Siemens Emotion 16 Jun Users Manual C2 025.630.16.01.02_APPLICATIONGUIDE_Emotion_6_16_Online
16-Jun to the manual 5e918bd2-8a20-4879-bde2-9ca93db9cc02
2015-02-05
: Siemens Siemens-Emotion-16-Jun-Users-Manual-410491 siemens-emotion-16-jun-users-manual-410491 siemens pdf
Open the PDF directly: View PDF
.
Page Count: 590 [warning: Documents this large are best viewed by clicking the View PDF Link!]
- Emotion 6/16-slice configuration Application Guide
- User Documentation
- Scan and Reconstruction
- Dose Information
- Workflow Information
- Contrast Medium
- Application Information
- Head
- Neck
- Shoulder
- Thorax
- Abdomen
- Spine
- Pelvis
- Upper Extremities
- Lower Extremities
- Vascular
- Overview
- Scan Protocols
- HeadAngio/ HeadAngio06s
- HeadAngioVol
- CarotidAngio/ CarotidAngio06s
- CarotidAngioVol
- ThorAngioRoutine/ ThorAngioRoutine06s
- ThorAngioVol
- ThorAngioECG/ ThorAngioECG06s
- ThorAngioECGSeq
- Embolism/ Embolism06s
- BodyAngioRoutine/ BodyAngioRoutine06s
- BodyAngioVol
- BodyAngioFast/ BodyAngioFast06s
- AngioRunOff/ AngioRunOff06s
- WholeBodyAngio
- Specials
- Radiation Therapy
- Respiratory Gating
- Children
- Overview
- Scan Protocols
- HeadRoutine
- HeadSeq
- InnerEarHR
- InnerEar
- InnerEarSeq
- SinusOrbit
- NeckRoutine
- ThoraxRoutine/ ThoraxRoutine06s
- ThoraxCombi/ ThoraxCombi06s
- ThoraxHRSeq
- AbdomenRoutine/ AbdomenRoutine06s
- Spine/ SpineRoutine
- SpineThinSlice
- ExtrRoutineHR
- ExtrCombi
- HeadAngio/ HeadAngio06s
- CarotidAngio/ CarotidAngio06s
- BodyAngioRoutine/ BodyAngioRoutine06s
- BodyAngioFast/ BodyAngioFast06s
- NeonateBody/ NeonateBody06s

SOMATOM
Emotion 6/16-slice
configuration
Application Guide
Protocols
Principles
Helpful Hints
Software Version syngo CT 2007E
The information presented in this application guide is
for illustration only and is not intended to be relied
upon by the reader for instruction as to the practice of
medicine. Any health care practitioner reading this
information is reminded that they must use their own
learning, training and expertise in dealing with their
individual patients.
This material does not substitute for that duty and is
not intended by Siemens Medical Solutions Inc., to be
used for any purpose in that regard. The drugs and
doses mentioned herein are consistent with the
approval labeling for uses and/or indications of the
drug. The treating physician bears the sole
responsibility for the diagnosis and treatment of
patients, including drugs and doses prescribed in
connection with such use. The Operating Instructions
must always be strictly followed when operating the
MR/CT System. The source for the technical data is the
corresponding data sheets.
The pertaining operating instructions must always be
strictly followed when operating the SOMATOM
Emotion 6/16-slice configuration. The statutory
source for the technical data are the corresponding
data sheets.
We express our sincere gratitude to the many
customers who contributed valuable input.
Special thanks to Christiane Bredenhoeller, Gabriel
Haras, Ute Feuerlein, Jessica Amberg, Thomas Flohr,
Rainer Raupach, Bettina Hinrichsen, Axel Barth,
Kristin Pacheco and the CT-Application Team for their
valuable assistance.
To improve future versions of this application guide,
we would highly appreciate your questions,
suggestions and comments.
Please contact us:
USC-Hotline:
Tel. no. +49-1803-112244
email ct-application.hotline@med.siemens.de
Editors: Wang Jian, Chen Ma Hao

Overview
3
User Documentation 16
Scan and Reconstruction 18
Dose Information 42
Workflow Information 64
Contrast Medium 122
Application Information 136
Head 162
Neck 204
Shoulder 218
Thorax 226
Abdomen 262
Spine 294
Pelvis 314
Upper Extremities 332
Lower Extremities 346
Vascular 360
Specials 416
Radiation Therapy 462

Overview
5

6
Contents
User Documentation 16
Scan and Reconstruction 18
•Concept of Scan Protocols 18
•Scan Set Up 19
•Feed in/Feed out 19
•Topo Length 20
•Scan Modes 21
- Sequential Scanning 21
- Spiral Scanning 21
-Quick Scan 22
- Dynamic Multiscan 22
- Dynamic Serioscan 22
•UFC detector 23
•Acquisition, Slice Collimation and Slice Width
24
-SOMATOM Emotion 16-slice configuration
25
- SOMATOM Emotion 6-slice configuration 26
•Increment 27
•Pitch 27
•Kernels 28
- Head Kernels 32
- Child Head Kernels 32
-Body Kernels 33
- Special Application Kernels 33
•Extended FoV 34
•Auto-FoV 35
•Neuro Modes 37
•Automatic Bone Correction 38
•Positioning 39
•Image Filters 40
Dose Information 42
•CTDIW and CTDIVol 42
•ImpactDose 44
•Effective mAs 45

Contents
7
•CARE Dose 4D 47
- How does CARE Dose 4D work? 49
- Special Modes of CARE Dose 4D 53
- Scanning with CARE Dose 4D 54
- Adjusting the Image Noise 58
- Activating and Deactivating 61
- Conversion of Old Protocols into Protocols
with CARE Dose 4D 61
- Additional Important Information 63
Workflow Information 64
•WorkStream4D 64
- Recon Jobs 64
- 3D Recon 65
- 1. Sagittal/Coronal Reconstructions 71
- 2. Oblique/Double-oblique Reconstructions
71
- Non-square Matrix for 3D Recon 76
- Case Examples for 3D Recon and Non-Square
Matrix 77
•Workflow 79
- Patient Position 79
- Auto Reference Lines 79
- Navigation within the Topogram 80
-API Language 81
•e - Logbook 83
- e- Logbook Configuration 83
- e- Logbook subtask card area 87
-e- Logbook Browser 88
- Study Continuation 91
- Reconstruction on the syngo CT Workplace
92
- Examination Job Status 93
- Auto Load in 3D and Postprocessing Presets
94
•Scan Protocol Creation 96
- Edit/Save Scan Protocol 96
- Scan Protocol Assistant 98
- Manipulate scan protocols 100

8
Contents
- Change parameters 103
- Import scan protocols from SOMATOM
LifeNet/CD 117
Contrast Medium 122
•Contrast Medium 122
- The Basics 122
- IV Injection 125
•Bolus Tracking 126
•Test Bolus using CARE Bolus 128
•Test Bolus 129
- CARE Contrast 130
Application Information 136
•SOMATOM LifeNet 136
- General Information 136
- Key Features 137
- SOMATOM LifeNet offline 138
- SOMATOM LifeNet online 140
•Image Converter 147
•Report Template Configuration 150
•File Browser 151
•Camtasia 155
- Key features 155
- Additional Important Information 159
•Patient Protocol 160
Head 162
•Overview 162
- General Hints 165
- Head Kernels 166
•Scan Protocols 168
- HeadRoutine 168
- HeadNeuro 172
- HeadSeq 174
- InnerEarHR 177

Contents
9
- InnerEarHRVol 180
- InnerEar 184
- InnerEarSeq 188
- Sinus 192
- SinusVol 196
- Orbit 198
- Dental 200
Neck 204
•Overview 204
- General Hints 206
- Body Kernels 207
•Scan Protocols 208
- NeckRoutine 208
- NeckThinSlice 212
- NeckVol 214
Shoulder 218
•Overview 218
- General Hints 219
- Body Kernels 219
•Scan Protocols 220
- Shoulder 220
- ShoulderVol 224
Thorax 226
•Overview 226
- General Hints 229
- Body Kernels 231
•Scan Protocols 232
- ThoraxRoutine/
ThoraxRoutine06s 232
- ThoraxCombi/
ThoraxCombi06s 235
- ThoraxVol 240
-ThoraxFast/

10
Contents
ThoraxFast06s 244
- ThoraxHR 246
- ThoraxHRSeq 250
- ThoraxECGHRSeq 252
-LungLowDose/
LungLowDose06s 254
-LungCARE/
LungCARE06s 258
Abdomen 262
•Overview 262
- General Hints 264
- Body Kernels 265
•Scan Protocols 266
- AbdomenRoutine/
AbdomenRoutine06s 266
- AbdomenCombi/
AbdomenCombi06s 270
- AbdomenVol 274
- AbdomenFast/
AbdomenFast06s 278
- AbdMultiPhase/
AbdMultiPhase06s 280
- AbdomenSeq 288
- Colonography/
Colonography06s 290
Spine 294
•Overview 294
- General Hints 296
- Body Kernels 297
•Scan Protocols 298
- C-Spine 298
- C-SpineVol 300
- SpineRoutine 302
- SpineThinSlice 304
- SpineVol 305

Contents
11
- SpineSeq 308
- Osteo 312
Pelvis 314
•Overview 314
- General Hints 316
- Body Kernels 317
•Scan Protocols 318
- Pelvis 318
- PelvisVol 322
- Hip 324
- HipVol 328
- SI_Joints 330
Upper Extremities 332
•Overview 332
- General Hints 334
- Body Kernels 335
•Scan Protocols 336
- WristHR 336
- ExtrRoutineHR 340
- ExtrCombi 344
Lower Extremities 346
•Overview 346
- General Hints 348
- Body Kernels 349
•Scan Protocols 350
- Knee 350
- Foot 352
- ExtrRoutineHR 354
- ExtrCombi 358

12
Contents
Vascular 360
•Overview 360
- General Hints 363
- Head Kernels 364
- Body Kernels 365
•Scan Protocols 366
- HeadAngio/
HeadAngio06s 366
- HeadAngioVol 370
-CarotidAngio/
CarotidAngio06s 372
- CarotidAngioVol 376
- ThorAngioRoutine/
ThorAngioRoutine06s 380
- ThorAngioVol 384
- ThorAngioECG/
ThorAngioECG06s 388
- ThorAngioECGSeq 392
- Embolism/
Embolism06s 394
- BodyAngioRoutine/
BodyAngioRoutine06s 398
- BodyAngioVol 402
-BodyAngioFast/
BodyAngioFast06s 406
- AngioRunOff/
AngioRunOff06s 410
- WholeBodyAngio 414
Specials 416
•Overview 416
- Trauma 416
- Interventional CT 418
- Test Bolus 420
•Trauma Protocols 422
- General Information 422
- Trauma 424
- TraumaVol 425

Contents
13
-PolyTrauma/
PolyTrauma06s 426
- HeadTrauma 430
- HeadTraumaSeq 432
- Additional Important Information 434
•Interventional CT - Biopsy 436
- Biopsy 437
- Biopsy Single 438
•Interventional CT - CARE Vision 439
- The Basics 439
- CAREVision 440
- CAREVisionSingle 441
- CAREVisionBone 442
- HandCARE 443
- Additional Important Information 447
•General Information for Biopsy and CARE
Vision 450
- Interventional Toolbar 450
- CAREView 453
- Configuration 456
- Routine Subtask card 458
- Additional Important Information 459
•TestBolus Protocol 460
- TestBolus 460
Radiation Therapy 462
•Radiation Therapy Planning 462
- Benefits 465
•Workflow 468
•Scan Protocols 470
- Overview 470
- RT_Head 472
- RT_Thorax 474
- RT_Breast 476
- RT_Abdomen 478
- RT_Pelvis 480
- Additional Important Information 482

14
Contents
Respiratory Gating 484
•Key Features 486
- Respiratory Gating 486
- Respiration Monitoring 486
- Respiration Synchronization 487
•Positioning of the respiratory sensor belt 488
•Scanning Information 490
- Scan Parameters 490
- Temporal Resolution 491
- Technical Principles 491
- Respiratory Triggering 491
- Respiratory gating 492
- Prospective respiratory triggering versus
retrospective respiratory gating 494
- Curve Editor 495
- Synthetic Trigger/Sync 497
•Workflow 498
- Reconstruction and Post processing 498
•Additional important Information 499
•Scan Protocol 500
- RespSeq 500
- Resp 502
- RespModBreathRate 504
- RespLowBreathRate 506
Children 508
•Overview 508
- General Hints 512
- Head Kernels 515
- Body Kernels 516
•Scan Protocols 518
- HeadRoutine 518
- HeadSeq 522
- InnerEarHR 526
- InnerEar 530
- InnerEarSeq 534
- SinusOrbit 538
- NeckRoutine 542

15
Contents
- ThoraxRoutine/
ThoraxRoutine06s 546
- ThoraxCombi/
ThoraxCombi06s 550
- ThoraxHRSeq 554
- AbdomenRoutine/
AbdomenRoutine06s 558
- Spine/
SpineRoutine 562
- SpineThinSlice 566
- ExtrRoutineHR 568
- ExtrCombi 570
- HeadAngio/
HeadAngio06s 574
-CarotidAngio/
CarotidAngio06s 578
- BodyAngioRoutine/
BodyAngioRoutine06s 582
-BodyAngioFast/
BodyAngioFast06s 586
- NeonateBody/
NeonateBody06s 587

16
User Documentation
For further information about the basic operation,
please refer to the corresponding syngo CT Operator
Manual:
syngo CT Operator Manual Volume 1:
syngo Security Package
Siemens Virus Protection
Basics
SOMATOM LifeNet
syngo Patient Browser
syngo Data Set Conversion
Camtasia
SaveLog
E-Logbook
syngo Viewing
syngo Filming
syngo CT Operator Manual Volume 2:
Preparations
Examination
MPPS
HeartView CT
Respiratory Gating CT
CARE Bolus CT
CARE Vision CT
syngo CT Operator Manual Volume 3:
syngo 3D
syngo Dental CT
syngo Osteo CT

User Documentation
17
syngo CT Operator Manual Volume 4:
syngo LungCARE CT
syngo Pulmo CT
syngo Neuro Perfusion CT
syngo Body Perfusion CT
syngo CT Operator Manual Volume 5:
syngo Calcium Scoring
syngo Circulation
syngo Volume Calculation
syngo Dynamic Evaluation
syngo Neuro DSA CT
syngo CT Operator Manual Volume 6:
syngo InSpace 4D CT
syngo Colonography

18
Scan and Reconstruction
Concept of Scan Protocols
The scan protocols for adult and children are defined
according to body regions - Head, Neck, Shoulder,
Thorax, Abdomen, Pelvis, Spine, Upper Extremities,
Lower Extremities, Vascular, RT, Specials and
optional Cardiac, PET, SPECT and Private.
The protocols for special applications are defined in the
Application Guide “Clinical Applications” or in the
case of a Heart View examination, in the Application
Guide “Cardiac CT“.
The general concept is as follows: All protocols without
a suffix are standard spiral modes. For example,
“Sinus” means the spiral mode for the sinus.
The suffixes of the protocol name are follows:
“Routine“: for routine studies
“Seq”: for sequence studies
“Fast“: use a higher pitch for fast acquisition
“ThinSlice“: use a thinner slice collimation
“Combi“: use a thinner and a thicker slice collimation
“05s”: use the rotation time of 0.5 seconds
“ECG“: use a ECG-gated or triggered mode
“Neuro“: for neurologicial examinations with a special
mode
“Vol“: use the 3D Recon workflow
“HR“: use a thin slice width for High Resolution studies
A prefix of the protocol name is as follows:
“RT”: for radio therapy studies
The availability of scan protocols depends on the sys-
tem configuration.
“Resp”: for respiratory gated studies
The availability of scan protocols depends on the sys-
tem configuration.

Scan and Reconstruction
19
Scan Set Up
Scans can be simply set up by selecting a predefined
examination protocol. To repeat any mode, just click
the chronicle with the right mouse button for repeat.
To delete it, select cut. Each range name in the chron-
icle can be easily changed before load.
Multiple ranges can be run either automatically with
auto range, which is denoted by a bracket connecting
the two ranges, or separately with a pause in
between.
Feed in/Feed out
The performance of the different buttons (soft but-
tons, gantry buttons, control box buttons) is standard-
ized as follows:
•in NOT loaded modes
•in loaded Biopsy mode:
1 mm
Feed In/Out = slice width x No. slice positions per scan
2

20
Scan and Reconstruction
Topo Length
* only in combination with PET and SPECT, option
** only in combination with SPECT, option
*** only in combination with PET, option
SOMATOM
Emotion 16
Length [mm] 128, 256, 512, 768, 1024,
1500
Slice width [mm] 4x0.6
Angle Top, Bottom, Lateral
SOMATOM
Emotion 6
Length [mm] 128, 256, 512, 768, 1024,
1500, 1536*, 2000**,
2048***
Slice width [mm] 3x1
Angle AP, PA, Lateral

Scan and Reconstruction
21
Scan Modes
Sequential Scanning
This is an incremental, slice-by-slice imaging mode in
which there is no table movement during data acquisi-
tion. A minimum interscan delay in between each
acquisition is required to move the table to the next
slice position.
Spiral Scanning
Spiral scanning is a continuous volume imaging mode.
The data acquisition and table movements are per-
formed simultaneously for the entire scan duration.
There is no inter-scan delay and a typical range can be
acquired in a single breath hold.
Each acquisition provides a complete volume data set,
from which images with overlapping can be recon-
structed at any arbitrary slice position. Unlike the
sequence mode, spiral scanning does not require addi-
tional radiation to obtain overlapping slices.

22
Scan and Reconstruction
Quick Scan
The data is usually acquired during a full 360° rotation
– this is a Full scan. Data acquisition not using a full
360° rotation is called a “Quick scan”. Quick scans are
employed to reduce motion artifacts and improve the
temporal resolution.
Dynamic Multiscan
Multiple continuous rotations at the same table posi-
tion are performed for data acquisition. Normally, it is
applied for fast dynamic contrast studies, such as
syngo Neuro Perfusion CT.
Dynamic Serioscan
Dynamic serial scanning mode without table feed.
Dynamic serio can still be used for dynamic evaluation
such as Test Bolus. The image order can be defined on
the Recon subtask card.

Scan and Reconstruction
23
UFC detector
Siemens’ proprietary, high-speed Ultra Fast Ceramic
(UFC) detector enables a virtually simultaneous read-
out of two projections for each detector element.
The detector configuration with the routine acquisition
of the Emotion 6/16-slice configuration:
SOMATOM Emotion 16-slice configuration:
SOMATOM Emotion 6-slice configuration:

24
Scan and Reconstruction
Acquisition, Slice Collimation
and Slice Width
Slice collimation is the slice thickness resulting from
the effect of the tube-side collimator and the adaptive
detector array design. In Multislice CT, the Z-coverage
per rotation is given by the product of the number of
active detector slices and the collimation (e.g. 6 x
1.0mm for the SOMATOM Emotion 6-slice configura-
tion or 16 x 0.6mm for the SOMATOM Emotion 16-
slice configuration ).
Slice width is the FWHM (full width at half maximum)
of the reconstructed image.
With the SOMATOM Emotion 6/16-slice configuration,
you select the slice collimation together with the slice
width desired. The slice width is independent of pitch,
i.e. what you select is always what you get. Actually,
you do not need to care about the algorithm any more;
the software does it for you.
If Metrorecon/Fastrecon is not selected you will rou-
tinely get “Real Time” images. The Recon icon on the
chronicle will be labeled with “RT”. After the scan the
Real Time displayed image series has to be recon-
structed.
In some cases – this depends also on Scan pitch and
Reconstruction increment – the Recon icon on the
chronicle will be labeled with “RT”. This indicates the
Real Time display of images during scanning. The Real
Time displayed image series has to be reconstructed
after completion of spiral.
The Acq (Acquisition) is displayed on the Examination
task card. The Acquisition is simply "number of slices
acquired per rotation" x "width of one slice".

Scan and Reconstruction
25
SOMATOM Emotion 16-slice configu-
ration
Spiral Mode
HR/Neuro Spiral Mode
Sequence Mode
Collimation/
Acquisition
Slice width
16 x 0.6 mm 0.75, 1.0, 1.5, 2.0, 3.0, 4.0, 5.0 mm
16 x 1.2 mm 1.5, 2.0, 3.0, 4.0, 5.0, 6.0, 8.0,
10.0 mm
Collimation/
Acquisition
Slice width
4 x 0.6 mm 0.6, 0.75, 1.0, 1.5, 2.0, 3.0, 4.0,
5.0 mm
Collimation/
Acquisition
Slice width
4 x 0.6 mm 0.6, 1.2, 2.4 mm
12 x 0.6 mm 0.6, 2.4, 7.2 mm
16 x 0.6 mm 1.2, 2.4, 4.8, 9.6 mm
2 x 5 mm 5.0, 10.0 mm
12 x 1.2mm 1.2, 3.6, 4.8 mm
2 x 8 mm 8.0, 16.0 mm
16 x 1.2 mm 2.4, 4.8, 9.6, 19.2 mm

26
Scan and Reconstruction
SOMATOM Emotion 6-slice configura-
tion
Spiral Mode
Sequence Mode
HR Spiral Mode
HR Sequence Mode
Collimation Slice width
1 mm 1,1.25,2,2.5,3,4,5,6,8,10mm
2 mm 2.5, 3, 4, 5, 6, 8, 10 mm
3 mm 4, 5, 6, 8, 10 mm
Collimation Slice width
1 mm 1, 2, 3 mm
2 mm 2, 4, 6, 12 mm
3 mm 3, 6, 9, 18 mm
5 mm 5, 10 mm
Collimation Slice width
0.5 mm 0.63, 0.75, 1, 1.25, 2, 2.5, 3, 4,
5mm
Collimation Slice width
1 mm 1 mm

Scan and Reconstruction
27
Increment
The increment is the distance between the recon-
structed images in Z direction. When the chosen incre-
ment is smaller than the slice thickness, the images are
created with an overlap. This technique is useful for
reducing partial volume effect, giving you better detail
of the anatomy and high quality 2D and 3D postpro-
cessing.
The increment can be freely adapted from 0.1 - 10
mm.
Pitch
The Pitch Factor can be freely adapted from 0.45 – 2.0,
in Cardio, there is a fixed pitch down to 0.1.
With the SOMATOM Emotion 6/16-slice configuration,
you select the slice collimation together with the slice
width desired.
The slice width is independent of pitch, i.e. what you
select is always what you get. Actually, you do not
need to be concerned about the algorithm any more;
the software does it for you.
Pitch values with a step width of 0.05 can be selected
for all modes.
We recommend to use a Pitch Factor of 0.45 for MPR
reconstructions.
Pitch = feed per rotation
z-coverage
z-coverage = detector rows x collimated slice width
Feed/Rotation = table movement per rotation

28
Scan and Reconstruction
Kernels
There are 4 different types of kernels: “H“ stands for
Head, “B“ stands for Body, “C“ stands for ChildHead and
”S” stands for Special Application, e.g. syngo Osteo CT.
The image sharpness is defined by the numbers – the
higher the number, the sharper the image; the lower
the number, the smoother the image.
Head Kernels:
Kernel description
H10s very smooth
H19s very smooth
H20s smooth
H21s smooth +
H22s smooth FR +
H29s smooth +
H30s medium smooth
H31s medium smooth +
H32s medium smooth FR +
H37s medium smooth (Emotion 16-slice
configuration only)
H39s medium smooth
H40s medium
H41s medium +
H42s medium FR
H45s medium
H47s medium smooth (Emotion 16-slice
configuration only)
H48s medium smooth (Emotion 16-slice
configuration only)
H50s sharp
H60s medium
H70s very sharp
H80s inner ear
H90s inner ear

Scan and Reconstruction
29
Body Kernels:
Child Head Kernels:
Kernel description
B08s very smooth
B10s very smooth
B19s very smooth
B20s smooth
B29s smooth
B30s medium smooth
B31s medium smooth +
B35s HeartView medium
B39f HeartView medium
B40s medium
B41s medium+
B46s medium
B50s medium sharp
B60s sharp
B65s sharp
B70s very sharp
B75s very sharp (Emotion 16-slice configu-
ration only)
B80s ultra sharp
B90s ultra sharp
Kernel description
C20s smooth
C30s medium smooth
C60s sharp

30
Scan and Reconstruction
Topogram Kernels:
Special Application:
Kernel description
T10s smooth
T20s standard
T21s standard
T80s sharp
T81s sharp
T90s ultra sharp
Kernel description
S30s Shepp-Logan
S80s Shepp-Logan with notch filter
S90s Shepp-Logan without notch filter
U90s specification kernel

Scan and Reconstruction
31
PET-Kernel:
SPECT-Kernel:
Kernel PET
B19s smooth
B29s medium smooth
B39s medium
H19s smooth
H29s medium smooth
H39s medium
Kernel SPECT
H08s very smooth
B08s very smooth

32
Scan and Reconstruction
Head Kernels
For soft tissue head studies, the standard kernel is
H40s; softer images are obtained with H30s or H20s,
H10s, sharper images with H50s. The kernels H21s,
H31s, H41s yield the same visual sharpness as H20s,
H30s or H40s, respectively. The image appearance,
however, is more acceptable due to a "fine-grained"
noise structure; quite often, the low contrast detect-
ability is improved by using H31s, H41s instead of
H30s, H40s.
In emergency examinations, kernels H22s, H32s, and
H42s can be used because they allow fast reconstruc-
tion (FR) and easy patient positioning (50 cm FoV). To
ensure best performance, special online bone correc-
tion (PFO) is not used.
High Resolution head studies should be performed
with H50f, H60f (for example, for dental and sinuses).
It is essential to position the area of interest in the cen-
ter of the scan field.
For a better gray-white brain tissue differentiation use
the H37s, H38s or H47s kernel (Emotion 16-slice con-
figuration only).
Child Head Kernels
For head scans of small children, the kernels C20s,
C30s (for example for soft tissue studies) and C60s (for
example, provided for sinuses) should be chosen
instead of the "adult" head kernels H20s, H30s and
H60s.

Scan and Reconstruction
33
Body Kernels
As standard kernels for body tissue studies B30s or
B40s are recommended; softer images are obtained
with B20s or B10s (extremely soft). The kernels B31s or
B41s have about the same visual sharpness as B30s
respectively, B40s, the image appearance, however, is
more acceptable due to a "fine-grained" noise struc-
ture; quite often, the low contrast detectability is
improved by using B31s, B41s instead of B30s, B40s.
For higher sharpness, as is required for example, in
patient protocols for cervical spine, shoulder, extremi-
ties, thorax, the kernels B50s, B60s, B70s, B80s are
available.
Special Application Kernels
The special kernels are mostly used for "physical" mea-
surements with phantoms, e.g. for adjustment proce-
dures (S80s), for constancy and acceptance tests
(S80s, S90s), or for specification purposes (S90s). For
special patient protocols, S80s and S90s are chosen,
e.g. for osteo (S80s).
Note:
In case of 3D study only, use kernel B10s and at least
50% overlapping for image reconstruction.
Do not use different kernels for body parts other than
what they are designed for.

34
Scan and Reconstruction
Extended FoV
SOMATOM Emotion 16/6-slice configuration offers the
extended field of view. The range can be individually
adapted by the user from 50 cm up to 70 cm.
To use this feature you have to select the extended
FoV checkbox on the Recon subtask card. The default
setting is 65 cm, but can be modified.
Extended FoV can be used with each scan protocol.
The extended FoV value should be adapted carefully
to the exact patient size in order to achieve best possi-
ble image quality outside the standard scan field.

Scan and Reconstruction
35
Auto-FoV
After scanning a topogram the available ranges are dis-
played in the topo segment. They can be automatically
adapted according to the patient contours. When mov-
ing the scan range over the topogram and press the
"ctrl" key simultaneous, the adaptation will be done
automatically. Please make sure, that the whole object
is covered within the default FoV.
In case the FoV is too small, please press the "ctrl" key
and move the scan range over the object once, and it
will be adapted automatically.
The Auto-FoV will also work with the snap function,
when an examination has two or more ranges. The
snap function will also cover the Auto-FoV and there-
fore you have the possibility to merge different ranges.
To be able to use the snap function, it is necessary to
have the same FoV and the same x and y coordinates
for all available ranges.
Do not use Auto-FoV for asymmetric objects (e.g. only
one arm within the scan field).

36
Scan and Reconstruction
Hints
• When positioning the arms along the body, the Auto-
FoV will also cover the arms.
• When scanning two extremities at the same time,
the Auto-FoV will also cover both extremities.

Scan and Reconstruction
37
Neuro Modes
In addition to the standard collimations, the SOMA-
TOM Emotion 16-slice configuration provides a special
mode which is optimized for Neuro applications. Excel-
lent low contrast and detail resolution are achieved.
For spiral scans 4 x 0.6 acquisition mode is provided in
the range of the cerebrum. This approach shows a min-
imized partial volume effect, i.e. low level of artifacts
in the base of the skull or near vertebral bodies, as
0.6 mm detector rows are used and the narrow colli-
mation reduces scattered radiation.
One scan protocol is predefined for adults:
– HeadNeuro using an acquisition 16 x 0.6 mm in the
base and an acquisition of 4 x 0.6 mm in the cere-
brum
We recommend using this special protocol for dedi-
cated Neuro examinations.
For fast standard examinations such as rule out of
hemorrhage or ischemia, the "Routine" protocol should
be used.

38
Scan and Reconstruction
Automatic Bone Correction
The head protocols provide significant improvements
regarding image quality for heads. An automatic bone
correction algorithm has been included in the standard
image reconstruction. Using a new iterative technique,
typical artifacts arising from the beam-hardening
effect, for example, Hounsfield bar, are minimized
without additional post-processing. This advanced
algorithm produces excellent images of the posterior
fossa, but also improves head image quality in general.
Bone correction is activated automatically for body
region “Head”. The reconstruction algorithm for “Head”
also employs special adaptive convolution kernels
which help to improve the sharpness-to-noise ratio.
More precisely, anatomic contours are clearly dis-
played while noise is suppressed at the same time
without causing a blurring of edges.
Head image without
correction.
Head image with
corrections.

Scan and Reconstruction
39
Positioning
In order to optimize image quality versus radiation
dose, scans in body regions “Head” and “AngioHead”
are provided within a maximum scan field of 300 mm
with respect to the iso-center. No recon job with a field
of view exceeding those limits will be possible. There-
fore, patient positioning has to be performed accu-
rately to ensure a centered location of the skull.
correct positioning wrong positioning
of the head of the head
For trauma examinations of the head we provide two
protocols, to be found in the specials folder:
– HeadTrauma
– HeadTraumaSeq.
The scan protocols enable you to utilize the full 50 cm
FoV, resulting in easier patient positioning for trauma
examinations and to ensure the highest performance,
the dedicated PFO head filter is not used.

40
Scan and Reconstruction
Image Filters
If you use kernels, the images are reconstructed again
with the selected kernel value. If you use image filters,
the images are not reconstructed again and the result
is much quicker.
Three different filters are available:
LCE: The Low-contrast enhancement filter enhances
low-contrast detectability. It reduces the image noise.
• Similar to reconstruction with a smoother kernel
• Reduces noise
• Enhances low-contrast detectability
• Adjustable in four steps
• Automatic post-processing
Image taken without
the LCE filter
Image taken with the LCE
filter

Scan and Reconstruction
41
"HCE": The High-contrast enhancement (HCE) filter
enhances high-contrast detectability. It increases the
image sharpness, similar to reconstruction with a
sharper kernel.
• Increases sharpness
• Faster than raw-data reconstruction
• Enhances high-contrast detectability
• Automatic post-processing
"ASA": The Advanced Smoothing Algorithm (ASA)
filter reduces noise in soft tissues while edges with
high contrast are preserved.
• Reduces noise without blurring of edges
• Enhances low-contrast detectability
• Individually adaptable
• Automatic post-processing
Image taken without
the HCE filter
Image taken with the
HCE filter

42
Dose Information
CTDIW and CTDIVol
The average dose in the scan plane is best described by
the CTDIW for the selected scan parameters. The CTDIW
is measured in dedicated plastic phantoms – 16 cm
diameter for head and 32 cm diameter for body (as
defined in IEC 60601 – 2 – 44). For scan modes with z-
Sharp the CTDI100 is calculated using the single num-
ber of tomographic sections (not doubled by z-Sharp)
to remain within the terms of IEC 60601-2-44. The z-
coverage with and without z-Sharp is the same and so
is the dose. This dose index gives a good estimation of
the average dose applied in the scanned volume, as
long as the patient size is similar to the size of the
respective dose phantoms.
Since the body size can be smaller or larger than
32 cm, the CTDIW value displayed can deviate from the
dose in the scanned volume.
The CTDIW definition and measurement are based on
single axial scan modes. For clinical scanning, i.e.scan-
ning of entire volumes in patients, the average dose
will also depend on the table feed between axial scans
or the feed per rotation in spiral scanning. The dose,
expressed as the CTDIW, must therefore be corrected by
the pitch factor of the spiral scan or an axial scan series
to describe the average dose in the scanned volume.
For this purpose the IEC defined the term “CTDIVol“ in
September 2002:
This dose number is displayed on the user interface for
the selected scan parameters.
CTDIVol = CTDIw
Pitch factor

Dose Information
43
Note: Previously the dose display on the user interface
was labeled “CTDIW“. This displayed CTDIW was also cor-
rected for the pitch and was therefore identical to the
current CTDIVol.
The CTDIw value does not provide the entire informa-
tion of the radiation risk associated with CT examina-
tion. For this purpose, the concept of the “Effective
Dose“ was introduced by ICRP (International Commis-
sion on Radiation Protection). The effective dose is
expressed as a weighted sum of the dose applied not
only to the organs in the scanned range, but also to the
rest of the body. It could be measured in whole body
phantoms (Alderson phantom) or simulated with
Monte Carlo techniques.
The calculation of the effective dose is rather compli-
cated and has to be performed by sophisticated pro-
grams. These have to take into account the scan
parameters, the system design of the individual scan-
ner, such as X-ray filtration and gantry geometry, the
scan range, the organs involved in the scanned range
and the organs affected by scattered radiation. For
each organ, the respective dose delivered during the
CT scanning has to be calculated and then multiplied
by its radiation risk factor. Finally, the weighted organ
dose numbers are added up to get the effective dose.
The concept of effective dose allows the comparison of
radiation risk associated with different CT or X-ray
exams, i.e. different exams associated with the same
effective dose would have the same radiation risk for
the patient. It also allows a comparison of the applied
X-ray exposure to the natural background radiation,
for example, 2 – 3 mSv per year in Germany.

44
Dose Information
ImpactDose
For most of the scan protocols, the effective dose num-
bers for standard male* and female* are calculated,
and listed the result in the description of each scan pro-
tocol.
The calculation was performed using the commercially
available program "ImpactDose" (Wellhoefer Dosime-
try).
For pediatric protocols, the ImpactDose calculation
and the correction factors published in "Radiation
Exposure in Computed Tomography"** are used.
These only include conversion factors for ages 8 weeks
and 7 years.
*The Calculation of Dose from External Photon Expo-
sures Using Reference Human Phantoms and Monte
Carlo Methods. M. Zankl et al. GSF report 30/91
**Radiation Exposure in Computed Tomography,
edited by Hans Dieter Nagel, published by COCIR c/o
ZVEI, Stresemannallee 19, D-60596, Frankfurt, Ger-
many.

Dose Information
45
Effective mAs
In sequential scanning, the dose (Dseq) applied to the
patient is the product of the tube current-time (mAs)
and the CTDIw per mAs:
In spiral scanning, however, the applied dose (Dspiral) is
influenced by the conventional mAs (mA x Rot Time)
and additionally by the pitch factor. For example, if a
Multislice CT scanner is used, the actual dose applied
to the patient in spiral scanning will be decreased
when the pitch factor is greater than 1, and increased
when the pitch factor is less than 1 (for constant mA).
Therefore, the dose in spiral scanning has to be cor-
rected by the pitch factor:
To simplify this task, the concept of the “effective“ mAs
was introduced with the SOMATOM Multislice scan-
ners.
The effective mAs takes into account the influence of
pitch on both the image quality and dose:
To calculate the dose, you simply multiply the CTDIw
per mAs with the effective mAs of the scan:
Dseq = DCTDIw x mAs
Dspiral = (DCTDIw x mA x Rot Time)
Pitch Factor
Effective mAs = mAs
Pitch Factor
Dspiral = DCTDIw x effective mAs

46
Dose Information
For spiral scan protocols, the indicated mAs is the
effective mAs per image. The correlation between tube
current and effective mAs of spiral scans on a Multi-
slice CT scanner is expressed by the following formula:
where Slice collimation refers to the collimation of one
detector row, and nrow is the number of used detector
rows.
Effective mAs = mA x RotTime
Pitch Factor
Pitch Factor = Feed per Rotation
nrow x Slice collimation
mA = effective mAs x Pitch Factor
RotTime

Dose Information
47
CARE Dose 4D
CARE Dose 4D is an automated exposure control,
which ensures constant diagnostic image quality over
all body regions at the lowest possible dose.
CARE Dose 4D combines three different adaptation
methods to optimize image quality at the lowest dose
level:
• Automatic adaptation of the tube current to the
patient size
• Automatic adaptation of the tube current to the
attenuation of the patient’s long axis, the so-called z-
axis.
• Automatic adaptation of the tube current to the
angular attenuation profile measured online for
each single tube rotation, the so-called angle modu-
lation.
Based on a single a.p. or lateral topogram, CARE Dose
4D determines the adequate mAs level for every sec-
tion of the patient. Based on these levels, CARE Dose
4D modulates the tube current automatically during
each tube rotation according to the patient’s angular
attenuation profile. Thus, the best distribution of dose
along the patient’s long axis and for every viewing
angle can be achieved.

48
Dose Information
Based on a user defined Image Quality Reference
mAs, CARE Dose 4D automatically adapts the (eff.)
mAs to the patient size and attenuation changes
within the scan region. With the setting of the Image
Quality Reference mAs you can adjust image quality
(image noise) to the diagnostic requirements and the
individual preference of the radiologist.
Note: The Image Quality Reference mAs should not
be adjusted to the individual patient size!

Dose Information
49
How does CARE Dose 4D work?
CARE Dose 4D combines two types of tube current
modulation:
1) Axial tube current modulation:
Based on a single Topogram (a.p. or lateral) the atten-
uation profile along the patient’s long axis is measured
in direction of the projection and estimated for the per-
pendicular direction by a sophisticated algorithm.
Example of lateral and a.p. attenuation profile evalu-
ated from an a.p. Topogram.
Based on these attenuation profiles, axial tube current
profiles (lateral and a.p.) and the resulting eff. mAs for
every table position are calculated. The correlation
between attenuation and tube current is defined by an
analytical function which results in an optimum dose
and image noise in every slice of the scan.
Attenuation (log)
Lateral
Scan Range

50
Dose Information
2) Angular tube current modulation:
Based on the above described axial eff. mAs profiles,
the tube current is modulated during each tube rota-
tion. Therefore the angular attenuation profile is mea-
sured automatically during the scan and the tube cur-
rent is modulated accordingly in real time to achieve
an optimum distribution of the X-ray intensity for every
viewing angle.
Relation between relative attenuation and relative
tube current. The adaptation strength may be
adjusted by user separately for the left branch (slim)
and the right branch (obese) of the curve. This adjust-
ment effects all examinations. The gray lines here
indicates the theoretical limits of the adaptation (con-
stant dose resp. constant image noise). The absolute
(eff.) mAs value is scaled with the Image Reference
mAs value, which may be adjusted in the Scan Card by
the user.
rel. tube current
reference attention rel. attenuation
Image Quality
reference tube current
constant dose
obese
constant image noise
slim
strong increase
average increase
Weak increase
weak decrease
average decrease
strong decrease

Dose Information
51
Scan with constant mA Reduced dose level
Real-time angular
slice position
x-ray dose
based on topogram
dose modulation

52
Dose Information
Principle of automatic tube current adaptation by
CARE Dose 4D for a spiral scan from shoulder to pelvis
(very high table feed for demonstration): High tube
current and strong modulation in shoulder and pelvis,
lower tube current and low modulation in abdomen
and thorax. The dotted lines represent the min. and
max. tube current at the corresponding table position
and result from the attenuation profile of the Topo-
gram.
The mAs value displayed in the user interface and in
the patient protocol is the mean (eff.) mAs value for
the scan range.
The mAs value recorded in the images is the local (eff.)
mAs value.

Dose Information
53
Special Modes of CARE Dose 4D
For certain examination protocols CARE Dose 4D uses
modified tube current modulation, to meet specific
conditions, for example:
• for Adult Head protocols the tube current is adapted
to the variation along the patient’s long axis and not
to the angular attenuation profile.
• for Extremities, CARE Vision, syngo Neuro Perfusion
CT, syngo Body Perfusion CT and other special proto-
cols (indicated as CARE Dose), only angular tube cur-
rent modulation is supported.
• for Osteo and Cardio protocols the mAs setting is
adjusted to the patient size and not modulated dur-
ing the scan, except if ECG pulsing is switched on.

54
Dose Information
Scanning with CARE Dose 4D
If the settings of Image Quality Reference mAs are cor-
rectly predefined*, no further adjustment of the tube
current is required to perform a scan.
CARE Dose 4D automatically adapts the tube current to
different patient sizes and anatomic shapes, but it
widely ignores metal implants.
Note: Otherwise the magnification of the topogram
would be distorted which would lead to an under-
estimation or overestimation of the required eff.
mAs.
For an accurate mAs adaptation to the patient’s size
and body shape with CARE Dose 4D, the patient should
be carefully centered in the scan field.
When using protocols with CARE Dose 4D for body
regions other than those they are designed for, the
image quality should be carefully evaluated.
As CARE Dose 4D determines the (eff.) mAs for every
slice of the topogram, a topogram must be obtained
for use of CARE Dose 4D.
*For Siemens scan protocols of SW version syngo CT
2007E, the settings of CARE Dose 4D are already pre-
defined but may be changed to meet the customer’s
preference of image quality (image noise).

Dose Information
55
Outside the topogram range, CARE Dose 4D will con-
tinue the scan with the last available topogram infor-
mation. Without a topogram, CARE Dose 4D cannot be
switched on. Repositioning of the patient on the table
and excessive motion of the patient must be avoided
between the topogram and the scan. If two topograms
of the same projection exist for one scan range, the
last acquired will be used for determining the (eff.)
mAs. If a lateral and a.p. topogram exist for one scan
range, both will be used for determining the (eff.)
mAs.

56
Dose Information
After the topogram has been scanned, the (eff.) mAs
value in the Routine tab card displays the mean (eff.)
mAs estimated by CARE Dose 4D based on the topo-
gram*. After the scan has been performed this value is
updated to the mean (eff.) mAs that was applied. The
values may differ slightly due to the online modulation
according to the patient’s angular attenuation profile.
*When tuning the CARE Dose 4D parameter setting to
the individual preference for image quality, we rec-
ommend keeping track of this value and comparing
it with the values used without CARE Dose 4D.

Dose Information
57
The Quality reference mAs value is displayed on the
Scan tab card. This defines the overall image quality of
the scan protocol currently being used. This value can
be adapted for each protocol according to the user’s
individual requirements of image quality. Here you can
also view the effective mAs value that the system is
going to use for the current scan range.
You can also deselect CARE Dose4D on this tab card.

58
Dose Information
Adjusting the Image Noise
The correlation between attenuation and tube current
is defined by the analytical function described above.
This function may be adjusted to adapt the image qual-
ity (image noise) according to the diagnostic require-
ments and the individual preference of the radiologist.
– To adapt the image noise for a scan protocol the
Image Quality Reference mAs value in the Scan tab
card may be adjusted. This value can be adapted for
each protocol according to the user’s individual pref-
erences of image quality, and reflects the mean (eff.)
mAs value that the system will use for a reference
patient with that protocol and the corresponding
body region. The reference patient is defined as a
typical adult, 70 kg to 80 kg or 155 to 180 lbs (for
adult protocols), or as a typical child, 5 years, appr.
20 kg or 45 lbs (for child protocols). Based on that
value, CARE Dose 4D adapts the tube current (or the
mean (eff.) mAs value) to the individual patient size
or body region.
Note: Do not adapt the Image Quality Reference
mAs for an individual patient’s size. Only change
this value if you want to adjust the image quality.

Dose Information
59
If you change the quality ref. mAs, a pop-up window is
displayed.
• To change the configuration of CARE Dose 4D,
please open the Examination Configuration dialog
box under Options > Configuration. In the window
that then appears, please double-click the Examina-
tion icon to display the configuration window. The
adaptation strength of CARE Dose 4D may be influ-
enced for slim, obese patients, or body parts of a
patient by changing the CARE Dose 4D settings in
the Patient tab card.
This may be desirable:
– if the automatic dose increase for obese patients (or
patient sections) has to be stronger than the preset
(choose obese: strong increase), resulting in less
image noise and a higher dose for those images.

60
Dose Information
– if the automatic dose increase for obese patients (or
patient sections) has to be more moderate than the
preset (choose obese: weak increase), resulting in
more image noise and a lower dose for those
images.
– if the automatic dose decrease for slim patients (or
patient sections) has to be stronger than the preset
(choose slim: strong decrease), resulting in more
image noise and a lower dose for those images.
– if the automatic dose decrease for slim patients (or
patient sections) has to be more moderate than the
preset (choose slim: weak decrease), resulting in
less image noise and a higher dose for those images.
On the Patient tab card you can adjust the image qual-
ity (for more information see chapter How does CARE
Dose 4D work).
Note: Changing this adaptation strength effects all
protocols!

Dose Information
61
Activating and Deactivating
CARE Dose 4D may be activated or deactivated for the
current scan in the Scan tab card. If CARE Dose 4D is
activated as default, the Image Quality Reference
mAs value is set to the default value of the protocol.
After deactivating CARE Dose 4D, the Image Quality
Reference mAs is dimmed and the (eff.) mAs value
has to be adjusted to the individual patient’s size! If
CARE Dose 4D is switched on again, the Image Quality
Reference mAs is reactivated. Note that the last setting
of the Image Quality Reference mAs or the (eff.) mAs
will be restored when you switch from and back to
CARE Dose 4D usage. The default activation state of
CARE Dose 4D may be set in the Scan Protocol Man-
ager. CARE Dose 4D must be selected (column CARE
Dose type). The corresponding column for activating
CARE Dose 4D is called CARE Dose (4D), with possible
default on or off.
Conversion of Old Protocols into Proto-
cols with CARE Dose 4D
Protocols of SW versions VA70, VA47 and VA45 may be
converted to CARE Dose 4D in the Scan Protocol Man-
ager.
Prior to activating CARE Dose 4D an Image Quality Ref-
erence mAs value has to be set in the corresponding
column.

62
Dose Information
If you are unsure about the correct Image Quality Ref-
erence mAs value, follow this simple procedure:
• Enter the (eff.) mAs value used for that type of pro-
tocol without CARE Dose 4D.
• There is a simple way of ascertaining what eff. mAs
CARE Dose 4D will use along the scan range: When
the topogram is complete shrink the scan range to
it's minimum. As you move this small box over the
topogram you can see how the eff. mAs displayed in
the Routine and Scan tab card varies along the
patient's body.
To achieve a certain eff. mAs at a patient's particular
body region you can move the small scan range to
this position and then adjust the Quality reference
mAs so that the displayed eff. mAs value is as
desired. After resizing the scan range to the range
for the examination, carefully observe the displayed
mean eff. mAs. After the subsequent scan is com-
pleted inspect the image quality to ensure that the
chosen Quality reference mAs is the right value.
• With that setting perform the first scan and carefully
inspect the image quality. In that first step the dose
may not be lower than without CARE Dose 4D but
will be well adapted to the patient’s attenuation,
resulting in improved image quality.
• Starting from that setting, reduce the Image Quality
Reference mAs step by step to meet the necessary
image quality level.
• Store the scan protocol with the adapted image qual-
ity reference mAs.

Dose Information
63
Additional Important Information
For ideal dose application it is very important to posi-
tion the patient in the isocenter of the gantry.
Example for an a.p. topogram:
Patient is positioned in the isocenter – optimal dose
and image quality
Patient is positioned too high – increased mAs
Patient is positioned too low – reduced mAs and
increased noise
Detector
X-ray tube
Patient
(centered)
X-ray tube
Detector
Patient
(not centered)
Patient
X-ray tube
Detector
(not centered)

64
Workflow Information
WorkStream4D
Recon Jobs
In the Recon card, you can define up to eight recon-
struction jobs for each range with different parameters
either before or after you acquire the data. When you
click on Recon, these jobs are performed automatically
in the background. If you want to add more than
eight recon jobs, simply click the icon for an already
completed recon job in the chronicle with the right
mouse button and select delete recon job. Another
recon job will now become available on the Recon tab
card.
Note: What you delete is just the job from the display,
not the images that have been reconstructed. Once
reconstructed, these completed recon jobs stay in the
browser, until deleted from the local database.
You can also reconstruct images for all scans per-
formed by not selecting any range in the chronicle,
prior to clicking Recon.
Another entry you will find in the right mouse menu is
copy/replace recon parameters. This function is
available for spiral scans only.
The main goal is to support the transfer of volume
parameters between oblique recon jobs of ranges
which cover mainly the same area, e.g., two spiral
scans with/without contrast media.

Workflow Information
65
3D Recon
3D Recon allows you to perform oblique and/ or double
oblique reconstructions in any user-defined direction
directly after scanning.
No further post-processing or data loading is needed.
The high-quality SPO (spiral oblique) images are calcu-
lated by using the system’s raw data.
Key Features
• Reconstruction of axial, sagittal coronal and oblique/
double oblique images
• 3 planning images in the 3 standard orientations
(coronal, axial, sagittal)
• Image types for planning MPR Thick (10 mm), MIP
Thin (3 mm)
• Field of view and reference image definition possible
in each planning segment
• Asynchronous reconstruction (several reconstruc-
tion jobs are possible in the background, axial and
non-axial)
• Workstream 4D performs reconstructions on the
basis of CT raw data
• If the raw data are saved you can start the 3D recon-
struction on your syngo CT Workplace.
• It is also possible to perform the reconstruction with
non-square matrix.

66
Workflow Information
Workflow Description
WorkStream 4D improves your workflow whenever
non-axial images of a CT scan are required, for example
examinations of the spine.
3D reconstructions are possible:
– spiral scan is needed
– as soon as one scan range is finished and at least one
axial reconstruction job has been performed (RTD or
RTR images).
Select a new recon job and mark Recon Job Type – 3D
on the Recon card. The first recon job that is suitable
for the 3D reconstruction is used as Available plan-
ning volumes.

Workflow Information
67
Additional Important Information
Pitch factor for 3D Recon
• For reconstruction of 3D recon jobs the maximum
pitch factor is 1.5.
If the pitch factor is > 1.5 a message window informs
you that this 3D recon job cannot be started and may
be deleted. In this case use the standard 3D task card
with an axial image series for reconstruction.

68
Workflow Information
Three planning segments in perpendicular orienta-
tions will appear in the upper screen area. You can
choose between MPR Thick (3 mm) and MIP Thin
(10 mm) as the image type for your planning volume
using the relevant buttons.
In each segment you will find a pink rectangle which
represents the boundary of the result images. The
image with the right down marker represents the field
of view (FoV) of the result images (viewing direction).
Right
down
marker
Reference lines

Workflow Information
69
The rectangle with the grid represents the reference
image (topogram) which is added to the Topogram
series including the reference lines after reconstruc-
tion.
Topographics
indicator
Recon area
Reference lines

70
Workflow Information
Preview Image
A preview of the actual FoV is now available.
• After pressing the button Preview Image the actual
FoV to be reconstructed will be displayed.
• Clicking again on the button deactivates the preview
image and displays the whole reference image
again.
• Double clicking into the FoV image activates or deac-
tivates the Preview Image function as well.
If the Preview Image function is active and you move
or rotate the box, or change the recon begin and end
position, the Preview image in the FoV segment will be
updated accordingly.

Workflow Information
71
Depending on the desired resultant images, choose
coronal, sagittal or oblique recon axis.
1. Sagittal/Coronal Reconstructions
• Adjust the field of view size to your needs.
• It is only possible to reconstruct images with a
squared matrix.
2. Oblique/Double-oblique Reconstructions
If you want to define the orientation of the result
images independent of the patient’s axis:
• Enable the Free View Mode and rotate the reference
lines in the three segments until the desired image
orientation is displayed. The vertical and horizontal
line are always perpendicular to each other. With the
default orientation button you can reset the image
orientation at any time.
• It is only possible to reconstruct images with a
squared matrix.
• Set the field of view to the active segment by clicking
the Set FoV button. The result images will then be
orientated as in the FoV segment. You can adjust the
extension perpendicular to the field of view in the
same way in the other two segments.

72
Workflow Information
To define the reference image (topogram) to the active
segment, click on the Set Reference Segment button.
This defines the orientation of the reference image
which will be added to the result images.
Once you have finished the adjustment, start calcula-
tion of the result images by clicking on the Recon but-
ton. You can start a recon job at any time, indepen-
dently of other ongoing jobs (asynchronous
reconstruction). After starting the recon job the layout
of the Examination task card changes back to the
standard layout. If "auto recon" is selected, all defined
recon jobs start automatically after scanning.
The progress of reconstruction is displayed by the
slider in the tomo segment.

Workflow Information
73
Additional Information
As soon as you define a new recon range, all recon
ranges will be shown in the topo segment. The two
numbers on the right-hand side at the beginning of
each recon range indicate the recon job the range
belongs to. The first number stands for the scan range,
the second number stands for the recon job to which
the range belongs. If no recon job is pending, only the
scan ranges are shown in the topo segment. Only one
number on the right-hand side at the beginning of
each scan range indicates which scan the range
belongs to.
• If the first recon job is saved as an Oblique recon job,
RTD images are displayed after scanning and the
Examination task card is automatically switched to
3D reconstruction
• Patient Browser:
for each double oblique recon job, one series is
added in the Patient Browser.
•If Auto Reference Lines is selected the correspond-
ing reference image is added to the 3D recon series.
• All reconstructions are performed in the background
• Do not use high resolution images
• Do not use extended FoV
• If no entry is selected in the chronicle, all open
reconstructions are automatically reconstructed.
•If Autorecon is selected on the Recon tab card, this
recon job (axial and oblique) will be automatically
reconstructed after scanning.

74
Workflow Information
Recon Planning
During planning of a 3D recon range, the image dis-
played in the FoV segment will be updated to the new
position of the recon start and end position.
The corresponding reference line displayed in both
planning segments is the reference line to the actual
image displayed in the FoV segment.
One click on the start or end position of the recon
range displays either the reference image to the start
position of the recon range or the reference image to
the end position of the recon range in the FoV seg-
ment.
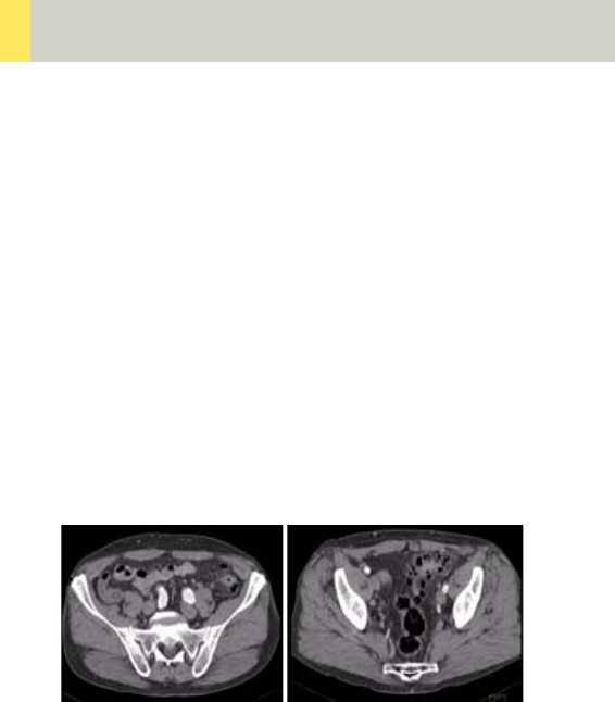
Case Examples
Some scan protocols are supplied with predefined
oblique reconstructions. These protocols are
marked with the suffix “VOL”.
•Coronal and sagittal reconstruction of the spine:
– Scan a topogram
– Plan your axial spiral scan range
– Reconstruction of the spiral images (RT images)
– Select Recon job Type sagittal/coronal
– Select the axial image segment
–Press button Set FoV Segment
– Adjust the FoV to your needs
– Define your desired reconstruction parameters
(for example, image type SPO)
– Start reconstruction
– Repeat the reconstruction steps for the other
orientation (sagittal/coronal)

Workflow Information
75
•Oblique reconstruction of the sinuses:
– Scan a topogram
– Plan your axial spiral scan range
– Reconstruction of the spiral images
(RT images)
–Select Recon job Type oblique
– Select the sagittal image segment
– Enable Free Mode
– Rotate the reference lines until the best view of the
sinuses is displayed in one of the other segments
– Select this segment and press the Set FoV Seg-
ment button
– Adjust the FoV to your needs
– Define your desired reconstruction parameters
(e.g., image type SPO)
– Start reconstruction
•Oblique reconstruction of the vascular tree:
– Scan a topogram
– Plan your spiral scan range
– Axial reconstruction of the spiral images
(RTD images)
–Select Recon job Type oblique
– Select button MIP Thin as image type for the
planning volume on the toolbar
– Enable Free Mode
– Rotate the reference lines until the best view
of the entire vascular tree is displayed in one of
the other segments
– Select the coronal image segment
– Select this segment and press the Set FoV Seg-
ment button
– Adjust the FoV to your needs
– Define your desired reconstruction parameters
(e.g., Type MIP Thin)
– Start reconstruction

76
Workflow Information
Non-square Matrix for 3D Recon
If you perfrom a 3D reconstruction of your spiral scan
you have the possibility to choose between three dif-
ferent FoV matrices: 512 square, 512 non-square, 256
non-square. In some cases it is already saved to the
scan protocol (Spine, CarotidAngio) set up a new scan
protocol or want to modify an existing one you can
save the non-square matrix together with the recon
parameters.
• 512 square: the FoV stays quadratic with a 512x512
matrix size.
• 512 non-square: the FoV can be adjusted as a rectan-
gle to your needs, for example spine reconstruction.
Its max. side ratio is 1:4.
• 256 non-square: the FoV can be adjusted as a rectan-
gle to your needs but with a lower matrix size and a
lower resolution for example RunOff , Cardiac recon-
structions. The maximum side ratio is then 1:8.
If you use the non-square matrix and you extend the
side length of your FoV more then the max. ratio then
the shorter side will be stretched to fit into the ratio
again.
You will find the FoV displayed in the image text for the
non-square matrix. It will be displayed like this: FoV X
x FoV Y.

Workflow Information
77
Case Examples for 3D Recon and Non-
Square Matrix
Some scan protocols are delivered with predefined
oblique and non-square matrix reconstructions.
These protocols are marked with the suffix “VOL”
•Coronal and sagittal reconstruction of the spine:
– Scan a topogram
– Plan your axial spiral scan range
– Reconstruction of the spiral images (RTR/RTD
images)
–Select Recon job Type sagittal/coronal
– Select the axial image segment
–Press button Set FoV Segment
– Select the Matrix size for example, non-square 512
and adjust the FoV to your needs.
– Define your desired reconstruction parameters
(e.g. image type SPO)
– Start reconstruction
– Repeat the reconstruction steps for the other
orientation (sagittal/coronal)
•Oblique reconstruction of the carotid:
– Scan a topogram
– Plan your spiral scan range
– Axial reconstruction of the spiral images
(RTR/RTD images)
–Select Recon job Type oblique
– Select the coronal image segment
– Enable Free Mode

78
Workflow Information
– Rotate the reference lines until the best view on
the sinuses is displayed in one of the other seg-
ments
– Select this segment and press button Set FoV Seg-
ment button
– Select the Matrix size for example, non-square 512
and adjust the FoV to your needs
– Define your desired reconstruction parameters
(e.g. image type SPO)
– Start reconstruction
•Double-oblique reconstructions of the heart
For detailed information on heart reconstructions
please refer to your "Cardiac CT" Application Guide.

Workflow Information
79
Workflow
Patient Position
A default patient position can be linked and stored to
each scan protocol. The SIEMENS default protocols are
already linked to a default patient position.
(Head first - supine)
If a scan protocol is selected and confirmed in the
Patient Model Dialog, the linked patient position
stays active until the user changes it, even if a scan pro-
tocol with different patient position is selected.
Auto Reference Lines
The Auto Reference lines settings defined in the
Patient Model Dialog can be linked and saved to each
scan protocol.
If a scan protocol is selected and confirmed in the
Patient Model Dialog, the linked Auto Reference
lines settings stay active until the user changes them,
even if a scan protocol with different Auto Reference
lines settings is selected.

80
Workflow Information
Navigation within the Topogram
Navigation within the topogram helps you to plan a
reconstruction range. The minimum conditions for its
use are a scanned range and the availability of RTD
(Real time display) images. After scanning, an orange
line is displayed within the topogram. This line corre-
sponds to the axial image in the tomo segment.
• If you scroll through the axial image stack, the
orange line in the topogram is displayed as a refer-
ence line to the currently displayed axial image in the
tomo segment.
• If you change the reconstruction begin or end, the
orange reference line automatically jumps to this
new position and the axial image in the tomo seg-
ment will be updated accordingly to the newly
selected position.
• If you move the whole recon box in the topogram,
the orange reference line automatically jumps to this
new position and the axial image in the tomo seg-
ment will be updated accordingly to the newly
selected position.

Workflow Information
81
API Language
The API language can now be selected directly in the
Patient Model Dialog.
When the API language is selected, only the relevant,
language specific API entries can be selected in the
Scan subtask card. This way it is much easier to select
the correct patient instruction.

82
Workflow Information
Before recording a new API text, first define the API lan-
guage in the API setup dialog under Setup > API/Com-
ment Setup in the main menu.

Workflow Information
83
e - Logbook
The goal of e-Logbook is to offer an effective and effi-
cient functionality to process examination informa-
tion.
The e-Logbook consists of three components:
•The e-Logbook Configuration
•The e-Logbook subtask card area
•The e-Logbook Browser, where all examinations
can be listed for viewing, sorting, searching and
printing
e- Logbook Configuration
You will find the e- Logbook Configuration under
Options >Configuration >e- Logbook Configuration.
The configuration is divided into three tab cards:
•General
• System Entries
• Manual Entries
Under General you can activate and deactivate the e-
Logbook, as default the e-Logbook is activated. If the
e-Logbook is deactivated, no patient information is
recorded.
If you do not want to have the e-Logbook displayed in
the subtask area you can switch it off, even though the
system entries will be recorded.
Additionally you can select a Default printer from a
drop down menu.

84
Workflow Information
Over Default Time period you can determine how the
recordings should be listed inside the e-Logbook
Browser:
– Today (which is the default setting)
– This week
– This month
–Yesterday
– Last week
–Last month
Any changes can be saved by selecting "Apply"

Workflow Information
85
On the Manual Entries tab card you can configure the
System Entries and Manual Entries, that should be
displayed in the e-Logbook.
System Entries are automatically filled out by the sys-
tem and displayed in the e-Logbook as read-only if
they are configured.
Default settings are:
• Date of Examination
• Patient Name
• Patient ID
•Date of birth
• Scan Protocol Name
•Total mAs
The Continuous Number field is an incremental num-
ber to mark each recorded study within a defined time
range. In addition the Start No. can be set to ensure for
example an ongoing numbering after a software
update.

86
Workflow Information
Furthermore the Continuous Number can be set to:
– Daily
– Monthly
– Yearly
If you set Continuous Number to Daily, the continu-
ous number starts with one each day.

Workflow Information
87
Additionally the user can define Manual Entries which
will also be displayed in the e-Logbook. These infor-
mation can be pre-configured and then selected over a
drop down menu in the e-Logbook.
To configure new entries of the drop down menu for
each Manual Entry, just type the desired information
inside and click on add.
To remove already existing entries, just select the entry
and click on delete.
Additionally you can customize up to five Manual
Entries fields. If you want to rename the customized
entry fields type select Rename.
e- Logbook subtask card area
If you close the current patient examination you will
get an e-Logbook subtask area which shows you all
the information that will be saved in your system. Here
you can edit the manual entries and save these as well
by clicking on "ok".

88
Workflow Information
e- Logbook Browser
You will find the e- Logbook Browser in the main
menu under Patient > e- Logbook browser or you can
use F12 key on your keyboard.
You can list the e-Logbook recordings by date. Select
your desired timeframe in the calendar and click List
now.
If you want to list the e-Logbook recordings from
today, click on Today and the recordings will be dis-
played immediately, no confirmation is needed.
A shortcut to yesterday’s recordings is accessible over
the black arrow on the right side of the Today button.
The system behaves the same if you want to list the
recordings from This Week/Last Week and This
Month/Last Month.

Workflow Information
89
Additional to the dates, certain criteria can be selected
to have a more specific search. Search criteria can be
defined for all entries recorded inside the e-Logbook.
For example, the entry Number of images is recorded.
A search for datasets which have a certain amount of
images can be defined.
Additional conditions can be defined in this case:
–is greater than
–greater or equal
–is less than
–less or equal
–equals
The conditions vary with the selected search criteria.
You will find under the only within drop-down menus
only the System and Manual Entries you have config-
ured before.
The list can be printed:
• Select from the main menu File> Print. The whole
list will be printed at the Default printer, which is
configured under Options> Configuration> e-Log-
book> General.
The list can be exported:
• Select from the main menu File> Export.
•A Save As dialog pops up.
• The list will be automatically exported to H:\Site-
Data\e-Logbook.
• A file name can be given.
The number of columns inside the displayed list
depend on the configurations under Options> Config-
uration> e-Logbook> System/Manual Entries.

90
Workflow Information
Hints for the Record List:
1. Calling up Patient Browser
When you double click on any record in the e-Logbook
Browser, the patient data of the Patient Browser will
be opened, if still available and the customer has the
chance to edit the patient information. This change
will also be updated inside the e-Logbook.
2. Updating the Recon List
The e-Logbook is updated automatically when the
examination data has changed within the Patient
Browser with Correct and Rearrange. Patient name,
date of birth, patient ID and study ID will be updated
automatically.
3. Sorting data within the Recon List
You can decide if the data in the Record List should be
listed in ascending or descending order. The default
sorting order is ascending. Just click on the column
head and a small arrow will appear, clicking on it will
change the sorting order.
4. Resizing and reorder the columns
It is possible to reorder the table columns by drag and
drop the column head. For resizing the columns you
just have to move the vertical column lines together.
5. Modify Manual Entries
Make a right mouse click into the cell and modify the
information to your needs. The cell background color
will be changed to green as an indication. Click on the
enabled "Apply" button, then the changes will be
applied to the database and the cell background color
will be white again.

Workflow Information
91
Study Continuation
An existing study can be continued at a later time.
To load an existing study:
• Select the desired study in the Patient Browser.
•Select Register from the Patient drop-down menu.
• The patient data is loaded in the Registration dialog
box.
The previous scan protocol is already preselected, but
it is also possible to select any desired scan protocol.
After the patient has been registered, the patient is
loaded into the Examination card.
The ranges already scanned are listed. The following
chronicle entry is shown between the ranges already
scanned and the new ranges: Exam Continue
<Patient Position>.
If you want to continue a contrast media study, the sys-
tem asks you if the next scan should be continued as a
non-contrast scan instead.
• If you want to continue as a non-contrast scan, the
chronicle entries for the new scan range is indicated
as a non-contrast scan. (No injector symbol is
shown.)
If you continue a study as a contrast study, the chroni-
cle entries of the new scan range are indicated as a
contrast scan. (An injector symbol is shown.)

92
Workflow Information
Reconstruction on the syngo CT Work-
place
It is possible to start all reconstructions from your sat-
ellite console.
• Raw data has to be available in the local database
• Select the raw data series of the patient in the
Patient Browser and load it into the Recon card
• Plan your recon jobs as usual

Workflow Information
93
Examination Job Status
You can get an overview of all recon jobs by clicking on
the recon task symbol in the status bar or selecting
Transfer – Examination Job status in the patient
main menu in the Patient Browser.
The Examination Job Status dialog box will appear
where all recon jobs (completed, queued and in work)
are listed. You can stop, restart and delete each job by
clicking the according button. To give a selected job a
higher priority click urgent.
The column Type shows you which kind of reconstruc-
tion is queued.
Two types are displayed:
–Recon
all recon jobs from the Recon card, either on the
syngo Acquisition Workplace or syngo CT Workplace.
–Auto 3D
all 3D reconstructions which you have send via Auto
postprocessing automatically into the 3D Card.
These jobs will be deleted from the job list as soon as
the patient is closed in the 3D card.

94
Workflow Information
Auto Load in 3D and Postprocessing
Presets
You can activate the Auto load in 3D function on the
Examination task card/Auto Tasking and link it to a
recon job, for example, the 2nd recon job with thinner
slice width in some of the examination protocols. If the
post-processing type is chosen from the pull-down
menu, the reconstructed images will be loaded auto-
matically into the 3D task card on the syngo Acquisi-
tion Workplace with the corresponding post-process-
ing type.
On the 3D task card you can create parallel and radial
ranges for Multi-Planar-Reconstruction (MPR) and Thin
Maximum-Intensity-Projection (MIP Thin), which can
be linked to a special series.
For example, if you always perform sagittal MPRs for a
spine examination, as soon as you load a spine exami-
nation into the 3D task card, select the image type
(MPR), orientation, and open the Range Parallel func-
tion. Adapt the range settings (image thickness, dis-
tance between the images etc.) and click the link but-
ton and save your settings. You now have a predefined
post-processing protocol linked to the series descrip-
tion of a spine examination.

Workflow Information
95
The same can be done for VRT presets. In the main
menu under Type > VRT Definition, you can link VRT
presets with a series description.
Some of the scan protocols, primarily for Angio exami-
nations, are already preset in the protocol with Auto
load in 3D. If you prefer not to have this preset, dese-
lect the Auto load in 3D and save your scan protocol.
Some of the scan protocols are preset in the protocol
with links to a post-processing protocol. If you prefer
not to have this preset, please delete the Range Parallel
preset or overwrite them with your own settings.

96
Workflow Information
Scan Protocol Creation
You can modify or create your scan protocols in two
different ways:
• by editing/saving scan protocols
• via scan protocol manager.
Edit/Save Scan Protocol
If you want to modify an existing protocol or create a
new one, for example, you want to have two Abdo-
menRoutine Protocols with different slice widths, we
recommend you do this directly on the Examination
task card.

Workflow Information
97
User-specific scan protocols can be saved with the fol-
lowing basic procedure:
• Register a patient, you can choose any patient posi-
tion in the Patient Model Dialog.
• Select an existing scan protocol in the Patient Model
Dialog.
• Modify the scan protocol, change parameters, add
new ranges etc. to adapt the new protocol to your
requirements.
• Scan your patient as usual.
• Check that all parameters are as you desire.
•Select Edit/Save Scan Protocol in the main menu.
• Select the folder where you want the new protocol to
appear and the scan protocol name in the pop-up
dialog box.
• You can either use the same name to overwrite the
existing scan protocol or enter a new name, which
will create a new protocol name and will not alter
any of the existing protocols already stored.
• If you want to save an "old" protocol again, you may
have to modify the protocol name. The old protocol
(with the old name) must be cancelled explicitly.

98
Workflow Information
Additional important information:
• You can save your scan protocol at any time during
the examination.
• It is recommended that you save your own scan pro-
tocol under a new name in order to avoid overwrit-
ing the default scan protocol.
• Do not use special characters or blanks. Allowed are
all numbers from 0 to 9, all characters from A to Z
and a to z and explicitly the _ (under-score), but no
country-specific characters, for example, à, ê, å, ç, ñ.
• Do not rename scan protocol files at Windows level.
This will lead to inconsistencies.
• You can now save your own scan protocols in any
pre-defined folder. The organ characteristics will
belong to the scan protocol, not to the region.
•In the Patient Model Dialog, the modified scan pro-
tocols are marked by a dot in front of the protocol.
Scan Protocol Assistant
If you want to modify special parameters for several
existing scan protocols or you want to modify the
folder structure, we recommend doing this in the
"Scan Protocol Assistant".
You will find the Scan Protocol Assistant under
Options > Configuration in the main menu.

Workflow Information
99
Step 1 - What do you want to do?
Four different operation types are possible:
• Manipulate Scan protocols (cut, copy, paste and
delete)
• Change parameters
• Import scan protocols from SOMATOM LifeNet/CD
• Restore protocols to Siemens default
Additional important information
• Each workflow consists of up to five steps, indicated
by the footprints.
• Depending on the workflow step you can list all scan
protocols or all selected scan protocols. The
<Export> button exports the listed scan protocols in
MS Excel recognizable format.
The export file is always created in H:\SiteData\proto-
cols folder. The folder selection cannot be changed.
• The section "Change Parameters" is preselected as
default.
• Depending on the selected workflow in Step 1, the
Scan protocol Assistant leads you through the cor-
responding steps.
• From Step 3 an <Undo> and <Redo> button are
added. Both buttons only affect the last operation.
• You can navigate through the selected workflow via
the footprints or with the "Back" and "Next" buttons.
With the "Quit" Button you can leave the Scan Proto-
col Assistant at any time without any changes
saved.

100
Workflow Information
Manipulate scan protocols
This workflow consists of four steps.
Step 2 - Manipulate scan protocols (cut/copy/paste/
delete)
To be able to modify existing scan protocols you just
have to click with the right mouse button onto the pro-
tocol you want to cut, copy or delete, there a menu will
be displayed where you can choose what you want to
do.
Cutting a scan protocol out of one of the folders and
putting it into another one can be done with cut and
then click again on the right mouse button on the
desired folder and you will get the option to paste this
scan protocol there. If you want to leave the scan pro-
tocol in the old folder and save it into another one you
just use the copy/paste function. Removing a scan pro-
tocol will delete it. Adult and Child protocols are man-
aged separately.

Workflow Information
101
Setting the Emergency Protocol:
One protocol must be labeled as the emergency pro-
tocol, if you want to change the default emergency
protocol you have to select the desired protocol and
click onto the Emergency icon. An Application Restart
is necessary to set the new default emergency proto-
col.
The emergency protocol is displayed with the Emer-
gency icon in front of the protocol name. This protocol
can not be deleted.

102
Workflow Information
Step 3 - Confirmation
Here you can check the modifications and save the
changes. All relevant information such as the Name of
the manipulated scan protocols, destination Folder,
Name of the deleted protocols and the changed Emer-
gency protocols are displayed inside the Change over-
view.
Step 4 - Changes saved
In this step you can decide if you want to pass a differ-
ent modification workflow or if you want to exit the
Scan Protocol Assistant.

Workflow Information
103
Change parameters
This workflow consists of five steps.
Step 2 - Select the scan protocols you want to
change
Here you can select:
• scan protocols with certain recon jobs
• all scan protocols with ECG
• all customized or Siemens scan protocols for modifi-
cation
• all scan protocols
Additionally you can choose in the protocol list:
• single scan protocols
• all scan protocols within a body region
• several body regions
Adult and Child protocols are managed apart.
Step 3 - Change parameters
In this step a second footprint section is added, con-
sists of:
–Protocol
– Topogram
–Scan
–Recon
–Auto tasking
– Trigger

104
Workflow Information
All scan protocols selected in Step 2 are displayed. For
each parameter you can select the scan protocols you
want to apply your changes. The <Select All> check-
box is convenient for the user to select and deselect all
scan protocols listed. If the parameter values in the
selected rows are the same, the value will appear in the
corresponding entry, otherwise if the parameter val-
ues in the selected rows are different, no value is dis-
played in the subsection.

Workflow Information
105
Protocol
Select single scan protocol or all scan protocols you
want to modify in this subsection.
In the subsection Protocol the following changes can
be made:
– Protocol Name
This entry is only available in single protocol selec-
tion. Here you can rename your scan protocol.
– Default Patient Position
Enter the patient position you want to have as
default displayed in the Patient Model Dialog.
– Auto reference Lines
Select where you want to have displayed the Auto
reference lines:
•On study level
• On series level
• Off (the entry in the Auto tasking card cannot be
selected)
–Body region
Select in which body region the scan protocol should
be saved and displayed in the Patient Model dialog.

106
Workflow Information
The four buttons: Column Configuration, Show/Hide
Parameters, Parameter Property and Find/Replace
are now available.
–Column Configuration
With the column configuration you can include or
exclude specific entries that will be displayed in the
sub footprint line and also change the order of the
entries with the drag&drop functionality.
–Show/Hide Parameters
You can decide if you want to show/hide the parame-
ters in the parameter area of the selected protocols.
–Parameter Property
If you select a single cell you are able to get the param-
eter properties displayed as a minimum and maximum
value together with the units and incremental steps.
–Find/Replace
For a fast and easy handling you can search for certain
values and replace them with the desired value.
If you have selected for example the columns mAs,
Recon increment, Auto filming, Auto transfer CD/DVD,
Auto transfer Node a so called "Function" area will be
accessible and over a drop down menu task specific
instructions are selectable.

Workflow Information
107
Topogram
Select single scan protocol or all scan protocols you
want to modify in this subsection.
In the subsection topogram the following changes can
be made:
–mA
Set the mA value for the topogram.
– Topogram length
All available topo lengths are listed in the dropdown
list.
–Tube position
Set the tube position either to Top or Lateral.
–kV
Can be defined individually to the Scan value.
– Auto transfer modes
Sends images automatically
–Auto Viewing and Filming
Loads images automatically into the Viewing or Film-
ing card.
–API
Select one of the predefined breathing commands
from the dropdown list.
– Scan direction
Select Head to Feed or Feed to Head from the drop-
down list.

108
Workflow Information
Scan
Select single scan protocol or all scan protocols you
want to modify in this subsection. Additionally you can
select the scan mode entries:
–Sequence
–Spiral
–Multiscan
–CAREVision
The displayed parameters depend on the selection you
have made.
• If no special scan mode is selected, the so called
mixed mode is active. The mixed mode means the
user can choose scan ranges from different
modes(Spiral, Sequence, Multiscan, or CAREVi-
sion modes). If the control in one mode is not appli-
cable, the control in mixed mode is not shown in
<Parameters Area>.
A checkbox <Including topogram> is shown below
the parameter grid. When the checkbox is selected, an
information line is added to the parameter grid. The
line is placed immediately before the ranges belonging
to the topogram, you might have to scroll to the right
side of the line to get the information visible.

Workflow Information
109
It is possible to insert the Autorange brackets in a
selected Multi Range by using the right mouse button
and removing the Pause from the protocol. You are
also able to put a pause into your selected Ranges so
you are scanning the ranges seperatly.

110
Workflow Information
Scan Parameters Spiral
Mode
Sequence
Mode
Multisca
n Mode
CareVision
Mode
Mixed
Mode
mAs X X X X
eff. mAs X X
CARE
Dose type X X X
Dose
modulation X X X
Quality Ref
mAs X X X
kV X X X X X
Slice X X X X X
Cycle Time X
Rotation
Time X X X X X
Pitch X
Table feed X
Scan Time X X X X
Scan
Direction X X
HandCARE X
Start Delay X X X X
Range Start X X X X X
API X X X X
API Cluster X
Range
Name X X X X X
Comment X X X X X

Workflow Information
111
Recon
You can select all recon jobs, Sequence, Spiral, Multi-
scan and CareVision Scan Entries you want to modify
in this subsection, of course you can also only select
single Recon jobs out of the list. Additionally you can
display information about the scan range:
• When <include scan range information> is
selected, an information line for each scan range is
listed before the recon jobs belonging to this scan
range, you might have to scroll to the right side of
the line to get the information visible.
• If no special scan mode is selected, the so called
mixed mode is active. The mixed mode means the
user can choose scan ranges from different modes
(Spiral, Sequence, Multiscan, or CAREVision
modes). If the control in one mode is not applicable,
the control in mixed mode is not shown in <Param-
eters Area>.

112
Workflow Information
In the subsection Recon the following changes can be
made:
Scan Parameters Spiral
Mode
Sequence
Mode
Multisca
n Mode
CareVision
Mode
Mixed
Mode
Slice X X X X X
Recon
Increment X X
Kernel X X X X X
Window X X X X X
Mirror X X X X X
No of
images X X X X X
Extended
FoV X X X X
Recon type X X
Series
description X X X X X
Recon job
type X X
Recon axis X X
Image Order X X X
Non square
matrix X X
3D Recon X X

Workflow Information
113
AutoTasking
Select single recon job or all recon jobs you want to
modify in this subsection. Additionally you can display
information about the scan range:
• When "include scan range information" is selected,
an information line for each scan range is listed
before the recon jobs belonging to this scan range,
you might have to scroll to the right side of the line
to get the information visible.

114
Workflow Information
In the subsection Auto Tasking the following changes
can be made:
• Auto transfer 1,2,3
•Auto Viewing
•Auto Recon
• Auto Filming
• Auto Postprocessing
• Auto Reference lines (only if selected in the protocol)
• Body Part Examined

Workflow Information
115
Trigger
Select single, all, all sequence or all spiral scan proto-
cols with trigger,
• When "include scan range and recon information" is
selected, an information line for each scan range and
reconstruction is listed before the recon jobs belong-
ing to this scan range, you might have to scroll to the
right side of the line to get the information visible.
In the subsection you can make the following changes:
Sequence Spiral Mixed
Synthetic Trigger X X X
ECG Pulsing X
Phase Start in % or ms X X X
Phase Start X X X
MultiPhase X
ACV X X X

116
Workflow Information
Some parameters listed are associated with each other.
If you input a value which influences another value
and therefore causes a conflict, the influenced param-
eter values are auto corrected and displayed in green.
If an invalid protocol is loaded, the parameters with the
incorrect value will be highlighted in yellow. If you
insert incorrect values these will be marked in yellow
and will be auto corrected. All the values will be
adjusted after the first change is made.
Step 4 - Confirmation
In this step the changed protocols are listed with both
the old and the changed parameters and they have to
be confirmed.
Step 5 - Changes saved
In this step you can decide if you want to pass a differ-
ent modification workflow or if you want to exit the
Scan Protocol Assistant.
State Color
valid white
changed & valid
(after an action)
green
invalid yellow
read only gray

Workflow Information
117
Import scan protocols from SOMATOM
LifeNet/CD
In this workflow you can import new scan protocols
either from SOMATOM LifeNet, if a remote connection
is available, or from CD.
Before you can import new scan protocols, you have to
download them from the SOMATOM LifeNet.
This workflow consists of three steps:
Step 2 - Import scan protocols
Follow the instructions on this page to import the scan
protocols.
Step 3 - Changes saved
In this step you can decide if you want to pass a differ-
ent modification workflow or if you want to exit the
Scan Protocol Assistant.

118
Workflow Information
Restoring protocols to Siemens default
This workflow consists of four steps:
Step 2- Select the scan protocols you want to
restore to Siemens default.
In this workflow you can restore or import Siemens
default scan protocols. Adult and Child protocols are
managed apart.
• Select what you want to do
– Replace customized protocols with same name.
All selected modified scan protocols will be
replaced with the Siemens default scan protocol
settings. All changed protocols made by the user
which are marked with a black dot in front will be
lost.
– Add Siemens protocols as duplicates
Customized scan protocols with the same name as
original Siemens protocols will get a new name
extension "(Customized)".
If there exists a scan protocol with this name, the
new copies are numbered, for example:
HeadSpi.MlAdult > HeadSpi(Customized).MlAdult
HeadSpi_(Customized).MlAdult>
HeadSpi_(Customized2).MlAdult
The original Siemens protocols will be copied in
the corresponding body region folder.

Workflow Information
119
If no customized scan protocols are selected, the radio
buttons <Replace customized protocols with same
name> and <Add Siemens protocols as duplicates>
will be dimmed.
• Select deleted Siemens scan protocols
–The <Select Deleted> checkbox is convenient for
the user to select and deselect all deleted Siemens
default scan protocols
– The checkbox is in indeterminate state when some
but not all deleted Siemens default scan protocols
are selected in the region protocol lists.
– The checkbox is disabled (dimmed) when there is
no deleted Siemens default scan protocols.
Step 3 - Confirmation
In this step the changed protocols are listed (old and
new Ones) and the changes have to be confirmed.

120
Workflow Information
Step 4 -Changes saved
In this step you can decide if you want to pass a differ-
ent modification workflow or if you want to exit the
Scan Protocol Assistant.
List all Scan Protocols and all selected Protocols
To list all available protocols, select the List all proto-
cols icon in the lower left corner of any arbitrary step.
Comparisons between Siemens default and custom-
ized protocols is possible with this table. You are able
to print, export to floppy and export this sheet as a
.xml file under H:/SiteData/protocols.
The same can be done with all selected Protocols as
well.

Workflow Information
121

122
Contrast Medium
Contrast Medium
The Basics
The administration of intravenous (IV) contrast mate-
rial during spiral scanning improves the tissue and
lesion characterization, as well as the opacity of ves-
sels. The contrast scan will yield good results only if
acquisition is performed during the optimal phase of
enhancement in the region of interest. Therefore, it is
essential to initiate the acquisition with the correct
start delay. Since multislice spiral CT can provide much
faster speeds and shorter acquisition times, it is even
more critical to get the right timing to achieve optimal
results.
Longer scan time Shorter scan time
10 s scan
40 s scan

Contrast Medium
123
The dynamics of the contrast enhancement is deter-
mined by:
• Patient cardiac output
•Injection rate
• Total volume of contrast medium injected
• Concentration of the contrast medium
• Type of injection – uni-phasic or bi-phasic
• Patient pathology
Aortic time-enhancement curves after i.v. contrast
injection (computer simulation*).
All curves are based on the same patient parameters
(male, 60-year-old, 75 kg).
* Radiology 1998; 207:647 – 655

124
Contrast Medium
Injection rate: 2 ml/s,
120 ml, 300 mg I/ml
Injection rate: 4 ml/s,
120 ml, 300 mg I/ml
Total volume of contrast
medium injected: 80 ml,
4 ml/s, 300 mg I/ml
Total volume of contrast
medium injected: 120 ml,
4 ml/s, 300 mg I/ml
Type of injection: Uni-
phase
140 ml, 4 ml/s,
370 mg I/ml
Type of injection: Bi-
phase
70 ml, 4 ml/s,
plus 70 ml, 2 ml/s,
370 mg I/ml
Relative Enhancement [HU]
Time [s]
Relative Enhancement [HU]
Time [s]
Relative Enhancement [HU]
Time [s]
Relative Enhancement [HU]
Time [s]
[]
Relative Enhancement [HU]
Time [s]
Relative Enhancement [HU]
Time [s]

Contrast Medium
125
IV Injection*
The administration of a contrast medium depends on
the indication and on the delay times to be used during
the examination. The patients weight and circulatory
situation also play a role. In general, no more than 3 ml
per kg of body weight for adults and 2 ml per kg of
body weight for children should be applied.
For a CTA study (arterial phase), the principle is to keep
the contrast flowing throughout the duration of the
scan. Thus, the total amount of contrast medium
needed should be calculated with the following for-
mula:
CARE Bolus CT or Test Bolus may be used for optimal
contrast bolus timing. Please refer to the special proto-
cols.
To achieve optimal results in contrast studies, the use
of CARE Bolus CT is recommended. In a case where it
is not available, use Test Bolus. Once completed, load
images into DynEva task card for calculation of Time
to Peak enhancement.
For multiphase examinations, for example, three-
phase liver, the maximum start delay can be set to
600 sec. The countdown of the delay always starts
after scanning of the previous phase.
*For more information regarding the general use of
drugs and doses mentioned in this guide, please
refer to page 2.
CM = (start delay time + scan time) x flow rate.

126
Contrast Medium
Bolus Tracking
An automatic Bolus Tracking program is available
which enables triggering of the spiral scanning at the
optimal phase of the contrast enhancement.
Additional Important Information
1.This mode can be used in combination with any spi-
ral scanning protocol. Simply insert Bolus Tracking
by clicking the right mouse button in the chronicle.
This inserts the entire set-up including pre-monitor-
ing, i.v. bolus, and the monitoring scan protocol. You
can also save the entire set-up in your own scan pro-
tocols.
2.The pre-monitoring scan is used to determine the
position of the monitoring scans. It can be per-
formed at any position of interest. You can also
increase the mAs setting to reduce the image noise
when necessary.
3.To achieve the shortest possible spiral start delay
(2 s), the position of the monitoring scans relative to
the beginning of spiral scan must be optimized.
A snapping function is provided:
– After the topogram is performed, the predefined spi-
ral scanning range and the optimal monitoring posi-
tion will be shown.
– If you need to redefine the spiral scanning range,
you should also reposition the monitoring scan in
order to keep the shortest start delay time (2 s). (The
distance between the beginning of the spiral scan-
ning range and the monitoring scan will be the
same).

Contrast Medium
127
– Move the monitoring scan line toward the optimal
position and release the mouse button, it will be
snapped automatically. (Trick: if you move the mon-
itoring scan line away from the optimal position the
snapping mechanism will be inactive).
4.Place a ROI in the premonitoring scan on the target
area or vessel used for triggering with one left
mouse click. (The ROI is defined by double circles –
the outer circle is used for easy positioning, and the
inner circle is used for the actual evaluation). You
can also zoom the reference image for easier posi-
tioning of the ROI.
5.Set the appropriate trigger threshold, and start con-
trast injection and monitoring scans at the same
time.
The relative enhancement of the target ROI will be
displayed for the duration of the monitoring scan.
When the predefined density is reached, the spiral
acquisition will be triggered automatically.
6.You can also initiate the spiral any time during the
monitoring phase manually – either by pressing the
START button or by left mouse clicking the START
radio button. If you do not want to use automatic
triggering, you can set your trigger threshold num-
ber extremely high so that it will not trigger auto-
matically and start the spiral when you want to.

128
Contrast Medium
Test Bolus using CARE Bolus
You can use the CARE Bolus option as a Test Bolus.
Method
1.Insert a Bolus Tracking via the context menu prior to
the spiral.
2.Insert contrast from the context menu.
Note: By inserting contrast you are interrupting the
Auto range function preventing an automatic start
of the spiral.
3.Start with the topogram.
4.Position the premonitoring scan and the spiral.
5.Perform the premonitoring scan, position and
accept the ROI.
6.Start the monitoring scans and a small amount of
contrast medium (20 ml/2.5 ml/sec.). The rate of the
injection on the monitoring scans should match the
rate of injection used for the spiral scan.
Note: When you start the spiral manually, the sys-
tem switches to the Trigger tab card. The trigger line
is not shown at this stage.
7.Now you can read the proper delay from the Trigger
tab card.
8.Insert the delay in the Routine tab card and load the
spiral.
9.Start the spiral and injector at the same time with
the appropriate amount of contrast for the study
being performed.

Contrast Medium
129
Test Bolus
This is a low dose sequential protocol without table
feed used to calculate the start delay of a spiral scan to
ensure optimal enhancement after the contrast
medium injection. The syngo Dynamic Evaluation
function may be used to generate the time density
curve. You will find the Test Bolus scan protocol in the
chapter Specials.
Method
1.Select the spiral mode that you want to perform and
then Append the Test Bolus mode under Special
protocols.
2.Insert the Test Bolus mode above the contrast spiral
scan of interest using cut/paste (with right mouse
button).
3.Perform the topogram and define the slice position
for the test bolus.
4.Check the start delay, number of scans, and cycle
time before loading the mode.
5.A test bolus with 10 – 20 ml is then administered
with the same flow rate as during the subsequent
spiral scan. Start the contrast media injection and
the scan at the same time.

130
Contrast Medium
6.Load the images into the DynEva task card and
determine the time to peak enhancement. Alterna-
tively, on the image segment, click select series
with the right mouse button and position an ROI on
the first image. This ROI will appear on all images in
the test bolus series. Find the image with the peak
HU value, and calculate the time delta t taken to
reach the peak HU value (do not forget to add the
preset start delay time). This time can then be used
as the optimal start delay time for the spiral scan.
CARE Contrast
With the injector coupling, the bolus injector can now
be connected to your CT scanner.
Key features
• Synchronized scanning and contrast injection
• One button control from the CT-console and from
the injector
– The scan start can be initiated by the injector and
also by the CT scanner, without having to press
both start buttons at the same time.
– The start by the CT can also be done via the foot
switch.
–The Start of the CT scanner, including the start
delay can be initiated also by the start button at
the bolus injector.
The injector and the CT have to be coupled explicitly.
You can store protocols where the injector coupling is
selected.

Contrast Medium
131
Workflow
To start a contrast enhanced examination in coupled
mode:
• Select the Scan subtask card.
• Select under the menu field Scan Start either the
entry Injector coupled (Start button) or the entry
Injector coupled (Footswitch)
– Injector coupled (Start button): The Start button
of the CT scanner will start the injector.
– Injector coupled (Footswitch): The footswitch of
the CT scanner will start the injector.
If an injector is connected, load the scan mode first and
then arm the injector.
Depending on the injector it might be not possible to
arm the injector before the scan protocol is loaded (see
User manual of the injector). When the mode is
loaded, the CT scanner will ask you to check the injec-
tor and to arm it. Check the parameters at the injector
side and confirm the parameters. The injector is armed
and ready for the examination.
Note: If the scan mode is unloaded the injector will
also be disabled.

132
Contrast Medium
After the injector is armed the scan and the injector
can be started by pressing either the Start button/
Footswitch at the scanner, or the Start button at the
injector panel outside of the scan room or directly at
the injector inside the scan room.
Note: If the injector is not ready the scan cannot be
started. If both systems are ready to START and the
user disarms the injector, the bubble Check Injector is
shown again.

Contrast Medium
133
Additional Important Information
•If Coupled Mode is selected the CT checks if there is
an injector available.
The scan mode cannot be loaded if a connection can-
not be established or if the injector does not accept
coupling (The injector will not accept coupling while
injecting).
A message appears: Injector is not connected.
• Scanning interrupted
If the injector does not accept the START from the CT
the scan mode is cancelled.
If the scanner is suspended by the user or if technical
problems occur, the injector will be stopped too.
• Injector stopped
If the injector is stopped by the user the scan will be
stopped too.
If the injector is interrupted, by pressing the Hold
button the scan will be continued.

134
Contrast Medium
The injector reports a technical problem:
The connection between scanner and injector is inter-
rupted, or the injection was stopped due to technical
problems. In this case the scan continues and an error
message pops up.
The user can decide if he wants to stop the scan or if he
would like to continue.
• If the injection is longer than the CT scan, the CT
scanner does not stop the injection.
A new scan mode can be loaded. If the new mode is
a coupled mode, the scan can only be started if the
injector is ready.
• When a coupled range is pasted or repeated, the
start condition for the new scan is reset to uncou-
pled.

Contrast Medium
135

136
Application Information
SOMATOM LifeNet
General Information
SOMATOM LifeNet is our information and service por-
tal that can be accessed directly at the syngo Acquisi-
tion Workplace, syngo CT Workplace, and syngo
MultiModality Workplace. It provides up-to-date
news about your scanner, helpful configuration infor-
mation about your system, and enables you to access
the SOMATOM LifeNet online area where you will find
further functions to ease your daily work.
To benefit from the SOMATOM LifeNet online area, a
Siemens Remote Service connection is required. The
SOMATOM LifeNet online area allows you to order
90 day Trial Licenses for free, download application
guides or find interesting information and services
related to your CT system.
Siemens Remote Service is part of your service con-
tract and is also prerequisite for other services for your
CT system which optimize your system's availability
and efficiency.

Application Information
137
Key Features
SOMATOM LifeNet offline (All users):
• General Information about your system and configu-
ration
• Access to syngo E-Learning
SOMATOM LifeNet online (In combination with a Sie-
mens Remote Service connection):
• Newsticker archive and FAQ (frequently asked ques-
tions) section
• Free trial software order and installation
• Download of information, manuals and scan proto-
cols
• Log Book order functionality: A contact function for
an easy and fast interface to Siemens including the
possibility to attach up to two DICOM images

138
Application Information
SOMATOM LifeNet offline
Start SOMATOM LifeNet by selecting SOMATOM
LifeNet under Options in your syngo menu bar and
you will find a browser window that allows you to
access various information about your hard- and soft-
ware environment.
Under System Information, for example, you will find
information such as software version or a scan second
counter. Under Customer Information you can enter
your contact data.
Access to syngo E-Learning
Start the syngo E-Learning to learn more about your
software and the use of basic and advanced applica-
tions.

Application Information
139
The syngo Basics E-Learning is pre-installed on your
system and can directly be used by selecting E-Train-
ing. The syngo Advanced Application E-Learning
can be downloaded in the SOMATOM LifeNet online
area or is sent to you automatically on CD if trial soft-
ware is requested via SOMATOM LifeNet.
In case a pdf document (e.g., Application Guides) is
not visible in the SOMATOM LifeNet window after
being opened, please minimize or move the Browser
window of the SOMATOM LifeNet platform since it
might be hidden in the background.

140
Application Information
SOMATOM LifeNet online
When you start up your system you will receive up-to-
date information in the Newsticker and see the expi-
ration date of installed trial software.
Access the Siemens Extranet by clicking on SOMATOM
LifeNet online. After entering your CT system serial
number you will be forwarded to the information and
service portal. You can find the serial number by
selecting system information in the offline part of
SOMATOM LifeNet.
You will be able to view up to date information and
make use of various services.

Application Information
141
Download of Files
Each download will be performed in the background
and even if you disconnect your SOMATOM LifeNet
online session and start to work with the CT scanner, it
will continue the process until the download is com-
pleted. Due to bandwidth restrictions it is only possible
to perform one download at a time.
Depending on your connection speed downloading of
larger files like, for example, the Advanced Applica-
tion Training may take quite some time. Shutting
down the system in between will interrupt the down-
load.
Downloaded PDFs can be found offline under
Options > File Browser > H:\SiteData/Manuals.

142
Application Information
The E-training is automatically installed as soon as it is
downloaded and can be started within the SOMATOM
LifeNet offline section under SOMATOM Educate > E-
Training.
For syngo Acquisition Workplaces, you can down-
load and install scan protocols.
To install the downloaded protocols open the Scan
Protocol Manager via Options > Configuration.
Select Import Scan Protocols in the menu Scan Proto-
col. You can select which protocols you want to import
and which not from a selection box which opens,
allowing you to choose the protocols you want to copy
to your Customer Folder. These protocols are then
ready to use for your next examination.

Application Information
143
All new protocols, including those you did not choose
to import to the Customer Folder will also be stored in
the Siemens Folder so that they can be copied later.
All downloaded scan protocols are named "DL_.." so
they can be easily identified when mixed with pre-
installed protocols.
Also, see the chapter Scan Protocol Assistant for more
information.

144
Application Information
Contact Function
Contacting Siemens via Email is possible directly from
your scanner and even DICOM images can be attached
to your message. To attach an image, please first select
the images on your Viewing task card first and then
export these images to H:\SiteData\Offline as a DICOM
image.
After exporting the image, open the Siemens Extranet
and choose Contact. After entering your message you
can easily attach the image by selecting the images
from the File Browser with the shortcut CTRL and C and
paste it with the shortcut CTRL and V into the Extranet.
Every patient image is made anonymous before send-
ing. Because the SOMATOM LifeNet window is always
in the foreground we recommend to restore/minimize
it to be able to switch between both screens, the File
Browser and the SOMATOM LifeNet window.

Application Information
145
Trial Order and Installation
As a SOMATOM CT user you can request trial clinical
software directly from the scanner. The requested soft-
ware will be made available and installed automati-
cally through our Siemens Remote Services connec-
tion.
After you have accessed the SOMATOM LifeNet online
area, you can choose system-specific trial software
under SOMATOM Expand > Trial Licenses. After click-
ing on Order Trial and confirming a license agreement
for trial-use software, you will enter your contact data
and then submit the license request.
The trial software will be installed within eight working
days and you will then be informed about the success-
ful installation via the SOMATOM LifeNet news-ticker
window that appears during system start-up.
Trial licenses are valid for 90 days and can only be
ordered once.Forwarding Information via Email

146
Application Information
Forwarding information via Email
This service enables those customers who do not have
a printing device connected to their CT Scanner, but
would like to have the information provided in SOMA-
TOM LifeNet sent to their regular email account or for-
warded to a contact person of interest as an email.
Information about current courses and clinical training
programs, as well as CT accessories can be sent from
the scanner to any email account. This information can
then be printed or a quote requested from your local
Siemens representative.

Application Information
147
Image Converter
The CT application Common DICOM Adapter can con-
vert different DICOM data sets to formats provided by
other CT vendors.
– You will find the converter in the Applications menu
of the Patient Browser.

148
Application Information
In the pop-up window you can select the application
for which you want to convert the images

Application Information
149
Split-Up Multi-Phase Series
1.Select Split-up series according to trigger delay
from the section Split-up Heartview 4D series, if
you intend to split-up the series of multi-phase heart
reconstruction according to the different heart
phases included.
Or
2.Select Split-up series according to slice position to
split up the series according to the different slice
positions it contains.
After conversion you can load these data sets into the
application of your choice.

150
Application Information
Report Template
Configuration
Under Options/Configuration you will find the Report
Template Configuration.
With the Report Configuration you can edit the basic
information, e.g. clinic information for your report
templates of the applications:
–syngo Calcium Scoring
–syngo Colonography CT
–syngo Lung CARE CT
Additionally you can insert your logo and select which
reference data you want to use.

Application Information
151
File Browser
The File Browser provides you with a secure means of
accessing and managing data in a private folder, which
is a well defined part of the computer file system. This
user partition is strictly separated from the system
operating file system.
The user partition is shared read only and may be used
for transferring data from the scanner to other com-
puters, for example, transferring DICOM images
(export to offline), transferring AVIs, or accessing files
(PDF files) which were downloaded via SOMATOM
LifeNet.
Key Features
• Copy images and files to the CD Burn folder.
• Raw data transfer.
• Access to all created reports and movies (AVI files).
• Access to the offline folder.
• Access to downloaded files.
Open the File Browser via main menu entry:
Options > File Browser.
The File Browser provides special folders for CT applica-
tions. The created reports and movies are saved within
these folders.
With an external PC connected you can access your
offline data on the external PC for post-processing.

152
Application Information
Raw data transfer:
Raw data set can be transferred.
First configure the directory where the raw data should
be transferred to:
• Open the File Browser.
• Choose the desired directory from the navigation
tree to the left of the File Browser.
• Select the item Set as Export Root from the CT Data
Transfer drop down menu.
• Select the raw data files you want to transfer in the
content area of the Patient Browser.
• From the browser open the Patient main menu and
select the item Transfer CT Data.
• The raw data includes the ECG file.
Transfer files to USB storage device:
• Insert an USB memory device into the USB port.
A new folder is added to the File Browser:
"USB storage device (F:)"
• Select the desired files and send them via the right
mouse button menu to the USB storage device.
Transfer files to floppy:
• Select the desired files and send them via the right
mouse button menu on a floppy disk.

Application Information
153
Burn on CD:
• Do not write files to CD-R while other jobs are being
transferred.
• Make sure that the volume of data to be recorded
does not exceed the CD-R storage capacity.
• Select the desired files and copy & paste or drag &
drop them into the folder CDBurn (or send them via
the right mouse button menu to the folder CDBurn).
• Open the LocalJobStatus in the Patient Browser and
clear all entries.
•Select Record to Offline in the Transfer menu of the
Patient Browser.
• CD writing starts.
Hint: Offline files can only be written to CD in a sin-
gle session.
When recording is successfully completed the entries
in the subdirectory CDBurn will be deleted automati-
cally.

154
Application Information
Review reports and movies:
• Select the desired files and double-click on them.
• The corresponding program, for example, Movie
Media Player, will be opened and you can review
what you have saved.
• You can now transfer these files to floppy disk or
copy them onto a CD.
Additional Important Information:
• Files with the following extensions cannot be
started/ opened from the File Browser
“bat“, “cmd“, “com“, “exe“, “reg“, “dot“, “htm“,
“html“, “pl“, “vbs“, “js“, “wsf“, “wsh“, “xml“.
• To transfer avi files from the File Browser to any
external storage device, for example, CD or USB
stick, use RMB menu Send to. Drag & drop and copy/
paste to any storage device is not possible within the
File Browser.

Application Information
155
Camtasia
Camtasia is a separate software tool that allows you to
film your desktop activities. You can save these record-
ings as avi files for documentation and presentation
purposes.
Key features
• Camtasia Recorder: to capture avi files.
Before starting recording you can select the area you
want to capture.
• Camtasia Player: to play avi files
• Camtasia Producer: to edit avi files
To open the Camtasia tool, select in the main menu
Application > Desktop > Camtasia Recorder.

156
Application Information
Under Tools > Options you can define special settings
for recording:
• AVI – to define Video and Audio options
• File – to define the output options (files and folders)
• Hotkeys – to define special hotkeys, e.g. for start/
stop recording
• Live – to define live source options

Application Information
157
• Program – to define capture options

158
Application Information
The Effects Options dialog box allows you to set
options for your recording, for example, cursor effects.

Application Information
159
Additional Important Information
• To transfer avi files from the file browser to any exter-
nal storage device, for example CD, or USB stick use
RMB menu Send to. Drag&drop and copy/paste to
any storage device is not possible within the File
Browser.
• To display the main menu, set ToggleView - Com-
pact.
• AVI files can only be played on the
syngo
CT Work-
place.
• For further information on how to operate the
Camtasia tool, please refer to the Help menu.

160
Application Information
Patient Protocol
Scan: number of scan range
kV: kilo Volt
mAs: averaged applied mAs of the range
ref. mAs quality ref. mAs of the range
TI: Rotation Time
cSL: collimated Slice
CTDIvol:
For further information please refer to
the chapter “Dose Information“.
DLP: Dose Length Product
Total DLP DLP value of the entire examination
Total mAs actual mAs value of the entire
examination
CTDIW
Pitch Factor
CTDIvol x (length + collimated slice)
10

Application Information
161

162
Overview
In this chapter you will find all scan protocols relating
to the Head region, their descriptions, individual indi-
cations, and important hints on using them.
You can use the following scan protocols to clarify, for
example, stroke, brain tumors, cranial trauma, cere-
bral atrophy, hydrocephalus, and inflammatory
changes.
Head

Head
163
For SOMATOM Emotion 16-slice configuration:
–HeadRoutine
Spiral mode for routine head studies
–HeadNeuro
Special spiral mode using an acq. of 4 x 0.6 mm
–HeadSeq
Sequential mode for routine head studies
–InnerEarHR
Spiral mode for high resolution inner ear studies
–InnerEarHRVol
Spiral mode for high resolution inner ear stud-ies
and double oblique studies
–InnerEar
Spiral mode for routine ear studies
–InnerEarSeq
Sequential mode for inner ear studies
–Sinus
Spiral mode for routine sinus studies
–SinusVol
Spiral mode for axial and coronal sinus studies
–Orbit
Spiral mode for routine orbital studies
–Dental
Spiral mode for the application syngo Dental CT

164
Head
For SOMATOM Emotion 6-slice configuration:
–HeadRoutine
Spiral mode for routine head studies
–HeadSeq
Sequential mode for routine head studies
–InnerEarHR
Spiral mode for high resolution inner ear studies
–InnerEarHRVol
Spiral mode for high resolution inner ear studies and
double oblique studies
–InnerEar
Spiral mode for routine ear studies
–InnerEarSeq
Sequential mode for inner ear studies
–Sinus
Spiral mode for routine sinus studies
–SinusVol
Spiral mode for axial and coronal sinus studies
–Orbit
Spiral mode for routine orbital studies
–Dental
Spiral mode for the application syngo Dental CT

Head
165
General Hints
• Topogram: Lateral, 256 mm.
• Patient positioning:
Patient lying in supine position, arms resting against
body, secure head well in the head holder, support
lower legs.
• Gantry tilt is available for sequence scanning.
However, image artifacts may occur if spirals are
acquired with a tilt angle greater than 8°.
• For all head studies, it is very important for image
quality to position the patient in the center of the
scan field. Use the lateral laser beam to make sure
that the patient is positioned in the center.
• In order to optimize image quality versus radiation
dose, scans are provided within a maximum scan
field of 300 mm with respect to the iso-center. No
recon job with a field of view exceeding those limits
will be possible. Therefore, patient positioning has to
be performed accurately to ensure a centered loca-
tion of the skull.

166
Head
Head Kernels
• For soft tissue head studies, the standard kernel is
H40s; softer images are obtained with H30s or H20s,
H10s, sharper images with H50s. The kernels H21s,
H31s, H41s yield the same visual sharpness as H20s,
H30s, H40s, the image appearance, however, is
more agreeable due to a ”fine-grained” noise struc-
ture; quite often, the low contrast detectability is
improved by using H31s, H 41s instead of H30s,
H40s. For the standard head protocols, we propose
H21s, H31s, H41s.
• High Resolution head studies should be performed
with H60s, H70s (e.g. for dental and sinuses) and
H80s, H90s (e.g. inner ear).
• It is mandatory to position the area of interest in the
center of the scan field.

Head
167

168
Head
Scan Protocols
HeadRoutine
Indications:
Spiral mode for routine head studies, for example,
stroke, brain tumors, cranial trauma, cerebral atrophy,
hydrocephalus, and inflammation, etc.
For SOMATOM Emotion 16-slice configuration:
A range for the base of 4 cm will be covered in
14.36 sec., a range for the cerebrum of 8 cm will be
covered in 14.36 sec.
For SOMATOM Emotion 6-slice configuration:
A range for the base of 4 cm will be covered in
28.00 sec., a range for the cerebrum of 8 cm will be
covered in 28.00 sec.

Head
169
Emotion 16 Base Cerebrum
kV 130 130
Effective mAs/
Quality ref. mAs
220 240
Rotation time 1.5 sec. 1.5 sec.
Acquisition 16 x 0.6 mm 16 x 1.2 mm
Slice collimation 0.6 mm 1.2 mm
Slice width 4.0 mm 6.0 mm
Feed/Rotation 5.3 mm 10.6 mm
Pitch factor 0.55 0.55
Increment 4.0 mm 6.0 mm
Kernel H31s H31s
CTDIVol 58.52 mGy 57.60 mGy
Effective dose Male:
1.33 mSv
Female:
1.43 mSv
Male:
1.98 mSv
Female:
2.21 mSv

170
Head
Emotion 6 Base Cerebrum
kV 130 130
Effective mAs/
Quality ref. mAs
220 250
Rotation time 1.5 sec. 1.5 sec.
Acquisition 6 x 1.0 mm 6 x 2.0 mm
Slice collimation 1.0 mm 2.0 mm
Slice width 4.0 mm 6.0 mm
Feed/Rotation 2.4 mm 4.8 mm
Pitch factor 0.40 0.40
Increment 4.0 mm 6.0 mm
Kernel H31s H31s
CTDIVol 60.50 mGy 58.75 mGy
Effective dose Male:
0.94 mSv
Female:
0.98 mSv
Male:
1.72 mSv
Female:
1.90 mSv

Head
171
Hints
• An automatic bone correction allows for improved
head image quality, without any additional postpro-
cessing.
• In order to optimize image quality versus radiation
dose, scans are provided within a maximum scan
field of 300 mm with respect to the iso-center. No
recon job with a field of view exceeding those limits
will be possible. Therefore, patient positioning has to
be performed accurately to ensure a centered loca-
tion of the skull.
Contrast medium IV injection
Start delay 60 sec.
Flow rate 2 ml/sec.
Total amount 50 – 60 ml

172
Head
HeadNeuro
Indications:
Special spiral neuro mode for dedicated head studies.
Two ranges are predefined for the base of the skull
using an acquisition of 16x0.6 mm and for the cere-
brum using an acquisition of 4x0.6 mm.
A range for the base of 4 cm will be covered in
9.58 sec., a range for the cerebrum of 8 cm will be cov-
ered in 68.67 sec.
Emotion 16 Base Cerebrum
kV 130 130
Effective mAs/
Quality ref. mAs
250 270
Rotation time 1.0 sec. 1.0 sec.
Acquisition 16 x 0.6 mm 4 x 0.6 mm
Slice collimation 0.6 mm 0.6 mm
Slice width 4.0 mm 5.0 mm
Feed/Rotation 5.3 mm 1.3 mm
Pitch factor 0.55 0.55
Increment 4.0 mm 5.0 mm
Kernel H31s H31s
CTDIVol 66.50 mGy 79.65 mGy
Effective dose Male:
1.52 mSv
Female:
1.73 mSv
Male:
2.29 mSv
Female:
2.55 mSv

Head
173
Hints
• An automatic bone correction allows for improved
head image quality, without any additional postpro-
cessing.
• In order to optimize image quality versus radiation
dose, scans are provided within a maximum scan
field of 300 mm with respect to the isocenter. No
recon job with a field of view exceeding those limits
will be possible. Therefore, patient positioning has to
be performed accurately to ensure a centered loca-
tion of the skull.
Contrast medium IV injection
Start delay 60 sec.
Flow rate 2 ml/sec.
Total amount 50 – 60 ml

174
Head
HeadSeq
Indications:
Sequence mode for routine head studies, e.g. stroke,
brain tumors, cranial trauma, cerebral atrophy, hydro-
cephalus, and inflammation, etc.
Two ranges are predefined for the base of the skull and
for the cerebrum.
For SOMATOM Emotion 16-slice configuration:
A scan range is predefined with 12.30 cm.
For SOMATOM Emotion 6-slice configuration:
A scan range is predefined with 12.80 cm.

Head
175
Emotion 16 BaseSeq CerebrumSeq
kV 130 130
Effective mAs/
Quality ref. mAs
270 270
Rotation Time 1.5 sec. 1.5 sec.
Acquisition 2 x 5.0 mm 2 x 8.0 mm
Slice collimation 5.0 mm 8.0 mm
Slice width 5.0 mm 8.0 mm
Feed/Scan 10 mm 16 mm
Kernel H31s H31s
CTDIVol 58.32 mGy 57.24 mGy
Effective dose Male:
1.08 mSv
Female:
1.20 mSv
Male:
1.96 mSv
Female:
2.17 mSv
Emotion 6 BaseSeq CerebrumSeq
kV 130 130
Effective mAs/
Quality ref. mAs
250 270
Rotation Time 1.5 sec. 1.5 sec.
Acquisition 6 x 2.0 mm 6 x 3.0 mm
Slice collimation 2.0 mm 3.0 mm
Slice width 4.0 mm 6.0 mm
Feed/Scan 12 mm 18 mm
Kernel H31s H31s
CTDIVol 58.75 mGy 59.40 mGy
Effective dose Male:
1.11 mSv
Female:
1.15 mSv
Male:
1.94 mSv
Female:
2.13 mSv

176
Head
Hints
• An automatic bone correction allows for improved
head image quality, without any additional postpro-
cessing.
• In order to optimize image quality versus radiation
dose, scans are provided within a maximum scan
field of 300 mm with respect to the iso-center. No
recon job with a field of view exceeding those limits
will be possible. Therefore, patient positioning has to
be performed accurately to ensure a centered loca-
tion of the skull.
Contrast medium IV injection
Start delay 60 sec.
Flow rate 2 ml/sec.
Volume 50-60 ml

Head
177
InnerEarHR
Indications:
Spiral mode for inner ear high resolution studies, e.g.
inflammatory changes, tumorous processes of pyra-
mids, cerebellopontine angle tumors, posttraumatic
changes, etc.
For SOMATOM Emotion 16-slice configuration:
A range of 4.0 cm will be covered in 24.22 sec.
For SOMATOM Emotion 6-slice configuration:
A range of 4.0 cm will be covered in 17.69 sec.

178
Head
Emotion 16 InnerEar 2nd
reconstr.
kV 130
Effective mAs/
Quality ref. mAs
130
Rotation Time 1.0 sec.
Acquisition 4 x 0.6 mm
Slice collimation 0.6 mm
Slice width 2.0 mm 0.75 mm
Feed/Rotation 1.1 mm
Pitch Factor 0.45
Increment 2.0 mm 0.6 mm
Kernel H90s H90s
CTDIVol 38.35 mGy
Effective dose Male: 0.74 mSv
Female: 0.78 mSv
Emotion 6 InnerEar 2nd
reconstr.
kV 130
Effective mAs/
Quality ref. mAs
130
Rotation Time 1.0 sec.
Acquisition 6 x 0.5 mm
Slice collimation 0.5 mm
Slice width 2.0 mm 0.6 mm
Feed/Rotation 2.6 mm
Pitch Factor 0.85
Increment 2.0 mm 0.4 mm
Kernel H90s H90s
CTDIVol 35.88 mGy
Effective dose Male: 0.57 mSv
Female: 0.59 mSv

Head
179
Hints
• For image reconstruction of soft tissue, use kernel
H30s/H31s.
• An automatic bone correction allows for improved
head image quality, without any additional postpro-
cessing.
• In order to optimize image quality versus radiation
dose, scans are provided within a maximum scan
field of 300 mm with respect to the iso-center. No
recon job with a field of view exceeding those limits
will be possible. Therefore, patient positioning has to
be performed accurately to ensure a centered loca-
tion of the skull.

180
Head
InnerEarHRVol
Indications:
Spiral mode for high resolution inner ear studies,
e.g.malformations of the inner ear, inflammatory-
changes, pathologies of the mastoid process, tumor-
processes of the pyramids, posttraumatic changes,etc.
Three recon jobs are predefined for reconstruction: the
first for axial bone structure, the second and third for
the double oblique for each side in 3D images display
view.
For SOMATION Emotion 16-slice configuration:
A range of 40 mm will be covered in 24.22 sec.
For SOMATION Emotion 6-slice configuration:
A range of 40 mm will be covered in 17.69 sec.
Emotion 16 Inner
Ear
2nd
recon.
3d
recon.
kV 130
Effective mAs/
Quality ref. mAs
130
Rotation Time 1.0 sec.
Acquisition 4 x 0.6 mm
Slice collimation 0.6 mm
Slice width 2.0 mm 2.0 mm 2.0 mm
Feed/Rotation 1.1 mm
Pitch Factor 0.45
Increment 2.0 mm 2.0 mm 2.0 mm
Kernel H90s H90s H90s
CTDIVol 38.35 mGy
Effective dose Male: 0.74 mSv
Female: 0.78 mSv

Head
181
Emotion 6 Inner
Ear
2nd
recon.
3d
recon.
kV 130
Effective mAs/
Quality ref. mAs
130
Rotation Time 1.0 sec.
Acquisition 6 x 0.5 mm
Slice collimation 0.5 mm
Slice width 2.0 mm 2.0 mm 2.0 mm
Feed/Rotation 2.6 mm
Pitch Factor 0.85
Increment 2.0 mm 2.0 mm 2.0 mm
Kernel H90s H90s H90s
CTDIVol 35.88 mGy
Effective dose Male: 0.57 mSv
Female: 0.59 mSv

182
Head
Hints
• For image reconstruction of soft tissue, use kernel
H30s/H31s.
• An automatic bone correction allows for improved
head image quality, without any additional postpro-
cessing.
• In order to optimize image quality versus radiation
dose, scans are provided within a maximum scan
field of 300 mm with respect to the isocenter. No
recon job with a field of view exceeding those limits
will be possible. Therefore, patient positioning has to
be performed accurately to ensure a centered loca-
tion of the skull.
Contrast medium IV injection
Start delay 60 sec.
Flow rate 2 ml/sec.
Volume 50-60 ml

Head
183

184
Head
InnerEar
Indications:
Spiral mode for inner ear studies, e.g. inflammatory
changes, tumorous processes of pyramids, cerebel-
lopontine angle tumors, post-traumatic changes, etc.
For SOMATOM Emotion 16-slice configuration:
A range of 4 cm will be covered in 7.21 sec.
For SOMATOM Emotion 6-slice configuration:
A range of 4 cm will be covered in 9.84 sec.

Head
185
Emotion 16 InnerEar 2nd
reconstr.
kV 130
Effective mAs/
Quality ref. mAs
120
Rotation Time 1.0 sec.
Acquisition 16 x 0.6 mm
Slice collimation 0.6 mm
Slice width 2.0 mm 0.75 mm
Feed/Rotation 7.7 mm
Pitch Factor 0.80
Increment 2.0 mm 0.5 mm
Kernel H90s H90s
CTDIVol 31.92 mGy
Effective dose Male: 0.77 mSv
Female: 0.83 mSv
Emotion 6 InnerEar 2nd
reconstr.
kV 130
Effective mAs/
Quality ref. mAs
120
Rotation Time 1.0 sec.
Acquisition 6 x 1.0 mm
Slice collimation 1.0 mm
Slice width 2.0 mm 1.25 mm
Feed/Rotation 5.1 mm
Pitch Factor 0.85
Increment 2.0 mm 0.8 mm
Kernel H90s H90s
CTDIVol 33.00 mGy
Effective dose Male: 0.57 mSv
Female: 0.60 mSv

186
Head
Hints
• For image reconstruction of soft tissue, use kernel
H30s/H31s.
• An automatic bone correction allows for improved
head image quality, without any additional postpro-
cessing.
• In order to optimize image quality versus radiation
dose, scans are provided within a maximum scan
field of 300 mm with respect to the iso-center. No
recon job with a field of view exceeding those limits
will be possible. Therefore, patient positioning has to
be performed accurately to ensure a centered loca-
tion of the skull.
Contrast medium IV injection
Start delay 60 sec.
Flow rate 2 ml/sec.
Total amount 50 ml

Head
187

188
Head
InnerEarSeq
Indications:
Sequence mode for inner ear studies, e.g. inflamma-
tory changes, tumorous processes of pyramids, cere-
bellopontine angle tumors, post-traumatic changes,
etc.
For SOMATOM Emotion 16-slice configuration:
A scan range is predefined with 8.6 mm.
For SOMATOM Emotion 6-slice configuration:
A scan range is predefined with 4.7 mm.

Head
189
Emotion 16 InnerEarSeq
kV 130
Effective mAs/
Quality ref. mAs
140
Rotation Time 1.0 sec.
Acquisition 12 x 0.6 mm
Slice collimation 0.6 mm
Slice width 0.6 mm
Feed/Scan 7.2 mm
Kernel H90s
CTDIVol 42.00 mGy
Effective dose Male: 1.51 mSv
Female: 1.62 mSv
Emotion 6 InnerEarSeq
kV 130
Effective mAs/
Quality ref. mAs
140
Rotation Time 1.0 sec.
Acquisition 6 x 1.0 mm
Slice collimation 1.0 mm
Slice width 1.0 mm
Feed/Scan 6.0 mm
Kernel H90s
CTDIVol 38.50 mGy
Effective dose Male: 0.68 mSv
Female: 0.79 mSv

190
Head
Hints
• For image reconstruction of soft tissue, use kernel
H30s/H31s.
• An automatic bone correction allows for improved
head image quality, without any additional postpro-
cessing.
• In order to optimize image quality versus radiation
dose, scans are provided within a maximum scan
field of 300 mm with respect to the iso-center. No
recon job with a field of view exceeding those limits
will be possible. Therefore, patient positioning has to
be performed accurately to ensure a centered loca-
tion of the skull.
Contrast medium IV injection
Start delay 60 sec.
Flow rate 2 ml/sec.
Total amount 60 ml

Head
191

192
Head
Sinus
Indications:
Spiral mode for paranasal sinuses studies, e.g. sinusi-
tis, mucocele, pneumatization, polyposis, tumor, cor-
rections etc.
For SOMATOM Emotion 16-slice configuration:
A range of 80 mm will be covered in 12.42 sec.
For SOMATOM Emotion 6-slice configuration:
A range of 80 mm will be covered in 17.69 sec.

Head
193
Emotion 16 Sinus 2nd
recon.
3rd
recon.
4th
recon.
kV 130
Effective
mAs/
Quality ref.
mAs
35
Rotation
time
1.0 sec.
Acquisition 16 x 0.6 mm
Slice
collimation
0.6 mm
Slice width 5.0 mm 5.0 mm 1.0 mm 1.0 mm
Feed/
Rotation
7.7 mm
Pitch Factor 0.80
Increment 5.0 mm 5.0 mm 0.7 mm 0.7 mm
Kernel H70s H30s H70s H30s
CTDIVol 9.31 mGy
Effective
dose
Male: 0.32 mSv
Female: 0.36 mSv

194
Head
Hint
• For low dose studies use only 20 mAs.
Emotion 6 Sinus 2nd
recon.
3rd
recon.
4th
recon.
kV 130
Effective
mAs/
Quality ref.
mAs
35
Rotation
time
1.0 sec.
Acquisition 6 x 1.0 mm
Slice
collimation
1.0 mm
Slice width 5.0 mm 5.0 mm 1.25
mm
1.25
mm
Feed/
Rotation
5.1 mm
Pitch
Factor
0.85
Increment 5.0 mm 5.0 mm 0.8 mm 0.8 mm
Kernel H70s H30s H70s H30s
CTDIVol 9.63 mGy
Effective
dose
Male: 0.20 mSv
Female: 0.25 mSv
Contrast medium IV injection
Start delay 45 sec.
Flow rate 2.0 ml/sec.
Total amount 75 ml

Head
195

196
Head
SinusVol
Indications:
Spiral mode for axial and coronal paranasal sinuses
studies, e.g. sinusitis, mucocele, polyposis, tumor, cor-
rections etc.
Three recon jobs are predefined for reconstruction: the
first for axial bone structure and the second for the
coronal soft tissue in 3D images display view and the
third for the coronal bone structure in 3D images dis-
play view.
For SOMATOM Emotion 16-slice configuration:
A range of 80 mm will be covered in 12.42 sec.
For SOMATOM Emotion 6-slice configuration:
A range of 80 mm will be covered in 17.69 sec.
Emotion 16 Sinus 2nd
recon.
3d
recon.
kV 130
Effective mAs/
Quality ref. mAs
35
Rotation Time 1.0 sec.
Acquisition 16 x 0.6 mm
Slice collimation 0.6 mm
Slice width 5.0 mm 3.0 mm 3.0 mm
Feed/Rotation 7.7 mm
Pitch Factor 0.80
Increment 5.0 mm 3.0 mm 3.0 mm
Kernel H70s H30s H60s
CTDIVol 9.31 mGy
Effective dose Male: 0.32 mSv
Female: 0.36 mSv

Head
197
Hint
• For low dose studies use only 20 mAs.
Emotion 6 Sinus 2nd
recon.
3d
recon.
kV 130
Effective mAs/
Quality ref. mAs
35
Rotation Time 1.0 sec.
Acquisition 6 x 1.0 mm
Slice collimation 1.0 mm
Slice width 5.0 mm 3.0 mm 3.0 mm
Feed/Rotation 5.1 mm
Pitch Factor 0.85
Increment 5.0 mm 3.0 mm 3.0 mm
Kernel H70s H30s H60s
CTDIVol 9.63 mGy
Effective dose Male: 0.20 mSv
Female: 0.25 mSv
Contrast medium IV injection
Start delay 45 sec.
Flow rate 2.0 ml/sec.
Total amount 75 ml

198
Head
Orbit
Indications:
Spiral mode for orbital studies, e.g. fracture.
For SOMATOM Emotion 16-slice configuration:
A range of 50 mm will be covered in 8.51 sec.
For SOMATOM Emotion 6-slice configuration:
A range of 50 mm will be covered in 11.80 sec.
Emotion 16 Orbit 2nd reconstr.
kV 130
Effective mAs/
Quality ref. mAs
70
Rotation Time 1.0 sec.
Acquisition 16 x 0.6 mm
Slice collimation 0.6 mm
Slice width 5.0 mm 1.0 mm
Feed/Rotation 7.7 mm
Pitch Factor 0.80
Increment 5.0 mm 0.7 mm
Kernel H70s H70s
CTDIVol 18.62 mGy
Effective dose Male: 0.50 mSv
Female: 0.54 mSv

Head
199
Hint
• For low dose studies use only 20 mAs.
Emotion 6 Orbit 2nd reconstr.
kV 130
Effective mAs/
Quality ref. mAs
70
Rotation Time 1.0 sec.
Acquisition 6 x 1.0 mm
Slice collimation 1.0 mm
Slice width 5.0 mm 1.25 mm
Feed/Rotation 5.1 mm
Pitch Factor 0.85
Increment 5.0 mm 0.5 mm
Kernel H70s H70s
CTDIVol 19.25 mGy
Effective dose Male: 0.25 mSv
Female: 0.32 mSv
Contrast medium IV injection
Start delay 45 sec.
Flow rate 2.0 ml/sec.
Total amount 75 ml

200
Head
Dental
Indications:
This is the scan protocol for the syngo Dental applica-
tion package. It is used for evaluation and reformatting
of the upper and lower jaws.
It enables the display and measurement of the bone
structures of the upper and lower jaw as the basis for
planning in oral surgery.
For SOMATOM Emotion 16-slice configuration:
A range of 50 mm will be covered in 8.51 sec.
For SOMATOM Emotion 6-slice configuration:
A range of 50 mm will be covered in 9.44 sec.

Head
201
Emotion 16 Dental
kV 130
Effective mAs/
Quality ref. mAs
45
Rotation Time 1.0 sec.
Acquisition 16 x 0.6 mm
Slice collimation 0.6 mm
Slice width 0.75 mm
Feed/Rotation 7.7 mm
Pitch Factor 0.80
Increment 0.5 mm
Kernel H70s
CTDIVol 11.97 mGy
Effective dose Male: 0.25 mSv
Female: 0.26 mSv

202
Head
For further information on the scan protocols and how
to use syngo Dental CT, please refer to the Application
Guide "Clinical Applications".
Emotion 6 Dental
kV 130
Effective mAs/
Quality ref. mAs
45
Rotation Time 0.8 sec.
Acquisition 6 x 1.0 mm
Slice collimation 1.0 mm
Slice width 1.25 mm
Feed/Rotation 5.1 mm
Pitch Factor 0.85
Increment 0.6 mm
Kernel H70s
CTDIVol 12.38 mGy
Effective dose Male: 0.19 mSv
Female: 0.23 mSv

Head
203
Hint
• An automatic bone correction allows for improved
head image quality, without any additional postpro-
cessing.
• In order to optimize image quality versus radiation
dose, scans are provided within a maximum scan
field of 300 mm with respect to the iso-center. No
recon job with a field of view exceeding those limits
will be possible. Therefore, patient positioning has to
be performed accurately to ensure a centered loca-
tion of the skull.

204
Overview
In this chapter you will find all scan protocols relating
to the Neck region, their descriptions, individual indi-
cations, and important hints on using them.
You can use the following scan protocols to clarify, for
example, tumors, lymphoma, and abscesses.
Neck

Neck
205
For SOMATOM Emotion 16-slice configuration:
–NeckRoutine
Spiral mode for soft tissue routine neck studies
–NeckVol
Spiral mode for axial, coronal and sagittal neck stud-
ies
For SOMATOM Emotion 6-slice configuration:
–NeckRoutine
Spiral mode for soft tissue routine neck studies
–NeckThinSlice
Spiral mode for thin slice soft tissue neck studies
–NeckVol
Spiral mode for axial, coronal and sagittal neck stud-
ies

206
Neck
General Hints
• Topogram: Lateral, 256 mm or AP 512 mm.
• Patient positioning
Patient lying in supine position, hyperextend neck
slightly, secure head well in head holder.
• Patient respiratory instruction:
do not breathe, do not swallow.
• For contrast studies, CARE Bolus (optional) may be
used to optimize the bolus timing.
• For image reconstruction of bone structure, use ker-
nel B60.
• Patient positioning is very important for artifact-free
images. The thoracic girdle should be positioned as
far as possible in the caudal direction. This can be
done using a strap with a permanent loop or Velcro
fastener at its end. The ends of the strap must be
attached to the patients wrists. Then the strap must
be wrapped around the patients feet with his legs
extended and under tension. The entire thoracic gir-
dle is thus pulled toward the patients feet.

Neck
207
Body Kernels
• As standard kernels for body tissue studies B30s or
B40s are recommended; softer images are obtained
with B20s or B10s (extremely soft). The kernels B31s
or B41s have about the same visual sharpness as
B30s, respectively, B40s, the image appearance,
however, is more agreeable due to a ”fine-grained”
noise structure; quite often, the low contrast detect-
ability is improved by using B31s, B41s instead of
B30s, B40s.
• For higher sharpness, as is required e.g. in patient
protocols for cervical spine, shoulder, extremities,
thorax, lung, the kernels B50s, B60s, B70s, B80s are
available.
• In case of 3D study only, use kernel B10s and at least
50% overlapping for image reconstruction.

208
Neck
Scan Protocols
NeckRoutine
Indications:
Spiral mode for soft tissue studies in the cervical
region, e.g. tumors, lymphoma, abscesses etc.
For SOMATOM Emotion 16-slice configuration:
A typical range of 20 cm will be covered in 28.04 sec.
For SOMATOM Emotion 6-slice configuration:
A typical range of 20 cm will be covered in 17.29 sec.

Neck
209
Emotion 16 NeckRoutine 2nd reconstr.
kV 130
Effective mAs/
Quality ref. mAs
130
Rotation Time 1.0 sec.
Acquisition 16 x 0.6 mm
Slice collimation 0.6 mm
Slice width 5.0 mm 1.0 mm
Feed/Rotation 7.7 mm
Pitch Factor 0.80
Increment 5.0 mm 0.7 mm
Kernel B50s B50s
CTDIVol 16.25 mGy
Effective dose Male: 3.61 mSv
Female: 3.90 mSv
Emotion 6 NeckRoutine
kV 130
Effective mAs/
Quality ref. mAs
85
Rotation Time 0.8 sec.
Acquisition 6 x 2.0 mm
Slice collimation 2.0 mm
Slice width 5.0 mm
Feed/Rotation 10.2 mm
Pitch Factor 0.85
Increment 5.0 mm
Kernel B50s
CTDIVol 9.27 mGy
Effective dose Male: 2.36 mSv
Female: 2.48 mSv

210
Neck
Hints
• Due to its iodine content, the thyroid gland is hyper-
dense in relation to the neighboring muscles both
before and after an IV CM injection. For displays of
the parotid or thyroid gland or the floor of the
mouth, the slice thickness should be < 5 mm and the
length of the range should be adapted to match the
anatomic region.
• Target the FoV to ensure adequate coverage of the
region of interest in the upper neck & middle neck
levels as well as to include the axilla in the lower
neck level if required.
Contrast medium IV injection
Start delay 45 sec.
Flow rate 2.0 ml/sec.
Total amount 120 ml

Neck
211

212
Neck
NeckThinSlice
Indications:
Spiral mode using thin slices for soft tissue studies,
e.g. the functional study of the throat.
For SOMATOM Emotion 6-slice configuration:
A typical range of 20 cm will be covered in 32.97 sec.
Emotion 6 NeckThinSlice 2nd reconstr.
kV 130
Effective mAs/
Quality ref. mAs
130
Rotation Time 0.8 sec.
Acquisition 6 x 1.0 mm
Slice collimation 1.0 mm
Slice width 5.0 mm 1.25 mm
Feed/Rotation 5.1 mm
Pitch Factor 0.85
Increment 5.0 mm 0.8 mm
Kernel B50s B50s
CTDIVol 16.51 mGy
Effective dose Male: 4.06 mSv
Female: 4.25 mSv

Neck
213
Hints
• Due to its iodine content, the thyroid gland is hyper-
dense in relation to the neighboring muscles both
before and after an IV CM injection. For displays of
the parotid or thyroid gland or the floor of the
mouth, the slice thickness should be < 5 mm and the
length of the range should be adapted to match the
anatomic region.
• Target the FoV to ensure adequate coverage of the
region of interest in the upper neck & middle neck
levels as well as to include the axilla in the lower
neck level if required.
Contrast medium IV injection
Start delay 45 sec.
Flow rate 2.0 ml/sec.
Total amount 120 ml

214
Neck
NeckVol
Indications:
Spiral mode for soft tissue studies in the cervical
region, e.g. tumors, lymphoma, abscesses etc.
Three recon jobs are predefined for reconstruction: the
first for axial, the second for coronal and third for sagg-
ittal studies in 3D images display.
For SOMATOM Emotion 16-slice configuration:
A typical range of 20 cm will be covered in 28.04 sec.
For SOMATOM Emotion 16-slice configuration:
A typical range of 20 cm will be covered in 32.97 sec.
Emotion 16 Neck 2nd
recon.
3rd
recon.
kV 130
Effective mAs/
Quality ref. mAs
130
Rotation Time 1.0 sec.
Acquisition 16 x 0.6 mm
Slice collimation 0.6 mm
Slice width 5.0 mm 5.0 mm 5.0 mm
Feed/Rotation 7.7 mm
Pitch Factor 0.80
Increment 5.0 mm 5.0 mm 5.0 mm
Kernel B50s B20s B20s
CTDIVol 16.25 mGy
Effective dose Male: 3.61 mSv
Female: 3.90 mSv

Neck
215
Emotion 6 Neck 2nd
recon.
3rd
recon.
kV 130
Effective mAs/
Quality ref. mAs
130
Rotation Time 0.8 sec.
Acquisition 6 x 1.0 mm
Slice collimation 1.0 mm
Slice width 5.0 mm 5.0 mm 5.0 mm
Feed/Rotation 5.1 mm
Pitch Factor 0.85
Increment 5.0 mm 5.0 mm 5.0 mm
Kernel B50s B20s B20s
CTDIVol 16.51 mGy
Effective dose Male: 4.06 mSv
Female: 4.25 mSv

216
Neck
Hints
• Due to its iodine content, the thyroid gland is hyper-
dense in relation to the neighboring muscles both
before and after an IV CM injection. For displays of
the parotid or thyroid gland or the floor of the
mouth, the slice thickness should be < 5 mm and the
length of the range should be adapted to match the
anatomic region.
• Target the FoV to ensure adequate coverage of the
region of interest in the upper neck & middle neck
levels as well as to include the axilla in the lower
neck level if required.
Contrast medium IV injection
Start delay 45 sec.
Flow rate 2.0 ml/sec.
Total amount 120 ml

Neck
217

218
Overview
In this chapter you will find all scan protocols relating
to the Shoulder region, their descriptions, individual
indications, and important hints on using them.
You can use the following scan protocols to clarify, for
example, masses, trauma, dislocations, and orthope-
dic indications.
For SOMATOM Emotion 16-slice configuration:
–Shoulder
Spiral mode for bone shoulder routine studies
–ShoulderVol
Spiral mode for axial, coronal and sagittal shoulder
studies
For SOMATOM Emotion 6-slice configuration:
–Shoulder
Spiral mode for bone shoulder routine studies
–ShoulderVol
Spiral mode for axial, coronal and sagittal shoulder
studies
Shoulder

Shoulder
219
General Hints
• Topogram: AP, 256 mm.
• Patient positioning:
Patient lying in supine position, the uninjured arm
placed above the head, the injured arm placed flat
against his body. If only one side is under investiga-
tion, position this side in the center and support the
other side with a Bocollo pillow (optional).
• If only one side is examined, it is advisable to enter
the side in the comment line on the routine card.
• Contrast medium is required for soft tissue mass
evaluation.
• To further optimize MPR image quality we recom-
mend that you reduce one or more of the following:
collimation, reconstruction increment, and slice
width for image reconstruction.
Body Kernels
• As standard kernels for body tissue studies B30s or
B40s are recommended; softer images are obtained
with B20s or B10s (extremely soft). The kernels B31s
or B41s have about the same visual sharpness as
B30s, respectively, B40s, the image appearance,
however, is more agreeable due to a ”fine-grained”
noise structure; quite often, the low contrast detect-
ability is improved by using B31s, B41s instead of
B30s, B40s.
• For higher sharpness, as is required e.g. in patient
protocols for cervical spine, shoulder, extremities,
thorax, lung, the kernels B50s, B60s, B70s, B80s are
available.

220
Shoulder
Scan Protocols
Shoulder
Indications:
Spiral mode for bone studies and soft tissue, e.g.
evaluation of joint cavities, masses, trauma, disloca-
tions, orthopedic indications etc.
For SOMATOM Emotion 16-slice configuration:
A scan range of 15 cm will be covered in 26.44 sec.
For SOMATOM Emotion 6-slice configuration:
A scan range of 15 cm will be covered in 40.50 sec.

Shoulder
221
Emotion 16 Shoulder 2nd recon.
kV 130
Effective mAs/
Quality ref. mAs
100
Rotation Time 1.5 sec.
Acquisition 16 x 0.6 mm
Slice collimation 0.6 mm
Slice width 5.0 mm 1.0 mm
Feed/Rotation 9.6 mm
Pitch Factor 1.0
Increment 5.0 mm 0.7 mm
Kernel B60s B60s
CTDIVol 12.50 mGy
Effective dose Male: 3.38 mSv
Female: 3.75 mSv
Emotion 6 Shoulder 2nd recon.
kV 130
Effective mAs/
Quality ref. mAs
100
Rotation Time 1.5 sec.
Acquisition 6 x 1.0 mm
Slice collimation 1.0 mm
Slice width 5.0 mm 1.25 mm
Feed/Rotation 6.0 mm
Pitch Factor 1.00
Increment 5.0 mm 0.8 mm
Kernel B60s B60s
CTDIVol 12.70 mGy
Effective dose Male: 2.96mSv
Female: 3.52 mSv

222
Shoulder
Hints
• Use raw data to review a target region if necessary.
• For image reconstruction of soft tissue use kernel
B31s and a slice width of 5.0 mm.
• Coronal and sagittal 2D planar reconstructions are
important for evaluation of the joint space & bursa
sacs in CT arthograms.
• 3D renderings are helpful for complex fractures &
dislocations.

Shoulder
223

224
Shoulder
ShoulderVol
Indications:
Spiral mode for bone studies and soft tissues, e.g. eval-
uation of joint cavities, masses, trauma, dislocations,
orthopedic indications etc.
Three recon jobs are predefined for reconstruction: the
first for soft tissue axial, the second for soft tissue coro-
nal and third for sagittal bone studies in 3D images dis-
play view.
For SOMATOM Emotion 16-slice configuration:
A scan range of 15 cm will be covered in 26.44 sec.
For SOMATOM Emotion 6-slice configuration:
A scan range of 15 cm will be covered in 40.50 sec.
Emotion 16 Shoulder 2nd
recon.
3rd
recon.
kV 130
Effective mAs/
Quality ref. mAs
100
Rotation Time 1.5 sec.
Acquisition 16 x 0.6 mm
Slice collimation 0.6 mm
Slice width 5.0 mm 5.0 mm 5.0 mm
Feed/Rotation 9.6 mm
Pitch Factor 1.0
Increment 5.0 mm 5.0 mm 5.0 mm
Kernel B60s B31s B60s
CTDIVol 12.50 mGy
Effective dose Male: 3.38 mSv
Female: 3.75 mSv

Shoulder
225
Hints
• Use raw data to review a target region if necessary.
• For image reconstruction of soft tissue use kernel
B31s and a slice width of 5.0 mm.
• Coronal and sagittal 2D planar reconstructions are
important for evaluation of the joint space & bursa
sacs in CT arthograms.
• 3D renderings are helpful for complex fractures &
dislocations.
Emotion 6 Shoulder 2nd
recon.
3rd
recon.
kV 130
Effective mAs/
Quality ref. mAs
100
Rotation Time 1.5 sec.
Acquisition 6 x 1.0 mm
Slice collimation 1.0 mm
Slice width 5.0 mm 5.0 mm 5.0 mm
Feed/Rotation 6.0 mm
Pitch Factor 1.0
Increment 5.0 mm 5.0 mm 5.0 mm
Kernel B60s B20s B20s
CTDIVol 12.70 mGy
Effective dose Male: 2.96 mSv
Female: 3.52 mSv

226
Overview
In this chapter you will find all scan protocols relating
to the Thorax region, their descriptions, individual
indications, and important hints on using them.
You can use the following scan protocols to clarify, for
example, tumors, metastases, lymphoma, lymph
nodes, vascular anomalies, and interstitial changes in
the lungs.
Thorax

Thorax
227
For SOMATOM Emotion 16-slice configuration:
–ThoraxRoutine
Spiral mode for routine thorax studies
–ThoraxCombi
Spiral mode for the combination of thin slice lung
and routine thorax studies
–ThoraxVol
Spiral mode for axial, coronal soft tissue and coronal
lung studies
–ThoraxHR
Spiral mode for high resolution lung studies
–ThoraxHRSeq
Sequential mode for high resolution lung studies
–ThoraxECGHRSeq
Sequential mode for high resolution, ECG-triggered
lung studies
–LungLowDose
Spiral mode with very low dose for early visualiza-
tion of pathologies
–LungCARE
Spiral mode used for the application syngo Lung-
CARE CT

228
Thorax
For SOMATOM Emotion 6-slice configuration:
–ThoraxRoutine/ThoraxRoutine06s
Spiral mode for routine thorax studies
–ThoraxCombi/ThoraxCombi06s
Spiral mode for the combination of thin slice lung
and routine thorax studies
–ThoraxVol
Spiral mode for axial, coronal soft tissue and coronal
lung studies
–ThoraxFast/ThoraxFast06s
Spiral mode for fast chest studies
–ThoraxHR
Spiral mode for high resolution lung studies
–ThoraxHRSeq
Sequential mode for high resolution lung studies
–ThoraxECGHRSeq
Sequential mode for high resolution, ECG-triggered
lung studies
–LungLowDose/LungLowDose06s
Spiral mode with very low dose for early visualiza-
tion of pathologies
–LungCARE/LungCARE06s
Spiral mode used for the application syngo Lung-
CARE CT

Thorax
229
General Hints
• Topogram: AP, 512 mm.
• Patient positioning:
Patient lying in supine position, arms positioned
comfortably above the head in the head-arm rest,
lower legs supported.
• Contrast medium administration: in general, IV
injections are employed in all mediastinal examina-
tions, but not in routine High Resolution studies of
diffused, interstitial lung diseases. An IV contrast
medium injection improves the vascular opacifica-
tion and facilitates the visualization of the lesions,
lymph nodes and the vessels.
• Stasis of contrast medium in the arm & superior vena
cava often result in high density streak artifacts
either in the region of the aortic arch or in the region
of the subclavian vein. A caudo-cranial (bottom to
top) scanning direction should be used to reduce this
artifact – by simply acquiring the data in this region
at the later phase of the spiral scan. In addition, if the
patient cannot hold his/her breath for the duration of
the entire scan, breathing motion will be less appar-
ent in the apex than in the lower lobes.
• CARE Bolus (optional) may be used to optimize the
bolus timing. Set the ROI for monitoring scan in the
aorta at the level of the diaphragm with triggering
threshold of 120 HU, or use manual triggering.

230
Thorax
• Lung images should be documented in both soft tis-
sue window and lung window.
• It is also possible to interleave the soft tissue & lung
setting images in one film sheet. This can be set up
in the configuration for filming.
• To further optimize MPR image quality we recom-
mend that you reduce one or more of the following:
collimation, reconstruction increment, and slice
width for image reconstruction.

Thorax
231
Body Kernels
• As standard kernels for body tissue studies B30s or
B40s are recommended; softer images are obtained
with B20s or B10s (extremely soft). The kernels B31s
or B41s have about the same visual sharpness as
B30s, respectively, B40s, the image appearance,
however, is more agreeable due to a ”fine-grained”
noise structure; quite often, the low contrast detect-
ability is improved by using B31s, B41s instead of
B30s, B40s.
• For higher sharpness, as is required e.g. in patient
protocols for cervical spine, shoulder, extremities,
thorax, lung, the kernels B50s, B60s, B70s, B80s are
available.
• A special High Resolution lung kernel is supplied
with B90s; by using kernel B90s, practically the same
image impression is obtained as with HCE-filtering of
a B40s image.

232
Thorax
Scan Protocols
ThoraxRoutine/
ThoraxRoutine06s
Indications:
Routine spiral studies for the region of thorax, e.g.
examination of tumors, metastases, lymphoma, lymph
nodes, vascular anomalies etc.
For SOMATOM Emotion 16-slice configuration:
A range of 30 cm will be covered in 12.92 sec.
For SOMATOM Emotion 6-slice configuration:
A range of 30 cm will be covered in 18.85 sec.

Thorax
233
Emotion 16 ThorRoutine 2nd recon.
kV 130
Effective mAs/
Quality ref. mAs
70
Rotation Time 0.6 sec.
Acquisition 16 x 1.2 mm
Slice collimation 1.2 mm
Slice width 5.0 mm 5.0 mm
Feed/Rotation 15.40 mm
Pitch Factor 0.80
Increment 5.0 mm 5.0 mm
Kernel B41s B70s
CTDIVol 7.84 mGy
Effective dose Male: 4.36 mSv
Female: 5.55 mSv
Emotion 6 ThorRoutine 2nd recon.
kV 130
Effective mAs/
Quality ref. mAs
70
Rotation Time 0.8/0.6 sec.
Acquisition 6 x 2.0 mm
Slice collimation 2.0 mm
Slice width 5.0 mm 5.0 mm
Feed/Rotation 10.2 mm
Pitch Factor 0.85
Increment 5.0 mm 5.0 mm
Kernel B41s B70s
CTDIVol 7.63 mGy
Effective dose Male: 3.87 mSv
Female: 5.02 mSv

234
Thorax
Hint
• For lung cancer evaluation, this protocol can be com-
bined with protocol NeckRoutine.
Contrast medium IV injection
Start delay 25 – 30 sec.
Flow rate 2.5 ml/sec.
Total amount 80 ml

Thorax
235
ThoraxCombi/
ThoraxCombi06s
Indications:
Combining thin slice lung and routine thorax studies
with one spiral scan. E.g. thorax studies in general and
interstitial changes in the lungs.
For SOMATOM Emotion 16-slice configuration:
A range of 30 cm will be covered in 13.70 sec.
For SOMATOM Emotion 6-slice configuration:
A range of 30 cm will be covered in 21.20 sec.

236
Thorax
Emotion 16 Thor
Combi
2nd
recon.
3rd
recon.
4th
recon.
kV 130
Effective
mAs/
Quality ref.
mAs
70
Rotation
time
0.6 sec.
Acquisition 16 x 0.6 mm
Slice
collimation
0.6 mm
Slice width 5.0 mm 5.0 mm 1.0 mm 1.0 mm
Feed/
Rotation
14.4 mm
Pitch Factor 1.50
Increment 5.0 mm 5.0 mm 0.7 mm 0.7 mm
Kernel B41s B90s B41s B70s
CTDIVol 8.75 mGy
Effective
dose
Male: 4.51 mSv
Female: 5.78 mSv

Thorax
237
Emotion 6 Thor
Combi
2nd
recon.
3rd
recon.
4th
recon.
kV 130
Effective
mAs/
Quality ref.
mAs
70
Rotation
time
0.8/0.6 sec.
Acquisition 6 x 1.0 mm
Slice
collimation
1.0 mm
Slice width 5.0 mm 5.0 mm 1.25 m
m
1.25 m
m
Feed/
Rotation
10.8/9.0 mm
Pitch
Factor
1.80/1.50
Increment 5.0 mm 5.0 mm 0.8 mm 0.8 mm
Kernel B41s B90s B41s B70s
CTDIVol 8.89 mGy
Effective
dose
Male: 4.52/4.46 mSv
Female: 5.85/5.79 mSv

238
Thorax
Hints
• In addition to the mediastinum and the lungs, it may
be necessary to evaluate the axillary fatty tissue and
the bilateral mammary glands. A third reconstruc-
tion can be set up with a wider FoV in the Recon task
card.
• For lung cancer evaluation, this protocol can be com-
bined with protocol “Neck Routine”.
Contrast medium IV injection
Start delay 25 sec.
Flow rate 2.5 ml/sec.
Total amount 80 ml

Thorax
239

240
Thorax
ThoraxVol
Indications:
Routine spiral studies for the region of thorax, e.g.,
visualization of tumors, metastases, lymphoma, lymph
nodes, vascular anomalies etc.
Four recon jobs are predefined for reconstruction: the
first for soft tissue axial, the second for lung axial, the
third for soft tissue coronal and fourth for soft tissue
coronal studies in 3D images display view.
For SOMATOM Emotion 16-slice configuration:
A range of 30 cm will be covered in 13.70 sec.
For SOMATOM Emotion 6-slice configuration:
A range of 30 cm will be covered in 23.82 sec.

Thorax
241
Emotion 16 Thor
Combi
2nd
recon.
3rd
recon.
4th
recon.
kV 130
Effective
mAs/
Quality ref.
mAs
70
Rotation
time
0.6 sec.
Acquisition 16 x 0.6 mm
Slice
collimation
0.6 mm
Slice width 5.0 mm 5.0 mm 5.0 mm 5.0 mm
Feed/
Rotation
14.4 mm
Pitch Factor 1.50
Increment 5.0 mm 5.0 mm 5.0 mm 5.0 mm
Kernel B41s B70s B41s B70s
CTDIVol 8.75 mGy
Effective
dose
Male: 4.51 mSv
Female: 5.78 mSv

242
Thorax
For the 3rd and 4th reconstruction a non-square matrix
3D recon job is predefined.
Emotion 6 Thor
Combi
2nd
recon.
3rd
recon.
4th
recon.
kV 130
Effective
mAs/
Quality ref.
mAs
70
Rotation
time
0.8 sec.
Acquisition 6 x 1.0 mm
Slice
collimation
1.0 mm
Slice width 5.0 mm 5.0 mm 5.0 mm 5.0 mm
Feed/
Rotation
10.8 mm
Pitch
Factor
1.80
Increment 5.0 mm 5.0 mm 5.0 mm 5.0 mm
Kernel B41s B70s B41s B70s
CTDIVol 8.89 mGy
Effective
dose
Male: 4.52 mSv
Female: 5.85 mSv

Thorax
243
Hint
• In addition to the mediastinum and the lungs, it may
be necessary to evaluate the axillary fatty tissue and
the bilateral mammary glands. A third reconstruc-
tion can be set up with a wider FoV in the Recon task
card.
• For lung cancer evaluation, this protocol can be com-
bined with protocol NeckRoutine.
Contrast medium IV injection
Start delay 25 sec.
Flow rate 2.5 ml/sec.
Total amount 80 ml

244
Thorax
ThoraxFast/
ThoraxFast06s
Indications:
Fast spiral mode for lung studies, e.g. when a patient
has difficulty with breathhold.
For SOMATOM Emotion 6-slice configuration:
A complete thorax scan in a range of 30 cm will be cov-
ered in 7.87 sec. with ThoraxFast.

Thorax
245
Hints
• For lung cancer evaluation, this protocol can be com-
bined with protocol “Neck Routine”.
Emotion 6 ThorFast 2nd recon.
kV 130
Effective mAs/
Quality ref. mAs
70
Rotation Time 0.8/0.6 sec.
Acquisition 6 x 3.0 mm
Slice collimation 3.0 mm
Slice width 6.0 mm 6.0 mm
Feed/Rotation 27.0 mm
Pitch Factor 1.50
Increment 6.0 mm 6.0 mm
Kernel B41s B70s
CTDIVol 7.14 mGy
Effective dose Male: 4.12 mSv
Female: 5.25 mSv
Contrast medium IV injection
Start delay 25 – 30 sec.
Flow rate 2.5 ml/sec.
Total amount 80 ml

246
Thorax
ThoraxHR
Indications:
Spiral mode for high resolution studies, e.g. interstitial
changes in the lungs.
For SOMATOM Emotion 16-slice configuration:
A range of 30 cm for the complete thorax will be cov-
ered in 13.70 sec.
For SOMATOM Emotion 6-slice configuration:
A range of 30 cm for the complete thorax will be cov-
ered in 28.27 sec.

Thorax
247
Emotion 16 ThorHR 2nd
recon.
3rd
recon.
4th
recon.
kV 130
Effective
mAs/
Quality ref.
mAs
100
Rotation
time
0.6 sec.
Acquisition 16 x 0.6 mm
Slice
collimation
0.6 mm
Slice width 5.0 mm 5.0 mm 1.0 mm 1.0 mm
Feed/
Rotation
14.4 mm
Pitch Factor 1.50
Increment 5.0 mm 5.0 mm 0.7 mm 0.7 mm
Kernel B90s B41s B70s B41s
CTDIVol 12.50 mGy
Effective
dose
Male: 6.56 mSv
Female: 8.29 mSv

248
Thorax
Hints
• With studies of interstitial changes in the lungs, con-
trast medium is not necessary.
• This examination is normally performed following a
standard thorax study or used for regular follow up
studies for high risk patient groups with a history of
exposure to carcinogenic agents e.g. asbestos.
Emotion 6 ThorHR 2nd
recon.
3rd
recon.
4th
recon.
kV 130
Effective
mAs/
Quality ref.
mAs
100
Rotation
time
0.8 sec.
Acquisition 6 x 1.0 mm
Slice
collimation
1.0 mm
Slice width 5.0 mm 5.0 mm 1.0 mm 1.0 mm
Feed/
Rotation
9.0 mm
Pitch
Factor
1.50
Increment 5.0 mm 5.0 mm 0.7 mm 0.7 mm
Kernel B90s B41s B70s B41s
CTDIVol 12.70 mGy
Effective
dose
Male: 6.23 mSv
Female: 8.10 mSv

Thorax
249

250
Thorax
ThoraxHRSeq
Indications:
Sequence mode for high-resolution lung studies, for
example, interstitial changes in the lungs using a feed
of 10 mm.
For SOMATOM Emotion 16-slice configuration:
A scan range is predefined with 30.1 cm.
For SOMATOM Emotion 6-slice configuration:
A scan range is predefined with 30.0 cm.
Emotion 16 ThorHRSeq
kV 130
Effective mAs/
Quality ref. mAs
100
Rotation time 1.0 sec.
Acquisition 4 x 0.6 mm
Slice collimation 0.6 mm
Slice width 1.2 mm
Feed/Scan 10.0 mm
Kernel B90s
CTDIVol 3.31 mGy
Effective dose Male: 1.65 mSv
Female: 2.13 mSv

Thorax
251
Hints
• If you want to reconstruct thin slices every 10 or 20
mm instead of 15 mm as predefined, simply change
the Feed/Scan before loading the mode.
• With studies of interstitial changes in the lungs, con-
trast medium is not necessary.
Emotion 6 ThorHRSeq
kV 130
Effective mAs/
Quality ref. mAs
100
Rotation time 1.0 sec.
Acquisition 1 x 1.0 mm
Slice collimation 1.0 mm
Slice width 1.0 mm
Feed/Scan 10.0 mm
Kernel B90s
CTDIVol 1.01 mGy
Effective dose Male: 0.49 mSv
Female: 0.63 mSv

252
Thorax
ThoraxECGHRSeq
Indications:
Sequence mode for High Resolution, ECG triggered
lung studies, e.g. interstitial changes in the lungs.
For SOMATOM Emotion 16-slice configuration:
A scan range is predefined with 19.1 cm.
For SOMATOM Emotion 6-slice configuration:
A scan range is predefined with 12.0 cm.
Emotion 16 ThoraxECGHR
kV 130
Effective mAs/
Quality ref. mAs
70
Rotation time 0.5 sec.
Acquisition 4 x 0.6 mm
Slice collimation 0.6 mm
Slice width 1.2 mm
Feed/Scan 10.0 mm
Kernel B90s
CTDIVol 2.32 mGy
Effective dose Male: 0.74 mSv
Female: 0.98 mSv

Thorax
253
Hints
• With studies of interstitial changes in the lungs, con-
trast medium is not necessary.
• If you want to reconstruct thin slices every 10 or 20
mm instead of 15 mm as predefined, simply change
the Feed/Scan before loading the mode.
Emotion 6 ThoraxECGHR
kV 130
Effective mAs/
Quality ref. mAs
70
Rotation time 0.8 sec.
Acquisition 1 x 1.0 mm
Slice collimation 1.0 mm
Slice width 1.0 mm
Feed/Scan 10.0 mm
Kernel B90s
CTDIVol 0.71 mGy
Effective dose Male: 0.21 mSv
Female: 0.29 mSv

254
Thorax
LungLowDose/
LungLowDose06s
Indications:
Spiral lung studies with low dose setting, e.g. early
visualization of pulmonary nodules.
For SOMATOM Emotion 16-slice configuration:
A typical thorax study in a range of 30 cm will be cov-
ered in 19.95 sec.
For SOMATOM Emotion 6-slice configuration:
A typical thorax study in a range of 30 cm will be cov-
ered in 18.85 sec.

Thorax
255
Emotion
16
Lung
Low
Dose
2nd
recon.
3rd
recon.
4th
recon.
kV 110
Effective
mAs/
Quality ref.
mAs
16
Rotation
time
0.6 sec.
Acquisition 16 x 0.6 mm
Slice
collimation
0.6 mm
Slice width 5.0 mm 5.0 mm 1.0 mm 1.0 mm
Feed/
Rotation
9.6 mm
Pitch
Factor
1.00
Increment 5.0 mm 5.0 mm 0.7 mm 0.7 mm
Kernel B41s B90s B41s B70s
CTDIVol 1.28 mGy
Effective
dose
Male: 0.68 mSv
Female: 0.86 mSv

256
Thorax
Emotion 6 LungLowDose 2nd recon.
kV 110
Effective mAs/
Quality ref. mAs
16
Rotation Time 0.8/0.6 sec.
Acquisition 6 x 2.0 mm
Slice collimation 2.0 mm
Slice width 5.0 mm 5.0 mm
Feed/Rotation 12.0/10.2 mm
Pitch Factor 1.00/0.85
Increment 5.0 mm 5.0 mm
Kernel B70s B30s
CTDIVol 1.14 mGy
Effective dose Male: 0.57 mSv
Female: 0.62/0.74 mSv

Thorax
257
Hints
• For lung cancer evaluation, this protocol can be com-
bined with protocol “Neck Routine”.
• Low dose lung images are usually evaluated using
lung window setting. Soft tissue/bone window set-
tings may be used to detect the presence of calcifica-
tions in the nodules.
• It is essential to use the same protocol for follow-up
studies to check for progression.
• CARE Dose 4D is off as default because for LungLow-
Dose protocols the lowest mAs values are used.
Contrast medium IV injection
Start delay 30 sec.
Flow rate 2.5 ml/sec.
Total amount 50 – 70 ml

258
Thorax
LungCARE/
LungCARE06s
Indications:
Spiral lung study with low dose setting for early visual-
ization of pathologies, used for the application Lung-
CARE.
For SOMATOM Emotion 16-slice configuration:
A typical thorax study in a range of 30 cm will be cov-
ered in 13.70 sec.
For SOMATOM Emotion 6-slice configuration:
A typical thorax study in a range of 30 cm will be cov-
ered in 17.87 sec.

Thorax
259
Emotion 16 Lung
CARE
2nd
recon.
3rd
recon.
4th
recon.
kV 110
Effective
mAs/
Quality ref.
mAs
15
Rotation
time
0.6 sec.
Acquisition 16 x 0.6 mm
Slice
collimation
0.6 mm
Slice width 5.0 mm 5.0 mm 1.0 mm 1.0 mm
Feed/
Rotation
14.4 mm
Pitch Factor 1.50
Increment 5.0 mm 5.0 mm 0.7 mm 0.7 mm
Kernel B41s B90s B41s B70s
CTDIVol 1.20 mGy
Effective
dose
Male: 0.64 mSv
Female: 0.81 mSv

260
Thorax
Emotion 6 Lung
CARE
2nd
recon.
3rd
recon.
4th
recon.
kV 110
Effective
mAs/
Quality ref.
mAs
15
Rotation
time
0.8/0.6 sec.
Acquisition 6 x 1.0 mm
Slice
collimation
1.0 mm
Slice width 5.0 mm 5.0 mm 1.25 m
m
1.25 m
m
Feed/
Rotation
10.8 mm
Pitch
Factor
1.80
Increment 5.0 mm 5.0 mm 0.8 mm 0.8 mm
Kernel B41s B90s B41s B70s
CTDIVol 1.25 mGy
Effective
dose
Male: 0.63 mSv
Female: 0.81 mSv

Thorax
261
Hints
• For lung cancer evaluation, this protocol can be com-
bined with protocol Neck Routine or you can use the
protocol NeckThorax.
• Low dose lung images are usually evaluated using
lung window setting. Soft tissue/bone window set-
tings may be used to visualize the presence of calci-
fications in the nodules.
• It is essential to use the same protocol for follow-up
studies to check for progression.
• CARE Dose 4D is off as default because for syngo
Lung CARE protocols the lowest mAs values are
used.
For further information on the scan protocols and how
to use syngo Lung CARE, please refer to the Applica-
tion Guide "Clinical Applications".
Contrast medium IV injection
Start delay 30 sec.
Flow rate 2.5 ml/sec.
Total amount 50 – 70 ml

262
Overview
In this chapter you will find all scan protocols relating
to the Abdomen region, their descriptions, individual
indications, and important hints on using them.
You can use the following scan protocols to clarify, for
example, liver, pancreas, and kidney abnormalities
For SOMATOM Emotion 16-slice configuration:
–AbdomenRoutine
Spiral mode for routine abdominal studies
–AbdomenCombi
Spiral mode for the combination of thin slice and
routine abdominal studies
–AbdomenVol
Spiral mode for axial and coronal abdomen studies
Abdomen

Abdomen
263
–AbdMultiPhase
Spiral mode for three phases liver studies
–AbdSeq
Sequential mode for abdominal studies
–Colonography
Spiral mode used for the application
syngo Colonography
For SOMATOM Emotion 6-slice configuration:
–AbdomenRoutine/AbdomenRoutine06s
Spiral mode for routine abdominal studies
–AbdomenCombi/AbdomenCombi06s
Spiral mode for the combination of thin slice and
routine abdominal studies
–AbdomenVol
Spiral mode for axial and coronal abdomen studies
–AbdomenFast/AbdomenFast06s
Spiral mode for fast abdominal studies
–AbdMultiPhase/AbdMultiPhase06s
Spiral mode for three phases liver studies
–AbdomenSeq
Sequential mode for abdominal studies
–Colonography/Colonography06s
Spiral mode used for the application
syngo Colonography

264
Abdomen
General Hints
• Topogram: AP, 512.
• Patient positioning:
Patient lying in supine position, arms positioned
comfortably above the head in the head-arm rest,
lower legs supported.
• Patient respiratory instruction: inspiration.
• Oral administration of contrast medium:
For abdominal studies, it is necessary to delineate
the bowel from other structures such as lymph
nodes, abdominal masses & abscesses. Various types
of bowel opacifying agents can be used:
- Diluted barium suspension (1%–2%) e.g. EZCAT
- Water soluble agent (2%–4%) e.g. Gastrografin
- Water alone, as a negative contrast agent.
Timing of the oral contrast administration is important
to ensure its even distribution in the bowel.
Upper abdomen:
Minimum 600 ml of contrast divided into 3 cups
(approximately 200–250 ml)
1st cup to drink 30 minutes before exam
2nd cup to drink 15 minutes before exam
3rd cup to drink 5 minutes before exam
Abdomen-Pelvis:
Minimum 1000 ml of contrast divided into 4 cups
1st cup to drink 1hour before exam
2nd–4th cups every subsequent 15 minutes
Start exam 5 minutes after the 4th cup is administered.

Abdomen
265
– In general, for abdominal studies such as liver, gall
bladder (query stones), pancreas, gastrointestinal
studies, focal lesion of the kidneys and CTA studies,
it is sufficient to use just water. Water is more effec-
tive than positive oral contrast agent in depicting the
linings of the stomach & intestines in post enhance-
ment studies. In addition, the use of water will not
obscure the blood vessels thus allowing CTA process-
ing to be performed easily afterwards.
– For patients with bowel obstruction, only water or
water-soluble contrast can be used. Barium suspen-
sion is a contraindication.
• Be careful when examining pheochromocytoma
patients. Administration of an IV CM injection in
such cases may trigger a hypertensive crisis!
• To further optimize MPR image quality we recom-
mend that you reduce one or more of the following:
collimation, reconstruction increment, and slice
width for image reconstruction.
Body Kernels
• As standard kernels for body tissue studies B30s or
B40s are recommended; softer images are obtained
with B20s or B10s (extremely soft). The kernels B31s
or B41s have about the same visual sharpness as
B30s, respectively, B40s, the image appearance,
however, is more agreeable due to a ”fine-grained”
noise structure; quite often, the low contrast detect-
ability is improved by using B31s, B41s instead of
B30s, B40s.
• For higher sharpness, as is required e.g. in patient
protocols for cervical spine, shoulder, extremities,
thorax, lung, the kernels B50s, B60s, B70s, B80s are
available.

266
Abdomen
Scan Protocols
AbdomenRoutine/
AbdomenRoutine06s
Indications:
Spiral mode for routine studies in the region of abdo-
men, e.g. evaluation, follow-up examinations etc.
For SOMATOM Emotion 16-slice configuration:
A scan range of 20 cm will be covered in 9.01 sec.
For SOMATOM Emotion 6-slice configuration:
A scan range of 20 cm will be covered in 12.96 sec.

Abdomen
267
Emotion 16 AbdRoutine
kV 130
Effective mAs/
Quality ref. mAs
120
Rotation time 0.6 sec.
Acquisition 16 x 1.2 mm
Slice collimation 1.2 mm
Slice width 5.0 mm
Feed/Rotation 15.4 mm
Pitch Factor 0.80
Increment 5.0 mm
Kernel B41s
CTDIVol 13.44 mGy
Effective dose Male: 5.81 mSv
Female: 7.15 mSv
Emotion 6 AbdRoutine
kV 130
Effective mAs/
Quality ref. mAs
120
Rotation time 0.8/0.6 sec.
Acquisition 6 x 2.0 mm
Slice collimation 2.0 mm
Slice width 5.0 mm
Feed/Rotation 10.2 mm
Pitch Factor 0.85
Increment 5.0 mm
Kernel B41s
CTDIVol 13.08 mGy
Effective dose Male: 5.06 mSv
Female: 6.30 mSv

268
Abdomen
Hints
• You could repeat the same protocol simply by click-
ing the chronicle with the right mouse button for
“repeat“. E.g. when both non-contrast and contrast
studies are required.
• Delayed scans may be required for the kidneys &
bladder.
• If you want to use this protocol for a two-phase
study, repeat the same protocol as mentioned
below, and choose start delay time for arterial phase
as 20 - 25 sec. In this case, the thin slice reconstruc-
tion can also be used for post-processing. Do not
administer oral contrast medium, as this impairs the
editing of MIP/SSD/VRT images. Water could be used
instead if necessary.
• Water, rather than positive oral contrast agents
should be used. Give the last cup 200 ml just prior to
positioning the patient. To ensure adequate filling of
the duodenal loop, lay the patient on the right side
for 5 minutes before performing the topogram.
• A pre-contrast examination is usually performed
only if no CT scans were previously acquired, to
exclude calculi in the common bile duct and to visu-
alize possible lesions in the liver.
• For pancreatic studies, the arterial phase acquisition
can be acquired later with a start delay of
40 – 50 sec. It may be necessary to use a thinner col-
limation.
Contrast medium IV injection
Start delay 50 – 60 sec.
Flow rate 3.0 ml/sec.
Total amount 100 ml

Abdomen
269

270
Abdomen
AbdomenCombi/
AbdomenCombi06s
Indications:
Combination of thin slice and routine abdominal stud-
ies with one spiral scan.
For SOMATOM Emotion 16-slice configuration:
A range of 20 cm for liver, pancreas or kidneys will be
covered in 9.53 sec.
For SOMATOM Emotion 6-slice configuration:
A range of 20 cm for liver, pancreas or kidneys will be
covered in 14.53 sec.

Abdomen
271
Emotion 16 AbdCombi 2nd reconstr.
kV 130
Effective mAs/
Quality ref. mAs
130
Rotation time 0.6 sec.
Acquisition 16 x 0.6 mm
Slice collimation 0.6 mm
Slice width 5.0 mm 1.0 mm
Feed/Rotation 14.4 mm
Pitch Factor 1.50
Increment 5.0 mm 0.7 mm
Kernel B41s B41s
CTDIVol 16.25 mGy
Effective dose Male: 6.66 mSv
Female: 8.09 mSv
Emotion 6 AbdCombi 2nd reconstr.
kV 130
Effective mAs/
Quality ref. mAs
130/120
Rotation time 0.8/0.6 sec.
Acquisition 6 x 1.0 mm
Slice collimation 1.0 mm
Slice width 5.0 mm 1.25 mm
Feed/Rotation 9.0 mm
Pitch Factor 1.50
Increment 5.0 mm 0.8 mm
Kernel B41s B41s
CTDIVol 16.51/15.24 mGy
Effective dose Male: 6.32/5.84 mSv
Female: 7.85/7.25mSv

272
Abdomen
Hints
• You could repeat the same protocol simply by click-
ing the chronicle with the right mouse button for
“repeat“. E.g. when both non-contrast and contrast
studies are required.
• Delayed scans may be required for the kidneys &
bladder.
• If you want to use this protocol for a two-phase
study, repeat the same protocol as mentioned
below, and choose start delay time for arterial phase
as 20 - 25 sec. In this case, the thin slice reconstruc-
tion can also be used for post-processing. Do not
administer oral contrast medium, as this impairs the
editing of MIP/SSD/VRT images. Water could be used
instead if necessary.
• Water, rather than positive oral contrast agents
should be used. Give the last cup 200 ml just prior to
positioning the patient. To ensure adequate filling of
the duodenal loop, lay the patient on the right side
for 5 minutes before performing the topogram.
• A pre-contrast examination is usually performed
only if no CT scans were previously acquired, to
exclude calculi in the common bile duct and to visu-
alize possible lesions in the liver.
• For pancreatic studies, the arterial phase acquisition
can be acquired later with a start delay of 40 -50 sec.
It may be necessary to use a thinner collimation.
Contrast medium IV injection
Start delay 50 – 65 sec.
Flow rate 3.0 ml/sec.
Total amount 100 ml

Abdomen
273

274
Abdomen
AbdomenVol
Indications:
Spiral mode for all routine studies in the region of
abdomen, e.g. follow-up examinations etc. Two recon
jobs are predefined for reconstruction: the first for
axial, the second for coronal studies in 3D images dis-
play view.
For SOMATOM Emotion 16-slice configuration:
The whole scan range of 20 cm will be covered in
9.53 sec.
For SOMATOM Emotion 6-slice configuration:
The whole scan range of 20 cm will be covered in
19.38 sec.
Emotion 16 AbdCombi 2nd recon.
kV 130
Effective mAs/
Quality ref. mAs
130
Rotation Time 0.6
Acquisition 16 x 0.6 mm
Slice collimation 0.6 mm
Slice width 5.0 mm 5.0 mm
Feed/Rotation 14.4 mm
Pitch Factor 1.50
Increment 5.0 mm 5.0 mm
Kernel B41s B30s
CTDIVol 16.25 mGy
Effective dose Male: 6.66 mSv
Female: 8.09 mSv

Abdomen
275
Emotion 6 AbdCombi 2nd recon.
kV 130
Effective mAs/
Quality ref. mAs
130
Rotation Time 0.8
Acquisition 6 x 1.0 mm
Slice collimation 1.0 mm
Slice width 5.0 mm 5.0 mm
Feed/Rotation 9.0 mm
Pitch Factor 1.50
Increment 5.0 mm 5.0 mm
Kernel B41s B30s
CTDIVol 16.51 mGy
Effective dose Male: 6.32 mSv
Female: 7.85 mSv
Contrast medium IV injection
Start delay 50 – 65 sec.
Flow rate 3.0 ml/sec.
Total amount 100 ml

276
Abdomen
Hints
• You could repeat the same protocol simply by click-
ing the chronicle with the right mouse button for
“repeat“. E.g. when both non-contrast and contrast
studies are required.
• Delayed scans may be required for the kidneys &
bladder.
• If you want to use this protocol for a two-phase
study, repeat the same protocol as mentioned
below, and choose start delay time for arterial phase
as 20 - 25 sec. In this case, the thin slice reconstruc-
tion can also be used for post-processing. Do not
administer oral contrast medium, as this impairs the
editing of MIP/SSD/VRT images. Water could be used
instead if necessary.
• Water, rather than positive oral contrast agents
should be used. Give the last cup 200 ml just prior to
positioning the patient. To ensure adequate filling of
the duodenal loop, lay the patient on the right side
for 5 minutes before performing the topogram.
• A pre-contrast examination is usually performed
only if no CT scans were previously acquired, to
exclude calculi in the common bile duct and to visu-
alize possible lesions in the liver.
• For pancreatic studies, the arterial phase acquisition
can be acquired later with a start delay of 40 -50 sec.
It may be necessary to use a thinner collimation.

Abdomen
277

278
Abdomen
AbdomenFast/
AbdomenFast06s
Indications:
Fast spiral mode for abdominal studies, e.g. when a
patient has difficulty with breathhold.
For the SOMATOM Emotion 6-slice configuration:
A range of 20 cm will be covered in 5.64 sec. with
AbdomenFast06s.
Emotion 6 AbdFast
kV 130
Effective mAs/
Quality ref. mAs
120
Rotation time 0.8/0.6 sec.
Acquisition 6 x 3.0 mm
Slice collimation 3.0 mm
Slice width 6.0 mm
Feed/Rotation 27.0 mm
Pitch Factor 1.50
Increment 6.0 mm
Kernel B41s
CTDIVol 12.24 mGy
Effective dose Male: 5.34 mSv
Female: 6.91 mSv

Abdomen
279
Hints
• You could repeat the same protocol simply by click-
ing the chronicle with the right mouse button for
“repeat“. E.g. when both non-contrast and contrast
studies are required.
• Delayed scans may be required for the kidneys &
bladder.
• If you want to use this protocol for a two-phase
study, repeat the same protocol as mentioned
below, and choose start delay time for arterial phase
as 20 - 25 sec. In this case, the thin slice reconstruc-
tion can also be used for post-processing. Do not
administer oral contrast medium, as this impairs the
editing of MIP/SSD/VRT images. Water could be used
instead if necessary.
• Water, rather than positive oral contrast agents
should be used. Give the last cup 200 ml just prior to
positioning the patient. To ensure adequate filling of
the duodenal loop, lay the patient on the right side
for 5 minutes before performing the topogram.
• A pre-contrast examination is usually performed
only if no CT scans were previously acquired, to
exclude calculi in the common bile duct and to visu-
alize possible lesions in the liver.
• For pancreatic studies, the arterial phase acquisition
can be acquired later with a start delay of 40 - 50 sec.
It may be necessary to use a thinner collimation.
Contrast medium IV injection
Start delay 25 – 30 sec.
Flow rate 2.5 ml/sec.
Total amount 80 ml

280
Abdomen
AbdMultiPhase/
AbdMultiPhase06s
Indications:
Combination of three phase study including liver, pan-
creas and kidney.
For SOMATOM Emotion 16-slice configuration:
A range of 20 cm including liver, pancreas and kidney:
arterial phase acquired in 5.37 sec.
Emotion 16 Non Contrast
kV 110
Effective mAs/
Quality ref. mAs
75
Rotation Time 0.6 sec.
Acquisition 16 x 1.2 mm
Slice collimation 1.2 mm
Slice width 5.0 mm
Feed/Rotation 28.8 mm
Pitch Factor 1.50
Increment 5.0 mm
Kernel B41s
CTDIVol 5.40 mGy
Effective dose Male: 2.34 mSv
Female: 2.89 mSv

Abdomen
281
A range of 20 cm including liver, pancreas and kidney:
arterial phase acquired in 16.83 sec.
Emotion 16 Arterial Phase 2nd recon.
kV 110
Effective mAs/
Quality ref. mAs
120
Rotation Time 0.6 sec.
Acquisition 16 x 0.6 mm
Slice collimation 0.6 mm
Slice width 5.0 mm 1.0 mm
Feed/Rotation 7.7 mm
Pitch Factor 0.80
Increment 5.0 mm 0.7 mm
Kernel B41s B41s
CTDIVol 9.60 mGy
Effective dose Male: 4.05 mSv
Female: 4.84 mSv

282
Abdomen
A range of 20 cm including liver, pancreas and kidney:
arterial phase acquired in 9.01 sec.
Emotion 16 Venous Phase
kV 130
Effective mAs/
Quality ref. mAs
120
Rotation Time 0.6 sec.
Acquisition 16 x 1.2 mm
Slice collimation 1.2 mm
Slice width 5.0 mm
Feed/Rotation 15.4 mm
Pitch Factor 0.80
Increment 5.0 mm
Kernel B41s
CTDIVol 13.44 mGy
Effective dose Male: 5.89 mSv
Female: 7.15 mSv

Abdomen
283
For SOMATOM Emotion 6-slice configuration:
A range of 20 cm including liver, pancreas and kidney:
arterial phase acquired in 7.87 sec.
Emotion 6 Non Contrast
kV 110
Effective mAs/
Quality ref. mAs
75
Rotation Time 0.8/0.6 sec.
Acquisition 6 x 2.0 mm
Slice collimation 2.0 mm
Slice width 5.0 mm
Feed/Rotation 18.0 mm
Pitch Factor 1.50
Increment 5.0 mm
Kernel B41s
CTDIVol 5.33 mGy
Effective dose Male: 2.14 mSv
Female: 2.71 mSv

284
Abdomen
A range of 20 cm including liver, pancreas and kidney:
arterial phase acquired in 12.96 sec.
Emotion 6 Arterial Phase 2nd recon.
kV 110
Effective mAs/
Quality ref. mAs
120
Rotation Time 0.8/0.6 sec.
Acquisition 6 x 2.0 mm
Slice collimation 2.0 mm
Slice width 5.0 mm 2.5 mm
Feed/Rotation 10.2 mm
Pitch Factor 0.85
Increment 5.0 mm 1.7 mm
Kernel B41s B31/B41s
CTDIVol 8.52 mGy
Effective dose Male: 3.24 mSv
Female: 4.03 mSv

Abdomen
285
A range of 20 cm including liver, pancreas and kidney:
arterial phase acquired in 12.96 sec.
* CARE Bolus may be used to optimize the bolus tim-
ing. Set the ROI for monitoring scan in the abdominal
aorta at the beginning of the scan range with trig-
gering threshold of 120 HU, or use manual trigger-
ing.
Emotion 6 Venous Phase
kV 130
Effective mAs/
Quality ref. mAs
120
Rotation Time 0.8/0.6 sec.
Acquisition 6 x 2.0 mm
Slice collimation 2.0 mm
Slice width 5.0 mm
Feed/Rotation 10.2 mm
Pitch Factor 0.85
Increment 5.0 mm
Kernel B41s
CTDIVol 13.08 mGy
Effective dose Male: 5.06 mSv
Female: 6.30 mSv
Contrast medium IV injection
Start delay 20 – 25 sec.* (arterial phase)
50 – 75 sec.* (venous phase)
Flow rate 4 – 5 ml/sec.
Total amount 100 –120 ml

286
Abdomen
Hints
• You could repeat the same protocol simply by click-
ing the chronicle with the right mouse button for
“repeat“. E.g. when both non-contrast and contrast
studies are required.
• Do not administer oral contrast medium, as this
impairs the editing of MIP/SSD/VRT images. Use
water instead if necessary.
• Water, rather than positive oral contrast agents
should be used. Give the last cup 200 ml just prior to
positioning the patient. To ensure adequate filling of
the duodenal loop, lay the patient on the right side
for 5 minutes before performing the topogram.
• A pre-contrast examination is usually performed
only if no CT scans were previously acquired, to
exclude calculi in the common bile duct and to visu-
alize possible lesions in the liver. Furthermore, this
also ensures exact positioning for the CTA spiral.
• For pancreatic studies, the arterial phase acquisition
can be acquired later with a start delay of 40–50 sec.
It may be necessary to use a thinner collimation of
3mm.

Abdomen
287

288
Abdomen
AbdomenSeq
Indications:
This protocol is created for measurement with sequen-
tial mode in the region of the abdomen.
For SOMATOM Emotion 16-slice configuration:
A scan range is predefined with 19.5 cm.
For SOMATOM Emotion 6-slice configuration:
A scan range is predefined with 30.8 cm.
Emotion 16 AbdSeq
kV 130
Effective mAs/
Quality ref. mAs
120
Rotation time 0.6 sec.
Acquisition 2 x 5.0 mm
Slice collimation 5.0 mm
Slice width 5.0 mm
Feed/Scan 10.0 mm
Kernel B41s
CTDIVol 12.24 mGy
Effective dose Male: 4.85 mSv
Female: 5.68 mSv

Abdomen
289
Hints
• You could repeat the same protocol simply by click-
ing the chronicle with the right mouse button for
“repeat“. E.g. when both non-contrast and contrast
studies are required.
• Water, rather than positive oral contrast agents
should be used. Give the last cup 200 ml just prior to
positioning the patient. To ensure adequate filling of
the duodenal loop, lay the patient on the right side
for 5 minutes before performing the topogram.
• A pre-contrast examination is usually performed
only if no CT scans were previously acquired, to
exclude calculi in the common bile duct and to visu-
alize possible lesions in the liver.
Emotion 6 AbdSeq
kV 130
Effective mAs/
Quality ref. mAs
120
Rotation time 0.8 sec.
Acquisition 6 x 2.0 mm
Slice collimation 2.0 mm
Slice width 4.0 mm
Feed/Scan 12.0 mm
Kernel B41s
CTDIVol 13.08 mGy
Effective dose Male: 6.77 mSv
Female: 11.34 mSv
Contrast medium IV injection
Start delay 50 – 60 sec.
Flow rate 3.0 ml/sec.
Total amount 100 ml

290
Abdomen
Colonography/
Colonography06s
Spiral mode used for the application syngo Colonogra-
phy.
For SOMATOM Emotion 16-slice configuration:
A complete colon in a range of 40 cm will be covered
in 17.87 sec.
For SOMATOM Emotion 6-slice configuration:
A complete colon in a range of 40 cm will be covered
in 27.87 sec.

Abdomen
291
Emotion 16 Colo_supine Colo_prone
kV 130 130
Effective mAs/
Quality ref. mAs
50 30
Rotation Time 0.6 sec. 0.6 sec.
Acquisition 16 x 0.6 mm 16 x 0.6 mm
Slice collimation 0.6 mm 0.6 mm
Slice width 1.0 mm 1.0 mm
Feed/Rotation 14.4 mm 14.4 mm
Pitch Factor 1.50 1.50
Increment 0.7 mm 0.7 mm
Kernel B41s B20s
CTDIVol 6.25 mGy 3.75 mGy
Effective dose Male:
4.48 mSv
Female:
6.85 mSv
Male:
2.64 mSv
Female:
4.11 mSv

292
Abdomen
CARE Dose 4D is off as default because for CT Colonog-
raphy protocols the lowest mAs values are used.
For further information on the scan protocols and how
to use syngo Colonography, please refer to the Appli-
cation Guide "Clinical Applications".
Emotion 6 Colo_supine Colo_prone
kV 130 130
Effective mAs/
Quality ref. mAs
50 30
Rotation Time 0.8/0.6 sec. 0.8/0.6 sec.
Acquisition 6 x 1.0 mm 6 x 1.0 mm
Slice collimation 1.0 mm 1.0 mm
Slice width 1.25 mm 1.25 mm
Feed/Rotation 10.8/9.0 mm 10.8/9.0 mm
Pitch Factor 1.80/1.50 1.80/1.50
Increment 0.8 mm 0.8 mm
Kernel B41s B20s
CTDIVol 6.35 mGy 3.81 mGy
Effective dose
Male:
Female:
4.61/4.53 mSv
7.01/6.96 mSv
2.77/2.72 mSv
4.20/4.18 mSv
Contrast medium IV injection
Start delay 50 – 60 sec.
Flow rate 3.0 ml/sec.
Total amount 100 ml

Abdomen
293

294
Overview
In this chapter you will find all scan protocols relating
to the Spine region, their descriptions, individual indi-
cations, and important hints on using them.
You can use the following scan protocols to clarify, for
example, prolapse, degenerative changes, trauma,
and tumors.
For SOMATOM Emotion 16-slice configuration:
–C-Spine
Spiral mode for cervical spine studies
–C-SpineVol
Spiral mode for axial, sagittal soft tissue and sagittal
bone studies for the cervical spine
–SpineRoutine
Spiral mode for routine lumbar and thoracic spine
studies
Spine

Spine
295
–SpineVol
Spiral mode for axial and sagittal lumbar and tho-
racic spine studies
–SpineSeq
Sequential mode for lumbar and thoracic evaluation
of the discs
–Osteo
Sequential mode used for the application syngo
Osteo CT
For SOMATOM Emotion 6-slice configuration:
–C-Spine
Spiral mode for cervical spine studies
–C-SpineVol
Spiral mode for axial, sagittal soft tissue and sagittal
bone studies for the cervical spine
–SpineRoutine
Spiral mode for routine lumbar and thoracic spine
studies
–SpineVol
Spiral mode for axial and sagittal lumbar and tho-
racic spine studies
–SpineThinSlice
Spiral mode for thin slice lumbar and thoracic spine
studies
–SpineSeq
Sequential mode for lumbar and thoracic evaluation
of the discs
–Osteo
Sequential mode used for the application syngo
Osteo CT

296
Spine
General Hints
• Topogram: Lateral, 512 mm for thoracic and lumbar
spine and 256 mm for the C-spine.
• Patient positioning for thoracic and lumbar spine
studies:
Patient lying in supine position, arms positioned
comfortably above the head in the head-arm rest,
lower legs supported.
• Patient positioning for cervical spine studies:
Patient lying in supine position, hyperextend neck
slightly, secure head well in head holder.
– Patient respiratory instruction: do not breathe, do
not swallow.
Any possible injuries to the spinal column should be
determined before beginning the examination and
taken into account when repositioning the patient.
• In case of 3D study only, images should be recon-
structed with at least 50% overlapping and kernel
B10.
• In case of SSD study only, mAs value can be reduced
by 50%. Use kernel B10 and 50% overlapping image
reconstruction.
• For lumbar studies, place a cushion under the
patient’s knees. This will reduce the curve in the
spine and also make the patient more comfortable.
• For image reconstruction of bone study, use kernel
B60.
• The CT scan following myelography must be per-
formed within 4-6 hours of the injection, otherwise,
the contrast density in the spinal canal will be too
high to obtain artifact-free images. Also, if possible,
it is a good idea to roll the patient once, or scan in a
prone position. This will prevent the contrast from
pooling posterior to the spinal cord.
• If a prone scan is performed, breathing instructions
are recommended to avoid motion artifact in axial
source and MPR images.

Spine
297
• To further optimize MPR image quality we recom-
mend that you reduce one or more of the following:
collimation, reconstruction increment, and slice
width for image reconstruction.
• With CAREDose 4D the mA values are adapted for
each osteo range, according to the patient diameter.
Therefore special obese protocols for the osteo eval-
uation are not longer necessary.
Body Kernels
• As standard kernels for body tissue studies B30s or
B40s are recommended; softer images are obtained
with B20s or B10s (extremely soft). The kernels B31s
or B41s have about the same visual sharpness as
B30s, respectively, B40s, the image appearance,
however, is more agreeable due to a ”fine-grained”
noise structure; quite often, the low contrast detect-
ability is improved by using B31s, B41s instead of
B30s, B40s.
• For higher sharpness, as is required e.g. in patient
protocols for cervical spine, shoulder, extremities,
thorax, lung, the kernels B50s, B60s, B70s, B80s are
available.

298
Spine
Scan Protocols
C-Spine
Indications:
Spiral mode for cervical spine studies, e.g. prolapse,
degenerative changes, trauma, tumors etc.
For SOMATOM Emotion 16-slice configuration:
A range of 15 cm will be covered in 21.53 sec.
For SOMATOM Emotion 6-slice configuration:
A range of 15 cm will be covered in 31.41 sec.

Spine
299
Emotion 16 C-Spine 2nd recon.
kV 130
Effective mAs/
Quality ref. mAs
150
Rotation Time 1.0 sec.
Acquisition 16 x 0.6 mm
Slice
collimation
0.6 mm
Slice width 2.0 mm 1.0 mm
Feed/Rotation 7.7 mm
Pitch Factor 0.80
Increment 2.0 mm 0.7 mm
Kernel B31s B60s
CTDIVol 18.75 mGy
Effective dose Male: 3.49 mSv
Female: 3.71 mSv
Emotion 6 C-Spine 2nd recon.
kV 130
Effective mAs/
Quality ref. mAs
150
Rotation Time 1.0 sec.
Acquisition 6 x 1.0 mm
Slice
collimation
1.0 mm
Slice width 2.0 mm 1.25 mm
Feed/Rotation 5.1 mm
Pitch Factor 0.85
Increment 2.0 mm 0.8 mm
Kernel B31s B60s
CTDIVol 19.05 mGy
Effective dose Male: 4.27 mSv
Female: 4.29 mSv

300
Spine
C-SpineVol
Indications:
Spiral mode for cervical spine studies, e.g. prolapse,
degenerative changes, trauma, tumors etc.
Three recon jobs are predefined for reconstruction: the
first for soft tissue axial, the second for soft tissue sag-
ittal and third for sagittal bone studies in 3D images
display view.
For SOMATOM Emotion 16-slice configuration:
A range of 15 cm will be covered in 21.53 sec.
For SOMATOM Emotion 6-slice configuration:
A range of 15 cm will be covered in 31.41 sec.
Emotion 16 C-Spine 2nd
recon.
3rd
recon.
kV 130
Effective mAs/
Quality ref. mAs
150
Rotation Time 1.0 sec.
Acquisition 16 x 0.6 mm
Slice collimation 0.6 mm
Slice width 2.0 mm 2.0 mm 2.0 mm
Feed/Rotation 7.7 mm
Pitch Factor 0.80
Increment 2.0 mm 2.0 mm 2.0 mm
Kernel B31s B20s B60s
CTDIVol 18.75 mGy
Effective dose Male: 3.49 mSv
Female: 3.71 mSv

Spine
301
Emotion 6 C-Spine 2nd
recon.
3rd
recon.
kV 130
Effective mAs/
Quality ref. mAs
150
Rotation Time 1.0 sec.
Acquisition 6 x 1.0 mm
Slice collimation 1.0 mm
Slice width 2.0 mm 2.0 mm 2.0 mm
Feed/Rotation 5.1 mm
Pitch Factor 0.85
Increment 2.0 mm 2.0 mm 2.0 mm
Kernel B31s B20s B60s
CTDIVol 19.05 mGy
Effective dose Male: 4.27 mSv
Female: 4.29 mSv

302
Spine
SpineRoutine
Indications:
Spiral mode for thoracic and lumbar spine studies, e.g.
prolapse, degenerative changes, trauma, tumors etc.
For SOMATOM Emotion 16-slice configuration:
A range of 15 cm will be covered in 26.04 sec.
For SOMATOM Emotion 6-slice configuration:
A range of 15 cm will be covered in 27.00 sec.
Emotion 16 SpineRo
utine
2nd
recon.
3rd
recon.
kV 130
Effective mAs/
Quality ref. mAs
190
Rotation Time 1.0 sec.
Acquisition 16 x 0.6 mm
Slice collimation 0.6 mm
Slice width 3.0 mm 1.0 mm 1.0 mm
Feed/Rotation 6.2 mm
Pitch Factor 0.65
Increment 3.0 mm 0.7 mm 0.7 mm
Kernel B31s B31s B70s
CTDIVol 23.75 mGy
Effective dose Male: 4.42 mSv
Female: 4.70 mSv

Spine
303
Emotion 6 Spine
Routine
2nd
recon.
3rd
recon.
kV 130
Effective mAs/
Quality ref. mAs
190
Rotation Time 1.0 sec.
Acquisition 6 x 2.0 mm
Slice collimation 2.0 mm
Slice width 3.0 mm 2.5 mm 2.5 mm
Feed/Rotation 6.0 mm
Pitch Factor 0.50
Increment 3.0 mm 1.5 mm 1.5 mm
Kernel B31s B31s B60s
CTDIVol 20.70 mGy
Effective dose Male: 4.93 mSv
Female: 11.26 mSv

304
Spine
SpineThinSlice
Indications:
Spiral mode for thin slice thoracic and lumbar spine
studies, e.g. prolapse, degenerative changes, trauma,
tumors etc.
For SOMATOM Emotion 6-slice configuration:
A range of 10 cm will be covered in 32.30 sec.
F
o
r
S
O
M
A
T
Emotion 6 Spine
ThinSlice
2nd
recon.
3rd
recon.
kV 130
Effective mAs/
Quality ref. mAs
190
Rotation Time 1.0 sec.
Acquisition 6 x 1.0 mm
Slice collimation 1.0 mm
Slice width 3.0 mm 1.25 mm 1.25 mm
Feed/Rotation 3.3 mm
Pitch Factor 0.55
Increment 3.0 mm 0.8 mm 0.8 mm
Kernel B31s B31s B70s
CTDIVol 24.13 mGy
Effective dose Male: 3.64 mSv
Female: 7.23 mSv

Spine
305
SpineVol
Indications:
Spiral mode for thoracic and lumbar spine studies, e.g.
prolapse, degenerative changes, trauma, tumors etc.
Three recon jobs are predefined for reconstruction: the
first for soft tissue axial, the second for soft tissue sag-
ittal and third for coronal bone studies in 3D images
display view.
For SOMATOM Emotion 16-slice configuration:
A range of 15 cm will be covered in 26.04 sec.
For SOMATOM Emotion 6-slice configuration:
A range of 10 cm will be covered in 32.30 sec.
Emotion 16 Spine 2nd recon. 3rd
recon.
kV 130
Effective mAs/
Quality ref. mAs
190
Rotation Time 1.0 sec.
Acquisition 16 x 0.6 mm
Slice collimation 0.6 mm
Slice width 3.0 mm 2.0 mm 2.0 mm
Feed/Rotation 6.2 mm
Pitch Factor 0.65
Increment 3.0 mm 2.0 mm 2.0 mm
Kernel B31s B20s B20s
CTDIVol 23.75 mGy
Effective dose Male: 4.42 mSv
Female: 4.70 mSv

306
Spine
Emotion 6 Spine 2nd recon. 3rd
recon.
kV 130
Effective mAs/
Quality ref. mAs
190
Rotation Time 1.0 sec.
Acquisition 6 x 1.0 mm
Slice collimation 1.0 mm
Slice width 3.0 mm 2.0 mm 2.0 mm
Feed/Rotation 3.3 mm
Pitch Factor 0.55
Increment 3.0 mm 2.0 mm 2.0 mm
Kernel B31s B20s B20s
CTDIVol 24.13 mGy
Effective dose Male: 3.64 mSv
Female: 7.23 mSv

Spine
307

308
Spine
SpineSeq
Indications:
Sequence mode for spine studies, e.g. prolapse,
degenerative changes, trauma, tumors etc.
This protocol contains three ranges: L3-L4, L4-L5, L5-
S1.
Three different typical gantry tilts are predefined: for
L3-L4: 0°, for L4-L5: +5° and for L5-S1: +15°
For SOMATOM Emotion 16-slice configuration:
A scan range is predefined with 79 mm.
For SOMATOM Emotion 6-slice configuration:
A scan range is predefined with 84 mm.

Spine
309
Emotion 16 L3-4 L4-5 L5-S1
kV 130 130 130
Effective mAs/
Quality ref.
mAs
280 280 320
Rotation time 1.5 sec. 1.5 sec. 1.5 sec.
Acquisition 12 x
0.6 mm
12 x
0.6 mm
12 x
0.6 mm
Slice
collimation
0.6 mm 0.6 mm 0.6 mm
Slice width 2.4 mm 2.4 mm 2.4 mm
Feed/Scan 7.2 mm 7.2 mm 7.5 mm
Kernel B31s B31s B31s
CTDIVol 38.64
mGy
38.49
mGy
42.66
mGy
Effective dose
Male:
Female:
1.75 mSv
2 . 4 5 m S v
2.15 mSv
3 . 7 8 m S v
2.43 mSv
5.56 m Sv

310
Spine
Hint
• You could repeat the same protocol by simply click-
ing the chronicle with the right mouse button for
repeat.
Emotion 6 L3-4 L4-5 L5-S1
kV 130 130 130
Effective mAs/
Quality ref.
mAs
280 280 320
Rotation time 1.5 sec. 1.5 sec. 1.5 sec.
Acquisition 6 x
1.0 mm
6 x
1.0 mm
6 x
1.0 mm
Slice
collimation
1.0 mm 1.0 mm 1.0 mm
Slice width 2.0 mm 2.0 mm 2.0 mm
Feed/Scan 6.0 mm 6.0 mm 6.0 mm
Kernel B31s B31s B31s
CTDIVol 35.56
mGy
35.56
mGy
40.64
mGy
Effective dose
Male:
Female:
0.88 mSv
1 . 4 4 m S v
0.91 mSv
1.96 mSv
0.81 mSv
3 . 5 2 m S v

Spine
311

312
Spine
Osteo
This is the scan protocol for the syngo Osteo CT appli-
cation package to assist the physician with the quanti-
tative assessment of vertebral bone mineral density
(BMD) in the diagnosis and follow-up of osteopenia
and osteoporosis.
Emotion 16 Osteo
kV 80
Effective mAs/
Quality ref. mAs
220
Rotation time 1.0 sec.
Acquisition 2 x 5.0 mm
Slice collimation 5.0 mm
Slice width 10.0 mm
Feed/Scan 0.0 mm
Kernel S80s
CTDIVol 5.72 mGy
Effective dose Male: 0.48 mSv
Female: 0.71 mSv
Emotion 6 Osteo
kV 80
Effective mAs/
Quality ref. mAs
220
Rotation time 1.0 sec.
Acquisition 2 x 5.0 mm
Slice collimation 5.0 mm
Slice width 10.0 mm
Feed/Scan 0.0 mm
Kernel S80s
CTDIVol 5.50 mGy
Effective dose Male: 0.21 mSv
Female: 0.49 mSv

Spine
313
• With CAREDose 4D the mA values are adapted for
each osteo range, according to the patient diameter.
Therefore special obese protocols for the osteo eval-
uation are not longer necessary.
Load all ranges in the application syngo Osteo CT.
For further information, please refer to the Application
Guide “Clinical Applications“.

314
Overview
In this chapter you will find all scan protocols relating
to the Pelvis region, their descriptions, individual indi-
cations, and important hints on using them.
You can use the following scan protocols to clarify, for
example, abnormalities of the prostate, urinary blad-
der, rectum, joint cavity, masses, and trauma.
For SOMATOM Emotion 16-slice configuration:
–Pelvis
Spiral mode for routine soft tissue pelvis studies
–PelvisVol
Spiral mode for axial and coronal pelvis studies
–Hip
Spiral mode for routine hip studies
–HipVol
Spiral mode for axial and coronal hip studies
–SI_Joints
Spiral mode for sacral iliac joints studies
Pelvis

Pelvis
315
For SOMATOM Emotion 6-slice configuration:
–Pelvis
Spiral mode for routine soft tissue pelvis studies
–PelvisVol
Spiral mode for axial and coronal pelvis studies
–Hip
Spiral mode for routine hip studies
–HipVol
Spiral mode for axial and coronal hip studies
–SI_Joints
Spiral mode for sacral iliac joints studies

316
Pelvis
General Hints
• Topogram: AP, 512 mm for pelvis studies and
256 mm for studies of the hip and SI Joints.
• Patient positioning:
Patient lying in supine position, arms positioned
comfortably above the head in the head-arm rest,
lower legs supported.
• A breathing command is not necessarily required for
the pelvic examination, since respiration does not
negatively influence this region.
• Rectal contrast medium administration:
Rectal contrast media is usually required to delineate
the rectum and sigmoid colon, if lower pelvic mass
or pathology is suspected. In some cases, air may be
substituted for a positive contrast agent. The use of
vaginal tampon may be helpful in adult female
patients with suspected pelvis pathology.
• To further optimize MPR image quality we recom-
mend that you reduce one or more of the following:
collimation, reconstruction increment, and slice
width for image reconstruction.

Pelvis
317
Body Kernels
• As standard kernels for body tissue studies B30s or
B40s are recommended; softer images are obtained
with B20s or B10s (extremely soft). The kernels B31s
or B41s have about the same visual sharpness as
B30s, respectively, B40s, the image appearance,
however, is more agreeable due to a ”fine-grained”
noise structure; quite often, the low contrast detect-
ability is improved by using B31s, B41s instead of
B30s, B40s.
• For higher sharpness, as is required e.g. in patient
protocols for cervical spine, shoulder, extremities,
thorax, the kernels B50s, B60s, B70s, B80s are avail-
able.

318
Pelvis
Scan Protocols
Pelvis
Indications:
Spiral mode for routine pelvis studies, e.g. processes of
the prostate, urinary bladder, rectum, gynecological
indications etc.
For SOMATOM Emotion 16-slice configuration:
A typical range of 20 cm will be covered in 8.94 sec.
For SOMATOM Emotion 6-slice configuration:
A typical range of 20 cm will be covered in 13.11 sec.

Pelvis
319
Emotion 16 Pelvis
kV 130
Effective mAs/
Quality ref. mAs
120
Rotation Time 1.0 sec.
Acquisition 16 x 1.2 mm
Slice collimation 1.2 mm
Slice width 5.0 mm
Feed/Rotation 28.8 mm
Pitch Factor 1.50
Increment 5.0 mm
Kernel B41s
CTDIVol 13.44 mGy
Effective dose Male: 5.32 mSv
Female: 9.14 mSv
Emotion 6 Pelvis
kV 130
Effective mAs/
Quality ref. mAs
120
Rotation Time 1.0 sec.
Acquisition 6 x 2.0 mm
Slice collimation 2.0 mm
Slice width 5.0 mm
Feed/Rotation 18.0 mm
Pitch Factor 1.50
Increment 5.0 mm
Kernel B41s
CTDIVol 13.08 mGy
Effective dose Male: 5.13 mSv
Female: 8.76 mSv

320
Pelvis
* If the examination performed requires a full urinary
bladder, wait at least 3 minutes following IV adminis-
tration of the contrast medium.
Contrast medium IV injection
Start delay 50 sec.*
Flow rate 2.0 – 3.0 ml/sec.
Total amount 100 – 120 ml

Pelvis
321

322
Pelvis
PelvisVol
Indications:
Spiral mode for pelvis studies, e.g. processes of the
prostate, urinary bladder, rectum, gynecological indi-
cations etc.
Two recon jobs are predefined for reconstruction: the
first for axial, the second for coronal studies in 3D
images display view.
For SOMATOM Emotion 16-slice configuration:
A typical range of 20 cm will be covered in 8.94 sec.
For SOMATOM Emotion 6-slice configuration:
A typical range of 20 cm will be covered in 13.11 sec.
Emotion 16 Pelvis 2nd reconstr.
kV 130
Effective mAs/
Quality ref. mAs
120
Rotation Time 1.0 sec.
Acquisition 16 x 1.2 mm
Slice collimation 1.2 mm
Slice width 5.0 mm 5.0 mm
Feed/Rotation 28.8 mm
Pitch Factor 1.50
Increment 5.0 mm 5.0 mm
Kernel B41s B41s
CTDIVol 13.44 mGy
Effective Dose Male: 5.32 mSv
Female: 9.14 mSv

Pelvis
323
* If the examination performed requires a full urinary
bladder, wait at least 3 minutes following IV adminis-
tration of the contrast medium.
Emotion 6 Pelvis 2nd reconstr.
kV 130
Effective mAs/
Quality ref. mAs
120
Rotation Time 1.0 sec.
Acquisition 6 x 2.0 mm
Slice collimation 2.0 mm
Slice width 5.0 mm 5.0 mm
Feed/Rotation 18.0 mm
Pitch Factor 1.50
Increment 5.0 mm 5.0 mm
Kernel B41s B41s
CTDIVol 13.08 mGy
Effective Dose Male: 5.13 mSv
Female: 8.76 mSv
Contrast medium IV injection
Start delay 50 sec.*
Flow rate 2.0 – 3.0 ml/sec.
Total amount 100 – 120 ml

324
Pelvis
Hip
Indications:
Spiral mode for bone studies and soft tissue studies of
the Hip. E.g. evaluation of joint cavity, masses, trauma,
dysplasia, necrosis of the head of the hip, congruence
evaluations, orthopedic indications etc.
For SOMATOM Emotion 16-slice configuration:
A typical range of 10 cm will be covered in 8.94 sec.
For SOMATOM Emotion 6-slice configuration:
A typical range of 10 cm will be covered in 13.11 sec.

Pelvis
325
Emotion 16 Hip 2nd reconstr.
kV 130
Effective mAs/
Quality ref. mAs
100
Rotation Time 1.0 sec.
Acquisition 16 x 0.6 mm
Slice collimation 0.6 mm
Slice width 5.0 mm 1.0 mm
Feed/Rotation 14.4 mm
Pitch Factor 1.50
Increment 5.0 mm 0.7 mm
Kernel B70s B70s
CTDIVol 12.50 mGy
Effective Dose Male: 2.31 mSv
Female: 5.93 mSv
Emotion 6 Hip 2nd reconstr.
kV 130
Effective mAs/
Quality ref. mAs
100
Rotation Time 1.0 sec.
Acquisition 6 x 1.0 mm
Slice collimation 1.0 mm
Slice width 5.0 mm 1.25 mm
Feed/Rotation 9.0 mm
Pitch Factor 1.50
Increment 5.0 mm 0.8 mm
Kernel B70s B70s
CTDIVol 12.70 mGy
Effective Dose Male: 3.60 mSv
Female: 3.16 mSv

326
Pelvis
Hints
• In case of 3D study only, images should be recon-
structed with at least 50% overlapping and kernel
B10.
• If only one side is examined, it is advisable to enter
the side in the comment line on the Routine card.

Pelvis
327

328
Pelvis
HipVol
Indications:
Spiral mode for bone studies and soft tissue studies of
the Hip, e.g. evaluation of joint cavity, masses, trauma,
dysplasia, necrosis of the head of the hip, congruence
evaluations, orthopedic indications etc.
Two recon jobs are predefined for reconstruction: the
first for axial, the second for coronal studies in 3D
images display view.
For SOMATOM Emotion 16-slice configuration:
A typical range of 10 cm will be covered in 8.94 sec.
For SOMATOM Emotion 6-slice configuration:
A typical range of 10 cm will be covered in 13.11 sec.
Two recon jobs are predefined for reconstruction: the
first for axial, the second for coronal studies in
3D images display view.
Emotion 16 Hip 2nd reconstr.
kV 130
Effective mAs/
Quality ref. mAs
100
Rotation time 1.0 sec.
Acquisition 16 x 0.6 mm
Slice collimation 0.6 mm
Slice width 5.0 mm 5.0 mm
Feed/Rotation 14.4 mm
Pitch Factor 1.50
Increment 5.0 mm 5.0 mm
Kernel B70s B60s
CTDIVol 12.50 mGy
Effective Dose Male: 2.31 mSv
Female: 5.93 mSv

Pelvis
329
Hint
• In case of 3D study only, images should be recon-
structed with at least 50% overlapping and kernel
B10.
• If only one side is examined, it is advisable to enter
the side in the comment line on the routine card.
Emotion 6 Hip 2nd reconstr.
kV 130
Effective mAs/
Quality ref. mAs
100
Rotation time 1.0 sec.
Acquisition 6 x 1.0 mm
Slice collimation 1.0 mm
Slice width 5.0 mm 5.0 mm
Feed/Rotation 9.0 mm
Pitch Factor 1.50
Increment 5.0 mm 5.0 mm
Kernel B70s B60s
CTDIVol 12.70 mGy
Effective Dose Male: 3.60 mSv
Female: 3.16 mSv

330
Pelvis
SI_Joints
Indications:
Spiral mode for bone studies of the sacral iliac joints,
e.g. evaluation of joint cavity, masses, trauma, dyspla-
sia, necrosis, congruence evaluations, orthopedic indi-
cations etc.
For SOMATOM Emotion 16-slice configuration:
A typical range of 8 cm will be covered in 7.56 sec.
For SOMATOM Emotion 6-slice configuration:
A typical range of 8 cm will be covered in 10.89 sec.

Pelvis
331
Emotion 16 SI_Joints 2nd reconstr.
kV 130
Effective mAs/
Quality ref. mAs
120
Rotation time 1.0 sec.
Acquisition 16 x 0.6 mm
Slice collimation 0.6 mm
Slice width 3.0 mm 1.0 mm
Feed/Rotation 14.4 mm
Pitch Factor 1.50
Increment 3.0 mm 0.7 mm
Kernel B70s B70s
CTDIVol 15.00 mGy
Effective dose Male: 2.21 mSv
Female: 5.44 mSv
Emotion 6 SI_Joints 2nd reconstr.
kV 130
Effective mAs/
Quality ref. mAs
120
Rotation time 1.0 sec.
Acquisition 6 x 1.0 mm
Slice collimation 1.0 mm
Slice width 3.0 mm 1.25 mm
Feed/Rotation 9.0 mm
Pitch Factor 1.50
Increment 3.0 mm 0.8 mm
Kernel B70s B70s
CTDIVol 15.24 mGy
Effective dose Male: 2.83 mSv
Female: 3.82 mSv

332
Overview
In this chapter you will find the scan protocol relating
to the Upper Extremities region, its description, indi-
vidual indications, and important hints on using it.
You can use the following scan protocol to clarify, for
example, trauma, masses, disorders of the joint, and
orthopedic indications.
Upper Extremities

Upper Extremities
333
For SOMATOM Emotion 16-slice configuration:
–WristHR
Spiral mode for routine high resolution wrist studies
–ExtrRoutineHR
Spiral mode for routine high resolution extremity
studies
–ExtrCombi
Spiral mode for the combination of thin slice and
routine studies
For SOMATOM Emotion 6-slice configuration:
–WristHR
Spiral mode for routine high resolution wrist studies
–ExtrRoutineHR
Spiral mode for routine high resolution extremity
studies
–ExtrCombi
Spiral mode for the combination of thin slice and
routine studies

334
Upper Extremities
General Hints
• Topogram: AP, 256 mm for joint studies.
• Patient positioning:
Depends on the region of examination.
In general, for bilateral studies, you should always
try to position the patient evenly whenever the
patient can comply.
For wrists and elbow scans:
Patient lying in prone position, hands stretched
above the head and lying flat on a Bocollo pillow
(optional), ankles supported with a pad. Both wrists
should be examined together when necessary.
• Retrospective reconstruction can be done:
a)Use B50s kernel for soft tissue evaluation.
b)For targeted FoV images on the affected side, it is
advisable to enter the side being examined in the
comment line.
• In case of 3D study only, use kernel B10 and at least
50% overlapping image reconstruction.
• To further optimize MPR image quality we recom-
mend that you reduce one or more of the following:
collimation, reconstruction increment, and slice
width for image reconstruction.

Upper Extremities
335
Body Kernels
• As standard kernels for body tissue studies B30s or
B40s are recommended; softer images are obtained
with B20s or B10s (extremely soft). The kernels B31s
or B41s have about the same visual sharpness as
B30s, respectively, B40s, the image appearance,
however, is more agreeable due to a ”fine-grained”
noise structure; quite often, the low contrast detect-
ability is improved by using B31s, B41s instead of
B30s, B40s.
• For higher sharpness, as is required e.g. in patient
protocols for cervical spine, shoulder, extremities,
thorax, lung, the kernels B50s, B60s, B70s, B80s are
available.
• The special kernels are mostly used for ”physical”
measurements with phantoms, e.g. for adjustment
procedures (S80s), for constancy and acceptance
tests (S80s, U90s), or for specification purposes
(U90s).
• For special patient protocols, S80s and U90s are cho-
sen, e.g. for osteo (S80s) and for high resolution
bone studies (U90s). We recommend using the high
resolution specification kernel U90s only with
”small” objects, like the wrist, otherwise artifacts will
occur in the images.

336
Upper Extremities
Scan Protocols
WristHR
Indications:
Spiral mode for resolution bone study of thewrist, for
example, trauma, orthopedic indications etc.
For SOMATOM Emotion 16-slice configuration:
A range of 6 cm will be done in 35.33 sec.
For SOMATOM Emotion 6-slice configuration:
A range of 6 cm will be done in 25.53 sec.

Upper Extremities
337
Emotion 16 WristHR 2nd reconstr.
kV 130
Effective mAs/
Quality ref. mAs
40
Rotation time 1.0 sec.
Acquisition 4 x 0.6 mm
Slice collimation 0.6 mm
Slice width 2.0 mm 0.6 mm
Feed/Rotation 1.8 mm
Pitch Factor 0.75
Increment 2.0 mm 0.4 mm
Kernel U90s U90s
CTDIVol 5.52 mGy
Effective dose Male: < 0 mSv
Female: < 0 mSv
Emotion 6 WristHR 2nd reconstr.
kV 130
Effective mAs/
Quality ref. mAs
40
Rotation time 1.0 sec.
Acquisition 6 x 0.5 mm
Slice collimation 0.5 mm
Slice width 2.0 mm 1.0 mm
Feed/Rotation 2.6 mm
Pitch Factor 0.85
Increment 2.0 mm 0.6 mm
Kernel U90s U90s
CTDIVol 5.12 mGy
Effective dose Male: 0.01mSv
Female: < 0 mSv

338
Upper Extremities
Hints
• For image reconstruction of soft tissue, use kernel
B30s/B31s.

Upper Extremities
339

340
Upper Extremities
ExtrRoutineHR
Indications:
Spiral mode for high-resolution bone study, for exam-
ple, trauma, orthopedic indications etc.
For SOMATOM Emotion 16-slice configuration:
A range of 10 cm will be done in 57.56 sec.
For SOMATOM Emotion 6-slice configuration:
A range of 10 cm will be done in 41.22 sec.

Upper Extremities
341
Emotion 16 ExtrHR 2nd reconstr.
kV 130
Effective mAs/
Quality ref. mAs
60
Rotation time 1.0 sec.
Acquisition 4 x 0.6 mm
Slice collimation 0.6 mm
Slice width 2.0 mm 0.6 mm
Feed/Rotation 1.8 mm
Pitch Factor 0.75
Increment 2.0 mm 0.4 mm
Kernel U90s U90s
CTDIVol 8.28 mGy
Effective dose Male: 0.02 mSv
Female: 0.02 mSv
Emotion 6 ExtrHR 2nd reconstr.
kV 130
Effective mAs/
Quality ref. mAs
60
Rotation time 1.0 sec.
Acquisition 6 x 0.5 mm
Slice collimation 0.5 mm
Slice width 2.0 mm 1.0 mm
Feed/Rotation 2.6 mm
Pitch Factor 0.85
Increment 2.0 mm 0.6 mm
Kernel U90s U90s
CTDIVol 7.68 mGy
Effective dose Male: 0.01 mSv
Female: 0.02 mSv

342
Upper Extremities
Hint
• For image reconstruction of soft tissue, use kernel
B30s/B31s.

Upper Extremities
343

344
Upper Extremities
ExtrCombi
Indications:
Spiral mode for the combination of bone and soft tis-
sue studies, e.g. masses, trauma, disorders of the joint
etc.
For SOMATOM Emotion 16-slice configuration:
A range of 15 cm will be done in 12.42 sec.
For SOMATOM Emotion 6-slice configuration:
A range of 10 cm will be done in 13.11 sec.
Emotion 16 ExtrCombi 2nd reconstr.
kV 130
Effective mAs/
Quality ref. mAs
50
Rotation time 1.0 sec.
Acquisition 16 x 0.6 mm
Slice collimation 0.6 mm
Slice width 4.0 mm 1.0 mm
Feed/Rotation 14.4 mm
Pitch Factor 1.50
Increment 4.0 mm 0.7 mm
Kernel B41s B70s
CTDIVol 6.25 mGy
Effective dose Male: 0.02 mSv
Female: 0.02 mSv

Upper Extremities
345
Hint
• For image reconstruction of soft tissue, use kernel
B30s/B31s.
Emotion 6 ExtrCombi 2nd reconstr.
kV 130
Effective mAs/
Quality ref. mAs
50
Rotation time 1.0 sec.
Acquisition 6 x 1.0 mm
Slice collimation 1.0 mm
Slice width 4.0 mm 1.25 mm
Feed/Rotation 9.0 mm
Pitch Factor 1.50
Increment 4.0 mm 0.8 mm
Kernel B41s B70s
CTDIVol 6.35 mGy
Effective dose Male: 0.01 mSv
Female: 0.01 mSv

346
Overview
In this chapter you will find the scan protocol relating
to the Lower Extremities region, its description, indi-
vidual indications, and important hints on using it.
You can use the following scan protocol to clarify, for
example, masses, disorders of the joint, and orthope-
dic indications.
For SOMATOM Emotion 16-slice configuration:
–Knee
Spiral mode for routine joint studies
–Foot
Spiral mode for routine foot studies
–ExtrRoutineHR
Spiral mode for routine high resolution extremity
studies
–ExtrCombi
Spiral mode for the combination of thin slice and
routine studies
Lower Extremities

Lower Extremities
347
For SOMATOM Emotion 6-slice configuration:
–Knee
Spiral mode for routine joint studies
–Foot
Spiral mode for routine wrist studies
–ExtrRoutineHR
Spiral mode for routine high resolution extremity
studies
–ExtrCombi
Spiral mode for the combination of thin slice and
routine studies

348
Lower Extremities
General Hints
• Topogram: AP, 256 mm for joint studies.
• Patient positioning:
Depends on the region of examination. In general,
for bilateral studies, you should always try to posi-
tion the patient evenly whenever the patient can
comply.
• For knee scan:
Patient lying in supine position, feet first, promote
relaxation by placing Bocollo pillows between knees
and feet, bind feet together. The only exceptions are
extremely light patients. The latter can remove the
leg not being examined from the gantry by bending
it 90° at the hip and the knee and placing the bottom
of the same foot against the gantry casing.
• For ankle and feet scan:
Patient lying in supine position, feet first. Bind both
ankles together if necessary to assure the AP position
of both feet. Special positioning is not necessary
since the real time MPR could simulate any view of
secondary reconstruction.
• Retrospective reconstruction can be done:
a)Use B50s kernel for soft tissue evaluation.
b)For targeted FoV images on the affected side, it is
advisable to enter the side being examined in the
comment line.
• In case of 3D study only, use kernel B10 and at least
50% overlapping image reconstruction.
• To further optimize MPR image quality we recom-
mend that you reduce one or more of the following:
collimation, reconstruction increment, and slice
width for image reconstruction.

Lower Extremities
349
Body Kernels
• As standard kernels for body tissue studies B30s or
B40s are recommended; softer images are obtained
with B20s or B10s (extremely soft). The kernels B31s
or B41s have about the same visual sharpness as
B30s, respectively, B40s, the image appearance,
however, is more agreeable due to a ”fine-grained”
noise structure; quite often, the low contrast detect-
ability is improved by using B31s, B41s instead of
B30s, B40s.
• For higher sharpness, as is required e.g. in patient
protocols for cervical spine, shoulder, extremities,
thorax, lung, the kernels B50s, B60s, B70s, B80s are
available.
• In case of 3D study only, the mAs value can be
reduced by 50%. Use kernel B10s and at least 50%
overlapping for image reconstruction.

350
Lower Extremities
Scan Protocols
Knee
Indications:
Spiral mode for knee bone study, e.g. trauma, orthope-
dic indications etc.
For SOMATOM Emotion 16-slice configuration:
A range of 15 cm will be done in 21.53 sec.
For SOMATOM Emotion 6-slice configuration:
A range of 15 cm will be done in 31.41 sec.

Lower Extremities
351
Hints
• For image reconstruction of soft tissue, use kernel
B30s/B31s.
Emotion 16 Knee 2nd reconstr.
kV 130
Effective mAs/
Quality ref. mAs
80
Rotation time 1.0 sec.
Acquisition 16 x 0.6 mm
Slice collimation 0.6 mm
Slice width 3.0 mm 1.0 mm
Feed/Rotation 7.7 mm
Pitch Factor 0.80
Increment 3.0 mm 0.7 mm
Kernel U90s U90s
CTDIVol 10.00 mGy
Effective dose Male: 0.06 mSv
Female: 0.05 mSv
Emotion 6 Knee 2nd reconstr.
kV 130
Effective mAs/
Quality ref. mAs
80
Rotation time 1.0 sec.
Acquisition 6 x 1.0 mm
Slice collimation 1.0 mm
Slice width 3.0 mm 1.25 mm
Feed/Rotation 5.1 mm
Pitch Factor 0.85
Increment 3.0 mm 0.8 mm
Kernel U90s U90s
CTDIVol 10.16 mGy
Effective dose Male: 0.05 mSv
Female: 0.05 mSv

352
Lower Extremities
Foot
Indications:
Spiral mode for foot bone study, e.g. trauma, orthope-
dic indications etc.
For SOMATOM Emotion 16-slice configuration:
A range of 15 cm will be done in 21.53 sec.
For SOMATOM Emotion 6-slice configuration:
A range of 15 cm will be done in 31.41 sec.

Lower Extremities
353
Hints
• For image reconstruction of soft tissue, use kernel
B30s/B31s.
Emotion 16 Foot 2nd reconstr.
kV 130
Effective mAs/
Quality ref. mAs
60
Rotation time 1.0 sec.
Acquisition 16 x 0.6 mm
Slice collimation 0.6 mm
Slice width 3.0 mm 1.0 mm
Feed/Rotation 7.7 mm
Pitch Factor 0.80
Increment 3.0 mm 0.7 mm
Kernel U90s U90s
CTDIVol 7.50 mGy
Effective dose Male: 0.02 mSv
Female: 0.01 mSv
Emotion 6 Foot 2nd reconstr.
kV 130
Effective mAs/
Quality ref. mAs
60
Rotation time 1.0 sec.
Acquisition 6 x 1.0 mm
Slice collimation 1.0 mm
Slice width 3.0 mm 1.25 mm
Feed/Rotation 5.1 mm
Pitch Factor 0.85
Increment 3.0 mm 0.8 mm
Kernel U90s U90s
CTDIVol 7.62 mGy
Effective dose Male: 0.02 mSv
Female: 0.02 mSv

354
Lower Extremities
ExtrRoutineHR
Indications:
Spiral mode for high resolution bone study, e.g.
trauma, orthopedic indications etc.
For SOMATOM Emotion 16-slice configuration:
A range of 10 cm will be done in 57.56 sec.
For SOMATOM Emotion 6-slice configuration:
A range of 10 cm will be done in 41.22 sec.

Lower Extremities
355
Emotion 16 ExtrHR 2nd reconstr.
kV 130
Effective mAs/
Quality ref. mAs*
60
Rotation time 1.0 sec.
Acquisition 4 x 0.6 mm
Slice collimation 0.6 mm
Slice width 2.0 mm 0.6 mm
Feed/Rotation 1.8 mm
Pitch Factor 0.75
Increment 2.0 mm 0.4 mm
Kernel U90s U90s
CTDIVol 8.28 mGy
Effective dose Male: 0.01 mSv
Female: 0.01 mSv

356
Lower Extremities
* Adjust the mAs value to the body region.
Hint
• For image reconstruction of soft tissue, use kernel
B30s/B31s.
Emotion 6 ExtrHR 2nd reconstr.
kV 130
Effective mAs/
Quality ref. mAs*
60
Rotation time 1.0 sec.
Acquisition 6 x 0.5 mm
Slice collimation 0.5 mm
Slice width 2.0 mm 1.0 mm
Feed/Rotation 2.6 mm
Pitch Factor 0.85
Increment 2.0 mm 0.6 mm
Kernel U90s U90s
CTDIVol 7.68 mGy
Effective dose Male: 0.01 mSv
Female: 0.01 mSv

Lower Extremities
357

358
Lower Extremities
ExtrCombi
Indications:
Spiral mode for the combination of bone and soft tis-
sue studies, e.g. masses, trauma, disorders of the joint
etc.
For SOMATOM Emotion 16-slice configuration:
A range of 15 cm will be done in 12.42 sec.
For SOMATOM Emotion 6-slice configuration:
A range of 10 cm will be done in 13.11 sec.
Emotion 16 ExtrCombi 2nd reconstr.
kV 130
Effective mAs/
Quality ref. mAs*
50
Rotation time 1.0 sec.
Acquisition 16 x 0.6 mm
Slice collimation 0.6 mm
Slice width 4.0 mm 1.0 mm
Feed/Rotation 14.4 mm
Pitch Factor 1.50
Increment 4.0 mm 0.7 mm
Kernel B41s B70s
CTDIVol 6.25 mGy
Effective dose Male: 0.02 mSv
Female: 0.02 mSv

Lower Extremities
359
* Adjust the mAs value to the body region.
Hint
• For image reconstruction of soft tissue, use kernel
B30s/B31s.
Emotion 6 ExtrCombi 2nd reconstr.
kV 130
Effective mAs/
Quality ref. mAs*
50
Rotation time 1.0 sec.
Acquisition 6 x 1.0 mm
Slice collimation 1.0 mm
Slice width 4.0 mm 1.25 mm
Feed/Rotation 9.0 mm
Pitch Factor 1.50
Increment 4.0 mm 0.8 mm
Kernel B41s B70s
CTDIVol 6.35 mGy
Effective dose Male: 0.01 mSv
Female: 0.01 mSv

360
Overview
In this chapter you will find all scan protocols relating
to the Vascular region, their descriptions, individual
indications, and important hints on using them.
You can use the following scan protocols to clarify, for
example, vascular abnormalities, stenosis or occlu-
sions, coarse plaques anomalies, aneurysm, and
embolism.
Vascular

Vascular
361
For SOMATOM Emotion 16-slice configuration:
–HeadAngio
Spiral mode for routine head CTAngio studies
–HeadAngioVol
Spiral mode for axial and coronal HeadCTAngio stud-
ies
–CarotidAngio
Spiral mode for carotid CTAngio studies
–CarotidAngioVol
Spiral mode for axial and coronal carotid CTAngio
studies
–ThorAngioRoutine
Spiral mode for routine thorax CTAngio studies
–ThorAngioVol
Spiral mode for axial and oblique thorax CTAngio
studies
–ThorAngioECG
Spiral mode for ECG-gated thorax CTAngio studies
using a collimation of 1.2 mm
–Embolism
Spiral mode for routine pulmonary embolism studies
–BodyAngioRoutine
Spiral mode for body CTAngio studies
–BodyAngioVol
Spiral mode for axial and coronal body CTAngio
studies
–AngioRunOff
Spiral mode for long distance extremity CTAngio
studies
–WholeBodyAngio
Spiral mode for whole body angio studies

362
Vascular
For SOMATOM Emotion 6-slice configuration:
–HeadAngio/HeadAngio06s
Spiral mode for routine head CTAngio studies
–HeadAngioVol
Spiral mode for axial and coronal HeadCTAngio stud-
ies
–CarotidAngio/CarotidAngio06s
Spiral mode for carotid CTAngio studies
–CarotidAngioVol
Spiral mode for axial and coronal carotid CTAngio
studies
–ThorAngioRoutine/ThorAngioRoutine06s
Spiral mode for routine thorax CTAngio studies
–ThorAngioVol
Spiral mode for axial and oblique thorax CTAngio
studies
–ThorAngioECG06s
Spiral mode for ECG-gated thorax CTAngio studies
–ThorAngioECGSeq
Sequential mode for ECG triggered chest CTAngio
studies
–Embolism/Embolism06s
Spiral mode for routine pulmonary embolism studies
–BodyAngioRoutine/BodyAngioRoutine06s
Spiral mode for body CTAngio studies
–BodyAngioVol
Spiral mode for axial and coronal body CTAngio
studies
–BodyAngioFast/BodyAngioFast06s
Spiral mode for fast body CTAngio studies
–AngioRunOff /AngioRunOff06s
Spiral mode for long distance extremity CTAngio
studies

Vascular
363
General Hints
• Topogram: AP, 512/1024, LAT 256
• Patient positioning:
Patient lying in supine position, arms positioned
comfortably above the head in the head-arm rest,
lower legs supported.
• Patient respiratory instructions: inspiration.
• Oral administration of contrast medium:
The use of water will not obscure the blood vessels
thus allowing CTA processing to be performed easily
afterwards.
• Be careful when examining pheochromocytoma
patients. Administration of an IV CM injection in
such cases may trigger a hypertensive crisis!
• To further optimize MPR image quality we recom-
mend that you reduce one or more of the following:
collimation, reconstruction increment and slice
width for image reconstruction.

364
Vascular
Head Kernels
• For soft tissue head studies, the standard kernel is
H40s; softer images are obtained with H30s or H20s,
H10s, sharper images with H50s. The kernels H21s,
H31s, H41s yield the same visual sharpness as H20s,
H30s, H40s, the image appearance, however, is
more agreeable due to a ”fine-grained” noise struc-
ture; quite often, the low contrast detectability is
improved by using H31s, H41s instead of H30s,
H40s. For the standard head protocols, we propose
H21s, H31s, H41s.

Vascular
365
Body Kernels
• As standard kernels for body tissue studies B30s or
B40s are recommended; softer images are obtained
with B20s or B10s (extremely soft). The kernels B31s
or B41s have about the same visual sharpness as
B30s, respectively, B40s, the image appearance,
however, is more agreeable due to a ”fine-grained”
noise structure; quite often, the low contrast detect-
ability is improved by using B31s, B41s instead of
B30s, B40s.

366
Vascular
Scan Protocols
HeadAngio/
HeadAngio06s
Indications:
Spiral mode for cerebral CT Angio studies, e.g. cerebral
vascular abnormalities, tumors and follow up studies
etc.
For SOMATOM Emotion 16-slice configuration:
A range of 80 mm will be covered in 7.45 sec.
For SOMATOM Emotion 6-slice configuration:
A range of 80 mm will be covered in 10.61 sec.

Vascular
367
Emotion 16 HeadAngio 2nd reconstr.
kV 110
Effective mAs/
Quality ref. mAs
70
Rotation time 0.6 sec.
Acquisition 16 x 0.6 mm
Slice collimation 0.6 mm
Slice width 3.0 mm 1.0 mm
Feed/Rotation 7.7 mm
Pitch Factor 0.80
Increment 3.0 mm 0.7 mm
Kernel H31s H20s
CTDIVol 12.46 mGy
Effective dose Male: 0.43 mSv
Female: 0.48 mSv
Emotion 6 HeadAngio 2nd reconstr.
kV 110
Effective mAs/
Quality ref. mAs
70
Rotation time 0.8/0.6 sec.
Acquisition 6 x 1.0 mm
Slice collimation 1.0 mm
Slice width 3.0 mm 1.25 mm
Feed/Rotation 5.1 mm
Pitch Factor 0.85
Increment 3.0 mm 0.8 mm
Kernel H31s H20s
CTDIVol 12.88 mGy
Effective dose Male: 0.37 mSv
Female: 0.42 mSv

368
Vascular
Hint
• Use of CARE Bolus with monitoring scans positioned
at the level of the basilar artery or carotid artery. Set
the trigger threshold at 120 HU, or use manual trig-
gering.
Contrast medium IV injection
Start delay 18 sec.
Flow rate 3.5 ml/sec.
Total amount 75 ml

Vascular
369

370
Vascular
HeadAngioVol
Indications:
Spiral mode for cerebral CT Angio studies, e.g. cerebral
vascu-lar abnormalities, tumors and follow-up studies
etc.
Two recon jobs are predefined for reconstruction: the
first for axial, the second for coronal studies in 3D
images display view.
The coronal view images will be reconstructed as MIP
images.
For SOMATOM Emotion 16-slice configuration:
A range of 8.0 cm will be covered in 7.45 sec.
For SOMATOM Emotion 6-slice configuration:
A range of 8.0 cm will be covered in 14.15 sec.
Emotion 16 HeadAngio 2nd reconstr.
kV 110
Effective mAs/
Quality ref. mAs
70
Rotation time 0.6 sec.
Acquisition 16 x 0.6 mm
Slice collimation 0.6 mm
Slice width 3.0 mm 4.0 mm
Feed/Rotation 7.7 mm
Pitch Factor 0.80
Increment 3.0 mm 4.0 mm
Kernel H31s H20s
CTDIVol 12.46 mGy
Effective dose Male: 0.43 mSv
Female: 0.48 mSv

Vascular
371
Hint
• Use of CARE Bolus with monitoring scans positioned
at the level of the basilar artery or carotid artery. Set
the trigger threshold at 120 HU, or use manual trig-
gering.
Emotion 6 HeadAngio 2nd reconstr.
kV 110
Effective mAs/
Quality ref. mAs
70
Rotation time 0.8 sec.
Acquisition 6 x 1.0 mm
Slice collimation 1.0 mm
Slice width 3.0 mm 4.0 mm
Feed/Rotation 5.1 mm
Pitch Factor 0.85
Increment 3.0 mm 4.0 mm
Kernel H31s H20s
CTDIVol 12.88 mGy
Effective dose Male: 0.37 mSv
Female: 0.42 mSv
Contrast medium IV injection
Start delay 18 sec.
Flow rate 3.5 ml/sec.
Total amount 75 ml

372
Vascular
CarotidAngio/
CarotidAngio06s
Indications:
CT angiography of the carotid arteries, e.g. carotid
stenosis or occlusion, coarse plaques abnormalities of
the carotids or vertebral arteries, etc.
For SOMATOM Emotion 16-slice configuration:
A range of 20 cm including the aorta arch will be cov-
ered in 9.53 sec.
For SOMATOM Emotion 6-slice configuration:
A range of 12 cm including the aorta arch will be cov-
ered in 9.20 sec.

Vascular
373
Emotion 16 CarotidAngio 2nd reconstr.
kV 110
Effective mAs/
Quality ref. mAs
70
Rotation time 0.6 sec.
Acquisition 16 x 0.6 mm
Slice collimation 0.6 mm
Slice width 5.0 mm 1.0 mm
Feed/Rotation 14.4 mm
Pitch Factor 1.50
Increment 5.0 mm 0.7 mm
Kernel B30s B20s
CTDIVol 5.60 mGy
Effective dose Male: 1.28 mSv
Female: 1.41 mSv
Emotion 6 CarotidAngio 2nd reconstr.
kV 110
Effective mAs/
Quality ref. mAs
70
Rotation time 0.8/0.6 sec.
Acquisition 6 x 1.0 mm
Slice collimation 1.0 mm
Slice width 5.0 mm 1.25 mm
Feed/Rotation 9.0 mm
Pitch Factor 1.50
Increment 5.0 mm 0.8 mm
Kernel B31s B20s
CTDIVol 5.81 mGy
Effective dose Male: 0.57 mSv
Female: 0.62 mSv

374
Vascular
Hints
• CARE Bolus may be used to optimize the bolus tim-
ing.
• Set the ROI for monitoring scan in the aortic arch
with triggering threshold of 120 HU, or use manual
triggering.
• High quality 2D & 3D postprocessing can be achieved
using a thin slice thickness and 50% overlapping
increments.
• Thick MPRs and ThinMIPs can be created very quickly
on the 3D Task Card by just clicking on the appropri-
ate icons. The thickness of these reconstructed
images can be defined by clicking on the icons with
the right mouse to open the entry field.
Contrast medium IV injection
Start delay 15 sec.
Flow rate 4 ml/sec.
Total amount 90 ml

Vascular
375

376
Vascular
CarotidAngioVol
Indications:
CT angiography of the carotid arteries, e.g. carotid
stenosis or occlusions, coarse plaques abnormalities of
the carotids and vertebral arteries, etc.
Two recon jobs are predefined for reconstruction: the
first for axial, the second for coronal studies in 3D
images display view.
The coronal view images will be reconstructed as MIP
images.
For SOMATOM Emotion 16-slice configuration:
A range of 20 cm including the aorta arch will be cov-
ered in 9.53 sec.
For SOMATOM Emotion 6-slice configuration:
A range of 12 cm including the aorta arch will be cov-
ered in 12.27 sec.
Emotion 16 CarotidAngio 2nd reconstr.
kV 110
Effective mAs/
Quality ref. mAs
70
Rotation time 0.6 sec.
Acquisition 16 x 0.6 mm
Slice collimation 0.6 mm
Slice width 5.0 mm 3.0 mm
Feed/Rotation 14.4 mm
Pitch Factor 1.50
Increment 5.0 mm 3.0 mm
Kernel B31s B20s
CTDIVol 5.60 mGy
Effective dose Male: 1.28 mSv
Female: 1.41 mSv

Vascular
377
Emotion 6 CarotidAngio 2nd reconstr.
kV 110
Effective mAs/
Quality ref. mAs
70
Rotation time 0.8 sec.
Acquisition 6 x 1.0 mm
Slice collimation 1.0 mm
Slice width 5.0 mm 3.0 mm
Feed/Rotation 9.0 mm
Pitch Factor 1.50
Increment 5.0 mm 3.0 mm
Kernel B31s B20s
CTDIVol 5.81 mGy
Effective dose Male: 0.57 mSv
Female: 0.62 mSv

378
Vascular
Hints
• CARE Bolus may be used to optimize the bolus tim-
ing.
• Set the ROI for monitoring scan in the aortic arch
with triggering threshold of 120 HU, or use manual
triggering.
• High quality 2D & 3D postprocessing can be achieved
using a thin slice thickness and 50% overlapping
increments.
• Thick MPRs and ThinMIPs can be created very quickly
on the 3D Task Card by just clicking on the appropri-
ate icons. The thickness of these reconstructed
images can be defined by clicking on the icons with
the right mouse to open the entry field.
Contrast medium IV injection
Start delay 15 sec.
Flow rate 4 ml/sec.
Total amount 90 ml

Vascular
379

380
Vascular
ThorAngioRoutine/
ThorAngioRoutine06s
Indications:
Spiral mode for thorax CT Angio studies, e.g. visualiza-
tion of tumors, metastases, lymphoma, lymph nodes,
vascular anomalies etc.
For SOMATOM Emotion 16-slice configuration:
A range of 30 cm will be covered in 13.70 sec.
For SOMATOM Emotion 6-slice configuration:
A range of 30 cm will be covered in 21.20 sec.

Vascular
381
Emotion 16 ThorAngio 2nd reconstr.
kV 110
Effective mAs/
Quality ref. mAs
70
Rotation time 0.6 sec.
Acquisition 16 x 0.6 mm
Slice collimation 0.6 mm
Slice width 5.0 mm 1.0 mm
Feed/Rotation 14.4mm
Pitch Factor 1.50
Increment 5.0 mm 0.7 mm
Kernel B31s B20s
CTDIVol 5.60 mGy
Effective dose Male: 2.92 mSv
Female: 3.78 mSv
Emotion 6 ThorAngio 2nd reconstr.
kV 110
Effective mAs/
Quality ref. mAs
70
Rotation time 0.8/0.6 sec.
Acquisition 6 x 1.0 mm
Slice collimation 1.0 mm
Slice width 5.0 mm 1.25 mm
Feed/Rotation 9.0mm
Pitch Factor 1.50
Increment 5.0 mm 0.8 mm
Kernel B31s B20s
CTDIVol 5.81 mGy
Effective dose Male: 2.96 mSv
Female: 3.83 mSv

382
Vascular
Hints
• CARE Bolus may be used to optimize the bolus tim-
ing.
• Set the ROI for monitoring scan in the aortic arch
with triggering threshold of 120 HU, or use manual
triggering.
• Thick MPRs and ThinMIPs can be created very quickly
on the 3D Task Card by just clicking on the appropri-
ate icons. The thickness of these reconstructed
images can be defined by clicking on the icons with
the right mouse to open the entry field.
• Editing is necessary for SSD display of the thoracic
aorta without the bone.
Contrast medium IV injection
Start delay 10 – 25 sec.
Flow rate 2.5 ml/sec.
Total amount 80 ml

Vascular
383

384
Vascular
ThorAngioVol
Indications:
Spiral mode for thorax CT Angio studies, e.g. visualiza-
tion of tumors, metastases, lymphoma, lymph nodes,
vascular anomalies etc.
Two recon jobs are predefined for reconstruction: the
first for axial, the second for double-oblique studies in
3D images display view.
The oblique view images will be reconstructed as MIP
images.
For SOMATOM Emotion 16-slice configuration:
A range of 30 cm will be covered in 13.70 sec.
For SOMATOM Emotion 6-slice configuration:
A range of 30 cm will be covered in 28.27 sec.
Emotion 16 ThorAngio 2nd reconstr.
kV 110
Effective mAs/
Quality ref. mAs
70
Rotation time 0.6 sec.
Acquisition 16 x 0.6 mm
Slice collimation 0.6 mm
Slice width 5.0 mm 3.0 mm
Feed/Rotation 14.4 mm
Pitch Factor 1.50
Increment 5.0 mm 3.0 mm
Kernel B31s B30s
CTDIVol 5.60 mGy
Effective dose Male: 2.92 mSv
Female: 3.78 mSv

Vascular
385
Emotion 6 ThorAngio 2nd reconstr.
kV 110
Effective mAs/
Quality ref. mAs
70
Rotation time 0.8 sec.
Acquisition 6 x 1.0 mm
Slice collimation 1.0 mm
Slice width 5.0 mm 3.0 mm
Feed/Rotation 9.0 mm
Pitch Factor 1.50
Increment 5.0 mm 3.0 mm
Kernel B31s B30s
CTDIVol 5.81 mGy
Effective dose Male: 2.96 mSv
Female: 3.83 mSv

386
Vascular
Hints
• CARE Bolus may be used to optimize the bolus tim-
ing.
• Set the ROI for monitoring scan in the aortic arch
with triggering threshold of 120 HU, or use manual
triggering.
• Thick MPRs and ThinMIPs can be created very quickly
on the 3D Task Card by just clicking on the appropri-
ate icons. The thickness of these reconstructed
images can be defined by clicking on the icons with
the right mouse to open the entry field.
• Editing is necessary for SSD display of the thoracic
aorta without the bone.
Contrast medium IV injection
Start delay 10 – 25 sec.
Flow rate 2.5 ml/sec.
Total amount 80 ml

Vascular
387

388
Vascular
ThorAngioECG/
ThorAngioECG06s
Indications:
This is a spiral scanning protocol using a collimation of
1.2 mm and an ECG gating technique for thorax CTAn-
gio studies.
For SOMATOM Emotion 16-slice configuration:
A range of 25 cm will be covered in 18.13 sec.
For SOMATOM Emotion 6:
A range of 15 cm will be covered in 19.95 sec.

Vascular
389
Emotion 16 ThorAngioECG 2nd reconstr.
kV 130
Effective mAs/
Quality ref. mAs
280
Rotation Time 0.5 sec.
Acquisition 16 x 1.2 mm
Slice collimation 1.2 mm
Slice width 3.0 mm 1.5 mm
Feed/Rotation 7.3 mm
Pitch Factor 0.38
Increment 3.0 mm 0.8 mm
Kernel B31s B31s
Temp. resolution*
*. depends on heart rate
up to 125 ms
CTDIVol 31.36 mGy
Effective dose Male: 13.88 mSv
Female: 18.66 mSv

390
Vascular
Emotion 6 ThorAngioECG 2nd reconstr.
kV 130
Effective mAs/
Quality ref. mAs
210
Rotation Time 0.6 sec.
Acquisition 6 x 2.0 mm
Slice collimation 2.0 mm
Slice width 5.0 mm 2.5 mm
Feed/Rotation 4.8 mm
Pitch Factor 0.40
Increment 5.0 mm 1.5 mm
Kernel B31s B31s
Temp. resolution*
*. depends on heart rate
up to 150 ms
CTDIVol 22.89 mGy
Effective dose Male: 5.87 mSv
Female: 8.12 mSv

Vascular
391
Hints
• CARE Bolus may be used to optimize the bolus tim-
ing.
• Set the ROI for monitoring scan in the aortic arch
with triggering threshold of 120 HU, or use manual
triggering.
Contrast medium IV injection
Start delay 4 – 10 sec.
Flow rate 2.5 ml/sec.
Total amount 80 – 100 ml

392
Vascular
ThorAngioECGSeq
Indications:
Sequential, ECG triggered study for location and extent
of aneurysms, dissection, and ruptures of the thoracic
aorta with typical scan range of 29.9 cm.
Hints
• CARE Bolus may be used to optimize the bolus tim-
ing.
• Set the ROI for monitoring scan in the aortic arch
with triggering threshold of 120 HU, or use manual
triggering.
Emotion 6 ThorAngioECG
kV 130
Effective mAs/
Quality ref. mAs
80
Rotation Time 0.8 sec.
Acquisition 6 x 1.0 mm
Slice collimation 1.0 mm
Slice width 1.0 mm
Feed/Scan 6.0 mm
Kernel B31s
Temp. resolution*
*. depends on heart rate
up to 400 ms
CTDIVol 10.16 mGy
Effective dose Male: 6.92 mSv
Female: 9.00 mSv
Contrast medium IV injection
Start delay 10 – 30 sec.
Flow rate 2.5 ml/sec.
Total amount 80 ml

Vascular
393

394
Vascular
Embolism/
Embolism06s
Indications:
Spiral mode for pulmonary embolism studies.
For SOMATOM Emotion 16-slice configuration
A range of 30 cm will be covered in 13.70 sec.
For SOMATOM Emotion 6-slice configuration:
A range of 28 cm will be covered in 19.87 sec.

Vascular
395
Emotion 16 Embolism 2nd reconstr.
kV 110
Effective mAs/
Quality ref. mAs
80
Rotation Time 0.6 sec.
Acquisition 16 x 0.6 mm
Slice collimation 0.6 mm
Slice width 3.0 mm 0.75 mm
Feed/Rotation 14.4 mm
Pitch Factor 1.50
Increment 3.0 mm 0.5 mm
Kernel B31s B20s
CTDIVol 6.40 mGy
Effective dose Male: 3.28 mSv
Female: 4.26 mSv
Emotion 6 Embolism 2nd reconstr.
kV 110
Effective mAs/
Quality ref. mAs
80
Rotation Time 0.8/0.6 sec.
Acquisition 6 x 1.0 mm
Slice collimation 1.0 mm
Slice width 3.0 mm 1.25 mm
Feed/Rotation 10.8/9.0 mm
Pitch Factor 1.80/1.50
Increment 3.0 mm 0.8 mm
Kernel B31s B20s
CTDIVol 6.64 mGy
Effective dose Male: 3.25/3.21 mSv
Female: 4.23/4.18 mSv

396
Vascular
Hints
• CARE Bolus may be used to optimize the bolus tim-
ing.
• Set the ROI for monitoring scan in the pulmonary
trunk with triggering threshold of 120 HU, or use
manual triggering.
Contrast medium IV injection
Start delay 6 – 10 sec.
Flow rate 4 ml/sec.
Total amount 80 – 100 ml

Vascular
397

398
Vascular
BodyAngioRoutine/
BodyAngioRoutine06s
Indications:
Spiral mode for abdominal CT Angio studies.
For SOMATOM Emotion 16-slice configuration:
A typical study in a range of 40 cm will be covered in
17.87 sec.
For SOMATOM Emotion 6-slice configuration:
A typical study in a range of 20 cm will be covered in
14.53 sec.

Vascular
399
Emotion 16 BodyAngio 2nd reconstr.
kV 110
Effective mAs/
Quality ref. mAs
90
Rotation Time 0.6 sec.
Acquisition 16 x 0.6 mm
Slice collimation 0.6 mm
Slice width 5.0 mm 1.0 mm
Feed/Rotation 14.4 mm
Pitch Factor 1.50
Increment 5.0 mm 0.7 mm
Kernel B31s B20s
CTDIVol 7.20 mGy
Effective dose Male: 5.04 mSv
Female: 6.36 mSv
Emotion 6 BodyAngio 2nd reconstr.
kV 110
Effective mAs/
Quality ref. mAs
90
Rotation Time 0.8/0.6 sec.
Acquisition 6 x 1.0 mm
Slice collimation 1.0 mm
Slice width 5.0 mm 1.25 mm
Feed/Rotation 9.0 mm
Pitch Factor 1.50
Increment 5.0 mm 0.8 mm
Kernel B31s B20s
CTDIVol 7.47 mGy
Effective dose Male: 2.83 mSv
Female: 3.51 mSv

400
Vascular
Hints
• CARE Bolus may be used to optimize the bolus tim-
ing.
• Set the ROI for monitoring scan in the abdominal
aorta with triggering threshold of 120 HU, or use
manual triggering.
• Do not administer oral contrast medium, as this
impairs the editing of MIP/SSD/VRT images.
• Use water as oral contrast.
• The length of the CM spiral in the topogram (via the
table position) can be planned exactly by means of
pre-contrast images.
• Precontrast images are used to visualize calcifica-
tion.
• Excellent postprocessed images can be created using
a thin slice thickness and overlapping images, i.e.
the increment should be smaller than the slice thick-
ness.
Contrast medium IV injection
Start delay 20 – 25 sec.
Flow rate 3.0 – 3.5 ml/sec.
Total amount 100 – 120 ml

Vascular
401

402
Vascular
BodyAngioVol
Indications:
Spiral mode for abdominal CT Angio studies.
Two recon jobs are predefined for reconstruction: the
first for axial, the second for coronal studies in 3D
images display view. The coronal view images will be
reconstructed as MIP images.
For SOMATOM Emotion 16-slice configuration:
A typical study in a range of 40 cm will be covered in
17.87 sec.
For SOMATOM Emotion 6-slice configuration:
A typical study in a range of 20 cm will be covered in
19.38 sec.
Emotion 16 BodyAngio 2nd reconstr.
kV 110
Effective mAs/
Quality ref. mAs
90
Rotation Time 0.6 sec.
Acquisition 16 x 0.6 mm
Slice collimation 0.6 mm
Slice width 5.0 mm 3.0 mm
Feed/Rotation 14.4 mm
Pitch Factor 1.50
Increment 5.0 mm 3.0 mm
Kernel B31s B30s
CTDIVol 7.20 mGy
Effective dose Male: 5.04 mSv
Female: 6.36 mSv

Vascular
403
Emotion 6 BodyAngio 2nd reconstr.
kV 110
Effective mAs/
Quality ref. mAs
90
Rotation Time 0.8 sec.
Acquisition 6 x 1.0 mm
Slice collimation 1.0 mm
Slice width 5.0 mm 3.0 mm
Feed/Rotation 9.0 mm
Pitch Factor 1.50
Increment 5.0 mm 3.0 mm
Kernel B31s B30s
CTDIVol 7.47 mGy
Effective dose Male: 2.83 mSv
Female: 3.51 mSv

404
Vascular
Hints
• CARE Bolus may be used to optimize the bolus tim-
ing.
• Set the ROI for monitoring scan in the abdominal
aorta with triggering threshold of 120 HU, or use
manual triggering.
• Do not administer oral contrast medium, as this
impairs the editing of MIP/SSD/VRT images.
• Use water as oral contrast.
• The length of the CM spiral in the topogram (via the
table position) can be planned exactly by means of
pre-contrast images.
• Precontrast images are used to visualize calcifica-
tion.
• Excellent postprocessed images can be created using
a thin slice thickness and overlapping images, i.e.
the increment should be smaller than the slice thick-
ness.
Contrast medium IV injection
Start delay 20 – 25 sec.
Flow rate 3.0 – 3.5 ml/sec.
Total amount 100 – 120 ml

Vascular
405

406
Vascular
BodyAngioFast/
BodyAngioFast06s
Indications:
Spiral mode for longer coverage and larger vessels.
For SOMATOM Emotion 6-slice configuration:
A typical study of the whole aorta including its bran-
chiocephalic trunk and iliac arteries in a range of 30 cm
will be covered in 9.77 sec.

Vascular
407
Emotion 6 BodyAngio
Fast
2nd reconstr.
kV 110
Effective mAs/
Quality ref. mAs
90
Rotation Time 0.8/0.6 sec.
Acquisition 6 x 2.0 mm
Slice collimation 2.0 mm
Slice width 5.0 mm 2.5 mm
Feed/Rotation 21.0 mm
Pitch Factor 1.75
Increment 5.0 mm 1.5 mm
Kernel B31/B30s B31s
CTDIVol 6.39 mGy
Effective dose Male: 3.45 mSv
Female: 5.82 mSv

408
Vascular
Hints
• CARE Bolus may be used to optimize the bolus tim-
ing.
• Set the ROI for monitoring scan in the abdominal
aorta with triggering threshold of 120 HU, or use
manual triggering.
• Do not administer oral contrast medium, as this
impairs the editing of MIP/SSD/VRT images.
• Use water as oral contrast.
• The length of the CM spiral in the topogram (via the
table position) can be planned exactly by means of
pre-contrast images.
• Precontrast images are used to visualize calcifica-
tion.
• Excellent postprocessed images can be created using
a thin slice thickness and overlapping images, i.e.
the increment should be smaller than the slice thick-
ness.
Contrast medium IV injection
Start delay 20 sec.
Flow rate 3.5 ml/sec.
Total amount 120 ml

Vascular
409

410
Vascular
AngioRunOff/
AngioRunOff06s
Indications:
Spiral mode for CT Angio studies of the extremities.
For SOMATOM Emotion 16-slice configuration:
A range of 80 cm will be done in 17.87 sec.
For SOMATOM Emotion 6-slice configuration:
A range of 80 cm will be done in 23.42 sec.

Vascular
411
Emotion 16 AngioRunOff 2nd reconstr.
kV 110
Effective mAs/
Quality ref. mAs
90
Rotation Time 0.6 sec.
Acquisition 16 x 1.2 mm
Slice collimation 1.2 mm
Slice width 6.0 mm 1.5 mm
Feed/Rotation 28.8 mm
Pitch Factor 1.50
Increment 6.0 mm 1.0 mm
Kernel B31s B31s
CTDIVol 6.48 mGy
Effective dose Male: 4.98 mSv
Female: 5.08 mSv
Emotion 6 AngioRunOff 2nd reconstr.
kV 110
Effective mAs/
Quality ref. mAs
90
Rotation Time 0.8/0.6 sec.
Acquisition 6 x 2.0 mm
Slice collimation 2.0 mm
Slice width 6.0 mm 2.5 mm
Feed/Rotation 21.6 mm
Pitch Factor 1.80
Increment 6.0 mm 1.5 mm
Kernel B31s B31s
CTDIVol 6.39 mGy
Effective dose Male: 2.95 mSv
Female: 1.94 mSv

412
Vascular
Hints
• CARE Bolus may be used to optimize the bolus timing
and with a triggering threshold of 120 HU, or use
manual triggering.
• If Topo length 1024 mm is not long enough, you can
also choose the Topo length of 1500 mm.
• Position the patient as feet first. Bend the feet
together if necessary.
Contrast medium IV injection
Start delay 25 – 30 sec.
Flow rate 3.0 – 3.5 ml/sec.
Total amount 120 – 150 ml

Vascular
413

414
Vascular
WholeBodyAngio
Indications:
For CT Angio spiral studies of the whole body.
For SOMATOM Emotion 16-slice configuration:
A range of 80 cm will be done in 17.87 sec.
Emotion 16 WholeBody 2nd reconstr.
kV 110
Effective mAs/
Quality ref. mAs
90
Rotation Time 0.6 sec.
Acquisition 16 x 1.2 mm
Slice collimation 1.2 mm
Slice width 6.0 mm 1.5 mm
Feed/Rotation 28.8 mm
Pitch Factor 1.50
Increment 6.0 mm 1.0 mm
Kernel B31s B31s
CTDIVol 6.48 mGy
Effective dose Male: 9.33 mSv
Female: 10.11 mSv

Vascular
415
Hints
• CARE Bolus may be used to optimize the bolus tim-
ing.
• Set the ROI for monitoring scan with triggering
threshold of 120 HU, or use manual triggering.
• If Topo length 1024 mm is not long enough, you can
also choose the 1540 mm long Topogram.
• Position the patient as feet first. Bend the feet
together if necessary.
Contrast medium IV injection
Start delay 10 – 20 sec.
Flow rate 3.0 – 3.5 ml/sec.
Total amount 120 – 150 ml

416
Specials
Overview
The examination protocols designed for some of these
applications are under the “Special” folder.
Trauma
In any trauma situation, time means life and the qual-
ity of life for the survivor. To facilitate the examina-
tions, five protocols are provided.
For SOMATOM Emotion 16-slice configuration:
–Trauma
This is a one-range mode for fast screening
–TraumaVol
This is an one-range mode for fast screening for
coronal and sagittal studies
–PolyTrauma
This is a combined mode for the examination of mul-
tiple ranges, for example, Head, Neck, Thorax, Abdo-
men and Pelvis
–HeadTrauma
Spiral head protocol for trauma studies with a FoV of
500 and therefore lowered image quality
–HeadTraumaSeq
Sequential head protocol for trauma studies, with a
FoV of 500 and therefore lowered image quality

Specials
417
For SOMATOM Emotion 6-slice configuration:
–PolyTrauma/PolyTrauma06s
This is a combined mode for the examination of mul-
tiple ranges, for example, Head, Neck, Thorax, Abdo-
men and Pelvis
–HeadTrauma
Spiral head protocol for trauma studies with a FoV of
500 and therefore lowered image quality
–HeadTraumaSeq
Sequential head protocol for trauma studies, with a
FoV of 500 and therefore lowered image quality

418
Specials
Interventional CT
For SOMATOM Emotion 16-slice configuration:
–Biopsy
This is the multislice biopsy mode. With three times
4.8 mm, the images will be reconstructed and dis-
played for each scan.
–BiopsySingle
This is a single multislice biopsy mode. One 10mm
slice is aquired.
–CARE Vision
The CARE Vision protocol is a spiral mode without
table feed, using a three times 4.8 mm slice thick-
ness.
–CARE VisionSingle
The CARE Vision protocol is a spiral mode without
table feed, using a 10 mm slice thickness.
–CARE VisionBone
The CARE Vision protocol is a spiral mode without
table feed, using a three times 4.8 mm slice thick-
ness with a bone kernel.

Specials
419
For SOMATOM Emotion 6-slice configuration:
–Biopsy
This is the multislice biopsy mode. With three times
6.0 mm, the images will be reconstructed and dis-
played for each scan.
–BiopsySingle
This is a single multislice biopsy mode. One 10mm
slice is aquired.
–CARE Vision
The CARE Vision protocol is a spiral mode without
table feed, using a three times 6.0 mm slice thick-
ness.
–CARE VisionSingle
The CARE Vision protocol is a spiral mode without
table feed, using a 10 mm slice thickness.
–CARE VisionBone
The CARE Vision protocol is a spiral mode without
table feed, using a three times 6.0 mm slice thick-
ness with a bone kernel.

420
Specials
Test Bolus
For SOMATOM Emotion 16-slice configuration:
–TestBolus
This mode can be used to test the start delay of opti-
mal enhancement after the contrast medium injec-
tion.
For SOMATOM Emotion 6-slice configuration:
–TestBolus
This mode can be used to test the start delay of opti-
mal enhancement after the contrast medium injec-
tion.

Specials
421

422
Specials
Trauma Protocols
In any trauma situation, time means life and the qual-
ity of life for the survivor.
General Information
• Check that the emergency drug trolley is well
stocked and that all accessories such as in-room oxy-
gen supply, respirator and resuscitation equipment
that may be required during the examination are in
working order.
• Prepare the CT room before admitting the patient,
e.g., load IV contrast into the injector.
• Know, observe and practice the standard hospital
operating policy for handling a patient in distress
e.g. Code Blue for cardiac and respiratory arrest.
• Any possible injuries to the spinal column should be
determined before beginning the examination and
taken into account when shifting and positioning
the patient.
• Ensure that all vital lines e.g., IV tubing and oxygen
tubing are not trapped under the patient or between
the table and the cradle. Make allowance for the
length of tubing required for the topogram scan
range.
• Never leave patients unattended at any time during
the procedure.
• Observe the vital signs e.g. ECG, respiration, etc. at
all times during the procedure.
• Finish the examination in the shortest possible time.

Specials
423

424
Specials
Trauma
This is a one-range mode for fast screening for emer-
gency studies.
For SOMATOM Emotion 16-slice configuration:
A scan range of 50 cm will be done in 11.62 s.
Emotion 16 Trauma 2nd
recon.
3rd
recon.
kV 130
Effective mAs/
Quality ref. mAs
85
Rotation Time 0.6 sec.
Acquisition 16 x 1.2 mm
Slice collimation 1.2 mm
Slice width 8.0 mm 2.0 mm 2.0 mm
Feed/Rotation 28.8 mm
Pitch Factor 1.50
Increment 8.0 mm 1.5 mm 1.5 mm
Kernel B31s B31s B70s
CTDIVol 9.52 mGy
Effective dose Male: 7.02 mSv
Female: 8.81 mSv

Specials
425
TraumaVol
This is a one-range mode for fast screening for emer-
gency studies.
Three recon jobs are predefined for reconstruction: the
first for axial, the second for coronal and the third sag-
ittal studies in 3D images display view.
For SOMATOM Emotion 16-slice configuration:
A scan range of 50 cm will be done in 11.62 sec.
Trauma 2nd recon. 3rd recon.
kV 130
Effective mAs/
Quality ref.
mAs
85
Rotation time 0.6 sec.
Acquisition 16 x 1.2 mm
Slice
collimation 1.2 mm
Slice width 8.0 mm 8.0 mm 8.0 mm
Feed/Rotation 28.8 mm
Pitch Factor 1.50
Increment 8.0 mm 8.0 mm 8.0 mm
Kernel B31s B30s B30s
CTDIVol 9.52 mGy
Effective dose Male: 7.02 mSv
Female: 8.81 mSv
4rd recon. 5th recon.
Slice width 8.0 mm 8.0 mm
Increment 8.0 mm 8.0 mm
Kernel B70s B70s

426
Specials
PolyTrauma/
PolyTrauma06s
Two combined ranges are predefined, head with neck
and thorax with abdomen.
For SOMATOM Emotion 16-slice configuration:
A scan range of 12/14 cm will be done in 13.36/9.68
sec.
Emotion 16 Head Neck
kV 130 130
Effective mAs/
Quality ref. mAs
240 150
Rotation time 1.0 sec. 1.0 sec
Acquisition 16 x 1.2 mm 16 x 1.2 mm
Slice collimation 1.2 mm 1.2 mm
Slice width 6.0 mm 5.0 mm
Feed/Rotation 10.6 mm 19.2 mm
Pitch Factor 0.55 1.00
Increment 6.0 mm 5.0 mm
Kernel H31s B50s
CTDIVol 57.60 mGy 16.80 mGy
Effective dose
Male:
Female:
2.63 mSv
2.88 mSv
3.08 mSv
3.37 mSv

Specials
427
Take a new Topogram for the thorax and abdomen
range.
A scan range of 20/40 cm will be done in 9.01/
9.53 sec.
Emotion 16 Thorax AbdPelvis
kV 130 130
Effective mAs/
Quality ref. mAs
50 90
Rotation time 0.6 sec. 0.6 sec
Acquisition 16 x 1.2 mm 16 x 1.2 mm
Slice collimation 1.2 mm 1.2 mm
Slice width 8.0 mm 8.0 mm
Feed/Rotation 15.4 mm 28.8 mm
Pitch Factor 0.80 1.50
Increment 8.0 mm 8.0 mm
Kernel B41s B41s
CTDIVol 5.60 mGy 10.08 mGy
Effective dose
Male:
Female:
1.94 mSv
2.53 mSv
8.47 mSv
10.60 mSv

428
Specials
For SOMATOM Emotion 6-slice configuration:
A scan range of 12/14 cm will be done in 9.84/13.67
sec.
Emotion 6 Head Neck
kV 130 130
Effective mAs/
Quality ref. mAs
250 150
Rotation time 1.0 sec. 1.0 sec
Acquisition 6 x 3.0 mm 6 x 2.0 mm
Slice collimation 3.0 mm 2.0 mm
Slice width 6.0 mm 5.0 mm
Feed/Rotation 15.3 mm 12.0 mm
Pitch Factor 0.85 1.00
Increment 6.0 mm 5.0 mm
Kernel H31s B50s
CTDIVol 55.00 mGy 16.35 mGy
Effective dose
Male:
Female:
2.58 mSv
2.79 mSv
3.09 mSv
3.23 mSv

Specials
429
Take a new Topogram for the thorax and abdomen
range.
A scan range of 20/40 cm will be done in 9.04/
10.09 sec.
Emotion 6 Thorax AbdPelvis
kV 130 130
Effective mAs/
Quality ref. mAs
50 90
Rotation time 0.8/0.6 sec. 0.8/0.6 sec
Acquisition 6 x 3.0 mm 6 x 3.0 mm
Slice collimation 3.0 mm 3.0 mm
Slice width 8.0 mm 8.0 mm
Feed/Rotation 15.3 mm 27.0 mm
Pitch Factor 0.85 1.50
Increment 8.0 mm 8.0 mm
Kernel B41s B41s
CTDIVol 5.10 mGy 9.18 mGy
Effective dose
Male:
Female:
1.73 mSv
2.27 mSv
8.00 mSv
10.37 mSv

430
Specials
HeadTrauma
A spiral mode for emergency head studies with a max.
FoV of 500 mm.
For SOMATOM Emotion 16-slice configuration:
A scan range of 12 cm will be covered in 20.05 sec.
For SOMATOM Emotion 6-slice configuration:
A scan range of 12 cm will be covered in 30.27 sec.
Emotion 16 Head 2nd reconstr.
kV 130
Effective mAs/
Quality ref. mAs
240
Rotation time 1.5 sec.
Acquisition 16 x 1.2 mm
Slice collimation 1.2 mm
Slice width 6.0 mm 6.0 mm
Feed/Rotation 10.6 mm
Pitch Factor 0.55
Increment 6.0 mm 6.0 mm
Kernel H31s H60s
CTDIVol 57.60 mGy
Effective dose Male: 2.63 mSv
Female: 2.88 mSv

Specials
431
Emotion 6 Head 2nd reconstr.
kV 130
Effective mAs/
Quality ref. mAs
250
Rotation time 1.5 sec.
Acquisition 6 x 2.0 mm
Slice collimation 2.0 mm
Slice width 6.0 mm 6.0 mm
Feed/Rotation 6.6 mm
Pitch Factor 0.55
Increment 6.0 mm 6.0 mm
Kernel H31s H60s
CTDIVol 58.75 mGy
Effective dose Male: 2.76 mSv
Female: 2.98 mSv

432
Specials
HeadTraumaSeq
A sequence mode for emergency head studies with a
max. FoV of 500 mm.
For SOMATOM Emotion 16-slice configuration:
A scan range is predefined with 12.5 cm.
For SOMATOM Emotion 6-slice configuration:
A scan range is predefined with 12.0 cm.
Emotion 16 HeadSeq
kV 130
Effective mAs/
Quality ref. mAs
270
Rotation time 1.5 sec.
Acquisition 2 x 5.0 mm
Slice collimation 5.0 mm
Slice width 5.0 mm 5.0 mm
Feed/Scan 10.0 mm 10.0 mm
Kernel H31s H60s
CTDlVol 58.32 mGy
Effective dose Male: 2.55 mSv
Female: 2.81 mSv

Specials
433
Emotion 6 HeadSeq
kV 130
Effective mAs/
Quality ref. mAs
270
Rotation time 1.5 sec.
Acquisition 6 x 3.0 mm
Slice collimation 3.0 mm
Slice width 6.0 mm 6.0 mm
Feed/Scan 18.0 mm 18.0 mm
Kernel H31s H60s
CTDlVol 59.40 mGy
Effective dose Male: 3.05 mSv
Female: 3.17 mSv

434
Specials
Additional Important Information
• You can select which protocol is the emergency pro-
tocol.
• For long range scanning, please pay attention to the
scannable range mark on the table mattress while
positioning the patient.
• In some cases, it might be advisable to position the
patient feet first so that there will be more space for
the intensive care equipment around.
• The Trauma protocol is predefined with a Topo
length of 1024 mm, the Poly Trauma protocol with a
Topo length of 1536 mm.
Note: You should press the “Hold Measurement“ but-
ton whenever the range shown on the real time
growing topogram is long enough, in order to avoid
unnecessary radiation.

Specials
435

436
Specials
Interventional CT - Biopsy
To facilitate CT interventional procedures, we created
dedicated multislice and single slice sequential modes.
Any of these protocols can be appended to a spiral pro-
tocol for CT interventional procedures, such as biopsy,
abscess drainage, pain therapy, minimum invasive
operations, joint studies, and arthrograms. Adjust the
mAs according to the body region before loading.
10 scans are predefined. You can repeat it by clicking
the chronicle with the right mouse button and select
repeat, or simply change the number of scans to 99
before you start the first scan.
You can “Append” any routine protocol after the inter-
ventional procedure for a final check and documenta-
tion, e.g. a short range of spiral scanning for the biopsy
region.
The table height can be adjusted to a minimum of
255 mm.
Zoom and pan of the images is possible within the
Biopsy Mode.

Specials
437
Biopsy
With this routine protocol images will be reconstructed
with three time 4.8/6.0 mm or one time 10 mm slice
thickness.
Emotion 16 Biopsy
kV 130
Effective mAs/
Quality ref. mAs
110
Rotation time 0.6 sec.
Acquisition 12 x 1.2 mm
Slice collimation 1.2 mm
Slice width 4.8 mm
Feed/Scan 0.0 mm
Kernel B31s
CTDIvol 12.10 mGy
Emotion 6 Biopsy
kV 130
Effective mAs/
Quality ref. mAs
110
Rotation time 0.6 sec.
Acquisition 6 x 3.0 mm
Slice collimation 3.0 mm
Slice width 6.0 mm
Feed/Scan 0.0 mm
Kernel B31s
CTDIvol 11.22 mGy

438
Specials
Biopsy Single
One 10 mm slice images will be reconstructed and dis-
played for each scan.
Emotion 16 Biopsy Single
kV 130
Effective mAs/
Quality ref. mAs
50
Rotation time 0.6 sec.
Acquisition 2 x 5.0 mm
Slice collimation 5.0 mm
Slice width 10.0 mm
Feed/Scan 0.0 mm
Kernel B31s
CTDlVol 5.10 mGy
Emotion 6 Biopsy Single
kV 130
Effective mAs/
Quality ref. mAs
50
Rotation time 0.6 sec.
Acquisition 2 x 5.0 mm
Slice collimation 5.0 mm
Slice width 10.0 mm
Feed/Scan 0.0 mm
Kernel B31s
CTDlVol 4.75 mGy

Specials
439
Interventional CT - CARE
Vision
CARE Vision is a CT Fluoroscopic mode for interven-
tions with 1 or 3 combined slices and up to 10 images
per sec. displayed (depending on the hardware config-
uration).
The Basics
Any of the predefined CARE Vision scan protocols can
be appended to a spiral protocol for interventional pro-
cedures, such as biopsies, abscess drainage, pain ther-
apy, minimum invasive operations, joint studies, and
arthograms.
The raw data will not be available for image recon-
struction. In case of the FoV must be changed due to
movement, insert a control scan by clicking on the
chronicle with the right mouse button.
You can “Append” any routine protocol after the inter-
ventional procedure for a final check and documenta-
tion, for example, a short range of spiral scanning for
the biopsy region.
With gantry tilt 0° the table height can be adjusted to
minimum vertical position of 255 mm.
Automatic Patient Instruction (API) is not possible for
CARE Vision.
You can change the gantry tilt on the gantry panel
while the protocol is loaded.

440
Specials
CAREVision
With this routine protocol, the image will be recon-
structed and displayed using three times 4.8/6.0 mm
or one time 10 mm slice thickness and a kernel of B30
in the CARE View mode.
Emotion 16 CAREVision
kV 130
Effective mAs/
Quality ref. mAs
30
Rotation time 0.6 sec.
Acquisition 16 x 0.6 mm
Slice collimation 0.6 mm
Slice width 4.8 mm
Feed/Scan 0.0
Increment 1.0 mm
Kernel B31s
CTDIvol 3.75 mGy
Emotion 6 CAREVision
kV 130
Effective mAs/
Quality ref. mAs
30
Rotation time 0.6 sec.
Acquisition 6 x 3.0 mm
Slice collimation 3.0 mm
Slice width 6.0 mm
Feed/Scan 0.0
Increment 1.0 mm
Kernel B31s
CTDIvol 3.06 mGy

Specials
441
CAREVisionSingle
The images will be reconstructed and displayed with
one time 10 mm slice thickness and a kernel of B30.
Emotion 16 CAREVision
kV 130
Effective mAs/
Quality ref. mAs
30
Rotation time 0.6 sec.
Acquisition 2 x 5.0 mm
Slice collimation 5.0 mm
Slice width 10.0 mm
Feed/Scan 0.0
Increment 1.0 mm
Kernel B31s
CTDIvol 3.06 mGy
Emotion 6 CAREVision
kV 130
Effective mAs/
Quality ref. mAs
30
Rotation time 0.6 sec.
Acquisition 2 x 5.0 mm
Slice collimation 5.0 mm
Slice width 10.0 mm
Feed/Scan 0.0
Increment 1.0 mm
Kernel B31s
CTDIvol 2.85 mGy

442
Specials
CAREVisionBone
The images will be reconstructed and displayed in the
CARE View mode with three times 4.8/6.0 mm or one
time 10 mm slice thickness and a kernel of B50.
Emotion 16 CAREVision
kV 130
Effective mAs/
Quality ref. mAs
30
Rotation time 0.6 sec.
Acquisition 16 x 0.6 mm
Slice collimation 0.6 mm
Slice width 4.8 mm
Feed/Scan 0.0
Increment 1.0 mm
Kernel B50s
CTDIvol 3.75 mGy
Emotion 6 CAREVision
kV 130
Effective mAs/
Quality ref. mAs
30
Rotation time 0.6 sec.
Acquisition 6 x 3.0 mm
Slice collimation 3.0 mm
Slice width 6.0 mm
Feed/Scan 0.0
Increment 1.0 mm
Kernel B50s
CTDIvol 3.06 mGy

Specials
443
HandCARE
HandCARE is a dedicated algorithm for dose reduction
during the interventional procedure.
It switches off the x-ray exposure for a 100° angle
between three different positions (10:00, 12:00 and
2:00 o’ clock).
Thus provides a significant dose saving to the opera-
tor’s hand, while keeping the image quality constant.
X-Ray off X-Ray on

444
Specials
The HandCARE item list offers “None“ and three select-
able protection areas. You can select this values inde-
pendent of the current or a future patient position. The
list elements are sorted clockwise from a view to the
front of the gantry.
Values: {“None“, “10:00 o’ clock”, “12:00 o’ clock”,
“2:00 o’ clock}, default: “None“, label: “HandCARE“.
The HandCARE position is graphically displayed on the
Routine subtask card.
HandCARE positions

Specials
445
Application Procedure
1.Load and scan a spiral protocol of the interested
body region.
2.Scroll through the images to define a target slice.
3.Click on Same TP under Table position, in the routine
card. Move the table to the desired table position.
4.Turn on the light marker on the Gantry to localize the
entry point, and then start patient preparation.
5.Open the Patient Model Dialog. Check the check-
box Append. Select one of the predefined CAREVi-
sion scan protocols under Specials protocols and
then click OK.
6.Select the HandCARE position on the scan card.
7.Click Load and the Cancel/Move to scan on the pre-
selected table position.
8.Press the footswitch to start the Fluoroscopy.

446
Specials
You can change
the following Scan
Parameters on the
examination task card
during radiation:
•Gantry Tilt
•Table position
•Table movement type
•Feed in/Feed out
Hints
• Press the footswitch either to position the needle or
to control the needle position.
• Without HandCARE every time you release the foot-
switch max. the last scanned 3 sec. of acquired
images are automatically saved to the local data-
base.
• With HandCARE every time you release the foot-
switch one image per rotation is automatically saved
to the local database.
• If CARE View is used, only the middle slice of the last
image is displayed after release of the footswitch.

Specials
447
Additional Important Information
Pause CARE Vision Scan Range
If you pause the CARE Vision Scan Range the SlicePo-
sition and TableHeight will be displayed in the Image
Text.
Reference Image Display
To display a reference image during the examination
procedure, the Viewing task card can be displayed on
a second monitor.
Additional Dose Information
CARE Vision uses scan parameters and operating con-
ditions, which are unique and may require additional
care and radiation protection measures.
To avoid unnecessary exposure in any case, the scan
time should be kept as short as possible.

448
Specials
Radiation exposure to patients
• CARE Vision applies continuous exposure at moder-
ate mA levels.
• Due to the potentially long scan times and the lim-
ited scan volume, the dose for certain slices may
increase to levels significantly higher than those
known from standard CT applications.
• The patient’s exposure levels is usually estimated by
CTDIvol.
• This unit is designed to give the average dose in the
scanned volume.
• Before starting the scan, the dose rate (CTDIvol in
mGy per second) is displayed on the monitor.
• During the CARE Vision scan, the accumulated dose
(CTDI vol) reflecting the patient exposure is dis-
played on the monitor. The display scale ranges from
zero to 3000 mGy.
• If the table is shifted during the examination, the
accumulated dose will be distributed to different
slices and will be lower than indicated by the display.
• When a new scan is loaded, the dose display starts
again from zero.

Specials
449
Radiation exposure to personnel
During the procedure the physician is in the scan room
and close to the exposed scan plane.
• Take special care to avoid excessive and unnecessary
radiation exposure.
Protection against primary x-ray exposure:
• In the worst case, any body parts in the scan plane
may receive approximately the accumulated dose as
shown on the CTDI display.
• Avoid being directly exposed to the x-ray beam.
Protection against stray radiation:
• The x-ray beam is limited to the imaged scan vol-
ume, but a significant portion of the x-rays is scat-
tered and distributed in the scan room (stray radia-
tion).
• Wear protective clothing to reduce exposure.
• A table with measured data of this stray radiation is
included in the chapter on Safety in your SOMATOM
Operator Manual.

450
Specials
General Information for Biopsy
and CARE Vision
Interventional Toolbar
If you want to perform a CareVision or Biopsy Scan you
can activate the new Interventional Tool Bar in the
main menu under Imange - Intervention.
The Interventional Toolbar will be displyed as soon as
an Interventional Scan entry is being loaded.
Interventional Window 1/2/3
Save current Table Position (TP)
Auto Stop at Saved Table Position (TP)
Auto Stop at last Interventional Scan Posi-
tion (SP)
Blow Up
CARE View
CARE View Blow Up

Specials
451
•Interventional Window 1/2/3
With the special window toggle button you can apply
three different window settings to your image, the
default values are: Abdomen (300/40), Lung (1200/-
600) and Bone (1500/450).
You can choose different window settings under
Options>Configuration>Examination>Interven-
tion, these settings correspond to the window values
list.
•Save and Auto Stop functions
The icon for Auto-Stop at saved TP will be highlighted
in green, after you have pressed the button for save
current Table Position, you will find a new entry in the
Drop down menu of the subtask card. By moving the
table to another position the icon will be displayed in
gray until you reach the saved Table position, then it
will turn to green again. If you activate the Auto-Stop
at saved TP function and use the Joystick or the but-
tons on the Gantry, the table will stop automatically at
the desired position so it is easier for you to reposition
the patient again. This function will stay active until
you press the button Auto-Stop at saved TP again.
The same behavior happens if you use the Auto-Stop
at Last Interventional Scan Position function. If you
press Auto-Stop at Last Interventional Scan Position
and use the Gantry buttons to position your patient,
the Gantry buttons will flash and show you in which
direction you need to move the table to get back to
your interventional table position again.

452
Specials
•Screen layout
In the interventional Toolbar for CARE Vision you can
change the Layout of the Display. There are three dif-
ferent modes available.
– Blow up (one big image)
– CARE View (three equal sized images)
– CARE View Blow up (one big and two smaller
images on each side)
If you choose certain slice thicknesses and collimations
in the Routine subtask card which are marked in bold
letters, you will get in addition to your center an image
that will be towards the head and one towards the
feed. Then you can use the CARE View and CARE View
Blow up mode as well for your interventional proce-
dure.
You can change these modes while you are in the
loaded process or while you are not applying radiation,
the layout changes will be applied if you start scan-
ning.
In the Interventional Toolbar for Biopsy you can
change the layout of the display. There are three differ-
ent modes available:
– Blow up (one big image)
–Two segment
– CARE View (three equal sized images)
The Image Layout can be changed in the interventional
Toolbar regardless of the chosen slice thickness or col-
limation from Blow-up Mode to the two segment
Mode. If you choose certain slice thicknesses and colli-
mations, which are marded in bold letters, you have
the option to get the images displayed in the CARE
View Mode as well.
The changes will be applied directly during the Biopsy
porcedure.

Specials
453
CAREView
The item CAREView indicates when a combined image
is displayed. When the number of Slice Positions per
scan is three, CARE View is activated and shown on the
Routine subtask card.
On the Recon subtask card you can select the CARE
View image position, depending on the patient posi-
tion, e.g. if you want to display the images which is
closer to the head of the patient on the left hand side
of the image area, select Head – Left.

454
Specials
CARE Vision and Biopsy layout for Single image display
CARE Vision layout for CAREView large-size display

Specials
455
CARE Vision and Biopsy layout for CAREView equal-
size display
Biopsy two segment

456
Specials
Configuration
Dose Display
The maximum displayed value of the Dose is set as a
default to 2000 mGy. It is possible to configure this
from 100-200 mGy under Options>Configura-
tion>Examination>Intervention. Exceeding this con-
figuration maximum value will not stop the scan, just
the Dose scale bar will change to red. If you start scan-
ning again the Dose scale bar will be reset.
Storage rate
All three CAREView images (Head, Center and Feet)
can be saved if you select it under Configura-
tion>Examination>Intervention prior to your exami-
nation.
The image storage rate is also configurable under
Option>Configuration>Examination>Intervention
depending on your system. You can choose between
an image storage rate of 1,2,4 (5 images/sec. for
SOMATOM Emotion 16/6-slice configuration ) and 1*3
images per second.

Specials
457
Example
3.5 second scan done.
Then at least four images are saved depending on con-
figuration:
•Conf: 1ima/s
– Central image - after 1st second
– Central image - after 2nd second
– Central image - after 3rd second
– Central image - after 3,5 seconds (last)
– All together - 4 images
•Conf: 1ima/s + last 3 CARE View images
– Central image - after 1st second
– Central image - after 2nd second
– Central image - after 3rd second
– Head/Central/Feet images - after 3,5 seconds
– All together - 6 images
•Conf: 1*3ima/s
– Head/Central/Feet images - after 1st second
– Head/Central/Feet images - after 2nd second
– Head/Central/Feet images - after 3rd second
– Head/Central/Feet images - after 3,5 seconds
– All together - 12 images
Auto load
You have the possibility to turn the CARE Vision auto
"on". The system will then automatically load the CARE
Vision Mode and display the axial images so that you
can plan on which table position you want to perform
your interventional procedure by using the "Move
table position to displayed image position" function. If
you prefer to reconstruct the images first you can
switch this function off.

458
Specials
Routine Subtask card
Move table/scanrange to displayed image position.
The function Move Table/Scanrange to displayed
image position in the Routine subtask card allows you
to move the table to the position of the displayed tomo
image in the selected segment. If you use the CARE
View Mode you can use the Head of the Feet image for
adjusting your table position as well.
Incremental/continuous table movement
You can switch between incremental and continuous
table movement while the scan is loaded, the default
step size will be changed according to the chosen slice
thickness (default is always half the current slice thick-
ness) but adapt the increment in 0.5 steps.
Biopsy Icon
In the Routine subtask card you will find a button for
switching "on" the biopsy Mode for every sequential
scan protocol. The box where you can define if you
want to scan cranio-caudal or caudo-cranial will then
change and you can decide if you want to move the
table with an incremental or continuous table move-
ment. Then the interventional Toolbar will be available
as well.
Move table top only
If you want to only move the Table top and have the
Top Support fixed you can use the function Move
table top only in the Routine Card. Make sure that the
Top Support (table) is completely out.

Specials
459
Additional Important Information
Independently from the Interventional Window but-
tons on the Interventional Toolbar you can use for
faster windowing the function keys F2, F3 and F4 are
implemented with standard window settings for Abdo-
men, Lung and Bone. Modifying them is possible
under Options> Configuration> Examination> Win-
dowing.
If you repeat a CARE Vision or Biopsy scan range the
window setting last used will be applied to your new
images. Inserting the next scan range by using the
Patient Model Dialog will reset this function so that
the default window setting will be applied.
If you want to change the window values you can do
this under Option> Configuration> Viewing> Evalu-
ation General but be aware you do not change it for
the Interventional values only but for all window set-
tings. If you don’t want to change it for all window val-
ues you can for example change it for the Abdomen to
350/50 and save this as a new window setting with a
new name, then you can apply these values as your
interventional window settings and have the General
window settings set as before.

460
Specials
TestBolus Protocol
TestBolus
This mode can be used to test the start delay of an opti-
mal enhancement after the contrast medium injec-
tion.
Emotion 16 TestBolus
kV 110
Effective mAs/
Quality ref. mAs
40
Rotation time 0.6 sec.
Acquisition 2 x 5.0 mm
Slice collimation 5.0 mm
Slice width 10.0 mm
Feed/Scan 0.0 mm
Kernel B31s
CTDIvol 2.60 mGy
Emotion 6 TestBolus
kV 110
Effective mAs/
Quality ref. mAs
40
Rotation time 0.6 sec.
Acquisition 2 x 5.0 mm
Slice collimation 5.0 mm
Slice width 10.0 mm
Feed/Scan 0.0 mm
Kernel B31s
CTDIvol 2.48 mGy

Specials
461

462
Radiation Therapy
Radiation Therapy Planning
The SOMATOM Emotion 16/6-slice configuration are
very well suited to Radiation Therapy Planning (RTP)
with its ergonomic enlarged gantry opening and its
scan plane located only 35cm from the gantry front.
Using the external laser markers and the connected
workstations, the system provides the complete proce-
dure of Virtual Simulation in RTP much faster and more
easily. The patient can leave the department after only
a few minutes of CT scanning. The SOMATOM Emotion
16/6-slice configuaration table supports all kinds of
patient positioning, immobilization and verification
accessories, ensuring the same patient position as on
the LINAC table (for example, RT table tops, Beekleys,
masks, IR cameras, new laser guidance system).
If non-diagnostic CT examinations have to be per-
formed, dedicated low dose protocols for virtual simu-
lation are provided.
Because external simulation SW might not be able to
handle complete spiral data sets, sequence scans are
available as well.
The treatment planning can be performed later, maybe
when the patient is no longer present. Applications for
virtual simulation are available on the COHERENCE
Dosimetrist or the syngo Multi Modality Workplace,
from where the results can be sent to the LINAC for
patient treatment.
Radiation Therapy

Radiation Therapy
463
COHERENCE Dosimetrist
Remember the challenges of Radiation Therapy…
• Precisely locate and delineate the tumor volume
• Establish reliable external references on the patient
surface

464
Radiation Therapy
• Spare as much healthy tissue as possible
• Precisely position the patient for treatment for the
entire course of treatment (typically 25-35 fractions)

Radiation Therapy
465
Benefits
• No limitations for patient set-up within 85 cm gantry
opening and the ability to scan at a low table posi-
tion thereby maximizing gantry "freespace"
• Complete anatomical visualization for optimized
localization and dose calculation with extended 85
cm FOV
85 cm
Display FoV
50 cm
Scan FoV

466
Radiation Therapy
• High volume coverage in time (16 X2.0 mm in 0.6 s)
minimizing motion artifacts and breath hold time
• Thin slice imaging for high quality DRRs (Digitally
Reconstructed Radiograph) and MPRs, especially for
conformal 3D therapy and IMRT (Intensity Modu-
lated Radiation Therapy)
• Complete CT simulation solution providing higher
geometrical accuracy of table and lasers and the
integration of flat table inserts
Slice 1.5 mm
Rot 0.6 s
Pitch 1.5
Slice 2.5 mm
Rot 1 s
Pitch 1 s
6 slice scanner
RT edition
Volume Coverage
15 cm in 10 s
Volume Coverage
25 cm in 10 s
SOMATOM Emotion
16-slice configuration

Radiation Therapy
467
• New long-range gantry laser lights with position
adjustment possible without opening gantry covers
for easier installation and synchronization with room
RTP lasers
• Integrated solution for Virtual Simulation with syngo
based COHERENCE Dosimetrist or VSim on syngo
MultiModality Workplace
• Display of gantry tilt angle in 0.5 degree increments
• Greater accuracy of X-ray tube positioning for topo-
gram scans: +/- 1 degree
• Simplified horizontal positioning of the table. During
an examination, a table feed position can be stored
enabling fast and easy repositioning of a patient
back to the previous table position.
• Proven DICOM connectivity to radiation therapy
planning software

468
Radiation Therapy
Workflow
Simulation:
1.Patient positioning on CT table
(external lasers)
2.Patient marking
(external lasers)
3.CT scan
4.Offline: Virtual Simulation and Dose Planning
Treatment:
1.Patient positioning on the therapy table
(external lasers)
2.Verification of irradiation area
(light field projection)
3.Treatment
The default scan protocols provide the first recon job
used for soft tissue studies and the second recon job
for bone structures.

Radiation Therapy
469

470
Radiation Therapy
Scan Protocols
Overview
You can use the following scan protocols for the Radia-
tion Therapy Planning:
For SOMATOM Emotion 16-slice configuration:
–RT_Head
Spiral mode for routine radiation therapy planning
head studies
–RT_Thorax
Spiral mode for routine fradiation therapy planning
thoracic studies
–RT_Breast
Spiral mode for routine radiation therapy planning
studies of the breast
–RT_Abdomen
Spiral mode for routine radiation therapy planning
abdominal studies
–RT_Pelvis
Spiral mode for routine radiation therapy planning
pelvis studies

Radiation Therapy
471
For SOMATOM Emotion 6-slice configuration:
–RT_Head
Spiral mode for routine radiation therapy planning
head studies
–RT_Thorax
Spiral mode for routine fradiation therapy planning
thoracic studies
–RT_Breast
Spiral mode for routine radiation therapy planning
studies of the breast
–RT_Abdomen
Spiral mode for routine radiation therapy planning
abdominal studies
–RT_Pelvis
Spiral mode for routine radiation therapy planning
pelvis studies

472
Radiation Therapy
RT_Head
Indications:
Spiral mode for routine radiation therapy planning
head studies.
For SOMATOM Emotion 16-slice configuration:
A range of 12 cm will be covered in 20.05 sec.
For SOMATOM Emotion 6-slice configuration:
A range of 12 cm will be covered in 30.27 sec.
Emotion 16 Head 2nd recon.
kV 130
Effective mAs/
Quality ref. mAs
240
Rotation time 1.5 sec.
Acquisition 16 x 1.2 mm
Slice collimation 1.2 mm
Slice width 3.0 mm 3.0 mm
Feed/Rotation 10.6 mm
Pitch Factor 0.55
Increment 3.0 mm 3.0 mm
Kernel H31s H60s
CTDIVol 57.60 mGy
Effective dose Male: 2.66 mSv
Female: 2.88 mSv

Radiation Therapy
473
Emotion 6 Head 2nd recon.
kV 130
Effective mAs/
Quality ref. mAs
250
Rotation time 1.5 sec.
Acquisition 6 x 2.0 mm
Slice collimation 2.0 mm
Slice width 3.0 mm 3.0 mm
Feed/Rotation 6.6 mm
Pitch Factor 0.55
Increment 3.0 mm 3.0 mm
Kernel H31s H60s
CTDIVol 58.75 mGy
Effective dose Male: 2.76 mSv
Female: 2.98 mSv

474
Radiation Therapy
RT_Thorax
Indications:
Spiral mode for routine radiation therapy planning tho-
racic studies.
For SOMATOM Emotion 16-slice configuration:
A range of 30 cm will be covered in 12.92 sec.
For SOMATOM Emotion 6-slice configuration:
A range of 30 cm will be covered in 25.13 sec.
Emotion 16 Thorax 2nd recon.
kV 130
Effective mAs/
Quality ref. mAs
90
Rotation time 0.6 sec.
Acquisition 16 x 1.2 mm
Slice collimation 1.2 mm
Slice width 8.0 mm 8.0 mm
Feed/Rotation 15.4 mm
Pitch Factor 0.80
Increment 8.0 mm 8.0 mm
Kernel B41s B70s
CTDIVol 10.08 mGy
Effective dose Male: 5.53 mSv
Female: 7.35 mSv

Radiation Therapy
475
Emotion 6 Thorax 2nd recon.
kV 130
Effective mAs/
Quality ref. mAs
90
Rotation time 0.8 sec.
Acquisition 6 x 2.0 mm
Slice collimation 2.0 mm
Slice width 8.0 mm 8.0 mm
Feed/Rotation 10.2 mm
Pitch Factor 0.85
Increment 8.0 mm 5.0 mm
Kernel B41s B70s
CTDIVol 9.81 mGy
Effective dose Male: 4.98 mSv
Female: 6.45 mSv

476
Radiation Therapy
RT_Breast
Indications:
Spiral mode for routine radiation therapy planning tho-
racic studies of the mammae.
For SOMATOM Emotion 16-slice configuration:
A range of 30 cm will be covered in 12.92 sec.
For SOMATOM Emotion 6-slice configuration:
A range of 30 cm will be covered in 25.13 sec.
Emotion 16 Breast 2nd recon.
kV 130
Effective mAs/
Quality ref. mAs
90
Rotation time 0.6 sec.
Acquisition 16 x 1.2 mm
Slice collimation 1.2 mm
Slice width 8.0 mm 8.0 mm
Feed/Rotation 15.4 mm
Pitch Factor 0.80
Increment 8.0 mm 8.0 mm
Kernel B41s B70s
CTDIVol 10.08 mGy
Effective dose Male: 5.69 mSv
Female: 7.11 mSv

Radiation Therapy
477
Emotion 6 Breast 2nd recon.
kV 130
Effective mAs/
Quality ref. mAs
90
Rotation time 0.8 sec.
Acquisition 6 x 2.0 mm
Slice collimation 2.0 mm
Slice width 8.0 mm 8.0 mm
Feed/Rotation 10.2 mm
Pitch Factor 0.85
Increment 8.0 mm 5.0 mm
Kernel B41s B70s
CTDIVol 9.81 mGy
Effective dose Male: 4.98 mSv
Female: 6.45 mSv

478
Radiation Therapy
RT_Abdomen
Indications:
Spiral mode for routine radiation therapy planning
abdominal studies.
For SOMATOM Emotion 16-slice configuration:
A range of 20 cm will be covered in 9.01 sec.
For SOMATOM Emotion 6-slice configuration:
A range of 20 cm will be covered in 17.29 sec.
Emotion 16 Abdomen 2nd recon.
kV 130
Effective mAs/
Quality ref. mAs
150
Rotation time 0.6 sec.
Acquisition 16 x 1.2 mm
Slice collimation 1.2 mm
Slice width 8.0 mm 8.0 mm
Feed/Rotation 15.4 mm
Pitch Factor 0.80
Increment 8.0 mm 8.0 mm
Kernel B41s B60s
CTDIVol 16.80 mGy
Effective dose Male: 7.36 mSv
Female: 8.94 mSv

Radiation Therapy
479
Emotion 6 Abdomen 2nd recon.
kV 130
Effective mAs/
Quality ref. mAs
150
Rotation time 0.8 sec.
Acquisition 6 x 2.0 mm
Slice collimation 2.0 mm
Slice width 8.0 mm 8.0 mm
Feed/Rotation 10.2 mm
Pitch Factor 0.85
Increment 8.0 mm 8.0 mm
Kernel B41s B60s
CTDIVol 16.35 mGy
Effective dose Male: 6.33 mSv
Female: 7.87 mSv

480
Radiation Therapy
RT_Pelvis
Indications:
Spiral mode for routine radiation therapy planning pel-
vis studies.
For SOMATOM Emotion 16-slice configuration:
A range of 20 cm will be covered in 8.94 sec.
For SOMATOM Emotion 6-slice configuration:
A range of 20 cm will be covered in 13.11 sec.

Radiation Therapy
481
Emotion 16 Pelvis 2nd recon.
kV 130
Effective mAs/
Quality ref. mAs
150
Rotation time 1.0 sec.
Acquisition 16 x 1.2 mm
Slice collimation 1.2 mm
Slice width 3.0 mm 3.0 mm
Feed/Rotation 28.8 mm
Pitch Factor 1.50
Increment 3.0 mm 3.0 mm
Kernel B41s B60s
CTDIVol 16.80 mGy
Effective dose Male: 6.68 mSv
Female: 11.42 mSv
Emotion 6 Pelvis 2nd recon.
kV 130
Effective mAs/
Quality ref. mAs
150
Rotation time 1.0 sec.
Acquisition 6 x 2.0 mm
Slice collimation 2.0 mm
Slice width 3.0 mm 3.0 mm
Feed/Rotation 18.0 mm
Pitch Factor 1.50
Increment 3.0 mm 3.0 mm
Kernel B41s B60s
CTDIVol 16.35 mGy
Effective dose Male: 6.41 mSv
Female: 10.95 mSv

482
Radiation Therapy
Additional Important Information
HU values
The HU values are of crucial importance for the therapy
planning systems of radiation therapists!
• With huge objects, the CT value is independent of
the kernel. With smaller objects, edge effects pro-
duced by the kernel influence the HU values as well
as the scanning. Feed and collimation do not have
any influence.
• An extended FoV of 800 mm means that only 500
mm are scanned, the rest will be interpolated.
• The effect on the HU values of having carbon plate
tagged additionally to the patient table should be
negligible and not measurable.
• CARE Dose 4D does not have any effect on the HU
values.
• HU values and the conversion of the electron densi-
ties depend on the applied spectrum, e.g. kV, prefil-
tration(kV, prefiltration, etc.)
• HU values depend on the use of the online bone cor-
rection (PFO).

Radiation Therapy
483

484
Respiratory Gating
When imaging of the chest or abdomen is performed
by CT, there may be artifacts produced causing prob-
lems with reproducibility and resolution of images due
to patient respiration. Organs will move with every res-
piratory motion.
Especially in the radiation therapy planning using a lin-
ear accelerator for tumor treatment, normal tissues
around a focus might be unnecessarily exposed to radi-
ation if the target is located in a movable organ,
because the field of irradiation has to be set wider than
the actual size of the tumour due to the organ's motion
during respiration.
As far as the respiratory motion is periodical and repet-
itive, the organs in the chest or abdomen move period-
ically and repetitively according to respiratory motion.
Therefore the diagnostic artifacts and image degrada-
tion, and the treatment dangers can be avoided if pre-
cise detection of respiratory motion and its conse-
quent, synchronized imaging or irradiation is available.

Respiratory Gating
485
The respiratory gating hardware (AZ-733V) is com-
posed of a:
• Respiratory Sensor (RS) to detect patient's abdomi-
nal motions (pressure changes) to get a patient's res-
piratory information,
• Sensor Port (SP) to amplify and to transmit analog
signals from RS,
• Wave Deck (WD) to receive the respiratory signal
from the said SP and to convert them to a digital sig-
nal to be sent to the host computer (PC) of the CT
system.
The respiration curve as well as scan and reconstruc-
tion parameters are displayed on the CT user interface
and embedded into the examination workflow.
The respiration curve will be displayed before and dur-
ing spiral acquisition and saved in the respiration file.
After scanning the user can select the respiration level
(in [%]) of inspiration or expiration for reconstruction.
A synthetic sync signal and a respiration curve editing
functionality are available.
Regarding an imaging device such as SOMATOM
Emotion 6/16-slice configuration the respiratory gat-
ing functionality offers an increase of image resolution
and reproducibility as well as a decrease of motion
artefacts by image reconstructions based on respira-
tory information both needed for high-precision radia-
tion therapy planning and treatment as well.
The mentioned increase of RT accuracy results in a
decrease of RT side effects by minimizing excessive
irradiation dose to healthy tissue.

486
Respiratory Gating
Key Features
Respiratory Gating
• is capturing slow moving anatomical structures such
as lung lesions during respiration up to a respiration
cycle time of 10sec by low pitch spiral.
• helps the radio-oncologists in selecting the appropri-
ate phase of the respiratory cycle in order to plan a
treatment more accurately.
• helps visualizing the tumor excursion for a better
understanding of the target volume using InSpace
4D.
• results in a more accurate description of the ROI and
• is considering tumor motion into the PTV (planned
target volume).
Respiration Monitoring
• Accurate determination of respiratory motion
• Respiration change recognition (cough, sneeze,
movement)
• Support for monitoring of free-breathing and breath
hold respiration protocols

Respiratory Gating
487
Respiration Synchronization
• Synchronization of CT data acquisition with respira-
tion: 4D CT - prospectively Respiratory Triggering or
retrospectively Respiratory Gating.
• Synchronization of 4D simulation data with respira-
tion
• Synchronized Treatment: triggered beaming on-off
on Linac (Linear Accelerator).

488
Respiratory Gating
Positioning of the respiratory
sensor belt
The correct placement of the abdominal belt is essen-
tial in order to receive a clear respiratory signal result-
ing in precise generation of inspiration and expiration
gates. Improper positioning of the respiratory belt will
result in an unstable respiratory signal which is sensi-
tive to movements of the patient during the scan and
can cause image artifacts due to small metallic compo-
nents of the sensor (please position the respiratory
belt outside of the scan range).

Respiratory Gating
489
For proper belt positioning please follow the instruc-
tions below:
For further information on the respiratory gating sys-
tem AZ-733V (Anzai Medical, Japan), please refer to
the Operational manual "Respiratory Gating" or Anzai
User's manual.
Step 2
Step 4
patient
load cell fixing belt
The blue part should apply to the back of the
patient.
patient´s abdomen
the dia-
phragm
load cell
setting
point navel
Securely fasten the fixing belt around the
patient.
load cell connection cable
Be careful load cell connection cable may
not entangle with the patient.
Step 1
load cell
Wind the load cell fixing belt around the
body so that the pocket (load cell part)
applies ontojust below the diaphragm.
Step 3

490
Respiratory Gating
Scanning Information
The expected benefits in radiation treatment planning,
e.g. for lung and abdominal tumors are:
• Information about tumor motion in 3D coordinates
and over time
• More accurate tumor shape delineation and there-
fore a more precise RTP (radiation therapy planning)
• Potential for sparing of healthy tissue, minimization
of PTV (planned target volume) and less side effects
• Potential for dose acceleration and higher cure rate
To minimize motion artifacts, two requirements are
mandatory for a CT system:
– Fast gantry rotation to raise the temporal resolution
for artifact free images
– Prospective triggering of image acquisition in a
sequential mode or retrospective gating of image
reconstruction in a spiral mode based on the record-
ing of the respiratory curve in order to obtain images
during inspiration and expiration phases.
Scan Parameters
A respiratory gated lung spiral with cone correction
will be provided. To be able to work also with low
breathing rates, a fixed pitch factor of a min. of 0.1 is
needed. Slice widths and collimation are the same as
for cardio spiral.
In the Specials folder different scan protocols are pre-
defined for different breathing rates.

Respiratory Gating
491
Temporal Resolution
Temporal resolution, also called time resolution, repre-
sents the time window of the data that is used for
image reconstruction. It is essential for respiratory CT
imaging. The higher the temporal resolution, the
fewer the motion artifacts. A temporal resolution of a
half of the Rotation Time can be achieved.
Technical Principles
Basically, there are two different technical approaches
for respiration correlated CT acquisition:
• Prospectively respiratory-triggered sequential scan-
ning.
• Retrospectively respiratory-gated spiral scanning.
In both cases, the respiration signal is recorded and
used to either initiate prospective image acquisition
(triggering), or to perform retrospective image recon-
struction (gating). Only scan data acquired in a user-
selectable phase of the respiration cycle is used for
image reconstruction.
Respiratory Triggering
Sequential scans are triggered by respiration signal
during a predefined amplitude of inhalation or exhala-
tion.
Triggering is based on the maximum and minimum of
the predicted respiration amplitude of the next 100%
inspiration.

492
Respiratory Gating
Respiratory gating
The respiration of the patients is simultaneously
recorded during the Spiral acquisition.
Data are acquired during the entire respiration cycle
and Images are reconstructed by matching data to the
respiration trace.
The respiration level (amplitude) is defined as an abso-
lute value. The display of the respiratory curve is opti-
mized by an auto adjustment regarding
• Gain (showing inspiration maximum as 100% of
inspiration and expiration minimum as 100% of
expiration)
and
• Offset (showing the curve optimal to vertical display
extent).

Respiratory Gating
493
The timebase of the respiratory curve is realtime in an
updating mode.
Images can be reconstructed at any user defined Inha-
lation- or Exhalation level.
Example:
– 20% Ex: Patient has exhaled to 80%
– 20% In: Patient has inhaled to 20 %
Inhalation Phase
100% Inspiration
Exhalation Phase
0% Expiration

494
Respiratory Gating
Prospective respiratory triggering ver-
sus retrospective respiratory gating
With prospective respiratory triggering, the lung vol-
ume for example is covered in a "step-and-shoot" tech-
nique. The patient's respiratory signal is used to start
sequential scans at a predefined respiratory level of
the patient' s respiratory curve. With retrospective res-
piratory gating, the lung volume is covered continu-
ously by a spiral scan. The patient's respiratory signal is
recorded simultaneously to allow a retrospective selec-
tion of the respiratory level used for image reconstruc-
tion. Prospective respiratory triggering has the benefit
of smaller patient dose than respiratory-gated spiral
scanning, since scan data is acquired at the previously
selected respiratory level only. It does not, however
provide continuous volume coverage with overlapping
slices and misregistration of anatomical details may
occur. Furthermore, reconstruction of images in differ-
ent levels of the respiratory cycle for functional evalu-
ation needs repeated CT examination of each of the
desired respiration levels along the same volume in z-
direction using Prospective Triggering technique. Since
respiratory triggered sequential scanning depends on
a reliable prediction of the patient's next Inspiration
maximum and expiration minimum, the method
should not be used for patients with arrhythmic
breathing and irregular respiratory rates and the affin-
ity to cough and to sigh.

Respiratory Gating
495
Curve Editor
The respiration curve editor is used to modify the res-
piratory signal. This editing tool is available after spiral
scan data has been acquired. By using the right mouse
menu on the Trigger tabcard you have access to several
modification tools for the respiratory Syncs (purple
dots above and below the curve), such as Delete, Dis-
able, Insert. In patients with only single or few extra
respiratory peaks caused, e.g. by coughing and sighing
overall image quality may be improved by editing the
respiratory curve prior to reconstruction. Deleting the
corresponding respiratory peaks prevents image
reconstruction in the periods of coughing or arrhyth-
mic breathing. Although respiratory-gated spiral scan-
ning is less sensitive to variable respiratory rates than
respiratory-triggered sequential scanning, the exami-
nation of patients with arrhythmic breathing that
results in unpredictable variations of the respiratory
cycles can result in limited image quality and should be
performed in exceptional cases only.

496
Respiratory Gating
The recorded Respiration curve can be edited similar to
the ECG Trace editing in Cardiac CT.
Inspiration Syncs can be deleted, disabled and
inserted.
Expiration Syncs can be deleted, disabled and inserted.

Respiratory Gating
497
Synthetic Trigger/Sync
By default, the "Synthetic Trigger" (Respiratory-trig-
gered scanning) or "Synthetic Sync" (Respiratory-gated
scanning) is activated for all predefined Respiratory
scan protocols. It is recommended to always keep it
activated for examinations with contrast medium.
In case of Respiratory signal loss during the acquisi-
tion, this will ensure the continuation of the triggered
scans or allows a Respiratory signal to be simulated for
retrospective gating. If it is deactivated, the scanning
will be aborted in case of Respiratory signal loss during
the acquisition.

498
Respiratory Gating
Workflow
Reconstruction and Post processing
For respiratory gating a slice width of 3 mm and an
increment of 1.9 mm is used for image acquisition.
Two recon jobs are predefined:
• 20% Inspiration
•80% Expiration
If more Inspiration or Expiration phases are necessary
new recon jobs can be added.
After acquisition the 4D volume data set can be recon-
structed at different respiration levels to visualize the
tumor movement over the whole respiration cycle and
to display the anatomy in space (3D) and time (4D)
InSpace 4D as an approved 4D application minimizes
the time to
• choose the appropriate phase or
• 4D data visualization in multiple planes
• Creation of 4D movie loops.
For further information on InSpace 4D please refer to
the chapter InSpace 4D in the "Clinical Applications 2"
application guide.

Respiratory Gating
499
Additional important
Information
• For operating the respiratory gating system (AZ-
733V, Anzai Medical, Japan), please refer to the
Operational manual "Respiratory Gating" or Anzai
User´s manual.
• For the usage of Anzai´s respiratory phantom for the
respiratory gating system (AZ-733V, Anzai medical,
Japan), please refer to the User´s manual.
• The images are reconstructed from data acquired in
one Inspiration or Expiration phase – Multi Phase
reconstruction is not available. For each Inspiration
or Expiration phase a new recon job can be added.
• Preview Series is not yet available. To determine the
best Inspiration or Expiration phase, InSpace 4D can
be used.

500
Respiratory Gating
Scan Protocol
RespSeq
Indications:
A sequential mode for studies with respiration trigger-
ing.
For SOMATOM Emotion 16-slice configuration:
The scan length is predefined with 30.5 cm.
For SOMATOM Emotion 6-slice configuration:
The scan length is predefined with 30.3 cm.
Emotion 16 RespSeq
kV 130
Effective mAs/
Quality ref. mAs
16
Rotation time 0.6 sec.
Acquisition 16 x 1.2 mm
Slice collimation 1.2 mm
Slice width 2.4 mm
Feed/Scan 19.2 mm
Kernel B31s
CTDIvol 1.79 mGy
Effective dose Male: 0.92 mSv
Female: 1.18 mSv

Respiratory Gating
501
Emotion 6 RespSeq
kV 130
Effective mAs/
Quality ref. mAs
16
Rotation time 0.6 sec.
Acquisition 6 x 3.0 mm
Slice collimation 3.0 mm
Slice width 3.0 mm
Feed/Scan 18.0 mm
Kernel B31s
CTDIvol 1.63 mGy
Effective dose Male: 1.29 mSv
Female: 1.81 mSv

502
Respiratory Gating
Resp
Indications:
A spiral mode for patients with a respiration rate per
minute greater than 10 using respiration gating.
For SOMATOM Emotion 16-slice configuration:
A scan range of 30 cm will be covered in 94.95 sec.
For SOMATOM Emotion 6-slice configuration:
A scan range of 30 cm will be covered in 86.04 sec.
Emotion 16 Resp 2nd reconstr.
kV 130
Effective mAs/
Quality ref. mAs
320
Rotation time 0.6 sec.
Acquisition 16 x 1.2 mm
Slice collimation 1.2 mm
Slice width 3.0 mm 3.0 mm
Feed/Rotation 1.9
Pitch Factor 0.1
Increment 2.1 mm 2.1 mm
Kernel B31s B31s
CTDIvol 35.84 mGy

Respiratory Gating
503
Emotion 6 Resp 2nd reconstr.
kV 130
Effective mAs/
Quality ref. mAs
230
Rotation time 0.8 sec.
Acquisition 6 x 2.0 mm
Slice collimation 2.0 mm
Slice width 3.0 mm 3.0 mm
Feed/Rotation 1.8
Pitch Factor 0.15
Increment 2.0 mm 2.0 mm
Kernel B31s B31s
CTDIvol 25.07 mGy

504
Respiratory Gating
RespModBreathRate
Indications:
A spiral mode for patients with a respiration rate per
minute greater than 7.5, using respiration gating.
For SOMATOM Emotion 16-slice configuration:
A scan range of 23 cm will be covered in 94.15 sec.
For SOMATOM Emotion 6-slice configuration:
A scan range of 14 cm will be covered in 94.93 sec.
Emotion 16 RespMode 2nd reconstr.
kV 130
Effective mAs/
Quality ref. mAs
320
Rotation time 1.0 sec.
Acquisition 16 x 1.2 mm
Slice collimation 1.2 mm
Slice width 3.0 mm 3.0 mm
Feed/Rotation 2.5
Pitch Factor 0.13
Increment 2.1 mm 2.1mm
Kernel B31s B31s
CTDIvol 35.84 mGy

Respiratory Gating
505
Emotion 6 RespMode 2nd reconstr.
kV 130
Effective mAs/
Quality ref. mAs
320
Rotation time 0.8 sec.
Acquisition 6 x 2.0 mm
Slice collimation 2.0 mm
Slice width 3.0 mm 3.0 mm
Feed/Rotation 1.2
Pitch Factor 0.10 0.10
Increment 2.0 mm 2.0 mm
Kernel B31s B31s
CTDIvol 34.88 mGy

506
Respiratory Gating
RespLowBreathRate
Indications:
A spiral mode for patients with a respiration rate per
minute greater than 6.5, using respiration gating.
For SOMATOM Emotion 16-slice configuration:
A scan range of 18 cm will be covered in 87.23 sec.
For SOMATOM Emotion 6-slice configuration:
A scan range of 11 cm will be covered in 93.67 sec.
Emotion 16 RespLow 2nd reconstr.
kV 130
Effective mAs/
Quality ref. mAs
320
Rotation time 1.0 sec.
Acquisition 16 x 1.2 mm
Slice collimation 1.2 mm
Slice width 3.0 mm 3.0 mm
Feed/Rotation 2.1
Pitch Factor 0.11
Increment 2.1 mm 2.1 mm
Kernel B31s B31s
CTDIvol 35.84 mGy

Respiratory Gating
507
Emotion 6 RespLow 2nd reconstr.
kV 130
Effective mAs/
Quality ref. mAs
320
Rotation time 1.0 sec.
Acquisition 6 x 2.0 mm
Slice collimation 2.0 mm
Slice width 3.0 mm 3.0 mm
Feed/Rotation 1.2
Pitch Factor 0.10
Increment 2.0 mm 2.0 mm
Kernel B31s B31s
CTDIvol 34.88 mGy
Effective dose Male: 6.40 mSv
Female:
9.14 mSv

508
Children
Overview
The scan protocols for children are defined according
to body regions - Head, Neck, Thorax, Abdomen,
Spine, Upper Extremities, Lower Extremities, Vas-
cular and Specials.
As default the quality reference mAs with CARE Dose
4D is defined for 20 kg and/or five year old children. For
children older than six years, use the adult protocols
with the CARE Dose 4D.
For a few protocols, 80 kV is used instead of 120 kV,
either to exploit the significantly higher image con-
trast of iodine contrast media at 80 kV or to reach a
lower dose level than possible with 120 kV.
For SOMATOM Emotion 16-slice configuration:
•Head
–HeadRoutine
Spiral mode for routine head studies
–HeadSeq
Sequential mode for routine head studies
–InnerEarHR
Spiral mode for high resolution inner ear studies
–InnerEar
Spiral mode for inner ear studies
–InnerEarSeq
Sequential mode for routine inner ear studies
–SinusOrbit
Spiral mode for routine sinus and orbital studies

Children
509
•Neck
–NeckRoutine
Spiral mode for soft tissues routine neck studies
•Thorax
–ThoraxRoutine
Spiral mode for routine thorax studies
–ThoraxHRSeq
Sequential mode for high resolution lung studies
•Abdomen
–AbdomenRoutine
Spiral mode for routine abdominal studies
•Spine
–Spine
Spiral mode for routine spine studies
•Upper Extremities/Low Extremities
–ExtrRoutineHR
Spiral mode for routine high resolution extremity
studies
–ExtrCombi
Spiral mode for the combination of thin slice and
routine studies
•Vascular
–HeadAngio
Spiral mode for head CTAngio studies
–CarotidAngio
Spiral mode for carotid CTAngio studies
–BodyAngioRoutine
Spiral mode for body CTAngio studies
•Specials
–NeonateBody
Spiral mode for neonate studies

510
Children
For SOMATOM Emotion 6-slice configuration:
•Head
–HeadRoutine
Spiral mode for routine head studies
–HeadSeq
Sequential mode for routine head studies
–InnerEarHR
Spiral mode for high resolution inner ear studies
–InnerEar
Spiral mode for inner ear studies
–InnerEarSeq
Sequential mode for routine inner ear studies
–SinusOrbit
Spiral mode for routine sinus and orbital studies
•Neck
–NeckRoutine
Spiral mode for soft tissues routine neck studies
•Thorax
–ThoraxRoutine/ThoraxRoutine06s
Spiral mode for routine thorax studies
–ThoraxCombi/ThoraxCombi06s
Spiral mode for the combination of thin slice lung
and routine thorax studies
–ThoraxHRSeq
Sequential mode for high resolution lung studies

Children
511
•Abdomen
–AbdomenRoutine/AbdomenRoutine06s
Spiral mode for routine abdominal studies
•Spine
–SpineRoutine
Spiral mode for routine spine studies
–SpineThinSlice
Spiral mode for thin slice spine studies
•Upper Extremities/Low Extremities
–ExtrRoutineHR
Spiral mode for routine high resolution extremity
studies
–ExtrCombi
Spiral mode for the combination of thin slice and
routine studies
•Vascular
–HeadAngio/HeadAngio06s
Spiral mode for head CTAngio studies
–CarotidAngio/CarotidAngio06s
Spiral mode for carotid CTAngio studies
–BodyAngioRoutine/BodyAngioRoutine06s
Spiral mode for body CTAngio studies
–BodyAngioFast/BodyAngioFast06s
Spiral mode for fast body CTAngio studies
•Specials
–NeonateBody/NeonateBody06s
Spiral mode for neonate studies

512
Children
General Hints
• Topograms: 256 mm lateral topograms are defined
for the head modes, and 512 mm AP topograms are
defined for the body modes. Please keep in mind
that the children’s size can be dramatically different.
You should press the "Hold Measurement" button
whenever the range shown on the real-time growing
topogram is long enough, in order to avoid unneces-
sary radiation.
In a consistent effort to reduce the total dose of an
examination, all topograms of the pediatric proto-
cols are defined at 80 kV with minimum current
(50mA).
• Gantry tilt is available for sequence scanning, not for
spiral scanning.
• For all head studies, it is very important for image
quality purposes to position the patient in the center
of the scan field. Use the lateral laser beam to make
sure that the patient is positioned in the center.
• Warm surroundings and dimmed lighting are helpful
to make children more cooperative.
• Sedation: Although the advent of the Multislice CT
scanner has enabled the user to scan through an
area of interest much faster than ever sometimes
patient motion can still result in severe motion arti-
facts which are seen on the resultant images. This
becomes a factor especially with infants and
younger children who are unable to hold still for the
exam. Your institution may consider sedating such
patients. Of course, appropriate protocols need to be
set up at your institution. For instance, the drug of
choice for specific ages/weights of these patients
(taking into consideration the total time of the
exam), the form of administration, patient preps,
adequate monitoring of the patient (pre-scan, dur-
ing the exam and post-scan) etc. should all be taken
into consideration.
The proper personnel and equipment must also be
readily available in the event of a problem.

Children
513
• Oral and rectal contrast administration: Depending
on the reason for the exam/status of the patient, oral
contrast may or may not be given to these patients.
In general, oral contrast is recommended to opacify
the intestinal tract, as unopacified bowel can have
the appearance of abdominal fluid or mass effect.
Oral, as well as rectal contrast may be required. Usu-
ally, a diluted mixture of iodine and water is used as
an oral agent. Different substances can be added to
this mixture to help reduce the bitter taste and make
it more pleasing to the child (apple juice, fruit drink
mixes are just a few of these). Barium may of course
be used in some cases as well. Negative contrast
agents such as water are becoming more popular for
delineation of stomach or bowel wall borders, or
when 3D reconstructions are needed. You need to be
aware of all the contraindications of any of the con-
trast agents you use. Please refer to the specific ver-
idor’s recommednations.
• I.V. contrast administration: In general, 1 – 2 ml per
kg of body weight should be applied, however, since
the scanning can be completed in just a few seconds,
please keep in mind that the total injection time
should not be longer than the sum of start delay time
and the scan time – do not inject contrast after the
scanning is completed.
The use of CARE Bolus is recommended in order to
achieve optimal contrast enhancement.
Both start delay time and injection rate are exam-/
patient-dependent. I.V. injection with a power injector
is recommended for all scans whenever possible.
Some guidelines to follow with respect to flow rate are
noted in the chart below.
Note: These injector guidelines are based on an
antecubital injection site. These guidelines may need
to be adjusted if the site is more peripheral.

514
Children
Central lines and ports may need to be hand injected or
power injected at a very low flow rate (1 ml/sec.).
PIC lines and 24 gauge (or smaller) lines are usually
hand injected. All of these protocols should be decided
on by your institution’s appropriate personnel.
• Applications with 80 kV: For CTA protocols, the tube
voltage was set to 80 kV and the mAs values were
raised by a factor of 1.5 over the reduced 120 kV val-
ues. This measure roughly reduces the dose again by
a factor of 2. At a lower kV, substances with a high
atomic number (such as iodine) have a significantly
higher CT value (= vascular contrast). Iodine CT val-
ues at 80 kV are about 50% higher than at 120 kV.
80 kV was also used for applications when the low-
est achievable mAs at 120 kV was still higher than
necessary for sufficient noise level (for technical rea-
sons, generators need to operate at a certain mini-
mum current for stable operation). For applications
such as neonate or airway scanning, the low tube
output at 80 kV can be used to further reduce the
dose to the patient.
• To further optimize MPR image quality we recom-
mend that you reduce one or more of the following:
collimation, reconstruction increment and slice
width for image reconstruction.
Needle Size (gauge) Flow Rate (ml/sec.)
22 1.5
20 2.0 – 3.0
18 3.0 – 5.0

Children
515
Head Kernels
The endings “s” or “f” depend on the rotation time.
• For head scans of small children, the kernels C20s,
C30s (for example, for soft tissue studies) and C60s
(for example, for sinuses are provided) should be
chosen instead of the ”adult” head kernels H20s,
H30s and H60s.
• For soft tissue head studies, the standard kernel is
H40s; softer images are obtained with H30s or H20s,
H10s, sharper images with H50s. The kernels H21s,
H31s, H41s yield the same visual sharpness as H20s,
H30s, H40s, the image appearance, however, is
more agreeable due to a ”fine-grained” noise struc-
ture; quite often, the low contrast detectability is
improved by using H31s, H 41s instead of H30s,
H40s.
• For the standard head protocols, we propose C20s
and C30s.
• High resolution head studies should be performed
with H60s, H70s (for example, for dental and
sinuses) and H80s, H90s (for example, inner ear).

516
Children
Body Kernels
The endings “s” or “f” depend on the rotation time.
• As standard kernels for body tissue studies B30s or
B40s are recommended; softer images are obtained
with B20s or B10s (extremely soft). The kernels B31s
or B41s have about the same visual sharpness as
B30s, respectively, B40s, the image appearance,
however, is more agreeable due to a ”fine-grained”
noise structure; quite often, the low contrast detect-
ability is improved by using B31s, B41s instead of
B30s, B40s.
• For higher sharpness, as is required for example, in
patient protocols for cervical spine, shoulder,
extremities, thorax, the kernels B50s, B60s, B70s,
B80s are available.
• The special kernels are mostly used for ”physical”
measurements with phantoms, for example, for
adjustment procedures (S80s), for constancy and
acceptance tests (S80s, S90s), or for specification
purposes (S90s).
For special patient protocols, S80s and S90s are cho-
sen, for example, for osteo (S80s).
It is mandatory to position the area of interest in the
center of the scan field. Use ExtrCombi mode when a
scan FoV > 25 cm is necessary.

Children
517

518
Children
Scan Protocols
HeadRoutine
Indications:
Spiral mode for routine head studies, for example,
tumors, hydrocephalus, hemorrhaging, abnormalities,
etc.
For SOMATOM Emotion 16-slice configuration:
A typical range of 12 cm covered in 20.05 sec.
For SOMATOM Emotion 6-slice configuration:
A typical range of 8.5 cm covered in 56.13 sec.

Children
519
* The conversion factor for a 7-year-old child, and a
scan range of 120 mm was used.
Emotion 16 Head
kV 110
Effective mAs/
Quality ref. mAs
230
Rotation time 1.5 sec.
Acquisition 16 x 1.2 mm
Slice collimation 1.2 mm
Slice width 4.0 mm
Feed/Rotation 10.6 mm
Pitch Factor 0.55
Increment 4.0 mm
Kernel C30s
CTDIVol 36.80 mGy
Effective dose Male: 2.83 mSv*
Female: 2.89 mSv*
Emotion 6 Head
kV 110
Effective mAs/
Quality ref. mAs
230
Rotation time 1.5 sec.
Acquisition 6 x 1.0 mm
Slice collimation 1.0 mm
Slice width 5.0 mm
Feed/Rotation 2.4 mm
Pitch Factor 0.40
Increment 5.0 mm
Kernel C30s
CTDIVol 42.32 mGy
Effective dose Male: 1.70 mSv*
Female: 1.69mSv*

520
Children
Hints
• Children, who are older than age 6, should be
scanned with an adult protocol as the skull by this
time is fully grown.
• When bone structure is of interest, use kernel C60s
for image reconstruction.
• An advanced algorithm allows for improved head
image quality, without additional post-processing.
• In order to optimize image quality versus radiation
dose, scans are provided within a maximum scan
field of 300 mm with respect to the iso-center. No
recon job with a field of view exceeding those limits
will be possible. Therefore, patient positioning has to
be performed accurately to ensure a centered loca-
tion of the skull.
•To work without CARE Dose 4D use for children
< 6 month 90 mAs
6 month-3 years 150 mAs
3-6 years 220 mAs.
Contrast medium IV injection
Start delay exam dependent
Flow rate dependent upon needle size/Access
site
Total
amount
1 – 2 ml per kg of body weight

Children
521

522
Children
HeadSeq
Indications:
Sequential mode for routine head studies for children,
for example, tumors, hydrocephalus, hemorrhaging,
abnormalities, etc.
For SOMATOM Emotion 16-slice configuration:
A scan range is predefined with 8.5 cm.
For SOMATOM Emotion 6-slice configuration:
A scan range is predefined with 9.0 cm.
Emotion 16 HeadSeq
kV 110
Effective mAs/
Quality ref. mAs
260
Rotation time 1.5 sec.
Acquisition 2 x 5.0 mm
Slice collimation 5.0 mm
Slice width 5.0 mm
Feed/Scan 10.0 mm
Kernel C30s
CTDIVol 37.44 mGy
Effective dose Male: 1.83 mSv*
Female: 1.96 mSv*

Children
523
* The conversion factor for a 7-year-old child, and a
scan range of 117 mm was used.
Emotion 6 HeadSeq
kV 110
Effective mAs/
Quality ref. mAs
260
Rotation time 1.5 sec.
Acquisition 6 x 2.0 mm
Slice collimation 2.0 mm
Slice width 6.0 mm
Feed/Scan 12.0 mm
Kernel C30s
CTDIVol 40.82 mGy
Effective dose Male: 1.86 mSv*
Female: 1.84 mSv*

524
Children
Hints
• Children, who are older than age 6, should be
scanned with an adult protocol as the skull by this
time is fully grown.
• When bone structure is of interest, use kernel C60s
for image reconstruction.
• An advanced algorithm allows for improved head
image quality, without additional post-processing.
• In order to optimize image quality versus radiation
dose, scans are provided within a maximum scan
field of 300 mm with respect to the iso-center. No
recon job with a field of view exceeding those limits
will be possible. Therefore, patient positioning has to
be performed accurately to ensure a centered loca-
tion of the skull.
•To work without CARE Dose 4D use for children
< 6 month 90 mAs
6 month-3 years 150 mAs
3-6 years 220 mAs.
Contrast medium IV injection
Start delay exam dependent
Flow rate dependent upon needle size/
Access site
Total amount 1 – 2 ml per kg of body weight

Children
525

526
Children
InnerEarHR
Indications:
Spiral mode for high-resolution inner ear studies, for
example, malformations of the inner ear, inflamma-
tory changes, pathologies of the mastoid process,
tumor processes of the pyramids, post-traumatic
changes, etc.
Note: Same as for adults except for the FoV of 300.
For SOMATOM Emotion 16-slice configuration:
A typical range of 4.0 cm covered in 24.22 sec.
For SOMATOM Emotion 6-slice configuration:
A typical range of 4.0 cm covered in 17.69 sec.

Children
527
* The conversion factor for a 7-year-old child, and a
scan range of 45 mm was used.
Emotion 16 InnerEar
kV 110
Effective mAs/
Quality ref. mAs
50
Rotation time 1.0 sec.
Acquisition 4 x 0.6 mm
Slice collimation 0.6 mm
Slice width 0.6 mm
Feed/Rotation 1.8 mm
Pitch Factor 0.75
Increment 0.4 mm
Kernel H90s
CTDIVol 10.30 mGy
Effective dose Male: 0.25 mSv*
Female: 0.25 mSv*
Emotion 6 InnerEar
kV 110
Effective mAs/
Quality ref. mAs
90
Rotation time 1.0 sec.
Acquisition 6 x 0.5 mm
Slice collimation 0.5 mm
Slice width 0.6 mm
Feed/Rotation 2.6 mm
Pitch Factor 0.85
Increment 0.5 mm
Kernel H90s
CTDIVol 17.19 mGy
Effective dose Male: 0.12 mSv*
Female: 0.11 mSv*

528
Children
Hints
• Children, who are older than age 6, should be
scanned with an adult protocol as the skull by this
time is fully grown.
• In order to optimize image quality versus radiation
dose, scans are provided within a maximum scan
field of 300 mm with respect to the iso-center. No
recon job with a field of view exceeding those limits
will be possible. Therefore, patient positioning has to
be performed accurately to ensure a centered loca-
tion of the skull.
•To work without CARE Dose 4D use for children
< 3 years 40 mAs
3-6 years 60 mAs.
Contrast medium IV injection
Start delay exam dependent
Flow rate dependent upon needle size/Access
site
Total
amount
1 – 2 ml per kg of body weight

Children
529

530
Children
InnerEar
Indications:
Spiral mode for routine inner ear studies, for example,
malformations of the inner ear, inflammatory
changes, pathologies of the mastoid process, tumor
processes of the pyramids, post-traumatic changes,
etc.
Note: Same as for adults except for the FoV of 300.
For SOMATOM Emotion 16-slice configuration:
A typical range of 4.0 cm covered in 7.21 sec.
For SOMATOM Emotion 6-slice configuration:
A typical range of 4.0 cm covered in 9.84 sec.

Children
531
* The conversion factor for a 7-year-old child, and a
scan range of 45 mm was used.
Emotion 16 InnerEar
kV 110
Effective mAs/
Quality ref. mAs
50
Rotation time 1.0 sec.
Acquisition 16 x 0.6 mm
Slice collimation 0.6 mm
Slice width 0.75 mm
Feed/Rotation 7.7 mm
Pitch Factor 0.80
Increment 0.5 mm
Kernel H90s
CTDIVol 8.90 mGy
Effective dose Male: 0.27 mSv*
Female: 0.28 mSv*
Emotion 6 InnerEar
kV 110
Effective mAs/
Quality ref. mAs
90
Rotation time 1.0 sec.
Acquisition 6 x 1.0 mm
Slice collimation 1.0 mm
Slice width 1.25 mm
Feed/Rotation 5.1 mm
Pitch Factor 0.85
Increment 1.0 mm
Kernel H90s
CTDIVol 16.56 mGy
Effective dose Male: 0.13 mSv*
Female: 0.12 mSv*

532
Children
Hints
• Children, who are older than age 6, should be
scanned with an adult protocol as the skull by this
time is fully grown.
• In order to optimize image quality versus radiation
dose, scans are provided within a maximum scan
field of 300 mm with respect to the iso-center. No
recon job with a field of view exceeding those limits
will be possible. Therefore, patient positioning has to
be performed accurately to ensure a centered loca-
tion of the skull.
•To work without CARE Dose 4D use for children
< 3 years 40 mAs
3-6 years 60 mAs.
Contrast medium IV injection
Start delay exam dependent
Flow rate dependent upon needle size/Access
site
Total
amount
1 – 2 ml per kg of body weight

Children
533

534
Children
InnerEarSeq
Indications:
Sequential mode for routine inner ear studies, for
example, Inflammatory changes, tumorous pro-cesses
of pyramids, cerebellopontine angle tumors, post-
traumatic changes, etc.
For SOMATOM Emotion 16-slice configuration:
A scan range is predefined with 4.3 cm.
For SOMATOM Emotion 6-slice configuration:
A scan range is predefined with 8.3 cm.
Note: Same as for adults except for the FoV of 300.
Emotion 16 InnerEarSeq
kV 110
Effective mAs/
Quality ref. mAs
50
Rotation time 1.0 sec.
Acquisition 12 x 0.6 mm
Slice collimation 0.6 mm
Slice width 0.6 mm
Feed/Scan 7.2 mm
Kernel H90s
CTDIVol 10.00 mGy
Effective dose Male: 0.23 mSv*
Female: 0.23 mSv*

Children
535
* The conversion factor for a 7-year-old child, and a
scan range of 40 mm was used.
Emotion 6 InnerEarSeq
kV 110
Effective mAs/
Quality ref. mAs
90
Rotation time 1.0 sec.
Acquisition 6 x 1.0 mm
Slice collimation 1.0 mm
Slice width 1.0 mm
Feed/Scan 6.0 mm
Kernel H90s
CTDIVol 16.56 mGy
Effective dose Male: 0.41 mSv*
Female: 0.42 mSv*

536
Children
Hints
• Children, who are older than age 6, should be
scanned with an adult protocol as the skull by this
time is fully grown.
• In order to optimize image quality versus radiation
dose, scans are provided within a maximum scan
field of 300 mm with respect to the iso-center. No
recon job with a field of view exceeding those limits
will be possible. Therefore, patient positioning has to
be performed accurately to ensure a centered loca-
tion of the skull.
•To work without CARE Dose 4D use for children
< 3 years 40 mAs
3-6 years 60 mAs.
Contrast medium IV injection
Start delay exam dependent
Flow rate dependent upon needle size/Access
site
Total
amount
1 – 2 ml per kg of body weight

Children
537

538
Children
SinusOrbit
Indications:
Spiral mode for routine spiral studies of the sinuses
and paranasal sinuses, for example, sinusitis, pneuma-
tization, polyposis, malformations, tumors etc.
Spiral mode for routine studies of the orbitae, for
example, fracture.
For SOMATOM Emotion 16-slice configuration:
A typical range of 6 cm covered in 9.81 sec.
For SOMATOM Emotion 6-slice configuration:
A typical range of 4 cm covered in 9.84 sec.

Children
539
Emotion 16 Sinus
Orbi
2nd
recon.
3rd
recon.
4th
recon.
kV 110
Effective
mAs/
Quality ref.
mAs
50
Rotation
time
1.0 sec.
Acquisition 16 x 0.6 mm
Slice
collimation
0.6 mm
Slice width 3.0 mm 3.0 mm 1.0 mm 1.0 mm
Feed/
Rotation
7.7 mm
Pitch Factor 0.80
Increment 3.0 mm 3.0 mm 0.7 mm 0.7 mm
Kernel C60s C30s C60s C30s
CTDIVol 8.90 mGy
Effective
dose
Male: 0.29 mSv*
Female: 0.31 mSv*

540
Children
* The conversion factor for a 7-year-old child, and a
scan range of 60 mm was used.
Emotion 6 Sinus
Orbi
2nd
recon.
3rd
recon.
4th
recon.
kV 110
Effective
mAs/
Quality ref.
mAs
50
Rotation
time
1.0 sec.
Acquisition 6 x 1.0 mm
Slice
collimation
1.0 mm
Slice width 3.0 mm 3.0 mm 1.25
mm
1.25
mm
Feed/
Rotation
5.1 mm
Pitch
Factor
0.85
Increment 3.0 mm 3.0 mm 0.8 mm 0.8 mm
Kernel C60s C30s C60s C30s
CTDIVol 9.20 mGy
Effective
dose
Male: 0.04 mSv*
Female: 0.04 mSv*

Children
541
Hints
• Children older than age 6 should be scanned with an
adult protocol.
• The second recon job is defined with kernel H60s
and with an overlap for visualizing bone structures
with MPR.
•To work without CARE Dose 4D use for children
< 3 years 40 mAs
3-6 years 60 mAs.
Contrast medium IV injection
Start delay exam dependent
Flow rate dependent upon needle size/Access
site
Total
amount
1 – 2 ml per kg of body weight

542
Children
NeckRoutine
Indications:
Spiral mode for routine neck studies, for example,
tumors, lymphoma, abscesses, etc.
NeckRoutine:
For SOMATOM Emotion 16-slice configuration:
A typical range of 15 cm covered in 7.21 sec.
For SOMATOM Emotion 6-slice configuration:
A typical range of 15 cm covered in 8.27 sec.

Children
543
* The conversion factor for a 7-year-old child, and a
scan range of 170 mm was used.
Emotion 16 Neck 2nd reconstr.
kV 110
Effective mAs/
Quality ref. mAs
50
Rotation time 1.0 sec.
Acquisition 16 x 1.2 mm
Slice collimation 1.2 mm
Slice width 5.0 mm 1.5 mm
Feed/Rotation 28.8 mm
Pitch Factor 1.50
Increment 5.0 mm 1.0 mm
Kernel B50s B50s
CTDIVol 3.60 mGy
Effective dose Male: 0.69 mSv*
Female: 0.71 mSv*
Emotion 6 Neck 2nd reconstr.
kV 110
Effective mAs/
Quality ref. mAs
50
Rotation time 0.8 sec.
Acquisition 6 x 2.0 mm
Slice collimation 2.0 mm
Slice width 5.0 mm 2.5 mm
Feed/Rotation 18.0 mm
Pitch Factor 1.50
Increment 5.0 mm 1.5 mm
Kernel B50s B50s
CTDIVol 3.55 mGy
Effective dose Male: 2.03 mSv*
Female: 2.12 mSv*

544
Children
Hints
• If necessary, scan down to the aortic arch or medi-
astinum to include the entire lesion.
• Cooperative children can be instructed to hold their
breath during the acquisition.
• Children older than age 6 should be scanned with an
adult protocol.
•To work without CARE Dose 4D use for children
< 3 years 40 mAs
3-6 years 60 mAs
Contrast medium IV injection
Start delay exam dependent
Flow rate dependent upon needle size/Access
site
Total
amount
1 – 2 ml per kg of body weight

Children
545

546
Children
ThoraxRoutine/
ThoraxRoutine06s
Indications:
Spiral mode for routine thorax studies,for example,
pneumonia, tumors, metastases, lymphoma, vascular
abnormalities etc.
For SOMATOM Emotion 16-slice configuration:
A typical range of 15 cm covered in 4.33 sec.
For SOMATOM Emotion 6-slice configuration:
A typical range of 15 cm covered in 6.20 sec.

Children
547
Emotion 16 Thor
Routine
2nd
recon.
3rd
recon.
4th
recon.
kV 110
Effective
mAs/
Quality ref.
mAs
39
Rotation
time
0.6 sec.
Acquisition 16 x 1.2 mm
Slice
collimation
1.2 mm
Slice width 3.0 mm 3.0 mm 1.5 mm 1.5 mm
Feed/
Rotation
28.8 mm
Pitch Factor 1.50
Increment 3.0 mm 3.0 mm 1.0 mm 1.0 mm
Kernel B41s B60s B41s B60s
CTDIVol 2.81 mGy
Effective
dose
Male: 1.21 mSv*
Female: 1.49 mSv*

548
Children
* The conversion factor for a 7-year-old child, and a
scan range of 150 mm was used.
Emotion 6 ThorRoutine 2nd reconstr.
kV 110
Effective mAs/
Quality ref. mAs
26
Rotation time 0.8/0.6 sec.
Acquisition 6 x 2.0 mm
Slice collimation 2.0 mm
Slice width 5.0 mm 5.0 mm
Feed/Rotation 18.0 mm
Pitch Factor 1.50
Increment 5.0 mm 5.0 mm
Kernel B41s B60s
CTDIVol 1.85 mGy
Effective dose Male: 1.69 mSv*
Female: 1.98 mSv*

Children
549
Hints
• Children with a body weight of more than 55 kg
should be examined with an adult protocol.
• The first and second recon jobs are defined for visu-
alization of the mediastinum and the lungs, respec-
tively.
•To work without CARE Dose 4D use for children
< 15 kg 17 mAs
15-24 kg 20 mAs
25-34 kg 30 mAs
35-54 kg 60 mAs
Contrast medium IV injection
Start delay exam dependent
Flow rate dependent upon needle size/Access
site
Total
amount
1 – 2 ml per kg of body weight

550
Children
ThoraxCombi/
ThoraxCombi06s
Indications:
Combining thin slice and routine thorax studies with
one spiral scan, for example, thorax studies in general
and interstitial changes in the lungs.
For SOMATOM Emotion 6-slice configuration:
A typical range of 15 cm covered in 11.20 sec.

Children
551
* The conversion factor for a 7-year-old child, and a
scan range of 150 mm was used.
Emotion 6 ThorC
ombi
2nd
recon.
3rd
recon.
4th
recon.
kV 110
Effective
mAs/
Quality ref.
mAs
39
Rotation
time
0.8/0.6 sec.
Acquisition 6 x 1.0 mm
Slice
collimation
1.0 mm
Slice width 3.0 mm 3.0 mm 1.25
mm
1.25
mm
Feed/
Rotation
9.0 mm
Pitch
Factor
1.50
Increment 3.0 mm 3.0 mm 0.8 mm 0.8 mm
Kernel B60s B41s B60s B41s
CTDIVol 3.24 mGy
Effective
dose
Male: 2.82 mSv*
Female: 3.33 mSv*

552
Children
Hints
• Children with a body weight of more than 55 kg
should be examined with an adult protocol.
•For the 2
nd reconstruction the Autoload into
MPRthick Range on the 3D Card is activated. The
images will be automatically loaded into 3D,
MPRthick, and a coronal MPRthick Range will pop up.
Please notice, if you are not satisfied with the Range
preset, adapt the parameters to your needs and link
them to the series.
•To work without CARE Dose 4D use for children
< 25 kg 25 mAs
25-34 kg 45 mAs
35-54 kg 65 mAs
Contrast medium IV injection
Start delay exam dependent
Flow rate dependent upon needle size/Access
site
Total
amount
1 – 2 ml per kg of body weight

Children
553

554
Children
ThoraxHRSeq
Indications:
Sequence mode for high-resolution lung studies, for
example, interstitial changes in the lungs, using a 10
mm feed.
For SOMATOM Emotion 16-slice configuration:
A scan range is predefined with 15.1 cm.
For SOMATOM Emotion 6-slice configuration:
A scan range is predefined with 15.0 cm.

Children
555
* The conversion factor for a 7-year-old child, and a
scan range of 200 mm was used.
Emotion 16 ThoraxHRSeq
kV 110
Effective mAs/
Quality ref. mAs
36
Rotation time 1.0 sec.
Acquisition 4 x 0.6 mm
Slice collimation 0.6 mm
Slice width 1.2 mm
Feed/Scan 10.0 mm
Kernel B90s
CTDIVol 0.81 mGy
Effective dose Male: 0.31 mSv*
Female: 0.39 mSv*
Emotion 6 ThoraxHRSeq
kV 110
Effective mAs/
Quality ref. mAs
36
Rotation time 1.0 sec.
Acquisition 1 x 1.0 mm
Slice collimation 1.0 mm
Slice width 1.0 mm
Feed/Scan 10.0 mm
Kernel B90s
CTDIVol 0.24 mGy
Effective dose Male: 0.20 mSv*
Female: 0.24 mSv*

556
Children
Hints
• Children with a body weight of more than 55 kg
should be examined with an adult protocol.
• If you want to acquire the patient at full inspiration
or full expiration, you should practice breathing with
the patient a few times before beginning the scan to
improve reproductbility.
•To work without CARE Dose 4D use for children
< 35 kg 30 mAs
35-54 kg 40 mAs

Children
557

558
Children
AbdomenRoutine/
AbdomenRoutine06s
Indications:
Spiral mode for routine studies in the region of abdo-
men and pelvis, for example, tumors, lymphoma,
abscesses, post-traumatic changes, etc.
For SOMATOM Emotion 16-slice configuration:
A typical range of 20.0 cm covered in 5.37 sec.
For SOMATOM Emotion 6-slice configuration:
A typical range of 30.0 cm covered in 11.20 sec.

Children
559
* The conversion factor for a 7-year-old child, and a
scan range of 200 mm was used.
Emotion 16 AbdRoutine
kV 110
Effective mAs/
Quality ref. mAs
60
Rotation time 0.6 sec.
Acquisition 16 x 1.2 mm
Slice collimation 1.2 mm
Slice width 5.0 mm
Feed/Rotation 28.8 mm
Pitch Factor 1.50
Increment 5.0 mm
Kernel B41s
CTDIVol 4.32 mGy
Effective dose Male: 2.78 mSv*
Female: 3.38 mSv*
Emotion 6 AbdRoutine
kV 110
Effective mAs/
Quality ref. mAs
60
Rotation time 0.8/0.6 sec.
Acquisition 6 x 2.0 mm
Slice collimation 2.0 mm
Slice width 5.0 mm
Feed/Rotation 18.0 mm
Pitch Factor 1.50
Increment 5.0 mm
Kernel B41s
CTDIVol 4.26 mGy
Effective dose Male: 7.95 mSv*
Female: 12.17 mSv*

560
Children
Hints
• Delayed scans may be required for the kidneys &
bladder.
• Rectal contrast may be required for evaluation of pel-
vic mass.
• Children with a body weight of more than 55 kg
should be examined with an adult protocol.
•To work without CARE Dose 4D use for children
< 25 kg 30 mAs
25-34 kg 55 mAs
35-54 kg 100 mAs
Contrast medium IV injection
Start delay exam dependent
Flow rate dependent upon needle size/Access
site
Total
amount
1 – 2 ml per kg of body weight

Children
561

562
Children
Spine/
SpineRoutine
Indications:
Spiral mode for spine studies, for example, post-trau-
matic changes, tumors, malformations, orthopedic
indication, etc.
For SOMATOM Emotion 16-slice configuration:
A typical range of 15 cm covered in 26.04 sec.
For SOMATOM Emotion 6-slice configuration:
A typical range of 15 cm covered in 16.71 sec.

Children
563
* The conversion factor for a 7-year-old child, and a
scan range of 160 mm was used.
Emotion 16 Spine 2nd reconstr.
kV 110
Effective mAs/
Quality ref. mAs
60
Rotation time 1.0 sec.
Acquisition 16 x 0.6 mm
Slice collimation 0.6 mm
Slice width 2.0 mm 1.0 mm
Feed/Rotation 6.2 mm
Pitch Factor 0.65
Increment 2.0 mm 0.7 mm
Kernel B41s B60s
CTDIVol 4.80 mGy
Effective dose Male: 1.28 mSv*
Female: 1.43 mSv*
Emotion 6 SpineRoutine 2nd reconstr.
kV 110
Effective mAs/
Quality ref. mAs
78
Rotation time 1.0 sec.
Acquisition 6 x 2.0 mm
Slice collimation 2.0 mm
Slice width 3.0 mm 2.5 mm
Feed/Rotation 10.2 mm
Pitch Factor 0.85
Increment 3.0 mm 1.5 mm
Kernel B41s B60s
CTDIVol 5.54 mGy
Effective dose Male: 2.36 mSv*
Female: 4.86 mSv*

564
Children
Hints
• Children with a body weight of more than 55 kg
should be examined with an adult protocol.
•To work without CARE Dose 4D use for children
< 25 kg 30 mAs
25-34 kg 55 mAs
35-54 kg 120 mAs

Children
565

566
Children
SpineThinSlice
Indications:
Spiral mode for the spine when Multi Planar Reforma-
tion (MPR) are intended, for example, post-traumatic
changes, tumors, malformations, etc.
For SOMATOM Emotion 6-slice configuration:
A typical range of 15 cm covered in 47.45 sec.
* The conversion factor for a 7-year-old child, and a
scan range of 160 mm was used.
Emotion 6 SpineThinSlice 2nd reconstr.
kV 110
Effective mAs/
Quality ref. mAs
78
Rotation time 1.0 sec.
Acquisition 6 x 1.0 mm
Slice collimation 1.0 mm
Slice width 2.0 mm 1.25 mm
Feed/Rotation 3.3 mm
Pitch Factor 0.55
Increment 2.0 mm 0.8 mm
Kernel B41s B60s
CTDIVol 6.47 mGy
Effective dose Male: 2.55 mSv*
Female: 3.02 mSv*

Children
567
Hints
• Children with a body weight of more than 55 kg
should be examined with an adult protocol.
•To work without CARE Dose 4D use for children
< 25 kg 40 mAs
25-34 kg 70 mAs
35-54 kg 90 mAs

568
Children
ExtrRoutineHR
Indications:
Spiral mode for high-resolution bone studies, for
example, tumors, post-traumatic changes, orthopedic
indications, etc.
For SOMATOM Emotion 16-slice configuration:
A typical range of 6 cm covered in 35.33 sec.
For SOMATOM Emotion 6-slice configuration:
A typical range of 10 cm covered in 35.33 sec.
* The conversion factor for a 7-year-old child, and a
scan range of 60 mm was used.
** Adjust the mAs value to the body region.
Emotion 16 ExtrHR
kV 110
Effective mAs/
Quality ref. mAs**
50
Rotation time 1.0 sec.
Acquisition 4 x 0.6 mm
Slice collimation 0.6 mm
Slice width 0.6 mm
Feed/Rotation 1.8 mm
Pitch Factor 0.75
Increment 0.4 mm
Kernel U90s
CTDIVol 4.70 mGy
Effective dose Male: 0.01 mSv*
Female: 0.01 mSv*

Children
569
* The conversion factor for a 7-year-old child, and a
scan range of 60 mm was used.
** Adjust the mAs value to the body region.
Hints
• Children with a body weight of more than 55 kg
should be examined with an adult protocol.
•To work without CARE Dose 4D use for children
< 25 kg 26 mAs
25-34 kg 40 mAs
35-54 kg 80 mAs
Emotion 6 ExtrHR
kV 110
Effective mAs/
Quality ref. mAs**
50
Rotation time 1.0 sec.
Acquisition 6 x 0.5 mm
Slice collimation 0.5 mm
Slice width 0.6 mm
Feed/Rotation 3.0 mm
Pitch Factor 1.00
Increment 0.3 mm
Kernel U90s
CTDIVol 4.25 mGy
Effective dose Male: 0.01 mSv*
Female: 0.01 mSv*

570
Children
ExtrCombi
Indications:
Spiral mode for the combination of bone and soft tis-
sue studies, for example, masses, trauma, disorders of
the joint etc.
For SOMATOM Emotion 16-slice configuration:
A typical range of 10 cm covered in 8.94 sec.
For SOMATOM Emotion 6-slice configuration:
A typical range of 10 cm covered in 13.11 sec.

Children
571
* The conversion factor for a 7-year-old child, and a
scan range of 100 mm was used.
Emotion 16 ExtrCombi 2nd reconstr.
kV 110
Effective mAs/
Quality ref. mAs
25
Rotation time 1.0 sec.
Acquisition 16 x 0.6 mm
Slice collimation 0.6 mm
Slice width 3.0 mm 1.0 mm
Feed/Rotation 14.4 mm
Pitch Factor 1.50
Increment 3.0 mm 0.7 mm
Kernel B41s B70s
CTDIVol 2.00 mGy
Effective dose Male: < 0 mSv*
Female: < 0 mSv*
Emotion 6 ExtrCombi 2nd reconstr.
kV 110
Effective mAs/
Quality ref. mAs
25
Rotation time 1.0 sec.
Acquisition 6 x 1.0 mm
Slice collimation 1.0 mm
Slice width 3.0 mm 1.25 mm
Feed/Rotation 9.0 mm
Pitch Factor 1.50
Increment 3.0 mm 0.8 mm
Kernel B41s B70s
CTDIVol 2.08 mGy
Effective dose Male: < 0 mSv*
Female: < 0 mSv*

572
Children
Hints
• Children with a body weight of more than 55 kg
should be examined with an adult protocol.
•To work without CARE Dose 4D use for children
< 25 kg 26 mAs
25-34 kg 35 mAs
35-54 kg 70 mAs
Contrast medium IV injection
Start delay exam dependent
Flow rate dependent upon needle size/Access
site
Total
amount
1 – 2 ml per kg of body weight

Children
573

574
Children
HeadAngio/
HeadAngio06s
Indications:
Spiral mode for head CT Angio studies, for example,
cerebral vascular abnormalities, tumors etc.
For SOMATOM Emotion 16-slice configuration:
A typical range of 6 cm covered in 3.70 sec.
For SOMATOM Emotion 6-slice configuration:
A typical range of 6 cm covered in 5.20 sec.
Emotion 16 HeadAngio 2nd reconstr.
kV 80
Effective mAs/
Quality ref. mAs
80
Rotation time 0.6 sec.
Acquisition 16 x 0.6 mm
Slice collimation 0.6 mm
Slice width 2.0 mm 1.0 mm
Feed/Rotation 14.4 mm
Pitch Factor 1.50
Increment 2.0 mm 0.7 mm
Kernel C30s C30s
CTDIVol 6.16 mGy
Effective dose Male: 0.20 mSv*
Female: 0.21 mSv*

Children
575
* The conversion factor for a 7-year-old child, and a
scan range of 60 mm was used.
Emotion 6 HeadAngio 2nd reconstr.
kV 80
Effective mAs/
Quality ref. mAs
80
Rotation time 0.8/0.6 sec.
Acquisition 6 x 1.0 mm
Slice collimation 1.0 mm
Slice width 2.0 mm 1.25 mm
Feed/Rotation 9.0 mm
Pitch Factor 1.50
Increment 2.0 mm 0.8 mm
Kernel C30s C30s
CTDIVol 6.40 mGy
Effective dose Male: 0.16 mSv*
Female: 0.16 mSv*

576
Children
Hints
• Children older than age 6 should be examined with
an adult protocol.
• CARE Bolus may be used to optimize the bolus timing
with a triggering threshold of 120 HU, or use manual
triggering.
• An advanced algorithm allow for improved head
image quality, without any additional post-process-
ing.
•To work without CARE Dose 4D use for children
< 3 years 100 mAs
3-6 years 150 mAs
Contrast medium IV injection
Start delay exam dependent
Flow rate dependent upon needle size/Access
site
Total
amount
1 – 2 ml per kg of body weight

Children
577

578
Children
CarotidAngio/
CarotidAngio06s
Indications:
Spiral mode for carotid CT Angio studies, for example,
carotidstenosis or occlusion, vascular abnormalities of
thecarotids or vertebral arteries, etc.
For SOMATOM Emotion 16-slice configuration:
A typical range of 17 cm covered in 8.28 sec.
For SOMATOM Emotion 6-slice configuration:
A typical range of 20 cm covered in 14.53 sec.

Children
579
* The conversion factor for a 7-year-old child, and a
scan range of 170 mm was used.
Emotion 16 CarotidAngio 2nd reconstr.
kV 80
Effective mAs/
Quality ref. mAs
40
Rotation time 0.6 sec.
Acquisition 16 x 0.6 mm
Slice collimation 0.6 mm
Slice width 3.0 mm 1.0 mm
Feed/Rotation 14.4 mm
Pitch Factor 1.50
Increment 3.0 mm 0.7 mm
Kernel B41s B31s
CTDIVol 1.28 mGy
Effective dose Male: 0.29 mSv*
Female: 0.28 mSv*
Emotion 6 CarotidAngio 2nd reconstr.
kV 80
Effective mAs/
Quality ref. mAs
60
Rotation time 0.8/0.6 sec.
Acquisition 6 x 1.0 mm
Slice collimation 1.0 mm
Slice width 3.0 mm 1.25 mm
Feed/Rotation 9.0 mm
Pitch Factor 1.50
Increment 3.0 mm 0.8 mm
Kernel B41s B31s
CTDIVol 1.98 mGy
Effective dose Male: 1.79 mSv*
Female: 1.83 mSv*

580
Children
Hints
• Children older than age 6 should be scanned with an
adult protocol.
• CARE Bolus may be used to optimize the bolus timing
with a triggering threshold of 120 HU, or use manual
triggering.
•To work without CARE Dose 4D use for children
< 3 years 100 mAs
3-6 years 150 mAs
Contrast medium IV injection
Start delay exam dependent
Flow rate dependent upon needle size/Access
site
Total
amount
1 – 2 ml per kg of body weight

Children
581

582
Children
BodyAngioRoutine/
BodyAngioRoutine06s
Indications:
For abdominal CT Angio studies, for example, vascular
abnormalities, aneurysms, etc.
For SOMATOM Emotion 16-slice configuration:
A typical range of 20.0 cm covered in 9.53 sec.
For SOMATOM Emotion 6-slice configuration:
A typical range of 15.0 cm covered in 11.20 sec.

Children
583
* The conversion factor for a 7-year-old child, and a
scan range of 200 mm was used.
Emotion 16 BodyAngio 2nd
reconstr.
kV 80
Effective mAs/
Quality ref. mAs
80
Rotation time 0.6 sec.
Acquisition 16 x 0.6 mm
Slice collimation 0.6 mm
Slice width 3.0 mm 1.0 mm
Feed/Rotation 14.4 mm
Pitch Factor 1.50
Increment 3.0 mm 0.7 mm
Kernel B41s B31s
CTDIVol 2.56 mGy
Effective dose Male: 1.34 mSv*
Female: 1.66 mSv*
Emotion 6 BodyAngio 2nd
reconstr.
kV 80
Effective mAs/
Quality ref. mAs
80
Rotation time 0.8/0.6 sec.
Acquisition 6 x 1.0 mm
Slice collimation 1.0 mm
Slice width 3.0 mm 1.25 mm
Feed/Rotation 9.0 mm
Pitch Factor 1.50
Increment 3.0 mm 0.8 mm
Kernel B41s B31s
CTDIVol 2.64 mGy
Effective dose Male: 0.04/2.18 mSv*
Female: 2.50 mSv*

584
Children
Hints
• Children with a body weight of more than 55 kg
should be examined with an adult protocol.
• CARE Bolus may be used to optimize the bolus tim-
ing. Set the ROI for monitoring scan in the abdominal
aorta with triggering threshold of 120 HU, or use
manual triggering.
•To work without CARE Dose 4D use for children
< 25 kg 40 mAs
25-34 kg 75 mAs
35-54 kg 130 mAs
Contrast medium IV injection
Start delay exam dependent
Flow rate dependent upon needle size/Access
site
Total
amount
1 – 2 ml per kg of body weight

Children
585

586
Children
BodyAngioFast/
BodyAngioFast06s
Indication:
Spiral mode for fast abdominal CT Angio studies, for
example, vascular abnormalities, aneurysms, ect.
For SOMATOM Emotion 6-slice configuration:
A range of 15 cm will be covered in 11.20 sec. with
BodyAngioFast06s
Emotion 6 BodyAngioFast
kV 80
Effective mAs/
Quality ref. mAs**
80
Rotation time 0.8/0.6 sec.
Acquisition 6 x 2.0/1.0 mm
Slice collimation 2.0/1.0 mm
Slice width 3.0 mm
Feed/Rotation 21.0/9.0 mm
Pitch Factor 1.75/1.50
Increment 3.0 mm
Kernel B41s
CTDIVol 2.32/2.64 mGy
Effective dose Male: 2.68/2.63 mSv*
Female: 4.21/4.12 mSv*

Children
587
NeonateBody/
NeonateBody06s
Indications:
Spiral mode for neonate body studies, for example,
tumors, abnormalities, malformations, abscesses, etc.
For SOMATOM Emotion 16-slice configuration:
A typical range of 15 cm covered in 4.33 sec.
For SOMATOM Emotion 6-slice configuration:
A typical range of 15 cm covered in 6.20 sec.

588
Children
* The conversion factor for a 8-week-old child, and a
scan range of 150 mm was used.
Emotion 16 NeonateBody
kV 80
Effective mAs/
Quality ref. mAs
35
Rotation time 0.6 sec.
Acquisition 16 x 1.2 mm
Slice collimation 1.2 mm
Slice width 5.0 mm
Feed/Rotation 28.8 mm
Pitch Factor 1.50
Increment 5.0 mm
Kernel B41s
CTDIVol 1.02 mGy
Effective dose Male: 0.96 mSv*
Female: 1.07 mSv*
Emotion 6 NeonateBody
kV 80
Effective mAs/
Quality ref. mAs
35
Rotation time 0.8/0.6 sec.
Acquisition 6 x 2.0 mm
Slice collimation 2.0 mm
Slice width 5.0 mm
Feed/Rotation 18.0 mm
Pitch Factor 1.50
Increment 5.0 mm
Kernel B41s
CTDIVol 1.02 mGy
Effective dose Male: 3.23 mSv*
Female: 4.12 mSv*

Children
589
Hints
• CARE Bolus may be used to optimize bolus timing.
Set the ROI for monitoring scan in the abdominal
aorta with triggering threshold of 120 HU, or use
manual triggering.
Contrast medium IV injection
Start delay exam dependent
Flow rate dependent upon needle size/Access
site
Total
amount
1 – 2 ml per kg of body weight

Manufacturer
Siemens Shanghai Medical
Equipment Ltd. (SSME)
278 Zhou Zhu Road
201318 Shanghai, P.R. China
Telephone: +86 21 38895000
Authorized Representative
according to the Medical
Device Directive 93/42/
EEC
Siemens AG
Medical Solutions
Henkestr. 127
D-91052 Erlangen
Germany
Telephone: +49 9131 84-0
© 2002-2007, Siemens AG
Order No.
C2-025.630.16.01.21
Printed in China
06/2007
