ribulose-5-
phosphate
Glyceraldehyde-
3-phosphate Glyceraldehyde-
3-phosphate
Glyceraldehyde-
3-phosphate
Carbohydrates
Figure 11 Schematic view of the Calvin–Benson–Bassham (CCB) cycle of carbon fixation. The net uptake of ATP and NADPH at each
step is indicated.
Photosynthesis: Microbial 855

1.0
BChl a
BChl c
BChl g
0.8
0.6
0.4
0.2
0.0
400 500 600
Wavelen
g
th (nm)
Absorbance
700 800 900
Figure 13 Absorption spectrum of BChl a, BChl c, and BChl gin solution.
O
H3C
H3C
CH3
CH3
CH3CH3
Farnesyl chain in
BChl c, BChl g
Phytol chain
H33
H
H
H
OO
O
O
O
III
IIIIV N
NN
N
Mg
V
Vinyl group in BChl g
–OH group in BChl c
CH3
CH3 (or –C2H5 in BChl c)
CH3 (or –C2H5 in BChl c)
Missing in BChl c
Unsaturated in BChl b
Figure 12 Chemical structure of BChl a, one of the pigments employed by anoxygenic phototrophs. The structural changes resulting
in other forms of bacteriochlorophyll are also indicated.
856 Photosynthesis: Microbial

nonsulfur bacteria and purple sulfur bacteria. All purple
bacteria use a Type II reaction center to generate a proton
gradient for ATP synthesis, that is, there is no formation
of NADPH. The reductant for carbon fixation is derived
from organic compounds such as succinate and malate
(nonsulfur bacteria) or from inorganic sulfide (sulfur bac-
teria). Light-driven electron transfer in purple bacteria is
cyclic and hence no net oxidation or reduction occurs.
Purple nonsulfur bacteria are found in ponds, mud,
and sewage. Purple sulfur bacteria are obligate anaerobes
and are found in illuminated anoxic zones of lakes where
H
2
S accumulates and also in geothermal sulfur springs.
Both fix carbon via the CBB cycle.
All purple bacteria have a very efficient antenna system
consisting of BChl a,BChlb, and carotenoids. The presence
of purple carotenoids such as spirilloxanthin gives these
bacteria their distinct color. The first three-dimensional
X-ray crystal structures of a photosynthetic reaction center
were from purple nonsulfur bacteria (Rhodopseudomonas vir-
idis and Rhodobacter sphaeroides). The basic composition of
their reaction centers is similar to that of PS II. The primary
donor is a special pair of BChl amolecules, which, after
excitation by light, transfer the electron to bacteriopheo-
phytin, the primary electron acceptor. The charge-
separated state is stabilized by successive electron transfer
to two ubiquinone molecules, Q
A
and Q
B
. After two cycles
of reduction, two protons are taken up from inside the
membrane to form the doubly reduced dihydroubiquinol
in the Q
B
site. Dihydroubiquinol diffuses to the cytochrome
bc
1
complex, where it becomes oxidized, regenerating ubi-
quinone. The cytochrome bc
1
complex employs the
protonmotive Q-cycle and translocates up to two protons
per electron across the membrane. The energy stored in the
resulting electrochemical proton gradient is used to synthe-
size ATP via the membrane-bound ATP synthase complex.
The cytochrome bc
1
complex completes the cycle by trans-
ferring the electron back to the primary donor via the
soluble carrier protein cytochrome c.
Green Sulfur Bacteria
Green sulfur bacteria such as Chlorobium tepidum and
Chlorobium vibrioforme belong to the phyla Chlorobi and
are strictly anaerobic photoautotrophs. They use reduced
sulfur compounds as their electron donors and fix carbon
using the reverse TCA cycle. Unlike purple bacteria,
light-induced electron transfer is noncyclic in green sul-
fur bacteria; hence NADPH is generated. These bacteria
live in sulfur-rich environments that have characteristi-
cally low light intensities. They employ a unique antenna
complex termed the chlorosome, which comprises BChl c,
BChl d, and BChl e. It is the largest known antenna
structure in biology, with each chlorosome containing
200 000 BChl molecules. The habitats of green sulfur
bacteria necessitate such an extensive antenna system,
requiring a very large optical cross section to capture
the few available photons. The light energy is transferred
to a homodimeric Type I reaction center via the BChl a
containing the Fenna–Matthews–Olsen (FMO) protein.
The FMO protein is soluble in water, and was the
first chlorophyll-containing protein to have its three-
dimensional structure solved. The reaction center core
is a homodimer of PscA, and it contains most of the redox
cofactors. Electron transfer begins at P
840
, a special pair
of BChl amolecules, and proceeds through the primary
acceptor, a Chl amolecule monomer, and three [4Fe–4S]
clusters F
X
,F
A
, and F
B
. It is uncertain whether a quinone
functions as an intermediate electron transfer cofactor
between A
0
and F
X
.F
A
and F
B
are bound to a protein
named PscB, which has an unusually long N-terminal
segment of proline, lysine, and arginine residues. A pro-
tein named PscD is thought to be involved in the docking
of soluble ferredoxin and in the stabilization of the FMO
protein. Another protein, PscC, is a tightly bound cyto-
chrome, c
551
, that donates electrons to P
840
.
Heliobacteria
Heliobacteria (e.g., Heliobacterium mobilis and Heliobacterium
modesticaldum) are members of the phylum Firmicutes and
are the only known Gram-positive photosynthetic organ-
isms. They were discovered 25 years ago in soil on
the campus of Indiana University, Bloomington.
Heliobacteria are anaerobic photoheterotrophs that fix nitro-
gen and are commonly found in rice fields. They can grow on
selected organic substrates like pyruvate, lactate, and buty-
rate. Heliobacteria do not contain ribulose-1,5-bisphosphate
or ATP-citrate lyase, the two enzymes commonly used in
carbon fixation, but rather incorporate carbon via an incom-
plete reductive carboxylic acid pathway. These bacteria use
BChl gas their primary pigment and employ a simple homo-
dimeric Type I reaction center to perform noncyclic electron
transfer. The components of the electron transfer chain are
similar to green sulfur bacteria except that the pigment used
as the special pair (P
798
)isBChlg. The reaction center core is
a homodimer of PshA, and it contains the primary donor and
acceptor chlorophylls and the F
X
iron–sulfur cluster. The F
A
and F
B
iron–sulfur clusters are harbored on a low molecular
mass polypeptide termed PshB. Similar to the reaction cen-
ters in the phylum Chlorobi, the participation of a quinone as
an electron transfer cofactor between A
0
and F
X
is still under
debate.
Little or no structural information is available on any
homodimeric Type I reaction center. Based on analogy
with PS I, it is believed that a bifurcating electron transfer
chain with two equivalent branches of cofactors exists in
these reaction centers, but there is no spectroscopic evi-
dence yet to support this proposal.
Photosynthesis: Microbial 857

Other Photosynthetic Bacteria
Some species of photosynthetic bacteria do not fall under
any of the previously discussed categories. The green
gliding bacteria (Chloroflexi), also known as green filamen-
tous bacteria, can grow photosynthetically under anaerobic
conditions or in the dark by respiration under aerobic
conditions. Like green sulfur bacteria, they harvest light
by using chlorosomes, but like purple bacteria, they
employ a Type II reaction center. These poorly studied
organisms fix CO
2
via the 3-hydroxypropionate pathway.
The most recent addition to the list of photosynthetic
microbes is an acidobacterium, C. thermophilum, which
reportedly synthesizes BChl aand BChl cin aerobic
environments. This organism was isolated from microbial
mats at an alkaline hot spring and is thought to contain
chlorosomes and a homodimeric Type I reaction center.
Further studies are needed to determine whether the
photosynthetic apparatus has new and interesting fea-
tures, or whether it falls into a typical Type I class.
The Evolution of Photosynthesis
The origin of photosynthesis is such an ancient event that
the details of how this biological process developed may be
irretrievably lost. Nevertheless, an extensive interdisciplin-
ary effort involving researchers in biochemistry, genetics,
biophysics, geology, biogeochemistry, and bioinformatics
has led to new and important insights into the evolutionary
history of photosynthesis.
There is widespread agreement that the first photosyn-
thetic organisms were anoxygenic prokaryotes and that the
cyanobacteria, with their much more complicated system of
two linked photosystems, were a later development.
However, the origin of the most primitive photosynthetic
machinery remains shrouded in mystery.
According to one school of thought, a common single
polypeptide could have been the ancestor to both Type II
and Type I reaction centers. This primordial reaction cen-
ter would have diverged into a homodimeric reaction
center and subsequent development would have led to the
present reaction centers found in anoxygenic phototrophs.
Alternately, the formation of a homodimeric reaction center
might have been the initial photosynthetic event
(Figure 14). From a geometrical perspective, a three-
dimensional surface is easiest to construct by abutting two
two-dimensional surfaces. A highly protected environment
at the interface of the two identical proteins would neatly
solve the problem of shielding the electron transfer cofac-
tors from water without requiring a highly folded three-
dimensional structure such as the interior of a protein.
Inherent in both ideas, the formation of a heterodimeric
core would have been a result of gene divergence from a
homodimeric core. The similar motifs of charge separation
and charge stabilization in both Type I and Type II reac-
tion centers are certainly compatible with a common origin.
Genetic fusion between two organisms, one having a Type
IIandtheotheraTypeIreactioncenter,wouldhaveledto
the colocation of both in the same organism. This fusion
organism likely evolved into the present-day cyanobacteria.
The terminal electron acceptor of the primordial reac-
tion center in either case could have been a quinone or an
iron–sulfur cluster. The recruitment of a bacterial ferre-
doxin later in evolution would account for the presence of
Primordial homodimeric RC
Primitive type II RC
Purple bacterial RC Green sulfur bacterial
/
heliobacterial RC
Photosystem II Photosystem I
Primitive type I RC
Cyanobacteria
Figure 14 Schematic representation of the homodimeric ‘primordial reaction center’ model of photosynthetic evolution.
858 Photosynthesis: Microbial

F
A
and F
B
in heterodimeric as well as homodimeric Type
I reaction centers. It is also possible that a completely
different moiety could have functioned as the primordial
terminal acceptor, with subsequent modifications that led
to the emergence of Type II and Type I reaction centers.
In Type II reaction centers, the transition from homo-
dimeric to heterodimeric state might have occurred to
specialize the function of the Q
A
and Q
B
quinones as one-
electron and two-electron gates, respectively. The reason
for the transition is less clear in Type I reaction centers,
which do not require a division of labor between the two
quinones. It is nevertheless interesting that heterodimeric
Type I reaction centers are exclusively associated with
cyanobacteria, algae and plants, organisms that employ
accessory antenna chlorophyll proteins. They might have
evolved from a homodimeric to a heterodimeric state to
provide specialized binding sites for these additional
structures. The two branches of redox cofactors are highly
symmetrical in heterodimeric Type I and Type II reac-
tion centers, suggesting that this transition has not
resulted in a significant alteration of the protein environ-
ment surrounding the electron transport cofactors.
Although analysis of protein similarity is a highly
effective method to predict evolutionary events, it does
not help in understanding the development of complex
pigment molecules such as chlorophyll. The original
Granick hypothesis holds that biosynthetic pathways for
the formation of chlorophyll recapitulate their evolution.
It proposes that the pathway is built forward, with each
step fulfilling a function, eventually being replaced by the
next step selected for improved utility. The problem with
this proposal is that the synthesis of bacteriochlorophyll
proceeds through a chlorophyll-like intermediate step. A
strict interpretation of the Granick hypothesis would
therefore imply that bacteriochlorophyll-containing
organisms (anoxygenic) evolved later than chlorophyll-
containing organisms (oxygenic). Because the opposite is
most likely the case, the reaction centers and chlorophylls
may have followed a dissimilar history in evolution.
The origin of the water-splitting complex is also uncer-
tain, although some groups have postulated that it evolved
from a manganese-containing catalase. According to this
idea, weak electron donors such as H
2
O
2
and Fe(OH)
þ
once provided the electrons to PS II. The incorporation of
the water-splitting complex might have been driven by the
necessity to replace these rare electron donors with the
most abundant electron donor on earth, H
2
O.
Future Research Directions
Although extensive research in the last four decades has
led to a good understanding of the overall design philo-
sophy of photosynthetic electron transfer, there remain
many unanswered questions. The mechanism behind
the splitting of H
2
O is still unknown, primarily because
the S
4
state of the manganese cluster, which is the starting
point for O–O bond formation, has not been observed.
High-resolution crystal structures are invaluable, but
they only provide a static ground-state depiction of
the proteins and cofactors. Sophisticated spectroscopic
techniques, particularly electron paramagnetic resonance,
are required to probe the excited states, providing precise
details of the critical steps in oxygenic photosynthesis.
Homodimeric Type I reaction centers remain poorly
understood. The presence of two branches of electron
transfer cofactors in identical environments begs the
question of how charge separation is initiated and how
the electron ‘chooses’ which of two equivalent pathways
to take. The main hindrance to progress lies in the inabil-
ity to spectroscopically distinguish electron transfer on
either branch.
Photosynthetic reaction centers are undoubtedly the
best model system for studying the influence of the protein
environment on the redox potentials of organic and inor-
ganic cofactors. This is best exemplified by comparing the
quinones in Type II and Type I reaction centers, which
are structurally similar but differ in redox potential by
hundreds of millivolts. Q
A
and Q
B
, which are both plasto-
quinones, have midpoint potentials of –150 mV and
þ100 mV, respectively, when bound to PS II. An even
more dramatic case is provided by A
1
, the phylloquinone
bound to PS I. Its redox potential in organic solvent is
similar to that of plastoquinone, but when bound to PS I, it
has a midpoint of –800 mV. Thus, the redox cofactors are
tuned by the protein to provide an appropriate
midpoint potential for a given electron transfer step.
Detailed knowledge of how the tuning occurs will be
exceedingly useful in the designing of artificial photosyn-
thetic systems.
Indeed, the next decade will probably see a major
advance in artificial photosynthesis, mainly due to the
concern over the need to develop new sources of energy
after the depletion of fossil fuels. The basic outline of
solar energy conversion is now known from the knowl-
edge of natural photosynthesis, and these principles can
be used to design artificial organic and inorganic systems
of high efficiency. A solar cell consisting of photosyn-
thetic reaction centers from spinach and from purple
bacteria layered on a silver electrode has already been
shown to generate an electric current. Efforts to develop
synthetic counterparts of the reaction center and the
oxygen-evolving complex have had limited success due
to the inability to replicate the complex environment of a
living cell. However, the coming years will undoubtedly
see new developments in this field.
Several research groups are also trying to use photo-
synthetic organisms to generate H
2
that can be used as an
alternate source of stored solar energy. Several promising
Photosynthesis: Microbial 859

ideas include the manipulation of cyanobacterial genes to
enhance H
2
production in whole cells and the synthesis of
a PS I–hydrogenase hybrid complex.
It is somewhat ironic that after depleting the fossil
fuels that were produced by photosynthetic organisms in
the first place we are again looking to photosynthesis for
our long-term energy needs. Photosynthesis truly has
come full circle.
Acknowledgments
Research in this laboratory is funded by grants from the
National Science Foundation (MCB-0519743) and the
United States Department of Energy (DE-FG-02-98-
ER20314).
Further Reading
Blankenship RE (1992) Origin and early evolution of photosynthesis.
Photosynthesis Research 33: 91–111.
Blankenship RE, Madigan MT, and Bauer CE (eds.) (1995) Anoxygenic
Photosynthetic Bacteria. Dordrecht (The Netherlands): Kluwer
Academic Publishers.
Golbeck JH (2002) Photosynthetic reaction centers: So little time, so
much to do. Biophysics Textbook Online.
http://www.biophysics.org/education/golbeck.pdf
Golbeck JH (ed.) (2007) Photosystem I: The Light Driven Plastocyanin:
Ferredoxin Oxidoreductase. Dordrecht (The Netherlands): Springer.
Heinnickel M and Golbeck JH (2007) Heliobacterial photosynthesis.
Photosynthesis Research 92: 35–53.
Wydrzynski TJ and Satoh K (2005) Photosystem II: The Light-Driven
Water: Plastoquinone Oxidoreductase. Dordrecht (The Netherlands):
Springer.
860 Photosynthesis: Microbial

Pili, Fimbriae
B K Dhakal, J M Bower, and M A Mulvey, University of Utah, Salt Lake City, UT, USA
ª2009 Elsevier Inc. All rights reserved.
Defining Statement
Historical Perspective and Classification of Pili
Chaperone/Usher Pathway
Alternate Chaperone Pathway
Type II Secretion Pathway for Type IV Pilus Assembly
Conjugative Pilus Assembly Pathway
Extracellular Nucleation/Precipitation Pathway
Type III Secretion Pathway
Pili in Gram-Positive Bacteria
Regulation of Pilus Biogenesis
Role of Pili in Disease Processes
Further Reading
Glossary
curli A class of thin, irregular, and highly aggregated
adhesive surface fibers expressed by Escherichia coli
and Salmonella spp.
periplasmic chaperones A class of proteins localized
within the periplasm of Gram-negative bacteria that
facilitates the folding and assembly of pilus subunits, but
which are not components of the final pilus structure.
phase variation Reversible on and off switching of a
bacterial phenotype, such as pilus expression.
pilin Individual protein subunit of a pilus organelle (also
known as a fimbrin). Immature pilins, containing leader
signal sequences that direct the transport of pilins
across the inner membrane of Gram-negative bacteria,
are called propilins or prepilins.
sec secretion system A system involving at least
seven proteins that mediates translocation of proteins
across biological membranes. Proteins are targeted for
sec-dependent secretion by the presence of an amino
acid signal sequence.
sortase A transpeptidase that ‘sorts’ proteins
containing the motif LPXTG into the cell wall fraction of
Gram-positive bacteria by attachment to peptidoglycan.
type II secretion system A system of protein secretion
in which the substrates are already-folded proteins.
Type II secretion systems share many features with type
IV pilus assembly.
type III secretion system Asec-independent
secretion pathway, also known as T3SS. Numerous
Gram-negative pathogens utilize T3SS to secrete and
inject effector molecules into the cytosol of host
eukaryotic cells.
usher Oligomeric outer-membrane proteins that serve
as assembly platforms for some types of pili. Usher
proteins can also form channels through which nascent
pili are extruded from bacteria.
Abbreviations
AAF aggregative adherence fimbria
BfpA bundle-forming pilus
CAP catabolite activator protein
CFA colonization factor I
CS1 coli surface antigen 1
CTXTcholera toxin phage
EPEC enteropathogenic E. coli
ETEC enterotoxigenic E. coli
IncF1 F1 incompatibility
Lrp leucine-responsive regulatory protein
MR mannose-resistant
MS mannose-sensitive
T3SS type III secretion system
T4SS type IV secretion systems
TCP toxin coregulated pili
TcpA toxin coregulated pilus
Defining Statement
Pili, also known as fimbriae, are proteinaceous, filamen-
tous polymeric organelles expressed on the surface of
bacteria. They range from a few fractions of a micrometer
to >20 mm in length and vary from <2 to 11 nm in dia-
meter. Their functions include mediation of cell-to-cell
interactions, motility, and DNA uptake.
Pili are composed of single or multiple types of protein
subunits, called pilins or fimbrins, which are typically
861

arranged in a helical fashion. Pilus architecture varies
from thin, twisting thread-like fibers to thick, rigid rods
with small axial holes. Thin pili with diameters of 2–3 nm,
such as K88 and K99 pili, are sometimes referred to as
‘fibrillae’. Even thinner fibers (<2 nm), which tend to
coil up into a fuzzy adhesive mass on the bacterial surface,
are referred to as thin aggregative pili or curli. High-
resolution electron microscopy of P, type 1, and S pili of
Escherichia coli, and Haemophilus influenzae pili has revealed
that these structures are composite fibers, consisting of a
thick pilus rod attached to a thin, short distally located tip
fibrillum. Pili are often expressed peritrichously around
individual bacteria, but some, such as type IV pili, can be
localized to one pole of the bacterium.
Pili are produced by both Gram-negative and Gram-
positive bacteria. The numerous types of pili have been
ascribed diverse functions in the adaptation, survival, and
spread of both pathogenic and commensal bacteria. Pili can
act as receptors for bacteriophage, facilitate DNA uptake and
transfer (conjugation), and, in at least type IV pili, function in
cellular motility. The primary function of most pili, however,
is to act as scaffolding for the presentation of specific adhesive
moieties. Adhesive pilus subunits (adhesins) are often incor-
porated as minor components into the tips of pili, but major
structural subunits can also function as adhesins. Adhesins
can mediate the interaction of bacteria with each other, with
inanimate surfaces, and with tissues and cells in susceptible
host organisms. The colonization of host tissues by bacterial
pathogens typically depends on a stereochemical fit between
an adhesin and complementary receptor architecture.
Interactions mediated by adhesive pili can facilitate the for-
mation of bacterial communities such as biofilms and are
often critical to the successful colonization of host organisms
by both commensal and pathogenic bacteria.
Historical Perspective and Classification
of Pili
Pili were first noted in early electron microscopic investiga-
tions as nonflagellar, filamentous appendages of bacteria. In
1955, Duguid designated these appendages ‘fimbriae’ (plural,
from Latin for thread or fiber) and correlated their presence
with the ability of E. coli to agglutinate red blood cells. Ten
years later Brinton introduced the term ‘pilus’ (singular, from
Latin for hair) to describe the fibrous structures (F pili)
associated with the conjugative transfer of genetic material
between bacteria. Since then ‘pilus’ has become a generic term
used to describe all types of nonflagellar filamentous appen-
dages, and it is used interchangeably with the term ‘fimbria’.
Historically, pili have been named and grouped based
on phenotypic traits, such as adhesive and antigenic prop-
erties, distribution among bacterial strains, and
microscopic characterizations. In the pioneering work of
Duguid and collegaues, pili expressed by different E. coli
strains were distinguished on the basis of their ability to
bind to and agglutinate red blood cells (hemagglutination)
in a mannose-sensitive (MS) versus a mannose-resistant
(MR) fashion. Pili mediating MS hemagglutination by
E. coli were designated type 1, and these pili have since
been shown to recognize mannose-containing glycoprotein
receptors on host eukaryotic cells. Morphologically and
functionally homologous type 1 are expressed by many
different species of Enterobacteriaceae. Despite their simi-
larities, however, type 1 expressed by the various members
of the Enterobacteriaceae family are often antigenically
and genetically divergent within their major structural
subunits. In contrast to type 1, most other pili so far
identified either are nonhemagglutinating or mediate MR
hemagglutination. These pili are very diverse and possess a
myriad of architectures and different receptor-binding spe-
cificities and functions.
Pili were first identified on Gram-positive bacteria in
1968 by electron microscopy of Corynebacterium renale.Other
Corynebacterium spp., and a number of other Gram-positive
bacteria that live in the human oral cavity, were also sub-
sequently shown to express pili. In part because of
limitations on molecular genetic analysis in Gram-positive
bacteria, relatively little has been known about these struc-
tures until recently. Since 2005, it has been discovered that
three clinically significant Gram-positive pathogens,
Streptococcus pneumoniae,groupAStreptococcus,andgroupB
Streptococcus, all express pili. Because pili hold promise as
vaccinecandidates,wecanexpectanincreaseinresearch
on pili in Gram-positive bacteria in coming years.
In the more than 50 years since the discovery and initial
characterization of pili, substantial advances have been
made in our understanding of the genetics, biochemistry,
and structural and functional aspects of these organelles. A
vast number of distinct pilus structures have been
described and new types of pili continue to be identified.
Pili are now known to be encoded by virtually all Gram-
negative organisms and are some of the best-characterized
colonization and virulence factors in bacteria. In this arti-
cle, we have classified pili expressed by Gram-negative
bacteria into six different groups according to the mechan-
isms by which they are assembled; pili expressed by Gram-
positive bacteria are addressed in a separate section. This
classification scheme is not all-inclusive, but provides a
convenient means for discussing the diverse types of pili,
their functions, structures, and assembly. Representatives
of various pilus types assembled by the different pathways
discussed in the following sections are listed in Table 1.
Chaperone/Usher Pathway
All pilins destined for assembly on the surface of Gram-
negative bacteria must be translocated across the inner
membrane, through the periplasm, and across the outer
862 Pili, Fimbriae

Table 1 Pilus assembly pathways
Assembly pathway Structure Assembly gene products
a
Organism
Disease(s) associated with pilus
expression
Chaperone–usher pathway
Thick, rigid pili P pili PapD/PapC E. coli Pyelonephritis/cystitis
Prs pili PrsD/PrsC E. coli Cystitis
Type 1 FimC/FimD E. coli Cystitis
Salmonella spp.
K. pneumoniae
X. fastidiosa Plant diseases
S pili SfaE/SfaF E. coli UTI
Newborn meningitis
F1C pili FocC/FocD E. coli Cystitis
Hif pili HifB/HifC H. influenzae Otitis media meningitis
Haf pili HafB/HafC H. influenzae Biogroup
aegyptius
Brazilian Purpuric Fever
Types II and III pili FimB/FimC B. pertussis Whooping cough
MR/P pili MrpD/MrpC P. mirabilis Nosocomial UTI
PMF pili PmfC/PmfD P. mirabilis Nosocomial UTI
Long polar fimbriae LpfB/LpfC S. enterica ser.
Typhimurium
Gastroenteritis
Long polar fimbriae LpfB/LpfC E. coli Diarrhea
Pef pili PefD/PefC S. enterica ser.
Typhimurium
Gastroenteritis
Ambient-temperature
fimbriae
AftB/AftC P. mirabilis UTI
987P fimbriae FasB/FasD E. coli Diarrhea in piglets
REPEC fimbriae RalE/RalD E. coli Diarrhea in rabbits
AF/R1 AfrC/AfrB E. coli Diarrhea in rabbits
Thin, flexible pili K99 pili FaeE/FaeD E. coli Neonatal diarrhea in calves, lambs,
piglets
K88 pili FanE/FanD E. coli Neonatal diarrhea in piglets
F17 pili F17D/F17papC E. coli Diarrhea
F18 pili FedC/ FedB E. coli Diarrhea in piglets
MR/K pili MrkB/MrkC K. pneumoniae Pneumonia
Acu pili AcuD/ AcuC Acinetobacter spp. strain
BD413
Opportunistic infections
Atypical structures CS31A capsule-like
protein
ClpE/ClpD E. coli Diarrhea
Antigen CS6 CssC/CssD E. coli Diarrhea
Myf fimbriae MyfB/MyfC Y. enterolitica Enterocolitis
PH 6 antigen PsaB/PsaC Y. pestis Plague
CS3 pili CS3-1/CS3-2 E. coli Diarrhea
Envelope antigen F1 Caf1M/Caf1A Y. pestis Plague
(Continued )

Table 1 (Continued)
Assembly pathway Structure Assembly gene products
a
Organism
Disease(s) associated with pilus
expression
Nonfimbrial adhesins I NfaE/NfaC E. coli UTI newborn meningitis
SEF14 fimbriae SefB/SefC S. enteritidis Gastroenteritis
Agregative adherence
fimbriae I
AggD/AggC E. coli Diarrhea
AFA-III AfaB/AfaC E. coli Pyelonephritis
Alternate chaperone pathway CS1 CooB/CooC E. coli Diarrhea
CS2 pili CotB/CotC E. coli Diarrhea
CS4 pili E. coli Diarrhea
CS5 pili CsfB/ CsfC E. coli Diarrhea
CS14 pili E. coli Diarrhea
CS17 pili E. coli Diarrhea
CS19 pili E. coli Diarrhea
CFA/I pili CfaA/CfaC E. coli Diarrhea
Cable type II pili CblB/CblC B. cepacia Opportunistic in cystic fibrosis
patients
Typhi colonization factor
(Tcf)
SafB/SafC S. enterica ser. Typhi Typhoid
Type II secretion pathway Type IVa pili General secretion apparatus (main terminal
branch) 14 to >20 proteins
Neisseria spp.
P. aeruginosa
Moraxella spp.
D. nodosus
F. tularensis
E. corrodens
L. pneumophila
M. xanthus
Gonorrhea, meningtitis
Opportunistic pathogen
Conjuntivitis, respiratory
infections
Ovine footrot
Tularemia
Opportunistic pathogen
Legionnaires’ disease
Saprophyte
Type IVa pili M. bovis
Azoarcus spp.
B. bacteriovorus
X. fastidiosa
V. parahaemolyticus
V. vulnificus
Tuberculosis in cattle
Denitrification and toluene
metabolism
Bacterial pathogen
Plant diseases
Gastroenteritis
Gastroenteritis
Type IVb pili
Bundle forming pili
longus
CFA/III
R64 and ColIb-P9 pili
General secretion apparatus (Main terminal
branch) 14 to >20proteins
E. coli
E. coli
E. coli
E. coli
Diarrhea
Diarrhea
Diarrhea

Toxin coregulated
pili colonization factor
(CfcA)
PilS pili
V. cholera
C. rodentium
S. enterica ser. Typhi
Cholera
Murine colonic hyperplasia
Typhoid
Conjugative pilus assembly (Type IV
secretion) pathway
F pili (IncF1)
IncN, IncP, IncW-
encoded pili
T pili
Type IV export apparatus, 12 to 16 proteins E. coli
E. coli
A. tumefaciens
R. felis
Antibiotic resistance
Crown gall disease
Rickettsiosis
Extracellular Nucleation/precipitation
pathway
Curli
Tafi (thin aggregative
fimbrae)
CsgG/CsgE/CsgF
AgfG/AgfE/AgfF
E. coli
S. enterica ser.
Typhimurium
Sepsis
Gastroenteritis
Type III secretion pathway EspA pilus-like
structures
Hrp pili
Hrp pili
Type III secretion apparatus, 20 proteins E. coli
P. syringae
E. amylovora
X. campestris
R. solanacearum
Rhizobium spp.
S. fredii
Diarrhea
Hypersensitive response (in
resistant plants)
Hypersensitive response
Hypersensitive response
Hypersensitive response
Symbionts of legumes
Symbionts of legumes
Pili in Gram-positive bacteria
Sortases catalyzing transpeptidase
reactions
SpaA-like pili Sortases and pilins (SpaA, SpaB, SpaC, SpaD
and SpaH)
S. gordonii
S. oralis
Corynebacterium spp.
Streptococcus spp.
Actinomyces spp.
Dental plaque formation/
Endocarditis
Dental plaque formation/
Endocarditis
Diphtheria/Oral pathogens
Numerous diseases
Unknown A. photogonimos
R. albus
Rumen bacteria
M. tuberculosis pili (MTP) M. tuberculosis Tuberculosis
a
Chaperone/usher for chaperone–usher and alternate chaperone pathway.

membrane. To accomplish these steps, various adhesive
organelles in many different bacteria require two specia-
lized assembly proteins: a periplasmic chaperone and an
outer-membrane usher. Chaperone/usher assembly path-
ways are involved in the biogenesis of over 30 different
structures, including composite pili, thin fibrillae, and
nonfimbrial adhesins. Here, we will focus on the structure
and assembly mechanisms of the prototypical P and type
1 pilus chaperone/usher systems.
Molecular Architecture
P and type 1 are both composite structures consisting of a
thin fibrillar tip joined end to end to a right-handed
helical rod (Figures 1(a)–(f)). Chromosomally located
gene clusters that are organizationally and functionally
homologous encode P and type 1 (Figure 1(g)–1(h)).
P pili are encoded by the pap (pilus associated with
pyelonephritis) gene cluster, whereas type 1 are encoded
by the fim gene cluster. The P pilus tip is a 2-nm-wide
structure composed of a distally located adhesin (PapG), a
tip pilin (PapE), and adaptor pilins (PapF and PapK). The
PapG adhesin binds to Gal(1-4)Gal moieties present in
the globoseries (GbO4) of glycolipids found on the sur-
face of erythrocytes and kidney cells. Consistent with this
binding specificity, P pili are major virulence factors
associated with pyelonephritis caused by uropathogenic
E. coli. The minor pilin PapF is considered to join the
PapG adhesin to the tip fibrillum, the bulk of which is
made up of a polymer of PapE subunits. PapK is believed
to terminate the growth of the PapE polymer and to join
the tip structure to the rod. The pilus rod is composed of
P pilus (pap) gene cluster
1 μm
Type 1 pilus (fim) gene cluster
Tip fibrillum components
Tip fibrillum components
Major tip component Galα(1-4)Gal-
binding adhesin
Adaptor/
initiator
Adaptor/
initiator
Adaptors/
initiators/
terminators
Mannose-
binding
adhesin
Periplasmic
chaperone
Periplasmic
chaperone
Outer-
membrane
usher
Outer membrane
usher
Rod
terminator
Major
pilus
subunit
Major
pilus
subunit
Regulation
I B A H C
(e)
(g)
(h)
(f)
(d)
(a) (b) (c)
D J K E F G
E
B A I C D F G H
Regulation
Figure 1 P and type 1 architecture and genetic organization. (a) High-resolution electron micrograph of Escherichia coli
expressing P pili. The inset shows a negatively stained P piliated E. coli bacterium as seen by standard transmission electron
microscopy. (b) The tip fibrillum structure of a P pilus. (c) P pili are able to unravel into linear fibers, a phenomenon that may help
prevent their breakage under high shearing forces or other stresses. (d) E. coli expressing type 1. (e) a high-resolution view of the type
1 pilus tip fibrillum, and (f) a three-dimensional reconstruction of a type 1 pilus rod. The images shown are at different magnifications.
The P (pap) and type 1 (fim) pilus gene clusters are depicted in (g) and (h), respectively. These gene clusters share organizational as
well as functional homologies. Photos in (d) and (f) were provided by G. Capitani (Capitani G, Eidam O, Glockshuber R, and Gru¨ tter
MG (2006). Microbes and Infection 8: 2284–2290) and S. Mu¨ ller (Hahn E, Wild P, Hermanns U, Sebbel P, Glockshuber R, Ha¨ ner M,
Taschner N, Burkhard P, Aebi U, and Mu¨ ller SA (2002). Journal of Molecular Biology 323: 845–857), respectively, with permission from
Elsiever Ltd.
866 Pili, Fimbriae

multiple PapA subunits joined end to end and then coiled
into a right-handed, 6.8-nm-thick helical rod, having a
pitch distance of 24.9 A
˚and 3.28 subunits per turn. The
rod is terminated by a minor subunit, PapH, which may
serve to anchor the pilus in the membrane.
Similar to the P pilus structure, the type 1 pilus has a
short, 3-nm-wide fibrillar tip made up of the mannose-
binding adhesin, FimH, and two additional pilins, FimG
and FimF. The FimH adhesin mediates attachment to
mannosylated receptors expressed on a wide variety of
cell types and has been shown to be a significant virulence
determinant for the development of cystitis. Like other
pilus-associated adhesins, FimH has two distinct domains,
a C-terminal pilin domain that links the adhesin to the
pilus and an N-terminal receptor-binding or lectin
domain (Figure 2). The adhesin domain of FimH is
an elongated 11-stranded -barrel with an overall
jellyroll-like topology and a tip-localized mannose-
binding pocket. The type 1 tip fibrillum is joined to a
rod comprising predominantly of 500–3000 FimA subu-
nits arranged in a 6- to 7-nm-diameter helix with a pitch
distance of 23.1 A
˚and 3.4 subunits per turn. Both type 1
and P pilus rods have central axial holes with diameters of
2–2.5 and 1.5 A
˚, respectively. Despite architectural
similarities, type 1 appear to be more rigid and prone to
breaking than P pili.
In both P and type 1, the major pilin subunits compris-
ing the rods are organized in a head-to-tail manner.
Additional quaternary interactions between subunits in
adjacent turns of the helical rod appear to stabilize the
structure and may help drive the outward growth of the
organelle during pilus assembly (see below). Disruption of
the latter interactions by mechanical stress or by incuba-
tion in 50% glycerol can cause the pilus rod to reversibly
unwind into a 2-nm-thick linear fiber similar in appear-
ance to the tip fibrillum (Figure 1(c)). It has been
proposed that the ability of the pilus rods to unwind
allows them to support tension over a broader range of
lengths. This may help P and type 1 better withstand
stress, such as shearing forces from the bulk flow of fluid
through the urinary tract, without breaking. Type 1 are
able to helically unwind and thereby resist breakage
under forces up to 60 pN, which is equivalent to the
weight of about 60 red blood cells.
In addition to composite structures exemplified by P
and type 1, chaperone–usher pathways also mediate assem-
bly of thin fibrillae such as K88 and K99 pili and
nonfimbrial adhesins. K88 and K99 pili are 2- to 4-nm-
thick fibers that mediate adherence to receptors on intest-
inal cells. They are significant virulence factors expressed
by enterotoxigenic E. coli (ETEC) strains that cause diar-
rheal diseases in livestock. These pili were given the ‘K’
designation after being mistakenly identified as K antigens
in E. coli. In contrast to P and type 1, the adhesive properties
of K88 and K99 pili are associated with the major pilus
subunits. The receptor-binding epitopes on the individual
major pilus subunits are exposed on the pilus surface and
are available for multiple interactions with the host tissue.
In general, pili with adhesive major subunits, such as K88
and K99 pili, are thin, flexible fibrillar structures. In com-
parison, pili with specialized adhesive tip structures, such
as P and type 1, are relatively rigid and rod-like.
Assembly Model
The assembly of P pili by the chaperone/usher pathway is
among the best understood of any pilus assembly pathway.
PapD is the periplasmic chaperone and PapC is the outer-
membrane usher for the P pilus system. These proteins are
prototypical representatives of the periplasmic chaperone
and outer-membrane usher protein families. Figure 3 pre-
sents the current model for pilus assembly by the
chaperone/usher pathway, as depicted for P pili.
Periplasmic chaperones
The PapD chaperone, the outer-membrane PapC usher,
and all of the P pilus structural subunits have typical signal
sequences recognized by the sec (general secretion) system.
The signal sequences are short, mostly hydrophobic
Adhesin domain
Pilin domain
Figure 2 Structure of the type 1 pilus adhesin FimH.
Shown on the left is a ribbon model of the FimH adhesin,
consisting of two distinct domains. The pilin domain has an
immunoglobulin-like fold and allows for incorporation of FimH
into the pilus tip. The adhesin domain consists of an 11-
stranded -barrel with an interrupted jellyroll-like motif. This
domain is about 50 A
˚in length and has a distally localized
pocket that binds D-mannose (red). A surface model of the
mannose-binding pocket of FimH, with bound D-mannose
(red), is shown on the right.
Pili, Fimbriae 867

N-terminal motifs that tag proteins for transport across the
inner membrane by the sec system. This system includes
several inner-membrane proteins (SecD-G, SecY,
and YajC), a cytoplasmic chaperone (SecB) that binds to
presecretory target proteins, a cytoplasmic membrane-
associated ATPase (SecA) that provides energy for trans-
port, and a periplasmic signal peptidase. As the P pilus
structural subunits emerge from the sec translocation
machinery into the periplasm, PapD binds to each subunit,
facilitating its release from the inner membrane. Each
subunit forms an assembly competent, one-to-one com-
plex with PapD. Proper folding of the subunits requires
PapD and involves the action of the periplasmic disulfide
bond isomerase DsbA. In the absence of PapD, subunits
misfold, aggregate, and are subsequently degraded by the
periplasmic protease DegP. The misfolding of P pilus
subunits is sensed by the Cpx two-component system in
which CpxA is an inner-membrane-bound sensor histi-
dine kinase and CpxR is a DNA-binding response
regulator. Activation of the Cpx system in response to
misfolded pilin subunits or other types of periplasmic
stress inhibits P pilus biosynthesis by downregulating
pilin expression.
The three-dimensional crystal structures of both the
PapD and FimC chaperones have been solved. Both cha-
perones consist of two Ig (immunoglobulin)-like domains,
each consisting of seven -sheets, oriented into a boom-
erang shape such that a subunit-binding cleft is created
between the two domains. A conserved internal salt
bridge is thought to maintain the two domains of the
chaperone in the appropriate orientation. Using genetics,
biochemistry, and crystallography, PapD was found to
interact with pilus subunits in part by binding to a highly
conserved motif present at the C-terminus of all subunits
assembled by PapD-like chaperones. The finer details of
how PapD-like chaperones interact with pilus subunits
were unveiled by determining the crystal structures of the
PapD–PapK and the FimC–FimH chaperone–subunit
complexes (Figure 4). This work demonstrated that the
PapD and FimC chaperones have similar interactions
with their respective subunits. Only the PapD–PapK
structure is considered here. PapK has a single domain
CC
E
G
DegP
sec
sec
A
D
D
DDsbA
Unfolded
papA
G
A
K
FPeriplasm
IM
OM
Rod
Tip
DD
Figure 3 Model of P pilus assembly by the chaperone/usher pathway. Structural subunits for the pilus tip (PapG, PapF, PapE, and
PapK) and for the pilus rod (PapA) are translocated across the inner membrane of Escherichia coli via the sec system. On the
periplasmic side of the inner membrane they interact with the chaperone PapD, which facilitates the folding and release of the
subunits from the inner membrane. DsbA is required for the proper folding of both the subunits and the PapD chaperone. In the absence
of the PapD chaperone, pilus subunits aggregate and are degraded by the periplasmic protease DegP. Subunit–chaperone
complexes are targeted to the outer-membrane usher, PapC, where the chaperone is released and subunit–subunit interactions occur.
The PapC usher forms a 2-nm-wide pore through which the assembled pilus structure is extruded as a linear fiber across the outer
membrane. Once on the exterior of the cell, the linear PapA polymer forms a thick, right-handed helical rod that is unable to slip
back through the usher pore. The formation of the coiled PapA rod is thought to help drive the outward growth of the pilus. OM indicates
outer membrane and IM indicates inner membrane.
868 Pili, Fimbriae

consisting of an Ig fold that lacks the seventh (C-terminal)
-strand that is present in canonical Ig folds. The absence
of this strand produces a deep groove along the surface of
the pilin subunit and exposes its hydrophobic core. By an
interaction known as donor strand complementation, a G
1
-strand of the PapD chaperone occupies the groove in
PapK and completes the Ig fold. This interaction shields
the hydrophobic core of PapK and stabilizes immature
pilus subunits within the periplasm. Interactions with
PapD-like chaperones also accelerate the folding of pilin
subunits about 100-fold, allowing for more rapid assembly
of pili. The residues that make up the C-terminal groove
formed by subunits and bound by PapD-like chaperones
have been shown by mutagenesis and, more recently, by
crystallographic studies to be involved in subunit–subunit
interactions within the final pilus structure. Thus, in
addition to stabilizing immature pilus subunits, the
donor strand complementation interaction also caps one
of the interactive surfaces of the subunit and prevents
premature oligomerization and aggregation of pilus sub-
units within the periplasm.
Outer-membrane ushers
Once formed in the periplasm, chaperone–subunit com-
plexes are targeted to the outer-membrane usher where
the chaperone is released, exposing interactive surfaces
on the subunits that facilitate their assembly into the pilus.
Studies in the P and type 1 pilus systems have demon-
strated that the adhesin–chaperone complexes, PapDG or
FimCH, bind tightest and fastest to the usher and that the
adhesins are the first subunits assembled into the pilus.
Binding of the chaperone–adhesin complex induces a
conformational change in the usher, possibly priming it
for pilus assembly. Additional subunits are incorporated
into the pilus depending, in part, upon the kinetics with
which they are partitioned to the usher in complex with
the chaperone. Conserved N-terminal regions, in addi-
tion to the conserved C-terminal motif of the pilus
subunits, mediate subunit–subunit interactions within
the mature pilus. Differences in the complementary sur-
faces in these conserved regions from one subunit to
another may help dictate which of the subunits can be
joined to one another during pilus assembly. Thus, the
order of the subunits within the final pilus structure is
determined by the specific contacts made between the
different pilus subunits and also by the differential affi-
nities of the various chaperone–subunit complexes for the
usher.
In addition to acting as an assembly platform for the
growing pilus, the usher protein appears to have addi-
tional roles in pilus biogenesis. High-resolution electron
microscopy revealed that the PapC usher is assembled
into an oligomeric 15-nm-diameter ring-shaped complex
with a 2-nm-wide central pore. Each PapC monomer is
composed predominantly of transmembrane -sheets,
typical of outer-membrane pore-forming proteins. The
N-terminal domain of PapC binds chaperone-complexed
subunits, whereas the C-terminal domain stabilizes the
chaperone–subunit complexes and is involved in subse-
quent stages during pilus assembly. Oligomerization of
the usher and subsequent pilus biogenesis are both
initiated by interactions between the adhesin and the
usher. During assembly of type 1, the FimD usher directs
the receptor-binding domain of the FimH adhesin into
the pore of the usher, whereas the pilin domain remains
bound to the chaperone until displaced by the next
incoming chaperone–subunit complex. After dissociating
from the chaperone at the usher, subunits are incorpo-
rated into a growing pilus structure that is predicted to be
extruded as a 1-subunit-thick linear fiber through the
central pore of the usher complex. Packaging of the linear
pilus fiber into a thicker, helical rod on the outside surface
of the bacterium may provide a driving force for the
translocation of the pilus across the outer membrane,
possibly acting as a sort of ratcheting mechanism to
force the pilus to grow outward. Combined with the
targeting affinities of the chaperone–subunit complexes
for the usher and the binding specificities of the subunits
for each other, this may provide all the energy and spe-
cificity needed for the ordered assembly and translocation
of pili across the outer membrane.
Domain 1
F
A2
F
PapK
PapK disordered
N-terminus
Domain 2
PapD
PapD
G1β-strand
Figure 4 Ribbon model based on the crystal structure of the
PapD periplasmic chaperone (in black) complexed with the
PapK pilus subunit (in gray). The G
1
-strand in domain 1 of
PapD completes the Ig fold of the pilin, occupying the groove
formed between the A2 and F strands of PapK. This
interaction has been termed donor strand complementation.
The eight N-terminal amino acids of PapK are disordered in
the structure. These residues have been implicated in
mediating subunit–subunit interactions within the mature pilus
organelle. During pilus biogenesis, the N-terminal strand of a
pilin can displace the G
1
-strand of the chaperone and insert
into the C-terminal groove of the neighboring subunit. The
mature pilus thus consists of a linear array of canonical Ig
domains, each of whose fold is completed by a strand from
the neighboring subunit.
Pili, Fimbriae 869

Alternate Chaperone Pathway
A variation of the chaperone/usher pilus assembly path-
way has been identified in strains of ETEC and a few
other pathogenic bacteria. ETEC are major pathogens
associated with diarrheal diseases of travelers, infants,
and young children. Strains of ETEC produce several
types of uniquely assembled adhesive pili that are con-
sidered to be important mediators of bacterial
colonization of the intestine. The best studied of these
pili is coli surface antigen 1 (CS1), which appears to be
composed predominantly of a major subunit, CooA, with
a distally located minor component, CooD, that is
required for ETEC adherence to host cells. Several
CS1-like pili have been identified and include CS2,
CS4, CS14, CS17, CS19, CFA/I (colonization factor I,
expressed by various ETEC strains), Tcf (expressed by
Salmonella enterica serovar Typhi), and the cable type II
pili of Burkholderia cepacia, an opportunistic pathogen of
cystic fibrosis patients. Four linked genes, CooA, CooB,
CooC, and CooD, are the only specific genes required for
the synthesis of functional CS1. Electron microscopic
examination reveals that the CS1-like pili are architectu-
rally similar to P and type 1 assembled by the chaperone/
usher pathway (Figures 5(a) and 5(b)), although none of
the proteins involved in the biogenesis of CS1-like pili
have any significant sequence homologies to those of any
other pilus system.
The assembly of CS1-like pili is functionally similar to
that of P pili but depends on a specialized set of periplas-
mic chaperones that are distinct from those of the
chaperone/usher pathway described above. Therefore,
this mode of pilus assembly is referred to as the alternate
chaperone pathway. In the case of CS1 the chaperone
CooB binds to and stabilizes the major and minor pilin
subunits, CooA and CooD, which enter into the periplasm
in a sec-dependent fashion (Figure 5(c)). Both CooA and
CooD share a conserved sequence motif near their
C-termini that may function as a chaperone recognition
motif. One of the functions of CooB appears to be the
delivery of the pilin subunits to an outer-membrane pro-
tein, CooC, which may function as a channel, or usher, for
the assembly of pilus fibers. In addition to the pilin sub-
units, CooB also binds to and stabilizes CooC in the outer
membrane. In the absence of the CooB chaperone, CooC
and the pilin subunits are degraded. The minor subunit
CooD localizes to the tip of the CS1 pilus and is required
for secretion of the major pilus subunit CooA. Expression
of CooD also seems to positively regulate the number of
pili produced, in keeping with a model in which the
positioning of a minor tip subunit (CooD in this case) by
an outer-membrane usher complex is required to initiate
assembly of the pilus shaft. As CS1-like pili do not appear
to be related to those assembled by the chaperone/usher
pathway, it has been suggested that these two pilus assem-
bly systems arose independently through convergent
evolution.
Type II Secretion Pathway for Type IV
Pilus Assembly
Type IV pili are multifunctional, strong, and flexible
filamentous structures expressed by a wide diversity of
bacteria, including a number of animal and plant patho-
gens. These include Pseudomonas aeruginosa, Pseudomonas
stutzeri, Neisseria gonorrhoeae, Neisseria meningitidis, Eikenella
corrodens, Legionella pneumophila, Ralstonia solanacearum,
Myxococcus xanthus, Francisella novicida, Francisella tularensis,
Dichelobacter nodosus, Synechocystis spp., Moraxella spp., and
Azoarcus spp. Type IV pili can promote bacterial survival
and pathogenesis by mediating bacterial interactions with
animal, plant, and fungal cells, in some cases contributing
to bacterial invasion of target host cells. In addition, these
pili can modulate target cell specificity, function in DNA
uptake, promote bacterial autoaggregation and biofilm
formation, and act as receptors for bacteriophage. Type
IV pili are also associated with a flagella-independent
form of bacterial locomotion called twitching motility
(also known as social motility in Myxococcus spp.) that
allows for the lateral spread of bacteria across a surface.
Type IV pili are 6 nm in diameter and can extend up to
several micrometers in length. These pili are typically
(a)
(b)
D
C
AB
AA
A
A
A
A
A
A
A
D
D
CC
AB
AB
sec
sec
IM
Periplasm
OM
AB
AB
DB
(c)
Figure 5 Pili assembled by the alternate chaperone pathway.
Transmission electron micrographs show (a) CS2 pili (2nm
thick) assembled by the alternate chaperone pathway in
Escherichia coli (photo courtesy of Harry Sakellaris and June
R. Scott) and (b) Cbl pili of Burkholderia cepacia. Reproduced
from Sajjan US, Sun L, Goldstein R, and Forstner JF (1995).
Journal of Bacteriology 177: 1030–1038, with permission from
ASM press. (c) Assembly of CS1 from E. coli via the alternate
chaperone pathway. The CooB chaperone forms periplasmic
complexes with the main components of the pilus, CooA and
CooD. CooB also appears to bind and stabilize the outer-
membrane protein CooC during pilus assembly. CooC functions
as an outer-membrane (OM) channel for passage of the pilin fiber.
870 Pili, Fimbriae

assembled at one pole of the bacterium and can withstand
forces up to 100 pN. Based on the length and amino acid
sequence of the pilin subunits, type IV pili can be divided
into two subclasses: type IVa and type IVb. Type IVa pilin
subunits are usually composed of 145–160 amino acids.
These subunits have several distinctive features, includ-
ing a short (5–6 amino acids), positively charged leader
sequence that is cleaved during assembly, N-methyl-
phenylalanine as the first residue of the mature subunit,
and a highly conserved, hydrophobic N-terminal domain
that forms the core of the mature pilus.
Type IVb pili include the toxin coregulated pilus (TcpA)
of Vibrio cholera, bundle-forming pilus (BfpA) of enteropatho-
genic E. coli (EPEC), longus (LngA) and CFA/III pili of
ETEC, conjugative R64 thin pilus of E. coli,andcolonization
factor Citrobacter (CfcA) of Citrobacter rodentium.Incontrast
to type IVa pilins described above, the known type IVb
pilins are somewhat larger (180–238 amino acids) and have
a longer (15–30 amino acids) leader sequence. Also, in place
of N-methyl-phenylalanine as the first amino acid in the
mature pilus subunit, type IVb subunits have other methy-
lated residues such as N-methyl-methionine for TcpA and
N-methyl-leucine for BfpA. TCP, BFP, and longus pili
form large polar bundles over 15 mminlength.Incontrast,
CFA/III pili are 1–10 mm long and are peritrichously
expressed.
Atomic resolution structures of the type IVa pilins PilE
(N. gonorrhoeae) and PilA (P. aeruginosa strains K and K122-
4), as well as the type IVb pilin TcpA (V. cholera), have been
solved (Figures 6 and 7). Based on these structures, all type
IV pilin subunits are predicted to have a fairly similar
structure consisting of a conserved N-terminal -helical
hydrophobic core surrounded by -sheets and a hypervari-
able C-terminus. The core -helix of type IV pilins,
known as 1(blueinFigure 6), is usually composed of
53 amino acids and is divided into a protruding hydro-
phobic N-terminal half (1-N, residues 1–29) and an
amphipathic C-terminal half (1-C, residues 30–53). The
hydrophobic face of 1-C is wrapped by antiparallel
-sheets to form a globular head domain, whereas the
hydrophilic face is buried within the assembled pilus.
This hydrophobic packing of the inner core of -helices
along with the flexibility of these helices may permit type
IV pili to bend and adopt twisted, bundled conformations
(Figure 7). Hydrogen bonds throughout the layer of
-sheets may provide much of the mechanical stability
for the pilus.
Type IV pilin globular head domain (green in
Figure 6) is flanked by two highly variable regions desig-
nated the -loop (orange in Figure 6) and D-region
(yellow in Figure 6). The -loop functions as a linker
between the 1 and the -sheets, and facilitates pilin–
pilin interactions before and after assembly. The
D-region contains a conserved disulfide bridge, which is
essential for pilus assembly. These hypervariable regions
associate with the layer of -sheets through only a few
conserved interactions. Thus, they can be structurally
pliant and accommodate extreme amino acid changes
that lead to antigenic variation and altered binding spe-
cificities without disrupting the assembly of the pilus. The
antigenic characteristics of type IV pili synthesized by
N. gonorrhoeae can be modified extensively by a remark-
able mechanism. This pathogen encodes more than 15
different silent pilin genes termed PilS that lack the
invariant N-terminal domain present in PilE. By recom-
bination of silent PilS genes with the PilE locus, a single
neisserial strain can theoretically express more than 10
million PilE variants. This antigenic variation helps N.
gonorrhoeae evade the host immune system, allowing the
establishment and maintenance of infection.
The biogenesis of type IV pili is substantially more
complicated than pilus assembly by the chaperone/usher
or alternate chaperone pathways. Most type IVa pili-
encoding genes are located on the chromosome, whereas
most type IVb pili are encoded by plasmids. The number
of genes essential for type IV pilus biogenesis and function
ranges from 14, for pili such as BFP, to over 20, for
structures such as the type IVa pili of N. gonorrhoeae.
In P. aeruginosa, it is estimated that about 0.5% of the
Ser-63
D-region 85 Å
αβ-loop
Figure 6 Ribbon model of the type IVa pilin, PilE, from
Neisseria gonorrhoeae. Secondary structural elements
include a hydrophobic core surrounded by -sheets (green), a
conserved N-terminal -helical spine (blue) connected to a
variable domain containing an -loop (orange) with an O-linked
disaccharide at Ser-63 and a disulfide-containing C-terminal
D-region (yellow). The conserved disulfide bridge in the D-
region is signified by a dotted line (magenta).
Pili, Fimbriae 871

bacterium’s genome is involved in the synthesis and func-
tion of type IV pili. Among the various bacterial species
expressing type IV pili, the genes encoding the type IV
pilus structural components tend to be similar, whereas the
regulatory components surrounding them are typically less
conserved.
Type IV pilus biogenesis occurs in three steps: fiber
formation, fiber stabilization, and surface localization of
the intact organelle. In the case of N. gonorrhoeae pili, the
process requires more than 14 assembly proteins and a
type II secretion system-related multicomponent assem-
bly complex. Components include a prepilin peptidase
(PilD) that cleaves off the leader peptide from nascent
pilin subunits; a polytopic inner-membrane protein that
may act as a platform for pilus assembly; a hydrophilic
nucleotide-binding protein located in the cytoplasm or
associated with the cytoplasmic face of the inner mem-
brane that may provide energy for pilus assembly; and an
outer-membrane protein complex (PilQ) that forms a
pore for passage of the pilus to the exterior of the
bacterium.
The PilE/PilA propilin subunits are transported into the
periplasm by the sec translocation machinery (Figure 7(d)).
After translocation, the propilin subunits remain anchored
in the inner membrane by their hydrophobic N-terminal -
helical domains, with their hydrophilic C-terminal heads
oriented toward the periplasm. Removal of the positively
charged propilin leader sequence by the PilD signal
peptidase drives the hydrophobic stems of the pilin
subunits to associate and form a pilus. An inner-membrane
assembly complex made up of several proteins including
PilD, PilF, PilG, and PilT aids in this process. The outer-
membrane-associated PilC has been shown to stabilize the
nascent pilus before translocation and prevent PilT-
mediated retraction. The assembled pilus penetrates the
outer membrane through an electrochemically gated oligo-
meric channel formed by PilQ. The ring-shaped oligomeric
channel formed by PilQ has 12-fold symmetry and an
internal diameter of 5–7 nm. Its assembly and localization
is facilitated and stabilized by small lipoproteins, PilP in N.
gonorrhoea,BfpGinEPEC,andTglinM. xanthus.The
PilC1 adhesin associated with the tips of type IV pili in N.
gonorrhoea may facilitate passage of the nascent pili through
the PilQ pore.
One implication of this assembly model is that the
N-terminal region of PilA/PilE resides in a continuous
hydrophobic environment during both inner-membrane
transport and pilus assembly. This may allow polymer-
ization and, interestingly, depolymerization of the pilus to
proceed with only minimal energy requirements. Type
IV pili undergo rounds of extension and retraction
by polymerization and depolymerization reactions.
The nucleotide-binding protein PilB facilitates the poly-
merization and extension of pili, whereas PilT (a distant
member of the AAA ATPase motor family) mediates
rapid depolymerization and retraction, at rates up to
1500 pilin subunits per second. These rounds of extension
and retraction are the basis of twitching motility, one of
the functions of type IV pili. The current model for
twitching motility can be compared to the usage of a
grappling hook. It involves the extension of a pilus, the
adhesion of the pilus tip to a surface, and then the retrac-
tion of the pilus to pull the cell forward. The capacity of
type IV pili to retract may also provide a means for
transforming DNA, which could potentially interact
with the type IV pilus, to enter into the bacterial cell.
Figure 7 Type IV pili. (a) Scanning electron micrograph of Neisseria gonorrhoeae diplococci expressing peritrichous type IV pili. Insets
show close-up views of the pili. (b) Three-dimensional reconstruction of type IV pilus rod, which is made up of repeating and
overlapping PilE pilin subunits. (c) Localization of a single PilE subunit (yellow) within the pilus rod. Image courtesy of L. Craig and C.
Brinton (Craig L, Volkmann N, Arvai AS, Pique ME, Yeager M, Egelman EH, and Tainer JA (2006). Molecular Cell 23: 651–662), with
permission from Elsiever Ltd. (d) Model of type IV pilus assembly by N. gonorrhoeae. The PilE prepilin is translocated into the
periplasm aided by the sec machinery. PilE is processed by the PilD signal peptidase, which cleaves the positively charged leader
sequence from the N-terminus of the pilin subunit. An inner-membrane assembly complex then assembles the mature PilE subunit into
a pilus fiber. PilQ mediates translocation of the pilus through the outer membrane, possibly with the assistance of other factors such
as PilP. PilC associates with the pilus and may act as a restraining clip, preventing PilT-mediated retraction of the type IV pilus rod.
The PilC1 adhesin, which appears to be incorporated at the tip of the growing pilus fiber, also seems to be required for translocation
of the pilus through the outer membrane.
872 Pili, Fimbriae

Mutation in components of the type IV pilus PilT in N.
gonorrhoea results in the loss of transformability. Naturally
competent bacteria such as Bacillus subtilis, H. influenzae,
and S. pneumoniae do not have type IV pili, but do have
similar components that facilitate the transformation of
naked DNA. The adhesive properties of type IV pili are,
in general, determined by the major pilus subunit.
Additional minor components, however, may associate
with these pili and alter their binding specificities. In the
case of Neisseria, a tip-localized adhesin, PilC1, appears to
mediate bacterial adherence to epithelial cells.
Many of the components involved in type IV pilus
assembly share homology with proteins that are part of
DNA uptake and protein secretion systems, collectively
known as the main terminal branch of the general secre-
tory (sec-dependent) pathway, or type II secretion. Type
II secretion systems transport a variety of proteins,
including toxins, proteases, cellulases, and lipases, from
the periplasm to the extracellular space. The pullulanase
secretion system in Klebsiella oxytoca is a prototypical type
II secretion system. Transport of pullulanase (PulA, a
starch-hydrolyzing lipoprotein) through the outer-mem-
brane protein complex (PulD) involves four type IV
pilin-like proteins, known as pseudopilins. Like type IV
pilins, the pseudopilins are processed by a prepilin pepti-
dase; the peptidase is even interchangeable between the
two systems. The pseudopilins may assemble into a
‘secretion tube’ – a pilus-like structure that extends across
the periplasm and facilitates PulA transfer to the outer
membrane. Pseudopilin filaments have been observed
upon overexpression of the pseudopilin genes, but have
not yet been demonstrated to exist under normal
conditions.
Another structure that is believed to have evolutionary
relatedness to type IV pili is the archaeal flagellum.
Archaeal flagella are about 10 nm in diameter, and, like
bacterial flagella, rotate and switch directions to mediate
motility. However, orthologues of bacterial flagellin
motor proteins have not been found in any archaeal
genome, and the mechanism of rotation and switching in
archaea is still unknown. Archaeal flagellar subunits have
no similarity to bacterial flagellins, but they are similar to
type IV pilins. Like type IV pilins, archaeal flagellins
require processing by a signal peptidase before assembly
into a filament, and their assembly requires both a
nucleotide-binding protein and a polytopic cytoplasmic
membrane protein.
Conjugative Pilus Assembly Pathway
In Gram-negative bacteria, certain pili, collectively known
as conjugative pili, facilitate the transfer of DNA among
bacteria. These pili allow donor and recipient bacteria to
make specific and stable intercellular contacts before DNA
transfer is initiated. DNA is moved between cells through
the mating pair formation system, which is related to the
so-called type IV secretion systems (T4SS). Horizontal
gene transfer, or conjugation, mediated by conjugative
pili is inextricably associated with the spread of antibiotic
resistance among bacterial pathogens. Conjugative pili are
generally encoded by self-transmissible plasmids that are
capable of passing a copy of their genes to a recipient
bacterium. Closely related plasmids, with similar replica-
tion control systems, are unable to coexist within the same
cell. This property has been termed ‘incompatibility’ and
provides the primary basis for cataloguing conjugal plas-
mids and the pili that they encode. Thus far, in E. coli alone,
over 25 incompatibility groups composed of well over 100
different plasmids have been defined. Plasmids within a
particular incompatibility group usually encode conjuga-
tive pili with similar antigenic properties, sensitivities to
pilus-specific phage, and morphologies.
Among the multitude of known incompatibility
groups, three morphologically and functionally distinct
types of conjugative pili have been defined: (1) rigid;
(2) thick, flexible; and (3) thin, flexible pili. Rigid con-
jugative pili are 8- to 11-nm-wide structures that are
usually specified by conjugal DNA transfer systems that
function well only on solid surfaces. Thick, flexible pili,
on the other hand, are 8- to 11-nm-wide structures that
typically, but not always, promote conjugation on solid
surfaces and in liquid media equally well. Conjugal DNA
transfer promoted by rigid or thick, flexible pili can be
enhanced, in some cases, by the presence of thin, flexible
pili. These pili are similar in appearance to type IV pili
and at least one member of the thin, flexible pilus group
(the R64 thin pilus) has been identified at the molecular
level as a type IVb pilus (as described above). Thin,
flexible pili appear to function primarily in the stabiliza-
tion of bacterial mating pairs, increasing the rate of DNA
transfer. Conjugation does not occur in the presence of
thin, flexible pili alone or in the absence of rigid or thick,
flexible pili.
The most thoroughly studied conjugative pilus is the F
pilus encoded by the self-transmissible, broad host range F
(fertility) plasmid, a member of the F1 incompatibility
(IncF1) group of plasmids borne by E. coli.TheFpilus
system is prototypical for numerous other conjugation
systems, and F pilus biogenesis is distinct from type IV
and other pilus assembly pathways. F pili are 8-nm-thick,
flexible helical filaments that consists primarily, if not
completely, of repeating 7.2 kDa (70 amino acid) TraA
pilin subunits. Donor (F
þ
) cells typically express 1–3 F
pili that are usually 1–2 mm long. Each F pilus possesses a
2-nm-wide central channel that is lined by basic, hydro-
philic residues, which could potentially interact with
negatively charged DNA or RNA molecules during con-
jugation. TraA is organized into pentameric, doughnut-like
disks that are stacked within the pilus such that successive
Pili, Fimbriae 873

disks are translated 1.28 nm along the pilus axis and rotated
28.8with respect to the lower disk. The TraA pilin has
two hydrophobic domains located toward the center and at
the C-terminus of the pilin. The hydrophobic domains are
thought to extend as antiparallel -helices from the central
axis to the periphery of the pilus shaft. These domains are
separated by a short, basic region that appears to form the
hydrophilic wall of the central channel of the pilus. The
N-terminal domain of TraA is predicted to face the exter-
ior of the pilus. However, this domain is antigenically
masked when the N-terminal residue of TraA is acetylated
during maturation of the pilin (see below). This modifica-
tion is common among all known F-like pilins and appears
to cause the N-terminal domain to be tucked back into or
along the pilus shaft. Acetylation is not essential for F pilus
assembly or function, but does help prevent aggregation of
F-like pili and affects the phage-binding characteristics of
these organelles. Phage are also known to recognize
the C-terminal hydrophobic domain of TraA. Although
masked within the pilus shaft, the acetylated N-terminal
domain of TraA appears to be exposed in unassembled
pilin subunits and at the distal tips of pili. The F pilus tip is
believed to initiate contact between donor and recipient
cells during conjugation and serves as a receptor for F-
specific filamentous phage. Alterations in the N-terminal
sequence of pilin subunits provide the primary basis for the
antigenic diversity observed among F-like pili expressed
by plasmids F, R1-19, ColB2, pED208, and R100-1.
A number of genes encoded by the F plasmid tra
operon are required for conjugation. TraA is synthesized
as a 12.8 kDa (121 amino acids) cytoplasmic propilin, but
is processed into a 7.2 kDa pilin form by host signal
peptidase LepB in the periplasm. Pilin maturation gene
products TraQ and TraX mediate the processing of the
TraA pilin to its mature form. TraQ, a chaperone-like
inner-membrane protein, escorts TraA into the inner
membrane and helps position the TraA propilin for pro-
cessing into mature pilin. In the absence of TraQ, the
translocation of TraA is disrupted and most of the pilin
subunits are degraded. After processing, the N-terminal
residue (alanine) of TraA is acetylated by TraX, a poly-
topic inner-membrane protein. The core T4SS proteins,
TraB, TraC, TraE, TraG, TraK, TraL, and TraV, are
involved in both pilus assembly and DNA transport.
Additional gene products (TraW, TraN TraU, TraF,
TraH, TrbC, and TrbI) affect the assembly of TraA into
the pilus filament. Most of these proteins appear to associ-
ate with either the inner or outer bacterial membrane and
may constitute a pilus assembly complex that spans the
periplasmic space.
The exact mechanism by which TraA is assembled
into pili is not yet defined. Pools of up to 100 000
mature TraA pilins accumulate in the inner membrane
before pilus assembly, which appears to occur by addition
of pilin subunits at the base of the growing pilus. Both
hydrophobic domains of TraA span the inner membrane,
with the hydrophilic region of TraA connecting them on
the cytoplasmic side. Small clusters of TraA also accu-
mulate in the outer membrane and these may function as
intermediates in F pilus assembly and disassembly. Large
regions of the TraA sequence have the propensity to
assume both -sheet and -helical structures, although
the -helical conformation is known to predominate in
assembled pili. It has been suggested that a shift between
-sheet and -helical conformations drives pilus
assembly and disassembly. F pilus assembly is energy
dependent and the depletion of ATP levels by respiratory
poisons such as cyanide results in F pilus depolymeriza-
tion and retraction. It is possible that TraA is normally
cycled between pili and periplasmic/inner-membrane
pools by rounds of pilus outgrowth and subsequent
retraction. During conjugation, F pilus retraction is
believed to serve a stabilizing function by shortening the
distance between bacterial mating pairs and allowing for
more intimate contact.
Several components of the F pilus assembly machinery
share significant homology with proteins encoded by
other conjugative systems. These include proteins speci-
fied by broad host range plasmids in other incompatibility
groups (such as IncN, IncP, and IncW) and many of the
proteins encoded by the Ti (tumor inducing) or Ri (root
inducing) plasmid-specific vir genes of the plant patho-
gens, Agrobacterium tumefaciens and Agrobacterium rhizogenes,
respectively. These bacteria elaborate 10-nm-wide pro-
miscuous conjugative pili, called T pili, at one end of a
cell that direct the interkingdom transfer of a specific
genetic element, known as T-DNA, into plant and yeast
cells. The introduction of T-DNA into plant cells induces
plant tumor formation. The exact mechanism of T-DNA
transfer is not known, but the T pilus is essential for
T-DNA transfer. T pili may facilitate direct cell-to-cell
contact for T-DNA transfer, possibly providing a conduit
for passage of T-DNA. In addition, the T pilus could act
as a sensor, allowing infecting bacteria to receive signals
from the host plant. T pilus assembly by A. tumefaciens
requires the expression of at least 12 vir gene products
encoded by the Ti plasmid. VirB2 is the major, and
possibly only, component of the T pilus and it is predicted
to be structurally homologous to the F pilus subunit
TraA. Unlike F pili, T pili do not retract, but instead
wind together to form very compact coils, bringing the
surface of bacterium and the host closer (Figure 8).
Other than possibly stabilizing donor–recipient inter-
actions, it is not yet clear as to how F and T pili or any
pilus structures function in conjugative DNA transfer
processes. However, at least in F pili, substantial evidence
suggests that pilus components or the pilus itself can serve
as a specialized channel for the transmission of DNA and
any accompanying pilot proteins across the donor and
possibly the recipient cell membranes. In light of this
874 Pili, Fimbriae

possibility, it is interesting to note that many components
of the conjugative pilus systems encoded by the IncF,
IncN, IncP, and IncW plasmids and by the vir genes of
A. tumefaciens are similar to the Ptl proteins responsible for
the export of the multiple subunit toxin of Bordetella per-
tussis. Interestingly, in Brucella suis and Bartonella henselae,
virB homologues are arranged in the same order as in the
A. tumefaciens virB operon. Furthermore, these secretion
systems seem to be distantly related to transport systems
used by L. pneumophila, Helicobacter pylori, and Rickettsia
prowazekii to inject virulence factors into host eukaryotic
cells. Conjugative pilus systems such as those encoding F
and T pili thus appear to be representative of a larger
family of macromolecular transport systems. These so-
called type IV secretion systems represent a major path-
way for the transfer of both nucleic acid and proteins
between cells. Understanding how conjugative pili help
mediate the intercellular transfer of macromolecules
remains a significant challenge.
Extracellular Nucleation/Precipitation
Pathway
Many strains of enteric bacteria, including E. coli and
Salmonella species, produce a class of thin (<2 nm), irre-
gular, and highly aggregated surface fibers known as curli
(Figures 9(a) and 9(b)). Curli are described as amyloid-
like fibers, and are composed mainly of extracellular
matrix components, namely protein, cellulose, and an
unknown polysaccharide. They are highly stable struc-
tures and extreme chemical treatments are required to
depolymerize them. The major component of E. coli curli
is a 15.3 kDa protein known as CsgA, which shares over
86% primary sequence similarity to its counterpart in
S. enterica ser. Typhimurium, AgfA.
The formation of curli represents a departure from
the other modes of pilus assembly discussed in the
(a)
A. tumefaciens
cell
(b)
S. lividans
hypha
Figure 8 T pilus-mediated attachment of Agrobacterium
tumefaciens to Streptomyces lividans. For clarity, a schematic
representation of the electron micrograph showing a coiled T
pilus linking the two microbes in (a) is shown in (b). Reproduced
from Lai EM and Kado CI (2000). Trends in Microbiology 8:
361–369, with permission from Elsevier Ltd.
(a) (c)
A
A
A
A
B
A
A
A
A
A
A
A
A
A
A
A
A
A
A
A
A
A
A
A
A
sec
sec
IM
OM
Periplasm
BB
B
G
EF
(b)
Figure 9 Curli assembly by an extracellular nucleation/precipitation pathway. (a) Electron micrographs of negatively stained
Escherichia coli expressing curli. (b) High-resolution electron micrograph, obtained using a deep-etch technique, of purified curli.
Photo courtesy of M. Chapman (Barnhart MM and Chapman MR (2006). Annual Review of Microbiology 60: 131–147), with
permission from Annual Reviews. (c) Model of curli assembly by the extracellular nucleation/precipitation pathway. CsgA, the main
component of curli from E. coli, is secreted across the outer membrane. CsgB serves to nucleate CsgA assembly. CsgG is an outer-
membrane-localized lipoprotein that is required for the secretion of CsgA and CsgB, although its function is not yet entirely clear.
CsgE and CsgF are periplasmic proteins that interact with CsgG at the outer membrane.
Pili, Fimbriae 875

previous sections. Whereas structures exemplified by P,
CS1, type IV, and F pili are assembled from the base,
curli formation occurs on the outer surface of the
bacterium by the precipitation of secreted soluble
pilin subunits into thin fibers (Figure 9). In E. coli,
the products of two divergently transcribed operons
are required for curli assembly. The csgBA operon
encodes the primary fiber-forming subunit, CsgA,
which is secreted as an unpolymerized protein directly
into the extracellular environment. The second protein
encoded by the csgBA operon, CsgB, is proposed to
induce polymerization of CsgA at the cell surface. In
support of this model, by interbacterial complementa-
tion it has been demonstrated that a CsgA
þ
CsgB-donor
strain can secrete CsgA subunits that can be assembled
into curli on the surface of a CsgA
–
CsgB
þ
-recipient
strain. In the absence of CsgA, overexpressed CsgB is
able to form short polymers on the bacterial cell
surface.
The csgDEFG operon encodes a gene for a transcrip-
tional activator of curli synthesis (CsgD), and three genes
encoding putative assembly factors. One of these factors,
CsgG, has recently been shown to be a lipoprotein that is
localized to the outer membrane. In the absence of CsgG,
curli assembly does not take place, and CsgA and CsgB are
rapidly degraded. The precise role of CsgG is not known at
this time. It has been suggested that CsgG might act as a
chaperone that facilitates the secretion of the CsgA and
CsgB and protects them from degradation within the peri-
plasm. It is also possible that CsgG assembles into
oligomeric, ring-shaped complexes that could function as
a Csg-specific channel within the outer membrane. It has
been reported that a strain lacking CsgE is defective in curli
assembly, as the stability of both CsgA and CsgB in this
mutant background is greatly reduced. Mutation of csgF
does not affect CsgA secretion, but CsgA made by csgF
mutants does not polymerize. Environmental factors such
as very low salt concentrations, nutrient limitation, micro-
aerophilic conditions, and temperatures below 30 Cfavor
maximal curli gene expression. RpoS, a stationary-phase
sigma factor; OmpR/EnvZ, a two-component regulatory
system; and IHF, a global regulatory protein all positively
regulate curli expression. Two other two-component reg-
ulatory systems, CpxA/R and Rcs, negatively regulate curli
expression. Interestingly, histone-like protein HN-S posi-
tively regulates curli expression in S. enterica ser.
Typhimurium, but negatively regulates it in E. coli.
Curli promote bacterial adherence to host cells and
tissues by binding to a variety of host proteins, including
plasminogen, fibronectin, and human contact phase
proteins. Interestingly, curli are recognized as a patho-
gen-associated molecular pattern by host Toll-like
receptor 2, a component of the innate immune system
that can recognize incoming pathogens and induce robust
proinflammatory responses. Curli are also involved in
bacterial colonization of inert surfaces, and have been
implicated in cell aggregation and biofilm formation.
Type III Secretion Pathway
The various pilus assembly pathways described in the pre-
vious sections all rely on components of the sec machinery
for the translocation of their respective pilus subunits across
the inner membrane. Other types of pili are assembled by a
sec-independent pathway known as the type III secretion
system (T3SS). The T3SS is encoded by numerous Gram-
negative pathogens and enables these bacteria to secrete and
inject pathogenic effector molecules into the cytosol of
eukaryotic host cells. About 20 gene products, most of
which are inner-membrane proteins, comprise the T3SS.
The components mediating type III secretion are conserved
inpathogensasdiverseasYersinia and Erwinia,butthe
secreted effector proteins vary significantly between species.
The T3SS apparatus, which appears to span the periplasmic
space, resembles the basal body of a flagellum connected to a
straight rod that extends across the outer membrane.
Interestingly, all T3SS encode some components with
homologies to proteins involved in flagellar assembly. The
secretion of proteins by the T3SS is an ATP-dependent
process that involves no distinct periplasmic intermediates.
Type III-secreted proteins of EPEC, the nodule-forming
strains of Rhizobium species and Sinorhizobium fredii,and
several plant pathogens including Pseudomonas syringae
pathovar tomato, Erwinia amylovora, R. solanacearum,and
Xanthomonas campestris have been shown to assemble into
pilus-like structures.
EPEC encodes four proteins, EspA, EspB, EspD, and Tir,
which are secreted by a type III pathway. These proteins
facilitate intimate contact between the pathogen and host
intestinal cells and are required for the formation of specific
(attaching and effacing) lesions. In 1998, Knutton and col-
leagues showed that one of these proteins, EspA, can
assemble into 10- to 12-nm-thick peritrichously expressed
pilus-like fibers that are organized into 50-nm-wide bun-
dlesandextendupto2mm from the bacterial surface
(Figures 10(a) and 10(b)). The assembly of these EspA
filaments requires several other components of the T3SS,
including an outer-membrane secretin called EscC, a type
III translocator protein EspD, the T3SS ATPase EscN, and
EscF, the major structural protein of the T3SS needle com-
plex. Coiled-coil interactions of EspA polypeptides lead to
the assembly of EspA filaments in a process similar to that of
flagellar assembly from flagellin subunits. During the infec-
tion process, the EspA fibers appear to mediate contact
between EPEC and the host cell surface before the estab-
lishment of more intimate bacterial attachment. The EspA
fibers seem to assist the translocation of EspB and other
effector molecules into host cells where they can subvert
host signal transduction pathways.
876 Pili, Fimbriae

In P. syringae and other plant pathogens, T3SS are
encoded by Hrp and Hcp (hrp conserved) genes. Hrp stands
for hypersensitive response and pathogenicity, reflective of
these genes’ roles in causing disease in susceptible plants and
eliciting the hypersensitive response (a rapid, localized host
cell death, which limits the spread of a pathogen) in resistant
plants. HrpA from P. syringae and E. amylovora, HrpE from
X. campestris,andHrpYfromR. solanacearum have all been
showntobeassembledinto6-to8-nm-wide,2-mm-long
peritrichously expressed pili (Figure 10(c)). These Hrp pili
subunits are small proteins (6–11 kDa) with significant var-
iation in their amino acid sequences, but their assembled pili
are remarkably consistent -helix-rich structures. Assembly
of Hrp pili contrasts against all other known pilus assembly
systems in that subunits are added at the tip, rather than at
the base, of the pilus. The Hrp secretion system is always
found at Hrp pilus assembly sites, suggesting that the pili act
as a conduit or guiding filament for the delivery of effector
proteins into host cells. Hrp pili might also be in involved in
the penetration of the host plant cell wall, perhaps by pore
formation or cell wall modification during effector delivery.
Pili in Gram-Positive Bacteria
Pili have been observed on a number of Gram-positive
bacteria, but to date their study is less advanced than that
of their Gram-negative counterparts. The best-defined
Gram-positive pili are made by Corynebacterium diphtheriae,
which carries at least three different types, designated
SpaA, D, and H after their major subunits. SpaA is con-
sidered the prototypical Gram-positive pilus type, and
most of the following information (and the model for
pilus assembly in Figure 11) is based on findings from
C. diphtheriae SpaA. It should be noted however that other
Corynebacterium spp., Actinomyces spp., and Streptococcus spp.
are believed to form pili in a similar manner. In addition,
Gram-positive species Arthrobacter photogonimos and
Ruminococcus albus are believed to assemble pili by a sepa-
rate mechanism(s) that has not yet been elucidated.
Pili on Gram-positive bacteria differ from Gram-
negative pili in several important ways. Most notably, while
the subunits of Gram-negative pili are held together by
noncovalent attachments, Gram-positive pilin subunits
attach to each other, and to cell wall peptidoglycan, by
covalent bonds. Sortases – transpeptidases named for their
role in ‘sorting’ proteins to the cell wall fraction – are required
for the formation of these covalent bonds. The SpaA, D, and
H pili in C. diphtheriae are named for this requirement, where
spa stands for sortase-mediated pilus assembly.
Like many Gram-negative pilins, Gram-positive pilus
subunits carry N-terminal signal peptide sequences that
target them for secretion through the cell membrane by
the sec machinery. Spa-like pilins also carry crucial resi-
dues at the C-terminus: a cell wall-sorting pentapaptide
(usually LPXTG), a hydrophobic region of 30–40 amino
acids, and a positively charged tail. Upon translocation by
the sec machinery, the pilin’s hydrophobic region is
inserted into the membrane, and held in place by the
charged tail. Membrane-associated sortases then cleave
the subunit’s recognition peptide, leaving the C-terminus
embedded in the membrane while the body of the pilin is
attached to the enzyme to form an acyl-enzyme inter-
mediate. Nucleophilic attack by an amino group – on
either a peptidoglycan precursor (for joining to the cell
wall) or another pilin subunit (for pilus growth) – releases
the pilin from the sortase enzyme. This process is
depicted in Figure 11.
Spa pili in C. diphtheriae are thin fiber-like structures,
2–6 nm in diameter and 0.2–3 mm long. Each pilus is
composed primarily of its major subunit, although some
also include a tip subunit and other minor subunits along
the shaft that are not required for pilus synthesis or
integrity. Major pilus subunits contain a conserved pilin
Figure 10 Pili assembled by a type III secretion pathway. (a) Scanning electron micrograph of EPEC elaborating 50-nm-thick
bundles of pili containing EspA, a protein exported by a type III secretion pathway. The individual 6- to 8-nm-thick pili comprising the
bundles are not resolved in this micrograph. Reproduced from Knutton S, Rosenshine I, Pallen MJ, Nisan I, Neves BC, Bain C, Wolff C,
Dougan G, and Frankel G (1998). The EMBO Journal 17: 2166–2176, with permission from Oxford University Press. (b) Three-
dimensional reconstruction of EspA filaments showing a tilted side view (left) and cut-away side view (right) revealing a central channel.
Reproduced from Daniell SJ, Kocsis E, Morris E, Knutton S, Booy FP, and Frankel G (2003). MolecularMicrobiology 49: 301–308, with
permission from Blackwell Publishing. (c) Electron micrographs of negatively stained Pseudomonas syringae expressing Hrp pili (about
8 nm in diameter) and flagella (about 15 nm in diameter). Photo provided by S. Y. He. Reproduced from He SY and Jin Q (2003).
Current Opinion in Microbiology 6: 15–19), with permission from Elsiever Ltd.
Pili, Fimbriae 877

motif, which is believed to mediate release of the previous
pilin from its sortase by nucleophilic attack. The absence
of this motif in tip subunit SpaC may account for its tip-
only localization, as it is able to attach to another subunit
at only one site rather than two. Minor subunit SpaB also
lacks the pilin motif, but is found intermittently along the
length of the pilus. The role and mechanism of incorpora-
tion for minor subunit SpaB have not yet been defined.
Each of the three Spa pilus types in C. diphtheriae has its
own gene cluster, encoding one major subunit, two minor
subunits, and one or two sortase-like transpeptidases.
C. diphtheriae encodes six sortase (srt) homologues in all,
five of which are within predicted pilus gene clusters.
SrtA, which is adjacent to SpaABC, is required for assembly
of SpaA pili. The SpaD pilus gene cluster includes both
SrtB and SrtC, and either of these sortases is sufficient for
SpaD pilus assembly. SrtF, which is not linked to a pilus,
is likely a ‘housekeeping’ sortase, responsible for anchor-
ing a variety of LPXTG motif-containing proteins in the
cell wall. SrtF is also required for firm attachment of SpaA
pili, indicating that its cell wall-anchoring activity may be
important for pilins as well as for nonpilin proteins.
Because SrtA seems to have limited efficiency in attach-
ing pilins to the cell wall, it has been argued that the term
sortase is a misnomer, and that SrtA should instead be
referred to as a pilin polymerase. Further research will be
required to establish the exact roles of the sortase-like
transpeptidases in pilus assembly and attachment.
As in Gram-negative bacteria, pili play a vital role in
mediating attachment of Gram-positive bacteria to target
surfaces and tissues, and thus also in pathogenesis. The
dental pathogen Actinomyces naeslundii uses two different
types of pili: one promotes colonization by adhering to
saliva-coated tooth enamel and the other mediates attach-
mentandinteractionswithbothmammaliancellsandother
bacteria, potentially promoting both infection and biofilm
formation. S. pneumoniae lacking pili show impaired adher-
ence to lung epithelial cells, and are less virulent than their
wild-type counterparts in direct competition. Recent work
in clinically important group A and group B Streptococcus
strains has shown that pili can be effective vaccine candi-
dates for Gram-positive pathogens. Given these clinical
implications, one may expect an increase in research on
Gram-positive bacterial pili in the coming years.
sec
sec
tip
tip
tip
tip
tip
shaft
shaft
shaft
sortase
NH
O=C
Cell wall
Membrane
Cytoplasm
sortase
shaft
shaft
shaftshaftshaftshaft
LPXTG +
+
LPXTG +
+
+
+
LPXTG
LPXTG +
LPXTG +
LPXT
LPXT
LPXTG
NH2
NH2
Figure 11 Generalized model of pilus assembly in Gram-positive bacteria. SpaA pili are composed of three types of pilins: SpaA,
which forms most of the pilus shaft; SpaB, a minor subunit of unknown function not included in this schematic diagram; and SpaC,
which is found at the pilus tip. Other Spa-like pili have similar components. The tip protein is probably the first pilin to be
incorporated into a new pilus. Upon translocation by the sec machinery (mediated by an N-terminal secretion signal), a pilin’s
hydrophobic region is inserted into the membrane and held in place by a positively charged tail. A membrane-associated sortase
then cleaves the subunit’s recognition peptide (usually LPXTG), leaving the C-terminus embedded in the membrane while the main body
of the pilin is attached to the enzyme to form an acyl-enzyme intermediate. Nucleophilic attack by an amino group on another pilin
forms a peptide bond between subunits, leading to growth of the nascent pilus. The pilus is covalently attached to the cell wall
through nucleophilic attack by an amino group on a peptidoglycan precursor, probably via a separate housekeeping sortase.
Reproduced from Ton-That H and Schneewind O (2004). Trends in Microbiology 12: 228–234, with permission from Elsiever Ltd.
878 Pili, Fimbriae

Regulation of Pilus Biogenesis
Pilus biogenesis, in general, is a tightly regulated process.
Ideally, the costs in energy and other resources required
for pilus assembly must be balanced with potential bene-
fits that pilus expression might provide a bacterium. For
example, by producing pili in a nutritionally poor envir-
onment, a bacterium will tax its available resources, but
with pili the same bacterium may be able to gain access to
a more favorable location. Pathogenic and other bacteria
must also control pilus expression, in some cases, to avoid
attachment to unfavorable sites (tissues) within their
hosts. Furthermore, pathogenic bacteria may need to
modulate pilus expression to escape detection by the
host immune system. Whether or not a bacterium
expresses pili is greatly affected by environmental factors.
Changes in temperature, osmolarity, pH, oxygen tension,
carbon source, and nutrient availability may either
increase or decrease pilus expression. The presence of
iron, aliphatic amino acids, and electron acceptors other
than oxygen may also influence the expression of pili. A
combination of these environmental cues can stimulate
(or repress) pilus synthesis and alter the expression of a
number of other factors, all of which can influence the
tropism of bacteria for specific niches within the environ-
ment or within host organisms.
Environmental signals affect pilus biogenesis through
global regulator proteins that can modify the transcription
of pilus genes. Various global regulators have been identified
and include H-NS, a DNA-binding histone-like protein that
often mediates temperature regulation of pilus synthesis.
H-NS appears to alter DNA topology and typically func-
tions as a negative regulator. Regulation by carbon source
can occur through the catabolite activator protein (CAP),
whereas the leucine-responsive regulatory protein (Lrp) can
modulate pilus expression in response to aliphatic amino
acids. The CAP and Lrp regulators can control sets of pilus
operons, enabling the expression of different types of pili to
be coordinated and integrated with the metabolic state of the
bacterial cells. In addition to these and other global regula-
tors, specific regulator proteins encoded by genes within
some pilus operons may also modulate pilus biogenesis.
Multiple regulatory factors can act upon the same promoter
region, switching pilus gene expression from on to off and
vice versa. This on and off switching, known as phase varia-
tion, can also be modulated by the methylation status of a
promoter region and by the inversion of sequence elements
within a promoter. Extracytoplasmic and cytoplasmic stress
response pathways also appear to be involved in regulation
of the assembly and function of a large number of different
pilus types. In keeping with the vast array of niches filled by
bacteria and the different environments to which they must
adapt, regulation of pilus biogenesis is highly complex, and
mayvarywidelyamongstrains.
Role of Pili in Disease Processes
The expression of pili can have substantial impact on the
establishment and persistence of pathogenic bacteria
within both plant and animal hosts. For many bacterial
pathogens, adhesive pili play a key role in the coloniza-
tion of host tissues. Uropathogenic E. coli, for example,
require type 1 to effectively colonize the bladder epithe-
lium. These pili attach to conserved, mannose-containing
host receptors expressed by the bladder epithelium and
help prevent the bacteria from being washed from the
body with the flow of urine. Type 1 also mediate invasion
of bladder cells, and can promote bacterial survival by
modulating the host immune response. For example,
P pili may serve a similar function in the kidneys, pre-
venting the clearance of pyelonephritic E. coli from the
upper urinary tract and allowing the establishment of an
infection. Enteric pathogens produce a wide variety of
adhesive pili that facilitate bacterial colonization of the
intestinal tract. These include the K88, K99, and 987P pili
made by ETEC strains, the long polar fimbria and plas-
mid-encoded fimbria of S. enterica ser. Typhimurium, the
subclass of Afa/Dr adhesins, including F1845, Dr and Afa-
3 fimbriae of E. coli, and aggregative adherence fimbria
(AAF) of enteroaggregative E. coli. In the small intestine,
toxin coregulated pili (TCP) are essential for the attach-
ment of V. cholera to gut epithelial cells. These pili also act
as receptors for the cholera toxin phage (CTX), a lyso-
genic phage that encodes the two subunits of the cholera
toxin. This phage, with its encoded toxin, is transferred
between V. cholera strains via interactions with TCP
within the small intestine. Other pili also function in the
acquisition of virulence factors. The uptake of DNA
facilitated by type IV pili and DNA transfer directed by
conjugative pili can provide pathogens with accessory
genes, enabling them to synthesize a wider repertoire of
virulence factors and giving them resistance to a greater
number of antibiotics. Biofilm formation, which in some
cases appears to require pili such as type 1, type IV, or
curli, can also increase the resistance of bacteria to anti-
biotic treatments and may aid bacterial colonization of
tissues and medical implants.
Pili are not necessarily static organelles, and dynamic
alterations of pilus structures during the infection process
may influence the pathogenicity of piliated bacteria. For
example, electron microscopic studies of mouse bladders
infected with type 1-piliated uropathogenic E. coli showed
that the pili mediating bacterial adherence to the bladder
epithelial cells were 10–20 times shorter than typical
type 1. It is possible that the shorter type 1 observed are
the result of pilus retraction, compact coiling, or breakage
during the infection process. The shortening of pili may
provide a means for reeling bacteria in toward their target
host cells, allowing the bacteria to make intimate contact
Pili, Fimbriae 879

with the host after initial attachment at a distance. Within
the gut, type IVb pili (BFP) promote autoaggregation and
microcolony formation in EPEC strains, a phenomenon
that facilitates the adherence of EPEC to the intestinal
epithelium. After initial attachment, an energy-dependent
conformational change in the quaternary structure of BFP
appears to be needed for the further dispersal of EPEC
over human intestinal cells and for the full virulence of this
pathogen.
During the infection process, adhesive pili are often
situated at the interface between host and pathogen where
they can potentially mediate cross-talk between the two
organisms. Pilus attachment to the receptor of a host
eukaryotic cell may induce a number of host signal trans-
duction pathways, potentially leading to cytoskeleton
rearrangements, membrane ruffling, and pathogen inter-
nalization. For example, binding of the type IVa pili of
Neisseria to host receptors (probably CD46) on target
epithelial cells has been shown to stimulate the release
of intracellular Ca
2þ
stores, a signal known to control a
multitude of eukaryotic cellular responses. Likewise, the
attachment of P pili to Gal(1–4)Gal-containing host
receptors on target uroepithelial cells can trigger the
intracellular release of ceramides, important second mes-
senger molecules that are capable of activating a variety
of protein kinases and phosphatases involved in signal
transduction processes. The signals induced within uroe-
pithelial cells on binding of P-piliated bacteria eventually
result in the secretion of several immunoregulatory cyto-
kines. Binding of type 1-piliated bacteria to mannosylated
receptors on uroepithelial cells can similarly induce the
release of cytokines, although apparently through differ-
ent signaling pathways than those stimulated by P pilus
binding. It has also been suggested that pili can transduce
signals into bacterial cell, although this reported phenom-
enon requires further investigation and verification.
Continued research into the biogenesis, structure, and
function of pili not only promises to advance our basic
understanding of the role of these organelles in patho-
genic processes but may also aid the development of new-
generation antimicrobial therapeutics and vaccines.
Indeed, over the last decade, a tremendous amount of
effort has been directed toward the development of pili-
based vaccines and small molecule inhibitors called pili-
cides that can interfere with pilus assembly. At a time
when the number of antibiotic-resistant bacterial strains is
on the rise, effective pili-based vaccines and pilicides
promise to be especially useful tools in combating bacter-
ial infections.
Further Reading
Aberg V and Almqvist F (2007) Pilicides – small molecules targeting
bacterial virulence. Organic and Biomolecular Chemistry
5: 1827–1834.
Abraham SN, Jonsson A-B, and Normark S (1998) Fimbria-
mediated host-pathogen cross-talk. Current Opinion in
Microbiology 1: 75–81.
Barnhart MM and Chapman MR (2006) Curli biogenesis and function.
Annual Review of Microbiology 60: 131–147.
Craig L, Pique ME, and Tainer JA (2004) Type IV pilus structure and
bacterial pathogenicity. Nature Reviews Microbiology
2: 363–378.
Dodson KW, Jacob-Dubuisson F, Striker RT, and Hultgren SJ (1997)
Assembly of adhesive virulence-associated pili in Gram-negative
bacteria. In: Sussman M (ed.) Escherichia coli: Mechanisms of
Virulence,, pp. 213–236. Cambridge: Cambridge University Press.
Edwards RA and Puente JL (1998) Fimbrial expression in enteric
bacteria: a critical step in intestinal pathogenesis. Trends in
Microbiology 6: 282–287.
He SY and Jin Q (2003) The hrp pilus: Learning from flagella. Current
Opinion in Microbiology 6: 15–19.
Hultgren SJ, Jones CH, and Normark S (1996) Bacterial adhesins and
their assembly. In: Neidhardt FC (ed.) Escherichia coli and
Salmonella, vol. 2, pp. 2730–2756. Washington, DC: ASM Press.
Klemm P (ed.) (1994) Fimbria: Adhesion, Genetics, Biogenesis, and
Vaccines. Boca Raton, FL: CRC Press.
Low D, Braaten B, and van der Woude M (1996) Fimbriae.
In: Neidhardt FC (ed.) Escherichia coli and Salmonella, vol. 1,
pp. 146–157. Washington, DC: ASM Press.
Sakellaris H and Scott JR (1998) New tools in an old trade: CS1 pilus
morphogenesis. Molecular Microbiology 30: 681–687.
Scott JR and Zahner D (2006) Pili with strong attachments: Gram-
positive bacteria do it differently. Molecular Microbiology
62: 320–330.
Silverman PM (1997) Towards a structural biology of bacterial
conjugation. Molecular Microbiology 23: 423–429.
Zupan JR, Ward D, and Zambryski P (1998) Assembly of the VirB
transport complex for DNA transfer from Agrobacterium tumefaciens
to plant cells. Current Opinion in Microbiology 1: 649–655.
880 Pili, Fimbriae

Plant Pathogens and Disease: General Introduction
G N Agrios, University of Florida, Gainesville, FL, USA
ª2009 Elsevier Inc. All rights reserved.
Defining Statement
Introduction: Causes of Disease in Plants
Pathogens that Cause Disease in Plants
Interactions of Pathogens, Plants, and Humans
Conclusion
Further Reading
Glossary
disease cycle The chain of events involved in the life
cycle of a pathogen and in the development of the
disease caused by this pathogen.
effectors Proteins produced by pathogens that act to
suppress the defenses of the plant basal immune system
but in some cases trigger the defenses of the host plant.
elicitor A molecule coded by a gene for avirulence of a
pathogen, which, upon contact with the receptor
molecule of the corresponding plant gene for resistance,
triggers the defense reaction of the plant that keeps it
resistant to the pathogen.
haustoria Feeding organs of some fungi and parasitic
higher plants that enter the host tissues and absorb
nutrients from host cells.
life cycle The stages in the growth and development of
an organism that occur between two successive
occurrences of the same stage, for example, sporulation
of the organism.
monopartite A virus whose each particle contains the
total nucleic acid of the virus.
parenchyma Plant tissue consisting of thin-walled cells
with intercellular spaces between them and synthesize
or store foodstuffs.
phloem Tubelike cells of the plant conductive system
that carry sugar and other organic molecules from
leaves to other parts of the plant.
sporulate Produce spores.
transgenic An individual that has been transformed
with and carries genes obtained from other organisms
and are expressed by these organisms.
vector A specific insect, fungus, nematode, and so on,
that can acquire and transmit a specific pathogen from
an infected to a healthy host plant.
virulence Relative ability of a pathogen to cause
disease on a given host plant.
Abbreviations
DPM Doctor of Plant Medicine
HR hypersensitive response
TMV tobacco mosaic virus
Defining Statement
Plant pathogens are mostly microorganisms, such as bac-
teria, viruses, fungi, nematodes, and protozoa, and some
parasitic plants and algae. They attack plants, obtain
nutrients, and cause disease by releasing enzymes, toxins,
and so on. Successful infections depend on the interaction
of appropriate genes present in pathogens and in plants.
Plant diseases cause financial losses, hunger and famines,
food poisoning, and extinction of plant species.
Introduction: Causes of Disease in Plants
Plants, like humans and animals, are injured or damaged by
abiotic, that is, environmental, factor, and by biotic ones,
such as various pests, for example, insects, and by diseases
caused by pathogens (Figure 1). In all organisms, diseases
and injury are caused by internal or external abiotic, that is,
environmental factors, such as nutritional deficiencies,
freezing temperatures, droughts, floods, pollution, and so
on. (Figure 2), or by pathogens. Although abiotic factors
may cause damage to plants over extensive areas, they differ
from pathogens in that they (1) do not multiply and (2) do
not spread from plant to plant. As a result, abiotic factors,
although they cause damage to plants, do so much less
frequently than plant pathogens, they are unpredictable
and, usually, are easy to diagnose but difficult to control.
Pathogens that Cause Disease in Plants
Pathogens are living entities, mostly certain microorganisms,
such as certain fungi, prokaryotes such as bacteria and
881

mollicutes, viruses, protozoa, nematodes, and so on, which
can attack other organisms and cause disease. In addition to
these pathogens, diseases in plants can also be caused by
several plants that parasitize other plants, and by some para-
sitic green algae. However, parasitic plants and parasitic algae
cause only a few important diseases to plants. Furthermore,
many pests, such as aphids, mites, and other microorganisms,
cause injury in plants closely resembling disease, as does the
pressure for food and water, and for space, brought on by
numerous weeds. The vast majority of diseases in plants are
caused by the same groups of pathogenic microorganisms as
those that cause disease in animals and humans.
Plant pathogens vary considerably in size (Figures 3
and 4), shape, and method of multiplication (Figure 4).
Proteins synthesized
Protein
s
y
nthesized
Uptake of water
and minerals
Sugars and nitrogen
form amino acids
Photosynthesis
(food manufacture)
Vitamins and
hormones formed
Reproduction and
storage of strach,
protiens, and fats
Transpiration
Carbon
dioxide
Food
translocation
Tanslocation
of water
and minerals
Vascular wilt
Crown gall
Wilt
Leaf spot
Canker
Root rot
Light
Fruit rot
Fruit spot
Leaf blight
Shoot blight
Figure 1 Typical plant of which the left half is showing the basic functions of its main organs, whereas the right half is showing the
various symptoms of infection by pathogens and their interference with the basic functions. Modified from Agrios GN (2005) Plant
Pathology, 5th edn., p. 6. Burlington, MA: Elsevier/Academic Press.
882 Plant Pathogens and Disease: General Introduction

Like all pathogens, those affecting plants vary consider-
ably in host specificity. Some pathogens are able to infect
all or most plants belonging to one species, to a genus, or
to several plant families, whereas other pathogens can
infect only one or a few varieties within one plant species.
Plant pathogens cause disease in plants by entering and
invading plant tissues and by absorbing food stuffs from
the host cells for their own growth, multiplication, and
spread. By entering the plant, pathogens disturb the struc-
tural integrity and the metabolism of plant cells and tissues
through enzymes, toxins, growth regulators, and other
active substances they secrete (Figure 5). Some pathogens
may also cause disease by growing and multiplying in the
xylem and phloem vessels of plants, thereby blocking the
upward movement of water and minerals and the down-
ward translocation of sugars (Figures 1 and 5).
Plants infected with pathogens develop a variety of
symptoms, such as necrotic spots on leaves, stems, fruit,
and roots; blights, that is, the sudden death of leaves and
young shoots; cankers, that is, necrotic patches of bark and
under-the-bark tissues of branches and trunks; vascular
wilts due to blockage by the pathogen of xylem vessels;
rots of roots, stems, and fruit; galls on stems or roots; pro-
liferation, that is, excessive branching of shoots and roots;
mosaics; stunting; decline; and death of branches or entire
plants. Symptoms vary considerably depending on the kind
of pathogens that cause them, and they may vary in sever-
ity, ranging from insignificant to death of the entire plant. It
has been estimated that plant pathogens are responsible for
a 16% loss of the attainable annual world crop production,
estimated at 1.2–1.3 trillion dollars.
Fungi
It is estimated that there are approximately 1.5 million
species of fungi on earth, of which 70 000 species are
(a) (b)
(c) (d)
(e) (f)
Figure 2 Symptoms of plants and plant organs showing the effect of abiotic factors on plants. (a) Effect of freezing
temperatures on the trunk of apple tree. (b) Young barley plants show yellowing and dieback of leaf tips caused by nitrogen
(N) deficiency. (c) Young pear fruit showing symptoms of boron deficiency. (d) Tomato fruit showing symptoms of calcium
deficiency. (e) Tobacco leaf showing typical symptoms of ozone injury. (f). Citrus seedlings showing yellowing, stunting, and
some have been killed by improper fumigation with pesticides. Photos: (a), (b), and (e) courtesy of USDA; (d), Clemson
University; (f), JH Graham, University of Florida. Reproduced from Agrios GN (2005) Plant Pathology, 5th edn. Burlington,
MA: Elsevier/Academic Press, (a) p. 362, (b) p. 374, (c) p. 376, (e) p. 370, (f) p. 319.
Plant Pathogens and Disease: General Introduction 883

known and have been studied. Fungi comprise the king-
dom Fungi and constitute an independent group of
organisms of equal rank to that of plants and animals.
Most pathogens of plants are fungi. They cause the
majority (approximately 70%) of all plant diseases. More
than 10 000 species of the known 70 000 fungal species can
cause disease in plants. Fungi are eukaryotic organisms
with one or more chromosomes of DNA contained in
well-organized nuclei. Fungal cells, however, contain
only one copy of each type of chromosome (haploid),
whereas in most eukaryotes the nuclei are diploid, con-
taining two copies of chromosomes. Fungal cell walls
contain chitin and glucans.
Some of the plant pathogenic fungi are biotrophs
(obligate parasites) because they can grow and multiply
only by remaining in constant association with their living
host plants. Other pathogenic fungi are nonobligate para-
sites that either require a living host plant for part of their
life cycles, but are able to complete their cycles on dead
organic matter, or are able to grow and multiply on dead
organic matter (necrotrophs) as well as on living plants.
The vast majority of fungi provide an indispensable
service to humanity and the world, by decomposing the
vast amounts of plant, especially wood, and animal tissue
produced and dying each year. A number of plant patho-
genic fungi, such as Penicillium, produce penicillin and other
antibiotics useful to humans and domestic animals. In addi-
tion, several fungi, such as Trichoderma, species of Aspergillus,
and so on, provide various levels of commercially used
biological control of soilborne plant pathogenic fungi.
Fungus
(mycelium)
Head of
nematode
5 μ
4
3
2
1
0
Protozoon
Beet yellows virus
Tabacco mosaic virus
Wheat striate mosaic virus
Tobacco necrosis satellite virus
Hemoglobin molecule
Viroids
Cucumber mosaic virus
Nucleus
Bacterium
Cell wall
Mollicutes
Nucleolus
Figure 3 Morphology and ways of multiplication of some of the groups of plant pathogens. Reproduced from Agrios GN (2005) Plant
Pathology, 5th edn., p. 8. Burlington, MA: Elsevier/Academic Press.
884 Plant Pathogens and Disease: General Introduction

Figure 4 Schematic diagram, for comparison purposes only, of the shapes and sizes of certain plant pathogens in relation to a plant
cell. Note: Bacteria, mollicutes, and protozoa are not found in nucleated, living plant cells. Reproduced from Agrios GN (2005) Plant
Pathology, 5th edn., p. 7. Burlington, MA: Elsevier/Academic Press.
(b)
(a) (c)
Figure 5 Mechanisms that pathogens use to attack plants. (a) Certain enzymes, such as pectinases and cellulases, which break down
plant tissue. (b) Toxins, which kill plant cells, near or at a distance from the location of the pathogen on or in the plant. (c) Overgrowths
or galls, which results in infected cells producing or drawing nutrients used by the pathogen. Photo: (b) courtesy of RJ MacGovern,
Department of Plant Pathology, University of Florida. Reproduced from Agrios GN (2005) Plant Pathology, 5th edn. Burlington, MA:
Elsevier/Academic Press, (a) and (b) p. 51, (c) p. 663.

Plant pathogenic fungi
Many plant pathogenic fungi are famous for damaging or
eliminating plants from nature. This happened, for exam-
ple, with chestnut blight disease (Figures 6(a)–6(c)), caused
by the fungus Cryphonectria parasitica,which,withinabout20
years from the time (1904) the pathogen was brought to
North America, destroyed about 4 billion chestnut trees,
and almost completely eliminated and threatened with
extinction, the American chestnut in North America. A
similar direction of destruction, elimination, and possible
extinction of the American elm in North America has been
followed by the Dutch elm disease (Figures 6(d)–6(f)),
caused by the fungus Ophiostoma nova-ulmi; near elimination
of several species of red oak in the Northeastern United
States by the oak wilt fungus, Ceratocystis fagacearum;near
elimination of several oak species in the Pacific Coast states
by the recent outbreak of ‘oak sudden death’ disease caused
by the oomycete Phytophthora ramorum; and others. Certain
species of some fungi, for example, special forms of Fusarium
lycopersici, the cause of Fusarium vascular wilt in several
crops, for example, F. oxysporum f. sp. cubense,thecauseof
banana wilt (Panama disease). Once such pathogens are
introduced into a field, they become permanent inhabitants
of the field and destroy the plant they infect, in this case,
banana, for ever after.
A number of plant pathogenic fungi, such as Aspergillus,
Penicillium,Claviceps,Fusarium,Trichoderma,andsoon,pro-
duce, in plant seeds infected by these fungi, extremely
poisonous toxins, called mycotoxins (Figure 7), some of
which are the most potent carcinogens known. Every year, a
(b)
(a)
(d)
(c)
Figure 6 (Continued)
886 Plant Pathogens and Disease: General Introduction

number of these adversely affect humans and animals in
many parts of the world. On the other hand, many mycor-
rhizal fungi live symbiotically with the plants they infect
and seem to improve the resistance of the host plants to
other pathogens, whereas the endophytic fungi Epichloe
(Acremonium) and others, infecting many grasses, are poiso-
nous to animals that consume such grasses (Figure 7(c)).
Morphology: Shapes and sizes of fungi
Most fungi have a branching filamentous body called
mycelium (Figures 2, 3, and 8). Mycelium produces
numerous branches that grow outward in a radial fashion
and produces a colony (Figure 2). Each branch of the
mycelium, called a hypha, is tubular and generally is of
uniform thickness (1–5 mm in diameter). In some fungi,
the mycelium is more or less a continuous tube containing
many nuclei; in others, the mycelium is partitioned into
cells by cross-walls, called septa, with each cell containing
one or two nuclei. The length of the mycelium in some
fungi is only a few millimeters, whereas in others it may
be several centimeters long.
Reproduction
Fungi reproduce primarily by means of spores (Figures 4
and 8), which may consist of one or a few cells. In different
fungi, spores may form asexually, like buds on a twig, or
sexually, as the result of a sexual fertilization. Asexual
spores in some fungi are produced inside containers called
sporangia and such spores are called sporangiospores. In
some of these fungi, and in the oomycetes, the sporangios-
pores have flagella with which they can swim and are
therefore called zoosporangiospores or zoospores. In
most fungi, the asexual spores are called conidia and are
produced by the cutting off of terminal or lateral cells from
special hyphae called conidiophores. In some fungi, con-
idia and condiophores are produced naked on the
mycelium, whereas in others they are produced inside
thick-walled containers called pycnidia. Sexual reproduc-
tion occurs in most but apparently not all fungi. In sexual
reproduction, generally, two cells of similar or dissimilar
size and appearance fuse to produce a zygote. Depending
on the group of fungi, the zygote is produced and under-
goes meiosis inside a germinating zygospore (in
zygomycetes), an ascus (in ascomycetes), or a basidium
(e)
(f)
Figure 6 Two catastrophic diseases of trees, chestnut blight (Figures 6(a)–6(c)) and Dutch elm disease (Figures 6(d)–6(f)), are
caused by two different fungi that enter the vascular tissues of the trees and inhibit the passage of water to the tree branches.
(a) Chestnut blight disease, caused by the fungus Cryphonectria, has killed nearly all 4 billion American chestnut trees in the plant’s
natural range (a) with its spores spreading from diseased to healthy tree, infecting branches and the trunks of small trees, causing
cankers (b) on tree branches and small trunks, and blocking the passage of water beyond the canker. Multiple cankers on the tree
result in the death of the whole trees (c). Photos: (b) courtesy of WL MacDonald, West Virginia University; (c), RL Anderson, US Forest
Service. Reproduced from Agrios GN (2005) Plant Pathology, 5th edn. Burlington, MA: Elsevier/Academic Press, (a), (b), and (c) p. 33.
(b) Dutch elm disease, caused by the fungus Ophiostoma, has killed almost all American elm trees along streets of cities and towns in
North America and many of those growing in forests. The fungus spores, which spread from tree to tree by two small beetles, grow
inside and clog the xylem vessels of twigs and branches, which wilt (d), then the infected branches die (e) and soon after, whole trees
die (f). Photos: (d) courtesy of RJ Stipes; (e), R.L. Anderson; (f), EL Barnard, Florida Forest Service. Reproduced from Agrios GN
(2005) Plant Pathology, 5th edn. Burlington, MA: Elsevier/Academic Press, (d), (e), and (f) p. 34.
Plant Pathogens and Disease: General Introduction 887

(in basidiomycetes) (Figure 8). In some fungi, no sexual
spores have been found and these are known as deuter-
omycetes or imperfect fungi. Some appear to never
produce any kind of spores and are known as sterile fungi.
As a result of the different types of mycelium, spores,
and spore containers, each group of fungi follows a slightly
different life cycle reflecting these differences (Figures 8
and 9(a)). When the life cycle also incorporates and shows
the changes in the host plant, the sequence of events is then
called a disease cycle and is much more informative,
regarding the interaction of each pathogen with its host,
than the life cycle alone. Figure 9(b) shows a generalized
disease cycle applicable to any host–pathogen combination,
and lists primarily the events taking place in the fungus and
in the plant after the pathogen comes in contact with the
host plant. The primary disease cycle after overwintering
includes the sexual as well as asexual spores. In contrast,
secondary disease cycles develop from pathogens produced
from the primary inoculum and usually contain only or
mostly asexual spores. Figure 10 shows the symptoms and
most of the stages of the disease cycle of the potato late
blight disease caused by the oomycete Phytophthora infestans.
Figure 11 shows a fairly detailed disease cycle of the apple
scab disease caused by the ascomycete Venturia inaequalis,
Figure 12(a) shows the disease cycle, and Figures 12(b)
and 12(c) show the symptoms of stem rust of wheat, caused
by the basidiomycete Puccinia graminis.
Classification
The fungal pathogens of plants include some microorgan-
isms, the Myxomycota, Plasmodiophoromycota, and
Oomycota, that are now known not to be fungi but to
belong to different kingdoms of organisms. However,
these organisms are similar to fungi and they continue
to be studied along with the fungi and the diseases they
cause. The following is a sketchy classification of fungal
and fungal-like pathogens of plants.
Fungal-like organisms
Kingdom: Protozoa
Phylum: Myxomycota – produce a plasmodium
instead of mycelium; they are the surface slime molds.
Cause few plant diseases.
Phylum: Plasmodiophoromycota – cause endoparasitic
slime mold diseases. Cause a few diseases of importance,
for example, clubroot of cabbage.
Kingdom: Chromista
Phylum: Oomycota – produce mycelium that has no
cross-walls; their cell walls are composed of cellulose and
the amino acid hydroxyproline, not chitin; produce oospores
and zoospores; cause many root rots, seedling diseases, foliar
(b)(a)
(c)
Figure 7 (a) Head of rye plant showing sclerotia (ergots) of the fungus Claviceps purpurea. (b) Cracked corn kernels attacked by fungi
that produce mycotoxins. (c) Fluorescent mycelium of an endophytic fungus in a grass plant in which it produces mycotoxins. Photos:
(a) courtesy of IR Evans, Canada; (b), RW Stack, ND State University; (c), A DeLucca. Reproduced from Agrios GN (2005) Plant
Pathology, 5th edn. Burlington, MA: Elsevier/Academic Press, (a) p. 38, (b) and (c) p. 40.
888 Plant Pathogens and Disease: General Introduction

blights, and the downy mildews. They include the following
extremely important pathogens:
Pythium, the cause of many root, stem, and fruit rots.
Phytophthora, the cause of many blights, root and tuber
rots, and of cankers, declines, and death of many trees.
Plasmopara, the cause downy mildews.
The true fungi
Kingdom: Fungi
Phylum: Chytridiomycota – have round or limited
elongated nonseptate mycelium, restricted to the host
plant, and, alone among the fungi, produce motile zoos-
pores and survive as sporangia. Cause few plant diseases,
for example, wart of potato.
Phylum: Zygomycota – Order: Mucorales: no zoos-
pores; produce conidia in sporangia; mycelium nonseptate;
survive as zygospores; most are saprophytic but a few are
weak plant pathogens causing bread molds (Figure 13(b))
and fruit rots (Figures 3(b) and 3(c)) in storage.
Order: Glomales: Form vascular – arbuscular mycor-
rhizae within roots of host plants.
Phylum: Ascomycota – Recent, 2007, taxonomic studies
have placed most of the 32 000 species of Ascomycetes in
the subphylum Pezizomycotina. Under their new umbrella,
the species and genera are, of course, similar/identical to
Ascomycota, but the Pezizomycotina have septate hyphae,
the single septum having a single pore that divides the
hyphae into hyphal compartments or cells, and also have
Woronin bodies, which are specialized vesicles that seal the
septal pore in response to cellular damage. The Woronin
body consists of HEX-1 protein that self-assembles and
forms the solid form of the vesicle. The Pezizomycotina,
like all Ascomycetes, have mycelium that has cross-walls;
produce sexual spores (ascospores) within sacs (asci) (e.g.,
Figure 7) that are either naked or contained in fruiting
structures of different shapes, namely, cleistothecia, peri-
thecia, and apothecia; produce asexual spores (conidia) on
naked hyphae or in containers (pycnidia) or other struc-
tures; and they cause the most plant diseases (leaf, stem, and
fruit spots and blights, root rots, fruit rots, cankers, vascular
wilts, seed rots, etc.).
The new classification scheme rejects the previous taxa
of Discomycetes – apothecial fungi, Pyrenomycetes –
Figure 8 Representative spores and fruiting bodies of the fungal-like oomycetes and of the main groups of fungi. Reproduced from
Agrios GN (2005) Plant Pathology, 5th edn., p. 389. Burlington, MA: Elsevier/Academic Press.
Plant Pathogens and Disease: General Introduction 889

perithecial fungi, Plectomycetes – cleistothecial fungi, and
Loculoascomycetes – ascostromatal fungi. Instead they
recommend the use of 10, and possibly 12 taxa in place
of the 4 in the previous scheme. Because of the newness of
the new terminology and the fact that the literature has so
far used the old system, for the purpose of the audience of
this volume, we will continue to use the already estab-
lished scheme, with the exception of a few names, which
we will use here. So,
Pezizomycotina – have mycelium that has cross-
walls; produce sexual spores (ascospores) within sacs
(asci) (e.g., Figure 11) that are either naked or contained
(b)
(a)
Figure 9 (a) Schematic representation of the generalized life cycles of the main groups of plant pathogenic fungi. (b) Stages of
development of a disease cycle. Reproduced from Agrios GN (2005) Plant Pathology, 5th edn. Burlington, MA: Elsevier/Academic
Press, 8(a) p. 402, 8(b) p. 80.
890 Plant Pathogens and Disease: General Introduction

(a) (b)
(c)
Sporangium
Germination
Sporangiophore
on infected
seedling
Oospore
Karyogamy
Oogonium
Antheridium
Meiosis
Oogonium
Antheridium
Infected
tuber
Infected
plant
Mycelium
from tuber
infects
seedling
Sporangiophore
on infected tuber
(in spring)
Sporangiophore
on leaf
Infected leaf
Zoospores
infect tuber
Sporangium
Germ tube
Zoospores
Sporangium
Sporangium
Sporangia and
zoospores infect leaf
Sexual reproduction,
extremely rare in nature
(d)
Figure 10 Symptoms and the disease cycle of the late blight disease of potato caused by the oomycete Phytophthora infestans.
(a) Infected potato leaf showing fungal mycelium, sporangia, and sporangiophores. (b) Potato plant resistant to late blight looks almost
unaffected (right) compared to a susceptible potato plant which has been killed by the fungus. (c) Rotting of a potato tuber following
infection by the late blight. (d) Disease cycle of late blight of potato caused by the oomycete P. infestans. Photos: (a) and (d)
courtesy of PWeingarten, University of Florida; (b), Cornell University; (c), USDA. Reproduced from Agrios GN (2005) Plant Pathology,
5th edn. Burlington, MA: Elsevier/Academic Press, (a) p. 20, ((b) and (c)) p. 21, (d), p. 425.
Plant Pathogens and Disease: General Introduction 891

Figure 11 Disease cycle of apple scab disease caused by the ascomycete Venturia inaequalis. Reproduced from Agrios GN (2005)
Plant Pathology, 5th edn., p. 506. Burlington, MA: Elsevier/Academic Press.
(a) (b)
(c) (d)
Figure 12 Early (a) and later (b) stages of lettuce infection with the ascomycete Sclerotinia sclerotiorum that resulted in total loss of the
lettuce crop. (c) Strawberry and (d) tomato fruit showing, at first, lesions and later total rotting following infection of the fruit by the
ascomycete Colletotrichum as the fruits approach maturity. Photos: (a) and (b) courtesy of KV Subbarao, University of California,
Salinas; (c), L Legard; (d), RJ MacGovern, both University of Florida. Reproduced from Agrios GN (2005) Plant Pathology, 5th edn.
Burlington, MA: Elsevier/Academic Press, (a) and (b) p. 271, (c) p. 490, (d) p. 489.

in fruiting structures of different shapes, namely, cleis-
tothecia, perithecia, and apothecia; produce asexual
spores (conidia) on naked hyphae or in containers (pyc-
nidia) or other structures; cause most plant diseases (leaf,
stem, and fruit spots and blights, root rots, fruit rots,
cankers, vascular wilts, seed rots, etc.).
Important Plant Pathogenic Ascomycetes:
Taphrinales, causing peach leaf curl and plum pockets.
Erisyphales, causing powdery mildews.
Pyrenomycetes, Ascomycetes with perithecia or
cleistothecia.
Claviceps, causing ergot (Figure 7).
Gibberella (foot rot and stem rot, of corn), Epichloe,
Balansia, Adkinsonella: endophytic on grasses and
sedges apple (Figure 7(c)).
Glomerella (Colletotrichum sp.), causing many anthrac-
nose diseases (Figures 14(c) and 14(d)).
Ophiostoma, causing the Dutch elm disease (Figure 6).
Cryphonectria, causing chestnut blight (Figure 6).
Loculoascomycetes, causing Ascostromata. Asci within
locules (cavities).
V. inaequalis, causing apple scab (Figure 11).
Discomycetes, causing Ascomycetes with apothecia
Sclerotinia sclerotiorum, causing the white rot or watery
soft rot of vegetables (Figures 14(a) and 14(b)).
Athelia (Sclerotium)andThanatephorus (Rizoctonia), caus-
ing root and stem rots of vegetables and fleshy ornamentals
and soft rots of fleshy leaves and fruits.
Phylum: Basidiomycota – have mycelium, often with
binucleate cells, sexual spores (basidiospores) produced
externally on a clublike structure called a basidium;
some of them produce several types of spores and
spore-bearing structures, namely, basidiospores on basi-
dia, spermatia in spermagonia; aeciospores in aecia;
uredospores in uredia; and teliospoes in telia; rusts are
very serious diseases of grain (Figures 12(a)and12(b)),
of beans and soybeans, and other crops, and of trees.
Basidiomycetes also include the smuts of grain crops
(Figures 12(a)and12(b)), and the root rots, wood rots,
and decays of trees (Figures 12(c)–12(e)) and timber.
Ustilaginales (the smut fungi);
Ustilago, causing corn smut and loose smut of grains
(Figure 15(a)).
Tilletia, causing covered smut (Figure 15(b)) or bunt
of wheat, and Karnal bunt of wheat.
Uredinales (the rust fungi)
(a)
(c)
(b)
Figure 13 (a) Bread mold caused by the fungus Penicillium. (b) Strawberries rotted by the fungus Rhizopus. (c) Postharvest rotting
of tomatoes by different fungi. Photos: (b) and (c) courtesy of University of Florida. Reproduced from Agrios GN (2005) Plant Pathology,
5th edn. Burlington, MA: Elsevier/Academic Press, (a) p. 554, (b) p. 13, (c) p. 566.
Plant Pathogens and Disease: General Introduction 893

Puccinia, causing the devastating rust diseases of cereals, and
other plants. Cronartium, therustofpinetrees.Gymnosporangium,
the cedar-apple rust. Hemileia, the coffee rust.
Agaricales: The mushrooms; many are mycorrhizal
fungi, and many, for example, Armillaria, cause losses of
about 1 billion dollars in the United States every year.
Ceratobasidiales, causing root rots and decays of trees.
Aphyllophorales, causing wood rots and decays
(Figure 16).
Prokaryotes: Bacteria and Mollicutes
Approximately 100 species of bacteria and an unknown
number of mollicutes cause many severe diseases and
losses (Figures 17 and 18) in plants. Bacteria and molli-
cutes are prokaryotic organisms, that is, they do not have
organized nuclei bound by a membrane and their DNA is
organized as a single chromosome present in an area of
the cytoplasm called nucleoid. They also have circular
(a)
(b) (c)
Figure 14 (a) Disease cycle of stem rust of wheat caused by the basidiomycete Puccinia graminis. Notice the variety and sequence of
the spores and fruiting bodies, the secondary disease cycle at bottom center, and the need for two alternate hosts, wheat and
barberry. (b) Severe infection of wheat by the wheat stem rust fungus, (c) Empty, poor quality kernel from rust-infected wheat plant
(left), and wheat kernels from healthy plant. Photos: (b) courtesy of CIMMYT; (c), USDA. Reproduced from Agrios GN (2005) Plant
Pathology, 5th edn. Burlington, MA: Elsevier/Academic Press, (a) p. 570, (b) p. 13, (c) p. 566.
894 Plant Pathogens and Disease: General Introduction

pieces of DNA contained in plasmids and mitochondria.
Most plant pathogenic bacteria are necrotrophs, that is,
they are facultative saprophytes, and can be grown on
synthetic nutrient media, but survive and multiply best in
contact with their host plants. Some fastidious vascular
bacteria, however, survive in nature only inside their host
plants, in either the xylem vessels or the phloem sieve
tubes.
It is estimated that the plant pathogenic bacteria com-
prise between 30 and 100 species. Most plant pathogenic
bacteria are facultative parasites or necrotrophs and are
easy to grow on artificial media. Several, known as fasti-
dious bacteria, are difficult to grow on common nutrient
media but can be cultured on specialized complex media.
Most bacteria attack tissues at or near the surface of a host
plant but the fastidious bacteria grow in the xylem vessels
of the plant. The mollicute phytoplasmas and spiroplas-
mas, as well as some rather fastidious bacteria, grow only
in the phloem of the plant.
Plant pathogenic mollicutes also survive and multiply
in nature only inside the phloem sieve tubes of their
living hosts (Figure 19). Mollicutes of only one genus,
Spiroplasma, can be grown in culture; all others, usually
referred to as phytoplasmas, can be maintained but do not
multiply on nutrient media.
One rather common plant pathogenic bacterium,
Agrobacterium tumefaciens, which causes the crown gall dis-
ease (Figure 4(c)) in many plants but can survive freely in
(a) (b)
Figure 15 (a). Field symptoms of barley heads infected with loose smut fungus Ustilago. (b) Kernels of wheat infected with and
carrying teliospores of the cover smut fungus Tilletia compared with a few healthy whitish kernels. Photos: (a) courtesy of P Thomas;
(b), PE Lipps, Ohio State University. Reproduced from Agrios GN (2005) Plant Pathology, 5th edn. Burlington, MA: Elsevier/Academic
Press, (a) and (b) p. 12.
(a) (b) (c)
Figure 16 Three stages or types of rotting and decay of trees by wood rotting fungi. Photos: (a) and (c) courtesy of EL Barnard, Florida
Department of Agriculture and Forestry; (b), University of Florida. Reproduced from Agrios GN (2005) Plant Pathology, 5th edn.
Burlington, MA: Elsevier/Academic Press, (a) p. 608, (b) p. 607, (c) p. 609.
Plant Pathogens and Disease: General Introduction 895

(a) (b)
(c)
(d)
(e)
Figure 17 (a) Typical rod-shaped plant pathogenic bacteria. (b) Bacterium with peritrichous flagella. (c) Mollicutes in a phloem vessel.
(d) A grapevine with scorched leaves caused by the xylem-limited bacterium Xylella. Photos: (a) courtesy of Roos and Hatting, The
Netherlands; (b), Oregon State University; (c), JE Worley, USDA; (d), DL Hopkins, University of Florida; (e), E Alves, Federal University,
Lavras, Brazil. Reproduced from Agrios GN (2005) Plant Pathology, 5th edn. Burlington, MA: Elsevier/Academic Press, (b) p. 645,
(c) p. 9, (d) p. 680, (e) p. 681.
896 Plant Pathogens and Disease: General Introduction

the soil for more than a year after infection, has been
proven to be a natural genetic engineer and the bacterium
and its purified DNA have been used to multiply and to
transfer DNA from some plants and other organisms into
particular plants. This was and still is one of the most
important steps and contributions of plant pathology to
the huge development of genetic engineering of plants
and of plant biotechnology.
Morphology
Most plant pathogenic bacteria are rod-shaped, consider-
ably smaller than fungi (Figures 4,17, and 19), ranging
from 0.5–1.0 mm in diameter to 0.6–3.5 mm in length. In
some bacteria, and in older cultures, the bacteria may be
longer and they may be branched. Bacteria of the genus
Streptomyces are filamentous. Most species of bacteria have
one or more flagella that can be found at the polar ends or
cover the entire surface of the bacteria (Figure 19(b)).
Although bacterial cells are contained by a cell wall,
which gives them the typical rod shape, plant pathogenic
mollicutes lack a cell wall and thereby take on a shape
that is spherical, tubular, or polymorphic (Figures 3,4,
and 17).
Reproduction
Plant pathogenic bacteria and mollicutes reproduce
asexually by fission. That is, following the replication of
the DNA in the bacterium, the cell wall of the bacterium
also divides, separating the two halves of the bacterium
into two new identical bacteria (Figure 2). Any plasmids
present in the bacterium replicate independent of the
chromosomal DNA, but may code for proteins that play
an important role in the development of disease. Although
bacteria do not have a typical sexual reproduction,
genetic change in their DNA is introduced by conjugation
of two identical or different bacteria, during which seg-
ments of the DNA from one bacterium are transferred to
the other bacterium; by bacteria-infecting viruses (bacter-
iophage); and most commonly by mutation, that is,
mistakes that occur during replication of the DNA.
Classification of plant pathogenic bacteria and
mollicutes
Because most bacteria lack distinctive morphological
characteristics, their taxonomy and names are less
stable than in other organisms. Scientists, however,
have developed an array of diagnostic techniques for
Figure 18 (a) Relative morphology of the most important genera of plant pathogenic bacteria and the symptoms they cause on their
host plants. Reproduced from Agrios GN (2005) Plant Pathology, 5th edn., p. 620. Burlington, MA: Elsevier/Academic Press.
Plant Pathogens and Disease: General Introduction 897

bacteria, including serological and molecular techniques
that are very effective in bacterial taxonomy and
classification.
The most common prokaryotic pathogens of plants
can be classified approximately as shown below. The
shapes of the bacteria and the kinds of plant symptoms
caused by most important bacteria are shown in Figures
5and 18.
Kingdom: Prokaryotae
Bacteria: Have a cell membrane and a cell wall.
Gram-negative bacteria
Family: Enterobacteriaceae. Selected important genera.
Erwinia – causing fire blight of apples and pears, nur-
sery stock, vascular wilts, and soft rots of fleshy fruits,
vegetables, and ornamentals (Figure 17(b)).
Pseudomonas – causing numerous leaf spots, blights,
wilts, and so on. (Figure 17(a)).
Ralstonia – causes wilt of solanaceous crops.
Xanthomonas – causes leaf spots, blights, and citrus
canker.
Family: Rhizobiaceae
Genus: Agrobacterium, A. tumefaciens (Figure 5(c)) caus-
ing the crown gall disease.
Family: Still unknown;
(d)
(a)
(b)
(c)
Figure 19 (a) A young apple orchard destroyed by fire blight caused by the bacterium Erwinia amylovora. (b) Infected apple fruit
exuding droplets of fire blight bacteria. (c). Bacterial soft rot of vegetables, for example, cabbage, caused by at least three species of
bacteria. (d) Symptoms of citrus canker on a young stem. Photos: (a) and (b) courtesy of T Van Der Zwet, USDA; (c), Department of Plant
Pathology, University of Florida; (d), Division of Plant Industry, Florida Department of Agriculture. Reproduced from Agrios GN (2005)
Plant Pathology, 5th edn. Burlington, MA: Elsevier/Academic Press, (a) p. 644, (b) p. 645, (c) p. 658, (d) p. 673.
898 Plant Pathogens and Disease: General Introduction

Genus: Xylella fastidiosa. Xylem - inhabiting, causing
leaf scorch and dieback in trees (Figures 17(c)–17(e).
Gram-positive bacteria
Genus: Clavibacter – causing bacterial wilts in alfalfa,
potato, and tomato.
Genus: Streptomyces sp. – causing the common scab of
potato. Antibiotics.
Mollicutes: Have cell membrane but not cell wall
Family: Still unknown
Genus: Phytoplasma (Figure 17(c)), causes numerous
yellows, proliferation, and decline diseases in trees and
some annuals.
Family: Spiroplasmataceae
Genus: Spiroplasma, causes corn stunt, citrus stubborn
disease.
Viruses and Viroids
More than 2000 viruses causing disease in plants have been
identified and their properties have been studied. Viruses
are the smallest and simplest pathogens. Although viroids
are much smaller and simpler than even viruses (Figures 20
and 21), the ability of viroids and viruses to cause disease
and losses from disease is second only to those of fungal
pathogens. Plant viruses cause a wide variety of symptoms
on the plants they infect. When plants infected with the
virus are more or less resistant to the virus, they may limit
the spread of the virus and produce numerous small local
lesions (Figure 21(a)), which, usually, but not always, keep
the virus limited to the lesions and do not allow it to spread
systemically through the plant and cause systemic symp-
toms. When the plant is susceptible to the virus and
becomes infected, the virus may spread internally through
parts of, or more commonly throughout, the plant and the
plant then develops symptoms appearing as leaf mosaic
(Figures 21(c)and21(d)),asnecroticleavesandpoor
growth of the plant, as internal necrotic veins
(Figure 21(i)), as yellowing of leaves and severe stunting
of the plant (Figures 21(f)and21(h)), as ringlike or amor-
phous, discolored, bumpy or necrotic patches on fruit and
seeds (Figure 21(g)), and many others. In some cases,
viruses also produce internal symptoms in the epidermal
cells of the leaves of their hosts, appearing as amorphous or
crystalline inclusions (Figure 21(b)) in the cytoplasm or the
nucleus of the plant cells. The inclusions are characteristic
of the genus of the virus and in many cases are used in the
detection and identification of the virus.
Although plant viruses are not known to infect humans
and animals – with the exception of some of their insect
vectors – the study of plant viruses, and particularly the
tobacco mosaic virus (TMV) (Figures 20(a)and22(a)),
causing the tobacco mosaic disease, has contributed immen-
sely to our knowledge and understanding in several areas of
biology, genetics, plant pathology, plant and animal science,
(b)
(a)
Figure 20 (a) Diagram of shapes and relative sizes of plant viruses. AA&C, flexuous, threadlike virus; NA, nucleic acid; PS, protein
subunit. (a) Rigid rod-shaped virus: B-2 ¼cross-section of the virus showing the arrangement of the nucleic acid. (b) Viroids (small
circles and equivalent length lines). The viroid that causes the coconut cadang-cadang (dying, dying). Photo (b) courtesy of JW Randles.
Reproduced from Agrios GN (2005) Plant Pathology, 5th edn. Burlington, MA: Elsevier/Academic Press, (a) p. 729, (b) p. 822.
Plant Pathogens and Disease: General Introduction 899

medicine, biochemistry, and others. The reason for these
successes of TMV is that this virus was the first to be
detected and was hardy enough to withstand rough experi-
mental treatment. At first it appeared to investigators to be
an infectious fluid, then to be or contain elongated particles
composed of infectious protein. It was soon shown to con-
tain not only protein but also nucleic acid (RNA). It was
subsequently shown that infectivity resided in the nucleic
acid only while the protein played primarily a protective
role for the nucleic acid. Subsequently, it was studies of
TMV that showed that the virus could be measured
through counting the local lesions produced by a virus
preparation and that the virus consisted of cylindrical rod-
shaped particles visible under the electron microscope.
Soon after, biochemical and genetic studies of TMV
showed that the protein subunits of the virus coat were
attached to the viral RNA and that the size and other
properties of each protein were determined by the sequence
of the triplets of the four nucleotides along a stretch of the
viral RNA containing three times as many nucleotides as
the number of amino acids in the protein subunits. This
suggested that each amino acid of the protein subunit
corresponded to three nucleotides of the RNA. The study
of the sequence of nucleotide triplets on the RNA to the
slight changes of amino acids in the coat protein subunits of
the various viral strains showed that each change in one or
(a) (b)
(c)
(e)
(d)
Figure 21 The shapes and relative sizes of plant viruses. (a) Rod-shaped virus, (b) filamentous flexuous virus, (c) isometric
polyhedral virus, (d) short, bacillus-like virus, and (e) geminivirus. Photos: (d) courtesy of EMJ Jaspars, The Netherlands; (f), E Hiebert,
Department of Plant Pathology, University of Florida. Reproduced from Agrios GN (2005) Plant Pathology, 5th edn. Burlington, MA:
Elsevier/Academic Press, (a) p. 759, (c) p. 793, (d) p. 728, (e) p. 806.
900 Plant Pathogens and Disease: General Introduction

more of the three nucleotides corresponded to always the
same changes in amino acids of the protein subunits. This
information, gained from the study of TMV, led to the
discovery of the genetic code in viruses, which was later
shown to be the same in all organisms.
Characteristics of plant viruses and viroids
Viruses consist of one or a few molecules of nucleic acid
(RNA or DNA but never of both being present in the same
virus), whereas viroids have only a small naked RNA
(Figure 20(b)). Plants are also affected by about 40–50
viroids that have only an RNA that is about 10 times
smaller than that of viruses, is free or naked, and not con-
tained in a protein coat. Both, viruses and viroids can infect
plants, replicate themselves, and cause disease. Both viruses
and viroids are intracellular parasites. Only a few of them
survive in plant debris or outside plant cells but even they
do not multiply there. Viruses and viroids are too small to
be seen even with the compound microscope. Therefore,
TMV was the first virus to be detected and identified by
several indirect techniques, which include kind of symp-
toms on infected plants, presence of characteristic inclusion
bodies in infected young tissues, transmission of symptoms
to healthy plants by sap, grafting, specific insect and other
vectors, and using serological tests or nucleic acid probe
tests against known viruses. In sap from infected cells and in
purified preparations, most viruses and viroids can be seen
under the electron microscope.
Morphology
Nearly half of the known viruses are rigid rodlike,
15 300 nm (nanometers) (Figure 20(a)), or flexuous
(a)
(c)
(e)
(d)
(b)
Figure 22 (Continued)
Plant Pathogens and Disease: General Introduction 901

threads about 11 nm in diameter by lengths varying from
480 to 2000 nm (Figure 20(b)). Almost as many viruses
are spherical, actually isometric or polyhedral, about
17–100 nm in diameter (Figure 20(c)), and a few are
bacillus-like rods 52 75 nm in diameter and
300–380 nm long (Figure 20(d)) and some are monopar-
tite or bipartite geminiviruses (Figure 20(f)). Many
viruses have split genomes, that is, they consist of two or
more distinct nucleic acid strands, each encapsidated in
similar or different sized particles made of the same
protein molecules (protein subunits). The surface of
viruses consists of a definite number of protein subunits,
which are spirally arranged in the elongated viruses and
packed on the sides of polyhedral viruses. In cross-sec-
tions, the elongated viruses appear as hollow tubes of
spirally arranged protein subunits, with the nucleic acid
strand embedded between successive spirals of protein
subunits. In spherical viruses, the visible shell consists of
(i)
(g)
(f) (h)
Figure 22 (a) Local lesions on leaf of Chenopodium (lamb’s quarters) plant hand-inoculated with sap from Potato virus Y-infected
plant. (b) Cellular inclusions produced by cells of some plant inoculated with certain viruses. (c) Cowpea leaf showing typical mosaic
symptoms. (d) Mosaic on tobacco mosaic virus-infected tobacco. (e) Mosaic and foliar malformation on pepper leaves infected with
Potato virus Y. (f) Rice plants infected with the grassy rice stunt virus and showing severe stunting, yellowing, and excessive tillering.
(g) Tomato fruit showing ringlike and other malformations caused by the Tomato spotted wilt virus. (h) Barley yellow dwarf symptoms of
varying severity on barley plants. (i) Potato tuber showing vein necrosis caused by the potato leaf roll virus. Photos: (b) courtesy of
R. Christi; (d), (e), and (g) courtesy of Department of Plant Pathology, University of Florida; (f), H Hibino; (h), WF Rochow, Cornell
University; (i), Department of Plant Pathology, University of Idaho. Reproduced from Agrios GN (2005) Plant Pathology, 5th edn.
Burlington, MA: Elsevier/Academic Press, (a) p. 736, (b) p. 726, (c) p. 725, (d) p. 759, (e) p. 765, (f) p. 800, (g) p. 796, (h) p. 782, (i) p. 783.
902 Plant Pathogens and Disease: General Introduction

protein subunits, whereas the nucleic acid is inside the
shell but it is not known how it is arranged. Viruses are
not cells and have neither the cytoplasm nor the nucleus,
but the rhabdoviruses and a few spherical viruses have an
outer membrane composed of lipoprotein.
Reproduction (replication)
Plant viruses and viroids replicate only within living plant
cells or protoplasts. The mechanisms of replication are quite
complex and the complexity varies depending on whether
the nucleic acid of the virus is RNA or DNA, single- or
double-stranded, and positive or negative strand. Basically,
in the replication of viruses and viroids, the infected plant
cell provides all the structural materials (nucleic acid and
proteins), the energy, and the machinery needed to make
more viruses, whereas the virus or viroids supply only the
blueprint in the form of their nucleic acid. Virus (and viroid)
replication is analogous to making copies of an original page
(the virus) with the help of a modern copier (the plant cell).
Once new viral nucleic acid and viral protein are
produced in the cell, they are assembled into virus particles
(Figure 20). The virus particles, in turn, either accumulate
in the cell singly or as parts of inclusion bodies, or they move
to other adjacent plant cells and, possibly through the
phloem sieve elements, throughout the plant.
Classification
The main characteristics considered in the classification
of viruses are the nature and number of their nucleic acids
and the shape and size of their particle(s). A very sketchy
classification of plant viruses is as follows:
Kingdom: Viruses
RNA Viruses
Single-stranded positive RNA
Rod-shaped particles – for example, Tobamovirus (TMV).
Filamentous particles – for example, Potyvirus (potato
virus Y).
Isometric particles – for example, Luteovirus (barley
yellow dwarf virus).
Single-stranded negative RNA – for example, potato
yellow dwarf virus.
Buniaviridae – for example, Tospovirus (tomato spotted
wilt virus).
Double-stranded RNA
Isometric viruses – for example, Reoviridae,
Phytoreovirus (wound tumor virus)
DNA Viruses
Double-stranded DNA
Isometric – for example, Caulimovirus (Cauliflower
mosaic virus).
Nonenveloped bacilliform – for example, Badnavirus
(rice tungro bacilliform virus).
Single-stranded DNA
Geminate (twin) particles – for example, Geminivirus
(bean golden mosaic virus).
Single isometric particles – for example, Nanovirus
(banana bunchy top virus)
Taxonomy (Grouping) of Viroids. (Figure 21(b)) –
small, single-stranded, circular RNAs that replicate and
cause disease in plants. There are no known viroids
infecting humans or animals.
Parasitic Higher Plants
More than 2500 species of higher plants live parasitically
on other higher plants. Relatively few of these plants,
however, affect and cause disease on cultivated higher
plants or on forest trees of commercial significance. The
parasitic plants produce flowers and seeds like all plants.
They belong to widely separated botanical families and
vary greatly in dependence on their host plants. Some
parasitic plants (e.g., mistletoes) have chlorophyll but no
roots; therefore, they depend on their hosts only for
water and inorganic nutrients. Others (e.g., dodder)
have little or no chlorophyll and no true roots; therefore,
in addition to water and inorganic nutrients, they also
depend on their hosts for photosynthetic products.
Parasitic higher plants obtain water and nutrients from
their hosts by producing and sinking into the vascular
system of their host stems or roots food-absorbing organs
called haustoria. The following are the most important
parasitic higher plants and the botanical families to
which they belong.
Cuscutaceae – Cuscuta sp., the dodders (Figure 23)
Viscaceae – Arceuthobium, the dwarf mistletoes of the
conifers
Phoradendron, – the American true mistletoe of broad-
leaved trees
Viscum – the European true mistletoes
Orobanchaceae – Orobanche, the broomrapes of tobacco
Scrophulariaceae – Striga, the witchweeds of many
monocotyledonous plants.
Parasitic higher plants vary in size from a few millimeters
to a few centimeters in diameter and from 1 cm tall to
upright green plants more than 1 cm tall. Some, however,
are yellow or orange leafless vine strands that may grow to
severalmetersinlengthandentwinearoundthestemsof
many adjacent host plants. Parasitic higher plants reproduce
by seeds. Seeds are disseminated to where host plants grow
by wind, runoff water, birds, and cultivating equipment.
Seeds of some parasitic plants are forcibly expelled to sig-
nificant distances (10 m or more). Parasitic higher plants
overwinter on perennial hosts or as seeds on the hosts or
on the ground. In spring, the seeds germinate and the seed-
ling infects a new host plant. Control or management of
parasitic higher plants depends on removing infected plants
carrying the parasites and avoiding bringing seeds of para-
sitic plants into new areas.
Plant Pathogens and Disease: General Introduction 903

Plants growing in the wild often suffer damage caused by
other plants growing over the first plants and covering them
so completely that they cannot get any sunlight. As a result
such plants decline and die prematurely (Figure 23).
Parasitic Green Algae
Algae are the organisms, often microorganisms, other than
typical land plants, that can carry on photosynthesis. Algae
are sometimes considered as protists with chloroplasts.
Some algae, the so-called blue-green cyanobacteria, belong
to the kingdom Prokaryotes but most of them, that is, the
rest, belong to the kingdom Chromista. Algae are the main
producers of photosynthetic materials in aquatic ecosys-
tems, including unstable systems such as muds, sands, and
intertidal aquatic habitats. Green algae are single-celled
organisms that form colonies, or multicellular free-living
organisms, all of which have chlorophyll b.
Several algae are pathogenic of other organisms. For
example, cyanobacteria cause the black band disease
that leads to the bleaching and death of coral symbionts
of the algae. Many red algae are parasites on other,
mostly related red algae. Colorless green algae of the
genus Prototheca cause skin infections in humans. Most
of the green algae live as endophytes of many hydro-
phytes to which they seem to cause little or no damage.
A few genera of green algae are parasitic on higher
plans.
Nematodes
Nematodes are usually microscopic animals that are
wormlike in appearance but quite different taxonomically
from true worms. Most nematode species live freely in
fresh- or saltwater but numerous species attack and cause
disease on humans and animals and several hundred spe-
cies feed primarily on roots of plants and cause disease in
them. Symptoms of infected plants include the following
(Figure 24): root lesions (Figure 24(a)) or root galls
(Figure 24(c)); devitalized root tips; excessive root stunt-
ing or branching; distortion of above-ground plant organs
and death of the plant (Figure 24(d)); and, in some cases
(Figures 25(a) and 25(b)), death of branches and whole
trees. The annual worldwide losses of crops caused by
nematodes on various crops are more than 80 billion
dollars.
Morphology
Plant parasitic nematodes are small and eel-shaped but
only 300–1000 mm long, with some up to 4 mm long
15–35 mm wide (Figure 26). The females of some of
these nematodes become swollen at maturity and have
pear-shaped or spherical bodies. Nematode bodies are
transparent, unsegmented, and have no legs or other
appendages. Plant parasitic nematodes have a hollow
stylet or spear that is used to puncture holes in plant
cells through which they withdraw nutrients from the
plant.
Reproduction
Nematodes have well-developed reproductive systems
that distinguish them as female and male nematodes. The
females lay eggs, usually after fertilization by males but in
some cases without fertilization. Many species lack males.
Nematode eggs hatch into juveniles that resemble the adult
nematodes but are smaller. Juveniles grow in size and each
juvenile stage is terminated by a molt. All nematodes have
four juvenile stages, with the first molt usually occurring in
the egg. After the final molt, the nematodes differentiate
into males and females, and the new females can produce
fertile eggs in the presence or absence of males. One life
cycle from egg to egg may be completed within 2–4 weeks
in favorable weather, longer in cooler temperatures. In
some nematodes, only the second-stage juvenile can infect
a host plant, whereas in others all but the first juvenile and
adult can infect. When the infective stages are produced,
they must feed on a susceptible host plant or they will
(a) (b)
Figure 23 (a) Parasitic higher plant, dodder, of the species Cuscuta, has entwined itself around a pepper plant, which has been
overcome. (b) A small field of geraniums attacked by dodder. Photo courtesy of Department of Plant Pathology, University of Florida.
Reproduced from Agrios GN (2005) Plant Pathology, 5th edn. Burlington, MA: Elsevier/Academic Press, (a) p. 707.
904 Plant Pathogens and Disease: General Introduction

starve to death. In some species, however, some juveniles
may dry up and remain quiescent, or the eggs may remain
dormant in the soil for years.
Classification
The plant pathogenic nematodes can be classified as
follows (only a few important genera are listed):
Kingdom: Animalia
Order: Tylenchida
Genus: Anguina, seed-gall nematode; Ditylenchus, bulb
and stem n.
Pratylenchus, lesion n. Radopholus, burrowing n.
Globodera, round cyst n. Heterodera, cyst.
Meloidogyne, root knot n.
Aphelenchoides, foliar n. Bursaphelenchus, pine wilt n.
Order: Dorylaemida
Genus: Longidorus, needle n. Xiphinema, dagger n.
Paratrichodorus, Trichodorus; stubby root nematodes.
Biflagellate Protozoa
To date, only a few diseases have been shown to be
caused by plant pathogenic biflagellate protozoa. All of
these diseases have been found to occur in the tropics of
Central America. They include phloem necrosis of coffee,
heart rot of coconut palm, sudden wilt or Marchitez
sorpresiva of oil palm, wilt and decay of red ginger, and
empty root of cassava. All these diseases seem to be
caused by related protozoa of the genus Phytomonas. The
protozoan diseases of plants, although rare, are severe on
the infected plants, generally resulting in the collapse and
death of the plants. The plant pathogenic protozoa
invade and multiply in the phloem of diseased plants
(Figure 27). They are mostly one-celled microscopic
organisms that have flagella and typical nuclei.
Kingdom: Protozoa: (see also Figures 2 and 3)
Phylum: Euglenozoa, Order: Kinetoplastidae, Family:
Trypanosomatidae, Genus: Phytomonas
Plant pathogenic biflagellate protozoa are transmitted
from tree to tree by grafting and by insect vectors of the
families Pentatomidae, Lygaeidae, and Coreidae.
Interactions of Pathogens, Plants,
and Humans
Pathogens interact with plants and humans in a variety of
ways. The main ways by which pathogens manage to
survive, infect plants, and through the damage they cause
to also affect humans, are also discussed briefly below.
Ecology, Dissemination, and Epidemiology
of Plant Pathogens
Some plant pathogens (viruses, viroids, mollicutes, proto-
zoa, parasitic higher plants, most nematodes, some obligate
biotrophic oomycetes, the powdery mildew and the rust
fungi, and the phloem- and xylem-inhabiting bacteria)
Figure 24 Diagram of shapes and sizes of most of the important plant nematodes. Reproduced from Agrios GN (2005) Plant
Pathology, 5th edn., p. 828. Burlington, MA: Elsevier/Academic Press.
Plant Pathogens and Disease: General Introduction 905

spend all of their lives on their host plants. Most plant
pathogenic fungi and bacteria live most of their lives in or
in contact with their host plants, and only during periods
of unfavorable weather they live in soil or in plant debris.
Pathogens that live all of their lives in their hosts depend
entirely on specific animal vectors, primarily certain
insects, for movement from plant to plant, and for
introduction into their hosts. Fungi produce different
kinds of spores that can be carried by mild or strong
winds to nearby or distant places. Most plant pathogenic
bacteria do not produce spores and are carried as such by
splashing rain, and so on. Almost all pathogens are carried
in infected seed, transplants, tubers, and so on. When
pathogens reach or exist in their hosts, they usually grow
(a)
(b)
(c)
(d)
Figure 25 (a) Damage of root of tobacco plant by the lesion nematode Pratylenchus. (b) The disease cycle of the lesion nematode.
(c) Galls or root knots on roots of tomato plant infected with the root knot nematode (Meloidogyne sp.). (d) Sugar beet field in which
a large area of sugar beet plants have been severely damaged or killed by the sugar beet cyst nematode, Heterodera schachtii. Photos:
(a) and (c) courtesy of DW Dickson; (d), RJ Howard. Reproduced from Agrios GN (2005) Plant Pathology, 5th edn. Burlington, MA:
Elsevier/Academic Press, (a) p. 850, (b) p. 852, (c) p. 838, (d) p. 847.
906 Plant Pathogens and Disease: General Introduction

inside host cells, but many fungi grow between parench-
yma cells. The spores of fungi, nematodes, and some
bacteria may come out of their hosts and be carried by
air, water, or other means to other plans, whereas those
living inside plants must be carried by their vectors.
Plant pathogens cause disease in plants when a virulent
pathogen lands on a susceptible host plant, and the envir-
onmental conditions, primarily temperature and
moisture, are favorable for the pathogen to be activated,
germinate if it has to, and grow. Generally, high moisture
favors most pathogens, especially bacteria and fungi, the
latter because germination of their spores depends on the
availability of moisture. Favorable temperatures and high
moisture speed up infection, sporulation, spore release
and new, secondary infections and, therefore, the number
of disease cycles and severity of the disease during the
season.
How Pathogens Infect Plants
Pathogens have evolved so that there is wide variability as
to which kind of plant it can infect and which it cannot. Of
the many kinds of plants, for example, corn, tomatoes,
apple trees, each of them may be attacked by a hundred or
more kinds of pathogens. For example, tomatoes may be
attacked by 60 fungal pathogens, 15 viruses, 10 bacteria
and mollicutes, and 15 nematodes, whereas corn may be
attacked by 130 different pathogens, including 85 fungi,
8 bacteria and mollicutes, 20 viruses, and 17 nematodes.
Perhaps none of the pathogens of corn are the same as the
pathogens of tomato, or 2–3 pathogens, for example, some
nematodes, may infect both plants. Hence, each pathogen
is limited as to which plants can provide it with food.
However, even if the pathogen (inoculum) has reached
the plant (inoculation), there are still a number of steps
that the pathogen must go through before the plant allows
it to feed and to multiply.
Infection by fungi and bacteria
The mechanisms of infection of plants by pathogens and
of defense of plants to infection are much better under-
stood in diseases caused by fungi and some bacteria than
in any of the other pathogens.
Once a pathogen comes in contact with a susceptible
plant, and provided that there is enough moisture and the
temperature is favorable, the sequence of the many active
phases of the plant disease cycles begins. The pathogen
must be able to adhere to the host, which the pathogen
does by excreting sticky substances. If the pathogen is a
fungal spore, or a bacterium, the latter and the spore must
get ready to penetrate the host surface. Bacteria, and
many fungi, enter plant tissues through wounds or
through natural openings. Many of the fungi, however,
can also enter the host plant through direct penetration of
the plant epidermis. For these fungi to penetrate, the
spore must germinate, so an entire new machinery must
go to work to mobilize the inert spore into an active
inoculum. The germinating spore produces a short germ
tube on the surface of the plant and at the tip of the germ
tube the fungus forms an appressorium, that is, a
(a)
(b)
Figure 26 (a) Typical, although long, plant nematode,
Bursaphelenchus xylophilus, causing wilt of pine trees. (b) Dead
pine trees in a forest in Japan infected with the pine wilt
nematode. Photos: (a) courtesy of RP Esser; (b), JJ Witcosky.
Reproduced from Agrios GN (2005) Plant Pathology, 5th edn.
Burlington, MA: Elsevier/Academic Press, (a) and (b) p. 871).
Figure 27 Phytomonas protozoa in a phloem sieve tube of root
of oil palm tree affected with sudden wilt disease. W, plant cell
wall. Photo courtesy of W deSousa. Reproduced from Agrios GN
(2005) Plant Pathology, 5th edn., p. 876. Burlington, MA:
Elsevier/Academic Press.
Plant Pathogens and Disease: General Introduction 907

specialized feeding organ present in some organisms. The
appressorium is oppressed and sticks to the plant surface
on which it produces a penetration peg that exerts tre-
mendous pressure on the epidermal cell it tries to
penetrate. Finally, a thin infection hypha grows through
the opening created by the penetration peg and the fine
hypha resumes its normal diameter and absorbs nutrients
from the plant.
Up to that moment of penetration by the infection
hypha, the fungus spore provided genes for producing
adhesive substances, enzymes, cytokinins, and so on, for
the activation and germination of the spore, for producing
the appressorium and then the penetration peg, which
enabled the fungus to reach the food-laden contents of
the plant cell. If the plant is susceptible to this race of the
pathogen, the pathogen will produce enzymes for break-
ing down the substances that make up the plant cell
wall, such as chitinases for chitin, cutinases for cutin,
cellulases, pectinases, ligninases, and so on, to break
down cellulose, pectins, and lignin, and enzymes for
breaking down cell content substances, such as amylase
for starch, proteases for proteins, and lipases for lipids and
fats. This, of course, allows the pathogen to grow and
multiply and, eventually, to produce spores on the plant
surface.
In the meantime, through their enzymes and other
toxic substances that they produce in the plant, and
depending on the plant organs they infect, the pathogens
may cause smaller necrotic (dead) spots or larger patches
of plant tissue to die and rot, to shrink, or to show other
symptoms. Many fungal and bacterial plant pathogens
may also produce toxins that can kill tissues directly, or
growth regulators that cause infected plant tissues to grow
and produce galls rather than be destroyed and die.
On the other hand, if the plant is resistant to the
pathogen, as soon as some molecule or factor (elicitor)
of the pathogen is recognized by the plant, the defenses of
the plant, both structural and chemical, preexisting or
induced, are mobilized and the pathogen may become
neutralized, and this leads to the death of the pathogen
and to no plant infection.
Bacteria infect plants in a manner similar to that
employed by fungi, except that bacteria enter plants
through wounds or natural openings and, therefore, do
not need or produce a germ tube or haustoria, but multi-
ply and move about the host rather than grow into them.
Infection by pathogens surviving only in living
cells
Plant viruses, viroids, mollicutes, xylem- or phloem-
limited bacteria, protozoa, and nematodes, with just a
few exceptions, enter plant cells either with the help of
a specific vector such as a specific insect, mite, fungus, or
nematode, which, with their mouth parts, pick up virus
from infected plants and introduce it into healthy plants
through the wounds they make while feeding, or they are
brought into the host plant by pollen. Once a virus (or
viroid) enters a plant cell, the virus sheds its protein coat
and the naked nucleic acid (RNA or DNA) associates
with appropriate cell organelles, primarily ribosomes,
and also membranes, enzymes, and so on, which replicate
the nucleic acid into hundreds of thousands or millions of
copies. Soon, translation of part of the nucleic acid strand
results in the production of molecules that are the sub-
units of the viral coat protein and these assemble with the
nucleic acid strands and form the complete virus particle
(a virion). In the process of virus replication and accumu-
lation, the metabolism of the host plant is affected.
The defense mechanisms of the infected plant are
activated, and if the defenses are effective, that is, if the
plant is resistant, virus replication and movement may be
stopped, the infected and a few surrounding cells may die,
and no further infection develops beyond a tiny visible or
invisible local lesion. If, however, the host defenses are
ineffective or inadequate, the virus moves from cell to
cell, replicating in each of them, and finally reaches the
phloem sieve elements that make up part of the phloem
veins. Once in the phloem, the virus is distributed
throughout the plant and from the phloem cells it moves
into adjacent parenchyma cells and to the other living
cells in which it again replicates. Depending on the age
and size of the plant, viruses can spread throughout the
plant within a few days to a few weeks or months. Infected
plants are often stunted, their leaves, shoots, and fruit
become smaller, discolored, or malformed, yields are
reduced, and with some virus–host combinations some
plant parts or whole plants may be killed.
Nematodes: When an infective nematode juvenile or
adult reaches the surface of a plant, it pierces the outer
epidermal cell wall with its stylet, and secretes saliva
into the cell, the contents of which are liquefied and
absorbed through the stylet. Some nematodes are rapid
feeders and feed only on epidermal cells, moving their
stylet from one cell to the next without ever entering the
plant. Others enter the plant parts and feed slower while
inside the plant. Some of the latter become attached to
one area of the plant and do not move. Some of the
nematodes enter the plant, feed internally for varying
lengths of time, and then exit the plant and move about
freely. Depending on where the female of a particulate
nematode species is feeding, she lays her eggs inside or
outside the plant. When the eggs hatch, the new infec-
tive juveniles either cause further infections inside the
plant or infect new plants. The mechanical injury caused
by nematodes in the infected area, as well as the removal
of nutrients from plants by nematodes, certainly has a
detrimental effect on the plant. It is thought, however,
that much greater damage by nematodes on plants is
908 Plant Pathogens and Disease: General Introduction

caused by the enzymes, growth regulators, and toxic
compounds contained in the secretions of the nematodes
into the plant and by the ports of entry for other patho-
gens (fungi and bacteria) created by nematodes on plant
roots.
How Plants Defend Themselves against
Pathogens
Because each pathogen can attack and infect only a few
kinds of plants, that is, its own hosts, we presume that
nonhost plants are resistant, indeed immune, to these
pathogens. Also it is likely that all plants normally pro-
duce structures such as thick-walled epidermal cells,
fewer or smaller stomates, and chemicals such as phenolic
compounds. These structures or chemicals, by their pre-
sence in or around plant cells, act as the first mechanisms
of plant defense against any pathogen that must overcome
them to reach the interior of the cells for the food in it. In
addition to such preexisting structural and chemical
defenses, plants seem to be induced by the presence of
the pathogen, to produce induced structural defenses such
as cork layers, abscission layers, gums and tyloses, and
biochemical defenses consisting of numerous biochemical
reactions taking place in infected cells and tissues.
Indeed, the induced biochemical reactions play a
major role in plant defense against pathogens. In the
host–pathogen combinations that have been studied, as
the pathogen comes in contact with a host plant, some of
the molecules secreted by the pathogen, or released from
host plant tissues by enzymes of the pathogen, react with
receptor molecules present in host cells. The plant recep-
tor molecules recognize such existing or induced plant
molecules (elicitors) as harbingers of a pathogen attack
and quickly trigger a cascade of defense reactions in the
attacked and the surrounding cells.
One of the first products of defense reactions in the
infected cell is the rapid and transient generation of
activated oxygen species, which, in turn, triggers the
hyperoxidation of plant cell membranes, which produce
molecules toxic to the plant cell and to the pathogen.
Such cells become dysfunctional and lead to cell collapse
and death. The activated oxygen species are also involved
in host defense reactions by activating the phenoloxidase
enzymes that oxidize phenolic compounds into more
toxic quinones. In addition, oxidation of membrane lipids
produces several biologically active molecules, such as
jasmonic acid, which is the precursor of the wound hor-
mone traumatin, and, along with salicylic acid, appears to
induce numerous protein changes and acts as a signal
transducer of the defense reaction in plant–pathogen
interactions. The affected plant cells continue to defend
themselves by producing cell wall strengthening materials
such as callose, glycoproteins such as extrensin, phenolic
compounds, and so on. They further produce a variety of
antimicrobial substances known as pathogenesis-related
proteins, and a variety of secondary metabolic com-
pounds, such as chlorogenic acid, caffeic acid, and
ferulic acid. Some plants, upon infection with a pathogen,
produce phytoalexins, which are toxic antimicrobial sub-
stances produced in appreciable amounts in plants only
after stimulation of the plant by various types of patho-
genic microorganisms or by chemical and mechanical
injury. Besides, although the plant cells produce antimi-
crobial compounds aimed against the pathogen, the
plants, in some diseases, defend themselves by detoxifying
the toxins of the pathogen.
If the defense reactions are quick and effective, further
growth and activities by a biotrophic pathogen are limited
or stopped, and the infected cell collapses and dies.
Because the pathogens can no longer attack and obtain
food from such plants, such a plant is considered resistant
to the pathogen. This type of defensive response by the
plant, following recognition of a pathogen elicitor by the
receptor of a plant cell, is known as the hypersensitive
response (HR). Frequently, however, the term ‘HR’ is
used to indicate that the host plant reacts to a particular
pathogen by producing small local lesions and therefore is
considered as resistant. Plant defenses against pathogens
may be in the form of single or multiple, structural or
chemical barriers, in the form of programmed plant cell
death that stops further growth of biotrophic pathogens,
or in activation of defense responses regulated by the
salicylic acid-dependent pathway, or, more commonly,
in a combination of various mechanisms of defense.
Necrotrophic pathogens, which actually benefit from
host cell death, are not limited by cell death and the
associated salicylic acid-dependent defenses but rather
by a different set of responses activated by jasmonic acid
and ethylene signaling. If no defense reactions occur, or if
they are ineffective or too slow, the plant becomes
infected, and such a plant is considered susceptible to
the pathogen. Generally, resistance in commercial crop
plants can be, and usually is, the result of one or more
resistance genes (R gene). In almost all wild plants, and in
most cultivated ones, however, resistance in a plant to
infection by one or more pathogens is the result of the
expression of many plant genes controlling various defen-
sive structural, chemical, and physiological characteristics
of the plant.
Role of Genetics in Disease Initiation
and Development
When a pathogen attacks a plant, it may not be able to
infect it because the plant belongs to a taxonomic group
outside the range of the pathogen and has genes for
resistance for which the pathogen has no corresponding
genes for virulence. This is called nonhost resistance. In
another kind of resistance, the host may actually be
Plant Pathogens and Disease: General Introduction 909

susceptible to the pathogen but because it possesses genes
that allow it to grow earlier or later than the time that the
pathogen is present (disease escape), or allow it to grow
and produce a crop in spite of it being infected with the
pathogen (tolerance), this type of resistance is called
apparent resistance. In most cases, however, plants are
resistant to a pathogen because they possess genes for
resistance (R genes) directed against avirulence genes of
the pathogen (true resistance or race-specific, cultivar-
specific, or gene-for-gene resistance).
Plant pathogens have genes for pathogenicity, which
make them pathogens, and genes for virulence or aviru-
lence, corresponding to genes for susceptibility or
resistance in the host. This statement is probably
the most straightforward statement about the role of
genetics in disease and calls to mind that, for each gene
for resistance in a plant, there is a gene for virulence in the
pathogen and vice versa. Pathogens are pathogenic on
some varieties of the host plant but not pathogenic on
other varieties of the same host. Plants have genes
for resistance, which produce the innumerable structural
and biochemical substances that help them defend them-
selves, whereas pathogens have virulence genes that
enable them to infect susceptible plants. Pathogens also
have avirulence genes thought to code for molecules that,
when recognized by specific receptor molecules, pro-
duced by resistance genes in the plant, act as elicitors of
the host resistance response. Recognition of the aviru-
lence gene product (elicitor) of the pathogen by the
plant cell-produced defense response gene product
(receptor molecule) sets in motion the production of a
variety of structural compounds and biochemical reac-
tions that lead to cell disruption and eventually to the
death of the attacked plant cell and of the attacking
pathogen. The death of the two combatants (attacking
pathogen and cell of attacked plant) stops further devel-
opment of infection and disease. In addition to the
virulence/avirulence genes, several other types of genes
seem to play important roles in the development and
expression of disease.
When a resistant variety (A) is widely distributed for
cultivation, within 2–4 years the variety loses its resis-
tance to pathogen (a) and becomes susceptible. That
variety, therefore, must be replaced with a new variety
that contains a new gene for resistance (B) against the new
gene for virulence (A) of the pathogen. Actually, the
variety (A) did not lose any resistance. Instead, the patho-
gen, indeed all races of it, because they were excluded
from the resistant new crop (A), was placed under
extreme survival pressure and this led to the selection or
appearance by mutation of a new variant of the pathogen
individual(s) that carried the gene for virulence that
enabled the pathogen to overcome or bypass the product
of the gene for resistance (A). This new individual, being
the only one with virulence gene (B), is unaffected by the
old gene for resistance (A) and has all the plants with that
gene to itself, without any competition from other patho-
gens. As a result, the new variant multiplies unimpeded
and produces a new race of the pathogen, race (B) that can
infect all plants of variety (A). The plant breeders, there-
fore, must produce a new plant that will contain a gene for
resistance (B) that will stop the new pathogen. The easiest
and best way to do that is by collecting individuals of the
pathogen race (B) and inoculating as many new varieties
or germ lines they have and hoping to find one or more
plants that do not become infected with this race. This
new variety or individual is propagated to produce the
new variety (B) of the crop that will replace variety (A) in
the field.
Effect of Pathogens on Plants, Crops,
and Humans
Pathogens affect plants in some general ways regardless of
some specific differences depending on the kind of plant,
the kind of pathogen, and the prevailing weather condi-
tions during the initiation and development of disease.
The first and main effect of pathogens on plants they
infect is that they change the appearance of plants and
produce the symptoms characteristic for each disease.
Symptoms are almost always accompanied by reduced
growth, productivity, and quality of the plants. It is the
amount of yield that goes to the heart of the reasons plants
are cultivated by humans. The extent of reduction is
important not only because it reduces the expected
income or profit but also because yield reduction as a
result of disease results in hunger and starvation of
humans and animals affected by the loss. Yield losses
may be insignificant (2–3%), low (10–30%), large
(40–60%), or complete (100%). Such losses are generally
avoided and absent in areas and countries with advanced
education and economies and where humans have the
knowledge and the resources to buy foodstuffs from coun-
tries in which the disease was not as destructive that year.
In advanced countries, severe disease losses may be of
little concern to a few people, who may have to go to the
bank and borrow money to buy from other places quan-
tities of the crop needed for consumption and for seed for
the next year. In poor areas and poor, underdeveloped
countries, however, severe losses of a staple crop may
affect the survival of humans, animals, and industries
that may exist and flourish in a large area or country. In
poor countries, people have no knowledge of the cause of
a plant disease and how to control it, no access to resistant
varieties or to fungicides, if available, or collateral to
borrow money from a bank and to find quantities of the
crop in other countries. Also, because of lack of knowl-
edge, a catastrophic epidemic of a plant disease occurring
1 year is likely to be repeated in subsequent years because
of the large amount of pathogen inoculum that survives in
910 Plant Pathogens and Disease: General Introduction

the field and that can cause disease again the following
year. Therefore, undernourishment, extreme suffering
from hunger, and devastating famines caused by plant
diseases are commonplace in poor, little-developed coun-
tries, and some of them, such as the Irish famine of 1845
and 1846, caused by the destruction of the potato crop by
the late blight oomycete P. infestans, and the Bengal fam-
ine caused by the destruction of rice by the leaf spot
fungus Cochliobolus miyabeanus.
When plants are attacked by pathogens frequently and
repeatedly until they can no longer survive the attacks of
these pathogens, there may be effects on whole ecosys-
tems. For example, repeated infections of wheat and of
forage grasses by the rust, smut, or ergot fungi reduce the
amounts of food not only to humans but also for wild
animals dependent on such plants for their survival.
Although such repeated attacks occur on plants of all
shapes and sizes, we are most aware of those occurring
on trees because they are easier to see and to follow the
happenings to them by a particular pathogen. The best
known of these are the destruction and near extinction of
the American chestnut by the chestnut blight disease,
caused by the fungus Cryphonectria parasitica, in the
Northeastern United States and Canada; the destruction
and near extinction of the American elm by the Dutch
elm disease caused by the fungus Ophiostoma nova-ulmi; the
near extinction of the coconut palm tree in Florida and
the Caribbean basin by a phytoplasma mollicute that still
has not been named or classified, and so on. In many cases,
the survival of some plants is impossible in areas that have
been invaded by a pathogen, which then becomes a per-
manent inhabitant of the area, as happened in Central
American banana fields showing infection with the
Panama disease, caused by the fungus Fusarium lycopersici
if. sp.cubense that became unfit for the production of bana-
nas after the field became contaminated and thoroughly
infested with the pathogen. This effect reduces the
amount of land available for each crop that is susceptible
to that pathogen and forces growers to plant crops other
than the one that is more productive and profitable.
Plants infected with certain pathogens, for example,
rye or wheat, infected with the ergot fungus, Claviceps
purpurea, become unfit for human or animal consumption
because the fungus produces fruiting structures, called
ergots, that replace several of the seeds in each head.
Ergots (Figure 7(a)) contain a large number of toxic
alkaloids and other compounds, and humans or animals
eating even a small amount of ergots become severely
diseased because the contents of the ergots damage inter-
nal organs, such as the kidneys, the nervous system, and
the circulatory systems, and result in severe painful dis-
eases characterized by gangrene of the extremities of
affected individuals.
Certain fungi infect mature, harvested seeds of grains
and legumes and also bread, hay, or plant products such as
before or after they are placed in storage. Such infections
produce in the seeds a variety of toxic substances, called
mycotoxins, although they do not produce any character-
istic structures as do plants infected with the ergot fungus.
Peanuts and corn seem to be the seeds affected most
frequently and most severely by these fungi, especially
if they are damaged and when the weather is very humid.
Mycotoxins are extremely toxic and cause severe hemor-
rhage, serious diseases of the nervous and circulatory
systems, damage to one or several of the internal organs,
vomiting, rejection of food, and others. The most common
fungi that produce mycotoxins in infected plant seeds and
products are Aspergillus, which produces aflatoxins,
ochratoxins, and so on; Fusarium, which produces
trichothecins (vomitoxin), zearalenone, and fumonicins;
Penicillium, which produces patulin, roquefortin, and so
on, and several others.
A few fungal pathogens of grasses grow inside the
plants (endophytes), and although these pathogens do
not seem to cause apparent diseases on their hosts, they
produce toxic compounds that cause severe diseases in
the wild and domestic animals that eat the plants.
All plant diseases cause some financial losses because
of reduction in the quantity and quality of the plants and
plant products they infect. Such losses become increas-
ingly more important as the amounts of losses increases
and as the size of the area affected by a disease increases.
The amount or percentage of losses is, of course, particu-
larly important to the growers whose crop was affected by
the disease – and some growers, who were fortunate for
their crop to escape the disease, may actually profit by the
higher price they get as a result of reduced supplies and
increased prices for the crop. In spite of the few who may
profit from a plant disease, the vast majority of times,
everybody, growers and consumers alike, lose from it.
The reasons for this is that the costs for growing such a
crop will necessarily increase for every grower in subse-
quent years because they may have to replace the
susceptible variety with a resistant one that may not be
as productive or as desirable, may not be as profitable, and
may be susceptible to another pathogen present in the
area; besides, it will take time for all growers to acquire
seed of the new variety. Also, the grower may need to
change methods and equipment for cultivation, harvest-
ing, and storage and transportation of the new variety or
new crop, may need to build refrigeration, and so on.
Finally, the grower may need to use pesticides to manage
or control the disease, and this will add more costs for
purchase, storage, and application of pesticides, plus the
environmental costs of applying pesticides to the crop.
Besides, for many diseases, such as those caused by
viruses, phloem- and xylem-limited fungi, bacteria, mol-
licutes, and so on, no pesticides are available, and
therefore this method of control with pesticides often is
not available.
Plant Pathogens and Disease: General Introduction 911

Detection and Identification of Plant Pathogens
Although some pathogens, such as the parasitic higher
plants, are big and can be identified by their structure,
most pathogens are small and must be looked under the
microscope (nematodes, fungi, bacteria), for example, or
even underthe electron microscope (viruses, bacteria,
protozoa), to even begin getting close to a correct identi-
fication. Generally speaking, pathogens are difficult to
identify.
For detection and identification of plant pathogens it is
fastest when one reexamines the symptoms, amount
Attempt to culture pathogens. Different and modern tech-
niques are used. Although microscope use is routine, and
access to electron microscope is increasing, the use of
modern serological tests and DNA/RNA can provide a
faster, more accurate, and more dependable result.
Most fungi and nematodes can be identified by examina-
tion of whole nematodes under the microscope and fungi by
examination of the kinds of their spores and fruiting bodies.
Viruses and viroids are identified by their symptoms
and by inoculating other plants and comparing them with
the symptoms shown by other inoculated plants; checking
epidermal cells for characteristic cellular inclusions;
exposing viruses to different virus vectors; and, wherever
available, most certainly serological tests and tests invol-
ving DNA and RNA.
The value of quick identification of a pathogen that
may cause a potentially serious disease has increased
greatly in recent years both because it has been proven
repeatedly that plant diseases, like human and animal
diseases, cause disproportionately more damage to crops
when detection and diagnosis are late and slow and
because of the political realities and threats to the secur-
ity of our food supply. Extreme prolonged droughts,
attack of plants by diseases, insects, and so on; political
interference over large agricultural areas in the past few
years have already resulted in frequent hunger and
several famines affecting the poor people inhabiting
these areas.
The need for rapid and correct diagnoses of the causes
of plant diseases, insects, and so on; has lead the
University of Florida, at Gainesville, FL, to create a new
program of graduate study called the Doctor of Plant
Medicine (DPM) Program, The DPM program leads to
a professional Doctorate degree. The main purpose of the
DPM is to train students at the graduate/doctoral level,
on how to diagnose and how to control any kind of
disease, injury or damage caused by any biotic (insects,
mites, weeds, plant pathogens, birds, etc.) or abiotic fac-
tors (such as nutritional deficiencies, cold temperatures,
air and soil pollutants). The 4-year program accepted its
first 15 students in 2000 and by 2007; it had graduated
nearly 40 Doctorates in Plant Medicine.
Management and Control of Plant Diseases
Some of the most common and most effective measures
for management or control of plant diseases, regardless of
the kind of pathogen, include the following:
1. Exclusion of the pathogen from a field by planting
pathogen-free seed, seedlings, tubers, and so on.
2. Eradication of infected parts or entire plants, and of
possible alternate hosts of the pathogen.
3. Improving cultural practices so that they support better
growth of the host while impeding growth of the patho-
gen. These include appropriate fertilization, watering,
pruning, thinning, temperature manipulation, and so on.
4. Planting resistant varieties whenever possible and
available. One should always plant varieties resistant
to the particular pathogen, and preferably to more than
one pathogen. As many varieties are resistant to only
one gene for resistance, one should expect that new
races of the pathogen will soon bypass or overcome the
resistance gene and therefore must continually pro-
duce varieties resistant to each of the pathogen races
that carry different genes for resistance. Breeding vari-
eties resistant to disease has received a tremendous
impetus by employing the tools and methodology of
genetic engineering and biotechnology.
5. Management and control with chemicals. Plant patho-
genic fungi and bacteria are sensitive to numerous
chemicals (fungi to fungicides, bacteria to bacteri-
cides). Fungicides (and bactericides), applied on the
surface of plant foliage, blossoms, stems, and fruits,
protect, to a certain extent, these organs from infection.
Some fungicides are absorbed by the plant roots, and
are distributed systemically through the plant, stop-
ping infections wherever they may be initiated. There
are no fungicides or other chemicals effective against
viruses, viroids, or any of the other pathogens limited
to the xylem or phloem of the plant.
6. Biological control. Some plant pathogenic fungi and
bacteria are inhibited in their growth and ability to
cause disease when exposed to certain antagonistic or
parasitic microorganisms present in the vicinity
(Figure 28). This is called biological control.
Unfortunately, for only about 1% of the diseases
have materials and methods been developed, but
even with these, control is not satisfactory.
In addition, inoculating plants with mild strains of a virus
protects them from infection by severe strains of the same
virus. In the past several years, successful control of plant
viruses has been achieved by genetically engineering
plants to carry and express the coat protein and other
genes of the virus, which makes the plants resistant to
subsequent infection by that virus.
912 Plant Pathogens and Disease: General Introduction

Nematodes also benefit from the above, but when
nematodes are present in a field, they can be managed
primarily by planting resistant plant varieties and by
applying pre- or postplant nematicides. Several cultural
practices, such as plowing the soil before planting, expose
the soil to the sun and dries it up and causes reduction of
the numbers of nematodes present.
Conclusion
Plant pathogens, with a couple of minor exceptions, are
microorganisms that belong to the same taxonomic
groups, that is, bacteria, viruses, fungi, protozoa, and
nematodes, which include the pathogens that cause dis-
ease in humans and animals. Each species of plants
appears to be attacked by about 100 kinds of pathogens.
Plant pathogenic fungi and bacteria live most of the time
within their plant hosts and the rest of the time in the
soil. The other pathogens live only in their plant hosts.
Plant pathogens cause disease in plants and cause losses
in food and other necessary items. The losses may be
light or very severe, sometimes destroying all the plants
and causing hunger, starvation, and famines, whereas in
other cases they result in extinction of entire species of
plants.
Further Reading
Agrios GN (2005) Plant Pathology, 5th edn. San Diego: Academic
Press/Elsevier.
Alexopoulos CJ, Mims CW, and Blackwell M (1996) Introductory
Mycology, 4th edn. New York: Wiley.
American Phytopathological Society Numerous Volumes on Plant
Diseases and Their Control, in a Series of ‘Plant Disease Compendia’
for Specific Plants. St. Paul, MN: APS.
Bos L (1999) Plant Viruses, Unique and Intriguing Pathogens. Leiden,
The Netherlands: Backhuys Publishers.
Brandl MT (2006) Fitness of human enteric pathogens on plants and
implications for food safety. Annual Review of Phytopathology
44: 367–392.
Burdon JF, Thrall PH, and Lars Ericson (2006) The current and future
dynamics of disease in plant communities. Annual Review of
Phytopathology 44: 19–39.
DeBoer SH (ed.) (2001) Plant Pathogenic Bacteria. Dordrecht, The
Netherlands: Kluwer Academic Publisher.
Dollet M (1984) Plant diseases caused by flagellated protozoa
(Phytomonas). Annual Review of Phytopathology 22: 115–132.
Fuchs M and Gonsales D (2007) Safety of virus-resistant plants
two decades after their introduction: Lessons from realistic field
risk assessment studies. Annual Review of Phytopathology
45: 173–202.
Hull R (2002) Matthews’ Plant Virology, 4th edn. New York: Academic
Press.
Maloy OC (1993) Plant Disease Control: Principles and Practice.
New York: Wiley and Sons.
Nickle WE (ed.) (1991) Manual of Agricultural Nematology. New York:
Dekker.
Press MC and Graves JD (1995) Parasitic Plants. London: Chapman
and Hall.
Schumann GL and D’Arcy CJ (2006) Essential Plant Pathology. St. Paul,
MN: APS Press.
(a) (b)
Figure 28 Biological control of certain plant pathogenic oomycetes and fungi with (a) other oomycetes or fungi that penetrate and
feed on the first. (b) A plant pathogenic fungus (Botrytis sp.) is attacked by a yeast fungus (not pathogenic on plants). Photos: (a)
courtesy of R Baker; (b), P Wisniwski. Reproduced from Agrios GN (2005) Plant Pathology, 5th edn. Burlington, MA: Elsevier/Academic
Press, (a) and (b) p. 306.
Plant Pathogens and Disease: General Introduction 913

Sinclair WA and Lyon HH (2005) Diseases of Trees and Shrubs, 2nd
edn. Ithaca, NY: Cornell University Press.
Spetafora J (2007) Pezizomycotina. The Tree of Life Web Project.
Strange RN and Scott P (2005) Plant disease: A threat to global
food security. Annual Review of Phytopathology 43: 83–116.
Van Loon LC, Rep M, and Pieter CMJ (2006) Significance of inducible
defense-related proteins in infected plants. Annual Review of
Phytopathology 44: 135–162.
914 Plant Pathogens and Disease: General Introduction

Plasmids, Bacterial
M Filutowicz, University of Wisconsin-Madison, Madison, WI, USA
ª2009 Elsevier Inc. All rights reserved.
Defining Statement
Impact of Plasmid Research on Molecular Biology
Plasmid Structures and DNA Synthesis
Resolution and Distribution of Newly Replicated
Plasmid DNA
Horizontal Plasmid Transfer by Conjugation
Further Reading
Glossary
biofilm A spatially organized community of
microorganisms associated with a surface.
centromere The DNA segment of a replicon that is
associated with spindle fibers and involved in DNA
segregation.
cis From Latin for ‘on this side of’.
DNA replication Duplication of the genome to make
two copies of it.
helicase An enzyme that separates the DNA double
helix into single strands.
integron A gene-capture system found in plasmids,
chromosomes, and transposons that requires a
recombinase enzyme (integrase) and a proximal
recombination attachment site for incorporation into the
genome.
microcosm A small enclosed part of a habitat.
origin of replication (ori )The site at which DNA
replication starts.
polymerization The process of joining identical or
similar subunits to make DNA, RNA, or proteins.
relaxase A site-specific topoisomerase that removes
superhelical twists from DNA.
selfish DNA DNA whose only function is
self-preservation (see also Further Reading).
Single-strand binding proteins (SSB) Proteins that
facilitate replication by coating single-strand DNA,
thereby preventing complementary regions from pairing
with each other.
topoisomerase An enzyme that introduces or removes
superhelical twists in the DNA.
trans From Latin for ‘on the opposite side of’.
Abbreviations
2,4-D 2,4-dichlorophenoxyacetic acid
BHR broad host range
dso double-strand ori
HGT horizontal gene transfer
HR homologous recombination
ICP interon-containing plasmid
IHF integration host factor
Inc incompatibility
Mpf mating pair formation apparatus
ori origin of replication
oriT origin of (DNA) transfer
PCD programmed cell death
RCR rolling circle replication
RE restriction enzymes
Rep replication proteins
RM restriction–modification
SSB single-strand binding proteins
ssi single-strand initiation
sso single-strand ori
TIVSS type IV secretion system
Defining Statement
The focus of the article is on plasmids that establish
themselves in bacteria. Strategies by which plasmids are
reproduced, maintained, and transferred are described.
The broader and interrelated issues of how plasmids
generate a horizontal gene pool by recruiting genes
from different environments, including genes for antibio-
tic resistance, are also discussed.
Impact of Plasmid Research on Molecular
Biology
Bacteria are the most abundant and diverse forms of life on
Earth and they play host to a vast assortment of extrachro-
mosomal genetic elements. Joshua Lederberg originally
proposed the word ‘plasmid’ as a generic term for any
extrachromosomal hereditary determinant, a broader defi-
nition than is commonly used today. However, past and
915

recent discoveries do point to common properties of
certain bacteriophage and plasmids. Both can use very
similar mechanisms for replicating, maintaining, and parti-
tioning their genomes, and both can be evicted from a cell.
From the outset, plasmid research profoundly contrib-
uted to the development of modern molecular biology as
summarized in Figure 1. Bacterial plasmids are exemplary
subjects for study, being conveniently dissected, reas-
sembled, and introduced into various hosts. Their
versatility and power make them eminently worthy of
our attention. Unraveling the complexities of plasmids
relied upon genetics to identify the genes (proteins), bio-
chemistry to determine their function, and microscopy to
observe the conformations of single DNA molecules
in vitro and the behavior of plasmid communities in vivo.
The monumental task of elucidating the various shapes of
DNA and how they impact replication, transcription, and
recombination benefited immeasurably from the ease with
which plasmids can be isolated and genetically altered.
Plasmids are selfish DNA that constitute a burden for
the bacterial host cell. Their size can range from 2 to
500 kb and a given strain may contain several distinct
plasmids. As a result, plasmids can commandeer a sizeable
fraction of a cell’s resources, at times providing little to no
demonstrable benefit. For example, very few detectable
phenotypic differences were observed under laboratory
conditions after a wild type Bacillus megatherium strain was
cured of its seven plasmids, which comprised 11% of the
cellular DNA. How is it, then, that plasmids are so
successful in colonizing bacterial communities and why
are plasmid-free cell lines so infrequent among bacteria
isolated from nature?
The DNA of plasmids and their hosts have coevolved
a complex network of control mechanisms assuring a
highly effective symbiotic relationship, albeit a forced
one.
Plasmid Structures and DNA Synthesis
All circular and linear plasmids are double-strand, anti-
parallel DNA helices. When circular plasmids are isolated
from bacterial cells, the entire double helix is ‘stressed’,
which can lead to a change in the actual number of base
pairs per helix turn. Alternately, this stress can cause
regular spatial deformations of the helix axis. In either
event, the axis of the double helix then forms a helix of a
higher order. It is this deformation of the helix axis in
closed circular DNA that gave rise to the interchangeably
used terms ‘superhelicity’ and ‘supercoiling’. Supercoiling
is a form of energy that can be stored in DNA molecules
and used in various DNA transactions. As shown in
Figure 2, supercoiled DNA is more compact in comparison
to relaxed -nicked- circles. Several unusual DNA confor-
mations can be stabilized by supercoiling and some well-
characterized examples include cruciforms, R-loops, and
open complexes, all of which have specific sequence
requirements. Many proteins that modify superhelicity
DNA
topology
Artificial chromosomes
Transformation
in E. coli
‘Antisense’ RNA
‘Replicon’
‘Operon’
PLASMIDS
Conjugation
and fertility
Recombination
in bacteria
Gene expression
Co-transformation
Mammalian
cell
transfection
Bacterial
transposons
Genome evolution
DNA cloning
Reporter genes
Partitioning of DNA
at cell division
Restriction an
modification
enzymes
DNA replication
Figure 1 Summary of some of the major contributions to bacterial genetics that have resulted from the study of plasmids. Reprinted
from Elsevier, vol. 135, Cohen SN (1993) Bacterial plasmids: Their extraordinary contribution to molecular genetics. Gene 67–76.
ª1993, with permission from Elsevier and the author.
916 Plasmids, Bacterial

catalytically (e.g., topoisomerases) or by simply binding to
DNA and constraining superhelicity (e.g., integration host
factor (IHF) and HU) exist. The known topoisomerases
(Topo) that alter supercoiling include Topo I, DNA gyrase,
Topo III, and Topo IV. Topo I and Topo III break ‘one’
strand of the DNA duplex resulting in their classification as
‘type I’ enzymes. The type II enzymes DNA gyrase and
Topo IV are related to one another and, as their classification
suggests, they break both strands of the DNA simultaneously.
In almost all cases, isolated plasmid DNA displays ‘negative
superhelicity’ (DNA replication). Synthesizing the ends of
linear plasmids (i.e., telomeres) bucks this trend, however,
since it is stimulated by positive supercoiling.
The process of DNA replication influences and
responds to the superhelicity of the plasmid molecule.
Initiation of plasmid DNA replication typically occurs
asynchronously with respect to the bacterial cell cycle,
unlike initiation at the chromosome’s oriC (Chromosome
replication and segregation). Irrespective of their target
(plasmid or chromosome), all bacterial DNA polymerases
require a 39-OH group for initiating the synthesis of the
leading DNA strand. This occurs via elongation that
extends from one of three sources: an RNA primer
(R-loop), a nick in one of the two strands of the double
helix, or an amino acid of a protein covalently bound to
the DNA. During synthesis of the lagging strand, many
RNA primers are made. Eventually, the primer for the
leading strand and the multiple RNA primers for the
lagging strand are removed and the gaps are filled. DNA
polymerases, multisubunit complexes by themselves,
associate with many other proteins to form a molecular
machine called the replisome. In some bacteria the repli-
some assembles at the cell midpoint or the predivision
site. It was proposed that in Gram-positive bacteria with
low GC content, two different polymerases might be used
to replicate DNA (plasmids and chromosomes), one spe-
cializing in leading strand synthesis and a second that
synthesizes lagging DNA strands. In Gram-negative
bacteria, a single polymerase functions in both capacities.
The replisome operates on single-strand template DNA
created by the binding/activity of DNA helix-destabiliz-
ing proteins.
Unit of Replication: The Replicon
Units of replication called replicons comprise unique DNA
segments that are indispensable for the plasmids (and chro-
mosomes) that contain them. The reason is that the ori
sequence from which replication ‘originates’ is embedded
within each replicon. Interestingly, an ori of a circular
replicon has been converted into a linear replicon by adding
telomeres. Conversely, the oris from linear plasmids have
been similarly used to drive the replication of circular
vectors. These results suggest that linear and circular repli-
cons diverged from a common progenitor. Although a
single replicon with a single ori is necessary and sufficient
for the propagation of most plasmids, an additional level of
complexity is found in a subset of plasmids that contain
multiple oris. Studies of plasmid replicons have revealed
that an ori must be distinguished from the rest of the DNA
and it is the only site where the frequency of replication is
regulated. Once replication begins, DNA is threaded
through the machinery at the fairly steady rate of about
1000 bp/s. ‘Termination’ of DNA synthesis occurs either at
the ori (for unidirectional replication) or at a site called ter
(for bidirectional replication) where the replication fork is
disassembled. In linear plasmids, a different strategy for
terminating replication is employed at the telomeres,
which is described later.
To understand the components of the ori and the
dynamics controlling its activity, an extraordinary effort
has been made to isolate oris from a variety of naturally
occurring plasmids. Typical analyses of plasmid re-
plication functions employ constructs called ‘basic’ or
Figure 2 Electron microscope images of RI DNA. Predominant
circular species appear as light images on dark background.
The species in the top left and the bottom right corners represent
superhelical plasmid DNA while two molecules in the center
represent the relaxed form. Samples were prepared by a
specialized technique that ‘thickens’ DNA and thereby amplifies
the visual impression of DNA versus the background. Reprinted
by permission from Macmillan Publishers Ltd: Nature. Cohen SN
and Miller CA (1969) Multiple molecular species of circular
R-factor DNA isolated from Escherichia coli.Nature 224:
1273–1277. ª1969.
Plasmids, Bacterial 917

‘minimal’ replicons. These are defined as the minimal
portion of a plasmid that replicates with a copy number
characteristic of the parent replicon. Minimal replicons
are cryptic plasmids; they encode no function other than
replication. Hence, to assess an ori ’s ability to facilitate
controlled replication, a selectable marker such as anti-
biotic resistance is often added (cloned) into these self-
replicating DNA molecules. The recombinant plasmids
that are made by this process confer antibiotic resistance
to their host without posing risks to the environment
because their construction and use are strictly regulated
and confined to research laboratories. In fact, genetic
markers of various types and combinations can be added
to a plasmid replicon as long as the aforementioned rules
are adhered to.
As might be expected from its complicated role, the ori
coordinates multiple molecular interactions. Hence, it is
somewhat surprising how simple some oris are, with host-
encoded RNA polymerase being the sole machine
responsible for producing a preprimer. More often, before
the replisome is assembled and the replication fork is
launched, various proteins move in and sometimes out
of the ori in a controlled sequential pathway to provide for
the regulated initiation of DNA replication. Typically,
one or many copies of a plasmid-encoded ori-specific
protein bind to the ori and change its structure in a super-
coiling-dependent process. DNA sequences to which
these replication proteins (Rep) bind tend to be reiterated,
thus earning the name ‘iterons’, and plasmids that carry
them are called iteron-containing plasmids (ICPs). The
presence of Rep-binding iterons is a hallmark, not only of
many prokaryotic plasmid oris, but of chromosomal,
viral (phage), and eukaryotic oris as well. Several well-
characterized Rep proteins are known to bend the
ori DNA when they bind to target sequences, be they
singular cognate binding sites or iterons. Moreover,
besides containing Rep-binding sites, some oris contain
multiple binding sites for a variety of proteins of which
the most prominent are RNA polymerase, DnaA, IHF,
HU, Fis, and H-NS. Each of these proteins is known to
constrain supercoiling and some bend or even kink DNA
upon binding. The distortions they produce lead to con-
siderable changes in the DNA structure, and the resulting
patterns of protein–protein interactions are needed to
facilitate replication (Figure 3).
Examples of Replication oris and Mechanisms
of Their Activation
Circular plasmids are classified as belonging to one
of three broad categories based on their mode of replica-
tion, which can be thought of in terms of their signature
replication intermediates when visualized by electron
microscopy. The terms that have been coined for two of
these replication modes are particularly descriptive
of these intermediates. Replicating theta-mode plasmids
produce structures resembling the Greek letter theta, ‘’
(Figure 4). Rolling circle-mode plasmids, sometimes
referred to as sigma mode for the Greek , appear as
circles extruding linear product, giving the appearance
of yarn rolling off a spinning wheel. The third replication
Helicase
Polymerase
Primase
DNA-synthesisPrimer
DnaA
IHF
Rep
AT-rich
region
ori
Figure 3 Replication steps – a model. The replication initiator protein (Rep) recognizes the origin of replication (ori)andinducesa
conformational change in the plasmid (e.g., DNA bending). Then, Rep protein, with or without host proteins engagement with their binding
sites (IHF/HU, DnaA), triggers strand separation in an AT-rich segment of the DNA. This single-strand region is then targeted for the loading
of DNA helicase and primase. DNA helicase will further unwind the DNA helix while primase will start synthesizing short RNA molecules
that serve as primers for the initiation of DNA synthesis by ‘sliding’ DNA polymerase. Reproduced from Kru¨ ger R, Rakowski SA, and
Filutowicz M (2004) Participating elements in the replication of iteron-containing plasmids (ICPs). In Funnell BE and Phillips GJ (eds.)
Plasmid Biology, ch. 2, pp. 25–45. Washington, DC: American Society for Microbiology. ª2004, with permission from ASM Press.
918 Plasmids, Bacterial

mode, strand displacement, has perhaps a less catchy
name but it still informs the imagination.
Plasmids replicating by the ‘theta’ mechanism
Theta-type plasmids are divided into several distinct
subgroups and many of the previously mentioned ICPs
fall, collectively, into a theta subgroup characterized by
oris with AT-rich regions. For these plasmids, melting ori
DNA during open complex formation typically requires
the concerted action of both the plasmid-encoded Rep
protein and the host-encoded initiator, DnaA. These pro-
teins are believed to promote localized DNA melting at
their binding sites, but there are insufficient data to
explain how this would destabilize the spatially separated
AT-rich segments. There is not even a consensus as to the
type of nucleoprotein structure that DNA-bound Rep
produces. In some cases, Rep proteins appear to form a
discrete nucleoprotein complex into which none or only a
short stretch of DNA is incorporated. In other ICPs,
however, iteron-containing DNA seems to wrap around
Rep, but only if another host protein (HU or IHF) is
present, suggesting that interactions between the proteins
occur in association with ori DNA. In fact, IHF may also
have a role in strand separation.
Although the recognition of oris by Rep protein and
auxiliary host factors is energy-independent, the DNA
melting process requires energy. Given that DnaA pos-
sesses ATPase activity, one possible role for this host
factor in initiation may be to generate energy for strand
separation. Surprisingly, however, ATP hydrolysis is not
obligatory for DnaA functioning in the melting of some
oris despite the fact that data support crucial roles for
DnaA–ATP and DnaA–ADP complexes in the regulation
of chromosomal replication. Interestingly, in the presence
of ATP, some Reps can change the conformation of
plasmid DNA without any additional factors, suggesting
that the Rep protein, itself, can somehow perceive the
presence of ATP (Figure 5). Once melting is complete,
the replication process proceeds to the synthesis of an
RNA primer and the loading of DNA helicase. ATP is
required as a cofactor as well as a substrate for RNA
primers and there must be energy input for the process
to progress. In a supercoiled DNA molecule, conforma-
tional energy stored after open complex formation can
be tapped and, additionally, ATP hydrolysis occurs dur-
ing the helicase movement and topoisomerase activities
that take place ahead of the replication fork (gyrase,
mentioned earlier).
The mechanism employed for primer generation is an
important distinction used to assign plasmids to sub-
groups of theta-mode replication. In the R-loop-type
plasmids, RNA polymerase-driven transcription gener-
ates an RNA molecule that is complementary to the
transcribed strand of the plasmid DNA. Recent studies
of RNA polymerases show that the RNA transcript and
the DNA exit through separate channels of the polymer-
ase, but the displaced DNA strand is accessible for base-
pairing. When the 59end of the RNA and the displaced
DNA strand interact, a stable RNA–DNA heteroduplex
(the R-loop) is formed at the ori. This is highly unusual.
Typically, the product of transcription is messenger
RNA, which is bound by ribosomes and translated into
proteins. In the prototype plasmid ColE1, a primer pre-
cursor of approximately 550 bp, called RNAII, interacts
with the displaced DNA strand as RNA polymerase
transcribes the template DNA. For DNA polymerase
(Pol I) to initiate replication, RNA degrading enzymes
must process the nucleic acid heteroduplex to make an
RNA–DNA junction that will be proficient in priming
unidirectional DNA replication. This group of plasmids
does not encode any protein that is essential for replica-
tion. Contrasting with this, ColE2-type plasmids encode a
Rep that functions as a priming enzyme specific for the
ColE2 ori. Such enzymes, called primases, are simply
alternate forms of RNA polymerase that are dedicated
to synthesize primers for DNA replication. In the case of
ColE2, the Rep/primase generates a very short RNA
(a)
(c)
(e) (f)
(d)
(b)
Figure 4 Electron micrograph of plasmid replication products
synthesized in vitro: (a) Double-strand circular template DNA,
(b) D-loop molecule, (c) and (d) Theta-type replicative
intermediates containing two branch points and two double-
strand daughter segments. (e) and (f) Catenated daughter
molecules. To enhance picture resolution, the template and
replicative intermediates were prepared for microscopy by a
technique that ‘relaxes’ DNA. If not treated in this way, all
samples would resemble the supercoiled molecules shown in
Figure 2. Reprinted from Elsevier, vol. 193, Levchenko I, Inman
RB, and Filutowicz M (1997) Replication of the R6K origin
in vitro: Dependence on wt and hyperactive S87N protein
variants. Gene 97–103. ª1997, with permission from Elsevier.
Plasmids, Bacterial 919

primer, a scant 3 bases in length, to prepare for the
synthesis of the plasmid’s leading DNA strand.
Rolling circle replication
For plasmids that employ rolling circle replication (RCR)
such as the PT181 family, the initiation step involves the
recognition of the double-strand ori (dso) by the plasmid-
and dso-specific Rep protein. Many dsos contain sequences
that promote the formation of hairpin and cruciform
structures in a supercoiling-dependent fashion. The bind-
ing of Rep to the dso is also known to enhance cruciform
extrusion. Two enzymatic activities, nicking and strand
closing, accompany the Rep protein’s sequence-specific
DNA-binding activity. In many RCR plasmids, a nic
sequence is located in the loop of the hairpin and this
sequence, in addition to the dso’s Rep-binding sequence, is
required for plasmid replication. Reps are highly con-
served among this family of plasmids, and sequence
comparisons (of Reps and dsos) suggest that the hundreds
of RCR plasmids may belong to only a few families.
Rep proteins encoded by RCR plasmids remain cova-
lently attached to the 59end of the nick site via a conserved
amino acid, tyrosine. Leading strand replication proceeds
by extension from the free 39end of the nicked DNA until a
(a)
(c)
(e)
++
+–
––
(b)
(d)
(f)
AFM images
ATP
RepE54
Figure 5 RepE54-induced relaxation of mini-F plasmid. Supercoiled plasmid and RepE54 were incubated in the absence or
presence of ATP (at optimal amounts of all three reactants). Atomic force microscopy images of (a) and (b) supercoiled mini-F replicon
DNA in the absence of RepE54, (c) and (d) relaxed plasmids by RepE54 binding in the absence of ATP, and (e) and (f) relaxed plasmids
by RepE54 binding in the presence of ATP are shown. The images in f represent the relaxed plasmids only from the sample longer in
‘apparent length’. Bound proteins are indicated with arrows. Image sizes are 1 1mm (a, c, and e) and 300 300 nm (b, d, and f)
(reproduced at 90% of original size). Reproduced from Yoshimura SH, Ohniwa RL, Sato MH, et al. (2000) DNA phase transition
promoted by replication initiator. Biochemistry 39: 9139–9145. ª2000, with permission from the American Chemical Society.
920 Plasmids, Bacterial

complete round of synthesis leaves the parental portion of
the leading strand fully displaced. Cleavage and rejoining
reactions at the regenerated nick site, catalyzed by the Rep
protein (using another tyrosine), result in a covalently
closed, circular, double-strand DNA that contains the
newly synthesized leading strand. Perhaps the requirement
for two tyrosines explains why many Rep proteins of RCR
plasmids function as dimers in which each subunit performs
a different role. A common feature of the RCR initiators is
that they promote only one round of leading-strand repli-
cation, a consequence of the inactivation of the tyrosine that
Rep needs for initiation (an oligonucleotide is attached). To
complete the replication process, the displaced leading
strand is subsequently converted to double-strand DNA
by using a single-strand ori (sso) and, solely, host-encoded
proteins (Figure 6).
DNA replication during the process of conjugation
Conjugation, the self-controlled transfer of DNA, is an
amazing property of some plasmids and a process of such
significance that it warrants separate discussion later in
this article (Conjugation, bacterial). The replication of
DNA that occurs during conjugation is mechanistically
very similar to RC plasmid replication, the major differ-
ence being that, in conjugation, the process commences in
one cell but is completed in a different one. Conjugative
plasmid replication begins with the relaxosome, which is
an assemblage of proteins that processes the DNA at a site
called the origin of (DNA) transfer (oriT). DNA relaxases
are the key enzymes although they act, together, with
additional accessory proteins. In all systems of self-trans-
missible and mobilizable plasmids studied so far (except in
actinomyces), DNA cleavage is the consequence of a
strand transfer reaction that involves the formation of a
covalent DNA–relaxase intermediate. During conjugation,
a unique plasmid DNA strand called the transfer (T)
strand undergoes 59-to-39directional transmission; thus,
the relaxase-bound end of the DNA enters the recipient
first. The 39end of this strand likely undergoes continuous
extension by DNA polymerase in the donor cell, thereby
generating a transfer intermediate that is longer than unit
length and contains an internal nic site. The 59-bound
relaxase recognizes the site after it enters the recipient
and mediates the recircularization of the DNA molecule
by a reverse strand transfer reaction. In other words, a
cleavage–rejoining reaction is catalyzed between the free
39OH end of the DNA and the covalently linked 59
terminus. The initiation and termination steps in a round
of transfer require different sequence features at oriT,
consistent with the model that initiation involves nega-
tively supercoiled, double-strand DNA whereas the
termination reaction acts on single-strand DNA.
The T-strand that enters the recipient is ‘parental’ DNA.
It is generally believed that replacement strand synthesis in
the donor bacterium proceeds via a rolling-circle mechan-
ism from the 39hydroxyl group exposed at nic. In the
recipient cell, conversion to double-strand DNA occurs
using a sso andhost-encodedproteins.Anotherintriguing
aspect of certain plasmids is that conjugative DNA replica-
tion and RC replication for copy number maintenance must
SC DNA
Rep
dso
Tyr
Nicking
PcrA helicase
SSB
DNA Pol lll
DNA ligase
Nick
DNA gyrase
dso
SC DNASS DNASC DNA
RNA Pol
DNA Pol l
DNA Pol lll
DNA ligase
DNA gyrase
SSO
dso
Inactive Rep
Nick
Tyr
SSO
SSO
SSO
SSO
SSO
SSO
SSO
Figure 6 A model for plasmid RCR replication. See text for details. Reproduced from Khan SA (2004) Rolling-circle replication. In:
Funnell BE and Phillips GJ (eds.) Plasmid Biology, ch. 4, pp. 63–78. Washington, DC: American Society for Microbiology. ª2004, with
permission from ASM Press.
Plasmids, Bacterial 921

be strictly coordinated. After all, the initiation of DNA
synthesis at oriT would lead to an immediate loss of super-
helicity, thereby preventing cleavage at any other RCR
type origin. Although the conjugative relaxases and Reps
of RCR cleave DNA site- and strand-specifically, the
relaxases have substantially higher affinity for the 39-term-
inal region of the substrate DNA. This property of relaxases
allows the superhelical state of the cleaved DNA to be
maintained, which in turn allows the plasmids to exist stably
as ‘relaxosomes’ without being impaired in other plasmid
functions. As a result, relaxosomes can be present through-
out the entire replication cycle, awaiting the cues that will
trigger the release of the 39end. DNA cleavage by vegeta-
tive RCR initiators, in contrast, results in the spontaneous
release of the 39terminus, which subsequently becomes
available for elongation by host-encoded DNA
polymerases.
Strand displacement: The IncQ family of replicons
The strand displacement mode of replication utilized by
the RSF1010-like IncQ plasmids begins with a familiar
scenario: Plasmid-encoded Rep proteins bind to iterons
in the ori, which results in the melting of an adjacent
AT-rich region. As a new twist, the opened DNA pro-
vides an entry point for a plasmid-encoded helicase
whose activity exposes two single-strand initiation (ssi)
sites. These sites are located on opposite DNA strands
and are recognized by a plasmid-encoded primase. DNA
replication proceeds by continuous extension of RNA
primers by the host polymerase originating from a primed
ssi site, and this results in the displacement of the non-
template DNA strand. IncQ plasmids are exceptionally
broad in their host ranges and their features will be dis-
cussed in greater detail in the section describing strategies
used by plasmids for transferring themselves to plasmid-
free cells.
Plasmid Replication: Regulation of Initiation
Frequency
Every replicon’s most basic function is to maintain itself at
its characteristic, fixed, intracellular copy number. For
some plasmids, the copy number can be as low as one
per cell, whereas others can approach several dozen plas-
mid replicons per chromosomal equivalent. Ultimately,
however, high copy and low copy plasmids adopt the
survival strategy of controlling their rates of replication
in accordance with the reproduction of their hosts. If
the plasmid replicates ‘too slowly’ it will be lost from
the bacterial population, but if it replicates ‘too fast’,
cells will become ‘intoxicated’ by the excessive amplifica-
tion of extrachromosomal DNA.
Functional assays called incompatibility (Inc) tests
have been used to identify elements that control the
copy number of plasmids. The name of the assay derives
from another use of this powerful genetic tool, determin-
ing the functional relatedness of plasmids. An Inc
–
phenotype often results from the inability of plasmids to
coexist within the same cell over many generations
because they share replication/copy number control ele-
ments; this eventually winds up excluding one of
the plasmids from the cell. This assay led researchers
to classify plasmids into several dozen Inc groups. By
cloning fragments of minimal replicons into unrelated
plasmids, Inc testing was adopted as a screen to identify
factors and/or sequences that inhibit the replication of
their plasmids of origin. This methodology demonstrated
that, across the board, antisense RNA and iterons play a
trans-acting regulatory role even though they encode no
product; the RNA or DNA itself inhibits replication in
a dosage-dependent fashion. The mechanism that senses
the number of oris per cell (ori counting) is dependent on
the binding of antisense RNA or iterons to their targets,
another RNA, or Rep protein. These targets were identi-
fied by using another major genetic approach used to
dissect plasmid replication, the isolation of ‘copy-up’
mutants with elevated plasmid copy numbers. Copy-up
mutations typically fall within the ‘genes’ encoding anti-
sense RNA or Rep. It is noteworthy that certain copy-up
mutations (singularly or in combination) have been found
to cause a plasmid–host relationship to become self-
destructive due to plasmid (over)replication.
ICPs: Regulation of replication in Rep–iteron
systems
As previously discussed, an understanding of the control of
replication in iteron-containing plasmids relies on a famil-
iarity with the interactions between Rep protein and
iterons, the dominant players in DNA helix melting at
the ori. Helix melting is an early step of open complex
formation, which is considered to be a prime target for
elements in plasmid replication control. Insight into one
possible mechanism for modulating ori activity was gained
by the observation in one system (plasmid R6K) that pre-
cise deletion of mutant iterons can sometimes restore the
function of a defective replication ori. It was hypothesized
that continuous alignment of iterons invites near-neighbor
contacts between the Rep molecules bound to them. More
recent experiments have demonstrated cooperative iteron
binding by Rep protein, which presumably has a positive
influence on filling the ori with initiator even when con-
centrations of active Rep might be suboptimal. Decades of
research have demonstrated that Rep and iterons are not
only necessary for initiating ICP replication, but under
certain conditions they act as negative regulatory elements
as well. Our advanced understanding of replication control
in ICPs owes itself to the fact that many Rep proteins and
iterons exhibit sequence homologies and a still larger group
(including eukaryotic counterparts) appears to be related
on a structural level. This has allowed insights made in one
922 Plasmids, Bacterial

model system to be applied to others. It has become evident
that Rep proteins are characterized by structural flexibility,
allowing them to participate in a wide range of regulatory
communications (Figure 7). Crystal structure analyses and
biochemical data have revealed that Rep monomers are
modular in nature with one subdomain dedicated to DNA
binding while the other can alternately be used for DNA
binding or dimerization (Figure 8). In iteron-regulated
plasmids, copy-up Rep mutations typically destabilize pro-
tein dimers and overwhelming evidence indicates that Rep
monomers are the initiators of replication, not the dimers
that often seem to predominate. In one or two systems,
dimers can compete with monomers for iteron binding;
however, most Rep dimers seem to lack iteron-binding
activity. Intriguingly, a number of experiments have
demonstrated that dimers inhibit replication and some of
the data come from systems where dimers do not bind to
iterons.
Whether or not dimeric versions of Rep bind iterons,
they often play key regulatory roles in the autorepression of
transcription and/or the inhibition of replication (Figure 7).
One model for Rep-mediated inhibition of plasmid re-
plication, known as handcuffing, has been proposed in
variations that do and do not invoke direct DNA
interaction by Rep dimers. The handcuffing model cen-
ters on three main postulates: An individual ori with Rep
monomers bound to its cognate iterons is replication
proficient. Rep-mediated coupling of two oris by dimers
blocks the initiation of replication for each of the partici-
pating plasmids. Finally, handcuffed structures fall apart
and initiation potential is restored as cell volume
increases, perhaps a result of dimers dissociating to yield
two monomer-containing oris that are ready to recruit
other replication components (Cyanobacterial toxins).
There is ever-growing evidence to support handcuffing
as a unifying mechanism of replication control among
ICPs. Another model for negative replication control,
called titration, also invokes Rep–iteron interactions but
in an entirely different context. The underlying principle
for titration rests on the notion that iterons could inhibit
DNA replication by tying up Rep initiators in nucleopro-
tein complexes that are nonproductive for replication
initiation. A straightforward prediction of the titration
model is that increasing the concentration of the rate-
limiting component should increase plasmid copy num-
ber. This prediction has been realized in ICP systems in
which plasmid levels are proportional to Rep over a broad
range of protein concentrations.
Replication control by antisense RNAs
Data from a wide assortment of systems controlled by
antisense RNA have revealed the formation of highly
structured molecules that act via sequence complementar-
ity on targets called sense RNAs. Copy-up mutations that
destabilize antisense RNA or alter its interaction with the
cognate sense RNA are known. Antisense RNA-dependent
regulation of replication is achieved by a variety of
mechanisms: (1) inhibition of RNA primer utilization by
DNA polymerase, (2) inhibition of the translation of Rep
protein or the leader peptide needed for efficient Rep
translation, (3) attenuation of transcription to limit the
availability of Rep. In some instances, the antisense RNAs
act alone. In other cases, antisense RNAs act in concert
with regulatory proteins that are either transcriptional
repressors or RNA-binding proteins. The use of antisense
RNA as a regulatory control element is further elaborated
on in RNAs, small etc.
Resolution and Distribution of Newly
Replicated Plasmid DNA
Resolution of the Products of Circular Plasmid
Replication
Multimerization of circular replicons is a persistent pro-
blem in all recombination-proficient bacterial species.
The best studied case of multimer formation is the dimer-
ization of circular chromosomes, which is lethal when
unresolved. A host-encoded recombination system, Xer,
Activation
[3]
[1]
[4]
Operator
(+)
ori
(iterons)
rep gene
[2]
(+) Inhibition/
repression
(–)
(–)
(–)
Figure 7 Two essential components of a ‘minimal’ R6K
replicon are the ori and its cognate Rep protein, , encoded by
the pir gene. monomers activate ori replication at low
intracellular levels [1]. At elevated protein levels, dimers form
[2], autoregulating pir expression [3] and inhibiting replication.
dimers may use more than one mechanism to inhibit
replication. Although handcuffing [4] is hypothesized to be a
replication inhibitor in several plasmid systems, additional work
established competitive protein–DNA binding as another viable
mechanism for R6K (not shown). The monomeric initiator form of
and the dimeric replication inhibitor form bind iterons
competitively and sequence specifically. Although dimers are
typically vastly more abundant, monomeric has a couple of
advantages, cooperativity and dual DNA binding domains.
Plasmids, Bacterial 923

is required to convert chromosomal dimers into mono-
mers and its high level of conservation among bacteria
and archaea (with circular genomes) reflects its crucial
role in chromosome segregation. Not surprisingly,
ongoing sequencing projects reveal that most circular
and linear plasmids contain one, and often multiple,
site-specific resolvase genes.
Why is dimerization, and higher level multimerization,
so problematic for a replicon? The formation of dimers
affects replicon stability by lowering the number of segre-
gation units at the time of cell division. As noted earlier,
replication is controlled by ‘origin counting’, which means
that a dimer counts as two plasmids for replication but only
as a single unit for segregation. Imagine cell division advan-
cing toward the production of two ‘daughter’ cells but with
only one dimeric chromosome to be partitioned to them.
Plasmids, even multicopy plasmids, are similarly ill-
affected by the formation of multimers, which increases
the frequency of plasmid loss. In fact, although it may seem
counterintuitive, dimer formation poses a greater risk to
the high copy number plasmids. These plasmids follow a
‘random copy choice’ mode of ori activation and, as a result,
dimers replicate at twice the frequency of monomers. The
replicative advantage of the multimers causes their rapid
accumulation in the progeny of the cells in which they
appeared. This phenomenon, called the ‘dimer cata-
strophe’, is responsible for the greater fraction of
segregation defects in plasmid-bearing cells because it
leads to the formation of a subpopulation that contains
mostly multimers. Another serious disadvantage of multi-
mer formation in circular, but not linear, plasmids is their
high sensitivity to rearrangements caused by homologous
recombination (HR) (Figure 9; Recombination, genetic).
Certain recombination events among circular replicons
result in the formation of a dimeric cointegrate molecule
in which the two copies of the replicon are fused in a
head-to-tail configuration. These events do not occur in a
strain that is recombination deficient (e.g., recA) consistent
with the view that the vast majority of plasmid dimers form
by HR.
In addition to multimerization, circular plasmids are
confronted with another obstacle to plasmid segregation,
‘catenation’. The replication of both DNA strands of circu-
lar plasmids results in the formation of intercatenated
structures in which the two sister double-strand DNA
molecules remain interlinked (unseparable by pulling
them apart). Sophisticated DNA-processing machines phy-
sically resolve catenanes and dimers (Figures 4 and 9). An
enzyme mentioned earlier, type II topoisomerase, can pro-
mote decatenation by sequentially nicking and closing the
two strands of the DNA backbone. Resolution of multi-
meric forms of circular plasmids (and chromosomes) is
mediated by relatively simple molecular machines, termed
site-specific recombinases or resolvases, that catalyze the
essential DNA breakage and rejoining reactions. These
enzymes are often plasmid-encoded with the recombinase
(a) (c)
RepE monomer
NTD
100 Å
60 Å
50 Å
CTD
NTD
CTD CTD
CTD
NTD
N
N
C
C
C
NTD NTD
CTD
90°
RepE (dimer) - operator
promoter/operator
RepE54 (monomer) - iteron
(d)
CTD NTD
Replication initiator
RepE dimer
DnaK
chaperones
Autogenous
repressor
Four direct repeats
13mer
Iteron
ori2 Inc C
repE
(b)
5′ -TTAGTGTGACAATCTAAAAACTTGTCACACTTC-3′
5′-CTGTGACAAATTGCCCTTT-3′
5′-AGTGTGACAATCTAAAAACTTGTCACACT-3′
3′ -AATCACACTGTTAGATTTTTGAACAGTGTGAAG-5′
Figure 8 Structures and functions of RepE. (a) Schematic representation of the functions of RepE initiator of plasmid F. (b) DNA
sequence used for the cocrystallization of RepE with DNA. Arrows indicate the common 8 bp sequences shared by the ori iteron
and the inverted half iterons present in the repE gene operator. (c) and (d) Two views (length and distance) of a RepE–operator
DNA complex (c) and a RepE–iteron DNA complex. Each functional dimer is colored green (molecule A) or yellow (molecule B). The
DNA models are omitted in the lower panels. The secondary structural elements of the RepE dimer are designated according to
previously determined elements of the RepE54 structure. Reproduced from Nakamura A, Wada C, and Miki K (2007) Structural basis
for regulation of bifunctional roles in replication initiator protein. Proceedings of the National Academy of Sciences USA 104:
18484–18489. ª2007, with permission from National Academy of Sciences, USA.
924 Plasmids, Bacterial

gene and the target recombination site usually being asso-
ciated side by side (i.e., linked loci). Resolvases fall into two
major families of unrelated proteins that use different
mechanisms to cleave and rejoin DNA molecules. These
two groups of enzymes are now commonly referred to as
the serine recombinase family and the tyrosine recombinase
family according to the conserved residue that participates
in the DNA cleavage–rejoining steps. Many plasmids, how-
ever, such as those of the ColE1 family, utilize the host-
encoded Xer recombination system rather than encoding
one of their own.
Recombination between directly repeated sites on a
circular DNA molecule will resolve the molecule into
two separate rings (Figure 9). Multimer resolution activ-
ity is totally independent of other cellular processes such
as replication, allowing site-specific recombination to
take place at any stage of the cell cycle. This is crucial
to ensure efficient resolution of multimeric forms of cir-
cular replicons.
Termination and Resolution of Replication by
Machines Assembled on Linear Plasmids
Linear plasmids and chromosomes have been identified in
a number of widely divergent bacterial species and they
generally retain the same features and mechanisms for
replication initiation as their circular counterparts. In
species that possess both linear and circular plasmids
such as Borellia burgdorferi, a conserved mechanism for
replication initiation appears to be the rule. Such
replicons contain internal oris from which replication
proceeds bidirectionally toward the telomeres. In contrast
to initiation, however, replication termination and the
resolution of replicated plasmids are significantly differ-
ent in linear and circular replicons. In circular plasmids
replicating bidirectionally by the theta mechanism, the ter
sequence is recognized by a contra-helicase called RTP
that blocks the movement of the replicative helicase
(DnaB), thereby promoting termination. The ter sequence
signals the end point of replication for a molecule that has
no physical ends. All linear replicons, whether eukaryotic,
prokaryotic, or viral, are presented with a different chal-
lenge as replication nears completion: how to replicate the
extreme 39ends of the DNA? Various mechanisms have
evolved to solve this problem and are discussed below.
The ends of linear plasmids in bacteria fall into two
main structural classes, telomeres with covalently closed
hairpin ends and telomeres with unlinked DNA and pro-
tein-capped ends. Plasmids with hairpin ends can be
described as continuous single strands of DNA that are
self-complementary, so their structure is a double-strand
linear molecule with direct linkages at both ends between
the 59end of one strand and the 39end of the other. Due
to the inherent stiffness of DNA, linear plasmids have
loops composed of at least four unpaired nucleotides
making the connection between the two strands, called a
hairpin end. Plasmids containing hairpin telomeres versus
free ends capped with terminal proteins require different
termination mechanisms.
For the linear plasmids with closed hairpin ends, repli-
cation initiates from an internal origin and continues
around the hairpin telomeres, resulting in a circular
dimer. Processing of the circular dimer into two linear
plasmids is accomplished by the activity of telomere
resolvases that recognize specific sites (i.e., replicated
telomeres) in the circular dimer formed after replication.
The enzymes cleave the joined telomeres of replication
intermediates, subsequently religating them to generate
two daughter plasmids with hairpin ends (Figure 10). An
inverted repeat is presumed to be the only sequence
feature required for telomere resolvase to recognize and
cleave joined telomeres. Given that the replication of this
type of linear plasmid produces head-to-head circular
dimers, it is not surprising that organisms harboring
such replicons contain enzymes related to the tyrosine
recombinases described in the previous section.
Evidence for an alternate method of processing the
ends of linear plasmids can be seen in Streptomyces in
which proteins are bound to the termini. As the bidirec-
tional fork encounters the extreme 59end of the newly
synthesized DNA strand, with its last RNA primer
removed, a terminal patching mechanism is required to
fill the remaining gap. The new DNA chain is approxi-
mately 300 nt short at the 59terminus, which leaves a
single-strand 39overhang (Figure 11) Two mechanisms
HR Dimer SSR
Figure 9 Formation and resolution of circular replicon dimers.
Homologous recombination (HR) occurring during or after
replication of a circular plasmid or chromosome produces a
dimeric DNA molecule in which the two copies of the replicon are
fused in a head-to-tail configuration. The dimer is converted into
monomers by site-specific recombination between the
duplicated copies of the replicon resolution site (colored in black
and gray). The core recombination sites where the recombinase
catalyzes the strand-exchange reaction are represented by
squares. The adjacent colored regions are regulatory sequences
that are often associated with the recombination site to control
the recombination reaction. Circles represent the plasmid or
chromosome replication origin. Reproduced from Hallet B,
Vanhooff V, and Cornet F (2004) DNA site-specific resolution
systems. In: Funnell BE and Phillips GJ (eds.) Plasmid Biology,
ch.7, pp. 145–180. Washington, DC: American Society for
Microbiology. ª2004, with permission from ASM Press.
Plasmids, Bacterial 925

have been proposed for filling in the missing nucleotides
and each assigns roles for the terminal proteins, which are
known to be essential although their exact roles in repli-
cation remain to be elucidated. In one model, the terminal
protein functions as a protein primer to initiate gap filling.
In a second model, the terminal protein nicks the tem-
plate strand and attaches itself covalently to the 59end
with subsequent displacement and gap filling by DNA
polymerase. Whatever functions terminal proteins pos-
sess, they are likely conserved among this category of
linear plasmids. The genes encoding terminal proteins
have been found to lie adjacent to the plasmids’ telomeres,
and sequence analysis has revealed that the proteins are
homologous.
Plasmid Segregation
Plasmid partitioning and plasmid replication are indepen-
dent functions (Chromosome replication and segregation).
This was perhaps best demonstrated by observations that
several partitioning loci (coding and noncoding par ‘genes’)
promote plasmid stability when cloned to different repli-
cons striped of their own par systems. Partition machines
also exert an Inc phenotype that is distinct from the replica-
tion-mediated Inc described earlier, the latter being the Inc
that is traditionally used to classify replicons. As a result,
two replicons that would be compatible based on their
replication machinery will nonetheless be unable to stably
coexist in the same cell if they are segregated by the same
par system. This Inc mechanism derives from competition
between identical partition systems on otherwise different
plasmids and has been used to genetically dissect partition
modules and their components.
Elegant microscopic studies support the contention
that Par machines prevent plasmid diffusion in the intra-
cellular space by organizing DNA into communities
called foci then actively distributing plasmids to each
side of the cell division plane. By using fluorescence
microscopy it has become possible to track segregating
plasmid molecules. The components of par systems and
the dynamics of segregating plasmid foci are reminiscent
of the mitotic machinery of eukaryotic cells. Remarkably,
plasmid molecules rely on just three essential components
for their specific intracellular positioning and, thus, stable
propagation. The first of these elements, the centromere,
is required in cis for plasmid stability. Centromeres often
contain one or more inverted repeats as recognition ele-
ments and they serve as the loading sites for the rest of the
segregation machinery. In addition to the centromeres,
two trans-acting Par proteins are required; one or both
Par proteins usually autorepress their own expression.
Adaptor proteins specifically recognize the centromeres
and the energy-generating cytoskeletal ATPases (or
GTPases) that move and attach plasmids to specific host
locations. Plasmid partition systems are typically
classified according to the nature of the cytoskeletal com-
ponent they encode.
ParM systems: Actin-like ATPases
Our understanding of partitioning systems is most
advanced for the Escherichia coli plasmid RI that encodes
ParM protein, an actin-like ATPase. As revealed by
fluorescence microscopy, ParM assembles into transient
and dynamic filaments that grow at similar rates at both
ends and then depolymerize unidirectionally. Additional
insights were gained when Par-mediated movement was
reconstituted from purified components. By hydrolyzing
Telomere resolvase
+
+
Initiation of replication
from internal origin
Telomere resolution
Circular dimer
Figure 10 Model for replication of linear plasmids with
covalently closed hairpin ends. Replication initiates from an
internal origin and proceeds bidirectionally, producing a circular
dimer intermediate with joined telomeric sequences producing
inverted repeats (arrows). The replicated telomere sequence
serves as a recognition site for the telomere resolvase ( ), which
cleaves both DNA strands and then joins opposite strands
together to create two linear plasmids with covalently closed
hairpin telomeres. For further details, see Further Reading.
Reproduced from Stewart P, Rosa PA, and Tilly K (2004) Linear
plasmids in bacteria: Common origins, uncommon ends. In:
Funnell BE and Phillips GJ (eds.) Plasmid Biology, ch. 13,
pp. 291–301. Washington, DC: American Society for
Microbiology. ª2004, with permission from ASM Press.
926 Plasmids, Bacterial

ATP, ParM polymerization was shown to facilitate the
segregation of DNA complexes containing the adaptor
protein (ParR) bound to centromeres (parC), thus provid-
ing strong evidence that these three elements of the par
system are required and sufficient to mediate plasmid
segregation. Researchers have been able to visualize the
segregation in vivo and measurements reveal that it is a
speedy process. ParM filaments grow by the insertion of
monomers at the filament–plasmid junction and, like
actin, the protein assembles head-to-tail into a polarized
filament with distinguishable plus and minus ends.
Plasmid DNA invariably localizes to opposite ends of a
5′
5′
3′
3′
5′
3′
5′
3′
5′
5′
3′
5′
5′3′
3′
5′
5′
3′5′3′
3′5′
5′
3′
3′5′3′
5′
3′
3′
3′
5′
3′
3′5′
5′
3′
3′5′
+
+
+
+
3′
5′
5′3′
3′
= Terminal protein Initiation of replication from internal origin
Absence of primer at 5′ ends of nascent
strands results in single-stranded 3′ overhangs
Inverted repeats in 3′ overhangs fold into
stem-loop structures
TP recognizes stem-loop structures
DNA polymerase initiates DNA
synthesis using TP as primer
Secondary structure displaces as
DNA polymerase fills gap
Inverted repeats forms
double-stranded primer for
DNA polymerase to fill gap
DNA polymerase
fills remaining
gap
TP nicks
DNA
B. TP as nickaseA. TP as primer
Figure 11 Model for the replication of linear plasmids with protein-capped ends. Bidirectional replication from an internal origin
results in a gap at the 59end of the newly synthesized strand when the RNA primer is removed. Two general models for filling the
gaps are depicted and are based on models for the replication of the linear chromosome of Streptomyces spp. Inverted repeat
sequences of the single-stranded 39overhang fold together to form stem-loop structures. (a) The terminal protein ($) recognizes
the complex secondary structure of the 39DNA strand and serves as a protein primer for DNA polymerase to initiate replication and
fill the gaps. (b) The folded 39terminus forms the double-stranded primer necessary for DNA polymerase to initiate replication and fill
the gap. Subsequently, the terminal protein binds and nicks the DNA near the beginning of the inverted repeat regions. DNA polymerase
then proceeds in a 59to 39direction from the original template strand and fills the remaining gap. For variations on these models,
see Further Reading. Reproduced from Philip S, Rosa PA, and Tilly K (2004) Linear plasmids in bacteria: Common origins,
uncommon ends. In: Funnell BE and Phillips GJ (eds.) Plasmid Biology, ch. 13, pp. 291–301. Washington, DC: American Society for
Microbiology. ª2004, with permission from ASM Press.
Plasmids, Bacterial 927

growing spindle, suggesting that polymerizing ParM
actively pushes plasmids apart.
How do plasmid molecules manage to interact with
opposite filament ends at the same time? A clue was
provided by crystal structure data showing that ParR
dimerizes to form a DNA-binding structure that further
assembles into a helical (or ring-shaped) array with DNA-
binding domains presented on the multimer’s exterior.
Additionally, electron microscopic analysis of ParR–
parC complexes showed parC–DNA wrapped around the
ParR protein scaffold. These findings suggest that the
ParR–parC complex can encircle ParM filaments and
slide along the polymer. As the ParR–parC complex has
twofold symmetry, this interaction may occur in inverse
orientations at opposite ends of the ParM filament, thus
explaining the topological problem of how ParR–parC can
interact with both ends of a polar filament.
In addition to the long ParM filaments, shorter ones
appear to emanate from a single plasmid, which suggests a
model (shown in Figure 12) that might explain how the par
spindle works. ParM filaments form continuously through-
out the cytoplasm but rapidly decay in the absence of
stabilizing interactions with plasmid molecules. However,
if a filament at one end of the cell becomes stabilized, it will
‘search’ the cytoplasm and only after it ‘captures’ a second
plasmid will the filament extend into a pole-to-pole spin-
dle. This is similar to the way in which microtubules
extend from the eukaryotic spindle pole body during mito-
tic pro-metaphase, searching for chromosomes. Although
bipolar stabilization of ParM filaments is favored when two
plasmid copies are in close proximity, plasmid pairing itself
is not required.
Other mechanisms for plasmid localization
The more widespread type I family of bacterial DNA
segregation systems uses ATPases whose signature ATP-
binding amino acid sequence is referred to as the Walker
type. The cytoskeletal ParA proteins form filamentous
structures that move through the cell in an oscillatory
pattern. Like ParR of plasmid Rl, the DNA-binding adap-
tor proteins (ParB) of these systems serve as tethers
between ParA and plasmid centromere sites (parS).
Although the mechanism by which the ParA system func-
tions is less well understood, it is equivalent to its ParM
counterpart in stabilizing plasmid molecules and, in fact,
manages to distribute multiple plasmids along the length
of the cell. Yet another system has been recently discov-
ered (called type III) that, quite unexpectedly, displays
treadmilling behavior rather than dynamic instability.
Despite the obvious functional similarities as intracellular
transport machinery, no homology exists between the
force-generating proteins or the DNA-binding adaptor
proteins of the three types of partitioning systems. With
few exceptions, the organization of par functions in linear
plasmids is similar to those of circular replicons. The N15
linear replicon stands out as one of the odd balls. Its
protein-encoding par loci are genetically unlinked from
any centromere and it has palindromic sequences dis-
persed across the genome that function as centromeres.
Overall, much remains to be elucidated concerning plas-
mid segregation mechanisms, but as more plasmids
become sequenced and characterized, the plasmid segre-
gation repertoire is likely to expand. This anticipated
wealth of new data in combination with sophisticated
fluorescence microscopy will lead to the advancement
of this field.
Until late 1990 it had been widely held that plasmid
molecules are scattered throughout the cell. Thus, it came
as a surprise when analyses of segregation kinetics indi-
cated that the losses of some multicopy plasmids failed to
conform to the expectations for a random distribution.
Rather, the data were deemed to be consistent with the
plasmid molecules being tethered inside the cell. These
studies were conducted on ICPs paving the way for spec-
ulation that the aggregation of the plasmids might be a
consequence of Rep-mediated handcuffing (described
earlier). Evidence that implicates membrane association
as being important for the in vivo functions of
replisomes and Rep proteins is accumulating. In fact,
some Rep proteins have amino acid signatures that are
typical of transmembrane proteins. It would not be
unreasonable, then, to suspect that these DNA-binding,
(a) (b) (c) (d) (e)
par C containing plasmid ParR ATP-ParM ADP-ParM
Figure 12 Molecular model of plasmid segregation by the RI
par operon. (a) Nucleation of new filaments will happen
throughout the cell. Filaments attached to one plasmid will
search for a second plasmid. (b) Plasmids will diffuse around the
cell until they get close enough to encounter each other. (c) When
two plasmids come within close proximity, filaments will be
bound at each end by a plasmid, forming a spindle. This will
prevent the filaments from undergoing catastrophe. (d) As these
stabilized filaments polymerize, the two plasmids will be forced
to opposite poles. If the ends of a spindle run into the sides of the
cell, it will be followed along the membrane to the ends of the cell.
(e) After reaching a pole, pushing against both ends of the cell
causes the filament to dissociate from the plasmid at one end
and quickly depolymerize. Reproduced from The Journal of Cell
Biology, 2007, 179: 1059–1066. ª2007 The Rockefeller
University Press.
928 Plasmids, Bacterial

membrane-binding proteins might act as effectors of intra-
cellular plasmid localization. Even if true, however, the
mechanisms that account for this type of plasmid localiza-
tion are most likely independent of the classic partitioning
systems, which stabilize plasmids without affecting their
copy numbers.
Addiction Modules
Like all living organisms, bacteria die, and plasmids are
known to facilitate this ultimate stage of life. Bacterial
addiction to plasmids is a very basic, and at first glance
counterintuitive, phenomenon, making its discovery
exciting. One of the best studied forms of death in bacteria
is mediated through specific genetic components called
‘addiction modules’ or toxin–antitoxin systems. Each con-
sists of a pair of genes, a stable toxin and an unstable
antitoxin that interferes with the toxin’s lethal action.
The existence of these plasmid-encoded elements was
inferred as a result of some interesting observations aris-
ing from studies (in E. coli) of low copy number plasmids
such as Rts1, RI, and F. It was found that a mutant Rts1
plasmid with temperature-sensitive machinery for plas-
mid replication had the unexpectedly broader phenotype
of making the growth of its bacterial host cells tem-
perature sensitive as well. Dissecting the phenomenon
revealed that at the nonpermissive temperature, the bac-
terial host cells lost all copies of Rtsl, and with it all copies
of the antitoxin. Degradation of the antitoxin and its
messenger RNA left the unneutralized toxin to linger in
the cytoplasm and kill the plasmid’s former host. The
Rts1 locus that was responsible for this effect that was
later referred to as segregational killing, a term arising
from studies of the analogous hok/sok locus of plasmid RI.
Over the years, a variety of different genetic systems have
been described that promote either bacteriostatic or bac-
teriocidal effects in bacteria. In all cases, a cell that
liberates itself from the forced symbiosis with the plasmid
DNA will most likely die or stop growing due to the
activity of long-lived toxins.
The highly unusual behavior of plasmid-bearing cells
eventually led to a frontal attack on the chromosomally
encoded toxin–antitoxin systems, some of which are
homologous to the plasmid addiction modules. E. coli’s
mazEF, for example, is a stress-induced ‘suicide module’
that activates when a stressful condition interrupts
the expression of MazE allowing the protein to exert its
toxic effect and cause cell death. The presence of
mazEF-like modules in the chromosomes of many bacteria
suggests that cell death plays roles in bacterial physiology
and/or evolution. Furthermore, there are observations
suggesting an interplay between the plasmid- and chro-
mosome-encoded addiction systems. For example, the
toxic product (Doc) of the phd/doc addiction module of
the plasmid prophage P1 requires the presence of the
cellular mazEF system to be bactericidal. Bacterial addic-
tion modules are often classified as mechanisms of
programmed cell death (PCD) or apoptosis, terms that
are traditionally associated with eukaryotic multicellular
organisms. Future studies of plasmid addiction and other
PCD systems in bacteria will be important for revealing
the death pathways involved and perhaps for designing
new classes of antimicrobial agents (e.g., compounds that
interfere with antitoxin expression or activity).
Why would a genetic element that is potentially toxic
to the genome ever be maintained? The far-reaching
impact of the discovery of plasmid addiction is that
it has fostered an important conceptual change in our
understanding of bacteria. Death is clearly counterpro-
ductive for an individual bacterium; however, it might
be advantageous for a whole cell population. Growing
experimental evidence suggests that bacteria seldom
behave as individual organisms. In fact, some species
have evolved the ability to communicate with each
other via quorum-sensing signal molecules, which allow
coordinated responses to a variety of stimuli. As a result,
bacteria can be induced to manifest multicellular-like
behaviors and addiction may fall into this category.
Plasmid-encoded and chromosomal toxin–antitoxin sys-
tems with their attendant killing of ‘afflicted’ bacteria
can be viewed as examples of multicellular behaviors
under stressful conditions. When challenged, the bacterial
population seems to act like a closed society in which a
subpopulation is excluded through forced suicide, thereby
permitting the survival of the bacterial population, with its
genome remaining intact.
Horizontal Plasmid Transfer by
Conjugation
Bacteria can acquire foreign DNA by various means
including phage-mediated delivery (transduction) and
the uptake of ‘naked’ DNA (transformation). In addition,
certain plasmids are equipped to facilitate lateral gene
transfer between bacteria through a process, mentioned
earlier in this article. Conjugation is usually mediated by
plasmids and transposons, and important details differ
from system to system as a consequence of plasmid diver-
sity (Conjugation, bacterial and transposable elements).
Conjugative plasmids rely, at least in part, on plasmid-
borne gene products and specific DNA sequences to
transfer themselves from hosts to recipient cells. One of
the more simple conjugation systems, as judged by the
number of participants it employs, can be found in myce-
lial streptomycetes. A single plasmid-encoded protein,
the DNA translocator TraB, is sufficient to promote con-
jugal transfer of DNA in these organisms. Following
primary transfer from the donor into the recipient, the
plasmid is further distributed to the neighboring mycelial
Plasmids, Bacterial 929

compartments in a process that requires 5–6 host-encoded
proteins. In contrast, plasmid-encoded factors play a much
more prominent role in the conjugation processes of Gram-
negative and Gram-positive bacteria, and they include
DNA sequences such as oriT in addition to multiple
conjugation-related proteins. Most conjugative plasmids
depend on a relaxase to start the DNA-processing reactions,
streptomyces being the remarkable exception to this rule.
Coupling Mechanisms for Donor–Recipient
Pairs
Bacterial conjugative systems are grouped together into
the type IV secretion system (TIVSS) and the proteins
required for conjugal transfer fall into three groups.
Mobilization proteins (Mob and nickase, frequently
called the relaxosome) bind specifically to their cognate
oriTs and produce a nick in the DNA from which the
conjugal transfer begins, utilizing the RC-like pathway
described earlier in the article. Transfer proteins (Tra)
form a multiprotein complex called the mating pair for-
mation apparatus (Mpf) that, among other transport-
related activities, is needed for pili formation and their
extrusion to the cell surface. Tra proteins are not func-
tionally confined to the oriT of the same plasmid. They
can facilitate the transfer of plasmids that contain unre-
lated oriTs provided those plasmids also contain the
cognate relaxosomes. Once plasmid DNA is prepared
for transfer, it must be transported through the donor’s
cytoplasmic membrane into the recipient. It is generally
believed that DNA crosses the donor membrane with the
aid of a coupling protein, so-called because it couples T-
strand DNA processing to a TIVSS. Free-living (plank-
tonic) as well as surface-bound bacteria are capable of
transferring plasmids, and one of the few diversifying
elements in conjugation systems is the type of pili pro-
duced and used to facilitate conjugation; some pili are
thick and flexible while others are long and rigid. Pili have
the remarkable ability to retract, allowing them to pro-
mote intimate associations of cell surfaces over extended
areas, which stabilize mating pairs against shearing forces.
Plasmids signal their occupancy of the cell through a
mechanism called surface exclusion that prompts bacter-
ial cells to disengage before a redundant transmission of
DNA occurs. Abundant membrane proteins called exclu-
sion proteins are presented on the cell surface, mediating
this process.
Well-studied Gram-positive conjugation systems must
employ a different strategy to bring plasmid donors in
contact with potential recipients since no pili have been
functionally linked to conjugation in this group of bac-
teria. Rather, small molecules called pheromones are
known (e.g., pCF10) or suspected (e.g., pAW63) to facil-
itate cell-to-cell contact. Pheromones are peptides of
seven or eight amino acids and are secreted in miniscule
amounts, with as little as 1–10 molecules per donor
needed to initiate the mating process. A given pheromone
specifically activates the conjugative transfer system of a
particular plasmid type. When a plasmid is acquired,
secretion of the related pheromone is prevented, while
unrelated pheromones continue to be produced to
‘seduce’ other potential donor cells. The capacity of sev-
eral plasmids to produce a surface-exposed aggregation
protein (in vitro and in vivo) in response to pheromones
expressed during conjugation has been well established
and, in the case of Enterococcus faecalis, functionally con-
nected to the pathology of the plasmid-bearing organism.
Factors Affecting Plasmid-Mediated Horizontal
Gene Transfer
In general, conjugation-mediated transfer of DNA appears
to have few if any barriers. It can occur between Gram-
negative and Gram-positive bacteria as well as fungi, acti-
nomycetes, and the cells of higher eukaryotes. Some
plasmids can be remarkably promiscuous as exemplified
by two antibiotic-resistance plasmids: RK2 (also known as
RP4), which was originally identified in a Gram-negative
host, and pIP501, which was isolated from a Gram-positive
strain. pIP501 has an extremely broad host range (BHR)
for conjugative transfer that includes a variety of Gram-
positive bacteria, multicellular Streptomyces,andtheGram-
negative E. coli. However, as impressive as this list is, RK2’s
conjugative spectrum is even broader as it can be trans-
ferred to all tested Gram-negative bacteria, yeast, and even
mammalian cells (Horizontal gene transfer: Uptake of
extracellular DNA by bacteria).
Conjugation efficiencies vary from one plasmid system
to another and are affected by a plethora of factors. For
many plasmids, conjugative functions are typically found
to be in a repressed state and conjugation efficiency is
very low. One out of million plasmid-free cells, or even
less, may receive a conjugative plasmid even when the
donor cells greatly outnumber the potential recipients.
Interestingly, in repressed systems, transfer-proficient
donors and potential recipients can initiate a cascade of
conjugative transfer because the newly transferred plas-
mids are transiently derepressed in response to the initial
lack of repressor proteins in the recipient. Mutations in
repressor genes can also cause conjugation to become
derepressed (drd mutants). In fact, in a couple of well-
studied plasmids, transfer functions are naturally dere-
pressed by deletion or insertion mutations in the gene
encoding the repressor. Remarkably, these derepressed
plasmid systems are able to sustain conjugative DNA
transfer under laboratory conditions with close to 100%
efficiency (e.g., F and pCF10). Conjugation typically
occurs within aggregates of multiple donor and recipient
cells; in some cases twenty and in other cases thousands of
aggregated and conjugating cells were observed.
930 Plasmids, Bacterial

Consecutive DNA transfer events by the same donor
are known to occur rapidly with estimated cycles of as
little as 3–5 min for some pheromone-responsive and pili-
mediated machineries (e.g., pCF10 and F). The DNA
transfer process occurs at the speed of replication pre-
viously noted, roughly 1000 bp/s. Interestingly, cells that
acquired plasmid DNA (newly formed transconjugants)
require much longer periods, up to about 60 min, to
mature into proficient donors. This long maturation
time is most likely required to synthesize and assemble
the impressive protein machineries used in the multiple
coordinated processes that contribute to conjugation:
assembling and anchoring the relaxosome (into the cyto-
plasmic membrane) and the Mfp components (into the
cell wall), then connecting both by a coupling protein.
Once assembled, the DNA secretion machinery can be
remarkably stable, and cells killed by several bactericidal
treatments retain conjugation proficiency for several
hours. In a related and unsettling finding, externally
added antibiotics (e.g., tetracycline) can stimulate some
conjugative systems up to 100-fold and this derepression
may not be limited to laboratory settings. These observa-
tions may necessitate changes in the way we think about
horizontal gene transfer (HGT) and its potential impact
on microbial communities. We will return to this topic
later in the article.
Environmental cues
The acquisition of plasmids via conjugative transmission
has been studied in numerous environments, providing
ample evidence that both abiotic and biotic cues affect
this process. Nonetheless, the focus of pioneering studies
in this field needs to be narrower than ‘the environment’.
Studies of the environmental factors that affect plasmid
transfer rely on the use of discrete habitat subsamples
called microcosms. Examples of microcosms include
soils, plants, and water, all of which are being used to
elucidate the effects of key ecological factors on the
plasmid transfer process. Interested readers are advised
to consult the Further Reading section for broader access
to existing knowledge in this important area.
Spatially structured microbial populations known as
biofilms can form in the microcosms described as well as
in clinical systems, and they appear to represent unifying
experimental systems for studying plasmid transfer
processes. To dissect the conjugation process in ‘natural’
and artificial (laboratory) microcosms, an experimental
approach for the direct in situ monitoring of plasmid
transfer in biofilms has been developed. Using plasmid-
encoded green fluorescent protein as a visual ‘reporter’,
the intercellular movement of plasmids can be studied
microscopically. Researchers have used this technique to
demonstrate that conjugation has a dramatic stimulatory
effect on the ability of transconjugant bacteria to partici-
pate in biofilm formation. The uptake of conjugative
plasmids not only enhances the adhesive properties of
bacteria but in some situations it can also dramatically
restrict cellular motility, changes that are likely beneficial
for surface-dwelling populations and of little to no value
for planktonic cells. It would appear that biofilm formation
and conjugation might be mutually reinforcing phenom-
ena. Relevant to this, biofilms are sometimes regarded as
ideal niches for conjugation although the relatively early
stage of this work prevents general conclusions from being
drawn. New mathematical approaches that model the
spatial dynamics of plasmid transfer and persistence are
increasingly being turned to, their purpose being to ascer-
tain how three-dimensional structure affects the spread
and loss of plasmids in surface-associated bacterial
communities. Plasmid ecology is also studied in biofilm
microcosms with the long-term objective of breaking
down toxic compounds in wastewaters and other environ-
ments by disseminating degradative genes via conjugation.
‘Three-dimensional’ images of conjugating biofilm com-
munities have been generated and transconjugants (tagged
with green fluorescent protein) in different locations
within the biofilm were observed. Scientists perform stu-
dies like these with hope of predicting how HGT might
work in practical applications of conjugation in natural
environmental contexts such as bioremediation and other
emerging applications.
Restriction enzymes
One of the potential obstacles confronting the conjugal
transfer of plasmid DNA is a group of host-encoded
proteins, the restriction enzymes (RE), that are designed
by nature to destroy DNA they recognize (DNA restric-
tion and modification). Their resemblance to the
addiction cassettes described earlier is evident in that
they work with companion enzymes of opposing function,
one enzyme cleaves DNA (analogous to toxin) and the
other modifies the DNA recognition sequence thereby
preventing DNA damage (analogous to antitoxin). Such
restriction–modification (RM) systems protect cells from
an invasion by foreign DNA. They are ubiquitous in
bacteria and can be plasmid-encoded or reside on the
bacterial chromosome. Although the DNA that is trans-
ferred during conjugation is single-strand and therefore
not susceptible to restriction, there is a race to protect or
restrict as the T-strand is converted into double-strand
DNA.
There is little doubt that RM systems affect the effi-
ciency of plasmid spread. Conjugation and plasmid
establishment are expected to occur more frequently
between taxonomically related species in which plasmid
DNA can evade restriction systems and replicate. It
comes as no surprise, therefore, that the DNA of some
BHR plasmids, which are capable of replicating in many
hosts, contains fewer restriction sites when compared
to the DNA of their narrow host range counterparts.
Plasmids, Bacterial 931

Additionally, many conjugative plasmids contain anti-
restriction loci (ard) as part of their so-called ‘leading
region’ defined as the first portion of the plasmid to
enter the recipient. The products of these genes act spe-
cifically to alleviate restriction by certain types of RE.
Having an ardA locus present in cis allows an incoming,
unmodified plasmid to evade restriction when transferred
by conjugation but not by other processes that involve
double-strand DNA (e.g., transformation or electropora-
tion). Protection requires the expression of the incoming
ard gene, which is enhanced by conjugative transport into
the recipient cell.
Replication Ranges of Conjugative Plasmids
The conjugation ranges of plasmids and their replication
ranges are related but distinct entities. The replication
range refers to the variety of hosts that can maintain an
extrachromosomal plasmid once it enters a cell; this range
is typically narrower than the conjugation range. Despite
the higher demands posed by plasmid maintenance,
however, BHR plasmids are able to replicate in a diverse
assortment of bacteria, employing various strategies to
achieve their promiscuity. One strategy adopted by some
BHR plasmids is to limit their reliance on host proteins by
encoding their own helicase and primase. As a result, these
plasmids have an advantage, but successful maintenance in
any given strain is not assured. BHR replisome assemblies
still require the expression of plasmid-encoded proteins in
the bacterial host, productive interactions between the
plasmid and accessory host proteins, and productive inter-
actions between the host proteins and DNA-binding sites
of the plasmid. Moreover, plasmid-encoded proteins must
be expressed at an appropriate level, possibly even at a
specific time in the cell cycle, and the proteins must be
stable in different host backgrounds.
Plasmids of the IncP group forgo encoding their own
replisome proteins and employ two alternate strategies
that enhance their replicative promiscuity. First, they pro-
duce a Rep that is versatile enough to recruit helicases of
distantly related bacterial species. Indeed, in vitro and
in vivo work have demonstrated that plasmids of this
group use different pathways for helicase recruitment
and activation. Structural differences in DnaB helicases
from different species of bacteria are likely the basis for
the diversity required to form a productive interaction.
The second mechanism is more elaborate and reflects a
unique interrelationship between DNA transfer and vege-
tative replication modes. Specifically, IncP conjugation
systems have the unusual ability to transfer (unidirection-
ally) primases and single-strand DNA-binding proteins
(SSB) into the recipient bacterium as nucleoprotein
complexes. Transfer is abundant, amounting to several
hundred molecules of primase. The enzyme contributes
to transfer promiscuity by eliminating the requirement for
the host enzymes of different bacteria to recognize the
incoming DNA strand, which facilitates efficient second-
strand synthesis in different cellular backgrounds. SSB
proteins, which are also transferred via the conjugation
apparatus, are essential for DNA replication and repair.
The traveling SSBs encoded by BHR plasmids presum-
ably overcome deficiencies of host SSB in cells receiving
single-strand DNA during conjugation, presumably leav-
ing the metabolism of chromosomal DNA (replication and
recombination) relatively undisturbed.
Although naturally occurring plasmids with multiple
oris have been isolated (e.g., R6K), none has been shown to
specifically utilize different oris in different bacterial
hosts. Nonetheless, engineered plasmids called ‘shuttle
vectors’ contain two distinct replicons that are active in
unrelated hosts and they prove that the presence of two
narrow host range replicons on a single plasmid can
extend its host range. Narrow host ranges can also be
broadened by mutations in genes that encode an essential
plasmid or host protein, the consequence of which is
likely the strengthening of a required host–protein/plas-
mid–protein interaction (e.g., pPSlO and DnaA/RepA).
In summary, the ability of a plasmid to transfer itself
from one bacterium to another by conjugation or to be
mobilized between hosts by conjugative functions pro-
vides the means by which a plasmid can pioneer new
cellular landscapes. Once an immigrant plasmid is intro-
duced, many pieces must come into play in a well-
orchestrated manner for a plasmid to be able to survive.
While restriction and replication processes are key, other
factors contribute to plasmid promiscuity. Analyses of the
partitioning and postsegregational killing systems clearly
demonstrate the role of accessory functions in extending
or limiting plasmids’ ability to be maintained. To be of
use, a variety of contributing elements must be expressed
and regulated in novel hosts. It is evident that we are just
beginning to understand some of the key genetic and
molecular factors involved in extending the host range
of plasmids in all three kingdoms of life.
Plasmid Evolution
Evolutionary analysis relies upon the identification of
unifying features. The last three decades have seen
tremendous advances in the determination of the evolu-
tionary relationships that connect all living organisms.
The use of 16S ribosomal RNA genes to determine
phylogenetic relationships has provided a unifying meth-
odology for evolutionary analysis even as it resulted in
recognizing a new branch in the tree of life. That tree is
divided into the three domains (bacteria, archaea, and
eukarya), and plasmids inhabit organisms belonging to
all three domains but certainly are most prevalent in
bacteria. Plasmids are not organisms in their own right;
instead, they represent a horizontal gene pool, which is
932 Plasmids, Bacterial

coevolving with their hosts. Not surprisingly, a signature
DNA sequence such as 16S ribosomal RNA is lacking in
plasmids primarily because the very nature of these ele-
ments is to not encode essential host information.
Determining the evolutionary relatedness
of replicons
Even the fundamental ability to replicate cannot be used
to establish the common ancestor to all plasmids, as evi-
denced by the inherent diversity of replicons. It appears
that plasmid replication functions likely originated more
than once, independently of each other. However, the
absence of a single identifiable reference sequence in all
plasmid genomes has not impeded the construction of
adequate phylogenies encompassing groups of plasmids.
In fact, the debate about plasmid classification is
reminiscent of the ongoing discussion regarding the con-
cept of bacterial species. What level of DNA similarity
makes it reasonable for researchers to contend that plas-
mids belong to the same plasmid group? Another issue is
to decide what genes/sequences are best suited to gener-
ate plasmid phylogenies. The main contenders are the
genes coding for the Rep (Figure 13) and Par proteins
and the proteins facilitating DNA transfer. Homologies in
these groups of proteins and their cognate DNA targets
have been established and are emphasized on numerous
occasions in the literature pertaining to this important
topic. An example phylogeny based on the rep gene
sequences of theta-type replicons is shown in Figure 13.
However, as will be discussed, these phylogenies
are valuable only in establishing the evolutionary rela-
tionship of plasmid ‘genes’; the task of establishing
pRSF1010
pMJ101
RK2
pPS10
pSC101
0.1
pYC
pFA3
pCM1
pRO1614
PYptb32953
R46
FS. bo
y
dii B512
S. dublin CT02021853
S. heidelberg SL486
S. kentucky CVM29188
Rts1
P1
R6K
pOLA52
pOU1114
pOU1115
Figure 13 Phylogenetic tree based on alignments of Rep proteins of various iteron-controlled plasmids or genomic sequences (strain
names in italic). Alignments were made with Clustal W and the tree was constructed using SplitsTree 4.8. Protein sequences were
obtained from GenBank either directly or by translating nucleotide sequences of putative genes located with Glimmer 3.02. Reprinted
from Norman A, Hansen L H, She Q, and Sørensen (2008) Nucleotide sequence of pOLA52: A conjugative IncX1 plasmid from
Escherichia coli which enables biofilm formation and multidrug efflux. Plasmid 60: 59–74, with permission from Elsevier.
Plasmids, Bacterial 933

relationships between plasmids in their entirety is sub-
stantially more complex. Included in the Further Reading
are references to the sources of plasmid DNA sequences.
Resources such as these have been multiplying rapidly
since the inception of research programs specifically
designed for sequencing plasmids and annotating their
genes (e.g., Wellcome Trust SANGER Institute).
There is no doubt that plasmid classification systems
based on DNA sequence similarities in the segments that
make up the plasmid ‘backbone’ (replication, mainte-
nance, and transfer regions) is gaining more and more
importance. The increasing number of sequenced plas-
mids has prompted the use of DNA primers to amplify
and determine the DNA sequence of plasmid backbone-
specific segments, which in theory should help establish
the relatedness of ‘new’ plasmids to ‘known’ ones.
Attempts have been made to sample new plasmids from
a variety of exotic and mundane environments using
sequencing primers that recognize select, known plasmids
from Enterobacteriaceae. However, these attempts
have overwhelmingly failed to detect any relatedness in
these isolates to the well-characterized oris. Clearly, much
more remains to be discovered in our ongoing quest to
sequence the mass of collective environmental DNA
samples (i.e., metagenomes, discussed in Metagenomics).
How many more signatures of new replicons will we find?
How much will we learn about where they originated and
for what ‘purpose’? So far, science has only touched the tip
of an iceberg when it comes to uncovering the diversity of
replication oris and their attendant genes for both chro-
mosomal and plasmid origins.
Plasmids as vehicles of genetic plasticity
Since the discovery of plasmids, we have learned that
besides the machinery for their own maintenance and
transfer, most also carry genes that confer a plethora of
traits on their bacterial hosts. Frequently, these traits
are ones that are useful intermittently or in certain
environments, such as antibiotic resistance, virulence, or
degradation of unusual substrates (some discussed below).
The various functions, found on both circular or linear
plasmids isolated from nature, can be as simple as a single
gene (e.g., an antibiotic-resistance determinant) or may
involve genes encoding whole metabolic pathways
requiring hundreds of kilobases of DNA sequence (e.g.,
nitrogen fixation in rhizobia). Before we discuss some
specific examples, it should be stressed that the factors
that contribute to evolutionary change in plasmids are the
same as those which are involved in evolution in general –
single base pair substitutions, insertions, deletions, and
genetic rearrangements such as inversions and transloca-
tions. The high adaptability of plasmid-bearing strains
relies on various recombination events, which may
occur at the borders of functional units with ‘recombino-
genic ends’ designed for recombination (e.g., transposons
and integrons; Transposable elements) or as a result of
HR, often between parental and newly synthesized DNA
(described earlier and Recombination, genetic). In fact,
recent investigations have suggested that recombination
between genes in plasmids may occur at a much higher
frequency than chromosomal recombination. The
mechanism accounting for this apparent difference
remains to be determined.
Hundreds of plasmid and bacterial genome sequences
already available have revealed extensive HGT within and
between these classes of replicons (DNA sequencing
and Genomics, Genome Sequence Databases: Annotation,
and Horizontal gene transfer: Uptake of extracellular DNA
by bacteria). On an evolutionary scale, plasmid-mediated
gene rearrangements appear to be particularly significant.
Science continues to discover that genomes are full of
mobile genetic elements and there is compelling evidence
that many genes have joined bacterial genomes relatively
recently from distantly related organisms, even from eukar-
yotes. In addition, comparisons of closely related genome
sequences (e.g., E. coli K12 and E. coli O157:H7) suggest
frequent rearrangements of DNA during their evolution.
Perhaps related to this, most circular plasmids contain
site-specific recombinase genes and the multiplicity of
these genes found on large plasmids often correlates with
their level of mosaicism. In other words, the greater the
number of recombinases, the more likely it is that a plasmid
will be regarded as a mishmash of sequences derived from
multiple sources. Evidence exists that ‘illegitimate’ recom-
bination mediated by plasmid and transposon-encoded
resolvases (i.e., DNA inversion and intermolecular fusion
reactions) has also contributed to plasmid evolution. Indeed,
it has become apparent that plasmids are quite active in
shuffling, recombining, and redistributing genes or sets of
genes, and in so doing they facilitate not only their own
evolution but also the evolution of microbial communities
and individual strains.
Antibiotic resistance: An example of plasmid-
enhanced bacterial adaptability
The classic principle of genetic selection of fitness is
painfully illustrated by the fact that conventional antibio-
tic treatments are becoming increasingly ineffective due to
the acquisition and dissemination of antibiotic-resistance
genes by bacteria. In fact, the continuous manifestation of
an antibiotic-resistance phenomenon is not new. The first
observation of resistance to penicillin was described before
the drug was even in clinical use. Furthermore, it was
already evident in the 1950s, from the work of plasmid
researchers in Japan, that antibiotic resistance was on the
rise – and it has been increasing dramatically ever since.
There are many examples of the astonishingly rapid
acquisition of antibiotic resistance by bacteria. One parti-
cularly remarkable and disturbing example is found in the
opportunistic pathogen Acinetobacter baumannii, which has
934 Plasmids, Bacterial

acquired close to 50 resistance genes in just 40 years!
Integrons and associated gene cassettes (Figure 14) have
been shown to be of major importance in the acquisition of
antibiotic-resistance genes by this and other species.
Several factors have played a pivotal role in the
remarkable speed with which bacteria have adapted to
our chemical arsenal. First of all, antibiotics do not spe-
cifically target bacteria that cause infections; they are
indiscriminate killers of susceptible bacteria – be they
harmful, benign, or beneficial organisms. This becomes
problematic on the recognition that resistance genes are
rarely fixed in the chromosome of a bacterial cell, rarely
restricted in their transmission to only that cell’s progeny.
Instead, such genes are typically found on transmissible
plasmids and transposons. The transmission problem
becomes further exacerbated in specific cases where
antibiotics can stimulate transposition such as those that
occur in the human commensal organism, Bacteroides.
Another possible factor in the rapid dissemination of
resistance, noted earlier in the article, is the ability of
bacteria harboring plasmids to continue transferring
the DNA to other cells long after the donating bacterium
has been killed. Finally, cells under various forms of
stress have higher mutation rates. As a result, antibiotics
that cause DNA damage, such as mitomycin C, can
directly elevate the frequency of mutation. Remarkably,
antibiotics that affect translation fidelity also boost the
mutation rate in bacteria.
All the factors just described along with others that
are probably yet to be discovered allow reservoirs of
resistance to emerge and rapidly spread within diverse
microbial communities (Figure 14). Although niches
Antibiotic resistance
gene pool
Antibiotic-producing strains
Antibiotic-resistant strains
Resistance-encoding DNA
Dissemination of resistance
genes through intra- and
interspecific transfer
Uptake
of resistance-
encoding DNA
by bacteria
Formation of multidrug-
resistant structures by
nonhomologous
recombination
Incorporation into
replicons
R plasmids and
conjugative
transposons Resistance
genes in bacterial
cytoplasm
Resistance
gene
cassettes
Integrons or similar
structures
I
n
c
r
e
a
s
i
n
g
a
n
t
i
b
i
o
t
i
c
s
e
l
e
c
t
i
o
n
p
r
e
s
s
u
r
e
C
y
c
l
e
o
f
a
n
t
i
b
i
o
t
i
c
r
e
s
i
s
t
a
n
c
e
a
c
q
u
i
s
i
t
i
o
n
Figure 14 A scheme showing the route by which antibiotic-resistance genes are acquired by bacteria in response to the selection
pressure of antibiotic use. The resistance gene pool represents all potential sources of DNA encoding antibiotic-resistance
determinants in the environment; this includes hospitals, farms, or other microenvironments where antibiotics are used to control
bacterial development. After uptake of single- or double-stranded DNA by the bacterial host, the incorporation of the resistance genes
into stable replicons (DNA elements capable of autonomous replication) may take place by different pathways, which have not yet been
identified. The involvement of integrons, as shown here, has been demonstrated for a large class of transposable elements in the
Enterobacteriaceae. The resulting resistance plasmids could exist in linear or circular form in bacterial hosts. The final step in the cycle,
dissemination, is brought about by one or more gene transfer mechanisms discussed in the text. From Davies J (1994) Inactivation of
antibiotics and the dissemination of resistance genes. Science 264: 375–382. Reprinted with permission from AAAS.
Plasmids, Bacterial 935

such as the human or animal gut, manure, sewage, soils,
plant surfaces, and water systems are often thought of as
being distinct, they are actually microbiologically con-
nected. Favorable plasmid-borne genes can be found to
circulate between different microenvironments and selec-
tive pressure by antibiotics might exacerbate this genetic
exchange. For instance, there is evidence identifying very
similar replicons with very similar streptomycin- and
tetracycline- resistance genes in diverse hosts in two dis-
tinct habitats, clinical hospitals and agricultural fruit
orchards. The fact that both the ‘habitats’ have been sub-
jected to streptomycin and tetracycline selective pressure
for decades is unlikely to be a coincidence. From the
foregoing discussion it is evident that a change in our
understanding of microbial evolution is necessary to
fully appreciate why antibiotics and other antimicrobial
agents are destined to eventually have their utility under-
mined by resistance acquisition.
Broader contributions to microbial evolution
Another way of ascertaining plasmid–host coevolution is
by monitoring novel metabolic capacities harbored by
plasmid-bearing bacteria. Of particular interest, bacterial
responses to toxic compounds (e.g., xenobiotics) in the
natural environment have provided an opportunity to
study the evolution and acquisition of new catabolic
processes. Such toxins are sometimes organic in composi-
tion and include pesticides, herbicides, refrigerants, and
solvents – one of which, the herbicide 2,4-dichlorophe-
noxyacetic acid (2,4-D) – has been in use for over
50 years. Genes that break down 2,4-D are carried on a
conjugal plasmid called pJP4. This plasmid has provided
a model for studies of the evolution and spread of cata-
bolic pathways in bacterial communities, a process that is
mechanistically more demanding than the acquisition and
spread of antibiotic-resistance genes described above.
Abundant data suggest that there has been extensive
interspecies transfer of pJP4. Moreover, there is evidence
to suggest that the genes in the 2,4-D degradative path-
way may have evolved elsewhere, for other purposes, and
then recent recombinations and modifications were
selected in response to 2,4-D in the environment. The
adaptive transfer and reorganization of genetic modules is
also well illustrated by the analysis of bacteria from pol-
luted environments; these organisms sometimes acquire
the ability to degrade chemicals that would otherwise
persist for long periods of time. In this case too, the
incorporation of new genetic material has been the most
important mechanism for expanding metabolic pathways.
The aforementioned examples of plasmid-mediated host
adaptation illuminate a principle of broad significance at
the interface of plasmid biology and microbial sciences:
the survival of plasmids appears to be heightened by
genes that provide selective advantages to their host
organisms. In that light, perhaps ‘selfish’ is a little harsh
as a descriptor of these versatile and diverse conduits of
bacterial evolution. But admittedly, ‘benevolently
self-interested DNA’ really does not have the same
cachet.
Further Reading
Casjens S (1999) Evolution of the linear DNA replicons of the Borrelia
spirochetes.Current Opinion in Microbiology 2: 529–534.
Chaconas G and Chen CW (2005) Replication of linear bacterial
chromosomes: No longer going around in circles. In: Patrick
Higgins N (ed.) The Bacterial Chromosome. Washington, DC: ASM
Press.
Clewel DB (1993) Bacterial Conjugation. New York and London: Plenum
Press.
Cohen SN (1993) Bacterial plasmids: Their extraordinary contribution to
molecular genetics. Gene 135: 67–76.
Dawkins R (1976) The Selfish Gene. Oxford: Oxford University Press.
Doolittle WF and Sapienza C (1980) Selfish genes, the phenotype
paradigm and genome evolution. Nature 284: 601–603.
Funnell BE and Philips GJ (2004) Plasmid Biology. USA: ASM Press.
Giraldo R (2003) Common domains in the initiators of DNA replication in
Bacteria, Archaea and Eukarya: Combined structural, functional and
phylogenetic perspectives. FEMS Microbiology Reviews
26: 533–554.
Lipps G (2008) Plasmids: Current Research and Future Trends.
Germany: Caister Academic Press.
Orgel LE and Crick FHC (1980) Selfish DNA. Nature 285: 645–646.
Summers DK (1996) The Biology of Plasmids. Oxford: Blackwell
Science Ltd.
Thomas CM (2000) The Horizontal Gene Pool – Bacterial Plasmids and
Gene Spread. Amsterdam: Harwood Academic Publishers.
Relevant Websites
http://www.embl-ebi.ac.uk – European Bioinformatics Institute
http://www.sanger.ac.uk – The Wellcome Trust Sanger
Institute
http://www.essex.ac.uk – University of Essex
936 Plasmids, Bacterial

Posttranscriptional Regulation
T M Henkin, The Ohio State University, Columbus, OH, USA
ª2009 Elsevier Inc. All rights reserved.
Defining Statement
Introduction
Regulation of Premature Termination of Transcription
Regulation of mRNA Stability
Regulation of Translation
Conclusion
Further Reading
Glossary
antiterminator RNA element that prevents the activity
of an attenuator.
attenuator Terminator located in the leader region of a
transcriptional unit, used to regulate expression of
downstream genes.
autogenous regulation Regulation of a gene by the
product encoded by that gene.
cis-acting element Element that affects only a region
with which it is physically connected (e.g., a DNA site).
coupling Coordination of cellular processes, for
example, transcription and translation.
leader peptide Short peptide encoded in the leader
region of a transcriptional unit.
leader region Segment of a gene between the
transcription initiation site and the start of the coding
sequence.
leader RNA Segment of an RNA that is upstream of the
first coding sequence.
ribosome binding site (RBS) Translation initiation
signal, comprised of SD plus start codon (usually AUG,
GUG, or UUG).
Shine–Dalgarno sequence (SD) Binding site for the
30S ribosome on an mRNA for translation initiation.
terminator Signal for RNA polymerase to stop
transcription and release the DNA template and the
nascent transcript.
trans-acting factor Factor or substance that can act at
a distance within a cell (e.g., a protein or RNA that can
diffuse to a different site).
transcription elongation complex RNAP as it
moves along the DNA template, after leaving the
promoter site.
Abbreviations
59UTR 59untranslated region
PNPase
(I occurrence)
polynucleotide phosphorylase
RBS ribosome binding site
RF2 release factor 2
RNAP RNA polymerase
SAM S-adenosylmethionine
SD Shine–Dalgarno sequence
sRNAs small regulatory RNAs
tRNA
Trp
tryptophanyl-tRNA
Defining Statement
Posttranscriptional gene expression events that occur
after RNA polymerase (RNAP) leaves its promoter site
offer many opportunities for regulation. This article
reviews some of these mechanisms, including modulation
of premature termination of transcription, mRNA degra-
dation, and translation initiation, and also illustrates each
class with specific examples.
Introduction
Regulation of gene expression at the level of transcription
initiation is of obvious importance in all biological sys-
tems. Recognition of the promoter site on the DNA by
RNA polymerase (RNAP), melting of the DNA, synthesis
of the first few nucleotides of the transcript, and escape
from the promoter site all represent important steps at
which transcription initiation can be controlled. However,
937

it has become increasingly obvious that events that occur
after RNAP leaves its promoter site offer many additional
opportunities for regulation, and mechanisms that affect
these events are considered to be posttranscriptional reg-
ulatory events, although certain of these mechanisms
affect transcript levels. Premature termination of tran-
scription results in failure to synthesize the complete
transcript. Modulation of transcript degradation, which
can begin before the transcript has been fully synthesized,
can have a major effect on expression of the encoded
genes. The efficiency with which an mRNA is translated
can dramatically affect the synthesis of the encoded pro-
tein product and can also affect the rate of transcript
degradation. This article reviews mechanisms of gene
regulation that occur after transcription initiation.
Specific examples are described to illustrate each class
of event.
Regulation of Premature Termination
of Transcription
One of the most common mechanisms of posttranscriptional
gene regulation involves positioning of a transcription ter-
mination signal (or terminator) in the region between the
promoter and the start of the regulated coding sequence.
This region is commonly called the leader region in bac-
teria, and corresponds to the 59untranslated region
(59UTR) in eukaryotic cells; because this region can be
translated in bacteria to yield a leader peptide, as described
below, leader region is a more general term. Termination
signals located within leader regions are called attenuators,
as their role is to attenuate synthesis of the full-length
transcript. Modulation of the activity of the terminator
element in response to an appropriate physiological signal
can therefore be used to determine the amount of full-
length transcript made and the level of expression of the
gene(s) that are downstream of the attenuation site. A wide
variety of regulatory mechanisms of this type have been
uncovered. Many of these mechanisms depend on effects on
the folding of the nascent RNA transcript, while others
affect the ability of the transcriptional machinery to recog-
nize termination signals.
Termination Mechanisms
Two types of transcriptional terminators have been
described in bacteria. Detailed biochemical analyses
have been carried out primarily in Escherichia coli, but it
appears that the basic features of terminators, and there-
fore their utilization as a regulatory target, are conserved
in many groups of bacteria. Both types of termination
events require features of the nascent RNA transcript
that emerges from the elongating RNAP that the termi-
nator is attempting to halt. The most common class of
terminator elements are called intrinsic (or factor-
independent) terminators. These termination signals are
defined biochemically by their activity in a purified in
vitro transcription system, in the absence of any cellular
factors other than RNAP. Intrinsic terminators are com-
prised of a G þC-rich RNA helix, usually 7–8 nt in
length, immediately followed by a stretch of U residues
in the nascent transcript. Positioning of RNAP so that the
U residues form the RNA–DNA hybrid within the
enzyme, and the RNA helix abuts the distal portion of
the enzyme, results in destabilization of the transcription
complex and termination. The role of the helix has been
proposed to involve pushing forward on RNAP to remove
the 39end of the transcript from the active site of the
enzyme, while the U–A RNA–DNA hybrid is likely to
assist in complex destabilization. Regulation of the activ-
ity of intrinsic terminators often occurs by alternate
folding of the nascent RNA transcript, so that the region
necessary for formation of the 59side of the terminator
helix is instead sequestered in an alternate structure,
termed an antiterminator. Intrinsic terminators can also
be affected by increasing the processivity of RNAP,
which reduces the sensitivity of the transcription complex
to destabilization, at least in part because RNAP passes
through the termination site before the RNA helix can
exert its destabilizing effect.
The second class of bacterial termination signals are
designated Rho-dependent (or factor-dependent) termi-
nators, based on the requirement for an additional protein
(Rho factor) for termination activity in vitro. Rho binds to
the nascent RNA transcript, moves along the RNA until it
encounters RNAP (usually at a pause site), and promotes
destabilization of the transcription complex, probably by
removal of the 39end of the transcript from the active site
of the enzyme. Binding sites for Rho on the RNA, desig-
nated rut (Rho utilization) sites, are poorly conserved, but
are generally unstructured, with overrepresentation of C
and U residues and underrepresentation of G residues.
Regulation of Rho-dependent termination occurs either
by sequestration of the rut site on the RNA to prevent
Rho binding or by modification of the transcription com-
plex to increase processivity of RNAP, interfering with
the ability of Rho to reach the transcription elongation
complex.
Regulation of Termination by Modulation
of Nascent Transcript Structure
As noted above, the activity of intrinsic terminators is
absolutely dependent on folding of the nascent transcript
as it emerges from the RNA exit channel of RNAP into a
helix that plays a crucial role in destabilization of the
transcription elongation complex. Formation of the helix
therefore represents an effective target for regulation of
938 Posttranscriptional Regulation

termination activity. A variety of factors can interact with
the nascent RNA to determine whether it folds into the
terminator helix, in most cases by determining whether
the terminator helix or a competing antiterminator helix
is formed. The relative stabilities of the terminator and
antiterminator helices play a major role in determining
the sensitivity of the RNA to the interacting factors, and
whether binding of the factor results in attenuation of
transcription or increased synthesis of the full-length
transcript. Interacting factors that have been demon-
strated to affect leader region terminator activities
include translating ribosomes, RNA-binding proteins,
trans-acting RNAs, and small molecules.
Leader peptide attenuation systems
The classic model for regulation of nascent transcript
structure to control termination involves the presence of
a short peptide coding sequence within the 59region of
the transcript. The processivity of the ribosome during
translation of this peptide coding sequence modulates the
structure of the RNA, therefore affecting both pausing of
the transcription elongation complex from which this
nascent RNA is emerging, and the folding of this tran-
script into competing terminator and antiterminator
elements. Processivity of the ribosome can in turn be
affected by the sequence of the nascent peptide itself.
For example, in systems like the E. coli trp operon, which
encodes gene products involved in tryptophan biosynth-
esis, the peptide coding sequence includes tandem
tryptophan codons (Figure 1(a)). The presence of these
tryptophan codons renders translation of the leader pep-
tide coding region sensitive to the availability of charged
tryptophanyl-tRNA (tRNA
Trp
). Reduced abundance of
tryptophan results in a reduction of charged tRNA
Trp
,
causing the translating ribosome to stall as it attempts to
translate the tandem tryptophan codons. The stalled ribo-
some allows the unoccupied RNA ahead of it to fold into
an antiterminator element, which prevents formation of
the more stable terminator helix, therefore resulting in
readthrough of the leader region transcription terminator
site (or attenuator), and synthesis of the full-length tran-
script. The presence of a large pool of charged tRNA
Trp
results in efficient translation of the leader peptide coding
sequence. Rapid progress of the ribosome through the
leader peptide coding region prevents formation of the
antiterminator, allowing formation of the terminator helix
and attenuation of transcription. Synthesis of the full-
length transcript, and therefore expression of the trypto-
phan biosynthesis genes, therefore occurs only when cells
are limited for charged tRNA
Trp
, which signals a require-
ment for increased tryptophan biosynthetic activity.
This type of mechanism is easily converted to allow
recognition of a different charged tRNA by changing
the sequence of the leader peptide itself, so that the
tryptophan codons in the nascent RNA are replaced
with clusters of codons specifying a new amino acid
(e.g., the leader peptide of the histidine biosynthetic
operon contains multiple histidine codons).
This type of transcription termination control
mechanism is often superimposed on a second level of
regulation. For example, initiation of transcription of the
E. coli trp operon is regulated by the TrpR DNA-binding
protein, which blocks binding of RNAP to the promoter
region and represses transcription initiation when trypto-
phan levels are high. The combination of the two
regulatory mechanisms allows sensing of both free tryp-
tophan (by TrpR) and charged tRNA
Trp
(by the ribosome
that is translating the leader peptide coding sequence).
This results in a highly sensitive regulatory response that
prevents wasteful expression of trp operon genes when
tryptophan is abundant and also ensures an adequate
supply of charged tRNA
Trp
for efficient protein synthesis.
Leader peptide transcription attenuation mechanisms
are dependent on the tight coupling of transcription and
translation in bacteria, where binding of the 30S riboso-
mal subunit to an RNA transcript can occur as soon as the
RBS emerges from the transcription elongation complex.
Translation of the leader peptide coding sequence must
be coordinated with pausing of RNAP during synthesis of
the leader region of the transcript to allow a response to
ribosome positioning before RNAP escapes from the
attenuator region or terminates transcription. In the
E. coli trp system, a specific signal in the leader RNA
causes RNAP to pause, allowing translation of the leader
peptide to initiate; the translating ribosome releases
RNAP from the pause site, so that transcription and
translation now proceed in tandem unless the ribosome
is stalled by low abundance of charged tRNA
Trp
.
Coupling of transcription and translation is also crucial
to the E. coli pyrB1 attenuation mechanism. This operon
encodes products involved in biosynthesis of pyrimidine
nucleotides, and direct sensing of NTP abundance by the
transcription elongation complex is used to repress expres-
sion when pools of these nucleotides are high. Pausing of
RNAP during transcription of segments of the leader
region containing runs of C and U residues is triggered
by limitation for pyrimidine nucleotides. This pause allows
time for initiation of translation of a leader peptide coding
sequence, and positioning of the translating ribosome on
the nascent RNA prevents formation of the terminator
helix. When pyrimidine nucleotides are abundant, rapid
progress of RNAP through the pause sites before the ribo-
some can bind and occlude the terminator allows
termination, and repression of pyr operon expression, to
occur. As in the E. coli trp system, the position of a translat-
ing ribosome relative to the transcribing RNAP determines
the structure of the nascent RNA, and therefore regulates
whether transcription is attenuated within the leader
region. In the pyrB1 system, RNAP serves as the molecular
sensor for the effector molecule (pyrimidine nucleotides),
Posttranscriptional Regulation 939

whereas in the E. coli trp system,thetranslatingribosome
senses charged tRNA
Trp
; in both cases, the molecular
sensors directly monitor their biochemical substrates
while carrying out their normal biological reactions.
Regulation of RNA structure by RNA-binding
proteins
A number of systems have been described in which binding
of a regulatory protein to a leader RNA affects formation of
an intrinsic terminator. These proteins can act negatively to
stimulate termination (i.e., the terminator is inactive in the
absence of the protein, binding of which promotes termina-
tion) or positively to increase readthrough of the
attenuation site (i.e., the terminator is active in the absence
of the protein, binding of which prevents termination and
allows synthesis of the full-length transcript). The best
characterized system in which a protein promotes termina-
tor formation is the Bacillus subtilis trp operon, which
(a) Transcriptional attenuation: E. coli trp
(c) Translation initiation: Gram-positive cat
(b) Rho-dependent termination: E. coli tna
Low
charged
tRNATrp
High
tryptophan
Low
tryptophan
–Cm
+Cm
LP SD
High
charged
tRNATrp LP
LP
AT
T
ON
OFF
OFF
ON
OFF
ON
Figure 1 Leader peptide-mediated effects on gene expression. (a) Transcriptional attenuation in the Escherichia coli trp operon.
Translation of the leader peptide coding sequence (red box), which includes two tandem tryptophan codons (), results in stalling of the
ribosome when availability of charged tRNA
Trp
is low; this allows the nascent RNA to form into an antiterminator structure (AT) that
permits RNAP (yellow ovals) to proceed through the attenuator site, and transcribe the downstream gene (blue box). High availability of
charged tRNA
Trp
causes efficient leader peptide (LP, red line) translation, and the movement of the ribosome (green ovals) causes
folding of the leader RNA into the terminator helix (T); this prevents synthesis of the full-length transcript, and expression of the
downstream genes is repressed. (b) Regulation of Rho-dependent transcription termination in the E. coli tna operon. The ribosome
translating the leader peptide coding sequence stalls in the presence of high tryptophan, preventing binding of Rho (purple hexagon) to
the nascent RNA; this results in expression of the downstream genes. When tryptophan is low, the ribosome completes synthesis of the
leader peptide (red line) and releases the RNA, which allows access of Rho and Rho-dependent termination. (c). Chloramphenicol-
dependent translational control of the cat gene. In the absence of chloramphenicol, the leader peptide coding sequence is efficiently
translated, and the SD sequence of the downstream cat gene is sequestered in an inhibitory structure. Low concentrations of
chloramphenicol cause the ribosome translating the leader peptide to stall, which unfolds the mRNA structure and allows access of a
second ribosome to the SD of the downstream gene.
940 Posttranscriptional Regulation

encodes gene products involved in tryptophan biosynthesis
(Figure 2(a)). The trp leader RNA terminator helix is
relatively unstable, and its formation is normally prevented
by folding of the RNA into the more stable antiterminator
structure, which includes residues necessary for terminator
helix formation. Binding of the regulatory protein, desig-
nated TRAP, sequesters a region of the RNA that
participates in formation of the antiterminator element
and allows the less stable terminator helix to form, which
causes termination. The RNA-binding activity of TRAP
requires association with tryptophan, which serves as a
corepressor. Termination therefore occurs when trypto-
phan is abundant, as described above for the E. coli trp
operon, but in this case the molecular mechanism for sen-
sing tryptophan availability involves binding of tryptophan
to the regulatory protein rather than monitoring of charged
tRNA
Trp
during leader peptide translation. Charging of
tRNA
Trp
is sensed indirectly in B. subtilis through a second
regulatory protein, designated anti-TRAP, which is
expressed in response to a decrease in charged tRNA
Trp
(via the T-box mechanism; see below) and antagonizes
TRAP activity, allowing increased trp operon expression.
This dual measurement of both free tryptophan and
charged tRNA
Trp
is similar to that observed in E. coli,
although different molecular mechanisms for sensing the
effector molecules are employed.
Just as the E. coli trp and pyr operons use leader peptide
attenuation regulatory mechanisms, the B. subtilis trp and
pyr operons both use an RNA-binding protein to control
transcription termination. The B. subtilis pyr system is
similar to the TRAP system, but has an added complexity
in that the PyrR regulatory protein (in the presence of
pyrimidine nucleotides as corepressor) binds to and sta-
bilizes a leader RNA element that sequesters sequences
necessary for formation of the antiterminator. Binding of
PyrR prevents antiterminator formation and allows the
less stable terminator helix to form. The PyrR-binding
site therefore serves as an ‘anti-antiterminator element’,
because it antagonizes the antiterminator element. This
differs from the TRAP system, in that TRAP directly
sequesters sequences involved in formation of the anti-
terminator without stabilizing an alternate RNA element.
The reliance of both the E. coli trp and pyrB mechanisms
on coupling of transcription and translation, while the
analogous mechanisms in B. subtilis instead use an
RNA-binding protein to modulate expression, may
reflect differences in the efficiency of coordinating
transcription and translation in these two organisms (and
by extension, their close relatives).
RNA-binding proteins can also promote antitermina-
tion. Systems of this type utilize leader RNAs in which
the terminator helix is more stable than the competing
antiterminator, so that termination is the default state that
occurs in the absence of protein binding. Binding of the
protein to the RNA stabilizes the antiterminator element,
which sequesters sequences that would otherwise partici-
pate in formation of the terminator helix. An example of
this type of system is provided by the E. coli bgl operon,
which is involved in utilization of -glucoside sugars
(Figure 2(b)). The BglG protein acts as the regulatory
protein, and its RNA-binding activity is induced when
the substrate sugar is present. The RNA target of the
BglG protein includes residues necessary for formation
of the terminator helix, so that BglG binding prevents
termination and allows expression of downstream genes
involved in sugar utilization. Unlike the TRAP or PyrR
proteins, BglG does not directly bind the effector
molecule but is instead dephoshorylated by BglF, the
transporter for the sugar substrate, when the sugar is
present. Dephosphorylation of BglG by BglF allows
BglG to dimerize, which is required for RNA-binding
activity. BglF therefore serves as the sensor of the
(a) Protein causes attenuation:
B. subtilis trp
(b) Protein causes readthrough:
E. coli bgl
High
tryptophan
+ Sugar
– Sugar
Low
tryptophan
AT
Tr p T
AT
T
P
OFF
ON
OFF
ON
Figure 2 Regulation of transcription attenuation by RNA-
binding proteins. (a) Protein-dependent attenuation in the
Bacillus subtilis trp operon. When tryptophan levels are low, the
trp operon leader RNA folds into an antiterminator element (AT)
that allows RNAP (yellow ovals) to proceed past the attenuation
site and transcribe the downstream gene (blue box). High
tryptophan allows TRAP protein–tryptophan complex (pink circle)
to bind to the leader RNA; TRAP sequesters sequences
necessary for antiterminator formation, which allows formation of
the terminator helix (T) and repression of downstream gene
expression. (b) Protein-dependent antitermination in the
Escherichia coli bgl operon. In the presence of the substrate
sugar, the BglG RNA-binding protein (pink circle) binds to and
stabilizes the antiterminator element (AT), which allows
transcription to continue past the termination site. In the absence
of the substrate sugar, BglG protein is phosphorylated (P) and
unable to bind the RNA; the terminator helix (T) forms, and
transcription of the downstream gene is repressed.
Posttranscriptional Regulation 941

effector molecule, and transmits information about effec-
tor availability to BglG via phosphorylation, in a manner
analogous to that used by two-component regulatory
systems in which phosphotransfer between a sensor kinase
and a response regulator allows transmission of a regula-
tory signal from one protein to another. Several sugar
utilization operons in B. subtilis are regulated by mechan-
isms similar to the bgl system.
Control of termination by RNA–RNA interactions
The ability of RNA molecules to base-pair with other
RNA molecules provides another mechanism by which
the structure of a leader transcript can be modulated, and
RNA–RNA interactions have been exploited in a variety
of regulatory systems. While most trans-acting regulatory
RNAs in bacteria affect translation or stability of the
target mRNA, binding of a trans-acting RNA to the nas-
cent RNA can also affect the ability of the targeted region
of the transcript to fold into terminator or antiterminator
structures, thereby affecting attenuation or readthrough.
The best-characterized example of this type of
mechanism is the T-box system, which is widely used in
Gram-positive bacteria to control genes involved in
amino acid metabolism, including aminoacyl-tRNA
synthetase, amino acid biosynthesis, and transporter
genes; as noted above, this mechanism also regulates
synthesis of the anti-TRAP regulatory protein. Genes
regulated by the T-box mechanism exhibit a complex
set of conserved structural and primary sequence ele-
ments in their leader regions, which include a
terminator and competing antiterminator. Embedded at
a specific position within this array of conserved elements
is a single codon that matches the anticodon of a tRNA
that belongs to the amino acid class relevant to the gene
product encoded in the coding sequence(s) located down-
stream of the terminator. For example, the B. subtilis tyrS
gene, encoding tyrosyl-tRNA synthetase, contains a UAC
tyrosine codon at the appropriate position. Binding of the
matching uncharged tRNA (e.g., tRNA
Tyr
for tyrS) to the
leader RNA, which is determined by pairing of the leader
region codon with the anticodon of the tRNA, is required
to stabilize the antiterminator element by pairing of the
four unpaired residues at the 39end of the tRNA with
residues located in a bulge within the antiterminator
(Figure 3(a)). The interaction of the appropriate
uncharged tRNA with the nascent leader transcript there-
fore prevents formation of the terminator helix, and
results in increased transcription of the downstream
genes. The cognate charged tRNA (e.g., tRNA
Tyr
ami-
noacylated with tyrosine) can also interact with the codon
region, but is unable to stabilize the antiterminator
because of the presence of the amino acid at the 39end
of the tRNA. Codon–anticodon pairing is therefore
responsible for selection of a particular tRNA species as
the effector for a particular transcriptional unit, and
pairing between the tRNA acceptor end and the antiter-
minator is responsible for discrimination between the
uncharged and charged forms of that tRNA. The ability
of the cognate charged tRNA to interact with the codon
but not the antiterminator results in inhibition of binding
of the effector uncharged tRNA, so that the true molecu-
lar signal is the relative amounts of uncharged and
charged species of a specific tRNA. The cell therefore
modulates expression of genes involved in converting a
particular tRNA class from its uncharged to its charged
state, in response to the substrate–product ratio.
The tRNA–leader RNA interaction and tRNA-
directed antitermination have been demonstrated in vitro
using purified components, which indicates that no
factors other than the leader RNA itself are necessary
for specific recognition of the cognate uncharged tRNA.
The T-box mechanism, like systems that utilize leader
peptide translation (e.g., E. coli trp), monitors the charging
of a specific tRNA class to control leader RNA structure;
(a) RNA causes readthrough: T box genes
(b) RNA causes attenuation: Antisense RNAs
+ Uncharged
tRNA
AT
AT
T
T
– Uncharged
tRNA
– Antisense
RNA
+ Antisense
RNA
ON
ON
OFF
OFF
Figure 3 Regulation of transcription attenuation by trans-
acting RNAs. (a) tRNA-dependent antitermination in the T-box
system. When levels of a specific uncharged tRNA are high, the
tRNA (green cloverleaf) binds to the nascent transcript of the
gene that senses that tRNA; binding of the tRNA stabilizes an
antiterminator element (AT), which allows RNAP (yellow ovals) to
transcribe the downstream gene (blue box). When levels of the
specific uncharged tRNA are low (i.e., the tRNA is predominantly
in the charged state), the leader RNA folds into the terminator
helix (T), and transcription of the downstream gene is repressed.
(b) RNA-dependent attenuation by antisense RNAs. In the
absence of the antisense RNA, an antiterminator element (AT)
forms, and RNAP proceeds through the attenuator site and
transcribes the downstream gene. Binding of the antisense RNA
(green line) sequesters sequences necessary for antiterminator
formation, and causes formation of the terminator helix (T) and
repression of downstream gene expression.
942 Posttranscriptional Regulation

however, while leader peptide transcription attenuation
systems monitor only availability of the appropriate
charged tRNA, by using a translating ribosome, the T-
box system monitors both charged and uncharged tRNA
charging, by using direct binding of the tRNA to the
nascent RNA transcript.
Several systems have been described in which binding
of a trans-acting small RNA is proposed to modulate
leader RNA structure to promote transcription termina-
tion. These systems, which have been analyzed primarily
in plasmids, utilize cis-encoded antisense RNAs that bind
to their target transcripts to, in some way, facilitate for-
mation of the terminator helix, usually by destabilization
of a competing antiterminator element (Figure 3(b)).
Mechanisms of this type utilized more extensive base-
pairing interactions between the regulatory RNA and its
target. This role of small RNAs, while so far applicable
only to cis-encoded RNAs, adds to the diversity of reg-
ulatory mechanisms that noncoding RNAs can affect in
bacteria.
Metabolite-binding regulatory RNAs
A number of systems have recently been described in
which binding of a small molecule to the nascent RNA
transcript results in an RNA structural rearrangement
that determines whether the transcript folds into an
intrinsic terminator helix or a competing antiterminator
structure. In most of these systems, the leader RNA
includes a 59region that serves as an effector-binding
‘aptamer’ domain, which in isolation can specifically
recognize the cognate molecule. Binding of the effector
usually sequesters a segment of RNA that would other-
wise participate in forming the antiterminator element
(Figure 4(a)). The effector-binding domain therefore
serves as an anti-antiterminator that prevents formation
of the antiterminator, and therefore allows termination.
This type of mechanism is generally used to regulate
genes involved in uptake or biosynthesis of the effector
molecule, and represents a type of feedback repression. A
few systems show an opposite arrangement, whereby
binding of the effector results in formation of the anti-
terminator, and promotes synthesis of the full-length
transcript; in systems of this type, the effector is a sub-
strate of the regulated pathway. Systems in which the
nascent RNA directly senses the regulatory signal (a
small molecule, a small RNA, or a change in physiological
condition such as temperature) have been termed ‘ribos-
witches’. The metabolite binding riboswitch RNAs
exhibit highly specific recognition of their cognate effec-
tor molecules, which include vitamins, cofactors,
nucleotides, amino acids, and metal ions, as well as an
affinity for their target molecule appropriate to the phy-
siological concentration of the effector. As in the T-box
system, the effector-dependent RNA conformational
change and transcription termination response can be
reproduced in vitro in the absence of other cellular factors,
indicating that the RNA transcript encodes all features
necessary for the regulatory mechanism.
Reiterative transcription
As noted above in reference to the E. coli pyrB1 operon,
NTP abundance can affect the processivity of RNAP.
The B. subtilis pyrG gene represents a system in which
limitation for an NTP not only affects pausing but also
results in nontemplated addition of residues to the tran-
script, in a process termed reiterative transcription. In this
system, the transcript initiates with three G residues,
followed by a C residue. When CTP is abundant, tran-
scription proceeds through this region, and terminates at
an intrinsic terminator prior to the start of the pyrG coding
region. Limitation for CTP results in stalling of RNAP
during synthesis of the 59region of the transcript, and
RNAP stalling causes slippage relative to the template
DNA and incorporation of a series of extra G residues
T
(a) Effector causes attenuation: S box RNAs
AT
(b) Effector causes translation inhibition: S
MK
box RNAs
ON
ON
OFF
OFF
– SAM
SD
+ SAM
– SAM
+ SAM
*
*
Figure 4 Regulation of transcription attenuation or translation
initiation by riboswitch RNAs. (a) SAM-dependent transcription
attenuation in the S-box RNAs. In the absence of SAM, the
antiterminator element (AT) forms in the leader RNA, allowing
RNAP (yellow ovals) to proceed through the termination site and
transcribe the downstream gene (blue box). In the presence of
SAM (), an RNA structural rearrangement causes formation of
the terminator helix (T), resulting in attenuation of transcription.
(b) SAM-dependent inhibition of translation initiation in the S
MK
-
box RNAs. In the absence of SAM, the SD region of the transcript
is available for binding of the ribosome (green ovals), and
translation of the downstream gene occurs. Binding of SAM ()to
the leader RNA causes a structural rearrangements that results in
sequestration of the SD region, preventing ribosome binding and
downstream gene expression.
Posttranscriptional Regulation 943

into the transcript. RNAP eventually escapes from this
site and continues transcription into the leader region.
The resulting transcript now contains a longer run of G
residues that are capable of pairing with C and U residues
normally found on the 59side of the terminator helix.
This pairing causes formation of an antiterminator ele-
ment that is not directly encoded in the DNA template,
and arises only from the reiterative transcription event.
Reiterative addition of G residues, triggered by starvation
of RNAP for CTP, therefore promotes synthesis of the
full-length transcript, and pyrG expression, when cells are
limited for pyrimidine nucleotides. This mechanism, like
that of the E. coli pyrB operon, utilizes the transcription
complex itself to monitor availability of its NTP sub-
strates, but the mechanistic consequences of specific
NTP limitation differ in the two systems.
Regulation of Termination by Modulation
of Transcription Complex Activity
All the systems described above involve changes in the
structure of the nascent transcript, which arise as the
result of interaction of other factors with the RNA, or
through changes in the RNA sequence that occur during
transcription. Another major class of transcription termi-
nation control systems does not utilize structural changes
in the nascent RNA but instead involves changes in the
behavior of the transcription machinery itself. These sys-
tems can modulate the processivity of RNAP or the
ability of the termination machinery (i.e., Rho factor) to
access the transcription elongation complex.
Protein-dependent changes in transcription
complex processivity
The classic example of a system in which binding of a
protein to a nascent transcript causes the transcription
elongation complex to ignore downstream termination
sites is provided by the bacteriophage lambda N-
mediated antitermination mechanism. The phage-
encoded N protein is responsible for the transition
between the earliest stage of phage gene expression (dur-
ing which only N and another regulatory protein, Cro, are
synthesized) and the next stage of gene expression. N
binds to specific sites (designated nut sites, for N utiliza-
tion) on transcripts initiating at both the leftward (P
L
) and
rightward (P
R
) major promoters. Once bound to these
sites, N nucleates assembly of a complex of host-encoded
proteins (the nus factors, for N usage substance) that
interact with RNAP (Figure 5(a)). NusA protein binds
first, and is sufficient for antitermination at sites close to
the nut site; formation of a stable complex requires the
addition of the remaining factors (NusB, NusG, and ribo-
somal protein S10). Assembly of the complete complex
results in a more processive transcription elongation com-
plex with reduced pausing and reduced termination
activity at both Rho-dependent and intrinsic terminators,
and this complex remains intact during transcription of
long segments of DNA distal to the modification site. This
effect has been termed processive antitermination
because it allows readthrough of multiple termination
sites that are encountered in succession as the transcrip-
tion complex moves along the DNA.
Bacteriophage lambda uses a second protein-dependent
antitermination mechanism to promote the transition to
late gene expression, mediated by the phage-encoded Q
protein. In contrast to N, Q is a DNA-binding protein that
interacts with the nontemplate strand of the DNA in a
transcription complex paused just downstream from the
late gene promoter. Q-directed antitermination also differs
from the N system in that only a single host-encoded
factor, the NusA protein, is required. Both the N and the
Q systems are conserved in related lambdoid phage.
The lambda N antitermination system also serves as
the target of a protein-directed termination system, in
which a related phage, designated HK022, encodes a
protein (Nun) that is related to N but interferes with
N-mediated antitermination, causing failure of the
N system and abrogation of the lambda lytic cycle. Nun
binds to the nut sites on the nascent lambda transcripts
and, in complex with the same Nus factors that are uti-
lized by N to promote antitermination, instead promotes
(a) Protein-dependent changes in RNAP: lambda N
(b) RNA-dependent changes in RNAP: put
ON
nut
nut
put
T
+ N
+ put
– N
ON
OFF
Figure 5 Changes in processivity of the transcription
elongation complex. (a) In the bacteriophage lambda N system,
N protein (pink circle) binds to the nut site on the nascent
transcript and recruits additional factors (purple circles) that
together modify RNAP (yellow ovals) to a complex that is
resistant to transcription termination signals; this allows
transcription of downstream genes (blue box). In the absence of
N, the nut site is unoccupied and RNAP stops at termination
signals that prevent downstream gene expression. (b)
Bacteriophage HK022 uses the cis-acting put RNA element to
modulate the processivity of RNAP, which results in readthrough
of termination sites and expression of downstream genes. As the
put site is always present in the RNA, its antitermination activity
appears to be constitutive.
944 Posttranscriptional Regulation

transcriptional arrest and termination. It is important to note
that Nun does not inhibit N-mediated antitermination only
by competing with N for binding to nut sites, but instead
directly promotes termination at sites immediately down-
stream from the nut sitesevenintheabsenceofN.The
biological role of the Nun system appears to be to promote
HK022 propagation in cells coinfected with lambda, and
HK022 utilizes a different class of antitermination mechan-
ism to carry out its own life cycle (see below).
A different mode of protein-dependent modulation of
the transcription elongation complex is represented by the
RfaH system, which is found in a number of enteric bac-
teria. RfaH protein interacts with the nontemplate strand of
the DNA on the surface of a transcription elongation
complex paused at specific cis-acting sequences, designated
ops sites. RfaH remains stably associated with the transcrip-
tion elongation complex, and increases its processivity in a
manner similar to the N and Q systems. This results in
readthrough of potential termination sites in the down-
stream genes, and thereby stimulates synthesis of longer
transcripts and expression of the downstream coding
sequences. The RfaH system differs from the phage-
encoded systems in that no cellular factors other than
RfaH are required. RfaH-dependent antitermination is
important for a number of processes involved in virulence
in E. coli and its relatives.
RNA-dependent changes in transcription
complex processivity
As noted above, phage HK022 utilizes the Nun protein
not to mediate antitermination during expression of its
own genome, but rather to prevent N-mediated antiter-
mination by a coinfecting lambda phage. As for other
lambdoid phage, antitermination is required for HK022
to advance into the lytic cycle, but in this case cis-encoded
elements within the nascent transcript are responsible for
readthrough of the early termination sites. Transcription
originates from two divergent promoters (as described for
lambda), and RNA elements (designated put sites) located
downstream from the two promoters act in cis to promote
readthrough of downstream termination sites and allow
expression of genes located distal to the terminators
(Figure 5(b)). The put sites are each comprised of two
stem-loop elements, both of which are required for anti-
termination activity. These RNA elements are sufficient
to promote antitermination in the absence of any HK022-
encoded protein factors, and no host-encoded factors are
required, in contrast to the lambda system. The put-
encoded RNA elements interact directly with the 9-
subunit of RNAP, and specific mutations in 9block
put-mediated antitermination (and HK022 growth) with-
out obvious effects on E. coli transcription or lambda
growth. HK022 put-dependent antitermination appears
to be constitutively active, as the put sites are always
present in the nascent transcripts; this differs from the
lambda N system, which allows regulation of downstream
gene expression in response to N availability. Although
the detailed mechanism of put-mediated antitermination
remains to be elucidated, it appears that its function is
similar to that of N protein in that it promotes both
reduced pausing by the transcription elongation complex
and processive antitermination.
Interference with Rho binding
Rho protein is the key factor in Rho-dependent transcrip-
tion termination, and the requirement for interaction of
Rho with the nascent transcript at rut sites provides a
target for regulation. Binding of other factors to the tran-
script can affect the ability of Rho to access its binding
sites on the RNA. The clearest example of a regulatory
mechanism of this type is provided by the E. coli tna
operon, encoding tryptophanase, which is involved in
the utilization of tryptophan as a source of carbon and
nitrogen. The tryptophanase coding region is preceded by
a leader region that includes both a Rho-dependent ter-
mination site and a short peptide coding region
(Figure 1(b)). When tryptophan levels, are low (condi-
tions under which tna operon expression is repressed), the
Rho-dependent termination site in the leader region is
active, and transcription is attenuated. Under these con-
ditions, translation of the leader peptide coding sequence
within the leader RNA proceeds normally, and the ribo-
some and nascent peptide are released. When tryptophan
levels are high, signaling a need for tna operon expression,
a ribosome translating the tnaC region in the nascent
transcript stalls and occludes the rut site within the leader
region; Rho binding is prevented, and synthesis of the
full-length transcript occurs, which allows production of
tryptophanase. Tryptophan-dependent stalling of the
ribosome during tnaC translation depends on specific
features of the tnaC-encoded peptide, which in the pre-
sence of free tryptophan interacts in cis within the exit
channel of the translating ribosome to inhibit peptidyl-
transferase activity, thereby preventing translocation.
The requirement for free tryptophan to promote stalling
of the ribosome–nascent peptide complex provides the
sensitivity to tryptophan concentration necessary for an
appropriate physiological response, since degradation of
tryptophan is advantageous only when tryptophan is
highly abundant.
Rho-dependent termination can also be regulated by
the abundance of Rho protein itself. This sensitivity to Rho
availability is utilized in autogenous regulation of rho gene
expression. The rho gene contains several Rho-dependent
termination sites, and synthesis of the full-length transcript
is repressed when the cellular concentration of Rho protein
is high. This represents a classical autorepression response
that makes use of the biological function of the regulated
protein to control its own synthesis.
Posttranscriptional Regulation 945

Effects of Premature Termination on Upstream
Gene Expression
While termination in a leader region is normally consid-
ered to control expression of coding sequences located
downstream of the termination site, by determining
whether the transcript includes those downstream regions,
it is also possible for termination mechanisms to affect
expression of genes located upstream of the termination
site, in a process termed retroregulation. The classical
example of this type of effect is observed in bacteriophage
lambda, where N-mediated antitermination not only pro-
motes transcription of genes downstream from the
termination sites but also results in downregulation of
the int gene, which is located upstream of one of the
N-regulated termination sites. The int gene encodes the
integrase necessary for integration of the lambda genome
into the host chromosome, and its repression when N is
active is a component of the switch between the lysogenic
and lytic cycles. In the absence of N, the int transcript
terminates at the intrinsic terminator site located at the
end of the int coding sequence. N-mediated readthrough
of this termination site results in synthesis of an extended
transcript that now includes a new element (designated sib)
that is sensitive to cleavage by the endoribonuclease RNase
III. RNA cleavage at the sib site triggers the degradation of
the mRNA region 59to the sib site by exonucleolytic
degradation from the 39end released by RNase III, which
results in a decrease in int mRNA levels. N-mediated anti-
termination therefore causes decreased stability of the int
transcript, despite the fact that int is encoded upstream of
the termination site targeted by N. It is likely that this type
of regulatory effect occurs in other polycistronic transcripts
in which the regulated terminator is located between cod-
ing sequences, especially since the presence of the helix of
an intrinsic terminator often stabilizes transcripts by inhi-
biting access of the RNA degradation machinery (see
below). Extension of the transcript by antitermination sepa-
rates the 59coding region from the terminator element,
which can provide additional targets for endoribonuclease
cleavage and RNA destruction.
Regulation of mRNA Stability
The net amount of an mRNA transcript in a cell at any
given time arises from the combined effects of transcript
synthesis and transcript destruction. Changes in the sta-
bility of a particular RNA can have as great an effect on
expression of the encoded gene product(s) as changes in
the synthesis rate of that RNA. RNA degradation in E. coli
occurs through the combined activity of a series of 39–59
exonucleases, and endonucleases that cleave within the
RNA to provide new 39ends for attack by the exonu-
cleases. Structure at the 39end of a transcript, as occurs
when the 39end of the RNA is generated by an intrinsic
terminator, inhibits access of the 39–59exonucleases.
Polyadenylation of the transcript by poly(A) polymerase
(the product of the pcnB gene) provides a site for 39–59
exonuclease recruitment. While no 59–39exonuclease
activity has been found in E. coli, this activity is present
in other bacteria, including B. subtilis. In either case, ele-
ments at the 59end of the transcript have been shown to
affect mRNA stability, by affecting recruitment and activ-
ity of ribonucleases that attack there or at other sites on
the RNA. Modulation of transcript stability can occur by
binding of factors and/or structural rearrangements that
affect accessibility of the RNA to ribonucleases. As noted
above, premature termination of transcription can deter-
mine whether the transcript includes a binding site for a
ribonuclease. Translation and mRNA degradation are
also intimately intertwined, as binding and processivity
of a ribosome influence the susceptibility of the mRNA to
ribonucleases.
Mechanisms of mRNA Degradation
In E. coli, the endonuclease RNase E is the major initiator of
degradation of full-length transcripts that contain intrinsic
terminators at their 39ends. RNase E nucleates assembly of
a complex, designated the RNA degradosome, that includes
polynucleotide phosphorylase (PNPase, a 39–59exoribonu-
clease), an ATP-dependent RNA helicase (RhlB), and
enolase (a metabolic enzyme that may serve as a scaffold);
poly(A) polymerase is also associated with the complex.
RNase E binding requires several unpaired nucleotides at
the 59end of the mRNA, and exhibits a preference for
RNAs with a 59monophosphate (generated by other clea-
vage reactions or by removal of the 59pyrophosphate that is
normally found at transcription initiation sites). Other cel-
lular endonucleases can participate in further cleaving the
RNA products, and polyadenylation, which is stimulated by
endonuclease cleavage, plays a major role especially in
degradation of RNAs with structural elements at the 39
end. As noted above, B. subtilis contains an additional ribo-
nuclease (RNase J1) with 59–39exonucleolytic activity that
may be especially important for degradation of RNAs that
are protected from 39to 59exonucleases.
Regulation of Transcript Stability by Interactions
with the mRNA Target
The crucial role of events at the 59end of the mRNA for
initiation of the degradation process provides a target for
regulation by modulation of 59end structure or accessi-
bility. Sequences throughout the mRNA can also provide
targets for endonucleases, and blocking the accessibility of
these cleavage sites, through specific binding or by
946 Posttranscriptional Regulation

occupancy of the mRNA by translating ribosomes, can
have major effects on the stability of the mRNA.
Regulation of mRNA degradation by RNA-binding
proteins
A number of systems have been described in which bind-
ing of a protein to a transcript has a major effect on the
lifetime of the transcript in the cell, and therefore on the
expression of genes encoded within that transcript. This
effect can be direct (by binding of the protein at a position
that overlaps a site for recognition by a ribonuclease,
which results in occlusion of the RNase binding site and
stabilization of the transcript) or indirect (by interfering
with translation initiation, thereby reducing protection of
the mRNA by translating ribosomes; see below). The
RNase E protein provides a clear example of a case
where binding of a protein has been shown to directly
affect mRNA stability (Figure 6(a)). RNase E represses
its own synthesis by binding to a complex structural
element in the 59UTR of its mRNA; this binding results
in cleavage and subsequent destruction of the mRNA,
and reduced RNase E synthesis. This autoregulatory
mechanism takes advantage of the function of the gene
product to maintain appropriate cellular levels.
RNA-binding proteins can also cause destabilization of
a transcript by promoting binding of ribonucleases. An
example of this type of mechanism is provided by the
CsrA protein of E. coli, which controls a variety of carbon
metabolism genes by affecting either mRNA degradation
or translation initiation. CsrA binds to a helical element at
the 59end of its target mRNAs, and CsrA activity is
controlled by two regulatory RNAs (CsrB and CsrC)
that contain an array of CsrA binding sites and therefore
titrate CsrA away from its normal targets. A second reg-
ulatory protein, CsrD, controls the abundance of the CsrB
and CsrC regulatory RNAs. Binding of CsrD to the CsrB
and CsrC RNAs results in their rapid degradation,
mediated in part by RNase E. CsrD therefore acts as a
specificity factor that directs degradation only of its desig-
nated CsrB and CsrC RNA targets. This complex system
allows rapid changes in CsrA activity, and therefore in
target gene expression.
RNA-mediated changes in RNA stability
As noted above, the CsrB and CsrC regulatory RNAs indir-
ectly affect mRNA stability by controlling the availability of
the CsrA regulatory protein, which in turn affects mRNA
stability or translation of other transcripts. A growing
number of small regulatory RNAs (sRNAs) have recently
been identified that affect the stability of other mRNAs,
without their effect being directed by a regulatory protein
(Figure 6(b)). These RNAs directly promote mRNA
degradation(oftenwithconcomitantself-degradation)or
interfere with translation initiation and therefore indirectly
affect mRNA stability via the absence of translating ribo-
somes. Regulatory RNAs of this class (unlike CsrB and
CsrC) interact with their targets by base-pairing, and may
be encoded in cis (from the opposite strand of the same DNA
region as the target) or in trans (from some other location in
the chromosome). Cis-encoded regulatory RNAs are
completely complementary to their targets (i.e., they are
antisense RNAs), while trans-encoded regulatory RNAs
are partially complementary, and often have multiple targets
within the cell. In most cases, target RNA destabilization by
cis-encoded sRNAs requires RNase III, which cleaves long
double-stranded RNA regions, while RNA degradation by
trans-encoded sRNAs has in several cases been shown to
involve RNase E. For example, the RyhB sRNA, which is
induced in response to limitation for iron, promotes degra-
dation of a set of mRNAs encoding proteins that bind iron,
allowing more efficient utilization of limiting supplies. The
activity of trans-encoded sRNAs (like RyhB) is also often
dependent on the RNA-binding protein Hfq, which acts as
an RNA chaperone to enhance the RNA–RNA interaction,
at least in part by modulating RNA folding to promote base-
pairing between the two RNA partners. Both cis-encoded
and trans-encoded sRNAs are usually degraded in concert
(a) Protein causes mRNA degradation: E. coli rne
(b) sRNA causes mRNA degradation: E. coli RyhB
ON
ON
OFF
OFF
– Protein
+ Protein
– sRNA
+ sRNA
Figure 6 Regulation of mRNA degradation. (a) Protein-
dependent RNA degradation in the Escherichia coli rne gene.
When levels of the regulatory protein (RNase E, the product of the
rne gene) are low, the RNA transcript is stable and efficiently
translated by ribosomes (green ovals). High abundance of RNase
E (pink circle) results in binding to the mRNA and increased
degradation (scissors). (b) sRNA-directed mRNA degradation. In
the absence of the sRNA, the target mRNA is stable and is
efficiently translated. Binding of the sRNA to the mRNA by partial
complementarity results in cleavage and rapid degradation of
both the sRNA and its mRNA target.
Posttranscriptional Regulation 947

with their target RNAs. Although destabilization of the
target mRNA is the most common effect of sRNAs, the
GadY sRNA in E. coli, which regulates genes involved in
the response to low pH, stabilizes its mRNA targets and
therefore increases expression.
Global Changes in the RNA Degradation
Machinery
There is increasing evidence for modulation of degrado-
some composition and activity, especially in response to
cellular stress. RNase E activity can be inhibited by two
proteins, designated RraA and RraB, which cause altera-
tions in the stability of many cellular mRNAs. Exposure to
cold shock in E. coli also results in alteration of the
degradosome. Starvation for amino acids activates several
toxin–antitoxin systems that stimulate global degradation
of ribosome-associated mRNAs, liberating resources for
adaptation to the starvation state. Other general effects on
translation affect overall mRNA stability, via effects on
ribosomal occupancy. It seems likely that a large variety
of regulatory events may target RNA degradation, given
the complexity of the process and its importance to the cell.
Regulation of Translation
Translation of an mRNA provides another opportunity for
regulation of gene expression. In bacteria, translation can
begin as soon as the RBS has appeared within the 59region
of the transcript emerging from the transcription elongation
complex. Transcription and translation are usually tempo-
rally coupled, and the efficiency with which an mRNA is
recognized by the translational machinery is variable and
depends on primary sequence and the presence of structural
elements. Translational elongation can also be modulated
by elements within the RNA or trans-acting factors that
influence ribosome processivity. Translational efficiency
can in turn affect the stability of the mRNA by affecting
accessibility to endoribonucleases, as noted above.
Regulation of Translation Initiation
In bacteria, translation initiation usually involves initial
binding of the 30S ribosomal subunit, initiation factors,
and initiator tRNA to the RBS, which is comprised of the
Shine–Dalgarno (SD) sequence (a 5-nt sequence with the
consensus GGAGG that is complementary to a region at
the 39end of 16S rRNA within the 30S subunit) and the
AUG initiation codon that specifies binding of the initia-
tor tRNA; GUG and UUG codons are also recognized,
albeit at lower efficiency. Translation initiation in bac-
teria differs from that in eukaryotic cells in that multiple
translation initiation regions can be present on a single
transcript, which allows the existence of polycistronic
mRNAs from which multiple coding sequences can be
independently translated. Binding of the translation
initiation complex requires that the RBS be accessible,
with no structure in the immediate region. Modulation of
transcript structure in the RBS region therefore provides
an opportunity for regulation that can be effective both
while transcription is proceeding and after transcription
has been completed.
Regulation of translation initiation by
RNA-binding proteins
A number of systems have been described in which binding
of a protein to the RBS region of an mRNA causes inhibi-
tion of translation initiation. As noted above, this inhibition
may result not only in decreased translation of the mRNA
but also in decreased mRNA stability, as a decrease in
ribosome occupancy often causes degradation of the tran-
script. This type of mechanism is clearly illustrated in
ribosomal protein genes in E. coli, where binding of one
ribosomal protein encoded in a ribosomal protein gene
operon results in sequestration of the RBS for the first
gene in the operon, and decreased translation of the
first coding sequence (Figure 7(a)). Expression of the
(a) Protein causes translation inhibition: E. coli ribosomal protein
(b) sRNA sequesters RBS: E. coli OxyS
– Protein
SD
SD
+ Protein
– sRNA
+ sRNA
ON
ON
OFF
OFF
Figure 7 Inhibition of translation initiation by RNA-binding
proteins or sRNAs. (a) Sequestration of the SD region in
Escherichia coli ribosomal protein genes. When the levels of the
regulatory protein are low, the SD region of the target gene (blue
box) is available for binding by the ribosome (green ovals), and
translation occurs. When levels of the regulatory protein are high,
the protein (pink circle) binds to an RNA element that overlaps the
SD region, and ribosome binding is inhibited. (b) Inhibition of
translation initiation by an sRNA. In the absence of the sRNA, the
SD region of the target gene (blue box) is available, which allows
binding of the ribosome and translation initiation. Binding of the
sRNA (green line) sequesters the SD region and prevents
ribosome binding.
948 Posttranscriptional Regulation

downstream genes in that operon is also repressed, by a
combination of translational and mRNA destabilization
effects. Reduced translation of the downstream genes is
likely to be due to translational coupling, where availability
of the downstream RBS is dependent on unfolding of the
mRNA by a ribosome translating the upstream coding
sequence; interference with translation of the upstream
region allows the transcript to fold into a structure in
which the downstream RBS is sequestered. Inhibition of
translation can also result in transcriptional polarity,
where cryptic Rho-dependent transcription termination
sites are activated by the absence of translating ribosomes.
Together, these effects result in low expression of all down-
stream coding sequences, mediated by direct translational
inhibition of only the first coding sequence.
Regulation of translation initiation by sRNAs
Accessibility of an RBS can readily be modulated by
binding of a regulatory RNA, which can be encoded in
cis (in which case the sRNA is perfectly complementary
to its mRNA target) or in trans (in which case comple-
mentarity is usually imperfect, and Hfq is often used to
enhance binding). Sequestration of the RBS region repre-
sents the simplest regulatory action of sRNAs, as binding
of the sRNA to the RBS is sufficient to prevent ribosome
binding, and recruitment of RNases by formation of a
specific RNase binding site is unnecessary (although
transcript destabilization is a likely indirect outcome
of translational repression). There are many examples of
sRNAs that repress translation, including a variety of
plasmid replication control systems (which usually
involve cis-encoded sRNAs), and the trans-encoded
OxyS RNA, which is involved in the oxidative stress
response in E. coli (Figure 7(b)). More rarely, translation
initiation can be induced by an sRNA, as is the case for
induction of expression of the rpoS gene, encoding the
major stationary phase sigma factor in E. coli, by the DsrA
sRNA. The rpoS mRNA contains a self-complementary
region that encompasses the RBS, so that binding of the
ribosome is blocked in the native transcript by an inhibi-
tory helix. Binding of the DsrA sRNA to a region that
includes the 59portion of this inhibitory helix results in
unfolding of the helix, and liberation of the RBS region so
that translation initiation can occur. As noted above,
effects on translation initiation also result in changes in
mRNA stability, amplifying the translational effect.
Regulation of translation initiation by RNA
structural rearrangements
Most of the classes of regulatory events in which RNA
structural rearrangements are used to control gene
expression at the level of premature termination of tran-
scription (discussed above) can also be used to regulate at
the level of translation initiation. The major difference
between transcription attenuation systems and translation
initiation systems is that in the latter systems the crucial
regulatory helix acts to sequester the RBS of the regulated
gene, rather than serving as the helix of an intrinsic
terminator. For example, the processivity of the ribosome
during leader peptide translation in systems like the
E. coli trp operon determines whether a terminator or
competing antiterminator helix forms in the nascent tran-
script. In an analogous translational control system, like
that of the Gram-positive erm and cat genes (which encode
resistance to erythromycin and chloramphenicol, respec-
tively), leader peptide translation modulates whether the
RBS of the downstream coding sequence is sequestered in
a helix that prevents translation initiation (Figure 1(c)).
Expression of these genes is induced by exposure to
subinhibitory concentrations of the antibiotic, which pro-
motes stalling of the ribosome during leader peptide
translation. The stalled ribosome sequesters a region of
the transcript that would otherwise form an inhibitory
helix that occludes the RBS of the downstream resistance
gene, allowing translation of the downstream gene to
commence. The stalled ribosome also stabilizes the down-
stream region of the mRNA, by a mechanism that may
include blocking the activity of the 59–39exonuclease
found in this group of organisms. In both the antibiotic
resistance genes and systems like the E. coli trp operon, the
translating ribosome serves as the sensor for the regula-
tory signal (the antibiotic or charged tRNA
Trp
); a major
difference is that termination control systems like the
E. coli trp operon require precise coupling between tran-
scription and translation, so that the transcription
elongation complex can respond to the translational sig-
nal as it reaches the termination site, while translational
control systems like erm and cat can exert their effect
either while transcription is taking place or after tran-
script synthesis is complete.
Riboswitch systems can also operate at the levels of
premature transcription termination or translation initia-
tion, and in several systems the same effector binding
domain is used for both regulatory mechanisms. The
major difference between termination and translational
riboswitch systems is the position of the final inhibitory
helix, the formation of which is determined by effector
binding. In transcription attenuation systems, this helix is
usually located at least 30 nt upstream of the start of the
regulated coding sequence, and includes the run of U
residues in the transcript that together with the helix
serve as the intrinsic termination signal. In contrast, the
inhibitory helix in translational control systems (which
lacks the U residues) is positioned to include the RBS (or
at least the SD sequence) in the 39side of the helix, so that
helix formation occludes the RBS and prevents transla-
tion initiation. There are also examples where binding of
the effector (e.g., the uncharged tRNA in T-box genes)
stabilizes a helix that includes sequences that would
otherwise base-pair with the SD (i.e., the ‘anti-SD’
Posttranscriptional Regulation 949

sequence), so that effector binding results in increased
accessibility of the RBS and increased translation. In
most riboswitch systems, the effector binding domain is
separate from the regulatory domain, which allows an
easy transition between transcription termination control
and translational control. An exception to this is the
S-adenosylmethionine (SAM)-responsive S
MK
box, which
regulates SAM synthetase genes in lactic acid bacteria; in
this case, the SD–ASD pairing region is an intrinsic com-
ponent of the SAM-binding element (Figure 4(b)).
RNA thermosensors represent the simplest class of
systems for regulation of translation initiation. In these
RNAs, the RBS is sequestered into a helical structure that
is stable under normal growth temperatures. An increase
in temperature results in unfolding of the helical struc-
ture, and accessibility of the RBS to binding of the 30S
ribosomal subunit. Regulatory elements of this type are
obviously well suited to genes that are involved in cellular
responses to increased temperature, and are found in
certain heat shock genes including the E. coli rpoH gene,
which encodes the heat shock sigma factor. The rpoH
mRNA is present in the cell during normal growth con-
ditions, but translation is inhibited by the thermosensor
element. A sudden temperature shift melts the inhibitory
helix. This results in a rapid increase in sigma protein
levels, which triggers the general heat shock response
(including increased transcription of rpoH itself, which is
preceded by a promoter recognized by RNAP containing
the heat shock sigma). Restoration of the normal growth
temperature inactivates the rpoH transcript which refolds
into the inactive helical structure, blocking further synth-
esis of the heat shock sigma factor and facilitating a return
to steady-state conditions. Similar RNA thermosensors
have been identified in heat shock genes of other bacteria,
and have also been shown to regulate the Listeria prfA
gene, which encodes a key regulator of virulence gene
expression. In this case, the temperature change is used by
the organism to sense movement into the host, which
signals a requirement for induction of the virulence
response.
Repression of translation initiation by alterations
in the translational machinery
The E. coli infC gene, encoding translation initiation factor
IF3, provides an interesting example of using the function
of a protein in an autogenous regulatory mechanism. IF3
plays a role in discrimination of authentic translational
start codons. The initiation codon for infC itself is a
highly unusual AUU codon, which is poorly recognized
by initiation complexes containing IF3. Therefore, if IF3
is present in saturating amounts, translation of the infC
gene is inhibited, and no additional IF3 is made. A reduc-
tion in IF3 abundance is signaled by the accumulation of
initiation complexes lacking IF3. These defective com-
plexes fail to discriminate against the infC mRNA, which
results in increased IF3 synthesis until the complexes are
again saturated. This regulatory mechanism is absolutely
dependent on the presence of the AUU codon, which is
found in infC genes of many bacteria, suggesting that the
regulatory mechanism is conserved.
Regulation of Translation Elongation
or Termination
The shift from translation initiation to elongation requires
addition of the 50S ribosomal subunit, and loss of initia-
tion factors. Once this step has occurred, the translating
ribosome becomes highly processive, and is generally
effective at displacing RNA structural elements or
bound proteins. As noted above, translating ribosomes
can affect the stability of the transcript, by preventing
access of ribonucleases, or the structure of the mRNA,
which can affect transcription termination or translation
initiation for downstream coding sequences.
Codon bias effects
Processivity of the ribosome during translation is depen-
dent on the supply of charged tRNA entering the A site
of the elongation complex. The presence of a codon for
which the corresponding charged tRNA is at low abun-
dance can cause a transient pause in translation; this is
the basis for leader peptide transcription attenuation
systems, as described above. Not surprisingly, codons
for which the corresponding tRNAs are not abundant
in a given organism are not heavily used in that organ-
ism. These rare codons can generally reduce
translational efficiency, and bias against rare codons has
been noted in highly expressed genes, such as those
encoding ribosomal proteins. The presence of rare
codons can also be used in regulation of gene expression.
The best-characterized example of this is provided by
the bldA gene in Streptomyces coelicolor, which encodes a
tRNA specific for the UUA leucine codon. This codon is
rarely used in the Streptomyces genome, with a strong bias
for genes involved in developmental processes. The
bldA-encoded tRNA is dispensable for normal growth,
but a bldA mutant is defective in secondary metabolism
and sporulation because of the presence of the corre-
sponding UUA codons in these genes. Regulation of bldA
expression can therefore affect a variety of genes con-
taining UUA codons, resulting in a shift in the gene
expression pattern; this effect can be further amplified
if bldA-regulated genes include regulators that affect
other groups of genes.
Programmed frameshifting
While translating ribosomes are usually resistant to
structural features in the mRNA, certain RNA struc-
tural elements can promote ribosome pausing; elements
of this type are important for alterations in normal
950 Posttranscriptional Regulation

coding, such as programmed frameshifting and
insertion of unusual amino acids like selenocysteine.
Frameshifting occurs when a ribosome shifts from its
standard triplet decoding of an mRNA to a movement
by 1 nt either forward (þ1 frameshift) or backward (1
frameshift). The ribosome then resumes translation, and
decodes a different set of triplets on the same mRNA.
Programmed frameshifting is a genetically encoded
phenomenon that directs ribosomal frameshifting at a
specific site, and in a specific direction. It can promote
synthesis of multiple products from the same mRNA, as
in the E. coli dnaX gene, which encodes two subunits of
DNA polymerase, one of which is derived from a shift
in reading frame that is dependent on both a structural
element and a primary sequence element that promotes
pausing of the elongating ribosome. A frameshift event
is also used in autoregulation of the E. coli prfB gene,
which encodes a translation termination factor, ribo-
some release factor 2 (RF2). The prfB gene is highly
unusual in that it contains a UGA nonsense codon
early in the coding sequence. Translation termination
at UGA codons employs RF2, and efficient termination
at this site (and failure to synthesize additional RF2)
occurs when cellular levels of RF2 are high. A decrease
in RF2 abundance results in ribosome stalling at the
UGA codon; this stall increases the probability of a
shift of the ribosome into an alternate reading frame,
which allows synthesis of the full-length RF2 protein.
Like a variety of other autogenous control systems, prfB
autoregulation makes direct use of the function of the
RF2 protein in translation termination to modulate
expression of its gene.
Conclusion
The variety of posttranscription initiation gene regulation
events that occur in bacterial systems demonstrates the
versatility of the gene expression machinery. Each step in
gene expression represents a potential target for regula-
tion, and the investigation of multiple gene systems in a
broad range of experimental organisms broadens our
appreciation of what remains to be discovered.
Further Reading
Babitzke P and Romeo T (2007) CsrB sRNA family: Sequestration of
RNA-binding regulatory proteins. Current Opinion in Microbiology
10: 156–163.
Brantl S (2007) Regulatory mechanisms employed by
cis-encoded antisense RNAs. Current Opinion in Microbiology
10: 102–109.
Condon C (2007) Maturation and degradation of RNA in bacteria.
Current Opinion in Microbiology 10: 271–278.
Deana A and Belasco JG (2005) Lost in translation: The influence of
ribosomes on bacterial mRNA decay. Genes & Development
19: 2526–2533.
Gottesman S (2005) Micros for microbes: Non-coding regulatory RNAs
in bacteria. Trends in Genetics 21: 399–404.
Gottesman ME and Weisberg RA (2004) Little lambda, who made thee?
Microbiology and Molecular Biology Reviews 68: 796–813.
Grundy FJ and Henkin TM (2006) From ribosome to riboswitch:
Control of gene expression in bacteria by RNA structural
rearrangements. Critical Reviews in Biochemistry and Molecular
Biology 41: 329–338.
Kaberdin VR and Blasi U (2006). Translation initiation and the
fate of bacterial mRNAs. FEMS Microbiology Reviews 30:
967–979.
Narberhaus F, Waldminhaus T, and Chowdhury S (2006) RNA
thermometers. FEMS Microbiological Reviews 30: 3–16.
Yanofsky C (2007) RNA-based regulation of genes of
tryptophan synthesis and degradation, in bacteria. RNA
13: 1141–1154.
Posttranscriptional Regulation 951

Prions
W Bodemer, Deutsches Primatenzentrum GmbH (DPZ), Leibniz-Institut fu¨ r Primatenforschung, Goettingen, Germany
ª2009 Elsevier Inc. All rights reserved.
Defining Statement
Prion Diseases
The Agent
Infectivity and Transmission
Contribution of the Host
Diagnostics
Conclusion
Further Reading
Glossary
abnormal PrP Prion protein (PrP) molecules that are
associated with pathology. A final terminology is
pending and PrPsc, PrPres, or PrPd is used. Abnormal
PrP may possess templating properties necessary to
nucleate toxic or infectious proteinaceous structures.
amyloid A deposit of aggregates of PrP molecules
resistant to proteolytic degradation and enriched in
neuronal tissue.
BSE Bovine spongiform encephalopathy.
CJD The abbreviation for Creutzfeldt–Jakob disease of
humans. It is the most common prion disease in
humans; it occurs sporadically or can be inherited as in
fatal familial insomnia (FFI) or Gerstmann–Stra¨ußler–
Scheinker (GSS) syndrome.
prion Name given to certain unconventional
pathogens, suggesting their apparently proteinaceous
and infectious nature.
PrP The abbreviation for the mammalian prion protein
encoded by the PRNP gene on human chromosome 20.
PrP-encoding genes are found in many mammalian
species.
PrPc The abbreviation for the cellular PrP; its function is
not yet unambiguously defined.
PrPd Abbreviation referring to disease-associated PrP.
This nomenclature has recently been introduced to
include all PrP molecules observed when prion disease
is diagnosed with respect to PrP.
PrPres Abbreviation indicating PrP molecules that are
resistant to experimental degradation with proteinase
K (PK) or cellular metabolic proteolysis. Besides
PK-resistant PrP molecules, PK-sensitive PrP
molecules have also been associated with infectious
prions.
PrPsc Abbreviation for ‘prion proteinn–scrapie,’
consisting of PrPc molecules with an infectious
capacity. PrPsc may contain PrP molecules resistant or
accessible to experimental or naturally occurring
proteolyitc degradation.
TSE Abbreviation for transmissible spongiform
encephalopthies (TSE), a synonym for prion
disease. Examples are scrapie of sheep, kuru and
CJD in humans, BSE of cattle, which is etiologically
related to variant CJD (vCJD) in humans and
chronic wasting disease (CWD) of cervids (deer
and elk).
vCJD Abbreviation for variant CJD, etiologically linked
to infectious prions from BSE and may represent a
zoonosis. Intra- and interspecies transmission of CJD is
feasible with a few exceptions.
Abbreviations
AHSP alpha hemoglobin-stabilizing protein
BSE bovine spongiform encephalopathy
CJD Creutzfeldt–Jakob disease
CWD chromic wasting disease
EEG electroencephalogram
ELISA enzyme-linked immunoabsorbent assay
FDC Folicular dendritic cells
FFI fatal familial insomnia
GSS Gerstmann–Stra¨ußler–Scheinker
IHC immunohistochemistry
LRS lymphoreticular system
ORF open reading frame
PCR polymerase chain reaction
PK proteinase K
PMCA protein misfolding cyclic amplification
PrP prion protein
PrPc cellular PrP
PrPd disease-associated PrP
PrPsc prion proteinn–scrapie
2-DE two-dimensional gel electrophoresis
WB western blot
952

Defining Statement
Prion diseases or transmissible spongiform enceph-
alopathies are infectious neurodegenerative disorders.
Infectivity is associated with prions, proteins associated
not only with infectious diseases but also with the inher-
ited and sporadic disorders. The true nature of prions is
unknown. However, molecular variants of the host cell-
encoded prion protein can not be excluded as constituents
of a prion. The protein-only hypothesis is consistent with
current understanding of mammalian prions. Reliable
evidence for an inheritable nucleic acid in prions so far
remained elusive.
Prion Diseases
Disease
Prions have been widely accepted as the infectious etio-
logical agent of widespread prion diseases characterized
by brain damage with a spongy appearance. Hence,
they are called transmissible spongiform encephalopa-
thies (TSE). The best known of these is scrapie in
sheep, which was first described in 1759. Intensive
research on TSE began in the 1950s when Gajdusek
discovered that human kuru was related to cannibalism
and to the ritual use of diseased brain, and thus the
suspected kuru to be transmissible.
In the early stages of TSE research, a conventional
transmissible agent was suspected to be involved and
therefore the disease was classified as a lentiviral (‘slow
virus’) infection. Even in the 1920s, when Creutzfeldt and
Jakob made their first pathological observations, there was
a rumor that attempts were made to transmit the disease
to animals, probably the rabbit.
However, there are no records of transmission studies
until the successful transfer of kuru from humans to
chimpanzees was reported by Gajdusek in the 1960s.
After this, researchers in the United States and Europe
set out to define the infectious agent. The search for
prions in decisive experiments with ultracentrifugation
and nucleic acid techniques began in the mid-1970s,
coinciding with the introduction of hepatitis B virus
research, which searched for particles in blood and led
to the eventual detection of DNA and the infectious
42 nm hepatitis B virus Dane particle.
Despite numerous experimental efforts, no convincing
virus-like agent or any kind of conventional pathogen
with nucleic acid as the genetic material had been iso-
lated, although highly sophisticated methods have been
applied. Even with latest techniques in molecular biology
at hand, the predicted and long-sought virus could not
be identified. Therefore, the protein-only hypothesis
should not be abandoned until the true nature of prions
is known. Absence of evidence for a viral etiology is,
strictly speaking, not evidence for the absence of a hidden
viral component. Owing to the enigmatic nature of prions,
Koch’s postulates have been used to question prions as the
postulates are not fulfilled. However, the biological char-
acteristics of some viruses also do not meet these
postulates.
The most important prion diseases are sporadic
Creutzfeldt–Jakob disease (CJD) (sCJD) and variant CJD
(vCJD), whereas genetic CJD, fatal familial insomnia
(FFI), and Gerstmann–Stra¨ussler–Scheinker disease (GSS)
represent only 10–15% of cases.
Typically, sCJD affects patients in their 60s. Cases have
a median disease duration of about 6 months. In contrast,
vCJD cases are in their 30s or even younger and the
duration of disease is prolonged up to 15 months. At
disease onset, vCJD is characterized by psychiatric symp-
toms; later, vCJD cases develop dementia, ataxia, and
myoclonus like sCJD cases. Magnetic resonance imaging
(MRI) revealed differentiable brain images between sCJD
and vCJD cases. Genetic cases of sCJD, like those asso-
ciated with the E200K (glutamic acid replaced by lysine)
PrP mutation, cannot be clinically differentiated from
sCJD unless family history and genetics are established.
FFI and GSS have atypical clinical symptoms, often go
undetected, and require family history and genetics for
positive diagnosis. FFI and GSS appear at younger ages,
and the progression from first clinical symptoms to death
may be delayed for years. Finally, iatrogenic CJD resulting
from neurosurgery, corneal grafting, or dura mater
implants are clinically indistinguishable from sporadic
CJD.
Jakob and Creutzfeldt initially defined characteristics
of the disease denoted as CJD. Human kuru, more so than
scrapie, became the most striking disease to be linked to
prions. Kuru victims were identified until 2000 because of
a latent and persisting prion infection. Therefore, a long
period of subclinical persistence of prions before the
onset of disease existed. The mechanisms controlling
pathogenicity are not completely known, and genetic
variation associated with the host-encoded prion protein
gene seems to act as a modifier of infection and disease.
BSE of cattle emerged and its transmission into the
human population was of great concern. The persistence
of prions and prion strains is of concern in the case of
BSE-human variant CJD (vCJD) transmission, since there
is some worry that unique BSE strains might induce not
only vCJD but also induce sCJD. On the other hand, even
in geographical areas where scrapie is endemic, no
increase in the incidence of human prion disease has
been found. Notably, prions of scrapie differ biologically
from prions of BSE.
Neurodegeneration and loss of neuronal cells are hall-
marks and cause disease. Hypotheses to explain the
neurodegeneration include the following: (1) prions
Prions 953

may act alone as causative agents to deteriorate cells, (2)
loss of the cellular PrP might be responsible, and (3)
perhaps abnormal PrP or its deposits are cytotoxic. Most
diagnostic procedures, especially postmortem immuno-
histochemistry (IHC), detect only late stages of prion
infection and disease. Within the group of human spora-
dic CJD, clinical symptoms vary and can be correlated
with prion protein glycotyping in Western blots (WBs)
and DNA polymorphisms of the host’s gene encoding the
prion protein. Noninvasive MRI and electroencephalo-
gram (EEG) became promising tools for the detection and
classification of disease. To understand disease progres-
sion, behavioral studies assessing alterations of the
circadian rhythm and sleep–wake cycles in human prion
diseases are rare but can be performed to a certain degree
in animal models. Only FFI could be assessed with respect
to these parameters. Most important for humans, the
classical CJD clinically differs from vCJD, a fact that
lends initial support to the hypothesis that vCJD was a
transmission of BSE into humans in the mid-1990s and
therefore represents a zoonosis. As of October 2007, 201
vCJD cases have been reported worldwide. Clinically,
vCJD is distinguishable from classical forms of sporadic
CJD, genetic prion diseases such as FFI and GSS, or CJD
associated with octarepeat and point mutations. Other
clinical symptoms are sometimes shared by prion disease.
For example, elk suffering from chronic wasting disease
(CWD) experience cachexia (wasting) and salivate exten-
sively in a way comparable with the distinct clinical
human MV2 CJD or vCJD phenotype.
Neurology and neuropathology clearly identify not
only classical prion diseases but also newly emerging
ones such as variant CJD in humans or CWD of elk.
Clinical symptoms are reliable diagnostic markers and
the experienced clinician is able to distinguish on the
basis of the disease phenotype which human prion disease
is being examined. With similar diagnostic certainty prion
disease of sheep, cow, elk and other animals can be iden-
tified by the experienced veterinarian. From the different
diseases and their heterogeneous clinical and molecular
characteristics, prion strains have been postulated and
were eventually defined.
Epidemiology
TSEs are widespread in the animal kingdom. Scrapie is
almost ubiquitously found, whereas BSE had a limited
global spread, mostly in Europe. Prion disease of deer and
elk is growing in North America and Canada, and scrapie
persists in indigenous areas.
Human kuru occurred in the past and has almost been
eradicated, with the last cases reported in 2000. These
slow progressors were old and their resistance or reduced
susceptibility has been genetically correlated to the type
of their prion protein gene.
As to sporadic CJD, the inherited FFI, and GSS, no
significant increase of the incidences has been observed
worldwide; about 1.4–1.6 CJD cases/1 000 000 were
observed in 2005.
After BSE was introduced into food chains and no
transmission barrier prevented BSE prions from infecting
humans, a major problem emerged. How efficient the
infection in humans might have been and what will hap-
pen if prions persist over a long period of time and
subclinically in individual persons are still unanswered
questions. Predictive epidemiological models began
with little data on a disease with long incubation times.
Therefore, early predictions had a large variance. With
the ongoing epidemic for vCJD, the reduction in inci-
dence and increase in the number of data points have
improved the predictive ability of subsequent mathema-
tical models. Even sophisticated statistical models could
not compensate for the lack of reliable data on persistence
and activation mechanisms acting in prion infection.
Relating BSE cases to human vCJD is hampered by the
incorrect numbers of BSE cases reported and the low
numbers of cases of vCJD; both make statistical analyses
difficult. Therefore, examination of the the coincidence of
endemic areas for BSE and vCJD favors BSE as the
etiological agent of vCJD until we have solid evidence
for any other cause. Incidence also discriminates sCJD
from inherited CJD and vCJD, because epidemiology
could correlate vCJD cases to BSE cases. When CJD
incidences increase, one might suspect either new prions
in disguise or improved surveillance. Although only few
BSE cases were reported outside of Europe, they should
not be neglected. Export of contaminated beef from
Europe to Asia has been supposed to be a risk factor
with an unforeseeable outcome. Fortunately, sufficient
exposure to prions, called infection pressure, was reduced
as risk-associated animal material was removed and
should not enter food chains. There is no doubt that
epidemiology depends on both the nature of prions and
their biological behavior. Distinctive prion strains, persis-
tence, and in apparent infection may veil authentic cases.
To understand the mechanisms as to how prions are
hidden or disguise themselves is a major goal in current
prion research.
Pathogenesis
The pathology of a prion infection with progression to
disease is attributed to pathological or abnormal PrP
molecules. Deposition of PrP isoforms such as amyloids
954 Prions

is a striking pathological trait of the disease and thus
relevant.
Before the pathological deposits can be detected, mor-
phological changes like clustered cavities described as
vacuolization of the tissue are only seen in prion disease.
Vacuolization and appearance of pathological PrP are
distinct events that occur at different times after infection.
Yet, the loss of biologically active PrPc might also
contribute to the damage of neuronal cells. Whether or
how they are linked on a molecular basis has not yet been
worked out conclusively.
Clearance of abnormal PrP may be brought about by
proteolytic enzymes but clearcut experimental data on
such processes are not available. Because PrP molecules
may be involved in signal cascades controlling cellular
metabolism, morphological alterations might be the first
sign of damage by prions.
Longitudinal studies in animal models or in infected
cells are experimental approaches to define individual
steps of prion disease, which is a difficult task because
prions possess strain characteristics as mentioned in the
section titled ‘Disease’. Strains were defined on tropism,
the pattern of local lesions, and their pathological pheno-
type can be dissociated from their molecular phenotype.
Different strains may lead to different phenotypes, for
example, disease and unawareness of the presence of
different strains in a natural setting will lead to difficulty
in interpreting results.
To further our knowledge on death and loss of
neuronal tissue, basic research may yield further clues.
Sometimes higher levels of abnormal PrP in brain can be
found in experimental models like transgenic animals.
Yet, these animals behave normally, do not present with
neurological deficits, and seem only to be attacked by
prions. Hence, it is difficult to initiate therapeutic mea-
sures as there is no early sign of disease. Disappointingly,
therapeutic measures with candidate compounds like qui-
nacrine have been initiated in humans but eventually
failed. Deposition of prion protein in amyloidal structures
may be responsible for toxic effects, rendering cells sus-
ceptible to cell death mechanisms. Certain PrP molecules
may become neurotoxic by adopting distinct structures
similar to PrP of octarepeat mutant prion disease, or
recombinant genetically altered PrP molecules are
toxic in permanently growing N2a neuroblastoma cells.
Concomitantly, there may be a loss of physiological PrP,
which would in turn also contribute to disease. In contrast
to these results were surprising reports suggesting that
PrP may confer neuroprotection. If PrP is convincingly
identified as a positive functional survival factor in cells,
then some current paradigms must be changed.
Data on a positive role of PrP in cellular physiology
are not yet satisfactory, but transcriptomics and proteo-
mics are promising tools to decipher cellular pathways in
prion infection and subsequent deleterious processes.
Experiments with PrP-deficient cell lines are most
promising. They can be transfected with plasmids intro-
ducing PrPc, and changes brought about by normal PrP
can be monitored. Alterations in the transcriptome and
the proteome may provide insight as to how cells respond
to this newly introduced PrP.
Experiments have produced evidence that PrP and its
conformational transition are key to the pathogenesis of
prion diseases. Several PrP intermediates have been iden-
tified but the exact conformational transition of a normal
PrPc into malignant forms is not known. Presumably,
mechanisms are involved that are based on molecular
interactions with ligands and the thermodynamic stability
of disease-causing alternate PrP conformations. A high-
light in prion research is the emerging evidence that brain
tissues from healthy individuals, human or animal, harbor
PrP molecules prone to become abnormal, which thus
explains sporadic prion disease as a stochastic process
predicted from enzyme reaction kinetics. In line with
these findings is the observation that mice genetically
manipulated not to express the prion protein gene never
showed signs of disease even if inoculated with prions.
Suspected cofactors in mammalian cells or tissue are
expected. Candidate molecules may belong to chaperones
such as heat-shock protein 104, a protein required for
conversion of the yeast prion-like protein Sup35, which
is described in ‘Structural components of prions’ in more
detail. How mammalian PrP isoforms in the cell act as
positive or negative factors in the cellular physiology is
still not clear, for example, whether they are involved in
interactions with growth-regulating factors bcl-2 or
whether they are part of signal cascades.
Prevention and Therapy
Conceiving prevention measures and interventions is the
subject of intense clinical research.
Protective measures such as postexposure prophylaxis
after iatrogenic transmission by meat consumption or era-
dication of horizontal spread, especially of CWD of elk,
have to be developed. Excluding especially neuronal tissue
as a source of infectivity was successful in reducing the risk
of transmitting BSE. Use of recombinant growth hormone
instead of hormone purified from cadavers was very suc-
cessful and iatrogenic prion infections almost disappeared.
This appears to be a situation reminiscent of acquired
immunodeficiency syndrome (AIDS). Preventive measures
were especially taken in neurosurgery where disposable
instruments are used; concomitantly, efficient decontami-
nation protocols have to be developed because prion
infectivity tightly sticks to steel. Keeping livestock free of
prions is hard to achieve as infectivity, transmissibility, and
persistence of prions are still insufficiently understood.
Prions 955

Breeding and selection of sheep homozygous for a unique
prion protein genotype (PRNP for humans and prnp for
mice) encoding arginine and arginine at codons 134, 156,
and 171 were expected to resist prion infection. However,
persistent and subclinical infections with classical scrapie
seem to prevail in these breeding stocks. As described in
‘Strains’, prions might occur in a mixture or ‘swarm’,
assuming a variable prion population with one strain pos-
sessing higher replicative capacity than the others. There is
no immediate answer as to how prions and transmission
can be extinguished. The state of being prion- or BSE-free
may be an impossibility. Sporadic CJD in humans, possibly
also as scrapie in sheep and also BSE in cattle, exists and
might emerge stochastically. To solve the problem in live-
stock, genetically manipulated PrP-deficient cows have
been discussed to prevent sporadic prion disease.
Therapeutic measures in human prion disease have
been conducted in a few sCJD cases with unsatisfying
results, that is, at best a slight delay of death. The patients
were terminally ill and the results of these studies are
disputable because some compounds used are toxic.
Quinacrine was hoped to be beneficial but this too
eventually failed. In the hamster model, tetracycline
derivatives delayed the onset of disease but there was
no cure.
Reversible immunomodulation has been considered
but may not be applicable due to an autoimmune response
against the PrP that is not foreign to the host. Transgenic
knockout mice with defects in complement genes showed
a delay of prion disease. These experiments will not lead
to a method of treatment but they were scientifically
helpful since the role of the immune system and prions
could be assessed. The most intriguing results were
obtained with antibodies that recognized the cellular
prion protein and decelerated prion disease. The mono-
clonal antibodies may not have ‘neutralized’ the prion
itself as in a passive immunization against a virus.
Instead, the antibodies may bind to the PrPc, thus, either
interrupting precursor-like complexes of newly made
abnormal PrP or preventing the deadly connection
between PrPc and prions recruiting PrPc for toxic or
infectious PrP aggregates. Thus, gene transfer of geneti-
cally engineered anti-PrP antibody has been suggested.
Alternatively, genetically engineered PrP to titrate out
intracellular, emerging abnormal PrP or exogenous prions
presents an interesting possibility but experiments have
thus far met only limited success. Gene therapy to keep
prion infection and disease under control is theoretically
feasible, but it is questionable as to whether it can ever be
achieved. New concepts are well recognized, but gene
transfer with viral vectors and local synthesis of PrP may
be inefficient. It still must be clarified as to which vector is
appropriate, for example, integration into the host genome
with the accompanying disadvantages, or only extrachro-
mosomal with transient expression.
The Agent
Nature and Origin
Prions are unique in infection biology. Their true nature
is not known although numerous experimental efforts
have been undertaken to unravel the structural composi-
tion of an infectious prion, its shape as a pathogen, and
where its infectivity resides. Most experimental data are
in favor of the protein-only hypothesis, postulating
protein structure(s) as the heritable non-Mendelian com-
ponent instead of a virus with coding nucleic acid.
However, evidence for a viral origin of prions was
initially derived from the detection of nucleic acid in
prion preparations. RNA from intracisternal A particles
became a candidate but no sequences were reported
whose origin could be linked to a virus genome.
Infection experiments with CJD prions pointed to inter-
ference, a phenomenon known from retroviral infection.
Interference occurs if one retrovirus inhibits or at least
limits infection with a second retrovirus, for example, by
blocking cellular virus receptors. This finding was indica-
tive that prions with different infectious capacity exist and
strains were postulated analogous to, for example, attenu-
ated virus strains. Electron microscopy revealed in tissue
and cells small 25 nm particles that were suspected to be a
small prion virus with the size of parvoviruses or circo-
viruses. However, the proponents of a viral etiology have
not yet produced any nucleic acid that can be unambigu-
ously confirmed as the prion-specific nucleic acid. In
contrast, nucleic acid molecules, such as noncoding poly-
anionic ribonucleic acid (consisting of poly A), as well as
lipids, did promote to the formation of abnormal PrP in
the protein misfolding cyclic amplification (PMCA) assay.
Previous and recent ultraviolet inactivation experiments
repeatedly excluded nucleic acid molecules larger than
200 nucleotides, leaving a possibility for a prion-associated
small noncoding RNA like micro-RNA with a size of only
30–50 nucleotides. Experimental data obtained over years
in transmission studies in transgenic mice and in PrP-
folding assays with recombinant PrP or PrPc preparations
still favor the protein-only hypothesis, that is, prion trans-
mission via protein structures. In parallel to in vitro PrP
conversion assays, newly developed cell culture assays
might help to further define critical components for
prion infection, prion formation, and prion transmission
under defined experimental conditions. This approach
will probably be successful at objectively and efficiently
testing natural prion isolates or experimentally made
prions.
Immune responses have very often helped to identify
the nature and origin of pathogens, but it is not so in prion
research because PrP is encoded by the host and is not
foreign. Prion research began with a major surprise, con-
firming the PrP detected in infectious brain homogenates
956 Prions

to be encoded in a cellular gene; it was denominated
PRNP in humans and other species. The PRNP was
identified and sequenced in many species, including
those that are susceptible to prion disease. There is one
open reading frame (ORF) coding for the PrP with a
molecular size of approximately 30–35 kDa. Previously,
other genes such as SINC for scrapie incubation period in
mice had been described but they were ultimately shown
to be identical with the PRNP.
To unveil function(s) of PrP, knockout mice were
generated that have no functional PrP, and thus were
called PrP 0/0. Most of these PrP-deficient mice strains
did not suffer from an obvious physical or neurological
defect so that no functional role of PrP could be deduced
from them. Loss of PrP function, gain of PrP function, or
toxicity by certain PrP molecules, each in its specific
experimental environment, might have been compen-
sated for in these animals. Most remarkably, in these
animals, no progression to disease after infection with
prions was observed. This finding paved the way to con-
sidering PrPc as a prerequisite for prion disease and
propagation of prions.
AschemeoftheORFcodingforthePrPaswellassome
biochemical and structural characteristics are depicted in
Figure 1.
The polymorphism at codon 129 leads either to
methionine or valine in the mature PrP. Point mutations
are mostly missense mutations; nonsense mutations lead-
ing to shortened PrP as well as octarepeat insertion
mutants are rare. All mutations are important when PrP
structure and folding mechanisms are to be connected or
when susceptibility and transmission of prion disease are
investigated.
The primary amino acid sequence of PrP molecules
renders them more or less prone to conformational transi-
tion. Any structural shift in one and the same PrP
molecule might become relevant when it begins to turn
into abnormal forms, which are eventually linked to neu-
rodegeneration and synthesis of infectious transmissible
prions. The propensity to adopt a certain molecular struc-
ture makes them targets for folding, unfolding, or
refolding mechanisms that depend not only on thermo-
dynamic stability but also on auxiliary or accessory
cellular components. Comparable with the human PrP, a
similar genetic heterogeneity is found in sheep and, to a
lesser degree, in other species.
Certain topological traits will be discussed as the PrP as
an endogenous cellular protein may represent one –
perhaps the most important – component of a prion. PrP is
posttranslationally modified by removal of the 59-terminal
Structure of the prion protein
ER GPI
5 octa-repeats
Asn
181
Asn
197
S
S
Cys
214
Cys
179
Cu
2+
-binding domain
S S
Neurotoxic
peptide
23–120 unstructured and flexible
PrP
C
NMR structure
Helix 2 Helix 3
Helix 1
Anti-parallel
β-sheet
Glycosylation pattern of PrP
SDS-page
mono-glycosylated
di-glycosylated
Helix 1 Helix 2 Helix 3
unglycosylated
Figure 1 Schematic representation of the topography of cellular PrP. The signal sequence (ER) and the GPI anchor are proteolytically
removed, and the proteinase K accessible sites are shown at amino acid 85–95. The octapeptide repeat, the neurotoxic region, and
the regions consisting of helical and -sheet structure, the Cys–Cys link and the N-glycosylation sites are also indicated. The 23–120
region is removed when cellular PrP is converted into the PK-resistant PrP often designated PrPres. The tripartite banding pattern of
PrP seen in Western blots allows strain typing. NMR structure provides a three-dimensional image of a cellular PrP molecule.
Prions 957

leader sequence, by N-glycolsylation, and by fusion of a
GPI anchor to become membrane-bound as shown in
Figure 1. Crystallization experiments suggested a homodi-
meric PrP structure, but no data are available as to whether
this PrP dimer exists in a living cell.
Despite extensive experimental efforts to define a
physiological function for PrP, only copper binding
brought about by the octarepeat motifs in the PrP is
currently regarded as a possible function. Detrimental
PrP molecules affecting intracellular trafficking can be
produced in cells and, when incorrectly incorporated
into cellular membranes, may damage cells. Topography
of membrane-embedded PrP also has been discussed as a
determinant for cytotoxicity or prion formation. How
PrPc becomes resistant to intracellular proteolytic degra-
dation, to gain a propensity to acquire a preponderance of
-sheet structures, and thereby becoming a precursor for
abnormal PrP, is unknown but essential to understand the
pathomechanisms of neurotoxicity, disease, and forma-
tion of prions. Unexpectedly, protecting functions, such
as prevention of apoptosis, supporting growth, or partici-
pation in cellular signal cascades like the Fyn pathway,
have been ascribed to PrP. Further investigations are to
be expected and cell lines from PrP-deficient mice seem
to be suitable tools to uncover new physiological tasks
for PrP.
Altogether, these experimental findings on PrP are
essential not only for the protein-only hypothesis but
also for the loco-lesional (site where lesions appear) toxi-
city in prion disease.
Structural Components of Prions
Originally, brain specimens with suspected prions
were analyzed and abnormal PrP could be detected.
Converting the protein sequence into a nucleic acid
sequence was the pioneering experiment in the identifi-
cation of PrP as a cellular gene and not as a nonhost,
pathogen-related protein.
Currently, hypotheses involving folding mechanisms
have been suggested to explain the conversion of PrPc
into a growing group of rogue, abnormal PrP species
suspected to be associated with infection and disease.
They are now designated as PrPd in order to include all
novel abnormal PrP molecules that are present in
diseased tissue and cells. Most abnormal PrP can be dis-
tinguished from the PrPc by treatment with proteinase K
(PK). PK degrades PrPc, whereas abnormal PrP confor-
mers resist this experimental condition. Examples of WB
strain typing is given for hamster scrapie 263 K, human
sCJD, and BSE from cattle in Figure 2(a) and a schematic
representation of abnormal PrP is shown in Figure 2(b).
The three PrP bands represent the typical diglyco-
sylated, monoglycosylated, and nonglycosylated PrP
isoforms from brain of prion-diseased humans and ani-
mals. Normal isoforms exist in the brain and can become
PK-resistant in the diseased brain as misfolding protects
the PK-resistant PrP isoforms. Without PK treatment,
PrPc appears as a smear because of the glycocylation.
After experimental digest with PK, which is called
limited digestion, normal PrP completely disappears. If
typical abnormal PrP is present, then three PrP isoforms
form a prion-type-specific banding pattern with distinct
molecular sizes, and variable quantities of each band can
be recognized.
The often used nomenclature PrPres resulted from the
experimental approach describing PrP resistant to PK.
In contrast, PrPsens means PrP sensitive to proteolytic
degradation. Definitions became more complex when
variable accessibility of PrP molecules to proteolytic
degradation was shown to exist.
Additional abnormal PrPres molecules have been
detected even in the brain of non-CJD cases. These aber-
rant PrPres molecules could represent precursor type PrP
convertible into those abnormal PrP molecules, eventually
becoming part of prions.
Even more disturbing were recent findings suggesting
that PK-sensitive PrP molecules were components of
infectious prions. Sometimes PrPsc, originally derived
from scrapie, is used as a synonym for infectivity. To
sort out these variant PrP molecules, new technology
like nanotechnology is required to further analyze single
molecules.
As described above, prions seem to consist of abnormal
PrP. However, detection of prion-related banding pat-
terns is sometimes not possible and, unfortunately, the
presence of abnormal PrP does not consistently imply
that infectivity is definitely present or absent.
The contribution of a highly ordered structure of PrP
in aggregates to infectivity might be compared with yeast
prion-like protein Sup35 aggregates. Distinct aggregates
consisting only of Sup35 proteins can propagate certain
phenotypic traits by a non-Mendelian inheritance. This
finding emphasizes that the protein-only hypothesis for
mammalian prions should not be excluded because simi-
lar, even if not identical, epigenetic mechanisms in yeast
exist. Because prion-like proteins in yeast have led to
improved experimental approaches for mammalian
prion proteins, the basics behind yeast prion-like proteins
is briefly summarized. In baker’s yeast, Saccharomyces
cerevisiae, the translation termination factor Sup35 can
exist in an aggregated state, resulting in read through of
a nonsense UAA codon. This state is defined as PSIþand
is inherited in a non-Mendelian manner. Aggregated
Sup35 protein is able to recruit newly formed nonaggre-
gated Sup35 protein into an insoluble form. In contrast,
soluble Sup35 protein terminates translation at stop
codons like UAA and confers the PSI(or wild type)
state. This molecular behavior resembles that of the
958 Prions

mammalian PrP where insoluble PrP aggregates can be
formed, may become toxic, or form part of prions. In
contrast, non-aggregated PrPc, whatever function it
may have, exists inside and on the surface of cells.
Experimentally, the PSIþstate and PSIstate can be
differentiated easily in yeast cell culture. The correct
translation termination, that is, the PSI– state leads to a
red pigment in yeast strains containing a UAA nonsense
mutation in ADE2 because the mutated ade2-1 gene is
terminated at the UAA mutation. In the PSIþstate,
however, these mutants are characterized by white yeast
cells. Instead of the termination of translation at the UAA,
aggregates of the Sup35 protein are nonfunctional, do
not recognize UAA, and thus suppress the nonsense
UAA, leading to a read through of the ade2-1 mutation
and yeast cells remain white. Aggregated Sup35 protein
can be generated with recombinant Sup35 protein. The
recombinant Sup35 protein was folded and aggregated in
the test tube and these experimentally formed yeast
prions could be ‘transmitted’ into yeast cells, changing
the PSI- state of the recipient yeast cells into PSIþ.
These experiments showed unambiguously that the
experimental transmission of the PSIþstate is indepen-
dent of any nucleic acid as the information molecule and
the results lend essential support to the protein-only
hypothesis for mammalian prions.
PrP oligomerization can be forced under experimental
conditions and unique PrP oligomers seem to be essential
Di-
mono-
non-
Glycosylated PrP isoforms and proteinase K treatment
Di-
mono-
non-
PK +
_+
_+
_
Hamster scrapie
strain 263 K Cattle
BSE
Human
sCJD
Exp. I
(a)
(b)
Exp. II
MM
30
22
MW
(kDa) Type 1
Schematic of molecular strain typing
Type 2 Type 3 Type 4
MM
Sporadic
Iatrogenic
Variant
MM
MM, MV, VV MV, VV
MV, VV
MM
(BSE pattern)
Figure 2 (a) Western blot of PrP from hamster scrapie 263 K, human sCJD, and BSE from cattle before and after experimental
treatment with proteinase K (PK). Untreated PrP appears as a smear because of the carbohydrate residues affecting the migration
behavior of PrP in denaturing gel electrophoresis. After PK treatment, the tripartite PrP banding patterns emerge and allow biochemical
strain typing. (b) Strain typing by PK treatment and resolution of PrP into typical tripartite banding patterns. The type 1–3 banding
patterns are found in individuals with either polymormphisms: methionine/methionine, methionine/valine, or valine/valine at codon 129.
All vCJD cases have type 4 and are homozygous for methionine/methionine (MM and not MV or VV). Sporadic and the acquired
iatrogenic prion disease forms are of types 1–3 and share genetic susceptibility associated with codon 129. The PrP type 4 banding
pattern was observed only in human vCJD cases and in BSE indicative for BSE transmitted to humans. At present, the type 4 vCJD is
only found in cases with MM homozygosity thought to confer higher susceptibility for prion infection and disease.
Prions 959

in propagating infectivity as shown in cosedimentation
experiments seeking associations between protein
structure and prion infectivity. Similar experiments
might eventually explain why octarepeat mutant PrP is
toxic but the suspected prions behind toxicity are difficult
to transmit; this is remarkable in prion disease. Perhaps,
specific misfolding is involved in infectious activity and
the octarepeat mutant PrP is not able to adopt such a
structure. Other oligomeric PrP structures may inhibit
infection, and could suggest why Alzheimer’s disease is a
nontransmissible neurodegenerative disease, although its
pathogenesis also involves atypical aggregation of cellular
protein or processed parts thereof.
The spectrum of anticipated PrP with or without
measurable infectivity again corresponds to prion-like
Sup35 proteins in yeast, where incorrect or incomplete
aggregates are crucial for transmitting the Sup35 pheno-
type PSIþor PSI. Together with mammalian strain
determination, the yeast prion-like proteins provided a
general model for strains, their internal structure depends
on the respective proteins, and confer heredity in the
absence of nucleic acid.
The role of auxiliary components such as carbohydrates,
either covalently bound or covering prions together with
adherent lipids, remains unclear. Carbohydrates on prions
could mimic viral glycoproteins and might be indispensable
for secretion, transport, or migration along neuronal and
nonneuronal routes. Glycan residues may act as ligand(s)
for cellular prion receptors and thus be a codeterminant for
the uptake of prions into cells.
Despite extensive experimental efforts, no convincing
prion-specific nucleic acid was found. However, small
noncoding RNA species, such as small interfering- or
micro-RNA or cellular RNA as binder to prions, cannot
be excluded.
Infectious prions were inefficiently synthesized in
first-generation conversion assays and in cell lines but
never from recombinant PrP. This changed since auto-
catalytic PMCA became available. With this technique,
prions can be replicated in vitro and the propagation
of infectious prions was confirmed in transmission
experiments. Highly purified cellular hamster PrP could
sporadically convert into infectious prions in a PMCA
assay, reminiscent of the acquisition of sporadic CJD
in vivo. Recombinant PrP species are yet to be success-
fully converted in vitro, and whether they induce prion
disease in transgenic mice is a matter of debate. Fine
tuning of conversion assays and newly developed cell
culture systems appear to be promising tools for solving
such questions.
Only rough estimates regarding the infectivity related
to abnormal PrP exist. Approximately 10
6
pathological,
especially PK-resistant PrP isoforms were correlated
to one infectious unit. This calculation may not be
valid because PrP molecules associated with disease
may even be PK sensitive and infectivity is still preserved.
Determination of infectivity also depends on the site of
prion inoculation. Among intracerebral, intraperitoneal,
or oral modes, differences of 5 orders of magnitude exist.
This tremendous difference illustrates that host factors
besides PrP are involved, as will be described in the
section titled ‘Contribution of the host’. Dilution of
prion inocula and titration in susceptible cell lines in a
virus-like plaque assay may become feasible.
Besides bioassays, biochemical and physical techni-
ques might resolve PrP structures in prions. X-ray
diffraction analysis of crystallized PrPc extended nuclear
magnetic resonance analyses, and suggested that PrP
exists as a homodimer. Circular dichroism analyses
uncovered dynamic structural changes of PrP molecules.
The molecular shift from -helical to -sheet structures
and specific domains such as peptide loops have been
defined. Fluorescence-based techniques have been
successfully applied to study the aggregation of PrP
molecules or with ligands like monoclonal antibodies.
Atomic force microscopy was instrumental in the descrip-
tion of amyloidal structures, and studies in molecular
dynamics will complete the structural studies of PrP.
Prions are highly resistant to heat and disinfectants.
Methods of disinfection that eliminate viruses do not
efficiently eradicate prions. Strong acids or high con-
centrations of sodium hydroxide are required. Prion
infectivity also resists formaldehyde and ethanol. To
completely abolish infectivity, high temperatures, that is,
134–136C for 20–60min are needed.
Treatment with 98% formic acid reduces infectivity
but improves IHC to detect pathological PrPres, which
withstands experimental digestion with PK at concentra-
tions from 10–100 mg/ml for 30–60 min. Most alarming
was the transmission of prions via steel wires and surgical
instruments. These facts explain why prions survive
also in organs and result in human vCJD after meat
consumption from cattle with BSE. Recipients of blood
transfusions developed prion disease. These unsettling
observations turned researchers’ attention to body fluids
such as saliva, feces, and urine in cervid prion disease.
Latest results with urine in the hamster prion model have
clearly shown that these body fluids and excrements
contain infectious prions and are of concern because of
horizontal transmission. PrP has also been found in soil,
clay, or loam. Results on infectivity are now available and
point to a sustained contagion in the environment.
Replication
The replication mechanism of mammalian prions has not
been established, although replication of prion-like pro-
teins in yeast represents a solid model. To generate PrP
aggregates, molecular mechanisms are postulated to
960 Prions

connect pathogenic PrP isoforms with the wild-type ones
in models where seed PrP molecules are present and
nucleation as well as folding and aggregation takes
place. Toxicity and acquiring infectivity then follow.
Reaction kinetics support such a scenario. Efforts to
synthesize mammalian prions with the PMCA have
been successful. Now, any factors rendering pathological
PrP into prions in cells and tissue can be tested in the
tightly controlled PMCA. In parallel, differential gene
expression may help identify additional replication
factors such as for conformational transition. Tracking
low levels of infectivity, for example, from saliva, should
be possible and help to assess this route of transmission.
Furthermore, PMCA offers experimental approaches to
study potential DNA or RNA sequences as binders to PrP.
Similarly, aptamers of different biochemical origins might
be used to define their role in prion replication. As a
spinoff, aptamers might be found that distinguish PrP iso-
forms in diagnostic assays or eventually become candidate
molecules for therapy. For instance, an aptamer could
contribute to melting PrP aggregates during replication
and render them susceptible to intracellular proteolysis,
which would make such an aptamer suitable for therapy.
The PMCA resembles protocols established for yeast
Sup35 in vitro conversion. The Sup35 approach considered
a cycling process as crucial for aggregate formation and for
propagation of phenotypic traits. If incorrectly aggregated,
yeast prions may become nontransmissible agents, which
might also explain why prions from certain prion diseases
like GSS are difficult to transmit in animal models. GSS
prions may not consist of distinct PrP aggregates, which
because of how they aggregated are not infectious.
Strains
A few introductory comments are necessary to under-
stand strains in prion research. The existence of prion
strains has been deduced from differences among pheno-
types, such as disease, lesion profile, biochemical typing,
intra- as well as interspecies transmission, and host
range phenomena. These attributes make prions virus-
like, although a viral etiology is not proven. It is known
that PrP is encoded in the prion protein gene of the host
where the prion originates. This is a unique phenomenon
in infection biology, in that a host cell-encoded gene
product becomes part of a transmissible, infectious activ-
ity. Depending on the primary amino acid sequence,
distinct PrP molecules are synthesized with individual
characteristics affecting conformational transition and
proteolytic degradation. Some pathogenic mutations and
polymorphisms are presented in Figure 3.
If PrPc turns into abnormal PrP, it may adopt certain
structure(s), and if it gains infectivity, it can be propagated
as a prion strain. Strain characteristics seem to be inher-
ited via the protein structure alone and there is no
conclusive evidence for nucleic acid as an essential
component for the propagation of a prion strain. After a
prion is established as a strain, it seems that no nucleic
acid-dependent process occurs either during transmission
or later in the recipient, which is reminiscent of the
propagation of strain characteristics by non-Mendelian
inheritance in yeast. A protein-only mechanism that
imprints strain specificity onto the cellular counterpart
is confirmed for the Sup35 protein of yeast and cannot be
excluded for PrP in mammalian cells.
Transmission of mink prion isolates into hamster was one
of the essential experiments for defining the prion strains
Drowsy and Hyper, the names of which refer to the clinical
symptoms they induce in the recipient Syrian hamster.
Besides clinical symptoms for distinguishing strains,
the PrP banding patterns became a reliable method for
molecularly describing strains. The three protein bands
represent one smaller PrP molecule without carbohydrate
side chains, an intermediate one with one glycosylation
M129V
15191
P102 LA117V
β1β2
α1α2α3
P105L Y145Stop
Pathogenic mutations and polymorphisms in the human prion protein
D178N
V1801
T183AR208H
V2101
M232R
Q217R 253
E200K
Insertions up to
9 repeats or
deletions
Octapeptide
GSS
N171S E219K
F198S
Figure 3 Mutations in the human PrP sequence. Amino acids are numbered 1–253. Numbers refer to point mutations, for
example, the substitution of methionine by valine at codon 129. A stop codon is found at codon in GSS. Within the octapeptide
regions, single repeats are either inserted or in rare cases deleted.
Prions 961

side chain, and a large molecule with two N-bonded
glycosyl chains, with apparent molecular sizes in sodium
dodecyl sulfate (SDS) polyacrylamide gels between 30
and 35 kDa and shift to 20–27 kDa after PK treatment
since approximately 100 amino acids from about 253 are
removed (Figures 2(a) and 2(b)).
Therefore, prion typing based on abnormal PrP is very
instructive with respect to strains for tracing them in
tissue and cells and for determining what happens to a
strain after transmission into a second host.
In fact, such experiments clearly demonstrated that
BSE prions were transmitted from cattle to humans with
vCJD both possessing the same prion strain of type 4 or
type 2b according to two current classification protocols.
In experiments to explain how prions are transmitted
between species, transgenic mouse lines were produced. In
numerous experiments, it was shown that the PrP encoded
in the recipient transgenic mouse controlled the outcome
of transmission and preserved the inoculated strain.
Some results were as expected, that is, strain characteris-
tics were propagated as in the yeast model. However,
other results were alarming because strain switch or strain
splitting, indicative of the presence of more than one strain
in one inoculum, was experimentally confirmed for BSE
and vCJD prion transmission in human PrP producing
mice. Prion strains preexist or may evolve even in short-
term transmission experiments. Perhaps, a prion quasi-
species exists and replication-prone or fit strains emerge
faster and propagate more efficiently, similar to what is
known for viruses. Adaptation, such as reduction of incu-
bation time of strains, was detected when one prion strain
like CWD was repeatedly passed in mice. This phenom-
enon is well known in virology where such selective
adaptation mechanisms can lead to virus strains with a
different host cell tropism or a modified virulence.
Strain typing was improved by PrP analyses in high-
resolution two-dimensional gel electrophoresis (2-DE)
and confirmed that strain-specific banding patterns were
not lost during passage. Whether or not a strain switch can
be identified or correlated to a 2-DE protein pattern has
not yet been reported.
Using transgenic mice became a method of choice and
humanized, bovinized, and ovinized transgenic animals
have been made available. Lately, unrecognized BSE
strains, such as bovine amyloidotic spongiform encepha-
lopathy or atypical scrapie, have been identified by PrP
typing and confirmed in transmission experiments.
The transmission of prions and the respective PrP
pattern in tissue implied in most experimental settings
the presence of prions comparable with most naturally
occurring BSE cases. It can be noted that lack of detect-
able abnormal PrP concomitant with prion infectivity
may be indicative of a strain persisting in a subclinical
or a silent carrier stage.
New strains comparable with the sheep NOR 98 are
most likely to emerge as current methods and assays for
detecting disease-associated PrP or prions are superior to
those applied in the past.
Strain typing defined by tropism is also one possibility
for describing strains. Strains appear to disseminate inside
a host on different routes. In contrast to the neurotropic
murine ME 7 strain, strain RML prefers nonneuronal
tissue in the periphery. Lymphotropism has been observed
for vCJD, whereas BSE seems to travel on neuronal routes.
Although speculative, tropism of prion strains might result
in persistence or latency in a host.
Strain characteristics may also depend on where prions
are produced and how they are posttranslationally mod-
ified. Glycosylation might determine the route where
prions migrate in an infected host. Very often glycosyla-
tion supports the secretability and solubility of proteins in
aqueous body fluids like immunoglobulins in serum.
MRI as a noninvasive method proved valuable for
indirect typing of prion strains. The prion-induced lesion
pattern in the brain of sCJD cases is distinguishable from
vCJD and adds to the list of clinical phenotypes typical
for sCJD versus vCJD.
Infectivity and Transmission
Entry
To gain entry into a host, tissue and cells should possess
receptors for prions. The best studied receptor is the
laminin receptor precursor molecule. It binds PrP and it
is supposed that infectious prions cannot be internalized if
this receptor is lacking. Other receptors such as cadherin
or N-cam were discussed but additional data need to be
compiled. Whether intracellular ligands, such as regula-
tory molecules, play a role after the uptake of prions is not
known.
How precisely receptor molecules like carbohydrate
receptors or lipids might mediate entry into tissue and
cells by fusion processes is still not understood. Likewise,
initial events in mucosal tissue or neuronal tissue after
exposure to prions have not been sufficiently investigated.
Enteral invasion is far less efficient than the experi-
mentally preferred intracerebral inoculation. Proteolytic
degradation in the gastrointestinal tract is presumed
to reduce prion infectivity. The gastrointestinal system,
the lymphoreticular system, components of the immune
system, and various tissues and cell types are candidate
sites for the uptake and migration of prions from non-
neuronal peripheral tissues into the peripheral and
central nervous system. To study this, hamsters were
orally inoculated and prions monitored by determining
abnormal PrP along the route from intestinal tissue into
the brain.
962 Prions

In sheep, elegant experiments were performed and
showed the migration of prions, that is, abnormal PrP
through the enteric nervous system to lymph node tissue.
In human vCJD, prions are also suspected to enter via
epithelial and immune-competent cells in the tonsils.
Kuru was caused by parenteral inoculation when
prion-contaminated human brain was allocated to small
lesions in the face or into eyes and nose for ritual reasons.
Tonsils and tongue are proximal to neuronal tissue and
made immediate infection possible. Intracerebral inocu-
lation became the routine technique in experimental TSE
to track down and investigate infectivity in animal models
such as hamster, mice, and transgenic mice. Innovative
cell culture systems are now becoming available together
with easy tests for infectious prions from biological source
material. If suitable cell lines for prions are available, then
the search for prion receptor molecules will advance.
Genetically altered cell lines rendered permissive or
refractory to prions will considerably expand the frag-
mentary knowledge on prion receptors and ligands.
Persistence and Latency
Unfortunately, the initial steps in prion infection and the
early stages of disease remain a mystery. Over a long time
span, no physical or clinical evidence for prions is recog-
nizable. It is conceivable that low levels of abnormal PrP
molecules or abnormal PrP with a propensity for adopting
pathogenically relevant intermediate structures are lim-
ited in the cell due to proteolytic clearing. Intriguingly,
prions behave like persistent viruses, remaining latent
long before (re)-activation by a trigger.
Infection of inbred mice strains with hamster or BSE
prions was obscured as no prion disease was apparent and
abnormal PrP was undetectable. However, transmission
experiments unambiguously proved that infectivity was
conserved in persistent prions. This is of major concern
because silent prion carriers may be hidden in populations
and may go undetected even with sensitive detection
methods for abnormal PrP.
The long incubation period, on the average 5 years for
BSE and up to 40 years in kuru, is characteristic of the
unusual nature of prions and its distinctive inapparent
stage between infection and terminal disease. The recent
detection of unpredicted abnormal PrP molecules in
healthy, non-CJD individuals is taken as evidence for a
natural prevalence of certain prion-prone, abnormal PrP
molecules. Such precursor PrP molecules were originally
postulated from reaction kinetics and provided insight
into the conformational transition of normal PrPc into
pathogenic, abnormal PrP molecules. They perfectly fit
into theoretical predictions of PrP kinetics.
Detection of prions by polymerase chain reaction
(PCR) and reverse transcription-PCR is not feasible, as
there is no known nucleic acid intimately associated with
them. However, the absence of experimental evidence for
nucleic acid should not be mistaken as ultimate evidence
for the absence of nucleic acid. Serology does not exist
since PrP is not recognized as foreign, tolerance prevails,
and no immune response is raised that could be exploited
to detect persistent prions.
Fortunately, the host seems to contribute to persistence.
Individual susceptibility against prions is controlled by
genetics, namely, the nucleotide sequence of the host’s
prion protein gene. Long-term kuru survivors were hetero-
zygous with respect to codon 129; one allele coding for
methionine and the other one for valine. To date, all but
onevCJDcasewerehomozygous;bothallelescodedfor
methionine.
Despite experimental efforts, no clear-cut results are
available on how prions are treated by the invaded cell.
To solve these questions, molecular biology, including
aforementioned transcriptomics and proteomics com-
bined with prion-infected cell cultures, is required.
Transmission
Interspecies and intraspecies transmission is the hallmark
of most, but not all prion diseases and distinguishes them
from other amyloidoses such as Alzheimer’s disease.
Experimentally, animal models for strain typing were
key to assess transmission, individual susceptibility, incu-
bation periods, and subclinical stages preceding disease.
Transmission of human kuru and CJD and BSE prions
into nonhuman primates, such as the chimpanzee, rhesus
monkeys, or New World marmoset monkeys, was suc-
cessful. Guinea pig, rodents, sheep, and cattle (but never
rabbits) became versatile recipients in transmission stu-
dies. Impressive results on the biology of prions were
obtained but at the same time a viral etiology of prion
disease was postulated. Since then, small virus particles in
the 25nm range have been claimed to be etiological
agents and to be prevalent in the human population. To
end this dispute, sophisticated PMCA and cell culture
experiments are being applied to confirm either the pro-
tein-only hypothesis or a viral etiology, and thus separate
the wheat from the chaff when prion hypotheses are to be
evaluated. We may be surprised if both factors, virus and
prion, are required.
Intraspecies transmission has been shown to be much
more effective than interspecies transmission. Inadvertently,
transmission from human to human has occurred in
neurosurgery and at medical treatment. Experimental
sheep-to-sheep transmission has been performed to detect
prions in blood and after blood transfusion. Transmission
of human vCJD by blood transfusion has also occurred
and has motivated blood factor/concentrate suppliers to
develop new purification measures for blood or its
Prions 963

components. For basic research, experimental prion trans-
mission into hamster, inbred mice, and transgenic mice is
indispensable. Prions from mink have been found to impose
different clinical phenotypes. As mentioned above, two
strains, Hyper and Drowsy, emerged when transmitted
into hamster and indicated that prions are heterogeneous.
The transmission experiments not only helped define strains
but also were pivotal for recognizing that infectivity of
prions, the presence of abnormal PrP, and clinical symptoms
are three facets of prion infection and disease. It is not
mandatory that the three traits coincide in one prion disease.
Abnormal PrP is barely detectable in FFI. In GSS, there are
clinical symptoms and abnormal PrP is easily detected but
transmission is difficult to obtain. Similarly, octarepeat or the
respective peptide insertions in PrP result in neurotoxic
PrP aggregates but these are noninfectious and do not
induce PrPc conversion in a PMCA assay. Inbred mice and
genetically altered transgenic mice producing heterologous
PrP from other species, denoted as humanized, bovinized, or
ovinized, are now routinely used in transmission studies
because the susceptibility for prions brought about by the
host PrP can be introduced into individual mice. They were
most instrumental for assessing prion pathogenicity and
infectivity, as well as for detecting novel prion strains.
To summarize, transmission studies of prions allowed
insight into traits of strains, such as susceptibility of the
host, lesion profiles, persistence and strain splitting, or
PrP molecules in pathology. There is ample evidence
that PrP molecules encode strains, but how infectivity is
gained is yet unsolved. The idea of a transmission barrier
rather than a species barrier was suggested when persis-
tence of infectivity and lack of clinical symptoms were
recognized in animals. Thus, the assumption that tight
species barriers prevent interspecies transmission became
disputable. Eventually, these findings led us to identify
BSE prions as the causative agent of vCJD in humans and
classify BSE as zoonosis.
Contribution of the Host
Susceptibility
Propagation of invading prions seems to be controlled by
the host in a manner comparable with conventional
pathogens. Either the host is capable of resisting the
invasive agent and limits pathogenic consequences or
infection inevitably progresses to disease.
Innate and acquired immunity are major defense
mechanisms against pathogens. In contrast, prions may
not be efficiently recognized by the immune system.
Innate immunity and especially acquired immunity fail
because the presumed major constituent of prions, the
PrP molecules, is encoded in chromosomes of the host
and is not recognized as foreign to the organism.
Because prion proteins and their respective genes are
conserved in different species, tolerance dominates over
the acquired immune response. However, rabbits and
goats can be inoculated with PrP, somehow outwitting
tolerance to mount a polyclonal antibody response. In
contrast, most animals such as laboratory mice are toler-
ant and respond at best with a marginally acquired
immune response with antibodies and a T-helper cell
response. Only PrP-deficient mice strongly respond to
inoculation and have been the source for widely used
monoclonal antibodies.
Tolerance is difficult to break, and when broken ther-
apeutically, could lead to a host-damaging autoimmunity.
Although it would have been an elegant strategy to inter-
fere with prion infection at one portal of entry, the lack or
inefficiency of an acquired immune response excludes a
traditionally active vaccination to confer protection
through induction (of mucosal) immunity in Peyer’s
patches of the intestinal tract.
Experimentally of interest, transgenic animals expres-
sing anti-PrP antibody genes displayed prolonged survival
after exposure to prions and monoclonal antibodies
added to cells susceptible for prions inhibited or reduced
the formation of abnormal PrP. The mechanism of
partial protection may reside in binding PrPc and out-
competing cellular factors with affinity to PrP, especially
those converting normal PrP eventually into abnormal
PrP. In a similar manner, interactions between resident
PrP molecules and invading prions are prevented. Neither
active immunization nor passive administration of antibo-
dies should be considered as prophylactic or therapeutic
measures because physiological functions of the mem-
brane-anchored PrP could be suspended. Breaking
tolerance as well as immunostimulatory strategies are
double-edged swords. They are essential in basic research
but far from becoming an applicable means for treatment
of humans or animals. Even small-sized intracellular anti-
bodies attacking PrP in the cell are not appropriate for use
in a living organism.
Immunity fails, but the genetic prion PrP gene back-
ground of the host appears to control susceptibility and
resistance. There is ample evidence that the polymorph-
ism at codon 129 in the PrPc predisposes an individual to
disease and influences incubation times. The homozygous
genotype methionine/methionine favors the onset of dis-
ease in shorter times compared with the heterozygous
methionine/valine or homozygous valine/valine combi-
nation. Long-term kuru survivors, up to 40 years after
exposure, were preferably heterozygous MV, whereas
those expressing disease after 20 years were homozygous
MM. Genetic data suggested a balancing selection, lead-
ing to a high frequency of 55% of heterozygous MV
individuals in Papua New Guinea. Most disquieting
data are from young vCJD cases. They all belong to the
homozygous MM group. The question that arose is what
964 Prions

will happen to BSE-infected individuals carrying the MV
or the VV allele combination? They may be silent carriers
and succumb to disease after decades, comparable with
the long-term kuru survivors with MV or VV genotypes.
Another polymorphism at codon 219, a lysine instead of a
glutamic acid, seemed to render humans resistant to
sporadic CJD. This genetically associated resistance
resembles a polymorphism in sheep at codon 141, pheny-
lalanine replaced by arginine. The allelic variant with
arginine was correlated with a novel, the so-called
atypical scrapie phenotype, whereas the allele coding for
phenylalanine presented like classical scrapie. Differences
between the respective PrP structures and their stabilities
could be associated with the phenotype of disease.
Breeding of scrapie-resistant sheep with selected PrP
genotypes was attempted in hopes of eradication or at
least reduction in susceptibility to scrapie in endemic
flocks, but this strategy failed. Even worse, it may be
dangerous because silent carriers may have been thus
generated as has been shown in sheep. Cervid prion dis-
eases are also characterized by a typical amino acid
sequence around codon 151, a loop region that may
govern crucial PrP interactions upon transmission. The
number of known atypical phenotypes of prion diseases in
cattle and sheep and the strains underlying them have
increased since TSE surveillance in animals has substan-
tially improved.
An intense search for additional genetic markers and
quantitative trait loci was initiated after inoculation of
mouse-passaged scrapie or BSE into different mouse
inbred strains. The limited results of these studies pointed
to the H2 haplotype that may confer susceptibility in the
species-crossing BSE experiment. Despite many efforts,
no definite evidence for particular genes as regulators of
susceptibility could be identified.
The PrP gene of the host can control the susceptibility
of prion infection, which resembles effects of host genetics
on infection susceptibility well known for several patho-
gens in infection biology. An endogenous gene of the host
encodes the PrP, which itself is assumed to be a structural
component of the suspected prion, a scenario sometimes
observed and understood in microbiology, for example,
cholesterol and HIV infectivity. What are the (molecular)
biological mechanisms that decide (1) to resist prim infec-
tion, (2) just to get attacked, or (3) to progress to disease.
The physiological status of the host, for example,
younger individuals with a competent immune system
or an individual suffering from an immune suppression,
should not be overlooked when susceptibility is discussed.
The quality of the lymphoreticular system (LRS) with its
cellular and humoral components or the responsiveness of
the immune system might modulate prion infection.
Folicular dendritic cells (FDC) or an intact complement
system support prion infection and are best examples of
modifiers. Not the least, sheep infected with an
inflammatory Maedi–Visna virus disease made them
more susceptible to scrapie.
Spread
When prions have been taken up by an organism, a com-
plex pattern of migration and dissemination emerges.
Besides the nervous system with its neuroanatomical
pathways, the LRS supports the dissemination of prions.
To illustrate this, immunodeficient severe combined
immunodeficiency mice progressed more slowly to dis-
ease than immunocompetent ones. Immunological
knockout mice that do not express complement genes
also showed a delayed outbreak of disease and suggested
that an intact immune system is necessary for prion
infection.
Definite answers regarding nonneuronal transport and
specific contributions of cells and tissue are under investi-
gation. Conclusive evidence concerning which molecular
processes are responsible is not available. However, detec-
tion of PrP molecules has been confirmed in muscle, oral
tissue, kidney, and mammary glands; infectivity has yet to
be proven with bioassays and PMCA.
Recent studies in 2007 in cattle experimentally
infected with BSE favor the neuronal transport of BSE
prions as a major if not exclusive pathway for the migra-
tion of prions. BSE prions are scarcely seen in the LRS,
quite in contrast to scrapie. In sheep, abnormal PrP can be
found in tonsils and blood during inapparent stages of
prion disease.
The occurrence of blood and blood cells containing
abnormal PrP and vCJD prions that have been trans-
mitted by blood transfusion is a sad and alarming reality.
For health authorities, the presence of prions in the blood
supply became an important issue and hopefully transfu-
sion-transmitted vCJD will not increase beyond the four
known cases. The risk of underestimating prion infectiv-
ity in health care settings could be compared with the
preventable transmissions occurring in the early days of
HIV/AIDS in human populations.
The association of PrP molecules, even if they are not
prions, with plasminogen has been reported. This is an
intriguing finding because plasminogen acts as a virulence
factor for the influenza virus, as the neuraminidase of
influenza A virus binds and sequesters plasminogen on
the cell surface, leading to an enhanced cleavage of the
hemagglutinin.
The density or the number of normal PrP on the
surface of cells or located intracellularly varies from spe-
cies to species. Platelets of hamster and humans differ
considerably with respect to surface-bound normal PrP.
Studies with Syrian hamsters clearly demonstrated how
prions, monitored by the presence of abnormal PrP,
migrate from the periphery via axons into the central
nervous system and eventually arrive in the brain.
Prions 965

How prions are transported from cell to cell is completely
unknown. They may be passed on via cell-to-cell contact
or be transported by extruded vesicles. Experimentally,
migrationofprionsisreminiscentofherpesvirustype1
traveling along axons from the ganglia where the virus
persists in mucous membranes from which recrudescence
begins.
According to recent data, prions in saliva are respon-
sible for an efficient horizontal transmission of CWD
leading to apparent disease or, at least, causing a high
attack rate observed after pathological examination in
local free-ranging or captive cervid populations.
The presence of abnormal and normal PrP molecules
in kidney and urine has been substantiated as well as in
milk. The search for infectivity is under way.
The host-encoded PrP has convincingly been shown
to be key for prion infection because PrP-deficient mice
survive and do not progress to disease after experimental
infection. Lack of indigenous PrP protected perfectly
against disease. PrP deficiency prevents deadly cycles
starting with PrPc that might be converted by prions
and lead to a new generation of prions to complete the
cycle.
In conclusion, PrP is necessary for producing abnor-
mal PrP; it is involved in replication and propagation of
prions.
With advanced cell culture systems for prion infection,
physiological conditions enabling or coopting a cell to
generate prions will likely be found. Biophysical and
microscopical techniques such as high-resolution light
microscopy and quantum dot approaches are promising
tools to image intracellular processes using labeled PrP.
The search for hidden locations of prion replication
and carriers or vehicles for transmissible prions has gained
high priority. Brain and neuronal tissue are preferred sites
for prion replication; yet tonsils, spleen, appendix, tongue,
saliva, nose, retina, kidney, muscle, and skin have been
found to harbor at least abnormal PrP. To confirm infec-
tivity, transmission experiments, perhaps combined with
an initial PMCA, need to be performed.
Diagnostics
Clinical Diagnostics
Clinical diagnostics rely on neurological and physical
examination and interviewing relatives of the patient for
suspected early signs of disease. The onset of disease is in
the past and, unfortunately, no early marker identifying
an individual with an evolving prion disease is available.
When dementia, ataxia, and myoclonus besides other
neurological deficits become visible, they are taken as
significant signs of disease, which then progresses
within weeks or few months to terminal stages. vCJD
patients present with a psychiatric disorder atypical for
classical sCJD cases. To date, the clinical parameters are
also sufficient for neurologists to differentiate prion
disease from other neurodegenerative disorders such as
Alzheimer’s disease or others. Neurophysiology contri-
butes along with EEG. The so-called typical periodic
short-wave EEG activities enable neurologists to diag-
nose prion disease with high certainty. MRI has
developed into an important noninvasive tool for differ-
entiating sporadic CJD from inherited prion disease and,
most importantly, acquired vCJD. Similarly, experienced
veterinarians can diagnose prion-infected animals accord-
ing to specific physical and behavioral changes. Cows
appear startled, sheep develop scrapie symptoms like
scratching, rodents tumble, and cervids with CWD
become dehydrated, waste, and die. TSE in different
species resemble each other with respect to clinical symp-
toms. For example, CWD of cervids shares some physical
symptoms with human vCJD patients suffering from a
dramatic dehydration.
Molecular Diagnostics
The detection of PrP deposits in tissue specimens is
routine in postmortem diagnosis with anti-PrP antibodies
in IHC, WBs, and paraffin-embedded tissues blot techni-
ques. Abnormal PK-resistant PrP is now regarded as a
surrogate marker rather than an etiologically definite
marker for prion disease since sometimes abnormal PrP
molecules are either not present or seem to escape routine
biochemical detection in the limited PK digest or experi-
mental transmission. Brain biopsy specimens can be
prepared for IHC to detect abnormal PrP after hydrolytic
autoclaving to reduce immunoreactive PrPc and to find
histomorphological changes by tissue staining. IHC tech-
niques are permanently improved by fast immunostaining
procedures for PrP in automated diagnostic systems and
rapid diagnosis (immunohistochemistry) is becoming
available. For biochemical typing, abnormal PrP is iso-
lated from brain tissue with sophisticated extraction
protocols.
After experimentally limited proteolytic treatment,
PrP can be classified according to its tripartite PrP band-
ing pattern that relates molecular weight and quantity of
the unglycosylated and the two-glycosylated PrP iso-
forms described above.
Biochemical banding patterns are then combined with
the prion protein genotype of the individual case. For
instance, an MV2 case has the biochemical banding pat-
tern of type 2 and its PrP-encoding gene is polymorphic
at codon 129; that is one allele coding for methionine and
the other for valine. To complete the picture, a second
classification protocol was elaborated, resulting in more
than five PrP banding patterns that proved to be highly
966 Prions

instrumental for identifying strains in transmission studies
in selected transgenic mice. In fact, this classification
originally confirmed that BSE and vCJD had identical
etiologies and shared the PrP type 4 patterns; in other
words, the BSE and vCJD diseases represent the action of
a single prion strain.
PET blots extended classical IHC to localize patholo-
gical PrP in larger areas in brain sections, to assess the
loco-lesional distribution and, to a certain degree, the
quantity of abnormal PrP. It also allowed for the exam-
ination of colocalized cellular proteins suspected to be
associated with pathogenicity or relevant for pathological
changes.
Although many appropriate anti-PrP monoclonal anti-
bodies are available, only a few of them have been proven
to discriminate between the PrPc and the growing num-
ber of abnormal PrP isoforms.
Conformation-dependent immunoassays have been
developed to elucidate the tendency of PrP molecules
to adopt an abnormal PrP conformation. In principle, an
appropriate antibody can detect one and the same epitope
in one conformer but not in a different closely related PrP
one. This technique is excellent for basic science but is
error prone in routine testing because of the stringent
assay conditions to render an epitope accessible or not.
The detection of PrP by monoclonal antibodies com-
bined with amplification of detector nucleic acid in a
subsequent PCR format, called immuno-PCR, is promis-
ing but needs validation to meet criteria such as
specificity, sensitivity, and intra- and interassay reprodu-
cibility. One might expect that the sensitivity of detection
of abnormal PrP in the femtogram to low picogram
range per ml blood (10e5–10e7 abnormal PrP molecules
per ml) would be sufficient for automated assay formats
where 10–100 ml volumes of body fluids are to be used. In
terms of sensitivity, an immuno-PCR would be about
10e5–10e6-fold more sensitive than standard WB or
enzyme-linked immunoabsorbent (ELISA) methods. If
appropriately adapted, it might replace highly reliable
ELISA or WB test systems in routine diagnostics.
Already validated test systems such as ELISA are
continuously and successfully adapted to the needs in
human and especially veterinary medicine. To speed up
routine diagnostics, the usual proteolytic treatment of
source material with PK could be omitted in one BSE/
CWD test where PK treatment was replaced by a capture
molecule that most efficiently binds abnormal PrP with-
out the loss of specificity and sensitivity.
Considerable efforts are being made to develop a pre-
mortem or intravitam diagnostic test kit. To achieve this,
new prion test solutions like the ones mentioned have to
be fine-tuned and sensitivity considerably improved to
detect abnormal PrP in tissue, cells, and body fluids.
Besides monoclonal antibodies as probes for PrP,
nanotechnology is expected to broaden the scope of
detection of PrP and all its suspected abnormal molecular
variants. Candidate molecules to replace monoclonal
antibodies might be peptide or nucleic acid aptamers.
When provided in biosensor formats, they must be vali-
dated to ensure sufficient sensitivity and specificity.
Additional biophysical methods such as spectrophoto-
metry, plasmon resonance, and mass spectrography to
detect PrP may soon become available.
Not only in basic research but also in diagnostics, the
PMCA was a breakthrough. Trace amounts of brain tissue
were shown to induce conformational transition of PrPc
into PK-resistant PrP molecules. Most remarkably, prion
infectivity could be generated using PMCA product from
highly purified cellular hamster PrP, reminiscent of a
sporadic birth of prions. PMCA coupled to a bioassay is
most likely the method of choice to simultaneously assess
the formation of abnormal PrP and infectivity. Similar to
PMCA, prion detection has been reported in an amyloid
seeding assay.
Besides PrP molecules, other markers have been iden-
tified and applied in prion research. The most reliable one
is 14-3-3, followed by the tau protein fragments and
neuronal-specific enolase. The availability of a combina-
tion of marker profiles is basic to clinical diagnostics.
However, such markers are valid for certain prion dis-
eases but not for all. 14-3-3 is reliable and reproducibly
found in CJD cases but not in FFI or vCJD in which only
50% score positive. None of these markers was qualified
for laboratory diagnosis in veterinary medicine.
Easily accessible, non-PrP marker in blood, saliva,
milk, and or urine must be identified and evaluated.
Unfortunately, one candidate marker, the alpha hemo-
globin-stabilizing protein (AHSP) mRNA, cannot be
recommended as a discriminatory test, although reduc-
tion of the abundance of AHSP mRNA in TSE was
initially discussed as a TSE marker. Disappointingly,
even sophisticated techniques used in transcriptomics
and proteomics have not yet revealed eagerly awaited
prion markers for the early detection of disease.
Bioassay
Animal models are inevitable in prion research when
infectivity has to be proven and strain characteristics
have to be defined. Beyond basic information on the
presence of infectivity, physical responses of the host
such as the immune system or the internal spread of
prions can be investigated. Small rodents such as the
hamster, bank vole, or mice strains and especially those
transgenic mice designed to mimic a human, bovine, or
ovine recipient are available and were successfully used
to demonstrate infectivity and strains.
Along with sensitive PMCA amplification, laboratory
animals are key to confirm infectivity and perpetuation of
Prions 967

strain characteristics. However, cell culture may become
an additional tool for research on prion-controlling phy-
siological factors in cells that are important for uptake, in
replication and shaping of PrP, and infectious prions.
Prion-susceptible permanent cell lines like the neuroblas-
toma-derived N2a cell line or GT1 cells are prominent
examples and are widely used. They were instrumental in
the assessment of the role of PrP in physiological intra-
cellular pathways and the initial steps of conformational
transition, leading to the accumulation of PK-resistant
PrP. Most cell lines were derived from mice, but some
were derived from other species such as rabbit. Sublines of
currently used cell lines may be established to create
another means to titrate prions and to assay replication
competence in a given cellular environment. Besides the
capacity of cells to multiply abnormal PrP, cell culture
experiments may help to find long-sought essential fac-
tors that convert PrP into intermediate PrP molecules,
turning these into abnormal PrP resistant to proteolysis
and into infectious prions. Although a standard scrapie
cell assay is expected to become an essential tool for prion
research, experiments with animals should not be aban-
doned whenever the puzzling mutual interactions of
prions and the host are of interest.
Conclusion
Disease, infection, transmission, and several PrP variants
participate in a complex prion framework with mutual
dependencies, and the exact nature of prions remains
unknown. Molecular, cellular, and genetic aspects of
prion biology continue to provide details as to how this
pathogen acts in nature. If the metabolism of normal and
mutant PrP is understood, prions may lose their myster-
ious nature.
Prion disease can be diagnosed on the basis of
clinical symptoms and distinguished from other neuro-
degenerative disorders. Transmission of disease by
prions is unique and has been observed both naturally
and under experimental conditions. Transfer of disease
has been seen in humans after transplantation, blood
transfusion, and neurosurgery, which has never been
observed in Morbus Alzheimer’s or Huntigton’s disease.
Fortunately, the number of iatrogenic prion cases such
as dura mater transplantation was low and measures
were successfully taken to prevent human-to-human
transmission by transplantation and blood transfusion.
Animal models were useful and sensitive, for shedding
light on infectious prions. For example, prions from
hamster can be transferred into mice but without
apparent disease. Later, infectivity was determined,
demonstrating that mice were attacked by hamster
prions, although they did not proceed to disease.
These disturbing results let to the conclusion that
infectivity in the absence of disease does exist. What
was once interpreted as the species barrier is now
called the transmission barrier, which is more appro-
priate since it prevents the wrong perception that, since
disease is absent, prions cannot cross species. Similarly,
no abnormal PrP was detected in mice after intracer-
ebral inoculation of BSE, and this subsequently
questioned abnormal PrP as the one and only indis-
pensable marker. As to human GSS and its
corresponding transgenic mouse models, abnormal PrP
can be present at low levels and paired with an effi-
cient transmission capacity. In human FFI, PK-resistant
PrP molecules are hardly detectable and transmission is
difficult to obtain. Octapeptide insertions into PrP ren-
der PrP aggregates neurotoxic but these aggregates
seem to be noninfectious because transmission is not
observed. Some transgenic mice overproduce PrP but
have low levels of PK-resistant PrP molecules; they
possess remarkable infectivity.
To summarize, the level of abnormal PrP, clinical
disease, and infectivity is dissociated under natural and
experimental conditions. Subtle molecular differences
control physiological functions, pathogenicity, and infec-
tivity (Table 1 and Figure 4).
A whole scenario of combinations and pitfalls has been
found. Low doses of prions may go undetected because
not enough exposure is provided to induce clinical symp-
toms. Low quantities of abnormal PrP may be overlooked
because of insufficient sensitivity of the applied test, or
abnormal PrP may be hidden in tissues or cells as it was
the case for tongue, mucous membrane of the nose, or
retina. These observations are of utmost importance as
true prion transmission must be assessed; so that testing
should not rely only on a biochemical confirmation of
abnormal PrP. Prions with an atypical phenotype of dis-
ease have been identified, not the least in experimental
transmission. In some cases, biochemical typing of abnor-
mal PrP was successful for defining these strains on a
molecular basis, showing that certain misfolded PrP
molecules can differ from other misfolded ones in objec-
tive characteristics responsible for prion strain diversity.
A single prion inoculum can diverge into two strains
as proven in elaborate transmission experiments in trans-
genic mice. Two extremes might be anticipated; some
PrP molecules contribute to the transmissible infectious
agent and eventually disease, whereas others might only
be neurotoxic. A schematic representation of individual
steps linking physiology, pathogenicity, and infectivity is
shown in Figure 4.
If mammalian prions are analogous to yeast prion-like
proteins, then architecture and conformation of PrP
aggregates would be the sole determinants of infectivity
like the Sup35 protein aggregates determine a
968 Prions

phenotypical trait in yeast. Such a result would be strong
evidence in support of the protein-only hypothesis.
Although experimental progress has been made, prion
research is left with many unresolved problems and few
firm conclusions, as the constituents necessary for defin-
ing the true nature of an authentic prion have not yet
been unambiguously identified.
No reliable marker, especially early marker, for prion
disease has been found which confirms infection, indi-
cates infectivity or is capable of predicting disease
progression at a time when intervention measures would
be successful.
Further Reading
Aguzzi A, Sigurdson C, and Heikenwaelder M (2008) Annual review of
pathology: Mechanisms of disease. Annual Reviews 3: 11–40.
Brown DR (2005) Neurodegeneration & Prion Disease. Paris: Lavoisier.
Caughey B (ed.) (2001) Advances in Protein Chemistry: Prion Proteins,
vol. 57. Burlington, MA: Academic Press.
Collinge J and Clarke AR (2007) A general model of prion strains and
their pathogenicity. Science 318(5852): 930–936.
Ho¨ rnlimann B, Riesner D, and Kretzschmar HA (eds.) (2007) Prions in
Humans and Animals. Berlin, New York: De Gruyter.
Lasmezas CI (2003) Risk analysis of prion diseases in animals. OIE
Scientific and Technical Review 22(1): 23–36.
Prusiner SB (2004) Prion Biology and Diseases. Cold Spring Harbor
Monographs Series. Cold Spring Harbor: Laboratory Press.
Prion protein Prion
α-helical Intermediates β-sheet
Functional
Neurotoxic aggregates
Infectious aggregates
Size matters!
Auxiliary factors
Strain Transmission Self propagation
Pathological
Clearance
PathogenicityPhysiology Infectivity
Figure 4 Transformation of cellular PrP into a component of prion disease and prions. Physiology, pathogenicity, and infectivity
are associated with a variety of different PrP molecules, which can be integrated into a complex network structure. Intermediates
refer to conformationally distinct PrP molecules assumed to become neurotoxic or to initiate prion formation if not cleared in time by
intracellular proteolytic degradation.
Table 1 Presence of abnormal PrP, disease, and infectivity. Detection of abnormal PrP, progression to weak pathology or apparent
disease, and transmission or infectivity can be dissociated from each other in natural and experimental settings. Scrapie and BSE occur
in nature; strain propagation is feasible in certain recipient mice; experimental transmission studies with human octapeptide PrP
mutations are an example for an inefficient transmission into mice; a natural transmission barrier may have prevented scrapie from
infecting humans
PrP, disease, and infectivity
Abnormal prion protein
a
Disease Transmission þinfectivity
b
þþþScrapie, BSE
Pathology
c
þRecipient tg mice
þþHuman octapeptide mutations
Possible Transmission barrier
a
Not detectable ‘’.
b
Not observed ‘’. Possible: minor residual infectivity.
c
No clinical symptoms but pathological changes.
Prions 969

Shorter J and Lindquist S (2005) Prions as adaptive conduits of memory
and inheritance. Nature Reviews. Genetics 6(6): 435–450.
Soto C (2005) Prions: The New Biology of Proteins. Boca Raton: CRC
Press.
Telling GC (ed.) (2004) Prions and Prion Diseases: Current Perspectives.
Norfolk: Horizon Bioscience.
Tuite MF and Cox BS (2003) Propagation of yeast prions. Nature
Reviews. Molecular Cell Biology 4: 878–890.
Vilette D (2008) Cell models of prion infection. Veterinary Research
39(4): 10.
Weissmann C (2005) Birth of a prion: Spontaneous generation revisited.
Cell 122(2): 165–168.
Wickner RB, Edskes HK, and Shewmaker F (2006) How to find a prion:
[URE3], [PSIþ] and [beta]. Methods 39(1): 3–8.
970 Prions

Pseudomonas
A Zago, Northwestern University, Chicago, IL, USA
S Chugani, University of Washington, Seattle, WA, USA
ª2009 Elsevier Inc. All rights reserved.
Defining Statement
Introduction
Human Pathogens
Plant Pathogens
Environmental Aspects of Pseudomonas
Genetic and Molecular Tools Used to Study
Pseudomonas
Biotechnology
Further Reading
Glossary
biofilms Aggregation of microorganisms embedded in
an adhesive and protective matrix.
hypersensitive response A plant defense mechanism
against pathogenic microorganism.
operon A transcriptional unit encoding one or more
genes transcribed from the same promoter to produce a
single messenger RNA (mRNA).
opportunistic organism An organism that is generally
harmless and becomes pathogenic in an
immunocompromised host.
sigma factor A protein that helps the RNA polymerase
core enzyme to recognize the promoter at the start of a
gene.
transcriptional regulation Mechanisms that regulate
the expression of a specific gene or operon.
Abbreviations
HCH -hexachlorocyclohexane
2-DE two-dimensional gel electrophoresis
ABC ATP-binding cassette
AHL acyl-homoserine lactone
AlgL alginate lyase
AP alkaline protease
ASD aspartate -semialdehyde
dehydrogenase
CF cystic fibrosis
CFTR cystic fibrosis transmembrane
conductance regulator
CTX cytotoxin
Dab 2,4-diaminobutyrate
DAP diaminopimelic acid
ECF extracytoplasmic function
EF-2 eukaryotic translation factor-2
EPS exopolysaccharides
ExoS exoenzyme S
FAS factor for activating exoenzyme S
HR hypersensitive response
INA ice-nucleation-active
IR inverted repeat sequence
IS insertion sequence
IVET in vivo expression technology
LPS lipopolysaccharide
LTTR LysR-type responsive transcriptional
regulators
mRNA messenger RNA
NRPS nonribosomal peptide synthetases
OMP outer-membrane protein
ORF open reading frame
PAH polycyclic aromatic hydrocarbon
PCB polychlorinated biphenyls
PLC phospholipases C
PLC-H hemolytic phopholipase C
PMI-GMP phosphomannose isomerase-guanosine
diphosphomannose pyrophosphorylase
PQS Pseudomonas quinolone signal
PVD pyoverdine
SOD superoxide dismutase
TCE trichloroethane
Vfr Virulence factor regulator
Defining Statement
The genus Pseudomonas represents a physiologically
and genetically diverse group with a great ecological
significance. The article describes this widely investi-
gated and ubiquitous group of bacteria, their
pathogenesis in humans, the complex interactions with
plants, and their active metabolism in the environment.
971

Introduction
Pseudomonads are ubiquitous microorganisms, found in all
major natural environments and in intimate association
with plants and animals. Their wide distribution reflects a
remarkable physiological and genetic adaptability. In
humans, they are opportunistic pathogens, found in lungs
of cystic fibrosis (CF) patients, in people with eye infec-
tions, in burn victims, and in AIDS patients. Pathogenicity
is due to the secretion of a large number of toxins, which
weaken or allow evasion of the host immune system,
enabling the bacteria to survive. In plants, they cause dis-
ease by producing hypersensitive response (HR), resulting
in leaf and root tissue damage. In soils, they detoxify envir-
onmentally hazardous compounds, such as aromatic
compounds, halogenated derivatives, and various recalci-
trant organic residues. The genus Pseudomonas includes
Gram-negative, non-spore-forming, rod-shaped bacteria,
motile by means of one or more polar flagella. They are
obligate aerobes, but some species can grow in anaerobic
conditions in the presence of nitrate. Catalase positive, they
metabolizesugarsoxidativelyandnoneisfermentativeor
photosynthetic. The size of Pseudomonas is about 1–5 mm
long and about 0.5–1.0 mm wide. The genome sizes vary
from 3 to 7 Mb with a substantial genome size polymorph-
ism within each species and a GC content ranging from
58 to 70 mol%. The family Pseudomonadaceae is classified,
on the basis of rRNA:DNA hybridization analysis and 16S
rRNA sequencing, into five rRNA groups. The current
genus of Pseudomonas is restricted to the rRNA group I,
which belongs to the subclass of the Proteobacteria.
This genus contains mostly fluorescent Pseudomonas spp. as
well as few nonfluorescent species. The rRNA group II
Pseudomonads belong to the genera Burkholderia and
Ralstonia, organisms of rRNA group III that are now classi-
fied in the family Comamonadaceae, while the rRNA
groups IV and V form the genera Brevundimonas and
Stenotrophomonas, respectively.
Human Pathogens
Pseudomonas aeruginosa is an opportunistic human patho-
gen capable of colonizing and infecting virtually any
tissue. Since this microorganism is ubiquitous in nature,
most human hosts counteract the infectious process effec-
tively via the innate immune system. All clinical cases of
P. aeruginosa infection are associated with a compromised
host defense. The three most common human diseases
caused by P. aeruginosa are bacteremia in severe burn
victims, chronic lung infection in cystic fibrosis (CF)
patients, and acute ulcerative keratitis in coal miners,
farmers, and users of extended wear contact lenses.
P. aeruginosa also causes osteomyelitis and urinary tract
infections. This pathogen produces many factors that
promote adherence to host cells and mucins, damage
host tissues, elicit inflammation, and disrupt defense
mechanisms. Investigation of these bacterial virulence
factors has provided understanding of P. aeruginosa patho-
genesis at the molecular and cellular level.
Virulence Factors and Pathogenicity
Flagella
Pseudomonas is motile by a single, polar flagellum and exhi-
bits chemotaxis to favorable molecules, such as sugars. The
flagella of P. aeruginosa have been associated with virulence
since nonflagellated mutants do not readily establish infec-
tion in animal models and demonstrate reduced invasion of
cultured corneal epithelial cells. Strains of P. aeruginosa
express either an a- or b-type flagellum. This classification
is primarily based on the apparent size of the flagellin
subunit (encoded by the fliC gene) and its antigenicity.
The a-type flagellins are heterogeneous and are divided
into various subgroups, whereas the b-type flagellins are
homogeneous. The a-type fliC open reading frame (ORF)
varies in length between 1164 and 1185 bp, with the subunit
size ranging from 45 to 52 kDa. The b-type fliC open reading
frameis1467bpinlengthandencodesa53kDasizeprotein.
The N- and C-terminal sequences of both these flagellins
are nearly identical, whereas the central region is variable.
The a-type flagellins undergo glycosylation, whereas the
b-type flagellins are phosphorylated at tyrosine residues.
Such modifications are unique among the prokaryotic
flagella, which are often methylated at the lysine residue.
The phosphorylated flagellin protein is believed to serve as
a signal for intact flagellin export from cytoplasm to
the flagellar assembly apparatus. Expression of flagellar
motility requires more than 40 genes controlled by a hier-
archical transcriptional regulation organized in four levels.
Class I genes are constitutively expressed and include the
transcriptional regulator fleQ and the alternative sigma factor
fliA (
28
). FleQ directly or indirectly regulates the expres-
sion of the majority of flagellar gene promoters with the
exception of fliA (rpoF). FliA, a member of the alternative
sigma factors
28
, regulates transcription of the major fla-
gellin subunit (fliC ). Transcription of fleQ gene is controlled
by
70
and is repressed by virulence factor regulator (Vfr).
Class II genes include the two-component regulatory sys-
tem FleSR and require FleQ and RpoN (
54
)fortheir
transcriptional activation. FleR and RpoN regulate expres-
sion of class III genes. The anti-sigma factor FlgM binds and
inhibits FliA. When FlgM is secreted through the hook-
basal body rod structure assembled by class II and III genes,
FliA is free to activate expression of class IV genes.
Pili
The type IV pili of P. aeruginosa or N-methyl-phenyl-
alanine (NMePhe) pili are an important cell-associated
972 Pseudomonas

virulence factor that plays a crucial role in mediating bac-
terial adherence and colonization of mucosal surfaces and a
flagella-independent method of surface translocation
known as twitching motility. Pili also serve as the receptors
for bacteriophage. The pili are long polar filaments consist-
ing of homopolymers of a 15–18 kDa protein, called pilin,
which is encoded by the pilA gene. PilA is first synthesized
as a prepilin, which then undergoes processing during its
export to produce the final pilin subunit. After cleavage, the
leader peptide of the newly generated N-terminus under-
goes methylation. There are three other accessory genes,
designated pilBCD, which are required for the biogenesis of
pili. These genes are located adjacent to the pilin structural
gene. The pilD gene encodes the prepilin peptidase and the
methylase that process the prepilin protein. A multimeric
outer membrane protein (PilQ) forms gated pores in the
outer membrane, through which the pilus is thought to
extrude. In P. aeruginosa,thepilQ gene is located in an
operon that includes four other genes (pilMNOPQ)also
required for pili assembly, twitching motility, and phage
sensitivity. The pilin protein is retained in the outer mem-
brane of the cell before its assembly into the intact pilus.
Pilin filaments have a diameter of 5.2 nm, with an average
length of 2.5 nm, and the subunits are arranged in a helical
array, which forms a hollow cylindrical structure. The pilin
C-terminal 12–17 semiconserved amino acid residues are
exposed at the tip of the pilus and bind to the asialo-GM1
andasialo-GM2onepithelialcells.
Transcription of PilA in P. aeruginosa is controlled by
the RpoN-dependent, two-component regulatory system
PilR/PilS. PilS is a transmembrane protein located at the
pole of the cell, which responds to a signal that remains to
be identified. Twitching mobility in P. aeruginosa is also
controlled by the sensor–regulator pair FimS/AlgR. Since
fimS and algR mutants lack extracellular pili and FimS and
AlgR do not affect PilA expression, these two proteins
must be involved in the regulation of some other aspects
of the system. In addition, twitching motility is also con-
trolled by Vfr, which may bind cAMP and cGMP, widely
utilized by P. aeruginosa for global physiological regulation.
Lipopolysaccharide
The lipopolysaccharide (LPS) produced by P. aeruginosa
is a key factor in virulence, protects the bacterial cells
from host defense, and mediates entry into eukaryotic
cells. It is a typical Gram-negative bacterial LPS, with a
basic lipid A structure formed by an N- and O-acylated
diglucosamine biphosphate backbone that anchors the
LPS molecule into the outer leaflet of the bacterial
outer membrane. Lipid A binds to a core oligosaccharide
region, which can be divided into inner and outer
core. The inner core oligosaccharide consists of two
3-deoxy-D-manno-oct-2-ulosonic acid residues (Kdo
I
and
Kdo
II
) and two L-glycero-D-manno-heptose residues (Hep
I
and Hep
II
). The latter can be phosphorylated in three
major sites and 7-O-carbamoylated on Hep
II
. LPS phos-
phorylation, which occurs only in the inner core, is
essential for bacterial viability and it is associated with
intrinsic resistance to some antibiotics. The outer core
contains an N-alanylated galactosamine residue, three
D-glucose residues, and one L-rhamnose residue. The
core structure is linked to the O-antigen, which is respon-
sible for conferring serogroup specificity and diverges in
11 chemical variants (N-acyl derivatives of various amino
sugars). The LPS outer core binds to cystic fibrosis
transmembrane conductance regulator (CFTR) host
receptor to mediate bacterial internalization into epithe-
lial cells. This interaction activates NF-B nuclear
translocation; however, a lag in the immune response
allows P. aeruginosa to establish itself in the lungs.
P. aeruginosa strains may be either LPS smooth (expressing
many long O side chains) or LPS rough (expressing few,
short, or no O side chains). Although resistance to serum
is conferred by the smooth phenotype, LPS-rough iso-
lates unable to produce O-antigen predominate in CF
lungs, which suggest that LPS-mediated serum resistance
is not essential for survival of P. aeruginosa in CF lungs.
Alginate
In the human pathogen P. aeruginosa, alginate is an
important virulence factor during infection of human
epithelia. Alginate is a linear nonrepetitive copolymer of
-D-mannuronic acid linked to its C5 epimer -L-
guluronic acid via (1–4) glycosidic bonds. The production
of extensive amounts of alginate confers a mucoid pheno-
typeandisassociatedwiththeformationofbiofilms.InCF
patients, P. aeruginosa can colonize the lungs and contribute
significantly to the disease. Since alginate production con-
fers protection to P. aeruginosa from the local immune
response and from antibiotics treatment, appearance of
mucoid strains in CF lungs leads to a chronic infection
and progressive decline in pulmonary function.
Alginate biosynthetic pathway (Figure 1)iswellchar-
acterized and consists of a cluster of 12 genes (algD,8,44,
KEGXLIJFA). In this cluster, algA and algD encode enzymes
involved in the precursor synthesis. AlgA is the bifunctional
enzyme phosphomannose isomerase-guanosine diphospho-
mannose pyrophosphorylase (PMI-GMP) that acts at the
first and third steps of the alginate synthesis. PMI scavenges
the fructose-6-phosphate from the metabolic pool and
diverts it to the alginate synthetic pathway. The resulting
mannose-6-phosphate is directly converted to mannose-1-
phosphate by the phosphomannomutase AlgC. This
enzyme is also involved in rhamnolipid and LPS synthesis,
which reflects its genomic localization outside of the algi-
nate biosynthesis cluster and its own promoter regulation.
Finally, mannose-1-phosphate is converted to GDP-man-
nose by AlgA GMP. GDP-mannose is further oxidized to
GDP mannuronic acid by GDP-mannose dehydrogenase
encoded by algD. Once GDP mannuronic acid is
Pseudomonas 973

synthesized in the cytosol, the membrane-associated alg8
and alg44 gene products form an alginate-polymerizing
complex that catalyze alginate polymerization and transfer
through the inner membrane. After polymerization, some of
the mannuronate residues are epimerized to guluronate
residues by a C-5-epimerase (AlgG). This polymer is ran-
domly acetylated by the membrane complex formed by
algF,algJ,andalgI gene products.
AlgG is supposed to interact with AlgK and AlgX to
form a scaffold in the periplasm that protects the growing
alginate polymer from degradation by the alginate lyase
(AlgL). Alginate lyase is important for the bacteria in
detaching from the cell surfaces to spread to new habitats
and in generating short oligosaccharides, which are used
as primers for new alginate chains. After acetylation, the
alginate polymer is transported out of the cell through the
outer membrane porin called AlgE.
The regulation of alginate biosynthesis is based on a
complex transcriptional control and the extracytoplasmic
function (ECF) sigma factor
22
is at the apex of a hier-
archy of regulators that control genes for alginate
production.
22
encoded by algT (also known as algU)is
required for the activation of the algD promoter, which
controls the alginate biosynthetic operon (algD-algA).
AlgT induces expression of other regulators binding the
algD promoter, including AlgB, AlgR, and AlgZ. AlgR also
F6P M6P M1PAlgA AlgC AlgA
Alg
8
Alg
J
Alg
K
algD
algP algQ algR algZ algC algB algT mucA mucB mucC mucD
alg8alg44 algK algE algG algX algL algI algJ algF algA
Ac
MMMM MG MMMM
Ac Ac
Alg
G
Alg
X
Alg
I
MAc
Alg
44
AlgF
AlgD
AlgL
AlgE
GDP GDP Rha LPSMan
GDP
Inner membrane
Outer membrane
Periplasmic space
ManA
–
LPS
(a)
(b)
Figure 1 (a) Pseudomonas aeruginosa alginate biosynthesis. Fructose-6-phosphate (F6P), obtained from the metabolic pool, is
converted to GDP-mannuronic acid (GDP-ManA), which provides mannuronate residues (M) for polymerization. Occasionally,
guluronate residues (G) are incorporated via epimerization of mannuronate residues by the AlgG protein. Mannuronic acid residues of
bacterial alginate are partially O-acetylated by the membrane complex formed by AlgF, AlgJ, and AlgI proteins. The dashed arrows
indicate enzymatic steps leading to lipopolysaccharide (LPS) synthesis. Abbreviation used: M6P, mannose-6-phosphate; M1P,
mannose-1-phosphate; GDP-man, GDP-mannose; GDP-rha, GDP-rhamnose; and Ac, O-acetyl groups. (b) The organization of the
alginate gene clusters. The alginate genes are clustered at three locations in the P. aeruginosa chromosome. The arrows above the
genes represent the direction of transcription. Reproduced from May T and Chakrabarty AM (1994) Pseudomonas aeruginosa: Genes
and enzymes of alginate synthesis. Trends in Microbiology 2: 151–157.
974 Pseudomonas

regulates alginate production through algC by binding to
its promoter. Moreover, AlgT positively regulates its own
transcription by binding to the promoter of the
algT-mucABCD operon.
The mucA and mucB gene products inhibit
22
activity
by sequestering it from RNA polymerase. Mutations in
these two genes cause deregulation of AlgT and conver-
sion to mucoidy as observed in strains of P. aeruginosa
infecting CF lungs. MucD (AlgW) is a protease under
the control of the
22
-independent promoter located in
mucC and it is supposed to destabilize the MucA–
22
interaction. Synthesis of alginate is a response to several
environmental stimuli, such as osmolarity, nitrogen lim-
itation, phosphate limitation, dehydration or stress
conditions, and antibiotics.
Siderophores
Siderophores are iron(III) chelators secreted by aerobic
bacteria in response to iron limitation. Iron is essential for
their metabolism and it is frequently not readily available
to bacteria because it is mainly in an insoluble ferric form
or host species actively withhold iron from the infecting
bacteria. Consequently, siderophore production is crucial
for the success of bacteria and results in more virulent
infections. After binding iron from the environment, side-
rophores are selectively recognized by high-affinity
receptors on the bacterial cell surface. Pyoverdines
(PVDs) are complex siderophores produced by fluores-
cent Pseudomonas, although some species can also
synthesize additional siderophores such as pyochelin or
quinolobactin, or can acquire iron bound to exogenous
chelators, including heterologous siderophores.
PVDs consist of a conserved fluorescent dihydroxy-
quinoline (chromophore) bound to a side chain, generally
a dicarboxylic acid or an amide, and to a strain-specific
peptide of 6–12 amino acids that is essential for recogni-
tion from the corresponding receptor. More than 50 PVD
structures have been elucidated to date and this structural
diversity and the receptor specificity have formed the
basis for a Pseudomonas spp. typing system called side-
rotyping. Both the chromophores and the peptide chains
are synthesized by nonribosomal peptide synthetases
(NRPSs) that enable peptide bond formation between
amino acids that cannot be incorporated through riboso-
mal synthesis. These large enzymes have a modular
organization, with each module (about 1000 amino
acids) catalyzing the incorporation of one amino acid
into a peptide. Each module or cassette typically contains
activation, thiolation, and condensation protein domains,
which charge, bind, and connect a specific amino acid to a
growing peptide. The number and order of the modules
usually corresponds to the amino acid number and
sequence in the peptide product. The synthesis of the
peptide backbone precedes chromophore maturation,
but events leading to the maturation of the PVD chromo-
phore have not yet been fully characterized.
The pyoverdine-related genes and their chromosomal
organization are best known for P. aeruginosa PAO1. This
strain has four genes, pvdL,pvdI,pvdJ, and pvdD, which
encode peptide synthetase enzymes and determine the
order of amino acids in the PVD peptide. PvdH is the
enzyme that generates 2,4-diaminobutyrate (Dab) for
incorporation into the PVD precursor peptide, and
PvdA and PvdF are the enzymes that catalyze the synth-
esis of fOHOrn. Other biosynthetic genes (pvcABCD) are
involved in the chromophore formation. PvdQ is a peri-
plasmic acylase essential for PVD production and release
in the milieu, which suggests that an acyl group retains
the PVD precursor at the membrane to facilitate the
interaction with the membrane-associated biosynthetic
machinery. The hypothesis is that a PVD precursor is
synthesized in the cytoplasm, transported to the peri-
plasm, perhaps through the ABC transporter PvdE, and
secreted out of the cell by a not yet clarified mechanism.
The pvd region was identified as the most divergent
alignable locus in the genome of several P. aeruginosa
strains, reflecting the strain-specific diversity of PVD
structure. In this region, the outer membrane pyoverdine
receptor fpvA is the most divergent gene, which is not
generated by intratype recombination and shows evi-
dence of positive selection. Adjacent to fpvA, the genes
pvdE,pvdI,pvdJ, and pvdD are also highly divergent and
probably coevolve to maintain mutual specificity.
The first regulator of siderophores synthesis and
uptake to be described was the repressor protein Fur
(ferric uptake regulator), which requires ferrous iron for
DNA binding. The Fur–iron complexes bind the promo-
ters of iron uptake genes, so the transcription of these
genes is shut off in iron-repleted cells. In iron-starved
cells the apo-Fur cannot bind DNA and so iron uptake
genes are transcribed. However, an additional level of
regulation involves sigma factors and enables bacteria to
respond to the presence of specific siderophores in the
environment as well as to levels of intracellular iron. The
ECF sigma factor PvdS in P. aeruginosa binds to an iron
starvation (IS) consensus sequence that is found upstream
of several genes or gene clusters involved in PVD synth-
esis, regulation, and transport. This sequence is also
present in the promoters of genes regulated by the
PvdS homologues PfrI in Pseudomonas putida, PbrA in
Pseudomonas fluorescens, and PsbS in Pseudomonas B10.
PVDs have several important roles in Pseudomonas
biology, including production of virulence factors and
development of biofilms. Pyoverdine controls production
of two secreted virulence factors of P. aeruginosa, exotoxin
A and PrpL protease, through a signaling system invol-
ving the receptor FpvA, the antisigma factor FpvR, and
the ECF sigma factor PvdS.
Pseudomonas 975

Other virulence Factors Secreted by
P. aeruginosa
In addition to LPS, alginate, and siderophores, P. aerugi-
nosa employs a multitude of extracellular virulence factors
to successfully cause diverse acute infections or to persist
as a chronic colonizer. P. aeruginosa proteases are crucial
for many aspects of pathogenesis on mucosa. They destroy
the structural integrity of the host cells by degrading the
structural proteins of the extracellular matrix, such as
elastin, laminin, and collagen. Moreover, they degrade
components of the complement system, human immuno-
globulins and serum alpha proteins. At least three
proteases have been characterized: an elastase (PE), a
general protease (LasA), and one alkaline protease (AP).
The PE is a zinc-protease, encoded as a pre-pro protein of
53 kDa by the lasB gene. This protein is translocated to the
periplasm, where it undergoes autoproteolysis to generate
the 18 kDa and 33 kDa peptides, which interact noncova-
lently. The active 33 kDa elastase is secreted to the
extracellular environment by the type II secretion system.
The lasB gene is regulated in a quorum sensing-dependent
manner. The LasA protease can cleave elastin, hydrolyze
-casein, and lyse Staphylococci. The lasA gene encodes a
41 kDa precursor that is subsequently cleaved to produce
the 22 kDa active protein. This protease is active over a
broad pH range and is considered a major virulence factor.
P. aeruginosa AP is encoded by the aprA gene. Secretion of
this protease requires three accessory proteins, AprD,
AprE, and AprF. These three proteins form a complex
that spans the periplasm to allow for secretion of the
protease to the external environment in a single step.
Exotoxin A (encoded by toxA) is the most toxic protein
produced by Pseudomonas. In a manner akin to that of
diphtheria toxin, this protein catalyzes ADP ribosylation
of the eukaryotic translation factor-2 (EF-2) to form
ADP-ribosyl-EF-2, which results in inhibition of host
cell protein synthesis. The toxA gene is expressed at
higher levels when the environmental iron levels are
low and is governed by the iron-responsive Fur protein.
Another extracellular toxin is the acidic cytotoxin (CTX)
of 25 kDa that forms pores in the lipid layers of leuko-
cytes. CTX is encoded by a lysogenic phage that is 35 kb
in size and is integrated at the attP site on the chromo-
some. This toxin is localized in the bacterial periplasmic
space in an inactive or weakly active form, but is con-
verted to the active form by proteases.
Exoenzyme S (ExoS) is a 43 kDa protein encoded by
exoS and is similar to YopE of Yersinia enterocolitica. It has
ADP phosphorylation activity toward eukaryotic proteins
such as Vimentin, H-Ras, and K-Ras types of GTP-
binding proteins. The ADP ribosylation step requires a
eukaryotic protein called FAS (factor for activating exoen-
zyme S). The exoT gene encodes another FAS-dependent
ADP-ribosylating enzyme called ExoT. Both ExoS and
ExoT possess cytotoxic activity and are secreted by the
type III secretion system upon host cell contact. Both the
exoS and exoT genes are positively regulated by the tran-
scriptional regulator ExsA.
P. aeruginosa host invasiveness and ability to cause tissue
damage is linked to its complex extracellular lipolytic
system including at least two phospholipases C (PLC),
one outer membrane-bound esterase and one secreted
lipase. The 26 kDa secreted lipase is active against a
broad range of triglycerides with fatty acyl chain lengths
varying from C6 to C8 and it is stereoselective for sn-1 of
the triglyceride. It is encoded as a 29 kDa precursor by the
lipA gene. The pre-lipase is secreted by the Sec-dependent
secretion pathway into the periplasm, where it interacts
with the membrane-bound lipase-specific foldase Lif.
While oxidoreductases catalyze the disulfide bond forma-
tion of LipA, Lif assists the correct conformational folding
of LipA. The resulting mature 26 kDa form of the lipase is
then secreted to the external environment via the type II
secretion pathway. The lipase operon lipAlif is under the
control of the
54
-dependent promoter regulated by the
two-component system LipR/LipQ. The transcription of
the lipRQ operon is activated by the quorum sensing acti-
vator RhlR. The sensor kinase LipQ may also be activated
by so far unknown environmental stimuli or by periplas-
mic signals including misfolded or nonsecretable enzymes.
A 55 kDa esterase tightly bound to the outer membrane
has been identified in lipase-negative deletion mutants of
P. aeruginosa. It preferentially hydrolyzes long-chain acyl
thioesters or oxyesters. In addition, two types of phospho-
lipase C have been characterized in P. aeruginosa, the
hemolytic phopholipase C (PLC-H) and the nonhemoly-
tic phopholipase C (PLC-N). PLC-H is a 78 kDa
heat-labile protein that hydrolyzes phosphatidylcholine
in erythrocyte membranes; it is also active on sphingo-
myelin. Its production is regulated by the plc operon
including the structural gene plcH and plcR1 and plcR2,
the last two encoding proteins that modify PLC-H after
translation. PLC-N is a 73 kDa protein that acts on phos-
phatidylcholine and phosphatidylserine. The location of
the plcN gene in the chromosome is quite distant from that
of PLC-H. The synthesis of both PLC-H and PLC-N is
stimulated under low-phosphate and aerobic conditions.
The synergistic effect of lipases and PLC leads to hydro-
lysis of the lung surfactant dipalmitoylphosphatidyl-
choline, which causes tissue damage and inflammation.
Release of choline leads to the accumulation of betaine,
which acts as an osmoprotectant, thereby enhancing
bacterial survival within host tissues.
P. aeruginosa produces glycolipid biosurfactants, called
rhamnolipids, which can, at high concentrations, disrupt
intercellular junctions in epithelia. Rhamnolipids are also
implicated in the maintenance of fluid channels in mature
biofilms. The production of rhamnolipids is under
quorum sensing control.
976 Pseudomonas

Bacteriocins, called pyocins, are secreted into the
environment and play a significant role in the ecological
dominance of this species by promoting the lysis of com-
peting bacteria. However, production of pyocins is more
frequent in clinical situations than in the environment,
which suggests a role of these molecules in human dis-
eases. Three groups of pyocins, R, F, and S, have been
characterized. The R and F types are rod-like particles
resembling a bacteriophage tail. The S-type pyocins are
the most abundant low-molecular-weight pyocins,
including S1, S2, S3, and AP41. S1 and S2 pyocins are
able to inhibit phospholipid synthesis of target bacteria
under iron-limited conditions, whereas AP41 possesses
endonuclease activity and induces the synthesis of other
pyocins (R2 and S2) as well as induction of phage. The
mode of action of S3 remains to be clarified. Each S-type
pyocin consists of two proteins associated in a complex.
Only the large protein shows bactericidal activity, while
the small protein protects the host cell from the killing
activity of the bigger component. Pyocins structural genes
are chromosome-located and their transcription is acti-
vated by PrtN. This positive regulator binds to the
conserved P box sequences located 60–100 bp upstream
of RBS of pyocins genes. Pyocin synthesis is induced by
DNA damaging agents, which increase expression of the
DNA repair protein RecA that cleaves the repressor pro-
tein PtrR and liberates the expression of activator PrtN.
Pyocin typing has been an epidemiological tool to dis-
criminate one P. aeruginosa strain from another to follow
its propagation in nosocomial infections.
Two types of sugar-binding proteins called lectins are
among the set of virulence factors produced by P. aeruginosa.
PA-1L is a lectin specific to D-galactose and its derivatives;
PA-11L shows specificity for L-fucose and D-mannose.
These lectins help the bacteria to adhere to host cells
and stimulate an inflammatory response by inducing the
host immune system to produce cytokines such as IL-1
and IL-6.
Fluorescent Pseudomonas, including P. aeruginosa, pro-
duce and secrete phenazines, which are heterocyclic,
redox-active compounds toxic to competing bacteria.
The most studied phenazines are pyocyanin, 1-hydroxy-
phenazine, and phenazine-1-carboxylic acid. There is
evidence to suggest that phenazines can penetrate biolo-
gical membranes and alter cytokine production and
signaling pathways in cultured airway epithelia. Also, a
recent report indicates that pyocyanin is capable of reg-
ulating the expression of a set of P. aeruginosa genes.
P. aeruginosa Infections in Cystic Fibrosis
CF is an autosomal recessive disorder caused by mutations
in the CFTR (CF transmembrane conductance regulator)
gene. These mutations result in defective chloride trans-
port across epithelia. The airways of individuals with CF
are susceptible to recurrent bacterial infections, and the
opportunistic pathogen P. aeruginosa can chronically colo-
nize the lungs of CF patients despite aggressive antibiotic
treatment. It has been hypothesized that P. aeruginosa in
the CF lung may exist as biofilms wherein bacteria are
organized in a self-produced polymeric matrix. The bio-
film mode of lifestyle may be responsible for the antibiotic
resistance of the bacteria in CF. Chronic persistence of
P. aeruginosa in CF is often accompanied by bacterial
adaptations that involve the repression of certain virulence
factors. For example, unlike environmental strains, isolates
from chronic CF infections often show a repression of
flagellin and pilin expression and repression of the type
III secretion system. Sustained repression may lead to
mutations that result in a permanent adaptation to the
unique environmental niche of the airways.
P. aeruginosa Virulence in Burn Infections
and Keratitis
P. aeruginosa contributes to burn wound infection with
many virulence factors. Pili and flagella are responsible
for its adherence and particularly for its dissemination
throughout the whole organism. Dissemination is also
dependent upon production of elastases and proteases,
which destroy the host physical and immune barriers
that normally might inhibit the spread of the infection.
Disruption of lasR regulatory gene that controls the QS
response blocks the dissemination from the initial site of
infection. QS is responsible for the regulation of several
virulence factors, including elastases and biofilm forma-
tion. However, the block of dissemination caused by lasR
knockout is not caused specifically by inactivation of
elastases, suggesting the critical role of other virulence
factors in bacterial dissemination.
The cell-associated and secreted virulence factors that
contribute to the pathogenesis of wound infections are
responsible for invasion and destruction of the cornea in
microbial keratitis. Another factor that contributes to this
destructive process is a continuous recruitment of poly-
morphonuclear neutrophils in the corneal tissue triggered
by the recognition of P. aeruginosa flagella or LPS by
epithelial cells toll-like receptors. In addition to its role
in this inflammatory response, P. aeruginosa LPS is a ligand
for the epithelial CFTR receptor. The interaction LPS–
CFTR receptor causes internalization of Pseudomonas by
the corneal basal epithelium where bacteria replicate.
Some Unique Behaviors Exhibited by
Pseudomonas
Antibiotic resistance
P. aeruginosa exhibits an intrinsic resistance to antibiotics
and has a demonstrated ability to acquire genes encoding
resistance determinants. This resistance is mainly due to
Pseudomonas 977

production of -lactamases, diminished membrane per-
meability to antibiotics, or upregulation of efflux pumps.
Unfortunately, multiple mechanisms of resistance can
accumulate in some strains leading to the development
of multiply resistant strains. P. aeruginosa major defense
mechanism against the -lactam group of antibiotics
(penicillins, cephalosporins, monobactams, and carbape-
nems) is the production of a variety of -lactamases. Despite
these lactamases, imipenem resistance in P. aeruginosa is
commonly generated via a mutational loss of a 54 kDa
outer-membrane protein (OMP), usually known as OprD
(or the D2 porin). Furthermore, structural modifications
of the outer membrane, such as absence of 2-hydroxylau-
rate, presence of 4-aminoarabinose, and increase of
palmitate, are responsible for resistance to colistin.
However, efflux pump systems are the major cause of
multidrug resistance and the most commonly observed
pump system in P. aeruginosa is the MexAB-OprM,
which consists of a pump (MexB) connected to the outer
membrane by the linker lipoprotein MexA and the exit
portal OprM. P. aeruginosa uses this upregulated MexAB
system to export quinolones, penicillines, and cephalos-
porins, while the upregulated MexXY-OprM efflux pump
is responsible for aminoglycoside resistance. Quinolone
resistance is attributable not only to efflux pumps but
also to mutations of gyrA and parC genes encoding topoi-
somerases II and IV, respectively.
Few treatment options are available for multidrug-
resistant P. aeruginosa: cefepime and amikacin might be
active against some strains, otherwise polymyxins remain
the most effective agent alone or in combination with one
or more of the following: a carbapenem, aminoglycoside,
quinolone, or -lactam.
Response to oxidative stress
Pseudomonas respond to both endogenous (aerobic growth)
or exogenous (anaerobic or in macrophage) oxidative stress
(superoxide anion O
2) by producing iron- or manganese-
containing superoxide dismutase (SOD) metalloenzymes.
The dismutases catalyze the disproportionation of O2to
H
2
O
2
and O
2.
The organism also possesses catalases that
remove the toxic H
2
O
2
product. The SOD A (encoded by
sodA) is a 23 kDa dimer, which uses manganese as a cofactor,
and the SOD B (encoded by sodB) is iron-dependent and
also functions as a dimer. Mucoid strains have been observed
to possess higher manganese SOD activity.
Cell–cell signaling in P. aeruginosa
Bacteria employ a mechanism of cell–cell signaling called
quorum sensing to coordinately regulate gene expression
in response to changes in population density. The quorum
sensing circuit was first characterized in the marine bac-
terium Vibrio fischeri and includes genes encoding the
signal synthase, LuxI, and the signal receptor, LuxR.
P. aeruginosa utilizes two homologous acyl-homoserine
lactone (AHL) quorum sensing systems to regulate the
expression of a large number of genes including virulence
factor genes and genes involved in biofilm development.
These two systems are the LasR-LasI and RhlR-RhlI
systems. LasR is a transcriptional activator that responds
to the product of the LasI synthase, N-3-(oxododeca-
noyl)homoserine lactone (3OC
12
-HSL). At sufficient
environmental concentrations of this AHL signal, a num-
ber of genes are activated, including rhlR, which codes for
the N-butyrylhomoserine lactone (C
4
-HSL) receptor, and
rhlI, which codes for the C
4
-HSL signal generator. RhlR
and C
4
-HSL activate many other genes. Transcriptome
analyses studies indicate that P. aeruginosa regulates over
300 genes in a quorum-dependent manner. The set of
quorum-controlled genes includes those coding for the
virulence factors pyocyanin, hydrogen cyanide, elastase,
and AP. Analysis of the P. aeruginosa genome revealed a
gene coding for a homologue of LasR and RhlR but no
additional genes coding for LasI and RhlI homologues.
This ‘orphan receptor’ termed QscR responds to the
product of the LasI synthase, 3OC
12
-HSL, and controls
a set of genes that partially overlap the Las-Rhl quorum
regulon. As might be expected in a versatile bacterium
inhabiting diverse habitats, the elements of the two
quorum sensing systems are controlled by other factors.
In addition to the AHL quorum sensing systems,
P. aeruginosa utilizes another low-molecular-weight
hydrophobic molecule, 2-heptyl-3-hydroxy-4-quinolone,
referred to as the Pseudomonas quinolone signal (PQS)
for intercellular communication. This signal functions
as a coinducer for the transcriptional regulator PqsR
to activate the expression of multiple virulence genes
and its own synthesis. PQS is one of several quinolones
and quinolines made by P. aeruginosa. Remarkably,
PQS, released in membrane vesicles, which, in addition
to signaling to P. aeruginosa cells, shows potent anti-
bacterial activity against the Gram-positive bacterium
Staphylococcus aureus.
Secretion System in Pseudomonas
Pseudomonads rely on several pathways for the secretion
of toxins, hydrolytic enzymes, and proteins important for
virulence. These include the type I, II, III, IV, and VI
pathways. The type I secretion (ABC exporter) system
utilizes three proteins, an ATP-binding cassette (ABC)
protein, a membrane fusion protein, and an outer mem-
brane protein for the secretion of virulence factors to the
extracellular environment. The type II secretion system
functions in conjunction with the Sec or Tat transport
systems for protein transport across the inner membrane.
This system allows the transport of proteins across both
the inner and outer membranes in a single step. In
P. aeruginosa, the Xcp and the Hxc type II secretion
systems allow for the extracellular release of elastase,
978 Pseudomonas

lipases, exotoxin A, and alkaline phosphatase. The pro-
teins of the Xcp secretion system share several features
with proteins involved in the assembly of type IV pili that
are required for twitching motility, adherence to host
cells, and biofilm formation. The type III secretion system
allows the direct injection of toxins into host cells via a
secretion complex that spans the bacterial cell envelope
and penetrates the host cell membrane. Recent studies
indicate the presence of a type VI secretion system in
P. aeruginosa and suggest a role for it in the direct injection
of virulence factors into host cells.
Plant Pathogens
Several Pseudomonas species cause plant diseases in some
of the most commercially important crops. Among these
species, Pseudomonas syringae is the most widespread and
best studied. P. syringae is taxonomically subdivided into
more than 50 pathovars (pathological variants), which are
typically distinguished by plant host range. Although the
P. syringae species as a whole causes plant diseases on a
multitude of hosts, individual P. syringae pathovars typi-
cally have a limited host range of one to a few plant
species. Symptoms of diseases caused by P. syringae
include leaf spots, fruit spots, and cankers on woody
hosts. P. syringae diseases are currently mainly managed
through the use of bactericides and through host resis-
tance in certain crops. However, the continued expansion
of understanding of host–pathogen interactions is
expected to foster the utilization of host resistance in
many more disease pathosystems.
P. syringae pathogens utilize an impressive array of
virulence factors such as effectors, toxins, and phytohor-
mones to incite disease symptoms. The most important
pathogenicity determinant is the presence of a type III
secretion system, which is encoded by genes present in
the hrp pathogenicity island. hrp (hypersensitive response
(HR) and pathogenicity) genes were discovered in the
early 1980s as genes affecting the ability of strains to elicit
a HR in the reporter tobacco plant. The HR was later
found to be a plant disease resistance response initiated
after the intracellular recognition of pathogen effector
proteins delivered via type III secretion. Like most other
bacterial plant pathogens, P. syringae encodes a type III
secretion system that consists of a Hrp pilus, a long
syringe-like structure that must traverse the plant cell
wall and that enables delivery of effector proteins directly
into plant host cells. Development of microarrays and
subsequent bioinformatic and functional genomic ana-
lyses have enabled the identification of the hrp regulon
and the complete effector repertoire of a single P. syringae
strain. These studies have established that active effector
genes in P. syringae are expressed by the HrpL alternative
sigma factor, which recognizes the ‘hrp box’ motif in the
promoter of the hrp operons and effector genes. hrp induc-
tion requires hrpS and hrpR. Since hrpL is under the
control of a
54
-dependent promoter in RpoN-dependent
manner, it has been hypothesized that the heterodimer
HrpR–HrpS interacts with RpoN and promotes hrpL
transcription. HrpRS transcription is positively regulated
by the GacS/GacA system, a highly conserved bacterial
regulatory system that controls the expression of many
cellular functions. However, it is not clear which signal is
sensed by GacS and how GacA regulates hrpRS and rpoN
transcription. In addition, HrpA, a major component of
the type III pilus, acts as a positive regulator on hrpRS
transcription by a mechanism that remains to be clarified.
In this complex regulatory network, a negative control is
played by the ATP-dependent Lon protease that
degrades the HrpR protein and by the HrpV protein,
which acts as an anti-activator of HrpS.
Exopolysaccharides (EPS) and toxins allow P. syringae to
cope with environmental condition and host response.
P. syringae produces at least two EPS, levan, a -(2,6) poly-
fructan, and alginate. The latter is widely produced during
plant infection and is responsible for lesions having a typical
water-soaked appearance. EPS chelate heavy metals, such
as copper, increasing tolerance to toxic pesticides and resis-
tance to dessication. Like P. aeruginosa,moststrainsof
P. syringae are normally nonmucoid and alginate production
is activated by stress stimuli. The biosynthesis of alginate in
P. syringae is similar to that described for P. aeruginosa and
the arrangement of the alginate structural genes is con-
served, although in P. syringae muc D transcription is not
dependent on AlgT; muc D has its own promoter and it is
not cotranscribed with the algT–muc operon. Interestingly,
mucC has not been found in P. syringae.
P. syringae produces several toxins different in struc-
ture and origin, which are not required for its
pathogenicity but enhance P. syringae virulence, causing
plant lesions and facilitating bacterial invasion and
spreading in the plant. Syringomycin and syringopeptins
are cyclic lipodepsinonapeptide phytotoxins secreted by
P. syringae pv. siringae. Syringomycin targets the plasma
membrane of the host cells, and disrupts the ion transport
and membrane electrical potential, causing cytolysis. This
necrotic toxin is synthesized by NRPSs. The genes dedi-
cated to syringomycin biosynthesis (syrB1,syrB2,syrC, and
syrE), secretion (syrD), and regulation (syrP) are organized
in a gene cluster (syr) on the chromosome of P. syringae pv.
siringae. Syringomycin production is modulated by both
nutritional factors and plant signal molecules, such as
phenolic glycosides, although the mechanism responsible
for transduction of these signals to the syr transcriptional
apparatus is still under investigation. Syringopeptins
represent another class of lipodepsipeptide phytotoxins
synthesized by a different set of biosynthetic genes orga-
nized in the syp gene cluster. Syp-syr genes are coregulated
and respond to the same environmental stimuli. Another
Pseudomonas 979

interesting phytotoxin is the polyketide coronatine, which
structurally mimics the phytohormone jasmonic acid.
This hormone regulates fruit abscission and senescence
in higher plants. Coronatine causes chlorosis, induces
hypertrophy, and inhibits root elongation. Recent studies
suggest that coronatine might enable P. syringae to colo-
nize the leaf interior by counteracting the plant defensive
closure of the stomata. In addition to phytotoxins,
Pseudomonas secretes amidases and pectate lyase, which
play an important role in Pseudomonas infection of plants
and fruits and destroys the appearance and quality and
commercial value of the produce.
Many pathovars of P. syringae also possess an epiphytic
phase as part of their life cycle. Growth as an epiphyte on
plant leaf surfaces enables the buildup of population size,
which seems to be a requirement for pathogenesis. The
leaf surface or phyllosphere is a habitat that is exposed to
various environmental stress factors, and desiccation and
exposure to ultraviolet radiation may be the most impor-
tant. Strategies of tolerance or avoidance of stress are two
possible fitness strategies of foliar pathogens and colonists
in response to environmental stress. In P. syringae, traits
that facilitate survival in response to environmental stress
such as motility, tolerance to ultraviolet radiation, or EPS
production are important to epiphytic population size.
This organism commonly forms aggregates on leaf sur-
faces; these aggregates may form at nonrandom sites of
carbon source deposition on leaves. Aggregates are
important for phyllosphere survival and appear important
in population increases, resulting in ingress into leaves
and eventual pathogenesis. Biological control strategies
aimed at reducing epiphytic populations have proven
successful in some pathosystems.
The ability of some P. syringae strains to serve as ice
nuclei and nucleate ice formation may be an important
factor in plant wounding and ingress of bacteria into plant
tissues. In the absence of an ice nucleus, purified water
can supercool to temperatures far below 0 C; ice-
nucleation-active (INA) P. syringae cells can catalyze ice
formation at relatively warm temperatures of 2to
5C. Ice formed in susceptible plant tissues can rapidly
propagate; following thawing, this injured tissue is then
susceptible to infection.
Most P. syringae strains contain extrachromosomal
plasmids, and many of these are related, belonging to
the pPT23A plasmid family. P. syringae plasmids encode
various traits beneficial to epiphytic growth and/or viru-
lence. Examples include type III effectors, chemotaxis
receptors, ultraviolet radiation tolerance genes, toxin bio-
synthesis gene clusters, and genes encoding indole acetic
acid biosynthesis. Many P. syringae plasmids are also con-
jugative. The importance of gene transfer in the evolution
of P. syringae is indicated by the evolutionary relationships
of various pathovar strains. The observation that closely
related strains can belong to different pathovars with
distinct host ranges implies the transfer of effectors con-
ferring host range alterations between strains.
Genome sequencing has provided the raw material for
determining answers to various questions concerning
pathogenesis and host range in P. syringae. Since 2003,
the genome sequences of P. syringae pv. tomato DC3000,
P. syringae pv. phaseolicola 1448A, and P. syringae pv.
syringae B728a have been published. In addition, genome
sequences from plant-associated P. fluorescens strains and
P. aeruginosa PA14 have also been published. Comparative
genomics will facilitate the understanding of host range
determinants and the understanding of pathogenesis in
this organism. Such studies will hopefully lead to novel
disease control methods in plants either through host
resistance or through targeting important virulence deter-
minants in the pathogen.
Environmental Aspects of Pseudomonas
Degradation of Organic Compounds
Pseudomonas are widespread in many natural environ-
ments, where they carry out a variety of biochemical
conversions and mineralize organic carbon. They meta-
bolize a large number of natural organic compounds,
including aromatic hydrocarbons and their derivatives.
The enzymes involved in the degradation of these com-
pounds are generally plasmid-encoded and have low
substrate specificity. These two features allow rapid evo-
lution of new metabolic pathways for the degradation of
toxic synthetic compounds (xenobiotics), such as highly
chlorinated aromatics used as pesticides, herbicides, or
by-products released into the environment by industrial
processes.
Pseudomonas degrade chlorinated aromatic
hydrocarbons
Pseudomonas can utilize a wide variety of chlorinated aro-
matics as sole source of carbon and energy. The processes
involved in the degradation of these recalcitrant com-
pounds are well studied and have been developed in
pollution control. The degradative pathway of chlori-
nated benzenes is initiated by dioxygenases that produce
chlorinated dihydrodiol intermediates, which are subse-
quently converted into the corresponding chlorocatechols
by dihydrodiol dehydrogenases. The resulting chloroca-
techols are oxidized by chlorocatechol dioxygenases,
causing either ortho-cleavage to chloromuconic acid or
meta-cleavage to 2-hydroxy-6-chlorocarbonil muconic
acid. Chloromuconic acids are metabolized further to
intermediates of the Krebs cycle.
980 Pseudomonas

Chlorocatechols are toxic to bacterial cells, therefore
the regulation of the expression of these catabolic genes is
very important for cell survival. These degradative path-
ways are usually regulated by LysR-type responsive
transcriptional regulators (LTTRs), which are typically
divergently transcribed from the structural genes. LTTRs
are DNA-binding proteins that bind approximately
50–60 bp upstream of the genes they regulate. The pre-
sence of an inducer molecule, which is usually a catabolic
intermediate of the pathway being regulated, alters the
binding pattern and results in transcriptional activation.
Examples of biodegradative pathways regulated by
LTTRs in Pseudomonas include the chromosomally
encoded catechol degradative catBCA operon and the
pheBA operon (Figure 2), which allows the growth of the
P. putida strain PaW85 on phenol. Both the catBCA and
pheBA operons are regulated by CatR. Other examples
include the 3-chlorocatechol degradative clcABD operon,
regulated by ClcR, and the 1,2,4-trichlorobenzoate degra-
dative tcbCDEF pathway in Pseudomonas sp. strain P51,
regulated by TcbR.
In general, the genes that allow Pseudomonas to degrade
aromatic compounds are likely recruited from preexisting
catabolic pathways. The nature of the environments dic-
tates to a large extent the mode of evolution of the new
degradative pathways in microorganisms.
Polychlorinated biphenyl catabolism in
recombinant Pseudomonas strains
Genes encoding polychlorinated biphenyls (PCBs)-
degrading enzymes (bph) have been identified and isolated
from several Pseudomonas species. PCBs, such as DTT, are
toxic pollutants present in great abundance in the ecosys-
tem, and bioremediation by soil bacteria has been
extensively investigated in the last few decades. The
catabolism of PCBs generally proceeds by the incorpora-
tion of both the atoms of oxygen (O
2
) at the 2 and 3
positions of the least chlorinated ring, followed by
1,2-meta-cleavage of the molecule. PCBs are finally con-
verted to a five-carbon aliphatic acid (2-hydroxypenta-
2,4-dienoate), further degraded to chlorobenzoate, which
accumulates in the growth medium. This dead-end pro-
duct of the PCBs degradation can inhibit the bacterial
growth and consequently slow down PCB biodegradation.
To circumvent this limitation and to utilize Pseudomonas
in bioremediation, recombinant strains are constructed by
transferring the bph genes into Pseudomonas strains capable
of utilizing several CBAs.
Metabolism of benzene, methylbenzene, and
naphthalene by Pseudomonas
Pseudomonas have the potential to degrade aromatic
hydrocarbons that range in size from a single ring (e.g.,
benzene, toluene, and xylene) to polycyclic aromatics
(e.g., naphthalene). BTX aromatic compounds (benzene,
toluene, and isomeric xylenes) usually occur together in
gasoline and diesel oil. Pseudomonas degrade monoalkyl
and dialkyl benzenes by different pathways, which
include the oxidative attack on the aromatic ring and
the formation of alkyl catechols, which are substrates for
ring fission, or by the oxidation of alkyl substituents,
which lead to the formation of aromatic carboxylic
acids, further oxidized to dihydroxylated ring fission sub-
strates. Subsequent conversion to the central metabolism
intermediates proceeds through the meta-cleavage.
Naphthalene and its substituted derivatives are com-
monly found in crude oil and oil products. Naphthalene
metabolism has been widely investigated in Pseudomonas
as a model to understand the degradation of more com-
plex polycyclic aromatic hydrocarbons (PAHs). PAHs are
toxic and carcinogenic compounds so widely distributed
in the environment to motivate the study of the microbial
metabolism of these compounds to develop bioremedia-
tion technologies. Pseudomonas metabolizes naphthalene to
salicylate, which is then converted to catechol, followed
by ortho- or meta-cleavage to TCA cycle intermediates.
In P. putida NAH7 plasmid, the genes encoding the
enzymes involved in the naphthalene upper pathway
and lower pathway are organized into two operons, nah
and sal, respectively. Both the operons are turned on by
NahR, a 36 kDa polypeptide and a salicylate-dependent
transcription activator.
These catabolic pathways are mainly encoded on large
plasmids such as the well-studied TOL plasmid pWWO,
which is responsible for toluene and xylenes catabolism in
P. putida and the naphthalene catabolic plasmid NAH7.
These plasmids are generally conjugative, have low copy
number, and undergo rearrangement and shuffling.
Degradation of alkanes and cycloalkanes
in Pseudomonas
P. putida (oleovorans) can grow on n-alkanes by virtue of
the alkane hydrolase system, which catalyzes the first step
of alkane degradation, the oxidation of the methyl group
to alcohol. The alkane hydrolase system consists of a
membrane-bound alkane hydroxylase (alkB), a soluble
electron transport system consisting of two rubredoxins,
and a NADH-dependent rubredoxin reductase (encoded
by alkG,alkF, and alkT, respectively). This system is
investigated in great detail because of its industrial appli-
cation in the production of fine chemicals, such as fatty
acids, alcohols, and epoxides. The alk genes are mapped
on its large catabolic OCT plasmid, which confers
Pseudomonas the ability to degrade soluble short-chain
alkanes, such as pentane, hexane, heptane, and octane,
which are toxic for the environment and are produced
by petroleum refineries.
Other interesting degradative activities in Pseudomonas are
directed toward cycloalkanes, such as camphor or the highly
toxic and persistent insecticide -hexachlorocyclohexane
Pseudomonas 981

OH
(a)
(b)
COOH COOH
Cl
Cl
Cl
OH
OH
OH
Dioxygenase II
Muconate lactonizing
enzyme II
Muconate lactonizing
enzyme I
Muconolactone
isomerase
Hydrolase II
Hydrolase I
COO–COO–
COO–
C=O
Cl
COO–
COO–
OH
Catechol
catA, pheB
catB
cis,cis-muconate
Phenol
Phenol
monooxygenase
Dioxygenase I
Benzoate 3-Chlorobenzoate
3-Chlorocatechol
2-chloro-cis,cis-muconate
benABCD benABCD
O
COO
–
COO
–
COO
–
COO
–
Succinate and acetyl CoA
clcE
catR
ORF1
clcR clcA clcB clcD
ORF2
catB
pheB pheA
catC catA
pcaD
catC
clcD
clcB
clcA
pheA
COO
–
Maleylacetate
C=O
Dienelactone
β
-Ketoadipate enol-lactone
β
-Ketoadipate
O
O
O
COO
–
C=O
O
COO
–
C=O
O
Muconolactone
Figure 2 Enzymes and intermediates of the benzoate, phenol, and 3-chlorobenzoate degradation (a) and their genetic
organization (b). Pseudomonas putida uses a modified -ketoadipate pathway to degrade 3-chlorocatechol. The genes for the
regulatory proteins CatR and ClcR are divergently transcribed from the catBCA and clcABD operons that they regulate.
The pheBA operon is regulated by CatR.
982 Pseudomonas

(HCH). P. putida PpG1, originally isolated by enrich-
ment culture with D-camphor, carries the CAM plasmid,
which encodes the enzymes necessary for D-or
L-camphor degradation. Camphor is first converted to
5-exo-hydroxy camphor by a monoxygenase system con-
sisting of three enzymes encoded by camA,camB, and camC
genes. 5-exo-hydroxy camphor is then dehydrogenated to
form 2,5-diketo camphane by F-dehydrogenase encoded
by gene camD. These genes are organized in the camDCAB
operon, which is negatively regulated by the product of
the regulatory gene camR.CamR is located upstream
of CamD and it is divergently transcribed. In the absence
of camphor, CamR inhibits the expression of camDCAB
and autorepresses the camR gene by binding to the opera-
tor between the regulator gene camR and the camDCAB
operon. This inhibition is released in presence of the
inducer camphor.
P. aeruginosa ITRC-5, isolated by selective enrichment
on HCH, can mineralize this insecticide. HCH cata-
bolic pathway has been comprehensively characterized
for Sphingomonas paucimobilis UT26. This chlorinated
insecticide is metabolized by the enzymes encoded by
linA,linB,linC,linD,linE, and linF genes to -ketoadipate,
which is subsequently mineralized. Two or more copies of
these genes are present in P. aeruginosa ITRC-5, which
suggests that HCH is degraded by Pseudomonas through a
similar enzymatic pathway.
Pseudomonas take part in the natural process of
lignin mineralization
Several members of the Pseudomonaceae have the ability
to degrade lignin and the phenolic monomers, such as
trans-ferulic, p-coumaric, and vanillic acid, which occur
abundantly in the environment from the biodegradation
of lignin accomplished predominantly by white-rot fungi.
These products are utilized as a unique source of carbon
and energy by Pseudomonas. The investigation of their
degradative ability toward these lignin monomeric com-
ponents is very important for bioremediation of
pollutants, such as the chlorinated forms of vanillate,
which are liberated in vast quantities into the environ-
ment by the wood pulp bleaching process.
Other environmental pollutants degraded
by Pseudomonas
1. Nylon: Nylon is a polymer of 6-aminohexanoate (Ahx),
widely used in the textile industry. During the poly-
merization, some molecules fail to polymerize and
remain as oligomers and linear dimers (Ald) or
undergo head-to-head condensation to form cyclic
dimers (Acd). These nylon by-products are industrial
waste products released in the environment.
Pseudomonas sp. NK87 can grow on these compounds
as sole source of carbon and nitrogen. This strain
produces two hydrolases, Acd hydrolase and Ald
hydrolases, encoded by nylA and nylB genes, respec-
tively. These genes occur on catabolic plasmids
present in Pseudomonas sp. NK87 and have evolved
from other bacteria.
2. Trichloroethane: Trichloroethane (TCE) is widely used
as degreasing agent, dry cleaning fluid, fumigant, and
cleanser. Such wide use of TCE has caused it to
become an environmental pollutant, especially in
soils and groundwater. It is known to cause anemia
and kidney and liver damage in humans. P. putida is
capable of degrading TCE by producing a toluene
dioxygenase. This enzyme converts TCE to glyoxylate
or formate that are further metabolized.
Metal Resistance
Pseudomonas is resistant to a number of toxic metal ions, such
as mercury, arsenic, cadmium, copper, chromium, and sil-
ver. Most of the resistant genes are plasmid-encoded and,
occasionally, the regulatory genes are present on the
chromosome.
Mercury resistance
Mercury is a toxic heavy metal. Resistant Pseudomonas
species carry mercury-resistant (mer) determinants
encoded on mobile genetic elements. The simplest mer
determinants have been identified on transposon Tn501
in P. aeruginosa, where they are organized in the merTPAD
operon. MerR is located upstream of the merTPAD and it is
divergently expressed. MerR and MerD are involved in
the regulation of the expression of the structural genes.
MerR works as a mer operon inducer in the presence of
Hg(II) and as a repressor in the absence of mercury salts.
The mer operon encodes the transport proteins MerT and
MerP; MerP is a periplasmic protein thought to scavenge
Hg(II) in the periplasmic compartment to pass it to the
inner membrane transporter MerT. From MerT, toxic
Hg(II) is passed to mercuric reductase MerA. This
NADPH-dependent cytoplasmic flavoenzyme detoxifies
Hg(II) to volatile Hg
0
.
Copper resistance
Copper (Cu) is a major micronutrient and it is a consti-
tuent of metalloenzymes and proteins involved in
electron transport and redox reactions. However, it is
extremely toxic at supraoptimal concentrations and it is
also known to produce toxic free radicals. Two forms of
Cu, Cu(I) and Cu(II), are normally found in bacteria. The
well-studied copper resistance in P. syringae is due to a
mechanism that involves copper binding and sequestra-
tion by plasmid-encoded proteins (copABCD). CopD is an
inner membrane protein, which interacts with the outer
membrane-associated protein CopB via the periplasmic
proteins, CopC and CopA. The CopB, CopA, CopC, and
Pseudomonas 983

CopD proteins form a copper transport unit. CopS is a
membrane-embedded copper-sensing protein and CopR
is a DNA-binding protein, which activates the cop operon
transcription. CopR and CopS form the two-component
signal transduction system for sensing the levels of copper
and regulating the cop operon.
In addition, copper tolerance in P. fluorescens and
P. aeruginosa has been shown to be affected by a chromo-
some-encoded P1-type ATPase, which functions as an
exporter of copper.
Cadmium resistance
Cadmium is very toxic to bacteria even when present in
low concentrations, since it damages the cells by binding
to essential respiratory enzymes, inducing oxidative stress
or inhibiting DNA repair. P. putida produces a low-
molecular-weight protein, which chelates cadmium,
thereby reducing its toxicity. It also encodes a cad-
mium-transporting ATPase (CadA), an efflux system
that confers resistance by reducing cadmium intracellular
concentration. A cadmium and zinc efflux mechanism
(czr), which is a cation–proton antiporter, rather than a
cation-transport ATPase, was identified in the chromo-
some of P. aeruginosa.
Arsenic resistance
Arsenic is a top priority pollutant present in many
ecosystems mainly in two oxidation states, arsenite
[As(III)] and arsenate [As(V)]. Although some microor-
ganisms can utilize arsenic, it generally is toxic to most
bacteria. Arsenic resistance in Pseudomonas is due in part to
the ars genes. Ars-mediated resistance involves As(V)
reduction to As(III) via a cytoplasmic reductase (ArsC),
and the As(III) is then extruded by a membrane-asso-
ciated ArsB efflux pump.
Chromium resistance
Cr(III) and Cr(VI) are the most stable and abundant oxi-
dative forms of chromium in nature and they are toxic to
microorganisms. Cr(VI) is usually present as the oxyanion
chromate, which crosses the biological membrane by
means of the sulfate uptake pathway. Inside the cell,
Cr(VI) is easily reduced to Cr(III), releasing free radicals
that cause oxidative stress. P. putida minimize the toxic
effect of chromate by means of a plasmid-encoded
NADH-dependent reductase (ChrR). This flavin mono-
nucleotide-binding protein reduces Cr(VI) to Cr(III) and,
by an additional mechanism, reduces quinones, providing
protection against free radicals generated by Cr(VI)
reduction. P. aeruginosa ChrA protein is a chromate efflux
pump, which represents an efficient mechanism of chro-
mate resistance.
Silver resistance
Plasmids encoding silver resistance have been found in
Pseudomonas strains isolated from silver mine or industrial
sludge and in P. aeruginosa isolated from a patient in a burn
unit after the topical use of silver compounds. However,
silver resistance mechanism is not characterized yet.
Genetic and Molecular Tools Used
to Study Pseudomonas
Plasmids
The utilization of nonenteric bacteria for basic and
applied molecular research has resulted in the need for
well-characterized vector systems for such microorgan-
isms. The cloning vectors developed for this purpose
are generally broad host range vectors and allow the
use of different species, including Escherichia coli,as
intermediary host.
General type cloning vector
There are many different broad-host-range vectors avail-
able for gene cloning in Pseudomonas. The majority of
them are constructed based on existing replicons, such
as RSF1010, RK2, or PRO1600, and inserting improved
antibiotic resistance markers and additional cloning sites.
Vectors such as pDSK509, pDSK519, and pRK415 are
RSF1010-based vectors with the MCS from pUC19,
kanamycin, or tetracycline resistance genes and the lacZ
gene for easy screening of recombinant clones in E. coli.
The pUC18/19 adaptation vectors, pUCP18 and
pUCP19, were generated by introducing a pRO1600-
derived stabilizing fragment into a pUC18/19 nonessen-
tial region to allow maintenance of these plasmids in
Pseudomonas species. Many of these modified vectors are
self-transmissible, whereas some have to be mobilized by
triparental mating using a helper strain supporting mob
functions in trans.
Special purpose cloning vectors
The expression of cloned genes in the host organism is
often used to confirm the coding potential of a DNA
fragment. However, large limitations are encountered
when expressing cloned Pseudomonas genes in heterolo-
gous hosts, such as E. coli. These are primarily due to the
differences in codon usage as well as due to variations in
the structure of gene promoters. To overcome these pro-
blems, many laboratories have designed broad host-range
expression vectors suitable for analysis of Pseudomonas
genes. These vectors contain regulable promoters, such
as the T7 promoter (P
T7
) or the E. coli lac operon-based
promoters P
lac
,P
tac
, and P
trc.
The first generation of
controlled expression vectors pUCP18/19 offered regu-
lated expression from P
lac
, and two derivatives of
pUCP19, pUCPKS and pUCPSK, were generated to
984 Pseudomonas

allow expression from P
T7
. A further development were
the pBluescript-derived vectors, pBSP II SK(-) and pBSP
II KS(-), which allow the controlled production of plas-
mid-encoded proteins from P
T7
and P
lac
. The pMMB
family of expression vectors have been constructed
using broad host-range vectors and the hybrid trp-lac
(tac) promoter. A drawback of these controlled expression
vectors in environmental applications is the high cost of
the IPTG inducer. An alternative RSF1010-derived vec-
tor has been described that is based on P
m
and P
u
promoters of the P. putida TOL plasmid pWWO and the
xylS gene, the product of which together with the coin-
ducer benzoate positively regulates the Pseudomonas
promoters.
For a quantitative analysis of the role and function of
promoters in Pseudomonas species, gene fusion vectors
containing the reporter genes aphC or xylE from
RSF1010 or TOL plasmids, respectively, have been con-
structed. The first vector allows positive selection of
promoters by selecting for streptomycin-resistant colo-
nies, while the second allows for screening by catechol
substrate. Other promoter probe vectors have been devel-
oped to identify in vivo-induced genes in Pseudomonas
species with the in vivo expression technology (IVET), a
method used to identify functions of ecological relevance
or important for bacterial virulence and/or pathogenicity.
Ivi genes can be identified by their ability to express a
promoterless selection marker gene that is essential for
survival in vivo. IVET system requires a strain that is a
null mutant for the essential function encoded by the
selection marker gene, an IVET plasmid carrying the
promoterless selection marker gene, and a reporter gene.
Several biosynthetic loci are essential for bacterial growth
and have been exploited in the IVET systems. They
include genes essential for the synthesis of purine and
pyrimidine (purA,purEK,pyrBC) or for the synthesis of
diaminopimelic acid (DAP), a component of the cell wall
peptidoglycan (asd). ASD (aspartate -semialdehyde
dehydrogenase) is an essential enzyme in the biosynthesis
of diaminopimelate, but it also plays a part in the
biosynthesis of lysine, methionine, and threonine. As
reporter genes, lacZY for -galactosidase and uidA for
-glucuronidase have been incorporated into
Pseudomonas IVET plasmids.
Transposable Elements
Transposable elements, including insertion sequences
(ISs) and transposons, are common in various
Pseudomonas species. The ISs have the capability of inte-
grating into different sites of the genome in different
bacteria since they contain the genetic determinants for
transposition and short inverted repeat sequences (IRs) at
both ends. During such an event, foreign genes are
recruited by replicon fusion and insertional activation.
Composite transposons can carry catabolic genes or anti-
biotic resistance markers flanked by two copies of similar
ISs in direct or inverted orientation. However, transpo-
sons are also important tools for genetic analysis in
Pseudomonas. They are used for generating gene disrup-
tion that is nonleaky and is linked to a selectable marker,
or to deliver and stably incorporate genes in the chromo-
some for applications where plasmid cannot be readily
maintained (e.g., environmental release). Recently, mini-
Tn5 transposons are being used in several applications,
including gene regulation studies and construction of
strains for bio-remediation. These new delivery vehicles
allow for single-copy chromosomal insertions and over-
come the drawbacks of plasmid-based constructs, for
example, high copy number or supercoiling, which inter-
fere with promoter regulation studies, and antibiotic
selection, which is not feasible with environmental
release. However, these mini-transposons insert ran-
domly in the chromosome and position effects cannot be
easily controlled. To overcome this problem, the site-
specific integration-proficient mini-CTX vectors were
developed for P. aeruginosa. These vectors allow the inser-
tion of gene cassettes at a defined location, the phage
attachment 30 bp attB sequence, located at 2.94 Mb on
the chromosome. Insertion at this naturally evolved
phage integration site does not cause a mutant phenotype
and does not compromise bacterial fitness. These mini-
CTX vectors have been used in P. aeruginosa for gene
expression from T7 and lac promoters or for promoter
studies using lac and lux-based reporter genes. Ongoing
genome sequencing projects are identifying possible attB
sites in other Pseudomonas species to develop a wider use
of this tool.
Proteomics and Microarrays
Pseudomonas genome sequencing projects have been com-
pleted for some species (P. aeruginosa,P. fluorescens,
P. stutzeri,P syringae,P. mendocina,P. entomophila)andothers
are in progress. This genomic information is being com-
plemented by global analysis of proteins expressed. This
analysis is based on fractionation methods (e.g., cellular
localization), protein identification and protein expression
patterns comparison. The latter, mainly based on two-
dimensional gel electrophoresis (2-DE) and multidimen-
sional liquid chromatography, allows investigation of
differential protein expression in response to one or more
environmental or genetic variations. This comparative
analysis has been used to detect differences among
P. aeruginosa in chronic CF and in environmental isolates
or among P. aeruginosa antibiotic-resistant and susceptible
isolates. A proteomic study has been applied to investigate
P. putida KT2440 biodegradation mechanisms by generat-
ing a proteome reference map for this strain grown in
mineral salt medium and glucose as the only carbon source
Pseudomonas 985

and comparing it to protein expression patterns after
growth on different organic compounds.
The availability of sequenced genomes offers the pos-
sibility to develop DNA microarrays to investigate
Pseudomonas environmental adaptation and pathogenesis.
DNA microarrays are a tool to measure the simultaneous
expression of thousands of genes in a single hybridization
assay. Functional analysis of gene expression using micro-
array technology has been exploited to examine the
global QS response and to characterize biofilm-regulated
genes and antibiotic resistance of bacteria in the biofilm.
Microarray studies have been extensively carried out in
P. aeruginosa for which DNA chips have started to be
commercially available. However, with increasing num-
ber of Pseudomonas strains being sequenced, microarrays
can be tailored to study contaminant remediation in the
environment or rizosphere colonization.
Biotechnology
Pseudomonas strains and their products have been used in
large-scale biotechnological applications. P. aeruginosa PR3
is used in the conversion of surplus soybean oil to new
value-added oxygenated products, including a compound
with antifungal properties in controlling rice blast disease.
Frostban is an ice minus P. syringae, used commercially to
prevent ice nucleation in strawberry and potato fields. P.
putida is used as a biocontrol agent for the Fusarium wilt
pathogen to control black root rot disease of tobacco.
Thermostable lipases from P. fluorescens are used in the
food and leather industry. Polyesters produced by P. oleo-
vorans are used in special plastics. Pseudomonas
biosurfactants are used in emulsification, phase separation,
emulsion stabilization, and viscosity reduction.
Further Reading
Bonomo RA and Szabo D (2006) Mechanisms of multidrug resistance in
Acinetobacter species and Pseudomonas aeruginosa.Clinical
Infectious Diseases 43(Suppl 2): 49–56.
Bender CL, Alarco´ n-Chaidez F, and Gross DC (1999) Pseudomonas
syringae phytotoxins: Mode of action, regulation, and biosynthesis
by peptide and polyketide synthetases. Microbiology and Molecular
Biology Reviews 63(2): 266–292.
Goodman AL and Lory S (2004) Analysis of regulatory networks in
Pseudomonas aeruginosa by genomewide transcriptional profiling.
Current Opinion in Microbiology 7: 39–44.
Juhas M, Eberl L, and Tu¨ mmler B (2005) Quorum sensing: The power of
cooperation in the world of Pseudomonas.Environmental
Microbiology 7(4): 459–471.
Lyczak JB, Cannon CL, and Pier GB (2000) Establishment of
Pseudomonas aeruginosa infection: Lessons from a versatile
opportunist. Microbes and Infection 2: 1051–1060.
Michel-Briand Y and Baysse C (2002) The pyocins of Pseudomonas
aeruginosa.Biochimie 84: 499–510.
Nouwens AS, Walsh BJ, and Cordwell SJ (2003) Applications of
proteomics to Pseudomonas aeruginosa.Advances in Biochemical
Engineering/Biotechnology 83: 117–140.
Pier GB (2007) Pseudomonas aeruginosa lipopolysaccharide: A major
virulence factor, initiator of inflammation and target for effective
immunity. International Journal of Medical Microbiology
297: 277–295.
Ramsey DM and Wozniak DJ (2005) Understanding the control of
Pseudomonas aeruginosa alginate synthesis and the prospects for
management of chronic infections in cystic fibrosis. Molecular
Microbiology 56(2): 309–322.
Ravel J and Cornelis P (2003) Genomics of pyoverdine-mediated iron
uptake in pseudomonads. Trends in Microbiology 11(5): 195–200.
Rosenau F and Jaeger K-E (2000) Bacterial lipases from Pseudomonas:
Regulation of gene expression and mechanism of secretion.
Biochimie 82: 1023–1032.
Schweizer HP, Hoang TT, Propst KL, Ornelas HR, and Karkhoff-
Schweizer RR (2001) Vector design and development of host
systems for Pseudomonas. In: Setlow JK (ed.) Genetic Engineering,
vol. 23, pp. 69–81. Kluwer Academic/Plenum Publishers.
Spiers AJ, Buckling A, and Rainey PB (2000) The causes of
pseudomonas diversity. Microbiology 146: 2345–2350.
Visca P, Imperi F, and Lamont IL (2006) Pyoverdine siderophores:
From biogenesis to biosignificance. Trends in Microbiology
15(1): 22–30.
986 Pseudomonas

Quorum-Sensing in Bacteria
M M Ramsey, A K Korgaonkar, and M Whiteley, The University of Texas at Austin, Austin, TX, USA
ª2009 Elsevier Inc. All rights reserved.
Defining Statement
Introduction
Quorum Signaling in Gram-Positive Bacteria
Acylhomoserine Lactone (AHL) Quorum Signals in
Gram-Negative Bacteria
The Study of AHL-Dependent Signal Pathways
Demonstrated the Presence of Another Quorum
Signal AI-2
Other Types of Quorum Signals
Extracellular Effectors of Quorum Signaling Systems
Quorum Signal Interaction with the Host
Diffusion Sensing, Efficiency Sensing, and the Future of
Quorum Signaling Systems
What’s Next for Quorum Signaling?
Further Reading
Glossary
AHLs Acylhomoserine lactones, quorum signal
molecules produced by many Gram-negative bacteria.
autoinducer Molecule produced by a cell that causes
self-regulation of pathways within the producing cell
above a threshold concentration.
biofilm A community of bacteria associated with a
surface.
bioluminescence The production of visible light by
living organisms.
biomining The utilization of microorganisms to extract
substances from rocks and minerals.
competence The ability of a cell to uptake and utilize
DNA from outside sources.
conjugation The physical transfer of DNA from one
organism to another.
lantibiotic Antibiotic peptides that contain the amino
acid lanthionine.
mucinase Enzyme that degrades the glycoprotein
material mucin.
orphan regulator Transcriptional regulators that are
not part of a dedicated signal synthase/response
system but can interact with the same signal.
synthase A class of enzymes that catalyze biosynthetic
reactions of many compounds including quorum
signals.
Abbreviations
AHL Acylhomoserine Lactone
AIP autoinducing peptide
CSP competence-stimulating peptide
CT cholera toxin
DPD 4,5-dihydroxy-2,3-pentanedione
EHEC enterohemorrhagic E.coli
EPS exopolysaccharide
GBAP gelatinase biosynthesis-activating pheromone
HHQ 4-hydroxyl-2-heptyl-quinoline
LEE locus of enterocyte effacement
PQS Pseudomonas Quinolone Signal
SAH S-adenosylhomocysteine
SAM S-adenosylmethionine
SRH S-ribosylhomocysteine
TCP toxin coregulated pilus
Defining Statement
Bacteria utilize numerous mechanisms to monitor
and adapt to their external environment. One such
mechanism involves the ability to ‘count’ their local popu-
lation numbers. Once a specific number of cells, or quorum,
is reached, bacteria are able to modify their group behavior
through a mechanism known as quorum sensing.
Introduction
Bacterial growth and survival is dependent upon the ability
of an organism to sense its environmental conditions and
respond to external stimuli. Stimulus can come from a
variety of sources including the nutrients available for
growth, the presence of secondary metabolites, and the
presence of other microorganisms. In the case of nutrients
987

and secondary metabolites, sensor and regulatory proteins
exist that affect a change in gene expression as these com-
pounds change concentration. These changes in expression
can cause bacteria to synthesize new proteins for catabolism
in the case of diauxic growth, can lead to the production of
extracellular enzymes to liberate nutrients from the envir-
onment in the case of starvation, or can cause changes in
motility, chemotaxis, or metabolism that allow the bacteria
to avoid or eliminate toxic concentrations of a secondary
metabolite. In addition to these basic stimulus–response
events, bacteria have evolved a mechanism to ‘count’ the
local cell population. This process is known as quorum
sensing and is mediated by the bacterium’s ability to pro-
duce and recognize soluble factors known as quorum signals.
The ability of bacteria to utilize extracellular signals to
modify their behavior in a cell density-dependent manner
was first described in the early 1970s by Kenneth Nealson,
Terry Platt, Woodland Hastings, and Anatol Eberhard.
These researchers discovered that the bioluminescent bac-
terium Vibrio fischeri only produced light when bacterial
cell numbers were high (Figure 1). They also demon-
strated that culture supernatants from high cell density
cultures were able to stimulate light production in low
cell density cultures. This phenomenon was deemed auto-
induction and provided the first clues that bacteria were
able to utilize a soluble extracellular signal to monitor
population density.
Subsequent work characterized the autoinducer of
V. fischeri and the genes responsible for its synthesis and
detection by the cell. As autoinducer-related genes were
studied, it was discovered that many other Gram-negative
bacterium contained the genes necessary for autoinducer
synthesis and detection. It was demonstrated that
autoinducer sensing was dependent upon a critical num-
ber of cells in a defined volume. This threshold density of
cells was first referred to as a quorum by Clay Fuqua,
Stephen Winans, and Peter Greenberg in 1994, and they
proposed the term quorum sensing to describe this event.
Quorum sensing has rapidly expanded as a field of study,
and the discovery of new quorum signaling bacteria as well
as new types of quorum signals is increasing at an ever
growing rate. Quorum signals in Gram-negative species
such as V. fischeri were the first to be studied at the genetic
and chemical levels; however, a significant amount of work
has subsequently been performed with Gram-positive spe-
cies. It is notable that quorum signal-dependent behavior
was observed in Gram-positive bacteria long before the
discovery of autoinducers or quorum sensing.
Quorum Signaling in Gram-Positive
Bacteria
Although the molecular mechanism was unknown, the
physiological effects of quorum signaling were known for
a considerably long time in some Gram-positive species.
Early work in bacterial genetics determined that some
bacterial species were able to participate in horizontal
gene transfer through natural competence. Several pioneer-
ing studies were done with organisms such as Streptococcus
pneumoniae well before it was known that the process was
quorum signal-dependent. Gram-positive species typically
utilize small polypeptide signals as quorum signals. Some of
these polypeptides undergo significant modifications to
become a soluble extracellular signal (Figure 2).
Streptococcus pneumoniae ComC
S. pneumoniae is a common causative agent of pneumonia,
otitis media, meningitis, and several other diseases. Genetic
transformation studies were carried out as early as 1928 in
this organism by Frederick Griffith. Subsequent work by
Avery, McCarty, and MacLeod in 1944 demonstrated that
genetic transformation in S. pneumoniae was due to uptake
of extracellular DNA. Competency in S. pneumoniae is
regulated by several factors but is primarily controlled by
the competence stimulating peptide (CSP) quorum signal
encoded by the gene comC.
Genetic competence in S. pneumoniae occurs during
exponential phase and is initiated by CSP as cell density
increases. The 17-amino acid CSP is produced by post-
translational modification of the 41-amino acid precursor
peptide ComC and is exported from the cell by
the ComAB ABC transporter. When extracellular CSP
reaches a threshold concentration due to increasing cell
number, it is recognized by the sensor histidine kinase
ComD. ComD autophosphorylates and subsequently
transfers its phosphate group to the response regulator
Growth
Figure 1 Cell density-dependent bioluminescence. As cells
multiply, autoinducer concentrations increase. At a critical
concentration, they induce synthesis of bioluminescence genes
and subsequent light production.
988 Quorum-Sensing in Bacteria

ComE. Phosphorylated ComE activates transcription of
the alternative sigma factor ComX, which goes on to
induce expression of multiple genes involved in DNA
uptake and recombination (Figure 2).
This peptide-induced, two-component signal transduc-
tion system is typical for Gram-positive quorum signaling
circuits and was among the first to be characterized. Induction
of competency at high cell density allows S. pneumoniae to
sample and incorporate genetic material from its environ-
mental counterparts. Surprisingly, S. pneumoniae competency
permits the organism to take up DNA irrespective of its
sequence or host origin. Such behavior gives S. pneumoniae
the ability to adapt to selective pressures by taking up genes
from neighboring cells that may have acquired genes or
mutations that allow for enhanced fitness in a specific growth
environment.
Enterococcus faecalis FsrB/D
E. faecalis is an opportunistic pathogen that causes endo-
cardial, urinary tract, epidermal, and septic infections in
clinical environments. E. faecalis is resistant to many com-
mon antibiotics and has recently acquired resistance to
more modern antibiotic types making it a dangerous
human pathogen. E. faecalis quorum sensing uses a cyclic
lactone-modified peptide signal known as the gelatinase
biosynthesis-activating pheromone (GBAP). GBAP is an
11-residue, circular polypeptide closed by a lactone moi-
ety not seen in other Gram-positive-produced cyclic
peptides. GBAP is not produced by all E. faecalis strains,
but its production has been observed in all strains that
produce the virulence factor gelatinase.
Originally, the E. faecalis GBAP signal was thought to
be derived from the C-terminal region of the 212-amino
acid FsrB protein. Recent studies have shown that a pre-
viously unknown gene, fsrD, exists in frame with fsrB, and
GBAP is derived from FsrD by proteolytic activity of the
FsrB protein. The FsrB protein was originally thought to
autocatalyze by simultaneously forming and modifying
GBAP while exporting it out of the cell. This new data
show that the N-terminal region of FsrB is necessary for
modification of the previously unknown FsrD peptide to
produce the mature GBAP signal.
GBAP is produced maximally at the end of exponential
phase in E. faecalis. When GBAP concentration reaches a
density-dependent threshold, it induces autophosphoryla-
tion of the sensor kinase FsrC followed by phosphotransfer
to the AgrA protein. Phosphorylated AgrA is a response
regulator that promotes expression of fsrBD,fsrC,andthe
virulence factors gelatinase and serine protease (Figure 2).
Recent transcriptome analyses of fsrBD mutants have
shown indirect regulation of genes involved in biofilm
NC
O
O
OC
C
N
N
N
+ Virulence factors
– Attachment, colonization
C
S
P
P
GBAP
AIP
AgrC
S. aureus
FsrC
E. faecalis
ComD
AgrD
FsrD
ComC
AgrB
FsrB
ComAB
AgrA
AgrA
+ fsrBD, fsrC, gelatinase, protease
+ agrBDCA
+ RNA III
ComE
+ ComX, comC
S. pneumoniae
CSP
Figure 2 Quorum sensing peptides of Streptococcus pneumoniae,Enterococcus faecalis, and Staphylococcus aureus.
Polypeptides ComC, FsrD, and AgrD are modified and exported out of the cell by the ComAB, FsrB, or AgrB transporters. Peptide
autoinducers bind to the sensor kinases ComD, FsrC, or AgrC on the cell surface and initiate a phosphorelay to a cytoplasmic
response regulator ComE or AgrA, which upregulates cell density-dependent gene expression.
Quorum-Sensing in Bacteria 989

formation, surface protein synthesis, and carbon source
uptake, as well as direct regulation of an uncharacterized
open reading frame. Interestingly, GBAP production is
critical for successful colonization in an animal model. It is
hypothesized that density-dependent regulation of gelati-
naseandserineproteasebyGBAPattheonsetofstationary
phase allows E. faecalis to liberate nutrient sources in the
host as they become limiting.
Staphylococcus aureus AgrD
S. aureus is a human pathogen that causes toxic shock
syndrome, food poisoning, and epidermal and endocardial
infections. The prevalence of antibiotic-resistant S. aureus
strains has placed it among the most commonly encoun-
tered nosocomial infections. S. aureus uses the accessory
gene regulation (agr) system to regulate numerous genes
involved in virulence and colonization in a density-
dependent fashion via an autoinducing peptide (AIP) signal.
AIP is a thiolactone containing octapeptide ring derived
from the 46-amino acid protein AgrD. To form AIP, AgrD
is proteolyzed, modified by addition of a thiolactone moi-
ety and exported from the cell by AgrB. Extracellular AIP
is detected by the AgrC sensor histidine kinase, which
autophosphorylates when bound to AIP. Phospho-AgrC
transfers its phosphate group to the response regulator
AgrA. The AgrC-AgrA two-component sensor kinase sys-
tem upregulates the agrBDCA operon, establishing a positive
feedback loop at sufficient extracellular AIP concentrations.
AgrA also induces transcription of the regulatory RNA,
RNAIII. RNAIII is an untranslated RNA that upregulates
many S. aureus virulence factors including toxins and extra-
cellular proteases while downregulating low-density genes
involved in attachment and colonization (Figure 2). Thus,
AIP signaling provides S. aureus with the ability for transi-
tion from colonization and survival at low cell density to
pathogenesis and nutrient acquisition at high cell density.
This behavior has been hypothesized to allow S. aureus to
establish a colonization site in the host before virulence
factor activity stimulates the host-immune response.
The S. aureus quorum sensing and response pathway is
very similar to the one found in E. faecalis; however, there
are notable differences including an increased number of
AIP-regulated genes as well as strain specificity of the
AIP signal. S. aureus AIP has been shown to modulate
expression of a larger number of genes, a feat accom-
plished by induction of RNAIII, and other
transcriptional regulators. AIP signaling has also been
shown to be strain-specific. There are four known
agrD specificity groups in S. aureus strains. AIP from a
single specificity group has been shown to inhibit the
AgrC sensor kinase of other groups. Thus, S. aureus has
acquired a way to compete against other strains of its own
species in an infection site when an individual strain
reaches a threshold cell density. Therefore, the first strain
in a single specificity group to achieve autoinduction of
the agr pathway will induce its own virulence factor
production and block quorum signaling activity in other
strains. Quorum sensing systems similar to AIP are pre-
sent in other Staphylococcus species, and these systems
exhibit group strain competition as well.
Bacillus subtilis ComX and Phr Peptides
B. subtilis is a soil bacterium that can undergo spore for-
mation or display genetic competence upon entry into
stationary phase. Roughly 10% of B. subtilis cells entering
stationary phase become competent. Competency in this
situation is thought to aid B. subtilis in DNA repair and
contribute to the inheritance of genetic material from
B. subtilis strains that have successfully grown to high
cell density. The decision to become competent or to
sporulate is influenced by many factors in a complex
regulatory pathway through which quorum signals play
a significant part.
The ComX peptide is a 10-amino acid linear peptide
derived from a 55-amino acid precursor product of the
comX gene. The original ComX polypeptide is cleaved,
modified, and exported out of the cell by the ComQ
protein. Extracellular ComX is sensed by the ComP
sensor kinase. Above threshold concentrations of extra-
cellular ComX, ComP phosphorylates the response
regulator ComA, which induces the comS gene. ComS
blocks proteolysis of the transcriptional activator ComK,
which upregulates the production of many genes that
stimulate competency in the host cell (Figure 3).
A second quorum signaling pathway utilizes multiple
proteinaceous pheromone (Phr) signals in a complex reg-
ulatory circuit (Figure 3). Phr precursors are proteolyzed
and exported out of the cell as linear pentapeptides.
Extracellular Phr is taken up into the cell by an ABC
oligopeptide transporter. Multiple Phr genes exist and
serve to antagonize the activity of several Rap phospha-
tase enzymes, which regulate many steps along the
sporulation and competence pathways. For example,
extracellular PhrA enters B. subtilis and binds directly
to the RapA regulatory phosphatase either preventing
it from binding or disassociating it from bound Spo0F-
phosphate. RapA bound to the intermediate response
regulator Spo0F-phosphate prevents a phosphorelay
cascade to the global response regulator Spo0A, thereby
preventing sporulation. Thus, increased PhrA levels are
one of many factors that allow sporulation to begin by
interrupting Spo0F inhibition of Spo0A. In addition to
PhrA, there are several other Phr-type signals that are
recognized by B. subtilis at the end of exponential phase
and help direct the organism to specialize in sporulation
or competence.
990 Quorum-Sensing in Bacteria

Lactococcus lactis Nisin
L. lactis is a fermentative bacterium commonly used in the
dairy industry to produce buttermilk and cheese. L. lactis
is classified as a lactic acid bacterium as it produces large
amounts of lactate upon fermentation of sugars found in
dairy products. L. lactis produces the antimicrobial
peptide nisin, which was discovered in 1928 due to its
ability to inhibit growth of other lactic acid bacteria. In
1988, nisin was approved by the FDA for use as a
preservative agent in the food industry.
Nisin is a Class I bacteriocin or lantibiotic character-
ized by its small size and the inclusion of the amino acids
lanthionine and -methyllanthionine as well as other
dehydrated amino acids. Nisin is bactericidal and forms
pores in bacterial membranes. This activity is especially
effective against other Gram-positive bacteria where cell
membrane perforations immediately cause a loss of mem-
brane integrity.
Despite its role as an antimicrobial agent, nisin also
serves as a density-dependent signal for L. lactis. Nisin is a
highly modified 34-amino acid product of the 57-amino
acid polypeptide NisA. NisA is modified and exported
out of the cell by the NisBCT membrane-associated
complex. Upon leaving the cell, modified NisA is cleaved
to form nisin by the extracellular NisP protease. Damage
of the parent cell membrane by nisin is prevented by the
production of several proteins that block nisin activity at
the cell surface. Extracellular nisin concentration is
sensed by the NisK sensor kinase, which phosphorylates
and activates the NisR response regulator. Nisin produc-
tion is maximal during early stationary phase growth.
NisR promotes expression of the nisA gene as well as
genes that encode for proteins that block nisin activity
at the cell surface, allowing for a positive feedback loop to
upregulate nisin production as L. lactis enters stationary
phase. Interestingly, the production of nisin demonstrates
the ability of a compound to act as both a quorum signal
and an antimicrobial agent. This type of dual function by
an extracellular compound provides L. lactis with an effi-
cient and powerful quorum signaling system that might
provide a notable competitive advantage in polymicrobial
environments.
ComX
ComQ
ComX
Com
ComP
Inactive
Spo0F
PP
P
Spo0F
Sporulation
PhrA
PhrA
PhrA
Phr SecA
N
NC
NC C
ABC
transporter
Active
RapA
Spo0A
ComK + Competence
+ comX
ComAComA
P
P
C
N
NC
Figure 3 Quorum sensing pathways in Bacillus subtilis.IntheComsystem(upperpanel),theComXproteiniscleaved,
modified, and exported out of the cell by the ComQ transporter. Mature ComX interacts with the ComP sensor kinase that
phosphorylates ComA. ComA-phosphate blocks the turnover of the transcriptional regulator ComK, which induces comX and
competence gene expression. The Phr system (lower panel) utilizes the PhrA protein, which is cleaved and exported out of the
cell using the Sec transport system. Mature PhrA returns to the cytoplasm via an oligopeptide ABC transporter and interferes
with RapA binding to Spo0F-phosphate. Spo0F-phosphate can then phosphorylate the response regulator Spo0A, which
induces sporulation genes.
Quorum-Sensing in Bacteria 991

Acylhomoserine Lactone (AHL) Quorum
Signals in Gram-Negative Bacteria
The distribution of Gram-negative and Gram-positive
bacterial species throughout the world is highly similar.
Both types of organisms inhabit nearly every known
niche on the planet and are involved in biogeochemical
mineral cycles, biochemical degradation, disease, and
the production of a staggering number of extracellular
small molecules. While Gram-positive species have
largely evolved to utilize polypeptide quorum signals
that depend on cell-surface receptors, Gram-negative bac-
teria often utilize soluble signals known as AHLs. Many
AHLs are able to pass through the lipid bilayer and are
therefore able to interact with cytoplasmic regulatory
proteins; thus, AHLs do not rely on the phosphorelay
cascades that Gram-positive quorum sensing pathways
commonly use. Both types of signals are effective due to
their stability and solubility in environments colonized by
the organisms that synthesize them.
V. fischeri LuxI/R
As mentioned previously, quorum signaling was discov-
ered in the luminescent marine bacteria V. fischeri and
Vibrio harveyi. In the early 1970s, researchers observed that
supernatants from stationary phase cultures could be
added to cells at low density and trigger light production.
This suggested the presence of an autoinducing com-
pound made in later phases of V. fischeri and V. harveyi
growth. Further study determined that the factor in spent
medium was relatively species-specific and dependent on
cell density rather than the nutritional status of the
cells. In 1981, the V. fischeri autoinducer was purified
and determined to be the AHL 3-oxo-hexanoyl-HSL
(3OC
6
-HSL). A variety of AHL compounds have been
characterized from other organisms and are collectively
referred to as autoinducer-1 (AI-1).
V. fischeri can be found free-swimming and can also
participate in a symbiotic relationship with the Hawaiian
bobtail squid Euprymna scolopes. V. fischeri colonizes a cav-
ity on the squid host known as the light organ. V. fischeri
receives nutrients from the host in the light organ and
emits light as its population density and AI-1 concentra-
tions increase. Luminescence from the light organ of
E. scolopes is thought to help the squid evade predation
by masking the organisms’ shadow in shallow water.
V. fischeri has also been observed to enter symbiotic rela-
tionships with other marine organisms such as the fish
Monocentris japonicus where a V. fischeri-dependent light
organ is used to attract a potential mate.
The V. fischeri LuxI protein synthesizes 3-oxo-C6-HSL
from S-adenosylmethionine (SAM) and acylated acyl car-
rier protein. Once synthesized, 3OC
6
-HSL freely diffuses
across the membranes and out of the cell. At a particular
density, a critical concentration of AI-1 is reached that
stimulates AI-1 to interact with and activate the response
regulator LuxR. Activated LuxR promotes transcription of
the luxR gene as well as the luxICDABEG operon, which
serves to produce light and generate more AI-1 (Figure 4).
Thus, a positive feedback loop develops at sufficient
cell densities, which allows for a substantial increase in
light production. AI-1 exists in many Gram-negative spe-
cies and is thought to function as an intraspecies-specific
signal.
Recently, a second AHL quorum signal has been
identified in V. fischeri and has been shown to function
as part of a regulatory network in combination with
3OC
6
-HSL and a third signal, the furanosyl borate diester
signal AI-2 (which will be discussed later). This AHL
signal is N-octanoyl HSL (C
8
-HSL) and is produced
by AinS (Figure 4). C
8
-HSL regulates luminescence
at low culture densities by relieving negative regulation
of the LuxR protein due to inactivation of the transcrip-
tional regulator LuxO. Inactivation of LuxO allows
upregulation of litR, whose gene product serves to
activate luxR transcription. C8-HSL also interacts with
LuxR directly, allowing for initial activation of the
luxICDABEG operon.
Pseudomonas aeruginosa Las/Rhl AI-1 System
P. aeruginosa is a Gram-negative bacterium commonly
isolated from soil environments, which is frequently
used as a model organism to study quorum sensing.
P. aeruginosa is an opportunistic pathogen that can cause
an array of infections in immunocompromised indivi-
duals, most notably those inflicted with the heritable
disease cystic fibrosis. Many of the genes necessary
for infection, nutrient acquisition, virulence factor pro-
duction, and biofilm growth are regulated by the
concentrations of two AHL signals produced by LasI
and RhlI. Due to its effects on virulence factor production,
interference with quorum signaling in P. aeruginosa has
been proposed as a therapeutic strategy. This novel
approach to antimicrobial therapy in a notoriously anti-
biotic-resistant organism makes further study of quorum
sensing in P. aeruginosa increasingly important.
The LasI protein synthesizes the signal N-(3-oxodo-
decanoyl)-L-HSL (3OC
12
-HSL). 3OC
12
-HSL interacts
with the LasR response regulator, which upregulates the
expression of multiple genes involved in virulence such as
the lasB protease as well as the lasI gene itself, establishing
3OC
12
-HSL as an autoinducer. While 3OC
12
-HSL is
diffusible, it can also partition into the cell membrane
and has been shown to be exported by efflux pumps in
P. aeruginosa.
The LasR-3OC
12
-HSL complex serves to upregulate
a second AHL-dependent system by inducing expression
992 Quorum-Sensing in Bacteria

of rhlR (Figure 5). RhlI synthesizes N-butyryl-L-HSL
(C
4
-HSL), which interacts with the response regulator
RhlR to regulate numerous genes including those
involved in secondary metabolite production, as well
as the rhlI gene that establishes a second AHL autoin-
duction loop. C
4
-HSL-dependent regulation overlaps
with 3OC
12
-HSL-mediated regulation in the control of
several genes such as the extracellular protease encoded
by the lasB gene. It is notable that 3OC
12
-HSL inhibits
the interaction of C
4
-HSL with its response regulator
RhlR while inducing expression of the rhlR gene. This
interaction serves to maintain levels of C
4
-HSL low until
RhlR concentration increases to levels sufficient to interact
with the low levels of C
4
-HSL produced in late exponential
phase. Thus, the activation of the C
4
-HSL–RhlI feedback
loop becomes functional only after LasR-3OC
12
-HSL-
dependent regulation has occurred.
Both quorum signals in P. aeruginosa ultimately serve to
regulate the expression of over 300 genes involved in
diverse pathways. Such regulation is not achieved by the
LuxR-like LasR and RhlR response regulators alone. For
example, LasR induces expression of the vqsR gene,
whose product upregulates genes involved in virulence
factor production and quorum signaling. Apart from
downstream regulators induced by LasR or RhlR,
‘orphan’ LuxR-type regulators that do not have a cognate
LuxI-type produced AHL signal have been discovered.
QscR is a LuxR-type response regulator that binds the
promoters of several genes in the presence of the LasI-
generated signal 3OC
12
-HSL. Apart from these interac-
tions, QscR has been shown, at least indirectly, to repress
lasI expression (and was in fact named for this activity,
quorum signaling control repressor). The manner in
which QscR represses lasI expression is unclear but has
been hypothesized to involve heteromultimerization of
QscR and LasR. Another hypothesis is that QscR binding
to 3OC
12
-HSL prevents this AHL from coming in contact
with its cognate regulator LasR. Interestingly, QscR has
also been shown to be more promiscuous in AHL binding
than either LasR or RhlR, suggesting a role in interspecies
AHL sensing. Ultimately the HSL-dependent quorum
signaling network combined with orphan response regu-
lators contribute a great deal to global gene regulation in
P. aeruginosa.
LuxO
LuxR
LuxI
AinS
luxR
OO O
O
N
H
3OC6 HSL
C8 HSL
O
O
OO
N
H
luxICDABEG
Luminesence
LitR
litR
Figure 4 Quorum sensing in Vibrio fischeri. The LuxI-produced 3OC
6
-HSL diffuses out of the cell until it reaches sufficient
concentration to induce the LuxR response regulator. 3OC
6
-HSL-LuxR induces expression of the luxR and the luxICDABEG genes,
which increase synthesis of 3OC
6
-HSL as well as proteins involved in bioluminescence. At low cell density, C
8
-HSL, produced by the
AinS gene, provides initial activation of LuxR by direct activation as well as by inhibiting LuxO, preventing the litR gene product from
inducing the luxR gene, thereby increasing levels of luxR transcript in the cell.
Quorum-Sensing in Bacteria 993

Agrobacterium tumefaciens Tra System
A. tumefaciens is a Gram-negative soil bacterium, which is
the causative agent of crown gall disease in plants. Some
A. tumefaciens strains carry a Ti (tumor-inducing) plasmid
that contains the LuxI/R-type quorum signaling genes
traI and traR. The Ti plasmid also carries genes that
encode for specific plant hormones. After conjugation of
the Ti plasmid from A. tumefaciens to the host nucleus,
plants synthesize these hormones that then stimulate cell
proliferation and tumor formation.
Free-swimming A. tumefaciens move throughout the
soil by flagellar motility and search for susceptible
hosts by chemotaxis toward metabolic intermediates
released from wounded plants. Upon contacting the
host, A. tumefaciens produces cellulose fibrils as well as
attachment proteins to anchor it to host tissue. After
attachment, A. tumefaciens vir (virulence) genes are
induced by host-derived compounds that in turn activate
synthesis of a secretion apparatus that directs transloca-
tion of the Ti plasmid from A. tumefaciens into the host. Ti
plasmid-encoded hormones then cause cell proliferation
and tumor formation. The Ti plasmid also contains genes
whose products direct synthesis of opines. Opines are
specialized amino acids that A. tumefaciens uses as a growth
substrate. There are at least two known classes of opine-
encoding genes, octapine and nopaline, and A. tumefaciens
strains or pathovars can be classified by which genes are
present on the Ti plasmid. These plasmid-borne genes
not only direct host synthesis of opines, but contain opine
catabolism genes, allowing A. tumefaciens to use opines as a
source of carbon and energy.
A. tumefaciens uses the TraI/R quorum sensing system
to regulate conjugation of the Ti plasmid between
A. tumefaciens strains. The traI/R quorum signaling genes
are similar to the luxI/R genes from V. fischeri, but
there are key differences in regulation. In octapine-utiliz-
ing pathovars, the A. tumefaciens transcriptional activator
OccR is induced by the presence of the opine
octapine. OccR positively regulates expression of traI,
whose product synthesizes the N-(3-oxo-octanoyl)-L-
HSL (3OC
8
-HSL) quorum signal. In nopaline-utilizing
O
OH
pqsH lasB
vqsR
lasl
H
N
OO O
O3OC12HSL
rhlR
rhll
OO
OC4HSL
N
H
rhIAB
pyocyanin
virulence factors
PqsH
LasR Lasl
QscR
RhlR RhlI
N
PQS
Figure 5 Quorum sensing in Pseudomonas aeruginosa. 3OC
12
-HSL produced by the LasI synthase interacts with the LasR
transcriptional regulator, which upregulates lasI,lasB,vqsR, and pqsH. 3OC
12
-HSL also interacts with the orphan transcriptional
regulator QscR to repress lasI expression. PqsH produces the quinolone signal PQS that is transported between cells via outer
membrane vesicles. PQS induces expression of the rhlR gene whose product induces expression of the rhlI synthase gene as well as
several other virulence factors when induced by the RhlI-produced C
4
-HSL signal.
994 Quorum-Sensing in Bacteria

pathovars, the opine agrocinopine inactivates the traR
repressor AccR. This interaction also increases expression
of traI in the cell (Figure 6).
Increased traI expression in the cell ultimately leads to
an increase in 3OC
8
-HSL. As 3OC
8
-HSL reaches a cri-
tical threshold, it induces traR expression. When TraR is
bound to 3OC
8
-HSL, it induces traI,establishinganauto-
feedback loop. Activated TraR also induces expression of
the trb operon, which produces the mating pore between
two A. tumefaciens cells; the tra operon, which helps mobilize
the Ti plasmid; and the traM gene. TraM inactivates TraR,
thus providing a means for A. tumefaciens to downregulate
the quorum signal-dependent synthesis of the conjugation
apparatus after it has begun. The A. tumefaciens TraI/R
system, while similar to the LuxI/R system of V. fischeri,
has an additional level of regulation dependent on host
opine production ensuring that quorum signal-controlled
induction of conjugation does not occur prematurely
outside of a compatible host. This system serves as an
elegant example of interspecies-dependent cues having
regulatory input in bacterial signaling pathways.
Pantoea stewartii EsaI/EsaR System
The Gram-negative bacterium P. stewartii is the causative
agent of Stewart’s bacterial wilt and leaf blight in
sweet corn and maize. P. stewartii is spread by infected
populations of the corn beetle, Chaetocnema pulicaria that
introduces the bacterium into the xylem and intercellular
leaf spaces of the plant during feeding. Infection by
P. stewartii results in wilting due to colonization of the
xylem and formation of water-soaked lesions due to
bacterial growth within young leaves. Buildup of large
amounts of exopolysaccharide (EPS) results in vascular
occlusion of plant tissue. EPS secreted by P. stewartii is the
(a) (b)
Opines Ti
(c)
Tumor
Octapine Agrocinopine
OO O3OC8 HSL
traR+ tral
Tral
AccR
TraR
OccR
TraM
+ trb operon
Octapine Conjugation Agrocinopine
Catabolism
Catabolism + tra operon
+ traM
O
N
H
Figure 6 Quorum sensing in Agrobacterium tumefaciens. (a) A plant infected with A. tumefaciens displaying a characteristic tumor.
(b) Inside the tumor, proliferating host cells that carry the Ti plasmid produce an opine nutrient for A. tumefaciens. (c) Octapine-type
opines interact with the OccR transcriptional regulator causing it to upregulate octapine catabolism genes as well as induce traI
expression. TraI synthesizes the 3OC
8
-HSL signal that interacts with the TraR protein, causing it to further induce traI expression and
the trb and tra operons utilized in conjugation. 3OC
8
-HSL-TraR also induces the traM gene, whose product inhibits TraR activity.
Quorum-Sensing in Bacteria 995

principal virulence factor and is part of a multistep
invasion process.
P. stewartii secretes EPS in a cell density-dependent
fashion. Biosynthesis of EPS is encoded by the cps gene
cluster, while regulation of EPS synthesis is mediated
partly by the EsaI/R quorum signaling system. The
EsaI/R system also controls the Hrp (hypersensitivity
and pathogenicity) regulon. P. stewartii requires the Hrp
type III secretion system for infection of the intercellular
leaf spaces and formation of the characteristic water-
soaked lesions.
The cps genes are regulated by the Rcs (regulator of
capsule synthesis) two-component signal transduction
system that detects environmental signals. The Rcs sys-
tem is composed of the RcsB cytoplasmic response
regulator and the RcsC transmembrane sensory protein.
It is thought that for complete induction of the cps genes,
another protein (RcsA) may be required. Also, in the
absence of AHLs, EsaR negatively regulates the cps genes.
Interestingly, the AHL synthase gene esaI is constitu-
tively expressed and is not autoregulated by esaR like
many other luxI/R-type genes, while esaR is autorepressed
by the EsaR protein. EsaI synthesizes 3-oxo-C
6
HSL and
small amounts of 3-oxo-C
8
HSL. Mutants in esaI do not
produce AHLs or EPS and are avirulent. In contrast, esaR
and esaI/R double mutants demonstrate a constitutive
hypermucoidy phenotype and are less virulent than the
wild type. The hypermucoidy mutants of P. stewartii also
appear impaired in attachment compared to wild-type
P. stewartii. This indicates the importance of quorum
control of pathogenicity factors in P. stewartii as produc-
tion of EPS at an incorrect location and phase of infection
renders the cells avirulent and unable to colonize the host.
Acidithiobacillus ferrooxidans AfeI/R
A. ferrooxidans is a Gram-negative acidophilic chemolitho-
trophic bacterium that is commonly found in multispecies
biofilms on mineral surfaces such as pyrite and elemental
sulfur in rock and soil. A. ferrooxidans catalyzes the oxida-
tion of iron and sulfur yielding sulfuric acid. It is a
causative agent of acid mine drainage, which can lead to
groundwater contamination. The ability of A. ferrooxidans
to dissolve mineral structures can also be used in ‘biomin-
ing’ where acid solubilization of rocks and soil can release
minerals such as copper and gold that are used in indus-
trial applications. This process, also known as bioleaching,
is a slower yet more energy efficient and environmentally
containable process as opposed to traditional smelting of
ores to release rare metals.
To date, AHL quorum signaling in A. ferrooxidans is
relatively poorly understood. Recent studies have deter-
mined that A. ferrooxidans produces nine different medium
to long-chain (C8–C16) AHL signals containing an even
number of carbons. The AHL signals also contain either
oxo or hydroxyl modifications at the third carbon of the
molecule. At this time, only one AHL synthesis gene, afeI,
has been identified and characterized, but another open
reading frame has been hypothesized to be an AHL
synthase due to its sequence homology to the AHL
synthase hdtS from Pseudomonas fluorescens.
AfeI is similar to LuxI of V. fischeri and produces
five different AHLs when expressed in an AHL-lacking
Escherichia coli strain. Immediately downstream of the afeI
gene in A. ferrooxidans is the luxR homologue afeR.
Transcriptional studies show that afeI and afeR transcripts
are present and afeI transcript levels increase relative to
increases in AHL concentration. Downstream regulatory
targets for AfeR in A. ferrooxidans have not been fully
determined, but it has been shown that afeI transcripts
are strongly induced during phosphate-limiting condi-
tions. It has also been shown that there are differential
increases of specific AHL molecules during growth in
sulfate, thiosulfate, or iron-containing medium. This
data suggest that the type of AHL signal produced may
be influenced by the growth substrate as well as cell
density. The fact that A. ferrooxidans is often found in
multispecies biofilms and produces a variety of AHL
types could also suggest a role for A. ferrooxidans in mod-
ulating density-dependent expression of other species in
response to growth substrates in situ.
The Study of AHL-Dependent Signal
Pathways Demonstrated the Presence
of Another Quorum Signal AI-2
V. harveyi and the LuxS-Produced Signal AI-2
Previously we discussed the discovery of quorum signal-
ing in the luminescent marine bacteria V. fischeri. Further
work with V. fischeri identified and characterized the
LuxI/R regulatory circuit and the AI-1 HSL signal.
However, determining the nature of the density-
dependent signal in the closely related luminescent
bacterium V. harveyi yielded different results. V. harveyi
luminescence is density-dependent, inducible by spent
culture medium, and is dependent upon a 3OHC
4
-HSL.
Despite these similarities, genes homologous to luxI and
luxR were not found on the V. harveyi chromosome.
Mutational analysis determined that V. harveyi
3OHC
4
-HSL was produced by the AHL synthase proteins
LuxL and LuxM. It is not clear which protein is the actual
synthase, but the presence of both is necessary for
3OHC
4
-HSL production. Neither gene has significant
sequence homology to V. fischeri luxI but appear to carry
out similar reactions to synthesize 3OH-C
4
-HSL. It was also
found that a luxN gene encoded for a sensor kinase protein,
which was necessary to sense extracellular AHLs. This
mechanism is reminiscent of Gram-positive AIP sensors.
996 Quorum-Sensing in Bacteria

LuxN was later shown to autophosphorylate at low 3OHC
4
-
HSL concentrations and transfer phosphate to the LuxO
response regulator via the intermediate LuxU. LuxO-phos-
phate represses expression of the luxCDABE luminescence
operon, ensuring that light production is turned off at low
AHL concentrations. Knockout mutants in either the luxLM
synthesis genes or the luxN sensor kinase gene did not
completely abrogate density-dependent expression of lumi-
nescence genes. This suggested the presence of a second
quorum signaling system in V. harveyi.
The same mutational study that characterized the
luxL,luxM, and luxN genes also showed that deletions in
the sensor kinase luxQ and periplasmic binding protein
luxP were necessary for density-dependent luminescence
independent of the 3OHC
4
-HSL signal. These proteins
were shown to be part of a second sensory mechanism in
V. harveyi. Reporter strains were created using the luxP
and luxQ genes to detect a second signal. Initial biochem-
ical characterizations revealed that a second signal could
activate the luxQP reporter strains, and this signal was
named AI-2. Surprisingly, AI-2 is produced by several
other species of bacteria and the luxS gene responsible for
AI-2 synthesis was identified in V. harveyi,E. coli, and
Salmonella typhimurium shortly after.
LuxS synthesizes AI-2 as part of a detoxification reaction
in the activated methyl cycle. Methyl transfer reactions are
vital in bacterial metabolism and are dependent on the
methyl donor SAM. SAM is converted into the toxic S-
adenosylhomocysteine (SAH) molecule and can be detox-
ified by two different mechanisms. The first mechanism
utilizes the SAH hydrolase gene, which hydrolyzes SAH
into the SAM precursors adenosine and homocysteine.
Organisms that do not produce AI-2, such as P. aeruginosa,
utilize this pathway. The second mechanism utilizes the Pfs
enzyme, which hydrolyzes SAH into adenosine and S-ribo-
sylhomocysteine (SRH). Homocysteine is removed from
SRH leaving 4,5-dihydroxy-2,3-pentanedione (DPD) in a
reaction catalyzed by the LuxS enzyme; DPD sponta-
neously cyclizes to form the furanosyl diester AI-2.
Recent work has shown that AI-2 in V. harveyi incorporates
boric acid into its structure, the first known biological use of
this molecule. To date, it does not appear that boron-con-
taining AI-2 signals are used outside of the Vibrio genus and
that AI-2 molecules lacking boron function as signals in
other bacteria.
As mentioned above, AI-2 is recognized by the sensor
kinase LuxQ via the periplasmic AI-2-binding protein
LuxP. When a threshold concentration of AI-2 is reached,
LuxQ changes from a kinase to a phosphatase, removing
the phosphate from its downstream target LuxU. As LuxU
is dephosphorylated, it removes phosphate from the
LuxO protein. Unphosphorylated LuxO loses the ability
to repress the luxCDABE operon, and luminescence genes
are then activated by the transcriptional activator LuxR,
which has no homology to the V. fischeri LuxR regulator.
Thus, the V. harveyi quorum-signaling pathway utilizes
the input of two separate density-dependent signals that
act on the central regulator LuxO. This pathway is similar
to the Vibrio cholerae quorum-signaling pathway described
in Figure 7.
OH CAl-1
CqsS
Qrr 1–4
hapR
+ hap protease
Virulence factors, biofilm development
tcpP
LuxQ
LuxP HO
HO
OBO
O
Al-2
OH
HO
CqsA
PPP
LuxO
LuxO
LuxS
HapR
O
Figure 7 Quorum sensing in Vibrio cholerae. CqsA and LuxS produce CAI-1 and AI-2, respectively. CAI-1 interacts with the CqsS
sensor phosphatase, and AI-2 interacts with the LuxQ sensor phosphatase via the AI-2-binding protein LuxP. Both phosphatases
remove phosphate from the LuxO protein. Dephosphorylated LuxO is inactive and no longer induces expression of the small RNAs
Qrr1-4, which served to repress hapR expression. Translation of HapR induces expression of the hapR protease gene and represses
expression of genes involved in virulence and biofilm formation.
Quorum-Sensing in Bacteria 997

It is notable that AI-2 synthesis is directly linked to a
key metabolic pathway in organisms that carry the luxS
gene. Because of this link, it is hypothesized that LuxS
production is an indicator of the metabolic status of the
organism as well as its population density. This could be
similar to the differential AI-1-type signal production
seen in A. ferrooxidans. It should also be mentioned that
only two genomes sequenced to date contain genes for
both SAH detoxification mechanisms, and this phenom-
enon may indicate a point of divergence in bacterial
evolution.
AI-2 and V. cholerae
V. cholerae is a free-swimming marine bacterium and is the
causative agent of cholera in humans. V. cholerae is com-
monly found attached to the surface of zooplankton in the
ocean. Cholera outbreaks can be associated with zoo-
plankton blooms near human populations. During the
course of disease, V. cholerae is ingested and survives the
low pH of the stomach to colonize the host small intestine.
During colonization, V. cholerae uses motility and muci-
nase to penetrate the mucus layer of the intestine and gain
access to the underlying epithelial cell layer.
Currently, V. cholerae strain El Tor is the cause of a
global cholera pandemic in underdeveloped nations.
V. cholerae El Tor contains the HapR regulator that
represses expression of virulence factors such as the
cholera toxin (CT) and the cholera toxin coregulated
pilus (TCP). TCP and CT have been shown to be critical
for V. cholerae host colonization in animal models. The
HapR regulator is acted upon by quorum signals in
V. cholerae El Tor and links the quorum signaling pathway
to virulence factor production. Previous pandemic strains
of V. cholerae contain mutations within the hapR gene and
are not considered to be responsive to quorum signaling.
V. cholerae contains a quorum sensing system that is
similar to V. harveyi. However, one of the autoinducer
signals as well as the genes regulated by quorum signaling
are different in V. cholerae.InV. cholerae, the AI-2 signal and
the recently characterized signal (S)-3-hydroxytridecane-
4-one (CAI-1) are recognized by the sensor kinases
LuxQ and CqsS, respectively (Figure 7). In low cell
density conditions, LuxQ and CqsS act as kinases
that phosphorylate LuxU, which then transfers its phos-
phate to LuxO much like the pathway in V. harveyi.
Phosphorylated LuxO induces the expression of four
small regulatory RNAs (sRNAs) known as Qrr1-4.
These sRNAs interact with the sRNA chaperone protein
Hfq and induce expression of an uncharacterized regula-
tory gene (vca0939) as well as destabilize the mRNA for
hapR, the master quorum signaling regulator. When hapR
is repressed, virulence genes are upregulated, due in part
to removal of HapR repression of the tcpP gene, which
encodes the signaling protein TcpP that induces
expression of the ToxT regulator. ToxT induces expres-
sion of the virulence factors TCP and CT, so in
conditions of low cell density and autoinducer concentra-
tions, virulence and biofilm development genes are
upregulated. TCP allows for cell–cell aggregation of
V. cholerae as well as attachment to the host. CT activity
causes epithelial cells to excrete large amounts of water,
ultimately causing the host to rapidly expel its intestinal
contents, one of the hallmark symptoms of a V. cholerae
infection.
At high cell densities, LuxQ and CqsS act as phospha-
tase in the same fashion as LuxQ and LuxN in V. harveyi.
LuxQ and CqsS ultimately cause the dephosphorylation
of LuxO, which causes expression of the Qrr sRNAs to be
decreased. As Qrr sRNA expression decreases, hapR is
upregulated. HapR blocks expression of virulence factors
and genes involved in biofilm development. HapR also
induces expression of the hap gene, which encodes for a
protease that aids V. cholera in release from a colonized
area. In V. cholerae, density-dependent signals provide the
cell with a method to change cell behavior from a colo-
nizing, scavenging lifestyle at low density, to a motile,
migratory lifestyle at high cell density. Interestingly, this
change in behavior occurs at a time when pathogenic
effects of V. cholerae are inducing the host to expel large
amounts of intestinal contents, thus allowing the freshly
liberated V. cholerae to return to a free-swimming lifestyle.
It is also interesting that quorum signal-utilizing patho-
gens such as S. aureus and P. aeruginosa upregulate
virulence factors at high density to form persistent infec-
tions, whereas V. cholerae downregulates virulence and
rapidly leaves the host once high population density has
been achieved.
E. coli,S. typhimurium, and AI-2
The Gram-negative enteric bacteria E. coli and S. typhimurium
both grow in the lower intestine of mammals. While certain
E. coli strains are pathogenic, many strains are part of the
normal flora. S. typhimurium is the causative agent of typhoid
fever and, while closely related to E. coli,isoftenamore
transient inhabitant of the gastrointestinal tract. Both of these
bacteria produce AI-2 using the LuxS enzyme, with max-
imum production occurring at mid-exponential phase
growth. Surprisingly, extracellular AI-2 concentrations
drop rapidly as either organism enters stationary phase.
This suggests a mechanism for AI-2 sequestration or
degradation.
AI-2 has been shown to regulate several genes in both
E. coli and S. typhimurium. These genes include the
lsrACDBFGE operon, the lsrK kinase gene, and lsrR
whose product represses the lsr operon. In both organisms,
AI-2 is produced during growth and accumulates outside
of the cell. When threshold AI-2 concentrations are
reached, AI-2 is imported by the LsrABCD ABC
998 Quorum-Sensing in Bacteria

transporter. After import into the cell, AI-2 is phosphory-
lated by the LsrK kinase and catabolized by the LsrE,
LsrF, and LsrG proteins. The products of phospho-AI-2
catabolism have not been characterized at the time of this
writing. While the import and catabolism of AI-2 by these
organisms is regulated in a density-dependent fashion, it
is unclear if these organisms utilize AI-2 to direct group
activities. The simplest explanation is that AI-2 is pro-
duced as a metabolite during SAH detoxification in the
activated methyl cycle and is taken as backup to be
utilized as a carbon source later in the growth phase.
Despite the possibility that E. coli and S. typhimurium
may utilize AI-2 only as a metabolite, production of AI-2
by these bacteria may affect gene expression of other
AI-2 responsive bacteria in polymicrobial environments.
In a 2005 Nature paper, Karina Xavier and Bonnie Bassler
demonstrated that when V. harveyi or V. cholera were
grown in coculture with E. coli, they were subject to
interference of AI-2-mediated signaling due to the ability
of E. coli to respond to higher AI-2 concentrations. As
E. coli cell density increased, it was able to remove AI-2
from the culture and reduce expression of AI-2-
dependent genes in either Vibrio species. At low cell
densities, premature induction of AI-2-regulated genes
was observed in V. harveyi, as the AI-2 produced by
E. coli increased the AI-2 concentration that V. harveyi
would normally encounter at that cell density. It is appar-
ent from these studies that AI-2 signal turnover can have
substantial effects on multispecies interaction even if AI-2
does not appear to have a strong role in quorum-signal-
dependent behavior in a single species.
luxS-Dependent Interactions in Human Oral
Bacteria
The human oral cavity is populated by over 300 different
bacterial species. There are several distinct niches within
the oral cavity (tooth enamel surface, epithelial cell sur-
face, and the subgingival space), all of which can be
colonized by bacteria growing in multispecies biofilms.
Many species isolated from the oral cavity contain the
luxS gene, and in several cases, density-dependent AI-2-
mediated behavior has been observed in single and multi-
species cultures.
Streptococcus mutans is a common inhabitant of the oral
cavity and is the causative agent of dental caries. Merritt
and Shi in a 2003 Infection and Immunity paper demon-
strated that biofilm formation by S. mutans was altered in a
luxS mutant. The S. mutans luxS mutant formed a biofilm
with denser cell aggregates that was more resistant to
detergent and antibiotics. While growth rate and acid
production did not appear to be altered in the luxS
mutant, it was not determined whether extracellular
AI-2 concentration or the effects of impeded SAH
detoxification were responsible for the mutant phenotype.
Direct AI-2-dependent interaction in oral bacteria was
reported in 2003 by McNab and Lamont in the Journal
of Bacteriology. The researchers demonstrated that
Streptococcus gordonii and Porphyromonas gingivalis formed
significantly dense biofilm structures if either organism
contained a functional luxS gene. Simultaneous luxS
mutations in both species led to diminished biofilm for-
mation, suggesting that luxS-dependent AI-2 formation
from one organism can complement the ability of the
other to form more fully developed multispecies biofilms.
This phenomenon is similar to another described in a
2004 Proceedings of the National Academy of Sciences paper by
Egland and Kolenbrander. In that study, S. gordonii was
shown to upregulate production of amylase only when
grown in close proximity to Veillonella atypica. This inter-
action was hypothesized to be dependent on an increase
in local concentration of a diffusible signal when the
bacteria grow in close proximity to one another. This
data suggest that signal production by S. gordonii alone is
insufficient to upregulate amylase under the conditions
tested, and the presence of another signal-producing
organism is also necessary. AI-2 is hypothesized to be
the diffusible signal in this system, but this has not been
unequivocally shown. Both of these cases demonstrate
that extracellular signal concentrations are critical to
modulate behavior in each organism. This is notable
because in the case of S. mutans and other literature dis-
cussing luxS-dependent signaling events, it is often
unclear if the phenotypes observed are due to actual
AI-2-dependent signaling, or due to metabolic effects
caused by an impediment of SAH detoxification.
AI-2-dependent quorum signaling has also been
observed in the opportunistic pathogen Aggregatibacter
actinomycetemcomitans. LuxS activity or exogenous AI-2
addition to cultures have been shown to cause differential
expression of iron uptake genes as well as leukotoxin
production. AI-2 production by A. actinomycetemcomitans
has also been shown to complement luxS-dependent
gene expression in a P. gingivalis luxS mutant when cocul-
tured. A 2007 Infection and Immunity paper by Shao and
Demuth demonstrated that A. actinomycetemcomitans is
impaired for biofilm production in a luxS mutant.
Subsequent complementation of luxS by P. aeruginosa
sahH seems to restore the ability to detoxify SAH in the
activated methyl cycle, but exogenously added AI-2 was
necessary to restore the biofilm phenotype. While sahH
transcripts were present in the complemented strain, it is
not clear if SahH was produced and able to detoxify SAH.
Despite the unknown status of SahH activity, this data
strongly suggest that AI-2 serves as a signal for commu-
nity behavior in A. actinomycetemcomitans, and not just a
metabolite produced in the activated methyl cycle.
AI-2 signaling is responsible for density-dependent
regulation of genes in several well-characterized systems.
At this time, over 153 separate eubacterial genomes
Quorum-Sensing in Bacteria 999

contain a luxS-like sequence according to the Kyoto
Encyclopedia of Genes and Genomes (KEGG) database.
It is evident that in the case of Vibrio species and
several inhabitants of the mammalian oral cavity,
AI-2-dependent signaling plays a critical part of these
organisms’ lifestyle. However in many organisms, the
presence of a luxS gene does not correlate to density-
dependent signaling behavior. The ‘other’ function of
LuxS as part of the activated methyl cycle is an important
component of metabolism, and it cannot be assumed at
this time that phenotypic changes in luxS knockouts are
exclusively due to AI-2 signaling and not disruption of
SAH detoxification.
Other Types of Quorum Signals
In addition to AI-1, AI-2, and peptide autoinducer signals,
there are many other types of quorum signals utilized by
bacteria. We are only beginning to understand the mole-
cular aspects of these systems, and in some cases the
structure of the signal is not known.
The AI-3/Epinephrine Quorum Signaling System
E. coli is a common inhabitant of the human lower intestine.
Recently, strains have evolved that carry multiple virulence
factors giving rise to enterohemorrhagic E. coli (EHEC)
strains such as E. coli O157:H7. EHEC strains are notorious
for their ability to cause hemorrhagic colitis and hemolytic-
uremic syndrome. As EHEC colonizes the lower intestine, it
forms lesions on host epithelial tissue and produces a Shiga-
type toxin. A majority of the genes involved in attachment,
lesion formation, and virulence exist on the EHEC chromo-
some in a pathogenicity island known as the locus of
enterocyte effacement (LEE).
Expression of LEE genes is regulated by factors present
in the native E. coli chromosome as well as factors encoded
on LEE itself. In addition to these, some LEE genes appear
to be regulated in a cell density-dependent fashion.
Preliminary studies of a luxS EHEC mutant showed
changes in LEE gene expression, indicating that AI-2
may play a role in regulation. However, the addition of
exogenous AI-2 to the luxS mutant did not complement
LEE gene regulation. This data suggested that LEE gene
regulation was subject to metabolic changes observed in
the luxS mutant. It was then shown that LEE gene regula-
tion could be complemented by concentrated extracts
from luxS mutant supernatants, and that an unidentified
compound chemically different from AI-2 was synthe-
sized at a low rate in the luxS mutant. LEE gene
expression phenotypes were also restored in a luxS
mutant strain that was complemented with the SAH
hydrolase enzyme from P. aeruginosa. This experiment
determined that homocysteine formation by either the
SAH hydrolase enzyme or LuxS restored LEE gene
expression. This suggested the presence of an inducer
deemed, AI-3, whose biosynthesis utilizes precursors
from the activated methyl cycle.
Other studies indicated that LEE gene expression
could be influenced by epinephrine and norepinephrine
hormones from the host, and it was hypothesized that AI-
3 might resemble epinephrine/norepinephrine due to
similarities in chemical properties. At this time, the struc-
ture of AI-3 is still unclear; however, the addition of
exogenous epinephrine/norepinephrine induces similar
sets of genes when compared to addition of impure AI-
3 extracts. It has also been shown that AI-3 and epinephr-
ine induce LEE genes as well as other targets and are
dependent on the sensor histidine kinase QseC. EHEC
are likely to come in contact with epinephrine/norepi-
nephrine in the lower intestine during colonization as
norepinephrine is produced by neurons in the enteric
nervous system and epinephrine is secreted as a systemic
response to host stress during EHEC disease progression.
The discovery of QseC as a receptor for both a host-
produced hormone and a bacterially produced quorum
signal is astounding and contains many implications for
future discoveries in quorum signaling as well as evolu-
tion between the bacterium and the host.
Bradyrhizobium japonicum Bradyoxetin Signal
Bradyoxetin is produced by the nitrogen-fixing soil bac-
terium B. japonicum. Genes involved in biosynthesis are
unknown at this time, although the biosynthetic pathway
is likely similar to that of the siderophore mugenic acid.
Similar to siderophores, bradyoxetin production is regu-
lated by Fe
3þ
concentration as well as cell density
with bradyoxetin produced maximally at high cell densi-
ties or at low Fe
3þ
concentrations. At high cell densities,
bradyoxetin appears to upregulate its own synthesis as
well as the response regulators nolA and nodD2, whose
products repress the expression of nod genes necessary
for symbiotic root nodule formation in legumes. This
system is yet another instance of quorum signal produc-
tion being controlled by population density as well as the
metabolic state of the organism.
Pseudomonas aeruginosa Pseudomonas
Quinolone Signal (PQS)
In addition to the LasI- and RhlI-produced AI-1 AHL
signals, P. aeruginosa synthesizes a quinolone compound
PQS important for quorum signaling gene expression.
PQS was discovered in 1999 by Everett Pesci, and its
chemical structure is 2-heptyl-3-hydroxy-4-quinolone
(Figure 5). PQS is synthesized from anthranilate via the
1000 Quorum-Sensing in Bacteria

phnAB and pqsABCDE gene products, which produce the
precursor 4-hydroxy-2-heptyl-quinoline (HHQ). HHQ
is converted into PQS by the PqsH protein.
PQS functions as part of the AI-1-mediated quorum
signaling network in P. aeruginosa. Activated LasR (bound
to 3OC
12
-HSL) can upregulate pqsH, ultimately increas-
ing PQS concentration in a 3OC
12
-HSL-dependent
manner. As PQS concentration increases, it induces rhlI
expression in a rhlR-dependent manner. PQS negative
mutants lack the ability to produce many virulence fac-
tors that are also absent in rhlR mutants. Thus, PQS serves
as a link between the LasI/R and RhlI/R quorum signal-
ing systems (Figure 5).
PQS is also interesting due to its hydrophobic nature.
The hydrophobicity of PQS suggests that it would be a
poorly diffusible signal in aqueous environments.
Recently, it has been discovered by our lab that PQS is
transported by outer membrane vesicles. This phenom-
enon allows PQS to be moved by a water-soluble carrier
that may also serve to protect the signal from extracellular
degradation by other organisms. Another interesting
property of PQS is that its production appears to be
restricted to P. aeruginosa (at least to this point), while its
precursor HHQ is synthesized by many other Gram-
negative bacteria, notably Burkholderia,Pseudomonas, and
Alteromonas species. HHQ has also been shown to act as a
signal in P. aeruginosa because of its release and uptake by
neighboring cells and subsequent conversion into PQS.
Thus, the production of 2-alkyl-4-quinolone compounds
by these organisms suggests another class of quorum
signaling molecules.
Ralstonia solanacearum 3-Hydroxypalmitic Acid
Methyl Ester (3-OH PAME)
R. solanacearum is a Gram-negative plant pathogen that
causes wilting in many different plant species. R. solana-
cearum infects plants at the root and over several days
enters the xylem where it travels to the aerial portions
of the plant. R. solanacearum colonizes the xylem and
expresses several extracellular and intracellular virulence
factors. A primary virulence factor in wilting disease is the
production of copious amounts of EPS that physically
blocks fluid transport through the xylem of the plant,
thereby leading to wilting. This disease is very similar
to the previously mentioned Stewart’s wilt disease caused
by P. stewartii.
R. solanacearum virulence factor production is ulti-
mately controlled by the concentration of the quorum
signal 3-OH PAME (Figure 8). 3-OH PAME is produced
by the PhcB protein and released from the cell. When
3-OH PAME reaches a threshold concentration, it inter-
acts with the sensor kinase PhcS, which then transfers a
phosphate group to inactive the PhcR protein. PhcR
inactivation allows the regulator PhcA to activate. PhcA
ultimately controls the expression of many virulence
genes in R. solanacearum as well as a LuxI/R like signaling
system encoded by the solI/R genes.
3-OH PAME is significant among quorum signals
because it is a volatile compound. Volatility of a quorum
signal has positive and negative consequences in that it
allows rapid signaling over greater distances than an
aqueous signal; however, the signal can also diffuse
away from receptive cell populations before a threshold
PhcS
3-OH PAME OH
O
O
CH3
+ soll/R
+ Virulence
g
enes
Active Inactive
PhcR
PhcA PhcA
PhcR PhcB
P
P
Figure 8 Quorum sensing in Ralstonia solanacearum. PhcB synthesizes the volatile signal 3-OH PAME. 3-OH PAME interacts with the
PhcS sensor kinase to phosphorylate the PhcR regulatory protein. PhcR-phosphate is unable to block activity of the PhcA
transcriptional regulator that induces expression of virulence genes as well as the solI/R-dependent AHL quorum sensing system.
Quorum-Sensing in Bacteria 1001

concentration is reached. It is interesting that a volatile
signal appears to function sufficiently inside plant tissues,
which are highly heterogeneous in terms of fluid and gas
density. It is also notable that R. solanacearum appears to
use multiple quorum signal cascades to regulate virulence
gene expression much like P. aeruginosa.
Extracellular Effectors of Quorum
Signaling Systems
Quorum signals are produced by many diverse bacterial
species in many different environments. The ability to
utilize signals to direct efficient and timely changes in
gene expression almost certainly provides that species
with a strong competitive advantage for nutrient acquisi-
tion and defense. Likewise, a competitor or host would
gain tremendous benefit if it were able to interfere with a
pathogen or competitors’ quorum-sensing system. The
evolutionary ‘arms race’ between quorum signaling and
signal interference by other species could be millions of
years old, yet was just recently revealed by researchers.
In 1996, Michael Givskov and Staffan Kjelleberg and
colleagues described the production of AHL mimics by
the marine seaweed Delisea pulchra.D. pulchra produces
several halogenated furanone molecules that structurally
resemble AHL signals. Furanones were shown to inhibit
quorum signal-dependent swarming motility of Serratia
liquefaciens as well as several marine bacteria. AHL repor-
ter systems in E. coli as well as V. harveyi were shown to be
inhibited by exogenous addition of furanones. Further
work on D. pulchra furanones showed that they disrupt
quorum signaling by binding to LuxR-type proteins in a
competitive fashion with the native AHL signal. In the
case of D. pulchra, furanone-dependent quorum inhibition
could protect the plant from colonization by pathogenic
bacteria that regulate motility, biofilm, or virulence gene
expression through quorum-signaling systems.
A similar phenomenon was observed in the unicellular
eukaryotic alga Chlamydomonas reinhardtii, which also pro-
duces quorum signal mimics. C. reinhardtii grows in soil
and freshwater environments where it likely encounters
many bacterial species that utilize quorum signaling. It was
shown that C. reinhardtii produced at least 12 uncharacter-
ized compounds that stimulated the LasR and CepR
regulators in E. coli reporter strains. Interestingly, none of
the compounds stimulated LuxR or AhyR regulators in
similar reporter strains, suggesting that the putative AHL
mimics produced by C. reinhardtii are receptor-specific.
The chemical properties of the C. reinhardtii-produced
mimics suggest that they are AHL-like in nature, but
subsequent characterization of the compounds revealed
that they are not known AHLs. Despite their dissimilar
structure, C. reinhardtii AHL mimics were shown to
increase the production of many AHL-controlled genes
to levels observed with the native AHL; however, some
proteins were found to be downregulated by the AHL
mimics. The full impact of these results is still unclear,
but demonstrates that C. reinhardtii likely has significant
effects on bacterial quorum signaling in the natural
environment.
Recent research by several groups has identified eubac-
terial and eukaryotic enzymes that degrade AHLs. There
are many incidences of production of these enzymes in
bacteria, and it appears that one function may be to
degrade the bacteria’s own AHL signal in order to down-
regulate the quorum signal response after its desired
effects are achieved. Another function of these enzymes
may be to degrade AHLs from competing organisms as a
means of interfering with their quorum signaling systems.
The observation that some enzymes produced by AHL-
synthesizing bacteria cannot degrade their own AHLs, yet
degrade those produced by other organisms, supports the
idea of competitive interference between species.
In a 2004 Proceedings of the National Academy of Sciences
paper, Carlene Chun and E. Peter Greenberg demon-
strated that human airway epithelial cells were able to
degrade the 3OC
12
-HSL from P. aeruginosa. As mentioned
previously, P. aeruginosa can cause respiratory infections
in humans. During the course of infection, airway epithe-
lial cells are likely to come in contact with colonizing
P. aeruginosa, and the ability of the host to interfere with
quorum signaling may be of great importance in prevent-
ing infection. Surprisingly, this study showed that the
degradation of 3OC
12
-HSL was contact-dependent and
that degradation did not occur in culture supernatants
from the airway cells. It was also shown that degradation
was specific for 3OC
12
-HSL, C
12
-HSL, and C
6
-HSL. No
degradation of C
4
-HSL or 3OC
6
-HSL was observed. The
AHL degradation phenotype varied widely among cell
types tested but seemed to occur most frequently in cell
lines that were derived from epithelial cells that are most
likely to encounter AHL-producing organisms. These
data suggest that humans, and potentially other mammals,
have evolved mechanisms to specifically defend against
AHL-producing bacteria.
Quorum Signal Interaction with the Host
Eukaryotic hosts utilize both quorum signal-degrading
enzymes and mimics to interfere with bacterial quorum
signaling. Some organisms produce these substances
throughout their life cycle, while others produce them
in response to bacterial quorum signals. The ability of
eukaryotic organisms to sense and respond to quorum
signals is fascinating and further emphasizes the affect
that prokaryotes may have on the evolution of eukaryotes
and vice versa. We will describe a few representatives
1002 Quorum-Sensing in Bacteria

from the growing number of cases of eukaryotic responses
to bacterially produced quorum signals.
The legume Medicago truncatula senses and responds to
AHL signals produced by Sinorhizobium meliloti and
P. aeruginosa. Many M. truncatula proteins are regulated
in a similar manner when exposed to AHLs from either
bacterial species; however, some proteins are differentially
expressed in response to AHLs from one species compared
to the other. This suggests that M. truncatula has a con-
served response to AHLs but also has the ability to
discriminate between AHL signals from these bacteria.
AHL signals were found to differentially regulate over
150 proteins in M. truncatula, the most notable of which
were involved in primary metabolic pathways, stress
response, and enzymes used in quorum signal mimic
production. At this time, it is unclear how these responses
specifically benefit M. truncatula or how they affect S. meliloti
or P. aeruginosa, but it is apparent that both organisms
stimulate a significant change in behavior of the plant.
In 2006, Elmus Beale and Kendra Rumbaugh demon-
strated that the soil nematode Caenorhabditis elegans is able to
sense AHL signals from bacteria. C. elegans was shown to
preferentially move toward AHL-producing organisms as
opposed to AHL-lacking species. This AHL-dependent
chemotaxis is thought to aid C. elegans in locating bacteria
as a source of food. Another surprising observation was that
C. elegans would move toward P. aeruginosa despite the fact
that P. aeruginosa kills C. elegans. After exposure to P. aerugi-
nosa,survivingC. elegans would display avoidant behavior
toward AHL-producing organisms including nonharmful
species. This work provides an elegant example of a eukar-
yote behavioral response to bacterial quorum signals.
Another study by the same lab described the ability of
P. aeruginosa AHLs to enter and modulate expression in
mammalian cells; thus demonstrating that AHLs are able
to cross the host cell membrane and stimulate host gene
expression. These changes in gene expression are thought
to occur through AHL stimulation of host nuclear hormone
receptors. Further work demonstrated that P. aeruginosa
AHLs can induce inflammation, immunosupression, and
apoptosis in immortalized cells as well as primary cell
cultures. Many of these events are hallmarks of tissue
exposed to P. aeruginosa during infection, but it remains to
be determined if the responses seen during infection are
actually due to in vivo AHL signaling or the myriad of other
virulence factors P. aeruginosa produces.
Diffusion Sensing, Efficiency Sensing,
and the Future of Quorum Signaling
Systems
In 2002, Rosemary Redfield at the University of British
Columbia proposed that quorum sensing may be a prop-
erty of what she referred to as diffusion sensing. Before
her proposal of this concept, quorum signaling had been
widely accepted as a cell density-dependent signal that
affected gene expression of a population, with the conse-
quence of directing a population to exhibit behavior that
affected the group as a whole. The concept of diffusion
sensing proposes that individual bacteria sense autoindu-
cer concentrations and subsequent changes in gene
expression direct a response that is intended for the
individual cell, not the population as a whole. She pro-
posed that evolutionary selection for quorum sensing
behavior was selected for by the benefit given to an
individual cell that has the ability to use a signal to gather
information on properties of the local environment.
While the concept of diffusion sensing is interesting,
it must be considered that any receptor-based system
should be induced when ligand concentration exceeds
that of the receptors’ affinity for it. This condition can
be achieved either by increased production of signal,
decreased mass transfer rate, or decreased local volume
around the cell. In quorum signaling, we ascribe that
signal-dependent behavior is due to an increase in popu-
lation and subsequent increase in signal. In many
instances of quorum signaling systems, it may indeed be
a product of diffusion sensing by the cell. However,
observations of autoinducer-producing organisms in
some characterized systems seem to indicate behavioral
changes that are more beneficial to a group of cells as
opposed to an individual. These changes include density-
dependent luminescence as well as conjugation, which
serve little purpose when local cell numbers are low.
Hense et al. in a 2007 Nature review attempted to unify
the gap between diffusion and quorum sensing and
propose the novel concept of efficiency sensing.
Efficiency sensing suggests that cells produce signaling
compounds to ‘test’ the population density, volume,
and mass transfer rate of their environment. If signal
concentration increases, then induction of energetically
expensive, signal-dependent pathways occurs. This
hypothesis takes into account that signal concentration
can be affected by local concentration of cell density as
well as the mass transfer rates and the volume of the local
environment. Hense and colleagues propose that effi-
ciency sensing provides a means for individual as well as
community advantages of diffusible signals to overlap and
provide evidence through mathematical models that indi-
cate that spatial distribution of cells may be more
important than density.
It is possible that diffusion sensing behavior in indivi-
duals may be the primary means of positive selection for
organisms that have quorum signaling systems of either
low complexity or are newer aspects in the organism’s
evolutionary history. Thus as bacteria adapt and evolve,
diffusion sensing behavior can be recruited into true
quorum signaling behavior and exert a community benefit
on a population of cells.
Quorum-Sensing in Bacteria 1003

What’s Next for Quorum Signaling?
Research in quorum signaling initially uncovered a few
specific cases that demonstrated density-dependent signal-
ing and its impact on a single response in the signaling
organism. Phenomena such as luminescence and regulation
of competence were largely thought to be the single pro-
cess in the cell directed by a diffusible signal, and much
initial research focused on utilization of a specific signal
and its interaction with a single receptor or transcriptional
regulator to direct regulation of just a few related genes or
operons. The discovery of orphan regulators in P. aerugi-
nosa and other species and the convergence of multiple
types of signals involved in gene expression in V. harveyi,V.
cholerae,P. aeruginosa,R. solanacearum,andB. subtilis (to name
a few) demonstrate that many organisms utilize quorum
signals in increasingly complex pathways. Further research
into orphan regulators and how bacteria integrate multiple
quorum signal pathways may reveal an even greater role
for quorum signaling in bacteria than was previously
considered.
There are ever increasing observations of interspecies
quorum signal interactions between bacteria as well as
interdomain interactions between bacteria and eukaryotic
hosts. These studies demonstrate that prokaryotes and
eukaryotes may utilize signals not only as a means to
detect signal producers, but as a way to defend against
them in situ. These adaptations shed light on possible
therapeutic strategies for infections caused by quorum
signal-producing bacteria. The discovery of quorum sig-
nal interference, especially in plants, may be useful in
developing new variants of commercial crops that are
more resistant to bacterial infections.
A poorly understood aspect of quorum signaling is that
some microorganisms utilize quorum signals not only as a
strict density-dependent signal but also as a way of
monitoring and reporting the nutrient status of the envir-
onment. PQS signals in P. aeruginosa have been shown
to be differentially produced in different environmental
concentrations of aromatic amino acids. Also, the types of
quorum signals produced by A. ferrooxidans vary depend-
ing on the substrates available to the organism. These
phenomena as well as the production of AI-2 and its
dependency on the metabolic status of the cell indicate
that quorum signal production may serve functions aside
from monitoring cell density.
Further Reading
Chun CK, Ozer EA, Welsh MJ, Zabner J, and Greenberg EP (2004)
Inactivation of a pseudomonas aeruginosa quorum-sensing signal by
human airway epithelia. Proceedings of the National Academy of
Sciences of the United States of America 101: 3587–3590.
Egland PG, Palmer RJ, and Kolenbrander PE (2004) Interspecies
communication in Streptococcus gordonii-Veillonella atypica
biofilms: Signaling in flow conditions requires juxtaposition.
Proceedings of the National Academy of Sciences of the United
States of America 101: 16917–16922.
Farah C, Vera M, Morin D, Haras D, Jerez C, and Guiliani N (2005)
Evidence for a functional quorum-sensing type AI-1 system in the
extremophilic bacterium Acidithiobacillus ferrooxidans.Applied and
Environmental Microbiology 71: 7033–7040.
Gonzalez JE and Keshvan ND (2006) Messing with bacterial
quorum sensing. Microbiology and Molecular Biology Reviews
70: 859–875.
Hense BA, Kuttler C, Muller J, Rothballer M, Hartmann A, and Kreft JU
(2007) Does efficiency sensing unify diffusion and quorum sensing?
Nature Reviews Microbiology 5: 230–239.
McNab R, Ford SK, El-Sabaeny A, Barbieri B, Cook GS, and Lamont RJ
(2003) LuxS-based signaling in Streptococcus gordonii: Autoinducer
2 controls carbohydrate metabolism and biofilm formation with
Porphyromonas gingivalis.Journal of Bacteriology 185: 274–284.
Merrit J, Qi F, Goodman SD, Anderson MH, and Shi W (2003) Mutation
of luxS affects biofilm formation in Streptococcus mutans.Infection
and Immunity 71: 1972–1979.
Miller MB and Bassler BL (2001) Quorum sensing in bacteria. Annual
Review of Microbiology 55: 165–199.
Reading NC and Sperandio V (2006) Quorum sensing: The many
languages of bacteria. FEMS Microbiology Letters 254: 1–11.
Rumbaugh KP (2007) Convergence of hormones and autoinducers at
the host/pathogen interface. Analytical and Bioanalytical Chemistry
387: 425–435.
Schell MA (2000) Control of virulence and pathogenicity genes of
Ralstonia solanacearum by an elaborate sensory network. Annual
Review of Phytopathology 38: 263–292.
Shao H, Lamont RJ, and Demuth DR (2007) Autoinducer 2 is
required for biofilm growth of Aggregatibacter (Actinobacillus)
actinomycetemcomitans.Infection and Immunity 75:
4211–4218.
Sturme MH, Kleerebezem M, Nakayama J, Akkermans AD, Vaugha EE,
and de Vos WM (2002) Cell to cell communication by autoinducing
peptides in Gram-positive bacteria. Antonie Van Leeuwenhoek
81: 233–243.
Venturi V (2007) Regulation of quorum sensing in Pseudomonas. FEMS
Microbiology Reviews 30: 274–291.
Xavier KB and Bassler BL (2005) Interference with AI-2-mediated
bacterial cell-cell communication. Nature 437: 750–753.
1004 Quorum-Sensing in Bacteria

Sensory Transduction in Bacteria
M Y Galperin, National Institutes of Health, Bethesda, MD, USA
Published by Elsevier Inc.
Defining Statement
General Principles of Signal Transduction
Types of Bacterial Receptors and Signaling Pathways
Structural Organization of Signal Transduction
Proteins
Interaction of Signal Transduction Pathways
How E. coli Sees the World?
Further Reading
Glossary
EAL domain Conserved protein domain with
c-di-GMP-specific phosphodiesterase activity, named
after its conserved Glu-Ala-Leu sequence motif.
GAF domain Conserved ligand-binding protein
domain, named after cGMP phosphodiesterases,
adenylyl cyclases, and FhlA protein, where it was
originally described.
GGDEF domain Conserved protein domain with
diguanylate cyclase (c-di-GMP synthetase) activity,
named after its conserved Gly-Gly-Asp/Glu-Glu-Phe
sequence motif.
HAMP domain Conserved -helical cytoplasmic linker
domain, named after histidine kinases, adenylyl
cyclases, and methyl carrier proteins, where it was
originally described.
HD-GYP domain Conserved protein domain with
c-di-GMP-specific phosphodiesterase activity, named
after its two conserved sequence motifs, His-Asp and
Gly-Tyr-Phe.
PAS domain Conserved ligand-binding protein
domain, named after period circadian protein (Per), aryl
hydrocarbon receptor nuclear translocator (ARNT), and
single-minded protein (Sim) proteins, where it was
originally described.
phosphorylation Transfer of the phosphoryl group
PO
32
, for example, from ATP to various acceptors.
protein domain A discrete structural unit of proteins
that can be found in different contexts. Most domains
range in size from 25 to 300 amino acid residues.
protein sequence motif A group of amino acid
residues, conserved among several different proteins.
REC domain Conserved protein domain that is similar to
the CheY chemotaxis protein and contains a conserved
Asp residue that can be reversibly phosphorylated by
histidine kinases or artificial phosphoryl donors.
Abbreviations
cAMP cyclic adenosine monophosphate
c-di-
GMP
cyclic dimeric bis-(39-59)-guanosine
monophosphate
CDD Conserved Domain Database
Dos direct oxygen sensor
EI enzyme I
EIIA
Glc
enzyme IIA
Glc
EIIA enzyme IIA
EIIB enzyme IIB
HPt histidine phosphotransfer
HTH helix-turn-helix
InterPro Integrated database of protein families,
domains and functional sites
KEGG Kyoto Encyclopedia of Genes and
Genomes
KinG Kinases in Genomes
MCPs methyl-accepting chemotaxis proteins
MiST Microbial Signal Transduction
PEP phosphoenolpyruvate
PTS PEP-dependent sugar phosphotransferase
system
ProDom Protein Domains
REC receiver
Sentra Sensory Signal Transduction Proteins
SMART Simple Modular Architecture Research Tool
wHTH winged helix-turn-helix
1005

Defining Statement
Bacterial signal transduction systems include several
types of receptor proteins that monitor the conditions
inside and outside the cell and control the cellular
response to the changes in environmental parameters at
the level of individual genes and proteins, the whole-cell
level (chemotaxis), and the level of multicellular commu-
nication (biofilm formation).
General Principles of Signal Transduction
The ability to sense changes in the environment and
respond to them by adjusting its internal organization is a
key property of all living cells. In principle, the level of a
cellular metabolite can be regulated by simple feedback
mechanism with a single transcriptional regulator. For
example, a simple system consisting of a cellobiose-binding
transcriptional regulator and a cellobiose-degrading
enzyme could be sufficient for controlling the level of
cellobiose in the cell. Increased levels of cellobiose would
shift a larger proportion of the transcriptional regulator
into the active (DNA-binding) form, which would lead to
increased expression of the cellobiose-degrading enzyme
that would eventually lead to the decrease in cellobiose
level. Decreased levels of cellobiose would cause dissocia-
tion of the sugar from the transcriptional regulator, gradual
decrease in the expression of cellobiose-degrading enzyme,
and, as a result, stabilization of the cellobiose level.
This simple schema allows the cell to respond to the
changing levels of a cellular metabolite and is used – with
various modifications – by a variety of regulatory systems.
However, this kind of regulation is necessarily rather crude
and would not allow coordinated regulation of complex
metabolic pathways. Rather than measure the levels of
nutrients in the cytoplasm, it is much more advantageous
to monitor their levels in the environment. That would
make it possible, even at relatively low levels of certain
nutrients outside the cell, to induce the appropriate trans-
port systems and bring these nutrients into the cell. This is
exactly the strategy utilized by many cells. For example,
uptake of glucose-6-phosphate and several other sugar
phosphates by Escherichia coli cells can be induced by
micromolar levels of extracellular glucose-6-phosphate,
which are 1000 times less than the concentration of this
glycolytic intermediate in a normally growing cell. As
another example, sensing of antibiotics and other toxins
should occur before (or at lower concentrations) these
compounds can irreversibly damage the cell. The question
then becomes how to detect an extracellular signal and
transmit it inside the cell without confusing the extracel-
lular metabolite with its intracellular pool. Summing up,
bacterial signal transduction systems, as opposed to simple
feedback mechanisms, are usually utilized to
– detect extracellular signals, particularly weak ones;
– detect antibiotics, toxins, and other hazardous com-
pounds before they damage the cell; and
– regulate complex metabolic processes.
The complexity of cellular organization calls for coordi-
nated response(s) to environmental challenges, making it
necessary for the signal transduction machinery to
– monitor complex traits (pH, osmotic stress, and redox
level);
– maintain hierarchical organization and proper interac-
tion of various transcriptional units; and
– coordinate cellular responses on several different levels
(e.g., couple transcriptional regulation with chemotaxis).
Detection of environmental signals is usually carried out
by transmembrane proteins that contain an extracytoplas-
mic (periplasmic or extracellular) domain, usually located
at the N-terminus of the protein, one or several transmem-
brane segments, and a cytoplasmic domain (Figure 1). The
cytoplasmic domain almost always has an enzymatic activ-
ity, occupies the C-terminal part of the protein, and serves
as the signal transmitting module. It is probably no coin-
cidence that most of these cytoplasmic modules are
enzymatically active in their dimeric form (see below). It
is believed that signal reception (i.e., binding of some
ligand) by the extracellular module causes a conforma-
tional change that favors dimerization of the whole
protein and therefore stimulates the enzymatic activity of
its cytoplasmic module. The mechanisms of the propaga-
tion of the signal across the membrane are still not clear
and are subject of intensive research.
The environmental signals monitored by the bacterial
cell vary in nature and intensity and may include changes
in the temperature, pressure, light intensity, salt concen-
tration, changes in the levels of certain nutrients in the
surrounding medium, levels of oxygen and reactive oxy-
gen species, levels of other terminal electron acceptors,
CO
2
, CO, NO, and other dissolved gases, presence of
other cells nearby, and possibly many other parameters.
Accordingly, the cellular responses can occur at the level
of individual genes and operons (changes in gene expres-
sion), at the whole-cell level (chemotaxis, phototaxis, and
sporulation), and at the level of multicellular communi-
cation (e.g., biofilm formation). The regulation of gene
expression can occur at the level of transcription (changes
in expression of certain genes, operons, or even global
regulons), post-transcriptional (e.g., changes in the
mRNA stability), and post-translational (e.g., modulation
of enzyme activity) regulation. For this reason, the signal
transduction machinery includes not just mechanisms of
communication between the sensory and the response
modules, but also these modules themselves.
1006 Sensory Transduction in Bacteria

Types of Bacterial Receptors and
Signaling Pathways
Public Resources on Signal Transduction
The current knowledge of signal transduction comes from
a combination of genetic and biochemical studies, primar-
ily on such model organisms as E. coli,Bacillus subtilis,
Caulobacter crescentus,Myxococcus xanthus,Pseudomonas
aeruginosa,Synechocystis sp., and Halobacterium halobium,
sequence analysis of signal transduction proteins, and
from structural characterization of at least some of these
proteins. Comparative analysis of protein sequences
played a key role in the original identification of the
receiver (phosphoacceptor) domain in several different
response regulators, which paved the way to the discov-
ery of two-component signal transduction. In the past
several years, availability of complete genome sequences
led to a dramatic expansion of the list of potential
USP
KdpD HATPase
HisKA
HATPase
HisKA
PAS
CitAP
HATPase
HisKA
HAMP
HPt CheW
MCPsignalTarH HAMP
MCPsignal
HAMPPAS
PTS EIIC EIIB
STYK
CHASE2
PP2C
7TMR DISM
MASE2
GGDEF
MASE2
PAS PAS GGDEF EAL
EAL
BLUF
1.
2.
3.
4.
5.
6.
7.
8.
9.
10.
11.
12.
ACyc3
Figure 1 Domain architectures of some bacterial receptors. 1 – Escherichia coli citrate-sensing histidine kinase DpiB (UniPROT
accession number P77510); 2 – E. coli turgor-sensing histidine kinase KdpD (P21865); 3 – E. coli chemotaxis histidine kinase CheA
(P07363); 4 – E. coli serine chemotaxis receptor Tsr (P02942); 5 – E. coli redox chemotaxis receptor Aer (P50466); 6 – E. coli PTS
glucose-specific EIICB component (PtsG, P69786); 7 – Anabaena variabilis serine/threonine protein kinase with CHASE2 sensor domain
(Q3M3S5); 8 – Leptospira interrogans sigma regulation protein RsbU (Q8F087); 9 – Pseudomonas aeruginosa adenylate cyclase CyaB
(PA3217, Q9HZ23); 10 – E. coli diguanylate cyclase AdrA (YaiC, P0AAP1); 11 – E. coli c-di-GMP phosphodiesterase Dos (P76129); 12 –
E. coli c-di-GMP phosphodiesterase YcgF (P75990). Domain names are as in Tables 3 and 4; striped boxes indicate transmembrane
segments; dotted shapes indicate integral membrane domains. Pfam entries for other domains are as follows: USP, PF00582; CheW,
PF01584; TarH, PF02203. Domain sizes are not necessarily drawn to scale.
Sensory Transduction in Bacteria 1007

organisms for studying signal transduction. Even more
importantly, analysis of genome sequences allowed a
careful accounting of all signal transduction proteins
encoded in any given genome. This analysis revealed
previously uncharacterized receptor proteins even in
such favorite model organisms as E. coli and B. subtilis.It
also showed the complexity of signal transduction systems
encoded in these two organisms to be relatively modest,
compared with the signaling repertoire of P. aeruginosa
and Synechocystis sp., not to mention the enormous expan-
sion of signaling genes in the genome of M. xanthus.
The diversity and complexity of the bacterial signal
transduction machinery make systematic description of
its components in any given organism a very difficult task
(for E. coli, such a description is provided at the end of this
article). This has led to the creation of public databases
that attempt to collect information on the organization of
signal transduction systems in various organisms, particu-
larly those with completely sequenced genomes. Several
such databases are freely available online (Table 1).
The first signaling database, The Histidine Protein
Kinases Reference Page, was created by Thorsten Grebe
and Jeffry Stock at Princeton University as supplemen-
tary material to their review of histidine kinases,
published in 1999 in Advances in Microbial Physiology.
This database, the first comprehensive classification of
histidine kinases and their cognate response regulators,
is still available at the web site of the University of
Kaiserslautern in Germany. Although this listing has not
been updated since 2000, its definition of 11 principal
families of histidine kinases remains a useful tool in
their analysis. The Microbial Signal Transduction
(MiST) database, maintained at the Oak Ridge National
Laboratory in Oak Ridge, Tennessee, contains informa-
tion on the signal transduction proteins from all
completely sequenced prokaryotic genomes, identified
by their domain architecture. The Sensory Signal
Transduction Proteins (Sentra) database, maintained at
the Argonne National Laboratory in Argonne, Illinois,
also lists predicted signal transduction proteins from all
completely sequenced prokaryotic genomes. It also
includes a separate section with manually curated anno-
tations of the major classes of signal transduction proteins.
Kyoto Encyclopedia of Genes and Genomes (KEGG),
maintained by the Bioinformatics Center of Kyoto
University in Japan, is a comprehensive genomic database
on all completely sequenced genomes, prokaryotic and
eukaryotic. One of its sections provides a graphical repre-
sentation of all bacterial two-component systems. Kinases
in Genomes (KinG) database, maintained at the Indian
Institute of Science in Bangalore, India, provides a com-
prehensive listing of Ser/Thr/Tyr kinases and related
proteins encoded in various prokaryotic and eukaryotic
genomes. Finally, Signaling Protein Census and Response
Table 1 Electronic resources on bacterial signal transduction
Name, URL Comment
a
Specialized databases of signal transduction proteins
Microbial Signal Transduction (MiST), http://genomics.ornl.gov/
mist/
Predicted signal transduction proteins from all completely
sequenced prokaryotic genomes
Sensory Signal Transduction Proteins (Sentra), http://
compbio.mcs.anl.gov/sentra/
Predicted signal transduction proteins from all completely
sequenced prokaryotic genomes
Kyoto Encyclopedia of Genes and Genomes (KEGG), http://
www.genome.ad.jp/kegg/pathway/ko/ko02020.html
Graphical representation of two-component systems encoded
in all completely sequenced prokaryotic genomes
The Histidine Protein Kinases Reference Page, http://www.uni-
kl.de/FB-Biologie/AG-Hakenbeck/TGrebe/HPK/HPK.html
Classification of histidine kinases and their cognate response
regulators. Last updated in 2000
Kinases in Genomes (KinG), http://hodgkin.mbu.iisc.ernet.in/~king Ser/Thr/Tyr kinases encoded in completely sequenced
genomes of prokaryotes and eukaryotes
Signaling Protein Census, http://www.ncbi.nlm.nih.gov/
Complete_Genomes/SignalCensus.html
A listing of signal transduction proteins encoded in completely
sequenced genomes of 330 prokaryotic species
Response Regulator Census, http://www.ncbi.nlm.nih.gov/
Complete_Genomes/RRcensus.html
A listing of response regulators encoded in completely
sequenced genomes of 330 prokaryotic species
Protein family and domain databases
Protein Families database (Pfam), http://pfam.sanger.ac.uk/ An extensive collection of protein domains, includes many
signal transduction domains
Simple Modular Architecture Research Tool (SMART), http://
smart.embl.de/
Protein domain database with special emphasis on prokaryotic
and eukaryotic signal transduction domains
Protein Domains database (ProDom), http://prodom.prabi.fr/ Protein domain database with an exhaustive listing of
automatically delineated protein domains
Conserved Domain Database (CDD), http://www.ncbi.nlm.nih.gov/
Structure/cdd/cdd.shtml
Protein domain database with curated domain alignments that
are based on known 3D structures
Integrated database of protein families, domains and functional
sites (InterPro), http://www.ebi.ac.uk/interpro/
An umbrella database that combines results from several
different protein domain and sequence motif databases
a
Detailed descriptions of these databases with up-to-date references are available at the respective websites.
1008 Sensory Transduction in Bacteria

Regulator Census, two web sites maintained by the author
at the NCBI, part of the National Institutes of Health in
Bethesda, Maryland, provide counts of each class of signal
transduction protein and response regulator in the repre-
sentative genomes from 330 prokaryotic species.
Signal Transduction Pathways
Historically, experimental studies focused on two classes
of membrane-associated receptor proteins, sensory histi-
dine kinases and methyl-accepting chemotaxis proteins
(MCPs). In the past several years, analyses of microbial
genomes, as well as experimental studies, revealed several
additional classes of bacterial receptors, which include
Ser/Thr/Tyr protein kinases and protein phosphatases,
adenylate cyclases, diguanylate cyclases, and cyclic
dimeric bis-(39-59)-guanosine monophosphate (c-di-
GMP)-specific phosphodiesterases (Table 2).
The signaling pathways utilized by various bacterial
receptors are shown in Figure 2. Signaling by a histidine
kinase is usually referred to as two-component signal
transduction, as it includes phosphoryl transfer between
two different proteins, a histidine kinase and a response
regulator. Two-component signal transduction pathways
are extremely diverse and always include the following
common steps: (1) ATP-dependent phosphorylation of a
conserved His residue in the molecule of the kinase; (2)
transfer of the phosphoryl residue to a conserved Asp
residue in the molecule of response regulator; (3) confor-
mational change in the response regulator that alters its
interaction with the target. A majority of response regu-
lators serve as transcriptional regulators and bind to the
chromosomal DNA, but there are response regulators
with alternative targets (see below).
Chemotaxis signaling, which starts from MCPs, is a
special kind of two-component signal transduction that
involves a specialized histidine kinase CheA, which
directly interacts with MCPs, and a specialized response
regulator CheY that consists of stand-alone receiver
domain without any output domains. Regulation of flagel-
lar motility is based on the interaction of the
phosphorylated form of CheY with the FliM protein at
the base of the flagellum, which affects the direction of
flagellar rotation and thus regulates the chemotaxis
response. In archaea, whose flagella are unrelated to the
bacterial ones, as well as in the bacteria that move at the
expense of type IV pili or utilize other non-flagellar means
of transportation, such as gliding motility, the targets for
CheY binding remain obscure. Recent studies revealed that
signaling roles of certain MCPs go beyond chemotaxis. For
example, in M. xanthus, an MCP has been shown to parti-
cipate in regulation of developmental gene expression,
whereas in P. aeruginosa, methyl-accepting protein WspA
turned out to be part of a chemosensory system that
regulates biofilm formation.
Components of the phosphoenolpyruvate (PEP)-
dependent sugar:phosphotransferase system (PTS) parti-
cipate in phosphorylative sugar uptake and are rarely
considered to be part of the signal transduction machin-
ery. Nevertheless, two members of the PTS phosphorelay
play key roles in signal transduction. The phosphoryla-
tion level of the PTS enzyme I (EI) directly affects the
chemotaxis machinery, whereas the phosphorylation
level of the enzyme IIA
Glc
(EIIA
Glc
) modulates the activ-
ity of the adenylate cyclase, at least in the members of
Enterobacteriaceae.
Ser/Thr protein kinases phosphorylate Ser and Thr
residues in various cellular proteins. Only a small fraction
Table 2 Principal classes of bacterial receptors
Receptor type Function Signaling mechanism
Phylogenetic
distribution
Histidine kinase Regulation of transcription, other
processes
Phosphorylation of the receiver domain in
various proteins
Bacteria,
Archaea
Methyl-accepting
chemotaxis protein
Chemotaxis Interaction with chemotaxis-specific
histidine kinase CheA
Bacteria,
Archaea
Ser/Thr/Tyr protein kinase Regulation of transcription, post-
translational regulation of enzyme
activity, other processes
Phosphorylation of Ser, Thr, or Tyr residues
in target proteins
Bacteria,
Archaea
Ser/Thr/Tyr protein
phosphatase
Same as above Dephosphorylation of Ser/Thr/Tyr protein
kinases or other target proteins
Bacteria,
Archaea
Membrane components
of the sugar:
phosphotransferase
system (PTS)
Sugar transport, phosphorylation,
and chemotactic signaling
Direct effect on chemotaxis, most likely
through direct interaction of PTS enzyme I
with the histidine kinase CheA
Bacteria
Adenylate cyclase Global regulation of transcription Synthesis of cAMP Bacteria
Diguanylate cyclase Regulation of protein and
polysaccharide secretion
Synthesis of c-di-GMP Bacteria
c-di-GMP-specific
phosphodiesterase
Same as above Hydrolysis of c-di-GMP Bacteria
Sensory Transduction in Bacteria 1009

of their targets have been identified so far. These include
transcriptional regulators (such as actinobacterial AfsR)
and metabolic enzymes (e.g., phosphofructokinase). Ser/
Thr protein phosphatases reverse the effect of Ser/Thr
protein kinases by dephosphorylating their target proteins
or, in some cases, the Ser/Thr protein kinases themselves.
Most of these enzymes are localized in cytoplasm and
only a few are membrane-bound (Table 2).
Adenylate cyclases modulate the cellular level of cyclic
adenosine monophosphate (cAMP), a key cellular second
messenger (Figure 3), which participates in at least two
different signaling pathways. One of them includes binding
of cAMP to a specialized adaptor protein, CRP or CAP,
triggering a conformational change in CRP that increases
its affinity to DNA and allows it to activate transcription of
otherwise poorly expressed genes (operons). This mechan-
ism is sometimes referred to as catabolite repression,
although in reality catabolite repression (or glucose effect)
is a sum of several independently acting mechanisms. The
second pathway of cAMP-mediated signaling includes its
DNA
ATP
ADP
HATPase
HisKA
P
HTHREC
P
REC
P
Flagellum
MCPsignal
ATP
ADP
HATPase
P
HisKA
HTH
REC
P
ATP
ADP
HATPase
HisKA
P
REC
P P
Adenylate
cyclase
EIIA~P
EIIA
EIIBC
EIIBC~P
SugarP
Sugar
HPr
HPr~P
EI~P
EI
Pyruvate
P~Pyruvate
CheA
or MCP
ATP
ADP
STYK
PP
???
Metabolic
enzymes HTH
P
ATP
cAMP
ACyc3
PPi
HTH DNA
2 GTP
c-di-GMP
GGDEF
2 PPi???
EAL
2 GMP
HD-GYP
PilZ
Motility
Biofilm
???
???
DNA
DNA
1.
4.
5.
6.
7.
2.
3.
1010 Sensory Transduction in Bacteria

binding to specialized cAMP-binding domains on various
proteins, including certain transcriptional regulators. The
mechanisms of this signaling still remain largely obscure
but probably involve changes in gene expression and/or
protein–protein interactions in response to cAMP binding.
There are several different classes of adenylate cyclases, of
which only class III enzyme has been shown to function as
a transmembrane receptor.
Signaling through diguanylate cyclases includes mod-
ulation of the cellular level of another cellular second
messenger, c-di-GMP, which regulates a variety of func-
tions related to the cell surface elements, including
motility, secretion of proteins and exopolysaccharides,
biofilm formation, and production of certain virulence
factors. Some of the c-di-GMP functions are mediated
by its binding to the recently described PilZ domain,
while others might involve other binding proteins,
including diguanylate cyclases themselves. C-di-GMP-
specific phosphodiesterases, which catalyze c-di-GMP
hydrolysis, could also function as c-di-GMP-binding
proteins.
It is important to note that these signaling pathways
are not entirely separate. In many organisms, there exists
a cross-talk between components of different signaling
pathways. For example, a significant fraction of response
regulators have adenylate or diguanylate cyclases or c-di-
GMP-specific phosphodiesterases as their output
domains, which allows histidine kinase-mediated path-
ways to control the cAMP or c-di-GMP levels.
Structural Organization of Signal
Transduction Proteins
A key aspect of the bacterial signal transduction machin-
ery is its modular structure. Many signal transduction
proteins consist of several individual protein domains
that can be shuffled almost like the Lego blocks, resulting
in a tremendous diversity of proteins.
Sensory Domains
Sensory (signal input) domains of bacterial receptors are
extremely diverse, reflecting the diversity of the signals
they perceive. However, despite this diversity, sequence
similarity between sensory domains of different receptors
Figure 2 Signal transduction pathways of the principal classes of bacterial receptors. 1 – Transcriptional regulation by two-
component signal transduction systems usually includes a sensor histidine kinase and response regulator that consists of the
phosphoryl-accepting receiver (REC) domain and a DNA-binding helix-turn-helix (HTH) domain. 2 – Signal transduction in the Bacillus
subtilis sporulation machinery includes a histidine kinase (KinA, KinB, KinC, KinD, or KinE), response regulator (Spo0F) with a stand-
alone REC domain, intermediate phosphorelay component (Spo0B), and transcriptional response regulator Spo0A that consists of REC
and Spo0A-specific HTH domains. 3 – Signal transduction in the chemotactic machinery starts from a sensor (methyl-accepting
chemotaxis protein, MCP) that interacts with the histidine kinase CheA, which phosphorylates the chemotaxis response regulator
(CheY) with a stand-alone REC domain. Phosphorylated CheY interacts with the FliM protein at the base of the flagellum and with still
unknown targets in other systems. 4 – In Escherichia coli, signal transduction in the phosphoenolpyruvate-dependent
sugar:phosphotransferase system (PTS) involves interaction of the non-phosphorylated form of EIIA with the adenylate cyclase and of
non-phosphorylated EI with the histidine kinase CheA. In B. subtilis, there is no adenylate cyclase and the non-phosphorylated form of
EI interacts with one of the MCPs. 5 – Signal transduction from Ser/Thr protein kinases involves direct or indirect phosphorylation of
various (mostly unknown) targets. Known targets of Ser/Thr protein phosphorylation include metabolic (e.g., glycolytic) enzymes and
transcriptional regulators. 6 – Signal transduction from sensor adenylate cyclases involves interaction of the cAMP with specific cNMP-
binding domains, found in the transcriptional regulator CRP and in some other proteins. The cAMP–CRP complex binds to the
chromosomal DNA and activates transcription from a variety of weak bacterial promoters. Other targets of cAMP action remain mostly
unknown. 7 – Signal transduction from sensor diguanylate cyclases involves interaction of c-di-GMP with various proteins that contain
the c-di-GMP-binding PilZ domain or, possibly, alternative c-di-GMP-binding domains. The cellular level of c-di-GMP is controlled by c-
di-GMP-specific phosphodiesterases, which are found in two different forms, the EAL and the HD-GYP domains, and, in some cases,
as output domains of environmental sensors. In addition, c-di-GMP serves as an allosteric regulator of its own production. Targets for c-
di-GMP (c-di-GMP-PilZ) action remain unknown at this time. Domain names are as in Tables 3 and 4. Domain architectures are
simplified for clarity and domain sizes are not drawn to scale.
O
P
O
O
N
O
N
N
O
N
N
O
OP
O
O
O
P
O
OO
NN
N
O
N
O
N
O
O
N
N
N
O
N
O
N
O
cAMP c-di-GMP
Figure 3 Structures of cAMP and c-di-GMP.
Sensory Transduction in Bacteria 1011

from different organisms allows grouping them into sepa-
rate domain families. Members of the same domain family
typically recognize the same – or closely related – ligands.
Therefore, functional characterization of a sensory
domain in one organism can be used as a basis for func-
tional annotation of all proteins that contain the same
domain. Some sensory domains have narrow substrate
specificity, for example, the citrate-binding domain
found in the citrate-sensing histidine kinase CitA (DpiB)
of E. coli. Other sensory domains, such as the periplasmic
domain of the dicarboxylate sensor DcuS, which is very
similar to CitA, bind a number of related molecules (in
the case of E. coli DcuS, C4-dicarboxylates and citrate).
For many other domains, the range of the potential
ligands – and hence the nature of the sensed signal(s) –
remains unknown and their participation in environmen-
tal sensing is deduced primarily from their location as the
N-terminal periplasmic domains of various transmem-
brane receptors.
While most characterized sensory domains are peri-
plasmic (or extracytoplasmic), analyses of genome
sequences identified a number of cytoplasmically located
and membrane-embedded sensory domains (Table 3).
Many sensory domains are found in more than one type
of receptors (see below), which is how they have been
identified as sensory domains in the first place. Indeed, if
the same periplasmic or membrane-embedded domain is
found in two different classes of receptors, for example, in
histidine kinases and diguanylate cyclases, there is little
doubt that this protein domain is involved in signal trans-
duction, most likely as a sensory domain.
Unfortunately, identification of sensory domains
through comparative sequence analysis rarely gives
insights into the functions of these domains. Even when
this does happen, the predicted function must be consid-
ered tentative until it has been verified by experimental
studies. For example, Vibrio cholerae protein VC0303
belongs to a large family of histidine kinases that contain
membrane-embedded N-terminal domains, which are very
similar to Na
þ
-dependent permeases of proline (PutP) and
pantothenate. This observation has led to a suggestion that
these proteins might serve as sensors of the transmembrane
gradient of Na
þ
ions. This suggestion has not been experi-
mentally tested so far, and members of this histidine kinase
family are annotated in the protein databases as either
sensor histidine kinases or Na
þ
/proline symporters.
Although the great majority of signal transduction
pathways respond to environmental changes and employ
periplasmic (or extracellular) sensors, a substantial frac-
tion of bacterial receptors are strictly cytoplasmic
Table 3 Examples of bacterial sensory domains
Domain name Length (aa) Ligand specificity Protein structure
a
Pfam entry
b
Periplasmic (extracellular)
SBP_bac_3 220 Amino acids 1lag PF00497
CitAP/DcuSpd 200 Citrate, C4-dicarboxylates 1p0z Pfam-B_1145
NIT 250 Nitrate, nitrite n/a PF08376
PASTA 55 -Lactams 1pyy PF03793
PhoQ_sensor 180 Ca
2þ
1yax PF08918
Cache 80 Small ligands n/a PF02743
CHASE 220 Unknown n/a PF03924
CHASE2 240 Unknown n/a PF05226
CHASE3 130 Unknown n/a PF05227
CHASE4 250 Unknown n/a PF05228
Membrane-embedded
5TMR-LYT 90 Murein derivatives (?)
c
5TM PF07694
7TMR-DISM 200 Unknown 7TM PF07695
MHYT 200 Metal (?)
c
6TM PF03707
MASE1 280 Unknown 11TM PF05231
MASE2 170 Unknown 5TM PF05230
MASE3 160 Unknown 7TM Pfam-B_23487
Cytoplasmic
PAS 100 Heme, flavin, others 1wa9 PF00989
GAF 150 cGMP, others 1f5m PF01590
BLUF 90 FAD 1x0p PF04940
Globin sensor 150 Heme (O
2
, CO, NO) 1or4 PF00042
HNOB 170 Heme (NO) 1xbn PF07700
Phytochrome 180 Tetrapyrrole 1u4h PF00360
a
Protein DataBank (PDB, http://www.rcsb.org/pdb/ entry, if available, or the number of transmembrane segments; n/a, not available.
b
Pfam database (http://www.sanger.ac.uk/Software/Pfam/) provides short descriptions of these domains and links to the underlying literature. As an
example, the entry page for the domain PF00497 can be found at http://pfam.sanger.ac.uk/family?acc=PF00497. Domains in PfamB lack
descriptions and have the URLs of http://pfam.sanger.ac.uk/pfamb?id=Pfam-B_1145 type.
c
The question mark signifies unverified prediction.
1012 Sensory Transduction in Bacteria

enzymes that have no transmembrane segments.
Enzymatic activities of such receptors, which include
the E. coli nitrate sensor NtrB, B. subtilis sporulation reg-
ulators KinA, KinB, and KinC, and many others, are
apparently modulated by intracellular, rather than extra-
cellular, signals. Indeed, many of them contain
N-terminal cytoplasmic sensor domains, such as PAS,
GAF, and the globin-coupled sensor domain. The first
two of these domains, PAS and GAF, have similar struc-
tures, characterized by a presence of a ligand-binding
pocket that can accommodate a variety of small-molecule
ligands, including heme, flavin (PAS), cGMP (GAF), and
many others. For the globin-coupled sensor domain,
heme is the only known ligand. Heme-containing PAS
and globin domains can be sensors of oxygen, carbon
monoxide, and NO molecules. In each case, binding of
oxygen, CO, or NO to the heme molecule causes a shift in
the positions of axial ligands, which triggers a significant
conformational change in the domain structure. This
conformational change affects interaction of the PAS (or
globin sensor) domain with the downstream domains.
Thus, the signal generated by oxygen, CO, or NO bind-
ing, is transmitted to the next domain and, eventually, to
the C-terminally located signal transduction domains.
This allows PAS-containing receptors to serve as sensors
of the general energy state of the cell (e.g., B. subtilis
sporulation regulating histidine kinase KinA), its redox
state (E. coli aerotaxis receptor Aer) or oxygen level (E. coli
c-di-GMP phosphodiesterase Dos). Many receptors con-
tain more than one sensor domain (e.g., B. subtilis KinA
contains three PAS domains), whose mode of action and
hierarchy, if any, are usually unknown.
It must be noted that not every N-terminal periplas-
mic or integral membrane domain of a bacterial receptor
molecule is necessarily involved in signaling. For exam-
ple, the histidine kinase UhpB, which regulates transport
and metabolism of glucose-6-phosphate and related
sugars, has a membrane-embedded N-terminal domain
that does not bind extracellular glucose-6-phosphate
and cannot serve as its sensor. Instead, this domain inter-
acts with another membrane protein, UhpC, which is
closely related to sugar phosphate transport proteins but
actually works as the true sensor of glucose-6-phosphate
in the UhpB–UhpC complex. In the E. coli histidine kinase
KdpD, which regulates membrane transport of K
þ
ions,
the function of the membrane segment appears to be
limited to anchoring the enzyme molecule in the mem-
brane and ensuring proper interaction between its
cytoplasmically located domains, the N-terminal turgor-
sensing domain and the C-terminal histidine kinase
domain. Thus, for many putative sensory domains, the
current functional prediction, if any, should be considered
at best an educated guess. The nature of the signal(s) that
they are sensing remains obscure and needs to be
explored in future experimental studies.
Structural Organization of Two-Component
Signal Transduction Systems
Histidine kinases
Histidine kinases are the best studied, most numerous,
and most diverse membrane receptors, which control the
greatest variety of cellular responses. Most of the diver-
sity of histidine kinases comes from the sensory (signal
input) domains, which can be periplasmic, membrane-
embedded, or cytoplasmic. A single histidine kinase can
contain several sensory domains, for example a periplas-
mic ligand-binding domain and one or more PAS
domains in the cytoplasm (Figure 2). In contrast, cyto-
plasmic signal transduction modules of histidine kinases
are rather uniform. Analysis of sequence similarities
between different histidine kinases by Parkinson and
Kofoid in 1992 revealed five conserved sequence motifs,
referred to as H, N, G1, F, and G2 boxes. The first of
these boxes corresponded to the sequence motif around
the conserved phosphoryl-accepting histidine residue.
These motifs are still widely used in descriptions of
newly characterized histidine kinase. However, the diag-
nostic value of these motifs was partly undermined by
discovery of proteins that lack one or more of these
‘boxes’ but still function as histidine kinases, such as
P. aeruginosa AlgZ/FimS, a sensor protein controlling
alginate biosynthesis regulator AlgR, or Clostridium per-
fringens VirS, a sensor protein for the virulence regulator
VirR. Determination of the crystal structures of several
histidine kinases revealed that they all contain two sepa-
rate protein domains (sometimes there are one or more
additional domains). One of them is an ATPase domain
(referred to HATPase in Pfam database, see Table 4) that
binds ATP and transfers its -phosphate onto a histidine
residue in the other domain of histidine kinases, which is
referred to as the dimerization/phosphorylation domain
(His_Kinase_A or HisKA in Pfam, Table 4). There are
several variants of HisKA domains, which, despite having
similar structures, consisting of long -helices, share little
sequence similarity. Pfam database currently assigns the
HisKA domain the status of a domain group, or a clan, and
divides it into four separate domain families, HisKA
(PF00512), HisKA_2 (PF07568), HisKA_3 (PF07730),
and HWE_HK (PF07536). The HATPase domain is
always located C-terminally of the HisKA domain.
Accordingly, the H box of Parkinson and Kofoid maps
to the HisKA domain, whereas N, G1, F, and G2 boxes
map to the HATPase domain.
In addition to the sensor, HisKA, and HATPase
domains, certain histidine kinases contain other domains.
Periplasmic (extracytoplasmic) sensor domains are con-
nected to the intracellular signal transduction modules by
one or more transmembrane segments and, sometimes,
the cytoplasmic helical linker (HAMP) domain (Table 4).
In addition, cytoplasmic signal transduction modules of
Sensory Transduction in Bacteria 1013

some histidine kinases, referred to as hybrid histidine
kinases, contain an additional C-terminal domain, a
CheY-like phosphoacceptor (receiver, REC) domain,
with a conserved aspartate residue, which is part of
the signal transduction phosphorelay. Another phos-
phoacceptor protein domain, histidine phosphotransfer
Table 4 Properties of the signal transduction domains
Receptor type, domain name
Length,
aa
Protein
structure
a
Pfam entry Function, comments
Histidine kinase
HAMP 50 2asw PF00672 Dimerization, signal transfer. Upon
dimerization, forms a four-helix bundle
HATPase 120 1bxd PF02518 ATP-dependent phosphorylation of the
HisKA domain. May have a phosphatase
activity toward CheY-P
HisKA 120 1joy PF06580
(PF00512,
PF07568,
PF07730,
PF07536)
Phosphoacceptor domain, no enzymatic
activity. Upon dimerization, forms a four-
helix bundle. Can be found in several
distinct variants (HisKA, HisKA_2,
HisKA_3, and HWE_HK in Pfam)
HPt 100 1tqg PF01627 Phosphoacceptor domain, no enzymatic
activity. Upon dimerization, forms a four-
helix bundle
REC (CheY) 120 2che PF00072 Phosphoacceptor domain,
dephosphorylates HisKA domains
Methyl-accepting chemotaxis protein
(MCP)
MCP signal 350 1qu7 PF00015 Dimerization domain, no enzymatic activity.
Upon dimerization, forms a four-helix
bundle. Can be reversibly methylated on
Glu residues
Phosphotransferase system (PTS)
Enzyme I (EI) 570 2hwg PF05524,
PF00391,
PF02896
Phosphoenolpyruvate-dependent
autophosphorylation, phosphoryl transfer
to the HPr protein
HPr protein 90 1ptf PF00381 Phosphoacceptor domain, no enzymatic
activity
Enzyme IIA (EIIA) 170 1gld PF000358 Phosphoryl transfer from the HPr protein to
the EIIB components
Enzyme IIB (EIIB) 80 1o2f PF000367 Phosphoryl transfer from the HPr protein (or
from EIIA) to the sugar substrates
Ser/Thr protein kinase
STYK 250 1jwh PF00069 Phosphorylation of Ser and Thr residues in
various target proteins. The first step is an
ATP-dependent autophosphorylation
Ser/Thr protein phosphatase
PP2C 250 1a6q PF07228 Dehosphorylation of Ser and Thr residues in
STYK domains and other target proteins
Adenylate cyclase
ACyc3 190 1cul PF00211 Synthesis of cAMP
cNMPbind 90 1hw5 PF00027 Binding of cAMP, interaction with various
targets
CRP_HTH 1hw5 PF00325 Interaction with the target sites on the DNA
Diguanylate cyclase
GGDEF 180 1w25 PF01590 Synthesis of c-di-GMP, inactivated domains
serve as allosteric regulators
PilZ 1ywu PF07238 Binding of c-di-GMP, interaction with
various targets
c-di-GMP-specific phosphodiesterase
EAL 250 2bas PF00563 Hydrolysis of c-di-GMP, inactivated
domains serve as allosteric regulators
HD-GYP 170 1yoy
b
PF01966
b
Hydrolysis of c-di-GMP
a
Protein DataBank entry.
b
PDB and Pfam entries for the HD-GYP domain cover only the catalytic HD subdomain.
1014 Sensory Transduction in Bacteria

(HPt) domain, has a four-helix-bundle structure, similar
to that of HisKA, and also contains a conserved histidine
residue. The HPt domain can be found at the N-terminus
of the protein (e.g., in the chemotaxis histidine kinase
CheA), in the middle of it, or, most often, at its very
C-terminus, see Figure 2 for examples.
Response regulators
Response regulators of the two-component signal trans-
duction systems are diverse proteins that share the
common phosphoacceptor REC domain, which is often
referred to as CheY or CheY-like domain, after its best-
known representative. This domain is enzymatically
active: it catalyzes phosphotransfer from the histidine resi-
dues of the HisKA domains to its own conserved aspartate
residues, as well as its own dephosphorylation. The com-
bination of these two activities in the REC domains of
each particular response regulator determines the half-life
of the phosphorylated form of the domain (CheYPor,
more generally, RECP) and hence the fraction of the
response regulator molecules that are in the active (phos-
phorylated) conformation at any given time.
Although a great majority of response regulators com-
bine the REC domain with some kind of a signal output
domain, approximately one-sixth of all response regulators
consist of a stand-alone REC domain. This group includes
two well-studied proteins, the chemotaxis response regula-
tor CheY of E. coli and Salmonella enterica and the sporulation
regulator Spo0F of B. subtilis. Despite obvious sequence and
structural similarities and participation in similar phosphor-
ylation–dephosphorylation cycles, these two proteins have
dramatically different modes of action. Chemotactic signal
transduction through the first of them, CheY, relies solely on
protein–protein interactions. After CheY gets the phos-
phoryl group from the chemotaxis histidine kinase CheA,
it does not transfer this group any further. Phosphorylation
shifts the CheY molecule into the active conformation that
has an increased affinity to its target molecule FliM in the
flagellar basal body. Non-phosphorylated CheY is also cap-
able of interacting with FliM, albeit not as strongly. Thus,
phosphorylation of CheY merely shifts the equilibrium of its
two forms (there appear to be intermediate forms as well),
leading to a change in the rotation pattern of the flagellum,
which is reflected in altered motility pattern of the whole
cell. In contrast, Spo0F is an active part of the signaling
phosphorelay. It accepts the phosphoryl group from the
sporulation histidine kinase KinA and, in turn, serves as a
phosphoryl donor for Spo0B, which further transfers it to
the sporulation response regulator Spo0A. Phosphorylation
experiments in vitro showed that Spo0F can also donate the
phosphoryl group back to the histidine kinase KinA;
whether it takes place in vivo remains unknown. Given the
existence of phosphatases, specifically dephosphorylating
Spo0FP, Spo0F appears to serve as a phosphate sink, a
checkpoint in the control of sporulation process. According
to the Response Regulator Census (see Table 1), many
bacterial genomes encode multiple response regulators
with the stand-alone REC domains (e.g., there are 42 such
genes in M. xanthus and 38 in Solibacter usitatus). It is likely
that some of them, like CheY, transmit the signal through
protein–protein interactions, whereas others, like Spo0F,
participate in complex signaling phosphorelays.
With the exception of members of the CheY/Spo0F
protein family, all other response regulators are two-
domain (or even three-domain) proteins that combine
the REC domain with a signal output domain, which is
usually located at the C-terminus of the polypeptide
chain. Most of these proteins are transcriptional regula-
tors that activate or repress transcription of specific target
genes. Accordingly, the most common output domains
bind DNA or RNA, although some response regulators
have enzymatic or ligand-binding output domains.
The most common DNA-binding response regulators
belong to the OmpR/PhoB family and have a winged helix-
turn-helix (wHTH) DNA-binding domain (Table 5). The
second in abundance is the NarL/FixJ family of response
regulators, which have a typical helix-turn-helix (HTH)
DNA-binding output domain. Less common DNA-binding
response regulators contain DNA-binding output domains
of the Fis type (NtrC and ActR/PrrA families), AraC type
(YesN family), LytTR type (LytR/AgrA family), Spo0A_C
type (Spo0A family), and several others. There are families
of response regulators that are found just in one or two
instances in the current protein databases. In each case,
phosphorylation of the REC domain favors its transition
into an active conformation and/or its dimerization.
Dimerization of response regulators is a key mechanism of
the transcriptional regulation by two-component systems,
as response regulator dimers have a higher affinity to the
tandem (or palindromic) transcriptional regulator binding
sitesonthechromosome.Withineachfamilyofresponse
regulators, the signaling specificity is determined by the
tight interaction of the REC domains with their cognate
histidine kinases and of the HTH domains with the target
sites on the DNA. As a result, transcriptional regulators
with dramatically different biological functions (e.g.,
OmpR and PhoB) can have very similar sequences. This
is why sequence-based assignments of biological function
are often unreliable, despite confident recognition of the
DNA-binding output domains in most response regulators.
In a significant fraction of response regulators, the
output domains are enzymatic, such as the methylesterase
domain in the chemotaxis response regulators of the
CheB family. These output domains are typically the
same as in bacterial environmental receptors: adenylate
and diguanylate cyclases, c-di-GMP-specific phospho-
diesterases, PPC2-type Ser/Thr protein phosphatases,
and even histidine kinases. These types of domains are
discussed in detail in the following sections. It is
Sensory Transduction in Bacteria 1015

important to note, however, that such response regulators
put other signaling mechanisms under the control of the
two-component signal transduction. Indeed, a response
regulator with an adenylate cyclase output domain
could control the cellular cAMP level irrespective of the
status of receptor adenylate cyclases. This could be the
case also for the control of c-di-GMP level. The case of
Ser/Thr protein phosphorylation is even more illuminat-
ing. Response regulators with the PPC2-type Ser/Thr
protein phosphatase domain far outnumber those with a
protein kinase domain. The two-component signaling
system apparently controls the level of protein phosphor-
ylation on serine and threonine residues by regulating the
rate of their dephosphorylation.
Some response regulators consist of more than two
domains. In transcriptional regulators of the NtrC family,
the N-terminal REC domain and the C-terminal
DNA-binding Fis-like domain are separated by the
central AAA-type ATP-binding domain, whose ATPase
activity is required for the DNA-binding. The response
regulator VieA from V. cholerae contains two output
domains, a c-di-GMP-specific phosphodiesterase (EAL)
and a DNA-binding HTH domain. In that case,
the role of the HTH domain, if any, remains to be
established.
In summary, bacterial response regulators contain a
wide variety of output domains that put the histidine
kinases at the top of signaling hierarchy, allowing the
cell to control its metabolism and behavior in response
to various environmental challenges.
Alternative Signal Transduction Systems
Methyl-accepting chemotaxis proteins
MCPs contain a characteristic signal transduction domain
(Pfam domain PF00015) that consists of two very long
antiparallel -helices, connected by a U-turn. The
Table 5 Signal output domains in bacterial response regulators
a
Response regulator
family
Output
domain
Length,
aa Function
Protein
structure
b
Pfam
entry
%
Total
c
Stand-alone
CheY/Spo0F None 120 Protein–protein interaction,
phosphorelay
2che PF00072 16.8%
DNA-binding
OmpR/PhoB wHTH 120 Transcriptional regulation 1bl0 PF00486 29.6%
NarL/FixJ HTH 120 Transcriptional regulation 1rnl PF00196 16.5%
LytR/AgrA LytTR 110 Transcriptional regulation 3bs1 PF04397 2.9%
ActR/PrrA Fis (HTH_8) 50 Transcriptional regulation 3fis PF02954 1.1%
AraC/YesN HTH_AraC 140 Transcriptional regulation 1bl0 PF00165 0.7%
PhyR RpoE 140 Transcriptional regulation 1or7 PB13556
PF08281
0.4%
Spo0A Spo0A_C 120 Transcriptional regulation 1fc3 PF08769 0.2%
GlnL YcbB 140 Transcriptional regulation n/a PF08664 0.2%
Three-domain DNA-binding
NtrC AAA, Fis
(HTH_8) 230
50
Transcriptional regulation 1ojl, 3fis PF00158
PF02954
9.7%
SARP HTH, BTAD 220 Transcriptional regulation 2fez PF00486
PF03704
<0.1%
RNA-binding
AmiR/NasR ANTAR 55 Regulation of transcription
(anti)termination
1qo0 PF03861 1.0%
RB8820 CsrA 60 Regulation of translation and mRNA
decay
1vpz PF02599 <0.1%
Enzymatic
CheB CheB 180 Methylesterase 1chd PF01339 2.6%
FliY CheC 200 AspP phosphatase 1squ PF04509 0.2%
PA0267 HDOD Predicted phosphodiesterase 1vqr PF08668 0.2%
Nfa52850 TrxB 220 NAD(P)H:disulfide oxidoreductase 1tde PF00070 0.1%
Protein-binding
CheV CheW 140 Protein–protein interaction 1k0s PF01584 1.4%
PatA PATAN 160 Protein–protein interaction n/a n/a 0.2%
a
This listing does not include GGDEF, EAL, HD-GYP, AC3, or PP2C output domains, listed in Table 4.
b
Protein DataBank entry, if available; n/a, not available.
c
Fraction of the response regulators from this family among 9083 response regulators encoded in complete genomes of 330 prokaryotic species, see
Response Regulator Census, http://www.ncbi.nlm.nih.gov/Complete_Genomes/RRcensus.html.
1016 Sensory Transduction in Bacteria

U-turn serves as a signaling module and contains a
characteristic highly conserved sequence motif
IAxQTNLLALNAAIEAARAGExGRGFAVVAxEVRx-
LA. It directly interacts with the chemotaxis histidine
kinase CheA, modulating its activity. Thus, in the
MCP–CheA assembly, the whole MCP can be considered
a sensor domain of CheA. Despite giving the MCP its
name, methylation does not seem to be a necessary part of
the signal transduction mechanism. Rather, methylation
and demethylation change the charge distribution along
the -helices and affect the packing of these -helices
against each other, which, in turn, is reflected in the
interaction between MCP and CheA. This adds yet
another regulatory circuit to the chemotaxis signaling
machinery.
Phosphotransferase system components
The PTS catalyzes uptake of certain sugars, coupling
membrane transport of its substrates with their phosphor-
ylation. In addition to its transport function, the PTS is an
important component of the signaling machinery that
controls chemotaxis to its sugar substrates. Like histidine
kinases, PTS proteins are phosphorylated on the histidine
residue. However, in contrast to the ATP-His-Asp or
ATP-His-Asp-His-Asp phosphorelay, typical for the
two-component signaling, the PTS phosphorelay starts
from PEP and includes only His residues (at least, in EI,
HPr, and EIIA components). The high free energy of PEP
hydrolysis ensures that in the absence of carbohydrate
substrates all PTS components stay in the phosphorylated
form. The limiting step in the whole phosphorelay
appears to be PEP-dependent autophosphorylation of
the first component, EI. Therefore, in the presence of
carbohydrate substrates, phosphoryl flow through the
PTS components occurs at a higher rate than re-phos-
phorylation of EI by PEP. As a result, EI, HPr, and EIIA
components become partly dephosphorylated, which
serves as a signal both for the chemotaxis machinery and
for the E. coli adenylate cyclase. Although any direct
interaction between PTS components and MCP or
CheA remains to be demonstrated, the available data
suggest that unphosphorylated EI can interact with one
or more MCPs (in B. subtilis) or with CheA (in E. coli),
modulating the CheA activity and, hence, the cellular
level of CheYP. The second mechanism of signal trans-
duction from the PTS involves EIIA
Glc
. This protein has
been shown to interact with the adenylate cyclase and
other targets, including the lactose permease. In some
organisms, PTS-mediated signaling includes additional
control mechanisms, such as reversible phosphorylation
of the HPr protein on its Ser residue, which affects the
ability of this protein to participate in the PTS
phosphorelay.
Ser/Thr/Tyr protein kinases and protein
phosphatases
Reversible protein phosphorylation on serine, threonine,
or tyrosine residues is a key regulatory mechanism
in eukaryotic cells. In the past several years, Ser/Thr
protein kinases have been recognized in a variety
of prokaryotic cells but are still often referred to as
‘eukaryotic-type’ protein kinases. In fact, Ser/Thr protein
kinases appear to be the only (known) type of receptors
encoded in many archaeal genomes and the principal type
of signal transduction proteins in such bacteria as Frankia
alni or Rhodopirellula baltica. The active domain of Ser/
Thr/Tyr kinases (Pfam domain PF00069) is a member of
a vast superfamily that also includes aminoglycoside
phosphotransferase, choline kinase, lipopolysaccharide
kinase, and 3-deoxy-D-manno-octulosonic acid (KDO)
kinase domains. Nevertheless, Ser/Thr kinases are rela-
tively easy to recognize, particularly in such genomes as
M. xanthus, which encodes more than 100 of them, almost
as many as histidine kinases. Despite their abundance,
Ser/Thr protein kinases are still poorly studied; only a
handful of their targets have been recognized and the
importance of this kind of regulation often gets over-
looked. A recent survey of phosphorylated proteins in B.
subtilis suggested that most glycolytic enzymes, as well as
several enzymes of the tricarboxylic acid cycle and the
pentose phosphate pathway, can be phosphorylated on
serine or threonine residues and, theoretically, could be
subject of regulation by Ser/Thr protein kinases. Given
that B. subtilis genome encodes only four Ser/Thr protein
kinases, they might have rather wide substrate specificity.
Bacterial Ser/Thr protein phosphatases are primarily
of the PP2C-type. Cellular targets for most of them
remain unknown, although some of them have been
shown to reverse the action of their cognate Ser/Thr
protein kinases, possibly by dephosphorylating Ser/Thr
kinases themselves.
Adenylate cyclases
Adenylate (adenylyl) cyclases, the enzymes that produce
cAMP from ATP, exist in several unrelated variants,
referred to as classes. Traditionally, the enzyme from E.
coli is considered class I adenylate cyclase. It is a soluble
enzyme that does not seem to sense any environmental
signals. However, its activity is modulated by the EIIA
Glc
component of the glucose-specific phosphotransferase
system (PTS). The phosphorylated form of EIIA
Glc
appears to activate adenylate cyclase, whereas the depho-
sphorylated form, accumulating in the presence of
extracellular glucose, does not bind to the adenylate
cyclase or even inhibits it. Thus, in the presence of glu-
cose or other PTS sugars, adenylate cyclase activity
decreases, leading to a drop in the cellular level of
cAMP. This is one of the mechanisms contributing to
the phenomenon of catabolite repression.
Sensory Transduction in Bacteria 1017

Bacterial receptor-type adenylate cyclases belong to
the so-called class III and were first described in 1996 in
the cyanobacterium Spirulina platense. Analysis of the gene
sequence predicted that its product would contain a signal
peptide, a periplasmic sensor domain, a membrane-span-
ning domain, and an adenylate cyclase-like catalytic
domain. A similar gene from another cyanobacterium,
Anabaena sp. PCC7120, was shown to complement a
cya
mutant of E. coli, indicating that it encoded an
enzymatically active adenylate cyclase domain.
Receptor-type adenylate cyclases were later found in a
variety of diverse organisms, including the actinobacteria
Mycobacterium tuberculosis and Corynebacterium diphtheriae,
-proteobacteria Bradyrhizobium japonicum and Rhizobium
leguminosarum,-proteobacteria M. xanthus and Stigmatella
aurantiaca, and the spirochete Treponema denticola. In addi-
tion, certain adenylate cyclases were found to have
membrane-embedded sensor domains. One of them, the
P. aeruginosa protein CyaB (PA3217), proved to be a key
regulator of the expression of virulence factors, contribut-
ing to mouse infection by P. aeruginosa.
Diguanylate cyclases and c-di-GMP
phosphodiesterases
A recently identified group of bacterial membrane recep-
tors includes proteins with GGDEF, EAL, and HD-GYP
signal transduction domains that synthesize and hydro-
lyze the second messenger c-di-GMP (Figure 3). These
proteins have been first recognized as sensor proteins
through computational analysis of bacterial genomes.
Subsequent experimental studies revealed their role in
regulating biofilm formation, development of flagellar
apparatus, and a variety of other processes.
The GGDEF domain has been identified as a diguany-
late cyclase that synthesizes c-di-GMP from two
molecules of GTP. This enzyme has been recently purified
and crystallized, its three-dimensional structure is available
in the Protein DataBank (see Table 4). Hydrolysis of c-di-
GMP can be carried out by two different classes of c-di-
GMP-specific phosphodiesterases, referred to as the EAL
and HD-GYP domains. The HD-GYP domain is a mem-
ber of the HD phosphohydrolase domain family (Pfam
domain PF01966) and consists of a moderately conserved
phosphodiesterase subdomain and a highly conserved but
uncharacterized subdomain, which probably accounts for
the substrate specificity of the protein. HD-GYP is recog-
nized as a separate domain in the Conserved Domain
database (CDD), but not in Pfam.
Almost a half of all bacterial GGDEF domains and
two-thirds of all EAL domains are found in fused proteins
that contain both GGDEF and EAL domains. The overall
activity of these fusion proteins can be either synthesis or
hydrolysis of c-di-GMP, as has been observed when these
proteins were first characterized in 1998 by Moshe
Benziman and colleagues. It appears that in many such
fusion proteins, at least one of the domains is enzymati-
cally inactive and serves as an allosteric regulator of the
other one. In some cases, however, both domains appear
to be active. While some of the GGDEF, EAL, and HD-
GYP domains comprise the signal transduction modules
of membrane-anchored environmental sensors, they are
often found in cytoplasmic proteins, including many
response regulators.
Interaction of Signal Transduction
Pathways
As mentioned above, different classes of bacterial receptors
sometimes contain similar sensory domains. This phenom-
enon is often observed between different groups of
organisms. Thus, histidine kinases with CHASE4 sensor
domain are found mostly in archaea, whereas diguanylate
cyclases with CHASE4 sensor domain are found exclu-
sively in bacteria (Table 6). This observation suggests that
different organisms employ different signaling pathways
and, ultimately, different mechanisms to respond to the
same kinds of environmental signals. For example,
Thiomicrospira denitrificans that senses extracellular nitrate
by a NIT sensor domain of a histidine kinase (Table 6)
would generate an intracellular response, transcriptional or
otherwise, modulated by its cognate response regulator.
Shewanella amazonensis, which encodes an NIT-coupled
MCP, would respond to nitrate by altering its chemotactic
behavior, whereas Chromobacterium violaceum,encodinga
NIT-coupled diguanylate cyclase, is most likely to react
to nitrate by adjusting its motility, protein, or polysacchar-
ide secretion. Thus, the diversity of signal transduction
pathways ensures that different organisms respond to simi-
lar or even identical environmental signals by launching a
variety of cellular responses. These cellular responses
become particularly complex in free-living organisms
with large genomes, which encode a particularly large
number of signal transduction proteins. In such organisms
diverse receptors with common sensory domains can often
coexist, providing a multi-level response to environmental
challenge. For example, the genome of Anabaena sp. PCC
7120 encodes 13 proteins with the CHASE2 domain,
including four histidine kinases (All1178, All3347,
All5309, and Alr5151), two Ser/Thr protein kinases
(All4838 and Alr1869), an adenylate cyclase (All1118),
and a diguanylate cyclase (All1219). Although the environ-
mental signal sensed by the CHASE2 domain has not been
identified, there are certain indications that it might be
osmolarity or a related parameter. It would be hardly
surprising if Anabaena sp., a freshwater cyanobacterium
with complex metabolic capabilities, would be able to elicit
more than one response to the changes in the osmotic
pressure around it.
1018 Sensory Transduction in Bacteria

Table 6 Diversity of the sensor–signal transduction domain combinations in bacterial receptors
Domain name
a
HisK MCP signal STYK PP2C ACyc3 GGDEF GGDEF-EAL EAL HD-GYP Other
Extracellular
SBP_bac_3 GSU2755 – SCO4911 EAY27325 – SO_3700 PP_0386 CPE0914 TM_1170 SACE_4896
NIT Tmden_1926 Sama_1713 – – CG5719 CV_3252 SO_0141 – – Bcen_5756
Cache BLi00440 TM1428 – Mll6700 Lpg1322 VVA0051 VV0195 DVU_0457 PP_2599 DVU_2637
CHASE MXAN_6941 – AAS78641 BAF29743 AAA33164 VVA0456 VV0017 – –
CHASE2 PA4036 – Ava_4764 – Lpg1739 DR_1633 Bll6124 – –
CHASE3 DRA0205 GSU0683 – FRAAL1878 BAA22996 GSU1937 – – –
CHASE4 RL3120 – – – – PA0847 GSU2511 – – Gura_0265
Membrane-embedded
5TMR-LYT VV0692 – – Swol_1793 – DR_1090 SO_1500 – – Jann_0472
7TMR-DISM Gura_0744 TP0040 – LBJ_0248 LBJ_0018 SO_1570 Bll1502 – – LBJ_2951
MHYT Sden_3722 – – – – Bcen_1563 PA1727 – – SPO2400
MASE1 MXAN_6855 – – Mmcs_3900 – Slr1798 PA1181 – – DVU3106
MASE2 – – – – PA3217 STM0385 – – – –
Cytoplasmic
PAS PA5124 Aer_Ecoli – BSU34110 Tery_3993 Lpg0155 BCE_0696 Arth_1906 DVU0129 PtsP_Ecoli
GAF Ava_1719 GSU1704 Arth_0192 LB112 LA2834 SO_3759 Mflv_4377 – VV2051 ABB34328
Globin sensor MXAN_4246 Amb2517 CAK86513 –CAJ04664 YddV_Ecoli CAI07755 Bxe_B2627 – VVA0580
Phytochrome DRA0050 – BAE20158 Mflv_4519 – RPB_2169 RSP_4111 – – XOO0264
a
The domain names are as in Tables 3 and 4. Each cell contains an example of a protein with the specified domain combination, listed by its gene name or accession number in the NCBI protein database.
The names in italics indicate domain combinations found so far only in eukaryotes. Dashes indicate domain combinations not found in the NCBI protein database as of 1 July 2007.

Another mechanism of cross-talk between different
signaling pathways involves response regulators with
enzymatic output domains. For example, environmental
signal perceived by the P. aeruginosa methyl-accepting
protein WspA is transmitted through a hybrid histidine
kinase WspE to the response regulator WspR that has a
diguanylate cyclase (GGDEF) output domain and regu-
lates biofilm formation. This way, signals from such
receptors as MCPs or histidine kinases may end up reg-
ulating a variety of diverse processes.
In addition, genome analysis reveals numerous cases of
signaling proteins that combine different kinds of signal
transduction domains, for example, an adenylate cyclase
with a Ser/Thr protein kinase. Such proteins are very
difficult to annotate, let alone figure out their cellular
functions. Nevertheless, preservation of such multido-
main proteins through millions of years of evolution
indicates that they do have a function, at least in some
environmental conditions. It would be reasonable to sug-
gest that the extreme diversity of signal transduction
proteins, generated by numerous combination of a rela-
tively small number of the core protein domains, reflects
different paths of adaptation to their environment,
selected in different bacterial lineages.
How E. coli Sees the World?
Despite many years of studies, our understanding of sig-
nal transduction pathways is still very limited, even in the
best-studied model organisms such as E. coli and B. subtilis.
We still lack a clear understanding which environmental
parameters these organisms sense, let alone why they
choose these parameters and not others. However, the
availability of complete genomes gives us an opportunity
to list all components of the signaling network and start
analyzing and modeling their respective contribution to
the regulation of gene expression and cellular behavior.
Several years ago, James Hoch and colleagues published a
review on signal transduction in B. subtilis (see ‘Further
Reading’) entitled ‘How one organism sees its world’. In
the same fashion, it could be instructive to look at the
genome of E. coli and see what receptors it uses to monitor
the environment and the intracellular milieu. To the best
of our knowledge, the signal transduction machinery of
E. coli includes the following components:
•30 histidine kinases with 32 response regulators
•23 membrane components of the sugar PTS
•12 diguanylate cyclases
•10 c-di-GMP phosphodiesterases
•7 proteins with both GGDEF and EAL domains
•5 MCPs
•2 predicted Ser/Thr protein kinases
•1 class I adenylate cyclase
How much do we know about their functions? The signals
sensed by each of the five MCPs have been experimen-
tally characterized and are as follows:
•Tsr – serine
•Tar – aspartate, maltose
•Trg – ribose, galactose
•Tap – dipeptides
•Aer – redox state of the respiratory chain
The last of these MCPs, Aer, is obviously important for
sensing the presence of usable terminal electron accep-
tors, reflecting the choice between a respiratory and
fermentative metabolism. The ligands sensed by the
other four MCPs include amino acids, peptides, and
sugars. However, it is hard to say why evolution has
chosen these particular ligands over other amino acids
and sugars. For example, why serine and aspartate are
more important for chemotaxis than glutamine and aspar-
agine, which link carbon and nitrogen metabolism?
Likewise, why maltose and galactose and not glucose or
fructose? A partial answer to the second question is given
by the listing of substrates of the sugar PTS, which serves
as an MCP-independent mechanism of regulating
chemotaxis:
•FruA, FrvB, FrwC, HrsA, YpdG – fructose
•AscF, CelB – cellobiose (-D-Glu-D-Glu)
•MtlA, CmtA – mannitol
•GatC, SgcC – galactitol
•AgaC/D, AgaW – N-acetylgalactosamine
•NagE – N-acetylglucosamine
•ManX/Y – mannose
•SrlA – sorbitol
•PtsG – glucose
•MalX – maltose (-D-Glu-D-Glu)
•TreB – trehalose (-D-Glu-D-Glu)
•GlvC – -glucosides
•BglF – -glusosides
•SgaB – ascorbate
•YfeV – N-acetylmuramic acid
Thus, E. coli carries in its genome genes encoding chemo-
taxis receptors for almost any commonly found
monosaccharide and several disaccharides. Whether
these genes are constitutively expressed at sufficient
levels to contribute to the cell behavior remains an open
question. It appears that at least some of the PTS receptor
genes need to be induced by the corresponding sugar.
Regarding transcriptional regulation, signals for 24 out
of 30 histidine kinases have been characterized. These
signals (ligands) are as follows:
•CheA – chemotaxis
•BaeS, BasS, CpxA, EvgS, RcsC, RscD – envelope stress
•EnvG, KdpD – osmotic stress, K
þ
gradient
•PhoM, PhoQ, PhoR – phosphate (and/or Ca
2þ
,Mg
2þ
)
1020 Sensory Transduction in Bacteria

•NarQ, NarX – nitrite/nitrate
•CusS, ZraS – heavy metals (Cu
þ
/Ag
þ
,Zn
2þ
/Pb
2þ
)
•ArcB, BarA – O
2
,H
2
O
2
•CitA – citrate
•DcuS – fumarate, C4-dicarboxylates
•UhpB – glucose-6-phosphate
•GlnL – glutamine
•TorS – trimethylamine oxide
•QseC – quorum sensing
The signals for the remaining six histidine kinases – AtoS,
RstB, YehU, YpdA, YfhK, and YedV – remain unknown.
AtoS has been shown to regulate the biosynthesis of poly-
3-hydroxybutyrate upon induction with acetoacetate,
whereas the other five have unknown functions. It is
remarkable how many histidine kinases are sensing either
envelope and osmotic stress or redox state of the cell and
the availability of terminal electron acceptors. The fact
that these histidine kinases coexist in the same cell sug-
gests a certain degree of sophistication in their
interactions, seen, for example, in the complex division
of functions between NarQ and NarX. In most cases,
however, the hierarchy between different sensors, if any,
remains unknown.
Our current knowledge of the functions of 29 E. coli
proteins with GGDEF and/or EAL domains that function
as diguanylate cyclases and/or c-di-GMP-specific phospho-
diesterases is far more limited. The sensed ligand, oxygen
(and potentially CO and NO), has been established only for
one of them, YddU, which was accordingly renamed ‘direct
oxygen sensor’, or Dos. Several other GGDEF and/or EAL
domain proteins, such as YaiC (AdrA), YdaM, YciR, and
YhdA, have been shown to regulate, respectively, cellulose
biosynthesis, production of curli fimbriae, and carbon sto-
rage. For other GGDEF and/or EAL domain proteins
(Rtn, YcdT, YddV, YdeH, YeaI, YeaJ, YeaP, YedQ, YegE,
YfeA, YfgF, YfiN, YhjK, YliF, YneF, YahA, YcgF, YcgG,
YdiV, YhjH, YjcC, YlaB, YliE, and YoaD), neither the sensed
signal nor the regulated process are known at this time.
The situation with the two predicted Ser/Thr protein
kinases of E. coli is not much better. Although these pro-
teins have been identified as members of the Ser/Thr
protein kinase superfamily and have all the key active
site residues intact, neither of them has been actually
shown to function as a Ser/Thr protein kinase. One of
them, UbiB, is required for a hydroxylation step in ubi-
quinone biosynthesis and was initially thought to function
as 2-octaprenylphenol hydroxylase. However, this enzy-
matic activity has not been experimentally demonstrated.
Thus, it remains unknown at this time whether UbiB is an
enzyme of ubiquinone biosynthesis or a Ser/Thr protein
kinase that regulates this process. The functions of the
second predicted Ser/Thr protein kinase, YegI, also
remain unknown.
Summing up, there remain major puzzles even in
signal transduction pathways of E. coli. For most other
bacteria free-living bacteria, understanding the signal
transduction mechanisms and pathways will remain a
challenge for years to come.
Further Reading
Fabret C, Feher VA, and Hoch JA (1999) Two-component signal
transduction in Bacillus subtilis: How one organism sees its world.
Journal of Bacteriology 181: 1975–1983.
Galperin MY (2004) Bacterial signal transduction network in a genomic
perspective. Environmental Microbiology 6: 552–567.
Galperin MY (2005) A census of membrane-bound and intracellular
signal transduction proteins in bacteria: Bacterial IQ, extroverts and
introverts. BMC Microbiology 5: 35.
Galperin MY (2006) Structural classification of bacterial response
regulators: Diversity of output domains and domain combinations.
Journal of Bacteriology 188: 4169–4182.
Gao R, Mack TR, and Stock AM (2007) Bacterial response regulators:
Versatile regulatory strategies from common domains. Trends in
Biochemical Sciences 32: 225–234.
Gilles-Gonzalez MA and Gonzalez G (2005) Heme-based sensors:
Defining characteristics, recent developments, and regulatory
hypotheses. Journal of Inorganic Biochemistry 99: 1–22.
Inouye M and Dutta R (eds.) (2003) Histidine Kinases in Signal
Transduction. San Diego-London: Academic Press.
Jenal U and Malone J (2006) Mechanisms of cyclic-di-GMP signaling in
bacteria. Annual Review of Genetics 40: 385–407.
Linder JU (2006) Class III adenylyl cyclases: Molecular mechanisms of
catalysis and regulation. Cell and Molecular Life Sciences
63: 1736–1751.
Mascher T, Helmann JD, and Unden G (2006) Stimulus perception in
bacterial signal-transducing histidine kinases. Microbiology and
Molecular Biology Reviews 70: 910–938.
Ro¨ mling U, Gomelsky M, and Galperin MY (2005) C-di-GMP: The
dawning of a novel bacterial signalling system. Molecular
Microbiology 57: 629–639.
Stock AM, Robinson VL, and Goudreau PN (2000) Two-component
signal transduction. Annual Review of Biochemistry 69: 183–215.
Szurmant H and Ordal GW (2004) Diversity in chemotaxis mechanisms
among the bacteria and archaea. Microbiology and Molecular
Biology Reviews 68: 301–319.
Ulrich LE, Koonin EV, and Zhulin IB (2005) One-component systems
dominate signal transduction in prokaryotes. Trends in Microbiology
13: 52–56.
Wadhams GH and Armitage JP (2004) Making sense of it all: Bacterial
chemotaxis. Nature Reviews in Molecular and Cell Biology
5: 1024–1037.
Sensory Transduction in Bacteria 1021

Spirochetes
D A Haake, University of California at Los Angeles, Los Angeles, CA, USA
ª2009 Elsevier Inc. All rights reserved.
Defining Statement
Overview
Treponema
Borrelia
Brachyspira
Leptospira
Conclusions
Further Reading
Glossary
chemotaxis The movement along a chemical
concentration gradient either toward or away from a
chemical stimulus.
commensal An organism participating in a relationship
in which that species derives benefit while the other is
unaffected.
microbiome The entourage of associated microflora in
a host.
parasite An organism participating in a relationship in
which that species derives benefit while the other is
harmed.
pathogenesis The process by which a disease occurs.
saprophyte An organism that grows on and derives its
nourishment from dead or decaying organic matter.
symbiont An organism participating in a relationship in
which both species derive benefit.
Abbreviations
BSA Bovine serum albumin
DHS downstream homology sequence
EMJH Ellinghausen–McCullough–Johnson–Harris
HisK histidine kinase sensors
IS insertion sequence
LBRF louse-borne RF
LD Lyme disease
Lig Leptospira immunoglobulin-like repeat
LPS lipopolysaccharide
MCPs methyl-accepting chemotaxis proteins
Msp major sheath protein
NADH nicotinamide adenine dinucleotide
Omps outer membrane proteins
PCR polymerase chain reaction
PD pocket depth
PDD papillomatous digital dermatitis
RF relapsing fever
TBRF tick-borne RF
UHS upstream homology sequence
VSH virus of Serpulina hyodysenteriae
Defining Statement
Spirochetes are ancient bacteria that comprise one of the
major phyla within the eubacterial kingdom. Their unique
morphology and rotational motility are distinguishing fea-
tures that allow rapid microscopic identification. Spirochetes
are widely distributed in nature as free-living bacteria, as
metabolic symbionts of insects, and as commensals and
parasites of animals.
Overview
The spirochetes form one of the major phyla of the kingdom
of Eubacteria. The depth of the spirochetal branch of the
bacterial tree of life is indicated by the fact that phylum
Spirochaetes has a single class and a single order. As
shown in Figure 1, the order Spirochaetales is divided
into three families, Spirochaetaceae, Serpulinaceae, and
Leptospiraceae. The first family, Spirochaetaceae, includes
a complex group of organisms that have adapted to diverse
niches. At one extreme, there are a large number of free-
living Spirochaeta organisms that can be cultivated from
virtually any moist, nutrient-rich environment. At the
other extreme is the obligate parasite, T. pallidum,which
relies on the activities of a single animal host, man, for its
survival and dissemination. In between these two extremes
are the commensal, parasitic, and symbiotic organisms with
life cycles involving insects, animals, or both. The second
family, Serpulinaceae, contains a single genus, Brachyspira,
and a more narrowly focused lifestyle involving residence in
the lower intestinal tracts of animals. The third family,
1022

Leptospiraceae, includes both environmental saprophytes
(e.g., L. biflexa) and animal parasites (e.g., L. interrogans)that
cycle between bodies of freshwater and their preferred
reservoir host.
Comparison of genome sizes indicates that life outside
the host is much more genetically challenging than a life
of host dependence. Free-living organisms such as
Spirochaeta aurantia and L. biflexa have relatively large
genomes relative to Escherichia coli (Figure 2). In contrast,
adaptation of spirochetes to a commensal or parasitic
lifestyle has resulted in genomic contraction. For exam-
ple, Leptospira borgpetersenii and L. interrogans evolved from
a common ancestor that had the ability to survive in both
nature and the mammalian host, whereas L. borgpetersenii
has become an obligate parasite of cattle that requires
direct transmission from animal to animal. As a result,
the L. borgpetersenii genome has become 16% smaller and
remains in a process of decay, with 12% of its genes as
nonfunctional pseudogenes. Treponema denticola has an
intermediate-sized genome, perhaps related to the fact
that although it is found only in animal hosts, it competes
for nutrients in the complex oral microbial community.
The Borrelia spp. and T. pallidum have the smallest gen-
omes, with chromosomes only 1 Mb in size, which is
consistent with their host dependence and lack of a free-
living phase of their life cycle.
Spirochetes are defined by their unique morphology and
rotational motility. Most spirochetes are helical coils – the
one exception being Borrelia burgdorferi, which is actually a
flat wave. Spirochetes are expert swimmers that are enter-
taining to watch by dark field microscopy. In low-viscosity
liquids, spirochetes appear to spin in place. Increasing the
viscosity by the addition of methylcellulose allows spiro-
chetes to bore through the medium at a high rate of speed.
The observer is quickly led to an understanding of how
their screw-like movements would impart invasive proper-
ties to spirochetal pathogens. The organs of motility are
flagella anchored near each end of the cell. Spirochete
flagella are sometimes referred to as ‘endoflagella’ because
they are subsurface structures, wrapping around the proto-
plasmic cell cylinder, as shown in Figure 3,insteadof
extending out beyond the surface of the cell as in all other
flagellated bacteria. In at least one case, spirochete flagella
also determine cell shape. B. burgdorferi mutants lacking the
flaB flagellar filament protein are rod-shaped rather than
wavy. Spirochetes differ in flagellar number and length.
Leptospira have a single flagellum at each end of the cell
that extends only a short distance along the length of the
cell. In contrast, Cristispira spp. have bundles of over a 100
flagella at each end.
Chemotaxis allows bacteria to swim toward attractants,
such as nutrients, and away from repellants by controlling
the rotational direction of the flagellar motor. Flagella can
rotate in a clockwise or counterclockwise direction. Sensory
Figure 1 Taxonomic organization of the spirochetes. Three
families of spirochetes have been defined. Family
Spirochaetaceae includes the free-living Spirochaeta spp., the
parasitic Borrelia, and the commensal, parasitic, and symbiotic
Treponema spp. Family Serpulinaceae are bacteria that colonize
the lower intestinal tracts of mammals. Family Leptospiraceae
includes both free-living nonpathogens and organisms that are
able to invade animal reservoir hosts.
0
Host
dependent
Free
living
Borrelia afzelii
Borrelia garinii
Treponema pallidum
Borrelia burgdorferi
Treponema denticola
Treponema azotonutricum
Leptospira borgpetersenii
Leptospira biflexa
Spirochaeta aurantia
Leptospira interrogans
Escherichia coli 0157
123
Genome size (Mb)
45
Figure 2 Comparative genome sizes of spirochetes. Free-living
spirochetes, including Leptospira and Spirochaeta spp., have
genomes that rival the size of E. coli. Host-dependent
spirochetes, such as T. pallidum and Borrelia spp., have some of
the smallest known genome sizes. Treponemes that live in the
complex environments of the oral cavity (T. denticola) and termite
gut (T. azotonutricum) have intermediate-sized genomes.
Spirochetes 1023

proteins called methyl-accepting chemotaxis proteins
(MCPs) control the directional switch in the flagellar
motor. Clockwise rotation causes a cell to tumble (stop),
counterclockwise rotation causes a cell to run (go).
Spirochetes are unique in having flagella at each end.
Effective spirochete movement involves flagellar rotation
in the counterclockwise direction at the leading end and in
the clockwise rotation at the trailing end. If the flagella at
alternate ends are rotating in the same direction, spirochetes
will flex in place rather than spin. It is not known how
spirochetes coordinate the flagella at their alternate ends, or
how MCPs orient spirochete movement. In any case, spir-
ochetes are clearly adept at chemotaxis. For example, B.
burgdorferi are able to find their way into a capillary tube
containing N-acetylglucosamine, a sugar required for cell
wall biosynthesis. Sensory proteins are used not only for
chemotaxis but also for the regulation of gene expression.
Spirochetes vary widely in terms of the number of sensory
proteins they have. As mentioned previously, life outside
the host is challenging and ‘extroverts’ (organisms with a
free-living stage) have far more sensory proteins than ‘intro-
verts’ that never leave the host. For example, L. interrogans,
whichlivesbothinsideandoutsideamammalianhost,has
10 times the number of sensory proteins as T. pallidum,an
obligate human parasite. Figure 4 shows the correlation
between lifestyle and numbers of sensory proteins.
The unique spirochetal architecture has both Gram-
negative and Gram-positive features. Like Gram-negative
bacteria, spirochetes are ‘diderms’, or double-membrane
bacteria. However, the spirochetal outer membrane is
much more fluid and labile than the outer membrane of
Gram-negative organisms. In typical enteric Gram-negative
bacteria, the outer membrane is supported by, and closely
associated with, the underlying peptidoglycan cell wall. In
contrast, the spirochetal cell wall is more closely associated
withtheinner,orcytoplasmic,membranethantheouter
membrane (Figure 5), a feature of Gram-positive bacteria.
Another important difference between the outer membranes
(a)
(b)
EF CW OM EF: Endoflagellum
CW: Cell wall
OM: Outer membrane
BB
BB: Basal body
Figure 3 Spirochetal architecture. Spirochetes share a unique
structure and motility strategy in which the endoflagella are
inserted at opposite poles and wrap around the protoplasmic
cylinder. (a) Electron micrograph of Leptospira showing a single
endoflagellum at one end of the cell. (b) Schematic diagram
showing endoflagellar location relative to the outer membrane
and cell wall. Reproduced from Holt SC (1978) Anatomy and
chemistry of spirochetes. Microbiological Reviews 42: 114–160.
0
Introverts
Extroverts
T. pallidum
B. afzelii
B. burgdorferi
B. garinii
T. denticola
L. borgpetersenii
L. interrogans
E. coli 0157
20
Sensory transduction proteins per
g
enome
40 60 80 100 120
Hisk
MCP
STYK
GGDEF
EAL
HD-GYP
AC3
ACIV
RRs
140
Figure 4 Comparison of spirochetal lifestyles and sensory
transduction genes. Spirochetes have a wide variety of sensory
transduction genes including histidine kinase sensors (HisK),
methyl-accepting chemotaxis proteins (MCP), and so on.
Spirochete ‘extroverts’ that live outside the host have a much
greater number of sensory transduction proteins per genome
than host-dependent ‘introverts’.
H
GFEDCB
A
Figure 5 Spirochete cross-section. Elements of spirochetal
architecture include (a) outer membrane; (b) periplasm; (c and d)
peptidoglycan cell wall; (e) cytoplasmic membrane; (f) cytoplasm;
(g) nuclear material; and (h) endoflagella. Note that the endoflagella
are subsurface structures and that the cell wall is more closely
associated with the cytoplasmic membrane than with the outer
membrane. Reproduced from Holt SC (1978) Anatomy and
chemistry of spirochetes. Microbiological Reviews 42: 114–160.
1024 Spirochetes

of most Gram-negative bacteria and those of treponemes
and Borrelia is a lack of lipopolysaccharide (LPS).
Leptospires have LPS, but there are significant structural
differences between leptospiral and E. coli LPS such that
human Toll-like receptor 4 is unable to bind to leptospiral
LPS. The lack of recognizable LPS allows spirochetes to
function as ‘stealth pathogens’ that are able to invade and
persistinthebloodstreamandintissuesofthebodywithout
detection by the early warning system of innate immunity.
Protein export pathways of spirochetes resemble those
of other bacteria. The Sec pathway for exporting proteins
with signal peptides across the cytoplasmic membrane is
conserved. Genes encoding enzymes that process signal
peptides are present in spirochete genomes, but their spe-
cificities are clearly unique because prediction algorithms
such as Psort and LipoP frequently do not apply to spir-
ochetal signal peptides. Computer recognition of signal
peptides of spirochetal lipoproteins requires the develop-
ment of spirochete-specific training sets and algorithms
(e.g., SpLip). Upon reaching the periplasmic face of the
cytoplasmic membrane, spirochetal lipoproteins are
shuttled to the outer membrane via the Lol pathway.
Here again, rules that apply for E. coli lipoproteins have
been altered for spirochetal lipoproteins such that retention
of spirochetal lipoproteins in the cytoplasmic membrane
involves negatively charged amino acids after the
N-terminal cysteine and export to the outer membrane is
by default. Membrane fractionation and ultrastructure stu-
dies demonstrate three types of spirochetal outer membrane
proteins (Omps), namely transmembrane porin-like
molecules, lipoproteins, and peripheral (nonintegral)
membrane proteins. All spirochetes have Omp85 homolo-
gues for assembly and insertion of Omps. Transmembrane
Omps are required for transport functions and both
transmembrane and surface lipoprotein Omps have been
shown to be involved in host–pathogen interactions.
Treponema
The genus Treponema includes a broad diversity of parasitic
and commensal species, most of which exist in complex
bacterial communities. A notable exception is highly inva-
sive obligate human pathogen, T. pallidum, subspecies
pallidum, the agent of syphilis. T. pallidum, syphilis, and its
history are covered in ‘Sexually transmitted diseases’ and
‘Syphilis, historical’ of the current edition of Encyclopedia of
Microbiology. In passing, it should be mentioned that T.
pallidum has two other subspecies and a sister species that
cause nonvenereal skin infections of humans (see
Figure 1). T. pallidum subspecies pertenue causes yaws,
T. pallidum subspecies endemicum causes endemic syphilis
(bejel), and T. carateum causes pinta. Another member of
this species group is Treponema paraluiscuniculi,theagentof
venereal spirochetosis of rabbits, which has an overall
genome sequence similarity of 98.6–99.3% with
T. pallidum subspecies pallidum. It should also be mentioned
that a number of additional Treponema species have been
isolated from the intestinal tracts of animals including cows
(Treponema bryantii and Treponema saccharophilum) and pigs
(Treponema succinifaciens). In this section, we will cover the
oral treponemes, the organisms that cause papillomatous
digital dermatitis (PDD) of cattle, and the termite gut
treponemes that contribute to the digestion of cellulose.
Oral Treponemes
Oral treponemes were some of the first bacteria described in
the writings and drawings of Antonie van Leeuwenhoek,
the father of Microbiology. In 1676, when examining a
dental plaque from the mouth of an old man, van
Leeuwenhoek found ‘‘an unbelievably great company of
living animalcules, a-swimming more nimbly than any I
had ever seen up to this time. The biggest sort...bent their
body into curves in going forwards...’’ Today, anyone with
a dark field microscope can repeat van Leeuwenhoek’s
experiment. If the sample is taken from the periodontal
space (located between the tooth and the gum) of a patient
with gum disease, it is likely that spirochetes will be
observed to be the predominant bacterial forms. A remark-
able diversity of oral treponeme morphologies is present in
the mouth, with a broad variety of diameters, lengths,
wavelengths, amplitudes, and numbers of endoflagellae.
Sizes range from 0.1 to 0.4 mmindiameterandfrom5to
20 mminlength.
The microbial community of the mouth, referred to as
the oral ‘microbiome’, is estimated to include upward of
500 different bacterial species. Given the complex envir-
onment in which they live, it is not surprising that it has
been relatively difficult to isolate and cultivate oral tre-
ponemes. Like most bacteria that live in the periodontal
space, most oral treponemes are strict anaerobes.
However, some treponemes, such as T. denticola, can tol-
erate low concentrations of oxygen. Treponemes are
intrinsically resistant to rifampin, which makes it possible
to use rifampin-containing culture medium to exclude
other bacteria and select for treponemes. Ten species of
oral treponemes have now been isolated, allowing more
detailed studies of their morphologies and metabolic
requirements. However, more detailed enumeration of
oral treponeme diversity has become available through
polymerase chain reaction (PCR)-based cloning and
sequencing of bacterial 16S rRNA sequences. In one
important oral microbiome study of healthy and period-
ontitis subjects, five novel treponemal species were found
for every one that had been cultivated. Nearly 25%
(49/215) of the new oral bacterial species discovered
were treponemes! The oral diversity of phylum
Spirochaetes is exceeded only by the phylum Firmicutes,
which includes the streptococci. On the basis of these
Spirochetes 1025

molecular studies, ten phylogenetic groups of oral trepo-
nemes in two clusters have now been defined (Figure 6).
Several lines of evidence implicate treponemes as oral
pathogens. Although treponemes can be found in small
numbers in the mouths of healthy individuals, their num-
bers and diversity are strongly correlated with the
severity of chronic and aggressive forms of periodontitis
and their numbers are diminished with clinical treatment.
Two species that have been associated with periodontitis
are T. denticola and Treponema lecithinolyticum. Both
gingivitis and periodontitis are extremely common
inflammatory gum diseases. The distinction is that while
gingivitis is reversible, periodontitis involves erosion of
the dental ligament that attaches the tooth to the support-
ing bone at the base of the periodontal pocket (Figure 7).
Peridontitis affects 50% of the US population over 30
years of age and is the leading cause of tooth loss.
Although treponemes are typically found at the base of
the periodontal pocket in association with other patho-
genic organisms, such as Porphyromonas gingivalis and
Tannerella forsythia, immunofluorescence microscopy
shows that the treponemes are the most invasive organ-
isms, typically invading the epithelial cells at the leading
edge of the invasion process. Treponemes also appear to
be involved in endodontal (root canal) infections;
Treponema maltophilum DNA was detected in 50% of root
canal samples using 16S rDNA-based PCR methods.
Several pathogenetic mechanisms have been identified
by which oral treponemes cause disease. By virtue of their
motility, chemotaxis, and narrow diameter, spirochetes are
able to slip between epithelial cells and invade the sub-
epithelial layers of the gum tissue. Although treponemes
do not make Gram-negative LPSs, they do elaborate a
variety of glycolipids and lipoproteins that stimulate
innate inflammatory pathways. T. denticola expresses a
Oral cluster 1
Oral cluster 2
Termite cluster
0.03
T. amylovorum OTG-5
TTG-9
TTG-8
S. zuelzerae
S. caldaria
S. stenostrepta
T. azotonutricium
T. primitia
TTG-2
TTG-1
TTG-3
TTG-4
TTG-5
TTG-6
TTG-7
TTG-10
T. parvum OTG-7
T. socranskii OTG-6
T. pectinovorum OTG-8
T. lecithinolyticum OTG-4
T. bryantii
T. pallidum ss. pallidum
T. phagedenis
T. refringens
T. vincentii OTG-1
T. denticola OTG-2
Figure 6 Phylogenetic tree of the treponemes. Comparison of treponeme 16S rRNA sequences shows segregation into three
relatedness clusters: two clusters of oral treponemes and a cluster of termite gut treponemes. Note that T. pallidum, the agent of
syphilis, is related to the first cluster of oral treponemes.
Tooth
Periodontal
ligament
Alveolar
bone
Periodontal
ligament
Alveolar
bone
Periodontal
ligament
Alveolar
bone
Tooth
PD
Health Gingivitis Periodontitis
PD
PD
AL
Tooth
Figure 7 Schematic representation of health, gingivitis, and
periodontitis. The periodontal pocket depth (PD) is increased in
gingivitis due to tissue swelling associated with inflammation. In
periodontitis, the PD is further increased due to the loss of the
tissue attachment to the root of the tooth (AL: attachment loss).
Periodontitis is further characterized by the loss of supporting
alveolar bone. Treponemes are typically found at the base of the
periodontal pocket. Reproduced from Kinder-Haake S, et al.
(2006) Periodontal diseases. In: Lamont et al. (eds.) Oral
Microbiology & Immunology, ISBN-13: 9781555812621.
1026 Spirochetes

serine protease, dentilisin, which digests host extracellular
matrix proteins, including fibronectin, laminin, and fibri-
nogen. Dentilisin activates host matrix metalloproteinases,
and together with dentilisin these enzymes serve to alter
and eventually degrade the barriers that prevent invasion
by other periodontal bacteria. Exposure to T. denticola
causes cytoskeletal rearrangements that disrupt normal
host cell functions. These cytotoxic effects are probably
caused by the T. denticola release of Msp, the major sheath
protein. Msp is a porin-like molecule that appears to insert
into host cell membranes and trigger intracellular calcium
fluxes, which are believed to damage epithelial cell bar-
riers and impair the clearance of invaded bacteria by
polymorphonuclear leukocytes.
PDD Treponemes
PDD is a polymicrobial infection of the soft tissue adjacent
to the hoofs of cattle. Affected animals have painful ulcers
referred to as heel warts or footwarts. Since it was first
described in the 1970s, PDD has spread throughout the
world, including most herds in the United States, and is
now the leading cause of lameness in dairy cattle. The
spread of PDD is related to industrial-scale dairy practices
where cattle are continuously kept in barns or feedlots on
moist surfaces and not allowed to graze. Cultures of PDD
lesions show a mixed population of anaerobic bacteria
including a number of spirochetes that are closely related
to oral treponemes such as T. denticola,Treponema medium,
and Treponema vincentii. Immunofluorescence studies of
biopsies of PDD lesions reveal invasion of treponemes
into the soft tissues of foot, not unlike the invasion of
treponemes observed in the periodontium of the mouth.
Termite Gut Treponemes
Diversity
Although the volume of the termite hindgut can be as small
as one microliter, the diversity of treponemal phylotypes
and morphotypes within a single termite rivals that of the
human mouth. Microscopy of the termite hindgut contents
reveals treponemes ranging from 0.1 to 1 mmin diameter
andfrom3to100
mmin length, with a variety of cell
wavelengths and amplitudes (Figure 8). Some of the larger
forms can have 100 or more periplasmic flagella. Many
termite gut treponemes are individual cells, whereas others
are ectosymbionts of protozoa, functioning as their motility
organelles. Recent metagenomic analysis of the total hind-
gut microbiota of arboreal wood-feeding Nasutitermes
termites revealed that 68% of the genetic material was
treponemal in origin. Termite treponemes form a distinct
cluster within the treponeme phylogenetic tree (Figure 6).
In addition to several named species, ten termite Treponema
groups have been defined. The Spirochaeta species,
Spirochaeta stenostrepta and Spirochaeta caldaria, were isolated
from water as free-living organisms and named before their
16S sequences were known, but fall within the termite
treponeme cluster and should be considered Treponema
species likely to have been released from animals or insects.
Metabolism
Unlike the commensal or pathogenic treponemes of the
oral cavity, termite gut treponemes are symbionts, bene-
fitting their termite hosts by contributing to the digestion
of woody plant material. Like most host-dependent spir-
ochetes, termite gut treponemes were difficult to isolate.
Eventually, the first termite gut treponemes to be grown in
pure culture were isolated from the California dampwood
termite, Zootermopsis angusticollis, and assigned to the new
species, Treponema primitia.T. primitia is an anaerobe, and
was grown in sealed containers. In the process of working
with the T. primitia cultures, it was discovered that a
vacuum had developed in the headspace of the
T. primitia cultures. This observation led to the finding
that T. primitia could convert H
2
and CO
2
gases to acetate.
Acetate was known to be a major source of energy and
carbon for termites. The treponemes were found to reduce
single carbon CO
2
to two-carbon acetate molecules via a
well-known acetyl-CoA pathway, thus providing nutri-
ents to the termite that would otherwise have escaped in
a gaseous form. Treponemes were subsequently found to
benefit termite metabolism in other ways. Cellulose is high
in energy but relatively poor in nitrogen required for the
formation of amino acids. A second species, the aptly
named Treponema azotonutricum, was found to be able to
convert significant amounts of atmospheric N2 to ammo-
nium using its unique dinitrogenase reductase activity.
Until recently, it was not known to what extent termite
gut treponemes participated in other aspects of wood
Figure 8 Phase contrast micrograph of termite gut
treponemes. A variety of treponeme sizes and morphologies are
present in the termite gut. Note the treponemal appendages
attached to the hypermastigote protozoan, Trichonympha Agilis.
Reproduced from Breznak JA (2006) In: Radolf JD and Lukehart
SA (eds.) Pathogenic Treponema: Molecular and Cellular Biology,
ISBN: 1-904455-10-7.
Spirochetes 1027

polysaccharide digestion. Before CO
2
and H
2
are formed,
cellulose and xylan must be hydrolyzed to hexose and
pentose oligomers, respectively, which are in turn fermented
to metabolic intermediates. The metagenomic analysis
referred to previously revealed a rich diversity of treponemal
cellulase and hemicellulase genes. Researchers demonstrated
some of the predicted enzymatic activities in the termite gut
lumen proteome. Genome sequencing efforts are currently
under way to further elucidate the role of termite gut trepo-
nemes in cellulose digestion. The ability to convert cellulose
to energy without releasing CO
2
has led to hopes that the
enzymatic activities of termite gut treponemes can be har-
nessed for the production of green energy, in the form of
termite farms, treponemal soups, or as recombinant organ-
isms functionalized with termite gut treponeme genes.
Borrelia
Morphology and Metabolism
Borrelia spp. are divided into two large genetic groups: the
relapsing fever (RF) Borrelia and the Lyme disease (LD)-
related Borrelia. This article covers the RF Borrelia. The
LD Borrelia are covered in ‘Lyme disease’ of the current
edition of Encyclopedia of Microbiology. Borrelia vary from 8
to 30 mmin length and from 0.2 to 0:5mmin width, with
the RF Borrelia tending to be shorter and wider than the
LD-related Borrelia. Borreliae exhibit the unique rota-
tional motility of spirochetes powered by endoflagella.
The RF borreliae have 15–30 endoflagella, whereas
the LD-related borreliae have 7–11 endoflagella. Unlike
the endoflagella of other spirochetes, the endoflagellae
of Borrelia lack sheaths. The other distinguishing
morphological characteristic of the Borrelia is the lack of
cytoplasmic tubules.
Borrelia are obligate parasites with a life cycle that
alternates between arthropod vectors and mammalian
hosts. Despite their host dependence, many Borrelia spp.
have been cultivated using nutritionally rich media, simi-
lar to tissue culture media, including many amino acids
and vitamins. Glucose is required and is metabolized
via the Embden–Meyerhof glycolytic pathway. Borrelia
require exogenous N-acetylglucosamine for cell wall
synthesis, presumably because this chitin component is
constitutively available in ticks. Bovine serum albumin
(BSA) is provided as a source of long-chain fatty acids for
membrane biosynthesis. The bane of Borrelia researchers
is the variable ability of different lots of BSA to support
Borrelia growth. Although Borrelia make superoxide dis-
mutase and are able to tolerate low levels of oxygen, they
are oxygen sensitive. One possible explanation for the lot-
to-lot variability of BSA is that polyunsaturated fatty
acids supplied by certain lots of BSA appear to be the
target of reactive oxygen species, resulting in damage to
Borrelia membranes.
Epidemiology and Phylogeny
The Borrelia life cycle involves alternating parasitism of
arthropodvectorsandmammalianhosts.Theaptlynamed
Borrelia recurrentis is the only one of the RF Borrelia
transmitted by the human body louse (Pediculus humanus)
and is historically the most important of the RF Borrelia.
Numerous plagues of RF have been recorded, dating back
at least as far as the time of Hippocrates. Associations with
war, famine, and displaced populations resulting in poverty
and overcrowding were well known, but the specific asso-
ciation with body lice was not recognized until 1907. The
twentieth century witnessed devastating epidemics of
louse-borne RF (LBRF). In the aftermath of the Russian
revolution, there were 13 million cases of LBRF in Russia
and Eastern Europe, resulting in 5 million deaths. Because
humans are the only mammalian host of LBRF and its
vector, outbreaks can be effectively aborted by the treat-
ment of clothes and bed linins with insecticides or simply by
heating to at least 55 C(130
F) for 5 min. LBRF has been
eradicated everywhere except for isolated areas of Ethiopia
and neighboring countries involved in war (Sudan, Eritrea,
and Somalia).
Aside from B. recurrentis, all other RF Borrelia are
transmitted by ticks and have nonhuman animal host
reservoirs. These tick-borne forms of RF are considered
endemic zoonoses and are found worldwide. Most (but
not all) Borrelia causing tick-borne RF (TBRF) are trans-
mitted by the Argasidae family of soft-body ticks, whereas
the LD-related Borrelia are transmitted by the Ixodidae
family of hard-body ticks. Because of the close relation-
ship between TBRF Borrelia species and their tick vectors,
the names of the Borrelia species derive from the species of
tick vectors that transmit them: Borrelia hermsii is trans-
mitted by Ornithodoros hermsi,Borrelia parkeri is transmitted
by Ornithodoros parkeri.
The distinction between different types of ticks is
important because their different feeding strategies dic-
tate the circumstances under which humans are likely to
encounter the Borrelia they carry. Soft-body ticks are
nocturnal feeders that seek out sleeping animals by
following carbon dioxide and temperature gradients.
Although large in size, they have a painless bite and
their soft bodies have a distensible stomach that allows
them to feed rapidly (15–90 min), drop off, and disappear
before being recognized. The large blood meal allows
soft-body ticks to live for up to 15 years between feedings,
while retaining viable Borrelia in their midgut. Ornithodoros
species of soft-body ticks may transmit Borrelia to their
progeny, a process referred to as ‘transovarial trans-
mission’. The frequency of transovarial transmission of
Borrelia to tick progeny varies greatly between tick spe-
cies. The frequency of transovarial transmission is high in
Ornithodoros turicata, low in O. hermsi, and does not occur in
O. parkeri.
1028 Spirochetes

Hard-body ticks seek out their blood meal during the
day and feed for longer periods of time (typically days). The
smaller stomach size also requires more frequent feedings.
Blood meals are required for a hard-body tick to mature
from larvae to nymph, from nymph to adult, and then
for the adult to reproduce. Hard-body ticks are mentioned
here because there are two notable exceptions to the rule
that TBRF Borrelia are transmitted by soft-body ticks:
B. miyamotoi is transmitted by Ixodes species (wood ticks)
and Borrelia lonestari is transmitted by Amblyomma americanum
(the lone star tick).
16S rRNA sequences of RF Borrelia spp. separate phy-
logenetically into the following three relatedness groups:
Old World RF Borrelia, New World TBRF Borrelia, and
the B. hermsii/B. anserina group (Figure 9). B. hermsii is the
most common agent of human TBRF in North America
and is endemic to the coniferous forests of the western
United States and southern British Columbia from 3000
to 9000 feet in elevation. The incidence of TBRF peaks in
July and August when vacationers visit rustic cabins in
mountainous locations that are inaccessible during the
winter. B. hermsii achieves high blood densities for pro-
longed periods of time in pine squirrels (Tamiasciurus
spp.), which serves to facilitate transmission to other
ticks. Chipmunks and some rodents may also become
infected but with lower blood densities and for shorter
periods of time than in pine squirrels. Two distinct geno-
mic groups of B. hermsii have been described based on
sequencing the intergenic spacer region between the 16S
rRNA and ileT tRNA genes. The distributions of the two
B. hermsii genomic groups overlap geographically, indicat-
ing that migratory animals, such as birds, may play a role
in dissemination. B. hermsii has been found in the blood-
stream of a dead owl, and is phylogenetically related to B.
anserina, the agent of avian spirochetosis (Figure 9).
Other New World TBRF Borrelia differs from B. hermsii
in their geographical distribution. B. turicatae occurs in the
southwestern United States and northern Mexico. Although
B. turicatae has not been isolated from humans, evidence
strongly implicates it as the cause of TBRF in spelunkers in
Texas. B. parkeri isolates from ticks in the coastal regions of
California and Baja California have been implicated as a
cause of human disease, but the evidence is circumstantial.
Recently, the 16S sequence of a related Borrelia species was
obtained from the argasid bat tick, Carios kelleyi,fromanattic
in Iowa. There is the potential for human disease given the
close phylogenetic relationship with human pathogens, the
cohabitation of C. kelleyi in homes and the willingness of
C. kelleyi to feed on humans. Borrelia coriaceae is transmitted
by soft-body Ornithodoros ticks and its reservoir in North
America is the black-tailed deer. Human infection with
B. coriaceae has not been described, but it is believed to
cause abortion in cattle. Borrelia mazzottii and Borrelia vene-
zuelensis have been described in Central and South America,
but their 16S rRNA sequences and relatedness to other
New World TBRF Borrelia are unknown.
Some New World TBRF species are transmitted by
hard-body ticks. Like B. burgdorferi,B. miyamotoi is found in
New World
tick-borne
relapsing
fever Borrelia
Old World
relapsing
fever
Borrelia
B. hermsii
/
B. anserin
a
Group
B. coriaceae
B. miyamotoi
B. lonestari
B. persica
B. crocidurae
B. duttonii
B. recurrentis
B. hispanica
B. turcica
B. hermsii DAH
B. hermsii REN
B. anserina ES-1
B. anserina BA2
B. kelleyi
B. parkeri
B. turicatae
Figure 9 Phylogenetic tree of the relapsing fever Borrelia. 16S rRNA sequences of Old World Borrelia spp., including B. recurrentis,
the agent of louse-borne relapsing fever, cluster in the lower right section of the tree. Sequences of New World Borrelia spp.
cluster in the upper section of the tree. Sequences from B. hermsii and the bird-associated B. anserina cluster in the lower left section
of the tree.
Spirochetes 1029

Ixodes ticks and Peromyscus leucopus, the white-footed
mouse. B. lonestari is carried by A. americanum, the lone
star tick, which is widely distributed in North America
and is known to transmit ehrlichiosis and tularemia.
The ability of B. lonestari to infect humans is unknown.
Among Old World TBRF Borrelia,Borrelia duttonii is
the species that is genetically most similar to B. recurrentis,
and they probably share a common ancestor. B. duttonii
and the related species, Borrelia crocidurae, are transmitted
by soft-body ticks and are important causes of TBRF
in Sub-Saharan Africa. A number of other Old World
TBRF Borrelia have been described in the Middle
East, Caucasus, and central Asia, but 16S rRNA sequences
are available for only a couple of these species: Borrelia
persica and Borrelia hispanica, found in Israel and Spain,
respectively.
Molecular Pathogenesis and Disease
The molecular mechanisms of antigenic variation that are
the hallmark of RF have been best described in B. hermsii.
In the tick, the major B. hermsii surface protein is the
variable tick protein, which presumably facilitates tick–
spirochete interactions. In response to temperature
changes during the blood meal, B. hermsii switches expres-
sion to the variable protein locus located on the expression
plasmid. As the bacteria begin to reach high densities in
the bloodstream of the infected animal, the host mounts an
antibody response to the protein encoded by the gene in
the variable protein expression locus. Clearance of
bacteria by variable protein-specific antibody is eventually
followed by the emergence of bacteria that have under-
gone a recombinational event on the expression plasmid
involving the insertion of genes encoding any one of
12 variable small proteins or 15 variable large proteins. It
had long been observed that there was a bias toward a
patterned sequence of variable protein gene insertion
events. Recently, an explanation for the pattern was
explained by the upstream homology sequence (UHS)
and downstream homology sequence (DHS) of the vari-
able genes. The probability of a subsequent gene being
inserted into the variable protein expression locus was
related to the homology of its UHS with the gene cur-
rently in the locus and the distance from the end of the
new gene to its DHS.
A programed succession of surface proteins enables
RF Borrelia to repeatedly emerge at high levels in the
bloodstream (Figure 10). The ability to repeatedly
emerge into the bloodstream is advantageous to the bac-
teria, because it favors acquisition by blood-feeding
arthropods. However, such a high density of bacteria is
very hazardous to their animal host, because it evokes
such an intense immune response to the foreign antigens.
Bouts of LBRF and TBRF differ in their intensity and in
the number of relapses. LBRF tends to recur less often,
but the episodes are much more severe, with a mortality
rate of 4–40%. After a typical incubation period of 7 days,
patients experience sudden onset of fever, rigors, head-
ache, muscle pain, and lethargy. In LBRF, most patients
have liver and spleen enlargement, while cough and symp-
toms of meningitis are common. Nerve palsies, paralysis,
seizures, and coma may occur in severe cases. The most
common causes of death in LBRF are arrhythmias of the
heart, brain hemorrhage, and liver failure. LBRF during
pregnancy frequently results in miscarriage. The mortality
rate in TBRF is typically much lower, that is, 2–5%.
Nevertheless, TBRF due to B. turicate,B. duttonii, and
B. crocidurae are frequently associated with debilitating
neurologic symptoms not seen with other forms of TBRF.
RF Borrelia are susceptible to a broad range of anti-
biotics. LBRF can be successfully treated with a single
dose of tetracycline. -Lactam antibiotics such as peni-
cillin are typically avoided in LBRF because they may
result in the sudden lysis of large amounts of bacterial
antigens, which can precipitate the Jarisch–Herxheimer
reaction, a paradoxical worsening of symptoms with
severe chills, fever, and potentially life-threatening
shock. Patients should be observed for 2h after the initia-
tion of antibiotics in case there is a need for resuscitation
with intravenous fluids.
Brachyspira
The second major grouping within the order Spirochaetales
are the Brachyspira, which are intestinal spirochetes classi-
fied within the family, Serpulinaceae. Brachyspira are large,
Figure 10 Micrograph of blood containing relapsing fever
Borrelia. Variation in surface antigens enables relapsing fever
Borrelia to reach high levels in the bloodstream, often achieving
densities as high as 10
6
–10
7
bacteria per milliliter. Spirochetes
appear as dark wavy forms. Reproduced from Figure 1 in Schwan
et al., Tick-borne Relapsing Fever Caused by Borrelia hermsii,
Montana. Emerging Infections Diseases 2003; 9(9): 1151–4.
1030 Spirochetes

loosely coiled spirochetes ranging in size from 2 to 13 mm
in length and from 0.2 to 0:4mmin width. Brachyspira
are able to grow under strict anaerobic conditions, but
small amounts of oxygen can increase growth efficiency.
The nox gene, encoding NADH (nicotinamide adenine
dinucleotide) oxidase, is required for oxygen tolerance.
Inactivation of the nox gene increases oxygen sensitivity
100-fold. Brachyspira are cultivated anaerobically on blood
agar at 37 C and selective media are typically used for
primary isolation of organisms from stool specimens.
The Brachyspira have undergone a series of changes in
nomenclature. The isolation of the swine dysentery agent
was originally described in the early 1970s and referred to
as Treponema hyodysenteriae. In the 1990s, DNA–DNA
hybridization and partial 16S sequence data indicated
that the T. hyodysenteriae organism had little genetic relat-
edness to the treponemes and was assigned its own genus,
Serpula, which was quickly reclassified as Serpulina to avoid
confusion with a previously named fungal genus. However,
Serpulina eventually gave way to Brachyspira when it was
realized that Serpulina hyodysenteriae was related to
Brachyspira aalborgi, which had been isolated from humans
with intestinal spirochetosis in Aalborg, Denmark, in the
early 1980s. The prefix Brachy, deriving from the Greek
word for ‘short’, was used as a descriptive term because the
Danish isolates were only 2–6 mminlength.
Brachyspira hyodysenteriae is an important worldwide pro-
blem for the pig industry. Outbreaks with mortality rates of
up to 50% occur in naive herds. The infection is a true
dysentery, causing inflammatory and hemorrhagic disease
of the colon. B. hyodysenteriae is -hemolytic on sheep blood
agar and hemolysins are believed to be important virulence
factors. The organism is difficult, but not impossible, to
eradicate from farms. In Scandinavia, where the use of
antibiotics is strictly controlled, few herds are infected by
B. hyodysenteriae. In most countries, antibiotic supplementa-
tion of feed is used to suppress the B. hyodysenteriae problem,
and infection rates are often over 30%. However, antibiotic
resistance is growing and new strategies for prevention and
control of B. hyodysenteriae infection are urgently needed.
The genus Brachyspira is now populated with a number of
commensal and pathogenic species, which have been iso-
lated from the intestinal tracts of a variety of animal hosts.
Species with predilections for pigs, humans, and birds are
clustered on a phylogenetic tree from their 16S sequences
(Figure 11). Brachyspira suanatina isthenameproposedfor
an organism that is related to, but genetically distinct from,
B. hyodysenteriae by 16S rRNA sequence analysis. B. suanatina
has been isolated from both pigs and mallard ducks, is
-hemolytic, and can cause disease in experimentally
infected pigs. B. intermedia is a third pig isolate found in the
same genetic cluster with B. hyodysenteriae and B. suanatina,
and may cause disease under certain circumstances.
Nondysenteric porcine diarrhea due to intestinal spiroche-
tosis has been linked to B. pilosicoli,whichhasalsobeen
associated with disease in chickens and humans
(see below). B. innocens and B. murdochii are considered to
be commensals occasionally isolated from healthy pigs.
Brachyspira species are also important in the poultry
industry. Diarrhea and egg production problems in chick-
ens have been attributed to B. alvinipulli,B. intermedia, and
B. pilosicoli. As in pigs, B. innocens and B. murdochii, and a
Predilection
for Birds
Predilection
for Pigs
Predilection
for Humans
B. alvinipulli
B. pulli
B. canis
B. murdochii
B. innocens
B. ibaraki
B. aalborgi
B. pilosicoli
B. intermedia
B. suanatina
B. hyodysenteriae
Figure 11 Phylogenetic tree of the Brachyspira. Relatedness tree of 16S rRNA sequences of Brachyspira spp., including
B. hyodysenteriae, the agent of swine dysentery. B. aalborgi and B. pilosicoli cause intestinal spirochetosis in humans in developed and
developing countries, respectively.
Spirochetes 1031

third species, B. pulli, appear to be nonpathogenic for
chickens. Chronic watery diarrhea owing to human
intestinal spirochetosis has been linked to two species,
B. aalborgi and B. pilosicoli, with the latter being associated
with intestinal disease in pigs and chickens. High preva-
lence rates of B. pilosicoli carriage have been found in
aboriginal populations living in poor sanitary conditions
with high levels of animal exposure. In contrast, B. aalborgi
occurs more frequently in developed countries, typically
in AIDS patients with chronic diarrhea. The pathogenic
potential of Brachyspira for humans is controversial.
Biopsies show palisades of Brachyspira lining the surface
of colonic epithelial cells, which is likely to impair func-
tion (Figure 12). B. pilosicoli is associated with watery
diarrhea and has been isolated from the bloodstream of
sick patients.
Efforts are ongoing to sequence the genomes of
B. hyodysenteriae (3.2 Mb) and B. pilosicoli (2.45 Mb). The
overall structure of the B. hyodysenteriae genome is likely to
be relatively unstable due to the presence of the interest-
ing Virus of S. hyodysenteriae (VSH-1) prophage. Upon
induction with mitomycin, VSH-1 functions as a general
transduction agent, transferring random 7.5 kb fragments
of B. hyodysenteriae DNA between bacteria. B. hyodysenteriae
is an attractive organism for research on microbial patho-
genesis because of the availability of techniques for
targeted gene inactivation. In 1992, researchers at the
University of Utrecht reported the first successful homo-
logous recombination in a spirochete, inactivating the B.
hyodysenteriae tlyA gene encoding a putative hemolysin.
The tlyA mutant had reduced hemolytic activity on
blood agar plates, and virulence was attenuated in
mouse challenge studies. Subsequently, a number of addi-
tional candidate hemolysin genes have been identified,
and it is likely that B. hyodysenteriae -hemolytic activity is
multifactorial. As in other spirochetes, the Brachyspira
outer membrane is decorated with membrane proteins.
The nomenclature proposed for Brachyspira membrane
proteins includes the initials of the species name (Bh for
B. hyodysenteriae), the type of protein (lp for lipoprotein
and mp for membrane protein), and the predicted mole-
cular mass of the mature protein. So the family of
B. hyodysenteriae 29.7 kDa lipoproteins formerly referred
to as BmpB and BlpA should now be referred to as
Bhlp29.7a, Bhlp29.7b, and so on. Bhlp29.7a has been
shown to be lipidated, is a component of the B. hyodysen-
teriae outer membrane proteome, and is recognized by
sera from infected pigs, indicating expression during
infection. Omps expressed during infection are of great
interest as potential vaccines and serodiagnostic antigens.
Leptospira
Morphology and Metabolism
Leptospira derives from the Greek leptos (thin) and Latin
spira (coiled). Aptly named, the leptospires are among the
thinnest bacteria known: a mere 0.1 mm in diameter and
6–12 mm in length (Figure 13). Leptospires are right-
handed helices, with 18 or more coils per cell, frequently
forming hooks at one or both ends. Hooks at both ends
gave rise to the species name L. biflexa, and a hook at one
end was believed to look like a question mark, leading to
the name L. interrogans. The hooks are due to a single
endoflagellum at each end of the cell. In liquids, viable
leptospires are continuously in motion. In semisolid
(0.2% agarose) conditions, leptospires can be observed
by dark field microscopy to remain motionless for periods
of time, with occasional corkscrew-like movements. This
resting state may, in part, explain the ability of leptospires
to persist in the environment. Most leptospires are able to
remain motile for months in distilled water, and their
survival can be significantly prolonged by addition of a
substrate such as agarose.
Figure 12 Scanning electron micrograph showing palisades
of Brachyspira exhibiting end-on attachment to the luminal
surface of colonic epithelial cells. Marker bar ¼2mm.
Reproduced from Hampson DJ and Stanton TB (eds.) (1997)
Intestinal Spirochaetes in Domestic Animals and Humans, ISBN:
0-85199-140-8.
Figure 13 Transmission electron micrograph of Leptospira sp.
showing characteristic helical morphology and a single
endoflagellum at each end of the cell. Magnification 30,000.
Shadowed electron micrograph obtained by Annabella Chang
and used with permission from Ben Adler, Microbiology
Department, Monash University, Australia.
1032 Spirochetes

Several different leptospiral growth media have been
developed. The standard culture medium is Ellinghausen–
McCullough–Johnson–Harris (EMJH) medium, which
provides long-chain fatty acids in the form of tween (poly-
sorbate) as an energy and carbon source, several divalent
cations (Ca
2þ
,Mg
2þ
,Zn
2þ
, and Mn
2þ
), iron, and vitamins
(thiamin and cobalamin). EMJH medium contains BSA,
which is believed to function by preventing fatty acid
oxidation, which is toxic for spirochetes, and by providing
additional trace nutrients. BSA is expensive and batch-to-
batch variability in its ability to support leptospiral growth
is a major problem. Serum is not required for EMJH
medium but is often added to promote growth. Another
problem with BSA-containing media is that due to prior
concerns, many countries, including the United States,
require any bovine products such as BSA to be autoclaved
before import. A non-BSA containing leptospiral medium
that can be used as an alternative transport medium is
modified Kortoff medium, which consists of peptone, salts,
and 8–10% heat-inactivated slightly hemolyzed rabbit
serum. The optimum growth temperature is 30 C.
Phylogeny
A number of different Leptospira species have been described
with a range of pathogenic potentials (Figure 14). On one
end of the spectrum are the nonpathogenic saprophytic
species, including L. biflexa and Leptospira wolbachii,which
are unable to cause infection. On the other end of the
spectrum are the pathogens, including L. interrogans,which
are able to produce lethal infection in a variety of mammals,
including humans. Species with intermediate pathogenicity,
such as Leptospira fainei, can be isolated from clinical speci-
mens, but cause minimal or no disease. Leptospires can also
be classified serologically, and over 250 different named
serovars have been described. Serovars are classified into
one of 28 different serogroups on the basis of antigenic
cross-reactivity. Serovar specificity appears to be driven
bythecarbohydratestructureofLPSsidechains,adomi-
nant antigen on the leptospiral surface. There is limited
correlation between the genetic and serologic classification
systems, with serologically identical strains occurring in
multiple species.
The phylogenetic and antigenic diversity of Leptospira
species reflects their ability to adapt to a variety of dif-
ferent environmental niches. Leptospires have been
isolated from most animal species (including, reptiles
and amphibians) and natural bodies of freshwater wher-
ever the effort has been made. Presumably, leptospires
represent an ancient branch of the bacterial family tree
that has coevolved with vertebrates. In reservoir host
animals, leptospires have developed a unique commens-
alist strategy. Organisms with the capacity to infect
animals typically reside in the lumen of the proximal
renal tubule and are shed into the environment in the
urine. The fluid within the proximal tubule is a nutrition-
ally rich filtrate of serum and is yet an immunologically
protected site; kidney sections of infected rats show little
L. alstonii
L. wolffii
L. inadai
L. fainei
L. licerasiae
L. broomii
L. kmetyl
L. interrogans
L. kirschneri
L. noguchii
L. borgpetersenii
L. alexanderi
L. santarosai
L. weilil
L. biflexa
L. terpstrae
L. vanthielii
L. meyeri
L. yanagawae
L. wolbachii
Intermediate
pathogenicity Non
pathogens
Pathogens
Figure 14 Phylogenetic tree of the Leptospira. Comparison of leptospiral 16s rRNA sequences shows segregation into three
relatedness clusters: Nonpathogens (lower left), pathogens (lower right), and organisms with intermediate pathogenicity (upper section).
Spirochetes 1033

or no inflammatory reaction surrounding infected
tubules. By not subjecting their host to any detrimental
effects, this arrangement effectively affords leptospires
a ‘free ride’ for the life of the animal host. The life
cycle of the organism is completed when organisms
released into the environment encounter a new host
through adhesion, vascular invasion, and dissemination
to the kidney.
Genome sequences provide insight into differences
between the various leptospiral lifestyles. The free-living
saprophytic nonpathogen, L. biflexa,hasagenomesizeof
3.96 Mb, with a relatively high coding density, and an
abundance of signal transduction genes, enabling it to
respond to the unpredictable environmental stresses found
outside the host. In contrast, L. interrogans has a biphasic
lifestyle and seems equally at home in the aquatic environ-
ment and in the mammalian host. The 63% of L. interrogans
genes shared with L. biflexa consist of essential housekeeping
genes and genes important in survival outside the host. The
remaining 37% of L. interrogans genes are presumed to be
important for life within the mammalian host. On the other
end of the spectrum is L. borgpetersenii,whichhasevolved
into an obligate parasite of cattle. Infection occurs through
direct contact with carrier animals, L. borgpetersenii has
limited survival outside the host, and is difficult to culture.
This host dependence is reflected in the erosion of the
L. borgpetersenii genome; many of its genes are lost or inacti-
vated by mutations or transposon insertions. L. borgpetersenii
has only about half the signal transduction genes that
L. biflexa has, confirming the ‘locked-in’ nature of its host
dependency.
Pathogenesis
To acquire the ability to invade and colonize the mamma-
lian host, L. interrogans has acquired a large array of novel
genes. Some of these pathogen-specific genes are known to
encode Omps such as the porin, OmpL1, and a number of
lipoproteins, some of which are involved in host–pathogen
interactions. An essential host–pathogen interaction that
distinguishes leptospiral pathogens from saprophytes is
serum resistance. Leptospiral serum resistance is mediated,
at least in part, by LenA, an outer membrane lipoprotein
found exclusively in leptospiral pathogens. LenA binds
Factor H, a complement regulatory protein that prevents
the alternative pathway of complement from damaging
host cell membranes. Leptospires (and other spirochetes)
coat their surfaces with Factor H to avoid the bactericidal
effects of complement.
Pathogenic leptospires coat their surfaces with additional
host factors using proteins belonging to the Lig (Leptospira
immunoglobulin-like repeat) family. Leptospiral pathogens,
butnotthesaprophytes,havebetweenoneandthreeLig
proteins. Ligs are very large (112–220 kDa) proteins
containing a series of 12–13 immunoglobulin-like repeats,
some of which mediate high affinity binding to multiple host
proteins, including fibronectin and fibrinogen. Interactions
with host proteins are facilitated by the induction of Lig
expression in response to levels of osmolarity (300 mOsm)
found in host tissues. Lig expression by leptospires grown in
EMJH medium, which has low osmolarity (67 mOsm), is
poor. Addition of salt (or any other osmotically active mole-
cule) to EMJH medium rapidly induces Lig expression. In
this way, leptospires in aquatic environments are saved the
metabolic expense of not expressing Lig proteins until they
are needed.
Acquisition of virulence genes was essential in the
evolution of leptospires from free-living to pathogenic
organisms. Genes appear to have been horizontally trans-
ferred from a variety of sources. For example, the major
outer membrane lipoprotein, LipL32, is highly conserved
among leptospiral pathogens and is believed to mediate
interactions with extracellular matrix proteins of the host.
The lipL32 gene does not occur in the nonpathogens, its
closest homologue is found in the marine bacterium
Pseudoalteromonas tunicata. Horizontal genetic transfer also
occurs between leptospiral pathogens; 20% of ompL1 genes
are mosaics containing fragments of multiple leptospiral
lineages. However, permissiveness for gene acquisition is a
double-edged sword – the genomes of leptospiral patho-
gens have much higher numbers of insertion sequence (IS)
elements than the nonpathogens. The IS elements contain
transposon genes that, once they infect the genome, med-
iate IS element proliferation and gene disruption. IS
elements appear to be a major mechanism of genome
erosion in L. borgpetersenii. Transposons are now being
put to good use in leptospiral research – leptospiral patho-
gens had been much more difficult to transform than
the nonpathogens, which had been a major impediment
in leptospiral pathogenesis research. Now, however, the
mariner tranposon has been found to be useful for manip-
ulating the genome of leptospiral pathogens – hundreds of
single-gene knockout mutations have been generated in
L. interrogans strains. It is hoped that testing these mutants
in animal models will lead to the identification of new
leptospiral virulence genes and vaccines.
Epidemiology and Disease
Leptospirosis epidemiology has traditionally been carried
out by serotyping isolates or examining the serologic
response of infected patients. However, serologic approaches
are fraught with problems, including the frequent observa-
tion that patient’s antibody responses may not be specific for
the infecting serovar. Genetic tools provide more accurate
molecular approaches for tracking the epidemiology of lep-
tospirosis. 16S sequencing can be used for species
identification and is less cumbersome than DNA–DNA
1034 Spirochetes

hybridization. Differentiation of strains has been performed
by multilocus sequence typing using PCR primers for 11
housekeeping genes scattered across the leptospiral genome.
Approaches such as these reveal that rat-associated strains
of L. interrogans are frequently the cause of leptospirosis
outbreaks in urban settings. Rats are found wherever people
live, and wherever the studies have been carried out, urban
rats are found to have a high leptospirosis carriage rate in
their kidneys. The prevalence of leptospiral carriage among
rats is probably the reason that leptospirosis is the most
widespread zoonosis known. Leptospirosis occurs less fre-
quently in Westernized countries because housing standards
tend to exclude rats from human living spaces. However, in
developing countries with poor housing standards, leptos-
pirosis outbreaks occur regularly in urban settings after
heavy rainfall and flooding.
Leptospirosis infections range in severity from self-
limited flu-like illness to multiorgan system failure and
death. After an incubation period of 5–14 days, there is the
onset of fever, myalgia, headache, abdominal pain, nausea,
and vomiting. In tropical regions where leptospirosis
typically occurs, these early nonspecific symptoms can
be confused with dengue fever or malaria. When observed,
conjunctival suffusion (scleral redness without discharge)
can be a distinguishing sign of leptospirosis. During this
initial septicemic phase, spirochetes can be recovered from
the blood and spinal fluid. Formation of agglutinating
antibody leads to the clearance of organisms and, in milder
cases, to a temporary resolution of symptoms. However, a
second, immune phase of the disease may follow, with
milder fever, headache, and vomiting. In more severe
infections, the initial phase progresses rapidly to jaundice
and renal failure, known as Weil’s syndrome, with a mor-
tality rate of 10%. The renal failure due to leptospirosis is
a unique form of kidney dysfunction associated with high
urine output and low serum potassium levels. At this stage,
complications can be avoided with the replacement of
fluids and electrolytes. If, on the other hand, dehydration
occurs and renal failure ensues, access to peritoneal or
hemodialysis is essential for survival. Certain strains of
L. interrogans cause acute lung involvement with shortness
of breath due to airspace hemorrhage and a much higher
mortality rate of 50%.
Pathogenic leptospires are highly susceptible to com-
mon antibiotics including doxycycline and ampicillin and
it is likely that antibiotic therapy given at the first signs of
infection would significantly reduce morbidity and mor-
tality. However, currently available diagnostic tests have
relatively low sensitivity during early infection and
patient populations at highest risk typically have poor
access to medical care. Recent studies show that most
patients with early infection have antibodies to the Lig
proteins. What is needed is a diagnostic test that is por-
table, easy to use, does not require electricity, and has a
long shelf life at room temperature. Whole-cell vaccines
are used widely in domestic animals, including dogs, pigs,
and cattle. A similar vaccine has been found to be effective
in humans, but is generally not available because of con-
cerns regarding side effects and a relatively short duration
of immunity. A preventative approach for adventure
travelers participating in water sports in areas with a
history of leptospirosis is weekly doxycycline, which has
been shown to be effective in US soldiers undergoing
jungle training in Panama. Doxycycline is not appropriate
for children or pregnant women and may cause photo-
sensitivity or gastrointestinal side effects. An alternative
approach recommended by some travel experts is weekly
azithromycin, which has a better safety profile, but has not
been rigorously tested for efficacy.
Conclusions
Spirochetes are widely distributed in nature as free-living
bacteria, as metabolic symbionts of insects, and as com-
mensals and parasites of animals. Spirochaeta spp. isolated
from natural bodies of water are related by 16S rRNA
sequence analysis to treponemes found in the oral cavity
and in the digestive tracts of termites. Borrelia spp. also
have the ability to colonize the digestive tracts of insects,
in this case ticks and lice, which serve as vectors for
transmission to animal host reservoirs. Brachyspira spp.
colonize digestive tracts of animals either as commensals
or as parasites. Leptospira spp. exist as free-living organ-
isms or cycle between the aquatic environment and
animal host reservoirs via their renal tubules. The diver-
sity of spirochete lifestyles demonstrates the functional
versatility of their unique morphology and mechanism of
motility.
Further Reading
Barbour AG, Dai Q, Restrepo BI, Stoenner HG, and Frank SA (2006)
Pathogen escape from host immunity by a genome program for
antigenic variation. Proceedings of the National Academy of
Sciences of the United States of America 103: 18290–18295.
Barbour AG and Hayes SF (1986) Biology of Borrelia species.
Microbiological Reviews 50: 381–400.
Charon NW and Goldstein SF (2002) Genetics of motility and
chemotaxis of a fascinating group of bacteria: The spirochetes.
Annual Review of Genetics 36: 47–73.
Cullen PA, Haake DA, and Adler B (2004) Outer membrane proteins of
pathogenic spirochetes. FEMS Microbiology Reviews 28: 291–318.
Dworkin MS, Schoemaker PC, Fritz CL, Dowell ME, and Anderson DE
(2002) The epidemiology of tick-borne relapsing fever in the united
states. The American Journal of Tropical Medicine and Hygiene
66: 753–758.
Ellen RP and Galimanas VB (2005) Spirochetes at the forefront of
periodontal infections. Periodontology 38: 13–32.
Faine S, Adler B, Bolin C, and Perolat P (1999) Leptospira and
Leptospirosis, 2nd edn. Melbourne, Australia: MedSci.
Galperin MY (2005) A census of membrane-bound and intracellular
signal transduction proteins in bacteria: Bacterial IQ, extroverts and
introverts. BMC Microbiology 5: 35.
Haake DA (2000) Spirochetal lipoproteins and pathogenesis.
Microbiology 146: 1491–1504.
Spirochetes 1035

Holt SC (1978) Anatomy and chemistry of spirochetes. Microbiological
Reviews 42: 114–160.
Levett PN (2001) Leptospirosis. Clinical Microbiology Reviews
14: 296–326.
Paster BJ, Boches SK, Galvin JL, et al. (2001) Bacterial diversity
in human subgingival plaque. Journal of Bacteriology
183: 3770–3783.
Radolf JD and Lukehart SA (eds.) (2006) Pathogenic Treponema –
Molecular and Cellular Biology, Norfolk, England: Caister Academic
Press.
Warnecke F, Luginbu¨ hl P, Ivanova N, et al. (2007) Metagenomic and
functional analysis of hindgut microbiota of a wood-feeding higher
termite. Nature 450: 560–565.
1036 Spirochetes

Staphylococcus
A F Gillaspy and J J Iandolo, University of Oklahoma Health Sciences Center, Oklahoma City, OK, USA
ª2009 Elsevier Inc. All rights reserved.
Defining Statement
Taxonomy
Cellular Structure
Molecular Structure
Coagulase-Negative Versus Coagulase-Positive
Staphylococci
Pathogenesis and Disease
Virulence Factors
Further Reading
Glossary
biofilm Sessile microbial communities consisting of an
accumulated mass of bacteria, extracellular matrix
molecules, and secreted bacterial products that aid in
adherence to biopolymers and other solid surfaces.
capsule Polysaccharide outermost layer of the cell.
Production imparts a viscous slimy look to colonies.
cell wall One of the outer layers of the bacterial cell that
protects the cell from osmotic perturbations and
provides mechanical protection to the fragile cellular
membrane.
endonuclease Enzymes that have specific binding
sites of varying complexities at which they sever
phosphodiester bonds of DNA.
MSCRAMM (Microbial surface components
recognizing adhesive matrix molecules) Proteins
involved in the establishment of infection via the initial
attachment of bacteria to host molecules such as
elastin, collagen, fibrinogen, and fibronectin.
plasmid Autonomously replicating small
extrachromosomal DNA molecules.
superantigen Any of a number of proteins that elicit a
massive T-cell receptor V-restricted primary response.
Abbreviations
CDC Centers for Disease Control
CHEF clamped homogeneous electrophoretic
field
cMRSA community-acquired MRSA
CoNS coagulase-negative staphylococci
IFN-interferon-
MHC II major histocompatibility complex
class II
MRSA methicillin-resistant Staphylococcus
aureus
MSCRAMM microbial surface components recog-
nizing adhesive matrix molecule
NCBI National Center for Biotechnology
Information
PIA production of a slime substance
PVL Panton-Valentine leukocidin
RFLP restriction fragment length
polymorphism
SE staphylococcal enterotoxin
SSSS staphylococcal scalded-skin syndrome
Defining Statement
The staphylococci are important bacterial pathogens that
can infect both animals and humans and are responsible
for numerous hospital- and community-acquired infec-
tions yearly. Staphylococcal infections result in a
significant burden both economically and clinically due
to several factors, including increasing antibiotic resis-
tance and lack of effective vaccines.
Taxonomy
The genus Staphylococcus is defined in Bergey’s Manual of
Determinative Bacteriology as a member of the family
Micrococcaceae. According to the most recent approved
list from Bergey’s Manual (8th ed.), there are presently 41
recognized species of staphylococci (Table 1), 18 of
which are indigenous to or have been shown to colonize
humans; the remaining species have been isolated from
1037

various animal (including one primate species), plant, or
food specimens. Staphylococci are Gram-positive cocci
0.7–1.2 mm in size that occur singly and in pairs in liquid
media and in clusters when grown on solid media. Over
the years, they have been characterized by their variety of
colonial, morphological, and biochemical activities that
have resulted in description of several biotypes of variable
stability. They are aerobic or facultatively anaerobic,
catalase-positive, and capable of generating energy by
respiratory and fermentative pathways. These organisms
are nutritionally fastidious with complex nitrogen
requirements. Most species require several amino acids,
vitamins (thiamine and niacin), and uracil (to grow anae-
robically) for growth. In complex, nutritionally complete
growth media, the organism is able to grow at generation
times of 20 min, a rate comparable to that of E. coli.
At the molecular level, the genus can be distinguished
from other members of the Micrococcaceae by the low GC
content of its DNA which ranges from 30 to 38%, the
presence of teichoic acid in their cell wall, and their
ability to tolerate extremely low water activities.
Staphyloccocus aureus is routinely cultured at a
w
of 0.88
(15% NaCl) and has been reported to grow at water
activity levels as low as 0.83 (saturated NaCl solution).
Anaerobically, tolerance to low a
w
is less with the limit at
0.90. The normal habitat of these organisms is the skin,
skin glands, and mucous membranes of warm-blooded
animals. However, staphylococci can be isolated from a
variety of sources that include soil, dust, air, water, and
food and dairy products. As a result they present a food
and water public health hazard as well as an infection risk.
Cellular Structure
Cell Wall
The cell wall of Staphylococcus is a thick, electron-dense
structure that provides great mechanical support to the
cell. It is composed of a giant polymer consisting of
peptidoglycan complexed with teichoic acid and other
surface proteins described elsewhere in this article. The
cell wall is a heteropolymer consisting of glycan chains
cross-linked through short peptides. The repeating unit in
the glycan backbone is -1,4-N-acetylglucosamine and
N-acetylmuramic acid (muramic acid). About 60% of
the N-acetylmuramic acid residues are O-acetylated.
The high level of O-acetylation makes the staphylococcal
cell wall resistant to lysozyme digestion, therefore making
this genus unique from most other bacteria. In fact, lysis of
the cell wall under laboratory conditions is only efficient
when the staphylococcal endopeptidase, lysostaphin, is
added to cultured cells. Lysostaphin is produced by
S. simulans and specifically cleaves the pentaglycine cross-
bridges found in the staphylococcal peptidoglycan. In
S. aureus, adjacent polypeptides are cross-linked by pen-
taglycine crossbridges between the "-amino of lysine and
C-terminal D-alanine, whereas in other species, the com-
position of the crossbridge is variable. The carboxy group
of muramic acid is substituted by an oligopeptide that
contains alternating L- and D-amino acids (L-alanine,
D-glutamine, L-lysine, D-alanine, D-alanine). The teichoic
acid component is linked to the D-alanine component of
the mucopeptide by -or-glycosidic linkage through
N-acetyl-D-glucosamine. In S. aureus, the teichoic acid
backbone is ribitol based whereas in S. epidermidis it is
glycerol based. In other species, glycerol teichoic acids are
more common than their ribitol counterparts. These
highly charged immunogenic cell wall components have
been found to play a role in S. aureus nasal colonization,
biofilm formation, and susceptibility to vancomycin and
other glycopeptides.
Capsule
Capsule production has been shown to occur in vivo and
in vitro for both S. epidermidis and S. aureus.ForS. epidermidis,
there have been at least three different capsular polysac-
charide types identified in the literature. In contrast, 11
capsular polysaccharide serotypes have been described for
the highly virulent species, S. aureus. The most common
occurring serotypes among clinical isolates are types 5 and
8. The main components of the capsules are N-acetylami-
nouronic acids and N-acetylfucosamine. The genes for
capsule production have been identified and are located
in a single operon. The production of a capsule renders the
staphylococci resistant to host defenses such as opsoniza-
tion and phagocytosis. However, antibodies to capsular
Table 1 Currently recognized staphylococcal species
S. arlettae S. aureus
a
S. auricularis
a
S. capitis
a
S. caprae
a
S. carnosus
S. caseolyticus S. chromogenes
S. cohnii
a
S. condimenti
S. delphini S. epidermidis
a
S. equorum S. felis
S. fleurettii S. gallinarum
S. haemoyticus
a
S. hominis
a
S. hyicus S. intermedius
S. kloosii S. lentus
S. lugdunensis
a
S. lutrae
S. muscae S. nepalensis
S. pasteuri
a
S. pettenkoferi
a
S. piscifermentans S. pseudintermedius
S. pulvereri S. saccharolyticus
a
S. saprophyticus S. schleiferi
a
S. sciuri
a
S. simiae
S. simulans
a
S. succinus
S. vitulinus
a
S. warneri
a
S. xylosus
a
a
Denotes species that are either indigenous to humans or have been
found to colonize humans.
1038 Staphylococcus

polysaccharides can neutralize the antiphagocytic proper-
ties of the capsule and opsonize the cell for phagocytosis.
Opsonization has made the capsule a prime target in the
search for an effective staphylococcal vaccine.
Several staphylococcal species, particularly S. epidermidis
and S. aureus, have been shown to produce biofilms, and
capsule production has been shown to be of particular
importance during biofilm formation by aiding in adher-
ence to biomaterials such as indwelling medical devices.
A trademark of staphylococcal biofilm formation is
the production of a slime substance (PIA), which is a
polysaccharide composed of -1,6-linked N-acetylgluco-
samines with partially deacetylated residues giving them
a positive charge. Once bacterial cells are within this
slime, they are protected from the host’s immune defenses
and are resistant to other treatments such as antibiotics.
PIA is not the only component that has been shown to
contribute to biofilm production under certain conditions,
and research in this area has become very popular in the
past several years. S. epidermidis is the primary cause of
catheter-associated staphylococcal infections and is a pri-
mary producer of biofilms. S. aureus biofilms have also
been shown in patients with diseases such as osteomyelitis
and endocarditis. Biofilm production in the staphylococci
has been shown to be multifactorial and appears to be a
bacterial survival mechanism when cells are exposed to
sublethal levels of antibiotics and/or other stressful envir-
onmental conditions (i.e., limited nutrients, changes in
temperature, oxygen limitation). It is also important to
note that large phenotypic variations in biofilm produc-
tion exist, with some isolates incapable of biofilm
formation regardless of culture condition and others
being hyperproducers under a specific set of conditions.
Continued focus on understanding all of the components
involved will give us more insight into chronic staphylo-
coccal infections, especially those involving medical
devices, and may lead to more efficient treatment of
these diseases.
Molecular Structure
Genome
Presently, the genomes of 18 different members of the
genus Staphylococcus have been completely sequenced. This
number includes 14 strains of S. aureus,2strainsof
S. epidermidis,1strainofS. haemolyticus,and1ofS. saprophy-
ticus. The genomic data for each of these projects are freely
available on the World Wide Web at the National Center
for Biotechnology Information (NCBI) website.
In all cases, the genome is circular and ranges from
2.49 Mb (S. epidermidis) to 2.9 Mb pairs (S. aureus strains).
Table 2 shows a summary of the information obtained
from the 18 completed staphylococcal genome projects.
Consistent with the Micrococcaceae family, all 18 of the
isolates have a low GC content (33%). The sequenced
strains also exhibit a high amount of diversity within this
genus, with some species and strains having acquired
resistance to the antibiotics methicillin and/or vancomy-
cin and some containing extrachromosomal elements
called plasmids that most often contain additional genes
that can contribute to pathogenesis. Among the sequenced
isolates, the number of plasmids present varies from 0 to 3
and the size of these elements varies as well. Genetic and
sequence data available indicate that in addition to the
normal complement of housekeeping genes, the chromo-
some contains many accessory genetic elements that are
not necessary for growth under laboratory conditions.
Table 2 Completed staphylococcal genome project
Organism Genome size Plasmid(s) size %GC # of predicted genes MRSA/VRSA
S. aureus strain MW2 2.82 Mb N/A 32.82% 2632 MRSA
S. aureus strain Mu50 2.9 Mb 25.1 kb 32.84% 2748 MRSA
S. aureus strain N315 2.84 Mb 24.6 kb 32.8% 2623 MRSA
S. aureus strain NCTC8325 2.82 Mb N/A 32.86% 2892 N/A
S. aureus strain RF122 2.74 Mb N/A 32.77% 2589 MRSA
S. aureus strain COL 2.81 Mb 4.44 kb 32.81% 2787 MRSA
S. aureus strain MRSA252 2.9 Mb N/A 32.8% 2744 MRSA
S. aureus strain MSSA476 2.79 Mb N/A 32.85% 2619 N/A
S. aureus strain USA300 – FPR3757 2.91 Mb 37 kb, 4.4 kb, 3.13 kb 32.69% 2691 MRSA
S. aureus strain JH1 2.9 Mb 30.4 kb 32.0% 2870 MRSA, VRSA
S. aureus strain JH9 2.9 Mb 30.4 kb 32.9% 2816 MRSA, VRSA
S. aureus strain Newman 2.9 Mb N/A 32% 2687 N/A
S. aureus strain Mu3 2.9 Mb N/A 32% 2776 MRSA, VRSA
S. aureus strain USA300 TCH1516 2.9 Mb 27.0 kb 32% 2802 MRSA
S. epidermidis strain ATCC12228 2.49 Mb N/A 32.09% 2419 MRSA
S. epidermidis strain RF62A 2.64 Mb 27.3 kb 32.14% 2665 MRSA
S. haemolyticus strain JCSC1435 2.68 Mb N/A 32.79% 2678 MRSA
S. saprophyticus strain ATCC15305 2.57 Mb 38.5 kb, 16.3 kb 33.18% 2514 MRSA
Staphylococcus 1039

In S. aureus strains, pathogenicity islands SaPI1 and
SaPI2 have been described and have been shown to encode
virulence factors such as the toxic shock syndrome toxin
gene, staphylococcal enterotoxin B, and as well as resistance
to methicillin. In strains that do not contain SaPI1 or SaPI2
there are no allelic counterparts for these genes. The genes
and overall genomic organization of S. aureus bear a striking
resemblance to the genome of Bacillus subtilis such that the
organism has been called a morphologically degenerate
form of Bacillus. In addition, the genomic organization of
the S. aureus strains sequenced thus far has been shown to be
highly similar. Specifically, there is a genomic ‘backbone’
common to all S. aureus strains containing varying numbers
of genes that may contribute to antibiotic resistance, tissue
tropism, and virulence. Comparison of the two sequenced
S. epidermidis strains showed that the overall genomic orga-
nization is similar, with two relatively small areas of
inversion apparent when the two genomes are aligned to
each other at the nucleotide level. Figure 1 shows align-
ments at the nucleotide level for two representative
S. aureus strainsaswellasthetwoS. epidermidis strains.
Alignment of S. haemolyticus and S. saprophyticus to S. aureus,
S. epidermidis, or to one another showed little or no con-
servation of gene order. However, at the level of protein
content, members of the genus are highly similar and this is
illustrated graphically in Figure 2. Specifically, when the
translated sequences for several of the sequenced staphylo-
coccal genomes are compared (at a minimum cutoff level of
>¼40% similarity) to one another using S. aureus
NCTC8325 as the reference strain (since this strain has
the largest number of predicted open reading frames), the
level of protein similarity is 61.4% across the entire group.
Of course, the level of similarity is slightly higher when the
same type of comparison is done within species (85–92%)
but the overall similarity at the genus level is still highly
significant. For perspective, the same comparison done with
S. aureus NCTC8325 and B. subtilis showed only 59% over-
all protein similarity.
In addition to large pathogenicity islands the staphy-
lococcal genome (especially S. aureus) typically contains
multiple instances of transposable elements such as
Tn551, insertion sequences IS256, IS257, IS1181, and
others. S. aureus Tn551 and its close relative Tn917 have
been extensively utilized to generate knockout mutations
in staphylococci, many of which have been mapped and
localized near other genes. The primary strain of S. aureus
used for genetic manipulation and gene discovery is
NCTC8325 and its derivatives. Also known as PS47,
this is the propagating strain for the typing bacteriophage
ø47 and is a member of phage group III. It is routinely
used to generate batches of bacteriophage used for typing
purposes and is lysogenized by three temperate phage:
ø11, ø12, and ø13. A derivative (8325-4) that has been
cured of all demonstrable phage was originally developed
as the prototype strain whose genome was used to build a
circular map based on genetic and physical parameters.
With the advancements in whole-genome sequencing
technology this map is no longer the primary resource
used for mapping and typing experiments. However, in
the absence of sufficient genomic information, this type of
mapping is still used to examine new S. aureus isolates and
to determine basic lineage information for these isolates.
2872769 2616530
2093224
1569918
1046612
523306
01 499856 999712 1499567 1999423 2499279
2298215
1723661
1149108
574554
01 564273
Chromosome Staphylococcus aureus NCTC 8325
Chromosome_final Staphylococcus aureus subsp. aureus USA300–FPR3757
Chromosome Staphylococcus epidermidis ATCC 12228
Chromosome Staphylococcus epidermidis RP62A
1128545 1692817 2257089 2821361
Figure 1 The left panel shows alignment of S. aureus strains NCTC8325 and USA300 at the nucleotide level. The solid red line
indicates that the two strains are virtually identical in genomic organization. Right panel shows the alignment of S. epidermidis strains
ATCC12228 and RP62A. The break in the red line and the shorter green lines show that although the two strains are overall highly similar
in organization, there are some differences. Differences are believed to be due to the presence or absence of such things as
bacteriophage and pathogenecity islands.
1040 Staphylococcus

Plasmids
As mentioned above, the staphylococci are also endowed
with a generous array of plasmids ranging in size from a
few kilobases to 40–50 kb. In fact, there are typically one
or more plasmids found in most staphylococcal clinical
isolates, including both S. aureus and the coagulase-
negative staphylococci. The inability of two plasamids
to coexist in a single host indicates that they have the
same replication control functions and are incompatible
and assigned to the same incompatibility group (inc
group). Thus far, there are 15 recognized incompatibility
groups (inc 1–15), but the replication characteristics of
some staphylococcal plasmids remain undetermined and
they are still unclassified. The 15 inc groups have been
further divided into three main classes (I, II, and III) with
a fourth class that contains the pSK639 family of plasmids.
The four groups are based on both physical and genetic
organization as well as functional characteristics. Some
staphylococcal plasmids are cryptic but most carry resis-
tance determinants and some carry other virulence factors
such as toxins. Group I plasmids are relatively small
plasmids (typically <5 kb) that replicate by the rolling
circle mechanism. They are of a low copy number
(10–60 copies per cell) and usually do not contain any
transposons or mobility factors. The pSK639-type plas-
mids (group IV) are of intermediate size (8 kb range) in
comparison to group I and II plasmids. The prototype
plasmid for this group, pSK639, was originally isolated
from S. epidermidis and was later found to be in some
strains of S. aureus. pSK639-like plasmids carry only one
resistance determinant and may harbor IS elements and/
or transposons as well. The origin of replication appears
to be similar to the theta replication system and unlike the
group I plasmids they typically contain mobility factors.
Group II plasmids are larger in size than the pSK639
group and are also known to carry multiple resistance
factors. They range in size from 15 to 40 kb and have low
copy number (5 copies per cell). Along with the cap-
ability of encoding for several resistance factors on a
single plasmid, they also contain transposable elements
and like the pSK group replicate via theta mode. Group II
plasmids generally confer resistance to -lactam antibio-
tics and heavy metals and are also the group responsible
for conferring methicillin resistance. Plasmids in group III
are typically of the largest size (30–60 kb) and are con-
jugative in nature. They are found in both coagulase-
negative staphylococci and S. aureus and tend to carry a
number of resistance determinants. The replication
region is similar in sequence to the group II plasmids
and similarly they contain multiple copies of IS elements
and transposons. Although conjugation of these staphylo-
coccal plasmids is not completely understood, it is known
to require cell-to-cell contact on a solid surface; also,
there is no pilus as described in conjugation of E. coli
plasmids. Vancomycin resistance at both high and inter-
mediate levels has been shown to be encoded on group III
plasmids, and there is evidence suggesting that the resis-
tance marker and the plasmid have been acquired through
transfer from the enterococci. It is widely held that plas-
mids are exchanged among staphylococci, enterococci,
streptococci, and bacilli, accounting for the presence of
the same or similar plasmids in each genus.
Staphylococcal Bacteriophage
S. aureus was among the first organisms used to demon-
strate the existence of bacteriophage. In fact, intensive
study of staphylococcal bacteriophage has led to the
establishment of a complex method of bacteriophage typ-
ing of disease isolates identified in epidemiological
investigation. A panel of 21 bacteriophage called the
International Typing Series of Bacteriophages is used to
define strain types by specific patterns of susceptibility to
these typing phage. Phage typing led to the identification
of five strain groups (I–IV and miscellaneous). Most
pathogenic strains belong to groups II and III, but all
Figure 2 Comparison of proteins encoded within 13 members
of the genus Staphylococcus. Completed genomes used in the
above comparison are listed starting with the outermost circle:
S. aureus strain NCTC8325, S. aureus strain COL, S. aureus
strain USA300-FPR3757, S. aureus strain MW2, S. aureus strain
Mu50, S. aureus strain MSSA476, S. aureus strain N315, S.
aureus strain MRSA252, S. aureus strain RF122, S. haemolyticus
strain JCSC1435, S. epidermidis strain ATCC12228 and S.
epidermidis strain RP62A. Using NCTC8325 as the reference
strain resulted in a total number of 2892 predicted proteins used
for the comparision. Of the 2892 proteins used, 1775 were found
to be present in all other genomes, with 2756 present in at least
another genome and only 136 not found in any other of the
comparison genomes.
Staphylococcus 1041

phage groups are capable of causing disease. More
recently, phage typing has lost favor because of the find-
ing that the standard bacteriophage-propagating strains
carry temperate bacteriophage that are distinct from the
typing phage they propagate. The phage preparations
derived from these strains are therefore mixtures of sev-
eral bacteriophage. In fact, virtually all strains of S. aureus
are lysogenized by at least one bacteriophage and many
carry multiple temperate phage in their genome. Some of
the lysogenizing phage carry additional genes that they
bring in to the recipient strain and alter its phenotype by
inserting into the genome at specific attachment sites
located within genes. Both negative conversion (the inac-
tivation of expressed genes (e.g., lipase and -toxin)) and
positive conversion (the introduction of newly expressed
genes (staphylococcal enterotoxin A and staphylokinase))
are common occurrences in staphylococci. Temperate
bacteriophage have been shown to alter the restriction
pattern of the genome by introducing additional restric-
tion sites that produce restriction fragment length
polymorphisms (RFLPs) when analyzed by clamped
homogeneous electrophoretic field (CHEF) gel electro-
phoresis. The creation of additional sites has caused
ambiguities and difficulties in establishing clonal deriva-
tions in many epidemiological investigations of disease
outbreaks. Phage typing of the staphylococci has also been
made more difficult because not all methicillin-resistant
S. aureus (MRSA) isolates come under the defined phage
categories. Recently, studies have been performed to
identify new phage to recognize this group as well as to
identify alternative typing methods that may be more
reliable for all kinds of isolates.
Bacteriophage are also thought to play a major role in
the transmission of virulence factors and in the occur-
rence of genetic rearrangements. They are responsible for
the only naturally occurring means of genetic exchange in
the staphylococci. The first reports of transduction in
staphylococci occurred in 1960 and concerned the trans-
mission of resistance to penicillin. Since then many
detailed studies of the transductional transmission
of genes have been published. Most staphylococcal
bacteriophage are generalized transducers, capable of
transferring 40–45 kb of DNA (a headfull) to a suitable
recipient strain. DNA is packaged from PAC sites that are
randomly dispersed around the genome.
Bacteriophage also play a role in transformation after
induction of competence by Ca
2þ
treatment. Both plas-
mid and chromosomal DNA can be transferred by
transformation, albeit at low frequency. In order for the
transforming DNA to be recombined, it is necessary that
the recipient strain be lysogenized by a serogroup
B bacteriophage (there are 12 serogroupings). Other pro-
cedures, such as electroporation, enjoy limited
effectiveness for plasmid transfer, but are not useful for
transfer of chromosomal genes.
Coagulase-Negative Versus Coagulase-
Positive Staphylococci
The primary players in human infection are actually
S. epidermidis,S. aureus,and,toalesserdegree,S. saprophyticus.
These species are basically identical except for the ability of
S. aureus to produce the fibrinogen clotting substance
coagulase. The coagulase-negative species, S. epidermidis,
is largely commensal and can be isolated in high numbers
from all areas of human skin. It was proposed by Baird–
Parker that coagulase distinguished pathogenic from non-
pathogenic species and this differentiation was used until
the mid-1970s. However, recent evidence has shown that
coagulase-negative staphylococci (CoNS) are a major
cause of wound infections and infections caused by for-
eign bodies including intravascular catheters, peritoneal
dialysis catheters, prosthetic heart valves, joint prostheses,
pacemaker electrodes, and fluid shunt systems. Therefore,
coagulase is no longer considered an exclusive indicator
of pathogenicity but is still used as a method for species
identification.
S. epidermidis and S. saprophyticus are ultimately distin-
guished from S. aureus based on the lack of coagulase
activity. Of the staphylococci that are of medical importance,
S. aureus is the only one that is coagulase-positive. Two other
staphylococcal species (S. hyicus and S. intermedius)arealso
coagulase-positive but are rarely isolated from human infec-
tions. S. aureus also differs from the other clinically relevant
membersofthisgenusinthatitis-hemolytic on blood
agar and forms large, yellow-pigmented colonies upon
growth.
In a clinical setting it is imperative that the particular
species involved is correctly identified as this plays a role
in treatment options. All staphylococci are Gram-
positive, coccoid, and grow as clusters in culture.
S. saprophyticus grow as small, nonhemolytic, white colo-
nies on blood agar and are isolated almost exclusively
from urinary tract infections in young, sexually active
females. S. epidermidis is the most abundant organism
found on the skin of humans and is characteristically
seen as nonhemolytic, white colonies on blood agar plates.
Only half of the 32 CoNS have been found in humans and
this group can be further divided based on whether they
are resistant or sensitive to novobiocin. S. epidermidis is
novobiocin-susceptible while S. saprophyticus is novobio-
cin-resistant. Clinical manifestations of coagulase-
negative staphylococci are more subtle and nonspecific
as compared to S. aureus and are also less likely to be fatal.
However, with S. epidermidis in particular, these infections
typically involve indwelling medical devices and are
most often chronic. Indeed, the large majority of CoNS
infections are nosocomial and strains isolated from
humans typically produce an inducible -lactamase,
with 60–80% of them resistant to methicillin.
1042 Staphylococcus

Pathogenesis and Disease
Before discussing staphylococcal pathogenesis it is impor-
tant to note the difference between colonization and
infection. Colonization can be defined as the presence of
an organism in or on a particular body site in the absence
of signs and symptoms of disease. Colonizing organisms
can typically cause disease if they spread to a different site
on the same individual (i.e., from skin to bloodstream) or
are transferred to a more susceptible host. Infection is
defined as the ability to isolate a replicating organism
from a disease site within the host. Infection may result
in immediate signs and symptoms or may be clinically
unapparent. However, infection by an organism does
eventually result in some level of inflammation within
the host. Interestingly, although a host can become
infected as soon as a pathogen invades, in many cases
colonization precedes infection.
Carriage
Staphylococci are one of the major groups of organisms
that inhabit the skin of mammals. Usually, several differ-
ent strains are found on the same host. They may be
present as transient contaminants, short-term replicating
residents, or as long-term colonizers that persist for long
periods. The majority of species are opportunistic patho-
gens that become infectious when the skin or mucous
membranes are compromised by trauma, inoculation by
needle, or direct implantation of medical devices (foreign
bodies). Staphylococci are then able to attach, colonize,
and produce toxic substances that destroy host tissues.
As stated previously, the majority of staphylococcal
disease is due to infection with the coagulase-positive
species S. aureus, which is considered an opportunistic
pathogen because it is not uncommon for healthy indivi-
duals to carry the organism either persistently (10–35%
of population) or intermittently (20–75%) in the anterior
nares. Although colonization is not uncommon, it is also
not ubiquitous among humans. In fact, recent studies have
shown that 5–50% of people never carry S. aureus.In
addition, the higher carriage rates are often related to
the level of exposure; with healthcare workers often
more likely to be colonized than individuals in the gen-
eral population. Most often, carriers of S. aureus show no
signs of disease; however, this organism can cause severe,
even life-threatening disease under certain circumstances.
Disease Types
Species of Staphylococcus are the leading cause of nosoco-
mial infection. Each year about 2 million hospitalizations
result in nosocomial infection and 50% are due to
S. aureus and S. epidermidis. Community-acquired infections
have a similar incidence rate. A predisposing condition has
been the acquisition of multiple drug resistance by
S. aureus, which has caused the incidence of nosocomial
and community-acquired infection to increase steadily
since the 1960s.
The primary mode of pathogenesis for S. epidermidis is
via colonization of biomedical devices such as indwelling
catheters as a result of biofilm formation on the surface of
these biomaterials. Although S. aureus causes a wide vari-
ety of pyogenic and toxin-mediated diseases, S. epidermidis
rarely causes pyogenic disease in the immunocompetent
host and there is very little evidence to suggest that it is
responsible for toxin-mediated disease. Outside of
indwelling medical device infection, S. epidermidis is
primarily seen in intravenous drug users and immuno-
compromised patients such as premature newborns and
individuals undergoing immunosuppressive therapy. The
clinical manifestations associated with these groups are
right-sided endocarditis and septicemia, respectively.
Unlike S. aureus infections, there are typically no fulmi-
nant signs of infection and the clinical course is therefore
more chronic in nature.
S. aureus is a more highly pathogenic organism and has
been isolated from infection sites involving virtually
every tissue of the body. In general, three types of disease
are usually associated with infection by S. aureus. These
are characterized as superficial or cutaneous infections
such as pimples, boils, and toxic epidermal necrolysis;
systemic infections such as heart valve disease, bactere-
mia, and osteomyelitis; and toxinoses such as food
poisoning and toxic shock syndrome.
Immunity
Immunity to staphylococcal infections is poorly understood.
Normal healthy humans have a high degree of innate
resistance to invasive infections. Experimental infections
are difficult to establish in animals and require large inocula
containing millions of organisms. In humans, the organism
is able to colonize mucosal and epidermal surfaces with
little resistance, and as long as they remain intact, these
barriers are the main source of natural immunity to infec-
tion. After invasion, however, phagocytosis by
polymorphonuclear leukocytes is the main humoral
defense. Because of repeated exposure to S. aureus and
S. epidermidis in natural settings, antibodies to various com-
ponents of the cell and its products (both cell surface and
soluble) are prevalent in animals. Nevertheless, with the
exception of toxic shock syndrome where antibody is an
important factor in immunity, serological studies have not
successfully related immunity and antibody titer.
Moreover, prior infection fails to elicit immunity to reinfec-
tion. In spite of these drawbacks, vaccine research is being
pursued strongly. Although there is currently no vaccine
that stimulates active immunity in humans, a vaccine based
Staphylococcus 1043

on fibronectin-binding protein has been shown to confer
protective immunity against mastitis in cattle. Among the
vaccines being studied for use in humans, the most promis-
ing is a polysaccharide conjugate vaccine that was given
Fast Track Status by the FDA in 2004 for the prevention of
bacteremia in certain at-risk patient populations; however,
thevaccinefailedtoreducetheincidenceofS. aureus
infections when used in clinical trials.
Identification
The clinical laboratory must be able to identify S. aureus
quickly and accurately. Many types of clinical samples
have been utilized for detection. Samples that are heavily
contaminated with other bacterial flora (i.e., nasal, skin, or
wound specimens) can be grown on solid media or liquid
media containing various selective agents that exploit the
resistance of staphylococci to NaCl, chemicals such as
potassium tellurite and lithium chloride, or antibiotics.
Suspect colonies from the primary isolation are then sub-
jected to antibiotic sensitivity determination to provide
treatment alternatives. As mentioned above, coagulase
determination, an important consideration for treatment
decisions regarding CoNS strains, is usually carried out.
A variety of other phenotypic markers can be tested if
further characterization is desired. These include - and
-hemolysins, nuclease, proteases, lipase, protein A, and
the determination of specific toxins.
Treatment
More than 95% of patients with S. aureus infections
worldwide do not respond to first-line antibiotics such
as penicillin and ampicillin. These strains have been
routinely treated with methicillin, but resistance appears
in a large number of infections (MRSA). Vancomycin is
the most effective treatment for multiresistant strains, but
the recent emergence of vancomycin resistance in staphy-
lococci poses a critical problem to effective treatment of
these infections. The emergence of strains that are resis-
tant to multiple antibiotics, especially the recent
appearance of vancomycin resistance, has spurred
renewed interest in antibiotic discovery and vaccine ther-
apy. New drug targets are being investigated to devise
novel families of antibiotics. Methicillin resistance is not
limited to S. aureus and all of the other staphylococcal
species that have been sequenced to date are isolates that
carry the genes conferring resistance to this antibiotic and
some contain plasmids that confer resistance to other
compounds used for treatment.
Antibiotic Resistance and MRSA
Nosocomial infections with MRSA have been identified
as a problem since the 1960s, with 20% of bloodstream
infections being due to S. aureus. Recent data showed that
as many as 64.4% of hospital onset S. aureus infections
reported in US intensive care units were due to MRSA.
These types of infections are not only important due to
the danger they pose to the patient but they also result in
longer hospital stays, higher mortality, and increased costs
for alternative treatments. Until recently, the focus of
MRSA infections was limited to those that were nosoco-
mial (hospital onset) in nature, with little or no
surveillance activity for community-acquired MRSA
(cMRSA). This was due in large part to a much lower
incidence of cMRSA in relation to hospital-acquired
infections. However, in a recent study carried out by the
US Centers for Disease Control (CDC) to estimate the
burden of invasive MRSA infections in the United States
in 2005, cMRSA was identified as a major source of
infection. Of the almost 8987 cases of invasive MRSA
that were reported, 85% were related to recent hospi-
talization or were of hospital onset and 13.7% were
classified as cMRSA. The study also showed that infec-
tion rates were highest in older patients (>¼65 years),
African Americans, and males. Interestingly, the group at
lowest risk included young people ranging from 5 to 17
years of age. The study concluded that invasive MRSA
affects certain populations disproportionately and that it
is a major public health problem primarily related to
health care. The researchers also stress the point that
MRSA should no longer be confined to healthcare insti-
tutions, and that the incidence of cMRSA will most likely
continue to increase.
There are multiple reasons that the staphylococci,
especially S. aureus, have become antibiotic-resistant
including overuse of antibiotics in humans, the presence
of antibiotics in food and water supplies, and mutation
and/or exchange of genes within the genus. Unnecessary
prescriptions for antibiotics is one of the main sources
contributing to staphylococcal (and other microorgan-
isms) developing resistance. Decades of excessive
antibiotic use for colds, flu, and other viral infections
that do not respond to these drugs results in low-level
exposure to these compounds by normal bacterial flora
found in the host. This repeated exposure to sublethal
concentrations results in the elimination of the majority of
the resident bacteria and selects for spontaneously occur-
ring mutants that are resistant to the antibiotic. Over time,
the presence of the antibiotic has no effect on the organ-
ism and therefore they are resistant to killing by the drug
when it is prescribed for actual treatment. Prescription
drugs are not the only source of antibiotics. In the United
States, antibiotics can be found in animal feeds especially
for beef cattle, pigs, and chickens. The same antibiotics
then find their way into municipal water systems when
the runoff from feedlots contaminates streams and
groundwater. However, antibiotics given in the proper
doses to sick animals do not appear to produce resistant
1044 Staphylococcus

bacteria. Even appropriate antibiotic use can contribute to
the increase in drug-resistant bacteria because they may
not destroy every organism within the population.
Bacteria evolve rapidly; so those that survive treatment
with one antibiotic are soon capable of resisting others.
Bacteria mutate much more quickly than new drugs can
be produced, which makes it possible for a given organism
to become resistant to all available treatment options. In
addition to mutation of genes, the staphylococci are adept
at gene transfer via mobile genetic elements such as
plasmids, phage, and transposons. By carrying and trans-
ferring antibiotic-resistant genes via these mechanisms,
antibiotic resistance has become rampant within this
group. Although there has not yet been a strain of S. aureus
identified that is resistant to all of the available antibiotics,
there are many that are resistant to the majority of drugs
currently available. In fact, it is relatively uncommon for
any given clinical isolate to be resistant to only one drug
and almost all that are isolated are resistant to penicillin,
which was the original drug used to treat most bacterial
infections. More importantly, there are now multiple
strains that have acquired resistance to what used to be
the drug of last resort (vancomycin). Using vancomycin
and other more aggressive forms of treatment contribute
to the economic burden endured by the patient and
hospital, and these types of treatments are also more
physically demanding for the patient. For example, van-
comycin is generally given in multiple intravenous doses
over several weeks, which requires additional specialized
care and a longer stay within the hospital. The drug itself
often makes the individual feel even worse than before
treatment began, with potential side effects including, but
not limited to, kidney failure, temporary or permanent
hearing loss, neutropenia, anaphylaxis, pain and inflam-
mation at the injection site, severe stomach pain, diarrhea,
and fever or chills.
Virulence Factors
Staphylococci produce a wide array of extracellular and
cell surface proteins with a large number of these encoded
on plasmids and other accessory elements. Because of this,
different strains have been shown to exhibit a variable
array of toxins, enzymes, and other factors. A list of some
of these exoproteins is presented in Table 3. The extra-
cellular proteins are subdivided into cell surface-oriented
proteins and soluble proteins. All the exoproteins are
translated as precursor proteins with signal peptides,
which are removed at secretion. In addition, the cell sur-
face proteins also possess a characteristic amino sequence
motif (LPXTG) at the C-terminus, which precedes the
membrane spanning region and serves as an anchor, link-
ing the protein to the cell wall peptidoglycan. Both types
of exoproteins are secreted by Type II secretory
mechanisms involving the SecYEG pathway. With the
exception of certain bacteriocins, there is no evidence to
date that extracellular proteins are secreted by other
secretory pathways.
Soluble Exoproteins
These include a wide array of toxins and enzymes such as
food poisoning enterotoxins, exfoliative toxins, toxic
Table 3 Extracellular proteins of Staphylococcus aureus
Protein Gene locus
Hemolysins
Alpha toxin Chromosome
Beta toxin
a
Chromosome
Gamma toxin Chromosome
Delta toxin
a
Chromosome
Panton-Valentine leukocidin Chromosome/pathogenicity
island
Enterotoxins
SEA Bacteriophage/chromosome
SEB Chromosome/pathogenicity
island
SEC Plasmid
SED Plasmid
SEE Chromosome
SEG Chromosome
SEI Chromosome
Enzymes and other toxins
Lipase
a
Chromosome
Nuclease
a
Chromosome
V8 Protease
a
Chromosome
Esterase Chromosome
Coagulase Chromosome
Cell wall hydrolase Chromosome
Hyaluronadase Chromosome
Staphylokinase Bacteriophage/chromosome
Protein A Chromosome
Serine proteases
a
Chromosome/genomic island
Zinc metalloproteinase
aureolysin
a
Chromosome
Phospholipase C Chromosome
Leukotoxins Chromosome/genomic island
Leukocidins Chromosome/pathogenecity
island
Exfoliative toxin A Chromosome
Exfoliative toxin B Plasmid
Toxic shock syndrome toxin-1 Chromosome/pathogenicity
island
MSCRAAMs
Clumping factors Chromosome
Fibronectin-binding proteins A/B Chromosome
Fibrinogen-binding protein Chromosome
Collagen-binding protein Chromosome
Elastin binding protein
a
Chromosome
Extracellular matrix-binding
proteins
a
Chromosome
Intercellular adhesion proteins
a
Chromosome
a
Denotes virulence factors that are also present in S. epidermidis.
Staphylococcus 1045

shock syndrome toxin, hemolysins, coagulase proteases,
lipases, and other enzymes. The exfoliative toxins are
proteolytic and attack the epidermis of susceptible ani-
mals. Exfoliative toxins cause blistering skin diseases
known as bullous impetigo and staphylococcal scalded-
skin syndrome (SSSS). Three isoforms of exfoliative tox-
ins (ETA, ETB, and ETD) have been identified in
virulent strains of S. aureus and four isoforms have been
shown to exist in the animal pathogen S. hyicus. Clinical
manifestation of SSSS is typically seen in neonates and
has been termed scalded skin syndrome due to the symp-
toms that occur culminating in areas of raw, red skin that
resembles that of a first-degree burn. The enterotoxins
have been shown to act at the interface between the
stratum granulosum and stratum spinosum of the epider-
mis, thereby resulting in characteristic exfoliation of the
skin. In other words, there is a loss of keratinocyte cell–
cell adhesion in the epidermis. It was initially difficult to
determine the mechanism of action for these toxins
because purified forms of both ETA and ETB showed
no direct protease activity toward multiple targets.
However, recent studies have shown that the three iso-
forms of exfoliative toxins, ETA, ETB, and ETD, are
glutamate-specific serine proteases and that ETA and
ETB specifically cleave a protein in the epidermal inter-
face called desmogelin 1. ETD has been shown to be
encoded within a pathogenecity island and to play a
slightly different role in the development of bullous
impetigo and scalded skin syndrome disease.
The hemolysins are membrane-damaging proteins
whose activity is mediated through pore formation or
lipolytic action. The most studied of the hemolysins is
-toxin, which is toxic to a wide range of mammalian
cells and is highly hemolytic for rabbit erythrocytes. It is
also dermonecrotic and neurotoxic and is produced by
almost all strains of S. aureus.-toxin is made in high
concentrations, particularly by animal strains of S. aureus,
and is highly hemolytic for sheep erythrocytes but not
rabbit red blood cells. This toxin exhibits phosphorylase
C activity that requires magnesium but it has a limited
range of activity due to specificity for sphingomyelin and
lysophosphatidyl choline. The role of -toxin in disease is
not well understood but the fact that it is made at much
higher levels in animal strains suggests that it may provide
an advantage in animal hosts as opposed to humans.
Another example of an S. aureus pore-forming toxin is
the Panton–Valentine leukocidin (PVL), which is a cyto-
toxin that causes leukocyte destruction and tissue
necrosis. PVL is encoded on a bacteriophage and has
been associated with both staphylococcal skin and pul-
monary infections. PVL-containing strains have also been
isolated at a higher frequency from patients with severe
cMRSA pneumonia and the presence of the toxin is much
higher in strains that carry the SCCmecIV cassette than in
strains that do not.
Another group of toxins that play a significant role in
staphylococcal disease are the enterotoxins. The entero-
toxins are responsible for the clinical manifestations of
staphylococcal food poisoning and a septic shock-like
illness. There are five major classical types of staphylo-
coccal enterotoxins (SEs), and several new SEs or SE-like
toxins have recently been identified. Ingestion of these
toxins leads to severe gastroenteritis with emesis, nausea,
and diarrhea. In addition, the SEs are resistant to extreme
heat and are stable over a wide pH range besides being
resistant to degradation by a variety of proteases. They
are also classified as superantigens, a characteristic that is
described in more detail below.
Several of the soluble exoproteins including entero-
toxins, exfoliative toxins, and toxic shock toxin are
superantigens due to their ability to stimulate mitogenic
activity and cytokine production for a wide array of
T-lymphocyte haplotypes. They are able to activate spe-
cific sets of T-lymphocytes by binding to major
histocompatibility complex class II (MHC II) proteins.
They bind to the variable region of the T-cell receptor
-chain. The activated cells proliferate and release
cytokines/lymphokines, interferon-(IFN-), and inter-
leukins. Because they exhibit this broad-based activity,
they have been called superantigens. This activity is
suspected to enhance virulence by suppressing the hosts
response to staphylococcal antigens produced during
infection. In addition to the factors discussed above,
there are many staphylococcal enzymes such as lipase,
nuclease, and proteases, and all are presumed to enhance
invasiveness through tissue destruction.
Cell Surface Proteins
A major class of cell surface proteins are adhesins termed
MSCRAMMs (microbial surface components recognizing
adhesive matrix molecules). These molecules comprise
the main adhesins of the organism and include collagen-
binding protein, fibronectin-binding proteins, fibrinogen-
binding protein, elastin-binding protein, clumping factor,
and the matrix adhesin factor. There may be as many as
12 other surface proteins that contain membrane anchor
domains and potentially qualify as MSCRAMMs. A sec-
ond group of cell surface proteins includes nuclease and
protein A. Staphylococcal nuclease is a thermally stable
endonuclease able to withstand boiling for 30 min without
significant loss of activity. Protein A is able to bind to the
nonantigenic F
c
fragment of immunoglobulin G, causing
the complex to precipitate. Its role in virulence is believed
to be in escape from immune surveillance.
Regulatory Mechanisms
The expression of extracellular proteins is largely under
the influence of a master genetic circuit called agr
1046 Staphylococcus

(accessory gene regulator). This signaling arm of the
operon (AgrBDCA) is activated by a quorum-sensing
mechanism that depends upon the accumulation of an
activating octomeric peptide (processed from the AgrD
precursor by AgrB). The peptide triggers increased
expression of the entire operon via an integral signal
transduction pathway (AgrC, AgrA), upregulating pro-
duction of the octomer and activating a second
promoter that produces an unique regulatory molecule,
RNAIII. RNAIII is the effector molecule for regulated
protein expression. It is neither translated nor does it bind
to the promoter regions of regulated genes. It presumably
interacts with other genes, in an unknown way, as both a
positive and negative regulator of exoprotein gene
expression. RNAIII is required for the expression of solu-
ble exoproteins and represses the expression of cell
surface proteins. Because a threshold level of octapeptide
is required for activation, RNAIII is not expressed until
late in growth. Therefore, cell surface proteins are pro-
duced early, presumably to allow the organism to attach
and colonize. The RNAIII-induced activation of soluble
proteins genes results in a necrotic effect, allowing the
organism to invade deeper tissues and become bactere-
mic. A second locus, sarA, modulates expression of the agr
locus by binding to the promoter region of AgrBDCA.
The sarA locus is transcribed from three different promo-
ters (sarP1, P2, and P3) that are active at different times
during growth. The major regulatory molecule encoded
by sarA is a 14.5 kDa protein that has been shown to bind
to the promoter regions for fibronectin-binding protein A,
the collagen adhesion, protein A, and agr. It is reported
that the sarA locus plays a role in transcription of over 100
different gene targets either by direct binding of upstream
promoter regions or indirectly due to its effects on other
regulatory loci including agr. Several sar homologues
have been identified including SarR, SarS, SarU, and
SarY that play a role in regulation of SarA and other
factors. With the continued efforts aimed at whole-
genome sequencing of staphylococcal isolates, many
other regulatory systems that are not discussed in detail
here have been identified and characterized. These
include Rot, SaeRS, SrrAB, ArlRS, and LytRS.
Another important level of regulation of virulence is
regulation of gene expression in response to environmen-
tal factors. It has been demonstrated that depending on
the environment that the staphylococci encounter they
can adapt by altering gene expression for a variety of
systems. This is not unusual for bacteria and in fact the
main environmental response system that has been
described for S. aureus and S. epidermidis is the sigma B
pathway. Sigma factors are bacterial proteins that enable
specific binding of RNA polymerase to promoter regions
within the DNA. The staphylococcal sigma B response is
similar to that described for other Gram-positive patho-
gens such as B. subtilis. Sigma B is an alternative sigma
factor that is activated under environmentally stressful
conditions such as high salt levels, presence of ethanol,
energy depletion, and low pH. Comprehensive studies in
S. aureus have shown that sigma B regulates gene expres-
sion of some factors by directly binding to a specific site
upstream of promoters and also by indirectly affecting
upstream factors to gene expression. Some of the viru-
lence factors that have been shown to be affected due to
sigma B expression include coagulase, fibronectin-bind-
ing protein B, biofilm formation, and -toxin. A change in
resistance levels to some antibiotics that affect the bacter-
ial cell wall has also contributed to overexpression of
sigma B. It is important to note that some strains of
S. aureus have a mutation in the sigma B activator
(RsbU) that renders them sigma B defective. These strains
are also capable of growing under environmentally stress-
ful conditions, which suggests that there are additional
systems that have yet to be identified and that must play a
role in virulence factor expression.
Further Reading
Crossley KB and Archer GL (1997) The Staphylococci in Human
Disease. New York: Churchill Livingstone, Inc.
Feng Y, Chen CJ, Su LH, Hu S, Yu J, and Chiu CH (2008) Evolution and
pathogenesis of Staphylococcus aureus: Lessons learned from
genotyping and comparative genomics. FEMS Microbiology Reviews
32: 1–15.
Heilmann C and Peters G (2006) Biology and pathogenecity of
Staphylococcus epidermidis. In: Fischetti VA, Novick RP, Ferretti JJ,
Portnoy DA, and Rood JI (eds.) Gram-positive Pathogens, 2nd edn.,
pp. 560–571. Washington, DC: ASM Press.
Iandolo JJ (1989) Genetic analysis of extracellular toxins of
Staphylococcus aureus.Annual Review of Microbiology
43: 375–402.
Klevens RM, Morrison MA, Nadle J, et al. (2007) Invasive methicillin-
resistant Staphylococcus aureus infections in the United States.
Journal of the American Medical Association 298: 1763–1771.
Lee CY (2001) Capsule production. In: Honeyman AL, Friedman H, and
Bendinelli M (eds.) Staphylococcus aureus Infection and Disease,
pp. 35–48. New York: Kluwer Academic/Plenum Publishers.
Leung DYM, Huber BT, and Schlievert PM (1997) Historical perspective
of superantigens and their biological activities. In: Leung DYMB,
Huber T, and Schlievert PM (eds.) Superantigens; Molecular Biology,
Immunology and Relevance to Human Disease, pp. 1–14. New York:
Marcel Dekker, Inc.
Novick RP (2003) Autoinduction and signal transduction in the
regulation of staphylococcal virulence. Molecular Microbiology
48: 1429–1449.
Tenover FC and Gorwitz RJ (2006) The epidemiology of Staphylococcus
infections, pp. 526–534. In: Fischetti VA, Novick RP, Ferretti JJ,
Portnoy DA, and Rood JI (eds.) Gram-positive Pathogens, 2nd edn.,
pp. 381–412. Washington, DC: ASM Press.
Staphylococcus 1047

Strain Improvement
S Parekh, Dow AgroSciences, Indianopolis, IN, USA
ª2009 Elsevier Inc. All rights Reserved.
Defining Statement
Introduction
Attributes of Improved Strains
Significance, Impact, and Benefits
Strategies for Strain Development
Improved Strain Performance Through Engineering
Optimization
Further Reading
Glossary
DNA recombination A laboratory method in which
DNA segments from different sources are combined into
a single unit and manipulated to create a new sequence
of DNA.
fermentation A metabolic process whereby microbes
gain energy from the breakdown and assimilation of
organic and inorganic nutrients.
gene Physical unit of heredity. Structural genes, which
make up the majority, consist of DNA segments that
determine the sequence of amino acids in specific
polypeptides. Other kinds of genes exist. Regulatory
genes code for synthesis of proteins that control
expression of the structural genes, turning them off and
on according to circumstances within the microbe.
gene cloning Procedure employed where specific
segments of DNA (genes) are isolated and replicated in
another organism.
genetic code The linear sequence of the DNA bases
(adenine, thymine, guanine, and cytosine) that ultimately
determines the sequence of amino acids in proteins.
The genetic code is first ‘transcribed’ into
complementary base sequences in the messenger RNA
molecule, which in turn is ‘translated’ by the ribosomes
during protein biosynthesis.
genetic recombination When two different DNA
molecule are paired, those regions having homologous
nucleotide sequences can exchange genetic
information by a process of natural crossover to
generate a new DNA molecule with a new nucleotide
sequence.
interspecific protoplast fusion Method for
recombining genetic information from closely related
but nonmating cultures by removing the walls from the
cells.
metabolic engineering A scientific discipline that
integrates the principles of biochemistry, chemical
engineering, and physiology to enhance the activity of a
particular metabolic pathway.
mutation Genetic lesion or aberration in DNA
sequence that results in permanent inheritable changes
in the organism. The strains that acquire these
alterations are called mutant strains.
plasmid An autonomous DNA molecule capable of
replicating itself independently from the rest of the
genetic information.
primary metabolites Simple molecules and precursor
compounds such as amino acids and organic acids that
are involved in pathways that are essential for life
processes and the reproduction of cells.
secondary metabolites Complex molecules derived
from primary metabolites and assembled in a
coordinated fashion. Secondary metabolites are usually
not essential for the organism’s growth.
Abbreviations
EMS ethyl methanesulfonate
HPLC high-pressure liquid chromatography
MSG monosodium glutamate
NIPAB 6-nitro-3-phenylacetamidobenzoic acid
NTG N-methyl-N9-nitro-N-nitrosoguanidine
ONPG 2-nitrophenyl--D-galactopyranoside
PNPP 4-nitrophenylphosphate
This article is reproduced from the 2nd edition, volume 4, pp. 428–443,
2000; Elsevier Inc.
1048

Defining Statement
The science and technology of designing, breeding,
manipulating, and continuously improving the perfor-
mance of microbial strains for biotechnological
applications is referred to as ‘strain improvement’. The
science behind developing improved cultures has been
enhanced recently by a greater understanding of micro-
bial biochemistry and physiology, coupled with advances
in fermentation reactor technology and genetic engineer-
ing. In addition, the availability and application of user-
friendly analytical equipment such as high-pressure
liquid chromatography (HPLC) and mass spectroscopy,
which raised the detection limits of metabolites, have also
played a critical role in screening improved strains.
Introduction
The use of microbes for industrial processes is not new.
Improving the commercial and technical capability of
microbial strains has been practiced for centuries through
selective breeding of microbes. In making specialty foods
and fermented beverages (such as alcohol, sake, beer,
wine, vinegar, bread, tofu, yogurt, and cheese), specific
strains of bacteria and fungi isolated by chance have been
employed to obtain desirable and palatable characteris-
tics. Now, with integrated knowledge of biochemistry,
chemical engineering, and physiology, microbiologists
have taken a more scientific approach to the identification
of microbial strains with desired traits.
Later spectacular successes observed in improvement of
the industrial strains by mutation and genetic manipulations
in the production of penicillin and other antibiotics led to
strain development as a driving force in the manufacture of
pharmaceuticals and biochemicals. Microbes are now routi-
nely used in large-scale processes for the production of lactic
acid, ethanol fuel, acetone–butanol, and riboflavin as well as
for the commercial production of enzymes such as amylases,
proteases, and invertase. Efforts were also made by chemical
engineers to improve fermenter designs on the basis of under-
standing the importance of culture media components, sterile
operations, aeration, and agitation. Today, production of
hormones, steroids, vaccines, monoclonal antibodies, amino
acids, and of antibiotics are testimonies to the important role
of strain improvement in the pharmaceutical industry.
The arm of this article is to briefly describe strategies
employed in strain improvement, the practical aspects of
screening procedures, and the overall impact that strain
improvement has on the economics of fermentation pro-
cesses. Readers are also urged to review the additional
articles listed in ‘Further Reading’, especially the basic
concepts as well as the theoretical basis of genetic muta-
tions and screening improved strains.
Attributes of Improved Strains
Microbial strain improvement cannot be defined simply in
terms of modifying the strain for overproduction of bioac-
tive compounds. Strain improvement should also be viewed
as making the fermentation process more cost-effective.
Someofthetraitsuniquetofermentationprocessthat
make a strain ‘improved’ are the ability to (1) assimilate
inexpensive and complex raw materials efficiently; (2) alter
product ratios and eliminate impurities or by-products pro-
blematic in downstream processing; (3) reduce demand on
utilities during fermentation (air, cooling water, or power
draws); (4) excrete the product to facilitate product recov-
ery; (5) provide cellular morphology in a form suitable for
product separation; (6) create tolerance to high product
concentrations; (7) shorten fermentation times; and (8) over-
produce natural products or bioactive molecules not
synthesized naturally, for example, insulin.
Need for Strain Improvement
Microbes (fungi, bacteria, actinomyces) that live freely in
soil or water and produce novel compounds of commercial
interest, when isolated from their natural surroundings, are
not ideal for industrial use. In general, wild strains cannot
make the product of commercial interest at high enough
yields to be economically viable. In nature, metabolism is
carefully controlled to avoid wasteful expenditure of energy
and the accumulation of intermediates and enzymes needed
for their biosynthesis. This tight metabolic and genetic
regulation, and synthesis of biologically active compounds,
is ultimately controlled by the sequence of genes in the
DNA that program the biological activity. To improve
microbial strains, the sequence of these genes in the DNA
that program the biological activity. To improve microbial
strains, the sequence of these genes must be altered and
manipulated. In essence, microbial strain improvement
requires alteration and reprogramming of the DNA (or
the genes) in a desired fashion to shift or bypass the reg-
ulatory controls and check-points. Such DNA alterations
enable the microbe to devote its metabolic machinery to
producing the key biosynthetic enzymes and increasing
product yields. In some cases, simple alteration in
DNA can also lead to structural changes in a specific
enzyme that increases its ability to bind to the substrate,
enhance its catabolic activity, or make itself less sensitive
to the inhibitory effects of a metabolite. On the contrary,
when the changes are made in the regulatory region of the
gene (such as the promoter site), it can lead to deregulation
of gene expression and overproduction of the metabolite.
A typical example is overproduction of the enzyme amy-
lase, where specific constitutive mutants have been
developed that produce the enzyme even in the absence
of the starch inducer.
Strain Improvement 1049

Knowledge of the functions of enzymes, rate-limiting
steps in pathways, and environmental factors controlling
synthesis further helps in designing screening strategies.
The outcome of the strain selection, however, depends
primarily on the kind of improvement desired from the
microbe. For instance, increased product yield that
involves the activity of one or more genes, such as enzyme
production, may be enhanced simply by increasing the
gene dosage. Molecules such as secondary metabolites
and antibiotics that are complex in structure and require
a coordinated as well as highly regulated biosynthetic
process, however, may require a variety of alterations in
the genome to derive a high yielding strain. Apart from
modifying the strains genetically, the success of a strain
improvement program also depends on developing and
combining more efficient ways of screening, testing, and
confirming the improved and high yielding status of the
mutants against a background of nonimproved strains.
Significance, Impact, and Benefits
Strain improvement is the cornerstone of any commercial
fermentation process. In most cases, it determines the over-
all economics. Fermentation economics is predominantly
determined by manufacturing cost per unit of product
made (e.g., ‘dollars per pound’) and the cost associated
with plant construction and start-up. Although lower fer-
mentation manufacturing and capital costs can be
anticipated from fermenter engineering design, improve-
ment of microbial strains offers the greatest opportunity for
cost reduction. Great efforts are therefore expended to
develop industrial strains that have an increased ability to
produce the compound of interest at a faster rate.
Enhanced productivity of the fermentation process
through strain improvement (more product/vessel/unit
time, e.g., grams per liter per hour) is one factor that
makes the most impact. It can determine the ability of a
manufacturing process to meet additional demands with-
out adding more fermenters. Furthermore, the strain that
can synthesize a higher proportion of the product using the
same amount of raw material can also reduce material and
manufacturing costs significantly. For example, strains that
utilize low-cost materials such as starch or corn syrup, or
spent products like molasses (instead of refined glucose),
can reduce fermentation costs significantly.
Improvement of industrial strains is clearly justified
when one takes into account the additional anticipated
capacity and extra fermenters (capital cost) required to
meet the throughput in the absence of titer gains and
strain development efforts. Through strain improvement,
one can free up fermenters and facilitate the launching of
other fermentation products in the pipeline. Also of great
importance is the use of genetically engineered microbes
that manufacture nonmicrobial products such as insulin,
interferon, human growth hormone, and viral vaccines
that cannot be produced efficiently by other manufactur-
ing processes.
Strategies for Strain Development
Several procedures are employed to improve microbial
strains. All bring about changes in DNA sequence. These
changes are achieved by mutation, genetic recombination,
or the modern DNA splicing techniques of ‘genetic
engineering’. Each procedure has distinct advantages. In
some cases, a combination of one or more techniques is
employed to attain maximum strain improvement.
Mutation
Microbes, generation after generation, generally inherit
characteristics identical to their parents. However, when
changes occur in the DNA, they too are passed on to
daughter cells and inherited in future generations. This
permanent alteration of one or more nucleotides at a
specific site along the DNA strand is called a genetic
mutation. The strain that harbors the mutation is called
a mutant strain. Although a gene consists of hundreds or
even thousands of base pairs, a change in the just one of
these bases can have a significant change in the function,
operation, and expression of the gene or in the function of
its protein product. A mutant, by definition, will differ
from its parent strain in genotype, the precise nucleotide
sequence in the DNA of the genome. In addition, the
visible property of the mutant, its phenotype, may also
be altered relative to the parent strain.
A point mutation may be associated with a change in a
single nucleotide, through substitution of one purine for
another purine or substitution of one pyrimidine for
another pyrimidine (transition), or through substitution
of one purine by a pyrimidine or vice versa (transversion).
Mutations may also result from deletion of one or more
base pairs, insertion of base pairs, or rearrangement of the
chromosome due to breakage and faulty reunion of the
DNA. These changes in base pair arrangements can alter
the ‘reading frame’ of the gene (frameshift mutations), and
during the transcription and translation process also
change the amino acid sequence in the resulting protein.
Most mutations occur on a chromosome structure at a
specific site or locus (gene mutations).
Genetic mutations do occur spontaneously, at low
frequency at any point along the gene (10
5
–10
10
per
generation). Some mutations are the result of integration
or excision of insertion sequence elements and result in
subtle modification of the genetic sequence. In many cases
mutations are harmful, but certain mutations occur that
make the organism better adapted to its environment and
improve its performance. The potential for a microbe to
1050 Strain Improvement

mutate is an important property of DNA since it creates
new variation in the gene pool.
Modification of the strain through mutation can also be
induced at will, by subjecting the genetic material to
reaction with a variety of physical and chemical agents
called mutagens. Examples of some known mutagenic
agents are listed in Table 1. Each agent includes DNA
alterations in a specific manner, and in some cases, an
agent may induce more than one type of lesion. Most
cause some damage to the DNA through deletion, addi-
tion, transversion, or substitution of bases or breakage of
DNA strands (Table 1). Although microbes have systems
to repair the damaged of altered DNA and return it to its
original form, the repairing and editing mechanisms are
not errorproof. Thus, when DNA reacts with mutagenic
agents for longer periods of time, the damage in the DNA
cannot be repaired to the correct genetic sequence with
the same rapidity and accuracy as in normal circum-
stances. The microbes (progeny) that survive the changes
in their genetic DNA sequence usually acquire an altered
genetic code for ‘reprogrammed’ metabolic and biosyn-
thetic activity. The frequency of bacterial mutation for a
particular trait is low: 1 per 10
4
–10
10
cells per generation.
In addition to mutation, alteration in DNA can also
occur by genetic recombination. Here information from
two similar but different DNA molecules is brought
together and recombined by crossing-over, resulting in
novel DNAs of different lengths so that new combinations
of mutations are produced. This allows the circumvention
of slow leaps to obtain new combinations of desired char-
acteristics in microbes. Genetic engineering is usually
employed to create targeted mutations on the genes, unlike
other methods of mutation that are random. It must be
emphasized that this technology is not a way of constructing
new forms of life. Even the genetic materials of the simplest
organisms are highly complex, and insertion of a few genes
from an unrelated organism will not create a new microbe.
On the basis of the method of screening and selection
chosen, there are basically two methods of improving
microbial strains through random mutation: (1) random
selection and (2) rationalized selection.
Random selection
Random mutagenesis and selection is also referred to as the
classic approach or nonrecombinant strain improvement
procedure. Improved mutants are normally identified by
screening a large population of mutated organisms, since
the mutant phenotype may not be easy to recognize against
a large background. After inducing mutations in the culture,
the survivors from the population are randomly picked and
Table 1 Mutagens employed for strain development
Mutagen Mutation induced Impact on DNA Relative effect
Radiation
Ionizing radiation
1. X-rays, gamma rays Single- or double-strand
breakage of DNA
Deletions, structural changes High
Short wavelengths
2. Ultraviolet rays Pyrimidine dimerization and
cross-links in DNA
Transversion, deletion, frameshift,
GC !AT transitions
Medium
Chemicals
Base analogues
3. 5-Chlorouracil,
5-bromouracil
Faulty base pairing AT !GC, GC !AT transition Low
4. 2-Aminopurine Errors in DNA replication Low
Deaminating agents
5. Hydroxylamine (NH
2
OH) Deamination of cytosine GC !AT transition Low
6. Nitrous acid (HNO
2
) Deamination of A, C, and G Bidirectional translation, deletion,
AT !GC, and/or GC !AT transition
Medium
Alkylating agents
7. NTG (N-methyl-N9-nitro-
N-nitrosoguanidine)
Methylation, high pH GC !AT transition High
8. EMS (ethyl
methanesulfonate)
Alkylation of C and A GC !AT transition High
9. Mustards, di-(2-chloro-
ethyl) sulfide
Alkylation of C and A GC !AT transition High
Intercalating agents
10. Ethidium bromide,
acridine dyes
Intercalation between two
base pairs
Frameshift, loss of plasmids, microdeletions Low
Biological
11. Phage, plasmid, DNA
transposons
Base substitution, breakage Deletion, duplication, insertion High
Strain Improvement 1051

tested for their ability to produce the metabolite of interest.
This approach has the advantage of being simple and reli-
able. Moreover, it offers a significant advantage over the
genetic engineering route alone by yielding gains with
minimal start-up and sustaining such gains over years
despite a lack of scientific knowledge of the biosynthetic
pathway, physiology, or genetics of the producing microbe.
This empirical approach has been widely adapted by the
fermentation industry, following the successful improve-
ment in penicillin titers since World War II. One
drawback to the random selection approach is that it relies
on nontargeted, nonspecific gene mutations, so many strains
need to be screened to isolate the improved mutant in the
mixed population. In addition, when the culture is muta-
genized, multiple mutations may be introduced in the
strain. This may result in the enfeeblement of the organism
lacking the properties of interest.
This process of strain improvement involves repeated
applications of three basic principles: (1) mutagenesis of the
population to induce genetic variability, (2) random selec-
tion and screening from the surviving population of
improved strains by small-scale model fermentation, and
(3) assaying of fermentation broth/agar for products and
scoring for improved strains. It must be emphasized that
the action of the mutagenic agent on DNA not only can
cause genetic alteration but can also induce cell death, owing
to irreversible damage to the DNA or formation of lethal
mutations. Hence, after the mutagenic treatment, mutants
are sought among the surviving population with the antici-
pation that each of the surviving cells harbors one or several
mutations. Each time an improved strain is derived through
mutation, it is used again as the parent strain in a new cycle
of mutation, screening by fermentation (liquid or solid), and
assay (Figure 1). This random procedure of mutant selec-
tion is continued until a strain is derived that is statistically
superior in performance to the control strain prior to the
mutagenic treatment. The objective of mutagenesis is to
maximize the frequency of desired mutations in a population
while minimizing the lethality of the treatment. For this
purpose, nitrosoguanidine (NTG) has been the mutagen of
choice because it offers the highest possible frequency of
mutants per survivor. The efficiency of the random selection
process is dependent on several factors: the type of culture
used (such as spores or conidia), mutagen dose and exposure
time, the type and damage to DNA, conditions of treatment
and posttreatment, frequency of mutagen treatment, and the
extent of detectable yield increase.
In addition to the mutation conditions, the test or quan-
titative and analytical screening procedures employed
(bioassays, radioimmunoassays, chromatography, HPLC)
Culture handling
Mutation
Mutation
Shake
flasks
Dilution and
isolation Random clone selection Seed stage
Primary screen
HPLC assay
Secondary screen
Review data
pick ‘hits’
Take ‘hits’
forward
Fermentation
stage
Pilot plant
Scale-up
Confirmation test Preservation
Recycle new
parent
Figure 1 Typical steps in mutation and random strain selection process.
1052 Strain Improvement

also play a critical role in successful isolation of superior
mutants. The ability to detect a gain mutant among the
randomly selected mutants is greatly influenced by the
process as well as the variability within the process and
the actual titer differences between the improved strain
and the control. The screening procedure therefore is
usually designed to maximize the precision and selectivity
of improved cultures (gain per sample tested) and to mini-
mize the variability (measured as the coefficient of
variation) when treating the unmutagenized control and
reference samples. All the strains tested, including the
control, are normally worked up all the way head-to-
head from the initial cell clone stage to the final screening
stage. This is essentially the test of significance. As such, if
all the treatment conditions were the same, a successful test
should show a statistical difference between the means of
the control and improved cultures.
Putative mutants isolated after a primary run are sub-
jected to secondary and tertiary confirmations (replications
and repetitions) to raise the level of confidence and observe
the anticipated titer differences on data collections
(Figure 1). A desired improvement in the strain is typically
obtained with less testing if the selection system is less
susceptible to variability and if the coefficient of variation
is lower. Considerable efforts are therefore directed at
troubleshooting important handling procedures to identify
and eliminate key contributors to the errors in the process.
Furthermore, the screening strategy is carefully chosen so
that the medium and fermentation parameters mimic
large-scale production. This increases the possibility that
the improved performance of the mutant will be achieved
at scale-up. The random approach of strain selection relies
on delivering small incremental improvements in culture
performance. Although the procedure is repetitive and
labor intensive, this empirical approach has a long history
of success and has given dramatic increases in titer
improvement, as best exemplified by the improvements
achieved for penicillin production in which titers over
50 g l
1
are reported – a 4000-fold improvement over the
original parent strain. W. Crueger and A. Crueger have also
cited certain actinomyces or fungal strains capable of over-
producing metabolites in quantities as high as 80 g l
1
.Not
surprisingly, therefore, pharmaceutical and other fermen-
tation industries typically adopt this technique for selection
of improved mutants for many of their processes. The
historic successes (e.g., production of antibiotics and other
secondary metabolites, enzymes, and amino acids) bear
testimony to creating superior strains through this
procedure.
The procedure of mutation followed by random selec-
tion is laborious and requires screening a large number of
strains to obtain desired mutants. This is because in ran-
dom screening procedures a high percentage of mutants
examined will be carried over as survivors from the
mutagenesis and will exhibit the same or lower yields
than the parent strain. Factors that impact the success of
the random program and accelerate strain improvement
are the following: the extent of yield improvement, the
frequency of induced mutations, the amount of time for
turn-around of the mutation selection cycle, and the
testing capacity. In addition, the success of a strain
improvement program also depends on resource alloca-
tion. The key labor-intensive steps in classic strain
improvement programs include the isolation of individual
mutated cultures, preparation and distribution of sterile
media, transfer of clones and their inoculum to initiate
fermentation, assays of fermentation broth, and repeated
confirmations. Furthermore, the more complex the reg-
ulation and biosynthesis of a desired compound, the
greater the number of strains that need to be evaluated
and replicated. As a rule, mutants with very high yields
are rarer than those with subtle improvements. So, to
increase the odds, a larger number of improved strains
are examined, raising the probability of detecting
improved strains. Thus, if the strain improvement pro-
gram is operated manually, successful improvements
detected will roughly be proportional to the number of
personnel allocated. The advantage of manual screening
is in the trained eyes of the microbiologists. They can
visually detect the alteration in the morphology, pigmen-
tation, and growth characteristics of mutants during the
selection process. In fact, isolation of pelleted strains of
filamentous organisms is commonly based on morpholo-
gical criteria.
To increase the efficiency of random selection, ways
by which the key steps in the process can drive the
throughput higher without adding labor are typically
sought. In some instances high-throughput screens have
been automated with robotics technology. This allows
screening of large populations with minimum resources
by miniaturizing wherever possible the equipment
required and constructing an automated integrated sys-
tem. In an industrial system sterile media are robotically
dispensed in custom-designed sterilizable and cleanable/
disposable modules, each having over 100 tubes or bottles.
Individual clones are detected by an optical system and
plugged from an agar-based medium into liquid seed
medium. The inoculations of seed-stage culture to fer-
mentation vials are also accomplished by robots. The
extraction and HPLC analysis of the fermentation broth
is also automated to match the throughput of the screen-
ing stage. The advantage of such automation is that it
facilitates the capture and downloading of process data
and allows statistical process control approaches to be
implemented where refinement of the process is required.
The success of automated programs requires skillful
microbiologists, and constant monitoring and evaluation
of the screening system to ensure that all aspects of the
automation are functioning efficiently without introdu-
cing variability. The significant disadvantage of robotic
Strain Improvement 1053

systems is the initial high capital investment and contin-
ued maintenance of equipment and software.
Although other sophisticated techniques are being
developed to generate improved strains, random high-
throughput selection and mutation will continue to be
an integral part of any strain improvement program.
The random approach is least useful for microbes that
are less susceptible to mutagenesis, such as some fungi
(owing to their diploid or polyploid genome structure)
and bacteria with very efficient repair systems. In a typical
manually operated strain improvement project, the
expected frequency of gain could be of the order 1 in
10 000, where about 10 000 mutants may pass through the
primary screen before a higher producing candidate is
identified. However, as the titer increases, depending on
the pathway, the organism, the product, and the history of
the production strain, significantly larger gains are
required to detect an improved mutant. The use of pre-
screening and rational selection allows for a significant
improvement in the efficiency of the selection process.
Rationalized selection
An alternate approach to random screening requires a
basic understanding of product formation and the fermen-
tation pathway; this can be acquired through radioisotope
feeding studies and isolation of mutants blocked in var-
ious pathways. These observations can shed light on the
metabolic checkpoints, and suggest ways to isolate speci-
fic mutants. For example, environmental conditions (pH,
temperature, aeration) can be manipulated, or chemicals
can be incorporated in the culture media to select mutants
with desired traits. This approach is used in many
instances as a prescreen, since selecting for a particular
mutant is unlikely to guarantee a hyperyielding mutant.
In some instances, by adding toxic substances to the
media, the sensitive parent strains are prevented from
growing, and only the resistant mutant clones propagate.
Such an enrichment procedure has been used to isolate
mutants with increased biosynthetic capacity through a
change in a regulatory mechanism (leading to either an
enzyme resistant to inhibition or an enzyme that is
expressed constitutively) or mutants that are modified in
the transport or degradation of compounds, which ulti-
mately leads to higher product formation. This
rationalized technique is powerful, and when the logic
behind the mutant selection criteria is sound, the effec-
tiveness of mutant gains is much greater than with
random selection.
Rationalized selection for strain improvement does not
generally require a sophisticated understanding of mole-
cular biology to manipulate environmental or cultural
conditions. It does, however, require some understanding
of cellular metabolism and product synthesis to design the
right media or environmental conditions. The procedure
is useful in selecting strains overproducing metabolites,
antibiotics, simple molecules, amino acids, or enzymes.
Some of the mutants derived through rationalized selec-
tions are described below.
Auxotrophic mutants
Many metabolic processes have branched pathways, and
isolating mutants blocked in one branch of the metabolic
pathway can cause accumulation of simple products such
as amino acids, nucleotides, and vitamins made by other
branches. Auxotrophic strains are blocked at some point
in a pathway vital for growth, and unless the specific
nutrients or products of the pathway are supplied in the
media, the auxotrophs do not survive. Auxotrophs are
primarily isolated by plating the mutagenized population
on a complete medium that has all the nutrients needed
for growth. The clones are then replica-plated to minimal
medium lacking some specific nutrients, and auxotrophs
that fail to grow on minimal media are identified.
Most auxotrophic strains give poor antibiotic yields; how-
ever, some prototrophic revertants have demonstrated
improved antibiotic production such as in tetracycline
production.
Regulatory mutants
Since anabolism and catabolism in any organism are
tightly regulated, selection and screening of microbes
with less efficient regulation, and optimizing culture con-
ditions, can lead to relaxed regulation and overproduction
of microbial products. A broad understanding of meta-
bolic pathway bottlenecks is necessary for a rational
approach to developing improved regulatory mutants.
Isolating strains relaxed in regulation can usually be
accomplished by selecting strains desensitized to feedback
inhibition (enzyme activities) or feedback repression
(enzyme synthesis) involved in the pathway. One diffi-
culty in applying analogue-resistant mutants to strain
improvement is that many analogues of primary metabo-
lities need to be tested and some either do not inhibit
growth or inhibit growth only at very high concentrations.
Mutants resistant to feedback inhibition In many
microbes, the end products of metabolism, when
accumulated in the microbial cell, inhibit the enzyme
activities of many pathways. The end product causes
conformational changes by binding to a specific
(allosteric) site on the enzyme, and inhibits activity. The
binding is usually noncompetitive. Mutation in the
structural gene, however, can alter the enzyme binding
site and prevent these inhibitory effects. By studying the
interaction of various analogues of end products and their
resistance, improved strains can be selected that lack
feedback inhibition and thus overproduce metabolites of
interest. For example, some analogues (acting through
these regulatory controls) prevent the synthesis of
compounds required for growth and thus cause cell
1054 Strain Improvement

death. Supplementing the screening medium with these
analogues selects only mutants with altered enzyme
structure and desensitized to inhibition effects to grow.
Such procedures have led to development of superior
mutant strains of Arthrobacter,Bacillus,Streptomyces,
Aspergillus, and Corynebacterium that overproduce amino
acids, nucleotides, and vitamins. In some cases, the
rational selective agent is biological rather than chemical.
Resistance to actinophage has been used to isolate superior
vancomycin-producing strains of Streptomyces orientalis
(Soviet Union Patent 235–244-A, 1969).
Mutants resistant to repression Here intermediates,
products of catabolism (derived from breakdown of
compounds containing carbon, nitrogen, or phosphorus),
or end products regulate the amount of biosynthetic
enzymes synthesized and, therefore, the amount of final
product formed. However, mutations at the operator site
or other regulatory sites on the gene relieve such end-
product repression and allow overproduction of the
biosynthetic enzyme. For example, it is well known that
antibiotics inhibit their own biosynthesis (e.g., penicillin,
chloroamphenicol, puromycin, and streptomycin), where
key enzymes required for the architecture of these
complex molecules are repressed. Mutant strains less
sensitive to antibiotic production are therefore isolated
to provide higher yields. In a similar context, constitutive
mutants have been selected that form enzymes (amylase,
glucoamylase, lipase, and protease) independent of
cultural conditions or the presence of inducing
compounds.
Resistance to an antimetabolite is not the sole means of
selecting product-excreting mutants resulting from a
desensitized enzyme system. Removing enzymes sensi-
tive to feedback repression or the end product that causes
inhibition during fermentation also accelerates produc-
tivity. Elimination of end-product inhibition or repression
effects have been demonstrated by adding chemicals dur-
ing the fermentation process to trap the end product or
the inhibitor. In situ end-product extraction, or adding a
mechanical device during fermentation (such as specific
membrane modules with a particular molecular weight
cutoff), allows the percolation of the final product from
accumulating in the broth. Increasing permeability of the
cell membrane is another method of controlling intracel-
lular product accumulation, enhancing the extracellular
metabolite flux. This approach has been exploited to
improve the titers of monosodium glutamate (MSG)
from Corynebacterium,Micrococcus, and Brevibacterium.
Last, ways of stabilizing the activity of enzymes
involved in the assembly of molecules have been reported
to augment product formation and strain performance.
For example, in gramicidin biosynthesis amino acids are
added to stabilize in vivo gramicidin Ssynthetase enzymes
and prolong the longevity of biosynthetic activity.
Other procedures
Mutant strains suspected of metabolic impairment can
also be assayed visually for the presence or absence of
specific enzyme activities by plating and spraying on the
‘diagnostic’ solid or liquid culture medium with selective
reagents, dyes, or an indicator organism. For example, the
agar plug method has been used to detect production of
an antibiotic by measuring the extent of growth inhibition
of an organism sensitive to the antibiotic. The diameter
of the resulting zone of inhibition serves as a measure of
antibiotic production. Other procedures rely on the use of
chromogenic agents, which are normally converted to a
visible product by a specific biochemical reaction or
reorganization of the redox level in the media. This
leads to visual detection from the large background popu-
lation of a specific strain having the biochemical activity
of interest. Examples of these detection substrates are
phenol red for acid–base reactions, 2-nitrophenyl--D-
galactopyranoside (ONPG) for galactosidase, 6-nitro-3-
phenylacetamidobenzoic acid (NIPAB) for penicillin
amidase, 4-nitrophenylphosphate (PNPP) for phospha-
tase, nitrocefin for -lactamase inhibition, and azocasein
for proteinases. Tetrazolium and methylene blue (EMB,
eosin methylene blue agar for Escherichia coli and other
coliforms) are commonly employed for detection of oxi-
dation–reduction reaction complexes exhibited by strains
of interest. These reactions can be coupled into high-
throughout screening systems, giving the possibility of
targeting whole cells or isolated enzymes for strain selec-
tion. For example, carotenoids have been demonstrated to
protect Phaffia rhodozyma against singlet oxygen damage.
A combination of Rose Bengal and thymol in visible light
has been employed to select carotenoid-overproducing
strains. Enrichment with a singlet oxygen system led to
development of mutants with increases in certain carote-
noids but a decrease in astaxanthin.
Genetic Recombination
In addition to the manipulation of microorganisms by
mutation, the techniques of genetic recombination can
be employed to get new strains containing novel combi-
nations of mutations and superior microbial strains.
Generally, genetic recombination methods include those
techniques that combine two DNA molecules having
similar sequences (homologues). Through the special
event of crossing-over, they are reunited to give a new
series of nucleotide sequences along the DNA that are
stable, expressible genetic traits. This mechanism of gene
alteration and strain modification is called genetic recom-
bination. This definition includes the techniques of
protoplast fusion, transformation, and conjugation. Most
recently, recombinant DNA technology has been
employed to assemble new combinations of DNA
in vitro, which are then reinserted into the genome of
Strain Improvement 1055

the microbe, creating new varieties of microbe not attain-
able through traditional mutation and rationalized
selection approaches. This approach overlaps the other
methods to some extent in that it involves tranformation
of microbes with laboratory-engineered specific recombi-
nant molecules via plasmid or phage vectors.
Protoplast fusion
Fusing two closely related protoplasts (cells whose walls
are removed by enzyme treatment) is a versatile techni-
que that combines the entire genetic material from two
cells to generate recombinants with desired traits that
cannot be obtained through a single mutation. The tech-
nique has the advantage of producing hybrids from cells
that are sexually incompatible. The procedure of forced
mating allows mingling of DNA that is not dependent on
appropriate sex factors and is not influenced by barriers of
genetic incompatibility.
The procedure relies on stripping the cell wall of the
microbes with lytic enzymes, stabilizing the fragile pro-
toplasts with osmotic stabilizing agents, and using a
chemical agent or an electric pulse (electrofusion) to
induce membrane fusion and to form a transient hybrid.
In the hybrid, the genes align at homologous regions, and
crossing-over of genes creates recombination within the
fused cells. After recombination, the protoplasts are pro-
pagated under specific conditions that favor regeneration
of cell walls. The unwanted parents are discriminated
against by incorporating selective markers in the screen-
ing process (e.g., auxotrophy, extracellular enzymes,
morphological differences, and levels of antibiotic pro-
duced) so that only recombinants grow and form viable
cells. The efficiency of the technique is influenced by the
fragility of cells, the types of genetic markers, the fusing
agent used, and the protoplast regeneration capability.
The use of protoplast fusion has been reported to
improve a wide range of industrial strains of bacteria
and fungi including Streptomyces,Nocardia,Penicillium,
Aspergillus, and Saccharomyces. This technique is frequently
employed in the brewing industry for improving yield
and incorporating traits such as flocculation to aid beer
filtering, efficient utilization of starch, contamination con-
trol, and minimizing off-flavors during brewing. Many of
these traits are not easily achievable through simple
mutation. One advantage of protoplast fusion is the high
frequencies at which recombinants are produced under
nonselective conditions in the absence of sex factors and
without need of specific mating types. In Streptomyces
coelicolor frequencies as high as 20% have been observed.
Another interesting feature is that more than two strains
can be combined in one fusion. In some instances, four
strains have been fused to yield recombinants containing
genes derived from all four parents. This approach can be
extremely useful in accelerating strain development.
However, because of the absence of control over the
amount of genetic material from any one strain retained
in the recombinant, protoplast fusion may not improve
the strain in the desired fashion. The big disadvantage to
this approach has been the genetic instability of the fused
strains and the lack of control over which genetic altera-
tions occur. A detailed description of protocols and
considerations for the application of protoplast fusion to
a variety of industrial microbes is available.
Transformation
Transformation is the process involving the direct uptake
of purified, exogenously supplied DNA by recipient cells
or protoplasts. When this occurs, the donor DNA may
either combine with the recipient DNA or exist indepen-
dently in the cell. This leads to changes in the amount and
organization of the recipient microbe DNA, hopefully
improving it with some of the characteristics coded by
the donor DNA. Transformation can be mediated by total
genomic DNA or cloned sequences in plasmid of phage
DNA. Essentially, the cultures to be transformed are
cultivated in a specific physiological manner to develop
the competency to make them readily accept foreign
DNA. Having selectable markers on the donor DNA
allows easy identification of transformants. This proce-
dure allows the transfer of genetic material between
unrelated organisms. Certain microorganisms have a
well-established gene cloning system that provides a
great potential for improving strains by transformation.
Transformation methods for strain improvement pertain-
ing to primary or secondary metabolites have been
demonstrated in Streptomyces,Bacillus,Saccharomyces,
Neurospora, and Aspergillus.
Conjugation
Conjugation introduces mutational changes in microbes
through unidirectional transfer of genetic material from
one strain to the other; it is mediated by plasmid sex
factors. Conjugation requires cell-to-cell contact and
DNA replication. This mode of genetic exchange can
achieve transfer of chromosomal DNA or plasmid DNA.
Several strains have been modified by this procedure to
make them resistant to specific antibiotics and microbial
contamination.
The application of conjugate plasmid recombination
technology is employed for strain improvement of
Lactococcus starter cultures in the dairy industry, which is
often plagued by problems with phage. Phage infection
can lead to slow acid production, which can economically
impact a cheese factory. Furthermore, owing to the non-
aseptic nature of the dairy starter culture (open vat in
cheese making, the presence of mixed flora in milk),
phage-resistant strains are desired as starter cultures for
fermentation. Various naturally occuring phage-resistant
strains have a number of resistance mechanisms (e.g.,
abortive infection, restriction/modifications, and
1056 Strain Improvement

absorption inhibitions) that in many instances are carried
on conjugative plasmids. Several lactic acid bacteria have
therefore been modified by conjugation and transforma-
tion procedures to acquire phage resistance in dairy
starter cultures. Typical methods for conjugative transfer
involve mating by donor and recipient cells on milk agar,
followed by harvesting of cells and further isolation on
selective medium. This procedure has been applied suc-
cessfully to construct nisin-producing Lactococcus strains.
Cloning and Genetic Engineering
In vitro recombinant DNA technology
By employing restriction endonucleases and ligases,
investigators can cut and splice DNA at specific sites.
Some endonucleases have the ability to cut precisely
and generate what are known as ‘sticky ends’. When
different DNA molecules are cut by the same restriction
enzyme, they possess similar sticky ends. Through a form
of biological ‘cut and paste’ processes, the lower part of
the one DNA is made to stick well onto the upper part of
another DNA. These DNA molecules are later ligated to
make hybrid molecules. The ability to cut and paste the
DNA molecule is the basis of ‘genetic engineering’. A
useful aspect of this cut-and-paste process involves the
use of plasmid, phage, and other small fragments of DNA
(vectors) that are capable of carrying genetic material and
inserting it into a host microbe such that the foreign DNA
is replicated and expressed in the host. A wide array of
techniques can now be combined to isolate, sequence,
synthesize, modify, and join fragments of DNA. It is
therefore possible to obtain nearly any combination of
DNA sequence. The challenges lie in designing
sequences that will be functional and useful.
The protocol to modify and improve strains involves
the following steps:
1. Isolate the desired gene (DNA fragment) from the
donor cells.
2. Isolate the vector (a plasmid or a phage).
3. Cleave the vector, align the donor DNA with the
vector, and insert the gene into the vector.
4. Introduce the new plasmid into the host cell by trans-
formation or, if a viral vector is used, by infection.
5. Select the new recombinant strains that express the
desired characteristics.
For successful transfer of a plasmid/phage vector, it must
contain at least three elements: (1) an origin of replication
conferring the ability to replicate in the host cell, (2) a
promoter site recognized by the host DNA polymerase,
and (3) a functional gene that can serve as a genetic
marker. A great deal of literature exists on the theoretical
overviews, and laboratory manuals on the use of recom-
binant DNA for strain modification and improvements
are available.
Site-directed mutagenesis for strain improvement
So far the mutations and the modifications of the strains
discussed have been randomly directed at the level of the
genome of the culture. The application of recombinant
technology and the use of synthetic DNA now make it
possible to induce specific mutations in specific genes.
This procedure of carrying out mutagenesis at a targeted
site in the genome is called site-directed mutagenesis. It
involves the isolation of the DNA of the specific gene and
the determination of the DNA sequence. It is then possi-
ble to construct a modified version of this gene in which
specific bases or a series of bases are changed. The mod-
ified DNA can now be reinserted into the recipient cells
and the mutants selected. Site-directed mutagenesis has
found valuable application in improving strains, by
enhancing the catalytic activity and stability of commer-
cial enzymes, for example, penicillin G amidase.
Since the mid-1970s the synergistic use of classic tech-
niques along with rational selection and recombinant
DNA has made a significant impact in developing
improved strains. Fermentation processes for products as
diverse as human proteins and antibiotics and other ther-
apeutic agents (chymosin, lactoferrin) have benefited
from these combinatorial approaches. Transcription,
translation, and protein secretion, activation, and folding
are one or more of the rate-limiting steps critical for the
overproduction of such therapeutic proteins. Achieving
overproduction of active therapeutic proteins in bacterial
or fungal heterologous gene expression systems has been
made amenable due to the mix of classic and rational
selection procedures. Genetic engineering along with
classic methods has been used on numerous occasions to
improve the performance of yeast and bacteria in alcohol
fermentation, expand the substrate range, enhance the
efficiency of the fermentation process, lower by-product
formation, design yeast immune to contamination, and
develop novel microbes that detoxify industrial effluents.
Cost-effective production by fermentation of alcohols
(ethanol, butanol) that can be used as substitutes for fossil
fuels has been aided by this technology. Bacterial manu-
facturing of large quantities of hormones, antibodies,
interferons, antigens, amino acids, enzymes, and other
therapeutic agents to combat diseases has also become
possible by recombinant DNA technology and strain
improvement programs. Through increased gene dosage,
improved efficiencies of antibiotic production have been
achieved to relieve one or more rate-limiting steps. Novel
and hybrid antibiotics and bioactive compounds have also
been produced by combining different biosynthetic path-
ways in one organism that would have been difficult or
impossible to manufacture through synthetic chemistry
(e.g., Cephalosporium acremonium and Claviceps purpurea).
Moreover, using recombinant DNA techniques, entire
sets of genes for antibiotic biosynthesis have been cloned
into a heterologous host in a single step. By cloning
Strain Improvement 1057

portions of the biosynthetic genes from one producer to
another strain, hybrid compounds have also been synthe-
sized, with novel spectra of activities and pharmacological
applications. An example of this is the production by
Streptomyces peucetius subsp. caesius of adriamycin (14-
hydroxydaunomycin), an antitumor antibiotic.
Occasionally, it has been found that certain improved
mutants produce extremely high levels of a specific
enzyme. When analyzed, these mutants had multiple
copies of a structural gene coding for the specific enzyme
of interest. Increasing the number of gene copies in the
cell (through gene cloning) has therefore been employed
to overproduce enzyme precursors and their end product.
In addition, mutations at the promoter or regulatory site
have been demonstrated to alter secondary metabolite
productivity. For example, in Saccharopolyspora erythraea,
specific mutations at a ribosomal RNA operon terminator
site altered the transcription and expression of the ery-
thromycin gene cluster, and strains harboring these
mutations overproduced enzymes involved in the later
steps of erythromycin biosynthesis.
Once an improved strain is confirmed through bench-
work studies, additional efforts are necessary to validate
its performance. It is normally purified by reisolation, and
the reisolates are verified for strain variability, homoge-
neity, and performance. They are preserved in large lots
for examination under pilot plant conditions before being
introduced for large-scale production.
Improved Strain Performance Through
Engineering Optimization
Major improvements in fermentation are no doubt attrib-
uted to superior strains created through mutation or
genetic alterations. Further improvement in culture per-
formance can also be achieved by giving a strain the
optimum environmental and physical conditions. During
the strain improvement process, it is important to keep in
mind that the ultimate success also depends on optimiza-
tion of fermentation design factors. The use of batch or
fed batch, continuous or draw-and-fill operation, the extent
of shear, broth rheological properties, and oxygen and heat
transfer characteristics all contribute to improvement in
strain performance. The application of biochemical engi-
neering principles can be used to design environmental
parameters that shift kinetics of metabolic routes toward
the desired product.
Improving Strain Performance Through
Optimizing Nutritional Needs
The environment in which the altered strain is grown is
known to influence higher product yield and get the best
performance out of the culture. Since the media commonly
used for production are different from the ones in which
mutants are screened, media optimization is requisite to
achieving the best response from the improved strains
when scaled up to production. The media for production
are reformulated so that they meet all growth requirements
and supply the required energy for growth and product
synthesis. Early bench work is typically performed with
biochemically defined media to elucidate metabolite flux
and regulation (inhibition or repression) by specific nutri-
ents and physical variables. Later research is done to
develop complex media that are more cost-effective to
support cultural conditions of improved strains and max-
imize product synthesis without producing additional
impurities that may impact isolation of the product.
Additional issues, such as inoculum media and transfer
criteria, media sterilization, pH, cultivation variables, and
the sensitivity of the culture to different batches of raw
material, are addressed during media optimization.
Statistical computer-based methods and response sur-
face modeling are available for the study of many variables
at the same time. A full search is normally made of every
possible combination of independent variables to deter-
mine appropriate levels that give the optimum response in
strain performance. Success in this area can be enhanced if
additional physiological data are available, such as the role
of precursors, the steps in the biosynthetic pathway, car-
bon flux through the pathway, and the regulation of
primary and secondary metabolism by carbon and nitro-
gen. Controlling the levels of metabolites and precursors
during fermentation aids in controlling lag and repression
or toxicity effects. The removal of inhibiting products has
been practiced where increasing the concentration up to
economical levels demonstrates poor process kinetics.
Adding chelating agents has been beneficial if the fermen-
tation is found to be sensitive to substrate-specific
repression. Further improvement in strain performance
and productivity gain has been observed when the key
enzymes participating in product formation are stablilized.
For example, biosynthesis of the antibiotic gramicidin has
been improved greatly by adding precursor amino acids
that are substrates for the key enzymes.
Influence of Bioengineering in Improving Strain
Performance
The ultimate destination of an improved strain is a large
fermenter in which the desired product is made for com-
mercial use. Conversion of laboratory processes to an
industrial operation is called scale-up. It is not a straightfor-
ward process, requiring the use of methods of chemical
engineering, physiology, and microbiology for success. The
goal of the scale-up team is to cultivate improved strains
under optimum production conditions. Open communica-
tion, data feedback, and synergy between engineers and
scientists are vital to facilitate successful launch and scaling
1058 Strain Improvement

up of new and improved strains. Factors such as media
sterilization for culture seed and production, methods of
aeration and agitation, power input, control of viscosity,
and evaporation rates are considered when moving new
strains into production. In addition, sterility factors, heat
transfer,impellertypes,baffletypesandpositioning,the
geometry and symmetry of the fermenter, mixing times,
oxygen transfer rates, respiratory quotient and metabolic
flux, disengagement of gases, and culture stability are all
important in bringing the improved mutants from the
laboratory- to industrial-scale production. Furthermore,
metabolic feeds and the impact of the addition of feeds
subsurface or surface, as well as timing of additions, are
also optimized for directing ways toward the desired pro-
duct. In some cases, process control and parameter
optimization are facilitated using near-infrared spectroscopy
and Fourier transform infrared spectroscopy when inte-
grated in the fermentation process. This allows
fermentation broth analysis and the ability to assay in situ,
avoiding sample preparation and permitting timely adjust-
ment of environmental parameters. However, online mass
spectroscopy analysis is helpful mostly in a fermentation that
is less sensitive to specific variables, as it cuts down routine
assay work, sample preparation time, and the need for
expensive equipment.
After the successful introduction of the improved
strain in fermenters, production processes are validated
and designed to run automatically for comparative and
consistent operations. In some cases mathematical model-
ing of the physiological state and microbiological process
are elucidated for maximizing strain performance.
Typically, this is done in three stages: (1) qualitatively
analyzing relationships among growth, substrate con-
sumption, and production (usually based on the
assumption of metabolic pathway and biogenesis of pro-
duct); (2) establishing mathematical formulations and
kinetic equations of the model, emphasizing the role of
operator functions and technical operation associated
with overproduction; and (3) estimation of parameters
and simulation of the model on the basis of experimental
data. During these scale-up and modeling studies, empha-
sis is also placed on the capital and operating costs as well
as on the reliability of the process.
Among the various strains of microbes that have been
scaled up, a few problems have invariably been noticed
when scaling up filamentous organisms. The viscous nature
of the culture creates heterogeneity, uneven mixing and
distribution of bubbles, and failure to disperse micelle and
floc formation. Several of these factors can be addressed up
front during strain selection. The development of morpho-
logical mutants with short mycelia (higher surface area per
unit volume) has been beneficial. This change can also
influence the release of heat and spent gas without causing
gradients in the fermenters. In addition, methods of mixing,
nutrient feeding, and pH control also play critical roles in
successful scale-up of improved mycelial strains. Finally,
data on performance of the broth in pilot and large-scale
purifications are also crucial for approval of improved
strains for market production.
Metabolic Engineering for Strain Development
In the broadest sense, metabolic engineering is a new
technology in strain improvement that optimizes, in a
coordinated fashion, the biochemical network and meta-
bolic flux within the fermenters, with inputs from
chemical engineering, cell physiology, biochemistry, and
genetics. By systematically analyzing individual enzy-
matic reactions and pathways (their kinetics and
regulation), methods are designed to eliminate bottle-
necks in the flow of precursors and to balance
stoichiometrically the distribution of metabolites for opti-
mum product formation. Nuclear magnetic resonance
studies of metabolic flux analysis and kinetic measure-
ments are further combined with thermodynamic analysis
of the biological process to predict better strain perfor-
mance. The principles governing a biosynthetic pathway,
including genetic controls, interaction with complex raw
material sources, and bioreactor operations and mathe-
matical modeling strategy, are exploited to exceed the
microbe’s capability and improve its productivity.
Metabolic engineering applications in strain im-
provement have found a special niche as a result of their
previously observed successes in the production of amino
acids and biopolymers from strains of Brevibacterium,
Corynebacterium, and Xanthomonas.
Further Reading
Baltz RH (1986) Mutagenesis in Streptomyces spp. In: Demain A and
Solomon NA (eds.) Manual of Industrial Microbiology and
Biotechnology, pp. 184–190. Washington, DC: American Society of
Microbiology.
Broadbent JF and Kondo JK (1991) Genetic construction of nisin-
producing Lactococcus cremoris and analysis of a rapid method for
conjugation. Applied and Environmental Microbiology 57: 517–524.
Crueger W and Crueger A (1984) Antibiotics. In: Biotechnology: A
Textbook of Industrial Microbiology, pp. 197–233. Wiesbaden,
Germany: Akademische Verlagsgesellschaf. English translation
copyright 1984 by Science Tech, Madison, WI.
Demain AL (1983) New applications of microbial products. Science
219: 709–714.
Elander R and Vournakis J (1986) Genetics aspects of overproduction of
antibiotics and other secondary metabolites. In: Vanek Z and
Hostalek Z (eds.) Overproduction of Microbial Metabolites,
pp. 63–82. London: Butterworth.
Flynn D (1983) Instrumentation for fermentation processes. In: IFAC
Workshop, 1st, Helsinki, Finland, 1982. Modeling and Control of
Biotechnical Processes: Proceedings, pp. 5–6. Oxford: Pergamon.
Hamer DH (1980) DNA cloning in mammalian cells with SV40 vectors.
In: Setlow JK and Hollander A (eds.) Genetic Engineering, Principles
and Methods, vol. 2, pp. 83–102. New York and London: Plenum.
Hemker PW (1972) Analysis and simulation of biochemical systems. In:
The Proceedings of 8th FEBS Meeting, pp. 59–80. Amsterdam:
Elsevier North-Holland.
Lein J (1986) Random thoughts on strain development. Society for
Industrial Microbiology News 36: 8–9.
Strain Improvement 1059

Matsushima P and Baltz R (1986) Protoplast fusion. In: Demain A and
Solomon N (eds.) Manual of Industrial Microbiology and
Biotechnology, pp. 170–183. Washington, DC: American Society of
Microbiology.
Nolan R (1986) Automation system in strain improvement. In: Vanek Z
and Hostalek Z (eds.) Overproduction of Microbial Metabolites,
pp. 215–230. London: Butterworth.
Queener S and Lively D (1986) Screening and selection for strain
improvement. In: Demain A and Solomon N (eds.) Manual of
Industrial Microbiology and Biotechnology, pp. 155–169.
Washington, DC: American Society of Microbiology.
Queener S, Sebek K, and Veznia C (1978) Mutants blocked in antibiotic
synthesis. Annual Review of Microbiology 32: 593–636.
Rowlands RT (1984) Industrial strain improvement: Mutagenesis and
random screening procedures. Enzyme and Microbial Technology
6: 3–10.
Schroeder W and Johnson E (1995) Carotenoids protect Phaffia
rhodozyma against singlet oxygen damage. Journal of Industrial
Microbiology 14: 502–507.
1060 Strain Improvement

Streptococcus Pneumoniae
RSa´ -Lea
˜o, Universidade de Lisboa, Lisboa, Portugal, Universidade Nova de Lisboa, Oeiras, Portugal
A Tomasz, The Rockefeller University, New York, NY, USA
ª2009 Elsevier Inc. All rights reserved.
Defining Statement
Guides to the S. pneumoniae Literature
Pneumococcus as a Pathogen and as a Model Microbe
for Molecular Biology
Burden of Pneumococcal Disease
The Natural Reservoir of S. pneumoniae
Stages in Pneumococcal Pathogenesis: Virulence
Factors and Host Defense
Human Intervention
Impact of the Seven-Valent Pneumococcal Conjugate
Vaccine on Pneumococcal Disease and Carriage
Day Care Center Studies
Genetic Exchange In Vivo
Genome Sequencing
Pneumococcal Cell Wall: Composition, Structure and
Mechanisms of Replication during Cell Division
PostScript
Further Reading
Abbreviations
CbpA choline-binding protein A
CibABC competence induced bacteriocin
CSP competent stimulating peptide
DCC day care center
EUROPNEUMO European Meeting on the Molecular
Biology of the Pneumococcus
IPD invasive pneumococcal disease
ISPPD International Symposium on
Pneumococci and Pneumococcal
Disease
LytA autolysin A
MLST multilocus sequence typing
NanA neuraminidase
NET neutrophil extracellular trap
Pal pneumococcal bacteriophage lytic
enzyme
PBP penicillin-binding protein
PFGE pulsed-field gel electrophoresis
Ply pneumolysin
PMN polymorphonuclear leucocytes
PspA pneumococcal surface protein A
SrtA sortase A
Defining Statement
The primary (if not only) natural habitat of Streptococcus
pneumoniae on this planet is the nasopharynx of preschool-
age children, and antibiotics and vaccines not only combat
pneumococcal disease but also drive the evolution of
drug-resistant and novel capsular types of this species.
In this sense, humans are not only targets but also evolu-
tionary partners of S. pneumoniae as well.
Guides to the S. pneumoniae Literature
Useful guides to the rapidly expanding literature on var-
ious aspects of the microbiology and infectious diseases of
Streptococcus pneumoniae may be found in books listed at the
end of this article which cover contributions to the field in
the early and the more recent era.
Periodic updates on progress are also available through
informal meetings of two groups of scientists: those inter-
ested primarily in pneumococcal molecular biology
(EUROPNEUMO: European Meeting on the Molecular
Biology of the Pneumococcus) and those interested in
pneumococcal disease (ISPPD: International Symposium
on Pneumococci and Pneumococcal Diseases). The two
groups meet in alternate years at various worldwide loca-
tions. The last meeting of EUROPNEUMO was in April
2007 in Lisbon, Portugal – organized by Hermı
´nia de
Lencastre and Alexander Tomasz. The latest meeting of
ISPPD was in June 2008 in Reykjavik, Iceland, organized
by Ingileif Jonsdottir.
Pneumococcus as a Pathogen and as a
Model Microbe for Molecular Biology
Pneumococcus is altogether an amazing cell. Tiny in size, simple
in structure, frail in make-up, it possesses physiological functions
of great variety, performs biochemical feats of extraordinary
intricacy and, attacking man, sets up a stormy disease so often
fatal that it must be reckoned as one of the foremost causes of
human death
(Benjamin White, 1938 in: The Biology of Pneumococcus)
1061

S. pneumoniae was first described in 1881 by Pasteur and
Sternberg in independent observations. In the same dec-
ade, this Gram-positive pathogen with lancet-shaped
cells that grow in most media in pairs or short chains of
‘diplococci’ was recognized as a major cause of infections
that included pneumonia, meningitis, otitis media, and
endocarditis. S. pneumoniae routine identification is done
through the alpha hemolysis surrounding colonies
obtained on blood agar, negative reaction with catalase,
susceptibility to optochin, and solubility of the bacteria in
bile salts. Most S. pneumoniae isolates are shielded by a
polysaccharide capsule that hinders phagocytosis. At least
91 different capsules have been described, and serologic
typing (serotyping) remains one of the most frequently
used methods for the characterization of pneumococcal
isolates.
Since its discovery, this bacterium has been the subject
of intensive studies as a cause of major and often life-
threatening human infections. While the primary aim of
these studies was the control of pneumococcal disease, the
same efforts have also lead to seminal scientific discov-
eries in the laboratory which included the identification
of the pneumococcal polysaccharide antigens as vaccines,
the ability of capsular polysaccharides to induce antibo-
dies, the discovery of bacterial gene transfer which led to
the identification of the ‘transforming principle’ (later
named DNA) as the genetic material. Efforts to degrade
the capsular polysaccharide surrounding the pneumococ-
cus have led to the first use of an ‘enrichment culture’.
The remarkable and rapid dissolution of pneumococci by
bile led to the identification of the first bacterial autolytic
enzyme. Pneumococcus was among the first pathogens in
which the therapeutic efficacy of the newly discovered
penicillin was tested. The role of the polysaccharide
capsule providing resistance against phagocytosis was
identified, and studies on the rapid fluctuations in the
pneumococcal capacity to take up DNA from the medium
and undergo genetic change has led to the identification
of the first bacterial quorum sensing factor.
Thus, efforts to understand and control pneumococcal
disease went hand in hand with some of the fundamental
discoveries of molecular biology. Interestingly, many of
these phenomena first discovered in the in vitro world of
the microbiology laboratory were subsequently identified
as major factors driving the evolution of new pneumococ-
cal lineages in the real life world of pneumococcal
colonization, infection, and disease.
The most promising – and ambitious – current efforts to
understand the impact of antibiotics or vaccines on the
pneumococcal colonization, infection, and disease in
humans are directed toward combining carefully designed
epidemiological studies with the characterization of pneu-
mococcal isolates by high resolution molecular techniques
developed in the molecular biology laboratory.
Burden of Pneumococcal Disease
In the preantibiotic era, pneumococcal pneumonia was so
common and fatal that it was termed as the ‘‘old man’s
friend’’ and the ‘‘captain of the men of death’’ by William
Osler. In the late 1990s, before the introduction of the first
pneumococcal seven-valent conjugate vaccine in the
United States, data from the Centers for Disease
Control and Prevention estimated the annual frequency
of pneumococcal infections as 3000 cases of meningitis,
50 000 cases of bacteremia, 500 000 cases of pneumonia,
and 7 million cases of otitis media and an estimated
mortality of about 40 000 deaths per year.
While no similar dependable estimates are available
from the less-developed countries of the world, evalua-
tion of the impact of a nine-valent conjugate vaccine in
one randomized control trial conducted in Africa clearly
indicated that pneumococcal disease is a major contribu-
tor to the mortality of children in African countries.
In Gambia, 77% (95% CI, 51–90%) efficacy against
vaccine-type invasive pneumococcal disease (IPD) was
found with a 50% (95% CI, 21–69%) efficacy against all
types of IPD. Furthermore, a 16% (95% CI, 3–28%)
decrease in all-cause mortality was found among vacci-
nated children. In South Africa, the efficacy of the nine-
valent pneumococcal conjugate vaccine against IPD
among HIV-negative children was 83% (95% CI,
39–97%) and corresponding figures were 65% (95%CI,
24–86%) among HIV-positive children.
A report in 2007 from the WHO estimated that 1.6
million people continue to die every year due to pneu-
mococcal disease including 0.7–1 million children aged
less than 5 years, the majority living in developing coun-
tries, where the pneumococcal conjugate vaccine is not
available. The burden of disease associated with the
elderly in these countries remains to be defined.
In addition to young children and the elderly, indivi-
duals of all ages infected with HIV are at a substantial
higher risk of serious pneumococcal infection. For exam-
ple, the risk of pneumococcal pneumonia is 25-fold higher
among HIV-infected people compared to HIV-uninfected
people. The incidence of pneumococcal invasive disease
among HIV-positive children is 9–43 times higher than
among HIV-negative children and the rates of IPD among
HIV-positive adults are 6–343 times higher than among
HIV-negative adults.
Pneumococcal Infection and Viral Disease
In the era of preparedness for an anticipated new influenza
or bird flu pandemic, the well-documented contribution of
pneumococci in the mortality associated with flu becomes
increasingly important.
1062 Streptococcus Pneumoniae

Several lines of evidence have highlighted that sec-
ondary infections by pneumococci in patients with viral
respiratory disease can have devastating consequences.
Studies conducted during the 1918 influenza epidemic,
which is estimated to have led to at least 40–50 million
deaths, demonstrated that an important fraction of the
deaths took place 2 weeks after the onset of influenza
symptoms, suggesting that superinfection by a common
bacterial respiratory pathogen had occurred. Direct evi-
dence supporting the role of pneumococcal secondary
infection leading to fatal pneumonia has been described.
In a double-blind, randomized, placebo-controlled
trial of a nine-valent pneumococcal conjugate vaccine in
South Africa, it was found that the vaccine prevented
31% of virus-associated pneumonia in hospitalized chil-
dren, suggesting that an important fraction of virus-
associated pneumonia among hospitalized children was
attributable to bacterial coinfection that could be pre-
vented by bacterial vaccines.
Experiments on modeling viral–bacterial infection in
animals showed that if a mouse model was challenged
with a nonlethal dose of influenza virus and approxi-
mately 7 days later was challenged with pneumococcus,
100% mortality occurred. This effect was specific to viral
infection preceding bacterial infection. Together these
data strongly suggest that pneumococcal vaccination
could have a beneficial role in preventing influenza-asso-
ciated mortality in the advent of a new influenza
pandemic.
The Natural Reservoir of S. pneumoniae
Humans are not only the target of diseases caused by
S. pneumoniae but are also the primary ecological reservoir
of this bacterial pathogen – although two anecdotic stu-
dies have found carriage of pneumococci by horses and
isolation from wild chimpanzees. Thus, interventions to
combat pneumococcal disease such as the introduction of
antibiotics or vaccines also impact on the human naso-
pharyngeal flora of pneumococci selecting for drug-
resistant lineages and strains with less common capsular
types. In this sense, humans are also evolutionary partners
of this microbe and many – if not all – of the genetic
events that allow these bacteria to borrow pieces of for-
eign DNA to remodel their penicillin-sensitive enzymes,
acquire mobile elements that confer antimicrobial resis-
tance to different classes of antibiotics, or undergo
capsular switches to evade the action of vaccines targeting
the capsule most likely occur in pneumococcal popula-
tions that inhabit the human nasopharynx, more
specifically, the nasopharynx of preschool-age children.
The latter, for reasons not fully understood, are the pri-
mary carriers of this bacterial species. For these reasons,
the day care centers (DCCs) in which preschool-age
children are now recruited in many of the countries of
the developed world have become major foci of epide-
miological studies of pneumococci.
Indeed, several studies have shown that children of
preschool age are the major reservoir of pneumococci
and by school time a spontaneous decrease in carriage
occurs. The mechanism of extensive colonization in
infancy and the loss of carriage with age are not well
understood. It is also well established that in infancy the
most dominant capsular types colonizing the nasopharynx
are typically of the serogroup 6, 9, 14, 19, and 23 in
countries across the world. This commonality of sero-
types colonizing the young host contrasts with the well-
documented and sometimes extensive differences in the
serotypes of pneumococci that most frequently cause
invasive disease in various parts of the world. The
mechanism of geographic variation in serotype abun-
dance and their change in time is not known.
An important source of problems contributing to the
difficulties of interpretation of many aspects of pneumo-
coccal epidemiology is the way pneumococcal
colonization has been routinely assayed in the over-
whelming majority of the studies conducted so far. In
most studies, a single colony recovered on blood agar
plates from the nasopharyngeal swabs is assumed to
represent the entire colonizing flora. However, simulta-
neous carriage of multiple strains of pneumococci in the
nasopharynx has been known for several decades and was
documented in early studies conducted in the 1930s and
1940s, which used mouse inoculation assays to detect the
strains. As these methods were very labor-intensive and
expensive they have been abandoned. More recent stu-
dies in which a number of colonies were picked from the
primary blood agar plates and were characterized clearly
showed that the nasopharyngeal flora is heterogeneous: it
may consist of more than one strain of pneumococci; some
representing the majority, others – often present with
lower frequencies – may be of completely different ser-
otypes and molecular type (Table 1). Certain
pneumococcal serotypes such as serotypes 1 and 5 that
can be recovered from disease sites but have seldom been
seen in the nasopharynx may represent such minority
residents in the nasopharyngeal flora. The same minority
clones may be the source of the novel pneumococci
emerging after the introduction of the conjugate pneu-
mococcal vaccine.
Multiple pneumococcal carriage is apparently more
abundant among populations with high pneumococcal
carriage rates such as children from Papua New Guinea,
Gambia, or Australian Aborigines. Multiple carriage rates
in the range of 20–30% have been reported among these
populations. Among other children, typical rates of multi-
ple carriage have been in the range of 5–10%.
Streptococcus Pneumoniae 1063

Stages in Pneumococcal Pathogenesis:
Virulence Factors and Host Defense
Virulence in pneumococci is multifactorial and involves
complex and multiple interactions with the host. Well
over 300 genes have been implicated in virulence in at
least one animal model of pneumococcal infection. A
genome-wide screen – by signature-tagged mutagenesis –
of the reference strain TIGR4 for genes essential for lung
infectioninananimalmodelidentifiedcloseto400genes.
Individual putative virulence factors appear to play a vari-
ety of roles – both ‘aggressive’ as well as ‘defensive’ at
various stages of pneumococcal infections. Some of the
pneumococcal virulence factors, such as the capsular poly-
saccharide, the major autolysin LytA, the intracellular toxin
pneumolysin (Ply), and the sortase A (SrtA), are present in
virtually all pneumococcal isolates. Other important viru-
lence determinants, such as the recently described pilus
operon, also play important roles in virulence but these
determinants seem to be associated with specific clones of
pneumococci. Secreted DNAase appears to have a role in
escaping the neutrophil extracellular traps (NETs) and
pneumococcal resistance to the widely spread cationic
antimicrobial peptides appears to involve incorporation
of D-alanine esters into the pneumococcal cell wall
teichoic acids.
Host factors ‘matching’ in numbers the virulence genes
of the pneumococcus have also been identified using a
variety of models. These factors cover a wide range of
functions: pattern recognition elements that are compo-
nents of the innate immune system as well as host defense
factors more specific for the invading pneumococcus such
as the scavenger receptor involved with lung defense or
the generation of adaptive immunity directed primarily
against the capsular polysaccharide.
Capsular Polysaccharides
While rare S. pneumoniae isolates free of the capsule do exist
the overwhelming majority of clinical strains express one
capsular polysaccharide attached to the pneumococcal cell
wall. Nonencapsulated strains, for instance, strains R6 or
R36A, which are most frequently used in laboratory stu-
dies on S. pneumoniae, are completely avirulent in animal
models of disease. The role of the capsular polysaccharide
in pneumococcal virulence appears to be the inhibition of
complement-mediated opsonophagocytosis by macro-
phages or polymorphonuclear leucocytes (PMN). Except
Table 1 Properties of multiple isolates obtained from nasopharyngeal samples containing two strains of S. pneumoniae
Sample
Isolate
code Serotype
MIC (mg
ml
1
)to
penicillin
Antibiotype
(resistant to)
PFGE
type
PFGE-lytA
(kb)
Addition
mitomycin C
Phage
DNA
comC
allele
A 106 11 0.016 E, Cc SSS 85 No lysis comC1
A 106-1 6B 0.023 E, Cc, Te M 280, 110, 90 Lysis Yes comC1
A 106-2 11 0.006 E, Cc SSS 85
A 106-3 11 0.008 E, Cc SSS 85
A 106-4 11 0.008 E, Cc SSS 85
A 106-5 11 0.008 E, Cc SSS 85
A 106-6 6B 0.016 E, Cc, Te M 280, 110, 90
B 325 19F 0.047 – H 90, 35 No lysis comC2.1
B 325-1 NT 0.5 – TTT 170, 90, 40, 30 ND comC2.1
B 325-2 NT 0.75 – TTT 170, 90, 40, 30
B 325-3 NT 1 – TTT 170, 90, 40, 30
C 448 19A 0.094 SXT D 235, 90, 80 Lysis Yes comC1
C 448-1 19A 0.064 SXT D 235, 90, 80
C 448-2 23F 2 C, Te, SXT A 230, 100, 40 Lysis Yes comC2.2
C 448-3 19A 0.094 SXT D 235, 90, 80
C 448-4 19A 0.094 SXT D 235, 90, 80
C 448-5 19A 0.094 SXT D 235, 90, 80
C 448-6 19A 0.064 SXT D 235, 90, 80
D 541 6B 0.023 Te, SXT M 280, 90, 60 Lysis Yes comC1
D 541-1 19A 0.023 SXT UUU 90 No lysis comC1
D 541-2 19A 0.023 SXT UUU 90
D 541-3 6B 0.016 Te, SXT M 280, 90, 60
D 541-4 6B 0.012 Te, SXT M 280, 90, 60
D 541-5 6B 0.008 Te, SXT M 280, 90, 60
C, chloramphenicol; E, erythromycin; Cc, clindamycin; Te, tetracycline; SXT, sulfamethoxazole-trimethoprim.
ªAmerican Society for Microbiology. Reproduced from Sa´ -Lea
˜o R, Tomasz A, Santos Sanches I, and de Lencastre H (2002) Pilot study of the genetic
diversity of the pneumococcal nasopharyngeal flora among children attending day care centers. Journal of Clinical Microbiology 40: 3577–3585.
1064 Streptococcus Pneumoniae

for the capsular polysaccharide types 3 and 37, all the other
polysaccharide capsules appear to be covalently linked to
the pneumococcal cell wall. Pneumococci have an enor-
mous genetic repertoire to produce – potentially – as
many as 91 chemically different polysaccharide chains. A
unique feature of the structure of capsular loci is that type-
specific genes are flanked by common determinants, thus
allowing for a relatively easy exchange of genetic deter-
minants within this region of the pneumococcal
chromosome. The frequent ‘capsular switch’ that can
appear spontaneously or is driven by vaccine pressure
among clinical isolates appears to be the consequence of
a relatively easy genetic change at the capsular loci. In such
cases, isolates that share common genetic backgrounds
(defined by multilocus sequence typing (MLST) or
pulsed-field gel electrophoresis (PFGE) profile) appear
to differ only in the type of capsule at their surface.
Cell Walls in Virulence
The unique choline component of the wall and membrane
teichoic acid appears to perform multiple roles both in the
physiology of the pneumococcus and also as an interactive
component with the host. The species of S. pneumoniae is
unique in that it requires choline as an essential nutrient
for growth. Recently, pneumococcal strains in which this
auxotrophic requirement for choline is lost have been
isolated. In one of these isolates point mutations in one
of the choline utilization genes – tacF – have been identi-
fied as the mechanism responsible for the choline-
independent growth. TacF, a teichoic acid flippase, was
proposed to catalyze the transfer of teichoic acid chains
across the pneumococcal plasma membrane. A second
choline-independent strain was recovered from a hetero-
logous genetic cross in which Streptococcus oralis, a bacterial
species that contains choline in its teichoic acid but does
not require choline for growth, served as the DNA donor
and the recipient was the R6 strain of S. pneumoniae. The
mechanism of choline independence in this strain called
R6Cho
appears to be different from the mechanism
identified in the other choline-independent mutants.
Recent studies have shown that pneumococcal con-
structs capable of growing without choline and expressing
the capsular polysaccharide type 2 on their surface have
severely reduced virulence potential in several animal
models of pneumococcal disease and are also inhibited
from colonizing the nasal epithelium of mice. The
mechanism of this striking impact of the teichoic acid
choline units on pneumococcal virulence is not under-
stood to date.
Pneumococcal cell wall components were shown to
induce the production of preinflammatory cytokines
both in the murine intraperitoneal models and in the rat
and rabbit models of meningeal disease. Structural fea-
tures of the peptidoglycan involved with the recognition
by the innate immunity system have been identified in the
Drosophila model. At least two pneumococcal cell wall-
modifying enzymes: PGDA, a peptidoglycan glucosamine
deacetylase and PCE, a phosphoryl choline esterase, were
shown to play roles in virulence as indicated by the
impact of inactivation of the corresponding genetic deter-
minant on virulence.
Regulation of Virulence
The expression of capsular polysaccharides appears to be regu-
lated: contact with epithelial cells was shown to cause
suppression in the amounts of capsule, which can subse-
quently increase once the bacteria have reached the blood
stream.
Different modalities of growth. Recent studies have shown
that pneumococci can grow in two different modalities: as
planktonic cells typical of bacteremic infections and as
biofilms typical of meningitis. Different sets of genetic
determinants matching these two different growth styles
of pneumococci are expressed.
Opaque versus transparent phenotype. In 1994, Weiser and
colleagues described that pneumococci could undergo
phase variation, that is, changes in properties of the cell
surface that could lead to two different colony pheno-
types: opaque and transparent. Spontaneous, reversible
variation between the two colony phenotypes with a
frequency ranging from 10
3
to 10
6
per generation has
been described. This frequency appears to be indepen-
dent of in vitro growth conditions.
The same authors showed that the opaque phenotype
was associated with increased amounts of capsular polysac-
charide and pneumococcal surface protein A (PspA),
whereas transparent variants were associated with increased
amounts of choline-binding protein A (CbpA) and autolysin
A (LytA). Opaque colonies were described as dome shaped
and large contrasting with transparent colonies, which were
umbilicated, suffered quicker autolysis, and had a higher
efficiency of natural transformation. Cultures obtained from
opaque colonies had decreased binding to serum C-reactive
protein, decreased opsonophagocytosis, and increased viru-
lence in systemic infections. By contrast, transparent
colonies had increased adherence, and colonized more effi-
ciently in an animal model of carriage.
More recently, DNA microarray strategies have iden-
tified an additional number of genes that appear to have
differential regulation between isogenic pairs of strains
displaying opaque or transparent phenotypes. In particu-
lar, the transparent phenotype was associated with
increased production of neuraminidase (NanA). Studies
on the fatty acid composition of pairs of opaque and
transparent colonies found a lower degree of unsaturated
fatty acids in the opaque variants.
A single large study has attempted to examine the
prediction that opaque variants are associated with
Streptococcus Pneumoniae 1065

increased pathogenesis by looking at the colony pheno-
types displayed by a large collection of invasive disease
isolates with a low number of in vitro passages. This
collection of 304 isolates included representatives of ten
serotypes displaying genetically diverse backgrounds.
The authors confirmed that the opaque phenotype domi-
nated among invasive disease isolates but also noted a
previously unreported association between serotype and
colony phenotype. This observation led them to suggest
that the association between the opaque phenotype with
particular serotypes might contribute in part to explain
the observed differences in the invasive disease potential
of certain serotypes.
Contribution of Genotype and Serotype to the
‘Invasive Disease Potential’
The introduction of molecular typing techniques for the
characterization of S. pneumoniae recovered from disease
and from colonization sites combined with extensive epi-
demiological studies has initiated efforts to better define
the contribution of serotype versus molecular type to the
‘invasive’ potential of a pneumococcal strain. The fre-
quent representation of the so-called pediatric serotypes
(primarily 6B, 14, 19F, and 23F) in the nasopharyngeal
flora of children clearly provides an increased opportu-
nity for strains expressing these serotypes to invade
during periods of decreased host defense. Thus, while
assigning a true ‘invasive disease potential’ to a strain,
the odds ratios expressing the frequency of recovering
the particular strain from colonization versus infection
sites must be taken into account.
The relative contribution of serotype versus genotype
to the invasive disease potential is a currently unsettled
issue. Although it is relatively consensual that the capsu-
lar type expressed is extremely important for the disease
potential of a particular strain, there are studies suggest-
ing that the genetic background of that strain is also
important, which, after all, is in agreement with the find-
ing of several genetic determinants essential for full
virulence of pneumococci.
A further potential problem contributing to the diffi-
culties of interpretation of these empirical estimates of
invasive disease potential of serotypes and clones of pneu-
mocooci is the way pneumococcal colonization has been
traditionally studied ignoring multiple colonization (dis-
cussed above).
The relative contribution of the host versus the patho-
gen to the occurrence of pneumoccal infection is
debatable but clearly the host plays a very important
role. Recent studies have started to identify genetic poly-
morphisms in the determinants implicated in the host
immune response including some that are associated
with susceptibility to IPD and others that confer a pro-
tective effect to it.
Human Intervention
There have been at least three important interventions by
humans that radically altered the in vivo landscape and
epidemiology of S. pneumoniae: (1) the introduction of
antibiotics into therapeutic practice, (2) the introduction
of the conjugate antipneumococcal vaccine, and (3) the
proliferation of DCCs in the developed part of the world.
The introduction of antibiotics did not change the
incidence of pneumococcal infections; it contributed sig-
nificantly to the control and outcome of pneumococcal
disease but has also led to the emergence of antibiotic-
resistant strains.
The introduction of a conjugate antipneumococcal
vaccine in the United States had major impact on the
incidence of IPD. However, the rate of pneumococcal
carriage did not decrease and the frequency of antibio-
tic-resistant strains among colonizing pneumococci has
initially decreased but is now increasing due to the expan-
sion of pneumococcal nonvaccine capsular serotypes
that are also resistant to antibiotics.
The institution of day care has emerged as a unique
epidemiological entity in which many children of pre-
school age are cohorted. The high carriage rate of
respiratory pathogens, immunological status, and typical
child behavior, together with the frequent occurrence of
viral respiratory diseases and the extensive and often
imprudent use of antimicrobial agents among this age
group, are the most likely reasons why attendance at
DCCs has become a risk factor for both carriage and
infection by antibiotic-resistant strains of pneumococci.
Antibiotic Resistance and Insights Provided
by Molecular Typing
The first penicillin-resistant strain of S. pneumoniae that
appeared in the clinical environment and invoked com-
ments in the infectious diseases literature was the strain
isolated from the throat of a healthy child in the mid
1960s in a remote village, Agunganak in Papua New
Guinea. Although initially the possibility of geographic
spread of the penicillin-resistant pneumococcus was
judged remote, this prediction was soon contradicted
by the massive outbreak of pneumococcal disease in
South African hospitals in 1977, which was caused by
multidrug-resistant strains of this bacterium. Between
the early 1980s and the late 1990s reports on the detec-
tion and increase both in frequency and in antibiotic
resistance level of drug-resistant strains of S. pneumoniae
have appeared in increasing numbers and the antibiotic-
resistant pneumococcus has become a global phenom-
enon that began to make effective chemotherapy
sometimes problematic.
1066 Streptococcus Pneumoniae

Global Spread of a Few Pandemic Clones
of Penicillin-Resistant Pneumococci
Introduction of pneumococcal typing techniques such as
PFGE or MLST has clearly shown that among the very
large number of lineages of resistant pneumococci a hand-
ful of highly epidemic clones emerged and achieved
massive and often pandemic spread. The most outstand-
ing of these is Spain
23F
ST81 originally called the
‘Spanish/USA clone’ usually expressing serotype 23F
and carrying resistance to penicillin, tetracycline, and
chloramphenicol and often to erythromycin and sulfa-
methoxazole–trimethoprim.
An apparent intercontinental transfer of this clone
from Southern Europe to the United States was demon-
strated. This clone was subsequently identified in
numerous national and international surveillance studies,
both as a powerful colonizer and also as a strain capable of
causing the entire spectrum of pneumococcal diseases
among both adults and children.
Similar importation of a multidrug-resistant pneumo-
coccal clone, the penicillin-resistant clone Spain
6B
ST90 presumably from Southern Europe to Iceland was
demonstrated in the early 1990s. This so-called ‘Icelandic’
clone expressing serotype 6B and resistance to penicillin,
tetracycline, chloramphenicol, erythromycin, sulfamethox-
azole–trimethoprim, and occasionally to third-generation
cephalosporins as well, quickly spread in Iceland and within
3 years of its detection was shown to be responsible for close
to 20% of all pneumococcal disease in that country.
A third genetic lineage France
9V
ST156 originally
referred to as the ‘French/Spanish’ clone carries resis-
tance to penicillin and tetracycline and occasionally to
sulfamethoxazole–trimethoprim and typically exists in
two capsular serotypes: 9V or 14. This clone was shown
to have spread in Europe, Latin America, USA, Canada,
and Asian countries (reviewed at the Pneumococcal
Molecular Epidemiology Network (PMEN), website
available at www.sph.emory.edu/PMEN/).
The introduction and widespread use of molecular
typing techniques has led to the establishment of an
international depository and ‘clearing’ house for charac-
terized S. pneumoniae clones, the so-called PMEN. This
platform has also become useful in providing a uniform
set of rules to name new clonal lineages, register both
their molecular and epidemiological characteristics, ser-
otypes, isolation dates and sites and clinical sources as
well (for more information visit www.sph.emory.edu/
PMEN/).
Despite the fact that penicillin resistant strains have
been isolated from countries all over the world, their
incidence varies widely from country to country and
from one geographic site to another.
The impact of antibiotic resistance on chemotherapy
varies with the particular infection. Even low-level
resistance to antibiotics requires change in chemotherapy
in meningitis because of the low penetration of the cere-
bral spinal fluid by this class of antibiotics and because of
the need for bactericidal concentrations. On the other
hand, penicillin therapy was shown to remain effective
in pneumococcal pneumonia caused by penicillin-resis-
tant strains with MIC values as high as 1–2 mgml
1
.
Penicillin Resistance: Genes and Phenotypes
The mechanism of penicillin resistance in pneumococcal
clinical isolates is based on the remodeling of several of
the genetic determinants – pbp genes that encode for
proteins (penicillin-binding proteins, PBPs) that catalyze
various stages in the pneumococcal cell wall synthesis.
The process of remodeling involves recombinational
events with fragments of pbp genes imported from hetero-
logous species most often from Streptococcus mitis. These
‘mosaic’ pbp genes produce PBPs with decreased affinity
for penicillin, which is the ultimate basis of the increased
penicillin MIC values.
Examination of the cell wall chemical structure in
penicillin-resistant clinical isolates showed additional
profound abnormalities in these bacteria, specifically the
increased representation of branched muropeptide com-
ponents in their cell wall peptidoglycan. A genetic follow-
up of these studies identified the new determinants, murM
and murN, responsible for the biosynthesis and attachment
of the two amino acid components that form the muro-
peptide branches. The murM and murN genes of resistant
strains showed clear evidence of mosaicism, indicating the
presence of DNA sequences of heterologous origin. Most
interestingly, inactivation of murM caused a complete loss
of penicillin resistance, which could be recovered in
appropriate complementation experiments. A detailed
biochemical mechanism of the synthesis of pneumococcal
muropeptides and a mode of action for MurM and MurN
proteins was recently described.
The critical nature of cell wall chemistry for the peni-
cillin-resistant phenotype was further documented by the
recent identification of yet another cell wall-modifying
enzyme: a muramic acid O-acetylase. Inactivation of the
structural gene named adr caused loss of penicillin MIC
value, similar to the case of strains in which MurM was
inactivated.
It seems that genetic determinants in addition to the
mosaic pbp genes producing the low-affinity penicillin
targets are also essential for optimizing the resistant phe-
notype. This scenario is reminiscent of the mechanism
identified in methicillin-resistant Staphylococcus aureus,in
which high-level resistance requires not only the central
resistance determinant mecA, but a number of additional
‘auxiliary determinants’ as well in the genetic background
of the bacteria.
Streptococcus Pneumoniae 1067

Genetic Diversity among Penicillin-Resistant
and Penicillin-Susceptible Pneumococci
Causing Invasive Disease
Several studies have compared the genotypes of penicil-
lin-resistant (MIC higher than 1 mgml
1
) versus
penicillin-susceptible isolates of pneumococci expressing
the same serotypes and recovered from invasive disease.
Studies with strains isolated from children in South
American countries are illustrative of the common find-
ings of such studies. The major and striking difference
among the resistant and susceptible isolates was the rela-
tive genetic homogeneity of most resistant isolates, more
than 80% of which were shown to belong to one of two
pandemic penicillin-resistant clones: Spain
23F
ST81 and/
or France
9V/14
ST156 (Figure 1). In contrast, penicillin-
susceptible isolates expressing the same serotypes and
recovered from similar disease sites showed great genetic
diversity (Figure 2). A similar – inverse – relationship
between genetic diversity and penicillin MIC value has
already been described in other epidemiological studies.
These observations may reflect the expensive ‘fitness’ cost
associated with the mechanism of pneumococcal penicil-
lin resistance, which may be compatible only with a
limited number of genetic backgrounds available in this
bacterial species.
Impact of the Seven-Valent
Pneumococcal Conjugate Vaccine on
Pneumococcal Disease and Carriage
In 2000, a seven-valent pneumococcal conjugate vaccine
(PCV7 targeting serotypes 4, 6B, 9V, 14, 18C, 19F, and
23F) was licensed in the United States and soon after in
many other countries worldwide. The vaccine was
intended for children younger than 2 years of age. This
vaccine was formulated to target the serotypes that cover
over 80% of the cases of IPD among children younger
than 5 years of age in the United States. Expected cover-
age rates in other countries, particularly in developing
countries, are lower.
Following introduction of PCV7 in the United States,
a reduction in the incidence of IPD occurred not only
among young children but also in all other age groups due
to a substantial indirect herd effect. In particular, a sharp
decrease in IPD caused by vaccine types was observed,
which was accompanied by a modest increase in IPD
caused by nonvaccine types. By 2003 the total incidence
of IPD among children <5 years of age had declined 75%
from 96.7 cases per 100 000 population to 23.9, and among
those aged 65 or older, a 29% decline was observed from
60.1 cases per 100 000 population to 41.7 cases.
The observed indirect effect of the vaccine is best
explained by taking into account that the vaccine decreases
55.2%
(Clone B)
SP-3 (25.6%
(Clone A)
SP-1
16.3%
(20 different
PFGE types)
2.9%
(Clone D from
Chile)
Type 14
Type 23F
Figure 1 Pie chart showing the isolation percentages in Latin
America of two penicillin-resistant pandemic clones versus all
other clones from among 172 penicillin-resistant invasive isolates.
Note that the two clone types A and B are responsible for 81% of
all pneumococcal infections. Clone A (serotype 23F) refers to the
Spain
23F
ST81 clone and clone B refers to the France
9V
ST156
clone. Tomasz A, Corso A, Severina EP, et al. (1998) Molecular
epidemiologic characterization of penicillin-resistant
Streptococcus pneumoniae invasive pediatric isolates recovered
in six Latin-American countries – an overview. Microbial Drug
Resistance 4: 195–207.
14 strains in 13 STs38 strains in 16 STs 40 strains in 18 STs
Type 14 Type 23F Type 6B
ST242
Figure 2 Pie charts (from left to right) showing the large number of different multilocus sequence typing (MLST) types (STs) for each of
the three most prevalent capsular types (serotypes) 14, 23F, and 6B, which were associated with clinically invasive penicillin-sensitive
pneumococcal disease in Latin America. Reproduced from Zemlickova H, Crisostomo MI, Brandileone MC, et al. (2005) Serotypes and
clonal types of penicillin-susceptible Streptococcus pneumoniae causing invasive disease in children in five Latin American countries.
Microbial Drug Resistance 11: 195–204.
1068 Streptococcus Pneumoniae

carriage of vaccine types among vaccinees and these are
the major reservoirs of pneumococci. By vaccinating young
children, transmission of vaccine types has decreased sub-
stantially. An earlier study from Israel had demonstrated an
indirect beneficial effect of PCV7 among children too
young to be vaccinated whose siblings had received
PCV7. The same study showed that pneumococcal colo-
nization levels remain stable after vaccination due to a
serotype replacement effect that results in the nasopharynx
becoming mostly colonized by nonvaccine types.
An added bonus of the vaccine relies on the fact that
most antimicrobial-resistant pneumococci isolated world-
wide including those nonsusceptible to penicillin, and/or
resistant to macrolides, or multidrug-resistant express
mostly serotypes targeted by PCV7 (i.e., 6B, 9V, 14, 19F,
and 23F). In agreement with these observations, a decline
in antimicrobial-resistant pneumococci has been observed
in the United States among isolates causing IPD.
However, recent reports from the United States and else-
where found that among colonizing isolates as well as
those causing respiratory tract infections, levels of anti-
microbial resistance among nonvaccine types are
increasing, suggesting that the impact of PCV7 on anti-
microbial resistance may be short-lived.
The phenomenon of serotype replacement and the
short-lived effect of PCV7 on antimicrobial resistance
are also beginning to be noticed in other countries that
are using PCV7. For example, a recent study on the
impact of PCV7 on pneumococci carried by Portuguese
DCC attendees observed that serotype replacement has
occurred among attendees regardless of their vaccination
status (57% of the children had been vaccinated)
(Figure 3). In other words, unvaccinated children were
benefiting from being in contact with vaccinated children.
Ranking of serotypes in 2006 (post vaccine)
6A
19A
23A
23B 21 NT 15A 3 1 14 23F 19F 16F 10A
15B/C
33F 17F
35F 29 7F
22F 24F 11A 34 31 9N 6B 9L 18C 38 18F 9A
0
10
20
30
40
50
60
70
80
No. isolates
345
8
17
888
1
15
14
17
2001
2006
2 716 9171117 6
1234 4567
51%
11%
Vaccine serotypes Non vaccine serotypes
6B
6A 14
23F 19F
3
19A
10A
23B
11A
15B/C
NT
9V
35F 18C 17F 20 34 23A 1213115A16F9L9N 18B 22F
291 8A 24F 7F
0
20
40
60
80
100
No. isolates
Ranking of serotypes in 2001 (pre vaccine)
Vaccine serotypes Non vaccine serotypes
49%, associated with drug resistance
Figure 3 Bar charts showing the number of clinical isolates recovered of each pneumococcal capsule type (serotype) before
introduction (2001) of PCV7 (top) and after vaccine introduction (2006) in Portugal (bottom). All capsular types targeted by the vaccine
decreased in recovery and most nonvaccine types increased in abundance. Reproduced from Sa´ -Lea
˜o R and de Lencastre H (2008)
Personal communication.
Streptococcus Pneumoniae 1069

Interestingly, rates of antibiotic resistance remained
unchanged due to a balance between reduction of vaccine
types and an increase in antimicrobial resistance among
nonvaccine types.
Novel vaccines with greater valency – ten-valent
(PCV7 plus 1, 5, 7F) and 13-valent (PCV10 plus 3, 6A,
and 19A) are in development. These expanded valency
vaccines will include the serotypes that are major causes
of IPD in developing countries, such as the serotypes 1
and 5. A 13-valent conjugate vaccine will also target
serotype 19A, which in the United States is now a major
cause of IPD and is often multidrug-resistant. Universal
protein vaccines, which should have broad coverage and
low price,are currently in different stages of development.
Day Care Center Studies
DCCs have become increasingly frequent in the last
decades in the developed world and their impact on
infectious diseases has been discussed. In particular, sev-
eral studies have focused on pneumococcal carriage
among DCC attendees. Molecular epidemiological stu-
dies have shown that these ‘novel’ institutions play a
crucial role in the transmission and amplification of pneu-
mococcal lineages. Furthermore, marked differences in
pneumococcal carriage rates across communities have
been explained by differences in the proportion of chil-
dren who attend DCCs in those communities.
Perhaps one of the largest surveillance initiatives of
pneumococcal carriage among DCC attendees has been
the one conducted in Lisbon and Oeiras, Portugal. The
project began in 1996 and through the years, an ever-
growing collection of isolates has been obtained. As of
February 2008, more than 11 000 nasopharyngeal samples
have been collected, resulting in the isolation of over 7600
pneumococci. Approximately 40% of the isolates were
resistant to at least one commonly used antimicrobial
agent. All drug-resistant isolates have been characterized
by capsular type, antimicrobial susceptibility pattern, and
DNA fingerprint generated after PFGE. In addition, a
representative sample has been characterized by MLST.
More than 40% of the fully susceptible pneumococci
have also been characterized by the same combination
of techniques. These and other studies have provided
insights on the natural biology and the population struc-
ture of pneumococci, on the dynamics of the carrier state,
and on the properties of DCCs as epidemiological enti-
ties. It was observed, for example, that DCCs are
autonomous epidemiological units, which, at a given
time, differ from each other in the pneumococcal popula-
tion circulating among its attendees, even if the units are
geographically close.
A longitudinal study showed that introduction of novel
pneumococcal lineages occurred all year long in the
DCCs and the fittest lineages were transmitted among
attendees for several months, resulting in their amplifica-
tion and providing ample opportunities for their spread in
the open community as well.
Portuguese DCC attendees were found to be fre-
quently colonized by pneumococci: in winter months an
average of 65% of children were found to be carriers and
virtually all children (98%) carried pneumococci at least
once during a 1-year study. It was also shown that the
nasopharyngeal flora of DCC attendees was a reservoir of
internationally disseminated drug-resistant lineages cap-
able of causing the entire spectrum of pneumococcal
diseases, such as the successful clones Spain
23F
ST81,
Spain
6B
ST9, and France
9V
ST156.
Genetic Exchange In Vivo
Several of the intriguing phenomena first observed during
studies of pneumococci in the microbiology laboratory
also play important roles in the in vivo environment of this
bacterium. DNA-mediated genetic transformation
appears to be a major mechanism for acquiring antibiotic
resistance genes and also for switching capsular type – as
observed in epidemiological studies. The release of DNA
through the activity of autolytic enzymes also appears to
play an important role in the in vivo evolution of pneu-
mococcal lineages.
Competence
Competence is a transitory state in which bacterial cells
are able to take up exogenous DNA. This process may
lead to genetic transformation if during the competent
state there is exogenous DNA available in the environ-
ment – particularly if the DNA has high degree of
homology to the DNA of the competent recipient cell.
Nevertheless, heterologous DNA from other streptococ-
cal species can also serve as ‘donor’ in recombinational
events.
Pneumococcal competence has been studied for over
four decades. However, it was during the past decade that
major breakthroughs have been made in the elucidation of
the molecular mechanisms leading to competence, the
genes implicated in the competence regulon, and its role
in pneumococci.
As of today most studies in this area are done based on
a few well-characterized laboratory strains. Nonetheless,
competence appears to be widely disseminated in pneu-
mococci: a study on the distribution of two competence
genes among a diverse collection of 214 clinical isolates
found that both genes were ubiquitous in the collection.
The competent state is controlled by the early com
genes comABCDEWX. Competence is triggered by accu-
mulating exogenous levels of the 17 amino acid long
1070 Streptococcus Pneumoniae

pheromone CSP (competent stimulating peptide). The
pre-CSP is 24 amino acid long encoded by comC, which
is cleaved to CSP during export across the cytoplasmic
membrane. This process uses a dedicated secretion appa-
ratus coded by comAB. Competence is triggered by CSP
stimulation of its receptor comD, a membrane-bound
histidine kinase that autophosphorylates and transpho-
sphorylates its cognate response regulator comE. ComE
binds to a specific site in the DNA activating the early
competence genes, including comABCDE, leading to
further accumulation of CSP, and comX. This latter gene
encodes a sigma-X factor that activates the transcription
of the late competent genes.
Two recent transcriptomic studies using DNA micro-
arrays have identified over 100 genes induced by CSP.
Ninety-one genes were common to both studies and
included 17 early com genes and 60 late com genes. Of
significant interest, it was shown that only 22 genes of the
com regulon are required for transformation, suggesting
that the role of competence extends well beyond genetic
transformation.
Recently, it was discovered that competent cells have
the capacity to trigger the lysis of genetically identical as
well as nonidentical noncompetent cells. This phenom-
enon of ‘fratricide’ predation has been termed allolysis.
A bacteriocin system named CibABC (competence-
induced bacteriocin) consisting of a two-peptide CibAB
bacteriocin and its immunity factor CibC has been iden-
tified. It was shown that CibAB is absolutely required for
allolysis but cannot promote lysis per se. Gene cibC
encodes a 65 amino acid peptide with two predicted
transmembrane segment. Evidence suggests that cell-to-
cell contact is necessary for allolysis to occur. Guiral and
colleagues proposed that CibAB may insert into the mem-
brane of noncompetent cells (which lack CibC) and
deplete them of energy. Cell lysis of noncompetent cells
would then occur as a consequence of the action of three
amidases – LytA, LytC, and CbpD.
The observation that allolysis occurs during the tran-
sient state of competence (cibABC,lytA, and cbpD are late
genes of the com regulon) is probably intimately related to
its biological significance. Current hypotheses on the
contribution of allolysis to the biology of pneumococci
have been reviewed recently by Guiral and colleagues.
The latter not only include DNA release for genetic
transformation but also a role in colonization and/or
virulence, competition between strains, and release of
virulence factors.
Bacteriophage of Pneumococci
Pneumococccal bacteriophage of the lytic and temperate
types were first described in 1970s. Subsequent work on
pneumococcal phage found that the lytic enzymes of
many of them shared a high identity (at the protein and
DNA level) to the major pneumococcal autolysin LytA.
Work by Ramirez and colleagues found that the inci-
dence of prophage among a collection of 791 diverse
pneumococcal clinical isolates was high – 76% – and
that multiple carriage was frequent. The initial observa-
tions were based on the fact that multiple bands of SmaI-
digested total DNA separated by PFGE hybridized with a
lytA probe. Further assays on a subset sample of 17 isolates
showed that the majority of the isolates tested (11 of 17)
contained functional prophages that entered the lytic
cycle following mitomycin induction.
Subsequent studies by the same authors showed that
some PFGE subtypes of SmaI-digested total DNA could
be explained by changes in the number and chromosomal
localization of prophages, suggesting that prophage car-
riage could be used as a molecular epidemiological
marker.
In recent years, the use of pneumococcal phage lytic
enzymes as anti-infective agents has been explored. It has
been shown that a purified pneumococcal bacteriophage
lytic enzyme (Pal) was able to kill pneumococci of com-
mon serotypes including highly penicillin-resistant
strains in just a few seconds. In an animal model of
colonization, pneumococci were eradicated without dis-
turbing the normal flora. Following these initial studies,
the therapeutic use of bacteriophage enzymes has been
tested with success in different animal models of disease
(bacteremia, endocarditis, and otitis media). More
recently, the pneumococcal LytA autolysin was found to
be a potent therapeutic agent in experimental peritonitis-
sepsis caused by highly -lactam-resistant S. pneumoniae.
Genome Sequencing
The first three pneumococcal genomes sequenced were
TIGR4 (serotype 4 invasive disease isolate from
Norway), R6 (avirulent, noncapsulated derivative of the
serotype 2 strain D39), and G54 (serotype 19F derivative
of a serotype 15 clone from Spain). All were published in
2001. Since then an increasing number of strains have
been sequenced as novel and affordable sequencing tech-
nologies and more powerful bioinformatic tools became
available, lowering dramatically the costs and time
needed for such projects. As of April 2008, genome
sequencing information of at least 18 strains is publicly
available. Other genome sequencing projects are ongoing.
Among the genome sequences available are representa-
tives of the most successful pandemic drug-resistant
clones as well as representatives of susceptible strains
that are frequent causes of IPD in countries of the devel-
oping world. In addition, the capsular operons of the 91
capsular types described to date (including the recently
described serotype 6C) have been sequenced.
Streptococcus Pneumoniae 1071

The Distributed Genome Hypothesis
The size of the pneumococcal genome depends on the
strain analyzed. Among the strains sequenced so far it is
generally in the range of 2.0–2.2 Mb. Evidence obtained
up to now supports the distributed genome hypothesis,
which, in short, states that pneumococci (as other highly
recombinogenic bacteria) contain a supragenome that is
much larger than the genome of any individual strain.
Each pneumococcus genome contains a core set of genes
(common to all pneumococci) and a noncore set of genes
that are part of a large pool of genes.
The largest comparative genomic analyses published
so far used the combined analyses of the genome
sequences of 17 strains, to estimate the number of ortho-
logous clusters in the pneumococcal supragenome based
on the finite-supragenome model. The model predicted
that the pneumococcal supragenome should contain
approximately 5100 orthologous clusters of which 27%
are core, 41% are unique, and the remaining 32% are
distributed (i.e., present in more than one strain but not
common to all).
Pneumococcal Cell Wall: Composition,
Structure and Mechanisms of Replication
during Cell Division
The cell wall consists of approximately equal proportions
of a peptidoglycan and a teichoic acid of unusual chemical
composition, the components of which include galactosa-
mine phosphate, 2,4,6-trideoxy-2,4-diaminohexose,
ribitol phosphate, and phosphocholine. A membrane tei-
choic acid of identical primary structure is also present at
the cell surface.
High resolution chemical analysis of the peptidogly-
can performed on many clinical isolates demonstrated
that the composition of the pneumococcal peptidoglycan
was specific for the species. The muropeptide units of the
peptidoglycan of pneumococci are either directly cross-
linked to one another or are crosslinked via short
dipeptide branches consisting of either seryl alanine or
alanyl alanine units, which are attached to the free amino
group of the stempeptide lysine residues. While direct
crosslinks are the dominant mode of crosslinking in peni-
cillin-susceptible pneumococci, the branched peptides
become the prominent mode of crosslinking in penicil-
lin-resistant strains.
Genetic determinants of the dipeptide branches have
been acquired by pneumococci from an as yet unidenti-
fied extra species source. The genetic determinants murM
and murN are essential for the expression of high-level
penicillin resistance.
The choline residues of the teichoic acid polymers
were shown to perform critical and multiple physiological
functions in S. pneumoniae and most recent studies also
identified choline residues as major modulators of pneu-
mococcal virulence in animal models of pneumococcal
disease. The presence of choline residues was shown to be
essential for a wide range of physiological phenomena
such as separation of daughter cells at the end of cell
division (LytB), sensitivity of pneumococci and pneumo-
coccal cell walls to degradation by the pneumococcal
autolysin LytA; choline residues were shown to be essen-
tial for genetic transformation and the cell wall choline
units were shown to serve as noncovalent attachment sites
for a group of proteins, the so-called choline-binding
proteins, which serve multiple functions in the interaction
of pneumococci with their eukaryotic hosts. The choline
residues are also sites for the attachment of the C-reactive
protein and for the large family of myeloma proteins.
Fine Structure of Cell Wall
The shape and size of microbial cells is imprinted in their
cell walls, which – in the case of S. pneumoniae – resembles
an American ‘football’ with diameters of 1.0–1.5 mm from
tip to tip and with a ‘waistline’ of 0.5–0.8 mm. The cell wall
of S. pneumoniae appears in electron microscopic thin sec-
tions as a trilaminar layer directly underneath the
somewhat amorphous polysaccharide capsule.
Fine structure studies were done on the ‘rough’ (non-
encapsulated) S. pneumoniae strain R6, which is a derivative
of strain R36A. The overwhelming majority of laboratory
studies that have been done on pneumococci over the past
several decades all used either R36A, R6, or some simple
mutant derivatives of these two strains. R36A was derived
from strain D39, a clinical isolate expressing a serotype 2
capsular polysaccharide on its surface. R36A was selected
after 36 serial passages of D39 in medium containing anti-
capsular type II antibody. Strain R36A was shown to carry
a 7510 bp deletion involving five of the genetic determi-
nants of the capsular type II genetic locus. The fully
sequenced strain R6 is not isogenic with R36A: R6, unlike
its ‘parent’ strain, carries an inactivating point mutation in
the dlt gene and it also has a muropeptide composition in
which branched peptides typical of penicillin-resistant
isolates are frequent.
Replication during Cell Division
Similar to the case of other streptococci, the pneumococ-
cal surface is inherited in a conservative manner during
growth: old hemispheres of the cell surface assembled
during the previous cell division are passed on intact to
the daughter cells in each subsequent cell generation
(Figure 4(a)).
The various polymeric components of the pneumo-
coccal cell wall – the peptidoglycan, teichoic acid, and
capsular polysaccharide chains – all appear to enter the
1072 Streptococcus Pneumoniae

pneumococcal surface at a single centrally located growth
zone. The wall teichoic acid chains are attached by cova-
lent bonds to the peptidoglycan – presumably to the
muramic acid C-6 hydroxyl residues, which are also the
attachment sites for the capsular polysaccharide chains
and the recently discovered O-acetyl groups as well. The
enzymes catalyzing these three types of reactions com-
peting for the same peptidoglycan attachment sites are
not known at the present time; neither is the physiological
control of these reactions well understood.
Replication of the cell wall seems to occur through the
carefully coordinated functioning of two synthetic
(a)
P3
(b)
1μ
P2
P1
S1
S2
S3
New wall
1μ
Old wall
Figure 4 (a) Conservation of ‘old’ hemispheres of the cell wall and insertion of ‘new’ wall material in the vicinity of the new cellular
septum. (b) Symmetrical movement of the cell surface during cell division of S. pneumoniae. Scanning electron micrograph of a chain-
forming pneumococcus showing cells in different stages of cell division. In the cell, at the beginning of a division cycle, the ‘raised cell
wall band’ is shown just after separation to two ring-like structures catalyzed by enzymes participating in the peripheral cell wall
synthesis (P1). Also shown is the beginning of septal wall synthesis (S1). During subsequent stages the distance between the two ring-
like structures associated with peripheral wall synthesis (P2 and P3) increases gradually and so does the advance of the septal wall
synthesis ring (S2 and S3).
Streptococcus Pneumoniae 1073

systems: one that appears to catalyze a peripheral cell wall
synthesis (see P in Figure 4(b)), and a second one that
catalyzes septal growth of the cell wall (see S in
Figure 4(b)). In a newly born cell the future site of cell
division is indicated by a ‘raised cell wall band’ located at
the perfect center of the coccoid-shaped cell. The next
step in cell division is an apparent splitting of the raised
cell wall band into two ring-like structures that proceed to
‘move’ in a symmetrical fashion to the left and to the right
of their initial position. Thus, as cell division progresses,
the distance between the two rings increases (see P1, P2,
P3 in Figure 4(b)) In parallel with this movement is the
activity of the second – septally located – cell wall syn-
thetic system, which produces cell wall along the newly
developing septum (see S1, S2, S3 in Figure 4(b)).
Recent work by Morlot and colleagues indicates that
the three bifunctional PBPs of pneumococci (PBP1a,
PBP1b, and PBP2A) as well as the two monofunctional
PBPs (PBP2B and PBP2X) are all colocalized to the
center of the newly born pneumococcus and seem to
remain there during the entire course of cell division.
The localization of PBP3, a DD-carboxypeptidase,
seems to be unique in that PBP3 is present along the
entire pneumococcal surface except the septal zone,
suggesting an abundance of donor muropeptides
available at the site of active cell wall growth. A model
to explain the coordination of septal versus peripheral cell
wall growth has been proposed recently. The exact func-
tioning and localization of other cell division-related
proteins possibly involved with cell division such as
FtsA, the gene products of DivIVA, and the newly
described putative murein hydrolase PcsB is not clear at
the present time.
PostScript
Writing an ‘Encyclopedia’ article on the Pneumococcus was
a risky undertaking in the era of Pubmed and Google search:
Highly specific and detailed information fitting a reader’s
particular curiosity is instantly available upon pushing a few
buttons on the computer. Also, the number of contributors
and contributions to the microbiology of Streptococcus pneu-
moniae has increased substantially since the last edition of the
Encyclopedia in the year 2000. A Pubmed search of all
papers with S. pneumoniae in their titles and/or abstracts
published between January 2000 and January 2008 identi-
fied more than 8000 publications with topics about equally
divided between pneumococcal disease, epidemiology, and
drug resistance plus a number of papers on clinical trials.
Even a comprehensive listing of these was clearly impossible.
With these caveats in mind, we provided the reader
with an admittedly subjective sampling of the more recent
activities and publications of the field, a kind of updated
‘‘subject index with a narrative’’. Using this treatise the
interested reader may then launch his/her more detailed
search of the literature.
Acknowledgments
Raquel Sa
´-Lea
˜o has received support from Fundac¸a
˜o para
a Cie
ˆncia e Tecnologia (grants PTDC/BIA-MIC/64010/
2006 and PTDC/SAU-ESA/65048/2006). Partial sup-
port to Alexander Tomasz was provided by the Irene
Diamond Foundation.
Further Reading
A publication in the Reviews of Infectious Diseases (Supplement 3,
1981) summarizes contributions to a symposium on various aspects
of pneumococcal pathogenesis and cell biology.
Bliss SJ, O’Brien KL, Janoff EN, et al. (2008) The evidence for using
conjugate vaccines to protect HIV-infected children against
pneumococcal disease. The Lancet Infectious Diseases 8: 67–80.
Bogaert D, De Groot R, and Hermans PW (2004) Streptococcus
pneumoniae colonisation: The key to pneumococcal disease. The
Lancet Infectious Diseases 4: 144–154.
Brundage JF (2006) Interactions between influenza and bacterial
respiratory pathogens: Implications for pandemic preparedness. The
Lancet Infectious Diseases 6: 303–312.
Hackenbeck R and Chhatwal S (eds.) (2007) Molecular Biology of
Streptococci. Norwich, UK: Horizon Scientific Press.
Hausdorff WP, Feikin DR, and Klugman KP (2005) Epidemiological
differences among pneumococcal serotypes. The Lancet Infectious
Diseases 5: 83–93.
Kadioglu A, Weiser JN, Paton JC, and Andrew PW (2008) The role of
Streptococcus pneumoniae virulence factors in host respiratory
colonization and disease. Nature Reviews Microbiology 6: 288–301.
Klugman KP (2001) Efficacy of pneumococcal conjugate vaccines and
their effect on carriage and antimicrobial resistance. The Lancet
Infectious Diseases 1: 85–91.
Siber GR, Klugman KP, and Makela PH (eds.) (2008) Pneumococcal
Vaccines: The Impact of Conjugate Vaccines. Herndon, VA, USA:
ASM Press.
Tomasz A (1965) Control of the competent state in Pneumococcus by a
hormone-like cell product: An example for a new type of regulatory
mechanism in bacteria. Nature 208: 155–159.
Tomasz A (ed.) (1999) Streptococcus pneumoniae: Molecular Biology
and Mechanisms of Disease. New Rochelle, NY: Mary Ann Liebert,
Inc. Publishers.
Tuomanen EI (ed.) (2004) The Pneumococcus. Herndon, VA, USA: ASM
Press.
White B, Robinson ES, and Barnes LA (1938) The Biology of Pneumococcus .
Cambridge, Massachusetts, USA: Harvard University Press.
White B (ed.) (1979) The Biology of Pneumococcus: The Bacterial,
Biochemical, and Immunological Characters and Activities of
Diplococcus pneumoniae. Cambridge, Massachusetts, USA:
Harvard University Press.
Relevant Website
www.sph.emory.edu/PMEN/ – Pneumococcal Molecular
Epidemiology Network (PMEN)
1074 Streptococcus Pneumoniae

Stress, Bacterial: General and Specific
A Matin, Stanford University School of Medicine, Stanford, CA, USA
ª2009 Elsevier Inc. All rights reserved.
Defining Statement
Introduction
The Stress Response is Two-Pronged
Specific Stress Response
General Stress Response
Regulation of Stress Response
Concluding Remarks
Further Reading
Glossary
ancillary factors Proteins or other molecules that
influence RNA polymerase activity.
antiporter A protein in cytoplasmic membrane that
brings about exchange of external protons and a cellular
ion/compound.
electrophiles Compounds that accept electrons.
eutrophic environments Environments made
nutrient-rich primarily through human activity.
inclusion bodies Precipitated and denatured proteins
inside a cell. These are usually formed in bacteria when
a heterologous protein is overproduced.
periplasm Space between outer and cytoplasmic
membranes in Gram-negative bacteria.
pex proteins The core set of proteins induced in
response to diverse stresses.
porins Proteins in the bacterial outer membrane that
form water-filled pores, permitting transport.
proteome Complete protein profile of a cell.
redox cycle A reduction reaction that generates
unstable radicals. These give their electrons to oxygen
generating reactive oxygen species (ROS). The radical is
changed back to the original compound and becomes
available for further ROS generation.
sigma factors Small proteins that combine with the
RNA polymerase core enzyme. The resulting RNA
polymerase holoenzyme can transcribe various genes.
Each species of RNA polymerase generally recognizes
specific promoter sequences.
transcriptome Complete gene transcription profile of a
cell.
Abbreviations
cAMP Cyclic AMP
GSR general stress response
HARVs high aspect to ratio vessels
HGH Human growth hormone
HPK histidine protein kinase
IHF integration host factor
LpDH lipoyldehydrogenase
OMPs outer-membrane proteins
QH
2
hydroquinone
RNAP RNA polymerase
ROS reactive oxygen species
RR response regulator
rRNA ribosomal RNA
sRNAs Small RNA
TIR translational initiation region
UTR untranslated region
Defining Statement
Bacteria counter stress at two levels, specific and general,
to escape a given stress and to acquire greater robustness.
I will discuss here the mechanisms of escape, increased
cellular robustness, and the molecular mechanisms that
enable a bacterium to shift from rapid growth mode to
stasis and enhanced resistance.
Introduction
Bacteria, like other living things, require certain physico-
chemical conditions in order to thrive. Usable nutrients
need to be sufficiently available, temperature and pH
maintained within specific limits, and toxic influences
absent. Under such optimal conditions, bacteria grow at
maximal rates of which they are genetically capable. The
1075

animal gut flora encounters such conditions after the host
has taken a meal, intracellular pathogens often immedi-
ately after invasion, and environmental bacteria in, for
example, eutrophic environments. But such conditions
are rare and fleeting, and as a rule, bacteria in nature
exist under conditions that are not only suboptimal but
can be outright hostile to their survival, exposing them to
diverse kinds of stresses.
A common stress is lack of food. Thus, the gut flora by
its rapid growth soon exhausts the nutrients passed on to
the host intestine and progresses from feast to famine, and
the same is likely true of an intracellular pathogen. While
eutrophic environments are on the rise due to human
activities, much of the natural environment nevertheless
remains severely nutrient-poor. Oceans are estimated to
have 0.8 mg carbon nutrients per liter, and the concentra-
tion of individual carbon compounds in fresh water is
often as low as 6–10 mgl
1
. Similarly, soils as rule possess
little usable nutrients, as most of the 0.8–2.0% carbon in
this environment is humus, which bacteria for the most
part cannot use. In other natural environments, bacterial
growth is restricted by the scarcity of other nutrients, such
as nitrogen, phosphorus, and/or iron.
The fluctuating conditions in nature expose bacteria to
additional stresses. Diurnal and seasonal changes in tem-
perature can be significant, and a host of abiological and
biological factors can result in exposure to a variety of
insults, such as pH, osmotic, shear, and oxidative stresses.
The pathogenic bacteria have not only to be adept at
surviving these stresses during their extra-host existence
but also to be able to cope with deleterious influences as
they attempt to survive in the host in disease initiation.
For example, to infect a host, Salmonella enterica serovar
Typhimurium, which causes a typhoid-like disease in
mice, has to survive passage through the stomach where
the average pH over a 24-h period is as low as 1.5. It then
invades the interior of the host by infecting the microvilli
of the gastrointestinal tract, which are low-shear environ-
ments, and it is then ingested by the host macrophage,
where additional insults await – oxidative stress, nutrient
deprivation, and low pH. To meet such threats to survi-
val, bacteria have evolved elaborate adaptive responses;
these are the subject of this article with special emphasis
on starvation, although other stresses are also considered.
The Stress Response is Two-Pronged
Bacteria meet the challenge to survival posed by stresses
by a two-pronged strategy. One is aimed at neutralizing
and escaping the specific stress that is encountered. This
response tends to be unique to each stress; thus the pro-
teins a bacterium needs to escape, for instance, oxidative
stress are different from those it utilizes to escape starva-
tion. This is termed the specific stress response. The
second component of the stress response is aimed at
preventing and repairing the damage that the stress
might cause and is activated as an insurance policy,
since there is no guarantee that the first response will
succeed in preventing the deleterious effects of the stress.
All stresses, if not neutralized, lead to a common outcome,
namely damage to the cell macromolecules, and the sec-
ond tier of the stress response is aimed at preventing and
repairing this damage. Thus, this facet of the stress
response results in making bacteria resistant not only to
the stress that is experienced but also to others, and is thus
termed the general stress response (GSR).
Specific Stress Response
Starvation
The first definitive indication that bacteria respond to
stresses by a two-pronged strategy came when the pro-
teomes of bacteria subjected to different stresses were
examined. For example, starvation for carbon, nitrogen,
or phosphorus resulted in the induction not only of pro-
teins unique to that starvation condition but also to that of
a core set of proteins that was common to all the starva-
tion conditions (referred to as Pex proteins). Exposure to
stresses mechanistically different from starvation, viz.,
oxidative, osmotic, pH, and others, also led to the induc-
tion of unique and common proteins, many of the latter
being the same as the core starvation (Pex) proteins. Based
on these findings, it was proposed in 1989 that the pro-
teins unique to a specific stress were concerned in
enabling the bacteria to neutralize that particular stress,
while the core set of proteins was concerned with con-
ferring resistance to stresses in general. This has been
found to be the case. In this section, I will discuss the
physiological role of selected proteins that are concerned
with the escape response; the function of the Pex proteins
that confer general resistance is discussed in subsequent
sections.
Examples of proteins concerned with escaping stresses
are provided in Table 1. Starvation-escape response con-
sists in the synthesis by bacteria of enzymes that amplify
their capacity to obtain the scarce nutrient. This is accom-
plished either by increasing the concentration of the
relevant enzymes or by synthesizing a new set that possess
a higher affinity for the nutrient. Either way, a superior
capacity is acquired to scavenge the scarce nutrient. The
proteins that are induced can concern every metabolic
feature: transport through the outer and cytoplasmic
membranes, enzymes involved in substrate capture, and
those responsible for subsequent flux through the meta-
bolic pathways. Thus, when phosphate concentration falls
below some 1 mmol l
1
in the environment, cells increase
the protein PhoE, which is a porin facilitating the passage
of phosphate compounds through the outer membrane
1076 Stress, Bacterial: General and Specific

into the periplasmic space of Escherichia coli. Here, it
interacts with a high affinity-binding protein (PstS), also
induced under these conditions, promoting efficient func-
tioning of PhoE. The compounds thus transported to the
periplasm are hydrolyzed by another protein induced by
phosphate starvation, the bacterial alkaline phosphatase,
generating Pi. Rapid transport of the latter across the
cytoplasmic membrane is ensured by the fact that a high
affinity Pi transport system, Pst (energized by ATP; K
m
for Pi, 0.16 mmol l
1
), is concomitantly induced under
these conditions, replacing the low affinity Pit system
(energized by proton motive force; K
m
for Pi, 25 mmol l
1
)
that operates under phosphate-sufficient conditions.
This pattern has been demonstrated in several bacteria
also when limitation for other nutrients is encountered.
Carbon-scarce cells often also synthesize high affinity-
binding proteins, for example, MalE, which binds maltose
facilitating its transport into the cell. When Pseudomonas or
enteric bacteria utilizing lactate or glucose as carbon
source were subjected to the limitation of these substrates,
they greatly increased the synthesis of lactate dehydro-
genase or glucokinase, respectively. Concomitantly, there
was a marked induction of several enzymes of glycolysis
and tricarboxylic acid cycle, ensuring effective channel-
ing of low levels of catabolites through them. Large
amounts of glutamine synthetase, which catalyzes the
first step in ammonium assimilation, are synthesized dur-
ing ammonium limitation, and induction of high affinity
substrate-capturing proteins occurs also during potassium
and glycerol scarcity. In the former case, the cells shift to
the Kdp system (high affinity; energized by ATP) from
the Trk transport system (low affinity; energized by pro-
ton motive force) that is used when potassium is plentiful.
Cells grown on nonlimiting concentrations of glycerol
utilize a low affinity pathway for its catabolism whose
initial step is catalyzed by glycerol dehydrogenase;
under glycerol scarcity on the contrary, a high affinity
pathway initiating with glycerol kinase is utilized.
Table 1 Selected escape-response proteins
Protein Function
Phosphorous starvation
Pst High-affinity phosphate transport system
PstS (also called PhoS) Periplasmic Pi-binding protein required for PstS function
PhoE Porin that facilitates Pi transport through the outer membrane
PsiB and PsiC Glycerol phosphate transport systems
Bacterial alkaline phosphatase Carbon–phosphorus bond lyase
Carbon starvation
Periplasmic-binding proteins (e.g., MalE) Enhanced transport (e.g., maltose)
Glucokinase Substrate capture (glucose)
Lactate dehydrogenase Substrate capture (lactate)
-Galactosidase Substrate capture (lactose)/metabolic potential amplification
CstA Substrate capture (peptides)/metabolic potential amplification
Glycerol kinase Substrate capture (glycerol)
Glucose-6-phosphate dehydrogenase Enhanced flux through catabolic pathways
Phosphofructokinase Enhanced flux through catabolic pathways
Pyruvate kinase Enhanced flux through catabolic pathways
Aconitase Enhanced flux through catabolic pathways
Isocitrate dehydrogenase Enhanced flux through catabolic pathways
Malate dehydrogenase Enhanced flux through catabolic pathways
Other stresses
a
Aerobactin (iron starvation) Iron chelator
Glutamine synthetase (nitrogen starvation) Substrate capture
Kdp (potassium starvation) High affinity K
þ
transport
Superoxide dismutase (oxidative stress) Decomposes superoxide
KatE (oxidative stress) Catalase
KatG (oxidative stress) Catalase
Thiol peroxidase (oxidative stress) Thiol-dependent hydroperoxidase
Sulfate adenylyltransferase (oxidative stress) Cysteine biosynthesis
Cysteine synthase (oxidative stress) Cysteine biosynthesis
ChrR (oxidative stress) H
2
O
2
quencher
Lysine decarboxylase (acid stress) Generates cadaverine that buffers the cytoplasm
CadB (acid stress) Brings about exchanges of cellular cadaverine for medium lysine
UreI (acid stress) Increases membrane permeability to urea which, through urease activity,
buffers the cytoplasm
a
Text in parentheses indicates the stress.
Stress, Bacterial: General and Specific 1077

Iron-challenged cells increase the synthesis of the iron
siderophore, aerobactin. Thus, a combination of the
synthesis of high affinity transport and other proteins
coupled with a general increase in the level of metabolic
enzymes ensures that the cells can effectively scavenge
and utilize the scarce nutrient from the environment.
These measures can of course not always succeed in
alleviating starvation. For instance, cells growing on glu-
cose can synthesize any amount of enzymes to facilitate
its utilization, but this would not help if this substrate
becomes completely absent from the environment. An
additional measure is therefore employed, which is to
derepress the synthesis of enzymes for substrates other
than glucose counting on the chance that the constantly
fluctuating conditions might promote their appearance
in the environment. Thus, cells subjected, for instance,
to glucose starvation also synthesize enzymes such as
-galactosidase and CstA, which confer on them the
capacity to utilize lactose and peptides, respectively,
thereby acquiring the capacity to cast a wider net for
alleviating carbon starvation.
Oxidative Stress
Ground state oxygen has two unpaired spins, and the
constraints of quantum mechanics, and the resulting spin
restriction, hinder its divalent reduction. This favors the
univalent pathway that generates highly reactive (and
toxic) oxygen species (ROS). Consequently, oxidative
stress from ROS is a constant threat to bacteria and
other living entities. Bacterial respiratory chains (like
those of the mitochondria) leak ROS. Phagocytes possess
a membrane-bound NADPH reductase, whose function is
to catalyze one-electron reduction of O
2
to generate ROS
so as to kill the invading bacteria. When plant cells come
in contact with soil-dwelling bacteria, such as Pseudomonas
putida, they release an immediate burst of H
2
O
2
. Many
electrophiles generated internally by bacteria or those
found in the environment are also a source of oxidative
stress. Examples are quinones, nitro-compounds, chro-
mate, and several dyes; quinones such as plumagin
and juglone are secreted by plants as defense mechanisms
against bacteria. These compounds are vicariously
attacked by cellular metabolic enzymes such as glu-
tathione and cytochrome creductases, and lipoyl
dehydrogenase (LpDH), which reduce them by one-
electron transfer. The result is the generation of reactive
radicals, such as semiquinones and Cr(V), which set up a
redox cycle. In this process, the radical (e.g., semiquinone)
transfers its electron to O
2
or, depending on the condi-
tions to another molecule (e.g., NO
3
), regenerating
quinone and producing ROS or other equally destructive
oxidizing agents (e.g., nitrosative radicals). With the con-
tinued activity of one-electron reducers, the quinone (or
other such electrophiles) shuttles back and forth between
its quinone and semiquinone valence states, producing
large quantities of ROS. These compounds are referred
to from here on as ‘univalent reduction-prone’
electrophiles.
That bacteria do indeed experience severe oxidative
stress when exposed to univalent reduction-prone com-
pounds was demonstrated by the use of the intracellular
oxidative stress sensor 29,79-dihydrodichlorofluorescein
(H
2
DCFDA), which is taken up by the cells and emits
green fluorescence in the presence of ROS. For instance,
E. coli cells exposed to chromate do indeed emit green
fluorescence (Figure 1). Proteome analysis showed
that these cells induced several proteins concerned with
combating oxidative stress, for example, superoxide dis-
mutase, which decomposes the superoxide radical, and
those concerned with cysteine and thiol biosynthesis,
which are ROS quenchers. Mutants unable to synthesize
these proteins proved more sensitive to chromate killing,
and strains with bolstered capacity to synthesize antiox-
idant defense proteins (such as ChrR; Table 1; see below)
less so compared to the wild type. Other examples of
proteins that permit escape from oxidative stress are
given in Table 1.
A new class of enzymes, termed ChrR, has recently been
discovered, which has a broad range of activity to combat
oxidative stress. These enzymes bring about a simultaneous
two-electron reduction of univalent reduction-prone elec-
trophiles. Thus, for example, they convert in one step
quinone into fully reduced and stable hydroquinone
(QH
2
), bypassing semiquinone formation. The experimental
approach to determine if an enzyme reduces the univalent
reduction-prone electrophiles by one- or two-electron
Figure 1 Escherichia coli cells exposed to 250 mmol l
1
chromate and treated with intracellular ROS sensor 29,79-
dihydrodichlorofluorescein. Cells were examined at 1000
magnification with an Olympus BX60 upright fluorescence
microscope. Note that the cells form snakes and fluoresce green;
both are indicative of oxidative stress. Reproduced from
Ackerley DF, Barak Y, Lynch SV, et al. (2006) Effect of chromate
stress on Escherichia coli K12. Journal of Bacteriology 188:
3371–3381.
1078 Stress, Bacterial: General and Specific

pathway utilizes pure proteins and a source of electrons,
namely NADH or NADPH. It takes advantage of the fact
that cytochrome cis reduced by semiquinones but not by
hydroquinones, and since reduced cytochrome cabsorbs
light of 550 nm wavelength, its reduction can easily be
monitored in a spectrophotometer, serving as a facile
probe for semiquinone formation. It was found that when
quinone was reduced by a number of different cellular
enzymes, such as LpDH, large amounts of reduced cyto-
chrome cwere generated, indicating that the quinone was
reduced by one-electron transfer and generated semiqui-
none. However, when the reduction was catalyzed by the
enzyme ChrR, no reduction of the cytochrome was seen
(Figure 2(a)). Thus, the latter enzyme bypassed semiqui-
none formation resulting in direct conversion of the quinone
to QH
2
.
1.2
(a)
(b)
14
12
1
0.8
0.6
0.4
0.2
0
012345
1.1
ChrR
LpDH
1
0.9
0.8
0.7
0.6
0.5
0.4
0.3
0.2
0.1
0
0.8
0.7
0.6
0.5
0.4
0.3
0.2
0.1 1
2
3
0
0123456
012
Time (min)
Time (min)
A550A550
345
ChrR
LipDH
LipDH
alone
LipDH in
competition
Figure 2 (a) Reduction of cytochrome cmonitored spectrophotometrically at 550 nm during LpDH- or ChrR-catalyzed reduction of
50 mmol l
1
of a quinone species, benzoquinone. The appearance of reduced cytochrome cduring the LpDH-catalyzed reaction
indicates one electron transfer and generation of semiquinone, whereas the lack of this species in the ChrR-catalyzed reaction signifies
a divalent mode of quinone reduction that generates QH
2
bypassing semiquinone generation. (b) Addition of ChrR to an LpDH-
catalyzed reduction of limiting benzoquinone, at the point marked by arrow 1, rapidly arrested the reduction of cytochrome crelative to
LpDH alone (dashed line). The addition of fresh benzoquinone (arrows 2 and 3) reinitiated cytochrome creduction, but with ChrR now
present, only little semiquinone is generated as indicated by very limited cytochrome creduction. This indicates that the presence of the
two-electron reducer, ChrR, preempts quinone reduction by the one-electron reducer, LpDH. Reproduced from Gonzalez CF, Ackerley
DF, Lynch SV, et al. (2005) ChrR, a soluble quinone reductase of Pseudomonas putida that defends against H
2
O
2
.Journal of Biological
Chemistry 280: 22590–22595.
Stress, Bacterial: General and Specific 1079

In an extension of this experimental approach, limiting
concentrations of quinone were used, which ensured that
the reaction ceased because all the available quinone in the
reaction mix was exhausted. Figure 2(b) shows that in such
a situation when ChrR is added to an in-progress LpDH-
catalyzed quinone reduction, cytochrome reduction is
swiftly halted, indicating that the LpDH is no longer gen-
erating semiquinone. Addition of further quinone to the
reaction mix reinitiated cytochrome creduction but at a
very low rate and this too was soon halted. The experiment
thus indicated that when ChrR is present, quinone is made
largely nonavailable to LpDH, so semiquinone formation
ceases. Experiments using other single-electron reducing
enzymes have given similar results. Thus, not only ChrR
constitutes a safe pathway for the univalent reduction-
prone electrophiles, such as quinones, it is also effective
in preempting their reduction by the one-electron redu-
cers, thereby affording a two-way protection to the cell
exposed to such electrophiles.
There is in fact another level at which ChrR protects
the cell against oxidative stress and that is by virtue of the
fact that QH
2
, which it generates, is an effective quencher
of ROS, such as H
2
O
2
. Strains of P. putida devoid of ChrR
and those overproducing this enzyme were grown in the
presence of 3 mmol l
1
H
2
O
2
. The different cell cultures
exhibited lag phases of varying duration, following which
normal growth was seen (Figure 3). The ChrR overprodu-
cing strain was the first to recover, followed by the wild
type, and finally the ChrR mutant. The recovery corre-
lated with the ability of each strain to remove H
2
O
2
from
the medium, indicating that the cellular ChrR bolsters this
capacity. Protein carbonylation, which is an indication of
oxidative damage, was greatest in the strain devoid of
ChrR and least in the one overproducing this enzyme.
Acid Stress
Escape from acid stress involves a combination of physi-
cochemical approaches as well as the use of special
enzymes to ensure that the cytoplasm is not acidified.
The former mechanisms include making the cytoplasmic
electric potential ( ) positive, so as to oppose the entry
of protons that, of course, are positively charged. It also
includes changes in the composition of the cytoplasmic
membrane so as to render it less permeant to protons. In
Clostridium acetobutylicum, for example, exposure to low pH
results in a decrease in the ratio of unsaturated to satu-
rated fatty acids and an increase in cyclopropane fatty
acid content. An increase in phospholipids with amino
acid head groups is another measure that appears to be
aimed at decreasing proton permeability of the cytoplas-
mic membrane.
The enzymes involved are amino acid decarboxylases.
A well-studied system involves lysine decarboxylation,
which removes CO
2
from lysine and generates cadaver-
ine. Cadaverine picks up a proton, thereby contributing to
the deacidification of the cytoplasm. The protonated
cadaverine is exchanged for external lysine by the anti-
porter CadB. Another enzyme involved in the buffering to
the cytoplasm is urease, which is thought to be critically
important in the ability of the gastric ulcer/carcinoma-
causing bacterium Helicobacter pylori to colonize the
stomach. This bacterium synthesizes a special membrane
protein called UreI that enhances urea transport into
the cell. Urea is present in the gastric juice, but its per-
meation into the cell without UreI is too slow to be
effective in enabling H. pylori to keep a neutral cytoplasm.
General Stress Response
Cross-Protection
As mentioned above, cells respond to different insults not
only by measures aimed at escaping a particular stress, but
also by bolstering the cellular machinery meant to pre-
vent and repair damage to macromolecules that may
result if the escape response fails. The evolutionary basis
for this is obvious: the external environment is often so
unforgiving that the escape response strategies can often
at best have only a partial success and survival necessi-
tates that measures be activated to deal with the damaging
effect of stresses. This is the function of the (Pex) core set
of proteins that are synthesized regardless of the nature of
stress, and they confer on the cell a robustness enabling it
to withstand stresses in general.
Proteome analysis of cultures starved for glucose or
other nutrients showed that the proteins synthesized fall
into different temporal classes and that this synthesis
program is essentially complete in 4 h after the onset of
starvation. The Pex proteins for the most part exhibit a
02468
Time (h) 10 12 14 160
0.5
1
1.5
A660
2
2.5
3
3.510000
1000
100
10
H
2
O
2
(μm mol l–1) in growth medium
1
0.1
Figure 3 H
2
O
2
scavenging (open symbols) and growth (as
measured by increase in absorbance at 660 nm, solid symbols) of
ChrR-overproducing (^), wild-type (&), and ChrR-deficient (N)
strains of P. putida. Note that the overproducing strain is most
efficient in decomposing H
2
O
2
. Reproduced from Gonzalez CF,
Ackerley DF, Lynch SV, et al. (2005) ChrR, a soluble quinone
reductase of Pseudomonas putida that defends against H
2
O
2
.
Journal of Biological Chemistry 280: 22590–22595.
1080 Stress, Bacterial: General and Specific

sustained pattern of synthesis through this period, level-
ing off at its end. Consistent with their role in enhancing
cellular robustness, it was found that inhibition of protein
synthesis in a starving culture had a time-dependent
effect on starvation survival, with maximum resistance
developing after 4 h of protein synthesis during starvation.
That the core proteins are involved in conferring general
resistance on the cell is further indicated by the fact that
the cross-protection that starvation confers on cells
against unrelated stresses, for example, heat, oxidation,
hyperosmosis, and others (Table 2), is also dependent on
the time, up to 4 h, for which they have been starved.
This phenomenon is illustrated in Figure 4(a) for the
starvation-mediated cross-protection against heat, invol-
ving exposure to the normally lethal temperature of
57 C. For the first 4 h after the onset of starvation,
increasing resistance to heat is exhibited the longer the
cells are starved, with maximal resistance being acquired
within this period. The phenomenon is completely
dependent on protein synthesis during starvation, since
its inhibition by inclusion in the starvation regime of
chloramphenicol or by other means prevents resistance
development.
Since the core protein set is synthesized regardless of
the nature of stress, it follows that exposure to any stress
and not just starvation should confer general resistance.
This is indeed the case as is illustrated in Figure 4(b),
which shows that cells exposed to adaptive doses of a
variety of mechanistically unrelated stresses become
more resistant to lethal concentrations of H
2
O
2
.
Biochemical Basis
The comprehensive resistance that stresses confer on cells
is due to the fact that the core set of proteins are concerned
with protecting vital cell macromolecules – proteins,
DNA, cell envelope – from damage as well as to bring
about repair of any damage that may still result. Envelope
protection and reinforcement is afforded by proteins such
as D-alanine carboxypeptidase, which increases peptido-
glycan cross-linkage, and the products of the otsBA (pexA)
genes which protect the cell membrane by promoting
trehalose biosynthesis. Furthermore, several periplasmic
proteins concerned with the proper folding of proteins
in this cell compartment are upregulated by stress; these
Table 2 Stress-induced resistances
Starvation
Heat
Cold
pH extremes
Oxidation
Hyperosmosis
CI
2
CIO
2
Ethanol
Acetone
Deoxycholate
Toluene
Irradiation
Antibiotics and other antimicrobials
Reproduced from Matin A (2001). Stress response in bacteria. In: Bolton
S (ed.) Encyclopedia of Environmental Microbiology, vol. 6, pp. 3034–
3046. New York: John Wiley and Sons.
0
6
10
100
15 30 45 60
H2O2 challenge (min)
Percent survival
0
1
10
100
246810121416
57 °C challenge (min)
Percent survival
(a) (b)
Figure 4 (a) Induction of thermal resistance in Escherichia coli. Cells grown at 37 C were exposed to 57 C during exponential growth
(o), or at 1 h (), 2 h (N), 4 h (&), or 24 h (&) after glucose exhaustion from the medium. () Represents culture starved in the presence of
chloramphenicol. (b) Comparison of the H
2
O
2
resistance of glucose-starved E. coli cultures to growing cultures adapted by heat, H
2
O
2
,
or ethanol. Symbols: (o) untreated; () ethanol-adapted; () heat-adapted; (N)H
2
O
2
-adapted; (&) glucose-starved. Reproduced from
Jenkins DE, Schultz JE, and Matin A (1988) Starvation-induced cross protection against heat or H
2
O
2
peroxide challenge in Escherichia
coli.Journal of Bacteriology 170: 3910–3914.
Stress, Bacterial: General and Specific 1081

include Dsb proteins that play a role in the formation or
isomerization of disulfide bonds in proteins secreted into
the periplasm, and peptidyl-prolyl isomerases concerned
with the proper folding of proline-containing substrates. A
consequence of stress is the accumulation in the periplasm
of misfolded outer-membrane proteins (OMPs) due to the
stress and excessive OMP synthesis. The OMP mRNAs
are unusually stable. Two small noncoding RNAs, RybB
and MicA, are induced under stress, especially the envel-
ope stress, which selectively accelerates the decay of these
mRNAs, thereby minimizing stress-induced damage by
preventing excessive OMP production.
Protein repair
This is brought about by proteins called chaperones,
which are a large and diverse group with indispensable
physiological roles under all growth conditions, but which
become more important under stress. Apart from confer-
ring stress resistance, the chaperones are responsible for
proper folding of nascent proteins and protein transloca-
tion across membranes. The chaperones DnaK, DnaJ, and
GrpE, as well as GroEL and GroES are among the most
extensively studied. These proteins are widely conserved
through evolution: hsp70 is the eukaryotic homologue of
the bacterial chaperone DnaK and hsp60 that of GroEL.
It is thought that the nascent polypeptide chains or
denatured proteins (referred to from here on as ‘sub-
strate proteins’) bind DnaK and DnaJ (Figure 5).
Interaction between the chaperones in the presence of
ATP results in the formation of a ternary complex
consisting of the substrate protein, DnaK–ADP, and
DnaJ. Dissociation of this complex is mediated by inter-
action with GrpE and by binding of ATP. The final
stages of folding/repair in most cases involve GroEL
and GroES. This model is supported by several lines of
evidence. For example, the denatured enzyme rhoda-
nese aggregates in a buffer solution, but not in the
presence of DnaK, DnaJ, and ATP, as the protein is
protected by the ternary complex formation. Addition
of GrpE, GroEL, and GroES results in efficient refold-
ing and activation of the enzyme. In bacteria lacking
these chaperones, newly synthesized proteins aggregate
Ribosome
Dnak
DnaJ ATP
ADP
ADP
ATP
ATP GroEL
GroES
ADP +
P
i
ADP
ADP
GrpE
ADP
P
i
Figure 5 Schematic of the two-step pathway involved in the folding of nascent proteins and repair of damaged proteins. Reproduced
from Mayhew M and Hartl F (1996) Molecular chaperone proteins. In: Neidhardt F et al. (eds.) Escherichia coli and Salmonella
typhimurium: Cellular and Molecular Biology, pp. 922–937. Washington, DC: American Society for Microbiology.
1082 Stress, Bacterial: General and Specific

in vivo. However, this aggregation is prevented if the
chaperone production is restored. Similarly, proteins
imported into the yeast mitochondria from the cytosol
show defective assembly in mutants missing hsp60
(GroEL homologue), and most soluble denatured pro-
teins of E. coli form complexes with GroEL as a prelude
to their repair. Strikingly, proteins in their native state
do not interact with the chaperones. Exposure to stres-
ses results in association of a large number of proteins
in vivo with chaperones presumably to escape damage.
In essence, chaperones are slow ATPases, which, when
bound to ADP, have a high affinity for denatured
proteins, but a low affinity for them when bound to
ATP. These characteristics determine the duration of
their action on an unfolded part of a protein and ensure
the continuation of the process until renaturation is
complete.
Bacteria are often used in industry and laboratory to
overproduce heterologous proteins as the process is fast
and economical. However, often the overproduced
protein is denatured within the cell and precipitates,
resulting in the formation of inclusion bodies. A protec-
tive role against this denaturation for DnaK was
demonstrated by its overproduction in the cells. Human
growth hormone (HGH) is produced industrially using
E. coli transformed with a high copy number plasmid
containing the hgh gene that encodes this hormone. In
control cells producing normal levels of DnaK, the HGH
produced in the cell formed massive inclusion bodies, but
in cells overproducing this chaperone there was marked
breakup of these bodies (Figure 6) and a corresponding
increase in the soluble hormone.
DNA repair
Several enzymes induced by stresses are concerned with
DNA repair. Examples are endonuclease III and IV, Dps
(PexB), and AidB, which reverse DNA methylation.
A role for DnaK in DNA repair has also been reported.
A major mechanism for DNA repair is the SOS response,
which is activated by many different stresses, such as
starvation, oxidative stress, irradiation, and antibiotic
treatment, which result in DNA damage. This response
promotes various kinds of DNA repair such as excision
repair. This is aimed at excising pyrimidine dimers and
other bulky lesions found in damaged DNA. The
enzymes involved are UvrABC endonuclease, which is
made up of proteins encoded by the uvrA, uvrB, and uvrC
genes, helicase II (encoded by uvrD gene), DNA poly-
merase I, and DNA ligase. The UvrABC endonuclease
makes incisions on each side of the lesion, generating a 12
to 13 base pair oligonucleotide. Different components of
the enzyme act separately in this process. UvrA and UvrB
interact to form a UvrA
2
UvrB complex, which identifies
the DNA lesion and locally unwinds it, producing a kink
in the DNA of 130. This is followed by dissociation of
the UvrA protein and formation of a stable UvrB–DNA
complex, which is acted upon by UvrC to make the
incision. The function of helicase II is to release the
oligonucleotide and to free UvrC after the excision of
the nucleotide. The gap generated by the incision is filled
by DNA polymerase I, which carries out the repair synth-
esis, and DNA ligase, which fills the remaining nick.
Regulation of Stress Response
Shift in the cellular gene expression and protein synthesis
profile under stressful conditions involves several factors,
viz., changes in the concentration of sigma factors, ancil-
lary regulatory molecules, and chemical alteration
in certain proteins. Salient examples of each will be
discussed.
Sigma Factors
Sigma () factors are small proteins that associate with the
RNA polymerase (RNAP) ‘core’ enzyme and determine
what promoter the resulting ‘holoenzyme’ will recognize
(Figure 7). The core RNAP (abbreviated as E) is made up
of four polypeptides,
2
9. Examples of sigma factors
that play a role in stress response are
70
,
s
,
32
, and
54
;
their holoenzymes recognize specific DNA sequences
present in a region called the promoter that is
located, as a rule, 10 and 35 nucleotides upstream of the
transcriptional start site. The
70
holoenzyme E
70
is
indispensable under all growth conditions and is referred
to as the vegetative sigma factor. The consensus promoter
sequences recognized by three of these holoenzymes
(a) (b)
Figure 6 Transmission electron micrographs of Escherichia
coli cells fixed in late exponential phase growth from cultures
overproducing HGH protein. (a) Overproduction of HGH alone;
(b) HGH overproduction along with that of DnaK. Note that in the
latter, the HGH inclusion bodies are much smaller; there is
corresponding increase in soluble HGH. Magnification, 26 000 .
Reproduced from Blum P, Velligan M, Lin N, et al. (1992) DnaK-
mediated alterations in human growth hormone protein inclusion
bodies. Biotechnology 10: 301–303.
Stress, Bacterial: General and Specific 1083

are E
70
: –10: TATAAT, –35: TTGACA; E
32
: –10:
CATNTA, –35: CTTGAA; and E
54
:GG-N
10
GC. (E
s
-
recognized promoters are discussed below.) It should be
noted that considerable variations from these sequences
are tolerated by different species of RNAP, the enzyme
species differ in their promiscuity in this respect, and a
given promoter sequence can be recognized by different
RNAP depending on specific conditions. For example,
during starvation or osmotic stress, the transcription of
the gene encoding an oxidative stress protection protein,
Dps (also known as PexB), depends upon increased cel-
lular levels of E
s
. However, under oxidative stress, E
70
with the help of the ancillary factor, called the integration
host factor (IHF), allows transcription of pexB without
E
s
. Other genes are also transcribed by different RNAP
species depending upon the presence of modifying
conditions.
While all of these holoenzymes have a role in different
stresses, their major role is concentrated on particular
conditions. Thus, E
70
primarily transcribes the exponen-
tial phase genes and those concerned with the stress-
escape response; E
32
, the heat shock and starvation
genes; E
s
, the genes that are commonly expressed
under stresses in general; and E
54
, genes of diverse
functions including those involved in starvation, flagellar
synthesis, and in cell growth on nonpreferred substrates,
such as environmental pollutants.
The RNAP holoenzyme most important in inducing
the GSR in bacteria is E
s
, as it controls the expression of
some 140 core stress genes that are induced by diverse
stresses and are responsible for this response.
s
bears
close homology with
70
in critical regions of the sigma
protein referred to as regions 2.4 and 4.2, which recognize
respectively the –10 and –35 promoter elements. Indeed,
E
70
and E
s
recognize many of the same promoters
in vitro.In vivo however, under stresses such as starvation,
despite the fact that
70
is more abundant in the cells than
s
,E
s
specifically targets the stress genes. Subtle differ-
ences in the promoter sequences and the role of ancillary
factors account for this specificity.
Specific features of
s
-recognized promoters
E
s
-recognized promoters differ from those that E
70
recognizes in following respects. (1) They possess special
features around their –10 region. Thus, a cytosine (C) at
–13 position (i.e., 13 nucleotides upstream of the tran-
scriptional start site) and a thymidine (T) at –14 facilitate
E
s
binding to the promoter. Indeed, the –13 C may
antagonize E
70
binding due to the differences in charged
amino acids in the two sigma factors. In one instance,
RNA polymerase (core enzyme)
Transcription
3′5′
C
CC
CC
C
CCC
CC
C
C
C
C
C
C
C
C
C
C
C
CCC
CC C C
C
CC
C
C
C
C
CC
C
C
CC
C
CC
CCC
CC
C
C
C
C
CC
CC
CG
G
G
GG
GGG
G
G
GG
GG
G
G
G
G
G
G
GG
G
GGGG
G
GG
GG G
G
GG
G
GG
G
G
G
G
G
AAA
AAAAAA
A
A
AA
A
A
A
AA
AAA
A
AAAA
A
AAA
A
A
A
A
AAA
AA
AA
AA
AAA
AA
A
A
AA
A
AAAAAA
AAAA
AAAA
A
A
T
T
TT
TT
T
TT
T
T
T
TT T
T
T
TT T
T
TT
TT
T
T
T
TTT
T
TTTT
TTT
TTTTT
TT
T
T
TT
T
TTT
T
TTTT
TTTTT
TTT
TT
TTT
T
T
T
T
T
TT
TT
TT
TT
T
1.
2.
4.
5.
6.
3.
Consensus
–35 sequence
Promoter sequence
Pribnow box
Sigma
mRNA
start
Figure 7 Schematic representation of RNA polymerase holoenzyme showing the 2.4 and 4.2 regions, which recognize respectively
the –10 and –35 promoter elements. Reproduced from Madigan MT and Martinko JM (2006) Brock Biology of Microorganisms, p. vi.
Upper Saddle River, NJ: Prentice Hall.
1084 Stress, Bacterial: General and Specific

introduction of C at this position in a E70 promoter
improved its recognition by E
s
. Adenine (A)/T-rich
stretch is also involved, TAA at positions –6 to –4 being
a common feature of E
s
-recognized promoters; this fea-
ture may allow easier promoter melting (i.e., unwinding of
the DNA strands to permit transcription). (2) E
s
can
tolerate much wider deviations from consensus promoter
sequences than E
70
and can, for example, recognize
promoters with degenerate –35 sequences, possibly
because it does not need such a sequence in vivo,oris
able to recognize other sequences in place of this
sequence. (3) While the requirement of a 17 base pair
space between the –10 and –35 region is a strong pre-
ference of E
70
,E
s
is more relaxed in this requirement.
Indeed, many E
s
-recognized promoters exhibit –35 like
elements at other locations. (4) Certain AT-rich
sequences present upstream of the –35 region favor E
s
binding to the promoter; the C-terminal domains of the
RNAP subunit play a role in this. (5) Both E
70
- and
E
s
-recognized promoters tend to possess –10-like ele-
ments downstream of the transcriptional start site. Since
early transcript complexes retain the sigma factors, these
sequences cause the transcription to pause.
s
is released
more rapidly than
70
from these complexes; thus the
pause is shorter when E
s
is the transcriber, and this
may facilitate E
s
-mediated transcription of promoters
that are recognized by both E
70
and E
s
.
Other factors involved in favoring E
s
-mediated
transcription
Several trans-acting proteins seem to favor E
s
-mediated
transcription over that of E
70
. Examples are H-NS, IHF,
and Lrp. The mechanisms are not understood. In the case
of H-NS, one possible mechanism is that the binding of
this protein to a promoter interacting with E
70
, but not
E
s
, renders the promoter unavailable for transcription.
Changes in core RNAP, cytoplasmic ionic composition,
as well as DNA supercoiling can also influence what
RNAP species will transcribe a given gene.
A major factor responsible for a shift to different
RNAP species under stress is competition for the RNAP
core enzyme. The core RNAP concentration in bacterial
cell is limiting and different sigma factors have to com-
pete for it.
70
possesses highest affinity for the core
enzyme of all sigma factors and is present in excess; this
accounts for the predominance of E
70
in unstressed cells.
In stressed cells, even though
70
retains its quantitative
dominance, the balance shifts to RNAP species contain-
ing the alternate sigmas. Several factors account for this.
E
70
dissociates so that core RNAP concentration goes
up. The effectiveness of
70
to bind to core RNAP is
impaired due to the activity of the stationary phase-spe-
cific protein Rsd, and the small 6S RNA.
s
has the lowest
affinity of all sigma factors for RNAP and its increased
synthesis under stress notwithstanding, it never attains
more than one-third the level of
70
. Nevertheless, it
becomes the most active sigma factor in stressed cells
because proteins like Crl, by binding to E
s
, greatly
enhance its activity. The small nucleotide, guanosine
tetraphosphate (ppGpp), has a similar role; this is dis-
cussed further below. Certain cell metabolites such as
glutamate and acetate may also have a role in stimulating
E
s
efficiency. The mechanism by which
s
concentration
increases under stress has received a lot of attention and is
discussed below.
Ancillary Regulatory Molecules
Cyclic AMP (cAMP)
As stated above, the core stress genes responsible for gen-
eral resistance are transcribed mainly by E
s
and other
species of RNAP bound to alternate sigma factors.
However, E
70
does have a role in stress gene expression.
The stress genes that this polymerase species transcribes
tend to have weak promoters, that is, they deviate from
the canonical promoter sequence that E
70
recognizes.
Consequently, the transcription of these genes depends
on the availability of ancillary transcriptional factors. This
is the case with several starvation genes concerned with
uptake of different compounds, and their efficient metabo-
lism when they are present at low concentration. These
genes are transcribed if cAMP is available. cAMP binds a
protein called CRP, and the resulting complex binds to a
specific sequence (AGTGAN
6
TAACA) present upstream
of the promoters of these genes, facilitating transcription by
E
70
. cAMP is present in cells at low concentration under
nutrient-sufficient conditions but is increased dramatically
during starvation, thereby promoting the transcription of
these genes by E
70
. The cAMP-dependent stress genes,
however, play no role in enhanced general resistance, since
starved cAMP-deficient strains exhibit the same degree of
cross-protection against stresses in general as do cAMP-
proficient strains. The role of these genes appears to be
confined to the escape response by encoding proteins that
enhance the cellular scavenging capacity by improving
cellular uptake and metabolic functions.
Given the similarity between the E
70
and E
s
promo-
ters, the following finding is of interest: changing the
position of the CRP-binding site in certain genes can
alterpromoterpreferencefromE
s
to E
70
and vice versa.
Guanosine tetraphosphate (ppGpp)
The small nucleotide ppGpp has been studied intensively
in the context of the stringent response, which refers to
the phenomenon whereby amino acid starvation results in
rapid downregulation of ribosomal RNA (rRNA) bio-
synthesis and ribosomes. It is now known that the
concentration of this nucleotide goes up also in
response to starvation for other nutrients as well as in
stresses. Its synthesis, initially as pppGpp (which is later
Stress, Bacterial: General and Specific 1085

dephosphorylated to ppGpp), involves two pathways in
E. coli: by the ribosome-associated protein RelA, when the
ribosome A-site contains an uncharged tRNA during
amino acid starvation, and by the protein SpoT, which
is responsible for ppGpp synthesis in most other stresses.
SpoT can also degrade ppGpp and thus has a dual role.
A strain of E. coli missing both RelA and SpoT (referred to
as ppGppstrain) cannot synthesize this nucleotide and
fails to lower its ribosome production under starvation
conditions; such strains are referred to as relaxed strains.
In other bacteria, for example, Streptococcus mutans, addi-
tional enzymes appear to be involved in ppGpp synthesis,
such as RelP and RelQ.
In general, ppGpp positively affects the transcription
of stress-related genes and negatively those related to
growth. It exerts its regulation by binding to 9subunits
of RNAP near its active site, as has recently been con-
firmed by crystal structure. This regulation is affected by
several mechanisms, such as direct effect on the rate of
formation and stability of the open complex, interference
with promoter clearance (which obstructs further rounds
of transcription), and competition with nucleotide tripho-
sphates used in mRNA synthesis.
A major role of ppGpp in the stress response is that it
increases the ability of
s
(and that of other minor sigma
factors) to compete with
70
for binding to the core
enzyme. This has been shown in in vitro transcriptional
assays and is supported by the finding that ppGpp-
deficient cells exhibit decreased fractions of both
s
and
54
bound to the core polymerase. The protein DksA may
have a role in augmenting this effect. As can be
expected from these findings, absence of ppGpp greatly
compromises starvation survival, and proteome and tran-
scriptome analyses have shown that this is because of the
lack of stress protein synthesis; instead, the cells continue
to express growth-specific proteins. Thus, ppGpp is a
necessary adjunct to
s
for stress survival, and although
much of this effect is likely to be affected by ensuring
s
function, some are likely to be directly due to ppGpp
activity.
ppGpp has important roles also in growing cells, where
it is required for amino acid synthesis – a deficient strain
cannot grow in the absence of exogenously provided
amino acids. Further, ppGpp deficiency affects bacterial
virulence, for example, expression of genes of pathogeni-
city islands.
Chemical Alteration in Proteins
Protein phosphorylation
An important mechanism in bacteria for sensing starva-
tion and other stresses, which involves chemical alteration
of proteins, is the so-called two-component system. One
component of this pair is a histidine protein kinase (HPK)
that autophosphorylates at a conserved histidine residue.
In response to specific stimuli, the phosphorylated form is
stabilized; for this reason, it is also called the ‘sensor
kinase’. In turn, the HPK phosphorylates the response
regulator (RR) protein at a conserved aspartic acid resi-
due. This phosphorylated form of the protein then
activates transcription of the target loci. Several pairs of
such proteins have been found; these initiate special
adaptive strategies in response to specific environmental
cues. The HPKs of different systems share homology of
about 100 amino acids at their C-terminus; the RRs
share homology in the 130 amino acid segments of their
N-terminal ends. Among the environmental stimuli
sensed by the different two-component systems are phos-
phate and nitrogen starvations, osmotic changes, and
chemotactic stimuli. Here, the phenomenon is illustrated
in the context of sensing phosphate starvation.
As stated above (Table 1), several genes are induced in
response to phosphate starvation; together these genes are
referred to as the phosphate regulon. This regulon is
under the control of the phoBR operon encoding the
PhoB and PhoR proteins. The PhoB protein is a positive
regulator of this regulon, since
1. Mutations in phoB, which inactivate the protein, or
deletion of this gene, render the phosphate regulon
noninducible.
2. Sequence analysis shows that upstream of the phoA,
phoBR, phoE,andpstS (phoS) promoters is a highly con-
served 18-bp region (CTNTCATANANCTGTCAN)
called the phosphate box. In vitro studies demonstrate
that purified PhoB protein binds to the phosphate box
and that this binding is required for the transcription of
the phosphate regulon genes.
3. PhoB bears close homology to the RRs in other sys-
tems, such as NtrC (involved in sensing nitrogen
starvation) and OmpR (involved in sensing osmotic
stress).
The phoR gene has a hydropathy profile typical of a
membrane protein, and it shows homology to the HPK
family of proteins. Like other sensor kinases, it autopho-
sphorylates, a condition that is stabilized by phosphate
starvation. It then phosphorylates PhoB, which activates
the transcription of the phosphate regulon as discussed
above.
Protein oxidation
This type of chemical alteration is involved in activating
genes that protect against oxidative stress specifically in
response to the ROS, H
2
O
2
, and O
2
. A more general
mechanism that activates many of the same genes in
response to diverse stresses is controlled by
s
, as dis-
cussed above.
H
2
O
2
is generally sensed by the transcriptional factor
OxyR and O
2
, by the SoxR/Sox S proteins, although the
two systems probably overlap. H
2
O
2
directly oxidizes
1086 Stress, Bacterial: General and Specific

OxyR. The conserved cysteines, at positions 199 and 208,
are in free thiol form in OxyR; H
2
O
2
converts them to
disulfide form. The resulting conformational change,
which has been documented by crystal structure, enables
OxyR to activate the transcription of genes involved in
escape from oxidative stress (Table 1). Upon removal of
the H
2
O
2
stress, OxyR is reduced by glutaredoxin 1.
The SoxR protein is constitutively synthesized and
also becomes activated by direct oxidation, in this case
by O
2
. The protein is a homodimer with two [2Fe-2S]
centers per dimer; these centers are the loci of redox
changes, that is [2Fe-2S]
1þ
>[2Fe-2S]
2þ
conversion.
The oxidized SoxR activates soxS gene transcription,
which in turn induces a collection of genes called the
soxRS regulon (Figure 8). These genes encode enzymes
that can decompose O
2
(Table 1) as well as repair the
damage to DNA that may result from oxidative stress,
such as the endonuclease IV, mentioned above. At the
termination of the stress, SoxR is reduced by an NADPH-
dependent SoxR reductase.
Regulation of
S
Synthesis
As stated above,
s
is the most important regulatory ele-
ment in the GSR. Its cellular levels and/or activity
increase in response to starvation for diverse individual
nutrients as well as other stresses, and how this is accom-
plished is now understood in some detail at all three levels
of control – transcriptional, translational, and posttransla-
tional. I will discuss the results mainly in the context of
starvation stress, unless the available information is con-
fined to another stress.
Transcriptional control
The rpoS gene is located in an operon downstream of the
nlpD gene and is transcribed from two promoters, one
within the nlpD gene and the other upstream of this
gene. Use of transcriptional fusions suggested regulation
in E. coli at this level under starvation, and by ppGpp.
However, direct measurement of rpoS transcription in
E. coli, by quantifying the rpoS mRNA levels and
determination of its half-life, indicates that enhanced
transcription has no role in the observed increased levels
of this sigma factor in starvation.
Translational control
The main rpoS transcript contains an unusually long
untranslated region (UTR), which is central to its transla-
tional control. The UTR may form two types of hairpin
structures. One of these sequesters the translational initia-
tion region (TIR) by pairing with a complementary
sequence present within the coding region of the rpoS
mRNA (called the antisense element), thereby making it
unavailable to the ribosomes for translation. Other hair-
pins may form due to complementary sequences within
the UTR. It is possible that both types of secondary
structures have a role in regulating rpoS mRNA transla-
tion, although the involvement of the antisense element-
mediated secondary structure in this regulation has not
been documented yet. But considerable evidence is avail-
able indicating that secondary structures within the UTR
minimize rpoS translation in unstressed cells and that their
relaxation under certain stresses is the major reason for
increased cellular
s
concentration (Figure 9). Small non-
coding RNA (sRNAs) and the RNA-binding protein, Hfq,
play a role in this phenomenon. For example, the sRNA,
RprA, possesses a complementary sequence to the UTR
stretch of rpoS mRNA, which is involved in hairpin for-
mation. Base pairing and hydrogen bonding by this sRNA
is able to open the hairpin, free TIR, and permit transla-
tion to proceed. Another sRNA, DsRA, is induced under
cold stress and promotes rpoS translation by a similar
mechanism.
Under phosphate starvation, the synthesis of
s
is
regulated at the translational level, but its mechanism is
not known. Some five other sRNAs are known to affect
rpoS translation, but none of these appears to have a role
under these starvation conditions. It is possible that an as
yet undiscovered sRNA is involved or that the control is
exerted through modulation of the antisense element-
mediated hairpin. Additional possibilities involve regula-
tion through a variety of proteins that are known to
regulate rpoS translation. These include the nucleoid pro-
tein HU that binds two regions in the rpoS mRNA and
may influence its secondary structure; the histone-like
protein StpA; the cold shock proteins CspC and CspE; a
PTS protein; and DnaK.
SoxS
SoxRS
regulon
SoxR
The SoxRS regulon
Oxidation
Figure 8 Schematic of SoxRS regulation of the genes involved
in defense against O
2
radical. The change in the configuration of
the SoxR protein upon oxidation by O
2
is schematically
represented to show that in its altered configuration, it can
activate SoxS transcription, which in turn activates the individual
genes of the SoxRS regulon. Reproduced from Matin A (2001)
Stress response in bacteria. In: Bolton S (ed.) Encyclopedia of
Environmental Microbiology, vol. 6, pp. 3034–3046. New York:
John Wiley and Sons.
Stress, Bacterial: General and Specific 1087

Posttranslational control
It was thought that the control of
s
synthesis in carbon
starvation also occurred at the translational level. Direct
measurements of rpoS mRNA translational efficiency,
however, disproved this notion and showed that the
increase under these conditions is solely due to enhanced
stability of the sigma protein. The experimental results
shown in Table 3 indicate this fact. In this experiment,
the rates of rpoS mRNA and
s
synthesis and their half
lives were measured, which permitted calculation of the
rpoS mRNA translational efficiency, that is, the sigma
s
protein synthesized per unit of the mRNA. E. coli cells
were cultured in a glucose-limited chemostat in order to
precisely establish the relationship between dwindling
glucose concentration in the medium (with decreasing
dilution rate) and the above mentioned parameters
(Table 3). As the available glucose diminished, both
s
synthesis rate and rpoS mRNA translational efficiency
declined. Meanwhile, however, the stability of the sigma
protein increased from 7- to 16-fold, accounting for the
observed overall increase in the cellular levels of
s
.
What accounts for the instability of the sigma protein
under carbon-sufficient conditions? The answer came with
the discovery that a specific protease, called ClpXP, which
is composed of two proteins, ClpX and ClpP, is involved in
this regulation. It rapidly degrades
s
in unstressed cells, but
CCCAAAUGCCUA GGAACAUUGCUUAAAGUUUUACGUUCGCA––5’
GGGAUCACGGGU
GGGAUCACGGGUAGGAGCCACCUU
AACGAAUUGCUGUGUGUA––3’
AACGAAUUGCUGUGUGUA––3’
5’––UAAGCAUGGAA
CCACCUUAUG
A U CC CCU
5’––UAAGCAUGGAA A U CC CCU
AA
UA
C
G
G
A
A
A
AG
GG
U A
C
G
G
A
A
A
G
AG
GG
CCCAAAUGCCUA GGAACAUUGCUUAAAGUUUUACGUUCGCA––5’AAGG
(a) RpoS
63 nt
63 nt
(b) RprA
(c)
AUG
Figure 9 The untranslated region (UTR) of the rpoS mRNA that encodes
s
. Note that the sequences upstream of the translational
initiation codon (ATG) of the RNA includes regions of internal complementarity that result in the formation of a hairpin structure. This
prevents the availability of the initiation codon. The small noncoding RNA, RprA, has regions of homology to the UTR of the rpoS mRNA
(shown in red; B). Hydrogen bonding between the homologous regions of RprA and rpoS mRNA opens the hairpin, permitting
translation (C). Reproduced from Matin A and Lynch SV (2005) Investigating the threat of bacteria in space. ASM News 71(5): 235–240.
Washington, DC: American Society for Microbiology.
Table 3
s
synthesis rate and rpoS mRNA translational efficiency in glucose-sufficient cells and those subjected to increasing degree
of glucose starvation (last three rows)
Glucose
concentration (M)
s
Concentration
a
s
half-life
(min)
s
synthesis rate
b
rpoS mRNA
concentration
c
rpoS translational
efficiency
d
10
3
(glucose
sufficiency)
190 5 55 1.0 1.0
2.2 10
6
270 11 34 0.75 0.75
1.3 10
6
300 34 13 0.52 0.52
1.2 10
6
570 >60 ND 0.5 0.5
a
pmol mg
1
cell protein.
b
pmol per mg cell protein per min.
c
Relative units.
d
s
synthesis rate/rpoS mRNA concentration.
ND, not determined.
Reproduced from Zgurskaya HI, Keyhan M, and Matin A (1997). The
s
level in starving Escherichia coli cells increases solely as a result of its increased
stability, despite decreased synthesis. Molecular Microbiology 24(3): 643–651.
1088 Stress, Bacterial: General and Specific

not in those experiencing carbon starvation (Figure 10).
ClpP is a double-ring peptidase with 14 active sties on the
inside of the ring. The hexameric rings of ClpX bind to one
or both ends of the ClpP chamber. The target proteins are
recognized by ClpX, which unfolds the proteins to be
degraded using ATP and feeds them into the ClpP chamber
(Figure 11). Remarkably, despite the fact that the bacterial
cell also contains several other proteases, ClpAP, Lon,
HslUV, and FtsH,
s
is degraded only by the ClpXP pro-
tease. The stretch between 173 and 188 amino acids within
the
s
proteinisrequiredforitsrecognitionasaClpXP
target. ClpX targets proteins containing an 11-amino acid
stretch at their N- or C-terminal ends, called the ssrA tag,
and may unfold the target proteins by acting on this tag.
The stability of the protein structure adjacent to the tag also
appears to have a role – the less stable this structure, the
easier it is for ClpXP to degrade a protein.
If ClpXP protease can degrade
s
in exponential phase
cells, why does this protein become resistant to this protease
in the stationary phase? Another protein, SprE (RssB), has a
role in this phenomenon. SprE is a homologue of RR
proteins, mentioned above, but is unique in its C-terminal
output domain and in the fact that it controls the stability of
aprotein,namely
s
. SprE forms a quaternary complex with
ClpP, ClpX, and
s
, and this complex can degrade the sigma
protein in vitro. SprE is active in exponential phase cells, but
becomes inactive under carbon starvation, and this is
thought to account for the fact that
s
stability increases
under these conditions. By analogy to other RRs, it was
assumed that SprE is active in its phosphorylated state, but
the search for a cognate sensor kinase (see above) has
remained elusive. According to some researchers, SprE
may be phosphorylated by several different kinases or
small molecule phosphate donors. According to others,
however, phosphorylation at the conserved aspartate of
SprE may not be necessary for its activity. It was shown
that SprE, in which the conserved aspartate is mutated, still
retains full activity. What activates SprE remains unknown.
Activity control
Control at the level of activity of
s
evidently operates in
nitrogen starvation. Under these conditions, the core set
of proteins are still synthesized even though
s
levels
show only a very modest increase. Thus, it is thought
110
100
90
80
70
60
50
40 0 5 10 15
Time (min)
Labeled σs (%)
20 25 30
Figure 10 Comparison of
s
stability in exponential phase
(solid symbols) and stationary phase (open symbols) cultures in
clpP-proficient (circles) and clpP-deficient (squares)
backgrounds. Note that in a wild-type background,
s
is stable
only in the stationary phase, but in a mutant missing the Clp
protein, it is stable in both the phases of growth. Reproduced
from Schweder T, Kyu-ho L, Lomovskaya O, et al. (1996)
Regulation of Escherichia coli starvation sigma factor (
2
)by
ClpPX protease. Journal of Bacteriology 178(2): 470–476.
Peptide release
Degradation
Translocation
ADP
ADP
Binding
Unfolding
Unfolded
substrate
Native
substrate
ClpX
ClpP
Figure 11 Schematic representation of native protein degradation by ClpXP protease. The ClpX component of the protease binds
the substrate protein and unfolds it by its ATPase activity. The unfolded protein is translocated through the ClpP chamber, a process
that also requires ATP, and is degraded; the resulting peptide fragments are released. Reproduced from Kenniston JA, Burton RE,
Siddique SM, et al. (2004) Effect of local protein stability and the geometric position of the substrate degradation tag on the
efficiency of ClpXP denaturation and degradation. Journal of Structural Biology 146: 130–140.
Stress, Bacterial: General and Specific 1089

that the sigma protein is more active under these condi-
tions. The factors that may account for this are
hypothesized to be those that increase the competitive-
ness of
s
for RNAP. These have been discussed above
(see ‘Other factors involved in favoring E
s
-mediated
transcription’).
Regulation under low-shear/simulated
microgravity conditions
As alluded to above, low-shear environments, such as
brush border microvilli of the gastrointestinal, respira-
tory, and urogenital tracts, are common routes of
microbial infection. Low shear environments closely
resemble microgravity conditions experienced by astro-
nauts during space flight. There has therefore been
considerable interest in studying the biological effects of
these conditions. On Earth, the effects of such environ-
ments are simulated by the use of a special cultivation
equipment that utilizes high aspect to ratio vessels
(HARVs). Early studies strongly indicate that these con-
ditions weaken the human immune response and make
bacteria more virulent and stress-tolerant; these have
obvious implications for the control of disease on Earth
and astronauts’ health. Studies on the regulation of this
phenomenon have resulted in some intriguing findings.
Thus, the increased bacterial resistance that low-shear
environments confer on bacteria appears to be indepen-
dent of
s
in exponential but not in stationary phase.
Further, these environments markedly enhance rpoS
translational efficiency regardless of the growth phase
and promote
s
instability, especially in the exponential
phase. Since both these regulatory phenomena involve
macromolecular folding pattern, the findings raise the
possibility that low-shear/microgravity environments
can influence these patterns. That microgravity condi-
tions make bacteria more virulent has recently been
confirmed in experiments involving bacterial growth in
space.
Sensing starvation
Given that the regulation of the starvation response dif-
fers depending on the missing nutrient, it seems likely
that the dearth of different nutrients is sensed by different
mechanisms. The sensing mechanism in the case of car-
bon starvation could be an effector that inactivates SprE
or ClpXP. Recent reports indicate that an increase in
denatured proteins may have a role. Starvation affects
fidelity of ribosomes, resulting in the synthesis of abnor-
mal proteins with a proclivity for oxidation. The latter
sequester Clp, impairing ClpXP activity, resulting in the
stabilization of
s
. In this view, starvation is sensed by the
increase in aberrant proteins. Phosphate and nitrogen
starvations may involve the PhoBR- and NtrBC-sensing
systems mentioned above. In P. putida, a G-protein, called
FlhF, which is situated at the cell pole, may be involved in
sensing stress, as its absence robs the cell of the capacity to
develop the general stress resistance.
Concluding Remarks
It is evident that in response to hostile and frequently
fluctuating conditions in nature, bacteria have evolved
highly sophisticated mechanisms that permit them to
swiftly shift between rapid growth and static survival
modes. Our understanding of this phenomenon has
enhanced greatly in the last two decades, and further
progress is likely to yield information that will permit
better control of bacterial growth – its enhancement
toward beneficial ends, such as ecosystem management,
industrial processes, and bioremediation, as well as its
mitigation as in disease.
Further Reading
Gottesman S (2004) The small RNA regulators of Escherichia coli: Roles
and mechanisms. Annual Review of Microbiology 58: 303–328.
Matin A (1991) The molecular basis of carbon starvation-induced
general resistance in E. coli.Molecular Microbiology 5: 3–11.
Matin A (2001) Stress response in bacteria. In: Bolton S (ed.)
Encyclopedia of Environmental, vol. 6, pp. 3034–3046. New York:
John Wiley and Sons.
Nystrom T (2004) Stationary phase physiology. Annual Review of
Microbiology 58: 161–181.
Peterson CN, Mandel MJ, and Silhavy J (2005) Escherichia coli
starvation diets: Essential nutrients weigh in distinctly. Journal of
Bacteriology 187(22): 7549–7553.
Typas A, Becker G, and Hengge R (2007) The molecular basis of
selective promoter activation by the sigmas subunit of RNA
polymerase. Molecular Microbiology 63(5): 1296–1306.
1090 Stress, Bacterial: General and Specific

Transcriptional Regulation
O Amster-Choder, The Hebrew University Medical School, Jerusalem, Israel
ª2009 Elsevier Inc. All rights reserved.
Defining Statement
The Transcription Machinery
Template Recognition: Promoters
Transcription Initiation
Transcription Elongation
Transcription Termination
Further Reading
Glossary
10 element A consensus sequence centered about
10 bp before the start point of transcription that is
involved in the initial melting of DNA by RNA
polymerase.
35 element A consensus sequence centered about
35 bp before the start point of transcription that is
involved in the initial recognition by RNA polymerase.
promoter A sequence of DNA whose function is to be
recognized by RNA polymerase to initiate transcription.
A typical Escherichia coli promoter contains two
conserved elements, a 10 element and a 35 element
(see above).
RNA polymerase The enzyme that synthesizes RNA
using a DNA template (also termed DNA-dependent
RNA polymerase).
sigma () factor A subunit of bacterial RNA polymerase
needed for initiation. The factor has major influence on
the selection of promoters.
start point The position on the DNA that corresponds
to the first base transcribed into RNA.
terminator A DNA sequence that causes RNA
polymerase to terminate transcription and to dissociate
from the DNA template.
transcription The synthesis of RNA on a DNA
template.
transcription factor A protein needed to activate or
repress transcription but is not part of the RNA
polymerase enzyme.
transcription unit The DNA sequence that extends
from the promoter to the terminator; it may include more
than one gene.
Abbreviations
CAP catabolite gene-activator protein
IHF integration host factor
mRNA messenger RNA
Nus N utilization substance
RNAP RNA polymerase
rRNA ribosomal RNA
tRNA transfer RNA
Defining Statement
The first step in gene expression is the transcription of the
coding DNA sequences to discrete RNA molecules.
Specific DNA regions, defined as promoters, are recog-
nized by the transcribing enzyme, a DNA-dependent
RNA polymerase (RNAP). The RNAP binds to the pro-
moter and initiates the synthesis of the RNA transcript.
The enzyme catalyzes the sequential addition of ribonu-
cleotides to the growing RNA chain in a template-
dependent manner until it comes to a termination signal
(‘terminator’). The DNA sequence between the start
point and the termination point defines a ‘transcription
unit’. An RNA transcript can include one gene or more.
Its sequence is identical to one strand of the DNA, the
coding strand, and complementary to the other, which
provides the template. The base at the start point is
defined as þ1 and the one before that as 1. Positive
numbers are increased going downstream (into the tran-
scribed region), whereas negative numbers increase going
upstream. The immediate product of transcription, which
extends from the promoter to the terminator, is termed as
‘primary transcript’. In prokaryotes, messenger RNA
(mRNA) is usually translated concomitantly while being
transcribed and is rapidly degraded when not protected
by the ribosomes, whereas ribosomal RNA (rRNA) and
transfer RNA (tRNA) are cleaved to give mature pro-
ducts and are stable.
Transcription is the principal step at which gene
expression is controlled. Many factors, such as DNA
signals, regulatory proteins, noncoding RNAs, and small
ligands (nucleotides, metabolites), determine whether the
1091

polymerase will choose to transcribe a certain gene and
whether the whole process of transcription will be accom-
plished successfully. The timing of transcription of
specific genes is influenced by environmental conditions
and by the growth cycle phase.
The molecular picture of how genes are transcribed
and the nature of the regulatory mechanisms that control
transcription are far from being complete, but lots of
progress has been made. Work on relatively simple organ-
isms, bacteriophage, and bacteria has provided new
insights into the mechanisms that are involved in the
regulation of gene expression, transcriptional control
mechanisms being among them. Although there are sig-
nificant differences in the organization of individual genes
and in the details and the complexity of the regulatory
mechanisms among prokaryotes and eukaryotes, it is clear
that basic principles are shared among all organisms. Due
to the relative simplicity of prokaryotic biochemical path-
ways, their easy manipulation in the laboratory, and the
advanced tools that are available for changing their geno-
type and for testing the resulting phenotype, it is easier to
infer these basic principles by studying prokaryotes.
The Transcription Machinery
RNA Polymerase Catalyzes Transcription
RNA synthesis is catalyzed by the enzyme RNA polymer-
ase (RNAP). The reaction involves the incorporation of
ribonucleoside 59triphosphate precursors into an oligori-
bonucleotide transcript, based on their complementarity to
bases on a DNA template. RNAP catalyzes the formation of
phosphodiester bonds between the ribonucleotides. The
formation of a phosphodiester bond involves a hydrophilic
attack by the 39-OH group of the last ribonucleotide in the
chain on the 59triphosphate of the incoming ribonucleotide.
The incoming ribonucleotide loses its terminal two phos-
phate groups, which are released in the form of
pyrophosphate. In this manner, the RNA chain is synthe-
sized from the 59end toward the 39end.
Multisubunit RNAPs are remarkably conserved in
fundamental structure and mechanism. The best charac-
terized RNAPs are those of eubacteria, for which
Escherichia coli is a prototype. Unlike eukaryotic cells, in
which various types of polymerases are dedicated to the
synthesis of the various types of RNA, in eubacteria a
single type of polymerase appears to be responsible for
the synthesis of messenger RNA (mRNA), ribosomal
RNA (rRNA), and transfer RNA (tRNA).
The dimensions of bacterial RNAP are approximately
90–95–160 A
˚. The molecular weight of the complete E. coli
enzyme is approximately 465 kDa. About 7000 molecules of
RNAP are present in an E. coli cell, but the number of
molecules engaged in transcription at any given time varies
from 2000 to 5000, depending on the growth conditions.
The DNA sequence that is being transcribed by RNAP
is transiently separated into its single strands, with one of
the strands serving as a template for the synthesis of the
RNA strand. This region is therefore defined as the ‘tran-
scription bubble’. As the RNAP moves along the DNA, it
unwinds the duplex at the front of the bubble and rewinds
the DNA at the back, so that the duplex behind the tran-
scription bubble reforms. Thus, the bubble moves with the
RNAP, and the RNA chain is elongated. The length of the
transcription bubble varies from 12 to 20 bp. The length of
the transient hybrid between the DNA and the newly
synthesized RNA sequence within the transcription bubble
is a matter of controversy and the estimates range from 2 to
12 nt. Beyond the growing point, the newly synthesized
RNA chain enters a high-affinity binding site within the
RNAP.
Bacterial RNA Polymerase Consists of Multiple
Subunits
The RNAPs of certain phage consist of single polypep-
tide chains. These polymerases recognize a very limited
number of promoters and they lack the ability to change
the set of promoters from which they initiate transcrip-
tion. In contrast, bacterial RNAPs consist of several
subunits. The most studied bacterial RNAP, the one in
E. coli, exists in two forms, an holoenzyme and a core
enzyme. The holoenzyme is capable of selective initiation
at promoter regions, whereas the core RNAP is capable of
elongation and termination, but not selective initiation.
The two forms of the polymerase consist of two identical
-subunits, one -subunit, and one 9-subunit, but only
the holoenzyme contains an additional subunit, one of
the several proteins. The subunit composition of the
holoenzyme is summarized in Figure 1. The -subunit
plays an important role in RNAP assembly, which pro-
ceeds in the pathway !
2
!
2
9!
2
9. The
-subunit plays some role in promoter recognition and
in the interaction of RNAP with transcriptional activators
(see later). The and 9subunits together constitute
the catalytic center of RNAP. The -subunit was
demonstrated to contact the template DNA, the newly
synthesized RNA, and the substrate ribonucleotides. The
9-subunit contacts the RNA chain as well. Mutations in
the genes that encode and 9show that both subunits
are involved in all stages of transcription. The sequences
of and 9show homology to the sequences of the largest
subunits of eukaryotic RNAPs. This conservation
through the evolution hints that the mechanisms by
which all RNAPs catalyze transcription share common
features. In accord, high-resolution structural studies on
the core enzyme show that it adopts a certain structure,
which is similar to the structure that is found in the yeast
RNAP II. The assignment of individual functions to the
different subunits of the core polymerase is only a rough
1092 Transcriptional Regulation

estimation because most probably each subunit contri-
butes to the activity of the enzyme as a whole. In
addition, a small 91-residue protein, termed the !sub-
unit, associates with the polymerase. It has no direct role
in transcription, but seems to function as a chaperone to
assist the folding of the 9subunit.
The subunit has three main functions: to ensure the
recognition of specific promoter sequences; to position
the RNAP holoenzyme at a target promoter; and to facil-
itate unwinding of the DNA duplex near the transcript
start site. Based on recent studies, ‘’ subunits are
involved also in other aspects of transcription initiation,
such as abortive initiation and promoter escape. There are
several types of factors in the bacterial cell (see later).
The major factor in E. coli, which is required for most
transcription reactions, is
70
. Although
70
has domains
that recognize the promoter DNA sequence, as an inde-
pendent protein, it does not bind to DNA, perhaps
because its DNA-binding domain is sequestered by
another domain of the
70
molecule (when
70
is shor-
tened from its N-terminus, it is able to bind to DNA,
suggesting that the N-terminal region has an inhibitory
effect on the ability of
70
to bind to DNA). However,
upon binding to the core enzyme and the formation of the
holoenzyme complex,
70
undergoes a conformational
change and it now contacts the region upstream of the
start point. The dogma is that the factor discharges from
the core enzyme when abortive initiation is concluded
and RNA synthesis is successfully initiated (although
findings suggest that, at least in some cases, can remain
associated with the polymerase during postinitiation
steps). The released factor becomes immediately avail-
able for use by another core enzyme, although the activity
of many factors is controlled by an anti-factor, which
sequesters it away from the RNAP. E. coli cells contain
about 3000 molecules of
70
, enough to bind about one-
third of the intracellular core RNAP.
The Ability of RNA Polymerase to Selectively
Initiate Transcription is Dependent on the
Presence of Factor
Bacterial polymerases have to recognize a wide range of
promoters and to transcribe different genes on different
occasions. Specificity of gene expression is in part modu-
lated by substituting one species of for another, each
specific for a different class of promoters. In Bacillus sub-
tilis,factors are implicated in the temporal regulation of
sporulation. In E. coli, alternative factors are used to
respond to general environmental changes. The factors
are named either by their molecular weight (e.g.,
70
)or
after their genes, which are usually termed ‘rpo’ (e.g.,
RpoD for
70
).
When cells are shifted from low to high temperature,
the synthesis of a small number of proteins, the heat-shock
proteins, transiently increases. The
32
protein (RpoH) is
responsible for the transcription of the heat-shock genes.
The basic signal that induces the production of
32
is the
accumulation of unfolded proteins that results from the
increase in temperature. The heat-shock proteins play a
role in protecting the cell against environmental stress.
Several of them act like chaperones, preventing the unfold-
ing (denaturation) of proteins. The heat-shock proteins are
synthesized in response to other conditions of stress, imply-
ing that the production of
32
is induced also by conditions
other than elevation in temperature. The
32
protein is
Figure 1 E. coli RNA polymerase holoenzyme consists of four types of subunits.
Transcriptional Regulation 1093
α
α
β
σ
Subunit:
Molecular weight:
Function:
σαβ
32–90 kDa
Promoter specificity and
interaction with some
activators
39 kDa 155 kDa 165 kDa
Enzyme assembly,
promoter recognition, and
interaction with some
activators
Formation of the
enzyme
catalytic center
Holoenzyme

unstable and it is rapidly degraded when it is not needed.
Another factor,
E
, appears to respond to more extreme
temperature shifts that lead to the accumulation of
unfolded proteins, which are usually found in the periplas-
mic space or the outer membrane. Less is known about this
factor and about the genes it controls. When E. coli and
other enteric bacteria are nitrogen-limited, the synthesis of
a number of proteins is dramatically induced. The
increased production of these proteins enlarges the capa-
city of cells to produce nitrogen-containing compounds,
and to use nitrogen sources other than ammonia. The
transcription of the genes that encode these proteins is
dependent on
54
(also known as
N
). Expression of the
flagellar genes under normal conditions depends on
28
(also known as
F
).
When E. coli cells are starved, they shift from
the exponential-growth phase to the stationary phase.
The ability of the cells to cope with starvation depends
on the production of many proteins. This is enabled due
to the synthesis of
S
(RpoS), which transcribes the
relevant genes. Unlike E. coli, when B. subtilis cells are
starved, they can form spores. Sporulation involves the
differentiation of a vegetative bacterium into a mother
cell and a forespore; the mother cell lyses and a spore is
released. The process of sporulation involves a drastic
change in the biosynthetic activities of the bacterium,
in which many genes are involved. This complex process
is concerted at the level of transcription. The principle
is that in each compartment (the mother cell and the
forespore) the existing factor is successively displaced
by a new factor that causes the transcription of a new
set of genes. Communication between the compartments
occurs in order to coordinate the timing of the changes
in the mother cell and the forespore.
The promoters identified by the various factors are
organized similarly, having their important elements cen-
tered around 10 and 35 nt upstream from the start point
(see later), except for
54
, whose promoters have slightly
different characteristics. However, the ability of different
factors to cause RNAP to initiate at different sets of
promoters stems from the fact that each type of factor
recognizes promoter elements with unique sequences.
54
differs from the other factors also in its ability to bind to
DNA independently, and by the influence of sites that are
distant from the promoter on its activity. In many aspects,
54
resembles eukaryotic regulators.
A comparison of the sequences of the different
factors identifies four regions that have been conserved.
Several sequences in these regions were identified
with individual functions, such as interaction with core
RNAP or contacting the various promoter elements.
Recent structural information shows that two key
domains are structurally conserved, even among diverse
family members.
Template Recognition: Promoters
Promoter Recognition Depends on Conserved
Elements
Template recognition begins with the binding of RNAP
to the promoter. Promoter is a sequence of DNA whose
function is to be recognized by RNAP to initiate tran-
scription. The information for promoter function is
provided directly by the DNA sequence, unlike expressed
regions, which require that the information be transferred
into RNA or protein to exercise their function. Two main
approaches were used to identify the DNA features
that characterize a promoter. The first is comparative
sequence analysis and the second is the identification of
mutations that alter the recognition of promoters by
RNAP. Comparison of the sequence of many E. coli pro-
moters recognized by the major RNAP species,
70
holoenzyme, revealed an overall lack of extensive
conservation of sequence over the 60 bp associated
with RNAP. Nevertheless, statistical analysis revealed
some commonalities. A typical E. coli promoter that is
recognized by
70
contains four conserved features: the
start point, the 10 region, the 35 region, and the
distance between the 10 and 35 regions. The start
point is usually a purine. It is often the central base in
the sequence CAT, but this is not a mandatory rule. The
10 region is a hexanucleotide that centers approxi-
mately 10 bp before the start point, although this
distance is somewhat variable. Its consensus sequence is
TATAAT (in the antisense strand). The conservation is
T80 A95 T45 A60 A50 T96, where the numbers refer to
the percent occurrence of the most frequently found base
at each position. The 35 region is a hexanucleotide
sequence that centers approximately 35 bp upstream of
the start point. Its consensus is TTGACA and the con-
servation is T82 T84 G78 A65 C54 A45. The favored
spacing between the 10 and the 35 sequences is 17 bp.
For most promoters, there is a good correlation
between promoter strength and the degree to which the
10 and 35 elements agree with the consensus
sequences. The significance of the conserved promoter
features was further emphasized by the finding that most
mutations that alter promoter activity (i.e., affect the level
of expression of the gene(s) under the control of this
promoter) change the sequence of the particular promoter
in an expected fashion. Mutations that increase the simi-
larity to the proposed conserved 10 and 35 sequences
or bring the spacing between them closer to 17 bp,
usually, enhance the promoter activity (‘up mutations’);
mutations that decrease the similarity to the conserved
sequences or bring the spacing between them more dis-
tant than 17 bp, usually, reduce the promoter activity
(‘down mutations’). The nature of down mutations in
the 35 and 10 regions of various promoters led to
1094 Transcriptional Regulation

the conclusion that the 35 region is implicated in the
recognition of the promoter by RNAP and the formation
of a closed transcription complex, whereas the 10 region
is implicated in the shift of the closed complex to the open
form (see later). The fact that the 10 region is composed
of AT base pairs that require low energy for melting
makes it suitable to assist in unwinding and, thus, in
converting the transcription complex into its open form.
There are several exceptions to the proposed general-
ized pattern. For example, some promoters lack one of the
conserved sequences, the 10 or the 35 region, without
a corresponding effect on promoter activity. In some
cases, it was proposed that another sequence compensates
for the lack of a consensus sequence. In still other cases, it
was concluded that the promoter cannot be recognized by
RNAP alone, and the involvement of additional proteins
that overcome the deficiency in intrinsic interaction
between RNAP and the promoter is required. Other
exceptional promoters were discovered due to the isola-
tion of promoter mutations that do not affect any of the
conserved promoter features described so far. Rather,
they are the outcome of base substitutions in other
sequences in the vicinity of the conserved sequences or
the start point. One explanation for these findings is that
the analysis that generated the sequence characteristics of
a typical promoter may have missed some sites that con-
tribute to the transcription initiation process, possibly
because it included too many promoters, both weak and
strong. Alternatively, other base pairs in the promoter
could be recognized by RNAP, but might become signif-
icant only if canonical recognition sites are absent.
The isolation of deletions that progressively approach
specific promoters from the upstream region demonstrated
the involvement of specific upstream sites in the recogni-
tion of RNAP in some cases. This led to the discovery that
some E. coli promoters contain a third important element in
addition to the 10 and 35 sequences. This element was
named the upstream element, or ‘UP element’, because it is
located approximately 20 bp upstream of the 35 region.
Its sequence is AT-rich and it was first identified in the
strong promoters of the rrn genes, which encode rRNA. It
is believed now that promoter strength is a function of all
three elements, 10, 35, and UP, with very strong pro-
moters, such as the rrn promoters, having all three elements
with near-consensus sequences and with weaker promoters
having one, two, or three nonconsensus promoter elements.
It has been found that, whereas 70 is responsible for the
recognition of the 10 and 35 regions, the UP element
interacts with the -subunit of RNAP.
Finally, the activity of some promoters is affected by
sequences downstream to the 10 region, or even down-
stream to the transcription start point. The sequences
immediately around the start point seem to influence the
initiation event. The effect of the initial transcribed region
(from þ1toþ30) on promoter strength is explained by the
influence of this region on the rate at which RNAP clears
the promoter. Unlike the promoters described so far,
which are recognized by holoenzymes that contain
70
or a close homologue, a minority of the cellular holoen-
zymes use
54
and have different basal elements located at
12 and 24. Transcription initiation from these promo-
ters relies also on enhancer-like elements that are remote
(upstream) from the promoters (see later).
Possible Mechanisms of Promoter Recognition
How does RNAP find the promoter sequences? How does
it identify a stretch of 60 bp that defines a promoter in
the context of 410
6
bp that make up the E. coli genome?
Three models were suggested to explain the ability of
RNAP to find promoters. The first model assumes that
RNAP moves in the cell by random diffusion. It associates
and dissociates from loose binding sites on the DNA until,
by chance, it encounters a promoter sequence that allows
tight binding to occur. According to this model, move-
ment of an RNAP molecule from one site on the DNA to
another is limited by the speed of diffusion through the
medium. However, this parameter might be too low to
account for the rate at which RNAP finds promoters. The
second model addresses this problem by assuming
that once an RNAP molecule binds to a DNA sequence,
the bound sequence is directly displaced by another
sequence; the enzyme exchanges sequences very rapidly,
until it binds to a promoter that allows an open complex
to form and transcription initiation to occur. According to
this model, the association of the polymerase with DNA
sequences and their dissociation are essentially simulta-
neous. Thus, the time spent on site exchange is minimal
and the search process is much faster in comparison to the
speed calculated based on the first model. This model fits
the accepted notion that core polymerases that are not
busy in transcription are stored by binding to loose sites
on the DNA. The third model assumes that RNAP binds
to a random site on the DNA and starts sliding along the
DNA molecule until it encounters a promoter. The actual
mechanism by which RNAP finds promoters might com-
bine features of the various models.
Transcription Initiation
The activities of genes are frequently regulated at the
initiation step of transcription. Therefore, the initiation
of transcription is a very precise event that is tightly
controlled by various regulatory mechanisms. Studying
transcription initiation in E. coli has served as a model for
understanding transcriptional control throughout all
kingdoms of life.
Transcriptional Regulation 1095

Stages of the Transcription Initiation Process
Transcription initiation is the phase during which the first
nucleotides in the RNA chain are synthesized. It is a
multistep process that starts when the RNAP holoenzyme
binds to the DNA template and ends when the core
polymerase escapes from the promoter after the synthesis
of approximately the first nine nucleotides.
The stages of the transcription initiation process,
which are summarized in Figure 2, can be described in
terms of the types of interaction between the RNAP and
the nucleic acids that are involved. The first stage in
transcription initiation is the formation of a complex
between the holoenzyme and the DNA sequence at the
promoter, which is in the form of a double-stranded
DNA. This complex is termed a closed binary complex
or closed complex. The second stage is the unwinding of a
short region of DNA within the sequence that is bound to
the RNAP. The complex between the polymerase and the
partially melted DNA is termed an open binary complex
or open complex. The conversion of the closed complex into
the open complex leads to the establishment of tight
binding between the RNAP and the promoter sequence.
For strong promoters, the conversion into an open
complex is irreversible. The third stage is the incorpora-
tion of two ribonucleotides and the formation of a
phosphodiester bond between them. Because the complex
at that stage contains an RNA as well as DNA, it is called
an initiation ternary complex. Up to seven additional
ribonucleotides can be added to the RNA chain without
any movement of the polymerase. After the addition of
each base, there is a certain probability that the enzyme
will release the short (up to nine bases long) RNA chain.
Such an unsuccessful initiation event is termed an ‘abor-
tive initiation’. Following an abortive initiation, RNAP
begins again to incorporate the first base. Several rounds
of abortive initiations usually occur and the result is the
formation of short RNA chains that are 2–7 bases long.
When initiation succeeds, that is, a nine-base-long RNA
chain is formed and is not released, the last stage in
transcription initiation occurs. At that stage the factor
is released from the polymerase. As a consequence, a
complex containing core polymerase, DNA, and RNA is
formed. This complex is called an elongation ternary
complex. The departure of the polymerase from the pro-
moter to resume elongation is termed promoter escape or
promoter clearance.
Transcription Factors
Regulation of transcription involves a complex network,
where DNA-binding proteins, termed transcription
factors, are a key component. Transcription factor is a
protein needed to activate or repress the transcription of a
gene, but is not itself a part of the enzyme. Some
transcription factors bind to cis-acting DNA sequences
only; some bind to each other; others bind to DNA as
α
αβ
σ
DNA
DNA melting
Closed binary complex
DNA Open binary complex
Formation of first phosphodiester bonds
Abortive initiation
Ternary complex
Release of σ factor
Initial elongation complex
DNA
DNA
α
αβ
σ
α
αβ
σ
α
αβ
β
α
σ
Binding of RNA polymerase holoenzyme
to the DNA template
DNA
Promoter clearance
RNA
α
Figure 2 Stages of the transcription initiation process.
1096 Transcriptional Regulation

well as to other transcription factors. When a transcrip-
tion factor binds to a specific promoter, it can either
activate or repress transcription initiation. Some
transcription factors function solely as activators or
repressors, whereas others can function as either accord-
ing to the target promoter.
The E. coli genome contains more than 300 genes that
encode proteins that are predicted to bind to promoters,
and to either up- or down-regulate transcription. So far,
about half of these have had their functions verified
experimentally. Some of these proteins control large
numbers of genes, whereas others control just one or
two genes. It has been estimated that seven transcription
factors (CRP, FNR, IHF, Fis, ArcA, NarL, and Lrp)
control 50% of all regulated genes, whereas 60 tran-
scription factors control only a single promoter. Bacterial
transcription factors can be grouped into different
families on the basis of sequence analysis. So far, a
dozen families have been identified, the best character-
ized of these being the LacI, AraC, LysR, CRP, and
OmpR families. Because a large percentage of the
polymerase molecules are occupied with transcription of
ribosomal genes, transcriptional regulation of these genes
is intensively studied. It has been shown that, in addition
to
70
-RNAP, the Fis and H-NS proteins bind near the
upstream P1 promoter of the seven ribosomal transcrip-
tion units and regulate transcription.
The activity of most bacterial promoters is dependent
on multiple environmental cues, rather than just one
signal. In most cases, for a promoter to respond to multi-
ple signals, multiple transcription factors are required.
Accordingly, many promoters are controlled by two or
more transcription factors, with each factor relaying one
environmental signal. However, in some cases a regula-
tory protein can ‘integrate’ multiple signals, like the
NifL–NifA system in Azotobacter vinelandii, which controls
the genes that are involved in nitrogen fixation in
response to oxygen levels and the availability of carbon
and nitrogen. There are a few examples of integrated
regulation that are solely dependent on repressors, but,
in most examples studied so far, complex regulation
depends on combinations of repressors and activators or
codependence on more than one activator.
Repression of Transcription Initiation
Gene expression is sometimes negatively regulated by a
repressor protein that, when bound to DNA, inhibits
transcription initiation. The ability of the repressor to
bind to DNA is in turn modulated by the binding of an
effector molecule to the repressor. The regulation of the
lac operon expression in E. coli is a paradigm for this type
of transcriptional control. LacI is a repressor protein that
blocks the initiation of transcription from the promoter of
the lac operon. LacI binds to a site on the DNA, termed an
operator, that overlaps with the promoter. Because of this
overlap, the binding of the LacI repressor and of RNAP
are competitive events. That is, RNAP cannot bind to
the promoter until the repressor is removed from the
operator. The binding of one of several -galactoside
compounds to the repressor destabilizes the repressor–
operator complex and allows RNAP to bind to the
promoter to initiate transcription. Interestingly, the lac
operon has two additional binding sites for LacI, an
upstream site and a downstream site, located in the first
gene of the operon. Compared to the operator, the addi-
tional sites have a lower affinity for the repressor protein
and it was suggested that they do not directly participate
in the inhibition of transcription initiation. Rather, the
secondary binding sites seem to stabilize the repressor–
operator complex.
There are important exceptions to the lac repression
paradigm. An example is the repression of the gal operon
transcription initiation by a different and less understood
mechanism. The gal operon contains two repressor-binding
sites, both required for maximum efficacy of the gal
repressor, yet neither of these operators overlaps with
the promoter sequences. Thus, the binding of the gal
repressor to its operators does not seem to compete
directly with binding of RNAP to the gal promoter. It
was suggested that the gal repressor, when bound to both
bindingsites,holdstheDNAinaconformationthatis
unfavorable for binding to RNAP.
Activation of Transcription Initiation
The frequency of transcription initiation from many pro-
moters is enhanced by activator proteins. Activators
improve the performance of a promoter by improving
its affinity for RNAP. In most cases, they bind within or
upstream from the promoter and make a direct contact
with RNAP. The activators that interact with the most
abundant form of RNAP involved in transcription initia-
tion in E. coli, the
70
holoenzyme, can be roughly divided
into two groups, those that interact with the -subunit of
RNAP and those that interact with the
70
subunit.
The best characterized activator from the first group is
the catabolite gene-activator protein (CAP). The CAP
target site on the DNA was determined in a number of
systems. Comparative sequence analyses led to the defi-
nition of a consensus sequence for CAP binding. CAP-
binding sites are found at various locations relative to the
transcription start point in different systems. The most
studied case is the activation of transcription initiation
from the lac promoter by CAP. The regions that are
required for the activation on both CAP and the -sub-
unit of RNAP were defined. CAP acts as a dimer, and
although the activating region is present in both subunits
of the CAP dimer, transcription activation at the lac
promoter requires only the activating region of the
Transcriptional Regulation 1097

promoter-proximal subunit. CAP interacts with the
C-terminal domain of the -subunit (CTD). The
CTD constitutes an independently folded domain, which
is connected to the remainder of by a flexible linker.
This allows CTD to make different interactions in
different promoters. The simplest model for transcription
activation by CAP is that CAP binds to the DNA and
recruits the CTD, and thus the RNAP holoenzyme, to
the promoter.
The best characterized activator from the second
group is the cI protein of bacteriophage (cI). cI
binds to a site on the DNA that overlaps the 35 element
of the P
RM
promoter. The activating region in cI was
defined and was demonstrated to directly contact a spe-
cific region in
70
.
The existence of at least two groups of activators that
bind to separate targets on the DNA and to different
components of RNAP raised the possibility, which was
later proven, that, at some promoters RNAP might be
contacted simultaneously by two or more activators.
Generally, where two transcription factors are involved,
one factor interprets a global metabolic signal, whereas
the other responds to a specific metabolic signal. The best
illustration of this is the E. coli lac promoter, which is
regulated by CRP that depends on a global signal, glucose
starvation, and by the Lac repressor, which is controlled
by a specific metabolite, allolactose. In most cases,
multiple activators bind independently to their target
promoters. However, there are a few promoters at which
activators bind cooperatively.
In contrast to the copious
70
promoters, the rare
54
promoters, which contain 12 and 24 basal elements
instead of the well-known 10 and 35 elements, seem
to be regulated solely by activation rather than by repres-
sion.
54
activators (the most studied is NtrC) bind to
enhancer-like sites on the DNA; that is, the sites are
remote from the promoters (upstream) and their precise
location is not critical for transcriptional activation. In
fact, these sites can be moved kilobases in cis and retain
their residual function. Thus, unlike
70
activators that
bind to sites that enable direct communication with
RNAP,
54
activators, once bound to their DNA target
sites, cannot touch the polymerase without looping out
the intervening DNA. This seems to be the reason why
54
promoters frequently require the help of integration
host factor (IHF), which enhances the bending of the
DNA, as a cofactor. It is accepted that
54
polymerase
can bind to its promoters to form a closed complex.
However, this polymerase cannot transcribe because it
cannot melt the DNA. Once the upstream activator
binds to its target site upstream of the promoter, it loops
out of the sequence between its binding site and the
promoter and touches the complex. This interaction
triggers the melting of DNA (with the help of a helicase
activity) and the creation of a transcription bubble. Thus,
54
activators catalyze the conversion of the polymerase–
promoter complex from a closed state to a transcription-
ready open state, rather then tethering the RNAP to the
promoter.
One conclusion from studies with various types of acti-
vators is that many activators seem to function by helping
recruit DNA-binding domains of RNAP to DNA, thus
supplementing suboptimal RNAP–DNA interactions with
protein–RNAP interactions. Apparently, most activators
function by binding to target promoters before acting on
RNAP. However, an alternative mechanism has been pro-
posed for the MarA and SoxS regulators, in which they
interact with free RNAP before binding to promoter DNA.
In most cases, multiple activators bind independently at
their target promoters. However, there are a few promoters
at which activators bind cooperatively.
Small Ligands
Small ligands provide an alternative mechanism by
which RNAP can respond quickly and efficiently to
the environment. The best example is guanosine 39,59
bisphosphate, ppGpp, and also pppGpp, which are
synthesized when amino acid availability is restricted to
the extent that translation is also limited. Transcription of
the seven transcription units that encode the rRNAs is
mostly affected by the levels of ppGpp. A crystal structure
shows that ppGpp binds near the catalytic centre of RNAP.
This location might allow it to alter interactions with the
incoming nucleoside triphosphates, with the catalytic mag-
nesium and perhaps with the non-template DNA strand to
destabilize open complexes. ppGpp has a co-regulator, the
polymerase-binding DksA protein, which lowers the con-
centration of ppGpp needed to inhibit transcription. DskA
exaggerates the effects of ppGpp by adapting the polymer-
ase for regulation at promoters that are affected by the
nucleotide. ppGpp also favors the association of other
sigma factors with core polymerase at the expense of the
70
holooenzyme that transcribes the ribosomal promoters.
It has been proposed that ppGpp controls expression of the
translation machinery in response to sudden starvation,
whereas ATP availability controls expression in response
to growth rate.
For obvious reasons, rRNA transcription is subject to
complex regulation. Hence, in addition to the levels of
ppGpp, the promoters of these genes respond to other
factors, for example, they show an unusually high affinity
for the first two nucleotides that form the 59end of the
ribosomal transcript. This property, which can be
explained by the unusual features of the ribosomal pro-
moters, allows selective inhibition of rRNA transcription
when nucleotide concentrations decrease, as is the case in
stationary phase. The net amount of rRNA transcription
is a function of the ratio of inhibitors to activators – H-
NS/Fis (see section ‘Transcription factors’) and ppGpp/
1098 Transcriptional Regulation

NTP. Both of these ratios are usually highest during slow
growth and lowest during rapid growth.
Small RNAs
A subset of small RNAs has been found to regulate tran-
scription in bacteria. One example is the abundant 6S
RNA that inhibits transcription at many
70
-dependent
promoters during stationary phase by binding to the
active site of
70
-RNAP and competing for DNA binding.
The conserved secondary structure of 6S RNA, a single-
stranded central bulge within a highly double-stranded
molecule that is essential for 6S RNA function, has led to
the proposal that 6S RNA mimics the open conformation
of promoter DNA. Not only does 6S RNA block access to
promoter DNA, but, surprisingly, it is used as a template
for RNA synthesis. Synthesis of the templated RNA
relieves the inhibitory effect of 6S RNA when cells
encounter new nutrient sources and resume growth.
Regulation of Transcription Initiation via
Changes in DNA Topology
The template for transcription is a negatively supercoiled
DNA. Because the formation of an open transcription
complex requires DNA melting, and because the degree
of superhelicity affects the energy needed for the melting,
it was anticipated that the superhelical character of a
template would affect the properties of this template.
Indeed, the efficiency of some promoters is influenced
by the degree of supercoiling. Most of these promoters are
stimulated by negative supercoiling, although few are
inhibited. The effects of superhelicity on the process of
transcription initiation have been shown in vitro in
numerous studies and in vivo by the use of inhibitors of
gyrase, which introduces negative supercoils. The reason
why some promoters are sensitive to the degree of
supercoiling, whereas others are not, might have to do
with the fact that the sequence of some promoters is easier
to melt and is therefore less dependent on supercoiling.
Alternatively, because various regions on the bacterial
chromosome are believed to have different degrees of
supercoiling, the location of the promoter might deter-
mine whether it is sensitive to changes in superhelicity.
Transcription Elongation
The initiation phase ends when RNAP succeeds in
extending the RNA chain beyond the first nine nucleo-
tides and escapes from the promoter. At that stage the
elongation process begins and the enzyme starts moving
along the DNA, extending the growing RNA chain.
During the transition from initiation to elongation, the
size and shape of the RNAP undergoes successive
changes. The first change is the loss of the factor.
Whereas the holoenzyme covers approximately 75 bp
(from 55 to þ20), after the loss of , the polymerase
covers approximately 55 bp (from 35 to þ20). At that
stage the polymerase is displaced from the promoter
(promoter clearance or escape) and undergoes a further
transition to form the elongation complex, which covers
only 35–40 bp, depending on the stage during elongation.
The polymerase now becomes tightly bound to both the
nascent transcript and the DNA template, making it very
stable.
The average rate of transcript elongation by the
various RNAPs is 40 nt/s. However, this rate varies dra-
matically among RNAP and loosely correlates with the
subunit complexity of the enzyme. Thus, the simple
single-subunit bacteriophage RNAPs are the most rapid
of all DNA-dependent RNAPs (several hundred nt/s),
bacterial RNAPs transcribe at an intermediate rate
(50–100 nt/s), and eukaryotic polymerases, although
diversified, appear to be the slowest (20–30 nt/s).
Recent studies of both prokaryotic and eukaryotic
transcription have yielded an increasing appreciation of
the extent to which gene regulation is accomplished dur-
ing the elongation phase of transcription. Nevertheless,
RNAPs are not as accurate as DNA polymerases. The
difference in fidelity between RNA and DNA poly-
merases is apparently due to the higher robustness of
the proofreading mechanism that characterizes DNA
polymerases than that of RNAPs. Of course, the fidelity
of DNA replication is of greater importance than that of
transcription because, unlike replication errors, misincor-
poration during transcription does not result in
permanent and inherited genetic changes.
Blocks to Transcription Elongation
Transcript elongation does not occur at a constant rate.
Throughout the elongation phase, RNAP can be paused,
arrested, or terminated. These are important events that
underlie many regulatory mechanisms that govern gene
expression. During a ‘transcriptional pause’, the polymer-
ase temporarily stops RNA synthesis for a certain amount
of time, after which it can resume the elongation process.
Thus, pausing can be described as transcriptional hesita-
tion. In contrast, during a ‘transcriptional arrest’ the
polymerase stops RNA synthesis and cannot resume it
without the aid of accessory proteins. Throughout both
pauses and arrests, RNAP remains stably bound to the
DNA template and to the nascent transcript. These
features distinguish paused and arrested polymerases
from those that have terminated and thus detached
from the DNA. Pausing and termination are sometimes
related because pausing is a prerequisite for termination
(see below). However, not all pauses are termination
precursors. The time it takes a stalled polymerase to
Transcriptional Regulation 1099

resume elongation varies among pause sites from very
short periods of time, which cannot be accurately mea-
sured, to several minutes. The fraction of RNAP
molecules that respond to an elongation block is also
variable because ternary complexes differ in their ability
to recognize pausing signals. Elongation is controlled by
transcription factors, such as GreA, NusA, NusG and
Mfd, that affect RNAP processivity by modulating tran-
scription pausing, arrest, termination or antitermination.
Transcriptional pause and arrest signals can be intrin-
sic; that is, sequences in the nascent transcript or in the
DNA template whose interaction with RNAP can inhibit
the progression of the ternary complex, such as RNA
regions, which have the propensity to form a stable sec-
ondary structure. In addition, extrinsic factors may
obstruct the progress of RNAP during transcript elonga-
tion. There are numerous examples of RNAPs from
various organisms being physically blocked by DNA-
binding proteins during RNA synthesis in natural and
artificial systems. An example is the purine repressor,
which binds well downstream from the purB operon tran-
scriptional start point and blocks the polymerase during
elongation (it should be noted that in many cases RNAP is
able to transcribe beyond the DNA-binding proteins in its
path by either displacing them or bypassing them). In
addition to DNA-binding proteins, which are the most
obvious obstacles for RNAP, factors that perturb the
structure of DNA can also inhibit the progression of
RNAP and thus interfere with transcript elongation, for
instance, extreme positive or negative supercoiling, unu-
sual DNA structures such as Z-DNA, and DNA lesions.
The efficiency of such potential impediments to block
RNAP from elongating depends on various local fac-
tors and on the type of the RNAP. For example, T7
RNAP can efficiently bypass gaps in the DNA tem-
plate strand that are 1–5 nt, and less efficiently gaps as
large as 24 nt.
Pausing appears to occur by a two-tiered mechanism.
An initial rearrangement of the RNAP active site
interrupts elongation and puts the enzyme in an off-line
state, called the elemental pause; additional rearrange-
ments or interactions with regulatory proteins or
downstream DNA sequences can create long-lived
pauses. Transcriptional pausing is involved in various
regulatory mechanisms. It plays a fundamental role in
coupling transcription and translation by halting RNAP
to allow a translating ribosome to catch up to polymerase.
Given that most RNA exhibits significant secondary
structure, even low-efficiency pausing that occurs with
sufficient frequency will maintain coupling. Pause sites in
the leader regions of operons regulated by attenuation are
thought to halt RNAP to ensure that ribosomes are prop-
erly located to control the termination decision. The
discovery of any attenuation mechanisms that are coupled
with small molecule–RNA interactions (riboswitches)
highlights the importance of pausing to proper regulation.
Pausing also appears critical to ensure binding of elonga-
tion regulators to RNAP, for instance of RfaH to
polymerase molecules paused at ops sites in the leader
regions of RfaH-regulated operons. Furthermore, pausing
plays a key role as the first step in both -dependent
termination and intrinsic termination of transcription
(transcription termination is discussed in the section titled
‘Transcription termination’). Pausing halts RNAP at ter-
minators until factor interacts with the transcription
elongation complex. Additionally, specific pause sites
have been found to play important roles in the proper
folding of the nascent RNA. The combined effects of
pausing in maintaining transcription–translocation cou-
pling and in facilitating -dependent termination when
translation fails creates a prokaryotic version of an mRNA
surveillance pathway, in which RNA damage or mutation
that would lead to defective protein synthesis causes
termination of transcription.
Although transcriptional arrest has been character-
ized in vitro and the evidence for its occurrence in the
cell is only circumstantial, it is also believed to be impli-
cated in the regulation of many genes. These predictions
are based on the recognition that if an arrest occurs
within the coding region of a gene, the arrested complex
would block subsequently initiated RNAPs, thereby
effectively repressing RNA synthesis from the affected
gene.
Transcript Cleavage during Elongation
When RNAP encounters a roadblock during elongation,
it backtracks and the 39-end of the nascent RNA is
cleaved to generate a new 39-terminus. Transcript clea-
vage serves to rescue RNAPs that are arrested during
elongation and gives the enzyme a second chance to
transcribe over the roadblock and resume elongation.
Following the cleavage, RNAP can correctly resynthesize
the discarded RNA segment and continue with the elon-
gation. The cleavage reaction involves accessory proteins
in addition to RNAP. In E. coli, the GreA and GreB
proteins serve as cleavage-stimulatory factors. GreA and
GreB also affect the size of the released 39-fragment.
GreA-induced hydrolysis generates mostly di- and trinu-
cleotides, while GreB-induced hydrolysis generates
fragments of up to 18 nt long. GreA can only prevent
transcription arrest, whereas GreB can reactivate prear-
rested transcription complexes as well.
Besides antipausing and antiarresting function, the
factor-induced endonucleolytic reaction may enhance
transcription fidelity by inducing the excision of misincor-
porated nucleotides, and by facilitating transition of RNAP
from the initiation to the elongation stage of transcription.
Molecular models for the mechanism of Gre proteins
action were recently proposed based on biochemical,
1100 Transcriptional Regulation

mutational, and structural analyses. Other factors, such as
NusA, can regulate the cleavage properties induced by
GreA and GreB. NusA is a multifunctional transcription
factor that may elicit opposite effects on transcription
elongation and termination. Its activity is discussed in the
section titled ‘Transcription termination’.
Another factor that functions in the cell to reactivate or
recycle stalled or arrested RNAP during elongation is the
transcription repair coupling factor Mfd. It does so by
‘reverse backtracking’ the RNAP, allowing its catalytic
center to reengage the RNA 39-end. Mfd also recruits
DNA excision-repair machinery to damaged DNA sites
in a transcription-coupled manner through its recognition
of stalled RNAP molecules.
The Inchworm Model for Transcription
Elongation
The old-fashioned view of the elongation process as a
smooth forward motion during which RNAP moves 1 bp
along the DNA template for every base added to the
newly synthesized RNA chain might still hold for some
regions of DNA. However, evidence has accumulated for
a different type of movement of the polymerase during
elongation. Thus, a new model for RNAP translocation
has evolved: the ‘inchworm model’. This model describes
the movement of RNAP on the DNA template in a
discontinuous inchworm-like fashion. The model predicts
that the process of RNA chain elongation is a cyclic
process that consists of discrete translocation cycles.
Each cycle involves the steady compression of the
RNAP on the DNA template followed by a sudden
expansion. According to this model, the upstream (back)
boundary of the enzyme moves steadily during elonga-
tion, as the RNA chain is extended. However, the
downstream (front) boundary of the enzyme does not
move while several nucleotides are added; it then
‘jumps’, that is, it moves 7–8 bp along the DNA. At the
beginning of each cycle, RNAP stretches across 35 nt of
template DNA; it gradually compresses from the back end
till it covers only 27 nt; it then releases from the front
end and stretches again to cover 35 nt. As the RNAP
compresses, the nascent RNA chain of the complex
becomes longer and the single-stranded transcription
bubble enlarges as well. The internal tension that these
changes probably create in the enzyme is released when
the front end expands discontinuously.
The inchworm model for transcription elongation
postulates that RNAP binds to the DNA template at
two separate sites, one downstream in the direction of
transcription and one upstream, which can move inde-
pendently of each other. This permits the polymerase to
move in an inchworm-like manner, so one DNA-binding
site on the polymerase remains fixed to the DNA,
whereas the other moves along the DNA. There is now
both direct and indirect evidence that validate this
assumption. The downstream DNA-binding site in the
E. coli polymerase was found to be double-strand-specific,
whereas the upstream is single-strand-specific and inter-
acts with the template strand. The model also assumes
that the catalytic site of RNAP is linked to the move-
ment of the upstream DNA site, but can move
independently of the downstream DNA-binding site.
The inchworm model also makes predictions about the
existence of more than one RNA-binding site on the
ternary complex. It has been shown that nascent RNAs
interact with at least three sites on the E. coli polymerase,
two on the -subunit,andoneonthe9-subunit. It is
believed that together the DNA and RNA sites account
for the remarkable stability and flexibility of ternary
complexes. However, the precise size, placement, and
strand specificity of these nucleic acid-binding sites are
currently being elucidated.
Transcriptional Slippage
RNAP usually synthesizes RNA transcripts that are
precisely complementary to the DNA template.
However, in rare circumstances, RNAP can undergo
transcriptional slippage that results in the synthesis of a
transcript that is either longer or shorter than the
sequence encoded by the DNA template. Such a slip-
page appears to occur when the polymerase transcribes
homopolymeric runs. It has been proposed that the gen-
eration of transcripts that are shorter than the encoding
template is due to translocation of RNAP without the
incorporation of nucleotides, whereas the longer pro-
ducts are due to RNAP-incorporating nucleotides
without translocation. Transcriptional slippage can
occur during both the initiation and the elongation
phases. However, the minimal length of the consecutive
template nucleotides that can promote slippage in the
two phases is different. During initiation, homopoly-
meric runs as short as 2 or 3 nt can be reiteratively
transcribed by RNAP. During elongation, RNAP tends
to slip only on longer runs, but the precise requirements
have not been elucidated. In one case, slippage by the
E. coli RNAP during elongation was reported to require
runs of at least 10 dA or dT nucleotides, whereas runs
of dG at the same length did not result in slippage. In
some cases, the ability to slip seems to require a tran-
scriptional pause in addition to the homopolymeric run.
Transcriptional slippage is sometimes an important
means of regulating transcription. It has been reported
to play an important role in the regulation of transcrip-
tion initiation at several bacterial operons, for example,
pyrBI.
Transcriptional Regulation 1101

Implications of DNA Topology on Transcription
Elongation
Because DNA has a helical secondary structure, a rotation
about its axis is necessary to accomplish transcription
elongation. This requires either that the entire transcrip-
tion complex rotates about the DNA or that the DNA
itself rotates about its helical axis. Under conditions in
which the RNAP rotation is constrained, for example, due
to the presence of ribosomes attached to the nascent RNA
chain (which is often the case in bacteria), the DNA will
rotate through the enzyme. Consequently, the process of
transcription will tend to generate positive supercoils in
the DNA ahead of the advancing RNAP and negative
supercoils behind it. Excessive torsional stress in the DNA
will arise if the DNA is anchored at various points (as is
the case for circular DNA, such as the bacterial chromo-
some) or from the movement of RNAP in opposite
directions along the DNA. DNA topoisomerases are the
natural candidates to remove this tension. It was suggested
that gyrase, which can relieve positive supercoils, and
topoisomerase I, which removes negative supercoils,
amend the situation in front of and behind the RNAP,
respectively. This model is supported by the finding
that when the activities of gyrase and topoisomerase I are
inhibited or otherwise defective, transcription causes major
changes in DNA supercoiling. A possible implication of
this is that transcription, in addition to having a significant
effect on the local structure of DNA, is responsible for
generating a significant proportion of supercoiling that
occurs in the cell.
Implications of DNA Replication on
Transcription Elongation
Transcription regulation is carefully coordinated with
DNA replication and chromosome segregation. In E. coli
and in other bacteria and bacteriophages, heavily tran-
scribed genes are oriented such that replication and
transcription occur in the same direction. Despite this
arrangement, because DNA replication occurs 10–20
times faster than transcription, RNAP and DNA poly-
merases do collide. The outcome of such an encounter is
hard to predict. In E. coli there is evidence suggesting that
the replication fork can displace the elongation complex.
However, in bacteriophage T4, the movement of the
replication apparatus does not seem to disrupt the elon-
gation complexes, regardless of the direction of their
motion relative to the replication fork. Interestingly,
when direct collisions occur between the DNA and
RNAPs of T4, the RNAP switches from the original
DNA template strand to the newly synthesized daughter
strand. The mechanism that allows the strand exchange
without the dissociation of the elongation complex is not
known, but probably relies on the various contacts with
the DNA and RNA. Whatever the mechanism, the cell
needs to coordinate the replication and transcription pro-
cesses carefully.
Transcription Termination
Transcriptional elongation is highly processive and can
lead to the production of RNA transcripts that are thou-
sands of nucleotides long. The processivity is due to the
high stability of the complex between the RNAP and the
nucleic acids during elongation. It is this stability that
necessitates the involvement of specific signals and factors
to implement termination of transcription. To enable
efficient termination, the termination signals or factors
should cause drastic alterations of the interactions that
are responsible for the stable elongation. At termination,
RNAP stops adding nucleotides to the RNA chain, all the
hydrogen bonds that hold the RNA–DNA hybrid together
break leading to the release of the transcript, the DNA
duplex reforms, and the enzyme dissociates from the DNA
template. The sequence of these events is still not clear
because attempts to determine whether the release of the
RNAP is simultaneous with the transcript release or
occurs subsequently have given ambiguous results. Once
the transcript is released from the complex, it is unable to
reattach in a way that allows transcriptional elongation to
resume. Therefore, the transcript release is the commit-
ment step that makes the termination process irreversible.
On one hand, this mechanism ensures the termination at
the end of genes and prevents the expression of adjacent
distinct genetic units; on the other hand, this mechanism
provides an opportunity to control gene expression.
The exact point at which termination of an RNA
molecule occurs in the living cell is difficult to define.
The 39-end of an RNA transcript looks the same whether
it is generated by termination or by cleavage of the
primary transcript. Therefore, the best identification of
termination sites is provided by systems in which RNAP
terminates in vitro. An authentic 39-end can be identified
when the same end is generated in vitro and in vivo.In
E. coli, two types of terminators were discovered, intrinsic
terminators that do not require ancillary proteins and
terminators that require the involvement of termination
factors.
Intrinsic Terminators
Intrinsic terminators are sites at which core polymerase
can terminate transcription in vitro in the absence of any
other factor. The best characterized intrinsic terminators
are the ones recognized by E. coli RNAP. Intrinsic termi-
nators are characterized by a GC-rich sequence with an
interrupted dyad symmetry followed by a run of about
6–8 dA residues on the template strand.
1102 Transcriptional Regulation

The transcription of the GC-rich sequence with the
interrupted inverted repeats will give rise to an RNA
segment that has the potential to fold into a stable stem-
and-loop secondary structure (sometimes described as a
hairpin structure). There is much indirect evidence that
this structure is indeed formed in the nascent RNA. For
example, mutations that interrupt the pairing in the stem
part decrease the efficiency of termination, and compen-
satory mutations that restore the pairing recover the
efficiency. There is also a strong correlation between the
predicted stability of the structure and the termination
efficiency. DNA oligonucleotides that are complemen-
tary to one arm of the stem in the stem-loop structure
effectively reduce the efficiency of termination, presum-
ably by annealing to the RNA sequence, and thus prevent
the RNA from folding into the stem-loop structure. The
sequence of the loop in the stem-loop structure also
influences the stability of the RNA secondary structure,
but the rules for contributing to loop stability have not
been fully elucidated. How does the stem-loop structure
contribute to termination? It is suggested that the forma-
tion of this structure in the newly synthesized RNA
sequence, which is still in contact with the polymerase,
causes the polymerase to pause, and thus destabilizes the
ternary complex.
The other structural feature of an intrinsic terminator,
the run of the dA residues (which is sometimes inter-
rupted) in the template strand, is located at the very
end of the transcription unit. The transcription of this
sequence will generate a run of rU residues at the 39-end
of the RNA transcript. The hybrid between the dA and
the rU residues is significantly less stable than most other
hybrids, due to weak base-pairing, and it thus requires the
least energy to break the association between the strands.
This poor base-pairing is assumed to unwind the DNA–
RNA hybrid and destabilize the interaction of the nucleic
acids with the paused polymerase. The importance of the
dA run has been established by mutational analysis. The
importance of the length of the dA stretch was confirmed
by introducing deletions that shortened this element;
although the polymerase could still pause at the stem-
loop, it no longer terminated. Interestingly, the actual
termination can occur at any one of several positions
toward the end of the dA run.
The DNA sequence within 30 bp downstream to the
transcription stop point, which does not reveal an obvious
consensus sequence, is also important for termination in
certain cases. For example, changes in the sequence
3–5 bp downstream to the stop point of T7 early-gene
terminator can reduce the efficiency of termination from
65 to 10%. Although these sequences are not transcribed,
they are near or within the contact point between the
RNAP and the DNA in the transcription complex. The
way these sequences can affect transcription is by influen-
cing the unwinding of the DNA or the progression of the
polymerase along the DNA. Alternatively, the stability of
the binding of the polymerase could vary depending on
the sequence at the contact points.
Rho-Dependent Termination
The best characterized termination factor is the bacterial
protein. is a classic termination factor in the sense that it
provides a mechanism for dissociating nascent transcripts
at sites that lack intrinsic terminators. Rho is essential for
the survival of most bacteria, although in some prokar-
yotes Rho is dispensable, or absent altogether. Rho binds
to the nascent RNA chain. The sequences that form a
-dependent terminator extend from at least 60 bp
upstream to about 20 bp downstream of the actual stop
point. -binding sites show a highly inconsistent sequence
homology and their only common feature is a relatively
high cytosine content. In addition, has a strong prefer-
ence for sufficiently long segments of unstructured
RNA (lacking base-pairing).
causes RNAP to terminate preferentially at points
that are natural pause sites. These pause signals often
encode U-rich RNA–DNA hybrids, which have the
added consequence of destabilizing the transcription
elongation complex. There is no evidence that affects
the elongation-pausing specificity of the polymerase, but
several lines of evidence point to a highly specific con-
formation of the elongation complex preferred by .In
addition to being an RNA-binding protein, contains
an RNA–DNA helicase activity; it hydrolyzes ATP
to energize the separation of an RNA–DNA hybrid.
Thus, is acting primarily as an RNA-release factor.
The recently solved crystal structure of could explain
many of its activities, although many questions pertaining
to -recognition sites, enzymatic activities, and interac-
tions with the elongation complex remain obscure. The
current model for action is that it binds to the RNA
transcript at sites that are unstructured and rich in C
residues; it then translocates along the RNA until it
catches up with the polymerase at sites where the enzyme
pauses; unwinds the RNA–DNA hybrid in the tran-
scription bubble; termination is completed by the release
of and RNAP from the nucleic acids. Some mutations
can be suppressed by mutations in the genes that encode
the - and 9-subunits of RNAP, implying that in addi-
tion to interacting with the nascent RNA chain, also
interacts with the polymerase.
The lack of stringent sequence requirements for a
-dependent transcription terminator raises the possibi-
lity that such terminators might be fairly frequent in DNA
sequences, not only at the ends of operons but also within
genes. What prevents from terminating within genes?
Because transcription and translation are coupled in
prokaryotes, the mRNA chain that emerges from the
transcription complex is protected by ribosomes,
Transcriptional Regulation 1103

probably preventing from gaining access to the RNA.
The phenomenon of polarity (a nonsense mutation in one
gene prevents the expression of subsequent genes in the
operon) can be explained by the release of ribosomes from
the transcript at the nonsense-mutation site, so that is
free to attach to and move along the mRNA; when it
catches up with RNAP, it terminates transcription, thus
preventing the expression of distal parts of the transcrip-
tion unit. What prevents from acting on transcripts that
are not translated, such as rRNAs and tRNAs? One reason
seems to be the lack of -binding sites on these RNAs
because they are highly structured. rRNA molecules are
further protected by the binding of ribosomal proteins.
Another mechanism that protects rRNA operons against
-dependent termination relies on sequences near the
start of the rRNA genes that dictate antitermination. It
was suggested that this mechanism increases the rate of
transcriptional elongation of rRNA operons by prevent-
ing pausing.
Auxiliary Termination Factors
Although some polymerases can spontaneously terminate
transcription at intrinsic terminators, the efficiency of
termination in vitro is often enhanced significantly by
the presence of additional factors. It therefore seems that
the DNA signals that characterize intrinsic terminators
are necessary, but sometimes not sufficient. The best
characterized of these auxiliary termination proteins is
NusA. A less-studied factor named (tau) is known to
enhance and modify recognition of some strong intrinsic
terminators for E. coli RNAP. -dependent termination
can also be enhanced by an auxiliary factor, the NusG
protein. Small RNAs were also shown to affect transcrip-
tion termination via base-pairing interactions with
sequences in the mRNA.
The ability of NusA to increase the efficiency of ter-
mination at some intrinsic terminators might be attributed
to its capability to increase the rate of pausing at certain
sites. Enhanced pausing would allow more time for the
conformational change that leads to the release of the
nascent transcript. Some intrinsic terminators that are
predicted to form not a very stable secondary structure,
such as the one in the ribosomal protein S10 operon
leader, depend on NusA for their operation, and can
therefore be defined as NusA-dependent terminators. In
the case of the intrinsic terminator in the attenuator region
preceding the gene for the -subunit of E. coli RNAP,
NusA, rather than enhancing termination, reduces termi-
nation efficiency. Indeed, as mentioned before, NusA may
elicit opposite effects on transcription, depending on the
RNA–DNA sequence context and the presence or absence
of auxiliary factors. By itself, NusA stimulates certain
types of pausing and -independent intrinsic transcription
termination. However, NusA can induce anti-termination
at -dependent terminators with RNA sequences contain-
ing ‘nut’ or ‘nut’-like elements (see below). In complex
with other Nus factors (NusG, NusB, NusE) or phage
proteins N and Q, it stimulates antitermination at both -
dependent and -independent terminators (see below).
NusA antitermination function plays an important role
in the expression of ribosomal genes. During transcription
of many other genes, NusA-induced RNAP pausing pro-
vides a mechanism for synchronizing transcription and
translation.
NusG has a minor effect on termination at some
intrinsic terminators. However, it plays a significant role
in the functioning of some -dependent terminators. This
role was deduced from the strong effect of NusG loss on
the activity of some -dependent terminators in vivo and
from the effect of NusG on termination efficiency and
pattern across a terminator in a purified in vitro system.
The role of NusG in -dependent termination is not
conclusive, but the evidence hints that NusG might
increase the retention of on the nascent transcript,
thereby increasing its local concentration, and/or that
NusG increases the rate of RNA release at termination
sites. It is also possible that NusG acts directly to enhance
activity or indirectly by slowing the dissociation of
ribosomes from the RNA, thus preventing from binding
to the transcript.
Two proteins that antagonize -dependent transcrip-
tion termination have been identified: the Psu protein
encoded by bacteriophage T4 and YaeO from E. coli. Psu
seems to inhibit -dependent termination by slowing
down the translocation of along the RNA, as this protein
was shown to negatively affect the ATPase activity of .A
model of the YaeO–complex, which is based on the
solved structure of the two proteins, proposes that YaeO
binds to , acting as a competitive inhibitor of RNA
binding.
Interestingly, the presence of the factor in excess
significantly increases the rate of RNAP recycling.
Hence, the factor can also be considered a termination
factor. This activity supports the notion that can remain
associated with the polymerase at postinitiation steps.
Antitermination
Antitermination is used as a control mechanism in phages
to regulate the progression from one stage of gene expres-
sion to the next, and in bacteria to regulate expression of
some operons. Antitermination occurs when RNAP reads
through a terminator into the genes lying beyond. The
terminators that are bypassed can therefore be defined as
conditional terminators. Antitermination is not a general
mechanism that can occur in all terminators, but is, rather,
dependent on the recognition of specific sites in the
nucleic acids. Many mechanisms involve choosing
between two alternative hairpin structures in an RNA
1104 Transcriptional Regulation

transcript, with the decision dependent on interactions
between ribosome and transcript, tRNA and transcript,
or protein and transcript. In other examples, modification
of the transcription elongation complex is crucial to make
it bypass certain terminators.
The N protein of bacteriophage mediates antitermi-
nation necessary to allow RNAP to read through the
terminators located at the end of the immediate early
genes in order to express the delayed early genes. The
recognition site needed for antitermination by N, termed
nut (for N utilization), lies upstream from the terminator
at which the action is eventually accomplished. The nut
site consists of two sequence elements, a conserved 9-nt
sequence called BoxA, which is also an antiterminator
signal in the operons encoding ribosomal transcripts,
and a 15-nt sequence called BoxB, which encodes an
RNA that would form a short stem structure with an
A-rich loop. A number of host proteins, including NusA,
NusG, ribosomal protein S10 (NusE), and NusB, par-
ticipate in the N-mediated antitermination process
(Nus stands for N utilization substance). A model for
N-mediated antitermination at -dependent terminators
proposes that N recognizes and binds to the BoxB stem-
loop structure formed on the nascent transcript, whereas
NusB and S10 bind to the BoxA sequence on the RNA.
These proteins are held together through interactions
with core RNAP that are stabilized by NusA and NusG.
Hence, a ribonucleoprotein complex is formed at the nut
site and stays attached to the elongating RNAP. This
complex prevents RNAP from pausing, thus denying the
factor the opportunity to cause termination, and the
polymerase continues past the terminator. N also sup-
presses termination at intrinsic terminators; however,
NusA suffices for N to prevent termination at these
sites. Other phage related to have different N proteins
and different antitermination specificities. Each phage
has a characteristic nut site recognized specifically by its
N-like protein. All these N-like proteins seem to have
the same general ability to interact with the transcription
apparatus in an antitermination capacity.
The Q protein is required later in bacteriophage
infection. It allows RNAP to read through the terminators
located at the end of the immediate early genes, to express
the late genes of bacteriophage . Q has a different
mode of action than N. It recognizes and binds to a site
on the DNA, called qut. The upstream part of qut lies
within the -promoter P
R
, whereas the downstream part
lies at the beginning of the transcribed region. Thus, Q
antitermination is specific for RNAP molecules that have
initiated at the P
R
promoter. The part of qut that lies
within the transcribed region includes a signal that causes
RNAP to pause just after initiation. This pause apparently
allows Q to interact with the polymerase. Once bound,
the Q-modified enzyme is released from the pause and is
able to read through most transcription terminators, both
intrinsic and -dependent. It seems that the modification
of the polymerase by Q increases the overall rate of
transcription elongation and permits the polymerase to
hurry past the terminators. Interestingly, the pause of the
polymerase early in the transcription unit, which is a
prerequisite for Q-mediated antitermination, involves
the binding of the subunit of the RNAP holoenzyme
to the nontemplate strand of DNA in the transcription
bubble up to 15 nt downstream from the start point of
transcription. Thus, an initiation factor acts in concert
with a DNA-binding termination factor to modify the
elongation properties of RNAP. Once again, it is shown
that can remain associated with the polymerase and
play a role in postinitiation steps.
RNAP molecules that are engaged in transcribing the
rRNA (rrn) operons are modified in a way that makes
them bypass certain terminators within the rRNA genes.
The modification is established by the recognition of a
sequence signal that is nearly identical to the BoxA
sequence involved in N-mediated antitermination. It has
been shown that a heterodimer of NusB and S10 protein
binds to the BoxA sequence on the RNA of one of the rrn
operon. It was therefore proposed that the mechanism of
transcriptional antitermination in the rrn operons, similar
to the mechanism mediated by N, involves formation of a
ribonucleoprotein complex on the BoxA complex that is
carried along with the elongating polymerase. The prob-
able purpose of this mechanism is to ensure that
transcription of the rRNAs is immune from action.
Some bacterial proteins regulate gene expression by
binding to specific RNA sequences and alter the structure
of the leader RNA to promote or prevent transcription
termination. The TRAP protein from B. subtilis and
the BglG protein from E. coli represent two families of
proteins that promote termination and antitermination,
respectively. The BglG protein, encoded by the -glucoside
utilization operon (bgl) in E. coli, prevents the termination of
transcription at two intrinsic terminators. The first termina-
tor is in the 59untranslated leader of the bgl transcript and
the second is in the intergenic region between the first and
second genes of the operon. BglG is an RNA-binding pro-
tein that recognizes and binds to a specific sequence partially
overlapping the sequence of both terminators. By binding to
its RNA target site, BglG stabilizes a secondary structure,
which is an alternative to the terminator structure. Thus,
BglG binding to the bgl transcript prevents the formation of
the terminators and the polymerase can read through them.
BglG exerts its effect as a transcriptional antiterminator only
when the expression of the operon is required, that is,
when -glucosides are present in the growth medium. The
activity of BglG as an antiterminator depends on its phos-
phorylation state, which affects its oligomeric form. BglG-
like antiterminators were shown to control the expression of
sugar utilization genes in various organisms, both Gram-
negative and Gram-positive.
Transcriptional Regulation 1105

Unlike BglG, the TRAP protein from B. subtilis promotes
termination of trp operon transcription. The transcript of the
leader region of the trp operon can fold to form mutually
exclusive antiterminator and terminator structures. When
the TRAP protein is activated by tryptophan, it binds to the
59segment of the antiterminator hairpin, freeing its 39seg-
ment to pair with the adjacent 39RNA segment to form a
terminator structure. Since the stability of the antiterminator
is higher than that of the terminator, TRAP binding is
required to prevent antiterminator formation. Thus, when
cells have adequate levels of tryptophan, activated TRAP
binds to the antiterminator region, the terminator formed,
and transcription is terminated. When the level of trypto-
phan drops, an anti-TRAP protein is synthesized. This
protein binds to tryptophan-activated TRAP and inhibits
its ability to bind to trp leader RNA; this results in TRAP
inactivation, leading to increased expression of all the genes
required for tryptophan biosynthesis.
Transcriptional regulation of operons that are concerned
with amino acid synthesis and utilization by ribosome-
mediated transcription termination and tRNA-mediated
transcription antitermination are described in a different
article.
Further Reading
Banerjee S, Chalissery J, Bandey I, and Sen R (2006) Journal of
Microbiology 44: 11–22.
Borukhov S, Lee J, and Laptenko O (2005) Molecular Microbiology
55: 1315–1324.
Borukhov S and Severinov K (2002) Research in Microbiology
153: 557–562.
Browning DF and Busby SJ (2004) Nature Reviews Microbiology
2: 57–65.
Chamberlin MJ and Hsu LM (1996) In: Lin ECC and Lynch AS (eds.)
Regulation of Gene Expression in Escherichia coli, pp. 7–25. Austin,
TX: Landes.
Choy H and Adhya S (1996) In: Neidhardt FC, et al. (eds.) Escherichia
coli and Salmonella: Cellular and Molecular Biology, pp. 1287–1299.
Washington, DC: American Society for Microbiology.
Gralla JD (2005) Molecular Microbiology 55: 973–977.
Gralla JD and Collado-Vides J (1996) In: Neidhardt FC, et al. (eds.)
Escherichia coli and Salmonella: Cellular and Molecular Biology, 2nd
edn., pp. 1232–1245. Washington, DC: American Society for
Microbiology.
Gruber TM and Gross CA (2003) Annual Review of Microbiology
57: 441–466.
Grundy FJ and Henkin TM (2004) Current Opinion in Microbiology
7: 126–131.
Henkin TM and Yanofsky C (2002) Bioessays 24: 700–707.
Ishihama A (2000) Annual Review of Microbiology 54: 499–518.
Landick R (2006) Biochemical Society Transactions 34: 1062–1066.
Landick R, Turnbough CL , Jr., and Yanofsky C (1996) In: Neidhardt FC,
et al. (eds.) Escherichia coli and Salmonella: Cellular and Molecular
Biology, 2nd edn.,pp. 1263–1286. Washington, DC: American
Society for Microbiology.
Richardson JP (2003) Cell 114: 157–159.
Roberts JW (1996) In: Lin ECC and Lynch AS (eds.) Regulation of Gene
Expression in Escherichia coli, pp. 27–45. Austin, TX: Landes.
Storz G, Opdyke JA, and Wassarman KM (2006) Cold Spring Harbor
Symposia on Quantitative Biology 71: 269–273.
Uptain SM, Kane CM, and Chamberlin MJ (1997) Annual Review of
Biochemistry 66: 117–172.
Wassarman KM (2007) Molecular Microbiology 65: 1425–1431.
Zhou D and Yang R (2006) Cellular and Molecular Life Sciences
63: 2260–2290.
Relevant Websites
www.cbs.dtu.dk – Center for Biological Sequence Analysis
www.cocyc.org – Encyclopedia of E. coli K-12 Genes and
Metabolism
1106 Transcriptional Regulation

Transduction: Host DNA Transfer by Bacteriophages
P C Fineran, N K Petty, and G P C Salmond, University of Cambridge, Cambridge, UK
ª2009 Elsevier Inc. All rights reserved.
Defining Statement
Introduction
Specialized Transduction
Generalized Transduction
Variations on Transduction
Transduction as a Genetic Tool
Transduction in the Environment
Conclusion
Further Reading
Glossary
abortive transductant A bacterium that has acquired
transduced DNA, which has not been degraded or
stably integrated into the bacterial DNA. Abortive
transductant DNA can be expressed, but cannot be
replicated.
gene transfer agent A prophage-like element that
promotes generalized transduction of bacterial DNA but
cannot replicate to form infective phage particles.
generalized transduction The phage-mediated
transfer of any region of bacterial DNA from one
bacterium to another. Generalized transduction can be
mediated by temperate or virulent phage.
lysogen A bacterium that harbors a prophage.
prophage A phage in lysogeny. Prophage are
replicated as part of the bacterial chromosome or as a
plasmid-like element.
specialized transduction The phage-mediated
transfer of regions of bacterial DNA, located adjacent to
the site of prophage insertion, from one bacterium to
another. Specialized transduction is mediated by
temperate phage upon the incorrect excision of the
chromosomal prophage.
temperate phage A phage that is capable of entering
either the lytic or lysogenic life cycles.
transducing particle A phage capsid that has
packaged bacterial DNA and hence is proficient for
transduction.
transducing phage A phage capable of mediating
transduction.
transductant A recipient bacterium that has stably
acquired the transduced DNA.
transduction The phage-mediated transfer of bacterial
DNA from one bacterium to another.
virulent phage A phage that is able to replicate only via
the lytic cycle.
Abbreviations
cos sites cohesive end site
GTA gene transfer agent
HFT high-frequency transducing
HGT horizontal gene transfer
HT High-transducing
TEM transmission electron microscopy
Defining Statement
Transduction is the bacteriophage-mediated transfer of
host DNA between bacterial cells. Transduction occurs in
the natural environment, where phage are numerous,
and is predicted to be a significant driver of bacterial
evolution. Model phage–host studies have revealed trans-
duction mechanisms and have led to the development of
sophisticated genetic methods based on transducing
phage.
Introduction
Bacteria can acquire genes by vertical gene transmission
to daughter cells and by horizontal gene transfer (HGT).
The three main classes of HGT are transformation,
conjugation, and transduction. This article will focus on
transduction, with transformation and conjugation being
dealt with in other chapters. Transduction is the bacter-
iophage (phage)-mediated transfer of bacterial DNA from
a donor bacterium to a recipient bacterium. It was first
1107

observed by Zinder and Lederberg in 1952 whilst study-
ing genetic recombination in Salmonella enterica serovar
Typhimurium. The recombination observed did not
require bacterial cell–cell contact and was not susceptible
to DNase treatment, suggesting a genetic transfer
mechanism distinct from conjugation and transformation.
The temperate phage P22 was the agent responsible, and
these authors coined the term transduction to describe
this new form of gene transfer.
Transduction can be divided into two major types
called specialized (or restricted) and generalized, which
will be detailed in sections ‘Specialized transduction’ and
‘Generalized transduction’, respectively. Briefly, specia-
lized transduction occurs when the prophage of a
temperate phage incorrectly excises from the chromo-
some of the lysogen taking with it genes flanking the
prophage insertion site. The recipient bacterium will
acquire the ‘new’ genes when it is lysogenized by the
specialized transducing phage or following recombination
between homologous sequences in the transducing phage
DNA and the recipient chromosome. In generalized
transduction, which can occur during the lytic mode of
phage growth of both virulent and temperate phage, seg-
ments of bacterial DNA roughly equal to the genome size
of the transducing phage are accidentally packaged into
capsids. The resulting transducing particles can still
adsorb to, and inject DNA into, recipient bacteria and
the transduced DNA may be incorporated into the reci-
pient chromosome by homologous recombination,
resulting in stable bacterial transductants. Variations on
specialized and generalized transduction, including the
effects of nonreplicative prophage-like gene transfer
agents (GTAs), will be addressed in section ‘Variations
on transduction’.
Transduction, especially generalized transduction, has
become a powerful tool in bacterial genetics. Phage have
been used for gene mapping, construction of strains, and
localized mutagenesis, etc. In the section titled
‘Transduction as a genetic tool’, we will discuss techniques
that have utilized transduction and how transducing phage
canbeusedas‘molecularreagents’.Transductionisauseful
tool under laboratory conditions and also occurs in the
natural environment. The formation of transducing particles
is often considered an accidental process. However, evidence
from bioinformatics and experiments on transduction in the
environment suggest that transduction can benefit the bac-
terial hosts, and, therefore, their molecular parasites – the
phage(see‘Transductionintheenvironment’).
Specialized Transduction
Definition and Discovery
In 1956, a few years after the discovery of generalized
transduction, the process of specialized transduction was
first observed using Escherichia coli and phage lambda ().
Since then, many other temperate phage that infect var-
ious bacteria have been shown to be proficient at
specialized transduction. The term ‘specialized’ was
derived from the ability of to mediate the transfer of
only a limited number of E. coli genes. The main differ-
ence between specialized and generalized transduction
lies in what DNA is packaged into the phage capsid.
Whereas generalized transducers can package bacterial
DNA without phage DNA, specialized transducers can
package host DNA along with some, or all, of their own
genome. Briefly, a specialized transducing particle arises
from the incorrect excision of a prophage from the host
chromosome and the resultant packaging of bacterial and
phage DNA.
Bacteriophage is one of the most thoroughly studied
and understood biological entities on the planet and our
understanding of many of the known gene regulation
mechanisms derives from ingenious experiments using
this model phage. Not surprisingly, the most complete
picture of the steps involved in specialized transduction
has been elucidated using . Therefore, will be dis-
cussed to illustrate the general mechanism of specialized
transduction.
Replication of Phage
To understand fully how specialized transduction occurs,
it is necessary to discuss the process of replication.
Lambda is the classic example of a temperate phage,
being able to undergo two alternative life cycles: lytic
and lysogenic. As mentioned earlier, specialized transduc-
tion relies on temperate phage that are able to form
prophage during the lysogenic cycle. Therefore, the life
cycle of , with the emphasis on the lysogenic process,
will be outlined here and is depicted in Figure 1.
Phage recognizes host cells via the LamB outer
membrane protein and, upon binding to this receptor,
injects its linear double-stranded DNA (dsDNA) into
the cell. The linear dsDNA then cyclizes via the pairing
of cos sites (cohesive end site). The cos sites contain 12
nucleotide single-stranded overhangs that self-anneal via
complementary base pairing and are covalently linked by
ligation. Based on a well-characterized regulatory
mechanism, the circular genome now ‘decides’ which
life cycle to enter. Replication via the lytic cycle is pro-
moted by the Cro regulatory protein, which results in the
assembly of new phage particles and their release from the
cell following bacterial lysis. Alternatively, during lyso-
geny, can integrate into the host chromosome and thus
replicate as a prophage.
The initial insertion into the bacterial genome requires
the phage attachment site (attP)onand the bacterial
attachment site (attB) located between the galactose (gal)
and biotin (bio) operons in E. coli (Figure 1). This insertion
1108 Transduction: Host DNA Transfer by Bacteriophages

is catalyzed by the phage Int protein, a site-specific
recombinase, that recognizes and promotes recombina-
tion between these short, relatively dissimilar, sequences.
Int is a member of the tyrosine family of recombinases
that have an active site tyrosine residue, which forms a
covalent link to the 39phosphate after cleavage. Because
is circular and integration occurs at attP and not the cos
site, site-specific recombination into the bacterial chro-
mosome results in a different linear gene order in the
prophage than in the mature capsids. Once in the chro-
mosome, the prophage state is maintained by the CI
repressor and can be stably propagated upon bacterial
DNA replication and cell division of these lysogens.
However, factors such as cellular stress can trigger the
regulatory switch from lysogeny to the lytic pathway,
which will ultimately generate mature phage. The first
step in this process requires the excision of the prophage
to regenerate the circular form. Since the attP and attB
sites are now hybrid sequences (Figure 1), they are not
recognized by Int alone, and in addition require a phage
excisionase called Xis. The combined action of Int and
Xis catalyzes the site-specific recombination of the hybrid
att sites and enables excision of the prophage, leading to
the formation of the circular genome. Lambda then
begins replication to generate long concatemers of
DNA interspersed with cos sites. Once phage heads are
assembled, the DNA is packaged and cleaved into gen-
ome length units in a single-stranded staggered manner,
regenerating each of the cos sites at the ends of the linear
dsDNA. This process of packaging involves numerous
phage and host proteins. Phage tail proteins are then
added to the heads and the completed phage particles
are released from the host following lysis and can reiniti-
ate another infective cycle.
Incorrect Prophage Excision Creates
Specialized Transducing Particles
Occasionally, the prophage does not excise using the
Int/Xis system, but instead recombines in a nonspecific
manner (illegitimate recombination) as shown in
Figure 2. These excision events are rare (approximately
10
6
compared with normal excision) and result in cir-
cular phage DNA molecules that contain phage and
bacterial genes. If the site of illegitimate recombination
maintains the approximate size of the genome and still
contains the cos sites, following rolling circle replication,
these specialized transducing phage can be packaged into
capsids. Due to the location of the prophage in the E. coli
chromosome, the first genes shown to be transduced were
the gal and bio operons that flank the insertion site. A
number of methods have been developed to use to
transduce genes that are not located adjacent to attB.
Initially, strains that contained large deletions or rearran-
gements were utilized because they positioned genes
closer to attB and enabled packaging by . In another
strategy, the attB site was deleted and lysogens were
isolated where the prophage had inserted with reduced
specificity into the genome at alternative (secondary)
sites. This allowed the transduction of genes located
near these integration points. Furthermore, these experi-
ments provided information about the sequence
specificity and efficiency of the Int protein. Finally, it is
possible to engineer to contain a transposon and then
use the same transposon to mutagenize the bacterial host.
The prophage is then able to insert into these sites in a
process requiring homologous recombination. Therefore,
λ
genome
Cyclization
cos
attP
attB
E. coli genome
Integration
(Int)
Excision
(Int/Xis)
Replication,
packaging
(cleavage at
cos) and lysis
Lysogeny
Lysis
Induction
attBP
E. coli
λ
lysogen
λ
prophage attPB
gal bio
Phage
λ
Figure 1 Normal phage lysogenic and lytic life cycles. The
linear dsDNA genome of is injected into Escherichia coli
following binding of the phage to the LamB receptor. The
genome then cyclizes via the complementary single-stranded
regions of the cos sites and is covalently closed by ligation.
Lambda may then enter the lytic pathway with replication,
packaging, and lysis of new phage particles from the cell.
Alternatively, site-specific recombination between the attP
sites and the E. coli attB site is promoted by Int, resulting in
establishment of the prophage in the E. coli genome. Induction
of the prophage by stresses (e.g., UV light) causes the excision of
the prophage catalyzed by the Int and Xis proteins that
recombine the hybrid attBP and attPB sites. The recyclized
genome is then replicated, packaged, and released from the cell
as mature phage particles. E. coli DNA is depicted in blue and
phage DNA in black. Transmission electron microscopy (TEM)
image of phage stained with phosphotungstic acid.
Transduction: Host DNA Transfer by Bacteriophages 1109

using this technique it is theoretically possible to insert
in any nonessential gene in the E. coli genome and thereby
transduce flanking host genes. Once the specialized trans-
ducing particles have been packaged they are capable of
initiating infection of a new recipient bacterium.
Formation of Transductants
The dsDNA of the infecting transducing particle is
injected into the new host and cyclized as described
above. Because specialized transducing particles usually
have lost some phage genes, this can have deleterious
effects on function, especially in terms of integration
and generation of new particles. For example, a gal trans-
ducing phage, dgal (the ‘d’ means defective), has lost the
phage head and tail genes and, therefore, cannot undergo
fully productive lytic growth, but can lysogenize the host.
Alternatively, a bio transducer, pbio (the ‘p’ means plaque
forming), lacks the int and xis genes and subsequently is
unable to become a prophage, but can replicate lytically.
To form a transductant, the horizontally acquired
DNA must be maintained stably in the recipient cell via
one of a number of possible routes. Homologous recom-
bination between sequences common to both the
transducer and host genomes can provide stable transduc-
tants that have incorporated the transducing phage
genome (Figure 3(a)). These lineages will have two
copies of the transduced DNA segment (merodiploid)
and can be useful for complementation analyses.
However, if multiple recombination events occur, the
host locus may be exchanged for the equivalent trans-
duced DNA (Figure 3(a)). This process of forming a
haploid transductant is less frequent and is essentially
how transductants are obtained by generalized transduc-
tion. Alternatively, introduction of the transduced DNA
can proceed via the normal integration route, with the
aid of a helper phage that provides the missing functions
in trans or in cis via recombination (Figure 3(b)). First,
coinfection with a wild-type and the transducing parti-
cle can result in recombination at sites shared by these
phage, which can then integrate at attB via the attP and Int
functions supplied by the helper phage. The resulting
lysogens harbor the genomes of both the transducer and
helper phage and hence are called double lysogens (or
dilysogens). These dilysogens are extremely useful for the
generation of high-frequency transducing (HFT) lysates
upon prophage induction. A single excision of both
prophage yields a hybrid circular DNA that is replicated
into concatemers and packaged according to the cos sites,
giving rise to alternate transducing and wild-type par-
ticles. The final mode of stable transductant formation
can occur when is able to replicate as a plasmid in the
recipient. Mutation of the Ngene or the host nusA gene
causes reduced expression of the Oand Pgenes, which
are required for replication and, at low levels, allows
maintenance of essentially as a plasmid. Alternatively,
acquisition of a plasmid origin of replication also provides
DNA with stable replication and maintenance.
Therefore, any one of these mechanisms can produce
heritable transductants.
Other Specialized Transducing Phage
The phage has provided an excellent system for unra-
veling the mechanisms of specialized transduction. This
model predicts that aberrant excision of any prophage
that packages its DNA based on phage-specific sequences
(analogous to cos sites) could lead to production of spe-
cialized transducing particles. Indeed, many specialized
transducers have been identified, including Pseudomonas
λ
genome
concatemers
cos
attBP
Aberrant
excision
attBP
E. coli
λ
lysogen
λ
prophage attPB
gal
gal
attBP
gal
Replication
etc
etc
Packaging and
cleavage at cos
attBP
gal
λ
dgal
transducing
particle
bio
Figure 2 Aberrant excision of a prophage creates specialized
transducing particles. At a low frequency, illegitimate
recombination events cause incorrect excision of the
prophage. This can result in the cyclization of phage genomes
that lack some genes but, that now also carry E. coli
chromosomal segments that were flanking the prophage. In the
figure, the generation of a gal transducing particle is depicted.
Replication of the genome produces a long concatemer that is
packaged and cleaved at the cos sites resulting, in this example,
in gal transducing phage particles. E. coli DNA is depicted in blue
and phage DNA in black. Transmission electron microscopy
(TEM) image of phage stained with phosphotungstic acid.
1110 Transduction: Host DNA Transfer by Bacteriophages

aeruginosa phage D3 and Bacillus subtilis phage SP.
Comparative genomics may provide further numerical
data on the frequency of specialized transduction since
it is also theoretically possible that some of the apparently
degenerate prophage present in the many sequenced bac-
terial genomes may have been the result of past
specialized transduction events. Alternatively, there is
evidence that mutational events leading to inactivation
of prophage can occur following prophage acquisition by
the host bacterium.
Generalized Transduction
Generalized transduction is the process whereby any
section of the bacterial DNA can be transferred from
one bacterium to another via a phage virion. This phe-
nomenon was first identified by Zinder and Lederberg in
1952 in Salmonella, where the temperate phage P22
transferred chromosomal DNA from one strain of
Salmonella to another. A few years later, in 1955, Lennox
identified phage P1 as a generalized transducing phage of
E. coli, and the knowledge about transducing phage and
the mechanisms of generalized transduction has been
gleaned from investigations using these two ‘model’
phage. Early studies of P22 transduction in Salmonella
and P1 transduction in E. coli have been extensively
reviewed elsewhere (see ‘Further reading’). The findings
from many of these studies, together with studies of other
transducing phage, have contributed to current knowl-
edge on generalized transduction, which is summarized
below.
Properties of Generalized Transducing Phage
The known, naturally occurring generalized transducing
phage are dsDNA tailed phage that utilize a sequential
headful DNA packaging mechanism. Generalized
cos
attBP
E. coli λ lysogen
attB
g a l - b i o
attBP
gal
attB
E. coli gal- genome
gal- bio
λ dgal genome
gal
Recombination
Merodiploid
bio gal
gal-
Recombination
attB
E. coli gal + genome
gal bio
Haploid
(a) (b)
λ dgal and helper genomes
attBP
gal
cos
attP
cos
Cyclization
Recombination
gal
E. coli λ dilysogen
attBP attBP attPB
g a l - b i o gal
attB
gal- bio
Integration
(Int)
Excision
(Int/Xis)
cos cos
Replication,
packaging
(cleavage at
cos) and lysis
Figure 3 Formation of transductants and the creation of high-frequency transducing lysates. (a) Formation of diploid and haploid
transductants via Rec-dependent recombination with the chromosome of an Escherichia coli gal mutant. In this example, the dgal
phage is used for illustrative purposes. A single recombination event between the shared E. coli sequences can result in the merodiploid
lysogen shown, or one where the mutant gal allele is present in the prophage (not shown). A second recombination event that can lead
to the replacement of the mutant gal allele with the wild-type gal sequence is possible. (b) Production of dilysogens occurs when an E.
coli gal mutant is coinfected with wild-type and the specialized transducing particle (dgal). The phage genomes cyclize and can then
recombine together at shared sequences and integrate into the host chromosome in an Int-dependent manner giving the dilysogen
shown. Induction of the prophage leads to the excision of either the wild-type or the entire dilysogen, which are then capable of
replication, packaging, and release from the cell. E. coli DNA is depicted in blue and phage DNA in black.
Transduction: Host DNA Transfer by Bacteriophages 1111

transducing phage can be either virulent or temperate and
occasionally, bacterial DNA, instead of phage DNA, is
packaged into the head of an otherwise unaltered virion,
resulting in a transducing particle instead of a fully func-
tional phage. In order for this to occur, a generalized
transducing phage must not degrade the host DNA com-
pletely upon infection. The life cycle of a generalized
transducing phage is summarized in Figure 4.
Generalized transducing particles arise through a mis-
take in DNA packaging so that the host chromosomal or
plasmid DNA is taken up into the phage head in place of
the phage DNA. The frequency of this mispackaging, and
therefore the frequency of transducing particle formation,
is dependent upon the mechanism of DNA packaging
employed by the phage.
During the phage lytic cycle, the structural proteins
are made and the phage capsid proteins make up the
virion head or prohead with the tails assembled sepa-
rately. The DNA is then replicated and forms
concatemers of phage genomes, arranged head to tail in
tandem, usually around four genomes long, depending on
the phage. This DNA must then be packaged into the
proheads. In both P1 and P22, headful packaging is
initiated by recognition of a specific sequence present in
the phage DNA called the pac site by the phage packaging
apparatus. The phage terminase recognizes the pac site
and the DNA is cleaved at or near this site. The cleaved
pac end is bound to the large terminase subunit, attached
to the prohead, which initiates the packaging of the linear
DNA concatemer into the prohead. The size of the head
determines how much DNA can be packaged; hence the
term ‘headful packaging’. This is usually a little more than
the size of the phage genome. For example, the genome of
P1 is 95 kb in length, but up to 115 kb of DNA is usually
packaged into the phage head. Therefore, in addition to a
single copy of the phage genome, there is also some extra
phage DNA packaged, which is terminally redundant.
Once the prohead is full, the DNA is cleaved and
the cut end of the remaining concatemer is recognized
by the packaging apparatus and used to initiate packaging
of the next empty prohead. Several proheads are filled
sequentially in this manner from the remaining DNA,
Donor DNA
injection Homologous recombination
with recipient DNA
Phage adsorption
to donor
Phage Lytic Cycle
Phage DNA injection
Phage DNA replication
Virion assembly
Host lysis
Transducing particle
adsorption to recipient Transductant
Figure 4 Generalized transducing phage life cycle. During the lytic cycle a phage adsorbs to a host bacterium, injects and replicates
its DNA, makes virion heads and tails, packages its DNA into the heads, attaches the tails and lyses the host, releasing the phage to
infect new bacteria. Upon infection by a generalized transducing phage, phage-encoded enzymes can cleave the bacterial DNA into
large sections, and occasionally these lengths of bacterial DNA can be mispackaged into a phage head. A small number of virions made
will contain host DNA in place of phage DNA, producing a transducing particle instead of a functional phage. Transducing particles can
adsorb to, and inject the bacterial DNA into, susceptible hosts, where this donor DNA can undergo homologous recombination with the
recipient genome, causing a transfer of any genetic markers encoded. Phage DNA is shown in blue, donor DNA in red, and recipient
DNA in green.
1112 Transduction: Host DNA Transfer by Bacteriophages

with 3–4 headfuls produced on average from one conca-
temer. The phage tails are then attached to the filled
proheads to complete the virion and the host bacterium
lysed. The released phage, on adsorbing to a susceptible
host, injects its DNA into the cell. The DNA undergoes
circular permutation by recombination of the terminally
redundant ends, to protect it from nucleases. Next, the
DNA will either insert into the bacterial chromosome or
remain as a plasmid as in the case of P1 if entering the
lysogenic cycle or initiate the construction of new phage
if entering the lytic cycle.
DNA Packaging in Transducing Particles
The random mispackaging of bacterial DNA that occurs
in a generalized transducing phage happens infrequently.
Estimates of the number of transducing particles in a P22
lysate from density transfer experiments show that they
account for about 2% of all the particles, so that approxi-
mately 1 out of every 50 phage produced is a generalized
transducing particle. Generalized transducing particles
are thought to arise by one of two possible ways. First,
the phage packaging apparatus recognizes pac-like
sequences on the bacterial DNA, which are sufficiently
similar to the phage pac site, and packages host, instead of
phage, DNA. This is believed to be the stimulus for
transducing particle formation in P22. However, there is
little evidence to support this hypothesis for P1, and it
seems most likely that, for this phage, the bacterial DNA
is mispackaged from nicks or ends in the host DNA.
Whichever the method of host DNA recognition, gener-
alized transducing particles are filled in the same manner:
by the headful, cleaving the DNA, and filling the next
head from lengths of the bacterial chromosome or plasmid
DNA. Again, the amount of host DNA that can be pack-
aged and therefore transduced is dependent on the size of
the phage head. P22 can transduce approximately 44 kb
(around 1% of the host genome) in one transducing
particle, whereas P1 is larger and can transduce around
115 kb (around 2% of the host genome), and the B. subtilis
phage PBS1 is capable of packaging up to 300 kb (around
8% of its host genome). Any region of the host DNA can
be packaged into a virion in this way although the fre-
quency of transduction of different regions of the genome
can vary. This is particularly noticeable if generalized
transduction occurs through mispackaging from pac-like
sites as the frequency of transduction of a particular
marker depends on its location in the bacterial genome
relative to a pac-like site. High-transducing (HT) mutants
of P22 display an increased efficiency of transduction and
this appears to be due to a reduced specificity in pac-site
recognition and packaging. The resulting P22 HT parti-
cles transduce different regions of the chromosome with a
similar frequency. Indeed, the mutations in P22 HT
phage map to gene 3, which encodes the terminase
required for pac-site recognition and initiation of subse-
quent DNA encapsidation. Therefore, mutations in
packaging specificity determinants can improve and
enhance transducing phage and support the model for
P22 packaging DNA at sites related to pac. The only
difference between a phage and a transducing particle is
the origin of the DNA in its head so that once the host
DNA is packaged, the remainder of the lytic cycle occurs
as for the phage, up to the point of DNA injection into a
susceptible host.
Fate of Transduced DNA
The fate of the transduced bacterial DNA differs from
that of phage DNA once it has been injected into a new
bacterium. These possible fates are listed below and sum-
marized in Figure 5.
Abortive transduction
Following DNA injection, the majority of the DNA
(90%) remains extrachromosomal within the recipient
bacterium. In this case, the linear DNA is injected into
the cell, along with a phage-encoded protein found in
the prohead. The protein binds to the ends of the
transduced DNA and circularizes it, protecting the
DNA ends from host nucleases and preventing recom-
bination with the recipient bacterial chromosome. The
DNA can remain stable in this way for several genera-
tions and can even transcribe genes that are present on
the DNA. However, abortively transduced DNA is
unable to replicate, and is therefore inherited by only
one daughter cell following division. So, any phenotype
encoded in this region will be apparent in only a very
small minority of the offspring, giving rise to minute
colonies.
Abortive transductant DNA is only rarely able to
recombine with the recipient chromosome. However,
recombination may be stimulated if the DNA has been
damaged. Nicks that have formed in the circularized
DNA can promote the action of the host DNA repair
system, resulting in recombination. For example, it has
been shown that UV irradiation of generalized transdu-
cing phage lysates achieves a higher rate of stable
transductants, due to the rendering of abortive transduc-
tants as recombinogenic.
Recycling of nucleotides
A small percentage of the DNA injected by transducing
particles is left unprotected by the phage prohead pro-
teins found in abortive transduction, and if this DNA is
unable to undergo homologous recombination with the
recipient bacterium, it is recycled by host degradation
into component nucleotides that are incorporated into
the bacterial genome during DNA repair. It has been
estimated that not more than 15% of the transduced
Transduction: Host DNA Transfer by Bacteriophages 1113

DNA is liable to this degradation, and that usually only
around 8% of total transduced DNA undergoes this
process.
Chromosomal recombination
If the recipient bacterium is sufficiently related to the
donor bacterium at the DNA level, stable insertion of the
transduced DNA into the recipient chromosome can occur
via homologous recombination. This process usually
occurs within 1 hour of transducing particle infection in
E. coli and Salmonella. After this time, successful recombina-
tion is unlikely to happen and any remaining transduced
DNA is usually degraded and recycled. Chromosomal
recombination and subsequent stable transductant forma-
tion requires RecA-dependent replacement of the
equivalent DNA on the recipient chromosome by the
donor DNA, leading to the expression of the corresponding
encoded phenotype carried by the transduced DNA. Stable
recombination into the chromosome is only a rare event; it
has been shown for P1 and P22 that only about 2% of the
bacterial DNA injected by a transducing particle normally
undergoes homologous recombination into the recipient
genome in continuous stretches of at least 500 bp.
Plasmid inheritance
Some, but not all, generalized transducing phage are able
to transduce plasmids from one host to another. In this
case, the plasmid DNA is injected by the transducing
particle and recircularizes into a stable plasmid that repli-
cates along with the new host and is inherited by daughter
cells. Broad host range phage, which may not be able to
successfully transduce chromosomal DNA into bacteria
lacking sufficient genetic identity, may still be able to
transduce plasmids between genetically diverse bacteria,
as recombination and therefore genetic identity with the
recipient bacterium, is not required.
Development of Other Generalized
Transduction Systems
Virulent phage that use the headful packaging method are
obvious targets for development into generalized trans-
ducing phage, and some such phage have been
manipulated to make them generalized transducers. For
example, the well-characterized E. coli phage T4, which
packages its DNA by the headful mechanism but is not
capable of transduction in its wild-type state, has been
modified for use as a generalized transducing phage.
Mutation of T4 genes encoding endonucleases prevents
the degradation of host DNA upon T4 infection, thus
enabling transduction. This simply means that the bacter-
ial DNA is left sufficiently intact to allow mispackaging to
occur, and as T4 does not require pac sites in order to
package its DNA, it is able to package both bacterial and
90% 10%
2%8%
Abortive transductant
Recycled Recombined
Figure 5 Fate of transferred DNA in generalized transduction. Once the donor DNA is injected into the cell from a transducing particle,
there are alternative fates that it can undergo. The majority of the injected DNA will be protected by phage proteins, which bind to the
ends of the transduced DNA and circularize it, protecting it from nucleases and recombination. This process, known as abortive
transduction, accounts for the fate of 90% of the transduced DNA. Two percent of the unprotected DNA is able to undergo homologous
recombination into the recipient genome in stretches of at least 500 bp, with the remaining 8% degraded to its constituent nucleotides
and incorporated into the recipient DNA. Phage proteins are shown in blue, donor DNA in red, and recipient DNA in green.
1114 Transduction: Host DNA Transfer by Bacteriophages

phage DNA equally well, making it an extremely efficient
generalized transducer.
The model temperate phage , described earlier in this
article as a specialized transducing phage, can also, with
adaptation, make generalized transducing particles.
Lambda does not use the headful packaging mechanism
of most known transducers, but utilizes an alternative
mechanism whereby the DNA concatemers are cleaved
at a specific cos site found at either end of the phage
genome. Whereas only one pac site is needed to initiate
headful packaging and DNA cleavage, two cos sites, one at
either end of the DNA, are required for packaging.
Packaging is initiated by recognition of the first cos site.
The second cos site signals the end of the DNA to be
packaged and that the DNA should be cleaved. As with
pac, mistakes in DNA packaging can occur if DNA
sequences resembling cos sites are found on the bacterial
chromosome. However, the chances of two cos sites being
found on the host DNA, exactly the required length apart,
are minimal. Therefore, in the absence of a ‘signal’
sequence to cleave the DNA, when does package bac-
terial DNA into its proheads by mistake, there is usually a
protrusion of a length of DNA and the phage tails are
unable to bind to make a functional transducing particle.
Simple in vitro DNase treatment of the lysate containing
such partially formed particles cleaves the excess
DNA and the phage tails are then able to attach to the
proheads to complete the generalized transducing parti-
cle. However, even with other manipulations, is only a
poor generalized transducer and its preferred use as a
laboratory tool is that of a specialized transducer.
Another highly studied phage, Mu, can also operate
as a generalized transducing phage although it is per-
haps better known for its qualities as a transposable
element. This phage packages its DNA via a headful
mechanism, and a pac site is required to initiate the
packaging of its DNA into the prohead. The genome of
phage Mu when it is packaged is found flanked by host
DNA of variable sequence; a short region of up to
150 bp at the left-hand end and a larger region of up
to 3 kb on the right-hand end. Mu-transducing particles
are believed to arise primarily due to the mispackaging
of host DNA as for other headful packagers. However,
it cannot be ruled out that at least some transduction
events observed for Mu are derived from recombina-
tion with host DNA present at the right-hand end.
Generalized transduction is also possible with mini-
Mu, a Mu derivative with the central region of the
genome deleted, leaving only the ends intact plus the
transposase Agene. In the presence of a helper Mu,
mini-Mu can be induced and will be packaged into a
prohead together with the adjacent bacterial chromo-
some to a total length of 39 kb of DNA. Ninety percent
of transductants that arise following infection of a sus-
ceptible host with this mini-Mu/donor DNA
transducing particle, result from RecA-dependent
homologous recombination with the recipient DNA.
The remaining 10% of transductants result from
mini-Muduction, whereby the donor DNA has a copy
of mini-Mu attached at each end, which can insert
anywhere into the recipient DNA in the same way as
for random transposon insertion. Homology between
the donor and recipient DNA is not required for
mini-Muduction, therefore allowing transduction of
DNA between any species of bacteria that Mu is able
to infect. Mu has a relatively broad host range, and is
able to infect and replicate in many different bacteria,
making it a very useful genetic tool, particularly for
bacterial strains without an existing identified general-
ized transducing phage. Clearly, Mu can be considered
to display properties of both generalized and specia-
lized transducing phage, in addition to transposable
elements.
A combination of experimental and bioinformatic
approaches may be utilized in the search for generalized
transducers for a particular bacterial strain. When trying
to isolate generalized transducers, headful packaging
phage can be enriched by using their reduced sensitivity
to chelating agents. Indeed, sodium pyrophosphate has
been successfully used in this way to isolate transducing
phage for Streptomyces venezuelae. With advances in the
number of phage genomes sequenced, searches for gen-
eralized transducers for certain bacteria could also be
undertaken at the genome level. Terminases of many
headful packagers can be recognized and classified into
functional groups using comparative genomics, which
may narrow the search for generalized transducers. As
previously mentioned, the terminase gene product is
involved in recognizing sequences in phage DNA and
initiating the series of packaging events that result in
mature phage particles. Therefore, generalized transdu-
cing phage terminases that have reduced specificity are
better transducers, a prediction borne out with P22 HT
gene 3 terminase mutant phage compared with parental
P22. It may be worthwhile in the future to develop
rational and randomized mutagenesis approaches on
sequenced phage with predicted headful packaging stra-
tegies, with the aim of developing generalized
transducers, by mutation of terminases (e.g., P22) or
genes involved in host DNA degradation (e.g., T4).
For phage that are poor transducers, or when using
markers that are only transduced at low frequencies,
methods have been devised to increase the frequency of
transduction. As already mentioned, the frequency of
generalized transduction can be greatly enhanced by
UV irradiation of the donor lysate, whereby damage is
introduced into the transduced DNA to stimulate recom-
bination with the recipient’s chromosome. Also, insertion
of a phage pac site into the bacterial DNA will greatly
increase the efficiency of transduction of that region. This
Transduction: Host DNA Transfer by Bacteriophages 1115

is particularly useful when transducing plasmids, as these
are often transduced at lower frequencies than chromo-
somal markers.
Variations on Transduction
Gene Transfer Agents
GTAs are a class of prophage-like elements that package
short random segments of bacterial DNA. Following
release from the donor cell, GTAs infect neighbors,
thereby enabling the transduction of bacterial genes that
are incorporated via homologous recombination. These
agents are reported to promote ‘constitutive transduction’
or ‘capsduction’ and this generalized transduction phe-
nomenon was first discovered in 1974 by Marrs while
studying genetic recombination in Rhodobacter capsulatus.
Since the original observation, GTAs have also been
found in diverse bacteria, including Brachyspira hyodysen-
teriae, Methanococcus voltae, Desulfovibrio desulfuricans, and
Bartonella spp.
A common feature of sequenced GTAs is that the
genes encoding the phage particles are present in the
bacterial genome; they encode all of the products
required for assembly of the phage (structural genes),
but lack early genes responsible for the replication of
phage DNA. Upon assembly, these unusual phage-like
particles typically package between 4.5 and 14 kb of ran-
dom host DNA, depending on the particular GTA.
However, the prophage-like gene clusters encoding the
R. capsulatus and the B. hyodysenteriae GTAs are 14.1 and
16.3 kb, respectively, which is considerably larger than the
DNA these particles can package (4.5 and 7.5 kb, respec-
tively). In contrast, tailed dsDNA phage typically package
at least 40 kb of DNA. Most of the GTAs characterized
also have a small head morphology compared to tailed
phage, ranging from 30 to 80 nm in diameter. Therefore,
due to the reduced capsid size, even when these GTAs
randomly package their own DNA at a frequency as low
as any other chromosomal genes it is clear that they
are unable to package their entire genome. The inability
to package their entire genome and the lack of early
replication genes result in phage-like particles that are
nonreplicative and, hence, do not form plaques on any
host tested. As such, the genes encoding these phage-like
elements are inherited in a predominantly vertical fashion
from parent to daughter cells. Rare cases of GTA hori-
zontal transfer have been inferred in phylogenetic studies
using the R. capsulatus GTA, but the mechanisms are
unknown. Once the GTA transducing particles are
formed, it is unclear how they are released from donor
cells because detection of these particles does not usually
correlate with lysis of the host bacterium. Indeed, the
sequence of the R. capsulatus GTA is not predicted to
encode homologues of phage lysin or holin genes.
Conversely, the B. hyodysenteriae GTA possesses copies
of lysin and holin genes and purified lysin was shown to
disrupt cell walls by degrading peptidoglycan.
The theory that these ‘defective’ prophage-like ele-
ments are actually host-adapted gene transfer modules is
supported by regulation studies. Work on R. capsulatus has
demonstrated that its GTA is controlled by the CckA/
CtrA two-component phosphorelay regulatory system
that also controls motility. In addition, expression of the
GTA structural genes is activated by a LuxIR-type
quorum sensing system that enhances gene transfer in a
cell-density-dependent manner in response to the
N-hexadecanoyl-homoserine lactone signal. Therefore,
gene transfer is promoted when there is a large number
of signal-related recipients nearby, which would increase
the chance of a successful DNA transfer event. Finally,
the presence of R. capsulatus-like GTA sequences in many
-proteobacteria indicates functional selection for their
maintenance in diverse genomes.
The limited functional studies and sequence data for
most GTA elements highlight a paucity of information on
this unusual mode of ‘generalized transduction’. Further
studies on GTAs could provide more information on
DNA packaging mechanisms and transduction. Indeed,
phylogenetic studies have demonstrated that homologues
of the R. capsulatus GTA terminase product cluster in a
single group, which presumably represent enzymes with
reduced sequence specificity proficient in packaging ran-
dom host DNA. If phage that contain GTA-like
terminases are identified, it might indicate the potential
of these phage to function in generalized transduction.
Areas requiring further analysis include the mechanisms
of relaxed packaging specificity, particle release, and
adsorption to bacteria. It is likely that many more diverse
GTAs exist in other bacteria, which await discovery
through both bioinformatics and functional studies.
Are ‘Cargo’ Genes a Special Case
of Transduction?
The recent genome sequencing efforts of both bacteria
(including their prophage) and phage have revealed that
many phage and prophage genomes contain nonessential
genes of putative bacterial origin. Prophage-associated
genes often impart an advantage to bacterial lysogens
via the expression of toxins or virulence factors that aid
bacterial pathogenesis. This phenomenon is called lyso-
genic conversion due to the ‘conversion’ of the bacterial
host upon lysogeny. A familiar example is the prophage-
encoded shiga toxin produced by certain pathogenic
E. coli lysogens. Alternatively, phage-encoded gene pro-
ducts, of bacterial origin, can aid in phage lytic infection.
One example is the production of photosynthetic proteins
by certain cyanophage upon infection of cyanobacteria.
The phage-encoded photosystem genes (e.g., psbA and
1116 Transduction: Host DNA Transfer by Bacteriophages

psbD) are thought to increase energy production during
phage infection of the cyanobacterial host, ultimately
assisting in phage replication. Phylogenetic and host
range studies demonstrate that these photosystem genes
were acquired by phage from bacteria, have been shuffled
among the phage (probably via coinfection), and in some
cases have been recombined back into some cyanobac-
teria. The generation of a bacterial recombinant following
infection with a virulent phage must only arise when the
infection is nonproductive. Therefore, it is theoretically
possible to define both virulent and temperate phage that
carry these ‘cargo’ genes (or ‘morons’) as a form of poten-
tial transducing phage, since these genes may be acquired
and maintained in the infected bacteria. Obviously, this
sort of genetic promiscuity or modularity in phage gen-
omes represents the dynamic evolution of these biological
entities and it is interesting to consider how these ‘cargo’
genes might have been acquired (e.g., by illegitimate
recombination and/or incorrect prophage excision).
Clearly, phage are a constant source of genetic mixing
that often blurs the boundaries between what are consid-
ered phage and bacterial genes. When reassessed in this
broader context of general phage evolution, many more
phage might be considered as transducers, albeit at a very
low frequency compared to the well-characterized classes
of specialized and generalized transducing phage.
Transduction as a Genetic Tool
Since the discovery of phage, researchers have rapidly
harnessed their knowledge of phage biology for the devel-
opment of new tools and applications. Examples include
phage (and their products) as antibacterial agents, as DNA
delivery vehicles for expression of particular genes in a
desired host (e.g., for transposon delivery or luciferase
reporter expression), and as components of DNA cloning,
integration, and expression systems. These cases repre-
sent just a handful of phage uses, with those related to
their transducing (especially generalized) properties
being covered here.
Isolation and Characterization of Generalized
Transducing Phage
Obviously, the first requirement to enable the use of a
generalized transducing phage is to isolate one for the
bacterium of interest. There is now extensive evidence of
the ubiquitous distribution of phage in the natural envir-
onment. In fact, it is estimated that there are
approximately 10 phage for each bacterium on Earth.
Therefore, a good starting point for phage isolation is
the native environment from which the bacterium was
originally cultured. For enteric bacteria, a good source of
phage is raw and treated sewage. Using a variety of
sources, with the target bacteria as an indicator, phage
have been isolated for many bacterial genera. Phage are
then screened for transducing ability using, for example,
donors with transposon insertions in defined genes with
screenable phenotypes (e.g., auxotrophy). Transduction is
performed in a wild-type recipient, selecting for the
transposon antibiotic resistance marker. Putative trans-
ductants are then screened for cotransduction of the
phenotype (e.g., auxotrophy on minimal media). In addi-
tion, transduction of plasmids can be tested. Transduction
of multiple loci is required to confirm isolation of a gen-
eralized transducing phage.
Using strategies similar to those described above, gen-
eralized transducing phage have been isolated for strains
of many bacterial genera, including Bacillus, Caulobacter,
Citrobacter, Erwinia, Myxococcus, Pseudomonas, Salmonella,
Serratia, Staphylococcus, Streptococcus, and Streptomyces.In
these cases, and others, generalized transducing phage
have enhanced the genetic tractability of their host organ-
isms. Below, the most common uses of generalized
transducing phage are discussed.
Constructing Strains
The ability to transduce loci with selectable or screenable
phenotypes has greatly facilitated bacterial genetic
manipulations and the power of generalized transduction
has been aided particularly by its use in conjunction with
transposon mutagenesis. Typically, following transposon
mutagenesis, it is desirable to confirm the presence of a
single transposon insertion, which can be checked by
Southern blot analysis. However, it is also possible that
other secondary (e.g., point) mutations may have arisen in
the mutant strain. In order to move the transposon inser-
tion of interest into a background likely to be free from
either secondary transposons or other mutations, general-
ized transduction is the facile method of choice.
Cotransduction of the marker and the phenotype studied
confirms that the appropriate transposon copy has been
selected. Furthermore, where selectable markers are
available, generalized transduction makes the construc-
tion of double and multiple mutant strains quick and easy
compared with alternative marker (allelic) exchange pro-
cedures. Currently, in most molecular microbiology
laboratories in a postgenomics era, this is the major use
of generalized transducing phage.
Localized Mutagenesis
To examine gene function in detail, it is necessary to
analyze the effects of mutations. There is often value in
studying more subtle mutations than those generated by
knockout or transposon disruption. In the current era of
molecular biology, localized mutagenesis can be per-
formed by error-prone polymerase chain reaction (PCR)
Transduction: Host DNA Transfer by Bacteriophages 1117

followed by a strategy to recombine mutated sequences in
a single copy into the bacterial chromosome. Although
this is a powerful and ‘clean’ technique, it relies on sui-
table delivery (e.g., transformation and/or conjugation)
systems for the organism studied. An alternative strategy
is to subject the bacterium to UV or chemical mutagenesis
and screen for mutants. However, any interesting mutants
may contain other mutations elsewhere in the genome,
complicating further analysis. If the gene of interest is
located in the vicinity of a selectable marker (e.g., a
transposon), it can be transduced from the mutated strain
into an unmutagenized background, selecting for the
marker and, by linkage, any nearby mutations in the
gene of interest. Alternatively, a transducing lysate, pre-
pared on the transposon-tagged strain, can itself be
exposed to mutagenic agents such as hydroxylamine or
nitrous acid. Therefore, only the DNA packaged within
the phage is mutated and upon transduction into a reci-
pient will be linked to the selectable marker. Due to the
relatively short stretches of DNA transferred by transduc-
tion, mutations linked to the selected marker can be
identified and characterized.
Genetic Mapping
Transductional mapping was used in E. coli and Salmonella
to determine the fine genetic structure of closely linked
genes and mutations within genes. With the huge expan-
sion and ease of genome sequencing, there is now little
need for these traditional genetic mapping experiments.
The basic principle of transductional mapping relies on
measuring the genetic linkage of loci that depends on the
efficiency of cotransduction and recombination into par-
ticular recipients. Simply, if two mutations are linked
(within the size of DNA packaged in the phage capsid),
they will be transduced together at a particular frequency.
Calculation of linkage depends on the distance of the loci
from each other and the number of recombination events
required to isolate a transductant. Although historically
interesting and extremely powerful in early bacterial
genetics, these techniques are no longer widely pursued
as their utility has to a large extent been overtaken by
advances in molecular biology methods.
Plasmid Transduction
For many genetic manipulations in bacteria, it is neces-
sary to introduce plasmids into recipient cells.
Commonly, conjugation and transformation are the sys-
tems of choice for plasmid transfer. However, phage-
mediated plasmid transduction can be a useful method
for bacterial strains with poor transformation efficiency or
a paucity of suitable conjugal plasmids. Transduction of
plasmids has been demonstrated with many generalized
transducing phage. However, the efficiency can vary
greatly depending on the phage and the size and sequence
of the transduced plasmid. The currently accepted model
is that multimeric double-stranded plasmid DNA, gener-
ated during rolling circle replication, is accidentally
packaged by the phage. After injection of the plasmid
DNA, the recipient bacterium regenerates the plasmid
in a process requiring homologous recombination and
RecA.
For efficient transduction of pBR322 by wild-type
P22, it is necessary to introduce a pac sequence.
Furthermore, a P22 HT derivative, with reduced packa-
ging specificity, can transduce pBR322 without any
cloned DNA fragments. The plasmid transducing
mechanism has also been analyzed for a modified T4
that is proficient in generalized transduction (see
‘Generalized transduction’). Transduction of pBR322 by
this modified T4 involves packaging of the equivalent of
38 monomers of the plasmid arranged as multimers and
establishment in the recipient requires homologous
recombination. Phage P1 can package plasmids that con-
tain a P1 inc site and, due to the broad host range of P1
(see below), transduce these into a variety of strains.
In the absence of pac sequences, pBR322 requires
cloned P22 DNA fragments for efficient plasmid transfer
by P22. The method of transduction involves an initial
homologous recombination step between P22 and the
plasmid in the donor prior to transduction into the reci-
pient. This dramatic increase in transduction efficiency,
when a portion of phage DNA is cloned into plasmids, has
also been observed for multiple bacteria, including spe-
cies of Bacillus, Lactobacillus, Staphylococcus, and Streptomyces.
Intergeneric Gene Transfer
Phage–host receptor interactions are often highly specific
with a phage only recognizing a single strain of a given
species. In other cases, phage can have a very broad host
range, with P1 and Mu providing classic examples. The
obvious benefit of isolating a broad host range transducing
phage is that it is possible to use it for multiple bacterial
isolates. Phage P1 has an invertible region that can switch
the expression between two alternative tail fiber products,
a major determinant in phage–host interactions.
Depending on what tail fiber form is expressed, P1 can
adsorb to, and replicate in, Citrobacter, Enterobacter, E. coli,
Erwinia, Klebsiella, Pseudomonas,andSalmonella. P1 can also
inject its DNA into strains of Agrobacterium, Flavobacterium,
Myxococcus, and Vibrio but cannot produce phage progeny
on these. In this manner, plasmids have been introduced
into Myxococcus by P1, where they are unable to replicate.
This is the basis of a suicide vector delivery system that is
used for transposon mutagenesis and targeted gene dis-
ruptions in these bacteria.
Intergeneric gene transfers between E. coli and
Salmonella have been performed using P1. Some
1118 Transduction: Host DNA Transfer by Bacteriophages

researchers have used the transduction efficiency as a
rough indicator of DNA homology between donor and
recipient. However, these transductions are often unsuc-
cessful due to the large genomic differences between these
genera and the requirement of long stretches of near-
identical sequence for efficient homologous recombina-
tion. Analysis of the bacterial transductants shows that
recombination has frequently occurred between highly
conserved regions, such as the ribosomal (rrn) loci, which
can result in large genome alterations. It is now under-
stood that the recipient’s methyl-directed mismatch repair
system is responsible for some of the recombinational
stringency and, as such, mismatch repair mutants are
more efficient recipients of donor DNA from different
genera. To date, such intergeneric gene transfer experi-
ments have not been widely utilized outside of E. coli and
Salmonella.
Lambda as a DNA Delivery Vehicle
Lambda has been developed as an efficient transduction
tool for the introduction of DNA into host cells. This
includes the packaging and transduction of cosmids and
transposons to target cells. Cosmids are plasmid vectors
that contain cos sites, hence their hybrid name. Genomic
libraries can be generated by ligation of large chromoso-
mal DNA fragments (up to 47 kb) into cosmids. Packaging
of the cosmids is performed in vitro with capsids via the
recognition and cleavage at consecutive cos sites. Phage
tails are attached and the completed particles can then
transduce the cosmid into a suitable recipient, where it is
replicated by virtue of a plasmid origin of replication.
These cosmids can be further packaged in vivo following
infection with . In a similar mechanism, derivatives
containing transposons (e.g., Tn5, Tn10, TnphoA, and
TnblaM) can be transduced into a target bacterium.
Transposition (mutagenesis) events can be selected and
mutants subsequently characterized. Lambda replication
is inhibited by amber mutations in the phage morphogen-
esis genes, whereas in some other genera (see below) wild-
type is unable to replicate. Compared with plasmid-based
(conjugation) mutagenesis procedures, -based systems are
faster and have no requirement for counterselection of
E. coli donors.
The requirement of recipient bacteria for the LamB
phage receptor originally restricted the host range use
of . However, a wider range of Gram-negative hosts for
adsorption and DNA injection have been generated by
introducing the lamB gene on a suitable plasmid. Bacteria
capable of expressing and transporting LamB to the outer
membrane may then be infected by phage . Plasmids
containing lamB have enabled infection of species of
various genera, including Agrobacterium, Erwinia, Klebsiella,
Mesorhizobium, Pseudomonas, Salmonella, Serratia, and Vibrio,
making delivery of cosmids and transposons relatively
straightforward in these systems. In an interesting exten-
sion of the host range, virons can be taken up by certain
eukaryotic cells in culture and also by antigen presenting
cells in vivo. This mechanism enables the delivery of
cosmids and other vectors into eukaryotic cells for
expression studies and vaccine delivery.
Transduction in the Environment
With increasing numbers of sequenced bacterial genomes
and advances in comparative genomics, it is now clear
that HGT accounts for a large degree of the genetic
diversity found within bacterial species. Phage are
believed to be the most abundant biological entities,
with estimates of 10
31
phage on the planet. The number
of transduction events per year has been estimated to
be 10
14
in the Tampa Bay Estuary and 10
13
in the
Mediterranean Sea. This demonstrates just how impor-
tant the role of phage-mediated transduction might be for
HGT in the natural environment. Indeed, interrogation
of the genomes of nearly all sequenced bacteria reveals
the presence of numerous prophage and prophage-like
elements, and these regions are often associated with
adjacent horizontally acquired regions and ‘cargo’ genes
of bacterial origin. Possible explanations for these ‘cargo’
genes is that specialized transduction or illegitimate
recombination has taken place. Some of these phage-
transferred regions encode bacterial virulence factors
that can convert the host into a pathogenic strain. For
example, it is known that the cholera toxin is encoded on
a phage, CTX, and infection of a nonpathogenic Vibrio
cholerae strain with this phage will render it pathogenic.
More recently, generalized transducing phage have been
shown to transduce both the VPI pathogenicity island,
which encodes the receptor for CTX, allowing adsorp-
tion and infection of strains that are normally resistant to
this phage, and the genes encoding CTXitself.
Unfortunately, since transduction frequently relies on
homologous recombination between highly related
sequences, in these instances, its impact on bacterial gen-
omes is not readily detected using current bioinformatic
sequence tools. Therefore, the importance of transduction
in bacterial evolution has been inferred from a combina-
tion of laboratory experiments, an understanding of the
global abundance of phage, and the detection of transduc-
tion in the natural environment.
Several studies have shown transduction of both chro-
mosomal and plasmid DNA to occur in a variety of
natural environments. Transduction of both plasmid
and chromosomal markers between strains of
Pseudomonas aeruginosa has been demonstrated in fresh-
water environments, as well as between bacteria on leaf
surfaces, even when the donor and recipient were origin-
ally on different plants. Broad host range phage have been
Transduction: Host DNA Transfer by Bacteriophages 1119

shown to transduce plasmids among a diverse range of
bacteria in natural populations of both fresh and marine
water environments. It has also been reported that chro-
mosomal markers have been transferred from virus-like
particles, spontaneously released from five strains of mar-
ine bacteria, to convert different auxotrophic mutants of
E. coli to prototrophy. This suggests generalized transduc-
tion between bacteria of different families, although these
conclusions were not reinforced by verification of the
corresponding prototrophic gene acquisition. Similar stu-
dies on virus-like particles isolated from thermal vents
and hot spring bacteria have also been undertaken, and
the same phenomenon observed. If verified, these findings
would indicate that generalized transduction can occur
between a broad range of bacterial species in the environ-
ment. Generalized transducing phage have also been
detected containing various bacterial 16S rRNA genes,
which are bacterial species-signature-specific sequences.
This could imply a role for generalized transduction in
the horizontal transfer of 16S rRNA gene sequences
between bacteria of different genera.
Many phage are very stable and resistant to degrada-
tion in the environment, particularly in comparison to
naked DNA, and transducing particles thereby represent
a comparatively stable repository for bacteria DNA.
Given these observations, together with the global abun-
dance of phage, it seems possible that phage-mediated
transduction events in the environment are a major
force driving HGT and adaptive evolution of bacteria.
Conclusion
The phage-mediated transfer of bacterial DNA between
donor and recipient cells is a form of HGT called trans-
duction. The current understanding of the molecular
mechanisms of transduction has been fueled by studies
of a small number of ‘model’ phage–host systems. With
advances in modern molecular biological techniques
(many of which are themselves derived from the products
of phage research), it is important not to forget the power
of simple genetic techniques that exploit phage. Indeed,
development of a generalized transducer is still an extre-
mely useful tool for genetic analysis of any bacterial
strain. A recent stimulation in phage research and the
‘-omics era’ has provided major advances in knowledge
of the genomes, evolution, ecology, and diversity of
phage. For example, the host-adapted function of GTAs
is a salient reminder that some sequences that may appear
like ‘defective’ prophage in bacterial genomes can in fact
be highly effective HGT mechanisms proficient in
generalized transduction. It is anticipated that the recent
rejuvenation in phage biology research will continue to
further our appreciation and understanding of transduc-
tion, both as a tool for bacterial geneticists and as an
important evolutionary force in the adaptation of phage
and their bacterial hosts.
Further Reading
Calender R (ed.) (2006) The Bacteriophages, 2nd edn. New York:
Oxford University Press.
Lang AS and Beatty JT (2001) The gene transfer agent of Rhodobacter
capsulatus and ‘‘constitutive transduction’’ in prokaryotes. Archives
of Microbiology 175: 241–249.
Margolin P (1987) Generalized transduction. In: Ingraham JL and
Neidhardt FC (eds.) Escherichia coli and Salmonella typhimurium:
Cellular and Molecular Biology, 1st edn., pp. 1154–1168.
Washington, DC: American Society for Microbiology.
Masters M (1996) Generalized transduction. In: Neidhardt FC,
Curtiss III R, Ingraham JL, Lin ECC, Low KB, Magasanik B,
Reznikopp WS, Riley M, Schaechter M, and Umbarger HE (eds.)
Escherichia coli and Salmonella typhimurium: Cellular & Molecular
Biology, 2nd edn., pp. 2421–2441. Washington, DC: American
Society for Microbiology.
Miller RV (2001) Environmental bacteriophage–host interactions: factors
contribution to natural transduction. Antonie Van Leeuwenhoek
79: 141–147.
Morse ML, Lederberg EM, and Lederberg J (1956) Transduction in
Escherichia coli K12. Genetics 41: 142–156.
Mulholland V and Salmond GPC (1995) Use of coliphage and other
bacteriophages for molecular genetic analysis of Erwinia and related
Gram-negative bacteria. In: Adolph KW (ed.) Microbial Gene
Techniques, pp. 439–454. London: Academic Press.
Paul JH (1999) Microbial gene transfer: and ecological perspective.
Journal of Molecular Microbiology and Biotechnology 1: 45–50.
Smith MCM and Rees CED (1999) Exploitation of bacteriophages and
their components. In: Smith MCM and Sockett RE (eds.) Methods in
Microbiology, vol. 29, pp. 97–132. London: Academic Press.
Sternberg NL and Maurer R (1991) Bacteriophage-mediated
generalized transduction in Escherichia coli and Salmonella
typhimurium.Methods in Enzymology 204: 18–43.
Toussaint A (1985) Bacteriophage Mu and its use as a genetic tool.
In: Scaife J, Leach D, and Galizzi A (eds.) Genetics of Bacteria,
pp. 197–215. London: Academic Press.
Weinbauer MG (2004) Ecology of prokaryotic viruses. FEMS
Microbiology Reviews 28: 127–181.
Weisberg RA (1987) Specialized transduction. In: Ingraham JL and
Neidhardt FC (eds.) Escherichia coli and Salmonella typhimurium:
Cellular & Molecular Biology, 1st edn., pp. 1169–1176. Washington,
DC: American Society for Microbiology.
Weisberg RA (1996) Specialized transduction. In: Neidhardt FC,
Curtiss III R, Ingraham JL, Lin ECC, Low KB, Magasanik B,
Reznikopp WS, Riley M, Schaechter M, and Umbarger HE (eds.)
Escherichia coli and Salmonella typhimurium: Cellular & Molecular
Biology, 2nd edn., pp. 2442–2448. Washington, DC: American
Society for Microbiology.
Zinder ND and Lederberg J (1952) Genetic exchange in Salmonella.
Journal of Bacteriology 64: 679–699.
1120 Transduction: Host DNA Transfer by Bacteriophages

Transport, Solute
Q Ren, J. Craig Venter Institute, Rockville, MD, USA
I T Paulsen, Macquarie University, Sydney, NSW, Australia
ª2009 Elsevier Inc. All rights reserved.
Introduction
Transporter Classification and Annotation
Major Solute Transporter Families
Comparative Studies of Transporter Family Distribution
Show Strong Influence of Physiology and the Living
Environment
Soil/Plant-Associated Microbes
Autotrophs
Conclusion
Further Reading
Abbreviations
ABC ATP-binding cassette
EI enzyme I
EII enzyme II
GlpT glycerol-3-P:P antiporter
HPr phosphoryl carrier protein
LacY lactose:H
þ
symporter
MFS major facilitator superfamily
NBD nucleotide-binding domain
ORF open reading frame
PEP phosphoenolpyruvate
PTS phosphotransferase system
SAM S-adenosylmethionine
TC transporter classification
TCA tricarboxylic acid
TDG -D-galactopyranosyl-1-thio--D-
galactopyranoside
TM transmembrane
TMD transmembrane domain
TMS transmembrane segment
Introduction
The cellular membrane is a selectively permeable barrier
between the cell and the extracellular environment.
Cytoplasmic membrane transporters are a group of mem-
brane proteins embedded in the phospholipid bilayer
through multiple -helical segments of 20–25 hydropho-
bic amino acids. They mediate the movement of
molecules and ions across cytoplasmic membrane. These
transporters play essential roles in fundamental cellular
processes like the acquisition of organic nutrients, extru-
sion of toxic and waste compounds, maintenance of ion
homeostasis, environmental sensing, and cell communica-
tion in archaea, bacteria, and eukaryotes. Typically,
3–16% of open reading frames (ORFs) in prokaryotic
genomes are predicted to encode membrane transport
proteins, emphasizing the importance of membrane trans-
port to cellular lifestyles. Thus, knowledge of the suite of
membrane transporters present in the organism is impor-
tant to fully understand an organism’s metabolism and
physiology as well as its adaptations to its natural ecolo-
gical niches.
Various transport systems differ in their putative
membrane topology, energy-coupling mechanism, and
substrate specificities. Membrane channels form open
pores through the membrane and mediate a facilitated
diffusion of water, specific types of ions, or hydrophilic
small molecules down their concentration or electrical
gradient. This process is not coupled to metabolic
energy and cannot transport against the concentration
gradient across the membrane. The general character-
istics of channels include rapid rates of transport, high
selectivity as the narrow pores in the channel restrict
passage to ions of the appropriate size and charge; and
most of the ion channels are not permanently open, a
property referred to as gated channels. They open
transiently in response to specific stimuli, for example,
the binding of neurotransmitters or other signaling
molecules (ligand-gated channels), and the changes in
electric potential across the plasma membrane (voltage-
gated channels). Primary active transporters mediate
transport via an energy-dependent active transport pro-
cess. Transport involves the binding of specific
molecules on one side of the membrane, then the
transporter undergoes a conformational transformation
that allows the substrate to pass through the membrane
and release into the other side of the membrane. It
exhibits a much lower rate of transport and higher
substrate stereospecificity compared to the channels.
The most common energy-coupling mechanism for
primary active transporters is the utilization of
ATP. The secondary transporters also mediate
energy-dependent active transport process, but utilize
a secondary source of energy (e.g., an ion/solute
1121

electrochemical gradient). Secondary transporters med-
iate the transport of their substrates through the
processes like uniport, symport, or antiport. Uniporters
transport a single molecule without the involvement of
other molecules. Symporters transport two or more
molecules at the same time and in the same direction.
Antiporters mediate the exchange of one or more mole-
cules for others. Additionally, there are group
translocation systems which are transporters that mod-
ify their substrates during transport, exemplified by the
bacterial phosphotransferase system (PTS) transporters.
PTS transporters typically enable the uptake of sugars
from the external environment and concomitant phos-
phorylation and release into the cytoplasm as sugar
phosphates, using phosphoenolpyruvate (PEP) as both
energy source phosphoryl donor and energy source.
A great variety of substrates can be transported across
the membrane by transporters. These include inorganic
molecules; carbon compounds; amino acids and deriva-
tives; bases and derivatives; vitamins, cofactors, signaling
molecules and their precursors; drugs, dyes, sterols, and
toxic substances; and macromolecules. Figure 1 shows
the predicted metabolic and transport capabilities of the
soil- and plant-associated bacterium Pseudomonas putida
and provides an example of the transporter complexity
found in microorganisms.
The structural study of membrane transporters has
lagged behind compared to other types of proteins.
Owing to their amphipathic characteristics, membrane
transporters have proven difficult to crystallize, as
required for three-dimensional structural analysis by
X-ray diffraction. The percent of membrane transporter
structures deposited into PDB is much less than the
percent of transporters in the genome. Indeed it is only
in recent years that structures of cytoplasmic membrane
transporters have started to become more readily avail-
able. KcsA, a potassium ion selective bacterial ion
channel, was among the first several membrane transpor-
ters with the high-resolution structure solved. Its
structure was first reported in 1998 by MacKinnon’s
group utilizing X-ray crystallography, and later the
refined structure was reported at 2.0 A
˚resolution. The
KcsA channel is a homotetramer with a fourfold symme-
try axis forming the potassium ion permeation pathway.
The N- and C-termini of each subunit are located inside
the bacterial membrane, contains two integral transmem-
brane helices, which are connected by a P-loop. The
P-loop consists of a short helix that spans about 10 A
˚
into the membrane and a loop region. It forms the selec-
tivity filter, which is responsible for the selectivity for
potassium ion over other ions. The structural studies of
KcsA channel, as well as other potassium ion channels
(MthK, KvAP, and KirBac), suggest the involvement of
protein backbone structures in the selectivity process
rather than individual amino acid residues, and
illustrate the mechanism of high flux rate and selectivity
of small polar and charged molecules across cell
membranes.
High-throughput genomic and bioinformatics ana-
lyses provide important tools to facilitate the study of
membrane transporters. In stead of focusing on one or
several transporter genes at a time, this type of study
emphasizes the big picture, that is, the complete trans-
porter profile. Examples include systemic annotation
and classification of transporters; comparative study of
the fundamental differences of transporter features
among organisms with different evolutionary back-
ground; the association of genome transporter features
with evolutionary history, physiology, and lifestyle; and
the integration of transporter reactions into metabolism
network.
In this article, we will review the features and functions
of major transporter types and families, with the focus on
the recent progresses in structural and functional studies.
We will also overview the bioinformatic classification of
transporters as well as other types of comparative genomic
studies of membrane transporters.
Transporter Classification and Annotation
Transporter Classification System
Transporters with similar functions characteristically
cluster together in phylogenetic analyses. Thus, the
substrate specificity appears to be a relatively conserved
evolutionary trait in transporters. This has led to the
premise that phylogeny can provide a rational basis for
functional assignment. The transporter classification
(TC) system represents a systematic approach to classify
membrane transporter families according to the mode of
transport, energy-coupling mechanism, molecular phy-
logeny, and substrate specificity. The TC system is
analogous to the enzyme commission system for classi-
fication of enzymes, except that it incorporates both
functional and phylogenetic information. Transport
mode and energy-coupling mechanism serves as the
primary base for the classification due to their relatively
stable characteristics. There are four major characterized
classes of solute transporters in the TC system: chan-
nels, secondary transporters, primary active transporters,
and group translocators (Figure 2). Transporters of
unknown mechanism or function are included as a dis-
tinct class.
– Class 1. Channels/pores: Channels are energy-
independent transporters that transport water, speci-
fic types of ions, or hydrophilic small molecules
down the concentration or electric gradient with
higher rates of transport and lower stereospecificity
1122 Transport, Solute

compared to other transporter classes. Most of the
ion channels, referred to as gated channels, open
only in response to specific chemical or electric
signals.
– Class 2. Electrochemical potential-driven transporters
(secondary transporters): Secondary transporters (also
called carriers) utilize an ion or solute electrochemical
gradient, for example, proton/sodium motive force, to
drive the transport process. Uniporters move a single
type of molecule down its concentration gradient.
Antiporters and symporters couple the transport of
ion or molecule against its concentration gradient
with the movement of one or more different ions or
molecules down its gradient.
– Class 3. Primary active transporters: Primary active
transporters couple transport process to a primary source
of energy, such as a chemical reaction (e.g., ATP hydro-
lysis), and move substrates across membrane against a
chemical concentration gradient or electric potential or
both.
Figure 1 Metabolic reconstruction of pathways present in the Pseudomonas putida genome. Transporters are grouped by substrate
specificity as follows: inorganic cations (green), inorganic anions (pink), carbohydrate/carboxylates (yellow), amino acids/peptides/
amines/purines/pyrimidines (red), and drug efflux and others (black). Question marks indicate uncertainty about the substrate
transported. Export or import of solutes is designated by the direction of the arrow through the transporter. The energy-coupling
mechanisms of the transporters are also shown: solutes transported by channel proteins are shown with a double-headed arrow;
secondary transporters are shown with two-arrowed lines, indicating both the solute and the coupling ion; ATP-driven transporters are
indicated by the ATP hydrolysis reaction; and transporters with an unknown energy-coupling mechanism are shown with only a single
arrow. Components of transporter systems that function as multisubunit complexes, which were not identified, are outlined with dotted
lines. Where multiple homologous transporters with similar substrate predictions exist, the number of that type of transporter is
indicated in parentheses. Systematic gene numbers (XXXXX) are indicated next to each pathway or transporter; those separated by a
dash represent a range of consecutive genes. The outer and inner membranes are sketched in dark blue and dark green respectively,
the periplasmic space is indicated in light turquoise, and the cytosol in light green. ADP, adenosine diphosphate; UMP, uridine
monophosphate; UDP, uridine diphosphate; FucNAc, N-acetylfucosamine; Gal, galactose; GalNAc, N-acetylgalactosamine; GluNAc,
N-acetylglucosamine; ManNAc, N-acetylmannosamine; NeurNAc, N-acetylneuraminate; P, phosphate; PP, diphosphate; Pyr,
pyruvate. Reproduced with permission from Environmental Microbiology. Nelson KE, Weinel C, Paulsen IT, et al. (2003) Complete
genome sequence and comparative analysis of the metabolically versatile Pseudomonas putida KT2440. Environmental Microbiology
4(12): 799–808.
Transport, Solute 1123

– Class 4. Group translocators: Group translocators mod-
ify their substrates during the transport process. The
bacterial PTS is the only characterized transporter
family in this class. It phosphorylates the sugar sub-
strates using PEP as the phosphoryl donor and the
energy source, and releases them into cytoplasm as
sugar phosphates.
– Class 5. Incompletely characterized transporter systems:
Transporter protein families for which insufficient infor-
mation is available to allow classification in a defined
class belong to this class.
Each transporter class is further classified into individual
families or superfamilies according to their function, phy-
logeny, and/or substrate specificity. Specific transport
protein can be represented by a TC number, which nor-
mally has five components, V.W.X.Y.Z. V (a number)
corresponds to the transporter type (i.e., channel, second-
ary transporters, primary active transporters, or group
translocators); W (a letter) corresponds to the transporter
subtype, which in the case of primary active transporters
refers to the energy source used to drive transport; X
(a number) corresponds to the transporter family; Y (a
number) corresponds to the subfamily in which a trans-
porter is found; and Z (a number) corresponds to the
substrate or range of substrates transported. For example,
the well-characterized Escherichia coli lactose:H
þ
sympor-
ter (LacY) lactose permease is represented in the TC
system as 2.A.1.5.1, where ‘2’ indicates LacY is a secondary
transporter, ‘A’ indicates it is a uniporter/symporter/anti-
porter, ‘1’ indicates it belongs to the major facilitator
superfamily (MFS), ‘5’ indicates it belongs to an oligosac-
charide symporter subfamily within the MFS family, and
the last digit ‘1’ indicates LacY is a lactose/proton
symporter.
TCDB: A TC Database
Transport system families included in the current TC
system are available in database format on the web. The
TCDB site provides detailed information and references
for each transporter class, subclass, family, subfamily, and
individual proteins (Table 1). When possible, these
Drugs
ATP ADP + Pi
Drugs
PEP
Glucose
-6-P Pyruvate
Glucose
Glycerol
H+
Primary
transport
Secondary
transport Channel Group
translocator
Figure 2 Representative examples of the four main types of transporters. The examples are as follows: primary transporter,
Lactococcus lactis LmrA multidrug efflux pump; secondary transporter, Staphylococcus aureus QacA multidrug efflux transporter;
channel, Escherichia coli GlpF glycerol channel; and group translocator, E. coli PtsG/Crr glucose PTS transporter.
Table 1 The top 12 largest transporter families in the TransportDB database. Most of them are widely distributed in bacteria, archaea,
and eukaryotic species, with the exception of SSPTS (bacteria) and MC (eukaryotes)
Family ID Family name TC# Count Occurrence
a
ABC The ATP-binding cassette superfamily 3.A.1 37 185 B, A, E
MFS The major facilitator superfamily 2.A.1 8983 B, A, E
F-ATPase The H
þ
-orNa
þ
-translocating F-type, V-type, and A-type ATPase superfamily 3.A.2 3153 B, A, E
DMT The drug/metabolite transporter superfamily 2.A.7 2695 B, A, E
SSPTS Sugar-specific phosphotransferase system 4.A 2388 B
P-ATPase The P-type ATPase superfamily 3.A.3 1881 B, A, E
APC The amino acid–polyamine–organocation family 2.A.3 1854 B, A, E
RND The resistance-nodulation-cell division superfamily 2.A.6 1699 B, A, E
MOP The multidrug/oligosaccharidyl-lipid/polysaccharide flippase superfamily 2.A.66 1460 B, A, E
TRAP-T The tripartite ATP-independent periplasmic transporter family 2.A.56 1323 B, A, E
VIC The voltage-gated ion channel superfamily 1.A.1 1122 B, A, E
MC The mitochondrial carrier family 2.A.29 1051 E
a
B, bacteria; A, archaea; E, eukaryotes.
1124 Transport, Solute

families are grouped into superfamilies, which define the
evolutionary relationships between individual families.
TCDB also provides web-based search tools and various
bioinformatic software packages that allow users to search
by key word, gene name, family, or protein sequence.
There is also a major section devoted to poorly character-
ized families of transport or putative transport proteins
where more studies are needed.
TransportDB: A Comprehensive Database
Resource for Transporters
TransportDB (http://www.membranetransport.org/) is a
relational database surveys fully sequenced genomes for
genes encoding transport proteins. It was created as a
comprehensive database resource of information on cyto-
plasmic membrane transporters and outer membrane
channels in organisms whose complete genome sequences
are available. The complete set of membrane transport
systems and outer membrane channels in each organism
were annotated based on a series of experimental and
bioinformatic evidence and classified into different types
and families according to the TC system. User-friendly
web interfaces were designed for easy access, query, and
download of the data. Features of the TransportDB
website include text-based and BLAST search tools
against known transporter and outer membrane
channel proteins; comparison of transporter and outer
membrane channel contents from different organisms;
known three-dimensional structures of transporters; and
phylogenetic trees of transporter families. On individual
protein pages, users can find detailed functional annota-
tion, supporting bioinformatic evidence, protein/
nucleotide sequences, publications, and cross-referenced
external online resource links. One of the recent features
added to TransportDB is the transporter automatic anno-
tation pipeline web server where users can submit their
genome or transporter annotation utilizing the high-
throughput transporter analysis pipeline, view automatic
annotation and supporting evidence, as well as curate the
transporter annotation, all of which are through a user-
friendly web interface.
TransportDB has now been in existence for over 10
years and continues to be regularly updated with new
evidence and data from newly sequenced genomes as well
as having new features added periodically. As of June
2007, TransportDB contains data from 289 species,
including 232 bacteria, 24 archaea, and 33 eukaryotes.
Over 90 000 transporter proteins from these organisms
were identified and classified into 134 families, including
7 families of primary transporters, 80 families of second-
ary transporters, 32 channel protein families, 2 PTSs, and
13 unclassified families. Some of these transport protein
families are very large superfamilies with thousands of
members, such as the ATP-binding cassette (ABC) super-
family and the MFS, both of which are widely distributed
in eubacteria, archaea, and eukaryotes (Table 2). Others
are very small families with only a few members present
Table 2 Top organisms with highest percent of ABC superfamily transport proteins
Organism Number of ABC Total Percent of ORFs
Agrobacterium tumefaciens C58 654 5402 12.1
Sinorhizobium meliloti 1021 593 6205 9.6
Thermotoga maritima MSB8 171 1858 9.2
Mesorhizobium loti MAFF303099 653 7275 9.0
Brucella melitensis 16M 279 3198 8.7
Brucella suis 1330 282 3264 8.6
Bordetella parapertussis 12822 NCTC-13253 360 4185 8.6
Bordetella bronchiseptica RB50 NCTC-13252 425 4994 8.5
Bifidobacterium longum NCC2705 140 1729 8.1
Streptococcus thermophilus CNRZ1066 154 1915 8.0
Streptococcus agalactiae NEM316 168 2094 8.0
Erwinia carotovora SCRI1043 358 4472 8.0
Bordetella pertussis Tohama I NCTC-13251 268 3447 7.8
Streptococcus mutans UAB159 152 1960 7.8
Streptococcus agalactiae 2603V/R 163 2124 7.7
Yersinia pseudotuberculosis IP32953 309 4038 7.7
Streptococcus pneumoniae TIGR4 160 2094 7.6
Treponema denticola ATCC35405 211 2767 7.6
Bradyrhizobium japonicum USDA110 634 8317 7.6
Silicibacter pomeroyi DSS-3 324 4252 7.6
Symbiobacterium thermophilum IAM14863 254 3337 7.6
Yersinia pestis KIM 310 4168 7.4
Roseobacter sp. TM1040 283 3864 7.3
Lactobacillus acidophilus NCFM 136 1864 7.3
Transport, Solute 1125

in a narrow distribution of organisms. The following sec-
tions look in detail at some representative membrane
transport families.
Major Solute Transporter Families
ABC Superfamily
The ABC transporter superfamily is characteristically
one of the largest protein families found in the genomes
of both prokaryotes and eukaryotes, with thousands of
identified members. Most ABC transporters consist of
four structural domains: two highly hydrophobic trans-
membrane domains (TMDs) that often contain six
membrane spanning -helices and two hydrophilic cyto-
plasmic ATP-binding domains that are responsible for
ATP hydrolysis to drive the transport process. ABC
import systems typically require an additional substrate-
binding protein and are prokaryotic-specific. In Gram-
negative bacteria, this ligand-specific binding protein is
periplasmic, while it is an extracellular lipoprotein bound
to the membrane in Gram-positive bacteria. These
ligand-specific binding proteins confer specificity and
high affinity for various substrates. Prokaryotic ABC
transporters are involved in the import of a diverse spec-
trum of solutes, including inorganic anions and cations,
carbohydrates, amino acids and peptides, and so on.
Prokaryotic ABC transport systems usually carry integral
membrane and ABC domains encoded by distinct genes,
which are often organized together in gene operons or
clusters. There are also a large group of ABC exporters in
both prokaryotic and eukaryotic species involved in the
extrusion of various drugs, metabolites, toxins, lipids, and
signal molecules. In these systems, the TM and ABC
domains are usually fused in different combinations.
ABC transporters are one of the major superfamilies of
proteins, represented in all three kingdoms of life and
have thus far been found in every organism sequenced.
They are particularly abundant in prokaryotes, constitut-
ing about 0.7–12% of all ORFs (Table 2). A group of -
proteobacteria encode the highest number of ABC trans-
porter proteins found thus far, for example, Agrobacterium
tumefaciens encodes 654 ABC family proteins (12% of the
total number of ORFs), Mesorhizobium loti (653, 9%
ORFs), Bradyrhizobium japonicum (634, 8%), Sinorhizobium
meliloti (593, 10%), and Brucella suis (282, 9%). The expan-
sion of the ABC transporter family in these
-proteobacteria may reflect an organismal requirement
for high-affinity transport, since ABC transporters typi-
cally show higher substrate affinities than most secondary
transporters. Other organisms with a high percentage of
ABC family transporters include (1) a group of organisms
that lack a complete tricarboxylic acid (TCA) cycle and
an electron transfer chain, and therefore obtain their
metabolic energy from the fermentation of carbohydrates.
These organisms include Mycoplasma spp., spirochetes,
Streptococcus spp., Lactobacillus spp., Tropheryma whipplei,
Mycobacterium leprae,Thermoanaerobacter tengcongensis, and
Thermotoga maritime. They likely generate ATP as their
primary source of energy, and therefore ABC transporters
are most frequently used to drive nutrient uptake and
maintain ion homeostasis. (2) A group of photosynthetic
organisms with the ability to synthesize an ATP pool via
photosynthesis, like Synechocystis sp., Nostoc sp., Roseobacter
sp., Jannaschia sp., and Thermosynechococcus elongatus.
The maltose transport complex in E. coli and Salmonella
typhimurium is one of the best characterized members of
ABC superfamily and can serve as a general model for
ABC importers. They share over 90% identical amino
acid residues and the components of the complex have
been demonstrated to be fully exchangeable. Starch from
decomposing plant materials in the environment or the
human gastrointestinal tract is one of the major sources of
carbon and energy for heterotrophic bacteria and some
archaea. The uptake of starch degradation products, mal-
tose and maltodextrin, are mediated by the ABC family
maltose transporter complex. It has been shown that the
ABC family maltose transport systems are widely distrib-
uted among Gram-positive bacteria, Gram-negative
bacteria, and archaea. In E. coli, it is composed of a
periplasmic maltose-binding protein (MalE), a transmem-
brane complex made up of the MalF and MalG proteins,
and two copies of the ATPase subunit, MalK. Transport
of maltose is initiated by interaction of substrate-bound
MalE with the periplasmic loops of MalFG, which
induces a conformational change that results in ATP
hydrolysis at the MalK subunits and eventually in the
translocation of substrates. In Gram-negative bacteria, it
requires an additional component, LamB (maltoporin) on
the outer membrane to mediate the diffusion of maltose
and maltodextrin into the periplasm. The genes encoding
the maltose components are usually clustered into closely
linked operons. However, the ATP-binding component is
often missing, suggesting a single ATPase could function
with several transporters with similar functions. For
example, the ATPase, MsiK, can function in the uptake
of maltose and cellobiose mediated by different ABC
transporters.
The periplasmic substrate-binding protein MalE in
E. coli can bind to a variety of -1,4-linked oligogluco-
sides, including linear, cyclic, reduced, and oxidized
maltodextrins. However, only a portion of the bound
ligands are subsequently transported into the cell. The
binding of E. coli MalE to substrates that are actively
transported results in an endothermic reaction that is
entropy driven, while the binding to nontransported sub-
strates is an exothermic reaction. MalE has been
crystallized in the presence of maltose or maltodextrin.
Similar to other substrate-binding proteins, MalE consists
of two symmetrical lobes, with a substrate-binding site
1126 Transport, Solute

positioned in a cleft in between. The MalE protein under-
goes conformational changes involving the bending of a
hinge that joins the two lobes. There is an open conforma-
tion in which the binding site is accessible to the substrate.
The binding of substrate initiates a closed conformation
in which the two lobes move toward each other and trap
the substrate inside the cleft. Binding proteins have two
roles in the transport: they are responsible for the high
substrate specificity of transport and they stimulate the
ATPase activity. MalG and MalF are membrane-integral
subunits with 6–8 hydrophobic membrane-spanning
helices. They are usually less conserved than the ATP-
binding counterparts. The presence of long interhelical
periplasmic loops in MalG and MalF represents a general
feature of ABC transporters. MalK is an ATPase with
nucleotide-binding domain (NBD) for the ABC transpor-
ters. It is located on the cytoplasmic side of the membrane.
Two copies of MalK form a dimer and dissociate through
ATP hydrolysis, processes which are believed to be cru-
cial to the action of ABC transporters, including both
importers and exporters. The NBDs of ABC transporters
are highly conserved and recent structural studies have
confirmed that a wide variety of NBDs share extremely
similar structures, and that there is no clear distinction
between importers and exporters in NBD structure.
NBDs possess Walker A and B motifs that are character-
istic of all P-loop ATPases, as well as a C-loop
(‘LSGGQ’) signature motif, a D-loop (‘SALD’), a
Q-loop (‘Q’), and an H-loop (‘H’). The crystal structure
of MalK has been determined as a dimer in both nucleo-
tide-free and ATP-bound forms, making it possible to
directly visualize the MalK dimer in different conforma-
tion states. The two NBDs of MalK dimerize upon the
binding of ATP in a ‘sandwich’ pattern, with ATP mole-
cules bound along the dimer interface, flanked by the
Walker A motif of one subunit and the LSGGQ motif of
the other subunit. Residues in these motifs are involved in
extensive interactions with ATP and are required to form
the ATPase active sites. MalK as well as several other
bacterial sugar transporters share a distinct feature: they
contain an additional C-terminal domain of about 135
residues called the regulatory domain, which mediates
the subunit–subunit interactions and contribute substan-
tially to the dimer interface. The regulatory domain of
MalK also interacts with regulatory proteins like enzyme
IIA
Glu
, part of the glucose PTS, and the transcriptional
regulator MalT. The C-terminal domains of MalK main-
tain their intersubunit contacts all the time, while the
N-terminal NBDs of MalK are in close contact only in
the ATP-bound state. The motion of MalK implied by
these structures is tweezer-like. The regulatory domains
represent the handle that holds the two halves together,
and the Q loops are located at the tips of the tweezers
where they can move apart or together.
The crystal structures of isolated NBDs, like MalK,
provide a detailed picture of how these two ATP-binding
components interact with each other. However, high-
resolution structures of an intact bacterial ABC importer
are needed to illustrate how the NBDs interact with the
TMDs and how the TMDs interact with each other. This
type of information is essential for our understanding of
the molecular mechanism by which ATP hydrolysis is
coupled to transport. The high-resolution structures of
several intact bacterial transporters have been deter-
mined: the vitamin B12 transporter BtuCD in E. coli,a
metal chelate importer HI1470/1 from Haemophilus influ-
enzae, a drug exporter Sav1866 from Staphylococcus aureus,
and, most recently, a molybdate importer ModB
2
C
2
A
from Archaeoglobus fulgidus.
The 3.1 A
˚crystal structure of a putative archaeal
molybdate transporter (ModB
2
C
2
) in complex with its
binding protein (ModA) has been reported (Figure 3).
This structure involved a single ModA subunit with
bound substrate attached to the external side of
ModB
2
C
2
, which allows unidirectional transport into the
cytoplasm. Each ModB subunit contains 6 hydrophobic
transmembrane helices, which form a total of 12 trans-
membrane segments (TMSs) in the transporter. Unlike
the multidrug transporter Sav1866, the vitamin B12
importer BtuCD, or the putative metal chelate importer
HI1470/71, the ModB subunits present an inward-facing
conformation: a large cavity is formed by the two subunits
facing the cytoplasmic side, which narrows toward the
external membrane boundary and is closed by a gate
beneath the interface with the binding protein. This cav-
ity, only accessible from the cytoplasm, is suggested to
represent the translocation pathway. Compared to the
molybdate importers, the multidrug exporter Sav1866,
however, exhibits an outward-facing conformation of
the TMDs with the cavity facing external membrane.
Similar to other NBDs, the ATPase ModC subunits
contain the highly conserved P-loops and LSGGQ motifs
involved in ATP binding and hydrolysis. They are
oriented in a head-to-tail arrangement, with the P-loops
of one subunit juxtaposed to the LSGGQ motif of the
other. In the nucleotide-free open conformation state,
these motifs are separated by a gap. Also, during the
open conformation, the attached binding protein ModA
aligns the substrate-binding cleft with the entrance to the
translocation pathway. Binding of ATP triggers a closed
conformation. The observed spacing of the P-loops and
the LSGGQ motifs in ModC is consistent with biophysi-
cal studies of the MalK transporter in which the solvent
accessibility to the fluorescently labeled ATP-binding
sites is increased in the absence of ATP. The ModC–
ModB interface transmits critical conformational changes,
which links the ATP binding and hydrolysis to the trans-
port process. Residues around the Q-loop of ModC
primarily contribute to this interface, as observed in the
Transport, Solute 1127

structures of Sav1866, BtuCD, and HI1470/71. Structural
comparison of ModB
2
C
2
A with Sav1866 suggests a com-
mon mechanism for ATP-driven transport, with binding
of ATP promoting an outward-facing conformation (as in
Sav1866) and dissociation of the hydrolysis products pro-
moting an inward-facing conformation (as in ModB
2
C
2
A).
Binding of two ATP molecules at the interface of the
NBDs closes the gap between the conserved ATP-bind-
ing motifs. As this gap closes, so does the distance between
the attached coupling helices, causing the TMDs to flip
from the inward-facing to the outward-facing conforma-
tion. This rearrangement may induce the conformation
change of the attached binding protein ModA, which
force the two lobes and releases the bound substrate.
The substrate may diffuse from the binding site through
the open gate and into the translocation pathway formed
by the ModB subunits.
F-, V-, and A-Type ATPase
The proton-translocating F-, V-, and A-type ATPases are
located in the cytoplasmic membranes of prokaryotes and
the membrane of eukaryotic organelles, such as mito-
chondria and chloroplasts. It utilizes an electrochemical
gradient of protons or sodium ions to synthesize ATP. It
can also function in a reversible process in which an
electrochemical gradient is established as the consequence
of ATP hydrolysis. The bacterial F-, V-, and A-type
ATPases consist of a water-soluble peripheral catalytic
complex (F
1
/V
1
/A
1
) with five subunits (alpha through
epsilon) and an integral membrane proton translocation
complex (F
0
/V
0
/A
0
) with three subunits (subunits a–c).
Synthesis or hydrolysis of ATP takes place in the catalytic
complex, and is coupled to ion translocation across the
single ion channel in the translocation complex via the
rotation of a central part of the complex (rotor) relative to
a static portion of the enzyme (stator) (Figure 4).
The F/V/A-ATPase family is widely distributed
among archaea, eubacteria, and eukaryotes. This family
can be further classified into three subfamilies: the F-type
ATPases function mainly as an ATP synthase utilizing
ADP and inorganic phosphate as substrate and is found on
the plasma membrane of eubacteria, the inner membrane
of mitochondria, and the thylakoid membrane of chlor-
oplasts. The V(vacuolar)-type ATPases function
C
CC
C
C
N
Cytoplasm
N
N
N
TMDs
(ModB)
NBDs
(ModC)
Binding protein
(ModA)
Figure 3 Front view of the ModB
2
C
2
A complex in ribbon
representation, with the ModB subunits colored yellow and blue,
the ModC subunits colored green and magenta, the binding
protein ModA colored red, and with bound tungstate in van der
Waals representation (yellow and blue spheres). The gray box
depicts the probable location of the lipid bilayer on the basis of
the hydrophobicity of the protein surface. N, N-terminus; C,
C-terminus. Note that there is a vertical twofold molecular and
noncrystallographic symmetry axis for ModB
2
C
2
. Reproduced
with permission from Macmillan Publishers Ltd. Hollenstein K,
Frei DC, and Locher KP. Structure of an ABC transporter in
complex with its binding protein. Nature 446(7132): 213–216.
F1
F0
ATP
ADP + Pi
ab2
Stator C12
Rotor
α
γε
α
δ
β
b2
Inside
Lipid
membrane
Outside
Figure 4 This diagram of ATP synthase within the
mitochondrial inner membrane shows two major structural
components F
0
and F
1
and the subunits within each. The F
0
portion consists of three subunits: a, b, and c. The two b-subunits
firmly associate with the - and -subunits of F
1
, holing them
fixed to the membrane. The membrane-embedded cylinder of
c-subunits is attached to the shaft of F
1
. As protons move
through the membrane via F
0
, the cylinder and shaft rotate, and
the -subunits of F
1
change conformation as the -subunit
associates with each in turn. See text for details.
1128 Transport, Solute

exclusively as ATP hydrolysis-driven ion pumps and is
found in the membranes of a wide variety of intracellular
compartments, like chromaffin granules, lysosomes,
endosomes, synaptic vesicles, Golgi-derived vesicles, the
yeast vacuole, and the tonoplast of plants. They are
involved in many intra- and intercellular processes,
including receptor-mediated endocytosis, protein traf-
ficking, pH maintenance, and neurotransmitter release.
The A(archaeal)-type ATPases are found exclusively in
archaea and can function in either direction.
The F-, V-, and A-type ATPases represent the smal-
lest rotary motors found in living cells. Most of what we
know about the structure and mechanism of these rotary
molecules comes from studies on F-ATPase. Several
crystal structures are available for F
1
complex of the
F-type ATPase, including a 4.4 A
˚resolution X-ray crys-
tallography structure from E. coli, and a 3.2 A
˚resolution
structure from Bacillus. They all show a hexagonal barrel
of alternating - and -subunits about 100 A
˚long and 120
A
˚wide. The - and -subunits display significant simi-
larity at the level of both primary and tertiary structures.
The hexagon of - and -subunits contains a central
cavity, within which the -subunits locate. The middle
portion of gamma bounds to the "-subunit. Together
they form a central stalk that protrudes from the bottom
of
3
–
3
hexagon. The - and "-subunits also make
contact with the membrane-embedded ring through the
c-subunit of F
0
. A peripheral stalk, made of a single copy
of the -subunit (F
1
) with two copies of b-subunits (F
0
),
connect the membrane-embedded ring through the a-
subunit of F
0
. Its role is to act as a stator to hold the
catalytic
3
–
3
hexagon and the a-subunit static relative
to the rotary element of the enzyme, which consists of the
c-ring in the membrane and the attached central stalk.
The F
1
complex has six nucleotide-binding sites, all
located at the interfaces of the - and -subunits and
formed by amino acid residues from - and -subunits.
There are three noncatalytic binding sites formed mainly
by residues from -subunits, with some contributions
from the adjacent -subunits. These sites are filled with
magnesium nucleotide and show little variation. The
function of the noncatalytic nucleotide-binding sites is
not fully understood, but it is thought that they might
be important for the assembly and stability of the com-
plex. There are also three catalytic binding sites mainly
composed of -subunits, with some contribution from the
adjacent -subunits. These binding sites show variable
states, with the binding of MgAMP-PNP, MgADP, or
an empty state. Compared to the bound -subunit, the
structure of the empty -subunit is significantly different:
the nucleotide-binding pocket is collapsed and the entire
C-terminal domain is rotated and shifted downward.
Compared to the structurally well-characterized F
1
domain, there is no high-resolution structural model for
the intact membrane F
0
domain of the F-ATPase. The
c-subunits from different species are able to form rings of
10–14 proteolipids: the F
0
complex from Ilyobacter tartar-
icus has 11 proteolipids; the yeast enzyme has 10; and the
chloroplast has 14. None of these structures contains the
a-subunit, which has been modeled as a transmembrane
protein with 5–6 transmembrane -helices.
The current model of ATP synthesis by the F
0
F
1
-
ATPase, known as the rotary catalytic model, was first
proposed by Boyer and coworkers based on detailed ana-
lysis of the kinetics of F
1
-ATPase activity (Figure 4).
According to this model the F-, V-, A-type ATPase can
be divided into a static portion (stator) and a mobile
portion (rotor). In the E. coli F-ATPase, the stator is
composed of
3
–
3
––a–b
2
with a molecular weight of
380 kDa, and the rotor consists of –"–c
10
(150 kDa). The
proton-motive force across the cell membrane, generated
by the electron transport chain, drives the passage of
protons through the membrane via the F
0
region of
ATP synthase. The rotor (the ring of c-subunits) rotates
as the protons pass through the membrane. The c-ring is
tightly attached to the asymmetric central stalk consisting
primarily of the -subunit which rotates within the stator
(
3
–
3
of F
1
) causing the three catalytic nucleotide-bind-
ing sites to go through a series of conformational changes
that leads to ATP synthesis. ADP and Pi (inorganic phos-
phate) spontaneously bind to the three -subunits of the
F
1
domain, so that each time it goes through a 120
rotation an ATP is released (rotational catalysis). The
stator is prevented from rotating in sympathy with the
central stalk rotor by a peripheral stalk that joins the
3
–
3
to the nonrotating portion of F
0
(a-b
2
). The structure of
the intact ATP synthase is currently known at low reso-
lution from electron cryomicroscopy studies of the bovine
heart mitochondria complex. It shows that the peripheral
stalk is a flexible rope-like structure that wraps around
the complex and connects F
1
to F
0
. It can serve as a stator
during ATP synthesis and ATP hydrolysis.
Major Facilitator Superfamily
The MFS is an ancient, large, and diverse superfamily of
secondary transporters, which use an electrochemical gra-
dient to drive substrate translocation across the membrane.
They catalyze uniport in which one type of solute is driven
across the membrane by its own substrate gradient, sym-
port in which two or more types of solutes are pumped in
the same direction simultaneously utilizing the electroche-
mical gradient of one of the solutes as the driving force, and
antiport in which solutes are transported in opposite direc-
tions across the membrane. Most transporters in this family
have 400–600 amino acid residues and usually possess
either 12 or 14 putative transmembrane -helical seg-
ments. MFS permeases exhibit specificity for a diverse
range of substrates, such as sugars, sugar phosphates,
Transport, Solute 1129

polyols, drugs, neurotransmitters, metabolites, amino acids,
peptides, osmolites, iron siderophores, nucleosides, organic
and inorganic anions, and so on.
The MFS transporters are found almost ubiquitously
across all three kingdoms of living organisms. Like the
ABC superfamily, MFS transporters are abundant in pro-
karyotes with more than 6000 members identified to date
in sequenced prokaryotic genomes, constituting up to 3%
of ORFs (Table 3). Picrophilus torridus encodes the highest
percent of ORFs as MFS transporters (51, 3.3% of ORFs).
Only certain obligate intracellular organisms with highly
compact genomes do not encode MFS transporters, for
example, Phytoplasma asteris,Mesoplasma florum,Borrelia
afzelii,Borrelia garinii,Treponema pallidum,T. whipplei,M.
leprae, and Nanoarchaeum equitans.
The high-resolution three-dimensional structures of
the glycerol-3-P:P antiporter (GlpT) and the LacY have
been determined. These structures reveal the twofold
symmetry as expected, based on the sequence similarity
of the two halves. The substrate pathway is predicted to
exist between the two halves of the permeases using an
alternating access mechanism with a single substrate-
binding site. This mechanism is termed as the ‘rocker
switch’ type of movement.
GlpT is a major E. coli MFS uptake system for glycerol-
3-phosphate. It functions in the uptake of glycerol-3-phos-
phate through an antiport mechanism in which an
inorganic phosphate is simultaneously exported from the
cell. GlpT also catalyzes a reversible phosphate:phosphate
exchange. Mutants that lack the GlpT system fail to
exchange internal phosphate for either external phosphate
or glycerol-3-phosphate. The K
m
for the transport of
glycerol-3-phosphate via GlpT was estimated to be 20
mmol l
1
. The crystal structure for GlpT has been deter-
mined at 3.3 A
˚. It reveals two domains connected by a long
central loop. These N- and C-terminal domains, each
containing a six-helix bundle, are related by a pseudo-
twofold symmetry axis perpendicular to the membrane
plane. The central loop linking the two domains is long,
whereas most loops connecting the transmembrane -
helices of both domains are very short, leaving little free-
dom for relative movement of the helices within each
domain. A substrate translocation pore is located between
the two domains in an inward-facing conformation with
pore open to the cytoplasm and closed to the periplasm.
Two arginines at the closed end of the pore comprise the
substrate-binding site for the negatively charged phos-
phate moiety. Upon phosphate binding to the arginines,
GlpT adopts a more compact conformation, with the
N- and C-terminal domains moved closer and the cyto-
plasmic pore narrowed. Substrate binding also destabilizes
the interface between the N- and C-terminal domains on
the periplasmic side and allows further tilting of the two
domains to expose the substrate-binding site to the peri-
plasm. In the periplasm, the lower affinity of the
transporter for phosphate allows its replacement by gly-
cerol-3-phosphate, whereas in the cytoplasm phosphate
replaces glycerol-3-phosphate at the binding site due to
its much higher cytosolic concentration.
The lactose permease LacY is a lactose/proton symporter,
responsiblefortheuptakeoflactoseandothergalactosides.
The E. coli LacY is probably the best characterized secondary
Table 3 Top organisms with highest percent of MFS transport proteins
Organism
Number of MFS transport
proteins
Total
ORFs
Percent of ORFs as MFS transport
protein
Picrophilus torridus DSM9790 51 1535 3.3
Thermoplasma acidophilum DSM1728 34 1478 2.3
Francisella tularensis WY96-3418 35 1634 2.1
Escherichia coli K12-MG1655 89 4237 2.1
Sulfolobus acidocaldarius DSM639 46 2223 2.1
Bacillus subtilis 168 84 4112 2.0
Oenococcus oeni MCW PSU-1 33 1691 2.0
Francisella tularensis Schu4 31 1603 1.9
Burkholderia pseudomallei K96243 106 5729 1.9
Rickettsia conorii Malish7 25 1374 1.8
Burkholderia mallei ATCC23344 84 4764 1.8
Rickettsia prowazekii MadridE 14 835 1.7
Salmonella typhimurium LT2 74 4451 1.7
Corynebacterium glutamicum
ATCC13032
49 2993 1.6
Pseudomonas aeruginosa PAO1 88 5567 1.6
Sulfolobus tokodaii strain7 44 2826 1.6
Thermoplasma volcanium GSS1 47 3025 1.6
Bacillus anthracis A2012 86 5544 1.6
Coxiella burnetii RSA493 31 2009 1.5
Pseudomonas putida KT2440 82 5350 1.5
Pseudomonas fluorescens Pf-5 94 6137 1.5
1130 Transport, Solute

transporter. The functional roles of every residue in LacY
have been probed by Cys-scanning mutagenesis. LacY trans-
ports lactose and melibiose with similar affinities with a K
m
0.1–1 mmol l
1
. The crystal structure of LacY has also
been determined at 3.5 A
˚resolution. The structure of
LacY was derived from a C154G mutant that is capable
of binding substrate with high affinity, but catalyzes little
or no transport. The structure was solved in the presence
of the high-affinity lactose homologue -D-galactopyra-
nosyl-1-thio--D-galactopyranoside (TDG). Residues
that play major roles in substrate recognition and proton
translocation were also identified. The LacY structure is
highly similar to that of GlpT. It is composed of two
pseudo-symmetrical bundles with six transmembrane
helices each. Both structures reveal a large internal cav-
ity containing bound sugar and open to the cytoplasm,
but completely closed to the cytoplasm. The substrate-
binding site is better characterized in LacY than in
GlpT, largely due to the presence of substrate in the
solved structure. The LacY structure, in complex with
the substrate homologue TDG, shows the sugar bound
within this hydrophilic cavity at a similar distance from
either side of the membrane and in the vicinity of the
approximate molecular axis of LacY. The two galacto-
pyranosyl rings of TDG bind to the N- and C-terminal
six-helix domains. The sugar-binding site is the N-term-
inal domain is composed of residues from helices I, IV,
and V, while the helices VII and XI of the C-terminal
domain, which are symmetrically related to helices I and
V, form the other half of the binding site.
Based on the structure of LacY and GlpT and a large
body of biochemical and biophysical evidence, a mechan-
ism is proposed in which the transporter operates via a
single binding site, alternating access model. The sub-
strate-binding site is accessible from only one side of the
membrane at a time. Initially, the substrate-binding site is
accessible from the extracellular space in the outward-
facing conformation. The binding of substrate to the
binding site induces a conformational change that exposes
the substrate-binding site to the cytoplasm in the inward-
facing conformation for release. It is reasonable to think
that other MFS transporters maintain a similar basic
architecture and substitute key residues in the substrate-
binding site to change the specificity of the transporter.
Dicarboxylate/Amino Acid:Cation Symporter
Family
Transporters in the dicarboxylate/amino acid:cation
symporter (DAACS) family mediate the symport of
sodium ions or protons together with dicarboxylates like
malate, succinate, and fumarate or various amino acids
such as glutamate and aspartate. It is a much smaller
transporter family compared to MFS, with 434 members
identified in the TransportDB, but is also widely
distributed in that data set, being present in 169 organisms
across the three domains of life. B. japonicum and
Photobacterium profundum possess the highest number of
DAACS family transporters, each of which has nine.
The bacterial DAACS transporters are typically about
450 amino acid residues in length. Biochemical analyses
of the topology of glutamate transporters, suggest that
they have eight membrane-spanning -helices. In addi-
tion, the C-terminal region contains two pore-loop
structures, located between TMSs 6 and 7 and between
TMSs 7 and 8 that partly reenter the membrane from
opposite sides. The C-terminal region, including the
reentrant loops and TMSs 7 and 8, has been a focus of
study because it contains sites that interact with glutamate
and competitive analogues, and with key ions such as
sodium and potassium. The E. coli GltP is a proton-
dependent transporter for glutamate and aspartate with
K
m
of 5mmol l
1
. It was shown to function as a homo-
trimer, and via an electrogenic symport mechanism where
L-glutamate was cotransported with at least two protons.
The mammalian glutamate transporters are typically
about 550 residues in length. They catalyze the concen-
trative uptake of glutamate from the synapse to
intracellular spaces utilizing preexisting ion gradients.
These transporters are essential for normal development
and function of the central nervous system and are impli-
cated in stroke, epilepsy, and neurodegenerative diseases.
Prokaryotic and eukaryotic glutamate and neutral amino
acid transporters share significant amino acid sequence
similarities throughout the entire polypeptide.
The three-dimensional structure of a member of the
DAACS family Glt
Ph
, a sodium ion-coupled aspartate
transporter from the thermophilic archaeal species
Pyrococcus horikoshii, has been determined to 3.5 A
˚. The
Glt
Ph
transporter structure was trimeric with three
wedge-shaped subunits assembled to form a bowl-like
structure. The basin faces the extracellular solution and
the smaller base faces the cytoplasm. The deep, hydro-
philic surface of the basin interior extends halfway across
the membrane bilayer. An electron density consistent
with a bound molecule of glutamate is located between
the reentrant hairpin loops, and interacts with key amino
acids in TMSs 7 and 8. The substrate-binding sites have
been identified on each of the three subunits. It is pro-
posed that the two hairpin loops serve as the gates
controlling intracellular and extracellular access, respec-
tively. At least three conformational states are involved in
the transport cycle: open to the outside, occluded, and
open to the inside. The transport of glutamate is achieved
by movements of the hairpins that allow alternating
access to either side of the membrane. Two sodium ions
bind to TMS 7 and in close proximity to the substrate.
These sodium-binding sites, together with the TMS 7
-helix function as the central element of the ion-binding
motif, which participates in conformational changes
Transport, Solute 1131

between the different states during the transport cycle.
This mechanism is quite distinct from the ‘rocker switch’
mechanism, suggested by the studies of the structures of
MFS transporters.
Phosphotransferase System
The PEP:sugar PTS is a complex enzyme system func-
tioning in the detection, transport, and phosphorylation
of various sugar substrates, including monosaccharides,
disaccharides, amino sugars, polyols, and other sugar
derivatives. The PTS family transporters use PEP as the
energy source and the phosphoryl donor to carry out their
catalytic function in sugar transport and phosphorylation.
The basic components of the PTS are similar in all
species studied. It is comprised of two general cytoplas-
mic components, enzyme I (EI) and phosphoryl carrier
protein (HPr), which are common to all PTS carbohy-
drate transporters. The multidomain enzyme II (EII)
complex is sugar-specific. Eubacteria usually encode
many different EIIs. Each EII complex consists of one or
two hydrophobic integral membrane domains (domains C
and D) and two hydrophilic domains (domains A and B).
The three or four domains together are responsible for
the transport of the carbohydrate across the bacterial
membrane as well as its phosphorylation. EII complexes
can be formed by either distinct proteins or a single
multidomain protein. Likewise, fusion proteins that con-
tain EI and/or HPr domains exist. A prominent example
of the latter is FPr, which consists of HPr and an EIIA
domain and mediates phosphoryl transfer during the
uptake of fructose by E. coli,Salmonella enterica serovar
Typhimurium, and Rhodobacter capsulatus. The PTS trans-
porters are found exclusively in Gram-positive and
Gram-negative eubacteria and are absent in archaea and
eukaryotes. Enterococcus faecalis,Lactobacillus plantarum, and
Listeria monocytogenes exhibit the highest number of PTS
systems among all the sequenced prokaryotic genomes,
each have about 40 EII complexes. About 15 different EII
complexes are encoded in E. coli and Bacillus subtilis. The
properties of these enzymes have been established by
various genetic, biochemical, and physiological studies.
Paralogues of EI and HPr have also been identified in
some species. For example, five paralogues of each gen-
eral PTS protein were discovered in E. coli.
In a typical phosphoryl transfer reaction (Figure 5), EI
is phosphorylated using a phosphoryl group from PEP first,
which initiates a chain of reactions. Then phosphohistidyl-
EI phosphorylates a histidyl residue in HPr. This phos-
phorylation then transfers its phosphoryl group to a
histidyl residue in EIIA of the sugar-specific EII complex.
The phosphoryl group is then sequentially transferred to
EIIB, and is finally transferred to the transported sugar
bound to the membrane components, EIIC and/or EIID.
All the phosphoryl derivatives in this multistep phosphoryl
transfer system exhibit similar energy. The phosphoryla-
tion occurs at either histidyl or cysteyl residues.
E. coli EI is a 63 kDa protein which contains about 570
residues and is encoded by the ptsI gene. Sequence com-
parisons reveal significant similarities among EIs from
various Gram-positive and Gram-negative eubacteria.
EI is autophosphorylated in the presence of Mg
2þ
at the
N-3 position of the imidazole ring of conserved histidine
residue on the N-terminus of the protein, which also
contains the binding site for HPr. The C-terminus of EI
contains the PEP-binding site and is required for dimer-
ization. The structure of a full-length EI of Staphylococcus
carnosus reveals that the N-terminal phosphohistidine and
HPr-binding domain are clearly separated from the
C-terminal dimerization and PEP-binding domain. EI
forms a homodimer that accepts the phosphoryl group
from PEP. The inactive monomeric EI exhibits a rela-
tively high structural variability. The dimerization and
the binding of Mg
2þ
and PEP induce conformational
changes that bring the C-terminal domain with the two
bound ligands close to the active site, which is necessary
to facilitate the phosphotransfer.
HPr is a small, heat-stable protein (about 90 residues,
9–10 kDa). It is encoded by the ptsH gene. HPr is phos-
phorylated at the N-1 position of the imidazole ring of a
histidyl residue (His-15) by PEP and EI. In most low-GC
Gram-positive eubacteria and a few Gram-negative
organisms, HPr can also be phosphorylated by a regula-
tory ATP-dependent Hpr(Ser) kinase on a seryl residue
(Ser-46). This is not part of the phosphoryl transfer to
P
P
P
P
Pyruvate
PTS sugar~P (in)
EIIA
EIIC
EIIB
EIIC
EIIB
P
EIIA
P
HPr HPr
P
EI EI
P
Phosphoenolpyruvate
PTS sugar (out)
Figure 5 General phosphoryl and sugar transport reaction
catalyzed by the PTS. Sugars are transported and concomitantly
phosphorylated by the PTS. See text for details.
1132 Transport, Solute

carbohydrates, but phosphorylation of the seryl residue
slows the phosphoryl transfer from EI to HPr at least 100-
fold. E. coli HPr contains an Ser-46 residue but lacks an
HPr(Ser) kinase. However, replacement of Ser-46 by an
aspartyl residue significantly lowers the affinity of EI for
HPr. The three-dimensional structure of HPrs from E.
coli,B. subtilis, and several other species are known. It
forms an open-faced -sandwich, which consist of four
antiparallel -sheets that is covered at one side by one
short and two long -helices. The active histidyl residue
(His-15) is located in the N-terminal part of the first long
-helix and is exposed to the solvent. The -sheet curls
back on itself so that the regulatory seryl residue (Ser-46)
is close to the active histidyl residue. Thus, the presence
of the negatively charged phosphoryl group at Ser-46
may inhibit the phosphorylation at the active site by
electrostatic repulsion or by inhibition of EI binding.
The carbohydrate specificity of the PTS is dependent
on the EII complexes, which consist of integral membrane
domains/proteins (EIIC/EIID) and cytoplasmic domains/
proteins (EIIA/EIIB). The PTSs were classified into four
superfamilies with distinct evolutionary origins on the basis
of the phylogenies of the EII complexes: (1) the glucose–
fructose–lactose superfamily, comprised of the glucose
family (TC 4.A.1), the fructose–mannitol family (TC
4.A.2), the lactose family (TC 4.A.3), and the glucitol family
(TC 4.A.4); (2) the mannose family (TC 4.A.6); (3) the
ascorbate–galactitol superfamily, comprised of the ascor-
bate family (TC 4.A.7) and the galactitol family (TC 4.A.5);
and (4) the dihydroxyacetone (DHA) family. The
sequence-based classification of the various PTSs is sup-
ported by X-ray crystallography and nuclear magnetic
resonance studies, which clearly show that the structures
of the EIIA and EIIB domains/proteins belonging to the
various classes are quite different. Information on the
structure of the integral membrane domain EIIC (and
EIID) is limited. A large-scale bioinformatic study of the
membrane topologies of EIIC in the glucose–fructose–
lactose superfamily, suggest that members of this super-
family exhibit similar average hydropathy plots with eight
TMSs -helices and two reentry loops located between
TMSs 6 and 7 and TMSs 7 and 8, respectively. The
regions of average amphipathicity and relative conserva-
tion are also similar among all these members.
PTS also carries out numerous regulatory functions.
The four proteins/domains (EI, HPr, EIIA, and EIIB)
form a PTS phosphorylation cascade that can phosphory-
late or interact with numerous non-PTS proteins and
thereby regulate their activity. PTS regulation network
not only controls carbohydrate uptake and metabolism but
also interferes with the utilization of nitrogen and phos-
phorus and the virulence of certain pathogens. In E. coli,
nitrogen enzyme I (EI
Ntr
), nitrogen HPr (NPr), and nitro-
genIIAprotein(IIA
Ntr
), paralogues of EI, HPr, and EIIA
Fru
,
respectively, constitute a phosphoryl transfer chain that has
been shown to exhibit little enzymatic cross-reactivity with
the classical sugar-transporting phosphoryl transfer chain
consisting of EI, HPr, and various sugar-specific EII com-
plexes. This nitrogen-related phosphoryl transfer chain
presumably functions only in regulation. EI
Ntr
homologues
have been shown to cluster phylogenetically together, dis-
tantly from all other EI homologues. EI
Ntr
may serve a
sensory function linking carbon and nitrogen metabolism.
AmutationoftheEI
Ntr
gene resulted in impaired metabo-
lism of poly--hydroxybutyrate, and diminished
respiratory protection of nitrogenase under carbon-limiting
conditions. In addition to EI
Ntr
and NPr, E. coli encodes
within its genome three additional EI paralogues and four
additional HPr paralogues. The functions of most of these
proteins are still unknown. A nontransporting EII complex
was characterized in E. coli recently. It phosphorylates DHA
at the expense of PEP, using three soluble DHA-specific
proteins (DhaK, DhaL, and DhaM), in addition to EI and
HPr. The DhaM protein consists of three domains: an
N-terminal IIA
Dha
domain that is distantly related to
IIA
Man
, a central HPr domain, and a C-terminally truncated
EI domain. All three domains can be phosphorylated by
PEP with the EI and HPr as phosphoryl donors.
Comparative Studies of Transporter
Family Distribution Show Strong Influence
of Physiology and the Living Environment
Recent advancements in genome sequencing make it
possible for the comparative analyses of essential cellular
processes like transport in organisms across the three
domains of life. As of December 2007, over 600 prokar-
yotic genomes have been sequenced and deposited in the
public databases. These genomes cover a broad range of
microbial organisms from different phylogenetic group-
ings, allowing comparative genomic analyses across a
diverse range of organisms and lifestyles. A recent study
of phylogenetic profiles of transporter families, which are
derived from the presence or absence of a certain trans-
porter family, showed that organisms that clustered
together based on similar transporter distribution patterns
appeared to reflect both phylogenetic and environmental
factors. For instance, three large groups of organisms with
similar transporter profiles were identified that appeared
to reflect their physiology and living environment: obli-
gate intracellular organisms, plant/soil-associated
organisms, and autotrophs. Each of these groups exhibited
distinct patterns of transporter family distribution.
The obligate intracellular organisms possessed the fewest
types and number of transporters, while plant/soil-
associated organisms generally encoded the largest vari-
ety and number of transporters. The cluster of
autotrophic organisms generally lacked transporters for
Transport, Solute 1133

carbohydrate and organic nutrients, while possessing a
range of transporters for inorganic ions and molecules.
Obligate Intracellular Pathogens/
Endosymbionts
The cluster of obligate intracellular organisms includes a
group of phylogenetically diverse intracellular pathogens or
endosymbionts, including Chlamydia (pathogens);
-proteobacteria like Buchnera spp., Wigglesworthia glossinidia,
and Candidatus Blochmannia spp. (endosymbionts); -
proteobacteria such as Wolbachia spp. (endosymbionts) and
Anaplasma spp., Ehrlichia spp., Rickettsia spp., Neorickettsia
sennetsu,Bartonella spp. (pathogens); low-GC Gram-positive-
like organisms Mycoplasma spp., Ureaplasma urealyticum,
P. asteris,andT. whipplei (pathogens); spirochetes like
T. pallidum,Borrelia spp. (pathogens); and an archaeal endo-
symbiont, N. equitans. Owing to the less dynamic nature of
their intracellular environments, the transport requirements
for these obligate intracellular organisms are probably more
specialized than those of environmental organisms. This may
have allowed them to shed, for example, transporters for
alternative nitrogen/carbon sources, drug/toxic metabolite
efflux, osmoregulation, and ion homeostasis. The residual
transport systems conserved in these obligate intracellular
organisms probably belong to the core essential genes
required for the acquisition of key nutrients and metabolic
intermediates. For example, in Rickettsia species, genes coding
for proteins functioning in glycolysis and the biosynthesis of
S-adenosylmethionine (SAM) and nucleotides are absent.
They completely rely on the hosts for these small molecules.
As expected, transporter systems for the uptake of nucleoside
monophosphates (ATP:ADP antiporter family), SAM (drug/
metabolite transporter family), and glycerol-3-phosphate
(MFS family) have been identified. The essential glutamate
transporter in two obligate endosymbionts, Blochmannia
floridanus and W. glossinidia, provides another example: the
GltP glutamate:proton symporter (DAACS family) is
encoded in B. floridanus, while the GltJKL ABC transporter
is expressed in W. glossinidia. Both of these organisms have a
truncated TCA cycle which begins with -ketoglutarate and
ends with oxaloactetate. Their TCA cycle could be closed by
the transamination of the imported glutamate to aspartate,
catalyzed by an aspartate aminotransferase (AspC) which uses
oxaloactetate as a cosubstrate and produces -ketoglutarate.
Therefore, two different transporters in two species use the
same strategy to feed in the essential metabolite intermediates
and fulfill the same metabolic goal. The genome sequencing
of Baumannia cicadellinicola, an intracellular symbiont in the
glassy-winged sharpshooter (Homalodisca coagulata), reveals
that B. cicadellinicola encodes a very limited set of amino acid
synthesis pathways. Except for histidine, no complete path-
ways for the synthesis of any essential amino acids are present.
The lack of amino acid synthesis pathways is apparently
compensated by the ability to import amino acids from the
host using a general amino acid ABC transporter, an arginine/
lysine ABC transporter, a lysine permease, and a proton/
sodium-glutamate symporter.
Compared to species in other clusters, obligate intra-
cellular organisms show a higher degree of variation in
terms of energy-coupling mechanism and transport mode.
These variations may reflect the unique internal environ-
ment inside the host cells. All these observations illustrate
how adaptation of an organism to certain living conditions
leads to changes in its transporter repertoire and at the
same time determines the set of transporters that the
organism cannot afford to lose. Another distinct feature
of obligate intracellular organisms is the lack of a group of
sodium ion-dependent transporter families, including the
neurotransmitter:sodium symporter, alanine/glycine:ca-
tion symporter, solute:sodium symporter, and divalent
anion:sodium symporter. Transporters in these families
are all symporters which utilize the sodium ion gradient
to transport amino acid, solute, and/or divalent ions to the
cytoplasm. In general, free-living environmental organ-
isms frequently encode a variety of sodium-dependent
pumps. In contrast, obligate intracellular organisms have
virtually completely lost these families, probably related
to the very low sodium ion concentrations likely inside
their host cells.
Soil/Plant-Associated Microbes
The cluster of soil/plant-associated microbes include
organisms from various phylogenetic groups, for example,
Actinobacteria (Corynebacterium spp., Nocardia farcinica,
and Streptomyces spp.), -proteobacteria (Actinobacter sp.,
Idiomarina loihiensis,Pseudomonas spp., Pseudoalteromonas
haloplanktis, and Rhodopseudomonas palustris), -proteobac-
teria (Bordetella spp., Burkholderia, and Ralstonia),
-proteobacteria (A. tumefaciens,Brucella spp., Jannaschia
sp., M. loti,Silicibacter pomeroyi, and S. meliloti), -proteo-
bacteria (Geobacter sulfurreducens and Pelobacter carbinolicus),
and -proteobacteria (Wolinella succinogenes). All of the
organisms in this group possess a robust collection of
transporter systems. The similarity of phylogenetic pro-
files of organisms in this cluster probably reflects the
versatility of these organisms and their exposure to a
wide range of different substrates in their natural envir-
onment. The majority of species in this cluster can be free
living in the soil and some are capable of living in a
diverse range of environments. They generally share a
broad range of transport capabilities for plant-derived
compounds, in particular, and for organic nutrients, in
general. Interestingly, some human facultative pathogens,
such as Bordetella and Brucella, show similar transporter
family profiles with organisms in this group. These parti-
cular pathogens have close relatives that are soil- or
1134 Transport, Solute

plant-associated environmental organisms, so their trans-
port capabilities probably reflect a combination of their
evolutionary heritage, original environmental niche, and
their current transport needs.
Autotrophs
The cluster of autotrophic organisms with similar transpor-
ter distribution profiles includes both obligate and
facultative autotrophs. Obligate autotrophs obtain energy
exclusively by the oxidation of inorganic substrates and use
carbon dioxide as the only resource of carbon, such as the
nitrifying bacteria Nitrobacter winogradskyi (oxidizing nitrite
ion), and Nitrosomonas europaea and Nitrosococcus oceani (oxi-
dizing ammonium ion). Facultative autotrophs obtain some
part of their energy from oxidation of iron, sulfur, hydrogen,
nitrogen, and carbon monoxide. These include green sulfur
bacteria, (Chlorobium spp. and Pelodictyon luteolum) and green
nonsulfur bacteria (Dehalococcoides spp.), both of which are
anaerobic photosynthetic bacteria; Cyanobacteria
(Prochlorococcus spp., Synechococcus spp., Synechocystis sp.,
Nostoc sp., Gloeobacter violaceus,andT. elongatus), which are
aerobic photosynthetic bacteria; a hydrogen-oxidizing
microaerophilic, obligate chemolithoautotrophs (Aquifex
aeolicus); an obligate methanotroph, Methylococcus capsulatus;
and a group of autotrophic archaeal species (Aeropyrum
pernix,Sulfolobus spp., P. torridus,Thermoplasma spp.,
Methanobacterium thermoautotrophicum,Methanopyrus kandleri,
Methanococcus jannaschii,Pyrobaculum aerophilum,Pyrococcus
spp., Thermococcus kodakaraensis,Natronomonas pharaonis,
Haloarcula marismortui,andHalobacterium sp.). In line with
their metabolic features, organisms in this group generally
lack transporters for carbohydrates, amino acids, carboxy-
lates, nucleosides, and so on. Instead, they encode a full
array of transporters for various cations and anions, ammo-
nium, inorganic phosphate, and sulfate, which feed into
their autotrophic metabolism. Transporter families for inor-
ganic ions and small compounds are heavily represented in
these autotrophs, including potassium and chloride ion
channels (voltage-gated ion channel superfamily and chlor-
ide channel family), ammonium transporter, inorganic
phosphate transporter, sulfate permease, and calcium:cation
antiporter. These features distinguish this group of
autotrophs from organisms in the plant/soil-associated
and intracellular pathogen/endosymbiont clusters.
Interestingly, some heterotrophic bacteria exhibit similar
transporter profile to obligate autotrophs. They generally
fall into several categories: pathogens that are evolved from
environmental organisms, like Leifsonia xyli and Leptospira
interrogans; organisms with extensive ion transport systems
and/or few organic nutrient transporters, like T. tengcongensis,
Coxiella burnetii,andMycobacterium spp.; and a Thermotogales
(Thermotoga maritima) with extensive array of archaeal-
lineage genes, and was found to cluster with the archaeal
speciesinthissupercluster.
Conclusion
The era of structural biology and genomics has opened
new horizons in our understanding of complex biological
questions. The three-dimensional transporter structures
have provided us invaluable information on the mechan-
isms of transporter function, while the comparative
genomic approaches for the analysis of membrane trans-
port systems rendered insights on how microbes adapt to
their environment. The observations that organisms with
similar lifestyles and/or ecologic niches (obligate intra-
cellular, soil/plant-associated, or autotrophic) display
similar phylogenetic profiles despite their phylogenetic
differences strongly suggest the influence of living envir-
onment on organisms’ membrane transport gene
complement.
Further Reading
Abramson J, Kaback HR, and Iwata S (2004) Structural comparison of
lactose permease and the glycerol-3-phosphate antiporter:
Members of the major facilitator superfamily. Current Opinion in
Structural Biology 14(4): 413–419.
Barabote RD and Saier MH, Jr (2005) Comparative genomic analyses of
the bacterial phosphotransferase system. Microbiology and
Molecular Biology Reviews 69(4): 608–634.
Boudker O, Ryan RM, Yernool D, Shimamoto K, and Gouaux E (2007)
Coupling substrate and ion binding to extracellular gate of a sodium-
dependent aspartate transporter. Nature 445(7126): 387–393.
Davidson AL and Chen J (2004) ATP-binding cassette transporters in
bacteria. Annual Review of Biochemistry 73: 241–268.
Deutscher J, Francke C, and Postma PW (2006) How
phosphotransferase system-related protein phosphorylation
regulates carbohydrate metabolism in bacteria. Microbiology and
Molecular Biology Reviews 70(4): 939–1031.
Hollenstein K, Frei DC, and Locher KP (2007) Structure of an ABC
transporter in complex with its binding protein. Nature
446(7132): 213–216.
Paulsen IT, Nguyen L, Sliwinski MK, Rabus R, and Saier MH, Jr (2000)
Microbial genome analyses: Comparative transport capabilities in
eighteen prokaryotes. Journal of Molecular Biology 301(1): 75–100.
Paulsen IT, Sliwinski MK, and Saier MH, Jr (1998) Microbial genome
analyses: Global comparisons of transport capabilities based on
phylogenies, bioenergetics and substrate specificities. Journal of
Molecular Biology 277(3): 573–592.
Ren Q, Chen K, and Paulsen IT (2007) TransportDB: A comprehensive
database resource for cytoplasmic membrane transport systems and
outer membrane channels. Nucleic Acids Research 35: D274–D279.
TransportDB: http://www.membranetransport.org/
Ren Q, Kang KH, and Paulsen IT (2004) TransportDB: A relational
database of cellular membrane transport systems. Nucleic Acids
Research 32: D284–D288.
Ren Q and Paulsen IT (2005) Comparative analyses of fundamental
differences in membrane transport capabilities in prokaryotes and
eukaryotes. PLoS Computational Biology 1(3): 190–201.
Ren Q and Paulsen IT (2007) Large-scale comparative genomic analyses
of cytoplasmic membrane transport systems in prokaryotes. Journal
of Molecular Microbiology and Biotechnology 12(3–4): 165–179.
Saier MH, Jr (2000) A functional-phylogenetic classification system for
transmembrane solute transporters. Microbiology and Molecular
Biology Reviews 64(2): 354–411. TCDB: http://www.tcdb.org/
Transport, Solute 1135

Saier MH, Jr, Tran CV, and Barabote RD (2006) TCDB: The transporter
classification database for membrane transport protein analyses and
information. Nucleic Acids Research 34: D181–D186.
Wilkens S (2005) Rotary molecular motors. Advances in Protein
Chemistry 71: 345–382.
Relevant Website
http://www.membranetransport.org/ – TransportDB
1136 Transport, Solute

Transposable Elements
W S Reznikoff, Marine Biological Laboratory, Woods Hole, MA, USA
ª2009 Elsevier Inc. All rights reserved.
Defining Statement
Introduction
The Advent of In Vitro Transposition Systems
Genome-Wide Knockout Analyses
Transposable Element-Based Deletion Studies
Targeting Individual Genes
Conclusion
Further Reading
Glossary
bacteriophage A virus that infects bacteria.
CFP Cyan fluorescent protein.
donor DNA The DNA on either side of the transposon
from which the transposon moves during transposition.
recognition end sequences The short DNA
sequences that define the two ends of a DNA
transposon. Recognition end sequences are recognized
by the transposon-specific transposase protein.
synapsis The formation of a transposase–transposon
DNA dimeric complex, t is a required intermediate in
transposition.
target DNA The DNA into which the transposon DNA is
inserted following transposition.
Tn5 Transposon 5, a particular DNA transposon.
transposase The protein that catalyzes DNA
transposition.
transposition The process by which a defined DNA
sequence moves from one site in the genome to a
second site.
transposon The defined DNA sequence that is moved
as a consequence of transposition.
YFP Yellow fluorescent protein.
Abbreviations
CFP cyan fluorescent protein
ER end recognition
YFP yellow fluorescent protein
Defining Statement
Transposons are powerful molecular genetic tools for
performing both genome-wide genetic analyses and stu-
dies targeted to particular genes or gene regions. In
addition to being amenable to standard genetic analyses,
transposon technologies are important adjuncts to mod-
ern high-throughput techniques.
Introduction
The first use of transposable elements (to be called trans-
posons for the remainder of this article) as tools for
microbial genetics dates from the discovery of bacter-
iophage Mu by AL Taylor over 40 years ago. Taylor’s
initial report on Mu described how one could generate a
wide variety of auxotrophic mutations merely by creating
Mu lysogens. The frequency and variety of these muta-
tions within a lysogen population suggested that all
lysogens were mutants in which the phage genome had
inserted into one of a wide variety of bacterial genomic
sites. In other words, Taylor had discovered a biologically
based mutagen that was incredibly efficient, apparently
random, and very easy to use.
It was this observation by Taylor, bolstered by discus-
sions of Mu’s properties at Cold Spring Harbor Phage
Meetings, that led various investigators to adopt Mu as
a genome-scanning, knockout, mutagen. My own adoption
of this tool, soon after I arrived at the University of
Wisconsin–Madison as a new faculty member, was initiated
by my attempt to use Mu to identify positive regulatory
genes for the Escherichia coli tryptophan operon. I used a
trp-lac fusion strain and looked for Lac
Mu lysogens on
Lactose-MacConkey agar. As it frequently happens in
genetics, the selection/screen worked to yield interesting
mutations (in the gene encoding phosphoglucose isomer-
ase), but not in the mythical gene that I had imagined to
exist. Nonetheless, the power of transposons as genetic tools
was not lost on me and many other investigators.
The widespread acceptance of transposons as genetic
tools in the E. coli and Salmonella typhimurium research
communities followed from the discovery of two other
types of transposons. An analysis of spontaneous knockout
1137

mutations in E. coli indicated that many of them were
caused by the insertion of identical DNA sequences.
These became to be known as IS elements, each type
encoding its own transposase and containing specific
terminal sequences that were recognized by the cognate
transposase at the initiation of transposition. A second
related class of mobile genetic elements was discovered
in the mid-1970s. These elements were antibiotic
resistance-encoding transposons that could move from
one replicon (for instance, an antibiotic resistance-
encoding plasmid called an R factor) to a second replicon
(such as bacteriophage ). I directly benefited from these
discoveries as Jim Shapiro (one of the discoverers of IS
elements) and I were postdoctoral fellows together
shortly after his discovery of IS-associated mutations,
and the next step in my research career led me to a
laboratory adjacent to that of Julian Davies, who shortly
thereafter discovered the antibiotic resistance-encoding
transposon Tn5.
The discoveries of IS elements and antibiotic resistance-
encoding transposons were coupled with the then ‘new’
recombinant DNA techniques to enable the structural dis-
section, modification, and genetic analysis of several
transposons. A generic view of transposon structure is pre-
sented in Figure 1. An important result of these studies was
the detailed determination of the key steps in the transposi-
tion process for several transposons (Figure 1 also presents a
schematic of transposition through one well-studied
mechanism, ‘cut and paste’ transposition).
Molecular Participants in Transposition
The key molecular participants in ‘cut and paste’ trans-
position (see Figure 1) are quite simple. As described
below, these participants include transposon-specific
transposase, transposon DNA defined by recognition
end sequences, target DNA, and Mg
2þ
.
1. Transposase For each type of transposon, there exists
an element-specific protein called a transposase, which
catalyzes the biochemical steps in transposition. For
many frequently used transposons, the transposase is
the only required protein although in some cases host
proteins or additional transposon-encoded proteins are
required.
2. Recognition end sequences (defining the transposon structure)
Each transposon end is defined by a specific DNA
recognition end sequence to which the transposase
specifically binds to initiate the transposition process.
For some transposons, these ends are as short as 18 bp.
If the transposase is encoded elsewhere, the content
and length of the DNA found between the two recog-
nition end sequences can be anything, provided it is
not too short (a 256-bp Tn5derivative has been
successfully used) or too long as to prevent the forma-
tion of transposition intermediates (see Figure 1).
3. Target DNA The final step in transposition involves
the integration of the transposon DNA into the target
DNA sequence on the same or on a different DNA
molecule (Figure 1). Many transposons are rather
random in their target sequence choice with the exact
target primarily chosen based on the random collision
between the excised element and the target. However,
there are some sequence biases that have been deter-
mined for those transposons that have been carefully
studied.
4. Mg
2þ
(or Mn
2þ
)The divalent cation Mg
2þ
plays an
absolutely key role in the catalytic steps for
transposition.
Transposon Content
The realization that transposon DNA is flexible in con-
tent and the use of recombinant DNA technology to
modify the content of transposons have been important
steps in developing transposons as true tools in molecular
genetic analyses, making them far more than mere knock-
out mutagenesis agents. In essence, anything that the
investigator can conceive of with regard to a desired
DNA sequence can be incorporated between the two
recognition end sequences. General categories of inter-
esting DNA sequences to consider include the following.
1. Selectable functions The fundamental genetic informa-
tion that is needed within a transposon for almost all
applications is a selectable marker. In the original Mu
work of Taylor, the selectable marker was immunity to
Mu superinfection. Transposons in use today typically
encode resistance to one or more antibiotics. The
architects of these antibiotic-resistant transposons
have merely borrowed from or copied the transposons
that were discovered in the 1970s.
2. Reporter functions A variety of reporter functions have
been included in the body of transposons typically
with the reporter gene abutting one recognition end
sequence. In operon fusion systems, the reporter gene
is complete with its own translation initiation signals,
but lacks a transcription initiation signal between the
reporter gene and the upstream end of the element.
With this type of construct, the reporter gene expres-
sion will be driven by transcription that reads from the
DNA adjacent to the target site and provides a quali-
tative measure of the level of the resulting fusion
mRNA synthesis. Gene fusion reporter systems fuse
an N-terminal truncated protein encoded by the trans-
poson to a protein encoded by the target sequence.
Thus, the fusion can be used to tag the target protein
for determining its subcellular localization and to eval-
uate the level of transcription and translation of the
1138 Transposable Elements

targeted gene. Typical reporter genes include those
that encode -galactosidase, alkaline phosphatase,
and various fluorescent proteins. A specific example
of the use of fluorescent protein fusions will be given
later.
3. Landmarks Transposons by their very nature represent
landmarks. That is, their integration inserts a recogniz-
able DNA sequence within the target DNA and
their locations and orientations can be easily mapped
against other known genome locations. In addition,
transposons have been designed to carry specialized
landmarks. An obvious class of landmarks carried by all
transposons is a primer-binding site that can be used
for sequencing adjacent target DNAs. It is for this
reason that transposons are frequently used as power-
ful DNA sequencing tools. Transposons have been
designed to carry sequences that are targets for site-
specific recombination systems (such as a P1 lox site, a
att site, or an FRT site) so that additional genetic
information can be subsequently incorporated or
Add transposase ( )
Synaptic (transposase–
transposon) complex
Donor
DNA
Donor
DNA
Transposon
Recognition end sequence
Transposase catalyzed
DNA cleavage
Target DNA capture
Transposase catalyzed
strand transfer
Target Transposon
Target
DNA
Figure 1 Transposon structure and ‘cut and paste’ DNA transposition. DNA transposons are DNA sequences that are defined by
specific end sequences (represented by two open triangles). Typically, a natural transposon contains a gene that encodes the specific
transposase (represented by an open circle) that catalyzes transposition after binding to the specific recognition end sequences.
However, if the transposase is supplied from somewhere else, the DNA between the specific end sequences can contain a wide variety
of other genetic information. The figure additionally presents a simplified schematic of ‘cut and paste’ DNA transposition. The
transposase binds to the recognition end sequences to form a synaptic complex. In the presences of Mg
2þ
, the transposase in the
synaptic complex catalyzes cleavage of the DNA between the recognition end sequences and the donor DNA, thus releasing the
transposition complexes. The transposition complexes then bind to target DNA and the transposase then catalyzes strand transfer,
thus inserting the transposon into the target. Further details on transposon structure and the ‘cut and paste’ transposition mechanism
can be found in Nancy Craig and Williams Reznikoff.
Transposable Elements 1139

unwanted transposon sequences can be removed. Rare
cleavage sites can be included for physical mapping of
insert locations or as counterselectable markers against
the presence of the transposon or to allow the removal
of unwanted transposon-encoded sequences (see below
for an example of such a sequence removal process).
Finally, transposons that carry multiple copies of lacO
or tetO can be located through fluorescence micro-
scopy within a cell or on long DNAs using cognate
repressors fused to GFP derivatives (for instance,
LacI-CFP and TetR-YFP).
An interesting class of landmarks, which can be
derived from inserted transposons, are sequences that
encode specific amino acid residues in the interrupted
target gene product. For instance, the encoded sequence
may involve the insertion of a unique protease-sensitive
site or a particular epitope. In general, these types of
insertion products are examples of linker-scanning
mutations. Typical transposons that are used to generate
these insertions include a translation-fusion reporter
function so that only insertions in the desired orienta-
tion and in the correct reading frame are chosen
for subsequent analysis. They also have modified
recognition end sequences so that they can encode the
desired peptide-encoding sequence and there are site-
specific recombination sites or rare restriction sites that
allow the simple excision of the bulk of the transposon.
Following excision, an insert containing N3nucleo-
tides encoding the desired sequence is left behind within
the target-encoded protein (Figure 2). In some cases,
the modification is even more detailed, for instance, the
resulting protein can have a single amino acid insertion,
substitution, or deletion. Further examples will be pre-
sented subsequently.
4. Controlling elements Controlling elements are cis active
DNA (or RNA) sequences through which the inserted
transposon can direct adjoining DNA (or RNA) activ-
ities. Examples of controlling elements include the
following:
a. Promoter sequences for directing the transcription
of adjacent DNAs.
b. Transcription termination sequences to insure that
the inserted transposon shall have a polar knockout
effect on downstream genes.
c. Origins of replication that will allow the inserted
transposon to act (in conjunction with restriction
Cleavage sites
Transpose
TransposaseTransposon
Target
clone
Remove bulk
of transposon
Reporter-selector
Figure 2 Transposons and the generation of linker-scanning mutations. Transposons can be used to generate linker-scanning
mutations. The transposon showed contains genes for a protein fusion reporter gene and an antibiotic resistance (selector). Inserts are
selected with the selector and those inserts in the correct orientation and reading frame are identified with the reporter. The bulk of the
transposon is excised using a specific cleavage site and ligation leaving the linker sequence in various random locations. See Williams
Reznikoff for a modified version of this figure.
1140 Transposable Elements

cleavage beyond the boundaries of the transposon
followed by ligation) as a cloning tool for adjacent
DNAs.
d. Origins of DNA transfer.
e. End recognition sites for an alternative transposase,
thus constructing a composite transposon (a use for
including alternative transposon end recognition
sites will be described subsequently).
The Advent of In Vitro Transposition
Systems
The initial applications of transposon technology were
performed with in vivo transposition reactions. Typically,
the investigator would construct a transposon within a so-
called suicide vector. Suicide vectors cannot replicate
within the target host under defined conditions. In many
cases, the gene encoding the transposase would be located
outside of the boundaries of the transposon. The first con-
sequence of the suicide vector design is that the only way
in which the transposon-encoded selectable marker could
be inherited by the target host would be as a consequence
of the transposon transposing off of the suicide vector into
the genome of the host. The second consequence would be
that the transposase gene would be lost from the host cell.
The latter result is important because it would prevent
subsequent confounding transposition events.
The above systems were typically tailor-made for
work with E. coli and S. typhimurium. Moreover, they often
required genetic manipulations that may not be familiar to
today’s molecular biologists. In addition, these approaches
do not lend themselves to transposition procedures that are
targeted to defined DNA regions. These limitations have
been addressed as a result of the development of in vitro
methodologies for studying transposition. Although in most
cases, in vitro transposition studies were directed at achiev-
ing a basic science molecular understanding of DNA
transposition mechanisms, the obvious fruit of these studies
was the development of molecular genetic tools based on
these in vitro technologies in whole or in part. The key
transposition systems that were developed into in vitro
molecular genetic tools include Ty1, Tn7, Tn5, Mariner,
Mu, and Tn552. For original references and descriptions of
these systems see Further Reading.
The most obvious application of the in vitro technolo-
gies is performing the transposition events on target DNA
in the test tube and then introducing the mutagenized
DNA into the target cells. The main advantage of this
technology is that the target can be restricted to one
specific DNA sequence; in some cases an individual
gene or gene segment, and in other cases a bacterial
artificial chromosome or virus genome. One use of the
latter is in the application of transposition technology for
high-throughput DNA sequencing (the transposon con-
tains two divergent mobile primer binding sites).
A second important derivative of the in vitro studies is
the ability to perform a partial in vitro reaction (construct-
ing transposase–transposon DNA complexes in vitro)
followed by electroporating or micro-injecting the trans-
posase–transposon complexes into living cells after which
the transposase integrates the transposon DNA into the
cells’ genomes. This combined in vitro–in vivo methodol-
ogy has only been published for the Tn5 and Mu systems.
The specific applications of both of the above techni-
ques are mentioned in detail below.
Genome-Wide Knockout Analyses
An important approach to genome functional analysis is to
generate knockout mutations in as many genes as possible.
Obviously, transposons can be the mutagen of choice. The
mutagen is highly efficient and in most cases the resulting
mutation is an absolute knockout. The mutagen can be
delivered in such a way that the great majority of survivors
only have single unique mutations, the distribution of muta-
tion sites is relatively random, and the location of individual
mutation sites is easy to determine. There are two general
approaches that use this methodology. First, one generates a
large library of viable insert mutations and then screens or
selects for the mutants with the desired phenotype. That is
exactly the approach that I used as a new independent
investigator when I accidentally isolated a phosphoglucose
isomerase-defective mutant. With the advent of genome
sequencing information and techniques such as microarray
analyses, one can now identify and analyze several different
mutants that have similar phenotypes at the same time. For
instance, a number of research groups have described tech-
niques in which a large collection of inserts is interrogated in
bulk for their members by generating runoff transcripts that
include both ends of the transposable element and adjacent
DNA and then hybridizing the RNAs to microarrays, thus
identifying which inserts are present in the collection
(Figure 3). By presenting the collection with particular
growth challenges and repeating the microarray analyses,
one can determine which inserts in which genes cause
growth impairment. Thus, this procedure identifies the phe-
notypes (nutritional requirements) for a class of inserts.
The second approach is designed to identify putative
essential genes. In this technology, a large insert library
(hopefully a saturated collection with all genes suffering
inserts within the collection) is generated. The experimen-
talist then determines which genes fail to have any inserts
represented in the collection. One particular execution of
this essential gene hunt was described by Svetlana Gerdes
and colleagues in 2002. The pool of transposable element
inserts is interrogated by polymerase chain reaction (PCR)
analysis using a transposon-based primer and one of the
Transposable Elements 1141

several strategically located genome primers. All of the
viable inserts are represented by PCR products of predicted
sizes, whereas essential genes are tentatively identified by
the absence of blocks of PCR products.
The assumption from these studies is that if no inserts
for a particular gene are found in the collection, the gene
must encode an essential function. However, there are
alternative trivial explanations for not finding inserts in a
specific gene, such as bad luck or target sequence biases.
Therefore, the investigator needs to confirm the identifi-
cation of a particular gene being essential by other means,
such as deletion analysis or individual targeted gene stu-
dies that are described below.
Transposable Element-Based Deletion
Studies
Transposable elements of the composite transposon class
have the capacity to generate adjacent deletions. In this
section, I describe the use of this property to study the
essentiality of genes (or groups of genes). In a subsequent
section, I describe how composite transposon deletion
generation can be used to generate nested families of
protein deletions.
Composite transposons (such as Tn5 or Tn10) can be
thought of as being composed of four different types of
transposable elements depending on the precise recogni-
tion end sequences that are chosen by the transposase
for synaptic complex formation (Figure 4). Using the
nomenclature presented in Figure 4,onecanseethat
Tn5 transposition will involve O
L
ER–O
R
ER synapsis.
But it is also possible to have O
L
ER–I
L
ER or I
R
ER–
O
R
ER synapsis, in which case one would have IS50L or
IS50R transposition, respectively. Of interest to adjacent
DNA deletion formation is the possibility of having I
R
ER–
I
L
ER synapsis, in which case a new transposable element
has been formed; the IS50 elements and the donor DNA
now compose the transposable element (Figure 4).
I
R
ER–I
L
ER intramolecular transposition results in one
of the two types of DNA rearrangements for the DNA
between these two ends, either a deletion or an inversion
(Figure 5). The I
R
ER–I
L
ER intramolecular deletion for-
mation potential has been developed into a practical
chromosome deletion tool by utilizing a transposase that
is selective for I-ER sequences (as apposed to O-ER
sequences) and by genetically marking the components
of the new composite transposon so that only deletions
are isolated. The resulting system has been used to delete
random sections of the E. coli chromosome and thereby
can be used to define which genes are not essential (they
can be deleted and still yield a viable organism).
Targeting Individual Genes
The most important consequence resulting from the
development of in vitro transposition systems is the ability
T7
promoter
T7
promoter
Transposon
Transposon
mutangenesis
Transposon
library
construction
Select for viable colonies
Competitive
library outgrowth
Selective
growth
Microarray
data analysis
Compare data sets to
identify mutants lost during
selective out
g
rowth
Identify transposon
insertion locations
(CONTROL)
Identify transposon
insertion locations
(TEST)
Isolate chromosomal
DNA, label and
hybridize samples to oligo-
nucleotide microarrays
(see Figure 2 for details)
Rich media
(non-selective)
TESTCONTROL
Figure 3 Genome-wide microarray screening of transposon
insertions. The identification, localization, and tracking of multiple
transposon inserts can be accomplished by using microarray
hybridization. In one version of this technology, the transposon is
constructed to have outward-facing T7 promoters. The collection of
inserts is harvested, the DNAs extracted, and probes of the DNA
sequences adjacent to the inserts are generated using T7 RNA
polymerase. The RNA is labeled and hybridized to appropriate
microarrays. Reproduced from Winterberg KM and Reznikoff WS
(2007) Screening transposon mutant libraries using full-genome
oligonucleotide microarrays. In: Kelly T Hughes and Stanley R
Maloy (eds.) Advanced Bacterial Genetics: Use of Transposons and
Phage for Genomic Engineering, Methods in Enzymology Series,
Vol. 421, pp. 110–125. San Diego, CA: Elsevier Inc.
1142 Transposable Elements

to target transposition to specified DNA sequences such
as individual genes. From this general technology a num-
ber of specific applications are derived. An obvious use of
targeted in vitro transposition is to generate gene-specific
knockouts and then attempt to introduce the knockouts as
substitutions for the intact gene in the host organism. If
the knockout organism can be isolated and propagated,
the disrupted gene is not essential. If the experimenter is
unable to isolate cells that contain the insertion, the
negative result is prima facie evidence that the gene is
essential. As described below, other applications of tar-
geted in vitro transposition lend themselves to a variety of
techniques that allow the analysis of protein structure-
function.
Protein Structure-Function Studies: Generating
Random Nested Deletions
As mentioned above, intramolecular transposition can be
used to generate deletions. A straightforward adaptation
of the intramolecular transposition/deletion technology
to generate nested deletions in a protein-encoding gene
first requires the construction of a transposon containing
the target gene through recombinant DNA techniques.
Once it is constructed, intramolecular transposition will
generate a nested family of deletions of the target gene.
These deletions can be used to map epitopes or specific
domains of interest to the investigator.
Protein Structure-Function Studies: Generating
In-Frame Microinsertions, Deletions, and
Substitutions
Transposons have become widely used (and commer-
cially available) tools for generating in-frame linker
insertions. The principle, as outlined in Figure 2, typi-
cally follows the general steps mentioned below. At first,
one uses translational fusion technology (inserting a
reporter gene lacking transcription and translation initia-
tion signals into the target gene of choice) to capture
inserts with the correct orientation and reading frame.
Then one excises the bulk of the transposable element
either using rare restriction enzyme digestion followed by
ligation or a site-specific recombination system leaving an
in-frame insertion, whose sequence is dictated by the
residual transposon sequence. Of course, a precisely con-
structed transposon needs to be used for this technology.
The small inserts can be used to map structural domains
of the protein (functional proteins typically result only
from insertions in unstructured regions) or to insert an
epitope or protease target sequence.
An exciting extension of this insertion technology has
been developed in the laboratory of Dafydd Jones. In this
technique, a specialized version of a mini-Mu transposon
is used for the initial mutagenesis, and the off-set cleavage
activity of a type IIS restriction enzyme is used to perform
the excision of the bulk of the transposon. Depending on
precisely how the procedure is applied, and whether an
intermediate cloning is performed or not, the technique
can be utilized to generate precise 3-bp (base pairs) dele-
tions or additions, or precise 3-bp substitutions at the site
of transposon insertion. The latter is particularly power-
ful. Imagine generating a random collection of single
insertions on the target gene of choice and then generat-
ing known sequence substitutions at each of the sites.
Protein Structure-Function Studies: Generating
Random Protein Fusions
In all the above protocols, a constant sequence (the trans-
poson) is juxtaposed against a random sequence (the
target). By utilizing a specifically designed composite
transposon and transposases that were specific for
the two types of recognition end sequences (I-ER and
O-ER), we developed techniques that fused two genes in
a random fashion with a sequence composed of an I-ER
and O-ER between the two fused gene sequences
(Figure 6). We applied this technology only once. The
results were that active product fusion proteins were gen-
erated only when the resulting fusion partners were in the
Donor DNA
Tn5
O
L
ER
I
L
ER I
R
ER
O
R
ER
IS50L–donor DNA–IS50R
L05SI
R05SI
Figure 4 Composite transposons can give rise to four types of
transposons. Composite transposons such as Tn5 contain two
identical or nearly identical insertion sequences (IS50L and IS50R
in the case of Tn5) that bracket additional genes. Depending on
which end recognition (ER) sequences are chosen by the
transposase during synapsis, four different transposons can be
mobilized: Tn5 mobilization involves O
L
ER–O
R
ER synapsis,
IS50L mobilization involves O
L
ER–I
L
ER synapsis, IS50R
mobilization involves I
R
ER–O
R
ER synapsis, and IS50L–donor
DNA–IS50R mobilization involves I
L
ER–I
R
ER synapsis.
Transposable Elements 1143

same reading frame and orientation and when the proteins
were fused utilizing unstructured regions between second-
ary structure domains. There is no obvious reason why
this technology cannot be applied in generating a variety
of functional fusion proteins.
Protein Structure-Function Studies: Generating
Random Reporter Gene Fusions
The ability to generate reporter fusions to a target pro-
tein is very useful. An example is suggested above in
the‘Landmarks’inwhichaLacI-CFP (cyan fluorescent
protein) and TetR-YFP (yellow fluorescent protein)
were used to locate Mariner constructs that contained
(lacO)
n
or (tetO)
n
, respectively. Typically, tagged fusion
proteins are constructed using recombinant DNA tech-
nology to generate N- or C-terminal fusions. This
construction method makes the assumption that one or
the other type of fusion will maintain optimal protein
function and probably eliminates the possibility of
using the reporter as a probe for changes in protein
conformation.
Inversion Deletion
+
Inverted DNA
Deleted DNA
Strand
transfer
(intramolecula
r
integration)
Restored chromosome
= IE Deletion
region
= ME
Cam
Cam
Kan Tnp-EK/LP
Tnp-EK/LP
Tnp-EK/LP
K
a
n
T
n
p
Synapsis
Blunt end
cleavage
(loss of donor
backbone)
C
a
m
Figure 5 Intramolecular transposition and adjacent gene deletion formation. Intramolecular transposition that utilizes I
L
ER–I
R
ER
synapsis as shown in Figure 4 has been used to generate adjacent chromosomal deletions as a means to define nonessential genes
and to reduce the size of the Escherichia coli chromosome. A transposase specific for the open triangle end recognition sequences
forms synaptic complexes, cleaves the DNA free of the Kan-Tnp-EK/LP-encoding donor DNA, and catalyzes intramolecular
transposition, which can generate deletion formation to give the ‘restored chromosome’ shown. Reproduced from Goryshin IY,
Naumann TA, Apodaca J, and Reznikoff WS (2003) Chromosomal deletion formation system based on Tn5 double transposition: Use
for making minimal genomes and essential gene analysis. Genome Research 13: 644–653.
1144 Transposable Elements

G
e
n
e
A
o
r
i
Tnp-IE
catalyzed strand
transfer
pots
G
e
n
e
A
G
e
n
e
A
o
r
i
pots
G
e
n
e
A
G
e
n
e
A
o
r
i
pots
G
e
n
e
A
G
e
n
e
A
o
r
i
pots
G
e
n
e
A
G
e
n
e
A
o
r
i
pots
G
e
n
e
A
G
e
n
e
A
o
r
i
pots
G
e
n
e
A
G
e
n
e
A
o
r
i
pots
Tnp-ME
catalyzed
end cleavage
G
e
n
e
B
d
e
p
.
o
r
i
pots
Tnp-ME
catalyzed
strand transfer
pots
pots
G
e
n
e
B
G
e
n
e
A
o
r
i
G
e
n
e
A
G
e
n
e
B
d
e
p
.
o
r
i
Figure 6 Two sequential transposition events used to generate random gene fusions. The gene fusion technology utilizes a transposase
that recognizes closed triangle end recognition sequences to first insert the transposon into target gene A and then a transposase that
recognizes open triangle end recognition sequences to insert the newly formed transposon carrying the two halves of gene A into gene B.
Some of the resulting products encode random fusions of genes A and B. Reproduced from Naumann TA, Goryshin IY, and Reznikoff WS
(2002) Production of combinatorial libraries of fused genes by sequential transposition reactions. Nucleic Acids Research 30: e119, with
permission from Oxford University Press. See also Williams Reznikoff.
Transposable Elements 1145

One can also make CFP or YFP fusions using transpo-
son technology. By using the construct described in
Figure 7, one can search a wide variety of fusions for
the ones that have optimal properties. The concept is to
initially generate random YFP
þ
fusions (in the correct
orientation and in frame) to the gene of interest.
Following the fusion generation, an in-frame portion of
the transposon (including the translation termination sig-
nal) is removed using Sr f I cleavage and ligation. The
resulting product encodes the N-terminal target-YFP
(active)-C-terminal target. These fusion constructs are
then examined to find those that have maintained max-
imal target protein activity and/or those that make YFP
emission sensitive to target protein environment or func-
tion. The construct is designed also to allow the
generation of CFP fusions from the same inserts.
Conclusion
Transposons are powerful tools in the whole genome
structure studies and in the analysis of protein (and
RNA) structure-function. Although there is an energy
barrier to their adoption in some laboratories, once
accepted they combine ease of use, great flexibility, and
straightforward interdigitation with other technologies.
Further Reading
Berg CM and Berg DE (1996) Transposable element tools for microbial
genetics. In: Neidhardt FC, Curtiss R III, Ingraham JL, et al. (eds.)
Escherichia coli and Salmonella: Cellular and Molecular Biology, 2nd
edn., pp. 2588–2612. Washington, DC: ASM Press.
Berg DE, Davies J, Allet B, and Rochaix JD (1975) Transposition of R
factor genes to bacteriophage. Proceedings of the National Academy
of Sciences of the United States of America 72: 3628–3632.
Boeke JD (2002) Putting mobile DNA to work: The tool box. In: Craig NL,
Craigie R, Gellert M, and Lambowitz AM (eds.) Mobile DNA II,
pp. 24–37. Washington, DC: ASM Press.
Craig NL, Craigie R, Gellert M, and Lambowitz AM (2002) Mobile DNA II.
Washington, DC: ASM Press.
Gerdes SY, Scholle MD, D’Souza M, et al. (2002) From genetic
footprinting to antimicrobial drug targets: Examples in cofactor
biosynthetic pathways. Journal of Bacteriology 184: 4555–4572.
Goryshin IY, Naumann TA, Apodaca J, and Reznikoff WS (2003)
Chromosomal deletion formation system based on Tn5 double
transposition: Use for making minimal genomes and essential gene
analysis. Genome Research 13: 644–653.
Hughes KT and Maloy ST (2007) Methods in Enzymology, Vol. 421.
Advanced Bacterial Genetics: Use of Transposons and Phage for
Genetic Engineering. San Diego, CA: Academic Press.
Jones DD (2005) Triplet nucleotide removal at random locations in a
target gene: The tolerance of TEM-1 -lactamase to an amino acid
deletion. Nucleic Acids Research 33: e80.
Reznikoff WS (2002) Tn5 transposition. In: Craig NL, Craigie R,
Gellert M, and Lambowitz AM (eds.) Mobile DNA II, pp.403–422.
Washington, DC: ASM Press.
Reznikoff WS (2006) Tn5 transposition: A molecular tool for studying
protein structure-function. Biochemical Society Transactions.
34(part 2): 320–323.
Shapiro JA (1969) Mutations caused by the insertion of genetic material
into the galactose operon of E. coli. Journal of Molecular Biology
40: 93–105.
Sheridan DL and Hughes TE (2004) A faster way to make GFP-based
biosensors: Two new transposons for creating multicolored libraries
of fluorescent fusion proteins. BMC Biotechnology 4: 17–25.
Taylor AL (1963) Bacteriophage-induced mutation in Escherichia coli.
Proceedings of the National Academy of Sciences of the United
States of America 50: 1043–1051.
Vinopal RT, Hillman JD, Schulman H, Reznikoff WS, and Fraenkel DG
(1975) New phosphoglucose isomerase mutants of Escherichia coli.
Journal of Bacteriology 122: 1172–1174.
Viollier PH, Thanbichler M, McGrath PT, et al. (2004) Rapid and
sequential movement of individual chromosomal loci to specific
subcellular locations during bacterial DNA replication. Proceedings
of the National Academy of Sciences of the United States of America
101: 9257–9262.
Tn5 RS Tn5 RS
CFP YFP Kan
R
AscIAscI
Asc I Srf I
SrfISrfI
GCCCGGGCAGATGTGTATAAGAGACAG
AlaArgAlaAspValTyrLysArgGln
CTGTCTCTTATACACATCTGGCGCGCC
LeuSerLeuIleHisIleTrpArgAla
Figure 7 Transposon for generating random yellow fluorescent protein (YFP) (or cyan fluorescent protein, CFP) fusions. The
transposon shown will generate Kan
R
, YFP fusion as a result of insertions in the correct orientation and reading frame into a target gene.
Digestion with Srf I and ligation will excise the bulk of the transposon, generating a fusion of both the N- and C-terminal portions of the
target gene sequence to YFP. Alternatively, digestion with AscI followed by ligation will generate a fusion to CFP. Reproduced from
Reznikoff WS (2006) Tn5 transposition: a molecular tool for studying protein structure-function. Biochemical Society Transactions
34(part 2): 320–323 and Sheridan DL and Hughes TE (2004) A faster way to make GFP-based biosensors: Two new transposons for
creating multicolored libraries of fluorescent fusion proteins. BMC Biotechnology 4: 17–25.
1146 Transposable Elements

Tuberculosis: Molecular Basis of Pathogenesis
P J Brennan, Colorado State University, Fort Collins, CO, USA
ª2009 Elsevier Inc. All rights reserved.
Defining Statement
Overview
TB Pathogenesis
Bacterial Factors Involved in TB Pathogenesis
TB Latency
Drug Resistance and Pathogenesis
Conclusions
Further Reading
Glossary
DAT and PAT Diacyltrehaloses and
polyacyltrehaloses.
dormancy Mycobacterium tuberculosis during latency.
LAM Lipoarabinomannan.
latency Tuberculosis infection with no signs of active
disease.
ManLAM Mannose-capped LAM.
MDR-TB Resistance to isoniazid and rifampin.
PDIM/DIM Phthiocerol-dimycocerosate.
PGL Phenolic glycolipid.
SL Sulfolipid I; trehalose sulfated at the 29position and
esterified with palmitic acid and multimethyl-branched
fatty acids.
TB–HIV Coinfection with M. tuberculosis and HIV.
tuberculosis Highly infectious disease caused by
Mycobacterium tuberculosis (tubercle bacillus; first
described by Robert Koch, 24 March 1882) in evidence
since 4000–2000 BC.
XDR-TB MDR plus resistance to any fluoroquinolone
and at least one of the injectable drugs (capreomycin,
kanomycin, amikacin).
Abbreviations
DAT 2,3-di-O-acyltrehalose
DosR dormancy survival regulator
LAM Lipoarabinomannan
LM Lipomannan
MPM mannosyl--1-phosphomycoketides
MR mannose receptor
PAT polyacyltrehalose
PDIM phthiocerol dimycocerosate
PGL phenolic glycolipid
p-HBADs p-hydroxybenzoic acid derivatives
TB tuberculosis
TDM trehalose 6,69-dimycolate
Defining Statement
The lipids of Mycobacterium tuberculosis, long regarded
as chemical oddities, are now centerpiece in our under-
standing of the characteristic pathogenesis of tuberculosis,
in its latent, and highly infections states.
Overview
With the greater awareness of the public health dimen-
sions of the tuberculosis (TB) problem, there are many
outstanding recent reviews, books, monographs, and so
on, on the subject. The preferred habitat of Mycobacterium
tuberculosis is the human lung, although extrapulmonary
TB, of a wide range of conditions and diverse pathology,
is serious and can also be fatal. The dimensions of pre-
sent-day TB in all its manifestations, such as drug-
sensitive forms, multiple and extensive drug-resistant
forms (MDR/XDR-TB), TB–HIV coinfection, and latent
TB, are well documented. TB is the leading cause of
death from a single bacterial infection and a leading lethal
opportunistic infection in HIV-infected individuals.
Based on tuberculin/PPD positivity, it is estimated that
one-third of the world’s population is infected with
M. tuberculosis, the vast majority immunologically capable
of containing the infection. Still, there may be 14 million
active cases worldwide, many sputum-positive and there-
fore highly infectious, with over eight million new cases
per annum and up to 1.6 million deaths. MDR and XDR
strains of M. tuberculosis are found worldwide; it is esti-
mated that there are about 500 000 such cases. The
Centers for Disease Control and Prevention reported
that between 2000 and 2004, 20% of all reported TB
cases were MDR and 2% were XDR-TB. In a recent
study conducted in a rural area of South Africa, of 475
1147

TB patients, 39% were infected with MDR-TB strains
and 6% were XDR-infected. Of the 53 patients with
XDR-TB, 52 died during the study; the average number
of days from diagnosis to death for those in the population
(the majority) coinfected with HIV and XDR strains
was 16.
TB Pathogenesis
Within the human lung, the maximum microbial popula-
tion density is in the inner zone of the wall of a chronic
open cavity, an environment most suited for the noted
lifelong persistence of M. tuberculosis. Dissemination of
M. tuberculosis occurs from the lung. Of the many infected,
less than 10% develop the disease; the majority harbor
latent TB, but when it occurs, TB transmission, by droplet
nuclei, mostly through coughing, is the primary route,
and the only epidemiologically important source of the
disease.
When bacteria in general reach the human lung, they are
usually engulfed and destroyed by the bronchial alveolar
macrophages. In the case of M. tuberculosis,itisalsointer-
nalized by alveolar macrophages, which are triggered to
cross the epithelial layer of the lung. The subsequent cyto-
kine-mediated inflammatory response leads to the
recruitment of more macrophages from the circulation,
providing further host cells for the replicating bacteria,
but also for the formation of granuloma, again induced by
immune responses to M. tuberculosis components. Normally,
the immune response is protective and the infection
remains in a chronic, latent, or containment state marked
by a low-level stable bacterial load. Progression to active
disease, stimulated by a variety of risk factors, notably
T-cell depletion, is marked by tissue destruction, necrosis,
release of extracellular bacteria into the lung, and subse-
quently communal transmission.
M. tuberculosis has developed mechanisms to survive the
intracellular onslaught experienced by most other bacteria.
Detection of M. tuberculosis on the macrophage surface
involves complex interactions of bacterial ligands and host
cell receptors. During phagocytosis, ManLAM attaches to
the Fc receptor, mannose receptor (MR), and/or DC-
SIGN. Detection of these complexes by the pathogen
recognition receptor, TLR-2, induces a signaling cascade
mediated by the TLR-2 adaptor protein TIRAP. Total
activation of these primed macrophages is effected by solu-
ble immune modulators, notably IFN,secretedby
T-lymphocytes. Fully activated macrophages, however,
fail to eradicate M. tuberculosis but do restrict its growth.
M. tuberculosis-containing phagosomes within the macro-
phage fail to fuse with lysosomal compartments, since
they retain many of the characteristics of the early endo-
some. The particular features of the M. tuberculosis
phagosome, and the molecular basis of failure to mature,
have been well documented. The result is failure to fuse with
the lysosomal compartment of the cell and with it the effects
of the killing mechanisms associated with the lysosomal
range of hydrolytic enzymes, ROIs, RNIs, and of proinflam-
matory cytokine (e.g., TNF) are ameliorated. This is the
essence of M. tuberculosis pathogenesis and disease induction.
Bacterial Factors Involved in TB
Pathogenesis
Some of the characteristic components of the cell wall of
M. tuberculosis have been those most implicated in all aspects
of TB pathogenesis. The structure and architecture of the
cell wall of M. tuberculosis has been reviewed extensively. It
consists of a core structure composed of peptidoglycan
covalently attached via a linker unit to a linear galactofuran,
in turn attached to several strands of highly branched
arabinofuran, in turn attached to mycolic acids. The myco-
lic acids are oriented perpendicular to the plane of the
membrane and provide a lipid environment responsible
for much of the pathogenesis of TB. Intercalated within
this lipid environment are the phthiocerol dimycocerosate
(PDIM), cord factor/dimycolytrehalose, other acyltreho-
lases, the sulfolipids, the phosphatidylinositol mannosides,
and the related lipomannan (LM) and lipoarabinomannan
(LAM), and others. Knowledge of their roles in signaling
events, in pathogenesis, and in the immune response such as
activation of CD1-restricted T-cells by mycolic acids, the
recognition that antigen 85, one of the most
powerful protective antigens of M. tuberculosis, is a mycolyl-
transferase, and that LAM, when ‘capped’ with short
mannose oligosaccharides, is involved in phagocytosis of
M. tuberculosis, is now emerging.
The PI-Containing Ligands
The structures of the more important bacterial ligands
involved in TB pathogenesis are shown in Figures 1 and 2.
ManLAM, that is, LAM with the mannose-containing caps,
and its precursors, LM and the PIMs, also found in appreci-
able quantities in M. tuberculosis,arethemostimportant
bacterial ligands in infection and pathogenesis. ManLAM
and some of the PIMs, during phagocytosis, bind to the MR
and DC-SIGN, and Schlesinger and group have speculated
that MR binding initiates inhibition of phagosome matura-
tion and subsequent intracellular survival of the bacteria,
whereas the DC-SIGN pathway will result in phagolyso-
some infusion and bacterial clearance. In addition,
ManLAM has been implicated in myriad other aspects of
the infection process, such as regulation of proinflammatory
cytokinessuchasIL-6,TNF, and the cytocidal oxidative
burst; involvement in the inhibition of phagosome–lysosome
fusion; escape from the phagosome in intracellular vesicles
to the intracellular trafficking network within the
1148 Tuberculosis: Molecular Basis of Pathogenesis

macrophage; involvement in antigen processing and presen-
tation to T-cells via the CD-1 pathway; and inhibition of
M. tuberculosis induced-apoptosis through alteration of Ca
2þ
-
dependant signaling. The intriguing concept that the struc-
tural arrangement of the Man-caps of ManLAM equates to
those on some eukaryote glycoproteins with a preponder-
ance of 2--Manp residues has been advanced and
the outcome is survival through the MR pathway.
Interestingly, LAM and some of the PIMs (Figure 1)have
been shown to bear similar but at times distinctly different
but complementary roles to ManLAM in the infection pro-
cess, such as participation in phagocytosis through CR3 and,
perhaps, facilitating fusion with early endosomal compart-
ments. There is also evidence that LM specifically associates
with DC-SIGN rather than MR.
However, it should be borne in mind that most of these
studies were conducted with the purified mycobacterial
products delivered as liposomes or on coated beads. Some
of these effects will have to be reevaluated once isogenic
mutants devoid of LAM, LM, and so on, are available.
Hence, recent efforts to define the biosynthesis of the PI-
containing ligands and generate LAM-defective mutants
are important.
The Polyketide-Derived Lipids
The roles of the polyketide-derived lipids of M. tuberculosis
(specifically those containing phthiocerol and trehalose)
in the pathogenicity of the organism are at a more
advanced level in that their genetic and biosynthetic
Figure 1 Proposed structures of ManLAM, LM, and some of the PIMs of M. tuberculosis based on current information. Reproduced
from Scherman H. Ph.D. Thesis, Colorado State University.
Tuberculosis: Molecular Basis of Pathogenesis 1149

origins have been well defined and, consequently, iso-
genic mutants have emerged to allow meaningful
functional studies.
The M. tuberculosis genome sequence contains 27 puta-
tive pks genes clustered into about 11 loci, and the
function of these has mostly been defined in the context
of the biosynthesis of the phthiocerol and branched fatty
acids of these key ligands (Figure 2). Consequently,
various mutants have been generated, mostly through
signature-tagged transposon mutagenesis. Historically,
cord factor/trehalose 6,69-dimycolate (TDM) is the
most studied; the peculiar and characteristic toxicity in
mice whereby a few repeated intraperitoneal injections of
small amounts dissolved in paraffin oil kills a majority of
the animals, apparently through a physical attack on
mitochondria membranes, and failure of oxidative
O
O
O
OH
HO
HO OH
O
O
OH
OH
O
O
8
8
DAT
O
O
O
OH
OHO O
OO
OH
O
O
O
O
O
O
C17H35 C17H35
C19H39 C19H39 C19H39
C19H39
C17H35
C17H35
C17H35
PAT
O
O
OCH3
OCH3
OCH3
O
HO
H3C
H3C
H3C
H
3
CO
O
OH
O
HO
OPGL
R
OCH3OCH3
m
O
O
O
O
PDIM
R
n
O
O
O
O
O
O
O
O
HOHO HO3SO
O
O
OH
O
O
O
OOH
OOH
7
7
6
7
7
77
SL
MPM
O
P
O
O–
O
O
HO
OH
OH
HO
Figure 2 Structures of some of the polyketide-containing lipids of M. tuberculosis involved in various aspects of infection and
pathogenesis. Reproduced from Jackson M, Stadthagen G, and Gicquel B (2007) Long-chain multiple methyl-branched fatty acid-
containing lipids of Mycobacterium tuberculosis: Biosynthesis transport, regulation and biological activities. Tuberculosis 87: 78–86.
In DAT (2,3-di-O-acyltrehalose), trehalose is esterified with stearic acid and the multimethyl-branched mycosanoic acid. In PAT
(polyacyltrehalose), trehalose is esterified with stearic acid and the multimethylbranched mycolipenic acids. In PDIM, the long-chain
-diol (phthiocerol moiety) is esterified with two mycocerosic acids; n¼10–11; R ¼–CH
2
–CH
3
or –CH
3
. The lipid core of PGL consists of
phenolphthiocerol esterified by mycocerosic acids; m¼7–8; R¼–CH
2
–CH
3
or –CH
3
. The trisaccharide substituent consists of 2,3,4-tri-
O-methyl--L-Fucp-(1!3)-L-Rhap-(1!3)-2-O-methyl--L-Rhap. The major sulfolipid, SL-I (2,3,6,69-tetraacyl -9-trehalose-29-
sulfate), is shown. In SL-I, trehalose is sulfated at the 29position and esterified with palmitic acid and the multimethyl-branched
phthioceranic and hydroxyphthioceranic acids. The predominant mannosyl--1-phosphomycoketides (MPM) from M. tuberculosis
H37Rv consists of a mannosyl--1-phosphopolyketide with a C32 4,8,12,16,20-pentamethylpentacosyl chain.
1150 Tuberculosis: Molecular Basis of Pathogenesis

phosphorylation, have also been extensively studied.
Incidentally, TDM can have powerful immunogenic,
granulomagenic, adjuvant, and antitumor activity.
The polyketide-derived lipids whether of the phthio-
cerol- or trehalose-containing variety have been
implicated in all aspects of M. tuberculosis pathogenicity:
early interaction with macrophages, dendritic, and epithe-
lial cells; the intracellular fate of M. tuberculosis; its
multiplication and persistence within the infected host;
and modulation of the host immune response. Of these,
the effects of DIM/PDIM and the phenolic glycolipids
(PGLs) of M. tuberculosis and their precursor metabolites
(Figure 3) are the most studied. The synthesis of the
PGLs and DIMs and their translocation to the surface of
M. tuberculosis require a genomic locus containing 5 pks
genes (pps A–E) responsible for phthiocerol synthesis and
at least 16 other genes involved in initial fatty acid priming
synthesis, mycocerosic acid synthesis, condensation of
mycocerosic acids and the phthiocerols, and translocation.
Other pks genes in conjunction with those responsible for
methylation and glycosylation ensure the synthesis of
PGL, but only in some strains of M. tuberculosis. Insertion
of transposons into several of these genes with consequent
deletion of the DIM end product, or, alternatively, synth-
esis but failure to be fully transported allowed cellular and
animal functional studies, indicating that DIM is a viru-
lence factor facilitating the intracellular and extracellular
growth of M. tuberculosis. These results confirmed the
observations of M. Goren in the 1970s with spontaneous
DIM-deficient clinical isolates of M. tuberculosis. The data
clearly implicated DIM in the protection against M. tuber-
culosis through the cytocidal activity of R01s and RNIs
produced by activated macrophages and the downregula-
tion of inflammatory cytokines such as TNFand IL-6.
The production of PGL (Figure 3) in certain strains of
M. tuberculosis, including many of the W–Beijing family,
CH2CH2
(CH2)m(CH2)4
CH CH CH CH R
O
CO
CH CH3
CH2
CH
CH2
(CH2)n′
(CH2)n″
CH3
CH3
O
CO
CH CH3
CH2
CH
CH 2
CH3
CH3
OCH3
CH3
O
O
O
HO
H3C
H3C
H3C
H3CO
O
OH
O
HO
OOCH3
OCH3
OCH3
C
O
O
OCH3
O
HO
H3C
O
OCH3
O
OH
O
HO
H3C
OOCH3
H3CO
OCH3
H3C
C
O
O
OCH3
HO
HO
H3C
O
OCH3
p
p-HBAD-II
p-HBAD-I
PGL
p′
Figure 3 Structures of the PGLtb of M. tuberculosis (see Figure 1) found only in some strains, including those with a hypervirulent
phenotype, among the members of the W–Beijing family. PGLtb is not present in most strains of M. tuberculosis including the much
used H37Rv strain, due to a frameshift mutation. Instead, these contain the p-hydroxybenzoic acid derivatives (p-HBAD). The sugars in
the p-HBADs are those in mature PGLtb (Figure 1). Reproduced from Stadthagen G, Jackson M, Charles P, et al. (2006) Comparative
investigation of the pathogenicity of three Mycobacterium tuberculosis mutants defective in the synthesis of p-hydroxybenzoic acid
derivatives. Microbes and Infection 8: 2245–2253.
Tuberculosis: Molecular Basis of Pathogenesis 1151

has been associated with a hypervirulence phenotype in
mice, such as the attenuation of the ability to kill mice,
and inhibition of the evocation of pro-inflammatory cyto-
kines such as TNF, IL-12, IL-6, and the monocyte
chemotactic protein-I. Interestingly, most isolates of
M. tuberculosis, including the common H37Rv strain, are
devoid of the PGLs due to an inherent frameshift muta-
tion. However, they do produce a set of precursors such as
p-HBAD (p-hydroxybenzoic acid derivative-I and -II and
these induce their own spectrum of virulence phenotypes.
TB Latency
The vast population of latent, asymptomatic TB
(1.8 billion) undoubtedly help sustain the TB pandemic;
it is estimated that nearly nine million latently infected
individuals develop active TB per year, and each of these
infect 10–15 others before succumbing to the disease or
responding to therapy. The status of the bacterium during
this hibernation period, how it evades an effective
immune response, how it withstands prolonged che-
motherapy, and how it responds to the signals and
mechanism of reactivation have not been answered satis-
factorily. Most of what we do know arises from models of
latency, notably the hypoxic in vitro model and the
Cornell in vivo model. The dormancy survival regulator
(DosR) is clearly key to the induction of hypoxic genes
and survival, at least in the in vitro Wayne model. There is
now some evidence that during latency M. tuberculosis
may be extra-granuloma and in a nonreplicating state
and that the introduction of oxygen through whatever
means may act as the resuscitation/reactivation trigger.
An intriguing aspect of drug resistance and M. tuberculosis
pathogenesis has recently emerged, namely, the effect
that drug resistance determinants can have on bacterial
fitness (i.e., virulence or pathogenesis) and the microevo-
lutionary mechanisms of how M. tuberculosis adapt to these
effects. The phenomenon is of public health interest in
light of reports of the enhanced transmissibility of strains
such as the W–Beijing family of MDR-TB strains, appar-
ently responsible for more severe forms of the disease.
Drug Resistance and Pathogenesis
Of the several common mechanisms by which bacteria
can become resistant to antibiotics, target modification
and inactivation of drug-activating enzymes are the
most frequent in M. tuberculosis; efflux pumps or drug-
inactivating mechanisms have not been demonstrated in
clinical TB drug resistance. Resistance of M. tuberculosis to
all known drugs is due to mutations in chromosomal
genes; for instance, MDR-TB arises from sequential accu-
mulation of mutations in different genes involved in
individual instances of drug resistance due to poor adher-
ence or inappropriate treatment.
Resistance to frontline TB drugs is generally not asso-
ciated with effects on virulence. However, there are two
marked contrasts. It has been known for years that INH
resistance can result in loss of both catalase activity and
virulence in guinea pigs, and there is good correlation
between the two: INH-resistant mutations in the katG
gene resulting in loss of enzyme activity also lose viru-
lence, whereas those that retain activity also retain the
virulence phenotype.
The contrasting situation has recently been revealed in
thecaseofmembersoftheW–BeijingfamilyofM. tuberculosis
strains. The W–Beijing family are predominately associated
with the MDR phenotype and seemingly are remarkably
robust and fit in terms of disease transmission and the severity
of the disease. As indicated above, members of the W–Beijing
hypervirulent family commonly produce the PGL virulence
glycolipid. However, there must be other microbial factors in
play, such as mutations in the mutator genes, responsible for
greater mutation frequency and better in vivo adaptability.
Recent research has related the phenomenon of drug
tolerance (drug resistance due to changes in the physiology
of the bacterium) and association with the nonreplicating,
or dormant/persistent state, the cause of latent TB. The
belief is that the dormant organism is in an O
2
-deprived and
C-starved environment and this is known to be relatively
resistant to most anti-TB drugs. The clinical challenge
nowadays is the eradication of both replicating and non-
replicating M. tuberculosis. The phenomenon of
nonreplicating resistors and efforts to avoid their resuscita-
tion and consequent clinical relapse are probably the basis
of the prolonged nature of modern-day TB chemotherapy.
Conclusions
Recent research has resulted in spectacular progress in
defining the genetic and biosynthetic origins of the myriad
and structurally complex virulence factors of M. tuberculosis
and their roles in the intracellular life and death of the
organism. These developments have been complemented
by impressive progress in defining protective immunity
and immunopathogenesis. However, new challenges have
come to the fore: the nature of the dormant bacterium; the
immunological basis of dormancy and resuscitation; and
chemotherapy of latent TB. The modern phenomena of
TB–HIV coinfection, MDR-TB, and XDR-TB have also
revealed the phenomenon of hypervirulent, widespread,
superfit strains of M. tuberculosis in our midst.
Further Reading
Brennan PJ and Nikaido H (1995) The envelope of mycobacteria.
Annual Review of Biochemistry 64: 29–63.
1152 Tuberculosis: Molecular Basis of Pathogenesis

Centers for Disease Control and Prevention (2006) Emergence of
Mycobacterium tuberculosis with extensive resistance to second-
line drugs – wordwide, 2000–2004. Morbidity and Mortality Weekly
Report 55: 301–305.
Dye C (2006) Global epidemiology of tuberculosis. Lancet 367: 938–940.
Gagneux S, Long CD, Small PM, Van T, Schoolnik GK, and
Bohannan BJ (2006) The competitive cost of antibiotic resistance in
Mycobacterium tuberculosis.Science 312: 1944–1946.
Gagneux S and Small RM (2008) Molecular evolution of mycobacteria.
In: Kaufmann SHE (eds.) Handbook of Tuberculosis, pp. 393–416.
Weinbein, Germany: Wiley-VCH Verley GmbH & Co. KGaA.
Gandhi NR, Moll A, Sturm AW, et al. (2006) Extensively drug-resistant
tuberculosis as a cause of death in patients co-infected with
tuberculosis and HIV in a rural area of South Africa. Lancet
368(9547): 1575–1580.
Guilhot C and Daffe´ M (2008) Polyketides and polyketide-containing
glycolipids of Mycobacterium tuberculosis; structure, biosynthesis
and biological activities. In: Kaufmann SHE and Rubin E (eds.)
Handbook of Tuberculosis, pp. 21–51. Weinbein, Germany: Wiley-
VCH Verley GmbH & Co. KgzA.
Jackson M, Stadthagen G, and Gicquel B (2007) Long-chain multiple
methyl-branched fatty acid-containing lipids of Mycobacterium
tuberculosis: Biosynthesis transport, regulation and biological
activities. Tuberculosis 87: 278–286.
Kaur D, McNeil MR, Khoo KH, Chatterjee D, Jackson M, and
Brennan PJ (2007) New insights into the biosynthesis of
mycobacterial lipomannan arising from deletion of a conserved gene.
The Journal of Biological Chemistry 282: 27133–27140.
Li Y and Zhang Y (2007) PhoU is a persistence switch involved in
persister formation and tolerance to multiple antibiotics and stresses
in Escherichia coli.Antimicrobial Agents and Chemotheraphy
51: 2092–2099.
Nathan C and Ehrt S (2004) Nitric oxide in tuberculosis. In: Rom WN and
Garay SM (eds.) Handbook of Tuberculosis, pp. 215–280.
Philadelphia: Lippincott Williams and Wilkins.
Patel AM and Abrahams EW (1989) Pulmonary tuberculosis.
In: Ratledge C, Stanford J, and Grange JM (eds.) The Biology of the
Mycobacteria, Vol. 3: Clinical Aspects of Mycobacterial Disease,
pp. 179–244. New York: Academic Press Ltd.
Russell DG (2007) Who puts the tubercle in tuberculosis. Nature
Reviews Microbiology 5: 38–47.
Russell DG (2008) Mycobacterium tuberculosis; life and death in the
phagosome. In: Kaufmann SHE and Rubin E (eds.) Handbook of
Tuberculosis, pp. 307–322. Weinbein, Germany: Wiley-VCH Verley
GmbH & Co. KgzA.
Rustad TR, Sherrid AM, and Sherman DR (2008) Molecular
mechanisms of dormancy and resuscitation. In: Kaufmann SHE and
Rubin E (eds.) Handbook of Tuberculosis, pp. 287–306. Weinheim:
Wiley-VCH.
Schlesinger LS, Azad AK, Torrelles JB, Roberts E, Vergne I, and
Deretic V (2008) Determinants of phagocytosis, phagosome
biogenesis and autophagy for Mycobacterium tuberculosis.
In: Kaufmann SHE and Britton WJ (eds.) Handbook of Tuberculosis:
Immunology and Cell Biology, pp. 1–21. Weinbein: Wiley-VCH Verley
GmbH & Co. KgzA.
Stadthagen G, Jackson M, Charles P, et al. (2006) Comparative
investigation of the pathogenecity of three Mycobacterium
tuberculosis mutants defective in the synthesis ofp-hydroxybenzoic
acid derivatives. Microbes and Infection 8: 2245–2253.
World Health Organization (2006) XDR-TB. Extensively drug resistant
tuberculosis. http://www.who.int/en.
World Health Organization (2007) Global tuberculosis control –
surveillance, planning, financing. http://www.who.int/en.
Zhang Y and Jacobs WR (2008) Mechanisms of drug action, drug
resistance and drug tolerance in Mycobacterium tuberculosis:
Expected phenotypes from evolutionary pressures from a highly
successful pathogen. In: Kaufmann SHE and Rubin E (eds.)
Handbook of Tuberculosis, pp. 323–378. Weinbein, Germany:
Wiley-VCH Verley GmbH & Co. KGaA.
Tuberculosis: Molecular Basis of Pathogenesis 1153

Vaccines, Viral
A M Arvin and S F Chen, Stanford University School of Medicine, Stanford, CA, USA
ª2009 Elsevier Inc. All rights reserved.
Defining Statement
General Principles
Live Virus Vaccines
Noninfectious Vaccines
Vaccine Immunology
Molecular Approaches to Viral Vaccine Design
Public Health Impact
Further Reading
Glossary
adaptive immunity B- and T-lymphocyte-mediated
memory immune responses that control viral infections
through specific interactions with virus-infected cells
and virions.
adjuvant Immunologic agent that stimulates the
immune system and increases the response to a
vaccine without having specific antigenic effect by itself.
attenuation Genetic alteration of infectious viruses to
reduce their potential to cause disease.
immunogenicity Capacity to elicit adaptive immunity
to proteins of a virus.
major histocompatibility complex (MHC) Cell surface
proteins that allow recognition of foreign antigens by the
immune system.
protective efficacy Capacity to protect against
disease usually caused by a virus.
recombinant DNA The result of combining DNA
fragments from different sources.
tropism Pattern of infectivity for cells and organs that is
characteristic of a viral pathogen.
Abbreviations
CTL cytotoxic T lymphocytes
HA hemagglutinin
HIV human immunodeficiency virus
HPV human papillomavirus
IFNinterferon-
IFNinterferon-
IL2 interleukin 2
LAIV live attenuated influenza vaccine
MHC major histocompatibility complex
MMR measles–mumps–rubella
MMRV measles, mumps, rubella, and varicella
NA neuraminidase
Defining Statement
The fundamental objective of vaccination against viral
pathogens is to induce adaptive immunity in the naive
host, which protects from disease upon subsequent expo-
sures to the infectious agent. Adaptive immunity is
achieved by inoculation of the host with attenuated infec-
tious virus or with viral proteins administered in a
noninfectious formulation.
General Principles
In the case of natural viral infections, a naive host who has
never encountered a particular viral pathogen will
respond with both innate and adaptive immunity. Innate
immune responses are generally initial steps to control and
limit the spread of the virus. These responses are triggered
whether or not the individual has been infected with the
pathogen before. Adaptive immune responses are virus-
specific, providing the host immune protection from the
viral infection in future. These responses provide the
individual with ‘memory’ of the previous infection, allow-
ing a rapid and targeted immune response when new
exposure to the same or similar viruses occurs. The funda-
mental objective of vaccination against viral pathogens is
to induce adaptive immunity in the naive host, which
protects from disease upon any subsequent exposures to
the infectious agent. In the absence of vaccine-induced
immunity, the initial control of a viral infection depends
on mechanisms that constitute the innate immune system,
such as production of interferon-(IFN) or lysis of
1154

virus-infected cells by natural killer cells. Innate immunity
limits viral spread but these defenses are often not suffi-
cient to block symptoms of illness during the interval
necessary to elicit adaptive immunity against the virus.
In extreme circumstances, life-threatening complications
may result in the interim. Adaptive antiviral immunity
consists of the clonal expansion of T lymphocytes and B
lymphocytes that have the functional capacity to recog-
nize specific viral proteins and to interfere with viral
replication and transfer of virions from infected to unin-
fected cells within the host.
In order to induce adaptive immunity, viral proteins
must be processed by dendritic cells or macrophages,
which are specialized antigen-presenting cells that med-
iate the cell surface expression of viral peptides in
combination with the class I or class II major histocom-
patibility complex (MHC) proteins. MHC-restricted
antigen presentation creates populations of ‘memory’ T
lymphocytes within the CD4 and CD8 subsets that are
primed to synthesize cytokines, such as interleukin 2
(IL2) or interferon-(IFN), when exposed to the same
viral peptide–MHC class I or class II protein complex.
Cytokines modulate the inflammatory response, expand-
ing and recruiting antigen-specific cytotoxic T
lymphocytes (CTL) to the site of viral infection, and
inducing B lymphocytes to produce antibodies of the
IgM, IgG, and IgA subclasses, which can bind to proteins
made by the pathogen or mediate antibody-dependent
cellular cytotoxicity.
Adaptive immunity that protects against viral patho-
gens can be achieved by inoculation of a naive host with
an infectious virus that has been attenuated for its capa-
city to cause disease, or by exposure of the host to viral
proteins administered in a noninfectious formulation.
Effective priming of adaptive T lymphocyte and B lym-
phocyte responses by a viral vaccine is expected to block
most or all symptoms of infection when the host is
exposed to the pathogen. The immunogenicity of a vac-
cine is defined as its capacity to elicit adaptive immunity,
whereas protective efficacy refers to the prevention of
disease, which is a consequence of the effective induction
of virus-specific immunity. Vaccine-induced immunity
may not prevent asymptomatic or abortive infection dur-
ing these encounters, but memory, or ‘recall’, responses to
the viral proteins should eliminate any serious morbidity
or risk of mortality known to be associated with the
infection in a susceptible, nonimmunized individual.
Antiviral responses elicited by vaccination provide
‘active’, as distinguished from ‘passive’ immunity.
Passive antiviral immunity is provided by virus-specific
IgG antibodies, which may be acquired transplacentally
by infants, or by administration of immunoglobulins, such
as rabies or varicella zoster immunoglobulin. Active
immunity, as elicited by effective vaccines, mimics the
memory immunity that follows natural infection and is
persistent, whereas passively acquired antibodies are
metabolized over a half-life of about 4 weeks and protec-
tion is transient.
The challenge of designing viral vaccines that elicit
adaptive immunity that is sustained and protective can be
addressed using several different strategies, which are
often dictated by characteristics of the pathogen and the
target population requiring protection. Historically, var-
iolation against smallpox was the first attempt to induce
active immunity against a virus by inoculation, as
described in early texts from China. Nevertheless, vario-
lation differs from vaccination because unaltered variola
virus was given, with disease modification presumed to
result from the administration of a low infectious inocu-
lum by a cutaneous route. The first success of viral
vaccination is attributed to Benjamin Jesty, an English
farmer, who used cowpox to prevent smallpox in 1774,
as recounted by Edward Jenner, who published his own
experience with vaccination in Variolae Vaccinae, 1798.
The word ‘vaccination’ (Latin: vacca for cow) was first
used by Jenner because he inoculated material from
lesions on the hands of milkmaids that he knew were
caused by contact with infected cows, and can be pre-
sumed to be cowpox. Successful vaccination was done
with viruses from various sources until vaccine prepara-
tions began to be standardized in the 1960s. The viruses
that are referred to as vaccinia virus strains are orthopox-
viruses but are genetically distinct from both cowpox and
variola (smallpox) viruses. Their origin remains a mys-
tery. Two hundred years after Jenner’s work, the
remarkable achievement of the global eradication of
smallpox was accomplished using vaccinia virus vaccine.
Many viral diseases can now be prevented by immuniza-
tion and efforts are in progress to make new vaccines that
will provide effective prophylaxis against many other
human viral pathogens, or in some cases, when given as
‘therapeutic’ vaccines, which are intended to control the
progression of chronic viral infections, such as human
immunodeficiency virus (HIV). Vaccination is also used
to control viral diseases in nonhuman species.
Live Virus Vaccines
Live attenuated virus vaccines are now licensed in the
United States and elsewhere for the prevention of
measles, mumps, rubella, varicella, polioviruses 1, 2, and
3, influenza A and B, and rotavirus (Tables 1 and 2).
When conditions of special risk for exposure exist, live
attenuated yellow fever vaccine, live adenovirus, and
vaccinia are given as prophylaxis. Live virus vaccines
contain an infectious virus as the primary component,
which has been attenuated in order to reduce or eliminate
its potential to cause disease in the naive host. Vaccine
strains are made from RNA viruses, including measles,
Vaccines, Viral 1155

mumps, rubella, poliovirus, rotavirus, influenza, and yel-
low fever as well as DNA viruses, such as varicella,
adenovirus, and vaccinia. Attenuation of virulence is
accomplished by laboratory manipulations of the natu-
rally occurring, wild-type virus, which is referred to as the
parental strain of the vaccine virus. The parental strains of
live attenuated virus vaccines are obtained from an indi-
vidual experiencing the typical disease caused by the
virus. Alternatively, attenuation is achieved by taking
advantage of host range differences in virulence between
human and closely related animal viruses. Proteins made
by the animal virus are similar enough to those encoded
by the human pathogen to elicit protective, adaptive
immune responses. When a suitable animal model is
available, a reduction in the capacity of the vaccine
virus is demonstrated and an alteration in the potential
to cause disease may be documented. Although strain
selection and characterization can be done in vitro and
in animal models, to predict safety, sequential evaluation
of vaccine strains in individuals who have natural immu-
nity, followed by gradual dose escalation studies in
susceptible individuals is required to prove safety for
human use.
The attenuation of a live vaccine strain is defined
clinically by a loss in its potential to cause disease. The
attenuated virus should retain infectivity at the site of
inoculation, which may be by subcutaneous injection or
by oral or intranasal delivery to mucosal cells. In order to
be attenuated, the tropisms of the parent virus that would
otherwise allow it to produce damage to the host must be
incapacitated. For example, the attenuation of polio-
viruses requires that the vaccine strains be incapable of
infecting cells of the central nervous system. Some reci-
pients may have reactions to live attenuated vaccines
including fever, but the incidence of reactogenicity such
as fever is low and other manifestations such as rash are
mild.
The attenuation of RNA and DNA viruses to produce
vaccine strains used in most licensed vaccines is accom-
plished by traditional approaches in which the parent
virus undergoes passage in vitro, using human or nonhu-
man cells, or sequentially in both human and nonhuman
cells, or by growth in chick or duck embryo cells in eggs.
An additional strategy for achieving attenuation is to
modify environmental conditions, such as adapting the
virus to grow at low temperatures. Cold-adapted viruses
are less able to replicate at human body temperature.
Measles vaccine is made by passage into chick embryo
cells, with further attenuation achieved by cold passage at
32 C. Rubella vaccine, RA27/3 strain, is derived by pas-
sage into human cells only, including growth at 30 C.
Varicella vaccine was attenuated by passage into guinea
pig embryo cells and cold passage. These methods create
selective pressure for the emergence of mutants that
replicate more effectively under the particular tissue cul-
ture conditions but are not favored during natural
infection in the human host. Because the modern techni-
ques for genetic engineering of viral genomes were not
available when these vaccines were developed, their
attenuation was determined in clinical trials. These clin-
ical trials established whether the tissue culture passage
had yielded viruses that were attenuated in that they did
not cause disease but were not so attenuated that immu-
nity was not induced. The molecular basis for the
attenuation of most of these vaccines remains undefined
because the vaccine preparations typically contain mix-
tures of viral genomes with varying mutations, and
genomes may have multiple changes.
The master donor vaccine virus for the live attenuated
influenza vaccine (LAIV) was developed from serial pas-
sage into chick kidney cells at sequentially lower
temperatures. The end result was acquisition of mutations
that conferred the cold-adapted, temperature-sensitive,
and attenuated phenotype. In contrast to wild-type influ-
enza virus, the vaccine virus replicates efficiently at 25 C
and does not replicate efficiently at 39 C (type A strains)
or 37 C (type B strains). The modifications result in a
vaccine virus that replicates efficiently in the nasopharynx
(colder environment) to initiate immune responses via
IgG and mucosal IgA antibodies but replicates poorly in
the lower airways and lung (warmer environment), avoid-
ing severe influenza infection.
Table 1 Live virus vaccines for prevention of human disease
Current Under development
Measles West Nile virus
Mumps Respiratory syncytial virus
Rubella Parainfluenza viruses 1, 2, 3
Varicella Herpes simplex viruses 1 and 2
Polioviruses 1,2,3 Cytomegalovirus
Yellow fever Dengue virus
Adenovirus
Vaccinia
Rotavirus
Influenza A and B
Table 2 Noninfectious vaccines for prevention of human viral
diseases
Current Under development
Polioviruses 1,2,3 SARS virus
Influenza A and B Human immunodeficiency virus
Hepatitis A Herpes simplex viruses 1 and 2
Hepatitis B Respiratory syncytial virus
Japanese encephalitis virus Hepatitis C
Tick-borne encephalitis West Nile virus
Rabies virus Ebola virus
Human papillomavirus
H5N1 avian influenza
1156 Vaccines, Viral

Attenuation is achieved by using a combination of
approaches for the pentavalent rotavirus vaccine.
Rotavirus is the most important etiologic agent of severe
diarrhea in children less than 5 years of age. Rotavirus
causes approximately 440 000 deaths and 2.3 million hos-
pitalizations every year in the world. Taking advantage of
host range differences, the vaccine is based on a bovine
rotavirus strain, which is naturally attenuated for humans
but not broadly cross-protective. Molecular techniques
are then used to reassort genes from the bovine rotavirus
with genes that encode the major outer capsid proteins
from the most common human rotavirus serotypes. As a
consequence of these manipulations, the vaccine virus
remains infectious but its ability to replicate in the
human host is limited and the cycles of viral replication
that occur in the vaccine recipient do not result in a
reversion to virulence.
Similarly, reversion to wild type for the LAIV is highly
improbable as multiple changes (five loci on three gene
segments for donor influenza A virus and three loci on
two gene segments for donor influenza B virus) of the
mutations would have to occur concurrently. In contrast,
reversion to wild-type virus with the Sabin vaccine strains
in oral polio vaccine is observed. The rate of vaccine-
associated poliomyelitis is 1 per 750 000 recipients, and it
occurs secondary to reversion to virulence. Though
mutations in other regions have an attenuation effect,
mutations in the 59noncoding region of the genome
have been identified to confer attenuation, and a single
base change (reversion of the mutation) has been found in
virus isolated from vaccine recipients with vaccine-asso-
ciated poliomyelitis.
By definition, the vaccine strain must retain genetic
stability in order to preserve its attenuation. Sequence
differences from the parent strain have been implicated
in the attenuation of poliovirus strains 1, 2, and 3 that are
used to make live poliovirus vaccines. However, the
genetic basis for the attenuation of most traditional vac-
cine strains is not known. The evidence that these strains
are genetically stable is inferred from the preservation of
the attenuation phenotype when the vaccine is given to
susceptible individuals. Even when sequence information
is available for vaccine strains, it is difficult to determine
which sequence differences from the parent strain are
most essential for the biologically observed modification
of virulence. The definition of genetic markers of attenua-
tion is complex because the traditional procedures for
making live vaccines typically yield many variations in
the genome sequence of the vaccine strain and genetic
stability can be predicted to be multifactorial. In general,
genetic stability is enhanced as the number of mutations
in the vaccine strain increases. For example, the vaccine
poliovirus type 1 has 56 mutations in 7441 nucleotides
compared to only 10 of 7429 differences in the type 3
strain. Live attenuated vaccines may also contain mixed
populations of the vaccine virus that have different
genetic alterations, as has been described for rubella vac-
cine. In most cases, biological attenuation means that the
vaccine virus also loses its transmissibility to other sus-
ceptible individuals who are in close contact with the
vaccine recipient. However, when vaccine strains are
transmissible, the genetic stability of the vaccine virus
must also be preserved after replication in secondary
contacts.
The immunogenicity of live attenuated virus vaccines
depends upon the selection of an appropriate infectious
dose for inoculation, whether the vaccine is given by
systemic or mucosal routes. For example, a high-potency
varicella zoster virus vaccine is approved for adults
greater than 60 years of age to reduce the risk of herpes
zoster and postherpetic neuralgia. The infectious virus
content in the zoster vaccine is >14-fold higher than the
VZV vaccine used for routine childhood immunizations.
Herpes zoster is associated with a decline in cell-
mediated immunity to VZV. The higher potency vaccine
boosts the cell-mediated immunity of adults greater than
55 years of age, and clinical trials demonstrated a reduc-
tion in morbidity from herpes zoster and postherpetic
neuralgia. The identification of the proper dosage regi-
men for administration is also important. Many live
attenuated virus vaccines must be given as several doses
in order to establish persistent adaptive immunity in the
majority of naive recipients. Some live virus vaccines
consist of mixtures of vaccine strains because protection
must be conferred against disease caused by different
subgroups of the wild-type virus, as illustrated by the
trivalent oral poliovirus vaccine. In other cases, several
live attenuated virus strains are combined to facilitate
simultaneous immunization of the susceptible host against
unrelated viruses, as exemplified by the measles–mumps–
rubella (MMR) vaccine. The challenge of designing these
multivalent vaccines is to ensure that each attenuated
vaccine strain is present in a high enough inoculum to
allow it to replicate adequately at the site of inoculation in
the presence of the other strains. For example, the com-
bined live attenuated measles, mumps, rubella, and
varicella (MMRV) vaccine has a higher titer of Oka/
Merck varicella zoster virus as compared to the single-
antigen varicella vaccine, whereas the titers for measles,
mumps, and rubella in MMRV vaccine are identical to
titers in the MMR vaccine. A balance of the components
must be achieved to prevent interference by more potent
vaccine viruses that might impair the immunogenicity of
the other vaccine strains. The establishment of adaptive
immunity to all components may depend upon a multi-
ple-dose regimen, as is recommended for live attenuated
polio vaccine. The timing between doses of live attenu-
ated virus vaccines is also important because interference
can occur when one live virus vaccine is given too soon
after another. The required interval is usually at least 4
Vaccines, Viral 1157

weeks, to avoid reduction in the infectivity of the second
vaccine strain as a result of the replication of the first
vaccine strain or as a result of antiviral immune responses
elicited by the first vaccine, such as interferon production.
Healthy young children constitute the primary target
population for the live attenuated vaccines to prevent
measles, mumps, rubella, varicella, polioviruses 1, 2, and
3, influenza A and B, and rotavirus. In contrast, the live
yellow fever and adenovirus vaccines are used in indivi-
duals who are considered to be at particular risk. Yellow
fever vaccines are used to prevent the disease in local
populations and in visitors to endemic areas. These vac-
cines are made from a strain first developed in the 1930s,
which was attenuated by passage into monkeys and then
prolonged tissue culture passage. The vaccine strain
causes a low level of viremia, which is also characteristic
of infection with the wild-type virus, but multiple
sequence changes from the parent strain have been
demonstrated, and clinical experience demonstrates that
its pathogenic potential to cause life-threatening dissemi-
nation is eliminated. Adenovirus vaccines against
serotypes 4 and 7 have been used to control outbreaks
among military recruits. Prevention of respiratory tract
infection is achieved by the oral administration of live
adenovirus in tablets that are coated to prevent acid
inactivation in the upper gastrointestinal tract. In this
instance, attenuation results from the route of inoculation
without any molecular alteration of the viral genome.
Noninfectious Vaccines
Noninfectious vaccines are licensed for influenza, polio,
hepatitis A, hepatitis B, rabies, Japanese encephalitis virus,
tick-borne encephalitis, and human papillomavirus
(HPV) (Table 2). The vaccines are made by inactivating
infectious virus after growth in tissue culture or eggs, or
by using only the protein components of the virus. These
vaccines are referred to as ‘killed’ or ‘inactivated’ vac-
cines, or as ‘subunit’ vaccines. This approach to vaccine
design has the advantage of eliminating concerns about
the infectious component of attenuated live viruses.
While attenuation of virulence is the major issue in mak-
ing live virus vaccines, immunogenicity is the primary
concern in designing inactivated vaccines. Alum is used as
an adjuvant to provide amplification of adaptive immu-
nity, which is achieved by viral replication in the case of
live attenuated vaccines. The induction of a balanced host
response against viral proteins is of critical importance in
the production of inactivated vaccines, as illustrated by
the occurrence of atypical measles disease in children
who were immunized with a formalin-inactivated, alum-
precipitated measles vaccine. Formalin-inactivated
respiratory syncytial virus vaccine was associated with
severe lower respiratory tract infection in immunized
infants who were infected with the wild-type virus.
Although formalin inactivation creates safe inactivated
vaccines for other viral pathogens, cross-linking by for-
maldehyde may have changed the conformation of viral
proteins, inducing antibodies against amino acid epitopes
that were not elicited in the normal host response to viral
proteins made during replication in host cells.
Immunization with inactivated measles vaccine appears
to have resulted in the formation of antigen–antibody
immune complexes when viral infection occurred. This
misdirection of the adaptive immune response resulted in
immune-mediated disease, instead of protective immu-
nity, in some vaccine recipients. Since inactivated
vaccines are not as immunogenic for inducing memory
host responses as natural infection or live virus vaccines,
most dose regimens for inactivated or subunit vaccines
incorporate ‘booster’ doses to ensure the long-term per-
sistence of virus-specific immunity.
Inactivated influenza vaccine is used to protect indi-
viduals who are at risk for life-threatening disease during
the annual epidemics of influenza A and B. The target
populations for this vaccine are elderly adults, immuno-
compromised patients, and those with chronic pulmonary
or cardiac diseases. Because influenza viruses undergo
rapid antigenic changes, it is necessary to formulate the
vaccine annually to contain the hemagglutinin (HA) and
neuraminidase (NA) proteins from the two predominant
circulating strains of influenza A and the major influenza
B strain, which are identified through a global surveil-
lance network. The component viruses are grown in
embryonated eggs, inactivated by formalin, and combined
in a trivalent vaccine. Subunit preparations of influenza
vaccine are made by detergent treatment to increase
relative concentrations of HA and NA proteins. In the
case of influenza vaccine, the need for repeated immuni-
zation is dictated by the genetic capacity of influenza
viruses to undergo antigenic drift and shift, requiring
administration of the new vaccine to high-risk popula-
tions before each winter epidemic begins. Inactivated
polio vaccine is also a trivalent vaccine made from for-
malin-inactivated strains of polioviruses 1, 2, and 3. The
manufacture of inactivated polio vaccine is complicated
by the need to achieve complete inactivation of these
nonattenuated viruses while maintaining immunogenicity
that is protective against paralytic disease caused by each
of the three polio serotypes. The current enhanced
potency vaccine given as five doses, beginning in infancy
with later booster doses, is now recommended as an
alternative to live attenuated polio vaccine in developed
countries. Regimens combining initial immunization with
inactivated vaccine followed by doses of live attenuated
vaccine are also effective. Inactivated polio vaccine must
be given by injection, which is a practical limitation to its
use in developing countries.
1158 Vaccines, Viral

Whereas most viral vaccines are designed to prevent
the disease caused by acute primary infection, the benefit
of hepatitis B vaccine results from preventing chronic
active infection and the late sequelae of hepatic failure
and hepatocellular carcinoma. In contrast to influenza and
polio, hepatitis B virus does not replicate in tissue culture.
The vaccine for hepatitis B consists of the surface antigen
of the virus, which is a glycoprotein that forms the outer
envelope of the virion. When expressed by introducing
the gene sequence into yeast or mammalian cells, the
hepatitis B surface antigen self-assembles into a particle
structure, which contributes to its immunogenicity as a
single viral protein, and allows its use as an effective
single-protein subunit vaccine. Recombinant DNA vac-
cines have replaced vaccines in which surface antigen
particles were extracted from plasma of chronic carriers.
The success of hepatitis B vaccine depends in particular
upon the timely delivery of the vaccine to infants.
Vaccination beginning at birth blocks the transmission
of hepatitis B virus from carrier mothers to their infants,
who are otherwise at high risk for chronic infection.
Although both viruses cause hepatitis, hepatitis B is a
DNA virus while hepatitis A is an enterovirus belonging
to the same family as polioviruses. New vaccines for
hepatitis A that contain formalin-inactivated virus
grown in tissue culture have been licensed and are admi-
nistered with alum or liposomal adjuvants. Hepatitis A
vaccine is recommended for universal administration to
children at 1 year of age in the United States, where the
cost of vaccination is acceptable even though the risk of
serious disease in young children is low. Hepatitis A
vaccine is useful for susceptible adults who may be
exposed due to occupation, travel, and other risk factors,
as well as during community outbreaks.
Like the hepatitis B vaccine, the HPV vaccine is
designed to prevent chronic infection and subsequent
development of cancer, specifically, cervical, vaginal,
and anal cancer. Cervical cancer is the second most com-
mon cancer in women worldwide and third most fatal,
killing 290 000 women per year. Studies have proven that
HPV infection precedes development of cervical cancer.
Two structural proteins, L1 (major component) and L2,
make up the capsid of papilloma virus, a nonenveloped
double-stranded DNA virus. The L1 major capsid protein
is the antigen used in HPV vaccines. For the quadrivalent
HPV vaccine licensed in the United States, L1 protein is
produced via recombinant DNA technology. A high-yield
Saccharomyces cerevisiae (yeast) system produces L1 pro-
teins that self-assemble into conformationally intact
noninfectious virus-like particles. Each quadrivalent
HPV vaccine includes L1 proteins from HPV type 16
and 18, which are the most common oncogenic types,
and from HPV type 6 and 11, which are the most common
genital wart types.
Inactivated vaccines are licensed to prevent three viral
causes of central nervous system disease, including rabies,
Japanese encephalitis virus, and tick-borne encephalitis.
In 1885, Louis Pasteur inoculated Joseph Meister with
spinal cord material from infected rabbits that was inacti-
vated by drying but contained some infectious virus. This
work initiated a vaccine method based upon use of ner-
vous tissue from infected animals that continued to be
used during the first half of the twentieth century, with
later modifications made to improve viral inactivation.
The current rabies vaccine is made from virus grown in
human cells in tissue culture and inactivated with
-propiolactone, which eliminates the risks of adverse
reactions to myelinated animal tissues. The administra-
tion of the vaccine to exposed individuals is simplified to
a five- or six-dose regimen instead of the 14–23 doses
required for earlier rabies vaccines. Whereas most viral
vaccines protect against infections acquired by human to
human transmission, immunization of domestic animals
with inactivated rabies vaccine is critical for disease pre-
vention. Japanese encephalitis virus is a flavivirus, related
to St. Louis encephalitis virus and other members of this
family, which is maintained as a mosquito-borne patho-
gen in Asia. Although most infections are asymptomatic,
some individuals develop encephalitis that is fatal or
causes severe, permanent neurologic damage. The
licensed vaccine for Japanese encephalitis is an inacti-
vated preparation purified from infected mouse brain
although inactivated and live attenuated vaccines made
in tissue culture are used in China. The need for immu-
nization is restricted to populations in endemic areas and
for travelers who are visiting rural areas in these countries
during the peak season for transmission in summer and
fall. Tick-borne encephalitis virus is also a flavivirus, with
subgroups called Far Eastern and Western virus types.
The distribution of endemic areas includes parts of
Europe and Russia. The vaccine used in Europe is made
from formalin-inactivated virus grown in chick embryo
cells. Immunization is recommended for populations in
endemic areas and for travelers to these areas who may
have increased risk of exposure to ticks.
Vaccine Immunology
Because the development of new viral vaccines takes
years and is very costly, immunologic criteria are used
to judge the probable efficacy of candidate vaccines.
Laboratory assays for assessing vaccine immunogenicity
measure the production of antibodies directed against
viral proteins, including IgG and secretory IgA antibo-
dies, as well as their functional capacity to neutralize the
virus in vitro or to mediate antibody-dependent cellular
cytotoxicity. Because of the importance of cell-mediated
immunity for defense against viral infections, assays for
Vaccines, Viral 1159

cytokine production by T cells stimulated with viral
antigens in vitro and for T-cell-mediated cytotoxicity
are useful measures for the establishment of virus-specific
memory immunity. Establishing accurate correlates of
protection must be done in field trials during which
large cohorts of vaccinees are exposed to wild-type
virus. In most instances, only simple laboratory assays
can be performed when so many individuals must be
tested. Serologic assays are used for this purpose even
though protection is likely to require adequate T-cell-
mediated immunity. It is necessary to have a reliable
expected attack rate for transmission of the viral pathogen
whereas, under field conditions, rates of transmission are
affected by many variables, such as the proximity and
duration of contact with the index case. Therefore, most
clinical vaccine trials require large populations of sub-
jects. Whether protective immunity is induced by viral
vaccines is often proved conclusively only after wide-
spread implementation of immunization programs, as
illustrated by the impact of vaccines against childhood
diseases, such as measles, mumps, and rubella.
The specific goals of vaccine immunology are to
demonstrate that vaccination induces adaptive immunity
against relevant viral antigens in the naive host and, when
possible, to identify immunologic responses that are asso-
ciated particularly with protection of vaccine recipients
against the usual consequences of infection with the wild-
type virus. In practice, the definition of immunologic
correlates of vaccine protection is rarely straightforward.
The immunogenicity of vaccines is usually assessed by
comparison with immune responses that follow natural
infection with the same virus but, in most instances,
specific correlates of protection are not known for natu-
rally acquired immunity. The redundancy of the
mammalian immune system means that a broad range of
adaptive immune responses to the pathogen can be mea-
sured in the healthy immune individual. For example,
individuals who have antibodies to viral proteins can
also be expected to have antigen-specific CD4þand
CD8þT cells. Vaccine-induced antibodies, especially
those with neutralizing activity against the virus, have
been considered the first line of defense against infection
when the immunized host encounters the wild-type virus.
These antibodies may limit initial replication at the site of
viral inoculation. Primary vaccine failure is defined as a
failure of the initial doses of the vaccine regimen to
induce virus-specific antibodies. Effective vaccines are
expected to elicit seroconversion in most vaccine recipi-
ents, which often requires the administration of several
doses. Nevertheless, seroconversion is not invariably a
predictable marker of protective immunity.
Immunization usually induces a range of antigen-specific
antibody responses in different individuals. In some cases,
detection of any antibodies to viral proteins correlates
with protection whereas in other cases, a ‘protective’
titer is defined as greater than or equal to a particular
concentration of antibodies. The appropriate laboratory
marker of protection may also differ depending upon the
nature of the vaccine that is being evaluated. For example,
inactivated vaccines often elicit high titers of virus-
specific antibodies that correlate with protection while
live attenuated vaccines are more likely to induce cellular
immunity and lower antibody titers. Despite these differ-
ences, the inactivated and live attenuated forms of vaccine
may be equally effective against the same pathogen. Live
attenuated virus vaccines often induce a more persistent
cell-mediated immune response, which affords protection
even when antibody titers fall below the threshold of
detection in standard serologic assays. In the case of live
virus vaccines, rates of vaccine virus shedding after the
inoculation of naive subjects may be as reliable a marker
of protection as immunologic assays. Depending upon the
assessment of risk, correlates of vaccine protection may be
defined by deliberate direct challenge of immunized
volunteers with the wild-type virus.
Whether or not precise correlates of protection can be
defined, immunologic assays are useful for demonstrating
effects of vaccine composition and host factors on the
response to viral vaccines. These analyses provide valu-
able insights about the effect of age. For example,
immunologic studies of live attenuated varicella vaccine
revealed that adolescents and young adults require a two-
dose regimen to achieve humoral and cell-mediated
immune responses that are equivalent to those induced
by a single dose in young children. The immunogenicity
of vaccines given to young infants may be diminished by
transplacentally acquired antibodies, as is observed in
measles immunization. Immunologic assays are also use-
ful to determine whether different viral vaccines are
compatible when administered concurrently. Since the
immunogenicity of viral vaccines in infants is influenced
by nutritional status and factors such as the prevalence of
intercurrent infections with gastrointestinal pathogens,
vaccine formulations that are effective in developed
countries may not be appropriate in other circumstances.
A need to adjust vaccine dosage or regimen may be
evident from comparative immunogenicity studies.
Assessing the interval over which adaptive immune
responses remain detectable is necessary because waning
immunity may indicate the need for booster doses of the
vaccine. In addition to primary vaccine failure in which
the initial immunogenicity is inadequate to prevent dis-
ease caused by wild-type virus, secondary vaccine failures
occur when immunity declines over time to nonprotec-
tive levels. For example, in the United States, a second
booster dose of VZV vaccine is recommended as part of
the routine childhood immunization schedule, though it
is not known if ‘breakthrough’ chicken pox cases are
predominantly due to primary or secondary vaccine fail-
ure. Finally, the control of vaccine-preventable disease
1160 Vaccines, Viral

often depends not just upon immunogenicity in indivi-
dual vaccinees but upon achieving adequate levels of herd
immunity. Immunologic assays provide information
necessary to predict whether the local introduction of
the virus is likely to be sustained through secondary
transmissions and result in a community outbreak.
Molecular Approaches to Viral Vaccine
Design
The advances in molecular biology that have occurred
during the past several decades have generated new
opportunities for making viral vaccines. Molecular
approaches to the designing of human viral vaccines will
have a major impact in helping to address deficiencies of
existing vaccines and allowing the invention of vaccines
against infectious diseases that are not preventable by
immunization at this time. Molecular techniques are
already being implemented to improve licensed vaccines,
as illustrated by the use of cDNA clones to reduce the
frequency of poliovirus mutations during vaccine manu-
facture and the use of reassortment methods to
incorporate new influenza viral antigens into available
virus strains that replicate to the levels required for pro-
duction of the inactivated influenza vaccine. Hepatitis B
vaccine is now made from recombinant surface antigen
protein. Molecular approaches that are being developed
to create new or improved vaccines include the genetic
engineering of live attenuated virus vaccines, in which
targeted mutations or deletions are made in genes that are
determinants of virulence or tissue tropism, the synthesis
of replication defective viruses as vaccines, the expression
of recombinant viral proteins and peptides from plasmids
and in constitutively expressing mammalian cells, the
synthesis of virus-like particles from viral proteins made
in the absence of the viral genome, the administration of
‘naked DNA’ corresponding to viral genome sequences
that are immunogenic, and the use of attenuated human
viruses or host range mutants as vectors for expressing
genes from unrelated viruses. For example, gene reassort-
ment is used for generating the pentavalent rotavirus
vaccine by combining genes encoding human proteins
with genes from the donor bovine rotavirus strain and
also for generating the LAIV by combining the six internal
gene segments from the attenuated donor virus with the
two gene segments encoding the relevant wild-type HA
and NA proteins. Strategies such as creation of virus-like
particles via recombinant DNA technology allow vacci-
nation against viral pathogens such as human papilloma
virus, which cannot be grown in tissue culture. In pre-
paration for an influenza vaccine, reverse genetics
technology has been optimized to create custom-made
influenza strains for use in manufacturing influenza vac-
cine. The process of reverse genetics is based on inserting
the relevant HA and NA genes from wild-type virus and
the six internal genes from donor virus into eight plas-
mids, which are cotransfected in mammalian cells to
produce the desired influenza virus strain. The advantage
of reverse genetics is its faster more direct creation of the
new influenza virus strain compared to the traditional
cumbersome approach of sorting through hundreds of
influenza strains for the desired HA, NA, and internal
gene combinations. Reverse genetics also enables removal
of segments of HA and NA genes that encode virulence
phenotypes prior to splicing into plasmids (Table 3).
Molecular methods will also be valuable to redesign
current vaccines; for example, the use of DNA vaccines
may diminish the interference with measles vaccine
immunogenicity associated with transplacentally
acquired maternal antibodies. Progress is also being
made in the creation of novel adjuvants such as cytokines
or immunostimulatory DNA sequences that modulate the
host response to enhance antiviral immunity. Newly
developed avian (H5N1) influenza vaccines incorporate
novel adjuvants that boost the immune response to the
vaccine’s active constituent thus allowing use of less viral
antigen in the vaccine and potentially extending vaccine
supplies. The US FDA has approved an inactivated
H5N1 influenza virus vaccine, which will only be pur-
chased by the federal government for inclusion in the
National Stockpile for future distribution if necessary.
Public Health Impact
The ultimate success of a viral vaccine is realized when
the implementation of vaccine delivery programs results
in a global reduction of the disease burden caused by the
pathogen. The standard set by the smallpox vaccine cam-
paign provides a challenge to eradicate other viral
diseases that continue to cause serious disease and death.
The worldwide control of measles and polio are the
current priorities for eradication initiatives. When the
Global Polio Eradication Initiative was launched in
1988, more than 125 countries had endemic wild polio-
virus, paralyzing more than 1000 children every day.
At the end of 2003, indigenous poliovirus was endemic
Table 3 Molecular approaches for the designing of human viral
vaccines
Genetically engineered attenuation
Genome reassortants
Host range variants
Replication-defective viruses
Recombinant viral vectors
Recombinant proteins and peptides
Virus-like particles
DNA vaccines
Vaccines, Viral 1161

in only six countries and less than 800 children were
paralyzed that year. Even when effective vaccines are
available, the need to vaccinate very high percentages of
the susceptible population in order to block transmission
presents an obstacle to disease control. Viral vaccines are
often labile unless frozen, necessitating an intact ‘cold
chain’ during transport to remote areas, and sterile nee-
dles and syringes must be available. Mass vaccine
campaigns supported by funds from international agen-
cies provide a practical response to these problems
through ‘National Immunization Days’, as was demon-
strated by the successful administration of polio vaccine
to millions of children in India in a single day.
The opportunity for reducing disease burden by
immunization depends on the viral pathogen, how it is
transmitted, and the pathogenic mechanisms by which it
causes disease. Viral pathogens have evolved concur-
rently with the human host so that persistence in human
populations is assured. Smallpox eradication succeeded
by case identification and vaccination of close contacts,
but polioviruses circulate by causing asymptomatic infec-
tion in most individuals. The cycle of transmission of
these viruses may be broken by achieving high levels of
vaccine immunity through several summer–fall seasons.
Measles is expected to be difficult to eradicate because it
is highly contagious, requiring only a few susceptibles in
the population to cause an outbreak. Some viruses, most
notably the herpesviruses and HIV cause a lifelong
persistent infection, associated with intermittent or
chronic viral shedding. Control of these viruses differs
from those that cause acute infection because reintroduc-
tion of the virus into the population can occur readily.
HIV presents the exceptionally difficult problem of
marked antigenic diversity and rapid emergence of virus
subpopulations that can escape adaptive immune
responses.
Despite these obstacles, vaccine strategies are essential
to reduce the impact of viral diseases because of the
limited availability of effective antiviral drugs for most
viruses, their short-term efficacy in many circumstances,
and the relative cost of antiviral drugs compared with
vaccines. The global impact of viral vaccines on public
health is recognized as the most important intervention
provided by modern medicine.
Further Reading
Ada G and Ramsay A (1997) Vaccines, Vaccination and the Immune
Response. Philadelphia: Lippincott-Raven Press.
Arvin AM and Greenburg HB (2006) New viral vaccines. Virology
344: 240–249.
Bloom BR and Widdus R (1998) Vaccine visions and their global impact.
Nature Medicine 4(5 Suppl): 480–484.
Fields BN, Knipe DM, and Howley PM (1996) Fields Virology, 3rd edn.
Philadelphia: Lippincott-Raven Press.
Long S and Prober CG (1997) Textbook of Pediatric Infectious Diseases.
Philadelphia: Lippincott-Raven Press.
Plotkin SA and Orenstein WA (1999) Vaccines, 4th edn. Philadelphia:
W.B. Saunders Co.
1162 Vaccines, Viral

Viroids/Virusoids
B Ding and X Zhong, Ohio State University, Columbus, OH, USA
ª2009 Elsevier Inc. All rights reserved.
Defining Statement
Introduction
Viroid Classification and Structure
Host Range of Viroids
Viroid Infection
Viroid Pathogenecity
Virusoids
Conclusion
Further Reading
Glossary
agroinoculation Use of engineered Agrobacterium
tumefaciens that infect certain groups of plants as a
vehicle to transfer experimental DNA into plant cell
nuclei for transient gene expression.
biolistic bombardment A technique in which gold
particles coated with experimental DNA or RNA are
delivered under certain amount of pressure into cells for
expression.
BY2 cell A cell line derived from Nicotiana tabacum cv
Bright Yellow 2. It can be propagated easily in an
appropriate culture medium. The cells are fast-growing
and nearly translucent. They have been extremely useful
for studying viral and viroid replication and for studying
basic plant cell biology and gene expression.
phloem A type of vascular tissue consisting of several
types of living cells that is responsible for the
long-distance transport of nutrients and signaling
molecules in plants. It is also used by viroids and many
viruses to spread infection within a plant.
plasmodesmata Cytoplasmic channels between plant
cells that allow cell-to-cell diffusion of small molecules
and selective trafficking of RNAs, proteins, viruses, and
viroids.
protoplast A plant cell with its cell wall removed by
treatment with cellulase and pectinase, enzymes that
remove the major cell wall components cellulose and
pectin. Protoplasts are prepared fresh for each
experiment from plant materials or cultured cells and
have been extremely useful for studying viral and viroid
replication and for studying basic plant cell biology and
gene expression.
RNA silencing A recently discovered mechanism of
gene regulation in many organisms. It is mediated by
20–26 nt small RNAs produced from various RNA and
DNA sources and functions in regulating RNA stability
and translation as well as chromatin modification
underlying numerous developmental processes. It also
plays a significant role in microbe–host interactions.
viroid A noncoding and nonencapsidated circular RNA
that replicates autonomously without helper viruses in a
plant.
virusoid A specific group of satellite RNAs, associated
with sobemoviruses, that are circular and assuming
similar secondary structures with viroids. They have no
protein-coding capacity. They replicate by utilizing
helper viral-encoded factors and are encapsidated by
helper viral coat proteins.
Abbreviations
ASBVd Avocado sunblotch viroid
CCR central conserved region
CChMVd Chrysanthemum chlorotic mottle viroid
CEVd Citrus exocortis viroid
CsPP2 PP2 from cucumber
HPII hairpin II
HSVd Hop stunt viroid
LTSV Lucerne transient streak virus
PLMVd Peach latent mosaic viroid
pol II polymerase II
PSTVd Potato spindle tuber viroid
RYMV Rice yellow mottle virus
1163

Defining Statement
Viroids and virusoids are the smallest pathogens that
infect plants. They are single-stranded, circular RNAs
and do not encode any proteins. They present simple
models to study how an infectious RNA replicates in a
host cell and spreads systemically to cause diseases.
They are also excellent models to investigate the basic
structure–function relationships of RNAs.
Introduction
Theodor O. Diener was credited with the discovery of the
first viroid, Potato spindle tuber viroid (PSTVd), in 1971.
This viroid is the causal agent of potato spindle tuber
disease first described in the 1920s. Extensive research
over the past three decades has established viroids as the
simplest form of RNA-based infectious agents. All viroids
are single-stranded, circular RNAs with sizes ranging
from 250 to 400 nucleotides (nt). Differing from viruses,
these RNAs do not have protein-coding capacity and are
not encapsidated in a protein or membrane shell. They do
not require the presence of a helper virus to establish
infection. Thus, the viroid genomes and/or their deriva-
tives contain all of the genetic information for direct
replication in single cells and systemic trafficking
throughout a plant to establish infection.
Depending on viroid–host combinations, an infected
plant may or may not develop disease symptoms.
Common viroid disease symptoms include growth stunt-
ing, leaf epinasty and deformation, fruit distortion, stem
and leaf necrosis, and plant death. Since viroids do not
encode proteins, viroid diseases must result from direct
interactions between viroid genomic RNAs or their deri-
vatives and specific cellular components.
Virusoids are also circular RNAs that are similar to
viroids in size and secondary structure. They do not
encode any proteins. However, they rely on protein fac-
tors encoded by their helper viruses for replication and
encapsidation. Virusoids are a special group of satellite
RNAs associated with plant viruses.
Recent research has contributed significant insights
into the sequence/structural elements in viroids that are
critical for various aspects of replication, systemic spread,
and disease formation in an infected plant. Knowledge of
potential host proteins that assist various stages of viroid
infection is also emerging. Much less is known about the
biological functions of virusoids. It is proposed that con-
tinuing studies on these subviral pathogens should yield
valuable insights into the simplest mechanisms of infec-
tion in eukaryotic cells and help uncover the basic
principles of RNA structure–function relationships.
Viroid Classification and Structure
There are over 30 species of viroids in the current database
(http://subviral.med.uottawa.ca/cgi-bin/home.cgi). They
belong to two families, Pospiviroidae and Avsunviroidae,
with their type members being PSTVd and Avocado sun-
blotch viroid (ASBVd), respectively. Many species have
sequence variants. All viroids are listed in Table 1,under
their respective families and genera. Their sizes and num-
ber of sequence variants are also listed.
The distinguishing features of the two families of viroids
are summarized in Table 2. The members of Avsunviroidae
have a highly branched secondary structure (Figure 1(a)).
There is limited sequence or secondary structural conserva-
tion among the different species. They all replicate in the
chloroplast and have ribozyme activities. The members of
Pospiviroidae generally have a rod-shaped secondary struc-
ture (Figure 1(b)) and conserved sequences among some
species, replicate in the nucleus, and are generally consid-
ered to lack ribozyme activities. Five broad structural
domains are defined in the secondary structures of some
viroids in Pospiviroidae. These include the left-terminal
domain, pathogenicity domain, central domain that contains
a central conserved region (CCR), variable domain, and
right-terminal domain (Figure 1(b)).
Host Range of Viroids
Unlike many viruses, viroids have relatively narrow host
ranges, each infecting one or a few plant species in the
field. Avsunviroidae mostly infect woody species whereas
Pospiviroidae mostly infect herbaceous species. There is
evidence for the recent expansion of host ranges for many
viroids. For instance, PSTVd was long known to infect
potato only in the field. It has recently been reported to
infect avocado and tomato in the field. Under experimen-
tal conditions, some viroids can infect more species. For
example, PSTVd can infect Nicotiana benthamiana and
some of its variants also infect N. tabacum. The infected
plants usually do not exhibit noticeable symptoms.
Recent studies tested whether weedy plant species
characteristic for potato and hop fields, which are not
natural hosts for PSTVd and Hop stunt viroid (HSVd),
can be potential hosts for transmitting and spreading
infection of these viroids, respectively. Indeed, when the
leaves of 12 weedy species from the potato field and 14
from the hop field were inoculated with viroid RNAs or
cDNAs through biolistic bombardment, many species
supported replication of these two viroids. Sequencing
revealed the presence of many variants of these viroids
in different infected species. Therefore, there is always
the potential for viroids to invade new species if condi-
tions permit.
1164 Viroids/Virusoids

The reasons for the narrow host range of a viroid are
not clear. Recent studies suggest a possibility that low
level of replication and/or inability to traffic between
cells contributes to the limited host range for some, if
not all, viroids. For instance, none of the known viroids
infect Arabidopsis thaliana when inoculated onto this plant.
In transgenic A. thaliana plants expressing the dimeric
(þ)-RNAs of Citrus exocortis viroid (CEVd) and HSVd,
species of Pospiviroidae, replication took place.
Agroinoculation of A. thaliana with CEVd, HSVd, and
Table 1 Current viroid species
Family Genus Species name Size (nt) Number of variants
Pospiviroidae
Apscaviroid Pear blister canker viroid (PBCVd) 314–316 22
Grapevine yellow speckle viroid-2(GYSVd-2) 361–363 6
Grapevine yellow speckle viroid-1(GYSVd-1) 187–368 65
Citrus viroid-III (CVd-III) 291–297 53
Citrus bent leaf viroid (CBLVd) 315–329 21
Australian grapevine viroid (AGVd) 369 9
Apple dimple fruit viroid (ADFVd) 306–307 10
Apple scar skin viroid (ASSVd) 329–333 8
Apple fruit crinkle viroid (AFCVd) 368–372 29
Citrus viroid-I-LSS (CVd-LSS) 325–330 5
Citrus viroid-OS (CVd-OS) 329–331 4
Japanese citrus viroid 1 (JCVd) 331 1
Pospiviroid Tomato planta macho viroid (TPMVd) 360 1
Tomato apical stunt viroid (TASVd) 360–363 8
Potato spindle tuber viroid (PSTVd) 341–364 133
Mexican papita viroid (MPVd) 359–360 7
Iresine viroid 1 (IrVd) 370 3
Columnea latent viroid (CLVd) 359–456 25
Citrus exocortis viroid (CEVd) 197–475 151
Chrysanthemum stunt viroid (CSVd) 348–356 26
Tomato chlorotic dwarf viroid (TCDVd) 359–360 3
Cocadviroid Hop latent viroid (HLVd) 255–256 10
Coconut tinangaja viroid (CtiVd) 254 2
Coconut cadang-cadang viroid (CCCVd) 246–301 11
Citrus viroid IV (CVd-IV) 284–286 6
Hostuviroid Hop stunt viroid (HSVd) 267–368 206
Coleviroid Coleus blumei viroid 3 (CbVd-3) 361–364 3
Coleus blumei viroid 2 (CbVd-2) 295–301 2
Coleus blumei viroid 1 (CbVd-1) 248–251 9
Coleus blumei viroid (CbVd) 295 1
Avsunviroidae
Pelamoviroid Chrysanthemum chlorotic mottle viroid (CChMVd) 397–401 23
Peach latent mosaic viroid (PLMVd) 335–351 297
Avsunviroid Avocado sunblotch viroid (ASBVd) 120–251 83
Elaviroid Eggplant latent viroid (ELVd) 332–335 9
The number of sequence variants are obtained by removing duplicate sequences in the database.
Data are obtained from Subviral Database (http://subviral.med.uottawa.ca/cgi-bin/home.cgi).
Table 2 Distinct features of Pospiviroidae and Avsunviroidae
Family
Features Pospiviroidae Avsunviroidae
Secondary structure Rod-shaped Branched for most members
Replicate site Nucleus Chloroplast
Rolling circle Asymmetric Symmetric
Ribozyme activity Uncertain Yes for all current members
Hosts Mostly herbaceous species Mostly woody species
Reproduced from Ding B and Itaya A (2007) Viroid: A useful model for studying the basic principles of infection and RNA biology.
Molecular Plant-Microbe Interactions 20: 7–20.
Viroids/Virusoids 1165

Coleus blumei viroid 1 dimeric cDNAs showed that these
viroids did not traffic from the inoculated leaves to distal
parts of a plant. For some viroids, their host range may be
underestimated if disease symptom is used as the main
detection method, because their infection of certain plants
will not necessarily produce visible symptoms.
Viroid Infection
Viroid Transmission
Like viral infection in many cases, viroid infection easily
spreads between individual plants through wounding of
plants caused by farming tools, human contact, or plant–
plant contact. Some viroids can also be transmitted via
infected seeds or pollens. Vegetative propagation by
grafts or tubers also readily transmits viroids. For
instance, PSTVd can be transmitted by infected potato
tubers and infected tomato seeds. ASBVd can be seed-
transmitted in avocado. In contrast to the common trans-
mission of viruses, insect transmission of viroids is not
common in the field. There is a report of infrequent
transmission of PSTVd by the potato aphid Macrosiphum
euphorbiae. Quarantine and elimination of infected plant/
seed stocks are the most effective means currently avail-
able to control the spread of viroid infection.
(–) ASBVd
(+) ASBVd
Transcription
initiation (U121)
Transcription
initiation (U119)
Cleavage site
(C55-U56)
Cleavage site
(C90-G91)
(a)
(b)
(c)
(+) PSTVd
TLPathogenicity C Variable TR
Transcription
initiation (C1 or U359)
GC box GC boxLoop E
HPII
HPII
G – C
G – C
G – C
A – U
G – C
G – C
C – G
G – C
328
319 G – C 236
227
G – C
G – C
A – U
C – G
U – G
C – G
U – A
G – C
87 G – C102
80 109
HPIHPI
HPI HPII
Figure 1 Secondary structures of ASBVd (a) and PSTVd (b), type members of avsunviroidae and pospiviroidae, respectively. Reproduced,
with modifications, from Ding B and Itaya A (2007) Viroid: A useful model for studying the basic principles of infection and RNA biology.
Molecular Plant-Microbe Interactions 20: 7–20. For PSTVd, the five structural domains are indicated. T
L
, left-terminal domain; c, central
domain; T
R
, right-terminal domain. Arrows indicate the transcription initiation sites and cleavage sites on the viroid genomic RNAs. HPI and
HPII in (b) indicate the positions of nucleotide sequences in PSTVd for the formation of metastable structures HPI and HPII, which are shown
in (c). Reproduced, with modifications, from Zhong X, Archual AJ, Amin AA, and Ding B (2008) A genomic map of viroid RNA motifs critical for
replication and systemic trafficking. Plant Cell 20: 35–47; www.plantcell.org. Copyright American Society of Plant Biologists.
1166 Viroids/Virusoids

General Scheme of Systemic Infection in a Plant
The establishment of systemic infection by both families
of viroids involves the following mechanistic steps
(Figure 2): (1) import into specific subcellular organelles
(the nucleus for Pospiviroidae and the chloroplast for
Avsunviroidae), (2) replication, (3) export out of the
organelles, (4) cell-to-cell trafficking, (5) entry into
the vascular tissue, (6) long-distance trafficking within
the vascular tissue, (7) exit from the vascular tissue and
subsequent invasion of nonvascular cells to repeat the
cycle. As discussed further below, some steps have been
well studied whereas others remain completely unknown.
Intracellular Localization and Replication
Pospiviroidae
In order for replication to take place, members of the
family Pospiviroidae must first enter the nucleus. How
this is achieved is still poorly understood. The first study
to address this question examined nuclear import of fluor-
escent-labeled in vitro transcripts of PSTVd in protoplasts
of tobacco BY2 cells. The protoplasts were prepared by
the removal of cell walls via digestion with enzymes such
as cellulase and pectinase. The protoplasts were further
treated with a detergent such as Triton-X 100 to permea-
bilize the plasma membrane. When the fluorescent-
labeled transcripts were incubated with such protoplasts,
they entered the cells through the permeabilized plasma
membrane and then accumulated in the nucleus within
15–20 min, which was visualized under a fluorescence
microscope. When fluorescent transcripts were mixed
with a 10 molar excess of nonlabeled transcripts, nuclear
import of the former was inhibited. This suggests that
PSTVd import is a specific and regulated process, pre-
sumably mediated by a protein carrier that remains to be
identified. These findings were confirmed with an inde-
pendent approach, in which PSTVd could function in cis
to mediate nuclear import of a large fusion RNA in
N. benthamiana leaves. Using the latter approach, a recent
study showed that the conserved sequence in the upper
strand of the PSTVd secondary structure was able to
mediate nuclear import of a fusion RNA. The biological
significance of this for viroid infection can now be tested.
The cellular factor(s) that recognizes and imports the
viroid RNA is not known. How the viroid RNAs exit
the nucleus remains to be investigated.
Within the nucleus, the viroids replicate via an asym-
metric rolling circle mechanism (Figure 3(a)). Briefly, the
circular (þ)-RNA is first transcribed into concatemeric
linear (–)-strand RNA in the nucleoplasm. This long
RNA then acts as the replication intermediate for the
synthesis of concatemeric, linear (þ)-strand RNA. In
one possible mechanism, the latter is transported into
the nucleolus, where it is cleaved into unit-length mono-
mers. Subsequent intramolecular end-to-end ligation of
each monomer yields the mature, circular progeny viroid
RNA. Alternatively, the cleavage and ligation occur in the
nucleoplasm, and the mature viroid RNA is transported
into the nucleolus for storage.
Several lines of data suggest that the DNA-dependent
RNA polymerase II (pol II) is involved in transcription.
The purified tomato pol II can transcribe a PSTVd tem-
plate in vitro. The CEVd RNA is associated with the
largest subunit of pol II in vivo. Treatment of cells or
nuclear extracts with pol II inhibitor -amanitin inhibits
replication of CEVd and PSTVd in vivo or transcription
in vitro. In the past few years, a new DNA-dependent
RNA polymerase IV and several RNA-dependent RNA
polymerases have been discovered in plants. It remains to
be tested whether any of these enzymes are involved in
viroid transcription.
(6) Long-distance
trafficking
PSTVd
ASBVd
(3) Organellar
export
Nucleus
Chloroplast
(1) Organellar
import
Vascula
r
exit and
invasion
of new
cells
(5) Vascular
entry
(4)Cell-to-cell
trafficking
(2) Replication (7)
Figure 2 Distinct steps of systemic infection of ASBVd and PSTVd. Reproduced from Ding B and Itaya A (2007) Viroid: A useful model
for studying the basic principles of infection and RNA biology. Molecular Plant–Microbe Interactions 20: 7–20.
Viroids/Virusoids 1167

Where transcription initiates in a viroid RNA of the
family Pospiviroidae remains to be understood. Recent
studies examining the de novo synthesis of the (–)-strand
PSTVd RNAs in potato nuclear extracts mapped the tran-
scription initiation site on the circular (þ)-RNA to U359/
C1 of the left-terminal loop (Figure 1(b)). This can be
further tested by loss-of-function genetic experiments in
combination with biochemical analysis of where on the
viroid RNA the transcription complex binds. The impor-
tance of the left-terminal loop for replication was supported
by the observation that enlargement of this loop by muta-
genesis inhibited replication in protoplasts or infection in a
plant in N. benthamiana. Furthermore, disruption of each of
three consecutive loops from the left-terminal end (loops 2,
3, and 4 in Figure 4), respectively, also inhibited replication
in protoplasts. The transcription initiation site on the
(–)-strand PSTVd template is yet to be identified.
There are two GC boxes in the PSTVd secondary
structure (Figure 1(b)). Mutational studies suggest that
they may play a role in transcription. Further studies are
Transcription
Transcription
Cleavage
Ligation
Nucleoplasm
Nucleolus
Chloroplast
Transcription
Self-cleavage
Transcription
Self-cleavage
ASBVdPSTVd (b)(a)
Ligation
Ligation
++
–
–
Figure 3 Rolling circle replication mechanisms of PSTVd (a) and ASBVd (b). The secondary structure sketches of the genomic RNAs
illustrate the approximate transcription initiation sites. Reproduced, with modifications, from Ding B and Itaya A (2007) Viroid: A useful
model for studying the basic principles of infection and RNA biology. Molecular Plant–Microbe Interactions 20: 7–20.
123 4 5 67 8 9 101112 1314 15 161718 1920 24232221 25 26
27
359
146
240286314
122
73
TLTR
148
212
Pathogenicity Central Variable
179
180
RRRRRR
T T T T T T T T TT
R
T
Figure 4 A genomic map of PSTVd loop motifs critical for replication (R) in single cells or for systemic trafficking (T) in a whole plant.
Reproduced, with modifications, from Zhong X, Archual AJ, Amin AA, and Ding B (2008) A genomic map of viroid RNA motifs critical for
replication and systemic trafficking. Plant Cell 20: 35–47; www.plantcell.org. Copyright American Society of Plant Biologists.
1168 Viroids/Virusoids

needed to determine their functions. There is evidence that
loop E located in the CCR of PSTVd (see Figure 1(b)) is
critical for replication. Recent studies provided evidence
that the PSTVd loop E motif exists in vivo, has a defined
tertiary structure, and disruption of this structure leads to
loss of function in replication. A more recent study using
whole genome mutational analysis has identified several
additional PSTVd loops as motifs critical for replication in
single cells. Some loops are located within the central
region (loops 13 and 14 in Figure 4) and others are located
in the left-terminal domain (loops 2, 3, and 4 in Figure 4).
The specific roles of these loops in RNA stability, nuclear
transport, transcription, cleavage, and ligation need to be
determined.
A thermodynamically metastable hairpin II (HPII)
structure is predicted to form through base interactions
involving nucleotide sequences 227–236 and 319–328
(Figures 1(b)and1(c)) during thermal denaturation of
the PSTVd secondary structure. The HPII structure has
been detected in vitro and in vivo, suggesting its importance
in viroid infection. It is also suggested that another meta-
stable structure, HPI (Figures 1(b)and1(c)), is important
for infection of tomato. However, recent mutational ana-
lyses showed that neither HPII nor HPI is critical for
PSTVd replication in N. benthamiana. Whether these meta-
stable structures function in PSTVd infection in some
plant species but not in others is an important question in
further studies.
The sequence and structural conservation of the CCR
of several members of Pospiviroidae suggests its potential
importance in viroid processing. In vitro studies mapped
the cleavage and ligation site to between G95 and G96 of
CCR. In recent work with transgenic A. thaliana plants
that express dimeric (þ)-RNAs of CEVd, HSVd, and
Apple scar skin viroid, the in vivo processing site for these
viroids was mapped at equivalent positions of a putative
HPI/double-stranded structure formed by the upper
strand and flanking nucleotides of the CCR. More speci-
fically, the substrate for in vivo cleavage is the proposed
conserved double-stranded structure, with HPI poten-
tially facilitating the adoption of this structure, whereas
ligation is determined by loop E and flanking nucleotides
of the two CCR strands.
It is generally thought that a cellular RNase catalyzes
the cleavage of concatemeric RNAs. It has long been
known that wheat germ extract and Chlamydomonas
reinhardtii contain ligase activities that circularize
PSTVd linear RNAs. The biochemical identities of any
enzymes and associated factors that are responsible for
cleavage and ligation of viroids in the family
Pospiviroidae remain unknown.
Avsunviroidae
Viroids of the family Avsunviroidae replicate in the
chloroplast. How they enter and exit the chloroplast is
not known. Within the chloroplast, these viroids replicate
via a symmetric rolling circle mechanism (Figure 3(b)).
The circular genomic (þ)-RNA is first transcribed into a
linear, concatemeric (–)-strand RNA. This RNA is
cleaved into unit-length molecules and circularized to
serve as the template to generate linear, concatemeric
(þ)-strand RNA. This RNA is subsequently cleaved
into unit-length monomers and circularized. In vitro stu-
dies showed that the Escherichia coli RNA polymerase can
transcribe Peach latent mosaic viroid (PLMVd) RNA tem-
plates in vitro, suggesting that the plastid-encoded
bacterial-like multiunit RNA polymerase may be
involved in transcription in vivo. However, sensitivity of
ASBVd replication to treatment with targetoxin suggests
that the nuclear-encoded and phage-like single-unit
polymerase is involved in replication in vivo. Further
studies are necessary to determine which polymerase is
responsible for replication during infection.
The transcription initiation sites have been deter-
mined for ASBVd and PLMVd. For ASBVd, in vitro
capping and RNase protection assays mapped U121 as
the initiation site on the (þ)-RNA and U119 as the site on
the (–)-RNA. Both sites are located in the AU-rich term-
inal loops of the RNA secondary structures (Figure 1).
For PLMVd, studies on a wide repertoire of PLMVd
variants revealed A50/C51 and A284/A286 as the
universal transcription initiation sites for the (þ)- and
(–)-strand RNAs, respectively. Furthermore, a highly
conserved CAGACG sequence appears to be important
for defining these sites. The possibility that some variants
can start transcription in other sites cannot be formally
ruled out.
The viroids in Avsunviroidae form hammerhead ribo-
zymes in both the (þ)- and (–)-strands of RNAs to
catalyze self-cleavage in vitro. The general thought is
that these viroids self-cleave during infection in vivo.
However, there is evidence that cellular factors may
enhance this cleavage. UV-crosslinking of viroid
RNA–protein complex in infected tissues in conjunction
with biochemical analyses identified a chloroplast pro-
tein, PARBP33, that interacts with ASBVd in vivo. This
protein has an RNA-binding motif and accelerates self-
cleavage of concatemeric ASBVd RNAs in vitro. The
in vivo role of this factor for viroid replication and general
RNA processing remains to be further studied.
Although self-cleavage of both the linear concatemeric
(þ)- and (–)-RNAs is well demonstrated for members of
the family Avsunviroidae, little is known about how mono-
meric molecules are ligated into circles. Nonenzymatic
intra- and intermolecular ligation has been demonstrated
for PLMVd in vitro. The self-ligation produces a 29,59-
phosphodiester bond in vitro. Recent studies demonstrated
the presence of the 29,59-phosphodiester bond at the
ligation site of the circular PLMVd RNAs isolated from
infected peach plants. It will be important to determine
Viroids/Virusoids 1169

whether this mode of ligation functions during PLMVd
replication.
A recent technical advance may enable genetic inves-
tigation of the cellular factors involved in cleavage and
ligation. When the dimeric cDNAs of three species of
Avsunviroidae, including ASBVd, Chrysanthemum chlorotic
mottle viroid (CChMVd), and Eggplant latent viroid, are
expressed in the transformed chloroplasts of C. reinhardtii,
the dimeric (þ)- or (–)-RNA transcripts are correctly
cleaved into unit length molecules and circularized.
There is no evidence for replication to have taken
place. Given the complete genome sequence information
and well-established genetic and molecular approaches in
C. reinhardtii, this model system may prove to be of great
utility to identify the protein factors important for viroid
RNA processing.
Viroid Cell-to-Cell and Long-Distance
Trafficking
To establish a systemic infection, viroid RNAs must
traffic from initially infected cells into neighboring cells
and distant organs. Studies on PSTVd indicate that cell-
to-cell trafficking occurs through cytoplasmic channels
plasmodesmata and long-distance trafficking occurs
through the vascular tissue phloem. Without encoding
proteins, one can assume that viroids either diffuse
between cells and through the phloem or they have
sequence/structural motifs to mediate the trafficking pro-
cess. The first clue for motif-mediated trafficking came
from studies showing that two mutations in the right-
terminal domain of PSTVd do not appear to affect repli-
cation in tomato roots, but affect systemic infection.
Further studies with microinjection showed that PSTVd
could function in cis to potentiate cell-to-cell trafficking
of a heterologous RNA, suggesting that the viroid RNA
has a motif that mediates trafficking. Furthermore, in an
infected flower PSTVd traffics into sepals but not the
other floral organs, suggesting that the phloem has a
mechanism to recognize and traffic PSTVd RNAs into
selective sink organs.
Mutational studies on two PSTVd strains, PSTVd
NT
and PSTVd
NB
, which differ by 5 nt, identified a bipartite
motif that is required for trafficking from bundle sheath to
mesophyll, but not required for trafficking in the reverse
direction. Importantly, this motif is required for traffick-
ing in young leaves, but not in mature leaves. Thus, plant
development is also a major factor for the fine-tuning of
trafficking controls. Whether the bipartite motif interacts
with separate cellular factors or they form a particular
tertiary structural motif via conformational changes to
interact with a cellular factor for trafficking remains an
outstanding question.
A tertiary structural motif, which consists of at least
U43/C318 (loop 7 in Figure 4) that interacts with
cis-Watson–Crick base pairing with water insertion, has
been shown to be required for PSTVd to traffic from the
bundle sheath into the phloem to initiate long-distance
transport in N. benthamiana. Mechanistically, water inser-
tion distorts the structure of the local helix. This
distortion is necessary for trafficking. This motif recurs
in many other RNAs. In rRNAs, this motif is a binding
site for a ribosomal protein.
These studies imply the existence of multiple PSTVd
structural motifs to mediate trafficking across various
cellular boundaries in an infected plant. Indeed, a recent
study has identified many additional loops in the PSTVd
secondary structure that are critical for systemic traffick-
ing in N. benthamiana (Figure 4). Closing of these loops by
nucleotide substitutions/deletions to create Watson–
Crick base pairing abolishes systemic infection while
allowing replication. The tertiary structure of each loop,
whether each of these loops function individually or in
some combinations to mediate trafficking across specific
cellular boundaries, and what host proteins interact with
each of these loops for function are outstanding issues for
future investigations.
A current hypothesis is that certain cellular proteins
recognize specific viroid RNA motifs to potentiate traf-
ficking between cells and among organs. These proteins
have not yet been identified. Several promising candi-
dates have been reported but their functions have to be
conclusively tested. These include the mobile phloem
lectin PP2 from cucumber (CsPP2) that binds HSVd in
vitro and in vivo as well as two phloem proteins that bind
ASBVd. A tomato protein, VIRP1, interacts in vitro with
the right-terminal region of PSTVd and HSVd. Recent
work showed that VIRP1 appears to be important for
infection. When its expression is repressed by antisense
method in transgenic N. benthamiana, the protoplasts pre-
pared from this transgenic plant fail to support PSTVd
replication.
Viroid Pathogenecity
Without encoding proteins, viroid diseases must result
from interactions between the viroid genome, or genome-
derived RNAs, and cellular factors. Such interactions dis-
turb the normal course of plant development leading to
disease formation. Viroid diseases show great variations,
depending on viroid–host combinations. They range from
nearly symptomless to host lethality. One of the most
devastating diseases is the cadang-cadang disease that
killed over 30 million coconut palms, caused by infection
of Coconut cadang-cadang viroid. Environmental conditions
affect symptom expression. In particular, high tempera-
tures enhance disease symptoms. No natural resistance to
viroid infection has been reported.
1170 Viroids/Virusoids

In many cases, small sequence or structural variations
in a viroid genome can cause symptoms of different
degrees of severity (Figure 5). The viroid RNA structure
and disease relationships have been studied most exten-
sively for members of the family Pospiviroidae. Early
studies with PSTVd and CEVd showed that many
nucleotide changes in association with different degrees
of symptom severity occur in the so-called pathogenicity
domain (Figure 1(b) for PSTVd). More recent studies
indicate that all five structural domains play a role in
pathogenicity.
Sequence comparisons among ASBVd clones isolated
from diseased and healthy tissues of infected avocado suggest
that a ‘U’ insertion between nt 115 and 118 in different var-
iants is responsible for the symptoms. Studies on symptomatic
andnonsymptomaticvariantsofCChMVdidentifiedtetra-
loop UUUC (nt 82–85) as a major pathogenicity determinant.
Conversion of this tetraloop to GAAA in natural variants or
by mutagenesis renders the viroid nonsymptomatic.
Other than correlations between viroid sequences and
symptom severity, little is known about the mechanisms of
pathogenicity. In general, viroid replication levels and
tissue localizations are not major factors for the varying
degrees of symptoms. This suggests that specific molecular
interactions between viroid sequences/structures with host
factors are prevailing disease mechanisms. The cellular
factors that interact with specific viroid sequences/struc-
tures for disease development are not known. Infection of
tomato by mild and severe PSTVd strains induced or
suppressed expression of common and unique sets of host
genes. These include genes involved in general defense/
stress responses, cell wall structure and metabolism, chlor-
oplast functions, and so on. Similar alteration of host gene
expression has also been reported in Etrog citron leaves
infected by Citrus viroid III. How the altered expression of
any host genes contributes to disease formation is not
known. PSTVd infection also causes phosphorylation of a
protein kinase that is immunologically related to the
mammalian interferon-induced, double-stranded RNA-
activated protein kinase. Further studies showed differen-
tial in vitro activation of the mammalian protein kinase P68
by PSTVd strains of different pathogenicity. The
biological significance of this activation for viroid symptom
expression remains to be understood.
Recent studies on PSTVd and PLMVd have started to
shed light on the molecular mechanisms underlying
pathogenicity. A U257A change in the CCR converted
several strains of PSTVd into lethal strains that caused
severe growth stunting and premature death of infected
plants (see Figure 5). The U257A substitution did not
alter PSTVd secondary structure, replication levels, or
tissue tropism of PSTVd. The stunted growth of infected
tomato plants resulted from restricted cell growth, but not
cell division or differentiation. This is correlated posi-
tively with downregulated expression of an expansin
gene, LeExp2, that is known to play an important role in
cell expansion in young growing organs. The peach calico
symptom, characterized by extreme chlorosis of infected
tissues, is associated with the insertion of an extra 12–13
nt sequence that folds into a hairpin in the left-terminal
loop of PLMVd. Intriguingly, the insertion occurs spor-
adically de novo and can be acquired or lost during
infection. Recent work shows that presence of this hairpin
impairs processing and accumulation of chloroplast
rRNAs. This eventually affects the structure and function
of the chloroplast translation machinery. Chloroplast
development is severely disturbed. Still, the underdeve-
loped chloroplasts retain the capacity to import proteins
encoded by nuclear genes, which includes a chloroplast
RNA polymerase, and support PLMVd replication.
Altogether, these findings support the view that specific
viroid sequence/structural elements can interact with yet
to be identified host factors in a highly specific manner to
alter host gene expression and developmental processes.
An emerging model for viroid pathogenicity is that
small RNAs of 20–24 nt derived from viroid RNA
sequences during infection can guide RNA silencing of
host genes, thereby leading to development of disease
symptoms. Consistent with this hypothesis, there is a
positive correlation between the levels of small RNAs
and symptom severity for PSTVd and ASBVd.
Moreover, symptom development is correlated with pro-
duction of small RNAs in some transgenic tomato lines
expressing nonreplicating, hairpin PSTVd RNAs.
2 cm 1 cm 1 cm
Mild
MildU257A
KF440-2
KFU257A
RG1
RG1U257A
Figure 5 Mild to lethal disease symptoms caused by infection of several PSTVd variants in Rutgers tomato plants. Reproduced from
Qi Y and Ding B (2003) Inhibition of cell growth and shoot development by a specific nucleotide sequence in a noncoding viroid RNA.
Plant Cell 15: 1360–1374. www.plantcell.org. Copyright American Society of Plant Biologists.
Viroids/Virusoids 1171

However, the correlation between viroid small RNA
accumulation and symptom expression is not universal.
It also remains to be tested whether viroid small RNAs
can indeed target host genes for silencing and whether
such silencing is crucial for disease development.
Virusoids
Virusoid, a term used less frequently today, refers to a
group of circular satellite RNAs associated with viruses in
the genus Sobemovirus, the members of which have
nonenveloped icosahedral virions containing one mole-
cule of linear, single-stranded and positive-sense RNA.
They bear structural similarity with viroids but share
biological properties with satellites. Satellite RNAs are
found to be mostly associated with plant viruses. All
satellite RNAs must coinfect with a helper virus in
order to replicate. The satellite RNAs have little
sequence similarity with their helper viruses. They repli-
cate on their own templates by utilizing the replicating
enzymes encoded by the helper viruses.
The virusoid RNA genomes are 220–388 nt long.
They have a single-stranded, circular genome assuming
rod-shaped secondary structure due to intramolecular
base pairing. A virusoid genome does not code for any
proteins. In these aspects, virusoids are similar to vir-
oids. However, their thermostability is distinct from
that of viroids, showing no cooperativity but rather
random base sequences. Furthermore, like satellite
RNAs, virusoids are replicated by the helper virus
RNA-dependent RNA polymerases in the cytoplasm
and are encapsidated by the coat proteins encoded by
the helper viruses. They are encapsidated separately
from the helper viral RNAs.
Five virusoids are currently known (Table 3). All
helper viruses are members of the Sobemovirus family.
These include Rice yellow mottle virus (RYMV), Lucerne
transient streak virus (LTSV), Subterranean clover mottle
virus,Velvet tobacco mottle virus, and Solanum nodiflorum
mottle virus. By convention, the encapsidated and infec-
tious form of the RNA is designated as the (þ)-strand. It
accumulates to higher levels than the (–)-strand that is
produced during RNA–RNA transcription. Virusoids
replicate via rolling circle mechanisms similar to viroids.
Both the (þ)- and (–)-strands of virusoid vLTSV contain
hammerhead ribozyme activity in vitro, which catalyzes
self-cleavage during replication.
There is little understanding of the biology of viru-
soids, in terms of their interactions with helper viruses,
how they initiate replication, how they move between
cells and through a plant, and how they influence viral
disease symptoms. A recent study revealed no involve-
ment of virusoid vRYMV in symptom modulation or
ability to break host–plant resistance to the viral disease.
Conclusion
Viroids and virusoids are RNAs that are small in size,
simple in structure, and yet complicated in biological
functions. Their replication and systemic trafficking
raise the fascinating questions of what RNA structural
motifs within the RNA direct all of the biological
functions and what host factors are employed by these
motifs to accomplish each function necessary to estab-
lish a systemic infection. The viroid disease can be
considered as an example of RNA-regulated expression
of host genes. Further studies on viroid–host interac-
tions and virusoid–host–helper virus interactions are
expected to contribute new and exciting knowledge
about the evolution of RNA-based pathogens and
about the basic mechanisms of noncoding RNA func-
tions. As compared to viroids, the biology of virusoids
has been greatly understudied. It can be anticipated
that with appropriate experimental tools developed,
virusoids can serve as another powerful set of simple
RNA models, like viroids, for fundamental discoveries
in biology.
Table 3 Virusoids
Virusoid Helper virus Genome size (nt) Accession #
(þ)-strand
ribozyme
()-strand
ribozyme
vRYMV RYMV 220 AF039909 HH HH
vLSTV LSTV 324 X01984 HH
vSCMoV SCMoV 332
388
M33000
M33001
HH
vVTMoV VTMoV 366 J02439 HH
vSNMV SNMV 377 J02388 HH
RYMV, Rice yellow mottle virus; LSTV, Lucerne transient streak virus; SCMoV, subterranean clover mottle virus; VTMoV, Velvet tobacco mottle virus,
SNMV, Solanum nodiflorum mottle virus; HH, Hammerhead.
1172 Viroids/Virusoids

Further Reading
Diener TO (2003) Discovering viroids – a personal perspective. Nature
Reviews in Microbiology 1: 75–80.
Ding B and Itaya A (2007) Viroid: A useful model for studying the basic
principles of infection and RNA biology. Molecular Plant–Microbe
Interactions 20: 7–20.
Flores R, Hernandez C, Martı´nez de Alba AE, Daro
`s JA, and Di Serio F
(2005) Viroids and viroid–host interactions. Annual Reviews of
Phytopathology 43: 117–139.
Gas ME, Herna´ ndez C, Flores R, and Daro
`s JA (2007) Processing of
nuclear viroids in vivo: An interplay between RNA conformations.
PLoS Pathogens 3: e182.
Go´ ra-Sochacka A (2004) Viroids: Unusual small pathogenic RNAs. Acta
Biochimica Polonica 51: 587–607.
Hadidi A, Flores R, Randles JW, and Semancik JS (eds.) (2003) Viroids.
Australia: CSIRO: Collingwood.
Hammond RW and Owens R Viroids: New and Continuing Risks for
Horticultural and Agricultural Crops. http://www.apsnet.org/online/
feature/viroids.
Matousek J, Orctova´ L, Pta´ cek J, et al. (2007) Experimental
transmission of pospiviroid populations to weed species
characteristic of potato and hop fields. Journal of Virology
81: 11891–11899.
Owens R (2007) Potato spindle tuber viroid: The simplicity paradox
resolved? Molecular Plant Pathology 8: 549–560.
Qi Y and Ding B (2003) Inhibition of cell growth and shoot development
by a specific nucleotide sequence in a noncoding viroid RNA. Plant
Cell 15: 1360–1374.
Qi Y, Pe´ lissier T, Itaya A, Hunt E, Wassenegger M, and Ding B (2004)
Direct role of a viroid RNA motif in mediating directional RNA
trafficking across a specific cellular boundary. Plant Cell
16: 1741–1752.
Rodio ME, Delgado S, De Stradis A, Go´ mez MD, and Floresand Di
Serio RF (2007) A viroid RNA with a specific structural motif inhibits
chloroplast development. Plant Cell 19: 3610–3626.
Tabler M and Tsagris M (2004) Viroids: Petite RNA pathogens with
distinguished talents. Trends in Plant Science 9: 339–348.
Zhong X, Archual AJ, Amin AA, and Ding B (2008) A genomic map of
viroid RNA motifs critical for replication and systemic trafficking. Plant
Cell 20: 35–47.
Zhong X, Tao X, Stombaugh J, Leontis N, and Ding B (2007)
Tertiary structure and function of an RNA motif required for plant
vascular entry to initiate systemic trafficking. The EMBO Journal
26: 3836–3846.
Relevant Website
http://subviral.med.uottawa.ca/cgi-bin/home.cgi – Subviral
RNA Database
Viroids/Virusoids 1173

Yeasts
G M Walker, University of Abertay Dundee, Dundee, Scotland
ª2009 Elsevier Inc. All rights reserved.
Defining Statement
Definition and Classification of Yeasts
Yeast Ecology
Yeast Cell Structure
Nutrition, Metabolism, and Growth of Yeasts
Yeast Genetics
Industrial, Agricultural, and Medical Importance of
Yeasts
Further Reading
Glossary
bioethanol Ethyl alcohol produced by yeast
fermentation for use as a renewable biofuel.
birth scar Concave indentations that remain on the
surface of daughter cells following budding.
budding A mode of vegetative reproduction in many
yeast species in which a small outgrowth, the daughter
bud, grows from the surface of a mother cell and
eventually separates to form a new cell during cell
division.
bud scar The chitin-rich, convex, ringed protrusions
that remain on the mother cell surface of budding yeasts
following the birth of daughter cells.
Candida albicans Common opportunistic human
pathogenic yeast causing candidosis.
Crabtree effect The suppression of yeast respiration
by high levels of glucose. This phenomenon is found in
Saccharomyces cerevisiae cells, which continue to
ferment irrespective of oxygen availability due to
glucose repressing or inactivating the respiratory
enzymes or due to the inherent limited capacity of cells
to respire.
fission A mode of vegetative reproduction found in the
yeast genus Schizosaccharomyces. Fission yeasts grow
lengthwise and divide by forming a cell septum that
constricts mother cells into two equal-sized daughters.
Pasteur effect Under anaerobic conditions, glycolysis
proceeds faster than it does under aerobic conditions. In
Saccharomyces cerevisiae, the Pasteur effect is
observable only when the glucose concentration is low
(< 5 mM) or in nutrient-deficient cells.
respirofermentation Fermentative metabolism of
yeast in the presence of oxygen.
Saccharomyces cerevisiae Baker’s or brewer’s yeast
species, which is used widely in the food and
fermentation industries and is also being exploited in
modern biotechnology (e.g., in the production of
recombinant proteins) and as a model eukaryotic cell in
fundamental biological research.
sporulation The production of haploid spores when
sexually reproductive yeasts conjugate and undergo
meiosis.
Abbreviations
AFLP amplified fragment length polymorphism
AFM Atomic force microscopy
CDI cyclin-dependent kinase inhibitor
DEAE diethylaminoethyl
ER endoplasmic reticulum
FACS Fluorescence-activated cell sorting
GAP general amino acid permease
NAD nicotinamide adenine dinucleotide
RAPD random amplified polymorphic DNA
YEPG yeast extract peptone glucose
YNB yeast nitrogen base
Defining Statement
Yeasts are eukaryotic unicellular microfungi that play
important roles in industry, the environment, and medical
science. This article describes the classification, ecology,
cytology, metabolism, and genetics of yeast, with specific
reference to Saccharomyces cerevisiae – baker’s yeast. The
biotechnological potential of yeasts, including their
exploitation in food, fermentation, and pharmaceutical
industries, is also discussed in the article.
1174

Definition and Classification of Yeasts
Definition and Characterization of Yeasts
Yeasts are recognized as unicellular fungi that reproduce
primarily by budding, and occasionally by fission, and
that do not form their sexual states (spores) in or on a
fruiting body. Yeast species may be identified and char-
acterized according to various criteria based on cell
morphology (e.g., mode of cell division and spore
shape), physiology (e.g., sugar fermentation tests), immu-
nology (e.g., immunofluorescence), and molecular biology
(e.g., ribosomal DNA phylogeny, DNA reassociation,
DNA base composition and hybridization, karyotyping,
random amplified polymorphic DNA (RAPD), and
amplified fragment length polymorphism (AFLP) of
D1/D2 domain sequences of 26S rDNA). Molecular
sequence analyses are being increasingly used by yeast
taxonomists to categorize new species.
Yeast Taxonomy
The most commercially exploited yeast species, S. cerevisiae
(baker’s yeast), belongs to the fungal kingdom subdivision
Ascomycotina. Table 1 summarizes the taxonomic hierar-
chy of yeasts, with S. cerevisiae as an example.
Other yeast genera are categorized under
Basidiomycotina (e.g., Cryptococcus spp. and Rhodotorula
spp.) and Deuteromycotina (e.g., Candida spp. and
Brettanomyces spp.). There are around 100 recognized
yeast genera and the reader is directed to Kurtzman and
Fell (1998) for additional information on yeast taxonomy.
Yeast Biodiversity
Around 1000 species of yeast have been described, but
new species are being characterized on a regular basis and
there is considerable untapped yeast biodiversity on
Earth. For example, it has been estimated (in 1996) that
only 0.065% of yeast genera (total 62 000) and 0.22% of
yeast species (total 669 000) have been isolated and char-
acterized. This means that there is an immense gap in our
knowledge regarding biodiversity and the available ‘gene
pool’ of wild natural isolates of yeast. Several molecular
biological techniques are used to assist in the detection of
new yeast species in the natural environment, and
together with input from cell physiologists, they provide
ways to conserve and exploit yeast biodiversity. S. cerevi-
siae is the most studied and exploited of all the yeasts, but
the biotechnological potential of non-Saccharomyces yeasts
is gradually being realized, particularly with regard to
recombinant DNA technology (see Table 8).
Yeast Ecology
Natural Habitats of Yeast Communities
Yeasts are not as ubiquitous as bacteria in the natural
environment, but nevertheless they can be isolated from
soil, water, plants, animals, and insects. Preferred yeast
habitats are plant tissues (leaves, flowers, and fruits), but a
few species are found in commensal or parasitic relation-
ships with animals. Some yeasts, most notably Candida
albicans, are opportunistic human pathogens. Several spe-
cies of yeast may be isolated from specialized or extreme
environments, such as those with low water potential (i.e.,
high sugar or salt concentrations), low temperature (e.g.,
some psychrophilic yeasts have been isolated from polar
regions), and low oxygen availability (e.g., intestinal tracts
of animals). Table 2 summarizes the main yeast habitats.
Yeasts in the Food Chain
Yeasts play important roles in the food chain. Numerous
insect species, notably Drosophila spp., feed on yeasts that
colonize plant material. As insect foods, ascomycetous
yeasts convert low-molecular-weight nitrogenous com-
pounds into proteins beneficial to insect nutrition. In
addition to providing a food source, yeasts may also affect
the physiology and sexual reproduction of drosophilids.
In marine environments, yeasts may serve as food for
filter feeders.
Microbial Ecology of Yeasts
In microbial ecology, yeasts are not involved in biogeo-
chemical cycling as much as bacteria or filamentous fungi.
Nevertheless, yeasts can use a wide range of carbon
sources and thus play an important role as saprophytes
in the carbon cycle, degrading plant detritus to carbon
dioxide. In the cycling of nitrogen, some yeasts can
reduce nitrate or ammonify nitrite, although most yeasts
assimilate ammonium ions or amino acids into organic
nitrogen. Most yeasts can reduce sulfate, although some
are sulfur auxotrophs.
Table 1 Taxonomic hierarchy of yeast
Taxonomic category Example (Saccharomyces cerevisiae)
Kingdom Fungi
Division Ascomycota
Subdivision Ascomycotina
Class Hemiascomycete
Order Endomycetales
Family Saccharomycetacae
Subfamily Saccharomyetoideae
Genus Saccharomyces
Species cerevisiae
Yeasts 1175

Yeast Cell Structure
General Cellular Characteristics
Yeasts are unicellular eukaryotes that have ultrastructural
features similar to that of higher eukaryotic cells. This,
together with their ease of growth, and amenability to
biochemical, genetic, and molecular biological analyses,
makes yeasts model organisms in studies of eukaryotic
cell biology. Yeast cell size can vary widely, depending on
the species and conditions of growth. Some yeasts may be
only 2–3 mm in length, whereas others may attain lengths
of 20–50 mm. Cell width appears less variable, between 1
and 10 mm. S. cerevisiae is generally ellipsoid in shape with
a large diameter of 5–10 mm and a small diameter of
1–7 mm. Table 3 summarizes the diversity of yeast cell
shapes.
Table 2 Natural yeast habitats
Habitat Comments
Soil Soil may only be a reservoir for the long-term survival of many yeasts, rather than a habitat for growth. However,
yeasts are ubiquitous in cultivated soils (about 10 000 yeast cells per gram of soil) and are found only in the upper,
aerobic soil layers (10–15 cm). Some genera are isolated exclusively from soil (e.g., Lipomyces and
Schwanniomyces)
Water Yeasts predominate in surface layers of fresh and salt waters, but are not present in great numbers (about 1000 cells
per liter). Many aquatic yeast isolates belong to red pigmented genera (Rhodotorula). Debaryomyces hansenii is a
halotolerant yeast that can grow in nearly saturated brine solutions
Atmosphere A few viable yeast cells may be expected per cubic meter of air. From layers above soil surfaces, Cryptococcus,
Rhodotorula,Sporobolomyces, and Debaryomyces spp. are dispersed by air currents
Plants The interface between soluble nutrients of plants (sugars) and the septic world are common niches for yeasts (e.g.,
the surface of grapes); the spread of yeasts on the phyllosphere is aided by insects (e.g., Drosophila spp.); a few
yeasts are plant pathogens. The presence of many organic compounds on the surface and decomposing areas
(exudates, flowers, fruits, phyllosphere, rhizosphere, and necrotic zones) creates conditions favorable for growth of
many yeasts
Animals Several nonpathogenic yeasts are associated with the intestinal tract and skin of warm-blooded animals; several
yeasts (e.g., Candida albicans) are opportunistically pathogenic toward humans and animals; numerous yeasts are
commensally associated with insects, which act as important vectors in the natural distribution of yeasts
Built
environment
Yeasts are fairly ubiquitous in buildings, for example, Aureobasidium pullulans (black yeast) is common on damp
household wallpaper and Saccharomyces cerevisiae is readily isolated from surfaces (pipework and vessels) in
wineries
Table 3 Diversity of yeast cell shapes
Cell shape Description Examples of yeast genera
Ellipsoid Ovoid-shaped cells Saccharomyces
Cylindrical Elongated cells with hemispherical ends Schizosaccharomyces
Apiculate Lemon shaped Hanseniaspora,Saccharomycodes
Ogival Elongated cell rounded at one end and pointed at other Dekkera,Brettanomyces
Flask shaped Cells dividing by bud fission Pityrosporum
Pseudohyphal Chains of budding yeast cells, which have elongated
without detachment. Pseudohyphal morphology is
intermediate between a chain of yeast cells and a
hypha
Occasionally found in starved cells of Saccharomyces
cerevisiae and frequently in Candida albicans
(filamentous cells form from ‘germ tubes’, and hyphae
may give rise to buds called blastospores)
Hyphal Basidiomycetous yeast cells grow lengthwise to form
branched or unbranched threads or true hyphae,
occasionally with septa (cross walls) to make up
mycelia. Septa may be laid down by the continuously
extending hyphal tip
Saccharomycopsis spp.
Dimorphic Yeasts that grow vegetatively in either yeast or
filamentous forms
C. albicans,Saccharomycopsis fibuligera,
Kluyveromyces marxianus,Malassezia furfur,Yarrowia
lipolytica,Ophiostoma novo-ulmi,Sporothrix schenkii,
Histoplasma capsulatum
Miscellaneous
Triangular Trigonopsis
Curved Cryptococcus
Stalked Sterigmatomyces
Spherical Debaryomyces
1176 Yeasts

Several yeast species are pigmented and various
colors may be visualized in surface-grown colonies, for
example, cream (e.g., S. cerevisiae), white (e.g., Geotrichum
spp.), black (e.g., Aureobasidium pullulans), pink (e.g., Phaffia
rhodozyma), red (e.g., Rhodotorula spp.), orange (e.g.,
Rhodosporidium spp.), and yellow (e.g., Bullera spp.). Some
pigmented yeasts have applications in biotechnology. For
example, the astaxanthin pigments of P. rhodozyma have
applications as fish feed colorants for farmed salmonids,
which have no means of synthesizing these red
compounds.
Methods in Yeast Cytology
By using various cytochemical and cytofluorescent dyes
and phase contrast microscopy, it is possible to visualize
several subcellular structures in yeasts (e.g., cell walls,
capsules, nuclei, vacuoles, mitochondria, and several
cytoplasmic inclusion bodies). The GFP gene from the
jellyfish (Aequorea victoria) encodes the green fluorescent
protein (which fluoresces in blue light) and can be used to
follow the subcellular destiny of certain expressed pro-
teins when GFP is fused with the genes of interest.
Immunofluorescence can also be used to visualize yeast
cellular features when dyes such as fluorescein isothio-
cyanate and rhodamine B are conjugated with
monospecific antibodies raised against yeast structural
proteins. Confocal scanning laser immunofluorescence
microscopy can also be used to detect the intracellular
localization of proteins within yeast cells and to
give three-dimensional ultrastructural information.
Fluorescence-activated cell sorting (FACS) has proven
very useful in studies of the yeast cell cycle and in
monitoring changes in organelle (e.g., mitochondrial) bio-
genesis. Scanning electron microscopy is useful in
revealing the cell surface topology of yeasts, as is atomic
force microscopy, which has achieved high-contrast nan-
ometer resolution for yeast cell surfaces (Figure 1).
Transmission electron microscopy, however, is essential
for visualizing the intracellular fine structure of ultrathin
yeast cell sections (Figure 2).
Subcellular Yeast Architecture and Function
Transmission electron microscopy of a yeast cell typically
reveals the cell wall, nucleus, mitochondria, endoplasmic
reticulum (ER), Golgi apparatus, vacuoles, microbodies,
and secretory vesicles. Figure 2 shows an electron micro-
graph of a typical yeast cell.
Several of these organelles are not completely inde-
pendent of each other and derive from an extended
intramembranous system. For example, the movement
and positioning of organelles depends on the cytoskele-
ton, and the trafficking of proteins in and out of cells relies
on vesicular communication between the ER, Golgi appa-
ratus, vacuole, and plasma membrane. Yeast organelles
can be readily isolated for further studies by physical,
chemical, or enzymatic disruption of the cell wall, and
the purity of organelle preparations can be evaluated
using specific marker enzyme assays.
In the yeast cytoplasm, ribosomes and occasionally
plasmids (e.g., 2 mm circles) are found, and the structural
S. cerevisiae
010
μm
Sch. pombe
010
μm
C. albicans
5.12
μm
0
μm
Fast [μm]
Slow [μm]
100500
0
50
100
Figure 1 Atomic force microscopy (AFM) of yeast cell surfaces.
Courtesy of Dr. A Adya and Dr. E Canetta, University of Abertay
Dundee.
Yeasts 1177

organization of the cell is maintained by a cytoskeleton of
microtubules and actin microfilaments. The yeast cell
envelope, which encases the cytoplasm, comprises (from
the inside looking out) the plasma membrane, periplasm,
cell wall, and, in certain yeasts, a capsule and a fibrillar
layer. Spores encased in an ascus may be revealed in those
yeasts that undergo differentiation following sexual con-
jugation and meiosis. Table 4 provides a summary of the
physiological functions of the various structural compo-
nents found in yeast cells.
Nutrition, Metabolism, and Growth of
Yeasts
Nutritional and Physical Requirements for Yeast
Growth
Yeast nutritional requirements
Yeast cells require macronutrients (sources of carbon,
nitrogen, oxygen, sulfur, phosphorus, potassium, and
magnesium) at the millimolar level in growth media,
and they require trace elements (e.g., Ca, Cu, Fe, Mn,
and Zn) at the micromolar level. Most yeasts grow quite
well in simple nutritional media, which supply carbon–
nitrogen backbone compounds together with inorganic
ions and a few growth factors. Growth factors are organic
compounds required in very low concentrations for spe-
cific catalytic or structural roles in yeast, but are not used
as energy sources. Yeast growth factors include vitamins,
which serve vital functions as components of coenzymes;
purines and pyrimidines; nucleosides and nucleotides;
amino acids; fatty acids; sterols; and other miscellaneous
compounds (e.g., polyamines and choline). Growth factor
requirements vary among yeasts, but when a yeast species
is said to have a growth factor requirement, it indicates
that the species cannot synthesize the particular factor,
resulting in the curtailment of growth without its addition
to the culture medium.
Yeast culture media
It is quite easy to grow yeasts in the laboratory on a
variety of complex and synthetic media. Malt extract or
yeast extract supplemented with peptone and glucose (as
CM
1
μm
ER
CM1 M
CW
N
V
BS
Figure 2 Ultrastructural features of a yeast cell. The
transmission electron micrograph is of a Candida albicans cell.
BS, bud scar; CM, cell membrane; CMI, cell membrane
invagination; CW, cell wall; ER, endoplasmic reticulum; M,
mitochondrion; N, nucleus; and V, vacuole. Courtesy of M Osumi,
Japan Women’s University, Tokyo.
Table 4 Functional components of an ideal yeast cell
Organelle or cellular
structure Function
Cell envelope Comprises the plasma membrane that acts as a selectively permeable barrier for transport of hydrophilic
molecules in and out of fungal cells; the periplasm containing proteins and enzymes unable to permeate
the cell wall; the cell wall that provides protection and shape and is involved in cell–cell interactions, signal
reception, and specialized enzyme activities; fimbriae involved in sexual conjugation; and capsules to
protect cells from dehydration and immune cell attack
Nucleus Contains chromosomes (DNA–protein complexes) that pass genetic information to daughter cells during
cell division and the nucleolus, which is the site of ribosomal RNA transcription and processing
Mitochondria Responsible, under aerobic conditions, for respiratory metabolism and, under anaerobic conditions, for
fatty acid, sterol, and amino acid metabolism
Endoplasmic reticulum Ribosomes on the rough endoplasmic reticulum are the sites of protein biosyntheses (translation of mRNA
nucleotide sequences into amino acid sequences in a polypeptide chain)
Proteasome Multi-subunit protease complexes involved in regulating protein turnover
Golgi apparatus and
vesicles
Secretory system for import (endocytosis) and export (exocytosis) of proteins
Vacuole Intracellular reservoir (amino acids, polyphosphate, and metal ions), proteolysis, protein trafficking, and
control of intracellular pH
Peroxisome Present in some methylotrophic (methanol-utilizing) yeasts for oxidative utilization of specific carbon and
nitrogen sources (contain catalase and oxidases). Glyoxysomes contain enzymes of the glyoxylate cycle
Reproduced from Walker GM and White NA (2005) Introduction to fungal physiology. In: Kavanagh K (ed.) Fungi: Biology and Applications, ch. 2, pp.
1–34. Chichester, UK: John Wiley & Sons.
1178 Yeasts

in YEPG) is commonly employed for the maintenance
and growth of most yeasts. Yeast nitrogen base (YNB) is a
commercially, available chemically defined medium that
contains ammonium sulfate and asparagine as nitrogen
sources, together with mineral salts, vitamins, and trace
elements. The carbon source of choice (e.g., glucose) is
usually added to a final concentration of 1% (w/v). For
the continuous cultivation of yeasts in chemostats, media
that ensure that all the nutrients for growth are present in
excess except one (the growth-limiting nutrient) are
usually designed. Chemostats can therefore facilitate stu-
dies on the influence of a single nutrient (e.g., glucose, in
carbon-limited chemostats) on yeast cell physiology, with
all other factors being kept constant. In industry, yeasts
are grown in a variety of fermentation feedstocks, includ-
ing malt wort, molasses, grape juice, cheese whey, glucose
syrups, and sulfite liquor.
Physical requirements for yeast growth
Most yeast species thrive in warm, dilute, sugary, acidic,
and aerobic environments. Most laboratory and industrial
yeasts (e.g., S. cerevisiae strains) grow best from 20 to 30 C.
The lowest maximum temperature for growth of yeasts is
around 20 C, whereas the highest is around 50 C.
Yeasts need water in high concentration for growth
and metabolism. Several food spoilage yeasts (e.g.,
Zygosaccharomyces spp.) are able to withstand conditions
of low water potential (i.e., high sugar or salt concentra-
tions), and such yeasts are referred to as osmotolerant or
xerotolerant.
Most yeasts grow very well between pH 4.5 and 6.5.
Media acidified with organic acids (e.g., acetic and lactic)
are more inhibitory to yeast growth than are media acid-
ified with mineral acids (e.g., hydrochloric). This is
because undissociated organic acids can lower intracellu-
lar pH following their translocation across the yeast cell
membrane. This forms the basis of the action of weak acid
preservatives in inhibiting food spoilage yeast growth.
Actively growing yeasts acidify their growth environment
through a combination of differential ion uptake, proton
secretion during nutrient transport (see later), direct
secretion of organic acids (e.g., succinate and acetate),
and carbon dioxide evolution and dissolution.
Intracellular pH is regulated within relatively narrow
ranges in growing yeast cells (e.g., around pH 5 in S.
cerevisiae), mainly through the action of the plasma mem-
brane proton-pumping ATPase.
Most yeasts are aerobes. Yeasts are generally unable to
grow well under completely anaerobic conditions
because, in addition to providing the terminal electron
acceptor in respiration, oxygen is needed as a growth
factor for membrane fatty acid (e.g., oleic acid) and sterol
(e.g., ergosterol) biosynthesis. In fact, S. cerevisiae is auxo-
trophic for oleic acid and ergosterol under anaerobic
conditions and this yeast is not, strictly speaking, a facul-
tative anaerobe. Table 5 categorizes yeasts based on their
fermentative properties and growth responses to oxygen
availability.
Carbon Metabolism by Yeasts
Carbon sources for yeast growth
As chemorganotrophic organisms, yeasts obtain carbon
and energy in the form of organic compounds. Sugars
are widely used by yeasts. S. cerevisiae can grow well on
glucose, fructose, mannose, galactose, sucrose, and mal-
tose. These sugars are also readily fermented into ethanol
and carbon dioxide by S. cerevisiae, but other carbon sub-
strates such as ethanol, glycerol, and acetate can be
respired by S. cerevisiae only in the presence of oxygen.
Some yeasts (e.g., Pichia stipitis and Candida shehatae) can
use five-carbon pentose sugars such as D-xylose and L-
arabinose as growth and fermentation substrates. A few
amylolytic yeasts (e.g., Saccharomyces diastaticus and
Schwanniomyces occidentalis) that can use starch exist, and
several oleaginous yeasts (e.g., Candida tropicalis
and Yarrowia lipolytica) can grow on hydrocarbons, such
as straight-chain alkanes in the C
10
–C
20
range. Several
methylotrophic yeasts (e.g., Hansenula polymorpha and
Pichia pastoris) can grow very well on methanol as the
sole carbon and energy source, and these yeasts have
Table 5 Classification of yeasts based on fermentative property/growth response to oxygen availability
Class Examples Comments
Obligately fermentative Candida pintolopesii
(Saccharomyces telluris)
Naturally occurring respiratory-deficient yeasts. Only ferment, even in
the presence of oxygen
Facultatively fermentative
Crabtree-positive Saccharomyces cerevisiae Such yeasts predominantly ferment high-sugar-containing media in the
presence of oxygen (respirofermentation)
Crabtree-negative Candida utilis Such yeasts do not form ethanol under aerobic conditions and cannot
grow anaerobically
Nonfermentative Rhodotorula rubra Such yeasts do not produce ethanol, in either the presence or absence
of oxygen
Yeasts 1179

industrial potential in the production of recombinant
proteins using methanol-utilizing genes as promoters.
Yeast sugar transport
Sugars are transported into yeast cells across the plasma
membrane by various mechanisms such as simple net
diffusion (a passive or free mechanism), facilitated (cata-
lyzed) diffusion, and active (energy-dependent) transport.
The precise mode of sugar translocation will depend on
the sugar, yeast species, and growth conditions. For exam-
ple, S. cerevisiae takes up glucose by facilitated diffusion
and maltose by active transport. Active transport means
that the plasma membrane ATPases act as directional
proton pumps in accordance with chemiosmotic princi-
ples. The pH gradients thus drive nutrient transport
either via proton symporters (as is the case with certain
sugars and amino acids) or via proton antiporters (as is the
case with potassium ions).
Yeast sugar metabolism
The principal metabolic fates of sugars in yeasts are the
dissimilatory pathways of fermentation and respiration
(shown in Figure 3) and the assimilatory pathways of
gluconeogenesis and carbohydrate biosynthesis. Yeasts
described as fermentative are able to use organic substrates
(sugars) anaerobically as electron donors, electron accep-
tors, and carbon sources. During alcoholic fermentation of
sugars, S. cerevisiae and other fermentative yeasts reoxidize
the reduced coenzyme NADH to NAD (nicotinamide
adenine dinucleotide) in terminal step reactions from pyr-
uvate. In the first of these terminal reactions, catalyzed by
pyruvate decarboxylase, pyruvate is decarboxylated to
acetaldehyde, which is finally reduced by alcohol dehy-
drogenase to ethanol. The regeneration of NAD is
necessary to maintain the redox balance and prevent the
stalling of glycolysis. In alcoholic beverage fermentations
(e.g., of beer, wine, and distilled spirits), other fermentation
metabolites, in addition to ethanol and carbon dioxide, that
are very important in the development of flavor are pro-
duced by yeast. These metabolites include fusel alcohols
(e.g., isoamyl alcohol), polyols (e.g., glycerol), esters (e.g.,
ethyl acetate), organic acids (e.g., succinate), vicinyl dike-
tones (e.g., diacetyl), and aldehydes (e.g., acetaldehyde).
The production of glycerol (an important industrial com-
modity) can be enhanced in yeast fermentations by the
addition of sulfite, which chemically traps acetaldehyde.
Glucose þHSO3–!glycerol þacetaldehyde –HSO3–þCO2
Aerobic respiration of glucose by yeasts is a major
energy-yielding metabolic route and involves glycolysis,
the citric acid cycle, the electron transport chain, and
oxidative phosphorylation. The citric acid cycle (or
Krebs cycle) represents the common pathway for the
oxidation of sugars and other carbon sources in yeasts
and filamentous fungi and results in the complete oxida-
tion of one pyruvate molecule to 2CO
2
, 3NADH,
1FADH
2
,4H
+
, and 1GTP.
Of the environmental factors that regulate respiration
and fermentation in yeast cells, the availability of glucose
and oxygen is best understood and is linked to the expres-
sion of regulatory phenomena, referred to as the Pasteur
effect and the Crabtree effect. A summary of these phe-
nomena is provided in Table 6.
Nitrogen Metabolism by Yeasts
Nitrogen sources for yeast growth
Although yeasts cannot fix molecular nitrogen, simple
inorganic nitrogen sources such as ammonium salts are
widely used. Ammonium sulfate is a commonly used
nutrient in yeast growth media because it provides a
source of both assimilable nitrogen and sulfur. Some
yeasts can also grow on nitrate as a source of nitrogen,
and, if able to do so, may also use subtoxic concentrations
of nitrite. A variety of organic nitrogen compounds
(amino acids, peptides, purines, pyrimidines, and amines)
can also provide the nitrogenous requirements of the
yeast cell. Glutamine and aspartic acids are readily dea-
minated by yeasts and therefore act as good nitrogen
sources.
Yeast transport of nitrogenous compounds
Ammonium ions are transported in S. cerevisiae by both
high-affinity and low-affinity carrier-mediated transport
systems. Two classes of amino acid uptake systems oper-
ate in yeast cells. One is broadly specific, the general
amino acid permease (GAP), and effects the uptake of
all naturally occurring amino acids. The other system
includes a variety of transporters that display specificity
for one or a small number of related amino acids. Both the
general and the specific transport systems are energy
dependent.
Sugars (glucose)
glycolysis
Pyruvate
Respiration Fermentation
+oxygen –oxygen
Figure 3 Overview of sugar catabolic pathways in yeast cells.
Reproduced from Walker (1998) Yeast Physiology and
Biotechnology. Chichester, UK: John Wiley & Sons Limited.
1180 Yeasts

Yeast metabolism of nitrogenous compounds
Yeasts can incorporate either ammonium ions or amino
acids into cellular protein, or these nitrogen sources can
be intracellularly catabolized to serve as nitrogen sources.
Yeasts also store relatively large pools of endogenous
amino acids in the vacuole, most notably arginine.
Ammonium ions can be directly assimilated into gluta-
mate and glutamine, which serve as precursors for the
biosynthesis of other amino acids. The precise mode of
ammonium assimilation adopted by yeasts will depend
mainly on the concentration of available ammonium ions
and the intracellular amino acid pools. Amino acids may
be dissimilated (by decarboxylation, transamination, or
fermentation) to yield ammonium and glutamate, or
they may be directly assimilated into proteins.
Yeast Growth
The growth of yeasts is concerned with how cells trans-
port and assimilate nutrients and then integrate numerous
component functions in the cell in order to increase
in mass and eventually divide. Yeasts have proven
invaluable in unraveling the major control elements of
the eukaryotic cell cycle, and research with the budding
yeast, S. cerevisiae, and the fission yeast, Schizosaccharomyces
pombe, has significantly advanced our understanding of
cell cycle regulation, which is particularly important in
the field of human cancer. For example, two scientists,
Leland Hartwell and Paul Nurse, were awarded the
Nobel Prize for Medicine in 2002 for their pioneering
studies on the control of cell division in budding and
fission yeasts, respectively.
Vegetative reproduction in yeasts
Budding is the most common mode of vegetative repro-
duction in yeasts and is typical in ascomycetous yeasts
such as S. cerevisiae. Figure 4 shows a scanning electron
micrograph of budding cells of S. cerevisiae. Yeast buds are
initiated when mother cells attain a critical cell size at a
time that coincides with the onset of DNA synthesis. This
is followed by localized weakening of the cell wall and
this, together with tension exerted by turgor pressure,
allows the extrusion of the cytoplasm in an area bounded
by the new cell wall material. The mother and daughter
bud cell walls are contiguous during bud development.
Multilateral budding is common in which daughter buds
emanate from different locations on the mother cell sur-
face. Figure 5 shows multilateral budding in S. cerevisiae.
In S. cerevisiae, cell size at division is asymmetrical, with
buds being smaller than mother cells when they separate
(Figure 6). Some yeast genera (e.g., Hanseniaspora and
Saccharomycodes) undergo bipolar budding, where buds
are restricted to the tips of lemon-shaped cells. Scar tissue
on the yeast cell wall, known as the bud and birth scars,
remain on the daughter bud and mother cells, respec-
tively. These scars are rich in the polymer chitin and
can be stained with fluorescent dyes (e.g., calcoflour
white) to provide useful information regarding cellular
age in S. cerevisiae, since the number of scars represents the
number of completed cell division cycles.
Fission is a mode of vegetative reproduction typified by
species of Schizosaccharomyces, which divide exclusively by
forming a cell septum that constricts the cell into two
equal-size daughters. In Sch. pombe, which has been used
extensively in eukaryotic cell cycle studies, newly divided
daughter cells grow lengthways in a monopolar fashion for
about one-third of their new cell cycle. Cells then switch to
bipolar growth for about three-quarters of the cell cycle
until mitosis is initiated at a constant cell length stage.
Filamentous growth occurs in numerous yeast species
and may be regarded as a mode of vegetative growth
alternative to budding or fission. Some yeasts exhibit a
propensity to grow with true hyphae initiated from germ
tubes (e.g., C. albicans,Figure 7), but others (including S.
cerevisiae) may grow in a pseudohyphal fashion when
induced to do so by unfavorable conditions. Hyphal and
pseudohyphal growth represent different developmental
pathways in yeasts, but cells can revert to unicellular
growth upon return to more conducive growth conditions.
Filamentation may therefore represent an adaptation to
foraging by yeasts when nutrients are scarce.
Table 6 Summary of regulatory phenomena in yeast sugar metabolism
Phenomenon Description Examples of yeasts
Pasteur effect Activation of sugar metabolism by anaerobiosis Saccharomyces cerevisiae
(resting or starved cells)
Crabtree effect
(short-term)
Rapid ethanol production in aerobic conditions due to sudden excess of
glucose (that acts to inactivate respiratory enzymes)
S. cerevisiae and
Schizosaccharomyces pombe
Crabtree effect
(long-term)
Ethanol production in aerobic conditions when excess glucose acts to repress
respiratory genes
S. cerevisiae and Sch. pombe
Custers effect Stimulation of ethanol fermentation by oxygen Dekkera and Brettanomyces
spp.
Kluyver effect Anaerobic fermentation of glucose, but not of certain other sugars
(disaccharides)
Candida utilis
Yeasts 1181

Population growth of yeasts
As in most microorganisms, when yeast cells are inocu-
lated into a liquid nutrient medium and incubated under
optimal physical growth conditions, a typical batch
growth curve will result when the viable cell population
is plotted against time. This growth curve is made up of a
lag phase (period of no growth, but physiological adapta-
tion of cells to their new environment), an exponential
phase (limited period of logarithmic cell doublings), and a
stationary phase (resting period with zero growth rate).
Diauxic growth is characterized by two exponential
phases and occurs when yeasts are exposed to two carbon
growth substrates that are used sequentially. This occurs
during aerobic growth of S. cerevisiae on glucose (the
second substrate being ethanol formed from glucose
fermentation).
In addition to batch cultivation of yeasts, cells can also
be propagated in continuous culture in which exponential
growth is prolonged without lag or stationary phases.
Chemostats are continuous cultures that are based on
the controlled feeding of a sole growth-limiting nutrient
into an open culture vessel, which permits the outflow of
cells and spent medium. The feeding rate is referred to as
the dilution rate, which is employed to govern the yeast
growth rate under the steady-state conditions that prevail
in a chemostat.
Specialized yeast culture systems include immobilized
bioreactors. Yeast cells can be readily immobilized or
entrapped in a variety of natural and synthetic materials
(e.g., calcium alginate gel, wood chips, hydroxyapatite cera-
mics, diethylaminoethyl (DEAE) cellulose, or microporous
Figure 5 Bud scars in a single cell of Saccharomyces
cerevisiae. The micrograph shows multilateral budding on the
surface of an aged cell of S. cerevisiae. Courtesy of Prof. A
Martini, University of Perugia, Italy.
(a)
BS
BirS
1 μm
(b)
Figure 4 Scanning electron micrographs of budding yeast. (a) Individual cell. BS, bud scar; and BirS, birth scar. Courtesy of M Osumi,
Japan Women’s University: Tokyo. (b) Cluster of cells.
1182 Yeasts

glass beads), and such materials have applications in the food
and fermentation industries.
Yeast Genetics
Life Cycle of Yeasts
Many yeasts have the ability to reproduce sexually, but
the processes involved are best understood in the budding
yeast, S. cerevisiae, and the fission yeast, Sch. pombe. Both
species have the ability to mate, undergo meiosis, and
sporulate. The development of spores by yeasts repre-
sents a process of morphological, physiological, and
biochemical differentiation of sexually reproductive cells.
Mating in S. cerevisiae involves the conjugation of two
haploid cells of opposite mating types, designated as aand
(Figure 8). These cells synchronize one another’s cell
cycles in response to peptide mating pheromones, known
as afactor and factor.
The conjugation of mating cells occurs by cell wall
surface contact followed by plasma membrane fusion to
form a common cytoplasm. Karyogamy (nuclear fusion)
then follows, resulting in a diploid nucleus. The stable
diploid zygote continues the mitotic cell cycles in rich
growth media, but if starved of nitrogen, the diploid cells
sporulate to yield four haploid spores. These germinate in
rich media to form haploid budding cells that can mate
with each other to restore the diploid state. Figure 9
shows mating and sporulation in S. cerevisiae.
In Sch. pombe, haploid cells of the opposite mating types
(designated h
+
and h
–
) secrete mating pheromones and,
when starved of nitrogen, undergo conjugation to form
diploids. In Sch. pombe, however, such diploidization is
transient under starvation conditions and cells soon
enter meiosis and sporulate to produce four haploid
spores.
Genetic Manipulation of Yeasts
There are several ways of genetically manipulating yeast
cells, including hybridization, mutation, rare mating, cyto-
duction, spheroplast fusion, single chromosome transfer,
and transformation using recombinant DNA technology.
Classic genetic approaches in S. cerevisiae involve mating of
haploids of opposite mating types. Subsequent meiosis and
sporulation result in the production of a tetrad ascus with
four spores, which can be isolated, propagated, and geneti-
cally analyzed (i.e., tetrad analysis). This process forms the
basis of genetic breeding programs for laboratory reference
strains of S. cerevisiae. However, industrial (e.g., brewing)
strains of this yeast are polyploid, are reticent to mate, and
exhibit poor sporulation with low spore viability. It is,
therefore, generally fruitless to perform tetrad analysis
(a)
Mother cell
Daughter cell
Bud scar
Birth scar
(b)
Cell
Nucleus
G
1
S
Daughter
bud
Daughter
cell
M
G
2
Figure 6 Budding processes in yeast. (a) Schematic diagram of budding. (b) Budding cell cycle, as typified by Saccharomyces
cerevisiae. S, DNA synthesis period; G
1
, pre-DNA synthesis gap period; G
2
, post-DNA synthesis gap period; and M, mitosis. Reproduced
from Madhani H (2007) From a to .Yeast as a Model for Cellular Differentiation. New York: Cold Spring Harbor Laboratory Press.
Figure 7 Dimorphism in Candida albicans. The micrograph
shows a mixture of budding cells and hyphal forms of the yeast,
which is an important human pathogen.
Yeasts 1183

and breeding with brewer’s yeasts. Genetic manipulation
strategies for preventing the sexual reproductive deficien-
cies associated with brewer’s yeast include spheroplast
fusion and recombinant DNA technology.
Intergeneric and intrageneric yeast hybrids may be
obtained using the technique of spheroplast fusion. This
involves the removal of yeast cell walls using lytic
enzymes (e.g., glucanases from snail gut juice or microbial
sources), followed by the fusion of the resulting sphero-
plasts in the presence of polyethylene glycol and calcium
ions.
Recombinant DNA technology (genetic engineering)
of yeast is summarized in Figure 10 and transformation
strategies in Figure 11. Yeast cells possess particular
attributes for expressing foreign genes and have now
become the preferred hosts, over bacteria, for produ-
cing certain human proteins for pharmaceutical use
(e.g., insulin, human serum albumin, and hepatitis vac-
cine). Although the majority of research and
development in recombinant protein synthesis in yeasts
has been conducted using S. cerevisiae, several non-
Saccharomyces species are being studied and exploited
in biotechnology. For example, H. polymorpha and
P. pastoris (both methylotrophic yeasts) exhibit particu-
lar advantages over S. cerevisiae in cloning technology
(see Table 8).
Yeast Genome and Proteome Projects
A landmark in biotechnology was reached in 1996 with
completion of the sequencing of the entire genome of
S. cerevisiae. The Sch. pombe genome was sequenced in
2002. The functional analysis of the many orphan genes
of S. cerevisiae, for which no function has yet been
assigned, is under way through international research
collaborations. Elucidation by cell physiologists of the
biological function of all S. cerevisiae genes, that is, the
complete analysis of the yeast proteome, will not only
lead to an understanding of how a simple eukaryotic cell
works, but also provide an insight into molecular biologi-
cal aspects of heritable human disorders.
Industrial, Agricultural, and Medical
Importance of Yeasts
Industrial Significance of Yeasts
Yeasts have been exploited for thousands of years in
traditional fermentation processes to produce beer,
wine, and bread. The products of modern yeast bio-
technologies impinge on many commercially important
sectors, including food, beverages, chemicals, industrial
enzymes, pharmaceuticals, agriculture, and the environ-
ment (Table 7). S. cerevisiae represents the primary yeast
‘cell factory’ in biotechnology and is the most exploited
Meiosis and sporulation
Ascus (sac)
Tetrad of spores
Cell a /α
a /α
α
α
a
a
α
α α
α
a
a a
Germination
a
Figure 8 Sexual life cycle of Saccharomyces cerevisiae.
Reproduced from Madhani H (2007). From a to .Yeast as a
Model for Cellular Differentiation. New York: Cold Spring Harbor
Laboratory Press.
a Cell
Hours
Spore
Mating (hours)
Spore
Hours
a/α Cell
α Cell
+
M
e
i
o
s
i
s
(
d
a
y
s
)
M
e
i
o
s
i
s
(
d
a
y
s
)
Figure 9 Meiosis and sporulation in Saccharomyces
cerevisiae. Diploid (a/) cells can undergo meiosis and
sporulation to form spores that can germinate into aand
haploid cells. Reproduced from Madhani H (2007) From a to .
Yeast as a Model for Cellular Differentiation. New York: Cold
Spring Harbor Laboratory Press.
1184 Yeasts

microorganism known, being responsible for producing
potable and industrial ethanol, which is the world’s pre-
mier biotechnological commodity. However, other non-
Saccharomyces species are increasingly being used in the
production of industrial commodities (Table 8).
Some yeasts play detrimental roles in industry, parti-
cularly as spoilage yeasts in food and beverage production
(Table 9). Food spoilage yeasts do not cause human
infections or intoxications, but do deleteriously affect
food nutritive quality and are of economic importance
for food producers.
In addition to their traditional roles in food and fer-
mentation industries, yeasts are finding increasingly
important roles in the environment and in the health
care sector of biotechnology. Yeasts are also invaluable
as model eukaryotic cells in fundamental biological and
biomedical research (Figure 12).
Yeasts of Environmental and Agricultural
Significance
A few yeast species are known to be plant pathogens.
For example, Ophiostoma novo-ulmi is the causative agent
of Dutch Elm disease, and members of the genus
Eremothecium cause diseases such as cotton ball in plants.
On the contrary, several yeasts have been shown to be
beneficial to plants in preventing fungal disease. For
example, S. cerevisiae has potential as a phytoallexin
elicitor in stimulating cereal plant defenses against fungal
pathogens, and several yeasts (e.g., Cryptococcus laurentii,
Metschnikowia pulcherrima,Pichia anomala, and Pichia guil-
liermondii) may be used in the biocontrol of fungal fruit
and grain spoilage, especially in preventing postharvest
Donor cell or
viral DNA
Restriction
enzymes
DNA fragments
or cDNA
Recombination
Plasmid vectors
Transformation
Yeast
speroplast
Regeneration
of cell walls
Recombinant yeast
cells
Figure 10 Basic procedures in yeast genetic engineering. Reproduced from Walker GM (1998). Yeast Physiology and Biotechnology.
Chichester, UK: John Wiley & Sons.
Yeast
host
Spheroplast
Cell wall
lytic enzymes
Recombinant
plasmid
Transformed
yeast cell
Li ions, PEG
PEG, Ca ions
Cell wall regeneration
Figure 11 Yeast transformation strategies. PEG, polyethylene
glycol.
Table 7 Industrial commodities produced by yeasts
Commodity Examples
Beverages Potable alcoholic beverages: Beer, wine,
cider, sake, and distilled spirits (whisky, rum,
gin, vodka, and cognac)
Food and
animal feed
Baker’s yeast, yeast extracts, fodder yeast,
livestock growth factor, and feed pigments
Chemicals Fuel ethanol (bioethanol) carbon dioxide,
glycerol, and citric acid vitamins; yeasts are
also used as bioreductive catalysts in
organic chemistry
Enzymes Invertase, inulinase, pectinase, lactase, and
lipase
Recombinant
proteins
Hormones (e.g., insulin), viral vaccines (e.g.,
hepatitis B vaccine), antibodies (e.g., IgE
receptor), growth factors (e.g., tumor
necrosis factor), interferons (e.g., leukocyte
interferon-), blood proteins (e.g., human
serum albumin), and enzymes (e.g., gastric
lipase and chymosin)
Yeasts 1185

fungal deterioration. Other environmental benefits of
yeasts are to be found in aspects of pollution control.
For example, yeasts can effectively biosorb heavy metals
and detoxify chemical pollutants from industrial effluents.
Some yeasts (e.g., Candida utilis) can effectively remove
carbon and nitrogen from organic wastewater.
In agriculture, live cultures of S. cerevisiae have been
shown to stabilize the rumen environment of ruminant
animals (e.g., cattle) and improve the nutrient availability
to increase animal growth or milk yields. The yeasts may
be acting to scavenge oxygen and prevent oxidative
stress to rumen bacteria, or they may provide malic
and other dicarboxylic acids to stimulate rumen bacterial
growth.
Medical Significance of Yeasts
The vast majority of yeasts are beneficial to human life.
However, some yeasts are opportunistically pathogenic
toward humans. Mycoses caused by C. albicans, collectively
referred to as candidosis (candidiasis), are the most com-
mon opportunistic yeast infections. There are many
predisposing factors to yeast infections, but immunocom-
promised individuals appear particularly susceptible to
candidosis. C. albicans infections in AIDS patients are fre-
quently life-threatening.
The beneficial medical aspects of yeasts are apparent
in the provision of novel human therapeutic agents
through yeast recombinant DNA technology (see
Table 7). Yeasts are also extremely valuable as
Table 8 Uses of non-Saccharomyces yeasts in biotechnology
Yeast Uses
Candida spp. Many uses in foods, chemicals, pharmaceuticals, and xylose fermentation (C. shehatae)
Kluyveromyces spp. Lactose, inulin-fermented, rich sources of enzymes (lactase, lipase, pectinase, and
recombinant chymosin)
Hansenula and Pichia Cloning technology. Methylotophic yeasts (H. polymorpha and P. pastoris)
Saccharomycopsis and
Schwanniomyces
Amylolytic yeasts (starch-degrading)
Schizosaccharomyces Cloning technology, fuel alcohol, some beverages (rum), and biomass protein
Starmerella Wine flavor during fermentation
Yarrowia Protein from hydrocarbons (Y. lipolytica)
Zygosaccharomyces High salt/sugar fermentations (soy sauce)
Table 9 Some yeasts important in food production and food spoilage
Yeast genus Importance in foods
Candida spp. Some species (e.g., C. utilis,C. guilliermondii) are used in the production of microbial biomass protein,
vitamins, and citric acid. Some species (e.g., C. zeylanoides) are food spoilers in frozen poultry
Cryptococcus spp. Some strains are used as biocontrol agents to combat fungal spoilage of postharvest fruits. C. laurentii is a
food spoilage yeast (poultry)
Debaryomyces spp. D. hansenii is a salt-tolerant food spoiler (e.g., meats and fish). Also used in biocontrol of fungal fruit diseases
Kluyveromyces spp. Lactose-fermenting yeasts are used to produce potable alcohol from cheese whey (K. marxianus). Source of
food enzymes (pectinase, microbial rennet, and lipase) and found in cocoa fermentations. Spoilage yeast in
dairy products (fermented milks and yoghurt)
Metschnikowia spp. M. pulcherrimia is used in biocontrol of fungal fruit diseases (post-harvest). Osmotolerant yeasts
Phaffia spp. P. rhodozyma is a source of astaxanthin food colorant used in aquaculture (feed for salmonids)
Pichia spp. Production of microbial biomass protein, riboflavin (P. pastoris). P. membranefaciens is an important surface
film spoiler of wine and beer
Rhodotorula spp. R. glutinis is used as a source of food enzymes such as lipases. Some species are food spoilers of dairy
products
Saccahromyces spp. S. cerevisiae is used in traditional food and beverage fermentations (baking, brewing, winemaking, etc.),
source of savory food extracts, and food enzymes (e.g., invertase). Also used as fodder yeast (livestock
growth factor). S. Bayanus is used in sparkling wine fermentations, S. diastaticus is a wild yeast spoiler of
beer, and S. boulardii is used as a probiotic yeast
Schizosaccharomyces
spp.
Sch. pombe is found in traditional African beverages (sorghum beer), rum fermentations from molasses, and
may be used for wine deacidification. Regarded as an osmotolerant yeast
Schwanniomyces spp. Starch-utilizing yeasts. Schw. castellii may be used for production of microbial biomass protein from starch
Yarrowia spp. Y. lipolytica is used in production of microbial biomass protein, citric acid, and lipases
Zygosaccharomyces
spp.
Z. rouxii and Z. bailii, being osmotolerant, are important food and beverage (e.g., wine) spoilage yeasts. Z.
rouxii is also used in soy sauce production
1186 Yeasts

experimental models in biomedical research, particularly
in the fields of oncology, pharmacology, toxicology, vir-
ology, and human genetics (Table 10).
Further Reading
Barnett JA, Payne RW, and Yarrow D (2000) Yeasts: Characteristics and
Identification, 3rd edn. Cambridge: Cambridge University Press.
Boekhout T, Robert V, and Smith MT, et al. (2002) Yeasts of the world.
Morphology, physiology, sequences and identification. World
Biodiversity Database CD-ROM Series. ETI: University of
Amsterdam.
Boulton C and Quain D (2006) Brewing Yeast and Fermentation. Oxford:
Blackwell Science Ltd.
De Winde JH (2003) Functional Genetics of Industrial Yeasts. Berlin &
Heidelberg: Springer.
Fantes P and Beggs J (2000) The Yeast Nucleus. Oxford: Oxford
University Press.
Gerngross TU (2004) Advances in the production of human therapeutic
proteins in yeast and filamentous fungi. Nature Biotechnology
22: 1409.
Guthrie C and Fink GR (eds.) (2002) Guide to yeast genetics and
molecular biology. Methods in Enzymology, vol. 351. Amsterdam &
London: Academic Press.
Kurtzman CP and Fell JW (eds.) (1998) The Yeasts. A Taxonomic Study.
Amsterdam: Elsevier Science.
Linder P, Shore D, and Hall MN (eds.) (2006) Landmark Papers in Yeast
Biology. New York: Cold Spring Harbor Laboratory Press.
Madhani H (2007) From a to : Yeast as a Model for Cellular
Differentiation. New York: Cold Spring Harbor Laboratory Press.
Martini A (2005) Biological Diversity of Yeasts DVD. New York: Insight
Media.
Querol A and Fleet GH (eds.) (2006) Yeasts in Food and Beverages.
Berlin & Heidelberg: Springer-Verlag.
Strathern JN (ed.) (2002) The Molecular Biology of the Yeast
Saccharomyces. New York: Cold Spring Harbor Laboratory Press.
Walker GM and White NA (2005) Introduction to fungal physiology.
In: Kavanagh K (ed.) Fungi: Biology and Applications, ch. 2,
pp. 1–34. Chichester, UK: John Wiley & Sons.
Wolf K, Breunig K, and Barth G (eds.) (2003) Non-Conventional Yeasts
in Genetics, Biochemistry and Biotechnology. Berlin, Heidelberg,
and New York: Springer-Verlag GmbH & Co.
Fermentation
industries
Food/chemical
industries
Health care
products
Environmental
technologies
Human
genetics/disease
Fundamental
bioscience
Figure 12 Uses of yeasts in biotechnology.
Table 10 Value of yeasts in biomedical research
Biomedical field Examples
Oncology Basis of cell cycle control, human oncogene(e.g., Ras) regulation; telomere function, tumor
suppressor function, and design of (cyclin-dependent kinase inhibitors) CDIs/anti-cancer
drugs
Aging Mechanisms of cell aging, longevity genes, and apoptosis
Pharmacology Multidrug resistance, drug action/metabolism, and drug screening assays
Virology Viral gene expression, antiviral vaccines, and prion structure/function
Human genetics Basis of human hereditary disorders and genome/proteome projects
Yeasts 1187
This page intentionally left blank

SUBJECT INDEX
NOTES:
Cross-reference terms in italics are general cross-references, or refer to subentry terms within the main entry (the main entry
is not repeated to save space). Readers are also advised to refer to the end of each article for additional cross-references - not
all of these cross-references have been included in the index cross-references.
The index is arranged in set-out style with a maximum of three levels of heading. Major discussion of a subject is indicated
by bold page numbers. Page numbers suffixed by T and F refer to Tables and Figures respectively. vs. indicates a
comparison.
This index is in letter-by-letter order, whereby hyphens and spaces within index headings are ignored in the alphabetization.
For example, acid rain is alphabetized after acidosis, not after acid(s) or E genes are before Eggs, and not at the start of the E
section. Prefixes and terms in parentheses are excluded from the initial alphabetization.
Where index subentries and sub-subentries pertaining to a subject have the same page number, they have been listed to
indicate the comprehensiveness of the text.
To save space in the index the following abbreviations have been used, RSV – respiratory syncytial virus
ADCC - antibody-dependent cellular cytotoxicity
CJD - Creutzfeldt–Jakob disease
CMEIAS - Center for Microbial Image Analysis System
CMV - cytomegalovirus
EBV - Epstein–Barr virus
ED pathway - Entner-Doudoroff pathway
EMP pathway - Embden-Meyerhof-Parnas pathway
FISH - fluorescence in situ hybridization
GMOs - genetically modified organisms
HCMV - human cytomegalovirus
HHV - human herpesvirus
HPV - human papillomaviruses
HSV - herpes simplex virus
HTLV-1 - human T-cell leukemia virus 1 (human T-cell lymphotropic virus 1)
NNRTI - non-nucleoside reverse transcriptase inhibitor
NRTI - nucleoside reverse transcriptase inhibitor
ORF - open reading frame
PPK - pentose phosphoketolase
PPP - pentose phosphate
PTS - phosphotransferase system
RNP - ribonucleoprotein
SARS - severe acute respiratory syndrome
TCA - tricarboxylic acid
A
A1B5 toxin, Shigella infections, 415
Abacavir, 108
adverse effects, 108
antiviral activity, 108
chemistry, 108
clinical indications, 108
mechanism of action, 108
ABC transporters see ATP-binding cassette (ABC)
transporter(s)
ABE production see Solvent production
Abiotic factors, biodeterioration
see Biodeterioration
Abortive infection, phages, 167t
Abortive initiation, transcription, 1096
Abortive transduction
definition, 1107
generalized transduction see Generalized
transduction
Abscess
AB structure/function, 453
Accelerator mass spectroscopy (AMS), forensic
microbiology, 547
Accessory gene regulation (agr) system,
Staphylococcus,990
accessory gene regulator (Agr), 1046–1047
Accessory proteins, HIV, 644
AccR, Agrobacterium tumefaciens opine
catabolism, 32
Acetaldehyde (ADH)
ethanol production, 430f, 430
Acetan
Acetate
assimilation, by extremophiles, hot
environments, 500
fermentation, 519–520
production
batch culture, 798f, 797
Acetate kinase
enterobacteria, 743
Acetate switch
Acetic acid
see also Vinegar
Acetoacetyl-CoA:acetate/butyrate:CoA
transferase
butyric acid/butanol–acetone-producing
fermentations, 742–743
Acetogenic eubacteria, reductive acetyl-CoA
pathway, 145
Acetone–butanol–ethanol production see Solvent
production
Acetylase, conjugation, 301t
N-Acetylation, peptidoglycan, 831
O-Acetylation
peptidoglycan, 831
Staphylococcus,1038
Acetyl-CoA
aerobic glycolysis, 738
condensation, reductive citric acid cycle, 144
mixed acid fermentation, 524
tricarboxylic acid cycle (TCA), 748–750
Acetyl-CoA carboxylase (ACC)
3-hydroxypropionate/malyl-CoA cycle,
145–146
extremophiles, hot environments, 502f, 500
bacteria vs. archaea pathways, 501
reductive see Reductive acetyl-CoA pathway
(Wood–Ljungdahl)
see also Glyoxylate cycle
Acetyl-CoA/propionyl-CoA carboxylase,
detection, genome sequences, 148–149
1189

Acetyl-CoA synthase (synthetase)
reductive acetyl-CoA pathway see Reductive
acetyl-CoA pathway
TCA cycle, aerobiosis, 738f
Acetyl coenzyme A see Acetyl-CoA
N-Acetyl-D-glucosamine (NAG), utilization, 747
N-Acetyl-glucosamine-1-phosphate
uridyltransferase peptidoglycan synthesis,
833f
N-Acetylglucosaminidases, peptidoglycan
synthesis, 839
N-Acetylmuramidases, peptidoglycan synthesis,
839
N-Acetylmuramyl-L-alanine amidases,
peptidoglycan synthesis, 839
Acetyl phosphate kinase, PPK pathway, 734f
genome, 777–778
metabolism, sterols not required, 777–778
UGA as stop codon, 777–778
Acholeplasma laidlawii,776–777
Acholeplasmatales, 777t
Aciclovir see Acyclovir
Acid(s)
resistance
tolerance
see also entries beginning acidic, and acid (e.g.
acid rain)
Acidaminococcus, human fecal flora, dietary
groups, 559t
Acidaminococcus fermentans,559t
Acid environment, extremophiles see Acidophiles;
Extremophiles
Acid-extreme environment sites
see Environments, extremely acidic sites
Acid-fast Gram-positive bacteria
bacterial envelope layers, 260
outer membranes, 259f, 258
Acid fermentation see Acidic fermentation
Acidianus
growth characteristics, 497t
metal extraction/biomining, 765
respiration, sulfur compound reduction, 511
Acidianus brierleyi, reductive citric acid cycle,
502
Acidianus infernus, growth temperature optima,
469–470, 469t
acetic acid
dairy products
lactic acid production see Lactic acid
organic acid production
Acidimicrobidae, phylogeny, 16S rRNA
sequences, 7
Acidiphilium cryptum,genome sequencing,
770–771
Acidithiobacillus, metal extraction/biomining,
764
Acidithiobacillus caldus
genome sequencing, 770–771
metal extraction/biomining, 764
Acidithiobacillus ferrooxidans
acid environments
acid mine drainage streams, 477–478
acid streamers, 478–479
competitive interactions, Leptospirillum
ferrooxidans vs.,475
acidophilic microorganism–mineral interaction
biofilms, 768f, 767–768
chemotaxis, 767f, 766–767
preferential adhesion, 766
arsenic detoxification
elemental sulfur production, 768
ferrous iron oxidation, 769f, 768
genome sequencing, 770–771
metal extraction/biomining, 763f, 764
metal sulfide oxidation, 768
physiological versatility, 471
quorum sensing, AfeI/R, 996
Acidithiobacillus thiooxidans
Ferrimicrobium acidiphilum combination,
pyrite dissolution, 474f, 473–474
genome sequencing, 770–771
metal extraction/biomining, 764
Acid mine drainage (AMD), 996
community metagenomics, 756
extremophiles, predation, 474–475
Eutreptia-like flagellate study, 474–475
Acid mine drainage (AMD) streams
extremophiles, 477
microbial ecology, 477
Acidocalcisomes
archaea, 130
membrane permeability, 130
biodiversity of extreme acidophiles, 467
aerobic groups, 468
anaerobic groups, 468
eukaryotic microbes, 472f, 471
animal life-forms, 471–472
phototrophs, 471
heterotrophic bacteria, 468
aliphatic acids, 468
historical perspective, 468
pH characteristics, 469
physiological versatility of prokaryotes, 470
primary producers in acidic environments,
467
autotrophic chemolithotrophs, 467
sulfur-oxidizing bacterium, 467
temperature characteristics, 469, 469t
see also Extremophiles, acid environments
ecology, 472
competitive interactions, 475
pH effects, 475
temperature effects, 475
mutualistic interactions, 472
iron cycling, 472–473
metabolism of organic compounds, 473
sulfur transformation, 472–473
predation, 474
synergistic interactions, 473
syntrophic interactions, 473
extremophiles, hot environments, 496
metal extraction (biomining), 764
see also Metal extraction (biomining)
see also Extremophiles, acid environments;
specific species
Acidophilic microorganism–mineral interaction,
metal extraction (biomining) see Metal
extraction (biomining)
Acid rain
Acid stress, 1080
Acinetobacter
Acinetobacter baumannii
antibiotic resistance, 935f, 934–935
Acinetobacter baylyi
competence, 664
natural transformation, 666
Aconitase
TCA cycle, 739–740
aerobiosis, 738f
ACP
antibodies see Antibodies
antigens see Antigen(s)
autoimmunity see Autoimmunity
B cell
complement see Complement
definition, 640, 1154
immunocytes see Immunocytes
MHC see Major histocompatibility complex
(MHC)
microbial evasion
trafficking of cells
viral, 1154–1155
Acquired immunodeficiency syndrome (AIDS)
see AIDS; HIV infection
Acquired resistance
see also specific species
AcrB pump, 823–824
Acremonium chrysogenum, antibiotic production
Acroderma chronicum atrophicans (ACA)
Actinobacillus actinomycetemcomitans,
periodontal disease, 807, 806t
Actinobacteria,1–19
chemical constituent taxonomy, 3
cell wall sugars, 4t
diamino acids, 4t
fatty acid methyl ester analysis, 3, 4t
interpeptide bridge, 4t
methanequinone, 4t
phospholipids, 4t
pyrolysis mass spectrometry, 3
ecology, 2
genome, G+C content, 1–2
genotypic taxonomy, 3
comparative genome analysis, 5
horizontal gene transfer, 5–6
microarrays, 5–6
RNA expression analysis, 5–6
DNA–DNA hybridization, 3
restriction digests, 6
historical aspects, 1–2
hydrolytic enzymes, 2
industrial importance, 16, 18t
antibiotic production, 16–17
historical aspects, 16–17
marine organisms, 17
morphology, 2
as pathogens, 2
phenotypic analysis, 2
numerical taxonomy, 2–3
phylogeny, 7
protein coding genes, 13
gyrB,13
housekeeping genes, 13
multilocus sequence typing (MLST), 13
recA,13
trpB,13
16S rRNA sequences, 11f,7,7,12t
-region, 7
-region, 7
-region, 7
secondary metabolites,2
antibiotics, 2
symbiotic relationships, 2
systematics, 2
see also Actinomyces;Micrococcus;Nocardia;
Rhodococcus;Streptomyces; other specific
genera
Actinokineospora diospyrosa, phylogeny, 7–11
Actinomyces,556t, 561t
Actinomyces naeslundii
human fecal flora, dietary groups, 561t
pili, 878
Actinomyces odontolyticus,561t
Actinomycetales
Actinomycetes, 1–19
genome structure/evolution, 13
reductive genomes, 14
nitrogen fixation endosymbionts, 394
Activating signals, A. tumefaciens vir genes,
33–34
Active population-based surveillance
Active transport
cytoplasmic membranes, 256, 256
secondary, definition, 251
ActR/PrrA response regulator, 1016t
Acute active gastritis, Helicobacter pylori,601
Acyclovir, 85
adverse effects, 88
antiviral activity, 85
bioavailability, 85–86
chemical structure, 630f
chemistry, 85
cidofovir vs.,88–89
1190 Subject Index

clinical indications, 86
genital herpes, 86
herpes labialis, 87
herpes simplex encephalitis, 87
herpes zoster, 87
human herpes virus, 630
immunocompromised host, 87, 87
neonatal herpes simplex virus infection, 87
varicella, 87
mechanism of action, 86f,85
pharmacokinetics, 85–86
resistance, 87
Acylhomoserine lactone(s) (AHLs)
3-oxo-hexanoyl-HSL, 992
definition, 987
Gram-negative bacteria, 992
Adaptation, 439
chemotaxis see Chemotaxis
definition, 438
natural selection, 441
to nutrient limitations see Nutrient limitation
Saccharomyces cerevisiae,443
to specific conditions see Extremophiles
Adaptive immune system
definition, 640, 1154
Additive integration, 665
Adefovir (adefovir dipivoxil), 99
adverse effects, 99
antiviral activity, 99
chemistry, 99
clinical indications, 99
hepatitis B virus, 615
mechanism of action, 99
resistance, 99
Adenosine deaminase, biotransformations
Adenosine diphosphate-dependent hexokinase,
735–736
Adenosine diphosphate (ADP)-ribosylation, host
protein by exotoxins, 458
Adenosine triphosphate see ATP (adenosine
triphosphate)
Adenosine triphosphate-binding cassette (ABC)
see ATP-binding cassette (ABC)
Adenosine triphosphate:citrate lyase (ACL)
reductive citric acid cycle, 148
S-Adenosyl-L-methionine (SAM) see S-adenosyl-
L-methionine (SAM)
oncogenic viruses
respiratory
Adenylate cyclase(s)
activation
signal transduction, 1010f, 1011f, 1010–1011,
1017, 1009t
domains, 1014t
AdhE protein, fermentation, 524
Adhesins
definition, 776
fimbrial, 22, 23t
Mycoplasma,781
pili structure, 862
Spiroplasma,780
Adhesion, microbial, 20–28
biological significance, 21
Caulobacter stalk (prostheca), 228, 228
curli-mediated multipurpose, 25f,25
amyloid fibers, 26
E. coli binding implications, 26
subunit proteins, 25–26
extracellular matrix components, 25
fibronectin, 25
human disease consequences, 26
cystic fibrosis and P. aeruginosa,27
uropathogenic E. coli,26f,26
human host, 21
mechanisms, 22
physicochemical factors, 22
specific adhesion–receptor mechanisms, 22
pilus-mediated adhesion to carbohydrates, in
urinary tract, 23
plants, 21
root hair, 21
specific strategies, 23
targeting bacterial virulence, 27f,27
water, 21
coral reefs, 21
fouling, 21
see also specific diseases/infections/organisms
Adhesion zones, Escherichia coli periplasm, 423
Adjuvant
definition, 1154
Adler capillary assay, Caulobacter
morphogenesis, 230–231
ADP-dependent hexokinase, EMP pathway
(glycolysis), 735–736
ADP-dependent hexokinase (ADP-HK), glycolytic
pathways (Archaea), 736f
ADP-dependent phosphofructokinase (ADP-
PFK), glycolytic pathways (Archaea), 736f
ADP-glucose pyrophosphorylase
ADP-ribosylation, host cell components,
exotoxins, 458
AdrA (c-di-GMP phosphodiesterase), 1007f
Adsorption
definition, 166
phages, 173
Aer (histidine kinase), 1007f, 1020
Aerial hyphae
spore-bearing, Streptomyces see Streptomyces
Aerobactin, iron starvation, 1077–1078, 1077t
Aerobic, definition, 728
Aerobic glycolysis, 738
acetyl-CoA, 738
anapleurotic reactions, 741
cofactors, 738
Gram-negative bacteria, 733
pyruvate dehydrogenase (PDH), 738
pyruvate fermentation, 739f
toxic oxygen species, 738
tricarboxylic acid cycle see Tricarboxylic acid
(TCA) cycle
Aerobic process
Aerobic respiration
endosymbionts, 392
energy conservation, 522
Aerobiosis, 738
anapleurotic reactions, 741
glyoxylate shunt or cycle, 738f, 740
tricarboxylic acid (TCA) cycle, 738f, 739
Aerococcus viridans,567t
atmospheric samplers
spore
microbes
Aeromonas hydrophila, human fecal flora, 567t
Aeromonas salmonicida, S-layers, 275f
Aeropyrum, growth characteristics, 497t
Aeropyrum camini,352t
Aeropyrum pernix, genomics, 136
Aerosol
definition, 673
Aeschynomene
AfeI/R protein, quorum sensing, 996
African horse sickness virus (AHSV)
epidemiology
infectious agent
human infection
Agaricales, plant pathogenic fungi, 894
Agarose gel electrophoresis
definition, 574
genomic library construction, 578
Aggregatibacter actinomycetemcomitans
AI-2 quorum signaling, 999
Aggregation
Myxococcus fruiting body morphogenesis
see Myxococcus
oral bacteria
Aggregative adherence fimbriae (AAF),
enteroaggressive E. coli (EAggEC), 412
A:G mismatch repair
AgrA response regulator, 989f, 989–990
AgrC-AgrA two-component sensor kinase system,
990
Agriculture/agricultural microbiology
Archaea, 138
food safety
Agrobacterium, autoinducer (AAI), Ti plasmid
conjugation, 32–33
Agrobacterium aurantiacum, astaxanthin
production
Agrobacterium rhizogenes,30
‘hairy-root’ disease, 30
T-DNA transfer, 874
Agrobacterium tumefaciens,895–897
adhesion to plants, 21
arsenic degradation, 17
crown gall disease, 30
see also Agrobacterium tumefaciens plant
cell transformation
distribution, 30
DNA transfer, 306f, 306
see also Agrobacterium tumefaciens plant
cell transformation
motility, 994
quorum sensing Tra system, 995f, 994
T-DNA transfer, 875f, 874, 30
see also Agrobacterium tumefaciens plant
cell transformation
Agrobacterium tumefaciens plant cell
transformation, 29–43
attachment to plant cells, 40
att genes, 40
chromosomal encoding, 40
chvA genes, 40
chvB genes, 40
exoC genes, 40
plant proteins, 40
chromosomally encoded virulence genes, 34
crown gall tumorigenesis, 29
cytosol, movement through, 40
VirD2, 40–41
VirD2–T-strand complex, 40
VirE2, 40–41
definition, 30
genetic engineering, 41
gene transfer to yeast/fungi, 42
homologous recombination, 42
protoplast transformation, 41–42
site-specific recombination, 42
T-DNA adjustments, 41
T-DNA tagging, 42
host range, 41
infection process, 30, 39
active DNA replication, 41
host chromatin integration, 41
wounding, 39–40
see also specific stages
opine catabolism, 32, 32
ABC transporters, 32
AccR, 32
OccR, 32
substrate movement through cytosol, 40
substrate transfer through plant cell, 39
T4S system, 36f,38
classification, 36
definition, 35–36
secretion substrate recruitment, 38
T-DNA, 36f,31
auxin genes, 31–32
border sequences, 31–32
cytokinin genes, 31–32
definition, 30
T-DNA processing, 34
ancillary processing factors, 35
VirC1, 35
Subject Index 1191

Agrobacterium tumefaciens plant cell
transformation (continued )
VirC2, 35
VirD1, 35
nucleoprotein particles, 34–35
TrlP translocation, 37f,38
IM protein transfer, 38–39
substrate recruitment, 38–39
VirB2 transfer, 38–39
VirB9 transfer, 38–39
VirB11 hexameric ATPase transfer, 38–39
VirD2 relaxase, 35
relaxsome, 35
Ti plasmid, 36f,30
vir genes see below
Ti plasmid conjugation, 32
Agrobacterium autoinducer (AAI), 32–33
negative control, 32–33
occR operon, 32–33
regulatory cascade, 33f, 32–33
TraR, 32–33
VirB/D4 system, 35
core subcomplex, 37
DNA uptake and release system, 35–36
effector translocator system, 36
energy subcomplex, 36
machine architecture, 37f,36
secretion channels, 35
spatial positioning, 39
T4S system see above
T pilus subcomplex, 38
VirB2, 38
VirB4, 36
VirB5, 38
VirB6, 37
VirB7, 37, 38
VirB8, 37
VirB9, 37
VirB10, 37, 39
VirB11, 36
VirD4, 36
vir genes, 31f,33
activating signals, 33–34
aldose monosaccharides, 34
CheY,34
chromosomally encoded, 34
regulators, 34
ChvG, 34
ChvI, 34
Ros, 34
VirA, 34
response regulator, 33–34
VirA/VirG, 33
VirC, 33
VirD, 33
Agroinoculation, definition, 1163
AHL quorum sensing system, Pseudomonas
aeruginosa,978
AI-1 quorum sensing, 994f, 992
Pseudomonas aeruginosa,994f, 992
AI-2 quorum sensing, 996
Escherichia coli,998
V. cholerae see Vibrio cholerae
Vibrio cholerae,997f, 998
Vibrio harveyi,997f, 996
AI-3 quorum sensing, 1000
Escherichia coli,1000
AIDS, 640–662
cryptococcal meningitis, treatment, 75–76
definition, 640
discovery, 641
history
opportunistic infections, CD4+ cell count, 641t
recognition, 641
retroviruses, discovery, 642
see also HIV; HIV infection; specific countries/
world regions
see also HIV
developing countries
see also Aeromicrobiology; specific diseases/
infections;specific microbes
Airlift bioreactors, 221
definition, 219
Air quality, airborne microbes
see Aeromicrobiology
Akinetes, 334
cyanobacteria, 332f,334, 334
L-Alanine, Bacillus subtilis spore germination,
163–164
Alanine aminotransferase (transaminase) (ALT)
acute viral hepatitis, 608
definition, 83, 603
Alarmone
definition, 680
Legionella pneumophila,682
Albaconazole (UR-9825), antifungal action, 78
Alba proteins, Archaea, 131
Alcaligenes
human fecal flora, dietary groups, 567t
Alcaligenes faecalis, arsenic degradation, 17
Alcohol (ethyl alcohol)
see also Ethanol
Alcohol dehydrogenase
CTO reductions
pentose phosphoketolase (PPK) pathway, 734f,
734–735
Alcoholic fermentation, 518
yeast, 1180
see also Ethanol, production/synthesis
Alcohols
oxidation
Aldehyde(s)
Aldehyde dehydrogenase (CoA-dependent), PPK
pathway, 734f
Aldose monosaccharides, A. tumefaciens vir
genes, 34
AlgA, Pseudomonas aeruginosa,973–974
see also Cyanobacteria
eyespot (ocellus)
freshwater habitats
green see Green algae
red see Red algae (rhodophytes)
see also Cyanobacteria; Dinoflagellates;
Haptophytes; specific species
harmful forms
see also specific species
AlgG, Pseudomonas aeruginosa,974
biosynthetic pathway, Pseudomonas
aeruginosa,973–974
microbial adhesion, Pseudomonas aeruginosa,
28
whole-cell immobilization
Alginate lyase (AlgL), Pseudomonas aeruginosa,
974
Algorithms
AlgT, Pseudomonas aeruginosa,974–975
Alimentary tract see Gastrointestinal (GI) tract,
human
Aliphatic acids, acidophiles, 468, 469
Alivibrio, bioluminescence, 204–205
Alivibrio fischeri
Euprymna scolopes symbiosis, 208
lux operon, 212f, 213, 215
quorum sensing, 211–212
see also Quorum sensing
symbiotic relationships, 209f
Alivibrio logei, temperature effects, 207, 210–211
Alivibrio salmonicida,lux operon, 212f, 215
acute viral hepatitis, 608
definition, 603
vector preparation, 576
Pseudomonas aeruginosa,976
archaea, 130
Alkaloid(s)
ergot
loline
Alkane(s)
degradation, Pseudomonas,981
hydroxylation
as mutagens, 1051t
Alkylation
Allergic disease, Helicobacter pylori and, 601
Allochromatium vinosum
Allogromiida
Allolysis, Streptococcus pneumoniae,1071
Allylamines
antifungal action, 78, 67t
terbinafine see Terbinafine
see also specific allylamines
ALOHA see A Long-term Oligotrophic Habitat
Assessment (ALOHA)
A Long-term Oligotrophic Habitat Assessment
(ALOHA)
Abyssal zone, 722t
chemoorganoheterotrophic activities,
722–723
euphotic zone, 720–721, 722t
heterotrophic production, 722–723
marine habitats, 719
classification, 719–720
Mesopelagic zone, 722t
microbial habitats
mesoscale features, 724
mixed/mixing layer effects, 724–725
particle flux, 724
summer bloom effects, 724
taxonomy implications, 725
Alpha hemoglobin-stabilizing protein (AHSP),
967
Alphaherpesviridae, 627
see also individual viruses
Alpha-ketoglutarate dehydrogenase (alpha-KDH)
complex, 738f
Alphaproteobacteria,225–226, 227
-region, Actinobacteria phylogeny, 7
see also specific viruses
Alternaria
Alternate chaperone pathway, pili assembly, 870,
863t
Alternative sigma factors, Streptomyces
Alum, noninfectious vaccines, 1158
Alzheimer’s disease, PrP structures and, 959–960
Amantadine, 93
adverse effects, 94
antiviral activity, 94
chemistry, 94
clinical indications, 94
influenza A, 94
mechanism of action, 94
resistance, 94
Amastigote
Ambisome, 71
American Society for Microbiology (ASM)
symposium on biological warfare, 197
American trypanosomiasis
see also Chagas’ disease
Amidases, metagenomics, 759, 758t
Amidation, peptidoglycan synthesis, 832
Amikacin
Amino acid(s)
aromatic
Caulobacter oligotrophy, 231
definition, 44
essential see Essential amino acids
fermentation, 521, 521t
Bifidobacterium longum,16
growth inhibition, Escherichia coli,425
metabolism
production (industrial), 44–52
enzymatic production, 51
future prospects, 52
microbial production, 45
overproducing strain development, 45, 45t
see also specific amino acids
1192 Subject Index

sequence
prion protein (PrP), 957
three letter code, 105t
uses, 44
Amino acid analogs
antifungal action, 67t
synthetic, 82
Amino acid decarboxylases, acid stress, 1080
Amino acid residues, transposons, 1140f,
1138–1141
Amino acid sequence
prion protein (PrP), 957
enzymatic modification, 58
metagenomics, 758t
see also specific types
Amino sugars, utilization, 747
Aminotransferases
alanine see Alanine aminotransferase
(transaminase) (ALT)
GSA see Glutamate-1-semialdehyde (GSA)
aminotransferase
AmiR/NasR response regulator, 1016t
Amitochondriate eukaryotes
see also specific diseases/infections;specific
species
Ammonia/ammonium ion
nitrogen cycle see Nitrogen cycle
Ammonification
Ammonium ion see Ammonia/ammonium ion
Ammonium sulfate, nitrogen source for yeast, 1180
Amoeba/amoebae
morphology
see also specific amoebae;specific families
Amoeba proteus, bacterial coevolution, 448
see also specific species
Amorolfine, antifungal action, 79
Amphotericin B, 66
activity spectrum, 66–70
adverse drug interactions, 66–70
lipid formulations, 70
colloidal dispersion, 71
lipid complex, 71
liposomal, 71
mechanism of action, 66
resistance, 66
structure, 70f
toxicity, 66, 66–70, 70
Amplification of transmission, definition, 383
Amplified ribosomal DNA restriction analysis
(ARDRA), Actinobacteria,6
Amprenavir, 114
adverseeffects, 114
antiviral activity, 114
chemistry, 114
mechanism of action, 114
resistance, 114
Amycolatopsis, phylogeny, 12t
16S rRNA sequences, 7–11
Amycolatopsis balhimycina, glycopeptides
Bacillus subtilis,159, 160
starch utilization, 746
starch hydrolysis/utilization, 746
Amyloid, 952
Amyloid fibers, curli implications, 26
Anabaena
signal transduction, 1018
Anabaena variabilis, serine/threonine protein
kinases, 1007f
Anabolism/biosynthesis
definition, 788
precursor metabolites, 748
Anaerobes
definition, 805
facultative, 731, 733
anaerobic glycolysis, 741
anaerobic glycolysis, 741
Anaerobic, definition, 728
Anaerobic bacteria
cocci, fecal flora
diet comparisons, 559t
taxonomy revision, 556–569
electron acceptors, 515–516
Gram-negative pathogens see Gram-negative
anaerobic pathogens
iron requirements, 795
Streptococci, human fecal flora, dietary groups,
556t
Anaerobic bioreactors
Anaerobic conditions
autotrophic CO
2
metabolism distribution, 151
Anaerobic culture, growth media design, 801
Anaerobic glycolysis, 741
butyric acid/butanol–acetone-producing
fermentations, 739f, 742
acetoacetyl-CoA:acetate/butyrate:CoA
transferase, 742–743
ATP yield, 742–743
butanol dehydrogenase, 742–743
ferredoxin oxidation, 742
phosphoclastic reaction, 742
phosphotransbutyrylase, 742
ethanol-producing fermentations, 744
facultative anaerobes, 741
lactic acid-producing fermentations, 739f, 741
end products, 741–742
see also Lactic acid fermentation/production
mixed-acid-producing fermentations, 743
propionic acid-producing fermentations, 743
malate dehydratase/fumarase, 743
malate dehydrogenase, 743
methylmalonyl-CoA-oxaloacetate
transcarboxylase, 743
propionyl-CoA:succinate:CoA transferase,
743
strict anaerobes, 741
Anaerobic methane-oxidizing Archaea (ANME),
123
Anaerobic pathogens, Gram-negative see Gram-
negative anaerobic pathogens
Anaerobic process
Anaerobic reactor(s), 220
definition, 515
energy conservation, 522
metal extraction (biomining), 764
Anaerobic treatments, wastewater
see Wastewater treatment, industrial
Anaerobiosis, 741
Archaea, 744
butyric acid/butanol–acetone-producing
fermentations, 742
ethanol-producing fermentations, 744
lactic acid-producing fermentations, 741
mixed acids-producing fermentations, 743
propionic acid-producing fermentations, 743
Anaeroplasmatales, 777t
Anagnostidis/Komarek system, cyanobacteria,
328
Anammox see under Nitrogen cycle; under
Nitrogen cycle
Anamorph
Anapleurosis
aerobic glycolysis, 741
definition, 728
Anapleurotic reactions, 728
aerobiosis, 741
structure, 338f
Anchor-based metagenomic analysis, 754, 754,
755t
Ancillary factors, definition, 1075
Angioedema, definition, 603
Anidulafungin
antifungal action, 79
structure, 80f
Anilinopyrimidines, antifungal action, 67t
Animal(s)
axenic see Axenic animals
domestic
farm see Farm animals
gnotobiotic see Gnotiobiotic animals
nitrogen fixation endosymbionts, 394–395
see also individual types of animals
Animal by-products (ABP)
Animalcules
Animal feed(s)
Animal feed industry
Animal husbandry
axenic animals see Axenic animals
gnotiobiotic animals see Gnotiobiotic animals
Animal models
Salmonella typhi infection, 417–418
Anoxic macroenvironments, 515–516
Anoxygenic photosynthesis, 855
bacteriochlorophyll
absorption spectrum, 856f
types, 855
definition, 844
green gliding bacteria, 858
green sulfur bacteria, 857
Fenna–Matthews–Olson protein, 857
helicobacteria, 857
purple bacteria, 855
electron transfer, 857
locations, 857
see also Photosynthesis
Antenna, definition, 844
Anthrax
Florida case report, 540
reconstruction, 541f
Soviet Union outbreak (1979), 192
Anthrax toxin, therapeutic applications, 461
Anthropogenic activities
Anthropozoonotic enteropathogens
Anti-antisigma factor (RsbV), Bacillus subtilis
stress responses, 164
Antibiotic(s)
Actinobacteria,2
biocide cross-resistance see Biocides
biotechnology see Medical biotechnology
classes,54, 55
cell wall synthesis
inhibition, 54
targets, 54t
DNA replication
inhibition, 55
targets, 54t
protein biosynthesis
inhibition, 54
targets, 54t
conjugation stimulation by, 931
definition, 53, 54
fermentation, 796
see also Antibiotic production
outer membrane permeability to, 814–815
production see Antibiotic production
resistance see Antibiotic resistance
susceptibility
phage typing, 171
see also Antibiotic susceptibility testing
see also specific antibiotics, diseases/infections
and pathogens
Actinobacteria,16–17
Bacillus subtilis see Bacillus subtilis
continuous culture, 321
see also Strain improvement
growth media see Growth media
resistance spread, 442
Streptomyces,2
Antibiotic resistance, 53–64
Acinetobacter baumannii,935f, 934–935
acquired, 55
acquisition of, 60
genetic resistance, 60
Subject Index 1193

Antibiotic resistance (continued )
alteration of new target, competence-
stimulating peptide, 56
Bacteroides spp, 810
biochemistry, 60
co-resistance, 60
integrons, 61f, 60–61
cross-resistance, 60
extended cross-resistance, 61
biological cost, 63
factors, 64
Enterococcus faecalis,989
Enterococcus faecium,55
genes, 443
Bacteroides spp, 810
compensatory evolution, 443
translation, 949
genetics of, 62
plasmids, 62f,62
transposons, 63f,62
Haemophilus influenzae,690
intrinsic, 55
mechanisms, 56f, 55, 1044–1045
alteration of a new target, 56
protein-binding proteins, 56
efflux pumps, specific for one substrate, 58
efflux pumps associated with MDR, 59
ATP-binding cassette, 60
major facilitator superfamily, 59
multidrug and toxic compound
extrusion, 59
resistance-nodule-cell division, 59
small multidrug resistance, 59
enzymatic modification, 58
increased efflux effects, 58
reduced uptake of antibiotics, 58
synthesis of a new target, 56
metagenomics, 759, 758t
penicillin see Streptococcus pneumoniae
(pneumococci)
pheromone-like mannerisms, 63
plasmids, 934
Pseudomonas,977
Pseudomonas aeruginosa,977, 55
reasons for, 1044–1045
reservoir hypothesis, Bacteroides spp, 811f,
810
Staphylococcus,1044
Staphylococcus aureus see Methicillin-resistant
Staphylococcus aureus (MRSA)
Streptococcus pneumoniae,61t
transposons, 1138
vancomycin-resistant enterococci
see also specific drugs and specific pathogens
antimicrobial resistance
phage typing, 171
Antibodies
bactericidal
neutralizing
anti-HIV, 656
phage display, 171
HIV infection, 656
Antifungal agents, 65–82
classes, 67t
see also specific classes
lipid formulations, 70
side effects, 71t
see also specific antifungal agents
composition, Escherichia coli taxonomy, 421
see also Antibodies
Antigenic shift
Antigenic variation
Borrelia hermsii relapsing fever, 1030
pili, 588
see also Dendritic cells (DCs)
Anti-HIV agents see Antiviral agents/drugs;
Antiretroviral therapy
Anti-infective (drug) resistance
definition, 383
see also Antibiotic resistance
Antimicrobial agents/antimicrobials, 54t
definition, 53
glycopeptides
metagenomics, 758t
see also Antibiotic(s); Antifungal agents;
Antiviral agents/drugs
Antimicrobial peptides (AMPs)
Antimycobacterial agents, molecular action, 262
definition, 1075
Antiporter(s)
solute transport, 1121–1122
Antiretroviral agents
definition, 83
see also Antiviral agents/drugs; specific
antiviral agents
Antiretroviral therapy (ART)
see also Antiviral agents/drugs
plasmid replication, 923
Antisigma factor
FlgM (flagella), expression, 535
RsbW, Bacillus subtilis stress responses, 164
Antitermination, 1104
bacteriophage see Bacteriophage
Bgl operon, 941f, 941–942, 1105
mechanisms, Bacillus subtilis regulation, 157
Nun system, 944–945
NusA protein, 1104
rrn operon, 1105
trp RNA-binding attenuation protein, 1106
Antiterminator, definition, 937
Antiterrorism and Effective Death Penalty Act
(1996), 195–196
Antiviral agents/drugs, 83–117
anti-HIV agents, 104f, 84–85, 103
coreceptor antagonists, 103
fusion inhibitors, 105
future prospects, 116
fixed-dose combinations, 88
non-nucleoside analogues, 88
nucleoside analogues, 88
once-daily doses, 88
thymidine analogues, 88
integrase inhibitors, 112
non-nucleoside reverse transcriptase
inhibitors, 110
NRTIs see Nucleoside/nucleotide reverse
transcriptase inhibitors
protease inhibitors see Protease inhibitors
reverse transcriptase inhibitors, 106
definition, 84, 625
development, 84–85
enterovirus infections, 102
future prospects, 103
hepatitis, 97
future work, 101
herpesvirus infections, 85
new prospects/future work, 93
ideal characteristics, 84–85
life cycle targets, 84–85
papillomavirus infections, 102
future work, 102
resistance, definition, 83
respiratory virus infections, 93
new prospects, 97
see also specific drugs
Aphids
secondary symbionts, 398
Apicomplexans
intestinal
see also specific species
Apicoplast
Apoptosis
HIV infection, 650–651
plasmid addiction, 929
disease cycle, 892f
Applied Biosystems, DNA sequencing see DNA
sequencing
Apramycin
Apscaviroid, 1165t
Aptamer(s)
bacterial populations
Aquatic environments
phage ecology see Bacteriophage ecology
see also Aquatic environments; specific habitats
Aquifex, growth characteristics, 497t
Aquificaceae, growth characteristics, 497t
Aquificales, deep-sea hydrothermal vents, 350,
353
Arabidopsis thaliana
viroids, 1165–1166
Arabinogalactans, mycobacterial outer
membranes, 260, 826f
Arabinose
ethanol production, 434–435
metabolism, 449
utilization, 747–748
D-Arabitol, utilization, 747–748
Arachnia propionica, human fecal flora, dietary
groups, 561t
AraC/YesN response regulator, 1016t
see also specific diseases/infections
ArcA/ArcB two-component system, metabolic
switch, 523
Archaea, 118–139
acidophilic, 130
agricultural applications, 138
alkaliphilic, 130
anaerobiosis, 744
A-type ATPase, 1128
function, 1128–1129
autotrophic carbon dioxide metabolism, 150
biological applications, 138
biotechnological applications, 138
cell envelope, 269
cell structure, 266–283
cell wall, 268, 274
S-layer, 276f
cytoplasmic membranes, 252, 262, 279
lipids, 120f, 120
outer membranes, 264
characteristics, 130
DNA repair, 132
DNA replication see Archaea, chromosome
replication
genome structure, 131
posttranslational modifications, 133–134
transcription, 133
translation, 133
chemolithoautotrophic phylogeny, 501f, 500
chromosome replication, 131
definition, 251, 118, 346, 495
DNA repair, 132
DNA replication cycle, 131, 245
see also Archaea, chromosome replication
ecology, 123
extreme environments, 263
global distribution, 123
habitats, 121f, 121–122
EMP pathway see Embden–Meyerhof–Parnas
(EMP) pathway (glycolysis)
Entner–Doudoroff pathway
see Entner–Doudoroff pathway
environmental biology, 123, 139
extremophiles, 129
extremozymes, 138
fuels and environmental issues, 139
genetic characteristics, novel, 130
genomes, 119, 131
genomics, 134, 134t
glycolysis, 736f, 735
glyoxylate cycle see Glyoxylate cycle
halophilic, 124
historical recognition, 120f, 119
1194 Subject Index

hyperthermophiles see Hyperthermophiles
industrial applications, 138
lipids see Lipid(s)
medical applications, 139
methanogenic, 127
see also Methanogens
pentose phosphate pathway, 737
phages, 180f, 180
physiology, 126f
carbon sources, 126
respiration, 126
proteasomes
psychrophilic, 129
taxonomy, 120f, 122f, 120–121, 122, 124t
thermophiles see Thermophiles
thermophilic, 128
see also Thermophiles
transcription, 133
translation, 133
viruses, 130
Archaeal methanogens, reductive acetyl-CoA
pathway, 145
Archaeal viruses, 130
Archaean Eon, cyanobacteria, 343–344
Archaeoglobaceae, growth characteristics, 497t
Archaeoglobales, 124t
Archaeoglobus
Embden–Meyerhof–Parnas pathway
(glycolysis), 735–736
growth characteristics, 497t
Archaeoglobus fulgidus
genomics, 136
RuBisCO, 149
Archaeoglobus profundus,352t
Archaeoglobus veneficus,352t
Archaeol lipids, 263–264
Archeoviruses, 130
Arctic ocean
multiyear sea ice, characteristics, 486
Arctic region
Arene dihydroxylation
Arginine
fermentative growth, 522
Arginine dihydrolase pathway, Spiroplasma and
Mycoplasma,782
Arginine–ornithine antiport system, Spiroplasma
melliferum,782
Arid region
extremophiles, dry environments
see also Extremophiles, dry environments
Armophorea
Arnon–Buchanan cycle see Reductive citric acid
cycle
Aromatic hydrocarbons
Arpink red
Arsenate
Arsenate reductase
bacterial resistance
Pseudomonas species, 984
detoxification see Arsenic detoxification
Arsenic acid
see also Arsenate
Arsenite
Arsenite methylases see Arsenic detoxification
ArsH
ars operon regulation see Arsenic detoxification
ArsR
ART see Antiretroviral therapy (ART)
Arthrobacter
genotypic taxonomy, restriction digests, 6
taxonomy, 5
Arthropods
fungi associations
Artificial chromosomes
Artificial media
see also specific types
Artificial selection, 440
AS
Ascites, definition, 603
Ascomycetes/Ascomycota, 889
life cycle, 890f
plant pathogenic fungi, 893
Ashbya gossypii
Asia
A-signal
Myxococcus
see also Myxococcus
Asparagine/glucose/fructose/potassium mix
(GFAK), Bacillus subtilis spore germination,
163–164
Aspartate
tricarboxylic acid cycle (TCA), 743
acute viral hepatitis, 608
definition, 603
L-Aspartic acid, production, 51
immobilized cells, 51–52
allergic bronchopulmonary
prophylaxis, 77
gene expression
industrial uses
starch utilization, 746
strain improvement
protoplast fusion, 1056
transformation, 1056
Aspergillus flavus
Aspergillus niger
Aspergillus oryzae
see also -Amylases
Aspergillus terreus
Assembler(s)
Assembly, definition, 369
Assimilation, definition, 788
production
Asthma
Helicobacter pylori and, 601
Asticcacaulis,226–227
stalk extension, nitrogen effects, 237
Astrobiology
extremophiles, cold environments, 488
Europe, 488
Mars, 488
Astrorhizida
Atacama Desert, Chile
Atazanavir, 115
adverse effects, 115
antiviral activity, 115
chemistry, 115
mechanism of action, 115
resistance, 115
Athabasca River, biofilms, 185
Atlantic Ocean, Blake Ridge
Atmospheric samplers see Aeromicrobiology
Atomic force microscopy (AFM)
forensic microbiology, 547
yeast cytology, 1177f
AtoS (histidine kinase), 1021
ATP (adenosine triphosphate)
assay
central metabolic pathways, 729f
definition, 357
definition, 357
Mycoplasma,781
synthesis/production/generation
EMP pathway (glycolysis), 731
Escherichia coli cytoplasmic membrane, 423
mollicutes, 782, 782
rotary catalytic model, 1129
tricarboxylic acid cycle (TCA), 740
yield, butyric acid/butanol–acetone-producing
fermentations, 742–743
ATPase
actin-like, plasmid segregation, 926
F-type, 1128
function, 1128–1129
ATP-binding cassette (ABC), antibiotic resistance,
60
substrates, 59t
ATP-binding cassette (ABC) permeases, Bacillus
subtilis,156
ATP-binding cassette (ABC) transporter(s)
Agrobacterium tumefaciens opine catabolism,
32
in Escherichia coli, nucleotide-binding domain,
1126–1127
LSGGQ motif, 1127–1128
maltosetransport complex
in Escherichia coli,1126
in Salmonella typhimurium,1126
organisms, 1125t
prokaryotes, 1126
structural domains, 1126
ATP-binding cassette (ABC) transporter-
dependent pathway, O-polysaccharide, 700f,
700–701
ATP:citrate lyase (ACL)
reductive citric acid cycle, 148
ATP-dependent hexokinase (ATP-HK)
Entner–Doudoroff pathway, 733
glycolytic pathways, Archaea, 736f
pentose phosphate pathway, 731
ATP-dependent phosphofructokinase (ATP-PFK),
glycolytic pathways, Archaea, 736f
ATP sulfurylase, 454 Life Sciences DNA
sequencing, 377
F
0
F
1
ATP synthase
Atrazine
biodegradation database and prediction
Attachment–effacement (A/E) lesions,
enteropathogenic Escherichia coli (EPEC),
426
attB, phage replication, 1108–1109
Attenuation, definition, 1154
Attenuator, definition, 937
att genes, Agrobacterium tumefaciens plant cell
attachment, 40
attP, phage replication, 1108–1109
Attractant(s)
Attribution, definition, 539
Atypical pneumonia, definition, 680
Australia
Autogenous regulation, definition, 937
Autograph, definition, 463
Autoimmune disease
Autoinducer
definition, 987, 29
historical aspects, 988
quorum sensing see AI-1 quorum sensing; AI-2
quorum sensing; AI-3 quorum sensing
Autoinducing peptide (AIP) signal, 990
Autoinduction, 988
Automated systems
Automation
DNA sequencing see DNA sequencing
random mutations, strain improvement,
1053–1054
Autotroph(s)
definition, 789–790, 708
solute transport, 1135
metabolic features, 1135
Autotrophic carbon dioxide metabolism,
140–153
CO
2
assimilation mechanisms, 142
3-hydroxypropionate/4-hydroxypropionate
cycle see 3-Hydroxypropionate/4-
hydroxypropionate cycle
3-hydroxypropionate/malyl-CoA cycle see
3-Hydroxypropionate/malyl-CoA cycle
reductive acetyl-CoA pathway see Reductive
acetyl-CoA pathway
reductive citric acid cycle see Reductive citric
acid cycle
Subject Index 1195

Autotrophic carbon dioxide metabolism
(continued )
reductive pentose phosphate cycle
see Reductive pentose phosphate cycle
definition, 140
Ignicoccus hospitalis,148
inorganic carbon to cell carbon, 141
central precursor synthesis, 141
CO
2
concentrating mechanisms, 141
equation, 141
evolutionary aspect, 141
key enzyme detection, 148
genome sequences, 148–149
growth substrate regulation, 148
problems, 149
specific activity levels, 148
key enzymes, 148, 148
citric acid cycle, 148
detection, 148
3-hydroxypropionate/4-hydroxypropionate
cycle, 148
3-hydroxypropionate/malyl-CoA cycle, 148
pentose phosphate cycle, 148
reductive acetyl-CoA pathway, 148
modes of life, 140
pathway distribution, 148
anaerobic environments, 151
Archaea, 150
13
C isotopic depletion, 149
electron carriers, 151
energy requirements, 151
habitats, 149
hypothermal environments, 151
key enzymes, 148, 148
long-term in vivo
13
C tracer labeling, 150
physiological restraints, 150, 150t
qualitative assessment, 149, 150
quantitative assessment, 151
specific mechanisms, 149
see also specific pathways
regulation, 151
carbon source, 151
Autotrophic mutants, rationalized mutation,
strain improvement, 1054
Autotrophy, definition, 140
Auxin (indole-3-acetic acid, IAA)
Auxin genes, Agrobacterium tumefaciens T-DNA,
31–32
Auxostat(s)
continuous culture, 316f, 315
definition, 309
in humans, 677
see also Influenza A virus (H5N1)
transmission between birds, 676–677
Avian influenza virus, 676
hemagglutinin, 678
high pathogenic viruses, 677
H5N1 see Influenza A virus (H5N1)
H5 subtype, 677
H7 subtype, 677
HAs, sialic acid binding, 678
HPA1 H5N1 outbreak, 677, 678
historical aspects, 673
low pathogenic viruses, 676
see also Influenza A virus (H5N1)
Avian virus infections
influenza see Avian influenza
Newcastle disease see Newcastle disease
Avirulence (AVR) protein
plant-pathogenic bacteria
Avocado sunblotch viroid (ASBVd)
replication, rolling circle mechanism, 1168f
secondary structures, 1166f
transcription initiation sites, 1169
Avsunviroidae,1169, 1165t
classification, 1164, 1165t
features, 1165t
systemic infection
replication process, 1169
steps, 1167f, 1167
see also specific species
flexible film isolators see Flexible film isolators
human gastrointestinal microflora studies,
571–573
see also Gnotiobiotic animals
Axoneme
Axostyle
Azidothymidine (AZT) see Zidovudine (AZT)
Azithromycin
Azoles
antifungal action, 73, 67t
fluconazole see Fluconazole
voriconazole see Voriconazole
see also specific azoles
Azotobacter vinelandii
multicopy genomes, 286
NifA–NifL system, 1097
B
Bacillariophyceae
Bacillary angiomatosis (BA), historical aspects,
685–686
Bacillus
arsenic degradation, 17
chromosome inactivation, 290–291
human fecal flora, dietary groups, 556t, 567t
pH
pyruvate fermentation, 739f, 739
starch utilization, 746
strain improvement, transformation, 1056
Bacillus anthracis
case report, 540
Bacillus cereus
cereulide, 408
DNA diagnostics, 370
infection, 408, 407t
diarrheal form, 408–409
emetic type, 408
toxins, 408
Bacillus coagulans
Bacillus japonicum
Bacillus psychrosaccharolyticus
Bacillus pumilus
space microbiology
Bacillus sphaericus
cell walls, S-layers, 274–275
Bacillus stearothermophilus
Bacillus subtilis,154–165
antibiotic production, 159
lantibiotics, 159
subtilin, 159
surfactin, 159–160
biofilm formation, 159
regulation, 156–157
cell chain formation, 159
cell wall
inner wall zone, 276–277
outer wall zone, 276–277
peptidoglycan layer, 276
chemotaxis, 159
chromosome, 157
replication, 157
competence, 155, 158, 664
bistability, 159
ComA, 158
ComK, 159
ComP, 158
definition, 158
quorum sensing, 158
ComX peptide, 991f, 990
definition, 154
endospores
extracellular enzymes, 159
amylase, 159, 160
neutral metalloprotease, 160
proteases,159
subtilisin, 160
forensic microbiology, 547
in genetic analysis, 155
bacteriophage PBS1, 155
double crossover, 155f, 155
foreign DNA introduction, 155
generalized transduction, 155
natural competence, 155
plasmids, 155f, 155
Tn10,155–156
Tn917,155–156
transforming protoplasts, 155
transposon mutagenesis, 155–156
genome size, 777
growth/division, 157
cytoskeleton, 157–158
FtsZ proteins, 158
Min system, 158
nucleoid occlusion, 158
peptidoglycan, 157–158
teichoic acids, 158
teichuronic acids, 158
temperature ranges, 157
liquid cultures, 159
motility, 159
flagella, 159
D
,159
natural transformation, 666, 668
nutrients/metabolism, 156
adenosine triphosphate-binding cassette
permeases, 156
cytochrome aa3,156
cytochrome bd,156
cytochrome caa3,156
EMP glycolytic pathway, 156
minimal medium, 156
pentose phosphate shunt, 156
phosphotransferase systems (PTS), 156
TCA cycle, 156
outgrowth, 163
Phr peptide, 990
recombination, 288
regulation, 156
antitermination mechanisms, 157
catabolic repression, 156–157
catabolite control protein A (CcpA),
156–157
CodY protein, 156
fructose-1,6-bisphosphate (FBP), 156–157
GlnR protein, 156
metabolite-sensing riboswitches, 157
RNA polymerase, 157
A
,157
sacB,157
TnrA protein, 156
tRNA synthetases, 157
two-component signal transduction, 156
RNA processing
signal transduction pathways, 1010f, 1021
see also Signal transduction, bacterial
spore formation, 158, 160
cortex, 160–161
electron microscopy, 160–161
morphology, 161
phosphorelay, 161f, 161
CodY, 161–162
KinA, 161–162
KinB, 161–162
Sda, 161–162
spoIIE locus, 162
postengulfment transcription, 163
G
,163
sigK,163
small acid-soluble proteins (SASP), 163
spoIIG,163
primordial cell wall, 160–161
E
activation, 162
F
activation, 162
1196 Subject Index

spoIIG,162
spoIIR,162
Spo0A, 161f, 161
spoIIA locus, 162
spollG locus, 162
pro-
E
,162
spoIID,162–163
SpoIIGA, 162
spoIIM,162–163
spoIIP,162–163
spore coat, 160–161
stages, 160f, 160–161, 160
spore germination, 163
L-alanine, 163–164
asparagine/glucose/fructose/potassium mix
(GFAK), 163–164
dipicolinic acid release, 163–164
nutrients, 163–164
spore resistance, 160, 163
chemicals, 162–163
wet heat, 162
stress responses, 164
anti-antisigma factor, 164
antisigma factors, 164
DNA damage, 164
DSOS response, 164
general stress response, 164
heat shock, 164
LexA protein, 164
media osmotic strength, 164
RsbV, 164
RsbW, 164
SpoIIAA-PO4, 164
transition state, 158
nutrient limitation, 158
regulators, 158
trp operon, 940–941
tyrS gene, 942
Bacillus thuringiensis (Bt)
adhesion to plants, 21
insecticidal action
insecticidal crystalline protein
S-layers, 275f
Bacillus thuringiensis israelensis (Bti)
Bacteria, 894
aeromicrobiology see Aeromicrobiology
antibiotic resistance see Antibiotic resistance
bacteriophage coevolution, 447
biodeterioration see Biodeterioration
cell cycles see Cell cycle, bacteria
cell division see Cell division, bacteria
cell envelope, 835
definition, 827
cell growth, peptidoglycan synthesis, 829–830
cell lysis, 576
cell structure, 266–283
cytoplasm, 267f, 279
cytoplasmic membrane, 278
nucleoid, 281
nucleoplasm, 281
shape, 268
cell wall see Cell wall(s)
chlorophyll
chromosomes see Bacterial chromosomes
(below)
cold adaptation, components/processes, 490f,
490
definition, 118
energy transduction see Energy transduction
enteric see Enteric bacteria
plasmid-mediated, 936
exopolysaccharides
fastidious see Fastidious bacteria
glyoxylate cycle see Glyoxylate cycle
gram-positive see Gram-positive bacteria
green, chlorophyll
growth conditions, 1075
growth curves, environmental changes,
446–447
growth kinetics see Growth kinetics, bacterial
identification by phages see Bacteriophage(s)
invasion, non phagocytic cell
trigger mechanism, 401
zipper mechanism, 401
light production, 204f, 203
marine, extracellular DNA uptake, 667
nucleoids, 285f, 285
population expansion, 670–671
see also Growth kinetics, bacterial
receptors
signal transduction, 1007f, 1007
sensor domains, 1019t
resistance
antibiotics see Antibiotic resistance
heavy metals see Heavy metals
sensory transduction see Signal transduction,
bacterial
see also specific organism/disease/syndromes
stress see Bacterial stress
viral infection, 440
see also individual genera
metagenomic analysis, 754–756
Bacterial chromosomes, 284–293
DNA bending, 288
DNA-compacting proteins, 289
DNA folding, 288
DNA looping, 289
DNA supercoiling, 288
DNA tangles, 291–292
resolvement of, 291–292
DNA twisting, 288
duplication, 291
form, 285
gene arrangements, 286
nucleotide sequencing, 286–287
related gene clustering, 287
gene transfer agents, 1116
historical aspects, 284
inactivation, 288, 290
heterochromatinization, 290–291
number, 285
packaging dynamics, 292
levels, 292
recombination, 287
historical aspects, 291
oriC
see also DNA replication; Escherichia coli
segregation, 291
Bacterial exopolysaccharides
Bacterial infections
clinical see individual organisms/infections
pathogenesis, phages see Bacteriophage(s)
of plants
Bacterial products, phage genes, 167–168
Bacterial stress, 1075–1090
acid, 1080
biochemical basis, 1081
cross-protection, 1081f, 1080, 1081t
environmental conditions, 1076
oxidative stress see Oxidative stress
protein alteration, 1086
responses, 1076
regulation, 1083, 1085
see also specific stress responses
starvation see Starvation
Bactericidal antibody, natural immunity, Gram-
negative cocci, pathogenic, 593
Bactericidal/permeability-inducing protein (PBI),
lipopolysaccharide, as protective barrier, 702
anoxygenic photosynthesis, 855
absorption spectrum, 856f
BChla, chemical structure, 856f
Bacteriochlorophylls a, b, c, d, e, g, 856f
Gram-positive bacteria see Gram-positive
bacteria
Bacteriome, microbial endosymbioses, 395
location, 395
structural organization, 395
Bacteriophage(s), 166–182
abortive infection, 167t
adsorption, 173
animal body interactions, 172
bacterial coevolution, 447, 448
bacterial hosts, 180
archaea, 180f, 180
Lactobacillus,181
Lactococcus,181
Listeria,181
marine environments, 180
Mycobacterium,181
mycoplasma, 181
Streptomyces,181
Yersinia,181
bacterial identification, 171
antibiotic susceptibility, 171
phage typing, 171
bacterial infection pathogenesis, 166–167, 173
lysogeny, 173
pathogenicity islands, 173
phage conversion, 173
chronic infection, 167t
conjugative pili and, 300
as contaminants, 171
fermentation failures, 171, 181
definition, 1137, 357, 405
display see Bacteriophage display
distribution, 166–167
diversity, 169
infection type, 169
nucleotide sequence, 169
virion morphology, 169
DNA packaging
ecology see Bacteriophage ecology
environmental tracers, 172
fecal indicators, 172
gene(s), 167
bacterial products, 167–168
classification, 168
coevolution, 168
horizontal transfer, 170, 172
latent state, 168
metabolism, 168
packaging, 168
phage products, 167–168
phylogenetics, 168
productive infections, 168
progeny maturation, 168
release, 168
structural proteins, 168
gene expression, 168
early, 168–169
intermediate-early, 168–169
late genes, 169
postreplicative phase, 169
RNA polymerases, 168–169
sigma factors, 168–169
temporal ordering, 168
generalized transduction see Generalized
transduction
genome packaging into capsids, 174
dsDNA phages, 174–175
‘headful’ packaging, 1112–1113, 174–175
phage P1 and phage P22, 1112–1113
historical aspects, 167
d’Herelle, Felix, 167
Twort, F W, 167
importance, 170
life cycle, 167, 167t
latent period, 167
lysis by, 175
holin, 175
timing of, 175
Subject Index 1197

Bacteriophage(s) (continued )
lysogeny/lysogenic infection, 176f, 169, 175,
167t
bacterial pathogenesis, 173
induction prevention, 175–176
site-specific insertions, 175–176
temperate phages, 175–176
see also Temperate phages
lytic infection, 168, 169, 167t
‘cargo’ genes, 1116–1117
lytic phage
definition, 166
as model organisms, 170
Ellis, Emory, 170
as molecular tools, 170
cloning vectors, 170
mosaic model of evolution, 176
nonhomologous exchanges, 176
phage–bacteria interactions
productive infections, 168
pseudolysogenic infection, 167t
receptors, Caulobacter crescentus,236
restricted infection, 167t
stability, transduction, 1120
staphylococcal see Staphylococcus
temperate see Temperate phages
therapy see Bacteriophage therapy
see also Transduction
types, 176, 169t
see also specific types (below)
typing, 171
vectors, 170
virion self-assembly, 174f, 174
tail fibers, 174
virulent
definition, 1107
generalized transduction, 1111–1112
Bacteriophage CTXF
cholera toxin, 1119
Escherichia coli pathogenicity, 173
Bacteriophage D3, specialized transduction,
1110–1111
Bacteriophage DDVI, 365
Bacteriophage display, 170
antibodies, 171
high-throughput, 170–171
vaccine development, 171
Bacteriophage ecology, 172
aquatic environments, 172
model systems, 173
population ecology
Bacteriophage 29, 178
Bacteriophage A1122, 177
Bacteriophage Ff, host cell attachment, 300
Bacteriophage X174, 172
Bacteriophage YeO3-12, 177
Bacteriophage gh-1, 177
Bacteriophage ,178
antitermination
N-mediated, 944f, 944, 946, 1105
Q-directed, 944, 1105
capsid genome packaging, 175
cI protein, 1098
as DNA delivery vehicle, 1119
cosmids, 1119
host species increase, 1119
lamB gene cotransfection, 1119
generalized transduction, 1115
genome, 178
LamB outer membrane protein recognition,
1108
late genes, 169
as molecular tool, 1115, 170
replication, 1109f, 1108
attB,1108–1109
attP,1108–1109
Cl repressor, 1108–1109
cos sites, 1108
Cro regulatory protein, 1108
Int protein, 1108–1109
Xis protein, 1108–1109
restriction–modification, 358–359
antirestriction, 365
transposable elements, 1137–1138
Bacteriophage M13
as molecular tools, 170
virion self-assembly, 174
Bacteriophage Mu, 179
discovery, as genome scanning knockout
mutagen, 1137
generalized transduction, 1115
host range, 180
intergeneric gene transfer,1118
mini-Muduction, 1115
tail fiber genes, 180
transposable elements, 1137
Bacteriophage N4, 178
genome, 178
virion, 178
Bacteriophage N15, 179
Bacteriophage P1, 178
antirestriction, 364–365
generalized transduction, 1111, 178
headful packaging, 1112–1113
host range, 178–179
intergeneric gene transfer, 1118
tail fiber genes, 178–179
Bacteriophage P2, 179
Bacteriophage P4, 179
P2 genome dependence, 179
Bacteriophage P22, 179
DNA packaging, 1113
high-transducing mutants, 1113
headful packaging, 1112–1113
plasmid transduction, pac sequence, 1118
Bacteriophage PBS1
Bacillus subtilis in genetic analysis, 155
DNA packaging, 1113
see also Bacteriophage ecology
Bacteriophage Q, host cell attachment, 300
Bacteriophage R17, host cell attachment, 300
Bacteriophage RB69, 177
Bacteriophage SP, specialized transduction,
1110–1111
Bacteriophage SPP1, 178
Bacteriophage T1, 177
Bacteriophage T2, 177
as model organism, 170
Bacteriophage T3, 177
antirestriction, 364–365
late genes, 169
RNA polymerase, 177
Bacteriophage T4, 177
as genetic tool, 1114–1115
self-assembly pathway, 177
Bacteriophage T5, 178, 177
antirestriction, 365
Bacteriophage T6, 177
Bacteriophage T7, 177, 177
antirestriction, 364–365
DNA polymerase, DNA sequencing, 374–375
late genes, 169
as molecular tools, 170
RNA polymerase, 177, 177
Bacteriophage therapy, 171
see also specific applications
historical aspects, 171–172
see also specific organisms
Bacteriorhodopsin, 126f, 126
see also Bacteriophage(s)
Bacterium monocytogenes see Listeria
monocytogenes
Bacteroid(s)
rhizobia–legume symbiosis
see Rhizobia–legume symbiosis
Bacteroides,808
antibiotic resistance, 810
genes, 810
reservoir hypothesis, 811f, 810
colonic, 808
antibiotic resistance, 810
in disease, 808
in health, 808
normal life in human colon, 808
conjugation, conjugative transfer, 810
in disease, 808
genus definition, 808
in health, 808
human fecal flora, dietary groups, 556, 556t,
557t
new species, 556–569
phylogenetic group, 808
propionic acid-producing fermentations, 743
taxa modifications, 556–569
virulence factors, 809
Bacteroides amylophilus,557t
Bacteroides capillosus,557t
Bacteroides coagulans,557t
Bacteroides distasonis,557t
Bacteroides eggerthii,557t
Bacteroides fragilis
human fecal flora, dietary groups, 557t
Bacteroides hypermegas,557t
Bacteroides oralis,557t
Bacteroides ovatus,557t
Bacteroides pneumosintes,557t
Bacteroides putredinis,557t
Bacteroides splanchnicus,557t
Bacteroides thetaiotaomicron
human fecal flora, dietary groups, 557t
polysaccharide retrieval, 571–573
Bacteroides ureolyticus,557t
Bacteroides vulgatus,557t
Baeyer–Villiger reaction
BamHI, cleavage site, 360t
Barophilic, definition, 483
Barotolerant, definition, 483
Bartonella,685
historical aspects, 685
infection
diagnosis, 687
epidemiology, 686
features, 687
pathogenesis, 686
infection in accidental host, 687
infection in natural host, 687f, 686
prevention, 687
treatment, 687
organism, 685
Bartonella bacilliformis, epidemiology, 686
Bartonella henselae, cat scratch disease, 686
see also Cat scratch disease (CSD)
Bartonella quintana, epidemiology, 686
Base(s)
Base analogues, as mutagens, 1051t
Base excision repair (BER), 1083
DNA restriction–modification enzymes, 362
life cycle, 890f
plant pathogenic species, 893
Batch culture
bioreactors, 224
definition, 219
continuous culture vs.,310
nutrition
growth patterns, 797f,797
nutrient limitation, 796f, 796
Batch reactors, solvent production see Solvent
production
Baumannia cicadellinicola, transporter systems,
1134
BbldA gene, codon bias, 950
definition, 603
see also Antibodies
1198 Subject Index

BCYE-, definition, 680
B
12
-dependent glycerol dehydratase, 517
brewing see Brewing
Beer–Lambert Law, 579
Beggiatoa,349
deep-sea hydrothermal vents, 350
Benanomycin(s), antifungal action, 81, 67t
Benanomycin A, antifungal action, 81
Benthic habitats
food webs
Benthic Realm (seabed), marine habitats,
711–712, 712t
Benthos
definition, 327
Benzaldehyde
Benzene
metabolism, Pseudomonas,981
Benzimidazoles, antifungal action, 78, 67t
Benzylamines, antifungal action, 78, 67t
Bergey’s Manual of Determinative Bacteriology,
on cyanobacteria, 329f, 328, 329t
-amylase see -Amylases
-barrel, definition, 813
-carotene see -Carotene
-galactosidase see -Galactosidase
-glucan/glucanase
-lactam antibiotics see -Lactam antibiotics
-lactamase
-region, Actinobacteria 16S rRNA sequences, 7
Betaherpesviridae, 636
see also specific viruses
bgl operon/protein, antitermination
see Antitermination
Bifidobacterium
human fecal flora, dietary groups, 556t, 561t
multilocus sequence typing (MLST), 13
propionic acid-producing fermentations, 743
Bifidobacterium adolescentis,561t
Bifidobacterium bifidum,561t
Bifidobacterium breve,561t
Bifidobacterium eriksonii,561t
Bifidobacterium infantis,561t
Bifidobacterium longum
amino acid fermentation, 16
gastrointestinal tract, 16
glycosyl hydrolases, 16
human fecal flora, dietary groups, 561t
peptidases, 16
reductive genomes, 16
Bifonazole, 74
Bile salts, definition, 813
Bilirubin, definition, 83, 603
Mycoplasma division, 781
Binary toxin, Clostridium difficile infection, 413
Bio-aerosol mass spectroscopy (BAMS), forensic
microbiology, 547
Bioaerosol samplers
Bioavailability
definition, 83
see also individual drugs
Biocatalysis
metagenomics, 757, 758t
artificial enrichment, 759
Biochemical engineering, 220
Biochemical network construction, metabolic
reconstruction
biofilms in industrial ecosystems, 186
Biocrime
definition, 539
gaps in microbial forensic analyses, 548
data interpretation, 549
evidence collection, 548
evidence handling, 548
extraction of biological signatures, 548
identification of ‘unique’ signatures, 549
purification of biological signatures, 548
storage of evidence, 548
investigations, 547
national microbial forensics network, 547
see also Bioremediation
microbial metabolism frontiers
University of Minnesota
Biodeteriogens see under Biodeterioration;
specific types of material;specific
mechanisms
Biodiesel fuel
Bioengineering
fitness, 442
strain improvement
see also Biotechnology
Bioenrichment
Bioethanol
definition, 1174
ethanol as fuel, 428–429, 429
see also Biofuels
Biofilms, 805, 183–188
Acidithiobacillus ferrooxidans,768f, 767–768
chronic infections, 183–184
de facto,184
definition, 915, 987, 762, 971, 1037, 20, 183
fluorescent in situ hybridization probes, 185
formation
pili, 879
Staphylococcus,1039
function, 183
Haemophilus influenzae see Haemophilus
influenzae
in industrial ecosystems, 186
biocides, 186
pipelines, 186
life cycle, 184f, 183–184
in medical systems, 186
culture negative infections, 187
multispecies infections, 187
metal extraction (biomining), 767
microbial adhesion, 21
in natural ecosystems, 185
sulfate reducing organisms, 185
oral see Oral biofilm
planktonic cells, 183–184, 184–185
plasmid transfer, 931
production
Bacillus subtilis,159
sessile cells, 183
structure, 183
‘type’ strain, 184–185
Biofilters
Biofuels
bioethanol see Bioethanol
see also Biodiesel fuel; Bioethanol
Biogas
production, 520
Biogeochemical cycling
food webs see Food webs
Biogeochemistry
marine habitats, 717
phage ecology see Bacteriophage ecology
see also specific microbiologists;specific
scientists
Bioinformatics
horizontal gene transfer see Horizontal gene
transfer (HGT)
Bioleaching, 996
definition, 762
Bioleaching bacteria, metal extraction
(biomining), 766, 774
Biolistic bombardment, definition, 1163
Biological Defense Research Program (BDRP),
biological warfare, 196
genetic techniques, 196
Biological immunity
see also Adaptive immune system; Immune
system; Immunity
Biologically controlled mineralization (BCM)
Biologically induced mineralization (BIM)
Biological oxygen demand (BOD)
Biological pump, marine habitats, 717
Biological safety
Biological soil crusts
Biological warfare (BW), 189–201
contemporary developments, 192
contemporary issues, 197
genetic engineering, 197
low-level conflict, 198
mathematical epidemiology models, 198
offensive vs. defensive research, 199
secrecy issues, 199
terrorism, 198
verification problems, 200
current research programs, 196
definition, 189
historical events, 190
historical review, 190, 192
300 BC–1925, 190
1925–1990, 191
classical period, 190
disease corpses, 190
medieval period, 190
small pox, 190–191
well poisoning, 190
international treaties, 193
US laws and Acts, 195
see also specific directives;specific international
treaties;specific legislative Acts
Biological warfare Convention (1972), 192, 194
article I, 194
article II, 194
article IV, 194
article V, 194
article VI, 194
article VII, 194
article X, 194
article XI, 194
article XII, 194
genetic engineering, 197
stipulation, review conferences, 195
verification issues, 200
animal by-products see Animal by-products
(ABP)
see also specific diseases/infections;specific
pathogens
Biological weapons
definition, 189
see also Biological warfare (BW)
Biological Weapons and Anti-Terrorist Act
(1989), 195–196
Bioluminescence, 202–218
bacteria see Luminous bacteria
definition, 202, 987
detection, 205
dinoflagellates, 202–203
endosymbionts, 397
light production sustainment, 397
marine animals, 397
evolution, 202–203, 211, 213
gene duplication, 212f, 214
gene loss, 214
gene recruitment, 215
functions, 213
fungi, 202–203
historical perspective, 203
long-chain aldehyde synthesis, 203–204
lux operon, 212f, 204
quorum sensing, 988f
regulation, 212
regulation, 211
physiological control, 213
symbiotic associations, 209f, 208, 210t
specificity, 210–211
taxonomic identification methods, 206f, 205
see also Luciferase; Luminous bacteria
Biomass
continuous culture, 311
elemental composition, 791, 791t, 792t
Subject Index 1199

Biomass (continued )
carbon content, 791–792
Biomedical Advanced Research and Development
Authority (BARDA), 193
Biomimetic materials
Biomineralization
Biomining
definition, 987
see also Metal extraction (biomining)
Biomonitor see Biosensors
bio operon, incorrect prophage exclusion,
1109–1110
Biopesticide
Biopolymers
Biopsy
Bioreactor(s), 219–224
analysis, 222
cell lines, 223
classification, 220
control, 223
design, 222
developments, 220t
historical aspects, 219
instrumentation, 223
membrane see Membrane bioreactor (MBR)
microorganisms in, 222
photobioreactors, 222
product formation, kinetics, 222
sensors, 223
stability, 224
sterilization, 224
transport phenomenon, 223
Bioremediation, 774f, 773
definition, 762
Bioreporters
biomimetic materials see Biomimetic materials
antibodies see Antibodies
nucleic acids see Nucleic acid(s)
see also specific biosensors
Biosorption, definition, 762
Biosphere
of deep sub-surface see Deep sub-surface
production
Biosynthesis/anabolism
precursor metabolites, 748
see also individual metabolites/compounds
Biotechnology
agricultural
enzymes see Enzyme(s)
industrial
medical see Medical biotechnology
pulp
yeasts, 1186t
see also Genetic engineering
Biotechnology industry
Archaea see Archaea
enzymes see Enzyme(s)
fermentation, 526
economic optimization, 526
substrates, 526
Bioterrorism
definition, 189, 539
epidemiological indicators, 543, 544t
natural outbreak distinctions, 543–544
see also Biological warfare (BW)
Bioterror pathogen, definition, 189
Biotin
see also individual applications
ketone reduction
pheromone synthesis
alcohol oxidation see above
CTO reductions see above
enoate reductase see above
Biotroph(s)
see also Biological warfare (BW)
Biowaste (BW)
Bioweapon
definition, 539
see also Biological warfare (BW); Bioterrorism
Birds
infections/pathogens see entries beginning
Avian
Birth scar, definition, 1174
Bistability, Bacillus subtilis competence, 159
infection
Black Death
Black smoker, definition, 346
Blake Ridge
Blakeslea trispora
lycopene production
BLAST databases
BLAST search
bld genes
enzyme-aided
paper bleaching see Paper
pulp see Pulp
Blood transfusions, prion disease transmission,
960, 963–964, 965
see also Cyanobacteria
BMS 181184, antifungal action, 81
Boccaccio, Giovanni
BOD see Biological oxygen demand (BOD)
Bodonids
Bolidomonas pacifica
Bone marrow
Bootstrap analysis
Bordeaux mixture, antifungal action, 78
Border sequences
Agrobacterium tumefaciens T-DNA, 31–32
definition, 29
Bordetella pertussis
fimbrial adhesins, 23t
peptidoglycan turnover, 840
toxin, 307
Borrelia,1028
disease, 1030
signs/symptoms, 1030
epidemiology, 1028
metabolism, 1028
bovine serum albumin, 1028
oxygen sensitivity, 1028
molecular pathogenesis, 1030
morphology, 1028
phylogeny, 1030
Borrelia anserina,1029
linear chromosomes, 286
plasmid replication, 925
Borrelia burgdorferi B31
Borrelia coriaceae, distribution, 1029
Borrelia hermsii
multicopy genomes, 286
tick-borne relapsing fever, 1029
distribution, 1029
genomic groups, 1029
mechanisms of antigenic variation, 1030
Borrelia lonestari, distribution, 1029–1030
Borrelia parkeri, distribution, 1029
Borrelia recurrentis,1028
Borrelia turicatae, distribution, 1029
Botrytis cinerea
Bottom-up control
Botulinum neurotoxins, 409
therapeutic applications, 460
see also Clostridium botulinum
Botulism
see also Clostridium botulinum
Bouquet, Colonel Henry, biological warfare,
190–191
Bovine mastitis, Escherichia coli pathogenicity,
425
Bovine pleuropneumonia, Mycoplasma mycoides
causing, 779
Bovine serum albumin (BSA), Borrelia
metabolism/growth, 1028
Bovine spongiform encephalopathy (BSE), 384,
952, 953
neuronal spread, 965
prion protein strain typing, 959f
transmission barrier and, 954
variant CJD and, 954
see also Prion(s); Prion diseases
Bowel see Colon; Intestine; Small intestine
Brachyspira,1032f,1030
historical aspects, 1031
nomenclature changes, 1031, 1032
phylogenetic tree, 1031f
poultry industry, 1031–1032
Brachyspira aalborgi,1031–1032
Brachyspira hyodysenteriae
gene transfer agents, 1116
genome implications, 1032
VSH-1, 1032
homologous recombination, 1032
pig industry, 1031
Brachyspira suanatina,1031
Bradyrhizobium
symbionts, nitrogen fixation inhibition, 402f,
401
Bradyrhizobium japonicum
bradyoxetin signal, 1000
glyoxylate cycle
Brain
see also Central nervous system (CNS)
Branching enzyme(s) (BE)
Braun lipoprotein see Murein lipoprotein
Bread
Bread mold, 893f
Brevibacterium
biotechnology applications, 18t
strain improvement, monosodium glutamate
production, 1055
taxonomy, 5
Brevundimonas,227
Brewery, industrial wastewater
yeast see Yeast(s), brewing
see also Beer
Bridge amplification, Solexa DNA sequencing,
379
Brock, Thomas D, thermophiles, 496
Bronchiolitis
Bronchitis
Bronchoalveolar lavage (BAL)
Broth microdilution assays
Brownian motion, marine habitats, 711
Brucella, recombination, rrn clusters, 288
BSE see Bovine spongiform encephalopathy (BSE)
BtubB (tubulin homologue), 258
Bubble column reactor(s), definition, 219
Budding
definition, 1174
S. cerevisiae see Saccharomyces cerevisiae
see also Yeast(s), budding
bud operon, 525–526
Bud scar, definition, 1174
Buffon, Comte de
Buildings
biodeterioration see Biodeterioration
Bulk chemicals, production see Chemical
production
Bundle-forming pili (Bfp), enteropathogenic
Escherichia coli (EPEC), 411
see also specific diseases/infections;specific
viruses
Buoyancy, Caulobacter stalk (prostheca), 228
Burn(s)
infections
Pseudomonas aeruginosa,977
Bursaphelenchus xylophilus, pine tree wilt, 907f
Butanediol formation, regulation, 525
Butanol
production see Solvent production
1200 Subject Index

Butanol dehydrogenase, butyric acid/
butanol–acetone-producing fermentations,
742–743
Buthiobate, antifungal action, 79
Butirosin
Butyrate
colon microflora, 571–573
Butyrate–butanol fermentation, regulation, 526
see also Butyrate
Butyric acid/butanol–acetone-producing
fermentations
anaerobiosis, 742
Clostridium acetobutylicum,742
see also Anaerobic glycolysis
Butyrivibrio, butyric acid/butanol–acetone-
producing fermentations, 742
Butyrivibrio fibrisolvens
human fecal flora, dietary groups, 557t
BY2 cell, definition, 1163
C
Cadang-cadang disease, viroids, 1170
Cadaverine, 1080
CadF, Campylobacter jejuni infection, 416
Cadmium
Pseudomonas species, 984
Cae Coch, Wales (UK), acidophilic bacteria
detection, 479–480
Caenorhabditis elegans
quorum sensing, 1003
CagA, Helicobacter pylori,600
cag pathogenicity island (cag PAI)
Helicobacter pylori,600
see also Pathogenicity island (PAI)
Calcium
bacterial competence, 667
microbial requirements, 795
Calcium-dependent antibiotic (CDA)
Caldarchaeol lipids, 263–264
Caldisphaerales, 124t
Caldivirga, growth characteristics, 497t
Calvin–Benson–Bassham cycle, 152
dark reactions of photosynthesis in
cyanobacteria, 336
microbial photosynthesis, 855f, 854
regulator (CbbR), 152
see also Reductive pentose phosphate cycle
Calyptogena magnifica,349
cAMP see Cyclic AMP (cAMP)
cAMP/CAP transcription initiation regulation
CAMP factors, Propionibacterium acnes,16
Camphor, Pseudomonas,981–983
Campylobacter
infection
Campylobacter jejuni
DNA diagnostics, 370
flagellar genes, 535
Campylobacter jejuni infection, 416, 407t
CadF, 416
cytolethal distending toxin (CDT), 416
epithelial cells, 416
incidence, 416
inflammation, 416
lipooligosaccharide biosynthesis, 417
transmission, 416
Canada
biological warfare, research, 191
Cancer
cervical see Cervical cancer
viral associations see Oncogenic viruses
Candicidin, 71
Candida
human fecal flora, dietary groups, 567t
infections see Candida albicans
isoleucyl-tRNA synthase inhibitor, antifungal
action, 67t
Candida albicans,1177f
definition, 1174
dimorphism, 1183f
human fecal flora, dietary groups, 556t, 567t
infections, 1186
ultrastructural features, 1178f
Candidatus Phytoplasma asteris onion yellows
strain (OY-M), 780
Candidatus Phytoplasma australiense,780
cutaneous see Cutaneous candidiasis
Canine rabies
Canned food
Cantareras, copper mine, acid environments of
extremophiles
biogeochemical cycling model proposal, 481f
streamer/mat growth, 480f, 480
Capillary sequencing, DNA sequencing, 374
Capsid(s)
definition, 166
genome packaging (phage) see Bacteriophage(s)
proteins
CA/p24 in HIV, 643
generalized transduction, 1112–1113
major homology region (HIV), 643
see also individual viruses
Capsule, 267f, 274
definition, 805, 1037
Escherichia coli see Escherichia coli
Haemophilus influenzae,688f, 688
meningococci, 589, 589t
Staphylococcus,1038
Staphylococcus aureus,1038–1039
Staphylococcus epidermidis,1038–1039
Carbohydrate(s), 728
definition, 728
fermentation, 519f,517
electron acceptor role, 518
Carbohydrate-binding modules (CBMs)
Carbon
assimilation see Carbon assimilation regulation
availability, 1076
catabolite repression see Carbon catabolite
repression (CCR)
13
C isotopic depletion, autotrophic CO
2
metabolism distribution, 149
isotope
limitation, growth rates, 317
microbial nutrition, 793f, 792, 789t
reserve materials, 793
organic, Caulobacter oligotrophy, 232
sources
autotrophic CO
2
metabolism regulation, 151
see also Carbon-energy source
starvation
escape response proteins, 1077t
S
synthesis, 1088, 1088t
uptake, regulation see Carbon assimilation
regulation
catabolite repression see Bacillus subtilis;
Escherichia coli
see also specific pathways
Carbon catabolite repression (CCR), 1010–1011
B. subtilis see Bacillus subtilis
E. coli see Escherichia coli
Carbon cycle
freshwater habitats
see also Autotrophic carbon dioxide
metabolism
Carbon dioxide
assimilation, 140, 142
autotrophic metabolism see Autotrophic
carbon dioxide metabolism
bioreactors, 221
concentrating mechanisms, autotrophic CO
2
metabolism, 141
electron acceptor role, 519
extremophiles, hot environments
acetyl-CoA pathway, 502f
methanogenesis, 500
4-hydroxybutyrate cycle, 504
3-hydroxypropionate cycle, 505f, 504
reductive citric acid cycle, 503f, 501
fixation
definition, 140
importance, 140–141
microbial requirements, 793
Carbon dioxide/bicarbonate transporters, CO
2
concentrating mechanisms, 141
Carbon-energy source, 728, 729, 731–732, 745,
747
definition, 728
Carbon-limited minimal media, 800, 800t
Carbon storage regulator (csrA)
Carboxylation, definition, 140
Carboxymethyl cellulose (CMC)
D,D-Carboxypeptidases, peptidoglycan synthesis,
838–839
CO
2
concentrating mechanisms, 141
cyanobacteria, 331
self- analysis questions
‘Cargo’ genes, transduction see Transduction
Carios kelleyi (bat tick), Borrelia species from,
1029
-Carotene
absorption spectra, 847f
characteristics, 848
chemical structure, 848f
Carriers/transporters, definition, 44
Carri ´
on, Daniel, 685
Carri ´
on’s disease, definition, 680
Carterinida
Caspofungins
adverse effects, 71t
antifungal action, 81
structure, 80f
Castleman’s disease, KSHV implications, 635
Catabolic enzymes, metagenomics, 758t
Catabolism, 728
definition, 728, 788
Catabolite activator protein (CAP)
metabolic switch, 523
pilus biogenesis, 879
transcription initiation, 1097–1098
Catabolite control protein A (CcpA)
Bacillus subtilis regulation, 156–157
see also Bacillus subtilis
Catabolite repression, 1010–1011
Bacillus subtilis
Corynebacterium glutamicum
Escherichia coli
PTS see Phosphotransferase system (PTS)
see also Carbon catabolite repression (CCR);
other specific organisms
Catenization, plasmid segregation, 924–925
cat genes, translational control, 940f, 949
Catheter
Cationic peptides, antifungal action, 67t
Cations
Cat scratch disease (CSD)
historical aspects, 686
infection in accidental host, 687
organism causing, 686
treatment, 687
Cattle
phage therapy see Bacteriophage therapy
plague
Caudovirales
Cauliflower mosaic virus (CaMV)
Caulobacter,225–241
Asticcacaulis vs.,226–227
capture, 228
cultivation, 228
colonies, 229
doubling times, 230
dimorphic populations, 228–229
identification, 225
appearance, 229–230
FISH, 229
Subject Index 1201

Caulobacter (continued )
phase-contrast illumination, 229f, 230f, 229
morphogenesis, 230
Adler capillary assay, 230–231
nitrogen, 230–231
phosphate, 231f, 230
morphology, 226f,226f, 226f, 227f, 225–226
motility, value of, 228
oligotrophy, 230
amino acids as nitrogen source, 231
inorganic nitrogen, 231
macronutrient limitation, 231
nutrient-gradient directed motility, 232
nutrient-scavenging capacity, 231
organic carbon, 232
phosphate limitation, 231
population density, 228
stalk (prostheca), 227f, 227
adhesion, 228, 228
buoyancy, 228
elongation, 237
length, 237
macronutrient availability, 237
motility, 228, 228, 228
nitrogen effects, 237
cell cycle arrest, 237
nutrient uptake, 228
phosphate effects, 237
cell wall inhibition studies, 238
gene regulation, 237–238
PhoB, 237–238
PhoR, 238f, 237–238
Pho regulon, 237–238
proteomics, 238
PstA, 237–238
PstB, 237–238
PstC, 237–238
PstS, 237–238
studies, 237
TonB-dependent receptors, 238
Caulobacter crescentus
adhesiveness, 227f,230f,236
chemotaxis, 236
nitrogen sources, 236
pili, 236
poly-N-acetyl glucosamine, 236
bacteriophage receptors, 236
CcrM, 239
cell division
cell wall synthesis, 227f, 233
inhibitor studies, 233
murein, 233
peptidoglycan synthesis, 233
placement of, 234
chemotaxis proteins, 235
chromosome inactivation, 290–291
ClpXP, 235, 240, 240, 240
CpdR, 240
CtrA, 238f, 239, 240, 240
cytoplasmic proteinaceous filaments, 280
cytoskeleton, 234
crescentin, 234
DNA replication, 234
FtsZ, 234, 234, 234–235
MreB, 234
placement of, 234, 234
swarmer sequence, 234
development/life cycle, 233f, 232
chromosome localization, 240
control of, 238
historical aspects, 232
mixed cultures, 232
phosphorelays, 238f, 239
CckA-initiated phosphorelay, 238f, 239
protein phosphorylation, 239
TacA relay, 238f, 239–240
protein localization, 240, 240
proteolysis, 240
ClpXP, 240, 240
CtrA, 240, 240
synchronous cultures, 232
transcription regulation, 238f, 239, 238
DnaA, 239
fission, 233
flagellar genes, 535
flagellum, 235
ClpXP, 235
flagellin, 235
swarmer cycle, 235
TipF, 235
TipN, 235
FtsZ, 234, 234, 234–235, 240
GcrA, 239
genome size, 239
motility, 235
MreB, 234
MurG, 234, 240
peptidoglycan, 832
RodA, 240
stalks, 269
extension, nitrogen effects, 237
TipF, 235
TipN, 235
younger cell pole extrusion events, 235
Caulobacter leidyi,237
CbbR (Calvin–Benson–Bassham cycle regulator)
reductive pentose phosphate cycle regulation,
152
see also Calvin–Benson–Bassham cycle
CcaR gene/protein
CckA-initiated phosphorelay, Caulobacter
crescentus,238f, 239
CcpA see Catabolite control protein A (CcpA)
CCR5 receptor, HIV, 647, 648
CcrM
Caulobacter crescentus,239
C cycle see Carbon cycle
CD4 protein/antigen
definition, 640
HIV receptor, 647
CD4
+
T-cells
AIDS/HIV infection, 657
factors affecting T-cell loss, 651t
infection of resting T-cells, 650f, 650
loss induced by, 651, 651t
opportunistic infections and, 641t
count/number in HIV infection, 651
indirect effects, 652
function, HIV infection effect, 651
indirect effects, 652
proliferation, HIV infection, 651
resting, in HIV infection, 650f, 650
CD8
+
cell antiviral factor (CAF), 655
CD8
+
cell noncytotoxic anti-HIV response
(CNAR), 655
antiviral factor production, 655
characteristics, 655t
CD8
+
T-cells
cytotoxic activity, HIV infection, 658
hepatitis virus infections, 610–611
HIV infection, 658
CD14, lipopolysaccharides, 702
Foxp3 coexpression
CDC see Centers for Disease Control and
Prevention (CDC)
CEA antigen, neisserial infection, 591
Cecropin, synthetic, 82
Cell chain formation, Bacillus subtilis,159
Cell culture(s)
insect, definition, 219
plant, definition, 219
Cell cycle
bacteria, 242–250
concepts, 242
division see Cell division, bacteria
DNA replication cycle see DNA replication
G1-period, 244–245
multifork replication, 244
periods, eukaryotes vs. E. coli,243
prokaryotes vs. eukaryotes, 243
regulation, 249
nucleoid occlusion, 250
SOS response, 250
terminology, 242
see also specific organisms
eukaryotes, 243
E. coli periods vs.,243
G1-period, 243, 243
M-period, 243
sequential periods, 243
S-period, 243
Cell division
bacterial see Cell division, bacteria
Cell division, bacteria, 247f, 246
constriction (Gram-negative organisms), 243f,
243
divisome, 246
assembly steps, 246
FtsQ, 246
FtsZ, 246f, 246
peptidoglycan synthesis, 248
subassemblies, 246
Z ring formation, 246f,246
DNA replication cycle, 244
see also DNA replication
genes, 242
chromosomal organization, 249f, 249
dcw cluster, 249
peptidoglycan synthesis during cell elongation,
248f, 248
potential division sites, 247f, 247
Min system, 247–248
septation (Gram-positive organisms), 243f, 243
site selection, 247
Cell envelope, 274
bacterial, 827, 835
characteristics, 243
definition, 266
mycobacteria, 826f, 825
outer membrane, 275
yeasts, 1177–1178, 1178t
see also Cell wall(s)
Cell invasion, Salmonella infections, 415–416
Cell lysis, genomic library construction, 576
Cell-mediated immunity
see also T cell(s)
Cell membranes, prokaryotic, 251–265
definition, 251
see also Cytoplasmic membrane (CM); Outer
membrane (OM)
Cell motility
Myxococcus see Myxococcus
see also Motility; other individual organisms
Cellobiase
ethanol production, 435
signal transduction, 1006
Cellodextrins
Cell poles
Cell recycle membrane reactors, solvent
production see Solvent production
Cellular fossils see Cyanobacteria
Cellular immunity
see also Cell-mediated immunity; T cell(s)
Cellular microbial fossils
carbohydrate-binding modules
see Carbohydrate-binding modules
(CBMs)
environmental conditions, exploitation, 757,
758t
fungal, ethanol production, 435
Cellulolytic bacteria
Cellulomonadaceae, chemical constituent
taxonomy, 4t
Cellulomonas,biotechnology applications, 18t
1202 Subject Index

Cellulose
definition, 428
degradation
postgastric symbioses, 396
utilization, extracellular enzymes, 745–746
Cell viability
continuous culture, 795
Cell wall(s), 274
Archaea, 268, 274
bacterial
Bacillus sphaericus, S-layers, 274–275
Bacillus subtilis see Bacillus subtilis
definition, 251, 1037
Escherichia coli see Escherichia coli
Gram-negative bacteria see Gram-negative
bacteria
Gram-positive bacteria, 267f, 274
mycobacteria, 259–260, 261
Staphylococcus,1038
Caulobacter crescentus see Caulobacter
crescentus
function, 274
inhibition studies, Caulobacter stalk
(prostheca), 238
lacking from mollicutes, 776, 780–781, 781
primordial, Bacillus subtilis spore formation,
160–161
S-layer
archaea, 276f
Bacillus sphaericus,274–275
sugars in, Actinobacteria taxonomy, 4t
synthesis
antimicrobial drug effect, 54, 54t
Caulobacter crescentus see Caulobacter
crescentus
thermophiles, 499
Cenarchaeales, 124t
Cenarchaeum symbiosum,123
DNA replication, 131–132
Cenibacterium arsenoxidans, arsenic degradation,
17
Centers for Disease Control and Prevention
(CDC)
biological threat agents, 541, 542t, 543t
influenza, airborne infectious microorganisms,
682
Legionella pneumophila serogroup 1, 682
organisms regulated by, 195t
pneumococcal infections, 1062
Central metabolic pathways, 729
ATP, 729f
gluconeogenesis, 744
glucose metabolism, 729
glycolysis see Embden–Meyerhof–Parnas
(EMP) pathway (glycolysis)
monosaccharides, 745
oligosaccharides, 745
polysaccharides, 745
precursor metabolites, 748
see also specific pathways
Central metabolism, 728–750
definition, 729
pathways see Central metabolic pathways
Central nervous system (CNS)
poliovirus infection
see also Brain
Central precursor synthesis, autotrophic CO
2
metabolism, 141
Centromere, definition, 915
Cepham nucleus
Cephamycin(s)
Cerebrospinal fluid (CSF)
Bacillus cereus infection, 408
Cervical cancer
Cethromycin
CFP, definition, 1137
Chaetomium
Chagas’ disease
chronic
clinical manifestations
emergence, 387
Chain-terminated nucleotides, Solexa DNA
sequencing, 379
Chain termination method, Sanger DNA
sequencing, 374
Chancroid, definition, 680
Channel proteins
definition, 251
Gram-negative outer membranes, 256
Chaperone(s)
definition, 813, 118, 495
periplasmic, definition, 861
protein repair, 1082
see also specific chaperones
Chaperone/usher pathway, pili assembly, 862,
863t
thick, rigid, 863t
thin, flexible, 863t
Chaplins
Charged-coupled devices, 454 Life Sciences DNA
sequencing, 377–378
Chasmoendolithic habitat/associations
CheA (histidine kinase), 1007f, 1017
CheB response regulators, 1015–1016, 1016t
Chelating substances
fermentation, strain improvement, 1058
Chemical aggression, biodeterioration
see Biodeterioration
Chemical and Biological Sciences Unit (CBSU),
forensic microbiology, 548
Chemical and Biological Weapons Control Act
(1991), 195–196
Chemical interactions, food webs see Food webs
Chemical mutagens, transduction, 1117–1118
Chemical oxygen demand (COD)
Chemical production
microbial importance, 1049
Chemical synthesis
definition, 788, 789
endosymbionts, 393
animal hosts, 393
habitats, 393
Chemoheterotrophic, definition, 728
Chemoheterotrophy
carbon sources, 792–793
definition, 788
definition, 640
receptor
CXCR4, 647, 648
Chemolithoautotroph
acidophiles, 467
archaea, deep-sea hydrothermal vents, 351
bacteria, deep-sea hydrothermal vents
free-living forms, 350
symbioses, 350
definition, 762, 346
leaching by see Chemolithotrophic
(autotrophic) leaching
metabolism, 349
metal extraction (biomining), 765f, 764
Chemolithotroph, definition, 463
Chemolithotrophic bacteria
free energy comparisons, acidophiles, 467t
Chemolithotrophic (autotrophic) leaching
Chemoorganoheterotrophic microbe, 715
Chemoprophylaxis
definition, 83
see also individual diseases
Chemoreception
Chemostat(s)
definition, 309, 311
ecological studies, 320
functional genomic applications, 318
physiological studies, 317
growth rates, 317
metabolic pathways, 317
yields, 318
Chemosynthesis, 348–349
definition, 346
Chemosynthetic bacteria
Chemotaxis, 1009, 1015
Acidithiobacillus ferrooxidans,767f, 766–767
methyl-accepting proteins see Methyl-
accepting chemotaxis proteins (MCPs)
Bacillus subtilis,159
Caulobacter crescentus,236, 235
definition, 225, 1022
E. coli gene homologues, 535
flagella, 270
che genes
Helicobacter pylori,600
metal extraction (biomining), 767f, 766–767
proteins
spirochetes, 1023–1024
Chemotherapeutics/chemotherapy
Chemotrophs, 789t
definition, 708
Chestnut blight disease, 887f, 886
CheV response regulator, 1016t
CheY (CheY domains), 1015, 1016t
A. tumefaciens vir genes, 34
Chicken(s)
see also Poultry
treatment, acyclovir, 87
vaccine, 1156
see also Varicella zoster virus (VZV)
China
avian influenza
H5N1s train
Chip technology, forensic science, 546
Chirality
cell wall structure, 828–829
elementary bodies
reticulate bodies see Reticulate bodies
screening
infection
see also Chlamydia
Chlamydia muridarum
Chlamydia pneumoniae
Chlamydia psittaci
Chlamydia trachomatis
chromosome inactivation, 290–291
Chlamydomonas reinhardtii
quorum sensing, 1002
Chlamydospores
genomic library construction, 575
protein synthesis, 55
Chlorine
Chlorine dioxide
Chlorobaculum tepidum
1-Chlorobenzyl-2-methylbenzimidazole, 73
Chlorobium
reductive citric acid cycle, 143
Chlorobium limicola, reductive citric acid cycle,
144
Chlorobium tepidum, reductive citric acid cycle,
144
growth conditions, 858
Chloroflexus aurantiacus
3-hydroxypropionate/4-hydroxypropionate
cycle, 147
3-hydroxypropionate cycle, 504
3-hydroxypropionate/malyl-CoA cycle, 145
Chlorophyll(s)
bacterial
definition, 708
photosynthesis, 846
absorption spectra, 847f
chemical structure, 847f
absorption spectra, 847f
Chloroplast(s)
photosynthesis, 846
Subject Index 1203

Chloroplast import-associated channel protein
(IAP75), 258
definition, 844
Choanoflagellates
Cholera (Vibrio cholerae infection), 409, 407t
characteristics, 409
O serogroups, 409
reemergence, 384
toxin conjugated pilus (TCP), 409
type IV fimbriae, 409
see also Vibrio cholerae
Cholera toxin (CT), 409
phage CTXF,1119
structure, 409–410
Cholera toxin phage (CTXF), toxin coregulated
pili, 879
Cholestasis, definition, 603
Choline, Streptococcus pneumoniae,1065
Chromate
resistance
in Pseudomonas species, 984
Chromatin
Archaea, 131
Chromera velia
Chromium resistance see Chromate, resistance
Chromobacterium violaceum, NIT-coupled
diguanylate cyclase, 1018
Chromophores
accessory, microbial photosynthesis, 848
primary, microbial photosynthesis, 846
Chromosomal dimerization, plasmid replication,
924
Chromosome(s)
Archaea see Archaea
bacterial see Bacteria
bacterial artificial
definition, 53
encoding, Agrobacterium tumefaciens plant cell
attachment, 40
localization, Caulobacter crescentus,240
recombination, generalized transduction,
1114f, 1114
replication see Chromosome replication
segregation see Chromosome segregation
yeast see Yeast(s)
yeast artificial
see also individual microorganisms
Chromosome mobilization ability (Cma),
conjugation, 296
archaea see Archaea
bacterial see Bacterial chromosomes
origin
oriC,291, 292
see also Origin of replication, oriC
prereplication complexes see Prereplication
complexes (pre-RC)
yeast see Yeast(s)
see also Bacterial chromosomes; DNA
replication; Escherichia coli;specific
microorganisms
prokaryotes
systems
Chronic active gastritis
definition, 597
Helicobacter pylori,601
definition, 391
Chronic release, definition, 166
Chronic wasting disease (CWD), of elk, 953–954
diagnosis, 966
Chroococcales, definitory criteria, 329t
ChrR enzymes, oxidative stress response, 1079f,
1078–1079
Chrysochromulina polylepis
Chrysomerophyceae
chvA genes, Agrobacterium tumefaciens plant cell
attachment, 40
chvB genes, Agrobacterium tumefaciens plant cell
attachment, 40
ChvG, A. tumefaciens vir genes, 34
ChvI, A. tumefaciens vir genes, 34
Chydorus sphaericus, acid environments,
471–472
Chymosin
Chytridiomycetes/Chytridiomycota, 889
Cidofovir, 88
acyclovir vs.,88–89
adverse effects, 89
antiviral activity, 88
chemistry, 88
clinical indications, 89
mechanism of action, 88
resistance, 89
Ciliated epithelial appendages (CEAs), luminous
bacterial symbiosis, 208
cortex
see also specific class
antifungal action, 79
structure, 80f
Cinnamic acid, antifungal action, 67t
Circulating recombinant forms (CRFs),
HIV, 645
Circulifer haematoceps (leafhopper), vector for
Spiroplasma citri,779, 779–780
Circumventricular organs
Cirrhosis, definition, 603
Cis-acting elements, definition, 937
Cisgenesis
plant disease resistance see Late blight disease;
Plant disease resistance
Citramalate cycle, extremophiles, hot
environments, 507f, 507
Citrate
fermentation, 520–521
formation, reductive citric acid cycle, 144
Citrate synthase
malate synthase relationship see Malate
synthase (MSase)
TCA cycle, 739–740
aerobiosis, 738f
see also Citrate
Citric acid cycle, 518, 523
reversal (reductive) see Reductive citric acid
cycle (Arnon–Buchanan)
see also Tricarboxylic acid (TCA) cycle
Citrobacter
human fecal flora, dietary groups, 567t
Citrus exocortis viroid (CEVd), 1165–1166
Citrus stubborn disease, Spiroplasma citri
causing, 779
Citryl-CoA synthase, reductive citric acid cycle,
148
CJD see Creutzfeldt–Jakob disease (CJD)
Clarithromycin
Clarke–Carbon equation, 580–581
Claviceps purpurea
effects on humans, 911
see also Ergot
defensive mutualism see Defensive
mutualism
Clevudine, 101
adverse effects, 101
antiviral activity, 101
chemistry, 101
clinical indications, 101
mechanism of action, 101
resistance, 101
Climate
effects
Clinical microbiology
antibiotic testing see Antibiotic susceptibility
testing
see also specific specimen types
Clinical specimens see under Clinical
microbiology
Clone library
colon microflora, 570–571
Cloning, definition, 1048
Cloning vectors see Vector(s), cloning and
genome libraries
Closed binary complex, transcription initiation,
1096
Clostridium (and clostridia), 556t, 564t
butyric acid/butanol–acetone-producing
fermentations, 742
new species, 556–569
propionic acid-producing fermentations, 743
Clostridium acetobutylicum
acid stress, 1080
butyrate–butonal fermentation
regulation, 526
butyric acid/butanol–acetone-producing
fermentations, 742, 742
human fecal flora, dietary groups, 564t
Clostridium acidi-urici, fermentation, 521–522
Clostridium aminovalericum,564t
Clostridium aurantibutyricum
human fecal flora, dietary groups, 564t
Clostridium barati,564t
Clostridium barkeri,564t
Clostridium beijerinckii
human fecal flora, dietary groups, 564t
Clostridium bifermentans
human fecal flora, dietary groups, 564t
Clostridium botulinum
infection, 409, 407t
food-borne, 409
symptoms, 409
serotypes, 409
toxins see Botulinum neurotoxins
human fecal flora, dietary groups, 564t
Clostridium cadaveris,564t
Clostridium carnis,564t
Clostridium celatum,564t
Clostridium cellobioparum,564t
Clostridium chauvoei,564t
Clostridium clostridioforme
human fecal flora, dietary groups, 564t
taxa modifications, 556–569
Clostridium cochlearium,564t
Clostridium cylindrosporum, fermentation,
521–522
Clostridium difficile
animal models
binary toxin, 413
human fecal flora, dietary groups, 564t
infection, 412, 407t
incidence, 412–413
spores, 412–413
toxin A, 413
toxin B, 413
Clostridium fallax,564t
Clostridium felsineum,564t
Clostridium ghoni,564t
Clostridium glycolicum,564t
Clostridium haemolyticum,564t
Clostridium indolis,564t
Clostridium innocuum,564t
Clostridium irregularis,564t
Clostridium lentoputrescens,564t
Clostridium limosum,564t
Clostridium malenominatum,564t
Clostridium mangenoti,564t
Clostridium nexile,564t
Clostridium oceanicum,564t
Clostridium oriticum,564t
Clostridium paraputrificum,564t
Clostridium pasteurianum
human fecal flora, dietary groups, 564t
Clostridium perfringens
enterotoxin (CPE), Clostridium perfringens
infection, 412
human fecal flora, dietary groups, 564t
infection, 412, 412
‘pig-bel’, 412
1204 Subject Index

type A, 412
type C, 412
Clostridium plagarum,564t
Clostridium propionicum
lactate fermentation, 520
Clostridium pseudotetanicum, human fecal flora,
564t
Clostridium purinolyticum, fermentation, 522
Clostridium putrefaciens ‘B’,564t
Clostridium ramosum,564t
Clostridium sartagoformum,564t
Clostridium septicum,564t
Clostridium sordellii,564t
Clostridium sphenoides,564t
Clostridium sporosphaeroides,564t
Clostridium subterminale,564t
Clostridium tertium,564t
tetanus toxin, therapeutic applications, 460
Clostridium thermocellum
Clotrimazole, 74
structure, 72f
ClpXP, Caulobacter crescentus,240, 240, 240
flagellum, 235
ClpXP protease
restriction–modification, 364
S
synthesis, 1089f, 1089f, 1088–1089
Cl repressor, phage replication, 1108–1109
CLSI
CLUSTAL
CMV see Cytomegalovirus (CMV); Human
cytomegalovirus (HCMV)
CO
2
see Carbon dioxide
Coastal Zone Color Scanner (CZCS), global
ocean, 712
Cobalamin (vitamin B
12
)
Cobalt, microbial requirements, 795
Cocadviroid, 1165t
Coccolith(s)
see also specific species
coccolith see Coccolith
see also specific species
Cocoa
Codex Alimentarius Commission of the United
Nations
GMO guidelines, 671
GMO risk analysis, 671
Codons
bias, 950
definition, 83
CodY protein
Bacillus subtilis phosphorelay, 161–162
Bacillus subtilis regulation, 156
Coenzyme(s)
B
12
-dependent glycerol dehydratase, 517
Coenzyme A (CoA)
see also Acetyl-CoA
Coevolution, 211
definition, 202
exploitative interactions, 447
interacting genomes, 447
interacting species, 447
mutualistic interactions, 448
phage genes, 168
Cofactors
aerobic glycolysis, 738
microbial photosynthesis, 851f, 853f, 852
molybdenum see Molybdenum cofactor
(molybdopterin)
prion disease pathogenesis, 955
Coffee
Actinobacteria,1–2
Bacillus subtilis discovery, 154–155
Colanic acids, Escherichia coli capsule, 422
Cold
definitions, 485
environments, extremophiles
see Extremophiles, cold environments
Cold-active, definition, 483
Cold-active enzymes, extremophiles, 491
Cold-adapted
definition, 483
extremophiles see Extremophiles, cold
environments
Cold-shock proteins, extremophiles, 492
ColE1 plasmid
conjugation, 297t
copy number, 575
mobilization, 305
replication, 919–920
ColE2 plasmid, replication, 919–920
Coleviroid, 1165t
interference competition, 446
nontransitive interactions, 446
Coliforms
removal, municipal wastewater treatment
see also Escherichia coli;Klebsiella
ColIIB-P9 plasmid, conjugation, 297t
Coliphage T3
antirestriction, 364–365
see also Bacteriophage T3
Coliphage T5
antirestriction, 365
see also BacteriophageT5
Coliphage T7
antirestriction, 364–365
see also BacteriophageT7
Coli surface antigen (CSs), enterotoxigenic
Escherichia coli (ETEC), 410
Coli surface antigen 1 (CS1), pili assembly, 870f,
870
Colitis
definition, 405
hemorrhagic, definition, 420
Colon
fermentation in, 805
Gram-negative anaerobes see Gram-negative
anaerobic pathogens
microbiota, obesity connection, 809
normal flora, 555
cultural studies, 556
elective cholecystectomy analysis, 556
mucosa-associated, 556
molecular studies, 569
clone libraries, 570–571
DNA microarray analysis, 569–570
group–specific primers, 569–570
individual-based rarefaction curves, 571f,
572f
phylogenetic studies, 570f, 570–571
real-time PCR advantages, 569–570
Colonization factor antigens (CFAs),
enterotoxigenic Escherichia coli (ETEC), 410
Colony-forming unit (CFU)
Colpodea
Colwellia psychrerythraea
cold adaptation, 490, 493
molecular basis
cold-shock proteins, 492
enzyme interactions, 491–492
membrane fluidity, 491
temperature growth, 484
ComA, Bacillus subtilis competence, 158
Co-metabolism, definition, 1
ComK, Bacillus subtilis competence, 159
Commensal, definition, 1022
Commensalism, definition, 323
Commensal microbes
axenic animals see Axenic animals
gnotiobiotic animals see Gnotiobiotic
animals
Common cold
pleconaril therapy, 103
Common fimbriae, Escherichia coli,421
Community diversity analysis, metal extraction
(biomining), 770f,769
Community impacts, phage ecology
see Bacteriophage ecology
Community metagenomics, 756, 755t
binning, 756
scaffolds, 756
ComP, Bacillus subtilis competence, 158
Comparative analysis, metabolic reconstruction
Comparative genome analysis
Actinobacteria see Actinobacteria, genotypic
taxonomy
Mycobacterium,5–6
Comparative molecular fields analysis (CoMFA),
CTO reductions
Compatible solute
see also Sucrose
Competence, microorganism
Acinetobacter baylyi,664
Bacillus subtilis see Bacillus subtilis
calcium role, 667
definition, 574, 154, 664, 987
development, 664
DNA uptake rates, 664
Escherichia coli K12, 667
natural, Bacillus subtilis,155
quorum sensing, 988, 990
Saccharomyces cerevisiae,666
see also Transformation
Competence-stimulating peptide (CSP)
antibiotic resistance, 56
quorum sensing, 988
Competent stimulating peptide (CSP),
Streptococcus pneumoniae,1070–1071
mixed substrates, 319f, 320, 321t
mutant selection, 322
Complement fixation method
Composite transposons, 1143f, 1142
Computational resources, DNA sequencing
sample preparation, 375
Computer-based modeling, fermentation, strain
improvement, 1058
ComX peptide, 990
Concentrated sugar solutions
Conductivity, temperature, depth (CTD) rig
Confocal laser scanning microscopy (CLSM)
Conidia (conidium)
Conjugation, bacterial, 294–308, 301t, 805
antirestriction, 365
Bacteroides spp, 810
chromosome mobilization, 297
definition, 987, 29, 53
DNA metabolism, 302
leading region expression, 303
oriT organization, 302
transfer mechanism, 302
DNA replication and see DNA replication
efficiency, 930
evolutionary relationships, 307, 301t
genetic recombination, strain improvement,
1056
Gram-negative bacteria, 296, 297, 298
oriT,302
phage attachment, 300
pili, 295f, 298
Gram-positive, 299f, 297, 304, 301t
Enterococcus faecalis see Enterococcus
faecalis
mating aggregates, 304
Streptomyces see Streptomyces
mating pair formation
mating process, 295f, 295
efficiency, 296
for metal extraction (biomining) organisms,
773
natural environments, 307
physiological factors, 296
liquid vs. solid support, 296
temperature, 296
pili, 299
Subject Index 1205

Conjugation, bacterial (continued )
assembly pathway, 301, 873, 863t
incompatibility, 873
retraction, 300–301
role in conjugation, 300
structure, 299f, 299
type II, 298
see also F pili; Pili
plants, DNA transfer see Agrobacterium
tumefaciens; Plant(s)
plasmid mobilization, 305
regulation, 303
fertility inhibition, 294–295, 303
restriction–modification, 359
Conjugative elements, 296
Conjugative fimbriae, Escherichia coli,421,
421–422
Conjugative pilus, definition, 29
Conjugative plasmids, 297
mobilization, 305
see also Plasmid(s), bacterial
Conjugative transposons, 298, 297t
excision, 298
Conservation
energy, fermentation, 522
see also Biodeterioration
Consortium, definition, 762
Constriction (of cell)
cell division, 243
definition, 242
Contagion
Contig(s), definition, 369, 751
Continuous culture, 803f, 802–803, 309–326
batch culture vs.,310
biomass, 311
bioreactors, 224
cell viability, 795
definition, 309
ecological studies, 320
competition see Competition
energy limitation, 314f, 314–315
equipment, 324f, 324
design characteristics, 324–325
sterility, 324–325
growth-limiting substrate, competition
see Growth-limiting substrate(s)
historical aspects, 310
important aspects, 325
industrial applications, 321
interactions, 323
maintenance energy, 313, 315
maximum yield, 313
metabolic engineering, 323
mixed substrates, 318
non-equivalent substrates, simultaneous
limitation, 794
parameters, 312
productivity, 312f, 312
theory, 310
yeasts, 1182
yield factor, 796f, 794
Controller (C) proteins, restriction–modification
regulation, 364
Convention on the Prohibition of the
Development, Production and Stockpiling of
Bacteriological (Biological) and Toxin
Weapon and on their Destruction
see Biological warfare convention (1972)
CooA chaperone, 870
CooB chaperone, 870
CooC chaperone, 870
CooD chaperone, 870
Cooperation, experimental evolution, 444
Copepods
metal extraction (biomining), 765, 465
microbial requirements, 795
resistance, in Pseudomonas species, 983
Copper ore, mining, extremophiles, acid
environments, 465
Coprococcus,559t
Copy number, definition, 574
Corals/coral reefs
bleaching, symbioses breakdown, 403
triggers, 403
microbial adhesion, 21
‘Cord factor’, mycobacterial outer membranes,
260
Cordyceps
Coreceptor antagonists, anti-HIV agents, 103
CTO reductions
Core oligosaccharide (core OS), 695
definition, 692
lipopolysaccharide, 695
3-deoxy-D-manno-octulosonic acid,
695–696, 697–698
L-glycero-D-manno-heptose, 695–696
inner core, 695–696
Core subcomplex, VirB/D4 system, 37
Coriobacteridae, phylogeny, 16S rRNA
sequences, 7
Corn fiber (CF), solvent production
Coronatine
see also Coronofacic acid (CFA)
Coronofacic acid (CFA)
Corrosion, microbes
Cortex, Bacillus subtilis spore formation, 160f,
160–161
Corticoviridae
Corynebacteriaceae, chemical constituent
taxonomy, 4t
biotechnology applications, 18t
genotypic taxonomy, comparative genome
analysis, 5–6
human fecal flora, dietary groups, 567t
propionic acid-producing fermentations, 743
strain improvement, monosodium glutamate
production, 1055
see also specific species
exotoxins, 457f, 454, 456
pathogenicity, phages, 173
pili, 877, 877–878
sortase gene homologues, 878
glucose metabolism, 46f,46
L-glutamic acid production, 45–46
L-lysine, 46
OdhI protein, 45–46
sanitary design
definition, 751
phage ,1119
Cospeciation, definition, 202
cos sites, phage replication, 1108
Cosymbiosis, definition, 202
Coupling protein(s)
conjugation, 301t
definition, 294
Cows see Cattle
CpdR, Caulobacter crescentus,240
CPE see Cytopathic effect (CPE)
cps genes, 996
Cpx two-component system
periplasmic protein folding, 822
P pilus assembly, 867–868
Crabtree effects, 1181t
definition, 1174
Creatinine, definition, 83
Creatinine phosphokinase, telbivudine adverse
effects, 101
cre element, Bacillus subtilis
Crenarchaeota, 122f, 124t
cold deep sea, 489
definition, 118
growth characteristics, 497t
hyperthermophiles, 496
outer membrane, 264
Crescentin, 280
Caulobacter crescentus cytoskeleton, 234
Cretaceous shales
Creutzfeldt–Jakob disease (CJD), 952
classical, 953
vs. variant CJD, 953–954
genetic cases, 953
sporadic (sCJD), 953, 954
prion protein strain typing, 959f
variant see Variant CJD (vCJD)
see also Prion(s); Prion diseases
Critical dilution rate (D
C
), definition, 309
Crop(s)
protection, fungicides, 78–79
Crop diseases see Plant disease
Cro regulatory protein, phage replication, 1108
Cross-protection
bacterial stress, 1081f, 1080, 1081t
Crown gall disease, Agrobacterium tumefaciens,
30
see also Agrobacterium tumefaciens plant cell
transformation
crp genes
Cry
cryIIIA gene, Bacillus subtilis see Bacillus subtilis
Cryo-electron tomography, definition, 266
Cryogenic storage
see also Freezer(s)
Cryoglobulinemia, essential mixed, 609
Cryopegs, definition, 483
Cryopreservation
luminous bacteria, 217
extremophiles, 492
‘Cryptically luminous’ bacteria, 205
phylogeny, 16S rRNA sequences, 13
Cryptococcus neoformans
Cryptophytes
characteristics
oocyst
Cryptosporidium parvum
archaeal cell walls, 274
bacterial cell walls, 274f, 275f, 274, 274
definition, 251, 266
CsgA protein, curli composition, 875
csgBA operon, curli assembly, 875–876
csgDEFG operon, curli assembly, 876
C-signal
csrA gene/protein
mRNA degradation, 947
C-terminal, exotoxins, 453
CTLA-4 protein
CTnDOT transposon, conjugation, 297t
CtrA, Caulobacter crescentus,238f, 239, 240,
240
C-type lectin-like receptors (CLRs), HIV
infection, 652–653
Culicinomyces
Culturable atmospheric bacteria (CAB)
Cultural heritage
biodeterioration see Biodeterioration
Culture(s)
batch see Batch culture
blood
continuous see Continuous culture
enrichment, 759
insect cell, definition, 219
microbial collections
plant cell, definition, 219
solid-state see Solid-state culture
synchronous, Caulobacter crescentus,232
CumA
Cuprous copper oxidation
Curli
assembly, 875f, 875–876
environmental factors associated, 876
composition, 875
definition, 861
function, 876
1206 Subject Index

microbial adhesion, 25f, 25–26
see also Adhesion, microbial
Cuscuta,904f
Cutaneous candidiasis
Cutaneous fungal infections
Cutaneous host defences
Cutaneous infections see Skin infections; Fungal
infections, cutaneous
CXCR4, HIV infection, 647, 648
CyaB (adenylate cyclase), 1007f
cya genes
Cyanelles, cyanobacteria, 343
Cyanobacteria, 327–345
adaptations, 341
applications, 344
biodiversity, 328
phylogeny, 328
tree, 330f
taxonomy, 328
cell differentiation, 334
akinetes, 332f, 334
heterocysts, 332f, 334
nif expression, 334
hormogonia, 334
necridic cells, 335
terminal hairs, 334
cell division, 331
chemoorganotrophic potential restrictions,
327–328
commercial use, 344
cyanophycin, 331
definition, 180–181, 327
ecology, 341
edaphic, 342
evolutionary history, 343
modern vs. fossil morphology
fossil record, 343
freshwater habitats (plankton), 342
fungal symbioses see Lichens
gas vehicles, 331
global biomass estimation, 327–328
heterocyst differentiation
light harvesting, 335
phycobiliproteins, 335–336
phycoerythrocyanin, 335–336
marine plankton, 341
metabolism, 335
dark, 336
secondary, 338f,337
molecular genetics, 340
gene expression, 340
gene transfer, 340
genomes, 340
morphogenesis, 332f, 331
colonial types, 333
filamentous types, 333
growth, 331
multicellularity, 334
ultrastructure, 333f
unicellular types, 333
motility, 340
gliding, 340
nitrate/nitrogen assimilation, 338
nitrogen fixation, 338
nutrition, 337
oxygenic photosynthesis, 327–328, 846
thylakoid associations, 846
photosynthesis, 335f, 335
Calvin cycle, 336
dark reactions, 336
endosymbionts, 393
light reactions, 336
physiology, 335
regulation, 339
subsections
diagnostic key, 329t
genera, 329f
sulfidogenic environments, 342
sulfur assimilation, 339
symbionts, nitrogen fixation, 394
symbioses, 343
extracellular, 343
taxes, 340
terrestrial, 340
environments, 342
fossil evidence, 343–344
thermophilic, 341
thylakoids, 331
ultrastructure, 331, 331
carboxysomes, 331
cell envelope, 331
cyanophycin, 331
gas vehicles, 331
phycobilisomes, 331
Cyanobacterin, structure, 338f
Cyanophage, 180
Cyanophycin, cyanobacteria, 331
Cyanotoxins
Cyclic AMP (cAMP)
bacterial stress response, 1085
Cyclic diguanosine monophosphate (c-di-GMP)
flagellar gene expression, 536
signal transduction, 1011
Cyclic-diguanylate monophosphate (c-di-GMP)
phosphodiesterase(s), 1007f, 1009t
signal transduction, 1018
domains, 1014t
Cycloalkane degradation, Pseudomonas,981
Cyclohexane, phenolic, antifungal action, 67t
Cycloheximide, 72
Cyclospora cayetanensis
Cyprodinil, 73
Cyprus, urban wastewater treatment plant
Cyst(s)
Cysteine
Cystic fibrosis (CF)
Pseudomonas aeruginosa,27
Pseudomonas aeruginosa infection, 977
Cystoviridae, 169t
Cytochrome aa3,Bacillus subtilis,156
Cytochrome bd,Bacillus subtilis,156
oxidative stress, 793f, 792–793
Cytochrome caa3,Bacillus subtilis,156
Cytokine(s)
definition, 83, 640
proinflammatory see Proinflammatory
cytokines
see also Interferon (IFN); Interleukin-1 (IL-1);
other specific cytokines
Cytokinesis, 243
definition, 242
Mycoplasma,781
Cytokinin genes, Agrobacterium tumefaciens T-
DNA, 31–32
Cytolethal distending toxin (CDT),
Campylobacter jejuni infection, 416
Cytomegalovirus (CMV)
see also Human cytomegalovirus (HCMV)
Cytopathic, definition, 603
Cytopathic effect (CPE)
Cytopenias, definition, 603
Cytoplasm
bacterial cell structure, 267f, 279
Escherichia coli,423
proteinaceous filaments, 279
Cytoplasmic membrane (CM), 278
archaea see Archaea
cellular transfer, 264f, 264
composition, 253
energy conservation, 255
energy generation, 255
Escherichia coli see Escherichia coli
fluidity, 252
study methods, 253
function, 253
Gram-negative bacteria see Gram-negative
bacteria
Gram-positive bacteria see Gram-positive
bacteria
protein translocation, 255
solute transport, 256
structure, 254f, 253
integral protein anchoring, 254
lipids, 253
phospholipids, 252
selectively permeable envelope, 252
stabilization, 253
Cytoplasmic membrane transporters, 1121
Cytoplasmic sensory protein domains, 1012,
1012t
actin
Bacillus subtilis,157–158
Caulobacter crescentus see Caulobacter
crescentus
definition, 225
mycoplasmas see Mycoplasma
Cytosol, osmotic state, 822–823
definition, 603
see also CD8
+
T-cells
Cytotoxin (CTX)
definition, 405
enteroaggressive Escherichia coli (EAggEC),
412
Pseudomonas aeruginosa,976, 985
type III-secreted, 461
D
D 0870 (triazole), antifungal action, 78
Dairy
Dairy industry
see also Dairy products
Dalles, The (Oregon), Salmonella typhimurium
food-borne outbreak, 542–543
Damping-off
Darkfield microscope
Darunavir, 116
adverse effects, 116
antiviral activity, 116
chemistry, 116
mechanism of action, 116
resistance, 116
Darwin, Charles
natural selection, 440
Data analysis/assembly, DNA sequencing
see DNA sequencing
Databases see Genome sequence databases
Day care center studies (DCCs), pneumococcus,
1070
dcw cluster, definition, 242
DEAD-box motifs, restriction–modification, 364
Dead Sea, microbial composition, 124–126
Deaminating agents, as mutagens, 1051t
starch utilization, 746
Decay
see also Biodeterioration
Decay-accelerating factor (DAF), microbial
adhesion, 23
Decontamination
Deep Chlorophyll Maximum Layer (DCML),
marine habitats, 720–721
Deep-sea Crenarchaeota, 489
Deep-sea expeditions, historical aspects, 485
Deep-sea habitats
high-pressure habitats see High-pressure
habitats
sub-surface see Deep sub-surface
see also specific seas
Deep-sea hydrothermal vents, 346–356
chemolithoautotrophic bacteria, 350
free-living forms, 350
symbioses, 350
chemosynthetic basis of life, 348
chimney wall habitats, 349f
Subject Index 1207

Deep-sea hydrothermal vents (continued )
definition, 347
heterotrophic vent bacteria, 351
hyperthermophilic archaea, 351, 352t
chemolithoautotrophic archaea, 351
heterotrophic archaea, 352
uncultured archaea, 353
uncultured bacteria, 353
mid-ocean ridge, 348f, 347
fluid issues, 347
hydrothermal chimneys, 348f, 347
hyperthermophilic archaea, 347
terrestrial hot springs vs.,353
pH, 353
sulfur cycle chemistry, 353
unusual vents, 354
Guaymas, 355f, 355
Loihi, 354
Lost city, 355
see also specific archaea/bacteria
prokaryotes, in subseafloor sediments see
Subseafloor sediments
Defense Advanced Research Project Agency
(DARPA), biological warfare, 196
Defense Against WMD Act (1996), 195–196
Defensive mutualism
Dehalogenases, biotransformations
Deinking
Deinococcus radiodurans
multicopy genomes, 286
Delavirdine, 111
adverse effects, 111
antiviral activity, 111
chemistry, 111
clinical indications, 111
mechanism of action, 111
resistance, 111
fluctuation test, 441
Deletion mutants, definition, 1050
Deletion studies, transposable elements
see Transposable elements
Delisea pulchra, furanones, 1002
Delta agent see Hepatitis D virus (HDV)(delta
agent)
Demetria, phylogeny, 16S rRNA sequences, 13
Denaturing gradient gel electrophoresis (DGGE)
Dendritic cells (DCs), 653
definition, 640
distribution, 653t
host immune response, 653
HIV infection, 653
myeloid, 653
PDC vs. MDC, 653t
plasmacytoid, 653
relationship to clinical state, 654f
Salmonella infections, 416
Dengue fever
outbreaks, 384
reemergence, 384
see also Dengue fever
see also specific Nir proteins
De novo sequencing, DNA sequencing, 381–382
Density stratification, marine habitats, 711
control strategies
Dentilisin, Treponema denticola,1026–1027
3-Deoxy-D-manno-octulosonic acid (Kdo),
695–696, 697–698
Deoxyribonucleic acid see DNA
2-Deoxystreptamine
Deoxysugars
macrolides biosynthesis
Dermabacteraceae, phylogeny, 16S rRNA
sequences, 13
Dermacoccaceae
chemical constituent taxonomy, 4t
phylogeny, 16S rRNA sequences, 13
Dermacoccus, phylogeny, 16S rRNA
sequences, 13
Dermatitis
Dermatophilaceae, chemical constituent
taxonomy, 4t
Dermatophilus, phylogeny, 16S rRNA
sequences, 13
Desert
see also Extremophiles, dry environments
see also specific deserts
‘Designer drugs’, bacteriocins
Desulfobacter hydrogenophilus, reductive citric
acid cycle, 144
Desulfosporosinus, acid environments, 473–474
Desulfotomaculum
Desulfovibrio
Desulfurococcaceae, growth characteristics, 497t
Desulfurococcales, 124t
Detergents
Detoxification
arsenic see Arsenic detoxification
chemical, of exotoxins, 459
genetic, of exotoxins, 459
heavy metal
nitrogenous compounds see Nitrogen cycle
subunit vaccines, exotoxins, 460f,459
Developed countries
enteropathogenic infections, 406
Developing countries
enteropathogenic infections, 406
dev operon, Myxococcus see Myxococcus
bacteriophages, 167
Diabetes mellitus
Diacetyl
Diagnostic medium, rationalized mutation, strain
improvement, 1055
DNA sequencing see DNA sequencing
microorganisms
culture using
see also specific techniques;specific tests
Diamino acids, Actinobacteria taxonomy, 4t
Diarrhea
cholera see Cholera (Vibrio cholerae infection)
enterotoxigenic Escherichia coli (ETEC), 410
Diarrheal diseases
Diarrheal form, Bacillus cereus infection,
408–409
Diauxic growth
continuous culture, 318
quorum sensing, 987–988
yeasts, 1182
Diauxie see Carbon assimilation regulation
Diazotrophs, 715–716
Dibekacin
Dibenzothiophene (DBT)
Dicarboxylate/amino acid:cation symporter
family, 1131
characteristics, 1131
Glt
ph
,1131–1132
structure, 1131
Dichloro diphenyl trichloroethane (DDT)
typhus control
2,4-Dichlorophenoxyacetic acid (2,4-D), 936
Dictyochophyceae
Dictyostelids
Dictyostelium discoideum
experimental tractability
Didanosine, 106
adverse effects, 107
antiviral activity, 106
chemistry, 106
clinical indications, 106
mechanism of action, 106
Dideoxy terminators, Sanger DNA sequencing,
374
Diet
see also Food
Differential media, Escherichia coli,427
Diffusion sensing, 1003
Digestive tracts, 127
Diguanylate cyclase(s), signal transduction,
1010f, 1011, 1018, 1009t
domains, 1014t
2
´
,7
´
-Dihydrodichlorofluorescin (H
2
DCFDA),
oxidative stress, 1078f, 1078
Dihydroxyacetone, 526
Dihydroxyacetone kinase, 526
Dihydroxyacetone phosphate, EMP pathway
(glycolysis), 748
3,3’-Di-hydroxy-,-carotene-4,4’-dione
Dilution rate, 311
definition, 309
‘Dimer catastrophe’, 924
Dimethomorph, antifungal action, 82
Dimethylarsenate (DMA)
Dimethylsulfide (DMS)
Dimethylsulfoniopropionate (DMSP)
Dimictic
Dimorphic fungi, definition, 65–66
Dimorphic populations, Caulobacter,228–229
Dimorphism
Di-myo-inositol-1,1’-phosphate (DIP),
extremophiles in hot environments, 499
microtubules see Microtubules
biotypes
therapeutic applications, 460
see also Corynebacterium diphtheriae
Dipicolinic acid release, Bacillus subtilis spore
germination, 163–164
Diplomonads
cell structure
Direct plating, luminous bacteria, 216
Direct repeat (DR) region, Mycobacterium
tuberculosis genotypic taxonomy, 6–7
Disaccharide-pentapeptide pyrophosphate
undecaprenol (lipid II), 834f, 832, 835–836
monofunctional glycosyl-transferases, 837
Disaccharides
utilization, 746
lac operon, 745
Disease cycle, definition, 881
Disease reservoirs
Disk diffusion assay
Dissimilatory reduction of nitrate (DNRA)
see Nitrogen cycle
Dissimiliation, definition, 788
Dissociation
Dissolved organic carbon (DOC)
Dissolved organic matter (DOM)
Dissolved oxygen (DO)
Distance tree
Dithiocarbamates, antifungal action, 78, 67t
Divergence, evolutionary, 439
Divisome, definition, 242
DivIVA protein
DksA protein, transcription, 1098
DNA
Bacillus subtilis stress responses, 164
definition, 603
extracellular
extremophiles, hot environments, 498
thermostability, 498
folding
bacterial chromosomes, 288
see also Chaperone(s)
genomic, preparation see Genomic libraries
looping, bacterial chromosomes, 289
domain structures, 289
historical aspects, 289
transertion, 289
metabolism, conjugation (bacterial) and
see Conjugation, bacterial
methylation
mismatches and repair
packaging
bacteriophage see under Bacteriophage(s)
generalized transduction, 1113, 1113
probes see DNA probes
1208 Subject Index

recombinant see Recombinant DNA (rDNA)
technology
recombination, definition, 1048
repair see DNA repair
replication see DNA replication
restriction–modification see DNA
restriction–modification (R–M)
ribosomal see Ribosomal DNA (rDNA)
sequencing see DNA sequencing
shuffling see DNA shuffling
stability, specialized transduction, 1111f, 1110
supercoiling see DNA supercoiling
tangles, bacterial chromosomes, resolvement
of, 291–292
transcription
homopolymeric runs, 1101
topology, 1099, 1102
see also Transcription
translocation see DNA translocation
twisting, bacterial chromosomes, 288
Caulobacter crescentus,239
plasmid replication, 920f, 919
DNA adenine methyltransferase (Dam)
DNA-compacting proteins, bacterial
chromosomes, 289
FIS, 290
H-NS, 290
HU, 289
IHF, 289–290
LRP, 290
DNA cytosine methyltransferase(s) (Dcm)
DNA dependent DNA polymerase
entecavir mechanism of action, 99–100
telbivudine mechanism of action, 100
vidarabine mechanism of action, 92
DNA–DNA hybridization, Actinobacteria
genotypic taxonomy, 3
DNA fingerprinting see Fingerprinting
DnaJ (DnaJ protein)
protein repair, 1082–1083
DnaK (DnaK protein)
protein repair, 1082–1083
adenine methyltransferase
DNA cytosine methyltransferase
DNA methyltransferase(s)
adenine methyltransferase
definition, 357
DNA cytosine methyltransferase
DNA modification, 358
DNA microarrays
colon microflora, 569–570
metal extraction (biomining), 769f,771
A:G mismatch
extracellular DNA uptake, 670
DNA phages
Caulobacter,236–237
see also Bacteriophage(s)
archaeal, 131–132
DNA dependent see DNA dependent DNA
polymerase
plasmid replication, 917, 919–920
DNA polymerase III
DNA probes
DNA recombination
definition, 1048
see also Recombinant DNA (rDNA) techology;
Recombination, genetic
DNA repair, 1083
Archaea, 132
double-stranded breaks see Double-stranded
DNA break repair
base excision, 1083
mismatch repair
nucleotide excision
DNA replication, 245
Agrobacterium tumefaciens plant cell
transformation, 41
antimicrobial drugs, 55, 54t
Archaea, 131, 245
bacterial chromosomes see Bacterial
chromosomes; Escherichia coli
Caulobacter crescentus cytoskeleton, 234
Cenarchaeum symbiosum,131–132
conjugation and, 921
macroinitiation see Macroinitiation
definition, 915, 118
Escherichia coli see Escherichia coli
see also Chromosome replication
Sulfolobus solfataricus,245–246
viral evolution and
DNA restriction–modification (R–M), 357–368
alleviation, 364
applications, 367
biological significance, 367
commercial relevance, 367
control, 364
antirestriction systems, 364
gene expression, 364
detection, 358
DNA fragmentation assays, 359
sequence-specific screens, 359
distribution, 365
diversity, 366
enzymes, 362
base flipping, 362
DNA translocation, 363
sequence recognition, 362
evolution, 366
gene transfer barrier role, 358
historical aspects, 358
organization, 361f
plasmid transfer, 931
system classification, 361f, 360
Type I see Type I restriction–modification
(R–M) system
Type II see Type II DNA restriction-
modification (R-M) system
Type III see Type III restriction–modification
(R–M) system
Type IV, 362
system nomenclature, 359
DNase I, genomic library construction, 577
DNA sequencing, 369–382
454 Life Sciences, 376
high throughput, 379
homopolymer region problems, 378–379
method limitations, 378
paired-end sequencing, 378
costs, 378
emulsion PCR, 378
time taken, 378
pyrophosphate-based methods, 376–377
ATP sulfurylase, 377
charged-coupled devices, 377–378
enzyme cascade, 377
mechanism of action, 376–377
PicoTiterPlate, 377–378
sample preparation, 378
substitution-type errors, 378
time taken, 378
sample preparation, 378
sequence lengths, 378
sequencing by synthesis, 376–377
Applied Biosystems, 380
accuracy, 381
emulsion PCR, 380
mechanism of operation, 380
sample preparation/amplification, 380
sequencing-by-ligation techniques, 380
SOLiD technology, 380
automation, 374
fluorescent detection, 374
sample preparation, 374
slab-gel sequencers, 374
benefits, 370
capillary sequencing, 374
combined methods, 377f, 381
de novo sequencing, 381–382
high-throughput methods, 381–382
resequencing, 381–382
data analysis/assembly, 375
double-stranded randomly-fragmented
DNA, 375
Institute for Genome Research (TIGR), 375
paired-end sequencing, 375
TIGR Assembler, 375–376
diagnostics, 370
genetic variability data, 370–371
microarrays, 370
PCR-based methods, 370
specificity, 370
enzymatic improvements, 374
pyrophosphatase, 375
T7 DNA polymerase, 374–375
evolution, 371
genomic island identification, 371
horizontal gene transfer, 371
future work, 382
Helicos, 381
HeliScope, 381
mechanism of action, 381
sample preparation, 381
total internal reflection microscopy (TIRM),
381
zero wave guide technology, 381
historical aspects, 369
Maxam–Gilbert method, 372, 373
metagenomics, 372
normal environmental conditions, 372
primer identification, 372
probe identification, 372
minimum genomic size, 371
essential genes, 371–372
novel techniques, 376
see also specific techniques
pathogenicity, 371
pathogenicity islands, 371
sample preparation, 376f, 374, 375
computational resources, 375
primer walking method, 375
shotgun sequencing, 375
transposon insertion method, 375
unidirectional deletions, 375
Sanger method, 372, 373
improved method, 374
chain termination method, 374
dideoxy terminators, 374
Solexa methods, 379
benefits, 379–380
bridge amplification, 379
chain-terminated nucleotides, 379
data volumes, 380
drawbacks, 380
high-throughput, 379–380
as resequencing application, 380
run durations, 380
sample preparation, 379
sequencing-by-synthesis method, 379
technology, 373f, 372
see also specific methods
therapeutics, 371
essential genes, 371
organism-specific genes, 371
protein-specific, 371
vaccine development, 371
transposons, 1138–1141
see also Genome sequencing
DNA shuffling
DNA supercoiling
[ATP] to [ADP] ratio influences, 288
bacterial chromosomes, 288
definition, 284
extracellular environment influences, 288
historical aspects, 285
Subject Index 1209

DNA supercoiling (continued )
negative, 288
gyrase, 288
R-loops, 289
transcription influences, 288
DNA tangles, bacterial chromosomes,
resolvement of, 291–292
DNA topoisomerase(s)
definition, 284
DNA transfer
in crown gall tumorigenesis see Agrobacterium
tumefaciens plant cell transformation
see also Conjugation, bacterial; DNA
translocation; Transformation
DNA translocation, 664
DNA restriction–modification enzymes, 363
DNA uptake and release system, A. tumefaciens
VirB/D4 system, 35–36
DNA vaccines, redesign approaches, molecular
methods, 1161
DNA viruses
genome
plant classification, 903
plant pathogenic, 903
see also specific viruses
Doctor of Plant Medicine (DPM) Program, 912
Dog(s)
farm animals see Farm animals
see also specific diseases;specific species
Donnan potential, 822–823
Donor DNA, definition, 1137
Donor strand complementation, P pilus assembly,
869f
Dormancy
definition, 1147
Dos (c-di-GMP phosphodiesterase), 1007f
Dot/Icm type IV secretion system, Legionella
pneumophila,683–684, 684t
substrates, 684t
Double crossover, Bacillus subtilis,155f, 155
Double lysogens, specialized transduction, 1110
Deinococcus radiodurans see Deinococcus
radiodurans
Double-stranded DNA (dsDNA) phage, capsid
genome packaging, 174–175
Double-stranded randomly-fragmented DNA,
DNA sequencing, 375
Downstream processing
Downy mildews see Oomycetes, plant pathogenic
DpiB (histidine kinase), 1007f
DpnI, 361
Dpo4 (DNA polymerase), 132
Drinking water
Droplet, definition, 673
Drug(s)
resistance
definition, 83
small multidrug see Small multidrug
resistance (SMR)
see also Antibiotic resistance
dsDNA phages, capsid genome packaging,
174–175
DSOS response, Bacillus subtilis stress
responses, 164
Duodenal ulcer see Peptic (gastric/duodenal) ulcer
Duodenum, flora, 554
Duplication, bacterial chromosomes, 291
Dutch elm disease, 887f, 886
Dying industry
Dysbiosis, 805
Gram-negative anaerobic pathogens, 811
Dysentery
see also Shigella dysenteriae
E
EAL domain
definition, 1005
signal transduction, 1018
Ear
Early gene expression, phages, 168–169
EAST1, enteroaggressive Escherichia coli
(EAggEC), 412
EBV see Epstein–Barr virus (EBV)
EC
50
, definition, 83
antifungal action, 79, 79, 67t
Actinobacteria,2
bacteriophage see Bacteriophage ecology
definition, 20
populations see Population(s)
Econazole, 74, 67t
Economics, strain improvement, 1049, 1050
Ecophysiology
phage ecology see Bacteriophage ecology
EcoRI, cleavage site, 360t
Ecosystems
industrial, biofilms, 186
microbial mats
natural, biofilms, 185
Ectosymbiotic, symbiotic methanogens, 396
Ecuyer, Captain, biological warfare, 191
Eddy diffusion see Turbulence
Efavirenz, 111
adverse effects, 111
antiviral activity, 111
chemistry, 111
clinical indications, 111
mechanism of action, 111
resistance, 111
Effectors, definition, 881
Effector translocator system, A. tumefaciens VirB/
D4 system, 36
Efficiency of plating (EOP), definition, 357
Efficiency sensing, 1003
E genes, herpes simplex virus (HSV), 629
Elastase protease (EP), Pseudomonas
aeruginosa,976
Elasticotaxis
Elaviroid, 1165t
Elderly individuals
Electrochemical gradient(s)
Electrocompetent cells, preparation, 580
Electron acceptor, definition, 346
Electron carriers, autotrophic CO
2
metabolism
distribution, 151
Electron donor
definition, 346
Electron microscopy
Bacillus subtilis spore formation, 160–161
scanning, forensic microbiology, 547
transmission see Transmission electron
microscopy (TEM)
Electron transfer of proteins, factors affecting, 849
Marcus theory, 849–850
matrix coupling element, 850
Electron transport
Electron transport chain, definition, 251
Electron transport-coupled phosphorylation, 728
definition, 515, 728
Electron transport system
mollicutes, 782
tricarboxylic acid cycle (TCA), 740
Electrophiles
definition, 1075
oxidative stress, 1078
Electrophoresis
agarose gel see Agarose gel electrophoresis
denaturing gradient gel see Denaturing gradient
gel electrophoresis (DGGE)
pulsed-field gel see Pulsed-field gel
electrophoresis (PFGE)
two-dimensional PAGE, metal extraction
proteomics, 770f, 771
Electroporation, 580
definition, 574
–10 Element, definition, 1091
–35 Element, definition, 1091
Elemental sulfur
production, Acidithiobacillus ferrooxidans,
768
Elicitor, definition, 881
ELISA see Enzyme-linked immunosorbent assay
(ELISA)
Ellinghausen–McCullough–Johnson–Harris
(EMJH) medium, Leptospira,1032
Ellis, Emory, phages, 170
Elongation ternary complex, transcription
initiation, 1096
Embden–Meyerhof–Parnas (EMP) pathway
(glycolysis), 730f, 729
Archaea, 736f, 735, 744
ADP-dependent hexokinase, 735–736
glyceraldehyde-3-phosphate ferridoxin
oxidoreductase, 735–736
phosphofructokinase, 735–736
pyrophosphate-dependent
phosphofructokinase, 735–736
ATP generation, 731
Bacillus subtilis,156
as central metabolic pathway, 729
definition, 728
deviations, 735
Escherichia coli,424
fructose bisphosphate aldolase (FBA), 730–731
genes, 731
glucose up-regulation, 731
glyceraldehyde-3-phosphate dehydrogenase
(GADPH), 730–731
hexokinase (HK), 730
homofermentative lactic acid bacteria, 731
methylglyoxal bypass, 737f, 737
distribution, 737
NADH generation, 731
NAD/NADP, fate of, 737
aerobiosis see Aerobic glycolysis
anaerobiosis see Anaerobic glycolysis
phosphofructokinase (PFK), 730
phosphoglucoisomerase (PGI), 730
phosphoglyceratemutase (PGM), 731
phosphoglycerokinase (PGK), 731
precursor metabolites, 730f,749f, 748
dihydroxyacetone phosphate, 748
fructose-6-phosphate, 748
glucose-6-phosphate, 748
pyruvate, fate of, 737
aerobiosis see Aerobic glycolysis
anaerobiosis see Anaerobic glycolysis
pyruvate kinase (PK), 731
see also Glycolysis
Emerging diseases/infections, 383–390
definition, 383
fungal infections, definition, 65
globalization, 388
historical perspective, 383
misplaced optimism, 386
newly identified organisms and diseases
associated, 385t
plants see Plant pathogens
public health infrastructure, weakness, 386
resistance, to antiinfective drugs, 388t
solutions, 388
see also Influenza A virus (H5N1); Methicillin-
resistant Staphylococcus aureus (MRSA);
other individual infections
Emericella nidulans
Emetic type, Bacillus cereus infection, 408
EMP pathway see Embden–Meyerhof–Parnas
(EMP) pathway (glycolysis)
Emtricitabine, 109
adverse effects, 109
antiviral activity, 109
chemistry, 109
clinical indications, 109
hepatitis B, 101
mechanism of action, 109
1210 Subject Index

Emulsion PCR
454 Life Sciences DNA sequencing, 378
Applied Biosystems DNA sequencing, 380
Encephalitis
equine
herpes simplex
Japanese
Encephalitozoon intestinalis
Endemic typhus
Endocarditis, definition, 680
Endocellulase(s)
Endocrine disruptors (EDCs)
Endocytic pathway, definition, 680
Endodontal (root canal) infections, oral
treponemes, 1026
Endodyogeny
Endoflagella, spirochete, 1024f
rock-inhabiting microorganisms
Endonuclease(s)
definition, 357, 1037
D,D-Endopeptidases
penicillin-insensitive, 838–839
peptidoglycan synthesis, 838–839
L,D-Endopeptidases, peptidoglycan synthesis,
838–839
see also specific grasses
Endoplasmic reticulum (ER)
yeast, 1178t
Endospores
Clostridium see Clostridium (and clostridia)
Endosymbionts, 391–404
breakdown of symbioses, 403
chronic microbial infections of eukaryotes, 392
classification, 392
extracellular, 392
intracellular, 392
functional significance, 392
intracellular parasites see Parasite(s),
intracellular
metabolic capabilities, 392, 393t
aerobic respiration, 392
bioluminescence, 397
cellulose degradation, 396
chemoautotrophy, 393
essential nutrients provision, 395
methanogenesis, 396
nitrogen fixation, 394
photosynthesis, 392
secondary compounds synthesis, 397
symbiont-mediated modifications
on host physiology, 397
on host vigor, 397
growth rate, suppression, 401
persistence of associations, 401
host cells over microbial infections, 401
spatial control, 402
intracellular infections, 402, 402t
primary
secondary
transmission, 398
horizontal, 400
vertical, 398
Endosymbiosis, 211
bioluminescent symbiosis vs.,209–210
plastids see Plastids
plastids see Plastids
Endothiapepsin
Endotoxin(s)
definition, 692
see also Lipopolysaccharide (LPS)
End recognition sites, transposons, 1138–1141
Energy
conservation, fermentation, 522
requirements
autotrophic CO
2
metabolism
distribution, 151
Escherichia coli,424, 425t
Energy spilling
Energy subcomplex, A. tumefaciens VirB/D4
system, 36
mitochondria see Mitochondria
photosynthetic electron transport see Electron
transport
Enfuvirtide, 105
adverse effects, 105
antiviral activity, 105
chemistry, 105
clinical indications, 105
mechanism of action, 105
resistance, 105
Engine, polar, Myxococcus
Engineering optimization, strain improvement
see Strain improvement
Engulfment, definition, 154
Enhanced productivity, strain improvement, 1050
Enilconazole, 74
Enoate reductase, biotransformations
Enolase
Entner–Doudoroff pathway, 736–737
see also Phosphoglycerate enolase
Enrichment cultures, 759
Entecavir, 99
adverse effects, 100
antiviral activity, 99
chemistry, 99
clinical indications, 100
mechanism of action, 99
resistance, 100
Enteral, definition, 603
Enteric bacteria
outer membrane, 815f
restriction–modification, 366
see also individual bacterial genera
Enteric infection
bacteriophage therapy
see also Enteropathogenic infections
Enteroaggregative Escherichia coli (EAggEC;
EAEC), 426, 425t, 411, 407t
aggregative adherence fimbriae (AAF), 412
cytotoxins, 412
EAST1, 412
enterotoxins, 412
pathogenesis, 412
Shigella enterotoxin 1 (ShET1), 412
symptoms, 411–412
transmission, 411–412
Enterobacter
human fecal flora, dietary groups, 567t
Enterobacteria
mixed-acid-producing fermentations, 739f, 743
acetate kinase, 743
formate-hydrogen lyase (FHL), 743
Enterobacteriaceae
bioluminescence, 205f
definition, 420
type 1 pili, 862, 272
see also Escherichia coli; Gram-negative
bacteria
Enterobacterial common antigen (ECA), 816
Escherichia coli outer membrane, 422–423
Enterococci
vancomycin-resistant
Enterococcus faecalis
conjugation, 295f, 304
FsrB/D, 989
vancomycin-resistant
Enterococcus faecium, antibiotic resistance, 55
Enterocytes, definition, 405
Enterocytozoon bieneusi
Enterohemorrhagic Escherichia coli (EHEC),
426, 425t, 1000, 411, 407t
definition, 420
diagnosis, 427
hemolytic uremic syndrome (HUS), 411
intestinal mucosa alterations, 411
Shiga-like toxins, 426, 411
Stx1, 411
Stx2, 411
transmission, 411
Enteroinvasive Escherichia coli (EIEC),
426, 425t
Enteropathogenic Escherichia coli (EPEC), 426,
425t, 410, 407t
attachment–effacement (A/E) lesions, 426
bundle-forming pili (Bfp), 411
definition, 420
diagnosis, 427
lesions, 410–411
locus for enterocyte effacement (LEE), 410–411
pili, 878f, 876, 879–880
Tir, 411
transmission, 410
type III secretion system, 411
Enteropathogenic infections, 405–419
bacterial colonization through attachment, 409
cytoskeletal arrangement, 410
non-cytoskeletal arrangement, 409
bacterial colonization through invasion, 413
local invasion, 414
locoregional infections, 417
systemic infection, 417
definition, 406
developing world, 406
industrialized world, 406
microorganisms, 406, 407t
noninflammatory vs. inflammatory, 406
overcome host defenses, 406
pathogenic mechanisms, 408t
see also specific mechanisms
preformed toxins, 408
virulence factors, 413t
see also Campylobacter;Escherichia coli;
Salmonella;Shigella;other individual
species
Enterotoxigenic Escherichia coli (ETEC), 426,
425t, 410, 407t
coli surface antigen (CSs), 410
colonization factor antigens (CFAs), 410
definition, 420
diarrhea, 410
enterotoxins, 426
heat labile (LT) toxin, 426, 410
heat stable (HS) toxins, 426, 410
pathogenesis, 410
pili, 867, 870
Enterotoxins
definition, 405
enteroaggressive Escherichia coli
(EAggEC), 412
enterotoxigenic Escherichia coli (ETEC), 426
heat-stable see Heat-stable enterotoxins
Staphylococcus aureus,408, 1045–1046, 1045t
Enterovirus infections
antiviral agents see Antiviral agents/drugs
meningitis, pleconaril, 103
Entner–Doudoroff pathway, 517, 733f, 733
Archaea, 736f, 736–737
enolase, 736–737
gluconate dehydratase, 736–737
glycerate kinase, 736–737
2-keto-3-deoxygluconate kinase, 736–737
pyruvate kinase, 736–737
ATP-dependent hexokinase, 733
distribution, 733
aerobic Gram-negative bacteria, 733
Archaea see above
Gram-negative facultative anaerobes, 733
Escherichia coli,424
Glc-6P dehydrogenase, 733
glycolysis, 733f, 733
6-phosphogluconate dehydratase, 733
6-phosphogluconolactonase, 733
development, in hemocoel see Hemocoel
Subject Index 1211

Entomopathogenic fungi
as insecticides
see also specific species
Entomoplasmatales, 777t
Env genes/proteins
HIV, 644
see also specific gp proteins
Environmental conditions, normal,
metagenomics, 372
Environmental DNA, definition, 751
Environmental gene tags (EGTs), 757
definition, 751
Environmental microbiology
see also Bacteriophage(s); Environments
Environmental Protection Agency (EPA)
Environmental signals
detection, 1006
monitoring, 1006
Environmental tracers, phages, 172
Environments
cold
extremophiles see Extremophiles, cold
environments
glaciation periods on Earth, 488
sea ice see Sea ice
dry
arid region see Arid region
extremophiles see Extremophiles, dry
environments
extremely acidic sites
formation, 463–464
microbial role, 464
geothermal areas, 464f, 464
mine-impacted sites, 464
water issues, 466
nature, 463
organisms see Acidophiles; Extremophiles,
acid environments
origin, 463
frozen, seasonal and/or diurnal temperature
Arctic ocean, 486
polar soils, 486–487
hot
extremophiles see Extremophiles, hot
environments
microbial sulfur cycle
rationalized mutation, strain improvement,
1054
Enzyme(s)
definition, 483
engineering, amylases
starch conversion
key, 148
see also individual pathways
novel
screening, 757
overproduction, rationalized mutation, strain
improvement, 1055
Enzyme-linked immunosorbent assay (ELISA)
Epidemic, definition, 673
Rickettsia prowazekii see Rickettsia prowazekii
Epidemiology
definition, 539
surveillance of disease
see also entries beginning Cutaneous
Epididymitis
Epiglottitis
definition, 680
Epilithic habitat/associations
Epimastigote
Pseudomonas syringae,980
Epithelial cells, Campylobacter jejuni infection,
416
Epitope
definition, 603
Epoxiconazole, 75
Epoxide hydrolases
Epstein–Barr virus (EBV), 632
biology, 633
characteristics, genome and strains, 633
drugs, 634
gp350, 634
infection, 632
pathogenesis, 634
replication, 633
latency, 633–634
vaccines, 634
Epulopiscium fishelsoni
chromosome inactivation, 290–291
multicopy genomes, 286
eastern
Venezuelan
western
Equine influenza, 678
Eradication, definition, 383
Ergot
poisoning due to, 911
see also Claviceps purpurea
hallucinogenic/toxic effects, 911
Ergotism, 911
erm genes, translational control, 940f, 949
Erm resistance, macrolide resistance
Error-prone PCR, transduction, 1117–1118
Erwinia
plant pathogenic bacteria, 898
Erwinia carotovora
Erysiphe alphitoides
Erythromycin
side effects
Erythrose-4-phosphate, pentose phosphate
pathway, 750
EsaI/EsaR system, quorum sensing, 995
Escape-response proteins, 1077t
Escherichia coli,420–427
bacteriophage resistance mutations, 443
batch culture, 797f
LB broth, 799f, 797–799
pasteurized natural freshwater assimilable
organic carbon, 799f
biosynthetic reactions, 424
energy requirements, 424, 425t
nitrogen sources, 424–425
sulfur sources, 425
B strain, restriction–modification, 358
capsule, 422
colanic acids, 422
K antigens, 422
M antigens, 422
polysaccharides, 422
carbon flux, 520f
cell cycle, 243
C-period duration, 244
D-period, 243
duration, 244
multifork replication, 245f, 244
periods vs. eukaryotes, 243
regulation, 249
cell division, 247f, 246
constriction process, 243f, 243
cycle duration, 246
divisome, 246
peptidoglycan synthesis, 248
subassemblies, 246
gene organization, 249
2-min region of chromosome, 249f, 249
potential sites, 247f, 247
site selection, 247
cell wall, 423
composition, 267f, 274
peptidoglycans, 423
chemotaxis genes, 535
chromosome, 283f
circularity evidence, 285–286
replication
colicins
C strain, restriction–modification, 359f,
358–359
curli assembly, 875–876
cytoplasm, 423, 280f
cytoplasmic membrane, 423
ATP synthesis, 423
phospholipids, 423
proteins, 423
see also Cytoplasmic membrane (CM)
definition, 420
DH5strain, 575
diagnostic principles, 427
differential/selective media, 427
lactose fermentation, 427
serology, 427
DNA, 424
GC ratio, 420–421
horizontal gene transfer, 424
DNA replication, 424, 244f, 245f, 245
cycle, 245
DnaA boxes, 245
origin
oriC,424, 245
re-replication block duration, 245
temporal relationship, 244f, 244
ecology, 421
deposition, 421
feces, 421
Embden–Meyerhof–Parnas pathway, 424
enteroaggregative see EAEC)
enterohemorrhagic see Enterohemorrhagic
Escherichia coli (EHEC)
enteroinvasive see Enteroinvasive Escherichia
coli (EIEC)
enteropathogenic see Enteropathogenic
Escherichia coli (EPEC)
enterotoxigenic see Enterotoxigenic
Escherichia coli (ETEC)
Entner–Doudoroff pathway, 424, 733–734
ethanol production, 430, 431t
KO11 strain, 430
LY01 strain, 435–436, 432
LY168 strain, 433
PET genes, 431
SE2378 strain, 433
evolution, 421
as facultative anaerobe, 421
F antigens, 421
fecal contamination indicator, 421
fimbriae (pili), 861–862, 421, 272f
common, 421
conjugative, 421, 421–422
EPEC, 876
ETEC, 867, 870
F pili, 294–295, 421–422
see also F pili
F plasmids, 294–295, 421–422
incompatibility groups, 873, 873–874
R plasmids, 421–422
see also Pili
fimbrial adhesins, 23t
FimH, 24f
PapG, 24–25, 23t
flagella, 422
genes, 422
H antigens, 422
morphology, 422
genome
Salmonella typhimurium vs.,287
sequencing, 369, 424
size, 777
gluconate metabolism, 424
glycerol degradation, 517
glycogen biosynthesis see Glycogen
biosynthesis
growth, 424, 425
nutrient-rich broth, 425
H antigens, 421, 422
1212 Subject Index

hemagglutination, 862
Hfq chaperone see Hfq (RNA chaperone)
histidine kinases, 1007f
human fecal flora, dietary groups, 567t
intergeneric gene transfer, 1118–1119
K-12 strain see Escherichia coli K-12
K antigens, 867, 421
lactose, 442–443
lipopolysaccharide, 693
Kdo
2
-lipid A, biosynthetic pathway, 698f,
698–699
lipid A, 694f, 694–695
outer membrane integrity, 701
long-term cultures, 446–447
macromolecular composition, 422t
maltose transport complex, 1126
maltose-binding protein, 1126
metabolic pathways, 520f, 523
metabolism, 424
see also specific reactions
metagenomic host, 754
mRNA processing
pap operon see Pap operon
multicopy genomes, 286
natural transformation, 668
nucleoid, 424
nucleoid-associated proteins, 424
segregation of, 424
nucleoplasm, 281f
nutrition, 425
amino acid growth inhibition, 425
nutrients, 420–421
thiamine, 425
O157:H7 see Escherichia coli O157:H7
O antigens, 421
outer membrane, 815f, 814–815, 422
enterobacterial common antigen (ECA),
422–423
export channels, 819
lipopolysaccharides, 422–423
murein lipoprotein, 422–423
Omp C, 422–423
Omp F, 422–423
porins, 422–423
transport proteins, 423
oxidative stress response, 790f
pathogenicity, 425
bovine mastitis, 425
genitourinary tract, 425, 426
intestinal infections, 425, 426
K1 antigen, 427
meningitis, 425
phage CTXFrole, 173
phage role, 173
P pili, 426–427
pyelonephritis, 425, 426–427
septicemia, 425
see also specific strains
pentose phosphate pathway, 424
peptidoglycan, 275, 829f, 841
cell stationary phase, 840–841
layer, 275
assembly, 276
recycling, 840
synthesis, 837
periplasm, 423
adhesion zones, 423
proteins, 423
pH
phosphotransferase system transporters, 1132
nitrogen enzyme I, 1133
pili
porins, 817f, 816–817
quorum sensing
AI-2 signaling, 998
AI-3 signaling, 1000
ribosomes, 423
16S genes, 423
23S genes, 423
RNA, 423
RNA processing
Shiga toxin-producing
signal transduction, 1020
see also Signal transduction, bacterial
SOS response see SOS response
spirochetes vs.,1024–1025
stalks, 269
starvation response, 1076–1077
taxonomy, 420, 420
antigenic composition, 421
isozymes, 421
Shigella vs.,420–421
transcription, 424
transposable elements, 1141
tricarboxylic acid cycle, 424
uropathogenic see Uropathogenic E. coli
(UPEC)
verotoxin-producing
Escherichia coli K-12
common fimbriae (pili), 421
competence, 667
definition, 357
restriction–modification, 359f, 358
Escherichia coli O157:H7, 426
diagnosis, 427
Esophageal disease, Helicobacter pylori,601
Esophagus, normal flora, 554
aerobes, 554
anaerobes, 554
mucosa vs. aspirate samples, 554
study findings, 554
EspA protein, pilus assembly, 877f, 876
Essential amino acids
Essential genes
DNA sequencing, 371, 371–372
identification, genome-wide knockout analysis,
1141–1142
Essential mixed cryoglobulinemia (EMC),
hepatitis B virus, 609
Esters
Estuarine habitats, 709
Ethanol
biofuel development see Bioethanol
as a fuel, 428–429, 429
production/synthesis, 526–527, 220, 221,
428–437
biological pathways, 430f, 429
challenges, 435
Escherichia coli see Escherichia coli
feedstocks, 429
Fermentation Biochemistry Research Unit,
433
fermentations producing, anaerobiosis, 744
microbial biocatalysts, engineered, 434
osmolyte stress, 436
processes, 429
productivity, 431–432, 432t
Saccharomyces cerevisiae,744
sugar fermentation, 429
see also Alcoholic fermentation
definition, 495
Ethidium bromide (EtBr), gel electrophoresis,
578f, 578f, 578–579
Ethyl acetate, ethanol production, 432
Ethylene oxide (EO)
Eubacteria
acetogenic, reductive acetyl-CoA pathway, 145
restriction–modification, 365–366
Eubacterium
butyric acid/butanol–acetone-producing
fermentations, 742
human fecal flora, dietary groups, 556t, 561t
Eubacterium aerofaciens,561t
Eubacterium alactolyticum,561t
Eubacterium biforme,561t
Eubacterium budayi,561t
Eubacterium cellulosolvens,561t
Eubacterium combesii,561t
Eubacterium contortum,561t
Eubacterium cylindroides,561t
Eubacterium dolichum,561t
Eubacterium eligens,561t
Eubacterium formicigenerans,561t
Eubacterium hallii,561t
Eubacterium lentum,561t
Eubacterium limosum,561t
Eubacterium moniforme,561t
Eubacterium multiforme,561t
Eubacterium nitritogenes,561t
Eubacterium ramulus,561t
Eubacterium rectale,561t
Eubacterium saburreum,561t
Eubacterium siraeum,561t
Eubacterium tenue,561t
Eubacterium tortuosum,561t
Eubacterium ventriosum,561t
Eucarya see Eukarya
Euendolithic habitat/associations
Euglena
Euglena gracilis
colorless groups
chloroplasts
Euglenoid
flagella
see also specific groups
Eukarya
definition, 118
Eukaryotes (eukaryotic organisms)
cell cycle
periods, E. coli vs.,243
prokaryotes vs.,242–243
chronic microbial infections, 391
impact on eukaryote host, 391
categories, 391
symbiont-derived organelles, 392
location in eukaryote host, 392
endosymbionts, 392
glyoxylate cycle see Glyoxylate cycle
plasmids, phylogenetic distribution, 394f
sexual, vertically transmitted microorganism,
399–400
unicellular, dinoflagellates see Dinoflagellates
Euphausiids
Euphotic zone
definition, 708
water, definition, 711
Euprymna scolopes,Alivibrio fischeri symbiosis,
208
Europe
extremophiles, cold environments, 488
plague
European meeting on the molecular biology of the
Pneumococcus (EUROPNEUMO), 1061
Euryarchaeota, 122f
definition, 118
growth characteristics, 497t
hyperthermophiles, 496
taxonomy, 124t
Eustigmatophyceae
Eutectic temperature, definition, 483
Eutreptia-like flagellate study, acid mine
drainage, 474–475
Eutrophication
phosphorus cycle see Phosphorus cycle
Eutrophic environments/habitats
cyanobacteria see Cyanobacteria
definition, 1075
Evolution, 438–452
autotrophic CO
2
metabolism, 141
changing environments, 446
definition, 438
DNA sequencing see DNA sequencing
experimental, 438–452
genetic systems, 449
Subject Index 1213

Evolution (continued )
metabolic functions, 449
genetic changes, 449
gene transfer acquisition, 449
patterns, 438
principles, experimental tests, 440
processes, 439
theory, 438
see also Adaptation; Natural selection;
individual organisms
Excavata
Exocellulase(s)
exoC genes, Agrobacterium tumefaciens plant cell
attachment, 40
Exoenzyme S (ExoS), Pseudomonas aeruginosa,
976
Exogenous retroviruses
Exonuclease
Exopolymer
extremophiles, cold environments, 492
sea ice, 492–493
biosynthesis, 996
plant infection, 995–996
Pseudomonas syringae,979
Exotoxin(s), 453–462
AB structure–function properties, 457f, 457
ADP-ribosylation, host cell components, 458
applications, 460
bacterial toxins (other) compared to, 461
classification, 454
Corynebacterium diphtheriae,457f, 454, 456
defining statement, 454
detoxification
chemical, 459
genetic, 459
subunit vaccines, 460f, 459
general properties, 456
AB structure–function properties, 457f, 457
genetic organization, 456
host cell components modification, 458
molecular properties, 459
pathways, 458
proenzymes, 460f, 456
secretion from bacterium, 456
structural properties, 459
genetic organization, 456
heat-stable enterotoxins, 462
host cell components
ADP-ribosylation, 458
covalent modification, 458
molecular properties, 459
pathology, 456, 455t
pathways, 458
Pseudomonas aeruginosa,458
pore-forming toxins vs.,461
proenzymes, 460f, 456
properties, 454, 455t
Pseudomonas aeruginosa,458
roles, 454
secretion, 456
structural properties, 459
superantigens, 462
therapeutic applications, 460
anthrax toxin, 461
botulinum toxin, 460
diphtheria toxin, 460
tetanus toxin, 460
toxoids see Toxoids
type III-secreted cytotoxins vs.,461
Vibrio cholerae,454
Exotoxin A, Pseudomonas aeruginosa,976
Exploitative competition, phage population
ecology see Bacteriophage population
ecology
Extracellular DNA, bacterial uptake, 663–672
bacteria in water/sediments, 667
digestive system-associated bacteria, 668
donor DNA base pairing, 670
environment types, 665
factors affecting, 669
food-associated bacteria, 668
marine bacteria, 667
model limitations, 668
plant-associated bacteria, 667
predictors, GMOs and, 671
rates, 670
sediment-associated bacteria, 667
soil bacteria, 666
see also Natural transformation
Extracellular enzymes
Bacillus subtilis see Bacillus subtilis
starch utilization, 746
Extracellular matrix (ECM), microbial adhesion,
22
Extracellular nucleation/precipitation pathway
curli see Curli
pilus assembly, 875, 863t
Extracellular polymeric substance (EPS)
metal extraction (biomining), 767f, 767
see also Extremophiles
see also Thermoacidophile)
Extremophiles, 129
arid/dry regions see Extremophiles, dry
environments
biodiversity, 467
see also under Acidophiles
definition, 118
high pressure habitats see High-pressure
habitats
psychrophilic archaea see Psychrophilic archaea
see also specific types/ environments (below)
and specific species
Extremophiles, acid environments, 463–482
applications, 481
biodiversity see under Acidophiles
microbial ecology, 475
acid mine drainage (AMD) streams, 477
geothermal areas, 475
lakes, 477
mats, 478
slimes, 478
streamers, 478
outlook, 481
see also Acidophiles
Extremophiles, cold environments, 483–494
cold-adapted microbes
components and processes, 490f, 490
discovery, 483
model habitat, 493
cold definitions, 485
deep sea exploration, 485
evolution, 488
genetic mechanisms, 489
glaciation periods on Earth, 488
phylogeny, 489f, 488
low-temperature environment exploration, 486
microbial discovery, 483
astrobiology influence, 488
cold deep sea explorations, 485
earliest observations, 483
earliest terminology, 483
low temperature environment exploration,
486
exceptions, 486
molecular basis for cold adaptation, 490
cold-active enzymes, 491
cold-shock proteins, 492
cryoprotectants, 492
exopolymers, 492
membrane fluidity, 491
see also specific species; Water activity (a
w
)
see also Desert
Extremophiles, hot environments, 495–514
acetate assimilation, 500
acetate catabolism, 506
carbon dioxide assimilation, 500
acetyl-CoA pathway, 502f
methanogenesis, 500
4-hydroxybutyrate cycle, 504
3-hydroxypropionate cycle, 505f, 504
reductive citric acid cycle, 503f, 501
citramalate cycle, 507f, 507
discovery, 496
growth, 500
H
2
production, 513
heterotrophy, 508
carbohydrate metabolism, 508
peptide metabolism, 508
membrane electron transport pathway, 511f
metabolism, 500
metal compounds, 512
nitrogen compound reduction, 512
organism vs. their environment, 513
oxygen, 512
respiration, 509
sulfur compound reduction, 511
taxonomy, 496
thermostability mechanisms, 498
cell wall, 499
DNA, 498
protein, 498
upper temperature life limits, 499
field observations, 500
hyperthermophile culture studies, 499
natural microbial assemblage studies, 500
see also Hyperthermophiles; Thermophiles;
specific species
Extremozymes, 138, 138
Eye
Eyespots, algal see Algae, eyespot (ocellus)
F
F1 incompatibility (IncF1), F pili, 873–874
Facilitated diffusion, definition, 251
Facilitated glucose diffusion system(s), ethanol
production, 434
Factor for inversion (FIS)
DNA-compacting proteins, bacterial
chromosomes, 290
Facultative anaerobes, 731, 733
anaerobic glycolysis, 741
Facultative fermentative yeast, 1179t
Fallopian tubes
epithelium, 587
gonococcal infection, 587
Famciclovir, 91
adverse effects, 91
antiviral activity, 91
chemistry, 91
clinical indications, 91
mechanism of action, 91
resistance, 91
F antigens, Escherichia coli,421
Farm animals
disease studies
see also specific diseasesand animals
Fastidious bacteria, 680–691
Bartonella see Bartonella
gram-negative pathogens, 680
Haemophilus see Haemophilus
Legionella see Legionella
transmission, 681
see also specific diseases/infections
Fat(s)
modification
see also Lipid(s)
Fatal familial insomnia (FFI), 953, 953–954,
963–964, 968
epidemiology, 954
Fatty acid(s) (FAs)
biosynthesis
dependence by Mycoplasma,780–781
see also specific fatty acids
polyunsaturated
1214 Subject Index

unsaturated see Unsaturated fatty acids (UFAs)
volatile see Volatile fatty acids (VFAs)
see also Lipid(s)
Fatty acid methyl ester analysis, Actinobacteria
taxonomy, 3, 4t
see also Escherichia coli
Fecal contamination indicators
Escherichia coli,421
phages, 172
Feces
Escherichia coli,421
see also specific organism
Fed-batch cultivation, 321
definition, 219
Fed-batch reactors, solvent production see Solvent
production
Feedback inhibition
resistance, rationalized mutation for strain
improvement, 1054
Feed industry see Animal feed industry
Fenarimol, 73
Fenna–Matthews–Olson (FMO) protein
anoxygenic photosynthesis, green sulfur
bacteria, 857
Fenpiclonil, 72
Fenpropimorph, antifungal action, 79
Fermentation, 515–527, 728
acidic see Acidic fermentation
aerotolerant organisms, 522
alcoholic see Alcoholic fermentation
alkaline
amino acids see Amino acid(s)
assays
random mutations, strain improvement,
1052
strain improvement, 1058–1059
biotechnology see Biotechnology industry
brewing see Brewing
butyric acid/butanol–acetone see Butyric acid/
butanol–acetone-producing fermentations
carbohydrates see Carbohydrate(s)
carbon incorporation, 516
conditions, strain improvement, 1057–1058,
1058
continuous
definition, 515, 515, 728, 741, 1048
electron transfer, 255
energy conservation reactions, 522
energy yield, 516
ethanol production see Alcoholic fermentation;
Ethanol
facultative organisms, 522
failures, phages, 171, 181
food see Food microbiology
haloarchaea, 139
industrial
obligatory, 522
organic acids, 519
propanediol, 517
purines, 519, 521
pyrimidines, 521
regulation, 522
metabolic switch, 523, 523t
mixed acid fermentation, 524
ruminal
strain uniqueness, 1049
substrates, 515–516
continuous mode
fed batch
see also specific bioreactors
Fermentation balance(s), 516
definition, 515
ethanol, 516f
Fermentation Biochemistry Research (FBR) Unit,
sustained ethanologenicity, 433
Fermenters
definition, 309, 44
Ferredoxin
oxidation, butyric acid/butanol–acetone-
producing fermentations, 742
Ferric citrate receptor, 819f
Ferric iron
cycling, extremophiles, acid environments,
mutualistic interaction, 472–473
extremely acidic environments, mine-impacted
sites, 465
respiration, acidophiles, 468
Ferrimicrobium acidiphilum,Acidithiobacillus
thiooxidans combination, pyrite dissolution,
474f, 473
Ferroglobus, growth characteristics, 497t
Ferroglobus placidus,352t
Ferroplasma, metal extraction/biomining, 765
Ferrous iron oxidation, Acidithiobacillus
ferrooxidans,769f, 768
Ferrovum, Cae Coch, Wales (UK), 479–480
Fertility (F) factor, 294–295
Fertility inhibition (fin), 294–295, 303
Ff phage(s), host cell attachment, 300
FhlA gene/protein, 524f,525
expression, 525
Fiber
Fibrobacter succinogenes
Fifth disease see Parvovirus B19 infection (fifth
disease)
Filamentous cyanobacteria, cellular microbial
fossils see under Cyanobacteria
Filamentous fungi
human fecal flora, dietary groups, 556t
Filters
drinking water
FimA, pilus structure, 273f
Fimbriae, 861–880
adhesins, 22, 23t
definition, 405
Escherichia coli see Escherichia coli
type IV
definition, 405
Vibrio cholerae infection, 409
see also Pili
FimC chaperone
FimH complex, 868–869
structure, 868–869
fim gene cluster, type I pili expression, 866–867
FimH adhesin, 867f
Escherichia coli adhesion, 24f,24
type I pilus binding specificity, 867
Fine chemicals, production see Chemical
production
Fingerprinting
DNA
FinO protein
fertility inhibition, 303
FinP protein, fertility inhibition, 303
Firmicutes
definition, 776, 777
phylogenetic tree, 778f, 777
FIS see Factor for inversion (FIS)
FISH see Fluorescent in situ hybridization (FISH)
Fish
farming
light organs see Light organs
luminous bacteria
isolation, 217
symbiosis, 209f, 210f
Fis proteins (transcription factors), 1097
Fission
definition, 1174
Schizoaccharomyces,1181
Fistulas, specimen handling see Abscess
Fitness
definition, 438
genetic basis, 441
physiological basis, 441
unused function possession, 442
Fixed-dose combinations, anti-HIV agents, 88
Fixed rabies virus
fix genes
FixJ response regulator, 1016t
Flagella
basal body, and hook see Flagella (prokaryotic)
definition, 405
stramenopiles see Stramenopiles
Flagella (prokaryotic), 528–538, 269
archaeal, 530, 873, 271f, 270
assembly, 270
Bacillus subtilis,159
basal body, 531, 270
definition, 528
cap protein, 530
Caulobacter crescentus see Caulobacter
crescentus
cell anchoring, 270
cellular locations, 528
chemotaxis, 1009
C ring, 532
definition, 528, 405, 266
energy source, 533
Escherichia coli see Escherichia coli
export apparatus, 532
families, 529f, 529
‘filament’, 528
polymorphic transitions, 529f, 529
shape, 529f, 529
flagellin see Flagellin
function, 533
genetics, 534f, 534
che genes, 534
fla genes, 534
gene clusters, 534f, 535
gene expression hierarchy, 535
master genes, 535
mot genes, 534
transcriptional regulation, 535
global vs. internal, 536
Gram-negative, 270f, 270
Gram-positive, 270
helical parameters, 530
‘hook’, 530
hook-associated proteins, 531
hook protein, 531
length control mechanisms, 530–531,
537–538
scaffolding protein, 531
shape, 530
lophotrichous, 528–529
LP-ring complex, 532
morphogenesis kinetics, 537
filament growth, 537
hook growth, 537
morphological pathway, 536f, 536
cytoplasmic, 536
extracellular, 537
periplasmic space, 537
motor, definition, 528
MS-ring complex, 531
numbers per cell, 528
polar, 529f, 271f
genes, 535
Pseudomonas,972
rod, 532
rotational direction switching, 533
sheathed, 529
spirochete, 1024f, 1023
structure, 528, 531, 270f
torque, 533, 270
rotational direction, 533, 270
rotational speed, 533
Flagellar export system, type III, definition, 528,
537
Flagellates
see also specific infections and species
Flagellation, magnetotactic bacteria
Subject Index 1215

Flagellin, 530
Caulobacter crescentus flagellum, 235
posttranslational modifications, 530
primary structure, 530
terminal regions, 530
Flagellum see Flagella
fla genes, flagella, 534
Flavin mononucleotide (FMNH
2
),
bioluminescence, 203
see also specific diseases/infections
Flavobacterium
Flavonoid-Nod factor-kinase signaling cascade,
400f, 400
calcium spiking, 401
biotransformation see Biotransformation
dairy products see Dairy products
FleQ, Pseudomonas flagella, 972
Flexible film isolators
imports
FlgG (flagellar protein), 532
FlgH protein, flagellar structure, 532
FlgI protein, flagellar structure, 532
FlgM, Pseudomonas flagella, 972
FliA, Pseudomonas flagella, 972
FliF protein, flagellar structure, 531
FliI, flagellar structure, 532
FliK, flagella
hook length, 530–531, 537–538
rod length, 532
FliM protein, chemotaxis, 1015
FliY response regulator, 1016t
Flocked swabs
HIV infection, 646–647
Flow rate (), definition, 309
Fluazinam, antifungal action, 82
Fluconazole, 75, 75t
adverse effects, 71t
resistance, 75–76
structure, 70f
Fluctuation test, random mutation, 441
Fludioxonil, 72
Fluorescence
DNA sequencing, 374
Fluorescence polarization, membrane fluidity,
253
Fluorescent in situ hybridization (FISH)
biofilms, 185
Caulobacter identification, 229
definition, 463
Fluorescent labels, DNA sequencing, 374
Fluorescent repressor operator system (FROS)
Fluorimetry of pH-dependent fluorophores
5-Fluorocytosine, 73
mechanism of action, 73
structure, 70f
toxicity, 73, 71t
resistance
Fluquinconazole, 75
FMD see Foot-and-mouth disease (FMD)
FMDV see Foot-and-mouth disease virus (FMDV)
FNR protein (transcription regulator), ethanol
production, 433
focA–pfl operon, 524
Folate
Folic acid
see also Folate
Fomite, definition, 673
Fomivirsen, 93
adverse effects, 93, 93
antiviral activity, 93
chemistry, 93
clinical indications, 93
mechanism of action, 93
resistance, 93, 93
Food and Drug Administration (FDA)
Clostridium botulinum,409
toxins
Food chain, yeasts, 1175
Food contamination
Aspergillus see Aspergillus
mycotoxins see Mycotoxins
Food industry
xanthan see Xanthan
see also Food production
biosensors see Biosensors
bioenrichment see Bioenrichment
acidic fermentation see Acidic fermentation
proteases
sampling
spoilage see Food spoilage
thermal inactivation, 219
Food poisoning
microwave treatment
radiation see Radiation
see also specific preservation methods
Food production
microbial importance, 1049
phage therapy see Bacteriophage therapy
see also Food industry
beer see Beer
by clostridia see Clostridium (and clostridia)
by yeasts, 1184f, 1185, 1186t
eggs
meat see Meat
prevention
see also Food microbiology
aquatic
see also Carbon cycle; Nitrogen cycle;
Phosphorus cycle
microbial loop see Microbial loop
see also Microbial loop
Foot-and-mouth disease (FMD)
Foot-and-mouth disease virus (FMDV)
planktonic
see also specific species
Foreign DNA introduction, transposable
elements, 1141
Forensic microbiology, 539–551
biocrime investigations, 547
gaps to address in analyses, 548
data interpretation, 549
evidence collection, 548
evidence handling, 548
extraction of biological signatures, 548
identification of ‘unique’ signatures, 549
purification of biological signatures, 548
storage of evidence, 548
national microbial forensics network, 547
biological signatures analysis, 545
non-nucleic acid-based analyses, 546
nucleic acid-based assays, 545
CDC high-consequence pathogens and toxins,
542t
genotyping of biothreat agents, 546
hypothetical biological attack model, 541–542,
543t
infectious diseases, 541
intentional bioterrorism attack
epidemiological indicators, 543, 544t
natural outbreak distinctions, 543–544
see also Bioterrorism
law enforcement, 542
microbial response, 542
covert attack, 542–543
overt attack, 542–543, 544
potential weapon criteria, 540–541
quantitative assessments, 546
research directions, 540–541
statistics
framework issues, 549–550
human DNA vs.,550
tools, 544
essential components, 544–545
genetic markers, 544–545
questions addressed by genetic analysis,
544–545, 544t
Forensic science
definition, 539
Forest products, pulp and paper processing
see also Paper; Papermaking; Pulp
Forfomycin, 54
Formate dehydrogenase, reductive acetyl-CoA
pathway, 145
Formate hydrogenlyase (FHL), 524–525
enterobacteria, 743
Formate metabolism, 524–525
pH conditions, 525
Formic acid, prion treatment, 960
Formyl methionyl-leucyl-proline (fMLP), 590
Fortimicin A
Forty–Nation Committee on Disarmament,
biological warfare, 194
Fosamprenavir, 114
adverse effects, 114
antiviral activity, 114
chemistry, 114
mechanism of action, 114
resistance, 114
Foscarnet, 89
adverse effects, 89
antiviral activity, 89
chemistry, 89
clinical indications, 89
mechanism of action, 89
resistance, 89
Fosmid(s)
definition, 751
metagenomic analysis, 754
Fossil evidence
cyanobacteria, 343
Fouling, microbial adhesion, 21
454 Life Sciences see DNA sequencing
Fourier transform ion cyclotron resonance mass
spectrometer (FT-ICR MS), metal extraction
proteomics, 772
14-3-3, prion protein detection, 967
F pili, 294–295, 873–874
assembly, 300, 874
incompatibility groups, 874
protein homology, 874
structure, 299–300
see also Conjugation, bacterial; Pili
F plasmids, Escherichia coli fimbriae (pili),
294–295, 421–422
Fracastoro, Girolamo
definition, 1050
programmed, 950
France
France
9v
ST156, penicillin-resistant
pneumococci, global spread, 1067
Francisella tularensis, lipopolysaccharide
lipid A, 694–695
outer membrane integrity, 701
Frankia
biotechnology applications, 18t
Frasassi complex, Italy, sulfidic cave, acid
environments of extremophiles, 481
Free phages, definition, 166
Freezer(s)
Freeze-substitution, 278f, 276–277
Freezing point, definition, 483
The French disease
F replicon
chromosome mobilization, 297–298
conjugation, 297t
regulation, 303
gene expression silencing, 303
Frequency-dependent selection, 445
lakes
lotic ecosystem see Lotic ecosystems
luminous bacteria, 207
wetlands see Wetlands
see also specific organisms
Frizilator
1216 Subject Index

Frozen environments
seasonal and/or diurnal temperature
Arctic ocean, 486
polar soils, 486–487
see also Extremophiles, cold environments;
Sea ice
Fructose
operon, Spiroplasma citri,779–780, 783
transport
by mollicutes, 782
by Mycoplasma,782
utilization, 747
Fructose-1,6-bisphosphatase
gluconeogenesis, 745
Fructose-1,6-bisphosphate (FBP)
Bacillus subtilis regulation, 156–157
Fructose bisphosphate aldolase (FBA)
EMP pathway (glycolysis), 730f, 730–731
glycolytic pathways, Archaea, 736f
Fructose-6-phosphate
EMP pathway (glycolysis), 748
Fruit
Fruit body (fruiting body)
morphogenesis, Myxococcus see Myxococcus
FruR
FsrB protein, 989
FtsA protein
FtsI see PBP3 (FtsI)
FtsK protein
Fts proteins, definition, 242
FtsW protein
peptidoglycan synthesis, 835–836
Bacillus subtilis,158
Caulobacter crescentus,234, 234, 234–235,
240
cell division, 246
Z ring formation, 246f, 246
cytoskeleton, 279
Caulobacter crescentus,234, 234, 234–235
protofilament bundling, 279–280
F-type ATPase, 1128
function, 1128–1129
Fuel(s)
Archaea and, 139
ethanol as, 428–429, 429
see also Biofuels
TCA cycle, aerobiosis, 738f
tricarboxylic acid cycle (TCA), 740
Fumarate–nitrate–reductase (FNR) regulatory
protein, 523
Fumarate reductase, reductive citric acid cycle,
144
Fumigation
Functional genes, strain improvement, 1057
Functionalgenomics, metal extraction
(biomining) see Metal extraction (biomining)
Fungal infections
cutaneous see Fungal infections, cutaneous
immunocompromised individuals and, 66, 67t
plants see Fungi, plant pathogenic
skin see Fungal infections, cutaneous
systemic see Fungal infections, systemic; Fungi,
pathogenic
enzymes
see also Entomopathogenic fungi
Fungi, 65–66
aeromicrobiology
antibiotic production
biodeterioration see Biodeterioration
dimorphic, definition, 65–66
entomogenous
entomopathogenic see Entomopathogenic fungi
filamentous see Filamentous fungi
freshwater habitats
industrial applications, 65–66
mycorrhizae see Mycorrhizae
plant diseases see Fungi, plant pathogenic
spores
aeromicrobiology see Aeromicrobiology
see also Molds; specific diseases;specific groups
and species
Fungi, pathogenic
see also specific fungi
Fungi, plant pathogenic, 883, 886
classification, 888
fungal-like organisms, 888
true fungi, 889
biological, 913f
disease and, 883
biotrophs, 884
nonobligate parasites, 884
infection mechanisms, 907
see also specific infections/diseases;specific
species
Fungicide(s)
plant disease see Plant disease control
see also specific active ingredients and chemical
groups
Fur, iron-dependent regulation
Furanones, 1002
Furfural
definition, 428
ethanol production, hemicellulose hydrolysate
inhibition, 435–436
Fusion inhibitors, anti-HIV agents, 105
Fusobacterium
butyric acid/butanol–acetone-producing
fermentations, 742
human fecal flora, dietary groups, 556t, 557t
Fusobacterium gonidiaformans,557t
Fusobacterium mortiferum,557t
Fusobacterium necrogenes,557t
Fusobacterium necrophorum,557t
Fusobacterium nucleatum,807
periodontal disease, 807, 806t
Fusobacterium prausnitzii,557t
Fusobacterium russi,557t
G
GAF domain
definition, 1005
structure, 1012–1013
Gaffkya, human fecal flora, dietary groups, 559t
Gag–Pol precursor (p160), 644
Gag protein, retroviruses, 643
cleavage to capsid (CA/p24), 643
HIV, 642, 643
matrix (MA/p17), 643
nucleocapsid (NC/p7), 643
Galactose
continuous culture, 319f, 319
Leloir pathway, 747
utilization, 747
lac operon, 745
production, 322f, 322f, 322
Gall(s)
crown, tumorigenesis see Agrobacterium
tumefaciens plant cell transformation
gal operon
incorrect prophage exclusion, 1109–1110
regulation, 1097
Gambian sleeping sickness
Gammaherpesviridae, 632
see also specific viruses
Gammaproteobacteria, bioluminescence,
bacterial habitats, 210t
Gamma radiation
-region, Actinobacteria phylogeny, 7
Ganciclovir, 89
adverse effects, 90
antiviral activity, 90
chemistry, 90
clinical indications, 90
mechanism of action, 90
oral bioavailability, 90
resistance, 90
Gap(s) (DNA sequencing)
Gas gangrene
see also Clostridium perfringens
Gas phase products, bioreactors, 220
Gas phase reactants, bioreactors, 220
Gas stripping
solvent production product recovery
see Solvent production
Gastric carcinoma, Helicobacter pylori,601
Gastric lymphoma, Helicobacter pylori,601
Gastric ulcer see Peptic (gastric/duodenal) ulcer
Gastritis
acute active, Helicobacter pylori,601
chronic active, 597, 601
Gastroenteritis
see also Enteric infection
Gastroesophageal reflux disease (GERD),
Helicobacter pylori,601
Gastrointestinal (GI) microflora, humans,
552–573
Bifidobacterium longum,16
cultural studies
associated problems, 552–553
organism transport, 553
problems, 553
protocol issues, 553
techniques, 553
fecal studies, dietary group comparison, 556t
see also specific diet groups;specific
organisms
germ-free mice research, 571–573
infants
Bifidobacterium,16
flora succession, 555
influencing factors, 553
molecular studies
microbial DNA issues, 553
problems, 553
techniques, 553, 553–554
mucosal-associated populations, washing
procedure influences, 553
obese research, 571–573
research issues
selective media, 553
specimen handling, 552
stool specimens, 552
research problems, 552
studies of individuals or special groups, 571
study techniques, 553
see also specific organ;specific structure;
specific techniques
Gastrointestinal (GI) tract, human
microflora see Gastrointestinal (GI) microflora,
humans
see also Intestine; specific diseases/infections
cyanobacteria, 331
G+C content
Actinobacteria genome, 1–2
Escherichia coli DNA, 420–421
GcrA
Caulobacter crescentus,239
GehA, Propionibacterium acnes,16
Geitlerian system, cyanobacteria, 328
Gelatin
Gelatinase biosynthesis-activating pheromone
(GBAP), 989
Gemmata obscuriglobus, membrane
compartmentalization, 268f, 267–268
nucleoid, 267–268
Gene(s)
cloning, definition, 1048
definition, 1048
Aspergillus see Aspergillus
Myxococcus see Myxococcus
phages see Bacteriophage(s)
plant RNA viruses see RNA viruses, plant
regulation, 1006
see also other specific organisms
Subject Index 1217

Gene(s) (continued )
microorganisms see individual microbial
groups
order
probes
see also DNA probes
regulation, Caulobacter stalk (prostheca),
237–238
sequencing see DNA sequencing; Genome
sequencing
therapy see Gene therapy
see also Horizontal gene transfer (HGT)
to yeast/fungi, A. tumefaciens genetic
engineering, 42
see also Conjugation, bacterial;
Transduction; Transformation
transfer agents
definition, 1107
R. capsulatus,1116
General amino acid permease (GAP), yeast,
nitrogen transport, 1180
Generalized transducing phage, 1111
Generalized transduction, 1111
abortive transduction, 1114f, 1113
stimulated recombination, 1113
Bacillus subtilis,155
chromosomal recombination, 1114f, 1114
definition, 1107, 1108, 1111
DNA packaging, 1113
pac-like sequences, 1113
historical aspects, 1111
nucleotide recycling, 1114f, 1113
phage isolation/characterization, 1117
bacterial species, 1117
phage ,1115
phage properties, 1111
capsid proteins, 1112–1113
headful DNA packaging, 1111–1112
life cycle, 1112f
packaging errors, 1112
structural proteins, 1112–1113
temperate phage, 1111–1112
virulent phage, 1111–1112
plasmid inheritance, 1114f, 1114
specialized transduction vs.,1108
system development, 1114
isolation, 1115
UV irradiation, 1115–1116
see also specific phages
General secretory pathway (Sec)
see also sec secretion system
General stress response, Bacillus subtilis,164
Gene therapy
prion diseases, 956
biosafety levels see Biosafety levels
see also Cisgenesis
National Institute of Health see National
Institutes of Health (NIH)
oversights see Regulatory oversight(s)
microbes, release implications, 671
see also entries beginning Transgenic
Genetic code, definition, 1048
Genetic drift, 440
definition, 438
Genetic engineering
A. tumefaciens see Agrobacterium tumefaciens
plant cell transformation
definition, 189
macrolide rational design
see also Biotechnology
Genetic exchange
speciation, 443
see also Conjugation, bacterial;
Recombination; Transduction;
Transformation
Genetic instability, Streptomyces,14
Genetic mapping
Hfr strains, 297–298
transduction, 1118
see also Genome sequencing
Genetic markers
transduction development, 1117
Genetic probes
Genetic recombination see Recombination,
genetic
Genetic variability data, DNA sequencing
diagnostics, 370–371
Genetic variation, 438
populations, 445
sources, 439
Geneva Protocol (1925), biological warfare, 191,
193
Genital herpes, acyclovir, 86
Genitourinary tract, Escherichia coli
pathogenicity, 425, 426
Genome
definition, 369, 751, 762, 284, 708
see also entries beginning genomic or genome
multiplicity, 286
size, Caulobacter crescentus,239
see also individual microorganisms
Genome mapping
Hfr strains, 297–298
transduction, 1118
Genome sequence databases
genomic library construction, 574–584
see also specific databases
Genome sequencing
Acidithiobacillus ferrooxidans,770–771
Escherichia coli,424
genetic recombination, strain improvement,
1049
historical aspects, 369
metal extraction (biomining), 770–771
reductive pentose phosphate cycle, 148–149
see also DNA sequencing
Genome streamlining, marine habitats, 715–716
Genome transplantation, mollicutes, 785–786
Genome-wide knockout analysis see under
Transposable elements
Genomic DNA see Genome; Genomic libraries
identification, DNA sequencing, 371
Genomic libraries
cell transformation, 579
construction, 575
agarose gel electrophoresis, 578
genomic DNA preparation, 580f, 576
fragmentation, 577
purification, 576
ligation reactions, 579
protocol, 581
quality, 579
quantification, 579
strategies, 581
vectors see Vector(s)
definition, 574
entire genome coverage, 580
definition, 369, 118, 762
metal extraction (biomining) see Metal
extraction (biomining)
see also Genome sequence databases
definition, 183
Genotypic taxonomy, Actinobacteria
see Actinobacteria
Gentamicin C
Geobacillus stearothermophilus
Geobacter sulfurreducens
Geogemma strain 121, 351–352, 352t
Geoglobus, growth characteristics, 497t
Geoglobus ahangari,352t
Geosmin, structure, 338f
Geothermobacterium, growth characteristics,
497t
Geotrichum candidum
flavor production
Germany
acid mine lakes, extremophiles, 478
biological warfare, cholera accusations, 191
Germ-free animals see Axenic animals
Gerstmann–Str¨
aussler–Scheinker (GSS) disease,
953, 963–964, 968
epidemiology, 954
GFP protein, yeast cytology, 1177
GGDEF domain
definition, 1005
signal transduction, 1018
G:G mismatch repair
Giardia
infection
Gibberella moniliformis, genome size, 369
Giemsa stain
Gingival crevicular fluid (GCF)
oral treponemes, 1026f
Glaciation periods on Earth, extremophiles, cold
environments, 488
Glass, biodeterioration see Biodeterioration
Glaucophytes
Glc-6P dehydrogenase, Entner–Doudoroff
pathway, 733
glgR gene
cyanobacteria, 340
Mycoplasma,781
Myxococcus, polar engine for see Myxococcus
glnA-ntrBC operon
GlnK
GlnL response regulator, 1016t
GlnR protein, Bacillus subtilis regulation, 156
disability-adjusted life year
Global ocean see Ocean, global
Global Polio Eradication Initiative, public health
impact, 1161–1162
Globigerinida
Globin-coupled sensor domains, 1012–1013
Glomales, 889
Glomerulonephritis
definition, 603
GlpT, 1130
crystal structure, 1130
Glt
ph
, dicarboxylate/amino acid:cation symporter
family, 1131–1132
Glucokinase
EMP pathway, 730f
see also Hexokinase (HK), ATP-dependent
Gluconate, metabolism, Escherichia coli,424
Gluconate dehydratase
Entner–Doudoroff pathway, 736–737
glycolytic pathways, Archaea, 736f
Gluconeogenesis, 728, 744
definition, 728
fructose-1,6-bisphosphatase, 745
glucose-6-phosphatase, 745
poor carbon nutrients, 744
D-Glucosamine, utilization, 747
Glucosamine-1-phosphate acetyltransferase
(GlmU), 833f
Glucose
as carbon source, mollicutes (Mycoplasma),
782
catabolism see Glycolysis
consumption, batch culture, 798f
continuous culture, 318
limitation, 319–320
photosynthesis inhibition, Spiroplasma
metabolism and, 779–780
starvation, 1080–1081, 1088
transport, mollicutes, 782
see also Gluconeogenesis
Glucose dehydrogenase/gluconolactonase,
glycolytic pathway in Archaea, 736f
‘Glucose effect’ see Carbon catabolite repression
(CCR)
Glucose-6-phosphatase, gluconeogenesis, 745
1218 Subject Index

Glucose-6-phosphate
EMP pathway (glycolysis), 748
uptake, 1006
Glucose-6-phosphate dehydrogenase (Glc-6PDH)
ED pathway, 733f
PPK pathway, 734f
PPP pathway, 732f, 731
Glucosylation
definition, 357
restriction–modification, 358
Glutamate
fermentation, 521, 521t
tricarboxylic acid cycle (TCA), 743
Glutamate dehydrogenase (GDH)
batch culture, 317
Glutamate-1-semialdehyde (GSA)
aminotransferase
Glutamate synthase
L-Glutamic acid, production, 45
Glutamine
tricarboxylic acid cycle (TCA), 743
regulation
chemostat cultures, 317, 319
Glutamyl-tRNA reductase (GTR)
Glutaraldehyde
Glutarimide, natural, antifungal action, 67t
Glyceraldehyde dehydrogenase, glycolytic
pathways, Archaea, 736f
Glyceraldehyde-3-phosphate (GAP),
fermentation, 519
Glyceraldehyde-3-phosphate dehydrogenase
(GADPH)
(phosphate-dependent NAD
+
-dependent),
glycolysis in Archaea, 736f
EMP pathway (glycolysis), 730f, 730–731
Mycoplasma genitalium,782
Glyceraldehyde-3-phosphate ferridoxin
oxidoreductase (GAPOR)
EMP pathway (glycolysis), 735–736
glycolytic pathway in Archaea, 736f
3P-Glycerate dehydrogenase (PGDH) see
3-Phosphoglycerate dehydrogenase (PGDH)
Glycerate kinase
Entner–Doudoroff pathway, 736–737
glycolytic pathway in Archaea, 736f
L-Glycero-D-manno-heptose, lipopolysaccharide,
695–696
Glycerol
catabolism/degradation, 518f, 517, 1077–1078
Mycoplasma,779
oxidative, 517
metabolism, Mycoplasma,778–779
utilization, 748
yeast, sugar metabolism, 1180
Glycerol dehydratase, B
12
-dependent, 517
Glycerol ether lipid(s), definition, 251
Glycerol-3-phosphate oxidase
hydrogen peroxide formation by Mycoplasma,
778–779
Mycoplasma,778–779, 779
ADP-glucose pyrophosphorylase
see also specific enzymes associated
cAMP-mediated see Cyclic AMP (cAMP)
Glycolipids
Glycolysis, 728, 729
aerobiosis, 738
anaerobiosis, 741
Archaea, 736f, 735
deviations, 735
EMP pathway see Embden–Meyerhof–Parnas
(EMP) pathway (glycolysis)
Entner–Doudoroff pathway, 733f,733
see also Entner–Doudoroff pathway
methylglyoxal (MG) bypass pathway,
737f, 737
mollicutes (Mycoplasma), 782
pentose phosphate pathway (PPP), 732f, 731
see also Pentose phosphate pathway (PPP)
pentose phosphoketolase (PPK) pathway,
734f, 734
see also Pentose phosphoketolase (PPK)
pathway
pyruvate fate, 737
reduced NAD/NADP fate, 737
Glycoproteins, 54
Glycosidation, biotransformations
peptidoglycan synthesis, 839
Bifidobacterium longum,16
lipopolysaccharide, 706
peptidoglycan polymerization, 835, 837
Glyoxalase, methylglyoxal (MG) bypass
pathway, 737f
Glyoxalase II, methylglyoxal (MG) bypass
pathway, 737f
Glyoxylate cycle, 740
acetyl-CoA synthetase, 740–741
aerobiosis, 738f, 740
see also specific types
isocitrate lyase see Isocitrate lyase (ICLase)
malate synthase see Malate synthase (MSase)
see also specific types
Saccharomyces cerevisiae,741
Glyoxylate cycle protein (GCP)
Glyoxylate shunt
aerobiosis, 738f, 740
see also Glyoxylate cycle
Glyoxysomes
GMO
GM regulations
see also Axenic animals
Gold, metal extraction (biomining), 765
Golgi apparatus
yeast, 1178t
Gonads
toxicity of ganciclovir, 90
Gonococcal infections
diffuse
in men, 586
natural immunity, 594
treatment, 587
in women, 586
see also Gonorrhea; Neisseria gonorrhoeae
Gonorrhea
clinical manifestations, 587
see also Neisseria gonorrhoeae
prevention, 595
see also Gonococcal infections; Neisseria
gonorrhoeae
Gordonia, rubber degradation, 17–18
Gould, Stephen Jay, evolution, 444
Gp41, HIV, 644
Gp120, HIV, 644
Gp160, HIV, 644
Gram-negative anaerobic pathogens, 805–812
Bacteroides spp. see Bacteroides
colonic, 807, 811
defining statement, 805
dysbiosis, 811
Koch’s postulates, 811
microbiota shift diseases (dysbiosis), 811
normal human microbiota/human disease, 805
oral, 806, 811
other diseases, 807
periodontal disease, 806, 806t
Gram-negative bacteria
anaerobic
pathogens see Gram-negative anaerobic
pathogens
cellular compartments, 254–255
cell wall
composition, 267f, 274
S-layer, 274–275
cocci
conjugation see Conjugation, bacterial
cytoplasmic membrane, 252
definition, 251
Entner–Doudoroff pathway, 733
human fecal flora, dietary groups, 556t
magnetotactic
outer membrane proteins, 257, 820
assembly, 820
insertion, 258
lipoproteins, 257
pathogenic cocci, 589
porins, 257
substrate-specific receptors, 258
outer membranes, 254f, 256, 813–826
assembly, 820
biosynthesis, 819
channels, 817, 819
composition, 256, 814
function, 814
functional complexes, 823
lipopolysaccharides, 257
multidrug efflux pumps, 823–824
porins see Porins
protein classes, 256–257
protein secretion mechanisms, 825f, 824
structural proteins, 816
structure, 256, 816f, 814
vesicles, 257
peptidoglycan, 828f, 830, 832
cross-linkage, 830, 837–838
glycan strands, 831
linear polymer synthesis, 836–837
turnover, 840
pili, 272
expression, 873, 877
quorum sensing see Quorum sensing
Gram-negative cocci, pathogenic, 585–596, 586t
antigens, 588
capsules, 589
outer membrane proteins, 589
pili, 588
commensal species, 586t
infections, 585, 586t
antigens, 588
bacteremic, 587
extension of local infections, 586
local, 585
molecular mechanisms, 587
prevention, 594
natural immunity to, 593
see also Neisseria;Neisseria meningitidis
(meningococci)
Gram-positive bacteria
cell membrane, 252
cell wall composition, 267f, 274
cocci see Gram-positive cocci
conjugation see Conjugation, bacterial
definition, 251
ethanol production, 434
outer membranes
protein secretion, 824
peptidoglycan, 828f, 830, 832, 841
cross-linkage, 830
glycan strands, 831
lipoproteins, 832
protein associations, 832
turnover, 840
pili expression, 862, 877, 877, 863t
quorum sensing see Quorum sensing
ruminal
Gram-positive cocci
Gram staining
specimen collection/handling
Granulocytopenia, definition, 65
Granuloreticulopodia
Grass(es)
endosymbionts, 397
Grass endophytes
GreA protein, transcription regulation, 1100
GreB protein, transcription regulation, 1100
Subject Index 1219

Green algae
pathogenic parasites, 904
Green biotechnology
Green sulfur bacteria
anoxygenic photosynthesis, 857
Fenna–Matthews–Olson protein, 857
see also Chlorobium
Greigite particles
Griffith, Frederick
streptococci virulence, 666
Griseofulvin, 72
structure, 72f
GroEL protein
endosymbionts, 397
protein repair, 1082–1083
GroES protein
protein repair, 1082–1083
Gross growth efficiency (GGE)
Group A Streptococcus (GAS)
human fecal flora, dietary groups, 566t
virulence factors
see also Streptococcus pyogenes
Group B Streptococcus (GBS), 566t
Growth advantage in stationary phase (GASP),
446–447
Growth conditions
metal extraction proteomics, 772
Growth factors, yeast requirements, 1178
Growth kinetics, bacterial, 670–671
E. coli cultures
growth rates
models
Monod’s model see above
unrestricted growth
Growth limitation, definition, 788
Growth-limiting nutrient(s)
steady-state concentration maintenance,
310–311
see also Nutrient limitation
Growth-limiting substrate(s), 311
competition, 316f, 316
definition, 310
Growth media
continuous culture, 324–325
definition, 788
design, 800, 800t
ethanol production, 436
mineral salts medium, 433
osmoprotectants, 431–432
limiting nutrients, 800
preparation, 801
quality assessment, 803
sugars, 801
Growth substrate regulation, reductive pentose
phosphate cycle, 148
Guanosine monophosphate (AMP)
Guanosine tetraphosphate (ppGpp)
bacterial stress response, 1085
transcription, 1098
Guaymas, deep-sea hydrothermal vents,
355f,355
Guillain–Barr´
esyndrome (GBS)
Gut bacteria
communities, 757
extracellular DNA uptake, 668
Gymnamoebae
see also specific species
Gyrase
gyrB,Actinobacteria phylogeny, 13
H
H1N1 (influenza A) virus, pandemic episode, 675
H2N2 (influenza A) virus, pandemic episode, 675
H
2
O
2
see Hydrogen peroxide
H3N2 (influenza A) virus, 675
pandemic episode, 675
H5N1 virus see Influenza A virus (H5N1)
Habekacin
Habitats
autotrophic CO
2
metabolism distribution, 149
definition, 708, 709
3-hydroxypropionate/4-hydroxypropionate
cycle, 149–150
3-hydroxypropionate/malyl-CoA cycle,
149–150
HaeIII, cleavage site, 360t
Haemophilus,688
organism, 688
encapsulated strains, 688, 688
pathogenesis, 690
pathological consequences, 690
fimbrial adhesins, 23t
genome sequencing, 369
genome size, 369
historical aspects, 688
infection see Haemophilus influenzae infection
lipopolysaccharide biosynthesis, 592
noncapsulated strains, 688, 688
pathogenesis, 690
pathological consequences, 690
pili, 861–862
polyribosylribitol phosphate capsule structure,
688f, 688
type b
lipooligosaccharide see Lipooligosaccharide
Haemophilus influenzae infection
diagnosis, 690
epidemiology, 688
post type b vaccine incidence rate, 689f
pathogenesis, 688
CHOP, 689
factors affecting, 688–689, 689t
IgA1 effects, 689
surface structure roles, 690
pathological consequences, 690
prevention, 690
treatment, 690
antibiotic resistance, 690
vaccine, 688, 690–691
infections associated, 690
vaccine, 688, 690–691
Hafnia, human fecal flora, dietary groups, 567t
Hague Conventions, biological warfare, 193
‘Hairy-root’ disease, Agrobacterium
rhizogenes,30
Haloarchaea, 119, 119–120, 124, 124t
definition, 118
fermentation,139
photopigments, 139
‘salting in’, 126–127
taxonomy, 119–120
transcription, 133
Halobacteriales, 124t
Halobacterium
Entner–Doudoroff pathway, 736–737
sodium requirements, 795
Halobacterium halobium
flagella, polar caps, 272f, 271
S-layers, 276f, 274–275
structure, 268f, 268
Halobacterium salinarum
astaxanthin production
chromosome inactivation, 290–291
flagella, 270–271
Halobacterium sp. NRC-1, genomics, 137
Halococcus, Entner–Doudoroff pathway,
736–737
Haloferax
Entner–Doudoroff pathway, 736–737
Haloferax volcanii
Haloperoxidases, biotransformations
Halophiles
definition, 118
see also Haloarchaea
Halothece,328–331
Hamiltonella defensa, secondary symbionts, 398
HAMP domain, definition, 1005
Hamus (hami), 273f, 273
definition, 266
structure, 273f, 273
Handcuffing, plasmid replication, 923
Hantaviruses
H antigens, Escherichia coli,421, 422
Haptonema/haptonemata
Haptophytes
Harz, Carl Otto, Actinobacteria,1–2
Haustoria, definition, 881
HAV see Hepatitis A virus (HAV)
Hawaii Ocean Time-series (HOT) study, marine
habitats, 719
Haystack mutagenesis, mollicute studies, 786
Hazardous Evidence Analysis Team (HEAT),
forensic microbiology, 548
HBV see Hepatitis B virus (HBV)
HCV see Hepatitis C virus (HCV)
HD-GYP domain
definition, 1005
signal transduction, 1018
Headful DNA packaging
generalized transduction, 1111–1112
phages, 174–175
phage P1, 1112–1113
phage P22, 1112–1113
see also Bacteriophage(s)
Health risks from pathogens, in waste
Heat
Heat labile (LT) toxin, enterotoxigenic
Escherichia coli (ETEC), 426, 410
Heat shock factor(s) (HSF)
Heat shock genes, mollicutes (Mycoplasma), 783
Heat shock proteins (HSPs)
HSP104, prion diseases, 955
archaea see Archaea
Bacillus subtilis,164
sigma factors see Sigma factor(s)
Heat-stable enterotoxins, 453
enterotoxigenic Escherichia coli (ETEC),
426, 410
exotoxins vs.,462
Heavy metal(s)
Pseudomonas,983
see also specific metals
see also Heavy metal biosorption; specific
heavy metals
Helicase(s), definition, 915, 357
Helicobacteria, anoxygenic photosynthesis, 857
Helicobacter pylori,597–602
acid stress, 1080
colonization and host interaction factors, 599
adherence, 600
CagA, 600
cag PAI, 600
chemotaxis, 600
motility, 600
urease, 599
VacA, 600
definition, 597
diagnosis, 602
disease associated/infections see Helicobacter
pylori infection
evolution, 599
flagellar genes, 535
genome sequence, 599
Lewis antigens, 599
pathogenicity island, 599
historical perspective, 598
lipopolysaccharide, lipid A, 694f
microbiology, 598f, 598
nongastric species, 598
pathogenicity island, 287
population genetics, 599
restriction–modification, 366
vaccine development, 602
1220 Subject Index

Helicobacter pylori infection
diseases associated, 601
acute active gastritis, 601
allergies, 602
asthma, 601
chronic active gastritis, 601
esophageal, 601
gastric carcinoma, 601
gastric lymphoma, 601
ulcer, 601
epidemiology, 600
treatment, 602
Helicos, DNA sequencing see DNA sequencing
HeliScope, Helicos DNA sequencing, 381
Helminths
Helper T cells see CD4
+
T-cells
Hemagglutination
Escherichia coli,862
Hemagglutinin (HA)
definition, 83
influenza viruses, 673–674
Hematophagous, definition, 680
Heme (Hm)
rhizobia see Rhizobia
Heme proteins
Hemicellulases
definition, 428
ethanol production, 429f, 435
Hemicellulose hydrolysate, ethanol production
inhibitors, 435
toxicity reduction, 436
Hemocoel
Hemolysin, Staphylococcus aureus,1046, 1045t
Hemolytic anemia, definition, 680
Hemolytic uremic syndrome (HUS)
enterohemorrhagic Escherichia coli
(EHEC), 411
Hemorrhagic colitis, definition, 420
Hemorrhagic fever
ribavirin, 96
see also Hemorrhagic fever
see also specific viruses
Henle–Koch postulates
see also Koch’s postulates
Hepadnaviridae, hepatitis B virus, 613
HEPA filter
Heparan sulfate proteoglycans (HSPGs),
neisserial infection, 591
Hepatic portal system, definition, 604
Hepatic steatosis, definition, 604
Hepatitis, viral, 603–624
acute infection, 607
clinical features, 608
diagnosis, 608
fulminant disease, 608
histology, 607
laboratory features, 608
pathogenesis, 607
prodromal syndromes, 607
serologic tests, 608
symptoms, 606
treatment, 609
antiviral agents see Antiviral agents/drugs
biphasic infection, 608
chronic infection, 609
histology, 610
liver transplantation, 610
pathogenesis, 610
extrahepatic manifestations, 609
non-A, non-B (NANB)
historical perspective, 605–606
see also Hepatitis C; Hepatitis E
see also Hepatitis viruses; individual hepatitis
viruses
Hepatitis A, 611
acute, histology, 607
clinical features, 612
extrahepatic features, 611
diagnosis, 612
epidemiology, 611
intravenous immunoglobulin, 612
vaccines, 612
noninfectious, 1159
Hepatitis A virus (HAV), 611
characteristics/features, 606t
historical perspective, 605–606
lymphomas associated, 611
transmission, 606
virology, 611f, 611
Hepatitis B, 612
acute, 608
clinical features, 614
extrahepatic manifestations, 609
histology, 607
laboratory tests, 615t
pathogenesis, 607
chronic, 609–610
clinical features, 614
extrahepatic manifestations, 609
immune response, 610–611
immune-tolerant phase, 614–615
laboratory tests, 615t
liver transplantation, 610
pathogenesis, 610–611
therapy, 615
resistance, 616
diagnosis, 615
epidemiology, 614
carriage rates, 614
theories
laboratory features, serologic markers,
609f, 608
therapy, 615
emtricitabine, 101
interferon, 97
nucleoside/nucleotide reverse transcriptase
inhibitors, 101
tenofovir disoproxil fumarate, 101
vaccines, 616
children, 616
noninfectious, 1159
pregnant woman, 616
Hepatitis B virus (HBV), 612
characteristics/features, 606t
covalently closed circular DNA
(HBV cccDNA), definition, 604
historical perspective, 605–606
virology, 614f, 613
genotypes, 613
lifecycle, 613
replication, 613
Hepatitis C, 616
acute
CD8
+
T cells, 618
clinical features, 618
histology, 607f, 607
chronic, 609–610
clinical features, 618
histology, 610
liver transplantation, 610
therapy, 619
diagnosis, 618
epidemiology, 617
geographic variance, 618
sexual transmission, 618
transmission risks, 617–618
vertical transmission, 618
extrahepatic manifestations, 609
laboratory features, serologic tests, 608
therapy, 619
interferon, 98
ribavirin, 96
vaccines, 619
Hepatitis C virus (HCV), 616
characteristics/features, 606t
virology, 616
genome, 617f, 616
hepatocyte, 616–617
Hepatitis D infection, 619
clinical features, 620
coinfection, 620
superinfection, 620, 621
diagnosis, 621
epidemiology, 620
geographic distribution, 620f, 620
therapy, 621
vaccines, 621
Hepatitis D virus (HDV)(delta agent), 619
characteristics/features, 606t
historical perspective, 605–606
virology, 619
genome, 619
genomic replication, 619
genotypes, 619
Hepatitis E, 621
clinical features, 622
diagnosis, 622
epidemiology, 622
geographic distribution, 621f, 622
outbreaks, 622
fulminant disease, 608
transmission, 606
vaccines, 622
Hepatitis E virus (HEV), 621
characteristics/features, 606t
virology, 621
genome, 621
Hepatitis G virus, 622, 623
epidemiological studies, 623
Hepatitis viruses, 603–624
historical perspective, 605
‘new’ viruses, 622
hepatitis G, 623
SEN virus, 623
Torque teno, 623
research directions, 623
see also Hepatitis, viral; individual hepatitis
viruses
Hepatomegaly, definition, 604
Hepatotoxicity, definition, 83
Hepatotoxins
cyanobacterial
Herbicides
Herpes labialis, acyclovir, 87
acyclovir, 87
Herpes simplex virus (HSV), 627
characteristics/biology, 627
pathogenesis, 630
replication, 628f, 628
E genes, 629
ICP8, 629
IE genes, 629
ICP0, 629
ICP4, 629
ICP27, 629
ICP47, 629
VP16, 629
latent infection, 629
L genes, 629
viral egress from infected cells, 629
viral entry pathways, 628
viral glycoproteins, 628
replication compartments, 626f
structure, 626f
vaccines, 630
Herpes simplex virus-1 (HSV-1), 627
pathogenesis, 630
skin infections, 632
Herpes simplex virus-2 (HSV-2), 627
pathogenesis, 630
skin infections, 632
Herpes simplex virus (HSV) infections, 627
in children, 627
in immunocompromised host, 627
Subject Index 1221

Herpes simplex virus (HSV) infections
(continued )
in neonates, 627
seroprevalence rates, 627
therapy, drugs, 630
Herpesviridae, 626
structure, 626
see also Cytomegalovirus (CMV); Epstein–Barr
virus (EBV); Herpes simplex virus (HSV);
Kaposi’s sarcoma-associated herpesvirus
(KSHV); Varicella zoster virus (VZV)
Herpesvirus(es), 625–639
structure, 626
see also specific viruses
Herpesvirus infections
Herpes zoster see Shingles
Herpetoviridae see Herpesviridae
Heterococcoliths
see also specific species
cyanobacteria, 334
nif expression, 334
Heterogamic transformation, 664, 669t
Heterokonts see Stramenopiles
Heterotrichea
Heterotroph(s)
carbon requirements, 792–793
definition, 219, 346, 463
see also Heterotrophy
Heterotrophic, definition, 728
Heterotrophic bacteria
Heterotrophic eukaryotes
Heterotrophic prokaryotes
Heterotrophy, 508
carbohydrate metabolism, 508
definition, 140
extremophiles, hot environments, 508
peptide metabolism, 508
see also Heterotroph(s)
Hexokinase (HK), ATP-dependent
ED pathway, 733f
EMP pathway, 730f, 730
Hexose monophosphate shunt see Pentose
phosphate pathway
Hfq (RNA chaperone)
Hfr strains
genome mapping, 297–298
maintenance, 297–298
HHV-1 see Herpes simplex virus-1 (HSV-1)
HHV-2 see Herpes simplex virus-2 (HSV-2)
HHV-4 see Epstein–Barr virus (EBV)
HHV-6, 638
biology, 638
disease, 638
drugs, 639
pathogenesis, 639
replication, 639
vaccines, 639
virus, 638
HHV-7, 638
biology, 638
disease, 638
drugs, 639
pathogenesis, 639
replication, 639
vaccines, 639
virus, 638
High efficiency particulate air (HEPA) filter
see HEPA filter
High frequency of transfer (HFT), conjugation,
304
High-fructose corn syrup (HFCS)
Highly active antiretroviral therapy
(HAART), 103
protease inhibitors, 112
High performance liquid
chromatography–electron spray ionization
mass spectroscopy (HPLC/ESI-MS), 772
archaea
bacteria
sample collection
High-saline environments
halophiles, 118
see also Hypersaline waters
High-throughput methods
454 Life Sciences DNA sequencing, 379
DNA sequencing, 381–382
High-throughput screening (HTS)
random mutations, strain improvement,
1053–1054
High-transducing mutants, phage P22, 1113
HindII, cleavage site, 360t
HindIII, cleavage site, 360t
Histidine kinases/histidine protein kinases, 1007f,
1021, 1013, 1009t, 1086
cytoplasmic signal transduction modules, 1013
domains, 1013, 1014t
CHASE 4 sensor, 1018, 1019t
HATP, 1013
HisKA, 1013
periplasmic sensor, 1013–1015
The Histidine Protein Kinases Reference Page,
1008–1009, 1008t
Histone(s)
Archaea, 131
definition, 495
Histone-like nucleoid structuring protein (H-NS),
DNA-compacting proteins, 290
see also individual scientists and topics
Hitchhiking hypothesis, 450–451
HIV
accessory proteins, 644
assembly,648
definition, 641
envelope proteins, 644
Gag protein, 642, 643
genetic diversity, 644
genomic organization, 642
infection see HIV infection
latency, 649
long terminal repeats, 642–643
Pol protein, 642
regulatory proteins, 644
release from cells, 648
structure, 642f, 642
transmission, 645
human cell susceptibility, 647t
macrophage cells, 646
mucosal-lining cells, 646
viral protein processing, 643f
HIV-1
classification, 645
HIV-2 vs.,642
recognition of, 641
subclasses
group M, 645
HIV-2, 642
classification, 645
HIV-1 vs.,642
HIV infection, 647
acute, characteristics, 645t
adaptive immune response, 656
CD8+ T lymphocyte response, 658
CD8+ T lymphocytes, 658
humoral response, 656
ADCC, 656
anti-HIV neutralizing antibodies, 656
detrimental effects of anti-HIV
antibodies, 656
T lymphocyte response, 656
see also CD4
+
T-cells
APOBEC3G, 649
blood screening tests, 646
capsid-specific restriction factors, 648f
cell effects, 650
clinical outcome, 660
high risk seronegative individuals, 660–661
long-term nonprogressors, 660–661
long-term survivors, 660–661
cytopathology, 650
detection assays, 646
effects on immune system, 650
future directions, 661
history
host immune response, 652
dendritic cells, 653
innate response, 652
NK cells, 655
see also HIV infection, adaptive immune
response
latency, 649
monkey cells, 649
pathogenesis, 659
early period, 659f, 659
persistent period, 659
symptomatic period, 660
positive vs. negative children, invasive
pneumococcal disease, 1062, 1062
progression, factors affecting, 660
quiescent cells, 649
reemergence, 385–386
replication, 647
treatment, 661
antiviral therapy see Antiviral agents/drugs
virus–cell fusion and entry, 648
virus production differences in infection, 649
intracellular factors, 649
natural cellular resistance, 649
virus–receptor interactions, 647
primary receptor see CD4 protein/antigen
secondary receptors, 647
see also AIDS; specific countries/world regions;
specific opportunistic infections
H-NS protein (DNA binding protein)
pilus biogenesis, 879
transcription, 1097
Holin, phage lysis, 175
see also specific species
Holoenzymes, stress response, 1083–1084
Homeland Security Act (2003), 195–196
Homoethanol pathway
definition, 428
nonrecombinant production, 430f, 433
Homofermentative lactic acid bacteria, EMP
pathway (glycolysis), 731
Homolog(s)
Agrobacterium tumefaciens genetic
engineering, 42
plasmid replication, 925f, 924
transduction, 1119
Homology
Homology-facilitated illegitimate recombination
(HFIR), 665
Homopolymer regions, 454 Life Sciences DNA
sequencing, 378–379
Homoserine lactones
N-3-hydroxy-butanoyl-HSL (3-OH-C4-HSL),
212–213
N-(3-oxododecanoyl)-L-HSL (3OC
12
-HSL),
992
N-(3-oxo-hexanoyl)-HSL (3OC
6
-HSL), 992
N-octanoyl HSL (C
8
-HSL), bioluminescence,
992
Homosexual men
Hong Kong
Hook, flagella see Flagella (prokaryotic)
Hook-associated proteins (HAPs), flagella
structure, 531
Hops
Horizontal gene transfer (HGT), 1107–1108
Actinobacteria genotypic taxonomy, 5–6
competition model see Competition model
complexity hypothesis see Complexity
hypothesis
conjugative pili see Conjugation, bacterial
1222 Subject Index

considerations, 670
definition, 202
DNA sequencing, 371
Escherichia coli,424
extracellular DNA uptake
frequency, 669
phages, 170
plasmids see Plasmid(s), bacterial
Pseudomonas aeruginosa,1119–1120
transduction, 1119
see also Transduction
transformation see Transformation
see also Natural transformation
Horizontal reproduction
Horizontal resistance
Horizontal transmission
definition, 391
microbial symbionts, 400
chemical signaling, 400
flavonoid-Nod factor-kinase signaling
cascade, 400f, 400
Hormogonia, cyanobacteria, 334
Horse, infections see entries beginning Equine
Hospital(s)
Host-adapted gene transfer modules, gene
transfer agents, 1116
immune vs. non-immune-mediated alterations
see Immune system
Host cell components, covalent modification,
exotoxins, 458
Host chromatin integration, Agrobacterium
tumefaciens plant cell transformation, 41
see also Agrobacterium tumefaciens
Host defenses
evasion
innate immunity
skin
Host ranges
rhizobia see Rhizobia
Hostuviroid, 1165t
Hot springs (acid pH)
Housekeeping genes
Actinobacteria phylogeny, 13
HPr (protein in phosphotransferase system),
1132–1133
mollicutes, 784
see also Phosphotransferase system (PTS)
HPrK (protein kinase), Mycoplasma pneumoniae,
784
HPV see Human papillomavirus (HPV)
HSP see Heat shock proteins (HSPs)
HSP104, prion diseases, 955
HSV see Herpes simplex virus (HSV)
HSV-1 see Herpes simplex virus-1 (HSV-1)
HSV-2 see Herpes simplex virus-2 (HSV-2)
HU, DNA-compacting proteins, bacterial
chromosomes, 289
Human African trypanosomiasis
infection
SARS
Human cytomegalovirus (HCMV), 636
biology, 637
disease, 636
congenital infection, 637
drugs, 638
infection in immunocompromised host, 637
pathogenesis, 637
replication, 637
vaccines, 638
virus, 637
see also Cytomegalovirus (CMV)
Human herpesvirus (HHV) see specific HHV
Human host, microbial adhesion, 21
Human immunodeficiency virus see HIV
infection
Human papillomavirus (HPV)
definition, 102
infection
noninfectious vaccines, 1159
infection
Human polymorphonuclear (PMN) leukocytes,
porins, effects, 590
infection
infection
Human T-cell leukemia virus I (HTLV-I)
Human T-cell leukemia virus III (HTLV-III)
AIDS, 642
see also HIV
Humoral immune response
definition, 604
evasion
Humoral immunity
definition, 640
see also Antibodies
Husbandry see Animal husbandry
Huxley, Julian
Huxley, Thomas Henry
Hydrocarbon(s)
aromatic see Aromatic hydrocarbons
microbial growth, 221
Hydrogen
interspecies transfer
isotope
microbial requirements, 793
Hydrogenase(s), fermentation, 516f, 516–517
Hydrogenobacter thermophilus, reductive citric
acid cycle, 143, 144
Hydrogen peroxide (H
2
O
2
)
cytotoxicity of Mycoplasma pneumoniae,
778–779
formation by Mycoplasma,782
protein oxidation, 1086–1087
Hydrogen sulfide
Hydrolases
Hydrolytic enzymes
Actinobacteria,2
see also Hydrolases
Hydrophobia
HydroShear, 577–578
Hydrothermal vents, 128
deep-sea see Deep-sea hydrothermal vents
p-Hydroxybenzoic acid derivatives (p-HBAD),
structure, 1151f
N-3-Hydroxy-butanoyl-HSL (3-OH-C4-HSL),
quorum sensing, 212–213
4-Hydroxybutyrate cycle, extremophiles, hot
environments, 506f, 504
4-Hydroxybutyryl-CoA dehydratase, 147
Hydroxylation, peptidoglycan synthesis, 832
3-Hydroxypalmitic acid methyl ester
(3-OH PAME), 1001
3-Hydroxypropionate/4-hydroxypropionate
cycle, 146f, 141, 147
Chloroflexus aurantiacus,147
distribution, 151, 150t
nutrients, 151
habitats, 149–150
4-hydroxybutyryl-CoA dehydratase, 147
intermediates, 147
key enzymes, 148
malonyl-CoA reductase, 147
Metallosphaera sedula,147
NADPH-dependent malonyl-CoA
reductase, 147
regulation, 152
3-Hydroxypropionate/malyl-CoA cycle, 146f,
141, 145
acetyl-CoA carboxylase, 145–146
Chloroflexus aurantiacus,145
distribution, 151, 150t
habitats, 149–150
extremophiles, hot environments, 505f, 504
key enzymes, 148
malonyl-CoA reductase, 146–147
L-malyl-CoA lyase, 147
Metallosphaera sedula,145
propionyl-CoA carboxylase, 145–146
propionyl-CoA synthase, 146–147
regulation, 152
succinyl-CoA:malate CoA transferase, 147
Hygromycin B
Hygromycin resistance genes, transfer, 666
Hypercholesterolemia, therapy
Hypermutable sequences, evolution, 451
Hypersaline waters
lakes, 124–126
see also High-saline environments
Hypersensitive response (HR), definition, 971
Hypersensitive response and pathogenesis
(Hrp), 877
abacavir, 108
Hyperthermophiles (extreme thermophile;
thermoacidophile), 119, 121–122, 505f,
495, 497t
carbon dioxide assimilation pathways,
505–506
4-hydroxybutyrate cycle, 505f, 504
reductive citric acid cycle, 502–503
culture studies, 499
definition, 346, 495
DNA stability, 129
environment relationship, 496, 513
genera and environment types, 496
genomics, 134–135
growth temperature optima, 469t
respiration, 510–511
nitrogen compound reductions, 511
sulfur compound reductions, 511
taxonomy, 496
thermostability mechanisms, 498
cell wall, 499
DNA, 498
protein, 498
see also Extremophiles, hot environments;
specific species
Hyperthermophilic archaea, deep-sea
hydrothermal vents, 351
heterotrophic archaea, 352
Hyperthermus, growth characteristics, 497t
Hyphae, 269
aerial see Aerial hyphae
growth, Streptomyces see Streptomyces
Hyphomonas, stalks, 269f, 269
Hyphomycetes
Hypocreales
Hypothermal environments, autotrophic CO
2
metabolism distribution, 151
Hypoxia
I
IAP75 (chloroplast import-associated channel
protein), 258
Ice formations (on Earth)
cold-adapted microbes, ice crystal control, 492
seasonal and/or diurnal temperature
swings, 486
sources, 486
see also Sea ice
Icofungipen, 82
Idoxuridine, 92
adverse effects, 92
antiviral activity, 92
chemistry, 92
clinical indications, 92
mechanism of action, 92
resistance, 92
IE genes, herpes simplex virus, 629
ICP0, 629
ICP27, 629
ICP47, 629
VP16, 629
Ignicoccus
4-hydroxybutyrate cycle, 504–505
outer membrane, 264
Subject Index 1223

Ignicoccus (continued )
transfer, 264f, 264
Ignicoccus hospitalis, autotrophic CO
2
metabolism, 148
Ignicoccus pacificus,352t
Ignisphaera, growth characteristics, 497t
IHR
IL-1 see Interleukin-1 (IL-1)
Ileal flora, 555
microbial counts, 555
Illegitimate recombination, 665
incorrect prophage exclusion, 1110f,
1109–1110
Imidazoles, antifungal action
fused-ring, 73
N-substituted, 74
Imipenem resistance, Pseudomonas aeruginosa,
977–978
Imiquimod, papillomavirus infections, 102
Immobilization
Immobilized cell, definition, 44
solvent production see Solvent production
yeast growth, 1182–1183
Immune evasion
Immune suppression
Immune system
see also Antibodies
innate
skin
see also Immunity
Immunity
adaptive
innate
see also Immune system
Immunization
Immunocompetent, definition, 625
Immunocompromised, definition, 625
Immunocompromised individuals
definition, 65
pleconaril, 103
Immunodeficiency
Immunofluorescence
Immunogenicity, definition, 1154
see also Antibodies
secretory
Immunology
see also Immune system
Immunomodulation, reversible, CJD therapy, 956
Immunosuppressant drugs
Imp (increased membrane permeability), 821
IM protein transfer, Agrobacterium tumefaciens
plant cell transformation, 38–39
Incertae sedis bacteria, cellular microbial fossils
conjugation, DNA transfer, 302
IncI1 transfer system(s), conjugation, 301
Inclusion bodies
definition, 1075
protein overproduction, 1083f, 1083
Inc mechanism, plasmid segregation, 926
Incompatibility, conjugative pili, 873
Incorrect prophage exclusion see Specialized
transduction
replication ranges, 932
IncQ replicons, 922
Incubation times see individual infections
India
Indicator organism
Indigenous flora
see also Gastrointestinal (GI) microflora,
humans
Indinavir, 113
adverse effects, 113
antiviral activity, 113
chemistry, 113
mechanism of action, 113
resistance, 113
Indirect fluorescent antibody (IFA), Legionella
pneumophila serogroup 1, 682
Individual gene targeting, transposable elements,
1142
3-Indoleacetic acid (IAA) see Auxin (indole-3-
acetic acid, IAA)
Indole-diterpene
Indolicidin, synthetic, 82
Induced mutations, 1050–1051
Inducer exclusion
Induction, definition, 166
biofuels see Biofuels
medical biotechnology see Medical
biotechnology
see also Biotechnology industry; specific
products
Industrialized world see Developed countries
Industrial wastewater see Wastewater, industrial
Industry and industrial importance, 1049
Actinobacteria see Actinobacteria
Archaea, applications of, 138
wastewater treatment see Wastewater
treatment, industrial
see also individual organisms/fermentation
products
Infants
gastrointestinal tract flora, 16, 555
infC gene, translation initiation repression, 950
Infection(s)
bacterial see Bacterial infections
chronic, 391
emerging see Emerging diseases/infections
enteropathogenic see Enteropathogenic
infections
fungal see Fungal infections
opportunistic see Opportunistic infections
surveillance
virus
see also Infectious disease; individual infective
organisms/infections
Infection pressure, prions, 954
Infection threads
Infectious disease
global burden
see also Infection(s)
Infectious waste
animal by-products see Animal by-products
(ABP)
Inflammation
Campylobacter jejuni infection, 416
local, Shigella infections, 415
Inflammatory response
Influenza (animal/avian), 673–679
avian see Avian influenza
nonhuman mammalian species, 678
Influenza (human), 673–679, 673
causative agent, 673
historical aspects, 673
see also Influenza virus
disease features, 674
global public health measures
historical perspective, 673
pandemics, 675f, 675, 675
antigenic drift, 675–676
historical perspective, 675
pregnancy predisposition, 674
prevention, 679
nonpharmacological intervention
proposals, 679
respiratory characteristics, 674
seasonal epidemics, 675f, 675
transmission, 674
treatment, 679
amantadine, 94
antivirals, 95, 673–674
vaccines, 679, 1157
noninfectious, 1158
see also Influenza virus
historical pandemic episodes, 675
infection (in humans), 677
seasonal epidemics, 675f, 675
reinfection, 675
subtypes
H1N1, pandemic episode, 675
H2N2, pandemic episode, 675
H3N2, 675
pandemic episode, 675
H5N1 see Influenza A virus (H5N1)
H9N2, 678
Influenza A virus (H5N1), 384, 675, 676–677
antiviral development, 97
avian influenza in humans, 677–678
vaccine advancements, 1161
infection (in humans), 677–678
H9N2, 678
NS1/PB2 gene associations, 678
preclinical
see also Avian influenza virus
Influenza B virus
historical pandemic episodes, 675f, 675
seasonal epidemics, 675f, 675
reinfection, 675
Influenza virus
genomic RNA characteristics, 673–674
nuclear export protein role, 673–674
glycoproteins, 673–674
hemagglutinin, 673–674
historical aspects, 673
life cycle/viral replication
hemagglutinin, 673–674
M2 protein, 673–674
neuraminidase, 673–674
nuclear export protein, 673–674
molecular pathogenesis, 676
PB1 genes, 676
virulence, 676
neuraminidase A (NA), 673–674
antiviral mechanism of action, 95
replication cycle, 673–674
transmission, 674
see also Influenza B virus
In-frame deletions, transposable elements,
1140f, 1143
In-frame microinsertions, transposable
elements, 1143
In-frame substitutions, transposable
elements, 1143
Initiation factors
eukaryote see individual eukaryotic initiation
factors (under eukaryotic)
Initiation ternary complex, transcription
initiation, 1096
definition, 640
evasion
viral infection, 1154–1155
Inoculation
Inorganic carbon species, definition, 140
Inorganic components
Inorganic nitrogen, Caulobacter oligotrophy, 231
Inorganicphosphate
Inosine monophosphate (IMP)
D-myo-Inositol-3-phosphate synthase
Inoviridae, 169t
Insect(s)
cell culture, definition, 219
fungi associations
general feeders, microbial endosymbioses, 395t
microbial endosymbioses, 395, 395t
plant sap feeders, microbial endosymbioses,
395t
vertebrate blood, microbial endosymbioses,
395t
Insecticides
microbial
Insect viruses (IVs)
Insertion mutations see Mutation(s)
Insertion sequences, Pseudomonas,985
1224 Subject Index

Insoluble metal sulfides, solubilization
mechanisms, 768
Institute for Genome Research (TIGR), DNA
sequencing, 375
Insulin
resistance (IR), definition, 604
Int,946
Integrase inhibitors, anti-HIV agents, 112
Integrated Disease Surveillance and Response
(IDSR)
Integrating conjugative element(s) (ICE), 294–295
definition, 294
Integration host factor (IHF)
DNA-compacting proteins, bacterial
chromosomes, 289–290
metabolic switch, 523
Integrative plasmids, definition, 154
Integron(s)
co-resistance, 61f, 60–61
classes, 60–61
definition, 915, 53
Intellectual property
as mutagens, 1051t
Interference
competition, 446
Interferon (IFN)
definition, 83
poliovirus infection
Interferon-(INF-), chlamydial infection
Interferon (IFN) therapy, 97
adverse effects, 98
antiviral activity, 97
chemistry, 97
clinical indications, 97
hepatitis B, 97, 615
hepatitis C, 98
papillomavirus infections, 102
mechanism of action, 97
pegylated interferon, 97, 98, 619
recombinant DNA technology, 97
resistance, 98
Intergeneric gene transfer
Salmonella,1118–1119
transduction, 1118
Interleukin-1 (IL-1)
Salmonella infections, 416
Shigella infections, 415
Interleukin-18 (IL-18)
Salmonella infections, 416
Shigella infections, 415
Intermediary metabolism see Central metabolism
Intermediate-early gene expression, phages,
168–169
Internalin A, Listeria monocytogenes
infection, 418
Internalin B, Listeria monocytogenes
infection, 418
Internal initiation
Internalins
see also specific internalins
Internal ribosome entry sites (IRESs)
International Code of Nomenclature of Bacteria,
cyanobacteria, 328
International Health Regulations (2005),
definition, 383
International Health Regulations (IHR)
1969 Regulations, emerging infections,
388–389
2005 Regulations, 389
International Normalized Ratio (inr)/
prothrombin time, definition, 604
International Symposium on Pneumococci and
Pneumococcal Diseases (ISPPD), 1061
International typing Series of Bacteriophages,
Staphylococcus,1041–1042
International Working Group on Mycobacterial
taxonomy, 3
Interon-containing plasmids (ICPs), replication
regulation, 923f, 924f, 922
Interpeptide bridge, Actinobacteria taxonomy, 4t
Interspecies H
2
transfer
Interspecies recombination, 669t
Interspecific protoplast fusion, definition, 1048
Intestinal microbiota see Gastrointestinal (GI)
microflora, humans
Intestine
axenic animals see Axenic animals
gnotiobiotic animals see Gnotiobiotic
animals
Escherichia coli pathogenicity, 425, 426
microflora research issues, factors
influencing, 553
small, normal flora, 555f, 554
see also Colon; Gastrointestinal (GI) tract,
human
Intestiphage
int gene, 946
Int protein
incorrect prophage exclusion, 1109–1110
phage replication, 1108–1109
Intracellular bacterial communities (IBCs),
uropathogenic E. coli adhesion, 26–27
chromosome dynamics see Chromosome(s)
Intracellular parasites see Parasite(s), intracellular
Intrasporangiaceae
chemical constituent taxonomy, 4t
phylogeny, 16S rRNA sequences, 13
Intravenous administration
Intravenous drug users (IDUs)
Invasive aspergillosis
Invasive pneumococcal disease (IPD), nine-valent
conjugate vaccine, 1062
Invertebrates, microbial endosymbioses, 395–396
In vitro technology, strain improvement
In vivo expression technology (IVET),
Pseudomonas,985
Involutinida
Ionizing radiation
as mutagen, 1051t
Ionophore(s)
IpA, Shigella infections, 414–415
IpB–IpC complex, Shigella infections, 414–415
IpD, Shigella infections, 414–415
I
R
ER–I
L
ER synapsis, transposable element
deletion studies, 1144f, 1142
I
R
ER–O
R
ER synapsis, transposable element
deletion studies, 1143f, 1142
Iron
microbial requirements, 794
starvation, 1077–1078
acquisition of iron
Iron Mountain, California, Richmond mine, acid
slime analysis of extremophiles, 479
Iron–siderophore complexes, cellular uptake
mechanisms, 258, 818, 823
Iron–sulfur cluster, definition, 844
Irrigation processes, metal extraction (biomining),
766f, 765
Irritable bowel disease (IBD)
IS elements
Leptospira,1034
transposable elements, 1137–1138
Isepamicin
Isocitrate dehydrogenase (ICDHase)
reductive citric acid cycle, 144
TCA cycle, 739–740
aerobiosis, 738f
Isocitrate lyase (ICLase), 740–741
Mycobacterium tuberculosis
see Mycobacterium tuberculosis
TCA cycle, aerobiosis, 738f
Isoconazole, 74, 67t
Isopenicillin-N (IPN)
Isoschizomers, 366
Isospora belli
Isotope(s)
stable see Stable isotope
value representations
see also individual isotopes
Isozymes, Escherichia coli taxonomy, 421
Istamycin
Italy
Itraconazole, 76
adverse effects, 71t
structure, 70f
ITRC-5, Pseudomonas,983
J
Janibacter terrae, rubber degradation, 17–18
Japan
Japanese diet, human fecal flora, 556t, 567t
anaerobic cocci, 559t
clostridia analysis, 564t
gram-negative anaerobic rods, 557t
gram-positive non-spore-forming anaerobic
rods, 561t
Streptococcus analysis, 566t
noninfectious vaccines, 1159
Jarisch–Herxheimer reaction
louse-borne relapsing fever, 1030
Jaundice
definition, 604
hepatitis viruses, 608
agnoprotein see Agnoprotein
infection
Jejunal flora, 554–555
luminal fluid study, 554–555
viral vaccines, 1155
Josamycin
Juglone, 1078
K
K1 antigen, Escherichia coli pathogenicity, 427
K88 pili, 867
K99 pili, 867
Kanamycin
resistance genes, transfer, 666
K antigens, Escherichia coli,421
capsule, 422
Kaposi’s sarcoma-associated herpesvirus
(KSHV), 635
biology, 635
disease associated, 635
drug therapy, 636
geographic distribution, 635
pathogenesis, 636
replication, 635
vaccines, 636
virus, 635
Karyogamy (nuclear fission), yeast, 1184f, 1183
Karyorelictea
KcsA channel, 1122
KDG kinase, glycolytic pathways, Archaea, 736f
KdpD (histidine kinase), 1007f, 1013
KDPG aldolase, glycolytic pathways,
Archaea, 736f
Keratitis, Pseudomonas aeruginosa,977
2-Keto-3-deoxy-6-phosphogluconate (KDPG)
aldolase, ED pathway, 733f
2-Keto-3-deoxygluconate (KDG) aldolase,
glycolytic pathways, Archaea, 736f
2-Keto-3-deoxygluconate kinase,
Entner–Doudoroff pathway, 736–737
Ketoconazole, 74, 75t
adverse effects, 74, 71t
structure, 70f
-Ketoglutarate
TCA cycle, 748–750
-Ketoglutarate dehydrogenase, TCA cycle,
739–740
Ketolides see under Macrolides
Ketone(s)
Subject Index 1225

Ketosynthase(s)
Key enzymes, 148
autotrophic CO
2
metabolism see Autotrophic
carbon dioxide metabolism
see also individual pathways
‘Killing the winner’
KinA, Bacillus subtilis phosphorelay, 161–162
Kinases in Genomes (KinG) database,
1008–1009, 1008t
KinB, Bacillus subtilis phosphorelay, 161–162
Kinetic limitation, nutrition, 796
Kinetics
growth, models see Growth kinetics, bacterial
Kinetoplast
cell structure
groups
Kinetospora, phylogeny, 16S rRNA sequences, 13
Kingella kingi,586t
Klebsiella
butanediol formation, regulation, 525
glycerol degradation, 517
human fecal flora, dietary groups, 567t
nitrate assimilation
1,3-propanediol fermentation, regulation, 526
Klebsiella aerogenes
chemostat culture, 314f, 317–318
metabolic function evolution, 449
Klebsiella oxytoca
ethanol production, 434, 431t
pullanase secretion system, 873
Klebsiella pneumoniae
batch culture, 798f, 797
fimbrial adhesins, 23t
lipopolysaccharide, core oligosaccharides,
695f, 695–696
Koch’s postulates
Gram-negative anaerobic pathogens, 811
prions and, 953
see also Henle–Koch postulates
Korarchaeum cryptofilum, genomics, 138
KP-103 (triazole), antifungal action, 78
Krebs cycle see Tricarboxylic acid (TCA) cycle
K
s
Kuru, 953
epidemiology, 954
incubation period (long), 963
parenteral inoculation causing, 963
survivors, PrP gene sequence, 963, 964–965
heterozygous MV, 964–965
Kyoto Encyclopedia of Genes and Genomes
(KEGG), 1008–1009, 1008t
L
L693989, antifungal action, 80
L705589, antifungal action, 80
L731373, antifungal action, 80
Laboratory Response Network (LRN), forensic
microbiology, 547–548
LacI repressor protein, 1097
Lacl-CFP, random reporter gene fusions,
1146f, 1144
disaccharide utilization, 745
lacO, on transposons, 1138–1141
lactose permease, 745
regulation, 1097, 1098
Lactaldehyde dehydrogenase (LALDH),
methylglyoxal bypass pathway, 737f
-Lactam antibiotics, 54, 837
monocyclic
-Lactamase, 822, 840
resistance, enzymatic modification, 58
Lactase see -Galactosidase
Lactate, fermentation, 520
see also Lactic acid; Lactic acid fermentation/
production
Lactate dehydrogenase (LDH), 525
activation, 317
methylglyoxal (MG) bypass pathway, 737f
PPK pathway, 734f, 734–735
pyruvate reduction, 518
Lactic acid
fermentation see Lactic acid fermentation/
production
as firmicutes, 777
food fermentations see Lactic acid
fermentation/production
see also Lactic acid fermentation/production
food spoilage
pentose phosphoketolase pathway, 734
Lactic acid fermentation/production, 520
anaerobiosis, 741
bacteria see Lactic acid bacteria (LAB)
microorganisms, 520
Lactobacillus
glucose degradation, 518
human fecal flora, dietary groups, 556t, 561t
lactic acid-producing fermentations, 741
manganese requirements, 795
phages, 181
Lactobacillus acidophilus
human fecal flora, dietary groups, 561t
Lactobacillus amylovorus, lactic acid production
Lactobacillus brevis, human fecal flora, dietary
groups, 561t
Lactobacillus buchneri, human fecal flora, dietary
groups, 561t
Lactobacillus casei
chemostat culture, 317
human fecal flora, dietary groups, 561t
Lactobacillus casei subsp. rhamnosus, lactic acid
production
Lactobacillus catenaforme, human fecal flora,
dietary groups, 561t
Lactobacillus crispatus, human fecal flora, dietary
groups, 561t
Lactobacillus delbrueckii subsp. bulgaricus, lactic
acid production
Lactobacillus fermentum, human fecal flora,
dietary groups, 561t
Lactobacillus helveticus
human fecal flora, dietary groups, 561t
Lactobacillus lactis
human fecal flora, dietary groups, 561t
Lactobacillus leichmannii, human fecal flora,
dietary groups, 561t
Lactobacillus minutes, human fecal flora, dietary
groups, 561t
Lactobacillus plantarum
human fecal flora, dietary groups, 561t
Lactobacillus rhamnosus
Lactobacillus salivarius
human fecal flora, dietary groups, 561t
Lactococcus
lactic acid-producing fermentations, 741
phages, 181
strain improvement, conjugation, 1056–1057
Lactococcus lactis
nisin, 991
Lactoferrin (LF)
Lactones
continuous culture, 318
E. coli growth, 442–443
Escherichia coli,427
Lactose permease, 322
lac operon, 745
LacY (lactose permease), 1130–1131
structural characteristics, 1130–1131
Ladderanes
Lakes
alkaline
freshwater
LamB channel, 817
composition, 818f, 817–818
phage see Bacteriophage
lamB gene, cotransfection, phage host species
range, 1119
LamB outer membrane protein recognition,
phage ,1108
Laminin receptor precursor molecule, as prion
protein receptor, 962
Lamivudine, 98, 108
adverse effects, 99, 108
antiviral activity, 98, 108
chemistry, 98, 108
clinical indications, 98, 108
HIV infection, 98
hepatitis B virus, 615
mechanism of action, 98, 108
resistance to, 98, 110
see also Agriculture/agricultural microbiology
Lantibiotics
Bacillus subtilis,159
definition, 987
Large intestine see Colon
Large T antigen (LT-Ag)
LasA protease, Pseudomonas aeruginosa,976
LasI protein, 992
Las/Rhl AI-1 system, 994f, 992
LasR-LasI quorum sensing system, Pseudomonas
aeruginosa,994f, 992, 978
Lassa fever, ribavirin, 96
Late blight disease, 65–66
disease cycle, 891f
symptoms, 891f
Late genes
phages, 169
Latency, definition, 1147, 625
Latent period
phages, 167
Latent state, phage genes, 168
see also specific viruses
Lateral flagella, 529f
Latin America
Streptococcus pneumoniae children studies,
penicillin-resistant vs. penicillin-
susceptible isolates, 1068f,1068
Streptococcus pneumoniae in children,
penicillin-resistant vs. penicillin-
susceptible, 1068f
Leader peptides
definition, 937
posttranscriptional regulation, 939
Leader regions, definition, 937
Leader RNA
‘aptamer’ domain, 943f, 943
definition, 937
effector binding domain, 943
Lectins
microbial adhesion, 22
Pseudomonas aeruginosa,977
Lederberg, Esther, replica plating
experiment, 441
replica plating experiment, 441
Leeuwenhoek, Antonie van
Legionella,681
growth requirements, 681
historical aspects, 682
infection consequences, 684
organism characteristics, 681
pathogenesis, intracellular infection, 682
transmission, 681
Legionella pneumophila
infection see Legionnaires’ disease
organism, 681
pathogenesis, intracellular infection, 682
life cycle, 683f, 683
replicative phase, 683f, 682
survival mechanisms, 683
Dot/Icm type IV secretion system, 683–684
transmissive phase, 682
Legionnaires’ disease, 684
diagnosis, 685
epidemiology, 682
host response, 684
1226 Subject Index

organism see Legionella pneumophila
Pontiac fever, 685
prevention, 685
treatment, 685
Legumes
nitrogen fixation endosymbionts, 394, 401
see also Bradyrhizobium;Rhizobium
rhizobia symbioses see Rhizobia–legume
symbiosis
infection
Leishmania major
lipophosphoglycan
visceral
see also specific disease forms
Leloir pathway, 746
galactose, 747
LenA, Leptospira,1034
Lentic waters, definition, 463
Lentiviral (slow virus) infection, 953
see also Prion diseases
definition, 640, 641
Leptospira,1032
genome sequence, 1034
metabolism, 1032
morphology, 1032f, 1032
hooks, 1032
phylogeny, 1033
serovars, 1033
tree, 1033f
Leptospira biflexa,1032
genome sequence, 1034
Leptospira borgpetersenii,1023
genome sequence, 1034
Leptospiraceae, 1023f, 1022–1023
Leptospira interrogans,1023, 1032
genome sequence, 1034
RsbU, 1007f
Leptospirillum
genome sequencing, 770–771
metal extraction/biomining, 765
physiological versatility, 470–471
limitations, 470–471
Leptospirillum ferrooxidans
acid environments
competitive interactions, Acidithiobacillus
ferrooxidans vs.,475
synergistic interactions, 473
mineral interaction, chemotaxis, 767f,766–767
Leptospirosis, 1034
epidemiology, 1034
pathogenesis, 1034
horizontal gene transfer, 1034
IS elements, 1034
LenA lipoprotein, 1034
Lig proteins, 1034
transposon research role, 1034
symptoms, 1035
treatment, 1035
Leptothrix discophora
Lettuce infection, disease stages, 892f
DNA-compacting proteins, bacterial
chromosomes, 290
pilus biogenesis, 879
Leukemia
Leukocytes
see also T cell(s)
Leviviridae, 169t
Lewis antigens, Helicobacter pylori,599
Bacillus subtilis stress responses, 164
L genes, herpes simplex virus (HSV), 629
lgtA, lipopolysaccharide biosynthesis, 592
lgtC, lipopolysaccharide biosynthesis, 592
lgtG, lipopolysaccharide biosynthesis, 592
Lice
‘Liebig’s principle’, nutrient limitation, 796
Life, defining, minimal gene set, 784
Life cycle
definition, 881
Ligase, definition, 574
Ligation
definition, 574
genomic library construction, 579, 583
reaction precipitation, 580
Light
harvesting, cyanobacteria, 335
production, bacterial biochemistry, 204f, 203
Light organs
bioluminescent symbionts, 208, 210t
fish, 205–207, 208
squid, 210f, 208, 210t
Lignin(s), 429
biosynthesis
mineralization, Pseudomonas,983
composition, 429f, 429
definition, 428
ethanol production, 429
see also Cellulose; Hemicellulose; Lignin(s)
lignin(s)
see also specific materials
Lig proteins, Leptospira,1034
Likelihood tree
Limiting nutrient
concept, 796
see also Nutrient limitation
protein synthesis, 55
resistance, methyl group addition effects, 56
Linear plasmids, replication, 926f, 927f, 925
Lineweaver–Burke plot, 312–313
Linker-scanning mutations, transposons, 1140f
Propionibacterium acnes,16
Lipid(s)
archaeal, 263f, 262, 120f, 120
phospholipid synthetic pathways
see Phospholipid(s)
type II fatty acid biosynthetic pathway see
Fatty acid biosynthetic pathway, type II
(FASII)
unsaturated fatty acid synthesis
see Unsaturated fatty acids (UFAs)
cytoplasmic membrane fluidity, 253
outer membrane composition, 814
see also Fat(s); specific lipids
Lipid A, 694f, 694
biosynthesis, 820f, 819, 696
definition, 692
modification systems, 704
structure, 814f, 814
definition, 251
see also Lipopolysaccharide (LPS)
Lipid bilayer
definition, 813, 483
structure, 814–815
Lipid droplets (LDs)
Lipid II see Disaccharide-pentapeptide
pyrophosphate undecaprenol (lipid II)
Lipoarabinomannan (LAM)
tuberculosis, 1148
Lipoarabinomannan with mammose-containing
caps (ManLAM), structure proposal, 1149f
Lipoatrophy, definition, 83
Lipoic acid
Lipomannan (LM)
structure proposal, 1149f
tuberculosis, 1148
Lipooligosaccharide (LOS), 696
biosynthesis, Campylobacter jejuni
infection, 417
definition, 692
Haemophilus influenzae,690
molecular mimicry, 706
phase variation, 706
Lipopolysaccharide (LPS), 692–707
assembly, 821, 696
outer membrane proteins, 696–697
biological activities, 701
role in outer membrane integrity, 701
biosynthesis, 257, 815f, 819, 697f, 696
lipid A, 819
lipid A-core OS, 697
modifications, 257
O-chain, 820
biotechnological applications, 706
glycosyltransferases, 706
vaccine adjuvant, monophosphoryl lipid A,
706
definition, 251, 813, 692
Escherichia coli outer membrane, 422–423
functions, 701
Gram-negative bacteria, 254f, 257
outer membranes, 814, 701, 275
Gram-negative sepsis, 702
adapter proteins, 704
CD14, 702
myeloid differentiation-2, 703–704
toll-like receptor 4, 703–704
historical perspective, 693
lipid A see Lipid A
lipooligosaccharides see Lipooligosaccharide
(LOS)
molecular mimicry, 706
neisserial, 591
sialyl transferase activity, 593, 592t
O-antigen side chain see O-Polysaccharide
(O-PS)
phase variation, 706
Pseudomonas,973
rough see R-LPS (rough-lipopolysaccharide)
Salmonella typhi infection, 418
smooth see S-LPS (smooth-lipopolysaccharide)
spirochetes, 1024–1025
structure, 254f, 815f, 592f, 591, 592t,
693f, 693
core, 815
glycosyl transferases, 592
lipid A, 815, 815–816
O-chain, 815
see also Lipid A
Lipoprotein(s)
conjugation, 301t
definition, 251, 604
Gram-negative bacterial outer membrane,
256–257, 257
mycobacterial, 261
Lipoprotein LpK, 261
Lipoyl dehydrogenase (LpDH), oxidative stress,
1078–1079
Liquefaction
Liquid cultures, Bacillus subtilis,159
Liquid nitrogen
Liquid phase products, bioreactors, 221
Liquid phase reactants, bioreactors, 221
kinetics, 221
Listerella hepatolytica see Listeria
monocytogenes
infection see Listeriosis
phages, 181
Listeria innocua
Listeria monocytogenes
see also under Listeriosis
endosymbionts, 403
food industry
infection see Listeriosis
prfA gene, 950
Listeriosis, 418, 407t
incubation time, 418
internalin A/internalin B, 418
phagosomal vacuole, 418
see also Listeria monocytogenes
Lithic habitats/associations
see also specific habitat/associations
Litostomatea
Live attenuated influenza vaccine (LAIV), 1156
Live attenuated oral poliovirus vaccine (OPV)
Subject Index 1227

Liver
acute viral hepatitis, 606
see also Hepatitis, viral
chronic viral hepatitis, 606
see also Hepatitis, viral
cirrhosis, definition, 603
functional units, 606f
histopathology, 606
Lividomycin
LMC
naked lobose amoebae see Gymnamoebae
Local inflammation, Shigella infections, 415
Localized mutagenesis, transduction
see Transduction
Locus of enterocyte effacement (LEE)
enteropathogenic Escherichia coli (EPEC),
410–411
gene expression, 1000
Loihi, deep-sea hydrothermal vents, 354f,354
location, 354–355
LolA (periplasmic carrier protein), 696–697
LolA–lipoprotein complex, 821f, 820–821
LolB (periplasmic carrier protein), 696–697
LolCDE (ABC transporter), 820–821
Long branch attraction (LBA)
Long terminal repeat (LTR)
definition, 640
HIV, 642–643
Long-term in vivo
13
C tracer labeling, autotrophic
CO
2
metabolism distribution, 150
Long-term Oligotrophic Habitat Assessment
(ALOHA) see A Long-term Oligotrophic
Habitat Assessment (ALOHA)
Lophotrichous flagella, 528–529
Lopinavir, 115
adverse effects, 115
antiviral activity, 115
chemistry, 115
mechanism of action, 115
resistance, 115
Lorica (loricae)
Lost city, deep-sea hydrothermal vents, 355
-proteobacteria, 355–356
microbial community, 355–356
see also River(s)
Lotic waters, definition, 463
Louse see Lice
Louse-borne relapsing fever (LBRF), 1028
epidemics, 1028
tick-borne vs.,1030
Lovastatin
Lower respiratory tract infections (LRTI)
Low-frequency restriction fragment analysis
(LFRFA), Actinobacteria taxonomy, 6
see also Oligotrophic aquatic habitats
Low temperature environments
psychrophiles, 118
see also Extremophiles, cold environments
Loxodes
Lpp (lipoprotein), 257
LPS see Lipopolysaccharide (LPS)
LptA, lipopolysaccharide, 696–697
LptC, lipopolysaccharide, 696–697
LptD, lipopolysaccharide, 696–697
LptE, lipopolysaccharide, 696–697
LpxC, lipopolysaccharide, 699
LRP
LSGGQ motif, ATP-binding cassette transporters,
1127–1128
lsrACDBFGE operon, quorum sensing, 998–999
LTR see Long terminal repeat (LTR)
Lucerne transient streak virus (LTSV), virusoid
(vLTSV), features, 1172t
Luciferase, 202–203
definition, 202
evolutionary origin, 214
function, 213
light emission, 203
subunits, 213–214
synthesis, 211
Luminous bacteria, 203
‘cryptically luminous’, 205
ecology, 205
environmental factors, 207
temperature effects, 207, 210–211
fish symbiosis, 209f
genera associated, 204
habitats, 205, 203t
freshwater, 207
marine, 205
terrestrial, 207
identification, 215
isolation, 215
phylogeny, 205f, 204–205, 217
saprophytic growth, 207f
species associated, 204, 203t
squid symbiosis, 209f
storage, 215
systematics, 204
see also Bioluminescence
blastomycosis see Blastomycosis
histoplasmosis see Histoplasmosis
see also Lower respiratory tract infections
(LRTI)
fluctuation test, 441
Luria-Bertani (LB) broth, batch culture, 797–799,
798t
luxCDABE operon, 212f
bioluminescence, 204
quorum sensing, 211–212, 992
conservation, 213–214
gene recruitment, 215
horizontal transfer, 215
LuxI protein, 992
lux-rib operon, 212f, 215
natural merodiploidy, 216f, 215
LuxR protein, 992
metagenomic screening, 760f, 760
quorum sensing, 212–213
luxS gene/protein, quorum sensing, 996
human oral bacteria, 999
production
Lyme borreliosis see Lyme disease (LD)
inflammatory response
Lymphadenopathy-associated virus (LAV), AIDS,
642
Lymphadenopathy virus see HIV
Lymphocyte
definition, 604
see also T cell(s)
Lymphoma
Burkitt’s
gastric, Helicobacter pylori,601
hepatitis A virus (HAV) association, 611
primary effusion, KSHV implications, 635
Lysine
amino acid production, 45t
L-Lysine
biosynthesis, Corynebacterium glutamicum,
47f, 46–47
export, 48f, 47–48
production, 46
Lysis
cell, genomic library construction, 576
definition, 166
phages see Bacteriophage(s)
Lysogen
definition, 1107
double, specialized transduction, 1110
see also Bacteriophage(s), lysogeny/lysogenic
infection
Lysogenic viruses
Lysogeny
definition, 166
phage infections see Bacteriophage(s), lysogeny/
lysogenic infection
Lysogeny broth (Luria-Bertani (LB) broth),
797–799, 798t
Lysostaphin, Staphylococcus,1038
Lysozyme
LysR-type responsive transcriptional regulators
(LTTRs), Pseudomonas,981
Lytic, definition, 625
Lytic cycle, definition, 166
Lytic infections, phages see Bacteriophage(s)
Lytic viruses
LytR/AgrA response regulator, 1016t
M
protein synthesis inhibition, 54–55
methyl group addition effects, 56
see also specific microorganisms
see also specific antibiotics
cytoskeleton see Cytoskeleton
Macronutrient availability
Caulobacter oligotrophy, 231
Caulobacter stalk (prostheca), 237
see also individual macronutrients
Macrophages
definition, 640
Shigella infection, 414–415
Yersinia infection, 417
Magic bullet
Magnesium
microbial requirements, 794
transposable elements, 1138
Magnetic tapes, biodeterioration
see Biodeterioration
Magnetospirillum gryphiswaldense
motility
see also Magnetotactic bacteria (MTB)
Maillard reaction, flavor compound
production
Maintenance coefficient (q
m
), 313–314
definition, 309
Maintenance energy, continuous
culture, 313, 315
Maintenance therapy, definition, 83
Major facilitator superfamily (MFS), 1129
abundance, 1130
alternating access model, 1131
antibiotic resistance, substrates, 58–59, 59t
GlpT, 1130
crystal structure, 1130
lacY, 1130–1131
structural characteristics, 1130–1131
organisms, 1130t
structure, 1130
Major histocompatibility complex (MHC)
definition, 604, 1154
Major homology region (MHR), capsid (CA/p24)
of HIV, 643
Malate dehydratase/fumarase, propionic
acid-producing fermentations, 743
Malate dehydrogenase
propionic acid-producing fermentations, 743
TCA cycle, 738f, 740
Malate synthase (MSase), 740–741
TCA cycle, aerobiosis, 738f
MalE protein
ATP-binding cassette transporters in E. coli,
1126
starvation response, 1077–1078
MalF, ATP-binding cassette transporters
in E. coli,1126–1127
MalG, ATP-binding cassette transporters
in E. coli,1126–1127
Malignancy see Cancer
MalK, ATP-binding cassette transporters
in E. coli,1126
Malonyl-CoA reductase
detection, genome sequences, 148–149
1228 Subject Index

3-hydroxypropionate/4-hydroxypropionate
cycle, 147
3-hydroxypropionate/malyl-CoA cycle,
146–147
MALT see Mucosa-associated lymphoid tissue
(MALT)
Malt
brewing
Maltose
utilization, 746
Maltose-binding protein (MalE), 1126
Maltose transport complex
Escherichia coli,1126
maltose-binding protein, 1126
Salmonella typhimurium,1126
L-Malyl-CoA lyase, 3-hydroxypropionate/malyl-
CoA cycle, 147
Malyngamide A, structure, 338f
microbial requirements, 795
transposable elements, 1138
D-Mannose, utilization, 747
M antigens, Escherichia coli capsule, 422
Manual screening, random mutations, strain
improvement, 1053
Mapping see Genetic mapping
Maraviroc, 103
adverse effects, 105
antiviral activity, 104
chemistry, 104
clinical indications, 104
mechanism of action, 104
resistance, 104
Marcus theory, 849
mathematical equation, 849–850
Marine bacteria, extracellular DNA uptake, 667
Marine habitats/environment, 708–727
bacteriophage, 180
biogeography, 717, 716
biological pump, 717
climate change, 719
energy sources, 715t
genome streamlining, 715–716
macrohabitats
classification, 711, 712t
structure, 711
macroorganisms, 710
microbes, 710
abundance, 716
biogeography, 716
chemoorganoheterotrophic, 715
density, 711
diazotrophs, 715–716
distribution, 716
growth requirements, 715
luminous bacteria, 205, 203t
nature of, 710
photolithoautotrophic, 715
viruses, 717
molecular tools, 725–726
nutrients, 717
flux importance, 715f
ocean see Ocean, global
photosynthesis, 711
research directions, 726
seasonal deep-mixing events, 718
size spectra models, primary producers, 717
solar energy, 716–717
spring bloom, 718
sunlight, 717
temperature, 716
time variability, 719
turbulence, 717
molecular diffusion vs.,718
viruses, 717
water see Water
see also specific species;specific studies
Marine pelagic habitats
Mariner construct localization, random reporter
gene fusions, 1144
deep sub-surface see Deep sub-surface
Marine snow
Mark–Houwink ‘a’ parameter
Mars
extremophiles, cold environments, 488
planetary protection
Mass transfer
Master genes (flhDC)
definition, 528
expression, 536
flagella, 535
Mastigont
Mastrevirus
Materials Transfer Agreement (MTA)
Mathematical models
biological warfare, 198
Mating aggregates, conjugation, bacterial, 304
Mating pair formation (Mpf), conjugation,
295–296, 296, 300
entry exclusions, 302
surface exclusions, 302
Mating pair stabilization (Mps), conjugation,
295–296, 300
Matrix (MA/p17), Gag protein, 643
Mats, microbial see Microbial mats
Maxam–Gilbert method, DNA sequencing,
372, 373
Maximum likelihood (ML) method
Maximum specific growth rate (m
max
), 800
definition, 309
MazE expression, plasmid addiction modules,
929
MBBR see Moving-bed biofilm reactor (MBBR)
MBR see Membrane bioreactor (MBR)
M cells
Salmonella typhi infection, 418
Yersinia infection, 417
MCM
McMurdo Dry Valleys region, Antartica
McrA restriction system, 362
McrBC restriction system, 362
MD-2 (myeloid differentiation-2), 703–704
MDR-TB, definition, 1147
vaccine, 1156
Measles–mumps–rubella (MMR) vaccine
design challenges, 1157–1158
Measles–mumps–rubella–varicella (MMRV)
vaccine, design challenges, 1157–1158
Meat
quality control
canned see Canned food
spoilage detection
Media
artificial see specific types
osmotic strength, B. subtilis stress
responses, 164
reformulation, strain improvement, 1058
Medicago truncatula,Sinorhizobium meliloti
interactions, 1003
Medical systems, biofilms in, 186
Medicine, phage therapy see Bacteriophage
therapy
Mediterranean Sea
deep sub-surface
infectious agent see Rickettsia conorii
Megalomycin
Megasphaera elsdenii, human fecal flora, dietary
groups, 559t
Meiosis, Saccharomyces cerevisiae,1184f
Melibiose, utilization, 746
O-polysaccharide, 701–702
Membrane bioreactor (MBR)
Membrane-bounded organelles, 254–255
Membrane-derived oligosaccharides
(MDOs), 822–823
Membrane electron transport pathway,
extremophiles, hot environments, 511f
Membrane-embedded sensory protein
domains, 1012t
see also Permeant acids
Men, homosexual see Homosexual men
Menaquinone
Meningitis
Escherichia coli pathogenicity, 425
Haemophilus influenzae,587
Neisseria meningitidis,587, 593
treatment, 73, 75–76
Meningococcal disease
bloodstream invasion, predisposing
factors, 593
historical aspects, 594
incidence, 587
mortality rate, 587
natural immunity, 593
prevention
chemoprophylaxis, 594
vaccines, 589, 594, 589t
serological studies, 593
treatment, 587
see also Meningitis
Meningococci see Neisseria meningitidis
Mercury
in Pseudomonas species, 983
Merodiploidy, definition, 202
Mesophiles
definition, 118
growth temperature optima, 469t
Mesophilic, definition, 483
Mesophilic microorganisms, metal extraction
(biomining), 766
Mesoplasma florum,guaAB operon, 783
Mesorhizobium
Messenger RNA (mRNA)
degradational control, 946
RNA-binding proteins, 947
stability, RNA-mediated changes, 947
stability regulation, 946
RNA-mediated, 947–948
Metabolic control theory, 443
Metabolic engineering, 223
continuous culture, 323
definition, 44
ethanol production see Ethanol
strain improvement
Metabolic networks
Metabolic pathway
see also individual pathways
see also specific programs
Metabolic scanning, definition, 1048
Metabolic syndrome, definition, 604
Metabolism
cellular, rationalized mutation, strain
improvement, 1054
central (intermediary), 728–750
central metabolic pathways, 729
defining statement, 729
gluconeogenesis, 744
monosaccharides, 745
oligosaccharides, 745
polysaccharides, 745
precursor metabolites, 748
phage genes, 168
variation, effects, 442
genetic background, 443
see also individual metabolic pathways
Metabolite-regulated expression (METREX),
760f, 760
Metabolites
Metabolite-sensing riboswitches, Bacillus subtilis
regulation, 157
Metabolomics
Metagenome clone libraries
Metagenomic analysis
Subject Index 1229

Metagenomic libraries, 751–752
construction, 753f, 752
cloning vectors, 752
DNA preparation, 752
host selection, 754
host transformation, 754
inserts, 752–753
screening, 757
storage, 754
structure, 752
community complexity and, 752
Metagenomics, 751–761
anchor-based analysis, 754, 754, 755t
biocatalyst discovery, 757
community sequencing projects see Community
metagenomics
definition, 118
DNA sequencing see DNA sequencing
function-based, 757, 758t
intracellular function screens, 760
libraries see Metagenomic libraries
metal extraction (biomining), 770f, 771
sequence-based analysis, 754, 755t
viral, 756, 755t
Metal(s)
biodeterioration see Biodeterioration
corrosion
extraction see Metal extraction (biomining)
heavy see Heavy metals
resistance
Pseudomonas,983
solubilization
transformations, metal extraction (biomining)
see Metal extraction (biomining)
Metal-binding proteins
Metal extraction (biomining), 762–775
acidophilic microorganism–mineral
interaction, 766
biofilms, 767
chemotaxis, 767f, 766–767
extracellular polymeric substances (EPSs),
767f, 767
preferential adhesion, 766
quorum sensing, 767
bioleaching bacteria, 766
chemolithoautotrophs, 765f,764
community diversity analysis, 770f, 769
copper, 765
definition, 987, 762, 763, 762
environmental effects, 773, 773
bioleaching organisms, 774
functional genomics, 771
DNA microarrays, 769f, 771
shot gun DNA microarrays, 771
transcriptome analysis, 771
genomics, 769, 770
genome sequencing, 770–771
gold, 765
irrigation processes, 766f, 765
metagenomics, 770f, 771
metal transformations, 763f, 762
energy-dependence, 762–763
precipitation, 763
reductions, 763
transporters, 762–763
metaproteomics, 773
goals, 773
physiological behaviors, 773
transformation/conjugation systems, 773
microorganisms, 764
acidophilic, 764
anaerobic respiration, 764
mesophilic, 766
neutrophilic, 764
redox gradient, 764
thermophilic, 766
proteomics, 771
FT-ICR MS, 772
growth conditions, 772
HPLC/ESI-MS, 772
multiple sample comparisons, 772
solution-based approaches, 772
two-dimensional PAGE electrophoresis,
770f, 771
solubilization mechanisms, 767f, 768
direct vs. indirect, 768
insoluble metal sulfides, 768
oxidation, 768
thiosulfates, 768
see also Heavy metal biosorption
Metalloid(s)
Metalloprotease(s)
neutral, Bacillus subtilis,160
zinc requirements, 795
Metallosphaera, metal extraction/biomining, 765
Metallosphaera sedula
genome sequencing, 770–771
4-hydroxybutyrate cycle, 505
3-hydroxypropionate/4-hydroxypropionate
cycle, 147
3-hydroxypropionate/malyl-CoA cycle, 145
Metallothioneins
Metal/metalloid/organometal transformations
Metal sulfide
oxidation, Acidithiobacillus ferrooxidans,768
Metaproteome(s), definition, 751
Metaproteomics, metal extraction (biomining)
see Metal extraction (biomining)
Metazoan food resources
Metazoonoses
Meteorology, aeromicrobiology and
see Aeromicrobiology
Methane
anaerobic oxidation
oxidation
production, 520
Methanequinone, Actinobacteria taxonomy, 4t
Methanobacteriales, 124t
Methanobacterium
pseudopeptidoglycan, 278
genomics, 138
Methanocaldococcaceae, growth characteristics,
497t
Methanocaldococcus,121–122
growth characteristics, 497t
Methanocaldococcus jannaschii,352t
genomics, 136
Methanococcales, 124t
Methanococcus maripaludis
genomics, 138
Methanococcus voltae
Methanofuran
ectosymbionts, 396
endosymbionts, 396
see also Methanogens
Methanogenium frigidum,489
Methanogens, 119, 119, 127, 124t
adaptive strategies, 127
bacteria, RuBisCO, 149
definition, 118, 495
environments, 127
methane biogenesis, 128f
substrates, 128f,127
translation, 130
see also Methanogenesis; specific species
Methanol
Methanomicrobiales,124t
Methanopyraceae, growth characteristics, 497t
Methanopyrales,124t
Methanopyrus, growth characteristics, 497t
Methanopyrus kandleri,352t
genomics, 137
growth temperature, culture studies, 499
Methanosarcina
Methanosarcina acetivorans
Methanosarcina barkeri
Methanosarcinales, 124t
Methanosarcina mazei
Methanospirillum hungatei
Methanothermaceae, growth characteristics, 497t
Methanothermobacter thermautotrophicus,
genomics, 136
Methanothermus
growth characteristics, 497t
Methanothermus fervidus
thermostability of DNA, 498
Methanotrophs
Methicillin resistance, Staphylococcus
species, 1044
Methicillin-resistant Staphylococcus aureus
(MRSA), 56
antibiotic resistance, 1044
causes of, 1044–1045
community acquired, 1044
Methionine
scientific method see Scientific methods
7-Methoxy-4-tetradecanoic acid, structure, 338f
Methyl-accepting chemotaxis proteins (MCPs),
1010f, 1009, 1020, 1016, 1009t
domains, 1014t
spirochetes, flagella, 1023–1024
DNA
RNA
Methylbenzene metabolism, Pseudomonas,981
Methylbenzimidazole carbamates, antifungal
action, 78, 67t
Methyl-directed system
Methylgloxal bypass
see Embden–Meyerhof–Parnas (EMP)
pathway (glycolysis)
2-Methylisoborneol, structure, 338f
Methylmalonyl-CoA-oxaloacetate
transcarboxylase, propionic acid-producing
fermentations, 743
see also specific methyltransferases
Methymycin
MexAB-OprM efflux pump, Pseudomonas
aeruginosa,977–978
Mfd (transcription repair factor), 1101
MG reductase, methylglyoxal (MG) bypass
pathway, 737f
MG synthase, methylglyoxal (MG) bypass
pathway, 737f
MIC see Minimal inhibitory concentration (MIC)
Micafungin (FK 463), 81
adverse effects, 71t
Mice
see also entries beginning murine
Miconazole, 74
structure, 70f
Microaerobic metabolism, rhizobia–legume
symbiosis
Microaerophile
reductive acetyl-CoA pathway, 150–151
Actinobacteria genotypic taxonomy, 5–6
DNA sequencing diagnostics, 370
forensic science, 545–546
genome-wide knockout analysis, 1142f, 1141
Pseudomonas,985
Microbacterium, genotypic taxonomy, restriction
digests, 6
Microbe
definition, 715
see also Microorganisms; individual
microorganisms
Microbial adhesion see Adhesion, microbial
Microbial agent, definition, 539
Microbial-associated molecular patterns
(MAMPs)
Microbial community
see also specific organisms
Microbial culture collections
Microbial ecology
Microbial genetics
1230 Subject Index

Microbial genomes
bacteria
fungus
viruses
see also specific organisms
phage ecology see Bacteriophage ecology
Microbial pesticides
The Microbial Signal Transduction (MiST)
database, 1008–1009, 1008t
Microbial surface components recognizing
adhesive matrix molecules (MSCRAMM)
definition, 1037
Staphylococcus aureus,1046, 1045t
Microbiology
antibiotic susceptibility testing see Antibiotic
susceptibility testing
careers
history
Microbiome
definition, 751, 1022
oral treponemes, 1025–1026
Microbiota, 805
relationship: normal human microbiota/human
disease, 805
Microbiota shift disease (dysbiosis), 805
Gram-negative anaerobic pathogens, 811
Microbispora bispora, phylogeny, 16S rRNA
sequences, 12–13
Microbispora rosea, biotechnology
applications, 18t
Micrococcaceae, chemical constituent
taxonomy, 4t
Micrococcus
biotechnology applications, 18t
human fecal flora, dietary groups, 567t
strain improvement, monosodium glutamate
production, 1055
Microcosm(s)
definition, 915
plasmid acquisition, 931
Microcystin synthetase
Microcystin-YR, structure, 338f
Microcystis,328–331
Microcystis aeruginosa
Microenvironment(s)
Microflora
see also Gastrointestinal (GI) microflora,
humans
Micromonospora
biotechnology applications, 18t
Micromonosporaceae, chemical constituent
taxonomy, 4t
Micronemes
Microorganisms
classification, 789
metal extraction (biomining) see Metal
extraction (biomining); individual species
nutritional categories, 788, 788–789
patenting
preservation see Preservation
storage see Storage
transport see Transport
see also individual microorganisms
Micropore
Microscope/microscopy
see also specific types
Microsporidia
host cell invasion
Microtubules, dinoflagellates
Microviridae, 169t
Midecamycin
Mid-ocean ridge
deep-sea hydrothermal vents, 348f, 347
fluid issues, 347
hyperthermophilic archaea, 347
definition, 346
see also Dairy products
bacterial cell division, 247–248
Mine(s)
acid streams see Acid mine drainage (AMD)
streams
coal, water chemistries, 477t
metal
water chemistries, 477t
see also Metal extraction (biomining)
MinE protein, bacterial cell division, 247–248
Mineral(s)
Mineralization
microbial phosphorus cycle see Phosphorus
cycle
Mineral salts medium, ethanol production, 433
definition, 242
archaeal replication, 131
Minimal growth media
analysis, 799
Bacillus subtilis,156
design, 799
Minimal inhibitory concentration (MIC)
Minimal replicons, 917–918
Mini-Muduction, phage Mu, 1115
Minimum efficient processing segment(s) (MEPS),
extracellular DNA uptake, 669–670
Mini scaffold, definition, 751
Minnesota University, biocatalysis/
biodegradation database
Min system
Bacillus subtilis,158
MinD protein see MinD protein
MinE protein, 247–248
protein location, 247–248
Miokamycin
Mismatch repair (MMR)
Mitochondria
sorting and assembly machinery, 258
viral origin
yeast, 1178t
Mitochondria-like organelles
Mitosis
Mitosomes
Mixed acid-producing fermentations, 743
Mixed cultures, Caulobacter crescentus,232
Mixed-substrate growth
Mixed substrates, competition, 319f, 320, 321t
Mixis, 439, 439, 449
benefits, 450
definition, 438
sexuality and, 449
Mixotrophic algae
Mixotrophic substrates, 319
Mixotrophs, definition, 463
Mixotrophy, definition, 708
Mlc (glucose PTS repressor) see Carbon
assimilation regulation
MLS
B
(macrolide–lincosamide–streptogramin B),
macrolide resistance
Mobile genetic elements
rhizobia see Rhizobia
Mobilizable plasmids, definition, 29
Mob proteins, conjugation, 305
Moco see Molybdenum cofactor (molybdopterin)
Moderate Resolution Imaging Spectroradiometer
(MODIS), global ocean, 712
Modes of life, autotrophic CO
2
metabolism, 140
Molds
pathogenic
see also Fungi
Molecular chaperone(s)
definition, 813
see also Chaperone(s)
Molecular clock
Molecular sequences, phylogenetic analysis
see Phylogenetic methods
Molecules
Mollicutes, 776–787
association with eukaryotic hosts, 776–777,
780–781
bacterial cell wall absence, 776, 780–781, 781
biochemistry, 780
coculture, 782
cultivation difficulties, 782
cytology, 780
definition, 776, 776
differences from other bacteria, 780
evolution, 777
genetics and molecular biology, 783
artificial organism construction, 785–786
gene expression, 783
gene knockout mutants, 786
gene orientation, 783
genetic tool use with, 786
genome research challenges, 784
genomic comparisons, 784
posttranslational protein modification, 784
problems with genetic tools, 786
transcription, 783
translation, 783–784
UGA as stop codon, 777–778, 786
UGA for tryptophan, 777–778, 783–784
metabolism, 782
sterol requirements, 777–778, 782
minimal gene set, 784–785, 785t
phylogenetic tree, 778f, 777
phytoplasmas see Phytoplasmas
plant pathogens
classification, 897
disease, 894
pleomorphic nature, 781
structure, tip/terminal, 781f, 781
systematics, 777
groups, 777, 777t
groups based on hosts, 777–778
see also Mycoplasma;Spiroplasma
Molybdate transporter (ModB
2
C
2
), 1128f, 1127
Molybdenum, microbial requirements, 795
Molybdenum cofactor (molybdopterin)
Molybdenum (Mo) nitrogenase
Molybdopterin
Monkey cells, HIV, 649
human, 383–384
Monoacylglycerols (MAGs)
Monocytes
see also Macrophages
Monod saturation constant (K
s
), definition, 309
Monomethylarsenate (MMA)
Monomorphism
Monopartite, definition, 881
Monophosphoryl lipid A (MPL),
lipopolysaccharides, 706
Monophyletic, definition, 327
Monosaccharides, 745
utilization, 746, 747
Monosodium glutamate, production, strain
improvement, 1055
Monothalamids
Monotherapy, definition, 83
Montserrat, geothermal spring, acid
environments of extremophiles, 476–477
Moorella thermoacetica, glucose
degradation, 519
Moraxella bovis,586t
Moraxella canis,586t
Moraxella catarrhalis,586t
Moraxella lacunata,586t
Moraxella nonliquefaciens,586t
Moraxella osloensis,586t
Morganella morganii, human fecal flora, dietary
groups, 567t
Morita, extremophiles, cold environments,
484f, 484
Morpholines
antifungal action, 79, 67t
see also specific morpholines
Mortierella alpina
Subject Index 1231

Mosaic model of evolution, phages
see Bacteriophage(s)
mot genes, flagella, 534
Mother cells, definition, 154
Caulobacter crescentus,235
Caulobacter stalk (prostheca), 228, 228
cyanobacteria, 340, 340
gliding
Helicobacter pylori,600
magnetotactic bacteria
spirochetes see Spirochetes
twitching, type IV pili, 870, 872–873
see also Cell motility
Moulds see Molds
Moving-bed biofilm reactor (MBBR)
MraY, peptidoglycan synthesis, during cell
elongation, 248
MreB
actin cytoskeleton morphology, 269f, 268
Caulobacter crescentus cytoskeleton, 234
mRNA see Messenger RNA (mRNA)
Mrr (restriction endonuclease), 362
MRSA see Methicillin-resistant Staphylococcus
aureus (MRSA)
MSase see Malate synthase (MSase)
MsbA, lipopolysaccharide, 699
MSCRAMM (microbial surface components
recognizing adhesive matrix molecules),
definition, 1037
MSM see Homosexual men
Msp, Treponema denticola,1026–1027
MspA (porin), 262
Mucin(s)
definition, 680
Mucinase, definition, 987
Mucor circinelloides
-carotene production see -Carotene
Mucosa-associated lymphoid tissue (MALT)
definition, 597
Helicobacter pylori,601
Mucosal leishmaniasis (ML)
Muller’s ratchet, 450
Multidrug and toxic compound extrusion
(MATE), antibiotic resistance, 59
substrates, 59t
Multidrug efflux pumps, Gram-negative bacteria,
823–824
Multidrug resistant tuberculosis (MDR-TB),
definition, 1147
Multifork replication
cell cycle, bacteria, 245f, 244
definition, 242
Multilocus sequence typing (MLST)
Actinobacteria phylogeny, 13
Multiple enzyme copies, strain
improvement, 1058
Multiple maturation reaction (MMR),
mollicutes, 786
Multiple sample comparisons, metal extraction
proteomics, 772
Multiple sequence typing (MLST), forensic
science, 546
Mumps virus
Murein lipoprotein
Caulobacter crescentus cell wall, 233
Escherichia coli outer membrane, 422–423
outer membrane anchoring, 816
see also Peptidoglycan
MurG, Caulobacter crescentus,234, 240
infectious agent
murM genes, penicillin-resistance, Streptococcus
pneumoniae,1067
murN genes, penicillin-resistance, Streptococcus
pneumoniae,1067
Muropeptide, definition, 827
Mutagen(s), 1051, 1051t
transduction, 1117–1118
Mutagenesis
random mutations, strain improvement, 1052
Mutant prevention concentration (MPC)
Mutation(s), 439
appearance rates, 450
definition, 83, 53
directed, 451
effects, 442
evolution, 449
frequency, 322–323
induced, 1050–1051
insertion
definition, 1048
genome-wide knockout analysis, 1141
random see Random mutation(s)
rate-affecting factors, 439
spontaneous, 1050–1051
synergy, 442
targeted, 1051
Mutator genes, evolutionary effects, 450
mutS gene, natural transformation, 670
5-O-Mycaminosyltylonolide (OMT)
definition, 1
Mycelial fermentations, bioreactors, 223
antimycobacterial agents, 262
biotechnology applications, 18t
cell envelope, 826f, 825
cell wall composition, 259–260, 261
genotypic taxonomy, comparative genome
analysis, 5–6
lipid biosynthesis, 262
outer membrane proteins, 261
porins, 262
outer membranes, 259f, 258–259
composition, 260
freeze-fracture electron microscopy, 260
function, 260
lipids, 261, 261
structure, 260
phages, 181
phenotypic analysis, 3
polyaromatic hydrocarbon degradation, 17
protein secretion, 260
sequencing, 17
Mycobacterium avium complex
taxonomy, 5
Mycobacterium leprae
reductive genomes, 15
Mycobacterium smegmatis infection, treatment,
drug resistance detection, 371
Mycobacterium tuberculosis
drug resistance
detection, 371
genome, 1150–1151
genotypic taxonomy, restriction digests, direct
repeat (DR) region, 6–7
habitat, 1147–1148
infection see Tuberculosis (TB)
OmpATb, 262
trehalose 6,6’-dimycolate, 1150–1151
W–Beijing family, 1151–1152, 1152
see also Tuberculosis (TB)
polyaromatic hydrocarbon degradation, 17
Mycolactone
Mycolic acids, 259f, 259–260, 261
definition, 251
Mycoplasma,776–787
association with eukaryotic hosts, 776–777,
780–781
characteristics, 778
culture, 778
definition, 776
discovery, 778
diseases associated, 776–777
FtsZ protein and FtsA protein, 781
genome
regulatory proteins, 778
sequences, 778
habitats, 778
heat shock genes, 783
metabolism
arginine dihydrolase pathway, 782
exogenous fatty acid dependence, 780–781
glycerol, 778–779
movement/gliding, 781
pathogenicity, 778–779
phages, 181
promoters, 787
replication by binary fission, 781
species, 778
structure, tip/terminal, 781f, 781
transcription, 783
regulation, 783
transposon mutagenesis, 785
Mycoplasma alligatoris,776–777
Mycoplasma capricolum,784
Mycoplasma fermentans,778
Mycoplasma genitalium,778
association with eukaryotic hosts, 777
chromosome, artificial synthesis, 785–786
enzymes, 782
size, 777
metabolism, 782
hydrogen peroxide formation, 782
minimal gene set, 784–785
as minimal organism, 784–785
nutrient transport systems, 782
as parasite, 780–781
protein phosphorylation, 784
translation initiation, 784
transposon mutagenesis, 785
Mycoplasma hominis,778
Mycoplasma hyorhinis,776–777
‘Mycoplasma laboratorium’,785–786
Mycoplasma mobile,781
gliding, 781
Mycoplasma mycoides,776–777
bovine pleuropneumonia due to, 779
metabolism, 779
plasmids, 786–787
Mycoplasma mycoides–E. coli shuttle vectors,
786–787
Mycoplasma penetrans,778
tip structure and infection process, 781
Mycoplasma pneumoniae,778
adhesin, 781
amino acid synthesis genes lacking, 782
cytotoxicity, 778–779
hydrogen peroxide, 778–779
genome, size, 783, 784–785
HPrK (protein kinase), 784
ldh gene, transcription, 783
metabolism, 782, 782
carbon sources, 782
hydrogen peroxide formation, 778–779, 782
mutants, 786
nutrient transport systems, 782
P41 protein, 781
pathogenicity, 778–779
posttranslational protein modification, 784
PrkC (protein kinase), 784
scavenging for nucleic acid precursors, 782
size and shape, 780
tip structure, 781f
transcription, 783
regulation, 783
translation initiation, 784
transposon mutagenesis, 785
Mycoplasma pulmonis, shufflons, 367
Mycoplasmas see Mycoplasma
Mycoplasmatales, 777t
arbuscular
Mycoses, definition, 65
human effects, 911
plant pathogenic fungi, 888f, 886–887
Mycoviridae, 169t
1232 Subject Index

Myeloid dendritic cells (MDCs), 653
plasmacytoid vs.,653t
Myelosuppression, zidovudine, 106
Myoviridae
pili see below
Myxococcus fulvus, fruiting bodies, 272
Myxococcus xanthus
genome-level resequencing, 444
starvation, 444
Myxomycota, 888
N
N-(3-oxododecanoyl)-L-HSL (3OC
12
-HSL), 992
N-(3-oxo-hexanoyl)-HSL (3OC
6
-HSL),
211–212, 992
N15 linear replicon, plasmid localization, 928
NAAT
N-acetyl-D-glucosamine (NAG), utilization, 747
NAD-dependent malate dehydrogenase
see also Malate dehydrogenase
NADH
fate, glycolysis, 737
generation
EMP pathway (glycolysis), 731
TCA cycle, 740
NADPH, fate, glycolysis, 737
NADPH-dependent malonyl-CoA reductase,
3-hydroxypropionate/4-hydroxypropionate
cycle, 147
NAD+ regeneration, pentose phosphoketolase
pathway, 734–735
Naftifine, 78
structure, 72f
see also specific viruses
Nalidixic acid
Nankai Trough, deep sub-surface
Nanoarchaeota, 124t
growth characteristics, 497t
Nanoarchaeum, growth characteristics, 497t
Nanoarchaeum equitans
genomics, 137
Ignicoccus symbiosis, 264f, 264
Nanoparticles
Nanotechnology
Nap (periplasmic nitrate reductase)
Naphthalene
metabolism, Pseudomonas,981
Narbomycin
NarL response regulator, 1016t
Nas (assimilatory nitrate reductase)
see also Nitrogen cycle
NASA
see also Space microbiology
Nasal infections
see also Nasopharyngeal infections/flora
Nasopharyngeal infections/flora
Neisseria meningitidis,585
Streptococcus pneumoniae,1063
multiple isolate properties, 1063, 1064t
Nasopharyngeal specimens
Nassophorea
National Aeronautics and Space Administration
(NASA) see Space microbiology
National Bioforensics Analysis Center (NBFAC),
forensic microbiology, 548
Entrez databases
National Institutes of Health (NIH)
National Laboratory Response Network (1999),
195–196
Natural competence, Bacillus subtilis,155
Natural killer (NK) cells
HIV infection, 655
Natural selection, 440
adaptation, 441
definition, 438
Natural transformation, 663
soil bacteria, 666
ssDNA uptake, 664
NCBI
N cycle see Nitrogen cycle
Necridic cells, cyanobacteria, 335
Necrosis
Necrotrophs
Needham, John Turberville
Nef, HIV, 644, 648
Negative control, Ti plasmid conjugation, 32–33
Negri body
Neisseria,585
outer membrane proteins, 589
porins, 589
Neisseria cinerea,586t
Neisseria gonorrhoeae,586t
emergence, 386
fimbrial adhesins, 23t
infection, 585
bacteremic, 587
extension, 586
local, 585
treatment
see also Gonococcal infections; Gonorrhea
lipopolysaccharides, 706
peptidoglycan turnover, 840
pili
antigenic characteristics, 871
biogenesis, 872
PilE, 871f, 871
pilin genes, 871
porins, 590
Rmp, 590
transmission, 586
see also Gonococcal infections
Neisseria lactamica,586t
Neisseria meningitidis (meningococci), 586t
capsules, 589, 589t
classification, 589, 593
infection, 585
bacteremic, 587
extension, 586
local, 585
nasopharyngeal, 585
lipopolysaccharide, 821
core oligosaccharides, 695f, 695–696
lipid A, 694f
outer membrane protein insertion, 258
porins, 589
Neisseria subflava,586t
Nelfinavir, 113
adverse effects, 114
antiviral activity, 114
chemistry, 114
mechanism of action, 114
resistance, 114
Nematodes
life cycle
Photobacterium luminescens role, 207–208
Photorhabdum temperata role, 207–208
plant parasites
classification, 905
disease symptoms, 904
infection mechanisms, by survival in cells,
908–909
management, 913
morphology, 905f, 904
reproduction, 904
Neomycin
Neonatal infections
gonococcal, 586
herpes simplex virus, acyclovir, 87
Neonates
gastrointestinal tract, flora succession, 555
Neotyphodium
Neotyphodium coenophialum
Nephrolithiasis, definition, 83
Nephropathy
see also specific conditions
Nephrotoxicity
adefovir dipivoxil, 99
amphotericin B, 66–70
definition, 83, 65
Nervous system
infections
see also Central nervous system (CNS)
Netilmicin
Neuralgia, postherpetic, 1157–1158
Neuraminidase (NA)
definition, 83
influenza viruses, 95, 673–674
Neurodegeneration, prion diseases, 953–954
Neuronal cells, loss, prion diseases, 953–954
Neurospora, strain improvement, transformation,
1056
Neurotoxins
Clostridium botulinum infection see Botulinum
neurotoxins
Neutraceuticals
Neutralizing antibody see Antibodies,
neutralizing
Neutral metalloprotease, Bacillus subtilis,160
Neutropenia
definition, 65
ganciclovir side-effect, 90
Neutrophil(s)
deficiency/dysfunction
see also Neutropenia
Salmonella infections, 416
Yersinia infection, 417
Neutrophilic microorganisms, metal extraction
(biomining), 764
Nevirapine, 110
adverse effects, 111
antiviral activity, 110
chemistry, 110
clinical indications, 110
mechanism of action, 110
resistance, 111
Newborn infants see Neonatal infections;
Neonates
Next-generation sequencing, definition, 369
Nickel, microbial requirements, 795
Nicotiana benthamiana,Potato spindle tuber
viroid, long-distance trafficking, 1170
Nicotinamide adenine dinucleotide (NAD)
yeast sugar metabolism, 1180
nic site
conjugation, 295–296, 302
plasmid replication, 920
NifA
NifA–NifL system, transcription, 1097
nif genes
Nigeria
Nikkomycins
antifungal action, 81, 67t
structure, 80f
Nikkomycin Z, antifungal action, 81
Nine-valent conjugate vaccine, invasive
pneumococcal disease, 1062
Nir
denitrification see Denitrification
NirA protein
NirBD see Nitrite reductase (NirBD)
nisA gene/protein, 991
Nisin, 991
NisR protein, 991
Nitrate(s)
assimilation
Nitrate reductases
assimilatory
denitrification see Denitrification
Nitrate uptake system
Nitrification
freshwater habitats
see also Nitrogen cycle
Subject Index 1233

Nitrifying bacteria
see also Nitrobacter;Nitrosomonas
University of Minnesota biocatalysis/
biodegradation database
Nitrite reductase (NirBD)
assimilatory
Nitrite reductase (Nrf) see Nrf
6-Nitro-3-phenylacetamidobenzoic acid (NIPAB),
as diagnostic substrate, 1055
Nitrobacter
assimilation, 793
cyanobacteria, 338
rhizobia–legume symbiosis
Caulobacter morphogenesis, 230–231
compound reduction, extremophiles, hot
environments, 512
cycle see Nitrogen cycle
effects, Caulobacter stalk (prostheca), 237
fixation see Nitrogen fixation
isotope
limitation see Nitrogen limitation
liquid see Liquid nitrogen
metabolism, 793
see also Nitrogen cycle
microbial requirements, 793, 791t, 792t
recycling
definition, 396
microbial endosymbioses, 396f, 396
sources
batch culture, 317
Caulobacter crescentus,236
Escherichia coli,424–425
cyanobacteria, nitrogen assimilation, 338–339
see also Nitrogen fixation
GS-GOGAT pathway see GS-GOGAT
pathway
denitrification see Denitrification
see also specific enzymes
freshwater habitats
nitrate assimilation see Nitrate assimilation
nitrification see Nitrification
nitrogen fixation see Nitrogen fixation
see also specific stages
endosymbionts, 394
actinomycete, 394
animals, 394–395
cyanobacteria, 394
legumes, 394
inhibition impact, Bradyrhizobium symbionts,
402f,401
Nitrogen limitation
Nitrogen mineralization see Nitrogen cycle
Nitrogenous compound detoxification
see Nitrogen cycle
Nitrogen PTS
2-Nitrophenyl--D-galactopyramoside (ONPG),
as diagnostic substrate, 1055
4-Nitrophenylphosphate (PNPP), as diagnostic
substrate, 1055
Nitrosoguanidine (NTG), as mutagen, 1052
Nitrosomonas
Nitrosopumilales, 124t
NK cells see Natural killer (NK) cells
N-mediated antitermination, bacteriophage
lambda see Bacteriophage
Nocardia
genotypic taxonomy, restriction digests, 6
human fecal flora, dietary groups, 567t
strain improvement, protoplast fusion, 1056
taxonomy, 5
Nocardia asteroides, taxonomy, 3
Nocardicins
Nocardioidaceae, chemical constituent
taxonomy, 4t
Nocardioides
biotechnology applications, 18t
vinyl chloride degradation, 17
Nocardioides aromaticivorans, carbazole
degradation, 17
see also Rhizobia–legume symbiosis
NOD mice see Non-obese diabetic (NOD) mice
Nodularia spumigena
Nodularin synthetase
Nodulation
rhizobia–legume symbiosis
Non-A, non-B (NANB) hepatitis
historical perspective, 605–606
see also Hepatitis C; Hepatitis E
Nonfermentative yeast, 1179t
Nonhomologous exchanges, phages, 176
Nonmicrobial products, strain
improvement, 1050
Non-nucleic acid-based analysis, forensic
science, 546
Non-nucleoside analogues, anti-HIV agents, 88
anti-HIV/AIDS agents, 110
Non-obese diabetic (NOD) mice
Pseudomonas,975
Nontypeable Haemophilus influenzae (NTHi)
see also Denitrification
Norfloxacin
North American Indian wars, small pox, as a
weapon, 190–191
North Pacific Subtropical Gyre (NPSG)
ALOHA study see A Long-term Oligotrophic
Habitat Assessment (ALOHA)
HOT study, 719
marine habitats, 719
characteristics, 720–721
Nos, denitrification see Denitrification
Nosocomial infections
phage therapy see Bacteriophage therapy
Nostoc
Nostocaceae
Nostocales, definitory criteria, 329t
Nostoc commune,344
Novel substrates, solvent production see Solvent
production
Nrf
NRPS enzymes
N-terminal, exotoxins, 453
NtrC response regulator, 1016t
Nuclear localization sequences, Agrobacterium
tumefaciens plant cell transformation, 40–41
Nuclear magnetic resonance (NMR) spectroscopy
autotrophic CO
2
metabolism pathway
distribution, 148
Nuclear polyhedrosis virus (NPV)
Nuclease(s), DNA contamination, 576–577
Nucleic acid(s)
methylation see Methylation
see also DNA; RNA
Nucleic acid-based assays, forensic science, 545
Nucleic acid probes
see also DNA probes; Base(s)
Nucleocapsid (NC/p7), Gag protein, 643
Nucleocytoplasmic large DNA virus(es)
(NCLDV)
Nucleoid(s)
definition, 266, 284
DNA compaction, 281f, 281–282
Escherichia coli see Escherichia coli
multifork replication, 282
structure, 281
substructure, 282
Nucleoid-associated proteins, Escherichia
coli,424
Nucleoid occlusion, 250
Bacillus subtilis,158
Nucleoid occlusion model, 250
Nucleomorph
see also specific organisms
Nucleoplasm
definition, 266
structure, 281f, 281
Nucleoprotein particles, T-DNA processing, 34–35
Nucleoside(s)
synthesis, biotransformations
Nucleoside analogues
anti-HIV agents, 88
Nucleoside/nucleotide reverse transcriptase
inhibitors (NRTIs), 106
hepatitis B therapy, 101
resistance to, 110
new nucleoside/nucleotide analogue
combinations, 110
Nucleoside phosphorylases, biotransformations
Nucleoside reverse transcriptase inhibitors
(NRTIs) see Nucleoside/nucleotide reverse
transcriptase inhibitors (NRTIs)
purines
Nucleotide-binding domain (NBD), ATP-binding
cassette transporters, 1126–1127
crystal structures, 1127
Nucleotide-binding oligomerization domain
(NOD)- like receptors (NLRs), HIV
infection, 652–653
thermophilic Archaea, 132
Nucleotide recycling, generalized transduction,
1114f, 1113
Nucleotide reverse transcriptase inhibitors
(NRTIs) see Nucleoside/nucleotide reverse
transcriptase inhibitors (NRTIs)
Nucleotide sequence
phage diversity, 169
Nucleus
eukaryotic see Eukaryotes
yeast, 1178t
Numerical taxonomy, Actinobacteria,2–3
Nun system, antitermination, 944–945
NusA protein
anti-termination, 1104, 1105
transcription termination, 1104
NusG protein, transcription termination, 1104
Nutrient(s)
definition, 708
growth-limiting, steady-state concentration
maintenance, 310–311
3-hydroxypropionate/4-hydroxypropionate
cycle distribution, 151
limitation see Nutrient limitation
uptake, Caulobacter stalk (prostheca), 228
Nutrient-gradient directed motility, Caulobacter
oligotrophy, 232
Bacillus subtilis transition state, 158
bacterial competition, 320f, 320
mutant selection, 322
see also Limiting nutrient
Nutrient-rich broth, Escherichia coli growth, 425
Nutrient-scavenging capacity, Caulobacter
oligotrophy, 231
Nutrition, 788–804
batch cultivation see Batch culture
continuous culture see Continuous culture
elemental growth yield factors, 801
flexibility, 789–790
growth limiting nutrient identification,
802f, 802
growth medium design see Growth media
limiting nutrient concept, 796
microbial requirements, 792
cations, 794
identification, 800
sugars, 801
trace elements, 801, 795
minimal growth media see Minimal growth
media
nutrient classes, 790f, 790, 791t
organism classification, 789, 789t
physiological functions, 792
unrestricted growth, m
max
,800
see also Maximum specific growth rate (m
max
)
unrestricted vs. nutrient-limited growth, 795
1234 Subject Index

Nutritional needs, strain improvement
Nylon degradation, Pseudomonas,983
Nystatin, 70
liposomal, 71
structure, 72f
O
O-antigen
Escherichia coli,421
Obesity
colonic microbiota and, 809
gastrointestinal microflora research, 571–573
Obligate anaerobes, 741
Obligate fermentative yeast, 1179t
Obligate intracellular parasites, 398
OccR (transcriptional activator), 994–995
Agrobacterium tumefaciens opine
catabolism, 32
occR operon, Ti plasmid conjugation, 32–33
Ocean(s)
deep
subsurface see Deep sub-surface
world see Ocean, global
see also entries beginning marine
Ocean, global
marine habitats, 709f, 709
mixed layer vs. mixing layer, 718
satellite-based color measuring sensors, 712
sea surface temperature, 713f
near-surface water
solar energy effects on microbes,
716–717
solary energy effects on microbes,
716–717
oligotrophic aquatic habitats
open ocean habitats
light distribution, 722f
microbial biomass, 716
water type identification
temperature and salinity characteristics (T-S
diagram), 714f, 712
temperature vs. salinity characteristics (T-S
diagram), 714f, 712
Ocellus (algal eyespot)
ocr genes, antirestriction, 364–365
N-Octanoyl HSL (C
8
-HSL), bioluminescence, 992
OdhI protein, Corynebacterium glutamicum,
45–46
Odor
Oesophagus see Esophagus
Oil(s)
single-cell (SCO)
Olavius algarvensis, chemoautotrophy, symbiosis
metagenomic analysis, 393
Oleandromycin
Oleoresins
O
L
ER–I
L
ER synapsis, transposable element
deletion studies, 1143f, 1142
O
L
ER–O
R
ER synapsis, transposable element
deletion studies, 1143f, 1142
Oligohymenophorea
Oligopeptide permease (Opp) system,
conjugation, 304
Oligosaccharides, 745
utilization, 746, 746
Oligotrophic, definition, 483
see also Oligotrophic lakes
bacteria
Oligotrophic habitats
aquatic see Oligotrophic aquatic habitats
Oligotrophic lakes
see also Oligotrophic aquatic habitats
Oligotrophic microorganisms
bacteria
cultivation
Caulobacter see Caulobacter
Oligotrophy, definition, 225
Omp85 (outer membrane protein), 821
OmpA (outer membrane protein), conjugation
role, 301
OmpATb (outer membrane protein), 262
OmpC (outer membrane protein), 817
Escherichia coli outer membrane, 422–423
OmpF protein, Escherichia coli outer membrane,
422–423
OmpR response regulator, 1016t
5-O-mycaminosyltylonolide (OMT) see 5-O-
Mycaminosyltylonolide (OMT)
Oncogene
adenoviruses
see also Epstein–Barr virus (EBV)
see also specific cancers;specific viruses
Onion yellows phytoplasma strain M (OY-M)
Oomycetes (and oomycota), 889f, 888–889
fungicide, 67t
biological control, 913f
Opacity (Opa) proteins, neisserial infection,
591, 589t
gonococci, 587, 591
meningococci, 591
Open binary complex, transcription
initiation, 1096
Open reading frame (ORF)
Operon(s)
definition, 971, 53
see also individual operons and organisms
Ophthalmia neonatorum, 586
Opines, 994
catabolism, A. tumefaciens plant cell
transformation see Agrobacterium
tumefaciens plant cell transformation
conjugation, 306–307
O-polysaccharide (O-PS) see O-Polysaccharide
(O-PS)
Opportunistic infections
definition, 65
Opportunistic organism, definition, 971
Opportunistic pathogens
OprD (channel protein), 818
O-PS
Oral bacteria
luxS-dependent interactions, 999
Oral bioavailability, ganciclovir, 90
Oral biofilm
tooth enamel
see also specific diseases/infections
Oral Gram-negative anaerobes, 806, 811
other diseases, 807
periodontal disease, 806, 806t
biofilm see Oral biofilm
diseases
Orc/Cdc6 proteins, 132f, 131
Oregon, Salmonella typhimurium
food-borne outbreak, 542–543
microbial forensics response, 542–543
ORFans
Organic acid(s)
fermentation, 519
see also specific acids
Organic carbon, Caulobacter oligotrophy, 232
Organic compounds
degradation, Pseudomonas,980
see also Organic material/matter
Organic material/matter
Organic phosphorus
Organism-specific genes, DNA sequencing, 371
Organomercurials
Organometallic compounds
oriC see Origin of replication
OriC plasmids, mollicute studies, 786–787
Orientia tsutsugamushi, peptidoglycan, 828–829
Origin of replication
cloning/genetic engineering, strain
improvement, 1057
definition, 915, 284
oriC,282f, 282
bacterial chromosomes, 291, 292
Cdc6 associations, 290
Escherichia coli,424, 245
plasmids, mollicute studies, 786–787
plasmids, 918
double-strand ori,920
transposons, 1138–1141
Origin of termination (TerC), 282f, 282
Origin of transfer (oriT), chromosome
mobilization, 297–298
Oroya fever, 685
Orphan regulator(s), 1004
definition, 987
serogroups
Orthologous genes
Orthologue, definition, 118
Orthology
Orthophosphate
Oscillatoriales, definitory criteria, 329t
Oseltamivir, 95
adverse effects, 96
antiviral activity, 95
chemistry, 95
clinical indications, 95
mechanism of action, 95
resistance, 95
O serogroups, Vibrio cholerae infection, 409
Osmoporin (OmpC), 276f, 275
otsBA (pcxA) genes, bacterial stress,
1081–1082
Outer membrane (OM), 252
acid-fast Gram-positive bacteria, 259f, 258
archaeal see Archaea
definition, 251
Escherichia coli see Escherichia coli
Gram negative bacteria see Gram-negative
bacteria
Gram positive bacteria see Gram-positive
bacteria
Outer membrane proteins (Omps)
bacterial stress, 1081–1082
Gram-negative bacteria see Gram-negative
bacteria
mycobacteria
Neisseria see Neisseria
spirochetes, 1025
see also individual Omps
Outer membrane ushers
oligomerization, 869
pili assembly, 869
Overliming, ethanol production, 436
Oxalacetate decarboxylase, 520–521
Oxalosuccinate reductase, reductive citric acid
cycle, 144
Oxiconazole, 74, 67t
Oxidase
see also individual oxidases
Oxidation, 728
definition, 728
metal extraction (biomining), 768
Oxidative damage response (OxyR)
Oxidative stress, 1078
escape response proteins, 1077t
Pseudomonas aeruginosa,978
2-Oxoacid dehydrogenase, reductive citric acid
cycle, 144
2-Oxoacid synthase, reductive citric acid
cycle, 144
3-Oxo-C6-HSL, 211–212, 992
3-Oxo-C12-HSL, 992
2-Oxoglutarate carboxylase, reductive citric acid
cycle, 144
2-Oxoglutarate dehydrogenase, reductive citric
acid cycle, 144
2-Oxoglutarate synthase, reductive citric acid
cycle, 144
8-Oxy deoxy-guanosine system
Subject Index 1235

Oxygen
bioreactors, 220
concentration, rhizobia–legume symbiosis
extremophiles, hot environments, 512
isotope
limitation
microbial requirements, 793
reductive pentose phosphate cycle
regulation, 152
Oxygenic photosynthesis see Photosynthesis
Oxymonads
OxyR protein, protein oxidation, 1086–1087
OxyS RNA, translation initiation control,
948f, 949
Ozone
P
Packaging
bacterial chromosomes, 292, 292
DNA, generalized transduction, 1113, 1113
phage genes, 168
see also Bacteriophage(s)
Packed bed bioreactor(s), 221
pac-like sequences, DNA packaging, 1113
pac sequence, phage P22 plasmid transduction,
1118
PAD1 plasmid, conjugation, 304, 297t
oriT,305
Paedarus beetles, metagenomics, 756
Paintings, biodeterioration see Biodeterioration
Paired-end sequencing
454 Life Sciences DNA sequencing see DNA
sequencing
DNA sequencing, 375
Palaeococcus, growth characteristics, 497t
Palaeococcus ferrophilus,352t
cellular microbial fossils
cyanobacteria see Cyanobacteria
PAMPs
Pandemic, definition, 673
Pandemic and All-Hazards Preparedness Act
(2006), 195–196
biological warfare, 193
Panmictic population structure, definition, 597
Pantoea stewartii, quorum sensing EsaI/EsaR
system, 995
PapC usher, pili assembly, 869
PapD chaperone
PapK complex, 869f, 868–869
P pilus assembly, 867–868
structure, 868–869
Paper
biodeterioration see Biodeterioration
Papermaking
microbial safety
see also Pulp
PapG adhesin, P pilus binding specificity,
866–867
pap gene cluster, P pili expression, 866–867
Papillomatous digital dermatitis (PDD),
treponemes, 1027
antiviral agents see Antiviral agents/drugs
imiquimod therapy, 102
interferon therapy, 102
podophyllotoxin, 102
see also Human papillomavirus (HPV); specific
viruses
pap operon
Papulocandins, antifungal action, 79
Papyrus, biodeterioration see Biodeterioration
Parabasalids
Paracetic acid (C
2
H
4
O
3
)
Paracoccus
Paracoccus versutus, continuous culture, 319
Paralogous genes
Paramyxoviridae
ParA proteins, plasmid localization, 928
Pararetroviruses
Parasite(s)
definition, 1022
examinations for
intracellular endosymbionts, 392
Parasite(s), intracellular, 398
entry to host cells, 401
persistence of infections, 402, 402t
transmission, 398
horizontal, 398, 400
vertical, 398, 398
types
facultative, 398
obligate, 398
reproductive, 398
see also Endosymbionts
Parasite–host relationships, 447, 448
Parasitoids
Parasponia
Parchment, biodeterioration see Biodeterioration
Parenchyma, definition, 881
Parenteral, definition, 604
par genes, plasmid segregation, 926
ParM protein
plasmid segregation, 928f, 926
Paromycin
ParR protein
plasmid segregation, 928
Parvopolyspora, phylogeny, 16S rRNA
sequences, 7–11
Parvovirus B19 infection (fifth disease)
PAS domain(s)
definition, 1005
structure, 1012–1013
Passive transport, definition, 251
Pasteur effect, 1181t
definition, 1174
PatA response regulator, 1016t
Patent
mining see under Patenting of living organisms
and natural products
phases
deposition
see also specific countries
Patent Cooperation Treaty
see also Patent
see also Patent
Pathogen(s)
bacterial
mutation rates, 451
pilus expression, 879
stress conditions, 1076
fungal
see also Fungal infections
opportunistic see Opportunistic pathogens
see also individual pathogens/microorganism
types
Pathogenesis
definition, 1022
Pathogenicity island (PAI)
cag, 600
definition, 597, 405
DNA sequencing, 371
Helicobacter pylori,599, 600, 287
phages, 173
Staphylococcus aureus,1040
Pathway prediction system (PPS)
biodegradation database, microbial
Patina
PBP1a, peptidoglycan synthesis, during cell
elongation, 248
PBP1b, peptidoglycan synthesis, during cell
elongation, 248
PBP2
peptidoglycan synthesis, during cell
elongation, 248
PBP3 (FtsI)
inactivation, peptidoglycan synthesis at
divisome, 249f, 248–249
pbp genes, penicillin-resistance in Streptococcus
pneumoniae,1067
PBR322 plasmid, 305
PCC1FOS vector, metagenomics, 752
PCF10 plasmid, conjugation, 304
PCR
PCR-randomly amplified polymorphic DNA
(PCR-RAPD), Actinobacteria taxonomy, 6
Peach latent mosaic viroid (PLMVd)
peach calico characteristics, 1171
transcription initiation sites, 1169
utilization, extracellular enzymes, 745–746
Pederin, endosymbionts, 397
Pediculus humanus
RF Borrelia,1028
vertical transmission, 399f, 399
Pediococcus, human fecal flora, dietary
groups, 567t
Pegylated interferon, 97, 98
IFN-(Peg-IFN), hepatitis C virus, 619
Pelagic Realm (water column), marine habitats,
711–712, 712t
Pelamoviroid, 1165t
Pelvic inflammatory disease (PID), 586
Penciclovir, 91
adverse effects, 91
antiviral activity, 91
chemistry, 91
clinical indications, 91
mechanism of action, 91
resistance, 91
Penicillin(s)
metagenomics, 759
resistance, Streptococcus pneumoniae
see Streptococcus pneumoniae
antibiotic resistance mechanism, 56
classification, 836
definition, 266, 242
genetic analysis, 836
high molecular weight, class A vs. class B, 838
peptidoglycan synthesis, 836
Penicillin binding protein 1B (PBP1B),
peptidoglycan synthesis, 834f, 836
Penicillin binding protein 2 (PBP2), peptidoglycan
synthesis, 838
Penicillin binding protein 3 (PBP3), peptidoglycan
synthesis, 838
Penicillin-insensitive D,D-endopeptidases
(MepA), 838–839
Penicillium
strain improvement, protoplast fusion, 1056
Penicillium janczewski, griseofulvin
see Griseofulvin
Penicillium oxalicum
arpink red production see Arpink red
Penicillopepsin
ethanol production, 434–435
utilization, 747–748
Pentose phosphate pathway (PPP), 732f, 731
Archaea, 737
ATP-dependent hexokinase, 731
Bacillus subtilis,156
Escherichia coli,424
glucose-6-phosphate dehydrogenase, 731
glycolysis, 732f, 731
nonoxidative branch, 731–732
oxidative branch, 731
phosphoglucoisomerase, 732
6-phosphogluconate dehydrogenase, 731
6-phosphogluconolactonase, 731
precursor metabolites, 750
erythrose-4-phosphate, 750
ribose-5-phosphate, 750
sedoheptulose-7-phosphate, 750
ribose-5-phosphate epimerase, 731–732
ribose-5-phosphate isomerase, 731–732
transaldolase, 732
transketolase, 732
1236 Subject Index

Pentose phosphoketolase (PPK), 734f
Pentose phosphoketolase (PPK) pathway, 734f,
734–735, 734
alcohol dehydrogenase, 734–735
distribution, 734
lactic acid-producing bacteria, 734
glycolysis, 734f, 734
lactate dehydrogenase, 734–735
NAD+ regeneration, 734–735
pentose phosphoketolase, 734–735
xylulose-5-phosphate phosphoketolase,
734–735
PEP carboxykinase see Phosphoenolpyruvate
(PEP) carboxykinase
PEP–pyruvate–oxaloacetate shunt, regulation
see Central metabolic pathways
Peptic (gastric/duodenal) ulcer
definition, 597
Helicobacter pylori,598, 601
Peptidases, Bifidobacterium longum,16
Peptide(s)
antifungal action
natural, 82
synthetic, 82, 67t
Peptidoglycan, 275, 827–843, 828f, 829f,
827–828
adaptive modifications, 840
Bacillus subtilis,157–158
chemical composition, 830
cross-links, 830, 830, 837
definition, 154, 813, 266, 242, 827
Escherichia coli cell wall, 423
function, 827–828
glycan chains, 277f, 275–276
glycan moiety variations, 831
glycan strand length, 830–831
Gram-negative bacteria cell walls, 274
interpeptide bridges, 835
lysozyme resistance, 831
maturation, 840
metabolism, 829–830
postinsertional, 839
monomers, 830, 830–831
biosynthesis, 833f, 834f, 832
parameters, 830
penicillin binding proteins
polymerization, 834f, 835, 836
precursor synthesis, 829–830
lipid intermediates, 835
precursor translocation, lipid
intermediates, 835
recycling, 840
sacculi, biophysical properties, 841
elasticity, 841
permeability, 842
thickness, 841
topological heterogeneity, 842
stem peptide
addition of, 834
secondary modifications, 832
sequence variation, 831
structure, 277f, 830
synthesis
Caulobacter crescentus cell wall, 233
during cell elongation, 248f, 248
MraY, 248
PBP1a, 248
PBP1b, 248
PBP2, 248
at divisome, 248
FtsI inhibition, 248–249
turnover, 840
UDP-GlcNAc synthesis, 832
see also Murein lipoprotein
Peptidoglycan-free microorganisms,
828–829
Peptidoglycan hallmark, 832
Peptidoglycan hydrolases, 838
function, 840
physiology, 839
regulation, 838
Peptidomimetics, definition, 83
Peptidyl transferases, peptidoglycan
polymerization, 835
Peptococcus,556t, 559t
Peptococcus magnus,559t
Peptococcus prevotii,559t
Peptococcus saccharolyticus,559t
Peptococcus variabilis,559t
Peptostreptococcus,556t,559t
Peptostreptococcus anaerobius,559t
Peptostreptococcus micros,559t
Peptostreptococcus parvulus,559t
Peptostreptococcus productus,559t
Peramivir, 97
Perderin, 756
Perilithic habitat/associations
Periodontal disease
control strategies
oral Gram-negative anaerobes, 806, 806t
Periodontitis
control strategies
oral treponemes, 1026f, 1026
Peripheral neuropathy, stavudine, 107
Periplasm
definition, 813, 225, 1075, 274, 827
Gram-negative bacteria, 822
Escherichia coli see Escherichia coli
proteins, 822
pilus, urinary tract, 23–24
Periplasmic chaperones, pili assembly
pathways, 867
Periplasmic sensory protein domains, 1012t
Peritrichous flagella, 529f
Permafrost, definition, 483
Permease
definition, 251
expression, 442–443
Peroxisomes
Saccharomyces cerevisiae (and other yeast),
1178t
Pertussis, organism causing see Bordetella
pertussis
Pertussis toxin, 307
Peru Margin
deep sub-surface
sediments
Pervaporation
solvent production product recovery
see Solvent production
for plants see Plant(s)
PET genes, ethanol production, 431
bioremediation see Bioremediation
Pex proteins, 1076
definition, 1075
stress response, 1080
Pezizomycotina, 889, 890–893
PGLtb, structures, of Mycobacterium
tuberculosis, 1151f,1151–1152
pH
deep-sea hydrothermal vents, vs. terrestrial hot
springs, 353
growth media design, 801, 801–802
homeostasis
hot springs see Hot springs (acid pH)
measurement
yeasts, 1179
see also individual genera
stress
homeostasis mechanisms
permeant acids
see also pH; Stress responses
Phaeothamniophyceae
Phage see Bacteriophage(s)
Phage–eukaryote interactions
Phage therapy see Bacteriophage therapy
Phagocytic cells
see also Macrophages; Neutrophil(s)
Phagocytosis
endosymbionts, 401
intracellular symbionts, 401
resistance, Yersinia infection, 417
Phagosomal vacuole, Listeria monocytogenes
infection, 418
Phagotrophic protists
Pharmaceutical industry
Pharmacokinetics
definition, 83
phage therapy see Bacteriophage therapy
Pharming
transgenic mice, 962, 962
Phase III trials, definition, 83
Phase-contrast illumination, Caulobacter
identification, 229f, 230f, 229
Phaseolotoxin
Phase variation
definition, 861
pilus expression, 879
PhcR protein, 1001
Phenazines
Pseudomonas aeruginosa,977
Phenolic glycolipid (PGL), structure, 1151f
Phenolics
Phenol red, as diagnostic substrate, 1055
definition, 183
Phenotypic analysis, Mycobacterium,3
Phenotypic traits, natural selection, 440
Phenylobacterium,227
Phenylpyrroles, antifungal action, 67t
Pheromones
Enterococcus faecalis,304
Gram-positive bacterial conjugation, 304
horizontal gene transfer, plasmids, 930
see also specific diseases/infections
Philosophy of methods, scientific see Scientific
methods
Phloem, definition, 1163, 881
Phloem sieve tubes
Phytoplasma habitat, 780
Spiroplasma habitat, 779, 779–780
PhoB response regulator, 1016t
Caulobacter stalk (prostheca), 237–238
phoBR operon, 1086
PhoE protein
porin structure, 817
starvation escape response, 258, 1076–1077
Pho regulon
Caulobacter stalk (prostheca), 237–238
PhoR protein, Caulobacter stalk (prostheca),
238f, 237–238
Phosphatase
Phosphate
Caulobacter morphogenesis, 231f
Caulobacter oligotrophy, 231
starvation, 1086
S
synthesis, 1087
transport see Phosphate transport systems (Pit)
see also Phosphorus; individual phosphates
Phosphate-independent NAD
+
-dependent
glyceraldehyde-3-phosphate dehydrogenase
(GAPN), glycolytic pathways, Archaea, 736f
Phosphate transport systems (Pit)
Phospho-N-acetylmuramyl-pentapeptide
translocase (MraY), peptidoglycan synthesis,
833f
Phosphoclastic reaction, butyric acid/
butanol–acetone-producing
fermentations, 742
Phosphoenolpyruvate (PEP) carboxykinase
Phosphoenolpyruvate:glycose phosphotransferase
system (PTS), enzyme I, 1009
Phosphofructokinase (PFK)
ATP-dependent, EMP pathway, 730f
Subject Index 1237

Phosphofructokinase (PFK) (continued )
EMP pathway (glycolysis), 730, 735–736
Phosphoglucoisomerase (PGI)
EMP pathway (glycolysis), 730f, 730
Archaea, 736f
PPP pathway, 732f, 732
6-Phosphogluconate dehydratase
Entner–Doudoroff pathway, 733f,733
PPK pathway, 734f
6-Phosphogluconate dehydrogenase (6-PGD)
alleles, 443
PPK pathway, 734f
PPP pathway, 732f, 731
6-Phosphogluconolactonase
Entner–Doudoroff pathway, 733f,733
PPK pathway, 734f
PPP pathway, 732f, 731
Phosphoglucosamine mutase (GlmM),
peptidoglycan synthesis, 833f, 832–834
3-Phosphoglycerate
generation, reductive pentose phosphate
cycle, 142
3-Phosphoglycerate dehydrogenase (PGDH), 50
Phosphoglycerate enolase
EMP pathway, 730f
glycolytic pathways in Archaea, 736f
Phosphoglycerate kinase (PGK)
EMP pathway, 730f, 731
glycolytic pathways in Archaea, 736f
Phosphoglycerate mutase (PGM)
EMP pathway, 730f, 731
glycolytic pathways in Archaea, 736f
Phospholipase C
hemolytic, 976
characteristics, 976
nonhemolytic, 976
Phospholipid(s)
Actinobacteria taxonomy, 4t
assembly, 822
Escherichia coli cytoplasmic membrane, 423
cytoplasmic membrane structure, 252, 423
synthesis, Phytoplasma,780
Phospholipid bilayer,253–254
definition, 251
Phosphomannose isomerase-guanosine
diphosphomannose pyrophosphorylase
(PMI-GMP), Pseudomonas aeruginosa,
973–974
Phosphomonoesterases
Phosphorelay
Bacillus subtilis spore formation see Bacillus
subtilis
Caulobacter crescentus
definition, 225
signal transduction, two-component
system, 1017
Phosphoribulokinase (PRK)
cyanobacteria, 336
reductive pentose phosphate cycle, 143, 148
Phosphorus
microbial requirements, 794
organic
starvation, escape response proteins, 1077t
total see Total phosphorus (TP)
see also Phosphate
freshwater habitats
phosphate mineral formation see below
transitory see below
Phosphorus pool measurement see Phosphorus
cycle
Phosphorylase
Phosphorylation
definition, 1005
serine/threonine residues, 1015–1016
substrate-level, 522, 522, 728, 742–743
definition, 515, 728
Phosphoryl carrier protein (HPr),
phosphotransferase system transporters,
1132
characteristics, 1132–1133
Phosphotransacetylase, PPK pathway, 734f
Phosphotransbutyrylase, butyric acid/
butanol–acetone-producing
fermentations, 742
Phosphotransferase system (PTS), 1007f, 1010f,
1014t, 1132
Bacillus subtilis,156
components/reactions, 1017, 1132f, 1132
continuous culture, 318–319
definition, 154, 776
enzyme I, 1009, 1132
E. coli,1132
Staphylococcus carnosus,1132
enzyme II, 1132
enzyme II
GLC
,1009, 1017, 1017
HPr protein, 1132–1133
mollicutes, 784
Phytoplasma,780
transporters, 1121–1122
classification, 1133
phosphoryl carrier protein, 1132
regulatory functions, 1133
structural characteristics, 1132
sugar transport reaction, 1132f
Photoautotrophs
definition, 219
Photoautotrophy, definition, 788, 789
Photobacterium iliopiscarium, phylogeny, 206f
Photobacterium kishitanii
bioluminescence, 204f
symbiotic associations, 208
lux operon, 212f
phylogeny, 206f
symbiotic relationships, 209f
Photobacterium leiognathi
lux operon, 212f
gene loss, 214–215
lux-rib operon, 215
geographic distribution, 216f
symbiotic relationships, 209f
Photobacterium mandapamensis
lux operon, 212f
symbiotic relationships, 209f
Photobacterium phosphoreum
lux operon, 212f
phylogeny, 206f
Photobioreactors, 222
Photography/photographs, biodeterioration
see Biodeterioration
Photoheterotrophy, definition, 788, 789
Photolithoautotrophic microbe, 715
Archaea, 132
Photorespiration, reductive pentose phosphate
cycle, 142
Photorhabdus, bioluminescence, 204–205
Photorhabdus asymbiotica
habitats, 207
symbioses, 207–208
Photorhabdus luminescens
habitats, 207
lux operon, 212f
symbioses, 207–208
Photorhabdus temperata, habitats, 207
Photosynthesis, 844–860
absorption/transfer of light energy, 846
light-absorbing chromophores, 846
accessory, 848
primary, 846
resonance energy transfer, 848
anoxygenic see Anoxygenic photosynthesis
artificial, implications, 845
bacteria, 845
Calvin–Benson–Bassham cycle, 855f, 854
chemical equation, 845, 845
classification of organisms, 845
Acidobacteria, 845–846
anoxygenic vs. oxygenic, 845
constituent processes, 328, 845, 846
Van Niel’s equation, 845, 845
cyanobacteria, 327–328, 846
dark reactions, 336
endosymbionts, 393
light reactions, 335f, 335, 336
thylakoid associations, 846
definition, 844–845
endosymbionts, 393, 392
evolution, 858
homodimeric reaction center model,
858f, 858
type I reaction centers, 858–859
type II reaction centers, 859
historical perspective, 844–845, 845
influential scientists, 845
importance, 140
marine habitats, 711
O
2
-evolving complex, 849f, 848
S-state cycle model, 849
oxygenic, 844–845, 845
definition, 327
phototrophs, 844–845
reaction centers, 850
photosystem I, 853f, 852
cofactors, 853f
components, 854f
photosystem II, 851f, 850
components, 852f, 850–851
coral bleaching, symbioses
breakdown, 403
electron transport chain, 851f
redox-active cofactors, 851f, 852
research directions, 859
artificial photosynthesis, 859
reaction centers, 859
transmembrane electron transfer, 849
charge-separated state stabilization, 849
Gibbs free energy drop effects, 849
rate of electron transfer, 849
Marcus theory influences, 849–850
matrix coupling element influences, 850
water-splitting complex, 849f, 848
evolution issues, 859
O
2
-evolving complex, 849f, 848
S-state cycle model, 849
Photosynthesis, anoxygenic see Anoxygenic
photosynthesis
Photosynthetic electron transport see Electron
transport
Photosystem II (PSII)
coral bleaching, symbioses breakdown, 403
see also under Photosynthesis, reaction centers
Photosystem genes, ‘cargo’ genes, 1116–1117
Phototaxis
Phototroph(s), 789t
definition, 708
Phototrophic microorganisms
bacteria
biodeterioration see Biodeterioration
Phototrophic picoeukaryotes (PP)
Phr peptide, 990
pH stress
Phthalimides, antifungal action, 82, 67t
Phycobilins, 848
Phycobiliproteins, light harvesting in
cyanobacteria, 335–336
cyanobacterial, 331
definition, 327
Phycodnaviridae
Phycoerythrocyanin, light harvesting in
cyanobacteria, 335–336
Phycomyces blakesleeanus,-carotene
production see -Carotene
Phyllopharyngea
1238 Subject Index

Phylogenetic analysis
Phylogenetic inference
forensic science, 546
rearrangement distances
see also specific software and techniques
Phylogenetics
phage genes, 168
interpretation
see also Phylogenetic methods
systematic errors see Systematic error(s)
definition, 1, 202, 118
PhyR response regulator, 1016t
Physicochemical factors, microbial adhesion, 22
Physiological restraints, autotrophic CO
2
metabolism distribution, 150, 150t
6-Phytases
Phytophthora,889
Phytophthora cinnamomi
Phytophthora infestans
late blight disease, 891f
Phytoplankton
Phytoplasma
Candidatus Phytoplasma asteris onion yellows
strain (OY-M), 780
characteristics, 779
cultivation problems, 777–778
energy generation, 780
genome sequences, 780, 780
habitat, 780
phosphotransferase system (PTS), 780
as plant pathogens, 779, 899
shape, 780
strains, 780
translocation in plants, 780
UGA as stop codon, 777–778
see also Phytoplasmas
see also Phytoplasma;specific diseases, insects
and plants
Phytosteryl esters
PIA porins, 590
phototrophic see Phototrophic picoeukaryotes
(PP)
see also specific groups
Picophagus flagellatus
cyanobacteria, 341
definition, 708
PicoTiterPlate, 454 Life Sciences DNA
sequencing, 377–378
Picrophilus, growth temperature optima, 470,
469t
PID see Pelvic inflammatory disease (PID)
Pig see Swine
‘Pig-bel’, Clostridium perfringens infection, 412
Pig industry, Brachyspira hyodysenteriae,1031
Monascus see Monascus
PIJ501 plasmid, conjugation, 297t
Pikromycin
PilA
Pseudomonas aeruginosa,973
PilC protein, 588
pilE gene, expression, 588
Pili, 299, 861–880, 271
antigenic variation, 588
assembly pathways, 301, 301t,868f,867, 873,
863t
atypical structures, 863t
outer membrane ushers, 869
periplasmic chaperones, 867
type IV, type II secretion pathway, 870
biogenesis regulation, 879
environmental factors, 879
Caulobacter crescentus,236
classification, 862
composition, 861–862
conjugation role, 300
conserved regions, 869
definition, 861, 266
disease and, 879
Escherichia coli see Escherichia coli
F type see F pili
functions, 861, 862, 588
gonococcal, 588
Haemophilus influenzae,861–862
historical perspectives, 862
horizontal gene transfer, plasmids, 930
meningococcal, 588
Myxococcus see Myxococcus
phage attachment, 300
Pseudomonas,972
P type, 866f, 866–867, 879, 426–427
research directions, 880
retraction, 300–301
structure, 299f, 299, 866f, 861–862, 866, 589
type I, 866f, 861–862, 866–867, 879, 272
protofilaments, 273f
type II, 298
type IV, 870, 271f, 272
antigenic characteristics, 871
bacteria associated, 870
biogenesis, 871–872
depolymerization, 872–873
functions, 870
neisserial, 588, 588
polymerization, 872–873
structure, 870–871, 271f, 272f,272
subclasses, 870–871
type IVb, 871
Pilicides
definition, 27
microbial adhesion, 27f,27
Pilin(s)
conjugation, 301t
conserved motif, 877–878
definition, 861
molecular arrangement, 866f, 867
type IV, structure, 871
globular head domain, 871f
hypervariable regions, 871
type IVa subunits, 870–871
Pilin cyclase, conjugation, 301t
Pilonidal cyst see Abscess
Pil proteins
PilQ gene, Pseudomonas aeruginosa,972–973
PilQ protein
pilus assembly, 872
Pilus see Pili
PilV gene/protein, conjugation, 301
PIM(s), 1148–1149
PIM
2
, structure proposal, 1149f
PIM
6
, structure proposal, 1149f
Pimaricin, 72
Pine tree wilt, Bursaphelenchus xylophilus,907f
Pinguiochrysis pyriformis
PIP501 plasmid
conjugation, 297t
horizontal gene transfer, 930
Pipelines, biofilms, in industrial ecosystems, 186
Pirt’s maintenance concept, continuous culture,
313, 314–315, 318
Pitch
Pi transport system, starvation response,
1076–1077
PJP4 (plasmid), bacterial evolution, 936
Placebo, definition, 83
Plagiopylea
history
1347–c.1550
1400–1900
Planctomycetes
membrane compartmentalization, 267–268
Planetary protection
Plankton
definition, 327, 183
freshwater, cyanobacteria, 342
marine
cyanobacteria, 341
picoeukaryotes see Picoeukaryotes
Planktonic, definition, 183
Planktonic cells
biofilms, 183–184, 184–185
definition, 20
Planktonic ecosystems
metagenomics, 752
Plant(s)
disease see Plant disease
DNA transfer, 306
tumor formation, 306–307
see also Agrobacterium tumefaciens plant
cell transformation
genetically modified
microbial adhesion, 21
microbial pesticides
microorganisms in
nitrogen fixation endosymbionts, 394–395
pathogens see Plant pathogens
proteins, A. tumefaciens plant cell attachment,
40
RNA viruses see RNA viruses, plant
seedlings
symbioses
mycorrhizae see Mycorrhizae
transgenes, 666
yeast and, 1176t
Plant-associated microbes
bacteria, extracellular DNA uptake, 667
solute transport, 1134
Plant cell attachment, A. tumefaciens
see Agrobacterium tumefaciens plant cell
transformation
Plant cell culture, definition, 219
Plant disease
abiotic factors, 883f, 881
control see Plant disease control
emerging see Plant pathogens
ecological changes in distribution
origins
see also specific diseases;specific species
etiology, 882f, 881, 881
see also Plant pathogens
initiation, genetics role, 909
management, 912
resistance to see Plant disease resistance
RNA viruses see RNA viruses, plant
symptoms, 883
viral see Plant pathogens, viral
Plant disease control
biocontrol agents
costs of, 911
GM regulations
see also Cisgenesis; Late blight disease
late blight disease see Late blight disease
transgenes, 666
Plant pathogens, 1185–1186
bacteria
biflagellate protozoa, 905
crop effects, 910
yield losses, 910
detection, 912
dissemination, 905
ecology, 905
for emerging diseases see Plant disease
epidemiology, 905
fungi see Fungi, plant pathogenic
human effects, 910
in underdeveloped countries, 910–911
identification, 912
infection mechanisms, 907
by survival in living cells, 908
minor see Phytoplasmas
morphology in relation to plant cell, 885f
nematodes see Nematodes
parasitic green algae, 904
parasitic higher plants, 903
dodder, 904f
Subject Index 1239

Plant pathogens (continued )
size variations, 903
plant attack mechanisms
enzyme attack, 885f
overgrowths, 885f
toxins, 885f
plant defense mechanisms, 909
generation of activated oxygen species, 909
hypersensitive response, 909
phytoalexin production, 909
resistance, 909
viroids see Viroid(s)
viruses see Plant pathogens, viral
see also specific pathogens
classification, 897
infection mechanisms, 907
morphology, 897f,897
reproduction, 897
structure, 896f
symptoms, 897f
see also specific disease;specific organism
Plant pathogens, viral, 899
characteristics, 901
classification, 903
DNA viruses
identification, 912
morphology, 899f,900f, 901
reproduction, 903
RNA viruses see RNA viruses, plant
Plant sap feeders, microbial endosymbioses, 395t
Plaque forming unit (PFU)
Plasmacytoid dendritic cells (PDCs), 653
myeloid vs.,653t
definition, 1048, 53, 1037
mollicute studies, 786–787
Mycoplasma mycoides,786–787
rhizobia
Plasmid(s), bacterial, 915–936
addiction modules, 929
antibiotic resistance, 62f,62
see also Antibiotic resistance
antisense RNAs, 923
Bacillus subtilis,155f, 155
coevolution, 448
conjugative transfer, 297, 297t
Gram-positive bacteria, 304
definition, 294, 574
DNA synthesis, 916
termination, 917
evolution, 933f, 932
genetic plasticity, 934
horizontal gene transfer, 929
affecting factors, 930
coupling mechanisms, 930
environmental cues, 931
inheritance, generalized transduction, 1114f,
1114
interon-containing, 923f, 924f, 922
localization, 928
in Pseudomonas research, 984
purification, 575
replication, 918f, 917
antisense RNAs, 923
distribution, 923
handcuffing, 923
initiation regulation, 922
mechanisms, 918
origins, 918
ranges, 932
resolution, 923, 925
strand displacement, 922
termination, 925
research impacts, 916f, 915
segregation, 926
self-transmissible, 305–306, 301t
Streptomyces see Streptomyces
structures, 916
transduction, 1118
Plasminogen, abnormal PrP association, 965
Plasmodesmata
definition, 1163
Plasmodiophoromycota, 888
Plasmodium falciparum
Plastids
primary
secondary
see also specific organisms
Platelet activating factor receptor (PAFR)
Pleconaril, 102
adverse effects, 103
antiviral activity, 102
chemistry, 102
clinical indications, 103
common cold, 103
enteroviral meningitis, 103
immunocompromised host, 103
mechanism of action, 102
resistance, 103
Pleomorphism
Pleurocapsaceae
Pleurocapsales, definitory criteria, 329t
Plumagin, 1078
PMV158 plasmid, conjugation, 297t
Pneumocandins, antifungal action, 79, 79
L693989, 80
L705589, 80
L731373, 80
Pneumococcal conjugate vaccine seven-valent
(PCV7)
invasive pneumococcal disease, 1068
pneumococcal carriage, 1068
Pneumococcal Molecular Epidemiology Network
(PMEN), 1067
Pneumococcus see Streptococcus pneumoniae
Pneumocystis carinii pneumonia (PCP)
Pneumocystis jirovecii
see also Pneumocystis carinii pneumonia (PCP)
Pneumonia
Pneumocystis see Pneumocystis carinii
pneumonia (PCP)
Podophyllotoxin, clinical indications,
papillomavirus infections, 102
Podoviridae,169t
Point mutations, definition, 1050
Point-of-care testing (POCT)
Poisons
Poland
Wroclaw, bacteriophage therapy
Polar flagella
infection
CD155
noninfectious, 1158
Sabin
Salk
Pollution
mycorrhizae
Pol protein, HIV, 642
Poly-N-acetyl glucosamine, Caulobacter
crescentus,236
Polyarteritis nodosa, definition, 604
Polychlorinated biphenyls (PCBs)
Pseudomonas,981
Polycyclic aromatic hydrocarbons (PAHs)
degradation, Mycobacterium,17
Pseudomonas,981
Polyenes
amphotericin Bsee Amphotericin B
antifungal action, 67t
PolyG/C tracts, Propionibacterium acnes,16
Polyhydroxybutyrate (PHB)
Poly--hydroxybutyrate (PHB)
Polyisoprenoid biosynthesis, tricarboxylic acid
cycle (TCA), 743
backbone, macrolide biosynthesis
see also specific types
Polyketide-derived lipids, tuberculosis,
1150f, 1149
Polymerase(s)
see also RNA polymerase(s)
DNA sequencing diagnostics, 370
forensic science, 545
real-time see Real-time polymerase chain
reaction (RT-PCR)
RT-PCR see Reverse transcriptase PCR
(RT-PCR)
vector amplification, 576
Polymerase chain reaction (PCR)-randomly
amplified polymorphic DNA (PCR-RAPD),
Actinobacteria taxonomy, 6
Polymerization, definition, 915
Polymorphic transition, definition, 528
Polymorphism(s), transient, 445
Polymorphonuclear leukocytes
Shigella infections, 415
Yersinia infection, 417
Polymorphonuclear neutrophil (PMN)
see Neutrophil(s)
infection
Polyoxin D, antifungal action, 81
Polyoxins, antifungal action, 81, 67t
Poly P granules
Polyribosomes, 279
Polyribosylribitol phosphate (PRP) capsule,
structure, Haemophilus influenzae,688f, 688
O-Polysaccharide (O-PS), in lipopolysaccharide,
693, 696
definition, 692
as protective barrier, 701
bactericidal/permeability-inducing
protein, 702
MAC formation, 701–702
synthesis, 696, 699
synthesis pathways, 700f, 699–700
ABC transporter-dependent, 700f,
700–701
synthase-dependent, 700f, 701
Wzx-Wzy-dependent, 700f, 700
Polysaccharide(s), 745
Escherichia coli capsule, 422
cyanobacterial see Cyanobacteria
meningococcal vaccines, 594, 589t
rhizobia see Rhizobia
types, 745
utilization, 745
extracellular enzymes, 745
see also specific types
Pontiac fever, Legionnaire’s disease, 685
Population(s)
definition, 438
genetic variation, 445
nontransitive interactions, 446
stable equilibria, 445
unstable equilibria, 445
Pore(s), conjugation, 301t
Pore-forming toxins, 453
exotoxins vs.,461
Porins
bacterial outer membranes, 256, 256–257, 257
Escherichia coli,422–423
Gram-negative bacteria, 817f, 816
mycobacteria, 262, 825
Neisseria see Neisseria
definition, 813, 1075
Porphobilinogen (PBG) synthase
Porphyromonas gingivalis
biofilm formation, 999
periodontal disease, 806, 806t
Portal hypertension, definition, 604
Posaconazole (SCH 56592), 76, 75t
adverse effects, 71t
structure, 77f
Pospiviroidae,1167, 1165t
classification, 1164, 1165t
1240 Subject Index

features, 1165t
RNA polymerase II, transcription implications,
1167
systemic infection
central conserved regions, 1169
PSTVd studies, 1167
replication, 1167
steps, 1167f, 1167
see also specific species
Postexposure treatment (PET), rabies
Postherpetic neuralgia, 1157–1158
Postreplicative phase, phage gene expression, 169
Posttranscriptional regulation, 937–951
mRNA stability, 946
degradational control, 946, 948
termination, 938
leader peptide attenuation systems, 939
mechanisms, 938
metabolite-binding regulatory RNAs, 943
nascent transcript structure, 938
reiterative transcription, 943
RNA–RNA interactions, 942f, 942
RNA structure regulation, 940
transcription complex activity modulation,
944
protein-dependent, 944
Rho-binding interference, 945
RNA-dependent, 945
see also Transcription elongation complex
transcript stability regulation, 946
upstream gene expression effects, 946
translation see Translation
Posttranslational modification, 453
mollicutes, 784
prion protein (PrP), 957–958
Potassium, microbial requirements, 794, 791t
Potato(es)
blight, 65–66
see also Late blight disease
Potato spindle tuber viroid (PSTVd)
cell-to-cell trafficking studies, 1170
discovery, 1164
long-distance trafficking, in Nicotiana
benthamiana,1170
replication
genomic map of loop motifs, 1168f,
1168–1169
left-terminal loop importance, 1168
loop E importance, 1168–1169
rolling circle mechanism, 1168f, 1167
secondary structures, 1166f
GC boxes, 1168–1169
Potential division sites, definition, 242
Poultry
see also Chicken(s)
Poultry industry, Brachyspira,1031–1032
Pour tubes
see also specific infections
Poxviruses
PPi-dependent phosphofructokinase (PPi-PFK),
glycolytic pathways, Archaea, 736f
P pili, 866f, 866–867, 879
Escherichia coli pathogenicity, 426–427
PPK pathway see Pentose phosphoketolase (PPK)
pathway
PPP see Pentose phosphate pathway (PPP)
PR4 phage, host cell attachment, 300
Pradimicin A, 81
Pradimicins, 81
antifungal action, 67t
Pratylenchus, tobacco plant root damage, 906f
PRD1 phage, host cell attachment, 300
Precipitation
heavy metal biosorption see Heavy metal
biosorption
metal extraction (biomining), 763
Precursor metabolites
biosynthesis/anabolism, 748
central metabolic pathways, 748
EMP pathway, 748
metabolism, central (intermediary), 748
pentose phosphate pathway, 750
TCA cycle, 748
Predator–prey relationships, 447
Preformed toxins, enteropathogenic infections,
408
Pregnancy
acyclovir contraindication, 88
ectopic
sexually transmitted diseases
Prepilin peptidase (PilD), 872
Prepropilin, conjugation, plants, 306
Prereplication complexes (pre-RC)
assembly
Preservation
of cultures
Prespores, definition, 154
Pressure
high, habitats see High-pressure habitats
Prevotella intermedia, periodontal disease,
806–807, 806t
prfB gene, translation termination, 950–951
Primary effusion lymphoma (PEL), KSHV
implications, 635
Primary metabolites, definition, 1048
Primary producers
Primary production
definition, 140
importance, 140–141
Primary transcripts, definition, 1091
Primer-binding sites, transposons, 1138–1141
Primer generation, plasmid replication, 919–920
Primer identification, metagenomics, 372
Primer walking method
DNA sequencing sample preparation, 375
Primordial cell wall, Bacillus subtilis spore
formation, 160–161
Prion(s)
in body fluids, 966
BSE, strains, 962
definition, 952, 953
early search for, 953
enteral invasion, 962
entry into host/cells, 962
immune response to, 956, 956–957, 964
immunological tolerance to, 964
breaking of, 964
infection process, 962
infectious, synthesis and replication, 960
infectivity, 962
abnormal PrP relationship, 960
monitoring low levels, 960–961
loco-lesional toxicity, 958
as micro-RNA, 956
nature and origin, 956
viral, 956
persistence and latency, 963
protein-only hypothesis, 953, 956, 958, 961
receptors, 962
replication, 960
sites, 966
in saliva, 966
silent carriers, 963, 964–965
spread between individuals
spread from cell to cell, 966
spread within individual, 965
strains, 955–956, 968, 961
adaptation, 962
characteristics, 954, 955
Drowsy and Hyper (hamster), 961, 963–964
encoded by PrP molecules, 964
new, 962
switch/splitting, 962
strain typing, 959f, 958, 961–962, 966, 968
methods, 962, 962
by tropism, 962
structural components, 958
carbohydrates, 960
nucleic acid not detected, 960
PrP see Prion protein (PrP)
transmission see under Prion diseases
see also Prion protein (PrP)
Prion diseases
abnormal PrP presence and, 969t
animal models, 955, 967, 968
atypical phenotype, 964–965, 968
definition, 953
diagnosis, 953–954, 966
bioassay, 967
clinical, 966
molecular, 966
other markers, 967
premortem, 967
diseases included, 953
see also Creutzfeldt–Jakob disease (CJD);
Fatal familial insomnia (FFI);
Gerstmann–Str¨
aussler–Scheinker (GSS)
disease; Kuru
epidemiology, 954
historical background, 953
host factors affecting, 964
genes as regulators, 965
lymphoreticular system, 965, 965
spread of prions, 965
susceptibility, 964
iatrogenic, 968
immune response in, 964
incubation period (long), 963
neuropathology, 953–954
pathogenesis, 954
cofactors, 955
prevention and therapy, 955
in animals, 955–956
immunomodulation and gene therapy, 956
postexposure prophylaxis, 955–956
spread within individual, 965
neuronal transport, 965
non-neuronal transport, 965
transmission, 953, 960–961, 968, 963
by blood transfusions, 960, 963–964, 965
concerns and problems, 968
experimental studies, 962
to hamster (Drowsy and Hyper strains), 961
human to human, 963–964
interspecies, 962, 963
intraspecies, 963
transmission (species) barrier and, 954, 968
Prion protein (PrP), 952–970, 956
abnormal, 952, 955, 961
in FFI and GSS, 963–964
in healthy people, 963
hidden in tissues, 968
high levels in animal models, 955
infectivity relationship, 958–959, 960
in mice after intracerebral BSE inoculation,
968
plasminogen association, 965
presence, disease and infectivity, 969t
amino acid sequence, 957
antibodies
for detecting PrP, 966
genes in transgenic animals, 964
monoclonal
atypical phenotype, 964–965
banding patterns, 959f, 961–962, 966
copper binding, 958
deposition in prion diseases, 954–955, 955
detection, 963
immunoassays, 967
by monoclonal antibodies, 967, 967, 967
PET blots, 967
PMCA assay, 956, 960–961, 961, 967
in tissue specimens, 966
folding mechanism, 958
Subject Index 1241

Prion protein (PrP) (continued )
formic acid treatment effect, 960
gene encoding (PRNP), 956–957, 961
codon 129 polymorphisms, 957, 964–965
codon 141 polymorphism, 964–965
control of host susceptibility, 965
mutations, 961f
nucleotide sequence in survivors (kuru), 963
open reading frame, 956–957, 957
glycosylation, 962
host-encoded, as key for infections, 966
low doses, undetectable, concerns, 968
monoclonal antibodies, 964, 967
therapeutic action, 956
normal, density/number (species-related), 965
oligomerization, 959–960
pathogenesis of disease, 955
physiological
loss, in prion disease, 955
as positive functional survival factor, 955
posttranslational modification, 957–958
PrPc (cellular PrP), 952, 956–957
conformational change to abnormal, 969f,
955, 958, 961
deficiency, 955
density/number (species-related), 965
functions, 957, 958
topographical traits, 957f, 957–958
PrPd (disease-associated PrP), 952, 958
PrPres (PrP resistant to PK), 952, 958, 968
PrPsc (prion protein/-scrapie), 952, 958
PrPsens (PrP sensitive to PK), 958
resistance to heat/disinfectants, 960
strains see Prion(s), strains
structure
infectivity relationship, 958–959, 960
Sup35 protein (yeast) comparison, 958–959,
960, 968–969
transgenic mice studies, 962, 962, 964, 968
see also Prion(s)
PrkC (protein kinase), Mycoplasma
pneumoniae,784
Probe(s)
DNA see DNA probes
identification, metagenomics, 372
Processivity
Prochloraz, 75
Prochlorococcus
cyanobacteria, 341
marine habitats, genomic variability, 717
phages, 180–181
Prodrugs, definition, 84
Product formation pathways, strain
improvement, 1059
Production process validation, strain
improvement, 1059
Productive infections
definition, 166
phages, 168
Productivity
Product recovery, solvent production see Solvent
production
Proenzymes, 453
exotoxins, 460f, 456
see also specific programs
Progressive multifocal encephalopathy (PML)
Proinflammatory cytokines
released by hydrogen peroxide from
Mycoplasma,778–779
Salmonella infections, 416
Shigella infections, 415
Yersinia infection, 417
Project Bioshield Act (2004), 195–196
biological warfare, 193
Prokaryotae (kingdom), plant pathogenic
bacteria, 898
cell cycle, 242–243
eukaryotes vs.,242–243
cell envelope, 269
cell membranes see Cell membranes
characteristics, 267
cotranscriptional biosynthesis, 267f, 267
definition, 118
Gram-positive vs. Gram-negative, 267f, 267
intracellular structures
shape, 268
stalks (prosthecae), 269
see also Caulobacter
see also Archaea; Bacteria; specific types
Bdellovibrio see Bdellovibrio
Caulobacter crescentus see Caulobacter
crescentus
Chlamydia see Chlamydia
endospores see Endospores
myxobacteria see Myxobacteria
nutrient acquisition
nutrient limitation see Nutrient limitation
Streptomyces see Streptomyces
Vibrio parahaemolyticus see Vibrio
parahaemolyticus
cell motility see Cell motility
inclusions see Inclusions
carboxysomes see Carboxysomes
polyhedral microcompartments
see Polyhedral microcompartments
Proliferating cell nuclear antigen (PCNA),
archaeal replication, 131
Proline
Promastigote
Promoter(s), 1094
archaeal, 133
cloning/genetic engineering, strain
improvement, 1057
definition, 1091, 1094, 776
feature identification, 1094
mutational effects, 1094–1095
mycoplasmal, 787
recognition mechanisms, 1095
sequences, transposons, 1138–1141
upstream elements, 1095
see also individual microbes and promoters
Promoter reporter systems, Mycoplasma,787
Proofreading
Propanediol, fermentation, 517
1,3-Propanediol, fermentation regulation, 526
Prophage(s)
definition, 1107, 166
induction, definition, 166
see also Bacteriophage(s)
Prophylaxis, definition, 84
Propilin subunits (PilE/PilA), pilus biogenesis, 872
Propionibacterium
lactate fermentation, 520
propionic acid-producing fermentations, 743
Propionibacterium acnes
human fecal flora, dietary groups, 561t
reductive genomes, 15
CAMP factors, 16
GehA, 16
lipases, 16
polyG/C tracts, 16
pseudogenes, 15–16
Propionibacterium avidum, human fecal flora,
dietary groups, 561t
Propionic acid-producing fermentations
see Anaerobic glycolysis
Propionyl-CoA carboxylase, 3-
hydroxypropionate/malyl-CoA cycle,
145–146
Propionyl-CoA:succinate:CoA transferase,
propionic acid-producing fermentations, 743
Propionyl-CoA synthase
detection, genome sequences, 148–149
3-hydroxypropionate/malyl-CoA cycle,
146–147
Pro-
E
,Bacillus subtilis spore formation, 162
Prostate
Caulobacter see Caulobacter
definition, 225
cofactors see Cofactors
see also individual compounds
Prostomatea
Protease(s)
alkaline
Bacillus subtilis,159
definition, 84
elastase, Pseudomonas aeruginosa,976
industrial applications, 138–139
Bacillus proteases
see also specific industries
LasA, Pseudomonas aeruginosa,976
see also specific proteases
Protease inhibitors, 112
anti-HIV agents, 112
definition, 84
threonine endoproteases see Threonine
endoproteases
yeast, 1178t
Protective efficacy, definition, 1154
Protein(s)
engineering, definition, 219
Escherichia coli cytoplasmic membrane, 423
oxidation, 1086
phosphorylation
overproduction, 1083
phosphorylation, 1086
Caulobacter crescentus phosphorelays, 239
Mycoplasma,784
rate of electron transfer, 849
Marcus theory and, 849–850
matrix coupling element and, 850
repair, bacterial stress, 1082f, 1082
secretion
mollicutes, 784
see also specific secretion systems
structure see Protein structure
synthesis see Protein synthesis
thermophiles, 129
Proteinaceous pheromone (Phr) signals, 991f, 990
Proteinase K (PK), PrPc conversion, 958, 958
Protein catalytic activity inference, metabolic
reconstruction
Protein classification databases
Protein coding genes, Actinobacteria
phylogeny, 13
classification see Protein classification
databases
definition, 251, 1005
Protein engineering, definition, 219
Protein misfolding cyclic amplification (PMCA)
assay, prion proteins, 956, 960–961,
961, 967
Protein sequence motif, definition, 1005
Protein structure
Protein structure–function studies, transposable
elements see Transposable elements
Protein synthesis
antimicrobial drugs, 54, 54t
inhibition, macrolides
see also Translation
Proteobacteria
-Proteobacteria
Bdellovibrio bacteriovorus see Bdellovibrio
bacteriovorus
myxobacteria see Myxobacteria
symbiosis metagenomic analysis, 393
-Proteobacteria, deep-sea hydrothermal
vents, 350
-Proteobacteria
deep-sea hydrothermal vents, Lost city,
355–356
Proteolysis, heat shock response
Proteomes, definition, 1075, 762
1242 Subject Index

Proteomics
Caulobacter stalk (prostheca), 238
definition, 762
metal extraction (biomining) see Metal
extraction (biomining)
Pseudomonas,985
Proteorhodopsin, 754–756
cyanobacteria, 343–344
evolution of cold adaptation, 488
Proteus, human fecal flora, dietary groups, 567t
Proteus mirabilis
Protists
amitochondriate
Protoluciferase, 214
Proton concentrations, continuous culture, 315
definition, 251
flagellar torque generation, 533
maintenance energy, 313
Protoplast(s)
definition, 1163
fusion, strain improvement
transformation
A. tumefaciens genetic engineering, 41–42
Bacillus subtilis,155
Protoporphyrin
freshwater habitats
see also specific diseases/infections;specific
species
plant pathogenic biflagellate organisms, 905
PrP see Prion protein (PrP)
Prymnesiophytes
see also Haptophytes
PS47, Staphylococcus aureus, genome
research, 1040
Pseudogenes
definition, 1
Propionibacterium acnes,15–16
Pseudoknot(s)
Pseudolysogenic infection, phages, 167t
Pseudolysogeny, definition, 166
Pseudomonas,971–986
biotechnology, 986
characteristics, 972
environmental aspects, 980
alkane degradation, 981
benzene metabolism, 981
chlorinated aromatic hydrocarbon
degradation, 980
cycloalkane degradation, 981
lignin mineralization, 983
methylbenzene metabolism, 981
naphthalene metabolism, 981
nylon degradation, 983
organic compound degradation, 980
polychlorinated biphenyl catabolism, 981
trichloroethane degradation, 983
genetic and molecular research tools, 984
cloning vectors, 984, 984
microarrays, 985
proteomics, 985
transposable elements, 985
genome, 972
human fecal flora, dietary groups, 567t
human pathogens, 972
antibiotic resistance, 977
oxidative stress, 978
pathogenicity, 972, 972
metal resistance, 983
see also specific metals
molecular tools, 984
plant pathogens, 972, 979, 898
secretion system, 978
in soils, 972
starch utilization, 746
virulence factors, 972, 976
alginate, 973
flagella, 972
a-type fliC open reading frame, 972
b-type fliC open reading frame, 972
lipopolysaccharide, 973
inner core, 973
outer core, 973
pili, 972
siderophores, 975
Pseudomonas aeruginosa,972
adhesion
alginate role, 28
in cystic fibrosis, 27
antibiotic resistance, 55
CyaB, 1007f
exotoxins
pathways, 458
see also Pseudomonas aeruginosa, virulence
factors
fimbrial adhesins, 23t
gene expression, 535
genomic library construction, 581
insert DNA preparation, 582
ligation, 583
recombinant clones, 583
transformation, 583
horizontal gene transfer,1119–1120
infections
antibiotic resistance, 977, 55
cell–cell signaling, 978
in cystic fibrosis, 977
lipopolysaccharides, 706
luxS/sahH complementation, 999
mutator genes, 451
nuclease pyocins see Nuclease pyocins
outer membrane structure, 816f, 816, 817
channels, 817
peptidoglycan, 841
pili
biogenesis, 871–872
PilA structure, 872f, 871
quinolone signal (PQS)
quorum sensing
Las/Rhl AI-1 system, 994f, 992
orphan regulators, 1004
small RNAs
virulence factors, 972–973, 976
alginate, 973
AlgA, 973–974
AlgL, 974
AlgT, 974–975
biosynthetic pathway, 974f
in cystic fibrosis, 973
PMI, 973–974
in burn infections, 977
exoenzyme S, 976
exotoxin A, 976
in keratitis, 977
lectins, 977
phenazines, 977
phospholipases, 976
pili, 972–973
proteases, 976
pyocins, 977
rhamnolipids, 976
Pseudomonas chlororaphis
Pseudomonas fluorescens
bacteriophage coevolution, 451
genetic variation, 445
Pseudomonas oleovorans, continuous culture,
803f, 802–803
Pseudomonas putida
cadmium resistance, 984
oxidative stress, 1080f,1078, 1080
transporters, 1123f
Pseudomonas quinolone signal (PQS), 994f, 1000
hydrophobicity, 1001
Pseudomonas stutzeri
natural transformation, 666
Pseudomonas syringae
extrachromosomal plasmids, 980
features, 979
genome sequencing, 980
life cycle, epiphytic phase, 980
type II secretory system, 877
virulence factors, 979
Pseudomonas syringae pv. phaseolicola 1448A
Pseudomonas syringae pv. syringae B728A
Pseudo-nitzschia lineola
Pseudonocardiaceae, phylogeny, 16S rRNA
sequences, 12–13
Pseudopeptidoglycan, 278
definition, 266
structure, 277f
Pseudopilin filaments, 873
PS genes
PstA, Caulobacter stalk (prostheca), 237–238
PstB, Caulobacter stalk (prostheca), 237–238
PstC, Caulobacter stalk (prostheca), 237–238
PstI, cleavage site, 360t
PstS, Caulobacter stalk (prostheca), 237–238
Psu protein, transcription termination, 1104
Psychotroph, definition, 202
Psychrobacter immobilis
Psychromonas ingrahamii, temperature
growth, 484
Psychrophiles
definition, 118
see also Extremophiles, cold environments
Psychrophilic, 484
definition, 483
Psychrophilic archaea, 121f, 129
proteins, 130
Psychrotolerant, definition, 483
Psychrotolerant microbes, 484
Psychrotrophs
PTiC58 plasmid, conjugation, 297t
PTk-diagrams
ptsHI
PTS PRD-protein regulation, B. subtilis catabolite
repression
Public health
surveillance
Public Health Security and bioterrorism Public
Health Security and Bioterrorism
Preparedness and Response Act (2002),
195–196
Public health surveillance
Puccinia,894
secretion system, Klebsiella oxytoca,873
Pulp
see also specific lignocellulosic components
bleaching see Bleaching
papermaking see Papermaking
Pulsed-field gel electrophoresis (PFGE)
Actinobacteria taxonomy, 6
fermentation, 519, 521
anoxygenic photosynthesis, 855
see also Proteobacteria
Purple non-sulfur bacteria, genomes, 152
Purple sulfur bacteria, reductive pentose
phosphate cycle regulation, 152
Purpura, definition, 604
put sites, transcription complex processivity, 945
pWR100 virulence plasmid, Shigella infections,
414f, 414
Pyelonephritis, Escherichia coli pathogenicity,
425, 426–427
Pyocins
Pseudomonas aeruginosa,977
S-type, 977
Pyodictium
growth temperature, culture studies, 499
respiration, sulfur compound reduction, 511
Pyophage
Pyoverdines (PVDs), Pseudomonas,975
pyrB1 operon, leader peptide attenuation systems,
939–940
Subject Index 1243

Pyridines
antifungal action, 79, 67t
see also specific pyridines
Pyrifenox, antifungal action, 79
Pyrimethanil, 73
fermentation, 521
synthetic
antifungal action, 73, 67t
see also specific synthetic pyrimidines
Pyrite
dissolution experiment, Ferrimicrobium
acidiphilum/Acidithiobacillus thiooxidans,
474f, 473–474
extremophiles, acid environments, 465
Pyrobaculum
growth characteristics, 497t
Pyrobaculum aerophilum
EMP pathway (glycolysis), 735–736
respiration, nitrogen compound reduction, 512
Pyrobaculum islandicum
reductive citric acid cycle, 502–503
respiration, sulfur compound reduction, 512
Pyrococcus,121–122
growth characteristics, 497t
RNA polymerase, 133
Pyrococcus furiosus
carbohydrate metabolism, 508
EMP pathway (glycolysis), 735–736
flagella, 270–271
peptide metabolism, 508
respiration
H
2
production, 513
sulfur compound reduction, 511–512
thermostability mechanisms, DNA
investigation, 498
Pyrococcus horikoshii, genomics, 136
Pyrodictiaceae, growth characteristics, 497t
Pyrodictium, growth characteristics, 497t
Pyrodictium occultum,351–352, 352t
Pyrolobus, growth characteristics, 497t
Pyrolobus fumarii,351–352, 352t
growth temperature, culture studies, 499
Pyrolysis mass spectrometry, Actinobacteria
taxonomy, 3
Pyrophosphatase, DNA sequencing, 375
Pyrophosphate-based methods, 454
Life Sciences DNA sequencing see DNA
sequencing
Pyrophosphate-dependent phosphofructokinase,
EMP pathway (glycolysis), 735–736
Pyroxidal 59phosphate (PLP)
Pyrrolnitrin, 72
Pyrrolysine, Archaea, 133
PyrR protein
posttranscriptional regulation, 941
Pyruvate
electron acceptor role, 517
fate, glycolysis, 737
fermentation, 739f, 739
aerobic glycolysis, 739f
Pyruvate decarboxylase (PDC), ethanol
production, 430f, 429, 430–431
Pyruvate dehydrogenase (PDH)
aerobic glycolysis, 738
ethanol production, 430f, 433–434
reductive citric acid cycle, 144
TCA cycle, aerobiosis, 738f
Pyruvate formatelyase, 526–527
metabolic switch, 524f, 523
Pyruvate kinase (PK)
EMP pathway, 730f, 731
Entner–Doudoroff pathway, 736–737
glycolytic pathways in Archaea, 736f
Pyruvate synthase, reductive citric acid
cycle, 144
Pythium,889
Q
Qphage(s), host cell attachment, 300
Q-directed antitermination, bacteriophage
lambda see Bacteriophage
Q
L
RNA, conjugation, 304
Qrr small RNAs, quorum sensing, 998
QscR protein (LuxR-type response
regulator), 993
QseC (sensor histidine kinase), 1000
Qualitative assessment, autotrophic CO
2
metabolism distribution, 149, 150
Quantitative assessment, autotrophic CO
2
metabolism distribution, 151
Quinacrine, CJD therapy, 956
oxidative stress, 1078
Quorum sensing (QS), 211, 987–1004
Bacillus subtilis competence, 158
definition, 202, 987–988, 405
extracellular effectors, 1002
Gram-negative bacteria, 992
Gram-positive bacteria, 989f, 988
historical aspects, 988
homologues, 213
host interactions, 1002
interspecies interactions, 1004
metal extraction (biomining), 767
regulatory components, 212
research directions, 1004
R
R17 phage(s), host cell attachment, 300
R391 (integrating conjugative element),
conjugation, 297t
Rabbit(s)
canine
noninfectious vaccines, 1159
infection
Racemates
Radiation
ionizing see Ionizing radiation
UV light see Ultraviolet (UV) light/radiation
Radioisotope feeding studies, rationalized
mutation, strain improvement, 1054
Raetz pathway, lipopolysaccharide, 697–698
Raffinose
utilization, 746
Ralstonia eutropha
Ralstonia solanacearum
3-hydroxypalmitic acid methyl ester,
1001f, 1001
Raltegravir, 112
adverse effects, 112
antiviral activity, 112
chemistry, 112
clinical indications, 112
mechanism of action, 112
resistance, 112
Random mutation(s), 440
fluctuation test, 441
replica plating experiment, 441
Random nested deletions, transposable
elements, 1143
Random protein fusion, transposable elements,
1145f, 1143
Random reporter gene fusions, transposable
elements see Transposable elements
Random selection, strain improvement see Strain
improvement, mutation
Rationalized selection, strain improvement
see Strain improvement, mutation
Ravuconazole, 77
structure, 77f
RBC see Rotating biological contractor (RBC)
rDNA see Ribosomal DNA (rDNA)
Reaction center, definition, 844
Reactive oxygen species (ROS), 1078
coral bleaching, symbioses breakdown, 403
Real-time polymerase chain reaction (RT-PCR)
forensic science, 545
gastrointestinal microflora, 553–554
colon microflora, 569–570
terminal ileum study, 555
recA,Actinobacteria phylogeny, 13
RecBCD
restriction–modification, 367
REC domain(s), 1015
definition, 1005
Receptors see specific receptor types
Recognition end sequences
definition, 1137
transposable elements, 1138
Recombinant clone(s)
definition, 574
genomic library construction, 583
Recombinant DNA (rDNA), definition, 1154
Recombinant DNA technology, 368
definition, 189
interferon therapy, 97
yeast and, 1185f, 1185f, 1184
Recombination, genetic, 664–665
see also Antibiotic production
bacterial chromosomes, 287
definition, 1048, 1051, 1055–1056
definitions, 357, 284, 287
frequencies, 665f
homologous
irregular (illegitimate), 665
mechanisms, 439
stimulated, generalized transduction, 1113
strain improvement
substitutive, 664–665
see also Recombination, genetic
Red algae (rhodophytes)
acid environments, 471
Redfield, Rosemary, diffusion sensing, 1003
Redfield ratio
Red fox, rabies
Redi, Francesco
Red light, luminous bacteria detection, 216–217
Redox cycle, definition, 1075
Redox gradient, metal extraction
(biomining), 764
Redox processes
Reduced inorganic sulfur compounds (RISCs),
definition, 463
Reduced NAD/NADP fate, glycolysis, 737
Reducing equivalents, definition, 515
Reduction(s) (electron gain)
definition, 728
metal extraction (biomining), 763
Reduction modifiable protein (Rmp)
gonococci, 590
immunoglobulin G response, 590
Reductive acetyl-CoA pathway
(Wood–Ljungdahl), 145f, 141, 144
acetyl-CoA synthase, 145
as key enzyme, 148
distribution, 150t
acetogenic eubacteria, 145
archaeal methanogens, 145
microaerophiles, 150–151
oxygen-sensitive organisms, 150–151
sulfate reducers, 145
formate dehydrogenase, 145
oxygen-sensitive organisms, 150–151
regulation, 151–152
Reductive citric acid cycle (Arnon–Buchanan),
143f, 141, 143
acetyl CoA condensation, 144
ATP citrate lyase, 148
citrate formation, 144
citryl-CoA synthase, 148
distribution, 150t
Chlorobium,143
Chlorobium limicola,144
1244 Subject Index

Chlorobium tepidum,144
Desulfobacter hydrogenophilus,144
Hydrogenobacter thermophilus,143, 144
extremophiles, hot environments, 503f, 501
fumarate reductase, 144
isocitrate dehydrogenase, 144
oxalosuccinate reductase, 144
2-oxoacid dehydrogenase, 144
2-oxoacid synthase, 144
2-oxoglutarate carboxylase, 144
2-oxoglutarate dehydrogenase, 144
2-oxoglutarate synthase, 144
pyruvate dehydrogenase, 144
pyruvate synthase, 144
regulation, 151–152
succinate dehydrogenase, 144
Reductive genomes, Actinomycetes, 14
Reductive pentose phosphate cycle
(Calvin–Bassham–Benson), 142f, 141,
152, 142
distribution, 150t
key enzymes, 148
microbial photosynthesis, 855f, 854
3-phosphoglycerate generation, 142
phosphoribulokinase, 143
as key enzyme, 148
photorespiration, 142
regeneration, 143
regulation, 152
CbbR (Calvin–Benson–Bassham cycle
regulator), 152
oxygen, 152
purple sulfur bacteria, 152
RuBisCO, 142, 152
isozymes, 143
as key enzyme, 148
regulation, 152
see also RuBisCO
triphosphate isomerase, 143
Reemerging infection
definition, 383
see also Emerging diseases/infections
Regeneration, in reductive pentose phosphate
cycle, 143
Regiella insecticola, secondary symbionts, 398
Regulation, definition, 44
Regulator of capsule synthesis (Rcs) two-
component signal transduction system, 996
Regulatory elements
Regulatory mutants, rationalized mutation, strain
improvement see Strain improvement,
mutation
Regulatory oversight(s)
Regulatory proteins, HIV, 644
Reichenbach, Hans
Reinforcement, speciation, 443–444
RelA protein, bacterial stress, 1085–1086
Relapsing fever (RF) Borrelia,1028
antigenic variation mechanisms, 1030
blood cell micrograph, 1030f
historical aspects, 1028
louse-borne see Louse-borne relapsing fever
(LBRF)
metabolism, 1028
morphology, 1028
Lyme disease vs.,1028
phylogenetic tree, 1029f
tick-borne see Tick-borne relapsing fever
(TBRF)
Relaxase, 295–296
conjugation, 301t
oriT organization, 302
definition, 294, 915
Gram-negative conjugation, 298
plasmid replication, 921
Relaxosome, 295–296
plasmid replication, 921–922
Release factor 2 (RF2), 950–951
Remote sensing, definition, 708
RepE54, plasmid replication, 920f
Repellent(s)
Replica plating experiment, random mutation,
441
Replication
chromosomes see Chromosome replication
DNA see DNA replication
rolling circle
Replication cycles, definition, 84
Replication fork, definition, 284
Replicon(s), 917
circular, replication, 923
definition, 53
evolutionary relatedness, 933
minimal, 917–918
Reporter functions, transposons, 1138–1141
Reporter genes
fusions, random, transposable elements
see Transposable elements
Rep proteins
dimerization, 922–923
evolution, 933–934
plasmid replication, 918
rolling circle, 921f, 920–921
theta mode, 919
Repression resistance, rationalized mutation,
strain improvement, 1055
Repressor(s)
conjugation, 930
see also individual repressors
Repressors
Reproduction, evolution and, 449
Resequencing, DNA sequencing, 381–382
Reservoir hypothesis, 811f, 805
antibiotic resistance, Bacteroides spp, 811f, 810
Reservoir souring
Resistance
acquired
antibiotics see Antibiotic resistance
definition, 53
drug see Drug(s), resistance
metals
Pseudomonas,983
see also Heavy metal(s); specific metals
patterns, nucleoside/nucleotide analogue
combinations, 110
Resistance (R) factors, 294–295
Resistance genes
-lactams see -Lactam antibiotics
antibiotic resistance, 59
substrates, 59t
Resistance-nodulation-division (RND) pump
superfamily, 824f, 823–824
Resistance (R) protein
Resonance energy transfer, microbial
photosynthesis, 848
Resource(s)
allocation, random mutations and strain
improvement, 1053
Respiration, 728
aerobic
endosymbionts, 392
energy conservation, 522
definition, 515
energy conservation, 522
metal extraction (biomining), 764
definition, 728, 495
electron transfer, 255
extremophiles, hot environments, 509
infection
Respiratory chain, 255
Respiratory infections/diseases
influenza see Influenza
lower tract see Lower respiratory tract
infections (LRTI)
treatment
antiviral agents see Antiviral agents/drugs
upper tract see Upper respiratory tract
infections (URTI)
Respiratory syncytial virus (RSV)
see also individual viruses
Respirofermentation, definition, 1174
Response regulator(s), 1086
A. tumefaciens vir genes, 33–34
Response Regulator Census, 1008–1009, 1008t
Response regulator (RR) protein, 1086
Restricted infection, phages, 167t
Restriction digests
Actinobacteria genotypic taxonomy, 6
Nocardia,6
Streptomyces lavendulae,6
Streptomyces virginiae,6
Restriction endonuclease(s), 577, 359
definition, 574
partial digestion, 577f, 577
recognition sites, 577
Type II, 360t
see also specific restriction endonucleases
Restriction enzymes, plasmid transfer, 931
Restriction fragment length polymorphism
(RFLP)
Actinobacteria taxonomy, 6
Restriction mapping, historical aspects, 367–368
Restriction–modification (R–M) see DNA
restriction–modification (R–M)
Retinoic acid-inducible gene 1 (RIG-1), HIV
infection, 652–653
Retinoic acid receptor agonist, production
Retroviridae, definition, 640
definition, 641
endogenous
exogenous see Exogenous retroviruses
HIV see AIDS; HIV
reverse transcriptase see Reverse
transcriptase (RT)
Rev, HIV, 644
Reverse gyrase
Archaea, 131
definition, 495
Reverse transcriptase (RT)
entecavir mechanism of action, 99–100
telbivudine mechanism of action, 100
Reverse transcriptase inhibitors, anti-HIV
agents, 106
Reverse transcriptase PCR (RT-PCR)
Reverse vaccinology, 595
Reynold’s numbers, marine habitats, 711
RfaH protein, transcription termination
regulation, 945, 1100
RFLP see Restriction fragment length
polymorphism (RFLP)
Rhamnolipids
Pseudomonas aeruginosa,976
Rhinoviruses
host control and oxygen supply effect, 401
see also Legumes; Rhizobia–legume
symbiosis
see also Legumes
Rhizobiaceae, plant pathogenic bacteria, 898
Rhizobia–legume symbiosis, 401
bacteroids
physiology see below;specific enzymes
Rhizobiotoxin
Rhizobium
Rhizobium leguminosarum
Rhizomorph(s)
Rhizomucor miehei
Rhizoplane
Rhizopus arrhizus
Rhizopus oryzae
case study
roots
RhlI protein, 992–993
RhlR-RhlI quorum sensing system, Pseudomonas
aeruginosa,978
Subject Index 1245

Rho-dependent termination, posttranscriptional
regulation, 945, 1100
Rhodesian sleeping sickness
Rhodobacter
Rhodobacter capsulatus
gene transfer agents, 1116
Rhodobacter sphaeroides
flagella, 533
biotechnology applications, 18t
xenobiotics degradation, 17–18
Rhodophytes see Red algae (rhodophytes)
Rho factor, lacking by Mycoplasma pneumoniae,
783
Rhoptries
-dependent termination, 945, 1100
Ribavirin, 96
adverse effects, 97
antiviral activity, 96
chemistry, 96
clinical indications, 96
hemorrhagic fever, 96
hepatitis C, 96, 619
Lassa fever, 96
respiratory syncytial virus, 96
mechanism of action, 96
resistance, 96
Ribitol, utilization, 747–748
Riboflavin (vitamin B
2
)
Ribonucleic acid see RNA
Ribonucleosides
D-Ribose, utilization, 747–748
Ribose-5-phosphate, pentose phosphate pathway,
750
Ribose-5-phosphate epimerase, pentose
phosphate pathway, 731–732
Ribose-5-phosphate isomerase
pentose phosphate pathway, 731–732
PPP pathway, 732f
Ribosomal DNA (rDNA)
16S rDNA
18S rDNA
picoeukaryotes see Picoeukaryotes
Ribosomal RNA (rRNA)
16S rRNA
Actinobacteria phylogeny see Actinobacteria
archaeal, 123
definition, 751
metagenomic analysis, 754
mollicutes, 777
sequences, actinobacteria
Streptosporangiaceae phylogeny, 12–13
Thermomonosporaceae phylogeny, 12–13
Tropheryma whipplei phylogeny, 13
rRNA maturation
16S ribosomes, Escherichia coli,423
23S ribosomes, Escherichia coli,423
70S ribosomes, Spiroplasma melliferum,279f
Escherichia coli see Escherichia coli
macrolide binding
processivity, 939, 949
definition, 937
Ribosome standby site
Ribostamycin
Riboswitch(es), 943, 949–950
mollicutes (Mycoplasma), 783
structure
thiamin pyrophosphate see Thiamin
pyrophosphate (TPP)
Ribulose-1,5-bisphosphate carboxylase/
oxygenase (RuBisCO) see RuBisCO
Ribulose-5-phosphate epimerase
PPK pathway, 734f
PPP pathway, 732f
Rice yellow mottle virus (RYMV), virusoid
(vRYMV), features, 1172, 1172t
diseases
peptidoglycan, 828–829
transporter systems, 1134
Rickettsia conorii
vector
Rickettsia rickettsii
Rifampicin, resistance, natural transformation,
667–668
Rifampin, resistance, 57
Rifamycin
Riftia pachyptila,349
deep-sea hydrothermal vent, 351
Rimantadine, 93
adverse effects, 94
antiviral activity, 94
chemistry, 94
clinical indications, 94
mechanism of action, 94
resistance, 94
Rio Tinto
acid environments of extremophiles,
characteristics, 478
extremophiles, acid environments, 466f, 466
Risk group(s) (RGs)
Ritonavir, 113
adverse effects, 113
antiviral activity, 113
chemistry, 113
mechanism of action, 113
resistance, 113
River(s)
RK2 (plasmid), horizontal gene transfer, 930
R-LPS (rough-lipopolysaccharide), 693f, 693
definition, 692
RNA
definition, 604
editing
Escherichia coli ribosomes, 423
expression analysis, Actinobacteria genotypic
taxonomy, 5–6
messenger see Messenger RNA (mRNA)
processing see RNA processing
ribosomal see Ribosomal RNA (rRNA)
satellite see Satellite RNA
small
small regulatory see Small regulatory RNAs
(sRNAs)
transfer see Transfer RNA (tRNA)
transfer–messenger
transcriptional regulation, 1099
RNA-binding proteins, translational control,
948f, 948
RNA degradosome, 946
RNA phages, Caulobacter,236–237
RNA polymerase(s), 1092
assembly, 1092–1093
Bacillus subtilis regulation, 157
bacterial, mollicutes, 783
conservation, 1092
definition, 1091
DNA polymerase collisions, 1102
phage gene expression, 168–169
phage T7, 177, 177
stress response regulation, 1084f, 1083–1084,
1085
subunits, 1093f, 1092
,1092–1093
,1092–1093
9,1092–1093
,1093
see also Sigma factor(s)
transcriptional arrest, 1099–1100
transcriptional pausing, 1099–1100
transcriptional role, 1091, 1092
factor-dependent initiation, 1093
RNA polymerase II (pol II), Pospiviroidae,
transcription implications, 1167
mRNA processing see Messenger RNA
(mRNA)
tRNA processing see Transfer RNA (tRNA)
RNase E
mRNA degradation control, 947f, 947, 948
rRNA maturation
RNase H, Archaea, 131–132
RNase III
posttranscriptional regulation, 946
RNase R
RNase T
RNA silencing
definition, 1163
plant, RNA viruses
RNA thermosensors, 950
RNA virus(es)
RNA viruses, plant, 903
classification, 903
macroscopic symptoms
viral counterdefense
see also specific viruses
Robertinida
Rickettsia rickettsii see Rickettsia rickettsii
RodA, Caulobacter crescentus,240
RodA protein, peptidoglycan synthesis, 835–836
Rokitamycin
Rolling circle mechanism
Rolling circle replication, plasmids, 921f,
918–919, 920–921, 920
Root hair infection, rhizobia–legume symbiosis
see Rhizobia–legume symbiosis
Root inducing (Ri) genes, pili role, 874
Root rot disease
ROP16
Ros, A. tumefaciens vir genes, 34
Rotating biological contractor (RBC)
Rotaviruses
vaccine, 1157
Roxithromycin
RP4 pilin subunits, expression, 300
RP4 plasmid, conjugation, 302, 297t
regulation, 303
R plasmids, Escherichia coli fimbriae (pili),
421–422
rpoH gene
translation initiation control, 950, 1093–1094
RpoS, Legionella pneumophila,682
translation initiation control, 949
rRNA see Ribosomal RNA (rRNA)
rrn operon
antitermination, 1105
Rrn promoters, 1095
RsbU (sigma regulation protein), 1007f
RsbV, Bacillus subtilis stress responses, 164
RsbW, Bacillus subtilis stress responses, 164
RSF1010 plasmid, conjugation, 305, 297t
RT-PCR see Reverse transcriptase PCR
(RT-PCR)
Rts1 plasmid, addiction modules, 929
Rubella
vaccine, 1156
RuBisCO, 141
Archaeoglobus fulgidus,149
cyanobacteria, 336
methanogenic bacteria, 149
reductive pentose phosphate cycle
see Reductive pentose phosphate cycle
Rubrobacteridae, phylogeny, 16S rRNA
sequences, 7
fermentation
Ruminal microorganisms
Ruminants
Rumination
Ruminococcus,556t, 559t
Ruminococcus albus,559t
Ruminococcus bromii,559t
Ruminococcus callidus,559t
Ruminococcus flavefaciens,559t
Ruminococcus lactaris,559t
Ruminococcus obeum,559t
Ruminococcus torques,559t
1246 Subject Index

Russian Federation
see also Soviet Union
RyhB sRNA, mRNA degradation, 947–948
S
sacB,Bacillus subtilis regulation, 157
Saccharification
Saccharomyces
strain improvement
protoplast fusion, 1056
transformation, 1056
Saccharomyces cerevisiae
adaptation, 443
arsenic uptake systems
budding, 1182f, 1183f, 1181
chromosome segregation
competence, 666
definition, 1174
EMP pathway (glycolysis), methylglyoxal
bypass, 737f, 737
ethanol-producing fermentations, 744
ethanol production, 430, 436
genome sequencing, 369
glucose limitation, 318
glyoxylate cycle, 741
industrial applications, 1184–1185
mating, 1184f, 1183
meiosis, 1184f
phytoallexin elicitor potential, 1185–1186
population genetics, nontransitive interactions,
446
sporulation, 1184f
Sup 35 proteins, 958–959
transcriptome analysis, 318
xylose fermentation, 323
Saccharomyces erythraea, strain improvement,
cloning/genetic engineering, 1058
Saccharopolyspora erythraea
Sacculus, 278f, 275–276
definition, 225, 266, 827
S-adenosyl-L-methionine (SAM)
AI-2 synthesis, 997
S-adenosylmethionine (SAM)-responsive S
MK
box, 943f, 949–950
Saline waters see Hypersaline waters
Saliva
microbial infection
Salivary gland
Salk poliovirus vaccine
Salmonella
flagellar morphology, 529
polymorphs, 530
infections, 415, 407t
cell invasion, 415–416
dendritic cells, 416
incidence, 415
neutrophils, 416
proinflammatory cytokines, 416
Salmonella pathogenicity island 1 (SPI1),
415–416
see also Salmonella enteritis
intergeneric gene transfer, 1118–1119
lipopolysaccharide
lipid A, 694–695
outer membrane integrity, 701
Salmonella-containing vacuole (SCV), Salmonella
typhi infection, 418
Salmonella enterica
Salmonella enterica serovar Typhimurium
lipopolysaccharide
core oligosaccharides, 695f, 695–696
lipid A modifications, 705f, 704
stress, 1076
see also Salmonella typhimurium
Salmonella enteritis
fimbrial adhesins, 23t
Salmonella pathogenesis island (SPI) 1
gene expression regulation, 537
Salmonella infections, 415–416, 418
Salmonella typhi infection, 418
genome arrangement, Salmonella typhimurium
vs.,287
infection, 417, 407t
animal models, 417–418
lipopolysaccharides, 418
M cells, 418
Salmonella-containing vacuole (SCV), 418
SPI-1, 418
SPI-2, 418
see also Typhoid/typhoid fever
Salmonella typhimurium
batch culture, 798t
fimbrial adhesins, 23t
flagellar structure, 531, 271f
genetic map, 534f
genome arrangement
Escherichia coli vs.,287
Salmonella typhi vs.,287
maltose transport complex, 1126
pathogenicity, phages, 173
quorum sensing, AI-2 signaling, 998
transposable elements, 1141
unrestricted growth, 800, 798t
see also Salmonella enterica serovar
Typhimurium
Sample preparation see Clinical microbiology;
DNA sequencing
Sanger method, DNA sequencing see DNA
sequencing
Sanitary design, cosmetics microbiology
Sanitization
Sapropel
Mediterranean
Saprophyte(s)
definition, 1022
Saprotroph(s)
Saquinavir, 112
adverse effects, 113
antiviral activity, 112
chemistry, 112
mechanism of action, 112
resistance, 113
SarA,Staphylococcus,1046–1047
Sarcina
human fecal flora, dietary groups, 559t
Sarcina lutea,559t
Sargasso Sea, community metagenomics,
756–757
SARP response regulator, 1016t
SARS (severe acute respiratory syndrome), 384
antiviral development, 97
infection
Satellite RNA
virusoids, 1172
Sau3AI, cleavage site, 360t
Sauerkraut
Scaffold(s)
community metagenomics, 756
definition, 369, 751
Scaffolding protein (FlgD), flagellar hook
structure, 531
Scale-up, strain improvement, 1058–1059, 1059
random mutations, 1053
Scanning electron microscopy (SEM), forensic
microbiology, 547
Schizochytrium
Schizosaccharomyces pombe
fission, 1181
mating, 1183
Scientific methods
microbiology see Microbiology
biology vs. physics
Sclerotinia sclerotiorum,893
Sclerotium
Scrapie, 953
atypical phenotype, 964–965
prevention, 955–956
prion protein strain typing, 959f
Screening
strategies, strain improvement, 1050
Screens, random mutations, strain improvement,
1051–1052, 1052–1053
Scrub typhus
Scytonemin
cyanobacteria, 337
structure, 338f
Sda, Bacillus subtilis phosphorelay, 161–162
Sea see Ocean(s); Seawater; entries beginning
deep-sea
Sea ice
Arctic ocean, characteristics, 487f
exopolymers, 492–493
microbial growth, 493
seasonal and/or diurnal temperature swings,
486
Sea-viewing Wide Field-of-view Sensor
(SeaWiFS), global ocean, 712
Seawater
deep see entries beginning deep-sea
density, 710–711
depth gradient
chemical changes, 712
physical changes, 712
subfloor sediments
see also entries beginning marine
Secondary active transport, definition, 251
Secondary metabolites
definition, 1048
Streptomyces see Streptomyces
Streptomyces coelicolor,14, 15t
Streptomyces genome, 14
Secondary/tertiary confirmations, random
mutations, strain improvement, 1053
Secretion, protein see Protein(s), secretion
Secretion channels, A. tumefaciens VirB/D4
system, 35
Secretion substrate recruitment, Agrobacterium
tumefaciens T4S system, 38
sec secretion system
definition, 861
Ppilus assembly, 867–868
SecYEG exporter
definition, 813
protein secretion, 821f, 821
subseafloor see Subseafloor sediments
sediment
Sedoheptulose-7-phosphate, pentose phosphate
pathway, 750
Selectable functions, transposons, 1138–1141
Selectable markers
genetic recombination, strain improvement,
1056
transduction, 1117–1118
Select Agents, definition, 539
Selection
definition, 44
frequency-dependent, 445
strain improvement, 1057–1058
Selective media, Escherichia coli,427
Selective neutrality, 445
Selenocysteine
Archaea, 133
Selenomonas ruminantium
Selfish DNA, definition, 915
Semisynthetic approach, macrolide rational
design
Sensory Signal Transduction Proteins (Sentra)
database, The, 1008–1009, 1008t
Sensory transduction, bacterial see Signal
transduction
SEN-virus (SEN-V), hepatitis, 622, 623
Sepsis
see also Septicemia
Subject Index 1247

Septation
cell division, 243
definition, 242
Septicemia
Escherichia coli pathogenicity, 425
see also Sepsis
Septic shock, 815–816
Septum formation
Sequence databases see Genome sequence
databases
Sequence lengths, 454 Life Sciences DNA
sequencing, 378
Sequence motifs
Sequencing-by-ligation techniques, Applied
Biosystems DNA sequencing, 380
Sequencing by Synthesis (SBS)
454 Life Sciences DNA sequencing, 376–377
Solexa DNA sequencing, 379
Serine
L-Serine, production, 49
biosynthesis reaction, 49
Serine hydroxymethyltransferase (SHMT), 49
Serine/threonine protein kinases
signal transduction, 1007f, 1010f, 1009–1010
domains, 1014t
Serine/threonine/tyrosine protein kinase(s), signal
transduction, 1017
Serine/threonine/tyrosine protein phosphatase(s),
1009t
signal transduction, 1017
domains, 1014t
Serology
Escherichia coli,427
Seropositive, definition, 625
Serpulinaceae, 1023f, 1022–1023
Serratia symbiotica, secondary symbionts, 398
Sessile, definition, 183
Sessile cells, biofilms, 183
Severe acute respiratory syndrome see SARS
(severe acute respiratory syndrome)
Severe acute respiratory syndrome-coronavirus
(SARS-CoV)
Sewage see Wastewater
Sexuality, mixis and, 449
Chlamydia trachomatis see Chlamydia
trachomatis
control
see also specific diseases/organisms
Sheath, definition, 327
Sheep
scrapie see Scrapie
Shellfish
ShET1 toxin, Shigella infections, 415
Shewanella
arsenic degradation, 17
bioluminescence, 204
Shewanellaceae, bioluminescence, 205f
Shewanella hanedai
lux operon, 212f
temperature effects, 207
Shewanella oneidensis
Shewanella woodyi,lux operon, 212f
Shiga-like toxins, enterohemorrhagic Escherichia
coli (EHEC), 426, 411
Shigella infections, 415
infection
Shigella
infections see Shigella infections (below)
taxonomy, Escherichia coli vs.,420–421
Shigella bodyii,414
Shigella dysenteriae,414
Shigella enterotoxin 1 (ShET1), enteroaggressive
Escherichia coli (EAggEC), 412
Shigella flexneri,414
Shigella infections, 414, 407t
A1B5 toxin, 415
IpA, 414–415
IpB–IpC complex, 414–415
IpD, 414–415
local inflammation, 415
macrophages, 414–415
polymorphonuclear cells, 415
proinflammatory cytokines, 415
pWR100 virulence plasmid, 414f, 414
ShET1 toxin, 415
Shiga toxin (STx), 415
symptoms, 414
toxins, 415
vacuole infection, 415f, 414–415
Shigella sonnei,414
Shine–Dalgarno (SD) sequences
definition, 937
translation initiation, 948
acyclovir, 87
definition, 84
vaccine approval, individuals over 55 years,
1157–1158
Short wavelength radiation, as mutagen, 1051t
Shot gun DNA microarrays, metal extraction
(biomining), 771
Shotgun sequencing
DNA sequencing sample preparation, 375
forensic science, 545
Shufflon(s), restriction–modification, 367
Sialic acid
Siderophore(s)
Pseudomonas,975
Siderophore receptors, 258
S-IgA
sigK,Bacillus subtilis spore formation, 163
Sigma E pathway, periplasmic protein folding,
822
Sigma factor(s), 1083
definition, 154, 813, 1075, 1091, 971
mollicutes, 783
phage gene expression, 168–169
promoter identification, 1094
Sigma factor A (
A
), Bacillus subtilis regulation,
157
Sigma factor B (
B
)
Sigma factor BldN (
BldN
)
Sigma factor D (
D
), Bacillus subtilis motility, 159
activation, Bacillus subtilis spore formation,
162
transcriptional role, 1093–1094
see also Sigma
32
factor; Sigma
54
factor
Sigma factor E70
stress response regulation, 1083–1084
transcription, 1093, 1097
Sigma factor E
s
,1084
Sigma factor F (
F
:FliA)
F
activation, Bacillus subtilis spore formation
see Bacillus subtilis
flagella, 535
Sigma factor G (
G
), Bacillus subtilis spore
formation, 163
Sigma factor S (
S
), 1084
activity control, 1089
posttranslational control, 1088, 1088t
recognized promoter features, 1084
stress response, 1084, 1094
synthesis regulation, 1087
low-shear conditions, 1090
microgravity conditions, 1090
transcription, 1085, 1087
translational control, 1088f, 1087
Sigma
32
factor, 1084
transcription, 1093–1094
Sigma
54
activator, transcription, 1098
Sigma
54
factor, 1084
Myxococcus see Myxococcus
Signaling
bacterial see Signal transduction
carbon assimilation regulation see Carbon
assimilation regulation
Signaling Protein Census, 1008–1009, 1008t
Signal molecules, metagenomics, 758t
Signal recognition particle (SRP) RNA
Signal transduction, bacterial, 1005–1021
alternative systems, 1016
bacterial receptors, 1007, 1009t
environmental signal detection, 1006
methyl-accepting chemotaxis proteins
see Methyl-accepting chemotaxis proteins
(MCPs)
pathways, 1009, 1009t
interactions, 1018
principles, 1006
proteins, structural organization, 1011
sensory domains, 1011, 1012t, 1019t
see also specific proteins
public resources, 1007, 1008t
two-component, Bacillus subtilis regulation,
156
Signature, definition, 539
Silicoloculinida
Silkworms
Silver
Pseudomonas species, 984
SIV
cpz
Simultaneous saccharification and fermentation
(SSF), 435
Single-strand binding (SSB) protein
definition, 915
plasmid replication, 932
Sinks, phosphorus cycle see Phosphorus cycle
Sinorhizobium
Sinorhizobium meliloti
Sinusitis
Siphoviridae,169t
Sisomicin
Sister chromatids
Site-directed mutagenesis
strain improvement
Site-specific insertions, phage lysogeny, 175–176
Agrobacterium tumefaciens genetic
engineering, 42
SIV
cpz
see Simian immunodeficiency virus (SIV)
16-membered macrolides
infections see Skin infections
see also specific diseases/infections;specific
microbes
Skin infections
fungal/mycotic see Fungal infections, cutaneous
Slab-gel sequencers, DNA sequencing, 374
S layers
reemergence, 384–385
see also specific drugs
Slime secretion, Myxococcus cell movement
see Myxococcus
SLP1 plasmid, 305
S-LPS (smooth-lipopolysaccharide), 693
definition, 692
Sludge
activated
Small acid-soluble proteins (SASP), Bacillus
subtilis spore formation, 163
Small intestine
normal flora, 555f, 554
see also specific structures
Small multidrug resistance (SMR), 59
antibiotic resistance, 59
substrates, 59t
Smallpox, 383–384
biological warfare, North American Indian
wars, 190–191
biological warfare, North American Indian
wars, 190–191
Small regulatory RNAs (sRNAs), 947–948
trans-encoded
RNase III see RNase III
Hfq role see Hfq (RNA chaperone)
quorum sensing, 998
regulatory see Small regulatory RNAs (sRNAs)
1248 Subject Index

transcription initiation, 1099
translational control, 949
Snotites, definition, 463
Sobemovirus, virusoid associations, 1172
Social gliding, 272
Soda lakes, 130
Sodium, microbial requirements, 795
Sodium motive force (SMF)
definition, 251
haloarchaea, 126–127
Soil(s)
archaeal diversity, 123
bacteria, extracellular DNA uptake, 666
transformation frequency, 666–667
contaminated
crusts see Biological soil crusts
metagenomic library construction, 752
DNA extraction, 752
microbes, solute transport, 1134
microhabitats, 666–667
yeast, 1176t
Solanum nodifluorum mottle virus (SNMV),
virusoid (vSNMV), features, 1172t
Solar energy
marine habitats, 716–717
Solexa methods
see also DNA sequencing
Solfatara
extremophiles, 464
locations, 464f, 464
Solid phase products, bioreactors, 221
Solid phase reactants, bioreactors, 221
Solid-state culture
see also Monascus
SOLiD technology, Applied Biosystems DNA
sequencing, 380
Solubilization
metal extraction (biomining) mechanisms
see Metal extraction (biomining)
Soluble lytic transglycosylase (SLT), conjugation,
301t
Solute transport, cytoplasmic membrane, 256
Solution-based approaches, metal extraction
proteomics, 772
Solventogenesis, 526
see also specific reactors
D-Sorbose, utilization, 747
Sordarins, antifungal action, 82, 67t
Sortase(s)
definition, 861
assembly, 877, 863t
SrtA
pilus assembly, 878
Sorting and assembly machinery (SAM),
mitochondrial, 258
SOS response, 250
cell cycle regulation, 249
definition, 357, 154
DNA repair, 1083
definition, 357
transduction development, 1117
Soviet Union
anthrax outbreak (1979), 192
see also Russian Federation
Sox proteins, protein oxidation, 1086–1087
Soybean fermentation, 221
see also Tempe kedelee
SpaA pili, assembly, 878f, 877
planetary protection
spacecraft-associated microbes
SpaD pilus gene cluster, 878
Spain
influenza
Spain
6B
ST90, penicillin-resistant pneumococci,
global spread, 1067
Spain
23F
ST81, penicillin-resistant pneumococci,
global spread, 1067
Spatial structure, food webs see Food webs
Specialized transduction, 1108
definition, 1107, 1108, 1108
discovery, 1108
generalized transduction vs.,1108
incorrect prophage exclusion, 1109
bio operon, 1109–1110
gal operon, 1109–1110
illegitimate recombination, 1110f,
1109–1110
Int protein, 1109–1110
phage see Bacteriophage
transductant formation, 1110
DNA stability, 1111f, 1110
double lysogens, 1110
Speciation, 439
genetic exchange, 443
reinforcement, 443
Specific consumption rate (q
s
), 312–313
definition, 309
Specific growth rate (m
s
)
continuous culture, 314f, 311
definition, 309
Specific stress response, 1076
Specimen handling/collection see Clinical
microbiology
Spectinomycin
Sphingomonadaceae, 227
Sphingomonas, Cae Coch, Wales (UK),
479–480
Sphingomonas paucimobilis, lipopolysaccharide,
outer membrane integrity, 701
Sphingomyelin
SPI-1 see Salmonella pathogenesis island (SPI) 1
Spiramycin
Spirillum G7, competition, 320–321
Spirochaetaceae, 1023f, 1022–1023
Spirochetes, 1022–1036
architecture, 1024f, 1024–1025
gram-negative features, 1024–1025
gram-positive features, 1024–1025
chemotaxis, 1023–1024
definition, 1022
E. coli vs.,1024–1025
families, 1023f, 1022–1023
flagella, 1024f, 1023, 270
genome comparisons, 1023f, 1023
lipopolysaccharide, 1024–1025
motility, 1023
flagella, 1024f, 1023
methyl-accepting chemotaxis proteins,
1023–1024
outer membrane proteins (Omps), 1025
protein export pathways, 1025
Sec,1025
sensory proteins, 1023–1024
sensory transduction genes, 1024f
structure, 1024f
taxonomic organization, 1023f
see also specific organisms
Spiroplasma,776–787, 895
characteristics, 779
definition, 776
habitats, phloem sieve tubes, 779
helical cell morphology, 779
lifecycle, 779–780
locomotion, 779
metabolism, 782
as plant pathogens, 779
polarity, 779
transcription, 783
transmission and adhesins, 780
Spiroplasma citri,779
discovery, 779
fructose operon, 779–780, 783
fruR gene absence, 779–780
lifecycle, 779–780
metabolism
carbohydrate utilization, 779–780
fructose, 779–780
glucose accumulation and, 779–780
phytopathogenicity, 779–780
ptsG mutation, 779–780
translation initiation, 784
vector (leafhopper), 779, 779–780
Spiroplasma kunkelii,781
genome, 779
Spiroplasma melliferum
70S ribosomes, 279f
arginine–ornithine antiport system, 782
proteinaceous filaments, 280f, 280–281
structure, 280f
Spirotrichea
Splenomegaly, definition, 604
Spo0A response regulator, 1016t
Bacillus subtilis spore formation, 161f, 161
Spo0F response regulator, 1010f, 1015, 1016t
Spo0IIIE
SpoIIAA-PO4, Bacillus subtilis stress responses,
164
spoIIA locus, Bacillus subtilis spore formation,
162
spoIID,Bacillus subtilis spore formation,
162–163
spoIIE locus, Bacillus subtilis phosphorelay, 162
spoIIG,Bacillus subtilis spore formation, 162, 163
SpoIIGA, Bacillus subtilis spore formation, 162
spoIIM,Bacillus subtilis spore formation,
162–163
spoIIP,Bacillus subtilis spore formation,
162–163
spoIIR,Bacillus subtilis spore formation, 162
Spontaneous mutations, 1050–1051
Spore(s)
definition, 154
formation, Bacillus subtilis see Bacillus subtilis
fungal see Fungi, spores
germination, Bacillus subtilis see Bacillus
subtilis
resistance, Bacillus subtilis see Bacillus subtilis
Spore-bearing aerial hyphae, Streptomyces
see Streptomyces
Spore coat
Bacillus subtilis spore formation, 160–161
Spore-forming bacteria, food spoilage
Sporulate, definition, 881
Sporulation
Bacillus subtilis see Bacillus subtilis, spore
formation
definition, 1174
PhrA levels, 990
Saccharomyces cerevisiae,1184f
signal transduction, 1010f
S
role, 1094
spoT gene/protein
bacterial stress, 1085–1086
SprE protein,
S
synthesis, 1089
Spring bloom, marine habitats, 718
Springs, hot see Hot springs (acid pH)
Sputum
Squid
light organs see Light organs
luminous bacterial symbiosis, 209f, 208
SRA gene, Trypanosoma brucei
S ring, flagellar structure, 531–532
SrtA (sortase) see Sortase(s)
SSU rDNA
SSY 726 (triazole), antifungal action, 78
Stable isotope
Stable isotope probing (SIP)
Staining
Gram see Gram staining
Stalk(s) (prosthecae)
Stalked sibling, definition, 225
Staphylococcal infections
pathogenesis, 1043
see also Staphylococcus aureus
Subject Index 1249

Staphylococcal infections (continued )
treatment, 1044
resistance, 1044
Staphylococcus,1037–1047
antibiotic resistance, 1044, 1044
bacteriophage, 1041
difficulties, 1041–1042
restriction pattern effects, 1041–1042
role in gene rearrangement, 1042
role in transformation, 1042
role in virulence factor transmission, 1042
typing for strain group identification, 1041
carriage, 1043
cellular structure, 1038
biofilm formation, 1039
capsule, 1038
cell wall, 1038
coagulase negative vs. coagulase positive, 1042
colonization vs. infection, 1043
genome, 1039, 1039t
protein level comparisons, 1041f, 1040
identification, 1044
immunity, 1043
vaccine research, 1043–1044
molecular structure, 1039
plasmids, 1041
groups, 1041
pSK639, 1041
taxonomy, 1037
molecular level, genus differentiation, 1038
species, 1038t
types, 1043
virulence factors, 1045
extracellular proteins, 1045, 1045t
cell surface proteins, 1046
soluble exoproteins, 1045
regulatory mechanisms, 1046
accessory gene regulator role, 1046–1047
RNA III, 1046–1047
sarA,1046–1047
sigma B activation under stress, 1047
Staphylococcus aureus
adhesion, extracellular matrix, 25
AgrD protein, 990
bacteriophage, 1041–1042
carriage rates, 1043
cellular structure
biofilm formation, 1039
capsule, 1038–1039
cell wall, 1038
coagulase-negative staphylococci vs.,1042
distribution, 408
food microbiology
genome, strain features, 1039t
pathogenicity islands, 1040
PS47 role, 1040
transposable elements, 1040
human fecal flora, dietary groups, 567t
immunity, 1043–1044
infection, 408, 407t
enterotoxins, 408
types, 1043
macrolide resistance
methicillin resistance see Methicillin-resistant
Staphylococcus aureus (MRSA)
peptidoglycan layer, 278f, 275–276
plasmids, 1041
virulence factors, 1045, 1045t
Staphylococcus epidermidis
cellular structure
biofilm formation, 1039
capsule, 1038–1039
cell wall, 1038
disease types, 1043
genome, 1039
strain features, 1039t
human fecal flora, dietary groups, 567t
immunity, 1043–1044
plasmids, 1041
Staphylococcus aureus vs.,1042
Staphylococcus haemolyticus, genome projects,
strain features, 1039t
Staphylococcus saprophyticus
genome projects, strain features, 1039t
Staphylococcus aureus vs.,1042
Staphylothermus, growth characteristics, 497t
Staphylothermus marinus,352t
glucose production see Glucose
structure, 746
utilization, 746
-amylases,746
-amylases, 746
debranching enzyme, 746
extracellular enzymes, 746
Start-up costs, random mutations, strain
improvement, 1051–1052
Starvation
bacterial, 1076, 1076
escape response, 1076–1077, 1077t
guanosine tetraphosphate role, 1085–1086
Myxococcus xanthus,444
phosphate, 1086
sensing, 1090
see also Lovastatin
Stavudine, 107
adverse effects, 107
antiviral activity, 107
chemistry, 107
clinical indications, 107
mechanism of action, 107
resistance to, 110
STDs
Steady state
continuous culture, 312f, 315–316
definition, 309
bioreactors, 224
Stem nodules
Stereoselectivity
Stereospecificity
Sterility, continuous culture equipment,
324–325
canned food see Canned food
Steroid hydroxylation, biotransformations
requirement by mollicutes, 777–778, 782
Stetteria, growth characteristics, 497t
Stigmatella aurantiaca
Stigonematales, definitory criteria, 329t
Stimulated recombination, generalized
transduction, 1113
Stock cultures, preservation
Stoichiometric models, metabolic reconstruction
Stoichiometry
definition, 788
Stomach
normal flora, 554
gastric mucosa flora study findings, 554
see also entries beginning Gastric
Stone, biodeterioration see Biodeterioration
Storage
Strain improvement, 1048–1060
benefits, 1050
nonmicrobial products, 1050
see also Strain improvement, mutation
cloning/genetic engineering, 1057
in vitro technology, 1057
functional genes, 1057
origin of replication, 1057
procedure, 1057
promoter, 1057
site-directed mutagenesis, 1057
fermentation conditions, 1057–1058
multiple enzyme copies, 1058
selection methods, 1057–1058
definition, 1049
engineering optimization, 1058
bioengineering, 1058
fermentation analysis, 1058–1059
production process validation, 1059
scale-up, 1058–1059, 1059
fermentation conditions, 1058
metabolic engineering, 1059
product formation pathways, 1059
nutritional needs, 1058
chelating agents, 1058
computer-based modeling, 1058
media reformulation, 1058
genetic recombination, 1055
conjugation, 1056
gene sequencing, 1049
protoplast fusion, 1056
advantages, 1056, 1056
disadvantages, 1056
procedure, 1056
transformation, 1056
selectable markers, 1056
impact, 1050
by mutation see Strain improvement, mutation
need for, 1049
economics, 1049, 1050
enhanced productivity, 1050
screening strategies, 1050
significance, 1050
strategies, 1050
see also specific strategies
Strain improvement, mutation, 1050
random selection, 1052f, 1051
advantages, 1051–1052
automation, 1053–1054
fermentation assay, 1052
high-throughput screens, 1053–1054
labor-intensive, 1053
manual screening, 1053
mutagenesis, 1052
resource allocation, 1053
scale-up, 1053
screens, 1051–1052, 1052–1053
secondary/tertiary confirmations, 1053
start-up costs, 1051–1052
rationalized selection, 1054
autotrophic mutants, 1054
cellular metabolism, 1054
diagnostic medium, 1055
environmental conditions, 1054
enzyme overproduction, 1055
radioisotope feeding studies, 1054
regulatory mutants, 1049, 1054, 1054
feedback inhibition resistance, 1054
repression resistance, 1055
photosynthetic forms
Streaming, Myxococcus see Myxococcus
Streptococcus
anaerobic, in human fecal flora, 556t, 559t
extracellular DNA uptake, 668
Group A see Group A Streptococcus (GAS)
Group B see Group B Streptococcus (GBS)
human fecal flora, dietary groups, 559t, 566t
lactic acid-producing fermentations, 741
pili expression, 862, 878
virulence experiments, 666
Streptococcus agalactiae,566t
see also Group B Streptococcus (GBS)
Streptococcus avium,566t
Streptococcus bovis
human fecal flora, 566t
natural transformation, 668
Streptococcus constellatus,559t
Streptococcus cremoris,566t
Streptococcus durans,566t
Streptococcus equinus,566t
Streptococcus equisimilis,566t
Streptococcus faecalis
human fecal flora, dietary groups, 566t
Streptococcus gordonii
biofilm formation, 999
1250 Subject Index

natural transformation, 668
Veillonella atypica interactions, 999
Streptococcus hansenii,559t
Streptococcus intermedius,559t
Streptococcus lactis,566t
Streptococcus mitis,566t
Streptococcus morbillorum,559t
Streptococcus mutans
biofilm formation, 999
extracellular DNA uptake, 668
human fecal flora, dietary groups, 566t
oral bacteria
Streptococcus pneumoniae (pneumococci),
1061–1074
antibiotic resistance, 1066, 61t
penicillin see below
carriage
animals, 1063
preschool-age children, 1063
rates, 1063
seven-valent conjugate vaccine impact, 1068
cell division replication mechanisms, 1073f,
1072, 1072
choline function, 1072
PBP implications, 1074
peptidoglycan crosslinking, 1072
cell wall
composition, 1072
fine structure studies, 1072
structure, 1072
clone, 388
ComC, 989f, 988
day care center studies, 1070
disease
burden, 1062
historical perspective, 1062, 1063
invasive, potential of serotype vs. molecular
types, 1066
viral disease and, 1062
genetic exchange in vivo,1070
bacteriophage, 1071
as anti-infective agents, 1071
competence, 1070
allolysis, 1071
bacteriocin system, 1071
comABCDEWX,1070–1071
competent stimulating peptide, 1070–1071
genomic sequencing, 1071
genome hypothesis, 1072
historical aspects, 1062
host defense, 1064
host factors affecting, 1064
human interventions affecting, 1066
antibodies, 1066
conjugate antipneumococcal vaccine, 1066
day care centers, 1066
molecular typing, 1066
identification, 1062
literature guides, 1061
as model microbe for molecular biology, 1061
natural habitat, 1061
natural reservoir, 1063
carriage see above
early colonization studies, 1063
as pathogen, 1061
penicillin-resistance, 1066
genes, 1067
genetic diversity, penicillin-susceptible
isolates vs.,1068f, 1068
global spread of pandemic clones, 1067
historical aspects, 1066
murM genes, 1067
murN genes, 1067
phenotypes, 1067
prp genes, 1067
peptidoglycan, synthesis, 837
pili, 878
polysaccharide capsule roles, 1062
postscript, 1074
vaccine
nine-valent conjugate vaccine trial, 1062
HIV negative vs. HIV positive children,
1062
viral–bacterial implications, 1063
research directions
13-valent conjugate vaccine, 1070
ten-valent conjugate vaccine, 1070
seven-valent conjugate vaccine impact,
1069f, 1068
study findings, 1068–1069
virulence, 1064
capsular polysaccharides, 1064
cell walls, 1065
virulence regulation, 1065
different modalities of growth, 1065
DNA microarray studies, 1065
expression of capsular polysaccharides, 1065
opaque vs. transparent phenotype, 1065
Streptococcus pyogenes
human fecal flora, dietary groups, 566t
see also Group A Streptococcus (GAS)
Streptococcus salivaris,566t
Streptococcus sanguis,566t
Streptococcus thermophilus,566t
Streptococcus uberis,566t
Streptococcus zooepidemicus,566t
Streptogranin B, resistance, methyl group
addition effects, 56
Streptomyces,305
antibiotic production, 2
see also Antibiotic production
bacteriophages, 181
conjugation, 305
genome, 14
genetic instability, 14
secondary metabolites, 14
transposable elements, 14
phenotypic analysis, 2
replication, 925–926
spore formation, 305
strain improvement
protoplast fusion, 1056
transformation, 1056
Streptomyces avermitilis
genome, 14
Streptomyces clavuligerus
Streptomyces coelicolor
bldA gene, 950
genome, 14
secondary metabolites, 14, 15t
strain improvement, protoplast fusion, 1056
Streptomyces griseus, candicidin, 71
Streptomyces lavendulae, genotypic taxonomy,
restriction digests, 6
Streptomyces lydicus
symbiotic relationships, 2
Streptomyces natalensis, pimaricin, 72
Streptomyces nodosus, amphotericin B
see Amphotericin B
Streptomyces noursei, nystatin see Nystatin
Streptomyces orientalis, strain improvement,
vancomycin production, 1054–1055
Streptomyces peucetius subsp. caesius, strain
improvement, cloning/genetic engineering,
1057–1058
Streptomyces scabies
symbiotic relationships, 2
Streptomyces venezuelae, phage isolation, 1115
Streptomyces virginiae, genotypic taxonomy,
restriction digests, 6
Streptomycins
Streptosporangiaceae
chemical constituent taxonomy, 4t
phylogeny, 16S rRNA sequences, 12–13
Streptothrix coelicolor, taxonomy, 5
Streptothrix cyaneus, taxonomy, 5
Streptothrix foersteri, discovery, 1–2
Streptothrix violaceoruber, taxonomy, 5
Streptothrix violaceusniger, taxonomy, 5
Stress(es), microbial mats
Stress responses
Bacillus subtilis see Bacillus subtilis
heat
pH see pH, stress, responses
Strickland reaction, 521
Strict anaerobes, 741
Stromata
cyanobacteria, 343–344
Archean-age examples
Structural proteins
generalized transduction, 1112–1113
phage genes, 168
Stx1, enterohemorrhagic Escherichia coli
(EHEC), 411
Stx2, enterohemorrhagic Escherichia coli
(EHEC), 411
Stygiolobus, growth characteristics, 497t
see also Monascus
Submerged fermentation
Subpseudopodia
Subseafloor sediments, prokaryotes
energy sources
Substantial equivalence concept, genetically
modified microbes, 671
Substrate-induced gene expression (SIGEX), 760f,
760, 760
Substrate-level phosphorylation, 522, 522, 728,
742–743
definition, 515, 728
Subterranean clover mottle virus (SCMoV),
virusoid (vSCMoV), features, 1172t
Subtilin, Bacillus subtilis,159
Bacillus subtilis,160
see also specific infections/mechanisms
Succinate
Succinate dehydrogenase (SDH)
reductive citric acid cycle, 144
TCA cycle, 740
aerobiosis, 738f
Succinyl-CoA, TCA cycle, 748–750
Succinyl-CoA:malate CoA transferase, 147
Succinyl-CoA synthetase, TCA cycle, 740
aerobiosis, 738f
Sucrose
utilization, 746–747, 747
Sugar(s)
see also Glucose
Suicide modules, 929
Suicide vectors, transposable elements, 1141
Sulfate
microbial sulfur cycle
Sulfate oxidizing bacteria
Sulfate reducing bacteria (SRB)
in industrial ecosystems, 186
reductive acetyl-CoA pathway, 145
Sulfide ores, extremophiles, acid
environments, 465
Sulfidogen, definition, 463
physiological versatility, 471
Sulfolipid I (SL), definition, 1147
Sulfolobaceae, growth characteristics, 497t
Sulfolobales, 124t
Sulfolobus,121–122
Entner–Doudoroff pathway, 736–737
growth characteristics, 497t
metal extraction/biomining, 765
Sulfolobus acidocaldarius
genome sequencing, 770–771
S-layers, 275f
Sulfolobus metallicus, metal extraction/
biomining, 765f
Sulfolobus solfataricus
DNA replication cycle, 245–246
genomics, 137
Subject Index 1251

Sulfolobus tokodaii, genome sequencing,
770–771
Sulfophobococcus, growth characteristics, 497t
Sulfur
assimilation, cyanobacteria, 339
compound reduction, extremophiles, hot
environments, 511
extremophiles, acid environments, mutualistic
interaction effects, 504
isotope
microbial requirements, 794
respiration, acidophiles, 468–469
sources, Escherichia coli,425
see also entries beginning sulfur (below)
Sulfur bacteria
Sulfureta (sulfuretum)
Sulfurisphaera
growth characteristics, 497t
metal extraction/biomining, 765
Sulfur oxidation, microbial sulfur cycle
Sulfur-oxidizing bacteria
Sulfur-reducing bacteria
Sunlight
marine habitats, 717
see also Ultraviolet (UV) light/radiation
Sup 35 proteins, 958–959, 960, 968–969
Superantigen(s), 453
definition, 405, 1037
exotoxins, 462
Supercoiling, 917f, 916–917, 282f, 281–282
Superinfection(s)
Superoxide dismutase (SOD)
Surface-enhanced Raman spectroscopy (SERS)
forensic microbiology, 547
Surface exclusion(s), conjugation, 295–296
Enterococcus faecalis,304–305
mating pair formation, 302
Surfactants
Surfactin, Bacillus subtilis,159–160
Suspended cell-continuous bioreactors, solvent
production see Solvent production
agnoprotein see Agnoprotein
large T antigen see Large T antigen (LT-Ag)
Swan-necked flask experiments, spontaneous
generation
Swarmer cycle, Caulobacter crescentus flagellum,
235
Swarmer sequence, Caulobacter crescentus
cytoskeleton, 234
Swarmer sibling, definition, 225
Swarming
Myxococcus cell movement see Myxococcus,
cell movement
Swine (pigs)
African fever
hog cholera
industry, Brachyspira hyodysenteriae,1031
influenza, 678
SXT (integrating conjugative element),
conjugation, 297t
coral bleaching, 403
Symbiont
definition, 1022, 391–392
termite gut treponemes see Termite gut
Symbiont-derived organelles, eukaryotes, 392
Symbioses (symbiosis)
cyanobacteria, 343
definition, 251, 391, 391–392
lichens see Lichens
rhizobia–legume see Rhizobia–legume
symbiosis
see also Endosymbionts; Symbiotic
relationships
Symbiosomal membrane, 403
definition, 391
Symbiotic relationships
Actinobacteria,2
Streptomyces lydicus,2
Streptomyces scabies,2
see also Symbioses (symbiosis)
definition, 251
Synapomorphy
Synapsis, definition, 1137
Synchronous cultures, Caulobacter crescentus,232
Syncytium (syncytia)
Synechococcus
cyanobacteria, 341
phages, 180–181
Synechocystis
Synergy, pair mutations, 442
Synthase(s), definition, 987
Synthase-dependent pathway, O-polysaccharide,
700f, 701
Synthetic biology, definition, 776
Synurophyceae
see also Treponema pallidum
Pseudomonas syringae,979–980
Syringopeptins
Pseudomonas syringae,979–980
Systematic error(s)
Systematics, definition, 202
Systems microbiology, definition, 762
T
T
½
, definition, 84
T1SS (type I secretion system), 825f, 824
flagellar protein export, 537
T2 phage see Bacteriophage T2
T2SS (type II protein secretion system), 825f,
824–825
definition, 861
flagellar protein export, 537
pilus assembly, 873, 870, 863t
T3 phage see Bacteriophage T3
T3SEs (type III effectors), plant-pathogenic
bacteria
T3SS (type III protein secretion system), 825f, 825
definition, 861, 405
enteropathogenic Escherichia coli (EPEC), 411
flagellar protein export, 537
pilus assembly, 877f, 876, 863t
bacteria associated, 876
T4 ligase, 579, 579
T4 phage see Bacteriophage T4
T4SS (type IV protein secretion system), 825f, 825
cellular localization, 295
definition, 294, 29
pilus assembly, 863t
T4S system, Agrobacterium tumefaciens plant cell
transformation see Agrobacterium
tumefaciens plant cell transformation
T4 virus superfamily
T5 phage see Bacteriophage T5
T7 DNA polymerase, DNA sequencing, 374–375
T7 phage see Bacteriophage T7
T7 RNA polymerase, 177, 177
T-8581 (triazole), antifungal action, 78
Tabtoxin
TacA relay, Caulobacter crescentus
phosphorelays, 238f, 239–240
TacF, Streptococcus pneumoniae,1065
Tactic responses see Chemotaxis
Taenia solium
Tagatose pathway, 746
galactose, 747
Tagetitoxin
see also Bacteriophage(s); specific
bacteriophage
Tail fibers, phages, 174
Tailings, extremophiles, acid environments,
464–465
TAK 187 (triazole), antifungal action, 78
Tall fescue
Target DNA
definition, 1137
transposable elements, 1138
Targeted mutations, 1051
Tat protein
HIV, 644, 648
Tau () factor, transcription termination, 1104
Tau protein, prion protein detection, 967
Taxonomy
definition, 1
revision/modifications, 556–569
gastrointestinal flora, 556–569
Taylor, A L, bacteriophage Mu discovery, 1137
TB genotyping
TB–HIV, definition, 1147
T-box system, transcription termination control,
942f, 942
TCA cycle see Tricarboxylic acid (TCA) cycle
TCDB database, 1124
T cell(s)
cytotoxic
definition, 640
HIV infection, 656
MHC restriction see Major histocompatibility
complex (MHC)
regulatory (T
reg
)
T-complex, conjugation, 306–307
TCR
T-DNA, 306, 874
A. tumefaciens plant cell transformation
see Agrobacterium tumefaciens plant cell
transformation
definition, 29
genetic engineering, 41
processing, A. tumefaciens see Agrobacterium
tumefaciens plant cell transformation
tagging, A. tumefaciens genetic engineering, 42
transfer, 875f
Teeth
dental caries see Dental caries
Teichoic acid
Bacillus subtilis,158
definition, 20
Staphylococcus,1038
Teichuronic acids, Bacillus subtilis,158
Teicoplanin
Telbivudine, 100
adverse effects, 101
antiviral activity, 100
chemistry, 100
clinical indications, 100
mechanism of action, 100
resistance, 101
Telithromycin
Tempe kedelee
Temperate phages
definition, 1107, 166
generalized transduction, 1111–1112
phage lysogeny, 175–176
Temperature
low, extremophiles see Extremophiles, cold
environments
marine habitats, 716
thermophiles, 129
see also Thermoacidophile); Thermophiles
Temperature and salinity characteristics (T-S
diagram), global ocean, 714f, 712
Temporal ordering, phage gene expression, 168
Tenofovir disoproxil fumarate, 109
adverse effects, 110
antiviral activity, 109
chemistry, 109
clinical indications, 110
hepatitis B, 101
mechanism of action, 109
Teratogenesis, definition, 84
Terbinafine, 78
structure, 72f
Terconazole, 77
Terminal hairs, cyanobacteria, 334
Terminal inverted repeats (TIRs)
1252 Subject Index

Terminal organelle (tip structure), definition, 776
Termination codon readthrough
Terminator(s)
definition, 937, 1091
intrinsic, 938, 940–941, 1102
Rho-dependent, 938, 1103
transcription, 938
Termite gut, treponemes, 1027f, 1027
diversity, 1027
metabolism, 1027
Termites, wood-feeding, cellulolytic
symbioses, 396
Terrestrial habitats
luminous bacteria, 207
Terrestrial hot springs, deep-sea hydrothermal
vents vs.,353
Terrorism
biological warfare relationship, 198
see also Bioterrorism
Tetanus toxin, therapeutic applications, 460
tetO, transposons, 1138–1141
protein synthesis, 55
resistance
metagenomics, 758t
Tetraether lipids, definition, 495
Tetrahydromethanopterin (H
4
MPT)
Tetrahymena
see also Chlorophyll(s); Heme (Hm)
TetR-YFP, random reporter gene fusions,
1146f, 1144
T-even phage
restriction–modification, 358
glucosylation, 365
see also Bacteriophage T2; Bacteriophage T4;
Bacteriophage T6
Textile manufacturers/industry
Tgl
Thailand
Thaxter, Roland
Therapeutic index, definition, 84
Therapeutics, DNA sequencing see DNA
sequencing
Thermal springs, archaeal diversity, 123
Thermoacidophile(s) see Hyperthermophiles
Thermococcaceae, growth characteristics, 497t
Thermococcales, 124t
Thermococcus
EMP pathway (glycolysis), 735–736
growth characteristics, 497t
Thermococcus kodakaraensis
genomics, 138
thermostability of DNA, 498
translation, 133–134
Thermococcus strain AM4, 352t
Thermococcus zilligii, glycolytic pathway, 737
Thermocrinis, growth characteristics, 497t
Thermodesulfobacteriaceae, growth
characteristics, 497t
Thermodiscus, growth characteristics, 497t
Thermodynamics, bioreactor design, 222
Thermomonosporaceae, phylogeny, 16S rRNA
sequences, 12–13
Thermophiles, 128, 124t, 496
carbon dioxide assimilation pathways
citramalate cycle, 507f, 507
3-hydroxypropionate cycle, 504
definition, 118, 495
environment relationship, 513
extreme
growth temperature optima, 469t
see also Thermoacidophile
membrane lipids, 120f, 129
metabolic reactions, 129t
metal extraction (biomining), 766
moderate, growth temperature optima, 469t
nucleotide excision repair, 132
phenotypic features, 439
proteins, 129
thermostability mechanisms, 498
cell wall, 499
protein, 498
see also specific species
Thermophilum, growth characteristics, 497t
Thermoplasma,121–122
Entner–Doudoroff pathway, 736–737
Thermoplasma acidophilum, genomics, 137
Thermoplasmatales, 124t
Thermoproteaceae, growth characteristics, 497t
Thermoproteales, 124t
Thermoproteus
Entner–Doudoroff pathway, 736–737
growth characteristics, 497t
Thermoproteus neutrophilus, reductive citric acid
cycle, 502–503
Thermosphaera, growth characteristics, 497t
Thermotagacaea, 351
Thermotoga
growth characteristics, 497t
Thermotogaceae, growth characteristics, 497t
Thermus aquaticus
polymerase chain reaction, 138
Theta-mode replication (plasmids), 919f,
918–919, 919
ter sequences, 925
Thiabendazole, 73
Thiamine
Escherichia coli nutrition, 425
Thiamin pyrophosphate (TPP)
Thiobacillus A2, continuous culture, 319
competition, 320–321
Thiobacillus neapolitanus, competition, 320, 321t
Thiobacillus versatus, competition, 321t
Thiocarbamates, antifungal action, 78, 67t
deep-sea hydrothermal vents, 350
Thiomicrospira denitrificans, NIT sensor domain,
1018, 1019t
Thioredoxin reductase system, Mycoplasma,782
Thiosulfate(s)
metal extraction (biomining), 768
Threonine
amino acid production, 45t
fermentation, 521, 521t
L-Threonine, 48
biosynthesis pathway, in E. coli,48
Threonyl-tRNA synthetase (thrS) gene, Bacillus
subtilis see Bacillus subtilis
Thylakoids
cyanobacteria, 331
oxygenic photosynthesis, 846
definition, 844
Thymidine analogue resistance mutations
(TAMs), nucleoside/nucleotide analogue
resistance, 110
Thymidine analogues, anti-HIV agents, 88
Thymidine kinase
acyclovir mechanism of action, 85
acyclovir resistance, 87
definition, 84
Tick(s)
Tick-borne encephalitis virus, noninfectious
vaccines, 1159
Tick-borne relapsing fever (TBRF), 1028
distribution, 1029
forms
hard-body, 1029
hard-body, transmission, 1029–1030
soft-body, transovarial transmission, 1028
groups
B. anserina,1029
B. hermsii see Borrelia hermsii
New World, 1029, 1029–1030
Old World, 1029
distribution, 1029–1030
louse-borne vs.,1030
Ti genes, pili role, 874
TIGR Assembler, DNA sequencing, 375–376
Tilletia,893
Tilmicosin
Time-of-flight secondary ion mass spectroscopy
(ToF-SIMS), forensic microbiology, 547
Tioconazole, 74, 67t
TipF, Caulobacter crescentus flagellum, 235
Tip fibrillum, type 1 (FimH) see FimH adhesin
Ti plasmid, 306, 994
A. tumefaciens plant cell transformation,
36f,3
0
conjugation see Agrobacterium tumefaciens
plant cell transformation
host range, 307
TipN protein
Caulobacter crescentus flagellum, 235
Tipranavir, 115
adverse effects, 116
antiviral activity, 115
chemistry, 115
mechanism of action, 115
resistance, 116
Tir (translocated intimin receptor),
enteropathogenic E. coli (EPEC), 411
definition, 219
T lymphocytes see T cell(s)
Tn5transposon
definition, 1137
Tn10 transposon, Bacillus subtilis,155–156
Tn916 transposon
conjugation, 298, 297t
mollicute studies, 786
Tn917 transposon, Bacillus subtilis,155–156
Tn4001 transposon
mini-transposon, 786
mollicute studies, 786
tna operon, Rho-dependent termination,
940f, 945
TnrA protein, Bacillus subtilis regulation, 156
Tobacco mosaic virus (TMV), 899–901
historical aspects/research, 899–901
Tobacco plant
root damage, Pratylenchus,906f
Tobramycin
TolC (outer membrane protein), 819
Tolerance
definition, 813
HIV infection, 652–653
lipid A recognition, 815–816
Toll-like receptor 4 (TLR4), lipopolysaccharides,
703–704
TonB-dependent receptors
Caulobacter stalk (prostheca), 238
definition, 225
TonB protein
TonB transport system, 258, 819f, 823f, 823, 818
Topical penciclovir, 91
definition, 915
DNA replication, 55
supercoiling, 916–917
Topoisomerase IV see DNA topoisomerase IV
Torque teno virus (TTV), hepatitis, 622, 623
Torula utilis, nitrogen limitation, 314f, 314–315
Total internal reflection microscopy (TIRM),
Helicos DNA sequencing, 381
Total phosphorus (TP)
Toxic oxygen species, aerobic glycolysis, 738
Toxin(s)
secretion, interference competition, 446
Shigella infections, 415
see also Enterotoxins; Exotoxin(s); specific
toxins
Toxin A, Clostridium difficile infection, 413
Toxin–antitoxin systems, plasmid addiction
modules, 929
Toxin B, Clostridium difficile infection, 413
Toxin coregulated pilus (TCP), 879
Vibrio cholerae infection, 409
Toxin weapon(s) (TW), definition, 189
Subject Index 1253

Toxoids, 453, 454, 459
exotoxins, 454, 459
chemical detoxification, 459
genetic detoxification, 459
subunit vaccines, 460f, 459
Toxoplasma gondii
endosymbionts, 402–403
infection see Toxoplasmosis
cats
see also Toxoplasma gondii
T pili, gene transfer, 875f, 874
T pilus subcomplex, A . tumefaciens VirB/D4
system, 38
TraA pilin
conformations, 874
organization, 873–874
pilus assembly, 300, 874
synthesis, 874
TraB protein, horizontal gene transfer, plasmids,
929–930
Trace elements, microbial requirements, 795
Trace metals, growth media preparation, 801
see also Chlamydia trachomatis
Traditional substrates, solvent production
see Solvent production
see also Lymphocyte trafficking
tra genes/proteins, conjugation, 301
TraI (Agrobacterium autoinducer; Lux I
homologue), 307
TraI (relaxase/helicase), conjugation, DNA
transfer mechanism, 302
TraL protein (pilin), pilus assembly, 300
TraM, conjugation, DNA transfer, 302
Trans-acting elements
definition, 937
transcriptional termination, 942f, 942
Transaldolase
pentose phosphate pathway, 732
PPP pathway, 732f
Transconjugant(s), definition, 294, 29
Transcription
archaeal see Archaea
definition, 1091, 118
Escherichia coli,424
homopolymeric runs, 1101
machinery, 1092
mollicutes, 783
polycistronic, mollicutes (Mycoplasma), 783
regulation see Transcriptional regulation
termination, Mycoplasma,783
termination sequences, transposons,
1138–1141
topology, 1099, 1102
see also entries beginning transcription or
transcriptional
Transcriptional profiling
Transcriptional regulation, 1091–1106
attenuation, 949–950
definition, 971
elongation, 1099
blocks, 1099
DNA replication, 1102
inchworm model, 1101
pausing, 1100
rate, 1099
transcript cleavage, 1100
initiation, 1095
activation, 1097
DNA topology, 1099
repression, 1097
small ligands, 1098
small RNAs, 1099
stages, 1096f, 1096
signals, 1020–1021
slippage, 1101
template recognition, 1094
termination, 1102
auxiliary termination factors, 1104
intrinsic terminators, 1102
see also Posttranscriptional regulation
Transcription attenuation
Transcription bubble, definition, 1092
Transcription cascade, definition, 225
Transcription elongation complex
definition, 937
termination regulation, 944
protein-dependent processivity, 944
Rho binding interference, 945
RNA-dependent processivity, 945
Transcription factor(s), 1096
definition, 1091
mollicutes (Mycoplasma), 783
see also individual transcription factors
Transcription repair factor (Mfd), 1101
Transcription unit(s), definition, 1091
Transcriptome
analysis, metal extraction (biomining), 771
definition, 1075
Transducing particles, definition, 1107
Transducing phages, definition, 1107
Transductant, definition, 1107
Transduction, 1107–1120
‘cargo’ genes, 1119, 1116
advantages, 1116–1117
phage lytic infection, 1116–1117
photosystem genes, 1116–1117
definition, 1107, 172, 154
in environment, 1119
‘cargo’ genes, 1119
homologous recombination events, 1119
horizontal gene transfer, 1119
phage stability, 1120
generalized see Generalized transduction
as genetic tool, 1108, 1117
genetic mapping, 1118
localized mutagenesis, 1117
chemical mutagens, 1117–1118
error-prone PCR, 1117–1118
selectable markers, 1117–1118
UV radiation, 1117–1118
strain construction, 1117
genetic markers, 1117
Southern blot analysis, 1117
gene transfer agents, 1116
bacterial genome, 1116
historical aspects, 1116
host-adapted gene transfer modules, 1116
historical aspects, 1107–1108
horizontal gene transfer, 1119
intergeneric gene transfer, 1118
plasmids, 1118
specialized see Specialized transduction
variations, 1116
Transertion, DNA looping, bacterial
chromosomes, 289
Transfer intermediates, definition, 29
Transferosome, conjugation, 295–296
Transfer RNA (tRNA)
codon–anticodon pairing, 942
Transfer RNA (tRNA) synthetases, Bacillus
subtilis regulation, 157
Transformants, increase, 580
Transformation
colony forming units, 579
competence for see Competence,
microorganism
definition, 574, 357, 154
genomic libraries
construction, 583
expression, 579
metal extraction (biomining), 773
natural see Natural transformation
strain improvement
Transforming protoplasts, Bacillus subtilis,155
Transgenes, 666, 667
Transgenic, definition, 881
Transgenic mice, prion protein (PrP) studies, 962,
962
Transgenic plants
Transient polymorphism(s), 445
Transition state, Bacillus subtilis see Bacillus
subtilis
Transketolase
pentose phosphate pathway, 732
PPP pathway, 732f
control see Translational control
definition, 119
elongation, 950
codon bias effects, 950
programmed frameshifting, 950
inhibition
small regulatory RNAs
initiation, 948
mollicutes (Mycoplasma), 784
repression, 950
mollicutes (Mycoplasma), 783–784
programmed frameshifting, 950
Translational control, 948
RNA-binding proteins, 948f, 948
RNA structural rearrangements, 949
small RNAs
Translational repression
Transmembrane proteins, signal transduction,
1007f, 1006
Transmembrane segments (TMSs), 254
Transmissible spongiform encephalopathies
(TSEs), 952, 953
epidemiology, 954
philosophy of methods
see also specific disease
Transmission
endosymbionts, 400
intracellular parasites, 400
transovarial, 1028
endosymbionts, 398
intracellular parasites, 398
Transmission electron microscopy (TEM)
yeast cytology, 1177
Transovarial transmission
tick-borne relapsing fever, 1028
Transpeptidases, peptidoglycan cross-linking,
834f, 837
Transport
Transport ATPase(s), conjugation, 301t
TransportDB database, 1125
features, 1125
largest families, 1124t
Transporter classification (TC) system
channels/pores, 1122–1124
electrochemical potential-driven class,
1122–1124
group translocators, 1122–1124
primary active groups, 1122–1124
solute transport, 1122
TCDB database, 1124
transportDB, 1125
Transporters
cell membrane see Cell membranes,
prokaryotic
Escherichia coli outer membrane, 423
metal extraction (biomining), 762–763
Transport/transporters, solute, 1121–1136
annotation, 1122
antiporters, 1121–1122
autotrophs, 1135
families, 1126
ABC superfamily, 1126
A-type ATPase, 1128
comparative studies, 1133
endosymbionts, 1134
obligate intracellular organisms, 1134
dicarboxylate/amino acid:cation symporter
family, 1131
F-type ATPase, 1128
1254 Subject Index

major facilitator superfamily, 1129
phosphotransferase system, 1132
V-type ATPase, 1128
membrane channels, 1121–1122
characteristics, 1121–1122
KcsA, 1122
plant-associated microbes, 1134
secondary transporters, 1121–1122
soil-associated microbes, 1134
transporter classification see Transporter
classification (TC) system
see also specific transporter families;specific
transporter systems
Transposable elements, 1137–1146
deletion studies, 1142
composite transposons, 1143f, 1142
I
R
ER–I
L
ER synapsis, 1144f, 1142
I
R
ER–O
R
ER synapsis, 1143f, 1142
O
L
ER–I
L
ER synapsis, 1143f, 1142
O
L
ER–O
R
ER synapsis, 1143f, 1142
genome-wide knockout analysis, 1141
essential gene identification, 1141–1142
microarrays, 1142f, 1141
mutation insertion, 1141
historical aspects, 1137
antibiotic-resistance transposons, 1138
bacteriophage ,1137–1138
bacteriophage mu, 1137
IS elements, 1137–1138
individual gene targeting, 1142
in vitro systems, 1141
E. coli,1141
foreign DNA introduction, 1141
S. typhimurium,1141
suicide vectors, 1141
transposase–transposon DNA complex,
1141
molecular elements, 1138
magnesium/manganese, 1138
recognition end sequences, 1138
target DNA, 1138
transposase, 1138
see also specific elements
protein structure–function studies, 1143
in-frame deletions, 1140f, 1143
in-frame microinsertions, 1143
in-frame substitutions, 1143
three-base pairs, 1143
random nested deletions, 1143
random protein fusion, 1145f, 1143
random reporter gene fusions, 1144
Lacl-CFP, 1146f, 1144
Mariner construct localization, 1144
TetR-YFP, 1146f, 1144
Pseudomonas,985
Staphylococcus aureus,1040
Streptomyces genome, 14
see also specific elements/systems
Transposase
definition, 1137
transposable elements, 1138
Transposase–transposon DNA complex,
transposable elements, 1141
Transposition, definition,1137
antibiotic resistance, 63f,62
content, 1138
controlling elements, 1138–1141
end recognition sites, 1138–1141
origins of replication, 1138–1141
promoter sequences, 1138–1141
transcription termination sequences,
1138–1141
definition, 294, 1137, 53
in DNA sequencing, 1138–1141
landmarks, 1138–1141
amino acid residues, 1140f, 1138–1141
lacO / tetO,1138–1141
linker-scanning mutations, 1140f
mollicute studies, 786, 786–787
primer-binding sites, 1138–1141
reporter functions, 1138–1141
selectable functions, 1138–1141
structure, 1139f, 1138
see also individual transposons beginning Tn
Transposon insertion method, DNA sequencing
sample preparation, 375
Transposon mutagenesis
Bacillus subtilis,155–156
evolution, 442
Mycoplasma,785
TraQ pilin, 874
TraR (Agrobacterium autoinducer), 307
Ti plasmid conjugation, 32–33
TraS protein, conjugation, 302
Traveling waves, Myxococcus fruiting body
morphogenesis see Myxococcus
TraX pilin, 874
TraY, conjugation, DNA transfer, 302
TrbC proteins, pilus assembly, 300
Tree decay, wood rotting fungi, 895f
see also specific mechanisms
metabolism, Spiroplasma,779–780
utilization, 746–747
Trehalose 6,69-dimycolate (TDM),
Mycobacterium tuberculosis,1150–1151
Treponema,1025
see also specific diseases/infections;specific
species
Treponema azotonutricum,1027
Treponema denticola,1023
dentilisin, 1026–1027
Msp, 1026–1027
Treponema pallidum,1025
subspecies, 1025
syphilis see Syphilis
Treponemes
oral, 1025
diversity, 1025, 1027
endodontal infections, 1026
gingivitis, 1026f
healthy individuals, 1026f, 1026
historical aspects, 1025
metabolism, 1027
microbiome, 1025–1026
pathogenetic mechanisms, 1026–1027
periodontitis, 1026f, 1026
phylogenetic tree, 1026f
papillomatous digital dermatitis, 1027
termite gut, 1027
diversity, 1027
metabolism, 1027
Triacylglycerols (TAGs)
lipases
Triarimol, 73
Triazoles
antifungal action, 75, 67t
investigational, 77, 67t
see also specific triazoles
Tricarboxylic acid (TCA) cycle, 518, 523, 738f,
739
aconitase, 739–740
aerobiosis, 738f, 739
ATP production, 740
Bacillus subtilis,156
citrate synthase, 739–740
electron transport systems, 740
Escherichia coli,424
fumarase, 740
isocitrate dehydrogenase, 739–740
-ketoglutarate dehydrogenase, 739–740
malate dehydrogenase, 740
NADH generation, 740
oxygen as terminal electron acceptor, 740
precursor metabolites, 749f, 748
acetyl-CoA, 748–750
aspartate, 743
glutamate, 743
glutamine, 743
-ketoglutarate, 748–750
polyisoprenoid biosynthesis, 743
succinyl-CoA, 748–750
reversal see Reductive citric acid cycle
(Arnon–Buchanan)
succinate dehydrogenase, 740
succinyl-CoA synthetase, 740
Trichloroethane degradation, Pseudomonas,983
ethanol production, 435
Trichodesmium,328–331, 341–342
cyanobacteria, nitrogen assimilation, 338–339
definition, 327
Trichomonas vaginalis
Tridemorph, antifungal action, 79
Trifluorothymidine, 92
adverse effects, 92
antiviral activity, 92
chemistry, 92
clinical indications, 92
mechanism of action, 92
resistance, 92
Trigger mechanism, bacterial invasion, non
phagocytic cell, 401
Triose phosphate isomerase
EMP pathway, 730f
glycolytic pathways in Archaea, 736f
methylglyoxal (MG) bypass pathway, 737f
Triphosphate isomerase, reductive pentose
phosphate cycle, 143
Triticonazole, 75
Tritrichomonas foetus
Tritrichomonas suis see Tritrichomonas foetus
TrlP translocation see Agrobacterium tumefaciens
plant cell transformation
tRNA see Transfer RNA (tRNA)
tRNA synthetases, Bacillus subtilis regulation,
157
Trochamminidae
Tropheryma whipplei
phylogeny, 16S rRNA sequences, 13
reductive genomes, 15
Trophic cascades
Trophozoites
Tropism
definition, 1154
trpB,Actinobacteria phylogeny, 13
trp operon, translation, 940f, 939
terminator formation, 941f, 940–941, 949
Trp RNA-binding attenuation protein (TRAP),
940–941
antitermination, 1106
human disease see Sleeping sickness
Trypanosoma brucei gambiense
sleeping sickness
Trypanosoma brucei rhodesiense
sleeping sickness
endosymbionts, 403
human disease see Chagas’ disease
Trypanosomiasis
see also Chagas’ disease
Trypomastigote
Tryptophan
amino acid production, 45t
fitness, 442
T-S diagram (temperature vs. salinity
characteristics), oceans, 714f, 712
TSEs see Transmissible spongiform
encephalopathies (TSEs)
Tsetse fly
Tsr (histidine kinase), 1007f
Tuberculosis (TB)
definition, 1147
drug resistance and, 1152
epidemiology, 1147
multidrug resistant (MDR-TB),
definition, 1147
Subject Index 1255

Tuberculosis (TB) (continued )
pathogenesis, 1147–1153
bacterial factors, 1148
lipoarabinomannan, 1148
lipomannan, 1148
PI-containing lipids, 1148
polyketide-derived lipids, 1149
immune response, 1148
latency, 1152
PGLtb structures, 1151f, 1151–1152
transmission, 1148
polyketide-derived lipids, structures, 1150f
treatment
see also Mycobacterium tuberculosis
Tulsa (Oklahoma), aeromicrobiology in
Tumor inducing (Ti) plasmids see Ti plasmid
Tumors
see also Cancer; specific tumors
Turbidostat
continuous culture, 315
definition, 309
Turbulence
definition, 708
marine habitats, 717
Turgor, definition, 827
Twilight zone, definition, 708
Twitching motility, type IV pili, 870, 872–873
Two-component signal transduction, Bacillus
subtilis regulation, 156
Two-component system, 1010f, 1009
definition, 813
response regulators, 1015, 1016t
output regulation, 1015
structural organization, 1013
Two-dimensional PAGE electrophoresis, metal
extraction proteomics, 770f, 771
Twort, F W, phages, 167
Tylosin
Type I restriction–modification (R–M)
system, 361
allelic variability, 366
composition, 366
genes, 361f, 362
requirements, 361–362
target recognition domains, 366
target sequences, 361–362
Type I secretion system (T1SS) see T1SS (type I
secretion system)
Type II DNA restriction–modification (R–M)
system,360
endonucleases, 360–361
structures, 362–363
subclasses, 361
see also Restriction endonuclease(s)
gene nomenclature, 361
MTases, 360–361, 366
structures, 363
target recognition domains, 366
prevalence, 366
target sequences, 360–361
transcriptional regulation, 364
Type II secretion system (T2SS) see T2SS (type II
protein secretion system)
Type III restriction–modification (R–M) system,
363f, 362
enzyme subunits, 362
target sequences, 363f, 362, 365
Type III-secreted cytotoxins, 453
exotoxins, 461
Type III secretion system (T3SS) see T3SS (type III
protein secretion system)
Type IV fimbriae see Fimbriae, type IV
Type IV pili (Tfp) see Pili, type IV
Type IV restriction–modification (R–M)
system, 362
Type IV secretion system see T4SS (type IV
protein secretion system)
Typhoid/typhoid fever
Typhus, epidemic
Typhus fevers
tyrS gene, transcriptional termination, 942f, 942
U
UASB see Upflow anaerobic sludge blanket
(UASB)
UbiB (serine/threonine kinase), 1021
Ubiquinone
UDP-N-acetylenolmuramic acid:L-alanine ligase
(MurC), peptidoglycan synthesis, 833f
UDP-N-acetylenolmuramoyl:L-alanine:D-
glutamate ligase (MurD), peptidoglycan
synthesis, 833f
UDP-N-acetylenolmuramoyl:L-alanyl-D-
glutamate:meso-diaminopimelate:D-alanyl-
A-alanin ligase (MurF), peptidoglycan
synthesis, 833f
UDP-N-acetylenolmuramoyl:L-alanyl-D-
glutamate:meso-diaminopimelate ligase
(MurE), peptidoglycan synthesis, 833f
UDP-N-acetylenolpiruvylglucosamine reductase
(MurB), peptidoglycan synthesis, 833f
UDP-N-acetylglucosamine (UDP-GlcNAc),
synthesis, 832
UDP-N-acetylglucosamine enolpyruvyl
transferase (MurA), peptidoglycan synthesis,
833f
UDP-N-acetylglucosamine:N-
acetylmuramyl(pentapeptide)-P-P-
undecaprenol-N-acetylglucosamine
transferase (MurG), peptidoglycan synthesis,
833f
UDP-N-acetylmuramate:L-alanyl-D-glutamate-
meso-diaminopimelate ligase (Mlp), 840
UDP-N-acetylmuramic Acid (UDP-MurNAc),
synthesis, 834
UGA
as stop codon, mollicutes, 777–778, 786
for tryptophan, in mollicutes, 777–778,
783–784
Uganda
UhpB (histidine kinase), 1013
Ulcer disease see Peptic (gastric/duodenal) ulcer
Ultraviolet (UV) light/radiation
DNA damage repair see DNA repair
generalized transduction development,
1115–1116
mutagenic effects
transduction, 1117–1118
Uncaptured gap(s)
Unicellular eukaryotic organisms, dinoflagellates
see Dinoflagellates
Unidirectional deletions, DNA sequencing sample
preparation, 375
United States of America (USA)
AIDS/HIV
Biological Defense research Program, 192–193
biological warfare
research, 191
see also specific directives;specific legislative
Acts
rabies, epidemiology
see also entries beginning US
pathway prediction system
see also specific compounds and databases
Unsaturated fatty acids (UFAs)
Unweighted Pair Group Method with Arithmetic
mean (UPGMA)
Upflow anaerobic sludge blanket (UASB)
Upper respiratory tract infections (URTI)
Upstream elements, promoters, 1095
UR-9746 (triazole), antifungal action, 78
UR-9751 (triazole), antifungal action, 78
Urea, growth medium, 434
Urease
definition, 597
Helicobacter pylori,599
Urethra
infections see Urethritis
Urethritis
Urinary tract infections (UTIs)
catheter see Catheter
uropathogenic E. coli see Uropathogenic E. coli
(UPEC)
Urine samples
Uropathogenic E. coli (UPEC), 879
adhesion, 23–24
in human disease, 26f,26
P pili, 24f, 23–24, 24–25
type 1 pili, 879–880
Urticaria, definition, 604
USA see United States of America (USA)
USA Patriot Act (2001), 195–196
US Army Medical Research Institute of Infectious
Diseases (USAMRIID), 195–196
Usher, definition, 861
US Patent and trademark Office
Ustilago, 895f, 893
UV light see Ultraviolet (UV) light/radiation
UvrABC proteins
nucleotide excision repair, 1083
V
VacA, Helicobacter pylori,600
definition, 453, 625
development of vaccines
avian influenza see Influenza A virus (H5N1)
DNA sequencing, 371
human papillomaviruses, 102
phage display, 171
exotoxins, subunit vaccines, 460f, 459
immunogenicity, definition, 1155
immunology, 1159
active immunity, 1155
adaptive immune response, 1154–1155
assay usefulness, 1160–1161
goals, 1159–1160
innate immune response, 1154–1155
seroconversion, 1160
vaccine-induced antibodies, 1160
meningococcal disease prevention, 594
thermophilic chaperones, 139
viral, 1154–1162
attenuation, genetic stability issues, 1157
design, molecular approaches, 1161, 1161t
general principles, 1154
historical perspective, 1155
live strains, 1155
disease prevention, 1157–1158, 1156t
immunogenicity, 1157–1158
population targets, 1158
virulence attenuation, 1155–1156
noninfectious forms, 1158
human disease prevention, 1158, 1156t
passive antiviral immunity, 1155
public health impact, 1161
obstacles, 1162
see also specific infections/diseases
see also individual vaccines/microorganisms
Vaccinia virus (VV)
strains, 1155
Vacuolating cytotoxin (VacA), definition, 597
Vacuole(s)
Shigella engulfment in, 415f, 414–415
yeast, 1178t
Vacuolization, prion diseases, 955
Vagus nerve
Valacyclovir, 88
adverse effects, 88
antiviral activity, 88
chemistry, 88
clinical indications, 88
mechanism of action, 88
resistance, 88
1256 Subject Index

Valganciclovir, 89
adverse effects, 90
antiviral activity, 90
chemistry, 90
clinical indications, 90
mechanism of action, 90
resistance, 90
Vancomycin
acquired resistance, 63
peptidoglycan changes, effects, 832
resistance detection, in Staphylococcus,1044,
1044–1045
Van der Waals interactions/forces, microbial
adhesion, 22
van gene clusters, comparisons, antibiotic
resistance, 57f,56
oral treponemes, 1025
Van Niel’s equation, photosynthesis, 845, 845
Variable number tandem repeat (VNTR)
Actinobacteria taxonomy, 6–7
forensic science, 546
Variant CJD (vCJD), 952, 953
BSE association, 954
diagnosis, 966
prion strains (4 or 2b), 962, 966–967
transmission, 953
see also Creutzfeldt–Jakob disease (CJD); Prion
diseases
Varicella
Varicella zoster virus (VZV), 631
biology, 631
disease/infection, 631
drugs, 632
individuals over 55 years of age
herpes zoster effects, 1157–1158
postherpetic neuralgia effects, 1157–1158
pathogenesis, 632
reactivation effects see Shingles
replication, 631
HSV vs.,631–632
vaccines, 632
virus, 631
see also Shingles
Varices, definition, 604
Variola
see also Smallpox
Variola virus (VARV)
Vasculitis, definition, 604
vCJD see Variant CJD (vCJD)
V-echinocandin
antifungal action, 79
structure, 80f
Vector(s)
BACs
bacteriophages as (for cloning), 170
cosmids
definition, 881
YACs
Vector(s), cloning and genome libraries, 581
copy number, 575
definition, 574
horizontal gene transfer see Horizontal gene
transfer (HGT)
host range, 575
ori region, 575
preparation, 575, 582
dephosphorylation, 576
linearization, 575–576
PCR amplification, 576
purification, 576
replication mechanism, 575
selection, 575
Vegetables
Vegetarian diets, human fecal flora, dietary
groups, 556t, 567t
anaerobic cocci, 559t
clostridia analysis, 564t
gram-negative anaerobic rods, 557t
gram-positive non-spore-forming anaerobic
rods, 561t
Streptococcus analysis, 566t
Vegetative cells, definition, 154
Veillonella
human fecal flora, dietary groups, 559t
propionic acid-producing fermentations, 743
Veillonella atypica
Streptococcus gordonii interactions, 999
Velvet tobacco mottle virus (VTMoV), virusoid
(vVTMoV), features, 1172t
Venereal disease, syphilis see Syphilis
Verruca peruana, 685
Vertical gene transfer (VGT), 447–448,
1107–1108
Vertical resistance
Vertical transmission
definition, 391
microbial symbionts, 398
advantages, 399
human body louse, 399f, 399
sexual hosts, 399
Wolbachia,399
parasites, 398
limiting factors, 399–400
Viable phage measurement, phage ecology
see Bacteriophage ecology
Vibrio
rifampicin resistance, 667–668
Vibrio albensis, habitat, 207
Vibrio alginolyticus, flagella, 528–529
mot genes, 534
Vibrio cholerae
bioluminescence, 207
che genes, 535
chromosome
oriC-pulling force evidence, 293
segregation, 267, 281
epithelial cell attachment, 879
exotoxins, 454
lux operon, 212f
pathogenicity, phage conversion role, 173
quorum sensing, 988f, 988
AI-2 signaling, 997f, 998
sensory proteins, 1012
El Tor, 998
small RNAs
symbiosis, Euprymna scolopes,992
see also Cholera (Vibrio cholerae infection)
Vibrio cholerae strain El Tor, 998
Vibrio fischeri, quorum sensing, LuxI/R proteins,
992
Vibrio harveyi
quorum sensing, 211–212
AI-2 signaling, 997f, 996
lux operon, 212f, 212–213
see also Quorum sensing
Vibrionaceae, bioluminescence, 205f, 204–205
evolution, 214, 214
Vibrio parahaemolyticus
Vibrio splendidus, marine habitats, genomic
variability, 717
Vidarabine, 92
adverse effects, 93
antiviral activity, 92
chemistry, 92
clinical indications,93
mechanism of action, 92
resistance, 93
Vietnam, avian influenza A/H5N1
Vinegar
see also Acetic acid
VirA, A. tumefaciens vir genes, 34
Viral disease
genes/genomes
impacts
DNA viruses see DNA viruses
RNA viruses see RNA virus(es)
Viral factory
mimivirus see Mimivirus
Viral hepatitis see Hepatitis, viral
Viral infection
Viral metagenomics, 756, 755t
VirA/VirG, A. tumefaciens vir genes, 33
VirB2, Agrobacterium tumefaciens,38–39, 38
VirB4, Agrobacterium tumefaciens,36
VirB5, Agrobacterium tumefaciens,38
VirB6, Agrobacterium tumefaciens,37
VirB7, Agrobacterium tumefaciens,37, 38
VirB8, Agrobacterium tumefaciens,37
VirB9, Agrobacterium tumefaciens,38–39, 37
VirB10, Agrobacterium tumefaciens,37, 39
VirB11, Agrobacterium tumefaciens,38–39, 36
VirB/D4 system, A. tumefaciens
see Agrobacterium tumefaciens plant cell
transformation
VirB pilus, assembly, 306
VirC
A. tumefaciens vir genes, 33
VirC1, Agrobacterium tumefaciens,35
VirC2, Agrobacterium tumefaciens,35
VirD, A. tumefaciens vir genes, 33
VirD1, Agrobacterium tumefaciens,35
VirD2, 306
Agrobacterium tumefaciens,40–41
T-strand complex, 40
VirD4
Agrobacterium tumefaciens,36
VirE2, Agrobacterium tumefaciens,40–41
Viremia
definition, 84
vir genes
A. tumefaciens see Agrobacterium tumefaciens
plant cell transformation
conjugation, 301, 297t
pili role, 874
Virion protein, genome linked (VPg)
Virions
definition, 166, 84
see also Virus(es)
Viroid(s), 1163–1173
classification, 1164, 1165t
definition, 1163, 1164
discovery, 1164
disease symptoms, 1164
host range, 1164
limiting factors, 1165–1166
studies, 1164
pathogenicity, 1170
emerging model, 1171–1172
mechanisms, 1171
plant pathogens, 899
characteristics, 901
identification, 912
morphology, 899f, 901
reproduction, 903
taxonomy, 903
research contributions, 1164
structure, 1164, 1164
see also specific diseases/infections;specific
species
Viroid infection, 1166
systemic infection steps, 1167
cell-to-cell trafficking, 1170
intracellular localization, 1167
long distance trafficking, 1170
replication, 1167
viroid transmission, 1166
via infected seeds, 1166
via pollens, 1166
Virulence, definition, 881
Virulence factors
enteropathogenicinfections, 413t
see also specific diseases/infections/pathogens
Virulent phages
definition, 1107
Subject Index 1257

Virulent phages (continued )
generalized transduction, 1111–1112
Virus(es)
cancer, contributions to see Oncogenic viruses
definition, 166–167
diagnostic microbiology
DNA see DNA viruses
environmental see Viruses, environmental
(below)
evolution
hyperthermophilic archaeal
infection
marine habitats, 717
see also Bacteriophage(s)
mixis, 450
morphology, phage diversity, 169
plant pathogens see Plant pathogens, viral
recombination, 448
see also Bacteriophage(s); specific viruses/
taxonomic groups
antiviral therapy see Antiviral agents/drugs
of domestic animals
hepatitis see Hepatitis, viral
plants see Plant disease; Plant pathogens, viral
pneumococcus disease and, 1062
vaccines
see also individual infections/viruses
Virus-like particles (VLPs)
Virusoids, 1164, 1172
classification, 1172
definition, 1163, 1164
RNA genome, 1172
satellite RNAs, 1172
Sobemovirus associations, 1172
structure, 1164
Viscerosensory nerves
Viscosin
Vitamin(s)
see also specific compounds
Vitamin B
2
see Riboflavin (vitamin B
2
)
Vitamin B
5
Vitamin B
12
see Cobalamin (vitamin B
12
)
Vitamin C
Volatile compounds
continuous culture, 324–325
Volatile fatty acids (VFAs)
Volatile organic compounds (VOCs)
Voriconazole (UK-109496), 76, 75t
adverse effects, 71t
structure, 77f
vqsR gene/protein, 993
VRE
VSH-1, Brachyspira hyodysenteriae,1032
V (vacuolar)-type ATPase, 1128
Vulcanisaeta, growth characteristics, 497t
W
Waksman Foundation for Microbiology
Walker A motif, for ATP binding, 784
Waste, biological
Waste paper
Wastewater
industrial
treatment see Wastewater treatment
untreated see Wastewater, untreated
Wastewater, untreated, chemical constituents
combined collection system
Wastewater treatment, 321–322, 219
hazardous
industrial see Wastewater treatment, industrial
treated wastewater
disinfection by-products see Disinfection by-
products (DBPs)
toxic potentials
untreated wastewater see Wastewater,
untreated
coupled biological
see also specific pathogens; Cyprus; Italy
Water
cosmetics microbiology
density, 710–711
drinking
euphotic zone, definition, 711
marine habitats
density, 710–711
properties, 710
see also Seawater
microbial adhesion, 21
near-surface, marine photosynthesis, 716–717
in photosynthesis reaction, 845, 845
see also Photosynthesis
pure, density, 710–711
sea see Seawater
yeast, 1176t
filters/filtration
indicator organisms
rules
see also specific countries;specific regulations
Water activity (a
w
)
Water molds
Water-splitting complex
definition, 844
microbial photosynthesis, 849f, 848
evolution issues, 859
O
2
-evolving complex, 848
S-state cycle model, 849
W–Beijing family of Mycobacterium tuberculosis,
1151–1152, 1152
Weapon of mass destruction (WMD)
definition, 189
Weathering
microbial phosphorus cycle see Phosphorus
cycle
see also Biodeterioration
Weil’s syndrome, leptospirosis infections, 1035
Well poisoning, biological warfare, 190
Western diet, human fecal flora, dietary groups,
556t, 567t
anaerobic cocci, 559t
clostridia analysis, 564t
gram-negative anaerobic rods, 557t
gram-positive non-spore-forming anaerobic
rods, 561t
most prevalent bacterial species, 569t
Streptococcus analysis, 566t
Wetlands
artificial see Constructed wetlands (CW)
Wheat, stem rust fungus, disease cycle, 894f
Wheat straw (WS), solvent production
Wheezing
Whipple’s disease, 15
White clover root
White Island, New Zealand, acid environments of
extremophiles, geothermal spring study,
476–477
White rusts
WHO
Whole-cell factory see under Biotransformation(s)
Whole-cell immobilization, biotransformations
Whole-genome approach
phylogenetic methods see under Phylogenetic
methods
phylogenomics see Phylogenomics
metagenome sequence assembly
see Metagenomics
Whole-genome shuffling (WGS)
Wilt disease, Phytomonas protozoa, 907f
fermentation
Winery
Woese, Carl
archaeal rRNAs, 120–121
Wolbachia
endosymbionts, vertical transmission,
399, 399t
Wood
see also Paper; Papermaking; Pulp
Wood–Ljungdahl pathway see Reductive acetyl-
CoA pathway
World Health Organization (WHO)
avian influenza A/H5N1
hypothetical biological attack model, 541–542,
543t
World Ocean see Ocean, global
World Ocean Circulation Experiment (WOCE),
marine habitats, 721f
World Trade Organization (WTO)
Worms
Wound(s)
infections
see also Specimen types
Wounding, A. tumefaciens plant cell
transformation, 39–40
WspA protein, signal transduction, 1019–1020
Wza
Wzx-Wzy-dependent pathway, O-polysaccharide,
700f, 700
X
Xanthomonas campestris
XDR-TB, definition, 1147
Xenobiotics, degradation, 323–324
Rhodococcus,17–18
Xenogenic silencing, 296
Xenorhabdus luminescens, endosymbionts, 397
Xer protein, plasmid replication, 923–924
Xis protein, phage replication, 1108–1109
X-rays
Xylan
bleaching see Bleaching
metagenomics, 758t
Xylitol, utilization, 747–748
D-Xylose, utilization, 747–748
Xylose isomerase
alcohol production, 323
Xylulose-5-phosphate phosphoketolase, pentose
phosphoketolase pathway, 734–735
Y
Yarrowia lipolytica
Yeast(s), 1174–1187
agricultural importance, 1185
biodiversity, 1175
biotechnology, 1186t
brewing
budding, 1182f, 1183f, 1181
chromosome replication see below
cell envelope, 1178t
cell morphology, 1176t
cell structure, 1176, 1178t
cytoplasm, 1177–1178
cytoskeleton, 1177–1178
envelope, 1177–1178
spores, 1177–1178
classification, 1175, 1179t
cytological methods, 1177f, 1177
subcellular architecture, 1177
subcellular function, 1177
definition, 1175
ecology, 1175
food chain, 1175
microbial, 1175
natural habitats, 1175, 1176t
environmental importance, 1185
ethanol production, 744, 430
see also Ethanol
facultative fermentative, 1179t
food production, 1186t
food spoilage, 1184f, 1185, 1186t
genetics, 1183
manipulation, 1185f, 1183
genome project, 1184
growth, 1178, 1181
continuous culture, 1182
1258 Subject Index

diauxic, 1182
filamentous, 1183f, 1181
nutritional requirements, 1178
physical requirements, 1179
population, 1182
vegetative reproduction, 1182f, 1181
industrial importance, 1184, 1185t
life cycle, 1183
spore development, 1183
medical importance, 1187f, 1186
metabolism, 1178
aerobic respiration, 1180
carbon, 1178–1179, 1179
nitrogen, 1180
nitrogenous compounds, 1181
sugar, 1180f, 1180
nitrogen transport, 1180
nutrition, 1178
growth media, 1178
pathogenic
see also Candida
pigmentation, 1177
protein-like proteins (Sup 35), 958–959, 960
proteome project, 1184
sugar transport, 1180
taxonomy, 1175, 1175t
see also specific yeasts
Yeast nitrogen base (YNB), 1178–1179
Yellow fluorescent protein (YFP)
definition, 1137
Yellowstone National Park, Wyoming, acid
environments of extremophiles, 475–476
Yersinia
adhesin A (YadA), 417
adhesion, extracellular matrix, 25
infection, 417
infection, immune response
macrophages, 417
neutrophils, 417
phagocytosis resistance, 417
polymorphonuclear leukocytes, 417
proinflammatory cytokines, 417
Yst toxin, 417
invasin binding to M cells, 417
phages, 181
transmission, 417
Yersinia adhesin A (YadA), Yersinia
infection, 417
Yersiniabactin
Yersinia enterocolitica,417
fimbrial adhesins, 23t
infection, 417, 407t
Yersinia pestis,417
see also Plague
Yersinia pseudotuberculosis,417
YFP see Yellow fluorescent protein (YFP)
Yst toxin, Yersinia infection, 417
Z
Zalcitabine, 107
adverse effects, 107
antiviral activity, 107
chemistry, 107
clinical indications, 107
mechanism of action, 107
Zanamivir, 95
adverse effects, 96
antiviral activity, 95
chemistry, 95
clinical indications, 95
mechanism of action, 95
resistance, 95
Zero wave guide technology, Helicos DNA
sequencing, 381
Zidovudine (AZT), 106
adverse effects, 106
antiviral activity, 106
chemistry, 106
clinical indications, 106
mechanism of action, 106
resistance to, 110
Zinc
microbial requirements, 795
Zipper mechanism, bacterial invasion, non
phagocytic cell, 401
ZoBell, deep-sea history, 485
direct
rabies virus
spread of disease
see also specific diseases/infections
Zoonotic disease
Zooplankton
cholera and, 998
Zoospores
Z-ring(s)
cell division
Zygnema, acid environments, 471
Zygomycetes/zygomycota, 889f, 889
life cycle, 890f
Zymomonas mobilis
Entner–Doudoroff pathway, 734
ethanol production, 744, 430–431, 434,
431t, 432t
Subject Index 1259
This page intentionally left blank