Philips 795094 User Manual Women's Health Care Clear Vue Platform Brochure For Womens Healthcare?func=doc
User Manual: Philips 795094 Women's health care ClearVue 550 Ultrasound system795094
Open the PDF directly: View PDF
.
Page Count: 12

ClearVue
Ultrasound
Philips ClearVue ultrasound family for women’s health care
Your versatile
performer to depend on

2
Reliability Performance ScalabilityVersatility
The Philips ClearVue ultrasound family brings together the advances that ultrasound
professionals all over the world have said that they would most like to see in a
high-value system. ClearVue is built from the ground up to deliver what’s important
to you and your patients.
Reliable from the start
The sleek yet rugged design is built for the dependability
that is essential in challenging environments. ClearVue
performs for you day after day.
The versatility your day demands
The ClearVue family offers workflow enhancements and
a range of capabilities, including Active Array technology
for superb quality in Ob/Gyn imaging.
Performance from the inside out
Every member of the ClearVue family shares an advanced
processing platform for high volume rates in real-time
scanning for excellent image quality. With significant
advances in software, hardware, and applications compared
to previous ClearVue generations, the ClearVue family is
now more hardworking than ever.
Scalable to protect your investment
Not only is ClearVue easy to learn and use because of
its intuitive interface for scanning, but it is also easily
upgradeable with additional clinical features and transducers
to allow your system to evolve with you over time.
Dependability
across all types of scanning
2
Over 70 countries
More than
5,000 systems
Touching
25 million
lives every year
For one
versatile family

ClearVue grows with you, protecting your investment. As your needs evolve,
you can upgrade to new clinical capabilities with ease.
3
Keeps you
steps ahead
ClearVue 850
Advanced capability,
quantification,
and ergonomics
ClearVue 650
Highly adaptable,
with 3D/4D from
the start
ClearVue 350
Office-ready,
and can grow
with your needs
ClearVue 550
Hardworking,
for quick scans
in busy settings

44
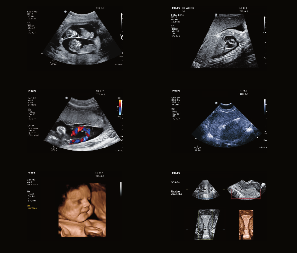
ClearVue clinical
excellence
ClearVue offers excellent Ob/Gyn imaging. Expect quality images with
the speed and precision gained from years of Philips ultrasound innovation.
Fetal heart – LVOT
Umbilical cord
Diamniotic dichorionic twins
Endocavitary 3D 4D fetal profile imaging
IUD inside the uterus

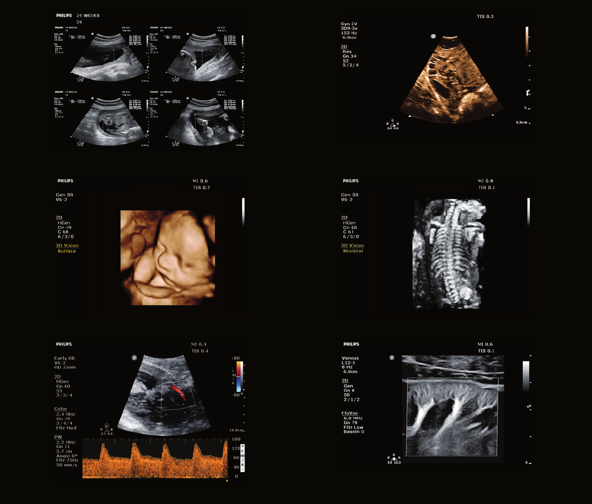
5
The proof is
in the images
Quad view Auto AFI
Fetal spine3D fetal face
Uterine artery doppler
Ovaries showing follicles
FloVue – superficial kidney

6
Find your ClearVue
The ClearVue family has something for everyone
Selected features
ClearVue 850
Advanced capability,
quantification,
and ergonomics
ClearVue 650
Highly adaptable,
with 3D/4D from
the start
ClearVue 550
Hardworking,
for quick scans
in busy settings
ClearVue 350
Office-ready,
and can grow
with your needs
Ergonomically advanced console for
user height adjustment and comfort
Monitor tilt and swivel
Monitor articulating arm
XRES to reduce speckle noise
artifacts, enhancing margin definition
and image quality
Upgradeable
SonoCT offers enhanced visibility of
curved structures and irregular borders Upgradeable
Pulse inversion harmonics provide
pure broadband harmonic signals Upgradeable
One-button iSCAN
streamlines workflow
AutoSCAN automatically identifies
tissue type and continuously adjusts
image gain
3D/4D for visualization and analysis
of volume data Upgradeable to 4D Upgradeable to 4D
Curved ROI for OB imaging
iSlice for quick volumetric display
Strain elastography to evaluate
tissue stiffness
FloVue advanced imaging mode
for direct visualization of blood
flow in vasculature
Intima media thickness (IMT)
imaging to automate measurement
Advanced technologies
Active Array for superb image quality
Broadband beamforming differentiates
tissue across multiple patient types
Tissue harmonic imaging reduces
artifacts while preserving tissue
definition and resolution
Upgradeable

7
Philips proprietary Auto Face Reveal feature is an automatic
segmentation method for sculpting away overlaying tissues
and noise in front of a fetal face in an acquired 3D/4D
volume by detecting a sphere for the skull.
Curved ROI: 3D editing tools allows user to set ROI top
edge in the form of a curve in either 3D Preview/Render
iSlice tools for viewing and measuring different planes
of a 3D volume
Fetal STIC captures multiple volumes and synchronizes
them based on a calculated heart rate; resulting volume
image can be displayed in user-selectable views and
interrogated in real time for more complete evaluation
of fetal heart anatomy and function
After
Before
Auto face
3D/4D made easy
With ClearVue, 3D volume renditions and dynamic 4D displays
are presented with incredible image quality and detail resolution.

8
Bring ease
to your day
Every ClearVue system is light and compact, so you can easily maneuver it,
with a smart, modular design for reliability and easy serviceability.
Trust in the Philips ultrasound legacy
We’ve created an innovative portfolio of ultrasound products by striving for change that improves and simplifies the lives
of patients and healthcare providers worldwide. The ClearVue family with leading-edge technology and an intuitive design
allows for quality healthcare that is now more accessible and affordable from a brand you can trust.

9
The ClearVue family
features a comprehensive
range of Active Array
transducers to allow
a wide range of scanning.
The sleek control panel is
designed for intuitive use.
Green for you and your community
Sustainability at Philips is all about improving the health
and well-being of individuals and their communities.
ClearVue systems are energy-efficient with low power
consumption to help save on energy costs. The low heat
dissipation is ideal in small rooms.
Speed image acquisition and management

10
Count on us
as your patients count on you
Always there, always on
We work as one with your team to keep your system running
smoothly, seven days a week if needed.* We share your team’s
dedication to solve issues before they happen, and the drive
to keep going day and night until the job is done.
Remote Desktop
Where available, Remote Desktop allows for “virtual visits”
to enhance technical and clinical support and to offer new
options for training.
Remote Service Network
You can also connect your system to the Philips Remote
Service Network and enter a support request directly from
your ClearVue system, or generate a utilization report
that provides data on key parameters to help you manage
system use.
On-cart maintenance
On-cart software maintenance tools help optimize,
maintain, and repair system software with ease while
preserving custom annotations, calculations, presets,
and patient data.
Understanding your needs, designed for you
Our flexible services and education offerings can be adapted
to your needs in order to support your internal teams.
* Requires minimum RightFit contract. Conditions apply. Offerings
are available in selected countries and for selected products only.
Staying on top of today’s complex and ever-
changing healthcare environment is challenging
enough. The last thing you need to worry about is
keeping your care systems up and running smoothly.

11
Sharing risk, increasing the return
on your investment
Partner with us to maximize utilization and uptime of your system and
ongoing investments. By teaming up with Philips to take care of your system,
you can worry about what really matters — delivering better care, to more
people, at lower cost. Together, we can create a healthier future.

© 2015 Koninklijke Philips N.V. All rights are reserved.
Philips reserves the right to make changes in specifications and/or to discontinue
any product at any time without notice or obligation and will not be liable for any
consequences resulting from the use of this publication.
www.philips.com/ClearVue
Printed in The Netherlands.
4522 991 14731 * NOV 2015